volume 12 issue 2 may 2019
the journal of the dental technologists association
issn 1757-4625 DTA has new contact details p







![]()
volume 12 issue 2 may 2019
the journal of the dental technologists association
issn 1757-4625 DTA has new contact details p









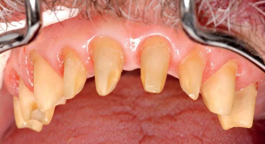
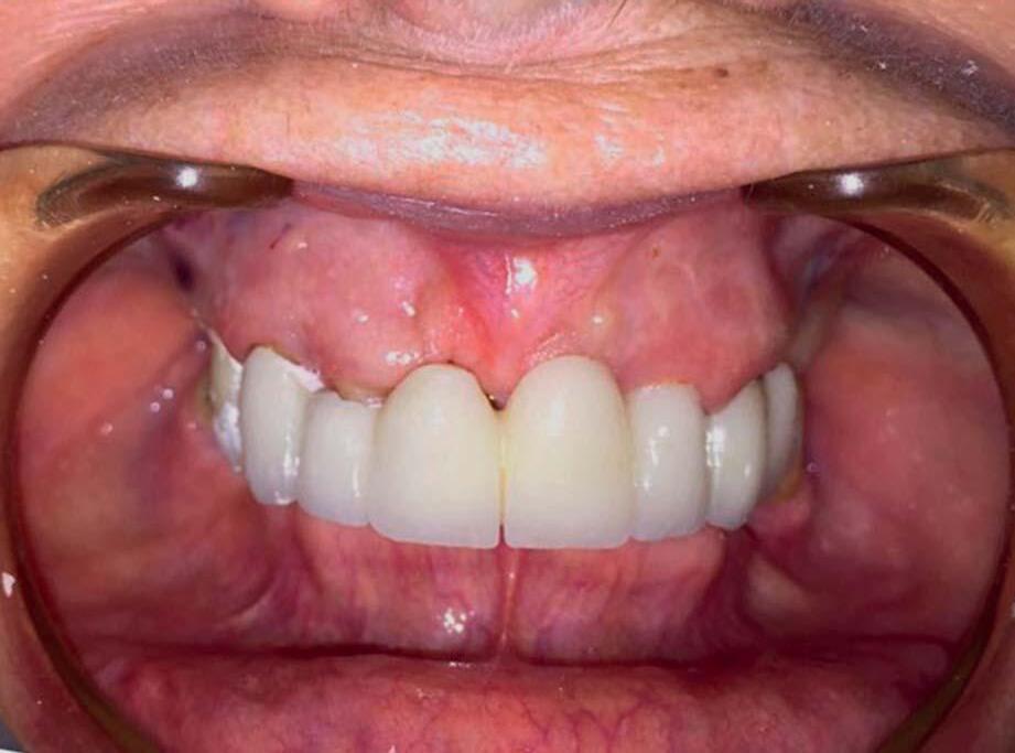
4.5 Get your MDR statement here CPD self-declaration –discover how here A guided milled telescope restoration process








HOURS OF VERIFIED CPD




Editor: Vikki Harper
t: 01949 851 723
m: 07932 402 561
e: vikki@goodasmyword.com
Advertising: Rebecca Ciriaco
t: 01242 461 931
e: info@dta-uk.org
DTA administration: Rebecca Ciriaco
Operations Coordinator
DTA has moved. Our new address is: PO Box 1318, Cheltenham GL50 9EA
New telephone: 01242 461 931
Email: info@dta-uk.org
Web: www.dta-uk.org
Stay connected: @DentalTechnologists Association @The_DTA
DTA Council: Delroy Reeves
President Adrian Rollings
Deputy President Tony Griffin
Treasurer Gregg Clutton
Andy George James Green
John Stacey
Gerrard Starnes
Barry Tivey
Editorial panel: James Green, Tony Griffin, John Stacey, Barry Tivey
Editorial assistant: Dr Keith Winwood
Production: Kavita Graphics
e: dennis@kavitagraphics.co.uk
Published by: Stephen Hancocks
w: www.stephenhancocks.com






dta column keeping your head in difficult times! scope of practice: where do we want to be? in conversation: is the workbench the healthiest place to be? hr facts: how engaging is your business? dealing with complaints: part two – handling complaints a new statement for custom-made dental devices prepare for your annual declaration
ISSN: 1757-4625 Views

FRIDAY 7th JUNE
The upcoming European Summit on Dento Facial Aesthetics and Advanced Dentistry will be held this September 4–5, Paris, France.
The convention’s theme is Fostering the Future Excellence of Dentistry Trends for Today’s Lifestyle.
■ For further details visit: https://www.longdom.com/advanc eddentistry or contact Shanon Jose, Program Manager +32 800-753-58
On the morning of Friday 15 March, I woke to a phone call from Chris Brown, Managing Director of GC UK with the terrible news that Neil had lost his battle with cancer.
I have worked closely with Neil for the last 15 years. He was an amazing work colleague and a valued and treasured close friend. I want to convey to Neil’s family and friends how much Neil was held in high esteem in our industry –both at his time with Bracon Dental and at GC as the laboratory manager for the UK and South Africa. So many technicians have spoken to me and all say that Neil was a genuine, hardworking family man who never said a bad word about anyone. He would always do all he could to help you. He touched the lives of so many and everyone you speak to is devastated – he will be greatly missed.
I know I am speaking for all dental technicians and the dental industry when I say that Neil has left a massive hole in our lives and he will never be forgotten.
Mark Bladen


Neil and Mark spent a lot of time together as members of professional and industry groups, organising technical courses and trade exhibitions. However, and more importantly, they were great friends, so I understand the reflective sadness in which this tribute has been written. May I also say that this sorrow is felt by many of Neil’s friends and colleagues. Our condolences go out to his family.
Chris Brown, MD GC UK

By Rob Leggett, RDT Dip CDT RCS Ed
It was a privilege to be asked to present at the 23rd Conference for Dental Care Professionals at the Royal College of Surgeons Edinburgh last month. I was asked to present on the changing nature of denture construction.
Without doubt the biggest development in denture construction in half a century is the introduction of computer aided design and the ability to then mill or print dentures.
Given that the number of denture wearers has reduced steadily from the 1970s, it is pertinent to ask whether there is still a need for conventional dentures and whether or not implants will replace them.
According to the Scottish Health survey in 2008, 33.2% of over 65s would be edentulous in 2018 and by 2028, 20.9% of over 65s will be edentulous in Scotland. The majority of these patients will be wearing dentures for the first time much later in life than their predecessors, mainly due to improved oral healthcare. However, this can make it harder for them to adapt to wearing dentures and arguably the techniques and materials used have to be better than ever.
Current methods of denture construction have changed little in 50 years and are technique sensitive: base materials can be susceptible to porosity and uncontrolled levels of free monomer if processed incorrectly. Construction times for the patient are normally five weeks, with weekly appointments between stages.
It is estimated that annually 50 million dentures are produced globally with only 1% being produced using digital tools. Traditional denture construction is a complex craft with a steep learning curve and dental laboratories are finding it increasingly hard to find technicians with
the advanced skills and expertise required to produce high quality dentures. As an employer, we have found it harder to find experienced dental technicians. Edinburgh no longer has a dental technology course and it was almost two years before we had any course in Scotland for dental technicians. Thankfully we now have a distance learning course in Aberdeen.
How can digital help with these problems? As a comparison, currently there are 10 stages in conventional denture making:
1.Pouring
2.Trimming
3.Articulator mounting
4.Teeth setup
5.Wax
6.Flasking
7.Wax removal
8.Injection/Packing
9.Deflasking
10.Trim/Polish
Using digital techniques there would, in theory, only be 3 stages:
1.Scan
2.Design
3.Print/Mill and finish
The benefits of a digital workflow would certainly improve productivity and would have a lower production cost within the dental lab. It would also produce more accurate, consistent, high quality results using intuitive adaptive tools that will make processes such as remakes a lot easier, with teeth that will be truly customisable to the needs of the patient.
There is a Canadian company currently promoting their digital products on Facebook. They claim their workflow will provide dentures directly to the patient in one appointment (one hour design and two hours printing time). They claim no dental technician or laboratory is required. While this makes good headlines for their

marketing, I would argue that if the patient is to have dentures that are fit for purpose, then a dental laboratory and technicians are essential.
There are a number of companies now offering denture design software as well as printers/milling machines to produce dentures. The finished product, in my opinion, is not as good as what can currently be made via traditional techniques; however, it will not be long before digital surpasses analogue.
Dental laboratories have been embracing digital technology for a decade now and digital dentures are the latest addition to showcase how this technology can improve the service we provide for patients and dentists.
At Scottish Denture Clinic it is our aim to be early implementers of this technology as we believe it is the future. All dentures in our lab will be designed and made digitally within the next three years.
The group held its first meeting of the year on January 18 at the New Birmingham Dental Hospital. The session’s topics were medical emergencies, including basic life support; and the Control of Substances Hazardous to Health (COSHH) Assessment. The speakers were Phil Jevon and Jane Bonehill respectively.
The topics were covered with typical thoroughness and with plenty of delegate discussion. Medical emergency training remains a GDC recommended topic and COSHH has
added importance given the upcoming changes to Medical Devices Regulations. The group also took the opportunity to review its previous session. Here, some delegates were still getting to grips with writing personal development plans (PDPs) and the concept of reflective learning. Group facilitator, Adrian Rollings, explained that just by reviewing the previous session, we were all in the process of reflection, and also engaging in a professional peer-to-peer discussion. So, simply making a brief note of this with your thoughts, in your CPD log, would suffice as reflection.
The group has two further sessions planned in 2019. The next is Saturday June 8 from

9.00 am–1.00 pm, featuring a hands-on photography session, taking a look at shade matching, and followed by oral cancer awareness for dental technicians.
■ The session is completely free of charge and fully compliant with ECPD requirements. All are welcome and full details can be found at www.maxcourse.co.uk/wmsha
Thank you to Jo Dalby, HEE Educator.
Medifinance, experts in providing financial solutions to the dental laboratory sector, have recently brought Stuart Frost into the sales team as Head of Laboratory Finance. ‘I am really excited to have joined the fabulous team at Medifinance. Their experience is second to none and with my years of involvement in dental technology, dentistry, and the financial markets, I consider myself perfectly placed to help dental technicians, lab owners and CDTs with a host of financial solutions’ said Stuart.
Managing Director Ray Cox said ‘We are thrilled that Stuart has joined our team. Dental laboratories are often investing in expensive, high-tech equipment and tend to rely on their own savings or the high street banks for funding. At Medifinance we have strong and long-standing relationships with a wide panel of specialist lenders who understand they can offer a much better rate than most technicians could find themselves’.
Based in Essex, Stuart qualified as a dental technician in 1991 and requalified

