

Y promoción

poderar, involucrar y educar

Revista digital Heal Canada
Número 5 de octubre de 2024
Más
Recursos para las partes interesadas de la industria, los pacientes y los cuidadores
Tabla de contenido
Bienvenidos fundadores
Navegando por el sistema de salud Navegando por el sistema de salud canadiense Navegando por el sistema de salud estadounidense
Tratamientos emergentes
Nueva aprobación de Health Canada
Impacto de los tratamientos actuales en la vida de los pacientes con glioma

Diversidad, inclusión y equidad
Construyendo estudios clínicos centrados en el paciente
Salud mental
Cinco mitos clave de la comunicación
Preparación para el trastorno afectivo estacional
Trastorno por déficit de atención e hiperactividad
Cómo evitar el agotamiento del cuidador
Más lectura para el bienestar
Salud de la tercera edad
Buscando un diagnóstico de demencia
Tomando las riendas del camino hacia la pérdida auditiva
Consideraciones clave para mudarse
Salud Pediátrica
El camino para reducir el estrés
parental

Foco de defensa
Enfermedades raras: una prioridad creciente de salud pública
Paciente digno
El recorrido del paciente
Esperanza: el viaje de un médico
Vivir bien
Algunos consejos de entrenamiento específicos para mejorar el bienestar general
Retrocedes Consejos para volver a levantarte!
De la comida chatarra a la comida integral: haga cambios que perduren
Receta para equilibrar las hormonas
Pregúntele al profesional El Archivo de la Sonrisa Recursos Referencias
Membresías/Alianzas Colaboradores Equipo de Heal Canada

Visite Heal Canada.org para descargar este número actual y suscribirse para recibir números futuros.
Nota de los fundadores
Bienvenidos a nuestro quinto número de E3 Advocacy, una publicación digital para defensores de pacientes y centrados en el paciente.
Esta edición se centra en cómo navegar por el sistema de atención sanitaria. Si bien los sistemas de atención sanitaria difieren en cada país, navegar por ellos es muy importante para la atención sanitaria centrada en el paciente.


Estamos profundamente agradecidos a nuestros lectores por su continuo interés y apoyo. Su compromiso nos motiva a brindar contenido valioso y esclarecedor en cada número. Al suscribirse a la revista digital Heal Canada, se mantendrá en contacto con nosotros y tendrá acceso a números futuros que exploran temas que son importantes para usted y la comunidad de atención médica. Hágase suscriptor y visite nuestro sitio web en https://www.healcanada.orgparadisfrutardetodoslosbeneficios.
En cada número, hemos ido agregando nuevas secciones para incluirtodoelecosistemadeatenciónmédica
Nos sentimos honrados por el impulso que estamos ganando con la información que ofrecemos a nuestros lectores. Esta publicación digital la leen defensores de los pacientes, pacientes y socios de atención médica de todo el mundo. Para asegurarnos de que nuestros lectores globales se sientan incluidos en nuestra información, estamos rebautizando el título de esta revista/diario a:E3Defensa/Empoderar,involucrar,educar.
Consulte “Mi sangre, mi salud”, bajo la supervisión editorial de nuestra directora científica, Brigitte Leonard, para conocer todos lostemasrelacionadosconlasangre.
¡Gracias por ser parte de nuestro viaje y bienvenido a otro númeroesclarecedor!

Cheryl Petruk, MBA, B.Mgt.
Fundador de Heal Canada


Heal Canada es una organización sin fines de lucro registrada en Canadá
Descargoderesponsabilidad:LarevistadigitalPatient Advocacyofreceinformacióngeneralyrecursosparapromover elempoderamientoylaconcienciacióndelospacientes.El contenidonosustituyeelasesoramientooeltratamiento médicoprofesional.Siempreconsulteconprofesionalesdela saludcalificadosparaobtenerorientaciónpersonalizadasobre sucondiciónosituaciónmédicaespecífica.
www healcanada org

Navegando por el sistema de salud
Cómo navegar por el sistema de salud canadiense: una guía completa
para pacientes y defensores
por Cheryl Petruk, MBA
Navegar por el sistema de salud canadiense puede ser complejo para los pacientes y sus familias. Si bien el sistema de salud financiado con fondos públicos de Canadá ofrece cobertura universal, comprender cómo acceder a la atención que necesita y defender su salud puede ser un desafío. Esta guía tiene como objetivo desglosar la estructura del sistema de salud canadiense, explicar cómo los pacientes pueden acceder a los servicios y brindar información valiosa sobre cómo defender sus intereses o los de un ser querido dentro del sistema. Ya sea que sea un paciente, un cuidador o un defensor, saber cómo navegar por el panorama de la atención médica puede afectar significativamente la calidad de la atención recibida.

Comprender los conceptos básicos del sistema de atención sanitaria canadiense El sistema de atención sanitaria canadiense suele ser elogiado por su acceso universal a los servicios médicos, lo que significa que todos los residentes tienen derecho a recibir los servicios hospitalarios y médicos que necesiten sin tener que pagar de su bolsillo. Sin embargo, el sistema varía según las provincias y los territorios, ya que la atención sanitaria es principalmente responsabilidad de los gobiernos provinciales y territoriales, en lugar del gobierno federal. Este enfoque descentralizado genera diferencias en la disponibilidad de ciertos servicios, los tiempos de espera y la infraestructura sanitaria, según el lugar donde viva.
Cobertura sanitaria universal Los impuestos financian la atención sanitaria universal en Canadá, y la Ley de Salud de Canadá orienta el sistema. Esta ley describe los cinco principios fundamentales del sistema de atención sanitaria canadiense:Administración pública: La asistencia sanitaria debe ser administrada sin ánimo de lucro por las autoridades públicas.
Integralidad: El plan debe cubrir todos los servicios hospitalarios y médicos que sean médicamente necesarios. Universalidad: Todos los residentes asegurados deben tener igual acceso a los servicios de atención sanitaria. Portabilidad: La cobertura debe mantenerse cuando un residente se muda dentro de Canadá o viaja al extranjero.
Accesibilidad: Los servicios de salud deben estar disponibles para todos, sin barreras financieras o de otro tipo.

Diferencias provinciales y territoriales
Si bien la cobertura universal es un principio fundamental, cada provincia y territorio administra su propio sistema de atención médica. Por lo tanto, la cobertura de medicamentos recetados, atención oftalmológica, servicios dentales y fisioterapia puede variar. Es importante consultar el plan de atención médica de su provincia o territorio específico para comprender qué está cubierto y qué no. Algunas provincias ofrecen planes de salud ampliados, ya sea públicos o privados, que pueden cubrir servicios no incluidos en la atención médica provincial estándar. El seguro médico privado también está ampliamente disponible y, a menudo, lo brindan los empleadores para complementar la atención médica provincial.
Acceso a la atención sanitaria en Canadá Los pacientes en Canadá suelen acceder a los servicios de atención médica a través de médicos de atención primaria, especialistas o servicios hospitalarios. Comprender cómo abordar estos niveles de atención puede ayudar a garantizar un tratamiento oportuno y minimizar las demoras.
Atenciónprimaria
Su médico de familia o proveedor de atención primaria (PCP) es su primer punto de contacto para la mayoría de las cuestiones de salud Se encargan de la atención de rutina, brindan servicios preventivos como vacunas y pueden diagnosticar y tratar una amplia gama de afecciones Si es necesario, derivan a los pacientes a especialistas para una atención más específica Para quienes no tienen un médico de familia, las clínicas sin cita previa ofrecen una alternativa. Estas clínicas suelen estar disponibles en centros urbanos y brindan atención que no es de emergencia. Muchas provincias también han introducido servicios de atención médica virtuales, donde los pacientes pueden consultar con los médicos por teléfonoovideo,loquefacilitael accesoalaatencióndeformaremota. Navegando por el

Atenciónhospitalaria

nciónespecializada
Canadá, los pacientes generalmente necesitan una derivación de un ico de familia u otro proveedor de atención primaria para ver a un ecialista.Losespecialistassecentranenáreasespecíficasdelamedicina, o cardiología, oncología o endocrinología. El proceso de derivación es ial,yaquelosconsultoriosdelosespecialistasgeneralmentenoaceptan vospacientessinunaderivación
tiempos de espera para ver a un especialista pueden ser largos, endiendo de la urgencia de la afección y de la región en la que viva Esta na preocupación común en el sistema canadiense y una de las áreas principalesenlasqueladefensadelpacientepuedeserfundamental.
En caso de urgencia, los pacientes pueden acudir a las salas urgencias de los hospitales, donde se les brinda atención s necesidad de derivación previa. Los hospitales también ofrec tratamientos programados, cirugías y pruebas diagnósticas pa afecciones que no son urgentes, como resonancias magnéticas tomografíascomputarizadas.
Los gobiernos provinciales financian los hospitales en Canadá y l pacientes no pagan directamente por la mayoría de los servicios S embargo, ciertos servicios, como las habitaciones privadas o l procedimientos no esenciales, pueden generar costos adicional queamenudopuedencubrirseconunseguroprivado.
Desafíos del sistema de salud canadiense

Si bien el sistema de atención médica de Canadá ofrece una atención integral, también enfrenta varios desafíos que pueden afectar a los pacientes, como los largos tiempos de espera, las disparidades en la atención según la geografía y el acceso limitado a ciertos servicios.
Tiemposdeespera
Los tiempos de espera son uno de los aspectos más criticados del sistema de salud canadiense. En el caso de tratamientos que no son de emergencia, la espera para ver a un especialista, someterse a pruebas diagnósticas o recibir cirugías puede ser larga. Según el Instituto Fraser, en 2023, el tiempo de espera promedio desde la derivación de un médico generalista hasta la recepción del tratamiento fue de más de 27 semanas. Esto puede serestresanteparalospacientes,enparticularaquellosconenfermedadescrónicasoendeterioro.



El acceso a la atención médica puede variar significativamente según el lugar donde viva. Las áreas rurales o remotas pueden tener menos instalaciones de atención médica, menos especialistas y tiempos de viaje más largos para recibir atención La telesalud ha ayudado a cerrar esta brecha en cierta medida, pero la división geográfica sigue siendo un problema importante para garantizar el acceso igualitario a servicios de atenciónmédicaoportunoseintegrales.
Accesoalosserviciosdesaludmental
Si bien la salud mental se reconoce cada vez más como un componente fundamental del bienestar general, el acceso a los servicios de salud mental suele ser limitado. Muchas provincias no cubren los costos de los servicios psicológicos y puede haber largos tiempos de espera para ver a un psiquiatra Como resultado, muchoscanadiensesenfrentanbarrerasfinancieraspararecibirlaatencióndesaludmental quenecesitan. Elpapeldeladefensadelpacienteenelsistemadeatenciónsanitariacanadiense
La defensa de los pacientes desempeña un papel fundamental para garantizar que las personas reciban una atención oportuna y adecuada. Defender sus intereses o los de otra persona dentro del sistema de atención sanitaria puede ayudar a superar los desafíos relacionados con los tiempos de espera, el acceso a especialistas y la coordinación de la atención A continuación, se muestra cómo los pacientes pueden defendereficazmentesu saluddentrodel sistemacanadiense:
Lacomunicaciónesclave
La comunicación eficaz con los proveedores de atención médica es fundamental. Los pacientes deben sentirse capacitados para hacer preguntas, buscar aclaraciones sobre las opciones de tratamiento y expresar inquietudes sobre su atención Antes de las citas, es útil preparar una lista de preguntas o temas paradiscutiry,siesposible,llevaraalguienalacitaparaqueloapoyey loayudeatomarnotas. Navegando por el sistema


Conozcasusderechos
Comprender sus derechos como paciente puede ayudarle a defender sus intereses de manera más eficaz Todos los canadienses tienen derecho a recibir la atención médica necesaria, a acceder a sus registros médicos y a la confidencialidad. Además, si considera que sus necesidades de atención médica no están siendo atendidas, puede solicitar una segunda opinión o pedir que lo deriven a otro especialista.
Laimportanciadeladocumentación
Llevar un registro completo de la historia clínica, los tratamientos, los resultados de las pruebas y las comunicaciones con los proveedores de atención médica puede resultar muy útil a la hora de navegar por el sistema Esta documentación puede ayudar a garantizar que no se pase por alto nada durante las citas y se puede utilizar para facilitar las derivaciones a especialistas o las solicitudes de tratamiento acelerado
Navegando por el sistema de salud canadiense (continuación)



Participarenlatomadedecisionescompartida
La toma de decisiones compartida es un enfoque colaborativo entre pacientes y proveedores de atención médica, en el que ambas partes contribuyenalasdecisionessobrelosplanesdetratamiento Alparticipar activamente en el proceso de toma de decisiones, los pacientes pueden asegurarse de que se respeten sus preferencias y valores mientras toman decisionesinformadassobresuatención.
Recursosparanavegarporelsistemadeatencióndesalud
Navegar por el sistema de salud canadiense puede ser abrumador, pero hayvariosrecursosdisponiblesparaayudaralospacientesydefensores:
Sitioswebdesaludprovinciales
Cadaprovinciayterritoriocuentaconunsitiowebdeatenciónmédicaen el que los residentes pueden encontrar información sobre los servicios cubiertos,cómoaccederalaatenciónycómoregistrarseparaobtenerun seguro médico Estos sitios web son recursos valiosos para conocer las reglamentacionessanitariaslocalesylosserviciosdisponibles.
Gruposdedefensadelospacientes
Organizaciones como el Instituto Canadiense de Seguridad del Paciente (CPSI, por sus siglas en inglés) y grupos locales de defensa de los pacientes ofrecen apoyo, educación y defensa a los pacientes que navegan por el sistema de atención médica. Muchos de estos grupos se centran en afecciones específicas y ofrecen asesoramiento y recursos personalizados para enfrentar los desafíosúnicosdeundiagnósticoenparticular.
OficinasdelDefensordelPueblo
Si los pacientes sienten que no han recibido la atención adecuada, pueden comunicarse con el defensor del pueblo provincial o territorial. Estas oficinas investigan las quejas y trabajan para resolverlosproblemasrelacionadosconelacceso,lacalidadylaequidaddelaatenciónsanitaria
Opcionesdeatenciónvirtual
Los servicios de telesalud y atención virtual son cada vez más comunes en Canadá Estas plataformas permiten a los pacientes consultar con proveedores de atención médica de forma remota, lo que puede ser especialmente útil para quienes viven en zonas rurales o remotas La atenciónvirtualtambiénpuedeproporcionarunaccesomásrápidoaconsultasnourgentes.
Cómonavegarconconfianzaenelcuidadodelasalud
Si bien el sistema de atención médica canadiense ofrece acceso universal a la atención, para sortearsuscomplejidadesserequierenconocimientos,perseveranciayunadefensaeficazdelos derechos de los pacientes. Comprender la estructura del sistema, saber cómo acceder a los servicios y ser proactivo en la atención médica puede marcar una diferencia significativa en la calidadylapuntualidaddelaatenciónquerecibe.Sisecomunicaclaramenteconlosproveedores deatenciónmédica,conocesusderechosyutilizalosrecursosdisponibles,podrátomarelcontrol desuprocesodeatenciónmédicaydefenderlosmejoresresultadosposibles.
A medida que el panorama de la atención sanitaria evoluciona con avances tecnológicos, nuevos tratamientosyunenfoquecadavezmayorenlaatencióncentradaenelpaciente,loscanadienses tienen más herramientas que nunca para navegar por el sistema. Tanto para los pacientes como para los cuidadores y los defensores, estar informados y ser proactivos seguirá siendo esencial paralograrlosmejoresresultadossanitariosposiblesenlospróximosaños.

Cómo navegar por el sistema de salud de EE. UU.: una guía para pacientes, cuidadores y defensores
por Cheryl Petruk, MBA
Navegar por el sistema de atención médica de los EE. UU. puede ser u experiencia abrumadora para los pacientes debido a su complejidad, variabilidad de los costos y la necesidad de comprender los matices de l planes de seguro y los procedimientos médicos En este artícu exploraremos aspectos críticos del sistema, centrándonos en comprend el seguro, seleccionar los proveedores de atención médica adecuad administrar los costos y defender la atención médica Este artículo tie como objetivo brindar a los pacientes el conocimiento, la comprensión las herramientas necesarias para navegar con confianza por el panoram delaatenciónmédicadelosEE UU
Entendiendoelsegurodesalud

En Estados Unidos, el seguro médico es predominantemente un sistema de mercado privado con algunos programas gubernamentales como Medicare y Medicaid. El tipo de seguro que tengas influye significativamente en los servicios de atención médica a los que puedes acceder, los costos en los que incurres y los proveedores a los que puedes acudir. A continuación, se muestra un desglose de las opcionesdeseguromáscomunes:
El seguro patrocinado por el empleador es uno de los tipos de seguro más comunes, en el que el empleador cubre parte del costo de la prima. Los planes varían en cuanto a cobertura y responsabilidades de participación en los costos, por lo que es esencial revisar cuidadosamente su paquetedebeneficiosdurantelainscripción.
Planes del Mercado de Seguros Médicos: La Ley de Atención Médica Asequible (ACA) estableció el Mercado de Seguros Médicos, donde las personas pueden comprar planes de seguro. Según sus estructuras de costos compartidos, estos planes se clasifican en niveles de metal (Bronce, Plata, Oro, Platino).
Medicare: programa federal de seguro médico para personas de 65 años o más o con ciertas discapacidades. Incluye diferentes partes: Medicare Parte A (seguro hospitalario), Parte B (seguro médico),ParteD(coberturademedicamentosrecetados)yMedicareAdvantage(ParteC).
Medicaid:programaestatalyfederalqueofrececoberturamédicagratuitaodebajocostoapersonasy familias de bajos ingresos que reúnen los requisitos. La elegibilidad y la cobertura de Medicaid varían deunestadoaotro,porloquedebeconsultarlaspautasespecíficasdesuestado.
Al elegir un plan, tenga en cuenta las primas, los deducibles, los copagos y los máximos de desembolso personal.Además,verifiquesisusproveedoresdeatenciónmédicapreferidosseencuentrandentrode lareddesegurosparaevitarcostosinesperados.(HealthCare.gov.(s.f.).Tiposdecoberturadesalud.
Cómoseleccionarunproveedordeatenciónmédica
Unavezquetengaseguro,seleccionarelproveedordeatenciónmédicaadecuadoesfundamentalpara recibirlaatenciónnecesaria.Deberáencontrarunmédicoouncentroqueseadapteasusnecesidades médicas,supresupuesto ysuubicación. Acontinuación, seindicanlospasosquedebetenerencuenta alseleccionarunproveedor:
Proveedores dentro de la red: muchos planes de seguro tienen redes de proveedores de atención médica. Para minimizar los costos, seleccione proveedores “dentro de la red” con su plan de seguro. Médico de atención primaria (PCP): suele ser su primer punto de contacto para cuestiones de salud generales. Su PCP se encarga de su salud general y le ofrece derivaciones a especialistas si es necesario.
Navegando por el sistema de salud de EE. UU. (continuación)
Especialistas: es posible que necesites consultar a un especialista para problemas de salud más específicos. Según tu seguro, es posible que necesites una derivación de tu médico de cabecera antes de visitar a un especialista.
Telemedicina: cada vez más popular, la telemedicina le permite consultar con proveedores de atención médica de forma remota a través de videollamadas o teléfono. Puede ser una opción conveniente y rentable para gestionar problemas de salud rutinarios (Asociación Médica Estadounidense (2020) Cómo elegir un médico de atención primaria)
Gestión de los costes sanitarios a atención médica en los EE. UU. puede ser costosa y la gestión de los costos suele er uno de los aspectos más difíciles de manejar en el sistema. A continuación, se resentan varias estrategias para ayudar a controlar los costos:



Conozca su cobertura: asegúrese de comprender completamente lo que cubre su seguro, incluida la atención preventiva, las cirugías, las estadías en el hospital, los medicamentos recetados y los servicios de salud mental. gunte por los precios con anticipación: no dude en pedir presupuestos antes recibir atención, especialmente para procedimientos que no sean de ergencia Los hospitales y las clínicas suelen ofrecer presupuestos para vicios estándar
ice la atención de urgencias de forma inteligente: los centros de atención de encias pueden ser una alternativa rentable a las salas de emergencias para blemas que no ponen en riesgo la vida Las visitas a urgencias suelen ser cho más caras y pueden conllevar copagos o deducibles más elevados
Utilice atención preventiva: los planes de seguro suelen cubrir servicios preventivos, como controles y exámenes anuales, sin costo alguno. La atención preventiva regular puede ayudar a detectar problemas de salud de manera temprana y reducir los costos a largo plazo.
Solicitar asistencia financiera: muchos hospitales ofrecen programas de asistencia financiera si tienes que afrontar gastos médicos importantes. Además, las compañías farmacéuticas suelen tener programas de asistencia para pacientes que tienen dificultades para pagar los medicamentos. (Kaiser Family Foundation. (2019). Cómo manejar las facturas médicas y evitar la deuda médica).
Comprender los costos de los medicamentos recetados
Los medicamentos recetados pueden representar una parte importante de los gastos de atención médica Es fundamental comprender cómo gestionar estos costos:
Medicamentos genéricos frente a medicamentos de marca: Pregúntele a su proveedor de atención médica o farmacéutico si existen versiones genéricas de sus medicamentos Las versiones genéricas suelen ser mucho más económicas que los medicamentos de marca.
Cobertura de medicamentos recetados: consulte el formulario de su plan de seguro (una lista de medicamentos cubiertos) para ver si sus medicamentos están incluidos Algunos medicamentos pueden requerir autorización previa o tener requisitos de terapia escalonada, lo que significa que primero debe probar medicamentos menos costosos
Programas de descuento y cupones: varias organizaciones ofrecen descuentos o cupones para medicamentos recetados Los sitios web como GoodRx le permiten comparar precios en distintas farmacias y acceder a cupones
Farmacias de pedidos por correo: Muchos planes de seguro ofrecen opciones de pedidos por correo para medicamentos de uso a largo plazo, a menudo a un costo reducido en comparación con las farmacias minoristas. (GoodRx. (s.f.). Cómo ahorrar en recetas
Navegando por el sistema de salud de EE. UU. (continuación)
Abogandoporsupropiaatenciónmédica
Uno de los aspectos más importantes de navegar por el sistema de salud de los EE. UU. es defender su propia atención médica. A continuación, le indicamoscómopuedetomarelcontroldesurecorridodeatenciónmédica:
Haga preguntas: Pregúntele a su médico sobre su diagnóstico, opciones de tratamiento y pruebas o procedimientos recomendados Asegúrese de comprender completamente su estado de salud y los pasos necesarios para larecuperación.
Segundas opiniones: está bien buscar una segunda opinión para decisiones médicas importantes, como una cirugía o un nuevo régimen de medicamentos La perspectiva de otro médico puede ayudar a confirmar el diagnósticoyelplandetratamientouofreceropcionesalternativas.
Mantenga registros organizados: mantenga un archivo con su historial médico, incluidos diagnósticos, resultados de laboratorio y medicamentos. Esto será de gran utilidad cuando consulte con varios proveedores o especialistas
Lleve a una persona de apoyo: si se siente abrumado, lleve a un familiar o amigo a sus citas médicas para que le ayude a escuchar, hacer preguntas tomarnotas.
Fundación Nacional para la Defensa del Paciente (2018) Cómo defender su necesidadesdeatenciónmédica
Manejo de facturas médicas y apelaciones




