ELASTODONZIA - La Bio-Ortodonzia funzionale nel paziente in crescita e nell’adulto

Page 1

LA BIO-ORTODONZIA FUNZIONALE NEL PAZIENTE IN CRESCITA E NELL’ADULTO PRENOTI LA SUA COPIA ENTRO IL 31.12.22 al n. 0761-228317 o per mail a info@edizioniacme.it Pagine 00 Immagini 1.2 0 Formato 21,4 x 28 cm Volume cartonato con cofanetto Codice 872201 elastodonzia IPPO CARDARELLI La Bio-Ortodonzia funzionale nel paziente in crescita e nell’adulto € 248,00 in prevendita fino al di embre 2022 con pagamento anticipato € 210,00 e en a pe e di pedi ione nome cognome P.IVA via N° città CAP pv telefono cell e-mail Prenoti la sua copia chiamando il numero 0761-228317 — o inviando una mail a info@edizioniacme.it LA BIO-ORTODONZIA FUNZIONA E NE PAZIENTE IN CRESCITA E NELL’ADULTO

Con il termine di Bio-Ortodonzia si intende un nuovo approccio alla terapia ortodontica nel rispetto di principi importantissimi quali la mini-invasività, il rispetto dei tessuti orali e della postura del corpo e la semplificazione delle cure.

La Bio-Ortodonzia studia la corretta crescita dell’arcata mascellare e mandibolare durante la loro evoluzione. Tale interrelazione è il risultato di un complesso processo dinamico che si esplica dall’infanzia all’età adulta mediante fisiologici cambiamenti, maggiormente evidenti in alcune fasi della dentizione rispetto ad altre; il tutto è correlato alla modalità di crescita delle strutture scheletriche, alle influenze ambientali e al processo di formazione ed eruzione degli elementi dentali. Dalle evidenze scientifiche e cliniche oggi sappiamo che l’equilibrio muscolo-scheletrico dell’apparato stomatognatico condiziona anche l’equilibrio muscolo-scheletrico dell’intero corpo del paziente, in altre parole i disturbi funzionali dell’occlusione, dell’articolazione temporo-mandibolare e dei muscoli masticatori possono provocare disfunzioni in distretti diversi dell’organismo, lontani dalla bocca come la testa, la zona cervicale, la schiena, il bacino, gli arti inferiori e il piede.

Un moderno trattamento ortodontico deve perseguire un ideale e armonico allineamento dei denti guidato dalla crescita dei mascellari per ottenere non solo un eccellente risultato estetico ma stabilità occlusale e funzionale. Il percorso ortodontico, inoltre, deve essere in armonia con lo sviluppo posturale del bambino.

Il libro si prefigge di mostrare, step by step, il percorso elastodontico a partire dall’approccio al paziente (in particolare del piccolo paziente) alla diagnosi e supportare l’ortodontista nella scelta della terapia e dell’apparecchio elastodontico ideale illustrando in quali casi e come procedere nella personalizzazione degli attivatori elastodontici.

La terapia mediante dispositivi elastodontici rappresenta un trattamento straordinariamente efficace che presenta molteplici indicazioni ma è fondamentale un’attenta analisi e una pianificazione adeguata.

In questo testo, frutto di un lavoro iniziato 16 anni fa, vengono analizzati i vari tipi di malocclusione prendendo in esame casi clinici di pazienti in crescita ed adulti con follow-up anche di dieci/quindici anni e pertanto si può tranquillamente affermare che rappresenta lo stato dell’arte in Elastodonzia.

ARGOMENTI

1 La Bio-Ortodonzia

Aprroccio mini-invasivo alla terapia ortodontica Elastodontic Therapy la vera evoluzione Il protocollo clinico dell’ortodontista Bio La prima visita ortodontica — ortodontico

2 La diagnosi ortodontica: sequenza operativa Diagnosi Analisi facciale Analisi posturale

Esame radiografico e cefalometrico Analisi dentale Analisi dei modelli Esame fotografico

3 Un nuovo approccio al paziente ortodontico: Metodo Cardarelli Il Metodo Cardarelli: strategie per la motivazione del paziente e per l’efficacia della terapia Il colloquio Il check-up ortodontico — Il piano di trattamento e la pre-visualizzazione

4 Il paziente in crescita: concetti di crescita e sviluppo cranio-facciale

Perché intervenire — Quando intervenire

Come intervenire Concetti osteopatici Elastodonzia VS ortodonzia funzionale standard

5 Elastodontic Therapy®: la nuova frontiera Come nasce la tecnica Approccio sistematico alla terapia Principi di utilizzo della tecnica Vantaggi della tecnica —

6 Gli apparecchi elastodontici: dal preformato all’individualizzato

Analisi dei dispositivi funzionali elastodontici Caratteristiche degli apparecchi preformati Caratteristiche degli apparecchi individualizzati — Raccolta dati per la scelta del dispositivo o per la realizzazione

Tecnica di impronta: Minimally Impression Technique oppure compasso senza punte Sviluppo del modello

Progettazione degli apparecchi individualizzati Consegna del dispositivo

7 Selezione del paziente e scelta del dispositivo Periodo ideale per l’inizio del trattamento

Considerazioni diagnostiche

Frequenza degli appuntamenti, durata del trattamento, contenzione

8 La sequenza terapeutica

I Classe II Classe III Classe Pazienti disfunzionali Riabilitazioni complesse

9 Gli apparecchi elastodontici AMCOP Descrizione del dispositivo Classificazione

Criteri di scelta e di misurazione Come modificare gli apparecchi elastodontici

Il Positioner Elastodontico Forma

Integral Realizzazione dello stampo e iniezione del materiale termoplastico

10 Lingua e frenuli

Il ruolo della lingua nella terapia elastodontica

I frenuli Il paziente parodontale

Approccio mini-invasivo alla terapia ortodontica

L’estetica e l’odontoiatria minimamente invasiva sono i due principali argomenti di discussione della moderna odontoiatria.

Le tecniche mini-invasive e, quindi, biologiche rivestono un ruolo importante nell’aiutare gli odontoiatri ad ottenere un’estetica eccellente e una funzionalità predicibile per i loro pazienti. Con il termine di Bio-Ortodonzia si intende un nuovo approccio alla terapia ortodontica nel rispetto di principi importantissimi come la mini-invasività, il rispetto dei tessuti orali e la semplifcazione delle cure.

La Bio-Ortodonzia studia la corretta crescita dell’arcata mascellare e mandibolare durante la loro evoluzione; tale interrelazione è il risultato di un complesso processo dinamico che si esplica dall’infanzia all’età adulta mediante fsiologici cambiamenti, maggiormente evidenti in alcune fasi della dentizione rispetto ad altre. Il tutto è correlato alla modalità di crescita delle strutture scheletriche, alle infuenze ambientali e al processo di formazione ed eruzione degli elementi dentali. La conoscenza dell’iter evolutivo delle arcate e delle peculiarità dello sviluppo della dentizione nelle sue diverse fasi, decidua, mista e permanente, risulta determinante ai fni diagnostici e terapeutici, visto che una malocclusione scheletrica prima viene intercettata e più rapidamente viene risolta (Barrow 1952).