as a CDT with the Royal College of Surgeons in 2013. Stuart has owned and managed his own successful dental and implant practice and previously worked for UBS and Vinbrank Capital as a derivatives trader in the global markets.
Medifinance has a full suite of financial products including business loans, equipment finance and leasing, wealth management, personal loans, and personal and commercial mortgages. With exclusive access to an award-winning international money transfer platform, enabling you to pay invoices and buy equipment from overseas at a fraction of the price you would pay through your business bank, we are ideally placed to arrange finance for a range of reasons including:
■ new equipment
■ refurbishment
■ new premises/practice
■ stock purchasing
■ IT upgrades
■ personal mortgages, including buy to let ■ vehicle finance on both a lease and HP basis
We can also arrange indemnity, business and key man insurance policies through our partnership network.
Stuart said ‘As technology and the digital age moves forward, an important aspect of my work is to provide support and links between suppliers, dental laboratories and technicians during the financing process. Medifinance will always go that extra mile to ensure your finance agreement is in place on time.’ If you’re wishing to set up or refurbish a practice or laboratory, Medifinance can help with financial solutions, and liaison with surgery and equipment suppliers, designers and builders so your dream can become reality in an affordable and efficient way.
■ Stuart’s contact details: 07887 701 263 or stuart@medifinance.co.uk
For more information visit www.medifinance.co.uk
The DTA is your association and represents all dental technologists UK-wide. These are exciting times with the emergence of digital dental technology and clinical dental technology.
There is an ever-increasing amount of regulation, not least GDC ECPD, MHRA changes, apprenticeships and T levels. The DTA team represents you at various meetings and conferences, so read on to find out what we’ve been up to.
DTA executive team members met with the GDC in March to discuss a number of topics including CPD, educational and training support needs for dental technicians; regulation, scope of practice and promoting professionalism amongst the dental team; and patient care for the dental team.
John Stacey and Adrian Rollings represented DTA at the GDC’s first Moving Upstream Conference on January 31. Topics covered in the programme of panel sessions included Preparedness for Practice, The Dental Team, Future Opportunities and Challenges in Dentistry. DTA has begun preparations for the scope of practice review and participated in consultations with the GDC. See Adrian Rollings’ article on P8 in this issue of The Technologist
DTA also met with the BDA in March to discuss a number of topics, including promoting professionalism amongst the

dental team and MDR, which is now in place and will fully apply from May 2020.
John Stacey, the education portfolio holder for the association, has represented DTA at the dental technician and clinical dental technician Trailblazer apprenticeship meetings. Watch this space for further details.

DTA President, Delroy Reeves, and member, Robert Leggett, both attended the DCP conference hosted by the Royal College of Surgeons of Edinburgh on March 2. DTA representative, Robert Leggett, spoke about digital dentures and predicts that 30–50% of denture work will be created digitally within 5–10 years, due to an easier and quicker turnaround and good accuracy.
DTA was invited by President Munerot to attend this special event celebrating the prestigious past of FEPPD. DTA Deputy President Adrian Rollings attended the meeting that discussed the number of dental technicians and laboratories in Europe, educational standards and changes to medical devices regulations. At the end of the session, President Laurent Munerot presented Past President Hilde Wahlen with a special award for her services to the FEPPD.
Congratulations to Adrian Rollings for being elected to the position of deputy president

Rebecca Ciriaco –DTA’s Operations Coordinator
and a special thanks to John Stacey for his tremendous efforts as deputy president for the past year.
■ Would you like to get more involved in running your professional association?
■ Would you like to grow our organisation?
■ Could you see yourself coordinating the DTA budget?
Tony Griffin, our current treasurer, is stepping down from the role this spring and a successor is needed to ensure the smooth running of our organisation. Tony is taking on the role of Company Secretary and so will continue his voluntary support of dental technology, including being a regular contributor of CPD articles.
If you are interested in this exciting and voluntary role within DTA, please contact Rebecca Ciriaco in the first instance to request an outline of the activities and to have an informal chat about what it entails.
■ Rebecca can be contacted via email info@dta-uk.org or telephone 01242 461 931
Visit DTA at DTS stand B05
DTS is now just around the corner. Do visit us on stand B05 whilst you are there!
■ For more information about the event, visit www.the-dts.co.uk
Join DTA at the DenTeam
Event in Exeter on June 21 & 22
A full programme over the two days and a dedicated dental technology stream in association with the DTA on Saturday, chaired by DTA President Delroy Reeves and Council member Barry Tivey.
■ All DTA members will receive a special 25% discount. To find out more, visit www.denteamcpd.com
By Peter Blake
As entrepreneurs and business owners it’s important that we make good decisions at the right times. To achieve that end we should control how we feel. Maintaining a clear and focused mind is crucial to ensuring that our decisions are not emotionally driven but instead make good business sense. In this article, I will introduce you to a simple and natural way of accessing the right state to make the best decisions for you and your business.
Controlling our state has been a hot topic with coaches and psychologists for many years. In fact it has its roots in Descartes’ mind dualism theory. More recently, thoughts have changed and it is believed that if
you are controlling or managing your state then you are overthinking what should be a natural process. Instead, we want to create states of excellence without having to think about or control our physical responses.
Many of the previously held views regarding the mind body connection have moved on. Once believing it was a linked system, many now hold that they are in fact the same system. In what is commonly called New Code NeuroLinguistic Programming (NLP), creating the right state is a key element of coaching intervention.
John Grinder, one of the creators of this new code, is commonly quoted as saying, ‘The problem is never the problem; the problem is the state the client enters the context of the problem in’. If you have stated choice, then you have access to resources to help you break through what were once problems.

Aim:
■ to introduce techniques that improve our decision-making by assisting us to access an optimum state of mind
CPD Outcome:
■ to introduce a new technique that can be applied personally and professionally to improve decision-making
Development Outcome: B
From a business point of view, being able to be in the optimum state to make the best decisions is crucial to overall business growth and profitability. In the uncertain times we currently find ourselves, it is even more important to be in the right mental and emotional state when making important business decisions.
When it comes to accessing what we can call states of excellence, there are a variety of approaches we can take. In classic NLP, anchoring is frequently used as a way to trigger a resource state but it can be unwieldy and some people have difficulty accessing those historic resource states.
Anchoring is a technique that looks to link an emotional state to a physical movement such as squeezing thumb and finger together through repetition. In the new code we look to build and instigate a state more naturally.
1.New Code Games – are one method and I will look at these in my next article. These games are ones that allow the participant to enter a higher performance state while playing the game.
2.Chain of Excellence – this is a very simple and straightforward method developed by Bostic and Grinder in 2002. I will look at this now as your first option to entering the optimum state. It looks like this: Breathing – Physiology –State – Performance
This may seem very simple, and it is, but it is very effective!
The next time you need to make a decision or find yourself in an unresourceful state (stressed, anxious, etc.), notice how you breathe and acknowledge your posture. Commonly

you will find that your breathing is irregular and you will sense tension in your body.
To change your state using the chain of excellence, first take a step back and take a couple of deep breaths in through your nose and out through your mouth. Then adopt a regular breathing pattern ensuring that you are breathing from your diaphragm rather than your chest.
Let the tension out of your body, stretch a little to allow your muscles to relax and that will create an awareness that you now have a choice regarding your sate. The chain of excellence is all about creating higher levels of awareness as to how different activities have different breathing patterns and postures associated with them.
This way you can identify patterns associated with problems and unresourceful states and then change them into the breathing patterns and postures of the state you want to be in, be they focused, relaxed or whatever state will enable you to operate at your best.
By being more aware of your breathing and physiology in any given state, and taking control of them, you can achieve your optimum response and realise better results. Give it a try!
–Grinder/Bostic (2002). Chain of Excellence.
–Bandler & Grinder (1975). NLP – Structure of Magic 1.
Peter Blake
Peter is a chartered accountant, business coach and master practitioner of NLP. He has his own practice based in Wiltshire, lectures on finance and mentors new business start-ups for Gloucestershire Enterprise Ltd.
For further details, contact Peter on 07912 343 265 or email peterblake@pbcoachingandtraining.com

To complete your CPD, store your records and print a certificate, please visit www.dta-uk.org and log in using your member details.
Q1 The mind dualism theory comes from:
A Confucius B Descartes C Freud D Jung
Q2 In classic NLP, a way of triggering a resource state is called: A Swishing B Rewinding C Anchoring D Grounding
Q3 A simple and natural method of entering a resourceful state under New Code NlP is:
A Anchoring B Chain of Excellence C Grounding D Perceptual positions
Q4 The second stage of the Chain of Excellence is: A State B Physiology C Breathing D Performance
Q5 An example of an unresourceful state is: A Focus B Relaxation C Power D Anxiety
By Adrian Rollings
It is now well over ten years since the introduction of compulsory registration for dental technicians and the opportunity for genuine career development in terms of extended scopes of practice and clinical dental technology.
Now that the dust has settled, it’s warranted that we review our roles and consider how we might want to reposition them over the next ten years. Such a discussion would highlight particular issues for all strains of dental technology.
Some believe the outlook for the future of our industry is bleak. Many in key positions, such as laboratory owners or CDTs, are possibly looking to retire over the next decade. And it is true that the number of GDC registered dental technicians is in decline, whilst the number of CDTs remains tiny and is increasing at only a trickle. But there is cause for optimism.
The real issue is not the prevailing environment but the opportunity for building a better one! That we have not sufficiently defined or communicated the current career opportunities that exist within dental technology has a bearing. This is true for internal promotion of our profession and external publicity amongst school leavers. There are times when we are happy to complain but not necessarily to act and push forward, so acknowledging that convention, I will now look at the world of dental technology as it exists and to scope out potential and sustainable opportunities.
Undoubtedly the biggest drivers of change are the move to digitisation and the opportunity to work clinically; the latter either as a CDT or with extended scope
of practice under the supervision of a dentist or CDT.
Digital is best considered as a new set of tools to produce the same types of products with, at present, by and large the same old materials. There are significant advantages of digital in terms of accuracy, traceability and reproducibility. Plus, some items that were previously difficult or impossible to produce can now be manufactured with relative ease. It also allows the elimination of a number of ‘dirty’ processes. However, there are also significant disadvantages. Capital costs are high, meaning that smaller laboratories need to outsource production, reducing retained revenue. There can also be a significant environmental footprint as milling processes in particular are wasteful, digital models introduce a further plastic material into the supply chain and carriage is required; the latter incurring further costs.
Nobody knows the exact endpoint with digital but in all likelihood the DT of the future will need a mixture of digital and analogue skills. Critically, he or she will need exactly the same understanding of the established restorative, functional and technical concepts (take note of these concepts) required to construct prostheses or appliances. But, of course, an added level of IT skills will also be necessary. Today’s school leavers will be further enticed by the possibility of a clean, varied job that allows the expression of both their technical and artistic skills.
Before we move too far, we should also consider the danger of losing our analogue skills. After all, we are privileged individuals capable of making something from start to finish, a rare commodity in today’s world. Technology is great when it works and the same goes for transport.
But as professionals we should not lose the ability to manufacture something from start to finish on site, even if only as a backup. If we don’t maintain our knowledge and skills, we potentially lose control of our profession to software providers and manufacturers.
If you study the existing GDC scope of practice for dental technicians, you will see that it has been created with the future in mind. For example: ‘Working with a dentist or a clinical dental technician in the clinic, assisting with treatment by … carrying out intra-oral scanning for CAD/CAM.’ However, a word of caution! The scope is explicit in saying that ‘Dental technicians do not work independently in the clinic to perform clinical procedures related to providing removable dental appliances’.
So where does that leave us? Well, finally we have the opportunity for a genuine career structure within our profession. Firstly, the prospect of the new ‘T’ level qualifications beginning in 2020, in essence a more technical alternative to ‘A’ levels for post GCSE study, which aims to produce students with technical aptitude. Then, moving forward, if dental technicians want to develop their independent clinical skills, they have the option of undertaking further study to become a CDT. Alternatively, there is the opportunity to develop digital dental technology and IT skills to act as the gatekeeper between the clinic and technology providers. The existing scope appears to fit relatively well to this, so all good so far. But we can’t sit back as there are also significant challenges. The ‘elephant in the room’ being that other DCP registrant groups already share elements of our scope of practice with most notably dental nurses who as things stand can develop