Recibir facturas médicas inesperadas puede ser estresante, especialmente si no comprende por qué se emitieron o cómo abordarlas. Esto es lo que debe hacer:
Revise sus facturas cuidadosamente: compare la factura con la explicación de beneficios (EOB) de su compañía de seguros para asegurarse de que los cargos sean correctos y reflejen con precisión lo que su seguro ha cubierto.
Negocie las facturas médicas: si recibe una factura inesperadamente alta, comuníquese con la oficina de facturación del proveedor. Muchos hospitales y proveedores están dispuestos a negociar o establecer planes de pago, especialmente si no tiene seguro o enfrenta dificultades económicas.
Apelación de reclamos denegados: Puede apelar la decisión si su compañía de seguros le niega la cobertura de un servicio o procedimiento médico. Revise el proceso de apelaciones de su aseguradora y presente la documentación necesaria para respaldar su caso. (Centros de Servicios de Medicare y Medicaid (sin fecha). Cómo manejar reclamos denegados).
Para navegar por el sistema de atención médica de los EE UU , los pacientes deben estar informados y ser proactivos Comprender su seguro, seleccionar los proveedores de atención médica adecuados, administrar los costos y defender su atención son pasos cruciales Si bien el sistema puede ser complejo, estos pasos pueden ayudarlo a recibir la atención que necesita y, al mismo tiempo, minimizar la presión financiera Recuerde que mantenerse organizado y hacer preguntas son sus herramientas más valiosas para obtener una atención médica de calidad Al mantenerse informados y preparados, los pacientes pueden navegar por el sistema de salud de EE UU con mayor confianza y control sobre sus resultados de salud
Tratamientos emergentes

Brigitte Leonard, Doctora en Filosofía. Director científico de Heal Canada
Los nuevos tratamientos ofrecen esperanza a los pacientes y a sus seres queridos. Aquí presentamos las nuevas terapias disponibles para los canadienses.
En esta sección también se abordan los desafíos relacionados con el acceso a nuevos medicamentos. Nuestros lectores encontrarán información importante que les ayudará a comprender los procesos de revisión de medicamentos de Canadá.
Un paciente informado y comprometido es un paciente empoderado. Nuestro objetivo es brindar a nuestros lectores las herramientas y el conocimiento necesarios para desenvolverse en el complejo panorama de la atención médica porque, más que nunca, los pacientes necesitan alzar la voz para acceder a los servicios. El acceso a medicamentos innovadores puede salvarles la vida a los pacientes.
AprobacionesrecientesdeSaludCanadá.
PorBrigitteLeonard,Ph.D.
HealthCanadaaprobódiezproductosinnovadoresdesdelasedicionesanteriores: DosproductosdeServierCanadáenOncología
Dosproductosenelcampodelasenfermedadesraras,unodeAstraZenecayotrodeUBCCanadá Dosproductosparatrastornossanguíneos,unodeAlexionyotrodeKYEPharmaceutical
UnproductodeViiVHealthcareparaenfermedadesinfecciosas
UnantihipertensivodeMerck
UnproductoparatrastornosdelapieldeEliLilly
UnproductoparacirugíadeHarrowySintetica

Hastaelmomento,HealthCanadahaaprobadoochoproductosbiosimilaresen2024:
Ustekinumab(3)paraeltratamientodelapsoriasis
Denosumab(2)paraeltratamientodelaosteoporosis
Pegfilgrastim(2)paraeltratamientodelaneutropeniaenpacientesconcáncer
Trastuzumab(1)paraeltratamientodelcáncerdemama
Bortezomib(1)paraeltratamientodelmielomamúltiple
En agosto de 2024, Health Canada (HC) aprobó IHEEZO, un gel que se utiliza como anestesia durante la cirugía ocular. Harrow obtuvo la licencia de IHEEZO para el mercado canadiense de Sintetica. La FDA aprobó este producto en septiembre de 2022. Tres estudios clínicos en humanos demostraron la seguridad y eficacia de IHEEZO. Actúa rápidamente, en 1,5 minutos, y proporciona suficiente anestesia para el procedimiento quirúrgico, que dura 22 minutos
En agosto de 2024, HC aprobó ACCRUFER, un tratamiento oral para la anemia por deficiencia de hierro. La FDA aprobó este producto en 2019. KYE Pharmaceutical obtuvo la licencia de Accrufer para el mercado canadiense de Shield Therapeutics. El estudio AEGIS-H2H ha demostrado que Accrufer no era inferior a la terapia con hierro intravenoso. Con Accrufer, es posible mejorar la anemia por deficiencia de hierro sin necesidad de administración hospitalaria. También es una formulación sin sal de hierro férrico, lo que proporciona una alternativa a las terapias orales con hierro a base de sal. También conlleva menos efectos secundarios gastrointestinales que los que se observan típicamente con las terapias a base de sal.
La FDA y la HC aprobaron WINREVAIR en marzo y agosto de 2024, respectivamente [PM] Merck demostró la seguridad y eficacia de WINREVAIR en la hipertensión arterial pulmonar (HAP) con el ensayo STELLAR (NCT04576988) La HAP es una enfermedad rara, progresiva y potencialmente mortal en la que los vasos sanguíneos de los pulmones se engrosan y se estrechan, lo que provoca una tensión significativa en el corazón [?] WINREVAIR, añadido a la terapia de base, aumenta la capacidad física y reduce el riesgo de muerte y eventos clínicos relacionados con la HAP con un perfil de seguridad aceptable
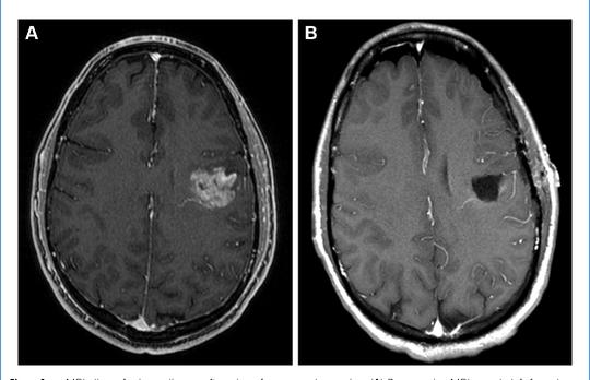
La FDA y el HC aprobaron VORANIGO en agosto de 2024 para el tratamiento de tumores cerebrales raros llamados astrocitomas y oligodendrogliomas Estas formas raras de cáncer tienen una mutación llamada IDH1 o IDH2 Servier apoyó el desarrollo de Voranigo, que bloquea la acción de las proteínas IDH1 o IDH2, reduciendo el crecimiento de las células cancerosas. La presentación incluyó los resultados del ensayo INDIGO (NCT04164901). En este ensayo clínico, Voranigo redujo la progresión de la enfermedad en más de la mitad en comparación con el placebo (28% frente al 54%). Además, durante el estudio, los pacientes tratados con Vorangio no alcanzaron el tiempo medio hasta el tratamiento posterior (TST). Sin embargo, los pacientes que recibieron placebo alcanzaron el TST a los 18 meses. Consulte más detalles sobre el glioma, los tratamientos actuales y su impacto en la calidad de vida del paciente y su entorno en el artículo de la página 19.
El HC aprobó VOYDEYA en julio de 2024 como complemento a la terapia estándar para tratar a pacientes con hemoglobinuria paroxística nocturna (HPN) que tienen anemia residual.Elproducto,desarrolladoporAlexionyAstraZeneca,estádisponibleenelmercado deEE.UU.desdeabrilde2024.LaHPNesuntrastornosanguíneopococomún,debilitantey potencialmente mortal. Una mutación hace que una proteína protectora desaparezca de la superficie de las células sanguíneas. Esta anomalía causa anemia grave a través de la destrucción masiva de glóbulos rojos en los vasos sanguíneos. Además, los pacientes puedentenercoágulossanguíneosdebidoalaactivacióndeglóbulosblancosyplaquetas.



Aprobaciones recientes de Health Canada (continuación)
Los pacientes tratados con el tratamiento estándar pueden seguir padeciendo anemia grave y necesitar transfusionesdesangrefrecuentes.ComosedemostróenelensayoALPHA,añadirVoydeyaaltratamiento estándar permite a los pacientes mejorar su anemia, reducir su necesidad de transfusiones y reducir su fatigaencomparaciónconplaceboconunperfildeseguridadaceptable.
En julio de 2024, HC aprobó ZILBRYSQ para el tratamiento de la miastenia grave generalizada (gMG)[PM]. La FDA (EE. UU.) y la EMA (Europa) aprobaron el producto en octubre y diciembre de 2023, respectivamente [?]. La gMG es un trastorno autoinmune poco común. El sistema inmunitario ataca la conexión entre los nervios y los músculos, lo que provoca debilidad muscular. Esta afección se presenta más adelante en la vida, entre los 40 y los 60 años. Esta enfermedad progresiva es debilitante y potencialmente mortal. Los síntomas iniciales pueden ser caída de los párpados y dificultad para mantener la boca cerrada. Con el tiempo, aparecen síntomas más graves, como dificultad para tragar, parálisis de las piernas y dificultad para respirar. UCB Pharma patrocinó el desarrollo de ZILBRYSQ, que interfiere con el sistema inmunitario para evitar daños en estas conexiones. En el estudio RAISE, los pacientes mejoraron la funcionalidad con respecto a la atención estándar con un perfil de seguridad aceptable. La mejora es significativa a las 12 semanas y continúa mejorando con el tiempo.

En junio de 2024, HC aprobó WAINUA para tratar la amiloidosis hereditaria mediada por transtiretina (hATTR) [PM] La FDA (EE UU ) aprobó el producto en diciembre de 2023 [Press] La hATTR es una enfermedad genética debilitante poco común que provoca daño a los nervios periféricos Una mutación en el gen transtiretina (TTR) provoca la producción de una proteína TTR disfuncional Estas proteínas TTR forman agregaciones y causan daño a los nervios Dentro de los cinco años posteriores al diagnóstico, los pacientes presentan discapacidades motoras Sin tratamiento, el trastorno genético generalmente es fatal en una década [Cortese] AstraZeneca e Ionis Pharma patrocinaron el desarrollo de WAINUA, que reduce la producción de proteínas TTR En el estudio NEURO-TTRansform, los pacientes tratados con Wainua demostraron beneficios clínicos significativos consistentes y sostenidos con un perfil de seguridad aceptable Los tres beneficios clínicos significativos son una concentración sérica reducida de TTR, una disminución del deterioro nervioso y una mejor calidad de vida
En junio de 2024, HC aprobó EBGLYSS para tratar el eccema si los productos cutáneos recetados estándar no funcionan [PM] Este producto ha sido aprobado en EE UU (FDA) y Europa (EMA) desde septiembre de 2023 [Prensa] Varios pacientes aún luchan por controlar su eccema con las terapias disponibles actualmente Muchos experimentan un control deficiente de la enfermedad a largo plazo y la picazón intensa puede afectar significativamente su vida diaria [Chiesa] El programa incluyó tres estudios clínicos y 1062 pacientes: ADvocate 1, ADvocate 2 y Adhere Los pacientes tratados con Ebglyss experimentaron una mejora significativa en su condición cutánea en comparación con el placebo o los tratamientos estándar, y el perfil de seguridad fue aceptable.

Aprobaciones recientes de Health Canada (continuación)
En mayo de 2024, HC aprobó APRETUDE para reducir el riesgo de infección por VIH-1 de transmisión sexual. La empresa que patrocinó la presentación fue ViiV Healthcare ULC. La profilaxis previa a la exposición (PrEP) para reducir el riesgo de infección por VIH de transmisión sexual es una estrategia que ha ganado popularidad en los últimos diez años para poner fin a la epidemia del VIH. Los productos ya están en el mercado, pero no siempre se respeta el alto nivel de adherencia necesario. Se espera que la disponibilidad de una opción de PrEP inyectable de acción prolongada aumente la aceptación y la adherencia a la PrEP en grupos específicos. El ensayo mostró que los participantes que tomaron Apretude tenían un 69% menos de riesgo de infectarse con el VIH en comparación con los participantes que tomaron el estándar de atención actual. Apretude ha estado en el mercado de EE. UU. desde diciembre de 2021 y ha mostrado un perfil de seguridad aceptable.
En julio de 2024, HC aprobó TIBSOVO para tratar dos tipos de cánceres positivos para una mutación específica llamada IDH1: leucemia mieloide aguda (LMA) y colangiocarcinoma Los pacientes con LMA positiva para IDH1 tienen un pronóstico inferior cuando se los trata con la terapia actual Servier patrocinó la presentación a Health Canada Durante el ensayo clínico en LMA, agregar TIBSOVO al tratamiento estándar aumentó las probabilidades de respuesta en casi seis veces y redujo las probabilidades de progresión en un 67% Se observaron resultados similares en el estudio del colangiocarcinoma, donde el tiempo sin progresión se duplicó en comparación con el grupo placebo, y las probabilidades de progresión se redujeron en un 63%.



Impactodelostratamientosactualesenlavidadelospacientesconglioma
PorBrigitteLeonard,Ph.D.
Los tumores cerebrales (gliomas), como todos los cánceres, pueden destruir la vida de los pacientes y su entorno. A diferencia de la mayoría de los cánceres, ciertas formas de glioma suelen diagnosticarse cuando las personas tienen entre 30 y 40 años. Se diagnostican cuando están criando a su familia y luchando por una mejor posición en el trabajo. Se diagnostican durante un período de su vida en el que necesitan todas sus capacidades físicas y cognitivas para apoyar a sus seres queridos.

Estas formas raras y específicas de glioma se denominan astrocitoma y oligodendroglioma. A menudo se los denomina gliomas de bajo grado y se caracterizan por una mutación llamada IDH1 o IDH2. El glioma de bajo grado no significa indolencia. El astrocitoma se detecta generalmente a los 36 años de edad y la expectativa de supervivencia es de entre 5 y 10 años. En cuanto al oligodendroglioma, generalmente se identificaalos45añosdeedadylaexpectativadesupervivenciaesdeentre10y14años.
Los tratamientos actuales recomendados para estos pacientes son la cirugía seguida de observación activa y/o radioterapia combinada con quimioterapia (Figura 1) La cirugía no es una intervención curable; los gliomas IDH1/2 progresarán a formas más agresivas después de la cirugía(Figura2)
Los médicos siguen utilizando la observación activa después de la cirugía a pesar de la alta tasa de progresión debido a la mala tolerabilidad de la radioterapia y la quimioterapia Ambas tienen una alta tasa de efectos secundarios debilitantes. La combinación de radioterapia y quimioterapia puede prolongar la supervivencia diez años Sin embargo, no mejora la calidad de vida de los pacientes y no les permite recuperar su vida. A pesar de una mejor comprensión de las anomalías moleculares subyacentes al glioma, no se han desarrollado nuevas terapias en este ámbito durante más de 20 años.
Heal Canada encuestó a pacientes con glioma para describir con precisión cómo sus tratamientos afectaron sus capacidades físicas, cognitivas y emocionales. Gracias a los 50 participantes que amablemente aceptaron compartir sus experiencias, esperamos que sus experiencias ayuden a esta comunidadaaccederaunamejoratención.


Figura 1
Figura 2
Impacto
En la encuesta, la mayoría de los participantes trabajaban a tiempo completo cuando recibieron el diagnóstico debido a su corta edad. Los tratamientos de su enfermedad tienen un tremendo impacto en su capacidad laboral Además, todos los participantes mencionaron que su enfermedad afectó significativamente su situación financiera. Mientras que el 42% de los participantes se desvinculó de la vida activa al adherirse a un programa de discapacidad a largo plazo o jubilarse anticipadamente, el 17% tuvo que reducir sus horas o cambiar de trayectoria profesional, y solo el 36% de los participantes mantuvo su empleo. De este 36% de los participantes que permanecieron en el trabajo durante su tratamiento o regresaron al trabajo después, dos tercios se vieron gravemente afectados por su tratamiento. El alto impacto en su situación financiera puede explicar su regresoal trabajoapesardesu malasaludy productividad

Los tratamientos de enfermedades también afectan a los cuidadores. El 60% de los participantes mencionó que sus cuidadores tuvieron que faltar al trabajo, reducir sus horas, cambiar de trayectoria profesional o jubilarse antes para apoyarlos en su tratamiento.
Descripción general de los tratamientos activos
En la encuesta, la mayoría de los participantes recibieron cirugía (90%), el 59% recibió quimioterapia y el 46% recibió radioterapia. Mientras que el 36% de los participantes recibió solo cirugía, la mayoría de los pacientes recibieron una combinación de tratamientos. Un tercio de los participantes recibió los tres tratamientos. Menos del 10% de los participantes los toleraron bien, lo suficientemente bien como para tener un impacto mínimo en su productividad y capacidades físicas. Solo dos participantes que recibieron una combinación de tres tratamientos experimentaron pocos efectos secundarios y un efecto mínimo en su capacidad física para poder seguir trabajando y tener una buena calidad de vida

Mirar y esperar
El 53% de los participantes fueron observados activamente en lugar de recibir un tratamiento activo Esta estrategia clínica resultó estresante para el 94% de los participantes y altamente ansiogénica para el 70% de los participantes El acceso a tratamientos que retrasan la progresión de la enfermedad podría aliviar este estrés en el 50% de los participantes
Porquélostratamientosimpactantantoenlasituaciónfinanciera?
La mayoría de los participantes dejarán de trabajar para someterse a una cirugía y a una radioterapia. Suelenvolveratrabajaral cabodeentre6y12meses Sinembargo,el períododerecuperaciónpuede durarmásdeunañoparael10%delosparticipantes
Lamitaddelospacientesseguirántrabajandodurantelaquimioterapiayperderánunpromediode1a 2 días por semana para su tratamiento. Los pacientes que dejan de trabajar durante la quimioterapia tienden a volver a trabajar entre 6 y 12 meses, pero el período de recuperación puede durar más de 12 meses.
Impacto
de los tratamientos actuales en la vida de los pacientes con glioma (continuación)
Los pacientes que se adhieren a un programa de discapacidad a largo plazo tienden a hacerlo después de la radioterapia (36%), la quimioterapia (36%) o la cirugía (27%). Sus tratamientos afectan significativamente su capacidad física, con una reducción de más del 75% durante el período de tratamiento. Además, el impacto a largo plazo de su tratamiento tiende a seguir siendo significativamente alto.
Lamentablemente, su capacidad física y cognitiva tiende a permanecer deficiente o empeorar con el tiempo, y ni la quimioterapia ni la radioterapia permitieron que los participantes mejoraran con el tiempo; la alta frecuencia de efectos secundarios debilitantes a largo plazo después de los tratamientos puede explicar esta observación (Tabla 1). Las complicaciones a largo plazo pueden ser muy debilitantes, como pérdida de memoria a corto plazo, cambios emocionales, dificultad para prestar atención, dolores de cabeza y deterioro motor, por nombrar algunas. En general, el perfil de los efectos secundarios del tratamiento se correlaciona con el impacto de los pacientes en la capacidad física.
Tabla 1

La mayoría de los pacientes experimentaron un alto nivel de estrés relacionado con sus tratamientos. Suelen tener un bienestar emocional y mental deficiente, lo que afecta su calidad de vida y sus actividades sociales. El perfil de mala tolerabilidad de sus tratamientos afecta su vida diaria. Capacidades cognitivas reducidas, dificultades económicas, problemas de transporte y responsabilidades familiares son algunos de los desafíos más frecuentes mencionados por los participantes.
Esta encuesta destaca la necesidad de tratamientos mejor tolerados que permitan a los pacientes seguirtrabajandoymantenerunacalidaddevidadecente.
Tratamiento del glioma IDH en la era VORANIGO
En agosto de 2024, Health Canada aprobó Voranigo para el tratamiento de astrocitomas y oligodendrogliomas (Figura 3) Servier apoyó el desarrollo de Voranigo, que bloquea la acción de las proteínas IDH1 o IDH2, reduciendo el crecimiento de células cancerosas La presentación incluyó los resultados del ensayo INDIGO (NCT04164901) Análisis anteriores han demostrado que los inhibidores de IDH son más activos en pacientes con gliomas menos avanzados La adquisición de mutaciones adicionales puede explicar esta observación durante la progresión [32-33] Cuando la enfermedad progresa, un cóctel de medicamentos dirigidos a diferentes mutaciones es más eficaz que la monoterapia en general

Se han probado tres inhibidores de IDH y Voranigo proporcionó los mejores resultados debido a su capacidad superior para penetrar en el cerebro [35]. Estos ensayos sentaron las bases para el ensayo INDIGO, cuyo objetivo era probar la eficacia de vorasidenib en el tratamiento inicial de gliomas de bajo grado. Los pacientes con gliomas de bajo grado inscritos en INDIGO se sometieron a cirugía y fueron observados activamente durante uno a cinco años. Presentaban signos de enfermedad residual o recurrente. Vea más detalles del diseño del ensayo clínico en la Figura 4.
Figura 3
Impacto de los tratamientos actuales en la vida de los pacientes con glioma (continuación)
Figura 4

En este ensayo clínico, Voranigo redujo el riesgo de progresión de la enfermedad en un 61 % en comparación con la estrategia de observación y espera (placebo) (Figura 5) Además, durante el estudio, los pacientes tratados con Vorangio no alcanzaron el tiempo medio hasta el siguiente tratamiento (mTTNI) Sin embargo, los pacientes que recibieron placebo alcanzaron el mTTNIalos17,8meses(Figura6).
Se trata de una terapia oral, por lo que resulta más cómoda que la radioterapia Las toxicidades observadas fueron leves y comparables entre los grupos de Voranigo y placebo Tomar Voranigo no afectó significativamente la calidad de vida de los pacientes. Para la mayoría de los pacientes, es un desafío estar en observación activa cuando se sabe que la enfermedad sigueahíy quevaaprogresar
Por su eficacia y tolerabilidad, Voranigo puede sustituir a la observación activa para retrasar la progresión lo máximo posible. Además, el uso de Voranigo puede informar y retrasar la necesidad de recibirradioy quimioterapia.
Figura 5

Figura 6

Con suerte, los pacientes tendrán suficiente energía para volver a trabajar después de la cirugía, cuidar a sus seres queridosy vivirconunacalidaddevidadecentehastaqueseanecesarioutilizaruntratamientomásagresivo.

