Skip to main content

ADR MAGAZINE 90 "TUBERCULOSIS"

Page 1


SERGIO ALONSO MIRANDA NAVA

Director Editorial ADR Magazine

JESÚS SOLANO LIRA

Director Editorial Web ADR Networks

JOSAFAT TAPIA CASTILLO

Editor en Jefe Revista ADR Magazine

MARÍA FERNANDA PÉREZ HERNÁNDEZ

Directora de Relaciones Públicas

ROBERTO NAVA MARTÍNEZ

Director de Informática

DISEÑO EDITORIAL:

ADR STUDIO

Diseñador Editorial Senior

ADR STUDIO

Diseñador Editorial Junior

SOCIAL MEDIA:

MARIA FERNANDA CARRILLO SANCHEZ

PAULA XIMENA GARCIA MORA

NUESTRAS PLUMAS:

JESÚS SOLANO LIRA

ERNESTO PEÑA

ALEJANDRA LÓPEZ MARTÍNEZ

ROBERTO VIZCAÍNO

MANUEL CARMONA SOSA

DAVID RAZO

LUIS MANUEL RAMIREZ RODRÍGUEZ

KARLA A. ROJAS

MARCOS HERNÁNDEZ VALERIO

JORGE EDWARDS CHAHIN SILHY

JAVIER GAMBOA MÉNDEZ

MARCOS HERNÁNDEZ VALERIO

ANGIE GARCÍA

JOSAFAT TAPIA CASTILLO

ANA LAURA ROSAS

ISAAC E CERVANTES OROZCO

BEATRIZ HERNÁNDEZ CABRERA

FELIPE ARTEMIO HERNÁNDEZ JIMÉNEZ

SUSANA SÁNCHEZ

AURORA VARGAS VILLEGAS

RICARDO PÉREZ PALACIOS DURÁN

ANTONIO PIÑÓN

DANIEL ‘EL MALO PÉREZ‘

LIGIA GARCÍA

KAIKO HERNÁNDEZ

RODRIGO GARCÍA

RIVER ALTAMIRANO

OLDAIR ACOSTA LÓPEZ

EDITORIAL

La enfermedad que el mundo aún no logra vencer

A lo largo de la historia, la humanidad ha enfrentado enfermedades que arrasaron con poblaciones enteras Algunas de ellas desaparecieron con el paso del tiempo, otras fueron controladas gracias al avance de la ciencia, pero también existen aquellas que, pese al progreso tecnológico y médico, continúan presentes entre nosotros Ese es el caso de la tuberculosis, una enfermedad que ha acompañado a la humanidad durante siglos y que, aún hoy, sigue siendo una amenaza silenciosa para millones de personas

Paradójicamente, vivimos en una era en la que la ciencia y la tecnología han alcanzado niveles extraordinarios de desarrollo Contamos con conocimiento, medicamentos y herramientas médicas que permitirían combatir con mayor eficacia esta enfermedad. Sin embargo, la tuberculosis persiste principalmente por factores que van más allá de la medicina: la desigualdad social, la pobreza, el acceso limitado a los servicios de salud y las condiciones de vida precarias en muchas regiones del mundo.

Por ello, hemos decidido dedicar la portada de esta edición a reflexionar sobre esta enfermedad que, lejos de pertenecer al pasado, sigue siendo parte de la realidad de muchas comunidades. Hablar de tuberculosis es también hablar de justicia social, de acceso a la salud y de los retos que aún enfrenta la humanidad para garantizar condiciones dignas de vida para todos

Como cada semana, nuestra revista reúne diversos temas que invitan a la reflexión Roberto Vizcaíno presenta un análisis político en el que aborda todo lo que gira alrededor del llamado “Plan B” de la presidenta Claudia Sheinbaum, así como los esfuerzos por mantener alineados a los tres partidos que conforman la coalición de la llamada Cuarta Transformación

CULOSIS

En el ámbito de la salud, Angie García aborda un problema que continúa siendo un tema de salud pública relevante: el Virus del Papiloma Humano (VPH), una enfermedad de transmisión sexual silenciosa que puede poner en riesgo la salud de millones de mujeres

El Dr Isaac Cervantes, por su parte, nos habla de la osteoporosis, una enfermedad que muchas veces avanza sin síntomas visibles pero que debilita progresivamente los huesos, convirtiéndose en un problema cada vez más frecuente en la población

En ADR Magazine creemos que mirar los problemas del presente también implica comprender sus raíces históricas. La tuberculosis es un recordatorio de que el progreso científico no siempre camina al mismo ritmo que el progreso social. Por eso, seguir hablando de estos temas es también una forma de mantener viva la conversación sobre los desafíos que aún tenemos como humanidad.

Te invitamos a leer, reflexionar y compartir esta edición Porque informar también es una manera de construir conciencia

También en el terreno de la salud y el bienestar, Beatriz Hernández analiza uno de los temas más populares en la cultura del bienestar contemporáneo: los jugos verdes, cuestionando la idea de que siempre son tan saludables como muchas veces se piensa. ¡Disfruta esta edición!

Sergio Miranda

TUBERCULOSIS

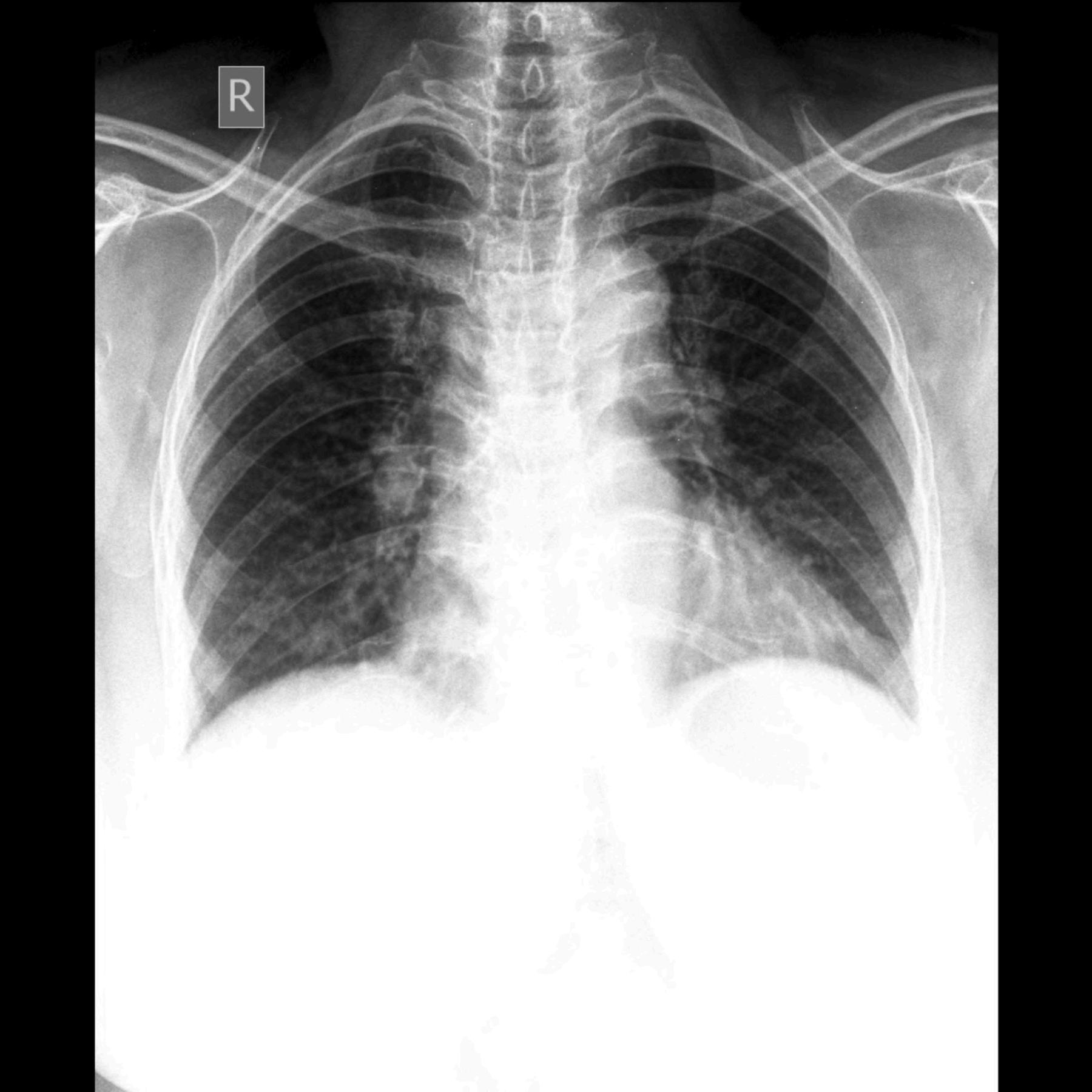
LA SOMBRA PERSISTENTE: TUBERCULOSIS, LA ENFERMEDAD QUE MARCÓ LA HISTORIA DE LA HUMANIDAD

Cada 24 de marzo el mundo recuerda una de las enfermedades más antiguas y persistentes que ha enfrentado la humanidad: la tuberculosis La fecha no es casual Ese día, en 1882, el médico alemán Robert Koch anunció el descubrimiento del bacilo responsable de la enfermedad, un hallazgo que transformó la comprensión de una dolencia que durante siglos había sido un misterio mortal.

Hoy, más de 140 años después de aquel descubrimiento, la tuberculosis sigue siendo uno de los mayores desafíos de salud pública del planeta. Aunque existen tratamientos eficaces, la enfermedad continúa afectando a millones de personas cada año y provoca más de un millón de muertes en el mundo, lo que la convierte en una de las infecciones más letales conocidas

La tuberculosis es causada por una bacteria llamada Mycobacterium tuberculosis, que se transmite principalmente por el aire cuando una persona enferma tose, habla o estornuda Aunque puede afectar a diferentes órganos del cuerpo, su forma más común es la pulmonar Los síntomas incluyen tos persistente, fiebre, sudoración nocturna, fatiga y pérdida de peso Sin embargo, más allá de su impacto sanitario actual, la tuberculosis es también una enfermedad profundamente ligada a la historia humana

Una enfermedad tan antigua como la civilización

Evidencias arqueológicas indican que la tuberculosis ha acompañado a la humanidad durante miles de años Investigaciones realizadas en momias egipcias han encontrado lesiones óseas características de la enfermedad que datan de más de 4.000 años.

También se han identificado signos compatibles con tuberculosis en restos humanos de antiguas civilizaciones de América y Asia

Durante siglos, la enfermedad fue conocida por distintos nombres En Europa medieval se le llamaba “consunción”, porque los enfermos parecían consumirse lentamente El deterioro físico progresivo, acompañado de una apariencia pálida y frágil, convirtió a la tuberculosis en una enfermedad envuelta en mitos y simbolismos

En el siglo XIX, particularmente en Europa, la tuberculosis alcanzó proporciones epidémicas Las ciudades industriales, con viviendas hacinadas, mala ventilación y pobreza generalizada, crearon condiciones ideales para su propagación. En algunos países, llegó a ser responsable de una de cada cuatro muertes.

Paradójicamente, durante esa época la enfermedad también adquirió una dimensión cultural. Muchos artistas, escritores y músicos que padecieron tuberculosis contribuyeron a romantizar la imagen del enfermo. Figuras como Frédéric Chopin, Franz Kafka o Anton Chéjov convivieron con la enfermedad en una época en la que el diagnóstico equivalía casi siempre a una sentencia de muerte

El descubrimiento que cambió la medicina

El panorama comenzó a cambiar cuando Robert Koch identificó el bacilo de la tuberculosis en 1882 Este descubrimiento permitió demostrar que la enfermedad era causada por una bacteria específica y no por factores hereditarios o ambientales vagamente definidos, como se creía anteriormente

Ese hallazgo marcó el nacimiento de la bacteriología moderna y abrió el camino hacia nuevas estrategias de prevención y tratamiento

A lo largo del siglo XX, el desarrollo de antibióticos revolucionó el combate contra la tuberculosis Medicamentos como la estreptomicina, descubierta en la década de 1940, permitieron por primera vez tratar la enfermedad de manera efectiva.

Al mismo tiempo, la mejora en las condiciones de vida, la nutrición y los sistemas de salud pública contribuyó a reducir significativamente su incidencia en muchos países.

Un problema que no ha desaparecido

A pesar de los avances médicos, la tuberculosis sigue siendo un desafío global Cada año se registran millones de nuevos casos, especialmente en regiones donde persisten condiciones de pobreza, hacinamiento o acceso limitado a servicios de salud

Además, en las últimas décadas ha surgido una preocupación adicional: la tuberculosis resistente a los medicamentos Algunas cepas de la bacteria han desarrollado resistencia a los antibióticos tradicionales, lo que complica el tratamiento y obliga a utilizar terapias más largas, costosas y complejas

Factores como la desnutrición, el VIH, la diabetes y las condiciones socioeconómicas precarias aumentan el riesgo de desarrollar la enfermedad

La lucha continúa

El Día Mundial de la Tuberculosis, conmemorado cada 24 de marzo, busca recordar que esta enfermedad, aunque prevenible y curable, sigue representando un desafío sanitario de gran magnitud.

Organizaciones internacionales, sistemas de salud y centros de investigación trabajan constantemente en nuevas estrategias para mejorar el diagnóstico temprano, desarrollar vacunas más eficaces y ampliar el acceso a tratamientos

Uno de los grandes objetivos de la comunidad científica es lograr la eliminación de la tuberculosis como problema de salud pública en las próximas décadas

Sin embargo, la historia de esta enfermedad demuestra que la medicina no puede actuar sola La lucha contra la tuberculosis también depende de factores sociales: mejorar las condiciones de vida, reducir la desigualdad y fortalecer los sistemas de salud

Una lección de la historia

La tuberculosis ha acompañado a la humanidad desde tiempos remotos. Ha marcado épocas, influido en la cultura y desafiado a generaciones de médicos e investigadores.

El 24 de marzo no solo recuerda un descubrimiento científico fundamental. También invita a reflexionar sobre la importancia de la investigación, la prevención y la solidaridad global frente a las enfermedades que afectan a millones de personas.

Porque, aunque la ciencia ha avanzado enormemente desde el siglo XIX, la tuberculosis sigue recordándonos una verdad fundamental: la salud pública es una responsabilidad colectiva que atraviesa la historia y define el futuro de las sociedades

Es egresado de la carrera de periodismo de la FES Aragón, especialista en marketing político, y manejo de crisis informativas, ha sido testigo de los acontecimientos más importantes de los últimos 40 años, y ha participado en coberturas especiales en radio y televisión Actualmente es Director Editorial de Cuauti Medios

Ahora la sede de la Convención Nacional Bancaria fue Cancún, Quintana Roo, y en tres días de actividades de uno de los eventos más importantes del país, banqueros y autoridades acordaron, lo que no se logró en el sexenio pasado, fortalecer el diálogo para beneficiar al país

Ambas partes coincidieron en que es muy importante impulsar el crecimiento económico, con el objetivo de fomentar el desarrollo del país, así como disminuir el flujo de efectivo, para que se detone la digitalización de la economía.

Incluso el secretario de Hacienda, Édgar Amador Zamora, sostuvo que la digitalización de la banca ha transformado la manera en que las personas ahorran, pagan, invierten y se relacionan con las instituciones financieras, lo cual genera “ enormes ” oportunidades que exigen ciberseguridad y protección al usuario.

Todo esos está más que bonito, sin embargo, persiste la desconfianza de los usuarios hacia el sistema bancario, reveló un análisis de DINAMIC, sobre la conversación de ese tema en la 89ª Convención Nacional Bancaria

Y ahí le va Un análisis de 12,873 conversaciones en X, Facebook, TikTok, Instagram y YouTube, recopiladas entre el 19 de febrero y el 20 de marzo arrojó que el 81.5% de estas; es decir, 10,498, expresan rechazo o desconfianza hacia la banca, mientras que solo el 1.85%, -238 conversacionesmanifiestan una valoración positiva El 16 6% restante fue de posturas neutrales o analíticas.

Lo que es la neta del planeta, es que los resultados coinciden con el cierre de la Convención Bancaria realizada hace unos días en Cancún, en que las autoridades financieras y representantes del sector hicieron un llamado urgente a acelerar la digitalización de pagos, ya que el uso del efectivo todavía domina las transacciones con cerca del 70% de las mismas.

Sobre este fenómeno, Augusto del Río, CEO de DINAMIC, primer software de antropología digital en México, considera que: “La conversación digital revela tensiones sociales profundas sobre el rol de la banca en la vida cotidiana Hoy, la ciudadanía percibe más riesgo que beneficio, y darle un giro a esta percepción es un reto para el sector si quiere disminuir el uso del efectivo”, quiúboles.

Además, el usuario común, mortal como un servidor, manifestó miedo a la vigilancia y pérdida de privacidad, inseguridad digital y fraudes no resueltos, rechazó a la eliminación del efectivo, teorías de control global y agendas internacionales, así como exclusión de sectores vulnerables. Además, de acuerdo con el documento de DINAMIC, los usuarios perciben a la banca como usurera, al priorizar altas comisiones y cobros contantes, y se cuestiona la confiabilidad del sistema bancario digital, debido a fallas o infraestructura deficiente

En ese sentido, el CEO de DINAMIC, Augusto del Río, considera que: “La conversación en torno a la banca mexicana refleja un entorno altamente tensionado, donde el sistema bancario es percibido más como un actor de control que como un facilitador económico”.

Para el especialista, aunque existe un segmento que analiza el fenómeno desde una perspectiva más estructural, el debate está fuertemente atravesado por narrativas de riesgo, desconfianza y pérdida de libertad, lo que configura un clima adverso para la legitimidad del sistema financiero en la conversación digital”, concluyó.

Y aquí la pregunta es: ¿Qué es más conveniente, el pago en efectivo o digital?

discurso que me gustó por técnico, serio y -debo decirtranquilizador Perece que entiende bien el momento crucial que vive el país. Espero que sí.

Pero lo cierto es que en el salón, lo mismo que en todo el país y a todos los niveles, se siente una tremenda inquietud que asfixia, pero que ni los banqueros ni la Presidente de la República se atrevieron a reconocer, mucho menos a señalar con claridad durante su encuentro en la Convención Bancaria

Me refiero a la desconfianza generalizada que existe entre el gobierno y las élites empresariales y financieras del país Esa desconfianza hace imposible el crecimiento y el desarrollo próspero de México Nos disminuye Nos debilita a todos

Quiero asegurarme de enfatizar la diferencia que existe entre DESCONFIANZA e INCERTIDUMBRE

Confianza es la expectativa que tenemos sobre el comportamiento que podemos anticipar de alguien, así sea una persona, una empresa o nuestro propio gobierno La confianza depende de lo que podemos esperar de alguna persona o de alguna institución Si nosotros sentimos que el gobierno o una empresa o un conocido no actúa de buena fe o no respeta los acuerdos que pactamos, entonces se genera desconfianza y buscamos tener el menor trato posible

La confianza depende de lo que podemos esperar de alguna persona o de alguna institución. Si nosotros sentimos que el gobierno o una empresa o un conocido no actúa de buena fe o no respeta los acuerdos que pactamos, entonces se genera desconfianza y buscamos tener el menor trato posible.

