Afectación renal por Leishmania en
paciente con infección por el VIH y el VHB no conocida
MICROBIOLOGÍA
Giseth Gutiérrez Galarcio
Danna Mendoza Urango
Tanny Meliza Álvarez
Overlys Tapias Hoyos
Marena González Álvarez

151006_61



![]()
MICROBIOLOGÍA
Giseth Gutiérrez Galarcio
Danna Mendoza Urango
Tanny Meliza Álvarez
Overlys Tapias Hoyos
Marena González Álvarez

151006_61



Presentamos el caso de un varón de 40 años de raza negra que consulta en urgencias por síndrome constitucional y epistaxis leve. Es originario de Ghana y reside en España desde hace 16 años. No presenta antecedentes familiares conocidos de interés, ni viajes fuera de España desde hace 10 años. Convive con compañeros de piso y sin animales.
Entre sus antecedentes personales destacan consumo previo de cocaína con episodios de epistaxis en el contexto, enolismo y hábito tabáquico hasta hace 1 año, sin tratamiento habitual.
El paciente consulta en urgencias por malestar general, epistaxis leve autolimitada, astenia, náuseas, vómitos de contenido alimenticio y sensación febril no medida con termómetro de varias semanas de evolución. Sin alteraciones en el hábito intestinal, presenta deposiciones de características normales, con pérdida ponderal no cuantificada. La diuresis es mantenida con orina de coloración oscura.

En la exploración física presenta estado general regular, presión arterial de 145/90 mmHg, temperatura de 37,5 °C y deshidratación mucocutánea. Tiene lesiones herpéticas en el labio superior y en el inferior. No presenta focalidad neurológica. La auscultación es rítmica y sin soplos, con murmullo vesicular conservado. Presenta abdomen no doloroso, ruidos hidroaéreos presentes y hepatomegalia no dolorosa, sin esplenomegalia. No presenta edemas.

