Skip to main content

E-Book Immediate Implant Placement

Page 1


Immediate Implant Placement: 5 Steps to Predictable Esthetic Outcomes

Predictable Immediate Implant Placement Starts with Biology

When biologic principles are respected, esthetic-zone outcomes become consistent and stable.

THE BIOLOGIC ADVANTAGE

Know facial bone anatomy to improve case selection.

Manage remodeling to preserve contour and papillae.

Control phenotype to support long-term esthetic stability.

Immediate implant placement becomes predictable when biology and protocol work together.

Your Roadmap to Predictable Esthetic Outcomes

Identify the Right Case

Recognize ideal and manageable risk situations Apply a Structured Decision Framework

Use biologic criteria to guide treatment planning

Follow the 10 Keys Protocol

Execute a sequential roadmap for stability Manage Gap & Soft Tissue Strategically Support long-term volume and contour

1 2 4 5 3

See Real-World Applications

Learn from expert-led esthetic zone cases

STEP 1: Identify the Right Case

The criteria below help you quickly assess risk, guide decision-making, and determine when immediate placement is appropriate – or when it’s not.1

Core Eligibility Criteria

↪Ideally, this should be fulfilled.

ࠦ Both the buccal and palatal walls should be intact.

ࠦ ≥3–4 mm apical bone for primary stability

ࠦ Facial bone of at least 1 mm in thickness

ࠦ No acute infection with pus or bone destruction

ࠦ At least 35 Ncm insertion torque or ISQ of 70 (if aiming for immediate loading)

Biological Predictability Boosters hard tissue

ࠦ Adequate facial bone thickness

ࠦ No vertical or horizontal bone defects

Favorable socket anatomy

soft

tissue

ࠦ Thick gingival biotype

ࠦ Adequate width of keratinized tissue

ࠦ Intact papillae and no recession

Potential Risk Modifiers

↪Refine the decision

Dr. Stephen Chen on the importance of risk-aware case selection

Dr. Chen’s insights on the risk factor of a thin bone phenotype

esthetics

ť Low–medium smile line preferred

ť Highly scalloped architecture increases recession risk

prosthetic & occlusal

ť Immediate contour management is preferred (fixed provisional or custom healing abutment)

ť Absence of parafunctional habits

patient factors

ť Good oral hygiene and compliance

ť Non-smoker

ť Realistic esthetic expectations

STEP 2: Apply a Structured Decision Framework

This table helps you combine biologic factors and risk modifiers into one overall risk view.2

ࠦ LOW RISK

Uneventful healing expected (non-smoker, no diabetes or immunodeficiencies)

Realistic patient expectations

LOW RISK

Intact socket walls

site-related

intra-operative assessment

Thick phenotype

Adequate bone volume

Absence of infection and periodontally healthy

Absence of recession

Gap between facial bone and planned implant position >2 mm

ࠦ LOW RISK

Minimally invasive extraction

Primary stability achieved

Ideal 3-dimensional position achieved

ࠦ Ideal IIP Case

• Predominantly favorable factors

• High predictability

• Standard IIP protocol

⚠ MEDIUM RISK

Healing potentially compromised (e.g. light smoker, controlled diabetes, immune-suppressive medications)

High lip line

⚠ MEDIUM RISK

Buccal defect <5 mm

Thin phenotype

Apical bone for primary stability

Chronic periodontal infection and controlled periodontal disease

Minor recession

Gap between facial bone and planned implant position 1–2 mm

⚠ MEDIUM RISK

Damage to surrounding soft tissues including severed and detached papillae

⚠ IIP with Caution

• Multiple medium-risk factors

• Advanced techniques required

• Grafting and contour management critical

Dr. Stephen Chen on the ITI treatment guide for immediate implant placement

OCTAGON-XMARK HIGH RISK

Compromised healing (e.g. heavy smoker, post radiotherapy cancer treatment, poorly controlled diabetes)

Significant esthetic compromise expected, unrealistic patient expectations

OCTAGON-XMARK HIGH RISK

Marked buccal defect (>5 mm)

Severe thin phenotype

Lack of apical bone for primary stability

Acute infection and periodontal disease

Gingival recession >2 mm

Gap between facial bone and planned implant position <1 mm

OCTAGON-XMARK HIGH RISK

Significant damage to soft tissues and bone

Lack of primary stability

Facially positioned or overangulated implant or excessive implant depth

OCTAGON-XMARK Avoid IIP

• One or more high-risk factors

• High esthetic or biologic risk

• Consider early or delayed placement

Immediate implant placement begins with the right decision—but long-term success is driven by how hard and soft tissues are managed. The following 10 Keys outline the principles that support predictable regeneration and esthetic stability.

