5. szám

![]()
5. szám

„Túlélés, megújulás, harmonizáció”
A dugattyú technika –egy új eljárás a gyökértömések készítésére
Eszköztörések menedzsmentje Er:YAG lézer és SWEEPS technológia alkalmazásával
A szálerősítésű csapok és a fogak megerősítésének szakirodalmi háttere



















































































A fogászati szektor az idei esztendőben – reményeink szerint – már fel fogja dolgozni a Covid-19 okozta súlyos problémákat, az ukrán háború miatt kialakult nehézségeket, a korábbi években elszabaduló inflációt, és már tervezi a fejlődés aktuális lehetőségeit. Mindannyian abban bízunk, hogy megérkeznek az európai uniós források, újra indulnak a pályázatok, és stabilan tudjuk vezetni a vállalkozásainkat!
A tavalyi év sokunk életében hozott különböző gondokat, de mégis elmondhatjuk, hogy jobb volt, mind a 2020-2022 közötti időszak, amikor a létbizonytalanság, a járványtól való félelem uralta a napjainkat. Az idegenforgalom tavaly szépen megindult, 2024-ben a vendégéjszakák száma elérte a 2019-es adatokat. A nagy rendelők már teljes kapacitással üzemelnek, a fogtechnikai laborokban is visszatért a folyamatosság, a fogászati kereskedők jelentős része pedig jobb évet zárt 2024-ben, mint a korábbi esztendőkben.
A fogászati rendelők és fogtechnikai laborok elsősorban a fejlesztéseket állították előtérbe, amelyhez számos pályázat és egyéb forrás is kedvező konstrukciókat kínált. 2025-ben – tudomásunk szerint – lesznek új pályázati források, ezekről a kereskedelmi vállalatok részletesebb információkat tudnak majd adni. Az új források bevezetése idén remélhetőleg ismét növekedési spirálba helyezi majd ezt a szektort!
Az infláció elérte a fogászati ágazatot is, a vállalkozások az euró változásától, gyengülésétől függően azzal találkoznak, hogy az árak – a mindennapi élet mellett – itt is jelentősen és folyamatosan változnak, emelkednek. Így a fogászati rendelők is kénytelenek az áraikat emelni, egyre több rendelő, ún. „piaci alapú” árképzést vezet be. A folyamat kimenetelét még nem lehet pontosan látni, a munkaerő fluktuációja, az Európai Unió áraihoz képest alacsony magyar fogászati beavatkozások értéke - jelenleg még nem érte el a drágulás csúcspontját. Az elmúlt időszakban számos újság, cikk foglalkozott a fogászati szektorban található extra drágulási folyamattal. Ez egyelőre – a hazai rendelőkben – még nem mutatott jelentős problémát, új hívószavakkal, sok marketing munkával, reklámmal most a magyar lakosságot kell határozottabban a rendelőkbe invitálni!
A kiadó bizakodva tekint a jövőbe, a megújult tartalmaink kapcsán sok pozitív visszajelzést kapunk,

melyeket nagyon köszönünk! Az elmúlt években – a nehézségek ellenére is – növelni tudtuk a kiadványaink és a magazinjaink számát, nem csökkentve azok tartalmi minőségét. 2020 óta a tematikus e-Journalok is folyamatosan megjelennek, melyek egyfajta online könyvtárként is szolgálnak az Olvasóinknak. A dental.hu oldalon díjmentesen elérhetőek a korábbi tematikus online lapszámaink is.
A mostani kiadványunkban az általános fogorvosi eljárások mellett kiemeltebben az endodontia témakörével foglalkozunk.
Tartalmas olvasást kívánok!
Laczkó Tamás, felelős kiadó
E-Journal VIII. évfolyam, 2025. 5. szám
Kiadja: DP Hungary Kft. 1012 Budapest, Kuny Domokos u. 9.
Felelős kiadó: Laczkó Tamás
Főszerkesztő: Dr. Riba Magdolna
Előkészítés: DP Hungary Kft., Sárközi András e-mail: grafika@dental.hu
Információ, hirdetésfelvétel: Kiss Éden Aliz, telefon: 06-30-472-0030, 06-1-793-1874
Az újság e-mail címe: info@dental.hu
Az újság internetcíme: www.dental.hu
Terjesztés: E-mail hírlevél formájában.
A tudományos közleményeket a szerkesztőség lektoroknak adja át véleményezésre. Közlés csak egyetértő lektori vélemény, illetve a javasolt módosítások elvégzését követően lehetséges.
A cikkek szerzői vállalják, hogy az általuk elküldött írás saját forrásból származik, illetve a felhasznált anyagokat (publikációkat, illusztrációkat, képeket stb.) mindenkor pontosan feltüntetik. Írásaiknak jogi és egyéb adatvédelmi kérdéseiben felelősséget vállalnak.
A német nyelvű szakmai cikkeink magyar fordítását az Oemus Media AG Kiadó engedélyével szerkesztettük lapunkba. A fel nem használt kéziratokat, fotókat nem őrizzük meg, és nem küldjük vissza.
A hirdetések tartalmáért nem vállalunk felelősséget. A gyártó, illetve forgalmazó cégek kérésére közzétett cikkeket keretbe foglalva közöljük és (x)-szel jelöljük, azok szakmai tartalmáért a szerkesztőbizottság nem vállal felelősséget.











alphaimplant. hu



PORTRÉ „A páciens panasza az elsődleges, törekedjenek azt lehetőleg gyorsan és humánusan megoldani…”
ÚJ GENERÁCIÓ
„A folyamatos tanulás és kutatás kulcsfontosságú a szakmai fejlődésben”

MED. DENT
Interdiszciplináris fogászati kezelés myofunkcionális készülék, alignerek és protetikai ellátás alkalmazásával
MED. DENT Abradált frontfogakkal rendelkező felnőtt páciens interdiszciplináris kezelése


CÍMLAPSZTORI
Florin Stoboran egy világhírű fogtechnikus mester román és magyar vérrel

FOGTECHNIKUSOK SZAKMAI LAPJA Életet lehelni monolit megoldásokba
Egy labortulaj, aki mert változtatni, és sikeres lett! LABORBEMUTATÓ LABORATÓRIUM
LABORATÓRIUM
A leplezőkompozitok (analóg) világa








































Dr. Riba Magdolna
Bágyi Kinga Ágnessel, a Debreceni Egyetem
Fogorvostudományi Karának dékánjával életéről, munkásságáról és terveiről beszélgettünk
Dr. Bágyi Kinga Ágnes habilitált egyetemi docens, a Debreceni Egyetem Fogorvostudományi Karának dékánja, a fog- és szájbetegségek, a konzerváló fogászat és fogpótlástan, valamint az endodontia szakorvosa, a Konzerváló Fogászat nem önálló Tanszék vezetője, a Fogászati Klinika igazgatója, grémium elnök (endodontia), többszörös orvos tenisz világbajnok, 2 gyermek édesanyja.

Amikor készültem erre a találkozásra, elolvastam azt a beszélgetést, melyet 2019-ben készítettünk abból az alkalomból, hogy Ön lett a kar dékánja. Gondolom, azóta sok minden történt az Ön, illetve a kar életében is.
Először arra kérem, tekintsünk vissza, hogy milyen célok és elhatározások előzték meg, hogy 1990-ben az egyetem fogorvosi képzésére jelentkezett?
Azt gondolom, nagyon hálás lehetek pedagógus szüleimnek, mert egy boldog, szeretetteljes, biztonságot adó, fejlődésre, célok kitűzésére és kemény, alázatos munkára sarkalló környezetben nőhettem fel. Ez az örökség, valamint a sport és a későbbi tapasztalások, a belső fejlődésre késztető helyzetek, – mert az volt bőven, – és talán a megérzéseim segítették az eddigi utamat.
A továbbtanulás eldöntése is érdekesen alakult, mert a bátyám, Péter, aki 7 évvel volt idősebb nálam és azóta már egy nagyon szép, felfelé ívelő szakmai pályát mondhat maga mögött radiológusként, az orvosi pályát választotta. Így, bár a családunkban korábban nem volt orvos, egy újabb lehetőség rajzolódott ki általa előttem. Én akkor már versenyszerűen teniszeztem, és nagyon szerettem a sportot, így elhatároztam, hogy sportorvos leszek. Aztán egy hirtelen döntéstől vezérelve mégis fogorvosnak jelentkeztem. Akkor és azóta is sokszor előfordul, hogy egy nagy levegőt véve, bátran, a szívemre vagy a megérzéseimre hallgatva döntök.
Már hallgatóként esetleg eldőlt, hogy a fogorvoslás melyik szakterülete vonzza, érdekli elsősorban? Közben bekapcsolódott valamilyen diákköri tevékenységbe is?
Az egyetemi éveim alatt még nem kapcsolódtam be a tudományos diákköri munkába, akkor talán még nem éreztem motivációt erre. Végzést követően fogszabályzással szerettem volna foglalkozni, de erre helyhiány miatt nem kaptam lehetőséget, így kerültem a ma Konzerváló Fogászat nem önálló Tanszékre.
Hogyan alakult az életútja a diploma megszerzése (1996) után?
Az akkori párommal – volt férjemmel, aki a 2 gyermekem, Hanga és Hunor édesapja – Debrecenben maradtunk annak ellenére, hogy ő budapesti én pedig nyíregyházi voltam. Mindketten a Debreceni Orvos- és Egészségtudományi Centrum (DEOEC) alkalmazásában kezdtünk el dolgozni, vállalva, hogy a betegellátás mellett az oktatást és a kutatást is szívügyünknek fogjuk tekinteni. Ő idegsebészként, én pedig az akkor dr. Márton Ildikó vezetése alatt álló, korábban már említett szűkebb szakmaspecifikus területen kezdtem el dolgozni. Beléptem a szakképzésbe, és 1998ban a Fog- és Szájbetegségek szakvizsgát sikeresen letettem. Ezt követően néhány évet teljes mértékben otthon, a gyermekeimmel és családommal töltöttem. Visszakerülve a munka világába, immár 2 gyermekes családanyaként, nem volt egyszerű, de sikerült megtalálni az egyensúlyt. Gyermekeim közül Klekner Hanga elvégezte azóta a pszichológia szakot, és mivel élsportoló – rúdugró, többszörös országos magyar bajnok, felnőtt országos csúcstartó, a budapesti világbajnokság 18. helyezettje, a párizsi olimpiai magyar csapat tagja, jelenleg a sportpszichológia szakképzést végzi, – életvitelszerűen Budapesten él. Fiam Hunor, a Budapesti Corvinus Egyetemen most szerez diplomát gazdálkodási és menedzsment alapképzésen, felsőfokú szakmai angol nyelvvizsgával rendelkezik, az egyetem mellett gyakornokként dolgozik, teniszezik, focizik, kosarazik, síel. A sport és a tanulás, mint kettős életpályamodell, a gyermekeim életében is megjelenik.
A tanulást, az ismeretek folyamatos bővítését mindig nagyon fontosnak tartotta. Hol és milyen formában tudta ezt megvalósítani, és a megszerzett tudása, tapasztalatai miként befolyásolták a további szakmai irányultságát?
Az egyetemi élet nagyon változatos, én mindig megtaláltam a kihívásokat, és természetesen a vezetőség is elvárta tőlünk, hogy folyamatosan olvassuk a szakmai folyóiratokat, továbbá tájékozódjunk az új fejlesztésekről, anyagokról, lehetőségekről, beépítve azokat az oktatásba, betegellátásba, ez a kutatáshoz is nélkülözhetetlen volt. A mai világban ez nagyon könnyű, otthonról egy kattintással szinte minden elérhető, régen ez azért ennél jóval bonyolultabb volt, de mindig sikerült valamelyik területen előrelépnem, fejlődnöm. További szakvizsgákat tettem: a konzerváló fogászat és fogpótlástan (2007), valamint az endodontia (2018) szakfogorvosa lettem, beléptem a PhD képzésbe. A korábbi vezetők támogatásával sikerült külföldi tanulmányutakra és kongresszusokra is eljutnom tapasztalatszerzés érdekében, így voltam 1999-ben Kölnben – párhuzamosan férjem DAAD ösztöndíjas ott tartózkodása alatt –, ahol betekintést nyerhettem a fogorvostanhallgatók klinikai gyakorlatába és az oktatási szisztémába. Volt alkalmam többször részt venni az ADEE (Association for Dental Education in Europe) kongreszszusain, ezek közül a 2022-es esztendei leuveni jelentette számunkra a nagy mérföldkövet, hiszen ott született meg a döntés a fogászati szimulátorok beszerzésével kapcsolatosan. Sikerült egy alkalommal az FDI (World Dental Federation) kongresszusára is kijutnom, illetve egy magyar–tajvani mobilitási pályázat keretén belül látogatást tehettem a tajvani együttműködő partnernél. 2018-ban a Dublin Trinity College neves intézet falai között tölthettem el néhány napot Hal Duncan támogatásával, aki azóta az Európai Endodontiai

olimpián (2024) gyermekeimmel.
Társaság elnöke lett. Hálás vagyok ezekért az utazásokért, mert az ott hallottak, tapasztaltak sokban segítették a későbbi szakmai, oktatói, tudományos és vezetői munkámat.
2017 is fontos év volt az Ön életében, hiszen egyeteme ekkor ismerte el oktatói, előadói és tudományos tevékenységét a „habilitált doktor” címmel. Ezt megelőzően készített (2010) doktori dolgozatának mi volt a témája?
2010-ben PhD fokozatot szereztem, disszertációm címe: A cefalosporinok aspirációs pneumónia profilaxisában és terápiájában kifejtett hatékonyságának vizsgálata kapilláris zóna elektroforézissel, így egyetemi adjunktus lettem. Ezzel párhuzamosan az érdeklődésem a mikroszkópos endodontia irányába terelődött egy véletlen kapcsán. Az akkori dékán, prof. dr. Hegedűs Csaba váratlanul elküldött egy budapesti kurzusra, ahol a bemutatott esetek egy részét mikroszkóppal végezték el. Teljesen fellelkesedtem, ezt követően sikerült eljutnom még további hasonló, de már gyakorlati kurzusokra is. Tanulmányoztam az ide vonatkozó irodalmat, és kerestem a lehetőségét, hogy nálunk ezt vajon hogyan tudnánk megvalósítani. Teltek az évek, de ekkor már körvonalazódni látszott, hogy előbb-utóbb változások lesznek Magyarországon is a szakképzésben.
Az európai posztgraduális képzés egyik lehetősége az endodontia szakképzés, viszont ennek egyik feltétele a nagyításban elvégzett beavatkozás. Sose felejtem el, hogy pont a névnapomon érkezett meg egyetemünkre az első ilyen mikroszkóp, ami az én felügyeletem alá került. Azóta további 3 db fogászati és 8 db asztali mikroszkóppal gazdagodott a modern eszközparkunk. Innen elindult egy újabb nehéz, de számomra izgalmas időszak az életemben, hiszen az egye-

