
Meinig School celebrates two decades of biomedical engineering at Cornell
![]()

Meinig School celebrates two decades of biomedical engineering at Cornell
This year marks the 20th anniversary of BME at Cornell. As we celebrate this milestone, it’s inspiring to reflect on the dedication and passion that have positioned Cornell BME as a top-ranked department and reflect on the amazing progress we’ve made together.
On July 1, I began my term as the new director of the Meinig School. I joined Cornell as an assistant professor in 2007 because of the university’s collaborative and collegial atmosphere. Over the past 20 years, the joint efforts of our exceptional faculty, staff, students, and postdocs have led to the development of strong undergraduate and graduate programs, as well as the infrastructure needed to deliver top-tier education and research—all united by our mission of engineering human health. You will see the spirit of this vibrant community in the following pages.
To ensure excellence and impact, a longstanding priority has been to create new space for our instructional labs and offices for our teaching faculty. We have now reached this important milestone with the official opening of Tang Hall. This new building creates a second hub for the Meinig School and places us next to other engineering departments in the middle of the Pew Engineering Quad. It provides state-of-the-art laboratories and learning spaces that both inspire our students and help drive our research forward.
In research, we also excelled. This year alone, scientific breakthroughs by our outstanding faculty and students were enabled by over $20 million in research funding (or $0.95 million per tenuretrack core faculty) and resulted in 102 articles that were published in top peer-

reviewed journals. Research highlights are described in this newsletter and include groundbreaking discoveries about how antibiotic resistance spreads in humans or which molecular programs regulate fertility and thus, may be involved in infertility. Our labs also developed new technologies that allow, for example, to 3D-print a human ear or to block epileptic seizures by precision laser treatments.
Our faculty, students, and postdocs not only pushed boundaries by performing cutting-edge research, but they are also leaders in community engagement. For example, our BMES Graduate Student Chapter hosted over a hundred young girls for “Girl Scout Engineering Day” to spark their interest in STEM. Additionally, our faculty and undergraduates collaborated with the Ithaca Sciencenter to create a traveling exhibit on Biobuilding.
Looking ahead, our goals remain ambitious. We will continue to transform medicine by bringing our cutting-edge research into clinical practice. Key
priorities include strengthening our partnership with Weill Cornell Medicine, expanding our faculty, and advancing teaching methods to prepare the next generation of biomedical engineers. I would like to express my deep gratitude to Marjolein van der Meulen for her exceptional leadership over the past 10 years, which has been instrumental in establishing Cornell BME as a premier department. I am honored to take on this role and look forward to working with all of you as we embark on the next 20 years of innovation, research, and education at Cornell BME.
Claudia Fischbach-Teschl
James M. and Marsha McCormick Director of Biomedical Engineering
Stanley Bryer 1946 Professor of Biomedical Engineering

Private gifts in support of the Meinig School fuel advancements that revolutionize healthcare and improve lives around the world. This year’s top initiatives focus on expanding teaching and research programs and nurturing the next generation of innovators.
Top Priorities
Endowed Professorships ($3 million)
Sustained support for faculty members who are conducting pioneering research, mentoring students, and advancing the field.
Graduate Research Fellowships ($100,000 - $1.5 million)
Essential funding in support of talented students as they explore innovative solutions, advance medical technologies and contribute to groundbreaking discoveries.
Capital Infrastructure ($100,000 +)
New space in Tang Hall provides a student-centric experiential learning experience with modernized lab spaces for critical research. Naming opportunities include floors, research labs, teaching labs and collaboration spaces.
Discretionary Fund (any amount)
To make a gift in support of BME, scan QR code.
To discuss giving opportunities (including securities, trusts, bequests and real estate) please contact Jennifer Gabriel, jgabriel@cornell. edu, 607-342-2289 or at the following link:
Flexible funding to meet immediate teaching and research needs, including support for student projects and project teams, travel grants for students to attend leadership conferences and recruitment efforts. bme.cornell.edu/bme/alumni/givingopportunities