Pertenencia, diversidad, inclusión y equidad
Bienvenido a la sección Pertenencia, diversidad, inclusión y equidad de la revista digital de Heal Canada. En esta sección, brindamos información sobre cómo garantizar que la BDEI sea parte de la conversación con los pacientes en nuestro ecosistema de salud. Nuestro objetivo es iluminar los caminos a través de los cuales las personas que enfrentan desafíos de salud no solo pueden encontrar su voz, sino también aprovecharla para impulsar su propio camino.
La atención sanitaria y las experiencias del paciente no deberían estar determinadas por los determinantes sociales de la salud.
Creemos que un paciente informado y comprometido es un paciente empoderado. A través de artículos esclarecedores, opiniones de expertos e historias inspiradoras, nuestro objetivo es brindarles a nuestros lectores las herramientas y el conocimiento necesarios para desenvolverse en el complejo panorama de la atención médica.
Construcción de una infraestructura sostenible centrada en el paciente para mejorar el reclutamiento y la retención en estudios clínicos. por Cheryl Petruk, MBA
Históricamente, las poblaciones desatendidas han estado subrepresentadas en los estudios clínicos en Canadá y Estados Unidos. Esta falta de inclusión pone en riesgo la generalización de los resultados de las investigaciones y perpetúa las desigualdades en materia de atención médica La necesidad de una infraestructura centrada en el paciente y sostenible es esencial para abordar esta brecha, garantizando que las diversas poblaciones de pacientes estén representadas con precisión en los ensayos clínicos Al construir una infraestructura de este tipo, podemos mejorar el reclutamiento y la retención de estas poblaciones y fomentar una mayor inclusión en la innovación en materiadeatenciónmédica
Laimportanciadelarepresentatividadenlosensayosclínicos

Los ensayos clínicos desempeñan un papel fundamental en el desarrollo de nuevos tratamientos e intervenciones médicas, pero solo pueden ser verdaderamente eficaces si representan la diversidad de las poblaciones que, en última instancia, se beneficiarán de ellos Cuando los estudios clínicos no son representativos,losresultadospuedennoseraplicablesaciertosgruposdemográficos,enparticularalosde comunidades desatendidas. Estos grupos, que a menudo incluyen minorías raciales, personas de bajos ingresos, poblaciones rurales y personas con acceso limitado a la atención médica, con frecuencia están subrepresentadosenlainvestigaciónclínica.
Por ejemplo, las minorías raciales suelen enfrentarse a disparidades en la prevalencia de enfermedades, las respuestas a los tratamientos y los resultados de la atención sanitaria Sin una representación adecuada en los ensayos clínicos, los tratamientos pueden no estar adaptados a sus necesidades específicas, lo que da lugar a una atención subóptima. Además, los grupos subrepresentados suelen experimentar diferentes determinantes sociales de la salud, como el estatus socioeconómico, el acceso a la atención y la alfabetizaciónsanitaria,todolocualpuedeafectaralosresultadosclínicos.Estohacequesuinclusiónenlos ensayosclínicosseaesencialparagarantizarquelosnuevostratamientosseansegurosyeficacesparatodas laspoblaciones
Confianzaydesconfianzaenelsistemadeatenciónsanitaria:muchaspoblacionesdesatendidashan sufrido históricamente malos tratos médicos o explotación en la investigación, lo que ha fomentado una profunda desconfianza en el sistema de atención sanitaria. Esto es particularmente cierto en las comunidades negras eindígenas, donde los abusos históricos, como el estudio desífilis deTuskegee y los programas de esterilización poco éticos, han dejado cicatrices duraderas. Superar esta desconfianza requiere un compromiso con la transparencia, la participación comunitaria y prácticas éticasqueprioricenlaautonomíaylaseguridaddelpaciente.
Acceso a la información: En muchas comunidades desatendidas, el acceso a información sanitaria fiable es limitado. Esto puede deberse a factores como las barreras lingüísticas, el bajo nivel de alfabetización sanitaria o la falta de conectividad digital. Sin información clara y accesible sobre los ensayos clínicos, los posibles participantes pueden no ser conscientes de las oportunidades que tienenasudisposiciónonocomprenderplenamentelosbeneficiosylosriesgosdeparticipar.

Barrerasparaelreclutamientoylaretencióndepoblacionesdesatendidas Existen varios obstáculos que contribuyen a la subrepresentación de las poblaciones desatendidas en los ensayos clínicos. Estos obstáculos son multifacéticos y abarcan desde desafíos logísticos hasta sesgos sistémicos, y debenabordarsemedianteunenfoqueintegralcentradoenelpaciente.
Construyendo un enfoque centrado en el paciente para mejorar los estudios clínicos (continuación)
Desafíos logísticos: Las barreras geográficas, los costos de transporte y las limitaciones de tiempo a menudo disuaden la participación en ensayos clínicos Para las poblaciones rurales o aquellas con recursos financieros limitados, la carga de viajar a un sitio de ensayo, tomarse tiempo libre del trabajo o conseguir cuidado infantil puede ser prohibitiva. Estos obstáculos logísticos afectan desproporcionadamente a los grupos de bajos ingresos y marginados, lo que les dificulta participar en la investigación.
Falta de atención culturalmente competente: muchos proveedores de atención médica e investigadores pueden no estar preparados para ofrecer una atención culturalmente competente, lo que puede alejar a los posibles participantes de entornos desfavorecidos. La comunicación culturalmente apropiada, las interacciones respetuosas y la sensibilidad hacia los diversos valores y creencias son fundamentales para generar confianza y compromiso con estas poblaciones.
Restricciones financieras: La carga financiera que supone la participación, incluidos los posibles costos relacionados con el transporte, el tiempo fuera del trabajo o la atención médica, puede disuadir a las poblaciones desatendidas de inscribirse en ensayos clínicos. Incluso cuando los ensayos ofrecen una compensación, es posible que no sea suficiente para compensar estos costos.
Construyendo una infraestructura sostenible centrada en el paciente


Para abordar estas barreras se necesita una infraestructura sostenible y centrada en el paciente que respalde los esfuerzos de reclutamiento y retención de las poblaciones desatendidas Dicha infraestructura debería priorizar la accesibilidad, la inclusión y la participación a largo plazo, y al mismo tiempo aprovechar las alianzas comunitarias y la tecnología para mejorar la difusión 1.Alianzascomunitariasycreacióndeconfianza
Una de las estrategias más eficaces para mejorar el reclutamiento y la retención es crear alianzas con organizaciones comunitarias que atienden a poblaciones desatendidas. Al trabajar con líderes locales de confianza, proveedores de atención médica y grupos de apoyo, los investigadores pueden fomentar la confianza y aumentar la conciencia sobre los ensayos clínicos dentro de estas comunidades.Estasalianzaspuedenayudaracerrarlabrechaentrelacomunidaddeinvestigación y las poblaciones desatendidas al facilitar una comunicación culturalmente sensible, abordar las inquietudesybrindarinformaciónclarasobrelosbeneficiosylosriesgosdelaparticipación.
La investigación participativa basada en la comunidad (CBPR, por sus siglas en inglés) es un modelo que ha tenido éxito en la promoción de la confianza y la colaboración entre investigadores y comunidades. La CBPR enfatiza la participación activa de los miembros de la comunidad en el proceso de investigación, desde el diseño del estudio hasta el análisis y la difusión de los datos Este enfoque garantiza que la investigación sea pertinente a las necesidades y prioridades de la comunidad, lo que puede mejorar el reclutamiento y la retención

2. Mejorar el acceso a la información y la educación ar el acceso a la información sobre los ensayos clínicos es esencial para ntar la participación de las poblaciones desatendidas. Esto se puede mediante el desarrollo de materiales educativos multilingües íficos que expliquen el propósito de los ensayos clínicos, los beneficios participación y los derechos de los participantes. La información debe disponible en varios formatos, incluidos medios digitales, impresos y en na, para llegar a personas con diferentes niveles de alfabetización en y acceso a la tecnología.
Construyendo un enfoque centrado en el paciente para mejorar los estudios clínicos (continuación)
La telemedicina y las tecnologías de salud móviles también ofrecen soluciones prometedoras para aumentar el acceso a los ensayos clínicos. Las consultas virtuales, el seguimiento remoto y los procesos de consentimiento digital pueden reducir la necesidad de viajar y facilitar la participación de los pacientes en las investigaciones en zonas rurales o remotas

3. Abordar las barreras logísticas y financieras
Para reducir las barreras logísticas y financieras a la participación, los patrocinadores de los ensayos clínicos deberían considerar la posibilidad de ofrecer horarios flexibles, asistencia con el transporte y servicios de guardería. Reembolsar a los participantes los gastos de bolsillo y ofrecerles una compensación por su tiempo también puede ayudar a aliviar la carga financiera de la participación.
Además, la descentralización de los ensayos clínicos mediante la oferta de visitas domiciliarias o el uso de plataformas de telesalud puede hacer que la participación sea más cómoda y accesible Al reducir la necesidad de que los pacientes se desplacen a un centro de ensayos cent facilitar la participación de las poblaciones desatendidas en las investigaci
4.Atenciónyrepresentaciónculturalmentecompetentes
Asegurarsedequeelpersonaldeensayosclínicosestécapacitadoen competencia cultural es fundamental para crear un entorno acogedor y respetuoso para las poblaciones desatendidas. Los investigadores deben recibir capacitación para comunicarse de manera eficaz con poblaciones diversas y para comprender los factores culturales, sociales y económicos que pueden influir en sus decisiones de salud y atención médica. Esto incluye reconocer posibles sesgos y garantizar que las estrategias de reclutamiento seaninclusivasyequitativas.
Además, aumentar la diversidad del personal y de los investigadores de los ensayos clínicos puede ayudar a crear un entorno más inclusivo para los participantes. Cuando las poblaciones desfavorecidas se sienten representadas en el equipo de investigación, es más probable que se sientan cómodas y seguras de



5. Aprovechar los datos y la tecnología para lograr una interacción a largo plazo
Mantener la participación de las poblaciones desatendidas en la investigación clínica requiere una comunicación y un seguimiento constantes. El análisis de datos se puede utilizar para monitorear las tasas de retención e identificar posibles desafíos en las primeras etapas del proceso de ensayo. Por ejemplo, si ciertos grupos demográficos abandonan el estudio con mayor frecuencia, los investigadores pueden investigar las razones e implementar estrategias específicas para abordarlas
Los registros de pacientes y las bases de datos que registran los resultados y las experiencias de los participantes también pueden ser herramientas valiosas para mantener relaciones a largo plazo con las poblaciones desatendidas. Al actualizar periódicamente a los participantes sobre el progreso de la investigación y sus resultados, los investigadores pueden demostrar el valor de su participación y alentar su participación en el futuro.
La creación de una infraestructura centrada en el paciente y sostenible que mejore el reclutamiento y la retención de las poblaciones desatendidas en los estudios clínicos es esencial para promover la equidad en la atención médica. Al abordar las barreras de la confianza, el acceso, la logística y la competencia cultural, y al construir alianzas comunitarias sólidas, podemos garantizar que los ensayos clínicos reflejen la diversidad de las poblaciones a las que pretenden servir. Al hacerlo, podemos crear soluciones de atención médica más efectivas, equitativas e inclusivas para todos


Salud mental
Bienvenidos a la sección de Salud Mental de la revista digital Heal Canada, un espacio dedicado a acoger con los brazos y el corazón abiertos el camino hacia el bienestar mental. En esta edición, nos adentramos en el empoderador mundo de la defensa, la participación, el empoderamiento y la educación de los pacientes. Nuestro objetivo es iluminar los caminos a través de los cuales las personas que se enfrentan a problemas de salud mental no solo pueden encontrar su voz, sino también aprovecharla para impulsar su propio camino.
Creemos que un paciente informado y comprometido es un paciente empoderado. A través de artículos esclarecedores, opiniones de expertos e historias inspiradoras, nuestro objetivo es brindarles a nuestros lectores las herramientas y el conocimiento necesarios para desenvolverse en el complejo panorama de la atención de la salud mental.
Únase a nosotros mientras exploramos cómo la defensa del paciente, la participación activa y la educación integral pueden transformar la experiencia de la atención de la salud mental, convirtiendo los obstáculos en oportunidades de crecimiento y curación.
Cinco mitos clave sobre la comunicación con los seres queridos cuando se vive con una enfermedad crónica
por Kristy Brosz, MSW, RCSW
Vivir con una enfermedad crónica suele implicar hacer malabarismos con los síntomas físicos, los altibajos emocionales y diversos ajustes prácticos. Uno de los mayores desafíos puede ser comunicar eficazmente sus necesidades y experiencias a las personas que le importan. No se trata solo de transmitir información; implica defenderse, gestionar las relaciones y abordar los efectos a menudo invisibles de su enfermedad que los demás pueden no comprender del todo.

Una buena comunicación es fundamental para obtener el apoyo que necesita y garantizar su bienestar. Sin embargo, expresar estas necesidades puede resultar abrumador, especialmente si se tiene en cuenta el estrés adicional que supone vivir con una enfermedad crónica. Ya sea que esté explicando su situación a un ser querido, negociando cambios en la casa o simplemente buscando apoyo adicional en un día difícil,laformaenquesecomunicapuedeafectarsignificativamentesusinteraccionesyresultados.
Aclaremos cinco mitos comunes sobre la comunicación con los seres queridos mientras se controla una enfermedadcrónica:
Mito n.° 1: la comunicación debe cambiar por completo después del diagnóstico
Puede que piense que todo lo relacionado con su comunicación debe cambiar drásticamente debido a su enfermedad. Si bien es cierto que los temas de sus conversaciones pueden cambiar, esto no significa que tenga que reinventar por completo su estilo de comunicación. Si el humor formaba parte de su relación antes, manténgalo vivo donde todavía tenga cabida (¿disfrutaba de las charlas nocturnas antes? Busque formas de mantenerlas significativas Aproveche las fortalezas de sus patrones de comunicación anteriores y adáptelos para que se adapten a su situación actual)
Mito n ° 2: Tus seres queridos no quieren escuchar las cosas difíciles Es natural querer proteger a sus seres queridos de las partes más difíciles de su experiencia. Sin embargo, los estudios muestran que la transparencia fomenta una mejor comunicación. Es probable que sus seres queridos compartan sus preocupaciones y es más probable que le ofrezcan apoyo si usted comparte abiertamente lo que está atravesando. Las conversaciones honestas pueden conducir a una mejor resolución de problemas y a una conexión más profunda. Dos cabezas siempre piensan mejor que una, así que comparta su mundo interior y sus experiencias con quienes más se preocupan por usted y permita que su comunicación crezca a través de esta transparencia.
Mito n.° 3: Debes tener todas las respuestas cuando pides ayuda No es necesario que sea un experto en todos los detalles de su enfermedad ni que sepa exactamente qué ayuda necesitará cada día Está bien hablar de sus necesidades y aceptar el apoyo que se le presente Es posible que sus necesidades cambien con el tiempo, y eso está perfectamente bien Comience con lo que necesita en este momento y haga los ajustes necesarios Una vez que comience a pedir y aceptar ayuda en función de su situación, será más fácil pedirla en el momento siguiente

Decir que necesitas ayuda o apoyo pero que no sabes por dónde empezar puede ser una buena forma de pedir ayuda Deja que tu ser querido te haga algunas preguntas y empieza a partir de ahí Probablemente te sorprenderá ver las fantásticas ofertas de ayuda que aparecerán ante ti!
Miton.°4:Lacomunicaciónsolosedaenlosdíasbuenos
Puede resultar tentador esperar a que llegue el día en que te sientas mejor para tener conversaciones significativas, pero no siempre es práctico. Los síntomas pueden variar y esperar el momento perfecto puede ser frustrante. Es esencial comunicarse con regularidad, incluso en los días en que los síntomas, como el dolorcrónicoolaconfusiónmental,seanmásintensos.Adaptesucomunicacióna su estado actual, pero no espere a que las condiciones sean ideales La comunicación ideal se produce con el tiempo y, a menudo, con más de una conversación,porloquepuedesermuyimportanteentablarestasconversaciones alolargodelaevolucióndesuenfermedad
Miton°5:Nopuedeshablarporquetesientesunacarga
Vivir con una enfermedad crónica no significa que deba permanecer en silencio sobre sus necesidades o cualquier problema en sus relaciones El hecho de que esté lidiando con problemas de salud no significa que deba silenciar su voz. Si hubiera hablado de algo antes de su enfermedad, siga hablando ahora. Utilice afirmaciones en primera persona como “siento” o “pienso” para expresar sus pensamientos y sentimientos. Mantenga la conversación abierta y honesta, y avance con la afirmación de que usted y sus necesidades son igualmente importantes para sus seres queridos Recuerde que cada relación implica dar y recibir;puedeserútilrecordartodoloqueaportaalarelación.

Estos mitos ponen de relieve que para gestionar la comunicación mientras se vive con una enfermedad crónica se necesita tanto valentía como claridad. Una comunicación eficaz no significa empezar desde cero, sino adaptarse y mantener los aspectos de la relación que funcionan bien. Al ser transparente, reconocer las necesidades cambiantes y mantener abiertas las líneas de comunicación (incluso en los días difíciles), se crea un entorno más solidario para uno mismo y para quienes nos rodean. Tener una relación sólida y fuerte, utilizar una comunicación eficaz y gestionar la enfermedad van de la mano, lo que permite vivir la mejor vida posible e incluso prosperar con una enfermedad crónica.

Kristy es una terapeuta de salud mental que ejerce en forma privada y está registrada para atender a clientes en cinco provincias canadienses, incluidas Columbia Británica, Alberta, Saskatchewan, Ontario y Nueva Escocia La práctica de Kristy se especializa en enfermedades crónicas y se centra en la intersección entre el trauma y el duelo Kristy ha realizado presentaciones a nivel nacional e internacional y es autora de dos libros sobre el trauma
Kristy Brosz, MSW, RCSW Terapeuta de salud mental/Trabajadora social clínica registrada Supervisora clínica (ACSW) Kristy Brosz Counselling & Consulting Correo electrónico: kristy@brosz ca
Cómo prepararse para el trastorno afectivo estacional: una guía para combatir la tristeza invernal
Por Janice D’souza, M.S.W., R.S.W.
A medida que los días se hacen más cortos y las temperaturas empiezan a bajar, muchas personas experimentan cambios en su estado de ánimo y en sus niveles de energía Para algunas, este cambio estacional desencadena el trastorno afectivo estacional (TAE), un tipo de depresión que suele presentarse durante los meses de otoño e invierno Si usted o alguien que conoce sufre de TAE, la preparación puede marcar una diferencia significativa en el manejo de sus síntomas A continuación, le presentamos una guía para comprender el TAE y estrategias eficaces que le ayudarán a atravesar esta temporada.
Qué es el TAE?