2. Lambert F, et al.: Pre-operative analysis and treatment planning. In D. Wismeijer, Bart, & N. Donos (Eds.), ITI treatment guide 14: Immediate implant placement and restoration in partially edentulous patients (Vol. 14). Quintessence, 2023.

STEP 3: Follow the 10 Keys to Success

Your practical checklist from planning → surgery → restoration.3,4

The following 10 Keys, described by Dr. Robert A. Levine, outline a practical, sequential checklist for predictable esthetic-zone immediate implant placement.

Esthetic risk assessment

• Smile line • Gingival phenotype • Patient’s expectations

CBCT analysis

Virtual surgical and restorative-driven treatment planning

CONSIDER:

• Intact buccal bone wall — the thicker, the better (>1mm if possible)

• Aveolar process at least 8 mm wide

• Position of the alveolar socket inside the bone envelope

• Implant selection and positioning to ensure a buccal gap >2 mm

Minimally traumatic tooth extraction (flapless if possible)

• Assess buccal and palatal plates after extraction

Buccal soft-tissue grafting (CTG or volume-stable collagen matrix) 3 4 5 6 7 surgical

• If buccal height is compromised, consider an alternative protocol5

3D implant placement (using a surgical guide)

• Good bone availability for palatal wall implant positioning

Use of a narrow or regular diameter implant

• Achieve primary stability and maintain a buccal gap >2 mm

Buccal gap bone grafting (with low substitution material)

Immediate or delayed emergence profile management

• Customized healing abutment or temporary crown

Use of a custom impression coping technique

• To duplicate the created transition zone

Screw-retained final restoration (when possible)

If a key cannot be achieved at any stage, clinicians should pause and consider early or delayed implant placement instead.

STEP 4: Manage Gap & Soft Tissue Strategically

Strategic gap and soft-tissue management preserves long-term esthetic outcomes.

Why Gap Management Matters

While implant positioning is critical, it does not prevent post-extraction remodeling. Biomaterials play a key role in managing the peri-implant gap and maintaining long-term hard- and soft-tissue stability.

Dr. Stephen Chen discusses the role of biomaterials and grafting in managing the peri-implant gap in immediate implant placement.

“Placing an implant does not stop facial bone remodeling. The implant is a passive occupant — reconstruction with biomaterials is required to maintain volume and long-term hard- and soft-tissue stability.”

Clinical Impact of Gap Grafting

Evidence supporting this approach

50+ peer-reviewed IIP studies covering 1,100+ patients and 1,300+ implants

High long-term implant survival demonstrated with Geistlich Bio-Oss® and Geistlich Bio-Oss Collagen®

Largest evidence base in immediate implant placement with long-term follow-up

Filling the gap with Geistlich Bio-Oss Collagen®

Geistlich biomaterials for immediate implant placement

WATCH WEBINAR
Cardaropoli
Bone resorption after 1 year1

Tissue Grafting Options for Long-term Stability

Selecting the right grafting strategy supports long-term hard- and soft-tissue stability in immediate implant placement.

When grafting is indicated, the choice of technique and biomaterials depends on whether the buccal bone wall is preserved or compromised.

Preserved buccal wall ↷

Fill the Gap: stabilize the clot and support ridge contour stability.

Defective buccal wall <5 mm ↷

Fill + Protect: stabilize the clot and limit soft-tissue ingrowth to support esthetics.

Soft-Tissue Augmentation

Buccal soft-tissue augmentation becomes relevant when the thickness of keratinized tissue is <2 mm, as thin phenotypes are associated with a higher risk of recession and contour loss.

A collagen matrix such as Geistlich Fibro-Gide® can be used to increase tissue thickness and support long-term esthetic stability.

STEP 5: See Real-world Applications

Follow the roadmap in action — from diagnosis to stable esthetic results.

You’ve got the principles, now see how they’re applied in real-world clinical scenarios.

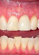
Immediate Implant Placement and Provisionalization for Anterior Esthetics

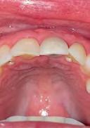
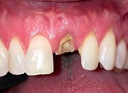
A healthy, 56-year-old female presented with fractured, endodontically treated tooth #9. The tooth was fractured at the gingival level and asymptomatic. Both the patient and the restorative dentist had high esthetic expectations, and preferred immediate implant placement with provisionalization if possible.

1. Pre-operative image showing a fractured, endodontically treated tooth #9.

2. Image 2a: Pre-operative sagittal CBCT image demonstrating a Kan Class 1 sagittal root position with initial digital implant planning conducted during the consultation appointment. Image 2b: Definitive digital implant planning.