additional skills to work under the prescription or direction of another registrant to:
■ construct occlusal registration rims and special trays
■ repair the acrylic component of removable appliances
■ construct mouthguards and bleaching trays to the prescription of a dentist
■ construct vacuum formed retainers to the prescription of a dentist
Here we must resist the temptation to be over-protective. After all, if we want the opportunity to develop new skills, it is not fair to deny others the same chance. In fact, my message here is to embrace the opportunity of working with other DCPs. The only proviso being that training goes beyond just learning what may appear to be a simple process of making a bleaching tray or whatever. Do they have the same understanding of the restorative, functional and technical concepts mentioned earlier and are they working in a safe, controlled environment compliant with MHRA regulations? It is perhaps also worth asking who signs the work off.
Within the existing scope of practice, the dentist can undertake any ‘treatment’ listed within any DCP’s scope of practice. The use of the word ‘treatment’ is interesting as it is open to interpretation. Does it just mean ‘treatment’ administered to a patient or is it a coverall for all of the behind-the-scenes laboratory procedures? The point I am seeking to make here is








that the dental technician is uniquely qualified to understand the manufacturing processes of a particular appliance or prosthesis, so which registrant should be signing this type of work off?
In terms of a CDT, the scope allows a relatively broad range of treatments. However, it is clearly stated that, ‘Clinical dental technicians are registered dental professionals who provide complete dentures direct to patients and other dental devices on prescription from a dentist …’ Something that can be restrictive and inconvenient to the public when providing items such as partial dentures, particularly when a denture has been lost or irreparably broken. There is also the issue of partial denture prescriptions being flatly refused through lack of awareness. Can clinical dental technology sustain itself as the edentulous population declines?
My closing point is simply to urge you to consider what type of profession you want in the future. If you want change to your scope of practice, it must show benefit to the public. If you want to sustain our profession, you must consider the needs of the public in the future and what can make dental technology attractive to school leavers. These are my personal views but given that scope of practice is likely to be reviewed soon, I encourage you to discuss, debate and express your views to your professional association.
■ Join the discussion by completing our brief survey at www.dta-uk.org/ survey
Reference: Scope of Practice, General Dental Council, 30 September 2013, available at: https://www.gdc-uk.org/ professionals/standards/st-scope-of-practice
Derek Pearson takes a sideways look at the working environment
In 1947 a young gorilla arrived at London Zoo on the 5 November and was, of course, given the name Guy. He was about a year old (his actual birth date being unknown). A powerful western lowland gorilla, Guy became a huge draw for visitors – who gave him sweets. Lots of sweets. He was a gorilla with a very sweet tooth.
Guy died in 1978 at the age of either 31 or 32. He had suffered a massive heart attack while undergoing dental work to deal with the rotten, infected teeth that were a direct result of all those sweets he’d eaten. During the post mortem, he was found to be obese. There are those sweets again.
It was evident that gorillas are best kept away from sugary treats, but back then visitors were allowed to offer them to the most famous ape in the UK, and he gobbled them up like, well, sweets. His stuffed remains now sit in a glass box in London’s Natural History Museum, and he vies with an animatronic T-Rex for visitor attention.

Guy’s death was effectively the result of physical abuse in his workplace. It might seem a stretch to go from London Zoo to dental laboratories and start talking about the work environment, but like everyone else, the health of technicians is affected by how and where they work.
To be mentally and physically comfortable in the workplace is vital. I’ve never seen any specific research regarding dental technicians’ attitude to their workplace, but in an associated discipline – the UK technology industry –500 workers were interviewed by specialist research firm Censuswide between 27 December 2018 and 11 January 2019 on behalf of the world’s largest job site, Indeed. Why? Because the tech sector had been rocked by scandal during 2018.
For example: Facebook provided Cambridge Analytica – a data firm used by President Donald Trump’s 2016 campaign to target voters – with 87 million users’ personal information without obtaining proper consent.
Google reportedly paid an executive tens of millions of dollars after he was let go over a sexual misconduct investigation. And WhatsApp became a hotbed of misinformation, influencing political elections and costing people their lives. The research found that UK tech professionals are now more likely to blow the whistle on an employer’s misbehaviour, with almost a quarter willing to quit their job should a similar scandal strike their company.
Younger generations are more likely to quit if their employer acted unethically, with more than a third of those aged between 16 and 24 saying they would leave their job should a scandal strike.

Now, I’m not saying that the head of a dental lab is likely to be influencing elections or handing out personal details about client dentists, but technicians are human, and sometimes a friendly hug can be seen as inappropriate by the recipient. This same research discovered that out in the tech sector a sexual harassment scandal would cause nearly 45% of employees to leave their company, which puts it ahead of any other cause, including tech-based scandals.
With so many cases of inappropriate behaviour reported in the press it becomes clear that a long-term problem is finally being addressed – and it also becomes clear that in the lab, as in every workplace, trust and correct interpersonal behaviour is as vitally important as the chairs we sit in. Or are they?
Are you sitting comfortably?
There is an important element in the workplace that must be carefully considered, so let me ask you, are you sitting comfortably? Are you? Are you really? Dental professionals throughout the entire team endure largely sedentary work lives. It comes with the territory, and technicians are no different. How much time do you spend seated every day?
Over eight hours puts you at risk. An Australian Health Survey declared sitting to be the new smoking, and although the University of South Australia bluntly refuted this in November 2018 –saying that the risks of taking a seat pale
in comparison to the risks associated with smoking – there are some real health problems to consider.
Late last year, in the American Journal of Public Health, researchers from Canada, the US and Australia agreed that excessive sitting (roughly more than eight hours a day) increases the risk of premature death and some chronic diseases by 10–20%.
Look around you and you’ll see people with kyphosis lordosis posture, or curvature of the thoracic spine, caused by passively sitting in a chair and leaning forward to get on with their work. Instead of a healthy upright pose, sufferers demonstrate a C-shaped spine, their shoulders slumped, and their head and neck jutting forwards.
Throughout the dental profession, clinicians to technicians, work-related musculoskeletal disorders, especially of the neck and upper limbs, have become a common cause for premature retirement.
A study carried out on dental students concluded that people sitting in conventional seats were at risk of developing musculoskeletal disorders, or, to put it simply, too much time spent seated is causing actual physical damage to the sitter.
Research has demonstrated that any work associated with long-term passive sitting in a conventional seat, which includes socalled ergonomic chairs with curved backs in which the sitter is meant to press back for a healthier posture, are detrimental to health.
The sitter’s pelvis is tilted back and healthy S-shaped spinal curves are lost, while the head and neck are distorted out of the optimum, upright, neutral position. The sitter is now in a position of postural stress resulting in back and shoulder pain, even agony in the spine’s support muscles.
This condition is something that countless numbers of people accept as part of the workplace environment, including dental technicians. If they sit down long enough they’ll get back pain; it’s part of the job. It’s part of their environment.
Maybe Guy the gorilla spent too much time sitting around rather than getting healthy exercise. Sitting might be fuelling our obesity epidemic as much as junk food, and perhaps also underpins the explosion in type 2 diabetes. Imagine how much worse things might be if the boss was also doling out handfuls of sweets.

By Richard Mander
Aim:
■ to explore why people leave their employment and to identify actions that build a more resilient team
CPD Outcomes:
■ to understand the myriad reasons why employees choose to leave and the detrimental impact on your business of this turnover of staff
■ to identify potential solutions that build a positive and inclusive culture and encourage employees to remain your asset
Development Outcome: B
Hanging on to your best people is more art than science but as most people leave dental laboratory owners or managers rather than organisations, a lot comes down to the culture and extent to which people feel truly engaged at work. Richard Mander, HR consultant, looks at the main reasons why people move on and what you can do to lock in the best.
Richard Mander
Richard is a freelance HR consultant with over 25 years’ experience in Strategic and Operational HR. He specialises in providing support to SMEs and aims to deliver cost-effective, pragmatic and practical solutions.
If you would like to find out more about this topic, or advice on other HR matters, you can contact him at www.manderhr.com 07715 326 568