Debreceni Fogászati Napok (2023)
temen elsőként meg kellett birkóznom e kezelések elméleti tudásanyagával és a gyakorlati kivitelezésének megszerzésével, az ehhez nélkülözhetetlen további speciális, modern eszközök és anyagok beszerzésével, valamint további kollégák betanításával. Azt gondolom, talán ezek az események, és ennek kapcsán az általam meghirdetett „Mikroszkóp a fogászati gyakorlatban” szabadon választható graduális és számos egyéb posztgraduális kurzusom, valamint a további tudományos előmenetelemnek volt köszönhető, hogy 2017ben megszereztem a habilitált egyetemi docensi címet.
2019-ben Ön lett a DE FOK dékánja. Milyen tervekkel indult el ezen az úton?
Aki ismer, az tudja, hogy egy igen nehéz életciklusomban egy kicsit talán túl fiatalon talált meg a feladat és mondhatom, hogy váratlanul. Aki ismer, az azt is tudja, hogy sportemberként nem az a meghátrálós, feladós típus vagyok, így a korábbi dékáni és az egyetemi vezetés kérésére elvállaltam a feladatot, beadtam pályázatomat, majd először megbízással, majd 2019-től kinevezéssel töltöm be a dékáni pozíciót, immár a második ciklusomban. A korábbi interjúban azt fogalmaztam meg, hogy „a meglévő egyetemi projekteket mindenképpen tovább kívánom vinni”, hisz számos projekt volt folyamatban, „a kari szintű terveinket azonban összhangba kell állítani a Debreceni Egyetem stratégiával”. Fontos stratégiai célom volt még a Kar stabil gazdálkodásának megőrzése, valamint a pályázati aktivitás fenntartása, fokozása, az oktatói túlterheltség: oktatás – kutatás – betegellátás hármas funkció terhének optimalizálása, ezáltal a dolgozói kiégés elkerülése. A 2020-ban kitört COVID világjárvány, beszűkült betegellátás, online, majd hibrid oktatásra való átállás, az oktatási és betegellátási rendszer teljes átszervezése jellemezte a kezdeti időszakot. Rengeteg olyan feladattal kellett megküzdenünk, ami óriási kihívást jelentett a mindennapokban, mind az oktatásban, mind a betegellátásban, váratlan új helyzetek, azonnali megoldáskeresések, protokollok kidolgozása, hisz ezek korábban nem voltak. Sokszor hétvégén is dolgoztunk a Járványügyi Munkacsoportunkkal, hisz a szerdánkénti bejelentéseket követően, az adott helyzetre reagálva, hétfőre kész protokollal kellett előállnunk, a hallgatóknak-oktatóknak-betegellátásban részt vevőknek egyaránt. Nem volt egy könnyű időszak: online és hibrid oktatást végezni egy gyakorlatorientált képzésben, szinte lehetetlen. Ezzel párhuzamosan befejeződött 2020-ban egy nagy léptékű építkezés is, a Fantom és Fogtechnikai Labora-
tórium bővítése, mely megmentette az akkori helyzetet, és a tovább növekvő hallgatói létszám számára is megteremtette a megfelelő férőhelyet a preklinikumi tárgyak oktatása során. A többi képzőhellyel való folyamatos egyeztetéseknek és két korábbi egyetemi pályázatunk erre az időszakra eső megvalósulásának köszönhetően mégis sikerült áthidalni ezt a nehéz időszakot, és sikerült az akkori hallgatóinkat fogorvosdoktorrá avatni.
Az oktatás és tudományos munka, valamint a gyógyítás hármas feladatkörének egyensúlyát miként tudja megteremteni, illetve megtartani? A gyógyítás, a betegellátás milyen súllyal szerepel a hétköznapok során?
Természetesen a dékáni beosztásomhoz kapcsolódó feladataim elvégzése a legfontosabb mostanában, ami nagyon sok időmet elveszi, de fontosnak tartom magammal szemben is elvárni az oktatás, betegellátás és a tudomány hármas feladatkörének teljesítését, az egyensúly a megteremtését. A mai napig oktatok, vannak előadásaim, tartok speciális gyakorlatokat, szabadon választható kurzusokat magyar és angol nyelven. Segítem a pár éve megrendezésre kerülő SkillRace versenyre is a hallgatóink felkészítését. Részt veszek a posztgraduális képzésben, továbbképzéseket tartok, illetve a rezidensek egyik törzsképzési tanfolyamának a felelőse vagyok. Az újonnan kialakított helyi szakképzési grémiumok vezetői és az endodontia szakgrémium elnöki posztját is betöltöm. Ma már büszkén mondhatom, hogy sikerült egy több szakmaterületet felölelő munkacsoportot kialakítani. Szoros együttműködésben vagyunk a Gyermekfogászati, a Dentoalvoláris Sebészeti részlegünkkel, valamint a már lassan 3 éve külön egységként működő Maxillofaciális Sebészeti Klinika orvosaival, hiszen vannak olyan eseteink, amiket velük együtt, közösen tudunk csak megoldani, biztosítva a betegek számára a legmagasabb szintű egyetemi endodontiai szakellátást, a finanszírozási hiány ellenére. Heti rendszerességgel én is bekapcsolódom a szakrendelésre érkező betegeink ellátásába.
A tudományos érdeklődésem most nem fókuszál egy területre, éppen február végén védte meg egy kollégánk sikeresen a PhD értekezését, ahol társ-témavezető voltam, de több kutatócsoportnak is a tagja vagy vezetője vagyok. Ami most nagyon új és előremutató, hogy a 2023-ban –Magyarországon egyedülálló módon – beszerzésre került 8 db fogászati szimulátorunk, melyet a DEnt Skill Laborban helyeztünk el, utat nyitott egy eddig ismeretlen területen a tudomány világában. Ezen VR-haptikus eszközök azon túlmenően, hogy innovatív képzési lehetőségeket kínálnak nem csak a graduális, de a posztgraduális képzéseink kapcsán is, kiegészítve ezzel a hagyományos gyakorlatokat, lehetőséget teremtettek arra, hogy bekapcsolódjunk egy nemzetközi kutatócsoportba is. Az egyensúly megteremtése néha nehéz, de nem lehetetlen, csak valamiből mindig engednem kell, mert a nap csak 24 órából áll.
A dékáni pozíció óriási felelősséggel és feladatkörrel jár. Ön szerint, a vezetői munka milyen energiákat mozgósít, illetve mennyiben más, mint bármilyen felelősségteljes tevékenység? Vezetőnek lenni nem könnyű feladat. Sokszor váratlanul, rövid határidővel kell megoldani feladatokat, ráadásul nekem nemcsak dékánként, hanem klinikaigazgatóként is.
A Karnak az elmúlt több mint 20 évéhez köthető dékáni vezetése kitűnő munkát végzett. Nem kis feladat volt az önállósodás alapjait megteremteni, létrehozva a szilárd alapokat, amelyek biztosítják a folyamatos fejlődés további lehetőségeit. A stabilitás azonban nem jelenti azt, hogy nem kell tovább fejlődni. Egy Kar számára nincs megtorpanás. Haladni kell a világgal, az új technológiákkal, fejlesztésekkel, kihívásokkal, hiszen hallgatóink több mint fele külföldről érkezik, elvárásokkal, reményekkel telve, majd pedig végzés után viszik a hírünket szerte a világba. Egyetemi polgárként és kari vezetőként kötelességünk fejlődni, fejleszteni. Az irány megszabása, az anyagi háttér megteremtése azonban mindig óriási teherként nehezedik az aktuális vezetés vállára. A célok megvalósításánál azonban a Kar minden egyes elhivatott dolgozójának hozzá kell tennie a tudását, lelkesedését, mert a megvalósítás csak csapatmunkában történhet. Egy irányban haladva a közös cél felé, egyéni felelősségvállalásokkal és problémamegoldásokkal, biztosítva a rendszer működését.
Kölcsey Ferencz szavait idézve: „Egyedül a legnagyobb erő sem tehet mindent, mondhatnám, nem tehet sokat: egyesített erőknek pedig a lehetetlennek látszó is gyakran lehetséges. Mit ér egy csepp víz? De milliomonként egyesült cseppek megdöbbentő erőt fejtenek ki."
Az igen összetett napi feladatai mellett jelenleg milyen közéleti tevékenységben vesz részt?
A MET (Magyar Endodontiai Társaság) elnökségének, az MFE-nek (Magyar Fogorvosok Egyesülete), a MOSE-nek (Magyar Orvosok Sport Egyesülete), továbbá az ADEE-nek (Association for Dental Education in Europe) is tagja vagyok.
Napjainkban olyan óriási léptekkel fejlődik az orvostudomány minden területe, eddig szinte elképzelhetetlen eljárások, új műtéti technikák, rendszerek és anyagok kerülnek be a hétköznapok gyakorlatába. Ön szerint miként lehet lépést tartani ezzel a nagymértékű innovációval? Ehhez vezetőként milyen lehetőségeket teremt és biztosít kollégái számára?
Folyamatosan követnünk kell a szakirodalmat és a fejlesztéseket, ennek érdekében belső referálókat szervezünk, kongresszusi részvételeket támogatunk, jó kapcsolatot tartunk fenn a cégekkel, akik így folyamatosan tájékoztatnak bennünket, és akár lehetőséget teremtenek a legújabb eszközök és anyagok kipróbálására, továbbá nemzetközi kongresszusokon tájékozódunk. Mi is részt veszünk a jövő termékeinek alakításában, formálásában az anyagtani és egyéb kutatásaink segítségével, melynek egy része a saját Kutató Laboratóriumunkban valósul meg. A Debreceni Egyetem és a Kar is nagy hangsúlyt fektet a tudomány támogatására különböző pályázati lehetőségei révén, így támogatva a kutatócsoportokat és az egyetemi életpálya-modellt.
Ön különböző konferenciák, továbbképzések gyakori előadója. Jelenleg, illetve a közeljövőben hol és milyen témával találkozhatnak Önnel a kollégái?
Az a megtiszteltetés ért, hogy felkérést kaptam egy előadás megtartására az augusztusban megrendezésre kerülő dublini ADEE-n, a korábban már említett új oktatásba integrált VR-haptikus eszközeink kapcsán a tapasztalatainkról és az elért eredményeinkről. Ezen túlmenően különböző akkreditált kurzusokat tartunk kollégáimmal az év folyamán.


Hogyan látja a fogorvos-utánpótlás helyzetét és holnapját? Azt gondolom, hogy a fogorvosi életpálya vonzó a fiatalok számára, hisz végzést követően azonnali önálló munkavégzésre jogosultak, de bekapcsolódhatnak a különböző szakképzésekbe, a PhD nappali vagy levelező képzéseket is választhatják, dolgozhatnak az alapellátásban egyetemi alkalmazottként, vagy a privát szférában, esetleg külföldön, így a munkaerő-piaci elhelyezkedési lehetőségeik nagyon széles skálán mozognak. Attól nem tartok, hogy nem lesz fogorvostanhallgatónk, a kérdés inkább az, hogy az újonnan felnövekvő generációk manuális készsége milyen lesz, és a finanszírozási háttér mit enged meg hosszú távon a valós betegellátás terén. Véleményem szerint ezért nagyon fontos vezetőként más alternatívákban is gondolkodnunk, pl. a VR-haptikus eszközök alkalmazása elkerülhetetlen lesz a többi képzőhelyünk számára is. Büszkeséggel tölt el, hogy ezek már a debreceni fogorvosképzésben elérhetőek, beépítve a kurrikulumba, hasonlóan sok más európai és tengeren túli képzőhelyhez. Ezen eszközök alkalmazási lehetőségeit azonban még tovább kell gondolnunk.
Eddig már sok mindent megtudtunk az életéről, de arról is hallhatnánk valamit, hogy mivel tölti legszívesebben – ha van ilyen – a szabadidejét?
Már gyermekkoromban is mozgalmasak voltak a mindennapjaim, „folyton rendkívül elfoglalt” voltam, így meg kellett tanulnom jól beosztanom az időmet. Sokat kirándultunk, mivel nagyszüleim Szerencsen és Sárospatakon, apai dédnagy-

szüleim pedig Egerben éltek, így a Bükkben és a Zemplénben évente többször túráztunk. A természet iránti szeretet, a nyugalom, a szépség, a hangok és illatok, amelyek átjárják az embert, bennem éltek/élnek. Mindez a COVID alatt fel is erősödött, rengeteget kirándultam, elsősorban az Őrségben és a Balaton-felvidéken, de az orvos tenisz világbajnokságok és szenior teniszversenyek kapcsán, külföldön is, hol egyedül, hol társaságban. A kreatív tevékenységek és a kertészkedés sem áll távol tőlem. Gyermekkoromban volt egy kis kertünk, most pedig egy kertes családi házban élek, aminek kertjét saját magam tartom rendben. Az egyetemi államvizsgák kapcsán pedig, az utóbbi néhány évben, én készítem el az asztali díszeket kertem virágaiból. Sok munka van benne, de feltölt és megnyugtat. Szeretek kötni, így néha a családomat meglepem különböző saját készítésű ruhadarabokkal. Húsvétra fúrt tojást szoktam készíteni, melyekkel egyszer egy egyetemi Művészeti Kiállításon különdíjas lettem. Édesanyám, aki középiskolai matematikatanár volt, megtanított varrni, horgolni, kötni, édesapám pedig – aki az egykori nyíregyházi Bessenyei György Tanárképző Főiskola Technika Tanszékének vezetője, több felső tagozatos technika tankönyv szerzője – előszeretettel hívott lány létemre a garázsunkba, ahol egy különleges műhely volt kialakítva. Így gyermekkoromban rengeteg kézügyességet fejlesztő tevékenységet végeztettek velem szüleim, észrevétlenül, hisz mindig szívesen csináltam ezeket, ami a későbbiekben nagy előnyt jelentett ennél a manuális szakmánál. Természetesen a sport végigkíséri az életemet, kisebb-nagyobb kihagyásokkal, de a mindennapjaim részét képezi. Többszörös orvos tenisz világbajnok, országos bajnok vagyok egyéniben, párosban és vegyes párosban, az utóbbi időben pedig a szenior hazai és nemzetközi versenyeken is kipróbáltam magam, ahol több dobogós helyezést sikerült szereznem. 2022-ben a magyar szenior válogatott tagjaként részt vettem a csapat-világbajnokságon Miamiban, továbbá a Debreceni Egyetemi Atlétikai Club női teniszcsapatának játékosa és csapatkapitánya vagyok, melyben jelenleg 5 egyetemista és 4 egyetemi dolgozó játékosunk van.
Dékánként hét éve végzi igen sokoldalú és felelősségteljes munkáját. Az elmúlt esztendőkre visszatekintve milyen tanulságokat, eredményeket, illetve jövőbeli terveket osztana meg Olvasóinkkal?
Egy olyan időszakban kezdtem el dékáni munkásságomat, amikor a 2000. évi nagy egyetemi integrációt követően a Debreceni Egyetem alapítványi működtetésűvé vált. A világ folyamatosan változott, újabb és újabb kihívások jelentkeztek, melyeket fel kellett ismerni, gyorsan kellett reagálni, és meg kellett hozni vezetőként a felelős döntéseket, egyetértésben az egyetem vezetésével. 2023-ban, amikor a Kar megalakulásának 20. évfordulóját ünnepeltük, előadásomnak a TÚLÉLÉS, MEGÚJULÁS, HARMONIZÁCIÓ címet adtam. Talán jól fémjelzi e három szó a dékáni ciklusom eseményeit, eredményeit, melyek talán egy kicsit, a teljesség igénye nélkül, visszaköszöntek az előzőekben.
TÚLÉLÉS, mert átsöpört rajtunk egy COVID járvány. MEGÚJULÁS, mert a pályázati keretekből megvalósulhattak a
már korábban említésre került fejlesztések, tavaly pedig 20 db fogászati egységkészülék cseréje és a hozzá tartozó elszívórendszer modernizálása zajlott, valamint elindult az új Digitális Fogászati Tervező, 6 féléves nappali képzésünk.
HARMONIZÁCIÓ, mert az oktatás, betegellátás és tudomány elvárásai mentén folyamatosan keresnünk kell az egyensúly megtartásának módjait, eszközeit, a mindenkori rendeleteket, jogszabályokat, előírásokat az egyetemi elvárásokat figyelembe véve. Igen izgalmas és tartalmas évek voltak ezek, nem unatkoztunk.
Köszönettel és hálával tartozom elődeimnek: prof. dr. Márton Ildikó karalapító és prof. dr. Hegedűs Csaba dékánoknak, a volt és jelenlegi dékánhelyetteseimnek, a vezetőség, a Kar, valamint a Klinika valamennyi munkatársának, hisz mindenki elkötelezett és fáradhatatlan munkájára van szükség az eredmények eléréséhez. Wass Albert szavait idézve: „A múlt ugyanis szerves és elválaszthatatlan része a jelennek, mint ahogy a jelen sem egyéb, mint a jövendő kezdete.”
Vezetőként véleményem szerint előrelátónak, nyitottnak, konstruktívnak kell lenni, a hallgatók és a betegek érdekeit szem előtt tartó innovatív, néha merész, de előrelátó döntéseket kell hozni. Mindehhez, mint ahogy azt az egyetem vezetése is megfogalmazta korábban, PROAKTÍV viselkedés, jelenlét szükséges. Ez a fajta hozzáállás teremtheti meg annak az esélyét, hogy egy nemzetközi szinten is elfogadott, magas minőségű fogorvosi képzést és betegellátást tudjunk a jövőben is biztosítani, amihez elengedhetetlen lesz egy infrastruktúrafejlesztés, a humán erőforrás bővítése, párhu-

Forrás: Debreceni Egyetem
zamosan folyamatosan újítva és modernizálva a graduális és posztgraduális oktatást, a betegellátást segítő eszközparkot a 21. század elvárásai mentén.
Tisztelt Dékán Asszony! Köszönöm ezt a tartalmas beszélgetést, ebből alaposabban megismerhettük igen sokoldalú vezetői, oktatói és tudományos munkásságát, valamint Olvasóink tágabb képet kaphattak a Debreceni Egyetem Fogorvostudományi Karának életéről, a legújabb fejlesztéseikről. Szerkesztőségünk nevében munkájához további eredményeket és sikereket kívánok!


...és ami mögötte van biztos megoldás a fogászati szakma elérésére

DR. JASON SMITHSON

DR. ALEKSANDER BUDOVSKY

IGNAZIO

STEVEN






GHASSAN YARED

ROBERT






EARLY BIRD JEGYEK 2025. JÚNIUS 9-IG 30%

Az ebben a cikkben ismertetett dugattyú technika
lehet végleges gyökértöméseket készíteni. Ugyanakkor bi vizsgálatok elvégzését javasoljuk. Ennek ellenére alkalmas, olyan jelentős kihívásos helyzetek ellátására,
rendelkező fogak, valamint betört eszközök által mittált esetek

technika segítségével egyszerűen és hatékonyan
Ugyanakkor széles körű alkalmazása előtt továbellenére jelenleg úgy tűnik, hogy ez az eljárás ellátására, mint a komplex belső anatómiával
által részlegesen elzárt csatornák és komproesetek kezelésére.
Dr. Grzegorz Witkowski, dr. Bartłomiej Karaś (Lengyelország)
A continuous wave kondenzációs technikát tekintették eddig a gyökértömések készítése során az arany
standardnak. Ez az eljárás rendkívül technikaszenzitív, és az alkalmazásához költséges eszközpark szükséges.