El trastorno afectivo estacional es un tipo de depresión que ocurre en épocas específicas del año, más comúnmente en invierno, cuando las horas de luz son más cortas.
Los síntomas pueden incluir:
Tristeza persistente o bajo estado de ánimo
Fatiga y baja energía
Cambios en los patrones de sueño (dormir demasiado o insomnio)
Aumento o pérdida de peso
Dificultad para concentrarse
Pérdida de interés en actividades que antes disfrutaba

Mantente activo
Salga afuera
Incluso en días nublados, la luz natural puede beneficiar tu estado de ánimo. Prueba estas estrategias para maximizar tu exposición:
Caminatas matutinas: Adquiera el hábito de caminar al aire libre durante al menos 15 a 30 minutos cada mañana.
Tiempo de descanso: Cuando sea posible, tome sus descansos al aire libre, incluso si solo se trata de permanecer afuera durante unos minutos.
Actividades al aire libre: planifique actividades al aire libre, como senderismo o esquí, para disfrutar de la naturaleza y mantenerse activo.
El ejercicio es un potente estimulante del estado de ánimo. La actividad física regular puede ayudar a aliviar los síntomas de la depresión. A continuación, le indicamos cómo incorporarla a su rutina: Establezca metas realistas: intente realizar al menos 30 minutos de ejercicio moderado la mayoría de los días de la semana
Encuentra una actividad que disfrutes: ya sea bailar, nadar o hacer yoga, elige algo que te mantenga motivado Únase a un grupo: para mantenerse socialmente activo mientras hace ejercicio, considere unirse a una clase de gimnasia o a un club deportivo local
Preparación para el trastorno afectivo estacional (TAE)
Centrarseenlanutrición
Una dieta equilibrada puede tener un efecto profundo en tu estado de ánimoyentusnivelesdeenergía.Tenencuentaestosconsejos: Come un arcoíris: llena tu plato con frutas y verduras coloridas para asegurartedeobtenerunaampliagamadenutrientes.
Limite el azúcar y los alimentos procesados: pueden provocar caídas de energíaycambiosdehumor
Consideretomarsuplementos:hableconsuproveedordeatenciónmédica sobre los suplementos de vitamina D o de omega-3 si le preocupan las deficiencias.
Mantenteconectado

El apoyo social es fundamental para combatir el trastorno afectivo estacional. A continuación, se indican algunas formas de mantenerse conectado:
Manténgase en contacto con sus amigos y familiares Las interacciones socialeshabitualespuedenlevantarleelánimo.
Únase a un grupo de apoyo: considere unirse a un grupo en el que los miembroscompartansusexperienciasconeltrastornoafectivoestacional Conectarse con otras personas puede ser increíblemente gratificante y útil.
Planifique actividades regulares: programe reuniones regulares, noches de juegosocitasparatomarcaféparamantenerseinvolucrado.
Practica la atención plena y el manejo del estrés.
Las prácticas de salud mental pueden resultar increíblemente beneficiosas para controlar el trastorno afectivo estacional. A continuación, se ofrecen algunas sugerencias:
Meditación y respiración profunda: incorpore la meditación de atención plena o ejercicios de respiración en su rutina diaria.
Llevar un diario: escribir sobre tus sentimientos puede ayudarte a procesar las emociones y reducir el estrés.
Ayuda profesional: si los síntomas se vuelven abrumadores, considere hablar con un terapeuta especializado en TAE.

El trastorno afectivo estacional puede ser un desafío, pero con una preparación proactiva, puede mejorar significativamente su experiencia invernal Al incorporar terapia de luz, mantenerse activo, concentrarse en la nutrición y fomentar las conexiones sociales, puede crear un entorno de apoyo que mitigue el impacto del trastorno afectivo estacional.
Recuerda que no estás solo. Si sigues estos pasos, podrás atravesar los meses más oscuros con más facilidad y resiliencia. Si notas síntomas persistentes, no dudes en buscar ayuda profesional. ¡Tu salud mental es importante!

Janice D'souza, M.S.W., R.S.W.
Trabajador social Insightful Minds Therapy Inc.
Si usted o alguien que conoce tiene problemas de salud mental y bienestar, no dude en comunicarse con Janice D’souza para recibir terapia individual. Para obtener más información, consulte la información de contacto que aparece a continuación: Correo electrónico: j6dsouza@gmail.com Teléfono: 416-316-7686

Trastorno por déficit de atención e hiperactividad (TDAH) en adultos mayores
Por April
Colquhoun
En este mundo acelerado, puede ser especialmente difícil para los adultos mayores con TDAH afrontar la vida cotidiana. Una de las principales razones por las que busqué ayuda para un diagnóstico de TDAH en la edad adulta fue la sensación crónica de agotamiento con la incapacidad de sentirme tranquilo cuando se presentaba una oportunidad para relajarme. También presenté muchos de los síntomas que exhibieron mis hijos diagnosticados anteriormente. Los pensamientos acelerados y/o ansiosos/inútiles son una experiencia común para los adultos mayores con TDAH. Nuestros cerebros con TDAH están preparados para solucionar problemas y seguirán buscando problemas que pueden existir o no. Sin intervención,
Nuestrocerebrofuncionaatodavelocidad,loqueprovocaunaumentodesíntomascomoansiedad,agobio y estrés El asesoramiento, las estrategias prácticas, las herramientas y, a menudo, el apoyo farmacéutico sonexcelentesopcionesparaaliviarlossíntomasdelTDAHenadultos.

El cerebro con TDAH tiene problemas con los procesos del lóbulo frontal que gestionan y equilibran nuestrastareasdefunciónejecutiva,comoelautocontrolylaregulación.Eldesarrollomáslentodellóbulo frontal o la actividad o conectividad hormonal interrumpida son responsables de este desequilibrio A medida que envejecemos, nuestro cerebro también comienza a perder parte de su adaptabilidad, lo que contribuyeaunaumentoenlagravedadofrecuenciadelossíntomasenlosadultosmayoresconTDAH
UnadultomayorconTDAHpuedecomenzaranotarunempeoramientoolaaparicióndesíntomasnuevos, como,entreotros:
Creciente dificultad con la regulación emocional
Mal humor, irritabilidad, facilidad para enojarse, Frustración, llanto, fatiga. Más frecuentemente abrumado
Depresión y ansiedad
Olvido
Dificultades en la gestión del tiempo
Desafíos en la incorporación de nueva información
Dificultad para mantenerse organizado
Desafíos para mantener rutinas
Interrupción de la conexión social
Menos satisfacción con la vida
A sus amigos o familiares les preocupa que usted se olvide de devolverles las llamadas o los mensajes? ¿Les preocupa que llegue tarde o que no acuda a sus compromisos sociales? Sus síntomas de TDAH están afectando su iniciativa, constancia y seguimiento en áreas de su vida relacionadas con el trabajo, las finanzas o las relaciones? Los matrimonios y las parejas pueden comenzar a experimentar una tensión significativa en la adultez avanzada, dadas las transiciones de las personas con TDAH en relación con lo social, lo emocional, lo familiar, el empleo/la jubilación y otras áreas de la vida que han ayudado a crear límites y regular las emociones A menudo es necesario enseñar o mejorar las habilidades de afrontamiento, la educación para el manejo de las emociones y las estrategias de comunicación para lograr un mayor equilibrio y armonía
Trastorno por déficit de atención e hiperactividad (TDAH) en adultos mayores (continuación)
Las situaciones de vida de los adultos con TDAH se ven agravadas aún más por la abrumadora complejidad de la vida adulta y las profundas heridas emocionales (traumas) que se han experimentado durante años de estrés y de capacidad limitada para afrontar las situaciones. La identificación, la aceptación y la intervención oportuna pueden contribuir a generar cambios concretos que mejoren el bienestar. Los adultos con TDAH que recibieron un diagnóstico a una edad más temprana pueden descubrir que las estrategias que utilizaban antes ahora son ineficaces y que es necesario actualizarlas para satisfacer las demandas multifacéticas de la adultez avanzada.

Los adultos sin un diagnóstico formal, pero que informan síntomas intensos, se beneficiarán si consideran la posibilidad de comunicarse con su médico para analizar el impacto de sus síntomas y solicitar una evaluación para un posible diagnóstico de TDAH en adultos Algunos médicos pueden querer derivar a un especialista para el diagnóstico, y los psicólogos financiados por OHIP pueden tener tiempos de espera de muchos meses Si tiene beneficios de salud extendidos, muchos proveedores pueden ofrecer opciones de pago privado para la evaluación psicológica con tiempos de espera reducidos

Aprender a tolerar la angustia emocional puede ayudar a los adultos con TDAH a comunicarse y puede ayudar a mejorar las relaciones importantes de manera más eficaz Los profesionales de la salud con experiencia en TDAH están preparados para ayudar a superar estos desafíos con una amplia variedad de recursos centrados en la persona En mi experiencia, personal y profesional, los enfoques basados en valores e intencionalidad parecen ayudar a los adultos con TDAH a alcanzar sus objetivos de mayor bienestar, menor estrés y mejores estrategias de afrontamiento. Si bien los enfoques terapéuticos cognitivos como la terapia cognitivo-conductual (TCC) son probados y confiables, son una herramienta más en el conjunto de herramientas de los adultos con TDAH. Analizar sus procesos de pensamiento e identificar patrones inútiles es un excelente comienzo para reconocer posibles alternativas y flexibilidad para reducir el estrés.
La atención plena y el cuidado personal (REDUCIR LA VELOCIDAD) son elementos clave para deshacernos de la tensión emocional y reentrenar los patrones cerebrales después de décadas de emociones que parecen una montaña rusa. Estas estrategias suelen ser contraintuitivas y desafiantes para los cerebros de carreras de autos con TDAH que aman la impulsividad, la acción rápida y la complejidad Mi viaje personal con esta transición implicó un dolor y una pérdida significativos durante la transformación, dado que mi procesamiento y movimientos rápidos fueron una influencia fundamental en muchos de mis éxitos y eficiencias Lo tranquilizador? No he perdido nada de mí misma He aumentado la autocompasión y he reducido mi sufrimiento al mejorar mis habilidades de afrontamiento y resiliencia a través de esfuerzos conscientes para incorporar apoyo y cuidado personal

Trastorno por déficit de atención e hiperactividad (TDAH) en adultos mayores (continuación)
A menudo, los adultos con TDAH han crecido en hogares que tenían cuidadores que eran comunicadores ineficaces y a menudo dejaban a los niños con TDAH con necesidades no escuchadas ¿Había a menudo gritos o períodos de silencio y estrés en su hogar mientras crecía? Si no creció con adultos que expresaran sus sentimientos de manera saludable o que supieran cómo resolver problemas de manera efectiva, probablemente no le dieron las herramientas necesarias para desenvolverse en el dinámico entorno interpersonal actual ¿Se irrita fácilmente o teme las conversaciones interpersonales?
Comprenderyevaluarsushábitosdecomunicaciónactualespuedebrindarleinformaciónsobreáreasde necesidad y fortaleza, y ofrecerle estrategias adicionales en áreas de deterioro. La buena noticia? Con el tiempo, orientación terapéutica y pequeñas dosis de esfuerzo concertado (quizás un nuevo enfoque hiperactivo en el autocuidado?), puede hacer los cambios necesarios para reducir su estrés y sentir un mayorequilibrioyconexiónconlosdemáseneldíaadía.
Si ya tiene un diagnóstico de TDAH en la edad adulta, su equipo de profesionales de la salud puede ayudarloareevaluarelestrésagudoyofrecerleopcionesdetratamientoalternativasqueseadaptenasus necesidades actuales de maduración Algunas personas consideran que la intervención farmacéutica es adecuada y, independientemente de si esta es o no una opción para usted, la asesoría de un trabajador social, psicoterapeuta o psicólogo con formación o licencia en TDAH puede ayudar con una evaluación biopsicosocial exhaustiva para informar y guiar una variedad de métodos terapéuticos y recomendaciones para apoyar la reducción del estrés y las estrategias de afrontamiento personalizadas específicas para el TDAH.
El TDAH y la adultez son un viaje y una aventura En los buenos días, el TDAH es animado y dinámico y la vida diaria no tiene por qué ser abrumadora a medida que envejecemos Afortunadamente, gracias a profesionales comprometidos en el campo como el Dr Russell Barkley, un neuropsicólogo clínico con vínculos familiares con TDAH, la disponibilidad de información y recursos válidos para el TDAH continúa evolucionando y siendo más accesible Mi agradecimiento a los profesionales de la salud que se toman en serio el TDAH para los adultos y atienden las necesidades específicas de las mujeres relacionadas con el TDAHyelbienestar

April Colquhoun, (ella, su, suya) BA, MSW, RSW, es una trabajadora social registrada con buena reputación en el Colegio de Trabajadores Sociales y Trabajadores de Servicios Sociales de Ontario (OCSWSSW). April posee una amplia variedad de experiencia apoyando a personas, parejas y grupos con neurodiversidad (ND)/TDAH. April ha apoyado la programación provincial para padres/cuidadores de niños en el espectro autista, cuatro hospitales provinciales de cuidados agudos que apoyan a una población que incluye adultos vulnerables, personas mayores y sus familias; así como una práctica de asesoramiento terapéutico a través de Balance Counselling Guelph con un enfoque en apoyar a la comunidad ND hacia un mayor bienestar. April, diagnosticada personalmente en la mediana edad con TDAH y madre de niños con cerebros ND, posee experiencia de primera mano sobre los matices de ND y utiliza su riqueza de experiencia, cuidado y creatividad para brindar una terapia efectiva y práctica para respaldar sus objetivos hacia una mayoralegríayequilibrioenlavida.

SiustedesresidentedeOntarioynecesitaapoyodeasesoramientoterapéutico: Teléfono: 226.806.1699 Correo electrónico: counsellingbalance@outlook.com Sitio web:https://www.balancecounsellingguelph.com/ Instagram:wellnessandskatingbalancecounsellingguelph

Cómo evitar el agotamiento del cuidador
Por Stephanie Chan
La gente habla a menudo del agotamiento del cuidador, pero al mismo tiempo, no se habla lo suficiente de ello Cuidar a un familiar puede ser una de las experiencias más gratificantes de nuestras vidas, pero también está plagada de ansiedad, frustración, depresión y dificultades económicas Muchas personas mayores se mudan a un hogar de cuidado a largo plazo
Los hogares de ancianos se ven impulsados por el agotamiento de los cuidadores familiares, donde la familia no ve otra solución En este artículo, analizaremos algunos consejos para evitar el agotamiento de los cuidadores Estos consejos podrían ayudar a los cuidadores familiares a mantener su salud mental y brindar una atención de mejor calidad a sus seres queridos
Comparteelcuidado
Una de las principales causas del agotamiento del cuidador es la sensación de que, como cuidador principal,debehacerlotodoustedmismo Notengamiedodepedirayudayestablezcalímitessobreloque puede y no puede manejar. En cuanto a otras prioridades en su vida, considere qué días de la semana y momentos del día puede ayudar a su ser querido, así como las tareas en las que está más capacitado para ayudar Si no tiene un automóvil, hacer las compras y llevar comida a la casa de su ser querido probablementeseadifícilyrequieramuchotiempo.Perotalvezseaexpertoentecnologíaypuedaayudar a su padre a administrar las finanzas y pagar las facturas en línea. Si trabaja a tiempo completo durante el día,esposiblequenosiemprepuedallevarasupadreaunacitamédica,perotalvezpodríavisitarloelfin desemanayllevarloalaiglesialosdomingos.
Despuésdepensarenloquepuedehacer,hagaunalistadelascosasquenopuedehacerypienseaquién puede pedir ayuda Puede encontrar ayuda en varias fuentes, incluidos otros familiares, amigos, vecinos y cuidadoresremuneradosuotrosproveedoresdeservicios.
Planifiqueconanticipaciónyedúquese
Disponer de la información correcta para tomar decisiones informadas es una de las mejores formas de evitarunacrisis.Nuncasabemoscuándoocurriráalgoinesperadoycontarconlainformacióncorrectacon antelaciónpermitirátomardecisionescontranquilidadyconlamayorcantidaddeopcionesdisponibles.
Si tiene un ser querido al que le han diagnosticado una enfermedad o una afección crónica, reúna información sobre la progresión prevista de esa afección, lo que podría permitirle anticipar las necesidades de atención futuras y encontrar soluciones que se ajusten a su presupuesto. Por ejemplo, ¿es necesario realizar alguna reforma en el hogar?
¿Será necesario algún equipo de movilidad, como andadores o sillas de ruedas?
¿Necesitará servicios de atención privada en el hogar a medida que aumenten las necesidades de atención de su ser querido?
Hablar con otros
Si bien cada situación es única, existen muchas similitudes entre las familias con seres queridos mayores. Sería beneficioso hablar con otras personas para adquirir conocimientos, aprender de las experiencias de los demás y recibir consejos. Un médico puede informarle sobre la trayectoria esperada de la enfermedad de un ser querido y cuáles serán probablemente sus necesidades de atención. Un asesor financiero puede ayudarlo a presupuestar estos costos y estimar cuánto le costará a su ser querido.
Se puede gastar sin quedarse sin dinero antes del final de la vida Un planificador de atención a personas mayores puede ayudarle a crear una hoja de ruta sobre cómo mantener a su ser querido en casa y, si es necesario, cómo seleccionar y hacer la transición a una residencia asistida o un hogar de cuidados Hablar con compañeros es otra gran manera de obtener apoyo Algunos lugares de trabajo tienen grupos de recursos para empleados y varias redes de apoyo entre pares dentro de las comunidades locales en todo Canadá.
Cómo evitar el agotamiento del cuidador (continuación)
Cuidados personales
A todos nos han dicho lo importante que es el autocuidado para los cuidadores familiares. Como dicen en los aviones, primero debes ponerte la máscara de oxígeno antes de ayudar a los demás. El autocuidado se puede lograr mediante una combinación de factores, incluida la higiene adecuada.
Nutrición, sueño, ejercicio y técnicas de manejo del estrés. Además, no olvides tomar descansos, seguir haciendoloquedisfrutasymantenerconexionessocialesconamigosyfamiliares Mantenerseorganizado
Los cuidadores familiares suelen tener que hacer muchas cosas a la vez y hacer malabarismos con numerosas tareas En este exigente puesto, es fundamental mantenerse organizado La gestión eficaz del tiempo es fundamental Reserve tiempo en su calendario para las tareas esenciales y, lo que es más importante, para su bienestar Considere delegar tareas no esenciales e incluso subcontratarlas cuando sea posible. Póngase como objetivo delegar al menos una tarea por semana, ya que puede ayudarlo a mantener un equilibrio saludable.
Nunca es demasiado tarde para poner en orden sus asuntos legales. Si su ser querido no tiene un poder notarial o no ha revisado su testamento en 20 años, puede que sea el momento de abordar esos asuntos Si usted es el familiar designado como apoderado, asegúrese de tener toda la información necesaria (como qué facturas deben pagarse y dónde están las cuentas bancarias) antes de que se produzca una crisis
Explorar la tecnología
La tecnología está cambiando para que sea más fácil para los cuidadores familiares monitorear a sus seres queridos de forma remota, aliviando así sus responsabilidades como cuidadores Los dispensadores de pastillas conectados a Wi-Fi pueden alertar a los miembros de la familia cuando no se ha tomado un medicamento
Los sensores pueden indicar cuándo se ha abierto la puerta de entrada o si el ser querido no se ha levantado de la cama a la hora habitual por la mañana Las aplicaciones de gestión de cuidados pueden ayudar a que varios cuidadores familiares coordinen los cuidados y las tareas que realiza cada uno de ellos
Cuidar a un ser querido es una maratón, no una carrera de velocidad Es un camino desafiante pero gratificante, y evitar el agotamiento es clave para brindar una atención constante y de alta calidad. Recuerdequecuidarseasímismonoesegoísta,esunapartenecesariadelcuidado Seaamableconusted mismo,celebresuslogrosdiariosyrecuerdequeselomerece.

Stephanie Chan es la fundadora y propietaria de dos empresas en el sector de la residencia para personas mayores. Su primera empresa, Home to Home, que comenzó en 2007, ayuda a las personas mayores y a sus familias con la orientación sanitaria, la planificación de la atención, la selección de viviendas para personas mayores, la reducción de tamaño/transiciones y el apoyo patrimonial. Su segunda empresa, myCareBase, ofrece un mercado en línea que conecta a cuidadores profesionales previamente seleccionados con familias que necesitan atención domiciliaria privada para ayudar a que su ser querido mayor siga viviendo de forma segura en su hogar
Puedes contactar con Stephanie de la siguiente manera: miCareBase
https://mycarebase com stephanie@mycarebase com De casa en casa
https://home-to-home ca stephanie@home-to-home ca
Más lectura para el bienestar
por Joanna Pozzulo, Ph.D.
La lectura aporta varios beneficios para la salud, como mejorar la calidad del sueño reducir el estrés, retrasar el deterioro cognitivo y mejorar el bienestar general. Los clubes de lectura pueden ofrecer beneficios adicionales a la lectura, como un sentidodecomunidad,queincluyelaconexióny lareduccióndelasoledad.

Cada año se publican más de 15 000 libros de autoayuda. Resulta difícil seleccionar tantos libros. Por eso, creé el club de lectura comunitario Reading for Well-Being, que se encuentra en una plataforma digital a través del Mental Health and Well-Being Research and Training Hub de la Universidad de Carleton. El club de lectura está dirigido a cualquier persona interesada en libros basados en evidencias para mejorar el bienestar. Los miembros del club de lectura reciben un boletín mensual sobre la nueva selección de libros, mi reseña (la selección del profesor Pozzulo) y preguntas sobre el libro para la discusión electrónica. No hay tarifas y puedes registrarteen:https://carleton.ca/mental-health/mewerths-reading-for-well-being-community-book-club. Aquíestánalgunasdemisseleccionesfavoritasy porquémegustan


Por qué dormimos: Desbloquear el poder del sueño y los sueños, de Matthew Walker Nos ayuda a entender los patrones de sueño y su función hablando de lo que le sucede al cerebro y al cuerpo cuando dormimos y cuando no dormimos También ofrece estrategias para dormir mejor Me gustó este libro porque ofrece un análisis profundo del sueño y no es necesario leer todos los capítulos para beneficiarse de él La conclusión es que el sueño es la base del bienestar Asegúrese de dormir la cantidad suficiente y con calidad
Your Brain on Art: How the Arts Transform Us (Tu cerebro en el arte: cómo las artes nos transforman), de Susan Magsamen e Ivy Ross. En este libro se explora cómo las distintas formas de arte y la interacción con él pueden cambiar la función cerebral y, en última instancia, mejorar la salud Examinan el campo de la neuroestética, una investigación científica sobre cómo las artes pueden alterar el cerebro, el cuerpo y el comportamiento Ofrecen un análisis fascinante de cómo las artes pueden influir positivamente en el bienestar, mejorar la salud general y ayudar a las comunidades a prosperar Los autores ofrecen varias sugerencias para incorporar las artes a la vida diaria ¡La lectura es una forma de arte y cuenta como un medio para recibir los beneficios del arte!