La confianza es esencialmente una apuesta sobre la buena fe del gobierno o de las personas con las que tenemos relación

La certeza , por otro lado, es la posibilidad de anticipar resultados de acuerdo a las condiciones del entorno y en base a las reglas que rigen el funcionamiento de la sociedad

Por ejemplo, si en un país existe estado de derecho, es decir, reglas claras y justas para todos e instituciones impartidoras de justicia técnicamente calificadas, que se encargan de asegurar que esas reglas sean respetadas sin excepción a todos los niveles, entonces podemos tener certidumbre, esto es, certeza de que -en caso de enfrentar alguna controversiaexiste un tercero que siempre aplica las reglas de manera pareja y confiable para todos, sin que haya arbitrariedades, sin que se castigue selectivamente y sin que se pase por alto la ley de manera discrecional por razones políticas

Es muy triste y grave que, en México, por primera vez desde hace muchos años, no existe certidumbre ni confianza al mismo tiempo

El problema central es muy serio, porque es un problema de carácter ideológico y la ideología -lo mismo de izquierda que de derecha- es una enfermedad corrosiva que mata

Sucede que morena se define políticamente como un movimiento de lucha contra las élites, a las que llama "la mafia del poder" Pero fíjate bien: un gobierno anti-élite no sólo desprecia a los grupos económicos más exitosos, sólo por ser exitosos y generadores de riqueza, sin distinguir a los que han logrado llegar a esa categoría por la excelencia de sus prácticas y su esfuerzo legítimo de muchos años de trabajo dedicado; sino que desprecia también a todas las élites, en todos los campos de actividad: a los intelectuales de élite, a los científicos de élite, a los atletas de élite, a los artistas de élite; y hasta a los jóvenes que aspiran a alcanzar un día la excelencia y convertirse en profesionales de élite: los llama despectivamente "aspiracionistas".

Es decir, desprecia la excelencia en todas sus formas y la señala como culpable de la desigualdad social Entonces desarrolla un culto decadente a la mediocridad Honra a los mediocres, a quienes llama "los oprimidos" y los levanta, los pone en movimiento en contra de los ciudadanos, las empresas y las instituciones de élite, señalándolos como únicos culpables de su mediocridad y cultivando su resentimiento, en lugar de generarles oportunidades legítimas de superación y desarrollo intelectual, físico, emocional y técnico, para darles acceso a la excelencia Los utiliza para ganar popularidad y sobre esa base sustenta su poder político

Un gobierno anti-élite convierte la desigualdad en un conflicto moral y no ve en las élites su constante aspiración a la excelencia, sino que las considera actores malignos que sólo ven por sus intereses y se benefician de un orden social injusto que debe corregirse

Desde esa lógica tan francamente ilógica, morena como gobierno y como movimiento político toma como punto de partida su desprecio por las élites, es decir, su desprecio por la excelencia en todas sus formas: descalifica a los más calificados y mejor preparados; entonces se rodea de ineptos con escasa preparación y mínimo conocimiento, pero con mucho resentimiento, que hace fácil la manipulación

Se rodea de ellos, incluso para gobernar y ahí es donde todo comienza a hacer corto circuito, porque gradualmente todo les sale mal La razón es infalible: no están calificados para hacer casi nada, no son hombres ni mujeres con las competencias profesionales adecuadas para hacer bien las cosas Entonces viene la decadencia

En Cuba ha tardado más de 60 años la destrucción En Venezuela más de 30 México lleva 7, pero avanza a pasos muy acelerados.

En este contexto, la reacción de los empresarios y los ciudadanos de élite que son indispensables para que el país crezca y prospere, es una reacción direçtamente proporcional a las acciones de morena, pero en sentido contrario

No podría ser de otra manera Es una ley de la física: la tercera ley del movimiento de Newton, "a toda acción corresponde una reacción de la misma magnitud, pero en sentido contrario " Es imposible evadirse de esa ley universal

Así las cosas, las empresas y el sector financiero desconfían de un gobierno construido ideológicamente en su contra Ven el enorme riesgo que representa cada cambio regulatorio, cada decisión discrecional, cada mensaje político No ven que el gobierno mexicano esté comprometido en garantizar el estado de derecho y la aplicación de leyes justas para todos Sino que lo ven como un actor poderoso y arbitrario, capaz de cambiar a su antojo el tablero de juego, cada vez que lo considere conveniente

En estas condiciones de desconfianza recíproca, la única manera de resolver eficientemente la ecuación es establecer desde ya certeza institucional , esto es, reglas claras, jueces calificados e independientes y mecanismos que obliguen al poder a cumplir las reglas y los acuerdos siempre, incluso cuando no quiera. La reforma judicial le ha hecho mucho daño a la República Es indispensable corregir

No tengo duda: la parálisis económica de nuestro país está directamente relacionada con la enorme desconfianza que existe entre los empresarios de excelencia y el gobierno, sumada a la ausencia de certidumbre institucional Mientras más tardemos en reconocerlo y en corregir esa disfuncionalidad, más difícil será recuperar el crecimiento económico, la prosperidad nacional y alcanzar el auténtico bienestar social que todos necesitamos

Así las cosas

Te abrazo

Especialista en Mercadotecnia & Estrategia de Negocios / Analista Político / Consultor / Devoto del Wellness / Eterno Optimista

DE MARZO DE 2026

LA FÓRMULA 1 EN ORIENTE MEDIO: SPORTSWASHING, GEOPOLÍTICA Y LAS CONSECUENCIAS DE LA GUERRA

Todo lo que nos rodea es político, y el deporte y el entretenimiento no son la excepción Los espectáculos de medio tiempo del Super Bowl, como los de Bad Bunny o Kendrick Lamar, han demostrado cómo una plataforma global puede transmitir mensajes políticos potentes. Esto se traslada también a otros eventos deportivos que han sido trastocados por la geopolítica actual

Durante el fin de semana del Gran Premio de China, se confirmó que no se disputarían los Grandes Premios de Bahréin y Arabia Saudí previstos para abril debido a la guerra en Oriente Medio El conflicto, iniciado a finales de febrero de 2026 con la operación “Furia Épica” liderada por Estados Unidos e Israel contra Irán, ha afectado a varios países de la región. Emiratos Árabes Unidos, por ejemplo, ha sufrido impactos de misiles no tripulados en infraestructuras emblemáticas como el hotel Burj Al Arab

La elección de sedes y la accesibilidad de los eventos no escapan a las decisiones políticas. Los países árabes han sido criticados de forma sistemática por violaciones a los derechos humanos, especialmente contra mujeres y minorías, y por regímenes considerados autocráticos que en el pasado financiaron grupos extremistas Estos gobiernos han recurrido al deporte para mejorar su imagen ante Occidente, una práctica conocida como sportswashing.

El Mundial de Qatar 2022, que supuso un enorme desembolso para la FIFA, sirvió para proyectar una nueva imagen del país. En Fórmula 1, cuatro circuitos de la región Bahréin (Sakhir), Arabia Saudí (Yeda), Qatar (Lusail) y Abu Dhabi (Yas Marina) han acogido carreras año tras año, atrayendo turismo, reflectores mediáticos y un respaldo implícito de occidente Países que tradicionalmente no eran grandes aficionados al automovilismo ni al fútbol han invertido miles de millones de dólares en infraestructuras de primer nivel para ganar visibilidad internacional y proyectar una imagen más “occidentalizada”

Este 28 de febrero de 2026, poco después del inicio de la guerra, varios mecánicos y personal de equipos que permanecían en Bahréin tras las pruebas de pretemporada quedaron varados Muchos tuvieron dificultades para llegar al primer Gran Premio de la temporada en Australia, y la proximidad de las fechas de abril complicó aún más la realización de las carreras en la región.

El cierre efectivo del estrecho de Ormuz por parte de Irán ha disparado los precios del petróleo y, en consecuencia, de los combustibles a nivel mundial Las nuevas regulaciones de la FIA para 2026, que aumentan el componente eléctrico en los monoplazas (con recarga durante la carrera), no han alterado de forma significativa el desarrollo deportivo, pero sí han agravado los desafíos logísticos del traslado global de equipos, material y personal

Hasta hoy, el futuro de la temporada 2026 sigue en el aire F1 ha confirmado la cancelación de las carreras de Bahréin y Arabia Saudí en abril, lo que reduce el calendario a 22 eventos sin reemplazos anunciados No se sabe si se reprogramarán al final de año ni qué ocurrirá con las fechas de Qatar y Abu Dhabi, que están previstas para noviembre y diciembre y que, si el conflicto se prolonga, también podrían verse afectadas

La Fórmula 1 se encuentra en la encrucijada entre deporte, negocio y geopolítica. La región que durante dos décadas invirtió fuertemente para formar parte del calendario ahora ve cómo la realidad política pone en riesgo esa presencia Abril será, por ahora, un mes sin carreras en Oriente Medio y el resto de la temporada dependerá de cómo evolucione un conflicto cuyas repercusiones ya se sienten en todo el mundo, incluido el deporte y el entretenimiento

Alejandra López Martínez

Estudió Ciencia Política y Relaciones Internacionales en el CIDE Tiene una maestría en Política con especialización en Economía Política por la Universidad de Nueva York (NYU) y un Master en Comunicación y Marketing Político en la Universidad de Alcalá de Henares y CESCOMPOL en Madrid, España

TRAS LA PUERTA DEL PODER

Roberto Vizcaíno

Periodista mexicano que inició su carrera en El Heraldo de México y formó parte del grupo fundador de CISA y la revista Proceso tras el golpe a Excélsior en 1976 Ha sido reportero, corresponsal en París yPVancouver, directivo en medios públicos y privados, y columnista en diversos diarios y estaciones de radio Fundó la agencia Mexnews, dirigió medios en CAPUFE y desde 2008 encabeza el diario digital endirecto mx, donde publica la columna Tras la Puerta del Poder

De todo aquello que se planteaba hace no menos de un año -recortar al menos el 50% el gasto electoral a través de disminuir el financiamiento a INE y partidos; la desaparición de senadores y diputados pluris; fin a nepotismo; absorción de INE para dejarlo en apenas un Consejo Electoral de los 80 operado desde Gobernaciónno quedó nada.

Todo lo ideado y proyectado por Andrés Manuel López Obrador desde 2022 cuando lanzó su Plan A, y heredado a Claudia Sheinbaum para destruir al régimen de partidos y la endeble e imperfecta democracia alcanzada en México desde el rompimiento de Cuauhtémoc Cárdenas y su grupo con el PRI a fines de los 80, se fue al caño no una ni dos o tres veces, sino cuatro

El quinto intento, llamado por segunda ocasión como “Plan B”, se circunscribe ahora a alcanzar algunos recortes salariales en alcaldías y congresos locales y a evitar duplicidades entre Oples (organismos estatales electorales) e INE

En la búsqueda de al menos amarrar un exiguo acuerdo que logre garantizar los votos suficientes para sacar adelante una mini-reforma constitucional con sus aliados del PT y Verde, la secretaria de Gobernación Rosa Iceala Rodríguez y la directora del Jurídico de la presidencia, Esthela Damian dejaron intocado el tema de la desaparición o disminución de los senadores y diputados pluris y de los montos del financiamiento a partidos

Un gatopardazo (hacer cambios para que todo siga igual) de mesa de negociación de 17 horas en Bucareli para salir a tomarse una foto, todos sonrientes y agarraditos con las manos al cielo

El grupo adicional de esa negociación, ubicado para la foto de izquierda a derecha lo formaron Israel Rosell, de PT; Manuel Velasco de PV; Ignacio, Mier, Morena; Karen Castrejón Verde; Luisa María Alcalde, líder de Morena; Alberto Anaya, dueño del PT; Ricardo Monreal, coordinador de Morena en Diputados; Carlos Puente PV y Reginaldo Sandoval, de Verde y PT en San Lázaro. En esa imagen faltaron las negociadoras estrella: Rosa Icela Rodríguez y Esthela Damián.

Los ganadores absolutos fueron sin embargo solo 6 de apenas 2 partidos en esa imagen final: Manuel Velasco, Carlos Puente y Karen Castrejón del PVE y Alberto Anaya, Reginaldo Sandoval e Israel Rosey Bermúdez del PT

Ellos concluyeron con un acuerdo que al final les deja intocados sus ingresos (que en 2026 son: 832 millones para Verde y 670 millones para PT), y su acceso, integración y alcance de pluris en Senado y San Lázaro

TRAS LA PUERTA DEL PODER

Eso les garantiza a todos ellos seguir en las legislaturas siguientes estar presente en esos parlamentos como lo han estado en los últimos 20 años

Y al parejo de esos beneficios políticos y económicos alcanzados por ellos, el resto de la sociedad mexicana les agradece haber rechazado la Reforma Electoral A de Sheinbaum y de no haber cedido ahora en el Plan B más allá de lo que la 4T y AMLO querían imponerles y que hubiera sido terminar finalmente con la democracia mexicana.

Estos dirigentes del PT y el Verde son la muestra viva de que los beneficios finales a veces llegan por caminos distintos en la vida de las sociedades, y que ahora muchos millones de mexicanos les agradecemos que, aunque no fueron por motivos democráticos, sino por dinero y el simple y llano acceso al poder político, los del PT y Verde no hayan permitido la instauración final del Estado Autoritario, Autocrático, con Partido Único

Que todo haya quedado en el viejo uso del gatopardismo, ese concepto político que describe la estrategia de cambiar cosas superficialmente para que las estructuras de poder fundamentales sigan igual

Es decir, un INE vapuleado, colonizado y asediado, pero con su estructura actual. Y que además siga el sistema vigente de partidos y se mantengan los senadores y diputados pluris, esenciales en la representación legislativa de las minorías en el país

QUEDARON ATRÁS

En esta última negociación finalmente quedó atrás el decálogo electoral de la presidenta Sheinbaum que planteaba: una draconiana reducción del gasto electoral con que se buscaba ahogar a opositores y darle curso al partido único (Morena); se iba a imponer una mayor fiscalización a esos gastos; impulsar el voto en el extranjero; reducir tiempos de radio y televisión en tiempos electorales; restringir el uso de la Inteligencia artificial; cancelar el Prep; eliminar el nepotismo, y cancelar la reelección de senadores y diputados y alcaldes

Y se sepultaron las reformas electorales de AMLO que buscaron recortar a la mitad el financiamiento público a partidos y organismos electorales; disminuir el acceso a radio y TV; establecer la elección de consejeros y unificar instituciones electorales en un Instituto Nacional de Elecciones y Consultas; igual establecer elección de magistrados y reducir su número a solo 6 en el Tribunal Electoral del Poder Judicial de la Federación; desaparecer senadores y diputaciones pluris; abrir el acceso al voto Electrónico gradual; y recorte de personal y legisladores en Congresos Locales, Ayuntamientos y Alcaldías

Hoy con el Plan B negociado de Sheinbaum, todo quedará en un recorte a salarios y presupuestos en Congresos estatales y en ayuntamientos

Twitter: @_Vizcaino / Facebook / https://www.facebook.com/rvizcainoa

En Puebla actualmente, el gobernador Alejandro Armenta se encuentra en una encrucijada, por un lado tiene a una Fiscal General Carnal a la que no puede quitar y por el otro ve toda la colección de escándalos que ha acumulado en los últimos meses. Sin embargo ha optado momentáneamente por la estrategia de la inmovilidad.

La paradoja es brutal, mientras se habla de transformación y de gobiernos que escuchan al pueblo, la Fiscalia se ha convertido en un monumento a la ineficiencia y a la sospecha Idamis Pastor ya no es un problema administrativo: es un símbolo Y los símbolos pesan más que los expedientes

Por eso Armenta se encuentra en un dilema que pone a prueba a cualquier político, dar un giro para gobernar a favor de sus votantes ó se decanta en favor de quedar bien con el grupo político nacional que se encuentra detrás de la Fiscal y cuyos intereses también necesita cuidar

Removerla sería un acto de independencia, un contundente mensaje de que el gobernador no está dispuesto a hipotecar su credibilidad por proteger a una funcionaria bastante cuestionada.

El sarcasmo inevitable es decir que en Puebla la justicia parece blindada contra la justicia misma Los poblanos no necesitan discursos sobre honestidad, necesitan instituciones que funcionen y cada día que Idamis Pastor está en el cargo, la distancia entre el discurso y la realidad se ensancha.

Armenta puede seguir administrando silencios, pero los silencios también se desgastan y la ciudadanía es la que resiente esa indecisión. Gobernar es también a veces incomodar a los aliados, romper pactos y asumir costos. Es lo que marca la diferencia entre un líder y un gestor de procesos gubernamentales

El Gobernador tiene que decidir, como quiere ser recordado, si como el hombre que prefirió la comodidad de la aprobación de las élites o como aquel que se atrevió a romper con los “compromisos” para estar del lado de los poblanos.

La encrucijada está ahí y no hay salida elegante, ó se mueve la pieza incómoda o se da por sentado que en Puebla la justicia es rehén de intereses opuestos a los de la ciudadanía

En política la indecisión también es una decisión y la del Gobernador ha sido muy clara hasta ahora: mantener a la Fiscal El problema es que esa decisión en nada ayuda a sus gobernados

Abogado y fundamentalmente ha hecho carrera en el sector público desde hace 30 años, pero a la par se ha dedicado a la investigación de los fenómenos del poder Es autor de dos libros que le ha publicado la Benemérita Universidad Autónoma de Puebla (BUAP) su alma mater, LAS GUERRAS DE LODO y LA ILUSION DEL PODER Actualmente se dedica a la consultoría jurídica

MANUEL CARMONA SOSA

RAZONANDO CON RAZO

David Razo

Soy ejecutivo financiero y emprendedor social con más de 15 años de experiencia en análisis fiscal y financiero, dirección estratégica y liderazgo en proyectos con alto impacto social He sido reconocido por mi compromiso altruista en la Ciudad de México siendo distinguido con un Doctorado Honoris Causa y actualmente soy considerado como un líder de opinión y filántropo influyente en la comunidad

En teoría, un sistema fiscal debería ser claro, predecible y accesible para todos. Su propósito es recaudar de manera eficiente y equitativa, permitiendo que los ciudadanos cumplan con sus obligaciones sin fricciones innecesarias Sin embargo, en la práctica, muchos sistemas tributarios han evolucionado hacia algo muy distinto: estructuras complejas, cambiantes y difíciles de entender incluso para quienes operan dentro de ellas

Esta complejidad no es un problema menor. Tiene consecuencias profundas sobre la recaudación, la equidad y la confianza en las instituciones Cuando cumplir con la ley se vuelve complicado, costoso y confuso, el sistema deja de incentivar el cumplimiento y, en algunos casos, termina empujando a la evasión.

Uno de los principales síntomas de esta complejidad es la proliferación de reglas, excepciones, regímenes especiales y requisitos administrativos Cada nueva reforma agrega capas adicionales de regulación con la intención de corregir problemas específicos, pero el resultado acumulado es un sistema difícil de navegar Lo que comienza como una solución técnica termina generando un entramado normativo que pocos entienden en su totalidad

Para las grandes empresas, esta complejidad puede ser manejable mediante asesoría especializada Pero para pequeños negocios, trabajadores independientes o nuevos emprendedores, se convierte en una barrera de entrada El costo de cumplir no es solo el impuesto en sí, sino el tiempo, el conocimiento y los recursos necesarios para entender cómo cumplir correctamente

Este fenómeno genera una distorsión preocupante Quien tiene más recursos puede cumplir mejor; quien tiene menos enfrenta mayor riesgo de error, sanción o exclusión. En lugar de ser un sistema equitativo, la complejidad introduce desigualdad en el acceso al cumplimiento

Además, la complejidad incrementa los costos administrativos del propio Estado Sistemas difíciles de interpretar requieren más personal, más procesos de revisión y más litigios En lugar de facilitar la recaudación, la vuelven más costosa y menos eficiente.

Otro efecto poco discutido es el impacto en la confianza Cuando las reglas son difíciles de entender o cambian constantemente, el contribuyente percibe incertidumbre No sabe si está cumpliendo correctamente, si será sancionado por un error involuntario o si las condiciones cambiarán nuevamente en el corto plazo Esa incertidumbre debilita la relación entre el ciudadano y la autoridad fiscal.

En este contexto, la evasión no siempre surge de una intención deliberada, sino de la incapacidad de cumplir con un sistema excesivamente complejo. No es que las personas quieran estar fuera del sistema; es que el sistema no está diseñado para ser accesible

Simplificar no significa debilitar la recaudación Al contrario, los sistemas fiscales más eficientes del mundo comparten una característica: son relativamente simples Menos reglas, mayor claridad, procesos digitales accesibles y obligaciones bien definidas. Esto reduce la fricción, aumenta el cumplimiento voluntario y amplía la base tributaria

La tecnología ofrece una oportunidad para avanzar en esta dirección Declaraciones automáticas, sistemas de facturación electrónica integrados, asistentes fiscales digitales y plataformas intuitivas pueden transformar la experiencia del contribuyente Pero la tecnología no resuelve la complejidad si el marco normativo sigue siendo enredado.

