Skip to main content

Florida MD MarchApril 2026

Page 1


The pride we feel in being recognized by US News & World Report is matched only by the pride we feel for our community. Recently named high-performing in 21 types of care and ranked nationally in eight specialties, our combination of advanced care and consistent compassion keeps us at the top year after year. Learn more at OrlandoHealth.com/ORMC

COVER STORY

Orlando Health’s new Institute Square has opened in downtown St. Petersburg, offering the community a new level of care for cancer, orthopedics and women’s health.

The new campus covers a city block just north of Orlando Health Bayfront Hospital in the city’s Innovation District. Orlando Health leaders say the new complex will streamline care and remove some of the obstacles patients often experience by having to navigate services often scattered across multiple locations.

“We are expanding access to advanced specialty care right here in St Petersburg,” said John Moore, president of Orlando Health Bayfront Hospital, during a grand opening ceremony this month. “Our commitment is simple: Deliver world class care locally, strengthen the health care infrastructure of the Tampa Bay region, and raise the standard of excellence for every patient that we serve.”

The dynamic complex consists of the four-story Orlando Health Medical Pavilion, a three-story Orlando Health Women’s Pavilion and a five-story parking garage that also serves as home to the Orlando Health Imaging Center and Orlando Health Outpatient Wound Healing Center.

(Dr. Michael Diaz, Dr. Nina Johson, Mayor Ken Welch, John Moore, Dr. Nyarai Mushonga, Jillian Begin, Alison Barlow and Dr. Daniel Dziadosz at Institute Square’s Grand Opening celebration on February 12, 2026

ON THE COVER: Orlando Health Women’s Pavilion and Medical Pavilion –Institute Square
PHOTO:

Iam pleased to bring you another issue of Florida MD. Sometimes a patient may have the opportunity to participate in a clinical trial. Sometimes a patient may need specialized treatment that is not available in Central Florida. And sometimes there’s no money for that patient to get to those places. Fortunately there is Angel Flight Southeast to get those patients where they need to go. I asked them to tell us about their organization and how you, as physicians, can help. Please join me in supporting this truly wonderful organization.

Best regards,

ANGELS ON EARTH HELP PATIENTS GET TO LIFESAVING MEDICAL TREATMENT

Everyone knows angels have wings! But did you know in Florida and many parts of the nation they have engines and tails with dedicated volunteers who donate lifesaving services every day? Leesburg, Fla.-based Angel Flight Southeast is a network of approximately 650 pilots who volunteer their time, personal airplanes and fuel to help passengers get to far-from-home medical care. A member of the national Air Charity Network, Angel Flight Southeast has been flying passengers since 1993.

Almost all of its passengers are chronic-needs patients who require multiple, sometimes 25-50 treatments. Passengers may be participating in clinical trials, may require post-transplant medical attention or are getting specialized treatment that is not available near home. Each passenger is vetted to confirm medical and financial need and is often referred to Angel Flight Southeast by medical personnel and social workers.

Angel Flight Southeast “Care Traffic Controllers” arrange flights 24 hours a day, 365 days a year. In the event of a transplant procedure, the Care Traffic Controllers have precious minutes to reach out to its list of volunteer pilots who have agreed to be prepared on a moment’s notice to fly a patient to receive his or her potentially lifesaving organ.

The organization is completely funded through donations by individuals and organizations. A typical Angel Flight Southeast pilot donates $400 to $500 in services-per-trip. In fact, Angel Flight Southeast has earned the Independent Charities of America Seal of Approval as a good steward of the funds it generates from the public. Each $1 donated generates more than $10 worth of contributed services by Angel Flight Southeast.

The charity always seeks prospective passengers, volunteer pilots and donations. For additional information, please visit https://www.angelflightse.org or call 1-888-744.8263.

ADVERTISE IN FLORIDA MD

For more information on advertising in Florida MD, call Publisher Donald Rauhofer at (407) 417-7400, fax (407) 977-7773 or info@floridamd www.floridamd.com

Email press releases and all other related information to: info@floridamd.com

PREMIUM REPRINTS

Reprints of cover articles or feature stories in Florida MD are ideal for promoting your company, practice, services and medical products. Increase your brand exposure with high quality, 4-color reprints to use as brochure inserts, promotional flyers, direct mail pieces, and trade show handouts. Call Florida MD for printing estimates.

Publisher: Donald Rauhofer

Photographer: Donald Rauhofer / Florida MD

Contributing Writers: John “Lucky” Meisenheimer, MD ,Tara Griffin, DMD Sonda Eunus, MHA, John Meisenheimer, VII, MD;B.S., Daniel T. Layish, MD, FACP, FCCP, FAASM, Akshay Manohar, MD, Tara Griffin, DMD, Frank Ricci, George Haidukewych, MD

Art Director/Designer: Ana Espinosa

Florida MD is published by Sea Notes Media,LLC, P.O. Box 621856, Oviedo, FL 32762. Call (407) 417-7400 for more information. Advertising rates upon request. Postmaster: Please send notices on Form 3579 to P.O. Box 621856, Oviedo, FL 32762.

Although every precaution is taken to ensure accuracy of published materials, Florida MD cannot be held responsible for opinions expressed or facts expressed by its authors. Copyright 2026 Sea Notes Media. All rights reserved. Reproductionin whole or in part without written permission is prohibited. Annual subscription rate $45.

Plan now to attend a multispecialty conference for surgeons practicing minimally invasive and robotic surgery

Master Courses Available

Didactic and Hands-on Master Courses available

As part of our educational mission, SLS is providing FREE 2026 membership to Medical Students and Residents, and discounted membership for Fellows and Affiliated Medical Personnel.

Members receive discounts on MISWeek 2026 registration fees.

Additional Member Benefits

to keep you

Orlando Health Institute Square Opens in St. Petersburg’s Innovation District: Comprehensive Care in One Place

Orlando Health’s new Institute Square has opened in downtown St. Petersburg, offering the community a new level of care for cancer, orthopedics and women’s health.

The new campus covers a city block just north of Orlando Health Bayfront Hospital in the city’s Innovation District. Orlando Health leaders say the new complex will streamline care and remove some of the obstacles patients often experience by having to navigate services often scattered across multiple locations.

“We are expanding access to advanced specialty care right here in St Petersburg,” said John Moore, president of Orlando Health Bayfront Hospital, during a grand opening ceremony this month. “Our commitment is simple: Deliver world class care locally, strengthen the health care infrastructure of the Tampa Bay region, and raise the standard of excellence for every patient that we serve.”

The dynamic complex consists of the four-story Orlando Health Medical Pavilion, a three-story Orlando Health Women’s Pavilion and a five-story parking garage that also serves as home to the Orlando Health Imaging Center and Orlando Health Outpatient Wound Healing Center.

The project, which started in late 2023, is part of Orlando Health’s effort to expand high-quality care for residents in Pinellas County and the Greater Tampa Bay Area. It is also part of an ongoing evolution of the Orlando Health Bayfront Hospital presence, said St. Petersburg Mayor Kenneth Welch, during the grand opening.

“So many of us were excited and grateful to witness the remarkable turnaround that’s taken place since Orlando Health acquired Bayfront in 2020,” Welch said. “We’ve seen consistent improvement, investment and a real commitment to our community, which makes a big difference.”

The project was also applauded by Alison Barlow, the chief executive officer of the St. Pete Innovation District, which fosters high-tech development in the city’s core.

“It represents a confidence in the city and its future and a commitment to advancing world class health care while embedding it directly in the fabric of our community,” Barlow said. “By investing here, Orlando Health is helping to create a place

where clinical excellence, research, education and innovation intersect right here in the heart of the innovation district.”

A UNIQUE CANCER PARTNERSHIP

Institute Square is home to a collaboration between the Orlando Health Cancer Institute and Florida Cancer Specialists and Research Institute, the nation’s largest privately owned oncology and hematology practice.

The relationship will bolster the community’s cancer care by combining the strengths of both organizations and putting them under a single roof.

The Orlando Health Cancer Institute provides a wide range of cancer services, starting with consultations, diagnostic testing and advanced imaging. Treatment is offered by physicians with a wide range of specialties, including radiation and surgical oncologists. Medical care is supported by nutritionists, counselors, pain specialists and palliative care experts.

Florida Cancer Specialists & Research Institute gives patients

Dr. Michael Diaz, Dr. Nina Johson, Mayor Ken Welch, John Moore, Dr. Nyarai Mushonga, Jillian Begin, Alison Barlow and Dr. Daniel Dziadosz at Institute Square’s Grand Opening celebration on February 12, 2026.

John Moore – President, Orlando Health Bayfront Hospital addresses crowd at Institute Square’s Grand Opening celebration.
PHOTO: PROVIDED BY ORLANDO HEALTH
Orlando Health Women’s Pavilion and Medical Pavilion – Institute Square.

access to a top provider of medical oncology services, including clinical trials. Through its statewide network of doctors, Florida Cancer already sees a third of Florida’s cancer patients.

The combination of the two organizations means that cancer patients will have a full slate of treatment options (radiation, medical or surgical) – without having to trek across the region for specialty services.

