
Een conventioneel uitbehandelde patiënt, wat nu?
De tandartsassistent als dynamische surgical guide
![]()

Een conventioneel uitbehandelde patiënt, wat nu?
De tandartsassistent als dynamische surgical guide
Gordon van der Avoort, Walter van Willigen en Erik Blom
Meer zekerheid. Duidelijkere uitleg. Meer vertrouwen.



verdoven.

“If I can make it there, I’ll make it anywhere.” Sinatra zong het over New York. Over ambitie, lef en jezelf blijven uitdagen in een omgeving waar de lat hoog ligt. Vanaf september kun je die lat letterlijk in New York hoger leggen met een nieuwe internationale opleiding implantologie. En wie het daar kan, kan het overal, aldus Sinatra.
Deze Dentista Implantologie Special ademt dat New York-gevoel: internationaal, inhoudelijk scherp en met oog voor de mens achter de behandeling. We besteden uitgebreid aandacht aan het nieuwe tweejarige programma Implantology and Oral Rehabilitation van New York University (NYU) en Dental Best Practice. In een interview met de initiatiefnemers lees je er meer over.
Het internationale karakter krijgt verder vorm met twee Engelstalige bijdragen van Michael Sonick. Een casus over falende implantaten in het front én
een verdiepend interview over zijn boek ‘Treating People, Not Patients’, waarin gastvrijheid, vertrouwen en oprechte verbinding centraal staan. Daarnaast neemt Guido Rhemrev je mee in een complexe full-arch casus, is er aandacht voor antibioticagebruik rondom implantologie, deelt Luc Lagas zijn persoonlijke leerreis en laat Martin Grobler zien hoe onmisbaar het team – en met name de assistent – is bij chirurgische precisie onder druk.
Verder vind je in dit nummer onder andere artikelen over chloorhexidine en bloeddruk, praktijkmanagement, onze vaste columns en natuurlijk informatie over de Dental Expo van 5 tot en met 7 maart in Gorinchem.
Veel leesplezier!
Lies en Ilko.
Colofon
Dentista is een uitgave van Dentista Media en verschijnt 4 keer per jaar
Redactie
Ilko Alink, Lies Ligtvoet, Sifra Hordijk
Redactie(adres) Dentista Media
Koggeschip 212, 7429 BG Colmschate Ilko Alink, ilko@dentista-magazine.nl
Digitaal aanwezig www.dentista-magazine.nl Instagram: @dentistamagazine
Aan dit nummer werkten mee
Walter van Willigen, Erik Blom, Gordon van der Avoort, David Rijkens, Frank Andriessen, Celina Klappers, Guido Rhemrev, Marit Verschuuren, Luc Lagas, Martin Grobler, Dési Toornvliet, Michael Sonick, Isabella Busch, Fridus van der Weijden, Lars Toonen, Bregje van Swaaij, Sjoerd Kuiken, Valesca Nederlof, Jan-Willem Vaartjes, Elea Kooiman-van der Wal.
Grafisch Design
Degen en Leideritz BNo
Vormgeving
LDB Production, Levin den Boer
Fotografie
Lars van den Brink
Abonneren
Dentista wordt in gecontroleerde verspreiding toegezonden aan tandartsen mondhygiënistenpraktijken in Nederland. Ben je werkzaam binnen de tandheelkunde en wil je Dentista ontvangen, stuur dan een e-mail naar: info@dentista-magazine.nl
Adreswijzigingen
Per e-mail: info@dentista-magazine.nl. Vermeld zowel je oude als nieuwe adres.
Marketing
Ilko Alink, ilko@dentista-magazine.nl
Adverteren
Concetta Scibona, concetta@dentista-magazine.nl +31 6 281 829 62
Druk Wilco, Amersfoort
©2013-2026 Dentista Media. Niets in deze uitgave mag worden overgenomen, vermenigvuldigd of gereproduceerd zonder schriftelijke toestemming van Dentista Media of andere auteursrechthebbenden. Dentista Media kan geen aansprakelijkheid aanvaarden voor de juistheid en volledigheid van alle in deze uitgave opgenomen teksten en beelden.

Implantologie op internationaal topniveau
Erik Blom, Gordon van der Avoort en Walter van Willigen

Een conventioneel uitbehandelde patiënt, wat nu?
Guido Rhemrev


Nog lang niet uitgeleerd
Luc Lagas Assistent als dynamische surgical guide
Martin Grobler







Fridus


























































































INTERVIEW
Een opleiding volgen aan de New York University (NYU), les krijgen van wereldautoriteiten én jouw implantologische vaardigheden naar het hoogste niveau brengen? Vanaf september 2026 wordt dat werkelijkheid met het nieuwe tweejarige programma Implantology and Oral Rehabilitation, ontwikkeld in samenwerking tussen de New York University en het Nederlandse opleidingsinstituut Dental Best Practice. Het programma biedt tandartsen de mogelijkheid zich zowel academisch als klinisch te verdiepen binnen een internationale leeromgeving.
Voor dit artikel spraken we met de samenstellers van het programma: Erik Blom, Gordon van der Avoort en Walter van Willigen. Zij vertellen hoe het programma is opgebouwd en waarom deze internationale samenwerking zoveel waarde heeft voor tandartsen die zich verder willen verdiepen in de implantologie.
Het curriculum van de opleiding bestaat uit vier intensieve onderwijsweken aan het NYU College of Dentistry, verspreid over twee jaar, aangevuld met twee blokken van drie dagen in Nederland met theorie en praktijkgerichte hands-on trainingen. De deelnemers verdiepen zich onder begeleiding van internationale en Nederlandse docenten in de meest recente wetenschappelijke inzichten en geavanceerde behandelmethoden, ondersteund door klinische toepassingen en casuïstiek. Walter: “Allereerst komen diagnostiek en behandelplanning uitgebreid
aan bod. Daarnaast wordt zowel digitale als analoge implantaatplanning behandeld, inclusief de prothetische component. Ook wordt er uitgebreid aandacht besteed aan chirurgische technieken, de uitvoering van de prothetische behandeling, de bijbehorende nazorg en eventuele complicaties.”
De opleiding is bedoeld voor tandartsen die al implanteren op elementair tot middelgevorderd niveau en hun vaardigheden willen verdiepen. Na voltooiing ontvangen de deelnemers een officieel certificaat van het NYU Linhart Continuing Dental Education Program. Daarnaast verstrekt de faculteit een afzonderlijke ondertekende verklaring waarin het aantal theoretische en praktische contacturen worden vastgelegd, evenals de klinische werkzaamheden, de gepresenteerde casussen en de uitvoering van de ‘Written Report’ opdracht. Het programma start met drie lesdagen in Nederland, waarin deelnemers zich richten op diagnostiek, behandelplanning en chirurgische basisvaardigheden. Vervolgens gaan de deelnemers tweemaal naar

NYU, waar zij intensief worden onderwezen in alle onderwerpen en behandelmethoden die direct toepasbaar zijn in de praktijk. In de vierde week volgt opnieuw een driedaagse verdiepingsmodule in Nederland, gericht op chirurgische technieken op gevorderd niveau. Tijdens week vijf en zes wordt dit traject aan de NYU voortgezet, waarbij in de laatste week op de slotdag iedere deelnemer zijn casussen presenteert aan de groep en daarbij constructieve feedback ontvangt van zowel de NYU-docenten als de Nederlandse begeleiders. Dit onderdeel wordt door de deelnemers als bijzonder waardevol ervaren.
De samenwerking tussen Walter, Gordon en Erik ontwikkelde zich vanzelf: Gordon kent Walter sinds de jaren 90 en zocht hem vaak op bij NYU. “Vorig jaar kwam Walter met het idee om samen een cursus op te zetten”, vertelt Gordon. “Ik haalde ook Erik erbij, omdat wij jaren samenwerkten op de afdeling Orale Implantologie van het ACTA en nog steeds publicaties maken voor het postacademisch onderwijs.”
Voor de organisatie werd contact gezocht met Dental Best Practice (DBP). Erik: “Ik stuurde ze een bericht met de vraag of ze mee wilden denken, en we kregen al snel een enthousiaste reactie terug.” Het management van DBP heeft Walter op de NYU-afdeling bezocht en gezien hoe het daaraantoe gaat. Deze positieve ervaring is de aanzet geweest voor de definitieve samenwerking en het verder opzetten van het programma.
“Deze opleiding is echt bedoeld voor mensen die de basis al onder de knie hebben”, legt Erik uit. “Als je helemaal niets weet van implantologie, dan is dit niveau te hoog.”
Volgens Walter vraagt het programma daarnaast om een bepaalde houding. “Je moet echt een open vizier hebben en bereid zijn om anders te denken. Als je nieuwsgierig bent en openstaat voor nieuwe inzichten, merk je al snel dat behandelingen die aanvankelijk complex lijken, in werkelijkheid best goed toepasbaar zijn in de eigen praktijk.”
De grootste meerwaarde van het programma zit volgens de organisatoren in de unieke combinatie van geschiedenis en expertise die NYU biedt. Walter: “De implantologie-afdeling van NYU werd in de jaren tachtig opgezet door dr. Dennis Tarnow, van oorsprong parodontoloog. Hij heeft wereldwijd een




enorme stempel gedrukt op onderzoek en onderwijs rondom implantologie. NYU heeft daarnaast een uitgesproken internationale missie: kennis delen met tandheelkundige professionals over de hele wereld. Tijdens het programma maak je kennis met zowel de docenten van de NYU College of Dentistry, maar ook uit andere Amerikaanse staten en diverse landen die aan de NYU faculteit verbonden zijn. Dat is het unieke van de New York University: de hoge kwalitatieve kennis en expertise, én de diversiteit. Het is een ware ‘big melting pot’.”
“Dat is het unieke van de New York University: de hoge kwalitatieve kennis en expertise, én de diversiteit.”
Die internationale breedte wordt volgens Gordon perfect aangevuld door de Nederlandse docenten: “Deze zijn geselecteerd op basis van hun didactische capaciteiten en praktijkervaring. Bovendien zijn ze bekend uit het sprekerscircuit binnen tandheelkundig Nederland.”
Ook Erik benadrukt de waarde van de internationale component van de opleiding. “NYU heeft een enorme reputatie binnen de implantologie. Veel innovaties zijn daar ontstaan. Europa heeft inmiddels een inhaalslag gemaakt, maar bij NYU zit je nog altijd heel dicht bij de bron.” Hij ziet vooral de combinatie van academische en klinische verdieping in New York en Nederland als krachtig: “In New York krijg je inzicht in de ervaring én de wetenschap achter de behandelingen. In Nederland geven we daarbij, naast colleges, ook de hands-on trainingen zodat de deelnemers de leerstof en technieken zelf in hun eigen praktijk kunnen toepassen.” Erik glimlacht ten slotte: “En dan hebben we het nog niet eens gehad over de magie van de stad New York.”
Balans tussen wetenschap en praktijk
Een sterke wisselwerking tussen academisch denken
en klinisch handelen vormt de ruggengraat van het programma. Walter: “Het NYU curriculum vereist dat iedere deelnemer een zorgvuldig onderbouwd literatuuronderzoek - de ‘Written Report’ opdracht - uitvoert over een zelfgekozen, relevant implantologisch thema.”
Gordon: “Dat dwingt je om kritisch te kijken, bestaande behandelstrategieën tegen het licht te houden en je klinische keuzes beter te onderbouwen. De ‘Written Report’ opdracht hoeft niet van hoog academisch niveau te zijn, maar het is de bedoeling dat er een verdieping van een onderwerp wordt uitgewerkt.”
Elke cursist krijgt de opdracht om gedurende de opleiding drie casussen te maken die in de laatste week voor alle deelnemers en de docenten-jury moeten worden gepresenteerd. Walter: “In de eerste week van de opleiding worden de cursisten geïnstrueerd hoe zo’n casus moet worden opgebouwd en gepresenteerd. De nadruk ligt hierbij niet op de complexiteit van de behandelkeuze, maar wel op de systematiek en de uitvoer van het gekozen behandelplan, de documentatie van de behandeling zelf, inclusief patiëntgebonden opnamen in de tijd. Denk aan röntgenfoto’s, scans en klinische foto’s. In dat proces word je écht gedwongen om anders te gaan denken, uiterst zorgvuldig te werken en keuzes te maken die volledig zijn gebaseerd op de huidige stand van de wetenschap en het geleerde in de opleiding.
Gordon vertelt dat hij de opzet van de opleiding zeer bijzonder vindt: “De vorm is anders dan andere postacademische opleidingen waar ik aan heb meegewerkt. Alleen al omdat hij twee jaar duurt. Het is een hele actieve opleiding: ik weet uit de praktijk hoe waardevol het is als je tijdens het behandelproces iemand hebt die met je meekijkt. Nu kan dat ook echt. De bedoeling is dat deelnemers met ons contact kunnen opnemen tijdens het maken van een behandelplan en om advies kunnen vragen over de lopende behandeling.”
Erik: “Na deze opleiding hebben deelnemers een brede range aan behandelingen in hun portefeuille, ze zullen het grote merendeel van de implantologische


Revolutionaire scanervaring. Maximale precisie. Ongekend gebruiksgemak.
• Haarscherpe beelden – tot 110% hogere scanresolutie voor natuurgetrouwe 3D scans.
• Hyperspectraal scannen – wit, fluorescerend en near-infrared data in één vloeiende scan.
• Draadloos & kalibratievrij –direct klaar voor gebruik.
• ScanAssist – AI scan-ondersteuning voor snelle, consistente resultaten.
• Dx Plus compatibel – AI ondersteunde detectie en visualisatie van o.a. cariës, slijtage, plaque en recessie.
Ontdek TRIOS 6 – Bezoek de 3Shape stand F02 tijdens de Dental Expo of vraag een demo aan via je 3Shape reseller.
Great patient care starts here!

zorg beheersen. En juist omdat dit programma zo efficiënt is ingericht, is het bijzonder geschikt voor tandartsen die minder tijd hebben, maar zich wél op hoog niveau verder willen ontwikkelen.”
“Na deze opleiding hebben deelnemers een brede range aan behandelingen in hun portefeuille, ze zullen het grote merendeel van de implantologische zorg beheersen.”
Walter gaat in op de persoonlijke groei die het programma mogelijk maakt: “Groeien is iets heel persoonlijks. De één maakt enorme sprongen, de ander ontwikkelt zich op een rustiger tempo. Maar het mooie van dit programma is dat je zelf kunt bepalen waar je naartoe wilt. Je krijgt de ruimte én de begeleiding om te ontdekken welke richting jouw implantologische ontwikkeling op gaat. Dat vind ik misschien wel het meest waardevol.”
Erik Blom is tandarts-implantoloog en universitair docent aan ACTA. Hij studeerde in 1989 af aan de UvA en werkte vervolgens als algemeen tandarts bij de marine en in diverse praktijken. Sinds 1994 is hij verbonden aan de afdeling Orale Implantologie van ACTA, waar hij zich specialiseerde in reconstructieve en esthetische tandheelkunde. In 2001 promoveerde Erik op botregeneratie en opende hij de Tandheelkunde Kliniek in Blaricum. In 2002 behaalde hij zijn Master of Science in orale implantologie.
Gordon van der Avoort is tandarts-implantoloog en tandarts-parodontoloog (i.r.). Vanaf 1978 was hij docent Parodontologie aan de Vrije Universiteit en later ACTA. In 1994 was hij medeoprichter van de Verwijspraktijk voor Tandheelkunde in Amsterdam. Binnen ACTA maakte Gordon in 1995 de overstap van Parodontologie naar Orale Implantologie waar hij zich bezig hield met (post)academisch onderwijs, patiëntenzorg en opleiding. Nog steeds is Gordon actief betreft publicaties over biologische en technische complicaties bij orale implantaten.
Walter van Willigen is tandarts-implantoloog en Program Director bij het NYU Department of Continuing Dental Education. Na zijn afstuderen aan ACTA in 1990 ging hij aan de slag in Zuid-Frankrijk en volgde hij het implantologieprogramma aan NYU, aangevuld met een tweejarige opleiding in de implantologie en orale rehabilitatie aan de Universiteit van Bordeaux. Sinds 1998 ontwikkelt Walter gecertificeerde onderwijsprogramma’s voor NYU in samenwerking met toonaangevende universiteiten. Tot 2023 runde hij een praktijk in Juan-les-Pins met een focus op implantologie en reconstructieve tandheelkunde.
Wil je meer weten of je inschrijven voor het programma?
Bekijk hier het programma Implantology and Oral Rehabilitation: https:// dentalbestpractice.nl/leergang-nyu/
Opleidingsprogramma

Erik Blom, tandarts-implantoloog bij Tandheelkunde Kliniek Blaricum en universitair docent aan ACTA.
Implantaten zijn niet meer weg te denken uit de hedendaagse tandheelkunde. Iedere tandarts beschouwt ze inmiddels als een reguliere voorziening in de mond van patiënten. Heel wat anders dan dertig jaar geleden, toen door veel collega’s nog werd gezegd dat de implantologie experimenteel was. Evengoed is het opmerkelijk dat niet alle tandartsen weten wat ze ermee aan moeten, er met een boogje omheen gaan en, als het dan echt niet anders kan, verwijzen naar de implantoloog. Op zich is dat prima; daarvoor zijn er gedifferentieerde tandartsen. Misschien zou elke tandarts in zijn kastje een laadje met implantaten moeten hebben voor ‘standaard’ casussen en, zodra dat niet het geval is, gericht doorsturen.
Ruim veertig jaar geleden zag ik de eerste presentatie over implantaten op mijn alma mater, de tandheelkundefaculteit van de Universiteit van Amsterdam (UvA), en dacht meteen: dat wil ik ook. Al tijdens mijn studie verdiepte ik me erin en mocht ik meekijken bij de eerste bovenkaak die op de Louwesweg werd geïmplanteerd. Een Zweedse
meneer gaf aanwijzingen aan dr. Grevers en prof. Coppes: PerIngvar Brånemark. Geheimzinnig allemaal, in een donkere OK met alleen de operatielamp als spot op de mond van de patiënt. Ik wilde niets liever dan met deze mannen meedoen.
Jaren later, met de marine in Gothenburg, bezocht ik het Brånemark Center en kreeg ik een rondleiding van prof. Albrektsson. Deze godfathers van de implantologie waren mijn lichtende voorbeelden.
Een paar jaar later werkte ik op de afdeling implantologie van het ACTA, en dat is altijd zo gebleven. Nog steeds geniet ik enorm van het werken met implantaten en van het feit dat ik patiënten daarmee weer kan laten functioneren – en er zo mogelijk ook weer goed kan laten uitzien.
Vandaag is er ongelooflijk veel mogelijk in de implantologie. Zoveel keuzes, methoden en materialen, allemaal afgewogen tegen de wetenschap. Waar het begin simpel was – ‘volg de Brånemark-methode’ – is het
nu complexer. In mijn kliniek in Blaricum oefen en evalueer ik verschillende opties om tot best practice te komen. Op ACTA bestuderen we, vaak in teamverband, bestaande en nieuwe behandelmethoden. Die kennis mogen delen met enthousiaste, vaak jonge collega’s, houdt het vak uitdagend en scherp.
Daar komt de samenwerking met vermaarde Nederlandse collega’s en die van New York University (NYU) nog bij. Namen als Tarnow en Wallace hebben het vak blijvend gevormd. Hun werk heeft geleid tot belangrijke inzichten, zoals de vereiste bothoogte voor papilvorming en het gangbaar maken van de sinuslift.
In New York delen grootheden hun wetenschappelijk onderbouwde ervaring; in Nederland voegen we daar met Dental Best Practice een praktische dimensie aan toe. Het wordt een prachtige reis en een ervaring waar menig tandarts met affiniteit voor de implantologie z’n leven lang plezier van zal hebben. Let’s go!




Compacte en bijzonder lichte dentale camera (ca. 540 g)
Eenvoudige bediening dankzij 9 programma's
Bestand tegen water en snel te desinfecteren
Met videofunctie en optioneel polarisatiefilter
Eenvoudige en nauwkeurige kleurbepaling
Helpt bij de fotodocumentatie met de modus 'Isolate Shade' (kleur isoleren)
Richtinggevend voor de vormgeving van de gingiva
Kleurbepaling zonder invloeden van buitenaf

Camera demonstraties met Daan van Oort op de stand nr H38
Halverwege 2025 werd de definitieve versie van de KiMo-Richtlijn Indicatiestelling Antibioticagebruik in de Mondzorg definitief. Ondanks het ontbreken van keiharde evidence op dit onderwerp is het de Richtlijn Ontwikkelcommissie (ROC) toch gelukt om met een aantal klinische aanbevelingen te komen. In deze editie van Vast & Zeker lichten we het gebruik van antibiotica rondom implantologie behandelingen verder uit.
Het Kennis Instituut Mondzorg (KiMo)
Het KiMo werd in 2016 opgericht met het doel om de kwaliteit van de mondzorg verder te professionaliseren door het ontwikkelen en herzien van evidence-based klinische praktijkrichtlijnen. Inmiddels zijn er 13 klinische praktijkrichtlijnen voor de tandheelkunde afgerond, die zijn terug te vinden op de website van Het KiMo (www.hetkimo.nl). Op deze website is voor elke richtlijn, naast de volledige versie, ook een samenvatting en informatie voor de patiënt terug te vinden. Tussen 2019 en 2025 werd de Richtlijn Indicatiestelling Antibioticumgebruik in de Mondzorg ontwikkeld. In deze richtlijn worden aanbevelingen gedaan voor het gebruik van antibiotica rondom parodontologie, implantologie, endodontologie, apicale infecties , en het voorkomen van MRONJ bij patiënten met botafbraak remmende medicatie of angiogeneseremmers. Voor het gebruik van antibiotica rondom verwijdering verstandskiezen en peri-implantitisbehandelingen wordt verwezen naar reeds bestaande richtlijnen over deze onderwerpen.
Algemene Principes van rationeel antibioticumgebruik
Tandartsen en MKA-chirurgen schreven in 2019 ongeveer 400.000 recepten antibiotica uit. Meestal betrof het een penicilline (365.000 keer), zoals amoxicilline. Omdat het voorschrijven niet altijd volgens de juiste indicatie (ontbreken indicatie, te lage dosering, inadequate duur, verkeerde keuze) gebeurt, kan dit zogenaamde antimicrobiële resistentieproblematiek, maar ook bijwerkingen en allergieën in de hand werken. Het verantwoord voorschrijven van antibiotica is dan ook essentieel. Hiervoor geldt dan ook dat het antibioticum werkzaam dient te zijn tegen de te verwachten pathogenen en dat er voldoende concentratie is te bereiken op de plek van infectie. Ook dient het antibiotisch spectrum zo smal mogelijk te zijn. Een antibioticum kan op meerdere manieren worden ingezet, namelijk als een proylaxe, als empirische therapie of als een gerichte therapie. Een profylaxe wordt voorafgaand aan de ingreep ingenomen en heeft als doel dat er tijdens de ingreep een adequate antibiotische weefselspiegel wordt bereikt met als

1. Een vertraagde huiduitslag drie dagen na een profylaxe dosis van 2000mg amoxicilline.
doel het voorkomen van een postoperatieve infectie. Bij een empirische therapie wordt, veelal met een breedspectrum antibioticum ingezet op de verwachte pathogenen. Gerichte therapie volgt vaak op een microbiologisch onderzoek. In de tandheelkunde wordt antibioticum bijna altijd profylactisch of empirisch voorgeschreven.
Bacteriën kunnen resistent worden voor bepaalde antibiotica, bijvoorbeeld door chromosomale mutatie bij een specifieke bacterie, of door opname van genetisch materiaal uit de omgeving. Bij blootstelling van een bacteriële populatie aan een antibioticum zullen de gevoelige stammen snel worden bestreden, terwijl de resistente stammen hierdoor juist in staat worden gesteld om zich te vermenigvuldigen. Met name bij het gebruik van een breedspectrum antibioticum is de kans op het ontwikkelen van resistentie het grootst.
Naast resistentie kan gebruik van antibioticum ook leiden tot langdurig disbalans van de microbiota in de darmen, met diarree en soms zelfs een ontsteking van de darm als gevolg. Veel patiënten (circa 10%) geven aan dat ze ‘allergisch’ zijn voor penicilline. Dit wordt vaak aangenomen op basis van eerdere bijwerkingen/reacties (misselijkheid, hoofdpijn, diarree). Van deze groep blijkt slechts 10% (dus 1% van de bevolking) daadwerkelijk allergisch te zijn. Een consult bij de allergoloog kan vaak meer duidelijkheid geven, zodat kan worden voorkomen dat ten onrechte wordt uitgeweken naar een minder effectief middel met veelal meer bijwerkingen.
Voor de mondzorg zijn er twee allergische reacties te onderscheiden; de vroege reactie (binnen zes uur) en de late reactie (meestal na 2 tot 5 dagen). Bij een vroege reactie kan huiduitslag, zwelling tong/lippen keel en zelfs een anafylaxie optreden. In dit geval dient direct medische hulp ingeschakeld te worden (112/spoeddienst) en dient intramusculair adrenaline te worden toegediend (epipen). De late reactie wordt gekenmerkt door huiduitslag (figuur 1). Dit kan vervelend zijn, maar is zelden ernstig.
Is antibioticaprofylaxe geïndiceerd bij implantologiebehandelingen?
Op basis van 19 systematic reviews en twee RCT’s kon worden gesteld dat het geven van een antibioticaprofylaxe (amoxicilline) bij implantaatplaatsing de kans op implantaatfalen enigszins lijkt te verminderen. Wel dient hierbij vermeld te worden dat de beoordeelde artikelen een zogenaamde lage tot zeer lage ‘certainty of the evidence’ (bewijslast) hadden. Antibioticaprofylaxe lijkt bij het plaatsen van implantaten de kans op een postoperatieve infectie niet of nauwelijks te verminderen. Het risico op implantaatfalen na plaatsing in combinatie met botaugmentatie werd onderzocht in een aparte analyse. Het betrof hier slechts één studie, met een zeer lage ‘certainty of the evidence’. Er was geen significant verschil.
Op basis van de beperkte literatuur, en rekening houdend met de voor- en nadelen rondom antibioticagebruik, komt de Richtlijn Ontwikkel Commissie met de aanbeveling om niet routinematig antibioticaprofylaxe voor te schrijven bij eenvoudige implantologiebehandelingen. Het geven van een profylaxe dient wel te worden overwogen in situaties waarbij implantaatfalen zal leiden tot een slechte nieuwe klinische uitgangssituatie (zoals in de esthetische zone), herplaatsing na eerder implantaatfalen, bij bepaalde patiëntengroepen met een hoger risico (roken, diabetes) of in combinatie met botaugmentatie/ sinuslifting. Bij deze laatste groep weegt het geven van een eenmalige profylaxe op tegen het uitsparen van een langere behandeling met antibiotica indien postoperatief een infectie optreedt. Er is geen indicatie voor het geven van een verlengde meerdaagse antibioticaprofylaxe na de ingreep.
Meer
Dentsply Sirona combineert meer dan een eeuw expertise met geavanceerde digitale technologie. Van baanbrekende innovaties tot geïntegreerde digitale workflows: wij zetten wereldwijd de standaard in professionele tandheelkundige oplossingen.
Met Primescan® 2 tilt u uw praktijk naar een hoger niveau. Deze veelzijdige intra-orale scanner biedt een toegankelijk startpunt voor digitale groei en ondersteunt een breed scala aan indicaties, waaronder restauraties, aligners en implantologie. Flexibel, efficiënt en afgestemd op uw manier van werken.
DS Core vormt het digitale hart van uw praktijk. Dit cloudgebaseerde platform verbindt apparatuur, software en patiëntgegevens in één veilige omgeving en optimaliseert de volledige workflow van beeldvorming tot behandeling en samenwerking met het laboratorium.
Dentsply Sirona Vertrouwd door professionals. Gedreven door innovatie.

