El Dentista Moderno Nº 96

Page 1


ENTREVISTAS

• Prof. Dr. David Herrera, decano de la Facultad de Odontología de la UCM

• Dr. Javier Girón de Velasco, presidente de la SEdO

PERIODONCIA

SEPA-DM

Impacto del tratamiento periodontal sobre la salud general y la calidad de vida de los pacientes

INVESTIGACIÓN

• Efectos del bruxismo en el “core” abdominal

• Nanobots guiados magnéticamente para aliviar la sensibilidad dental

• Las bacterias de las encías anticipan el riesgo de padecer periodontitis

INSIDE THE CLINIC

Clínica Dental Palafox

D4.0

ENTREVISTAS

• Gabriel Ríos, cofundador y Director Ejecutivo de DentalQuality

• X Aniversario del Máster en Odontología Restauradora basada en las Nuevas Tecnologías

GESTIÓN DE CLÍNICAS

Cómo captar clientes para tu clínica dental

EVENTOS Y CONGRESOS

Siguiendo la evolución de la Odontología para el profesional del sector llamado a construir el futuro

PRETTAU® SKIN®

0,15 mm

+ VERSATILIDAD PARA TI

Nuevos * diámetros disponibles:

Descubre toda la gama CORE-X ® , TU ELECCIÓN EN CASOS DE BAJA DENSIDAD ÓSEA

staff

Número 96 - Septiembre 2025

encías anticipan el riesgo de padecer periodontitis INSIDE THE CLINIC Clínica Dental Palafox SEPA-DM

Impresión: Gama Color

Depósito Legal: M-33444-2013

ISSN: 2340-9703

ISSN (internet): 2340-9797

Versys Ediciones Técnicas S.L. Invierno, 17 28850 Torrejón de Ardoz (+34) 912 972 000 administracion@versysediciones.com

CEO

José Manuel Marcos Franco de Sarabia

DIRECTORA DE OPERACIONES

Esther Crespo

Siguiendo la evolución de la odontología

DIRECTORA

Emiliana Rodríguez Charmes emi.rodriguez@eldentistamoderno.com

SUBDIRECTORA

Beatriz Suárez de la Vega beatriz.suarez@eldentistamoderno.com

REDACCIÓN Y FOTOGRAFÍA Departamentos propios Versys Ediciones Técnicas

COMITÉ CIENTÍFICO

Javier de la Cruz, José Nart, Jesús Daniel Parejo, Juan López

Palafox, Miguel Burgueño, Juan Manuel Vadillo, Guillermo Galván, Rafael Martínez de Fuentes, Anna Ramiro, Carlos Repullo, Leticia Rodríguez, Marta Revilla, José María Malfaz, Eva Mª Martínez y Eva López de Castro

DISEÑO Y MAQUETACIÓN

Manuel Beviá

DIRECTORA COMERCIAL ÁREA DE DISTRIBUCIÓN

Mercedes Álvarez mercedes.alvarez@versysediciones.com

DIRECTORA DE CUENTAS DM

Emiliana Rodríguez Charmes emi.rodriguez@eldentistamoderno.com

DIRECTOR DE EXPANSIÓN Y DESARROLLO

José Manuel Marcos de Juanes

Copyrigth Versys Ediciones Técnicas S.L. La suscripción a esta publicación autoriza el uso exclusivo y personal de la misma por parte del suscriptor. Cualquier otra reproducción, distribución, comunicación pública o transformación de esta publicación sólo puede ser realizada con la autorización de sus titulares. En particular, la Editorial, a los efectos previstos en el art. 32.1 párrafo 2 del vigente TRLPI, se opone expresamente a que cualquier fragmento de esta obra sea utilizado para la realización de resúmenes de prensa, salvo que cuente con la autorización específica. Diríjase a CEDRO (Centro Español de Derechos Reprográficos) si necesita fotocopiar, escanear, distribuir o poner a disposición de otros usuarios algún fragmento de esta obra, o si quiere utilizarla para elaborar resúmenes de prensa (www.conlicencia.com; 917021970/932720447)

Las opiniones y conceptos vertidos en los artículos firmados lo son exclusivamente de sus autores, sin que la revista los comparta necesariamente.

Premio de Comunicación SECIB 2019

Accede a El Dentista Moderno

SEPTIEMBRE Y EL RETORNO A LA TAREA

Septiembre llega y nos permite mirar lo que hemos dejado atrás y, al mismo tiempo, imaginar lo que está por venir. La pausa del verano nos devuelve al trabajo con la sensación de que cada comienzo lleva consigo una doble carga: la memoria de lo ya vivido y la expectativa del futuro. Observo a mis hijos iniciar un nuevo curso escolar y me parece que en ellos se refleja mi propia mirada, con una mezcla de inquietud y fascinación.

Estos próximos meses profesionales se abren ante nosotros con un calendario cargado de compromisos, congresos, encuentros de sociedades científicas y reuniones de la industria, donde el conocimiento se transmite de manera directa y precisa, exponiendo experiencias, diferentes enfoques y aprendizajes.

También llega la próxima edición de Expodental en marzo de 2026, un encuentro que se anuncia con su despliegue de innovación y novedades como punto de referencia ineludible, no solo como escaparate para conocer la tecnología y sus usos que transforman el sector, sino para recordar que la renovación profesional exige estar al día: mantener la formación constante, aprender a incorporar con criterio las nuevas herramientas y, sobre todo, conservar una mirada crítica que permita discernir lo que realmente es útil para la práctica clínica diaria en la clínica dental.

En Dentista Moderno estamos preparando nuevos números, ediciones especiales y monográficos, seleccionando cuidadosamente contenidos que aporten análisis rigurosos y herramientas prácticas para apoyar la actividad diaria de los profesionales de la odontología.

Comenzar un nuevo curso profesional exige mantener objetivos, aprovechar cada oportunidad de aprendizaje, valorar los intercambios con colegas, abrirse a la innovación, cuidarse, organizar el tiempo con eficacia, buscar la creatividad, motivar al equipo, reflexionar sobre logros y errores, y afrontar cada reto con actitud positiva y firmeza. Son claves sencillas, casi imperceptibles, que sostienen la profesionalidad y la capacidad de progresar sin perder la perspectiva.

Septiembre es, en definitiva, un recordatorio de que el retorno a la tarea es una nueva oportunidad y con ella viene la responsabilidad de mantener la calidad, la precisión y la atención que exige nuestra práctica diaria.

EDITORIAL

Septiembre y el retorno a la tarea

Por Emi Rodríguez Charmes, directora de Dentista Moderno y D4.0. 6

ENTREVISTA

“Para continuar liderando, necesitamos actualizar el plan de estudios de odontología y adaptar nuestro modelo de gestión de la clínica”

Prof. Dr. David Herrera, decano de la Facultad de Odontología de la Universidad Complutense de Madrid

ENTREVISTA

“La SEdO tiene un papel fundamental en liderar la formación de excelencia, promoviendo la especialización y la actualización continua”

Dr. Javier Girón de Velasco, presidente de la Sociedad Española de Ortodoncia y Ortopedia Dentofacial (SEdO) 20

PERIODONCIA - SEPA

Impacto del tratamiento periodontal sobre la salud general y la calidad de vida de los pacientes

Autores: Claudia Sola, Alejandro Abuelo, Berta González y Eduardo Montero

INVESTIGACIÓN

Efectos del bruxismo en el “core” abdominal

INVESTIGACIÓN

Nanobots guiados magnéticamente para aliviar la sensibilidad dental

INVESTIGACIÓN

Las bacterias de las encías anticipan el riesgo de padecer periodontitis

50

NOVEDADES

Equipamiento, instrumental y material protésico, dental y clínico

D4.0

ENTREVISTA

“El sello DentalQuality no solo posiciona, sino que también transforma”

Gabriel Ríos, cofundador y Director Ejecutivo de DentalQuality 56

ENTREVISTA

“Hemos creado una red sólida de profesionales capaces de transformar la odontología desde la base del conocimiento y la evidencia”

X Aniversario del Máster en Odontología Restauradora basada en las Nuevas Tecnologías

62

77

GESTIÓN DE CLÍNICAS

Cómo captar clientes para tu clínica dental

Por: Julio Fernández, gerente de 100Dental

EVENTOS Y CONGRESOS

Expodental 2026

“PARA CONTINUAR LIDERANDO, NECESITAMOS ACTUALIZAR

EL PLAN DE ESTUDIOS DE ODONTOLOGÍA Y ADAPTAR NUESTRO MODELO DE GESTIÓN DE LA CLÍNICA”

Prof. Dr. David Herrera, decano de la Facultad de Odontología de la Universidad Complutense de Madrid

Tras convertirse en el nuevo decano de la Facultad de Odontología de la Universidad Complutense de Madrid, el Prof. Dr. David Herrera analiza en esta entrevista las líneas y retos que se plantea en su decanato, proponiendo un programa que apuesta por la necesaria reforma y actualización del plan de estudios de Odontología, la transformación del modelo de gestión clínica, la investigación odontológica y el importante papel de la universidad y sus docentes para garantizar la calidad académica de sus egresados.

 DM.- El pasado mes de mayo tomó posesión de su cargo como nuevo decano de la Facultad de Odontología de la Universidad Complutense de Madrid (UCM). ¿Qué supone para usted este decanato tras más de 35 años ligado a la Complutense?

Dr. David Herrera (Prof. Dr. D.H.).- Es un sentimiento dual: por una parte, sientes el orgullo de liderar un proyecto tan importante como es la Facultad de Odontología de la UCM; y, por otra parte, supone un reto y una gran responsabilidad porque se trata de una institución muy importante, con muchos y de los mejores docentes de Europa –es la 14ª mejor Facultad de Odontología del mundo según los rankings– y en un contexto en el que las universidades públicas viven en una situación con problemas, principalmente de financiación.

Ante esta doble sensación de orgullo y reto-responsabilidad, espero mantener ambas de manera continuada, y liderar el equipo de manera exitosa, remando todos en la misma dirección.

 DM.- Además, ha sido usted el primer licenciado exclusivamente en Odontología que ocupa este puesto. ¿Qué influencia tendrá este hecho en su decanato?

Prof. Dr. D.H.- Personalmente, no le he prestado mucha atención a este hecho porque, excepto en los momentos iniciales de la licenciatura en Odontología a finales de los años 80 y principios de los 90, la transición Estomatología-Odontología se ha vivido con mucha normalidad y la paulatina desaparición de la Estomatología ha sido reemplazada por la licenciatura y posteriormente grado en Odontología. Sin embargo, históricamente desde que existe la Facultad de Odontología, yo soy el Decano número 15 y los 14 anteriores eran licenciados en Medicina que luego tuvieron formación en Odontología o Estomatología, así que sí que soy el primero que tiene una formación exclusivamente odontológica. Solamente el primero de estos 15, el Dr. Florestán Aguilar, fue primero odontólogo (formado en EE.UU.) y luego licenciado en Medicina (formado en España), así que se trata de un proceso histórico interesante y que ahora se consolida como empezó, con un ámbito más odontologista, como el favorecido por el Dr. Aguilar.

 DM.- Háblenos de su programa como decano de la Facultad de Odontología de la UCM. ¿Qué propuestas y medidas tiene previsto llevar a cabo?

Prof. Dr. D.H.- Mi proyecto consiste en continuar y evolucionar lo que se viene haciendo anteriormente. No obstante, entendemos que tenemos que es-

tar constantemente innovando para mantenernos en la misma situación.

En ese sentido, hay una serie de medidas fundamentales para que podamos continuar liderando. La primera está relacionada con el cambio de los planes de estudio, un requerimiento legal a nivel nacional y europeo y de acuerdo a la evolución de la Odontología, en el que estamos trabajando para valorar qué planes de estudio se acaban de implementar, en qué se diferencian de los anteriores, etc. Necesitamos actualizar el plan de estudios de Odontología, pero necesitamos hacerlo con el resto de facultades de Odontología de España y, por supuesto, con el apoyo de las instituciones educativas españolas.

Y el otro elemento fundamental está relacionado con la gestión de la clínica. La tendencia actual es que la mayoría de las facultades de Odontología cuentan con una clínica gestionada por una Fundación, un modelo que debemos adaptar a la UCM. Esto nos permitirá una mayor flexibilidad en

“ No sólo somos la Facultad de Odontología de España mejor posicionada a nivel mundial, sino que somos la facultad ‘de cualquier disciplina’ mejor posicionada de España ”
El Prof. Dr. David Herrera junto a Emi Rodríguez, Directora de Dentista Moderno y D4.0, en un momento de la entrevista.
“ Los odontólogos deberían tener la obligación de hacer formación continuada ”

la gestión, de tal manera que nuestras instalaciones –una de las mejores en cuanto clínicas odontológicas a nivel europeo– realmente se utilicen en su máxima capacidad, ya que actualmente cuentan con más de 220 sillones.

 DM.-¿Cómo valora el nivel de la formación en Odontología en España? ¿Y en el caso concreto de la Facultad de Odontología de la UCM?

Prof. Dr. D.H.- La formación en Odontología de la UCM seguro que es mejorable pero suficiente para capacitar a un odontólogo, una vez graduado, para que esté preparado para asumir todas las competencias que le da la legislación vigente. La Facultad de Odontología de la UCM es la mejor posicionada en nuestro país. En cuanto al resto del panorama de la formación odontológica en España, observamos que hay cierta heterogeneidad entre los distintos centros, la cual deriva de la falta de controles adecuados por parte de las instituciones educativas, así como

del exceso en cuanto a la oferta. Al respecto, me gustaría que en España hubiera una formación más homogénea y de calidad.

 DM.- En su opinión, ¿cómo se puede gestionar la plétora profesional que existe en nuestro país? Prof. Dr. D.H.- Las universidades públicas ajustamos el número de odontólogos egresados a las capacidades que tenemos; sin embargo, otras facultades, sin esos controles, forman a muchos más dentistas con menos capacidades para hacerlo. Además, cabe destacar que es realmente difícil asegurar la calidad formativa de tantos centros educativos como hay actualmente. Pero todo esto está fuera de nuestro alcance, ya que son competencias de cada comunidad autónoma. A pesar de todo ello, creo que los odontólogos egresados de la UCM pueden competir muy bien, gracias a la excelencia de la formación que reciben en nuestra Facultad.

 DM.- Una de sus propuestas es la actualización del plan de estudios para adaptarse a las universidades europeas. ¿Por qué considera necesaria esta actualización?

Prof. Dr. D.H.- La legislación española ya exige hacer unos cambios y la legislación europea acaba de realizar una serie de recomendaciones pidien-

El Prof. David Herrera durante su discurso durante la toma de posesión como nuevo decano de la Facultad de Odontología de la Universidad Complutense de Madrid.

do que algunas disciplinas aparezcan o se les dé más valor, tales como terapéutica de implantes dentales, endodoncia, gerodontología... Y todos somos conscientes del cambio tecnológico que se está produciendo y la implementación de esas nuevas tecnologías en nuestro ámbito está ocurriendo de manera acelerada, por lo que necesitamos que todo esto también se incluya en nuestro plan de estudios.

Desde la Facultad de Odontología de la UCM realizamos un análisis de los planes de estudio que se acababan de implementar en otras universidades (Birmingham, Estocolmo, etc.). Sus planes de estudio eran razonablemente diferentes a lo que tenemos ahora, no solo en cuanto a contenidos, sino también en cuanto a estructura. Por tanto, creemos que es necesario actualizar el plan de estudios de Odontología y, además, pensamos en una estructura diferente en la que desde el inicio haya materias odontológicas, que se deje espacio al final para materias médicas que son importantes en el trabajo de los odontólogos graduados. Tiende a haber menos opcionalidad y más troncalidad, y con bloques más dinámicos y estructuras más flexibles que nos permitan adaptarnos a las novedades de los tiempos (por ejemplo, introducir fácilmente contenidos en cuanto a Inteligencia Artificial), sin necesidad de cambiar el plan de estudios.

Desde la UCM nos avergüenza que España sea el único país que no tenga las especialidades odontológicas reconocidas legalmente, a pesar de que tiene la obligación de hacerlo desde hace muchos años ”

 DM.- ¿Cómo ha logrado la Facultad de Odontología de la UCM diferenciarse y alcanzar el 14º puesto de las mejores facultades del mundo?

Prof. Dr. D.H.- Es un orgullo porque no hay ninguna facultad o centro en nuestro país que haya alcanzado esa posición en los rankings. No sólo somos la Facultad de Odontología de España mejor posicionada a nivel mundial, sino que somos la facultad “de cualquier disciplina” mejor posicionada de España. Desde que se publica el ranking QS siempre hemos estado entre los 50 primeros y poco a poco hemos ido subiendo hasta situarnos dentro de los 15 mejores.

¿Cómo se consigue eso? El ranking QS mide una combinación de factores: prestigio, encuestas a docentes, encuestas a egresados, producción científica, etc. En este último punto, además del prestigio, es donde nuestra Facultad goza de una muy buena puntuación.

El Prof. David Herrera leyendo su compromiso como nuevo decano, ante el Rector de la Universidad Complutense de Madrid, Prof. Joaquín Goyache Goñi, en presencia del decano saliente, Prof. Gonzalo Hernández Vallejo.

En este sentido, contamos con una generación de docentes e investigadores que están haciendo posicionarse a la Facultad de Odontología de la UCM en unos niveles que nunca hubiéramos imaginado. Uno de los principales ejemplos de la excelencia de nuestra capacidad investigadora es el grupo de investigación dirigido por el Prof. Dr. Mariano Sanz, así como la labor realizada por el Prof. Dr. Guillermo Pradíes o el Prof. Dr. Gonzalo Hernández Vallejo, entre otros, junto con investigadores más jóvenes como Ana Arias, Elena Figuero, Alejandro Iglesias, Eduardo Montero, Ana Molina e Ignacio Sanz. Por lo tanto, seguiremos trabajando para continuar bien situados.

 DM.- Y, en su opinión, ¿cómo puede afectar a los jóvenes odontólogos españoles las medidas impuestas por la Administración Trump?

Prof. Dr. D.H.- Lo que está pasando en Estados Unidos es muy preocupante porque la universidad tiene que tener una capacidad de generar conocimientos y opiniones dentro de la libertad y la universalidad que se asocia al ámbito universitario. En el caso por ejemplo de la Universidad de Harvard, la mejor universidad del mundo, hay un ataque frontal motivado por distintas razones, tratando de interferir en su manera de funcionar. Desde la perspectiva externa, nos hace mucho daño en cuanto a que se le ha atacado con el fin de cambiar sus criterios, cuando la universidad como ente debe ser independiente del control de las autoridades, trabajando en conjunto en el desarrollo de la sociedad.

No obstante, la Universidad de Harvard ha sido la única que no se ha “rendido”, ya que hay otras universidades americanas que también han sufrido el mismo ataque y sí han aceptado los criterios impuestos por la Administración Trump (por ejemplo, la Universidad de Columbia).

 DM.- ¿Cómo están respondiendo desde la UCM ante esta complicada situación?

Prof. Dr. D.H.- Hasta ahora se está siendo muy cauto en relación a cualquier tipo de actuación, porque si ésta no está suficientemente controlada podría derivar en un problema cuando a lo mejor se puede resolver próximamente.

La UCM, que además tiene un centro de estudios en Harvard, está pendiente y está actuando, pero siendo siempre muy cautos para no generar ningún conflicto innecesario.

 DM.- Teniendo en cuenta la importancia de la formación continuada para los profesionales de la Odontología, ¿cómo abordan la formación continuada desde la UCM?

Prof. Dr. D.H.- Ahora estamos celebrando la XX edición de los Cursos de Formación Continua que se iniciaron en la Facultad de Odontología de la UCM en el año 2006, bajo el liderazgo del Prof. Dr. Mariano Sanz, ya que fue una novedad muy importante que la UCM ofreciera formación continua.

Un modelo de éxito para nosotros pero también una referencia en el sentido de generar formación continuada de cara a la calidad. Creo que el odontólogo que se gradúa necesita periódicamente actualizar sus conocimientos y recibir formación adicional; en algunos países, debes realizar esto para renovar las licencias. En mi opinión, al tratarse de una formación en continuo cambio, los odontólogos deberían tener la obligación de hacer formación continuada. Y, en ese sentido, la formación continuada que ofrecemos en la UCM tiene el sello de calidad de una universidad y la seguridad de que los docentes que la imparten están al día.

 DM.- España continúa siendo el único país de la Unión Europea que carece de especialidades en Odontología. ¿Cómo trabajan desde la UCM con el Ministerio de Sanidad y el resto de agentes (Consejo General del Dentistas de España, sociedades científicas, etc.) para apoyar la creación de las especialidades en nuestro país?

Prof. Dr. D.H.- Desde la UCM nos avergüenza que España sea el único país que no tenga las especialidades odontológicas reconocidas legalmente, a pesar de que tiene la obligación de hacerlo desde hace muchos años. Esa vergüenza no quita que estemos formando especialistas porque tenemos programas de formación, títulos propios, que cumplen todos los requisitos para formar especialistas reconocidos en otros países de Europa. Por ejemplo, tenemos varios postgrados de Periodoncia, acreditados por la Federación Europea de Periodoncia, que ofrecen una formación de especialista en Periodoncia. Es decir, las universidades cumplimos con nuestra responsabilidad de estar formando especialistas de facto y de tener el modelo para que cuando el Ministerio de Educación lo quiera aprobar, no haya que inventar ningún modelo de formación en España, un país donde la odontología no forma parte del Sistema Nacional de Salud. Ahora, corresponde al Ministerio, con la presión del Consejo General del Dentistas de España y las sociedades científicas, el regular de una vez las especialidades odontológicas. Es un proyecto que yo, personalmente, llevo luchando más de 20 años desde mis distintas responsabilidades.

 DM.- ¿En qué líneas de investigación están trabajando actualmente en la Facultad de Odontología de la UCM?

Prof. Dr. D.H.- Las líneas de investigación de la Facultad de Odontología de la UCM abarcan temas

Estamos muy orgullosos de la investigación de la Facultad de Odontología de la UCM, siendo uno de los referentes a nivel mundial ”

muy diversos, desde ámbito médico-quirúrgico al ámbito de la prótesis, la odontología restauradora... y aspectos intermedios relacionados con la odontología y el resto de disciplinas médicas. En mi campo, el de la Periodoncia, está el tema que más interés genera actualmente y que se publica en revistas científicas de alto impacto: la relación entre las enfermedades periodontales y sistémicas. También está teniendo mucho avance todo lo relacionado con la ingeniería tisular y el desarrollo de biomarcadores para diagnóstico precoz, para seguimiento y para anticipación de respuesta, algo que afecta a la periodoncia, medicina oral, cirugía, odontología preventiva, etc.

Estamos muy orgullosos de la investigación de la Facultad de Odontología de la UCM, siendo uno de los referentes a nivel mundial.

 DM.- ¿Considera usted suficiente el presupuesto otorgado por la Administración Pública para la investigación en la Complutense? En caso de precisar de inversión para algunos de sus grupos de investigación, ¿cómo gestionan el contacto con empresas privadas del sector dental?

Prof. Dr. D.H.- En la odontología tenemos poco acceso a dinero público, a proyectos competitivos públicos, porque competimos con proyectos de Medicina que normalmente son considerados más prioritarios por los evaluadores.

A veces cuando combinamos Odontología con Medicina o con grupos interdisciplinares que incluyen otras áreas de las ciencias básicas y médicas tenemos más posibilidades de éxito, pero en general tenemos poco acceso a dinero competitivo y tenemos que recurrir a dinero privado. En ocasiones las empresas puede que estén interesadas en evaluar sus productos con nosotros o bien realizar investigación que no esté asociada directamente a producto pero que les puede aportar prestigio.

En mi caso, la mayor parte de los fondos de investigación que he utilizado han sido provenientes de

Debemos pasar de la investigación a la acción en beneficio de la sociedad ”

empresas privadas. En estos casos, la declaración de conflicto de intereses es suficiente para controlar cualquier aspecto de suspicacia que pueda haber al respecto.

 DM.- ¿Qué ventajas tiene la integración empresa-universidad? ¿Cómo promueven desde la Facultad de Odontología de la UCM esta relación en beneficio de sus estudiantes?