Between the two organizations, patients will have access to the most advanced treatment options available, including:

• Stereotactic body radiotherapy

• High-dose rate brachytherapy

• External beam radiation therapy

• Bone marrow transplants

• Chemotherapy

• Immunotherapy

• Targeted therapies

• Molecular diagnostic testing

“It’s an amazing thing to be able to offer the citizens of St. Pete the ability to get all of their cancer care in under one roof,” said Michael Diaz, MD, an oncologist and hematologist for Florida Cancer Specialists.

For convenience, the imaging center is located on the northeast corner of Institute Square. Between the pavilion and the imaging center, patients will have easy access to a wide range of diagnostic tools, including blood labs, mammograms, MRIs and PET CT scanners, which are critical in diagnosing tumors and measuring their response to treatment.

The center will also feature nurse navigators to guide the patient care journey, whether it’s scheduling a mammogram, waiting for test results or making an appointment with an oncologist to discuss treatment options.

“The patient will always have somebody to help navigate their care, instead of them having to figure out where to go next,” said Nina Johnson, MD, a radiation oncologist with Orlando Health Cancer Institute. “It makes it much easier for the patient to get through their care.”

The vision and purpose of streamlined access also helps eliminate some of the confusion that patients face when they are working with doctors in separate locations. Putting these doctors in the same building will increase communication among the care team members.

“Patients like to know that their doctors are talking to each other and that they’re truly getting comprehensive care,” Dr. Johnson said. “They’re uncomfortable when one doctor is saying one thing and another doctor is saying something else. This puts us all on the same page as far as treatment is concerned.”

The close proximity will also make it easier for collaboration among the doctors from the two health organizations. The benefits will be seen in obvious ways (weekly tumor board meetings, for example) and in not-so-obvious ways. For example, Dr. Diaz is looking forward to collaboration on clinical research trials – currently performed by both organizations.

“We’re looking at what we can bring to St. Pete that we can work on together to help improve the quality and the value of cancer care,”

PHOTO: PROVIDED BY ORLANDO HEALTH
Orlando Health Medical Pavilion – Institute Square)
Orlando Health Medical Pavilion, Orlando Health Medical Pavilion, Orlando Health Wound Healing Center, Orlando Health Imaging Center at Institute Square.
PHOTOS: PROVIDED BY ORLANDO HEALTH
St. Petersburg Mayor Ken Welch speaks at Institute Square’s Grand Opening celebration. PHOTO:
BY ORLANDO HEALTH
Chief Executive Officer of the St. Petersburg Innovation District Alison Barlow.

Dr. Diaz said. “Our patients are getting access to state-of-the-art care and the opportunity to participate in state-of-the-art clinical trials.”

They’ll also be enjoying a facility designed to take the uncomfortable edge off the patient’s experience.

When Dr. Johnson looks at the design of the new campus, she sees many reasons why it will work. It starts with complimentary valet parking; a beautiful building designed with the patient in mind and easy access to a wide range of cancer-related services. Patients will also see Orlando Health’s commitment to providing patients with high-quality care.

“They’ve made a huge investment in this community, with the physical building, all the technology and all the providers they’re bringing in,” Dr. Johnson said. “We’re here to stay and to service the community.”

ORTHOPEDIC CARE COMMITMENT

As leaders in patient care excellence, innovation, and medical education, the Orlando Health Jewett Orthopedic Institute is committed to advancing orthopedic and sports medicine care in the communities it serves.

Twenty physicians, along with 16 physician assistants with Florida Medical Clinic Orlando Health across the Tampa Bay area joined the Orlando Health Jewett Orthopedic Institute team in July of 2025.

The clinic at Institute Square in St. Petersburg features a half dozen doctors, along with physician assistants, working out of the 15,000-square-foot clinic, featuring 28 exam rooms, a cast room and a procedure room.

Orthopedic spine surgeon Charles Nalley, MD, has been heavily involved in the new Medical Pavilion.

“Our patients get to come into the new Institute Square, a beautiful building, facility and campus,” Dr. Nalley said. “We have spacious rooms, a spacious lobby, a comfortable and bright area with and a full team of specialists.”

Outside of pediatric services (which are available at Orlando Health Bayfront Hospital), the new clinic’s team can cover virtu-

ally the entire body’s orthopedic needs. Specialties include hips and knees, shoulders and elbows, the spinal column and sports medicine.

“When you start thinking about specialties, we have both lower extremities covered, we have upper extremities covered and we have the spine covered,” Dr. Nalley said.

Among the highlights of the new clinic:

• A single stop for care: Backing up all of this medical expertise is a full suite of onsite diagnostic tools, including X-Rays inside the clinic and MRI and CT imaging located on the pavilion’s first floor. Physical therapy space is being added to the third floor. Fitting the concept of Institute Square, the goal is to be able to take care of every patient’s needs at one location. “If you come here, you don’t need to go anywhere else,” Dr. Nalley said. “We’re going to take care of patient care and counseling. If we need advanced imaging, we can take care of that on site. If we need physical therapy, we can do that on site. There’s no reason for us to segment the patient care and patient experience.”

• Walk-in clinic: The Orlando Health Jewett Orthopedic Institute clinic features a walk-in clinic for orthopedic injuries and concerns. This isn’t an urgent care facility that’s open 24 hours day. But during regular hours, a physician assistant

PHOTO: PROVIDED BY ORLANDO HEALTH
CT (computed tomography) scanner at Orlando Health Imaging Center – Institute Square
Florida Cancer Specialists & Research Institute’s Dr. Michael Diaz & Orlando Health Radiation Oncologist Dr. Nina Johnson at Institute Square’s Grand Opening celebration
PHOTO:
Lobby of Orlando Health Medical Pavilion – Institute Square.

specializing in orthopedic and sports medicine care will be available to see patients – dealing with pain or discomfort – who don’t want to wait for a regular appointment. When necessary, one of the clinic’s doctors will be available for consultation on complicated cases.

• Bayfront trauma support: The team’s specialists, and physician assistants, help cover the Level II trauma center at Orlando Health Bayfront Hospital. That’s a heavy load, considering the needs of the high-volume emergency room, which needs support seven days a week, throughout the year. This is a significant benefit for the community which, until now, has not had constant access to an orthopedic trauma specialist through the emergency department. “We’re providing that now,” Dr. Nalley said. “Regardless of how severe the trauma is, our people have a passion for taking care of those patients.”

Asked to describe his favorite feature of the new building, Dr. Nalley offered a quick response: “Windows. That’s an easy answer. Just the fact that you can look out a window and get some sunlight.”

Of course, windows don’t repair broken bones, strained ligaments or ruptured tendons. But the environment makes a difference, both for the professionals who work there and for patients seeking care.

From patients, Dr. Nalley said they are already hearing praise for the pavilion’s interior space, natural lighting and ease of transitioning through their care steps. “There has been a palpable difference. They’ve made comments on it in clinic,” he said.

The building’s layout and thoughtful design works both for the patients and the clinic’s team. The lobby and check-in desks are located on the ground floor, with three separate radiology suites just steps away. This allows patients to have their radiographs taken before they transition to the clinical area, where they are greeted by medical assistants.“What we’ve been able to do with the design of this new facility is create a convenient, not cumbersome, workflow for patient care,” Dr. Nalley said. “We’re just trying to create a good patient care experience.”

Also coming to Institute Square early this summer is the Orlando Health Rehabilitation and Sports Medicine Center.

Specialties provided will include orthopedics, sports medicine and pelvic health. The gym will come equipped with the latest technology in rehabilitation care including turf, an Alter-G treadmill, and force plates to measure force distribution with functional movements like squats and jumps.

WOMEN’S PAVILION: CARE FOR LIFE

The southwest corner of the square is occupied by the new Orlando Health Women’s Pavilion, a three-story, 60,000-square-foot building that serves as home to Orlando Health Bayfront Hospital’s Obstetrics & Gynecology (OBGYN) Residency Program and Shady Grove Fertility Clinic.

The reproductive endocrinology practice provides a full range of fertility treatment and service options to those who are looking to achieve their dream of parenthood. That combination promises to provide care for women at every stage of their lives.

“Women can come here at any point of their lifespan, whether they just need an annual exam, are starting a family, trying to get pregnant, navigating a pregnancy or something more complex,” said Heisy Asusta, MD, leader of Orlando Health Bayfront Hospital’s OBGYN residency program. “We have the resources to walk them through any journey they’re on. And for women who are struggling with other gynecologic issues, this is a great place to seek solutions.”

The residency program features four general OBGYN physicians, 16 resident physicians at various stages of their four-year training program and a nurse practitioner/midwife. The team offers a comprehensive array of OBGYN services. The four general physicians offer a range of surgical specialties, including minimally invasive procedures, robotic-assisted surgery, open surgery and laparoscopic procedures.

There are a variety of outpatient services offered in the clinic, including:

• Detailed perinatal ultrasounds, gynecologic ultrasounds and other procedures with sonographers.

• Hysteroscopies for patients who need a detailed evaluation of the uterine cavity.

• Contraceptive management.

• Treatment for cervical dysplasia.

PHOTO: PROVIDED BY ORLANDO HEALTH
X-ray suite at Orlando Health Imaging Center – Institute Square.
Shady Grover Fertility’s office inside the Orlando Health Women’s Pavilion - Institute Square

• Hormonal therapy for menopausal patients.