ike Shuler knew the time was ripe. The year was 1993 and the professor of chemical engineering had noticed the signs around Cornell and the engineering community. “There was a sense of opportunity that came from combining biology and engineering, with important applications in the medical area,” he recounted three decades later as an emeritus professor. Cornell Engineering’s leadership at the time agreed. Shuler was tasked with helming the effort to give shape to this vision.
The result is the Nancy E. and Peter C. Meinig School of Biomedical Engineering, named in 2015 thanks to a $50 million gift from the Meinig family. This year, the school celebrates the 20th anniversary of its founding as a full-fledged department.
Since the inception of biomedical engineering at Cornell – “Cornell BME” as it’s known to the campus community – its researchers have been consistently working on the cutting edge of the field, applying an engineering perspective to the human body as an integrated, multiscale system. In collaborative projects with world-class clinicians, they are using these insights to design better therapies, devices and diagnostic procedures and improve human health. Thanks to the faculty’s commitment to highquality, hands-on education from the undergraduate to doctoral levels, the school is not only nationally ranked but also one of Cornell Engineering’s fastest-growing academic programs.
“It’s satisfying to see how far we’ve come in a comparatively short amount of time, and we’re proud of the impact we have created with our research and educational programs,” said Claudia Fischbach-Teschl, the Stanley Bryer 1946 Professor of Biomedical Engineering, who assumed leadership of the Meinig School as the James M. and Marsha McCormick Director of Biomedical Engineering earlier this year.
While Cornell BME may be young relative to many of its peers at Cornell, the school’s roots at the university can be traced back for decades. Several engineering alumni were influential in the nascent field, such as Wilson Greatbatch ’50, inventor of the first implantable pacemaker, and Robert Langer ’70, whose pioneering work includes controlled drug delivery systems. Faculty whose research might now be considered biomedical engineering were based in various disciplines. By the 1990s, multiple departments across Cornell Engineering and the university had introduced related courses, but the efforts were not yet cohesive.
This changed in 1993, when a committee headed by Shuler began to explore how Cornell should approach teaching bioengineering – the umbrella under which biomedical engineering first developed. Shuler had long been an advocate for integrating life sciences into engineering, and his own research would lead to the body-on-a-chip, a microfluidic device used to observe the complex responses a body may have to medications.
In 1994, the college, under then-associate dean of engineering John Hopcroft, established a bioengineering concentration –consisting of a one-credit seminar and four required courses – and an M.Eng. Dean’s Certificate. This certificate applied to all areas of bioengineering, including BME. Over the next decade, the BME program slowly expanded, gaining state approval as a graduate field specifically in BME with master’s and doctoral degrees (1998) and adding a formal minor in BME for undergraduates (1999).
In 2004, the Department of Biomedical Engineering was officially founded, with faculty consisting of Shuler, Don Bartel, David Putnam, Lawrence Bonassar and William Olbricht. A