The Positive Shift: Mastering Mindset to Improve Happiness, Health, and Longevity (El cambio positivo: dominar la mentalidad para mejorar la felicidad, la salud y la longevidad) de Catherine A. Sanderson. Ella afirma que nuestro nivel de felicidad está relacionado con la forma en que “pensamos sobre nosotros mismos y el mundo que nos rodea”. En otras palabras, nuestra mentalidad Al hacer pequeños cambios, podemos aumentar nuestra felicidad El libro está repleto de estrategias simples y la ciencia detrás de ellas para “cambiar tu mentalidad” Mi estrategia favorita fue “¡lee un libro que te guste!” Había excelentes capítulos sobre el envejecimiento, la memoria y la salud Consejo: ¡no te dejes llevar por los estereotipos! ¡La mentalidad importa!
Eligiendotupropiolibro
Si desea elegir su libro de autoayuda, eche un vistazo a las credenciales del autor o los autores. ¿Qué los convierte en expertos? Además, verifique si las afirmaciones que se hacen están respaldadas por investigacionesempíricasosielautorolosautoressoloutilizananécdotasohistoriaspersonales.Tengaen cuentaquelosenfoquesquehanfuncionadoparaunapersonapuedenfuncionarsoloparaalgunasotras. Palabrafinal
Elmensajemásimportanteesleerloquetegusta. Felizlectura!












Salud de las personas mayores
En la sociedad actual, la salud de las personas mayores es una preocupación primordial, en particular en el marco del sistema de salud canadiense. Esta mayor atención es más que una respuesta al creciente número de personas mayores. Sin embargo, está profundamente arraigada en el reconocimiento de su inestimable contribución a la sociedad y de los desafíos singulares que enfrentan en sus últimos años.
A medida que las personas llegan a la tercera edad, traen consigo necesidades sociales y de salud únicas. Este cambio presenta desafíos y oportunidades para el sistema de atención de la salud y la sociedad canadienses.
En nuestra sección de Salud para Personas Mayores, brindaremos información para ayudarle en su recorrido, navegar la vida diaria como persona mayor y brindarle recursos para ayudarlo a tener la mejor calidad de vida.
En busca de un diagnóstico de demencia y cómo abordar su tratamiento
Por Claire Webster
Nunca antes se había prestado tanta atención a la demencia, y más específicamente a la enfermedad de Alzheimer, incluida la de aparición temprana, que afecta a personas de 55 años o más. Los recientes Informes Mundiales sobre el Alzheimer han creado conciencia de que el diagnóstico de la demencia es solo el primer paso, aunque arduo, del camino (1,2). El apoyo posterior al diagnóstico suele ser un campo de enormes proporciones, en particular cuando los sistemas de apoyo son confusos, limitados o directamente inexistentes, según el lugar donde se viva.

La demencia es una enfermedad compleja que afecta las funciones cognitivas, como la memoria, la comunicación y la toma de decisiones. Los tipos más comunes de demencia incluyen la enfermedad de Alzheimer (la forma más común y puede contribuir al 60 % de los casos), la demencia vascular, la demencia frontotemporal y la demencia con cuerpos de Lewy, entre otras. Cada tipo de demencia puede presentar desafíos y síntomas únicos, lo que hace que el cuidado sea un proceso complejo (3).
Un problema común y complicado en el tratamiento de la demencia es la anosognosia (4) Se refiere a la falta de conciencia o comprensión de los déficits cognitivos de una persona, incluida la pérdida de memoria y otros deterioros cognitivos La anosognosia puede ser un desafío importante tanto para la persona que vive con demencia como para sus cuidadores, especialmente cuando se trata de aceptar una evaluación médica
Como resultado de la anosognosia, puede resultar difícil para los cuidadores que acompañan a sus familiares hablar abiertamente con el profesional de la salud y describir los signos y síntomas que observan Se recomienda que se les brinde a los cuidadores la oportunidad de enviar su lista de inquietudes al profesional de la salud para que las evalúe antes de la cita médica.
Cómo deben prepararse los cuidadores para la evaluación por parte de un profesional de la salud La evaluación médica es fundamental para controlar y tratar la demencia Un diagnóstico claro puede empoderar a los familiares, ya que finalmente sabrán a qué se enfrentan y podrán comenzar a planificar en consecuencia
Para que estas citas sean más efectivas:

En busca de un diagnóstico de demencia y cómo abordar el tratamiento (continuación)
Quénecesitansaberloscuidadores?
Recibir un diagnóstico de demencia puede resultar una realidad difícil para las personas y los miembros de la familia. La clave para atravesar este proceso es encontrar aceptación y evitar la negación, informarse lo más posible sobre la enfermedad, comprender cómo progresará, hacer planes de atención médica para el futuro, garantizar un entorno doméstico seguro y brindar a los cuidadores familiares todo el apoyo posible para evitar el agotamiento del cuidador
Encomparaciónconotrasafecciones,enelmomentodeldiagnósticoraravezse lepresentaalafamiliauna“recetadecuidados”ouna“hojaderuta”sobrecómo afrontar los desafíos asociados con el manejo y la convivencia con una enfermedad tan crónica. En la siguiente ilustración se enumeran algunos ejemplosdepreguntascomunesyqueamenudoquedansinrespuesta:
Desde el momento en que a una persona se le diagnostica demencia, su proceso de atención requerirá la asistencia de un equipo multidisciplinario de profesionales sanitarios y legales, que puede incluir médicos de familia, especialistas en neurología, psiquiatría o medicina geriátrica, enfermeras, trabajadores sociales, terapeutas ocupacionales y notarios
Todos los profesionales de la salud que estén en condiciones de recibir un diagnóstico de deterioro cognitivo leve, enfermedad de Alzheimer u otra enfermedad relacionada con la demencia deben tener a mano material sobre la enfermedad y recursos para ayudar a sus pacientes y sus cuidadores a comprender a qué se enfrentan
Un ejemplo es la “Demencia, su guía complementaria”, desarrollada por el Programa de Educación sobre la Demencia de la Universidad McGill y disponible en línea de forma gratuita en varios idiomas. Con atractivas ilustraciones y un estilo de redacción amigable, esta guía accesible cubre una amplia gama de temas para ayudar tanto a la persona que vive con demencia como a sus cuidadores Incluye información sobre la ciencia y la progresión de la demencia, así como consejos prácticos sobre seguridad y autocuidado
Otro recurso importante es Dementia Education for Care Partners, un curso gratuito en línea diseñado para educar y apoyar a los cuidadores de personas que viven con demencia El contenido consta de diez módulos autoguiados que el alumno puede completar a su propio ritmo Incluye consejos de expertos, experienciascompartidasporlosparticipantesysolucionesalosdesafíosdeser cuidadorenelcontextodelademencia.
Se puede acceder a estos recursos, y muchos más, en el sitio web del Programa deEducaciónsobreDemenciadelaUniversidadMcGill:wwwmcgillca/dementia



En busca de un diagnóstico de demencia y cómo abordar el tratamiento (continuación)
A continuación se presenta una breve descripción del tipo de información que los profesionales delasaluddebentransmitiralasfamiliasdespuésdeundiagnósticodedemencia:
Diagnóstico claro
Expliqueeldiagnósticoespecífico,comoenfermedaddeAlzheimer,demencia vascular,demenciaconcuerposdeLewyuotraformadedemencia Aclarareltipoyestadiodelademencia,siesposible.
Entenderla enfermedad
Opcionesde tratamiento
Serviciosde atencióny apoyo
Asuntos flegalesy inancieros
Precauciones deseguridad
Preocupaci onesal conducir
Estrategiasde afrontamiento
Atenciónde seguimiento
Planificación anticipada dela atención
Eduquealafamiliasobrelademencia,cómoprogresayelcursoesperadodela enfermedad Hablesobrelossíntomascomunesycómopuedenevolucionarconel tiempo
Analicelostratamientosfarmacológicosynofarmacológicosdisponiblespara controlarlossíntomasyretardarlaprogresióndelaenfermedad. Abordarlosposiblesbeneficios,riesgosylimitacionesdeestostratamientos.
Proporcionarinformaciónsobrerecursoslocales,gruposdeapoyoy organizacionesespecializadasenelcuidadodelademencia.Compartirdetalles sobreserviciosdeatencióndomiciliaria,programasdiurnosyopcionesde atenciónderelevo
Discutacuestioneslegales,comodirectivasanticipadas,poderesnotarialesy tutela,paragarantizarqueseprotejanlaspreferenciaseinteresesdelindividuo. Abordarlaplanificaciónfinanciera,incluidoelsegurodeatenciónalargoplazoy losprogramasdeasistenciagubernamental.
Expliquelaimportanciadecrearunentornodevidaseguro,quepuedeincluirla eliminacióndepeligrosylainstalacióndemedidasdeseguridadenelhogaroel lugardetrabajoparapreveniraccidentes
Sicorresponde,abordelacuestióndeseguirconduciendoyanalicelosposibles riesgosasociadosconlademencia.Ofrezcarecomendacionessobreopciones detransportealternativas.
Proporcionarestrategiasparagestionarconductasreactivas,conductasy dificultadesdecomunicaciónquesuelenasociarseconlademencia.Compartir informaciónsobreayudasparalamemoriaytécnicasdecomunicación.
Analicelaimportanciadelascitasdeseguimientoregularesparamonitorearla progresióndelaenfermedad,ajustarlosplanesdetratamientoyabordar cualquierinquietudquesurja.
Analizaryayudarconlaplanificaciónanticipadadelaatención,queincluye decisionesalfinaldelavida,testamentosvitalesyapoderadosdeatención médica.
En busca de un diagnóstico de demencia y cómo abordar el tratamiento (continuación)
Aunque la demencia existe desde hace mucho tiempo, el estigma asociado a hablar sobre ella impide que muchas familias y cuidadores busquen la ayuda y el apoyo necesarios. Los profesionales de la salud deberían considerar la posibilidad de integrar la evaluación cognitiva regular como parte de la atención de rutina para los adultos mayores, especialmente durante las visitas anuales de bienestar. Herramientas como el Mini-Mental State Examination (MMSE) o la Evaluación Cognitiva de Montreal (MoCA) pueden ayudar a identificar los primeros signos de deteriorocognitivo.
También es muy importante educar y concienciar a los adultos mayores y a sus familias sobre los signos y síntomas del deterioro cognitivo, como pérdida de memoria, confusión, dificultad para realizar tareas habituales o cambios en el estado de ánimo y el comportamiento. Cuanto más conscientes sean las personas, más probabilidades habrá de que busquen ayuda cuando noten cambios.
La enfermedad de Alzheimer y los trastornos relacionados aún no tienen cura, pero existen tratamientos sintomáticos y de apoyo. A medida que la población envejece y se diagnostica a más personas, debemos asegurarnos de que el público esté mejor informado sobrecómomanejarlademencia.

ClaireWebster Claire.webster@affiliate.mcgill.ca www.mcgill.ca/dementia www.carecrosswalk.com



Claire Webster es consultora certificada en atención a la demencia, consultora profesional certificada sobre envejecimiento y oradora de conferencias y educadoraenelcampodelcuidadodepersonascondemencia.
Trabaja en colaboración con la División de Medicina Geriátrica y la Facultad de Medicina y Ciencias de la Salud de la Universidad McGill, donde es fundadora y embajadora del Programa de Educación sobre Demencia de McGill y McGill Cares, una serie de transmisiones web diseñada para apoyar a lossociosdecuidadofamiliar.
Claire también es fundadora y presidenta de Caregiver Crosswalk Inc., una empresa de consultoría que brinda servicios de educación y apoyo para ayudar a las personas a transitar el camino de la enfermedad de Alzheimer y lasenfermedadesrelacionadasconlademencia.
Como ex cuidadora de su difunta madre, que padecía la enfermedad de Alzheimer, Claire tiene experiencia vivida del impacto que esta enfermedad tiene en una persona que vive con demencia y el efecto dominó en los miembrosdelafamilia.
Claire es una de las coeditoras principales de McGill de los Informes Mundiales sobre el Alzheimer de Alzheimer’s Disease International tanto para 2021, Viaje a través del diagnóstico de la demencia, como para 2022, Gestión y apoyo posdiagnóstico: una prescripción de cuidados. También es miembro del ConsejoAsesorMinisterialsobreDemenciadelGobiernodeCanadá.

Tomando
las riendas de mi camino hacia la pérdida auditiva Finalmente, a los 40 años, tuve mi primer gran momento de pérdida auditiva
Por Gael Hannan
Vivir con pérdida auditiva durante mucho tiempo no es ga dequeseasbuenoeneso
Independientementedelmomentodeaparición(congénita, en mi caso, o en un momento posterior de la vida), la g eficaz de esta enfermedad crónica no es intuitiva Un c exitoso hacia la pérdida auditiva implica intención per aprendizaje y compromiso. Hasta hace poco, los se estándar que se ofrecían a las personas con pérdida audit leve a severa eran evaluación, audífonos y un empujón par decasa.Laatencióncentradaenelpacienteeraalgodelfu los profesionales no estaban capacitados para asesorar clientessobrecómovivirmejorconlapérdidaauditiva.

A las personas como yo no nos aconsejaron sobre cómo vivir de manera más hábil, deshaciéndonos del estigma, aceptando nuestra condición y utilizando diversas estrategias, incluidas tácticas no tecnológicasquerespaldannuestratecnología Noreconocimoslanecesidaddetomarunmayorcontrol de nuestra pérdida auditiva, y podríamos hacerlo, especialmente a través de la colaboración con un profesionalcentradoenelpacienteyconloscompañerosdecomunicaciónennuestrasvidas
Tuvieronquepasarcuatrodécadasantesdequemedieracuentadealgotangrandecomounapiedra Había estado recibiendo servicios de atención de salud auditiva desde los dos años y, además de usar audífonos cada vez más sofisticados y mejores desde los 20, la única estrategia que empleaba conscientemente era maniobrar para leer los labios de las personas Para comprender un mensaje hablado, la información visual en muchas formas es crucial para complementar la audible. Durante décadas, los audífonos y la lectura de labios fueron los únicos elementos en mi caja de herramientas hastaqueunhitoimportantecambiómividadevariasmanerasinesperadas
A los 40 años, estaba esperando un bebé Era una mezcla de emoción y terror Mi capacidad de oír y comprenderadquirióunanuevaurgencia:¡prontoseríaresponsabledelbienestardeunniño!Quépasaría si no pudiera oír a mi hijo llorar por la noche? Qué pasaría si no pudiera oír a mi hijo eructar? Estaría furioso? Quién te dice estas cosas? Mi audiólogo en ese momento no era un excelente recurso No conocía a ninguna otra persona con pérdida auditiva. Mi madre era enfermera, pero todo lo que podía hacerparacalmarmistemoreseraelconsuelohabitualdelasmamás:"Estarásbien,cariño"
Por primera vez en mi vida como persona con pérdida auditiva, tuve que pedir ayuda Descubrí que una organización relativamente nueva llamada Asociación Canadiense de Personas con Problemas de Audición iba a celebrar una conferencia en unas semanas Fui a ese evento como una persona y salí tres díasdespuéscomootrapersonaquehabíacambiadoradicalmente.
Gracias al poder del apoyo de mis pares, aprendí que no estaba sola. Aprendí sobre la tecnología que mejora la comunicación, como los subtítulos en tiempo real. Vi una falta de vergüenza y una apertura al cambio que nunca había considerado posible para una persona con pérdida auditiva.
Cómo
hacerse cargo de la pérdida auditiva (continuación)

Unamadredecuatrohijossesentóconmigoymemostrócómomantener a mi bebé seguro y el camino a seguir para pasar de una buena relación padre-hijoaunabuenacomunicación
Pero lo más importante es que, en tan solo tres días, me sentí con ganas de hacerme cargo de mi nuevo viaje. Sabía lo que necesitaba y cómo pedirlo Era imperativo pedir acceso para mí y para otras personas con necesidadesespecíficas.
Fue un momento revelador que marcó el inicio de una nueva vida como defensora de la salud auditiva En retrospectiva, no podría haber elegido un mejor momento para tener un bebé porque, en 1995, la tecnología auditiva estaba empezando a prosperar La era digital de la tecnología moderna estaba creando una accesibilidad inaudita para las personas con discapacidades, especialmente aquellas que necesitaban ayuda para comprender los mensajes audibles Al mismo tiempo, estaban surgiendo nuevos conceptos en la prestación de servicios de atención médica auditiva y la prevención de la pérdida auditiva inducida por el ruido se estaba convirtiendo en un tema cada vez más importante.
MiprimermomentoAHAfuerápidamenteseguidoporotro.
La iluminación, como persona con pérdida auditiva, me proporcionó una caja de herramientas repleta de estrategias de comunicación actitudinales, técnicas y conductuales. Sin embargo, solo las estrategias técnicas de amplificación aumentaron mi capacidad fisiológica para oír mejor; la combinación de las tres me permitió comunicarme mejor La audición es solo un aspecto de la comunicación exitosa entre dos (o más)personas.Usamoselcontexto,ellenguajecomún,lainformaciónvisual,lashabilidadesdeinteracción personalylacapacidaddearticularnuestrasnecesidadesysatisfacerlas Miobjetivoteníaquecambiar.
Me di cuenta de que necesitaba comunicarme mejor en lugar de querer escuchar mejor. La comunicación es la piedra angular de nuestra sociedad, el pegamento que conecta a las personas con el mundo que las rodea Yestepegamentopuedeversegravementeafectadoporlapérdidaauditiva Para dejar de sentirme víctima de mi pérdida auditiva o de culpar a los demás por la mala comunicación, tomé el control de mi camino Mi identidad mejoró y me volví honesta sobre mi pérdida auditiva, tanto sobreelhechodequeeraasícomosobreloquenecesitoensituacionesdeescuchaindividuales. La tecnología moderna ha hecho la vida más fácil, pero no es tan eficaz a la hora de gestionar nuestras inseguridades y emociones Ese es nuestro trabajo, junto con pedir y aceptar la ayuda de los demás Aprender a superar la vergüenza que no sabía que tenía, a aceptar la diversidad y la discapacidad como partedelavidayacomprometermeacomunicarmedelamejormaneraposiblehasidoelmayorregalode tenerpérdidaauditiva


Consideraciones clave para mudarse a una comunidad de retiro
Por Jeanette Bock
Mudarse a una comunidad de retiro es una decisión importante que afecta su calidad de vida y la de su familia En Ontario, existen distintos tipos de comunidades de retiro que ofrecen distintos niveles de atención y servicios. Para tomar una decisión informada, tenga en cuenta los siguientes factores:
Tipo y nivel de atención requerida
Condiciones de salud actuales:

Afecciones crónicas: identifique si necesita atención especializada para diabetes, enfermedades cardíacas o problemas respiratorios Algunas comunidades ofrecen planes personalizados para afecciones crónicas
Desafíos de movilidad: evalúe si necesita apoyo físico, como asistencia para la movilidad o en silla de ruedas, para realizar actividades y comer.
Deterioro cognitivo: En caso de pérdida de memoria o deterioro cognitivo, busque comunidades que ofrezcan atención a la memoria, programas de demencia y entornos seguros para evitar la deambulación.
Problemas de salud pasados:
Historial médico: considere si hay cirugías pasadas o condiciones actuales que requieren monitoreo continuo o atención especializada.
Riesgo de caídas: si tiene antecedentes de caídas, elija comunidades con características de seguridad y programas de prevención de caídas.
Tipo de comunidad de jubilados
Vida independiente: adecuado para personas mayores autosuficientes que buscan un entorno comunitario con algunos servicios de apoyo como comidas y limpieza.
Vida independiente con apoyo: ofrece una combinación de independencia y algo de ayuda con las actividades diarias
Vida asistida: ideal para quienes necesitan ayuda con las actividades de la vida diaria, como bañarse, vestirse o asistencia para la movilidad
Atención/vida con memoria: brinda apoyo especializado para personas con demencia, incluida la atención de la enfermedad de Alzheimer
Ubicación y proximidad
Cercanía a familiares y amigos: considere la ubicación de la comunidad en relación con sus seres queridos Estar cerca de la familia puede ofrecer apoyo emocional y facilitar las visitas
Entorno familiar: Alojarse en un área conocida permite a las personas mayores mantener sus rutinas y conexiones personales y disfrutar de las comodidades locales.
Servicios locales: evalúe los servicios cercanos, como centros de salud, centros comerciales, lugares de culto y opciones recreativas. La proximidad a estos servicios puede mejorar el bienestar y la comodidad. Consideraciones financieras y de costos
Presupuesto: evalúe sus fuentes de ingresos, ahorros y ganancias por la venta de su casa. Consultar a un planificador financiero puede ayudarlo a establecer un monto presupuestario y evaluar su capacidad de pago actual y futura.
Consideraciones clave para mudarse a una comunidad de retiro (continuación)
Tarifas mensuales: comprenda qué incluye la tarifa mensual, como comidas, servicios públicos, limpieza y actividades Verifique si existen cargos adicionales por servicios adicionales
Opciones de pago: consulte sobre los planes de pago y las opciones de asistencia financiera Algunas comunidades ofrecen tarifas de escala variable según los ingresos
Asequibilidad a largo plazo: evalúe si el costo es sostenible a largo plazo, considerando posibles aumentos de tarifas y su estabilidad financiera

