Skip to main content

211 Marzo 2026

Page 1


Corix® 70 Plus Touch Screen*

Le ofrece todo lo que Ud. necesita para un Óptimo Radiodiagnóstico

Intra-Oral, con la Mayor Seguridad Radiológica

Si la Seguridad Radiológica, como Operador de un equipo de Rayos-X, es algo que desconoce o no le preocupa, es mejor que lea en: www.corix.us todos los detalles.

Corix® 70 Digital V3

Corix® 70 Digital V3

Obtener imágenes

Obtener imágenes

Radiográficas Intra-Orales en un corto tiempo y con la menor dosis de radiación

Radiográficas Intra-Orales en un corto tiempo y con la menor dosis de radiación

Ahora es posible!!!

Ahora es posible!!!

Los equipos Corix® 70 Junior*

Le ofrecen: Calidad, Economía y Seguridad Radiológica

Marzo 2026

Otra vez el tema del día es el sarampión. Ya se registró la primera muerte por sarampión, en la CDMX y a nivel nacional llegan a 28. En una entrevista para el Financiero, el infectólogo Alejandro Macías mencionó que el uso de cubrebocas no tiene gran impacto para evitar contagios de esta enfermedad y el mejor método de prevención es la vacuna.

En el Excelsior, Patricia Rodríguez Calva, publicó que aumentaron los contagios de sarampión en México a 9 351. A nivel nacional, los menores de un año tienen el mayor riesgo de contagio. Le siguen los niños de 1 a 4 años, siendo el grupo que presenta el mayor número de casos, y luego los de 5 a 9 años. Le sigue la población de 25 a 29 años y luego las personas de 30 a 34 años.

Ximena Mejía, publicó que la presidente Claudia Sheinbaum informó que el país cuenta con 28 millones de vacunas disponibles contra el sarampión en 21 154 puntos en todo el país. Arturo Páramo publicó que el gobierno de México adquirirá 15 millones de vacunas contra el sarampión para tenerlas como reserva, según el titular de Birmex, Carlos Ulloa.

Recuerden que algunos síntomas tempranos del sarampión se presentan en boca, por lo que el cirujano dentista está obligado a reconocerlos. Aparte de que el paciente puede presentar al principio síntomas como de gripe, estornudos, tos, conjuntivitis, fiebre, en el paladar va a presentar petequias, en el carrillo y a la altura del segundo molar superior, que es la desembocadura del conducto parotídeo, se presentan manchas blancas llamadas de Koplik. Después de presentar esto, en unos días, el paciente estará eritematoso.

¡A seguirse cuidando!

Mtro. Carlos Adolfo Espinosa García Especialidad en Odontología Legal y Forense Maestría en Odontología

10 | BOLETÍN

De la suposición a la evidencia: la responsabilidad ética del monitoreo biológico

14 | ENCICLOPEDIA ODONTOLÓGICA

Seguimiento clínico a 25 años de una rehabilitación implantosoportada en una paciente joven con periodontitis de inicio temprano: reporte de caso

Editorial Renascence S.A. de C.V.

32 | CALIDAD Y DIRECCIÓN

Hipoplasia de turner, reporte de caso

40 | ESTUDIO

Adherencia a las indicaciones del tratamiento ortodóntico en pacientes con aparatología fija

Fundador

Jaime Francisco Martínez Aceves†

Directora General

María Guadalupe Patricia López de Martínez patricia.lopez@dentistaypaciente.com

Directora Editorial

Mariangel Martínez López mmartinez@dentistaypaciente.com

Director de Arte y Diseño

Jesús Salas Pérez

jesasez@dentistaypaciente.com

Coordinador Editorial

Marco A. Vergara Salgado marversa@dentistaypaciente.com

Gerentes Comerciales y de Negocios

Carlos Martínez García, Gabriela Ocadiz, Edson Aarón Hernández

Producción y Circulación

Edson Aarón Hernández

Fotografía e Ilustraciones

Editorial Renascence

Suscripciones

Edson Aarón Hernández

Preprensa e Impresión

MV IMPRESIONES

Distribución

MV IMPRESIONES, Av. Acueducto #9 Col. Quiahuatla, Alcaldia Tláhuac, C.P. 13090, CDMX

Contabilidad y Administración

L. C. y E. F. Renato Muñoz

director científico

Dr. Carlos Espinosa García Especialista en Odontología Legal y Forense

consejo editorial

Dr. Carlos Espinosa García Especialista en Odontología Legal y Forense

Javier Portilla Robertson

Exdirector de la Facultad de Odontología de la UNAM

Especialista en Patología Bucal

Marco A. Vergara Salgado

C.D.E.O. Arturo Alvarado Rossano†

Profesor y Especialista en Ortodoncia y Ortopedia Craneofacial en la Facultad de Odontología. UNAM. Asesor Académico y Coordinador de Difusión de la AMOCOAC.

C.D. Manuel García Luna y González Rubio

Dra. Ana Gabriela Carrillo Varguez

Coordinadora de la especialidad en endodoncia UABC Tijuana. Coordinadora de Investigación y Posgrado F.O. UABC

M.C. Ernestina Santillana Marín

Subdirectora de CISALUD UABC

William James Maloney, D.D.S. Clinical Associate Professor New York University

universidad anáhuac méxico norte

C.D. Carlos Robles Bonilla Coordinador de la Licenciatura de Cirujano Dentista

C.D. Sergio Antonio Ojeda León Profesor Titular de Odontopediatría de la Licenciatura de Cirujano Dentista

C.D. Bernardo Grobeisen Weingersz Profesor Titular de Clínica Integral de la Licenciatura de Cirujano Dentista

C.D. Norma Ibañez Mancera. Profesora Titular de Patología Bucal de la Licenciatura de Cirujano Dentista

Dirección del Derecho de Autor certificado de reserva al uso exclusivo no. 04-2008022718312200-102 con fecha 27 de Marzo del 2008. Gobernación de la H. Comisión Calificadora de Publicaciones y Revistas Ilustradas, certificado de licitud de contenido 5328, certificado de licitud de título 7411, franqueo pagado, publicación mensual permiso no. PP09-02106, SEPOMEX. Las opiniones expresadas en los artículos y en los anuncios publicados no significan de ninguna manera juicios, criterios, ideas o cualquier otro concepto por parte de la editorial; reflejan únicamente las ideas y pensamientos de sus autores. Los artículos, entrevistas, resúmenes, publirreportajes, fotografías y cualquier otro material son exclusivos de la editorial, y no se autoriza la reproducción total o parcial por ningún medio sin previa autorización del editor. Para cualquier asunto relacionado con suscripción, distribución, comercialización, anuncios, contenido u otro propósito, favor de dirigirse a la editorial. Impreso en MV IMPRESIONES, SA DE CV.

Dentista y Paciente® Publicación mensual correspondiente al mes de MARZO DE 2026. editada por Editorial Renascence S.A. de C.V., Rancho Jigüingo 29, Prado Coapa, Ciudad de México, 14350. tel. 56846632, fax 56793656. Distribuida en locales cerrados, depósitos dentales, universidades, congresos y exposiciones. Editora responsable: Mariangel Martínez López. Fotoarte de portada: Editorial Renascence.

distribución certificada por el padrón nacional de medios impresos de la dirección general de medios impresos de la secretaría de gobernación no. 007-136. www.gobernacion.gob.mx

48 | CASO CLÍNICO

Tratamiento de caninos retenidos superiores en paciente en crecimiento con clase II división 2 Reporte de caso clínico

60 | PUNTO DE VISTA

Análisis comparativo entre cepillos dentales manuales y eléctricos en pacientes pediátricos con discapacidad motora

De la suposición a la evidencia: la responsabilidad ética del monitoreo biológico

Estimados lectores, la odontología moderna se enfrenta a una paradoja peligrosa: confiar ciegamente en la tecnología. Es común observar que la autoclave termina su ciclo, la cinta testigo cambia de color y, con toda naturalidad, asumir que el instrumental es seguro. Sin embargo, la evidencia científica nos advierte que "parecer estéril" no es lo mismo que "estar estéril".

La esterilización es un proceso que no podemos verificar a simple vista. Un estudio longitudinal de 6 años en México, liderado por el Dr. Enrique Acosta-Gío, reveló una realidad inquietante: el 7.4% de los ciclos de esterilización fallaron, permitiendo que instrumentos

Manuel Alberto Pérez Coutiño -Área de comunicación Lorma

potencialmente contaminados fueran usados en pacientes. Sin una prueba biológica que lo detectara, esos fallos fueron invisibles. Este artículo aborda por qué el monitoreo biológico no es un trámite burocrático, sino el único escudo ético y legal que protege la práctica profesional.

El "estándar de oro" vs. la falsa seguridad

Es vital distinguir entre los tipos de indicadores. Los indicadores químicos (cintas o integradores) solo nos dicen que un paquete fue expuesto al calor. El Dr. Pedro Rosales-García aclara que los indicadores biológicos (IB) son el "estándar de oro" porque son los únicos que miden la letalidad: contienen esporas bacterianas altamente resistentes que, si mueren, garantizan la destrucción de cualquier otro patógeno.

La falta de este monitoreo genera lo que Curtis J. Donskey describe como una "incertidumbre considerable". En un caso documentado donde falló el procedimiento de esterilización exponiendo a 72 pacientes, fue gracias a pruebas biológicas posteriores —que confirmaron la muerte de esporas— que se pudo determinar que el riesgo de transmisión era insignificante, evitando una crisis legal y ética mayor. Sin esa evidencia, el especialista queda en una indefensión total.

Responsabilidad legal y ética

Desde la perspectiva de la Lex Artis, descrita por el Dr. Bernardo Perea-Pérez,

el odontólogo debe utilizar todos los medios disponibles para evitar el daño. La Norma Oficial Mexicana (NOM013-SSA2-2015) exige realizar estas pruebas al menos cada 2 meses, aunque los estándares internacionales del CDC recomiendan una frecuencia semanal para máxima seguridad. Omitir este paso se considera negligencia, pues transforma al consultorio en un vector de transmisión de enfermedades.

La NOM-013-SSA2-2015, considera que todas las técnicas de esterilización son falibles, en su capítulo 8. Medidas básicas para prevención de riesgos, dice “(8.24) aplicar testigos biológicos cada dos meses, como control de calidad de los ciclos de esterilización y llevar el registro de los resultados”. Cumplir con esta norma es obligatorio ya que se encuentra publicada en el Diario Oficial de la Federación.

¿Qué pruebas usar y cómo realizar el procedimiento?

El procedimiento es sencillo, pero requiere rigor.

1. Selección del indicador: debemos usar el microorganismo correcto para nuestro equipo:

• Vapor (autoclave): esporas de Geobacillus stearothermophilus.

• Calor seco: esporas de Bacillus atrophaeus

2. La regla de los implantes: el CDC es tajante: cada carga que contenga dispositivos implantables debe ser monitoreada con un IB. El implante

no debe usarse hasta que la prueba confirme el resultado negativo (regla de cuarentena).

3. El Procedimiento Paso a Paso:

• Colocación: coloque el IB dentro de un paquete de prueba típico y ubíquelo en la zona más difícil de esterilizar de la cámara (generalmente cerca del drenaje o el centro, conocido como "punto frío").

• Ciclo: corra el ciclo habitual con carga completa.

• El Control (crucial): al terminar, saque el IB procesado. Actívelo (según instrucciones del fabricante) e incúbelo junto con un IB de control (uno del mismo lote que no fue esterilizado).

Interpretación correcta de resultados

La interpretación se basa en el cambio de color del medio de cultivo tras la incubación:

• IB de control (no esterilizado): DEBE ser POSITIVO (cambio de color/ crecimiento). Esto confirma que las esporas estaban vivas y la incubadora funciona. Si el control no cambia, la prueba se invalida.

• IB Procesado (esterilizado): DEBE ser NEGATIVO (sin cambio de color). Esto indica que las esporas murieron y el ciclo fue exitoso.

¿Qué hacer si el IB procesado da positivo? Si el indicador de la autoclave muestra crecimiento (falla):

1. Retire el esterilizador de servicio inmediatamente.

Marzo 2026

2. Revise procedimientos (carga, tiempos).

3. Repita la prueba.

4. Si vuelve a dar positivo: solicite reparación técnica. Antes de usarlo nuevamente, debe pasar tres ciclos consecutivos con resultado negativo en pruebas biológicas.

Conclusión

La esterilización no es un acto de fe; es un proceso científico validable. Como señalan diversos informes, artículos y normas, la seguridad del paciente es el cimiento de la salud y la confianza en

Referencias

la práctica profesional. Incorporar el monitoreo biológico rutinario permite pasar de la suposición a la certeza, protegiendo la salud de los pacientes y blindando la práctica profesional ante la "incertidumbre considerable" de un evento adverso.

Recuerde que, de conformidad con la NOM-013-SSA2-2015OM, deben registrarse los resultados de las pruebas biológicas, estos formarán parte de la bitácora de mantenimiento y control de esterilización en su apartado de “Monitoreo Biológico”.

1. Donskey CJ, Yowler M, et al. A case study of a real-time evaluation of the risk of disease

2. transmission associated with a failure to follow recommended sterilization procedures. Antimicrob Resist Infect Control. 2014;3:4. https://pmc.ncbi.nlm.nih.gov/articles/PMC3996191/

3. Centers for Disease Control and Prevention (CDC). Best Practices for Sterilization Monitoring in Dental Settings. 2024. https://www.cdc.gov/dental-infection-control/hcp/dental-ipc-

4. faqs/sterilization-monitoring.html

5. Acosta-Gío AE, Mata-Portuguez VH, et al. Biologic monitoring of dental office sterilizers in Mexico. Am J Infect Control. 2002;30(3):153-7. https://pubmed.ncbi.nlm.nih.gov/11988709/

6. Rosales-García P. Biological indicators: the gold standard to verify the sterilization steam in dentistry. Rev Odont Mex. 2020;24(3). https://doi.org/10.22201/fo.1870199xp.2020.24.3.80065

7. Perea-Pérez, B., et al. Analysis of 415 adverse events in dental practice in Spain from 2000 to 2010. Med Oral Patol Oral Cir Bucal. 2014 Sep 1;19(5)

8. https://pubmed.ncbi.nlm.nih.gov/24880444/

9. Norma Oficial Mexicana NOM-013-SSA2-2015, Para la prevención y control de enfermedades bucales. https://platiica.economia.gob.mx/normalizacion/nom-013-ssa2-2015/

10. Arbeitskreis Instrumentenaufbereitung (AKI). Método correcto para el tratamiento del instrumental en la práctica odontológica. 4ª edición. 2016. http://www.a-k-i.org

Seguimiento clínico a 25 años de una rehabilitación implantosoportada en una paciente joven con periodontitis de inicio temprano: reporte de caso

Seguimiento clínico a 25 años de una rehabilitación implantosoportada

Eduardo Anitua DDS, MD, PhD. Private practice in oral implantology, Eduardo Anitua Institute, Vitoria, Spain. Clinical researcher, Eduardo Anitua Foundation, Vitoria, Spain. University Institute for Regenerative Medicine and Oral Implantology - UIRMI (UPV/EHU-Fundación Eduardo Anitua), Vitoria, Spain. Corresponding author: Dr. Eduardo Anitua, Eduardo Anitua Foundation; C/ Jose Maria Cagigal 19, 01007 Vitoria, Spain; Phone: +34 945160653, e-mail: eduardo@ fundacioneduardoanitua.org.