Prof. Dr. D.H.- La universidad pública tiene que trabajar todo lo que pueda con la empresa privada, siempre que encuentren vías de colaboración beneficiosas para ambas partes. Por ello, continuamente tenemos contacto con empresas que se interesan en colaborar con nosotros. Además, el proceso no es excesivamente complicado: se firman distintos tipos de convenio, estableciendo lo que aporta cada una de las partes, y todo ello mediado a través de la UCM. Se trata de un proceso limpio, supervisado y transparente.

Las empresas deben entender que participar en un proyecto de investigación de la UCM siempre les va a aportar prestigio.

 DM.- A lo largo de su trayectoria, siempre ha trabajado en pro de la integración de la odontología dentro de la salud general. A nivel clínico y docente, ¿cómo vislumbra este escenario en la actualidad?

Prof. Dr. D.H.- Desde hace muchos años hemos hecho mucha investigación sobre la relación entre la salud periodontal o bucodental y sistémica. Y siendo presidente de SEPA pusimos en marcha una iniciativa denominada “Alianza por la Salud Bucodental y General”, que sigue vigente y que juntó a sociedades científicas, médicas y empresas con el ánimo de que todos los conocimientos científicos beneficiaran a las personas y a su salud. Dentro de esos proyectos destaca uno realizado con la ayuda de SEPA y la Sociedad Española de Diabetes, que consistía en identificar en las clínicas dentales personas que no tenían diagnóstico de diabetes pero se les hacía un screening para detectar si padecían diabetes; así se detectaron 28 personas (de una muestra de 1.000) que tenían diabetes y 69 que tenían pre-diabetes, un diagnóstico precoz crucial para la salud. Desde entonces sigo luchando por iniciativas de este tipo en todos los foros en los que participo porque la prevención supone a corto plazo gastar más dinero en la salud bucodental, pero reducir los costes de la salud sistémica a largo plazo, además de los beneficios personales para los pacientes. Con este objetivo sigo colaborando con SEPA en estos proyectos, con el convencimiento de que tenemos que seguir investigando pero, sobre todo, tenemos que comenzar a implementar medidas. Es decir, debemos pasar de la investigación a la acción en beneficio de la sociedad.

 DM.- Para terminar, ¿cree que va a conseguir los objetivos que se ha marcado como decano de la Facultad de Odontología de la UCM?

Prof. Dr. D.H.- Dispongo de un equipo excepcional, en el que la mayoría de ellos ya han trabajado con el Prof. Gonzalo Hernández Vallejo -anterior Decano- como Elena Figuero, Alejandro Iglesias, Francisco Martínez Rus, Juan Carlos Palma, Vicente Vera... y se incorporan Ana Arias, Mª Paz Salido y Mª Jesús Suárez, como directora de la Clínica. Y con la misma gerente, Mercedes García Luengo. Un equipo muy importante de personas que seguro que vamos a sacar adelante todos los proyectos que pongamos en marcha. 

El siguiente nivel de velocidad y resistencia

IPS e.max®

ZirCAD Prime

- Restauraciones sinterizadas rápidamente en sólo 15 minutos [1]

- 1.100 MPa [2] de resistencia y menor grosor de pared de 0,8 mm para coronas posteriores

- Resultados estéticos con una translucidez natural

- Cementación convencional con Zircad Cement

“LA SEDO TIENE UN PAPEL

FUNDAMENTAL EN LIDERAR

LA FORMACIÓN DE EXCELENCIA, PROMOVIENDO LA ESPECIALIZACIÓN Y LA ACTUALIZACIÓN CONTINUA”

Dr. Javier Girón de Velasco, presidente de la Sociedad Española de Ortodoncia y Ortopedia Dentofacial (SEdO)

Como nuevo presidente de la Sociedad Española de Ortodoncia y Ortopedia Dentofacial (SEdO), el Dr. Javier Girón de Velasco nos habla en esta entrevista sobre sus objetivos al frente de la nueva Junta Directiva de la SEdO, así como de los retos que afronta la Ortodoncia como especialidad y sus profesionales, destacando el compromiso de la Sociedad con la formación continuada y la puesta en valor de la ética y la buena praxis en ortodoncia ante la mediocrización a la que se enfrenta esta disciplina en la actualidad.

 DM.- Recientemente ha sido usted elegido como presidente de la Junta Directiva de la Sociedad Española de Ortodoncia y Ortopedia Dentofacial (SEdO). ¿Qué significa para usted asumir la presidencia de esta Sociedad? ¿Cuáles serán sus prioridades al frente de la SEdO? Dr. Javier Girón de Velasco (Dr. J.G. de V.).- Para mí, es un gran honor haber sido elegido por la asamblea como presidente de nuestra Sociedad. Sin embargo, más allá del reconocimiento, esta responsabilidad implica un compromiso profundo y una obligación interna de no fallar a una comunidad a la que llevo tantos años dedicando mi esfuerzo y pasión.

Las juntas directivas anteriores han realizado un trabajo excepcional. Un ejemplo de ello es la presidida por el doctor Juan Carlos Pérez Varela, que ha posicionado a la SEdO como referente internacional en Ortodoncia. Pero en un entorno que evoluciona rápidamente, siempre hay nuevos retos y objetivos. La odontología en España está atravesando cambios acelerados, y como sociedad científica debemos adaptarnos, crecer e invertir en nuestro futuro para seguir siendo líderes y ofrecer la mejor formación y atención a nuestros pacientes.

 DM.- ¿Cuáles serán las principales líneas de trabajo de la nueva Junta Directiva de la SEdO?

Dr. J.G. de V.- Nuestro objetivo principal es garantizar una formación continuada de excelencia en Ortodoncia para todos los licenciados en Odontología que deseen especializarse o perfeccionarse en esta disciplina.

La SEdO cuenta con fortalezas únicas: congresos de altísima calidad, un espacio de encuentro social donde profesionales e industria se relacionan y comparten conocimientos, y un escenario que nos permite mantenernos a la vanguardia. Sin embargo, también debemos esforzarnos en ser más accesibles y adaptarnos a un entorno saturado de información, para que nuestros miembros puedan aprovechar al máximo las oportunidades de formación y actualización.

 DM.- Uno de los problemas que más afecta a la profesión es la ausencia del título de especialista en Ortodoncia. ¿Cómo trabajan desde la SEdO con otras sociedades e instituciones para alcanzar el reconocimiento de las especialidades odontológicas?

Dr. J.G. de V.- Creo firmemente que estamos más cerca que nunca de lograr ese reconocimiento. La Comisión de Especialidades, liderada por el Dr. Daniel Torres, está logrando unir esfuerzos de las Sociedades Científicas, los Decanos y el Consejo General de Dentistas para trabajar en una misma dirección: conseguir la oficialidad de las especialidades en Odontología.

El apoyo del presidente del Consejo, el Dr. Óscar Castro, ha sido fundamental en este proceso y eso nos da mucha confianza en que alcanzaremos nuestros objetivos. Aunque aún queda camino por recorrer, estamos en un momento clave y con una voluntad unánime para avanzar.

 DM.- ¿Cómo valora el nivel de formación de los odontólogos más jóvenes en el ámbito de la Ortodoncia?

Dr. J.G. de V.- El nivel de formación en Ortodoncia en España es, sin duda, de los más altos del mundo. Podemos sentirnos orgullosos de que nuestros profesionales están a la vanguardia. Sin embargo, dado que cada año egresan alrededor de 3.000 odontólogos, encontramos una gran variedad en los niveles de preparación. Es importante distinguir entre másteres, que ofrecen una especialización sólida, y cursos puntuales que

Como sociedad científica debemos adaptarnos, crecer e invertir en nuestro futuro para seguir siendo líderes y ofrecer la mejor formación y atención a nuestros pacientes ”

Nuestro objetivo principal es garantizar una formación continuada de excelencia en Ortodoncia para todos los licenciados en Odontología que deseen especializarse o perfeccionarse en esta disciplina ”

perfeccionan aspectos específicos. Mi consejo para los jóvenes es que apuesten por una formación muy concreta y rigurosa, que les permita ofrecer tratamientos de calidad y seguridad a sus pacientes.

 DM.- En este sentido, ¿qué iniciativas impulsan desde la SEdO en el ámbito formativo?

Dr. J.G. de V.- Desde la SEdO, estamos comprometidos en ofrecer a nuestros jóvenes la mejor formación posible. Nuestros congresos anuales reúnen a los mejores ponentes nacionales e internacionales, que aportan las últimas novedades y avances en Ortodoncia.

Contamos con el respaldo de la industria, que nos ayuda a presentar innovaciones y tecnologías de vanguardia. Todo esto nos permite seguir ofreciendo una formación de excelencia, garantizando que nuestros miembros puedan estar siempre actualizados y ofrecer la mejor atención a sus pacientes.

 DM.- Con el fin de fomentar la ética y buena praxis de la ortodoncia en España, desde la SEdO se elaboró el “Protocolo de Conflictos de Interés en los Congresos Anual y de Nuevas Tecnologías de SEdO”. ¿Cuál es el objetivo de este documento y cómo contribuye a destacar el interés científico de la Sociedad frente al comercial?

Dr. J.G. de V.- Este protocolo tiene dos objetivos principales: primero, que en nuestros congresos quede claro cuándo una conferencia tiene un in-

terés puramente científico y cuándo puede estar influenciada por intereses comerciales; y segundo, que los patrocinios de las empresas no influyan en las decisiones internas de la Junta de Gobierno.

 DM.- La ortodoncia ha vivido en los últimos años una profunda transformación gracias a la incorporación de tecnologías digitales, como el flujo digital completo, la impresión 3D y la planificación virtual, especialmente visibles en el auge de los alineadores. Desde su experiencia, ¿qué avances destacaría como más relevantes en este proceso de digitalización y cómo están impactando en la práctica clínica diaria del ortodoncista? Dr. J.G. de V.- Estamos viviendo una auténtica revolución en nuestro campo. La digitalización ha transformado la forma en que tomamos registros, planificamos tratamientos y fabricamos aparatología. La mejora en la precisión, la rapidez y la comunicación con laboratorios y pacientes es notable. Además, la incorporación de la inteligencia artificial está empezando a ofrecer herramientas que facilitan decisiones clínicas y personalización de tratamientos, aunque todavía tiene mucho camino por recorrer. La robótica también se vislumbra en el horizonte y, aunque su impacto aún está en fase inicial, promete abrir nuevas posibilidades. En definitiva, estos avances están haciendo que la práctica clínica sea más eficiente, precisa y adaptada a las necesidades de cada paciente.

 DM.- En los últimos años han proliferado en redes sociales y otras plataformas digitales mensajes que banalizan los tratamientos ortodóncicos, promoviendo el uso de alineadores sin diagnóstico ni supervisión médica, lo que puede conllevar graves riesgos para la salud bucodental y general. Más allá del aspecto estético, ¿cómo trabaja la SEdO para alertar a la población sobre las consecuencias de una mala mordida y la importancia de acudir siempre a un ortodoncista cualificado? ¿Qué estrategias están impulsando para combatir la desinformación y la mala praxis en este ámbito?

Dr. J.G. de V.- Desde la SEdO somos muy conscientes de la problemática que representa la desinformación en las redes sociales. Por ello, trabajamos en colaboración con el Consejo General de Dentistas y otras instituciones para promover campañas de concienciación dirigidas a la población. Nuestro objetivo es destacar la importancia de acudir a profesionales cualificados, que puedan realizar un diagnóstico adecuado y garantizar tratamientos seguros y efectivos. Además, impulsamos la difusión de información veraz y educativa, tanto en medios tradicionales como digitales, para contrarrestar mensajes que banalizan nuestra profesión y poner en valor la ética y la buena praxis en ortodoncia.

 DM.- Para finalizar, ¿a qué retos se enfrenta la Ortodoncia a día de hoy en nuestro país? Y ¿qué papel tiene la SEdO para contribuir a su desarrollo futuro?

Dr. J.G. de V.- El principal reto que enfrentamos es la mediocrización de la ortodoncia, debido a la gran cantidad de nuevos profesionales que, sin una formación especializada adecuada, ofrecen tratamientos con alineadores u otras técnicas sin la preparación necesaria. Esto puede poner en riesgo la calidad del servicio y la salud de los pacientes. La SEdO tiene un papel fundamental en liderar la formación de excelencia, promoviendo la especialización y la actualización continua. Nuestro compromiso es que quienes deseen dedicarse a la ortodoncia sientan que tienen en nuestra Sociedad un referente, un espacio de formación riguroso y de calidad, que garantice la excelencia clínica y ética en nuestra profesión. Solo así podremos asegurar un futuro sólido y confiable para la ortodoncia en España. 

TODAS LAS POSIBILIDADES INMEDIATAS.

Cuando se combinan la ciencia, la estabilidad y la tecnología avanzada de la superficie, el resultado es un sistema de implantes fiable que se adapta a todos tus protocolos de tratamiento inmediato en unitarios, anteriores, posteriores y arcadas completas.

Descubre más

MÁS DE 450 EXPERTOS EN ODONTOLOGÍA SE REÚNEN EN LISBOA PARA DAR

LA BIENVENIDA AL FUTURO

DEL TRATAMIENTO INMEDIATO CON BIOHORIZONS CAMLOG

En el marco del Oral Reconstruction International Symposium 2025, la Oral Reconstruction Foundation reunió en Lisboa a más de 450 expertos en Odontología que pudieron conocer el avance de los protocolos de tratamiento inmediato en Implantología dental a través del intercambio científico y los conocimientos clínicos de la mano de BioHorizons Camlog y su nueva campaña «This is Immediacy».

Los días 20 y 21 de junio de 2025, la Oral Reconstruction Foundation, una fundación con sede en Suiza dedicada a promover la investigación fundamental y aplicada, apoyar a jóvenes científicos mediante becas de investigación y fomentar la educación y la formación en implantología dental, acogió en Lisboa a más de

450 médicos, investigadores y expertos del sector para celebrar el Oral Reconstruction International Symposium. Bajo el lema «Immediacy», el evento se centró en el avance de los protocolos de tratamiento inmediato en Implantología dental a través del intercambio científico y los conocimientos clínicos.

Nueva campaña «This is Immediacy» BioHorizons Camlog, participante en el simposio, presentó su nueva campaña de marketing «This is Immediacy», que encajaba perfectamente con el tema del evento. La campaña refleja el compromiso continuo de la empresa de apoyar a los médicos para que puedan ofrecer una atención oportuna y de alta calidad a los pacientes. Un elemento clave del lanzamiento fue la «Immediacy Experience Room», un espacio inmersivo dentro de la zona de exposición diseñado para llevar a los visitantes a un viaje a través de la vida de un implante. Desde el concepto y el diseño iniciales, pasando por la precisión de la fabricación, hasta la colocación final en la consulta dental, la experiencia se estructuró en cuatro estaciones informativas. Una sección especial estuvo dedicada a mostrar casos clínicos documentados presentados por implantólogos experimentados.

A lo largo del evento, una llamativa proyección en una pantalla LED dio vida al proceso de fabricación, ofreciendo al público una visión más detallada del cuidado y la artesanía que hay detrás de cada implante.

“Para BioHorizons Camlog, la inmediatez significa disponer de productos de calidad para lograr resultados de calidad para nuestros clientes y sus pacientes”, afirmó Alex Guest, Director de Marketing Global de BioHorizons Camlog.

Con soluciones de implantes dentales como Progressive-Line y el recientemente lanzado sistema Tapered Pro Conical, BioHorizons Camlog sigue apoyando a los clínicos con herramientas prácticas basadas en la ciencia para el tratamiento inmediato, reafirmando su papel como socio de confianza en la Implantología moderna. 

Descubre más sobre This is Immediacy en: www.bhclgroup.com

IMPACTO DEL TRATAMIENTO

PERIODONTAL SOBRE

LA SALUD GENERAL Y LA CALIDAD DE VIDA DE LOS PACIENTES

La periodontitis es una enfermedad infeccioso-inflamatoria resultante de la interacción entre la microbiota subgingival y la respuesta inmunitaria del huésped, mediada por factores genéticos y ambientales. Su asociación con enfermedades sistémicas, como diabetes mellitus y enfermedades cardiovasculares, está bien documentada. El tratamiento periodontal contribuye a mejorar el control glucémico en pacientes con diabetes, disminuyendo los niveles de hemoglobina glicosilada (HbA1c) y mejorando la calidad de vida de los pacientes a nivel funcional, psicológico y social. Este caso clínico destaca cómo el tratamiento periodontal influye positivamente en la salud general de los pacientes, siguiendo las recomendaciones de la Guía de Práctica Clínica (GPC) para periodontitis estadio IV.

Contacto:

Introducción

La etiología multifactorial de la periodontitis supone una compleja interacción entre la susceptibilidad del huésped, la respuesta inmunitaria, la microbiota y diversos factores ambientales, locales y sistémicos. Existe una clara evidencia que respalda la asociación entre la periodontitis y diversas enfermedades sistémicas, incluyendo las enfermedades cardiovasculares y la diabetes mellitus (DM) (Dietrich y cols. 2013; Montero y cols. 2019; Montero y cols. 2024). En este sentido, diversos estudios han demostrado que la periodontitis está vinculada con niveles elevados de proteína C reactiva (PCR), un marcador de inflamación sistémica (Paraskevas y cols. 2008). Además, se ha observado que estos niveles de PCR pueden reducirse tras el tratamiento periodontal (D’Aiuto y cols. 2005).

La inflamación sistémica, caracterizada por niveles elevados de marcadores como la PCR, puede ser consecuencia de condiciones generalizadas (i. e., la obesidad) o de infecciones locales (i. e., la periodontitis). Esta inflamación sistémica juega un papel crucial en el desarrollo y ruptura de la placa de ateroma, lo que puede desencadenar eventos clínicos graves como infartos de miocardio o ictus (Libby y cols. 2002; Ross y cols. 1999).

La DM es un problema de salud pública mundial que plantea importantes retos a los sistemas sanitarios de muchos países. Diferentes revisiones y documentos

de consenso publicados en los últimos años han indicado claramente la asociación bidireccional entre la DM y la periodontitis (Chapple y cols. 2013; Lalla y Papapanou 2011; Preshaw y cols. 2012; Sanz y cols. 2018). En este contexto, el tratamiento periodontal puede mejorar significativamente el control glucémico en pacientes con diabetes y otras condiciones metabólicas (p. ej., el síndrome metabólico). Recientemente, Simpson y cols. (2022) confirmaron que el tratamiento periodontal conduce a una reducción en los niveles de HbA1c, mostrando una disminución absoluta de 0,43 % después de 3-4 meses, 0,30 % después de 6 meses y 0,50 % después de 12 meses en comparación con los controles (i. e., pacientes que solo habían recibido instrucciones de higiene oral y/o instrumentación supragingival) (Simpson y cols. 2022). Estos efectos pueden tener un impacto positivo en la calidad de vida del paciente, especialmente en las primeras fases del tratamiento no quirúrgico (Graziani y cols. 2020). En concreto, el estudio de Jönsson y Öhrn (2014) mostró que el tratamiento periodontal no quirúrgico mejora significativamente la calidad de vida relacionada con la salud oral de los pacientes un año después del tratamiento, reportando mejorías en el dolor oral, la incomodidad y la limitación funcional. Este tema se aborda en la GPC para el manejo de pacientes con periodontitis estadio IV. La revisión sistemática de Orlandi y cols. (2022) demostró que el

Artículo cedido por

Sección de Periodoncia, Departamento de Especialidades Clínicas Odontológicas, Facultad de Odontología, Universidad Complutense de Madrid.

Alejandro Abuelo

Sección de Periodoncia, Departamento de Especialidades Clínicas Odontológicas, Facultad de Odontología, Universidad Complutense de Madrid.

Berta González

Sección de Periodoncia, Departamento de Especialidades Clínicas Odontológicas, Facultad de Odontología, Universidad Complutense de Madrid.

Eduardo Montero

Sección de Periodoncia, Departamento de Especialidades Clínicas Odontológicas, Facultad de Odontología, Universidad Complutense de Madrid. Grupo de Investigación ETEP (Etiología y Terapéutica de las Enfermedades Periodontales y Periimplantarias), Universidad Complutense de Madrid.

tratamiento periodontal tiene un impacto positivo significativo en la calidad de vida de los pacientes, mejorando la salud bucal al reducir la inflamación y la pérdida dentaria, proporcionando beneficios a la salud general, incluyendo una disminución del riesgo de enfermedades sistémicas como la diabetes y las enfermedades cardiovasculares. Además, los pacientes reportan mejoras en aspectos psicológicos y sociales, como una mayor autoestima y una mejor interacción social, debido a una mejor apariencia dental y una mayor funcionalidad oral.

El presente caso clínico pretende evidenciar cómo el profesional dental puede repercutir en la calidad de vida de los pacientes, teniendo un impacto en su salud a nivel sistémico a través del tratamiento periodontal propuesto según la GPC para el tratamiento de la periodontitis estadio IV (Herrera y cols. 2022).

Problema del paciente

Se trata de un paciente varón de 56 años que acude al posgrado de Especialización en Periodoncia de la Facultad de Odontología de la Universidad Complutense de Madrid en 2022 para recibir tratamiento periodontal debido al “sangrado persistente de mis encías”, tal y como el paciente refirió.

Diagnóstico

El paciente no presentaba alergias, era exfumador desde hacía 15 años y padecía DM tipo II, hipercolesterolemia, esteatosis hepática, hipotiroidismo e hipertensión,

para lo cual se encontraba en tratamiento con metformina (500 mg 2 v/d), sitagliptina, eutirox y enalapril, clasificándose como un paciente ASA tipo II. En la cita basal el paciente presentaba niveles de hemoglobina glicosilada del 6,6%, colesterol de 210 mg/dl y tensión arterial de 120/83 mm/Hg.

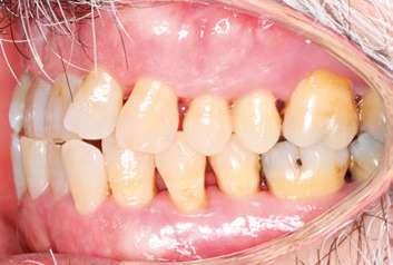
En el examen intraoral (Figura 1) se observó integridad de ambas arcadas, con excepción del 1.8, así como inflamación gingival, depósitos de biofilm generalizados, frémito a nivel del 3.4 y mordida cruzada anterior. Además, se observó la presencia de una migración dental patológica principalmente a nivel de los incisivos laterales y los caninos debido a la pérdida de soporte periodontal, lo que indica un estadio IV (Tonetti y Sanz 2019).

En la Figura 2 se muestran detalladamente los parámetros periodontales basales. Se observan bolsas profundas (≥6 mm) en los sectores posteriores y a nivel de 1.2 y 3.3. El índice de sangrado al sondaje era del 97% y el de placa del 76%.

El examen radiográfico (Figuras 3 y 4) reveló, además de una pérdida ósea horizontal generalizada, la presencia de defectos intraóseos a nivel de 1.2 y 3.3. Según el algoritmo de Tonetti y Sanz (2019), al no presentar registros previos se determinó el grado por medio de la evidencia indirecta, para lo cual se tomó el diente con mayor afectación periodontal, tratándose del 3.4, y valorando la pérdida ósea en relación con la edad, siendo superior a 1, estableciéndose un grado C.

Claudia Sola

caso clínicoPERIODONCIA

Figura 1. Vista general del examen intraoral en la visita basal.
Figura 2. Periodontograma basal.
Figura 3. Radiografía panorámica.

Se recolectaron muestras microbiológicas subgingivales con puntas de papel de las bolsas con mayor profundidad y sangrado de cada cuadrante. Los recuentos totales de anaerobios del paciente fueron de 1,18 x 106, con una proporción de Porphyromonas gingivalis del 0,85 % y de Tannerella forsythia del 3,39 % sobre el total de la flora subgingival. Tras la recopilación de datos clínicos y radiográficos, el paciente fue diagnosticado de periodontitis estadio IV generalizado grado C, tipo II al tratarse de un paciente con migración dental patológica, caracterizada por extrusiones, desplazamiento y abanicamiento dentario, que es susceptible de ser corregida mediante ortodoncia de acuerdo con la Clasificación de Enfermedades y Condiciones Periodontales y Periimplantarias de 2018 (Caton y cols. 2018; Herrera y cols. 2022; Papapanou y cols. 2018).