Servicios y comodidades


Servicios de atención médica: verifique si hay personal médico en el lugar, como una enfermera o un médico, y apoyo médico disponible para controlar las condiciones de salud.
Opciones para comer: revise la calidad y variedad de las comidas, las adaptaciones dietéticas especiales y las opciones de servicio privado o de habitación Servicios y comodidades
Actividades sociales: Busque diversas actividades que fomenten la socialización y la participación, como clases de ejercicio, manualidades, entretenimiento musical y salidas Una vida social activa contribuye a la felicidad general
Servicios de transporte: determine si hay transporte disponible para ir de compras, asistir a citas médicas y realizar salidas recreativas Algunas comunidades ofrecen servicios de transporte
Alojamiento
Espacio habitable: evalúe los alojamientos disponibles, como estudios, apartamentos de una habitación, apartamentos de una habitación más estudio y suites de dos habitaciones. Considere la distribución y el tamaño de las unidades.
Accesibilidad: Asegúrese de que los espacios habitables y las áreas comunes sean accesibles, con características como accesibilidad para sillas de ruedas, barras de apoyo y pisos antideslizantes.
Personalización: comprueba si puedes personalizar tu espacio vital con muebles y decoración para que se sienta como en casa.
Personal y calidad de atención
Relación personal-residentes: una mayor relación personal-residentes suele significar una atención más personalizada. Verifique la disponibilidad del personal en diferentes momentos del día.
Calificaciones del personal: revise las calificaciones, la experiencia y las certificaciones del personal. Un personal competente y compasivo tiene un impacto significativo en la calidad de la atención. Medio ambiente comunitario
Ambiente: evalúe el ambiente general de la comunidad y asegúrese de que sea acogedor, limpio y seguro Observe el ambiente, los niveles de ruido y las interacciones entre residentes y personal
Interacción con los residentes: observe las interacciones entre los residentes y el personal Un entorno agradable y atractivo mejora su experiencia de vida
Ajuste cultural: asegúrese de que los valores, el estilo de vida y las actividades de la comunidad se alineen con sus preferencias e intereses
Consideraciones clave para mudarse a una comunidad de retiro (continuación)
Proceso de transición y mudanza
Asistencia de transición: Solicite información sobre asistencia durante el proceso de mudanza, incluidos servicios de reducción de tamaño y ayuda con el embalaje y la instalación de su nueva suite. Períodos de prueba: pregunte si hay estadías de prueba u opciones a corto plazo disponibles para experimentar el entorno y los servicios antes de comprometerse a largo plazo.
Cuestiones legales y contractuales Condiciones del contrato: revise atentamente el acuerdo de residencia, incluidos los términos relacionados con las tarifas, los servicios y las condiciones de rescisión Comprenda los períodos de notificación y las posibles sanciones por abandonar el lugar
Para elegir una comunidad de retiro es necesario tener en cuenta cuidadosamente factores como el tipo de atención necesaria, la ubicación, los costos, los servicios, el alojamiento, la calidad del personal y los aspectos legales. Evaluar estos factores le ayudará a asegurarse de que la comunidad satisfaga sus necesidades y preferencias. Visite varias comunidades, haga preguntas y busque asesoramiento para encontrar la que mejor se adapte a su estilo de vida.

Jeanette Bock Fluid Senior Transitions
Teléfono: 416-518-2734 Correo electrónico: Jeanette@Fluidst.ca Sitio web: www.Fluidst.ca
https://calendly.com/jeanette-o6m/30min

Mantenerse físicamente activo es fundamental para que las personas mayores mantengan su salud general y su calidad de vida. Realizar actividades físicas de forma regular ayuda a mejorar la fuerza, la flexibilidad, el equilibrio y la salud cardiovascular, lo que reduce el riesgo de lesiones y enfermedades crónicas. Afortunadamente, hay muchos recursos gratuitos para hacer ejercicio, especialmente en línea. Uno de esos valiosos recursos que se pueden probar es el
Se trata de un dúo dinámico de madre e hija que muestra una variedad de ejercicios diseñados específicamente para personas de 50 años o más y para personas con movilidad reducida Su canaldeYouTubeofrecemásde200videosdefitnessgratuitos.
Ya sean estiramientos suaves, ejercicios en silla o rutinas cardiovasculares de bajo impacto, yes2next ofrece una forma conveniente y efectiva para que las personas mayores y todos se mantenganactivosymantengansubienestar.

Canal de YouTube https://yes2next.com/

Salud Pediátrica
Bienvenido a la sección de Salud Pediátrica de la Revista Digital Heal Canada, un espacio dedicado donde abrazamos el viaje hacia el bienestar pediátrico con los brazos y el corazón abiertos.
Creemos que un padre informado y comprometido es un padre empoderado. A través de artículos esclarecedores, opiniones de expertos e historias inspiradoras, nuestro objetivo es brindarles a nuestros lectores las herramientas y el conocimiento necesarios para desenvolverse en el complejo panorama de la atención médica pediátrica.
Únase a nosotros mientras exploramos cómo la defensa del paciente, la participación activa y la educación integral pueden transformar la experiencia de atención médica pediátrica, convirtiendo los obstáculos en oportunidades de crecimiento y curación.
El camino hacia un menor estrés parental y una mejor salud mental infantil: la autonomía
Por Emily Edlynn, PhD
Existen demasiadas categorías de crianza para seguirlas: helicóptero, tigre, quitanieves, apego, gentil, positivo, elefante y delfín El cerebro humano anhela formas de simplificar lo complejo para que estas etiquetas de crianza resulten atractivas El problema es que la crianza no puede hacerse sencilla ni fácil No hay pruebas científicas de que la fórmula mágica garantice que “tengamos éxito” en la crianza.


Sin embargo, existe un enfoque de crianza que trasciende categorías y etiquetas porque se trata de una mentalidad Es un marco flexible más que una receta Se llama crianza que apoya la autonomía y, después de investigar su conjunto de investigaciones, escribir un libro sobre cómo aplicarlo en la vida real y practicarlo con mis tres hijos, me di cuenta de que es el secreto mejor guardado de la crianza. Necesitamoscomenzarahablardeello,comprenderloyhacerloporelbiendelospadresagotadosyde nuestrosjóvenesbajopresión.
Este enfoque de crianza basado en la ciencia ha sido ignorado en gran medida en favor de promesas de soluciones rápidas de crianza fácil porque eso es lo que anhelamos: que la crianza sea más fácil Pero a medidaquelosnivelesdeestrésylosproblemasdesaludmentaldelospadresyloshijosseintensifican por una variedad de razones complejas, es posible que finalmente hayamos llegado a la conclusión de quelacrianza"fácil"esunailusiónparalamayoría Esposiblequehayamosllegadoalpuntodeinflexión de querer algo más que un truco para padres. Es posible que finalmente estemos listos para priorizar la ciencia sobre la publicidad exagerada y dar la bienvenida a una guía de crianza más completa que no prometa tres pasos para no volver a gritarles a nuestros hijos (lo que da pie a la culpa y a la autoinculpacióncuando,dehecho,unovuelveagritar).
Quéeslacrianzaconapoyoalaautonomía?
Este enfoque, estudiado desde hace mucho tiempo en el ámbito académico, combina una mentalidad de crianza abierta y curiosa con la aplicación de estrategias (por ejemplo, ofrecer opciones, justificar las reglas, involucrar al niño en la toma de decisiones y la resolución colaborativa de problemas, y esperar independencia) Más de treinta años de investigación rigurosa han demostrado que, desde los primeros añosdevidahastalaadolescencia,lacrianzaqueapoyalaautonomíafomentahabilidadesfundamentales queaumentanlaconfianza,lacompetenciaylaconexiónatravésderelacionespositivas
Apoyar la autonomía significa comprender la experiencia de su hijo (“Cómo tomó esa decisión?”) en lugar de sermonearlo por una mala decisión. Apoyar la autonomía significa ver oportunidades para que su hijo desarrolle su independencia y confianza en lugar de hacer cosas y resolver problemas por él Apoyar la autonomíasignificaasegurarsedequesuhijosientaquetienelibertaddeelecciónyautonomíaensuvida, desdeelegiractividadesparasusamigoshastacómopasasutiempolibre.
El camino hacia un menor estrés parental y una mejor salud mental infantil (cont.)
El objetivo final de una crianza que fomente la autonomía es criar a un niño que tenga un sentido de autonomía sobre quién es (su yo auténtico) y cómo vive su vida (tomando decisiones que coincidan con sus valores) El uso de estrategias que fomenten la autonomía promueve ingredientes clave de la salud psicológica: motivación interna, confianza en las propias habilidades y autoconocimiento Los niños criados en hogares que fomentan la autonomía experimentan resultados saludables, incluido un mayor bienestarpsicológicoysatisfacciónconlavida
Renunciaralcontrolacambiodeautonomía
Al investigar sobre la crianza que apoya la autonomía para mi último libro, leí docenas de artículos académicos y analicé mi forma de criar a mis hijos Incluso como psicóloga de niños y adolescentes, madre de tres hijos y supuesta “experta en crianza”, descubrí que reacciono reflexivamente de manera controladora con mis hijos, en particular en momentos de mucho estrés y emociones intensas. En momentos de alta presión como estos, es muy fácil recurrir a intentos de tomar el control Ser controladoresloopuestoaapoyarlaautonomía.
Al igual que la crianza sobreprotectora, intensiva o excesiva, la crianza controladora incluye el control psicológico (por ejemplo, inducir culpa o vergüenza) y el control conductual (por ejemplo, presionar al niño para que se comporte de determinadas maneras, usar amenazas para motivarlo) No es sorprendente que la crianza controladora se haya vinculado repetidamente con una peor salud psicológicaenniños,adolescentesyadultosjóvenes.
Porejemplo,unestilocontroladorexigenotasexcelentes,mientrasqueunestiloqueapoyalaautonomía se centra en impulsar la motivación interna para el aprendizaje mediante la comprensión de la experiencia del niño con la escuela y la resolución de problemas de forma colaborativa cuando surgen dificultades
Si se les diera a elegir entre los dos enfoques, la mayoría de los padres seguramente elegirían la crianza que apoya la autonomía porque se alinea con el tipo de hijos que quieren criar y el tipo de padres que quieren ser Sin embargo, la crianza controladora con demasiada frecuencia termina siendo la opción predeterminada.
Porquéesimportanteelestrésdelospadres
El estrés excesivo agota la energía y limita la atención, lo que dalugaraconductasmáscontroladoras.Cualquierpadreque intente bañar a un niño de 4 años que se resiste a hacerlo después de un día de trabajo estresante probablemente pueda entenderlo. Cuando el estrés elevado nos hace sentir fuera de control, ejercemos más control donde podemos y nuestros hijos se convierten en el objetivo. Entonces nuestros hijos se sienten fuera de control y aparecen problemasconductualesypsicológicos,comomásarrebatos, incumplimiento de las normas, consumo de sustancias y síntomasdeansiedadydepresión
También es más probable que seamos controladores como padres cuando no experimentamos nuestra autonomía. Cuando se satisfacen nuestras necesidades de autonomía, podemos apoyar mejor la autonomía de nuestros hijos; esto significa asegurarnos de que tenemos opciones para vivir la vida que queremos y que podemos ser auténticos en nuestrasrelacionesyenlosdiferentesrolesdelavida.

El camino hacia un menor estrés parental y una mejor salud mental infantil: la autonomía (cont.)
El estrés de los padres no sólo nos afecta a nosotros; la vida psicológica de nuestros hijos también depende de ello. A pesar de los mensajes culturales dominantes de que ser un “buen” padre significa centrarse en las necesidades de nuestros hijos, esto está en contradicción con el efecto bien establecido del bienestar o el malestar de los padres en los hijos Así como gritarles a nuestros hijos no es una estrategia sino una reacción, actuar de manera controladora con ellos es a menudo una respuesta al estrés, no un esfuerzo por socavar su autonomía.

Aunque rara vez se habla de la crisis de salud mental juvenil en los titulares, para abordarla de manera eficaz es necesario prestar más atención a los padres. Los padres no necesitan preocuparse más, involucrarse más en la vida de sus hijos o centrarse más en ellos para apoyar su salud mental. En el momento cultural actual, los padres necesitan permiso para abordar su estrés y ansiedad para poder apoyardemaneramásintencionalelbienestardesushijosfomentandosuautonomíay,juntoconella,su saludpsicológica
Los cambios estructurales que van más allá de lo que podemos hacer en nuestros hogares son cruciales paraaliviarelestrésagobianteyreforzarelbienestarmentaltantonuestrocomodenuestroshijos.Pero también debemos trabajar desde dentro hacia fuera para generar cambios, ejerciendo influencia sobre nuestrasfamilias
Podemos invitar colectivamente a que la crianza que apoya la autonomía se convierta en una práctica común como camino a seguir tanto para los padres como para los hijos. Podemos admitir que no existe un camino secreto para facilitar la crianza, pero es posible y necesario aspirar a una mayor autonomía (y saludpsicológica)paratodosnosotros

Emily Edlynn, PhD es una psicóloga clínica licenciada especializada en psicología de la salud pediátrica que trabaja en la práctica privada con niños, adolescentes y adultos. Los escritos de Emily han aparecido en el Washington Post, Parents, Scary Mommy, Good Housekeeping, Motherly, Psychology Today y más. Su primer libro, Autonomy-Supportive Parenting: Reduce Parental Burnout and Raise Competent Confident Children, ganó un premio Indies Foreword al mejor libro en 2023. También escribe sobre la crianza moderna en su boletín Substack (Parent Smarter, Not Harder) y es copresentadora del popular podcast Psychologists Off the Clock.
Para obtener más información, visite: https://www emilyedlynnphd com/ emily@emilyedlynnphd com Podcast: Psicólogos fuera del horario laboral, copresentador de Substack: https://emilyedlynn.substack.com/ Libros: Crianza autónoma que apoya a los padres: reduzca el agotamiento parental y críe niños competentes y seguros de sí mismos En tus sentimientos: un diario para trabajar tus emociones (para niños)


* Ay o y o e n F e l ametro aaieln tor e bas deln tor e 2023dafr e n te a
Foco de defensa

Lasección"AdvocacySpotlight"delarevistadigitalHealCanadaes una plataforma dinámica dedicada a destacar a los grupos de defensa de los pacientes, tanto nuevos como establecidos. Esta sección única tiene como objetivo presentar estas organizaciones vitales a un público más amplio, destacando sus misiones, logros y elapoyofundamentalqueofrecenalospacientesysusfamilias.
Cada edición de este segmento selecciona meticulosamente un grupo diferente y profundiza en sus áreas de interés específicas, que van desde enfermedades raras hasta desafíos de salud cotidianos. Heal Canada amplifica las voces de estos grupos y fomentaunacomprensiónyunaconexiónmásprofundasdentrode la comunidad de atención médica más amplia al mostrar sus historias,iniciativasyrecursoscomunitarios.
Esta sección es más que una mera pieza informativa; celebra los esfuerzos incansables y el impacto significativo de estos grupos de defensa y empodera a los lectores conectándolos con valiosos recursosyredesdeapoyo.
Enfermedades raras: una prioridad creciente de salud pública en Canadá y el papel de la Red Canadiense de Enfermedades
Por Karishma Samra, Coordinadora
de Participación
Raras
Las enfermedades raras no son tan raras En Canadá, las enfermedades raras son un desafío para quienes las afectan directamente y una creciente prioridad de salud pública Afecciones como la fibrosis quística, que afecta los pulmones y el sistema digestivo; la atrofia muscular espinal (AME), una enfermedad progresiva de desgaste muscular; y la enfermedad de Fabry, que puede provocar daños en los órganos, son solo algunos ejemplos de las más de 7000 enfermedades raras que existen
Aunque individualmente son poco frecuentes, estas enfermedades afectan colectivamente a una parte importante de la población, y muchas de ellas ponen en peligro la vida o resultan muy debilitantes. Estas enfermedades, que afectan a más de 1 de cada 12 personas en Canadá (más de 3 millones), suelen dejar a los pacientes y a sus familias en un sistema sanitario fragmentado, con grandes retrasos en el diagnóstico y diagnósticos erróneos, opciones de tratamiento limitadas e impactos emocionales, sociales y económicos Alrededor de 400 millones de personas en todo el mundo se ven afectadas, lo que pone de relieve la naturaleza generalizada de estas enfermedades. Resulta alarmante que alrededor del 75 % de los afectados sean niños, y aproximadamente el 30 % de ellos no llegará a cumplir cinco años.

Esta asombrosa realidad pone de relieve la urgente necesidad de cambios sistémicos en el reconocimiento,diagnósticoytratamientodelasenfermedadesraras
Lacomplejidaddelasenfermedadesrarasplanteaundesafíoúnicoparalasaludpública:lamayoríadelos sistemas de atención médica están diseñados para abordar afecciones más comunes, lo que deja desatendidos a quienes padecen enfermedades raras. Esto ha impulsado un debate nacional sobre la necesidad de un diagnóstico oportuno, un acceso equitativo a los tratamientos y una atención integral al paciente, impulsado en gran medida por los incansables esfuerzos de defensa de muchas organizaciones depacientes
Enfermedades raras y el papel de la Red Canadiense de Enfermedades Raras (continuación)
En marzo de 2023, el gobierno federal respondió con un compromiso de 1.500 millones de dólares como partedelaEstrategiaNacionaldeMedicamentosparaEnfermedadesRaras,loquegeneróimpulsoparaun cambiotransformador.
LaRedCanadiensedeEnfermedadesRaras:construyendounenfoquenacional
En medio de este impulso, la Red Canadiense de Enfermedades Raras (CRDN, por sus siglas en inglés) –Réseau Canadien des Maladies Rares – ha surgido como una fuerza impulsora, uniendo la experiencia clínica, académica y de pacientes líder de Canadá de costa a costa y a través de las fronteras de las enfermedadesparaabordarlosdesafíosúnicosqueenfrentanlosmillonesdeniñosyadultosafectadospor enfermedadesrarasenCanadá.
Lavisióndelaredesclara
Para garantizar que todos los canadienses afectados por enfermedades raras puedan vivir a su máximo potencial, debemos crear un ecosistema donde las terapias innovadoras estén fácilmente disponibles, la atención sea integral y personalizada, incluido el apoyo centrado en la familia y la comunidad, y los pacientes reciban el tratamiento adecuado en el momento adecuado, independientemente de dónde vivanenCanadá.
El Comité Directivo de la CRDN, formado en octubre de 2023, sentó las bases para los esfuerzos de colaboración de la red Dirigido por el presidente, el Dr Francois Bernier, director del Instituto de Investigación del Hospital Infantil de Alberta, el comité incluye representantes de organizaciones de atención médica, investigación y pacientes, como la Organización Canadiense de Enfermedades Raras (CORD) y el Regroupement Québécois des Maladies Orphelines (RQMO). Este liderazgo inclusivo garantiza que la CRDN siga estando centrada en el paciente y, al mismo tiempo, aborde los impactos más amplios de las enfermedades raras en la salud pública. El lanzamiento oficial de la CRDN el Día de las Enfermedades Raras, el 29 de febrero de 2024, fue un momento decisivo que subrayó su compromiso de cambiar la forma en que se gestionan y tratan las enfermedades raras en todo el país.
LoscuatropilaresdelaCRDN:cómoabordarelcaminodelasenfermedadesraras
EltrabajodeCRDNsebasaencuatropilaresclave,queimpulsanlosesfuerzosdelaredparamejorar cada etapa del proceso de las enfermedades raras, desde el diagnóstico y el tratamiento hasta la atenciónyelapoyointegrales:
•Diagnósticosyregistros
Abordarlosretrasoseneldiagnósticoquesoncomunesenlospacientesconenfermedadesraras.Bajoel liderazgo de la Dra. Kym Boycott (CHEO), este pilar se centra en reducir la odisea diagnóstica que experimentanmuchospacientesmediantelamejoradelosdiagnósticosdeprecisión,elfortalecimiento de los métodos de detección en recién nacidos y el apoyo a los registros para comprender mejor las enfermedadesrarasentodoCanadá.
•Terapiasinnovadoras
La rareza de estas enfermedades a menudo significa que las opciones de tratamiento son limitadas o inexistentes.BajoelliderazgodelaDra.LeanneWard(CHEO)ylaintegracióndenuevostratamientos,nos centramosenlainvestigacióndevanguardia,garantizamosunaccesoequitativoalosensayosclínicosy alasterapiasfarmacológicasynofarmacológicasemergentes,eintegramosestasenlaprácticaclínica paraquelospacientespuedanbeneficiarsedeestosavancesmédicos.
Enfermedades raras y el papel de la Red Canadiense de Enfermedades Raras (continuación)
•Atención,apoyoyempoderamiento
Los pacientes con enfermedades raras suelen enfrentarse a necesidades médicas complejas y a importantes desafíos sociales, emocionales y económicos. Dirigido por el Dr. Ian Stedman (Universidad de York), este pilar hace hincapié en la atención y el apoyo holísticos, centrados en el paciente y la familia, mediante la creación de un ecosistema de apoyo en el que los pacientes y sus familias puedan accederalosrecursosyserviciosdeapoyoquenecesitan.
Permitirlestransitarconconfianzasucaminohaciaunaenfermedadrara,reconociendoalmismotiempo el papel fundamental que desempeñan las familias y las comunidades al brindar atención y apoyo esenciales.
•Colaboraciónnacionalymundial
La colaboración es la base del trabajo de la CRDN y se extiende a todos los pilares. Al asociarse con organizaciones nacionales e internacionales, iniciativas de atención médica e investigación y grupos de pacientes, la CRDN fomenta el intercambio de conocimientos, mejores prácticas y recursos. Al fomentar la colaboración a escala mundial, la CRDN garantiza que Canadá no solo contribuya a los avances mundiales en la investigación y el tratamiento de enfermedades raras, sino que también se beneficie de ellos.
Únasealaconversación:PróximoayuntamientodeCRDN
AmedidaqueCRDNganaimpulso,mantienesucompromisodeinvolucraralacomunidadmásampliade enfermedades raras El 31 de octubre de 2024, CRDN organizará un ayuntamiento, en el que invitará a pacientes,cuidadores,proveedoresdeatenciónmédica,investigadoresydefensoresaparticiparenuna conversación crítica sobre su misión, visión y objetivos estratégicos Este evento será una oportunidad para que la comunidad conozca el trabajo que se está realizando en los cuatro pilares de CRDN, haga preguntasycompartasusideas.
El foro también servirá como plataforma para la cocreación, donde los asistentes podrán aportar ideas sobre la dirección futura de la red y contribuir a la elaboración del plan estratégico. Es una oportunidad única para ayudar a construir una comunidad de enfermedades raras más fuerte e inclusiva en Canadá, preparada para afrontar de frente los desafíos de salud pública que plantean las enfermedades raras. Juntos, a través de la colaboración, la innovación y la atención centrada en el paciente, podemos garantizarquenadiequepadezcaunaenfermedadrarasequedeatrás.
Mantenteconectado!
Para mantenerse actualizado sobre el trabajo y los eventos futuros de CRDN, asegúrese de seguirnos en lasredessociales(XyLinkedIn).Ynoolvideinscribirseenelforoabiertoenwww.canadianrdn.ca:esuna oportunidad t ib i l ió d t i id d de enfermedades rarasmásfue




