Kirurgen 4-2025

Page 1


Hjernesvulster MIN PHD Pankreaskreft

SEAL & CUT - Hybrid Energy

Dissect and seal tissue simultaneously in one efficient step, including vessels up to 7 mm.

SEAL - Advanced Bipolar Energy

Reliably seal vessels up to 7 mm, including spot hemostasis for acute bleeding.

ULTRASONIC - Ultrasonic Energy

Perform fine dissections at times that call for cutting without bipolar energy.

www.olympus.eu/THUNDERBEAT

TEMAER I 2025: Nr. 1. Plastikkirurgi

Nr. 2. Bryst- og endokrinkirurgi

Nr. 3. IBD-kirurgi

Nr. 4. Hjernesvulster

INNLEVERINGSFRISTER 2026:

Nr 1. Artroskopisk kirurgi: 24/1-26

Nr 2. Barnekirurgi: 24/4-26

Nr 3. TBA: 24/8-26

Kirurgen ønsker å være en nasjonal plattform for kirurgi ved å inspirere til faglig kompetanseheving, bedre utdanning og opplæring av unge kirurger, samt øke interessen for kirurgisk forskning. – VISJON, KIRURGEN

UTGIVER

Norsk Kirurgisk Forening Pb 17 Kjelsås, 0411 Oslo ISSN 1504-88 88

REDAKSJON

Tobias Hauge (redaktør) OUS Ullevål tobias@kirurgen.no

Marte Bliksøen (redaksjonsmedlem) OUS Rikshospitalet marte@kirurgen.no

Saira Mauland Mansoor (redaksjonsmedlem) OUS Ullevål saira@kirurgen.no

David Hui (redaksjonsmedlem) OUS Rikshospitalet david@kirurgen.no

Øystein Njølstad Skandsen (redaksjonsmedlem) UNN Harstad oystein@kirurgen.no

Maren Baarlid (redaksjonsmedlem) Sykehuset Østfold maren@kirurgen.no

Kristin Read (redaksjonsmedlem) OUS Ullevål kristin@kirurgen.no

FASTE SPALTER

Ord fra redaktøren

TEMA

Fra registertil reseksjon

Hjernesvulstregisteret gir ny kunnskap og grunnlag for kvalitetsforbedring og forskning 206

Kirurgisk behandling av lavgradige gliomer 212

Kirurgisk behandling av høygradige gliomer 218

Hjernesvulster hos barn – diagnostikk, behandling og fremtidsperspektiver 222

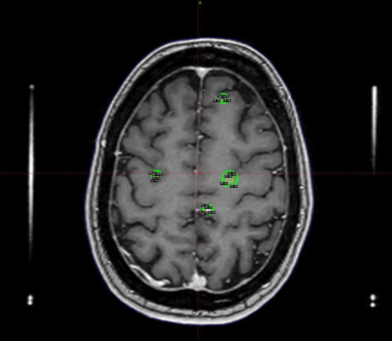
Stråleknivbehandling av hjernesvulst

Diagnostikk og behandling av meningeomer 236

HØSTMØTET 2025

Årets artikkel i Kirurgen 2024/2025 242

100 Høstmøter – og galla på The Hub

Bilder fra det 100. Høstmøtet og Kirurgmiddagen 2025 247

MIN PHD

Optimalisering av diagnostisk utredning og behandling hos pasienter med borderline og lokalavansert pankreaskreft. Innblikk i NorPACT-2 studien 248

MALTHES LEGAT

Reisebrev fra E-AHPBA 2025 i Dublin 251

REISEBREV

Reisebrev fra Queen Alexandra Hospital i Portsmouth 253

ØNSKER DU IKKE Å FÅ TILSENDT KIRURGEN LENGRE? medlemsservice@kirurgen.no

FORSIDEBILDET: Terje Sundstrøm

LAYOUT, PRODUKSJON OG ANNONSESALG Apriil Media AS www.apriil.no

Annonsesalg ragnar.madsen@apriil.no Tlf.: 92 84 84 02

Rask gjenopprettelse av testosteron ORGOVYX® (relugoliks)

For behandling av voksne pasienter med fremskreden hormonsensitiv prostatakreft2

ADT= Androgen Deprivation Therapy

*Behandling av avansert hormonavhengig prostatakreft. Refusjonskoder: ICPC Y77: Ondartet svulst i prostata. ICD C61 Ondartet svulst i blærehalskjertel. Vilkår 9: Behandlingen skal være instituert i sykehus, sykehuspoliklinikk eller av spesialist i vedkommende disiplin.

Referanser: 1. Shore ND, et al. N Engl J Med. 2020;382(4):2187–2196. 2. Preparatomtale Orgovyx (relugoliks), seksjon 4.1 og 5.1. www.felleskatalogen.no.

Dette legemidlet er underlagt særlig overvåking. Orgovyx (relugoliks) 120 mg filmdrasjerte tabletter, ATC-nr.: L02BX04, Reseptgruppe: C. Reseptbelagt. Indikasjon: Behandling av voksne pasienter med fremskreden hormonsensitiv prostatakreft. Dosering og administrasjonsmåte: Behandling med Orgovyx skal startes og overvåkes av spesialleger med erfaring innen medisinsk behandling av prostatakreft. Behandling med Orgovyx skal innledes med en startdose på 360 mg (tre tabletter) på den første dagen, etterfulgt av en dose på 120 mg (én tablett) som tas én gang daglig på omtrent samme tid hver dag. Orgovyx kan tas med eller uten mat. Tablettene bør tas med litt væske etter behov, og skal svelges hele. Kontraindikasjoner: Overfølsomhet for innholdsstoffene. Advarsler og forsiktighetsregler: Androgen deprivasjonsterapi kan forlenge QT-intervallet. Hos pasienter med en historie med eller risikofaktorer for QT-forlengelse samt hos pasienter som samtidig får legemidler som kan forlenge QT-intervallet, må man nøye evaluere samtidig bruk av Orgovyx med legemidler kjent for å forlenge QT-intervallet, eller legemidler som kan indusere torsades de pointes, slik som klasse IA (f.eks. kinidin, disopyramid) eller klasse III (f.eks. amiodaron, sotalol, dofetilid, ibutilid) antiarytmika, metadon, moksifloksacin, antipsykotika osv. Hjerte- og karsykdom slik som myokardinfarkt og slag har blitt rapportert for pasienter som fikk androgen deprivasjonsterapi. Derfor bør alle risikofaktorer for hjerte- og karsykdom tas med i beregningen. Redusert bentetthet kan forekomme. Redusert bentetthet, hos pasienter med ytterligere risikofaktorer, kan føre til osteoporose og økt risiko for benfraktur. Overvåkning av leverfunksjon hos pasienter med kjent eller mistenkt leversykdom er tilrådelig under behandling, da det er observert lette forbigående økninger i ALAT og ASAT. Forsiktighet ved alvorlig nedsatt nyrefunksjon. Eksponeringen for relugoliks hos pasienter med alvorlig nedsatt nyrefunksjon kan være økt med opptil 2 ganger. Det må utvises forsiktighet hos pasienter med alvorlig nedsatt nyrefunksjon ved administrasjon av en 120 mg dose med relugoliks én gang daglig. Effekten av Orgovyx skal overvåkes via kliniske parametere og nivåer av prostataspesifikt antigen (PSA) i serum. Interaksjoner: P-gp-hemmere: Samtidig administrasjon av Orgovyx og orale P-gp-hemmere anbefales ikke. Legemidler som er orale P-gp-hemmere inkluderer visse legemidler mot infeksjon (f.eks. azitromycin, erytromycin, klaritromycin, gentamicin, tetracyklin), antimykotika (ketokonazol, itrakonazol), antihypertensiva (f.eks. karvedilol, verapamil), antiarytmika (f.eks. amiodaron, dronedaron, propafenon, kinidin), antianginale legemidler (f.eks. ranolazin), cyklosporin, humant immunsviktvirus (hiv)- eller hepatitt C-virus (HCV)-proteasehemmere (f.eks. ritonavir, telaprevir). Hvis samtidig administrasjon med orale P-gp-hemmere én eller to ganger daglig er nødvendig, skal Orgovyx tas først og den orale P-gp-hemmeren tas 6 timer senere, og pasientene skal overvåkes hyppigere for bivirkninger. Alternativt kan behandling med Orgovyx avbrytes i opptil 2 uker for en kort behandlingsperiode med en P-gp-hemmer. Hvis behandling med Orgovyx avbrytes i mer enn 7 dager, skal administrasjon av Orgovyx gjenopptas med en startdose på 360 mg på den første dagen etterfulgt av 120 mg én gang daglig. Kombinerte P-gp- og sterke CYP3A-induktorer: Samtidig administrasjon av Orgovyx med kombinerte P-gp- og sterke CYP3A-induktorer anbefales ikke. Legemidler som er kombinerte P-gp- og sterke CYP3A4-induktorer inkluderer den androgene reseptorinduktoren apalutamid, visse antikonvulsiva (f.eks. karbamazepin, fenytoin, fenobarbital), legemidler mot infeksjon (f.eks. rifampicin, rifabutin), johannesurt (Hypericum perforatum), hiv- eller HCV-proteaseinduktorer (f.eks. ritonavir) og ikke-nukleoside reverstranskriptaseinduktorer (f.eks. efavirenz). Hvis samtidig administrasjon er nødvendig, skal Orgovyx-dosen økes. Etter seponering av den kombinerte P-gp- og sterke CYP3A-induktoren skal den anbefalte dosen Orgovyx gjenopptas én gang daglig. Fertilitet, graviditet og amming: Legemidlet er ikke indisert for kvinner i fertil alder. Det skal ikke brukes hos kvinner som er eller kan være gravide eller som ammer. Bivirkninger: Noen mindre vanlige bivirkninger kan være alvorlige, og lege kontaktes umiddelbart dersom symptomer på urtikaria eller angioødem utvikles (kan forekomme hos opptil 1 av 100 personer). De vanligste bivirkningene under behandling med relugoliks er fysiologiske effekter av testosteronsuppresjon, inkludert hetetokter (54 %), muskel- og skjelettsmerter (30 %) og fatigue (26 %). Andre svært vanlige bivirkninger inkluderer diaré og forstoppelse (12 % hver). Svært vanlige: Karsykdommer: hetetokter. Gastrointestinale sykdommer: diaré, forstoppelse. Sykdommer i muskler, bindevev og skjelett: muskel- og skjelettsmerter. Generelle lidelser og reaksjoner på administrasjonsstedet: fatigue. Vanlige: Sykdommer i blod og lymfatiske organer: anemi. Endokrine sykdommer: gynekomasti. Psykiatriske lidelser: insomni, depresjon. Nevrologiske sykdommer: svimmelhet, hodepine. Gastrointestinale sykdommer: kvalme. Hud- og underhudssykdommer: hyperhidrose, utslett. Lidelser i kjønnsorganer og brystsykdommer: redusert libido. Undersøkelser: vektøkning, økt glukosed, økt triglyserid, økt blodkolesterol. Mindre vanlige: Hjertesykdommer: myokardinfarkt. Hud- og underhudssykdommer: urtikaria, angioødem. Sykdommer i muskler, bindevev og skjelett: osteoporose/ osteopeni. Undersøkelser: økt aspartataminotransferase, økt alaninaminotransferase. Ikke kjent frekvens: Hjertesykdommer: forlenget QT-tid. Pakningsstørrelser og pris: Orgovyx Filmdrasjert tablett, 120 mg: 30 stk. flaske: 1674,6 kr. Blå resept: Ja. Refusjonsberettiget bruk: Behandling av avansert hormonavhengig prostatakreft. Refusjonskoder: ICPC Y77: Ondartet svulst i prostata. ICD C61 Ondartet svulst i blærehalskjertel. Vilkår 9: Behandlingen skal være instituert i sykehus, sykehuspoli-klinikk eller av spesialist i vedkommende disiplin. Basert på SPC godkjent av DMP/EMA: 13.06.2025. Innehaver av markedsføringstillatelse: Accord Healthcare S.L.U., World Trade Center, Moll de Barcelona, s/n, Edifici Est 6ª planta, 08039 Barcelona, Spania. Tel: +34 93 301 00 64. Les preparatomtale (SPC) for ytterligere informasjon, se www.felleskatalogen.no NO-Onc-Org-01454

LES MER HER!

DET BLIR EN NY REDAKSJON I KIRURGEN FRA 2026

Kirurgen har hatt en trofast og god redaksjon gjennom mange år. Det har vært en reise hvor vi har lært mye om redaksjonsarbeid, og ikke minst fått gleden av å bli kjent med mange av dere gjennom de bidragene dere har levert oss. Denne erfaringen har vi satt stor pris på, men ser nå at tiden er inne for å overlate stafettpinnen til nye, friske krefter. Jeg, Marte Bliksøen og Saira Mansoor kommer derfor til å gi oss i løpet av våren. Men, allerede nå kan vi med trygghet si at Kirurgen vil være i de beste hender i årene som kommer. Kristin Raed, vil overta som ny redaktør. Fortiden er hun ansatt ved OUS, har en doktorgrad i thoraxkirurgi, er spesialist i generell kirurgi og snart gastroenterologisk kirurgi. I tillegg styrker vi redaksjonen med to nye dyktige redaksjonsmedlemmer: Maren Baarlid, LIS i gastroenterologisk kirurgi ved Sykehuset Østfold og Øystein Skandsen, LIS i generell kirurgi ved UNN Harstad. Med dette får vi en redaksjon som er bredt representert over hele landet, noe som samsvarer godt med Kirurgens mål om å være et tidsskrift for alle norske kirurger. For å sikre en god overgang, vil den avtroppende og den nye redaksjonen samarbeide gjennom våren, slik at kontinuiteten ivaretas og det solide arbeidet som er lagt ned over mange år, får en verdig videreføring.

Leder av Norsk Kirurgisk Forening, Mari-Liis Kaljusto gir seg ved årets slutt. Vi i Kirurgen, og spesielt jeg som redaktør, ønsker å takke Mari-Liis for det enorme arbeidet hun har lagt ned i NKF og det ekstremt gode samarbeidet vi har hatt. Det har vært flere store omveltnin-

ger for oss i Kirurgen de siste årene og den støtten og samarbeidet Mari-Liis har vist oss, har vært enestående. Vi ønsker henne lykke til videre!

Når dette skrives, har det 100. Høstmøtet nettopp gått av stabelen. Et møte jeg opplevde som særdeles vellykket, med god balanse mellom engasjerende seminarer og interessante abstrakter. For min del ble Høstmøtet avrundet med den tradisjonsrike Kirurgmiddagen. Et imponerende arrangement hvor vi i Kirurgen er spesielt stolte av å kunne dele ut prisen for årets artikkel. En uavhengig komité kårer hvert år en vinnerartikkel, på bakgrunn av innhold, språk og utforming. I år gikk prisen til Inger Karin Fuglesteg og medforfattere for artikkelen: «Når tiden krever mer av oss – Krigskirurgi i Norge» (Kirurgen 1/25). Artikkelen tar for seg rekonstruktiv kirurgi etter underekstremitetsskader hos ukrainske krigsskadde ved OUS. Redaksjonen gratulerer forfattergruppen hjertelig!

Temaet for denne utgaven av Kirurgen er hjernesvulster. Her får dere seks engasjerende og særdeles velskrevne artikler, som spenner seg fra anatomi og epidemiologi til grundige gjennomganger av ulike hjernesvulster hos både barn og voksne. For mange er dette kanskje et forholdsvis ukjent tema, men nettopp derfor er dette en glimrende anledning til å dykke dypere inn i disse sykdommene. Artiklene er skrevet i fellesskap av store deler av det norske nevrokirurgiske fagmiljøet. Jeg ønsker dere riktig god lesing og ikke minst, riktig god jul!

TOBIAS HAUGE , REDAKTØR TOBIAS @ KIRURGEN.NO

STRATAFIX ™ knytefri sutur – 28 nye koder

Nå enda flere varianter av STRATAFIXTM

Vil du vite mer om våre suturer? Ring

eller besøk ortomedic.no.

Toveis STRATAFIX™ Spiral MONOCRYL™ Plus

• Antibakteriell teknologi på en større del av porteføljen

• Tilgang til flere lengder og farger

• Oppgradering av nåler med Multipass og Ethalloy

• Oppgradert forpakning med enklere åpning og bedre merking

Foto: Arkady Rutkovskiy

MARI - LIIS KALJUSTO , LEDER NKF

MARI - LIIS.KALJUSTO @ OUS - HF.NO

KJÆRE MEDLEMMER, KOLLEGER OG VENNER AV NKF!

Tusen takk for et minneverdig år. Tiden har virkelig flydd, og i 2025 har vi levert: Vi tok nasjonalt ansvar i debatten om traumeberedskap, bidro aktivt til å lande diskusjonen om robotkirurgi, og påvirket beslutningen om å starte utredningen av spesialistutdanningens struktur. NKFs gjennomslagskraft er utelukkende basert på den frivillige innsatsen, spisskompetansen og det urokkelige pågangsmotet som utvises i alle ledd. Det er dere som er NKFs hjerte, hjerne og hender.

En dyptfølt takk rettes til samtlige i Styret, og redaksjonen i Kirurgen. Deres mangfoldige bakgrunn og skarpe faglige diskusjoner har vært fundamentet for alt vi har oppnådd, og jeg setter enormt pris på deres energi og innsats. Gjennom styrets LIS-representanter og spesialforeningsledere sikrer vi den kliniske innsikten og pulsen som forankrer vårt arbeid i den reelle hverdagen. En stor takk går også til våre nye samarbeidspartnere Liwlig Conference (Høstmøtet) og Apriil Media (Kirurgen) for profesjonell støtte til våre kjerneaktiviteter.

Årets strålende Høstmøte, inkludert Kirurgmiddagen, var et viktig samlingspunkt. Vi takker sponsorene for deres

avgjørende støtte, og det gleder meg at så mange fikk godt utbytte av programmet. Det varmet spesielt å se studentenes entusiasme – fremtidens kirurger er vår viktigste ressurs. Rekruttering er og blir NKFs primæroppgave i årene som kommer.Vi må fortsette arbeidet med å sikre at kirurgien er en bærekraftig og attraktiv karrierevei.

Det er med et visst vemod, men aller mest stolthet, at jeg nå gir stafettpinnen videre til vår påtroppende leder fra 1. januar 2026, Lars Martin Bjerke. Lars Martin har en sjelden kombinasjon av faglig tyngde og smittsomt godt humør, i tillegg er han en mann som stålsatt tar tak i konflikt når det trengs. Han har alle forutsetninger for å ta NKF til neste nivå. Lykke til, Lars Martin, jeg vet at NKF er i de beste hender!

Takk til dere alle for et engasjert samarbeid.

Med dette ønsker jeg dere alle en riktig god jul og et godt nytt år!

Mari-Liis Kaljusto Leder NKF

Marginum

Intended

FRA REGISTER TIL RESEKSJON

«Hjernen er mennesket», sa en gammel professor i nevrokirurgi. Ordet hjernesvulst vekker ofte sterke assosiasjoner: livstruende sykdom, tap av funksjon og frykt for å miste seg selv. Virkeligheten er mer sammensatt, men behandlingen er kompleks og krever presisjon og samarbeid. Dette temanummeret gir deg oversikt over moderne diagnostikk og behandling – fra register til klinikk.

TERJE SUNDSTRØM

OVERLEGE, NEVROKIRURGISK AVDELING, HAUKELAND UNIVERSITETSSYKEHUS

PROFESSOR, KLINISK INSTITUTT 1, UNIVERSITETET I BERGEN

KORRESPONDANSE: TJSU @ HELSE - BERGEN.NO

TERJE SUNDSTRØM

Hjernesvulster er for mange et lite kjent fagområde, men kolleger i flere spesialiteter møter disse pasientene i ulike forløp. Det er derfor nyttig å ha en grunnleggende oversikt. Artiklene i dette nummeret er skrevet av aktive klinikere og forskere innen feltet, mange tilknyttet Norsk Hjernesvulstkonsortium. Feltet har også vært godt dekket i Tidsskriftet de siste årene med oversikter om hjernemetastaser, glioblastomer og vestibularisschwannomer.

Over 2000 nye tilfeller av primære hjerne- og ryggmargssvulster meldes årlig til Kreftregisteret. Tallene gir et godt bilde av behandlede pasienter, men mange ubehandlede – særlig med små meningeomer – blir dessverre ikke meldt inn. Samtidig kan man merke seg at meningeomer har en prevalens på 1-2 % i befolkningen, og mange av disse forblir derfor ukjent for både pasient og behandler. Insidensen av hjernesvulster øker med alder, og meningeomer og glioblastomer er de hyppigste diagnosene. Hos barn er hjernesvulster den vanligste solide kreftformen, men her dominerer mer utviklingsrelaterte og lavgradige svulster.

Hjernesvulstregisteret ble etablert i 2021 og gir verdifulle data om forekomst, behandling og resultater. Registeret har avdekket betydelig praksisvariasjon og innført flere nasjonale kvalitetsindikatorer. Dette er ikke bare statistikk, men verktøy for bedre pasientbehandling. Dekningsgraden for utredningsmeldinger er fortsatt for lav og her har alle sykehus et ansvar.

Utviklingen går raskt. Nye klassifikasjoner, avansert bildediagnostikk og molekylære markører har endret forståelsen av hjernesvulster, men kirurgi er fortsatt en hjørnestein. Forskning fra Norge har vist at tidlig reseksjon gir en betydelig overlevelsesgevinst ved lavgradige gliomer. Ved høygradige gliomer gir omfattende reseksjon bedre prognose, men behandlingen er alltid multimodal og videre framskritt hviler i første rekke på utvikling av mer effektiv onkologisk behandling. Stråleknivbehandling har en sentral plass, ikke bare ved metastaser, men også ved godartede svulster som vestibularisschwannomer, meningeomer og hypofyseadenomer. Hjernesvulster er en ledende årsak til død som følge av kreft i barnealder, og her er det stort fokus på nasjonalt og internasjonalt samarbeid. Presisjon og tverrfaglighet er nøkkelord innenfor alle disse områdene, og utviklingen går tydelig i retning av mer persontilpasset behandling.

Bak hver hjernesvulst ligger et menneske med håp og forventninger. Vår oppgave er å kombinere presisjon med omsorg og sikre at behandlingen holder høyeste kvalitet. Fellesnevneren er samarbeid. Nevrokirurger, nevrologer, onkologer, radiologer og patologer jobber tett, men også andre spesialiteter har viktige roller i diagnostikk, henvisning og oppfølging. Vi håper temanummeret gir nyttig innsikt som styrker behandlingen.

HJERNESVULSTREGISTERET

GIR

NY KUNNSKAP OG GRUNNLAG FOR KVALITETSFORBEDRING OG FORSKNING

Hvert år diagnostiseres mer enn 2 000 personer i Norge med nyoppstått svulst i hjerne, hjernehinner eller ryggmarg. Kvalitetsregister for hjerne- og ryggmargsvulster (Hjernesvulstregisteret) ble opprettet i 2021 for å styrke kvaliteten på diagnostikk og behandling, samt legge til rette for forskning. Denne artikkelen oppsummerer erfaringene med registeret til nå, og presenterer to vitenskapelige artikler basert på registerets datasett.

TOR INGEBRIGTSEN 1,2, CASSIA BREE TREWIN - NYBRÅTEN 3, INE MARIE LARSSON 3, INGEBORG VÅG 3, LIV MARIT DØRUM 3 ,

PETTER BRANDAL 4,5 OG ERLEND SKAGA 6*

1 INSTITUTT FOR KLINISK MEDISIN, DET HELSEVITENSKAPELIGE FAKULTET, UIT NORGES ARKTISKE UNIVERSITET

2 NEVROKIRURGISK SEKSJON, KIRURGISK KLINIKK, UNIVERSITETSSYKEHUSET NORD - NORGE

3 REGISTERAVDELINGEN, KREFTREGISTERET, FOLKEHELSEINSTITUTTET

4 INSTITUTT FOR KLINISK MEDISIN, DET MEDISINSKE FAKULTET, UNIVERSITETET I OSLO

5 AVDELING FOR KREFTBEHANDLING, KREFTKLINIKKEN, OSLO UNIVERSITETSSYKEHUS

6 VILHELM MAGNUS - LABORATORIET FOR NEVROKIRURGISK FORSKNING OG NEVROKIRURGISK AVDELING, OSLO UNIVERSITETSSYKEHUS

*PÅ VEGNE AV FAGRÅDET FOR KVALITETSREGISTER FOR HJERNE - OG RYGGMARGSVULSTER

KORRESPONDANSE: TOR INGEBRIGTSEN – TOR.INGEBRIGTSEN @ UNN.NO

BAKGRUNN

Kreftregisteret har samlet data om kreftforekomst i mer enn 70 år (1). Utviklingen av kvalitetsregistre på kreftområdet startet i 2004, og for de åtte største kreftformene er slike registre godt etablert (2). Hjernesvulstregisteret ble opprettet i 2021, finansiert av Kreftforeningen og Hjernesvulstforeningen etter et pårørendeinitiativ (3). Formålet er å styrke kvaliteten på helsehjelp til pasienter med svulst i sentralnervesystemet. Registeret skal i tillegg drive, fremme og gi grunnlag for forskning. Et annet mål er å oppnå formell status som nasjonalt medisinsk kvalitetsregister, for å sikre permanent finansiering og drift. Hjernesvulstregisteret ledes av Kreftregisteret ved Folkehelseinstituttet, som også har dataansvaret. Fagmiljøene i sykehusene er representert gjennom et bredt sammensatt fagråd hvor alle helseregioner er representert med medlemmer fra blant annet nevrokirurgi, onkologi, patologi og radiologi.

METODE

Hvilke pasienter skal registreres i ­Hjernesvulstregisteret?

Kreftregisterforskriften pålegger registrering av alle tilfeller av kreft, forstadier til kreft og godartede svulster i sentralnervesystemet. Det innebærer at alle primære intrakraniale og intraspinale svulster skal registreres. Dette i motsetning til svulster i andre organer, hvor kun kreft og forstadier til kreft blir registrert. Hjernesvulstregisteret omfatter derfor alle primære svulster i hjerne, ryggmarg og spinalkanal, hjerne- og ryggmargshinner, hypofyse, duktus kraniofaryngealis og korpus pineale. Enkelte svulsttyper som kan oppstå i hjernen (f.eks. lymfom, melanom og noen sjeldne bløtvevssvulster) registreres i egne sykdomsspesifikke registre. Metastaser til sentralnervesystemet registreres i kvalitetsregisteret for den primære kreftsykdommen.

Hvordan skjer registreringen?

Fram til og med 2023 ble hjerne- og ryggmargsvulster rapportert til Kreftregisteret via en generell klinisk melding for solide svulster. Dekningsgraden var lav – i 2023 var den 47 % for histologisk verifiserte svulster (4). I 2024 ble den generelle meldingen erstattet av to nye meldinger tilpasset hjerne- og ryggmargsvulster; én utredningsmelding og én kirurgisk melding. Begge er tilgjengelige i KREMT-portalen.

Ved diagnostisk biopsi eller reseksjon av hjerne- og ryggmargsvulster mottar Kreftregisteret patologiremisser fra sykehusene og registrerer informasjonen i et skjema for generell patologi i Hjernesvulstregisteret. Mottak av patologiremisser fra sykehusene anses å være tilnærmet komplett. Registeret mottar også data fra norsk pasientregister (NPR) (inkludert opplysninger om H-resepter), dødsårsaksregisteret, folkeregisteret, strålemaskinene og sykehusenes fagsystemer for medikamentell behandling (unntatt Helse Nord).

Hvem skal melde?

Det er lovpålagt for sykehus og helsepersonell å melde alle tilfeller av kreft, forstadier til kreft og godartede svulster i sentralnervesystemet til Kreftregisteret.

Sykehuset som først stiller diagnosen hjerne- eller ryggmargsvulst skal sende utredningsmelding. Dette gjelder uavhengig av videre henvisning (f.eks. til nevrokirurgisk eller onkologisk vurdering) eller hvor sikker diagnosen er, ettersom alle slike svulster er meldepliktige. Utredningsmelding skal for eksempel sendes ved tilfeldig funn av en liten høyattenuerende forandring forenlig med meningeom på CT, uavhengig av om pasienten henvises til nevrokirurgisk eller onkologisk vurdering. Det samme gjelder ved påvisning av hypofysesvulster som kun krever endokrinologisk oppfølging.

Kirurgimeldingen skal sendes av den nevrokirurgiske avdelingen som opererer pasienten.