La verdadera simplificación requiere decisiones estructurales: eliminar redundancias, unificar criterios, reducir excepciones y diseñar sistemas pensados desde la perspectiva del usuario

El objetivo no debe ser solo recaudar, sino hacerlo de manera que cumplir sea la opción más sencilla

También implica cambiar la lógica de las reformas fiscales. En lugar de agregar nuevas reglas para cada problema, se necesita una visión integral que privilegie la claridad sobre la sofisticación técnica Un sistema menos complejo no es menos robusto; es más accesible y, por lo tanto, más efectivo

En última instancia, un sistema fiscal se mide no solo por cuánto recauda, sino por qué tan fácil es cumplir con él Cuando cumplir es más difícil que evadir, el problema no está en el contribuyente, sino en el diseño del sistema

Un Estado moderno no debería exigir que sus ciudadanos sean expertos fiscales para cumplir con la ley Debería ofrecer un sistema claro, accesible y justo, donde la complejidad no sea una barrera, sino una excepción

Porque, al final, la mejor política fiscal no es la más sofisticada, sino la que funciona para todos

Te invito a seguirme en mis redes:

Facebook: David Razo

IG: david _ razo84

X: David _ Razo84

INNOVACIÓN PEDAGÓGICA

PARTE 36

¿Cómo se escribe la derivada?, , tal vez lo que quieres decir es: ¿Cómo representas la derivada de una función?, , ¡Sí!, ¡Eso es lo que quiero!, , en éste caso la derivada se representa de la siguiente manera,- tome el lápiz y escribí sobre la hoja de papel-, después de escribirle lo que habíamos avanzado, le presente lo siguiente:

V’(x)= 12x² 400x 2500

Ahora, ¿Cuáles son los signos + ó – que se deben escribir en cada caso?, ella me observo agudizando su mirada sobre mi rostro, después de eso, ella simplemente escribió lo siguiente:

V’(x)= +12x² +400x +2500

Mi respuesta consistió simplemente en levantar la mano para señalarle un hecho, ella dirigió su mirada sobre mí en señal de que estaba lista para escuchar mis precisiones, , ¡Bien!, debo decirte que en una de tus respuestas se te está olvidando aplicar uno de los convencionalismos y esto no lo consideraría un error, lo consideraría sencillamente una omisión, ,

¿Sabes de cuál de los casos estoy hablando?, ,entonces ella reparo-, , ¿Convencionalismo?, , ¡No sé de qué hables!, , mi respuesta fue así: recuerda que cuando el primer término después de la igualdad es positivo, entonces, ese signo acostumbra a no escribirse, , ¿Y eso como lo ponemos?,- pregunto ella-, , por toda respuesta yo simplemente escribí lo siguiente:

V’(x)= 12x² +400x +2500

¿Ya tenemos bien la derivada?, ¿Ya acabamos esto?, , ¡No!, ya corregimos un error proveniente de un convencionalismo pero hace falta corregir un error por cambio de signo,…, ¿A qué término debemos cambiarle el signo?, ¿Al segundo o al tercer término?,…, una vez más me obsequio una de esas miradas desconcertantes para después preguntarme: ¿Y cómo puedo saber a qué término debemos cambiarle el signo?, , si observas los antecedentes que hemos escrito anteriormente podrás deducir a cuál de los términos debemos cambiarle el signo, ¡Tomate unos segundos para reflexionarlo!, , en eso sonó el timbre de nuestra habitación y yo aproveche para recibir el pedido de las comidas corridas, despache al emisario y coloque el carrito que contenía las comidas a un lado.

Ella volvió su mirada sobre mí persona, para después agregar de manera balbuceante, , ¡Debemos cambiar un signo de más por un signo de menos!, , yo asentí con movimientos verticales de mi cabeza pero después pregunte: ¿A qué término debo de cambiarle el signo?, ¿Se lo cambió al segundo o al tercer término?, ¡Toma una decisión!,…, ella afirmó insegura,…, ¿Al tercero?,…, yo moví la cabeza en señal de desaprobación, , entonces es al segundo término es al que debemos cambiarle el signo, , en lugar de contestar, simplemente escribí lo siguiente:

V’(x)= 12x² - 400x +2500

Esa es la derivada que estábamos buscando pero tú cometiste tres errores,…, ella me sonrió con cinismo y preguntó: ¿Te los piensas cobrar ahorita?,…, ¡No!, lo que sucede es que tengo hambre y la comida está servida, ¿Te parece si suspendemos y comemos?, , ella consintió e inmediatamente hice el recorrido del carrito que contenía las comidas corridas, habíamos llegado muy temprano y aunque consumimos algo previamente, el apetito se había apoderado de nosotros previamente

Disfrutamos de nuestros alimentos en silencio aunque ocasionalmente compartimos algún comentario, eventualmente se escucharon los motores de algunos automóviles que cruzaban por la gran avenida que contenía a éste hotel de paso, en realidad solo empleamos unos cuantos minutos para hacer esta comida, cuando finalmente concluimos, me puse de pie para arrinconar una vez más el carrito de consumo.

¿Satisfecha?,- le pregunte-, , ¡Sí!, ¡Muchas gracias!, , ¿Te parece si continuamos?, , ella asintió, , ¿Y ahora que falta?, , mi respuesta fue así: es momento de hallar tanto el máximo como el mínimo de la función original, pero para eso debemos encontrar la solución de la siguiente ecuación de segundo grado:

12x² - 400x +2500=0

¿Sabes cómo se resuelve ésta ecuación?,…, ella movió de manera horizontal su rostro en señal de respuesta negativa, , yo insistí reformulando la misma pregunta pero con un poco más de profundidad: ¿Recuerdas cuál es la fórmula para resolver a las ecuaciones de segundo grado?,…, ella me miro excitada, ¿No se ocupa la fórmula esa que le dicen del choricero?

Yo no pude evitar una sonrisa socarrona, , ¿Conoces tanto la forma como la fórmula para resolver la ecuación de segundo grado?,…, ¡No!, ¡Claro que no!, ¡Ni loca podría saber eso!,…, mi respuesta fue escribir lo siguiente:

Si la FORMA de la ecuación es: ax²+bx+c=0,

Entonces la FÓRMULA de resolución es: x = (- b ± SQRT ( b² - 4 a c )/2 a.

Ya me debes cuatro castigos, , ¿A qué hora piensas cobrártelos?, , en cuanto terminemos la resolución de ésta ecuación, , ¿No podrías COBRARTE de una vez?, , yo le dije: ¡Si quisiera!, pero eso nos rompería el ritmo de avance, , ¿Podrías decirme cuánto vale tanto “ a ” como “b” he incluso “ c”?, , antes dime una cosa: ¿Cómo podría yo saber cuánto vale cada una de esas letras?, , por comparación, , observa lo siguiente:

‘ a x² + b x + c = 0 compáralo con 12 x² - 400 x + 2500 = 0

Con esa comparación: ¿Cuánto valen tanto a como b pero también c?, simplemente observa la forma a x² + b x + c = 0 y después haz lo mismo con 12 x² - 400 x + 2500 = 0, ¡Hazlo varias veces!,…, ¡Hasta que puedas decirme cuánto vale cada una de las siguientes letras a, b y c!,…, pues la a debe ser 12 pero b vale 400 , , ¿Sigues con hambre?, , - le pregunte irónicamente-,

Continuará...

Luis Manuel Ramirez Rodríguez
Licenciado en Ciencias Políticas y Administración Pública por la Universidad Autónoma del Estado de México Ensayista Periodista Ganador del Concurso de Oratoria Improvisada en 2018, receptor de una mención honorífica en el Concurso Carta a mi autor favorito de 2010, Consejero Electoral Propietario en los Procesos Electorales 2017-2018, 2020-2021, 20222023 2023-2024 y 2024-2025 Colaborador de diversas publicaciones escritas desde 2009 hasta la fecha

PROGRAMACIÓN PERS PECTIVA

JUEVES 9 A 10 AM

Las elecciones parlamentarias recientes en Dinamarca han confirmado una tendencia que se observa en buena parte de Europa: la política nacional ya no se explica únicamente por los asuntos internos La economía global, los conflictos geopolíticos y las tensiones entre grandes potencias influyen cada vez más en las decisiones electorales En este contexto, los sondeos a pie de urna indicaron que el Partido Socialdemócrata, liderado por la primera ministra Mette Frederiksen, se posicionó nuevamente como la fuerza política más votada del país.

Aunque el resultado representa una victoria significativa para los socialdemócratas, también deja claro que el escenario político danés se ha vuelto más complejo El sistema parlamentario del país exige alcanzar al menos 90 escaños en el Folketing el Parlamento danés para gobernar con mayoría, y los primeros resultados mostraron un panorama fragmentado que obliga a negociaciones entre diferentes partidos

Dinamarca, uno de los países más estables políticamente en Europa, ha experimentado en los últimos años una transformación en su mapa electoral Aunque la socialdemocracia sigue siendo el eje central del sistema político, el crecimiento de partidos liberales, verdes y de derecha nacionalista ha generado un equilibrio más delicado entre bloques ideológicos

INTERNACIONAL

Sin embargo, uno de los factores más comentados durante la campaña electoral no fue exclusivamente doméstico El debate sobre el papel de Estados Unidos en la política internacional, especialmente bajo el liderazgo de Donald Trump, apareció de forma recurrente en la discusión pública

La razón tiene un trasfondo geopolítico importante: Groenlandia

Este territorio autónomo, que forma parte del Reino de Dinamarca, se ha convertido en una pieza estratégica dentro del tablero internacional Su ubicación en el Ártico y la creciente importancia de esa región en términos de recursos naturales, rutas marítimas y seguridad militar han despertado el interés de varias potencias

Durante su presidencia, Donald Trump sorprendió al mundo cuando expresó públicamente su interés en comprar

Groenlandia a Dinamarca Aunque la propuesta fue recibida con incredulidad y rechazo por el gobierno danés, el episodio reveló la creciente importancia geopolítica del territorio

Años después, el tema sigue presente en el debate político europeo El Ártico se ha convertido en una zona de competencia estratégica entre Estados Unidos, Rusia, China y las naciones nórdicas En ese contexto, el liderazgo de Dinamarca en la región adquiere una relevancia que va mucho más allá de su tamaño como país

Durante la campaña electoral, algunos partidos daneses señalaron que el retorno de Donald Trump a la presidencia estadounidense podría alterar el equilibrio internacional y obligar a Europa a redefinir su estrategia de seguridad Otros sectores políticos plantearon la necesidad de fortalecer la autonomía estratégica europea frente a Washington

Este debate no es menor Dinamarca es miembro de la OTAN y mantiene una estrecha cooperación militar con Estados Unidos, especialmente en el Ártico, donde la base aérea de Pituffik antes conocida como Thule es una instalación clave para la defensa estadounidense

La política exterior, que tradicionalmente no dominaba las campañas electorales danesas, ha comenzado a ocupar un espacio más visible en el debate público Las tensiones entre potencias, el conflicto en Ucrania, la competencia por recursos energéticos y las nuevas rutas marítimas en el Ártico han colocado a la seguridad internacional en el centro de la discusión

Al mismo tiempo, los temas domésticos siguen siendo determinantes El costo de vida, la presión sobre el sistema de bienestar social, la inmigración y la transición energética fueron algunos de los asuntos que dominaron la agenda electoral

Dinamarca ha sido durante décadas un referente del llamado modelo nórdico, un sistema que combina un amplio estado de bienestar con una economía altamente competitiva Sin embargo, ese modelo enfrenta nuevos desafíos derivados de la globalización, los cambios demográficos y la transformación del mercado laboral

El liderazgo de Mette Frederiksen ha buscado responder a estos retos mediante una estrategia política que mezcla políticas sociales tradicionales con una línea más estricta en materia migratoria Este enfoque ha generado debates dentro de la izquierda europea, ya que algunos sectores consideran que la socialdemocracia danesa ha adoptado posiciones más cercanas al centro político para mantener su base electoral

Los resultados electorales sugieren que esa estrategia ha sido parcialmente efectiva, pero también muestran que el electorado se encuentra cada vez más dividido

En el sistema político danés, las negociaciones posteriores a las elecciones suelen ser tan importantes como los propios comicios La formación de gobierno dependerá de la capacidad de los partidos para construir acuerdos que permitan alcanzar una mayoría parlamentaria estable

En ese proceso, los partidos de centro podrían desempeñar un papel decisivo, inclinando la balanza hacia una coalición de centroizquierda o hacia un acuerdo más amplio que incluya fuerzas liberales y conservadoras

Más allá de la aritmética parlamentaria, lo ocurrido en estas elecciones refleja una transformación más profunda Incluso en uno de los países más estables y prósperos del mundo, la política ya no puede aislarse de las tensiones globales

La influencia de Estados Unidos, la figura de Donald Trump, la competencia por el Ártico y los cambios en el equilibrio internacional forman parte del contexto en el que los ciudadanos daneses toman decisiones sobre su futuro político

Dinamarca, conocida por su pragmatismo político y su cultura de consenso, enfrenta ahora el desafío de adaptarse a un mundo cada vez más incierto Y en ese escenario, incluso una elección nacional puede convertirse en una pieza dentro de un tablero global mucho más amplio

PROGRAMACIÓN YOU ROCKET RADIO

TECNOLOGÍA

Durante siglos, la amistad ha sido considerada uno de los vínculos más espontáneos y genuinos de la vida humana Sin embargo, en una sociedad cada vez más acelerada, digitalizada y fragmentada, incluso esa relación aparentemente natural comienza a transformarse En España, y en muchos otros países, ha comenzado a emerger un fenómeno que algunos analistas llaman “la economía de la amistad”: servicios, plataformas y aplicaciones que ofrecen ayudar a las personas a hacer amigos… a cambio de una suscripción o de un pago por evento

Este nuevo mercado responde a una realidad social cada vez más visible: la soledad no deseada En España, diversos estudios han señalado que cerca de uno de cada cinco adultos reconoce sentirse solo con frecuencia, especialmente entre jóvenes menores de 24 años

Aunque pueda parecer paradójico en una era hiperconectada, la expansión de las redes sociales y los cambios en la vida urbana han debilitado algunos de los espacios tradicionales de convivencia Los barrios han perdido parte de su vida comunitaria, las familias se dispersan geográficamente y los ritmos laborales reducen el tiempo disponible para construir relaciones personales profundas

Amistad bajo suscripción

En ciudades como Madrid o Barcelona han surgido plataformas que organizan encuentros entre desconocidos con intereses similares. Algunas aplicaciones proponen cenas entre personas que no se conocen, clubes temáticos o actividades grupales que funcionan como espacios de socialización guiada.

El modelo es relativamente simple: el usuario paga una cuota mensual o una tarifa por evento y accede a reuniones diseñadas para facilitar nuevas amistades En ciertos casos, las suscripciones pueden rondar los 30 euros al mes, mientras que algunos eventos puntuales como talleres, cenas o actividades culturales tienen precios adicionales que pueden ir desde pocos euros hasta cifras más elevadas dependiendo de la experiencia ofrecida

Este tipo de plataformas busca replicar algo que antes ocurría de manera natural: conocer gente en contextos compartidos. La diferencia es que ahora ese proceso está mediado por algoritmos, filtros de afinidad y modelos de negocio basados en la suscripción

Del “match” romántico al “match” social

El auge de estas aplicaciones tiene una relación directa con la evolución de las plataformas de citas Durante la última década, aplicaciones de “dating” revolucionaron la manera de iniciar relaciones románticas mediante sistemas de coincidencia digital Ahora, una parte de ese modelo se está adaptando a la amistad

Aplicaciones orientadas exclusivamente a crear vínculos sociales funcionan con mecanismos similares: perfiles personales, intereses compartidos y algoritmos que sugieren encuentros entre personas compatibles Algunas plataformas organizan incluso eventos presenciales periódicos donde grupos de desconocidos se reúnen para cenar o realizar actividades culturales

La lógica detrás de estas herramientas es que, en las grandes ciudades, muchas personas desean ampliar su círculo social pero carecen de espacios naturales para hacerlo Mudarse a una nueva ciudad, trabajar de forma remota o atravesar cambios personales son situaciones que pueden reducir drásticamente las oportunidades de conocer gente

Para quienes se encuentran en esa situación, pagar por un entorno diseñado para socializar puede resultar una alternativa práctica

El negocio de la soledad

Este fenómeno no se limita a España A nivel global, investigadores y analistas han advertido que la soledad se está convirtiendo en uno de los grandes problemas sociales del siglo XXI Millones de personas experimentan aislamiento social, lo que tiene consecuencias directas en la salud mental, la productividad e incluso en la salud física

La respuesta del mercado ha sido rápida. Desde aplicaciones de amistad hasta plataformas de acompañamiento virtual, la llamada “industria de la soledad” se ha convertido en un sector en crecimiento que busca ofrecer soluciones a un problema cada vez más extendido

¿Se puede comprar la amistad?

El surgimiento de este mercado plantea preguntas interesantes desde el punto de vista social y cultural ¿Es posible pagar por algo que tradicionalmente se considera espontáneo? ¿Puede un algoritmo facilitar relaciones auténticas?

CHISMECITO EMPRESARIAL

La reciente escalada del conflicto en Medio Oriente está generando un efecto dominó en la economía global Pero más allá de los titulares geopolíticos, hay una realidad clara: los principales afectados somos los usuarios, especialmente quienes viajan o dependen del comercio internacional

Desde una perspectiva de negocios y marketing global, este fenómeno se traduce en una palabra clave: encarecimiento estructural.

Uno de los cambios más inmediatos ha sido el cierre parcial del espacio aéreo en zonas estratégicas. Esto obliga a aerolíneas a rediseñar sus trayectorias, generando vuelos más largos, mayor consumo de combustible y menor disponibilidad

Para dimensionarlo: miles de vuelos han sido cancelados o redirigidos a nivel global En términos prácticos, una ruta Europa–Asia puede alargarse hasta 2,000 km, incrementando entre 1 y 3 horas de vuelo.

El impacto más fuerte está en el precio del combustible, que representa entre el 25% y 35% de los costos operativos de una aerolínea. Ante la incertidumbre, el petróleo ha registrado incrementos de entre 10% y 20%

Esto se traduce directamente en el precio del boleto Se estima que los vuelos de larga distancia podrían aumentar entre 8% y 20% en los próximos meses.

Por ejemplo:

- Un vuelo de México a Madrid podría subir de $18,000 a $21,000 pesos

- Un vuelo a Tokio podría aumentar hasta $5,000 pesos adicionales.

- Rutas a Dubái o Asia podrían ser las más afectadas, con incrementos superiores al 20%.

Además, la disponibilidad de vuelos también se verá afectada Menos rutas y más demanda generan un efecto de escasez, elevando aún más los precios

Desde el punto de vista empresarial, las decisiones estratégicas también cambian Empresas deberán ajustar presupuestos de viaje, replantear cadenas de suministro y anticipar retrasos logísticos

En términos de economía global, esto impacta sectores como el turismo, el comercio internacional y la inversión extranjera

Para los usuarios, la recomendación es clara: anticipar compras, comparar rutas y considerar escalas más largas como alternativa.

En conclusión, estamos ante un escenario donde la geopolítica redefine el consumo El costo de volar ya no depende solo de la oferta y la demanda, sino de factores internacionales que seguirán marcando tendencia en los próximos meses.