Patient Worthy: amplificando las voces de las enfermedades raras y potenciando la defensa de sus derechos
Por Colby Rogers, editor de Patient Worthy y director de estrategia social
Enunmundodonde300millonesdepersonasluchanconlascomplejidadesdelasenfermedadesraras, Patient Worthy reconoce que, aunque cada enfermedad rara es única, la experiencia colectiva trasciendelasfronteras
En Patient Worthy, creemos firmemente en el poder de las voces auténticas de los pacientes para impulsar enfermedades significativas. Patient Worthy reconoce que, si bien cada enfermedad rara es única, la experiencia colectiva trasciende el cambio Desde 2015, hemos tenido la misión de amplificar estas voces, brindando una plataforma para que los pacientes con enfermedades raras y crónicas de todoelmundocompartansushistorias,desafíosytriunfos.
Compartiendohistoriasinspiradorasderesiliencia
La comunidad de enfermedades raras es más que un conjunto de personas; es un mosaico vibrante de experiencias compartidas y apoyo inquebrantable. A través de nuestros esfuerzos, nos esforzamos por fomentar un sentido de pertenencia y conexión, entendiendo que el aislamiento puede ser una barrera importante para quienes viven con una enfermedad rara. A través de sus historias, ayudamos a los pacientes a conectarse con pares que realmente comprenden su experiencia y ofrecen consuelo, empatíayconsejosprácticos
LamisióndePatientWorthysebasaenlacreenciadequelahistoriadecadapacienteesunafuentede inspiración y fortaleza. Presentamos perfiles de pacientes valientes, entrevistas sinceras y relatos que invitan a la reflexión y que resaltan la resiliencia, la determinación y la esperanza que definen a la comunidaddeenfermedadesraras.Estashistoriassirvenparaeducar,generarconcienciayderribarlas barrerasdelestigmaylaincomprensión.
Mejorar la defensa de los pacientes
Patient Worthy reconoce que la defensa de los derechos de los pacientes es el elemento vital de la comunidad de enfermedades raras. Capacitamos a los pacientes para que se conviertan en defensores acérrimos de sí mismos y de los demás al ofrecerles a los responsables de las políticas, los investigadores y los profesionales de la salud una forma de escuchar las voces auténticas de los pacientes Nuestro objetivo es garantizar que las historias de los pacientes con enfermedades raras se escuchen con claridad en todos los procesos de toma de decisiones que afectan sus vidas
Patient Worthy: amplificando las voces de las enfermedades raras y potenciando la defensa de sus derechos (cont.)
Acromegalia: una entrevista colaborativa
Recientemente, compartimos una historia inspiradora sobre seis personas que viven con acromegalia, un trastorno hormonal poco común que provoca un crecimiento inusual en varias partes del cuerpo, en particular las extremidades. Estos pacientes hablaron con franqueza sobre los desafíos que enfrentaron en sus vidas y cómo participar en un programa de tutoría para pacientes con acromegalia los empoderó para apoyar a sus comunidades de pacientes.
Un tema recurrente que escuchamos de los pacientes con enfermedades raras es la conexión e interacción con otras personas durante su proceso de curación. Nos complace compartir que esta entrevista colaborativa llegó a más de 10 000 lectores de todo el mundo en PatientWorthy.com, lo que refleja la importancia de generar conciencia y brindar una plataforma para que las personas compartan sus experiencias
Amplificandotuvoz,inspirandoelcambio
Su historia es poderosa. En Patient Worthy, brindamos oportunidades para que los pacientes con enfermedadesrarascompartansusexperienciasconunaaudienciaglobal.Atravésdelarepresentación de pacientes, lo conectamos con oportunidades para hablar en conferencias, contribuir a la programación para pacientes e interactuar con pacientes dentro de su comunidad. Su voz tiene la capacidaddegenerarconciencia,desafiarconceptoserróneoseinspirarcambios
Juntos, podemos crear un mundo en el que cada paciente con una enfermedad rara se sienta visto, escuchadoyempoderado.Tuhistoriapodríaserlachispaqueenciendalaesperanzaeinspireelcambio paramillonesdepersonasentodoelmundo
Para obtener más información sobre cómo Patient Worthy puede ayudarlo a compartir su historia auténticayconectarloconoportunidadesentodoelmundo,visitewww.patientworthy.comoescaneeel códigoQR Suhistoriapodríaserjustoloquealguiencomoustednecesitaescuchar



El viaje del paciente
La sección "La trayectoria del paciente" de la revista digital Heal Canada nos llega al corazón. Esta revista está dedicada a los pacientes y a los cuidadores. Estamos orgullosos de ofrecer una plataforma a nuestra comunidad para que podamos compartir, aprender y crecer juntos. Aquí, los pacientes pueden compartir sus experiencias y empoderar a los lectores al conectarlos con nuestra comunidad de Heal Canada. Al hacerlo, podemos entender que, sea cual sea la situación a la que nos enfrentemos, ¡no estamos solos! ¡Unidos, defendemos nuestros derechos!
Esperanza: el viaje de un médico
Dr. Nhung N. Tran-Davies
Recuerdoclaramentemisorpresa:todavíarespirabacuandoterminóelprimermesdelnuevoaño.
Mesaquéungranpesodeencimaporquenoeraunenerocualquiera.Eraelprimermesdeunnuevoaño, despuésdequemehubierandiagnosticadocáncercolorrectalenetapa4apenasunpardemesesantes Nocreíaquellegaríaavernadadelnuevoaño
Así que saber que había sobrevivido y que, efectivamente, iba a ver el amanecer el primer día del segundo mes de un nuevo año me trajo una enorme sensación de alivio, asombro y esperanza Creí que podía lograrlo, que podía superarlo. Por primera vez en mis 50 años de vida, me sentí verdaderamente agradecidaporcadasegundodecadaminutodecadadía.
Comomédicodefamiliaysabiendolomaloquepuedeserelpronósticoparalaetapa4,nosabíasiibaa vivir. Nada en mis 20 años de carrera como médico, ni siquiera mi experiencia de dar malas noticias y atenderapacientespaliativos,mepreparóparaenfrentarmipropiamortalidad.
Mehundíenlasprofundidadesdeladesesperacióndespuésdemidiagnóstico,engranparteporquemis hijos aún son muy pequeños Quiero estar aquí para verlos graduarse, florecer, alcanzar sus sueños y encontrar su verdadero amor Quiero abrazar a mis nietos Todavía hay mucho por hacer y más mundo porver,máspaseosporelbosqueybailesbajolaluzdelalunaconmiotramitad.
Sorprendentemente, mis pacientes me sacaron de la desesperación. No sabía lo rápido que se unieron paraconvertirseenmis"médicos" Medijeronquelestocabaaelloscuidarme Yasílohicieroncontoda la deliciosa comida, las mantas cálidas y los innumerables regalos con los que me inundaron. Realmente fueronfundamentalesparaayudarmeasuperarlosmomentosmásoscuros
Ahora, diez meses después de haber iniciado este viaje y dos cirugías importantes después de haberme sometido a ellas, me doy cuenta de que he aprendido un par de cosas, especialmente como médico que mira a través de la lente de un paciente ¿Cómo no voy a aprender después de haber sido llevado de un lado a otro semidesnudo en camillas quirúrgicas, de haber sido pinchado y empujado, y de haber sido sometido a innumerables agujas y sangrías, escáneres, visitas al médico y numerosas rondas de quimioterapianauseabunda?
Los hechos y la ciencia son la base de la medicina y de mi práctica médica Como médicos, debemos seguirlasmejoresprácticasbasadasenlaevidenciaynohacerdaño.Poresomesorprendítantocuando, derepente,meencontréenlaposicióndebuscarterapiasalternativas/abasedehierbas Bueno,fuemás bienparaapaciguaramimadre.Ellahabíaoídoaamigoshablarsobreunproductoquepodríareforzarel sistema inmunológico y curar el cáncer, y eso fue suficiente para que me diera un empujoncito. Traté de mantenerme firme en la falta de evidencia sólida, pero al percibir la esperanza que este posible remedio le estaba dando, finalmente cedí (deduciendo que, al menos, no causaría daño). Entonces me di cuenta de que, incluso si tenía una probabilidad entre un millón de ayudar, no podía ni debía negar esa esperanza,esaposibilidaddecura,amifamiliayamigos,ysobretodo,amímismo
Unalecciónúnicaqueheaprendidocomomédicoenesterecorridoesverelmundodesdelaperspectiva delpaciente.Ahoraqueestoyenlasaladeespera,enlacamilladereconocimientoyenlasaladondeme tomanlapresiónarterial,meencuentroenunmundocompletamentenuevodemiedos,incertidumbresy vulnerabilidades.
Esperanza: el viaje de un médico (cont.)
Loquehellegadoacomprendereslofundamentalqueeslarelaciónmédico-pacienteparanuestrasalud y sensación de bienestar Los médicos que se han sentado a mi altura y han hablado conmigo para saber cómo me siento, cómo estoy, cuáles son mis preocupaciones, etc., son los médicos que no sólo me han dado poder, sino que también han sido fundamentales para disipar mis miedos e incertidumbres No importa lo científicamente complicado que pueda ser el diagnóstico o el pronóstico, un buen médico es aquelqueinfundecalidez,compasiónyposibilidadesenlaconversación.Endefinitiva,todoloquequiero, comopaciente,essalirdelconsultoriodeesemédicoconunasensacióndeesperanza
Una de las lecciones más grandes y humillantes que he aprendido a través de todo esto es que todavía haymuchoquelosmédicosyloscientíficosnosabemossobrelasaludylacuración.Sí,mehesometidoa lascirugíasrecomendadasyhesometidomiorganismoalasquimioterapias,yaquetengoungranrespeto por la ciencia médica. Sin embargo, admito que he ganado un mayor respeto por el poder de las oraciones.Lasoracioneshanacentuadocadadecisiónmédicayterapiaalaquemehesometido.Mientras me llevan a la sala de operaciones, mientras los medicamentos se infunden en mis venas, hay oraciones en primer plano en mi conciencia. Oraciones para guiar la precisión de la mano del cirujano, oraciones para que la quimioterapia devore cada célula cancerosa, oraciones para que pueda superar esto. Las oraciones de todos los que están cerca y lejos, de cada religión y fe en mi círculo de seres queridos, elevaron mi espíritu y me llevaron a través de los momentos más oscuros, dándome fuerza y coraje para seguiradelanteconlalucha.Lasoracionessonunafuerzaetéreaquemeestádandoesperanza.
Alfinaldeldía,laesperanzaestodoloquetenemos Laesperanzanosdapoder Laesperanzadesafíalas estadísticasylasprobabilidadesyseaventuraenlosreinosdelosmilagrosylasposibilidadesinfinitas.La esperanza es la luz que brilla en la oscuridad. Como dijo Emily Dickinson: "La esperanza es esa cosa con plumasqueseposaenelalmaycantalamelodíasinpalabrasynuncasedetieneenabsoluto "

La Dra. Tran-Davies es una distinguida escritora y médica, que se graduó con orgullo de la Universidad de Alberta. En 1979, llegó a Canadá como refugiada de la guerra de Vietnam, acompañada de su madreycincohermanos.
La Dra. Tran-Davies siente pasión por escribir historias infantiles que resalten la humanidad en nuestras vidas Sus obras han sido preseleccionadasparavariospremiosprestigiosos,entreelloselPremio LiterariodeAlberta,elPremioRedMapleyelPremioBlueSpruce.
Visiteel sitiowebdelaDra Tran-Daviesparaobtenermásinformación sobresunotabletrabajo:https://www.nhungtrandavies.com/



Vivir bien
En este vibrante rincón de la revista digital Heal Canada, nos complace presentarles nuestra sección "Vivir bien", un tesoro de inspiración y orientación para quienes buscan una vida más saludable, feliz y equilibrada. Nuestra misión es brindarles conocimientos de expertos, las últimas tendencias en salud e historias de bienestar personal que resuenencondesafíosytriunfosdelavidareal.
Aquí exploramos las múltiples facetas del bienestar, desde nutrir el cuerpo con una alimentación saludable hasta rejuvenecer la mente mediante la meditación y la atención plena. Encontrará consejos prácticos sobre ejercicio, salud mental y cuidados preventivos, todos ellosadaptadosasuajetreadoestilodevida.
Pero "Living Well" es más que una guía; es una comunidad. Te animamos a que te involucres con nosotros, compartas tu experiencia y aprendas de otras personas que están en caminos similares. Ya sea que estés dando los primeros pasos hacia una vida más saludable o que estés más avanzado en tu camino, estamos aquí para apoyarte e inspirarteentodomomento.
Algunos consejos de entrenamiento específicos para mejorar el bienestar general
Por Kyle Bryon, entrenador de nutrición, BSC
El envejecimiento presenta desafíos, pero también una oportunidad para descubrir nuevas fortalezas y adaptarse de maneras extraordinarias Si bien caminar es una opción modesta en comparación con actividades más intensas, es una herramienta poderosa para mantener la salud y el bienestar Muchas personas lo consideran una forma excelente y eficaz de mantenerse activos y conectados con sus cuerpos Se trata de encontrar lo que funciona para ti y afrontar el viaje con optimismo y resiliencia
Caminando
Caminar es bueno para la salud de la columna vertebral, pero Pilates es mucho mejor. También mejora la fuerza, la flexibilidad y la coordinación y quema más calorías.
Caminar es bueno para la salud mental (pero las actividades que requieren una frecuencia cardíaca más alta son mejores, como bailar, que también es mejor para suprimir la demencia debido a la coordinación y la socialización).
Caminar hace muy poco para ayudar a perder el exceso de peso y casi no hace nada por los huesos o la masa muscular, dos de nuestros bienes más vulnerables y preciados.
Caminar es una opción valiosa para mantenerse activo, especialmente cuando otras formas de ejercicio no son posibles debido a lesiones o limitaciones.
Sarcopenia

Esta palabra debería asustarte. Es la degradación natural de nuestro tejido muscular con la edad. Comienza a mediados de los treinta y se acelera cada año. Dicho esto, podemos tomar a una persona de 80 años que nunca ha levantado pesas, hacer que levante pesas y alimentarla con un plandenutriciónadecuado;ganarámúsculo(ymasaósea).
Pero la mayoría de las personas no levantan pesas ni comen lo suficientemente bien. La mayoría de las personas se están consumiendo, caminando por senderos. Un resbalón en el hielo o en la esquina de una alfombra podría ser el fin no solo de nuestra vida deportiva sino de la vida misma. Ser fuerte previene las caídas y tener huesos duros nos ayuda a sobrevivir si nos caemos. La tasa promedio de pérdida de tejido magro es del 8% por década. Para un indicador subjetivo, compare sucuelloconfotografíasdesus30y50años.
Levantar pesas de 3 a 5 veces por semana y comer suficiente proteína retrasará o revertirá la sarcopenia,retrasaráorevertirálapérdidaóseaymejorarálalongitud delostelómeros,queesuna delascosasqueobservamosenrelaciónconlaedadbiológica.
El problema es que la gente necesita aprender a levantar pesas, pero hoy en día hay muchos entrenadores personales que pueden ayudar y ellos/nosotros estamos más informados que nunca. Arnold Schwarzenegger tuvo un sueño en los años 60: que habría más gimnasios que supermercados. La gente decía que estaba loco, pero así fue. A menudo, los fisioterapeutas también son excelentes entrenadores. La aplicación Peloton tiene fantásticos vídeos de ejercicios paraprincipiantes.
No necesitas equipo. Las planchas laterales, las flexiones y varias sentadillas pueden ser extremadamente efectivas si se hacen correctamente y con intensidad. Las bandas de resistencia soneconómicasysepuedenllevaraparquesobosquesparausarlascomopuntosdeanclaje.Yano hayexcusasparanorealizarentrenamientoderesistencia.
Algunos consejos de entrenamiento específicos para mejorar el bienestar general
I
ngesta de proteínas
A pesar de toda la ciencia existente y de la proteína en polvo, muy pocas personas consumen suficiente proteína. Una ingesta baja de proteínas acelera la sarcopenia y la pérdida ósea. Existen temores obsoletos sobre la salud renal (la proteína adicional es segura). El tejido voluminoso de nuestro cuerpo es grasa, mientras que el músculo es muy denso y pequeño. En las personas mayores, los problemas dentales o digestivos pueden limitar la ingesta de proteínas de una persona, pero para eso están los asesores nutricionales.
(continuación)

Paraobtenersuficienteproteínasedebeingerirentre½y1puñodeproteínaencadacomidayrefrigerio. La respuesta avanzada es obtener 1,8 g de proteína por cada kg de peso ideal. Esto significa que una persona que tiene alrededor de 20 libras de sobrepeso eliminaría ese peso antes de realizar este cálculo Yo peso 185 libras y estoy en buena forma. Por lo tanto, mi objetivo es consumir alrededor de 140 g de proteínapordía,comomínimo.Porlogeneral,necesitoproteínaenpolvoparaalcanzaresteobjetivo,pero nohayproblema
Levantarpesassinsuficienteproteínanoproducirálaadaptaciónqueelejerciciohaindicado.
Masaósea
El entrenamiento de resistencia y una nutrición adecuada aumentarán la masa ósea, incluso en personas mayores de 50 años. Mi madre mejoró su masa ósea entre los 60 y los 65 años gracias a que comía más proteínas y hacía entrenamiento de resistencia. Consumir algunas porciones de productos lácteos o productosfortificadossinlácteosespartedelcamino
A este protocolo se le deben añadir unos 200 mg de calcio, un multivitamínico y vitamina D, unas 10002000UI.Setratadepautasgenerales,ypuedohacerunarecomendaciónespecíficaenfuncióndelaedad, el peso, la dieta, etc Soy partidaria de tomar un suplemento de vitamina D, ya que muchos canadienses tienendeficienciadeestavitaminaysepreguntanporquéestántristes,enfermosycansados.
Envejecer trae sin duda sus desafíos, pero también ofrece una oportunidad extraordinaria de aceptar nuevas posibilidades y embarcarse en aventuras emocionantes Pensemos en las personas inspiradoras que conozco: mujeres de 60 años que se destacan en carreras de botes dragón y realizan impresionantes dominadas, y hombres de 80 años que pueden completar sin esfuerzo 40 flexiones de brazos en una sola serie Sus historias ponen de relieve cómo se puede trascender la edad a través del compromiso y la comunidad.Alrodearsederedesdeapoyoparaelfitness,handemostradoquelaedadessolounnúmero yque,conalientoeinspiración,elpotencialdeunosiguesiendoilimitado
Nunca estás solo en este viaje: ¡te espera toda una red de apoyo y camaradería, lista para ayudarte a prosperarsiestásabiertoaello!

Kyle Bryon, entrenador de nutrición, BSC Kyle ha estado haciendo entrenamiento personal y entrenamiento nutricional durante más de 15 años. Ayuda a la gente común y a los atletas a comer mejor para que puedan transformar su salud, sus cuerpos y sus vidas. Kyle también trabaja con niños y familias.
kyle@kylebyronnutrition.com 4164599956
https://kylebyronnutrition.com/ Ubicado en: 30 Wellington St W, 5to piso, Toronto
Retrocedes? Consejos para volver a levantarte!
Reimpreso con permiso de Your Therapy.
El domingo 3 de noviembre terminará el horario de verano, lo que significa que los relojes se retrasarán una hora y se producirá una desorientación colectiva. Mientras que algunos celebran la hora extra de sueño, muchos temen el concepto aparentemente arcaico del cambio de hora. De cualquier manera, todos podemos aprovechar algunos consejos útiles sobre cómo volver a levantarnos cuando el cambio dehoradeemergencianoshagaperderelequilibrio.
Entonces, ¿por qué un cambio de hora tan insignificante nos desorienta tanto? Bueno, puede que no lo usemos para saber la hora, pero aun así nos guiamos por el sol Por ejemplo, el sol afecta nuestra sensacióndecansancio,elmododedormirnosyeldedespertarnos.Conelcambiodehoraenjuego,esta comunicación da lugar a alteraciones del sueño y desencadena los efectos de un descanso deficiente, como una menor concentración y un menor rendimiento en la escuela y el trabajo Además, la menor exposicióndiariaalsolaumentanuestrasprobabilidadesdesufrircambiosdehumoryelriesgodesufrir trastornoafectivoestacional(TAE).
Ahora que conoce los posibles efectos sobre el sueño y el estado de ánimo, exploremos algunas rutinas que mejoran el estado de ánimo mientras se prepara para superar el cambio de horario y los meses más oscurosqueseavecinan.