Dekningsgrad og kompletthet

Figurene 1 og 2 viser at dekningsgraden i 2024 var 36 % for utredningsmeldingen (spredning 21–58 %) og 39 % for kirurgimeldingen (spredning 5-99 %) (5). Foreløpige data fra 2025 tyder på en klar økning i dekningsgraden for kirurgimeldingen. Den lave dekningsgraden for utredningsmeldingen er i stor grad forårsaket av at det ikke blir sendt melding om

Norge

Helse Sør-Øst

Diakonhjemmet

Lovisenberg

OUS HF

Akershus HF

Vestfold HF

Telemark HF

Vestre Viken HF

Sørlandet HF

Innlandet HF Østfold HF

Helse Vest Haraldsplass

Helse Førde HF

Helse Bergen HF

Helse Stavanger HF

Helse Fonna HF

Helse Midt-Norge

Helse Møre og Romsdal HF

St. Olavs HF

Nord-Trøndelag HF

Helse Nord

Nordlandssykehuset HF

Finnmarkssykehuset HF

Helgelandssykehuset HF

UNN HF

FIGUR 1. Dekningsgrad for utredningsmelding per bostedsområde, 2024 (n=2 166). Figuren viser hvor pasienten var bosatt, og ikke hvilket sykehus som leverte utredningsmelding. Figuren er hentet fra registerets årsrapport for 2024 (5).

Norge

Oslo universitetssykehus

Haukeland universitetssjukehus

St. Olavs hospital

UNN, Tromsø

FIGUR 2. Dekningsgrad for kirurgimelding per operasjonssykehus, 2024 (n=850). Figuren er hentet fra registerets årsrapport for 2024 (5).

Diagnosegruppe

Hjerne, ryggmarg og spinalkanal

Diffust gliom grad 4

Diffust gliom grad 2-3

Diffust gliom, ukjent grad

Ikke-diffust gliom

Ependymom grad 2-3

Embryonal svulst

Annen malign hjerne-/ryggmargsvulst

Annen intermediær hjerne-/ryggmargsvulst

Annen benign hjerne-/ryggmargssvulst

Diagnosekode D33 (kun registrert i NPR)

Hjerne- og ryggmargshinne

Solitær fibrøs tumor

Diagnosekode D32 (kun registrert i NPR)

Hypofyse, duktus kraniofaryngealis og korpus pineale

Kraniofaryngeom

Pineal tumor/svulst

Diagnosekode D35.2-4 (kun registrert i NPR)

TABELL 1. Antall tilfeller inkludert i Hjernesvulstregisteret per diagnosegruppe og insidens per 100 000 personår, 2020–2024. Tall er hentet fra registerets årsrapport for 2024 (5).

NPR = Norsk pasientregister

pasienter som ikke blir operert. Høyere dekningsgrad for utredningsmeldingen er derfor avgjørende for å vurdere forekomst, behandlingskvalitet og utfall hos pasienter som ikke opereres. Dette er et prioritert innsatsområde for registeret fremover.

For å kompensere for lav dekningsgrad for utredningsmeldingen suppleres datagrunnlaget fra og med årsrapporten for 2024 med diagnosekoder fra NPR for å øke komplettheten av hjerne- og ryggmargsvulster i Hjernesvulstregisteret. Det er imidlertid usikkerhet knyttet til fullstendighet og korrekthet i NPR for pasienter uten histologisk verifisert diagnose, og bruk av diagnosekoder fra NPR medfører sannsynligvis fortsatt underrapportering av godartede svulster som for eksempel meningeom. Komplettheten for ondartede gliomer, som oftest får en histologisk verifisert diagnose, er derimot beregnet til 98,8 % i perioden 2002–2021 (6).

Klassifisering

Svulster i sentralnervesystemet klassifiseres i henhold til Verdens helseorganisasjons (WHOs) system. I 2021 publiserte WHO en ny versjon med betydelige endringer i nomenklatur og integrering av molekylære markører i klassifiseringen (7). Hjernesvulstregisteret innførte denne klassifikasjonen fra og med 2023. Endringene gjør det utfordrende å analysere tidsserier, siden data før og etter 2023 ikke er direkte sammenlignbare.

HJERNE - OG RYGGMARGSVULSTER I NORGE I 2024

I 2024 ble det ble registrert 2 252 nye tilfeller av hjerne- og ryggmargsvulster i Norge (tabell 1) (5). De største histologisk verifiserte gruppene var 390 (17 %) meningeomer, 347 (15 %) gliomer og 138 (6 %) hypofyseadenomer. Tilsammen 979 tilfeller (43 %) ble registrert kun på grunnlag av diagnosekoder i NPR, fordelt på 287 (13 %) svulster i hjerne- og ryggmargshinner, 222 (10 %) i hjerne og ryggmarg og 470 (21 %) i hypofyseområdet. Disse 979 tilfellene lar seg ikke klassifisere nærmere fordi informasjon om histologisk subtype ikke foreligger.

Den samlede insidensen i perioden 2020-2024 var 49 nyoppståtte svulster per 100 000 personår: 22 for hjerne- og ryggmargsvulster, 16 for hjerne- og ryggmargshinnesvulster og 12 for svulster i hypofyseområdet (tabell 1). Det var små forskjeller mellom regionene, bortsett fra at insidensen for meningeom varierte fra 7 per 100 000 i Midt-Norge til 11 i Nord-Norge. Forskjellen var størst i aldersgruppene over 60 år, og kan reflektere variasjon i tilgang til og bruk av diagnostikk (hovedsakelig MR), eller ulikheter i melderutiner til NPR og Kreftregisteret.

Registeret har til nå ikke presentert kjønnsstratifiserte analyser i årsrapportene.

FOREKOMST OG DØDELIGHET AV GLIOM

Av de primære svulstene som utgår fra selve hjernevevet er gliom den vanligste typen. Gliomene har karakteristika som ligner hjernens støtteceller, gliacellene. Malignitetsgrad klassifiseres etter WHO fra grad 1 (lav) til 4 (høy). Den hyppigste undergruppen er glioblastom (WHO grad 4), som i Norge hadde median overlevelse på bare 11,7 måneder etter diagnose i perioden 2012–2017 (8, 9).

Vi analyserte tidstrender i forekomst og dødelighet av gliom hos 7 048 pasienter behandlet i perioden 2002–2021 med data fra hjernesvulstregisteret. Resultatene er publisert i en vitenskapelig artikkel i Acta Oncologica (6). De aldersstandardiserte insidensratene var stabile gjennom perioden (figur 3). Forekomsten var høyere hos menn enn kvinner, både samlet (8,8 versus 6,1 per 100 000 personår) og for glioblastom spesielt (5,1 hos menn versus 3,4 hos kvinner per 100 000 personår).

Den relative overlevelsen varierte betydelig mellom subtypene av gliom, fra 51,8 % og 7,6 % etter henholdsvis ett år og fem år for glioblastom, til 97,0 % og 84,9 % etter ett år og fem år for oligodendrogliom. Figur 4 viser at den relative overlevelsen økte gjennom nesten 20 år for de fleste gliomtyper. For glioblastom økte 12-måneders relativ overlevelse fra 45 % i 2002–2006 til 59 % i 2017–2021, mens medianoverlevelse økte fra 10 til 13 måneder. Forbedringene kan trolig forklares med økt bruk av tidlig og omfattende reseksjon av lavgradige gliomer, samt innføringen av kjemoterapien temozolomid i behandlingen av glioblastom (10, 11). Økt bruk av komplett reseksjon av de kontrastoppladende delene av glioblastomer kan også ha bidratt (12).

REGIONALE FORSKJELLER I DIAGNOSTIKK

OG BEHANDLING AV GLIOMER

I arbeidet med artikkelen om forekomst og dødelighet av gliomer ble det også observert at både forekomsten og dødeligheten for histologisk verifisert glioblastom var høyere i Helse Nord enn i de andre helseregionene. Dette ble undersøkt nærmere i en studie publisert i Journal of Neuro-Oncology (13).

Vi fant at hovedårsaken til høy forekomst av histologisk verifisert glioblastom i Helse Nord var en høy kirurgirate. Dette skyldtes i hovedsak mer bruk av diagnostiske biopsier blant pasienter over 70 år enn i de andre helseregionene (figur 5a). Vi fant også at en høyere andel opererte pasienter over 70 år i Helse Nord ikke fikk onkologisk behandling med stråling og temozolomid (figur 5b). Dette sammenfalt med høyere dødelighet i samme aldersgruppe de første seks månedene etter operasjonen (figur 6b). For pasienter under 70 år var det ingen regionale forskjeller i behandling eller dødelighet (figurene 5a, 5b og 6a).

Aldersstandardisert insidensrate (per 100,000)

Gliom, totalt

Glioblastom

Anaplastisk astrocytom

Diffust astrocytom

Oligoastrocytom

Diagnoseår

Anaplastisk oligodendrogliom

Oligodendrogliom

Pilocytisk astrocytom

Ependymom

FIGUR 3. Aldersstandardisert insidensrate per 100 000 personår for histologisk verifiserte gliomer, 2002–2021 (n=6 476). Figuren viser femårig rullerende gjennomsnitt for insidensrater som er standardisert til aldersfordeling av gliompasienter i 2021. Adaptert fra Skaga et al. (6) med tillatelse under Creative Commons Licence versjon 4.0 (https://creativecommons.org/ licenses/by/4.0/).

(N = 576)

Aldersstandardisert relativ overlevelse (%)

Oligoastrocytom (N = 249) Anaplastisk oligodendrogliom (N = 145)

(N = 312) Pilocytisk astrocytom (N = 329)

(N = 487)

År siden diagnose

Diagnoseperiode:

FIGUR 4. Aldersstandardisert relativ overlevelse for histologisk verifiserte svulster, fordelt på diagnoseperiode, 2002–2021 (n=6 476). Figuren viser p-verdier for tidstrend for relativ overlevelse gjennom periodene 20022006, 2007-2011, 2012-2016 og 2017-2021 i Cox regresjon justert for alder. Adaptert fra Skaga et al. (6) med tillatelse under Creative Commons Licence versjon 4.0 (https://creativecommons.org/licenses/by/4.0/).

(A) Operasjoner per 100,000 innbyggere

(B) Har ikke fått strålebehandling eller temozolomid

Mørk = reseksjon, Lys = kun biopsi

18–70 år

Måneder siden histologisk diagnose

SØ=Sør-Øst; V=Vest; M=Midt; N=Nord

FIGUR 5. Regionale forskjeller i A) aldersspesifikk kirurgirate for glioblastom (antall operasjoner per 100 000 innbyggere per region per år) og B) andel pasienter som ikke har fått strålebehandling eller temozolomid, 2019–2023 (n=1 158). Adaptert fra Trewin-Nybråten et al. (13) med tillatelse under Creative Commons Licence versjon 4.0 (https://creativecommons.org/licenses/by/4.0/).

Datakvalitet

Dekningsgrad for utredningsmelding

Dekningsgrad for kirurgimelding

Prosessindikatorer

Mottar onkologisk behandling etter kirurgisk inngrep, diffust gliom grad 4

Postoperativ MR innen 72 timer, diffust gliom grad 2-4, ikke-diffust gliom eller intrakranialt meningeom

Median tid til oppstart strålebehandling, glioblastom

Median tid til svar på MGMT, glioblastom

gjenstående pasienter

FIGUR 6. Regionale forskjeller i overlevelse for pasienter med histologisk verifisert glioblastom A) 18-70 år (n=778) og B) 7189 år, 2019–2023 (n=380). Adaptert fra Trewin-Nybråten et al. (13) med tillatelse under Creative Commons Licence versjon 4.0 (https://creativecommons.org/licenses/by/4.0/).

FIGUR 7. Kvalitetsindikatorer, 2024. Rød, gul og grønn sirkel betyr henholdsvis lav, moderat og høy måloppnåelse. Figuren er hentet fra registerets årsrapport for 2024 (5).

Samlet tyder funnene på at Helse Nord i større grad enn de andre regionene gjennomførte diagnostiske biopsier hos eldre, skrøpelige pasienter som i liten grad fikk svulstrettet kreftbehandling. Tilsvarende pasienter ble trolig håndtert kun med bildediagnostikk og døde sannsynligvis tidlig også i de andre regionene. Vi kan imidlertid ikke belegge denne tolkningen med data på grunn av lav dekningsgrad for kliniske meldinger, som er nødvendige for å registrere tilfeller som får diagnose kun basert på bildediagnostikk i Hjernesvulstregisteret.

Universitetssykehuset Nord-Norge (UNN) vurderer nå om det bør gjøres færre diagnostiske biopsier hos gamle skrøpelige pasienter med sannsynlig glioblastom basert på bildediagnostikk. Dette for å redusere unødvendig risiko for pasienter og for å unngå unødvendig ressursbruk.

KVALITETSINDIKATORER

Nasjonale medisinske kvalitetsregistre gir strukturert informasjon om pasientbehandling, og benyttes til å vurdere og forbedre kvaliteten i helsetjenesten gjennom kvalitetsindikatorer (14). Fra 2024 innførte Hjernesvulstregisteret fire kvalitetsindikatorer basert på observasjoner av uønsket praksisvariasjon og anbefalingene i handlingsprogrammene for hjernesvulster (15, 16). Figur 7 viser at måloppnåelsen foreløpig er moderat. Kvalitetsindikatorene er de følgende:

1. Andel pasienter med første kirurgiske inngrep mot diffust gliom grad 4 (inklusive glioblastom) som mottar svulstrettet onkologisk behandling bør være ≥ 90 %. Fagrådet anbefaler tilbakeholdenhet med kirurgisk diagnostikk og behandling når det foreligger en rimelig sikker radiologisk diagnose, og pasientens tilstand tilsier at annen svulstrettet onkologisk behandling ikke er aktuelt. Indikatoren baserer seg på studien om geografisk variasjon i overlevelse (13), og måloppnåelsen var lavest i Helse Nord i 2024 (71 %).

2. Andelen pasienter med gliom og meningeom som får postoperativ MR innen 72 timer fra kirurgi bør være ≥ 95 %. Fagrådet anser postoperativ MR som viktig både for å vurdere om reseksjonen er utført i planlagt omfang, og for å legge grunnlag for videre onkologisk behandling. Andelen var i 2024 på 92 %, altså ikke langt under måltallet.

3. Median tid fra kirurgisk inngrep til oppstart av strålebehandling for pasienter under 70 år med glioblastom bør være ≤ 21 dager. Ventetid etter en histologisk verifisert diagnose er belastende for pasientene. I 2024 var måloppnåelsen moderat med median ventetid 28 dager og liten variasjon mellom regionene.

4. Median tid fra kirurgisk inngrep mot glioblastom til svar på MGMT-analyse bør være ≤ 14 dager. Metyleringsgrad av promotorregionen til MGMT-genet er en etablert biomarkør som predikerer respons på kjemoterapi med temozolomid for pasienter med glioblastom. Kort svartid er avgjørende for å planlegge videre behandling, vurdere inklusjon i kliniske studier, og gi pasienten tidlig informasjon om prognose. I 2024 var median svartid 20 dager, med forbedringspotensial særlig ved Oslo universitetssykehus (22 dager) og UNN (20 dager).

DISKUSJON OG KONKLUSJON

Hjernesvulstregisteret er godt etablert bare fire år etter oppstart. Registeret har allerede bidratt med viktige vitenskapelige analyser og lagt grunnlag for etablering av kvalitetsindikatorer. Som en direkte følge av arbeidet med Hjernesvulstregisteret er det igangsatt kvalitetsforbedringsarbeid ved flere sykehus i 2025, og det er sannsynlig at kommende årsrapporter vil dokumentere resultater av dette arbeidet.

Registerets største utfordring er den lave dekningsgraden for utredningsmeldingen. En høyere dekningsgrad er en forutsetning for å kunne vurdere behandlingskvaliteten for pasienter som ikke blir operert, og som dermed mangler histologisk verifisert diagnose. Alle sykehus som stiller diagnosen hjerne- eller ryggmargsvulst har meldeplikt, og registeret fortsetter arbeidet med å øke bevisstheten rundt dette.

De fire kvalitetsindikatorene måler prosesskvalitet. Postoperativ dødelighet og overlevelse er foreløpig de eneste tilgjengelige resultatindikatorene. Det er velkjent at pasienter som lever med kreftsykdom kan ha betydelig nedsatt funksjonsevne og livskvalitet (17, 18). Pasientene kan også bidra med erfaringer som er verdifulle i kvalitetsforbedringsarbeid. Derfor er det ønskelig å inkludere pasientrapporterte utfall (patient-reported outcome measures; PROM) og erfaringer (patient-reported experience measures; PREM). Innsamling av slike data er krevende blant pasienter med kognitiv svikt eller kort forventet levetid, men registeret planlegger likevel en pilot i 2026, i første omgang for pasienter med histologisk verifisert diffust lavgradig gliom og meningeom.

Fagrådet vurderer etableringen av registeret som vellykket, og anbefaler at helsemyndighetene godkjenner Hjernesvulstregisteret som nasjonalt medisinsk kvalitetsregister, med tilhørende permanent finansiering og drift.

REFERANSER :

Se bakerst i nettutgaven på kirurgen.no

KIRURGISK BEHANDLING AV LAVGRADIGE GLIOMER

Kirurgisk behandling av lavgradige diffuse gliomer kan gi langt bedre sykdomskontroll og overlevelse, men kirurgisk tilnærming må individualiseres slik at forventet gevinst balanseres

mot antatt risiko.

KORRESPONDANSE: OLE SOLHEIM - OLE.SOLHEIM @ NTNU.NO

INNLEDNING

Diffuse WHO grad 2 og 3 gliomer rammer cirka 1/100 000 per år og 65 voksne ble diagnostisert i Norge i 2024 (1). De aller fleste av svulstene sitter i storehjernen og omkring 60 % diagnostiseres på grunn av nyoppstått epilepsi mens hodepine er nest vanligste symptom som leder til diagnosen (2). I tidlig fase av sykdommen har mange lite symptomer. Noen svulster påvises også tilfeldig. MR viser typisk en ikke-kontrastladende svulst med noe uskarp avgrensing, som uttrykk for diffus infiltrasjon. Mindre områder med kontrastopptak sees av og til, oftere ved WHO grad 3.

Sykdommen er fortsatt uhelbredelig, men det har vært mange viktige fremskritt innen klassifikasjon og behandling de siste 15 år. Tilbake i 2012 viste vi i en norsk studie at tidlig kirurgi gir en betydelig overlevelsesgevinst (3). Mens det tidligere var stor variasjon i kirurgisk tilnærming er man siden blitt omforent om at tidlig kirurgisk reseksjon er det beste for de fleste. Det er siden den gang også dokumentert at strålebehandling etterfulgt av kjemoterapi øker overlevelse ved WHO grad 3 gliom (4, 5) samt hos høyrisikopasienter med WHO grad 2 gliom (6). En målrettet medikamentell behandling med IDH1/2-hemmeren Vorasidenib viste også nylig effekt i en fase 3- randomisert studie (7) og ble i september 2025 godkjent av EMA (European Medicines Agency). Det forventes at Direktoratet for Medisinske Produkter (tidligere Legemiddelverket) og forhåpentligvis Beslutningsforum snarlig følger etter slik at også norske pasienter kan få denne behandlingen.

Klassifikasjon av CNS-svulster har endret seg mye de senere år, og siden 2021 er definisjonsmessig alle WHO grad 2 og 3 gliom IDH (Isocitrate dehydrogenase) muterte (Tabell 1). De to undergruppene, oligodendrogliom og astrocytom, defineres nå av forskjeller i mutasjonsstatus. Oligodendrogliomer har definisjonsmessig 1p19q kodelesjon, til forskjell fra de diffuse astrocytomene (8). Denne molekylære vevsklassifikasjonen er langt mer reproduserbar enn konvensjonell diagnostikk basert på lysmikroskopi alene og prognostisk mer robust. Klassifikasjonsendringene gjør imidlertid at funn i eldre studier ikke nødvendigvis er like gyldige fremdeles. Det er for eksempel nå blitt liten forskjell på overlevelse for pasienter med WHO grad 2 og 3 gliomer (9), selv om disse fortsatt behandles forskjellig onkologisk. Det største prognostiske skillet for WHO grad 2-3 gliom går i dag mellom astrocytom og oligodendrogliom der median overlevelse er henholdsvis omkring 10 og 15-18 år (10, 11). Overlevelse er dessuten sterkt assosiert med både svulststørrelse ved diagnose og kirurgisk reseksjonsgrad (12, 13) og for pasienter med liten eller ingen målbar tumorrest etter kirurgi er overlevelse ofte langt mer gunstig enn mediantall.

DIAGNOSTIKK OG BEHANDLING

Astrocytomer sees noe oftere i temporallappene og av og til kan man se såkalt T2/FLAIR-mismatch, et spesifikt, men lite sensitivt radiologisk tegn på IDH-mutert astrocytom (14). Kontrastopptak, radiologisk nekrose, ødem og eventuelt PET-opptak kan oftest skille glioblastom og WHO grad 4 astrocytom fra gliomer av lavere grad, men

Diffuse gliom hos voksne

Oligodendrogliom, WHO grad 2

Oligodendrogliom, WHO grad 3

Astrocytom, WHO grad 2

Astrocytom, WHO grad 3

Astrocytom, WHO grad 4

Glioblastom, WHO grad 4

IDH status Median overlevelse

Mutert 15-18 år

Mutert 13-15 år

Mutert 10-11 år

Mutert 9-11 år

Mutert 3-6 år

Villtype 1-1,3 år

TABELL 1: Diffuse gliomer (hos voksne) med respektive mediantall for overlevelse.

ikke alltid (15). Maskinlæringsalgoritmer kan kanskje hjelpe radiologene i fremtiden (16), men preoperativt er det fortsatt ofte vanskelig å sikkert skille astrocytom fra oligodendrogliom. Noen ganger kan også langt mer aggressive IDH villtype glioblastomer eller astrocytom WHO grad 4 billedmessig ligne på gliomer av lavere grad. Intraoperativ frysesnittdiagnose gir ikke molekylær klassifikasjon, og under førstegangs kirurgi må man ofte leve med noe usikkerhet knyttet til vevsdiagnosen. Metoder for intraoperativ sekvensering blir stadig raskere (17), og det er også håp knyttet til at analyser av sirkulerende tumor-DNA i blod eller cerebrospinalvæske kan gjøre det lettere å stille diagnosen preoperativt eller tidlig peroperativt. Vevsdiagosen kan ha betydning for valg av kirurgisk strategi, spesielt i sårbare områder, siden forhold mellom gevinst og risiko ved kirurgisk reseksjon varierer mellom ulike gliomer. Det opprinnelige credo ved gliomkirurgi har vært «maximal safe resection», men denne nokså enkle strategien bør nok ofte individualiseres mer. Ved kort forventet levetid, som ved glioblastom, høy alder, eller alvorlig livsbegrensende komorbiditet, er det viktig å unngå funksjonssvikt som gir både tap av livskvalitet (18) og dårligere prognose (19, 20). Ved gliomer av lavere grad er imidlertid overlevelsesgevinsten ved kirurgi så stor at man kan akseptere høyere kirurgisk risiko, dersom man oppnår reseksjonsgrader som gir klart bedre tumorkontroll og overlevelse. Overlevelsesgevinsten ved kirurgi er som nevnt sterkt knyttet til kirurgisk reseksjonsgrad, og ved større restsvulster, for eksempel mer enn 15 ml for WHO grad 2 gliom, er gevinsten av kirurgi ikke lenger målbar (13). Der man forventer omfattende rest er dermed kun biopsi ofte tryggere eller like bra. Omkring 10 % gjennomgår derfor kun biopsi etterfulgt av onkologisk behandling, men med noe regionale variasjoner (1). Gevinsten av kirurgi ved astrocytom og oligodendrogliom er også forskjellig. For astrocytom er kun små mengder radiologisk gjenværende svulstvev assosiert med klart dårligere prognose, men for

oligodendrogliom kan restsvulst være noe større før man klarer å påvise dårligere overlevelse (12, 21). Effekten av kjemoterapi kan også være bedre ved oligodendrogliom (22). En aggressiv kirurgisk strategi gir derfor størst overlevelsesgevinst ved astrocytom (WHO grad 2-3), noe mindre gevinst ved oligodendrogliom og minst overlevelsesgevinst ved glioblastom eller WHO grad 4 astrocytom. En mer aggressiv kirurgisk strategi er imidlertid assosiert med høyere risiko, spesielt i sårbare områder, så gevinst må balanseres mot risiko (Figur 1).

Kunnskap om funksjonell nevroanatomi er nødvendig for å veie risiko opp mot forventet gevinst. Funksjonell nevroanatomi er imidlertid et fagfelt med både nokså stor faglig uenighet og kunnskapsmangel, og ulike modeller og forskningsmetoder kan gi sprikende funn. Både dyrestudier, anatomiske disseksjoner av kadaver, funksjonell MR, MR traktografi-undersøkelser, transkranial magnetstimulering, intraoperativ kortikal og subkortikal elektrisk stimulering, våkenkirurgi, og studier av funksjonelle konsekvenser etter skader og sykdommer kan alle gi informasjon om hvilke hjernebarkområder eller hvitsubstansbaner som oftest er viktig for hva, men svarene spriker noe og alle metoder har sine svakheter. Ved såkalt «lesion-symptom mapping», der man studerer funksjonstap i relasjon til skadd hjerneområde, gir for eksempel studier av hjerneslag og gliomer forskjellige konklusjoner (23). Enigheten er minst når det gjelder den funksjonelle betydningen av ulike kortikale områder. Flere hjernefunksjoner er også mindre lokalisasjonsspesifikke og organisert i nettverk med større utbredelse og med flere komplekse forbindelser enn det anatomiboken eller mange modeller gir inntrykk av. Dette gjelder ikke minst ulike kognitive funksjoner.

I forbindelse med kirurgi er det viktigere å bevare større hvitsubstansbaner enn kortikale områder. Erfaringsvis kan det for eksempel være mulig å gjenvinne full

FIGUR 1: Astrocytom i primære motorkorteks, før og etter kirurgi. Pasienten fikk en forbigående parese i høyre arm og hånd etter inngrepet.

FIGUR 2: Kraniotomi med funksjonell og strukturell kartlegging. Senorisk korteks (A), motorkorteks (B) og anatomisk Broca (C). Ultralydbildet viser omriss av svulsten, vist i rødt. Hvit substans som vanligvis er fettholdig og lavekkogen og derfor mørkere enn hjernebarken på ultralydbilder. Ved lavgradige gliomer er svulsten som sitter i hvitsubstansen høyekkogen.

FIGUR 3: Oppsett i forberedelse av en våkenoperasjon. Hjelpemidler som operasjonsmikroskop (A), nevrostimulator for kortikal og subkortikal stimulering og monitorering (B), ultralydscanner for intraoperativ 2D og 3D ultralyd (C), nevronavgasjon (D) er klare. Pasienten sover med larynxmaske (E).

motorikk og språkfunksjon uten henholdsvis primære motorkorteks (24) og anatomisk Broca (25). Funksjonell reorganisering skjer også i hjernen ved sykdom og etter skader, og både funksjoner og funksjonell anatomi er derfor ofte ikke statiske størrelser hos den enkelte pasient. Mange tidlige nevrologiske utfall er dermed forbigående eller lar seg rehabilitere, og de aller fleste som opereres oppnår god nevrologisk funksjon på sikt. Mindre synlige sekveler, ikke minst fatigue eller mildere nevrokognitive utfall er likevel vanlige, men må nok ofte sies være verdt det dersom overlevelsen forlenges med mange år. Livskvaliteten hos de fleste forblir også oftest nokså god etter kirurgi, i alle fall så lenge sykdomskontrollen er god (26). Ved WHO grad 3 gliom og ved større restsvulster av WHO grad 2 gliom gis gjerne tidlig postoperativ strålebehandling, noe som kan gi alvorlige kognitive bivirkninger på lang sikt (27). En for forsiktig kirurgisk tilnærming vil derfor kunne resultere i både dårligere prognose og høyere risiko for strålebivirkninger, selv om risikoen for påførte nevrologiske utfallssymptomer som følge av inngrepet er lavere. En pågående norsk/svensk-studie undersøker nå hvorvidt protonbasert strålebehandling kan gi lavere risiko for kognitive bivirkninger enn konvensjonell fotonbasert bestråling (28). Tidlig pseudoprogresjon og strålebetinget kontrastopptak er imidlertid vanligere ved protonbasert strålebehandling, noe som kan være en utfordring i tolking av bildediagnostikk i oppfølging av pasientene (29).