Uw praktijk, compleet en toekomstbestendig. Wij staan voor u klaar zodat u elke uitdaging aan kunt, van uw dagelijkse behandelingen tot aligner-therapie en implantologie.
Kom langs voor een gratis expertgesprek en ontdek hoe u uw praktijk kunt optimaliseren met de juiste oplossingen voor nu én de toekomst.
Dental Expo – Stand G06 – 5, 6 & 7 maart 2026, Gorinchem
Scan de QR en boek een tijdslot voor uw gratis expertgesprek op onze stand.

2. Een ‘eenvoudige’ 1-fase implantaatbehandeling bij een gezonde patiënt waarbij geen antibioticaprofylaxe is voorgeschreven.
Bij profylactisch gebruik wordt als eerste keuze 2000mg amoxicilline 30-60 minuten voor de ingreep aanbevolen. Bij een allergie voor amoxicilline dient eenmalig 600mg clindamycine te worden voorgeschreven.
Botafbraakremmende medicatie of angiogeneseremmers
In de algemene praktijk komen we steeds meer patiënten tegen die botafbraakremmende medicatie gebruiken of hebben gebruikt. Het gebruik van zogenaamde bisfosfonaten ter behandeling van osteoporose is wellicht het meest bekend. Er zijn echter ook andere groepen medicatie, zoals angiogeneseremmers, die net als de bisfosfonaten kunnen leiden tot botnecrose (MRONJ) na bijvoorbeeld een extractie of implantaatplaatsing. Om deze reden dient men terughoudend te zijn met het behandelen van deze patiënten, zeker wanneer bepaalde medicatie langer gebruikt is. De Richtlijnen adviseren dan ook gebruik van een antibioticaprofylaxe bij patiënten die nu of in het verleden 24-36 maanden orale botafbraakremmende medicatie gebruiken of hebben gebruikt. Bij een gebruik langer dan 36 maanden, intraveneuze toediening van meer dan een jaar of bij het gebruik van angiogeneseremmers dient men zeer terughoudend te zijn ten aanzien van het uitvoeren van een chirurgische ingreep. Als de ingreep onvermijdelijk is dient bij voorkeur te worden doorverwezen naar een expertisecentrum. Antibioticaprofylaxe is dan geïndiceerd.
Peri-Implantitis (Richtlijn Periimplantaire
Het gebruik van antibiotica in aanvulling op mechanisch reinigen bij een peri-implantitisbehandeling

3. Implantaatplaatsing in combinatie met een botaugmentatie waarbij vooraf een antibioticaprofylaxe is ingenomen.
heeft geen toegevoegde waarde. Wel kan rondom deze behandelingen worden overwogen om antimicrobiele/antiseptische spoelmiddelen, tandpasta’s, sprays en gels te gebruiken.
Gezamenlijke besluitvorming met de patiënt
Het gebruik van antibiotica in de implantologie is niet zonder risico’s. Vanwege de kans op resistentievorming, allergische reacties en toxiciteit dient antibiotica weloverwogen te worden voorgeschreven. De nieuwe Richtlijn Indicatiestelling Antibioticagebruik in de Mondzorg biedt, ondanks beperkte bewijslast van de beschikbare literatuur, een goed handvat voor de praktijk. Voorafgaand aan hierboven beschreven, meer complexe implantologiebehandelingen kan het gebruik van een profylaxe overwogen worden. De voor- en nadelen van antibiotica dienen met de patiënt besproken ter worden om gezamenlijk tot een risico-afweging te komen. Uiteraard kan in afwijkende klinische situaties altijd gemotiveerd af worden geweken van een richtlijn. Hierbij dienen de overwegingen wel altijd goed te worden vermeld in het patiëntendossier.
Frank Andriessen is werkzaam als tandarts-implantoloog bij het Tandheelkundig Centrum Wilhelminapier (www.tand-implant.nl) in Rotterdam. David Rijkens is werkzaam als tandarts-implantoloog bij Mondzorg Kudelstaart (www.mondzorgkudelstaart.nl).

Inhoud:
1x Instrumentenlaken 67x70cm
1x Boorhoes met invoer 7x170cm
1x Zuigset 2,1M
1x Afdeklaken 75x100cm
1x Splitlaken 75x90cm
2x OK jas, maat L
3x Muts Bouffant
2x Mondmasker
44001630
Wilt u wel een custom made set?
Neem dan contact op met onze vertegenwoordigers.
€16.95 per stuk


Infuusbestek voor verschillende motoren
HY-110001
infuusbestek voor alle type motoren
v.a. €48,00 per 10 stuks

Nitril handschoenen
RNBM10001
Blauw
€3,85 per doos van 100 stuks

Mondmasker type IIR 401102
Chirurgisch, IIR, blauw, elastiek
€3,50 per 50 stuks


Sodium Chloride 0,9% HY-80111 / HY-80109
250ml en 500ml (steriel water)
Niet voor intraveneus gebruik.
v.a. €2,70 per stuk
Hemostatische gelatinespons
CS-310
10x10x10mm (steriel) van CuraSpon
€29,99 per 50 stuks
BlueM Oxygen fluid OFI250
250ml
Neutraal mondwater voor wondgenezing
€7,49 per stuk

Celina Klappers, Praktijkhouder-Tandarts bij Wellestate Tandartsen, IJsselstate Tandartsen en Jungle Tandartsen. @drs.celina_klappers
Nu ons tandartsenteam groeit met technisch zeer bekwame collega’s, valt me iets op. De vragen van patiënten die bij onze managers en uiteindelijk bij ons als praktijkhouders terechtkomen, gaan zelden over de technische uitvoering van een behandeling. Bijna nooit zelfs. Ze gaan over communicatie. Over verwachtingen. Over wat er vooraf is gezegd, of juist niet.
Wat ik vooral zie bij jongere collega’s, is een terughoudendheid om echt duidelijk te zijn. Het moment waarop je moet zeggen: “Dit element is niet meer te restaureren” of “Dit kunnen we niet behouden.” De onderliggende angst is herkenbaar: straks denkt de patiënt dat ik geen goede tandarts ben. Maar precies daar ontstaat het probleem. Want juist het toch proberen te restaureren van een element met een slechte prognose, zonder expliciet te benoemen dat de kans van slagen be-
perkt is, creëert onrealistische verwachtingen. En die leiden later tot teleurstelling. Niet omdat de behandeling technisch niet goed is uitgevoerd, maar omdat de patiënt iets anders verwachtte.
Ik zie bijna heroïsche pogingen: een deep margin elevation, technisch knap uitgevoerd, maar waarbij een knobbel net iets anders aanvoelt dan voorheen. De reactie van de patiënt? “Mijn kies voelt niet goed, ik ga hier niet voor betalen.” Terwijl een ander het element allang had afgeschreven. En dat is precies het interessante: stel dat het wél lukt. Stel dat je een element redt dat eigenlijk afgeschreven was. Dan ben jij de held. De behandeling is inhoudelijk dezelfde, maar de ervaring voor de patiënt is totaal anders. Niet omdat jij ineens beter hebt gerestaureerd, maar omdat de verwachtingen vooraf klopten. De patiënt verwacht vaak de perfectie van een indirecte
restauratie. De vraag is niet of die verwachting reëel is, maar hoe die is ontstaan. En daar ligt onze verantwoordelijkheid als behandelaar.
In de gesprekken die wij later voeren met beide partijen, blijkt vrijwel altijd dat er met de beste intenties is gehandeld. Alleen niet met de beste communicatietools. Implantologie is bij uitstek een vakgebied waarin expectation management essentieel is. Het allerbeste in je mond is en blijft je eigen gezonde tand. Alles wat wij daarna doen, hoe goed ook uitgevoerd, is een vervanging.
Alles wat je vooraf zegt is voorlichting. Alles wat je achteraf zegt, voelt al snel als een excuus. En dan geldt vaak: zachte heelmeesters maken stinkende wonden.
Onze communicatietraining met het tandartsenteam is in de maak! Onze stap in samen beter worden.
Een patiënt die conventioneel tandheelkundig vrijwel volledig is uitbehandeld, stelt de behandelaar voor complexe keuzes. In dit artikel wordt aan de hand van een uitgebreide casus beschreven hoe diagnostiek, prognosebepaling en interdisciplinair overleg leiden tot een voorspelbaar implantologisch behandeltraject. De casus illustreert hoe een ogenschijnlijk onsamenhangende restauratieve voorgeschiedenis kan uitmonden in een doordacht en succesvol full-arch implantaatgedragen rehabilitatieplan.
Op maandagochtend halfnegen dient zich in mijn agenda een nieuwe patiënt aan, mevrouw G. Ik heb haar nooit eerder gezien en een verwijzend tandarts, stuurt haar in met de vraag of ik met implantaten het eerste kwadrant wil restaureren aangezien daar de brug is losgekomen. Eerder heeft mevrouw G. een uitgebreide informed consent ontvangen met een gezondheidsvragenlijst. Er is verder intensief contact geweest met de verwijzer die ook enkele gemaakte röntgenfoto’s heeft gemaild. Tijdens het eerste onderzoek blijkt dat ze zich goed heeft ingelezen in alle informatie die haar per mail is toegestuurd. De patiënt is 65 jaar oud, spreekt moeilijk Nederlands, echter in het Engels kan ze zich goed verstaanbaar maken. Bij navraag blijkt ze in verschillende landen te hebben gewoond in verband met de werkzaamheden van haar man. Ze is van een economisch hogere sociale klasse en woont nu sinds een jaar of vijf in Nederland. Ze is gezond en slikt geen medicijnen, behalve pijnstillers tegen de pijn in haar gebit.
Door haar vele residenties heeft ze ook veel verschillende tandartsen gehad, verdeeld over een aantal
landen. Ze heeft zich uitgebreid laten behandelen met kroon- en brugwerk. Haar voornaamste klacht is van algemene en esthetische aard: haar gebit doet pijn bij functie en laat esthetisch te wensen over. Haar grootste wens is weer probleemloos te kunnen kauwen met een stevig, pijnvrij en gezond gebit.
Klinisch onderzoek en diagnostiek
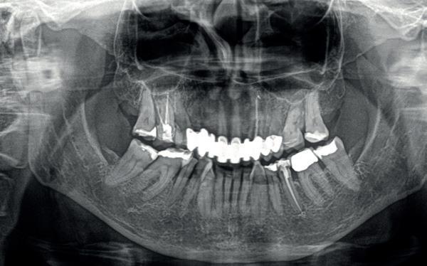
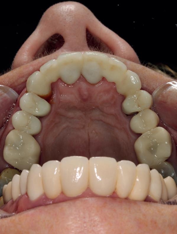
Er worden lichtfoto’s gemaakt van het gebit waarop blijkt dat enkel een aantal incisieven in boven- en onderkaak onbehandeld zijn (zie lichtfoto’s bij intake). De residentie lijkt vrijwel geheel gekroond en/ of overbrugd. Er is sprake van gedateerd kroon- en brugwerk waarbij kroonranden met de jaren bloot zijn komen te liggen en er is sprake van secondaire cariës. Daarnaast stel ik een fors verlies van verticale hoogte van de aanwezige processus in alle vier de kwadranten vast. Is hier sprake geweest van een verleden met ernstige parodontitis?



1. Gedateerd kroon- en brugwerk; fors aanhechtingsverlies zijdelingse elementen.
2. Ernstige parodontale afbraak verspreid aanwezig; (sec.)cariës



onder de kronen; grote apicale radiolucentie 16.
3. Paro status bij intake
4. Op basis van de OPG is niet nader te bepalen wat de breedte is van
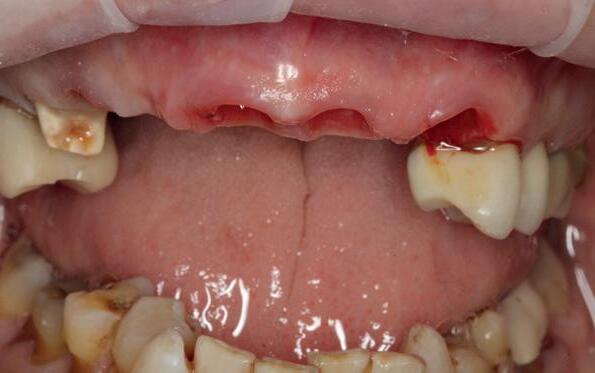
Op basis van de eerste indruk die ik krijg tijdens het globale klinische onderzoek, wordt een orthopantamogram (zie OPT bij intake) gemaakt. Samen met de meegestuurde röntgenopnames (zie solo’s) wordt eenvoudig vastgesteld dat er sprake is van ernstig botverlies, bijvoorbeeld bij de 16, 17 en de 18 tot 100% verlies aan alveolair bot. De 16 vertoont daarnaast een grote peri-apicale laesie. In het eerste kwadrant lijkt daarom alleen de 12 een goede prognose te hebben. De 12 vormt samen met de 16 een vierdelige brug en deze constructie lijkt dus verloren. Overigens vermoed ik dat de 12 eigenlijk een cuspidaat is en ontbreekt de 12 (agenesie). Daarnaast worden sterk verdiepte ontstoken pockets geconstateerd bij de 16, 17 tot 12 mm en zijn de elementen sterk verhoogd mobiel. De 11 lijkt als enige element van de gehele dentitie niet te zijn behandeld.
In het tweede kwadrant ziet de situatie er in eerste instantie röntgenologisch veel beter uit. Een vierdelige brug rust op twee pijlers: de 24—27. Ook hier is sprake van vermoedelijk agenesie van de 22. Bij nader onderzoek blijkt diepe cariës onder de kroon
de kaak. Voor een accuratere diagnostiek is een CBCT-scan nodig.
aanwezig bij de 27 en is dus ook de brug in het tweede kwadrant verloren. Daarnaast zijn er verdiepte ontstoken pockets bij de 26, 27 met gevorderd aanhechtingsverlies (pockets tot 8 mm) wat bevestigd wordt in de opgemaakte parodontiumstatus (zie intake status). Verder zijn de 21 en de 23 behandeld met composiet waarbij de 23 is omgebouwd tot een laterale incisief. Als we kijken naar het derde kwadrant dan wordt 10 mm aanhechtingsverlies bij de 35 geconstateerd (8mm pocket met 2mm recessie). De brug in het derde kwadrant vindt zijn houvast op de 34, 35; beide elementen zijn endodontisch behandeld. De 35 heeft een zeer matige prognose ten gevolge van de ernstige mate van alveolair botverlies en voldoet niet meer als pijlerelement. Hierdoor is de prognose van de brug 34, 35—38 ook zeer matig en is de brug dus verloren. De overspanning van drie elementen met een brug op twee pijlers waarbij de ene pijler een endodontisch behandelde premolaar (34) betreft en de 38 een enkele korte wortel als enige gezonde pijler functioneert, voldoet de brug mechanisch niet meer als duurzame prothetische oplossing. Zowel de 32 als met name de 33 zijn fors met composiet geres-

Maak endo eenvoudig en efficiënt
Een geoptimaliseerde vijlenreeks
Een bioactieve sealer met een succespercentage van 91% na 2 jaar**
*BioRoot™ Flow: is een medisch hulpmiddel dat bedoeld is voor permanente wortelkanaalvulling in combinatie met gutta-percha-punten. GenENDO maakt deel uit van de endodontische behandeling. Beide kunnen samen of afzonderlijk worden gebruikt bij endodontische ingrepen. **Evaluatie op basis van losse criteria (Clinicaltrials.gov) 24 maanden na de behandeling was het totale effectiviteitspercentage volgens ruime criteria 91,0% in de BrF-groep en 90,4% in de BrRCSgroep (p= 0,0003). De resultaten van het klinische onderzoek zijn beschikbaar op Clinicaltrials.gov/study/NCT04757753.
Septodont NV-SA Société Anonyme
Grondwetlaan 87 - 1083 Brussel - België www.septodont.nl
WILT U EEN DEMONSTRATIE? SCAN DE QR-CODE


taureerd (zie klinische foto’s) wat waarschijnlijk in de nabije toekomst een endodontische behandeling nodig maakt. De prognose van beide elementen is daarom dubieus.
Dat de brug in het vierde kwadrant nog niet is losgekomen op de pijlers, is een wonder. De zesdelige brug is vervaardigd op vier pijlers: 43, 44, 45 en de 48. Zowel op de meegestuurde solo als op de OPT is secondaire cariës zichtbaar onder de kroon van de 44. Bij de 45 is een poging gedaan om secondaire cariës cervicaal te behandelen met composiet. Parodontaal is de 45 mogelijk het slechtst eraan toe. De 45 vertoont zeer verdiepte en ontstoken pockets tot 9 mm met gingivarecessie tot 2-4 mm. Er is dus sprake van aanhechtingsverlies tot 11 mm en röntgenologisch lijkt er sprake te zijn van een angulair defect bij zowel de 44 als de 45. Beide elementen zijn endodontisch behandeld. De prognose van beide elementen is dus slecht.
Naast de 11 zijn de enige overige gave elementen de 31 en de 41, 42. Deze vier elementen vertonen maximaal 30% botverlies, bevestigd op basis van de OPT en de metingen van het aanhechtingsverlies in de parodontiumstatus. De prognose van deze vier elementen is dus vooralsnog goed. De vraag is echter; kunnen we hier een nieuwe gezonde, functionele en fraaie dentitie omheen bouwen die voldoet aan de tandheelkundige vraag en de wens van de patiënt?
Behandelopties en besluitvorming
Op basis van het bovenstaande onderzoek worden twee reële behandelopties voorgesteld aan de patient: (1) een exploratieve (restauratief & parodontale) tandheelkundige behandeling, gecombineerd met implantologie, waarbij zoveel mogelijk elementen behouden blijven of (2) een invasieve maar voorspelbaardere tandheelkundige behandeling in combinatie met implantaten. Het behandelplan wordt met zowel de patiënt als de tandarts uitgebreid besproken. Een begroting wordt opgesteld, besproken en gemaild naar de patiënt. Het is onmogelijk voor de patiënt een gerichte keuze te maken tussen de behandelplannen zonder een accurate begroting. In goed overleg wordt uiteindelijk gekozen voor optie 2.
Dit betekent in eerste instantie dat de dentitie invasief wordt gesaneerd wat neerkomt op totaal extractie: een volledige gebitsprothese voor in de boven- en onderkaak. Een implantaat gedragen vaste voorziening kan op termijn aan de wens van de patiënt voldoen. De chirurgische behandeling omhelst het plaatsen van implantaten op geleide van een boormal eventueel in combinatie dan wel separaat uit te voeren botopbouw en bilaterale sinuslift. Zes maanden na de eerste fase wordt het mogelijk de tweede fase uit te voeren, namelijk de abutment chirurgie. De immediaat gebitsprothese dient als (tijdelijke) noodvoorziening en wordt tussentijds aangepast.
Ongeveer drie maanden na de totaal extractie zien wij de patiënt terug voor verder klinisch en röntgenologisch onderzoek en het opstellen van het definitieve implantologische behandelplan. Gebitsmodellen worden gemaakt waarbij de kaakwallen worden gescand ter voorbereiding van de chirurgie. Van groot belang is het vervaardigen van een CBCT-scan om zowel de breedte als de hoogte van de processus te bepalen in de boven- en onderkaak. Daarnaast is het van belang de sinusbodem goed in kaart te brengen en eventuele septa in beeld te brengen. Ook in de onderkaak is het noodzakelijk te achterhalen hoe de canalis mandibularis loopt en waar precies het foramen mentale zich bevindt. Bij patiënt G. wordt al snel duidelijk dat de kaakbreedte in zowel de onder- als de bovenkaak vrij smal verloopt. Een botopbouw kan daarom niet voorkomen worden en bij de voorbereiding van het plaatsen van de implantaten zal daarom ook de botopbouw per kaak opgenomen moeten worden in het behandelplan. Een laterale botopbouw met een sinuslift in het eerste kwadrant is vrijwel onvermijdelijk.
Voor de uitvoering van de implantologische chirurgie is preoperatief een boorsjabloon vervaardigd, zodat op de juiste positie de implantaten geplaatst kunnen worden. Zonder een boorsjabloon is de juiste positionering vrijwel onmogelijk. De voorbereiding van de chirurgie zelf lijkt in de uitvoering van het behandelplan het meest voorspelbaar. Buiten de mond kan uitgebreid de tijd genomen worden voor de voorbereiding. Ook de bespreking van de posities van de implantaten kan interdisciplinair worden besproken met de restauratieve tandarts (dr. Paul de Kok) en de tandtechnicus (Michel Castro) van 4Dental Am-


Wil je implantologie met vertrouwen, actuele kennis en een sterke praktische basis toepassen in je eigen praktijk? Onze leergang implantologie is al jaren een succes en is onlangs volledig geüpgraded. In tien intensieve lesdagen nemen we je mee door het complete implantologische traject: van intake en diagnostiek tot chirurgie en restauratieve oplossingen.
Je leert van ervaren specialisten, werkt onder begeleiding aan echte casussen en implanteert zelf drie patiënten. Zo ontwikkel je niet alleen kennis, maar vooral vaardigheid en zekerheid in je handelen.
DOCENTEN
Thibaut de Jong Xander Rijpstra tandarts-implantoloog tandarts-implantoloog
GASTSPREKERS
Bas Leempoel Caroline Cuppens
Mardi Kwehandjaja Sascha van Hummel
Jan-Willem Vaartjes Jacqueline van Zandschulp
PROGRAMMA
Dag 1: Diagnostiek, indicaties, contra-indicaties, (medische) risico’s en dossiervorming
Dag 2: Behandelplanning en implantaattypen
Dag 3: Flapdesign, hechten & live intake door docent
Dag 4: Botopbouw en tweede fase technieken
Dag 5: Live implanteren edentate kaak door docent
Dag 6: Zelfstandig implanteren edentate kaak door deelnemer en assistent
Dag 7: Suprastructuren uitneembaar en vast & live implanteren dentate kaak door docent
Dag 8: Zelfstandig implanteren dentate kaak door deelnemer en assistent
Dag 9: Voorbereiding op het examen & lezing Nazorg bij implantologie
Dag 10: Examen
Dag 11: Graduation
Start 4 september 2026 S can deQR-code voor mee r





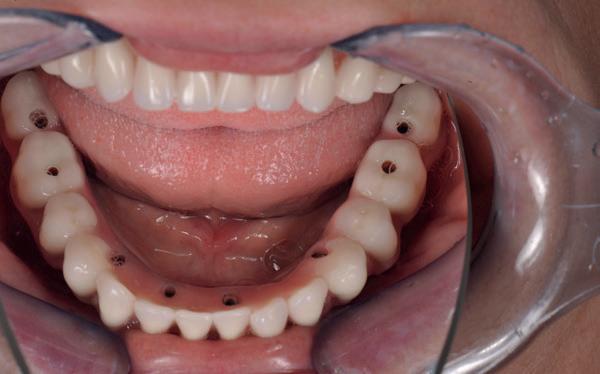
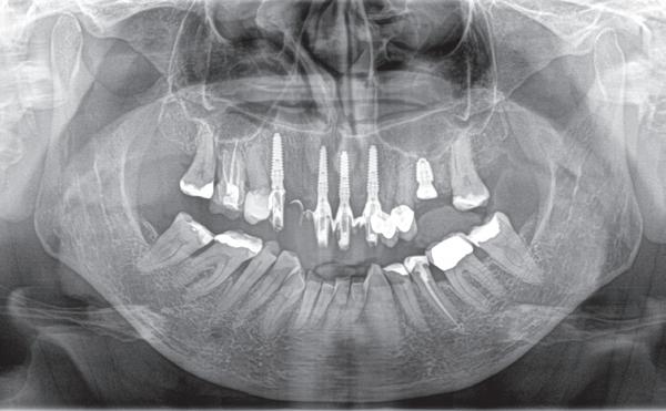
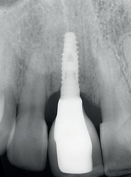
5. Implantaten geplaatst op geleide van een boorsjabloon; botopbouw met sinuslift volgens de GBR-techniek en Caldwell Luc methode; materialen: Oragraft & BioOss, Ossix membr, hyaluronzuur. In de BK is gekozen voor Bego implantaten (Bego SC en RSX 3,75x 11,5 & 13mm).
6. In het front zijn Bego 3,25mm
sterdam. Een interdisciplinaire benadering van deze behandeling is dus cruciaal.
Iedere patiënt wordt preoperatief uitgebreid op de hoogte gebracht wat de chirurgische behandeling inhoudt. In een aparte afspraak - meestal een week voor de operatie - krijgt de patiënt uitgebreid instructies mee zodat voorzorgsmaatregelen genomen kunnen worden en de patiënt volledig op de hoogte is van eventuele postoperatieve complicaties. De patiënt krijgt informatiefolder mee waarin de operatie wordt beschreven: het plaatsen van implantaten in combinatie met een (bi-)laterale sinuslift en botopbouw. Daarnaast wordt een recept uitgeschreven voor antibiotica (amoxicilline), pijnstilling (paracetamol en/of ibuprofen) en een mondspoelmiddel (chloorhexidine). Er wordt nogmaals uitleg gegeven over “wat te verwachten in de eerste week na de operatie”, zoals oedeem, hematoomvorming, eventuele nabloeding als ook verminderd kauwvermogen, aangepaste voeding en levensstijl. Patiënten hebben vaak geen idee wat hen te wachten staat.
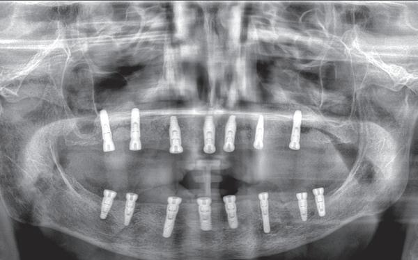
Tijdens de chirurgische behandeling worden na het afschuiven van de flap de posities bepaald van de implantaten met de boorsjabloon. In de bovenkaak worden 7 implantaten geplaatst en in de onderkaak 8