The clinic can also handle high-risk obstetrics, through a partnership with the Johns Hopkins Maternal Fetal Medicine Specialists group.

Physicians from Johns Hopkins visit the pavilion three days a week to work with Orlando Health Bayfront’s physicians, residents and high-risk patients. The partnership offers yet another example of how Institute Square provides comprehensive treatment in cooperation with community partners.“It enables us to provide care for more complex cases close to home,” Dr. Asusta said.

That mission is further boosted by being located next door to the laboratory and Orlando Health Imaging Center – Institute Square. A strong working relationship with the lab and imaging center means patients have easy access to labs and imaging services, saving them from making multiple trips. Same-day service is the sort of thing every patient loves to have as an option. But it’s particularly important for obstetric patients.

“They sometimes have transportation issues or they just don’t have a lot of time on their hands to make another appointment to get blood work on another day, at another site,” Dr. Asusta said.

Like others settling into the new facility, Dr. Asusta sees significant value in its design – both for patients and team members. Highlights included well-designed procedure rooms and exam chairs designed to accommodate patients of all sizes and abilities.

Coming soon are large touch screens (imagine a large television screen placed vertically) for patient exam rooms. These will be connected to a library of health information, including graphics and descriptions of various medical diagnoses. These will help the clinic team communicate better with patients and their families.

And the building itself?

“Esthetically, it’s beautiful,” Dr. Asusta said. “They did a great job with the landscaping, with crepe myrtles and magnolia trees. They made sure to highlight all the natural beauty of this area.”

To refer a patient or to learn more about us call Institute Square at 727-502-5672.

PHOTO: PROVIDED BY ORLANDO HEALTH
Lobby of the Obstetrics and Gynecology practice in the Women’s Pavilion.

From common sports injuries to complex bone, muscle, and joint conditions, our multidisciplinary orthopedics team offers families all the care their children need.

And as the largest pediatric orthopedics program in the state, with multiple locations across Central Florida, it’s easy for them to access care. Call 407.650.7715 to refer a patient to one of our experts.

Not All Basal Cell Carcinomas Are Created Equal

Occasionally a patient will tell me their “doctor friend” recommended that they don’t need treatment for a basal cell carcinoma because it will never hurt you. “Doc, he said it’s only a basal cell carcinoma.” Dermatologists fully recognize this as a genuinely cringe-worthy statement. You don’t need to see too many people missing various parts of their facial anatomy to know this advice is blatantly wrong. Even in this modern time of medical miracles, people still die from neglected basal cell carcinomas. When pressed for the name of their “doctor friend,” it usually comes up as I don’t remember their name, or it ends up being “Doctor Google.”

It is true a superficial basal cell carcinoma on the torso probably would take years and years for it to cause any sort of significant morbidity to a patient. But, on the other hand, even a small basal cell on the torso will continue to grow if left untreated slowly. What might have been a simple, inexpensive procedure now, a decade later, has turned into a monster of aggravation, discomfort, and cost.

Although metastatic disease risk is low with basal cell carcinomas, it is certainly not zero. Several people die each year from basal cell carcinoma. Even more, patients can have disfiguring bouts with cancer losing various parts of anatomy such as nose, ears, eyes, etc. What a lot of patients and even some physicians are not aware of is that not all basal cell carcinomas are created equal. There are several different histologic growth patterns. These varying histologic types can each behave differently and require different treatment plans.

As mentioned before, a superficial basal cell carcinoma is probably not going to cause a great deal of physical damage unless neglected for long periods. There are other types of basal cell carcinomas; morpheaform and sclerosing basal cell carcinomas with infiltrating growth patterns. These cancers left untreated can cause a significant amount of morbidity in shorter periods measured in months, not years. Aggressive basal cell cancers can also become neurotropic, meaning that they “wrap” around a nerve and can track down its length. Neurotropism can be particularly dangerous, especially if this is on the face and affecting a nerve that happens to pass through a foramen into the brain. Clearly, not a good scenario.

Basal cell carcinomas, limited to the skin, tend to be very amenable to treatment in a variety of different ways. Even as a Mohs surgeon I can think of at least half a dozen different ways that I have treated basal cell carcinomas. Not all basal cell carcinomas need Mohs surgery. Each case of basal cell carcinoma should be evaluated individually and in consideration as to the best method of treatment based on its histologic growth pattern, location, and physical condition of the patient.

The great news about basal cell carcinoma, even though it is the most common type of skin cancer and millions are treated each year, only a tiny percentage of these end up causing death in patients. When someone says I would much rather have a basal cell carcinoma than a melanoma, there is a caveat; if you die from a basal cell carcinoma, you are just as dead as if you were to die from melanoma. Happily, most of the time, with early diagnosis and treatment, you don’t have to die from either. Basal cell carcinoma is called cancer for a reason. Give it its respect that it is due, or otherwise, you may regret saying, “oh, you don’t have to worry about it, it’s only a basal cell carcinoma.”

Lucky Meisenheimer, M.D. is a board-certified dermatologist specializing in Mohs Surgery. He is the director of the Meisenheimer Clinic – Dermatology and Mohs Surgery. John Meisenheimer, VII is an MD practicing in Orlando. 

PHOTO: JOHN MEISENHEIMER, VII
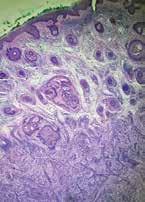
Pathology of an infiltrative basal cell carcinoma.
Infiltrative Basal Cell carcinoma of the forehead.
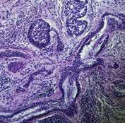
Superficial Multifocal BCC.
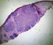
Nodular basal cell carcinoma.
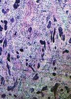
Neurotropic basal cell carcinoma.
Sclerosing basal cell carcinoma.
PHOTO: JOHN MEISENHEIMER, VII
PHOTO: JOHN MEISENHEIMER, VII
PHOTO: JOHN MEISENHEIMER, VII

Is Your Online Reputation Costing You Patients?

What does your online reputation say about your practice? If you have a negative online reputation, you are missing out on new patients every day. Most medical practices now get the majority of their new patients through Google and other search engine queries, such as “Pediatrician in Orlando”. If your practice appears in these searches, the most common next step for a potential new patient would be to check out your reviews – what are other patients saying about your practice? It has been reported that 90% of consumers read online reviews before visiting a business and that online reviews influence 67% of purchasing decisions (Bright Local). For this reason, it is incredibly important to pay attention to the rating and reviews that your practice has on search engines, social media platforms, and local online business directories.

However, despite the importance of cultivating a positive online reputation, only 33% of businesses report actively collecting and asking for reviews (1). One great process to set in place at your practice is asking for patient reviews after each patient visit. It can be as simple as training your front office staff to ask each patient how their visit went while checking them out, and if they receive favorable feedback then they can ask the patient to please leave a review on Google or Facebook about their experience. If they receive negative feedback, this feedback should be taken very seriously, and management should be notified as soon as possible so that the issue can be mitigated before the patient decides to post a negative review.

Setting up an automated text or email campaign that asks each patient for their feedback after their appointment is also a great way to improve your online reputation as well as to correct any issues that may be occurring at your practice. When you receive feedback from patients, you are then able to prompt them to leave a public review on Facebook, Google, Yelp, Healthgrades, or other applicable review platforms. However, you must be aware that legally, you are not allowed to only direct people with favorable feedback to leave reviews, which is known as review-gating – so if you are implementing an automated system like this, just make sure that you are aware of this limitation. There are online reputation management platforms which allow you to customize the messages that people see when they leave negative feedback as opposed to positive feedback, but both of those messages must still offer the option to leave a public review. However, if you create your message in such a way as to communicate to the patient who may leave negative feedback that you are working hard on resolving the issue and that someone will be in touch shortly, that may prevent them from leaving a public negative review.

When you receive a public review on Google, Facebook, or other review sites, make sure that you respond to it – either by thanking them for a good review or by asking them to contact you to discuss how you can improve their experience. Do not argue or try to defend yourself online – try to speak about it with them privately, fix the issue, and ask them to remove the review if possible. When you receive great reviews, make sure to cross-share them on your various social media platforms. You should also create a “Reviews” page on your website and add all great reviews to this page. This instantly adds credibility to your website.

Finally, make sure that when you look over the feedback and reviews that you receive, you are paying attention to what the negative reviews are saying – this is a great opportunity to identify current process challenges and improve your patients’ experience at your practice. Need help managing your practice’s online reputation? Visit www.lms-plus.com to see how Leading Marketing Solutions can help.

Sonda Eunus is the CEO of Leading Marketing Solutions, a Marketing Agency working with Medical Practices and other Businesses to help them identify the best marketing strategies for their business, create a strong online presence, and automate their marketing processes for a better return on their Marketing budget. Learn more about Leading Marketing Solutions at www.lms-plus.com. 