Valg av behandlingsstrategier inklusiv peroperative valg krever erfaring, kunnskap om funksjonell nevroanatomi, og oppdatert kunnskap om kreftsykdommen og andre behandlingsopsjoner. Mange vanskelige behandlingsbeslutninger gjøres i multidisiplinære møter, men viktige valg gjøres også peroperativt. Diffuse lavgradige gliomer er nokså høyt differensierte svulster som kan ligne mye på normalt hjernevev under operasjonsmikroskopet. Anatomisk kunnskap, konsistensforskjeller og små fargeforskjeller er ofte til hjelp ved reseksjon. Svulstene er diffust infiltrerende med en varierende gradient av tumorceller forbi den radiologiske avgrensingen (30), typisk med infiltrasjon langs hvitsubstansbaner. Funksjonelt hjernevev kan befinne seg innimellom svulstvev. Strukturelle og funksjonelle MR-undersøkelser, PET-undersøkelser, nevronavigasjon, transkranial magnetstimulering, intraoperativ 2D eller 3D ultralyd, intraoperativ MR, direkte kortikal eller subkortikal stimulering, og/eller våkenkirurgi kan hjelpe kirurgen med beslutninger både før og under kirurgi (Figur 2). Mange hjelpemidler og metoder har likevel nokså be-

grenset dokumentasjon og det er få metodisk gode eller sammenlignende studier (31-36). Ulike avdelinger og kirurger sverger derfor gjerne til litt ulike metoder. De samme hjelpemidlene kan dessuten brukes eller kombineres svært forskjellig og det kan være flere veier til målet. Tross stor variasjon i valgte kirurgiske metoder fant vi for eksempel ingen forskjell i overlevelse mellom pasienter operert i Trondheim, Boston og San Francisco (12), så på gruppenivå betyr sannsynligvis valgt av metode mindre, i alle fall for overlevelse. Det pågår et internasjonalt konsensarbeid for å forsøke å bli mer enige om hvilke verktøy det er rimelig å bruke i ulike situasjoner. Ved antatt svært språknære svulster er det i dag vanlig å tilby våkenkirurgi og noen avdelinger opererer også våkent for å monitorere andre hjernefunksjoner. Pasienten legges gjerne i først narkose med larynksmaske og det settes deretter en skalpblokkade med lokalanestesi før trepunktstøtten festes og kraniotomien gjøres (Figur 3). Selve hjernen har ikke smertereseptorer. Man vekker pasienten for den mest kritiske delen av inngrepet, og mange pasienter får da deksmedetomidin for å bedre toleranse for situasjonen. Det kan likevel være krevende for pasienten å beholde konsentrasjonen og motet i lang tid og den våkne fasen må helst begrenses til under 1-1,5 timer. Hjernefunksjonstesting gjøres samtidig med at svulsten fjernes. Funksjonell kartlegging kan videre gjøres med direkte kortikal eller subkortikal nevrofysiologisk stimulering der fra noen mm til 1 cm av hjernevev blir slått ut noen sekunder som konsekvens av en elektrisk stimulus. Operatøren kan dermed estimere hvor ulike funksjoner eller hvitsubstansbaner befinner seg. En utfordring er imidlertid falske positive utslag ved stimulering, ikke minst kortikalt. At stimulering fremkaller forbigående utfall betyr ikke nødvendigvis at reseksjon av det samme området gir permanente sekveler. Det kan også oppstå epileptiske anfall eller andre hendelser underveis som gjør at samspillet med pasienten forstyrres eller at man må sedere pasienten igjen. Mange utfallssymptomer observert intraoperativt er også forbigående, men våkenkirurgi kan likevel potensielt være med å gjøre inngrepet tryggere i noen svulstlokalisasjoner. Det er imidlertid omdiskutert hvorvidt det gir mening å forsøke å monitorere mer komplekse kognitive funksjoner ved hjelp av enkle tester underveis i en hjerneoperasjon (38). Motoriske funksjoner lar seg godt monitorere med motoriske fremkalte nevrofysiologiske responser sovende (37). Mange, og kanskje de fleste nevrologiske utfall skyldes imidlertid ikke uforvarende reseksjon av funksjonelle hjerneområder, men isteden mindre nevrovaskulære skader med større eller mindre sekundære

Referanse Studiedesign Land

Duffau, 2025§

Rossi, Neurooncol 2020 Retrospektiv case-serie Italia

Berger, JCO 2008

Lus, Neurooncol 2022 Retrospektiv multisenterstudie

McGirt 2008 Retrospektiv case-serie

Roelz Scientific reports, 2016

2019

Wiijnenga, Neurooncol 2017

Coburger, Neurosurgery 2015

Canada, Frankrike, Italia

Studieperiode Pasientseleksjon

multisenter-studie

Brennum, Acta Neurochirurgica 2018* Prospektiv oppfølgingsstudie

Coburger, Frontiers in Oncol 2022

TABELL 2: Oversikt over behandlingseffekt i utvalgte studier hos pasienter operert for WHO grad 2-3 gliomer. Det er hele 100 ganger større andel med nye, permanente nevrologiske utfall i øverste sammenlignet med nederste publikasjon, uten at dette kan forklares av pasientseleksjonen. Registerstudier og den prospektive studien med nevropsykologisk testing* rapporterer langt dårligere resultater enn (single-senter) retrospektive (og personlige§) case-serier.

infarkter i omkringliggende hjernevev (39, 40). Skånsom håndtering av vev og kar er dermed svært viktig.

Som det kommer frem av Tabell 2 er det enorm variasjon i rapporterte kirurgiske behandlingsresultat, ikke minst når det gjelder risiko for funksjonsforverring. Det er hele 100 ganger flere som får funksjonssvekkelse i studien som rapporterer dårligst resultat sammenlignet med de beste tallene, tilsvarende nær 10,000 % forskjell i risiko! Dette reflekterer neppe reelle kvalitetsforskjeller som forklares av valgte hjelpemidler, kirurgisk håndlag eller pasientseleksjon. Kirurger som evaluerer egne behandlingsresultater med subjektive endepunkt har lav validitet og mange rapporterte tall er nok sterkt farget av rapporteringsbias og interessekonflikter. Metaanalyser av slike tall har dermed også lav validitet, og for sjeldne lidelser som lavgradige gliomer er det dermed vanskelig å finne troverdige svar på hvilke hjelpemidler som gir best resultat. Den svake litteraturen gjør det også vanskelig å angi sikre estimater om risiko til pasientene. Funksjonsendring kan videre studeres på mange vis, for eksempel pasientrapportert, pårørenderapportert, kirurgrapportert, nevropsykolog-rapportert, og man kan få ulike svar avhengig av hvem man spør eller hvem som undersøker, hvor grundig man går til verks og ikke

minst når man spør. Også MR-funn er vanskelige å sammenligne på tvers av studier (Tabell 2) da både inter- og intrarater variabilitet kan være betydelig (41), ikke minst postoperativt (42), og igjen er det nok ekstra usikkerhet knyttet til kirurger som evaluerer og rapporterer egne MR-resultater. I nær fremtid vil automatisk volumestimering basert på maskinlæringsalgoritmer sannsynligvis gjøre analyser av kirurgiske reseksjonsgrader langt mer reproduserbare og robuste (43).

Kreftregisteret jobber derfor for å kunne lagre pre- og postoperative MR-bilder i det Nasjonale Kvalitetsregisteret for Hjerne- og Ryggmargssvulster. Ved hjelp av automatiske metoder kan man hente ut kvantitative MR-data for kvalitetssirkringsarbeid og forskning (44).

Det å fjerne en margin med antatt normalt hjernevev omkring den radiologisk påvisbare svulsten, såkalt supramarginal eller supratotal kirurgi er kontroversielt, men noe i vinden da det i observasjonsstudier er assosiert med bedre overlevelse (45, 46). Det er imidlertid ingen konsensus om hvor stor en supratotal reseksjon skal være, når det bør gjøres, og effekten er foreløpig kun studert i retrospektive observasjonsstudier der det er stort potensiale for seleksjonsskjevhet. Det er for eksempel langt lettere

å gjøre supratotal kirurgi ved små oligodendrogliomer i frontallappen enn store astocytomer i insula, men selv slike store konfunderende faktorer er det i liten grad justert godt for. Det er likevel logisk at supratotal kirurgi potensielt kan ha gevinst, da man vet at det er en avtagende sky av tumorinfiltrasjon langt utenfor grensene som sees på MR, men forholdet mellom gevinst og risiko ved så radikal kirurgi er fremdeles usikker. Hvorvidt potensiell nytte av supratotal kirurgi er annerledes for oligodendrogliom enn for astrocytom er også ukjent foreløpig. Noen tar til orde for supratotal reseksjon helt inntil såkalt «funksjonell grense» der man under våken kirurgi stopper reseksjonen først der man når funksjoner som er målbare i en intraoperativ setting. Det finnes nok ikke hjernevev helt uten funksjon, og det er nok umulig å kvantifisere alle menneskets hjernefunksjoner, ikke minst underveis i en våken hjerneoperasjon. Det er nok dermed fare for at ikke-målte funksjoner kan svekkes mer enn ved et konvensjonelt kirurgisk målvolum. Det kan videre argumenteres at for de aller fleste er prognosen så god med konvensjonell komplett reseksjon at det kan være lite å vinne på å ta ekstra risiko tidlig i sykdomsforløpet, ikke minst hos pasienter med oligodendrogliom som allerede oftest har en nokså gunstig prognose.

Avslutningsvis er det mye håp og spenning knyttet til den tidligere nevnte medikamentelle behandlingen med vorasidenib, en hemmer av IDH1 og IDH2, som i en fase-

3-studie viste stabiliserende effekt på den radiologiske utviklingen og dermed bedret progresjonsfri overlevelse (7). Det er dessuten rapportert bedre epilepsikontroll hos de som fikk vorasidenib. Det er imidlertid verd å merke seg at progresjonsfri overlevelse korrelerer kun svakt med faktisk overlevelse hos pasienter med lavgradige gliomer (47), så hvorvidt vorasidenib også resulterer i bedre overlevelse gjenstår å se. Det er uansett håp om at vorasidenib kan gjøre at strålebehandling kan utsettes til senere i forløpet for mange, noe som vil kunne resultere i at færre opplever langtidsbivirkninger.

OPPSUMMERING

I sum har det vært betydelige fremskritt innen klassifikasjon og behandling av lavgradige gliomer de siste 15 år og det er det håp om ytterligere forbedret behandling i mange pasienters levetid. Kirurgi er fortsatt den mest effektive behandlingsmodaliteten, men de fleste pasientene må før eller siden ha flere behandlingsmodaliteter og behandlingsrunder. Mange blir også operert flere ganger. Kreftregisteret registrerte 322 operasjoner for WHO grad 2-3 gliom i perioden 2022-2024 og omkring en tredjedel var reoperasjoner (1).

REFERANSER :

Se bakerst i nettutgaven på kirurgen.no

God jul og riktig godt nytt år!
HILSEN

KIRURGISK BEHANDLING

AV HØYGRADIGE GLIOMER

Høygradige gliomer er en sjelden kreftform som oppstår i hjernen. Svulstene forekommer oftest hos voksne, men kan også ramme barn. De kjennetegnes av en heterogen biologi og en rask, diffus vekst som strekker seg utover marginene man ser på MR. Kirurgi utgjør hjørnestenen i den multimodale behandlingen, der prognosen avhenger av hvor mye tumorvev som kan fjernes uten å påføre pasienten varige og funksjonsnedsettende nevrologiske utfall.

ERLEND SKAGA 1, EDUARDO E MENDOZA MIRELES 1, AWAIS A. MUGHAL 1 OG EINAR O. VIK- MO 1,2

1 VILHELM MAGNUS - LABORATORIET FOR NEVROKIRURGISK FORSKNING OG NEVROKIRURGISK AVDELING, OSLO UNIVERSITETSSYKEHUS

2 INSTITUTT FOR KLINISK MEDISIN, DET MEDISINSKE FAKULTET, UNIVERSITETET I OSLO

KORRESPONDANSE: EINAR O. VIK- MO, UXVIEB @ OUS - HF.NO

INNLEDNING

Gliomer er en heterogen gruppe av primære hjernesvulster som utgår fra gliaceller i sentralnervesystemet. De kan oppstå i alle deler av sentralnervesystemet, men forekommer hyppigst supratentorielt hos voksne. Gliomer er den vanligste formen for ondartet hjernesvulst hos voksne, men er samlet sett sjeldne og utgjør under 2 % av alle kreftformer (1).

Den nyeste klassifikasjonen av hjernesvulster deler gliomer inn basert på histopatologiske og molekylære kriterier (2). Over 30 undergrupper er nå definert, og molekylære markører som  IDH-mutasjon,  1p/19q-kodelejson, ATRX-status og metylering av promoterregionen til MGMT har fått avgjørende betydning for klassifikasjon og prognose (2). Gliomer graderes etter Verdens Helseorganisasjons (WHO) inndeling fra grad 1 til 4. Grad 4 gliomer er de mest aggressive svulstene og er kjennetegnet av høy proliferasjonsrate, nekrose og mikrovaskulær proliferasjon (3). Høygradige gliomer WHO grad 4 inkluderer flere svulsttyper. De vanligste er glioblastom (IDH-villtype), astrocytom (IDH-mutert), og diffust midtlinjegliom (H3 K27-endret). Sistnevnte forekommer hyppigst hos barn (2). Disse svulstene kjennetegnes av hurtig vekst, diffus infiltrasjon og dårlig prognose, til tross for multimodal behandling med kirurgi, stråle- og kjemoterapi (4).

GLIOBLASTOM

Glioblastom er den vanligste formen for høygradig gliom og utgjør rundt 90 % av alle grad 4-gliomer hos voksne (Figur 1). Den aldersjusterte insidensen i Norge er 5,3 per 100 000 personår, med 251 nye tilfeller i 2024 (1). Median alder ved diagnose er 64 år, og sykdommen forekommer noe hyppigere hos menn. Standardbehandlingen har vært uendret siden 2005 og består av maksimal kirurgisk reseksjon, etterfulgt av konkomitant behandling med stråling og det alkylerende legemiddelet temozolomid, og deretter adjuvant temozolomid (5). For yngre pasienter som gjennomgår full behandling er median overlevelse 15 måneder med en toårs overlevelse på 27% (5). Norske populasjonsdata har bekreftet disse tallene, men viser at median overlevelse i en uselektert populasjon er rundt 12 måneder og toårs overlevelse 17% (6). Prognosen påvirkes av pasientens funksjonsstatus, alder, behandlingsintensitet og MGMT-metyleringsstatus, der sistnevnte indikerer respons på behandling med temozolomid (5,7). Siden introduksjonen av kjemoterapien temozolomid i 2005 er det ikke innført noen nye behandlingsmodaliteter. Likevel har overlevelsen gradvis bedret seg, der forbedringer i den kirurgiske behandlingen trolig har spilt en sentral rolle (6).

De vanligste formene for gliomer

Pilocytisk astrocytom

Oligodendrogliom (IDH-mutert, 1p19q-tap)

Astrocytom (IDH-mutert)

Glioblastom (IDH-villtype)

WHO grad

WHO grad 1

WHO grad 2-3

WHO grad 2-4

WHO grad 4

Diffust midtlinjegliom (H3 K27M/H3 G34R) WHO grad 4

TABELL 1. Oversikt over de vanligste formene for gliomer. WHO grad 1 gliomer er skarpt avgrenset og oftest kurerbare med kirurgi alene. Man kan benytte betegnelsen lavgradig gliom om WHO grad 2-3 og høygradig gliom om WHO grad 3-4. Denne betegnelsen kan variere mellom kilder og vi omtaler her kirurgi for svulster med mistenkt WHO grad 4.

1. Til venstre: peroperativt bilde av malign og ekspansiv tumor med rik neovaskularisering. Til høyre: utdrag av MR (T1-serie med kontrast), som viser omfanget av tumor i hjernen. Kontrastladende del av tumor (CE) har vært det etablerte målet for reseksjon, men er nylig blitt erstattet med et mål om supramaksimal reseksjon som også omfatter ikke-kontrastladende tumor (nCE). Området for motorisk kontroll av høyre hånd er også markert (M).

KIRURGI VED GLIOBLASTOM

Kirurgi er den første og viktigste behandlingsmodaliteten ved glioblastom. Det sikrer vev for histopatologisk og molekylær diagnose, lindrer symptomer, reduserer tumorbyrden og bidrar til lengre overlevelse. Målet er maksimal trygg reseksjon – å fjerne mest mulig tumorvev uten å påføre pasienten varig nevrologisk skade. En rekke studier har vist en klar sammenheng mellom grad av reseksjon og overlevelse (8,9,10), noe som også er vist i norske populasjonsdata (6). Data fra det norske kvalitetsregisteret fra 2019-2023 viser at 85 % av pasientene gjennomgikk reseksjon som primærbehandling, mens 15 % gjennomgikk en diagnostisk biopsi (11). Den postoperative 30-dagers mortaliteten var 1,5 % etter reseksjon (12).

Den moderne forståelsen av reseksjonsgrad er standardisert gjennom klassifikasjonen utarbeidet av RANO-resect (Response Assessment in Neuro-Oncology) (13). Klassifikasjonen baseres på postoperativ MR utført innen 72 timer etter kirurgi, og deler reseksjonen i fire klasser avhengig av gjenværende tumorbyrde:

• Klasse 1: Supramaksimal reseksjon – ingen kontrastladende resttumor + ≤5 cm³ ikke-kontrastladende tumor.

• Klasse 2: Maksimal reseksjon – ≤1 cm³ kontrastladende resttumor

• Klasse 3: Subtotal reseksjon – >1 cm³ kontrastladende resttumor

• Klasse 4: Diagnostisk biopsi

Klassifikasjonen er basert på retrospektive, multisenterdata fra 1008 pasienter med nydiagnostisert glioblastom. Pasienter der man oppnådde en klasse 1-reseksjon hadde en median overlevelse på 24 måneder sammenlignet med 19, 15 og 10 måneder i henholdsvis klasse 2-4 (Figur 2). Selv om en mer omfattende reseksjon er assosiert med lengre overlevelse, må inngrepet utføres med varsomhet. Nye, alvorlige nevrologiske utfall etter kirurgi medfører et betydelig prognosetap (4). Det er derfor avgjørende å balansere graden av reseksjon mot risikoen for varig nevrologisk skade, og å unngå alvorlige, permanente funksjonsutfall.

KIRURGISKE HJELPEMIDLER

Fluorescensstyrt kirurgi (5-ALA)

Et viktig fremskritt innen gliomkirurgi har vært introduksjonen av fluorescensbasert visualisering av tumorvev under reseksjon ved bruk av 5-aminolevulinsyre (5ALA). Stoffet tas selektivt opp i tumorceller og omdannes intracellulært til fluorescerende porfyriner. På denne måten kan høygradig gliomvev i tumorens ytterkant lettere identifiseres ved et karakteristisk fargeomslag

FIGUR

FIGUR 2. RANO­resect­gruppens klassifikasjon av postoperativ tumorbyrde etter kirurgi for glioblastom, inndelt i RANO­klasse 1­4. Figuren viser kurver for progresjonsfri overlevelse og total overlevelse med Kaplan-Meier analyse i de ulike reseksjonsklassene. Figuren er gjengitt uten endring fra Karschnia et al. (13) med tillatelse under Creative Commons Licence versjon 4.0 (https://creativecommons.org/licenses/by/4.0/). CE = contrast enhanced tumor , mPFS = median progression free surivival, mOS = median overall survival.

når det belyses med ultrafiolett lys (~400 nM), i kontrast til omkringliggende normalt hjernevev som ikke fluorescerer. I en randomisert fase 3-studie ble det vist at fluorescensveiledet kirurgi ga en signifikant høyere andel komplette reseksjoner (65% vs. 36%) og forbedret seksmåneders progresjonsfri overlevelse (41% vs. 21%) uten økt morbiditet (14). 5-ALA-assistert reseksjon er nå etablert som standardmetode ved de fleste nevrokirurgiske sentre både i Norge og internasjonalt.

Nevronavigasjon og intraoperativ bildeveiledning Avanserte MR-protokoller med diffusjonsvektede bilder (DTI/CSD) anvendes for å fremstille viktige nervefiberbaner (f.eks. kortikospinale baner og fasciculus arcuatus) i hjernen og deres relasjon til tumor (Figur 3A-D). Moderne nevronavigasjon gjør det mulig å integrere preoperative MR-bilder i den kirurgiske planleggingen og følge instrumentene i sanntid under inngrepet. Dette gir økt orienteringsevne og presisjon, og bidrar til tryggere og mer målrettet reseksjon. Ved bruk av intraoperativ ultralyd kan resttumor identifiseres, og det kan korrigeres for anatomi som endres i forbindelse med inngrepet («brain shift»). Retrospektive studier har vist at intraoperativ ultralyd øker andelen totale reseksjoner uten å

øke komplikasjonsraten (15). Intraoperativ MR muliggjør oppdatert avbildning underveis i operasjonen, men er ressurskrevende og foreløpig kun tilgjengelig ved enkelte universitetssykehus (16). Nyere data kan tyde på at bruk av intraoperativ MR øker andelen pasienter som oppnår supramaksimal reseksjon, og trolig også bedrer overlevelsen (17).

Våken kraniotomi og funksjonskartlegging

Ved svulster lokalisert nær funksjonelt viktige (elokvente) områder, særlig de som er involvert i språk- eller motorisk funksjon, kan våken kraniotomi benyttes med direkte kortikal og subkortikal stimulering (Figur 3E). Denne tilnærmingen reduserer risikoen for permanente funksjonstap og muliggjør mer omfattende reseksjon (18). En retrospektiv, multisenterstudie med 1047 pasienter med glioblastom i elokvente områder, viste at våkenmonitorering var assosiert med lengre overlevelse, sannsynligvis fordi metoden reduserer risikoen for nye alvorlige nevrologiske utfall (19). Nevrofysiologisk monitorering muliggjør både sanntidsovervåkning og anatomisk kartlegging av funksjonelt viktige områder i grå og hvit substans, særlig relatert til motorisk funksjon (20). Ved å kombinere slike metoder med spesialiserte MR-sekvenser tatt preoperativt

FIGUR 3. A) Preoperativt aksialt CT-bilde av tumor med blødning. B) Preoperativt aksialt MR-bilde (T1 med kontrast) som viser høygradig tumor (oransje sirkel) og blødning (rød sirkel) med nervefiberbaner fremstilt i relasjon til tumor; kortikospinale baner i blå og fasciculus arcuatus i grønn. C) Tredimensjonal fremstilling av tumor i relasjon til nerverfiberbaner (kortikospinale baner i blå og fasciculus arcuatus i grønn). D) Preoperativt koronalt MR­bilde (T1 med kontrast) som viser høygradig tumor (oransje sirkel) og blødning (rød sirkel) med nervefiberbaner fremstilt i relasjon til tumor; kortikospinale baner i blå og fasciculus arcuatus i grønn. E) Tett samarbeid mellom nevropsykolog (til venstre), kirurg (til høyre) og pasient (i midten) under våken testfase for å ivareta språkfunksjon under reseksjon av tumor. Pasienten har samtykket til at bilde publiseres.

kan kirurgen lettere identifisere og bevare kritiske nervebaner under inngrepet (20).

KIRURGISK BESLUTNINGSTAKING

Målet ved kirurgi for glioblastom er maksimal trygg reseksjon. Enkelte pasienter er imidlertid ikke egnet for en slik strategi, enten på grunn av pasientrelaterte faktorer (alder, komorbiditet) eller tumorrelaterte forhold (beliggenhet i elokvente områder, multifokalitet). Hos disse pasientene kan biopsi være riktig tilnærming for å etablere diagnose og muliggjøre inkludering i kliniske studier. For biologisk eldre pasienter er nytteverdien av reseksjon omdiskutert. I en fransk, prospektiv, multisenterstudie (ANOCEF-trial) ble 107 pasienter over 70 år randomisert til biopsi eller kirurgisk reseksjon (22). Studien viste at reseksjon var trygt og førte til en lengre periode med bevart funksjon og livskvalitet, selv om man ikke kunne påvise at det ga lengre overlevelse. Den eksterne validiteten er imidlertid omdiskutert, ettersom studien hadde lav inklusjon av pasienter per senter (ni kirurgiske avdelinger over 12 år). Manglende rekruttering til kirurgiske randomiserte studier er en velkjent utfordring i feltet. En nyere retrospektiv, multisenterstudie viste at pasienter med høyt postoperativt funksjonsnivå kombinert med RANO-resect klasse 1 eller 2, kunne oppnå overlevelse som reduserte betydningen av høy alder som risikofaktor (23).

Indikasjon for reoperasjon ved gjenvekst av tumor er omdiskutert. Omtrent 1 av 10 pasienter med glioblastom gjennomgår en ny operasjon for tumorresidiv i Norge (12). I en retrospektiv studie av 681 pasienter med residiv av glioblastom ble det funnet at re-reseksjon var assosiert med en signifikant bedre overlevelse sammenlignet

med ikke-kirurgisk behandling (median 11 vs. 7 måneder). Denne gevinsten ble imidlertid kun observert hos pasienter med ≤1 cm³ resttumor etter reoperasjon, mens supramaksimal reseksjon utover kontrastladende tumor ikke ga ytterligere overlevelsesfordel, men økt risiko for postoperative nevrologiske sekveler (24). Retrospektive studier på feltet er imidlertid beheftet med risiko for seleksjonsskjevhet av pasienter, og kirurgisk strategi må derfor individualiseres ut fra tumorens lokalisasjon, pasientens funksjonsnivå og forventet toleranse for videre behandling. Ved dype eller elokvent beliggende svulster bør kirurgen unngå skade på funksjonelt viktige områder, og her har teknikker som våken kraniotomi med kartlegging av språk og motorikk fått økende betydning (4). Hos pasienter med forventet kontrastladende resttumor eller multifokal sykdom bør man i stedet vurdere rebestråling, kjemoterapi eller palliativ tilnærming.

OPPSUMMERING

Kirurgisk reseksjon utgjør førstelinjebehandlingen ved høygradige gliomer, og reseksjonsgrad er en viktig prognostisk faktor for pasientoverlevelse. De siste tiårene har teknologiske fremskritt, inkludert fluorescensveiledet kirurgi, nevronavigasjon, intraoperativ billeddiagnostikk og funksjonskartlegging, gjort det mulig å gjennomføre tryggere og mer komplette reseksjoner. Likevel gjør sykdommens diffuse og infiltrerende vekstmønster at ytterligere forbedring i pasientoverlevelse avhenger av fortsatt utvikling av effektive onkologiske behandlingsstrategier.

REFERANSER : Se bakerst i nettutgaven på kirurgen.no

HJERNESVULSTER HOS BARN

– DIAGNOSTIKK, BEHANDLING

OG FREMTIDSPERSPEKTIVER

Hjernesvulster hos barn utgjør den vanligste formen for solide kreftsvulster i barnealderen, og skiller seg betydelig fra de som oppstår hos voksne. Til tross for fremskritt innen behandling og økt overlevelse, er hjernesvulster fortsatt en ledende årsak til kreftrelatert dødelighet blant barn. Denne artikkelen gir en oversikt over epidemiologi, klassifikasjon og moderne behandlingsstrategier, med særlig fokus på nevrokirurgi, molekylær diagnostikk og tverrfaglig tilnærming for å optimalisere prognosen

RUBY MAHESPARAN 1,3,4 MARIA W GUNNES 2,4 OG FRODE SVENDSEN 1

1. NEVROKIRURGISK AVDELING, HAUKELAND UNIVERSITETSSJUKEHUS, BERGEN

2. BARN OG UNGDOMSKLINIKKEN, HAUKELAND UNIVERSITETSSYKEHUS, BERGEN

3. KLINISK INSTITUTT 1, UNIVERSITETET I BERGEN

4. NASJONALT KVALITETS - OG KOMPETANSENETTVERK FOR SOLIDE SVULSTER HOS BARN, OSLO UNIVERSITETSSYKEHUS, RIKSHOSPITALET

KORRESPONDANSE: RUBY MAHESPARAN - RMAH @ HELSE - BERGEN.NO

INNLEDNING

Hjernesvulster er den vanligste formen for solide kreftsvulster hos barn og utgjør omtrent 30% av alle krefttilfeller i barne- og ungdomsalder. Til tross for betydelige fremskritt innen diagnostikk og behandling, er hjernesvulster fortsatt en ledende årsak til kreftrelatert dødelighet hos barn. Behandlingen krever en tverrfaglig tilnærming med høyspesialisert kompetanse, der nevrokirurgi spiller en nøkkelrolle. Fremskritt innen nevrobildediagnostikk, kirurgiske teknikker, molekylærbiologisk diagnostikk, onkologisk behandling og støttebehandling har bidratt til forbedret prognose for flere svulsttyper innenfor sentralnervesystemet. Samarbeid i tverrfaglige team bestående av nevrokirurger, barneonkologer, radiologer, patologer, endokrinologer og rehabiliteringseksperter er avgjørende for best mulig behandling og oppfølging. Denne artikkelen gir en samlet fremstilling av epidemiologi, diagnostikk og behandling av hjernesvulster hos barn og ungdom, med hovedvekt på de vanligste entitetene: gliomer, ependymomer, medulloblastomer, atypisk teratoid/rhabdoid tumor (ATRT) og diffuse midtlinjegliomer (Figur 1).