implantaten geplaatst terwijl in de zijdelingse delen voor een bredere diameter (3,75 & 4,1) is gekozen, met lengte 8,5 en 10mm.
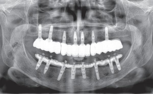
7. OPT na abutmentchirurgie 6 maanden later. De integratie van de implantaten met de botopbouw & sinusliften verloopt voorspoedig.
(zie foto’s chirurgie en OPT’s). Gekozen is voor Bego SC & RSX Pro van een relatief smalle diameter (3,253,75). Alleen in de molaarstreek valt de keuze op een 4,1 mm in diameter. De lengte varieert tussen 8,5 en 13 mm afhankelijk van de ligging van de nervus alveolaris inferior en het foramen mentale als de neusbodem en de sinusholte. De keuze van de diameter wordt mede bepaald door de breedte van de processus ondanks de uit te voeren laterale botopbouw. Indien mogelijk gaat de voorkeur uit naar het plaatsen van implantaten in autoloog en daarmee vitaal bot.
Lateraal van de implantaten wordt de kaak fors uitgebouwd volgens de Hybride GBR-techniek met Oragraft (allograft) van Lifenet die wordt vermengd tot een cocktail met BioOss (xenograft) van Geistlich, autoloog geoogste botsnippers en verzameld bloed uit het wondgebied. De botgraft wordt bedekt met een Ossix (crossed linked) membraan en met Hyadent (hyaluronzuur) overspoten. De sinuslift wordt gelijktijdig met de laterale botopbouw volgens de Caldwell Luc methode uitgevoerd en de uitgeprepareerde holte opgevuld met de botgraft. De flaps worden eerst horizontaal ontlast (gemobiliseerd) en vervolgens naar elkaar toe gehecht met vicryl rapide. Daarbij wordt gebruikgemaakt van horizontale matrassen, zodat de wondranden passief tegen elkaar
komen te liggen en de flaps primair gesloten kunnen worden. Het passief sluiten van een flap voorkomt wonddehiscenties in de genezingsfase die als complicaties kunnen optreden en botregeneratie verstoren. Daarnaast wordt bij een wonddehiscentie het risico op infectie van de graft sterk verhoogd waardoor het gewenste resultaat niet kan worden bereikt. Afstoting van graft materiaal komt dan veelvuldig voor soms gecombineerd met abcesvorming als geen voorzorgsmaatregelen worden genomen. Complicaties moeten daarom nauwlettend gevolgd worden totdat ze verdwenen zijn. De patiënt krijgt na chirurgie postoperatieve instructies en adviezen over de postoperatieve zorg. Daarbij wordt ook de nadruk gelegd op het koelen (coldpack) en zijdelingse druk op de wang. Het blijkt dat koelen en het uitoefenen van druk op het operatiegebied oedeem en hematoomvorming grotendeels kunnen verminderen en soms zelfs kunnen voorkomen.
Achtergrond en overwegingen bij botopbouw
Guided Bone Regeneration (GBR) is een operatietechniek waarbij een barrière-membraan het botdefect afschermt van snel migrerende epitheliale cellen, zodat osteoblasten eerder de kans krijgen het defect naar binnen te groeien. Dit principe is beschreven in experimenteel onderzoek en vormt de basis van hedendaagse botaugmentatie rond implantaten.1
Voor voorspelbare GBR wordt vaak het PASS-principe aangehaald: (P) primaire, spanningsvrije wondsluiting; (A) angiogenese en adequate perfusie; (S) space maintenance/creation; en (S) stabiliteit van het bloedstolsel en het graftcomplex.2 In de kliniek betekent dit dat flapdesign, periostale releasing incisions, fixatie van membraan/graft en hechttechniek net zo bepalend zijn als de keuze van het botvervangend materiaal.
Materiaalkeuze van botaugmentatie producten defect en volume afhankelijk. Autoloog bot biedt osteo-inductieve eigenschappen, maar resorbeert relatief snel; xenografts en allografts bieden met name volume-stabiliteit en osteoconductie. Composietof ‘hybride’ grafts (autoloog bot gemengd met een langzaam resorberend botsubstituut) worden daarom veel toegepast om biologische activiteit en contourstabiliteit te combineren.
Barrière-membranen variëren van resorbeerbare (meestal collageen) membranen tot niet-resorbeerbare barrières (PTFE of titaniumversterkte meshes). Resorbeerbare membranen zijn klinisch gebruiksvriendelijk waarbij een tweede ingreep kan vermeden worden om het membraan te verwijderen. Niet-resorbeerbare membranen bieden een hogere stabiliteit bij grotere botaugmentaties, maar zijn gevoeliger voor complicaties bij wonddehiscenties (perforaties) en vragen een strikt weke delenmanagement. Wonddehiscentie en membraanexpositie zijn de meestvoorkomende complicaties bij GBR en hebben aantoonbaar een negatief effect op botregeneratie. In een systematic review en meta-analyse was horizontale bottoename bij edentate botcresta aanzienlijk groter wanneer geen expositie optrad; ook reductie van peri-implantaire dehiscentiedefecten was beter zonder expositie.3 Daarmee wordt het belang onderstreept van passieve flapsluiting, drukvrij prothesegebruik en een actieve follow-up in de vroege genezingsfase.
Twee weken later zie ik de patiënt terug voor controle van de eerste wondgenezing. De noodprothese mag de eerste twee weken niet gedragen worden en wordt tijdens de controle zorgvuldig aangepast aan de nieuwe situatie. Hiervoor wordt de prothese gedeeltelijk uitgefreesd en voorzien van een Soft Reliner materiaal. Te veel druk op de beide kaken moet ten alle tijden voorkomen worden en heeft effect op de ingroei van de botopbouw. De genezingsperiode duurt tenminste zes maanden voordat verdergegaan kan worden met de tweede fase: de abutment chirurgie. Hierbij wordt extra aandacht besteed aan het herstel van de gekeratiniseerde gingiva rondom de abutments. Dit komt ten goede aan de uitvoering van de mondhygiëne en dus de stabiliteit van de peri-implantaire mucosa. Deze ogenschijnlijk eenvoudige behandeling is essentieel voor de prognose van de implantaten op de lange termijn. Te weinig gekeratiniseerde mucosa maakt zelfzorg (borstelen/interdentaal reinigen) vaker pijnlijk of lastig, waardoor plaque en mucositis makkelijker kunnen ontstaan en blijven over de lange termijn. Dat kan bij patiënten die vatbaar zijn voor peri-implantitis zich vertalen naar crestaal botverlies rondom implantaten. Gek genoeg wordt de essentie van het herstellen van de gekeratiniseerde gingiva rondom implantaten regelmatig genegeerd.
Herstel van gekeratiniseerde mucosa en weke delenmanagement
De breedte en kwaliteit van de peri-implantaire mucosa beïnvloeden niet alleen esthetiek, maar met name de uitvoerbaarheid van zelfzorg en de stabiliteit van de mucosale barrière. Consensus reports en meta-analyses laten zien dat een beperkte of afwezige col van gekeratiniseerde peri-implantaire mucosa (vaak gedefinieerd als <2 mm) geassocieerd kan zijn met (1) meer plaque-accumulatie, (2) meer wekedelen-inflammatie, (3) meer mucosale recessie, (4) meer marginaal botverlies en (5) een hogere prevalentie van peri-implantitis.4-6 In de dagelijkse praktijk is dit vooral relevant bij full-arch restauraties waarbij de connectie prothese-abutments en de overgang prothese-mucosa moeilijker te reinigen zijn. Bij onvoldoende gekeratiniseerde mucosa of een ondiepe omslagplooi wordt poetsen vaak pijnlijk, waardoor plaquecontrole onvoldoende is en peri-mucositis gemakkelijk ontstaat. Dit verdedigt de indicatie voor een wekedelen augmentatie als chirurgisch onderdeel van de implantologische behandeling. Streefwaarde van ongeveer ≥2 mm gekeratiniseerde mucosa rondom implantaten wordt in de literatuur vaak gehanteerd.4, 5 Technisch kan dit in de tweede fase (abutmentchirurgie) voorafgaand aan de prothetiek worden uitgevoerd met een apicaal gepositioneerde flap, al dan niet gecombineerd met een gesteelde dan wel een vrij bindweefseltransplantaat (free gingival graft, FGG). FGG geldt als ‘standard of care’ voor voorspelbare toename van gekeratiniseerde mucosa. Xenogene collageenmatrixen kunnen in geselecteerde gevallen een alternatief zijn, bijvoorbeeld om donor site morbiditeit te beperken.4 Waar dikte en contour belangrijk zijn (recessies/esthetiek) wordt vaker een bindweefseltransplantaat overwogen.
De Consensus report of workgroup 4 of the 2017 World Workshop on the Classification of Periodontal and Peri-implant Diseases and Conditions” definieert peri-implant mucositis als plaque-geïnduceerde mucosale ontsteking rond een implantaat met als markers: bloeding na sonderen (BOP), zonder aan-
vullend botverlies, met uitzondering van de initiële bot-remodelling. Peri-implantitis omvat naast klinische ontsteking ook progressief crestaal botverlies.7 Deze definities zijn klinisch relevant omdat mucositis in de regel reversibel is, terwijl peri-implantitis behandeling complexer is en het risico op recidief op termijn reëel blijft.
Preventie start in de planningsfase: (a) risicoprofilering (onder andere parodontitis-geschiedenis, rookstatus, diabetes, mondhygiënecapaciteit), (b) een chirurgische uitvoering die weke-delen-stabiliteit faciliteert, en (c) een prothetisch ontwerp dat ‘cleansable’ is (toegankelijke interdentale ruimtes, beperkte overcontouring, en waar mogelijk schroefretentie om cementresten te vermijden).7
Supportive peri-implant therapy is bij full-arch rehabilitaties geen ‘extra’, maar een randvoorwaarde voor stabiliteit en succes. Het doel is vroegtijdige detectie van plaque, BOP/pusafvloed, toename van pocketdiepte en röntgenologische botveranderingen, met name door vergelijking met een baseline na de prothetische afbehandeling.7
Wanneer peri-mucositis wordt vastgesteld, is de eerste stap intensivering van plaquecontrole (professionele reiniging+ instructie), omdat plaque de grootste risicofactor vormt voor peri-mucositis en peri-implantatis. Poeder-airpolishing met glycine of erythritol wordt in systematische reviews beschreven als een effectieve aanvulling voor het verwijderen van de biofilm rondom implantaten, met gunstige effecten op plaque- en ontstekingsparameters.8 Antimicrobiële spoelmiddelen (zoals chloorhexidine) kunnen voor de korte termijn zinvol zijn in de vroege postoperatieve fase of bij plaquevorming, maar zijn geen vervanging voor mechanische reiniging en worden bij voorkeur voor langdurig gebruik vermeden als gevolg van nadelige bijwerkingen (verkleuring, smaakstoornis).
Mondhygiëne hulpmiddelen en instructies
Bij full-arch bruggen is de reiniging gericht op (1) de overgang brug-mucosa, (2) interimplantaire ruimten, en (3) de toegang tot schroefopeningen/abutment-overgangen. Disclosing (plaquekleuring) is








hierbij een praktisch hulpmiddel om ‘blinde’ zones zichtbaar te maken.
Dagelijks: een elektrische tandenborstel met zachte borstelkop (bij voorkeur met ‘pressure control’) voor de gladde oppervlakken, een single-tuft borstel voor de randzones en interdentale ragers (passende maat per ruimte) voor de interdentale reiniging. Superfloss/bridge floss kan bijdragen aan plaquecontrole, maar is voor veel patiënten lastiger in gebruik dan bijvoorbeeld ragers en orale-irrigatie (waterflosser). Een waterflosser kan bij implantaatpatiënten een bruikbare aanvulling zijn, met name wanneer ragers pijnlijk zijn of de bereikbaarheid beperkt is. In een gerandomiseerde klinische studie bij peri-implant mucositis liet aanvullende orale irrigatie, naast mechanische biofilmverwijdering en instructie, een reductie in prevalentie en ernst van mucositis zien na 12 weken (met name bij gebruik van lage dosering chloorhexidine in de irrigator).9
Bij de periodieke implantologische nazorg wordt bij voorkeur gebruikgemaakt van instrumentatie met implantaatvriendelijke tips (kunststof/PEEK) en, waar geïndiceerd, airpolishing met glycine/erythritol om de biofilm in moeilijk bereikbare ruimtes en niches te reduceren.8 Bij full-arch restauraties verdient het daarnaast aanbeveling om periodiek de suprastructuur te demonteren (indien klinisch haalbaar) om prothese-mucosa oppervlakken en abut-
mentconnecties volledig te kunnen reinigen en de gezondheid van de mucosa te kunnen evalueren.
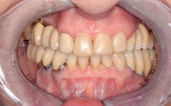
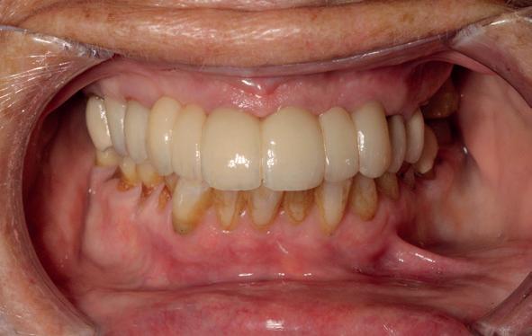
In de prothetische fase (zie foto’s) is in de bovenkaak gebruikgemaakt van verschroefde zirconia bruggen, die enkel buccaal zijn opgebakken. Deze bruggen zijn verlijmd op individuele, geanguleerde titanium abutments. In de onderkaak is een verschroefde kunststofbrug op een titaniumbasis (wrap-around) gemaakt. Voor deze combinatie is gekozen vanwege een minder hinderlijk tikkend geluid bij functie en kleinere kans op breuk van de keramiek. Een nadeel is verhoogde slijtage van de kunststof elementen, maar deze zijn in de jaren later eenvoudig te vervangen op de bestaande brug. Ondanks alle digitale mogelijkheden is de afdruk en registratiefase analoog uitgevoerd, omdat in ervaring van de behandelaren dit bij deze totale rehabilitaties op implantaten nog altijd de grootste precisie oplevert. Er is afgedrukt met impregum in individuele lepels en de pasvorm is gecontroleerd met rigide duralay bars. De relatie wordt vastgelegd zoals bij een volledige prothese met waswallen en pijlpuntregistratie. De opstelling in was wordt gepast en laatste correcties worden gemaakt in samenspraak met de patiënt, de restauratieve tandarts en de tandtechnicus. Na het vastzetten van de suprastructuren worden de schroefgaten afgesloten met composiet.
Patiënt G. is ingedeeld in een recall fase van eens

10. In de bovenkaak is gekozen voor 3 zirconium bruggen; in de onderkaak is gekozen voor een wrap-around met titanium

core.
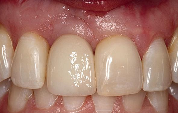
11. In de bovenkaak is keramiek gebruikt en in de onderkaak kunststof (behandeling is
in de zes maanden bij de mondhygiënist voor peri-implant reiniging, pocketmetingen, mondhygiëne instructies en controles. De AirFlow wordt daarbij standaard gebruikt. Verder wordt de patiënt na één, drie en zes jaar gezien voor controle van de suprastructuren door de restauratieve tandarts. Uit de röntgenfoto’s kan afgeleid worden dat het botniveau gelijk blijft over tijd. Klinisch ziet de situatie er infectievrij uit; de patiënt onderhoudt het zelf netjes met ragertjes, een elektrische tandenborstel als ook de Waterpik.
Afdruk- en registratieprotocol
Hoewel intra-orale scanners sterk zijn ontwikkeld, blijft de nauwkeurigheid bij de rehabilitatie van volledige bogen met meerdere implantaten klinisch veeleisend. Veel teams kiezen daarom bij totale rehabilitaties nog regelmatig voor een conventioneel afdrukprotocol met verificatie, omdat de kans op spanningsvrije passieve fit daarmee reproduceerbaar te controleren is.
Systematische reviews beschrijven dat afdruktechniek (open tray/pick-up versus closed tray/transfer), splinten van afdrukstiften en implantaatangulatie de nauwkeurigheid van het werkmodel kunnen bei nvloeden, met name bij meerdere implantaten en grotere overspanningen.10
Voor het afdrukmateriaal worden polyether (PE; bijvoorbeeld Impregum) en additionele siliconen (VPS) het meest toegepast. In experimenteel onderzoek bleek dat bij angulatie zowel techniek als materiaal effect hebben op de nauwkeurigheid; VPS in combinatie met een gesplinte pick-up techniek presteerde in die setting gunstig.11 Praktisch is PE sterk door

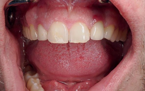
uitgevoerd met restauratief tandarts Paul de Kok, KVPA). 12. Eindresultaat.
stijfheid en detailweergave, maar vraagt aandacht voor verwijderingsrichting en ondersnijdingen.
Het gebruik van een verificatie-jig (bijvoorbeeld Duralay bar) is in full-arch cases een belangrijke kwaliteitscontrole: eerst wordt de jig intraoraal gepast en zo nodig gesegmenteerd/geresplint. Vervolgens wordt de mastercast hiermee gevalideerd voordat een definitieve brug wordt vervaardigd. Dit reduceert het risico op spanningsopbouw, loskomen en technische complicaties.
Patiënt G. is van ver gekomen. Voor het behandelplan was interdisciplinair overleg en samenwerking essentieel om tot het gewenste resultaat te kunnen komen. De Kliniek voor Parodontologie Amsterdam (KVPA) - met ruim 40 jaar ervaring op het gebied van implantologie, restauratieve tandheelkunde, parodontologie, endodontologie en gnathologie - is hiervoor de uitgelezen kliniek. En waar het uiteindelijk om draait: de patiënt is tevreden met het behaalde resultaat!
Guido Rhemrev, tandarts-parodontoloog en -implantoloog bij de Kliniek voor Tandheelkunde Amsterdam (KvPA).
De literatuurlijst is op te vragen bij de redactie en in te zien bij het artikel online op www.dentista-magazine.nl


Ervaar een revolutionair systeem en til uw praktijk naar een nieuw niveau

Werk lokaal óf in onze cloudoplossing

AES-256 bit beveiligde data, zowel lokaal als in de cloud.

Een workspace voor iedere discipline in de mondzorg

Uitgebreide software voorzien van unieke features die uw werk versnellen

Persoonlijke klantenservice met korte lijntjes
ons
TSE is een familiebedrijf met meer dan 35 jaar ervaring in de mondzorgsoftware. TSE is door Kiwa gecertificeerd conform ISO 9001, ISO 27001 én NEN 7510 kwaliteits- en veiligheidsnormen en is trotse marktleider in de tandprothetiek. Als bedrijf streeft TSE ernaar om de dagelijkse administratieve werkzaamheden in de mondzorg te vereenvoudigen en digitaal werken écht efficiënt te maken, en dat voor alle disciplines in één softwarepakket!
Waarom kiezen voor Odontium?
Odontium biedt mogelijkheden die verder gaan dan het bijhouden van een patiëntendossier. De apps, koppelingen en integraties maken het een uitgebreid en flexibel systeem. Hierdoor is het klaar voor de toekomst en past het bij iedere discipline en bij praktijken van elk formaat.

Marit Verschuuren, mondhygiënist en trainer van De Cariësvrije Generatie (cariesvrij.nu).
In onze best grote praktijk hebben we bijna alle smaken wel te pakken. De een maakt de mooiste restauraties met composiet, de ander is dol op diepe pussende pockets en een derde schroeft met gemak blinkende implantaten in de mond. Zo weten we elkaar te vinden en gebruik te maken van elkaars expertise.
Vandaag trof ik een voor mij nieuwe patiënt in mijn agenda, op verwijzing van de preventie assistent. De röntgenfoto’s tellen vijftien gloednieuwe initiële laesies en in de tekst van het behandeldossier staat ‘opnieuw instructie ragers en floss en het belang benadrukt!’ In mijn hoofd gaan de alarmbellen al af en ik heb een halve seconde nodig om me een beeld te vormen van de 23-jarige jongen die al
in de wachtkamer op me zit te wachten. Dat beeld sommeer ik mijn hoofd uit voor ik de wachtkamer binnenstap, eerst maar eens kijken.
Hij woont best een stukje bij de praktijk vandaan, maar komt nog altijd trouw naar de praktijk waar hij als kind al kwam. Als hij de kamer binnenstapt begint hij direct over zijn verstandskiezen ‘die zijn er nog steeds niet uit hoor, maar ik ga het echt doen’. In de kaart staat dat hij dat de laatste drie bezoeken ook al zei en toch wil hij ergens wel.
En dan die laesies. We kijken samen naar de foto’s, en al gauw blijkt dat hij vatbaar is voor de flitsende door AI aangekleurde vlekjes tussen de kiezen in. Die maken meer indruk bij hem
dan een vage zwarting. Op de vraag wat hij ervan vindt geeft hij aan dat hij behoorlijk schrikt, hij wil in ieder geval niet dat al die plekjes geboord moeten worden. Hij baalt zelfs flink, dit had hij echt niet verwacht. Ik neem hem mee in een korte bloemlezing van het cariësproces en de invloed van tandplaque, voeding en fluoride. ‘Oh dus daarom zeggen jullie altijd dat ik die ragers moet gebruiken, tot nu toe deed ik dat niet. Maar als dat helpt ga ik het zeker doen’.
Zit ik weer met mijn mond vol tanden…
COLUMN
Op een zonnige zomerdag, inmiddels elf jaar geleden, nam ik mijn tandartsdiploma in ontvangst. Ik realiseerde mij die dag maar al te goed dat ik weliswaar dat felbegeerde papiertje verdiend had, maar eigenlijk simpelweg nog helemaal niet uitgeleerd was. Er zaten nog talloze theoretische en praktische doelen in mijn hoofd. Zowel mijn jaargenoten als de hoogleraren van de studie geneeskunde, die ik deed na mijn opleiding tot tandarts, zullen mij herinneren als een eendagsvlieg. Ik besloot definitief mijn pijlen te richten op het vak als tandarts, mij daarin te verbeteren en mijn ambities te verkennen.
De praktijk leert anders dan de opleiding
De eerste stappen in mijn carrière zette ik in Veenendaal en Culemborg. Daar ontdekte ik met veel plezier dat niet alles wat we op de opleiding tandheelkunde leren, ook daadwerkelijk werkt in de algemene praktijk. Ik leerde van mijn fouten en maakte kennis met een totaal andere patiëntenpopulatie dan in de onderwijspraktijk.
Als jochie op het voortgezet onderwijs droomde ik ervan om later mensen te helpen. Al snel kwam ik er echter achter dat het juist diezelfde mensen waren die mij het leven soms zuur maakten. Het leek haast niet mogelijk dat er zoveel mensen zijn die al een half jaar kiespijn hebben, maar dan een same-day afspraak afdwingen met een complete behandeling, omdat ze de volgende dag voor twee weken naar een ander continent vertrekken.
De eerste periode na afstuderen heb ik voor mijn
ontwikkeling geïnvesteerd in de reconstructieve opleiding aan de Academie van Reconstructieve Tandheelkunde van Sjoerd Smeekens. Deze opleiding, gegoten in een cursus van twaalf dagen verdeeld over zes weekenden, was een ware eyeopener en een bevestiging van mijn vermoeden dat ik aan de universiteit nog niet voldoende geleerd had. Pas tijdens deze opleiding leerde ik kritisch te beoordelen waarom mijn restauratief werk in sommige situaties eerder faalde dan zowel mijn patiënt als ik hoopten en hoe dit voorspelbaar te voorkomen.
sprong naar het ondernemerschap
Toen mij vervolgens na een jaar of twee werken het nieuws bereikte dat de tandartspraktijk van mijn grootste opdracht overgenomen werd door een landelijk bekende keten, zag ik dit als een extra duwtje in de rug om zelf een praktijk te starten. Ik achtte mezelf capabel genoeg om dat wat ik voor praktijkhouders aan het doen was, ook in een eigen praktijk kon doen. En waar ik naasten en kennissen jarenlang zag wikken en wegen over het wel of niet starten van

hun eigen praktijk, ben ik vrij impulsief begonnen met de overname van een collega solo-tandarts in Veenendaal. Zijn patiëntenbestand en het nog kleine hoopje bruikbare, gedateerde inventaris heb ik overgeheveld naar een pand een paar honderd meter verderop. Dat is het pand, verbouwd en ingericht vanaf casco, waar mijn praktijk nu bijna negen jaar later nog steeds in gevestigd is. De praktijk die begon met 1.500 overgenomen patiënten telt er inmiddels 9.000 en ik heb de gedateerde inventaris vervangen voor moderne apparatuur. Het ziet er prachtig uit, ik wil haast niet meer naar huis.
Mijn definitie van ‘huis’ is onze woning nog geen honderd meter achter het Concertgebouw, hartje Amsterdam. Daar woon ik met mijn vrouw, zoon Beau van vier jaar oud en dochter Maxime van zes maanden oud. Dat gezinsleven combineren met een eigen praktijk op ongeveer een uur rijden is een grote uitdaging. Ik voel me gezegend met een vrouw die haar klinische werk als mondhygiëniste opgegeven heeft voor het algemeen bestuur van onze praktijk. En niet alleen van onze praktijk, ook de aansturing van ons gezin neemt ze grotendeels voor haar rekening. Ik ben met name in dienst van mijn patiënten. De tropenjaren met jonge kinderen gaan me niet be-
paald in de koude kleren zitten, er zijn behoorlijk wat nachten met verminderde slaap. Het gaat vervolgens niet vanzelf om altijd gemotiveerd te blijven voor mijn werk, patiëntenadministratie op orde te hebben of een antwoord te hebben op vragen van personeel waar ze al weken op wachten. Toch slaag ik er aardig in vele ballen hoog te houden, maar lang niet alle.
Ik houd van mijn team, mijn tweede familie. Met 24 mensen zijn wij werkzaam in onze praktijk, echt al een heel team. Iedereen wordt evenveel gewaardeerd. Ook een team aansturen is iets dat ik voor dit avontuur te lichtzinnig opgevat heb, al is het alleen al door gebrek aan kennis op het gebied van HR. Dat geeft ruimte om te leren, alhoewel ik tot op de dag van vandaag geen loonstrook lezen kan. Dat onze tandartspraktijk zo succesvol is, heb ik bij lange na niet alleen aan mezelf te danken maar des te meer aan mijn team. Zij zullen mij kennen als een warme, zachte aanvoerder die meedogenloos kan doen als het echt niet meer anders gaat.
Naast het oprichten van een praktijk en het stichten van een gezin, heb ik nog een van mijn doelen

Helpt patiënten starten én volhouden met interdentale reiniging.


