EdgeEndo - Ebook - Klinische Ergebnisse und klinische Fälle

Page 1

Unsere Mission ist es, endodontische Produkte und Lösungen zu einem günstigeren Preis anzubieten, der wiederum Ärzten und Patienten überall zugutekommt.

9 klinische Fälle aus der Praxis

About EdgeEndo

EdgeEndo wurde 2012 vom US-amerikanischen Endodontologen Dr. Charles Goodis gegründet. EdgeEndo betreibt Geschäfte in über 30 Ländern auf der ganzen Welt und hat es sich zur Aufgabe gemacht, qualitativ hochwertige Dentalprodukte und -lösungen zu erschwinglichen Preisen anzubieten, die wiederum Ärzten und Patienten überall zugutekommen. Innovation ist das Herzstück von EdgeEndo. Wir glauben, dass PremiumTechnologie nicht zwangsläufig mit einem Premium-Preis einhergehen sollte.

– Charles J. Goodis , DDS-Endodontologe, Albuquerque, NM, USA, Gründer und Eigentümer von EdgeEndo®

Wir helfen Ihnen, großartige Wurzelkanalbehandlungen durchzuführen.

Klinische Ergebnisse und klinische Fälle

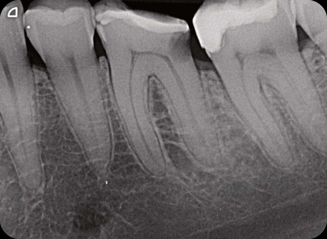
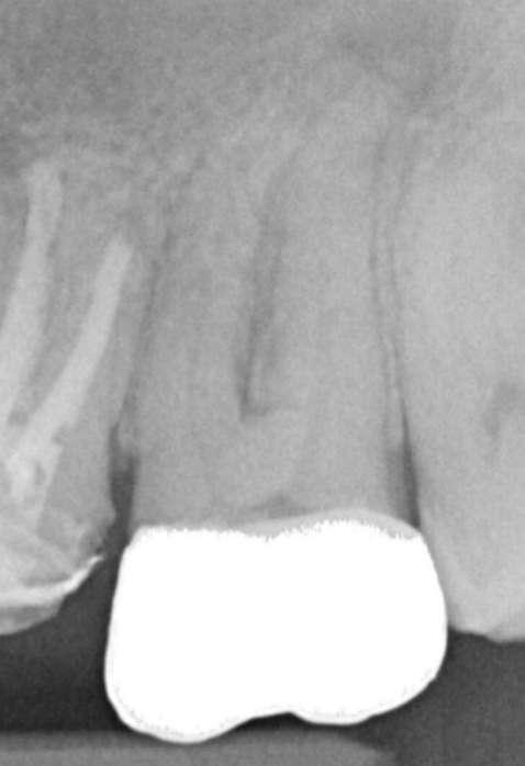
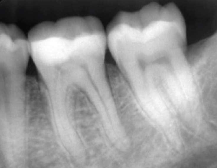
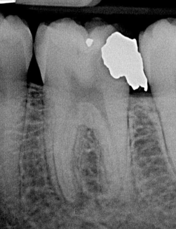
Klinischer Fall 1

Die Patientin wurde zur Beurteilung und Behandlung von Zahn 36 an unsere endodontische Praxis überwiesen. Klinisch wies Nr. 36 eine MODKompositrestauration, eine negative Reaktion auf Kälte und eine Empfindlichkeit gegenüber Perkussion auf. Die präoperative Röntgenaufnahme ergab, dass Nr. 36 eine kleine periapikale Radioluzenz an der mesialen Wurzel und eine mittelgroße an der distalen Wurzel hatte.

Vor der Operation

Certified Endodontist, Adj. Professor, Kliniker, Sydney, Australien

Endodontische Diagnose

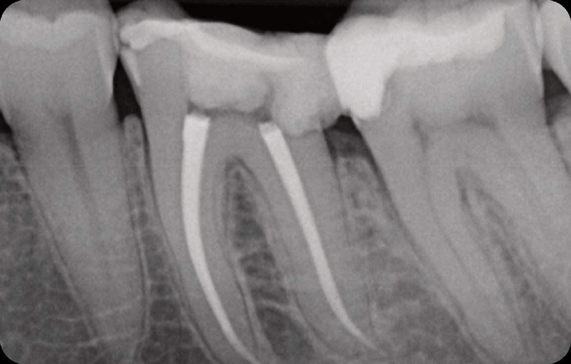
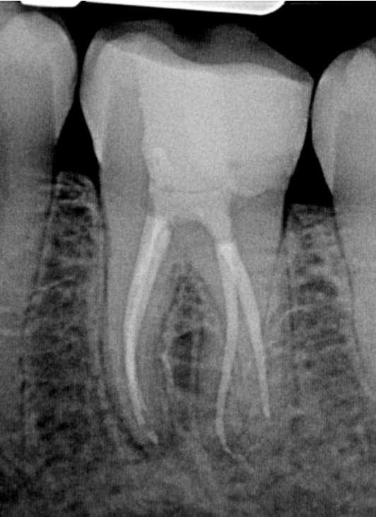
Es wurde ein Zugang zu Zahn Nr. 36 erstellt und die Kanäle MB, ML sowie DB und DL lokalisiert. Die Kanäle wurden mit EdgeFile X7-Rotationsfeilen mit einer Crown-Down-Technik instrumentiert.

Pulpanekrose mit symptomatischer apikaler Parodontitis.

Nach der Obturation Abschluss

Die Arbeitslängen wurden mit dem Apex-Locator bestimmt, gefolgt von einer röntgenologischen Bestätigung. Das Kanalsystem wurde mit BUSA BC Sealer und BC GP Point verschlossen.

Der Zugang wurde sofort mit einem faserverstärkten DualCure-Kernmaterial wiederhergestellt.

Reihenfolge der Feilen für ‚Crown-Down' (mit MAF-Größen)

X7s 25.06 bis Widerstand, dann 20.06 bis Widerstand, dann 25.06 bis Widerstand. Arbeitslänge Handfeile bis 15, ggf. 17.04, 30.04, 35.04, 40.04.

Für diesen Fall war meine letzte Rotationsfeile eine 40.04 bei 500 U/min und einem Drehmoment von 2,6 N/cm.

Klinischer Fall

2

KLINISCHES MANAGEMENT VON VERSTECKTEN APIKALEN KRÜMMUNGEN

In den allermeisten Fällen sind apikale Krümmungen nach distal ausgerichtet und in einer herkömmlichen periapikalen 2D-Röntgenaufnahme gut sichtbar. In einigen Fällen können Endodontologen jedoch versteckte abrupte Krümmungen mit unterschiedlichen Ausrichtungen vermuten (d. h. die Feilen lassen sich nicht leicht vorantreiben) oder manchmal auch entdecken (durch DVT oder unter Verwendung der bukkalen Objektregel von Clark). In solchen Fällen empfiehlt es sich, sehr flexible, ermüdungsbeständige martensitische Feilen zu verwenden (im vorliegenden Fall haben wir Edge Endo X7, Größen 17 und 25, Konizität .04 verwendet), mit reduziertem Rückspringeffekt, um die Risiken von Stufenbildung oder apikaler Verlagerung zu reduzieren.

In diesen engen apikalen Krümmungen können rotierende X7-Instrumente mit einer reziproken Bewegung im Uhrzeigersinn (150°-30°) verwendet werden, um die Torsionsbelastung zu verringern. Andernfalls wird empfohlen, bei kontinuierlicher Rotation zur Sicherheit die Drehmomentgrenzen geringfügig zu reduzieren. Auf diese Weise verbessern wir sowohl die Torsions- als auch die Biegefestigkeit und bewältigen gefahrlos diese gefährlichen versteckten abrupten Krümmungen.

Gianluca Gambarini, Alessio Zanza, Universität La Sapienza, Rom

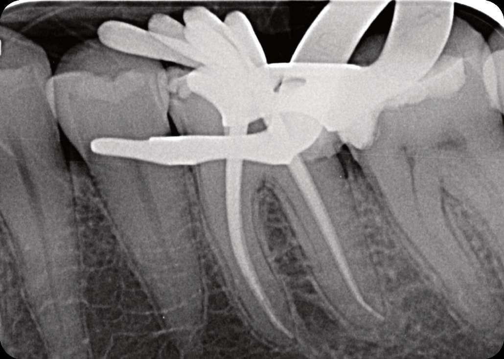
Eine 65-jährige Patientin wurde zur endodontischen Behandlung des zweiten unteren Molaren (Nr. 37) überwiesen. Sie berichtete von spontanen Schmerzen, Schwellungen und einer Zahnfistel. Anhand von Pulpavitalitätsprüfungen und Röntgenuntersuchungen wurde bei dem Zahn eine symptomatische apikale Parodontitis diagnostiziert.