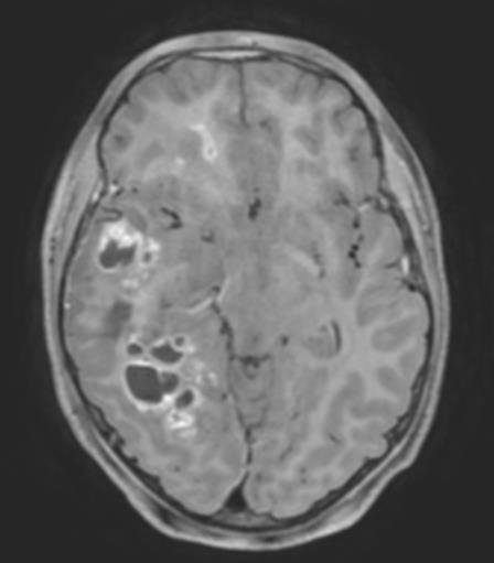
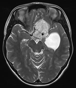
EPIDEMIOLOGI OG KLINISK PRESENTASJON

I Norge diagnostiseres årlig 5,8 tilfeller per 100 000 barn med en hjernesvulst. Hos barn oppstår de fleste svulstene i bakre skallegrop (lillehjerne, fjerde ventrikkel og hjernestamme), mens supratentorielle svulster er vanligere hos voksne (Figur 2).

De vanligste symptomene ved hjernesvulst hos barn og ungdom er hodepine, kvalme og oppkast, synsvansker, balanseproblemer og endret atferd. Hos noen debuterer sykdommen med epileptiske anfall, spesielt ved supratentorielle svulster. Hydrocephalus er hyppig ved infratentorielle tumores og kan være første kliniske manifestasjon.

Gliomer utgjør den største andelen av hjernesvulster hos barn, med pilocytisk astrocytom og andre lavgradige gliomer som de mest vanlige typene (Figur 3). Embryonale svulster, særlig medulloblastom, er også hyppige. I motsetning til voksne, der meningeomer og glioblastomer dominerer, preges barnepopulasjonen av utviklingsrelaterte og lavgradige svulster. Dette har betydning for

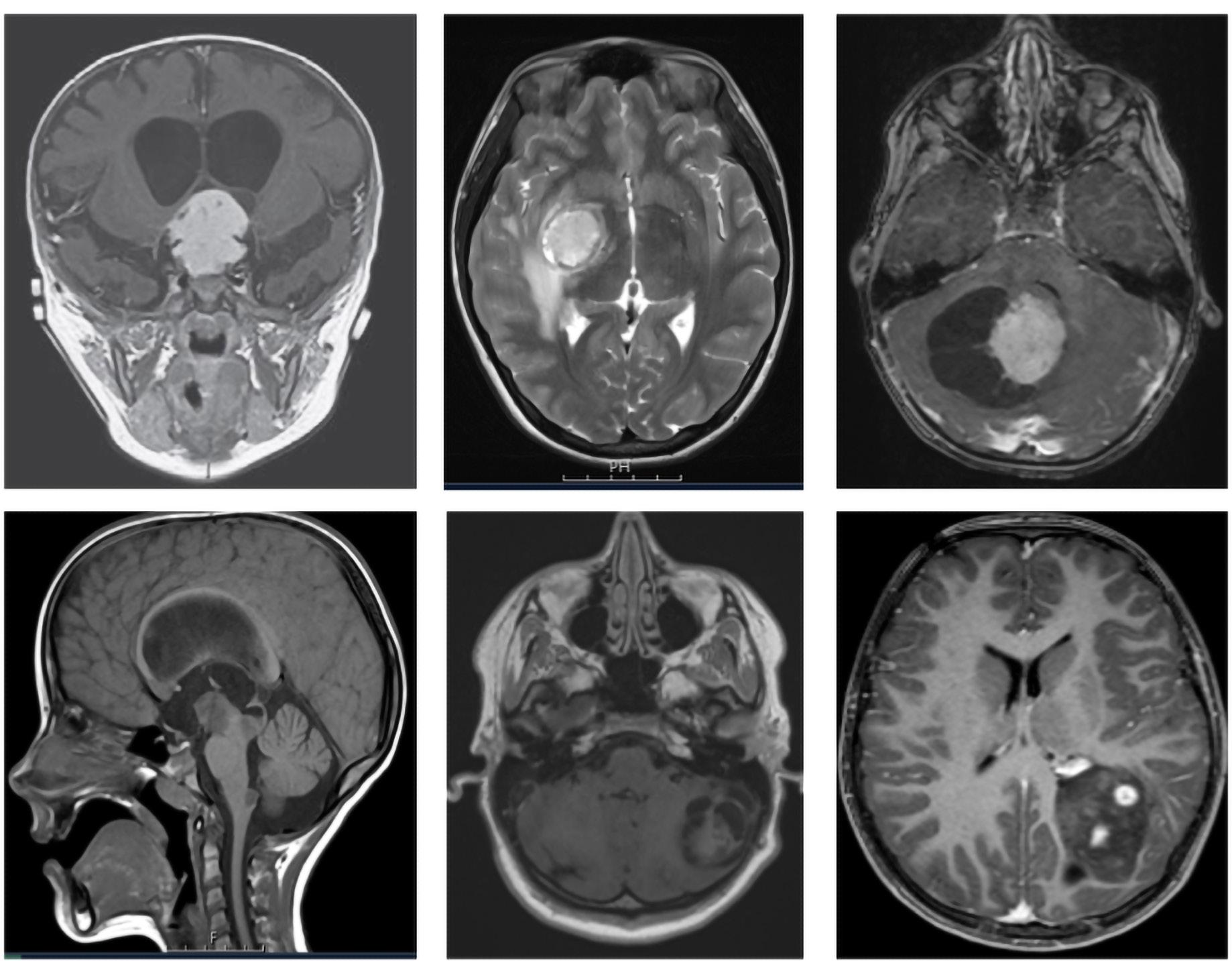
FIGUR 1: MR-bildene viser tydelig heterogenitet i hjernesvulster hos barn. A – Pilocytisk astrocytom i synsnerve (WHO grad ­1); B – Diffust astrocytom (WHO grad – 2); C – Høygradig gliom (WHO grad – 4); D – Diffust midtlinjegliom (WHO grad – 4); E ­ Dysembryoplastisk nevroepitelial tumor (WHO grad – 1); F – Gangliogliom (WHO grad – 1); G – Supratentorielt ependymom (WHO grad – 3); H – Pilocytisk astrocytom (WHO Grad – 1); I – Medulloblastom ( WHO grad – 4); J – Medulloblastom (WHO grad – 4); K – Ependymom ( WHO grad – 4); L ­ Glionevronaltumor forenlig med RGNT ( WHO – Grad 1). Alle pasienter har samtykket til bruk av bildene.

FIGUR 2: Oversikt over hjernesvulster hos barn. Venstre: Anatomisk fordeling av ulike svulsttyper i hjernen. Høyre: Forekomst av svulster i ulike hjerneregioner, med cerebellum som den hyppigst affiserte (46 %).

FIGUR 3: Forekomst av ulike hjernesvulster hos barn i alderen 0–14 år. Pilocytisk astrocytom er den vanligste typen (17,6 %), etterfulgt av embryonale svulster (15,0 %) og lavgradige gliomer. Diagrammet viser den biologiske variasjonen i svulsttyper hos barn.

Gliomer, glioneuronale og nevronale svulster

Pediatriske diffuse lavgradige gliomer

• Diffust astrocytom, MYB- eller MYBL1-endret (ny)

• Angiocentrisk gliom",

• Polymorf lavgradig nevroepitelial svulst hos unge (ny)

• Diffust lavgradig gliom, MAPK-pathway-endret (ny)

Pediatriske diffuse høygradige gliomer (definert av H3-status)

• Diffust midtlinjegliom, H3 K27-endret

• Diffust hemisfærisk gliom, H3 G34-mutant (ny)

• Diffust pediatrisk høygradig gliom, H3- og IDH-wildtype (ny)

• Infantilt hemisfærisk gliom (ny)

Avgrensede astrocytære gliomer

• Pilocytisk astrocytom

• Høygradig astrocytom med piloide trekk (ny)

• Pleomorft xanthoastrocytom

• Subependymalt gigantcellet astrocytom

• Astroblastom, MN1-endret

Glioneuronale og nevronale svulster

• Gangliogliom

• Desmoplastisk infantil gangliogliom / desmoplastisk infantil astrocytom

• Dysembryoplastisk nevroepitelial svulst

• Diffus glioneuronal svulst med oligodendrogliom-lignende trekk (DGONC) (ny)

• Diffus leptomeningeal glioneuronal svulst

• Multinodulær og vakuoliserende nevronal tumor (ny)

Ependymale svulster

• Supratentorielt ependymom

- ZFTA-fusjonspositiv

- YAP1-fusjonspositiv (ny)

• Posterior fossa ependymom

- Gruppe PFA (ny)

- Gruppe PFB (ny)

• Spinalt ependymom, MYCN­amplifisert (ny)

• Myxopapillært ependymom

CNS embryonale svulster

Medulloblastom, molekylært definert

• WNT-aktivert

• SHH-aktivert & TP53-wildtype

• SHH-aktivert & TP53-mutant

• Non-WNT/non-SHH

Andre embryonale CNS-svulster

• Atypisk teratoid/rhabdoid tumor

• Cribriform nevroepitelial tumor (ny)

• Embryonal tumor med multilagede rosetter

• CNS-nevroblastom, FOXR2-aktivert (ny)

• CNS-tumor med BCOR-tandemduplisering (ny)

• CNS-embryonal tumor NEC/NOS

både diagnostikk og behandlingsstrategi, og understreker behovet for tverrfaglig tilnærming og høyspesialisert kompetanse.

KLASSIFIKASJON OG DIAGNOSTIKK

WHO sin femte utgave av klassifikasjonen av svulster i sentralnervesystemet, publisert i 2021, har markert et paradigmeskifte i diagnostikk og behandling. WHOklassifikasjonen fra 2021 introduserte en tydelig inndeling mellom pediatriske og voksen-typiske svulster. Diagnostikken er nå basert på en integrert tilnærming der histologi kombineres med immunhistokjemi og molekylære analyser. For eksempel klassifiseres pediatriske gliomer som egen gruppe, og medulloblastom deles inn i fire molekylære subgrupper med ulik prognose og behandlingsstrategi (Tabell 1). Ependymomer klassifiseres etter både lokalisasjon og genetiske fusjoner, som ZFTA eller YAP1, og diffuse midtlinjegliomer defineres ved H3K27M-mutasjon og gis automatisk WHO-grad 4, uavhengig av histologiske trekk.

Molekylære analyser er nå avgjørende for diagnose og prognose, og for flere svulsttyper er molekylære funn styrende for valg av behandling. For nevrokirurgen betyr dette at kirurgien må forstås i en biologisk kontekst; enkelte svulster kan helbredes med reseksjon alene, mens andre krever multimodal behandling uansett kirurgisk resultat.

MR med kontrast er gullstandard i utredningen, og suppleres ofte med spinal MR og spinalvæskeundersøkelse for å påvise leptomeningeal spredning. I tillegg tas blodprøver for analyse av relevante tumormarkører. Biopsi eller reseksjon er nødvendig for histologisk og molekylær verifikasjon og stratifisering. Alle pasienter vurderes i tverrfaglige nevro-onkologiske team både lokalt og nasjonalt. Faggruppen for CNS-svulster hos barn er en del av Nasjonalt Kvalitets- og Kompetansenettverk for solide svulster hos barn (KSSB), et nasjonalt nettverk som sikrer enhetlig behandling på høyt internasjonalt nivå og med tilknytning til europeiske og internasjonale behandlingsprotokoller.

GLIOMER

Gliomer utgjør den største gruppen av barnehjernesvulster, og klassifiseres i tre grupper: Pediatrisk-type diffust lavgradig gliom, Pediatrisk-type diffust høygradig gliom og velavgrensede astrocytomer.

Lavgradige gliomer er de hyppigste hjernesvulstene hos barn og utgjør rundt en tredel av tilfellene. I motsetning

TABELL 1: WHO Klassifikasjon av pediatrisk hjerne svulster

FIGUR 4: Molekylærbasert behandlingsstrategi for gliomer hos barn. Flytskjemaet viser hvordan genetiske funn som K27M-, BRAF-, IDH1/2- og G34V-mutasjoner samt genfusjoner (f.eks. NTRK, ALK, ROS1) styrer valg av målrettet behandling og kliniske studier for lav- og høygradige gliomer.

til hos voksne transformerer de sjelden til høygradige svulster, og IDH1/2-mutasjoner sees kun unntaksvis. Behandlingen er primært kirurgi, der målet er mest mulig sikker reseksjon og vevsdiagnose. Femårs overlevelse er svært god (>90 %), men progresjonsfri overlevelse er lavere og avhenger av reseksjonsgrad, alder og lokalisasjon. Mange svulster vokser langsomt, og observasjon kan være aktuelt som første behandlingsstrategi. Ved residiv eller ikke-resektable svulster brukes både strålebehandling (konvensjonell, proton eller gammakniv) og kjemoterapi. Sistnevnte foretrekkes hos små barn (<4-5 år) på grunn av strålefølsomhet i den voksende hjernen. De fleste lavgradige gliomer har endringer i MAPK-signalveien, spesielt BRAF- og FGFR1-mutasjoner eller fusjoner, som nå åpner for målrettet behandling (Figur 4).

Pilocytisk astrocytom som er den vanligste hjernesvulsten hos barn og ungdom, utgjør rundt 20% av tilfellene, og klassifiseres under avgrensede gliomer. Svulsten er som regel langsomt voksende og velavgrenset, og med tiårs overlevelse på over 90%. Den forekommer hyppigst i cerebellum, men kan oppstå andre steder for eksempel i hypothalamus eller synsnerveapparatet (Figur 5). Malign transformasjon er sjelden, men om lag 20% får tilbakefall eller spredning. De fleste pilocytiske astrocytomer har en KIAA1549–BRAF-fusjon, særlig i bakre skallegrop, og denne er forbundet med bedre overlevelse.

Pediatriske høygradige diffuse gliomer utgjør om lag 10 % av hjernesvulstene hos barn og har svært dårlig prognose. Til tross for kirurgi og adjuvant behandling dør 70–90 % innen to år etter diagnosen. Begrepet «glioblastom»

5: MR-bilder som viser pilocytisk astrocytom i ulike deler av hjernen hos barn. Svulstene fremstår som velavgrensede lesjoner med varierende lokalisering, inkludert hemisfærer, cerebellum og midtlinjestrukturer. Bildene illustrerer den anatomiske variasjonen og viktigheten av bildediagnostikk i vurdering og behandling. Alle pasienter har samtykket til bruk av bildene.

Histonstatus

H3K27-altert i omtrent 90 % av tilfellene

H3G34-mutant i omtrent 20 % av tilfellene —

Median alder på pasient (år) 5–10 14 10 Lokasjon

Andre genomiske endringer

Midtlinje, thalamus Cerebrale hemisfærer Mest supratentorielt

TP53-, ACVR1-, PDGFRA-mutasjoner

Prognose (median total overlevelse) Svært dårlig (<1 år)

TABELL 2: Pediatrisk-Type Diffuse, Høygradige Gliomer

TP53-, ATRX-mutasjoner, MGMT-metylering

TP53-mutasjon

Dårlig (1–2 år) Se under

Tillegg for H3 og IDH villtype gliomer

- MYCN-amplifikasjon: Svært dårlig (14 måneder)

- PDGFRA-amplifikasjon: Dårlig (21 måneder)

- EGFR-amplifikasjon: Middels (44 måneder)

FIGUR
Midtlinje Gliomer
Hemisfæriske Gliomer
H3 og IDH Villtype Gliomer

FIGUR 6: Molekylære subtyper av medulloblastom med typisk anatomisk lokalisering og prognose. Wnt-subtypen oppstår i dorsal hjernestamme og har best prognose (95–100 % 5­års overlevelse). Shh­subtypen finnes i cerebellare hemisfærer med varierende prognose avhengig av p53-status. Gruppe 3 og 4 oppstår i midtlinjen og har lavere overlevelse.

brukes nå kun om svulster hos voksne og er fjernet fra barneklassifikasjonen i WHO CNS5, hvor molekylære markører vektlegges sterkere enn histologi (Tabell 2). Standard behandling er palliativ stråleterapi, men effekten er begrenset. Treårs overlevelse ligger på rundt 20 %. Kjemoterapi har generelt hatt liten effekt, og temozolomid som brukes hos voksne, har ikke vist samme nytte hos barn, men brukes hos utvalgte pasienter. Nye målrettede og immunologiske behandlinger undersøkes, inkludert HDAC-hemmere, CAR-T-celleterapi og onkolytiske virus, men disse er foreløpig på forsøksstadiet

MEDULLOBLASTOM

Medulloblastom er den hyppigste maligne hjernesvulsten hos barn og utgjør over 70 % av embryonale svulster. De fleste oppstår i lillehjernen (cerebellum), har sitt opphav i umodne nevroektodermale celler og rundt 70 % diagnostiseres før tiårsalder. Klinisk debut skjer oftest med symptomer på økt intrakranielt trykk eller cerebellar dysfunksjon. Risikofaktorer for dårlig prognose er ung alder (<3-4 år), stor resttumor etter kirurgi, og metastatisk sykdom ved diagnose.

WHO 2021 deler medulloblastom inn i fire molekylære subgrupper basert på genetiske og epigenetiske profiler (som igjen deles inn i flere undergrupper som ikke omtales her). Disse gruppene har ulik opprinnelse, biologisk oppførsel, klinisk aggressivitet og prognose, og klassifiseringen har stor betydning for behandlingsvalg og oppfølging.

WNT-typen (10 %) oppstår ofte i midtlinjen og har svært god prognose med 10-års overlevelse over 90 prosent. SHH-typen (30 %) oppstår i cerebellar hemisfære, har intermediær prognose og TP53-mutasjon gir dårligere utfall, mens gruppe 3 (25 %) har den dårligste prognosen, ofte assosiert med MYC-amplifikasjon. Gruppe 4 (35%) er

den vanligste med uklar molekylær mekanisme og har middels prognose (Figur 6).

Standardbehandling er maksimal sikker reseksjon etterfulgt av kraniospinal bestråling og kjemoterapi. Nye behandlingsstrategier retter seg mot reduksjon av behandlingsintensitet for WNT-subtypen, målrettet SMO-hemming ved SHH-medulloblastomer og risikoadaptiv behandling for gruppe 3 og 4. Prognosen er generelt bedret de siste årene, men behandlingen er forbundet med betydelige langtidssekveler.

EPENDYMOMER

Ependymomer, som utgår fra ependymale celler i ventriklene og ryggmargskanalen, er den tredje vanligste hjernesvulsten hos barn etter gliomer og medulloblastomer, og utgjør 5–10 % av tilfellene. De oppstår hyppigst (90 %) i bakre skallegrop, men kan også forekomme supratentorielt eller i ryggmargen. Molekylær klassifikasjon har fått stor betydning: posterior fossa A-svulster forekommer hos små barn og har dårlig prognose, mens posterior fossa B-svulster ses hos eldre barn og har betydelig bedre prognose. Supratentorielle ependymomer kan være assosiert med ZFTA- eller YAP1-fusjoner, som gir ulik biologisk oppførsel (Figur 7).

Kirurgisk reseksjon er den viktigste prognostiske faktoren, og målet er alltid maksimal trygg fjerning. Postoperativ fokal strålebehandling er standard, også hos små barn. Kjemoterapi har hittil vist begrenset effekt, men utredes i studier. Femårs overlevelse varierer betydelig med molekylær subtype og reseksjonsgrad.

GLIONEVRONALE SVULSTER

Glionevronale svulster er en heterogen gruppe primære CNS-tumores som inneholder både gliale og nevronale komponenter. De utgjør en mindre, men viktig andel av

7: Klassifisering av ependymomer.

Tumortype Typisk alder / forekomst Vanlig lokalisasjon Kliniske trekk Prognose

Gangliogliom

Desmoplastisk infantil astrocytom / gangliogliom

Dysembryoplastisk nevroepitelial tumor (DNET)

Diffus leptomeningeal glionevronal tumor

Multinodulær og vakuoliserende nevronal tumor

Barn og unge voksne; hyppigste glionevronale tumor

Spedbarn (<2 år)

Barn / ungdom

Barnealder, sjelden

Ungdom / unge voksne, svært sjelden

TABELL 3 – Glionevronale tumorer.

Temporallapp (ofte assosiert med epilepsi)

Store cystisk-solide tumorer, ofte supratentorielt

Temporallapp, kortikal

Diffus leptomeningeal spredning over hemisfærer og ryggmarg

Korteks

Kronisk epilepsi, sjelden malign transformasjon

Rask hodeomkretsvekst, symptomer på trykk

Medikamentresistent epilepsi

Hodepine, hydrocefalus, nevrologiske utfall

God, høy 10-års overlevelse etter kirurgi

Meget god etter kirurgi

God, residiv sjelden

Mer variabel; risiko for residiv og progresjon

Anfall, ofte tilfeldig funn God, benign klinikk

FIGUR 8: Preoperativ kartlegging med avansert MR-teknologi Ved hjelp av funksjonell MR (fMRI) og diffusjonstensoravbildning (DTI) har vi kartlagt både svulsten og de omkringliggende funksjonelle områdene i hjernen. De fargede nervebanene representerer forbindelser knyttet til språk og motorikk. Svulsten ligger tett inntil disse områdene, noe som gjør kirurgisk behandling særlig utfordrende. Denne typen bildeanalyse gir viktig informasjon for planlegging av inngrepet, med mål om å fjerne mest mulig tumor samtidig som man bevarer pasientens funksjoner og livskvalitet. Pasienten har samtykket til bruk av bildene.

FIGUR

pediatriske hjernesvulster og har generelt et mer indolent forløp enn de høygradige gliomene. De fleste er WHO grad 1 eller 2, og kirurgi er ofte kurativ dersom totalreseksjon oppnås (Tabell 3).

ATYPISK TERATOID/RHABDOID TUMOR ( ATRT )

ATRT er en sjelden, men svært aggressiv tumor som hyppigst rammer barn under tre år. Den kjennetegnes ved tap av SMARCB1 (INI1) eller sjeldnere SMARCA4. Svulsten kan oppstå hvor som helst i sentralnervesystemet og fremstår ofte på MR som en stor, heterogen masse med nekrose og blødning.

Prognosen er dårlig, men multimodale behandlingsprotokoller har de siste årene forbedret utsiktene noe. Behandlingen innebærer kirurgi når dette er teknisk mulig, etterfulgt av intensiv kjemoterapi og strålebehandling, noen ganger kombinert med høydosebehandling og autolog stamcellestøtte. Likevel er langtidsoverlevelsen fortsatt svært begrenset, og det er behov for nye behandlingsstrategier.

KIRURGIENS ROLLE VED HJERNESVULSTER HOS BARN

Kirurgi utgjør det første og mest avgjørende behandlingssteget for de fleste hjernesvulster hos barn. Hovedmålet er å oppnå maksimal mulig reseksjon uten å påføre pasienten nye nevrologiske utfall. For å planlegge inngrepet gjennomføres avansert MR-diagnostikk, inkludert kartlegging av funksjonelle områder og fiberbaner, slik at viktige strukturer kan skånes og best mulig tilgang til svulsten sikres (Figur 8).

Bruken av moderne teknologier har betydelig økt sikkerheten og presisjonen ved kirurgiske inngrep. Dette inkluderer nevronavigasjon, fluorescerende markører, intraoperativ ultralyd, nevrofysiologisk monitorering og intraoperativ MR. Disse metodene bidrar til høyere reseksjonsgrad og reduserer risikoen for komplikasjoner. Hos enkelte pasienter kan fluorescensbasert visualisering benyttes, men erfaringen hos barn er foreløpig mer begrenset enn hos voksne.

Grad av reseksjon er en av de viktigste prognostiske faktorene ved svulsttyper som pilocytiske astrocytomer, gliomer, ependymomer og medulloblastomer. For andre svulster, som diffuse midtlinjegliomer, er kirurgiens rolle primært å skaffe vevsprøver for diagnostikk og identifikasjon av eventuelle genetiske avvik for målrettet behandling, ettersom behandlingen i hovedsak baseres på andre modaliteter med lavere risiko for morbiditet og mortalitet.

LANGTIDSOPPFØLGING OG SENSKADER

Bedret overlevelse har ført til økt oppmerksomhet på senskader. Mange barn utvikler endokrine problemer, særlig etter strålebehandling mot hypothalamus-hypofyse-aksen. Veksthormonmangel, hypothyreose og hypogonadisme er vanlig. Kognitive vansker, inkludert læringsvansker og oppmerksomhetssvikt, rammer en stor andel og krever målrettet pedagogisk oppfølging. Nevrologiske sekveler som motoriske vansker og hørselstap kan gi betydelig funksjonsnedsettelse. Psykososiale utfordringer og fatigue oppstår ofte og krever tett oppfølging fra skole, familie og helsevesen. Langtidsoppfølging må være tverrfaglig og livslang. Overgangen til voksenhelsetjenesten bør planlegges i god tid for å sikre kontinuitet.

FREMTIDSPERSPEKTIVER

Utviklingen går mot persontilpasset behandling. Molekylære markører gir mulighet til mer presis diagnostikk, bedre risikostratifisering og målrettet terapi. For eksempel kan BRAF- og MEK-hemmere brukes hos enkelte barn med gliomer, og kliniske studier undersøker effekten av immunterapi som CAR-T-celler ved diffuse midtlinjegliomer. For medulloblastom pågår studier som tester reduksjon av stråledoser hos lavrisikopasienter, i håp om å redusere langtidsmorbiditet uten å svekke overlevelsen.

Internasjonalt samarbeid er helt nødvendig på dette feltet, gitt den lave forekomsten av hver enkelt svulsttype. Biobankprosjekter, internasjonale protokoller og deltakelse i kliniske studier er avgjørende for å drive den onkologiske utviklingen fremover.

OPPSUMMERING

Hjernesvulster er den vanligste solide kreftformen hos barn og en ledende årsak til kreftrelatert død. WHO 2021-klassifikasjonen har gjort molekylær diagnostikk uunnværlig. Kirurgi med mål om maksimal trygg reseksjon er grunnpilaren i behandlingen for de fleste svulster, men multimodal behandling er nødvendig for medulloblastom, ependymom, ATRT og diffuse midtlinjegliomer. Langtidsoppfølging er essensiell for å håndtere senskader. Fremtiden peker mot mer persontilpasset terapi og økt internasjonalt samarbeid.

Tverrfaglig samarbeid er avgjørende for optimal behandling og oppfølging. Nasjonal Kvalitets- og Kompetansenettverk for solide svulster hos barn (KSSB) sikrer en enhetlig og god nasjonal behandling av barn med svulster i CNS.

REFERANSER : Se bakerst i nettutgaven på kirurgen.no

STRÅLEKNIVBEHANDLING AV HJERNESVULST

Stråleknivbehandling representerer en kirurgisk presisjonsmetode for behandling av intrakranielle svulster. Selv om teknologien bygger på strålefysikk, er behandlingstradisjonen og ­filosofien kirurgisk: én presis intervensjon, uten marginer, med mål om lokal kontroll og bevart funksjon. Etter snart 40 år i drift ved Haukeland universitetssjukehus har strålekniven blitt et nasjonalt nevrokirurgisk verktøy, brukt både ved benigne og maligne hjernesvulster.