Se realizan los siguientes procedimientos diagnósticos al ingreso:
• Analítica: hemoglobina, 9,4 g/dl; volumen corpuscular medio, 76; reticulocitos, 2,40%. Frotis, algún esquistocito aislado; plaquetas, 81.000; leucocitos, 2.250; : neutrófilos absolutos, 1,06; tiempo de protrombina, 74%; cociente internacional normalizado, 1,6; glucosa, 85 mg/dl; creatinina, 1,90 mg/dl; filtrado glomerular, 43 ml/min; sodio, 125 mEq/l; potasio, 3,80 mEq/l; cloro, 89 mEq/l; lipasa, 384 U/l, aspartato-transaminasa, 190; alanina-transaminasa, 103; g-glutamil-transferasa, 487; fosfatasa ácida, 161; bilirrubina total, 1,10 mg/dl; bilirrubina directa, 0,70 mg/dl; proteínas totales, 10,14 mg/dl; lactato-deshidrogenasa, 363 U/l; ácido láctico, 28,1; gasometría venosa: pH, 7,419; pCO2 , 40,8; bicarbonato, 25,7; ferritina, 2.563 ng/ml; triglicéridos, 193 mg/dl. Orina: microhematuria y proteinuria, 0,7 g/l
• Radiografía de tórax: índice cardiotorácico normal, hilios engrosados con adenopatías calcificadas. Silueta cardiomediastínica y parénquimas sin otros hallazgos.
• Prueba rápida de malaria: negativa.
Se procede a ingreso hospitalario para continuar estudio con las siguientes pruebas complementarias:
• Ecografía abdominal: riñones de tamaño agrandado (14 cm) y ecoestructura normal. No presenta ectasia pielocalicial. Hay esplenomegalia de 18 cm, con probables hemangiomas esplénicos y hepático.
• Tomografía por emisión de positrones-tomografía computarizada: moderada captación difusa en ambas glándulas parótidas sugerente de proceso inflamatorio, infeccioso, autoinmune, etc. Presenta adenopatías laterocervical derecha y mediastínicas hipermetabólicas, baja captación difusa en ambos parénquimas pulmonares y esplenomegalia con incremento metabólico difuso, todo ello sugerente de proceso reactivo/inflamatorio. Hay disminución de la captación renal bilateral compatible con insuficiencia renal. No hay otros hallazgos indicativos de lesiones neoplásicas.
• Ecocardiograma: hipertrofia concéntrica grave del ventrículo izquierdo con fracción de eyección del ventrículo izquierdo conservada
Identificación de todos los microorganismos y su relación clínica asociada al caso del artículo.
Los microorganismos que se identificaron en el caso son:
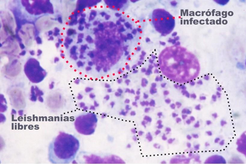
 Leishmaniasis visceral
 VIH
 VHB
 Citomegalovirus
 Herpes virus tipo 1
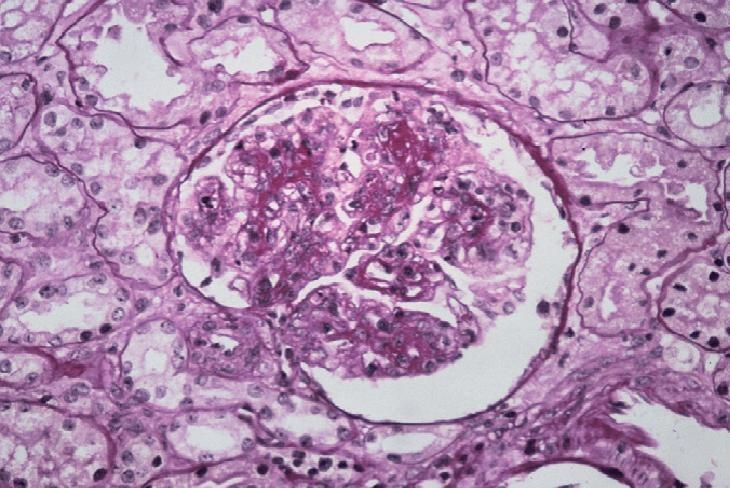
 Glomerulonefritis mesangial
 Membranoproliferativo
 Amiloidosis secundaria
 Hepatitis B



La relación de estos microorganismos con el caso del artículo tiene que ver mucho, porque estos son principalmente los responsables de la grave situación de salud del paciente, y los que empeoran cada vez más las manifestaciones clínicas.
La infección renal aguda es la manifestación más frecuente de la Leishmaniasis (hasta en el 46% de los casos) y se relaciona con infecciones secundarias, factores hemodinámicos, el uso de anfotericina B y la infección parasitaria en sí por invasión directa del parénquima renal, especialmente en pacientes inmunocomprometidos.
La glomerulonefritis mesangial y Membranoproliferativa son los tipos más frecuentes de enfermedades glomerulares, lo que conlleva también a la Amiloidosis secundaria. El deposito de inmunocomplejos en el tejido renal y la activación de las moléculas de adhesión de células T son los responsables de su patogenia.

La hepatitis B es un virus que causa infección hepática y puede llevar a enfermedades crónicas del hígado. Esta coinfección lo que hace es complicar aún más el manejo clínico, también afecta a el sistema inmunológico y esto puede influir también en la respuesta del paciente con respecto a la infección de Leishmaniasis.

La Leishmaniasis es una enfermedad oportunista que puede provocar complicaciones, en este caso en el paciente que también porta el virus VIH. Esto dificultó el diagnóstico hasta que se realizó la biopsia de médula ósea y renal.

El VIH también afecta al sistema inmunológico, lo que permite que la Leishmaniasis cause infecciones más graves y comprometa a algunos órganos como el riñón, complicando los tratamientos y la salud del paciente.

