EdgeFile X7- Klinische Ergebnisse und klinische Fälle

Page 1

Unsere Mission ist es, endodontische Produkte und Lösungen zu einem günstigeren Preis anzubieten, der wiederum Ärzten und Patienten überall zugutekommt.

About EdgeEndo

EdgeEndo wurde 2012 vom US-amerikanischen Endodontologen Dr. Charles Goodis gegründet. EdgeEndo betreibt Geschäfte in über 30 Ländern auf der ganzen Welt und hat es sich zur Aufgabe gemacht, qualitativ hochwertige Dentalprodukte und -lösungen zu erschwinglichen Preisen anzubieten, die wiederum Ärzten und Patienten überall zugutekommen. Innovation ist das Herzstück von EdgeEndo. Wir glauben, dass PremiumTechnologie nicht zwangsläufig mit einem Premium-Preis einhergehen sollte.

– Charles J. Goodis , DDS-Endodontologe, Albuquerque, NM, USA, Gründer und Eigentümer von EdgeEndo®

Wir helfen Ihnen, großartige Wurzelkanalbehandlungen durchzuführen.

Klinische Ergebnisse und klinische Fälle

Klinischer Fall

Präparation komplexer Kanalsysteme in der Primärund Sekundärbehandlung mithilfe eines martensitischen Feilensystems

Die chemomechanische Aufbereitung des Wurzelkanalsystems ist ein elementarer Bestandteil der endodontischen Therapie. Die mechanische Präparation dient dem Ziel infiziertes Dentin zu entfernen und das Kanalsystem der Reinigung und Desinfektion durch Spülflüssigkeiten zugänglich zu machen.

Der Erfolg der endodontischen Therapie hängt maßgeblich von der vollständigen Reinigung des gesamten Wurzelkanalsystems ab. Die Präparation sollte hierbei immer an den Infektionsgrad des Endodonts angepasst sein. Starke oder abrupte Krümmungen, Kalzifikationen der Kanäle oder ähnliche anatomische Besonderheiten können die Herstellung eines adäquaten apikalen Durchmessers und Konus erschweren und stellen damit hohe Anforderungen an Feilensysteme. Die Wärmebehandlung endodontischer Nickel-Titan Feilensysteme kann die Materialeigenschaften entscheidend verändern um somit durch erhöhte Flexibilität und reduzierten Rückstelleffekt iatrogene Schäden zu vermeiden. Im Folgenden soll die systematische Aufbereitung komplexer Wurzelkanalsysteme anhand dreier Fallbeispiele gezeigt werden.

med. dent. Philipp Eble

Staatsexamen RWTH Aachen

Curriculum Endodontie DGET

Tätigkeitsschwerpunkt Endodontie

1: Primäre Behandlung eines

unteren Molaren mit Radix

Eine 34-jährige Patientin wurde zur Weiterbehandlung des Zahns 36 an uns überwiesen. Nach Diagnosestellung einer irreversiblen Pulpitis durch den Hauszahnarzt erfolgte dort die initiale Schmerztherapie in Form der Kariesexkavation, Trepanation der Pulpenkammer, medikamentösen Einlage und der adhäsiven Aufbaufüllung. Die Patientin stellte sich mit deutlich reduzierter Symptomatik in unserer Praxis vor.

Klinischer Befund: Zahn 36 wies zirkulär keine erhöhten Sondierungstiefen auf und war konservierend mit einer adhäsiven präendodontischen Aufbaufüllung versorgt.

Dr.
- 2015:
- 2019:
- seit 2020:
Fall
ersten
entomolaris

Röntgenologischer Befund: Therapie

Das präoperativ angefertigte diagnostische Röntgenbild zeigt eine insuffiziente Amalgamfüllung im distalen Approximalraum. Die mesiale Wurzel weist eine periapikale Osteolyse auf (Abbildung 1).