Ennek egy alternatívája a megreformált poén technika, amely alkalmazása során kalcium-szilikát alapú sealereket (calcium silicate-based sealer; CSBS) használnak. Ezeknek az anyagoknak a biomechanikai tulajdonságai régóta ismertek. Általánosságban elmondható, hogy ezek biokompatibilis, nem-toxikus, dimenzióstabil és élő környezetben stabil kémiai szerkezettel rendelkező anyagok. Emellett a kötésük során képesek hidroxiapatit képzésére, valamint szoros kötéseket alakítanak ki a


csatornafali dentinnel. Ugyanakkor nem sok szakirodalmi cikk foglalkozik ezzel a technikával, a kutatások nagy része a mesterpoén nélkül, kizárólag kalcium-szilikát alapú sealerekkel történő gyökértömések készítését vizsgálja. Jelen cikk célja, hogy megosszuk egy újszerű gyökértömési technikával, azaz a dugattyú technikával szerzett eddigi klinikai tapasztalatainkat és hogy bemutassuk ennek az eljárásnak a széles körű alkalmazhatóságát. Az eljárás egyik fő előnye, hogy guttapercha poénok alkalmazása nélkül lehetőségünk van tökéletes 3 dimenziós zárás létrehozására. Ez azokban a helyzetekben előnyös, amikor a csatornák a mélyben ágaznak ketté, vagy amikor az apikális harmadban lépcsőképződéssel állunk szemben, de betört műszerek, csatornaszűkületek, és komplex gyökércsúcsi anatómia esetén is rendkívül hatékonyan lehet alkalmazni. A dugattyú technika nagyon egyszerű és minden esetben jól kiszámítható módon lehet alkalmazni. A gyökércsatornák végleges méretre történő tágítását és a végső átöblítési protokoll alkalmazását követően fontos, hogy ne szárítsuk túl a csatornákat. Ez a CSBS-ek biomechanikai tulajdonságai miatt lényeges. Kis mennyiségű nedvességnek kell a csator-






nafalban maradnia, amely a későbbiekben a sealer kötési reakciójának beindításáért felel. Először óvatosan vezessük be a csatornába a sealer bejuttatására szolgáló kanült, majd miután a lehető legtovább levezettük, finom lassú mozdulattal kezdjük meg a sealer adagolását. Folyamatosan figyeljünk oda, hogy a kanül ne szoruljon meg a csatornában, ugyanis így tudjuk elkerülni, hogy a sealert a gyökércsúcson túlra préseljük. Miután a teljes gyökércsatornát feltöltöttük, meleg guttaperchával készítsünk egy kis dugót a gyökércsatorna bemenetéhez, majd egy szobahőmérsékletű plugerrel ezt óvatosan nyomjuk le a csatorna apikális része felé. A guttapercha dugót ne nyomjuk a csatornába 1-2 mm-nél mélyebbre (1. ábra).
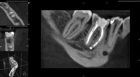
A pácienst a két alsó középső metszőfog (31, 41) gyökérkezelése céljából irányították dr. Witkowski rendelőjébe




(2. ábra). A kiindulási vizsgálatot követően megkezdődött a páciens endodonciai ellátása (3. ábra). A jobb alsó kismetszőfogat (41) a beutaló orvos már előzetesen megtrepanálta (4. a. ábra), így csak a bal alsó fogban (31) kellett a hozzáférési nyílást kialakítani (4. b. ábra). A jobb alsó fogban lévő gyökércsatornát ISO #25 gyökércsúcsi átmérővel rendelkező 4%-os konicitású gyökérkezelő tűvel (25/.04), míg a bal alsó fogat egy mérettel kisebb (20/.04) eszközzel tágítottuk fel (VDW.ROTATE;VDW) (5. a–c. ábra). A gyökércsatorna átöblítése során lézeres aktiválást végeztünk Er,Cr:YSGG lézerkészülék (Biolase) segítségével (1,5 W, 100 Hz), majd a csatornákat előkészítettük a végleges gyökértömés befogadására. A jobb alsó fogban (41) CSBS sealert és egy poén technikát alkalmaztunk, míg a bal alsóban (31) dugattyú technikával készítettük el a gyökértömést (6. a–e. ábra). A gyökértömés behelyezését követően egyből kontrollröntgent készítettünk (7. ábra). A hat hónappal később készített kontrollfelvételen jól megfigyelhető volt a periapikális lézió gyógyulása (8. ábra)








A következő pácienst egy betört eszköz eltávolítása és a gyökérkezelés befejezése céljából irányították dr. Witkowski rendelőjébe (9. ábra). Az eltávolítás során várhatóan jelentkező nehézségek és a perforáció megnövekedett esélye miatt a páciensnek a betört eszköz mellett történő elhaladást javasoltuk, amelyet ő el is fogadott. A mesialis és a distalis csatornákat R25 RECIPROC blue gépi gyökérkezelő tűkkel a teljes munkahosszon feltágítottuk (VDW) (10. a–f ábra). Ezután a gyökércsatorna-rendszert alaposan átöblítettük és az átöblítőszereket szonikusan aktiváltuk (11. a–d ábra). A gyökércsatornákat kiszárítottuk, majd a dugattyú technika alkalmazása mellett letömtük (12. a–c ábra). Ezzel az eljárással képesek vagyunk a mechanikai megmunkálás során nem érintett gyökércsatorna-szakaszok feltöltésére, illetve még olyan esetekben is nagyon egyszerűen alkalmazható, mint amikor valamilyen mechanikai akadály (pl.: egy betört eszköz) található a gyökércsatorna belsejében (13. ábra).





A gyökerek mélyén történő gyökércsatorna-elágazódás midig jelentős kihívást jelent a kezelést végző orvosok számára. Ez különösen igaz azokban a helyzetekben, amikor korlátozott a hozzáférés, vagy rendkívül szűk területen kell dolgozni. A páciens egy egyszerű fogászati beavatkozás (a szuvasság eltávolítása és tömés készítése) miatt kereste fel a rendelőnket (14. ábra). A kezelések megkezdése előtt kiindulási röntgent készítettünk (15. ábra). A szuvas lézió feltárása és a szuvas foganyag eltávolítását követően szükség volt gingivectomia végzésére, mivel a meziális üregszél szubgingivális helyzetbe került (16. a–d. ábra). Az izolálás felhelyezését követően a vonatkozó szakmai protokolloknak megfelelően építettük fel a hiányzó meziális falat. Ezután a hozzáférési nyílást ultrahangos eszközök segítségével kissé kiszélesítettük (17. a–d ábra). A gyökércsatornát az oszlásig R25 RECIPROC blue gépi gyökértágítóval tágítottuk fel, majd az oszlás alatti csatornaszakaszokat 12.5/.04 R-PILOT (VDW)
















tágítóval munkáltuk meg (18. a–b ábra). A végső átöblítés során nátrium-hipokloritot, citromsavas oldatot és desztillált vizet alkalmaztunk (19. a–b ábra).
A gyökértömés elkészítése során a dugattyú technikát alkalmaztuk, majd a fogat kompozittömés segítségével állítottuk








helyre (20. a–d ábra). A végleges koronai restaurátumelkészítés céljából a pácienst továbbirányítottuk. A kontroll
CBCT-felvételen jól látható, hogy a dugattyú technika eredményes volt és csúcsig érő falálló gyökértömést tudtunk készíteni (21. a–d ábra).





A pácienst a jobb alsó első nagyőrlőfog (46) nem sebészi endodonciai ellátása céljából irányították dr. Karaś rendelőjébe. A fog panaszos volt, valamint röntgenfelvételen a mesialis gyökércsúcs körül periapikális gyulladás jelei voltak észlelhetők. Míg a gyulladásra utaló jelek egyértelműen észlelhetőek voltak, addig a gyökércsatorna formája csak nehezen volt felismerhető (22. ábra). Ennek megfelelően CBCT-felvétel készült, amelyen jól látható volt a mesiobuccalis csatornában kialakult belső reszorpció, valamint egy csatornaszű-


kület és a meziális gyökér csúcsát érintő gyulladásos reszorpciós folyamat (23. a–b. ábra). Ezen felül a fogban egy öntött csap volt látható, valamint a fogat fémkerámia korona borította.
Az első megbeszélés során a páciensnek két terápiás alternatívát ajánlottunk fel. Az egyik a fog sebészi újrakezelése, a másik pedig a fog nem-sebészi újrakezelése volt. Szájüregi vizsgálatot követően megállapítottuk, hogy a korona minősége már nem mutatkozott megfelelőnek és mindenképp cserére szorul (24. ábra). A lehetőségek figyelembevételével a korona eltávolítása és nem-sebészi endodonciai terápia alkalmazása mellett döntöttünk.
A terület érzéstelenítését követően a koronát egy gyorsító segítségével kettévágtuk (25. ábra), majd eltávolítottuk. Ezt az öntött csap eltávolítása (26–27. ábra), a pulpakamra és a maradék foganyag vizsgálata követte. Sérülésekre vagy repedésekre utaló jeleket kerestünk. Mivel mindent rendben találtunk, ezért gingivectomia (28. ábra) végzését követően felhelyeztük a kofferdámot (29. ábra). Az izolálás minőségét folyékony kofferdám segítségével növeltük (30. ábra). Miután meggyőződtünk az izolálás megfelelőségéről, adhezív protokoll alkalmazása mellett (6. generációs önsavazó adhezív és bond) elvégeztük az endodonciai csonkfelépítést (31. ábra). A gyökértömő anyag és a cement maradványait gyémántbevonatú ultrahangos fej segítségével távolítottuk el (Woodpecker) (32. áb-










ra). A gyökércsatornák teljes hosszát végig tudtuk szondázni kézi tűk segítségével (VDW). A csatornák tágítását martenzites gépi gyökérkezelő tűk segítségével végeztük 40/.04 méretig (Poldent). A megmunkálás során a gyökércsatornák EDTA tartalmú krémmel voltak feltöltve (VDW, 33. ábra). Az egyes eszközök között a csatornákat 5,25%-os NaOCl-oldattal (Cerkamed) öblítettük át. A végleges méret elérését követően a végső átöblítési protokoll részeként háromszor átöblítettük 5,25%-os NaOCl, és 40%-os citromsav oldattal, amit ultrahangos eszközökkel (MANI) aktiváltunk, majd végül a teljes gyökércsatorna-rendszert ismét 5,25%-os NaOCl-lel töltöttük fel, amelyet 10 percen keresztül aktiváltunk ultrahanggal (34–35. ábra). Ezt követően jól megfigyelhető volt az átöblítőszerek mezialis csatornák között történő áramlása. A kezelés kritikus pontra érkezett. Döntést kellett hozni a mezialis gyökérben lévő rezorpcióval és szűkülettel kapcsolatban. Egyrészt a nem penetráló belső rezorpció ellátása során az elsődlegesen választandó terápiát sealer és guttapercha együttes alkalmazása jelentené. Másrészt a gyökércsúcsnál lévő gyulladásos reszorpciós elváltozás ellátásához MTA vagy egyéb sűrű konzisztenciával rendelkező anyag használata lenne előnyös. Általában nem jelent gondot ennek a két anyagnak az egy gyökéren belül történő alkalmazása, azonban ebben az esetben rendkívül szűk csatornákkal álltunk szemben, ahhoz, hogy minden fenntartás nélkül lehessen MTA-t alkalmazni, valamint a szűkület jelenléte is további kérdéseket vetett fel.
A fenti nehézségek megoldására jó ötletnek mutatkozott egy trikalcium-szilikát alapú sealer használata. A sealert az előbbiekben ismertetett módon juttattuk be a gyökércsatornákba. Az előre bekevert sealert tartalmazó fecskendőre (META BIOMED) egy kanült helyeztünk, amelyet bevezettünk a mesiobuccalis csatornába, majd enyhe nyomást ki-



fejtve a csatornába injektáltuk az anyagot, mindaddig, amíg azt nem észleltük, hogy a mesiolingualis csatornában megjelenik a sealer. A disztális csatornát ezt követően töltöttük fel. Ezután minden gyökércsatorna-bemenetnél enyhén felmelegített guttaperchából egy kis dugót képeztünk, amelyet kézi pluggerekkel finoman belenyomtunk a csatornákba. A gyökértömés elkészítését követően kontroll röntgenfelvételt készítettünk. A biokerámia sealer enyhén túljutott a rezorpció által érintett gyökércsúcson (36. ábra). Ezután megtisztítottuk a pulpakamrát (37. ábra) és üvegszál-erősítésű anyag segítségével csonkfelépítést végeztünk, majd eltávolítottuk a rózsaszín kompozitból készült ideiglenes felépítményt. Ezt követően a pácienst visszairányítottuk beutaló orvosához végleges protetikai restaurátum készítése céljából.
A páciens három év múlva érkezett kontrollra. A kontroll röntgen és a CBCT-felvétel is a periapikális lézió eltűnését igazolta. A biokerámia sealer nem szívódott fel és a fog mindvégig panaszmentes volt (38. ábra).
Az ebben a cikkben ismertetett dugattyú technika segítségével egyszerűen és hatékonyan lehet végleges gyökértöméseket készíteni. Ugyanakkor széles körű alkalmazása előtt további vizsgálatok elvégzését javasoljuk. Ennek ellenére jelenleg úgy tűnik, hogy ez az eljárás alkalmas, olyan jelentős kihívásos helyzetek ellátására, mint a komplex belső anatómiával rendelkező fogak, valamint betört eszközök által részlegesen elzárt csatornák és kompromittált esetek kezelésére.
Forrás: Roots 2023/2
Dr. Bartłomiej Karaś (Lengyelország)
Esetbemutatás
Az endodonciai ellátás során az egyik legnagyobb kihívást a betört eszközök menedzsmentje jelenti. Attól függetlenül, hogy az aktuális klinikai helyzet egy már korábban betört tű revízió során történő eltávolítását igényli vagy az eszköztörés az általunk végzett primer endodonciai ellátás során következik be, ez az esemény általában hatással van az endodonciai ellátás sikerességére.



1. ábra: Kiindulási röntgen. A felvételen jól látható a betört eszköz és a periapikális lézió.
2. ábra: Kiindulási CBCT-felvétel. A betört eszköz mélyen a gyökércsatorna görbülete mögött található.
3. ábra: A betört eszköz vége jóval a mesiobuccalis és mesiolinguális csatorna egyesülésének pontja alatt helyezkedik el.
A gyökérkezelés során az egyik legfontosabb szempont a gyökércsatorna belsejében lévő biofilm eltávolítása, tehát nem maga a betört eszközdarab jelenti a problémát számunkra, hanem ha ez megakadályozza a gyökércsatorna-rendszer megfelelő fertőtlenítését. Néhány esetben a betört eszköz eltávolítása érdekében nagy mennyiségű – a fog hosszú távú megtarthatósága szempontjából kiemelt jelentőséggel rendelkező – pericervicális dentin is eltávolításra kerül. A kezelést végző orvosnak minden esetben egyedileg kell mérlegelnie az eszköz eltávolításával járó potenciális előnyöket és hátrányokat és ennek megfelelően megítélni, hogy érdemes-e az eltávolítással próbálkozni vagy inkább az eszköz mellett történő elhaladásra kellene koncentrálni.

A SWEEPS technológiával elérhető
Korábban már említettük, a gyökérkezelések során az egyik legfontosabb szempont a gyökércsatorna-rendszer teljes körű fertőtlenítése. Általában a betört eszköz körül nagy mennyiségű dentinforgács és egyéb törmelék található, és ha ez az eszköz fragmentum a gyökér középső harmadában található, akkor az apikális harmad megtisztítása sokszor jelentős kihívásokkal jár. Az innovatív SWEEPS (shock wave enhanced emission photo-acoustic streaming; lökéshullámmal felerősített emissziós fotoakusztikus áramlás) technológia egy sokkal egyszerűbb és kiszámíthatóbb eredményekkel járó lehetőséget biztosít a klini-


4. ábra: A kofferdám felhelyezése után látható állapot. Az ideiglenes tömés még nem került eltávolításra.
5. ábra: Az ideiglenes tömés eltávolítását követően látható állapot.
6. ábra: A visszamaradt szuvas foganyag eltávolítását és a folyékony kofferdám felhelyezését követően kialakult helyzet.
kusok számára a betört műszerekkel rendelkező csatornák ellátására. A SWEEPS technológia lényege kettős ultrarövid ideig tartó hullámok kibocsátásában rejlik, amely a vezetőszál csúcsa közelében elsődleges kavitációs hatás kialakulását okozza, amely pedig egy a csúcstól távol, akár a nehezen elérhető helyeken kialakuló másodlagos kavitációs effektust vált ki. Ez a jelenség egy minden irányba rendkívül gyorsan (10 m/s) terjedő lökéshullám kialakulását okozza, 10 mm-es mélységbe 0,001 másodperc alatt jut el. A rendelkezésre álló szakirodalmi adatok azt mutatják, hogy az Er:YAG lézer a csatornában lévő törmeléket rendkívül nagy hatékonysággal távolítja el, közel háromszor olyan hatékony, mintha passzív ultrahangos irrigációt alkalmaznánk.
A pácienst egy betört eszköz eltávolításának sikertelensége miatt irányították rendelőnkbe. A csatorna feltágítását és a fragmentumeltávolításra tett többszöri sikertelen kísérletet követően az eddigi kezelőorvos úgy döntött, hogy nem próbálkozik tovább és inkább továbbirányítja a beteget. A kérdéses fog panaszokat okozott a páciens számára, ezért a beteg mindenképpen szerette volna a betört eszköz eltávolítását és a gyökérkezelés folytatását.
Mind a periapicalis röntgenfelvétel, mind a CBCT-felvétel igazolta, hogy a fragmentum mélyen a gyökércsatorna görbülete mögött, az apikális harmadban helyezkedik el a mesiobuccalis csatornában, valahol a mesiolingualis csatornával történő egyesülés után. Ezenfelül mind a mesialis, mind a distalis gyökércsúcs körül periapicalis gyulladás jelei voltak megfigyelhetőek (1–3. ábra). A betört eszköz nagyjából 5 mm-es hosszúsággal rendelkezett. A



mesiolingualis csatornán keresztül a betört fragmentum mellett történő további gyökércsatorna-megmunkálást kockázatosnak ítéltük, mivel nagy esélyt láttunk rá, hogy így a másik eszköz is eltörik, amely pedig a gyökértömés elkészítését nehezítette volna. Azonban a SWEEPS technológiának és a biokerámia sealereknek köszönhetően más megoldási lehetőségek is nyitva álltak előttünk.
A terület érzéstelenítése és a kofferdám felhelyezését követően az ideiglenes tömést eltávolítottuk, majd a fogbélkamrát 5,25%-os NaOCl oldattal feltöltöttük, amelyet ultrahang segítségével aktiváltunk (4–5. ábra). A fogbélkamrában lévő viszszamaradt szuvasság eltávolítását követően a területet vízzel lemostuk, majd az egész területet puszterrel leszárítottuk. A terület előkészítését követően az izolálást folyékony kofferdám felvitelével tökéletesítettük, majd polimerizáltuk. Ezt követően a lézeres kezelés előkészítése részeként a hozzáférési nyílás méretét megnöveltük (6. ábra). A lézeres aktivációhoz egy SkyPulse lézerkészüléket (Fotona) használtunk AutoSWE-


8. ábra: A gyökércsatornák átöblítését követően látható klinikai kép. – 9. ábra: A gyökértömés elkészítése után látható helyzet. – 10. ábra: Kontrollröntgen. Jól látható a gyökércsúcson túljutott sealer puff. – 11. ábra: Mesioexcentrikus irányból készített felvétel.