Healing Eczema: Beyond Skin Deep

Oftentimes the children we treat in our practice suffer from asthma, allergies, eczema and other comorbid conditions, which create a persistent inflammatory state in the body. In these cases, we apply a synergistic mix of healing factors: nutrition with dietary modifications, supplements, enhanced detoxification, and medications when necessary. We determine food intolerances, look for nutritional deficiencies, and analyze chemical exposures. Additionally, salt therapy has proven to be a safe and effective healing modality that helps clear eczema completely.

HOW DOES SALT THERAPY HELP HEAL ECZEMA?

In January 2018, our pediatric center became the newest location for The Salt Room® in Central Florida. Salt therapy is performed in this special spa-like room with salt-coated walls and floor, called a halochamber. Pharmaceutical-grade salt is pulverized into microscopic particles and pushed into the room by a halogenerator.

Salt therapy involves lounging in this cozy room and passively breathing in the particles while listening to soothing music, reading, or just relaxing in a zero-gravity chair. Toys are provided so children can play with the salt in the room, much like sand at the beach.

The salt particles enter the lungs and nasal passages, accelerating mucus clearance and improving lung function while killing harmful bacteria and soothing the respiratory system. The antibacterial, anti-fungal, and anti-inflammatory properties of salt have been documented to help with symptoms of both respiratory and skin conditions.

HOW SALT THERAPY PROVIDES RELIEF FOR ECZEMA:

• Fortifies the skin’s protective barrier

• Stimulates microcirculation

• Reduces inflammation, redness and irritation

• Has anti-bacterial and anti-fungal effects

• Reduces IgE levels

• Helps normalize the skin’s pH balance

• Promotes healthy tissue regeneration

• Facilitates deeper penetration of skin care products

• Increases skin elasticity

• Cleans impacted follicles

• Promotes gentle exfoliation (cell turnover)

For those suffering from eczema, salt therapy works by activating multiple physiological processes in the body. On the outside of the body, the salt particles kill bacteria and fungi, reduce inflammation on the skin, and improve circulation on the skin surface. Salt calms the itchy rash and heals cracks, which restores

the skin’s barrier against infections and allergens. The skin and respiratory tract are cleansed of allergens like pollen, dust, or smoke. Salt therapy also reduces stress and strengthens the body’s defense system. Salt therapy is a clinically-proven, natural, safe, and beneficial method of treatment for every age group.

Taking a holistic approach to eczema—identifying the underlying cause(s), applying the appropriate integrative protocol, and incorporating salt therapy—has yielded successful outcomes for our patients. This “beyond the surface” approach to a skin condition has proven to shorten the journey to lasting relief—with a side effect of smiles.

Joseph Cannizzaro, MD has been practicing pediatrics in Central Florida for over 40 years and is the author of “Answers for the 4-A Epidemic: Healing for Kids with Autism, ADHD, Asthma and Allergies.” As a classicallytrained primary care physician who practices functional integrative medicine, Dr. Cannizzaro believes that integrative medicine can bring conventional and complementary healing modalities together, creating a highly personalized and high-touch healing environment. Call the Cannizzaro Integrative Pediatric Center at 321-2805867 for a meet and greet or to book a session at The Salt Room® Longwood. www.MyCIPC.com. 

Stroke rehabilitation— Life-changing results

Cannabis Demonstrates Improvement in Opioid Addiction Outcomes

Cannabis demonstrates improved treatment outcomes for people suffering from opioid addiction and reduced risk from accidental fentanyl exposure, according to research published in the December 2020 issue of the Drug and Alcoholic Dependence Journal. The link to the article is below.

Cannabis use is associated with reduced risk of exposure to fentanyl among people on opioid agonist therapy during a community-wide overdose crisis - ScienceDirect

The study was performed by University of British Columbia and BC Center on Substance Abuse (BCCSU). The study included 819 participants, with 53 percent either intentionally or accidentally using fentanyl despite being treated for opioid addiction with treatments like methadone or buprenorphine/naloxone. The researchers found that participants who had urine tests positive for THC were about 10% less likely to have fentanyl-positive urine which puts them at a lower risk for overdoing on the opioid.

Dr. Eugenia Socías, the study’s lead author and clinician-scientist at BCCSU, said the “findings suggest that cannabis could have a stabilizing impact for many patients on treatment, while also reducing the risk of overdose.”

Previous BCCSU research found that individuals on opioid agonist treatments, such as methadone, who reported using cannabis on a daily basis were 21% more likely to continue addiction treatment at six months than non-cannabis users, the report says. BCCSU is set to work with the Canadian Institutes of Health Research on further evaluating the role of cannabis as a potential adjunct therapy to opioid agonist treatments.

Canadian researchers have found that without access to and rapid expansion of take-home naloxone, overdose prevention services, and opioid analog treatments, the number of overdose deaths in B.C. would be 2.5 times higher than current levels; but patient retention on these medications remains a challenge despite more individuals with opioid-use disorder being connected to treatments, the report says.

ANALYSIS

This study provides positive data linking cannabis use with decreased effect of opiates. It helps validate cannabis as a viable treatment for opiate dependence.

This is extremely important because the US opioid crisis has picked up momentum under the distraction of the Coronavirus pandemic. Eighteen states and Washington, D.C. have reported a 10% increase in opioid related deaths from 2019 to 2020. According to Addictioncenter.com, drug overdoses rose 4.6% in 2020 to 70,890 cases in the USA.

In the US, more individual states are adding qualifying conditions for medical cannabis related to opiate dependency. Cannabis has never killed anyone in human history, and therefore safer than many prescription medications, including opiates. The more data we collect on the benefits of cannabis for opiate addiction, the more momentum is gained to push to recognize cannabis as a legal medicine under US federal law.

Michael Patterson NHA, OTR/L, CEAS is CEO of US Cannabis Pharmaceutical Research and Development LLC. (uscprd.com). Mr. Patterson is a healthcare executive with over 25 years experience in the following areas: Cannabis-Hemp investment, Law, Regulation, Compliance, Operations, and Management, Skilled Nursing, Pharmacy, Laboratory, Assisted Living, Home Healthcare, and Healthcare Analytics. Michael is a subject matter expert in the Global Cannabis and Hemp Industry with Gerson Lehrman Group (glg.it) and Guidepoint. Mr. Patterson is an editorial board member of the American Journal of Medical Cannabis, licensed Nursing Home Administrator, and licensed Occupational Therapist in 4 states.. 

Early Recognition Can Save Patients’ Hips

It’s easy for us to imagine the scene. A young adult athlete, such as a hockey goalie or a ballerina, sits with their physician in the examination room reviewing several X-rays on a screen that show an apparently healthy hip.

The physician tells the patient that they have sustained an injury to the joint. The soft tissues will heal with time and the pain can be managed, but arthritis could possibly develop in the future.

While just two decades ago, this may have been the end of the conversation, young adults should no longer accept that arthritis and a deteriorating joint is the inevitable result of a hip injury. Fortunately, a major paradigm shift is underway. Supported by extensive data and increasingly effective arthroscopic techniques, we can recognize the underlying pathologies resulting from hip injuries and treat them now. Such early intervention may possibly delay or obviate the need for total hip replacement in the future and might even prevent the joints from developing arthritis altogether.

THE CHALLENGE –Traditionally, arthritis has been divided into two categories: primary and secondary. Primary arthritis basically means arthritis with no known origin. Secondary arthritis includes arthritic conditions of known medical origin, such as rheumatoid or inflammatory arthritis and infectious or septic arthritis. In the 1970s, 80s and even the 90s, we lacked the diagnostic tools to be more precise than this. But today, with increased awareness, improvements in advanced imaging, better understanding of synovial biomarkers, and other technology available, we can invest greater effort in determining the precise causes of the pre-arthritic condition and treat the underlying pathology.

These pathologies may include femoroacetabular impingement, acetabular labral tears, excessive femoral or acetabular anteversion or retroversion, inadequate femoral head coverage (Acetabular Dysplasia), or hip microinstabiltiy. In some cases, the injury that brings the patient to the physician’s office may reveal another pathology such as generalized ligamentous laxity, or even some connective tissue disorders like Ehlers-Danlos Syndrome.

These conditions may result in an earlier than normal onset of arthritis of the hip if left untreated. Ultimately, the goal is to change the mindset of both patients and providers alike – that osteoarthritis is not a disease, but rather a symptom or side effect of an untreated predisposing hip condition.

THE

PARADIGM SHIFT

– The focus of hip preservation is the idea that we don’t treat hip pain patients like pre-arthritic patients; we treat them like they have actual pathologies that need to be treated. A growing body of evidence shows us that early intervention can improve hip function, reduce pain, and possibly delay or even prevent the onset of arthritis.

But as with many advances that result in a paradigm shift,

there has been skepticism and resistance in some quarters. I compare this to how arthroscopic surgery was viewed many years ago. For a long time, some physicians considered shoulder arthroscopy to be “an instrument of the devil” by very prominent shoulder surgeons. For example, if you were doing a labral repair arthroscopically, some argued that you were doing harm to the patient and that of course would be a terrible thing. But then our arthroscopy techniques steadily improved. The result has been a total shift away from open surgical labral repairs for shoulder instability. In fact, the role for open shoulder labral repairs is so limited today that the technique is not often taught in surgical residency or fellowship anymore.