TePe EasyFit™: de slimme instap in interdentale reiniging. Net zo eenvoudig als een pick, maar met de grondigheid van een conische rager. Start vandaag!
Benieuwd naar onze nieuwe EasyFit rager? Haal jouw gratis sample op stand D45 tijdens Dental Expo!

nagejaagd die ik al sinds afstuderen gesteld heb. Ik heb mij bekwaam gemaakt in de implantologie door het volgen van cursussen en opleidingen, en ik heb vaardigheden chairside geleerd van collega’s. De implantologie heeft mij altijd geïntrigeerd en ik wilde het deelgebied überhaupt niet links laten liggen als je ziet hoe omvangrijk de indicatiestelling geworden is. Het is al jaren niet alleen maar meer de standaard enkeltandsvervanging en de overkappingsprothese in de onderkaak. Technieken als immediaat implanteren en augmentatieprocedures pas ik ook toe. Toch valt er ook nog te leren; tijdens een driedaagse humane kadavercursus in Wenen heb ik al ontzettend veel geleerd. Vooral in soft tissue management zie ik nog veel uitdaging. Daarvoor staan de opleidingen van dr. Zuccheli in Bologna op mijn wensenlijst voor de korte termijn, zodat ik daarna nooit meer bolognesesaus van het tandvlees maak.
Implantologie, en vooral ook de vaste prothetische restauratie, is voor mij belangrijk omdat het een discipline is waarin techniek en uitkomst naadloos samenkomen. Veel behandelingen zijn voorspelbaar, protocol gestuurd en chirurgisch beheersbaar, maar achter die ogenschijnlijke routine schuilt een duidelijke klinische relevantie. Patiënten passen zich vaak jarenlang aan functieverlies aan, zonder dit expliciet als probleem te benoemen. Juist door een relatief beperkte ingreep kan een verloren gegane functie op een duurzame en betrouwbare manier worden hersteld.
Wat mij in de praktijk steeds opnieuw overtuigt van de waarde van implantologie en restauratieve tandheelkunde, is het moment waarop patiënten aangeven dat iets weer ‘vanzelfsprekend’ is geworden. Niet de restauratie zelf staat centraal, maar het verdwijnen van een beperking waar zij zich ongemerkt naar hadden geschikt. Dat herstel van functie maakt duidelijk dat implantologie niet alleen een technische oplossing biedt, maar een directe en blijvende verbetering van het dagelijks functioneren. En precies dat maakt dit deelgebied voor mij relevant.
Dromen en ambities voor de toekomst
Voor de langere termijn zijn mijn dromen om mijn praktijk verder uit te rusten voor implantologie, zoals de aanschaf van een CBCT. Deze opnamen laat ik nu nog extern maken. Tevens droom ik ervan regionaal verwijzingen te krijgen, ik krijg nu slechts van
drie adressen in de buurt verwijzingen. Al geruime tijd heb ik voldoende casussen om mijn NVOI erkenning aan te vragen. Echter, ik gun mezelf niet de tijd dit fatsoenlijk te verwerken, een casuspresentatie voor te bereiden en mijn praktijk te laten visiteren door de commissie. Het zijn veranderingen in het personeel, het optimaliseren en implementeren van nieuwe processen in de praktijk, en jonge kinderen thuis, die roet in het eten gooien. Gelukkig word ik gesteund door een collega en zij verwerkt alles voor mij in de dentale software en maakt het klaar om het eindelijk, binnenkort, aan te leveren aan de commissie.
Verder kijken dan het gebit
Verdere interesse van mij gaat uit naar niet alleen de esthetiek van het gebit, maar van het hele gelaat. Nadat ik de prothetische fase van een behandelplan afgerond heb, waarin ik de esthetische uitkomst vaak belangrijker vind dan mijn patiënten zelf, valt mij soms op dat de dentitie daarna aan meer regeltjes der esthetiek voldoet dan het gezicht. Recentelijk heb ik een opleiding voor het toedienen van botulinetoxine en het plaatsen van hyaluronzuur fillers afgerond. Wat is dan mooier dan het toepassen hiervan om daarmee mijn patiënten er een paar jaartjes jonger uit te laten zien? En dan komt hun nieuwe lach echt tot zijn recht!
Met beide benen in het leven
Ik sta midden in het leven en mijn carrière, ik geniet van iedere dag en hou van mijn dierbaren. Ik ben tevreden met de groei die ik doorgemaakt heb, en kijk met uitdagende blik naar de groei die ik nog wil en ga maken. Het starten van een onderneming als een tandartspraktijk kan ik zeker aanraden. Heb niet de verwachting het direct goed te doen, maar leer van je fouten. Kinderen leren ook opstaan door te vallen. Ga geen uitdagingen uit de weg, er is geen berg te hoog en geen dal te diep. Ik wens iedereen een glansrijke en rooskleurige carrière toe.
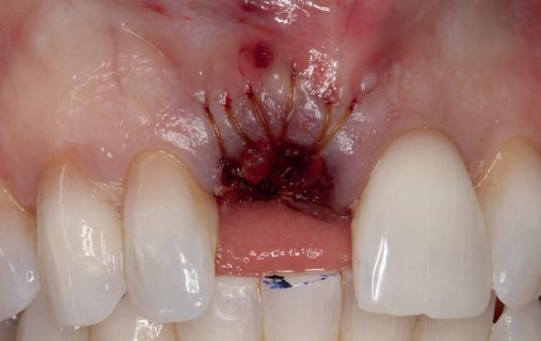
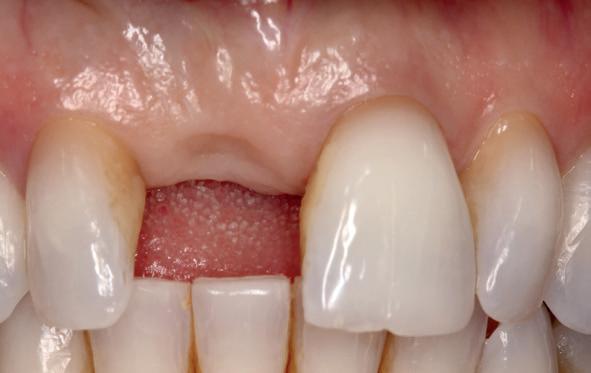
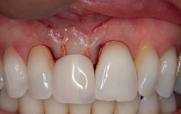
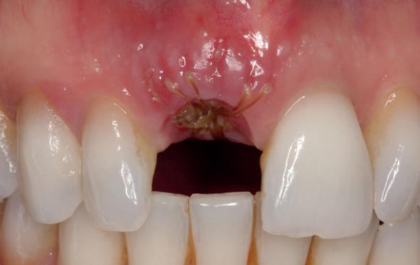
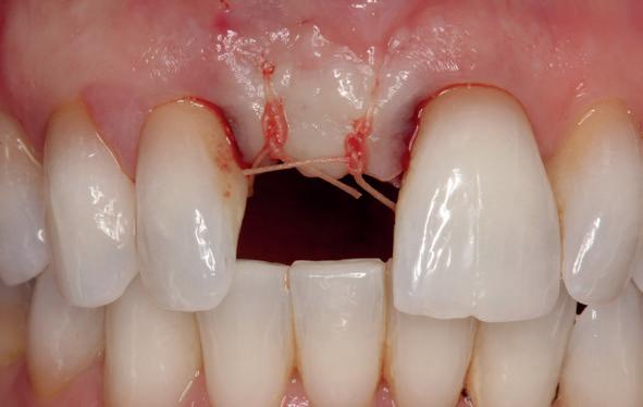
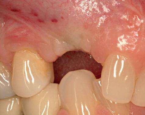
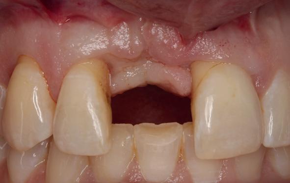
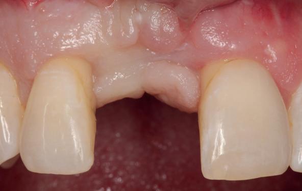
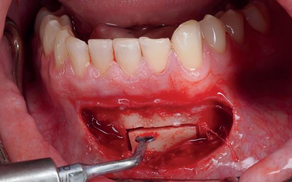
Implantologische behandelingen in het esthetische front vragen meer dan technische vaardigheid alleen. Ze vragen om overzicht, timing, vertrouwen en een team dat als vanzelf samenwerkt onder druk. Juist bij complexe casussen, waarin angst, infectie en hoge esthetische verwachtingen samenkomen, wordt zichtbaar hoe bepalend de rol van de tandartsassistent is.
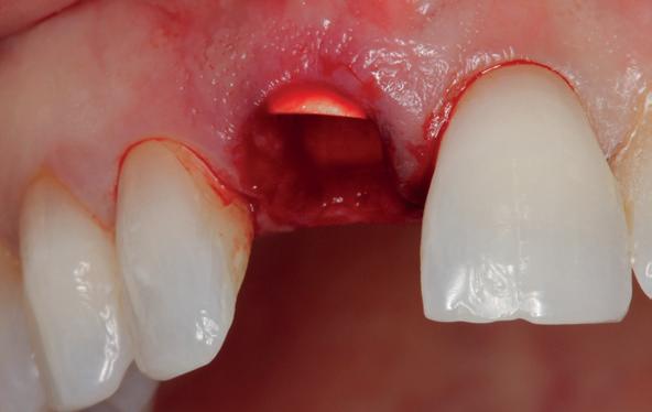
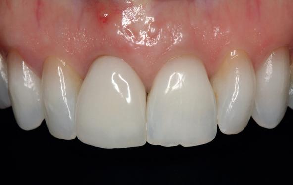
Deze casus beschrijft een uitgebreide immediate implantaatbehandeling bij een patiënt die door meerdere collega’s werd geweigerd. Niet omdat de mogelijkheden ontbraken, maar omdat de complexiteit vroeg om een perfect afgestemde samenwerking. Het verhaal laat zien hoe de assistent in zo’n traject veel meer is dan een uitvoerende kracht of “mal”, maar een dynamische surgical guide die het proces mede stuurt, bewaakt en mogelijk maakt.De patiënt: wanneer alles samenkomt
Ze kwam binnen op een dinsdagochtend, iets voor achten. Een vrouw van begin zeventig, met een zachte stem en ogen die meer vertelden dan haar woorden. Ze vertelde dat ze een eigen B&B had en dat ze zich nauwelijks kon voorstellen gasten te ontvangen zonder tanden. Op dit moment kon ze echter nauwelijks lachen. “Het doet pijn… en het ruikt soms ook niet goed,” zei ze bijna verontschuldigend. Haar oude bovenbrug, die ze al meer dan twintig jaar droeg, was langzaam maar zeker ingestort. Er was sprake van cariës onder meerdere pijlers, pusafvloed,
chronische ontsteking en een brug die mobiel was en elke beet pijnlijk maakte. Ze had inmiddels meerdere tandartsen bezocht. Drie hadden haar geweigerd. Te complex. Te veel wensen. Te onvoorspelbaar.
De kern van haar vraag was eenvoudig en tegelijkertijd uitdagend: Is het mogelijk om mijn huidige brug te dupliceren en een nieuwe brug te vervaardigen met minder complicaties?
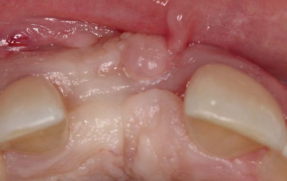
De basis van een complexe beslissing
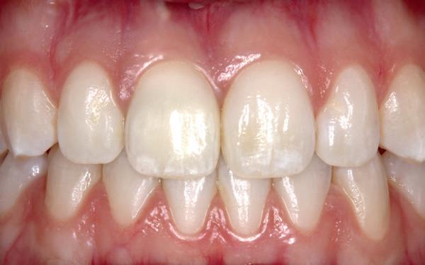
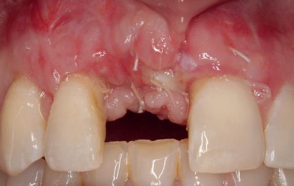
Mijn behandelplan begint altijd met een uitgebreid klinisch onderzoek. Dat omvat een medische anamnese, intra- en extra-orale camerafoto’s en uitgebreid verwachtingsmanagement. In deze fase is mijn assistent vooral bezig met het zorgvuldig vastleggen van alle gegevens. Juist dat nauwkeurig documenteren zorgt voor rust in de behandelkamer. Minstens zo belangrijk is het luisteren naar de patiënt. Niet alleen naar de klachten, maar naar het


1. Extra-orale foto (lachlijn).
2. Beoordeling van zacht weefsel en botcontour.


3. Reflectiefoto – beoordeling van occlusievlakken en tandboog.
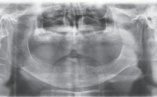
4. Pre-chirurgische OPG.
levensverhaal en de mens achter de brug. Begrijpen wat deze behandeling voor iemand betekent, is cruciaal voor het uiteindelijke succes.
Na het klinische onderzoek volgde het röntgenologisch traject. De CBCT liet precies zien wat we al vreesden: een front waarin het bot onregelmatig was, duidelijke radiolucenties rond de pijlers en een infectiegebied dat zich onder vrijwel de gehele brug had verspreid. Tegelijkertijd was er ook potentie. Net voldoende botstructuur om immediate implantaatplaatsing te overwegen, mits alles perfect gepland zou worden.
Die planning gebeurde in R2Gate, niet als technologische “fetish”, maar als noodzakelijk hulpmiddel. Met behulp van intra-orale scans, foto’s en CBCT-data bouwden we stap voor stap het verhaal van haar mond op. Wat was er misgegaan, wat was er nog mogelijk en hoe konden we haar bestaande brug kopiëren en verbeteren tot een tijdelijke oplossing die dezelfde dag functioneel zou zijn.
Terwijl ik door de digitale lagen bladerde, werkte mijn assistent rustig naast me. Geen grootse momenten, geen spektakel, maar die vertrouwde samenwerking. Ze controleerde of alle componenten besteld waren, keek mee naar de scans en stelde af en toe een eenvoudige vraag die precies raak was. “Kunnen we niet ook een uitneembare constructie als back-up laten maken, voor het geval de initiële

5. Klinische foto direct na verwijdering van de brug.
stabiliteit onvoldoende blijkt?”
Het zijn dit soort gesprekken die ontstaan tussen mensen die elkaar al honderden keren door vergelijkbare gevallen hebben geleid.
Op de dag van de behandeling was de spanning voelbaar. Een patiënt met angst en hoge verwachtingen legt onvermijdelijk extra druk op het hele team. Behandelingen zoals deze – extracties, vier immediate implantaatplaatsingen in het esthetische front en immediate loading met een tijdelijke brug die chairside moet worden gerelined – zijn chirurgisch intensief.
Alles moet kloppen: primaire stabiliteit, zachtweefselmanagement en het exacte moment waarop de tijdelijke restauratie definitief wordt vastgezet. Mijn assistent speelde hierin een onschatbare rol als katalysator in een zorgvuldig uitgebalanceerde chemische reactie. Vooraf hadden we het behandelplan uitvoerig doorgenomen, want heldere communicatie is in dit soort trajecten een cruciale succesfactor. Het verwijderen van de oude brug bracht de onderliggende realiteit onverbloemd aan het licht. Uitgebreide cariës, pusafvloed bij sonderen en palpatie, en bot dat aanzienlijk fragieler bleek dan gehoopt. Maar het plan stond.
Mijn assistent hield het overzicht, werkte steriel en rustig, en vertrouwde op de volgorde van het digitale plan zonder eraan vast te blijven zitten. Ze benoemde wat ze zag, voelde de sfeer in de kamer feilloos













PERIO•AID: optimale ondersteuning b� tandvleesproblemen. Met Chloorhexidine (CHX) en Cetylpyridiniumchloride (CPC) voor een bewezen antibacteriële werking. Effectief. Mild. Zonder alcohol.


Meer weten? Scan de QR-code
























VITIS Anti-stain: voorkomt verkleuring t�dens Chloorhexidinebehandelingen. Mild voor het tandvlees, anti-tandsteen én geschikt voor dagel�ks gebruik.
Voor het behoud van de natuurl�ke glans van tanden.









6-7. Post-extractie controle van tandvlees en bot.
8. Dwingende boormal.
9. Megagen AnyRidge implantaat - guided implant pick-up.
10. Bindweefsel ingehecht.


aan en merkte precies op wat de patiënt nodig had, vaak nog voordat ik erom vroeg. Dit soort natuurlijk teamwork is niet na te bootsen.
Atraumatische extractie: precisie boven snelheid
De extracties vroegen om uiterste precisie. Het front werd zeer zorgvuldig geëxtraheerd, atraumatisch, met fijne microbewegingen, een platte luxator en continue irrigatie om ontstekingsproducten weg te spoelen. Elke beschadiging van het bot of het zachte weefsel kon de uiteindelijke implantaatpositie compromitteren, en we hadden geen millimeter te verliezen.
Mijn assistente anticipeerde alsof ze mijn gedachten kon lezen. Ze zoog af op precies het juiste moment, ondersteunde het weefsel wanneer spanning een flap dreigde te scheuren en wees subtiel aan waar pus zijn weg naar buiten vond, zodat we het gebied volledig konden reinigen. Het waren geen opvallende handelingen, maar wel essentieel werk dat het verschil maakt tussen chaos en geconcentreerde precisie. Zelfs tijdens momenten van maximale focus bleef
mijn assistente de patiënt nauwlettend observeren. Emotionele ondersteuning is cruciaal tijdens een behandeling waarbij een patiënt zich volledig moet overgeven aan het team. Succes begint hier, met duidelijke, optimistische en empathische communicatie.
Implantaatplaatsing: vier momenten van stilte
Vier momenten waarop de tijd even stil leek te staan. Vier Megagen AnyRidge implantaten werden exact volgens het R2Gate-plan gepositioneerd. Het eerste implantaat (13) behaalde een inserttorque van 42 Ncm, ideaal voor immediate loading. Het tweede (23) eindigde op 38 Ncm, het derde (11) op 45 Ncm. Het vierde implantaat (21), geplaatst in het gebied met de meeste infectie, was het spannendst, maar behaalde uiteindelijk 36 Ncm. Voldoende stabiliteit om door te gaan.
Tijdens dit soort kritieke momenten hangt er altijd een specifieke stilte in de behandelkamer. Juist in die stilte speelt de assistent een rol die niet volledig in protocollen te vangen is. Ze bewaakt de sfeer, leest

Donderdag
MIRAN MIR - Naomi doelen - Daniel Ochoa. an Nguyen - kees pameijer - Erik-jan muts maarten de beer
Vrijdag
Jayand soechitram - Wiebe derksen eric van der winden - Luuk crins jasper thoolen - erik-jan muts maarten de beer
Zaterdag
Mart Ramaekers - Maartje brands - martin grobler - jasper thoolen - Erik-jan muts maarten de beer FREE




11. Geplaatste implantaten met tijdelijke brugcylinders.
12. Immediate post pick-up voor initiële afwerking.
13. Brug afgewerkt met juiste tandvleesdruk.
14. Direct na plaatsing tijdelijke brug.
lichaamstaal en voelt precies wanneer ze ruimte moet laten of juist iets moet aanreiken, nog voordat erom wordt gevraagd.
De voorspelbaarheid van implantaattherapie in het esthetische gebied wordt in belangrijke mate bepaald door de driedimensionale positionering van het implantaat, de kwaliteit en dikte van het omliggende bot, de mucosale dikte en de primaire stabiliteit die tijdens plaatsing wordt bereikt. Deze factoren zijn onlosmakelijk met elkaar verbonden en bepalen samen het esthetische en functionele eindresultaat. Implantaten worden bij voorkeur subcrestal geplaatst, doorgaans één tot twee millimeter onder het crestale botniveau. Deze positionering gaat gepaard met minder marginale botremodellering doordat de microgap verder van het bot ligt en de biologische breedte voorspelbaarder wordt gevormd. Een te coronale plaatsing vergroot daarentegen het risico op esthetische complicaties.
Ook de buccale botdikte is van groot belang. Een dikte van minimaal twee millimeter biedt de beste bescherming tegen volumeverlies en recessie. Bij een dikte van minder dan één millimeter treedt vrijwel altijd resorptie op, ongeacht implantaatdesign of boorprotocol. Om deze reden ligt de optimale implantaatpositie licht palatinaal ten opzichte van de buccale contour.
De mucosale dikte speelt eveneens een cruciale rol. Onderzoek van onder andere Linkevičius heeft aangetoond dat bij een dun mucosaal biotype meer marginale botresorptie optreedt, onafhankelijk van implantaatdesign. In dergelijke situaties kan extra subcrestale plaatsing bijdragen aan stabiliteit van het peri-implantaire weefsel.
Digitale planning verhoogt de voorspelbaarheid, maar kent beperkingen. De daadwerkelijke positie kan coronale, apicale en angulaire afwijkingen vertonen. Daarom blijft intra-operatieve beoordeling essentieel. Hier speelt de assistent opnieuw een belangrijke rol. Vanuit een andere positie aan de stoel kan zij diepte en angulatie onafhankelijk beoordelen en terugkoppelen, wat fungeert als een extra ruimtelijk referentiepunt.
Een tijdelijke brug zonder ondersteuning van het zachte weefsel is uiteindelijk slechts een façade. Om voldoende volume en papilvorming te creëren, werd een bindweefselgraft uit de tuberosity genomen. Deze regio staat bekend om zijn dikke, vezelrijke bindweefsel, ideaal voor volumestabiliteit in het esthetische gebied.
Het zogenaamde jumping gap – de ruimte tussen implantaat en buccale botwand – werd opgevuld met allograft om volumeverlies en botresorptie te beperken en een stabiele basis voor het zachte weefsel te creëren.
Tijdens deze fase bewaakte de assistent het overzicht, hield spanning op de lip en zorgde voor een droog en overzichtelijk werkveld, waardoor zowel graft als botmateriaal nauwkeurig en atraumatisch konden worden gepositioneerd.
Het meest kritische moment van het hele behandelplan is zelden het plaatsen van de implantaten zelf. Het is het pick-up moment van de tijdelijke brug.











15. Eerste verwijdering tijdelijke brug (onvoldoende druk regio 12).
16. OPG bij verwijdering eerste tijdelijke brug.
17. Tweede verwijdering tijdelijke brug – verbeterde papilvorming.
18. Pre-operatief.
19. Tijdelijke brug een week na plaatsing.
20. Finale brug drie maanden na plaatsing.
21. Tijdeljke brug zes maanden na plaatsing.
22. Een jaar follow-up.
23a en b. Twee jaar na plaatsing finale brug.
24.Twee jaar nacontrole.
Als hier microbewegingen ontstaan, als de occlusie niet klopt of als de tijdelijke brug te veel druk uitoefent op één implantaat, kan het gehele immediate loading-concept mislukken.
De oude brug was volledig gerepliceerd zodat de tijdelijke constructie esthetisch perfect aansloot. De brug werd zo vormgegeven dat zij het peri-implantaire zachte weefsel actief ondersteunde en modelleerde, met een biologisch respectvol emergence profile. Subgingivaal bleef de contour bewust vlak tot licht concaaal om ischemie en botremodellering te voorkomen.
Toen de brug definitief geplaatst was, was er geen mobiliteit of rocking en werd uitsluitend minimale, gecontroleerde occlusale belasting toegestaan.
De maanden daarna verliepen rustig. De implantaten integreerden voorspelbaar en het zachte weefsel vormde zich fraai rond de tijdelijke constructie. De definitieve brug werd ontworpen met exact de contouren die tijdens de genezing waren ontstaan. Het eindresultaat was een combinatie van stabiliteit, esthetiek en een glimlach die voor de patiënt weer natuurlijk en vertrouwd voelde.
Meer dan een mal: de assistent als dynamische surgical guide
Wat deze casus uiteindelijk laat zien, is dat implantaten, digitale planning en chirurgische techniek slechts hulpmiddelen zijn. Het echte verschil wordt gemaakt in het samenspel in de behandelkamer, waar stress, precisie, planning en zorg samenkomen. De tandartsassistent is veel meer dan een mal of uitvoerder. Als tweede paar ogen observeert zij kritisch, signaleert wat dreigt te worden gemist en vertaalt
theorie en techniek naar tastbare controle. Ze bewaakt het ritme van de behandeling, anticipeert op elke stap en beschermt zowel patiënt als proces. De assistent is de stille kracht die het succes samenbrengt, vaak onzichtbaar, maar onmisbaar.
Ik kan niet genoeg benadrukken hoe dankbaar ik ben voor alle tandartsassistenten die mij gedurende mijn carrière hebben bijgestaan. Ik kan jullie niet allemaal persoonlijk noemen, maar alles wat ik als tandarts heb kunnen bereiken, is mede dankzij jullie inzet. Ik heb fouten gemaakt, ingrepen moeten herhalen en dagen gehad waarop alles uitliep. Toch waren jullie er altijd. Jullie zorgden voor rust, overzicht en continuïteit, juist wanneer dat het hardst nodig was. Jullie zijn de katalysatoren van succes. Dankzij jullie precisie, alertheid en teamwork verlopen zelfs de meest complexe behandelingen beheerst en voorspelbaar. Zonder jullie zouden veel van deze resultaten simpelweg niet mogelijk zijn.
Dank voor jullie professionaliteit, geduld en onmisbare steun. Jullie maken elke dag opnieuw het verschil.
Martin Grobler, tandarts gespecialiseerd in orale chirurgie en implantologie. Oprichter Karma Blade orale chirurgie cursus (samen met Kees Heijdenrijk). Karma ambassadeur. Instructeur bij ABAS implant academy. Chef de clinique bij DENTAL & CO de Helftheuvel.
Mis ons niet op de Dental Expo; stand C35
Op 5, 6 en 7 maart zijn wij aanwezig met een interactieve stand op de Dental Expo in de Evenementenhal Gorinchem. Bezoek ons op stand C35 en ervaar onze live demonstraties, speel onze VR-game en maak bij onze lingoton kans op een gratis ééndaagse cursus naar keuze.
Zien we je daar?!