dozen more in other departments were involved in the graduate field.
“When we became a full-fledged department, we were competing with about 100 other universities that were building their biomedical engineering programs,” said Shuler, who served as founding chair until 2014. “We had to think about building a team of faculty who would complement each other and do intellectually interesting things. And that’s what we did.”
Shuler went on a hiring spree. He brought in six assistant professors in two years to assemble what he called a “critical mass” of faculty. “It created this environment where, the much more senior Mike Shuler was presiding over a pile of very junior professors,” said professor Jonathan Butcher, who joined the program in 2007. Fischbach-Teschl, hired the same year, called the group “ambitious and fun.”
The cohort grew exceptionally close over the next decade as its members came of age as researchers and educators. “We mentored each other and got comfortable sharing failures and celebrating our successes,” Butcher recalled. While initially the program’s members had been dispersed across several buildings, they were brought into closer physical proximity in 2008 when Weill Hall became biomedical engineering’s administrative home.
Butcher credits Marjolein van der Meulen, the Swanson Professor of Biomedical Engineering and Cornell BME’s chair from 2014 until this year, for ushering the department into adulthood. As the original faculty were promoted to full professorships, external senior hires changed the demographic layout of the department. This created more opportunities for engagement and leadership around the university, as well as
raising the profile of the department among its peers, van der Meulen said.
Even through decades of change, a few things stayed the same. For one, “we have excellent staff with minimal turnover,” Fischbach-Teschl noted. And the culture of collegiality and positive energy that Shuler had set up persisted.
Beyond making Cornell BME a pleasant place to work, the school’s collegiality has a tangible impact on the research conducted by its members. Over the years, van der Meulen has occasionally drawn up network diagrams of who has authored studies together. “There are many papers published with multiple department faculty,” she said. “I feel that’s a real strength of how we work.”
Likewise, Shuler pointed to the high levels of interaction between biomedical engineering at other parts of the university. “This has been a trademark for us,” he said. Especially in the program’s early years, having the right combination of expertise helped attract external grants, he explained.
Three institutions are at the core of Cornell BME’s collaborations. From the beginning, the department emphasized building bridges between the Ithaca campus and NewYorkPresbyterian Hospital/Weill Cornell Medicine in New York City. A key component is the NIH-funded clinical summer immersion program. Established in 2005, it requires first-year Ph.D. students to spend eight weeks shadowing a clinical mentor to see first-hand how BME impacts patient diagnosis and care. Closer to home, the College of Veterinary Medicine, “one of the best vet schools in the world, adds a whole different dimension
to our work,” Shuler said. Finally, Hospital for Special Surgery in New York City has been a long-standing partner. Considered the country’s top orthopedic hospital, it performs almost 40,000 surgeries annually.
Over time, research ties may become formalized into centers, ensuring their impact into the future. Don Bartel, now the Willis H. Carrier Professor Emeritus, for example, long cooperated with Albert Burstein, then director of the Department of Biomechanics at Hospital for Special Surgery. Their collaboration not only changed knee replacement surgery and enabled medical breakthroughs in nanobiotechnology, but eventually created the Center for Advanced Materials and Engineering in Orthopaedics with a roster of around 50 biologists, material scientists, mechanical engineers, veterinarians and surgeons.
These collaborations provide biomedical engineering faculty and students with access to vast amounts of clinical data, samples, and the expertise of clinicians. Most importantly, van der Meulen noted, many research opportunities arise from understanding the challenges being seen in the clinics – often during doctoral students’ immersions. She pointed to FischbachTeschl’s work, for example, in which observations that metastases occur mainly in bone led to research asking why the skeleton =is a hospitable environment for circulating tumor cells. “The most rewarding outcome is when results can then be translated to the clinical side,” van der Meulen said. “We’re not doing this as an intellectual exercise, we’re doing it to improve human health.”
The Meinig School’s faculty have produced impactful research in a variety of areas, van der Meulen said, highlighting three. For one, Cornell BME is known for tissue engineering across multiple types of organs, including in the cardiovascular, cancer, orthopedic, and soft tissue arenas. Lawrence Bonassar, the Daljit S. and Elaine Sarkaria Professor in Biomedical Engineering, for example, credits Cornell’s interdisciplinary environment with helping to foster a pioneering collaboration in 3D bioprinting. In a first-of-its-kind clinical trial, a human received a 3D-bioprinted ear – grown from the patient’s own living cells – thanks to a technology platform developed by a startup company co-founded by Bonassar.
Specializations in imaging stem from Cornell’s historic strengths in applied and engineering physics, focused on living systems in BME. For example, a team led by associate professor Nozomi Nishimura used three-photon microscopy to produce high-resolution images of individual fat cells on arterial walls in mouse and human tissue samples. These deposits are the earliest evidence of plaque buildup, which can cause heart disease and stroke. Multi-photon microscopy is thereby proving to be a powerful research tool with promise for clinical applications in the future.
Finally, van der Meulen sees particular strengths in materials and biomaterials. In this area, Yadong Wang, the McAdam Family Foundation Professor of Cardiac Assist Technology, worked with Ying Chen, then a postdoctoral associate, to design a modular process for engineering biocompatible and biodegradable elastomers – polymers with rubber-like properties. They discovered that using chelating ligands – molecules that tightly bind a metal ion using two or more bonds – allows mixing
different metals with a single polymer. Potential applications include grafts that can repair blood vessels and heart tissue.
Thanks to such cutting-edge science, Cornell BME faculty have been highly successful in winning large grants from the National Institutes of Health and the National Science Foundation. They also have among their ranks 15 fellows of the American Institute of Medical and Biological Engineers as well as five members of the National Academy of Inventors – more than any other school at Cornell and a testament to their ability to turn research into devices that help people.
Not surprisingly, such a distinguished faculty has proven highly attractive to students looking to be trained as biomedical engineers. Nearly two decades after Cornell BME’s graduate field was established, the department was empowered by college leadership to create a brand new, “no-holds-barred” vision for an undergraduate program. “We had the advantage of seeing what existing biomedical engineering programs had already done, while being able to poll companies to see what skills and tools we need to provide students with to meet industry needs,” said Butcher, who subsequently served as founding director of undergraduate studies.
The resulting major graduated its first class in 2018. “Adding the major made biomedical engineering kind of a full, grownup department,” van der Meulen said. The program takes students through a core sequence of courses, plus one of four concentrations and a capstone team design experience. “We hope to provide our students with a solid foundation in the field and prepare them for work and innovation at the interface of many different disciplines,” said Shivaun Archer, the John & Janet Swanson Senior Lecturer and current director of undergraduate studies.
Students appreciate the major’s holistic and hands-on approach. “I really got to be in the lab with my classmates and working on group projects and imaging tumor spheroids,” said Hannah Childs ’18, now a consultant with Boston Consulting Group. The new state-of-the-art design complex spaces in Tang Hall serve student design teams and faculty in exploring their ideas, from conception through implementation and production of prototypes. Thanks to the recent addition of assistant professor Alexandra Werth to the faculty roster, the professional applicability of the engineering labs and design spaces will only continue to increase. Werth is one of only three tenure-track, discipline-based education researchers embedded within biomedical engineering departments in the country. “The university and Cornell BME are really leaders in this space at the moment,” Werth said.
Students’ enthusiasm for biomedical engineering has grown steadily since 19 sophomores affiliated with the new major in the spring of 2016. The most recent senior cohort has 70 members. And external recognition followed quickly. Cornell BME has been consistently rising in the U.S. News & World Report rankings, coming in at #11 in 2023 – the same year it completed its accreditation through the Accreditation Board for Engineering and Technology (ABET). Cornell BME is also the only major in the college to receive a commendation from ABET for its high level of diversity. With 79 percent average female enrollment in the 2018
to 2022 classes, the Meinig School helped Cornell Engineering achieve undergraduate gender parity.
“I think what makes our students unique is how passionate they are, they really want to apply what they learn and make a difference,” Archer said. Many can be found doing community outreach work, introducing potential future scientists to the field at the annual Girl Scout Engineering Day or science, technology, engineering, arts and math (STEAM) nights at a local elementary school. Having obtained their degrees, graduates enjoy high levels of success securing jobs to apply their skills with big pharmaceutical companies, manufacturers of biomedical devices, government laboratories, and smaller companies.
Looking toward the future, Fischbach-Teschl hopes to keep building on the successes Cornell BME’s faculty and graduates have amassed over two short decades. “My goal as director is to continue strengthening our national and global reputation,” she said.
Fischbach-Teschl is especially excited about the college’s Innovations in Medicine initiative, which aims to foster collaborations with Weill Cornell Medicine that transcend traditional disciplines. “The initiative will help translate faculty research discoveries into clinical practice,” she said.
Thanks to a recent four-story addition to Thurston Hall, which has been renamed Tang Hall, Cornell BME and other engineering departments now have a lot more space for this work. About 30,000 square feet of new laboratory, teaching and meeting spaces will provide the Meinig School with new opportunities for collaborations and a visible presence at the heart of the Engineering Quad.
“I believe we are in an excellent position – on campus and figuratively – to play a huge role in driving impactful technologies and discoveries,” Fischbach-Teschl said, “and in educating the next generation of scientists and engineers who will meaningfully contribute to society and sustained well-being in the world.”