Sígueme en Instagram para más ideas de negocios, marketing y tendencias del futuro: @loaprendiconkarla

Soy Karla A Rojas, experta en marketing, con más de 20 años de experiencia desarrollando negocios e impelmentando extrategias que permiten a las marcas generar un mayor impacto positivo en sus resultados

Recuerda seguirme en @loaprendiconKarla

Karla A. Rojas

INVERSIÓN SON-ORA

Las guerras han sido históricamente uno de los mayores catalizadores de cambio económico. Cada conflicto redefine no solo fronteras, sino también el dinero En el siglo XXI, con un sistema financiero globalizado y altamente interconectado, el impacto de la guerra se extiende a mercados, monedas y activos digitales como Bitcoin

Hoy, conflictos como los de Ucrania, Medio Oriente o tensiones entre potencias globales han puesto sobre la mesa una nueva realidad: el dinero ya no es solo físico ni controlado exclusivamente por gobiernos Bitcoin y las criptomonedas están comenzando a desempeñar un papel estratégico dentro de este nuevo escenario

Los conflictos bélicos suelen provocar inflación El aumento del gasto público, la emisión monetaria y las disrupciones en cadenas de suministro elevan los precios globales. Energía, alimentos y materias primas se ven directamente afectados

En este contexto, las monedas locales pierden poder adquisitivo Es aquí donde los inversionistas comienzan a buscar refugios de valor. Tradicionalmente, el oro ha sido el activo elegido Sin embargo, en la era digital, Bitcoin ha comenzado a posicionarse como una alternativa

2. Bitcoin vs oro en tiempos de guerra

El oro ha sido durante siglos el refugio clásico en tiempos de incertidumbre Pero Bitcoin introduce características únicas: es portátil, divisible, verificable y no depende de intermediarios

Mientras que transportar oro en un conflicto puede ser complicado, Bitcoin puede moverse en minutos a través de fronteras con una simple conexión a internet. Esto ha hecho que muchos lo consideren un 'oro digital'

3. Casos reales: Ucrania, Rusia y el uso de cripto

Durante el conflicto entre Rusia y Ucrania, las criptomonedas jugaron un papel clave Ucrania recibió millones de dólares en donaciones en Bitcoin y Ethereum para financiar ayuda humanitaria y defensa

Por otro lado, ciudadanos en Rusia y Ucrania utilizaron criptomonedas para proteger su dinero ante restricciones bancarias y devaluaciones. Estos eventos demostraron que las criptomonedas pueden funcionar como herramientas reales en crisis

4. Sanciones económicas y descentralización

Las guerras modernas incluyen sanciones económicas que limitan el acceso al sistema financiero global Bancos pueden ser bloqueados, cuentas congeladas y transferencias restringidas

Bitcoin y las criptomonedas ofrecen una alternativa descentralizada No pueden ser bloqueadas fácilmente por gobiernos, lo que las convierte en una herramienta poderosa y controversial en escenarios geopolíticos

5. Volatilidad y reacción del mercado

En el corto plazo, Bitcoin puede caer o subir con fuerza ante noticias de guerra Los mercados reaccionan al miedo Sin embargo, en el largo plazo, estos eventos suelen reforzar la narrativa de descentralización y soberanía financiera

6. Stablecoins: refugio práctico

Más allá de Bitcoin, las stablecoins como USDT o USDC han sido fundamentales en contextos de crisis Permiten mantener valor en dólares digitales sin salir del ecosistema cripto

En países con inflación o conflictos, muchas personas utilizan stablecoins como sustituto del sistema bancario tradicional

En resumen…

Las guerras no solo transforman territorios, también redefinen el dinero En un mundo cada vez más inestable, Bitcoin y las criptomonedas están emergiendo como herramientas de protección, transferencia y soberanía financiera

Entender este fenómeno no es solo cuestión de inversión, sino de adaptación a un nuevo sistema financiero global

Nos leemos en el próximo número de Inversión Son-ora.

Javier Gamboa Méndez

Profesional destacado en el ecosistema de las criptomonedas desarrollo de negocios el marketing las relaciones públicas la educación financiera y la divulgación tecnológica Su enfoque se centra en traducir conceptos complejos del mundo cripto en herramientas accesibles para el público general, con el objetivo de fortalecer el conocimiento financiero en América Latina y contribuir a una adopción más consciente e informada de las tecnologías descentralizadas

IG: JaviGamboaTV | TG: @inverxionclub

CHARLAS DE TABERNA

Valerio
egresado de la UNAM Realizó diversas e guerra y policial, v y el Ministerio de la

En un país donde el béisbol es pasión nacional, Sordos México escribe su propia historia: Hay un equipo mixto de béisbol integrado por personas con discapacidad auditiva, hombres y mujeres que compiten, entrenan y sueñan en silencio, pero con un estruendo que resuena más allá de los diamantes.

El proyecto nació como una apuesta por la inclusión y hoy representa a México en el escenario mundial En febrero de 2024 viajaron a Taipéi para disputar la Primera Copa Mundial de Béisbol para Sordos, dejando huella como representantes oficiales del país Ahora, la invitación oficial ya está sobre la mesa: en noviembre de 2026 participarán en la Segunda Copa Mundial en Japón.

“Es un gran paso para la inclusión en el deporte mexicano y para la comunidad sorda”, explica Andrea Vélez, directora de la Fundación Olmeca Hoy, principal impulsora del equipo El objetivo inmediato es claro: expandir el proyecto a más estados, captar jóvenes sordos en todo el país, generar torneos nacionales y formar selectivos competitivos que lleven la bandera tricolor a futuros mundiales.

La preparación rumbo a Tokio avanza en varios frentes En la Ciudad de México y zona metropolitana, los jugadores se integran a la Liga Olmeca la primera liga inclusiva del país Los integrantes foráneos entrenan y juegan en sus localidades junto a familiares y amigos oyentes El representativo nacional ha sostenido juegos de práctica contra equipos de oyentes en Veracruz, Tlaxcala y Oaxaca, donde la Academia Guerreros de Oaxaca les abrió sus puertas para sesiones intensas

El sueño a largo plazo es ambicioso: Convertir a México en el primer país del continente en ser sede de una Copa Mundial de Béisbol para Sordos. Paralelamente, ya se trabaja en la formación del equipo de softbol femenil Sordas México, que inició entrenamientos en la Liga Olmeca

Sin embargo, el camino no ha sido fácil El equipo no cuenta con apoyos monetarios de gobierno ni de grandes patrocinadores Cada viaje, concentración y uniforme se ha financiado con rifas, venta de productos, colectas y donativos de personas convencidas del proyecto.

Como donataria autorizada, reciben aportaciones deducibles de impuestos, pero siguen buscando fuentes de ingresos para volverse autosuficientes

CASO SENSIBLE

En el pequeño pueblo pesquero de El Rosario, Baja California Sur, Sayra Peralta Valladolid aprendió desde niña que el silencio no es vacío. Sorda de nacimiento, a los ocho años encontró en el béisbol su voz Hoy, con 22 años, es la pitcher estelar de los Osos Naranja y una de las figuras del equipo nacional

“En el cuadro hay mujeres, pero como pitcher soy una rareza ” , cuenta con una sonrisa que no necesita sonido para transmitir orgullo En Taipéi 2024, su brazo derecho dejó mudos de admiración a los aficionados asiáticos, donde el béisbol tiene décadas de tradición. En México, su impacto es igual de profundo: durante un curso de verano en Oaxaca, los Guerreros detuvieron sus actividades para que los niños vieran a Sayra lanzar

“El béisbol me dio voz ” , resume Sayra sin pronunciar palabra. Su historia es la de todo Sordos México: un equipo que no solo juega, sino que demuestra que el talento no escucha barreras, que el esfuerzo trasciende el sonido y que la inclusión no es un favor, sino un derecho que se gana en cada inning

Mientras preparan maletas para Japón, el equipo sigue buscando aliados, donativos y espacios Porque cada strike de Sayra, cada robo de base, cada abrazo en el diamante, es también un mensaje claro: en el silencio se puede gritar muy fuerte Y México ya empieza a escuchar

EDUCAR PARA NO CONTAMINAR

LA SOSTENIBILIDAD NO SE CONSTRUYE CON PROHIBICIONES, SINO CON INTELIGENCIA

Hoy levanto la voz no para confrontar, sino para corregir el rumbo de una conversación que México no puede darse el lujo de equivocar

El anuncio reciente del Partido Verde Ecologista - una iniciativa para prohibir los embalajes plásticos-no solo es preocupante. Es, francamente, una señal de que seguimos atrapados en una narrativa simplista, superficial y peligrosamente desinformada Porque cuando se legisla desde la emoción y no desde la ciencia, no se protege al medio ambiente se le perjudica

Y lo digo con toda claridad:

prohibir el plástico no es una solución. Es una ilusión.

México necesita avanzar hacia una economía circular moderna, inteligente, basada en datos. Pero lo que estamos viendo hoy es un intento de regresar a soluciones del pasado envueltas en discursos políticamente convenientes, pero técnicamente débiles

El plástico no es el enemigo.

El verdadero problema es la mala gestión de residuos, la falta de infraestructura, y la ausencia de políticas públicas serias que impulsen el reciclaje, la innovación y la corresponsabilidad

Prohibir es fácil Gobernar con inteligencia es lo dificil Quienes hoy impulsan esta iniciativa parecen ignoraralgo fundamental: los embalajes plásticos existen porque cumplen una función crítica en la economía moderna

Protegen alimentos, reducen desperdicios, disminuyen emisiones de carbono en transporte, y garantizan higiene y seguridad en sectores como el médico, el farmacéutico y el alimentario

Eliminar estos materiales sin una alternativa técnicamente superior no es progreso Es retroceso

Y aquí es donde la discusión debe elevarse.

Porque sustituir plástico y papel, vidrio o cartón nn cinnifica automáticamente no significa ser más ecológico.

Al contrario:

• El papel requiere grandes cantidades de agua y provoca deforestación

• El vidrio es más pesado, incrementa emisiones en transporte

• El cartón, cuando está contaminado, muchas veces ni siquiera se recicla.

Entonces, la pregunta es: ¿estamos realmente reduciendo impacto o simplemente cambiando un problema por otro?

México merece políticas ambientales serias, no decisiones impulsivas

Hoy más que nunca, necesitamos entender que el futuro no está en prohibir materiales, sino en transformar sistemas

El mundo avanzado ya lo entendió

Europa no está prohibiendo indiscriminadamente.

Está invirtiendo en reciclaje químico, en tecnologías de recuperación, en rediseño de materiales, en responsabilidad extendida del productor

China no eliminó los plásticos Está liderando en automatización del reciclaje

Estados Unidos no está prohibiendo embalajes masivamente Está innovando en economía circular

Y mientras tanto, en México seguimos discutiendo prohibiciones

Lo verdaderamente responsable sería preguntar:

• ¿Dónde está la infraestructura de reciclaje?

• ¿Dónde están los incentivos para innovación?

• ¿Dónde está la educación ambiental real?

• ¿Dónde está la trazabilidad de los residuos?verdad!

Porque sin eso, cualquier prohibición es solo una medida cosmética

Y México no necesita cosmética. Necesita transformación.

Yo invito al Partido Verde Ecologista a evolucionar su postura

A dejar atrás la política de titulares y adoptar la política de resultados

A escuchar a la industria, a la ciencia, a los expertos, a quienes todos los días trabajamos en soluciones reales, medibles y escalables

Porque el enemigo no es el plástico. El enemigo es la desinformación

Hoy el mundo enfrenta un reto ambiental enorme, sí

Pero también una oportunidad histórica

Podemos construir una nueva economía basada en eficiencia, innovación y sostenibilidad real

O podemos seguir tomando decisiones simplistas que generan aplausos inmediatos pero consecuencias profundas

Yo creo en un México que lidera, no que improvisa

Un México que entiende que la sostenibilidad no es una moda, es una ciencia

Un México que no le teme a la tecnología, sino que la abraza

Un México aue no prohibe… transforma

Porque al final del día, la verdadera pregunta no es si debemos usar plástico o no.

Jorge Edwards Chahin Silhy

Es un empresario mexicano con más de 42 años de trayectoria en los sectores comercial, inmobiliario e industrial Es Presidente de la Organización en Favor de la Economía Circular (OFEC), que agrupa a más de 257 empresas de la industria del plástico en México y Centroamérica Ha fundado y dirigido diversas compañías del sector del empaque y embalaje, participa en varios consejos empresariales incluido el de Grupo Financiero Banorte y realizó sus estudios en el Colegio Albatros, hoy Colegio Alemán Alexander von Humboldt

La verdadera pregunta es:

¿vamos a ser un país que entiende los problemas o uno que solo reacciona ante ellos?

Hoy más que nunca, México necesita visión

No prohibiciones

No simplificaciones

No discursos vacíos.

Necesita liderazgo

Y ese liderazgo se construye con una sola cosa:

Redes sociales: Facebook: Jorge Chahin Facebook: Organización en Favor de la Economía Circular IG: @ofecmex WhatsApp: 5526908881

C o n t á c t a n o s p a r a t u

PROGRAMACIÓN ÚLTIMA LLAMADA

Durante décadas, la clonación ha sido uno de los grandes símbolos de la ciencia moderna. Desde la famosa oveja Dolly en 1997, el imaginario colectivo comenzó a preguntarse hasta dónde podría llegar esta tecnología: ¿sería posible replicar indefinidamente un organismo? ¿Podría la ciencia crear una cadena infinita de copias genéticas? Una investigación reciente realizada en Japón ha puesto a prueba estas preguntas y ha revelado algo sorprendente: incluso la clonación tiene límites biológicos.

Durante más de veinte años, un equipo de científicos del Centro Avanzado de Biotecnología de la Universidad de Yamanashi llevó a cabo uno de los experimentos más prolongados en la historia de la clonación de mamíferos. Su objetivo era sencillo en apariencia pero enorme en implicaciones científicas: determinar si un animal podría clonarse una y otra vez sin que el proceso se deteriorara con el tiempo. El resultado fue impresionante. A partir de un solo ratón donante, los investigadores lograron producir alrededor de 1 200 ratones clonados durante 58 generaciones consecutivas

El experimento utilizó una técnica conocida como transferencia nuclear de células somáticas, el mismo procedimiento que permitió el nacimiento de Dolly En términos simples, consiste en extraer el núcleo de un óvulo y reemplazarlo con el núcleo de una célula adulta del organismo que se desea clonar El resultado es un embrión con la misma información genética que el donante original.

Durante las primeras generaciones del experimento, los resultados fueron alentadores Los ratones clonados nacían sanos, podían reproducirse y tenían una esperanza de vida normal, cercana a los dos años. Incluso durante más de dos décadas de clonaciones sucesivas, el proceso parecía funcionar con relativa estabilidad.

Hace casi 16.000 años, cuando el mundo aún estaba dominado por glaciares y los seres humanos vivían como cazadores-recolectores, ocurrió algo que cambiaría para siempre la historia de la convivencia entre especies En una meseta volcánica de la actual Turquía, un pequeño cachorro vivió junto a un grupo de humanos que lo cuidaban, lo alimentaban y, cuando murió, lo enterraron con el mismo respeto que reservaban para sus propios miembros Hoy, ese animal es considerado el perro doméstico más antiguo identificado genéticamente por la ciencia

El descubrimiento se basa en fragmentos de hueso extremadamente pequeños encontrados en el yacimiento arqueológico de Pınarbaşı, en Anatolia central A pesar de su tamaño diminuto, los investigadores lograron extraer ADN suficiente para demostrar que esos restos pertenecían a un perro doméstico y no a un lobo salvaje. El animal vivió aproximadamente hace 15 800 años, lo que adelanta en más de 5 000 años la evidencia genética más antigua que se tenía hasta ahora sobre la domesticación del perro

El dato resulta sorprendente porque sitúa la relación entre humanos y perros mucho antes de la aparición de la agricultura En aquel periodo del Paleolítico superior tardío, los seres humanos todavía no cultivaban la tierra ni criaban animales domésticos como vacas, cabras o cerdos. Sin embargo, ya convivían con perros

Los análisis realizados por los científicos revelaron además un detalle fascinante: el cachorro consumía pescado, el mismo alimento que formaba parte de la dieta de los humanos que habitaban ese lugar Esto sugiere que no se trataba simplemente de un animal salvaje que merodeaba cerca de los campamentos humanos, sino de un integrante integrado dentro de la comunidad

La investigación también incluyó el análisis de restos encontrados en otros puntos de Europa. Uno de los casos más interesantes corresponde a una mandíbula hallada en Gough’s Cave, en el sur de Inglaterra, que pertenece a un perro de unos 14 300 años Lo más llamativo es que, pese a estar separados por más de 4.000 kilómetros, ambos animales eran genéticamente muy similares Esto indica que los perros ya se habían expandido rápidamente por Eurasia mucho antes del final de la última Edad de Hielo

24 DE MARZO DE 2026

Este hallazgo aporta pistas importantes sobre el origen de la domesticación del perro, un proceso que los científicos llevan décadas intentando comprender La mayoría de las teorías coinciden en que los perros descienden de poblaciones de lobos grises que comenzaron a interactuar con los humanos hace miles de años Algunos investigadores sugieren que los lobos más tolerantes hacia la presencia humana se acercaban a los campamentos para alimentarse de restos de comida, lo que con el tiempo generó una relación de cooperación.

Ese vínculo pudo resultar beneficioso para ambas especies Para los humanos, los primeros perros pudieron servir como ayudantes en la caza, guardianes contra depredadores o incluso como sistemas de alerta en los campamentos Para los animales, la convivencia con los humanos ofrecía alimento constante y protección

Con el paso de miles de años, esa relación evolucionó hasta convertirse en uno de los vínculos más fuertes entre especies diferentes La diversidad de razas que existen hoy desde pequeños perros de compañía hasta grandes animales de trabajo es resultado de ese largo proceso de coevolución entre humanos y perros Sin embargo, identificar exactamente cuándo comenzó esta relación sigue siendo un desafío científico. Algunos estudios genéticos sugieren que la separación evolutiva entre lobos y perros pudo haber ocurrido hace más de 20 000 años, incluso antes del final de la última glaciación

Otros investigadores creen que la domesticación pudo haber ocurrido en diferentes regiones del mundo de manera independiente

Lo que sí parece cada vez más claro es que los perros fueron probablemente el primer animal domesticado por los seres humanos Mucho antes de que existieran las granjas o las ciudades, ya había cachorros viviendo junto a comunidades humanas.

El pequeño perro de Anatolia representa, en cierto modo, el origen de una historia compartida que continúa hasta hoy. En la actualidad existen más de 900 millones de perros en el mundo, y en muchos hogares se les considera miembros de la familia

La historia de ese cachorro prehistórico demuestra que el vínculo entre humanos y perros no es un fenómeno reciente ni una simple relación utilitaria Es una alianza que comenzó hace milenios, cuando nuestros antepasados y los antepasados de los perros aprendieron a convivir y a confiar unos en otros

Y todo indica que esa amistad, iniciada en la Edad de Hielo, sigue siendo una de las más duraderas de la historia de la humanidad

Desde el lugar ideal, hasta la producción con pirotecnia... Contamos con diversos salones, jardines, amenidades, grupos musicales, floristas y todo tipo de proveedores exclusivos que podrán adaptarse perfectamente a las expectativas de tu evento.

CUANDO LAS LETRAS...

CUENTAN HISTORIAS

En una industria musical saturada de fórmulas repetidas y discursos prefabricados, la irrupción de nuevas voces suele venderse como una bocanada de aire fresco que no siempre cumple lo que promete. Sin embargo, la presentación en la Ciudad de México del álbum debut Cuerpo de Olivia Wald deja una sensación más compleja: no es sólo el surgimiento de una artista, sino el reflejo de cómo el nuevo pop latino intenta redefinir su narrativa emocional… aunque todavía no termina de romper con ciertos moldes

El showcase íntimo realizado en Playhaus by Totalplay evidenció una estrategia cada vez más recurrente en la industria: construir cercanía como valor principal. En tiempos donde lo digital domina, la experiencia “íntima” se ha convertido en una herramienta de marketing casi obligatoria Wald, consciente o no de ello, se mueve con naturalidad en este formato, conectando desde lo emocional con un discurso honesto sobre ansiedad, deseo y contradicciones internas Pero también es válido preguntarse: ¿hasta qué punto esta intimidad es genuina y no una narrativa cuidadosamente diseñada?