Acostúmbrate al cambio con calma! Acuéstate entre 15 y 30 minutos antes los días previos al cambio de horario Esto te dará un tiempo de transición más largo antes de que comience la rutina de los días de semana Tener una rutina de sueño constante desde el principio también mejorará tu estado de ánimo Comienza por acostarte y despertarte a la misma hora todos los días Reciba luz natural con regularidad: si el sol se pone más temprano, es posible que se quede rápidamente a oscuras después de la escuela o el trabajo Planifique aumentar su exposición a la luz natural saliendo al aire libre por la mañana o durante la hora del almuerzo. Salir al aire libre no es una opción? Pruebe a utilizar una caja de terapia de luz que emite un tipo de luz artificial que imita la luz del exterior.
Ponte en movimiento: levántate y muévete con regularidad para dormir mejor. ¿Por qué no sales a caminar para exponerte a la luz solar natural y mejorar tu estado de ánimo y tu energía? Solo recuerda evitar hacer ejercicio demasiado tarde, ya que toda esa energía puede mantenerte despierto si es cerca de la hora de dormir.
Coma bien y siéntase bien: Mantener una buena alimentación de forma regular puede ayudar a conciliar el sueño y mejorar el estado de ánimo. Por la noche, observe qué es lo que tarda más en digerirse y lo mantiene despierto durante la noche. Esto puede significar dejar de tomar una copa de vino a última hora de la noche o un café a última hora de la tarde para poder dormir bien antes de acostarse.
Apaga y reduce el volumen! Las noches más oscuras pueden significar noches más largas viendo series y navegando por las redes sociales El control de la pantalla es fundamental para mantener un sueño de calidad y un buen estado de ánimo Recuerda reducir el tiempo frente a la pantalla entre 1 y 2 horas antes de acostarte, especialmente si se trata de un dispositivo que emite luz azul ¡Recuerda apagarlo para comenzar a reducir el volumen!
Este artículo ha sido reproducido con el permiso de Your Therapy. Agradecemos su autorización para compartir este valioso contenido con nuestros lectores. Your Therapy es un consultorio de asesoramiento seguro y acogedor en el área metropolitana de Toronto que ofrece terapia individual, de pareja y familiar, así como terapia para la depresión, terapia para la ansiedad y más. Visítelos en el sitio web YourTherapy.ca o comuníquese con ellos en reception@yourtherapy.ca
De la comida chatarra a la comida integral: haga cambios que perduren
Por Sue Lemoine, RNHP
Si estás buscando hacer cambios en tu plan de alimentación pero no sabes por dónde empezar,aquítienestresconsejossencillosqueteayudaránacomenzar.
Realizarcambiossencillos
Es más fácil crear y mantener una buena salud a largo plazo (o una pérdida de peso) si se va haciendo poco a poco. Empiece por cambiar una o dos cosas pequeñas que le resulten manejables: cambiar su estilo de vida en una semana lo agotará y frustrará, y no durará. Empiece por analizar la cantidad de alimentos procesados que consume y hagalosprimeroscambiosenesesentido
Digamosqueloprimeroquedecidescambiareseldesayuno Miralosingredientessitu opción preferida son las barritas de desayuno rápidas y fáciles. La mayoría contienen grandes cantidades de azúcar e ingredientes que no puedes pronunciar Un buen sustituto sería un huevo duro (puedes hervirlo la noche anterior) y una pieza de fruta Es rápido y fácil de conseguir, pero tiene un bajo contenido de azúcar y un alto contenido de proteínas y algunas grasas buenas No digo que las barritas de proteínas sean malas, solo mira los ingredientes antes de comprarlas. Hay barritas de proteínas degrancalidad,solotencuidado.
Disíalasgolosinas
Lo bueno de hacer pequeños cambios es que no tienes que renunciar a tus alimentos favoritos; modifícalos un poco. Por ejemplo, si te encanta comer palomitas de maíz, asegúratedequeseanunadelasversionesmássaludables Lamejorformadehacerlas es con una máquina de aire caliente o con un poco de aceite en una olla al fuego. Si te encanta hacerlas en el microondas, busca las versiones más saludables. Recuerda, cuantosmenosingredientes,mejor(ysinopuedespronunciarlaspalabras,devuélvelas al estante del supermercado). Busca marcas con solo tres ingredientes: palomitas de maízsinOGM,aceiteysal.Esoestodo.













Lo mismo ocurre con el resto de los alimentos Si no puedes prescindir de las patatas fritas, prueba a sustituirlas por patatas fritas elaboradas con verduras a las que solo se les ha añadido sal y aceite Y si de verdad quieres una barrita de chocolate, cambia la de chocolate procesado por un chocolate negro orgánicomássano Sencillo,¿verdad?Sinoestássegurodesiesunaopciónmássana,SIEMPREechaun vistazoalalistadeingredientes.Cuandoveasunmontóndepalabrasquetedejaríansinpalabrasenun concursodeortografía,¡nolocomas!Lasmejoresopcionestieneningredientesquepuedespronunciary entenderyquesuenancomocomida,nocomoproductosquímicos
Abrazaelviaje
Recuerdaqueelcaminohacialasalud(ylapérdidadepeso)esunviaje.Notienesqueserperfectopara ver y sentir el efecto de una alimentación buena y nutritiva Tu cuerpo responderá siendo más fuerte y más resistente a los resfriados y la gripe porque tu sistema inmunológico estará bien nutrido y será capaz de combatir esos virus desagradables que aparecen todos los años. También te sentirás con más energía Cuando integras estos pequeños cambios y dejas que tu cuerpo y tus papilas gustativas se adapten, te estás preparando para el éxito y el bienestar a largo plazo. ¿Cómo puedes integrar algunos deestospequeñoscambiosentudietayestilodevida?Sitienesalgunapregunta,comunícateconmigo encualquiermomento
Recetas para equilibrar las hormonas de Sue Lemoine


Sue Lemoine, enfermera practicante de enfermería
Nutrición holística
Flourish sue@flourishnutrition.ca www.flourish-nutrition.ca

Acerca de Sue:
Sue es una practicante de salud y bienestar holístico de Edmonton que enseña a las mujeres perimenopáusicas y menopáusicas, que viven en varias partes del mundo, a disfrutar realmente de esta etapa de sus vidas Lo hace ayudándolas a refinar su alimentación para que puedan equilibrar sus hormonas de manera natural y holística a través de ajustes en la alimentación y el estilo de vida La mayor recompensa es ver a sus clientas salir de sus programas no solo más saludables, felices y equilibradas, sino también con menos síntomas de la menopausia Si sufres de CUALQUIER síntoma de la perimenopausia o la menopausia, comunícate con ella para una consulta gratuita sue@flourishnutrition ca
Recetas para equilibrar las hormonas (cont.)


Pregúntele al profesional

Bienvenido a la sección "Pregúntele al profesional" de la revista digital Heal Canada, un espacio dedicado donde la curiosidad se encuentra con la experiencia en el ámbito de la atención médica.
En nuestro afán por empoderar a los pacientes y a sus defensores con conocimiento, esta sección cierra la brecha entre los profesionales médicos y nuestros lectores, ofreciendo respuestas claras, precisas y prácticas a sus preguntas más urgentes. Ya sea que esté atravesando las complejidades de los ensayos clínicos, buscando asesoramiento sobre el manejo de enfermedades crónicas o explorando las últimas tendencias en bienestar, nuestros expertos están aquí para brindarle información basada en las últimas investigaciones y experiencias clínicas.
Embarquémonos juntos en este viaje de comprensión, fomentando una comunidad donde las decisiones informadas conduzcan a mejores resultados de salud.
Pregúntele al profesional.
Maureen Carpenter, BSC, RN, CD nos brinda su perspectiva
Navegando por la atención médica: consejos para el paciente

Navegar-definidocomoplanificarydirigirlarutaocursodeunviaje.Navegarporlaatenciónsanitaria noesmuydiferenteaviajarporlaciudad/pueblo/campoutilizandounGPSounmapa
Puntodepartida:ConozcasusderechoscomopacienteenCanadá.LaCartadeDerechosdelPaciente esunacartaque
Ayudaráalpacienteacomprenderlabasedesusderechos ElementosclavedelaCarta;
Elderechoarespetarlapropiadignidad,privacidad,etc.
Elderechoanosufrirdiscriminaciónniprejuiciosalrecibiratenciónmédica
Elderechoaestarinformadosobreelpropioestadodesaludylasopcionesdetratamiento. Elderechoaserunparticipanteactivoenlasdecisionesdeatenciónmédica
Elderechoasuhistorialmédicoyalaconfidencialidaddedichohistorial Elderechoaexpresarpreocupacionesybuscarsoluciones.
Encuentre su equipo de atención: médicos, farmacéuticos, enfermeras, enfermeras profesionales, fisioterapeutas, dietistas,etc.EstoseríacomocargarelmapacorrectoentuGPS.
Los defensores de pacientes son fundamentales para ayudar a una persona a programar citas y encontraratenciónterciaria. cuidados,aclararlajergamédica,elegirelmejorcaminodetratamiento/controldesíntomas,etc.
Existen numerosos grupos de apoyo que son expertos en brindar orientación en terreno desconocido. Estoseríacomodetenerseauncostadodelcaminoypreguntarleaunapersonalocalcómollegara“la casadeBob”.
Tomeelcontroldesuatención,yaseademaneradirectaoindirecta.Directamente:infórmesesobresu diagnóstico, tratamientos, citas y pronóstico Indirectamente: tenga un defensor, ya sea un ser querido en quien confíe o un profesional, en quien también confíe, que le haga las preguntas correctas y las preguntas difíciles, que le brinde u obtenga aclaraciones o explicaciones y le permita participar en el plandeatención EstoessimilaraplanificarsurutaensuGPS
Usted siempre tiene derecho a elegir, ya sea que elija el mejor tratamiento o atención para usted, en función del conocimiento obtenido a partir de la información recopilada. Esto sería similar a elegir la rutamásrápida,larutamáspintoresca,elegirevitarlascarreterasdepeaje,lasobras,etc.
Porúltimo,unavezquesehadecididolarutaoelplan,esimportanteserflexible.Alplanificarelasalto del Día D, Dwight D. Eisenhower dijo: “Los planes son inútiles, pero la planificación es indispensable”. Esto puede adoptar la forma de un especialista diferente, un cambio en el tratamiento, nuevos medicamentos,uncambiodediagnósticoouncambioenelestadodesalud.Notodosloscambiosson negativos;laadaptabilidadesimportantecuandocambianlascircunstancias.
Referencia: Declaración de derechos del paciente: una visión comparativa (PRB 01-31E) (publications.gc.ca)

El archivo de la sonrisa

Pacientesy cuidadores
Recursos Heal Canada
Necesitainformaciónyapoyo
Visitenuestrositiowebparaobtenerrecursosquepuedenayudarlocomosociode atencióndelospacientesconsusdiagnósticos,tratamientosyunamejorcalidad devida.
www.healcanada.org
Quierescompartirtuhistoria?
Sideseacompartirlahistoriadesuviaje,envíenosunabrevedescripcióndel mismoparasuconsideración. revistadigital@healcanada.org
Organizaciones depacientes
Registrodeorganizacionesdepacientes
EnvíesuscoordenadasaHealCanadayseapartedenuestroregistro, paraquelospacientesysuscuidadorespuedanencontrarlo! HealCanadapuedeayudarasuorganizacióndepacientesa: Aumentarlaconciencia
Recaudacióndefondos
Mejoresucomprensióndelsistemadeatenciónsanitariacanadiense ApoyoasupresentaciónanteCDA(CADTH)eINESSS admin@healcanadaorg wwwhealcanadaorg
Proveedoresde atención médicauotras partes interesadas
Escribeunartículo
Sideseacompartirsuexperienciaconnuestroslectores,envíenosuna brevedescripcióndesupropuestaparaquelatengamosencuenta. revistadigital@healcanada.org
Necesitainformaciónyapoyo
Visitenuestrositiowebparaobtenerlosrecursosnecesariospara ayudarleatrabajarcongruposdedefensa. www.healcanada.org
Recursos Ensayos clínicos y registros



Referencias
Sección - Tratamientos emergentes Aprobaciones recientes de Health Canada - página 14
1- Presentaciones de medicamentos y productos sanitarios en revisión (SUR)Canada.ca
2- Harrow anuncia la aprobación por parte de la FDA de EE. UU. de IHEEZO™ (gel oftálmico de clorhidrato de cloroprocaína) al 3 % para anestesia de la superficie ocular
3- Kye Pharmaceuticals anuncia la aprobación en Canadá de ACCRUFeR® (maltol férrico) para el tratamiento de la anemia por deficiencia de hierro en pacientes adultos
4-212320Orig1s000lbl.pdf
5- Monografía canadiense de productos Winrevair
6- La FDA aprueba Winrevair para la hipertensión arterial pulmonar en adultos
7- Ensayo Stellar – Clinical trial.gov (NCT04576988)
8- Winrevair de Merck obtiene aprobación en Canadá para tratar adultos con HAP
9- Los comprimidos VORANIGO® (vorasidenib) de Servier reciben la aprobación de la FDA como primera terapia dirigida para el glioma de grado 2 con mutación IDH | Blog
10- Ensayo clínico INDIGO trial.gov (NCT04164901).
11- Danicopan aprobado como terapia complementaria a ravulizumab o eculizumab para hemólisis extravascular en adultos con hemoglobinuria paroxística nocturna - The ASCO Post
12- Brodsky RA. Hemoglobinuria paroxística nocturna. Sangre. 2014;124(18):2804-2811.
13- Lee JW, et al. Adición de danicopan a ravulizumab o eculizumab en pacientes con hemoglobinuria paroxística nocturna y hemólisis extravascular clínicamente significativa (ALPHA): un ensayo de fase 3, aleatorizado, doble ciego. The Lancet Haematology. 2023;10(12):E955-E965.
14- UCB anuncia la aprobación por parte de la FDA de EE. UU. de ZILBRYSQ[®] (zilucoplan) para el tratamiento de adultos con miastenia grave generalizada | UCB
15- Miastenia gravis - Wikipedia
16- Wainua (eplontersen) recibió la primera aprobación regulatoria en los EE. UU. para el tratamiento de adultos con polineuropatía de amiloidosis hereditaria mediada por transtiretina (astrazeneca.com)
17- Cortese A, et al. Desafíos diagnósticos en la amiloidosis hereditaria por transtiretina con polineuropatía: cómo evitar el diagnóstico erróneo de una neuropatía hereditaria tratable. J Neurol Neurosurg Psychiatry. 2017;88(5):457-458.
18- La FDA aprueba EBGLYSS™ (lebrikizumab-lbkz) de Lilly para adultos y niños de 12 años o más con dermatitis atópica de moderada a grave | Eli Lilly and Company
19- Chiesa Fuxench ZC, et al. Estudio de dermatitis atópica en Estados Unidos: un estudio transversal que examina la prevalencia y la carga de enfermedad de la dermatitis atópica en la población adulta estadounidense. Journal of Investigative Dermatology. 2019;139, 583e590;
20- La FDA aprueba el primer tratamiento inyectable para la prevención previa a la exposición al VIH | FDA
21- Servier anuncia la aprobación por parte de la FDA de TIBSOVO® (comprimidos de ivosidenib) en combinación con azacitidina para pacientes con leucemia mieloide aguda con mutación en IDH1 de reciente diagnóstico | Blog
22- Monografía canadiense de productos Tibsovo

Referencias
Elimpactodelostratamientosactualesenlavidadelospacientesconglioma-página19 1-EnsayoINDIGOEnsayoclínicotrial.gov(NCT04164901).
En busca de un diagnóstico de demencia y cómo abordar su tratamiento
1-Gauthier S, Rosa-Neto P, Morais JA y Webster C. 2021. Informe mundial sobre el Alzheimer 2021: un viaje a través del diagnóstico de la demencia. Londres, Inglaterra: Alzheimer’s Disease International.
2- Gauthier S, Webster C, Servaes S, Morais JA, Rosa-Neto P. 2022. Informe mundial sobre el Alzheimer 2022: La vida después del diagnóstico: cómo abordar el tratamiento, la atención y el apoyo. Londres, Inglaterra: Alzheimer’s Disease International.
3-Robinson L, Tang E, Taylor J-P. Demencia: diagnóstico oportuno e intervención temprana. BMJ. 2015; 350.
4-de Ruijter NS, Schoonbrood AMG, van Twillert B, Hoff EI. Anosognosia en la demencia: una revisión de los instrumentos de evaluación actuales. Demencia de Alzheimer (Amst). 2020;12(1):e12079.
5-Hill DL, Walter JK, Szymczak JE, DiDomenico C, Parikh S, Feudtner C. Siete tipos de incertidumbre cuando los médicos atienden a pacientes pediátricos con cáncer avanzado. J Pain Symptom Manage. 2020;59(1):86-94. Thomas C, Alici Y, Breitbart W, Bruera E, Blackler L, Sulmasy DP. Abordar los desafíos de la sedación en los cuidados al final de la vida. J Pain Symptom Manage. 2024;67(4):346-9.
6-Dreier LA, Zernikow B, Stening K, Wager J. Perspectivas sobre la frecuencia y las características distintivas de los trastornos del sueño en cuidados paliativos pediátricos incorporando un protocolo sistemático del sueño. Children (Basilea). 2021;8(1).
7-Felt BT, Chervin RD. Medicamentos para trastornos del sueño en niños. Neurol Clin Pract. 2014;4(1):82-7.
8-Mercante A, Owens J, Bruni O, Nunes ML, Gringras P, Li SX, et al. Consenso internacional sobre los problemas de sueño en los cuidados paliativos pediátricos: allanando el camino. Sleep Med. 2024;119:574-83.

Membresías/Alianzas
























Partidarios






Equipo de Heal Canada
Brigitte Leonard, Doctora en Filosofía


BrigitteLéonardesdirectoracientíficadeHealCanada,unaorganizaciónsinfinesdelucro registradaquepromueveelaccesoequitativoaunaatenciónmédicadecalidadentodo Canadá.Tuvoelprivilegiodetrabajarenelsectorfarmacéuticodurantemásde20años, contribuyendoabrindartratamientosquecambianlavidaalospacientesconlosmásaltos estándareséticos Ahora,quierecompartirsusconocimientosyutilizarsushabilidades científicas,estratégicasydecomunicaciónparaayudaralacomunidaddepacientes
ObtuvosudoctoradoenCienciasBiomédicasenlaUniversidaddeMontrealen2003 Su investigacióndoctoralsellevóacabobajolasupervisióndelDr Denis-ClaudeRoyenel CentrodeInvestigacióndelHospitalGuy-Bernier,Maisonneuve-Rosemont.Desarrollóun ensayodediagnósticocuantitativoenellinfomanoHodgkinyevaluólarelevanciadeeste marcadorenlaevolucióndelpaciente
Wendy Reichental, Licenciada en Artes.
WendyReichental,directoradeprogramasdeHealCanada.Wendytieneunalicenciatura yundiplomaenRelacionesHumanasyEducaciónparalaVidaFamiliardelaUniversidad McGill.Estácertificadaenreflexologíapodal.
Alolargodesucarrera,Wendyhamostradosusperspectivasperspicacesatravésdesus escritos,quehanaparecidoenpublicacionescomoTheMontrealGazetteyelGlobeand MaildeOttawa.TambiénhacolaboradoconplataformasespecializadascomoBooming Encore y Refresh Reflexology Magazine, demostrando su versatilidad para dirigirse a públicosdiversos.
Los escritos de Wendy han aparecido en publicaciones como The Montreal Gazette y el Globe and Mail de Ottawa Es colaboradora habitual de BoomingEncore,plataformasespecializadascomoRefreshReflexologyMagazineynumerososforosenlínea.LaobservaciónúnicadeWendysobre losprimerosdíasdelconfinamientoporlapandemiaserecogeenlaantologíaChroniclingtheDays:DispatchesfromthePandemic,publicadapor GuernicaEditionsenlaprimaverade2021.
Cheryl Petruk,
MBA B.Mgt.
CherylA Petrukesunaprofesionalmultifacéticacuyacarreraabarcaladefensadelospacientes, los negocios y la educación postsecundaria, lo que demuestra su dedicación a lograr un impacto significativoencadaunadeestasáreas.

LatransicióndeCherylhacialadefensadelospacientesfueimpulsadaporlapasiónquelegeneró susituaciónfamiliaryunprofundocompromisoconlagarantíadelosderechosdelospacientesy elaccesoalaatención.Cherylhatrabajadoincansablementeparacerrarlabrechaentreelsistema de atención médica, los pacientes y las partes interesadas de la industria farmacéutica, asegurándosedequeseescuchenlasvocesdelospacientesysesatisfagansusnecesidades Su trabajo implica colaborar con las partes interesadas y las organizaciones de defensa de los pacientes,presionarparaquesecentrenenelpacienteybrindarapoyoyorientaciónalpaciente. El enfoque empático de Cheryl y su dedicación a la defensa la han convertido en una figura respetadaenestecampo,admiradaporpacientes,profesionalesdelasaludyotrosdefensores CheryltambiéndirigeyesmiembroprincipaldelcuerpodocentedeCACHeducation,Capacitación enDefensadelPaciente.