Kijk snel op de plattegrond op de volgende pagina om te zien waar onderstaande bedrijven staan.



























































































































































Ervaar het verschil: scannen met 3Shape® 5 & 6
AI die met je meekijkt: slimmer diagnosticeren met DTX Studio™
Van scan tot kroon in één workflow – SprintRay Midas live
Zo snel en nauwkeurig kan intraoraal scannen zijn – Dexis Imprevo
De toekomst van implantologie begint hier
Precisie 2.0: de nieuwste ontwikkelingen in Procera™ milling

6 - 7 - 8 maart 2026 Ontdek het programma
Nobel Biocare Booth n° G44
Ter hoogte van de Food Court

Dental Expo, Nederlands grootste onafhankelijke dentale evenement, belooft dit jaar weer een indrukwekkende editie te worden. Het is dé plek voor mondzorgprofessionals om nieuwe producten te testen, kennis te delen, bestaande relaties te versterken en nieuwe contacten te leggen. Je ontdekt de toekomst van de totale mondzorg op 5, 6 en 7 maart 2026 in de Evenementenhal Gorinchem. We vroegen Dési Toornvliet, Marketing Event Manager, om ons een kijkje te geven in het veelbelovende programma.
Wat is de opzet van Dental Expo 2026?
Dental Expo 2026 is de grootste onafhankelijke vakbeurs voor de mondzorgsector in Nederland. Het evenement fungeert als dé ontmoetingsplek voor tandartsen, mondhygiënisten, tandtechnici, preventieassistenten en andere professionals uit de dentale branche. Ontmoeten, kennisdelen en het ontdekken van innovaties staan hierbij centraal.
Wat is er te doen voor bezoekers?
Dental Expo biedt bezoekers een veelzijdige en inspirerende ervaring waarin leren, ontdekken en verbinden samenkomen. Mondzorgprofessionals kunnen kennismaken met een breed aanbod aan producten en diensten van ongeveer 200 exposanten. Op de beursvloer is volop ruimte voor persoonlijke gesprekken, live demonstraties en direct advies van leveranciers en specialisten.
Daarnaast is er een uitgebreid inhoudelijk programma met lezingen, workshops en presentaties in drie verschillende theaters: het Dental Expo Theater, de Edin Dental Academy en het Karma Dentistry Theater. In deze kennistheaters delen experts hun kennis over actuele en relevante thema’s binnen de mondzorg, gericht op zowel de dagelijkse praktijk als toekomstige ontwikkelingen.
Wat is er nieuw dit jaar?
Een belangrijke vernieuwing is de nieuwe locatie: Evenementenhal Gorinchem. Deze moderne, centraal gelegen beurslocatie beschikt over verbeterde faciliteiten en een overzichtelijke indeling, wat bijdraagt aan een comfortabel en efficiënt beursbezoek. Daarnaast kunnen bezoekers met de vernieuwde Easy-
fairs NL-app hun bezoek vooraf plannen. De app maakt het mogelijk exposanten te selecteren, sessies te markeren en informatie digitaal op te slaan, zodat bezoekers gerichter kunnen netwerken en niets hoeven te missen van het programma. De meest opvallende introductie is de Mondzorgalliantie. KNMT, ONT en NVM slaan voor het eerst de handen ineen en creëren samen een ontmoetingsplek op de beurs: de Mondzorgalliantie Lounge. Deze lounge biedt ruimte voor netwerken, korte sessies en gesprekken over actuele ontwikkelingen binnen de mondzorg.
Wat mag de bezoeker zeker niet missen?
Bezoekers mogen de lezingen en workshops in de kennistheaters niet missen, evenals de nieuwe Mondzorgalliantie Lounge. Ook bieden live demonstraties en oefenlaboratoria unieke kansen om nieuwe producten en technieken zelf te ervaren.
Praktische informatie
Data & openingstijden
5 maart 2026: 13:00 - 20:00
6 maart 2026: 10:00 - 20:00
7 maart 2026: 10:00 - 17:00
Locatie
Evenementenhal Gorinchem. Franklinweg 2
Tickets www.dentalexpo.nl
Successful implant therapy in the anterior aesthetic zone requires more than osseointegration alone. Long-term functional and aesthetic outcomes depend on the coordinated integration of four critical parameters: adequate bone volume, ideal three-dimensional implant positioning, stable and healthy peri-implant soft tissue, and a properly designed restoration. When these elements are respected from the outset, treatment outcomes are predictable and durable. When they are compromised, clinicians are often forced into complex rescue procedures with inherent biologic, aesthetic, and restorative limitations. Michael Sonick DMD
This article contrasts an ideal anterior implant outcome with the staged reconstruction of a failing implant in a young patient. Through clinical examples, the biologic cost of improper implant positioning is examined, and principles of bone regeneration, implant removal, guided gingival growth, and selective connective tissue grafting are discussed. These cases highlight the importance of prevention over rescue and reinforce prosthetically driven planning as the foundation for long-term implant success.
Introduction
The “perfect implant” in the anterior maxilla—one that is indistinguishable from a natural tooth—remains uncommon (Fig. 1). When achieved, it reflects
meticulous coordination of biologic principles, surgical execution, and restorative planning. When unsuccessful, even osseointegrated implants may fail biologically or aesthetically, often with consequences extending to adjacent teeth.
Implant therapy in the aesthetic zone may be viewed as a system dependent upon four essential building blocks: bone, implant position, soft tissue, and restoration. These elements are interdependent; failure of any single parameter compromises the others. Two clinical scenarios are presented. The first demonstrates an ideal outcome achieved through ridge preservation and staged site development. The second illustrates the biologic and aesthetic consequences of improper implant positioning and the complex pathway required to rescue a failing implant.






1. Pre- and postoperative image of a completed dental implant. The upper left central incisor was lost and replaced sequentially with a dental implant.
2. Draining buccal fistula on upper right central incisor. Endodontic therapy is failing, and a draining fistula exists buccally. The patient has a thin biotype.
3. High lip line demonstrating elevated aesthetic risk.
Bone
Adequate bone volume and quality are prerequisites for long-term implant success. In the anterior maxilla, facial bone thickness is particularly critical. Clinical and experimental evidence suggests that sites with less than 2 mm of facial bone are at increased risk for recession, peri-implant bone loss, and aesthetic failure. When bone is deficient, regeneration must precede or accompany implant placement. Regeneration following implant integration is unpredictable and often limited, underscoring the importance of site development prior to or at the time of placement.
Implant positioning must be prosthetically driven and three-dimensional. Implants replacing maxillary central incisors should ideally emerge through the cingulum. Labial angulation introduces eccentric



ALL gingival soft tissue is visible when the patient smiles.
4. Flapless ridge preservation using cancellous allograft, collagen plug, and cyanoacrylate. Primary closure was not attempted to augment the keratinized gingiva as well as to maintain the position of the mucogingival junction.
loading forces, compromises restorative contours, and predisposes the site to soft tissue recession and peri-implant disease.
Soft tissue stability is influenced by both bone support and implant position. While adequate bone regeneration alone may yield acceptable soft tissue outcomes in many cases, scarred or compromised sites often require additional intervention. Guided gingival growth allows controlled soft tissue augmentation through flap design, provisionalization, and transmucosal healing components, often without the need for routine connective tissue grafting.
The final restoration reveals the cumulative success—or failure—of all prior decisions. Emergence profile, subgingival contours, and restorative material selection must support peri-implant tissues rather than challenge them.









5. One-week postoperative healing following ridge preservation. The patient is wearing a flipper, and soft tissues are preserved.
6. Five-month clinical and radiographic evaluation demonstrating ridge regeneration.
7. Implant placement with facial augmentation using autogenous bone with placental membrane
A female patient presented with a failing maxillary right central incisor previously treated endodontically. Clinical examination revealed a subtle facial fistula, and radiographic evaluation demonstrated a periapical radiolucency (Fig. 2). The patient exhibited a high lip line with approximately 4 mm of gingival display on smiling, placing her at elevated




(BioXclude). Emdogain was also applied to the adjacent teeth to regenerate bone via GTR (guided tissue regeneration).
8. Second stage surgery with guided gingival growth. Immediately there is an increase in gingival volume without the need to perform a gingival graft.
aesthetic risk (Fig. 3). The thin periodontal biotype further increased the risk for post-extraction ridge collapse and recession (Fig. 3). The tooth was atraumatically extracted, and the socket thoroughly degranulated. Ridge preservation was performed using cancellous allograft combined with a collagen plug and secured with cyanoacrylate without flap elevation (Fig. 4). A collagen membrane was used to stabilize the facial plate while preserving the mucogingival junction.
• Non-surgically grow gingiva
• Titanium is gingiva loving
• Use THA to guide gingiva
• Leave THA slightly below ging
• Wait 4-6 weeks
• Push gingiva labially
• Place final THA or do again

Improving Aesthetics During 2nd Stage Surgery











Guided Gingival Growth 4 weeks



9. Guided Gingival Growth Technique
10. Guided gingival growth using a 2 mm temporary healing abutment as a tenting “screw” to increase subgingival space. This facilitates vertical and hori-


zontal soft tissue growth.
11. Four weeks following second stage surgery and guided gingival growth, 2-4 mm of vertical soft tissue growth is seen.
Early healing demonstrated favourable soft tissue response at one week postoperatively (Fig. 5). At five months, clinical and radiographic evaluation confirmed successful bone regeneration and ridge preservation (Fig. 6).
Implant Placement and Site Development
Following confirmation of ridge regeneration, implant placement was performed using low-speed, non-irrigated osteotomy preparation to facilitate
autogenous bone harvesting. Autogenous bone was placed facially and covered with a placental membrane to enhance biologic stability (Fig. 7). Enamel matrix derivative was applied to the adjacent lateral incisor following scaling and root planing to support periodontal health (Fig. 7).
The implant was intentionally buried to allow for guided gingival growth and controlled soft tissue maturation (Fig. 8). Transmucosal healing abutments were sequentially utilized to direct gingival












12. Final restoration demonstrates harmonious gingival contours, ideal implant position, and maintenance of adjacent alveolar bone.
13. Clinical presentation of a failing anterior implant with inflamed peri-implant tissues. Loss of papilla is evident as well as loss of bone on the adjacent natural




teeth. The gingiva is inflamed and suppurative.
14. Labial emergence of screw access channel confirming improper implant positioning. The implant is at a 45-degree angle to the implant axis. CBCT shows the labially angulated implant within the incisive canal and lacking 50% of alveolar bone.
architecture during the healing phase (Fig 8-11). Second-stage surgery focused on further refinement of soft tissue contours using guided gingival growth principles (Fig. 9-11). Four weeks following second-stage intervention, the peri-implant tissues demonstrated increased thickness and stability (Fig. 8).
The final restoration exhibited harmonious gingival contours and an emergence profile consistent with the adjacent dentition (Fig. 12). This case illustrates that even in high-risk aesthetic situations, predictable outcomes are achievable when all four building blocks are respected.



15. The implant crown was removed, and the implant was atraumatically removed using an implant removal tool (Salvin).
16. The implant was removed and immediately grafted with Puros cancellous bone allograft, a placental membrane (BioXclude), and a bovine cross linked collagen membrane (Osseoguard).
A 32-year-old woman presented with a failing implant replacing the maxillary right central incisor, placed approximately two years earlier. Clinical examination revealed inflamed peri-implant tissues with bleeding on probing (Fig. 13). Radiographic evaluation demonstrated circumferential bone loss extending to adjacent teeth (Fig. 13). CBCT analysis revealed a labially angulated implant positioned within the incisive canal, with complete loss of facial bone support (Fig. 14). The screw access channel

op behandeleenheid
€ 13.500,-
Prijsvoorbeeld
Behandeleenheid Swident Oasi
Operatielamp Faro Maia
Cattani compressor
Cattani afzuigmotor
Acteon DC röntgensysteem
Castellini C17
Rossicaw’s kastenset
Financiering en leasing
Praktijktekening 2D
Projectmanagement
Turn-key installatie
Training en instructie

€ 1.495,-
€ 1.995,-
€ 1.495,-
€ 2.495,-
€ 3.990,-
€ 2.815,-
€ 0,-
€ 0,-
€ 0,-
€ 0,-
Complete praktijk met de laagste prijsgarantie voor € 27.785,-
De eerste 6 maanden geen leasekosten
Gegarandeerd de beste prijs-/kwaliteitverhouding voor uw nieuwe of vernieuwde praktijk!
Compact design
Maximale beenvrijheid
Eenvoudige in- en uitstap
€ 27.785,-
€ 0,------------------------------------------------------------------------
Totaal
Lease maand 1 t/m 6
€ 0,Lease maand 7 t/m 66 € 528,93
P.s. bezoek ook de Utrecht Dental Outlet Shop via www.utrechtdental.nl voor gebruikte, demo- en showroommodellen.

5 jaar garantie op digitaal röntgen!
Waterleiding voo aansluitingen i loodgieter/bra

Ingebouwd hygiënesysteem

0% rente op premium producten zoals XO Flow en MyRay 3D CBCT

5 jaar garantie op behandeleenheden!

Fabrieksgarantie
5 jaar fabrieksgarantie op uw behandeleenheid (vraag naar de voorwaarden).
Ontwerpgarantie
Uw wensen, onze ervaring. Gratis drie ontwerpen van uw nieuwe praktijk.
Financieringsgarantie
Wij financieren uw praktijk tegen de beste condities. Gratis 3 leaseoffertes van bekende financiële instellingen.
Servicegarantie
Wij staan borg voor snelle service en gedegen onderhoud. Onze 25 servicetechnici zijn gegarandeerd binnen 4 tot 8 uur ter plekke. Laagste prijsgarantie
De laagste prijsgarantie. Vindt u binnen 4 weken hetzelfde product tegen een lagere prijs, krijgt u het verschil van ons terug.








17. Six-month postoperative view demonstrating excellent ridge regeneration (compare with figures 14 and 16).
18. Re-implantation with circumferential bone support and facial augmentation.
19. Autogenous bone was harvested and placed buccally.
emerged labially, confirming improper implant trajectory and prosthetic compromise (Fig.14-15).
The implant was atraumatically removed using a reverse-torque implant removal system (Fig. 15). Following removal, the defect morphology confirmed significant facial and interproximal bone loss (Fig. 15-16). The site was reconstructed using cancellous allograft hydrated with recombinant platelet-derived growth factor and covered with a combination of collagen and placental membranes (Fig. 16). Primary closure was intentionally avoided to preserve keratinized tissue. Six-month radiographic follow-up, as well as alveolar bone exposure, demonstrated excel-



A placental membrane was used to cover the graft. It aided in guided bone regeneration both as a barrier as well as a source of growth factors.
20. Primary closure was achieved with the assistance of two vertical incisions. At three months’ healing, soft tissue defects are still visible.
lent regeneration of the alveolar ridge (Fig. 17).
Re-implantation
A new implant was placed into the regenerated site with circumferential bone support. Autogenous bone was again utilized to enhance facial thickness and was protected with a placental membrane (Fig. 18).
In addition, a bone allograft was placed labially with a bovine cross linked collagen membrane to further augment the buccal aspect of the alveolar ridge. Primary closure necessitated advancement of the buccal flap facilitated with two vertical incisions (Fig. 20).
Three months post-implant placement and bone grafting, the patient was ready for second stage surgery. However, aesthetics were not ideal due to sig-



21. At second stage surgery, there is a need for further soft tissue augmentation. This is usually not needed, but due to the amount of previous surgery and bone and soft tissue loss secondary to peri-implantitis, a



need for soft tissue augmentation is seen.
22. A connective tissue graft was harvested from the palate and placed labial to the dental implant and adjacent teeth utilizing a tunnel approach.
nificant pre-existing soft tissue scarring (Fig. 21). To enhance gingival aesthetics and increase soft tissue volume, a connective tissue graft was harvested and placed at second-stage surgery using a tunnelling approach while the implant remained buried (Fig. 22).
Two months later the implant was ready to be exposed (Fig. 23) with the placement of a short temporary healing abutment. Guided gingival growth was performed using sequential transmucosal healing abutments to further refine tissue contours (Fig. 24). Placement of a taller healing abutment four weeks later allowed continued labial soft tissue development (Fig. 25).
The final restoration demonstrated healthy peri-implant tissues and an improved emergence profile (Fig. 26). Comparative views before and after treatment highlighted the dramatic aesthetic improvement achieved through staged reconstruction (Fig. 27). At 18-month follow-up, the peri-implant tissues remained stable with maintained bone levels.


23. At two weeks post connective tissue graft, the soft tissues are healing nicely. At 8 weeks post CTG, the patient is ready for abutment connection (compare with Fig. 20).
• Facial bone thickness of ≥2 mm is critical for anterior implant stability and aesthetics
Implant angulation can dictate long-term biologic and restorative outcomes
• Osseointegration alone does not define implant success
• Peri-implant infection may compromise adjacent natural teeth
Guided gingival growth can often augment soft tissue without routine connective tissue grafting
• Prevention is biologically, surgically, and aesthetically superior to rescue
Long-term success of anterior implant therapy depends on the coordinated integration of bone, implant position, soft tissue, and restoration. When these parameters are respected from the outset, pre-







24. Guided gingival growth is performed at second stage surgery. A 2 mm temporary healing abutment is placed subgingival following the elevation of a palatal flap. The flap is loosely sutured, and the patient allowed to heal for 4- 6 weeks prior to placing a longer temporary healing abutment.
25. A taller temporary healing abut-

ment (5 mm versus 2 mm) is placed 4 weeks following second stage surgery.
26. The final restoration. Excellent soft tissue aesthetics have been achieved. Bone on the teeth adjacent to the implant has been slightly augmented. There is slight papillary loss between the implant and adjacent teeth due to the initial loss of bone on the implant.
dictable and durable outcomes are achievable. When compromised, even advanced regenerative techniques may yield only acceptable compromises rather than ideal results. Prevention through prosthetically driven planning remains the most reliable path to long-term aesthetic and biologic success.
27. Before and after clinical photos demonstrate the significant improvement of both health and aesthetics. It is not perfect and never will be due to the compromised nature of the bone following the implant infection.
References
The references can be requested from the editors and viewed with the online article at www.dentista-magazine.nl
Dr. Michael Sonick is an internationally known authority in the fields of dental implantology and periodontology. A fulltime practicing periodontist in Fairfield, Connecticut since 1985, he is boarded in both periodontology and dental implants. A frequent guest lecturer at New York University School of Dentistry and the University of Connecticut School of Dental Medicine, he also lectures worldwide on the subjects of esthetic dental implants, periodontal care, bone regeneration, comprehensive patient care and the delivery of exceptional customer service. He can be reached at mike@michalesonick.com and www.michaelsonick.com

Cavex ExSense BrushPen - dé oplossing voor een veelgehoorde klacht
Gevoelige tanden is een veel gehoorde klacht in de praktijk. Met Cavex ExSense heeft u nu een slimme, direct toepasbare oplossing waar patiënten zélf al om vragen. Dankzij 2% Hydroxyapatiet worden gevoelige tanden merkbaar comfortabeler, met een langdurig verzorgend effect.
Nieuw! De ExSense Brushpen: Het mooie? U kunt de behandeling direct in de stoel starten. Vervolgens neemt de patiënt de handige brushpen mee naar huis om het effect moeiteloos voort te zetten. Zo versterkt u uw advies met een concreet product, verhoogt u de therapietrouw én ziet u de patiënttevredenheid stijgen - win-winwin.
Handige displaydoos: De compacte en aantrekkelijke displaydoos maakt ExSense bovendien perfect voor op de balie of in de behandelkamer. Direct beschikbaar, eenvoudig mee te geven of te verkopen, en altijd een logisch vervolg op uw professionele advies.
Kenmerken: Premium desensitizer, ontwikkeld voor zowel professioneel gebruik als thuisgebruik - 2% Hydroxyapatiet - 0,1% kaliumnitraat - eenvoudige en nauwkeurige applicatie - draagt bij aan het re-mineralisatieproces - aangename smaak www.cavex.nl
Al meer dan een eeuw zet Dentsply Sirona de standaard in tandheelkundige technologie. Van de eerste elektrische boor tot de meest geavanceerde digitale workflows: wij ontwikkelen oplossingen die uw praktijk klaarstomen voor vandaag én morgen. Ontdek hoe DS Core en Primescan® 2 uw werkprocessen vereenvoudigen en uw behandelmogelijkheden uitbreiden. Of het nu gaat om dagelijkse zorg, restauratieve tandheelkunde, endodontie, implantologie of aligner-therapie — wij ondersteunen u bij elke stap. Met ons complete portfolio aan o.a. behandelunits, röntgenapparatuur en digitale oplossingen bent u voorbereid op elke uitdaging. Bezoek ons en ervaar hoe innovatie, betrouwbaarheid en praktijkgerichte ondersteuning samenkomen.
Dentsply Sirona – Vertrouwd door professionals. Gedreven door innovatie.

Met de toevoeging van de Straumann SIRIOS™ X3 biedt Straumann een nog breder en completer scannerportfolio, passend bij iedere praktijk. De Straumann SIRIOS™ X3 is een zeer snelle, nauwkeurige en kalibratievrije intra-orale scanner. Dankzij het lichte gewicht en het compacte ontwerp, één van de kleinste intra-orale scanners op de markt, ligt de scanner comfortabel in de hand en in de mond.
De Straumann SIRIOS™ X3 is volledig gei ntegreerd binnen het Straumann digitale ecosysteem en sluit naadloos aan op Straumann AXS™. Hierdoor kan data eenvoudig en veilig met uw tandtechnisch laboratorium worden gedeeld, binnen vertrouwde workflows. In combinatie met Straumann Signature Midas™ by SprintRay vormt
de SIRIOS™ X3 een sterke basis voor een volledig geïntegreerde, digitale chairside workflow.
Tijdens de Dental Expo presenteren wij alle mogelijkheden voor de digitale workflow, passend voor uw praktijk. Bezoek onze stand en test de SIRIOS™ X3 zelf.
Wilt u de scanner deal ontvangen? Scan de QR code en laat uw gegevens achter.


Payt: de nieuwe standaard in declaraties
Payt biedt sinds 2022 een vriendelijk en kosteneffectief alternatief voor factoring. Van declaratie tot betaling, van zowel patiënten als verzekeraars. Koppel eenvoudig je favoriete praktijksoftware aan Payt en regel je declaratie- en debiteurenbeheer eenvoudig binnen één modern platform.
Je inkomsten worden niet onnodig vastgehouden, maar dagelijks aan de praktijk uitgekeerd, zonder extra kosten. De rekeningen worden verzonden vanuit jouw praktijk, in je eigen huisstijl en met jouw logo en zijn standaard voorzien van een iDEAL-betaalknop en QR-code. Dit zorgt aantoonbaar voor beter betaalgedrag. In vier jaar tijd hebben meer dan 1.000 praktijken de overstap ge-
Wil je ook weten waarom zoveel collega’s voor Payt kiezen? Payt is aanwezig op de Dental Expo. Maak kennis met deze innovatieve softwareleverancier en ga in gesprek met praktijken die al met Payt werken. DENTAL

maakt naar Payt: van solo-praktijken tot de grootste mondzorgorganisaties van Nederland.
Ontdek nu dé alles-in-één software voor uw praktijk
Odontium biedt meer dan alleen het bijhouden van uw patiëntendossier en het plannen van afspraken in een agenda. Odontium biedt dankzij vele koppelingen, mogelijkheden en integraties één overkoepelende, eenvoudige en snelle digitale werkplek voor uw administratieve werk. Hierdoor hoeft u niet met tal van verschillende platformen en programma’s te werken, wat tijd en geld bespaart. Zo kunnen bijvoorbeeld medewerkers onderling communiceren via de Odontium app, kan elke discipline uit de mondzorg in de software werken en kunnen tekst- en afbeeldingsbestanden in de software zelf bewerkt worden.

Het bedrijf achter Odontium, TSE, is een familiebedrijf met 35 jaar ervaring in de mondzorgsoftware. Het is marktleider in de tandprothetiek en opereert graag met korte lijntjes en persoonlijk contact, zodat gebruikers snel vooruitgeholpen worden. TSE is ISO 27001 en NEN 7510 gecertificeerd en werkt aantoonbaar volgens erkende veiligheidsnormen. Data wordt zowel in de cloud als lokaal uitstekend beveiligd door een AES-256 bit versleuteling; in de cloud wordt dit onder eigen beheer in een lokaal datacentrum bewaard. Odontium is dus modern, gebruiksvriendelijk én veilig!
Ook nieuwsgierig? Bezoek TSE op stand F10 op de Dental Expo! www.odontium.nl
De volledig resorbeerbare magnesiumpin van Nobel Biocare heeft de kracht van titanium, maar is volledig oplosbaar. De pin is 100% bioresorbeerbaar, waardoor geen tweede ingreep nodig is en er minder complicaties optreden. Daarnaast is hij sterker dan andere oplosbare pinnen en wordt hij binnen 18 maanden volledig vervangen door bot. Omdat de pin biocompatibel en titaniumvrij is, zorgt hij voor een stabiele fixatie tijdens de cruciale genezingsfase.
Perfect te combineren met Xenoprotect membraan door de extra sterkte, hoge hechtingsretentie en scheurweerstand. Een veilige en voorspelbare oplossing voor botgeneratie. Xenoprotect is een resorbeerbaar collageenmembraan dat eenvoudig te verwerken is: het kleeft niet, is makkelijk te herpositioneren en vertoont een lage expansie bij hydratatie. Het membraan is natuurlijk en veilig, niet-chemisch cross-linked en gemaakt van porcine collageen. Bovendien bevordert het de botaangroei dankzij bewezen biocompatibiliteit en gunstige klinische resultaten. Xenoprotect een betrouwbare en duurzame ondersteuning tijdens het regeneratieproces.
Aanbevolen door dr. Vivian Wu, tandars-implantoloog NVOI – Verwijspraktijk implantologie Rijnland in Voorhout.
Interesse in de volledig resorbeerbare oplossingen van Nobel Biocare? Neem contact op, of kom langs op de Nobel Biocare Stand op Dental Expo, ter hoogte van de Food court. Pieter Nierop-Groot +3165881736, order.holland@nobelbiocare.com, www.nobelbiocare.com.


Welke technologie past écht bij uw manier van werken? Op de Dental Expo laat Straight Dental bezoekers verschillende oplossingen zelf bekijken, testen en bespreken met collega-tandartsen. Op de stand wordt Pearl Second Opinion gedemonstreerd, AI-ondersteunde röntgenanalyse die volledig geïntegreerd is in NextGen en VisiQuick. Bezoekers zien hoe röntgenopnamen automatisch worden geanalyseerd en visueel gemarkeerd, ter ondersteuning van de diagnostiek en om bevindingen helder met patiënten te kunnen bespreken.
Daarnaast is de nieuwe QuickSleeper6 te ervaren, een systeem voor intraossale verdoving dat zorgt voor snelle en betrouwbare anesthesie zonder wachttijd of herprikken. Gebruikers waarderen vooral de voorspelbaarheid en de controle tijdens de behandeling. Ook zijn Physics Forceps aanwezig, instrumenten voor gecontroleerde, weefselbehoudende extracties. Apparatuur en instrumenten kunnen ter plekke worden bekeken en in de hand worden genomen.

Gedurende de hele beurs zijn meerdere tandartsen op de stand aanwezig die dagelijks met deze technieken werken en hun praktijkervaringen delen.
Straight Dental is te vinden op stand B02. Straightdental.com, info@straightdental.com, 020 22 99099.

Septodont: Innovatie die uw praktijk versterkt
Septodont is wereldwijd toonaangevend in de ontwikkeling, productie en distributie van innovatieve tandheelkundige producten. Wat betekent dat voor u? U krijgt toegang tot hoogwaardige oplossingen die uw praktijk efficiënter maken, uw patiënten meer comfort bieden en uw resultaten verbeteren. Dankzij onze decennialange expertise creëren we end-to-end waarde voor u en uw organisatie, zodat u kunt rekenen op betrouwbare producten en ondersteuning die uw succes versterken. Op
Dental Expo ontdekt u hoe wij die belofte waarmaken met drie toppers:
Genendo Het nieuwste endodontische systeem van Septodont. Ontworpen voor eenvoud, precisie en comfort, zodat u elke behandeling met vertrouwen uitvoert.
Biodentine De gouden standaard voor dentinevervanging. Biocompatibel, duurzaam en klinisch bewezen voor restauraties die het verschil maken.
BioRoot Flow Een bioactieve wortelkanaalvulling die zorgt voor perfecte afdichting en langdurige bescherming.
Kom langs op onze stand en ervaar hoe innovatie uw dagelijkse praktijk kan transformeren. Ontmoet onze experts, ontdek
de nieuwste technieken en laat u inspireren door oplossingen die écht vooruitgang brengen.
Septodont – uw partner in tandheelkundig succes. www.septodont.nl


TRIOS 6 met AI: duidelijkere patiëntgesprekken, sterkere klinische beslissingen
Met DX Plus, de software die werkt met TRIOS 6-scans, breng je AI-ondersteunde diagnostiek in je digitale workflow. Het helpt je vier belangrijke mondgezondheidsproblemen te detecteren tijdens het patiëntonderzoek: Oppervlakkige cariësdetectie. Spoor vroege cariës op vóórdat deze verergert. Je patiënt ziet precies wat jij ziet - dat maakt het behandelgesprek eenvoudiger.
Plaque-visualisatie. Brengt ophopingspatronen in kaart. Laat patiënten de zones zien die extra aandacht vragen in hun mondverzorgingsroutine.
Tandslijtage volgen. Documenteert de slijtage. Signaleer problemen vroeg en monitor de voortgang tussen afspraken.
• Tandvleesrecessie. Toont veranderingen van het tandvlees. Gebruik de gegevens om interventies te plannen en resultaten te volgen.
Elke tool biedt consistente, visuele inzichten die patiënten begrijpen. De technologie ondersteunt jouw beoordeling met data. Heb je een TRIOS 6? Activeer dan je Dx Plus-proefperiode en ervaar AI-ondersteunde diagnostiek bij je volgende scans.
Test DX Plus uit tijdens de Dental Expo en bezoek de 3Shape stand F02!