Durante le diverse fasi di crescita sono quindi fondamentali il rapporto occlusale e i parametri scheletrici, funzionali ed estetici. La Bio-Ortodonzia ha come obiettivi:

• il successo biologico;

• la mini-invasività;

• un’estetica di successo;

• il raggiungimento di un ottimo rapporto

occlusale;

• il riequilibrio posturale che scaturisce da quello occlusale.

La Bio-ortodonzia è, quindi, l’ortodonzia che guida in modo naturale e fsiologico la crescita ossea liberandola dalle forze della lingua e della muscolatura facciale e dei muscoli coinvolti nella deglutizione atipica che modifcano la crescita ossea naturale.

Tutto questo consentirà il fsiologico posizionamento dentale stabile nel tempo, al contrario, invece, dell’ortodonzia tradizionale che interviene a crescita ossea avvenuta posizionando i denti in modo forzato e, quindi, interferendo negativamente con il rapporto alveolo-radice.

Dalle evidenze, scientifca e clinica, oggi sappiamo che l’equilibrio muscolo-scheletrico dell’apparato stomatognatico condiziona anche l’equilibrio muscolo-scheletrico dell’intero corpo del paziente. In altre parole, i disturbi funzionali dell’occlusione, dell’articolazione temporo-mandibolare e dei muscoli masticatori possono provocare disfunzioni in distretti diversi dell’organismo, anche lontani dalla bocca come la testa, la zona cervicale, la schiena, il bacino, gli arti inferiori e il piede. Questi disturbi, in molti casi, sono responsabili di una sintomatologia così dolorosa da compromettere, in parte o completamente, la qualità della vita (Vanini, Cardarelli, D’Arcangelo 2021). La relazione anatomica tra la mandibola e l’osso ioide, attraverso i muscoli sovraioidei e sottoioidei, spiega come la posizione mandibolare possa interferire e condizionare la postura segmentaria del corpo. La mandibola, infatti, infuenza la posizione dell’osso ioide attraverso i muscoli sovraioidei. I muscoli digastrico e stiloioideo vincolano la posizione dell’osso ioide a quella della mandibola e della testa; il muscolo omoioideo, a sua volta, inserendosi sul margine superiore della scapola all’interno

29 28 ESTETICA FUNZIONE POSTURA
Cap 1 — RELAZIONI TRA OCCLUSIONE E POSTURA
1-3 _ Rappresentazione grafica di bambino che si succhia il pollice e tipo di malocclusione conseguente.

Considerazioni

indossare l’apparecchio elastodontico dopo due anni e mezzo di terapia, conservando parametri occlusali e posturali in rapporto corretto tra loro.

Nel 2019 si è provveduto all’avulsione chirurgica degli elementi dentari 18, 28, 38 e 48.

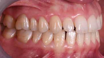
Alla risoluzione della malocclusione scheletrica e dentale si associa un netto recupero della postura con conseguente miglioramento della curva cervicale, come è possibile verificare nella teleradiografia finale.

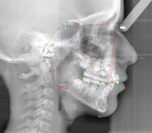
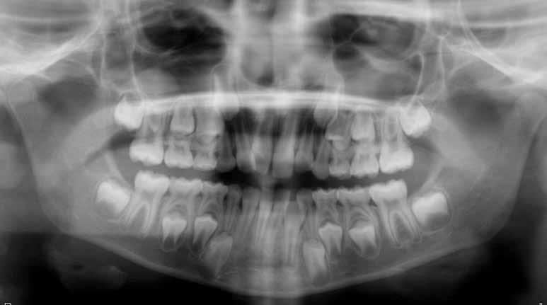
47 46 ESTETICA FUNZIONE POSTURA Valori cefalometrici a 10 anni : ANB ANB 2.70 Posizione del Mascellare SNA 78,70 Posizione della Mandibola SNB 76.0 Angolo Articolare SArGo 142,76 Angolo Goniaco ArGoMe 125,73 Angolo incisivo inf^Corpo madibolare IiMand 92,00 Angolo incisivo Sup^Base Cranica Ant. IsCran 96,00 Angolo Interincisivo II 130,0 53 _ Esame Cefalometrico a dieci anni. 54 _ Tabella dei valori cefalometrici a dieci anni. 55 _ Ortopantomografia di controllo a dieci anni. 56 _ Teleradiografia di controllo con evidente stabilità del caso dal punto di vista scheletrico/posturale.
> La documentazione a dieci anni mostra la stabilità del caso e
come l’occlusione, elastodonticamente individuata, costituisca anche la contenzione stessa. La paziente ha smesso di

Considerazioni

indossare l’apparecchio elastodontico dopo due anni e mezzo di terapia, conservando parametri occlusali e posturali in rapporto corretto tra loro.

Nel 2019 si è provveduto all’avulsione chirurgica degli elementi dentari 18, 28, 38 e 48.

Alla risoluzione della malocclusione scheletrica e dentale si associa un netto recupero della postura con conseguente miglioramento della curva cervicale, come è possibile verificare nella teleradiografia finale.

47 46 ESTETICA FUNZIONE POSTURA Valori cefalometrici a 10 anni : ANB ANB 2.70 Posizione del Mascellare SNA 78,70 Posizione della Mandibola SNB 76.0 Angolo Articolare SArGo 142,76 Angolo Goniaco ArGoMe 125,73 Angolo incisivo inf^Corpo madibolare IiMand 92,00 Angolo incisivo Sup^Base Cranica Ant. IsCran 96,00 Angolo Interincisivo II 130,0 53 _ Esame Cefalometrico a dieci anni. 54 _ Tabella dei valori cefalometrici a dieci anni. 55 _ Ortopantomografia di controllo a dieci anni. 56 _ Teleradiografia di controllo con evidente stabilità del caso dal punto di vista scheletrico/posturale.
> La documentazione a dieci anni mostra la stabilità del caso e
come l’occlusione, elastodonticamente individuata, costituisca anche la contenzione stessa. La paziente ha smesso di

59-94 _

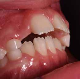
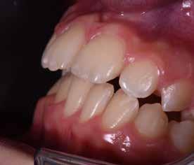
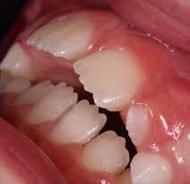
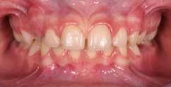
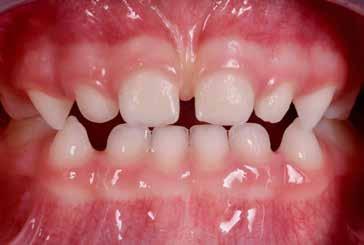
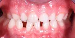
Presentazione del caso > F.V, bambino di cinque anni, presenta una malocclusione di II Classe scheletrica, III Classe dentale molare e canina destra e sinistra, morso inverso anteriore. Le arcate dentali mostrano usura degli elementi dentari anteriori a causa dell’occlusione patologica. Le linee mediane, superiore ed inferiore, sono centrate; il frenulo labiale superiore patologico per un’eccessiva estensione inter-incisale.