Turnover levels can vary widely between occupations and industries. The highest levels are typically found in retailing, hotels, catering and leisure, call centres and among other lower paid private sector services groups where up to 50% of employees leave in a 12-month period.
Levels also vary from region to region. The highest turnover rates tend to be found where unemployment is lowest and where it is relatively easy for people to secure desirable alternative employment.
Much lower levels of turnover are generally experienced by smaller businesses such as the average dental laboratory that may experience little or no staff losses over a number of years. But even if you are only saying goodbye to one team member a year, it’s going to be worth further investigation.
For most laboratory owners who run a tight ship, any loss of staff can have a major impact, particularly in the short term. The average dental laboratory employs around five people, so you are losing 20% of your capacity overnight. In addition, most of the roles are highly skilled and can be scarce in your area.
They may well be a key employee with specialist knowledge and strong relationships with key clients. Worst still they may have been one of your stars and end up working for a competitor. It takes time to find a good replacement and then you will have to invest further time and money in their induction.
The costs associated with employee turnover are significant if you sit down and think about the knock-on effect of losing a key employee.
The major costs are your time in sourcing a replacement – the indirect or opportunity costs, which also include the costs of disruption, which may have an impact on customer service. In addition, you may well incur significant direct costs in the form of advertising, agency fees and training.
Employees resign for many different reasons. Where formally documented and recorded, the top three reasons cited are lack of job satisfaction, dissatisfaction with pay and benefits, and a lack of development opportunity.
Hidden behind these factors is often the relationship they have with their boss – a critical factor leading to the sobering thought that most people leave managers rather than organisations.
When you boil down the things that most people really look for in work, aside from the money, it’s generally flexibility and influence in how they undertake their role and the belief that their work makes a difference and is valued.
Research by the Chartered Institute of Personnel and Development (CIPD) also indicates that the early weeks and months are crucial in establishing a long and productive career.
Even when people stay for a year or more, it is often the case that their decision to leave sooner rather than later is taken in the first weeks of employment. Poor recruitment and selection decisions, both on the part of the employee and employer, are usually to blame along with poorly designed or non-existent induction programmes. Expectations are also often overstated during the recruitment process, leading people to compete for and subsequently to accept jobs for which they are in reality unsuited.
You will normally know why someone wants to move on from your lab. Small business units thrive on close communications and there are not too many secrets. If you are suffering from unexplained turnover, then you really need to understand what is going on and you have the right to ask. It’s worth following up on a confidential basis and trying to understand in case there is a bigger issue lurking. Bear in mind you may be part of the problem! Once people have made up their mind to go, concessions rarely do any more than exacerbate the situation, so put the cheque book away and take on board any valid criticisms for next time.
So what’s all this fuss about engagement? Another new concept from the consulting world to get us all hot under the collar? Well, maybe a fancy word to sum up something we all recognise when we look at our long-serving, star performers. What makes them stand out from the crowd? Sure, they can do the job better than most but generally they are really well tuned into the organisation and will go the extra mile. They are truly engaged with the business and as such are far more likely to stay longer.
If engagement is a big part of instilling loyalty, then it’s worth investing in creating a culture that enables all of your staff to tune in. Time spent on the following main areas should help to create the kind of culture where people feel they really belong and want to stay.
Be honest and accurate about the role –give prospective employees a ‘realistic job preview’ at the recruitment stage. Take care not to raise expectations only to dash them later.
■ Be clear about your expectations –set out the main requirements and standards of the role via a job description. Set aside time to give feedback on how they are doing. Little
and often is best rather than waiting for a full-blown annual review. And be really clear about what’s in it for them in terms of reward and other benefits.
■ Opportunities and variety – maximise opportunities for employees to develop skills and move on in their careers. Where promotions are not feasible, look for sideways moves that vary experience and make the work more interesting.
■ Listen and act – back to little and often again is the best approach to giving your teams both a voice and your ear. And act on the suggestions that make sense.
■ Be flexible – a frightening thought for a small business where control is everything, but good people deliver exceptional performance when they are given flexibility in relation to where, when and how their work gets done.
■ Work isn’t everything – it may be everything to you but for them there is life outside. A healthy work-life balance normally results in higher levels of productivity and effectiveness.
■ Job security – provide as much job security as possible. Employees who are made to feel that their jobs are precarious may put a great deal of effort in to impress, but they are also likely to be looking for more secure employment at the same time.
■ Treat people fairly – a perception of unfairness, whatever the management view of the issue, is a major cause of voluntary resignations. For example, perceived unfairness in the distribution of rewards is very likely to lead to resignations.
To complete your CPD, store your records and print a certificate, please visit www.dta-uk.org and log in using your member details.
Q1 Employee turnover rates are generally highest in:
A Small business B Public sector
C Retail, catering and call centre business D Financial services
Q2 One of the top reasons for leaving, cited by employees is?
A Lack of job satisfaction B Location
C Poor pension scheme D Lack of healthcare provision
Q3 Research by the CIPD suggests that employee retention is initially heavily influenced by:
A Open plan offices B Annual wage increases
C Offering career breaks D A thorough induction
Q4 Engagement is the extent to which employees are:
A Aware of their potential
B Interested mainly in the rewards on offer
C Ambitious
D Tuned in to the business and prepared to go the extra mile
Q5 Employee engagement can be established at interview by:
A Focusing mainly on the positive aspects of the role
B Being honest and accurate about the role
C Overselling the role
D Underplaying the challenges
by Kevin Lewis
This article is being split across two consecutive issues.
In the first part we considered how and why complaints arise (and why they matter), and in this second part we will turn to the practicalities of dealing with complaints if and when they do arise.
To gain maximum benefit from this series, re-familiarise yourself with Part One before starting this second article.
Aim:
■ to explain the systems, processes and personal skills needed for successfully resolving complaints, and to provide a practical checklist against which participants can assess their existing complaints management
CPD Outcomes:
■ to improve understanding of the key features of successful complaint resolution systems
■ to encourage a constructive attitude to complaints, viewing them as an opportunity for improvement rather than challenges to resent and resist
■ to understand the personal skills and attitudes needed for complaints handling
■ to understand the practicalities and key stages of a complaints handling process
One of the principles set out in the GDC’s guidance document Standards for the Dental Team¹ states that all dental registrants must have a clear and effective complaints procedure and must follow that procedure at all times. The GDC’s primary focus here is obviously complaints from members of the public, but its intention is wider than that and includes how we respond when people criticise us more generally. For CDTs these ‘people’ will be patients, while in the case of dental technicians and laboratory owners we might view them as clients (dentists or dental practices). For the purposes of these two articles we will simplify things and call them all ‘customers’ because many of the same principles apply. My apologies in advance to those who – like me – don’t much like the use of the term in healthcare.
While not every registrant is in a position to control the design and operation of the complaints handling process at their place of work, we can all control how we view and react to criticism and complaints.
In order to be effective, a complaints system needs to be well designed and operated by the right people with the right set of skills for the job – not necessarily the most senior person in the business. The 10 key features of an

effective complaints system can be summarised as follows:
1ACCESSIBLE – make your complaints process visible, and as easy as possible for people to access. Give them the option of being able to raise their concerns and complaints by phone, or email, or in person – according to their preference. Try to remove barriers like language, physical/mental ability, whenever you can.
2FAIR – to all parties. An even-handed approach. No defensive ‘closing ranks’ and ‘taking sides’.
3SIMPLE – so that people can understand how it works, who to contact and what to expect. The simpler you can make the process, the more likely that people will use it.
4NON-THREATENING – if the process seems intimidating and confrontational, many people won’t want to use it. And (see Part One) that is bad news, not good news. People can be worried that they might be viewed as troublemakers and treated less favourably after they have complained.
5CONFIDENTIAL – people will be more trusting, honest and open if they have confidence that what they say will remain private and confidential. That applies equally to both parties.
6RESPONSIVE & SPEEDY – complaints are often most easily resolved if they are dealt with at the earliest possible moment. But while speed should not be achieved at the expense of quality of response and attention to detail, unnecessary delays should still be avoided. Attitudes can harden if it appears that nothing is happening and/or nobody is really interested.

7FLEXIBLE – having a system and structure in place is a good start, but you need to be able to depart from this if it helps to resolve a complaint. The best complaints processes are designed with the complainant’s preferences, needs and best interests in mind.
8COST EFFECTIVE – never underestimate the cost of failing to resolve complaints within your practice/business. Once complaints escalate to involve external bodies such as the GDC, or the media (or social media), they can consume a lot of your time and money and damage your business in unexpected ways.
9PROMOTES LEARNING & IMPROVEMENT – as explained in Part One, we can learn lessons and improve as a result of receiving a complaint. That should be one of the aims designed into our systems and processes, so that the same problem doesn’t arise on another occasion.
10COST BENEFICIAL – in addition to saving your time and money, effective complaints handling gives you a chance to recover the situation and thereby keep the customer.² Each customer you are able to keep is a potential source of further recommendations and new business.
It can also be surprisingly satisfying and motivating when you are able to restore the confidence of a dissatisfied customer.
It is a good idea to give a named person the overall responsibility for managing complaints within your practice/business – customers/customers and staff alike need to know who this person is and how they can be contacted. This person needs to have:
■ excellent communication skills – good verbal and non-verbal skills (body language) with the ability to recognise and interpret the body language of others
■ good telephone skills and writing ability
■ the ability to listen well and without continually interrupting
■ good influencing and negotiating skills
■ patience and a calm, professional approach
■ good control of their emotions and an awareness of how they impact upon others (‘emotional intelligence’)
a) Attitudes to complaints are often a reflection of leadership and the internal culture of an organisation. Openly invite comments and feedback, offering accessible, informal channels as well as more formal in-house complaints procedures. Make it easy for customers to express their concerns and dissatisfaction so they will feel able to tell you rather than telling someone else first (see Part One).
b) Never ignore complaints or simply hope that they will go away. All

Kevin Lewis, BDS (Lond) LDSRCS (Eng) FDSRCS (Eng) FFGDP (UK)
Kevin graduated in London in 1971. He spent 20 years in full-time general dental practice and 10 further years practising part time. He became involved in the medico-legal field in 1989, firstly as a member of the Board of Directors of Dental Protection Limited (part of the Medical Protection Society group of companies). He became a dento-legal adviser in 1992 and from 1998 was the Dental Director of Dental Protection for 18 years and also an executive member of the Council (Board of Directors) and executive management team of the Medical Protection Society, roles from which he stepped down in 2016.
He is a trustee and member of the Transition Board of Directors for the proposed College of General Dentistry. Kevin has been writing a regular column in the UK dental press since 1981 – originally as the Associate Editor of Dental Practice and since 2006 as the Consultant Editor of Dentistry magazine. He still writes and lectures regularly all over the world, and has been awarded honorary membership of the British, Irish and New Zealand Dental Associations.
complaints should be acknowledged quickly, informing the customer when they might anticipate a formal response. A person is more likely to react favourably if they know that their complaint has been ‘accepted’ and is at least being listened to, taken seriously and dealt with – even if a slight delay is unavoidable (e.g. when someone is away).
c) Wendy Leebov³ has described a very effective approach to the initial response to a complaint. Whether the response is verbal, or in writing, her ‘Sad but Glad’ technique consists of saying something to the effect of ‘I am sorry that you are unhappy about xxx but I am pleased that you have told me’ or ‘I am naturally disappointed to hear that you are not happy with the service we have provided, but we welcome this opportunity to respond to the concerns that you have raised. Thank you for bringing this to our attention.’ This is an excellent first response because it gives the customer confidence right from the start that their complaint is not being ignored or swept aside. It is also ‘neutral’ in terms of not taking one side or the other, and both conciliatory (soothing) and non-confrontational.
d) Communication skills are a crucial asset for any effective complaints handler. Amongst them, active listening is particularly valuable.4 This involves
not just listening to the words the other person is saying, but being able to show that you have both heard what they are saying and have understood the feelings behind those words. This leads naturally into being able to respond in the right way for each situation, with the words you use, what you sound like and your body language all conveying a consistent message.
e) Sometimes you will have to deal with emotion, anger or aggression at the same time as dealing with the thing that the complaint is really about. If what you are doing and saying is making the person calmer and more reasonable, keep doing it. If you are making them more angry and unpleasant, it’s time to change your approach.
f) Perhaps the greatest error in complaints handling is to provide a detailed response before investigating and gathering the facts, and especially before you are sure what the complaint is (really) about, how the person is feeling and what outcome they are seeking. Not every customer wants a detailed explanation – most people simply want a solution. Don’t be afraid to ask the million dollar question:
‘What can I do to put this right for you?’ or ‘I realise we can’t turn back

the clock, or undo what has happened, but is there something else you would like me to do?’
The sooner you can find out what the customer wants, the sooner you can start resolving the complaint – the solution may be a lot quicker and easier to achieve than you had imagined. Even if you don’t think you can give them what they want (or this might be inappropriate anyway), you can at least start to think about what you can give them in order to move towards a mutually satisfactory resolution.
g) It is understandable that many people become defensive when they receive a complaint, particularly if they regard it as unreasonable, spurious or without foundation. But assumptions and defensiveness can both obstruct good complaints handling and at the worst they tend to result in your response sounding more like a justification (or a counterattack) than an explanation, which doesn’t help.
h) Complaints are best resolved at the lowest possible level, which is normally within the setting where the treatment was originally delivered i.e. within the practice/business. This ‘resolution’ does not always imply a definitive written response. Many minor complaints can be resolved informally on a one-to-one basis without anything being put in writing, although subsequently a short letter can still be sent to the customer confirming your concern and hoping that the complaint is now resolved. This sympathetic contact takes very little time and effort, but can make a significant difference in terms of customer loyalty.
In the majority of cases, however, a written response is likely to be appropriate. This may include an apology or explanation, reassurance, an offer of compromise or giving the customer options as to alternative ways forward. It
is important to decide in advance exactly what message you wish to convey in a letter. Not everyone is skilled at letter writing but it is wise always to choose your words carefully. Remember that your response might well be seen by others at some stage and therefore any temptation to score cheap points and/or criticise the customer should be avoided.
The scariest part of complaints handling is sometimes that of risking further contact with the customer to ensure that the complaint has been satisfactorily resolved. This may not be appropriate in all cases, but it can be extremely helpful, particularly when you want to retain the confidence of the customer. It also demonstrates care and consideration.
All complaints can teach us something. For future risk management, consider:
■ How and why the complaint arose.
■ What could have been done differently to avoid the complaint in the first place.
■ Was the complaint handled effectively?
■ Did the practice/customer both achieve the desired outcome? If not, why not?
Always try to remember that complaints alert you to areas of service delivery that, if not addressed, could lead to a more serious complaint in the future. Learning from our mistakes enables us to avoid repeating them on a subsequent occasion – a valuable lesson for life, and in business too.
1 Standards for the Dental Team. General Dental Council: www.gdc-uk.org
2The Role of Complaint Management in the Service Recovery Process: Bendall-Lyon et al. Journal of Quality Improvement; vol. 27, May 2001.
3How to help your staff strengthen customer service. Wendy Leebov: Clinical Leadership and Management Review. May/June 2001 (including the ‘Sad but Glad’ technique).
4 Active Listening: Improve Your Ability to Listen and Lead; Michael Hoppe; Center for Creative Leadership (US) 2007.