Wenn man sich dieses präoperative Röntgenbild ansieht, sind zwei Hinweise zu diesem endodontischen Fall zu erkennen (Abb. 1): Obliteration der Pulpakammer und enge Kanäle Ungewöhnliche Anatomie der distalen Wurzel

Mit hochtourigen Diamantbohrern wurde eine konventionelle Zugangskavität angelegt und die drei Öffnungen wurden mit Ultraschallspitzen lokalisiert. Die KFeile #08 wurde verwendet, um das endodontische System aller Wurzeln zu erkunden, wobei aber der Apex im distalen Kanal nicht erreicht werden konnte. Das Aufweiten und die Instrumentierung im mittleren Drittel erfolgten mit einer reziprok arbeitenden kleinen (gelben) EdgeOne-Feile (Edge Endo, Albuquerque, NM), die mit Einwärts-Auswärts-Bewegungen von 1-2 mm im Wechsel mit bürstenden Bewegungen zum koronalen Erweitern der Kanäle verwendet wurde. Es wurde eine regelmäßige und reichliche manuelle Spülung mit Lösungen von 5% Natriumhypochlorit durchgeführt. Nach der Aufbereitung des koronalen und mittleren Teils wurde die Arbeitslänge mit der K-Feile #10 bestimmt und das Aufbereitungsverfahren mit martensitischen X7-Instrumenten (Edge Endo, Albuquerque, NM) in den Größen 17 und 25, Konizität .04 abgeschlossen. Die Instrumente wurden mit reziproker Rotation im Uhrzeigersinn (150°-30°) verwendet, um die Torsions- und Biegebelastung zu verringern (Abb. 2).

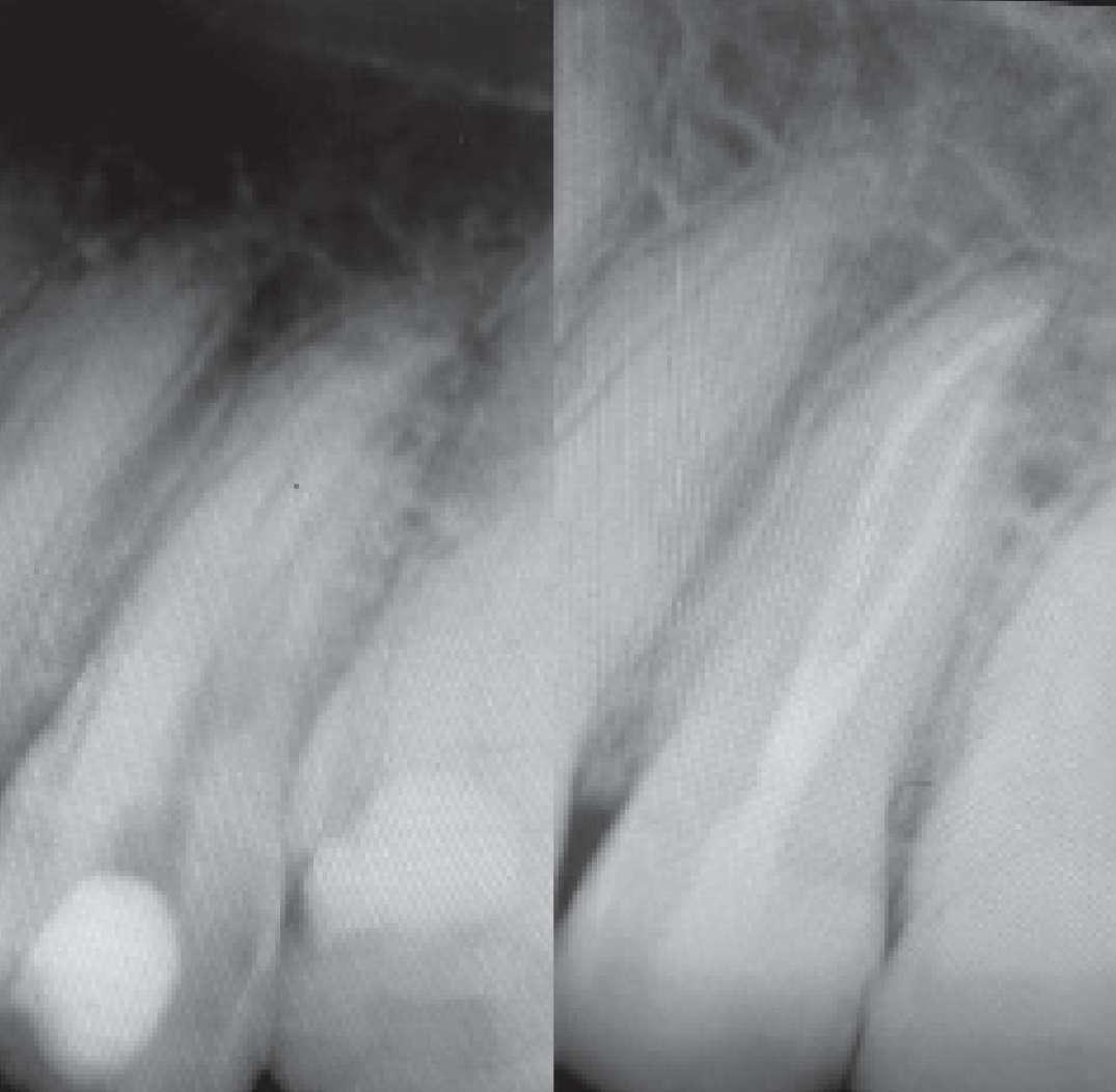
FALLBERICHT: Abb.1 Abb.2

Die abschließende Spülung erfolgte zunächst eine Minute mit schallaktivierter EDTA-Lösung, gefolgt von einer Minute mit schallaktivierter NaOCl-Lösung. Das Wurzelkanalsystem wurde gespült, getrocknet und dann mit einer hydraulischen Single-Cone-Technik und einem biokeramischen Sealer (BUSA, BC Sealer) verschlossen. Zur Überprüfung der Behandlungsqualität wurden zwei periapikale Röntgenaufnahmen aus verschiedenen Winkeln angefertigt (Abb. 3-4).

Instrumente in Verbindung mit einer sichereren klinischen reziproken Bewegung, die versteckte Krümmung ohne iatrogene Fehler richtig zu bewältigen. Die X7-Instrumente wurden aufgrund ihres innovativen Herstellungsverfahrens ausgewählt, das ihnen eine beispiellose Flexibilität und Beständigkeit gegen zyklische Ermüdung verleiht und es Ärzten ermöglicht, Verfahren durchzuführen, die mit herkömmlichen, nicht wärmebehandelten Feilen schwierig, wenn nicht unvorstellbar wären. Genauer gesagt hat EdgeEndo die Forschung und Entwicklung auf die Wärmebehandlung von NiTi-Feilen konzentriert und einen proprietären Prozess entwickelt, um FireWire™-Feilen herzustellen, die eine 2- bis 8-fache Beständigkeit gegen zyklische Ermüdung (und Flexibilität) als andere NiTiFeilen aufweisen. Die Vorteile einer flexiblen Feile scheinen bei komplexer Krümmung offensichtlich, aber martensitische X7-Feilen bieten noch einen weiteren Vorteil: weniger „Formgedächtnis“. Obwohl ein Formgedächtnis vorteilhaft erscheinen mag, kann es dazu führen, dass eine Feile im Zahn „zurückspringt“ und so seitlichen Druck auf die Kanalwand ausübt, was möglicherweise zu Kanalverlagerung oder Stufenbildung führt. Der vorliegende Fall zeigt die hervorragende klinische Leistungsfähigkeit von X7Feilen bei einer sehr komplexen Anatomie; die vorgenannten, häufig auftretenden iatrogenen Fehler konnten vermieden werden.