Tang Hall puts the Meinig School next to other engineering departments in the middle of the Pew Engineering Quad, enabling easy collaboration and cross-pollination of ideas with our colleagues. The new teaching space supports our design program and houses the instrumentation lab, biomechanics lab and wet lab suite.


Key
RED: Faculty hires
BLACK: Program milestones
1992
ChemE 481, Biomedical Engineering offered as the first undergraduate course with a focus on BME (taught by professor William Olbricht).
1994
Undergraduate option in bioengineering formed; first class graduated 1995; M.Eng. Dean’s Certificate established.
1997
Graduate field of BME approved by N.Y. State to award M.S. and Ph.D. degrees.
1998
Graduate field of BME established; First BME graduate class admitted.
1999
Minor in biomedical engineering established through T&AM.
2001
Biomedical Engineering becomes a program.

2004
Department of Biomedical Engineering approved with 3 academic programs: Ph.D., M.Eng., undergraduate minor in BME.
Department starts with 6 faculty:
Michael Shuler, founding chair
David Putnam
Lawrence Bonassar
Don Bartel
William Olbricht
Mark Saltzman
2005 Yi Wang Warren Zipfel
Ph.D. summer clinical immersion term program begins.

May 2007 commencement: 27 M.Eng., 2 M.S., 2 Ph.D.


2007
Claudia Fischbach-Teschl Jonathan Butcher

2011 Jan Lammerding
2006
Chris Schaffer
Peter Doerschuk
David Skorton

2010
Christopher Hernandez

2008
Cynthia Reinhart-King Michael King
Weill Hall becomes administrative home for BME.


2014
Ben Cosgrove
Marjolein van der Meulen named James M. and Marsha McCormick Director of Biomedical Engineering.
Undergraduate major plan approved by Cornell Engineering.

2017
Mert Sabuncu
Ankur Singh
Yadong Wang

2016
Ilana Brito
First class of BME undergraduates begins.
2013
Nozomi Nishimura Steven Adie
Undergraduate major plan submitted to Cornell Engineering.
Department receives BMES diversity award.