Il piano di trattamento prevede l’utilizzo di un dispositivo elastodontico di III Classe, da portare per due ore diurne e tutte le notti in modo passivo, senza effettuare alcun esercizio, al fine di ripristinare una relazione molare e canina bilaterale di I Classe ed il corretto avanzamento maxillare e inibire l’eccessiva crescita mandibolare. È possibile ottenere il risultato in pochissimi mesi di terapia, essendo la crescita del paziente molto attiva.

In un secondo momento, alla risoluzione della problematica scheletrica, si monitorizzerà il caso con visite semestrali in modo da reintervenire qualora si dovesse ripresentare la problematica.

Valori

cefalometrici

Dall’esame clinico si evince la III Classe dentale, l’inversione anteriore e l’over-jet negativo.

62 _ Radiografia postero-anteriore iniziale.

51 50 ESTETICA FUNZIONE POSTURA
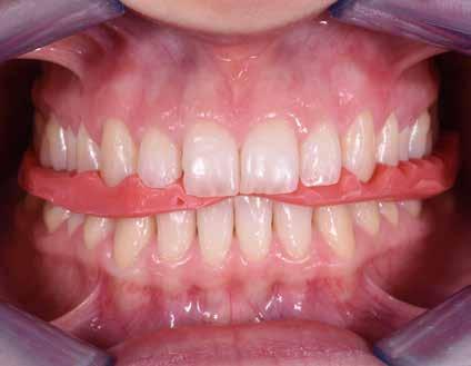
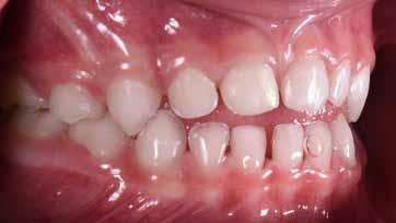
Una volta ottenuta la correzione del rapporto molare ed incisale, l’apparecchio elastodontico verrà portato dal paziente solo durante la notte per stabilizzare il risultato ottenuto e guidare l’eruzione degli elementi dentari per un totale di quattordici mesi di terapia. ad inizio trattamento :
ANB ANB 4,8 Posizione del Mascellare SNA 92.2
_
Posizione della Mandibola SNB 87,44 Angolo Articolare SArGo 153,00 Angolo Goniaco ArGoMe 118,00 Angolo incisivo inf^Corpo madibolare IiMand 75,00 Angolo incisivo Sup^Base Cranica Ant. IsCran 107,05 Angolo Interincisivo II 144,40 59
Ortopantomografia iniziale. 60 _ Tracciato cefalometrico ad inizio terapia. 61 _ Valori cefalometrici ad inizio terapia.
Considerazioni > L’analisi cefalometrica ad inizio trattamento dimostra la II Classe scheletrica con protrusione del mascellare superiore e prognazia mandibolare; tendenza alla crescita verticale. L’esame clinico evidenzia una protrusione mandibolare funzionale.

iniziare

prima dell’eruzione

elementi dentari permanenti, non appena si manifesta la malocclusione, ed è quindi molto importante monitorare il caso in modo da poter contrastare eventuali recidive sempre con dispositivi elastodontici in modo da accompagnare la crescita e guidare l’eruzione dei denti permanenti. 76

Tracciato cefalometrico a distanza di un anno di terapia elastodontica; la malocclusione scheletrica è migliorata nettamente grazie al riposizionamento mandibolare. 77

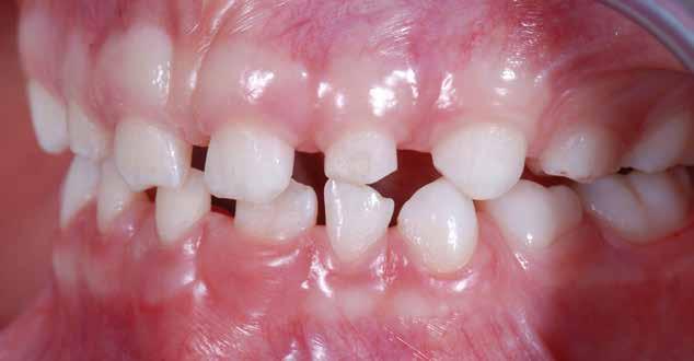
55 54 ESTETICA FUNZIONE POSTURA Valori cefalometrici ad 1 anno di terapia : ANB ANB 3,8 Posizione del Mascellare SNA 91.40 Posizione della Mandibola SNB 87,60 Angolo Articolare SArGo 155,00 Angolo Goniaco ArGoMe 122,00 Angolo incisivo inf^Corpo madibolare IiMand 80,20 Angolo incisivo Sup^Base Cranica Ant. IsCran 111,05 Angolo Interincisivo II 138,00 72, 73 _ Over-bite e over-jet. 74 _ Immagine laterale destra. 75 _ Immagine laterale sinistra. Considerazioni > La terapia precoce di tali malocclusioni è di primaria importanza in quanto impedisce la formazione di malocclu-
scheletriche gravi ed irreversibili come vere e proprie III Classi e permette di
più facilmente effetti
quando le
attiva di prolifera-
Il periodo
_
_ Valori
sioni
ottenere
ortopedici
suture sono in fase
zione.
ottimale per
la terapia è
degli
cefalometrici ad un anno di terapia.

Lingua

Nel corso del primo esame obiettivo vengono valutati forma, colore e confgurazione della lingua Figg. 14-15

La lingua può essere stretta, lunga o larga, senza che da tali riscontri si possano trarre conclusioni sulle dimensioni relative della lingua stessa. Le modifcazioni della posizione e della mobilità della lingua sono spesso associate ad aderenze del frenulo linguale Fig. 16 Le impronte dei contorni dentali presenti sul margine della lingua indicano una discrepanza tra la larghezza dell’arcata dentale e la larghezza della lingua stessa. In questi casi la terapia ortognatodontica non deve assolutamente ridurre ulteriormente il cavo orale (come, ad esempio avviene con le estrazioni dei premolari) ma piuttosto aumentare lo spazio a disposizione per favorirne il corretto funzionamento (Ferrante 1996). Una valutazione approssimativa delle dimensioni della lingua in rapporto alle dimensioni della cavità orale può essere effettuata basandosi sulla teleradiografa. La lingua rappresenta il motore della terapia elastodontica; infatti, essa è un volume tridimensionale che assume un ruolo morfogenetico in fase di crescita, un ruolo equilibratore in fase intermedia ed un ruolo compensatore in fase adulta (Stefanelli 2003).