Der Verdacht des Klinikers auf eine ungewöhnliche Anatomie der distalen Wurzel wurde durch das abgewinkelte Röntgenbild bestätigt, das eine abrupte versteckte Krümmung im apikalen Drittel des Kanals zeigte. Trotzdem ermöglichte der Crown-Down-Ansatz (zunächst Aufbereitung des koronalen und mittleren Teils, wodurch koronale Interferenzen reduziert werden) und die richtige Auswahl sehr flexibler und widerstandsfähiger

Abb.3 Abb.4

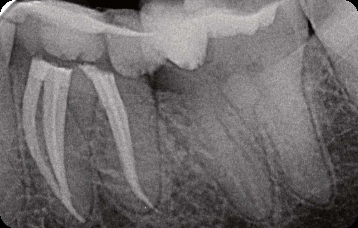
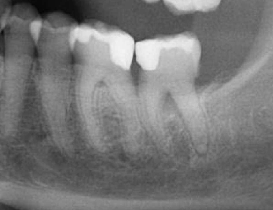
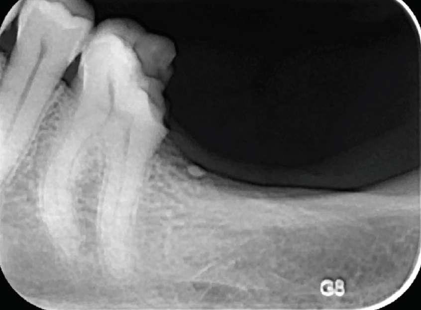
Klinischer Fall 3

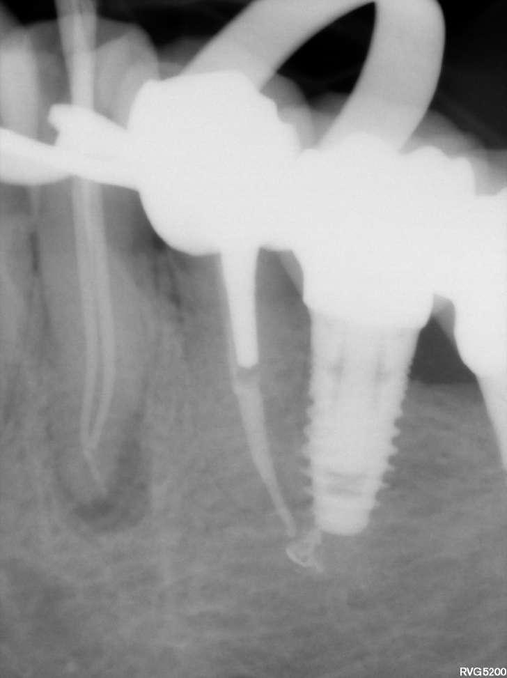
Die Patientin wurde zur Beurteilung und Behandlung von Zahn Nr. 46 an unsere endodontische Praxis überwiesen. Klinisch wies Nr. 46 eine Vollkeramikkrone auf, reagierte negativ auf Kälte und war empfindlich gegenüber Perkussion. Die präoperative Röntgenaufnahme ergab, dass Nr. 46 eine periapikale Radioluzenz an der distalen Wurzel und eine starken Krümmung der D-Wurzel im apikalen Drittel aufwies.

Endodontische Diagnose:

Pulpanekrose mit symptomatischer apikaler Parodontitis.

– James A. Wealleans, D.M.D, American Board

Certified Endodontist, Adj. Professor, Kliniker, Sydney, Australien

Vor der Operation

Es wurde ein Zugang zu Zahn Nr. 47 erstellt und die Kanäle MB, ML sowie DB und DL lokalisiert. Die Kanäle wurden mit EdgeFile X7-Rotationsfeilen mit einer Crown-DownTechnik instrumentiert.

Konuspassung

Die Arbeitslängen wurden mit dem Apex-Locator bestimmt, gefolgt von einer röntgenologischen Bestätigung. Das Kanalsystem wurde mit BUSA BC Sealer und BC GP Point verschlossen. Der Zugang wurde sofort mit einem faserverstärkten Dual-CureKernmaterial wiederhergestellt.

Reihenfolge der Feilen für ‚Crowndown“ (mit MAF-Größen)

X7s 25.06 bis Widerstand, dann 20.06 bis Widerstand, dann 25.06 bis Widerstand. Arbeitslänge Handfeile bis 15, ggf. 17.04, 30.04, 35.04, 40.04. Für diesen Fall habe ich energisch Handfeilen über meine typische Reihenfolge hinaus bis zu einer #35K verwendet und abschließend mit einer X7 35.04 bei 500 U/min, 2,6 N/ cm Drehmoment gearbeitet.

EdgeEndo sind zweifellos die besten rotierenden Instrumente auf dem Markt ! Die Flexibilität und Haltbarkeit sind unübertroffen ! Es war ein nahtloser Übergang zum Wechsel und die Feilentrennung gehörte der Vergangenheit an !

– James A. Wealleans ,

DMD, Amerikanischer zertifizierter Endodontologe, Adj. Professor, Kliniker Sydney, Australien

Klinischer Fall

4

ENDODONTIE-FALLBERICHT HYBRIDISIERENDE WÄRMEBEHANDLUNGSTECHNIK

Eine 42-jährige Patientin kam in die Praxis und klagte über einen Kronenbruch und starke Schmerzen im linken unteren Seitenzahnbereich. Die intraorale und röntgenologische Untersuchung ergab eine disto-okklusale Karies in Zahn 36 (Abb. 1) und eine Freilegung des distalen Pulpahorns. Der Zahn war beim thermischen Kältetest sehr empfindlich; es wurde eine akute Pulpitis diagnostiziert und eine endodontische orthograde Behandlung vorgeschlagen und akzeptiert. Nach einem minimal-invasiven Zugang wurde die Zugangskavität ausgehend vom distalen Teil des Zahns gestaltet, um einen unnötigen Verlust von Zahnhartsubstanz zu vermeiden. Eine solche Entscheidung war ein Kompromiss zwischen den Vorteilen eines breiteren, geradlinigen Zugangs (der bei komplexen engen Krümmungen wie im vorliegenden Fall ideal ist) und den Nachteilen einer Schwächung der Restzahnsubstanz: Der mesiale Rand war intakt und es wurde entschieden, ihn nach minimalinvasiven endodontischen Protokollen zu erhalten.

Außerdem ist ein ideales geradliniges Einbringen von endodontischen rotierenden Nickel-Titan(NiTi)-Instrumenten nicht immer möglich, wenn ein Molar wie im vorliegenden Fall leicht nach distal geneigt ist. Komplexere Wurzelkanalkonfigurationen (d. h. wenn, wie in diesem Fall, zusätzliche Kanäle vorhanden sind) erfordern mehr Aufmerksamkeit bei der Planung eines angemessenen endodontischen Zugangs, um alle verschiedenen Öffnungen richtig zu erreichen.

Infolgedessen war sich der Kliniker bewusst, dass rotierende NiTi-Instrumente aufgrund des Vorhandenseins mehrerer Krümmungen einer hohen Biegebelastung ausgesetzt sein würden, was außerdem Flexibilität erforderte, um iatrogene Fehler zu vermeiden. Daher war das erste Kriterium die Auswahl extrem flexibler, wärmebehandelter martensitischer NiTi-Instrumente mit Controlled-Memory-Effekt; das zweite war die Auswahl von Instrumenten mit variabler Konizität, um den TaperLock- und Einschraubeffekt zu minimieren; das dritte Kriterium war die Auswahl von Instrumenten mit ausreichender Metallmasse, um Torsionsbelastungen in engen Kanälen standzuhalten. Die Wahl fiel auf EdgeTaper Platinum (ETP) von EdgeEndo, Albuquerque, NM, das alle erforderlichen Eigenschaften erfüllte; sehr widerstandsfähige und flexible Instrumente, die leichter verformt werden können als Feilen der Wettbewerber und die die gegebene Vorkrümmung beibehalten, was ein einfacheres Einführen ermöglicht und die Notwendigkeit einer breiteren Zugangskavität minimiert.

Nach Legen eines manuellen Gleitpfads mit K-Feilen aus Edelstahl bis Größe 15 und einer Arbeitslängenbestimmung mit einem elektronischen Apex-Locator wurden ETP-Instrumente in folgender Reihenfolge verwendet: S1, S2, F1, F2. Alle Instrumente erreichten die volle Arbeitslänge, wobei sie sanft mit 300 U/min (und 2 N Drehmoment) gedreht wurden, um eine Überlastung zu vermeiden. Zwei entscheidende operative Parameter wurden gewählt: Zuerst wurden die Instrumente während der Einwärtsbewegung langsam und schrittweise vorgeschoben (nicht mehr als 1-2 mm Vorschub pro Schritt) und nach jedem Schritt wurden sie aus den Kanälen entfernt, die Furchen gereinigt und eine Spritzenspülung durchgeführt.