Die endodontische Behandlung fand in einer Sitzung statt. Nach Anästhesie und Anlegen des Kofferdams erfolgte die Entfernung der provisorischen Füllung und die initiale intrakoronale Diagnostik. Mittels Microopener konnte ein mesiobukkaler, mesiolingualer, distobukkaler und distolingualer Wurzelkanal sondiert werden. Die Ausarbeitung der primären Zugangskavität zur besseren Zugänglichkeit der Kanäle erfolgte mit Langschaftrosenbohrern. Anhand des präoperativen diagnostischen Röntgenbilds konnte die Länge der Wurzelkanäle vorläufig näherungsweise bestimmt werden. Die Kanäle wurden im weiteren Therapieverlauf kontinuierlich mit 6% NaOCl gespült. Nach Ausarbeitung der Zugangskavität folgte die koronale Erweiterung der Wurzelkanäle mit EdgeEndo X7 Feilen der Größe 17.06. Die elektrometrische Bestimmung der Kanallänge mithilfe eines Morita Root ZX Mini Apex Locators wurde mit C-Piloten der Größe 8-10 durchgeführt. Nach Festlegung der Arbeitslänge wurde der

Gleitpfad rotierend mit EdgeFile X7 der Größe 17.04 und 25.04 erweitert und final bis auf 30.04 aufbereitet (Abbildung 2).

Abbildung 1: Präoperative Diagnostische Aufnahme

Abbildung 2: Blick auf das mesiale Kanalsystem nach Präparation

Abbildung 3: Ansicht nach Obturation Abbildung 4: Masterpointaufnahme Abbildung 5: Nach Wurzelfüllung und adhäsivem Verschluss

Fall 2: Primäre Behandlung eines oberen zweiten Molaren

Anamnese:

Der 61-jährige Patient stellte sich nach Überweisung durch seinen Hauszahnarzt zur primären Wurzelkanalbehandlung an 27 vor. Der Zahn wurde vor ca. 2 Jahren überkront und der Patient war beschwerdefrei. Im Rahmen der röntgenologischen Kontrolle nach Wurzelspitzenresektion des Zahns 26 war eine apikale Aufhellung an Zahn 27 festgestellt worden.

Klinischer Befund: ahn 27 wies eine suffiziente Restauration auf. Es waren keine erhöhten Sondierungstiefen tastbar und sowohl Kälte- als auch Perkussionstest waren negativ.

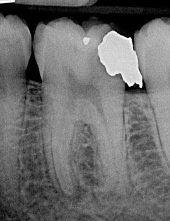
Röntgenologischer Befund: Zahn 27 weist eine apikale Aufhellung im Sinne einer chronischen apikalen Parodontitis auf (Abbildung 6).

Abbildung 6: Präoperative diagnostische Aufnahme

Therapie:

Die primäre endodontische Behandlung des Zahns 27 wurde ebenfalls in einer Sitzung durchgeführt. Nach der Trepanation erfolgte die initiale intrakoronale Diagnostik und Darstellung der vier Kanalorifizien mithilfe langschaftiger Rosenbohrer.

Zur koronalen Erweiterung der Kanäle wurde eine EdgeFile X7 der Größe 17.06 eingesetzt. Die Erstellung des Gleitpfads konnte rein mechanisch durchgeführt werden. Hierzu wurden EdgeFile X7 der Größe 17.04, 17.06 in alternierender Weise bis zum Erreichen der näherungsweise röntgenologisch bestimmten vorläufigen Arbeitslänge eingesetzt. Nach elektrometrischer Bestimmung der Arbeitslänge mit C-Pilot Feilen der Größe 8 und 10 erfolgte die weitere Präparation mit EdgeFile X7 der Größe 20.06, 25.06 und 30.06. Die Kanäle wurden nach der finalen Aufbereitung für 60 Sekunden mit 17% EDTA gespült. Die Abschlussspülung erfolgte schallaktiviert mit 6% NaOCl. Eine Masterpointaufnahme diente zur Verifizierung der Aufbereitung und der Passung der angepassten Guttaperchaspitzen (Abbildung 7). Nach Trocknung mit Mikroabsaugung und Papierspitzen wurden alle Kanäle in warm vertikaler Fülltechnik mit biokeramischem Sealer obturiert (Abbildung 8). Der adhäsive Verschluss erfolgte mit Bulk Fill Flow Komposit (Abbildung 9).