Objetivos del tratamiento

De acuerdo con la GPC de Nivel S3 de la Federación Europea de Periodoncia para el tratamiento de la periodontitis estadio IV (Herrera y cols. 2022), el tratamiento periodontal se llevó a cabo mediante un enfoque gradual escalonado. En este sentido, se deben considerar (a) resultados tangibles a largo plazo para el paciente, (b) que las bolsas ≤4 mm sin sangrado al sondaje en pacientes con menos del 30% de sitios sangrantes son la mejor garantía

para la estabilidad periodontal del paciente, (c) la heterogeneidad de los pacientes y los cambios en la respuesta inmunológica del paciente a lo largo del tiempo, y (d) que las estrategias de tratamiento incluyan cambios en el estilo de vida del paciente (Loos y cols. 2020). Por otro lado, al tratarse de un estadio IV que incluye las secuelas anatómicas y funcionales de la pérdida de inserción y dentaria, requiere intervenciones adicionales tras la finalización del tratamiento periodontal. En este caso, al tratarse de un paciente tipo II de acuerdo a los modelos de paciente que reconoce la GPC, el objetivo será restaurar la función del paciente (Herrera y cols. 2022).

Factores modificadores

Se indicó al paciente la necesidad del tratamiento periodontal, el control de los niveles de glucosa en ayunas, así como una mejora en los hábitos de higiene oral y la promoción de estilos de vida saludables, como una correcta alimentación o ejercicio regular. En cuanto a los hábitos de higiene oral, instruimos al paciente en la utilización de dispositivos interproximales que se calibraron en los distintos pasos del tratamiento. En el primer y segundo pasos, se pautó la utilización de dispositivos con diámetros 0,6, 1 y 1,3 mm y, en la revaluación, se cambiaron los diámetros a 1,3, 2,1 y 2,4 mm.

Figura 4. Serie periapical completa.

caso clínico

Pronóstico

El pronóstico periodontal de cada diente fue asignado mediante el sistema de clasificación de Kwok y Caton (2007). Además de los factores locales que afectan al pronóstico periodontal, se tuvieron en cuenta también los factores sistémicos, entre los cuales cabe destacar que el paciente presentaba diabetes.

Se asignó un pronóstico cuestionable a los dientes 1.7, 2.6, 2.7, 2.8, 3.6, 3.7, 3.8, 4.6 y 4.7 (i. e., los molares) debido a la presencia de una elevada profundidad de sondaje (PS) y defectos de furcación de grado 1 y 2. Asimismo, los dientes 2.2, 2.3, 3.3 y 3.4 recibieron un pronóstico cuestionable debido a la presencia de defectos intraóseos asociados con una PS elevada. El 4.8 recibió un pronóstico desfavorable ya que presentaba una movilidad de grado 3, una morfología radicular desfavorable y una PS de hasta 10 mm. Los dientes restantes se consideraron con un pronóstico favorable.

Plan de tratamiento

En primer lugar, se proporcionó al paciente información acerca del diagnóstico, las causas de la periodontitis y el tratamiento.

Antes del tratamiento, el paciente completó el cuestionario OHIP-14, que evalúa el impacto de la salud oral en la calidad de vida de los pacientes y aborda siete dominios específicos: limitación funcional, dolor físico, incomodidad psicológica, discapacidad física, discapacidad psicológica, discapacidad social e incapacidad. Las puntuaciones

proporcionadas fueron: dolor físico: 3 (frecuentemente), limitación funcional: 2 (a veces), incomodidad psicológica: 3 (frecuentemente), discapacidad física: 2 (a veces), discapacidad psicológica: 3 (frecuentemente), discapacidad social: 2 (a veces), e incapacidad: 3 (frecuentemente), obteniendo una puntuación total de 18.

En el paso 1 se llevó a cabo el control de los factores de riesgo, haciendo especial énfasis en la relación bidireccional existente entre la periodontitis y la diabetes. Se llevó a cabo una interconsulta con el endocrinólogo para valorar los niveles de hemoglobina glicosilada, que se encontraban en un 6,6% (siendo los valores normales en un paciente sano de <5,7%). En cuanto al control del biofilm supragingival por parte del paciente, se le explicó la técnica de cepillado de Bass y el uso de cepillos interdentales. Asimismo, el control del biofilm supragingival por parte del profesional se realizó de manera concomitante con el paso 2.

Posteriormente, en el paso 2, bajo anestesia infiltrativa con articaína, se llevó a cabo la instrumentación subgingival con ultrasonidos y curetas, en dos sesiones de una hora y media (i. e., dos cuadrantes por sesión). Se recomendó el uso de un colutorio con clorhexidina al 0,12% y cloruro de cetilpiridinio al 0,05%, durante 30 segundos, dos veces al día durante 15 días, y se realizó el ajuste oclusal a nivel del 3.4 con posterior ferulización.

La revaluación tuvo lugar a las 8 semanas (Figura 5). Se evaluaron de nuevo los niveles de hemoglobina glicosilada en la clínica con el dispositivo A1cnow®,

Figura 5. Vista por sextantes en la revaluación a las 8 semanas. 5

así como por medio de una analítica, obteniendo en ambos un valor de 6,0%. En cuanto a los parámetros periodontales, se produjo una mejoría en los índices de sangrado y placa, que descendieron hasta el 15% y 12%, respectivamente, así como una reducción generalizada en las PS. Sin embargo, todavía no se alcanzaron los objetivos finales del tratamiento, al continuar presentando PS ≥6 mm. Por ello, se procedió al paso 3 del tratamiento periodontal, en el cual se realizó una cirugía resectiva en los sextantes 1, 3 y 6. En el sextante 2, el defecto intraóseo ubicado en mesial del 2.2 fue tratado mediante MIST (minimally invasive surgical technique), utilizando derivados de la matriz del esmalte y un xenoinjerto óseo (i. e., hidroxiapatita bovina). En el sextante 3, los defectos óseos ubicados en 3.3 y 3.4 fueron tratados mediante MPPF (modified papilla preservation flap), utilizando una membrana

reabsorbible e hidroxiapatita bovina, y la posterior ferulización (Figura 6). Tras completar el paso 3 (Figura 7), a los 12 meses se volvieron a tomar los parámetros sistémicos, observándose una reducción progresiva en los niveles de hemoglobina glicosilada hasta el 5,6%, niveles de colesterol que descendieron de 210 mg/dl a 161 mg/ dl, y una tensión arterial de 118/78 mm/Hg. A nivel periodontal, la revaluación mostró profundidades de sondaje por debajo de 6 mm o de 4 mm sin sangrado, salvo en dos localizaciones con profundidad de sondaje de 4 mm sin sangrado, un índice de sangrado al sondaje del 5%, y un índice de placa del 10% (Figura 8). Por lo tanto, una vez alcanzados los objetivos del tratamiento periodontal, se procedió al manejo del estadio IV que, al tratarse de un caso tipo II, consistió en la corrección de la migración dental patológica mediante alineadores (Figura 9).

Figura 6. MIST realizada para tratar el defecto intraóseo localizado en mesial del 2.2.

caso clínico

Figura 7. Vista por sextantes en la revaluación al año posterior al tercer paso.
Figura 8. Periodontograma al año tras la realización del tercer paso.
Figura 9. Manejo del estadio IV con ortodoncia invisible.

caso clínico

Mantenimiento

Para alcanzar el éxito del tratamiento periodontal, los pacientes necesitan adherirse a un estricto protocolo de mantenimiento periodontal que debe ser individualizado y adaptado según las necesidades y factores de riesgo locales y sistémicos de cada sujeto. Para esto, realizamos la evaluación del riesgo periodontal para pacientes en terapia de mantenimiento periodontal (PRA, Periodontal Risk Assessment) (Lang y Tonetti 2003).

Una vez creado el diagrama funcional, clasificamos a este paciente como de alto riesgo. El paciente tenía un índice de sangrado al sondaje del 5% y dos localizaciones con 4 mm sin sangrado. La pérdida ósea relacionada con la edad era de 1,07, y en cuanto a los factores sistémicos, el paciente presentaba diabetes. Por lo tanto, se decidió establecer un intervalo de mantenimiento de 3 meses.

Un año después del tratamiento, el paciente completó nuevamente el cuestionario OHIP-14, obteniendo las siguientes puntuaciones: dolor físico: 0 (nunca), limitación funcional: 1 (raramente), incomodidad psicológica: 1 (raramente), discapacidad física: 1 (raramente), discapacidad psicológica: 1 (raramente), discapacidad social: 1 (raramente), e incapacidad: 1 (raramente), con una puntuación total de 6. Este resultado indica que el tratamiento periodontal tuvo un impacto significativo y positivo en la calidad de vida del paciente, reflejado en una disminución notable en la puntuación obtenida tras realizar el cuestionario.

Discusión

Siguiendo las recomendaciones de la GPC, se llevaron a cabo intervenciones periodontales tanto no quirúrgicas (pasos 1 y 2) como quirúrgicas (paso 3). Es importante destacar que el tratamiento periodontal puede influir en la salud sistémica incluso en pacientes que no presentan comorbilidades sistémicas, es decir, aquellos considerados aparentemente sanos a nivel sistémico. Una revisión sistemática (Orlandi y cols. 2022) sugiere que tales tratamientos podrían mejorar los biomarcadores de inflamación sistémica y, por ende, el riesgo cardiometabólico en individuos sin comorbilidades.

La reducción de los valores de hemoglobina glicosilada obtenida indica un excelente control de la diabetes, situándose por debajo del umbral del 6,0%. Esta mejora no solo sugiere la eficacia

del tratamiento periodontal, sino también una posible mejora en la adherencia a las recomendaciones médicas y en los hábitos de vida del paciente.

En este sentido, Engebretson y Kocher (2013) demostraron, tras realizar una revisión sistemática con metaanálisis, que el tratamiento periodontal no quirúrgico puede relacionarse con una mejora en el control glicémico, reflejada en una reducción de la hemoglobina glicosilada de hasta el 0,4% a los 3 meses postratamiento en pacientes diabéticos. Asimismo, D’Aiuto y cols. (2018) observaron que el tratamiento periodontal redujo significativamente los niveles de hemoglobina glucosilada en pacientes con diabetes tipo II, con una disminución media del 0,29% a los 12 meses. Esta reducción es clínicamente relevante, ya que mejora el control glucémico y puede reducir el riesgo de complicaciones asociadas con la diabetes. De manera similar, Montero y cols. (2020) encontraron que la hemoglobina glucosilada se redujo en 0,3% después de 3 meses en pacientes con síndrome metabólico que recibieron tratamiento periodontal con amoxicilina (pasos 1 y 2) en comparación con el grupo control (solo paso 1). En 2023, una revisión de revisiones sistemáticas realizada por di Domenico y cols. reportó una reducción media en los niveles de hemoglobina glucosilada del 0,49% a los 3 meses y del 0,38% a los 6 meses postratamiento, confirmando la eficacia del tratamiento periodontal en la mejora del control glucémico en pacientes con diabetes. Es importante destacar que una reducción del 0,5% en hemoglobina glucosilada es comparable con la lograda al agregar un segundo fármaco para reducir la glucosa en el manejo de la hiperglucemia en un paciente con diabetes y, por lo tanto, es clínicamente significativa (Sanz y cols. 2018). Además, una disminución del 1% en hemoglobina glucosilada está asociada con una reducción del 37% en las complicaciones microvasculares (Stratton y cols. 2000).

Con respecto a los niveles de colesterol, y de acuerdo a las reducciones obtenidas en este paciente, la revisión sistemática de Garde y cols. (2019) observó que, entre el inicio y el seguimiento a los 3 meses, hubo una reducción estadísticamente significativa en los niveles de colesterol total en pacientes con diabetes tipo II, con diferencias medias para el colesterol total de –0,47 mmol/L (8 mg/dl) a los 3 meses después de la terapia.

Conclusiones

Conocemos, gracias a la literatura existente, la asociación entre diferentes enfermedades sistémicas y la periodontitis (Monsarrat y cols. 2016). Con respecto a los efectos que el tratamiento periodontal puede tener sobre la salud general de los pacientes, aún hay mucho por descubrir;

RELEVANCIA CLÍNICA

no obstante, como profesionales de la salud es parte de nuestro cometido intentar velar por la salud integral de los pacientes. Como se ha visto en el caso analizado, existe la posibilidad de que las intervenciones para tratar la periodontitis tengan un impacto sobre la salud general y la calidad de vida de las personas. 

Este caso ilustra la interrelación entre la salud oral y sistémica, así como la necesidad de un manejo integral y continuo de los pacientes con formas avanzadas de periodontitis. Es esencial un diagnóstico completo de nuestros pacientes, resaltando la importancia del conocimiento del historial médico para valorar las particularidades clínicas de cada caso. La relevancia clínica del tratamiento periodontal va más allá de la salud bucal, teniendo un impacto significativo en la salud sistémica y la calidad de vida de los pacientes. La reducción de la inflamación y de la pérdida dental no solo mejoran la salud bucal, sino que también se traducen en beneficios psicológicos y sociales. Los pacientes reportan una mayor autoestima y una mejor interacción social debido a una apariencia dental mejorada y una mayor funcionalidad oral.

Resumen

Introducción

La periodontitis es una enfermedad infeccioso-inflamatoria resultante de la interacción entre la microbiota subgingival y la respuesta inmunitaria del huésped, mediada por factores genéticos y ambientales. Su asociación con enfermedades sistémicas, como diabetes mellitus y enfermedades cardiovasculares, está bien documentada. El tratamiento periodontal contribuye a mejorar el control glucémico en pacientes con diabetes, disminuyendo los niveles de hemoglobina glicosilada (HbA1c) y mejorando la calidad de vida de los pacientes a nivel funcional, psicológico y social. Este caso clínico destaca cómo el tratamiento periodontal influye positivamente en la salud general de los pacientes, siguiendo las recomendaciones de la Guía de Práctica Clínica (GPC) para periodontitis estadio IV.

Objetivo

El objetivo de este caso clínico es mostrar cómo el tratamiento periodontal basado en la GPC para el manejo de la periodontitis en estadio IV puede mejorar la salud bucal y sistémica de un paciente con diabetes tipo II. Además, se evaluó el impacto positivo del tratamiento en la calidad de vida del paciente.

Materiales y métodos

El paciente es un varón de 56 años con periodontitis estadio IV grado C, que padece diabetes mellitus tipo II, hipercolesterolemia, hipertensión, esteatosis hepática e hipotiroidismo. El tratamiento periodontal se llevó a cabo siguiendo la GPC, incluyendo una fase no quirúrgica (control del biofilm y raspado radicular) y una fase quirúrgica (cirugía resectiva y regenerativa). Se evaluaron parámetros clínicos periodontales, niveles sistémicos de hemoglobina glicosilada (HbA1c) y colesterol, así como la tensión arterial y el impacto en la calidad de vida mediante el cuestionario OHIP-14 antes y después del tratamiento.

Resultados

Tras el tratamiento periodontal, se observó una mejora significativa en los parámetros clínicos periodontales, con una reducción de las bolsas periodontales a profundidades menores de 6 mm y disminución del índice de sangrado al sondaje por debajo del 5% y del índice de placa por debajo del 10%. Los niveles sistémicos de HbA1c disminuyeron del 6,6% al 5,6%, los niveles de colesterol se redujeron de 210 mg/dl a 161 mg/dl y la tensión arterial pasó a 118/78 mm/Hg. El paciente reportó una mejora significativa en su calidad de vida, reflejada en una reducción de la puntuación total del OHIP-14 de 18 a 6, indicando mejoras en el dolor, la limitación funcional y la incomodidad psicológica.

Conclusión

El tratamiento periodontal no solo mejoró la salud bucal del paciente, sino que también tuvo un impacto positivo en su salud sistémica, reduciendo los niveles de inflamación y mejorando el control glicémico, el perfil lipídico y la tensión arterial. Estos hallazgos subrayan la importancia del manejo periodontal integral en pacientes con enfermedades sistémicas, demostrando que la salud oral está íntimamente relacionada con la salud general.

caso clínico

Bibliografía

- Caton JG, Armitage G, Berglundh T, Chapple ILC, Jepsen S, Kornman KS, Mealey BL, Papapanou PN, Sanz M, Tonetti MS. (2018) A new classification scheme for periodontal and peri-implant diseases and conditions - Introduction and key changes from the 1999 classification. Journal of Clinical Periodontology 45 Suppl 20, S1-S8.

- Chapple IL, Genco R, Working Group 2 of the Joint EFP/AAP Workshop. (2013) Diabetes and periodontal diseases: Consensus Report of the Joint EFP/AAP Workshop on Periodontitis and Systemic Diseases. Journal of Periodontology 84 Suppl 4, S106-S112.

- D‘Aiuto F, Gkranias N, Bhowruth D, Khan T, Orlandi M, Suvan J, Masi S, Tsakos G, Hurel S, Hingorani AD, Donos N, Deanfield JE, TASTE Group. (2018) Systemic effects of periodontitis treatment in patients with type 2 diabetes: A 12 month, single-centre, investigatormasked, randomised trial. The Lancet. Diabetes & Endocrinology 6, 954-965.

- D‘Aiuto F, Nibali L, Parkar M, Suvan J, Tonetti MS. (2005) Short-term effects of intensive periodontal therapy on serum inflammatory markers and cholesterol. Journal of Dental Research 84, 269-273.

- Di Domenico GL, Minoli M, Discepoli N, Ambrosi A, de Sanctis M. (2023) Effectiveness of periodontal treatment to improve glycemic control: An umbrella review. Acta Diabetologica 60, 101-113.

- Dietrich T, Sharma P, Walter C, Weston P, Beck J. (2013) The epidemiological evidence behind the association between periodontitis and incident atherosclerotic cardiovascular disease. Journal of Clinical Periodontology 40 Suppl 14, S70-S84.

- Engebretson S, Kocher T. (2013) Evidence that periodontal treatment improves diabetes outcomes: A systematic review and meta-analysis. Journal of Clinical Periodontology 40 Suppl 14, S153-S163.

- Garde S, Akhter R, Nguyen MA, Chow CK, Eberhard J. (2019) Periodontal therapy for improving lipid profiles in patients with type 2 diabetes mellitus: A systematic review and meta-analysis. International Journal of Molecular Sciences 20, artículo 3826.

- Graziani F, Tsakos G. (2020) Patient-based outcomes and quality of life. Periodontology 2000 83, 277-294.

- Herrera D, Sanz M, Kebschull M, Jepsen S, Sculean A, Berglundh T, Papapanou PN, Chapple I, Tonetti MS, EFP Workshop Participants and Methodological Consultant. (2022) Treatment of stage iv periodontitis: The EFP S3 level clinical practice guideline. Journal of Clinical Periodontology 49 Suppl 24, S4-S71.

- Jönsson B, Öhrn K. (2014) Evaluation of the effect of non-surgical periodontal treatment on oral healthrelated quality of life: Estimation of minimal important differences 1 year after treatment. Journal of Clinical Periodontology 41, 275-282.

- Kwok V, Caton JG. (2007) Commentary: Prognosis revisited: A system for assigning periodontal prognosis. Journal of Periodontology 78, 2063-2071.

- Lalla E, Papapanou PN. (2011) Diabetes mellitus and periodontitis: A tale of two common interrelated diseases. Nature reviews. Endocrinology 7, 738-748.

- Lang NP, Tonetti MS. (2003) Periodontal risk assessment (PRA) for patients in supportive periodontal therapy (SPT) Oral Health & Preventive Dentistry 1, 7-16.

- Libby P. (2002) Inflammation in atherosclerosis. Nature 420, 868-874.

- Loos BG, Needleman I. (2020) Endpoints of active periodontal therapy. Journal of Clinical Periodontology 47 Suppl 22, S61-S71.

- Monsarrat P, Blaizot A, Kémoun P, Ravaud P, Nabet C, Sixou M, Vergnes JN. (2016) Clinical research activity in periodontal medicine: A systematic mapping of trial registers. Journal of Clinical Periodontology 43, 390-400.

- Montero E, Bujaldón R, Montanya E, Calle-Pascual AL, Rojo-Martínez G, Castaño L, Franch-Nadal J, Delgado E, Chaves F, Alonso B, Sanz M, Herrera D. (2024) Crosssectional association between severe periodontitis and diabetes mellitus: A nation-wide cohort study. Journal of Clinical Periodontology 51, 368-379.

- Montero E, Carasol M, Fernández-Meseguer A, Calvo- Bonacho E, García-Margallo MT, Sanz M, Herrera D. (2019) Prediabetes and diabetes prevalence in the Workers‘ Oral Health Study. Clinical Oral Investigations 23, 4233-4241.

- Montero E, López M, Vidal H, Martínez M, Virto L, Marrero J, Herrera D, Zapatero A, Sanz M. (2020) Impact of periodontal therapy on systemic markers of inflammation in patients with metabolic syndrome: A randomized clinical trial. Diabetes, Obesity & Metabolism 22, 2120-2132.

- Orlandi M, Muñoz Aguilera E, Marletta D, Petrie A, Suvan J, D‘Aiuto F. (2022) Impact of the treatment of periodontitis on systemic health and quality of life: A systematic review. Journal of Clinical Periodontology 49 Suppl 24, S314-S327.

- Paraskevas S, Huizinga JD, Loos BG. (2008) A systematic review and meta-analyses on C-reactive protein in relation to periodontitis. Journal of Clinical Periodontology 35, 277-290.

- Papapanou PN, Sanz M, Buduneli N, Dietrich T, Feres M, Fine DH, Flemmig TF, Garcia R, Giannobile WV, Graziani F, Greenwell H, Herrera D, Kao RT, Kebschull M, Kinane DF, Kirkwood KL, Kocher T, Kornman KS, Kumar PS, Loos BG, … Tonetti MS. (2018) Periodontitis: Consensus Report of Workgroup 2 of the 2017 World Workshop on the Classification of Periodontal and Peri-Implant Diseases and Conditions. Journal of Periodontology 89 Suppl 1, S173-S182.

- Presahw PM, Alba AL, Herrera D, Jepsen S, Konstantinidis A, Makrilakis K, Taylor R. (2012) Periodontitis and diabetes: A two-way relationship. Diabetologia 55, 21-31.

- Simpson TC, Clarkson JE, Worthington HV, MacDonald L, Weldon JC, Needleman I, Iheozor-Ejiofor Z, Wild SH, Qureshi A, Walker A, Patel VA, Boyers D, Twigg J. (2022) Treatment of periodontitis for glycaemic control in people with diabetes mellitus. The Cochrane Database of Systematic Reviews 4, artículo CD004714.

Domina la zona más

allá de

la estética

Consigue sonrisas bonitas para tus pacientes el mismo día de la cirugía con nuestro �lujo digital en la zona estética

Predictibilidad 97.6% ratio de supervivencia del implante1

E�iciencia 40% menos tiempo de sillón2

Experiencia del paciente 25% menos visitas del paciente2

Desde el escaneado al provisional personalizado en 60 minutos3

3. Calculado en base a la medición del tiempo de cada paso.

1. Tasa media de supervivencia con un seguimiento de hasta 15 años utilizando provisionalización inmediata. Datos en archivo.

2. Calculado frente al �lujo de trabajo digital anterior utilizando el software DTX Studio™ Implant con la solución TempShell, o soluciones de plani�icación de tratamiento similares.

incluidas las indicaciones, contraindicaciones, advertencias y precauciones en las instrucciones de uso

EFECTOS DEL BRUXISMO EN EL “CORE” ABDOMINAL

Un estudio de la Universidad Europea Madrid demuestra los efectos del bruxismo en el “core” abdominal, poniendo de relieve la importancia de considerar al cuerpo como un sistema interconectado.

Un estudio realizado por las profesoras de Fisioterapia de la Universidad Europea de Madrid, la Dra. Vanesa Abuín y la Dra. Isabel Mínguez Esteban, miembros del Grupo de Investigación [STRONG] Sinergia Transdisciplinar en Rehabilitación Oncológica y General, demuestra que el bruxismo podría tener repercusiones más allá de la mandíbula. La investigación destaca que las mujeres con bruxismo presentan diferencias significativas en la activación del abdomen profundo, lo que podría tener implicaciones posturales y funcionales.

Que el bruxismo genera tensión mandibular es bien conocido, pero una nueva investigación va más allá y sugiere que sus efectos pueden extenderse hasta el “core” abdominal. El estudio, publicado en PLOS ONE, muestra que las mujeres con bruxismo presentan una menor activación del músculo transverso abdominal, clave para la estabilidad del tronco, durante ejercicios de contracción voluntaria.