With hip surgery, it’s similar. Early articles were published with nearly the same headlines, comparing hip arthroscopy to the “devil’s tool.” Open surgery on the hip for dysplasia, for example, has been around for some time. Whereas hip arthroscopy has been around only since the early 2000s. But now that paradigm has started to change. Now, we are able to combine open surgery with arthroscopic techniques. The results are promising, but they have taken time to gather. Part of this is due to the nature of hip preservation. Unlike surgery to the shoulder or the knee, for example, in hip surgery, the benefits for the patient may not always be immediately clear. Instead, we are trying not only to improve function and reduce pain now, but potentially prevent a disease that’s possible to happen 10 to 20 years from now. Now that we have been doing this work for nearly 20 years, longer term data has begun to demonstrate that hip arthroscopy improves a patient’s pain and function. And while it is likely too early to truly know hip arthroscopy’s effect long term, as we continue to improve our techniques and study our patients, I am confident we will start to see stronger evidence for delayed and possibly reduced rates of hip osteoarthritis.

UNDERDIAGNOSED –

Education is key in hip arthroscopy because many times the underlying pathology goes undiagnosed. For example, often a patient will present with vague groin pain or maybe a tightness they experience when they are trying to stretch out. Sometimes this pain radiates to other areas, such as the buttocks, or the hip. Then it often gets written off as a muscle pull or lower back pain. But unlike those conditions, it never really goes away. The patient gets X-rayed, but the X-ray looks healthy. Eventually, the patient gets frustrated and that’s typically when we are consulted; because, if you are 21 years old, you should not be experiencing hip pain. And if you do, that’s something that needs to be addressed.

Dr. Andrew Carbone is a dual fellowship-trained orthopedic surgeon and sports medicine physician at the Orlando Health Jewett Orthopedic Institute.

At the Orlando Health Jewett Orthopedic Institute, we are seeking to raise awareness among young adult athletes that hip-related pain is not normal and the cause of it should be carefully investigated and identified. And if it is determined not to be a temporary condition, such as a muscle strain, we should review the possible treatment options, which may include arthroscopy. Orlando Health Jewett Orthopedic Institute is the first orthopedic specialty hospital in Florida, and we’ve assembled a team of distinguished experts to address these kinds of cases. When a patient comes here, they aren’t seeing just one doctor and getting just one opinion, they are seeing several doctors and getting several perspectives at once. We form a kind of collective in which we can share our views and challenge each other. In addition to this, we are part of the Academic Network of Conservational Hip Outcomes Research group (ANCHOR). ANCHOR is a multicenter, clinical research group of physicians and scientists who are investigating adolescent and adult hip disorders. We are focused on improving patient care through research, education and mentorship. This collaboration enables us to learn from thousands of data points and patient outcomes.

BOTTOM LINE – If you have a young adult patient who has experienced an injury to their hip or is presenting with unusual pain, don’t dismiss it, investigate it. Find out why this is happening, and let’s get it treated. It might save that patient a lot of pain and difficulty not just now, but many years from now.

Dr. Andrew Carbone is a dual fellowship-trained orthopedic surgeon and sports medicine physician at the Orlando Health Jewett Orthopedic Institute. His expertise is in sports medicine, and he frequently collaborates with athletes across many sports. This includes enthusiasts who play sports in their leisure time as part of an active lifestyle. Dr. Carbone is proficient in a wide array of procedures including:

• Arthroscopic hip labral repair for treatment of femoroacetabular impingement

• Complex primary and revision hip arthroscopy including labral reconstruction for treatment of recurrent labral tears

• Shoulder arthroscopy for rotator cuff tears, shoulder instability and biceps injuries

• Knee arthroscopy for treatment of meniscal and cartilage injuries

• Ligament reconstruction for knee injuries

• Minimally invasive robotic hip replacement

• Minimally invasive treatment of gluteal and hamstring tears

Dr. Carbone stays informed on the latest medical research and science so he can offer his patients the most comprehensive information and care. He takes time to answer all of their questions so they feel comfortable about their treatment options.

DR. CARBONE’S TRAINING

He earned a bachelor’s degree in neuroscience and behavioral biology from Emory University in Atlanta. Dr. Carbone received his medical degree from New York Medical College in Valhalla, where he was inducted into the Alpha Omega Alpha national medical honor society. He then stayed in New York for an orthopedic surgery residency at The Mount Sinai Hospital.

He completed a sports medicine fellowship at the Cedars-Sinai Kerlan-Jobe Institute in Los Angeles and another fellowship in hip preservation at the American Hip Institute & Orthopedic Specialists in Des Plaines, Illinois. He received specialized training in open and arthroscopic hip preservation techniques, treatment of gluteal and hamstring injuries, and minimally invasive robotic hip replacement procedures.

ABOUT DR. CARBONE

Dr. Carbone is a member of the American Orthopaedic Society for Sports Medicine, American Academy of Orthopaedic Surgeons, Arthroscopy Association of North America and International Society of Hip Preservation. He is also a peer reviewer for The American Journal of Sports Medicine.

His research has been published on topics including arthroscopic capsular repair, batter’s shoulder, shoulder arthroplasty and femoroacetabular impingement syndrome, a condition in which the bones at the hip joint rub together due to one or both bones being irregularly shaped.

He has a particular interest in the arthroscopic treatment of sports-related injuries of the hip, knee and shoulder. During his medical studies, he spent a year researching the biologic and mechanical pathways involved in tendon to bone healing and how sports-related injuries affect cartilage health and contribute to the development of osteoarthritis.

He constantly reviews the latest research, allowing him to extend to his patients the most comprehensive information and care available to ensure they are comfortable with their treatment options.

An avid sports fan, Dr. Carbone previously served as the assistant team physician for the Los Angeles Dodgers and Los Angeles Angels. He served as the associate team physician for the Anaheim Ducks, Los Angeles Galaxy, Los Angeles Sparks, Pepperdine University and West LA College.

Outside of work, he enjoys spending quality time with his wife and children, playing golf, and exploring new places through travel.

What’s New in the Treatment of Mild Obstructive Sleep Apnea and Primary Snoring?

THE FIRST FDA-AUTHORIZED DAYTIME THERAPY: EXCITEOSA® SNORE... SNORE… SNORE…

We all know of someone who snores, but when people are informed of their snoring, the typical response is denial and disbelief. The truth of the matter is that snoring is extremely common, but most people don’t understand why it happens.

Snoring is generated when the upper airway/pharyngeal muscles relax and as air flows through a relaxed posterior airway. In some people with a crowded posterior airway, these sounds and vibrations result in mild obstructive sleep apnea (OSA), which is identified by having an AHI (apnea hypopnea index) between 5-15 events/hour. The repeated airway obstructions result in sleep disruption, blood pressure swings, and recurrent nocturnal asphyxia and hypoxia resulting in increased sympathetic nervous system activation during sleep. Traditionally, there has not been any significant treatment modality for primary snoring. Mild OSA has been treated primarily with auto-CPAP/PAP or mandibular advancement devices along with lifestyle modifications (weight loss, drinking, and smoking cessation). The most notable change is noted in the upper airway and the genioglossus muscle. This collapsibility is higher in mild OSA compared to primary snoring. In non-snorers, there is an ability to prevent collapsibility of the upper airway and have functional mechanisms that prevent collapse.

The genioglossus is considered the largest muscle of the airway and the most important dilatory muscles during sleep onset. With sleep onset, there is rapid reduction in pharyngeal and tongue muscle contractility. Over time the respiratory stimulus and genioglossus activity progressively increase during stable non-REM sleep. However, a notable number of individuals fail to effectively increase genioglossus activity or achieve inadequate tongue muscle activation to overcome the obstruction prior to the arousal. Therefore, there is a failure of the tongue muscles to generate an appropriate protective response from a neural drive or responsiveness perspective.

The first proof of concept of daytime stimulation of the tongue was presented by Wiltfang in 1999 (28). He demonstrated using a TENS like stimulation during daytime for two weeks resulted in a significantly reduced respiratory disturbance index (RDI), from 13.2/hour to 3.9/hour, oxygen desaturation index improved as did minimum oxygen saturation from 75% to 88%. In another prospective placebo controlled randomized trial of daytime tongue stimulation vs TENS type stimulation the number of snoring epochs decreased significantly (from 63.9±23.1 epochs per hour to 47.5±31.2; P<.05).

EXCITEOSA®:

The eXciteOSA device targets the intrinsic and extrinsic pharyngeal and tongue muscles by delivering neuromuscular electrical stimulation to the tongue with the purpose of increasing muscle responsiveness and preventing excessive relaxation. The device has three components:

1. Washable flexible electrode mouthpiece with an electrode array that fits onto the tongue.

2. Rechargeable control unit that attaches to the mouthpiece via a USB connection.

3. Smartphone App that manages the functions of the device. The mouthpiece is placed in the mouth, on the tongue with the two electrodes located above and two below the tongue. Therapy consists of a series of pulse bursts with rest periods for 20 minutes during the wakefulness state for a period of 6 weeks. With daily use of eXciteOSA, the tongue muscle function improves to prevent the backward collapse of the tongue and hence obstruction of the airway.