Abbildung 7: Masterpointaufnahme

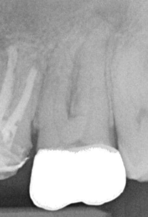
Abbildung 8: Kontrollaufnahme nach Wurzelfüllung

Abbildung 9: Kontrollaufnahme nach adhäsivem Verschluss

Fall 3: Revision eines oberen zweiten Molaren

Anamnese:

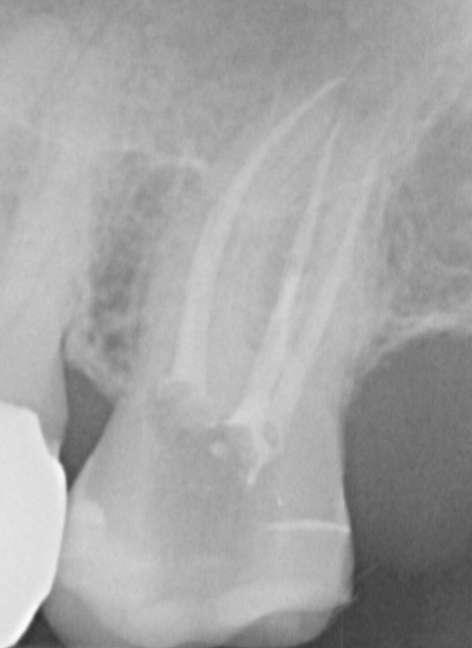
Ein 54-jähriger Patient stellte sich mit akuten Beschwerden am Zahn 27 vor. Er war von seinem Hauszahnarzt zur Weiterbehandlung überwiesen worden, nachdem dieser laut eigener Aussage erfolglos nach einem zweiten mesiobukkalen Kanal gesucht hatte.

Röntgenologischer Befund:

Das präoperativ angefertigte Röntgenbild (Abbildung 10) zeigt den bereits vom Vorbehandler trepanierten Zahn 27. Die Wurzelfüllung erscheint inhomogen. Das Wurzelfüllmaterial im mesiobukkalen Kanal ist über den röntgenologischen Apex hinaus extendiert und es zeigt sich eine periapikale Osteolyse der mesiobukkalen Wurzel.

Klinischer Befund:

Zahn 27 wies eine provisorisch verschlossene Zugangskavität auf. Der Zahn reagierte positiv auf den Perkussionstest und bei Palpation des Vestibulums war eine Druckdolenz im Bereich der mesiobukkalen Wurzel feststellbar.

Abbildung 10: Präoperative diagnostische Aufnahme

Therapie:

Die Revisionsbehandlung erfolgte in zwei Sitzungen. Nach Anlegen des Kofferdams wurde die provisorische Füllung entfernt und die Zugangskavität gereinigt. Im Anschluss erfolgte die intrakoronale Diagnostik (Abbildung 11). Es zeigte sich bakteriell besiedeltes Wurzelfüllmaterial im mesiobukkalen, distobukkalen und palatinalen Kanal. Das Orifizium des mesiobukkalen Kanals war in palatinaler Richtung erweitert. Die Entfernung eines mesialen Dentinüberhangs mit langschaftigen Rosenbohrern legte das weit nach palatinal verlagerte Orifizium des zweiten mesiobukkalen Kanals frei. Die Entfernung des Wurzelfüllmaterials erfolgte mithilfe von EdgeFile X7 der Größe 25.06, und 17.06 in Crown Down Technik um die Verschleppung von Keimen und bakteriell besiedeltem Wurzelfüllmaterial nach apikal zu reduzieren. Die Erschließung und initiale Aufbereitung des zweiten mesiobukkalen Kanals wurde mithilfe der EdgeFile X7 der Größe 17.04, 17.06 in alternierender Weise wie oben beschrieben durchgeführt. Nach elektrometrischer Bestimmung der Arbeitslänge aller Kanäle wurde die Präparation mit EdgeFile X7 auf voller Arbeitslänge fortgesetzt. Im ersten mesiobukkalen Kanal, distobukkal und palatinal wurde die Aufbereitung mit EdgeFile X7 der Größe 40.06 abgeschlossen, während der zweite mesiobukkal Kanal bis 30.06 aufbereitet wurde (Abbildung 13).