In situazioni patologiche, non potendo variare il suo volume, sarà costretta a variare la sua postura e colmare eventuali spazi di verticalità, anteriorità e lateralità creatisi per la mancanza di ortogonalità tra cranio e colonna vertebrale. La lingua lavora come un menisco e/o disco intervertebrale e come tale può “erniare” se le due arcate (come due vertebre) sono dislocate! Ingabbiarla con “griglie o dissuasori” vuol dire togliere al sistema un complesso fondamentale. La terapia dovrebbe essere quella di togliere la “necessità“ del compenso e poi rifunzionalizzare, esattamente come sarebbe auspicabile fare come nell’ernia

discale che purtroppo continua ad essere operata e a recidivare.

Il movimento corretto della lingua diventa molto importante ai fni della deglutizione, della fonetica ma serve anche a stimolare una zona del palato estremamente importante per le connessioni neurofsiologiche: lo SPOT (Garliner 1974).

Lo spot è costituito da cinque recettori in grado di stimolare a loro volta il Locus Coeruleus che, stimolato, genera l’attivazione dei neuroni e di conseguenza un miglioramento dell’attenzione (Ferrante 1997).

Nella deglutizione normale sono attivati i recettori trigeminali, dello spot palatino e quelli parodontali.

Frenuli delle Labbra

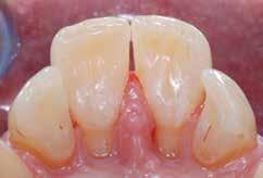
Nell’età della dentizione mista, di tutti i frenuli risulta importante soprattutto quello del labbro superiore (vedi capitolo 10). Il forte sviluppo di tale frenulo può causare la formazione di un distema mediale (Olivi et al. 2010). Per quanto concerne la diagnosi differenziale, la frenulectomia risulta indicata soltanto qualora il frenulo labiale presenti un’inserzione molto bassa e si fonda, sul lato palatale, con la papilla incisiva. Sotto il proflo radiologico, tra le radici degli incisivi superiori si osserva un’incisura che indica il passaggio interosseo delle fbre. La frenulectomia dovrebbe comunque venire effettuata solamente dopo l’eruzione degli incisivi laterali superiori Figg. 17-18

Il frenulo del labbro inferiore partecipa più raramente allo sviluppo di diastemi mediali. Esso presenta invece più frequentemente un’inserzione ampia, che può esercitare una forte trazione sulla gengiva marginale e su quella aderente determinando, già nella fase della dentizione mista, retrazione gengivale nella regione degli incisivi inferiori.

41 40 ESTETICA FUNZIONE POSTURA
14,15 _
16 _
17,18 _
Forme diverse della lingua: spanciata ed a punta.
Frenulo linguale corto.
Frenuli labiali superiori.

43-45 _ Analisi elettromiografica senza apparecchio elastodontico e con apparecchio; l’immagine centrale con rulli rappresenta solo il momento in cui viene neutralizzata l’occlusione per calibrare la strumentazione.

46,47 _ Le analisi del contatto dentale ci permettono di capire che il paziente con l’apparecchio elastodontico ha una funzione occlusale nettamene migliore rispetto a quella, pur buona raggiunta, quando non indossa l’apparecchio elastodontico; questo ci insegna che per avere la stabilità del caso finale dobbiamo aspettare che questi valori muscolari con denti in occlusione si normalizzino.

48,49 _ Analisi delle creste iliache: rappresentazione grafica dell’allineamento e del disallineamento.

55 54 ESTETICA FUNZIONE POSTURA
63 62 ESTETICA FUNZIONE POSTURA 56,57 _ Le differenti catene
in
le tre
58-60 _ Le tre catene
dell’uomo
piedi:
catene anteroposteriori.
latero-masticatorie.
97 96 ESTETICA FUNZIONE POSTURA 145 _ Profilo sinistro con sorriso. 146 _ Ripresa di 3/4 sinistra con sorriso. 147 _ Immagine frontale naturale, senza sorriso. 148 _ Immagine frontale con sorriso. 149 _ Ripresa di 3/4 destra con sorriso. 150 _ Profilo destro (senza) con sorriso. 151 _ Dettaglio del sorriso. 152 _ Dettaglio del sorriso nel profilo destro. 153 _ Dettaglio del sorriso nel profilo sinistro.

di questo termine ed è portato ad associarlo alla malattia, visto che entra in contatto con questa fgura in conseguenza di qualche malanno. Questa considerazione ha indotto l’autore ad annullare questa distanza: il bambino entra in contatto con il suo ortodontista prima ancora di conoscerlo perché nella sala d’aspetto a caratteri cubitali e colorati vedrà il suo nome “Filippo”! Da quel momento il dentista, il dottore viene sostituito da una persona amica e sorridente, Filippo appunto! Questo approccio permetterà una relazione diversa, amichevole, scevra da soggezione Fig. 3

La sala operativa è molto grande, con tre poltrone ravvicinate, posizionate così volutamente per stimolare il concetto di emulazione; infatti, bimbi vedendo gli altri bambini, seduti e collaboranti, capiscono che sono di fronte a qualcosa di piacevole che non crea né ansia, né paura. Inoltre, una stanza molto grande crea nel piccolo paziente l’idea della libertà ed evita di pensare a costrizioni e forzature Fig. 4 Un grande schermo al centro della sala operativa proietta continuamente i cartoni più amati dai bimbi e, soprattutto, permette di farli sentire a casa; infatti, comunicare attraverso un televisore è come dedicare uno spazio personale ai nostri pazienti, come replicare un’atmosfera familiare, confdenziale, ma comunque nostra, della nostra sala d’attesa, della nostra sala operativa.

Il televisore non dovrà proiettare immagini delle cure odontoiatriche oppure di studi dentistici ma programmi dove i ritmi veloci, le musiche, il linguaggio, le atmosfere, rendano il momento della cura del piccolo paziente uno svago e un rilassamento. Per le prime visite oppure per pazienti meno collaboranti e che, quindi, richiedono un approccio graduale, è presente anche una sala operativa con un solo riunito ma con le stesse caratteristiche della precedente in modo da creare un approccio più graduale ed evitare anche di

mostrare ai bimbi collaboranti pazienti meno coraggiosi.

Anche nelle stanze operative sono presenti come in sala d’attesa sagome buffe, simpatiche che descrivono in modo carino e simpatico i personaggi dell’odontoiatria e quindi: una caricatura di Filippo, un dentino sorridente, un manipolo simpatico, lo specchietto sorridente.

