
Strengthening our partnership
Techs: April 11th
Leadership: NEW! April 24th
Vets: April 25th see page 04 for details

![]()

Strengthening our partnership
Techs: April 11th
Leadership: NEW! April 24th
Vets: April 25th see page 04 for details

Ramras is finishing her critical care residency at Cornell. With her add start offering hemodialysis and more options for critical respiratory cas ventilators.
Dr. Burke has continued to do double duty in both medical and radiatio are happy to report that help is on the way. Dr. Patrick Khalife is finish residency in medical oncology in San Diego and will be joining the tea September. Thank you to Dr. Burke and all the techs for continuing to chemotherapy on our cancer patients during this transition
In this issue of connected, I will be giving an update on joint replaceme resurfacing options in companion animals. Hopefully some new inform for joints you didn’t know we could address.
Finally, I want to invite you all to our Spring Symposium on April 11th, We are going to offer a technician track April 11th again as it seemed welcome addition to the Fall Symposium. We are also adding a manag 24th this spring. Stay tuned for more details!
As always, thank you for your support of BVS. We will never take your granted We are here to support you and this community and always o how we can do better.

Dr Joshua Jackson, DVM, DACVS
Bridger Veterinary Specialists & Emergency invites you to our Spring Symposium on April 11, 24, and 25 at the beautiful Riverside Country Club in Bozeman This event brings together veterinary professionals, specialists, technicians, and thought leaders to explore advancements in veterinary medicine while fostering professional well-being.
�� Tech Symposium: April 11th, 2026
�� NEW Leadership Symposium: April 24th, 2026
�� Doctor Symposium: April 25th, 2026
�� Time (all days): 8:30 AM – 4:00 PM
�� Location: Riverside Country Club, Bozeman
�� RACE Pending CE Approval
�� Meeting and Lunch Complimentary
Our expert speakers will cover a variety of topics such as:
�� Emergency Medicine
�� Surgery
�� Neurology
�� Anesthesiology
�� Leadership
By Josh Jackson, DVM, DACVS
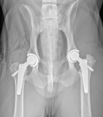
Hip: the first documented hip replacement in a dog was in 1957. Over the years, there have been numerous advances in the systems and implants we use. Commercially available cemented hip replacement became available in 1990. The first version of the cementless implants were introduced in 2003. There are now 2 main systems in place, both owned by Movera, Kyon and Biomedtrix.
Bridger Veterinary Specialists currently use the 3rd generation cementless implant from Biomedtrix called a lateral bolt in most patients.

1: Biomedtrix lateral bolt, cementless hip replacement
Tarsus: many people are unaware that a tibiotarsal replacement option exists for dogs. BVS was chosen as one of the pilot sites for the development of this prosthesis in 2019. At the moment, there is only one size of implant available, and it accommodates the average healer to lab size dog. Most dogs have end stage osteoarthritis secondary to OCD or idiopathic causes.
Elbow: The elbow is one of the most challenging joints to manage. With 3 bones acting as a hinge as well as pronation and supination, coming up with a joint replacement that works well has been daunting. Several generations of prosthesis have come out over the last 2 decades ranging from cemented to cementless versions. Due to the high incidence of complications of infection, loosening and fracture, we are not currently offering total elbow replacement.

A new version of the Biomedtrix elbow and a new version of the Kyon elbow may be coming to market soon that may help address these issues. Dr. Wheeler is also designing a new partial (medial compartment) replacement that might give us a new option in the future (Figure 3).
For now, patients with medial compartment disease that haven’t responded to medical management or joint injections are offered the CUE (canine unicompartment elbow).Figure 4 The goal of this technique is to place a small, cementless plug in the humerus and elbow to offload bone on bone contact. Many patients with advanced elbow arthritis get significant pain relief with this procedure. Infection and persistent lameness are the most common post-surgical complications.
Stifle: total stifle replacement in dogs was introduced from Biomedtrix almost 20 years ago. There appears to be far fewer cases for knee replacement in dogs than in people. Most dogs with stifle OA are secondary to cruciate ligament disease and amenable to TPLO for treatment vs. people that end of with bone-on-bone joints even with intact cruciate ligaments.
In dogs, we more often see osteochondral defects from OCD and perform a joint resurfacing procedure with either OATs (osteochondral autograft transfer system) or Synacart (by Arthrex).
OATs involves harvesting bone and cartilage from an adjacent region in the joint (trochlear ridge) and implanting the plug in the defect. Synacart is a synthetic cartilage plug that allows for a quick repair of defects without donor site morbidity by using a polycarbonate urethane surface and titanium mesh base.