To complete your CPD, store your records and print a certificate, please visit www.dta-uk.org and log in using your member details.
Q1 The GDC’s Guidance document Standards for the Dental Team, states that all dental registrants must do a number of things in respect of complaints. Which one of the statements below is the exception?
A They must have a clear and effective complaints procedure in place
B That procedure must be followed at all times
C Customers who complain must be given a prompt and constructive response
D There is no obligation to respond to a complaint until after the customer has paid in full
Q2 Information about our complaints procedure must satisfy a number of requirements, including three of those listed below. Which is not one of them?
A There is no need to invite complaints by advertising the details of your complaints system: customers can always ask for a copy if they need to
B It should be clearly written in plain language and available in other formats if needed
C It should be easy for customers to understand and follow
D It should provide information on other independent organisations that customers can contact to raise their concerns
Q3 Most of the following characteristics are generally found in the best and most effective complaints systems and processes. Which is the exception?
A A simple process that is easy to explain and understand
B A complex, multi-layered, highly detailed process that covers every possible eventuality and can be summarised in 8–10 A4 pages
C A process that customers can be helped to access quickly and easily, and in ways that are convenient for them
D A process that is responsive, flexible and fair
Q4 Which one of these statements is an accurate description of the kind of person that would be likely to make a good complaints handler?
A Someone who is determined to win every argument, and never gives an inch
B A timid person who dislikes any kind of unpleasantness and confrontation
C Someone who is intolerant of anyone who tries to voice an opposing opinion
D A good listener who can keep their cool and remain professional in all situations
Q5 If you make your complaints systems and processes very visible, simple and easy to access, which one of the outcomes listed below is not likely to result?
A Customers will think that you must get an awful lot of complaints, and decide to go elsewhere, whether they have anything to complain about or not
B Customers will be more likely to tell you when they are not happy, rather than telling external bodies like the GDC
C Customers will be more likely to tell you what they are unhappy about so that you can start to do something to fix it and limit any potential external damage to your reputation
D You provide reassurance to customers that you would be willing to listen and respond should anything ever happen that the customer is not happy about. So you strengthen your relationship with all of your customers, whether they have ever complained or not
Q6 What is the name of the proven technique attributed to Wendy Leebov, a respected US expert in the field of customer relations, for the initial response to complaints?
A The ‘Can’t be Bad’ technique
B The ‘Mum and Dad’ technique
C The ‘Sad but Glad’ technique
D The ‘Barking Mad’ technique
Q7 Active listening is a technique that is different from less effective, simplistic listening in several key respects. Which one of the following is not a characteristic of good active listening?
A You are demonstrating through words & facial expressions that you are interested in understanding how the other person is feeling, not just the words that they are speaking
B You keep any interjections to an absolute minimum, other than short, well-timed ‘facilitations’ to encourage the customer to say more
C You regularly stop or interrupt the other person whenever they start straying off the point
D When the other person is speaking, you remain focused on being (and looking) attentive, nodding, maintaining regular eye contact and using facial expressions to reflect what the customer is saying and the emotions and feelings they are conveying
Q8 In complaint handling techniques, which of the following is an example of what has sometimes been described as ‘the million dollar question’?
A How much will it cost to persuade you to go away and leave me alone?
B What can I do to put this right for you?
C Do you make a habit of complaining, or is it just me?
D You’ve got to ask yourself one question: ‘Do I feel lucky?’ Well, do you, punk?
Q9 All except one of the reactions listed below are known not to be particularly constructive in the resolution of complaints – which is the odd one out?
A Providing lengthy explanations of what happened, before the customer has confirmed that they would actually find that helpful (or before even asking them)
B Providing an apology for what happened, or an expression of regret for how the customer feels or what they have experienced
C Rushing to defend the individuals involved, or the practice/business itself, effectively drawing up battle lines and making the customer feel in the wrong for having complained at all
D Making assumptions regarding what the person is unhappy about, without first checking what the main issues (really) are
Q10 After a complaint appears to have been satisfactorily resolved, there are several things you can usefully do, including most of the following. Which one is the exception?
A Make contact with the person who has complained, checking that they are satisfied with the outcome, inviting any further feedback and letting them know that you will look forward to seeing them in the future (i.e. no hard feelings)
B Think about what caused the complaint and what could have been done differently to avoid the dissatisfaction arising in the first place
C Share any lessons with every member of your team, to make it less likely that the same kind of situation could arise on another occasion
D Flag up the person’s record in some way so that everyone in your team is forewarned that the person is a proven troublemaker. The ‘skull and crossbones’ symbol used for Poisons would be ideal for this purpose
by Tony Griffin
Part 3 of the DTAs guidance on the introduction of the Medical Devices Regulations (MDR) in 2020
Aim:
■ to provide guidance regarding a manufacturer’s statement for MDR
CPD Outcomes:
■ to provide some thought-provoking suggestions regarding a manufacturer’s statement that is to accompany new MDR custom-made dental devices
■ to provide clarification as to the essential (and other components) of the statement for MDR
■ to provide a draft MDR statement template for individual reflection
Development Outcome: C

In this short article we provide referenced guidance as to what is required in the statement from the manufacturer to the dental clinical team regarding a custom-made device under the new Medical Devices Regulations (MDR) that come into force on 26 May 2020.1 Under the new ‘regulations’, the statement is an item supplied by the dental laboratory and ‘shall be made available to the particular patient’. Thus we all need to consider the opportunities and legal requirements of such a statement.
Under the Medicines and Healthcare Regulatory Authority (MHRA)2 for custommade devices, the legal requirement will remain, as it is supported by the large political parties. Some illegal manufacturers may try to evade registration with the MHRA by devious means; however, the vast majority will support the good practices of the MHRA & MDR. Illegal manufacturing practices of dental appliances by non-MHRA registered workshops should be reported directly to the MHRA or to the GDC if it is a GDC registrant.3 The legislation4 will more than likely continue via the competent UK authority of the Medicines and Healthcare Regulatory Agency (MHRA) and the new Medical Devices Regulations (MDR) 2020, as it is deemed necessary by the parliament for ongoing patient protection. These MDR regulations cover a wide range of items from pacemakers, body inserts, implantable materials, custom-made dental devices, and a range of various other items including automated external defibrillators.
The requirement for a ‘statement’ from the manufacturer is described within the
new regulations of the MHRA
Medical Devices Regulations (MDR) and these new regulations are due for implementation by 26 May 2020. Individual manufacturers of custom-made devices must provide a ‘statement’ about each new custom-made dental device – a similar requirement to that currently used under the Medical Devices Directive (MDD). But there are differences in the regulations and there are also opportunities for individual dental laboratories to take advantage of. Under the MDR there is a requirement that: ‘Custom-made devices shall be accompanied by the statement ... (and it) ... shall be made available to the particular patient or user identified by name, an acronym or a numerical code’.5 So there is an opportunity that encourages clinicians to provide a ‘statement’ to the patient (perhaps under a heading that indicates ‘This statement is for the patient’). The MDR provides a real opportunity for UK dental technicians and commercial dental laboratories to showcase themselves with some professional and supportive dental team documentation. This is your opportunity to positively support the provision of a statement by providing a document that the dentist/clinician feels proud to share with their patients. The GDC will logically support the statement being made available to a patient who is being provided with a new custom-made dental device as a legal and ethical requirement, such as Standards for the Dental Team 1.9.1 regarding laws and regulations affecting your work.6 Thus it is a legal requirement for dental clinicians in commercial practice to offer the statement to patients, so we have to
ensure that we encourage this good practice by our liaisons with all registrants. The development of a personalised dental laboratory ‘statement’ for custommade devices under the new MDR regulations can be seen as consisting of three aspects that link to form the whole statement. The final decision regarding the structure of the statement is likely to be taken by the manager making best use of their own business and marketing opportunities.
Here, we talk through the three aspects that are fundamental in developing a modern and supportive statement that goes with each new custom-made device:
1) The legal requirements – the legally required content under the MDR 2017 regulations. Ref. 4
2) Business decisions – the business owner’s personal requirement to showcase their business
3) Artistic presentation – the design, colours and artistic requirements as required by the individual business regarding e.g. template outline, format, document size, font and size, shading, colour, etc.
1. The legal requirements
The legal content, as required under the MDR regulations, is indicated within the
legislation. The new MDR clearly stipulate that the following must be provided on the statement that is to accompany all new custom-made devices.
‘For custom-made devices, the manufacturer or its authorised representative shall draw up a statement containing all of the following information:
The items that shall be on the ‘statement’ according to the MDR for Custom-Made Devices:
1)The name and address of the manufacturer, and of all manufacturing sites.
If applicable, the name and address of the authorised representative.
2)Data allowing identification of the device in question.
3)A statement that the device is intended for exclusive use by a particular patient or user, identified by name, an acronym or a numerical code.
4)The name of the person who made out the prescription and who is authorised by national law by virtue of their professional qualifications to do so, and, where applicable, the name of the health institution concerned.