Le sale operative sono a diretto contatto con lo studio privato del dottor Filippo; anche questo è separato con pareti a vetro e porte scorrevoli in modo tale che il genitore possa continuamente controllare l’evoluzione del caso direttamente dal monitor dello studio oppure, qualora il bambino dovesse venire per la discussione del caso clinico allora, ci sarà la possibilità di coinvolgere direttamente tutta la famiglia all’interno dello studio per meglio comunicare qualunque informazione riguardo il caso clinico.

Alla cura degli ambienti si coniuga un approccio da parte dell’operatore e dello staff altrettanto meticoloso con l’applicazione di protocolli clinici che garantiscono ai pazienti elevati standard di sicurezza, comfort e tranquillità prima, durante e dopo le cure, e i premi a fne cure che vengono donati ai bimbi, rafforzano sempre più la loro collaborazione.

Gli operatori e lo staff con questi presupposti avranno la strada spianata in quanto il gioco dei dettagli ha consentito di avere già il bimbo dalla loro parte, anche se l’ortodontista dovrà ancora suscitare in lui curiosità e soprattutto l’effetto sorpresa.

L’autore è profondamente convinto che l’importanza del “Metodo Cardarelli” non sia inferiore a quella dei protocolli clinici dell’Elastodontic Therapy®, infatti, senza la compliance del bambino, che è bene ricordare si ottiene a livello emotivo e non razionale, non sarebbe possibile avere successo nella terapia Figg. 5,6 È sottinteso che non tutti gli odontoiatri che intendano trattare i piccoli pazienti con

1 _ Ambiente open space con postazioni di lavoro non separate.

2 _ Le postazioni di lavoro a vista consentono a chi è all’esterno di assistere alle procedure operative trasmettendo serenità.

31 30 ESTETICA FUNZIONE POSTURA

l›Elastodontic Therapy® debbano creare una struttura ad hoc come nel caso dell’autore (anche se sarebbe importante curare, in ogni caso, gli aspetti dell’accoglienza e degli ambienti in funzione del bambino) ma per una buona riuscita della terapia è importante, anzi fondamentale seguire alcune regole, indispensabili per poter avere la compliance del piccolo paziente:

• mantenersi fsicamente sempre al livello del bambino ponendosi ad altezza corretta; infatti, spesso è meglio parlare da seduti piuttosto che in piedi in modo da evitare quella sensazione di superiorità che spesso spaventa il bimbo.

• Utilizzare un linguaggio semplice e curioso.

• Rendere sempre partecipe il piccolo paziente facendolo agire, scegliere.

• Evitare di utilizzare termini troppo tecnici ma piuttosto usare una terminologia chiara, diretta e stimolante.

• Parlare sempre con tono di voce pacato e deciso.

• Fare similitudini con il mondo dei bimbi.

• Introdurre nel discorso flastrocche che facciano ridere e stare sereni.

• Muoversi in modo tranquillo senza scatti.

• Far sedere il piccolo paziente sul piccolo riunito con calma.

• Non puntare mail la luce negli occhi ma lasciare guardare quello che abbiamo di fronte, ad esempio il televisore con i cartoni animati.

• Pronunciare il suo nome in maniera corretta e ben scandita in modo da coinvolgerlo sempre di più.

• Premiare il paziente alla fne della cura

con regali che non abbiano nulla a che fare con l’aspetto odontoiatrico, come spazzolini e dentifrici, ma regali in grado di creare in loro stupore e felicità; quindi giocattoli di tutti i tipi e per tutte le età.

Tutto questo garantirà un percorso ortodontico improntato alla collaborazione e consentirà sempre più di fare leva sulla motivazione. Per entrare ancora di più nel mondo dei bimbi oramai da otto anni durante il periodo natalizio, l’autore organizza un evento denominato Dentalandia.

“Dentalandia” è un progetto educativo che in modo molto originale, permette di avvicinare bambini alla cura e all’igiene orale ed alla cura delle malocclusioni in età precoce.

L’ideazione di una storia di fantasia, ripresa dalla storia di Niciforovic Jasna (Ilic Editore), inserita nel contesto odontoiatrico, ha permesso attraverso metafore, fantasie e simpatici personaggi di divertire i bambini e di sensibilizzarli verso la prevenzione.

La favola “Dentalandia“, la città dei denti felici, è un particolare racconto che descrive personaggi magici insieme alle situazioni realistiche con cui bambini si identifcano.

Dentalandia insegna quanto sia importante il nostro piccolo mondo dei denti, che bisogna salvare dall’aggressione dei Carius e dai loro piccoli cuccioli Bacterius.

Il Molaris Primo, sindaco della cittadina, è il protagonista; il Doctor Dentius, la dottoressa Igienia, il giovane Doctor Igienius e il Mago Spazzolin sono i personaggi che con simpatia e semplicità aiutano a ritrovare il sorriso perduto Figg. 7-9

La festa di Dentalandia inizialmente si svolgeva all’interno dello studio odontoiatrico ma successivamente con la crescita esponenziale dei numeri si è deciso di tenerla in un locale antistante la clinica. Dentalandia si è rivelata

35 34 ESTETICA FUNZIONE POSTURA
7-9 _ Dentalandia

nel meato acustico esterno e portandolo in avanti fno ad apprezzare la parete posteriore del condilo e, chiedendo al paziente di aprire e chiudere la bocca, si potranno percepire eventuali schiocchi o sfregamenti. L’auscultazione dell’Articolazione TemporoMandibolare può essere effettuata con l’ausilio di uno stetofonendoscopio pediatrico o di un ecografo specifco per l’Articolazione Temporo-Mandibolare. Il dolore alla palpazione è sinonimo di patologia ed indica spesso un versamento nell’Articolazione Temporo-Mandibolare.

Il check-up ortodontico Alla prima visita segue l’appuntamento dedicato alla documentazione e al recupero di tutte le informazioni necessarie per formulare il piano di trattamento. Il check-up ortodontico può essere strutturato in due modi differenti a seconda dell’età del paziente.

Il check-up ortodontico del paziente da due a sei anni Per i piccoli pazienti di questa fascia di età la diagnosi si baserà sulla documentazione fotografca, sulla documentazione video e sull’anamnesi familiare per capire se sono presenti malocclusioni in famiglia; in questa fase è molto importante analizzare tutti e due i genitori del piccolo paziente, per evitare di trovare sorprese nel corso della terapia (Baccetti et al. 2011).

La documentazione richiesta per lo studio del caso è:

• foto intra-orali;

• foto extra-orali;

• foto posturali;

• breve video fonetico per capire la mobilità della lingua;

• breve video della camminata per vedere il bilanciamento.