La periodontitis de inicio temprano ha sido tradicionalmente considerada una entidad clínica de especial complejidad, caracterizada por una rápida progresión, una marcada pérdida de soporte periodontal a edades tempranas y una elevada susceptibilidad a la recidiva inflamatoria.1-3 Estas características han condicionado históricamente una visión restrictiva del tratamiento implantológico en apacientes jóvenes afectados por esta patología, situándolos dentro de los grupos de mayor riesgo de fracaso biológico de los implantes dentales.4-10 A pesar de los avances en el control de la infección periodontal y en el diseño de los implantes, la incertidumbre acerca del comportamiento periimplantario a largo plazo en este tipo de pacientes continúa siendo objeto de debate en la literatura.4,11

La mayoría de los estudios disponibles sobre implantes dentales en pacientes con antecedentes de periodontitis de inicio temprano se limitan a seguimientos a corto o medio plazo, generalmente inferiores a 10 años, lo que dificulta extraer conclusiones sólidas sobre la estabilidad real del tratamiento implantológico a lo largo del tiempo.

La mayoría de los estudios disponibles sobre implantes dentales en pacientes con antecedentes de periodontitis de inicio temprano se limitan a seguimientos a corto o medio plazo, generalmente inferiores a 10 años, lo que dificulta extraer conclusiones sólidas sobre la estabilidad real del tratamiento implantológico a lo largo del tiempo.11-15 Esta limitación resulta especialmente relevante en pacientes jóvenes, en quienes la expectativa funcional de los implantes puede superar ampliamente 20 o 30 años, y en los que los cambios biológicos asociados al envejecimiento, al mantenimiento periodontal y a la exposición prolongada a factores de riesgo pueden influir de manera decisiva en el pronóstico final.12,14-18

En este contexto, el seguimiento clínico a muy largo plazo adquiere un valor particular, no solo para evaluar la supervivencia de los implantes, sino también para analizar

la estabilidad del hueso marginal, el comportamiento de los tejidos blandos periimplantarios y la respuesta del sistema implantosoportado frente a las exigencias funcionales mantenidas durante años. La evidencia clínica que documenta periodos de seguimiento superiores a 20 años en pacientes jóvenes con periodontitis de inicio temprano es escasa, lo que convierte este tipo de observaciones en una aportación relevante para la comprensión del verdadero pronóstico implantario en esta población.

Durante años, el abordaje terapéutico predominante en pacientes con periodontitis avanzada se caracterizó por una actitud marcadamente intervencionista, en la que la exodoncia de dientes con pronóstico comprometido se consideraba la opción más predecible, incluso en situaciones en las que un tratamiento conservador cuidadosamente planificado podía ofrecer posibilidades razonables de estabilización.16-20 En este contexto, la implantología fue progresivamente asumida como una solución definitiva, relegando a un segundo plano los intentos de preservación dentaria en piezas afectadas de forma parcial por la enfermedad periodontal. Sin embargo, la progresiva consolidación de la evidencia científica, junto con el desarrollo de técnicas mínimamente invasivas, los avances en regeneración tisular y la evolución de los conceptos biomecánicos y protésicos en implantología, han dado lugar a un cambio sustancial en este

planteamiento. En la actualidad, la conservación de dientes susceptibles de estabilización se reconoce como una alternativa clínica válida y cada vez mejor respaldada, lo que permite enfoques terapéuticos más integradores y adaptados a las características individuales de cada paciente.19-23

Desde esta perspectiva, nuestro grupo ha mantenido de forma constante una filosofía de mínima intervención orientada a la preservación dentaria, incluso en escenarios de enfermedad periodontal severa, con el objetivo de alcanzar rehabilitaciones funcionales y duraderas que mantengan la propiocepción. 24-26 Este aspecto resulta especialmente relevante en pacientes con rehabilitaciones extensas, ya que la conservación de dientes naturales puede contribuir a un mejor control funcional y a la reducción de parafunciones.27-32

Seguimiento clínico a 25 años de una rehabilitación implantosoportada

El caso clínico que se presenta ilustra la aplicación de esta filosofía en un tratamiento iniciado hace más de 20 años, desarrollado con los recursos técnicos y el conocimiento disponibles en ese momento, cuya evolución a largo plazo (25 años) permite valorar la solidez de un enfoque conservador bien planificado. Se muestra la evolución clínica de una rehabilitación implantosoportada en una paciente joven diagnosticada con periodontitis de

Figura 1. Radiografía inicial de la paciente. Se observa edentulismo total superior, a excepción del molar del primer cuadrante, indicado para exodoncia. En la mandíbula se aprecia pérdida ósea horizontal generalizada secundaria a la evolución de la enfermedad periodontal.

Figura 2. Corte seccional de la zona anterior del maxilar que muestra la planificación de los implantes a insertar.

Figura 3. Radiografía tras la colocación de los implantes superiores e inferiores y la carga inmediata del sector anterosuperior.

Figura 4. Prótesis de carga progresiva finalizada, lista para su colocación.

inicio temprano, con un seguimiento de 25 años desde la colocación de los implantes. El objetivo no es describir el abordaje terapéutico inicial, sino aportar evidencia clínica longitudinal sobre la estabilidad implantaria y periimplantaria a largo plazo en

un escenario tradicionalmente considerado de alto riesgo, contribuyendo así a una reevaluación crítica del pronóstico implantológico en este tipo de pacientes cuando existe un adecuado control periodontal y un programa de mantenimiento apropiado.

Seguimiento clínico a 25 años de una rehabilitación implantosoportada

Se presenta el caso de una paciente de sexo femenino, de 55 años, que acude a consulta portando una prótesis removible superior anclada a un molar remanente correspondiente a la pieza 17, la cual presenta una marcada pérdida ósea. El resto de las piezas dentales habían sido previamente extraídas debido a enfermedad periodontal. La paciente solicita una alternativa a su prótesis actual, ya que no satisface sus necesidades estéticas ni funcionales.

En la radiografía inicial (Figura 1) se observa la pieza 17 con pérdida ósea significativa, así como una reabsorción ósea homogénea a lo largo de todo el arco superior. En la arcada inferior se aprecia pérdida ósea horizontal generalizada y defectos localizados, como una lesión en cuña en la pieza 46. Ante esta situación, se decide realizar la exodoncia del molar remanente del

arco superior y planificar una rehabilitación implantosoportada para todo el maxilar superior, así como para el extremo distal del tercer cuadrante.

En los cortes del cone-beam de planificación se observa la posibilidad de colocar implantes estrechos en la zona anterior del maxilar, así como implantes de mayor diámetro y longitud en los sectores posteriores (Figura 2).

En el extremo libre del tercer cuadrante es posible la colocación de implantes sin técnicas accesorias, ya que existe volumen óseo suficiente. Es importante señalar que la planificación de este caso se realizó hace 25 años, cuando

5 y 6. Prótesis atornillada de carga progresiva en la fase previa a la confección de la prótesis definitiva.

Caso clínico
Figuras

primaba la búsqueda de estabilidad primaria a través de la longitud del implante, criterio que actualmente, a la luz de los estudios biomecánicos disponibles, ha evolucionado. Hoy optaríamos por implantes de menor longitud y diámetro, cuyo comportamiento clínico ha demostrado ser comparable al de los utilizados en aquel momento.33-35

En el arco superior se planifica una rehabilitación cementada por tramos, que en ese contexto representaba la mejor alternativa en términos de estética y estanqueidad, mediante pilares específicos para fresado. Para ello se programan 10 implantes. En una primera fase se realiza la carga inmediata

del sector anterior y la carga definitiva de los implantes mandibulares mediante una prótesis de resina atornillada (Figura 3).

Seis meses después se cargan los implantes de los sectores posteriores con una prótesis atornillada sobre transepiteliales de larga duración en metal-resina, lo que permite generar una carga controlada y favorecer la adecuada conformación de los tejidos periimplantarios (Figura 4).

Una vez alcanzada la estabilidad de los tejidos blandos, 6 meses después de la carga progresiva se inicia la confección de la prótesis definitiva (Figuras 5 y 6).

El diseño de la prótesis superior se basa en la confección de pilares de oro ceramizado en los sectores anteriores, con el objetivo de optimizar la estética, y biopilares fresables en la zona posterior. Estos pilares permiten una correcta adaptación al perfil gingival y presentan un adecuado grado de estanqueidad, minimizando el riesgo de microfiltraciones que puedan favorecer infecciones periimplantarias. Hace 25 años constituían una de las mejores alternativas estéticas y funcionales para este tipo de rehabilitaciones.

Figuras 7 y 8. Transferencia de los parámetros obtenidos durante la provisionalización al modelo de trabajo y confección de los postes.
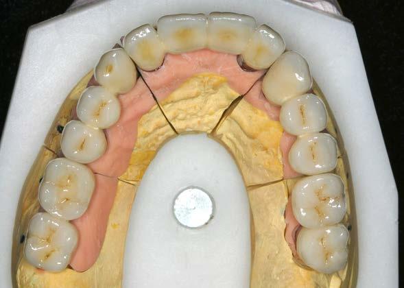
Figura 9. Coronas metal-cerámica finalizadas para cementado, divididas en tramos sobre el modelo de trabajo.

Para transferir la información obtenida durante la fase provisional, se confecciona una llave de silicona a partir de la prótesis provisional, lo que permite trasladar la posición dentaria al modelo de trabajo y conservar la estética lograda en las fases iniciales (Figuras 7 y 8).

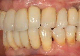
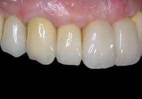
Una vez finalizados los postes, se prueban antes del cementado de las coronas para verificar que la zona ceramizada genere un margen gingival estético, evitando la exposición de metal incluso ante una posible recesión gingival leve. Asimismo, el hombro de la restauración se sitúa a nivel yuxtagingival, con el fin de evitar la presencia de cemento subgingival durante el cementado. Posteriormente se realiza la prueba de coronas (Figura 9) y su colocación definitiva (Figuras 10–12).

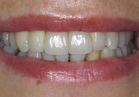
En una visión ampliada de la zona anterosuperior se aprecia la adecuada adaptación de los tejidos blandos a las coronas, lograda mediante la provisionalización y el diseño de pónticos y pilares que favorecen un contorno gingival armónico (Figuras 13 y 15).

Seguimiento clínico a 25 años de una rehabilitación implantosoportada

La paciente continúa en seguimiento tanto de los implantes como de los dientes remanentes, bajo un estricto protocolo de mantenimiento periodontal. Durante el primer año el tratamiento se mantiene estable; sin

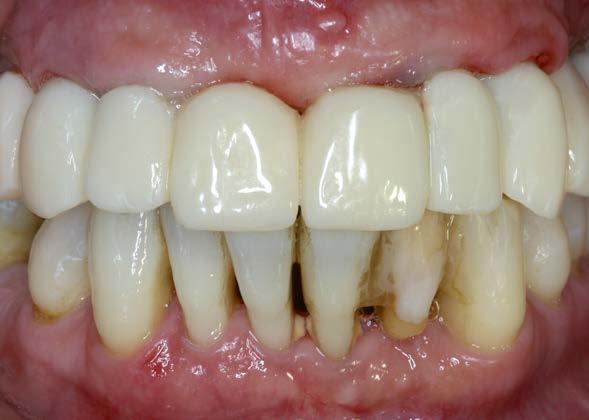
Figuras 10 y 11. Prótesis definitiva colocada en la paciente.
Figura 12. Radiografía final con la prótesis cementada en posición.

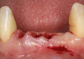
embargo, los incisivos inferiores presentan progresiva movilidad y pérdida de inserción. Luego de 2 meses se observa un incremento de la movilidad acompañado de dolor, por lo que se decide la exodoncia de los 4 incisivos inferiores, así como de la pieza 47.

Se realiza la colocación inmediata de implantes en los alveolos postextracción correspondientes a los incisivos laterales, con carga inmediata. Los alveolos de los incisivos centrales se regeneran exclusivamente con PRGF-Endoret. Dada la adecuada estabilidad primaria

obtenida, se opta por la carga inmediata. Durante el acto quirúrgico se colocan los transepiteliales y se toman los registros necesarios, lo que permite instalar una prótesis provisional de carga inmediata pocas horas después (Figuras 15–18).

Tras la exodoncia del molar 47, se coloca un implante en la zona mesial y se rehabilita el tramo distal también mediante implantes.

Tras 3 meses después de la carga inmediata de los implantes anteroinferiores, y 3 meses tras la carga de los implantes del cuarto cuadrante, se confecciona la prótesis definitiva inferior para ambos sectores. Esta se realiza en metal-cerámica, cementada, al igual que la superior, utilizando pilares ceramizados en las zonas estéticas (Figuras 19–21).

18. Radiografía periapical tras la carga inmediata.

Figuras 13 y 14. Imagen detallada de los perfiles de emergencia logrados, favorecidos por la fase de provisionalización y el diseño de pónticos y pilares.
Figuras 15–17. Colocación de implantes en los incisivos inferiores sin elevación de colgajo, así como instalación de transepiteliales para carga inmediata.
Figura

Seguimiento clínico a 25 años de una rehabilitación implantosoportada

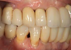
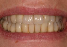
La paciente continúa bajo seguimiento periodontal. A los 5 años se observa estabilidad clínica del tratamiento (Figuras 22–24), sin recesiones gingivales ni pérdida ósea asociada en las imágenes clínicas y radiográficas.

El mantenimiento periodontal y la implicación de la paciente en las medidas de autocuidado se mantuvieron de forma constante durante 23 años (Figura 25). La ortopantomografía realizada en una de las visitas de control mostró estabilidad completa de los implantes, sin signos radiográficos de pérdida ósea patológica.