Solch ein vorsichtiger Vorschub ermöglichte es, übermäßige Reibung aufgrund eines breiteren Feileneingriffs zu vermeiden und verringerte Debris in den Furchen.

Darüber hinaus wurde das Debridement durch häufigere Bewässerung und eine geringere Produktion von Debris verbessert.

Qualität und Preis stehen an erster Stelle, und ich habe noch nie einen Feilenbruch erlebt.

– Dr. William E Judson, D.D.S., Inc., El Sobrante, CA,

Der zweite Parameter war die Verwendung der Auswärtsbewegung, um das koronale Aufweiten zu verbessern. Dies hätte mit dem gleichen ETPInstrument erfolgen können, jedoch wurden für die S1- und S2-Instrumente etwas steifere EdgeTaper (ET)-Rotationsinstrumente gewählt. ETInstrumente haben das gleiche Design wie ETP, sind aber nicht wärmebehandelt, was sie etwas steifer und effizienter beim Schneiden macht. Daher ermöglichten ET S1 und S2 (verwendet nach ETP S1 bzw. S2) ein schnelleres und besseres koronales Aufweiten. Sie wurden nur mit einer Auswärtsbewegung („Bürsten“), einer erhöhten Drehzahl (500 U/min) und einem reduzierten Drehmoment (1,5 N) verwendet. Durch die Eliminierung koronaler Interferenzen und die Vergrößerung des Kanaldurchmessers haben ET S1 und S2 die apikale Aufbereitung mit ETP F1 und F2 schneller und sicherer gemacht, wie in den DVT-Bildern zu sehen ist (Abb. 2 und 3). Die Auswärtsbewegung erwies sich mit minimalen Torsions- und Biegebelastungen auf die rotierenden NiTi-Instrumente als äußerst sicher, vorausgesetzt, die Instrumente rasten im Kanal nie vollständig ein oder blockieren. Diese neue, innovative Kombination ähnlicher Instrumente (ET und ETP) mit unterschiedlichen Eigenschaften aufgrund eines unterschiedlichen Herstellungsprozesses wird als „hybridisierende Wärmebehandlungstechnik“ bezeichnet und wurde mit den oben

genannten Instrumenten gut durchgeführt. Abb. 3 und 4 zeigen, wie die Kanalgeometrien gut eingehalten wurden; die richtige Formgebung (ausreichende Kanaldurchmesser sind in 3D-Bildern besser zu erkennen, wie in Abbildung 2 und 3 gezeigt) erfolgte schnell und einfach mit einer 45minütigen Wurzelkanalbehandlung in einer einzigen Sitzung, ohne iatrogene Fehler, ohne Verformung oder Bruch der Instrumente. Die Kanäle wurden mit einer Single-Cone-Kalthydrauliktechnik unter Verwendung von Bioceramic Sealer verschlossen, einem Material, das eine einfache und schnelle Lösung bietet.

Probieren
Sie die Produkte aus
!

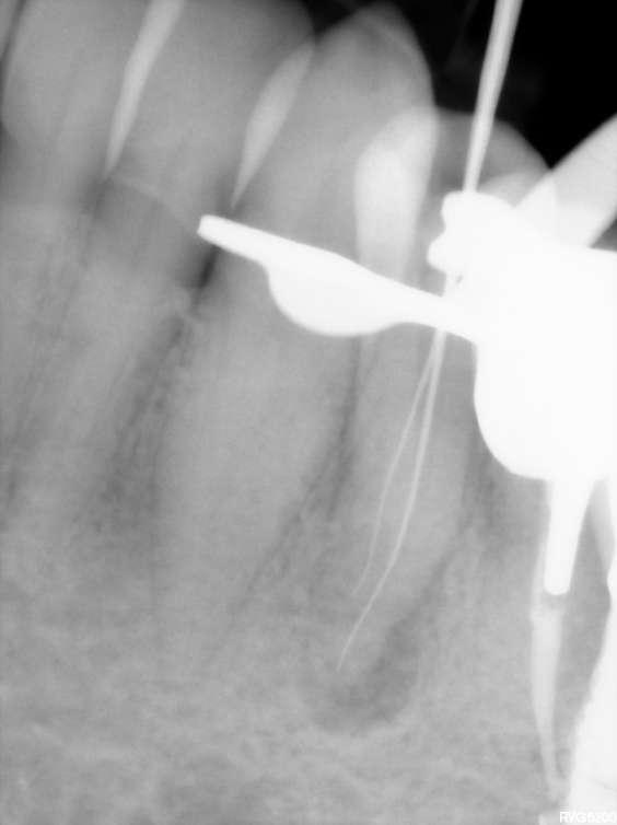
Klinischer Fall 5

Nach meiner Erfahrung neigen viele endodontische Feilen dazu, sich abzuwickeln – mit Ausnahme der EdgeOne Fire. Früher habe ich Feilen eines anderen führenden Endodontie-Herstellers verwendet, aber der Wechsel zu den reziproken NiTi-Feilen von EdgeEndo hat mir ermöglicht, eine sicherere und effektivere endodontische Behandlung durchzuführen. Die Instrumente dieses fortschrittlichen 4-Feilen-Systems sind flexibel und langlebig, was die Zeit für die Wurzelkanalbehandlung verkürzt, während mir insbesondere die Glidepath für EdgeOne Fire ausreichenden Zugang für eine effektive Spülung bietet. Der folgende Fall zeigt, wie die in EdgeEndo-Feilen integrierte PremiumTechnologie mir hilft, Kanäle leicht zu navigieren und erfolgreiche Ergebnisse zu erzielen.

Sean Sunyoto, DDS, behandelt.

Dieser Fall wurde mir von einem Arzt überwiesen, der die gewundenen, stufigen und verkalkten Kanäle seines Patienten nicht überwinden konnte, möglicherweise weil er nicht über die idealen Instrumente für den Fall verfügte. Während der Behandlung verwendete ich meine Feilen #8 und #10 für die Kanäle des Patienten bis zum Apex. Von dort an habe ich die EdgeEndo-Glidepath-Feile verwendet, die in engen Kanälen ideal funktioniert. Als sie nach 1–2 mm anfing, hängenzubleiben, machte ich eine Pause, um den Bereich zu spülen, wiederholte mit meiner Feile #10 und ging mit der Glidepath-Feile wieder hinein bis in die Länge.

Dank der Flexibilität und Benutzerfreundlichkeit der EdgeOne-Fire-Feilen konnte ich diesen. Wurzelkanal schnell und sicher abschließen. Prä- und postoperative Bilder, die im Abstand von 4 Monaten aufgenommen wurden, zeigen Anzeichen einer erfolgreichen Heilung und kein Vorliegen einer Fistel. Ich denke, diese Feilen sind großartige Werkzeuge, die jeder Kliniker haben sollte.

Präop. vs. postop.

Röntgenaufnahmen im Abstand von 4 Monaten

Klinischer Fall 6

Dr. Figueroa Tames, Endodontologin, Endodontics of Cobb

Leidenschaft für Endodontie Ich habe keine Empfehlung erhalten... aber dies ist die einzige Feile, mit der man diesen Fall angehen konnte.

Die folgende Fallstudie wurde aus einem SkypeInterview transkribiert und mit Genehmigung von Dr. Yanina Figueroa erneut veröffentlicht.

– Dr. Yanina Figueroa , Endodontologin, Endodontics of Cobb

Wenn Kollegen sie fragen, warum sie sich für die Endodontie als Fachrichtung entschieden hat, antwortet sie: „Ich liebe die Herausforderung, jeder Mensch und jeder Zahn ist anders. Es wird nie stumpfsinnig, man hat höchstens einen stumpfen Bohrer!“ Der Humor von Dr. Yanina Figueroa ist ebenso scharfsinnig wie ihre Fähigkeiten.