Los datos obtenidos mediante ecografía revelan que, frente a un mismo ejercicio, las participantes con bruxismo mostraban una menor variación en el grosor del transverso abdominal, lo que sugiere una activación muscular más limitada y una posible disfunción en el control motor profundo. “El transverso abdominal es un músculo clave para la estabilización del tronco y el control de la presión intrabdominal, por lo que una menor activación puede tener consecuencias funcionales importantes”, explica la Dra. Vanesa Abuín. Esta menor respuesta podría estar vinculada a patrones de contracción alterados por el exceso de tono mandibular. “El bruxismo puede generar sobrecarga muscular más allá del área orofacial, afectando también al cuello, la espalda y el abdomen”, añade la Dra. Isabel Mínguez.

Aunque el estudio se centró únicamente en mujeres, las autoras consideran que los hallazgos podrían ser indicativos de un fenómeno más amplio.

Trabajar la activación adecuada del abdomen profundo y mejorar el control postural global puede contribuir al manejo del bruxismo y sus síntomas asociados ”

“Aunque los resultados podrían ser extrapolables en parte a la población masculina, es necesario realizar estudios específicos en varones para confirmar si se presenta la misma relación entre bruxismo y función abdominal”, apunta la Dra. Mínguez. Ambas expertas insisten en que comprender el cuerpo como un sistema interconectado es clave para avanzar en el tratamiento de este tipo de disfunciones. “La tensión mandibular mantenida puede repercutir en otras zonas del cuerpo debido a las cadenas musculares, especialmente cuando se trata de músculos posturales profundos”, destaca la Dra. Abuín.

Más allá de la zona orofacial, el bruxismo puede generar un patrón de tensión mantenida que afecta a otras áreas del cuerpo como el cuello, la espalda o la región abdominal. Esta tensión generalizada puede explicarse por la forma en que el sistema musculoesquelético responde de manera compensatoria a la hiperactividad mandibular. “Nuestro cuerpo tiende a adaptarse, y cuando existe una disfunción sostenida en una zona como la mandíbula, puede comprometer la función de otras áreas como el abdomen”, explican las expertas.

El bruxismo puede generar sobrecarga muscular más allá del área orofacial, afectando también al cuello, la espalda y el abdomen
Pexels
Pexels

Este tipo de respuestas musculares, si no se detectan y tratan de forma adecuada, pueden derivar en alteraciones posturales y sobrecargas crónicas. Por ello, las investigadoras defienden la necesidad de adoptar un enfoque más global en el abordaje terapéutico del bruxismo. “La integración de ejercicios que incluyan el trabajo de la musculatura abdominal profunda, junto con técnicas de control mandibular, podría ser beneficiosa”, afirma la Dra. Abuín. En este sentido, la fisioterapia postural emerge como una herramienta complementaria a los tratamientos tradicionales, como las férulas dentales o las intervenciones psicológicas. Aunque el uso de férulas dentales sigue siendo una de las intervenciones más comunes en pacientes con bruxismo, las autoras insisten en que no siempre es suficiente. “Es común el uso de férulas dentales o intervenciones psicológicas; sin embargo, también podría ser útil la realización de una valoración postural y funcional por parte de un profesional de la fisioterapia, tanto a nivel general como específico”, explica la Dra. Mínguez. Este abordaje permitiría identificar disfunciones musculares

asociadas y trabajar sobre ellas, especialmente en zonas como la región lumbosacra, que también se ve condicionada por la mecánica mandibular. Desde una perspectiva práctica, ambas profesoras de la Universidad Europea subrayan que cualquier tratamiento debería empezar con una valoración funcional y postural individualizada. “Trabajar la activación adecuada del abdomen profundo y mejorar el control postural global puede contribuir al manejo del bruxismo y sus síntomas asociados", señalan las expertas, destacando que las zonas de enfoque clave incluyen el sistema lumbosacro, el control del core y la conexión entre la musculatura cervical, torácica y abdominal. En conjunto, el estudio pone de relieve la importancia de considerar al cuerpo como una unidad funcional. Tratar el bruxismo exclusivamente desde la boca puede ser insuficiente cuando existen repercusiones en la biomecánica general. “Las manifestaciones clínicas del bruxismo no deberían abordarse de forma aislada; entender sus vínculos con otras disfunciones musculares abre nuevas oportunidades terapéuticas”, concluyen las doctoras. 

“A tu lado, impulsando tu aprendizaje.”

SOLUCIONES DIGITALES 360º

Formaciones de vanguardia para odontólogos y protésicos. Conecta con la innovación, aprende de expertos y potencia tu práctica diaria.

¡Reserva las fechas!

26-09-2025 Madrid | 03-10-2025 Barcelona | 17-10-2025 Málaga

ENTRADA GENERAL 200€

ENTRADA ANTICIPADA (antes del 1 de septiembre) 150€

Para 2ª y 3ª persona de la misma clínica o laboratorio, 50% dto. sobre el precio del primer asistente.

¡Inscríbete aquí!

Tlf: 913 606 000

Plazas limitadas

Alberto Ferreiroa
Cristian Abad Coronel Jandro Díaz Pérez
Antonio Armijo Mitchel Chavez
Luis Mampel Marta González
Rafa Vila Tello Alejandro Sánchez Toro
Manuel Reyes Álvaro Romero Ricardo Recena Guillermo Pradíes
Xavi Mazo

NANOBOTS GUIADOS MAGNÉTICAMENTE PARA ALIVIAR LA SENSIBILIDAD DENTAL

Un grupo de investigadores del Instituto Indio de Ciencias (IISc), en colaboración con Theranautilus, han diseñado los “CalBots”, unos nanobots magnéticos que pueden penetrar hasta 300-500 micrómetros en los túbulos dentinarios, autoensamblándose para formar un sellado duradero para el esmalte desgastado y ofreciendo así un alivio duradero de la sensibilidad dental.

Fuente: Indian Institute of Science

Los dientes sensibles necesitan una pasta dental fuerte, pero la tecnología también puede ayudar. Investigadores del Instituto Indio de Ciencias (IISc), en colaboración con la startup de tecnología avanzada Theranautilus, han diseñado unos nanobots magnéticos, denominados “CalBots”, que pueden penetrar profundamente en los túbulos dentinarios, pequeños túneles en los dientes que conducen a las terminaciones nerviosas. Estos CalBots pueden formar sellos duraderos para el esmalte desgastado, ofreciendo un alivio duradero de la sensibilidad con una sola aplicación.

Según este estudio, publicado en Advanced Science, los CalBots utilizan una clase completamente nueva de cemento biocerámico. Si bien las biocerámicas se utilizan ampliamente en ortopedia y odontología por sus propiedades mineralizantes, el equipo buscaba una solución adaptada a la hipersensibilidad: una fórmula que pudiera penetrar a mayor profundidad y durar más.

“No queríamos crear una versión ligeramente superior a la que ya existe”, afirma Shanmukh Peddi, primer autor del estudio e investigador postdoctoral del Centro de Nanociencia e Ingeniería (CeNSE), IISc, y cofundador de Theranau -

tilus. “Queríamos una tecnología que resolviera un problema real de una forma que nadie había intentado antes”, añade Peddi. La hipersensibilidad dental afecta a casi una de cada cuatro personas en todo el mundo. Se produce cuando los túbulos microscópicos de la dentina (la capa debajo del esmalte) quedan expuestos debido a la erosión o la recesión gingival. Estos diminutos túbulos conducen directamente a las terminaciones nerviosas, por lo que incluso un sorbo de agua fría puede causar un dolor repentino y punzante. La mayoría de las soluciones actuales, como las pastas dentales desensibilizantes, solo ofrecen un alivio superficial y deben reaplicarse con regularidad.

Los CalBots son partículas magnéticas de 400 nanómetros, cargadas con una fórmula biocerámica patentada a base de silicato de calcio, que son guiadas por un campo magnético externo hasta el interior de los túbulos expuestos
Imágenes microscópicas de CalBots dentro de los dientes.
FOTOS: Shanmukh Peddi, Debayan Dasgupta (IISc)

Sin embargo, los CalBots son diferentes. Estas partículas magnéticas de 400 nanómetros, cargadas con una fórmula biocerámica patentada a base de silicato de calcio, son guiadas por un campo magnético externo hasta el interior de los túbulos expuestos. Pueden alcanzar profundidades de hasta 300-500 micrómetros dentro de los túbulos. Una vez allí, los CalBots se autoensamblan formando tapones estables, similares al cemento, que bloquean los túbulos y recrean un sellado duradero que imita el entorno natural del diente. Para probar su innovación, el equipo utilizó dientes humanos extraídos por razones clínicas y creó condiciones donde la dentina quedó expuesta. En estas muestras, aplicaron CalBots bajo un campo magnético durante 20 minutos, durante los cuales los robots sellaron los túbulos dentinarios formando tapones profundos y estables, un resultado confirmado mediante imágenes de alta resolución. Impulsados por esto, avanzaron a ensayos con animales en colaboración con investigadores del Centro de Neurociencia del IISc. El ensayo consistió en dar a los ratones la opción de elegir entre agua fría y agua a temperatura ambiente. Los ratones sanos prefirieron ambas por igual. Sin embargo, los ratones con sensibilidad dental inducida evitaron el agua fría por completo.

Los CalBots pueden alcanzar profundidades de hasta 300-500 micrómetros dentro de los túbulos. Una vez allí, se autoensamblan formando tapones estables, similares al cemento, que bloquean los túbulos y recrean un sellado duradero que imita el entorno natural del diente

Después de tratar a los ratones sensibles con la solución CalBot, volvieron a beber agua fría; demostrándose así la efectividad del tratamiento. "Observamos una recuperación del comportamiento del 100%. Fue un momento muy importante para nosotros", asegura Peddi. Los CalBots están compuestos íntegramente por materiales clasificados como “Generalmente Reconocidos como Seguros” (GRAS), lo que garantiza una alta biocompatibilidad. Las pruebas de toxicidad en ratones no mostraron efectos adversos. “Esta es una demostración convincente de lo que la nanorobótica puede lograr y cómo podría impactar significativamente la atención médica futura”, afirma Ambarish Ghosh, profesor del CeNSE y uno de los co-autores del estudio. “Nos entusiasma ver cómo este trabajo avanza hacia su uso clínico”, añade.

Si bien el objetivo inmediato es aliviar la sensibilidad, las implicaciones de este trabajo van mucho más allá. “Hemos creado un nanomaterial regenerativo y activo: un paso hacia el tipo de ‘cirujanos mecánicos diminutos’ que Richard Feynman imaginó”, señala Debayan Dasgupta, exestudiante de doctorado en CeNSE, cofundador de Theranautilus y uno de los co-autores de este estudio.

“Esto es algo por lo que hemos trabajado en silencio durante años. Y el hecho de que lo hayamos logrado aquí, en la India, nos llena de satisfacción”, concluye Peddi. 

Bibliografía

Peddi S, Hegde P, Reddy P, Barman A, Barik A, Dasgupta D, Ghosh A, El autoensamblaje dirigido de biocerámica magnética en el interior de los túbulos dentinarios profundos puede aliviar la hipersensibilidad dental, Advanced Science (2025).
De izq. a dcha.: Prajwal Hegde, Peddi Shanmukh, Debayan Dasgupta y Ambarish Ghosh.
Foto cortesía de Shanmukh Peddi)

LA ERA DIGITAL TAMBIÉN HA LLEGADO A EXPADENT

…y como siempre con los precios más competitivos del mercado

Escanea el código QR con tu smartphone para acceder al listado de precios o accede a www.expadent.com/precios

CORONA ZIRCONIO MULTICAPA

49,90 euros

MÁNDANOS TUS ARCHIVOS STL Y NOS PONDREMOS MANOS A LA OBRA

YA DISPONIBLE

EXPADENT APP

Hemos mejorado nuestro sistema de gestión, y ahora cualquiera de nuestros clientes podrán realizar los pedidos directamente desde nuestra aplicación, intuitivamente.

También permite hacer un seguimiento total del proceso de fabricación y de envío del pedido realizado.

LAS BACTERIAS DE LAS ENCÍAS

ANTICIPAN EL RIESGO DE PADECER PERIODONTITIS

Investigadores del Centro de Biología Molecular Severo Ochoa (CBM-CSIC-UAM), en colaboración con el Science and Healthcare for Oral Welfare (Francia), han elaborado un mapa de las bacterias de las encías, un avance clave en el diagnóstico y prevención de la periodontitis en la consulta dental.

Fuente: CBM-CSIC-UAM

Un equipo liderado por el Centro de Biología Molecular Severo Ochoa (CBM-CSIC-UAM), en colaboración con el Science and Healthcare for Oral Welfare (Francia), ha analizado las bacterias que viven bajo las encías y ha identificado cuáles están asociadas con el riesgo de padecer periodontitis, una enfermedad grave que afecta a los tejidos que rodean los dientes y que puede causar daños irreversibles. Los investigadores han elaborado un mapa de estas bacterias que podría servir para disponer de tratamientos

más personalizados en la consulta del dentista. La periodontitis es una infección crónica que afecta a los tejidos que hay alrededor del diente (periodonto) y que inicialmente cursa con una inflamación de las encías (gingivitis). Si no se diagnostica y se trata a tiempo, puede provocar pérdida dental y, en determinados casos, derivar en diabetes, enfermedades cardiovasculares y hasta Alzhéimer. La enfermedad periodontal grave afecta a casi el 10% de la población mundial, según datos de la Organización Mundial de la Salud (OMS).

Un censo de bacterias

Las encías sanas, con gingivitis o periodontitis, albergan comunidades de bacterias que varían según el estado de salud. En este estudio, publicado en la revista Journal of Clinical Periodontology, los científicos identificaron 394 grupos bacterianos, organizados en 10 grandes complejos que actuarían como pequeños vecindarios dentro de la placa dental. El complejo 6 se asoció con encías sanas, con bacterias que forman capas estables y ordenadas. El complejo 10, por otro lado, fue identificado como indicador de enfermedad, con bacterias conocidas por su relación con la periodontitis, como Porphyromonas gingivalis o Treponema denticola. Además, comprobaron que la gingivitis es un estado intermedio, donde coexisten bacterias relacionadas con una buena salud y otras con enfermedad. Esto demuestra que la periodontitis no es un cambio brusco de bacterias buenas a malas, sino un proceso progresivo.

Para estudiarlas, el equipo utilizó una técnica llamada secuenciación del gen 16S rRNA, que permite identificar con precisión qué bacterias hay en cada muestra. Para organizar la gran cantidad de datos obtenida mediante esta técnica, los investigadores utilizaron un método llamado asignación taxonómica, que consiste en clasificar cada bacteria detectada según su especie y sus parientes más cercanos, agrupándolas en categorías claras. Esto permite crear “mapas” de bacterias, que ayudan a ver qué comunidades se asocian a una boca sana y cuáles a una enferma. “Es como hacer el censo de un país: no solo contar cuántas personas hay, sino saber quién es quién y dónde vive. Así podemos identificar si en un barrio, que sería nuestra encía, está todo en orden o si hay señales de que algo va mal”, explica Julien Santi-Rocca, primer autor del estudio.

Pistas para identificar la enfermedad El equipo destaca el potencial de usar la microscopía en la consulta del dentista para observar en tiempo real estas bacterias. Por ejemplo, en el estudio se grabaron vídeos donde puede verse la diferencia entre una encía sana, con bacterias ordenadas y estáticas, y una encía con periodontitis, con bacterias en forma de espiral que se mueven rápidamente (Treponema), detectables fácilmente bajo el microscopio. Gracias a estas herramientas, los dentistas podrían evaluar de forma rápida y visual el nivel de riesgo de cada paciente y anticipar la evolución de la enfermedad periodontal.

Los investigadores han elaborado un mapa de las bacterias de las encías que podría servir para disponer de tratamientos más personalizados en la consulta del dentista

“Poder identificar estas huellas bacterianas de forma temprana abre la puerta a estrategias de prevención y tratamientos personalizados. Nos permite intervenir antes de que se produzcan daños graves, protegiendo no solo la salud bucal, sino también la salud general de las personas”, subraya Núria Gironès, autora principal del trabajo. Este avance en la comprensión de la ecología bacteriana de las encías es, según los investigadores, clave para que la periodontitis deje de ser una enfermedad silenciosa y crónica, transformando la forma en que se diagnostica y se previene en las consultas de odontología. 

investigación

inside the clinic

CLÍNICA DENTAL PALAFOX

Director gerente: Dr. Juan Pablo Pardos | Director médico: Dr. Iván Nogueira

IDENTIDAD, FILOSOFÍA Y VISIÓN DE LA CLÍNICA

La filosofía de la Clínica Dental Palafox se basa en otorgar calidad, calidez, excelencia clínica y vanguardia, buscando ofrecer tratamientos mínimamente invasivos, predecibles y personalizados.

En la Clínica Dental Palafox quieren que sus pacientes sientan calma, confianza y cercanía desde el primer momento. Que perciban un entorno seguro, profesional y cálido. Y para ello cuidan cada detalle, desde el trato en recepción hasta la comunicación en gabinete.

PROYECTO CLÍNICO: ORIGEN Y EVOLUCIÓN

Hace 30 años la clínica se encontraba en un local de 600 m 2 a pie de calle con unas instalaciones modernas para la época, con sala de conferencias para 30 personas donde se impartía formación con un carrusel para pasar diapositivas.

A nivel de quirófanos han evolucionado hacia unas instalaciones tipo “hospitalarias” y una infraestructura que pueda abarcar equipo de anestesia, microscopio, sillones quirúrgicos, centrifugadoras para PRGF, aparatos para radiografías 2D y 3D, escáneres intraorales, escáner facial, estudio de fotografía y vídeo...

EQUIPO HUMANO

El equipo de la Clínica Dental Palafox está compuesto por 6 especialistas en cirugía e implantología, periodoncia, ortodoncia, endodoncia, estética dental y prótesis, junto con un grupo de 10 higienistas, auxiliares y personal de gestión que comparten los mismos valores: responsabilidad, formación continua y vocación de servicio.

La formación es fundamental para la Clínica Dental Palafox en todos los aspectos. Todo el equipo clínico participa activamente en cursos, congresos y programas de actualización

Dr. Juan Pablo Pardos.
Dr. Iván Nogueira.

tanto a nivel nacional como internacional. Y apuestan por aprender de los mejores, compartir experiencias y mantenernos siempre a la vanguardia.

DIGITALIZACIÓN Y TRANSFORMACIÓN TECNOLÓGICA

Para la Clínica Dental Palafox, “la digitalización no es una moda ni un añadido, sino un cambio de paradigma que ha transformado por completo la forma de diagnosticar, planificar y ejecutar tratamientos. Nos permite ser más precisos, más predecibles y, sobre todo, más eficientes. Pero también requiere una curva de aprendizaje importante, formación específica y un cambio de mentalidad”. Han apostado por digitalizar prácticamente todo el flujo de trabajo, desde la primera visita hasta la cirugía y la rehabilitación final. En cuanto a la adaptación al flujo digital dentro de la clínica, en la Clínica Dental Palafox lo viven como un proceso dinámico y en constante evolución. Por protocolo todos los pacientes en la primera visita se digitalizan (fotografías, vídeos 4K, escáner facial, radiografías 2D y 3D y escaneado intraoral).

RELACIÓN CLÍNICA-LABORATORIO DIGITAL

Sobre el impacto del flujo digital en la relación con su laboratorio, desde la Clínica Dental Palafox apuntan que “antes, la comunicación era más lenta y muchas veces se basaba en ensayo-error. Hoy, gracias a la planificación digital y al trabajo compartido en tiempo real, todo es más preciso y eficiente. Compartimos escaneos, diseños, propuestas y decisiones clínicas con el laboratorio en cuestión de minutos, lo que nos permite mejorar la calidad final y reducir errores”.

inside the clinic

Y sobre los beneficios que ha aportado a nivel de tiempos, precisión y comunicación, añaden que el flujo digital ha reducido considerablemente el número de citas y el margen de error. “Cada paso está planificado y verificado antes de ejecutarse. Además, el paciente lo percibe: menos citas, menos incertidumbre y una sensación de control por parte del equipo clínico. La comunicación con el laboratorio ha pasado de ser un intercambio puntual a un diálogo constante, y eso se nota en el resultado final”, señalan.

TECNOLOGÍA Y EQUIPAMIENTO

En la Clínica Dental Palafox cuentan con escáneres intraorales de última generación, escáner facial, CBCT, equipo fotográfi-

co intra y extraoral, aparatos de rayos X digital, microscopio quirúrgico, sistemas de planificación digital para cirugía guiada, impresión 3D y fresadoras. Además, en Clínica Dental Palafox ya trabajan con PIC Dental, un sistema de captura digital que permite registrar con máxima precisión la posición exacta de los implantes dentales; su equipo se ha formado con PIC pro, una formación práctica y personalizada que permite integrar esta tecnología en su forma de trabajar desde el primer día. Todo el flujo está pensado para que la información digital fluya de forma integrada, desde el diagnóstico hasta la ejecución del tratamiento. Además, trabajan con sedación consciente en cirugía para ofrecer al paciente un entorno más seguro y cómodo.

Desde la clínica opinan que “la tecnología no sustituye la experiencia clínica, pero sí la potencia. Virtualizar al paciente nos permite trabajar y planificar los casos con precisión con margen de error de micras”.

TRATAMIENTOS ODONTOLÓGICOS

En la Clínica Dental Palafox cuentan con especialistas en Cirugía Oral, Sedación Consciente, Ortodoncia, Estética Dental, Periodoncia y Endodoncia. “Nuestro objetivo es ofrecer una odontología integral de altísimo nivel”, aseguran.

GESTIÓN DE LA CLÍNICA

En la Clínica Dental Palafox trabajan con un modelo muy estructurado, que combina protocolos clínicos claros con una gestión eficiente del tiempo y los recursos. “La organización es clave, contamos con un equipo de coordinación y gestión muy sólido. La comunicación interna es constante y todo está orientado a ofrecer una experiencia excelente, tanto para el paciente como para el propio equipo”, destacan. Para ellos, la eficiencia en la experiencia del paciente es fundamental. Saben que el tiempo del paciente es valioso, por eso optimizan la agenda, reducen citas innecesarias y planifican los tratamientos para ser lo más efectivos posible.

inside the clinic

FORMACIÓN,

CURVA DE APRENDIZAJE Y CRECIMIENTO PROFESIONAL

Desde la Clínica Dental Palafox explican que “digitalizarse no es simplemente comprar tecnología, sino aprender a pensar en digital. No hay que obviar que la curva de aprendizaje existe, pero contamos con un equipo joven con muchas ganas de seguir aprendiendo de todas las herramientas digitales que nos facilitan los flujos de trabajo, tanto a los Doctores como al personal auxiliar”. Por otro lado, les parece importantísimo poder aportar valor a la comunidad odontológica a través de la investigación o participación en congresos y es uno de los aspectos que están trabajando en los últimos tiempos. “Por ejemplo, hemos participado como ponentes en los últimos meses en el Congreso Nacional Steam o en el VII Congreso Dental Aragonés. También somos miembros activos de las Sociedades Nacionales más relevantes que promueven una Odontología basada en la evidencia científica”, señalan.

VISIÓN DE FUTURO

Acerca de sus perspectivas de futuro, apuntan que “nuestro objetivo es seguir siendo un centro de referencia en odontología digital, odontología mínimamente invasiva y planificación avanzada. Queremos consolidar el área de formación, ampliar nuestra capacidad tecnológica e incorporar nuevas soluciones digitales. Todo ello sin perder el enfoque humano y personalizado que nos define”.

Sobre el papel que jugará la tecnología y la IA en el futuro de la práctica clínica, destacan que “la IA nos otorga herramientas para mejorar la precisión diagnóstica y también la precisión en los tratamientos, pero el factor humano siempre primará en nuestra práctica diaria”. 