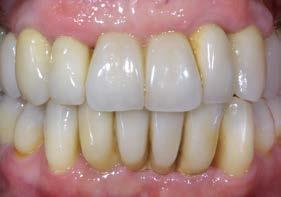
Un año más tarde, al finalizar el periodo de seguimiento (24 años), las fotografías intraorales evidenciaron ligeras alteraciones de los tejidos blandos, con pequeñas troneras abiertas,

más evidentes en los dientes naturales conservados que en las restauraciones implantosoportadas. A pesar de estos cambios, el resultado global se consideró satisfactorio desde el punto de vista funcional y estético, especialmente en comparación con la situación clínica y radiográfica inicial previa al tratamiento (Figuras 26–31).

Discusión

La conservación de dientes con afectación periodontal avanzada ha sido

Figuras 19 y 20. Prótesis definitivas de los sectores superior e inferior.

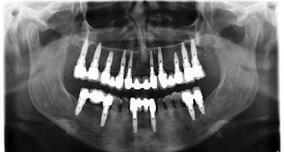
Figura 21. Radiografía con la rehabilitación finalizada.

Figuras 22 y 23. Imágenes intraorales transcurridos 5 años desde la rehabilitación definitiva. Se observa estabilidad de los tejidos blandos y mantenimiento de los dientes remanentes.

Figura 24. Radiografía a los 5 años que evidencia estabilidad ósea periimplantaria y periodontal.

25. Radiografía a los 25 años con mantenimiento del nivel óseo en implantes y dientes remanentes.

históricamente uno de los aspectos más controvertidos en el tratamiento de pacientes con periodontitis de inicio temprano. Durante décadas, numerosos autores defendieron la exodoncia de piezas con pérdida ósea severa basándose en su supuesto mal pronóstico a largo plazo, especialmente en pacientes jóvenes, en quienes la progresión de la enfermedad podía ser rápida e impredecible.2,9,15 Este enfoque se vio reforzado por la expansión de la implantología como alternativa terapéutica fiable, lo que favoreció estrategias más radicales en las que la sustitución dentaria mediante implantes se priorizaba frente a la preservación de dientes comprometidos.16,19,20

Sin embargo, los primeros estudios longitudinales ya pusieron de manifiesto que dientes con soporte periodontal reducido podían mantenerse funcionales durante largos periodos cuando se controlaba la infección y se aplicaba un seguimiento continuado. Hirschfeld y Wasserman36 fueron pioneros en documentar, en una cohorte de pacientes tratados periodontalmente y seguidos durante décadas, la supervivencia a largo plazo de dientes con pronóstico inicialmente desfavorable, siempre que existiera una adecuada adherencia a los programas de mantenimiento. Posteriormente, Axelsson y Lindhe37,38 ampliaron estos hallazgos al demostrar que, bajo terapia periodontal de soporte estricta y

Figura

Seguimiento clínico a 25 años de una rehabilitación implantosoportada

controlada, dientes con pérdida ósea avanzada podían permanecer estables durante más de 15 años, consolidando el mantenimiento periodontal como un factor pronóstico clave más allá del estado inicial. Estos trabajos sentaron las bases para un cambio progresivo de paradigma, en el que el pronóstico dentario comenzó a evaluarse de forma dinámica y no exclusivamente en función de la pérdida ósea inicial.

En paralelo, la literatura sobre implantes en pacientes con antecedentes de periodontitis ha mostrado de manera consistente que este grupo presenta un mayor riesgo de complicaciones biológicas periimplantarias en comparación con pacientes periodontalmente sanos.14,16-18,39 No obstante, revisiones sistemáticas y estudios prospectivos han señalado que dicho riesgo se ve significativamente modulado por factores como el control periodontal previo, la estabilidad tisular en

el momento de la colocación del implante y, especialmente, la adherencia a programas de mantenimiento a largo plazo.4-9,11,39 En este sentido, Karoussis et al. demostraron que los implantes en pacientes con historia de periodontitis podían presentar tasas de supervivencia comparables a largo plazo cuando se mantenía un adecuado control periodontal.12,39

La escasez de estudios con seguimientos superiores a 20 años en pacientes jóvenes con periodontitis de inicio temprano limita la posibilidad de establecer conclusiones definitivas sobre el verdadero pronóstico implantológico en este grupo. La mayoría de los trabajos disponibles presentan seguimientos inferiores a 10–15 años, periodo claramente insuficiente si se considera la expectativa funcional de los implantes en pacientes jóvenes.17,18,20,21,40 Por ello, los casos clínicos con seguimiento muy prolongado, como el presentado en este trabajo, adquieren un valor

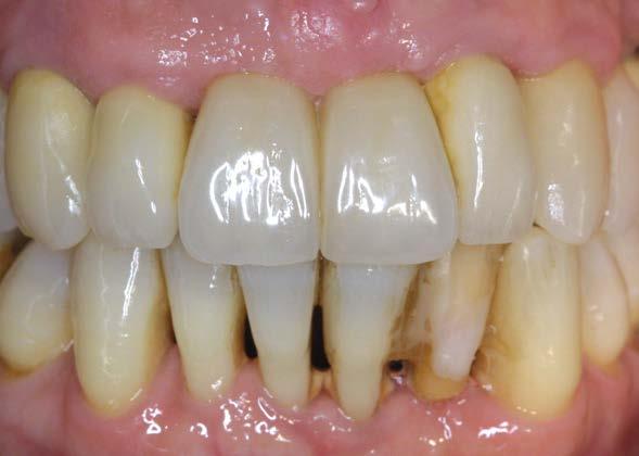
Figuras 26–29. Imágenes clínicas a los 25 años. Se aprecia mínima pérdida ósea en dientes e implantes, con ligera apertura de troneras. Considerando el antecedente periodontal de la paciente, estos cambios pueden considerarse compatibles con una evolución controlada bajo mantenimiento estricto.

particular como complemento de la evidencia existente, al aportar información sobre la estabilidad biológica y funcional más allá de los plazos habitualmente documentados.

Desde una perspectiva rehabilitadora, la combinación de dientes naturales estabilizados e implantes osteointegrados dentro de un mismo plan de tratamiento ha sido defendida como una alternativa clínica razonable frente a la extracción sistemática y la rehabilitación exclusivamente implantosoportada.16,19,22,23,37,38 La conservación de dientes viables permite mantener la propiocepción periodontal, aspecto que diversos autores han señalado

como potencialmente beneficioso para el control funcional y la distribución de las cargas oclusales en rehabilitaciones extensas.27-31,41 Aunque la influencia directa de la propiocepción en el pronóstico implantológico es difícil de cuantificar, su preservación se considera un elemento relevante en el equilibrio funcional a largo plazo.

Los hallazgos observados en el caso presentado se alinean con esta evidencia, al documentar la estabilidad durante 25 años tanto de los implantes como de dientes que, en el momento inicial, presentaban un pronóstico claramente comprometido. Esta evolución refuerza la idea de que la pérdida ósea inicial no debe considerarse un criterio absoluto de exodoncia, especialmente cuando existen posibilidades reales de control de la enfermedad y seguimiento continuad.36-39 Asimismo, el hecho de que las alteraciones tisulares finales se manifestaran de forma más evidente en los dientes naturales conservados que en los implantes subraya la naturaleza dinámica del periodonto a largo plazo y la necesidad de reevaluaciones periódicas del pronóstico, incluso bajo condiciones óptimas de mantenimiento.22,23,36

En conjunto, aunque se trata de un único caso clínico, el seguimiento excepcionalmente prolongado aporta evidencia clínica valiosa en un escenario escasamente documentado. Estos datos respaldan una visión más integradora del tratamiento de pacientes con periodontitis de inicio temprano, en la que la conservación dentaria y la

Figuras 30 y 31. Comparativa inicial y final a los 25 años de seguimiento, que muestra la estabilidad alcanzada tanto en los dientes conservados como en los implantes.

implantología no se plantean como alternativas excluyentes, sino como estrategias complementarias dentro de un plan terapéutico basado en principios biológicos sólidos y en un mantenimiento estricto a largo plazo.

La clave del éxito en este caso, a nuestro juicio, reside en una cuidadosa selección del paciente, la estabilización previa de la enfermedad periodontal, la elección adecuada del tipo de implante y del diseño protésico, así como en la implementación de un programa riguroso de mantenimiento a largo plazo.21 Es cierto que en los últimos años nuestros enfoques terapéuticos han evolucionado en cuanto a la longitud y el diámetro de los implantes utilizados, adoptando criterios más conservadores en el aprovechamiento del volumen óseo residual, con una orientación hacia la reversibilidad del tratamiento y la mínima intervención posible.42-45

Del mismo modo, la prótesis cementada sobre pilares microfresados representaba en su momento la mejor alternativa disponible; no obstante, en la actualidad optaríamos por una prótesis atornillada sobre transepiteliales, ya que ofrece mayor hermetismo en la unión implante-prótesis y permite su retirada sin comprometer las uniones epiteliales que se establecen a nivel del espacio biológico.46-49

Conclusiones

El seguimiento presentado confirma que, incluso en pacientes jóvenes con periodontitis de inicio temprano, la

Seguimiento clínico a 25 años de una rehabilitación implantosoportada

conservación de dientes con afectación periodontal avanzada puede mantenerse estable durante décadas cuando se sustenta en un control eficaz de la infección y en un programa de mantenimiento continuado. La evolución observada durante 25 años, tanto de los dientes conservados como de los implantes colocados, pone de relieve que la pérdida ósea inicial no debe considerarse de manera aislada como una indicación absoluta de exodoncia, especialmente cuando existen posibilidades reales de estabilización y seguimiento a largo plazo.

La integración planificada de dientes naturales e implantes dentro de una misma rehabilitación permitió alcanzar un resultado funcional y biológicamente estable en un escenario clínico tradicionalmente considerado de alto riesgo. Aunque se trata de un único caso, la duración excepcional del seguimiento aporta un valor clínico relevante y respalda enfoques terapéuticos más conservadores e integradores en pacientes con periodontitis de inicio temprano, siempre que se acompañen de una adecuada selección del caso y de un mantenimiento periodontal y periimplantario sostenido en el tiempo.

La integración planificada de dientes naturales e implantes dentro de una misma rehabilitación permitió alcanzar un resultado funcional y biológicamente estable en un escenario clínico tradicionalmente considerado de alto riesgo.

Referencias

1. Hu YY, Liu JH, Jiang G Bin, Yuan RX, Niu YM, Shen M. Association between interleukin-1β gene –511C>T/+3954C>T polymorphisms and aggressive periodontitis susceptibility: Evidence from a meta-analysis. Medical Science Monitor. 2015;21: 1617–1624. doi:10.12659/MSM.894402

2. Albandar JM. Aggressive periodontitis: case definition and diagnostic criteria. Periodontol 2000. 2014;65: 13–26. doi:10.1111/PRD.12014

3. Armitage GC, Cullinan MP. Comparison of the clinical features of chronic and aggressive periodontitis. Periodontol 2000. 2010;53: 12–27. doi:10.1111/j.1600-0757.2010.00353.x

4. Annunziata M, Cecoro G, Guida A, Isola G, Pesce P, Sorrentino R, et al. Effectiveness of Implant Therapy in Patients With and Without a History of Periodontitis: A Systematic Review With Meta-Analysis of Prospective Cohort Studies. J Periodontal Res. 2025;60: 524–543. doi:10.1111/jre.13351

5. Alqutaibi AY, Algabri RS. Limited Evidence Suggests High Risk of Implant Failure Rates among People with Generalized Aggressive Periodontitis. Journal of Evidence-Based Dental Practice. 2015;15: 187–189. doi:10.1016/j.jebdp.2015.10.006

6. Schou S, Holmstrup P, Worthington H V., Esposito M. Outcome of implant therapy in patients with previous tooth loss due to periodontitis. Clin Oral Implants Res. 2006;17: 104–123. doi:10.1111/j.1600-0501.2006.01347.x

7. Sgolastra F, Petrucci A, Severino M, Gatto R, Monaco A. Periodontitis, implant loss and peri-implantitis: A meta-analysis. Clin Oral Implants Res. 2015;26: e8–e16. doi:10.1111/clr.12319

8. Monje A, Alcoforado G, Padial-Molina M, Suarez F, Lin G, Wang H. Generalized Aggressive Periodontitis as a Risk Factor for Dental Implant Failure: A Systematic Review and Meta-Analysis.

J Periodontol. 2014;85: 1398–1407. doi:10.1902/jop.2014.140135

9. Wen X, Liu R, Li G, Deng M, Liu L, Zeng X-T, et al. History of Periodontitis as a Risk Factor for Long-Term Survival of Dental Implants: A Meta-Analysis. Int J Oral Maxillofac Implants. 2014;29: 1271–1280. doi:10.11607/jomi.3544

Seguimiento clínico a 25 años de una rehabilitación implantosoportada

10. Lee DW. Periodontitis and dental implant loss. Evid Based Dent. 2014;15: 59–60. doi:10.1038/ sj.ebd.6401031

11. Heitz-Mayfield LJA, Lang NP. Comparative biology of chronic and aggressive periodontitis vs. peri-implantitis. Periodontol 2000. 2010;53: 167–181. doi:10.1111/j.1600-0757.2010.00348.x

12. Karoussis IK, Kotsovilis S, Fourmousis I. A comprehensive and critical review of dental implant prognosis in periodontally compromised partially edentulous patients: Review. Clin Oral Implants Res. 2007;18: 669–679. doi:10.1111/j.1600-0501.2007.01406.x

13. Zangrando MS, Damante CA, Sant’Ana AC, Rubo de Rezende ML, Greghi SL, Chambrone L. Longterm evaluation of periodontal parameters and implant outcomes in periodontally compromised patients: a systematic review. J Periodontol. 2015;86: 201–221. doi:10.1902/JOP.2014.140390

14. Ganapathy V, Balaji A, Shanmugam M, Farjana N, Dheraj, Krishnan M. Survival Rate of Immediate Implants in Periodontally Compromised Patients: A Systematic Review. J Pharm Bioallied Sci. 2024;16: S1038–S1042. doi:10.4103/jpbs.jpbs_1115_23

15. Sarafidou K, Lazaridi I, Gotsis S, Kirmanidou Y, Vasilaki D, Hirayama H, et al. Tooth preservation vs. extraction and implant placement in periodontally compromised patients: A systematic review and analysis of studies. Journal of Prosthodontics. 2022;31: e87–e99. doi:10.1111/jopr.13560

16. King E, Patel R, Patel A, Addy L. Should implants be considered for patients with periodontal disease? Br Dent J. 2016;221: 705–711. doi:10.1038/sj.bdj.2016.905

17. Graetz C, El-Sayed KF, Geiken A, Plaumann A, Sälzer S, Behrens E, et al. Effect of periodontitis history on implant success: a long-term evaluation during supportive periodontal therapy in a university setting. Clin Oral Investig. 2018;22: 235–244. doi:10.1007/s00784-017-2104-4