Cuerpo, lanzado en 2025, se construye sobre una premisa que no es nueva, pero sí vigente: el conflicto entre lo que se siente y lo que se actúa La propia artista lo define como un diálogo interno, una especie de bitácora emocional Y ahí radica tanto su mayor virtud como su principal riesgo. En una escena donde la vulnerabilidad se ha convertido en moneda corriente, destacar no depende sólo de la honestidad, sino de la capacidad de transformar esa introspección en una propuesta sonora verdaderamente distintiva

Durante la presentación, la interpretación acústica permitió apreciar la sensibilidad de Wald sin los filtros de producción Su voz sostiene la narrativa y confirma que hay una base artística sólida No obstante, el discurso lírico centrado en emociones universales se mueve en terrenos ya explorados por otras figuras del pop latino contemporáneo La pregunta inevitable es si esta propuesta logrará evolucionar hacia una identidad propia más arriesgada o si quedará atrapada en la comodidad de lo reconocible

El papel de Artemisa Producciones también merece atención Su apuesta por traer nuevas propuestas a México habla de una industria que busca diversificarse, pero que al mismo tiempo responde a una lógica clara: detectar talentos con potencial global antes de que exploten comercialmente En ese sentido, Wald encaja perfectamente en el perfil de artista exportable, con un discurso emocional universal y una estética alineada con las tendencias actuales.

México, como bien señaló la cantante, sigue siendo un termómetro clave para el pop en español Pero también es un mercado exigente, donde la conexión inicial debe transformarse en permanencia. El entusiasmo que genera una primera visita puede diluirse rápidamente si no viene acompañado de evolución artística

La llegada de Olivia Wald no es un fenómeno aislado, sino parte de una ola de artistas que buscan redefinir el pop latino desde lo íntimo y lo emocional La diferencia estará en quién logra ir más allá del discurso y convertir esa sensibilidad en una propuesta verdaderamente disruptiva Porque en una industria donde todos dicen sentirse, el verdadero reto sigue siendo hacer sentir algo distinto.

el ámbito político de sitios web y en relaciones públicas, enfocándose en el posicionamiento de figuras públicas, construcción de imagen y vinculación en medios

Aurora Vargas Villegas Licenciada en Ciencias de la Comunicación por la UNAM Con más de 20 años de experiencia, se ha especializado en temas de salud mujeres y música Actualmente trabaja en redes sociales en

MI ESTILO CON BIENESTAR

Hablar del VPH es entrarle a un tema del que todos hemos escuchado algo, pero casi siempre a medias: que si provoca verrugas, que si puede causar cáncer… y sí, todo eso es cierto, pero hay mucho más detrás. Lo fuerte es que muchísimas mujeres lo tienen sin saberlo. La buena noticia: hoy existen formas de detectarlo, prevenirlo y tratarlo a tiempo

Para empezar, hay que entender que no existe un solo tipo de VPH, sino muchos Se transmite por contacto piel con piel y no todos representan un riesgo grave De hecho, alrededor del 70% puede provocar verrugas comunes Hay más de 30 tipos que se transmiten sexualmente y, de esos, varios pueden ser silenciosos: no dan síntomas y tu propio sistema inmunológico puede eliminarlos sin que te enteres

Pero también existen tipos de alto riesgo Algunos son responsables de la gran mayoría de las verrugas genitales y otros están directamente relacionados con el cáncer cervicouterino, por eso es tan importante no confiarse Y aquí viene un dato que sorprende: la mayoría de las personas sexualmente activas va a tener VPH en algún momento de su vida. Es súper común, sobre todo en mujeres jóvenes. Además, no necesitas tener una relación sexual completa para contagiarte, basta el contacto íntimo, ya que el virus vive en la piel Incluso usando condón, el riesgo no desaparece al 100%, porque hay zonas que quedan expuestas

Las verrugas genitales, aunque no suelen ser peligrosas, sí pueden afectar mucho la seguridad y autoestima. Aparecen como pequeñas protuberancias color piel o blancas, generalmente entre uno y seis meses después del contacto No duelen ni pican, pero ahí están Para tratarlas, un especialista puede recetar cremas o, en algunos casos, eliminarlas con otros procedimientos

Algo clave: aunque no veas nada, el virus puede estar presente Por eso, si tienes dudas, lo mejor es pausar la actividad sexual y acudir con tu ginecólogo

El estudio que puede hacer la diferencia

El Papanicolau es básico. Hacerlo una vez al año puede detectar cambios en las células antes de que se conviertan en algo más serio. Hoy también existen versiones más precisas, como el de base líquida Y un tip importante: siempre da seguimiento a tus resultados, no los dejes al aire

La vacuna: tu gran aliada

Uno de los avances más importantes es la vacuna contra el VPH. Protege contra los tipos más peligrosos, incluidos los que causan la mayoría de los casos de cáncer cervicouterino. Se recomienda aplicarla desde edades tempranas, antes del inicio de la vida sexual, pero también puede ser útil después

Eso sí, la vacuna no sustituye el uso del condón ni los chequeos médicos Es una protección extra, no una garantía total

También influyen otros factores: el número de parejas sexuales, el tabaquismo y hasta la alimentación. Llevar un estilo de vida saludable puede ayudar a tu cuerpo a defenderse mejor

Al final, el VPH no es un tema para entrar en pánico, pero sí para tomárselo en serio Informarte, revisarte y cuidarte es la mejor forma de mantener tu salud en equilibrio

Tu cuerpo habla, escúchalo ¡Mucha suerte!

G a r c í a a buena música y la comida

¿ P O R Q U É E S T E R I L I Z A R A

T U M A S C O T A ?

En los últimos años, la esterilización de mascotas se ha convertido en uno de los temas más discutidos dentro del cuidado responsable de animales de compañía. Aunque para muchas personas la decisión puede generar dudas o incluso inquietudes, la evidencia científica y la experiencia de veterinarios de todo el mundo coinciden en que esterilizar a perros y gatos no solo contribuye a mejorar su calidad de vida, sino que también tiene un impacto positivo en la salud pública y en el bienestar animal

La esterilización es un procedimiento quirúrgico mediante el cual se impide que los animales se reproduzcan En las hembras se realiza generalmente mediante la ovariohisterectomía, que consiste en retirar ovarios y útero, mientras que en los machos se practica la castración, que implica la extracción de los testículos Aunque la cirugía puede parecer compleja para algunos propietarios, en realidad se trata de uno de los procedimientos veterinarios más comunes y seguros cuando se realiza en condiciones adecuadas.

Uno de los beneficios más importantes de la esterilización está relacionado con la salud de las mascotas En el caso de las hembras, el procedimiento reduce significativamente el riesgo de padecer tumores mamarios, especialmente cuando se realiza antes del primer celo También elimina la posibilidad de infecciones uterinas graves como la piometra, una enfermedad que puede poner en riesgo la vida del animal si no se trata a tiempo

En los machos, la castración disminuye la probabilidad de desarrollar enfermedades prostáticas y ciertos tipos de tumores testiculares Además, diversos especialistas en medicina veterinaria han observado que los animales esterilizados tienden a vivir más tiempo que aquellos que no lo están, en gran parte porque presentan menos enfermedades relacionadas con el sistema reproductivo. Otro aspecto importante es el comportamiento Muchos problemas conductuales en perros y gatos están relacionados con las hormonas reproductivas. En los machos, por ejemplo, la castración puede reducir la tendencia a escapar de casa en busca de hembras en celo, disminuir comportamientos agresivos hacia otros animales y reducir el marcaje territorial con orina En las hembras, la esterilización evita los periodos de celo, durante los cuales pueden mostrarse inquietas, vocalizar con frecuencia o atraer a numerosos machos

Más allá de los beneficios individuales para cada animal, la esterilización también juega un papel fundamental en el control de la población de mascotas En muchas ciudades del mundo, el abandono de perros y gatos sigue siendo un problema grave. Organizaciones dedicadas al bienestar animal estiman que millones de animales viven en las calles o en refugios debido a camadas no planificadas.

Un solo par de perros o gatos puede producir una descendencia numerosa en pocos años si no se controla su reproducción Por esta razón, veterinarios y asociaciones protectoras promueven la esterilización como una herramienta clave para reducir el número de animales sin hogar y evitar el sufrimiento que muchas veces acompaña al abandono

También existen beneficios indirectos para las comunidades Menos animales en situación de calle significa menor riesgo de accidentes, menos transmisión de enfermedades y una convivencia más segura entre mascotas, personas y otros animales

A pesar de estos beneficios, aún persisten algunos mitos sobre la esterilización. Uno de los más comunes es la creencia de que los animales cambian radicalmente de personalidad después de la cirugía En realidad, los veterinarios señalan que la esencia del animal no cambia; lo que disminuyen son comportamientos impulsados por las hormonas reproductivas

Otro mito frecuente es que las mascotas deben tener al menos una camada antes de ser esterilizadas para estar saludables. Sin embargo, especialistas en reproducción animal han señalado que no existe evidencia científica que respalde esa idea Por el contrario, en muchos casos la esterilización temprana puede ofrecer mayores beneficios preventivos para la salud

También es importante mencionar que la esterilización debe realizarse bajo la supervisión de un médico veterinario, quien evaluará la edad, el estado de salud y las características particulares de cada animal antes de recomendar el momento adecuado para la cirugía

Hoy en día, muchas clínicas veterinarias, universidades y programas municipales organizan campañas de esterilización accesibles para promover el cuidado responsable de mascotas Estas iniciativas buscan concientizar a la población sobre la importancia de prevenir la reproducción descontrolada y mejorar la calidad de vida de los animales

En definitiva, esterilizar a una mascota es mucho más que una decisión médica Es un acto de responsabilidad que contribuye al bienestar del animal, a la prevención de enfermedades y al equilibrio entre la convivencia humana y animal en nuestras ciudades

Porque cuidar de una mascota no solo implica alimentarla y brindarle cariño También significa tomar decisiones informadas que le permitan vivir una vida más larga, saludable y protegida Y en ese camino, la esterilización se ha convertido en una de las herramientas más importantes para construir un futuro más responsable para los animales que forman parte de nuestras familias

SALUD/PSICOLOGÍA

Josafat Tapia Castillo

Psicólogo egresado de la UNAM en 2004 con especialidad en hipnosis clínica Master traning en PNL Especialista en intervención en crisis, así como especialista en Coaching ontológico y empresarial

Es un gusto saludarte nuevamente. Soy Josafat Tapia Castillo.

En el ámbito de la psicología y la resolución de conflictos, esta historia es un monumento a lo que llamamos "la gestión del tiempo y la incertidumbre". A menudo, nos paralizamos ante un problema que parece no tener salida inmediata, olvidando que la vida es un proceso dinámico, no una fotografía fija. El sastre no es un mentiroso cínico; es un hombre que entiende que la esperanza no es esperar a que las cosas cambien, sino crear el espacio necesario para que el cambio sea posible.

Permíteme ofrecerte esta mirada sobre el arte de ganar tiempo y la sabiduría de la paciencia.

En un reino donde la voluntad de un solo hombre era la ley, vivía un sastre famoso por su precisión y su silencio El Rey, un hombre que confundía el miedo de sus súbditos con el respeto, decidió un día que una pequeña imperfección en su túnica era una afrenta personal.

Mañana, al salir el sol, este sastre dejará de existir sentenció el monarca Que el verdugo prepare su acero

Esa noche, en la celda fría de la torre, el sastre no rezó ni lloró Cuando el carcelero entró para ofrecerle el último mendrugo de pan, el sastre lo miró con una calma que resultaba inquietante

Dime preguntó el sastre , ¿es cierto que el Rey ama a su caballo por encima de todas las cosas?

Así es respondió el guardia Dice que es un animal noble, pero le duele que su lealtad sea muda El Rey daría la mitad de su tesoro por poder conversar con él

Qué tragedia suspiró el sastre Yo guardo en mi linaje el secreto de la transmutación de la voz Podría enseñarle a ese caballo a recitar poemas y a aconsejar al Rey en las batallas, pero mañana mis labios estarán sellados por la tierra.

El guardia, movido por la codicia y la esperanza de una recompensa, corrió ante el Rey Poco después, el sastre estaba de nuevo en la sala del trono

¿Es cierto que puedes hacer que mi caballo hable? preguntó el Rey, con los ojos brillando de ambición.

Es una ciencia lenta, majestad. Requiere observar el aliento del animal, entender sus sueños y enseñarle la sintaxis del hombre Necesitaría un año entero de paz, viviendo en las caballerizas reales, sin más preocupación que el bienestar del animal y el de mi propia familia, para que mi mente esté despejada

El Rey, que no sabía esperar pero adoraba los milagros, aceptó Tienes un año Se te dará oro, seda y la mejor comida. Pero si al cabo de doce meses el caballo no me saluda por mi nombre, tu muerte será lenta y recordada por siglos.

Cuando el sastre regresó a su hogar, cargado de riquezas y escoltado por la guardia real, su esposa lo recibió con gritos de terror

¡Has firmado tu sentencia de muerte, hombre insensato! lloraba ella . ¡Tú no sabes de caballos más que de estrellas! En un año vendrán por ti y no habrá milagro que te salve.

El sastre se sentó a la mesa, sirvió un poco de vino y miró por la ventana hacia el horizonte

Escucha, mujer dijo con voz suave Ayer mi destino era morir hoy Hoy, mi destino es vivir un año entero en la abundancia Un año es una eternidad para quien sabe observar En trescientos sesenta y cinco días, pueden pasar cuatro cosas: puede que el Rey muera de su propio mal humor, puede que yo muera por causas naturales en mi cama de seda, puede que el caballo muera de viejo... y quién sabe, ¡quizás el caballo aprenda a hablar!

SALUD/SEXUALIDAD

La bisexualidad sigue siendo una de las orientaciones sexuales más incomprendidas, incluso dentro de espacios que se consideran abiertos o inclusivos Cuando una persona bisexual se encuentra en una relación de pareja heterosexual, esta incomprensión suele intensificarse: su orientación se vuelve invisible, cuestionada o directamente negada

Desde fuera, la lectura suele ser rápida y simplista: “si está con alguien del sexo opuesto, entonces es heterosexual” Esta lógica borra la identidad bisexual y reduce la orientación sexual al tipo de relación que se habita en el presente, como si el deseo, la atracción y la identidad dependieran exclusivamente de la pareja actual.

Este artículo tiene la intención de invitarlos a reflexionar sobre la experiencia de las personas bisexuales en relaciones heterosexuales, abordando los procesos de invisibilización, los prejuicios persistentes y la doble discriminación que enfrentan, incluso en vínculos afectivos que, en apariencia, cumplen con la norma social

La bisexualidad como identidad, no como etapa

Uno de los prejuicios más frecuentes en torno a la bisexualidad es la idea de que se trata de una etapa transitoria, una confusión o una indecisión previa a “definirse” Esta narrativa deslegitima la experiencia bisexual y coloca a la persona en una posición de permanente sospecha.

La bisexualidad no desaparece cuando se elige una pareja heterosexual La orientación sexual no se anula por el tipo de vínculo que se establece, del mismo modo que una persona heterosexual no deja de serlo por estar soltera. Sin embargo, a las personas bisexuales se les exige constantemente una prueba de coherencia que a otras orientaciones no se les demanda Esta invalidación puede generar un desgaste emocional significativo, especialmente cuando proviene del entorno cercano o incluso de la propia pareja.

Invisibilización cotidiana: cuando la identidad se borra

La invisibilización no siempre se manifiesta de manera agresiva Muchas veces aparece en forma de bromas, suposiciones o silencios incómodos. Comentarios como “ ya elegiste”, “al final eres heterosexual” o “estabas confundido” transmiten el mensaje de que la identidad bisexual es irrelevante o exagerada

En el contexto de una pareja heterosexual, esta invisibilización puede reforzarse por la presión social de encajar La relación es leída como “normal”, y cualquier intento de nombrar la bisexualidad puede ser percibido como innecesario o incluso problemático El resultado es que muchas personas bisexuales optan por callar aspectos importantes de su identidad para evitar conflictos, juicios o incomodidades Este silenciamiento, sostenido en el tiempo, puede afectar la autoestima y el sentido de autenticidad dentro del vínculo

La doble discriminación: fuera y dentro

La bisexualidad enfrenta una doble discriminación particular Por un lado, desde sectores heterosexuales que minimizan, niegan o sexualizan la orientación Por otro, desde algunos espacios dentro de la diversidad sexual, donde se cuestiona la legitimidad de la bisexualidad o se la percibe como falta de compromiso identitario

En una relación heterosexual, esta doble mirada se intensifica. La persona bisexual puede sentirse “demasiado diversa” para algunos contextos y “demasiado heterosexual” para otros Este no-lugar genera una sensación persistente de no pertenencia A nivel de pareja, esto puede traducirse en tensiones no dichas: miedo a ser juzgado, dificultad para expresar deseos o experiencias pasadas, o la sensación de tener que justificar constantemente la propia orientación

Otro desafío frecuente es el estereotipo de que las personas bisexuales son más propensas a la infidelidad o a la insatisfacción permanente. Esta creencia, profundamente arraigada, confunde orientación sexual con falta de compromiso

La bisexualidad no implica incapacidad para elegir, amar o construir vínculos estables Sin embargo, cuando estos prejuicios se filtran en la relación de pareja, pueden generar dinámicas de control, celos excesivos o desconfianza injustificada

Una relación sana no debería exigir a la persona bisexual demostrar constantemente su lealtad o “tranquilizar” al otro respecto a su orientación El problema no es la bisexualidad, sino los miedos no trabajados que se proyectan sobre ella

El bienestar emocional en una relación heterosexual con una persona bisexual implica reconocimiento, validación y coherencia Nombrar correctamente la identidad, no minimizarla ni usarla como argumento en conflictos es parte del cuidado básico. Reconocer la bisexualidad no significa abrir la relación ni introducir cambios no deseados; significa aceptar al otro en su totalidad, sin reducirlo al formato de pareja que se habita La orientación sexual no es una amenaza para el vínculo cuando existe confianza, comunicación y respeto Una relación que cuida no obliga a elegir entre el amor y la identidad.

Las personas bisexuales en relaciones heterosexuales no son menos bisexuales por amar a alguien del sexo opuesto Su identidad no se diluye, no se cancela ni se vuelve secundaria. Invisibilizarla puede parecer cómodo para el entorno, pero tiene un costo emocional real Reconocer la bisexualidad dentro de la pareja no fragmenta el vínculo; lo fortalece Amar implica ver al otro completo, no solo la parte que resulta más fácil de explicar socialmente Porque una relación sana no pide que alguien se borre para encajar. Pide presencia, honestidad y respeto. Y eso, en cualquier orientación, sigue siendo la base del buen amar

M t r a . A n a L a u r a R o s a s Psicóloga por la UNAM, especialista en atención a violencia sexual y familiar Sexóloga, Tanatologa y Suicidologa Máster en Trauma Psicológico

Osteoporosis: una enfermedad silenciosa

Osteoporosis: una enfermedad

Osteoporosis: una enfermedad

que debilita los huesos silenciosa que debilita los huesos silenciosa que debilita los huesos

La osteoporosis es una enfermedad resistencia de los huesos, haciéndolos propensos a fracturas. Se le conoce como una “enfermedad silenciosa” porq de los casos, no produce síntomas hast fractura

Nuestros huesos están en constante largo de la vida, el cuerpo destruye te forma hueso nuevo Durante la juventu mantiene un equilibrio adecuado y permit sean fuertes y densos Sin embargo, co años, especialmente después de los 50 a masa ósea puede superar la formación Cuando esta pérdida es significat osteoporosis

Las fracturas asociadas a esta enfermed en la cadera, la columna vertebral y la veces se presentan después de caídas le movimientos cotidianos Las fracturas particular, pueden tener consecuencias que con frecuencia requieren cirugía y un periodo prolongado de rehabilitación.