ØYSTEIN TVEITEN NEVROKIRURGISK AVDELING, HAUKELAND UNIVERSITETSSYKEHUS.NASJONAL BEHANDLINGSTJENESTE I STRÅLEKNIV

KORRESPONDANSE: ØYSTEIN TVEITEN – OYSTEIN.TVEITEN @ HELSE - BERGEN.NO

ET NEVROKIRURGISK VERKTØY

På begynnelsen av 1900-tallet utviklet nevrokirurgen Victor Horsley og fysikeren Robert Clarke et tredimensjonalt koordinatsystem som gjorde det mulig å lokalisere strukturer i hjernen med høy presisjon (1). Instrumentet – senere kjent som den stereotaktiske rammen – ble brukt til å lage kontrollerte lesjoner i forsøksdyr og dannet grunnlaget for det som i dag omtales som det stereotaktiske prinsipp. I 1947 tilpasset Ernest A. Spiegel og nevrokirurgen Henry T. Wycis teknologien til klinisk bruk og utviklet den første rammen for menneskelig nevrokirurgi (2). Gjennom 1950-årene videreutviklet blant andre nevrokirurgene Lars Leksell og Jean Talairach prinsippene og etablerte rammen som et sentralt nevrokirurgisk verktøy (3). I dag brukes den til dyp hjernestimulering, biopsier og presis strålebehandling.

Strålekniven springer direkte ut av dette miljøet. På slutten av 1940-tallet kombinerte Leksell den stereotaktiske rammen med målrettet stråling for å behandle intrakranielle lesjoner – en metode han kalte stereotaktisk strålekirurgi (4). Etter forsøk med røntgen og protoner utviklet han sammen med fysikeren Börje Larsson på 1950-tallet den første strålekniven basert på kobolt-60 som strålekilde. Teknologien ble kommersialisert og spredt internasjonalt på 1980-tallet, og indikasjonene for behandling utvidet seg i takt med bruken. Haukeland universitetssjukehus installerte den første strålekniven i 1988 og har siden hatt en operativ strålekniv. Den historiske forankringen er avgjørende for å forstå at strålekniven er et

nevrokirurgisk verktøy, utviklet av og for nevrokirurger, selv om behandlingsmetoden med stråling i dag regnes som «onkologisk».

BRENNPUNKT I STEREOTAKTISK RAMME

Strålekniven er et system for presis bestråling av lesjoner i hjernen. Prinsippet bygger på at vel 200 svake stråler fra kobolt 60-kilder møtes i ett punkt hvor stråledosen summeres mens omkringliggende vev får lav eksponering; omtrent som solstrålene i et forstørrelsesglass (5). Metoden gjør det mulig å behandle små målvolum med høy nøyaktighet og minimal belastning på normal hjerne.

Behandlingen utføres vanligvis som en engangsbehandling under stereotaktisk rammefiksering. Rammen holder hodet helt stille og danner et koordinatsystem som kobles direkte til MR- og CT-bildene som brukes i planleggingen. Dette gjør det mulig å levere stråledosen med submillimeterpresisjon.

Stråleknivbehandling skiller seg fra konvensjonell stråleterapi ved både dosefordeling og presisjon. Konvensjonell behandling har bredere dosefall, bruker marginer for å kompensere for variasjoner i pasientens posisjon og fordeler dosen over flere fraksjoner med maskefiksering. Parallelt med stråleknivens utvikling har også stereotaktiske lineærakseleratorer (linac) kommet til. Stråleknivbehandling og linac er metoder som nærmer seg hverandre. Likevel er det viktige forskjeller mellom stråleknivbehandling og «stereotaktisk linac»

BILDE 1: Stereotaktiske rammer til kranial montering, henholdsvis Leksell® Coordinate Frame G («G-rammen») og Leksell® Vantage™ Head Frame («V-rammen»). Foto: Øystein Tveiten

da metodene springer ut fra ulike miljøer, henholdsvis nevrokirurgien og onkologien (3). Linac brukes hovedsakelig ved kreftsykdom og kan anvendes utenfor hodet, mens strålekniven også brukes ved ikke-onkologiske tilstander og er begrenset til det intrakranielle området (4, 6).

Planleggingen er en kirurgisk beslutningsprosess, ikke en standardisert protokoll. Nevrokirurgen vurderer forholdet mellom lesjon og risikoorganer – for eksempel synsnerver, hjernestamme, cochlea og motorisk cortex – og tilpasser dosefordelingen med mange små isosentre på 4, 8 eller 16 mm, justert med submillimeterpresisjon.

NASJONAL BEHANDLINGSTJENESTE I STRÅLEKNIV

Strålekniven ved Haukeland universitetssjukehus ble installert i 1988 og har siden 1991 vært organisert som Nasjonal behandlingstjeneste i strålekniv. Om lag 500 pasienter behandles årlig, og over ti tusen er behandlet siden oppstarten. Det særegne ved tjenesten er ikke lenger selve presisjonsstrålingen – det tilbyr også moderne lineærakseleratorer og protonterapi – men at virksomheten springer ut fra nevrokirurgisk tradisjon og omfatter også ikke-onkologiske tilstander som cerebrale karmalformasjoner, tremor, trigeminusnevralgi og hypofysær overproduksjon.

Tjenesten er tverrfaglig, med fem nevrokirurger, medisinske fysikere og spesialsykepleiere, og drives som et kirurgisk behandlingsmiljø i nært samarbeid med

nevroradiologi og onkologi. Pasientene henvises ferdig utredet, og oppfølging skjer lokalt etter diagnosebaserte retningslinjer.

Siden etableringen har miljøet publisert over seksti vitenskapelige arbeider, bidratt til flere doktorgrader og deltatt aktivt i internasjonale nettverk som International Stereotactic Radiosurgery Society (ISRS) og European Society for Stereotactic and Functional Neurosurgery (ESSFN).

Behandlingen utføres som regel poliklinisk eller som et kort innleggelsesforløp. Om morgenen festes pasientens hode i en stereotaktisk ramme med fire små skruer under lokalbedøvelse, eventuelt med lett sedasjon (bilde 1). Ubehaget kan sammenlignes med et tannlegebesøk – ikke behagelig, men fullt gjennomførbart – og mange opplever at den største belastningen er knyttet til det ukjente, noe som kan forebygges med god informasjon på forhånd. Rammen gir både mekanisk stabilitet og geometrisk referanse, eliminerer bevegelse og muliggjør ekstrem presisjon. Dette er en forutsetning for at bestrålingen kan gis som en nøyaktig engangsintervensjon uten marginer.

Når rammen er festet, tas MR og eventuelt CT eller angiografi. Bildene importeres i planleggingssystemet der nevrokirurg og medisinsk fysiker utarbeider behandlingsplanen. Vanlig dosering er 12–14 Gy ved godartede svulster og 18–25 Gy ved ondartede, avhengig av størrelse, lokalisasjon og avstand til risikostrukturer.

BILDE 2: Volumberegning: En diameter på 3 cm tilsvarer ca. 15 cm³ som er ca. øvre begrensning av hva vi kan behandle med ufraksjonert, stereotaktisk stråling i hjernen. Illustrasjon: Øystein Tveiten

Selve bestrålingen varer fra noen minutter til opptil to timer. Rammen fjernes umiddelbart etterpå, og pasienten kan som regel reise hjem samme dag.

Bivirkningene er som regel milde og forbigående. Enkelte får hodepine, kvalme eller lett hevelse som går tilbake med kort steroidkur. Risikoen for varige senskader som strålenekrose er lav – under tre prosent ved korrekt planlegging.

Størrelsen på normalt hjernevev som mottar 12 Gy – det såkalte V12 – angir i praksis den øvre volumgrensen for trygg behandling. Selv om vi for enkelhets skyld ofte oppgir 3 cm som øvre diametergrense, er den funksjonelle grensen rundt 10–15 cm³. Har man to eller flere lesjoner, bør samlet volum ikke overstige dette, men grensen påvirkes også av lokalisasjon i hjernen: Ligger lesjonene nær ventrikler eller hjerneoverflate, vil en del av dosefallet utenfor lesjonen gå i henholdsvis vann og bein. Formelen for kulevolum er V = 4/3 πr³, og en kule med diameter på 3 cm har et volum på 14,1 cm³ (bilde 2).

HENSIKTEN MED BEHANDLINGEN

Målet med stråleknivbehandling av hjernesvulster er «svulstkontroll», det vil si at svulsten slutter å vokse eller holder seg stabil. Målsetningen er ikke nødvendigvis volumreduksjon, selv om det noen ganger er fordelaktig. Ikke alle svulster responderer med volumreduksjon, og denne prosessen tar gjerne måneder og år. Pasienter med symptomer fra masseffekt bør derfor vurderes for operativ behandling – i alle fall før stråleknivbehandling. Dette prinsippet gjelder for eksempel ved enkelte store vestibularisschwannom, der vi først reduserer volumet operativt og senere kan behandle restsvulsten langs n.

facialis med strålekniv (7). Dette gjør at asymptomatiske, men voksende svulster ofte er best egnet for stråleknivbehandling. I enkelte tilfeller behandler vi også med mål om symptomlindring, særlig ved svulster som er vanskelig tilgjengelige for kirurgi, som meningeomer i sinus cavernosus. Ved hormonelt aktive hypofyseadenomer, som prolaktinom og Cushings sykdom, kan formålet være både svulstkontroll og normalisering av hormonproduksjonen.

KLINISKE INDIKASJONER

Ved Nasjonal behandlingstjeneste i strålekniv behandles et bredt spekter av intrakranielle tilstander. Som figur  3 viser, utgjør hjernemetastaser den største gruppen, etterfulgt av meningeomer, vestibularisschwannomer og hypofyseadenomer. I tillegg behandles en mindre andel vaskulære og funksjonelle lidelser, som arteriovenøse malformasjoner, trigeminusnevralgi og tremor, samt enkelte gliomresidiv og andre sjeldne tilstander.

Vestibularisschwannom

Vestibularisschwannom er en langsomtvoksende svulst på n. vestibulocochlearis som vanligvis gir ensidig hørselstap, tinnitus, svimmelhet og balansevansker. De fleste oppstår sporadisk, men enkelte forekommer som ledd i NF2-relatert schwannomatose. Svulsten utgjør om lag 80 % av alle prosesser i cerebellopontine vinkel, og rundt 250 pasienter får diagnosen årlig i Norge (8). De fleste svulstene er små til mellomstore (< 2,5 cm) på diagnosetidspunktet. Selv om sykdommen har et godartet forløp, kan den gi betydelige og vedvarende plager, også når svulsten er liten (8, 9).

BILDE 3: Behandlingsindikasjoner ved Nasjonal behandlingstjenester i strålekniv i 2024. Illustrasjon: Øystein Tveiten

Små og mellomstore vestibularisschwannom følges som regel med MR, og behandling vurderes dersom svulsten viser vekst. Omtrent to tredeler av ubehandlede svulster vokser innen to år, men noen forblir stabile eller krymper spontant (8-10). I vår studie av nydiagnostiserte pasienter endte 40 % av de observerte med behandling innen fire år etter diagnosen (11). Små og mellomstore svulster som fremviser vekst, behandles som regel med strålekniv. Store svulster (> 2,5 cm) som komprimerer hjernestammen og gir symptomer fra masseffekt, behandles vanligvis operativt og signifikant restsvulst eller senere residiv kan behandles med strålekniv. Stråleknivbehandling er dermed etablert som et trygt og effektivt alternativ for svulstkontroll, både primært og ved rest- eller residivsvulst etter kirurgi.

Kontrollraten er rundt 95 %, med bevart facialis- og trigeminusfunksjon hos de fleste og hørselspreservasjon hos 40–80 % (12). Pseudoprogresjon forekommer hos 20–30 % de første tre årene og er som regel forbigående (12, 13). Om lag én av fem opplever midlertidig symptomforverring etter behandling, men sammenlignet med symptomer ved behandling er disse oftest uendret i langtidsforløpet – bortsett fra gradvis hørselstap tilsvarende det som sees ved konservativ behandling (11, 14). Den randomiserte V-REX-studien viste at tidlig stråleknivbehandling ga bedre volumkontroll enn observasjon, men uten forskjell i hørsel, balanse eller livskvalitet etter fire års oppfølging (11).

Meningeom

I likhet med vestibularisschwannom er meningeomer som oftest langsomtvoksende og godartede (WHO grad 1). De varierer fra store, symptomgivende svulster som

krever kirurgi til små, tilfeldig påviste forandringer uten klinisk betydning. Økt MR-bruk har ført til hyppigere funn av små, asymptomatiske meningeomer som ofte følges konservativt (15). Derfor er det tenkelig at flere meningeomer vil behandles stereotaktisk i fremtiden.

Stråleknivbehandling har en sentral plass i behandlingen av meningeomer og er etablert som primær- eller adjuvant metode ved små og mellomstore svulster, særlig i skallebasis eller ved residiv etter kirurgi (18-20).

For svulster nær viktige nevrovaskulære strukturer, som sinus cavernosus- eller petroklivale meningeomer, foretrekkes ofte stereotaktisk strålebehandling fremfor kirurgi, ettersom radikal reseksjon sjelden oppnås eller medfører høy morbiditet (21-24).

Svulstkontrollen etter stråleknivbehandling av meningeomer er høy. Moderne serier viser 5-års progresjonsfri overlevelse på 90–98 % og 10-års på 85–95 % for WHO grad 1-svulster, med randdoser på 12–14 Gy (22-28). I en multisenterstudie med over 1200 sinus cavernosusmeningeomer oppnådde man lokal kontroll hos 95 %, og progresjonsfri overlevelse på 97 % og 90 % på henholdsvis kort og lang sikt, mens varige komplikasjoner forekom hos om lag 6 % (24). Dette samsvarer med våre egne erfaringer (29).

Stråleknivbehandling egner seg særlig for små meningeomer (< 2,5–3 cm) med vekstpotensial der kirurgi er uønsket, for eksempel etter pasient-/behandlerønske eller ved utilgjengelig lokalisasjon. Ved inkomplett reseksjon eller residiv kan adjuvant stråleknivbehandling gi langtids svulstkontroll tilsvarende total reseksjon.

Hypofyseadenom

Hypofyseadenomer er godartede svulster som utgår fra adenohypofysen og utgjør 10–15 % av alle intrakraniale svulster. De deles i funksjonelle og ikke-funksjonelle adenomer, avhengig av om de produserer hormoner som prolaktin, veksthormon eller ACTH. Funksjonelle adenomer kan gi akromegali, Cushings sykdom eller hyperprolaktinemi, mens ikke-funksjonelle adenomer ofte oppdages ved synsfeltutfall, hodepine eller som tilfeldig funn. De fleste vokser langsomt, men kan gi symptomer ved trykk mot nærliggende strukturer som sinus cavernosus (a. carotis interna, hjernenervene for øyebevegelse og trigeminusgrenene V1 og V2) eller chiasma opticum (30-32).

Behandlingen av hypofyseadenom er multimodal og kan være konservativ, medikamentell (for eksempel dopaminagonister ved prolaktinom), kirurgisk eller stereotaktisk – ofte i kombinasjon. Utenom prolaktinom er kirurgi, vanligvis transsfenoidal, primærbehandling og gir høy kurasjonsrate med lav komplikasjonsrisiko (30). Ved rest- eller residivsvulster nær a. carotis har stråleknivbehandling fått en sentral rolle. Den gis som regel i doseområdet 12-16 Gy ved ikke-funksjonelle og 18–25 Gy ved funksjonelle adenomer, begrenset av nærhet til synsnerver, normal hypofyse eller nerver i sinus cavernosus (33, 34).

Vi oppnår lokal svulstkontroll hos om lag 95 % og endokrin remisjon hos 40–50 % ved akromegali og Cushings sykdom. Alvorlige bivirkninger er sjeldne, men 15–20 % utvikler senere substitusjonskrevende hypopituitarisme. Norske erfaringer samsvarer med dette (35-37).

Hjernemetastaser

Hjernemetastaser forekommer hos 20–30 % av pasienter med systemisk kreft og er den vanligste formen for «hjernesvulst» hos voksne (38, 39). De fleste stammer fra lunge-, bryst- eller melanomsykdom, men forekomsten endres med nye systemiske behandlinger og økt overlevelse. Helhjernebestråling (WBRT) var tidligere standardbehandling, men risiko for kognitiv svikt og manglende overlevelsesgevinst har ført til et skifte mot mer målrettede og vevssparende metoder (40-46).

Pasienter med metastaser som gir masseeffekt eller krever histologisk verifisering, bør vurderes for kirurgisk reseksjon (43, 46). Kirurgi kombineres ofte med postoperativ strålebehandling mot reseksjonshulen for å redusere residivrisiko, og bruken av helhjernebestråling er avtakende (42). Flere kreftformer har nå systemiske medikamenter med dokumentert intracerebral effekt, for eksempel annet EGFR- eller ALK-mutert lungekreft, HER2-positiv brystkreft, BRAF-mutert melanom og PD-L1-positiv lungekreft. Slik målrettet behandling og

BILDE 4: Stråleknivbehandling av fire hjernemetastaser, illustrert med randdosen (20 Gy) og dosefallet i grønne linjer (18, 16, 14 og 12 Gy). Bildet er gjengitt med samtykke fra pasienten.

immunterapi kan gi langvarig kontroll og i enkelte tilfeller erstatte eller utsette lokal strålebehandling ved asymptomatiske metastaser (43, 45, 46).

Amerikanske og europeiske retningslinjer anbefaler stereotaktisk strålebehandling fremfor helhjernebestråling hos pasienter med god funksjon (Karnofsky Performance Scale, KPS ≥ 70 eller Eastern Cooperative Oncology Group, ECOG ≤ 2) og begrenset intrakraniell sykdom (43, 46). De fleste studier inkluderer én til fire metastaser, men nyere data viser at opptil ti kan behandles trygt dersom samlet volum er under 15 ml (46, 47) (bilde 4). I praksis er derfor totalvolum viktigere enn antall lesjoner. Ved lavt metastasevolum og kontrollert ekstrakraniell sykdom oppnås høy lokal kontroll og bevart kognitiv funksjon.

Strålekniven regnes fortsatt som den mest presise stereotaktiske metoden, men forskjellen til moderne linacsystemer er i dag hovedsakelig dosimetrisk og vist i laboratoriestudier, og ikke som klinisk forskjell i kontroll eller overlevelse (48-50).

Stereotaktisk behandling gir bratte dosegradienter som reduserer volumet av frisk hjerne som mottar 12 Gy eller mer (V12) – den viktigste prediktoren for symptomatisk radionekrose (51, 52). Typisk doseområde ved hjernemetastaser er 18–25 Gy, avhengig av volum, lokalisasjon og prognose. Det bratte dosefallet muliggjør trygg enkeltdosebehandling av flere små lesjoner uten overlappende felt, og stråleknivbehandling er særlig egnet ved multifokal, men lavvolumsykdom. Lokal kontroll ligger vanligvis mellom 85 og 95 %, avhengig av primærdiagnose og metastasestørrelse (43, 46). Vi har muligheten til å re-behandle, og MR-kontroller i etterkant er en del av «behandlingen».

Gliom

Gliomer utgjør en heterogen gruppe svulster som oppstår fra hjernens støtteceller – astrocytter, oligodendrocytter og ependymceller – og som varierer betydelig i veksthastighet, klinisk forløp og prognose. Felles for gliomene er en diffus, infiltrativ vekst som gjør radikal kirurgi umulig i mange tilfeller. Det kan derfor synes lite logisk at en diffus, vanskelig definerbar og infiltrativt voksende svulst skal behandles med høypresis, skarpt avgrenset strålebehandling – men likevel har stråleknivbehandling en rolle i gliombehandlingen.

Primærbehandlingen av gliomer er kirurgi. Den gir volumreduksjon, pasienten får en molekylærpatologisk diagno-

se med mulighet for persontilpasset behandling, det kan gi symptombedring og økt overlevelse (53). Avhengig av WHO-klassifikasjon og reseksjonsgrad behandles de fleste gliomer postoperativt med ekstern, fraksjonert stråling – typisk 1,8 Gy × 30 = 54 Gy. Til tross for standardiserte behandlingsprotokoller har svulstene høy residivrate (54). I residivsettingen er behandlingen mindre definert, og her har stereotaktisk strålebehandling en plass som selektivt tiltak ved små rest- eller residivlesjoner, der målet er lokal kontroll, symptomlindring og bevaring av funksjon uten skade på omkringliggende hjernevev. Den brukes særlig ved lokalt residiv etter kirurgi og ekstern stråling, eller ved restsvulst i funksjonelt viktige områder der ytterligere kirurgi ikke er ønskelig (55-58).

Vi behandler ofte hjernevev som nylig er bestrålt, og lesjonene er ofte store, noe som begrenser marginaldosen til 12–18 Gy ved enkeltfraksjon. Prognosen er best hos pasienter med god allmenntilstand (KPS > 60), alder under 70 år, små svulstvolum (< 10 cm³) og unifokal sykdom (6). Vanlige bivirkninger er forbigående ødem og hodepine. Radiologiske stråleforandringer sees hos 10–25 %, men er sjelden symptomatiske, og symptomatisk radionekrose forekommer i under 10 %, avhengig av dose og volum (57, 59).

Andre «svulstindikasjoner»

Vi har omtalt de vanligste svulstindikasjonene for stråleknivbehandling, men metoden kan også brukes ved flere sjeldnere svulster. Felles for disse er at de er velavgrensede (unntatt gliom), små (< 3 cm, < 10–15 cm³), har vekstpotensial og er vanskelig tilgjengelige for kirurgi. Stråleknivbehandling kan gis som primærbehandling, men brukes ofte ved rest- eller residivsvulst etter kirurgi. Eksempler er schwannom på andre hjernenerver enn n. vestibulocochlearis, craniopharyngeom, chordom, chondrosarkom, glomustumor, hemangiom, hemangioblastom, hemangiopericytom, sentralt nevrocytom, samt pineale og germinale svulster.

PERSPEKTIV OG FREMTID

Etter snart 40 år i drift er strålekniven ved Haukeland fortsatt et sentralt verktøy i norsk nevrokirurgi. Metoden har vist sin verdi gjennom presisjon, sikkerhet og resultater –og gjennom sitt særpreg som et kirurgisk redskap i et felt dominert av onkologisk strålebehandling.

REFERANSER : Se bakerst i nettutgaven på kirurgen.no

DIAGNOSTIKK OG BEHANDLING AV MENINGEOMER

Meningeomer er vanlige svulster. De fleste er godartede, oppdages tilfeldig på MR og krever ofte ingen behandling. Mange spesialiteter kan møte disse pasientene i ulike pasientforløp, og det kan derfor være greit å vite litt om diagnostikk, behandling og oppfølging. Nasjonale anbefalinger gir tydelige rammer.

ERLEND MOEN TAULE1, DHANUSHAN DHAYALAN1, MORTEN LUND-JOHANSEN1,3, STEPHANIE SCHIPMANN1,2 OG TERJE SUNDSTRØM1,3

1 NEVROKIRURGISK AVDELING, HAUKELAND UNIVERSITETSSYKEHUS

2 NEVROKIRURGISK AVDELING, UNIVERSITETSSYKEHUSET I MÜNSTER, WESTPHALIAN - WILHELMS - UNIVERSITET, MÜNSTER, TYSKLAND

3 KLINISK INSTITUTT 1, UNIVERSITETET I BERGEN

KORRESPONDANSE: TERJE SUNDSTRØM - TJSU @ HELSE - BERGEN.NO

INNLEDNING

Meningeomer er den vanligste primære intrakranielle svulsten, og MR-studier har vist en prevalens på 1-2 % i befolkningen (1-3). Forekomsten øker med alder og median alder ved diagnose er 65 år (4). De senere årene er det observert en økning i antall diagnostiserte pasienter. Dette skyldes sannsynligvis økt bruk av radiologiske undersøkelser (inkludert flere kontrastforsterkede undersøkelser), spesielt blant eldre (5). Ifølge kvalitetsregisteret for hjerne- og ryggmargssvulster i Norge ble det registrert 677 nye tilfeller av meningeomer i 2024 (6). Dette tallet er etter all sannsynlighet et betydelig underestimat ettersom mange pasienter uten histologisk verifisert diagnose ikke blir meldt inn eller meldt inn med feil diagnose.

KLASSIFIKASJON OG RISIKOFAKTORER

Meningeomer utgår fra araknoidale celler og kan oppstå både kranialt og spinalt. Patologisk klassifikasjon er basert på WHO-klassifikasjonen fra 2021 og det skilles mellom grad 1, 2 (tidligere atypisk) og 3 (tidligere anaplastisk) etter hvor aggressive de er («the good, the bad, and the ugly») (7). WHO grad 1 og 2 er benigne svulster, mens WHO grad 3 klassifiseres som kreft. TERT-promoter-mutasjon og homozygot tap av CDKN2A definerer WHO grad 3, uavhengig av morfologi. Dette påvirker prognose og valg av adjuvant stråling. Endringer i NF2 eller gener relatert til NF2 er vanlige. Ikke-NF2-meningeomer har ofte TRAF7eller AKT1-mutasjoner. Molekylær profilering kan støtte risikovurdering der forløpet virker atypisk (7, 8).

Tidligere eksponering for ioniserende stråling disponerer for utvikling av meningeomer (9). Risikoen er størst for pasienter som er strålebehandlet som barn og det er en latenstid på mange år. Den vanligste genetiske tilstanden som er forbundet med meningeomutvikling er NF2-relatert schwannomatose (tidligere nevrofibromatose type 2). Disse pasientene har også større sjanse for å utvikle flere og mer aggressive svulster (10). Meningeomer er to til tre ganger vanligere hos kvinner enn menn, og forskjellen er enda større ved spinale enn kraniale meningeomer (11). Hormonelle faktorer spiller sannsynligvis en viktig rolle i det 2/3 svulster har progesteron- og androgenreseptorer, og 1/10 svulster har østrogenreseptorer. Paritet er vist å ha en invers sammenheng med risiko for meningeomer (12), men klinisk erfaring viser at svulster kan vokse under graviditet og krympe postpartum. Kombinasjons-p-piller med lav progestogendose vurderes trygt, mens det er ulik grad av risiko for utvikling av meningeomer ved andre typer hormonbehandling (11). Postmenopausal hormonterapi gir en liten risikoøkning, men blir vanligvis ikke frarådet ved stabile og/eller asymptomatiske meningeomer, eller hos de fleste opererte pasienter. Potente progestogener som cyproteronacetat, klormadinonacetat og nomegestrolacetat frarådes imidlertid ved påvist meningeom. Forsiktighet bør også utvises ved kjent meningeom og hormonbehandling ved in vitro-fertilisering eller kjønnsbekreftende kirurgi (13-15).

KLINIKK OG VEKSTDYNAMIKK

Meningeomer er ofte asymptomatiske og blir påviste

FIGUR 1: Bildekarakteristika ved meningeomer. (A) Tilfeldig påvist konveksitetsmeningeom frontalt høyre side på CT og (B) korresponderende CT med kontrast. (C) T2-vektet MR av et større venstresidig frontalt konveksitetsmeningeom som viser intratumorale kartegninger og peritumoralt ødem. (D-H) T1-vektede MR-bilder med kontrast. (D) Samme tumor som i (C) viser homogen kontrastladning og durahaler ved overflaten. (E­H) Eksempler på meningeomer som er spesielt utfordrende å behandle. (E) Dels cystisk og solid atypisk meningeom (WHO grad 2) med betydelig peritumoralt ødem frontalt høyre side. (F) Venstresidig sphenoorbitalt meningeom med bløtvevskomponenter intrakranialt og intraorbitalt samt intraossøs oppdrivning i os sphenoidale. Durhalen ses godt i forbindelse med tumorkomponenten temporalt. (G) Høyresidig sinus cavernosus-meningeom som omslutter arteria carotis interna. (H) Clivus-meningeom med innvekst i venstre foramen jugulare. Gjengitt med tillatelse fra www. radiopaedia.org/articles/meningioma (24.10.2025).

som bifunn (insidentalomer). De kan imidlertid gi et bredt spekter av symptomer ut fra lokalisasjon, størrelse og veksthastighet. Svulstene kan presse mot hjerneoverflaten og gi bortfallssymptomer som pareser og afasi eller kortikal irritasjon og epileptisk aktivitet. Ved skallebasis og i bakre skallegrop kan en se hjernenerveutfall som blant annet anosmi, synssvekkelse, diplopi, hørselstap, vertigo, dysfagi, dysartri eller nummenhet, smerter, lammelse eller spasmer i ansiktet. Om svulstene blir store eller medfører hydrocephalusutvikling kan de gi trykksymptomer som blant annet hodepine, kvalme, oppkast og redusert bevissthet.