18. Kim K-K, Sung H-M. Outcomes of dental implant treatment in patients with generalized aggressive periodontitis: a systematic review. J Adv Prosthodont. 2012;4: 210–7. doi:10.4047/ jap.2012.4.4.210

19. Zitzmann NU, Krastl G, Hecker H, Walter C, Waltimo T, Weiger R. Strategic considerations in treatment planning: Deciding when to treat, extract, or replace a questionable tooth. Journal of Prosthetic Dentistry. 2010;104: 80–91. doi:10.1016/S0022-3913(10)60096-0

20. Cortellini P, Stalpers G, Mollo A, Tonetti MS. Periodontal regeneration versus extraction and dental implant or prosthetic replacement of teeth severely compromised by attachment loss to the apex: A randomized controlled clinical trial reporting 10-year outcomes, survival analysis and mean cumulative cost of recurrence. J Clin Periodontol. 2020;47: 768–776. doi:10.1111/ jcpe.13289

21. Guarnieri R, Di Nardo D, Di Giorgio G, Miccoli G, Testarelli L. Longevity of Teeth and Dental Implants in Patients Treated for Chronic Periodontitis Following Periodontal Maintenance Therapy in a Private Specialist Practice: A Retrospective Study with a 10-Year Follow-up. Int J Periodontics Restorative Dent. 2021;41: 89–98. doi:10.11607/prd.4674

22. Manresa C, Sanz-Miralles EC, Twigg J, Bravo M. Supportive periodontal therapy (SPT) for maintaining the dentition in adults treated for periodontitis. Cochrane Database of Systematic Reviews. 2018;2018. doi:10.1002/14651858.CD009376.pub2

23. Kwon TH, Lamster IB, Levin L. Current Concepts in the Management of Periodontitis. Int Dent J. 2021;71: 462–476. doi:10.1111/idj.12630

24. Anitua E, Troya M, Tierno R, Zalduendo M, Alkhraisat MH. The Effectiveness of Platelet-Rich Plasma as a Carrier of Stem Cells in Tissue Regeneration: A Systematic Review of Pre-Clinical Research. Cells Tissues Organs. 2021;210: 339–350. doi:10.1159/000518994

25. Anitua E, Sánchez M, Nurden AT, Nurden P, Orive G, Andía I. New insights into and novel applications for platelet-rich fibrin therapies. Trends Biotechnol. 2006;24: 227–234. doi:10.1016/j. tibtech.2006.02.010

26. Anitua E. [Rehabilitation of a case with active periodontitis and advanced perii-implantitis. Minimally invasive approach]. Revista cientifica odontologica (Universidad Cientifica del Sur). 2022;10: e113. doi:10.21142/2523-2754-1002-2022-113

27. Mishra SK, Chowdhary R, Chrcanovic BR, Brånemark PI. Osseoperception in Dental Implants: A Systematic Review. Journal of Prosthodontics. 2016;25: 185–195. doi:10.1111/jopr.12310

28. Trulsson M. Sensory and motor function of teeth and dental implants: A basis for osseoperception. Clin Exp Pharmacol Physiol. 2005;32: 119–122. doi:10.1111/j.1440-1681.2005.04139.x

29. Song D, Shujaat S, Politis C, Orhan K, Jacobs R. Osseoperception following dental implant treatment: A systematic review. J Oral Rehabil. 2022;49: 573–585. doi:10.1111/joor.13296

30. Meyer G, Fanghänel J, Proff P. Morphofunctional aspects of dental implants. Annals of Anatomy. 2012;194: 190–194. doi:10.1016/j.aanat.2011.09.006

31. Koyano K, Esaki D. Occlusion on oral implants: Current clinical guidelines. J Oral Rehabil. 2015;42: 153–161. doi:10.1111/joor.12239

32. Klineberg I, Murray G. Osseoperception: sensory function and proprioception. Adv Dent Res. 1999;13: 120–129. doi:10.1177/08959374990130010101

33. Anitua E, Tapia R, Luzuriaga F, Orive G. Influence of implant length, diameter, and geometry on stress distribution: a finite element analysis. Int J Periodontics Restorative Dent. 2010;30: 89–95. Available: http://www.ncbi.nlm.nih.gov/pubmed/20224835

34. Anitua E, Larrazabal Saez de Ibarra N, Saracho Rotaeche L. Implant-Supported Prostheses in the Edentulous Mandible: Biomechanical Analysis of Different Implant Configurations via Finite Element Analysis. Dent J (Basel). 2022;11. doi:10.3390/dj11010004

35. Anitua E. [5.5 mm implant. A solution for severe atrophies without sacrificing predictability]. Revista cientifica odontologica (Universidad Cientifica del Sur). 2023;10: e137. doi:10.21142/25232754-1004-2022-137

36. Hirschfeld L, Wasserman B. A long-term survey of tooth loss in 600 treated periodontal patients. J Periodontol. 1978;49: 225–237. doi:10.1902/JOP.1978.49.5.225

Seguimiento clínico a 25 años de una rehabilitación implantosoportada

37. Axelsson P, Nyström B, Lindhe J. The long-term effect of a plaque control program on tooth mortality, caries and periodontal disease in adults: Results after 30 years of maintenance. J Clin Periodontol. 2004;31: 749–757. doi:10.1111/j.1600-051X.2004.00563.x

38. Axelsson P, Lindhe J. Effect of controlled oral hygiene procedures on caries and periodontal disease in adults. Results after 6 years. J Clin Periodontol. 1981;8: 239–248. doi:10.1111/J.1600051X.1981.TB02035.X

39. Karoussis IK, Salvi GE, Heitz-Mayfield LJA, Brägger U, Hämmerle CHF, Lang NP. Long-term implant prognosis in patients with and without a history of chronic periodontitis: a 10-year prospective cohort study of the ITI Dental Implant System. Clin Oral Implants Res. 2003;14: 329–339. doi:10.1034/J.1600-0501.000.00934.X

40. Derks J, Tomasi C. Peri-implant health and disease. A systematic review of current epidemiology. J Clin Periodontol. 2015;42: S158–S171. doi:10.1111/jcpe.12334

41. Trulsson M. Sensory-motor function of human periodontal mechanoreceptors. J Oral Rehabil. 2006;33: 262–273. doi:10.1111/j.1365-2842.2006.01629.x

42. Anitua E, Eguia A, Alkhraisat M. Clinical performance of splinted 4.5-mm extra-short implants. A controlled retrospective cohort study. Int J Periodontics Restorative Dent. 2023. doi:10.11607/prd.6877

43. Anitua E, Alkhraisat MH, Eguia A. Single-crown restorations in premolar–molar regions: short (≤ 6.5) vs longer implants: retrospective cohort study. Int J Implant Dent. 2022;8. doi:10.1186/ s40729-022-00438-y

44. Anitua E. Extra-short implants ≤6.5 mm: long-term results. Clin Implant Dent Relat Res. 2014;16: 250–259.

45. Anitua E, Piñas L, Orive G. Retrospective study of short and extra-short implants placed in posterior regions: Influence of crown-to-implant ratio on marginal bone loss. Clin Implant Dent Relat Res. 2015;17: 102–110. doi:10.1111/cid.12073

46. Moreira F, Rocha S, Caramelo F, Tondela JP. One-Abutment One-Time Effect on Peri-Implant Marginal Bone: A Prospective, Controlled, Randomized, Double-Blind Study. Materials (Basel). 2021;14. doi:10.3390/ma14154179

47. Perrotti V, Zhang D, Liang A, Wong J, Quaranta A. The Effect of One-Abutment at One-Time on Marginal Bone Loss Around Implants Placed in Healed Bone: A Systematic Review of Human Studies. Implant Dent. 2019;28: 603–612. doi:10.1097/ID.0000000000000931

48. Laleman I, Lambert F. Implant connection and abutment selection as a predisposing and/or precipitating factor for peri-implant diseases: A review. Clin Implant Dent Relat Res. 2023;25: 723–733. doi:10.1111/cid.13185

49. Anitua E, Murias-Freijo A, Tierno R, Tejero R, Hamdan Alkhraisat M. Effect of implant abutment surface treatments on bacterial biofilm composition and structure. J Oral Microbiol. 2025;17: 2459922. doi:10.1080/20002297.2025.2459922

Hipoplasia de turner, reporte de caso

Hipoplasia de turner, reporte de caso

Martínez Morán Diego Armando,C.D.E.O

Sánchez Rodríguez Daniel, MPMB. Mario Emmanuelle Castro García, Colín Hernández

Paulina Montserrat, Mtro. Jorge Morales

García, C.D.E.O Castañeda Palacios Gabriela

Universidad Autónoma Metropolitana–Xochimilco

Laboratorio de Diseño y Comprobación “D.R Rafael Lozano Orozco”

La hipoplasia de Turner (HT) es una alteración del desarrollo dental asociada a traumatismos o infecciones periapicales en dientes temporales que afectan la formación del esmalte en dientes permanentes. Se manifiesta con defectos estructurales y cromáticos, y puede comprometer la estética y la función dental desde edades tempranas. Se presenta un caso clínico de HT en una paciente de 10 años, relacionado con un traumatismo ocurrido a los 3 años de edad. El diagnóstico se realizó mediante evaluación clínica y radiográfica, y el tratamiento consistió en ameloplastia y restauración con resina compuesta.

Se resalta la importancia del diagnóstico precoz y del manejo individualizado para prevenir secuelas funcionales y psicosociales.

Palabras clave: hipoplasia de Turner, diente de Turner, esmalte dental, traumatismo dental, infección periapical, odontopediatría, desarrollo dental, diagnóstico temprano, ameloplastia, defectos del esmalte.

La salud bucodental en la infancia es un pilar fundamental del desarrollo integral; su preservación depende en gran medida de la identificación oportuna de alteraciones que puedan comprometer la estructura y función del aparato estomatognático. Entre las anomalías del desarrollo dental, la HT fue reportada por primera vez por Joseph George Turner (aproximadamente en 1906)1 y representa una entidad clínica relevante en odontopediatría, dada su estrecha relación con eventos patológicos ocurridos durante las primeras etapas de la vida.2,3

El esmalte dental es producido por los ameloblastos, células especializadas cuya actividad se organiza en distintas etapas: morfogenética, organizativa, formativa, de maduración y desmolítica.4,5 Durante la etapa formativa se sintetiza la matriz del esmalte, mientras que la mineralización ocurre principalmente en la fase de maduración.6 Cualquier alteración en este proceso puede generar defectos como fosas, surcos o pérdida parcial del esmalte, condición conocida como hipoplasia.5

El esmalte dental es producido por los ameloblastos, células especializadas cuya actividad se organiza en distintas etapas: morfogenética, organizativa, formativa, de maduración y desmolítica.

La HT es una forma localizada de hipoplasia del esmalte que ocurre como consecuencia de infecciones periapicales o traumatismos sufridos por dientes temporales, los cuales afectan el desarrollo de sus sucesores permanentes.2 Dependiendo del momento en que se produce la agresión, esta puede interferir con la formación de la matriz o con su mineralización. Clínicamente, se manifiesta con defectos de severidad variable, que van desde manchas blancas, amarillas o marrones hasta pérdida estructural evidente del esmalte, afectando tanto la estética como la función dental.2,7

Los dientes más frecuentemente afectados son los incisivos superiores y los premolares de ambas arcadas. La presentación suele ser unilateral y limitada a un solo diente, aunque también puede involucrar múltiples piezas, dependiendo de la extensión y gravedad de la lesión primaria.2,3 Su etiología prevenible y su impacto en la salud bucal infantil subrayan la importancia del reconocimiento temprano de esta alteración. Un abordaje clínico integral que contemple el diagnóstico precoz,

la diferenciación con otras anomalías del esmalte y la implementación de estrategias terapéuticas individualizadas puede mejorar significativamente el pronóstico funcional y psicosocial del paciente en desarrollo.8

Caso clínico

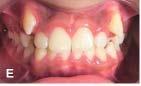
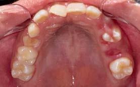
Paciente femenina de 10 años de edad, aparentemente sana, acude acompañada de su madre a la Clínica Estomatológica Tepepan, turno vespertino, de la Universidad Autónoma Metropolitana. Al examen clínico intraoral se observó el O.D. 2.1 con irregularidades en el esmalte, localizadas en los tercios cervicodistovestibular, mediodistovestibular e incisodistovestibular, con múltiples porosidades y coloración amarillenta (Figura 2).

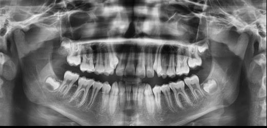
En el examen radiográfico se observó una zona radiolúcida a nivel coronario del O.D. 2.1 en los tercios antes referidos; asimismo, se identificó una porción radicular disminuida en comparación con el O.D. 1.1, así como curvatura radicular (Figura 3).

La anamnesis realizada con la madre reveló antecedente de traumatismo

dental a los 3 años de edad, ocasionado por una caída que provocó la fractura de los O.D. 5.1 y 6.1. Este evento cursó con un proceso infeccioso posterior y los dientes afectados fueron tratados mediante la colocación de coronas de acero-cromo como restauración

Figura 1.
Figura 2.

Calidad y dirección

definitiva en una consulta odontológica privada. Sin embargo, se desconoce si se realizó tratamiento pulpar previo durante dicha intervención.

Tratamiento

Con base en la evaluación clínica y radiográfica, se estableció el diagnóstico pulpar de diente vital, sin signos de inflamación ni patología periapical. Asimismo, la superficie vestibular presentó integridad estructural, sin evidencia de desmineralización o lesión cariosa, clasificada como ICDAS 0 (Figura 1). Considerando estos hallazgos, se indicó un abordaje conservador mediante ameloplastia selectiva, con el objetivo de regularizar las

discontinuidades del esmalte susceptibles a la retención de biofilm.

Previo al procedimiento restaurador, se efectuó el aislamiento absoluto del campo operatorio mediante dique de hule y clamp, garantizando un entorno libre de humedad y contaminantes salivales. La zona intervenida fue desinfectada con digluconato de clorhexidina al 2% durante 60 segundos. Posteriormente, se realizó grabado ácido selectivo del esmalte con ácido ortofosfórico al 37% durante 15 segundos, seguido de enjuague profuso y secado con torundas de algodón estériles para preservar la humedad natural del O.D.

Figura 3.
Figura 4.

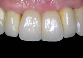
Se aplicó un sistema adhesivo universal según las indicaciones del fabricante y se fotopolimerizó durante 20 segundos con una lámpara de fotocurado LED de alta intensidad. La reconstrucción de la superficie vestibular se efectuó mediante técnica de estratificación con resina compuesta nanohíbrida tono A1, utilizando capas incrementales de no más de 2 mm, cada una fotopolimerizada individualmente durante 20 segundos.