5)The specific characteristics of the product as indicated by the prescription.
6)A statement that the device in question conforms to the general safety and performance requirements set out in Annex I and, where applicable, indicating which general safety and performance requirements have not been fully met, together with the grounds.
Where applicable, an indication that the device contains or incorporates a medicinal substance, including a human blood or plasma derivative, or tissues or cells of human origin, or of animal origin as referred to in Regulation (EU) No 722/2012.
NB: The sections above in italics are extracts from the MDR regulations as Ref 4.
It would appear that the items that we have numbered (1) to (6) above are the essential information that all manufacturers of custom-made dental devices in the UK would likely need to show on the statement that accompanies the appliance when sent to the clinician.
All the background quality assurance information held by the manufacturer that relates to the manufacturing processes, quality assurance and materials/components used, etc., must be recorded and stored by that manufacturer for more than 10 years, even if the business goes bankrupt.7
These areas are the business owner/manager’s personal requirement for their business but may be influenced by e.g. GDC guidance on advertising, etc. Individuals may consider that they wish to inform and encourage the clinician to give the statement to the patient and therefore ensure that only positive attributes are displayed within the document. They may therefore head their document – ‘This
statement is for the patient’ – having previously explained to their clinician clients why this is so.
With the recent changes in data protection, and in compliance with the General Data Protection Rules (GDPR)8, some business decision-makers will want to ensure that the privacy of patient names is maintained and clinicians may want to use acronyms or code letters to identify their patients. This is acceptable within the ‘MDR Statement’ and is seen as good practice by many. The signing off of the statement could include the registered dental technician’s name and GDC registration number. The GDC guidance on advertising says:
‘Whenever you, your practice, or any place where you work as a registrant, produce any information containing your name, you are responsible for checking that it is correct. You must: i)ensure information is current and accurate ii)make sure that your GDC registration number is included ...’ 9
It is often said that customers make a decision quickly regarding their purchases; therefore, it is important not to provide embarrassing slogans or detrimental features on a statement that might dissuade the clinician from wanting to give the document to the patient.
Every well-structured statement can help raise awareness of your business in the consumer’s eyes. But it is not a document for advertising other services and should refer the patient back to the clinician in cases of concern or complaints.
A few words that ‘any concerns or issues that the patient has with the appliance should always be referred directly to the prescribing dentist/clinician’, makes it clear that the dental laboratory does not see patients.
Likewise, suggestions regarding the clearing of appliances might best be referred to the Oral Health Foundation.10
Since only current GDC registered dental technicians/dental technologists can logically and legally sign off an appliance as fit for the marketplace, then some managers might want to add the signature of that person to the statement as a confirmation of its authenticity. In Article 15 of the MDR, in section 3, it states:
3.The person responsible for regulatory compliance shall at least be responsible for ensuring that: a.the conformity of the devices is appropriately checked, in accordance with the quality management system under which the devices are manufactured, before a device is released b.the technical documentation and the EU declaration of conformity are drawn up and kept up to date c....
4.If a number of persons are jointly responsible for regulatory compliance in accordance with paragraphs 1, 2 and 3, their respective areas of responsibility shall be stipulated in writing.
That becomes a business owner decision whilst keeping within the law. Others may consider adding a grading of the device being placed on the market, but this is not a necessity and could create resistance from the prescriber clinician to offering the statement to the patient. It is a business owner’s choice, but there appears to be nothing in the MDR that requires a grading specification for an appliance.
The dental laboratory might display their unique Medicines and Healthcare Regulatory Authority (MHRA) registration number i.e. CA ………, although this appears not to be a requirement of such an MDR statement, at the same time as it clearly indicates to the clinician that the manufacturer is registered with the competent authority. It would seem appropriate to add the registration number to a dental laboratory’s own documentation as it confirms the authority of the UK registered dental laboratory. Any concerns or issues that a patient may have with an appliance should always be referred directly back to the prescribing dentist/clinician. Dental technicians do not see patients independently.
An orthodontic technician is required to work amongst a highly trained team in central London. Must have knowledge of digital appliance design and 3d printing or huge willingness to learn. Ideally the candidate will be familiar with 3 shape orthoanalyser software and the integration of CBCT to the optical scans. For further information and to apply please contact: dr.carmencostea@yahoo.com
Design and artistic requirements of the individual dental laboratory, such as the template format, watermark, document size, font and size, shading, colour, etc., are the individual’s business decision. It is necessary to consider how the document markets the specific dental laboratory to those viewing it. The use of reference information to explain to those wishing to source the authority of the information within the document could be added in a small font, in a grey colour and even placed on the reverse side or another less conspicuous place.
The statement will become the normal document to pass on to a patient when the clinician considers that it is clean and tidy, presenting a professional approach from the dental laboratory and meeting their own business standards. It needs to reflect the ethos that many practitioners are trying to present to the public. The layout showcases your business
AD Griffin MBE

Anthony (Tony) Griffin MBE qualified as a dental technician in 1971, with his initial years in commercial dental laboratories and then spending 33 years in education. He was a Faculty Director for Health Science before leaving to head a private business consultancy in 2008. He has been actively involved in the preregistration development of both DTA and CDTA preparing dental technicians for their professional role and he has a passion for enabling learning. He coordinated the first Foundation Degree in Dental Technology, drove the development of CODTEI, supported the RCS of England in its development of a CDT qualification, and still continues his support for professional education. Since 2012 he has been the Treasurer of DTA and still contributes articles and CPD activities to The Technologist and other publications. In 2014 he was awarded an MBE in the Queen’s Birthday Honours for his services to Dental Technology.
standards. It is a communication document and requires that clinicians are informed of its legal status. Then there will be more encouragement to hand the statement to the patient.
Here, the DTA provides a sample statement document for MDR custommade dental devices. We welcome your feedback and suggestions in an ongoing process of continuous improvement. The template is available for the membership on the DTA website at www.dta-uk.org
1Guidance Medical Devices: EU regulations for MDR and IVDR – section on placing items on the market in relation to MDR accessed am 16 March 2019 https://www.gov.uk/guidance/medical-devices-euregulations-for-mdr-and-ivdr#placing-a-device-on-themarket-under-the-new-regulations
2Medicine and Healthcare Regulatory Authority (MHRA) –an overview of custom made devices directive 2007/47/E accessed pm 15 June 2018 https://assets.publishing.service.gov.uk/government/ uploads/system/uploads/attachment_data/file/ 398428/Custom_made_devices.pdf
3‘Standards for the Dental Team’ – Standard 1.9.1 You must find out about and follow laws and regulations ... accessed am 16 March 2019 https://www.gdcuk.org/professionals/standards

4MDR legal regulations as passed in 2017 accessed pm 16 June 2018 https://eur-lex.europa.eu/ legal-content/ EN/TXT/HTML/?uri=CELEX:32017R0745 &from=EN
5MDR Article 21 (2) accessed 16 June 2018 https://eurlex.europa.eu/legal-content/EN/TXT/HTML/?uri=CELEX :32017R0745&from=EN
6Standards for the Dental Team Standards 1.9 and 1.9.1 accessed am 16 June 2018 https://www.gdc-uk.org/ professionals/standards
7MDR Chapter 3 Administrative regulations section 7) accessed pm 16 June 2018 https://eur-lex.europa.eu/ legal-content/EN/TXT/HTML/?uri=CELEX:32017 R0745&from=EN
8General Data Protection Regulations (GDPR) accessed am 16 March 2019 https://eugdpr.org
9GDC Guidance on Advertising accessed 16 March 2019 https://www.gdc-uk.org/professionals/standards/ gdc-guidance
10Oral Health Foundation accessed 16 March 2019 https://www.dentalhealth.org/bridges-and-partial -dentures







To complete your CPD, store your records and print a certificate, please visit www.dtauk.org and log in using your member details.
Q1 From 26 May 2020, what is legally expected regarding the manufacturer’s statement?
A That the new MDR statement is kept for 5 years in the patient’s records
B That the manufacturing dental laboratory maintains copies for 7 years or until bankruptcy
C That the clinician shall make it available to the particular patient
D That it should only be given to the patient if they request the statement
Q2 Which of the following must be included in the manufacturer’s statement?
A A statement that the device is intended for exclusive use by a particular patient or user
B The specific characteristics of the product as indicated by the prescription
C The name and address of the manufacturer … and the answers a) and b) only
D The name of the person who made out the prescription and all the above
Q3 The MHRA Medical Devices Regulations (MDR) will become a legal requirement from ... (although dental laboratories may implement the requirements now):
A 20 November 2019 B 26 May 2020
C 20 September 2019 D 26 April 2020
Q4 The GDC guidance on advertising states that where your name is included you must:
A Ensure that the information is current
B Ensure it is accurate and a) and c)
C Ensure your GDC number is included
D Conform when it is non-dental related, and all the above
Q5 The use of acronyms or code letters to identify patients or users assists in maintaining privacy as part of the:
A RIDDOR requirements B GDPR
C Data Protection Public Register
D Privacy statement for individuals
Q6 ‘Any concerns or issues that the patient has with the appliance should always be referred directly back to the prescribing dentist/clinician’, because in the dental technician’s scope of practice one of the following is incorrect. Select the incorrect statement:
A Dental laboratory staff do not see patients for appliance adjustments
B Dental technicians do not work independently in the clinic with patients
C You should make appropriate referrals to other healthcare professionals
D Dental technicians can see patients in their role without a dentist being present, if no money is paid
Q7 ‘Devices shall achieve the performance intended by their manufacturer and shall be designed and manufactured in such a way that, during normal conditions of use, they are suitable for their intended purpose. They shall be safe and effective and shall not compromise the clinical condition or the safety of patients, or the safety and health of users or, where applicable, other persons, provided that any risks which may be associated with their use constitute acceptable risks when weighed against the benefits to the patient and are compatible with a high level of protection of health and safety, taking into account the generally acknowledged state of the art.’ This is taken from:
A The MHRA registration document
B Annex 1 of the MDR
C Part 1 of the GDC guidance on advertising
D MDR regulations Chapter 3 Administrative regulations, section 7
Q8 The DTA template as shown is for a ‘statement’ from a UK dental laboratory manufacturer. What might be termed a business decision regarding content?
A The use of a patient’s code or acronym, and only d)
B Providing a link to the Oral Health Foundation, and a) and d)
C The heading in bold that states that the statement is for the patient
D The registered dental technician’s GDC number, and all the above
Q9 The DTA template as shown is for a ‘statement’ from a UK dental laboratory manufacturer. What might NOT be termed an artistic decision regarding content?
A Template outline B Format, document size
C Name and address of the manufacturer and all sites
D Font and size, shading, colour
Q10 The collection of data from users via the clinician is used as part of the ‘post market surveillance’ and could likely include:
A Trend reporting, and b) and c) only
B Information, including feedback and complaints, provided by users
C Data on any undesirable side effects
D The changes in funding value for appliances, and all the above
by Tony Griffin
Aims:
■ to highlight the impending deadline for selfdeclaration of CPD
■ to prepare members for fulfilling their responsibilities as registered professionals
CPD Outcomes:
■ to fulfil your obligations as a registered professional by correctly completing the declaration requirements specified by the GDC
■ to remind us of the new approach to planning our CPD and the importance of personal and professional development
■ to highlight that DTA via The Technologist and Articulate, provides a free, quality CPD service to members
If you get your ECPD correct in this first year, then year on year the process will be relatively simple.
You will soon receive a reminder from the GDC that you have to declare your own ECPD hours and make a statement about your registration. It is simple but you do need to do it correctly and before the gate closes at the end of July
Do this preparation activity now and prevent the last minute panic that spoils the pleasures of summer.
The sole idea of continuous professional development (CPD) is to keep you aware and knowledgeable regarding current practices or improvements in your field of practice. Having a simple personal development plan (PDP), a log of the activities that you have done and storing those quality certificates, makes the process relatively easy.
As a DTA member you have been offered a range of ‘FREE’ CPD in The Technologist and also on the web through Articulate. Whatever quality assured CPD you have done needs to be logged in a simple table reflecting the content of your personal development plan.
The new ECPD requires you to only report your verifiable CPD during the open window on the GDC website. A delay, or missing the window completely, could mean that you are not able to register for the coming year. Nonregistrants cannot call themselves a dental technician or sign off work as it would be dishonest!
From mid-June until 31 July each year you have the opportunity to submit your annual return to the GDC. You must have your own log of quality assured CPD and accompanying certificates. You are responsible for ensuring the CPD activities and certificates you submit match your records of logged CPD.
You sat in on a 25-minute presentation in which the presenter gave out CPD certificates for two hours of eight credit CPD points.
Question: Would a regulator’s assessor consider it professional if you put 2 hours of verifiable CPD into your log for this activity?
You take part in an orthodontic dental practice in-house training event related to safeguarding, as provided by an external expert, to meet the GDC Development Outcome ‘A’.
Question: Is this capable of being credibly used as verifiable CPD for a dental technician?
You do some free CPD that you are offered which is said to relate to Development Outcome ‘C’. All the CPD is via reading and answering questions related to three activities:
(i) NHS charge claiming procedures
(ii) A description of a Royal Engineer’s visit to an army base during the Iraq war
(iii) A piece about using a digital manufacturing video game asset via Bane
Question: Are all these justifiable as verifiable CPD for a dental technologist?
(NB: Answers to all these questions are at the end of this article.)
This is to certify that Ms/Mr XXXXX XXXXXXXX
Fig. 2 illustrates a number of weaknesses that you would be required to explain e.g. you sat in a lecture for two hours on what subject? Development Outcome 5 does not exist! Why does the certificate say 1919? Whilst areas of study such as complaints handling, how to raise concerns, or safeguarding can be part of
Development Outcome ‘A’, what is regarded by the public as acceptable can change over time. Therefore updating ourselves regarding ethical and legal issues, and equality and diversity, is something that links to Development Outcome ‘D’ and helps us maintain the public/patients’ confidence in our profession.