2015
Iwijn DeVlaminck Newton De Faria



2019
Esak (Isaac) Lee
2022
Alex Kwan

Claudia Fischbach-Teschl named director of the Meinig School of Biomedical Engineering
Consortium identifies 5 grand challenges in biomedical engineering
Tang Hall

Suélia
2024
2018
James Antaki
First undergraduate BME class graduates.

$50M gift creates the Nancy E. and Peter C. Meinig School of Biomedical Engineering
Undergraduate major receives N.Y. State accreditation
2020
Shaoyi Jiang Karl Lewis Nate Cira


2023
Krystyn Van Vliet Alexandra Werth
Undergraduate clinical immersion
M.D./M.Eng. program
First undergraduate class 5-year reunion
Undergraduate major receives ABET accreditation
(Adapted

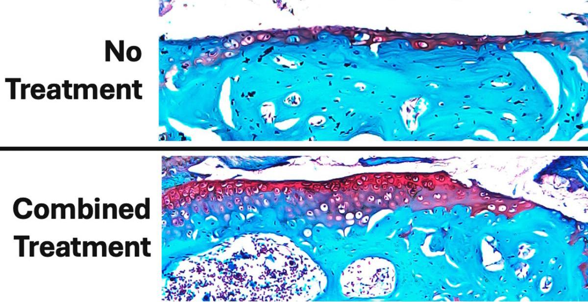
team led by Marjolein van der Meulen, Swanson Professor of Biomedical Engineering and Associate Vice Provost for Research and Innovation, has found that applying a pretreatment of a parathyroid hormone, commonly used to increase bone mass to combat osteoporosis, can help improve cartilage health and slow the development of osteoarthritis. They also identified gene expression signatures that could potentially be used to detect the early onset of the degenerative joint disease.
The findings were published April 19 in Science Advances. The co-lead authors are Adrien Antoinette, Ph.D. ’23 and Sophia Ziemian, Ph.D. ’20.
Van der Meulen specializes in exploring the role of mechanics in the skeleton and how the musculoskeletal system – bones, cartilage, joints – responds to loading, using a technique to apply weight and compress the lower leg and knee joint.
Loading is something of a mixed blessing. Because it increases bone mass, it can be used as a therapy for osteoporosis. At the same time, loading also damages
the cartilage in joints, similar to the degeneration seen in osteoarthritis. Van der Meulen and her lab members have been increasingly focused on the role that bone plays in the development of this type of joint damage.
For the new study, her team conducted a two-step process. First, they pretreated mice daily with parathyroid hormone – a treatment prescribed for osteoporosis – to increase the animal’s bone mass over a period of eight weeks. In the second phase, the team applied daily loading on the mouse’s tibia and used another osteoporosis treatment, alendronate, that in effect turned off the bone’s ability to renew itself – a process called remodeling – for six weeks.
“Bone is a tissue that constantly turns over. Cells continually remove bone and replace it with new bone. As you get older, this process is less efficient, and less bone gets put back,” Van der Meulen said. “The way some FDA-approved osteoporosis drugs work is by shutting down this natural turnover process, so you’re not losing bone mass. So we asked, if we block the ability of bone to respond, will that affect the development of the damage in
the knee joint?”
The researchers found the parathyroid hormone directly improved cartilage health and slowed the development of damage, while the alendronate reduced the subchondral bone changes that are associated with osteoarthritis.
“Even after six weeks of damage, that eight-week pretreatment effect was still a very large effect. Parathyroid hormone did more than increase bone mass because, it turns out, this agent also acts on cartilage,” said Van der Meulen. “The mouse knees had thicker cartilage after eight weeks, which wasn’t something we expected. And so likely thicker cartilage protects you against joint damage downstream.”
The team repeated the experiment and used transcriptomics to reveal the gene expression that occurred in RNA isolated from the mouse’s cartilage, bone and lymph nodes. The joint damage was reflected in early transcriptomic changes, and both treatments combined resulted in early modulation in the immune signaling.
“What was really interesting is the gene expression data suggested that the two drugs paired together had the biggest
effect in attenuating cartilage damage genes, and particularly altering expression of immune genes,” Ziemian said.
This result suggests subtle changes occur due to the loading and treatments that can’t be detected at the tissue level.
“The gene expression analysis is super useful for us in terms of seeing all these immune genes expressed in cartilage, which was not necessarily something we were expecting to see,” Ziemian said. “Cartilage is a tissue that doesn’t have a lot, if any, immune cells present in it normally.”
The next step is to determine if the parathyroid hormone treatment can slow or even reverse the progression of osteoarthritis once it’s already present, and
to see if the gene signatures can be used in developing an early diagnostic for the disease.
“The findings imply that these treatments may be beneficial for humans as well. And the nice thing is, these treatments are FDA-approved already, they’re just not approved for this application,” Van der Meulen said.
Co-authors include Allison Brown ’20, Erin Hudson ’22 and Carolyn Chlebek, Ph.D. ’22; Timothy Wright, Steven Goldring and Mary Goldring of Hospital for Special Surgery; and Miguel Otero, assistant professor of cell and developmental biology in orthopaedic surgery at Weill Cornell Medicine and Hospital for Special Surgery.
The research was supported by the U.S. Department of Defense, the National Institutes of Health and The Clark Foundation.
“THE NICE THING IS, THESE TREATMENTS ARE FDA-APPROVED ALREADY, THEY’RE JUST NOT APPROVED FOR THIS APPLICATION.”
Marjolein van der Meulen, Swanson Professor of Biomedical Engineering and Associate Vice Provost for Research and Innovation
special type of cell called an osteocyte may hold the key to some of the mysteries of osteoporosis, a common disease that affects 10 million people, mostly women, in the U.S. Despite its prevalence, little is known about its underlying mechanisms. Professor Karl Lewis is studying osteocytes, special cells that play a key role in building and maintaining bones. These cells sense mechanical force and respond
differently to different loads. However, some osteocytes don’t respond to loading at all, and Lewis wants to know why. His research has shown that males and females have different bone health regulations, possibly due to estrogen levels. To better study osteocytes, Lewis is using fluorescent nanoparticles called Cornell Dots to visualize cell dynamics. This research could lead to a better understanding of osteoporosis and new approaches to treating the disease.