Finalmente, se realizó el contorneado anatómico, pulido y acabado de la restauración, logrando una integración funcional y estética con los tejidos dentarios adyacentes (Figura 4 y 5).

Discusión

La HT es una alteración estructural del esmalte dental de origen no hereditario,

clasificada dentro de las displasias del desarrollo del tejido adamantino. Esta anomalía se produce como consecuencia de un traumatismo o infección periapical sufrida por un diente temporal, la cual interfiere en la actividad secretora de los ameloblastos del diente permanente en desarrollo.4 El esmalte afectado presenta una matriz incompleta y un grado variable de mineralización, lo que resulta en una superficie porosa e irregular y, en casos severos, en la pérdida parcial de la estructura coronaria.5,6

En el caso clínico analizado, se identificó hipoplasia en el O.D. 2.1, con manifestaciones clínicas que incluyeron manchas de coloración blanca y amarillo-parda, así como defectos estructurales compatibles con pérdida de tejido adamantino. Estas características son

Figura 5.

consistentes con las descritas por Suga y otros autores,2,7 quienes señalan que los signos clínicos de esta entidad pueden variar desde alteraciones cromáticas hasta la exposición de dentina, dependiendo del momento y la intensidad del daño sobre el germen dental.

La anamnesis reveló antecedente de traumatismo dentoalveolar a los 3 años de edad, lo que coincide con el período activo de amelogénesis del incisivo central permanente superior (aproximadamente entre los 2 y 5 años).1,2 Esta correlación refuerza el diagnóstico de HT, dado que los ameloblastos son extremadamente sensibles a cualquier alteración del microambiente durante la fase de formación de la matriz y maduración del esmalte.6

Para un diagnóstico diferencial adecuado, es indispensable realizar una evaluación clínica complementada con estudios radiográficos. Esto permite distinguir la HT de otras condiciones como la hipomineralización incisivo-molar, la fluorosis dental o las formas leves de amelogénesis imperfecta. A diferencia de estas patologías sistémicas o genéticas, la HT suele afectar un solo diente y presenta una etiología claramente localizada y temporal.3,7

El reconocimiento precoz de esta condición es esencial para implementar un plan de tratamiento oportuno que permita restaurar la estética y la función, así como prevenir posibles complicaciones como la caries o la sensibilidad dentinaria. Además, su identificación

puede brindar información relevante sobre la historia médica y dental del paciente en edad temprana, reforzando el valor de la odontología preventiva y del seguimiento clínico de pacientes con antecedentes de traumatismo o infecciones periapicales en la dentición decidua.8

Conclusiones

1. El diagnóstico temprano de la HT, mediante la evaluación clínica y estudios radiográficos, así como el seguimiento riguroso de traumatismos e infecciones periapicales en la dentición temporal, es fundamental en odontopediatría para prevenir secuelas estructurales en la dentición permanente. Este enfoque permite planificar un tratamiento conservador que preserve la función y la estética del O.D. afectado, y prevenga complicaciones secundarias como caries, sensibilidad o afección pulpar.

2. Una correcta diferenciación diagnóstica de la HT respecto a otras anomalías del esmalte, junto con la elección de estrategias terapéuticas conservadoras y estéticas, es esencial para establecer un plan de tratamiento individualizado que favorezca la rehabilitación funcional y estética, así como el bienestar emocional y social del paciente pediátrico.

3. La relación cronobiológica entre el momento del evento patológico en la dentición temporal y la fase de desarrollo del germen dentario permanente reviste importancia diagnóstica.

Referencias

1. Turner JG. Injury to the teeth of succession by abcess of the temporary teeth. Br Dent J. (1909) 30:1233–7.

2. Suga S. Enamel hypoplasia caused by periapical infection of deciduous teeth. J Dent Child. 1976;43(3):233–236.

3. Hill FJ, Blayney MW. The aetiology and presentation of Turner’s hypoplasia of anterior teeth. Br Dent J. 1983;155(11):403–406.

4. Nanci A. Ten Cate's Oral Histology: Development, Structure, and Function. 9th ed. St. Louis: Elsevier; 2018.

5. Junqueira LC, Carneiro J. Histología básica: texto y atlas. 13.ª ed. México: McGraw-Hill; 2016.

6. Avery JK, Chiego DJ. Essentials of Oral Histology and Embryology: A Clinical Approach. 4th ed. St. Louis: Mosby; 2011.

7. Seow WK. Clinical diagnosis and management strategies of amelogenesis imperfecta variants. Pediatr Dent. 1993;15(6):384–393.

8. Bagramian RA, Garcia-Godoy F, Volpe AR. The global increase in dental caries. A pending public health crisis. Am J Dent. 2009;22(1):3–8

9. Turner JG. Injury to the teeth of succession by abcess of the temporary teeth. Br Dent J. (1909) 30:1233–7.

Adherencia a las indicaciones del tratamiento ortodóntico en pacientes con aparatología fija

Adherencia a las indicaciones del tratamiento ortodóntico en pacientes con aparatología fija

C.D. Rosario Venegas Rodríguez.* M. en C. José Cuauhtémoc Jiménez Núñez.* Esp. Gustavo Castillo Salazar.* *Instituto de Ortodoncia Bioprogresiva ° Facultad de Estudios Superiores Iztacala

La adherencia al tratamiento se define como el grado de comportamiento de una persona para seguir las recomendaciones sugeridas por el prestador de servicios de salud, en este caso, el ortodoncista. La adolescencia se considera una etapa idónea para recibir tratamiento de ortodoncia, ya que durante este periodo se presentan cambios fisiológicos, estructurales y anatómicos relacionados con el crecimiento y desarrollo de la cara y de las arcadas dentarias; sin embargo, uno de los principales retos es lograr y mantener una adecuada conexión con el paciente para obtener resultados favorables en la mejora de su oclusión. Objetivo: Evaluar el nivel de adherencia al tratamiento con aparatología fija en pacientes adolescentes del Instituto Bioprogresivo de Ortodoncia. Metodología: Estudio transversal con muestreo por conveniencia. Se evaluó el nivel de adherencia al tratamiento en pacientes atendidos en el Instituto mediante un cuestionario validado de autorreporte, aplicado durante los meses de agosto a diciembre de 2024. Se realizó un análisis descriptivo de la muestra y posteriormente se evaluó la frecuencia de reporte de los ítems. Resultados: El 81.7% de la muestra reportó haber recibido indicaciones higiénicas; el 85.3% recordó las instrucciones dietéticas recibidas; el 96.4% acudió a sus citas en la fecha y hora convenidas; el 97.5% refirió dar seguimiento a su tratamiento, aun cuando ya se sentían satisfechos con los resultados; el 92.6% solicitó consulta inmediata cuando se desprendió algún bracket; el 96.4% siguió las indicaciones incluso al salir de viaje; el 91.5% consultó oportunamente al ortodoncista ante la presencia de alguna molestia; el 92.6% recordó las fechas de sus próximas consultas, y solo el 2.5% reportó haber tenido conflictos con su ortodoncista. Conclusión: La adherencia de los pacientes al tratamiento de ortodoncia en la muestra fue adecuada; no obstante, es importante evaluar de forma constante este aspecto para verificar la motivación del paciente adolescente, evitar la deserción prematura del tratamiento y prevenir posibles complicaciones.

Palabras clave: adherencia, adolescentes, indicaciones, ortodoncia.

Las maloclusiones son consideradas un importante problema de salud pública. De acuerdo con la Organización Mundial de la Salud (OMS), estas constituyen el tercer problema de salud bucal más relevante, después de la caries dental y las enfermedades periodontales.1 Se estima que, en México, alrededor del 60% de la población presenta alguna de estas condiciones.2 Las maloclusiones son alteraciones en la posición de los componentes dentales o esqueletales del sistema estomatognático.3 Su efecto no es solo funcional y/o estético, sino que también influye en los aspectos psicosociales y en la calidad de vida de quienes las padecen.4

De acuerdo con la OMS, la adolescencia es el periodo comprendido entre los 10 y 19 años; en esta etapa se producen cambios físicos, psicológicos, biológicos, intelectuales y sociales que corresponden a la transición de la infancia al estado adulto.5 El abordaje de las maloclusiones se lleva a cabo mediante el tratamiento ortodóntico, en el cual se emplean distintos aditamentos con la finalidad de armonizar la oclusión y los rasgos faciales del tercio medio e inferior del rostro.6 La adolescencia es el momento preferido para realizar este tratamiento, ya que durante esta etapa la dentición permanente ha erupcionado, pero el crecimiento craneofacial aún puede aprovecharse.7

Para que el tratamiento ortodóntico sea exitoso, se requiere la cooperación del paciente en factores tales

como asistir a las citas, mantener una adecuada higiene oral, seguir las recomendaciones dietéticas, así como usar y cuidar los aparatos y aditamentos prescritos.8 Sin embargo, el tratamiento puede alterar las rutinas establecidas e interferir con las actividades sociales del paciente adolescente, además de repercutir en su autoestima debido a su aspecto físico. Por ello, resulta imperativo mantener una comunicación adecuada que permita comprender las necesidades y expectativas del paciente respecto al tratamiento y generar en este una adherencia adecuada a las indicaciones prescritas por parte del ortodoncista, a fin de favorecer el éxito del tratamiento.9

Existen diversos métodos para medir la adherencia al tratamiento; entre estos se encuentran los métodos objetivos (directos e indirectos) y los subjetivos. Los métodos objetivos directos se basan en la determinación del fármaco, de sus metabolitos o de sustancias trazadoras en fluidos biológicos como sangre y orina, entre otros. Los métodos objetivos indirectos valoran el incumplimiento a partir de circunstancias relacionadas con el paciente y con el grado de enfermedad. Por otro lado, los métodos subjetivos contemplan la percepción del paciente sobre el cumplimiento de las indicaciones por parte del profesional de la salud; dentro de estos métodos se encuentran la entrevista y el autorreporte mediante encuestas.10

En 2016, Cano y colaboradores desarrollaron una encuesta para evaluar la

Adherencia a las indicaciones del tratamiento ortodóntico en pacientes con aparatología fija

Encuesta de adherencia al tratamiento ortodóntico

1 Su ortodoncista tratante, ¿le dio recomendaciones adicionales de higiene oral? (cepillos especiales, enhebradores y enjuagues etc.)

2 ¿Recuerda las instrucciones dietéticas que recibió por parte de su ortodoncista?

3 ¿Llega a sus citas en la fecha y la hora indicadas por su ortodoncista?

4 ¿Deja de asistir a las citas cuando cree que ya está bien el tratamiento?

5 Si alguna vez pierde un bracket, ¿solicita consulta inmediatamente?

6 Cuando viaja o está fuera de casa, ¿olvida usar sus aditamentos o aparatos extras?

7 Si siente alguna molestia con los aparatos, ¿consulta oportunamente a su ortodoncista?

8 ¿Recuerda las fechas de su próxima consulta?

9 ¿Ha tenido conflictos en la comunicación con su ortodoncista?

adherencia del paciente adolescente bajo tratamiento ortodóntico.11 Esta contempla los siguientes ítems relacionados con los comportamientos requeridos por parte del paciente (Tabla 1). Las opciones de respuesta consisten en las alternativas sí/no.

En el estudio mediante el cual se validó esta encuesta, desarrollado en Colombia, se encontró que los adolescentes presentaban una adherencia intermedia.11

El objetivo de este estudio fue evaluar, en pacientes adolescentes tratados en el Instituto Bioprogresivo de Ortodoncia, en el Estado de México, el nivel de adherencia al tratamiento con aparatología fija.

Metodología

Se realizó un estudio transversal; el muestreo fue por conveniencia. Se evaluó a pacientes tratados en el Instituto de Ortodoncia Bioprogresiva,

Tabla 1. Encuesta de adherencia al tratamiento ortodóntico propuesta por Cano y colaboradores.

campus Arboledas, durante los meses de agosto a diciembre de 2024. Dentro de los criterios de selección se incluyeron todos los pacientes portadores de aparatología ortodóntica fija, de ambos sexos, con un rango de edad de 10 a 19 años, cuyos padres o tutores otorgaron su consentimiento informado y el paciente su asentimiento.

Se excluyeron pacientes que acudían por urgencia, aquellos que habían sido irregulares en sus citas durante los últimos 6 meses y quienes no contestaron completamente la encuesta. En la sala de espera, los pacientes fueron abordados para la aplicación del instrumento. Posteriormente, se llevó a cabo la captura y el análisis de la información y, mediante el software STATA versión 16, se realizó un análisis descriptivo de la muestra y de la distribución de las respuestas de la encuesta.

Resultados

Descripción de la muestra

En el estudio participaron 82 adolescentes; el 60.9% (n = 50) fueron mujeres, quienes presentaron una edad promedio de 15.3 ± 2.5 años. El 78.1% (n = 64) refirió que era la primera vez que se encontraba bajo tratamiento ortodóntico.

Adherencia al tratamiento

De acuerdo con la encuesta de adherencia en pacientes adolescentes bajo tratamiento ortodóntico, el 81.7% de la muestra reportó haber recibido

indicaciones higiénicas; el 85.3% recordó las instrucciones dietéticas recibidas; el 96.4% acudió a sus citas en la fecha y hora convenidas; el 97.5% refirió dar seguimiento a su tratamiento, aun cuando ya se sentían satisfechos con los resultados; el 92.6% solicitó consulta inmediata cuando se desprendió algún bracket; el 96.4% siguió las indicaciones incluso cuando salieron de viaje; el 91.5% consultó de manera oportuna al ortodoncista ante la presencia de alguna molestia; el 92.6% recordó las fechas de sus próximas consultas y solo el 2.5% reportó haber tenido conflictos con su ortodoncista (Tabla 2).

Discusión

En este estudio se encontró que fue frecuente el reporte afirmativo de las conductas requeridas por parte del paciente adolescente a lo largo de su tratamiento, ya que en todos los ítems más del 80% de la muestra reportó adherencia a las indicaciones del tratamiento. Estos resultados contrastan con el estudio en el cual se validó el instrumento, donde la adherencia fue intermedia, debido a que las conductas requeridas solo se reportaron en aproximadamente el 50% de la muestra.11

Resulta interesante analizar que el ítem 1, relacionado con haber recibido información sobre los hábitos higiénicos, fue el que presentó el menor reporte afirmativo en comparación con los otros ítems. En este sentido, valdría la pena profundizar si realmente existieron pacientes que no recibieron

Adherencia a las indicaciones del tratamiento ortodóntico en pacientes con aparatología fija

dichas indicaciones o si, por el contrario, esto correspondió a una posible falla en la comunicación por parte del ortodoncista.