Non è sempre possibile sottoporre il paziente a queste indagini diagnostiche; per migliorare il successo e la riuscita del protocollo è necessario un approccio meticoloso ed una serie di informazioni e un’analisi dettagliata dei comportamenti per rendere il paziente collaborante, come descritto precedentemente. Questo tipo di documentazione non prevede radiografe vista la giovane età del paziente e, quindi, la diagnosi dovrà basarsi sull’esame clinico, fotografco e sull’anamnesi familiare (Snow 2005) Figg. 22-46

Il check-up ortodontico del paziente di età superiore ai sei anni

Nel caso dei pazienti di età superiore ai sei anni la documentazione precedentemente descritta sarà integrata anche con le radiografe. L’esame radiologico è assolutamente necessario ai fni della diagnosi ortognatodontica. A causa dell’età per lo più giovane dei pazienti, nella routine clinica il numero ed il tipo di radiografe dovrebbero essere stabiliti in modo da ottenere la massima quantità di informazioni con il minimo dosaggio radiologico. Le radiografe indicate per la diagnosi ortognatodontica possono essere divise in due categorie:

• radiografe per la valutazione dello status dentale, del parodonto e delle strutture ossee: ortopantomografa e radiografe intra-orali;

• radiografe per lo studio craniofacciale: teleradiografa e rx posteroanteriore.

Le radiografe per le Articolazioni TemporoMandibolari sono indicate solamente per i pazienti con disturbi articolari o sospette alterazioni temporo-mandibolari che non siano visibili con le radiografe precedenti.

53 52 ESTETICA FUNZIONE POSTURA
47 _ Posizione di labbra e denti nella pronuncia del fonema “M” 48 _ Posizione di labbra e denti nella pronuncia del fonema “I” 49 _ Posizione di labbra e denti nella pronuncia dei fonemi “F” e “V” 50 _ Posizione di labbra e denti nella pronuncia del fonema “S”

Fig. 56 > Mappa dei muscoli facciali; è importante analizzare della muscolatura periorale nello sviluppo e nella cura delle malocclusioni.

Fig. 57a, b, c > Centri di crescita condilari secondo Petrovic. Le zone dei condili postero-superiori rappresentano centri di crescita attivi della mandibola, ossia centri di sviluppo.

Figg. 58-61 > Open-bite da abitudine viziata: succhiamento protratto del dito in una bimba di sei anni.

186 185 ESTETICA FUNZIONE POSTURA

62-68 > Open-bite da abitudine viziata: succhiamento protratto del dito in una bimba di sette anni. Notare bene come il succhiamento protratto del dito determini la spinta indietro della mandibola, l’iposviluppo trasversale del mascellare superiore e, quindi, il conseguente open-bite grave, spesso aggravato anche dall’aumento della divergenza facciale.

69 > Centri di crescita: sono le aree rappresentate in arancione che rappresentano campi di crescita molto attivi, quali le suture craniche e facciali, i condili mandibolari, le tuberosità mascellari, i processi alveolari, le sincondrosi della base cranica. La crescita delle ossa non si verifica tuttavia soltanto in queste zone; tutti campi di crescita interni ed esterni di un osso partecipano di volta in volta al processo.

70, 71 > Centri di Crescita del mascellare superiore: processi di apposizione e di riassorbimento osseo determinano la crescita del mascellare in direzione posteriore.

Contemporaneamente il mascellare superiore viene spostato in avanti.

Nella zona delle giunzioni articolari si origina in tal modo lo spazio necessario per processi di apposizione ossea. Nella dislocazione primaria, il processo di dislocazione si svolge sempre in direzione

opposta al vettore di crescita ossea

(la figura 72

rappresenta siti di crescita cranio/facciale durante la vita dell’individuo.

La 73 rappresenta siti di crescita in corrispondenza del mascellare superiore e della base cranica).

188 187 ESTETICA FUNZIONE POSTURA

Fig. 114 > Bionator con lo scudo linguale ben rappresentato che troviamo anche nell’apparecchio elastodontico.

Fig. 115 > Fränkel apparecchio con scudi vestibolari che ricordano l’azione degli scudi elastodontici.

Fig. 116 > Il Lip bumper è costituito da un arco vestibolare con bande sui molari; l’apparecchio elastodontico ha una

somiglianza con questo dispositivo funzionale per l’azione importante che svolge sul labbro inferiore e sull’ancoraggio posteriore.

Fig. 117 > Apparecchio elastodontico di nuova generazione con forme, scudi vestibolari e linguali e piani di masticazione differenti (vedi capitoli 7 e 8).

Fig. 118 > Apparecchio elastodontico all’interno del cavo orale: è possibile

apprezzare il grande lavoro che lo stesso svolge sulle strutture scheletriche, sui muscoli delle labbra e della lingua; di qui l’effetto tridimensionale della terapia elastodontica.

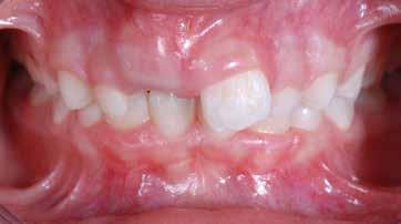
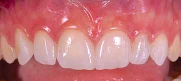
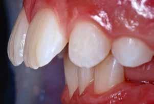
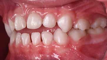
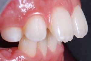
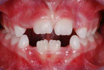
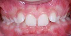
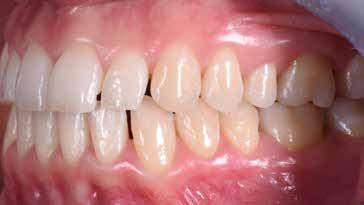
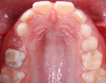
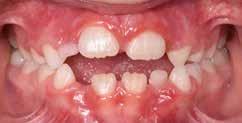
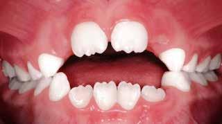
B.M. Bambina di sei anni e mezzo, con malocclusione scheletrica di II Classe, deep-bite over-jet elevato, lieve contrazione dell’arcata superiore, alterazione dell’eruzione dell’elemento dentale 21.

Fig. 119 > Immagine extraorale frontale.

Fig. 120 > Immagine extraorale frontale con sorriso.

Fig. 121 > Particolare del sorriso.

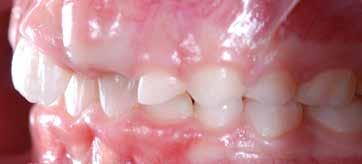
Fig. 122 > Immagine intraorale frontale.

Fig. 123 > Immagine intraorale laterale destra.

Fig. 124 > Immagine intraorale laterale sinistra.

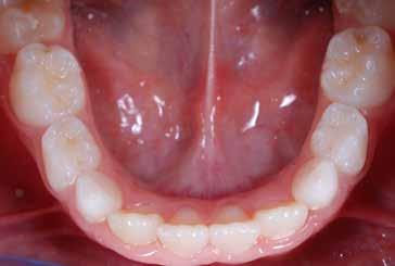
Fig. 125 > Immagine occlusale superiore.