Existen varios factores de riesgo para desarrollar osteoporosis Entre los más importantes se encuentran la edad avanzada, el sexo femenino, los antecedentes familiares, la menopausia, una dieta baja en calcio, el sedentarismo, el tabaquismo y el consumo excesivo de alcohol Algunas enfermedades y ciertos medicamentos también pueden favorecer la pérdida de masa ósea

Afortunadamente, la osteoporosis puede prevenirse y detectarse de forma temprana Una de las herramientas más útiles para el diagnóstico es la densitometría ósea, un estudio sencillo que mide la densidad mineral de los huesos y permite estimar el riesgo de fracturas

La prevención comienza con hábitos saludables Es fundamental mantener una alimentación rica en calcio y vitamina D, practicar actividad física regularmente especialmente ejercicios de resistencia y carga y evitar el tabaquismo. La exposición moderada al sol también ayuda al organismo a producir vitamina D, necesaria para la salud ósea

En personas con alto riesgo, los médicos pueden indicar medicamentos que ayudan a fortalecer el hueso y reducir la probabilidad de fracturas.

La osteoporosis no debe considerarse una consecuencia inevitable del envejecimiento Con prevención, diagnóstico oportuno y tratamiento adecuado, es posible mantener huesos fuertes y una buena calidad de vida a lo largo de los años

Dr.Isaac E. Cervantes
Orozco
Médico Curujano titulado por la UNAM Especialista en Ortopedia y Traumatología titulado por la UNAM , egresado de la Unidad Médica de Alta Especialidad Traumatología y Ortopedia Lomas Verdes del IMSS Alta Especialidad en Reemplazo Articular (Prótesis de cadera y de rodilla) titulado por la UNAM y por el IMSS

La vida actual tan acelerada de la población, ha reducido el tiempo para comer y preparar alimentos, por lo que ha aumentado el consumo de comida rápida, jugos y licuados Sin pensar que esta práctica podría poner en riesgo la salud de la población que utiliza estas prácticas muy frecuentemente Pero los jugos pueden acelerar el desarrollo de enfermedades renales

El por qué no son saludables:

Pérdida de Fibra: Al extraer el jugo, se elimina gran parte de la fibra, lo que reduce la saciedad y altera la digestión en comparación con comer la verdura o fruta entera.

Alto en Azúcares: Usar demasiada fruta (manzana, piña, naranja) eleva drásticamente el contenido de fructosa, lo que puede aumentar los niveles de glucosa en sangre

Riesgo Renal y de Salud: El consumo excesivo, especialmente de apio o espinaca, puede aportar demasiado oxalato y potasio, dañando los riñones o interactuando con medicamentos anticoagulantes

No son Magia: No tienen un efecto "desintoxicante" superior al del cuerpo humano y no son una solución para perder peso

Contraindicaciones: Personas con enfermedades renales, hepáticas, hipotiroidismo o problemas de gastritis deben moderar o evitar ciertos ingredientes crudos

Los jugos pueden ser una estrategia para aumentar el consumo de verduras y frutas de forma ocasional y siempre en cantidades adecuadas, no son un milagro, no curan nada y no desintoxican, para eso está el hígado Por ello es importante educar a ala población sobre este tipo de prácticas, que si bien puede ayudar de forma ocasional, no es un estilo de vida que puede ayudar, por el contario puede causar desde una diarrea leve, a una enfermedad que puede poner en riesgo la vida del paciente

En la actualidad existen empresas que pueden preparar tus alimentos de forma saludable, sin necesidad de licuar nada, evitas poner en riesgo tu salud y aprende a comer bien y de calidad Y siempre busca asesoría nutricional profesional para que te ayude a desarrollar una estrategia nutricional que cuide tu salud y mejore tus hábitos de alimentación

Especialista en nutrición clínica deportiva con más de 15 años de experiencia en el área de salud y gerencia de farmacias Ha trabajado como gerente de cadena farmacéutica y brinda consulta nutricional privada, incluyendo asesoría a equipos deportivos Cuenta con una amplia formación académica en nutrición clínica, deportiva, diabetes y obesidad, respaldada por diversas certificaciones y diplomados nacionales e internacionales

Beatriz Hernández Cabrera

PROGRAMACIÓN ACOM PAÑÁN DON

VIERNES 9 A 10 AM

SALUD/SALVANDO VIDAS

El paro cardíaco súbito, un trastorno eléctrico que afecta a hombres y mujeres por igual, sin importar su edad, trabajo, clase social o nivel económico, puede presentarse en cualquier momento

A diferencia de las enfermedades cardiovasculares como el infarto al corazón, que afecta ligeramente más a hombres que a mujeres, según las estadísticas más comunes

Los cambios hormonales que experimentan las mujeres antes de la menopausia les brindan una ligera protección contra el paro cardíaco súbito, protección que, lamentablemente, disminuye con el aumento de hábitos que favorecen las cardiopatías, tales como el tabaquismo, el consumo de alcohol, la falta de actividad física, la ingesta de alimentos ricos en carbohidratos y bebidas azucaradas Cuando una persona, independientemente de su género, sufre un paro cardíaco súbito, las estadísticas indican que una reanimación cardiopulmonar (RCP) oportuna brindada por testigos presenciales puede aumentar la probabilidad de supervivencia del 5% al 75% cuando se cuenta con acceso a un desfibrilador externo automático (DEA)

Estudios recientes demuestran que las mujeres tienen menores probabilidades de recibir asistencia en comparación con los hombres en términos de la administración de maniobras de RCP y la colocación inmediata de los parches de un DEA en el pecho descubierto de la víctima

Se considera que la incertidumbre al realizar compresiones torácicas con las manos sobre el pecho al nivel del esternón, en medio de los senos, o incluso al tocarlos durante la administración de maniobras de RCP a una mujer, y aún más, la incertidumbre al colocar los parches de un DEA, lo que requiere descubrir el pecho para que los parches se adhieran directamente a la piel, especialmente cuando la víctima se encuentra en la vía pública y posiblemente bajo la mirada de varios testigos, es la principal causa del retraso o la falta de asistencia oportuna

En respuesta a la urgencia de abordar el paro cardíaco súbito en mujeres, se ha iniciado una campaña global de concientización. Esta campaña tiene como objetivo eliminar la indecisión y los retrasos en la administración de asistencia médica, enfatizando que cada minuto de demora reduce en un 10% la probabilidad de supervivencia de una mujer

Se está considerando la inclusión de esta problemática en los programas de capacitación en Reanimación Cardiopulmonar (RCP), con el fin de fomentar la reflexión sobre esta situación, especialmente cuando la asistencia proviene de un hombre

En caso de sospecha de paro cardíaco, no debe priorizarse el pudor de la víctima sobre la necesidad de exponer su pecho Se recomienda mantener el sostén en su lugar, siempre que no interfiera con las maniobras de RCP o la colocación de los parches del Desfibrilador Externo Automático (DEA)

La presencia de otra mujer que pueda asistir en la retirada de la ropa, si fuera necesario, resultará de gran utilidad y brinda un apoyo emocional al auxiliador que contara de un testigo de su actuar

El paro cardíaco súbito no ofrece segundas oportunidades

Juntos Salvamos Vidas.

Director General de Grupo Salvando Vidas Colaborador en la Alianza Contra la Muerte

Súbita Cardíaca en México

Iniciativa de la Sociedad Interamericana de Cardiología

gruposalvandovidas@gmail com

Felipe

En medio de agendas saturadas, notificaciones constantes y una sensación permanente de prisa, muchas personas sienten que los días pasan sin realmente vivirlos Las tareas se acumulan, las obligaciones dominan el tiempo y el piloto automático parece dirigir gran parte de la vida cotidiana Frente a este ritmo acelerado surge una práctica cada vez más valorada dentro del bienestar integral: vivir con intención diaria

Esta filosofía propone algo aparentemente simple pero profundamente transformador: tomar conciencia de cómo queremos vivir cada día y alinear nuestras acciones con aquello que realmente consideramos importante

¿Qué significa vivir con intención?

Vivir con intención no significa planear cada minuto del día ni buscar una perfección imposible Se trata de comenzar la jornada con claridad sobre qué valores, emociones o experiencias queremos cultivar

La intención funciona como una brújula interna que orienta decisiones, comportamientos y prioridades En lugar de reaccionar constantemente a las circunstancias externas, la persona actúa desde un sentido consciente de dirección.

Cuando se vive con intención, incluso las tareas cotidianas adquieren un significado diferente, porque están conectadas con un propósito personal

La diferencia entre vivir en automático y vivir con conciencia

Muchas personas pasan gran parte del día respondiendo a estímulos externos: mensajes, compromisos laborales, demandas familiares o preocupaciones Este modo de funcionamiento puede generar sensación de agotamiento, falta de control y desconexión emocional.

Vivir con intención implica cambiar esa dinámica En lugar de reaccionar, se elige responder. En lugar de correr detrás del tiempo, se decide cómo utilizarlo

Este cambio de perspectiva permite recuperar una sensación de presencia y dirección en la vida diaria

Beneficios de vivir con intención

Diversos enfoques en psicología del bienestar señalan que actuar con intención consciente puede tener efectos positivos en múltiples áreas de la vida:

Mayor claridad mental

Reducción del estrés cotidiano

Mejor toma de decisiones

Mayor coherencia entre valores y acciones

Relaciones más auténticas

Practicar la atención plena

Estar presentes en lo que se está haciendo, ya sea trabajar, conversar o descansar

Cerrar el día con gratitud

Tomar unos minutos para reconocer lo que se vivió, aprendió o agradeció durante la jornada.

Mayor satisfacción personal

Cuando las acciones están alineadas con los valores personales, la vida se percibe con mayor sentido y estabilidad emocional

El poder de comenzar el día con una intención

Una práctica común consiste en iniciar la jornada definiendo una intención simple. No se trata de metas complejas, sino de orientaciones internas que guían la actitud del día

Por ejemplo, algunas personas eligen intenciones como:

Practicar la paciencia

Escuchar con atención

Mantener la calma ante el estrés

Actuar con amabilidad

Priorizar el bienestar personal

Estas intenciones funcionan como recordatorios durante el día y ayudan a mantener la atención en lo que realmente importa.

Pequeñas acciones que construyen una vida intencional

Vivir con intención se construye a través de hábitos cotidianos Algunas prácticas simples pueden ayudar a integrarlo en la vida diaria:

Iniciar el día con unos minutos de silencio

Antes de revisar el teléfono o comenzar actividades, dedicar unos momentos para respirar y definir la intención del día.

Reflexionar sobre las prioridades

Identificar qué tareas o acciones realmente merecen nuestra energía.

Estas pequeñas pausas ayudan a mantener la conexión con el propósito personal

Intención y equilibrio emocional

Vivir con intención también permite gestionar mejor las emociones. Cuando una persona tiene claridad sobre sus valores, resulta más fácil enfrentar situaciones difíciles sin perder el equilibrio

La intención no elimina los desafíos, pero sí ayuda a responder a ellos desde una perspectiva más consciente y menos reactiva

Conclusión

Vivir con intención diaria es una invitación a recuperar la dirección de la propia vida No se trata de cambiar todo de un día para otro, sino de comenzar con pequeños actos de conciencia que transforman la manera de habitar cada momento

Cuando una persona elige cómo quiere vivir su día en lugar de dejar que el día la arrastre comienza a construir una vida más coherente, significativa y equilibrada

Porque al final, la vida no se mide solo por lo que logramos, sino por cómo elegimos vivir cada día.

SALUD/MUJER EN EQUILIBRIO

Con la llegada de Semana Santa, muchas personas buscan bajar algunos kilos en poco tiempo Aunque no existen soluciones milagro, sí hay estrategias efectivas que combinan alimentación balanceada y ejercicio constante para lograr resultados visibles sin poner en riesgo la salud.

En cuanto a la dieta, el primer paso es hacer ajustes inteligentes, no extremos Reducir el consumo de azúcares, bebidas endulzadas y alimentos ultraprocesados puede generar un cambio inmediato Estos productos suelen ser altos en calorías y bajos en nutrientes, lo que favorece el aumento de peso. Sustituirlos por opciones naturales como frutas, verduras, proteínas magras y grasas saludables es clave.

El control de porciones también juega un papel fundamental. Comer en exceso, incluso alimentos saludables, puede frenar el progreso Una buena práctica es incluir proteínas en cada comida pollo, pescado, huevo o leguminosas ya que ayudan a generar saciedad y a պահպան el músculo

Acompañarlas con verduras y una porción moderada de carbohidratos como arroz, avena o tortilla permite mantener energía sin excederse

La hidratación es otro factor que suele subestimarse. Beber suficiente agua no solo mejora el funcionamiento del organismo, también ayuda a controlar el apetito y evita confundir sed con hambre. Reducir el consumo de alcohol también es recomendable, ya que aporta calorías vacías y puede interferir con la quema de grasa.

En el terreno del ejercicio, la constancia es más importante que la intensidad. No es necesario pasar horas en el gimnasio para ver resultados Actividades como caminar a paso rápido, trotar, andar en bicicleta o hacer rutinas en casa durante 30 a 45 minutos, al menos cinco días a la semana, pueden marcar una gran diferencia

Combinar ejercicio cardiovascular con entrenamiento de fuerza es una de las estrategias más efectivas El cardio ayuda a quemar calorías, mientras que el trabajo con pesas o el propio peso corporal fortalece los músculos y acelera el metabolismo Esto permite que el cuerpo continúe quemando energía incluso en reposo.

Los ejercicios funcionales como sentadillas, desplantes, planchas y lagartijas son una excelente opción, ya que trabajan varios grupos musculares al mismo tiempo y no requieren equipo especializado. Además, pueden adaptarse a distintos niveles de condición física

El descanso también es parte del proceso. Dormir entre 7 y 8 horas diarias ayuda a regular las hormonas relacionadas con el apetito y mejora el rendimiento físico. La falta de sueño puede aumentar la ansiedad y dificultar la pérdida de peso

En resumen, bajar de peso antes de Semana Santa es posible si se adoptan hábitos sostenibles No se trata de soluciones rápidas, sino de cambios reales en la alimentación y la actividad física. Con disciplina y equilibrio, los resultados llegan y, lo más importante, pueden mantenerse a largo plazo

Aurora Vargas Villegas

Licenciada en Ciencias de la Comunicación por la UNAM Con más de 20 años de experiencia se ha especializado en temas de salud, mujeres y música Actualmente trabaja en redes sociales en el ámbito político de sitios web y en relaciones públicas enfocándose en el posicionamiento de figuras públicas, construcción de imagen y vinculación en medios

Durante décadas, el cerebro fue considerado el centro absoluto de la memoria y del pensamiento Sin embargo, la ciencia moderna ha comenzado a mirar más allá del cráneo para entender cómo funciona realmente la mente humana En los últimos años, un protagonista inesperado ha entrado en escena: el microbioma intestinal, el vasto ecosistema de bacterias que habita en nuestro sistema digestivo Nuevas investigaciones sugieren que los cambios en esta comunidad microscópica podrían influir directamente en cómo envejece nuestro cerebro y en la forma en que recordamos

El microbioma intestinal está formado por billones de microorganismos que viven en el tracto digestivo. Durante mucho tiempo se pensó que su función principal era ayudar a digerir alimentos Hoy se sabe que su influencia es mucho más amplia. Estas bacterias participan en la regulación del sistema inmunológico, en la producción de vitaminas e incluso en la comunicación con el sistema nervioso Esta interacción se conoce como el “eje intestino-cerebro”, un complejo sistema de señales que conecta ambos órganos mediante vías nerviosas, hormonales e inmunológicas.

Un estudio reciente publicado en la revista científica Nature ha aportado evidencia llamativa sobre esta conexión. Investigadores analizaron cómo el envejecimiento del microbioma intestinal afecta al cerebro en modelos animales

En sus experimentos observaron que cuando ratones jóvenes recibían microbiota procedente de ratones más viejos comenzaban a mostrar problemas de memoria similares a los que aparecen con la edad Estos cambios se acompañaban de alteraciones en el hipocampo, una región del cerebro fundamental para la formación de recuerdos.

Los científicos también identificaron a una bacteria que podría estar relacionada con este proceso: Parabacteroides goldsteinii Cuando esta bacteria aumenta en el intestino, parece producir compuestos que activan el sistema inmunitario y generan inflamación Esa respuesta inflamatoria puede interferir con el nervio vago, una especie de autopista biológica que comunica el intestino con el cerebro. Si esa señal se altera, el hipocampo recibe menos información adecuada y la capacidad de registrar recuerdos se deteriora

Este descubrimiento refuerza una idea que cada vez gana más peso en la investigación científica: el cerebro no funciona aislado Diversos estudios han mostrado que la composición del microbioma puede influir en procesos cognitivos como la memoria, el aprendizaje e incluso el estado de ánimo. Cambios en las bacterias intestinales pueden provocar inflamación, alterar neurotransmisores o modificar la forma en que las células cerebrales se comunican entre sí

Además, el envejecimiento suele ir acompañado de una pérdida de diversidad en el microbioma, un fenómeno conocido como disbiosis Esta alteración puede afectar múltiples funciones del organismo y se ha asociado con el deterioro cognitivo que aparece en algunas personas mayores Investigaciones recientes sugieren que estos cambios intestinales podrían actuar como indicadores tempranos de enfermedades neurodegenerativas como el alzhéimer o el párkinson

La buena noticia es que el microbioma también es un sistema sorprendentemente adaptable A diferencia de los genes, que permanecen relativamente estables a lo largo de la vida, las bacterias intestinales pueden cambiar según la dieta, el estilo de vida, el ejercicio y el entorno. Esto abre una puerta interesante para el futuro de la medicina En los experimentos con animales, los investigadores lograron revertir parcialmente el deterioro cognitivo utilizando distintas estrategias para modificar el microbioma Entre ellas se probaron antibióticos selectivos, virus bacterianos llamados fagos e incluso medicamentos utilizados para tratar la diabetes En algunos casos, estas intervenciones mejoraron la memoria de los roedores, lo que sugiere que el intestino podría convertirse en un objetivo terapéutico para tratar el envejecimiento cerebral

Aunque estos resultados todavía deben confirmarse en humanos, ya existen pistas de cómo mantener un microbioma saludable Diversos estudios en nutrición coinciden en que las dietas ricas en fibra, frutas, verduras y alimentos fermentados favorecen la diversidad bacteriana en el intestino Al mismo tiempo, el consumo excesivo de alimentos ultraprocesados, el estrés crónico y el uso indiscriminado de antibióticos pueden alterar ese equilibrio Los científicos también investigan el papel de los probióticos y prebióticos como posibles aliados para preservar la salud cerebral Estos compuestos alimentan o refuerzan determinadas bacterias beneficiosas y podrían ayudar a mantener la comunicación adecuada entre el intestino y el cerebro

En definitiva, la ciencia está revelando que la memoria no depende únicamente de las neuronas El intestino, con su universo microscópico de bacterias, participa activamente en la forma en que pensamos, aprendemos y recordamos Comprender esta relación podría transformar nuestra manera de prevenir el deterioro cognitivo y replantear una idea que durante mucho tiempo pareció obvia: tal vez el secreto de un cerebro sano no esté solo en la cabeza, sino también en el intestino

A DÓNDE IR, SALUD Y TURISMO

A pesar de su baja incidencia, el mieloma múltiple es el segundo cáncer hematológico más frecuente en México, con alrededor de 2,500 nuevos casos anuales.

Susana Sánchez Segura

Más de 30 años de experiencia en comunicación y periodismo especializada en salud Ha colaborado con medios destacado en prensa, radio, televisión y web Actualmente como consultora de comunicación en relaciones públicas y locutora

En el marco del Día Mundial de las Enfermedades Raras, especialistas se reunieron en el encuentro médico Beyond

Blood para reflexionar sobre cómo la innovación científica está redefiniendo el abordaje del mieloma múltiple (MM), una enfermedad poco frecuente, pero de alto impacto clínico

Un diagnóstico que aún llega tarde

El mieloma múltiple es un cáncer hematológico que se origina en las células plasmáticas y que, en México, se ubica entre los 20 tipos de cáncer más frecuentes Cada año se registran alrededor de 2,500 nuevos casos y, en promedio, 1,500 muertes En la mayoría de los pacientes, el diagnóstico ocurre en etapas avanzadas, lo que históricamente ha limitado las opciones terapéuticas y condicionado la evolución de la enfermedad.