La adherencia a las recomendaciones dietéticas e higiénicas prescritas por el ortodoncista constituye una parte fundamental del tratamiento ortodóntico, ya que la motivación y disciplina del paciente en el cumplimiento de estas disminuyen la probabilidad de la aparición de complicaciones que puedan

retrasar el tratamiento. La importancia de evitar dichas complicaciones radica en aprovechar las condiciones biológicas relacionadas con el crecimiento craneofacial y la capacidad de remodelación ósea, la cual es más rápida en adolescentes que en adultos.12

Una de las áreas en las que se podría intervenir con la finalidad de mejorar la adherencia a las indicaciones del tratamiento ortodóntico por parte del adolescente consiste en establecer

Su ortodoncista tratante, ¿le dio recomendaciones adicionales de higiene oral? (cepillos especiales, enhebradores y enjuagues etc.)

¿Recuerda las instrucciones dietéticas que recibió por parte de su ortodoncista?

¿Llega a sus citas en la fecha y la hora indicadas por su ortodoncista?

¿Deja de asistir a las citas cuándo cree que ya está bien el tratamiento?

Si alguna vez pierde un bracket, ¿solicita consulta inmediatamente?

Cuándo viaja o está fuera de casa, ¿olvida usar sus aditamentos o aparatos extras?

Si siente alguna molestia con los aparatos, ¿consulta oportunamente a su ortodoncista?

¿Recuerda las fechas de su próxima consulta?

¿Ha tenido conflictos en la comunicación con su ortodoncista?

Tabla 2. Respuestas de la encuesta de adherencia.

una comunicación efectiva, en la cual el ortodoncista no sea percibido únicamente como una figura de autoridad. Esto cobra relevancia debido a la tendencia propia de la adolescencia a retar este tipo de figuras; por ello, resulta más efectivo intervenir a través de sus emociones, aprovechando el interés del adolescente en mejorar su estética para lograr una mejor integración en su contexto social.13

Lo anterior supone un reto no solo para el ortodoncista, sino también para los padres de familia y/o tutores, por lo que resulta importante incluirlos en el abordaje del tratamiento con el fin de generar conciencia sobre el apoyo que el adolescente requerirá a lo largo de todo el proceso terapéutico.

Si bien este instrumento evalúa los aspectos relacionados con la adherencia al tratamiento de manera general y es susceptible de ser perfectible, parece ser un método de aproximación adecuado. En futuros estudios se sugiere mejorar este instrumento o incluso diseñar uno nuevo que permita

evaluar de forma más específica cada uno de los aspectos relacionados con las conductas requeridas por parte del paciente adolescente bajo tratamiento ortodóntico, así como evaluar una muestra mayor y realizar estudios longitudinales, a fin de analizar los cambios que pudieran presentarse a lo largo del tratamiento en la adherencia a las indicaciones prescritas por parte del ortodoncista.

Conclusiones

La adherencia de los pacientes al tratamiento de ortodoncia en la muestra fue adecuada; no obstante, es importante evaluar de forma constante este aspecto para verificar la motivación del paciente adolescente, evitar la deserción prematura del tratamiento y prevenir posibles complicaciones.

Ética

Este proyecto fue revisado y avalado para su ejecución por la Comisión de Ética de la Facultad de Estudios Superiores Iztacala con el registro CE/FESI/012025/1858.

La adherencia de los pacientes al tratamiento de ortodoncia en la muestra fue adecuada; no obstante, es importante evaluar de forma constante este aspecto para verificar la motivación del paciente adolescente, evitar la deserción prematura del tratamiento y prevenir posibles complicaciones.

Adherencia a las indicaciones del tratamiento ortodóntico en pacientes con aparatología fija

Referencias

1. Cartes-Velásquez R, Araya E, Valdés C. Maloclusiones y su impacto psicosocial en estudiantes de un liceo intercultural. International journal of odontostomatology. 2010;4(1):65-70.

2. Aranza OT, Zurita AT, Martínez CEC, Cuanalo LO. Prevalencia de maloclusiones y trastornos del habla en una población preescolar del oriente de la Ciudad de México. Boletín médico del Hospital Infantil de México. 2011;68(6):425-30.

3. Burgos D. Prevalencia de maloclusiones en niños y adolescentes de 6 a 15 años en Frutillar, Chile. International journal of odontostomatology. 2014;8(1):13-9.

4. Marques LS, Ramos-Jorge ML, Paiva SM, Pordeus IA. Malocclusion: esthetic impact and quality of life among Brazilian schoolchildren. American journal of orthodontics and dentofacial orthopedics. 2006;129(3):424-7.

5. Dehne KL, Riedner G. Adolescence — a dynamic concept. Reproductive Health Matters. 2001;9(17):11-5.

6. Walton DK, Fields HW, Johnston WM, Rosenstiel SF, Firestone AR, Christensen JC. Orthodontic appliance preferences of children and adolescents. American Journal of Orthodontics and Dentofacial Orthopedics. 2010;138(6):698. e1-. e12.

7. Albino JEN, Lawrence SD, Lopes CE, Nash LB, Tedesco LA. Cooperation of adolescents in orthodontic treatment. Journal of Behavioral Medicine. 1991;14(1):53-70.

8. Albino JE, editor Factors influencing adolescent cooperation inorthodontic treatment. Seminars in Orthodontics; 2000: Elsevier.

9. DuRant RH, Pierce KL, Powell BJ, Sanders Jr JM. Dentists' professional satisfaction with adolescent dentistry and its association with adolescent dental health behavior. Journal of Adolescent Health Care. 1989;10(1):46-50.

10. Anghel LA, Farcas AM, Oprean RN. An overview of the common methods used to measure treatment adherence. Medicine and pharmacy reports. 2019;92(2):117.

11. Cano J, Martínez C. Adherencia al tratamiento con aparatología fija por parte de pacientes adolescentes (12 a18 años) consultantes en una institución docencia servicio. CES odont. [Internet] 2016 [consultado 2020 septiembre 22]: 1-18.

12. Dyer GS, Harris EF, Vaden JL. Age effects on orthodontic treatment: adolescents contrasted with adults. American Journal of Orthodontics and Dentofacial Orthopedics. 1991;100(6):523-30.

13. Muñoz YM, Súarez IF, Rodríguez KH. La estimulación de las emociones de los adolescentes: un reto educativo. Revista Mapa. 2022;6(29).

Tratamiento de caninos retenidos superiores en paciente en crecimiento con clase II división 2. Reporte de caso clínico
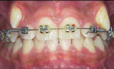
Caso clínico

Los caninos retenidos constituyen una alteración eruptiva frecuente, con mayor prevalencia en la arcada superior. Su etiología es multifactorial y puede interferir con el trayecto normal de erupción, comprometiendo la oclusión y la estética.

Objetivo: Corregir una maloclusión Clase II división 2 mediante tratamiento ortodóntico en un paciente en crecimiento con ambos caninos superiores retenidos. Metodología: Se presenta el caso de un paciente masculino de 12 años, en dentición permanente, con perfil convexo, patrón dolicofacial y Clase II esquelética. Se realizó tratamiento ortodóntico sin extracciones. Para la tracción y alineación de los caninos retenidos se emplearon resortes abiertos (open coil springs) para la creación de espacio. Resultados:

Dávalos Mendoza Héctor Kevin* Molina Gámez Emanuel*

Salvador Iván Lemus Abrego**

Lázaro Castillo Benjamín Alberto ***

*Alumno de segundo año de la Especialidad en Ortodoncia, en el Centro de Estudios Odontológicos y Clínica Especializada GNATHOS, Morelia, Michoacán, México.

**Ortodoncista, Ortopedista postural, Profesor en el área de oclusión y laboratorio, en el Centro de Estudios Odontológicos y Clínica Especializada GNATHOS, Morelia, Michoacán, México.

***Maestría en Ciencias Odontológicas, Ortodoncista y Profesor del área de investigación en ortodoncia, en el Centro de Estudios Odontológicos y Clínica Especializada GNATHOS, Morelia, Michoacán, México.

Tras 24 meses de tratamiento se logró establecer una relación molar, premolar y canina Clase I, con adecuada alineación y correcta integración de los caninos en la arcada. Discusión: Bishara señala que los open coil springs son particularmente útiles para la creación controlada de espacio, minimizando el riesgo de daño radicular en dientes adyacentes, especialmente en casos de caninos retenidos. Conclusiones: El éxito del tratamiento depende de un diagnóstico preciso, una planificación biomecánica adecuada, el control vertical complementario y un seguimiento clínico riguroso durante el crecimiento.

Palabras clave: clase II división 2, caninos retenidos, ortodoncia interceptiva, ligas intermaxilares.

La formación de los caninos superiores comienza a los 4 o 5 meses de edad y el esmalte se forma en su totalidad a los 6 o 7 años. Erupcionan aproximadamente a los 11.6 años y su raíz queda completamente formada hacia los 13.6 años. Una vez que el diente alcanza su nivel de oclusión, transcurren de 2 a 3 años para que sus raíces se formen por completo.1

De acuerdo con Dewel (1949), los caninos presentan el periodo más largo de desarrollo, así como el trayecto eruptivo más largo y tortuoso desde su formación lateral a la fosa piriforme, donde el germen se origina en una posición alta, en la pared anterior del antro nasal, por debajo de la órbita.2

En muchas ocasiones pueden quedar retenidos o impactados. Un diente retenido es aquel parcial o totalmente desarrollado que permanece alojado

General

Alteraciones endocrinas (hipotiroidismo)

Alteraciones metabólicas (raquitismo)

Enfermedades hereditarias

Labio y paladar hendido

Local

Hereditario

Discrepancia de tamaño dental y longitud de arco

Retención prolongada o pérdida prematura del canino primario

Aberración en la forma de la lámina dental

Posición anormal del germen dental

Presencia de una hendidura alveolar

Anquilosis

Problemas nasorespiratorios

Patologías localizadas como quistes, neoplasias, odontomas, supernumerarios

Dilaceración de la raíz

Ausencia del incisivo lateral maxilar

Variación en el tamaño de la raíz del diente y forma radicular

Secuencia de erupción anormal

Trauma del germen dental

Falta de reabsorción de la raíz del diente primario

Forma de arco estrecho o forma de quila de barco (triangular)

en el interior de los maxilares después de haber transcurrido la época promedio normal de erupción.

Según Archer (1978), los dientes impactados son aquellos que no erupcionan correctamente en la encía; cuya erupción normal es impedida por dientes adyacentes o por hueso; que se encuentran en mala posición hacia lingual o vestibular con respecto al arco normal o en infraoclusión; o que no han erupcionado después del tiempo esperado.3

Etiología

Sus causas se clasifican en general y local (Tabla 1). Los caninos retenidos constituyen un problema común en odontología,4 caracterizado por la incapacidad de erupción de uno o ambos

caninos permanentes, lo que limita su correcta posición en la arcada dental dentro del tiempo esperado.5 Este fenómeno puede presentarse tanto en la mandíbula como en el maxilar, siendo más frecuente en este último.6

Los caninos desempeñan un papel crucial en la función masticatoria, la estética facial y la estabilidad de la oclusión dental, por lo que su retención puede tener implicaciones significativas en la salud oral del paciente.4 Sus causas son multifactoriales e incluyen factores genéticos, falta de espacio en la arcada dental, anomalías en la formación de los dientes adyacentes, pérdida prematura de los dientes temporales o interferencias en el trayecto normal de erupción.

Después de los terceros molares, los caninos son las piezas dentales que presentan mayor número de alteraciones eruptivas, quedando retenidos dentro del hueso.7

Una explicación frecuente sobre la incidencia de dientes retenidos es la reducción evolutiva y gradual del tamaño de los maxilares humanos. En apoyo a esta teoría se observa la ausencia congénita de terceros molares superiores e inferiores o la presencia de terceros molares rudimentarios. Otros dientes también pueden presentar ausencia congénita o malformaciones, aunque con menor frecuencia.8

El tratamiento de los caninos superiores retenidos, incluidos o impactados, representa un desafío desde el punto

Tabla 1. Causas de los caninos retenidos.

Figura 1. Fotografías de inicio. A) Se observa una asimetría significativa. B)

Las cejas no están simétricas. C) Presenta una sobre mordida anterior. D) Uno de los caninos retenidos presenta una inclinación moderada. E) Caninos retenidos en vista frontal. F) Canino retenido sin inclinación.

G) Espacio reducido para los caninos. H) Leve alineación en piezas anteriores.

de vista diagnóstico y terapéutico para el clínico.9

Los caninos son piezas fundamentales en la cavidad bucal, indispensables para los movimientos de lateralidad y relevantes en la correcta formación de los arcos dentales. Su adecuada posición en el arco asegura un buen contorno facial y contribuye a la estética dental, debido a sus contactos mesial con los incisivos y distal con los dientes posteriores.10

Las opciones de tratamiento para esta maloclusión en adolescentes y adultos incluyen el uso de elásticos combinados con la técnica de arco multiloop edgewise (MEAW), arcos de curva inversa de níquel-titanio y elásticos anteriores, así como el uso de miniimplantes o miniplacas de titanio.11

Los elásticos intermaxilares son dispositivos elásticos empleados durante el tratamiento de ortodoncia para transmitir fuerzas a los dientes. Se enganchan en ambos maxilares y permiten mover dientes y corregir la oclusión, mejorando el engranaje entre ambas arcadas.12

Objetivo

Fundamentar, mediante revisión de la evidencia científica, el tratamiento de un caso clínico en un paciente en crecimiento con clase molar II división 2 y ambos caninos superiores retenidos.

Metodología

Paciente masculino de 12 años de edad, en crecimiento y con dentición permanente. Acudió a consulta acompañado de su madre a la clínica del Centro de Estudios Odontológicos y Clínica Especializada Gnathos, en Morelia, Michoacán, quien refería inconformidad con la apariencia de la mordida de su hijo al sonreír.

A la valoración clínica se observó ausencia de erupción de los O.D. 17 y

27, así como retención de los O.D. 13 y 23. Presentaba clase II molar y premolar bilateral, perfil convexo con ligera asimetría facial. Se elaboró la historia clínica y se obtuvo el consentimiento informado. Asimismo, se solicitaron estudios de gabinete completos para la valoración ortodóncica y la planeación del tratamiento (Figura 1).

Al analizar las radiografías bajo el estudio cefalométrico de Ricketts, se determinó biotipo dolicofacial, clase II esqueletal, ángulo interincisivo dentro de parámetros normales y presencia de gérmenes dentarios de los O.D. 18, 28, 38 y 48 (Figura 2).

Plan de tratamiento

Con base en el diagnóstico de un paciente en crecimiento, se propuso tratamiento ortodóncico con técnica de arco recto, sin extracciones, para corregir la clase II división 2. Con el objetivo de llevar los caninos retenidos a su posición ideal, se emplearon open coil springs entre los O.D. 12 y 14, así como entre los O.D. 22 y 24, con la finalidad de generar espacio.