12. ábra: A kiindulási CBCT-felvételen jól látható a periapikális felritkulás. – 13. ábra: A kiindulási röntgenfelvételen látható a két betört eszközdarab.
EPS üzemmódban. Egy lapos végű 300/20 SWEEPS hegyet 1 W teljesítmény mellett alkalmaztunk (7. ábra). A fogbélkamrát NaOCl oldattal feltöltöttük, majd a vezetőszál hegyét enyhén a mesiobuccalis csatorna bemeneti nyílása alá vezettük és ebben a pozícióban aktiváltuk 120 másodpercen keresztül. Ezt követően a vezetőszál hegyét feljebb húztuk, úgy pozicionál-


tuk a fogbélkamrán belül, hogy a lökéshullám az összes csatornába be tudjon jutni. Ebben a pozícióban 30 másodpercen keresztül aktiváltuk. Ezt a folyamatot 30 percen keresztül ismételtük. További mechanikai megmunkálást kizárólag a disztális csatornában végeztünk, amelyet 4%-os konicitás mellett #40-es méretig tágítottunk fel. A mesialis csatornák méretét


14. ábra: Kofferdámizolálás. – 15. ábra: Kompozittömés eltávolítása. – 16. ábra: A kitisztított fogbélkamra. – 17. ábra: Kompozit felépítéshez történő előkészítés. – 18. ábra: Az első eltávolított eszközdarab. – 19. ábra: A második eltávolított eszközdarab.
nem változtattuk meg, a dimenzióik megegyeztek az eszköztörés bekövetkezése előtti nagyságukkal. A végső előkészítés részeként a csatornákat EDTA-val töltöttük fel, amelyet 0,4 W teljesítmény mellett AutoSWEEPS üzemmódban alkalmazott lézer vezetőszállal aktiváltunk. Az EDTA eltávolítását követően a csatornákat NaOCl-lel töltöttük fel, amelyet három cikluson keresztül lézerrel aktiváltunk (0,6 W; AutoSWEEPS). Az egyes ciklusok között 30 másodperces szüneteket tartottunk. A mesiobuccalis és a mesiolingualis csatornák között erőteljes folyadékáramlást észleltünk, amely arra utalt, hogy a csatornák alkalmasak a gyökértömés elkészítésére.
A gyökércsatornákat és a fogbélkamrát elszívás és steril papírpoénok segítségével kiszárítottuk (8. ábra), majd a gyökértömést dugattyú technikával (piston technique) alkalmazott biokerámia tömőanyag segítségével (CeraSeal, META BIOMED) készítettük el. A sealert a gyökércsatornákba fecskendeztük, majd a csatornabemeneteket folyékony guttaperchával töltöttük fel (9. ábra).
A gyökértömés elkészítését követően kontroll periapikális felvételeket készítettünk (10–11. ábra), amelyen csúcsig érő és falálló gyökértömések ábrázolódtak, a gyökércsúcsoknak megfelelően pedig kis sealer puffok is észlelhetőek voltak.
A páciens a jobb alsó első nagyőrlőfogából kiinduló közepes erősségű fájdalom miatt kereste fel a rendelőnket. Periapikális röntgen és CBCT-felvétel is készült. Mindkét felvétel a mesiobukkális gyökércsúcs körül található radiolucens elváltozás jelenlétét igazolta. Ezenfelül a mesialis gyökérben két betört eszközdarab is észlelhető volt. Az egyik a középső gyökéri harmadban a gyökérgörbület előtt volt megtalálható, a másik pedig kicsivel a gyökérgörbület után (12–13. ábra).
A terület érzéstelenítését és kofferdám felhelyezését követően a meglévő kompozittömést eltávolítottuk és a gyökértömés elkészítéséhez szükséges körülmények biztosításához folyékony kompozit és folyékony kofferdám felhasználásával egy ideiglenes felépítményt készítettünk (14–17. ábra). Ezt követően eltávolítottuk a gyökértömő anyagot a mesialis és a disztális gyökércsatornákból. A betört eszközökhöz való hozzáférés biztosítását követően a magasabban elhelyezkedő fragmentumot egy ultrahangos eszköz segítségével eltávolítottuk (18. ábra). Ezután a mélyebben fekvő darab koronális vége is láthatóvá vált. Sajnos az eltávolítandó gyökérkezelő tű a közepén kettétört és csak a koronálisabban fekvő részét sikerült eltávolítani (19. ábra). Mivel az apikális fragmentumra nem láttunk rá közvetlenül és az átöblítés, valamint aktiválás hatására sem emelkedett ki a csatornából, ezért az eszköz mellett történő elhaladás megkísérlése mellett döntöttünk. A CBCT-felvétel tanulmányozása során nem tudtuk egyértelműen megállapítani, hogy a két mesialis csatornának vajon egy közös vagy két különálló kivezetőnyílása van, ezért a mesiolingualis csatorna megmunkálása közben periapikális röntgenfelvételt készítettünk. A röntgenfelvétel alapján vagy egy lépcsőképződés alakult ki a csatornán belül, vagy a mesialis gyökér két különálló kivezetőnyílással rendelkezik (20. ábra). A gyökércsatorna átöblítése során 300/20 SWEEPS vezetőszálat alkalmaztunk (AutoSWEEPS üzemmód; 1,2 W). A vezetőszál hegyét a mesialis csatornák esetében enyhén a bevezetőnyílás alá helyeztük. A gyökércsatornák megmunkálását a korábbi közleményekben




20. ábra: A radiológiai felvétel igazolja, hogy nem tudtunk a betört eszköz mellett elhaladni. – 21. ábra: Az átöblítést követően látható állapot. – 22. ábra: A gyökértömés elkészítését követően látható állapot. – 23. ábra: Kontrollröntgen.
már ismertetett „Less-Prep Endo” protokollnak megfelelően végeztük. Az átöblítés során erőteljes áramlást észleltünk a mesialis csatornák között.
A csatornákat elszívás és steril papírpoénok segítségével szárítottuk ki (21. ábra). Ebben az állapotban sem éreztük a csatornák teljes átjárhatóságát és csak a mesiolingualis csatornának megfelelően éreztünk tugbacket. A mesiobuccalis és a disztalis csatornát epoxi-rezin alapú sealerrel töltöttük fel, majd a csatornákba meleg guttaperchát injektáltunk (squirting technique). A mesiolingualis csatornába egy 4%os konicitással rendelkező #30-as guttapercha mesterpoént helyeztünk, amelyet continuous wave kondenzációs techni-




26. ábra: A kiindulási CBCT-felvételen két egymástól jól elkülöníthető periapikális lézió látható. – 27. ábra: A kiindulási röntgenfelvételen jól láthatóak a betört eszközök.






28. ábra: A kofferdám felhelyezését követően látható állapot. – 29. ábra: A maradék szuvasság eltávolítása és a folyékony kofferdámfelhelyezést követően látható klinikai helyzet. – 30. ábra: A gyökértömés eltávolítása. – 31. ábra: A felvételen egyértelműen láthatóak a gyökércsatorna-bemenet körül végzett jelentős mennyiségű pericervicalis dentin eltávolításának nyomai. A foganyagot valószínűleg ultrahangos eszközökkel távolították el, miközben a betört eszköz eltávolításához szükséges hozzáférést próbálták biztosítani. – 32. ábra: A gyökércsatorna-bemenet részleges helyreállítása folyékony kompozit segítségével. 33. ábra: A mesiobuccalis csatornában lévő gyökérkezelő tűk vége egyértelműen felismerhető.


34. ábra: Az egyik betört eszköz, amelyet sikerült a lasszóba befogni. – 35. ábra: A kontrollfelvételen jól látszik, hogy nem maradt betört eszköz a csatornákban.
kával tömörítettünk (22. ábra). Végső kontrollként egy disztoexcentrikus irányú periapikális röntgen készült (23. ábra). A felvételen a mesialis gyökércsúcs körül látható sealer puff, valamint a mesialis csatornák közti összeköttetések kitöltöttsége volt megfigyelhető. Ezután a hozzáférési nyílást kompozittal zártuk, majd a pácienst előjegyeztük kontroll céljából.
Hat hónap és 12 hónap múlva kontroll CBCT-felvétel készült (24–25. ábra). A felvételeken nem láttuk periapicalis gyulladás jeleit, valamint a páciens a gyökértömés elkészítése óta teljesen panaszmentes volt.
A pácienst azért irányították a rendelőnkbe, hogy a protetikai kezelések megkezdése előtt három fogát revideáljuk. Ezek közül az egyik egy jobb alsó első nagyőrlőfog volt. A CBCT-felvételen a fog mindkét gyökércsúcsa körül radiolucens elváltozás volt észlelhető (26. ábra). Ezenfelül a periapikális felvételen a mesiobuccalis gyökérben egy betört eszközt is felfedeztünk (27. ábra).













36. ábra: Az átöblítést követően látható állapot. – 37. ábra: A gyökértömés elkészítését követően látható klinikai helyzet.
38. ábra: Végső kontrollröntgen. – 39. ábra: Tizenkét hónappal később készített kontroll CBCT.
A terület érzéstelenítését és kofferdám felhelyezését követően a meglévő restaurátumot eltávolítottuk és folyékony kompozit felhasználásával egy ideiglenes felépítményt készítettünk. Az izolálást folyékony kofferdám segítségével tökéletesítettük (28–29. ábra). Ezután a korábban behelyezett guttapercha poénokat az összes csatornából eltávolítottuk (30. ábra). A gyökércsatornák és a fogbélkamra megtisztítása során megállapítottuk, hogy a mesiobuccalis gyökércsatorna bemenete körül korábban jelentős mennyiségű dentint távolítottak el (31. ábra). Ezt valószínűleg a betört eszköz eltávolítására tett kísérletek során végezték el. Szerencsére nem észleltünk perforációra utaló jeleket az adott területen. A meggyengített részeket kompozit segítségével töltöttük fel (32. ábra).
A mesiobuccalis csatornát NaOCl-oldattal töltöttük fel, majd az átöblítőszert AutoSWEEPS üzemmódban alkalmazott lézerkészülékkel aktiváltuk. A terület nagy nagyításban történő megfigyelése során (x16) két betört eszköz fragmentumot azonosítottunk, amely még komplexebbé tette ezt az esetet (33. ábra). Mindkét fragmentum koronális része jól látható volt, azonban mindkét eszköz teljesen meg volt szorulva a csatornában. Először ultrahangos eszköz segítségével próbáltuk meg őket eltávolítani, de mivel nem mutattak elmozdulási hajlamot, ezért lézeres aktiválással próbálkoztunk (AutoSWEEPS üzemmód; 1,2 W; lapos SWEEPS 300/20 vezetőszál). Átöblítőszerként NaOCl-t és EDTA oldatot alkalmaztunk. Néhány perc után mindkét fragmens kismértékű mobilitást mutatott, amely arra utalt, hogy az eltávolításuk lehetséges lehet. Végül mindkét eszközdarabot egy endolasszóval sikerült eltávolítani (BTR Pen, CERKAMED) (34. ábra). Az eltávolítás sikerességét periapikális röntgenfelvétel segítségével igazoltuk (35. ábra). A betört eszközök eltávolítását követően az összes csatornát gépi tágítók segítségével munkáltuk meg, majd a végső átöblítési protokoll során az átöblítőszereket ultrarövid impulzusokkal (super-short pulse; SSP) aktiváltuk. Az átöblítés befejezésekor erőteljes áramlást észleltünk a mesiobuccalis és a mesiolingualis csatornák között. A csatornák szárítását követően megállapítottuk, hogy a mesialis csatornabemenetek nagysága közel azo-
nos, amelyből az következik, hogy a betört eszközök eltávolítása konzervatív módon történt, mivel nem került kifejezett menynyiségű foganyag eltávolításra (36. ábra). A gyökértömés készítése során a csatornákat epoxi-rezin sealerrel töltöttük fel, majd a guttaperchát continuous wave technikával kondenzáltuk (37. ábra). Végső kontrollfelvételként egy disztoexcentrikus irányból készült periapikális röntgenfelvételt készítettünk, amelyen egyértelműen látható, hogy a két mesialis gyökércsatorna közti teret a gyökértömő anyag jól kitöltötte (38. ábra). Ezt követően a fogat üvegszálas csappal megerősítettük, majd visszairányítottuk a kezelőorvosához, aki egy indirekt restaurátummal fedte. Tizenkét hónappal később kontroll CBCT-felvételt készítettünk (39. ábra). A felvételen nem voltak gyulladás jelei láthatóak, valamint a páciens is teljesen panaszmentes volt.
Az Er:YAG lézer nyújtotta lehetőségek endodonciai ellátásba történő integrálásával több új lehetőség nyílik meg a fogorvosok számára. A komplex endodonciai eseteket hatékonyabban, kiszámíthatóbb eredménnyel és konzervatívabb terápiák alkalmazása mellett lehet sikeresen ellátni. Sok esetben ultrahangos eszközök alkalmazása nélkül is meg tudjuk lazítani a betört eszközöket, amely sokkal konzervatívabb megközelítést tesz lehetővé számunkra. Mivel a lézerrel sokkal hatékonyabban tudjuk a gyökércsatornában lévő törmeléket eltávolítani, így a betört eszköz körül és a mögötte lévő csatornaszakasz fertőtlenítését is úgy tudjuk kivitelezni, hogy közben nincs feltétlenül szükség a betört fragmentum eltávolítására. Ez olyan esetekben hasznos, amikor a tű például a gyökércsatorna görbülete mögött helyezkedik el. Az ilyen helyzetekben alkalmazott lézeres aktiválás esetén a hagyományos – a tű eltávolítására törekvő – protokollokkal szemben sokkal kisebb a perforációk kialakulásának az esélye. Forrás: Roots; 2023/2 28-33

Dr. Johnny Onori (Spanyolország)
Egy kétéves követési idővel rendelkező eset bemutatása

1. ábra: Kiindulási panorámaröntgen.
Az autotranszplantáció a fogászatban a páciens saját fogainak átültetését jelenti. Az átültetésre kerülő fogak lehetnek már teljesen előtörtek vagy részlegesen előtörtek, de akár még előtörés előtt álló fogakat is átültethetünk. Ezt a témát

rendkívüli szakmai érdeklődés övezi, mivel a fogászati implantátumok behelyezésének egy lehetséges alternatíváját jelenti. Az autotranszplantációval foglalkozó kutatások hagyományosan a még nyitott gyökércsúccsal rendelkező fogak lehetséges áthelyezésével foglalkoztak, így ennek a beavatkozásnak a célcsoportja kizárólag fiatalabb páciensekre korlátozódott. Azonban új kutatási eredmények szerint ezt a beavatkozást már teljesen zárt gyökércsúccsal rendelkező fogak esetében is sikeresen el lehet végezni.
A sejtbiológia és a transzplantációs eljárás terén elért eredmények tovább növelték ennek a technikának a népszerűségét és sokkal jobban kiszámítható eredmények elérését tették lehetővé. Az autotranszplantációs technika fejlődésének egyik legnagyobb vívmánya, hogy sikeresen integrálta a behelyezés pontosságának növelését lehetővé tevő technológiákat. Ez egy olyan előny, amely nagyban növelte ennek a technikának a népszerűségét, sőt, néhányan már ezt tekintik a fogeltávolítás miatt kialakult foghiányok ellátására szolgáló elsődlegesen választandó terápiának. A CBCT-felvételek és az intraorális szkennereknek köszönhetően a fogorvosok rendkívüli precizitással tudják ezeket a beavatkozásokat végrehajtani. Ezek a tulajdonságai rendkívüli mértékben


2. a–c ábra: A CBCT-felvétel alapján készített 3D modell (a), a koronális irányú CBCT-metszeten jól megfigyelhető a kariogén lézió kiterjedése és elhelyezkedése (b), a lézió méretét jól mutatják a koronális irányú metszeten végzett mérések eredményei.


