Top Smile Makeover For Chipped & Broken Teeth: Oxnard Dentist For Dentures, Implants

Page 1

TopSmileMakeoverForChipped&BrokenTeeth:

OxnardDentistForDentures,Implants

Notalotofpeopleknowthis,butIusedtohaveareally terriblesmile.Itwassobad,Icouldn'tbringmyselfto smilewithoutcoveringmymouth.DoyouknowwhatI mean?

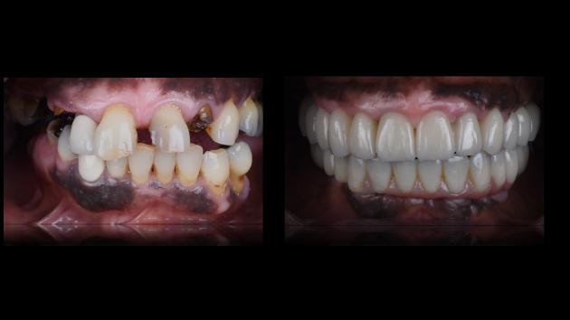
Ifyourteetharebroken, chipped,stained,or missing-itdoesn't matter,thepointis,you cangetthemfixed.

TheAnacapaDentalArt Institutecanevenprovide youwithanatural-looking, functionalsetofpermanently implanteddentures,ina singleday.

Theydoeverythinginhouse,sothere'sno downtime.Yournewteeth areinstalledimmediately afteryouroldteethare removed You'llbeabletosmile, chew,laugh,andtalk, betterthanyoucould withyourbrokenteeth, rightaway.

Thehardestpartwill belearninghowto smileagain,withou hidingyourbeautif newteeth.

Notonlythat,butyournewteethand implantswillbesostrong,they'lleven comewithawarranty!

FindOutMoreAt https://www.anacapadental.com

Turn static files into dynamic content formats.

Create a flipbook
Issuu converts static files into: digital portfolios, online yearbooks, online catalogs, digital photo albums and more. Sign up and create your flipbook.