De samenhang tussen mondgezondheid, chronische ziekten en complexe zorg
De mond is onlosmakelijk verbonden met het lichaam. Steeds duidelijker wordt hoe groot die wisselwerking is en hoeveel kansen dat biedt voor de mondzorgpraktijk.
Naarmate tandartsen en mondhygiënisten vaker patiënten zien met chronische aandoeningen, medicatiegebruik en complexe zorgvragen, groeit ook de behoefte aan verdieping van medische kennis.
Tijdens het Congres Orale Gezondheid in Medisch Perspectief staat deze samenhang centraal. Hoe beïnvloeden leefstijl, veroudering en chronische ziekten de mondgezondheid?
En omgekeerd: welke rol speelt de mond bij aandoeningen zoals diabetes, hart- en vaatziekten, reumatische ziekten, hormonale veranderingen en multimorbiditeit?
Een must dus voor tandartsen en mondhygiënisten die hun blik willen verbreden en willen begrijpen waarom mondzorg onlosmakelijk verbonden is met de algehele gezondheid!


Voor tandarts & mondhygiënist
Sprekers
Een greep uit de sprekers:

Nina Nijland | Parodontoloog

Peter Nolte | Orthopeed

Micha Brinkman | Arts-onderzoeker cardiologie

Esther Kuijper | Gynaecoloog

Bruno Loos | Hoogleraar parodontologie

Yalda Ahmadzai | Mondhygiënist

Arthur Diemel | Tandarts in zorginstellingen

Maartje Klapwijk | Specialist ouderengeneeskunde
Aanmelden?
Scan de QR-code voor het volledige programma en om je aan te melden!



Deskundig ontworpen









voor orthodontie






























































Passie voor uw praktijk, van idee tot onderhoud
Een nieuwe praktijk starten of een bestaande praktijk herinrichten is een grote stap. U wilt een praktijk die efficiënt en ergonomisch is ingericht, maar ook rust en vertrouwen uitstraalt naar uw patiënten. Bij Utrecht Dental begrijpen we hoe belangrijk die balans is. Met meer dan 50 jaar ervaring, technische expertise en een bewezen aanpak realiseren wij praktijken die klaar zijn voor de toekomst. Wij gaan verder dan het leveren van apparatuur. Van het eerste idee tot en met de oplevering begeleiden wij het volledige traject: locatie en pand, ontwerp, routing, installatie, financiering en service. Daarbij houden wij rekening met alle geldende wet- en regelgeving, zoals het bouwbesluit, KEW en infectiepreventie. Zo bent u volledig ontzorgd en klopt elk detail.
Met meer dan 1.000 succesvolle praktijkinrichtingen weten wij hoe we kwaliteit, budget en continuïteit perfect combineren. Dat doen we bovendien tegen een zeer scherp tarief. Zo bieden wij nu een complete praktijkinrichting met de laagste prijsgarantie voor slechts
€ 27.785,-. Zo wordt investeren niet alleen haalbaar, maar ook aantrekkelijk.

Proven products for better dentistry
Als wereldwijd opererend tandheelkundig bedrijf met meer dan 100 jaar ervaring en een uitgebreid assortiment aan tandheelkundige en tandtechnische materialen en apparatuur, hecht het Japanse SHOFU Inc. Veel waarde aan de individuele behoeften en wensen van haar klanten. Door nauwe samenwerking met tandartsen, tandtechnici, universiteiten en onderzoeksinstellingen worden producten en innovatieve oplossingen ontwikkeld die voldoen aan de specifieke eisen van de markt en nieuwe normen stellen.
Dentalexpo: Speerpunten van Shofu Dental op stand H38 ( tegenover het Karma theater), zijn onze moderne BEAUTIFIL composieten en de tandtechnische composieten voor K&B CERAMAGE & UP. Ook zeer geschikt ter individualisering van de VERACIA tanden en Zirkonium schijven. Er zijn Live demonstraties van het materiaal te zien op vrijdag en zaterdag.
Drs Erik-Jan Muts M.Sc. demontreert op vrijdag en zaterdag “Posterior Perfection en Anteriro Artistry” met BEAUTIFIL LS en FLOW Plus composiet. Ook te zien in de workshops van het karma Theater. Onze Eyespecial C-V mondcamera is alle dagen te zien en te testen met demonstraties door Daan van Oort op vrijdag en zaterdag.
Shofu Dental; Hans Dijk Mob.; 0625163192 mail; hans@lookingfordental.com

Nieuw bij W&H!
Seethrough Max CBCT
• Volledige dentale en maxillofaciale beeldvorming
Field-of-View van 3x4 tot 17x17
360° rotatie
Face-to-Face positionering
Eigen W&H ontwikkeling en productie
Op de Dental Expo te zien bij All Dent; stand i24 en i25 Zie ook wh.com en alldent.nl

INTERVIEW
“Geen dag hetzelfde”
De mond-, kaak- en aangezichtschirurgie is een vakgebied dat vaak wordt onderschat, terwijl de praktijk juist veelzijdig, dynamisch en intens mensgericht is. Achter elke behandeling staat een team van professionals, waarin de assistent een cruciale rol speelt. Isabella Busch weet daar alles van. Met ruim tien jaar ervaring binnen de kaakchirurgie en een sterke passie voor praktijkgericht leren en patiëntbegeleiding, combineert zij haar werk op de polikliniek met het opleiden en inspireren van nieuwe assistenten. In dit interview vertelt Isabella over haar loopbaan, haar visie op het vak en haar rol binnen de nieuwe opleiding tot MKA-, paro- en implantologie-assistent.

Isabella Busch (1991) werkt al ruim tien jaar binnen de mond-, kaak- en aangezichtschirurgie. Sinds 2015 is zij actief op de polikliniek kaakchirurgie van ziekenhuis Rijnstate, waar ze assisteert bij operaties, lokale anesthesie toedient en patiënten begeleidt tijdens het spreekuur. Daarvoor werkte ze als tandarts- en preventieassistente in een algemene tandartspraktijk. Isabella heeft een passie voor praktijkgericht leren, infectiepreventie en het inspireren van nieuwe generaties assistenten. Daarom is ze ook docent bij de nieuwe opleiding tot MKA-, paro- en implantologie-assistent.
Je werkt al jaren binnen de kaakchirurgie. Wat trok jou in dit vakgebied, en waarom vind je het belangrijk om nu ook les te geven? Wat mijn interesse en nieuwsgierigheid al tien jaar lang gewekt heeft, is de diversiteit in patiënten en de
verschillende behandelingen die binnen de kaakchirurgie uitgevoerd worden. Geen dag is hetzelfde. Ik merk dat veel patiënten denken dat er bij de kaakchirurg alleen maar verstandskiezen of implantaten geplaatst worden, maar hier gebeurt zoveel meer dan dat. Denk bijvoorbeeld aan de diverse samenwerkingen binnen het ziekenhuis met andere specialismen, zoals de dermatologie of het oncologisch centrum. In de loop van de jaren heb ik opgemerkt dat er een terugloop van assistentes is; dit zien we terug in het lage aantal reacties op een vacatureplaatsing. Juist daarom vind ik het belangrijk om hierin les te geven en mijn enthousiasme te kunnen delen, want het is een superleuk vak.
Welke vaardigheden of inzichten uit jouw dagelijkse werk op de polikliniek zijn volgens jou het meest waardevol voor toekomstige assistenten?
Dat je in sommige gevallen snel moet schakelen en, indien nodig, de doorslaggevende factor bent. Een vooruitziende blik is in dit vakgebied erg prettig. Daarnaast is het belangrijk dat je je goed kunt verplaatsen in de patiënt, of dat nu een angstige patiënt is of juist een boze patiënt.
In de opleiding leren cursisten hoe ze “het verschil kunnen maken” als assistent. Kun je een voorbeeld geven waarin jouw rol als assistent echt doorslaggevend was voor het verloop van een behandeling? Denk hierbij aan het geruststellen van een angstpatiënt. Dit kan voorafgaand aan de behandeling zijn door alles duidelijk uit te leggen, of wanneer ze angst hebben voor geluiden door ze een koptelefoon of oortjes met eigen muziek te laten gebruiken. Zelf vraag ik ook altijd aan de patiënt of er dingen zijn waar wij rekening mee kunnen houden, of dat ze zelf iets kunnen aangeven wat voor hen prettig is of rust geeft tijdens de behandeling. Maar ook tijdens een behandeling ben je een belangrijke factor in het begeleiden van de patiënt, bijvoorbeeld door ademhalingsoefeningen of juist door simpelweg tegen ze te blijven praten en ze voor te bereiden op wat ze kunnen merken of horen.
De opleiding combineert theorie en praktijk. Hoe zorg jij ervoor dat die balans goed aansluit bij de werkelijkheid in het ziekenhuis of de praktijk?
Ik zorg dat theorie en praktijk goed aansluiten door theoretische onderwerpen meteen te koppelen aan voorbeelden uit mijn eigen werkervaring op de poli-kliniek kaakchirurgie. Daarnaast laat ik studenten zelf in de praktijk dingen doen, zoals het klaarleggen van het instrumentarium voor een specifieke behandeling. Zo is de theorie makkelijker te vertalen en begrijpen studenten beter waarom bepaalde dingen belangrijk zijn.
Wat zijn volgens jou de grootste uitdagingen waar een MKA-, paro- of implantologie-assistent tegenwoordig mee te maken krijgt? En welke kansen zie jij voor dit beroep?
Een van de grootste uitdagingen is de wens van patiënten om snelle zorg. In een wereld van ‘vandaag besteld, morgen in huis’ liggen de verwachtingen hoog, terwijl dat in de praktijk helaas niet altijd haalbaar is. Patiënten hebben vaak te maken met lange wachttijden, soms maanden voordat een behandeling gepland kan worden. Dit leidt regelmatig tot lastige of vervelende situaties. Het is dan ook de uitdaging voor de assistent om toch een passende af-
spraak te vinden en de patiënt zo goed mogelijk van dienst te zijn.
Nieuwe technieken zoals intra-oraal scannen en CBCT komen terug in het programma. Hoe zie jij de rol van technologie in de dagelijkse praktijk én in de opleiding?
Technologie speelt een steeds grotere rol in zowel de dagelijkse praktijk als in de opleiding. Deze ontwikkelingen dragen bij aan een efficiëntere en nauwkeurigere behandelwijze. Denk aan het gebruik van de intra-orale scanner: deze digitale werkwijze vervangt de traditionele afdrukken en biedt direct inzicht in de mondsituatie van de patiënt. Hiermee kun je een volledig beeld geven van wat er tijdens de operatie gebeurt en, niet onbelangrijk, het eindresultaat laten zien.
Het maken van een CBCT-scan wordt ook dagelijks door de assistent uitgevoerd. Hiermee kun je patienten een duidelijk advies geven met een passende behandeling, allemaal tijdens één afspraak.
Naast technische vaardigheden gaat het ook om patiëntbegeleiding, geruststellen en nazorg. Hoe belangrijk vind jij dit aspect, en hoe geef je dit door aan de cursisten?
Ik vind goede begeleiding van de patiënt ontzettend belangrijk. Dat is vaak wat een patiënt het meest onthoudt en wat zorgt voor een prettige ervaring. Tijdens de lessen deel ik mijn eigen ervaringen en praktijkvoorbeelden, zodat cursisten inzicht krijgen in hoe ze patiënten goed kunnen geruststellen en begeleiden. Zo geef ik ze handvatten die ze direct in hun werk kunnen toepassen.
Wat geeft jou persoonlijk de meeste voldoening in je werk, en wat hoop je dat cursisten meenemen uit de opleiding?
Wat mij de meeste voldoening geeft, is dat ik patiënten echt kan begeleiden tijdens een behandeling en ze met een gerust gevoel naar huis zie gaan. Vooral het snel kunnen helpen van iemand met veel klachten zijn voor mij de momenten waarop ik denk: daar doe ik het voor. Ik hoop mijn enthousiasme en gevoel van voldoening te kunnen meegeven aan de cursisten, want het is een prachtig en uitdagend vak!
Meer weten over de opleiding kaakchirurgie assistent?
Scan de QR-code
ONDERZOEK
De laatste tijd is er veel ophef over het gebruik van chloorhexidine, waarbij naar voren wordt gebracht dat dit mondspoelmiddel een nadelig effect zou kunnen hebben op bacteriën die via het omzetten van nitraat in stikstofmonoxide (NO) helpen om de bloeddruk te reguleren. Deze discussie heeft geleid tot vragen over de veiligheid van chloorhexidine mondspoelmiddelen, die al meerdere decennia worden beschouwd als de gouden standaard voor chemische plaquecontrole. De hier besproken systematische review en metaanalyse heeft daarom onderzocht of het gebruik van chloorhexidine mondspoelmiddelen daadwerkelijk leidt tot een klinische relevante verhoging van de bloeddruk bij gezonde mensen.
Achtergrond
Tandplaque speelt een belangrijke rol bij het ontstaan van cariës en parodontale aandoeningen. Mechanische plaqueverwijdering met tandenborstel en interdentaal hulpmiddel vormen de basis van mondhygiene, maar chemische middelen zoals antiseptische mondspoelmiddelen worden vaak aanvullend ingezet. Van deze middelen heeft chloorhexidine sinds de jaren zeventig de voorkeur vanwege zijn langdurige antibacteriële werking en brede effectiviteit tegen diverse micro-organismen.
Toch is er een groeiende belangstelling voor de mogelijke systemische effecten van chloorhexidine. Recente studies hebben namelijk gesuggereerd dat chloorhexidine bacteriesoorten op de tong en in de
mondholte kan verstoren die betrokken zijn bij de reductie van nitraat tot nitriet; een stap in de zogenaamde nitraat-nitriet-stikstofmonoxide-cyclus. Voedingsmiddelen zoals bieten en spinazie zijn rijk aan nitraat. Na inname wordt dit nitraat opgenomen in het lichaam en via de bloedbaan uitgescheiden in de speekselklieren. In de mond helpen o.a. orale bacteriën bij de omzetting van nitraat naar nitriet. Nitriet dat wordt doorgeslikt, draagt in het lichaam bij aan de vorming van stikstofmonoxide, een belangrijke signaalstof die onder meer zorgt voor vaatverwijding en bloeddrukregulatie. Theoretisch zou verstoring van dit microbieel systeem kunnen leiden tot verminderde stikstofmonoxide-beschikbaarheid en daardoor tot een lichte stijging van de bloeddruk.
Het doel van deze systematische review was om alle beschikbare (gerandomiseerde en observationele) studies die zijn uitgevoerd bij mensen te beoordelen die het effect van chloorhexidine-mondspoelmiddelen op bloeddruk hebben onderzocht. De zoekactie in de online databases van PubMed-MEDLINE en Cochrane-CENTRAL leverde 100 unieke studies op, waarvan er uiteindelijk vijf voldeden aan de inclusiecriteria. Alleen onderzoeken bij gezonde, niet-hypertensieve volwassenen zonder systemische aandoeningen werden opgenomen.
De vijf geïncludeerde studies omvatten 19 tot 36 deelnemers per studie, met leeftijden variërend tussen 18 en 71 jaar. De meeste studies gebruikten een 0,2% chloorhexidine-oplossing, twee- tot driemaal daags gedurende drie tot zeven dagen. In de controlegroepen werd gespoeld met placebo of niet gespoeld. De bloeddruk werd gemeten met automatische apparaten, meestal van het merk Omron.
Van de vijf studies vonden er twee een significante stijging van zowel de systolische bloedruk (bovendruk) als de diastolische bloeddruk (onderdruk) na gebruik van chloorhexidine. De overige drie studies zagen geen significant effect. Wanneer de data werden samengevoegd in een meta-analyse, bleek er geen significant verschil in eindwaarden tussen chloorhexidine en controle:
Voor systolische bloeddruk: gemiddeld verschil 1,56 mm Hg (95% CI: –0,67; 3,80)
• Voor diastolische bloeddruk: gemiddeld verschil -0,10 mm Hg (95% CI: –1,99; 1,78)
Er werd geen statistische heterogeniteit gevonden (I2 = 0%), wat betekent dat de dat de studies op een vergelijkbare manier meten en dus met elkaar te vergelijken zijn.
Interpretatie en klinische betekenis
Hoewel sommige studies een kleine stijging van de bloeddruk rapporteerden, bleven de absolute waarden ruim binnen het normale bereik (<130/<85 mm Hg). Volgens internationale richtlijnen worden pas verhogingen van >20 mm Hg systolisch of >10 mm
Hg diastolisch als klinisch relevant beschouwd. De gevonden verschillen van hooguit 1 à 2 mm Hg liggen zelfs binnen de foutmarge van bloeddrukmeetapparatuur (±3 mm Hg).
Er kan dan ook geconcludeerd worden dat eventuele veranderingen in bloeddruk door chloorhexidine-gebruik klinisch verwaarloosbaar zijn en geen risico vormen voor gezonde volwassenen.
De rol van stikstofmonoxide nader bekeken
Het mechanisme achter de mogelijke invloed van chloorhexidine op bloeddruk is biologisch interessant. Stikstofmonoxide is een klein gasvormig molecuul met een belangrijke rol in de regulatie van vasculaire tonus, ontstekingsprocessen en cel communicatie. In het lichaam kan stikstofmonoxide worden geproduceerd via twee routes:
1. Endogeen via L-arginine; een enzymatische omzetting in endotheelcellen.
2. Exogeen via de nitraat-nitriet- stikstofmonoxide-cyclus; waarbij nitraat uit voeding (zoals bieten, spinazie, sla) via bacteriële reductie in de mond wordt omgezet in nitriet en vervolgens in stikstofmonoxide.
Door het gebruik van chloorhexidine worden deze nitraat reducerende bacteriën tijdelijk onderdrukt, wat leidt tot lagere nitrietwaarden in speeksel. Studies hebben aangetoond dat dit effect reversibel is. Zodra het spoelen wordt gestaakt, herstelt de bacteriële flora en normaliseert de bloeddruk weer. Hoewel deze interactie microbiologisch relevant is, wijst het huidige bewijs erop dat de fysiologische impact op bloeddruk minimaal blijft. Interessant is dat juist bij patiënten met parodontitis, een aandoening die gepaard gaat met verhoogde lokale stikstofmonoxide-productie, het effect mogelijk nog kleiner is.
De meeste studies in deze review waren kortdurend (maximaal één week) en betroffen gezonde jongvolwassenen. Daardoor kan niet worden uitgesloten dat langere gebruiksperioden, hogere concentraties of specifieke patiëntgroepen (zoals hypertensieve of oudere personen) andere effecten zouden laten zien.

Dr. Merel Verhoeff
Tandarts-gnatholoog / Tandarts-slaapgeneeskunde

Dr. Gert-Jan van der Putten Specialist Ouderengeneeskunde / Kaderarts Palliatieve zorg

Dr. Fernando Franch Parodontoloog-implantoloog
ODr. Claar van der Maarel-Wierink Tandarts-geriatrie


Dr. Antoinette Rozeboom MKA-chirurg
Dr. Laurence Adriaens Parodontoloog-implantoloog

uderenzorg is actueler dan ooit. De maatschappij vergrijst aanzienlijk en dat brengt diverse trends met zich mee: we willen gezonder ouder worden, zo lang mogelijk zelfstandig thuis wonen en daarbij een goede kwaliteit van leven behouden. Praktische dilemma’s en ethische afwegingen leveren hierbij een andere zorgvraag op, waarvoor breder geïntegreerde benaderingen in de gezondheidszorg noodzakelijk zijn. Voor meer info over dit voorjaarscongres 2026 en inschrijven ga naar www.nvvp.org











Bovendien varieerden de protocollen sterk: in sommige studies moesten deelnemers nitraatrijke voeding vermijden, in andere niet. Ook de meetmethoden voor bloeddruk verschilden: manueel versus automatisch, zittend of liggend, direct na het spoelen of na rust. Deze variatie maakt directe vergelijking lastig.
Daarnaast kan zogeheten “white-coat hypertension” de metingen beïnvloeden: tijdelijke stijging van de bloeddruk door spanning tijdens een meting.
Op basis van het beschikbare bewijs is er geen reden om het gebruik van chloorhexidine mondspoelmiddelen te ontmoedigen vanwege vermeende nadelige effecten op bloeddruk. De gemeten stijgingen zijn klein, vallen binnen de meetonnauwkeurigheid en hebben geen klinisch betekenisvolle gevolgen. Wel wordt aanbevolen om:
Terughoudend te zijn met langdurig, routinematig gebruik van chloorhexidine bij gezonde personen zonder duidelijke indicatie;
• Bij patiënten met cardiovasculaire aandoeningen of hypertensie verdere onderzoeken af te wachten alvorens harde conclusies te trekken.
Voor de meeste toepassingen blijft chloorhexidine dus een veilig en effectief middel, met name bij de bestrijding van plaque en gingivitis of als tijdelijke ondersteuning na operatieve ingrepen.
Hoewel er theoretisch een verband bestaat tussen chloorhexidine, de orale nitraatreductie en bloeddrukregulatie, toont deze systematische review en
meta-analyse aan dat dit effect in de praktijk nihil is. De kleine bloeddrukverhogingen die soms worden gezien, zijn binnen fysiologische marges en hebben geen klinische betekenis.
Het blijft echter een fascinerend voorbeeld van hoe de mondbacteriën niet alleen invloed heeft op lokale gezondheid, maar ook mogelijk bijdraagt aan systemische processen zoals vaatfunctie en bloeddrukregulatie via de stikstofcyclus. Verdere studies met grotere populaties, langere follow-up en nauwkeurigere metingen zijn wenselijk om dit verband verder te verhelderen.
Tot die tijd kunnen tandartsen en mondhygiënisten gerust blijven vertrouwen op chloorhexidine als krachtig en veilig hulpmiddel in de chemische plaquecontrole.
Lars Toonen, Bregje van Swaaij en Fridus van der Weijden
Referenties
Toonen LSJ, van Swaaij BWM, Vagevuur ML, Van der Weijden FGA, Timmerman MF, Slot DE. The effect of chlorhexidine mouthwash on blood pressure: A systematic review and meta-analysis. Int J Dent Hyg. 2025, 23: accepted to be published in 2026.