Das konnten wir nach nur wenigen Minuten des Gesprächs mit ihr erkennen. Aufgewachsen in Puerto Rico besuchte sie die öffentliche High School, erwarb 2003 einen Bachelor-Abschluss in Biologie von der University of Puerto RicoMayagüez Campus und erhielt 2007 ihren DMD von der University of Puerto Rico School of Dental Medicine. In den Jahren nach ihrem Abschluss entwickelte sie eine Leidenschaft für die Endodontie, während sie als Allgemeinzahnärztin in eigener Praxis arbeitete. Dr. Figueroa verwirklichte ihre Träume, indem sie 2013 ihre Ausbildung in Endodontie an der University of Pennsylvania abschloss. Dort wurde sie mit der neuesten Technologie und nach der Vision of Excellence in Endodontics der University of Pennsylvania ausgebildet.

Der Artikel "Beastly Bifurcation" von Dr. Yanina Figueroa wurde in der April-Ausgabe 2015 von entalTown veröffentlicht.

Wir lernten sie kennen, als wir mit ihr über unsere EdgeEndo® Facebook-Seite in Kontakt traten. Auf ihrer ständigen Suche nach den neuesten und besten Instrumenten für ihre anspruchsvollen Fälle gehörte Dr. Figueroa zu den "Early Adopters" des wärmebehandelten EdgeFile®. Sie ist ein solcher Fan, dass sie und ihr "biestiger" Fall in einer EdgeEndo®-Werbekampagne vorgestellt wurden.

Biestige Verzweigung Von Dr. Yanina Figueroa

Ich bin Endodontologin aus Atlanta, Georgia, und habe meine Fachausbildung an der University of Pennsylvania absolviert und meinen Abschluss im Jahr 2013 gemacht. Ich möchte Ihnen diesen Fall eines Molaren Nummer 14 einer 33-jährigen Patientin mit irreversibler Pulpitis und symptomatischer apikaler Parodontitis vorstellen. Dieser Fall wurde diagnostiziert und mit Diamantbohrern ein Zugang durch die Krone hergestellt. Dann wurde mit Natriumhypochlorit gespült.

Wenn man einen Fall wie diesen sieht, fragt man sich, welche Feile man dafür verwenden soll ? Wie soll ich diesen Kanal behandeln, ohne dass die Feile bricht ?

Zuerst habe ich versucht, die Durchgängigkeit der Kanäle zu erreichen, ich habe die Durchgängigkeit des distalen mesiobukkalen Kanals und des distalen Kanals mit 10er Feilen gemacht und mich dann auf eine 15er-Feile hochgearbeitet. Ich habe diesen Fall mit einer SX-Feile instrumentiert, um die Öffnungen zu öffnen, und dann reichlich mit Natriumhypochlorit gespült. Ich habe angefangen, die EdgeEndo-Feilen mit der Crown-Down-Technik zu verwenden. Wenn man diese Art von Kanälen sieht, die sehr gekrümmt sind, möchte man den oberen Teil des Kanals ein wenig aufweiten, damit die Feilen leichter nach unten gleiten können und weniger an den Wänden hängen bleiben. Ich fing mit der Crown-Down-Technik von 40 auf 25 an, und ging dann durch bis zu 40 bei der mesiobukkalen, bei der distalen, und bis 45 bei der palatinalen.

Als ich das Röntgenbild machte, um zu sehen, wie die Konusse passen, bemerkte ich, dass ein Kanal fehlte, also benutzte ich das DVT, um den MB2Kanal zu finden. Bei all dem habe ich natürlich, während ich meine EdgeFiles verwende, auch Gleitmittel, RC-Präparate für die Instrumentierung verwendet, und ich habe auch viel Natriumhypochlorit zum Instrumentieren verwendet.

Vor der Konusanpassung spüle ich mit Ultraschall unter Verwendung von Natriumhypochlorit, EDTA und Chlorhexidin. Ich habe meine Konusanpassung mit dem Edge Gutta Percha und dem AH Plus Sealant gemacht.

Ich ging auf eine 40 bei dieser Wurzel… jede andere Feile wäre da einfach kaputt gegangen und hätte eventuell nicht mehr herausgeholt werden können.

Als ich das Röntgenbild machte, um zu sehen, wie die Konusse passen, bemerkte ich, dass ein Kanal fehlte…

Ich fuhr mit der Instrumentierung bis 35 bei MB2 in der gleichen Reihenfolge fort, unter Verwendung von Natriumhypochlorit, zuerst hinauf bis auf eine Größe von 15 und dann machte ich einen Crown-Down bis auf eine 35. Danach habe ich alles mit Natriumhypochlorit, EDTA, Chlorhexidin gespült und alles mit sterilen Papierspitzen getrocknet und eine Röntgenaufnahme mit Konuspassung gemacht, mit Konus und Alter plus Versiegelung.

Jetzt kann ich Ihnen sagen, dass ich beim Röntgen gesehen habe, dass der MB2 fehlt, also habe ich einen CT-Scan gemacht und bemerkte den MB2 und bemerkte die seltsame ungewöhnliche bukkale Neigung des MB2 zum Gaumen hin, und der MB zeigte wirklich in Richtung bukkal. Es sah fast aus wie die Zunge einer Schlange. Ich dachte, oh wow, das war das, wonach ich gesucht habe. Den MB2 habe ich bei der zweiten Sitzung gefunden. Ich habe vorher alles mit Calciumhydroxid verschlossen, bei der zweiten Sitzung fand ich dann MB2.

Ich habe keine Empfehlung erhalten... aber dies ist die einzige Feile, mit der man diesen Fall angehen konnte.

AAAAAAH das Allheilmittel… Nachdem ich überprüft hatte, dass das diagnostische Zwischenröntgen gut aussah, schloss ich alles durch vertikale Kondensation, ließ nur 4 Millimeter des apikalen Teils des Konus übrig und füllte dann mit Edge Gutta Percha auf. Danach, sehr wichtig, setze ich immer eine Öffnungsbarriere. Ich verwende eine violette Permaflow-Öffnungsbarriere, setze ein Wattepellet ein und das war‘s.

Ich wurde an der U Penn ausgebildet und wir glauben an große apikale Größen und ich ging zu einer 40 bei dieser Wurzel… jede andere Feile wäre da einfach kaputt gegangen und hätte eventuell nicht mehr herausgeholt werden können. Als ich diesen Fall handhabte, dachte ich „AAAAAAH das Allheilmittel“.

Die EdgeFiles waren die besten Feilen, die ich je verwendet habe, deshalb bin ich davon so begeistert.

Klinischer Fall 7

Präoperativ

Der erste untere, linke Backenzahn zeigt einen Zerfall auf dem distalen Teil mit dem Symptom einer irreversiblen Pulpitis. Zuerst wird der Karies entfernt und der Zahn wird mit einer temporären Füllung wieder aufgebaut. Danach wird der Kofferdam platziert und der Zugangshohlraum steht.

Vier Kanäle wurden mit dem SX EdgeTaper Platinum eröffnet. Auch der koronale Teil wurde mit dem S1 EdgeTaper Platinum erweitert. Arbeitslänge und Durchgängigkeit werden mit einer #10 K-Feile erreicht. Die A #15 K-Feile wurde verwendet, um Länge und Durchgängigkeit zu gewährleisten. Dank der Technologie von EdgeNedo war ich im Stande, die Feile für eine komfortable Formgebung vorzuformen, auch wenn die Öffnung reduziert wurde. S1, S2, F1 und F2 EdgeEndo Platin wurde bis zur gesamten Länge des Kanals eingebracht.

Während der Isthmus-Reinigung zeigte sich zwischen den mesialen Kanälen ein zusätzlicher Kanal. Die Formgebungsphase erfolgte schnell und effizient dank SX zum F2.

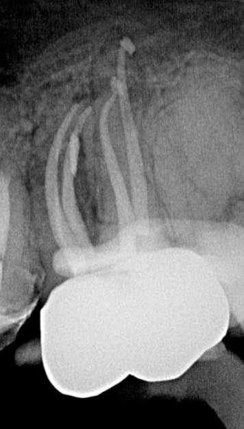
Das Röntgenbild zeigte eine große Länge und einen gemeinsamen Ausgang für zwei der drei mesialen Kanäle.

Die Wurzelfüllung erfolgte mit einer einzigen Kegeltechnik unter Verwendung des BUSA EndoSequence Bioceramic Sealer. Das Post-OP-Röntgen zeigt sehr hohe Dichte in der gesamten Länge der Wurzelfüllung.