consortium of 50 university researchers, including professor Marjolein van der Meulen, has established five grand challenges in biomedical engineering, which it said will lay the foundation for a concerted effort to achieve technological and medical breakthroughs. The grand challenges include: bridging precision engineering and precision medicine for personalized physiology avatars; pursuit of on-demand tissue and organ engineering for human health;
evolutionizing neuroscience using artificial intelligence to engineer advanced braininterface systems; engineering the immune system for health and wellness; designing and engineering genomes for organism repurposing and genomic perturbations.
Read more:
“Grand Challenges at the Interface of Engineering and Medicine.” Subramaniam, Shankar, et al. IEEE Open Journal of Engineering in Medicine and Biology 5: 1-13. (2024)

n interdisciplinary collaboration used a cuttingedge form of RNA tagging to map the gene expression that occurs during follicle maturation and ovulation in mice, an approach that
Read more:
“A spatiotemporal molecular atlas of
n interdisciplinary Cornell research team has developed a new surgical technique that blocks the spread of focal epileptic seizures in the brain by making precise incisions with femtosecond
Read more:
laser pulses. Co-authored by professor Chris Schaffer and former Ph.D. student Seth Leiberman, now at Cornell vet school, the promising new approach offers several advantages to existing treatment protocols.
“Circumscribing laser cuts attenuate seizure propagation in a mouse model of focal epilepsy.“ Lieberman S,* Rivera DA, Morton R, Hingorani A, Southard TL, Johnson L, Reukauf J, Radwanski RE, Zhao M, Nishimura N, Bracko O, Schwartz TH, and Schaffer CB. Advanced Science. doi.org/10.1002/advs.202300747. (2024)

could lead to therapeutic treatments for infertility. Madhav Mantri, a Ph.D. student in associate professor Iwijn De Vlaminck‘s lab, was lead author on the paper and worked with collaborators in Cornell‘s department of animal science.


ntibiotic resistance is threatening a public health crisis, but genes that resist antibiotics lurk in the human microbiome. In order to understand the spread of antibiotic resistance worldwide, researchers in the Brito lab investigated these genes in
Read more:
microbiomes throughout the world. They found some pervasive genes and others that have serendipitously remained less widespread. They are investigating these underlying trends. Lead author on the paper is Brito lab Ph.D. student Peter Diebold.
“Clinically relevant antibiotic resistance genes are linked to a limited set of taxa within gut microbiome worldwide.” Diebold PJ, Rhee MW, Shi Q, Trung NV, Umrani F, Ahmed S, Kulkarni V, Deshpande P, Alexander M, Hoa NT, Christakis NA, Iqbal NT, Ali SA, Mathad JS, and Brito IL. Nature Communications. 14:7366. (2023)