DIAGNOSTIKK OG OPPFØLGING

Meningeomer er oftest velavgrensete, ekstraaksiale svulster som kan skyve på nevrovaskulære strukturer. MR med tumorprotokoll er anbefalt bildeundersøkelse. På MR er meningeomer typisk isointense ved T1-vekting og hyperintense ved T2-vekting. Ved kontrastforsterket MR har de ofte et karakteristisk utseende med sterk kontrastladning og en dural «hale». CT kan være til hjelp for å avdekke kalsifikasjon og beninvasjon, og forkalkede meningeomer har som regel mindre vekstpotensial (Figur 1). PET kan være nyttig i spesielle tilfeller (21, 22). Radiologiske differensialdiagnoser er for eksempel durale metastaser, sarkoidose og solitær fibrøs tumor (hemangiopericytom). I cerebellopontine vinkel er vestibularisschwannom en viktig differensialdiagnose (23).

Ifølge det nasjonale handlingsprogrammet for meningeomer bør symptomatiske meningeomer, infratentorielle svulster over 2 cm, supratentorielle svulster over 3 cm og voksende svulster henvises elektivt til nevrokirurg for vurdering (11). Det er flere gode grunner til å avgrense hvilke pasienter som bør henvises, men etter vår mening

Flere nordiske kohorter har vist fredelige forløp ved insidentale funn (16, 17). En norsk-svensk studie med repeterte MR-undersøkelser fant at vekst følger en sigmoid kurve med liten vekst i begynnelsen og på slutten (Gompertz-kurve) (18). I volumetriske studier blir ofte 15 % relativ volumendring regnet som signifikant vekst (18-20). Selv om de fleste svulster kan øke noe i volum under observasjon, er det få som trenger behandling. Det anbefales derfor en nøktern tilnærming til behandling av eldre med små funn ettersom mange av disse vil dø av andre årsaker enn meningeomet (5). Tumorstørrelse ved diagnose er den sterkeste prediktoren for senere vekst (16, 18), og skallebasissvulster har ofte lavere veksthastighet enn andre meningeomer (20).

TABELL 1: Inndeling av insidentale meningeomer etter risiko for framtidig behandling, og anbefalt kontrollintervall med MR og klinisk vurdering for de tre gruppene fra diagnosetidspunktet (11). Dersom pasienten utvikler symptomer som kan tilskrives meningeomet, bør det tas MR på et tidligere tidspunkt. Gjengitt med tillatelse fra Helsedirektoratet.

Risiko for behandling av insidentale meningeomer

Høyere risiko

Minst 1 av faktorene:

• Alder < 50 år

• Størrelse > 2 cm

• T2/FLAIR hyperintensitet (lysere enn normal grå substans)

• Peritumoralt ødem

• Nærhet til viktige (truede) nevrovaskulære strukturer (hjernenerver, hjernestamme)

• Multiple meningeom

Lavere risiko

Ingen av faktorene over

Minimal risiko

Minst 2 av faktorene:

• Alder ≥ 75 år

• Tumorstørrelse < 2 cm

• Svart (lavt) T2-signal eller forkalket på CT

• Alvorlig, livsbegrensende komorbiditet

Anbefalt kontrollopplegg

Risiko 3-6 mnd År 1 År 3 År 5 År 6 År 10 År 15

Høyere X X X X X X

Lavere X X X

Minimal Kun ved klinisk indikasjon (nye/forverrede symptomer)

FIGUR 2: Retningslinjer for behandling av meningeomer fra the European Association of Neuro-Oncology (EANO). Disse retningslinjene (22) danner hovedgrunnlaget for de norske anbefalingene i det nasjonale handlingsprogrammet (11). Se teksten for detaljer. Gjengitt med tillatelse fra Oxford University Press.

TABELL 2: Antall pasienter med meningeom som ble primæroperert i Norge i 2023 og 2024. Operasjon av kraniale meningeomer er mye hyppigere enn spinale meningeomer. WHO grad 1 er klart vanligst og kun 1,2-2,7 % av meningeomene ble klassifisert som kreft (det vil si WHO grad 3) (6). Gjengitt med tillatelse fra Kreftregisteret.

kan disse størrelseskriteriene føre til at enkelte pasienter ikke får tidlig nok behandling av mindre svulster der risikoen ved kirurgi eller strålebehandling er lav. Vi er enige i at symptomatiske og/eller voksende meningeomer bør henvises, men tenker at en mer forsiktig avgrensning kan være at alle svulster foruten konveksitetsmeningeomer under 2 cm bør henvises. I klinisk praksis er det imidlertid mer fornuftig å anbefale elektiv henvisning til nevrokirurg i de tilfeller hvor man er usikker på den kliniske relevansen, MR-bildene, MR-beskrivelsen eller oppfølgningen (se under). Ved uttalte symptomer må man vurdere innleggelse som øyeblikkelig hjelp. Pasienter med (mistanke om) meningeom skal ikke henvises i pakkeforløp med mindre det foreligger mistanke om malignitet.

Oppfølging av meningeomer kan involvere mange ulike spesialiteter. Multidisiplinære tumormøter i helseregionene med nevrokirurger, nevrologer, onkologer og radiologer gjør et viktig arbeid i vurdering og rådgivning. Nevrokirurger er ofte hovedansvarlige for behandling. Fastleger og nevrologer har viktige roller i oppfølging av radiologiske undersøkelser og symptomer. Øyeleger og øre-nese-hals-leger vil ofte være involvert i utredning og oppfølging ved (mistanke om) påvirkning av hjernenerver.

I handlingsprogrammet deles insidentale meningeomer i tre risikogrupper for fremtidig behandlingsbehov etter alder, svulststørrelse, radiologiske karakteristika, lokalisasjon, multiplisitet og komorbiditet (11). Tabell 1 viser de tre gruppene og anbefalt kontrollintervall med MR og klinisk vurdering fra diagnosetidspunktet. Ved nye symptomer som kan tilskrives svulsten, tas ekstra MR-kontroll utenom algoritmen. En MR-kontroll bør kun gjennomføres hvis resultatet har en terapeutisk konsekvens.

I handlingsprogrammet finner man også oppfølgingsalgoritmer for pasienter med WHO grad 1 og 2 meningeomer som er operert eller strålebehandlet (11).

BEHANDLING

Behandlingen av pasienter med meningeomer har som mål å gi best mulig svulstkontroll samtidig som nevrologisk funksjon bevares eller forbedres. Behandlingsstrategien krever en grundig vurdering av pasientspesifikke faktorer (spesielt alder, komorbiditet, nevrologiske symptomer og pasientens ønsker), radiologiske undersøkelser (spesielt størrelse, vekst, ødem, truede nevrovaskulære strukturer, multiplisitet og forkalkning) og aktive behandlingsmodaliteter (kirurgi og/ eller strålebehandling samt systemisk behandling og relevante forskningsstudier). I det nasjonale handlings-

programmet for meningeomer gis tydelige føringer for behandling (11). Disse ble oppdatert i 2024, men baserer seg i stor grad på retningslinjene til The European Association of Neuro-Oncology (EANO) fra 2021 (Figur 3) (22).

Observasjon

Små, asymptomatiske meningeomer følges uten intervensjon, og vekst eller nye symptomer utløser ny vurdering (Tabell 1 og Figur 2). Få pasienter med insidentalom utvikler tumorrelaterte symptom innen fem år (16). Vi har som tidligere nevnt ingen god oversikt over insidensen eller prevalensen av meningeomer, men de fleste pasienter har små svulster, befinner seg i observasjonsgruppen og trenger aldri svulstrettet behandling. Det er også publisert prognostiske modeller som IMPACT og AIMSS som gir støtte til å tilpasse oppfølgningstidspunkter, men beslutninger må ta hensyn til konkurrerende risikofaktorer og pasientens preferanser (24, 25).

Kirurgi

I 2024 ble 258 pasienter primæroperert for meningeom på norske sykehus, og de aller fleste av disse var kraniale WHO grad 1 meningeom (Tabell 2).

Man bør tilby kirurgi ved symptomer, klar volumøkning med funksjonstap, betydelig ødem med trykksymptomer og/eller hos yngre med forventet progresjon. Det finnes ingen randomisert studie som sammenlikner kirurgi med andre behandlingsmodaliteter. Komplett reseksjon gir best tumorkontroll der anatomien tillater det og Simpson-reseksjonsgrad korreler med residiv ved WHO grad 1 tumorer (26) (Tabell 3). Simpsons gradering går fra 1 til 5, der grad 1 er komplett reseksjon, inkludert durafeste og unormalt skalleben, mens grad 5 er en dekompresjon av tumor/åpen biopsi. Man bør forsøke å oppnå en komplett reseksjon om mulig, men dette bør ikke gå på bekostning av nevrologisk funksjon (22). Det anbefales postoperativ MR innen 72 timer og dette blir målt i norske kvalitetsindikatorer. Kirurgi bedrer symptomer og livskvalitet hos mange (27, 28).

Ved skallebasissvulster som petroklivale- og kilebensvingemeningeomer er det sjeldnere man oppnår komplett kirurgisk reseksjon, og skallebasissvulster gir høyere risiko for nevrologiske sekveler enn konveksitetssvulster grunnet nærhet til kritiske strukturer. Overlevelsen er dog nokså lik, og god (29). Det er lettere å oppnå Simpson grad 1 ved konveksitetsmeningeom. I en norsk studie hvor man undersøkte 391 pasienter operert for konveksitetsmeningeom ble det hos 90,3 % av pasientene oppnådd Simpson grad 1 (30). Simpsons grad korrelerte i denne studien med total overlevelse og risiko for rebehandling.

Spinale meningeomer er sjeldnere enn de intrakraniale (22). Prinsippet med å prøve å oppnå en komplett kirurgisk reseksjon gjelder også her, men studier tyder på man kanskje skal være mer tilbøyelig til å operere asymptomatiske, større svulster hos ellers friske pasienter da små volumøkninger kan føre til store nevrologiske utfall grunnet plassforhold (31). Det er lite publiserte data om strålebehandling av spinale meningeomer.

Stråling

Flere strålingsmodaliteter er aktuelle som førstelinjebehandling ved inoperable svulster, vekst eller residiv, og som adjuvant behandling etter subtotal reseksjon (Figur 3). Stereotaktisk stråling egner seg for små lesjoner med diameter under 2,5-3 cm og minst 2-3 mm fra kritiske strukturer. Anbefalt marginaldose er 12-15 Gy. En oversiktsartikkel på sinus cavernosus-meningeomer viste en kontrollrate på 93,7 % med median oppfølgingstid på 67 måneder (32). For WHO grad 1 konveksitetsmeningeom har stereotaktisk stråling vist kontrollrate på over 90 % (33).

Fraksjonert stråleterapi er et alternativ til stereotaktisk strålebehandling der svulsten ligger nærme friskt vev som er særlig sårbart for stråleskader, som ved synsnerveskjede- og andre skallebasismeningeomer (11). Protonbehandling er nå tilgjengelig ved universitetssykehusene i Oslo og Bergen, og er like effektiv som fotonbehandling, men med mindre påvirkning av friskt vev (34).

Protonbehandling bør spesielt vurderes for yngre pasienter med WHO grad 1 eller 2 meningeom og lang forventet levetid.

Adjuvant stråling etter komplett reseksjon av WHO grad 2 svulster er fremdeles omdiskutert (22). Ved WHO grad 2 og inkomplett reseksjon er adjuvant strålebehandling ofte indisert, og hos pasienter med WHO grad 3 svulster er adjuvant strålebehandling obligatorisk (11).

Systemisk behandling/støttebehandling

Det finnes ingen godkjent tumorrettet systemisk behandling i dag. Steroider brukes ofte preoperativt eller palliativt for å redusere hjerneødem eller forbigående ved strålereaksjoner. Antiepileptisk behandling er aktuelt for pasienter med kramper, men profylaktisk behandling er som regel ikke aktuelt.

Studier i Norge

Norsk hjernesvulstkonsortium (www.nbtc.no) og Norsk nevroonkologisk interessegruppe (www.nnoig.no) arbeider begge for at flere norske hjernesvulstpasienter skal få mulighet til å delta i kliniske intervensjonsstudier, og oppdaterte lister over aktuelle studier kan ses på

deres nettsider. Norske pasienter var nylig inkludert i EORTC-1320-BTG-studien der behandling med trabectedin verken viste bedre progresjonsfri eller total overlevelse hos pasienter med residiverende WHO grad 2 og 3 svulster (35). Noen norske pasienter deltar nå i LUMEN-1-studien som prøver ut legemidlet 177Lu-DOTATE hos de som får tilbakefall. Dette er en form for peptidreseptor radionuklidterapi der legemiddelet binder seg til somatostatinreseptoren, internaliseres i cellene og bestrålingen fører til celledød (36). Det pågår også en studie som ser på radiologiske og kliniske resultater av terapeutisk endovaskulær embolisering av meningeomer. I tillegg kan pasienter med meningeomer være aktuelle for inklusjon i IMPRESS Norway.

PROGNOSE

Benigne meningeomer har gode overlevelsestall (Figur 4), men en god del både ubehandlete og behandlete pasienter lever med redusert livskvalitet. Blant observerte pasienter som går til regelmessige MR-kontroller er det ikke uvanlig med depresjon eller angst («scanxiety»), spesielt hvis det er kort tid siden de fikk diagnosen (37). Det er lite data på livskvalitet hos pasienter som er strålebehandlet for meningeomer. Opererte pasienter kan oppleve rask bedring av nevrologiske symptomer, men mange sliter likevel med redusert livskvalitet grunnet nevrologiske utfall, kognitive utfordringer, fatigue, søvnproblemer og emosjonelle og sosiale utfordringer (38-40). Det er nylig foreslått standardiserte utfallsvariabler for både intervensjons- og observasjonsstudier på pasienter med meningeomer, og dette kan forhåpentligvis bidra til at studier blir mer pasientrelevante og sammenlignbare i fremtiden (41). Det trengs videre forskning på pasienter med mer aggressive meningeomer, da dette er en pasientgruppe med få behandlingsmuligheter.

KONKLUSJON

De fleste meningeomer er saktevoksende, godartete og asymptomatiske svulster som kan observeres uten videre intervensjon. En del svulster kan imidlertid forårsake betydelige symptomer hvis de vokser eller påvirker sårbare nevrovaskulære strukturer, og trenger behandling med kirurgi og/eller stråling. Det er utarbeidet nasjonale faglige retningslinjer for oppfølging og behandling av pasienter med meningeomer (11), og i årene som kommer vil vi forhåpentligvis få mer og mer nyttige data fra det nasjonale kvalitetsregisteret for hjerne- og ryggmargssvulster (6).

REFERANSER : Se bakerst i nettutgaven på kirurgen.no

TABELL 3: Simpson-gradering av kirurgisk reseksjonsgrad og 10-års risiko for residiv ved meningeom WHO grad 1. Tyve-års risiko for postoperativt residiv er 7-25 % for WHO grad 1, 29-52 % for WHO grad 2 og 50-94 % for WHO grad 3 (11). Gjengitt med tillatelse fra Helsedirektoratet.

FIGUR 3: Primærbehandling av meningeom i 2024 (fordelt på bostedsområde). For en del pasienter er det uavklart hvilken behandling som er best (operasjon, stråling eller observasjon) eller hvilken type strålebehandling som bør foretrekkes. Disse faktorene kan sammen med lettere tilgjengelighet av f.eks. gammaknivbehandling i Helse Vest bidrar til noe variasjon i behandlingsvalg. Kirurgi og stråling kan også kombineres som primærbehandling, spesielt ved meningeomer på skallebasis hvor totalfjerning kan innebære stor risiko for nevrologiske utfall. I en residivsituasjon er det ikke kjent hvorvidt reoperasjon eller stråling er best, og det gjøres relativt få kirurgiske inngrep mot residiv (6). Gjengitt med tillatelse fra Kreftregisteret.

FIGUR 4: Relativ overlevelse fra diagnosetidspunkt for pasienter med histologisk verifisert meningeom, 2010-2024. WHO grad 1 og 2 regnes som benigne meningeomer, mens WHO grad 3 regnes som maligne meningeomer (6). Gjengitt med tillatelse fra Kreftregisteret.

ÅRETS ARTIKKEL I KIRURGEN 2024/2025

Bedømmelseskomiteen har vurdert alle temaartikler i Kirurgen utgivelse 3 & 4, 2024, og utgivelse 1 & 2, 2025. Disse fire utgivelsene har belyst følgende tema: Chirurgia minor, Forskning, Plastikkirurgi og Bryst- og endokrinkirurgi. Samtlige temanummer er varierte og godt sammensatte med flere interessante og gode artikler. Årets artikkel belyser et aktuelt og kritisk tema i dagens verden preget av geopolitisk uro. Den tar opp behovet for et bredt tverrfaglig samarbeid, og viser hvordan man i fredstid kan bygge kompetanse og styrke krigskirurgisk beredskap.

Forfatterne Inger Karin Fuglesteg, Haris Mesic, Erik Formanek, Srikumar Murugan og Mohamed Abdelrahman har i utgivelse 1 av Kirurgen 2025 skrevet artikkelen «Når tiden krever mer av oss - krigskirurgi i Norge».

Artikkelen beskriver 35 pasienter overført fra Ukraina for rekonstruktiv kirurgi etter underekstremitetsskader gjennom MEDEVAC-ordningen. Den belyser utfordringer med multiresistente bakterier og andre infeksjoner, og diskuterer utfordringer med valg av dekningsprosedyrer grunnet selve skaden og kirurgi tidlig i forløpet. Artikkelen er godt skrevet med lettfattelig og lettlest språk, og den er illustrert med bilder av god kvalitet og med fin bildetekst. Den beskriver også erfaringer og endring i pasientgruppen i løpet av perioden fra februar 2023 til februar 2024. Den gir en fin introduksjon til et tema som svært lenge har vært fjernt for norske sykehus, og minner oss på at beredskap og kompetanse bør bygges før man får bruk for det.

Årets bedømmelseskomite besto av Henrik Hoel, Karkirurgisk avdeling, OUS Ullevål og Kristin Bentung Lygre, Gastrokirurgisk avdeling, Haukeland Universitetssykehus. Redaksjonen ønsker å utdele en stor takk til bedømmelseskomiteen for dens arbeide.

Fra venstre mot høyre: Tobias Hauge (redaktør i Kirurgen), Kristin Bentung Lygre (fra bedømmelseskomiteen) og førsteforfatter av årets artikkel i Kirurgen: Inger Karin Fuglesteg, avdeling for plastikk- og rekonstruktiv kirurgi, Oslo Universitetssykehus.

What if there’s a smarter way?

LumenEye® X1 System består av:

• LumenEye® X1 endoskop

• Nettbrettskjerm med full HD

• Intuitiv CHiP-programvareplattform

• Bærbart etui og arbeidsstasjon

Brukes sammen med LumenEye® X1 Consumables.

Medivatus er stolt distributør for LumenEye® i Norge

LumenEye® X1 System: Fremtidens digitale endoskop

LumenEye X1 System gir HD-kvalitet på bilder og video av anorektum, noe som både forbedrer den diagnostiske nøyaktigheten og reduserer behovet for formell endoskopi.

USB-tilkobling gir rask dataoverføring, sikker lagring og deling av bilder og video, samt mulighet for raskere diagnostisering og tiltak for behandling.

medivatus.com

LumenEye® X1 kan brukes ved polikliniske undersøkelser, kreftreseksjon, anastomoseovervåkning og endoskopisk kirurgi.

Den intelligente utformingen gir en komfortabel og effektiv bruker- og pasientopplevelse.

100 HØSTMØTER

OG GALLA PÅ THE HUB

STIAN SKRAMSTAD 1 OG USMAN SAEED 2

1 KIRURGISK AVDELING, RINGERIKE SYKEHUS

2 GATROKIRURGISK AVDELING, OSLO UNIVERSITETSSYKEHUS, ULLEVÅL

KORRESPONDANSE: STIAN SKRAMSTAD: SBSKST @ VESTREVIKEN.NO

KJÆRE KOLLEGER,

Det 100. Høstmøtet er overstått – Vel blåst - og det uten alvorlige komplikasjoner, bortsett fra et lite tilfelle av «akutt buffetreaksjon» på tirsdagen.

Vi starter med å takke alle dere som bidro til faglig påfyll og gode diskusjoner. Det var som alltid en fryd å se gamle og nye kolleger kaste seg inn i debatter om alt fra suturvalg til livsvalg.

Og takk til alle som sørget for at årets møte ikke bare handlet om kirurgi, men også om sosial rekonstruksjon.

ERFARINGSOVERFØRING – KIRURGENS VERSJON AV STAFETTPINNE

Nytt av året var at Usman Saeed, etter å ha ledet Høstmøtet med stø hånd (og sannsynligvis flere kopper kaffe enn det som er trygt), nå har overført stafettpinnen til undertegnede. Overføringen gikk for øvrig uten blodtap og med god hemostase, godt hjulpet av vår nye PCO (Professional Congress Organizer) – Liwlig, som vår finske konferansier under Kirurgimiddagen, Pirrka, insisterte på er finsk for «effektiv logistikk med finsk ro og svensk PowerPoint-design».

FARVEL TIL STREAMING – HEI TIL FYSISK

TILSTEDEVÆRELSE

Styret i NKF har i år besluttet å avslutte streaming av Høstmøtet. Ikke fordi vi misliker teknologi, men fordi vi liker å være sammen med kolleger bedre. Vi vil rett og slett at folk skal møtes igjen – ansikt til ansikt, kaffe til kaffe, og ikke kirurg til Teams.

LUNSJ

MED UFORUTSETTE BIVIRKNINGER

Ingen kirurgisk uke uten komplikasjoner. Tirsdagen ble vi minnet om at infeksjonsprofylakse også gjelder lunsjservering. Et parti mat fant veien til feil pasientgruppe, og resultatet ble – for å si det forsiktig – høyere aktivitet på hotelltoalettene enn i sesjonssalene.

Meet Ullevål (stedet hvor Høstmøtet foregikk og ansvarlig for maten) har gjort grundig oppfølging, og lover at fremtidige bakterier vil bli grundig ekskludert fra konferansen.

FESTEN PÅ THE HUB – KIRURGISK DANS OG SOSIAL

SUTUR

Ukens høydepunkt var som alltid festen, som i år var på hotellet The Hub og var utsolgt tre uker i forkant! NKF (Norsk Kirurgisk Forening) tok grep og utvidet lokalene, slik at alle fikk plass til både seg selv, dressjakken og litt selvhøytidelighet.

Kvelden bød på latter, dans, og Robert Stoltenberg, som briljerte med sine karakterer – og fikk flere til å lure på om kirurgiske komitémøter burde hatt samme underholdningsnivå.

ÆRE, PRISER OG LEGATER Årets æresmedlem, Usman Saeed, fikk velfortjent hyllest for lang og lojal tjeneste til både NKF og faget.

Pål Aksel Næss ble tildelt FUNK (Foreningen for Unge Norske Kirurger) sin ærespris, og det med god grunn –mannen har lært opp flere LIS-er enn det finnes akuttrom i landet.

BILDE 1. Vinner av bildekonkurranse: «Kosefjes og Konsefjes». Foto: Amanda Rogne Hansen.

BILDE 2. Vinner av bildekonkurranse: «Kveldssesjon med Oslo Chirurgiske Sælskab og Studentorganisasjonen for medisinsk innovasjon». Foto: Hedda Hauge.

Inger Karin Fuglesteg (plastikkirurg, OUS) og medforfattere fikk prisen for årets artikkel i Kirurgen, med sin sterke og viktige artikkel om behandling av ukrainske pasienter – et stykke arbeid som minner oss om hvorfor vi må utvikle faget utenfor komfortsonen.

Og som ikke det var nok, fikk vi rekordstor tildeling fra Malthes legat – fire glade mottakere som forhåpentligvis nå kan finansiere både forskning, kongresser og litt koffein.

LAPAROSKOPI - NM OG BILDEBONANZA

Årets laparoskopi-mester, Pelle Winsjansen, viste at NTNU-studenter både kan håndtere vinglete laparoskopi instrumenter og holde nervene i sjakk – imponerende!

Og i bildekonkurransen ble det full pott til Amanda Rogne Hansen (bilde 1) og Hedda Hauge (bilde 2). Begge belønnes med gratis inngang til neste års møte – inkludert gallamiddag og påfølgende restitusjon.

Takk igjen til alle som bidro til å gjøre det 100. Høstmøtet til et jubileum med både faglig tyngde og sosial letthet.

La oss si det slik: vi kom, vi kuttet, vi konfererte – og vi overlevde lunsjen.

På gjensyn i 2026!

På vegne av NKF styret, Stian Skramstad og Usman Saeed

OG KIRURGMIDDAGEN 2025

OPTIMALISERING AV DIAGNOSTISK

UTREDNING OG BEHANDLING HOS

PASIENTER MED BORDERLINE OG

LOKALAVANSERT PANKREASKREFT.

INNBLIKK I NORPACT-2 STUDIEN

NorPACT-2 (Norwegian Pancreatic Cancer Trial - 2) er en prospektiv, populasjonsbasert studie som ble startet ved Oslo Universitetssykehus, Rikshospitalet i perioden 2018-2020. Hovedformålet med studien var å undersøke reseksjonsrater og overlevelse hos pasienter med borderline (BRPC) og lokalavansert (LAPC) pankreaskreft. 230 pasienter ble inkludert og 188 var ansett friske nok til å motta kjemoterapi.

INGVILD FARNES

GASTROKIRURGISK AVDELING, OUS RIKSHOSPITALET

KORRESPONDANSE: INGVILD FARNES - INFARN @ OUS - HF.NO

Pankreaskreft er en alvorlig og ofte dødelig sykdom som hovedsakelig forekommer hos eldre pasienter, med en gjennomsnittsalder på rundt 70 år. Med en 5-års overlevelse på mindre enn 10 % globalt, er pankreaskreft blant de mest aggressive kreftformene og er forespeilet å bli den nest vanligste årsak til kreftrelatert død innen 2030 (1). 50 % presenterer med metastatisk sykdom ved diagnose og kun 15 % er primært resektable svulster. 35 % faller innunder gruppen BRPC eller LAPC pankreaskreft, undergrupper som involverer varierende grad av affeksjon av sentrale blodkar på bakre bukvegg (2,3). Disse undergruppene har historisk vært ansett som inoperable. Tidlig diagnose er utfordrende, ettersom symptomene ofte er vage og uspesifikke før det er langtkommen sykdom. CT- og MR-skanning, sammen med endoskopisk ultralyd og biopsi, er sentrale i diagnostikken. Biomarkører som CA19-9 brukes for å støtte diagnosen og evaluere behandlingseffekt, men har begrenset sensitivitet og spesifisitet.

Neoadjuvant kjemoterapi, kjemoterapi gitt før potensiell kirurgi, kan bidra til at BRPC og LAPC svulster blir teknisk tilgjengelige for reseksjon, i tillegg til å forbedre reseksjonsrendene ved BRPC svulster for å minimere risiko for gjenværende mikroskopisk tumorvev. FOLFIRINOX og gemcitabin-baserte kjemoterapiregimer er nå initial standardbehandling (4-7). Kjemoterapi forbedrer resek-

sjonsrater og overlevelse selv i avanserte stadier. Vi fant en reseksjonsrate på 45,7 % for BRPC og 13 % for LAPC. Vi fant ingen signifikant forskjell i overlevelse mellom BRPC og LAPC i hele kohorten som mottok kjemoterapi (Figur 1). Av de pasientene som ble resesert etter kjemoterapi fant vi en signifikant bedret overlevelse på 25,3 måneder vs. 11,2 måneder hos dem som ikke ble resesert (Figur 2). Negative prognostiske markører for reseksjon var LAPC, CA19-9> 500 ved diagnose og de som fikk gemcitabin monoterapi. Negative prognostiske markører for overlevelse var CA19-9> 500 ved diagnose, de som fikk gemcitabin monoterapi og de som demonstrerte CAP grad 3 (dårlig tumorrespons på kjemoterapi) på patologisk undersøkelse av tumorpreparatet.

Immunterapi og andre målrettede behandlingsalternativer er under stadig forskning og utvikling i kliniske studier. Selv om immunhistokjemiske analyser ikke var et formelt ledd i vår pasientkohort, fant vi at 20 pasienter gjennomgikk genmutasjonsanalyser ved lokalsykehus i regi av lokal onkolog. To av pasientene fikk påvist hhv. MSI og KRAS-villtype. Førstnevnte fikk betydelig behandlingskonsekvens med komplett tumorrespons etter oppstart med immunterapi. MSI-high og KRAS-status sjekkes nå rutinemessig ved diagnosetidspunkt jmfr. oppdaterte nasjonale retningslinjer.

FIGUR 1. Totaloverlevelse hos pasienter som mottok neoadjuvant kjemoterapi stratifisert ved reseksjonstatus (BRPC versus LAPC) Jmf. National Comprehensive Cancer Network (NCCN) klassifisering. (Farnes et al, BJS Open 2023).