Acht jaar geleden startte tandarts Luc Lagas samen met zijn vrouw – mondhygiënist en praktijkmanager – een eigen praktijk. Ze namen een oude solopraktijk over van een tandarts met een praktijk aan huis die met pensioen ging. Dat leverde ze patiënten en een inventaris op. Een casco ruimte vonden ze verderop in de straat die volledig werd verbouwd en ingericht tot een moderne praktijk.
De praktijk groeide door de jaren heen van 1.500 patiënten bij de start naar ongeveer 8.800 nu, met
een team van 24 medewerkers. En waar men begon met twee behandelkamers, zijn dat er inmiddels vijf. Daarnaast kwamen er een kantoor, een nieuw plafond en een compleet vernieuwd ICT-netwerk bij.
De wens was een moderne praktijk die past bij het eigentijdse pand. Openheid, licht en transparantie stonden centraal, met veel glas en behoud van privacy. Net als bij een restaurant met een open keuken mocht het werkproces zichtbaar zijn, ook in de steri-
lisatie. Tegelijk moest de praktijk hygiënisch, conform alle richtlijnen, maar vooral niet kil aanvoelen. Goede routing voor personeel en prettig contact met de receptie waren essentieel.
De entree bevindt zich in een hoge vide met een volledig transparante glazen hal. Boven zijn de kleedkamers, kantoren en kantine gesitueerd, terwijl beneden de behandelkamers liggen. De sfeer is huiselijk, met planten in hoge potten, rustige muziek via Sonos en een stijlvol kinderhoekje met



touchscreen TV. In de sterilisatie geven ledstrips visueel onderscheid tussen schoon (groen) en vuil (rood).
De reacties van patiënten en personeel zijn zeer positief. De overstap van solopraktijk naar modern pand
• Praktijk: Lagas Tandartsen, Veenendaal
• Website: www.lagastandartsen.nl



wordt gezien als een grote, maar geslaagde vooruitgang. Er blijven wensen voor de toekomst, zoals betere akoestiek in de vide en nieuwe raamstoffering, maar zonder ingrijpende verbouwing. De praktijk blijft zich ontwikkelen – in uitstraling, techniek en kwaliteit van zorg.
• Design: Axance, Doorn
PRAKTIJKMANAGEMENT
Inzicht kan zorgen wegnemen. Maar
Het jaar 2026 is gestart, waarin praktijken vanaf 1 januari geconfronteerd zijn met een tariefdaling van 1,12%. Daartegenover staat dat de praktijkkosten niet zijn gedaald. De praktijkkosten stijgen hoogstwaarschijnlijk of blijven minimaal gelijk. Een logische vraag vanuit praktijkhouders rondom de jaarwisseling was dan ook wat te doen met de salarissen. Wel of niet indexeren?
Concreet – en terecht – kreeg ik vanuit een praktijkhouder de volgende vraag: “Ik heb te maken met een flinke stijging van de personeelskosten en de tarieven die gaan dalen. Gaat dit wel goed?” Terecht dus als je je als praktijkhouder zorgen maakt om de financiële gezondheid van je praktijk.
Impact op het rendement
In een eerder artikel heb ik de impact van een omzetverhoging op het rendement van de praktijk –globaal – doorgerekend. Daaruit kwam naar voren, dat een omzetstijging van 10% het rendement van de praktijk met wel 25% kan verhogen. Er is in dat geval dus sprake van een soort ‘hefboomwerking’. Helaas geldt deze hefboomwerking ook in omgekeerde zin. Een daling van de omzet met 1% zal zorgen voor daling van het rendement van de praktijk met meerdere procenten. Nog los van het gegeven,
dat naast de omzetdaling waarschijnlijk op dit moment voor veel praktijken ook sprake zal zijn van een kostenstijging.
De daadwerkelijke impact is voor iedere praktijk uiteraard anders. Uit globale berekeningen kan de huidige tariefdaling in combinatie met een ‘gemiddelde’ kostenstijging vanuit inflatie al snel resulteren in een daling van het rendement van meer dan 20%.
Kortom, het is terecht als je je als praktijkhouder hierover zorgen maakt. Een logische eerste reactie van veel praktijkhouders is om je te richten op de volgende onderdelen:
1. Praktijkkosten verlagen
Praktijkhouders geven aan zo veel mogelijk te willen gaan snijden in de praktijkkosten. Uiteraard
kun je de praktijkkosten omlaag brengen door hier kritisch naar te kijken. Echter, het is maar zeer de vraag of je daarmee in staat bent om de totale praktijkkosten daadwerkelijk omlaag te brengen. Los van het feit, dat een eventuele kostendaling zeker niet het omzetverlies zal gaan opvangen.
2. Praktijkomzet verhogen Het verhogen van de omzet wordt daarnaast ook als oplossing genoemd. Voor veel praktijken is een omzetverhoging zeker realistisch. Wat ik eerder al aangaf kan een omzetstijging van 10% resulteren in een stijging van het rendement van 25%.
Met – een combinatie van – bovengenoemde oplossingen worden jouw huidige zorgen echter niet weggenomen. Je weet op dit moment namelijk niet of je in de komende periode als praktijk daadwerkelijk in staat bent om de kosten te gaan verlagen dan wel de praktijkomzet te verhogen. In het hier en nu zullen je zorgen dus blijven. Dé oplossing om jouw zorgen over het rendement weg te nemen is het creëren van inzicht.
Voor het creëren van inzicht wordt binnen praktijken steeds meer aandacht gegeven aan verschillende kengetallen, zoals omzet overzichten, patiënten aantallen, aantal verrichtingen, etc. Dergelijke kengetallen geven inzicht in hoe de praktijk nu en in de afgelopen periode heeft gepresteerd. Het beoordelen van kengetallen gaat dus over terugkijken en dergelijke kengetallen geven daarmee geen inzicht in hoe de praktijk in de toekomst presteert. Of anders, wat het toekomstige rendement zal zijn met de dalende tarieven en de stijgende kosten is juist wat je graag wilt weten als praktijkhouder.
Daarvoor is het dus belangrijk om inzicht te verschaffen in de toekomst, zodat je daadwerkelijk kunt beoordelen of jouw huidige zorgen al dan niet terecht zijn. De huidige ontwikkelingen van dalende tarieven en de bijkomende zorgen bij praktijkhouders
vragen – mijns inziens – om als praktijkhouder een begroting te gaan opstellen.
Een begroting is een overzicht (/ financieel plan), waarin de verwachte inkomsten, uitgaven en het verschil hiertussen voor een specifieke, toekomstige periode in kaart worden gebracht. Mijn advies is dit overzicht op te stellen voor een heel boekjaar of kalenderjaar.
Een goede begroting bestaat uit de volgende onderdelen:
• Verwachte inkomsten: een inschatting van alle geldstromen die je verwacht binnen te krijgen.
• Verwachte uitgaven: alle kosten, opgesplitst in categorieën zoals vaste lasten, variabele kosten, en incidentele uitgaven.
Saldo: een berekening van de verwachte financiële positie (overschot of tekort).
• Reserves: Eventuele spaarpotjes of buffers voor onvoorziene kosten.
Hoewel de termen van begroting en budget vaak door elkaar worden gebruikt, zijn ze niet hetzelfde. Een begroting is een projectie van de verwachte inkomsten en uitgaven, wat dus draait om plannen. Een budget is een limiet op wat je mag uitgeven binnen voor bepaalde onderdelen, wat dus is gericht op het beheersen van uitgaven.
De eerste stap in het maken van een begroting is het verzamelen van de inkomsten en uitgaven over voorgaand jaar, welke je veelal uit je boekhouding haalt. Aan de hand hiervan is het aan jou om realistische inschattingen te gaan maken voor dit – komende – jaar. Het is daarbij van belang om je inschattingen vooral te baseren op feiten en trends en niet op aannames.
Rodenburg Zorgoplossingen is gespecialiseerd in de afbouw en renovatie van mondzorgpraktijken en medische klinieken. Bouwend op een jarenlange ervaring geven wij graag samen met jou vorm aan de praktijk van je dromen. Wij genieten ervan om samen het hele proces te doorlopen, liefst zo vroeg mogelijk. Op deze manier kunnen we direct met je meedenken, samen sparren, je breed adviseren en met slimme, technische en praktische oplossingen komen.
Als we samen een geschikt pand hebben gevonden maken we een prachtig ontwerp voor jouw praktijk en deze werken we later uit in een gedetailleerde bouwkundige offerte. Klanten van Rodenburg zijn onze ambassadeurs. Zij vertellen graag meer over onze werkwijze, onze kwaliteit en dat wij graag veel plezier maken op de bouw; dat staat bij ons voorop!
Onder de naam SKAPA leveren wij praktijkmeubelen die speciaal zijn ontworpen voor onze klanten. De naadloze afwerking, de praktische ‘slimmigheidjes’ en het gebruik van nieuwe vuilafstotende, non-poreuze materialen maken onze meubels anders dan al het meubilair dat je al kent. De ideale inrichting voor een leven lang werkplezier! In onze prachtige showroom zijn diverse modellen te bezichtigen en kun je volop inspiratie opdoen. We maken graag een afspraak om het perfecte maatwerk plaatje voor jou te maken!
Rodenburg is jouw huismeester op afstand. Een centraal aanspreekpunt voor al het onderhoud in jouw praktijk, van klimaatinstallatie tot BA-klep en KVE test bij ons kun je voor alles terecht. Wij gebruiken een digitaal logboek voor het onderhoud waardoor je altijd online inzicht hebt in de onderhoudsstatus.


Rodenburg zorgoplossingen Fokkerstraat 19 3905 KV Veenendaal 0318 -46 33 68 info@rodenburgbv.nl
www.rodenburgzorg.nl
Hoe beter de inschattingen, hoe zuiverder de begroting. Praktijkhouders steunen vaak – en terecht –op hun accountant en boekhouder, waar het gaat om de resultaten van de praktijk. Nadeel is echter, dat accountants en boekhouders alleen kijken naar het verleden. Bij het opstellen van de begroting en het maken van een goede inschatting is het dus echt aan de praktijkhouder en eventueel de praktijkmanager zelf.
In de dagelijkse praktijk nemen veel praktijkhouders vaak beslissingen op gevoel of ervaring. Een logisch antwoord op de huidige tariefdaling is om te snijden in de kosten of te sturen op omzetverhoging. Hoewel dit uiteraard positief kan zijn, laat alleen een begroting zien wat de financiële impact is.
De huidige ontwikkeling rondom de tariefdaling is wat mij betreft een goede aanleiding om als praktijk structureel met een begroting te gaan werken. Een
begroting geeft namelijk vooraf inzicht in de verwachte inkomsten en uitgaven, wat antwoord geeft op de zorgen rondom het toekomstige rendement en vormt daarmee de basis voor gezonde financiële keuzes.
Daarnaast helpt een begroting om de cashflow van de praktijk te bewaken. Door grote uitgaven en verwachte inkomsten vooraf inzichtelijk te maken, ontstaat rust en overzicht. Dit is met name belangrijk bij investeringen in apparatuur, digitalisering of groei van het team.
Sjoerd Kuiken is eigenaar van Kuiken Praktijkmanagement (www.kuikenpraktijkmanagement.nl). Voor objectieve praktijkanalyses, intensieve begeleidingsttrajecten en online cursussen voor praktijkhouders en -managers.

Wil jij je als
Als tandarts ben je een allround professional. Je beheerst alle basisvaardigheden om uitstekende zorg te leveren, maar waarom zou je daar stoppen?
Wij bieden een breed en inspirerend aanbod van opleidingen en cursussen waarmee je jouw kennis verbreedt of je juist verdiept in een specialisatie die écht bij jou past.
Aanbod van high-end opleidingen maar ook alledaagse cursussen die je meteen kunt toepassen
Duidelijke leerdoelen en lesstof vol meerwaarde voor jou als tandarts KRT geaccrediteerd
Tijdens de opleiding of cursus is er ruimte om te sparren met collega tandartsen
Verbreed & verdiep jouw kennis als tandarts
Cursus Piezo chirurgie
Cursus Injectietechniek met composiet
Cursus Esthetische kroonverlenging
Cursus Orale chirurgie in de algemene praktijk
Cursus Botaugmentatie en Soft Tissue Management
Cursus Pijnstilling, diabetes en bisfosfonaten
Opleiding Lachgassedatie in de mondzorg NIEUW!
Leergang Kindertandheelkunde
ScandeQR-codevoorhet completeaanbodenomje aan te melden
PRAKTIJKMANAGEMENT
In de meeste mondzorgpraktijken is de sfeer goed: kleine teams, korte lijnen, persoonlijke aandacht voor elkaar. Juist daardoor kan het extra schuren als er sprake is van ongewenst gedrag – zeker wanneer dit afkomstig is van de werkgever of praktijkhouder zelf. Wat begint als een foute grap, een kwetsende opmerking of een ongelijkwaardige benadering, kan leiden tot een verstoorde werksfeer, uitval van medewerkers en zelfs juridische risico’s. Voor praktijkmanagers ligt hier een belangrijke, maar soms lastige rol. Want wat doe je als je signalen opvangt dat er iets speelt tussen een medewerker en een werkgever – of als jijzelf er getuige van bent? En hoe kun je als praktijkhouder zorgen voor een cultuur waarin dit gedrag geen kans krijgt?
Waarom de mondzorg extra kwetsbaar is
In de mondzorg werken we in kleine teams, vaak met nauwe onderlinge verhoudingen. De hiërarchie is duidelijk: de praktijkhouder is meestal ook de werkgever, behandelaar én eindverantwoordelijke. Veel werknemers – denk aan (paro)preventieassistenten, baliemedewerkers en mondhygiënisten – hebben een sterke loyaliteit naar de praktijkhouder of tandarts met wie ze dagelijks samenwerken. Dat maakt het moeilijk om grenzen aan te geven. Een
medewerker zal niet snel iets zeggen als de werkgever zich grensoverschrijdend gedraagt, bang om haar baan, werkuren of opleidingskansen te verliezen. Tegelijkertijd bestaat het risico, zeker in een krappe arbeidsmarkt waarin goede mondzorgprofessionals schaars zijn, dat een medewerker hierom vertrekt, zonder dat de praktijkhouders ooit weten wat er aan de hand is.
Daarnaast wordt in de mondzorg vaak gewerkt in behandelkamers met privacy, waar collega’s en assistenten dicht op elkaar werken en vaak even samen alleen zijn. Ook informele omgangsvormen (“we
kennen elkaar al jaren”) kunnen ervoor zorgen dat gedrag minder snel wordt gecorrigeerd.
Kortom: de structuur en cultuur van veel mondzorgpraktijken maken de kans op ongewenst gedrag –en het negeren van signalen – groter dan in grotere organisaties met duidelijke omgangsnormen protocollen.
Wat verstaan we onder ongewenst gedrag?
Ongewenst gedrag is een verzamelbegrip dat onder meer omvat:
• (Seksuele) intimidatie: ongepaste opmerkingen, aanrakingen, blikken of voorstellen. Discriminatie: op grond van geslacht, afkomst, leeftijd, geloof, seksuele voorkeur of andere persoonlijke kenmerken.
• Pesten of buitensluiten: herhaald negatief gedrag, roddelen, kleineren, negeren.
• Agressie of geweld: verbaal of fysiek, van dreigende toon tot daadwerkelijke handelingen. Machtsmisbruik: misbruik maken van de gezagsverhouding, bijvoorbeeld door iemand onder druk te zetten of te straffen bij weerstand. Wanneer degene die zich ongewenst gedraagt een leidinggevende of werkgever is, wordt dit extra ernOngewenst gedrag van werkgevers
stig beoordeeld. De wet legt werkgevers namelijk een verzwaarde zorgplicht op om juist dit gedrag te voorkomen.
Elke werkgever – dus ook elke praktijkhouder –heeft op grond van de Arbowet de verplichting om te zorgen voor een veilige en gezonde werkomgeving. Daaronder valt ook de psychosociale arbeidsbelasting (PSA), waaronder seksuele intimidatie, discriminatie, pesten en agressie expliciet worden genoemd. Dat betekent concreet:
1. Inventarisatie en beleid
Ongewenst gedrag moet onderdeel zijn van de Risico-inventarisatie & -evaluatie (RI&E). De werkgever moet de risico’s benoemen en maatregelen beschrijven om ze te beperken.
2. Een protocol of beleid tegen ongewenst gedrag Een praktijk moet beschikken over een protocol of beleid waarin staat wat onder ongewenst gedrag wordt verstaan, hoe medewerkers melding kunnen maken en welke stappen er worden genomen. Heeft jouw praktijk nog geen protocol? Zie kader voor tips.
3. Een vertrouwenspersoon
Het aanstellen van een vertrouwenspersoon is (nog) niet wettelijk verplicht, maar wordt sterk aanbevolen

Een initiatief van Nora Ennahachi praktijkmanager & praktijkhouder

Op vrijdag 11 september brengen we praktijkhouders en praktijkmanagers uit heel Nederland samen op één plek. Niet om harder te werken. Maar om elkaar écht te ontmoeten!
In een tijd waarin personeelstekorten, veranderende patiëntverwachtingen en werkdruk de norm lijken, kiezen wij voor iets groters: herstel van vertrouwen, verdieping van verbinding, en leiderschap dat werkt. Dat doen we door een unieke dag te organiseren voor leiders in de mondzorg, praktijkhouders en praktijkmanagers.
Hét 1e event in de tandheelkunde dat volledig draait om gedeeld leiderschap in de tandheelkunde. Een dag weg van de praktijk, weg van de waan van de dag.
Een dag voor verbinding, vertrouwen en leiderschap.
Waarom samen?
Omdat een sterke praktijk begint bij een sterke band en gezamenlijk leiderschap | Omdat cijfers pas waarde krijgen als je ze samen begrijpt en gebruik | Omdat groei niet alleen op de werkvloer ontstaat, maar juist daarbuiten.
Programma
8.45 uur
9.30 uur
9.45 uur
10.45 uur
11.30 uur
12.30 uur
13.30 uur
14.30 uur
15.15 uur
16.15 uur
Ontvangst
Opening door dagvoorzitter Inga + interview Nora Ennahachi & Hardi Mirza
René Savelberg - Groeikracht
Pauze en bezoek partnerplein
Marlies van der Vooren/Valesca Nederlof – Samen sterk in HR-leiderschap
Lunch en bezoek partnerplein
Sonny Wessels – Boost jullie synergie in financieel praktijkmanagement
Pauze en bezoek partnerplein
Noor Elshof – Gedrag in de tandartspraktijk: hoe kleine duwtjes groot verschil maken
Borrel
Dit event is een samenwerking van de volgende partners:



Wij dragen de Sociale Tandarts een warm hart toe en doneren een deel van de opbrengst



Schrijf je nu samen in en ervaar wat echte samenwerking oplevert!
door de Nederlandse Arbeidsinspectie en door beroepsorganisaties zoals KNMT en NVM-mondhygienisten. Er ligt een wetsvoorstel om dit verplicht te stellen.
4. Voorlichting en preventie
Werkgevers moeten medewerkers voorlichten over wat onder ongewenst gedrag valt en hoe ze hiermee kunnen omgaan. Denk aan een jaarlijkse bespreking tijdens een teamoverleg of training.
5. Actie bij signalen
De werkgever moet optreden bij vermoedens of meldingen van ongewenst gedrag. Niet reageren kan worden gezien als nalatigheid, met mogelijke aansprakelijkheid tot gevolg.
Professionele normen: wat mag van tandartsen verwacht worden ?
De vernieuwde KNMT-gedragsregels (2025) benadrukken dat de tandarts niet alleen verantwoordelijk is voor goede zorg aan patiënten, maar ook voor een respectvolle en veilige omgang met medewerkers, collega’s en andere zorgverleners.
Grensoverschrijdend gedrag, machtsmisbruik of intimidatie zijn nadrukkelijk in strijd met deze gedragsregels. Daarmee is het onderwerp niet langer alleen een HR-kwestie, maar ook een onderdeel van professioneel handelen. De gedragscode vergt bovendien van tandartsen dat zij collega’s of beroepsgenoten aanspreken bij een vermoeden van ongewenst gedrag. Wegkijken is dus in strijd met de gedragscode voor tandartsen.
rol van de praktijkmanager
In steeds meer praktijken is de praktijkmanager de spil tussen het team en de praktijkhouder. Dat maakt deze functie cruciaal – maar soms ook kwetsbaar –bij situaties van ongewenst gedrag.
De praktijkmanager is vaak het eerste aanspreekpunt voor medewerkers die zich onveilig voelen. Wat kun je dan doen?
1. Luister en neem serieus
Bied ruimte aan het verhaal zonder direct te oordelen of oplossingen aan te dragen. Benoem dat je het belangrijk vindt dat iemand dit deelt.
2. Ken de procedures
Zorg dat je weet welk beleid of protocol binnen de praktijk geldt. Als dat er niet is, is dat een belangrijk signaal richting de praktijkhouder om dit alsnog te regelen.
3. Adviseer over de juiste stappen
Wijs de medewerker op de mogelijkheid van een vertrouwenspersoon of externe meldroute. Vermijd dat je zelf de rol van onderzoeker of mediator inneemt – dat kan je positie onder druk zetten.
4. Schakel externe hulp in bij ernstige situaties
Denk aan een arbodienst, een externe vertrouwenspersoon of, indien nodig, juridische ondersteuning.
5. Zorg voor verslaglegging
Noteer feiten (geen interpretaties) en bewaar correspondentie zorgvuldig. Dit is belangrijk als er later een onderzoek of klacht volgt.
Wat te doen als er op je praktijk nog geen protocol is?
1. Begin vandaag: benoem in het team dat jullie dit onderwerp willen vastleggen.
2. Gebruik bestaande voorbeelden: Arbodiensten bieden formats voor protocollen tegen ongewenst gedrag. Dental Care professionals heeft ook voorbeelden. Of zoek een voorbeeld op internet.
3. Wijs een vertrouwenspersoon aan: bij voorkeur extern.
4. Veranker het in je RI&E en personeelshandboek.
5. Bespreek gedrag regelmatig in het team.
En wat als de praktijkhouder zelf ongewenst gedrag vertoont?
Dat is de moeilijkste situatie – en helaas niet ondenkbaar. Als de werkgever of praktijkhouder zichzelf schuldig maakt aan ongewenst gedrag, is het voor medewerkers (en ook voor managers) vaak onmogelijk om dit intern op te lossen. In dat geval is het essentieel dat er een externe route beschikbaar is. Dat kan via: Een externe vertrouwenspersoon of arbodienst. De KNMT-meldprocedure of een melding bij de Nederlandse Arbeidsinspectie.
• Een mediator of bedrijfsjurist wanneer de samenwerking volledig is vastgelopen.



Voor praktijkhouders die samen een maatschap of vennootschap vormen, ligt er bovendien een onderlinge verantwoordelijkheid. Als zakenpartner kun je niet wegkijken. Wie signalen ontvangt over grensoverschrijdend gedrag van een collega-praktijkhouder, moet actie ondernemen – bijvoorbeeld door in gesprek te gaan of een externe deskundige in te schakelen. Wegkijken kan later ook leiden tot medeaansprakelijkheid.
Hoe creëer je een veilige praktijkcultuur?
Een veilige werkplek ontstaat niet door één protocol, maar door bewust leiderschap. En dat begint bij voorbeeldgedrag.
1. Geef het goede voorbeeld
Laat zien dat respect, gelijkwaardigheid en humor kunnen samengaan zonder dat iemand zich ongemakkelijk voelt.
2. Maak gedrag bespreekbaar
Zet het onderwerp regelmatig op de agenda, bijvoorbeeld tijdens teamoverleggen. Vraag actief of mensen zich veilig voelen en of ze weten bij wie ze terechtkunnen.
3. Stel een vertrouwenspersoon aan
Bij voorkeur extern, zodat medewerkers laagdrempelig kunnen melden zonder angst voor repercussies.
4. Leg vast wat jullie normen zijn
Een kort en duidelijk protocol over ongewenst gedrag helpt om verwachtingen helder te maken. Beschrijf concreet gedrag dat niet wordt getolereerd en de stappen die volgen bij een melding.
5. Train leidinggevenden en praktijkmanagers
Leer signalen herkennen en gesprekken hierover professioneel te voeren.
6. Reageer altijd
Ook als het om ‘kleine dingen’ gaat. Niet reageren versterkt het gevoel dat grensoverschrijdend gedrag geaccepteerd wordt.
Een melding van ongewenst gedrag raakt iedereen in de praktijk: de melder, de vermeende dader, het team en de organisatie. Als praktijkmanager of praktijk-
houder is het belangrijk om zorgvuldig te handelen, zonder te oordelen of partij te kiezen. Een open, professionele aanpak betekent:
Oog voor het slachtoffer (veiligheid en vertrouwen herstellen).
Oog voor de beschuldigde (geen trial by rumor, maar zorgvuldig hoor en wederhoor).
• Oog voor het team (duidelijk communiceren dat er wordt gehandeld en dat gedrag serieus genomen wordt).
Wanneer emoties oplopen of posities verharden, kan een onafhankelijke mediator helpen om de situatie bespreekbaar te maken en tot een duurzame oplossing te komen.
Ongewenst gedrag komt in elke sector voor – ook in de mondzorg. Juist omdat teams klein zijn en relaties persoonlijk, is het des te belangrijker om dit onderwerp niet te vermijden. Een veilige praktijk is niet alleen een wettelijke verplichting, maar ook een voorwaarde voor plezier, kwaliteit en continuïteit.
Voor praktijkmanagers betekent dit: alert blijven, weten wat er speelt en durven handelen. Voor praktijkhouders: het goede voorbeeld geven, duidelijke kaders scheppen en verantwoordelijkheid nemen –ook als het moeilijk wordt.
Valesca Nederlof is jurist, mediator en trainer binnen de mondzorg en werkzaam bij Dental Care Professionals. Ze combineert juridische expertise met ervaring in HR, verzuimbegeleiding en praktijkmanagement. Haar specialisatie ligt in arbeidsconflicten en vastgelopen samenwerkingen, met een scherp oog voor de dynamiek in mondzorgpraktijken. Daarbij beoogt zij werkgevers, werknemers, teams en zakelijke partners op een respectvolle manier weer verder te laten gaan – samen of ieder voor zich.
In de hedendaagse praktijk zien we steeds meer implantaat gedragen restauraties. Hoewel implantologie betrouwbaar is, neemt met het toenemende aantal implantaten ook het aantal complicaties toe. Peri-implantitis, botverlies en esthetische problemen vormen daarbij een uitdaging. Nieuwe behandelprotocollen en materialen bieden mogelijkheden om complexe situaties voorspelbaar te behandelen.
CASUSPRESENTATIE
In augustus 2023 meldde zich een 40-jarige gezonde man (ASA I) met roodheid en pusafvloed rond een implantaat gedragen kroon ter hoogte van element 22. Klinisch waren pockets tot circa 8 mm meetbaar. Röntgenologisch werd botverlies van circa een derde van de implantaatlengte vastgesteld, met waarschijnlijk aanvullend verlies van de buccale botlamel.
De diagnose luidde: falend implantaat door lokale peri-implantitis, gepaard met fors verticaal en horizontaal botverlies. Door de actieve infectie en destructie van het bot moest het implantaat als verloren worden beschouwd ( foto 1 & 2 ).
PROBLEMATIEK
De casus kende meerdere uitdagingen: uitgesproken botverlies, dreigend verlies van gingivahoogte- en contour, een diep verontreinigd implantaat met een ongunstig emergence profile en een over gecontoureerde, subgingivaal geplaatste kroon. Direct herimplanteren was gecontra-indiceerd door de actieve infectie en het botdefect.
BEHANDELSTRATEGIE
Conventionele alternatieven, zoals een Maryland-etsbrug of een conventionele brug, werden overwogen. Vanwege de gave buurelementen en de esthetische wens van de patiënt werd gekozen voor een nieuwe implantaat gedragen kroon. Het plan bestond uit:
• Explantatie van het falende implantaat met een trepaanboor ( foto 3 ).
• Autologe botaugmentatie met een kinblok, aangevuld met Creos Xenograft en afgedekt met een resorbeer-
baar Creos-membraan (Nobel Biocare) ( foto 4 & 5 ).
• Plaatsing van een tijdelijke voorziening met een ovale pontic ter ondersteuning van de gingiva ( foto 6 ).
• Na 5-6 maanden plaatsing van een Nobel Biocare N1 Narrow Platform implantaat met direct een definitief abutment (one-abutment-one-time) en tijdelijke kroon volgens het ‘Immediate Loading’ protocol ( foto 7, 8 & 9 ).
• Na 3–4 maanden vervaardiging van de definitieve kroon ( foto 10 & 11 ).
CHIRURGISCHE UITVOERING
Na explantatie werd het defect gereinigd en geperforeerd naar de spongiosa. Het autologe botblok werd gefixeerd en aangevuld met Creos Xenograft. Het Creos resorbeerbare membraan zorgde voor separatie van weke delen en bevorderde de botgenezing. Na 5-6 maanden genezing was de gingiva contour verbeterd. Het N1-implantaat werd flapless geplaatst volgens digitale planning met DTX. De preparatie werd uitgevoerd met het N1-boorprotocol: eerst een Osseodirector voor richting en diepte, daarna een Osseoshaper op lage snelheid (50 RPM) en zonder waterkoeling. Laterale condensatie van botdeeltjes en schroefdraadvoorbereiding vonden in één stap plaats, wat primaire stabiliteit in geaugmenteerd bot voorspelbaar maakt. Het TiUltra-oppervlak draagt bij aan snelle osseointegratie.
PROTHETISCHE FASE
Direct na implantatie werd een N1 Base abutment geplaatst en vastgezet met 20 Ncm. Dit abutment wordt niet verwijderd, waardoor zich een stabiele biologische breedte kan vormen en het risico op botverlies door








herhaald manipuleren van componenten vermindert. Het Xeal-geanodiseerde oppervlak ondersteunt mucointegratie. Een tijdelijke kroon optimaliseerde het emergence profile ( foto 9 ).
Na osseointegratie werd een digitale afdruk genomen met een originele N1-scancoping. De definitieve kroon bestond uit monolithisch zirkoniumoxide met een esthetisch opgebakken venster ( foto 10, 11 & 12 ). Occlusie en esthetiek werden zorgvuldig gecontroleerd.
Samenwerking met het laboratorium was cruciaal: kennis van de gebruikte technieken en materialen zoals titanium en zirkoniumoxide is essentieel voor een voorspelbaar resultaat in esthetisch veeleisende situaties.
CONCLUSIE
Deze casus laat zien dat ook bij een falend implantaat met fors botverlies een voorspelbare rehabilitatie mogelijk is met een doordachte, gefaseerde aanpak. Het N1-implantaatconcept van Nobel Biocare biedt daarbij meer dan alleen een nieuw implantaat: het combineert een vernieuwd preparatieprotocol en geavanceerde oppervlakken met het werken op abutment niveau. Dit




