Santa Barbara Dental Implant Specialist Offers Painless Single-Day Smile Makeovers

Page 1

SantaBarbaraDentalImplantSpecialistOffers

Single-DaySmileMakeovers

Didyouknowthatalligatorscanregrowalosttooth upto50times?Unfortunately,humansaren'tquite sotalented,andweneedtotakeadifferent approach.

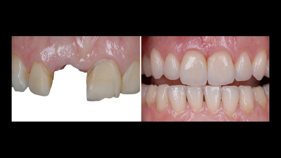
Dr.JivrajfromtheAnacapaDentalArt Institutecanhelpyoutoreplaceoneor allofyourteeth-inasingleday,with minimaldiscomfort

He'saspecialistintheAll-on-4 single-dayimplantprocedure, andteachesitinseminars aroundtheworld.

Ifyou'reworriedaboutanxiety,fear ofthedentist,orpainduringthe procedure-justaskthemabout theirsedationoptions.

Withgentleoralsedationyoucanremain awake,butunconcerned.Oryoucanask forgeneralanesthesiaifyouwantto sleepthroughyourwholeappointment.

Eitherway,inonlyasingle visit,Dr.Jivrajcansetyouup withafullyfunctional,naturallookingsetofteeth,soyou won'tspendasingleday withoutthem.

Yourteethareimportant-theyaffectyouevery minuteofeveryday.Whenit'stimetogeta replacementset,makesureyougetthemfrom thepros.

Learnmoreat https://www.anacapadental.com/generaldentistry/sedation-dentistry

Turn static files into dynamic content formats.

Create a flipbook
Issuu converts static files into: digital portfolios, online yearbooks, online catalogs, digital photo albums and more. Sign up and create your flipbook.
Santa Barbara Dental Implant Specialist Offers Painless Single-Day Smile Makeovers by gennajenkins241451 - Issuu