CLINICAL TRIALS DATA

The original trial was a prospective multicenter trial of individuals with primary snoring or mild OSA. Snoring was assessed by the bed partner reporting on a visual analog scale-VAS (ranging from 1-10, 10=unbearable snoring). The snorers sleep quality was recording using the Pittsburgh Sleep Quality Index (PSQI) pretreatment (2 weeks before start of therapy), during treatment phase (6 weeks recorded in last two weeks) and post treatment (2 weeks after stopping therapy). 27 individuals completed the trial (8 women and 19 men), average age 44 years (age range 2568 years), BMI 29.7 (range 20.7-35) and AHI 9 (range 2.5-15).

Eight primary snorers and 19 had mild OSA.

Results revealed bed partner reported snoring reduced by 52% (p<0.001) with over 80% declaring a reduction of >40%. The change remained statically significant for primary snores and mild OSA patients (VAS reduction 6.6 to 3.6 p<0,001).

Another multicenter clinical trial was undertaken at London University hospital along with other sites in Europe. The objective was to validate the objective measures and assess the reproducibility of the subjective outcomes of the previous study. This was cohort of mild OSA (HST using WatchPAT®) and primary snorers. Two consecutive night studies were conducted before and after the 6-week period. This was supplemented with partner VAS, Epworth Sleepiness Scale (ESS), and PSQI.

125 patients were recruited and 115 (50 primary snorers and 65 mild OSA patients) completed the trial. The average age was 46 (range 24-79 years), 73 males and 42 females, average BMI 27 (range 20-34). For the study population the mean objective percentage of sleep time snoring at >40dB, reduced significantly by 41% (p<0.001). 90% of the participants recorded an objective reduction in their snoring. Clinically significant reduction in snoring time was also reported at snoring intensities of 45dB and 50dB with an improvement of 52% (p<0.001) and 54% (p<0.001) respectively. In mild OSA, 79% showed an average reduction in AHI of 52% (p<0.001) and the post therapy AHI normalized to 4.95. Statistically significant improvements were noted in ESS and PSQI scores as well (p<0.001).

Oral pooling of saliva was most common side effect, with a

small percentage reported tongue discomfort, tooth discomfort, filling sensitivity, gagging, metallic taste and jaw tightness. Prevalence of these symptoms reduced in the six weeks of therapy.

DISCUSSION AND CONCLUSION

Daytime neuromuscular electrical stimulation (NMES) therapy for correction of nighttime airway obstruction is a novel, innovative and probably unconventional therapeutic strategy. The ability to control nighttime sleep disordered breathing without wearing a nighttime device makes this an attractive treatment modality. NMES involves the application of electrical current to induce muscle contractions and has been shown to activate the muscle to a greater extent than voluntary muscle actions. It has

been known to activate motor units that are not otherwise activated. NMES has been shown to change the myofibrillar protein expression to induce a phenotype shift from fatigue prone to fatigue resistant with the strengthening of the cytoskeleton. NMES has been shown to result in metabolic shift from glycolytic to oxidative profiles, increasing intracellular defense against harmful oxygen species, reverse the degeneration of pre and postsynaptic tongue neural morphology associated with ageing and a shift to a higher contractile tension.

eXciteOSA offers a simple and effective method of addressing the above-mentioned process and has been shown to benefit individuals with primary snoring and mild OSA. eXciteOSA provides a targeted retraining tool to stimulate the tongue and the biggest dilatory muscle of the airway – the genioglossus muscle. The clinical trial demonstrated significant reductions in all of the relevant objective measures, 90% of the study population showed reduction in snoring, 79% of the mild OSA population showed a 50% reduction in AHI and ODI resulting in reduction in ESS and PSQI.

Tongue muscle training using eXciteOSA has proven to be effective in reducing multiple indices associated with sleep disordered breathing. Additional studies have been published and accepted for publication and currently underway. eXciteOSA provides a “no nighttime wearable” safe option of therapy for patients and overcomes many of the risks and disadvantages of currently available treatment options.

For more information on this novel daytime therapy option, visit the eXciteOSA website: eXciteOSA.com or email info@signifiermedical.com.

Bibliography available upon request.

Tabarak Qureshi, MD FCCP practices at Central Florida Pulmonary Group. He is Chairman-Division of Pulmonary Medicine at AdventHealth, Director of ICU AdventHealth Altamonte Springs and Director of the Sleep Lab at Central Florida Pulmonary Group.

Helping Veterans Treat Obstructive Sleep Apnea

As we celebrate Independence Day, it is crucial to remember the brave men and women who have fought for our freedom. Veterans have made countless sacrifices to protect our nation, and it is our duty to ensure they receive the care and support they deserve. One prevalent issue among veterans is obstructive sleep apnea (OSA), a condition that can have serious consequences if left untreated.

A 2019 report estimates that over 1.5 million veterans have been diagnosed with OSA and up to 80% of those diagnosed are not being successfully treated. Continuous Positive Airway Pressure (CPAP) has been the gold standard for treatment for the past 40 years, however, in 2020 after a world-wide recall of CPAP machines, more than 600,000 veterans have been affected and another 600,000 are not compliant with the machines they have been prescribed.

Obstructive sleep apnea is a common sleep disorder characterized by pauses in breathing during sleep, often leading to fragmented sleep and low oxygen levels in the blood. This condition not only affects the quality of sleep but can also have detrimental effects on overall health and well-being. When you experience low oxygen levels in the blood on a regular basis, this creates inflammation in every organ system which leads to chronic debilitating health issues. For veterans, the impact of OSA can be particularly challenging, given the physical and mental toll of their service.

Fortunately, there are effective treatment options available for “managing” and now “resolving” obstructive sleep apnea. While CPAP therapy and surgery are commonly used, most veterans may find these options unavailable and potentially dangerous after recent recalls, uncomfortable and invasive. In such cases, alternative treatments like FDA-approved oral medical devices for sleep apnea can offer a more comfortable and convenient solution.

These custom oral devices are designed to help keep the airway open during sleep, reducing the risk of breathing pauses and improving overall sleep quality. By using these devices, our veterans are experiencing fewer awakenings during sleep, reduced daytime fatigue, improved cognitive function, better overall health and improved quality of life.

Compared to CPAP therapy, studies show that oral medical devices have a compliance rate of over 80% after 5 years of use which is much better than CPAP compliance and just as effective at lowering high blood pressure and reducing cardiovascular risks for patients. Based on recent FDA approved technology, up to 34% of patients may no longer need an oral medical device after 12 months of treatment.

One of the significant benefits of using oral medical devices for sleep apnea is their ability to address not only the physical symptoms and root causes of OSA but also the associated mental

health challenges. Many veterans with OSA also suffer from conditions like post-traumatic stress disorder (PTSD), which can be exacerbated by poor sleep quality and trauma experienced while serving. Over 1.3 million veterans have been diagnosed with PTSD through service connection with the VA.

By improving sleep quality with custom oral medical devices and adjunctive therapies, most veterans we have treated, experience a reduction in PTSD symptoms, fewer headaches, and a decrease in night terrors! Better sleep can have a profound impact on mental health and overall well-being, allowing veterans to lead more fulfilling and productive lives.

For healthcare providers working with veterans, it is essential to consider alternative treatment options for sleep apnea. By offering veterans a comfortable and effective solution for managing or resolving OSA, healthcare providers can help improve the quality of life for those who have served our country.

At Sleep Solution Centers, we are a Community Care Provider for veterans and make it our priority to see our new patients within a week of receiving a referral from the VA. Our motto is, “Our freedom isn’t free but a good night’s sleep can be!”

As we honor our veterans this Independence Day, let us not forget the importance of supporting their health and well-being. By raising awareness about alternative treatments for obstructive sleep apnea and advocating for the use of FDA-approved oral medical devices, we can make a meaningful difference in the live of those who have sacrificed so much for our freedom. Let us stand together in providing the care and support our veterans deserve!

Tara M. Griffin, DMD, DBDSM, DASBA, graduated from Nova Southeastern University in 2006, with a doctorate in Dental Medicine. She became passionate about helping her patients breathe and sleep better and completed her Diplomate with the American Academy of Dental Sleep Medicine in 2011. In 2015, she completed her Diplomate with American Sleep and Breathing Academy. In 2016, she became a Clinical Advisor with Vivos Therapeutics to help educate and mentor doctors interested in the treatment of OSA with oral medical devices. She owned a private practice focused on sleep, TMD and general dentistry in the panhandle of Florida for 17 years before becoming the co-founder of Sleep Solution Centers in Medical City, Orlando in 2024. She may be contacted at 407-502-0110 or by visiting www. sleepsolutioncenters.com

Negotiating Medical Leases

Welcome back to our second in a series about Medical Real Estate. In the first installment we discussed locating property. In today’s chapter, we are discussing leases and important considerations for your practice. If you want to refer back to SESSION 1 in the previous issue of FloridaMD/JanuaryFebruary2024 please contact me at the email address listed below.

Assuming that you and your broker have identified a great property for your practice, the next step is negotiating the lease and the hundreds of potential clauses. We won’t discuss all of them, just some of the more relevant terms and clauses for your practice.