Fig. 126 > Immagine occlusale inferiore.

202 201 ESTETICA FUNZIONE POSTURA
43 42 ESTETICA FUNZIONE POSTURA
29 > Nell’immagine è possibile vedere diversi piani di masticazione da utilizzare in base alle malocclusioni scheletriche e, quindi, sarà proprio il piano di
a determinare l’effetto
e, successivamente, dentale
Gli
di forme di arcata che verranno
ed
base
forma di arcata
INTEGRAL TC OSAS BASIC OPEN INTEGRAL PLUS SC
Fig.
masticazione
scheletrico
dell’apparecchio elastodontico. Fig. 30 >
apparecchi elastodontici di I Classe possono avere quattro tipologie
scelte
analizzate in
alla
del paziente.
47 46 ESTETICA FUNZIONE POSTURA
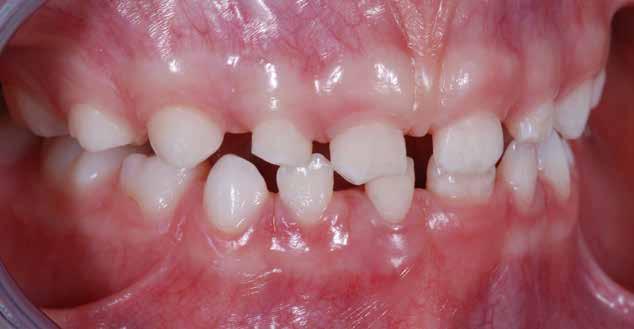
69 68 ESTETICA FUNZIONE POSTURA Valori cefalometrici iniziali ANB ANB 6,20 Posizione del Mascellare SNA 84,20 Posizione della Mandibola SNB 78,00 Angolo Articolare SArGo 132,00 Angolo Goniaco ArGoMe 134,00 Angolo incisivo inferiore Corpo Mandibolare liMand 97,00 Angolo incisivo superiore Base Cranica Anteriore IsCran 107,00 Angolo Interincisivo II 123,00

Controllo dopo cinque mesi di terapia

Fig. 15 > Immagine intraorale frontale.

Fig. 16 > Immagine intraorale laterale destra.

Fig. 17 > Immagine intraorale laterale sinistra.

Fig. 18 > Immagine occlusale superiore.

Fig. 19 > Dettaglio degli incisivi superiori.

Fig. 20 > Sorriso laterale destro.

Fig. 21 > Sorriso laterale sinistro.

Fig. 22 > Arco facciale.

Fig. 23 > Cera in massima inter-cuspidazione.

330 329 ESTETICA FUNZIONE POSTURA

Fig.

Fig.

Fig.

Fig.

339 ESTETICA FUNZIONE POSTURA
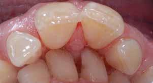
47 > Immagine extra-orale frontale.
48 > Immagine extra-orale laterale destra.
Fig.
49 > Immagine extra-orale laterale sinistra.
50 > Sorriso.
51 > Immagine intraorale frontale.
52 > Immagine intra-orale laterale destra.
53 > Immagine intra-orale laterale sinistra.
54 > Over-jet destro.
55 > Over-jet sinistro.
Fig.
Fig.
Fig.
Fig.
Fig.
Fig.
56 > Immagine occlusale superiore.
57 > Immagine occlusale inferiore.
58 > Immagine intra-orale frontale con apparecchio elastodontico standard.
Fig.

Figg. 229,230 > Impronte di precisione superiore e inferiore (fasi di laboratorio).

Fig. 231 > Modelli in gesso.

Fig. 232 > Realizzazione del modello master con monconi sfilabili in materiale refrattario.

Fig. 233 > Mascherina in silicone per determinare volumi dentali.

Figg. 234,235 > Ceratura diagnostica (CDT Romeo Pascetta).

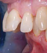
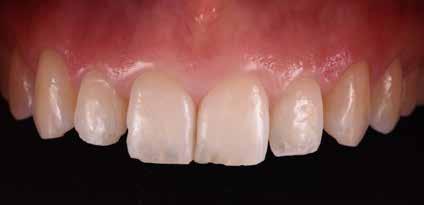
Figg. 236,237 > Faccette in ceramica feldspatica.

Fig. 238 > Fase della cementazione.

CONTROLLO IMMAGINI NON MI TORNANO LE DIDA NON COMBACIANO

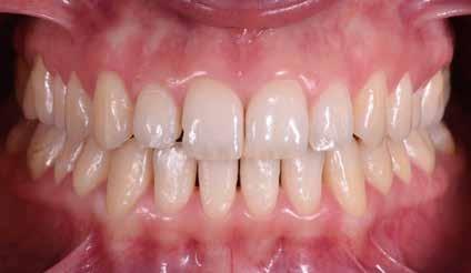
Fig. 239 > Dettaglio dell’arcata superiore post-cementazione.

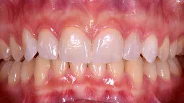
Figg. 240,241 > Immagine intraed extra-orale frontale postcementazione.

378 377 ESTETICA FUNZIONE POSTURA

1 _ Apparecchio elastodontico.

2 _ Bio-attivatori elastodontici.

Descrizione del dispositivo

Il trattamento con il Bio-Attivatore AMCOP è sorprendentemente semplice, naturale, innovativo e non invasivo e può essere considerato una straordinaria bio-ortopedia oro-cranio-facciale. È infatti un dispositivo ortodontico elastico di grande validità terapeutica di carattere funzionale, specifcatamente ortopedico del sistema dento-craniofacciale. È un armonizzatore delle distorsioni simultanee delle basi scheletriche mascellari e mandibolari ed è adatto per il livellamento dei piani occlusali inclinati, ruotati e torsionati per una corretta funzione ed un buon equilibrio della bocca.

Il dispositivo è ideale per la risoluzione di problematiche muscolo-tensive e per la terapia dei disturbi temporo-mandibolari. Se correttamente utilizzato, è in grado di agevolare processi antinfammatori e riparativi determinanti che vanno al di là di semplici trattamenti occlusali e che danno al paziente l’opportunità di risolvere scompensi di carattere sintomatico e, quindi, psicologico. L’azione riabilitativa del Bio-Attivatore si rifette su tutto il sistema stomatognatico: denti, alveoli, muscoli masticatori, ATM, guance, labbra, lingua, tessuti molli, ghiandole salivari, ossa mandibolari e mascellari, innervazione e vascolarizzazione e, quindi, sul sistema dento-cranio-facciale e cervicoposturale. Corregge, pertanto, le abitudini viziate e i dismorfsmi cranio-facciali, vere cause delle malocclusioni.