draag bij aan een stabiele biologische breedte, behoud van marginale bothoogte en een voorspelbaar esthetisch resultaat. Met name in esthetisch veeleisende en gecompromitteerde situaties dragen deze inzichten bij aan stabiele bot- en weke delencondities en een duurzaam eindresultaat.
Graag verwijs ik naar het artikel dat collega Tristan Staas eerder heeft gepubliceerd in Dentista (2020 nr.2 pagina 2 t/m 5).
Over de auteur
Daniël Vos is tandarts-implantoloog en mede-oprichter van Prime Dental Alliance (PDA). Hij werkt in meerdere praktijken en is gespecialiseerd in esthetische en reconstructieve implantologie, waaronder immediaat belasten van implantaten en complexe restauraties. Daniël geeft daarnaast regelmatig lezingen en workshops voor collega-tandartsen over geavanceerde implantologische technieken.
De voordelen van informed consent software en spraak-naar-tekst met AI
In de dagelijkse praktijk gaat het zelden mis op de goede bedoelingen van de tandarts. Maar als er later een probleem ontstaat en de patiënt heeft het vertrouwen verloren, dan zie je vaak dat de wettelijke bepalingen niet zijn nageleefd. Wat heb je precies uitgelegd? Welke alternatieven zijn besproken? Welke risico’s zijn benoemd? En: waaruit blijkt dat de patiënt dit begreep en ermee instemde?
De Wet op de geneeskundige behandelingsovereenkomst (WGBO) is er helder over: patiënten hebben recht op informatie, en zonder toestemming mag je een onderzoek of behandeling in principe niet uitvoeren. Tegelijk moet je als zorgverlener een dossier bijhouden met de relevante gegevens rond de behandeling. In de mondzorg komen daar nog door de NZa opgelegde transparantie eisen bovenop: bij behandelingen boven de €250,- moet je vooraf een prijsopgave verstrekken, en vanaf €500,- moet dat schriftelijk of digitaal.
Bij alle recente klacht- en tuchtrecht uitspraken blijkt dat in de praktijk bijna geen enkele tandarts voldoet aan dit brede pallet van eisen. Iets wat vaak leidt tot gegrondverklaringen, waarschuwingen en berispingen. Zelfs als de tandarts normaal en te goeder trouw heeft gehandeld, maar de patiënt het daar niet mee eens was.
MondPlan: tariefcodes omzetten
Met een software tool als MondPlan kan je automatisch tariefcodes omzetten naar een brief die voldoet aan de WGBO. Als MondPlan R24 herkent dan schrijft het een informed consent, de alternatieven
en de nazorg van een kroon op een natuurlijk element. Daarnaast krijgt de patiënt ook de voordelen te lezen over waarom de kroon nodig is en uitleg over de procedure met animaties en beelden. Dat verhoogt de acceptatie en voorkomt nare verassingen over de uitgebreide wetgeving achteraf.
Ondertekenen van een plan: meestal niet nodig, soms verstandig
De WGBO heeft als minimumeis: aantonen dat de patiënt het plan heeft gelezen én heeft ingestemd. Een patiëntenkaart notitie is daarom tegenwoordig vaak onvoldoende. Maar een handtekening is geen standaardeis. In het Actieplan (Ont)Regel de Zorg is door de minister benoemt dat een handtekening alleen nog nodig is “als de situatie daarom vraagt”. Versturen van het plan met ZorgMail en Zivver geeft een extra zekerheid dat de patiënt het heeft geopend. Daarnaast biedt een tool als MondPlan de mogelijkheid om akkoord te gaan met een klik of toch ook een handtekening. Deze handtekening kan dan een extra laag zekerheid geven bij bijvoorbeeld zeer kostbare (> €5000,-) of langlopende trajecten (o.a. orthodontie).
Een goed consult bevat ook heel veel unieke informatie: klachten, anamnese, bevindingen, uitleg, verwachtingen, risico’s, alternatieven en vaak ook planning. Het consult is óók het moment waarop je WGBO-proof werkt: je geeft informatie zodat de patiënt echt kan meebeslissen, en je vraagt toestemming op basis van begrip. Maar het consult is tegelijk het moment waarop je het minste tijd hebt voor administratie. En dus ontstaat er spanning: of je typt mee en verliest aandacht, kijkt de patiënt niet meer aan of je focust op het gesprek en schrijft achteraf onder tijdsdruk een samenvatting met de kans dat je de details vergeten bent.
Spraak-naar-tekst AI: tijdbesparend en betere voorlichting en advies
In de praktijkvoering rond WGBO en verslaglegging zie je nu iets vergelijkbaars gebeuren: spraak-naartekst en AI. Door een opname te maken van het consult kan met DentPlan een transcriptie worden gemaakt. Met dat transcript kunnen verschillende zaken worden gedaan.
1. Patiëntsamenvatting in patiëntentaal (B1) Een korte brief in begrijpelijke taal: wat is er aan de hand, welke opties zijn besproken, wat is afgesproken, wat zijn de opties, en wat moet de patient zelf doen. Je kan met behulp van en zogenaamde ‘prompt’ de stijl bepalen. Een vriendelijke jij-vorm of juist meer een zakelijke u-vorm.
Verslaglegging
2. Dossieraantekening en facultatief advies op basis van de richtlijnen
De AI zet het consult om naar een vaste structuur (anamnese, bevindingen, behandelplan etc.). Daarnaast kan je de AI vragen voor advies en toetsing van je behandelplan aan de bestaande richtlijnen.
Per type consult kan je ook in een prompt vastleggen wat het format is. Zo is bijvoorbeeld bij een eerste bezoek van de nieuwe patiënt aan de praktijk zijn voorgeschiedenis, de kortetermijn- en langetermijnwensen, en het bijbehorende zorgdoel heel belangrijk.
3. Terugrapportage voor de verwijzer
Een compacte brief met reden van verwijzing, kernbevindingen, diagnose, beleid en een concrete vraag of terugkoppeling.
De AI maakt het mogelijk om bepaalde synoniemen of formats te gebruiken, zodat de output bij jouw praktijk past.
Een patiënt met een uitgebreide tandheelkundige voorgeschiedenis komt voor evaluatie van een langlopend behandeltraject. Door crowding, oud kroon- en brugwerk en een val op de voortand is er jarenlang gewerkt aan orthodontie met aligners, meerdere implantaten, wortelkanaalbehandelingen en tijdelijke kronen. De huidige klachten: niet goed kunnen kauwen, een noodkroon die telkens breekt, en esthetische zorgen over de lach. Het behandelplan omvat occlusale deprogrammering, composietopbouw van de onderkaak, definitieve kronen en mogelijk bleken. Een multidisciplinair traject richting



1. Dossiersamenvatting

3. Richtlijn advies
functieherstel én een mooie lach. Het behandelplan is al ingewikkeld genoeg, maar als je dit alles wilt terugkoppelen en ook WGBO-proof wilt noteren, dan heb je geen tijd meer over voor de echte zorg. In de screenshots hierboven is te zien hoe de AI je hiermee helpt.

2. Dossiersamenvatting

4. Samenvatting patiënt
WGBO-proof werken begint bij het consult: begrijpelijk informeren, alternatieven en risico’s bespreken, en toestemming baseren op begrip. De technologische stap daarna – spraak-naar-tekst met AI-samenvattingen – maakt het makkelijker om het consult te vertalen en vast te leggen richting patiënt, dossier en verwijzer. De auteur
Jan-Willem Vaartjes, tandarts-implantoloog
In this in-depth interview, Walter van Willigen speaks with Dr. Michael Sonick about his book Treating People, Not Patients. Known worldwide for his expertise in periodontology and implantology, Sonick reveals a more personal and human perspective on dentistry. He reflects on hospitality, trust, team culture, integrity, and the importance of genuine connection in healthcare—offering insights that go far beyond clinical excellence and speak to the heart of patient-centred care.
Interviewer: Michael, I had the pleasure of reading your book “Treating People, Not Patients”. It is highly accessible, easy to read, and alongside its serious messages and new insights, it offers delightful examples and entertaining anecdotes.
As you are an authority in the field of clinical periodontology and implantology, this book comes as a different surprise. Could you share what motivated you to write it?
Dr. Sonick: Well, thank you for those kind words. You know, it’s funny, people see the white coat and the degrees on the wall, and they think they have you all figured out. But before I was a periodontist, I was a lifeguard, a cocktail pianist, a furniture deliveryman, and even a waiter. And I’ll tell you, waiting tables taught me more about people than any medical textbook ever could.
I learned that you could serve the most perfect steak in the world, but if the person eating it feels ignored or rushed, they won’t enjoy it. It’s the same in my practice. I can perform the most technically brilliant
implant surgery, but if the person in the chair is scared, uncomfortable, or feels like just another number, then I haven’t truly done my job. This book isn’t about the technical side of dentistry; it’s about the human side. It’s a collection of stories and lessons learned over a lifetime of serving people, whether it was a gin and tonic or a dental implant. I wrote it because I believe that we in the healthcare profession have a sacred duty not only to treat diseases, but also to care for the people who have them.
Interviewer: What key message or philosophy did you hope to convey to dental professionals through this book?
Dr. Sonick: The title really says it all: “Treating People, Not Patients.” It’s a simple idea, but it’s a profound one. We’ve become so focused on the science and technology of medicine, which is wonderful, but we’ve lost sight of the art of healing. The art of healing is about connection. It’s about taking the time to listen, to understand, to empathize. It’s about crea-

ting an environment where people feel safe, comfortable, and cared for.
I want dental professionals to understand that their success isn’t just measured by their clinical skills, but by the relationships they build with the people they serve. When you treat people with kindness, respect, and genuine care, you build trust. And when you have trust, you can truly make a difference in their lives. It’s not just about fixing teeth; it’s about improving the quality of people’s lives. That’s the real bottom line.
Interviewer: Beyond your remarkable contributions to periodontics and implant surgery, you have begun exploring in depth the patient–practitioner relationship. How do you see this relationship in contemporary dental practice, and why is it so important?
Dr. Sonick: I think we’re at a crossroads in healthcare. On one hand, we have these incredible advancements in technology and treatment. On the other hand, we have a system that often feels impersonal and transactional. The patient-practitioner relationship has suffered as a result. People feel like they’re on a conveyor belt, rushed in and out, their concerns unheard.
This is not just a “feel-good” issue. It has real consequences. When patients don’t trust their doctors, they’re less likely to follow treatment plans, less likely to come in for regular check-ups, and more likely to have anxiety and fear. A strong patient-practitioner relationship is the foundation of good healthcare. It’s about partnership. It’s about working together towards a common goal: the patient’s wellbeing. When you have that kind of relationship, you can achieve amazing things.
Interviewer: What is the importance and role of social media in the world of patient satisfaction and quality of care?
Dr. Sonick: Social media is a double-edged sword, isn’t it? It can be a powerful tool for connection and education. We can use it to share information, to demystify dental procedures, and to build a sense of

s Werelds eerste Ergo-loepbril met verstelbare vergroting

community around our practices. It can also be a place of misinformation and negativity. The key is to use it authentically and transparently.
For me, social media is another opportunity to extend the hospitality of our practice beyond our four walls. It’s a way to stay connected with our patients, to share stories, and to let them know that we’re thinking of them. It’s not about marketing or selling; it’s about building relationships. And when you do that, patient satisfaction and quality of care will naturally follow.
Interviewer: From your perspective, what lessons can practitioners learn about hospitality in the context of patient care?
Dr. Sonick: The biggest lesson is that hospitality is not about grand gestures; it’s about a thousand little things. It’s the warm greeting when a patient walks in the door. It’s the comfortable chair in the waiting room. It’s the offer of a blanket if they’re cold. It’s taking the time to explain a procedure in a way they can understand. It’s calling them the evening after a surgery to see how they’re doing. These things may seem small, but they add up to create an experience. They send a powerful message to the patient: “You are important to us. We care
about you.” That’s the essence of hospitality. It’s making people feel seen, heard, and valued. And that’s a lesson that every practitioner, in every field, can and should learn.
Interviewer: How does the concept of hospitality enhance the patient experience and strengthen trust between practitioner and patient?
Dr. Sonick: Hospitality is the secret sauce. It’s what transforms a clinical procedure into a healing experience. When you treat people with hospitality, you’re not just treating their teeth; you’re treating their fears, their anxieties, their humanity. You’re creating a space where they can relax and feel safe. And when people feel safe, they open up. They share their concerns. They ask questions. They become active partners in their own care. That’s how you build trust. Trust isn’t given; it’s earned. And you earn it by consistently showing up with kindness, compassion, and a genuine desire to serve. Hospitality is the most powerful tool I know for building that kind of trust.
Interviewer: I graduated in 1990 from the Faculty of Dentistry at ACTA, University of Amsterdam, where part of my training included psychology courses






Anesthesia & Intensive Care Services B.V.:
AIC is gespecialiseerd in het verzorgen van hoogwaardige medische zorg binnen de anesthesiologie en intensive care geneeskunde.
Met ons VOLWAARDIG MOBIEL ANESTHESIETEAM inclusief apparatuur, monitoring, medicatie, gasvoorziening, disposables en al het nodige personeel kunnen wij op een voor u wenselijke locatie op 4 behandelkamers tegelijk algehele anesthesie toedienen aan uw cliënten, zonder dat u ook maar iets hoeft aan te passen aan de inrichting van uw kliniek.
Tandheelkundige klinieken die behandelingen onder algehele anesthesie willen aanbieden:
Als u aan uw cliënten behandelingen onder algehele anesthesie wilt aanbieden zonder dat u dure investeringen hoeft te doen in uw kliniek, dan bent u bij ons aan het juiste adres. Wij kunnen met ons MOBIEL ANESTHESIETEAM in elke kliniek op 4 behandelkamers tegelijk volledig de anesthesie verzorgen zonder dat u daar naar hoeft om te kijken. Wij zijn volledig selfsupporting. Wij kunnen in elke tandartspraktijk de anesthesie verzorgen. Uw praktijk hoeft dus niet aan speciale voorwaarden te voldoen!!
Bel voor een gratis en vrijblijvende offerte:
Schroom niet om te bellen of te emailen voor een gratis en vrijblijvende offerte. Zonder enige verplichting komen wij graag bij u langs om de situatie in uw kliniek te beoordelen en de wensen en mogelijkheden met elkaar te bespreken.


focused on patient fear. At the time, that seemed to be the main aspect of patient–practitioner interaction that was emphasized. In your book, however, you describe many subtle factors in the personal patient approach that can help ease fear. Could you please elaborate on these factors that create the difference with regard to patients’ outsized worries?
Dr. Sonick: That’s a great question. Fear is a powerful emotion, especially when it comes to dentistry. And while psychology courses are important, they often focus on the clinical aspects of fear. But what I’ve learned is that fear is often rooted in a feeling of powerlessness. People are afraid because they don’t know what’s going to happen, they don’t feel in control, and they don’t feel seen or heard. The subtle factors I talk about in the book are all about giving that power back to the patient. It’s about creating a sense of partnership and collaboration. It’s about explaining everything in plain language, so they understand what’s happening and why. It’s about giving them permission to ask questions, to express their concerns, and to be a part of the decision-making process. It’s about the little things, like a warm blanket or a gentle touch on the shoulder, that say, “I’m here with you. We’re in this together.” When you do these things, you’re not just treating their fear; you’re building their courage.
Interviewer: Forging a connection with the patient is an essential part the Doctor-Patient relationship. What essential features, in your opinion, define a valuable, long-lasting connection with the patient?
Dr. Sonick: I think it comes down to three things: authenticity, empathy, and consistency. Authenticity means being yourself. People can spot a fake a mile away. You have to be genuine in your care and your concern. Empathy is the ability to put yourself in the patient’s shoes, to feel what they’re feeling. It’s the foundation of all human connection. And consistency means showing up with that same level of care and compassion, every single time. It’s not a onetime thing; it’s a commitment.
When you have those three things, you create a bond with your patients that goes beyond the clinical. They see you not just as a doctor, but as a trusted friend and advisor. That’s the kind of connection that lasts a lifetime.
Think about the feeling you want to create for your patients
Interviewer: You also emphasize in your book the importance of “décor” - the visual aspect of the dental clinic - as it “sets the first tone” for the patient experience and can even influence whether patients choose a provider. What do you see as the key factors in this, and what advice would you offer our readers?
Dr. Sonick: The moment a patient walks into your office, they’re forming an impression. And that impression is based on everything they see, hear, and smell. The décor is a huge part of that. It’s not just about having a pretty office; it’s about creating an environment that reflects the quality of your care. Is your office clean and modern, or is it cluttered and outdated? Is the lighting warm and inviting, or is it harsh and clinical? Is the art on the walls calming and beautiful, or is it generic and uninspired? These things matter. They send a message to the patient about who you are and what you value. My advice is to be intentional about your décor. Think about the feeling you want to create for your patients, and then design your space to reflect that. It’s an investment that will pay for itself many times over.
Interviewer: Every organization’s success depends on whether its team members can fulfill their roles within the organization’s defined culture. This applies very much to the dental office as well. In your opinion, what are the essential qualities healthcare employees need to be a good fit in providing stateof-the-art “patient-centred” care?
Dr. Sonick: That’s a fantastic question, and it’s something I’m incredibly passionate about. You can have the most beautiful office and the most advanced technology, but if you don’t have the right people on your team, you’ll never be able to deliver truly patient-centric care. The most important quality I look for is a genuine love of people. You can teach someone the technical skills of dentistry, but you can’t teach them to be kind, compassionate, and empathetic. That must come from the heart. I also look for people who are good listeners, who are detail-oriented, and who have a strong work ethic. But above all, I look for people who are team
players. In our office, we have a saying: “We’re all in this together.” We support each other, we celebrate each other’s successes, and we help each other grow. That’s the kind of culture that allows us to provide the best possible care for our patients.
Interviewer: Could you share your insights on how you evaluate or vet new candidates in the recruitment process when building your team? Do you follow a particular process to assess whether someone is the right fit?
Dr. Sonick: We have a saying in our practice: “Hire slow, fire fast.” We take the hiring process very seriously, because we know that the right people are our most valuable asset. We have a multi-step interview process that includes a phone screening, an in-person interview with me and my office manager, and a working interview where the candidate spends a day in our office. During the working interview, we’re not just looking at their technical skills; we’re looking at how they interact with our team and our patients. Are they friendly and engaging? Are they a good listener? Do they take initiative? Do they have a positive attitude? We’re looking for people who will not just fit into our culture, but who will enhance it. It’s a rigorous process, but it’s worth it to find the right people who share our commitment to treating people, not patients.
Interviewer: In your book, you discuss the fascinating subject of cultivating an effective team culture within the clinic. What is your team-based philosophy, and do you apply specific rules to help implement the dental office’s culture?
Dr. Sonick: My philosophy is simple: a happy team leads to happy patients. If my team feels valued, respected, and supported, they’re going to pass that on to our patients. We have a culture of open communication, where everyone feels comfortable sharing their ideas and concerns. We have regular team meetings where we celebrate our successes and brainstorm ways to improve. We also have a lot of fun together. We have team outings, we celebrate birthdays and anniversaries, and we make a point to laugh every day.
As for rules, I’m not a big fan of them. I prefer to have guiding principles. One of our most important
principles is “do the right thing.” It’s a simple phrase, but it’s a powerful one. It means always putting the patient’s best interests first. It means being honest and transparent. It means taking responsibility for our mistakes. When everyone on the team is guided by that principle, you don’t need a lot of rules.
Interviewer: I have read some very interesting books about the subconscious mind and ego. Personally, I found great value in the work of the German author Eckhart Tolle, who explains how the false identity and narrative of the ego can undermine authenticity and honesty in our behaviour. How has your organization managed to set aside ego for the greater good of the team? Can you explain how this works in the operational aspects of patient care and the organization of your clinic?
Dr. Sonick: That’s a deep question, and it’s one that I’ve thought a lot about. Ego is the enemy of team-
“It’s okay to make mistakes. It’s how we learn and grow.”
work. It’s what makes people put their own needs ahead of the team’s. It’s what makes them afraid to admit when they’re wrong. It’s what makes them resistant to change. In our practice, we’ve worked hard to create a culture where ego takes a backseat to the greater good.
One of the ways we do this is by celebrating our failures as much as our successes. We have a “failure of the week” award, where we recognize someone who tried something new, and it didn’t work out. It’s a way of saying, “It’s okay to make mistakes. It’s how we learn and grow.” We also have a culture of feedback, where everyone is encouraged to give and receive constructive criticism. It’s not about pointing fingers; it’s about helping each other be the best we can be. When you have that kind of environment, people are more willing to let go of their egos and work together for the good of the team and the patients.
Interviewer: Finally, in any organization—including a dental office—a well-functioning system needs to
be steered by a visionary. How do you view the role and position of a visionary within a dental clinic?
Dr. Sonick: The visionary is the keeper of the flame. They’re the one who holds the vision for what the practice can be and inspires the team to make that vision a reality. But a visionary isn’t a dictator. They don’t have all the answers. They’re a collaborator. They’re a listener. They’re a coach.
My role as the visionary is to create a clear and compelling vision for our practice, and then to empower my team to bring that vision to life. It’s about setting the direction, but then getting out of the way and letting my team do what they do best. It’s a dance between leading and following, between talking and listening. And it’s the most rewarding job I’ve ever had.
Interviewer: When I began my role as Program Director at NYU CDE in 1998, you lectured many times for my international students. One of your most memorable teachings was the principle of “Staying Principled, Even When the Going Gets Tough.” I vividly recall one of my first French university-related “periogroups” you taught at NYU in 2001, in the field of implantology. At that time, implantology was still rapidly evolving, and the challenges were significant—particularly when confronting entrenched periodontal concepts such as preserving teeth “at any cost” versus extracting them to achieve better outcomes through immediate implant placement supported by bone grafting procedures. I remember the strong reaction of disbelief from that group of French periodontists. Yet you held firm in your position, and after an hour, once their emotions subsided and they understood the reasoning behind your stance, their initial resistance turned into respect. What does integrity and practicing principle-centered dentistry truly mean in the context of today’s many aspects in dentistry and medicine?
Dr. Sonick: That’s a wonderful memory, and it gets to the heart of what it means to be a professional. Integrity is about having a set of principles that you live by, even when it’s hard. It’s about doing the right thing, even when no one is watching. In dentistry, it means always putting the patient’s best interests first, even if it means going against the grain or challenging conventional wisdom. In the case of that French periogroup, the conventio-

nal wisdom was to save teeth at all costs. But I had seen the data, I had done the research, and I knew that in some cases, extracting a tooth and placing an implant was the better long-term solution. It wasn’t the popular opinion, but it was the right one. And that’s what integrity is all about. It’s about having the courage of your convictions and the willingness to stand up for what you believe in, even when it’s unpopular.
Interviewer: How do you personally integrate these principles into your daily practice?
Dr. Sonick: It’s a daily practice, in every sense of the word. It’s about starting each day with the intention to do my best, to be my best, and to serve my patients to the best of my ability. It’s about being mindful in my interactions, listening more than I talk, and treating everyone with kindness and respect. It’s about being a lifelong learner, always seeking to improve my skills and my knowledge. And it’s about being grateful for the opportunity to do this work, to make a difference in people’s lives. It’s not always easy, but it’s always worth it.
Michael Sonick, DMD: Author, Educator, Perio-dontist (mike@michaelsonick.com), was interviewed by Walter van Willigen, dental implantologist and Program Director at NYU Department of Continuing Dental Education.
MAG IK JE WAT VRAGEN

Naam: Elea Kooiman-van der Wal Geboortejaar: 1986
Studie: Mondzorgkunde aan de Hogeschool Utrecht
Waarom de keuze voor het vak van mondhygiënist?
Toen ik op de middelbare school zat, had ik werkelijk alle beroepen al de revue laten passeren. Ik wilde heel graag offsetdrukker worden net als mijn vader en opa, maar omdat ik best goed en makkelijk kon leren, vond mijn vader dat zonde en “mocht” ik dus niet naar de grafische school om offsetdrukker te worden. Destijds had ik een bijbaan in de bloemen. Ook daar werd gezegd: “Meid, ga iets leuks studeren.” Toen ik bij de tandarts kwam dacht ik: ja dit is het! Mijn tandarts heeft mij toen op het idee gebracht om mondhygiënist te worden en ik was meteen enthousiast. Het grappige is dat mijn zusje wel de opleiding voor offsetdrukker mocht gaan doen en daarmee is gestopt. Ze werkt nu al 13 jaar bij mij in de praktijk.
Waardoor raak je geïnspireerd?
Van mensen die doen wat ze leuk vinden en hier vol voor gaan met bedrijven die dan een groot succes worden. Ik heb altijd 101 ideeën om andere bedrijven te starten, maar vaak wordt het weggewuifd met “Je hebt het toch veel te druk” of “Oh, daar komt ze weer!” Ik vind het dan fantastisch om bijvoorbeeld te lezen dat iemand met iets kleins een fantastische onderneming heeft neergezet.
Hoe ziet de perfecte werkdag eruit?
Leuke patiënten, gezelligheid met collega’s en afwisselende behandelingen. Vrolijker kun je me dan niet krijgen!
Waar ben je trots op?
Dat ik een goedlopende praktijk heb. Inmiddels ben ik met de praktijk verhuisd, omdat we in ons vorige pand te weinig ruimte hadden. Verder ben ik ook trots dat ik als moeder het allemaal maar gewoon doe, want er komt heel veel bij kijken.
Na de studie: in verschillende praktijken gewerkt zoals algemene praktijk, paropraktijk, mondhygiënepraktijk
Werkt nu bij: Mondzorg Ambacht, haar eigen praktijk sinds 2013. Ze heeft in 2019 de mondhygiënepraktijk omgezet naar tandartspraktijk.
Functie: Mondhygiënist praktijkeigenaar
Wat is de belangrijkste les die je ooit hebt geleerd?
Dat het heel belangrijk is te communiceren wat je wil en wat je verwacht van de ander. Ik vond dit soms best lastig, maar ben daar echt in gegroeid en vind het nu heel leuk om te zien dat het niet spannend is om te vertellen wat je wil of wat je verwacht, maar dat je dan ziet dat het echt lukt doordat je hierover hebt gepraat.
Wat zou je nog willen leren?
Hahaha, oh zo veel! Ik vind chirurgie fantastisch, maar kan dat als mondhygiënist niet uitvoeren. Verder vind ik kindertandheelkunde ook heel leuk, maar daarin zijn we ook weer beperkt in handelingen.
Welk advies wil je collega’s meegeven?
Werk samen, ga niet op je eigen eilandje zitten, wees niet bang voor elkaar en zie elkaar niet als concurrent. Als je samenwerkt kom je zoveel verder.
Als je één ding aan je vak zou kunnen veranderen, wat zou dat zijn?
Dat we meer handelingen mogen uitvoeren. Het is dan ook heel erg jammer dat het experiment zelfstandige bevoegdheid niet is doorgegaan. Een gemiste kans!