@clinicadentalpalafox

Siguiendo la evolución de la Odontología para el profesional del sector llamado a construir el futuro

ENTREVISTA

“El sello DentalQuality no solo posiciona, sino que también transforma”

Gabriel Ríos, cofundador y Director Ejecutivo de DentalQuality

ENTREVISTA

“Hemos creado una red sólida de profesionales capaces de transformar la odontología desde la base del conocimiento y la evidencia”

X Aniversario del Máster en Odontología Restauradora basada en las Nuevas Tecnologías

GESTIÓN DE CLÍNICAS

Cómo captar clientes para tu clínica dental

Por: Julio Fernández, gerente de 100Dental

EVENTOS Y CONGRESOS

Expodental presenta su edición 2026 a las empresas del sector dental

inside the clinic

“EL SELLO DENTALQUALITY NO SOLO POSICIONA, SINO QUE TAMBIÉN TRANSFORMA”

Tras 12 años de trayectoria y más de 150 clínicas certificadas en España, DentalQuality continúa apostando por la rigurosidad, la objetividad y la exigencia con el objetivo de “ayudar a visibilizar la odontología bien ejercida, fortalecer la identidad de las clínicas que la representan y darles herramientas reales para seguir siendo referentes en un entorno cada vez más exigente”. Así lo asegura en esta entrevista el cofundador y Director Ejecutivo de la compañía, Gabriel Ríos, quien nos detalla cuáles son las claves de este estándar de calidad para las clínicas dentales que va más allá, creando un ecosistema que impulsa y visibiliza la calidad clínica.

 DM.- El certificado DentalQuality acredita que una clínica cuenta con altos estándares de calidad odontológica y bienestar del paciente, aumentando la reputación y percepción de marca. ¿Qué implica obtener este reconocimiento en la práctica diaria de la clínica y cómo les ayuda a diferenciarse de la competencia? Y, por otro lado, ¿cómo percibe usted estos valores en su trabajo diario y qué beneficios concretos aporta esta diferenciación a las clínicas certificadas?

Gabriel Ríos (G.R.).- Obtener la certificación DentalQuality implica mucho más que cumplir una lista de requisitos: es adoptar un compromiso activo con una forma de ejercer la odontología que prioriza la salud del paciente, la ética profesional y la mejora continua. En la práctica diaria, supone haber superado una auditoría basada en la norma privada AE513/17, desarrollada en base a la UNE179001, supervisada con el criterio de un comité de doctores y alineada con principios clínicos, humanos y organizativos.

Las clínicas certificadas no solo deben cumplir con condiciones técnicas, sino también mantener procesos cuidados, equipos estables, un trato personalizado y una comunicación transparente con el paciente. Además, tras la certificación, reciben formación específica y acceso a herramientas que las ayudan a seguir evolucionando en distintas áreas de gestión y experiencia del paciente. Esta exigencia constante es, precisamente, lo que las diferencia: no compiten con precios ni prome -

sas llamativas, sino con coherencia, profesionalidad y reputación.

Desde mi posición, percibo estos valores a diario en las conversaciones con los doctores y en la comunidad que se ha ido consolidando, donde no solo hay un alto nivel de colaboración y orgullo compartido, sino también una admirable generosidad profesional, rigor clínico y un compromiso real con la mejora continua.

Para las clínicas, la diferenciación no es solo externa. También tiene un impacto interno: mejora la percepción del equipo, refuerza el liderazgo del doctor y crea un entorno clínico más ordenado, alineado y reconocible. El sello, en ese sentido, no solo posiciona, sino que también transforma.

 DM.- Según el informe anual 2024 de DentalQuality, más de 400.000 personas han confiado en las clínicas certificadas para su salud bucodental, beneficiándose de un modelo basado en transparencia, ética y excelencia profesional. ¿Cómo valora usted el impacto del sello DentalQuality en la captación de nuevos pacientes y en la fidelización de los ya existentes?¿En qué medida considera que estos principios éticos refuerzan la confianza de los pacientes y la reputación de la clínica?

Obtener la certificación DentalQuality es adoptar un compromiso activo con una forma de ejercer la odontología que

prioriza

la

salud

del paciente, la ética profesional y la mejora continua

G.R.- La confianza del paciente ya no se construye únicamente en la consulta: empieza antes de cruzar la puerta. En ese primer momento, el sello DentalQuality funciona como un referente claro, una señal de que esa clínica ha sido evaluada y cumple condiciones exigentes. Esto genera seguridad y, con ello, más decisión por parte del paciente a la hora de elegir. En nuestra experiencia, muchas clínicas nos trasladan que el sello ha reforzado su reputación local,

ha elevado la percepción de marca y les ha permitido comunicar de forma más clara su propuesta de valor, reforzando la confianza de los pacientes.

En definitiva, la certificación no sustituye a la calidad: la visibiliza, la ordena y la proyecta hacia el paciente con fuerza y credibilidad. Pero lo más relevante es lo que sucede después. Una vez dentro, ese mismo paciente encuentra una forma de atención basada en la escucha que tiene en cuenta sus emociones, en la información clara y en una coherencia clínica que confirma sus expectativas. Ese alineamiento entre lo que se proyecta y lo que se vive es lo que convierte una primera visita en una relación a largo plazo.

Los valores que promovemos —transparencia, ética y profesionalidad— no son un discurso. Se perciben en los pequeños detalles: cómo se explica un

tratamiento, cómo se gestiona una duda, cómo se siente acompañado el paciente a lo largo del proceso... Y eso tiene un impacto directo en su nivel de confianza y en la reputación real de la clínica. Lo que observamos es que las clínicas, con la certificación, proyectan una imagen más profesional y generan mayor confianza entre los pacientes potenciales. Ese posicionamiento facilita la conversión de primeras visitas y favorece relaciones más estables y conscientes. Y eso, hoy, es uno de los retornos reputacionales más valiosos para cualquier clínica.

 DM.- DQX (DentalQuality eXperience) se define como un sistema exclusivo diseñado para transformar la experiencia del paciente. ¿En qué consiste este enfoque innovador y cómo se integra en la atención que ofrece la clínica? ¿Cómo se traslada esta atención emocional al paciente en la práctica clínica y de qué manera contribuye a una mejor experiencia y fidelización?

G.R.- DQX nace como una extensión natural del propósito de DentalQuality y de una convicción: en odontología, la calidad no solo se mide por los resultados clínicos, sino también por lo que el paciente siente, interpreta y recuerda de su experiencia. Y eso depende, en gran parte, de cómo se relaciona con el equipo que lo atiende.

Por eso, DQX no es un protocolo más ni una herramienta de marketing. Es un sistema vivencial que se aplica directamente en la clínica, con todo el equipo implicado y en su entorno habitual. A través de dinámicas personalizadas, trabajamos la comunicación interna, la empatía, la escucha activa y la sensibilidad ante los momentos clave del recorrido del paciente.

El objetivo es sencillo pero ambicioso: lograr que cada interacción —desde una llamada hasta una entrega de presupuesto— sea coherente con la excelencia que la clínica certificada ya ofrece en su tratamiento. Porque cuando el equipo actúa de forma coordinada, cercana y consciente, la experiencia del paciente mejora de forma natural.

Este tipo de atención emocional no solo se traduce en mayor satisfacción: también genera confianza, diferenciación y fidelización. Muchas clínicas certificadas nos han transmitido que, tras aplicar DQX, más allá de mejorar su relación con los pacientes, también han mejorado su ambiente interno y la motivación del equipo. Es un cambio cultural, no solo funcional.

siguiendo la evolución de la Odontología

 DM.- El reciente balance de 2024 señala que 19 nuevas clínicas superaron el proceso de certificación. ¿Puede compartir con nosotros alguna pauta general sobre clínicas certificadas que hayan logrado un crecimiento notable y/o un mayor reconocimiento tras obtener el sello DentalQuality? ¿Cómo pueden las clínicas certificadas aprovechar los recursos que ofrece DQ para reforzar su estrategia de marketing y reputación?

G.R.- A lo largo del año pasado, 19 nuevas clínicas superaron el proceso de certificación y se incorporaron al grupo DentalQuality. Lo interesante es que muchas de ellas llegaron no buscando un distintivo, sino una forma de consolidar su posicionamiento como clínicas alejadas de modelos comerciales y comprometidas con la calidad. En general, la certificación ha contribuido a reforzar la visibilidad online y a mejorar la percepción diferenciada de la clínica frente a su entorno. Pero lo más relevante es que no se trata solo del distintivo en la puerta, sino de todo lo que lo acompaña: el enfoque, los recursos y el mensaje que proyecta. Formar parte de DentalQuality no implica solo haber superado una auditoría: también significa integrarse en un ecosistema que impulsa y visibiliza la calidad clínica. Las clínicas certificadas acceden a campañas de divulgación sobre salud y odontología ética, materiales editoriales y digitales alineados con su posicionamiento, acuerdos estratégicos con proveedores cualitativos y herramientas que refuerzan su gestión diaria. Todo ello enfocado a proyectar, con coherencia, los valores del certificado.

Cuando estos recursos se aplican con criterio, la clínica no solo comunica mejor: se convierte en una referencia más profesional, más creíble y más cercana a lo que el paciente espera encontrar cuando busca excelencia.

Además, estar dentro del grupo DentalQuality permite compartir buenas prácticas entre doctores, contrastar decisiones estratégicas y nutrirse de la experiencia de los compañeros. Es una comunidad profesional con un objetivo común: elevar el nivel y visibilizarlo.

 DM.- El proceso de certificación implica superar una rigurosa auditoría bajo la norma privada AE513/17. ¿Qué pasos deben seguir las clínicas para conseguir el certificado DentalQuality y qué consejos daría a las interesadas para prepararse al máximo para la auditoría?

DQX es un sistema vivencial que se aplica directamente en la clínica, con todo el equipo implicado y en su entorno habitual. A través de dinámicas personalizadas, trabajamos la comunicación interna, la empatía, la escucha activa y la sensibilidad ante los momentos clave del recorrido del paciente

G.R.- El proceso de certificación DentalQuality se estructura en varias fases bien definidas, todas ellas orientadas a validar que la clínica cumple con las condiciones exigidas por la norma privada AE513/17. El primer paso es una evaluación diagnóstica, que permite al propio doctor conocer su nivel de cumplimiento y anticipar posibles ajustes. A continuación, se realiza la auditoría presencial, que abarca aspectos clínicos, tecnológicos, organizativos, humanos, comunicativos y éticos, e incluye también la revisión documental y de ciertos aspectos legales. No se trata de una inspección, sino de una revisión rigurosa, con una mirada profesional, objetiva y, en muchos casos, constructiva sobre cómo se está trabajando. Una vez obtenida la certificación, ésta no se otorga de forma indefinida; para mantenerla, la clínica debe superar una nueva auditoría cada dos años, lo que garantiza la continuidad del compromiso y el cumplimiento sostenido de los estándares.

Tras la auditoría, se emite un informe detallado con los puntos fuertes, las áreas de mejora y —en caso necesario— las acciones correctivas requeridas antes de emitir el certificado. Mi consejo para cualquier clínica interesada es sencillo: que se prepare con autenticidad. No buscamos que nadie se adapte a una norma desde fuera, sino que quien ya trabaja con profesionalidad, ética y orden, pueda demostrarlo con claridad. Aquellas clínicas que tienen procesos definidos, equipos cohesionados, transparencia en la atención y una implicación real del doctor en la dirección clínica, suelen estar mucho más cerca de cumplir los requisitos de lo que imaginan.

La certificación no exige perfección, pero sí coherencia, compromiso y voluntad de mejora. Y ese perfil, por fortuna, sigue siendo mayoritario en la odontología bien ejercida.

DM.- DentalQuality ha intensificado su labor divulgativa en 2024 con campañas informativas, incrementando las visitas a su web y consiguiendo aumentos del 40% en interacciones en redes sociales. ¿Cuáles son los planes de la compañía de cara a los próximos años en cuanto a expansión del sello y apoyo a la calidad odontológica en España?

G.R.- El crecimiento que hemos experimentado en los últimos años, tanto en notoriedad digital como en número de clínicas certificadas, confirma que existe un espacio real para un modelo de odontología que prioriza la calidad, el compromiso clínico y la relación humana con el paciente.

Después de 12 años de recorrido y más de 150 clínicas certificadas en todo el país, tenemos claro que éste no es un proyecto puntual, sino un modelo sólido, con capacidad de generar impacto real y sostenible en el sector.

Queremos seguir consolidando el reconocimiento social de DentalQuality como distintivo de referencia, tanto para el sector como sobre todo para los propios pacientes. Aspiramos a que el sello funcione como una garantía clara de confianza clínica, basada en criterios objetivos de excelencia.

Para lograrlo, vamos a intensificar dos líneas clave: por un lado, la expansión territorial del certificado, incorporando nuevas clínicas que compartan esta forma de ejercer; y, por otro, el desarrollo de más recursos para las clínicas ya certificadas, tanto en formación como en visibilidad, posicionamiento online y diferenciación. Queremos que cada clínica del grupo se sienta respaldada, orgullosa y mejor preparada para competir sin renunciar a sus principios. Y, al mismo tiempo, que el paciente vea en DentalQuality una señal clara de tranquilidad, profesionalidad y buen criterio. En definitiva, más que crecer por crecer, nos interesa consolidar una comunidad fuerte, respetada y reconocible. Ésa es nuestra manera de contribuir a la mejora del sector: visibilizando la buena odontología y dándole las herramientas que merece.

 DM.- Desde su experiencia y visión estratégica del sector, ¿cómo percibe la evolución de la odontología en España en los próximos años? ¿Cuáles cree que serán los principales retos y oportunidades que marcarán el futuro de las clínicas dentales?

G.R.- La odontología en España está en plena transformación. En los últimos años hemos visto cómo los doctores propietarios han tomado conciencia de que ya no basta con ejercer bien: también hay que gestionar bien. Profesionalizar los equipos, digitalizar procesos, invertir en tecnología y, sobre todo, cuidar la experiencia del paciente, ya no son extras, son condiciones para la supervivencia. El mayor reto que enfrentan las clínicas independientes es precisamente ése: mantener su autonomía clínica sin quedar rezagadas frente a modelos corporativos con más recursos, más volumen y estructuras más agresivas. Pero también ahí está la oportunidad. Cada vez más pacientes valoran la cercanía, el trato humano, la continuidad con el mismo doctor y la transparencia. Pero hace falta poner todo eso en valor, comunicarlo con autenticidad y estructurarlo con visión clínica y empresarial. Otro reto relevante será atraer y retener talento. La clínica del futuro tendrá que ser también un buen lugar para trabajar, con liderazgo claro, propósito compartido y cultura de equipo. Quien logre eso, no solo fidelizará pacientes, también profesionales. Desde DentalQuality queremos aportar justamente en esa dirección: ayudar a visibilizar la odontología bien ejercida, fortalecer la identidad de las clínicas que la representan y darles herramientas reales para seguir siendo referentes en un entorno cada vez más exigente. 

“HEMOS CREADO UNA RED SÓLIDA

DE PROFESIONALES

CAPACES DE TRANSFORMAR LA ODONTOLOGÍA

DESDE LA BASE DEL CONOCIMIENTO Y LA EVIDENCIA”

X Aniversario del Máster en Odontología Restauradora basada en las Nuevas Tecnologías

Con motivo del décimo aniversario del Máster en Odontología Restauradora basada en las Nuevas Tecnologías de la UCM, su director, el Prof. Dr. Guillermo Pradíes; su coordinadora, la Prof. Dra. Mª Paz Salido; y su co-director, el Prof. Dr. Ignacio Sanz, nos hablan en esta entrevista de cómo este modelo académico pionero ha logrado convertirse en un referente a nivel nacional e internacional y de las temáticas que se tratarán durante el Simposio del X Aniversario, que tendrá lugar los días 26 y 27 de septiembre en la Facultad de Odontología de la UCM.

Prof. Dr. Guillermo Pradíes.
Prof. Dra. Mª Paz Salido
Prof. Dr. Ignacio Sanz

siguiendo la evolución de la Odontología

 DM.- ¿Qué significa para usted la celebración del décimo aniversario del Máster en Odontología Restauradora basada en las Nuevas Tecnologías?

Prof. Dr. Guillermo Pradíes (Prof. Dr. G.P.).- Celebrar el décimo aniversario del Máster representa mucho más que una efeméride, es la consolidación de un modelo académico pionero que nació con el objetivo de integrar la odontología restauradora con el uso crítico y avanzado de las nuevas tecnologías. Hoy podemos decir con orgullo que este máster se ha convertido en un referente a nivel nacional e internacional.

En estos diez años hemos formado a decenas de profesionales que no solo aplican con solvencia los flujos de trabajo digitales en su práctica clínica diaria, sino que además son ya líderes de opinión, docentes y referentes en sus respectivos entornos. Muchos de ellos están contribuyendo a formar a nuevas generaciones de odontólogos, ampliando el impacto del máster mucho más allá de nuestras aulas. Ese es, sin duda, uno de nuestros mayores logros: haber creado una red sólida de profesionales capaces de transformar la odontología desde la base del conocimiento y la evidencia.

 DM.- ¿Qué temáticas se tratarán durante el Simposio del X Aniversario del Máster en Odontología Restauradora basada en las Nuevas Tecnologías?

Prof. Dr. G.P.- El Simposio, que celebraremos los días 26 y 27 de septiembre en la Facultad de Odontología de la UCM, reunirá a profesores y antiguos alumnos que hoy son referentes en distintas áreas de la odontología digital. El programa aborda temas de máxima actualidad: impresión 3D, flujo digital en rehabilitación sobre implantes, nuevas cerámicas, fotografía clínica e inteligencia artificial aplicada al diagnóstico. También hemos querido incluir una mesa redonda que conecte industria, laboratorio y clínica para saber dónde estamos y hacia dónde vamos encaminados en este campo. El Simposio es un reflejo de lo que somos: un máster con base científica, foco clínico y mirada al futuro.

 DM.- ¿Cómo está cambiando la odontología restauradora con la llegada de las nuevas tecnologías?

Prof. Dr. G.P.- La odontología restauradora está viviendo una transformación profunda. Hoy no se trata solo de incorporar herramientas digitales, sino de saber cuándo, cómo y por qué utilizarlas, y qué aportan realmente al tratamiento, al paciente y a nuestro propio trabajo. En el Máster trabajamos

En estos diez años hemos formado a decenas de profesionales que no solo aplican con solvencia los flujos de trabajo digitales en su práctica clínica diaria, sino que además son ya líderes de opinión, docentes y referentes en sus respectivos entornos

Prof.

Dr. Guillermo Pradíes, director del Máster en Odontología Restauradora basada en las

Nuevas Tecnologías de la UCM

El Máster en Odontología Restauradora Basado en las Nuevas Tecnologías de la Universidad Complutense de Madrid ha sido reconocido como el primer posgrado universitario en España acreditado por la European Prosthodontic Association (EPA) con la distinción de Especialista en Prostodoncia.
El X Aniversario será un evento muy especial en el que, a través de las ponencias de nuestros profesores y de antiguos alumnos del máster que hoy son referentes clínicos, académicos o investigadores, se mostrará el

estado del arte en el uso de nuevas tecnologías aplicadas a la odontología restauradora

Prof. Dra. Mª Paz Salido, coordinadora del Máster en Odontología Restauradora basada en las Nuevas Tecnologías de la UCM

precisamente en eso: en desarrollar criterio clínico-científico que permita aplicar con seguridad las nuevas tecnologías que se van incorporando al mercado. Gracias a ello, hemos estandarizado flujos de trabajo que antes no existían, mejorando la precisión, la predictibilidad y la eficiencia de los tratamientos restauradores.

 DM.- La reciente acreditación del Máster por parte de la European Prosthodontic Association refuerza su posicionamiento académico a nivel europeo. ¿Qué relevancia tiene este reconocimiento para el equipo docente y cómo cree que puede influir en la experiencia formativa de los alumnos y en la proyección internacional del programa?

Prof. Dr. G.P.- La reciente acreditación del Máster por parte de la European Prosthodontic Association (EPA) supone un reconocimiento al nivel de excelencia alcanzado en estos diez años. Para el equipo docente es un motivo de enorme orgullo, ya que avala el trabajo sostenido en la construcción de un máster que combina la formación clínica avanzada con una fuerte base tecnológica y científica. Para los alumnos, obtener esta acreditación supone un reconocimiento de enorme valor, ya que certifica que han sido formados bajo los estándares europeos más exigentes en Prostodoncia. Esta distinción oficial no solo les otorga una ventaja competitiva en el ámbito profesional, sino que también les abre nuevas oportunidades a nivel internacional, al situar su perfil dentro de una red europea de excelencia. Además, haber superado un proceso riguroso de evaluación clínica y académica les aporta seguridad y les posiciona como profesionales altamente cualificados, capaces de afrontar con solvencia tratamientos complejos en el campo de la prostodoncia.

siguiendo la evolución de la Odontología

 DM.- ¿En qué consistirá el Simposio del X Aniversario del Máster en Odontología Restauradora basada en las Nuevas Tecnologías que tendrá lugar los días 26 y 27 de septiembre en la Facultad de Odontología de la UCM?

Prof. Dra. Mª Paz Salido (Prof. Dra. M.P.S.).- El X Aniversario será un evento muy especial en el que, a través de las ponencias de nuestros profesores y de antiguos alumnos del máster que hoy son referentes clínicos, académicos o investigadores, se mostrará el estado del arte en el uso de nuevas tecnologías aplicadas a la odontología restauradora. Durante esos 2 días abordaremos temas que reflejan cómo ha evolucionado la práctica clínica gracias a la integración del flujo digital, con ponencias como impresión 3D, nuevas cerámicas, sistemas de registro mandibular, diagnóstico por inteligencia artificial, rehabilitación sobre implantes y planificación digital. También se tratarán temas de actualidad como conceptos biológicos como el BOPT, el manejo de la perimplantitis o la relación entre laboratorio, clínica e industria. El programa está diseñado para ofrecer una visión actual, aplicada y crítica del papel que juega la tecnología en nuestra disciplina, con ponentes que conocen de primera mano la transformación que ha supuesto su implementación en la práctica diaria.

 DM.- ¿Por qué es clave la formación sobre el flujo digital de los estudiantes para la práctica clínica actual? ¿Cuál es su impacto en la práctica clínica de estos profesionales?

Prof. Dra. M.P.S.- La formación en flujo digital es esencial porque permite a los estudiantes desenvolverse con soltura en la realidad clínica actual, donde la tecnología ya no es una opción, sino una herramienta cotidiana que nos ayuda a mejorar nuestros diagnósticos, tratamientos y resultados. Hay que señalar que el flujo digital no sustituye el conocimiento clínico, sino que lo potencia. Por eso, en el Máster, integramos herramientas como escáneres intraorales, softwares de planificación, impresión 3D, espectrofotometría o sistemas de registro mandibular como parte del proceso clínico completo, y no como módulos aislados. El impacto en su práctica clínica es inmediato: ganan precisión, reducen tiempos, mejoran la comunicación interdisciplinar y ofrecen tratamientos más personalizados y predecibles. Esta formación les convierte en profesionales altamente cualificados, preparados para liderar el cambio en sus entornos laborales.

 DM.- El Simposio del X Aniversario del Máster en Odontología Restauradora basada en las Nuevas Tecnologías reunirá a algunos de los protagonistas que están transformando la odontología. ¿Qué expertos participarán durante la jornada para compartir sus técnicas y experiencia en este ámbito?

Prof. Dr. Ignacio Sanz (Prof. Dr. I.S.).- Como ya hemos comentado, este evento será íntegramente impartido por profesores y antiguos alumnos del máster que hoy son referentes en la comunidad odontológica nacional e internacional. Entre los ponentes destacan Ignacio Loi, que presentará su técnica de preparación biológicamente orientada (BOPT); Francisco Martínez Rus, que abordará los criterios clave para la selección de materiales protésicos en rehabilitaciones implantosoportadas de arcadas completas; Carlos Fernández Villares y Francisco Troyano, que reflexionarán sobre cómo la sencillez de la prótesis clásica puede potenciarse con el apoyo de las nuevas tecnologías. También participará Vincenzo Giovane, que hablará sobre la rehabilitación de pacientes con desgastes dentales mediante técnicas restauradoras mínimamente invasivas, así como otros ponentes destacados como Cristian Abad, Javier Pérez, Alberto Ferreiroa, Cristian Castaño o Antonio Meaños, entre otros, todos ellos referentes en este campo.