Il dispositivo è anche consigliato nei pazienti con bruxismo e russamento notturno. I BioAttivatori AMCOP costituiscono la sintesi di tutti gli attivatori funzionali esistenti e sono adatti ad una riabilitazione funzionale e personalizzata del paziente. Essi forniscono una visione più ampia e corretta del trattamento,

poiché determinano la crescita armoniosa del sistema dento-cranio-facciale e ne stabilizzano il risultato ottenuto.

La forma nasce come necessità del nostro corpo di espletare una funzione. Il dispositivo è indicato per migliorare le funzioni neurovegetative della bocca, della deglutizione, della masticazione, della fonazione e della respirazione per migliorare la funzione nasoventilatoria con un ritorno alla normofunzione del distretto naso-oro-laringo-faringeo. Il dispositivo è realizzato con una miscela polimero/elastomero. Il materiale è molto elastico, morbido, confortevole ed indeformabile, quindi resistente al carico masticatorio. Essendo termo-attivabile, è modifcabile e adattabile alle diverse forme d’arcata. Si possono eliminare possibili interferenze procurate dalle fange con appositi strumenti termici o a famma. Inoltre, è possibile espandere il dispositivo immergendolo in acqua calda a circa 70°C per trenta secondi. Per fssarlo nella nuova forma basta immergerlo in acqua fredda. Si possono apportare facilmente accorciamenti o eliminare interferenze con gommino e spazzolino e si può ridare lucentezza con una pistola a famma.

L’attivatore agisce sempre in una dimensione tridimensionale per una condizione fsiologica del sistema dento-cranio-facciale. In senso verticale, con il mordicchiamento involontario che si ha durante la deglutizione, stimola la ricrescita delle creste alveolari ossee nel senso verticale, procurando l’innalzamento della dimensione verticale. In senso anteroposteriore, con determinati stimoli funzionali, attiva e favorisce la crescita delle zone condilari. In senso trasversale produce una spinta trasversa delle fange palatali e linguali sui denti, determinando un effetto espansivo delle arcate dentarie con l’abbassamento della volta palatina con conseguente miglioramento della respirazione nasale Fig. 2

28 ESTETICA FUNZIONE POSTURA 29
Cap 1 — RELAZIONI TRA OCCLUSIONE E POSTURA

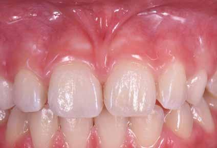
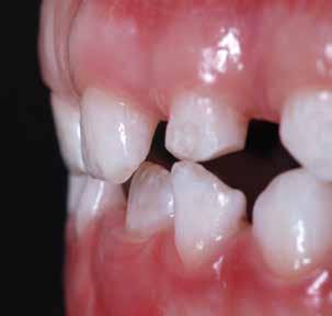
S.V. Paziente di tre anni di sesso maschile, in III Classe scheletrica lieve, con open-bite, deglutizione atipica, contrazione dell’arcata superiore, tendenza alla III Classe. Alla prima visita il paziente presentava un evidente frenulo vestibolare corto, a tetto labiale che, trazionando il labbro superiore, tendeva a ischemizzarsi insieme alla papilla retroincisiva.

In situazioni simili si potrebbe anche attendere ma, poiché si rendeva necessaria una terapia ortodontica, si è proceduto ad eseguire una frenulectomia e il giorno stesso è stato consegnato al paziente l’apparecchio elastodontico per la correzione della malocclusione. Lo scudo vestibolare dell’apparecchio ha contribuito alla guarigione del frenulo stesso determinando una trazione continua sul labbro superiore.

La sequenza terapeutica ha previsto i seguenti step:

• frenulectomia laser;

• terapia elastodontica al fine di ripristinare la corretta crescita scheletrica e dentale.

Fig. 4

Fig. 5 > Immagine intraorale frontale.

Fig. 6 > Immagine intraorale laterale destra.

Fig. 7 > Immagine intraorale laterale sinistra.

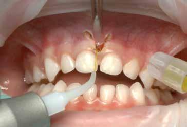
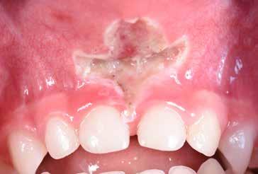
Fig. 8 > Dettaglio del frenulo labiale superiore corto.

Figg. 9-11 > Intervento di frenulectomia con laser a diodo.

Figg. 12, 13 > Controllo dopo ventiquattro ore.

328 327 ESTETICA FUNZIONE POSTURA
> Immagine extraorale frontale.

Fig. 22 > Frenulo linguale corto associato a ipomobilità della lingua.

Fig. 23 > Foto extra-orale di un neonato di sei mesi con frenulo linguale corto alla nascita.

Fig. 24 > La lingua del neonato con frenulo corto si presenta solcata, segno clinico che mostra la riduzione della mobilità della stessa.

Fig. 25 > L’immagine mostra come Il frenulo linguale eccessivamente corto impedisca al neonato di porre la lingua sopra al labbro inferiore e al bordo gengivale provocando,

così, problemi di alimentazione che influenzano in modo particolare l’allattamento al seno, provocando ulcere sul capezzolo e dolore alla mamma durante la suzione. In questi casi è consigliata un’escissione precocissima per agevolare la nutrizione del piccolo. È proprio il dolore durante l’allattamento a segnalare che il neonato presenta una problematica al frenulo linguale.

Figg. 26,27 > Immagini della frenolectomia laser assistita.

B.A. Paziente di cinque anni, in II Classe scheletrica, con deep-bite deglutizione atipica, contrazione lieve dell’arcata superiore, presenza di muro anteriore. Il paziente presenta un frenulo linguale patologico a tal punto da creare una grave ipomobilità linguale.

La sequenza terapeutica ha previsto seguenti step:

• frenulectomia laser;

• logopedia;

• terapia elastodontica al fine di ripristinare la corretta crescita scheletrica.

In questi casi è fondamentale l’intervento precoce; sarebbe stato opportuno trattare il frenulo linguale già alla nascita per evitare le complicanze scheletriche, dentali e funzionali ad esso associate.

Fig. 28 > Immagine extra-orale frontale.

Fig. 29 > Immagine intra-orale frontale.

Fig. 30 > Immagine occlusale inferiore con dettaglio del frenulo linguale.

Fig. 31 > Immagini della frenulectomia laser assistita.

Figg. 32,33 > Controllo a sette giorni dall’intervento di frenulectomia.

332 331 ESTETICA FUNZIONE POSTURA

Turn static files into dynamic content formats.

Create a flipbook
Issuu converts static files into: digital portfolios, online yearbooks, online catalogs, digital photo albums and more. Sign up and create your flipbook.
ELASTODONZIA - La Bio-Ortodonzia funzionale nel paziente in crescita e nell’adulto by CorsiLibriACME - Issuu