3a 3b 4

alkalmassá teszik a foghiányok pótlására, mint ahogy az az Európai Endodonciai Társaság (European Society of Endodontology) 2022-es állásfoglalásában már korábban kijelentésre került.
Az autotranszplantáció sikerességéhez több feltételnek kell megfelelni. A digitális technológiáknak köszönhetően el tudjuk készíteni az átültetésre kerülő fog pontos mását. Ez lehetővé teszi, hogy a fog elhorgonyzására szolgáló területet ez alapján kellő mértékben feltágítsuk. Ennek köszönhetően a tényleges áthelyezés során a fog nem lesz indokolatlan mechanikai ártalmaknak kitéve és sokkal kisebb nyomást kell majd a környező szövetek irányából elviselnie. Nagyon fontos, hogy az átültetés során elkerüljük a parodontális rostok sérülését, ugyanis ezek felelnek majd a fog sikeres megtapadásáért.
Az átültetésre kerülő fog ne töltsön 15 percnél hosszabb időt a szájüregen kívül. Az oxigénhiány miatt kialakult szöveti hypoxia sejtkárosodást okoz, amely végül gyulladásos reszorpciós folyamatok kialakulásához vezethet. Ezen felül fontos, hogy az átültetett fogat kivegyük az okklúzióból. A rágás közben kialakult érintkezések negatívan befolyásolhatják a

parodontális rostok regenerációját. Az átültetett fog sikeres integrációjához meg kell akadályoznunk, hogy az alveoláris csontfal és a gyökérfelszín között lévő vérrög bakteriálisan felülfertőződjön. A fog rugalmas sínezésével megfelelő módon stabilizálhatjuk a fogat, úgy, hogy mellette teret biztosítunk a fiziológiás elmozdulások számára.
A fog megfelelő endodonciai ellátása is elengedhetetlen a kezelés sikeréhez. Modern csatornamegmunkálási technikák és anyagok alkalmazásával (pl.: biokerámia sealerek [CeraSeal sealer és CeraPutty; Meta Biomed]) nagyobb sikerességet érhetünk el a hagyományos módszerekhez képest. A biokerámia tartalmú gyökértömő anyagok nemcsak megfelelő módon zárják a gyökércsúcsi nyílást, hanem a baktériumok periapikális térbe való kerülését is megakadályozzák. Ez jelentős mértékben csökkenti a gyulladás okozta gyökérfelszívódás és egyéb, a kezelés sikertelenségét okozó elváltozások kialakulását. A megfelelő gyökérkezelés elengedhetetlen a kezelésünk hosszú távú sikerességéhez, ezért nagyon fontos, hogy a beavatkozások során mindig optimális anyagokat használjunk.








6. a–b ábra: A transzplantációt követően készített periapikális felvétel (a), a transzplantáció után 20 nappal a gyökértömés elkészítését követően készített periapikális felvétel (b). – 7. a–b ábra: A transzplantált fogra készített overlay átadás előtt (a), és után (b).
Az autotranszplantáció sikeressége szempontjából egy további fontos tényező a megfelelő páciens- és esetválasztás. Ennek az esetbemutatásnak az a célja, hogy ismertesse azokat az előnyöket, amelyek a CBCT-felvételek és az intraorális szkennerek megfelelő alkalmazásával elérhetőek. Ezek közül kiemelnénk a digitális tervezést, valamint a fog pontos háromdimenziós modelljének elkészítését. Ennek köszönhetően a recipiens területet pontos méretre lehet tágítani, amely jelentős mértékben csökkenti a parodontális rostok mechanikai sérülésének az esélyét, valamint redukálja a fog extraorális környezetben eltöltött idejét. Ezek pedig olyan faktorok, amelyek jelentős mértékben javítják a beavatkozásunk várható sikerességét.

Egy 39 éves férfi páciens a jobb alsó második nagyőrlőfogából (47) kiinduló panaszok miatt kereste fel rendelőnket. A páciens anamnézisében nem szerepelt semmi említésre méltó. Klinikai és radiológiai vizsgálat során a kérdéses fog disztoapproximális felszínén jelentős kiterjedésű subgingivális kárieszt detektáltunk, amely a fogbélkamrát megközelítette. Az elváltozás kialakulásában vélelmezhetően szerepet játszott a fogtól disztálisan elhelyezkedő bölcsességfog (48) (1. ábra).
A pácienst tájékoztattuk, hogy a bal alsó második nagyőrlőfog (47) megtartása nem lehetséges és el kell távolítani, azonban lehetőség mutatkozik az eltávolítást követően a foghiány szomszédos bölcsességfoggal történő pótlására.
A beavatkozás sikerességének növelése érdekében digitális munkafolyamatokkal történő tervezést láttunk szükségesnek (2. a–3. b ábra). A kezelési terv ismertetését követően a páciens elfogadta a javaslatainkat.
Az alábbiakban a digitális tervezés egyes lépéseit fogjuk majd ismertetni. A folyamathoz Helios 600 intraorális scannert (Eighteeth) és Hyperion CBCT-készüléket (MyRay) alkalmaztunk. Ezen készülékek segítségével létre tudtuk hozni az átültetésre kerülő fog háromdimenziós modelljét (4. ábra). A modell megkönnyítette a műtét megtervezését és preoperatív vizualizációját.
A beavatkozás során megközelítőleg 5 perc alatt eltávolítottuk a reménytelen prognózissal rendelkező jobb alsó őrlőfogat, majd a 3D modell segítségével optimális méretűre tágítottuk az üres alveolust. Ezt követően elvégeztük a jobb alsó bölcsességfog átültetését. A fog pozicionálása során kifejezett figyelmet fordítottunk arra, hogy a fog ne legyen okklúzióban (5. a–6. b ábra). Ezután a fogat egy rugalmas sín segítségével rögzítettük (INTERLIG, Angelus). A sínezést 2–5 hétig érdemes fenntartani, amely alatt biztosítja a fog stabilitását és pozícióját.
A sín eltávolítását követően az endodonciai kezelésekre helyeződött a hangsúly. Megfelelő endodonciai ellátás nélkül a fog hosszú távú megtarthatósága és stabilitása nem garantálható. Végül egy digitális lenyomat alapján tervezett overlay került a fogra. Ez tovább növelte a strukturális integ-
















Legalacsonyabb üzemeltetési költség (1,97%) Leghosszabb garancia (10 év) Stabil, folyamatos, megbízható működés - digitális vagy más fejlesztések stabil háttere











A-dec/NSK elektromos, nyomaték szabályozott LED-es, ENDO funkciós mikromotor, rpm 100-40000































9. ábra: A transzplantációt követően 7 hónappal készített CBCT-felvétel szaggitális irányú metszete. – 10. ábra: A transzplantációt követően 7 hónappal készített periapikális felvételen az integráció jelei figyelhetőek meg, és ezen felül gyulladásra utaló jelek nem észlelhetőek. – 11. ábra: A transzplantációt követően 2 évvel készített panorámaröntgen. – 12. ábra: A transzplantációt követően 2 évvel készített periapikális felvétel. – 13. ábra: A transzplantációt követően 2 évvel készített CBCT-felvétel alapján gyártott 3D modell.
ritását, valamint az okkluzális érintkezések is ezáltal kerültek kialakításra (7. a–b ábra).
A kezelési folyamat nem valósulhatott volna meg a fent leírt módon a digitális munkamenetek ellátási protokollba való integrálása nélkül. Ezek a rendkívül modern és pontos eljárások lehetővé tették a pontos tervezést és a terv pontos végrehajtását. A komplex fogászati kezelések sikerességéhez minden esetben szükség van a holisztikus megközelítés alkalmazására (8. a–13. ábra).
A foghiányok bölcsességfogak autotranszplantációjával történő megszüntetése egy megfelelően alátámasztott terápiás opciónak számít napjainkban. A beavatkozás a recipiens területnek megfelelően fokozott csontképződést indukál és alacsony költségek mellett képes folyamatosan fenntartani a páciens rágófunkcióját. Nagyon fontos folyamatosan szem előtt tartani, hogy a terápia sikeressége nagymértékben függ a parodontális rostokat alkotó sejtek vitalitásától. A


transzplantációra kerülő fog finom mozdulatokkal történő atraumatikus eltávolítása szintén hozzájárul a terápia sikerességéhez.
A recipiens terület hozzávetőlegesen megfelelő méretre való feltágítását követően behelyezzük a transzplantálandó fog 3D modelljét az alveolusba, majd a megfelelő illeszkedésről röntgenfelvétel segítségével győződünk meg. A sikerességet a gyökérkezelés és tömés megfelelősége, a sínezés stabilitása és az átültetett fog okklúzióba való helyezése is befolyásolja. Az előbbiekben felsoroltak mind egyaránt fontosak a kezelésünk hosszú távú sikeressége szempontjából.
A cikk megírása során felhasznált szakirodalmi hivatkozások a szerkesztőségünkben elérhetők.
Forrás: Roots 2024/1
FUJITOK©
lencsék, a világvezető
gyártótól
Bármely Admetec kerettel kompatibilis

Ergonomikus prizma
Állítható Zoom Technológia
Zökkenőmentesen válthat három nagyítási fokozat között egyetlen lupéval a maximális pontosság, sokoldalúság és ergonomikus kényelem érdekében.

Ergo V™
Súly: 59 g
Nagyítási fokozat: 3,8x, 5,3x, 7,0x
Munkatávolság: 40-70 cm

Ergo V™ Pro
Súly: 63 g
Nagyítási fokozat: 5,6x, 7,4x, 10x
Munkatávolság: 40-70 cm

Annak ellenére, hogy az IRR pontos etiológiája vizsgálat is egyetért abban, hogy a sikeresség reszorbciótól apikálisan található csatornaszakaszban
Az ezzel foglalkozó tanulmányok szerzői sikerült megállítani a reszorbciós folyamatot, hogy újból kialakuljon. Ennek megfelelően
legfontosabb szempont a fog helyreállíthatóságának


etiológiája máig ismeretlen számunkra, több sikeresség érdekében feltétlenül szükség van a csatornaszakaszban lévő vitális fogbél eltávolítására.
abban is egyetértenek, hogy ha egyszer folyamatot, akkor rendkívül kicsi az esélye annak, megfelelően a prognózis szempontjából az egyik helyreállíthatóságának a megítélése.
Dr. Bartłomiej Karaś
(Lengyelország)
Esetbemutatás



1. a–c ábra: Kiindulási CBCT-felvétel. Az axiális síkú metszeten jól látható a gyökér falának perforációja (a); Koronális irányú metszet (b), Saggitális irányú metszet (c). – 2. ábra: Kiindulási állapot. – 3. ábra: A gyökértömés elkészítése során készített felvétel.


Belső gyökérfelszívódás (internal root resorbtion; IRR) esetében a gyökeret alkotó kemény szövetek odontoclastok által történő lebontását figyelhetjük meg. Ez a legtöbb esetben egy teljesen tünetmentes ismeretlen etiológiájú folyamat. A belső gyökérfelszívódást legtöbbször accidentális leletként más, panaszokat okozó fogakról készült röntgenfelvételeken vagy tájékozódási céllal készített panorámafelvételeken diagnosztizálhatjuk. Gyanú esetén kifejezetten ajánlott CBCT-felvétel készítése, amely sokkal egyértelműbbé teszi az IRR fennállását, valamint nagymértékben elősegíti a kezelés megtervezését.
Az IRR két különböző formában jelentkezhet: gyulladásos vagy helyettesítő reszorbció. Az előbbi általában kerekded, szabályos léziót okoz, míg az utóbbi megjelenésében a külső cervikális reszorbció képét utánozza. Ennek megfelelően ezt nagyobb eséllyel diagnosztizálják félre.
A belső gyökérfelszívódás ellátása során a legfontosabb a még vitális pulpaszövetek teljes körű eltávolítása, ugyanis ez tartja fenn a reszorbtív folyamatot. Ha a destruktív folyamat még nem törte át a gyökér külső falát, akkor elegendő a fog gyökérkezelése, azonban ha a gyökér már perforálódott, ak-
kor a legtöbbször sebészi kiegészítő terápia alkalmazása is szükségessé válik.
A 40 éves hölgypácienst a bal felső nagymetszőfogában accidentálisan diagnosztizált IRR kezelése céljából irányították rendelőnkbe. Az elváltozást egy diagnosztikai céllal készített panoráma-röntgenfelvételen észlelték. Az elváltozás kiterjedésének pontos meghatározása, valamint a kezelési terv felállításának és a várható prognózis megítélésének elősegítése érdekében CBCT-felvétel készült ( 1. a–c ábra). A reszorbtív lézió a fog gyökerének középső harmadában helyezkedett el és a gyökér meziális felszínét perforálta. A lézió kerek és szimmetrikus volt, amely gyulladásos típusra utalt. Az oszteolitikus terület fókusza a perforáció közelében helyezkedett el (2. ábra).
A csontban lévő lézió és a gyökérperforáció az endodonciai kezelés sebészi kiegészítését tette szükségessé. Ennek megfelelően az egy ülésben történő gyökérkezelést követően – ugyanazon ülésben – sebészi beavatkozással egészítettük ki.
Helyi érzéstelenítést követően megtörtént a hozzáférési nyílás kialakítása. A fogbélkamrát egy gyémánt felszínű ultrahangos eszköz segítségével kitisztítottuk és megfelelő formára alakítottuk. A fogbélkamra tisztítása során nátrium-hipokloritot alkalmaztunk, és emellett a gyökércsatornában lévő pulpát is részlegesen eltávolítottuk. A sebészi feltáráshoz szükséges metszést a frenulum mellől indítottuk, majd intrasulcularisan, papillakímélő módon a szemfogig vezettük.
A lebeny felemelését követően a csontos falú üregből a granulációs szövetet egy éles exkavátor segítségével eltávolítottuk.
A gyökércsatorna feltágítását és tisztítását hagyományos kemomechanikai protokoll szerint végeztük. Először passzívan levezetett kézi tűk segítségével a gyökércsatornát teljes munkahosszon szondáztuk, ezt követően gépi tágítókkal feltágítottuk, ezalatt nátrium-hipoklorittal öblítettünk, amelyet manuális agitációval aktiváltunk. A gyökércsatorna méretre történő tágítását követően, a következő átöblítőszereket alkalmaztuk: 3 percen keresztül ultrahanggal aktiváltunk 5,25%-os NaOCl oldatot, amelyet közben többször frissítettünk a csatornában, majd váltott átöblítés (17%-os EDTA, 5,25%-os NaOCl) a smear layer eltávolítása céljából. Végső átöblítésként 5 percen keresztül ismét 5,25%-os NaOCl oldatot alkalmaztunk, amelyet ultrahanggal aktiváltunk és folyamatosan cseréltünk. A kemomechanikai megmunkálás és az átöblítőszerek alkalmazása során az elszívást a reszorbciós üreg széléhez helyeztük, annak érdekében, hogy a kifolyó kémiai hatású szerek ne tudják a környező csontállományt roncsolni.
A gyökértömés elkészítése során meleg vertikális kompakciós technikát alkalmaztunk, sealerként pedig CeraSeal-t (Meta Biomed; 3. ábra) használtunk. A reszorbciós üreget Biodentine-nel (Septodont; 4. a–b ábra) töltöttük fel. A reszorbcióval érintett területtől koronális irányba elhelyezkedő csatornaszakaszt pedig tisztán meleg guttaperchával



4. a–b. ábra: A reszorbciós üreg Biodentine-nel való feltöltése. Intraoperatív (a), és radiológiai felvétel (b).
5. ábra: Az öt hónappal később látható állapot. Nem észlelhetőek gyulladás fennállására utaló jelek.
kezeltük. Ezt követően a lebenyszéleket visszafektettük, és varratok behelyezésével eredeti pozíciójuknak megfelelően rögzítettük. A koronai részt kompozit tömőanyag segítségével állítottuk helyre.
Kontrollvizsgálatra 5, illetve 30 hónappal később került sor (5. ábra). A csontos telődés jelei már 5 hónap után észlelhetőek voltak (6. a–c ábra). A 30 hónappal később végzett kontroll során sem találtunk csontban lévő lézióra, törésre, vagy egyéb pathológiás elváltozásra utaló jeleket (7. a–b ábra).





6. a–c. ábra: A kezelés befejezését követően 5 hónappal készített CBCT-felvételen a gyulladásos lézió telítődése észlelhető. – 7. a–b ábra: A kezelés befejezését követően 30 hónappal készített CBCT-felvételen a gyógyulás jelei észlelhetőek.