1. RENTAL RATE

Office space is typically quoted on a cost per square foot per year ($/SF/YR) basis. Going into negotiations with the owner or landlord, it is imperative that you have an understanding of the market, including what others are paying for similar space, incentives offered, services included, length of term, escalations, etc.

2. INCENTIVES

Most landlords offer incentives to lease space in the form of “Free Rent” or a “Tenant Improvement Allowance (TIA).” Free rent is usually 1-3 months but is very dependent upon vacancy rates in the area. Tenant improvement allowances vary considerably, depending on the rental rate offered and the condition of the building. For reference purposes, it typically costs around $25/sf to refurbish an office with new paint, carpet, etc. and can run from $80-$150/sf or more to build a new office from a shell condition. In most cases, the owner will provide a TIA but it usually does not cover the entire cost of the improvements. The remaining costs will be financed by your practice as either a lump sum, payments to the Owner or payments to a lender. If the Owner is financing only part of the cost to finish your space, negotiate the terms so that you are paying for the items with the shortest depreciable life, such as flooring and cabinets. This way you can itemize and either write off as an expense or depreciate over a short time period.

3. RENTAL ESCALATIONS

When you lease office space, you are taking a snapshot in time of market rental rates. Historically, those rents have increased over time and to address this, most Owners will incorporate a form of rent escalation. This is negotiable and may be tied to a Consumer price Index (CPI), another basket index or a fixed rate. Discuss this with your broker to negotiate escalations that are fair and appropriate for your situation.

4. LEASE TERMS, EXTENSIONS & CANCELLATIONS

The lease term is the length of the original lease and typically lasts from 5-7 years. Shorter terms are usually available for second generation space and longer terms for spaces requiring extensive

renovations or construction. Extension Clauses allow you to maintain your occupancy past the original lease term while a Cancellation Clause allows you to be relieved of further financial obligation. This can be important for a small practice where a partner dies or falls ill and the practice can no longer sustain the expense.

5. EXPENSES

Your lease should cover all of the expenses that may be incurred in the operation of your office and identify who is responsible for paying them. Here is a partial list of items of expense that should be specified:

1. Common area expenses; cleaning, maintenance, repair, replacement and other expenses to maintain the common areas, parking lot, landscaping, etc.

2. Utilities; water, sewer, trash, electric, etc.

3. Management fees; supervision, accounting, legal, leasing commissions, construction administration

4. Real estate taxes, licenses and legal fees for disputing assessments

5. Future regulatory assessments and impact fees

6. Repair and replacement of major building systems; HVAC, Elevators, roof, windows, etc.

7. Insurance; building, flood, sinkhole, liability, etc.

8. After hours use; Many multitenant buildings charge extra for after hours use and this rate can be substantial.

6. ADJACENT SPACES AND EXCLUSIVITY

A lease is a long-term obligation, especially with renewals, and considering the difficulty involved in moving a practice, it is always advantageous to include a Right of First refusal on adjacent spaces as they become available. This would allow you to expand your practice by adding programs and services without moving. Requesting an Exclusivity Clause is important if a competitor locating within your building would be detrimental to your practice.

7. RESTRICTIONS ON USE AND/OR PROCEDURES YOU MAY PROVIDE (TYPICAL ON A HOSPITAL CAMPUS)

Some professional office buildings may place restrictions on the types of procedures which can be performed on the premises. This typically involves radiology, surgery or laboratory services but can also ban certain procedures such as abortion. Be sure that any procedures necessary for your practice are permitted.

Continued on page 22

Understanding Exculpatory Clauses

An exculpatory clause purports to deny an injured party the right to recover damages from a person negligently causing his injury. Cain v. Banka, 932 So. 2d 575 (Fla. 5th DCA 2006). They are disfavored in the law because they relieve one party of the obligation to use due care and shift the risk of injury to the party who is probably least equipped to take the necessary precautions to avoid injury and bear the risk of loss. Applegate v. Cable Water Ski, L.C., 974 So. 2d 1112, 1114 (Fla. 5th DCA 2008). Such clauses are strictly construed against the party seeking to be relieved of liability. Sunny Isles Marina, Inc. v. Adulami, 706 So. 2d 920 (Fla. 3d DCA 1998). Thus, exculpatory clauses are enforceable, only where, and to the extent, that the intention to be relieved from liability is made clear and unequivocal. Tatman v. Space Coast Kennel Club, Inc., 27 So. 3d 108, 110 (Fla. 5th DCA 2009). The wording must be so clear and understandable that “an ordinary and knowledgeable person will know what he is contracting away.” Id. (quoting Gayon v. Bally’s Total Fitness Corp., 802 So. 2d 420 (Fla. 3d DCA 2001)).

The seminal Florida case on exculpatory clauses is the Florida Supreme Court case of Sanislo v. Give Kids The World, Inc., 157 So. 3d 256 (Fla. 2015). Give Kids the World, Inc. (“GKTW”) provided free vacations to seriously ill children and their families. When applying for the vacation, the Sanislos executed a “wish request” form that contained a waiver of liability, also known as an exculpatory clause. When the parents arrived at the resort village they again signed a liability release form, also an exculpatory clause. The language of the exculpatory clause is reprinted below for reference:

I/we hereby release Give Kids the World, Inc. and all of its agents, officers, directors, servants, and employees from any liability whatsoever in connection with the preparation, execution, and fulfillment of said wish, on behalf of ourselves, the above named wish child and all other participants. The scope of this release shall include, but not be limited to, damages or losses or injuries encountered in connection with transportation, food, lodging, medical concerns (physical and emotional), entertainment, photographs and physical injury of any kind....

I/we further agree to hold harmless and to release Give Kids the World, Inc. from and against any and all claims and causes of action of every kind arising from any and all physical or emotional injuries and/or damages which may happen to me/us....

Sanislo at 258-259.

While participating in a horse-drawn wagon ride, a rear pneumatic lift designed to allow those in wheelchairs to participate failed, and Ms. Sanislo was injured. The Sanislos brought suit and GKTW filed a motion for summary judgment arguing that the signed releases precluded an action for negligence. The Sanislos filed a motion for partial summary judgment against GKTW’s affirmative defense of release. The trial court granted the Sanislo’s

motion and denied GKTW’s motion. The jury found for the Sanislos and GKTW appealed. Id.

The Fifth District reversed, finding the lower court erred in denying GKTW’s motion for summary judgment because the release signed by the Sanislos was unambiguous and did not contravene public policy. It ruled the exculpatory clause barred the negligence action despite the lack of a specific reference to “negligence” or “negligent acts” in the exculpatory clause.

The Fifth District reasoned that exculpatory clauses are effective if the wording of the exculpatory clause is clear and understandable so that an ordinary and knowledgeable person would know what he or she is contracting away, and that the court had previously rejected “‘the need for express language referring to release of the defendant for “negligence” or “negligent acts” in order to render a release effective to bar a negligence action.’ ” On the public policy argument, the Court said the relative bargaining power of the parties should not be considered because it was outside of the public utility or public function context and the Sanislos were not required to request a vacation with GKTW or go on the vacation. Id.

In affirming the Fifth District’s decision, the Supreme Court wrote that the conflict for the Court’s resolution was “whether an exculpatory clause is ambiguous and thus ineffective to bar a negligence action due to the absence of express language releasing a party from its own negligence or negligent acts.” Id. at 260.

The Florida Supreme Court wrote:

.... we are reluctant to hold that all exculpatory clauses that are devoid of the terms “negligence” or “negligent acts” are ineffective to bar a negligence action despite otherwise clear and unambiguous language indicating an intent to be relieved from liability in such circumstances. Application of such a bright-line and rigid rule would tend to not effectuate the intent of the parties and render such contracts otherwise meaningless. Id. at 270.

The Court found that the GKTW liability release form released GKTW and all of its agents, officers, directors, servants and employees from “any liability whatsoever in connection with the preparation, execution and fulfillment of said wish…” The release then provided that the scope of the agreement included “damages or losses or injuries encountered in connection with transportation, food, lodging, medical concerns (physical and emotional), entertainment, photographs and physical injury of any kind . . . .” The Court found that the release clearly conveyed that GKTW would be released from any liability, including negligence, for damages, losses, or injuries due to transportation, food, lodging, entertainment and photographs. Id.

Charlotte’s Story: Finding Complex Pediatric Limb Correction Expertise at Nemours Children’s Health

Before she was even born, Charlotte was diagnosed with Congenital Femoral Deficiency and Fibular Hemimelia, a rare condition that would shape her life in ways her family could never have anticipated.

“It was an incredibly emotional and uncertain time for us,” her mother, Melissa, recalls. The news was both a shock and a call to action. As soon as they received the diagnosis, her family was determined to understand the condition and find the best possible care for Charlotte. “We knew this would be a lifelong series of surgeries, rehabilitation, and specialized care,” her father, Brian, recalls.

“There was a lot of anxiety and fear about what her future would look like and whether she would be able to live a full, active life,” shares Melissa. “Limb lengthening is highly specialized, and we knew how important it was to have someone with the skill and experience to do it well. The uncertainty was exhausting at times—but finding someone we could trust made all the difference. We met with many doctors but never felt fully confident until we connected with Dr. Shawn Standard.”