Klinischer Fall 8

Präparation komplexer Kanalsysteme in der Primärund Sekundärbehandlung mithilfe eines martensitischen Feilensystems

Die chemomechanische Aufbereitung des Wurzelkanalsystems ist ein elementarer Bestandteil der endodontischen Therapie. Die mechanische Präparation dient dem Ziel infiziertes Dentin zu entfernen und das Kanalsystem der Reinigung und Desinfektion durch Spülflüssigkeiten zugänglich zu machen.

Der Erfolg der endodontischen Therapie hängt maßgeblich von der vollständigen Reinigung des gesamten Wurzelkanalsystems ab. Die Präparation sollte hierbei immer an den Infektionsgrad des Endodonts angepasst sein. Starke oder abrupte Krümmungen, Kalzifikationen der Kanäle oder ähnliche anatomische Besonderheiten können die Herstellung eines adäquaten apikalen Durchmessers und Konus erschweren und stellen damit hohe Anforderungen an Feilensysteme. Die Wärmebehandlung endodontischer Nickel-Titan Feilensysteme kann die Materialeigenschaften entscheidend verändern um somit durch erhöhte Flexibilität und reduzierten Rückstelleffekt iatrogene Schäden zu vermeiden. Im Folgenden soll die systematische Aufbereitung komplexer Wurzelkanalsysteme anhand dreier Fallbeispiele gezeigt werden.

Dr. med. dent. Philipp Eble - 2015: Staatsexamen RWTH Aachen - 2019: Curriculum Endodontie DGET - seit 2020: Tätigkeitsschwerpunkt Endodontie

Fall 1: Primäre Behandlung eines ersten unteren Molaren mit Radix entomolaris

Eine 34-jährige Patientin wurde zur Weiterbehandlung des Zahns 36 an uns überwiesen. Nach Diagnosestellung einer irreversiblen Pulpitis durch den Hauszahnarzt erfolgte dort die initiale Schmerztherapie in Form der Kariesexkavation, Trepanation der Pulpenkammer, medikamentösen Einlage und der adhäsiven Aufbaufüllung. Die Patientin stellte sich mit deutlich reduzierter Symptomatik in unserer Praxis vor.

Klinischer Befund: Zahn 36 wies zirkulär keine erhöhten Sondierungstiefen auf und war konservierend mit einer adhäsiven präendodontischen Aufbaufüllung versorgt.

Röntgenologischer Befund: Therapie

Das präoperativ angefertigte diagnostische Röntgenbild zeigt eine insuffiziente Amalgamfüllung im distalen Approximalraum. Die mesiale Wurzel weist eine periapikale Osteolyse auf (Abbildung 1).

Die endodontische Behandlung fand in einer Sitzung statt. Nach Anästhesie und Anlegen des Kofferdams erfolgte die Entfernung der provisorischen Füllung und die initiale intrakoronale Diagnostik. Mittels Microopener konnte ein mesiobukkaler, mesiolingualer, distobukkaler und distolingualer Wurzelkanal sondiert werden. Die Ausarbeitung der primären Zugangskavität zur besseren Zugänglichkeit der Kanäle erfolgte mit Langschaftrosenbohrern. Anhand des präoperativen diagnostischen Röntgenbilds konnte die Länge der Wurzelkanäle vorläufig näherungsweise bestimmt werden. Die Kanäle wurden im weiteren Therapieverlauf kontinuierlich mit 6% NaOCl gespült. Nach Ausarbeitung der Zugangskavität folgte die koronale Erweiterung der Wurzelkanäle mit EdgeEndo X7 Feilen der Größe 17.06. Die elektrometrische Bestimmung der Kanallänge mithilfe eines Morita Root ZX Mini Apex Locators wurde mit C-Piloten der Größe 8-10 durchgeführt. Nach Festlegung der Arbeitslänge wurde der

Gleitpfad rotierend mit EdgeFile X7 der Größe 17.04 und 25.04 erweitert und final bis auf 30.04 aufbereitet (Abbildung 2).

Abbildung 1: Präoperative Diagnostische Aufnahme

Abbildung 2: Blick auf das mesiale Kanalsystem nach Präparation

Abbildung 3: Ansicht nach Obturation Abbildung 4: Masterpointaufnahme Abbildung 5: Nach Wurzelfüllung und adhäsivem Verschluss

Fall 2: Primäre Behandlung eines oberen zweiten Molaren

Anamnese:

Der 61-jährige Patient stellte sich nach Überweisung durch seinen Hauszahnarzt zur primären Wurzelkanalbehandlung an 27 vor. Der Zahn wurde vor ca. 2 Jahren überkront und der Patient war beschwerdefrei. Im Rahmen der röntgenologischen Kontrolle nach Wurzelspitzenresektion des Zahns 26 war eine apikale Aufhellung an Zahn 27 festgestellt worden.

Klinischer Befund: ahn 27 wies eine suffiziente Restauration auf. Es waren keine erhöhten Sondierungstiefen tastbar und sowohl Kälte- als auch Perkussionstest waren negativ.

Röntgenologischer Befund: Zahn 27 weist eine apikale Aufhellung im Sinne einer chronischen apikalen Parodontitis auf (Abbildung 6).

Abbildung 6: Präoperative diagnostische Aufnahme

Therapie:

Die primäre endodontische Behandlung des Zahns 27 wurde ebenfalls in einer Sitzung durchgeführt. Nach der Trepanation erfolgte die initiale intrakoronale Diagnostik und Darstellung der vier Kanalorifizien mithilfe langschaftiger Rosenbohrer.

Zur koronalen Erweiterung der Kanäle wurde eine EdgeFile X7 der Größe 17.06 eingesetzt. Die Erstellung des Gleitpfads konnte rein mechanisch durchgeführt werden. Hierzu wurden EdgeFile X7 der Größe 17.04, 17.06 in alternierender Weise bis zum Erreichen der näherungsweise röntgenologisch bestimmten vorläufigen Arbeitslänge eingesetzt. Nach elektrometrischer Bestimmung der Arbeitslänge mit C-Pilot Feilen der Größe 8 und 10 erfolgte die weitere Präparation mit EdgeFile X7 der Größe 20.06, 25.06 und 30.06. Die Kanäle wurden nach der finalen Aufbereitung für 60 Sekunden mit 17% EDTA gespült. Die Abschlussspülung erfolgte schallaktiviert mit 6% NaOCl. Eine Masterpointaufnahme diente zur Verifizierung der Aufbereitung und der Passung der angepassten Guttaperchaspitzen (Abbildung 7). Nach Trocknung mit Mikroabsaugung und Papierspitzen wurden alle Kanäle in warm vertikaler Fülltechnik mit biokeramischem Sealer obturiert (Abbildung 8). Der adhäsive Verschluss erfolgte mit Bulk Fill Flow Komposit (Abbildung 9).

Abbildung 7: Masterpointaufnahme

Abbildung 8: Kontrollaufnahme nach Wurzelfüllung

Abbildung 9: Kontrollaufnahme nach adhäsivem Verschluss

Fall 3: Revision eines oberen zweiten Molaren

Anamnese:

Ein 54-jähriger Patient stellte sich mit akuten Beschwerden am Zahn 27 vor. Er war von seinem Hauszahnarzt zur Weiterbehandlung überwiesen worden, nachdem dieser laut eigener Aussage erfolglos nach einem zweiten mesiobukkalen Kanal gesucht hatte.

Röntgenologischer Befund:

Das präoperativ angefertigte Röntgenbild (Abbildung 10) zeigt den bereits vom Vorbehandler trepanierten Zahn 27. Die Wurzelfüllung erscheint inhomogen. Das Wurzelfüllmaterial im mesiobukkalen Kanal ist über den röntgenologischen Apex hinaus extendiert und es zeigt sich eine periapikale Osteolyse der mesiobukkalen Wurzel.

Klinischer Befund:

Zahn 27 wies eine provisorisch verschlossene Zugangskavität auf. Der Zahn reagierte positiv auf den Perkussionstest und bei Palpation des Vestibulums war eine Druckdolenz im Bereich der mesiobukkalen Wurzel feststellbar.