Se realizó alineación y nivelación con arcos de NiTi, y el asentamiento oclusal mediante el uso de ligas intermaxilares en configuración Delta. La fase de retención se indicó con aparato tipo Hawley en la arcada superior.

Reporte de caso clínico

Se inició el tratamiento de ortodoncia con la colocación de brackets Roth slot 0.022 en la arcada superior, sin incluir

Figura 2. Radiografías de inicio. A)

Ortopantomografía inicial del paciente. B) Radiografía lateral de cráneo. C)

Estudio cefalométrico de Ricketts.

Arriba:

Figura 4. Colocación de brackets en OD. 13 y 23.

los O.D. 13 y 23. Se colocaron tubos en los primeros molares; los O.D. 17 y 27 permanecían sin erupcionar. Se utilizó arco de NiTi 0.014 con módulos en diagonal para disminuir la fricción.

En el segundo y tercer mes se agregaron open coil springs entre los O.D. 12 y 14, así como entre los O.D. 22 y 24, con el objetivo de generar el espacio necesario para la tracción y correcta oclusión de los caninos. Se continuó con arco 0.014 de NiTi y módulos en cero (Figura 3).

Al cuarto mes se retiraron los open coil springs, al haberse obtenido el espacio requerido. Se colocaron brackets Roth 0.022 en los O.D. 13 y 23 para iniciar su tracción mediante arco redondo de NiTi 0.014. Se realizó amarre en 8 con

ligadura metálica 0.010 en los O.D. 11, 12, 21 y 22, con el fin de evitar movimientos indeseados secundarios a la tracción canina (Figura 4).

En el séptimo mes se colocaron brackets en la arcada inferior, sin incluir molares, utilizando arco redondo de NiTi 0.014 con amarre en 8 mediante ligadura metálica 0.010 del O.D. 35 al 45. Un mes antes, en la arcada superior, se había cambiado a arco redondo de NiTi 0.016, siguiendo una secuencia de arcos progresiva y favorable (Figura 5).

Para el décimo mes se colocaron tubos en los O.D. 36, 37, 46 y 47. Se observó mejoría en la alineación y nivelación; sin embargo, aún no se conseguía un overjet estable. En la arcada

Figura 3. Inicio de tratamiento.
Primer mes de tratamiento.
Abajo: Colocación de open coil

inferior se cambió a arco 0.016 de NiTi y en la superior a arco cuadrado de NiTi 0.016 × 0.016, ambos con módulos en cero.

En el mes 14 se mantuvo el mismo calibre de arcos y se indicó el uso de ligas intermaxilares de 1/4 en clase II, colocadas del hook del O.D. 13 al 45 y del hook del O.D. 23 al 35. Se indicó el cambio diario de las ligas, retirándolas únicamente para la alimentación, con el objetivo de corregir la relación molar (Figura 6).

En el mes 16 se logró una relación clase I en molares, premolares y caninos, así como un overjet favorable.

Se obtuvo alineación y nivelación en ambas arcadas con arcos rectangulares de NiTi 0.016 × 0.022. Se indicó el uso de ligas de 1/8 en configuración Delta doble: del hook del O.D. 14 al 44 y 45; del hook del O.D. 13 al 43 y 44; del hook del O.D. 23 al 33 y 34; y del hook del O.D. 24 al 34 y 35. Se indicó cambio diario de ligas, retirándolas únicamente para comer, con

el fin de lograr asentamiento oclusal (Figura 7).

En el mes 21 se eliminó el diastema entre los O.D. 11 y 21. Se mantuvo alineación y nivelación con arcos rectangulares 0.017 × 0.022 en ambas arcadas, realizando amarre en 8 con ligadura metálica 0.010 del O.D. 17 al 27 para control de diastemas. En la arcada inferior se colocaron módulos en cero y se continuó con ligas en Delta, permaneciendo Delta doble únicamente del lado derecho (Figura 8).

Resultados

En el mes 24 se consiguió el asentamiento oclusal, así como el objetivo deseado de obtener una clase I molar, premolar y canina. Al finalizar el tratamiento de ortodoncia se colocó un retenedor tipo Hawley en la arcada superior, para evitar que los O.D. superiores presenten alguna modificación en su posición. En la arcada inferior se colocó un guarda calibre 60, con la finalidad de evitar alteraciones

Figura 5. Colocación de brackets inferiores.
Figura 6. Uso de ligas intermaxilares clase II.

en la alineación y nivelación dentaria (Figura 9).

El paciente acudió a sus citas en tiempo y forma, sin inconvenientes considerables, lo que favoreció un avance adecuado del tratamiento. Se programaron citas de control a los 6 meses, 1 año y 2 años posteriores al retiro de la aparatología.

Discusión

Los caninos maxilares presentan la mayor incidencia de retención después de los terceros molares, afectando aproximadamente al 2% de la población, siendo notoria la falta de espacio como uno de los principales factores. Bishara enfatiza que los open coil springs son especialmente útiles cuando se requiere crear espacio sin causar daño a las raíces de los dientes vecinos.13 Han demostrado ser un método eficaz para generar espacio en el arco dental, facilitando la alineación y la tracción de caninos impactados, promoviendo la expansión interdental necesaria para permitir la erupción y tracción del

canino incluido.14 Proporcionan fuerzas ligeras y continuas, favoreciendo el desplazamiento de los dientes adyacentes al canino impactado sin comprometer la integridad periodontal ni causar reabsorción radicular.15 Asimismo, son fáciles de implementar en sistemas de brackets convencionales o autoligados.16

Es esencial controlar el movimiento de los dientes adyacentes para evitar inclinaciones indeseadas o extrusión, lo cual puede exacerbar la sobremordida presente en casos de clase II división 2.17 En el tratamiento de nuestro paciente se colocaron brackets convencionales y open coil springs para obtener el espacio requerido y llevar los caninos al arco dentario, mediante el uso de fuerzas controladas sin dañar los tejidos periodontales ni provocar inclinaciones no deseadas mediante el uso de este aditamento.

La mordida clase II división 2 se caracteriza por una sobremordida que puede complicar la expansión del arco y la tracción de caninos incluidos (Burstone, 1996)18 Para casos de clase

Figura 7. Uso de ligas en Delta.
Figura 8. Colocación de ligadura metálica.

II, la literatura respalda el uso de resortes abiertos combinados con arcos de nivelación con curva de Spee invertida; esta combinación permite reducir la sobremordida mientras se genera espacio para los caninos (Tuverson, 1980).19 En nuestro paciente se corrigió mediante el uso de brackets convencionales con resortes durante el proceso de alineación y nivelación, logrando su corrección.

El control vertical insuficiente, en pacientes con mordida profunda, puede ocasionar que la extrusión de los dientes adyacentes y del canino incluido agrave la sobremordida. El control del plano oclusal es fundamental para evitar estos efectos colaterales (Burstone, 1996).18 En nuestro paciente evitamos estos efectos utilizando arcos NiTi con amarre en ocho en los O.D. 12, 11, 21 y 22, permitiendo llevar ligeramente los caninos al arco dentario.

La generación de espacio puede causar pérdida de anclaje en los molares si no se controla adecuadamente, por lo que se sugiere el uso de elásticos intermaxilares o miniimplantes para minimizar este riesgo (Nanda P., 2016).15

Es necesario un monitoreo regular del movimiento dental para evaluar

el progreso de la expansión y minimizar complicaciones como la inclinación excesiva de los dientes (Proffit W. R., 2019).14 Se indicó en nuestro paciente el uso de ligas intermaxilares para tener un control de movimientos que requerimos, esto para tener un monitoreo más controlado si llegáramos a tener movimientos indeseados, esto nos ayudó a evitar alteraciones en nuestro tratamiento.

Conclusión

Los caninos retenidos se definen como dientes que no pueden salir de forma natural y quedan bloqueados. Estos casos afectan al paciente de manera estética y dolor a futuro en la ATM, razones por las cuales acuden a consulta.

El uso de open coils springs es una técnica eficaz y bien documentada para el tratamiento de caninos incluidos en pacientes jóvenes con mordida clase II, división 2. Sin embargo, su éxito depende de una planificación adecuada, el uso complementario de dispositivos de control vertical y un monitoreo clínico riguroso. La combinación de técnicas auxiliares, arcos de nivelación, permite obtener resultados funcionales y estéticos óptimos, minimizando los riesgos asociados al tratamiento.

Figura 9. Colocación de retenedor Hawley

Referencias

1. Diamond, Moses. Anatomía Dental. (1962) 2ª edición. Unión Tipográfica Editorial Hispano Americana. México.19-20.

2. Sembataro, S., Baceetti, T., Franchi, L., & Antonini, F. (2005). Early Predictive Variables for Upper Canine Impactation as Derived from Posteroanterior Cephalograms, Angle Orthodontist, 75(1), 28-34.

3. Angle, E. H. (1900). Treatment of malocclusion of the teeth and fractures of the maxillae: Angle's system. S.S. White Dental Mfg. Co. 176–178.

4. Amador, Y., Soto, A., Massón, R. M., Marín, A. & Ameneiros, O. (2021). Detección y tratamiento temprano de caninos superiores retenidos. Invest. Medicoquir. 13(1) 2-22.

5. Del Real de Villagrana, M., Becerra Suárez, J. E., Rivas Gutiérrez, R., & Aguilar, S. (2018). Componentes de la maloclusión clase II esquelética. Revista TAME, 11(4) 708-711

6. Sánchez, J.., & Molina, M. (2022). Caninos retenidos, características clínicas. Oactiva Uc. 65-74.

7. Sánchez, Pascual; Bruna del cojo, M; Prado, Simón, L; Macías, Arias (2021) Prevalencia de las piezas dentales en maxilares. Cient. Dent.15-20

8. Quevedo, J. L., Torres, M., Mayedo, Y., & Sierra, Y. (2017). Causas locales de caninos permanentes retenidos en pacientes. Correo Cientifico Médico de Holguín. (3) 627-636.

9. Mendoza, R., Rodríguez, S., Medina, S., & Veras, H. (2020). Prevalencia de caninos retenidos en pacientes. Educación y Salud: Boletín Científico Instituto de Ciencias de la Salud Universidad Autónoma del Estado de Hidalgo, 13(1), 14-19.

10. Farfán, C. F. (2021). Tracción de canino retenido superior con aparatología ortodóntica fija utilizando ligadura metálica. Repositorio institucional UPLA. 1-40.

11. Nieto-Pillco, M. L., & Lima, M. V. (2021). Tratamiento ortodóntico de la mordida abierta anterior. Digital Publisher, 528-543.

12. Ghersi, M., Gurrola, B., & Casasa. (2016). Corrección de maloclusión clase II: Elásticos clase II. Revista Latinoamericana de Ortodoncia y Odontopediatría. 1-11.

13. Bishara, S. E. (2011). Textbook of Orthodontics. Saunders. 106 – 112

14. Proffit, W. R., Fields, H. W., & Sarver, D. M. (2019). Contemporary Orthodontics. Elsevier. 455-492

15. Nanda, R. (2016). Biomechanics and Esthetic Strategies in Clinical Orthodontics. Elsevier. 131-155

16. Schwarz, A. M. (2021). Clinical Applications of NiTi Open Coil Spring. Orthodontic Review. 60-61

17. McLaughlin, R. P., Bennett, J. C., & Trevisi, H. J. (2022). Systemized Orthodontic Treatment Mechanics. Elsevier. 129-133

18. Burstone, C. J. (1966). Deep overbite correction by intrusion. American Journal of Orthodontics. Vol 72 (1)1-22

19. Tuverson, D. L. (1980). Orthodontic correction of deep bite. Angle Orthodontist. 175-181.

Análisis comparativo entre cepillos dentales manuales y eléctricos en pacientes pediátricos con discapacidad motora

Análisis comparativo entre cepillos dentales manuales y eléctricos en pacientes pediátricos con discapacidad motora

La higiene oral en la población infantil es fundamental para mantener una adecuada salud bucal y general, especialmente en niños con discapacidad, quienes enfrentan mayores desafíos para lograr un control efectivo de la placa dentobacteriana. Durante décadas, el cepillo dental manual ha sido la herramienta más utilizada a nivel mundial; sin embargo, en los últimos años, el cepillo dental eléctrico ha ganado popularidad como alternativa para mejorar la eficacia del cepillado.

Los cepillos dentales desempeñan un papel esencial en la eliminación de placa, cálculo dental y bacterias asociadas con enfermedades gingivales y caries. El presente artículo, mediante una revisión bibliográfica, analiza la efectividad del cepillo dental manual frente al eléctrico, con el objetivo de determinar cuál podría ofrecer mayores beneficios en niños con discapacidad motora. Con base en los estudios revisados, se observa que el cepillo dental eléctrico muestra resultados superiores en comparación con el cepillado manual; no obstante, se requiere mayor evidencia científica para establecer recomendaciones definitivas.

Palabras clave: Cepillo, discapacidad, manual, eléctrico.

Según la Organización

Panamericana de la Salud:1 “Las personas con discapacidad son aquellas que tienen deficiencias físicas, mentales, intelectuales o sensoriales a largo plazo que, en interacción con diversas barreras, pueden obstaculizar su participación plena y efectiva en la sociedad en igualdad de condiciones con los demás”. Por su parte, el Instituto de Seguridad y Servicios Sociales de los Trabajadores del Estado (ISSSTE, 2021) dice que la Organización Mundial de

la Salud define la discapacidad como: “Cualquier restricción o impedimento de la capacidad de realizar una actividad en la forma o dentro del margen que se considera normal para el ser humano”.2 El mismo ISSSTE define la discapacidad motriz como: “la secuela o malformación que deriva de una afección en el sistema neuromuscular a nivel central o periférico, dando como resultado alteraciones en el control del movimiento y la postura”.2

Considerando que en este documento se analizarán cepillos dentales convencionales y eléctricos en niños con discapacidad motora, es importante señalar que en el mercado existe una amplia variedad de dispositivos, algunos de los cuales requieren adaptaciones para garantizar un uso eficiente, especialmente en pacientes con habilidades motoras limitadas.

El cepillo dental constituye un instrumento fundamental en la vida cotidiana, ya que permite la remoción mecánica de bacterias y contribuye al mantenimiento de una adecuada salud bucal. Ortíz-Benitez et al. señalan:3

“Cepillarse los dientes una vez al día, o mejor aún, dos veces al día, es una práctica adecuada para preservar la salud bucal y aminorar el riesgo de caries dental y trastornos periodontales. La evolución de la enfermedad bucodental puede provocar padecimientos a nivel sistémico.”