La clave para que la transición al flujo digital sea realmente exitosa desde el punto de vista de la formación está en enseñar a

los estudiantes a pensar en cómo afrontar los tratamientos de los pacientes desde el conocimiento odontológico, no tecnológico

Prof. Dr. Ignacio Sanz, co-director del Máster en Odontología Restauradora basada en las Nuevas Tecnologías de la UCM

Además, antiguos alumnos del máster compartirán su experiencia sobre temas de vanguardia: Beatriz Anitua abordará el uso actual de las cerámicas impresas, Belén Morón profundizará en los beneficios reales de la impresión 3D en la consulta, Daniel Díaz tratará las carillas cerámicas verticales y Mónica Bonfanti hablará sobre la aplicación de la inteligencia artificial en odontología.

 DM.- ¿Cuál es la clave para la transición al flujo digital sea exitosa desde el punto de vista de la formación?

Prof. Dr. I.S.- La clave para que la transición al flujo digital sea realmente exitosa desde el punto de vista de la formación está en enseñar a los estudiantes a pensar en cómo afrontar los tratamientos de los pacientes desde el conocimiento odontológico, no tecnológico. La tecnología debe entenderse como una herramienta al servicio del tratamiento, no como un fin en sí misma.

Por eso, en el máster insistimos en que antes de aprender a escanear, diseñar o imprimir, hay que saber diagnosticar, planificar y tratar con criterios sólidos. A partir de ahí, el flujo digital se convierte en un aliado que mejora la eficiencia, la precisión y la capacidad de personalizar los tratamientos. Formar en digital no es solo enseñar a manejar software o dispositivos, sino integrar ese conocimiento dentro de una lógica clínica bien fundamentada. Cuando el alumno comprende el porqué y el para qué de cada herramienta, y lo aplica sobre pacientes reales, es cuando la transición al flujo digital deja de ser una barrera y se convierte en una evolución natural de la odontología. 

gestión de clínicas

CÓMO CAPTAR CLIENTES PARA TU CLÍNICA DENTAL:

LO QUE FUNCIONA EN 2025

En 2025, captar pacientes no depende solo de la calidad clínica. Depende de entender cómo buscan, qué valoran y qué necesitan ver (y sentir) antes de decidirse. Y, por supuesto, de contar con el material odontológico adecuado para ofrecer el mejor tratamiento. “Si hago bien mi trabajo, los pacientes vendrán solos”. Ésa es una de las creencias más comunes entre dentistas y una de las que más frena el crecimiento de muchas clínicas dentales. En este artículo te guiamos, paso a paso, por lo que sí funciona hoy para atraer nuevos pacientes de forma clara y práctica.

La clínica como pilar de marca

Muchos dentistas creen que diferenciarse es cuestión de tener un logotipo bonito o un eslogan llamativo. Pero en la práctica, la verdadera marca de una clínica es lo que el paciente siente al entrar, mirar alrededor y ser atendido. Hoy en día, los pacientes ya no buscan solo una clínica “cercana” o “económica”. Quieren un espacio que les transmita

seguridad, profesionalidad y coherencia con lo que vieron online. Y todo eso empieza por el lugar físico.

¿Qué debe transmitir tu clínica desde el minuto uno?

 Confianza visual: limpieza impecable, mobiliario actualizado, iluminación correcta. Una recepción con papeles desordenados o carteles descoloridos da peor imagen que una web mal hecha.

siguiendo la evolución de la Odontología

 Coherencia estética: si en redes muestras una imagen moderna, no puede llegar el paciente y encontrar un entorno desfasado o impersonal.

 Especialización notable: si haces estética dental, debe notarse hasta en pequeños detalles del entorno que refuercen tu posicionamiento. Por ejemplo poner pantallas con casos clínicos reales que muestren éxito en el tratamiento.

Cuida la música, la temperatura, el olor. Todo comunica. Pide a alguien ajeno al sector que visite tu clínica y describa qué le transmite el espacio sin explicarle nada. Ésa es la percepción real que está captando un nuevo paciente.

Estudia y comprende al nuevo paciente dental

El paciente de 2025 no decide solo por precio. Decide basándose en percepciones, confianza y pruebas sociales. Y todo eso se construye mucho antes de que el paciente te conozca en persona.

Cómo piensa un paciente

 Desconfía por defecto: no porque tenga prejuicios, sino porque ha visto muchas clínicas diciendo lo mismo y no sabe cuál elegir.

 Investiga antes de contactar: busca en Google, compara webs, analiza reseñas y redes. No se decide al primer clic.

 Busca respuestas, no tecnicismos: quiere saber si su problema tiene solución, cuánto podría costarle y si puede confiar en quien se lo resuelva.

 Valora la experiencia, no solo el precio: si siente que le entienden, que lo tratan bien y que todo está claro, no busca la opción más barata. Busca la más fiable.

 Tiene expectativas digitales: quiere respuestas rápidas, reserva online sencilla, fotos reales y una imagen coherente entre web, redes y clínica.

Qué puedes hacer

 Asegúrate de que lo que ves online transmite profesionalidad y cercanía.

 Usa un lenguaje simple en la web y redes. Explica las cosas como si las contaras a un paciente en consulta.

 Muestra fotos reales de tu equipo y la clínica. Humaniza tu comunicación.

 Ten reseñas recientes, respondidas con educación. Son uno de los factores que más peso tienen.

 Facilita el contacto. Botón de WhatsApp, formulario sencillo o teléfono bien visible.

Tendencias en captación de pacientes para clínicas dentales

El marketing dental ya no es poner anuncios en Google y esperar que suene el teléfono. Las clínicas que más crecen no lo hacen por gastar más, sino por aplicar mejor las herramientas que realmente están funcionando. La clave está en integrar acciones que generan confianza, presencia y conversión de forma coordinada.

Lead magnets

Tener una web es suficiente para captar pacientes, o eso cree la mayoría. En realidad, casi todas las personas que visitan tu página no reservan cita en ese momento. Entran, miran y se van. ¿Cómo puedes evitar que se pierdan?

La respuesta está en los lead magnets: contenidos o acciones que ofrecen valor al visitante a cambio de sus datos de contacto. Es decir, una forma ética y útil de transformar una visita anónima en una posible cita futura.

Las

clínicas que más crecen no lo hacen por gastar más, sino por aplicar mejor las herramientas que realmente están funcionando. La clave está en integrar acciones que generan confianza, presencia y conversión de forma coordinada

Julio Fernández Gerente de 100Dental.

gestión de clínicas

¿Qué es un lead magnet?

Un lead magnet puede ser cualquier contenido o recurso que interese al paciente y le anime a dejar su email o WhatsApp para recibirlo. Algunos ejemplos reales que funcionan:

 Guías descargables: “Todo lo que necesitas saber antes de hacerte un implante” o “Cómo elegir una ortodoncia sin equivocarte”.

 Simuladores: calculadoras de precios orientativos o evaluaciones estéticas simples.

 Consulta informativa gratuita (muy breve y con condiciones claras): da la oportunidad de resolver una duda sin compromiso.

 Webinars o vídeos explicativos: aunque sean grabados, generan valor y confianza.

Pero, ¿por qué funcionan?

 Reducen la barrera de entrada. No todos los pacientes están listos para pedir cita, pero sí para informarse.

 Te posicionan como autoridad. Si tú eres quien resuelve sus dudas, tú serás quien consideren cuando decidan.

 Permiten hacer seguimiento. Con su email o teléfono puedes enviar contenido útil, resolver dudas y recordar tu presencia, sin ser invasivo.

Error común: ofrecer “descarga nuestra guía” sin explicar qué contiene o por qué vale la pena. El paciente debe ver claro qué gana y qué problema resuelve.

Nuestro consejo práctico

Crea una guía sencilla en PDF, bien diseñada, que responda una duda frecuente de tu público (por ejemplo, “¿Me puedo poner carillas si tengo bruxismo?” o “5 claves para blanquear los dientes en casa”.

Añádela a tu web con un formulario corto: nombre + email. Y empieza a construir una base de contactos que ya te conocen y confían en ti.

Web optimizada

La web de tu clínica ya no es un folleto digital. Es tu primer asistente virtual y, muchas veces, el primer (y único) punto de contacto real que tendrá un paciente contigo antes de decidir si reservar cita... o cerrar la pestaña.

Lo importante no es solo tener una web, sino tener una web que funcione para captar pacientes reales. Eso significa que debe ser clara, rápida, visualmente profesional y pensada para guiar al visitante hacia la acción.

¿Qué debe tener una web?

1. Diseño limpio y moderno.

 Nada de páginas llenas de texto, menús infinitos o colores estridentes.

 Usa una paleta suave, fotos profesionales (reales, si es posible) y mucho espacio en blanco.

 Transmite orden, calma y profesionalidad. El caos visual genera desconfianza.

2 Velocidad y adaptabilidad móvil.

 Si tu web tarda más de 3 segundos en cargar, estás perdiendo pacientes.

 Y si no se adapta bien al móvil (pantallas cortadas, botones pequeños, textos que no se leen), estás fuera del juego. El 70% de las visitas son desde dispositivos móviles.

3. Mensaje claro y orientado al paciente.

 Muchos sitios web de clínicas caen en este error: “Somos un centro odontológico integral con más de 25 años de experiencia en tratamientos multidisciplinares...” Esto no dice nada al paciente.

 En su lugar: “Tu clínica dental en [ciudad] para una sonrisa saludable, sin sorpresas y con financiación a medida”.

 Céntrate en responder rápidamente.

4. Botones visibles y acción clara.

 Llamadas a la acción tipo “Pide cita”, “Escríbenos por WhatsApp” o “Solicita tu primera visita” e incluso creativos como “Mejora tu sonrisa”.

 Que se repiten a lo largo de la web: no escondas el botón de contacto solo al final.

5. Tratamientos explicados con lenguaje sencillo.

Cada tratamiento debe tener su propia página, con:

 Nombre claro (“Ortodoncia invisible”, no “corrección de la maloclusión”).

 Beneficios que entiende el paciente.

 Qué incluye, cuánto dura, desde qué precio (aunque sea orientativo).

 Fotos reales (si es posible) o ilustraciones limpias y claras.

6. Pruebas sociales.

 Opiniones reales integradas en la web (aunque ya estén en Google).

 Testimonios con nombre y foto si el paciente lo permite.

 Muestra casos clínicos (antes y después) cuando sea legal y ético hacerlo.

Posicionamiento SEO

Cuando una persona busca “dentista en [tu ciudad]” o “periodoncia en [tu ciudad]” en Google, normalmente hace clic en los primeros resultados que ve. Si tu clínica no está ahí, estás perdiendo pacientes antes incluso de tener la oportunidad de atenderlos.

SEO (Search Engine Optimization) significa optimizar tu presencia en Google para aparecer en los primeros resultados cuando alguien busca servicios como los que ofreces, y para ello debes:

 Tener una web optimizada con textos claros y encabezados bien organizados, que incluyan palabras clave como “dentista en [tu barrio o ciudad]”, “implantes dentales”, “ortodoncia invisible”, etc.

 Crear páginas específicas por tratamiento. Es mejor tener una página para “blanqueamiento dental” y otra para “carillas”, que meterlo todo en una sola.

 Escribir contenido útil en un blog. Por ejemplo: “¿Cuánto cuesta un implante dental?” o “Qué hacer si te duele una muela”. Este tipo de artículos posiciona bien y atrae tráfico real que se dirige hacia tratamientos específicos.

 Cuidar los títulos y descripciones de cada página Es lo que aparece en Google y debe explicar claramente qué haces.

Tip: haz una búsqueda en Google con lo que te gustaría que un paciente pusiera para encontrarte. Mira si apareces. Si no estás entre los primeros resultados, tienes trabajo que hacer.

Lo importante es tener una web que funcione para captar pacientes reales. Debe ser clara, rápida, visualmente profesional y pensada para guiar al visitante hacia la acción

Ficha de Google Business

Tu ficha de Google es uno de los primeros lugares donde un paciente te ve. Es lo que aparece cuando buscan “dentista cerca” o el nombre de tu clínica. Si no está bien trabajada, puedes perder la oportunidad de que te llamen o visiten tu web.

Qué debe tener tu ficha

 Nombre, dirección y teléfono actualizados. Asegúrate de que coinciden con lo que aparece en tu web.

 Horario real y bien configurado. Incluye festivos y días especiales si cierras.

 Fotos reales y actuales. De la fachada, la recepción, los gabinetes, el equipo... Ayuda a generar confianza.

 Categoría correcta. Debe estar marcada como “Clínica dental” o “Dentista”, no otra cosa (a menos que estés especializado en implantes u ortodoncia). No olvides las categorías secundarias.

 Reseñas. Es muy importante tener reseñas nuevas, variadas y auténticas. Pide a pacientes satisfechos que dejen la suya.

 Publicaciones. Puedes subir novedades, promociones o recordatorios. Esto mantiene tu ficha activa y mejora el posicionamiento.

Campañas de pago

Las campañas de pago (como Google Ads o anuncios en redes sociales) pueden ayudarte a aparecer delante de nuevos pacientes justo cuando están buscando una clínica o investigando sobre algún problema relacionado con sus dientes. Pero si no las haces bien, puedes gastar mucho sin resultados. Puedes anunciarte en:

 Google Ads: ideal para personas que ya están buscando algo concreto, como “implantes dentales en [ciudad]” o “urgencias dentales abiertas hoy”.

 Instagram y Facebook Ads: funcionan bien para generar visibilidad en tratamientos estéticos, ortodoncia o para promociones puntuales.

gestión de clínicas

Se deben usar las redes para mostrar confianza, explicar lo que haces y acercarte al paciente ”

Qué necesitas para que funcionen

 Anuncios claros y directos. Explica qué ofreces, dónde estás y qué puede hacer el paciente (pedir cita, consultar, etc.).

 Segmentación local. No tiene sentido que vea tu anuncio alguien a 50 km si no va a desplazarse.

 Página de destino específica. No envíes al paciente a la home de tu web. Llévalo a una página que hable exactamente del tratamiento que habla el anuncio.

 Presupuesto bien controlado. Empieza con poco, mide los resultados y ajusta.

Antes de lanzar anuncios, asegúrate de que tienes lo básico en orden: ficha de Google, web clara y contacto fácil. Si no, vas a pagar por llevar visitas a un sitio que no convierte.

Redes sociales

Muchas clínicas tienen redes sociales, pero pocas las usan bien. No se trata solo de subir fotos. Se trata de usar las redes para mostrar confianza, explicar lo que haces y acercarte al paciente. Pero, ¿cuáles uso?

 Instagram: útil para mostrar tratamientos estéticos, el día a día de la clínica o resultados.

 Facebook (Meta): funciona bien para publicar contenidos informativos, casos reales o campañas locales.

 TikTok: si tienes un público joven o haces ortodoncia, puede ser útil. Requiere tiempo y creatividad.

 LinkedIn: útil si quieres posicionarte como profesional ante otros profesionales o proveedores.

¿Y qué publico?

 Fotos reales del equipo, la clínica o los tratamientos.

 Explicaciones sencillas: por qué usar férulas, cuándo hacer una limpieza, qué pasa si te duele una muela.

 Opiniones de pacientes (con su consentimiento).

 Casos reales, antes y después, o vídeos explicativos breves.

No intentes estar en todas las redes si no puedes mantenerlas. Es mejor tener solo una (pero bien trabajada) que abrir varias y tenerlas desactualizadas.

Email marketing

El email sigue siendo una herramienta muy útil para mantener el contacto con tus pacientes. No sirve solo para mandar recordatorios de citas, también te ayuda a fidelizar y generar más confianza. Lo primero es construir una base de datos, como hemos comentado antes, con lead magnets para captar correos. Ahora, elige una herramienta simple como MailerLite o Mailchimp, maqueta tus plantillas y organiza los envíos periódicamente. Lo básico es enviar recordatorios de revisiones, seguimientos de tratamientos y promociones. Aunque para realmente conseguir nuevos clientes, debes contar historias, educar y compartir los momentos de la clínica, eso es lo que funciona.

Por ejemplo:

 Un caso breve (respetando la privacidad): “María vino con miedo al dentista. Hoy, después de su tratamiento de ortodoncia, no solo sonríe más: dice que le ha cambiado su forma de verse”.

 Una situación cotidiana: “¿Sabías que muchas personas evitan el dentista por experiencias negativas? En nuestra clínica, lo primero que hacemos es escuchar”.

 Contenido educativo con enfoque humano: “¿Te sangran las encías al cepillarte? Es más común de lo que parece, pero tiene solución si se trata a tiempo”.

Puedes enviar 1 o 2 cada semana si puedes ser constante. No tengas miedo a saturar, el límite es mayor de lo que crees. En resumen, emails de valor, que no vendan, sino que eduquen y conecten con el paciente.

Todo lo que haces fuera de la clínica sirve para atraer. Pero una vez que el paciente entra por la puerta, la experiencia que vive es lo que determina si volverá, si te recomendará y si confiará para futuros tratamientos.

El servicio y la experiencia en clínica

Esto no tiene que ver con tener café en recepción o música ambiental, sino con cómo se siente el paciente desde que entra hasta que sale. Qué piensa antes y después de la visita. Esto es lo que marca la diferencia:

 Trato claro y cercano: explica los tratamientos sin tecnicismos, pregunta si tiene dudas, asegúrate de que entiende lo que va a pasar.

 Tiempo bien gestionado: no hacerle esperar más de lo necesario. Si hay un retraso, informa al paciente.

 Ambiente tranquilo y ordenado: sin prisas ni sensación de caos. Un paciente no debería sentirse “uno más”.

 Seguimiento después de la cita: un simple mensaje o llamada para saber cómo está tras una extracción o tratamiento mejora mucho la percepción de tu clínica.

Haz que cada miembro del equipo tenga claro que la captación no termina cuando el paciente entra, sino cuando se va con una buena sensación. No solo tengas grandes profesionales en tu equipo, sino personas amables y con empatía.

La fidelización como medio de captación

Muchos piensan que captar pacientes es traer gente nueva constantemente. Pero en realidad, los mejores pacientes son los que ya tienes. Y un paciente fiel no solo vuelve: también recomienda, deja buenas reseñas y genera confianza ante los demás.

Qué puedes hacer para fidelizar

 Revisiones periódicas programadas. No esperes a que te llamen. Recuerda a tus pacientes cuándo toca volver.

 Planes de mantenimiento. Ofrece packs anuales de limpieza, revisión y diagnóstico por un precio cerrado. Da estabilidad y refuerza el vínculo.

 Pequeños detalles personalizados. Felicitaciones en su cumpleaños, un mensaje tras un tratamiento largo, preguntar cómo están sus hijos. Lo simple también fideliza.

 Ventajas para pacientes antiguos. Descuento en un tratamiento estético, acceso prioritario a citas o campañas solo para ellos.

Un cliente feliz es un cliente para toda la vida. Y además, te recomendará para atraer aún más pacientes. No tengas miedo a pedir reseñas tras su paso por la clínica.

Lo que se viene en 2026: ¿cómo prepararte para seguir captando clientes?

El comportamiento del paciente seguirá evolucionando. Las clínicas que mejor se adapten a esos cambios serán las que más crezcan. No se trata solo de saber usar herramientas nuevas, sino de entender por dónde van los hábitos, la tecnología y las expectativas.

Captar pacientes ya no depende solo del “boca a boca” o de estar en Google. En 2025, necesitas una estrategia clara que combine visibilidad, confian-

za y experiencia real. Esto no significa hacer todo de golpe ni invertir grandes cantidades. Significa entender cómo piensa tu paciente, ajustar lo que comunicas y mejorar lo que ya tienes.

Para el próximo año, podemos esperar nuevas formas de captar pacientes y tendencias como:

1. Más búsquedas por voz: frases como “dentista cerca que atienda hoy” serán cada vez más comunes. Tu web y ficha deben estar optimizadas para este tipo de consultas.

2. Mayor importancia del vídeo: pacientes que ven vídeos del equipo, tratamientos o casos reales tienden a confiar más rápido.

3. Automatización total del primer contacto: formularios, respuesta automática por WhatsApp, confirmación de cita... Todo sin intervención manual.

4. Experiencias más personalizadas: desde emails segmentados hasta mensajes según tratamientos, el paciente espera que lo conozcas y le hables directamente.

5. Control sobre datos y privacidad: asegúrate de que tu clínica cumple con RGPD y que tus sistemas son seguros.

6. Digitalización de la clínica: cada vez más clínicas integran escáneres intraorales, software de planificación 3D, plataformas de gestión y otros equipamientos modernos que encontrarás en depósitos como 100Dental.

¿Y tú? ¿Vas a seguir esperando a que llamen... o vas a tomar el control de cómo te encuentran? 

PRIMERA CIRUGÍA ROBÓTICA DE IMPLANTES EN EUROPA

Una vez más, la Facultad de Odontología de la Universidad Complutense de Madrid (UCM) está en la vanguardia de la Odontología. El Equipo de Robótica del Máster de Odontología Restauradora basado en las Nuevas Tecnologías de la UCM realizó en julio la primera cirugía en Europa de colocación de implantes con tecnología robótica autónoma. Este sistema lleva más de 7.000 pacientes operados en China, pero ésta ha sido la primera cirugía realizada en Europa tras lograr la autorización de la AEMPS.

El Equipo de Robótica del Máster de Odontología Restauradora basado en las Nuevas Tecnologías de la Universidad Complutense de Madrid (UCM) culminó de forma exitosa el día 23 de julio la primera cirugía en Europa de colocación de implantes con tecnología robótica autónoma.

“Las cirugías realizadas representan la culminación de un largo proceso que comenzó en abril de 2024, cuando visitamos China y vimos por primera vez el robot en funcionamiento. Para el Máster en Odontología Restauradora Basada en las Nuevas Tecnologías, y también para mí como director del programa y del equipo dedicado a Odontología Robótica —formado por Pablo Xing, Raquel Alonso y Fred Oliveira-Pe-

gado—, este momento ha sido especialmente significativo”, explica el Prof. Dr. Guillermo Pradíes.

Desde que recibieron el robot en octubre de 2024 “hemos estado realizando estudios in vitro mientras esperábamos la autorización para su uso en pacientes por parte del Comité de Ensayos Clínicos y la AEMPS”, añade el Dr. Pradíes.

Las dos cirugías robóticas llevadas a cabo para la colocación de un implante en la posición 37 y otra en la posición 36, en dos pacientes distintos, se realizaron sin incidencias. Los implantes obtuvieron valores de estabilidad primaria mediante OSTELL de 80 y 90, respectivamente, con desviaciones respecto a la planificación

prequirúrgica inferiores a 300 micras en oclusal y menos de un grado en el ápice.

Asimismo, desde el Equipo de Robótica del Máster de Odontología Restauradora basado en las Nuevas Tecnologías de la UCM destacan que el robot utilizado, de la empresa “Yakebot”, permite la colocación autónoma del implante, a diferencia de otros modelos que realizan el procedimiento de forma semi-autónoma. Este robot ha sido utilizado ya para la colocación de más de 20.000 implantes en China y cuenta con una amplia documentación científica. Sin embargo, los casos realizados en la Facultad de Odontología de la UCM constituyen los primeros procedimientos realizados con este sistema en Europa. “En el máster nos sentimos profundamente orgullosos de este hito,

El robot utilizado, de la empresa

“Yakebot”,

permite la colocación autónoma del implante, a diferencia de otros modelos que realizan el procedimiento de forma semi-autónoma

Los próximos pasos incluyen el inicio de un ensayo clínico, la continuación de estudios in vitro analizando distintos parámetros y la exploración de su aplicación futura en otros campos, como la endodoncia robotizada y los autotransplantes

aunque somos conscientes de que llevará unos años que estos procedimientos sean habituales en nuestras consultas. Como director del equipo y del máster, quiero destacar el papel clave desempeñado por Pablo Xing, especialmente en la comunicación con China y en la superación de la correspondiente curva de aprendizaje, gracias a su dominio del chino y a su formación previa en cirugía en el Máster de Cirugía e Implantología de la Facultad de Odontología de la Universidad Complutense de Madrid”, señala el Dr. Pradíes.

Los próximos pasos incluyen el inicio de un ensayo clínico, la continuación de estudios in vitro analizando distintos parámetros y la exploración de su aplicación futura en otros campos, como la endodoncia robotizada y los autotransplantes. 