Figur 1. OS hos ved reseksjonstatus (BRPC versus LAPC) Jmf. National Comprehensive Cancer Network NCCN) klassifisering. (Farnes et al, BJS Open 2023).

FIGUR 2. Totaloverlevelse justert for immortal time bias hos pasienter som mottok kjemoterapi stratifisert ved behandling (reseksjon vs. ikke-reseksjon) (Farnes et al, BJS Open 2023).

Figur 2. OS justert for immortal time bias hos pasienter som mottok kjemoterapi stratifisert ved behandling (reseksjon vs. ikke-reseksjon) (Farnes et al, BJS Open 2023)

Livskvalitet er viktig å anerkjenne i behandling av pankreaskreft. Mange pasienter opplever en redusert livskvalitet og symptombyrde under behandling med kjemoterapi. Hos dem som blir operert (både med eller uten karreseksjon) fant vi en signifikant forbedring i livskvalitet som etter 3 måneder postoperativt er tilnærmet lik som før oppstart av behandling.

Effektiv behandling av potensielt resektabel kreft i bukspyttkjertelen krever en multifaktoriell tilnærming som involverer tidlig diagnose, avanserte kirurgiske teknikker, kjemoterapi og nye persontilpassede behandlinger.

Internasjonalt helsevesen bør fokusere på de sosiale og økonomiske faktorene som påvirker sykdomsbyrden for å sikre likeverdig tilgang til helsetjenester for alle pasienter med pankreaskreft. Gjennom felles innsats kan håp spire for å forbedre prognosen for denne alvorlige sykdommen.

REFERANSER : Se bakerst i nettutgaven på kirurgen.no

• Enkel montering og justering

• Nøyaktig måling

• Navigasjonsveiledet biopsi

• Presis dybdeguide

• Kontroll med skjærevinduet

• VentriGuard Lumbaldren

• Minimerer infeksjonsfare med ioniserende sølv

• VentriGuard ventrikkelkateter

• Minimerer infeksjonsfare med ioniserende sølv

• Stor innerlumen

REISEBREV FRA

E - AHPBA 2025 I DUBLIN

Det norske miljøet var godt representert på årets E-AHPBA-kongress i Dublin, som samler

HPB-kirurger fra hele Europa og Afrika annethvert år. Norske foredragsholdere bidro bredt, med temaer innen både lever- og pankreaskirurgi, inkludert minimalt invasiv teknikk.

JACOB GHOTBI

GASTROKIRURGISK AVDELING, OUS RIKSHOSPITALET

KORRESPONDANSE: JACOB GHOTBI - JACOB.GHOTBI @ OUS - HF.NO

Kongressen startet med et Postgraduate Course, en del av den europeiske sertifiseringen i HPB-kirurgi. Her holdt Sheraz Yaqub (OUS) et innlegg om primære levertumorer. Siden HPB-faget i Europa ofte sorterer under generell kirurgi, har miljøet etablert samarbeid for å styrke kompetansen og fremme felles standarder. Yaqub deltok også i en debatt om trinnvis versus simultan kirurgi ved kolorektale levermetastaser – et tema hans pågående RCT, SYLMET, belyser.

Knut Jørgen Labori (OUS), med sterkt internasjonalt renommé, bidro i et symposium om kirurgisk håndtering av ulike stadier av pankreaskreft. I en påfølgende “Champions League”-sesjon, der de mest toneangivende studiene fra Europa og Nord-Amerika ble presentert, la Labori frem resultater fra NorPACT-1, som viste at pasienter med resektabel pankreaskreft har best utbytte av direkte kirurgi fremfor å gå veien om neoadjuvant kjemoterapi.

Anne Waage (OUS) holdt et Expert Opinion-foredrag om kirurgisk behandling av kronisk pankreatitt, mens Åsmund Fretland (OUS) presenterte yttergrensene for miniinvasiv leverkirurgi og la frem den nordiske New Comet-studien, som sammenligner ulike metoder for minimalt invasiv behandling av kolorektale levermetastaser.

Undertegnede deltok med støtte fra Malthes legat og presenterte resultater fra kirurgi ved grenseresektabel og lokalavansert pankreaskreft, samt NorPACT-3-studien –en nasjonal kohort som skal standardisere behandlingen av avansert, ikke-metastatisk pankreaskreft.

Utenom det faglige, bød Dublin på en livlig og koselig atmosfære. I regntunge omgivelser utforsket vi klassiske puber og restauranter gjemt mellom smale brosteinsgater, der sjømenn med saltvann i blikket, punkere i lærjakker og en rustning med ansiktsringer og gateselgere kjempet om oppmerksomheten vår.

Alt i alt bekreftet møtet den sentrale rollen det norske miljøet har fått internasjonalt.

Fra venstre på bildet: Ingvild Farnes og Knut Jørgen Labori (OUS), Marta Caceres (Vall d’Hebron, Barcelona Hospital), Jacob Ghotbi og Anne Waage (OUS), Kjetil Søreide (SUS) og Sheraz Yaqub (OUS).

Bruk av 4DryField® resulterte i den største reduksjonen i adhesjonsscore av alle evaluerte barrierer.

4DryField® oppnådde de beste resultatene når det gjelder postoperativ fertilitet og smerteutvikling.

epost: ordre@medero.no www.medero.no

REISEBREV FRA QUEEN ALEXANDRA HOSPITAL I PORTSMOUTH

I forbindelse med overlegepermisjon reiste jeg våren 2025 til England for å besøke professor Jim Khan og hans kolleger ved Queen Alexandra Hospital i Portsmouth. Jeg møtte prof. Khan første gang på egen arbeidsplass i Drammen for noen år siden og fikk våren 2024 gleden av å være under hans ledelse på kurs i kolorektal robotkirurgi ved Universitetssykehuset i Kiel (Tyskland). Det var i den forbindelse jeg ble gjort oppmerksom på «Portsmouth International Travelling Fellowship in Colorectal Surgery» og i etterkant av kurset fikk invitasjon til å delta på dette. Dette er et reisebrev fra mitt to-ukers opphold i Portsmouth.

SVEN - PETTER HAUGVIK

GASTROKIRURGISK SEKSJON, KIRURGISK AVDELING, DRAMMEN SYKEHUS

KORRESPONDANSE: SVHAUG @ VESTREVIKEN.NO

Rollen til en «travelling fellow» er å observere, altså ikke å delta aktivt i pasientbehandling. Dette vurderte jeg som en gyllen mulighet til både å tilegne meg ny erfaring innen kolorektal robotkirurgi hos en av Europas ledende robotkirurger og samtidig få et innblikk i håndteringen av pasienter med kolorektal kreft i det engelske helsevesenet. Planleggingen og kommunikasjonen med administrasjonen for fellowship-programmet i forkant av oppholdet opplevde jeg som profesjonell og vennlig.

Portsmouth er en by på sørkysten av England med drøye 200 000 innbyggere. Queen Alexandra Hospital, opprinnelig et militærsykehus, er i dag et offentlig sykehus tilhørende NHS (National Health Service) med 8500 ansatte, 1200 senger og 28 operasjonsstuer. Kolorektalseksjonen har åtte «consultants» (overleger) og to «robotic fellows» (en via Royal College of Surgeons og en via European Society of Coloproctology). I tillegg er det til enhver tid flere internasjonale «travelling fellows» og kirurger med forskningsopphold ved seksjonen. De kolorektale robot-

dagene er mandag (en stue), torsdag (en stue) og fredag (to stuer). Det er til sammen fire operasjonsroboter på sykehuset, fordelt på sentraloperasjon (tre) og dagkirugisk avdeling (en). Robotene deles mellom gynekologer, urologer, kolorektalkirurger og øvre gastrointestinalkirurger. I tillegg gjøres det i helger elektive kolorektale robotinngrep i forskningsøyemed.

Søndag 31. mars ankom jeg Portsmouth med tog i strålende vårsol. Jeg fant frem til sykehuset og fikk hentet ID-kort og nøkkel til leiligheten. Det viste seg å være både praktisk og billig å bo i sykehusleilighet med fri tilgang til sykehuset rett over gata til alle døgnets tider. De neste to ukene ble naturligvis svært innholdsrike og alle detaljene om hva jeg lærte, observerte og funderte over skal ikke nevnes her. Her følger noen utdrag fra min reisedagbok:

«Dag 2 (…) Prof. Khan vasker seg. Svært adipøs buk, tusjmarkerer lett skrå horisontal linje like over umbilicus, det blir klart at strategien er utvidet høyresidig hemikolektomi. Anlegger porter og flytter enormt omentum majus og tarm med laparoskopiske instrumenter for tilgang over mesenterica superior-aksen. Robot inn fra pasientens venstre, renal, etterjusterer bommen manuelt, dokker med to venstre og en høyre (1: tip-up, 2: fenestrert bipolar, 3: 30 grader optikk, 4: hook). Setter seg i konsollen på en liten krakk uten ryggstøtte. Jeg tenker idet jeg ser mengden visceralt fett at dette må være den ultimate prøve for å se om kolorektal robotkirurgi holder stand. 9 grader Trendelenburg og 13 grader venstre sidetilt. Først identifisering av ileocolica-pedikkelen og nært beliggende mesenterica superior-akse og så rett ned i fettdypet over hovedkaret med nydelig samspill mellom fenestrert bipolar i venstre og hook i høyre hånd. Det er imponerende håndverk fra første stund. (…)».

BILDE 1: fra robotkurs med prof. Khan i Kiel i april 2024 (artikkelforfatter første f.v., prof. Khan tredje f.v.)

«Dag 3 (…) Går opp til MDT-rommet. Får oversikt over pasientene fra koordinator Chelsea - 48 pasienter! Det strømmer til med folk. Flere consultants som har «sine pasienter» å presentere, to radiologer, to onkologer, flere sykepleiere, patolog til stede digitalt. Hele møtet varer til kl. 11. Mye interessant. Noen momenter: ikke reseksjon før seks uker etter kolonstent, Basingstoke brukes som referansesenter for vurdering av peritonealcarcinomatose, ingen dyptgående fokus på endoskopisk beskrivelse av polypper, TEM og ESD nevnes så vidt, mye bruk av endoskopisk ultralyd og FDG-PET/CT, radiologene benevner T-stadium på CT-bilder, lange ventetider mellom bestemt behandling og operasjonsdato (opptil 8 uker!), ingen fokus på høydemål fra analvergen ved cancer recti, i stedet fullt fokus på MR-mål, (…)».

«Dag 5 (…) Går visitt på en pasient (mandagens utvidede høyre) som har det veldig fint og fortsatt ligger på 7-mannsrom, skal kanskje hjem i dag. Det er ingen direkte kontakt/samtale mellom fellow og sykepleier, heller ikke fellow og sengepost-lege. Beskjeder blir lagt igjen skriftlig (håndskrift) i pasientkurven. Visitten går altså uten sykepleier. Ingen consultants å se på visitten noen av dagene så langt. Stor sengepost med 43 innlagte i går. (…)».

«Dag 9 (…) Spesielt kasus: 46 år gammel mann, 146 kg, lokalavansert mucinøst adenocarcinom i rektum med innvekst i mesorektum og 2-3 mm avstand til iliaca interna-karene høyre side. Vurdert på tverrfaglig møte forrige tirsdag og funnet indikasjon for direkte reseksjon med lateral glandeldisseksjon uten neoadjuvant behandling. (…) Setter av art. mes. inf. ca. 1 cm distalt fra aorta. Jeg spør Khan om dette og han sier at han i utgangspunktet alltid vil ha 1 cm stump igjen av to grunner: 1) skåne sympatikus-nerven og unngå retrograd ejakulasjon som er veldig plagsomt og 2) ha en stump å angripe ved blødningsproblemer. Bare ved åpenbart maligne glandler eller store sigmoid-cancere går han helt inn og gjør komplett D3. (…) Så neste del av operasjonen som er komplett glandeldisseksjon i det laterale kompartment. Imponerende er alt jeg kan si. Nye plan jeg aldri har sett, mye film og bilder. (…) Jeg spør både Abhi, som nettopp

har kommet fra St. Mark’s (London), og Khan om det er rutine med stiv rektoskopi for å måle tumorhøyde. Det er det ikke, kun digital-rektal undersøkelse preop. (…)».

«Dag 10 (…) en sykepleier viser meg veien til poliklinikken. Og så er vi i gang kl. 13:30. 13 pasienter, hvorav 2 ringetimer frem til kl. 17, 15 minutter avsatt til hver. Sykepleier til stede hele tiden. Ganske sammenlignbart med hjemme, men hele datasystemet er gammeldags med herlig blanding av flere digitale programmer, håndskrevne rekvisisjoner og diktafon (ikke talegjenkjenning). (…)».

Besøket i Portsmouth har gitt meg en dypere forståelse av tekniske aspekter ved kolorektal robotkirurgi, nye perspektiver i den tverrfaglige vurderingen av pasienter med kolorektal kreft og innsikt i alternative måter å strukturere arbeidsfordeling på blant helsepersonell enn det jeg kjenner fra Norge. Erfaringene fra Queen Alexandra Hospital har overbevist meg om at kolorektal robotkirurgi er kommet for å bli. Jeg vil anbefale et slikt opphold for alle kolleger med generell interesse for onkologisk kolorektalkirurgi og spesiell interesse for robotkirurgi. Jeg ønsker å takke min arbeidsgiver ved kirurgisk avdeling på Drammen sykehus og Norsk forening for gastroenterologisk kirurgi for støtte til reise og opphold i Portsmouth.

BILDE 2: hovedinngangen til Queen Alexandra Hospital i Portsmouth
BILDE 4: tid med nye venner etter at arbeidsdagen er over
BILDE 3: fra robotstue ved Queen Alexandra Hospital i Portsmouth (prof. Khan nede til venstre i bildet og «robotic fellow» i tvillingkonsoll nede til høyre i bildet)
REISE BREV

S 206: HJERNESVULSTREGISTERET GIR NY KUNNSKAP OG GRUNNLAG FOR KVALITETSFORBEDRING OG FORSKNING

1. Grimsrud TK. 70 years of the Cancer Registry of Norway. Tidsskr Nor Laegeforen. 2022;142(18).

2. Dørum LM. Historien om kvalitetsregistrene. Norsk Epidemiologi. 2022;30(1­2):35–40.

3. Cancer Registry of Norway. Annual report 2022: Results and improvement measures from the Norwegian Brain and Spinal Cord Tumour Registry. Årsrapport 2022: Resultater og forbedringstiltak fra Kvalitetsregister for hjerne- og ryggmargssvulster2023. Available from: https://www.fhi.no/globalassets/publikasjoner-og-rapporter/arsrapporter/ publisert-2023/arsrapport-2022-nasjonalt-kvalitetsregister-for-hjerne--og-ryggmargssvulster.pdf.

4. Cancer Registry of Norway. Annual report 2023: Results and improvement measures from the Norwegian Brain and Spinal Cord Tumour Registry. Årsrapport 2023: Resultater og forbedringstiltak fra Kvalitetsregister for hjerne- og ryggmargssvulster 2024. Available from: https://www.fhi.no/globalassets/publikasjoner-og-rapporter/arsrapporter/ publisert-2024/arsrapport-2023-kvalitetsregister-for-hjerne--og-ryggmargssvulster. pdf.

5. Cancer Registry of Norway. Annual report 2024: Results and improvement measures from the Norwegian Brain and Spinal Cord Tumour Registry. Årsrapport 2024: Resultater og forbedringstiltak fra Kvalitetsregister for hjerne- og ryggmargssvulster 2025. Available from: https://www.fhi.no/publ/2025/kvalitetsregister-for-hjerne-og-ryggmarssvulster-2024/.

6. Skaga E, Trewin-Nybråten CB, Niehusmann P, Johannesen TB, Marienhagen K, Oltedal L, et al. Stable glioma incidence and increased patient survival over the past two decades in Norway: a nationwide registry­based cohort study. Acta Oncol. 2024;63:83–94.

7. Louis DN, Perry A, Wesseling P, Brat DJ, Cree IA, Figarella-Branger D, et al. The 2021 WHO Classification of Tumors of the Central Nervous System: a summary. Neuro Oncol. 2021;23(8):1231–51.

8. Schipmann-Miletic S, Sivakanesan S, Rath DS, Brandal P, Vik-Mo E, Bjørås M, et al. [Glioblastoma in adults]. Tidsskr Nor Laegeforen. 2023;143(2).

9. Skaga E, Skretteberg MA, Johannesen TB, Brandal P, Vik-Mo EO, Helseth E, et al. Real-world validity of randomized controlled phase III trials in newly diagnosed glioblastoma: to whom do the results of the trials apply? Neurooncol Adv. 2021;3(1):vdab008.

10. Jakola AS, Skjulsvik AJ, Myrmel KS, Sjåvik K, Unsgård G, Torp SH, et al. Surgical resection versus watchful waiting in low­grade gliomas. Ann Oncol. 2017;28(8):1942–8.

11. Stupp R, Mason WP, van den Bent MJ, Weller M, Fisher B, Taphoorn MJ, et al. Radiotherapy plus concomitant and adjuvant temozolomide for glioblastoma. N Engl J Med. 2005;352(10):987–96.

12. Mendoza Mireles EE, Skaga E, Server A, Leske H, Brandal P, Helseth E, et al. The benefit of complete resection of contrast enhancing tumor in glioblastoma patients: A population­based study. Neurooncol Pract. 2023;10(6):555–64.

13. Trewin-Nybråten CB, Lambert PC, Marienhagen K, Andreassen L, Johannesen TB, Niehusmann P, et al. Unveiling regional differences in glioblastoma patient survival with real-world data from the Norwegian brain tumor quality registry. J Neurooncol. 2025.

14. Senter for klinisk dokumentasjon og evaluering. Registerdrift - Kvalitetsindikatorer. [updated 25.09.2024; cited 2025 16.10.2025]. Available from: https://www.kvalitetsregistre.no/registerdrift/kvalitetsindikatorer/.

15. Helsedirektoratet. Nasjonalt handlingsprogram med retningslinjer for diagnostikk, behandling og oppfølging av meningeomer. 2020. Available from: https://www.helsedirektoratet.no/retningslinjer/meningeomer-hos-voksne-handlingsprogram.

16. Helsedirektoratet. Nasjonal faglig retningslinje for diagnostikk, behandling og oppfølging av diffuse gliomer hos voksne. 2023. Available from: https://www.helsedirektoratet. no/retningslinjer/diffuse-gliomer-hos-voksne-handlingsprogram.

17. Gjelsvik YM, Trewin-Nybråten CB, Balto A, Myklebust TÅ, Johannesen TB, Nilsson M, et al. Cancer in Norway – Spesialutgave 2024 – Livet etter kreftdiagnosen, utvidet versjon.2025. Available from: https://www.fhi.no/publ/2025/livet-etter-kreftdiagnosen/.

18. Liu R, Page M, Solheim K, Fox S, Chang SM. Quality of life in adults with brain tumors: current knowledge and future directions. Neuro Oncol. 2009;11(3):330–9.

S 212: KIRURGISK BEHANDLING AV LAVGRADIGE GLIOMER

1. Resultater og forbedringstiltak fra Kvalitetsregister for hjerne- og ryggmargssvulster. Oslo: Folkehelseinstituttet; 2025.

2. Munkvold BKR, Solheim O, Bartek J, Jr., Corell A, de Dios E, Gulati S, et al. Variations in the management of diffuse low-grade gliomas-A Scandinavian multicenter study. Neurooncol Pract. 2021;8(6):706–17.

3. Jakola AS, Myrmel KS, Kloster R, Torp SH, Lindal S, Unsgard G, et al. Comparison of a strategy favoring early surgical resection vs a strategy favoring watchful waiting in low­grade gliomas. JAMA. 2012;308(18):1881–8.

4. van den Bent MJ, Tesileanu CMS, Wick W, Sanson M, Brandes AA, Clement PM, et al. Adjuvant and concurrent temozolomide for 1p/19q non-co-deleted anaplastic glioma (CATNON; EORTC study 26053­22054): second interim analysis of a randomised, open­label, phase 3 study. Lancet Oncol. 2021;22(6):813–23.

5. Lassman AB, Hoang-Xuan K, Polley MC, Brandes AA, Cairncross JG, Kros JM, et al. Joint Final Report of EORTC 26951 and RTOG 9402: Phase III Trials With Procarbazine, Lomustine, and Vincristine Chemotherapy for Anaplastic Oligodendroglial Tumors. J Clin Oncol. 2022;40(23):2539–45.

6. Buckner JC, Shaw EG, Pugh SL, Chakravarti A, Gilbert MR, Barger GR, et al. Radiation plus Procarbazine, CCNU, and Vincristine in Low-Grade Glioma. N Engl J Med. 2016;374(14):1344–55.

7. Mellinghoff IK, van den Bent MJ, Blumenthal DT, Touat M, Peters KB, Clarke J, et al. Vorasidenib in IDH1­ or IDH2­Mutant Low­Grade Glioma. N Engl J Med. 2023;389(7):589–601.

8. Louis DN, Perry A, Wesseling P, Brat DJ, Cree IA, Figarella-Branger D, et al. The 2021 WHO Classification of Tumors of the Central Nervous System: a summary. Neuro Oncol. 2021;23(8):1231–51.

9. Carstam L, Corell A, Smits A, Dénes A, Barchéus H, Modin K, et al. WHO Grade Loses Its Prognostic Value in Molecularly Defined Diffuse Lower­Grade Gliomas. Front Oncol. 2021;11:803975.

10. Jakola AS, Unsgård G, Myrmel KS, Kloster R, Torp SH, Losvik OK, et al. Surgical strategy in grade II astrocytoma: a population-based analysis of survival and morbidity with a strategy of early resection as compared to watchful waiting. Acta Neurochir (Wien). 2013;155(12):2227–35.

11. Carstam L, Latini F, Solheim O, Bartek J, Jr., Pedersen LK, Zetterling M, et al. Longterm follow up of patients with WHO grade 2 oligodendroglioma. J Neurooncol. 2023;164(1):65–74.

12. Hervey-Jumper SL, Zhang Y, Phillips JJ, Morshed RA, Young JS, McCoy L, et al. Interactive Effects of Molecular, Therapeutic, and Patient Factors on Outcome of Diffuse Low-Grade Glioma. J Clin Oncol. 2023;41(11):2029–42.

13. Wijnenga MMJ, French PJ, Dubbink HJ, Dinjens WNM, Atmodimedjo PN, Kros JM, et al. The impact of surgery in molecularly defined low­grade glioma: an integrated clinical, radiological, and molecular analysis. Neuro Oncol. 2018;20(1):103–12.

14. Broen MPG, Smits M, Wijnenga MMJ, Dubbink HJ, Anten M, Schijns O, et al. The T2-FLAIR mismatch sign as an imaging marker for non-enhancing IDH-mutant, 1p/19q-intact lower­grade glioma: a validation study. Neuro Oncol. 2018;20(10):1393–9.

15. Karlberg A, Pedersen LK, Vindstad BE, Skjulsvik AJ, Johansen H, Solheim O, et al. Diagnostic accuracy of anti-3-[(18)F]-FACBC PET/MRI in gliomas. Eur J Nucl Med Mol Imaging. 2024;51(2):496–509.

16. Zhou H, Chang K, Bai HX, Xiao B, Su C, Bi WL, et al. Machine learning reveals multimodal MRI patterns predictive of isocitrate dehydrogenase and 1p/19q status in diffuse lowand high­grade gliomas. J Neurooncol. 2019;142(2):299–307.

17. Patel A, Göbel K, Ille S, Hinz F, Schoebe N, Bogumil H, et al. Prospective, multicenter validation of a platform for rapid molecular profiling of central nervous system tumors. Nat Med. 2025;31(5):1567–77.

18. Jakola AS, Gulati S, Weber C, Unsgård G, Solheim O. Postoperative deterioration in health related quality of life as predictor for survival in patients with glioblastoma: a prospective study. PLoS One. 2011;6(12):e28592.

19. Gulati S, Jakola AS, Nerland US, Weber C, Solheim O. The risk of getting worse: surgically acquired deficits, perioperative complications, and functional outcomes after primary resection of glioblastoma. World Neurosurg. 2011;76(6):572–9.

20. Rahman M, Abbatematteo J, De Leo EK, Kubilis PS, Vaziri S, Bova F, et al. The effects of new or worsened postoperative neurological deficits on survival of patients with glioblastoma. J Neurosurg. 2017;127(1):123–31.

21. Kavouridis VK, Boaro A, Dorr J, Cho EY, Iorgulescu JB, Reardon DA, et al. Contemporary assessment of extent of resection in molecularly defined categories of diffuse low­grade glioma: a volumetric analysis. J Neurosurg. 2020;133(5):1291–301.

22. Bell EH, Zhang P, Shaw EG, Buckner JC, Barger GR, Bullard DE, et al. Comprehensive Genomic Analysis in NRG Oncology/RTOG 9802: A Phase III Trial of Radiation Versus Radiation Plus Procarbazine, Lomustine (CCNU), and Vincristine in High-Risk Low-Grade Glioma. J Clin Oncol. 2020;38(29):3407–17.

23. van Grinsven EE, Smits AR, van Kessel E, Raemaekers MAH, de Haan EHF, Huenges Wajer IMC, et al. The impact of etiology in lesion-symptom mapping - A direct comparison between tumor and stroke. Neuroimage Clin. 2023;37:103305.

24. Rossi M, Conti Nibali M, Viganò L, Puglisi G, Howells H, Gay L, et al. Resection of tumors within the primary motor cortex using high-frequency stimulation: oncological and functional efficiency of this versatile approach based on clinical conditions. J Neurosurg. 2020;133(3):642–54.

25. Plaza M, Gatignol P, Leroy M, Duffau H. Speaking without Broca’s area after tumor resection. Neurocase. 2009;15(4):294–310.

26. Boele FW, Douw L, Reijneveld JC, Robben R, Taphoorn MJ, Aaronson NK, et al. Health-related quality of life in stable, long-term survivors of low-grade glioma. J Clin Oncol. 2015;33(9):1023–9.

27. Douw L, Klein M, Fagel SS, van den Heuvel J, Taphoorn MJ, Aaronson NK, et al. Cognitive and radiological effects of radiotherapy in patients with low-grade glioma: long-term follow­up. Lancet Neurol. 2009;8(9):810–8.

28. Heggebø LC, Borgen IMH, Rylander H, Kiserud C, Nordenmark TH, Hellebust TP, et al. Investigating survival, quality of life and cognition in PROton versus photon therapy for IDH-mutated diffuse grade 2 and 3 GLIOmas (PRO-GLIO): a randomised controlled trial in Norway and Sweden. BMJ Open. 2023;13(3):e070071.

29. Eichkorn T, Lischalk JW, Hörner-Rieber J, Deng M, Meixner E, Krämer A, et al. Analysis of safety and efficacy of proton radiotherapy for IDH­mutated glioma WHO grade 2 and 3. J Neurooncol. 2023;162(3):489–501.

30. Zetterling M, Roodakker KR, Berntsson SG, Edqvist PH, Latini F, Landtblom AM, et al. Extension of diffuse low-grade gliomas beyond radiological borders as shown by the coregistration of histopathological and magnetic resonance imaging data. J Neurosurg. 2016;125(5):1155–66.

31. Ahmeti H, Ziegler M, Stefenelli U, Röcken C, Jansen O, Mehdorn HM, et al. The Role of Intraoperative Imaging Modalities in Surgical Resection of Supratentorial Gliomas: A Review of 300 Cases. Oper Neurosurg (Hagerstown). 2025.

32. Baptista JM, Brenner LBO, Henrique A, Ito LA, Nabarro PH, Santos LP, et al. Efficacy and safety of intraoperative magnetic resonance imaging for low-grade and high-grade gliomas: an updated systematic review and meta­analysis. Neurosurg Rev. 2025;48(1):465.

33. Bø HK, Solheim O, Kvistad KA, Berntsen EM, Torp SH, Skjulsvik AJ, et al. Intraoperative 3D ultrasound-guided resection of diffuse low-grade gliomas: radiological and clinical results. J Neurosurg. 2020;132(2):518–29.

34. Fukui A, Muragaki Y, Saito T, Nitta M, Tsuzuki S, Asano H, et al. Impact of awake mapping on overall survival and extent of resection in patients with adult diffuse gliomas within or near eloquent areas: a retrospective propensity score-matched analysis of awake craniotomy vs. general anesthesia. Acta Neurochir (Wien). 2022;164(2):395–404.

35. Baig Mirza A, Vastani A, Suvarna R, Rashed S, Al-Omari A, Mthunzi E, et al. Preoperative and intraoperative neuromonitoring and mapping techniques impact oncological and functional outcomes in supratentorial function-eloquent brain tumours: a systematic review and meta­analysis. EClinicalMedicine. 2025;80:103055.