A 28 éves pácienst gyulladásos IRR kezelése céljából irányították a rendelőnkbe. A jobb felső nagymetszőfogáról készített periapikális röntgenen egyértelműen látható volt a lézió. A várható prognózis megállapítása, valamint kezeléstervezés céljából az érintett területről CBCT-felvétel készült (8. a–e ábra). A háromdimenziós képen látható volt a gyökér
8. a–e ábra: A kiindulási röntgen (a) és a kiindulási állapotról készített CBCT-felvétel (b–e). A felvételen jól látható a csatornafal és a bukkális kortikális perforációja. – 9. a–b ábra: A műtét előtt (a) és a lebeny felemelését követően látható állapot (b). – 10. a–d ábra: A granulációs szövet eltávolítása. 11. a–b ábra: A gyökércsatorna átöblítése. – 12. a–b ábra: A gyökértömés elkészítése. – 13. a–c ábra: A reszorbtív üreg bioanyaggal való feltöltése és a kollagénszivacs elhelyezése. – 14. a–b ábra: Posztoperatív röntgen (a), a varratok behelyezését követően látható klinikai helyzet (b).
– 15. ábra: A 14 nappal később látható állapot.












guttapercha
1. táblázat: A kezelés tervezési megközelítése.
labiális falán lévő perforációs nyílás, valamint az ezt körülvevő bukkális kortikális destrukciója.
A terület sebészi feltárását a bal felső nagymetszőfogtól a jobb felső szemfogig intrasulcularisan vezetett metszésből végeztük el. A lebeny elemelését követően egy exkavátor segítségével eltávolítottuk a reszorbciós üreget kitöltő granulációs szövetet (9–11. ábra), majd hagyományos protokollt követve elvégeztük a gyökércsatorna kemomechanikai megmunkálását.
A csatornát először passzívan levezetett kézi tűk segítségével szondáztuk, majd gépi tágítók alkalmazásával a teljes munkahosszon feltágítottuk, ezalatt nátrium-hipoklorittal öblítettünk, amelyet manuális agitációval aktiváltunk. A csatorna kémia tisztítását az előző esetnél leírt protokollnak megfelelően végeztük el.
A gyökértömés elkészítése során meleg vertikális kompakciós technikát alkalmaztunk, sealerként pedig AH Plus sealer-t (Dentsply Sirona) használtunk. A reszorbciós üreget gyors kötési idejű MTA-val (Mineral Trioxide Aggregate; Harvard Dental) töltöttük fel. A léziótól koronális irányban elhelyezkedő gyökércsatorna-szakaszt meleg guttaperchával zártuk, majd az MTA-val kitöltött üregre egy kis darab kollagénszivacsot helyeztünk és a lebenyt varratok segítségével eredeti pozíciójában rögzítettük (12. a–b; 13. a–b. ábra). A fog koronai részét Gradia kompozit tömőanyaggal állítottuk helyre (GC; 14. a–b; 15. ábra). Kontrollvizsgálatra két (16. a–b ábra), és négy évvel (17. a–b ábra) később került sor. A kontrollfelvételeken a bukkális kortikális jelenléte volt észlelhető. A fog körüli parodoncium egészséges volt, valamint a páciens sem számolt be tünetekről.
Annak ellenére, hogy az IRR pontos etiológiája máig ismeretlen számunkra, több vizsgálat is egyetért abban, hogy a sikeresség érdekében feltétlenül szükség van a reszorbciótól apikálisan található csatornaszakaszban lévő vitális fogbél eltávolítására. Az ezzel foglalkozó tanulmányok szerzői abban is egyetértenek, hogy ha egyszer sikerült megállítani a reszorbciós folyamatot, akkor rendkívül kicsi az esélye
guttapercha és biokerámia (az üreg feltöltésére)
guttapercha és biokerámia (az üreg feltöltésére)
annak, hogy újból kialakuljon. Ennek megfelelően a prognózis szempontjából az egyik legfontosabb szempont a fog helyreállíthatóságának a megítélése. A cikkben bemutatásra kerülő esetekben a kezelésre kerülő fogak biomechanikai integritása jelentős mértékben kompromittálódott, de a páciensek életkora és a fogmegtartó kezeléssel járó kockázatok vállalása lehetővé tette ezen beavatkozások elvégzését.
Az IRR két különböző típusa – gyulladásos és helyettesítő – kissé eltérő sebességgel progrediál, azonban a folyamat során mindkét esetben ugyanakkora szerep jut az osteoclastokra. Klinikai szempontból a két típus között megfigyelhető különbségek elhanyagolhatóak, ugyanis nem befolyásolják érdemben az alkalmazott terápiát.
Az IRR fennállásának gyanúja esetén mindenképp javasolt CBCT-felvétel készítése. A diagnosztizáláson kívül a kezelés pontos megtervezéséhez is rendkívül hasznosak a háromdimenziós felvételekből nyerhető adatok. Azt, hogy milyen stratégia mentén látjuk el a fogat, leginkább két fő tényező befolyásolja: A lézió alakja, és hogy van-e perforáció a gyökéren (1. táblázat). A fentiekben bemutatott esetek jól példázzák, hogy az egy ülésben végzett kombinált endodonciai és sebészi terápia alkalmas azon IRR-rel érintett fogak hoszszú távú megtartására, ahol a gyökér már perforálódott és emellett a környező csontállomány is érintetté vált.
Forrás: Roots 2024/1



Fogorvosként gyakran kerülünk abba a helyzetbe, hogy korábbi endodonciai beavatkozások eredményét kell felülvizsgálnunk.
Erre többek között olyan okok miatt kerülhet sor, mint a koronai

zárás elégtelensége, vagy a korábban alkalmazott endodonciai protokoll végrehajtása során elkövetett hibák. Szerencsére az immunrendszerünk folyamatosan aktív és segít a bakteriális fertőzések elleni védekezésben. Sokszor az így kialakult kényes egyensúly hosszú időn keresztül stabilan fennáll, amely a bak-



teriális aktivitást a periapikális tér határain belül tartja és megakadályozza a klinikai tünetek kialakulását. Azonban bármely ezen homeosztatikus állapotot megváltoztató tényező hatására – az immunrendszer gyengülése vagy a koronai restaurátum elégtelensége/cseréje (tömések, koronák) –, az egyensúly felborulhat és aktív lézió jöhet létre.
A gyökérkezelt fogak újrakezelése, azaz revíziója során számtalan nehézségbe ütközhetünk. Ezek olyan faktorokból adódhatnak, mint a primér endodonciai kezelés minősége, a gyökértömés során felhasznált anyagok, a gyökércsatorna belsejében esetlegesen előforduló lépcsők, szűkületek, betört eszközök, valamint a gyökércsatorna-rendszer egyedi anatómiai jellemzői. Ezeken felül pedig ne felejtsük el, hogy a gyökércsatornák koronális részében üvegszál-erősítésű vagy fémcsapok is előfordulhatnak. A revíziók végzése során célszerű lehet a teljes folyamatot szakaszokra osztani és a gyökércsatorna koronális részétől az apikális részéig felmerülő nehézségeket egymás után, szisztematikusan leküzdeni. Azáltal, hogy az egyes akadályokat külön-külön, önálló problémaként kezelve próbáljuk meg elhárítani, sokkal hatékonyabbak lehetünk a revízió során. Így a felmerülő nehézségeket még komplexebb, az egyes aspektusokat sokkal részletesebben figyelembe vevő módon tudjuk megoldani, amely a kezelés végén összeadódva, a sikerességünk esélyét fogja növelni. Üvegszálas vagy fémcsapok jelenléte esetén mindig fel kell mérnünk, hogy milyen vastagságú dentinállomány fog megmaradni a csapok eltávolítását követően. A nagy keménységű és szilárdságú anyagok eltávolítása során az ultrahangos eszközöket rendkívül eredményesen lehet alkalmazni, valamint az erősen kérdéses kimenetelű eseteknél mindig érdemes az endodonciai mikrosebészet alkalmazásának lehetőségét mérlegelni. Ebben a cikkben egy egyszerű, a guttapercha eltávolítására szolgáló technika bemutatására fogok fókuszálni. A gépi nikkel-titán gyökérkezelő tűk alkalmazására épülő eljárás egyes lépéseit klinikai esetek bemutatásán keresztül fogom ismertetni. Ezen felül kitérek az eljárás korlátaira és részletesen kifejtem, hogy különböző specifikus akadályok esetén milyen alternatív módszerek alkalmazásával lehet a kezelésünk sikerességét biztosítani.
A revíziók során Traverse és ZenFlex (Kerr Dental) gépi gyökérkezelő tűket alkalmazok. Konkrétan a 17 mm hosszú 25/.08-as Traverse bemenettágítót és a 35/.06-os, 30/.06os és 25/.06-os ZenFlex tűket (1. ábra). Ezek a gépi gyökérkezelő tűk egyedi hőkezeléssel, éles vágóélekkel, valamint gyökércsatorna megmunkálására és gyökértömés eltávolítására is alkalmas vágóéllefutással és menetdizájnnal rendelkeznek.

Az alábbiakban bemutatásra kerülő protokoll lépései úgy lettek meghatározva, hogy elősegítsék a gyökércsatornában lévő guttapercha minél hatékonyabb eltávolítását. Először a 25/.08as Traverse tűt 800 fordulat/perc-es (rpm) fordulatszám mellett a guttaperchába éppen-éppen csak belekapva, úgynevezett csipkedő mozdulattal alkalmazzuk. Általában 2-3 mozdulat elég arra, hogy a csatorna orificiumát szabaddá tegyük és a koronai szakasz átjárhatóságát biztosítsuk. Ezt a tűt akár a teljes munkahosszának megfelelően alkalmazhatjuk, ha külön erőkifejtése nélkül le tud menni addig a mélységig. Ezután a 35/.06os ZenFlex tűre váltunk és ugyanezen finom csipkedő (pecking) mozdulattal alkalmazzuk tovább. Ilyenkor a tű vége csupán 1-2 másodpercig kerül érintkezésbe a guttaperchával és ezalatt mindössze 2-3 mm mélységig jut lejjebb az anyagban. Ezt követően egyből 4-5 mm-rel feljebb emeljük a csatornában. Ezt a mozdulatot ezzel a tűvel háromszor megismételjük, majd a 30/.06-os, és ha a guttapercha teljes eltávolítása ezt igényli, a 25/.06-ös tűre váltunk. Ha olyan jellegű akadályba ütközünk, mint egy erőteljes görbület a gyökércsatornában – amely a mesialis csatornák esetén gyakran előfordulhat –, akkor érdemes lehet a 4%-os konicitású ZenFlex tűkre váltani. Ebben az esetben is ugyanazt az előbbiekben ismertetett crow-down megmunkálási technikát és tűméreteket alkalmazzuk. A folyamat során a gyökércsatorna átöblítését egy gondosan kialakított protokollnak megfelelően végzem, amely egy előző cikkben már korábban publikálásra került [1].
A pácienst egy az alsó fogívében elhelyezkedő és az utóbbi időben panaszossá váló fogának ellátása céljából irányították a


rendelőnkbe. A páciens lüktető fájdalomról számolt be. Klinikai és radiológiai vizsgálat elvégzését követően megállapítottuk, hogy a panaszai vélelmezhetően a jobb alsó második kisőrlő és első nagyőrlő fogából indulhatnak ki. A fogak szuboptimális gyökértöméssel rendelkeztek. A röntgenfelvétel alapján az ellátásuk során egy poén technikát alkalmaztak (2. ábra). A páciens számára ismertetett kezelési terv alapján először az előbbiekben említett fogak revízióját, majd újbóli gyökérkezelését és gyökértömését javasoltuk és ezt követően pedig új koronák készítését.

Mindkét fog revízióját ugyanabban az ülésben koronán keresztül végeztük. A fent említett protokoll szerint először a 25/.08-as Traverse bemenettágítót (17 mm-es dolgozórész), majd a 35/.06-os, 30/.06-os és 25/.06-os ZenFlex gyökérkezelő tűket alkalmaztam. A munkahossz the elements IC (Kerr Dental) elérését követően az apikális csatornaszakasz nagyobb méretre történő tágítása érdekében a 35/.04-es ZenFlex tűre váltottam. A gyökértömés elkészítése során mindkét fog esetében az Elements IC (Kerr Dental) rendszert alkalmaztam.
10











A páciens egy év múlva jelentkezett kontrollvizsgálat céljából (3. ábra). Periapikális röntgenfelvétel alapján mindkét fog esetében szinte teljes gyógyulást figyelhettünk meg. Látszólag a teljes gyökércsatorna-rendszer kitöltésre került, és a gyökércsatornák átjárhatóságát a periapikális térbe passzálódott gyökértömő anyag igazolta. A nagyőrlőfogon lévő koronát kicserélték, de a kisőrlő fog esetében sajnos erre nem került sor. Úgy tűnt, mintha valamilyen trepanációs nyíláson keresztül végzett „csonkfelépítést” végeztek volna. A pácienst tájékoztattuk arról, hogy ez az állapot nem előnyös a fog hosszú távú megtarthatóságának szempontjából.
A pácienst a jobb alsó első nagyőrlőjének revíziója céljából irányították a rendelőnkbe. A kiindulási felvételen a disztális csatornában egy öntött fémcsap volt megfigyelhető. Az egyik meziális csatornában egy betört eszközdarabot, valamint a gyökércsúcs körül periapikális elváltozást detektáltunk (4. ábra). A pácienst tájékoztattuk, hogy a revízió elvégezhetőségének érdekében szükség van a meglévő korona és a fémcsap eltávolítására. További terápiás lehetőségként felmerült a meziális gyökércsatorna rezekciója, de ebben az esetben a betört műszer miatt jelentős gyökércsatorna-darabot kellene eltávolítani. A páciens a fog revízióját választotta.
Először a régi korona átvágását és eltávolítását végeztem el, majd hozzákezdtem a fémcsap eltávolításához. A csapot óvatosan feldaraboltam és az egyes részeit óvatosan, ultrahangos eszköz alkalmazásával eltávolítottam. Ezután közvetlenül hozzáfértem a gyökércsatornákat kitöltő guttaperchához. A revízió során a már ismert sorrendben használtam a Traverse és ZenFlex gépi tágítókat. Mind a disztális, mind a mesiobuccalis gyökércsatornában a fenti eszközök használatával elértem a teljes munkahosszt, de a mesiolinguálisban a törött eszköz elérésekor megálltam. Ezt követően ISO #6, #8, #10 és #15 tűk segítségével elhaladtam a tört rész mellett és szerencsésen ki tudtam szedni a gyökércsatorna görbülete mögül. A csatornarendszer feltágítása és fertőtlenítését követően Elements IC rendszer segítségével készítettem el a gyökértömést (5. ábra). Az egyéves kontroll során készített röntgenfelvételen (6. ábra) a teljes körű gyógyulás jelei voltak megfigyelhetőek.
A cikk keretei között bemutatásra kerülő esetek közül ennek az esetnek az ellátása okozta a legnagyobb kihívást. A pácienst külföldről irányították hozzám egy felső nagyőrlőfogának revíziója céljából, mivel a hölgy mindent el szeretett volna követni a fog megtartása érdekében. Már a periapikális röntgenfelvételen látható volt a meziális gyökérben elhelyezkedő betört eszköz, de az igazi kihívást a gyökércsatorna-rendszer belső anatómiája jelentette (7. ábra). A páciens által hozott CBCT-felvételen a meziális gyökérnek megfelelően három egymástól elkülönülő apikális forament, valamint rendkívül komplex anatómiát tudtam megfigyelni.

11. ábra: Tizennyolc hónappal később készített kontrollröntgen.
Azonban azt mindenképpen jelezném, hogy diagnosztikai szempontból ideálisabb lett volna, ha egy nagyobb felbontású CBCT-felvétel áll rendelkezésemre (8. ábra). A felvétel elemzése során a palatinális gyökér csúcsánál kifejezett ramifikáció volt megfigyelhető. A fentiek ismeretében tájékoztattam a pácienst a rendelkezésre álló terápiás lehetőségekről és biztosítottam róla, hogy mindent meg fogok tenni a fog megtarthatóságának biztosítása érdekében.
A palatinális és disztális gyökércsatornák kezelése során a Traverse és ZenFlex gépi tűket alkalmaztam teljes munkahosszon a már ismertetett protokollnak megfelelően. A meziális csatornában a betört eszköz elérését követően a revízió legkritikusabb pontjához értem. Ekkor kezdtem neki a betört eszköz melletti átjárhatóság biztosításának és komplex csatornarendszer feltárásának. A gyökértömés elkészítését követően készített röntgenfelvételen a mesialis gyökér csatornarendszerének és a palatinális ramifikációk megfelelő kitöltöttségét észleltem (9. ábra). Az egy évvel (10. ábra) és a 18 hónappal később készült kontrollfelvételen (11. ábra) a gyógyulás jelei voltak észlelhetőek. A meziális gyökér komplex belső anatómiája jól megfigyelhető volt az eltérő angulációkkal készített felvételeken.
A fentiekben bemutatásra kerülő esetek kimenetelének figyelembevételével kijelenthetjük, hogy mindig érdemes lehet egy második esélyt adni az egyébként eltávolításra ítélt fogaknak, azonban emellett fontos tisztában lenni a rendelkezésünkre álló eszközök és módszerek, valamint a saját képességeink által biztosított lehetőségekkel és ezek határaival. Csak ezek ismeretében tudjuk az esetek sikerességét biztosítani.
Forrás: Roots 2024/1 Irodalom
1. Wang HH, Sanabria-Liviac D, Sleiman P, Dorn SO, Jaramillo DE. Smear layer and debris removal from dentinal tubules using different irrigation protocols: scanning electron microscopic evaluation, an in vitro study. Evidence-Based Endodontics 2017; 2:5.