sing state-of-the-art tissue engineering techniques and a 3D printer, researchers at Weill Cornell Medicine and Cornell Engineering have assembled a replica of an adult human ear that looks and feels natural. “This new technology may eventually provide an option that feels real for thousands needing surgery to correct outer-ear deformities,”
Read more:
said senior author Dr. Jason Spector ’91, chief of the Division of Plastic and Reconstructive Surgery at NewYork-Presbyterian/Weill Cornell Medical Center and a professor of surgery at Weill Cornell Medicine. Spector worked with long-time collaborator Larry Bonassar, the Daljit S. and Elaine Sarkaria Professor in Biomedical Engineering in the Meinig School.
“Bioengineering full-scale auricles using 3D-printed external scaffolds and decellularized cartilage xenograft.”
Vernice NA, Dong X, Matavosian. AA, Corpuz GS, Shin J, Bonassar LJ, Spector JA. Acta Biomater. 179:121-129. doi: 10.1016/j.actbio.2024.03.012. (2024)
he National Academies’ latest decadal survey, “Thriving in Space,” provides a roadmap for biological and physical sciences research, from the low orbit of Earth to the surface of Mars, through 2033. Krystyn Van Vliet, professor and

Read more:
vice president for research and innovation and a self-confessed “space geek,” served as co-chair of the steering committee that produced the survey and spoke on the report‘s themes and takeaways and the role Cornell can play in these efforts.

Cornell-led collaboration developed machinelearning models that use cell-free molecular RNA to diagnose pediatric inflammatory conditions that are difficult to differentiate. The diagnostic tool can accurately determine if a patient has Kawasaki disease (KD), Multisystem Inflammatory Syndrome
in Children (MIS-C), a viral infection or a bacterial infection, while simultaneously monitoring the patient’s organ health. Associate professor Iwijn De Vlaminck led the team in collaboration with researchers at University of California, San Francisco and University of California, San Diego. Conor Loy, Ph.D. ’24, is lead author on the study.
“Plasma cell-free RNA signatures of inflammatory syndromes in children.” Loy CJ, Servellita V, Sotomayor-Gonzalez A, Bliss A, Lenz JS, Belcher E, Suslovic W, Nguyen J, Williams ME, Oseguera M, Gardiner MA; P.E.M.K.D.R.G.; C.H.A.R.M.S. the Study Group; Choi JH, Hsiao HM, Wang H, Kim J, Shimizu C, Tremoulet AH, Delaney M, DeBiasi RL, Rostad CA, Burns JC, Chiu CY, De Vlaminck I. Proc Natl Acad Sci. 121(37):e2403897121. (2024)
doi: 10.1073/pnas.2403897121. (2024)
olf will join the Meinig School as an assistant professor in biomedical engineering beginning in the spring semester. She is currently an NIH Ruth L. Kirschstein NRSA Postdoctoral Fellow at Harvard University, where she has developed a stem cell-derived perfusable kidney collecting duct on-chip that can be used for disease modeling or embedded within biomanufactured tissue.
Engineered tissues are advancing healthcare by accelerating clinical testing and serving as cell-based therapies, thanks to innovations in stem cell technology, biomanufacturing, and cellular engineering. However, achieving fully functional, mature tissues requires better control over the physical forces that guide tissue development and disease.
The Wolf Laboratory at Cornell will address clinical needs in kidney and women’s reproductive health by developing models of urogenital tract tissues and investigating biophysical forces that direct tissue function. This work will integrate multiple research areas such as mechanobiology, biofabrication and soft matter design.
“We need to better understand the connection between tissue mechanics and tissue physiology in order to improve clinical outcomes, especially in reproductive tissues,” Wolf said. “The Cornell community has incredible expertise in biomedical engineering and is invested in finding solutions for needs in women’s health.”
Wolf received her Ph.D. in bioengineering from the joint program at University of California, Berkeley - University of California, San Francisco. During her graduate studies, she investigated how tumor cell-matrix interactions influence cell

invasion and could therefore be leveraged as therapeutic targets.
Wolf is a National Science Foundation Graduate Research Fellow and a Siebel Scholar. Prior to her Ph.D., she earned a B.S. in chemistry and a B.S. in human biology from Michigan State University.
She also hosts a podcast, Double Shelix (www.doubleshelix. com), about women in STEM, the research grind, and inclusive science, to help women find role models, be inspired, create inclusive STEM communities, develop professional skills, and share their love of science.