Shoulder: there is no current commercially available shoulder replacement for companion animals. The most common indication for resurfacing in the shoulder is osteochondrtitis dissecans.


Historically, we just removed large cartilage fragments arthroscopically. Most of these patients did fairly well, but a significant amount still limped or developed osteoarthritis. Now, most patients with large OCD lesions will get a Synacart or OATs resurfacing. We have seen an excellent return to high level function in most of these patients. Persistent lameness or implant infection are the most common complications.
We are always happy to evaluate your radiographs at no charge to see if we think your patient may be a candidate for joint replacement or resurfacing. info@bvspets.com
Strong partnerships are at the heart of exceptional patient care. Debbie Manzanares has recently taken on the new role of of the Referral and Public Relations Coordinator at Bridger Veterinary Specialists and Emergency, serving as the primary liaison between our hospital and the referring practices we are proud to support.

Debbie is dedicated to keeping communication clear and making the referral process as smooth as possible for you and your teams. Through hospital visits, outreach, and continuing education support, she focuses on strengthening relationships and creating meaningful connections across our veterinary community.
For questions, feedback, or support
Email: dmanzanares@bvspets.com

By Dr. Ashley Mitek, DVM, DACVAA

If you or a family member have had recent surgery, you've probably noticed the growing use of ultrasoundguided regional anesthesia in people. The American Society of Anesthesiology projects that by 2026, 50% of all knee and hip replacements will be out patient in the USA. That's thanks to the adoption of regional anesthesia that keeps patients totally pain free for 1872 hours. The benefits of these blocks are numerous, but include an enhanced patient experience, limited or no need for opioids, and a more rapid return to normal ambulatory, psychological, and gastrointestinal function. Locoregional anesthesia reduces nausea and infection rates too.
This emerging field of human interventional pain medicine has been translated into veterinary medicine, and we now have a treasure trove of peer reviewed research that supports the use of ultrasound guided regional anesthesia in cats and dogs. At BVS, we offer interventional pain medicine services to hospitalized and outpatients. Approximately 80% of our surgical patients receive ultrasoundguided local blocks prior to surgery. We also offer ultrasound-guided regional anesthesia to painful out patients as well.

These blocks take about 10 minutes to perform and can be done under sedation. Some of the blocks we offer are:
Saphenous and Sciatic nerve blocks for pain in the stifle or distal to it
Axillary Sheath Blocks for pain in the elbow or distal to it
Transversus Abdominis Plane Blocks for visceral (organ) and somatic (skin) abdominal pain (from a laparotomy, or pancreatitis, etc...)
Serratus Plane Blocks for chest wall pain (broken ribs, skin wounds, thoracotomy, etc...)
Psoas Compartment blocks for Iliopsoas pain
Epidurals (steroid and/or preservative free morphine)
There are several drugs that can be used in the block based upon the patient's needs Some options are:
1.Bupivicaine + Dexmedetomidine, which lasts about 12-18 hours
2.Nocita (Liposomal encapsulated bupivicaine), which lasts about 3 days
3.Bacteriostatic Saline + Triamcinolone + Bupivicaine, which provides 2-3 weeks of sensory blockade (off label use, for terminal patients only. Example: Osteosarcoma patients not pursuing amputation)
Last but not least, we offer a 4-hour ketamine intravenous infusion (also known as a "Pain Vacation") for patients with chronic pain from oncological disease, osteoarthritis, cervical radiculopathy and intervertebral disc disease. A case series of over 200 dogs was presented at the veterinary anesthesia conference by Fry et al., "Preliminary study of intravenous ketamine infusions for the management of chronic pain in dogs" showing significant improvements in owner reported quality of life after the infusion. Nearly all owners elected to bring their dog in for a repeat infusion two weeks later. The infusions can be repeated every other week, monthly, or as needed. There are no behavioral side effects from this low dose infusion. All dogs continue to eat, drink, walk and act normal during and after the infusion.
If you have any questions about our Interventional Pain Medicine Services including ultrasound-guided regional anesthesia or ketamine infusions, you can reach out to our anesthesiologist at ashley@bvspets.com or give us a call. We'd love to numb something for you!