“Frente a su alto impacto clínico hay algo muy claro: incorporar tratamientos más innovadores desde la primera línea no solo representa una evolución terapéutica, sino una oportunidad de modificar el curso de la enfermedad desde el inicio, prolongar la supervivencia y mejorar de manera significativa la calidad de vida de los pacientes”, señaló el Dr Sergio Inclán, hematólogo del Centro ABC.

Un cambio de paradigma en el tratamiento

Durante las últimas décadas, el abordaje del mieloma múltiple ha evolucionado de forma profunda Lo que antes se concebía como un padecimiento marcado por recaídas inevitables y un pronóstico limitado, hoy encuentra en el tratamiento temprano un punto de inflexión capaz de cambiar el curso de la enfermedad desde sus primeras etapas

En este contexto, la incorporación de terapias innovadoras, como los anticuerpos monoclonales, ha ampliado las opciones disponibles tanto para pacientes de nuevo diagnóstico como para aquellos en recaída o con enfermedad refractaria Estos avances han permitido fortalecer los esquemas terapéuticos y mejorar las perspectivas clínicas

Nuevas fronteras terapéuticas

Dado que el mieloma múltiple se caracteriza por recaídas frecuentes, la investigación continúa avanzando hacia nuevas alternativas En este escenario, los anticuerpos biespecíficos representan uno de los desarrollos más relevantes, al actuar como un puente entre las células T del sistema inmunológico y as células tumorales, facilitando su eliminación.

“Los anticuerpos biespecíficos marcan una nueva etapa en el tratamiento del mieloma múltiple al ayudar al organismo a combatir la enfermedad de forma más dirigida Este avance amplía las opciones para pacientes en recaída y redefine el futuro del manejo de la enfermedad”, explicó la Dra. Karla Alexandra Sánchez, hematóloga del Instituto Nacional de Cancerología

Estas terapias representan una alternativa clave para pacientes que han recibido múltiples líneas previas de tratamiento, ampliando el panorama en escenarios donde históricamente las opciones eran limitadas

Hacia una cura funcional

En los últimos 20 años, la innovación en mieloma múltiple ha avanzado de manera significativa, impulsada por el desarrollo de terapias cada vez más precisas y personalizadas.

“En Johnson & Johnson hemos sido pioneros en la evolución del tratamiento del mieloma múltiple, contribuyendo con más de la mitad de las terapias innovadoras aprobadas en las últimas dos décadas Hoy, nuestro compromiso es seguir impulsando innovación desde la primera línea para transformar el pronóstico y la vida de los pacientes, con el objetivo de acercarnos a una cura funcional”, destacó el Dr. Leandro Aldunate, director médico de J&J Innovative Medicine

Ciencia, colaboración y futuro

Iniciativas como Beyond Blood reflejan la importancia del intercambio científico y la colaboración entre especialistas para seguir avanzando en el conocimiento y tratamiento del mieloma múltiple

Porque ir más allá en la medicina no solo implica innovar, sino también generar conocimiento, fortalecer la práctica clínica y, sobre todo, mejorar la vida de las personas que viven con esta enfermedad.

PROGRAMACIÓN MASCO

¿MÚSICA FUERTE PARA ENTRENAR MEJOR? LO QUE LA CIENCIA REVELA SOBRE EL SONIDO EN EL GIMNASIO

Entrar a un gimnasio suele implicar una experiencia sonora intensa. En muchas salas de entrenamiento, especialmente en clases grupales, la música se reproduce a un volumen elevado que parece diseñado para aumentar la energía del ambiente. Durante años se ha asumido que cuanto más fuerte suene la música, mayor será la motivación y el rendimiento físico Sin embargo, investigaciones recientes han comenzado a cuestionar esa idea y ofrecen una perspectiva más matizada sobre el papel del sonido durante el ejercicio

Un estudio reciente realizado por investigadores de la Universidad del Sur de California analizó precisamente este fenómeno. El objetivo era determinar si el volumen elevado de la música realmente influye en la motivación o en la intensidad del entrenamiento Para ello, los científicos observaron a casi doscientas personas que participaban en clases grupales de ejercicio con pesas en un gimnasio de Los Ángeles Durante las sesiones, los investigadores compararon el desempeño de los participantes bajo dos condiciones: una con el volumen habitual de la música y otra con una ligera reducción en los decibeles.

Los resultados fueron sorprendentes A pesar de que muchos asistentes percibían la música fuerte como parte esencial de la experiencia del entrenamiento, el análisis mostró que la reducción del volumen no alteró de forma significativa la percepción del esfuerzo ni la motivación de los participantes En otras palabras, bajar ligeramente el volumen no hizo que las personas entrenaran con menos intensidad ni que se sintieran menos energizadas durante la actividad física

Este hallazgo contradice una creencia muy extendida en la cultura del fitness. Durante décadas, los entrenadores y gimnasios han utilizado música fuerte para crear una atmósfera estimulante, especialmente en disciplinas como spinning, cross training o entrenamiento funcional La lógica parecía clara: un ambiente sonoro potente generaría más adrenalina y ayudaría a las personas a superar el cansancio.

Sin embargo, los investigadores señalan que el verdadero efecto motivacional de la música no depende necesariamente del volumen Lo que realmente influye es el ritmo, la familiaridad con las canciones y la conexión emocional que las personas tienen con la música que escuchan Estudios en psicología del deporte han demostrado que la música puede ayudar a distraer la mente del esfuerzo físico, reducir la percepción de fatiga y mejorar el estado de ánimo durante el ejercicio

Cuando una persona entrena, su cerebro recibe múltiples señales físicas: el aumento del ritmo cardíaco, la tensión muscular o la sensación de cansancio La música puede actuar como un estímulo que desvía la atención de estas señales, haciendo que el ejercicio parezca menos exigente. Este fenómeno explica por qué muchas personas sienten que entrenan mejor cuando escuchan canciones que les resultan motivadoras o que tienen un ritmo marcado.

Pero el volumen elevado también tiene un costo potencial. El mismo estudio advirtió que muchos gimnasios superan los niveles de sonido considerados seguros para la salud auditiva En numerosas clases grupales, el volumen puede superar los 85 decibeles, un umbral que especialistas en salud ocupacional consideran potencialmente dañino cuando la exposición es prolongada.

MÚSICA/MÚSICOS

En el experimento, un porcentaje de los participantes reportó síntomas auditivos temporales después de las sesiones, como tinnitus, un zumbido en los oídos que puede aparecer tras la exposición a sonidos intensos A pesar de ello, apenas una pequeña proporción de asistentes utilizaba protección auditiva durante el entrenamiento.

Esto plantea un dilema interesante para la industria del fitness. Si el volumen alto no mejora realmente el rendimiento, pero sí puede aumentar el riesgo de daño auditivo, quizá sea momento de reconsiderar cómo se diseñan los ambientes sonoros en los gimnasios

Por otro lado, la música sigue siendo un elemento clave para el ejercicio físico Diversas investigaciones han mostrado que escuchar música durante el entrenamiento puede mejorar la coordinación de los movimientos, favorecer el ritmo de la actividad y aumentar la sensación de disfrute Incluso existen programas de entrenamiento que utilizan la sincronización entre el tempo musical y el movimiento corporal para optimizar el rendimiento.

Además, la música tiene un poderoso componente emocional Canciones asociadas con experiencias positivas o con recuerdos personales pueden generar una respuesta motivacional más intensa que simplemente aumentar el volumen de los altavoces Por eso muchos especialistas recomiendan que los deportistas escuchen listas de reproducción personalizadas que se ajusten a su ritmo de ejercicio y a sus preferencias musicales.

En definitiva, la ciencia sugiere que la clave no está en el volumen, sino en la conexión entre la música y la persona que entrena Un ritmo adecuado, una melodía familiar o una canción que despierte emociones pueden ser más efectivas para mantener la motivación que simplemente subir los decibeles

En un entorno donde el bienestar y la salud deberían ser la prioridad, este descubrimiento abre una nueva reflexión: quizás el gimnasio del futuro no será el que suene más fuerte, sino el que logre crear la mejor experiencia sonora para acompañar el movimiento del cuerpo

PROGRAMACIÓN EL CAFÉ

LUNES A VIERNES 10 AM A 12 PM

TICKET TO ROCK

Ricardo Pérez Palacios Durán
Estudió música, letras hispánicas y periodismo Ha colaborado en El Financiero, La Jornada y El Universal Dirige el periódico digital México en la Red

Tras anunciar su colaboración con la icónica franquicia de terror Scream ante un Wembley Arena sold out, la banda Ice Nine Kills presenta su nuevo sencillo "Twisting The Knife", grabado junto a la actriz y estrella en ascenso de Hollywood, Mckenna Grace, quien forma parte del elenco de Scream 7 El tema se escucha de manera prominente en la película y acompaña sus créditos finales

La canción ya ha comenzado a generar expectativa gracias a una campaña de teasers coordinada entre Ice Nine Kills, Mckenna Grace y las cuentas oficiales de Scream en redes sociales, misma que continuará a lo largo de toda la campaña promocional de la película

La banda, junto con Grace y el resto del elenco, asistió al glamuroso estreno de la cinta en Los Ángeles el pasado 25 de febrero, antes de su llegada a salas de cine en todo el mundo

Checa la rola aquí: https://www.youtube.com/watch? v=8sMdT9pkvKE Sobre el sencillo, Spencer Charnas, vocalista de Ice Nine Kills, señala:

"'Twisting the Knife” es nuestro homenaje a Wes Craven y a la franquicia Scream, que tanto significan para nosotros Scream está en el ADN de lo que somos como banda: mi amor por el terror, la comedia y la colisión entre ambos Ya era fanático de Halloween y Viernes 13, pero Scream fue la primera película de terror que vi en el cine. Escuchar al asesino hablar de películas de horror, con esa habilidad popcultural tan característica de Kevin Williamson, me voló la cabeza En los últimos años hemos tenido la oportunidad de conocer y trabajar con Matthew Lillard, Skeet Ulrich, Neve Campbell, Rose McGowan, Jamie Kennedy, Lee Waddell y otros El equipo de Radio Silence incluyó un easter egg de INK en Scream VI, y anunciamos la colaboración con Scream 7 en el Wembley Arena, con Roger L Jackson dando voz a Ghostface

¡Todo esto es surrealista! Cuando supimos que Mckenna Grace es fan de la banda, invitarla a cantar fue lo más natural del mundo Ella grabó su parte en mi estudio en casa, en el mismo cuarto donde guardo mi cuchillo original de Scream uno de los cuatro cuchillos de goma fabricados para la primera película Las partituras de Marco Beltrami para Scream son tan influyentes para mí como cualquier otro elemento de las películas En nuestra canción hay ecos de las atmósferas oscuras que él creó, con nuestro propio toque INK."

Por su parte, los estadounidenses Beartooth con su hardcore punk firmaron recientemente con Fearless Records y ahora lanzaron un primer sencillo

La banda abre un nuevo capítulo en su carrera con el estreno de "Free", su primer lanzamiento tras firmar con Fearless Records El tema llega también como la primera canción desde su álbum The Surface (2023)

https://www youtube com/watch?v=7VzCc7EWDeU

Detrás del sencillo está la creatividad del vocalista Caleb Shomo, quien coescribió y coprodujo el tema junto a Jordan Fish, ex tecladista de Bring Me The Horizon, una colaboración que apunta hacia la evolución sonora que la banda ha comenzado a explorar en esta nueva etapa

En palabras de Shomo, “Free” es mucho más que un lanzamiento, es la puerta de entrada al próximo álbum de Beartooth, al que describe como la representación más honesta de su estado emocional hasta la fecha: "Free es el inicio del siguiente capítulo de mi música y de mi vida. Vivir puede ser una montaña rusa emocional muy compleja; en un mismo día puedes sentir miedo absoluto y alegría total", señaló el cantante

Este lanzamiento coincide con la llegada oficial de Beartooth a Fearless Records, uno de los sellos más importantes en la música pesada Esta firma marca el comienzo de una nueva relación creativa que promete acompañar al grupo en este capítulo musical.

Germán Cueto

EL

En la historia del arte mexicano existen nombres que brillan con intensidad mediática y otros que, sin buscar reflectores, transforman silenciosamente el rumbo de la creación Germán Cueto pertenece a esta segunda categoría Su obra no fue estridente ni monumental en el sentido tradicional, pero abrió caminos decisivos para el arte moderno en México. Fue uno de los primeros artistas en romper con la rigidez académica y en proponer una escultura libre, experimental y profundamente contemporánea

Nacido en la Ciudad de México en 1893, Cueto creció en un país que aún se debatía entre la tradición porfiriana y las transformaciones sociales que desembocarían en la Revolución Mexicana Estudió en la Academia de San Carlos, donde recibió una formación clásica que pronto comenzaría a cuestionar. Aquella enseñanza, centrada en la imitación de modelos europeos y en la perfección académica del cuerpo humano, resultaba insuficiente para un espíritu inquieto que buscaba nuevas formas de expresión

Desde muy temprano comprendió que la escultura no tenía por qué limitarse a reproducir cuerpos o monumentos Podía ser exploración, movimiento, juego con la materia

El artista que eligió la modernidad

A diferencia de muchos artistas mexicanos de su generación, Germán Cueto no se volcó hacia el muralismo ni hacia la narrativa nacionalista que dominaba el arte público tras la Revolución Su camino fue distinto Mientras los grandes muralistas buscaban representar la historia mexicana en muros monumentales, Cueto miraba hacia las vanguardias europeas y hacia el potencial abstracto de la forma

En la década de 1920 viajó a París, uno de los epicentros del arte moderno. Allí entró en contacto con movimientos como el cubismo, el dadaísmo y el constructivismo, corrientes que transformaban radicalmente la manera de entender la escultura y la pintura Cueto absorbió esas influencias sin perder su identidad, desarrollando un lenguaje personal que combinaba experimentación formal con una sensibilidad profundamente poética

En París formó parte del círculo artístico internacional y se vinculó con creadores que estaban redefiniendo la escultura como objeto dinámico. En lugar de la masa sólida tradicional, comenzó a trabajar con planos, estructuras abiertas y materiales poco convencionales

Las máscaras y el teatro de la forma

Uno de los aspectos más fascinantes de la obra de Germán Cueto es su trabajo con máscaras Estas piezas, creadas para el teatro experimental y para exploraciones escultóricas autónomas, representan una de sus contribuciones más originales al arte mexicano.

Las máscaras de Cueto no buscan reproducir rostros realistas Son formas expresivas, a veces geométricas, a veces casi abstractas, que transforman el rostro humano en símbolo. En ellas conviven la tradición prehispánica, la experimentación moderna y el espíritu lúdico del teatro.

24 DE MARZO DE 2026

ARTE

Para Cueto, la máscara era más que un objeto escénico: era un puente entre identidad y transformación. Al cubrir el rostro, el individuo se convierte en personaje, en símbolo, en arquetipo Esta fascinación por el teatro y por el movimiento escénico lo llevó a colaborar con proyectos culturales que buscaban renovar la escena artística mexicana.

La escultura como espacio abierto

Otra de las innovaciones fundamentales de Germán Cueto fue su manera de entender el espacio escultórico. Mientras la escultura tradicional se concebía como un bloque sólido, él comenzó a trabajar con estructuras abiertas, con líneas que dibujan volúmenes en el aire

Utilizó materiales diversos: metal, alambre, madera, lámina. Estos elementos le permitían crear esculturas ligeras, casi aéreas, donde el vacío tenía tanta importancia como la materia La forma ya no estaba encerrada en sí misma; dialogaba con el espacio que la rodeaba

Esta concepción anticipó muchas de las búsquedas que décadas después desarrollarían escultores contemporáneos. Cueto estaba adelantado a su tiempo. En un país donde la escultura pública aún estaba dominada por monumentos heroicos, él proponía una estética experimental, cercana a las vanguardias internacionales

Un artista fuera de las corrientes dominantes

La trayectoria de Germán Cueto no encajó fácilmente dentro de las narrativas oficiales del arte mexicano El muralismo dominaba el discurso cultural, y las propuestas abstractas o experimentales eran vistas con cierta desconfianza. Por esa razón, durante muchos años su obra fue menos difundida que la de otros contemporáneos

Sin embargo, con el paso del tiempo su figura ha sido reconocida como fundamental para comprender la transición del arte mexicano hacia la modernidad. Cueto no solo introdujo nuevas formas escultóricas; también demostró que el arte mexicano podía dialogar con las corrientes internacionales sin perder su singularidad

Su trabajo abrió un camino que más tarde seguirían artistas vinculados a la llamada generación de la Ruptura, quienes también cuestionaron el predominio del muralismo y buscaron nuevas formas de expresión

La libertad como principio creativo

A lo largo de su vida, Germán Cueto mantuvo una postura constante: el arte debía ser un espacio de libertad No creía en las fórmulas rígidas ni en las imposiciones ideológicas sobre la creación Para él, la exploración formal era una manera de pensar el mundo.

Su obra demuestra que la innovación no siempre surge del enfrentamiento directo con las tradiciones, sino también de la paciencia, del trabajo constante y de la curiosidad intelectual. Cueto no buscó escándalos ni proclamaciones radicales; dejó que su obra hablara por él.

La vigencia de una mirada experimental

En el contexto actual, donde la producción visual se ha multiplicado gracias a la tecnología digital y donde incluso la inteligencia artificial comienza a generar imágenes y formas escultóricas virtuales, la obra de Germán Cueto adquiere una relevancia particular

Sus esculturas recuerdan que el arte no es solo resultado, sino proceso físico La relación entre el artista y la materia el metal doblado, el alambre tensado, la superficie transformada es una experiencia que ninguna simulación puede replicar completamente En sus piezas hay una huella humana irrepetible.

Proteger la memoria de artistas como Cueto significa reconocer que la historia del arte no se construye únicamente con las figuras más visibles, sino también con aquellos creadores que, desde los márgenes, ampliaron las posibilidades de lo que el arte podía ser.

El escultor que abrió el espacio

Germán Cueto murió en 1975, dejando una obra que hoy se reconoce como pionera dentro de la escultura moderna mexicana Su legado no está en monumentos gigantescos ni en discursos épicos, sino en algo más sutil y profundo: la libertad de la forma

Gracias a artistas como él, la escultura dejó de ser solo masa y se convirtió también en línea, en estructura, en espacio abierto Su trabajo nos recuerda que el arte no necesita imponerse para transformar; a veces basta con liberar una forma para cambiar la historia

.

EL TINTERO

Rodrigo García

Diseñador Gráfico de profesión y apasionado del diseño editorial Me encanta la lectura como fuente inagotable de conocimiento e inspiración, el cine y la música, en especial el rock clásico y el blues, como banda sonora de mi vida

Hablar de Felipe Cazals (1937-2021) no es solo hablar de cine, es hablar de una disección quirúrgica de la realidad mexicana Miembro fundamental de la generación que renovó el cine nacional en los años 70, Cazals se alejó del falso glamour y el costumbrismo complaciente para clavar la mirada en los rincones más oscuros de la condición humana y el sistema social.

Un Estilo Marcado por la Crudeza

Su estilo cinematográfico es inconfundible: una estética naturalista y asfixiante Cazals utilizaba la cámara no para observar, sino para confrontar Sus puestas en escena suelen ser claustrofóbicas, incluso en exteriores, logrando que el espectador sienta la presión psicológica y física de sus personajes Su narrativa no busca la catarsis fácil; busca la reflexión a través de la incomodidad, utilizando un ritmo pausado pero implacable que suele desembocar en estallidos de violencia seca y despojada de heroísmo, los diálogos en sus películas son directos, crudos, sin rodeos

La Trilogía de la Violencia y el Poder

El legado de Cazals se cimenta, en gran medida, en su capacidad para transformar hechos reales en potentes alegorías sociales.