Abbildung 11: Nach Ausarbeiten der primären Zugangskavität; Darstellung des mb2 in der Nähe des palatinalen Kanals

Nach Abschluss der Präparation wurden die Kanäle getrocknet, Kalziumhydroxid auf volle Arbeitslänge eingebracht und der Zahn provisorisch mit einer adhäsiven Kompositfüllung verschlossen. Die Weiterbehandlung fand nach zwei Wochen bei Beschwerdefreiheit statt. Nach erneuter elektrometrischer Kontrolle der Arbeitslänge, Anfertigung einer Masterpointaufnahme (Abbildung 12) und schallaktivierter Abschlussspülung mit 17% EDTA und 6% NaOCl wurden die Kanäle in warm vertikaler Fülltechnik mit biokeramischem Sealer gefüllt (Abbildung 15). Der direkte adhäsive Verschluss der Zugang erfolgte mit einem Bulk Fill Flow Komposit (Abbildung 14).

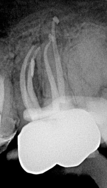
Abbildung 12: Masterpointaufnahme

Abbildung 13: Kanalsystem nach Aufbereitung

Abbildung 14: Nach Obturation und adhäsivem Verschluss Abbildung 15: Zugangskavität nach Obturation

Diskussion:

Die systematische Aufbereitung des Wurzelkanalsystems umfasst die Erschließung des Kanalsystems und Sicherung eines Gleitpfads sowie die konsekutive Erweiterung des Kanalsystems von koronal nach apikal. Minimalinvasive endodontische Konzepte stellen den Erhalt des koronalen perizervikalen Dentins in den Vordergrund.

.

Eine rationale Herangehensweise an ein minimalinvasives endodontisches Vorgehen sollte jedoch neben des reduzierten koronalen Substanzabtrags die ausreichende Präparation der apikalen Zone beinhalten. Sie soll den ausreichenden Kontakt mit Spülflüssigkeiten zur Gewebsauflösung und Desinfektion ermöglichen und sollte deshalb in Größe und Konizität an den Infektionsgrad des Endodonts angepasst sein. Ein von koronal nach apikal gerichtetes Vorgehen bietet hierbei den Vorteil erhöhter Taktilität und verringerter Belastung der Feile durch reduzierten Kontakt mit der Kanalwand und kann gleichzeitig die Keimverschleppung nach apikal reduzieren. Neuere Wärmebehandelte Feilensysteme mit reduziertem maximalem Durchmesser wie EdgeFile X7 von EdgeEndo bieten aufgrund ihrer verbesserten Materialeigenschaften und Geometrie erhöhte Sicherheit und Effizienz. In unserer Praxis hat sich insbesondere bei schwer erschließbaren Kanalsystemen die initiale mechanische Gleitpfaderstellung mit EdgeFile X7 der Größe 17.04 und 17.06 bewährt.

Die Feilen werden hierzu im Wechsel verwendet. Nach koronaler Erweiterung der 17.06 erfolgt der Wechsel zur Feile der Größe 17.04, die in kurzen pickenden Arbeitsbewegungen bis zum Erreichen der vorläufigen röntgenologisch bestimmten Arbeitslänge verwendet wird. Bei Widerstand wird die Feile 17.06 passiv auf die bisher erreichte Länge gebracht und ermöglicht danach das weitere Vordringen der 17.04. In vielen Fällen kann so auf eine zeitintensive manuelle Gleitpfaderstellung verzichtet werden. Die weitere Präparation erfolgt je nach anatomischer Situation, Infektionsgrad und geplanter Fülltechnik in Taper 04 oder 06. Der auf 1mm reduzierte maximale Querschnitt der EdgeFile X7 ermöglicht hierbei selbst bei Präparation großer apikale Durchmesser die Substanzschonung des perizervikalen Dentins und bietet erhöhte Flexibilität in gekrümmten Wurzelkanälen. In den vorliegenden Fällen konnten aufgrund der oben genannten Vorteile mithilfe eines einfachen Feilenprotokolls sowohl schwer erschließbare als auch multiplanar gekrümmte Wurzelkanäle sicher, effizient und rational minimalinvasiv aufbereitet werden.

Feilen mit unglaublicher Kraft und Flexibilität Erfahren Sie mehr

revolutionäre

X7 besteht aus

eigenen flexiblen FireWire-NiTi, das mit

geformt wird.

FireWire-NiTi-Legierung verbessert Festigkeit und Flexibilität. Bestseller-System.