EL CONSEJO GENERAL DE DENTISTAS FALLA SUS PREMIOS ANUALES

El Dr. José Luis Gutiérrez Pérez y la Dra. Carmen Mariscal De Gante Ruzafa recibirán el Premio Santa Apolonia y Dentista del Año, respectivamente, en la gala que tendrá lugar en diciembre.

La Asamblea General de la Organización Colegial de Dentistas de España ha fallado sus premios anuales, que se entregarán en diciembre. En esta ocasión, los galardonados han sido:

• El Dr. José Luis Gutiérrez Pérez, quien ha sido elegido Premio Santa Apolonia 2024, la máxima distinción que concede el Consejo General de Dentistas a título individual. Este premio reconoce a los dentistas que más han destacado por sus trabajos, su dedicación, y su contribución al prestigio y desarrollo de la Odontología a lo largo de toda su trayectoria profesional.

Licenciado y doctor en Medicina y Cirugía por la Universidad de Granada, especialista en Estomatología y en Cirugía Oral y Maxilofacial en la Universidad de Sevilla, el Dr. Gutiérrez es colegiado del Colegio Oficial de Dentistas de Sevilla, quien le ha propuesto como candidato a este premio. Actualmente, es profesor catedrático vinculado, decano de la Facultad de Odontología de la Universidad de Sevilla (US) y vicepresidente primero del Claustro de dicha Universidad. Además, es jefe del servicio y director de la Gestión Clínica de Cirugía Oral y Maxilofacial del Hospital Universitario Virgen del Rocío de Sevilla. A lo largo de su trayectoria profesional ha desempeñado otros cargos de relevancia como presidente de la Sociedad Española de Cirugía Bucal (SECIB) y director gerente del Servicio Andaluz de Salud (SAS).

• El Premio Dentista del Año 2024 ha sido para la Dra. Carmen Mariscal De Gante Ruzafa, quien ha sido propuesta para este galardón por el Colegio Oficial de Dentistas de la I Región, ya que realizó las fichas dentales de las 219 víctimas de la DANA de Valencia y, gracias a ello, se pudieron identificar los cuerpos de las personas fallecidas. La Dra. Mariscal de Gante es licenciada en Medicina y Odontología por la Universidad Complutense de Madrid. Es médico forense y

odontóloga en el Instituto de Medicina Legal y Ciencias Forenses de la Comunidad de Madrid y colabora como docente en la Cátedra de Medicina Legal. Asimismo, es vocal de la Comisión Deontológica del COEM desde 2011.

A la presidenta de la Comunidad de Madrid, Isabel Díaz Ayuso, se le ha otorgado el Premio Juan José Suárez Gimeno al Fomento de la Salud Oral 2024. Este reconocimiento está dirigido a personas, instituciones o empresas que hayan destacado por su labor de mecenazgo o divulgación en cualquiera de los ámbitos de la salud oral. A propuesta del Colegio de Dentistas de la I Región, la Asamblea General de la Organización Colegial ha votado a la presidenta regional como reconocimiento al esfuerzo realizado para hacer realidad el convenio de asistencia sanitaria en materia de salud bucodental para mayores de 80 años en la Comunidad de Madrid, mediante la prestación de algunos tratamientos como obturaciones y rehabilitación con prótesis completas.

María Romano Morales, periodista y responsable de Relaciones Institucionales de iSanidad, ha sido galardonada con el Premio José Navarro Cáceres de Información Sanitaria Odontoestomatológica 2024. Este premio distingue a aquellos periodistas o medios de comunicación que contribuyen a difundir información objetiva y de interés general sobre temas sanitario odontoestomatológicos o que ayuden a promover el cuidado de la salud dental. Como redactora de un medio de comunicación especializado en salud, María Romano ha realizado un trabajo sobresaliente a lo largo de 2024, publicando especiales, reportajes y artículos sobre salud bucodental, de carácter divulgativo y también de índole institucional, lo que la convierte en gran merecedora de este premio. 

EL GOBIERNO AUTORIZA EL REPARTO DE 68 MILLONES DE EUROS PARA LA AMPLIACIÓN DE LA CARTERA BUCODENTAL DEL SNS

El Consejo de Ministros ha aprobado, a propuesta del Ministerio de Sanidad, la distribución territorial de 68.058.000 euros para el impulso de la ampliación de la cartera común de servicios de salud bucodental en el Sistema Nacional de Salud (SNS) durante el ejercicio presupuestario 2025. La medida se enmarca en los compromisos adquiridos por España en el Componente 18 del Plan de Recuperación, Transformación y Resiliencia (PRTR), orientado a reforzar la cohesión, equidad y universalidad del SNS.

La principal novedad de este ejercicio es la incorporación progresiva del colectivo de personas mayores de 65 años como nuevo grupo destinatario de las prestaciones públicas de salud bucodental, comenzando por aquellas personas que están institucionalizadas. Esta actuación da continuidad al Plan de acción de Atención Primaria y Comunitaria 2025–2027, que contempla expresamente el seguimiento de la implantación de la cartera de servicios en los colectivos inicialmente priorizados e incorpora como nuevo grupo destinatario a los mayores de 65 años.

Como consecuencia, se han introducido cambios en los criterios de reparto territorial de los fondos, que por primera vez incluyen a este grupo poblacional como variable específica. En concreto, el 10% del crédito presupuestario total se distribuye atendiendo al porcentaje de personas mayores de 65 años en cada comunidad autónoma y en el INGESA, en relación con el total nacional.

El 90% restante se asigna en función del número de personas incluidas en los colectivos ya priorizados desde la aprobación del Plan para la ampliación de la cartera común de servicios de salud bucodental:

Reparto de fondos entre las comunidades autónomas. Fuente: Ministerio de Sanidad

población de 0 a 14 años, mujeres embarazadas, personas diagnosticadas de procesos oncológicos del territorio cervicofacial y personas con un grado de discapacidad reconocido igual o superior al 33%.

El reparto territorial contempla una ejecución total de 67.692.644,38 euros entre las comunidades autónomas, y 365.355,62 euros asignados al INGESA para el desarrollo del plan en Ceuta y Melilla. Los fondos deberán estar comprometidos antes del 31 de diciembre de 2025 y las medidas podrán ejecutarse hasta 2027.

El seguimiento del programa se realizará mediante indicadores de cobertura y actividad, y requerirá a las comunidades autónomas e INGESA la presentación de informes de planificación y ejecución antes del 30 de septiembre de 2025 y del 31 de marzo del año siguiente, respectivamente. 

NUEVO CONVENIO PARA LA ATENCIÓN BUCODENTAL INFANTIL

DE LA COMUNIDAD DE MADRID HASTA JUNIO DE 2026

El COEM y el Servicio Madrileño de Salud han renovado el convenio de colaboración para la Asistencia Sanitaria en Materia de Salud Bucodental a la población infantil de 6 a 16 años de la Comunidad de Madrid, para el periodo comprendido entre junio de 2025 y junio de 2026. En breve, las clínicas dentales de la Comunidad de Madrid adheridas a este convenio volverán a recibir en su consulta a los niños madrileños de entre 6 y 16 años, para que puedan realizar los tratamientos que les han sido derivados desde las USBD de la Comunidad de Madrid.

Si han estado adheridas al convenio en 2024, su participación en el convenio se renueva automáticamente. Si, por el contrario, no desean continuar este año, deben comunicarlo por escrito para que se les tramite la baja (convenios@coem.org.es).

Entre los principales aspectos del convenio se encuentran los siguientes:

• El anexo III de derivación, que aporta el paciente, tiene un mes de caducidad.

• Una vez finalizado el tratamiento se dispone de un mes para poder facturar dicho tratamiento en la plataforma de facturación del COEM.

• En la plataforma de facturación, al introducir los datos del paciente y los tratamientos realizados, se indicará también la pieza tratada.

Para cualquier duda, aclaración o comentario las clínicas dentales pueden contactar a través del correo electrónico convenios@coem. org.es donde les responderán a la mayor brevedad posible. 

UNA ENCUESTA DE LA FDI REVELA QUE LA PRÁCTICA ODONTOLÓGICA

ILEGAL REPRESENTA UN RIESGO PARA LA SALUD MUNDIAL

La práctica odontológica ilegal representa un riesgo creciente para la salud mundial, ya que los profesionales sin licencia ponen en peligro a los pacientes y perjudican la odontología. Una encuesta de la FDI revela una aplicación deficiente de la ley y la urgente necesidad de leyes más estrictas, concienciación pública y colaboración global.

La práctica odontológica ilegal es un problema acuciante de salud pública mundial que plantea graves riesgos para la seguridad del paciente y socava la integridad de la profesión odontológica. La FDI ha reconocido este problema y ha adoptado la declaración de política “Acción contra la Práctica Dental Ilegal” , que este informe complementa para abordar.

Una amenaza generalizada para la seguridad del paciente

La práctica odontológica ilegal, definida como la prestación de atención dental sin el registro o la licencia necesarios emitidos por la autoridad competente, es una preocupación mundial creciente. Desde personas no cualificadas que ofrecen extracciones a domicilio hasta esteticistas que colocan aparatos dentales en salones, estas prácticas exponen a los pacientes a un grave riesgo de infecciones, desfiguración permanente e incluso complicaciones potencialmente mortales. Datos de encuestas realizadas a 49 asociaciones dentales nacionales (AND) de la IED a nivel mundial revelaron marcadas disparidades en la forma en que los países definen, regulan y aplican las leyes contra la odontología ilegal. Si bien el 95% de los encuestados confirmó la exis-

tencia de regulaciones, solo el 49% cree que son eficaces, y casi la mitad mencionó la aplicación deficiente, la falta de recursos o la tolerancia cultural como obstáculos importantes. El informe destaca que la práctica odontológica ilegal suele prosperar en regiones donde el acceso a atención odontológica asequible y cualificada es limitado. Las normas culturales, las dificultades económicas y la tentación de precios más bajos impulsan aún más la demanda. Resulta alarmante que el 58% de las NDA denunciaran casos de daños a pacientes causados por proveedores sin licencia, lo que subraya la urgente necesidad de contar con medidas de protección más sólidas.

Soluciones en el horizonte

Las recomendaciones de la FDI exigen leyes más estrictas, sanciones más severas y una recopilación de datos rigurosa para medir la prevalencia. Igualmente importantes son las campañas de concienciación pública para educar a los pacientes sobre cómo verificar las credenciales de un dentista, así como la colaboración internacional para compartir las mejores prácticas y desarrollar marcos regulatorios más adaptables. La práctica odontológica ilegal socava la confianza en la odontología y pone en peligro vidas. Desde la FDI resaltan que “los profesionales de la odontología, los organismos reguladores y los legisladores deben colaborar para fortalecer las protecciones, empoderar a las comunidades con conocimiento y garantizar el acceso equitativo a una atención segura y de calidad”. 

ALERTA SOBRE EL TURISMO DENTAL EN MARRUECOS

El Consejo General de Dentistas alerta a los ciudadanos de la reciente tendencia que se está extendiendo en las redes sociales, concretamente, en TikTok. Consiste en empresas que venden packs vacacionales organizados a Marruecos en donde incluyen vuelos, alojamiento, actividades culturales y tratamientos dentales, como carillas de composite. Para incitar a la gente a contratar estos servicios, utilizan mensajes como “¡Transforma tu sonrisa con carillas de resina de composite en Marrakech por solo 1.250€ por persona o 2.000€ para dos personas!”. Asimismo, usan como reclamo vídeos de los pacientes explicando su buena experiencia y animando a los usuarios de las redes a hacer lo mismo.

Desde el Consejo General de Dentistas se recomienda a los ciudadanos que sean cautos ante este tipo de publicidad y prioricen siempre la seguridad y calidad asistencial. El presidente del Consejo, el Dr. Óscar Castro Reino, insiste en que muchos de estos tratamientos se hacen en apenas unas horas, lo que impide dedicar el tiempo suficiente a realizar un diagnóstico completo o una planificación personalizada para cada paciente. “Todo tratamiento conlleva unos riesgos, y si no se evalúa correctamente el estado bucodental de cada persona, pueden surgir inconvenientes a corto y largo plazo, como sensibilidad dental, problemas en las encías e, incluso, la pérdida dental. Viajar a otro país para someterse a un proceso sanitario no es una aventura, es una temeridad”, añade el Dr. Castro. 

LOS DRES. JUAN BLANCO CARRIÓN Y

JESUS

CALATAYUD SIERRA ENTRAN

A FORMAR PARTE DE LA ACADEMIA DE CIENCIAS ODONTOLÓGICAS DE ESPAÑA

En un solemne acto, celebrado en el Salón de PSN (Previsión Sanitaria nacional) en Génova 26, Madrid el 19 de junio y presidido por el Prof. Antonio Bascones, el Dr. Juan Blanco Carrión, profesor de la Universidad de Santiago, ha entrado a formar parte de la Academia de Ciencias Odontológicas de España, tomando posesión de la plaza de Académico Numerario.

En la imagen, el Dr. Juan Blanco Carrión, profesor de la Universidad de Santiago, tras su toma de posesión como Académico Numerario de la Academia de Ciencias Odontológicas de España.

En su discurso el profesor Juan Blanco analizó las perspectivas futuras del tratamiento periodontal y fue

contestado por el catedrático de anatomía de la USC Juan Suárez Quintanilla quien destacó la actividad académica y clínica del nuevo académico.

En el mismo acto, el Dr. Jesús Calataytud Sierra también ha entrado a formar parte de la Academia de Ciencias Odontológicas de España, tomando posesión de la plaza de Académico Correspondiente, con su discurso que versó sobre la “Introducción a la historia de la anestesia local odontológica”. 

LA DRA. CONCEPCIÓN MERCEDES LEÓN MARTÍNEZ, REELEGIDA PRESIDENTA DEL COLEGIO DE DENTISTAS DE SANTA CRUZ DE TENERIFE

En 2021, Concepción Mercedes León Martínez se convirtió en la primera mujer presidenta del Colegio de Dentistas de Santa Cruz de Tenerife, desde la fundación de esta entidad colegial. Tras un primer mandato de cuatro años, en los que afrontó las repercusiones de la pandemia de Covid19 y retos específicos del sector como la lucha contra el intrusismo profesional y los bulos en materia de salud bucodental en redes sociales, la doctora León Martínez ha sido reelegida para una nueva etapa al frente de los dentistas de la provincia tinerfeña.

La nueva Junta de Gobierno vuelve a contar con una mayoría de mujeres, con un 55,5%, reflejo del aumento de colegiadas desde que, en 2015, por primera vez, igualaran en número a sus compañeros y que en 2023 alcanzó el 56,2%. En esta nueva etapa, el Colegio de Dentistas de Santa Cruz de Tenerife continuará con su labor de divulgación en salud bucodental a la sociedad, además de reivindicar las necesidades de la profesión, como la necesaria legislación en torno a la publicidad sanitaria, la defensa de los dentistas y la población frente al intrusismo y la continua apuesta por la formación continuada de los profesionales, entre otros ámbitos. 

LUIS M. GARRALDA, REELEGIDO COMO PRESIDENTE DEL SECTOR DENTAL DE FENIN

por unanimidad como presidente del Sector Dental de la Federación Española de Empresas de Tecnología Sanitaria (Fenin).

Luis M. Garralda ha sido reelegido por unanimidad como presidente del Sector Dental de la Federación Española de Empresas de Tecnología Sanitaria (Fenin), tras la votación que ha tenido lugar en la Asamblea General Electoral.

Garralda, que asumió el cargo por primera vez el 17 de mayo de 2022, inicia así un nuevo mandato con el firme propósito de fortalecer la proyección del sector y consolidar su papel estratégico en el ámbito sanitario.

Con esta reelección, el sector reafirma su apuesta por los avances científicos, la transformación digital y la mejora continua de la salud bucodental como pilar esencial de la salud pública. “Como sector, tenemos el compromiso de seguir desarrollando soluciones innovadoras y colaborando con todos los agentes implicados en la prevención y el cuidado integral de la salud”, ha afirmado Garralda tras su reelección. 

En la imagen, la nueva Junta de Gobierno del Colegio de Dentistas de Santa Cruz de Tenerife, presidida por la Dra. Concepción Mercedes León Martínez.
Colegio de Dentistas de Santa Cruz de Tenerife
Luis M. Garralda ha sido reelegido
Fenin

NUEVA GUÍA DE LA EFP SOBRE ESTÉTICA

EN EL CUIDADO PERIODONTAL

La Federación Europea de Periodontología (EFP) ha publicado un informe de consenso histórico, “Estética y Resultados Reportados por los Pacientes en Periodontología e Implantología” , en la Revista de Periodontología Clínica. Esta nueva guía destaca la estética y las experiencias de los pacientes, factores que influyen cada vez más en las decisiones clínicas, pero que a menudo se han pasado por alto tanto en la investigación como en la práctica clínica. El informe es el resultado de un taller de EFP enfocado en examinar tres situaciones clínicas clave donde el impacto estético es alto: defectos de recesión gingival, colocación de implantes inmediata o temprana/retrasada y el tratamiento de dehiscencias de tejidos blandos bucales periimplantarios. El taller, que tuvo lugar en Florencia en enero de 2025 en colaboración con la Sociedad Italiana de Periodoncia e Implantología (SIdP) y la Sociedad Española de Periodoncia (Sepa), se basó en cinco revisiones sistemáticas que evaluaron los resultados informados por los médicos (CRO), los resultados informados por los pacientes (PRO) y las experiencias informadas por los pacientes (PRE).

“Este consenso marca un antes y un después”, afirmó el profesor Spyros Vassilopoulos, presidente de la EFP. “Refleja el compromiso de la federación con una atención que no solo tenga fundamento científico, sino que también esté alineada con lo que más importa a los pacientes: su satisfacción, su percepción de éxito y su calidad de vida”, añade. Entre los hallazgos clave del informe se encuentran: en el tratamiento de las DRG, técnicas como los colgajos de avance coronal (CAF) con injertos de tejido conectivo (CTG) lograron una cobertura radicular predecible, y las puntuaciones estéticas informadas por el clínico se correlacionaron con mejoras clínicas. Sin embargo, la percepción estética de los pacientes no siempre coincidió con estos resultados clínicos, lo que indica que las métricas estándar podrían no reflejar plenamente la experiencia del paciente.

En la terapia con implantes, la adición de CTG en el momento de la colocación del implante ayudó a estabilizar el margen mucoso; sin embargo, ni las puntuaciones informadas por el médico ni por el paciente reflejaron plenamente estos beneficios. Por el contrario, en el tratamiento de dehiscencias periimplantarias, el uso de CTG debajo de un CAF arrojó resultados favorables tanto desde la perspectiva del profesional como del paciente.

El informe también destaca la creciente importancia de herramientas validadas, como las medidas de resultados notificadas por el paciente (PROM), para evaluar de forma fiable el impacto de la terapia en la salud y el bienestar de los pacientes. La EFP ya abordó estas cuestiones durante su 10º Taller Europeo en 2014, pero esta última publicación supone un avance significativo al ofrecer una guía específica basada en la evidencia más reciente.

“La inclusión de los resultados informados por los pacientes y las puntuaciones estéticas ya no es opcional, sino esencial”, afirmó el Prof. Dr David Herrera, autor correspondiente y moderador del taller. “Este informe es un llamado a la acción para que investigadores y profesionales clínicos diseñen estudios y ofrezcan tratamientos que reflejen fielmente lo que los pacientes valoran. Se trata de escucharlos, evaluar adecuadamente su experiencia e integrarla en la toma de decisiones clínicas”, añadió el Prof. Dr. Herrera.

Los autores instan a que se realicen más ensayos clínicos que integren CRO, PRO y PRE, y que informen tanto sobre los beneficios como sobre los posibles perjuicios de los tratamientos. Este enfoque más amplio y centrado en el paciente puede contribuir a que el éxito clínico vaya de la mano con su satisfacción.

Este último consenso también prepara el escenario para el próximo taller de la Federación en 2026: “Manejo de deformidades y afecciones mucogingivales alrededor de los dientes y deficiencias de tejidos blandos y duros periimplantarios”. 

Imagen de los asistentes al Taller La Granja 2025.

EL ESTUDIO DELPHI SEPA-TICARE IDENTIFICA ÁREAS DE MEJORA EN LA PREVENCIÓN DE LA PERIIMPLANTITIS

Através de una iniciativa de Ticare Implants, con la colaboración de la Sociedad Española de Periodoncia y Osteointegración (Sepa), un seleccionado grupo de casi medio centenar de expertos (la mayor parte de ellos españoles de menos de 40 años pero que ya son referentes internacionales en este campo) han llevado a cabo una investigación sobre tendencias clínicas en la prevención de la periimplantitis, permitiendo obtener una radiografía rigurosa de este problema y también extraer una serie de recomendaciones para optimizar su prevención. El objetivo era aclarar dudas sobre aspectos aún no resueltos o que disponen de una evidencia muy limitada pero que son claves en la prevención de patologías periimplantarias. Para ello, se ha llevado a cabo una reunión de consenso y un estudio prospectivo basado en la metodología Delphi (técnica cualitativa de investigación), todo ello patrocinado por Ticare Implants. Ahora se presentan los principales resultados de este análisis, así como algunas de las conclusiones más significativas, todo lo cual será objeto de publicación en una de las revistas de mayor impacto científico en terapia de implantes.

tán avalados científicamente”, explica el Dr. Alberto Monje que, junto a la Dra. Ana Molina, son los principales coordinadores de esta iniciativa y los primeros firmantes del estudio. Estos profesionales advierten sobre la urgente necesidad de “poder entendernos entre los profesionales y comunicarnos de una manera mucho más efectiva sobre qué es lo que estamos haciendo y sus implicaciones para futuras investigaciones”. “Este estudio Delphi nos ayuda a conocer de primera mano cuales son las necesidades y la falta o no falta de evidencia científica en ciertos aspectos de la implantología”, indica D. Fernando Mozo, CEO de Ticare Implants. Como documento de base, se ha trabajado con las “Guías de práctica clínica para la prevención y tratamiento de las enfermedades periimplantarias” de la Federación Europea de Periodoncia (EFP), donde ya se identificaron gaps a nivel científico. A partir de ahí, se digirió a los socios de SEPA un cuestionario abierto, incluyendo una serie de ítems claves, que podían generar discusión o falta de acuerdo.

“El proyecto surge principalmente por la preocupación de Ticare en la investigación y desarrollo por la correcta salud periimplantaria por la carencia de evidencia en elementos relacionados con la prevención de la periimplantitis y por el hecho de que, de manera muy arbitraria, los clínicos están aplicando técnicas, abordajes, terapias… que no es-

Se han agrupado los ítems en cinco bloques temáticos: 1) Etiopatogenia y epidemiología en periimplantitis; 2) Parámetros quirúrgicos; 3) Parámetros relacionados con el diseño del implante; 4) Parámetros relacionados con la prótesis; 5) Higiene y mantenimiento periimplantario/parámetros relacionados con la satisfacción y expectativas del paciente (PROs). 

BTI LIDERA LA PRODUCCIÓN CIENTÍFICA DE LAS BIOEMPRESAS ESPAÑOLAS POR DÉCIMO AÑO CONSECUTIVO

La Asociación Española de Bioempresas (AseBio) presentó el 11 de junio su Informe Anual AseBio 2024, que analiza la situación y evolución del sector biotecnológico en España. Entre los datos recogidos en el informe figura, un año más, BTI Biotechnology Institute, que encabeza el listado de empresas españolas con mayor producción científica, con 27 publicaciones en revistas de alto impacto. Le siguen AstraZeneca, con 25 publicaciones, y Almirall, con 20. El dato recogido en el Informe AseBio 2024 sigue mostrando a BTI Biotechnology Institute como una de las empresas españolas con mayor compromiso con la I+D y con la generación de conoci-

miento en el ámbito biomédico, ya que se trata del décimo año consecutivo en el que la biotecnológica con sede en Vitoria se sitúa como la empresa número uno en producción científica de España.

Para el doctor Eduardo Anitua, director científico de BTI, “liderar durante una década la producción científica en biotecnología es un reconocimiento que nos impulsa a mejorar y que refuerza nuestra convicción: solo a través del conocimiento riguroso y la investigación constante podemos transformar la medicina y ofrecer soluciones reales para mejorar la vida de las personas”. 

La Dra. Ana Molina y el Dr. Alberto Monje, coordinadores de este estudio, durante la presentación de los resultados de la investigación.