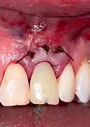
3. Image 3a: Tooth #9 was extracted with minimal flap elevation, preserving the papillae. Image 3b: A 3.6 x 15 mm implant was placed in a fully guided manner with a palatal bias to maximize the facial gap dimension, achieving a +2mm gap.

4. Image 4a: The underside of the periosteum was incised just apical to the mucogingival junction, and a supra-periosteal pocket was created using sharp dissection with a #15 blade. Image 4b: The facial gap was packed with 50 mg of Geistlich Bio-Oss Collagen®. A cover screw was temporarily placed to prevent bone graft granules from entering the implant chamber.

5. Image 5a: A 15mm x 20mm x 3mm Geistlich Fibro-Gide® collagen matrix was inserted into the supra-periosteal pocket, with the coronal portion positioned to cover the facial bone crest. Image 5b: The provisional crown was placed, and the facial mucosal flap was coronally advanced to cover the Geistlich Fibro-Gide® collagen matrix.

6. Images 6a & 6b: 2-week post-operative follow-up.

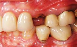
7. Images 7a & 7b: Final restoration at 16 months post-operative.

8. Periapical radiograph at 16 months postoperative demonstrating stable crestal bone levels.

“To obtain the best result with challenging cases, such as this one, I always approach them with thorough pre-surgical assessment, proper hard- and soft-tissue management, and the use of high-quality, evidence-based materials.” — Dr. David E. Urbanek

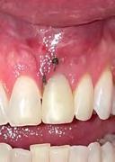
Phenotype Modification Using Geistlich Fibro-Gide® for Immediate Implants in the Esthetic Zone

A healthy non-smoking 50-year-old female patient who desired a single-tooth solution to replace a non-restorable tooth, #12. A root fracture at the level of the palatal post was diagnosed in a root canaled tooth. Maintaining esthetics of the adjacent teeth was important as they are also restored with single full coverage porcelain crowns.

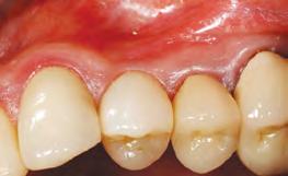
1. Pre-operative assessment demonstrates minimal zone and thickness of buccal keratinized gingiva, with a medium periodontal phenotype.

2. Pre-operative CBCT with virtually planned implant placement. A thin buccal plate (<1mm) is measured. Good apical bone is noted for the placement of a Straumann® 12mmx4.1mm bone level tapered implant.

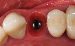
3. Minimally invasive removal of #12 using only a buccal approach mini-flap showing an intact buccal plate with immediate placement of the implant (1 mm below the intact buccal wall) in a screw-retained position. A 3mm buccal gap is measured and a 1.5mm palatal gap.

4. Both the buccal and palatal gaps have been packed with Geistlich Bio-Oss Collagen® hydrated with Gem 21S. I prefer to squeeze Geistlich Fibro-Gide® between thumb and forefinger, prior to placement. A dry-carved piece of Geistlich FibroGide® is in position thinned approximately 2mm with beveling laterally and coronally with a new #15 blade.

5. Geistlich Fibro-Gide® in place facial to the intact buccal wall under a full thickness buccal approach mini-flap. Immediate contour management was completed using an Anatotemp® for a maxillary bicuspid tooth.

6. Suturing completed using 4-0 PTFE and 5 -0 polypropylene nonresorbable sutures. Anticipated shortterm 25% postoperative swelling is discussed with the patient.

7. 3 months post-operative appointment showing a welldeveloped subgingival transition zone created with immediate contour management. A reverse torque test was completed, and the case proceeded to completion.

8. 14-month post-operative view with final screw-retained crown in place. Good interproximal papilla healing is noted with thickening of the buccal periodontal phenotype compared with Fig. #1. (Restorative Therapy: Drew Shulman DMD, MAGD; Philadelphia, PA)

“The importance of the ‘one-two punch’ of ROUTINE phenotype modification using Geistlich Fibro-Gide® in conjunction with bone grafting the >2mm buccal gap with Geistlich Bio-Oss Collagen® provides excellent buccal convex tissue maintenance long-term.”

STEP 1:

Identify the Right Case Predictability starts with disciplined case selection and biologic assessment.

STEP 2: Apply a Structured Decision Framework

Combining biologic factors and risk modifiers reduces uncertainty.

STEP 3:

Follow the 10 Keys to Success Structured execution — from planning to restoration — minimizes complications.

STEP 4: Manage Gap & Soft Tissue Strategically Hard- and soft-tissue management preserves contour and long-term esthetics.

STEP 5: Apply in Real Clinical Cases When the protocol is respected, predictable esthetic outcomes follow.

Turn static files into dynamic content formats.

Create a flipbook