Abbildung 10: Präoperative diagnostische Aufnahme

Therapie:

Die Revisionsbehandlung erfolgte in zwei Sitzungen. Nach Anlegen des Kofferdams wurde die provisorische Füllung entfernt und die Zugangskavität gereinigt. Im Anschluss erfolgte die intrakoronale Diagnostik (Abbildung 11). Es zeigte sich bakteriell besiedeltes Wurzelfüllmaterial im mesiobukkalen, distobukkalen und palatinalen Kanal. Das Orifizium des mesiobukkalen Kanals war in palatinaler Richtung erweitert. Die Entfernung eines mesialen Dentinüberhangs mit langschaftigen Rosenbohrern legte das weit nach palatinal verlagerte Orifizium des zweiten mesiobukkalen Kanals frei. Die Entfernung des Wurzelfüllmaterials erfolgte mithilfe von EdgeFile X7 der Größe 25.06, und 17.06 in Crown Down Technik um die Verschleppung von Keimen und bakteriell besiedeltem Wurzelfüllmaterial nach apikal zu reduzieren. Die Erschließung und initiale Aufbereitung des zweiten mesiobukkalen Kanals wurde mithilfe der EdgeFile X7 der Größe 17.04, 17.06 in alternierender Weise wie oben beschrieben durchgeführt. Nach elektrometrischer Bestimmung der Arbeitslänge aller Kanäle wurde die Präparation mit EdgeFile X7 auf voller Arbeitslänge fortgesetzt. Im ersten mesiobukkalen Kanal, distobukkal und palatinal wurde die Aufbereitung mit EdgeFile X7 der Größe 40.06 abgeschlossen, während der zweite mesiobukkal Kanal bis 30.06 aufbereitet wurde (Abbildung 13).

Abbildung 11: Nach Ausarbeiten der primären Zugangskavität; Darstellung des mb2 in der Nähe des palatinalen Kanals

Nach Abschluss der Präparation wurden die Kanäle getrocknet, Kalziumhydroxid auf volle Arbeitslänge eingebracht und der Zahn provisorisch mit einer adhäsiven Kompositfüllung verschlossen. Die Weiterbehandlung fand nach zwei Wochen bei Beschwerdefreiheit statt. Nach erneuter elektrometrischer Kontrolle der Arbeitslänge, Anfertigung einer Masterpointaufnahme (Abbildung 12) und schallaktivierter Abschlussspülung mit 17% EDTA und 6% NaOCl wurden die Kanäle in warm vertikaler Fülltechnik mit biokeramischem Sealer gefüllt (Abbildung 15). Der direkte adhäsive Verschluss der Zugang erfolgte mit einem Bulk Fill Flow Komposit (Abbildung 14).

Abbildung 12: Masterpointaufnahme

Abbildung 13: Kanalsystem nach Aufbereitung

Abbildung 14: Nach Obturation und adhäsivem Verschluss Abbildung 15: Zugangskavität nach Obturation

Diskussion:

Die systematische Aufbereitung des Wurzelkanalsystems umfasst die Erschließung des Kanalsystems und Sicherung eines Gleitpfads sowie die konsekutive Erweiterung des Kanalsystems von koronal nach apikal. Minimalinvasive endodontische Konzepte stellen den Erhalt des koronalen perizervikalen Dentins in den Vordergrund.

.

Eine rationale Herangehensweise an ein minimalinvasives endodontisches Vorgehen sollte jedoch neben des reduzierten koronalen Substanzabtrags die ausreichende Präparation der apikalen Zone beinhalten. Sie soll den ausreichenden Kontakt mit Spülflüssigkeiten zur Gewebsauflösung und Desinfektion ermöglichen und sollte deshalb in Größe und Konizität an den Infektionsgrad des Endodonts angepasst sein. Ein von koronal nach apikal gerichtetes Vorgehen bietet hierbei den Vorteil erhöhter Taktilität und verringerter Belastung der Feile durch reduzierten Kontakt mit der Kanalwand und kann gleichzeitig die Keimverschleppung nach apikal reduzieren. Neuere Wärmebehandelte Feilensysteme mit reduziertem maximalem Durchmesser wie EdgeFile X7 von EdgeEndo bieten aufgrund ihrer verbesserten Materialeigenschaften und Geometrie erhöhte Sicherheit und Effizienz. In unserer Praxis hat sich insbesondere bei schwer erschließbaren Kanalsystemen die initiale mechanische Gleitpfaderstellung mit EdgeFile X7 der Größe 17.04 und 17.06 bewährt.

Die Feilen werden hierzu im Wechsel verwendet. Nach koronaler Erweiterung der 17.06 erfolgt der Wechsel zur Feile der Größe 17.04, die in kurzen pickenden Arbeitsbewegungen bis zum Erreichen der vorläufigen röntgenologisch bestimmten Arbeitslänge verwendet wird. Bei Widerstand wird die Feile 17.06 passiv auf die bisher erreichte Länge gebracht und ermöglicht danach das weitere Vordringen der 17.04. In vielen Fällen kann so auf eine zeitintensive manuelle Gleitpfaderstellung verzichtet werden. Die weitere Präparation erfolgt je nach anatomischer Situation, Infektionsgrad und geplanter Fülltechnik in Taper 04 oder 06. Der auf 1mm reduzierte maximale Querschnitt der EdgeFile X7 ermöglicht hierbei selbst bei Präparation großer apikale Durchmesser die Substanzschonung des perizervikalen Dentins und bietet erhöhte Flexibilität in gekrümmten Wurzelkanälen. In den vorliegenden Fällen konnten aufgrund der oben genannten Vorteile mithilfe eines einfachen Feilenprotokolls sowohl schwer erschließbare als auch multiplanar gekrümmte Wurzelkanäle sicher, effizient und rational minimalinvasiv aufbereitet werden.

Klinischer Fall

9

DIVERGIERENDE KANÄLE

Divergierende Kanäle (zwei Kanäle, die zusammen beginnen und sich dann im mittleren / apikalen Teil der Wurzel trennen) stellen ein klinisches Problem in der Endodontie dar, insbesondere bei der Verwendung traditioneller NiTiInstrumente. Aufgrund des superelastischen Verhaltens der Legierung können die Instrumente dem gleichen Kanal folgen (und zwar dem, der gerader ist) aber es ist schwieriger, den zweiten zu finden, insbesondere dann, wenn man den Eingang unmöglich wegen seiner Tiefe in der Wurzel sehen kann.

ZIEL

Der vorliegende Fall zeigt den klinischen Vorteil der Verwendung einer Einzelfeil-Reziprokationstechnik mit einer wärmebehandelten vorgebogenen martensitischen Feile (Edge One Fire) bei der Behandlung divergierender Kanäle auf.

FALLGESCHICHTE

Untere Prämolaren können manchmal zwei oder drei Kanäle aufweisen. Eine solche ungewöhnliche Anatomie ist oft mit engen, stark gekrümmten, konfluenten oder divergierenden Kanälen verbunden. Der letzte Fall ist sehr komplex und erfordert in der Regel den Einsatz von Instrumenten, welche in zwei verschiedenen Kanälen ( daher flexibel und präbendal ) mit unterschiedlichen Winkelstellungen ausgerichtet werden können. Ein angemessener Gleitpfad hilft auch bei der NiTi-Formung, er löst aber nicht immer das Problem. Daher wurde im vorliegenden Fall die primäre EinzelfeileReziproziertechnik EOF verwendet. Die Instrumente wurden in ihrem apikalen Teil vorgeformt, in die beiden verschiedenen Kanäle eingeführt und dann aktiviert. Die Wahl der Instrumente war effektiv, weil die mechanischen Eigenschaften des EOF-Primärs (flexibel und vorgebogen) es ermöglichen, präzise und einfach in jeden Kanal eingeführt zu werden und diese dann zu behandeln. Die Verwendung einer einzigen Feiltechnik ermöglichte es, sich der Herausforderung eines divergierenden Kanals nur einmal zu stellen, was Zeit spart und die Komplexität reduziert. Die Verwendung traditioneller Instrumente kann in vielen Fällen helfen, den Weg mit kleineren und flexibleren Instrumenten zu finden, aber nicht mit größeren. Durch die Verwendung von nur einer Feile erwies sich das gesamte Verfahren als einfacher und schneller, sodass beide Kanäle korrekt geformt, gereinigt und abgedichtet werden konnten.

Gianluca Gambarini, University of Rome, La Sapienza, Dental School; Director of Master of Endodontics

KLINISCHE RELEVANZ

Eine Single-File-Reziprozierungstechnik mit einer wärmebehandelten vorgebogenen martensitischen Feile (Edge One Fire) erwies sich als ausgezeichnete, einfache und schnelle Option für die Instrumentierung von divergierenden Kanälen.