Unser Wärmebehandlungsprozess verleiht der EdgeFile X7 die „Canal Contouring Technology“, die die Feilen extrem flexibel macht und das Formgedächtnis und den „Zurückspringen“-Effekt, den andere NiTi-Feilen aufweisen, reduziert. Die flexible EdgeFile™ folgt der Anatomie des Kanals genau ohne sich zu begradigen, wodurch das Risiko von Stufenbildung, Verlagerung, Perforation und Feilentrennung reduziert wird. Der flexible Schaft reduziert die Notwendigkeit eines übermäßigen geradlinigen Zugangs, wodurch mehr Zahnsubstanz erhalten werden kann.

Die
EdgeFile
unserem
unserem proprietären Wärmebehandlungsprozess
Die
1 7 20 25 30 35 40 45 13mm 9mm 3mm
1 2 3 4 5 6 8 9 Proprietäres Wärmebehandlungsverfahren Proprietäres Wärmebehandlungsverfahren - FireWire NiTiTM-Legierung verbessert die Festigkeit und Flexibilität* Erhältlich in .04 und .06 konstante Konizität - Variable Steigung Maximaler Durchmesser von 1 mm ermöglicht eine minimalinvasive Aufbereitung Dreikantiger Querschnitt und inaktive Spitze - Maximiert die Schneidleistung der Feile Elektropolierte Feile - Erhöht die Festigkeit ISO-Spitzengröße 17-45 Verfügbare Längen: 21, 25 & 29 mm 7 Reduzierte Schaftlänge für besseren Zugriff auf den hinteren Bereich X7 ist die bekannteste und bewährteste Lösung. Damit wurden Feilen von Wettbewerbern in von Experten ausgewerteten veröffentlichten Forschungsergebnissen wiederholt übertroffen Eigenschaften

Möchten Sie mehr erfahren? Kurzbeschreibung

Eine neuartige Wurzelkanalaufbereitungstechnik

Hybridisieren von wärmebehandelten rotierenden Nickel-Titan-Instrumenten

Ziel dieser Studie war es, das Potenzial der HybridWärmebehandlungstechnik (HHT) zur Formgebung stark gekrümmter Kanäle zu bewerten.

Ziel Hintergrund

Diese innovative HHT-Technik kombiniert die Verwendung von austenitischen und martensitischen Ni-Ti-Feilen mit einer vereinfachten Reihenfolge, um die Eigenschaften der verschiedenen Feilen richtig zu nutzen.

Die Operationstechnik begann mit Kanalscouting und Arbeitslängenbestimmung mit einer 10er SS K-Feile. Dann wurde eine spezifische Reihenfolge angewendet, wobei die F1 20.06v Ni-Ti-Austenitfeile (EdgeTaper) für die Aufbereitung des koronalen und mittleren Teils des Kanals verwendet wurde. Diesem Schritt folgten martensitische Ni-Ti-Feilen S2 20.04 und F120.06v (EdgeTaper Platinum), um den Kanal bis zum Apex zu erweitern. Es wurden keine intrakanalen Brüche von Instrumenten oder Verformungen von Furchen festgestellt.

Fallschilderung Klinische Bedeutung Schlussfolgerung

Die Fälle zeigen die Vorteile der neu vorgeschlagenen Technik gegenüber einem traditionellen Ansatz, um komplexe Anatomien mit nur wenigen rotierenden Ni-TiInstrumenten richtig zu formen.

Die vorliegende Studie beschreibt eine neue HHT-Technik, die darauf abzielt, Verfahren zu vereinfachen und die meisten der unterschiedlichen Eigenschaften der verschiedenen Wärmebehandlungen zu berücksichtigen; die klinischen Fälle scheinen ihre Möglichkeiten in Bezug auf Sicherheit, Schnelligkeit, Wirksamkeit und Erhaltung der ursprünglichen Anatomie zu zeigen.

Probieren
Sie die Produkte aus !

Wir sind der Meinung, dass Premium-Technologie nicht mit einem Premium-Preis einhergehen sollte.

Leistung Preis Technologie

Turn static files into dynamic content formats.

Create a flipbook
Issuu converts static files into: digital portfolios, online yearbooks, online catalogs, digital photo albums and more. Sign up and create your flipbook.
EdgeFile X7- Klinische Ergebnisse und klinische Fälle by Henry Schein Dental Austria - Issuu