As a family from Canada, the decision to travel to Florida for Charlotte’s care was not taken lightly. “We had long followed Dr. Standard’s work and were continually impressed by both his expertise and his compassionate approach to care,” says Brian. “When we heard he had joined Nemours Children’s Hospital, Florida, we knew it was the right place for Charlotte. It felt like everything had aligned—world-class care, a facility close to our second home, and a team that truly understood our daughter’s needs.” The International Medicine team at Nemours Children’s was instrumental in guiding them through the complexities of receiving care outside of Canada, ensuring that every step of the process was smooth and stress-free.

“From the moment we walked into Nemours, we felt something different,” says Melissa. “Everyone—from the security staff to the food service workers, to the clinicians—greeted us with warmth and empathy. The hospital itself is beautiful and calming, but what really stood out was how deeply everyone cared. You’re not a number at Nemours; you’re a family they’re walking alongside. The International Medicine team guided us every step of the way through the complexities of receiving care outside of Canada. And Dr. Standard—his brilliance is unmatched, but it’s his kindness and confidence that truly gave us peace.”

The Nemours orthopedics team, including the surgical and physical therapy departments, have been a pillar of support for Charlotte. During her first surgery, which involved femoral lengthening with external fixation, Charlotte’s family was kept well-informed and supported throughout. The procedure was a success, and Charlotte gained over 5 cm in femoral length. Her rehabilitation has also been progressing well, thanks to the excellent physical therapists at Nemours, who have helped her to regain strength and mobility.

For Charlotte, the journey is far from over. As she continues to grow, more surgeries will be necessary. “While we know there are more surgeries to come, we feel completely confident in her continued care with Dr. Standard and his team,” says Brian. “Charlotte will need more surgeries as she grows, but the goal remains clear: a full, active life, with no pain and equal leg length. With the foundation Nemours has helped us build, we’re confident she’ll get there. She’s strong, resilient, and thriving—and we owe so much of that to the care she’s received.”

Shawn Standard, MD is a fellowship-trained orthopedic surgeon at Nemours Children’s Hospital, Florida in Orlando. Prior to this he was at the International Center for Limb Lengthening, Rubin Institute for Advanced Orthopedics, Sinai Hospital of Baltimore, where he was head of pediatric orthopedics since 2008 and a pediatric orthopedic surgeon since 2003. He was previously a staff physician in the department of pediatric orthopedics at Nemours Children’s Health, Jacksonville. Dr. Standard is actively involved in medical innovation and research. He has co-developed several medical devices and apps. He has been an invited lecturer and an active researcher and has co-authored numerous book chapters and articles in peerreviewed journals. He was the principal author of a book on limb alignment and has been involved in several video productions on various orthopedic topics. 

The determination of whether an exculpatory clause is enforceable will be determined by the Judge as the enforceability of a preinjury release is a question of law. The enforceability therefore, will depend on the Judge assigned to the matter. Physicians should not assume that because a patient signed a liability release form the patient does not have a viable cause of action. Physicians should consult with an experienced attorney who can examine the facts of the case and help you determine the best path forward. The Health Care Practice Group at Pearson Doyle Mohre and Pastis, LLP is committed to assisting Clients in navigating and defending medical malpractice claims. For more information and assistance, please contact David Doyle and Julie Tyk at Pearson Doyle Mohre & Pastis, LLP.

Continued from page 19

Negotiating Medical Leases

Leasing space is an important financial and legal transaction and should not be taken lightly. It is important to have an experienced real estate broker and real estate attorney represent you. This combination of professionals provides the greatest protection at the least cost. Based upon their market experience, your broker should handle the preliminary issues, negotiate the rates and terms and prepare the deal points in a “Letter of Intent (LOI).” Once negotiated, a complete legal review should be completed by your attorney before execution.

If you address each of these seven issues, you should be able to move forward with confidence in the completion of your lease negotiations and securing your office space for your prosperous enjoyment.

Frank Ricci is president of Healthcare Realty & Development LLC and H R & D Construction Inc. and has over 30 years of medical real estate brokerage, construction and development experience. He can be reached at (407) 947-5074, or FrankR@ HealthcareRealtyOnline.com or visit the company website at: www.HealthcareRealtyOnline.com. 

Julie A. Tyk, JD, is a Partner with Pearson Doyle Mohre & Pastis, LLP. Julie concentrates her practice in medical practice defense litigation, insurance defense litigation and health care law. She has represented physicians, hospitals, ambulatory surgical centers, nurses and other health care providers across the state of Florida. She may be contacted by calling (407) 951-8523; jtyk@pdmplaw.com..

W h e t h e r y o u l e a s e , b u y , o r s e l l , t h e o u t c o m e i s d r i v e n b y e a r l y d e c i s i o n s - s i t e s e l e c t i o n , f i n a n c i a l f e a s i b i l i t y , t i m i n g , a n d m a r k e t f o r c e s T h a t i s w h e r e w e c a n h e l p

I f y o u p l a n t o b u y i n 2 0 2 6 , s e l e c t i n g t h e r i g h t s i t e i s c r i t i c a l f o r s u c c e s s

W e h e l p y o u : I d e n t i f y a n d s e c u r e t h e r i g h t s i t e b a s e d o n d e m o g r a p h i c s , a c c e s s , c o m p e t i t i o n , a n d

l o n g - t e r m g r o w t h

E v a l u a t e w h e t h e r a p r o p e r t y t r u l y s u p p o r t s y o u r c l i n i c a l , o p e r a t i o n a l , a n d f i n a n c i a l

g o a l s I d e n t i f y h i d d e n c o s t s , r i s k s , a n d c a p i t a l r e q u i r e m e n t s b e f o r e y o u c o m m i t

A v o i d o v e r p a y i n g t h r o u g h m a r k e t a n a l y s i s , p o s i t i o n i n g , a n d r e p l a c e m e n t c o s t i n s i g h t S t r u c t u r e a c q u i s i t i o n s a l i g n e d w i t h y o u r l o n g - t e r m s t r a t e g y a n d e x i t o p t i o n s

M a k e c o n f i d e n t d e c i s i o n s b a s e d o n d a t a n o t a s s u m p t i o n s

If you plan to lease new space in 2026 - how you structure your lease will impact your practice for years.

We help you navigate the exact issues outlined in this article: Rental Rate Analysis – Know what you should actually be paying Incentives & TI Strategy – Structure allowances that truly cover your buildout Escalation Review – Avoid long-term cost creep Expense Audit (CAM, Taxes, Fees) – Identify what you're really responsible for Lease Term Strategy – Align term, extensions, and exit options with your growth Exclusivity & Expansion Rights – Protect your ability to grow

Use Restrictions Review – Ensure your services are fully permitted

m

i m i z e v a l u e a n

p r i c i n

H i g h l i g h t s t r e n g t h s t h a t m a t t e r t o h e a l t h c a r e - s p e c i f i c b u y e r s a n d t e n a n t s

R e d u c e t i m e o n m a r k e t a n d i m p r o v e d e a l c e r t a i n t y

A l i g n t i m i n g a n d s t r a t e g y t o a c h i e v e t h e b e s t p o s s i b l e o u t c o m e

B e f o r e y o u l e a s e , b u y , o r s e l l - p l a n y o u r s t r a t e g y f i r s t

C a l l F r a n k R i c c i : 4 0 7 . 9 4 7 . 5 0 7 4

JANUARY – Digestive Disorders

Diabetes

2026

EDITORIAL CALENDAR

Florida MD is a bi-monthly medical/business digital magazine for physicians.

Florida MD has been serving the medical community in Florida for twenty years and is currently available as a bi-monthly digital edition emailed directly to healthcare providers in Central Florida (Orlando area), Tampa metro and Southeast Florida. Cover stories spotlight extraordinary physician practices, new hospital procedures or facilities, and other professional and healthcare related business topics. Local physician specialists and other professionals, affiliated with local businesses and organizations, write all other columns or articles about their respective specialty or profession. This local informative and interesting format is the main reason physicians take the time to read Florida MD

It is hard to be aware of everything happening in the rapidly changing medical profession and doctors want to know more about new medical developments and technology, procedures, techniques, case studies, research, etc. in the different specialties. Especially when the information comes from a local physician specialist who they can call and discuss the column with or refer a patient. They also want to read about wealth management, financial issues, healthcare law, insurance issues and real estate opportunities. Again, they prefer it when that information comes from a local professional they can call and do business with. All advertisers have the opportunity to have a column or article related to their specialty or profession.

FEBRUARY – Cardiology

Heart Disease & Stroke

MARCH – Orthopaedics

Men’s Health

APRIL – Surgery

Scoliosis

MAY – Women’s Health Advances in Cosmetic Surgery

JUNE – Allergies

Pulmonary & Sleep Disorders

JULY – Neurology/Neuroscience

Advances in Rehabilitation

AUGUST – Sports Medicine

Robotic Surgery

SEPTEMBER – Pediatrics & Advances in NICUs

Autism

OCTOBER – Cancer

Dermatology

NOVEMBER – Urology

Geriatric Medicine / Glaucoma

DECEMBER – Pain Management

Occupational Therapy

Turn static files into dynamic content formats.

Create a flipbook
Florida MD MarchApril 2026 by FloridaMD - Issuu