Graftless Implant Dentistry For Full Arch Restoration, Guide By Dr. Saj Jivraj

Page 1

GraftlessImplantDentistryForFullArch Restoration,GuideByDr.SajJivraj

Asfarbackaswehave records,thereisevidence ofhumansusingdental implantsinsomeformor another,asfarbackasthe ancientEgyptians.

Ofcourse,wedon't usethosetechniques today-becausewe've learnedalotsince then.

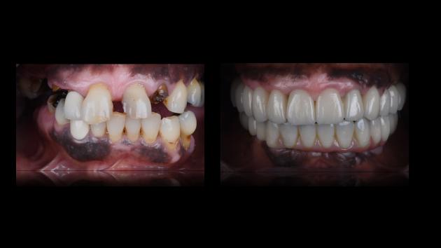
Thisnewclinician'sguidefrom Dr.SajJivrajandateamof specialistsexploresthenewest techniquesandgraftless solutions,inacomprehensive andeasy-to-followformat.

Youwouldn'tuseanancientEgyptiantechnique tostabilizealoosetooth,andyouwouldn'tuse woodendentures-becauseit'snotthesafest option,andwecandosomuchbetter.

Thesenewtechniquescanhelpto providemorestable,long-lasting implantsforarangeofsituations, withoutrequiringbonegrafts

nt's stay
erve,the hthemost Jivrajcan
Learnmoreat https://link.springer.com/book/10.1007/97 8-3-031-32847-3

Turn static files into dynamic content formats.

Create a flipbook
Issuu converts static files into: digital portfolios, online yearbooks, online catalogs, digital photo albums and more. Sign up and create your flipbook.
Graftless Implant Dentistry For Full Arch Restoration, Guide By Dr. Saj Jivraj by gennajenkins241451 - Issuu