Lic. C. D. Estefanía Álvarez Gutiérrez Centro Educativo Multidisciplinario en Rehabilitación Oral México odp8002@cemro.edu.mx

Como se mencionó previamente, los niños con discapacidad motora presentan con mayor frecuencia problemas bucales como caries, gingivitis y acumulación de placa dentobacteriana, en gran medida debido a déficits de coordinación o sensibilidad que limitan su capacidad para realizar un cepillado eficaz. Por ello, la correcta selección del cepillo dental en pacientes pediátricos con discapacidad motora resulta fundamental para el control de la placa bacteriana, así como el acompañamiento y apoyo constante de sus cuidadores.

Pruna afirma: “Los niños a edades tempranas asimilan todo lo que ven, lo que facilitará crear buenos hábitos de higiene oral y alimenticios para tener una buena salud oral”.4

Metodología

El presente estudio se desarrolló a partir de una revisión bibliográfica en la que se recopilaron y analizaron datos provenientes de artículos científicos consultados en diversas plataformas

electrónicas, entre ellas Google Scholar, PubMed y SciELO. La información seleccionada comprende publicaciones desde 2007 hasta 2025.

Nápoles Gonzáles et al.5 señalan que el cepillo dental constituye un aditamento esencial para la eliminación de placa dentobacteriana. El modelo manual de cerdas apareció alrededor del año 1600 en China y fue patentado por primera vez en 1857 en Estados Unidos, iniciando desde entonces un proceso continuo de evolución e innovación. Por su parte, el cepillo dental eléctrico surgió en 1960 en Estados Unidos.

El cepillado dental es un procedimiento eficaz para remover residuos alimentarios y placa bacteriana, así como para prevenir enfermedades bucodentales. Se recomienda que esta práctica se inicie desde edades tempranas bajo la supervisión de un adulto, utilizando dentífricos con fluoruro de sodio para fortalecer la estructura dental. Esta supervisión resulta especialmente relevante en niños con discapacidad motora, quienes requieren apoyo adicional para lograr una higiene bucal adecuada.

Rizzo-Rubio et al.6 mencionan que “La técnica de Bass es la más acogida por los profesionales porque garantiza la eliminación de la placa de forma más adecuada”. Esta técnica consiste en colocar el cepillo en un ángulo de 45° respecto al eje longitudinal del diente, dirigiendo las cerdas hacia el margen gingival. Se realizan movimientos vibratorios cortos que permiten la penetración en la zona interproximal y

el margen gingival, seguidos de un barrido hacia oclusal, avanzando de 2 a 3 dientes hasta completar la arcada.

Los mismos autores señalan que la segunda técnica más empleada en niños es la técnica de Fones, caracterizada por movimientos circulares amplios que abarcan todas las superficies dentales. En los dientes superiores, los movimientos se orientan hacia abajo y en los inferiores hacia arriba.

Ambas técnicas pueden ser efectivas cuando se realizan correctamente y bajo la supervisión de un adulto responsable. Sin embargo, el cepillado dental con un dispositivo eléctrico presenta una dinámica distinta: el cabezal se coloca sobre cada diente durante algunos segundos, permitiendo que el movimiento automático (rotatorio, oscilante o vibratorio) realice la limpieza sin necesidad de ejercer presión excesiva ni realizar movimientos manuales complejos.

Esta revisión bibliográfica tiene como objetivo comparar la efectividad del cepillo dental manual frente al eléctrico, particularmente en la remoción de biofilm sobre la estructura dental. El cepillado dental es una tarea secuencial compleja por lo que requiere una destreza manual adecuada. El tipo de cepillo y el tipo de agarre serán importantes para aquellos pacientes con discapacidad motora. (Kalf-Scholte et al., 2023).7

Acosta-Andrade et al.8 definen el cepillado dental como “el método de

Análisis comparativo entre cepillos dentales manuales y eléctricos en pacientes pediátricos con discapacidad motora

preferencia y mayor eficacia que permite quitar la placa bacteriana de los dientes para mantener una correcta higiene bucal”.

Diversos estudios sugieren que la selección del cepillo debe adaptarse al tipo y grado de discapacidad. Algunos autores reportan mejores resultados con el cepillo eléctrico en pacientes con habilidades motoras limitadas. Rizzo-Rubio6 menciona que “Los cepillos eléctricos han sido mejor ayuda y eficacia a pacientes con habilidades motoras deficientes, aun mejor que el cepillado manual con técnica Bass”.

El cepillo dental manual constituye el método tradicional de higiene bucal. Entre sus ventajas se encuentran su bajo costo, fácil acceso, portabilidad y variedad de diseños. Asimismo, permite al usuario controlar la presión ejercida sobre encías y dientes. No obstante, su efectividad depende en gran medida de la técnica empleada y de la destreza manual del paciente.

En pacientes con discapacidad motora, la modificación del mango puede favorecer el agarre y facilitar el cepillado. Estas adaptaciones incluyen mangos más gruesos, mangos curvados o angulados que facilitan el acceso a zonas posteriores, así como diseños ergonómicos que reducen el esfuerzo necesario para sujetarlos. Si bien el diseño varía según el fabricante, el objetivo principal se mantiene: remover la mayor cantidad posible de placa dentobacteriana.

Algunos estudios han demostrado que, cuando se utilizan correctamente, los cepillos manuales pueden eliminar eficazmente la placa y prevenir la gingivitis.9 Asimismo, Cabrera et al.10 concluyeron que “El cepillo manual fue significativamente más efectivo para la remoción de placa que el cepillo eléctrico al finalizar el estudio; sin embargo, requiere una técnica adecuada y mayor esfuerzo para alcanzar todas las áreas de la cavidad oral”.

Los cepillos dentales eléctricos utilizan movimientos rotatorios, oscilantes o vibrantes que facilitan la limpieza dental. Estos movimientos pueden ayudar a eliminar la placa y el sarro de manera más eficiente que los cepillos manuales, especialmente en áreas difíciles de alcanzar, incluso en menor tiempo como se ha descrito en revisiones narrativas sobre el diseño y funcionamiento de cepillos eléctricos.11

Entre sus ventajas destacan la eficiencia en la eliminación de placa, la reducción del esfuerzo manual y la incorporación de funciones adicionales como temporizadores y sensores de presión. Estas características pueden favorecer su uso en población infantil y en pacientes con dificultades motoras. Como desventajas, se identifican su mayor costo, la necesidad de recarga o baterías, su tamaño y peso, así como posibles molestias en pacientes con hipersensibilidad sensorial debido al ruido o la vibración.

Deshpande et al.12 mencionan que “Es de suma importancia reconocer que los

padres y cuidadores, con el uso de cepillado dental eléctrico, mostraron una actitud favorable debido a su facilidad de uso”. Asimismo, Smiech-Slomkowska G. y Jablonska-Zrobek J.13 demostraron que “los cepillos eléctricos ofrecen resultados comparables al cepillado tradicional complementado con hilo dental”.

Discusión

En el análisis comparativo de la literatura revisada, tanto los cepillos dentales manuales como los eléctricos demuestran ser efectivos para mantener una adecuada higiene oral. No obstante, varios estudios señalan que los cepillos eléctricos podrían ofrecer ventajas en términos de eficiencia en la remoción de placa y facilidad de uso, particularmente en personas con destreza manual limitada. Asimismo, en población infantil, el diseño interactivo y tecnológico de estos dispositivos puede incrementar la motivación y favorecer la adherencia al hábito de cepillado.

Ortíz-Benítez et al.3 sostienen que la eficacia de los cepillos eléctricos frente a los manuales depende de múltiples factores, incluyendo la técnica empleada y las características individuales del usuario. Señalan que los cepillos eléctricos tienden a ser más eficaces en la eliminación de placa y pueden resultar más adecuados para personas con habilidades motoras reducidas.

Sin embargo, la evidencia no es completamente concluyente. Hassan et

al. 14 reportan que ambos tipos de cepillos son igualmente eficientes en la remoción de placa, y subrayan la necesidad de desarrollar más estudios que evalúen aspectos como la rentabilidad, la percepción del paciente y la facilidad de uso para establecer recomendaciones definitivas.

Estos hallazgos ponen de manifiesto que la superioridad de un tipo de cepillo sobre otro no debe considerarse absoluta, sino contextual. Factores como la técnica de cepillado, la frecuencia de uso, el nivel de supervisión por parte de cuidadores y la motivación del paciente influyen significativamente en los resultados clínicos.

Torres et al.15 destacan que la actitud colaborativa del paciente y la supervisión constante por parte de un adulto fueron determinantes en el control del biofilm dental en niños, independientemente del tipo de cepillo utilizado. Este aspecto resulta especialmente relevante en niños con discapacidad motora, donde el acompañamiento y la adaptación del instrumento pueden ser tan importantes como el dispositivo en sí.

En este sentido, más allá de establecer una dicotomía estricta entre cepillo manual y eléctrico, la evidencia sugiere que la selección debe individualizarse según las necesidades motoras, el entorno familiar y la capacidad de supervisión disponible, priorizando siempre la constancia y la correcta ejecución de la técnica de higiene oral.

Análisis comparativo entre cepillos dentales manuales y eléctricos en pacientes pediátricos con discapacidad motora

Conclusión

La presente revisión evidencia que no existe un consenso absoluto respecto a qué tipo de cepillo dental es superior en niños con discapacidad motora, ya que los resultados dependen en gran medida de las características individuales de cada paciente. No obstante, una proporción importante de los estudios analizados señala que el cepillo dental eléctrico puede ofrecer ventajas en términos de eficiencia en la remoción de placa y facilidad de uso en pacientes con limitaciones motoras.

La elección entre un cepillo dental manual o eléctrico debe basarse en la individualización del caso, considerando el grado de discapacidad, las habilidades

motoras del paciente, sus preferencias y el nivel de supervisión disponible. En este sentido, la valoración profesional por parte del odontólogo u odontopediatra resulta fundamental para orientar la selección más adecuada.

Asimismo, independientemente del tipo de cepillo utilizado, el éxito en el control del biofilm dental depende del uso constante —al menos 2 veces al día—, de la correcta ejecución de la técnica y del acompañamiento activo de padres o cuidadores. La motivación, la educación en higiene oral y la supervisión continua constituyen factores determinantes para mantener una adecuada salud bucal en pacientes pediátricos con discapacidad motora.

Referencias

1. Organización Panamericana de la Salud. (s.f.). Discapacidad. https://www.paho.org/es/temas/ discapacidad

2. Instituto de Seguridad y Servicios Sociales de los Trabajadores del Estado (ISSSTE). (2021). Hablemos de discapacidad. https://www.gob.mx/issste/es/articulos/hablemos-de-discapacidad

3. Ortíz-Benitez, D. L., López-Gómez, S. A., Rueda-Ibarra, V., Escoffié-Ramírez, M., de la Rosa-Santillana, R., Delgado-Pérez, V. J., Lucas-Rincón, S. E., Veras-Hernández, M. A., & Medina-Solís, C. E. (2024).a Eficacia de los cepillos dentales eléctricos vs. cepillos dentales manuales para mantener la salud bucal. Salud, Arte y Cuidados: Revista Venezolana de Enfermería & Ciencias de la Salud, 17(2), 93–98. https://doi.org/10.5281/zenodo.12641177

4. Pruna, E. (2019). Estudio de la eficacia del cepillado dental realizado por los niños de 5-10 años del hogar Santa Marianita de la ciudad de Ambato [Tesis de licenciatura, Universidad Regional Autónoma de los Andes]. Repositorio UNIANDES. https://dspace.uniandes.edu.ec/handle/123456789/10742

5. Nápoles González, I. J., Fernández Collazo, M. E., & Jiménez Beato, P. (2015). Evolución histórica del cepillo dental. Revista Cubana de Estomatología, 52(2), 208–216.

6. Rizzo-Rubio, L. M., Torres-Cadavid, A. M., & Martínez-Delgado, C. M. (2016). Comparación de diferentes técnicas de cepillado para la higiene bucal. Revista CES Odontología, 29(2), 52–64.

7. Kalf-Scholte, S. M., Valkenburg, C., van der Weijden, F. G. A., & Slot, D. E. (2023). Powered or manual toothbrushing for people with physical or intellectual disabilities: A systematic review. Special Care in Dentistry, 43, 515–529.

8. Acosta-Andrade, A., David-Solórzano, J., Pico-Sornoza, A., Sinchiguano-Quinto, K., & Zambrano-Torres, J. (2021). Correcto cepillado dental en niños: Artículo de revisión bibliográfica. Revista Científica Arbitrada en Investigaciones de la Salud GESTAR, 4(7), 2–22. https://journalgestar.org/ index.php/gestar/article/view/21

9. Vandana, K. L., Tatuskar, P. V., & Valavalkar, N. N. (2020). A comparative evaluation of manual and powered brushing on oral health and microbial status of mentally challenged individuals. Journal of Indian Society of Periodontology, 24, 362–368.

10. Cabrera, M., Castro, C., Contreras, G., Fisco, J., Molano, A., Rodríguez, L., & Cepeda, L. (2009). Comparación de la efectividad de remoción de placa entre cepillos eléctricos y manuales en niños de 8 a 9 años. Journal Odontológico Colombiano, 2(4). https://revistas.unicoc.edu.co/index.php/ joc/article/view/70

11. Ng, C., Tsoi, J. K. H., Lo, E. C. M., & Matinlinna, A. J. P. (2020). Safety and design aspects of powered toothbrush: A narrative review. Dentistry Journal, 8(1), 15. https://doi.org/10.3390/dj8010015

12. Deshpande, A. N., Naik, K., Deshpande, N., Joshi, N., Jaiswal, V., & Raol, R. Y. (2023). Safety and Efficacy of Plaque Removal Using Manual and Powered Toothbrush in Cerebral Palsy Children by Parents/Caregivers: A Randomized Control Crossover Trial. International journal of clinical pediatric dentistry, 16(2), 344–349. https://doi.org/10.5005/jp-journals-10005-2533

13. Smiech-Slomkowska, G., & Jablonska-Zrobek, J. (2007). The effect of oral health education on dental plaque development and the level of caries-related Streptococcus mutans and Lactobacillus spp. European Journal of Orthodontics, 29(2), 157–160. https://www.ncbi.nlm.nih.gov/pubmed/17488998

14. Hassan, S., Zahid, A., Khalil, B., Hasan, M., & Nazami, A. (2023). Comparison of powered toothbrushes and manual toothbrushes in removing dental plaque among children with hearing disabilities: A randomized pilot study. Journal of the Pakistan Dental Association, 32(2), 00–00.

15. Torres, T. D. A., Rocha, N. M. L., & Núñez, G. G. J. (2021). Efectividad del cepillo dental eléctrico versus manual para la remoción de biofilm en pacientes con síndrome de Down. Revista ADM, 78(4), 189–194. https://doi.org/10.35366/101072

Turn static files into dynamic content formats.

Create a flipbook