Agente: el agente causal de la leishmaniasis es el parásito del género Leishmania, que se transmite a través de la picadura de mosquitos flebótomos infectados. Hay diferentes especies de Leishmania que pueden causar la enfermedad en humanos, como Leishmania donovani, Leishmania trópica y Leishmania braziliensis. Estos parásitos se multiplican en el interior de las células del sistema inmunológico y pueden causar una variedad de formas clínicas de la enfermedad

Huésped: el ser humano es el principal huésped de la leishmaniasis, aunque también puede afectar a otros mamíferos, como perros y roedores. Algunas especies de Leishmania tienen una especificidad de hospedador, lo que significa que solo infectan a ciertos animales, mientras que otras tienen una amplia gama de hospedadores.

Huésped: el ser humano es el principal huésped de la leishmaniasis, aunque también puede afectar a otros mamíferos, como perros y roedores. Algunas especies de Leishmania tienen una especificidad de hospedador, lo que significa que solo infectan a ciertos animales, mientras que otras tienen una amplia gama de hospedadores.

Agente: el agente causal es el virus de la
Inmunodeficiencia humana (VIH), que ataca y debilita el sistema inmunológico del organismo. El VIH es transmitido a través de los fluidos corporales, como la sangre, semen o leche materna.
Huésped: El ser humano es el único huésped conocido del VIH. Cualquier persona que esté expuesta al virus puede ser susceptible a la infección, independientemente de su género, edad, orientación sexual o raza


Medio ambiente: el medio ambiente en el contexto del VIH se refiere a los factores sociales, económicos y culturales que pueden influir en la transmisión y propagación del virus. Estos factores incluyen la disponibilidad y accesibilidad a servicios de salud y educación, la prevalencia de comportamientos de riesgo, los estigmas y discriminación asociados al VIH y las desigualdades socioeconómicas


Agente: en este caso es el virus de la Hepatitis B (VHB). Es un virus de ADN perteneciente a la familia Hepadnaviridae. El VHB es altamente infeccioso y se transmite principalmente a través de la sangre. Es importante destacar que el VHB puede sobrevivir fuera del cuerpo humano durante períodos prolongados, lo que aumenta su capacidad de transmisión
Ambiente: estas condiciones incluyen la falta de medidas de control de infecciones en los entornos de atención médica, falta de acceso a la vacunación, uso de drogas intravenosas y la práctica sexual de riesgo sin protección

Huésped: es el individuo susceptible de contraer la infección por el VHB. Cualquier persona que no haya sido previamente infectada o vacunada contra el VHB puede convertirse en un huésped susceptible. Algunos factores de riesgo para la infección por VHB incluyen la falta de inmunización, el contacto con sangre o fluidos corporales infectados


Estudios realizados al paciente para el diagnóstico
Analítica: hemoglobina, 9,4 g/dl; volumen corpuscular medio, 76; reticulocitos, 2,40%. Frotis, algún esquistocito aislado; plaquetas, 81.000; leucocitos, 2.250; : neutrófilos absolutos, 1,06; tiempo de protrombina, 74%; cociente internacional normalizado, 1,6; glucosa, 85 mg/dl; creatinina, 1,90 mg/dl; filtrado glomerular, 43 ml/min; sodio, 125 mEq/l; potasio, 3,80 mEq/l; cloro, 89 mEq/l; lipasa, 384 U/l, aspartatotransaminasa, 190; alanina-transaminasa, 103; gglutamil-transferasa, 487; fosfatasa ácida, 161; bilirrubina total, 1,10 mg/dl; bilirrubina directa, 0,70 mg/dl; proteínas totales, 10,14 mg/dl; lactatodeshidrogenasa, 363 U/l; ácido láctico, 28,1; gasometría venosa: pH, 7,419; pCO2 , 40,8; bicarbonato, 25,7; ferritina, 2.563 ng/ml; triglicéridos, 193 mg/dl. Orina: microhematuria y proteinuria, 0,7 g/l.