SCHLUSSFOLGERUNGEN

Komplexe Kanalanatomien erfordern den rationalen Einsatz von NITIInstrumenten, indem die beste Option für den Fall in Bezug auf Effizienz, Sicherheit und Einfachheit ausgewählt wird. Die mechanischen Eigenschaften von EOF ermöglichen es, divergierende Kanäle mit großer Wirksamkeit zu behandeln, wobei iatrogene Fehler oder Komplikationen vermieden werden können.

Feilen mit unglaublicher Kraft und Flexibilität Erfahren Sie mehr

revolutionäre

X7 besteht aus

eigenen flexiblen FireWire-NiTi, das mit

geformt wird.

FireWire-NiTi-Legierung verbessert Festigkeit und Flexibilität. Bestseller-System.

Unser Wärmebehandlungsprozess verleiht der EdgeFile X7 die „Canal Contouring Technology“, die die Feilen extrem flexibel macht und das Formgedächtnis und den „Zurückspringen“-Effekt, den andere NiTi-Feilen aufweisen, reduziert. Die flexible EdgeFile™ folgt der Anatomie des Kanals genau ohne sich zu begradigen, wodurch das Risiko von Stufenbildung, Verlagerung, Perforation und Feilentrennung reduziert wird. Der flexible Schaft reduziert die Notwendigkeit eines übermäßigen geradlinigen Zugangs, wodurch mehr Zahnsubstanz erhalten werden kann.

Die
EdgeFile
unserem
unserem proprietären Wärmebehandlungsprozess
Die
1 7 20 25 30 35 40 45 13mm 9mm 3mm
1 2 3 4 5 6 8 9 Proprietäres Wärmebehandlungsverfahren Proprietäres Wärmebehandlungsverfahren - FireWire NiTiTM-Legierung verbessert die Festigkeit und Flexibilität* Erhältlich in .04 und .06 konstante Konizität - Variable Steigung Maximaler Durchmesser von 1 mm ermöglicht eine minimalinvasive Aufbereitung Dreikantiger Querschnitt und inaktive Spitze - Maximiert die Schneidleistung der Feile Elektropolierte Feile - Erhöht die Festigkeit ISO-Spitzengröße 17-45 Verfügbare Längen: 21, 25 & 29 mm 7 Reduzierte Schaftlänge für besseren Zugriff auf den hinteren Bereich X7 ist die bekannteste und bewährteste Lösung. Damit wurden Feilen von Wettbewerbern in von Experten ausgewerteten veröffentlichten Forschungsergebnissen wiederholt übertroffen Eigenschaften

Möchten Sie mehr erfahren? Kurzbeschreibung

Eine neuartige Wurzelkanalaufbereitungstechnik

Hybridisieren von wärmebehandelten rotierenden Nickel-Titan-Instrumenten

Ziel dieser Studie war es, das Potenzial der HybridWärmebehandlungstechnik (HHT) zur Formgebung stark gekrümmter Kanäle zu bewerten.

Ziel Hintergrund

Diese innovative HHT-Technik kombiniert die Verwendung von austenitischen und martensitischen Ni-Ti-Feilen mit einer vereinfachten Reihenfolge, um die Eigenschaften der verschiedenen Feilen richtig zu nutzen.

Die Operationstechnik begann mit Kanalscouting und Arbeitslängenbestimmung mit einer 10er SS K-Feile. Dann wurde eine spezifische Reihenfolge angewendet, wobei die F1 20.06v Ni-Ti-Austenitfeile (EdgeTaper) für die Aufbereitung des koronalen und mittleren Teils des Kanals verwendet wurde. Diesem Schritt folgten martensitische Ni-Ti-Feilen S2 20.04 und F120.06v (EdgeTaper Platinum), um den Kanal bis zum Apex zu erweitern. Es wurden keine intrakanalen Brüche von Instrumenten oder Verformungen von Furchen festgestellt.

Fallschilderung Klinische Bedeutung Schlussfolgerung

Die Fälle zeigen die Vorteile der neu vorgeschlagenen Technik gegenüber einem traditionellen Ansatz, um komplexe Anatomien mit nur wenigen rotierenden Ni-TiInstrumenten richtig zu formen.

Die vorliegende Studie beschreibt eine neue HHT-Technik, die darauf abzielt, Verfahren zu vereinfachen und die meisten der unterschiedlichen Eigenschaften der verschiedenen Wärmebehandlungen zu berücksichtigen; die klinischen Fälle scheinen ihre Möglichkeiten in Bezug auf Sicherheit, Schnelligkeit, Wirksamkeit und Erhaltung der ursprünglichen Anatomie zu zeigen.

Probieren
Sie die Produkte aus !

EdgeTaper Platinum™

mit den meisten Handstücken kompatibel

mit den Parametern von

Gold®.

der

nahtlos

zu

und

stellt

EdgeTaper Platinum™ verfügt über unser wärmebehandeltes Firewire™ NiTi, das es bei 90°-Krümmungen robust und flexibler macht. EdgeTaper Platinum™ weist eine doppelt bessere zyklische Belastbarkeit auf als ProTaper Gold® und eine 6-mal bessere zyklische Belastbarkeit als ProTaper®. Beide Feilensysteme verfügen über einen verstärkten dreieckigen Querschnitt mit einer sich progressiv ändernden Konizität. Erhältlich in den Längen 21 mm, 25 mm, 31 mm mit sechs gleich großen Feilen in jeder Packung. Erleben Sie den neuen Standard in Sachen Feilensicherheit und Kanalzentrierung.

Die
ist
und arbeitet
ProTaper®
ProTaper
Dieser vertraute Ablauf
sicher, dass
Wechsel
EdgeTaper Platinum™
vonstattengeht. 4% 12% 5% 5% SX S 1 S2 F 1 F2 F3 F4 F5 .17 .19 .20 8% .20 10% .25 11% .30 6% .40 5% 6% 9% 7% 6% 6% 5% 5% 5% 5% 4% 5% 5% 4% 5% .50 14mm 9mm 3mm 3mm 9mm

Der Konus wurde kantenbehandelt

Unübertroffene Flexibilität

Wärmebehandeltes FireWire™ NiTi bietet erstaunliche Flexibilität, die 90°Krümmungen ermöglicht. Kein Zurückspringen FireWire™ NiTi springt nicht zurück und schützt so die apikale Anatomie.

Unglaubliche Festigkeit

Zweifaches der zyklischen Belastbarkeit von Protaper Gold® und das Sechsfache von ProTaper®.

Eigenschaften

Fire™ verfügt über unser wärmebehandeltes Fire-Wire™ NiTi und wurde entwickelt, um Kanäle in einer umgekehrtreziproken Bewegung zu formen. EdgeOne Fire funktioniert mit vorhandenen Handstücken, die mit dem Parameter von Wave One® Gold betrieben werden. Das Ermüdungsniveau von EdgeOne Fire entspricht dem Fünffachen von WaveOne® Gold.

Fire™ ist in den Größen Small, Primary, Medium und Large erhältlich. Die Feilen haben einen

Querschnitt mit variabler Konizität. Jede Packung enthält drei Feilen, wahlweise als Sortimentspackung oder Einzelgrößenpackung. Erhältlich in den Längen 21mm, 25mm und 31mm.

EdgeOne
parallelogrammförmigen
EdgeOne
Small Primary Medium Large 7 % 6 % 7 % 7 % 3 % 3 % 2 % 1 % 6 % 7 % 6 % 5% 5% 6 % 5% 4% 7 % 7 % 6 % 4% 15mm 12mm 9mm 4mm6mm 0.20 0.25 0.35 0.45

EdgeOne Fire™ wurde mit unterschiedlichen Konizitäten entworfen und bereitet Wurzelkanäle in umgekehrtreziproker Bewegung auf.

Unübertroffene Flexibilität

Wärmebehandeltes FireWire™ NiTi bietet erstaunliche Flexibilität, die 90°Krümmungen ermöglicht.

Kein Zurückspringen FireWire™ NiTi springt nicht zurück, wodurch die apikale Anatomie erhalten bleibt.

Unglaubliche Festigkeit Das Fünffache der zyklischen Belastbarkeit von WaveOne® Gold.

Eigenschaften

Wir sind der Meinung, dass Premium-Technologie nicht mit einem Premium-Preis einhergehen sollte.

Leistung Preis Technologie

Turn static files into dynamic content formats.

Create a flipbook
Issuu converts static files into: digital portfolios, online yearbooks, online catalogs, digital photo albums and more. Sign up and create your flipbook.