1. Canoa (1976): Considerada su obra maestra, es un retrato aterrador del fanatismo religioso y la paranoia anticomunista Al narrar el linchamiento de unos jóvenes empleados de la BUAP en San Miguel Canoa, Cazals no solo recreó un crimen, sino que denunció la manipulación de las masas y la descomposición del tejido social

2 El Apando (1976): Basada en la novela de José Revueltas, esta cinta es un estudio sobre el encierro y la degradación. Situada en la prisión de Lecumberri, la película utiliza el espacio mínimo para explorar la corrupción del alma y el cuerpo, estableciendo una metáfora sobre la falta de libertad en todas sus formas

3 Las Poquianchis (1976): Aquí, el director aborda el caso real de las hermanas González Valenzuela Lejos de caer en el amarillismo, Cazals analiza los mecanismos de explotación, la complicidad de las autoridades y la miseria estructural que permite que tales atrocidades ocurran.

La Complejidad de la Culpa: Los Motivos de Luz (1985) Años después, Cazals retomó su interés por la psique femenina y la justicia con Los Motivos de Luz Basada en el caso de Elvira Luz Cruz, acusada de asesinar a sus hijos, la película es un drama psicológico que cuestiona la verdad oficial Cazals no ofrece respuestas absolutas, sino que expone las carencias de una mujer atrapada entre la ignorancia, la opresión patriarcal y un sistema judicial sordo y ciego. Es, quizás, su obra más introspectiva y desgarradora.

Un Legado Imprescindible

En 2010, la Academia Mexicana de Artes y Ciencias Cinematográficas (AMACC) le otorgó el Ariel de Oro a Felipe Cazals en reconocimiento a su invaluable trayectoria y su papel como pilar del cine nacional

Felipe Cazals dejó un vacío imposible de llenar, pero una herencia visual necesaria. Su cine es un espejo en el que México no siempre quiere verse, pero en el que debe reconocerse para entender sus propias cicatrices Fue un director que entendió que el arte tiene el deber de ser incómodo si con ello logra despertar la conciencia crítica

Hoy, sus películas no son solo piezas de archivo; son documentos vivos que siguen dialogando con las injusticias y tensiones del presente. Cazals no buscaba el aplauso, buscaba la verdad, por más dolorosa que esta fuera.

Ha pasado una de las fechas más controversiales del año, el 8M, un evento anual que intenta visibilizar aquellos abusos cometidos contra las mujeres por el simple hecho de ser mujeres, y aunque la premisa no es del todo errónea, necesita MUCHO más crítica que sólo: masculino = problema, femenino = solución, ya que hay que englobar los elementos culturales perpetuados por generaciones en nuestro México-mágico, comprendido también como -y es de hecho una de sus quejas- que la educación de los hijos es limitada a las mujeres, y si la cultura parte de los principios y pilares de toda crianza, y las mujeres son las responsables de la crianza, Y si el machismo es parte de la cultura

Bueno, sé que pueden seguir el silogismo

Sin embargo, esta vez no vine a criticar el movimiento feminista que en verdad es un bien necesario que es llevado en limitante social, ya que los hombres -por ser hombres- al parecer no podemos ni opinar ni participar del movimiento, más que para ‘darles la razón’, sin criticar

Y ese es justo el motivo de esto, la crítica

Fui en estos días acusado de sólo compartir noticias que CRITICABAN los eventos negativos relacionados con el movimiento feminista -recuerdan que les dije: los hombres no podemos criticar, sólo decir “ah sí, tienes razón-, que porque ‘compartiendo sólo lo negativo estoy polarizado a una visión y que no critico a los hombres’ -cuando en realidad soy crítico ante todo y todos- y que, aunque no todo era positivo, no tendría porqué compartir sólo lo ‘malo’

Nótese: esta persona es consciente de la negatividad de algunas actitudes inherentes al movimiento del 8M, aun así, no tendría que compartirse y que entonces ya me había superado en el uso del pensamiento crítico -lo cual como docente me daría la mayor felicidad del mundo, que uno de mis educandos me supere-

Pero su necesidad a defender una ideología es justo la evidencia de que la crítica a través de la razón está muy lejos de poder ser lograda

Los que me han seguido ya desde hace un rato saben que mi autor adorado es J.R.R. Tolkien, su obra es la que me acercó a la lectura y me dio el periodo de mi vida más feliz que fue estar en Punto y coma

PERO

También soy uno de sus más grandes críticos Puedo notar y denotar y mostrar sin dudas ni miedos las fallas y faltas dentro de la lectura del Profesor, puedo recomendar autores que realmente tienen un nivel ‘superior’ sin demeritar jamás a Tolkien, sólo es ser CRÍTICO

Immanuel Kant menciona que debemos realizar un examen constituye un examen, juicio o crítica, no de los productos o de los métodos del conocimiento humano, sino de las posibilidades de conocimiento de la misma razón; si perpetuamos una ideología por la necesidad misma de validación y porque hemos invertido mucho en dicho pensamiento, lo único que estamos haciendo es una negación voluntaria de todos los elementos, tanto positivos como negativos, que nos llevarían realmente a un resultado útil y perdurable.

Por eso ninguna ideología debe seguirse a pie juntillas, cualquier ‘-ismo’ debe ser desechado desde su absoluta descripción, más aun comprendiendo su cualidad social dinámica, es decir: SIEMPRE VAN A ADAPTARSE A CONVENIENCIA DEL GRUPO QUE BUSCA SU INSTAURACIÓN

Seguir un pensamiento único e idealizado, justificando lo útil y desechando los elementos que lo completan es sólo un sesgo de confirmación, no una crítica racional

Es menester dejar en claro que el uso de la razón es el nivel superior al que el pensamiento humano aspira, se necesita bastante valor y fortaleza para aceptar que nuestra creencia está errónea y debe modificarse, así que aun no lo han alcanzado, no cejen en su búsqueda.

Sólo recuerden: "cualquier hombre que deba decir 'yo soy el rey', no es un verdadero rey". Si necesitan presumir un lugar que no han alcanzado, mediten qué vacío cognitivo están llenando Si no pueden ser críticos consigo mismos, no pueden serlo en ningún otro aspecto

Daniel ‘El Malo Pérez‘

Desde la incómoda verdad se levanta El Malo para hablar de aquello que nadie quiere decir -pero que todos piensan-, lector, escritor, docente, nihil, su visión estará pronta a motivar a todos los demás a levantar la voz

Vivimos bajo una opresión silenciosa pero implacable: la dictadura del "todo bien". No es una tiranía impuesta por un gobierno o un líder, sino una presión social invisible y omnipresente que se filtra en cada interacción, cada publicación y cada respuesta. Es esa necesidad autoimpuesta y reforzada por el entorno que nos empuja a mantener una fachada de perfección Estamos obligados a sonreír aunque por dentro nos estemos desmoronando, a responder "estoy bien" como autómatas, incluso cuando la verdad pueda ser una maraña de ansiedad, tristeza o frustración.

Esta imposición va más allá de una simple cortesía; se ha convertido en la moneda de cambio para la aceptación social Nos exige llenar las redes sociales de filtros que ocultan la realidad de nuestra vida y nuestro sentir. El mundo digital se ha convertido en un catálogo de logros, sonrisas y momentos aparentemente idílicos, mientras la autenticidad se archiva como un defecto Sonreír sin importar las circunstancias se ha vuelto una obligación, un uniforme que hay que vestir Y estar bien, o fingir estarlo, es necesario para ser aceptado y estar a la moda.

Y cuando en alguna ocasión nos encontramos de forma presencial, se evita hablar de lo que se siente y se opta por conversar acerca de lo que se tiene La interacción humana se ha vuelto una obra de teatro donde todos interpretan el papel del triunfador inquebrantable, del matrimonio ejemplar, del hombre de éxito, de la esposa permanentemente enamorada, de los hijos llenos de logros… Como si se pudiera tapar el sol con un dedo, como si no fuera suficientemente evidente que no siempre se está bien Esta simulación colectiva borra la posibilidad de la vulnerabilidad, como si no tuviéramos derecho a equivocarnos, como si las cosas no pudieran a veces salir mal, o simplemente no existiera la posibilidad de no estar en nuestro mejor momento.

Detrás de ese telón de sonrisas, encuentro cada día con más frecuencia un optimismo tóxico. No es el optimismo genuino que motiva y apoya, sino uno que nos prohíbe mostrarnos como somos realmente Es la negación patológica de cualquier emoción considerada "negativa" Gracias a esta coerción emocional, nos acercamos unos a otros con nuestras mejores máscaras y los más exuberantes disfraces.

En este afán por conservar la apariencia no queda espacio para la empatía. Vivimos en un estado de alerta permanente temiendo que se hagan visibles nuestras lágrimas, fracasos, angustias o problemas Es un hecho real y humano que no siempre podemos sonreír al llegar la noche y que a veces el sueño se puede ver interrumpido por la angustia, sobre todo cuando la salud se ve amenazada, la relación de pareja se deteriora, o el trabajo se complica

Y como todas las imposiciones, esta manera de vivir se ha convertido en una prisión psicológica que nos impide ser libres y auténticos Es una prisión psicológica de la que somos carceleros y prisioneros a la vez, y no solo nos hemos metido en ella, sino pareciera que estando ahí nos sentimos a gusto Nos hemos acostumbrado tanto a ello, que la idea de quitarnos la máscara y mostrarnos como somos se siente aterradora, casi como un acto de rebeldía o de locura. La fachada se ha vuelto más importante que el cimiento, y en ese proceso, pareciera que hemos olvidado que somos humanos, y hemos renunciado a ser nosotros mismos para no incomodar a los demás y, equivocadamente, mantenernos a salvo

Ligia García y García (Ciudad de Guatemala, 1975)

Poeta, escritora, editora y docente

Ha publicado dice libros de poesía, tres de narrativa y un texto para teatro En la escritura como en la docencia cuenta con una trayectoria de más de 20 años Es fundadora de Alasyplumas Ediciones, editorial con procesos de formación para autores emergentes Es fundadora del Festival Internacional de Poesía en Antigua Guatemala

OPINIÓN INNECESARIA

En la película Tropic Thunder (2008), mientras los protagonistas marchan por la selva, hay una escena que parece un chiste improvisado pero que, curiosamente, resume décadas de historia tecnológica El personaje Kevin Sandusky, interpretado por Jay Baruchel, explica con total naturalidad que los formatos que dominan el mercado suelen decidirse por dos fuerzas muy concretas: los videojuegos y el porno Puede sonar exagerado, pero la historia de la tecnología audiovisual ha demostrado que esa teoría no está tan lejos de la realidad.

Durante años, el mundo del entretenimiento ha vivido pequeñas guerras silenciosas entre formatos Algunas se resolvieron por calidad, otras por precio, pero muchas terminaron inclinándose por razones culturales y económicas que poco tenían que ver con la ingeniería

Comunicador locutor productor y creador sonoro con más de 15 años creando contenidos que viajan por el espectro entre la información y la emoción Ha trabajado en medios públicos y privados desarrollando programas, campañas políticas, culturales, y proyectos creativos Cinéfilo por vocación, melómano por necesidad y narrador de historias en tiempos de prisa

El ejemplo más famoso ocurrió en los años ochenta, cuando dos sistemas competían por convertirse en el estándar del video doméstico: Betamax y VHS Betamax ofrecía mejor calidad de imagen, pero VHS permitía grabaciones más largas y resultaba más barato de producir Lo que terminó inclinando la balanza fue algo inesperado: la industria pornográfica adoptó masivamente VHS para distribuir su contenido Los videoclubs comenzaron a llenar sus estantes con ese formato y, en pocos años, VHS se convirtió en el estándar mundial. El formato técnicamente inferior ganó la batalla

Décadas después, algo parecido ocurrió con otra guerra tecnológica: Blu-ray contra HD-DVD Esta vez la variable decisiva no fue el porno, sino los videojuegos. Cuando PlayStation 3 llegó al mercado con un reproductor Blu-ray integrado, millones de hogares obtuvieron automáticamente acceso a ese formato El resultado fue claro: Blu-ray se consolidó como el nuevo estándar del video en alta definición

Pero entre esas grandes guerras de formatos hay historias más silenciosas, casi románticas, de tecnologías que eran brillantes… y aun así desaparecieron.

Una de ellas fue el MiniDisc

Lanzado por Sony en 1992, el MiniDisc prometía resolver muchos de los problemas del CD y del cassette al mismo tiempo Era pequeño, estaba protegido dentro de un cartucho, permitía grabar y regrabar música con facilidad, editar pistas, reorganizar canciones y mantener una calidad cercana al CD. Para muchos ingenieros de audio era el formato perfecto: portátil, robusto y flexible

El problema fue el momento histórico

En los noventa, el CD dominaba el mercado y parecía imposible reemplazarlo Y cuando el MiniDisc finalmente empezaba a encontrar su lugar, apareció una tecnología mucho más disruptiva: el MP3 De pronto, la música dejó de depender de discos físicos La gente comenzó a descargar canciones, compartir archivos y llevar miles de pistas en dispositivos cada vez más pequeños, sin importar sacrificar significativamente la calidad de audio.

El punto de quiebre llegó cuando programas como Napster, Ares y LimeWire demostraron que la música ya no necesitaba un soporte físico para viajar por el mundo En cuestión de meses, millones de canciones comenzaron a circular por internet Sí, existían virus, la calidad era incierta y algunas descargas podían tardar días enteros Pero nada de eso importaba. La música, de pronto, parecía pertenecer a todos. Para los formatos físicos no hubo manera de competir

El MiniDisc era una maravilla tecnológica… pero llegó justo cuando el mundo estaba a punto de dejar de querer formatos Vivirá siempre la incógnita de qué sería de la música hoy sin la disrupción de Napster y compañía

Algo parecido ocurrió con el Super Audio CD (SACD), presentado en 1999 por Sony y Philips Prometía una calidad de sonido superior al CD mediante una tecnología llamada Direct Stream Digital. Un álbum de jazz, Joe Byrd and the Field Hippies, lanzado en el mercado japonés, cuenta con el honor de ser el primer SACD comercial de la historia

Tuve la oportunidad de escuchar un Super CD de The Dark Side of the Moon de Pink Floyd en 5.1, y el resultado fue simplemente espectacular

Para audiófilos y amantes del sonido era un sueño Pero el público general ya estaba entrando en otra era: el MP3 y, poco después, otro asesino de formatos, el iPod. Algunos álbumes incluso se publicaron en SACD con la promesa de que escucharíamos la música “tal como fue grabada” Pero el público ya había tomado otra decisión: prefería llevar mil canciones en el bolsillo, aunque sonaran peor

La historia de los formatos musicales está llena de estas paradojas Durante décadas la industria luchó por mejorar la fidelidad del sonido, aumentar la capacidad de los discos y perfeccionar la experiencia física de escuchar música Pero el verdadero cambio ocurrió cuando la música dejó de ser un objeto y se convirtió primero en un archivo… y luego en un servicio

Hoy escuchamos prácticamente toda la música del mundo desde un teléfono Millones de canciones disponibles en segundos, sin necesidad de cargar un solo disco. Es cómodo, eficiente y extraordinariamente práctico Pero también significa que muchos de aquellos formatos que prometían el futuro quedaron atrapados en el pasado.

Quizá por eso los formatos olvidados generan tanta nostalgia Representan una época en la que escuchar música implicaba tocar algo: abrir una caja, insertar un disco, rebobinar una cinta, mirar un arte impreso. Había una relación física entre la música y quien la escuchaba

Ahí está la ironía: algunos de los mejores formatos jamás creados desaparecieron no porque fueran malos, sino por llegar en el momento equivocado

Al final, dentro de su caos, Tropic Thunder tenía una teoría con mucha verdad: las guerras tecnológicas rara vez se deciden solo por calidad Se deciden por cultura, por industria y por quién logra convencer al mundo de adoptar su manera de escuchar.

Mientras tanto, en algunos rincones todavía existen formatos musicales esperando que alguien vuelva a dar “play” Tesoros que pertenecen a una época en la que la música todavía ocupaba espacio en nuestras manos… un vacío que las nuevas tecnologías no parecen interesadas en llenar

ARQUITECTURA

Las Ciudades, Pueblos y Poblados todos presentan en sus centros históricos problemas los cuales se enfrentan a profundos cambios funcionales y sociales. Los cuales sufren transformaciones históricas, económicas, culturales, turísticas y simbólicas, también se crean conflictivos donde están en tensión permanente, la tensión del cambio, viejas y nuevas funciones La planificación urbana está teniendo dificultades para adaptarse a los paisajes en donde el pasado ha quedado atrás y el presente lo está o ha desplazado

El paisaje cultural pocas veces valorado ya que los problemas de reorganización interna, renovación, protección o recuperación, siempre han estado presentes Por ello, existen más de una vía de intervención de los centros históricos, primando en unos casos planteamientos conservacionistas y en otras posturas enmarcadas en estrategias de recuperación de naturaleza de manera más integral

Es sabido que siempre que en la Historia se producen cambios socioeconómicos de gran calado, se repercute en otros ámbitos a manera de efecto mariposa dando por resultado en algunos unos cambios poco considerables a favor y en contraste un abandono por completo en unos o de intervención potencial, éste es el caso de la revolución de las nuevas tecnologías de la informática y de la telemática, del turismo de masas o de la globalización de las pautas de consumo, hay que replantearse en nuevos términos la cuestión de la funcionalidad de los centros históricos

En la vida de una ciudad, en cuanto realidad urbana viva y dinámica, las políticas de protección y recuperación, para ser eficaces, tienen que dotarse de instrumentos capaces de regular la tensión existente entre unas realidades físicas estáticas y unas realidades socioeconómicas cambiantes En España, país de vieja cultura y civilización urbana, desde la puesta en marcha de los Estudios Piloto de Rehabilitación Urbana por el gobierno de la UCD, en los primeros años de la transición democrática, a los Programas Urban, desarrollados con apoyo financiero de la Unión Europea, se ha producido un "salto cualitativo" en la valoración de la dimensión históricocultural de la ciudad, en los métodos de análisis de la realidad urbana y también en las técnicas y modelos de intervención urbanística, ganando fuerza planteamientos de recuperación y puesta en valor de la ciudad histórica

La confluencia multifactorial de distinta naturaleza y muy diversa como: política, económica, social y cultural han permitido que, en el ámbito jurídico, se hayan creado los marcos necesarios para poder desarrollar políticas urbanas capaces de romper con el ciclo de la degradación-renovación especulativa, vigente todavía en el último tercio del siglo XX

Sin embargo, en el ámbito de la realidad, subsisten problemas de deterioro físico, degradación social y pérdida de vitalidad funcional, tanto en grandes como en pequeñas o medianas ciudades y la recuperación integrada está teniendo dificultades para consolidarse debido, además de a cierta escasez de recursos y las dificultades de gestión, a un cierto olvido de las dimensiones sociales y funcionales

La difusión de la ciudad en el territorio, el estallido de las estructuras urbanas tradicionales y las insatisfacciones del planeamiento urbanístico, aconsejan, en estos comienzos del siglo XXI, plantearse algunas preguntas:

¿cuál debe ser el papel de los núcleos históricos en las nuevas estructuras urbanas y territoriales?; ¿cuál es el papel y dónde están los límites del turismo y la cultura en la recuperación de los centros históricos?; ¿Qué innovaciones es necesario introducir en el terreno de la planificación y de la gestión para llenar de funcionalidad renovada a espacios cargados de valores y de símbolos?

Para poder llegar a un acuerdo debemos tener claro que la gentrificación también está latente en estos centros históricos y se trata de revitalizar, debemos plantear nuevas formas y distintas a las que tenemos, puesto que no están dando resultados óptimos a los planteados, sin embargo la integración de nuevos programas sociales la sensibilización y sociabilización de espacios a dar el uso adecuado es uno de los retos que hoy día se enfrenta

O l da i r A c o s t a L ó p ez

Licenciatura y Maestría en Arquitectura

Estudió Ciencias de la Tierra en el Instituto Tecnológico de Zacatecas

Estudió en el Instituto de Selección y Capacitación (INSELCAP) Estudió Comercialización en la UTEZ

24 DE MARZO DE 2026

Turn static files into dynamic content formats.

Create a flipbook