Radiografía de tórax: índice cardiotorácico normal, hilios engrosados con adenopatías calcificadas. Silueta cardiomediastínica y parénquimas sin otros hallazgos.

rápida de malaria: negativa.

Ecografía abdominal: riñones de tamaño agrandado (14 cm) y eco estructura normal. No presenta ectasia pielocalicial. Hay esplenomegalia de 18 cm, con probables hemangiomas esplénicos y hepático.

Tomografía por emisión de positrones-tomografía computarizada: moderada captación difusa en ambas glándulas parótidas sugerente de proceso inflamatorio, infeccioso, autoinmune, etc. Presenta adenopatías laterocervical derecha y mediastínicas hipermetabólicas, baja captación difusa en ambos parénquimas pulmonares y esplenomegalia con incremento metabólico difuso, todo ello sugerente de proceso reactivo/inflamatorio. Hay disminución de la captación renal bilateral compatible con insuficiencia renal. No hay otros hallazgos indicativos de lesiones neoplásicas.


Ecocardiograma: hipertrofia concéntrica grave del ventrículo izquierdo con fracción de eyección del ventrículo izquierdo conservada.

Tratamiento antirretroviral (TAR): Este fue iniciado debido a la coinfección por VIH, que estaba previamente no diagnosticada. La rápida implementación del TAR fue clave para mejorar el estado inmunológico del paciente.


Cambio a miltefosina: Cuando la Anfotericina B liposomal fue suspendida debido al deterioro renal, se inició el tratamiento con miltefosina. Este cambio estabilizó la función renal del paciente.
Anfotericina B liposomal: Utilizada como tratamiento principal para la Leishmaniasis visceral. Este fármaco permitió inicialmente la mejora de la función renal y la reducción de los síntomas de la infección, pero posteriormente causó nefrotoxicidad, lo que obligó a ajustar la dosis.
Terapia para la coinfección por VHB: Se manejó la hepatitis B crónica con carga viral elevada, aunque no se detallan específicamente los fármacos empleados.

Tratamiento dirigido con daptomicina: Para tratar una infección secundaria por Staphylococcus aureus meticilina sensible detectada en hemocultivos.

Terapia antihipertensiva: Incluyó antagonistas de los receptores de angiotensina II para manejar la hipertensión, posiblemente asociada con la disfunción renal.

Relevancia de los tratamientos
Antirretrovirales y Anfotericina B liposomal: Fueron fundamentales, ya que trataron las dos principales infecciones oportunistas (VIH y Leishmaniasis), mejorando el pronóstico general del paciente.
Cambioamiltefosina: Refleja una adaptación al manejo de la nefrotoxicidad inducida por Anfotericina B, asegurando el control continuo de la Leishmaniasis sin comprometer la función renal.
Daptomicina: Fue crucial para evitar complicaciones mayores derivadas de la bacteriemia secundaria.

Estos tratamientos demuestran un enfoque multidisciplinario necesario para el manejo de pacientes inmunocomprometidos con infecciones múltiples y complicaciones renales.
Datos epidemiológicos a nivel nacional con los microorganismos del caso más relevantes.
La infección por VIH que es una condición prevalente en Colombia, con una tasa de prevalencia del 0.3% en la población general, según datos del Centro Nacional para la Prevención y Control del VIH/SIDA en 2020.

La insuficiencia renal que es una condición común en Colombia, con una tasa de prevalencia del 12.5% en la población general, según datos del Centro Nacional para la prevención y control del VIH/SIDA en 2019.
La glomerulonefritis membranoproliferativa que es una enfermedad renal que puede ser causada por una variedad de factores, incluyendo infecciones, enfermedades autoinmunitarias y enfermedades metabólicas.
La infección por VHB que es también común en Colombia, con una tasa de prevalencia del 1.4% en la población general, según datos del Instituto Nacional de Salud Pública en 2019.
El VIH es un retrovirus que ataca al sistema inmunológico y puede causar infecciones oportunistas y enfermedades relacionadas con la inmunodeficiencia.