Dr. Leendert (Len) Boksman, dr. Gildo Coelho Santos Jr., dr. Manfred Friedman (Egyesült Királyság), dr. Gary Glassman, (Kanada)
„A hagyományos megközelítés, amely szerint a csapokat kizárólag a csonkfelépítések elhorgonyzásának céljából alkalmazzuk, és ezen kívül nincs más céljuk, felülvizsgálatra szorul.”
A konzerváló fogászati ellátás hosszú távú sikerességének szempontjából kiemelt jelentősége van a lehető legtöbb saját foganyag megőrzésének. Erre az ellátás összes lépésénél, többek között a hozzáférési nyílás kialakításánál, a gyökércsatornák megmunkálásánál, a csapok behelyezésénél, az onlay-ek vagy koronák elkészítéséhez szükséges preparáció során tekintettel kell lenni. Mára széles körben elfogadottá vált, hogy a túlzott mértékű dentineltávolítás – nem csak a gyökerekben, hanem a koronai részen is –, jelentős mértékben megváltoztatja a fogak rugalmassági tulajdonságait, és csökkenti a törési ellenállásukat. A gyökércsatorna bemenetek egyenes hozzáférés céljából történő túltágítása szintén csökkenti a fog mechanikai ellenálló képességét. A fog koronai részében lévő dentin prezervációjának nem csak az a célja, hogy megfelelő megtámasztással szolgáljon a csonkfelépítés számára. Klinikai és in vitro vizsgálatok igazolják, hogy a csapokkal felépített gyökérkezelt fogak hosszú távú sikeressége arányos a koronai részben megőrzött dentin mennyiségével. A csapok behelyezéséhez történő előfúrás során nem szabad további foganyagot eltávolítanunk, mivel ezzel hozzájárulunk a fog töréssel szembeni ellenálló képességének a csökkenéséhez (1. ábra). Ree és mtsai. kutatásukban megfogalmazták: „A gyökérkezelés elvégzéséhez feltétlenül szükséges mennyiségű denti-

nen túl nem szabad további foganyagot eltávolítani”. Ha ezt a kijelentést át akarjuk ültetni a klinikai gyakorlatba, akkor a továbbiakban nem szabad a fogak felépítése során párhuzamos falú csapokat használni, tekintettel arra, hogy kialakításuk miatt a behelyezésükhöz legtöbbször további ép pericervicális dentin eltávolítására is szükség van. Ezáltal tovább gyengítjük a gyökereket, és növeljük a törés esélyét (2. ábra).
A párhuzamos falú csapok nem követik le hűen a kónikus gyökércsatornák belső kialakítását, ez elkerülhetetlenül vastag ragasztóréteghez vezet a koronális gyökércsatorna-szakaszban, a csapok és gyökércsatornák belső felszíne között.
A nagyobb anyagvastagság csökkentheti az adhezív kötés erősségét, és növeli a csap elmozdulásának esélyét (3. ábra).
Ha a lehető legtöbb dentin megőrzésére törekszünk, és tekintettel vagyunk arra, hogy a legtöbb gyökércsatorna ovális belső átmetszettel rendelkezik, akkor a hagyományosan oktatott megközelítéshez képest eltérő szemlélettel kell a gyökércsatornák csapozását elvégezni. Boksman és mtsai. kvarcból készült kónikus mestercsapok (MacroLockTM Post Illusion X-RO Clinical Research Dental, London, Ontario) és Fibercone-ok (Clinical Research Dental, London, Ontario) együttes alkalmazását javasolták a szabálytalan belső átmetszetű gyökércsatornák csapozásához (4. és 5. ábra). Ennek a módszernek az elve hasonló ahhoz, mint amikor a gyökértömések készítése során a guttapercha mesterpoén mellett további segédpoénokat alkalmazunk. Ezt a technikát (laterál kondenzáció) a szakma széles körben elfogadottnak
1 2

1. ábra: Az ovális átmetszetű gyökércsatornákban (amelyek tulajdonképpen az átlagos csatornaformának számítanak) a csapok számára történő fészekfúrás során ép foganyag is szükségtelenül eltávolításra kerülhet, ez pedig a fog további gyengülését okozhatja. Emellett a csatornafal egyes területein guttapercha/sealer maradhat vissza, ami a csapok adhéziójának mértékét csökkenti. – 2. ábra: A párhuzamos falú csapok behelyezhetőségéhez további foganyagot kell eltávolítani az apikális csatornaszakaszokból. Ez a fog további gyengüléséhez és „apikális stressz” fókuszpont kialakulásához vezethet.


3. ábra: A Macro-Lock csap konicitása lehetővé teszi a csatornafali dentin megőrzését és biztosítja, hogy a lehető legvékonyabb egyenletes vastagságú ragasztóanyag-réteg vegye körül a behelyezése során. Ez jelentős mértékben csökkenti a polimerizáció során jelentkező zsugorodási stressz nagyságát. – 4. ábra: A szabálytalan alakú vagy ovális csatornákban a Macro-Lock X RO csapok mellett laterálisan behelyezett Fibercone-ok alkalmazása több szempontból is előnyös lehet.
tekinti. Az előbbiekben javasolt csapozási módszer alkalmazásának számos előnye van. Csökkenti a csapok elfordulásának esélyét, csökkenti a ragasztóréteg vastagságát (ezáltal a C és S faktor is csökken), növeli a gyökércsatornafalakkal való adhéziós erők nagyságát. Ezáltal csökken a széli zárás elégtelenségének esélye, növeli az elmozdulással szembeni ellenálló képességet, és emellett a gyökércsatorna fala perforációjának esélye is csökken. A fényvezetésre alkalmas csapok alkalmazásának is megvannak az előnyei. Megfelelő időtartamon keresztül megfelelő teljesítményű polimerizációs fényforrás alkalmazása esetén a fényvezető csapok használata növeli a fényrekötő kompozitok polimerizációjának mértékét.
Az indirekt módszerrel készülő öntött arany (fém) cirkónium csapok szinte teljesen háttérbe szorultak az egy ülésben behelyezhető direkt csapokkal szemben. Az olyan csapok, mint az Ultradent Unicore Fiber Post (Clinical Research Dental, London, Ontario), a kvarc csapok (RTD; St. Egreve, France), a Macro-Lock X-RO (Clinical Research Dental, London, Ontario), és a DT Light-Post (Bisco Canada, Richmond, BC) fizikai tulajdonságai több szempontból kedvezőbbek az öntött fémcsapok, vagy a zirkónium csapok fizikai tulajdonságaival szemben.
1. A szálerősítésű csapok elaszticitási modulusa megközelíti a dentin elaszticitási modulusát (18,6 GPa). Ezáltal megterhelés hatására a dentinhez hasonló mértékben deformálódnak, ami a stressz eloszlatásához és a törés kialakulásának a csökkenéséhez vezethet. A rozsdamentes acél elaszticitási modulusa 200 GPa körül mozog, a titániumé 110 GPa körül, a zirkóniumé pedig 300 GPa-hoz van közel. A fém és zirkónium csapok rigidsége rágóterhelés során a belső feszültségek fokozódásához vezet. Ez pedig a fatális törések kialakulását okozhatja.
2. A szálerősítésű csapok magas hajlító szilárdsággal rendelkeznek. Stewardson tanulmányában megállapították, hogy „A szálerősítésű kompozit gyökércsapok hajlítószilárdsága meghaladja az arany és rozsdamentes acél deformációjához szükséges folyási határ nagyságát. Két együttesen alkalmazott üvegszálas csap hajlítószilárdsága pedig már összehasonlítható volt a titánium deformációval szembeni ellenálló képességének nagy-

5. ábra: A felvételen látható fog ellátása egy Macro-Lock csap, és a mellé behelyezett Fiber-Cone csapok felhasználásával történt. Ez a módszer csökkenti a ragasztóréteg vastagságát, elfordulásgátló hatással bír, és csökkenti a mikrorések kialakulásának esélyét.
ságával.” Ugyanakkor fontos megjegyezni, hogy nem minden szálerősítésű csap egyforma. A csapok eltérő törési ellenállással, rugalmassággal, átmérővel, szálanyag és mátrix aránnyal rendelkeznek. A szálerősítés anyaga is eltérő lehet. Ezen felül másként vezetik a fényt, más alakkal rendelkeznek. A szálak minősége, szerkezete és a gyártás minősége is eltérő lehet. Ezek a tulajdonságok jelentős mértékben befolyásolhatják a klinikai alkalmazhatóságot, és hatással vannak a hosszú távú sikerességre is. A beavatkozást végző orvosnak tudatos döntést kell hoznia az alkalmazásra kerülő csap kiválasztása során. A lehető legjobb tulajdonságokkal rendelkező csap kiválasztására kell törekednie, és ehhez célszerű a független kutatásokban leírtakra támaszkodnia.
A csapozást végző orvosnak ugyanígy tisztában kell lennie a leghatékonyabban alkalmazható adhezív módszerekkel, ugyanis bizonyos kettős kötésű csonkfelépítő anyagokat nem célszerű önsavazó bondokkal együttesen alkalmazni. A szakirodalomban eltérő adatok érhetőek el az egyes szálerősítésű csapokkal kapcsolatban. Ez nem csak az eltérő anyagtani tulajdonságokkal rendelkező csapok miatt van, hanem mert a különböző vizsgálatok során eltérő adhezív rendszereket/cementeket/kompozitokat használtak a csapok rögzítésére. Jelenleg több szakirodalmi cikk is azt az állítást erősíti, amely szerint a csapok rögzítése során


6. a ábra: Fémcsapok használata esetén gyakran találkozhatunk a fogak és a marginális gingiva elszíneződésével.
6. b ábra: Fényvezető csapok és kerámiakorona alkalmazásával elérhető eredmény.
csupán bizonyos bondok és ragasztócementek együttes alkalmazása bizonyult kellően hatékonynak, kiemelve a nem szelektív savazást igénylő adhezívek és a kettős kötésű kompozit ragasztócementek használatával elérhető eredményeket.
3. A szálerősítésű csapok esetében nem jelentkezik galván jelenség vagy korrózió. Az öntött csapok esetében a csapok anyagául szolgáló fémek korróziója az ellátás sikertelenségét okozhatja. Ezen felül a korrózió következtében a gyökér színe sötétebbé válhat, ami a marginális gingiva esztétikailag kedvezőtlen sötétedését okozhatja (6. ábra). Milnar és más szerzők kiváló tanulmányokat közöltek azzal kapcsolatban, hogy fényvezető csapok segítségével hogyan lehet ezt a problémát elkerülni. A fényvezető csapokkal nem csak a polimerizációhoz szükséges fény gyökércsatorna mélyére jutását garantálhatjuk – ez segít megelőzni a gingiván látható elszíneződések kialakulását –, hanem lehetővé teszik, hogy a kompozit felépítésünkre magas transzlucenciájú kerámiakorona készüljön, ami az esztétikai eredmény javítását okozza (6. b ábra).
4. A destruált koronával rendelkező, majd ezt követően helyreállított fogak képesek lehetnek a rágóterhelés elviselésére, de a ciklikus terhelés során jelentkező funkcionális stressz gyakran a sikertelenségükhöz vezet. A szálerősítésű csapok, valamint a kvarc csapok a rozsdamentes acélból és titániumból készült csapokhoz képest kétszer nagyobb mértékben képesek a ciklikus terhelésnek ellenállni. A ciklikus terhelés hatására a fémcsapok töréssel szembeni ellenálló képessége 40%-kal csökkenhet. Ezzel szemben a szálerősítésű kompozit csapokban ez csupán 14%.
5. Az endodonciai ellátás sikertelenségének hátterében több különböző faktort is azonosíthatunk. Nem megfelelő technika, megmunkálatlan gyökércsatorna-szakaszok, mikroszivárgás stb. A gyökértömés az endodonciai kezelés befejezését követően, de még a végleges restaurátum készítése előtt, visszafertőződhet. (A gyökértömés behelyezését követően minden esetben javasolt azonnali zárás elkészítése). Az endodonciai ellátás sikertelenségét a nem megfelelő koronai restaurátum is okozhatja. Szakirodalmi adatok alapján a revíziók 25%-kánál a kezelést igénylő fog csappal van ellátva. A szálerősítésű csapokat megfelelő csapeltávolító rendszerek alkalmazása esetén néhány perc alatt atraumatikus módon nagy biztonsággal el lehet távolítani.
Egy, a kifejezett mértékben destruált koronai résszel rendelkező gyökérkezelt fogak helyreállításáról szóló értekezés sem lehet teljes anélkül, hogy szót ejtenénk a körkörös ferrule-ról. Ez egy olyan körkörös gyűrű vagy pánt, amely teljes mértékben körbeveszi a fogat, a retenciós és ellenállási forma biztosítása mellett a fog töréssel szembeni védelmét is biztosítja. Az in vivo és in vitro adatokra támaszkodó tanulmányok abba az irányba mutatnak, hogy legalább 2 mm szélességű ferrule esetén számíthatunk megfelelő töréssel szembeni ellenállásra, és ha a ferrule szélessége 1 mm alá csökken, akkor sokkal nagyobb eséllyel következik be a fog sikertelensége. Fontos azonban, hogy nem csak a rendelkezésre álló körkörös dentin magassága, hanem a vastagsága is fontos a töréssel szembeni ellenálló képesség kialakításában. Ahogy a 7. és 8. ábrán is látható, nagy különbséggel találkozhatunk a konzervatív mértékben feltágított csatornákkal rendelkező és a kifejezett mértékben feltágított csatornákkal rendelkező fogak preparálása esetén. Az ábra jól illusztrálja, hogy ha kifejezett mértékben tágított csatornákkal rendelkező fogakat preparálunk, akkor a váll kialakítása során a maradék dentin is eltávolításra kerül, így a csonkfelépítő anyag oldalsó megtámasztása teljesen megszűnik. Ebben az esetben nem beszélhetünk ferrule-ról. Fontos azonban kijelenteni, hogy az üveg ionomer és a rezin-módosított üveginomer anyagok nem rendelkeznek azokkal a fizikai tulajdonságokkal, amelyek alkalmassá tennék őket a csonkfelépítő anyagként való alkalmazásra. Jotkowitz és mtsai. cikkükben a „Ferrule újraértelmezésé-ben”rendkívül precíz módon elemzik a ferrule magasságának, a dentin vastagságának, a megmaradt falak számának és pozíciójának hatásait. Jó példa erre, hogy mi történik akkor, ha egy felső nagymetsző fog esetében veszítjük el a linguális falat, ez, még ha a maradék három fal sértetlenül fennáll, akkor is katasztrofális következményekkel jár. A funkcionális terhelés során a fog linguális részére nagyobb erők koncentrálódnak, és milyen hatása van az egyik approximális fal elvesztésének, ami szinte egyáltalán nem befolyásolja a hosszú távú sikerességet. Az egyik megállapításuk, mely szerint a ferrule hiánya egyértelműen a fog helyreállíthatatlanságát jelenti.
A klinikai protokolloknak nagyobb hangsúlyt kellene fektetniük a megmaradt falak számára és elhelyezkedésére. Ez hozzájárulhat a kezelés kimenetelének pontosabb előzetes felmérésére. A falak számának csökkenése a töréssel szembeni ellenálló képesség csökkenéséhez vezet azokban az
esetekben, amikor a fog nem kerül csapozással megerősítésre. Ezzel szemben szálerősítésű csapok alkalmazása esetén a törési ellenállás kifejezett mértékben növekszik. Ez alól azok az esetek jelentenek kivételt, amikor már nincsenek megtartott falak. A csapokkal történő helyreállítás sikeressége szignifikáns mértékben csökken, ha a felépítésre kerülő fog nem rendelkezik megtartott dentinfalakkal.
A megerősítést különböző források eltérő módon definiálják:
• Egy olyan anyag alkalmazása, amely az ellenálló képességet növeli;
• A fog további alátámasztás biztosítása révén történő megerősítése;
• Az ellenálló képesség növelése;
• A szerkezeti integritás növelése különböző anyagok, eszközök és megtámasztások beépítésével;
• A szerkezeti integritás fokozása.
Az 1970 és 1990 között megjelent publikációk nagy részében azt írják, hogy azokban az esetekben javasolt a fogak csapozása, amikor már nem áll rendelkezésre elegendő saját foganyag a csonkfelépítés vagy korona megfelelő elhorgonyzásának a biztosításához. Azt is jelzik, hogy a fémcsapok nem alkalmasak a fogak megerősítésére. A fémcsapokkal ellátott gyökérkezelt fogak retrospektív vizsgálatával foglalkozó tanulmányokban leírtak is ezt az álláspontot erősítik. Több tanulmány is azt az állásfoglalást erősíti, hogy a szálerősítésű csapok képesek a gyökerek töréssel szembeni ellenálló képességének a növelésére, és a gyökerek megerősítésére.
Az alábbiakban kiemelnénk néhány olyan közleményt, amely a fenti állítást erősíti: D’Arcangelo és mtsai. a szálerősítésű csapokkal ellátott, majd héjak készítéséhez preparált fogak törési ellenállását és rugalmasságát vizsgálták. A vizsgálatban 75 darab felső középső metszőfogat vizsgáltak. A következő vizsgálati csoportokat alkották: nincs preparáció, a héjak készítéséhez preparálva; kompozittal feltöltött hozzáférési nyílás; kompozittal feltöltött hozzáférési nyílás héjak készítéséhez preparálva, szálerősítésű csappal ellátva (RTD Endo Light Post) és héjak készítéséhez preparálva. Minden egyes vizsgált mintát ciklikus terhelésnek vetettek alá, majd megvizsgálták a törési ellenállásukat. A héjak készítéséhez szükséges preparáció növelte a minták alakváltoztatásának mértékét, viszont a szálerősítésű csappal ellátott, majd héjak készítéséhez preparált minták esetében nem találtak szignifikáns különbséget az ép fogak esetében mért értékekhez képest.
Hajizadeh és mtsai. a kompozit tömőanyagokkal és különböző csapokkal helyreállított kisőrlőfogak törési ellenállását és törési mintázatát vizsgálták. Hatvan darab eltávolított fogat négy különböző csoportra osztottak: ép fogak, gyökérkezelt és MOD töméssel ellátott fogak (csapozás nélkül), gyökérkezelt és DT Light Post-tal (RTD) felépített, majd
MOD töméssel ellátott fogak, gyökérkezelt és Filpost-tal (Filhol Dental, Gloucestershire, Egyesült Királyság) felépített, majd MOD töméssel ellátott fogak. A DT Light Post-tal ellátott fogak esetében az ép fogakéhoz (kontrollcsoport) hasonló értékeket mértek.
A DT Light Post-tal ellátott fogak erősebbek voltak a kizárólag kompozit töméssel és a Filpost-tal ellátott fogakhoz képest. A DT Light Post csoportban bekövetkezett törések 86%-a helyreállíthatóként lett megítélve. Ebből a szempontból ebben a csoportban kaptuk a legmagasabb értékeket. A szerzők megfogalmazása szerint egyre több tudományos bizonyíték mutatja, hogy a szálerősítésű csapok alkalmazásával növelhetjük a fogak töréssel szembeni ellenálló képességét. Salameh és mtsai. a cirkón-kerámia koronák készítése előtt behelyezett szálerősítésű csapok hatásait vizsgálták. Összesen 90 darab alsó második nagyőrlőfogat vizsgáltak. Ezeket három csoportra osztották a koronai rész destrukciójának mértéke alapján. A fogakat előzetesen gyökérkezelték, és vertikálisan kondenzált meleg guttaperchával tömték le. A minták felében hagyományos kompozit tömést készítettek, míg a másik felét transzlucens üvegszálerősítésű csappal (Rely-X Fiber Post 3M/Espe) látták el, és ezt követően töltötték fel kompozittal. Az eredményeik szerint a csap behelyezése javította a cirkóniakoronák alátámasztottságát. Ennek köszönhetően nagyobb rágóerők elviselésére voltak képesek, valamint a kizárólag hagyományos kompozittal felépített fogakhoz képest kedvezőbb lefutású törések alakultak ki ezekben.


