Things To Know Before Going For A Zoom Whitening Treatment In Delhi

Page 1

Things To Know Before Going For A Zoom Whitening

Treatment In Delhi

Things To Know Before Going For A Zoom

Whitening Treatment In Delhi

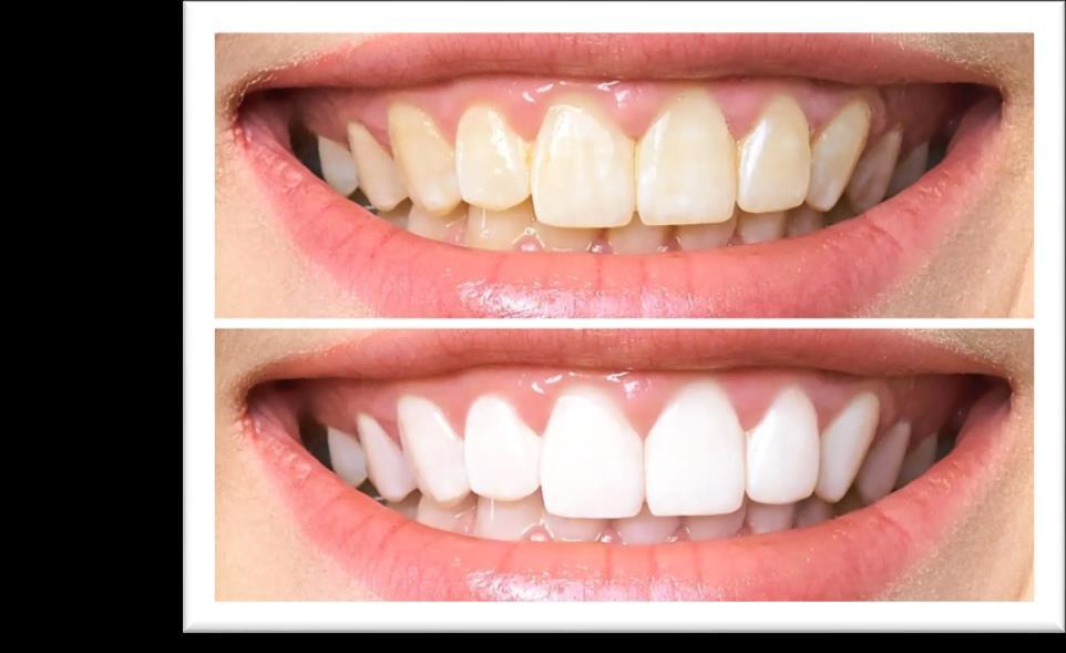
Zoom whitening is an advanced teeth whitening technology that is used by people who want to turn their yellow teeth into white. Here is all you must know before going for zoom whitening in Delhi.

What is zoom whitening?

It is a special teeth whitening treatment where laser technology is used to whiten the teeth. It can seamlessly whiten discolored or stained teeth without any hazards.

Why do you need zoom whitening treatment?

You need a zoom whitening treatment to make your smile brighter to enhance your confidence, and glorify your presence. This treatment can offer you white and bright teeth that are not only healthy but also can properly complement your personality.

What is the best zoom whitening method?

Experts agree that Philips zone whitening is the best zoom whitening method one can go for. It is a fast teeth whitening method that offers the quickest results. This method is based on the most advanced technology that offers the desired result to the patients in a few hours. It is the best method that you can go for when you need instant whitening of your teeth.

What is Philips zoom whitening cost in Delhi?

The cost depends on the dental clinic you visit. However, the cost of Philips zoom whitening in Delhi is something between 12,000 to 25,000 INR.

When going for a zoom whitening treatment, it is important to go for an experienced dentist and a reliable dental clinic to get the best results.

Dental Clinic Delhi

Dr. Garg’s Multispeciality

Z-7, Shop No.3, Rajouri Garden, New Delhi – 110027.

Landmark: Near Delhi Metro Pillar No. 419, (Opposite Kukreja Hospital)

Web: dental-clinic-delhi.com

Email: drnimitgarg@gmail.com

Mobile: 91-9891647510/9810232685

Turn static files into dynamic content formats.

Create a flipbook
Issuu converts static files into: digital portfolios, online yearbooks, online catalogs, digital photo albums and more. Sign up and create your flipbook.