(i)Plan your CPD via your PDP.
(ii)Do your credible CPD.
(iii)Reflect on the learning or use of the activity.
(iv)Record your CPD in your log (and keep the certificates).
NB: Taken from the GDC Guidance on ECPD 2018
Fig. 4 (above): The GDC required Plan, Do, Reflect and Record cycle
are at risk
Effective management of self, and effective management of others or effective work with others in the dental team, in the interests of patients at all times; providing constructive leadership where appropriate
Maintenance and development of knowledge and skill within your field of practice
Maintenance of skills, behaviours and attitudes that maintain patient confidence in you and the dental profession and put patients’ interests first
Registrants should also not forget to review the GDC’s recommended topics.
Fig. 5: An example of simple reflection
What did I learn?
How can I use this new learning?
When might I be able to build further on this learning?
Who would benefit from me sharing this learning with others?
Do you intend to take this learning further?
The DTA members’ resource area contains a PDP template in which you can indicate in advance what verifiable CPD you plan to do during the coming year.
DTA also provides you with some opportunity for reflection via the online questions. Reflection is about asking what you have achieved from the CPD. Questions in Fig. 5, found on your members’ page of the DTA website, assist you.
Your CPD log should contain, in chronological date order, all your verifiable CPD activities, indicating the hours spent on them. You submit this as the total of your verifiable hours for this past year.
You must retain your log and certificates for years after you submit your data –remember the full cycle is 5 years!
Fig. 6: Get organised early so that you do not miss the target window
Annually, and by 31 July, make a return to the GDC. The following must be included:
1)The number of verifiable quality CPD hours that you have done during the year. You must submit a return every year even if you have no hours to submit in one year. Although, if that were the case, you would need to be able to indicate 10 hours in the next year.
2)You will be asked to confirm that you have a log of your CPD activity. That’s the title, hours, development outcome and dates of CPD activities linked to quality assured certificates. Remember: ‘Let the buyer beware’.
3)You will be asked to confirm that your CPD activity relates to your field of practice. If you do crown and bridge work, could you justify including a training certificate in your CPD regarding servicing a motor car? Logically and generally ‘no’. But management training or additions to your scope of practice could likely be ‘yes’.
4)Indicate by your declaration that your submission is full and accurate. Be careful not to be dishonest about what you say you have done.
5)Finally, indicate that you have indemnity for your dental registration scope of work
Now it’s down to you to make your choice about quality CPD that you will keep in your storage area (and keep for the whole 5-year cycle).
You submit online all your verifiable hours and make your declarations before the end of July. Then you will be able to build on the personal development year on year.

● From mid-June you can make your annual CPD submission.
● Organise payment for the coming registration year.
● Your submission must be made by 31 July.
If you miss the target, that’s you not being a dental technician in the eyes of the law.
Answers to the inset questions:
Fig. 1: Questions
a) No, as you were there for only 25 minutes, so honestly you cannot claim longer. b) Yes, because Development Outcome ‘A’ is about effective communication and raising concerns, etc.
b) Yes, because Development Outcome ‘A’ is about effective communication and raising concerns, etc.
c) No, as Development Outcome ‘C’ is about maintaining and developing your field of practice. It is also difficult to justify these areas for a dental technician’s CPD field of practice.
References
–GDC Standards for the Dental Team 2013.
–ECPD Guidance information via GDC 2018.
–‘Let the buyer beware’ – accredited to many business providers.
To complete your CPD, store your records and print a certificate, please visit www.dta-uk.org and log in using your member details.
Q1 Is the following certificated activity with aims and learning objectives likely to be accepted as an ECPD activity by the GDC? – taking active part in an hour-long group event where discussion took place about what behaviours are expected from professionals
A Yes B No C Maybe D It does not indicate which profession, so no
Q2 The cycle that the GDC expects registrants to work through regarding their CPD is
A Do, Plan, Reflect, Record B Reflect, Plan, Do, Record
C Plan, Do, Reflect, Record D Plan, Do, Record, Reflect
Q3 If you are not registered with the GDC as a dental technician but are qualified as such, can you legally call yourself a dental technician?
A Yes, if you were at some time registered as a dental technician
B Yes, as long as you are not working in a dental laboratory
C No, as it is a protected title and you must be currently registered with the GDC to use the title
D As a previous professional you can still use the title
Q4 Reflection is an up-and-coming aspect to help us gain from a learning activity. Which of the following would normally not be considered a reflection?
A When might I be able to build further on this learning
B Telling the provider how wonderful they are and giving them 5 stars
C How can I use this new learning
D What did I learn
Q5 The ECPD window for DCPs closes on 31 July each year. You must pay the annual retention fee but what else must you indicate prior to that date to keep yourself on the GDC register?
A That you have a PDP, a log of your activity, and that your CPD relates to your field of practice
B That your declaration is full and honest, and all other answers
C That your dental technology work is covered by indemnity or insurance
D Your verifiable CPD hours, even if one year is zero, and a) and c) only

By Ulrich Heker, DTM
In this article, master dental technician Ulrich Heker writes on the workflow that he uses to create fixed components and removable partial dentures (combination prosthetics) using easy-to-follow information and pictures. The focus is on technical aspects with some related details about medical objectives and associated problems.
The pictures used in this example represent a patient case having the following upper notation (Fig. 1). The majority of the pictures in this article are from a presentation featuring work with the following status. Some additional pictures from other cases have been included to assist the general workflow method.
Aim:
■ to provide a staged explanation of a milled telescope restoration process
CPD Outcomes:
■ to make the reader aware of the various stages of telescope restoration fabrication
■ to be aware of the various materials and stages used during the manufacturing process
■ to be aware of the features to consider when creating components for telescope restorations
Development Outcome: C


14, 15, 16,
Fig. 3: Here we show further case planning based on a photo of the patient taken intraorally. The planning was painted with Photoshop and discussed between clinician and dental technician by email

Every telescope type of restorative laboratory work must be preceded by careful planning with those in the clinic. In most cases, the patient and the clinician will consider several restorative options based on the clinical status, photos and/or situational models.
The different possibilities are thoroughly reviewed with the patient in the dental clinic. Our dental laboratory offers clinicians support by providing online catalogues on various topics and restoration components, etc.
With the help of previous case photographs it becomes relatively easy for the dentist to explain to the patient the options and solutions for even the most complicated restoration needs.
First the dental technician produces a bite registration and an individual special impression tray on the already existing study models, which are then sent to the clinic. Some of our dentists still prefer to use the more stable metal impression trays.
1) Stressbreaker at least one distal and one mesial on blocked ceramic crowns
2)Rod attachments
3)Bonwill clasp on blocked ceramic crowns
4) CrCo
5) Possible further crowns, necessary for new bite height
compensated by the primary parts (first copings) of a telescope. Then these primary copings can be created with their external surfaces of a common insertion direction for the bridge telescope portions (secondary parts –Figs. 4 & 5) of the work.
Fig. 5: Cut through a telescopic crown. Blue = primary part, yellow = secondary part
Fig. 4: The compensating effect of the primary caps leads to a common direction of insertion suitable for the outer telescopes. Because of the diverting axes of the prepared teeth (yellow lines) a bridge would not fit in one piece. By using telescopes, the divergences of the stumps can be compensated by the primary parts (blue) so that the secondary crowns (black), connected with the metal frame, fit neatly over the primary parts (in one piece)

In our example case, the clinical preparation of the pillars essentially follows the preparation rules that apply to a large fixed bridge. (Fig. 4) A common axis of insertion is desirable, but due to the anatomy of upper and lower tooth positions may not be accomplishable without a great loss of coronal tooth structure.
Here is one of the advantages of telescope work: as the axial inclination of the individual teeth that create divergences and undercuts can be

Fig. 6: Position of retraction cord before the impression (on the left side)


Normally, retraction cord is used by the clinician to keep the sulcus open around the prepared tooth during the impression stage (Fig. 7).
The laying of two retraction cords on top of each other by some clinicians is said to have the advantage that the sulcus does not close immediately after the removal of the upper cord, and thus enough impression material can flow into the sulcus area and guarantees an accurate and stable impression of the preparation borders (Fig. 8).
The clinician also needs to ensure that the primary part of the coping has sufficient space buccally to allow room for
Fig. 7 (left): By using retraction cord and preparing the natural teeth slightly below the gum margins, it prevents the appearance of dark areas between the gums and the outer telescope. The crown on the left side shows a preparation done too high. Finally, the area between gum and primary crown is visible as a dark border. This will be avoided by a preparation slightly under the gum. This is very important for the aesthetic in anterior restorations
8: An example of a case with nine prepared teeth in line one day after preparation

the manufacture of a secondary copying over it, and such that the junction is hidden below the gum margin.
Where the junction cannot be hidden, the area remains visible in the finished work as a dark border close to the gum. This should be taken into account by the clinician and dental technician working as

a team when planning the case, especially regarding telescopes in the anterior areas.
It is also necessary to ensure that the preparation is designed in such a way that a unique fit is created for each primary part (first coping) in order to prevent twisting of the crowns during the try-in and when taking of the over impression.
The first working impression (Fig. 9) must meet the dental technician’s future needs in the construction process. The clinician must take care that in addition to a faultless impression of the preparation borders, the posterior extent of the planned appliance is also provided for. This is so that the next special tray for the full over impression is long enough and provides all of the required area of ridge support.
It is important to ensure that an impression of the opposing jaw is taken before the provisional (temporary) restoration is started.

A temporary (provisional) restoration can be prepared both at the chairside (Fig. 10) or in the dental laboratory.
This must be made stable enough to prevent the abutment teeth from migrating until the final cementation of the finished work. This is essential as a large precision milled telescopic solution takes more laboratory processing time than a simple bridge. Care should be
taken that the provisional work is strong enough to last for the necessary timespan.
Having manufactured accurate and appropriate master conservation models, these are mounted on an adjustable articulator from the face bow record. The articulator can then be adjusted by use of the various recorded wafer registrations to provide the various simulation

movements. Then the single tooth segments are sawn out to provide removable access and the finishing edges exposed. The major stages in preparing for the milled work follow these stages.
During the surveying of the model the goal is to find a direction of insertion (Fig. 11) that must satisfy the following points:
■ All primary parts need at least two opposite parallel surfaces.
■ The later milling surfaces lead to the gingival margin from where they taper to the pre-border.
■ Undercuts are to be avoided in any instance.
■ Between individual die stumps or residual teeth there should be enough space for the secondary parts.
■ The length of the expected friction surfaces should not be less than 3.5 mm.
■ The material thickness of the premilled wax copings must be selected so that slight corrections after the pick up impression are possible without perforating the primary crowns.
The individual coronal structures for the primary crowns are made as anatomically correct by the dental technician using a good quality milling wax that can be milled by a power system (Fig. 12).