36. Gupta DK, Chandra PS, Ojha BK, Sharma BS, Mahapatra AK, Mehta VS. Awake craniotomy versus surgery under general anesthesia for resection of intrinsic lesions of eloquent cortex a prospective randomised study. Clin Neurol Neurosurg. 2007;109(4):335–43.

37. Abo-Elnour DE, Pichardo-Rojas PS, Abdalla YE, Salama MK, Elboraay T, Rizk MA, et al. Comparative efficacy of awake and asleep motor mapping in glioma surgery: A meta­analysis of 3011 patients. Neurosurg Rev. 2024;47(1):859.

38. Samandouras G. Extended testing for cognition: has awake brain mapping moved to the next level? Acta Neurochir (Wien). 2022;164(1):173–6.

39. Berger A, Tzarfati GG, Serafimova M, Valdes P, Meller A, Korn A, et al. Risk factors and prognostic implications of surgery-related strokes following resection of high-grade glioma. Sci Rep. 2022;12(1):22594.

40. Strand PS, Berntsen EM, Fyllingen EH, Sagberg LM, Reinertsen I, Gulati S, et al. Brain infarctions after glioma surgery: prevalence, radiological characteristics and risk factors. Acta Neurochir (Wien). 2021;163(11):3097–108.

41. Bø HK, Solheim O, Jakola AS, Kvistad KA, Reinertsen I, Berntsen EM. Intra-rater variability in low­grade glioma segmentation. J Neurooncol. 2017;131(2):393–402.

42. Visser M, Müller DMJ, van Duijn RJM, Smits M, Verburg N, Hendriks EJ, et al. Inter-rater agreement in glioma segmentations on longitudinal MRI. Neuroimage Clin. 2019;22:101727.

43. Majewska P, Holden Helland R, Ferles A, Pedersen A, Kommers I, Ardon H, et al. Prognostic value of manual versus automatic methods for assessing extents of resection and residual tumor volume in glioblastoma. J Neurosurg. 2025;142(5):1298–306.

44. Bouget D, Alsinan D, Gaitan V, Helland RH, Pedersen A, Solheim O, et al. Raidionics: an open software for pre- and postoperative central nervous system tumor segmentation and standardized reporting. Sci Rep. 2023;13(1):15570.

45. Duffau H. Long-term outcomes after supratotal resection of diffuse low-grade gliomas: a consecutive series with 11­year follow­up. Acta Neurochir (Wien). 2016;158(1):51–8.

46. Gallotti AL, Rossi M, Conti Nibali M, Sciortino T, Gay LG, Puglisi G, et al. Neuro-oncological superiority of supratotal resection in lower-grade gliomas. Neuro Oncol. 2025;27(5):1270–84.

47. Sagberg LM, Salvesen Ø, Jakola AS, Thurin E, De Dios E, Nawabi NLA, et al. Progression-free survival versus post-progression survival and overall survival in WHO grade 2 gliomas. Acta Oncol. 2024;63:798–804.

S 218: KIRURGISK BEHANDLING

AV HØYGRADIGE

GLIOMER

1. Cancer Registry of Norway. Cancer in Norway 2025 – Cancer incidence, mortality, survival and prevalence in Norway. Oslo: Cancer Registry of Norway; 2025

2. Louis DN, et al. The 2021 WHO classification of tumors of the central nervous system: a summary. Neuro­Oncology. 2021;23(8):1231–51.

3. Skaga E, et al. Stable glioma incidence and increased patient survival over the past two decades in Norway: a nationwide registry­based cohort study. Acta Oncol 2024;63:83–94.

4. Weller M, et al. EANO guidelines on the diagnosis and treatment of diffuse gliomas of adulthood. Nat Rev Clin Oncol. 2021;18(3):170–186.

5. Stupp R, et al. Radiotherapy plus concomitant and adjuvant temozolomide for glioblastoma. N Engl J Med. 2005;352(10):987–996.

6. Mendoza Mireles EE, et al. The benefit of complete resection of contrast enhancing tumor in glioblastoma patients: a population-based study. Neurooncol Pract. 2023;10(6):555–564.

7. Hegi ME, et al. MGMT gene silencing and benefit from temozolomide in glioblastoma. N Engl J Med. 2005;352:997–1003.

8. Lacroix M, et al. A multivariate analysis of 416 patients with glioblastoma multiforme: prognosis, extent of resection, and survival. J Neurosurg. 2001;95(2):190–198.

9. Sanai N, Berger MS. Extent of resection influences outcomes for glioma patients. Neurosurgery. 2008;62(4):753–764.

10. Molinaro A, et al. Association of Maximal Extent of Resection of Contrast-Enhanced and Non-Contrast-Enhanced Tumor With Survival Within Molecular Subgroups of Patients With Newly Diagnosed Glioblastoma. JAMA Oncol. 2020 Apr 1;6(4):495­503.

11. Trewin-Nybråten CB, et al. Unveiling regional differences in glioblastoma patient survival with real-world data from the Norwegian brain tumor quality registry. J Neurooncol. 2025 Dec;175(3):1355­1366

12. Cancer Registry of Norway. Annual report 2024: Results and improvement measures from the Norwegian Brain and Spinal Cord Tumour Registry. Årsrapport 2024: Resultater og forbedringstiltak fra Kvalitetsregister for hjerne- og ryggmargssvulster 2025.

13. Karschnia P, et al. Prognostic validation of a new classification system for extent of resection in glioblastoma: A report of the RANO resect group. Neuro Oncol. 2023 May 4;25(5):940­954.

14. Stummer W, et al. Fluorescence­guided surgery with 5­aminolevulinic acid for resection of malignant glioma: a randomised controlled multicentre phase III trial. Lancet Oncol. 2006;7(5):392–401.

15. Dixon L, et al. Intraoperative ultrasound in brain tumor surgery: a review and implementation guide. Neurosurg Rev. 2022 Aug;45(4):2503­2515.

16. Kubben PL, et al. Intraoperative MRI­guided resection of glioblastoma: a systematic review. Lancet Oncol. 2011;12(11):1062–1070.

17. Roder C, et al. Intraoperative MRI versus 5-ALA for the resection of Glioblastoma: Update of survival data and correlation of imaging-based supramaximal resections according to the RANO resect classification system. EANS congress 2025, lecture

18. Hervey­Jumper SL, Berger MS. Maximizing safe resection of low­ and high­grade glioma. J Neurooncol. 2016;130(2):269–282.

19. Gerritsen J, et al. Effect of awake craniotomy in glioblastoma in eloquent areas (GLIOMAP): a propensity score-matched analysis of an international, multicentre, cohort study. Lancet Oncol. 2022 Jun;23(6):802­817.

20. Seidel K, et al. Motor evoked potential monitoring and continuous dynamic mapping: Warning criteria during surgery on motor eloquent intra-axial brain tumors. Clin Neurophysiol. 2025 Aug 15;178:2110979.

21. Rossi M, et al. Resection of tumors within the primary motor cortex using high-frequency stimulation: oncological and functional efficiency of this versatile approach based on clinical conditions. J Neurosurg. 2019 Aug 9;133(3):642­654.

22. Laigle-Donadey F, et al. Surgery for glioblastomas in the elderly: an Association des Neuro-oncologues d’Expression Française (ANOCEF) trial. J Neurosurg. 2022 Oct 14;138(5):1199­1205.

23. Karschnia P, et al. Development and validation of a clinical risk model for postoperative outcome in newly diagnosed glioblastoma: A report of the RANO resect group. Neuro Oncol. 2025 May 15;27(4):1046­1060.

24. Karschnia P, et al. Prognostic evaluation of re-resection for recurrent glioblastoma using the novel RANO classification for extent of resection: A report of the RANO resect group. Neuro Oncol. 2023 Sep 5;25(9):1672­1685.

S 222: HJERNESVULSTER HOS BARN – DIAGNOSTIKK, BEHANDLING OG FREMTIDSPERSPEKTIVER

1. Nasjonalt kvalitetsregister for barnekreft: Årsrapport 2024 - FHI

2. Louis DN, Perry A, Wesseling P, et al. The 2021 WHO Classification of Tumors of the Central Nervous System: a summary. Neuro Oncol 2021;23(8):1231–1251.

3. Pfister SM, Reyes­Múgica M, Chan JKC, et al. Pediatric­type diffuse gliomas: WHO CNS5 classification. Brain Pathol. 2022;32(1):e13060.

4. Ostrom QT, Price M, Neff C, et al. CBTRUS Statistical Report: Primary Brain and Other Central Nervous System Tumors Diagnosed in the United States 2015–2019. Neuro Oncol. 2022;24(Suppl 5):v1–v95.

5. d’Amati A, Bargiacchi L, Rossi S, et al. Pediatric CNS tumors and 2021 WHO classification: what do oncologists need from pathologists? Front Mol Neurosci. 2024;17:1268038.

6. Ryall S, Tabori U, Hawkins C. Pediatric low-grade glioma in the era of molecular diagnostics. Acta Neuropathol Commun. 2020;8:30.

7. Hargrave DR, Bouffet E, Tabori U, et al. Efficacy and safety of dabrafenib in pediatric patients with BRAF V600–mutant low-grade glioma: results from a phase I/II trial. Clin Cancer Res. 2019;25(24):7303–7311.

8. Reinhardt A, Stichel D, Schrimpf D, et al. Anaplastic astrocytoma with piloid features (WHO CNS WHO grade 3): a novel tumor entity defined by DNA methylation profiling. Brain Pathol. 2018;28(5):671–682.

9. Korshunov A, Capper D, Reuss D, et al. Histone H3 G34-mutant hemispheric gliomas: molecular characterization and clinical outcome. Acta Neuropathol. 2016;131(1):137–150.

10. Castel D, Philippe C, Calmon R, et al. Histone H3F3A and HIST1H3B K27M mutations define two subgroups of diffuse intrinsic pontine gliomas. Acta Neuropathol 2015;130(6):815–827.

11. Hoffman LM, Veldhuijzen van Zanten SEM, Colditz N, et al. Clinical, radiologic, pathologic, and molecular characteristics of diffuse intrinsic pontine glioma and correlation with outcome. J Clin Oncol. 2016;34(24): 2928–2937.

12. Cohen AR. Brain Tumors in Children. N Engl J Med. 2022 May 19;386(20):1922­1931. doi: 10.1056/NEJMra2116344. PMID: 35584157.

13. Massimino M, Biassoni V, Gandola L, et al. Ependymoma in children and adults: a multicenter retrospective study of 240 cases. Cancer. 2016;122(18):2734–2742.

14. Ramaswamy V, Remke M, Bouffet E, et al. Risk stratification of childhood medulloblastoma in the molecular era: the current consensus. Acta Neuropathol. 2016;131(6):821–831.

15. Northcott PA, Korshunov A, Pfister SM, Taylor MD. The clinical implications of medulloblastoma subgroups. Nat Rev Neurol 2012;8(6):340–351.

16. Frühwald MC, Hasselblatt M, Nemes K, et al. Atypical teratoid/rhabdoid tumors—current concepts, clinical features, and molecular genetics. Cancers (Basel). 2021;13(5):1041.

17. Vitanza NA, Monje M. Diffuse intrinsic pontine glioma: from diagnosis to next-generation clinical trials. Curr Treat Options Neurol. 2019;21(8):37.

18. Majzner RG, Theruvath JL, Nellan A, et al. CAR T cells targeting B7-H3 for diffuse intrinsic pontine glioma. Nature. 2022;603:934–941.

19. d’Amati A, Bargiacchi L, Rossi S, Carai A, Bertero L, Barresi V, Errico ME, Buccoliero AM, Asioli S, Marucci G, Del Baldo G, Mastronuzzi A, Miele E, D’Antonio F, Schiavello E, Biassoni V, Massimino M, Gessi M, Antonelli M, Gianno F. Pediatric CNS tumors and 2021 WHO classification: what do oncologists need from pathologists? Front Mol Neurosci. 2024 Mar 13;17:1268038. doi: 10.3389/fnmol.2024.1268038. Erratum in: Front Mol Neurosci. 2024 Apr 26;17:1411360. doi: 10.3389/fnmol.2024.1411360. PMID: 38544524; PMCID: PMC10966132.

20. Zaytseva M, Papusha L, Novichkova G, Druy A. Molecular Stratification of Childhood Ependymomas as a Basis for Personalized Diagnostics and Treatment. Cancers. 2021; 13(19):4954. https://doi.org/10.3390/cancers13194954

S 236: DIAGNOSTIKK OG BEHANDLING

AV

MENINGEOMER

1. de Dios E, Näslund O, Choudhry M, Berglund M, Skoglund T, Sarovic D, et al. Prevalence and symptoms of incidental meningiomas: a population-based study. Acta Neurochir (Wien). 2025;167(1):98.

2. Vernooij MW, Ikram MA, Tanghe HL, Vincent AJ, Hofman A, Krestin GP, et al. Incidental findings on brain MRI in the general population. N Engl J Med. 2007;357(18):1821­8.

3. Håberg AK, Hammer TA, Kvistad KA, Rydland J, Müller TB, Eikenes L, et al. Incidental Intracranial Findings and Their Clinical Impact; The HUNT MRI Study in a General Population of 1006 Participants between 50­66 Years. PLoS One. 2016;11(3):e0151080.

4. Ostrom QT, Cioffi G, Gittleman H, Patil N, Waite K, Kruchko C, et al. CBTRUS Statistical Report: Primary Brain and Other Central Nervous System Tumors Diagnosed in the United States in 2012­2016. Neuro Oncol. 2019;21(Suppl 5):v1­v100.

5. Näslund O, Strand PS, Solheim O, Al Masri M, Rapi O, Thurin E, et al. Incidence, management, and outcome of incidental meningioma: what has happened in 10 years? J Neurooncol. 2023;165(2):291­9.

6. Årsrapport 2024 med resultater og forbedringstiltak fra kvalitetsregister for hjerne- og ryggmargssvulster. Oslo: Folkehelseinstituttet, Kreftregisteret, 2025

7. Louis DN, Perry A, Wesseling P, Brat DJ, Cree IA, Figarella-Branger D, et al. The 2021 WHO Classification of Tumors of the Central Nervous System: a summary. Neuro Oncol. 2021;23(8):1231­51.

8. Sahm F, Bertero L, Brandner S, Capper D, Goldbrunner R, Jenkinson MD, et al. European Association of Neuro-Oncology guideline on molecular testing of meningiomas for targeted therapy selection. Neuro Oncol. 2025;27(4):869­83.

9. Heymer EJ, Hawkins MM, Winter DL, Teepen JC, Sunguc C, Ronckers CM, et al. Risk of subsequent gliomas and meningiomas among 69,460 5-year survivors of childhood and adolescent cancer in Europe: the PanCareSurFup study. Br J Cancer. 2024;130(6):976­86.

10. Abi Jaoude S, Peyre M, Degos V, Goutagny S, Parfait B, Kalamarides M. Validation of a scoring system to evaluate the risk of rapid growth of intracranial meningiomas in neurofibromatosis type 2 patients. J Neurosurg. 2021;134(5):1377­85.

11. Helsedirektoratet. Meningeomer hos voksne - handlingsprogram [Internett]. [Oppdatert 17.apr 2024; hentet 26.okt 2025]. Tilgjengelig fra: https://www.helsedirektoratet.no/ retningslinjer/meningeomer-hos-voksne-handlingsprogram/hva-er-nytt

12. Gheorghiu A, Brunborg C, Johannesen TB, Helseth E, Zwart JA, Wiedmann MKH. Lifestyle and metabolic factors affect risk for meningioma in women: a prospective population­based study (The Cohort of Norway). Front Oncol. 2024;14:1428142.

13. Girardelli S, Albano L, Mangili G, Valsecchi L, Rabaiotti E, Cavoretto PI, et al. Meningiomas in Gynecology and Reproduction: an Updated Overview for Clinical Practice. Reprod Sci. 2022;29(9):2452­64.

14. Hage M, Plesa O, Lemaire I, Raffin Sanson ML. Estrogen and Progesterone Therapy and Meningiomas. Endocrinology. 2022;163(2).

15. Hoisnard L, Laanani M, Passeri T, Duranteau L, Coste J, Zureik M, et al. Risk of intracranial meningioma with three potent progestogens: A population-based case-control study. Eur J Neurol. 2022;29(9):2801­9.

16. Behbahani M, Skeie GO, Eide GE, Hausken A, Lund-Johansen M, Skeie BS. A prospective study of the natural history of incidental meningioma-Hold your horses! Neurooncol Pract. 2019;6(6):438­50.

17. Strømsnes TA, Lund-Johansen M, Skeie GO, Eide GE, Behbahani M, Skeie BS. Growth dynamics of incidental meningiomas: A prospective long-term follow-up study. Neurooncol Pract. 2023;10(3):238­48.

18. Strand PS, Wågø KJ, Pedersen A, Reinertsen I, Nälsund O, Jakola AS, et al. Growth dynamics of untreated meningiomas. Neurooncol Adv. 2024;6(1):vdad157.

19. Hashiba T, Hashimoto N, Izumoto S, Suzuki T, Kagawa N, Maruno M, et al. Serial volumetric assessment of the natural history and growth pattern of incidentally discovered meningiomas. J Neurosurg. 2009;110(4):675­84.

20. Hashimoto N, Rabo CS, Okita Y, Kinoshita M, Kagawa N, Fujimoto Y, et al. Slower growth of skull base meningiomas compared with non-skull base meningiomas based on volumetric and biological studies. J Neurosurg. 2012;116(3):574­80.

21. Galldiks N, Albert NL, Sommerauer M, Grosu AL, Ganswindt U, Law I, et al. PET imaging in patients with meningioma-report of the RANO/PET Group. Neuro Oncol. 2017;19(12):1576­87.

22. Goldbrunner R, Stavrinou P, Jenkinson MD, Sahm F, Mawrin C, Weber DC, et al. EANO guideline on the diagnosis and management of meningiomas. Neuro Oncol. 2021;23(11):1821­34.

23. Taule EM, Dhayalan D, Berge JE, Goplen FK, Hess-Erga J, Lund-Johansen M, et al. Vestibularisschwannom ­ diagnostikk og behandling. Tidsskr Nor Laegeforen. 2025;145(5).

24. Islim AI, Kolamunnage-Dona R, Mohan M, Moon RDC, Crofton A, Haylock BJ, et al. A prognostic model to personalize monitoring regimes for patients with incidental asymptomatic meningiomas. Neuro Oncol. 2020;22(2):278­89.

25. Lee EJ, Kim JH, Park ES, Kim YH, Lee JK, Hong SH, et al. A novel weighted scoring system for estimating the risk of rapid growth in untreated intracranial meningiomas. J Neurosurg. 2017;127(5):971­80.

26. Simpson D. The recurrence of intracranial meningiomas after surgical treatment. J Neurol Neurosurg Psychiatry. 1957;20(1):22­39.

27. Jakola AS, Gulati M, Gulati S, Solheim O. The influence of surgery on quality of life in patients with intracranial meningiomas: a prospective study. J Neurooncol. 2012;110(1):13744.

28. Wu A, Garcia MA, Magill ST, Chen W, Vasudevan HN, Perry A, et al. Presenting Symptoms and Prognostic Factors for Symptomatic Outcomes Following Resection of Meningioma. World Neurosurg. 2018;111:e149­e59.

29. Meling TR, Da Broi M, Scheie D, Helseth E. Meningiomas: skull base versus non-skull base. Neurosurg Rev. 2019;42(1):163­73.

30. Hasseleid BF, Meling TR, Rønning P, Scheie D, Helseth E. Surgery for convexity meningioma: Simpson Grade I resection as the goal: clinical article. J Neurosurg. 2012;117(6):9991006.

31. Corell A, Cerbach C, Hoefling N, Björkman­Burtscher IM, Jakola AS. Spinal cord compression in relation to clinical symptoms in patients with spinal meningiomas. Clin Neurol Neurosurg. 2021;211:107018.

32. Santacroce A, Tuleasca C, Liščák R, Motti E, Lindquist C, Radatz M, et al. Stereotactic Radiosurgery for Benign Cavernous Sinus Meningiomas: A Multicentre Study and Review of the Literature. Cancers (Basel). 2022;14(16).

33. Kondziolka D, Madhok R, Lunsford LD, Mathieu D, Martin JJ, Niranjan A, et al. Stereotactic radiosurgery for convexity meningiomas. J Neurosurg. 2009;111(3):458­63.

34. Lesueur P, Clarisse B, Lequesne J, Licaj I, Feuvret L, Stefan D, et al. Proton therapy versus conventional radiotherapy for the treatment of cavernous sinus benign meningioma, a randomized controlled phase III study protocol (COG-PROTON-01). BMC Cancer. 2024;24(1):1594.

35. Preusser M, Silvani A, Le Rhun E, Soffietti R, Lombardi G, Sepulveda JM, et al. Trabectedin for recurrent WHO grade 2 or 3 meningioma: A randomized phase II study of the EORTC Brain Tumor Group (EORTC­1320­BTG). Neuro Oncol. 2022;24(5):755­67.

36. Albert NL, Tabouret E, Le Rhun E, Sahm F, Furtner J, Tonn JC, et al. [(177)Lu]Lu-DOTATATE for Recurrent Meningioma (LUMEN-1, EORTC-2334-BTG): Study Protocol for a Randomized Phase II Trial. J Nucl Med. 2025.

37. Islim AI, Millward CP, Mills SJ, Fountain DM, Zakaria R, Pathmanaban ON, et al. The management of incidental meningioma: An unresolved clinical conundrum. Neurooncol Adv. 2023;5(Suppl 1):i26­i34.

38. Timmer M, Seibl-Leven M, Wittenstein K, Grau S, Stavrinou P, Röhn G, et al. Long-Term Outcome and Health-Related Quality of Life of Elderly Patients After Meningioma Surgery. World Neurosurg. 2019;125:e697­e710.

39. Wirsching HG, Morel C, Roth P, Weller M. Socioeconomic burden and quality of life in meningioma patients. Qual Life Res. 2020;29(7):1801­8.

40. Zamanipoor Najafabadi AH, Peeters MCM, Lobatto DJ, Broekman MLD, Smith TR, Biermasz NR, et al. Health-related quality of life of cranial WHO grade I meningioma patients: are current questionnaires relevant? Acta Neurochir (Wien). 2017;159(11):2149­59.

41. Millward CP, Armstrong TS, Bell S, Brodbelt AR, Bulbeck H, Dirven L, et al. Core Outcome Sets for Meningioma In Clinical studies (COSMIC): An international patient and healthcare professional consensus for research studies. Neurooncol Pract. 2025;12(4):700­13.

S 248: OPTIMALISERING AV DIAGNOSTISK UTREDNING

OG BEHANDLING HOS PASIENTER MED BORDERLINE

OG LOKALAVANSERT PANKREASKREFT. INNBLIKK I

NORPACT-2 STUDIEN

1. Rahib L, Smith BD, Aizenberg R, Rosenzweig AB, Fleshman JM, Matrisian LM. Projecting cancer incidence and deaths to 2030: the unexpected burden of thyroid, liver, and pancreas cancers in the United States. Cancer Res 2014;74:2913–2921

2. Ducreux M, Cuhna AS, Caramella C, Hollebecque A, Burtin P, Goéré D et al. Cancer of the pancreas: ESMO clinical practice guidelines for diagnosis, treatment and follow-up. Ann Oncol 2015;26:v56–v68

3. Neoptolemos JP, Kleeff J, Michl P, Costello E, Greenhalf W, Palmer DH. Therapeutic developments in pancreatic cancer: current and future perspectives. Nat Rev Gastroenterol Hepatol 2018;15:333–348

4. Helsedirektoratet. Nasjonalt Handlingsprogram Med Retningslinjer for Diagnostikk, Behandling og Oppfølging av Pancreaskreft. 2017; IS­2274. https://www.helsedirektoratet. no/retningslinjer/pancreaskreft- bukspyttkjertelkreft-handlingsprogram

5. Ghaneh P, Palmer D, Cicconi S, Jackson R, Halloran CM, Rawcliffe C et al. Immediate surgery compared with short-course neoadjuvant gemcitabine plus capecitabine, FOLFIRINOX, or chemoradiotherapy in patients with borderline resectable pancreatic cancer (ESPAC5): a four-arm, multicentre, randomised, phase 2 trial. Lancet Gastroenterol Hepatol 2023;8:157–168

6. Janssen QP, Buettner S, Suker M, Beumer BR, Addeo P, Bachellier P et al. Neoadjuvant FOLFIRINOX in patients with borderline resectable pancreatic cancer: a systematic review and patient­level meta­analysis. J Natl Cancer Inst 2019;111:782–794

7. Tempero MA, Malafa MP, Al-Hawary M, Asbun H, Bain A, Behrman SW et al. Pancreatic adenocarcinoma, version 2.2017, NCCN clinical practice guidelines in oncology. J Natl Compr Canc Netw 2017;15:1028–1061

FORSIDEBILDET:

Terje Sundstrøm

THE CARMYNE BLUE LINE

Indication: this medicinal product is for diagnostic use only. Carmyne is indicated in adults for the intra-operative detection of suspected ureteral injuries during abdominal and pelvic surgery.

Carmyne 40 mg – Plikttekst for Carmyne 40 mg «Indigokarmin» injeksjonsvæske, oppløsning Reseptgruppe C. Indikasjoner: Kun til bruk ved diagnostiske formål. Indisert hos voksne til intraoperativ påvisning av mistenkte ureterskader under abdominal kirurgi og bekkenkirurgi. Dosering: Anbefalt startdose er 1 ampulle på 5 ml ved langsom i.v. injeksjon. En andre ampulle kan injiseres 20 til 30 minutter etter den første injeksjonen, om nødvendig. Se SPC for spesielle pasientgrupper og administrasjonsmåte. Kontraindikasjoner: Overfølsomhet for innholdsstoffene. Forsiktighetsregler: Kan forårsake en forbigående økning av blodtrykket og refleksbradykardi, spesielt hos pasienter under generell anestesi eller under spinalanestesi. Sjeldne idiosynkratiske reaksjoner med bradykardi og hypotensjon er også rapportert. Det er derfor nødvendig å overvåke hjertefrekvens og blodtrykk under og noen minutter etter injeksjonen. I.v. injeksjon bør stoppes ved følgende symptomer: bradykardi, takykardi, hypotensjon, hypertensjon, utslett eller erytem, luftveissymptomer som dyspné eller bronkospasme. Har ikke blitt studert hos pasienter med GFR <30 ml/min, og bør derfor ikke brukes hos disse. Kan forstyrre puls eller cerebrale oksymetrimålinger. Bør brukes med forsiktighet ved: høyt blodtrykk, lav hjertefrekvens, hjerte- og ledningsforstyrrelser, samtidig bruk av legemidler som induserer bradykardi eller påvirker blodtrykket eller produksjonen av nitrogenoksid, koronare lidelser på grunn av dets perifere vasokonstriktoreffekt. Bruk bør unngås hos pasienter med: hemodynamisk ustabilitet, ukontrollert hjertesvikt, allergiske reaksjoner i anamnesen. Graviditet, amming og fertilitet: Graviditet: Ingen data. Anbefales ikke under graviditet og hos fertile kvinner som ikke bruker prevensjon. Amming: Overgang i morsmelk er ukjent. Risiko for diende barn kan ikke utelukkes. Nytte-/risikovurdering må foretas. Bivirkninger: Svært vanlig: Bradykardi, hypertensjon (forbigående). Svært sjeldne: Anafylaktoide reaksjoner, AV-blokk, bronkial hyperreaktivitet, dyspné, hypotensjon, misfarging av hud, utslett og erytem, takykardi. Overdosering/ Forgiftning: En overdose kan indusere en hypertensiv krise og alvorlig bradykardi. Ved overdosering kan det vurderes behandling med en perifer vasodilator.

For mer informasjon, se Felleskatalogteksten eller preparatomtalen (SPC)Innehaver av markedsføringstillatelsen: SERB S.A., Belgia. Kontaktinformasjon: Telefon: 003227920500. E-post: safety@serb.eu. Basert på SPC godkjent av DMP/EMA: 19.06.2024. Pakninger og priser per 17.07.2024: Ampulle 10 × 5 ml. 4713,00 kr. (priser og ev. refusjon oppdateres hver 14. dag). Refusjon: Ingen refusjon. Utarbeidet 07/2024

Turn static files into dynamic content formats.

Create a flipbook
Issuu converts static files into: digital portfolios, online yearbooks, online catalogs, digital photo albums and more. Sign up and create your flipbook.