UN GEN QUE HACE INVENCIBLES A BACTERIAS FRENTE A ANTIBIÓTICOS

VITALES SE PROPAGA POR TODO EL MUNDO (UCM)

Un equipo internacional liderado por España ha descubierto cómo un gen casi desconocido, npmA2, se expande por hospitales y granjas, generando “superbacterias” imposibles de tratar.

Científicos de la Universidad Complutense de Madrid (UCM), en colaboración con el Wellcome Sanger Institute de Cambridge, el Instituto Pasteur de París y centros de investigación de los Países Bajos y Australia, alertan de un gen llamado npmA2 que está cruzando fronteras y especies, dotando a bacterias peligrosas de una resistencia total a los aminoglucósidos, un grupo de antibióticos vitales cuando todo lo demás falla. Los investigadores, que analizaron casi dos millones de muestras bacterianas, confirman que este gen actúa como un “pasaporte ge-

nético” que viaja en un fragmento móvil —un “caballo de Troya”— y se incrusta en distintas bacterias, desde el temido Clostridioides difficile, causante de graves infecciones intestinales, hasta Enterococcus faecium, responsable de contagios hospitalarios con una tasa de mortalidad de un 30% en España.

“El npmA2 es como un fantasma: casi nadie sabía de su existencia y, sin hacer ruido, ha empezado a aparecer en distintas partes del mundo y en bacterias que ya son difíciles de controlar”, alerta el doctor Bruno González-Zorn, catedrático del departamento de Sanidad Animal de la UCM y director del estudio publicado en Nature Communications

El hallazgo es especialmente preocupante porque estas bacterias ya muestran resistencias a otros fármacos. “El gen npmA2 convierte a estas infecciones en prácticamente incurables”, explica el doctor Carlos Serna, coautor del estudio. El gen npmA2 ha sido detectado en cepas de seis países y en muestras humanas, animales y ambientales, confirmando que su propagación es global.

Los autores subrayan que la investigación de nuevas estrategias para combatir las infecciones y la vigilancia del uso de antibióticos son ahora más urgentes que nunca. “Si no actuamos ya, nos abocamos a una era donde una simple infección vuelva a ser mortal”, advierte González-Zorn. 

UN ENSAYO CLÍNICO CONFIRMA LAS APLICACIONES Y VENTAJAS CLAVE DE LA DDMRI (RESONANCIA MAGNÉTICA DENTAL) PARA LA ODONTOLOGÍA

Dentsply Sirona y Siemens Healthineers han compartido los resultados clave del ensayo clínico para la validación CE de su sistema de resonancia magnética dental, dirigido por el profesor Rubens Spin-Neto (Universidad de Aarhus, Dinamarca). Además de confirmar su importante potencial en múltiples especialidades odontológicas, el ensayo también ha puesto de relieve las características especializadas del sistema ddMRI, diseñadas para satisfacer las necesidades específicas de los profesionales de la odontología. Entre estas características se encuentra un campo de visión específico para odontología, que se consigue gracias a una bobina dental dedicada y un software especializado que se centra exclusivamente en las estructuras dentales. Esto permite obtener imágenes precisas sin mostrar tejido cerebral. Asimismo, la capacidad del sistema para agilizar la preparación del paciente y mantener un tiempo medio de flujo de trabajo inferior a 20 minutos lo convier-

te en una herramienta altamente eficiente para su uso clínico.

Los aspectos clínicos más destacados del ensayo demostraron la capacidad del MAGNETOM Free.Max Dental Edition para diferenciar la inflamación activa del tejido sano y cicatricial, permitir la evaluación no invasiva de la vitalidad dental y mejorar la visualización de las estructuras neurales relevantes para la extracción dental, como el nervio lingual.

“MAGNETOM Free.Max Dental Edition representa un avance significativo en el campo de la imagen dental, ya que proporciona una excelente visión de las estructuras dentales que no eran fácilmente visibles con otras modalidades de imagen, sin los riesgos asociados a la radiación ionizante”, afirmó el Prof. Rubens Spin-Neto, profesor de Radiología y Diagnóstico por Imagen Dentofacial en la Universidad de Aarhus, Dinamarca. 

Dentsply
Sirona
MAGNETOM Free.Max Dental Edition se ha instalado recientemente en el Klinikum Dortmund (Alemania).

EXPODENTAL PRESENTA SU EDICIÓN 2026 A LAS EMPRESAS DEL SECTOR DENTAL

Cerca de un centenar de profesionales de 80 empresas líderes del sector dental, se dieron cita el pasado 18 de junio en el Recinto Ferial, con motivo de la presentación de la próxima edición de Expodental 2026, Salón Internacional de Equipos, Productos y Servicios Dentales. La feria, organizada por IFEMA MADRID en colaboración con la Federación Española de Empresas de Tecnología Sanitaria (Fenin), celebrará su XVIII edición del miércoles 11 al viernes 13 de marzo, trasladándose a días laborables para reforzar su carácter profesional y facilitar la conciliación personal.

El acto, que ha contado con las intervenciones de la directora general de Negocio Ferial y Congresos de IFEMA MADRID, Arancha Priede; el presidente del Sector Dental de Fenin, Luis M. Garralda, y la directora de Expodental, Ana Rodríguez, ha ofrecido un amplio detalle de los contenidos, así como de la estrategia ya en marcha para impulsar la representatividad e internacionalidad de esta feria líder, que se perfila, una vez más, como el principal punto de encuentro de todos los profesionales del sector de la odontología.

La presentación también ha contado con la participación de Roberto Rosso, fundador y presidente de Key-Stone, que ha realizado un análisis de la situación actual del mercado dental.

El proyecto de Expodental 2026

Bajo el lema “El camino a la innovación odontológica”, Expodental 2026, que cuenta con el patrocinio de NACEX, prevé superar los datos de la edición 2024 que contó con la participación de 374 expositores, una superficie de ocupación de más de 24.500 metros cuadrados netos y 30.000 visitantes profesionales.

Para la próxima edición, Expodental vuelve con más fuerza y energía, ofreciendo nuevas propuestas al conjunto de la industria que contribuyan a dinamizar y facilitar su interacción comercial. Con el respaldo de un sector en constante evolución, la feria reafirma su papel como referente nacional e internacional. El cambio de fechas y horario -de 10.00 a 20.00 horas los tres días- está diseñado para mejorar la experiencia de los participantes, creando un entorno más profesional y dinámico que facilite la asistencia y potencie el networking.

El esquema de organización de Expodental contempla la presentación de un espacio diferenciado para el Sector de Formación y Gestión, que concentrará la información sobre la mejor oferta académica en grado, postgrado y formación continua de profesionales, a través de la participación de universidades, centros de formación, sociedades científicas, colegios profesionales y empresas. El Área de Formación también contará con una zona específica de actividades donde las empresas participantes podrán desarrollar sus presentaciones y charlas y con su propio Speakers’ Corner.

Por otra parte, y como es habitual, el carácter formativo de Expodental se completará con la celebración del Día del Estudiante el miércoles 11 de marzo, una jornada abierta a los estudiantes de 4º y 5º de Odontología, así como a los futuros higienistas y protésicos dentales. De forma paralela a la exposición comercial, se organizará un programa de presentaciones, a cargo de las empresas expositoras, que tendrá lugar en el Speakers´ Corner de la feria, donde se darán a conocer algunas de las tecnologías, soluciones y tratamientos más innovadores desarrollados en los últimos dos años.

La adjudicación de espacios para la nueva edición tendrá lugar los días 23, 24 y 25 de septiembre en las instalaciones de IFEMA MADRID. Y el lunes 15 de septiembre finaliza el plazo de recepción de solicitudes de participación para formar parte de dichas reuniones. Expodental LiveConnect vuelve a incorporarse como plataforma digital que fomenta las conexiones entre profesionales y facilita la preparación de reuniones, además de ofrecer contenidos y actividades exclusivas. Esta herramienta complementa la participación presencial de empresas y profesionales y aporta un valor añadido a todos para ampliar las oportunidades de networking entre expositores y visitantes.

Como patrocinador de Expodental NACEX reafirma su compromiso con la innovación y la excelencia en el sector dental. Su objetivo es proporcionar soluciones logísticas avanzadas que optimicen los procesos de distribución y garanticen la máxima eficiencia para los profesionales de la odontología. Esta colaboración con Expodental subraya su apuesta por apoyar eventos que fomenten el desarrollo tecnológico, la sostenibilidad y el intercambio de conocimiento en una industria en constante evolución. 

Adquisición digital, rápida y

precisa de los datos del paciente con el arco facial digital Head Tracker de Zirkonzahn

Con el nuevo arco facial digital Head Tracker, Zirkonzahn ha desarrollado una solución innovadora que permite determinar con precisión la posición específica de la mandíbula, teniendo en cuenta toda la información

relevante. A diferencia del método analógico anterior mediante PlaneFinder®, cuyos datos requerían una digitalización posterior, ahora es posible realizar todo el proceso diagnóstico de forma completamente digital, comenzando con los escaneos intraorales.

La posición natural de la cabeza (NHP), la posición de la mandíbula y los planos de referencia se adquieren digitalmente sin ningún contacto físico con el paciente, evitando así influencias exógenas. Mediante dos sensores de última generación, es posible adquirir a través de Zirkonzahn.App en un smartphone la posición del maxilar superior, los planos del ala-naso-trago individuales e imágenes 2D de la fisonomía del paciente, lo que significa una importante base de trabajo para el protésico dental, según aseguran desde Zirkonzahn.

En el software Zirkonzahn.Modifier, los datos importados del Head Tracker se alinean automáticamente en el articulador virtual, garantizando el posicionamiento de los dos maxilares según la NHP con la posibilidad de modificaciones posteriores en el software.

Aunque el sistema está diseñado para un uso autónomo, desde Zirkonzahn recomiendan utilizarlo en combinación con el PlaneFinder® físico.

Zirkonzahn www.zirkonzahn.com

Fresadoras altamente automatizadas de vhf para una experiencia de usuario definitiva

Con las dos máquinas de la HIGH END CLASS, vhf camfacture AG ofrece modelos de alta gama altamente automatizados que destacan por su experiencia de usuario definitiva. La Z4 es la solución práctica para la fabricación en la consulta de restauraciones a partir de materiales en bloque y pilares prefabricados. En el caso de la R5, buque insignia de vhf, ofrece la máxima flexibilidad para la consulta y el laboratorio gracias a un cambio fluido entre el mecanizado en húmedo y en seco y su cambiador de materiales para discos, bloques y pilares.

Z4: la solución inteligente para la odontología en el mismo día vhf ha desarrollado esta fresadora dental de 4 ejes de alta precisión para el mecanizado en húmedo de cerámica de vidrio, PMMA, óxido de circonio, composites y pilares de titanio, especialmente para aplicaciones de odontología en el mismo día. De este modo, los pacientes pueden recibir prótesis dentales duraderas y de alta calidad en una sola sesión. Gracias a la directblock Technology, la fijación automática del material se realiza en cuestión de segundos.

La Z4 es compatible con todos los escáneres y paquetes de software CAD habituales y ofrece flujos de trabajo integrados con exocad, 3Shape

y Medit. Todo el proceso de fabricación tras el modelado de los datos se realiza directamente en la máquina a través de una pantalla táctil de manejo intuitivo.

R5: máxima flexibilidad para las más altas exigencias

La R5 es una máquina altamente automatizada que ofrece total libertad de elección en cuanto a materiales, fabricantes e indicaciones, y procesa cada pedido con la máxima precisión y velocidad. Gracias a la posibilidad de fresar discos de hasta 40 mm de grosor, la R5 también es ideal para la fabricación de prótesis completas monolíticas.

Además, la R5 destaca por su máxima facilidad de uso: gracias a su tecnología directclean, cambia automáticamente entre el procesamiento en húmedo y en seco. La tecnología directdisc permite además cambiar las piezas en bruto sin herramientas en el cambiador de discos de diez posiciones. El resultado son restauraciones de primera clase, las 24 horas del día.

vhf camfacture AG www.vhf.com

Henry Schein amplía la cartera de productos EdgeEndo® con la nueva gama EdgePower de piezas de mano y accesorios para endodoncia

Henry Schein presenta la nueva gama EdgePower de EdgeEndo®, compuesta por un motor de endodoncia totalmente inalámbrico, un localizador de ápices independiente, un sistema de obturación y un dispositivo de compactación con control de temperatura, lo que permite a los clínicos agilizar los flujos de trabajo y optimizar la eficiencia. “La incorporación de esta nueva gama de equipos EdgeEndo a nuestra cartera de productos de endodoncia refleja nuestro compromiso continuo de apoyar a los profesionales de la odontología con soluciones fiables, de alta calidad y asequibles”, afirmó Paolo Zanetti, Vice President y General Manager, Endodontics de Henry Schein. “EdgeEndo es nuestra marca mundial de endodoncia de más rápido crecimiento, centrada en ayudar a nuestros clientes a mejorar la atención al paciente al coste adecuado”, añadió. La línea de productos inalámbricos de EdgePower cuenta con los siguientes productos:

• EdgeApex HPTM, una pieza de mano endodóntica con un minicontraángulo giratorio de 360° y una función de localización de ápices incorporado, disponible como sistema independiente o totalmente integrado. Ofrece acciones apicales intuitivas para facilitar la determinación precisa de la longitud de trabajo. El dispositivo incluye control de par inteligente para ayudar a evitar la separación de limas y viene equipado con entradas de memoria abiertas totalmente personalizables, junto con todas las limas más vendidas de EdgeEndo preprogramadas para mayor comodidad.

• EdgeApexTM, un dispositivo compacto e independiente que combina un localizador de ápices y un comprobador pulpar en uno. Dispone de una gran pantalla a todo color de fácil lectura que proporciona información visual y sonora sobre la proximidad al foramen apical, y funciona de forma fiable tanto en seco como en mojado. El comprobador de pulpa integrado ofrece una evaluación precisa de la vitalidad de la pulpa mediante funciones de diagnóstico integradas.

• EdgeFlowTM, un lápiz de obturación diseñado para proporcionar una alta fluidez de la gutapercha, lo que ayuda a garantizar una obturación uniforme y sin burbujas para un relleno y sellado óptimos del conducto. Las baterías dobles proporcionan la potencia necesaria para obturar aproximadamente 100 conductos radiculares con una carga completa, lo que permite un rendimiento fiable durante todo el día.

• EdgePackTM, un dispositivo complementario de obturación con calor diseñado para compactar y cortar gutapercha, con puntas precurvadas disponibles en varios tamaños para ayudar a garantizar una accesibilidad óptima a cualquier sistema de conductos radiculares. Ofrece un control de temperatura de alta precisión para un rendimiento estable y fiable.

Esta completa gama de dispositivos EdgePower es totalmente compatible con la línea actual de limas NiTi, limas manuales y productos biocerámicos de la empresa, así como con la mayoría de los sistemas de limas y materiales endodónticos existentes en el mercado.

Henry Schein www.henryschein.com

Ivoclar presenta IPS e.max® ZirCAD Prime y OptraGloss® Extra Oral: innovación para restauraciones más fuertes, rápidas y estéticas

Ivoclar anuncia el lanzamiento global del bloque IPS e.max ZirCAD Prime y de los pulidores OptraGloss Extra Oral, dos soluciones que redefinen los estándares en la odontología restauradora digital.

IPS e.max ZirCAD Prime

El nuevo bloque de zirconia IPS e.max ZirCAD Prime está diseñado para restauraciones CAD/CAM en clínica y laboratorio, ofreciendo:

•Resistencia superior y estética natural gracias a la tecnología Gradient Technology, que combina una alta translucidez en la zona incisal con una elevada resistencia en la región cervical.

•Versatilidad: disponible en varias tonalidades, lo que permite obtener resultados personalizados y altamente estéticos.

•Compatibilidad con sistemas CEREC/inLab de Dentsply Sirona, garantizando un flujo de trabajo digital ágil.

•Ampliación de gama: a partir de enero de 2025, se incorporan cuatro nuevas tonalidades para adaptarse aún mejor a las necesidades clínicas.

OptraGloss Extra Oral

La línea de pulidores OptraGloss Extra Oral completa la solución al proporcionar un sistema de acabado y brillo de alto rendimiento, especialmente desarrollado para zirconia y otras cerámicas:

•Pulido rápido y eficiente, reduciendo tiempos de trabajo en clínica.

•Resultados de alto brillo sin necesidad de pastas adicionales, garantizando una estética superior y duradera.

•Mayor seguridad para el paciente, gracias a un acabado suave que respeta la integridad del material restaurador.

Con IPS e.max ZirCAD Prime y OptraGloss Extra Oral, Ivoclar ofrece a los profesionales odontológicos una solución integral que combina resistencia, eficiencia y estética, optimizando los resultados tanto para el clínico como para el paciente.

Ivoclar www.ivoclar.com

Nuevo sistema de acabado y pulido con diamante Enhance® Flex de Dentsply Sirona

Las restauraciones con composite, una rutina diaria en muchas consultas dentales, abarcan numerosos pasos en los que hay que tener en cuenta diferentes aspectos. A la hora de colocar una restauración, la mayoría de los odontólogos recurren a pulidores que cumplan los siguientes requisitos: deben ser fáciles de usar, ofrecer excelentes resultados y ser reutilizables, puntos importantes para el éxito clínico, la rentabilidad y la sostenibilidad.

La respuesta de Dentsply Sirona a estos requisitos es el sistema Enhance® Flex, un sistema de acabado y pulido impregnado con diamante, láminas flexibles y bordes redondeados que se adapta a casi cualquier estructura de la superficie dental. Así, los usuarios solo necesitan un instrumento para casi todas las superficies dentales, que se puede reutilizar hasta diez veces. Gracias a su impregnación de diamante y a la reducción de la generación de calor, este sistema ofrece unos resultados de pulido clínicamente excelentes. Los usuarios lo encuentran rápido y fácil de manejar, por lo que el pulido se realiza en muy poco tiempo. Enhance® Flex es adecuado para todos los materiales de composite y ha sido desarrollado especialmente para preservar la estructura dental.

Eficaz para soluciones de Clase II

El sistema Enhance® Flex también demuestra ser un excelente complemento para la solución Clase II de Dentsply Sirona. “Ofrece el primer y único enfoque completo para las restauraciones de clase II, desde el aislamiento del diente hasta el empaste con composite, la fotopolimerización y el pulido”, señalan desde Dentsply Sirona. Este último paso, en particular, puede llevar mucho tiempo, ya que representa hasta el 14% del tiempo total de tratamiento de

una restauración de clase II2. Según indican desde la compañía, “esto es lo que hace que el sistema Enhance® Flex sea tan valioso: permite completar este paso con un solo modelo de forma, lo que garantiza resultados brillantes en las restauraciones, especialmente en las realizadas con el composite Spectra ST® de Dentsply Sirona”.

“Gracias a su geometría laminar y a su aplicación intuitiva, Enhance® Flex simplifica el proceso de pulido y ofrece resultados brillantes al mismo tiempo”, afirma Julie Mroziak, vicepresidenta de Soluciones Restauradoras de Dentsply Sirona. “El sistema se ha desarrollado para optimizar los flujos de trabajo; como parte de la solución Class II, es un excelente complemento para una mayor precisión y eficiencia”, añade.

Dentsply Sirona

www.dentsplysirona.com

DentalQuality consolida su modelo como certificado de excelencia en odontología

Con más de 12 años de trayectoria y más de 150 clínicas certificadas en toda España, DentalQuality se ha consolidado como un referente independiente en la promoción de la excelencia odontológica.

Su modelo, basado en la norma privada de calidad AE513/17, evalúa no solo aspectos clínicos, sino también la publicidad ejercida, la transparencia informativa, la aplicación de protocolos, la formación y estabilidad del equipo profesional y la atención prestada en todo el recorrido del paciente. La certificación de Excelencia Odontológica DentalQuality implica superar una auditoría completa que revisa aspectos clínicos, organizativos, el uso de tecnologías y la verificación de procesos de limpieza y desinfección mediante pruebas químicas. Además, debe renovarse cada dos años para asegurar el cumplimiento continuado de los criterios establecidos. Una vez certificadas, las clínicas acceden a formación personalizada, recursos de gestión y campañas de visibilidad que refuerzan su posicionamiento profesional vinculado a la excelencia. Estos recursos están orientados a fomentar la mejora continuada del equipo en la atención al paciente y a comunicar de forma clara y coherente su calidad diferencial. Además, pasan a formar parte de una red activa de clínicas certificadas, donde los doctores comparten conocimientos, experiencias y buenas prácticas, sin renunciar en ningún momento a su autonomía clínica.

“Nuestro objetivo no es crecer por volumen, sino seguir consolidando una comunidad de clínicas que ejercen con rigor, vocación y responsabilidad”, afirma Gabriel Ríos, director de DentalQuality, añadiendo que “la odontología más vocacional también necesita estructuras que la protejan, la visibilicen y la impulsen, y ese es el papel que queremos seguir desempeñando desde nuestra posición.”

El crecimiento sostenido del certificado y el interés creciente por parte de nuevas clínicas reflejan una tendencia clara: frente a los modelos corporativos, cada vez más profesionales buscan mantener y visibilizar una forma de ejercer alineada con los valores de la buena odontología.

DentalQuality www.dentalq.es

7-8 noviembre 2025

Cirugía Regenerativa

Howard Gluckman  Marco Ronda

Juan Zufía  Sergio García Moreno

Alternativas a la ROG

Néstor Montesdeoca  Asier Eguía

Chantal Malevez

Mario Pérez-Sayans Cirugía multicisciplinar y Medicina oral

David Rubio  Pau Cahuana  Eva Willaert

Rosa Mª López-Pintor  Lorenzo Arriba

Inteligencia artificial y Planificación digital

Faleh Tamini  Fernando Cebrián

Francisco Carroquino  Alejandro Prieto

Octavi Camps

Manejo y prevención de Peri-implantitis

Alberto Monje  Javier Gil  Emilio Couso

Jorge Toledano

Cirugía Robótica

Guillermo Pradíes  Fang Yang

Implantes en arbotantes óseos

Rubén Davó  Iñaki Mayo  Arturo Bilbao

Casos clínicos Desafíos diagnósticos en patología ósea y de la mucosa oral

Javier Alberdi  Irene Lafuente

Pilar Gándara  Beatriz González

Isabel Gallardo  Leticia Bagán

Casos clínicos Manejo multidisciplinar del tratamiento con implantes

Alba Sánchez  J. Carlos Bernabeu

Esther Muñoz Octavi Ortiz

Ginés Aranda

Simposio Industria

Fernando Suárez  Jesús Moreno

Carlos Parra  Tomas Beca  Luis Sánchez

Jorge Caubet

María Rioboo  Berta García Mira Curso higienistas

Cristina Meniz  Jorge Cortés-Bretón

Cirugia Bucal en Atención Primaria

“Cada decisión importa, elige el camino correcto”

Ofertas Especiales

DEL 1 DE SEPTIEMBRE HASTA EL 31 DE DICIEMBRE DE 2025

NUEVO

Contenido:

Varios Combi Pro2

DISPOSITIVO PARA TRATAMIENTO PERIODONTAL

• Unidad de control Varios Combi Pro2

• VA2-LUX-HP Ti

• VA2-LUX-SC Ti

• Depósito Prophy-Chamber2

• Manguera Prophy-Hose2

• Pieza de mano para aeropulido (Prophy)

• Pedal de control inalámbrico

• Soporte

• Manguera de aire

• Manguera de agua

* Paga durante 10 meses sin intereses

569,90€

/MES

• Cable de red

• Set de botellas de irrigación

• Set CLM

• Puntas ultrasonidos

• Polvo FLASH pearl (300g)

Dispositivo para Tratamiento Periodontal Varios Combi Pro2

REF. Y1500505

Tratamiento

Periodontal Subgingival Kit Perio

REF. Y1500470

Boquilla Jet

REF. TA10770106

* Paga durante 10 meses sin intereses

5.699€* 9.504€*

177,90€ SOLO /MES

ICART PROPHY2

iCart Prophy2

REF. S9898

Kit botella de agua

REF. Y1500719

b.clean

REF. BCL600

1.779€* 2.954€*

Escanee el código QR para más información

Turn static files into dynamic content formats.

Create a flipbook
Issuu converts static files into: digital portfolios, online yearbooks, online catalogs, digital photo albums and more. Sign up and create your flipbook.