The wax shape of the primary crowns is very similar to that of a ceramic crown coping. The aim is a shape close to the appearance of the finished primary telescopes with the parallel sides in place. Therefore, special milling waxes must always be used to be able to create these initial wax primary copings. The wax copings are milled at the determined angle as already set on the model table, using the milling handpiece-driven chuck holding the specially designed wax milling cutters (Fig. 13).
Check the milled wax copings
■ Do not mill too thinly > 0.6 mm.
■ For height compensation, the opposing bite has to be taken into account.
■ Do not forget retention bubbles (Fig. 14).
The standard procedures: embedding, casting with the appropriate dental alloy, and shot blasting are then followed.
3)Manufacturing of the special tray for pick up impression
After all the crowns are carefully adjusted on the model, the primary caps are blocked out to guarantee an equal spacing of the impression material for the pick up impression. Remember to extend the special tray over the potential denture-bearing areas. Most dentists are using Impregum® made by Espe for the pick up impressions because of its accuracy and rigid set nature.
4)Preparing a second bite registration, an individual tray and a face bow
For registration by means of a face bow, a hard base with a thin wax sheet for

attachment to the bite fork is still required for use in the clinic by the clinician.
Try in of the primary crowns
Fig. 15: Example – Try in of the primary caps. Consequences of a too short preparation can be seen clearly. Even if the secondary parts can completely cover the primary parts, a visible dark border will remain forever. The preparation had to be optimised; three caps had to be repeated

A perfect fit of every single cap is required at this stage. Therefore the dentist must very carefully check the copings on each of the patient’s prepared teeth (Fig. 15). If any of the edges are above the gum margins, adjustment or remakes are required at this stage.
Mistakes made in this phase will be copied to the master model and will guarantee problems during further processing. Some dental technicians want to compare the fit of all caps with the saw model, a jig made by linking them together in an autopolymerising acrylic (Fig. 16).
5) Pick up impression on primary elements and new bite registration
When all primary parts are fitting well on the prepared teeth an over impression or pick up impression is taken by the dentist. Here, it must be ensured that every detail of the entire jaw is displayed (Fig. 17). The master model, which is made from this impression, is responsible for the fit of the whole work (chrome and acrylic design).
17: The over impression/pick up impression back in the lab

Fig. 16: Checking primary parts with a hard jig (very important for abutments)

To complete your CPD, store your records and print a certificate, please visit www.dta-uk.org and log in using your member details.
Q1 Which of the following does the writer say are used in planning these complex cases?
A Careful planning with those in the clinic and (c)
B Photo of the patient taken intraorally and (a)
C Online catalogues on various topics and restoration components
D Numerous previous case photographs, and all the above
Q2 The individual retained and prepared teeth are provided with primary caps/copings with outer surfaces that:
A Provide a common path of insertion for the outer telescopes
B Provide all primary copings with the same location path of insertion
C Provide the secondary copings with the axial inclination that is the same as the natural teeth
D Assist in providing a great loss of coronal tooth structure and (a)
Q3 The term gingival margin is generally regarded in dentistry as:
A The gum tissue that is firmly attached to the natural tooth
B The border of the gingiva surrounding but unattached to the tooth
C The more correctly termed parietal margin
D The gingival periodontal ligament
Q4 The writer suggests that the dark join between primary and secondary copings can be avoided by the clinician:
A Prescribing shoulder-less telescopes and (b)
B Preparing the natural teeth slightly below the gum margin level
C Creating primary shoulders above the gum margin and (d) only
D Using retraction cord and (b)
Q5 Why does the writer suggest the clinician needs to prepare the natural teeth?
A To develop a unique fit for each primary part (first coping)
B To create a shape that prevents twisting on the prepared tooth
C To create sufficient labial space for the primary and secondary copings
D All the answers
Q6 A temporary (provisional) restoration is essential to:
A Prevent migration of the abutment teeth
B Be a strong stable support, and (a)
C Last the three months it will take for laboratory milling and manufacture of the components
D Be identical in colour to the agreed final shade, and all the answers
Q7 The vertical length of the friction surfaces on the primary copings must not be less than:
A 2.75 mm
B 3.5 mm
C 3.75 mm
D 4.25 mm
Q8 Which one of these statements is incorrect?
A The wax copings are milled at the determined path of insertion angle
B The inlay wax used should be a distinctive colour to assist milling
C Use the milling handpiece-driven chuck
D Use specially designed wax milling cutters
Q9 Which is not a factor or feature of primary copings?
A Do not mill too thinly > 0.6 mm
B Take account of the opposing bite
C Do not forget retention bubbles
D Create these temporary items in a 22 carat gold alloy
Q10 For which reason/s is the pick up impression so important?
A The margin fit can be checked prior to secondary telescopes being fabricated, and (d)
B It is responsible for the fit of the whole work, and (d)
C The relationship of the copings can be checked via this impression and (a) only
D It provides the master model

Abrasives: The surface quality of ceramic dental restorations is best improved using a systematic approach
by Dr Markus Firla, Hasbergen-Gaste, Germany
The final, intraoral use of abrasives to anatomically and functionally improve the surface quality of allceramic dental workpieces is not easy for dentists, especially in the case of CAD/CAM restorations milled from ‘industrially prefabricated’ zirconia or lithium disilicate blocks. Efficient extraoral finishing of such restorations in dental laboratories should not be underestimated either.
The objective of both steps is to give ceramic restorations, occlusal surfaces that are as smooth as possible, in harmony with natural occlusion and anatomically and functionally correct.




5: The finalised all-zirconia crown (BruxZir, Glidewell Europe GmbH) was stained, glaze-fired, and then adhesively bonded using a resin cement system (ResiCem, Shofu Dental GmbH)

Today, experts agree that all-ceramic CAD/CAM restorations, particularly single and partial crowns, veneers, and bridges, are best finished with diamond rotary instruments, even though – depending on the CAM system used – laboratories frequently rely on carbide instruments in the basic fabrication process.
In contrast to the milling of all-ceramic dental workpieces from prefabricated blocks, the subsequent finishing procedures performed in dental laboratories and, mostly intraorally, in dental practices are designed to reduce material in the submillimetre or micrometre range. For this minimal treatment, diamond finishers and





Figs 6–9: Systematic improvement of an all-ceramic, lithium disilicate restoration surface in a dental laboratory, shown step by step. Thanks to gentle and efficient contouring, pre-polishing and high-gloss polishing with the ZiLMaster kit, final glaze-firing of the workpiece was not necessary
Photos 6–9: Dental-Labor Kock, Wallenhorst
polishers are the tools of choice: they remove material gently but efficiently, because instruments coated or impregnated with coarse, medium or fine diamond particles ensure uniform material reduction with continuous and accurate control.
Diamonds are the only instrument type allowing users to achieve surface roughness values comparable to those of glaze-fired ceramics, from the contouring step that creates the final shape of the workpiece to the finishing step that determines the surface texture, and the pre-polishing and high-gloss polishing steps that complete the process.
In addition, the use of diamond rotary instruments to contour, finish and polish dental ceramics substantially reduces the risk of causing microscopic or macroscopic cracking, or even chipping.
The smoothness of a ceramic surface is not only crucial to its gloss, and therefore
to the aesthetic result, it also has a second effect that is equally important. The smoother the ceramic surface, the less likely the occurrence of negative mechanical influences on the ceramic material caused by the antagonist. Likewise, a smooth ceramic surface minimises the abrasive loss of natural enamel of the tooth opposing the restoration.
These phenomena need to be considered when working with all-ceramic restorations, especially if they are made of zirconia or lithium disilicate because the desired hardness of these materials and also their brittleness should not be neglected.
The dental manufacturer Shofu has recently launched the ZiLMaster system, comprising two kits of instruments specially designed for contouring, finishing and polishing all-ceramic restorations made of zirconia or lithium disilicate.
The kits are coded CA (contra-angle) for intraoral use by dentists and HP (handpiece) for extraoral use by dental technicians.
For both kits, selected shapes of Shofu’s comprehensive and time-tested range of Dura-Green DIA diamond stones have been combined with various shapes of newly designed diamond-impregnated silicone polishers.
The different – directly and specifically matched – diamond grits of the DuraGreen DIA instruments and the coarse, medium and fine ZiLMaster polishers excellently complement each other in the contouring, finishing and high gloss polishing procedures, ensuring a very quick and easy workflow.
First published in DZW 07/16.
References
1.Dierkes S et al.Einfluss der Oberflächenaktivierung auf den Haftverbund von Verblendkeramik auf Zirkonoxid. Quintessenz Zahntech; 2014; 40(8): 966–978.
2.Janyavula S et al.The wear of polished and glazed zirconia against enamel. J Prosthet Dent; 2013; 109(1): 22–29.
3.Kimmel K. Rauhtiefen – ein unterschätztes Qualitätskriterium. Zahnärztl Mitt; 1998; 88(14): 1796–1798.
4.Komet/Gebr. Brasseler GmbH: Rotierende Werkzeuge in der Zahntechnik – Fachvorträge zum Thema. Jahrestagung der Arbeitsgemeinschaft der Lehrer an Zahntechniker-Fachklassen. 21–23. Mai 1992, Lemgo.
5.Lang Ch. Spezifische Oberflächenbearbeitung keramischer Restaurationen. Quintessenz Zahn-tech; 2014; 40(10): 1268–1279.
6.Miller MB, Castellanos IR. Reality –The information source for esthetic dentistry. Volume 22. Reality Publishing Co, Houston, USA, 2012.
7.Preis V. Pin-on-Block Verschleißverhalten von Dentalkeramiken. 25. DGZMK/BZÄK/DENTSPLY Förderpreis. Frankfurt, 2011.
8.Pröbster L, Kern M. ZrO2-Monolithen – ein Faszinosum? Der Trend zu vollanatomischen Oxidkeramik-Kronen. DZZ; 2012; 67(12): 777–782.
9.Shofu Dental GmbH. Abrasives – Schleifkörper, Polierer und Poliersysteme. Ratingen, Deutschland, 2010.
10.Shofu Inc. ZiLMaster Product Information. PowerPoint Präsentation. Kyoto, Japan, 2015.
11.Wehnert L et al.Einfluss von mechanischen Oberflächenbearbeitungsverfahren auf den Verbund von Y-TZP zu vier Verblendkeramiken. Quintessenz Zahntech; 2011; 37(3): 342–356.
DTA is the professional representative body for dental technologists throughout the UK. DTA members enjoy a raft of benefits including:
● at least 25 hours of quality, peer reviewed verifiable CDP per year including an online PDP and log book
● guidance documents and information sheets on a wide range of relevant topics
● competitively priced professional indemnity insurance
● 24-hour legal helpline
All this and more for just £9.25 a month
Complete this application form or visit DTA website and register to become a DTA member.
Please complete in BLOCK CAPITALS
SurnameFirst name/s
Title MR MRS MS MISS OTHER
GDC registration number
Home: Address
Telephone: Home Email
Mobile Date of Birth
Place of work: Commercial laboratoryHospital/community Other
Gender (tick): M F
Postcode
Employed Self employed
Speciality: Removable prostheticsFixed prostheticsOrthodontics
Other Laboratory: NamePostcode
Lab Telephone Work Contact Telephone:
Qualification/s
If currently studying, name of educational institute
Qualification studying for Date course ends
I would like to apply for Full (£111) Newly qualified (£25) Student (£10) *(tick as appropriate)
Please send a cheque with the completed form, or alternatively DTA can call you to complete your application.
I would like to be entered into the prize draw to win 2020 membership.
I give my consent to the DTA retaining the above data for a legitimate purpose in accordance with the 2018 General Data Protection Regulations to enable them to provide me with membership services. A copy of our GDPR policy and your rights under these regulations is available upon request.
Please return this form to: The Dental Technologists Association, PO Box 1318, Cheltenham, GL50 9EA www.dta-uk.org
*T&C’s apply. The prize draw is open to new members only who must be registered for the full membership. The draw will take place on Monday 28 October 2019.