7. ábra: Egy közepes mértékben feltágított hozzáférési nyílással rendelkező fog teljes borítókoronával történő ellátásához szükséges előkészítését követően látható állapot. A ferrule a csonk teljes körfogata mellett megfigyelhető. 8. ábra: A kifejezett mértékben feltágított hozzáférési nyílással rendelkező fogak teljes borítókoronához történő előkészítése esetén a dentinfalak általában teljes mértékben eltávolításra kerülnek. Ezáltal a csonkfelépítésünk minden oldalról exponálttá válik, mivel minden oldalról elveszítette a megtámasztását. Ez az állapot jelentős mértékben csökkenti az ellátás hosszú távú sikerességét.
Maccari és mstai. harminc egygyökerű gyökérkezelt fogat vizsgáltak. Különböző esztétikus gyári csapok törési ellenállásra gyakorolt hatását akarták megfigyelni. A vizsgált csapok az alábbiak voltak: Aestheti Post (RTD), FibreKor Post (Jeneric Pentron, Wallingford, CT) és CosmoPost (egy kerámia csaprendszer), (Ivoclar Vivadent, Schaan, Liechtenstein). Megállapították, hogy az üvegszál erősítésű esztétikus gyári csapok a kerámiacsapokhoz képest magasabb átlagos törési ellenállással rendelkeztek. A kerámiacsapok törési ellenállása nagyjából a szálerősítésű csapok esetében mért érték fele volt. Salameh és mtsai. a különböző típusú koronákkal ellátott gyökérkezelt felső metszőfogak törési ellenállását vizsgálták. A kompozittal felépített fogak egy részében szálerősítésű kompozit csap is került, míg más részében csak kompozit volt megtalálható. Összesen 120 felső metszőfogat gyökérkezeltek, majd 4 egyenként 30 elemből álló csoportra osztották. Ezeket a csoportokat tovább osztották alcsoportokra, attól függően, hogy a minták szálerősítésű csappal megerősítésre kerültek-e (Postec Plus, Ivoclar Vivadent, Schaan, Liechtenstein). A fogakra fémkerámia, Empress II, SR Adoro és Cercon koronák készültek. Minden esetben legalább 2 mm-es ferrule is rendelkezésre állt. A vizsgálati eredmények alapján megállapították, hogy míg a korona típusa nem befolyásolta a kimenetelt, addig a csap jelenléte már szignifikáns mértékben hatott a kimenetelre. A szerzők szerint annak ellenére, hogy a protetikai tankönyvek általánosságban nem propagálják a gyökérkezelt metszőfogak szálerősítésű csapokkal történő ellátását, ez mégis javasolt lehet, mivel a szálerősítésű csapok behelyezése növeli a fogak töréssel szembeni ellenálló képességét, valamint törés esetén javítja a fogak prognózisát. Egy másik vizsgálatban 80 darab gyökérkezelt felső kisőrlőfogat vizsgáltak. Ezekben MOD üreg került kialakításra, majd a gyökértömést követően egy részük szálerősítésű csappal került megerősítésre, míg más részük csupán kompozittal került felépítésre. Ezt követően a fogakra különböző anyagokból készült koronák kerültek (fémkerámia, lithium-diszilikát, szálerősítésű kompozit, cirkónium). Ezt követően Salameh és mtsai. a törés bekövetkeztéig terhelték ezeket a fogakat, feljegyezve, hogy ez az egyes csoportok esetében mekkora nagyságú erők mellett következik be. Tengely irányú terhelés esetén a csapokkal ellátott fogak szignifikánsan nagyobb erők elviselésére voltak képesek. A szálerősítésű csapok jelentős mértékben hozzájárultak a devitalizált fogak megerősítéséhez, azáltal, hogy a megmaradt foganyagot alátámasztották a tengely irányú nyomóerőkkel szemben. Még sok olyan tanulmányt találhatunk, amelyben azt igazolják, hogy a szálerősítésű csapok képesek a fogak megerősítésére. Ennek megfelelően lehetetlen lenne az összes vizsgálati eredmény néhány mondatban történő összefoglalása, de az egyértelműen kijelenthető, hogy a gyökérkezelt fogak helyreállítására szolgáló módszerek, az új anyagok és az újabb adhezív rendszerek megjelenésével folyamatosan fejlődnek. Annak ellenére, hogy egyértelmű különbségek vannak a különböző tanulmányokban vizsgált csapok anyagában, valamint a rögzítésük során használt anyagok és protokollok is különbözőek, mégis kijelenthető, hogy a szálerősítésű csapok képesek a gyökérkezelt fogak megerősítésére.
Annak érdekében, hogy jelen publikáció kiegyensúlyozott legyen, fontos megemlíteni, hogy olyan szakirodalmi cikke-
ket is találhatunk, amelyekben nem igazolták a szálerősítésű csapok gyökérkezelt fogakra vonatkozó erősítő hatását. Gyakorló fogorvosként a mechanikai megerősítés klasszikus definíciója mellett (a helyreállított fog töréssel szembeni ellenálló képességét a „fiziológiás állapotban” lévő fogéhoz hasonló vagy magasabb szintre emeljük) érdemes, olyan szempontokat is figyelembe venni, mint a kezelések végeredményének megjósolhatósága (kiemelt figyelmet fordítva a „legrosszabb” kimenetelekre). Vizsgáljuk meg, hogy milyen mértékben járul hozzá a maradék szövetek megerősítéséhez a csapok alkalmazása, és milyen kimenetelekre számíthatunk, ha a felépítés kizárólag hagyományos kompozit alkalmazásával történik! Az egyik legjelentősebb következtetés, amit az egyre nagyobb számban elérhető in vitro vizsgálatok eredményeiből leszűrhetünk, hogy a csapozott fogak törése esetén kisebb arányban következnek be „fatális” törések. Tehát a csappal ellátott fogak fraktúrája esetén több esélyünk van a fog ismételt helyreállíthatóságára.
A közelmúltban megjelent vizsgálatok egy része a sikerességet a megmaradt dentinfalak számával hozza összefüggésbe. A szálerősítésű csapokkal foglalkozó szakirodalomban található nagyfokú eltérések hátterében az állhat, hogy egyes tanulmányokban emberi, még másokban szarvasmarhafogakat vizsgálnak, egyes esetekben in vitro, míg más esetekben in vivo tanulmányokat végeznek.
A parodontális rostok stressz elosztó hatásáról sem szabad elfeledkezni, ugyanúgy, mint a megterhelés iránya is különböző lehet (vertikális, horizontális, ferde). Az alkalmazott csapok fajtája és minősége, a csatorna falon megtalálható „másodlagos smear layer” jelenléte és ennek adhézióra gyakorolt hatása, a gyökércsatorna falat alkotó dentin minősége, az alkalmazott adhezív rendszer, a csap fényvezető képessége, a ragasztócement típusa, a csap mellett lévő ragasztóréteg vastagsága, a ragasztó töltőanyag tartalma, valamint a csap behelyezése miatt eltávolított dentin menynyisége is befolyásolhatja a kapott eredményeket.
A gyökércsatornák belső felületével történő adhezív kötés kialakításának is megvannak a maga nehézségei. Az eltérő dentin szerkezete miatt a koronálisan elhelyezkedő dentinnel jobb minőségű kötést lehet elérni, mint az apikálisan elhelyezkedővel. A guttapercha és sealer eltávolítása során „másodlagos smear layer” jön létre, ami megakadályozza az önsavazó bondok sikeres alkalmazhatóságát. (Magas S és C faktor, a kettős kötésű kompozitok teljes mélységben történő megfelelő átvilágítása. Bármely kettős kötésű kompozit esetében magasabb polimerizációs rátát mérhetünk, ha megfelelően át van világítva.)
A szálerősítésű csapok sikeres alkalmazása a vonatkozó protokollok pontos követését igényli. A csapokat használó fogorvosoknak célszerű folyamatosan követnie a legfrissebb szakirodalmi eredményeket, hogy lépést tudjon tartani a terület fejlődésével. Nem csak az aktuálisan elérhető legjobb szálerősítésű csapot kell ismernie, hanem a behelyezésére vonatkozó legfrissebb protokollokkal is érdemes tisztában lennie. A gyökérkezelt fogak szálerősítésű csapokkal történő helyreállításához szükséges anyagok és technikák területe megállíthatatlan fejlődésen megy keresztül, és ennek a fejlődésnek a legnagyobb nyertesei azok a páciensek, akik számára ezáltal jobb klinikai eredményeket biztosíthatunk. Forrás: Dental News 2024/4

6 fejezet 49 szakmai cikk 388 oldal 1980 színes kép

A száj és a fogak nemcsak a táplálkozás és az emberi kommunikáció fontos részei, de esztétikai szempontból is jelentős szerepük van. Az egészséges fogak és fogíny egészségünk meghatározó elemei, a hibátlan, derűs mosoly pedig minden egyén kívánsága.

Az íny leggyakoribb gyulladásos megbetegedése a gingvitis vagy fogínygyulladás, mely legtöbbször a rossz szájhigiénia következményeként jön létre. A begyulladt és vérző fogíny a rossz lehelet mellett a betegség első jele. A gingvitist tehát gyógyítani kell, mert különben a gyulladás előrehaladott állapotában a gyulladt íny gócként szerepel, mely gócbetegségeket okozhat.
Az egészséges ember szájában folyamatosan jelen vannak mikroorganizmusok, amelyek szaporodása az íny gyulladásához vezet, és idővel a fogágy többi része is érintett lesz, paradontitis jelentkezhet. A tasakok mélyebbek lesznek, ezért a gyulladás ráterjed a mélyebb paradontális szövetekre is. A fogágygyulladás következtében a fogakat rögzítő szövetek elbomlanak, a betegség pedig átterjedhet az állkapocs csontszövetére is. Ennek együttes következménye, hogy a fog tartószerkezete meggyengül, elbomlik, így a fogak meglazulnak, majd kihullanak.
A hialuronsav a fogágy kötő- szövetének fontos kompo- nense
A hialuronsav a szervezet természetes anyaga és az egészséges fogíny fontos komponense. Alkalmazása a fogászatban: – csökkenti a szájnyálkahártya-irritációt
– megvéd a fertőzésektől
– felgyorsítja a sebgyógyulást és szövetregenerációt – csökkenti a fogínyvérzést, a foggyulladást és a duzzanatot
A kutatások kimutatják, hogy a hialuronsav fogászati alkalmazása jelentős mértékben hozzájárul az ínybetegségek megakadályozásában és gyógyításában.
Ínybetegségek megelőzése és gyógyítása hialuronsavval
A gyógyszertárakban és speciális üzletekben különböző formákban és kiszerelésben már 3 éve kapható a Gengigel, ami az egyedüli hialuronsav-alapú készítmény.
A termékcsalád használata egyszerű, gyermekek, terhes nők és cukorbetegek egyaránt használhatják. A hialuronsav tartalma miatt hatékony megoldás az alábbiakra:
– ínyvérzés
– gingivitis (fogínygyulladás)
– parodontitis (fogágybetegség)
– megsértett íny (sebészeti beavatkozás, foghúzás, fogpótlás után)
– korona, híd, fogprotézisek miatt irritált szájnyálkahártya
Ezen tulajdonságai alapján bátran állíthatjuk, hogy a Gengigel az egészséges fogíny receptje. (X)
Forrás: Medis sajtóanyag

Hialuronsav





gél/szájöblögető oldat/szájspray/baby gél

nagyi protézis által irritált íny, fogágygyulladás
anyu ínyvérzés és afták





csillapítja a vérzést elősegíti a sebgyógyulást a szájüregben elősegíti a szövetregenerációt csökkenti a duzzanatokat védi a szájnyálkahártyát a fertőzésektől

jani sérült íny
misike a fogzás időszakában








Dent-East Kft. 1112 Budapest, Rétkerülő út 51 www.dent-east.com • mail@dent-east.com





A-dec 500 a PRÉMIUM



Sanitaria Kft. 1024 Budapest, Rómer Flóris u. 34. Tel.: (+36-1) 336-0884
E-mail: shop@sanitaria.hu Honlap: www.sanitaria.hu












Kompressziós és bikortikális egyfázisú implantátumok választhatóan multiunit fejjel. Csavarozható stégekhez, overdenture felépítményekhez.


Azonnali implantáció és azonnali terhelés meghatározott szakmai protokoll szerint. Folyamatos, többlépcsős kurzusok, praxistréning, felhasználótalálkozók. ISO, CE, nemzetközi klinikai tapasztalat és tudományos háttér. Folyamatos fejlesztés 16 éve.






Bővebb felvilágosítás és információ: Sofortimplant Egészségügyi Kft. H–9400 Sopron, Deákkúti út 16.
Kompressziós és bikortikális egyfázisú implantátumok választhatóan multiunit fejjel. Csavarozható stégekhez, overdenture felépítményekhez. Azonnali implantáció és azonnali terhelés meghatározott szakmai protokoll szerint. Folyamatos, többlépcsős kurzusok, praxistréning, felhasználótalálkozók. ISO, CE, nemzetközi klinikai tapasztalat és tudományos háttér. Folyamatos fejlesztés 16 éve.


email: sofortimplant@gmail.com web: www.sofortimplant.com
R R


opron, Faller Jenő u .:+36 99/508-698 ax: +36 99/508-696 .hu Loupes and lights
Kompressziós és bikortikális egyfázisú implantátumok választhatóan multiunit fejjel. Csavarozható stégekhez, overdenture felépítményekhez.
Azonnali implantáció és azonnali terhelés meghatározott szakmai protokoll szerint.
Folyamatos, többlépcsős kurzusok, praxistréning, felhasználótalálkozók. ISO, CE, nemzetközi klinikai tapasztalat és tudományos háttér.
Folyamatos fejlesztés 16 éve.

Bővebb felvilágosítás és információ: Sofortimplant Egészségügyi Kft. H–9400 Sopron, Deákkúti út 16.

tel.: +36 70 36 40 600 fax: +36 70 900 3518
email: sofortimplant@gmail.com web: www.sofortimplant.com
1135 Budapest, Frangepán u. 66/B. +36 1 236 4000 | info@newyorkdental.hu www.newyorkdental.hu



Dental