1 2

Fabricating in vitro human tissues for disease modeling and drug discovery. 1) Kidney precursor cells spatially patterned in a 3D hydrogel. 2) Perfusable kidney collecting duct on-chip derived from patient cells (3D reconstruction of one wall of a cylindrical channel shown).
osa joined the Meinig School in August as a senior lecturer. Her focus on translating innovative health technologies from concept to market is driven by her goal to train biomedical engineers with the skills to turn academic ideas into solutions for society. Her work aims to overcome the “valley of death” in innovations, offering a hopeful and optimistic vision for the future of health care.
Rosa began her career at Siemens as an industrial engineer and later gained experience developing technological solutions for patients at the SARAH Hospital in Brasília, Brazil’s capital. Her career in Brazil is marked by her commitment to social impact. As a technical consultant, she has designed prototypes and conducted phase I to IV clinical trials for various health care projects.
“Turning ideas into something that can really make a difference in people’s lives – that’s what drives me every day,” Rosa said. “When students work on real problems, they not only learn, they grow as individuals. Hands-on learning is transformative and I want to enable them to see their potential and what they can achieve.”
Rosa was previously an academic professor at the University of Brasília, creating courses and consolidating undergraduate programs in engineering. She also coordinated postgraduate programs in biomedical engineering, supervising undergraduate

and postdoctoral-level students.
Rosa was a postdoctoral researcher at MIT and earned her Ph.D. from the University of Brasília. She received an M.Eng. degree from the Aeronautics Institute of Technology and a B.A. in electrical engineering from São Paulo State University Júlio de Mesquita Filho.
In her spare time, Rosa enjoys spending time with her husband, Mário Rosa, their children, Marie Odile and Mário, and their dog, Max. They value family connections and look forward to exploring the sights of Ithaca together.

Read more:
Illustration of the scientific conception of VESTA® respirator, which incorporates chitosan nanoparticles derived from the exoskeleton of crustaceans deposited onto the filtering technology of PFF2 masks. The positively charged nanoparticles attract negatively charged viruses, bacteria, and fungi, resulting in inactivation upon contact. ANVISA approves this product for its effectiveness in viral inactivation.
“Translational pathway of a novel PFF2 respirator with chitosan nanotechnology: from the concept to the practical applications.”
Biomedical Nanotechnology, Volume 6 doi.org/10.3389/fnano.2024.1384775 (2024)

errick Barrett joined the Meinig School in March as finance lead, working closely with faculty and staff to develop financial reports and forecasts. He also helps hire personnel and manages awards.
Derrick brings business analysis, project management, and organization skills from his prior experience as a financial analyst at Tompkins Financial Institution. There he also served as the system administrator for the Workday Adaptive Planning platform, created accounts, and developed reports and dashboards.
He enjoys working with the team of faculty and staff across the department. When he gets the chance, he loves stepping outside the administrative realm to learn more about the research being conducted by faculty labs.
Hailing from Ithaca, Derrick earned a bachelor’s degree in business administration with a concentration in finance from Ithaca College.
Outside work he loves spending time with his two young daughters, working in his yard and garden, and cheering on his favorite football team, the Jets.

va Collier joined the Meinig School as undergraduate coordinator in July, bringing many transferrable skills in active and reflective listening to the role from her prior experience as a professional school counselor at both middle and high school levels.
She’s eager to work with undergraduate students and to help them navigate the requirements of the major. She says that so far everyone at Cornell BME has been very welcoming, supportive and encouraging.
If not in this role, Eva says she would still likely be in a helping profession. The best life lesson she’s learned so far came from Doctor Who: “Always try to be nice but never fail to be kind.”
Eva is from Ithaca and holds an M.S. Ed. in school counseling from the College of Saint Rose and a B.A. in Spanish and psychology from St. Lawrence University.
Outside work she enjoys cross stitch, but acknowledges that her time is scarce. She’s busy raising a kindergartener and a nearly 3-year-old.

amantha Gluck joined the Meinig School in August as assistant to the director. She provides administrative support to the director and director of administration, helping them with their daily tasks and ensuring the department runs smoothly.
Most recently, Samantha was an administrative and accounting assistant at Red Butte Garden, part of the University of Utah. In this role she gained experience navigating university policies and procedures. Before that, she spent a few years working in national parks and ski resorts, mainly in hospitality management, where she developed the ability to stay organized while handling multiple tasks. Earlier in her career, Sam was a Llama Trekking Guide in the Flathead National Forest.
Originally from Southold, NY, on Long Island, Sam holds a bachelor’s degree in fashion merchandising management from the Fashion Institute of Technology.
Outside work she enjoys reading, going for walks and spending time outside, cross stitching, and exploring the area with her husband.
or the first time in Cornell Engineering’s history, this year every school and department has a woman faculty member on the college’s executive leadership team. Eight of the college’s 11 schools and departments are led by women, and half of the faculty associate deans are women.
“I often say that there has never been a better time to be a Cornell engineer,” said Lynden Archer, the Joseph Silbert Dean of Engineering. “Our college has made historic strides in lowering barriers such that any member of our community who is committed to excellence and to making a difference may pursue leadership roles in the college.
The college, which enrolled its first woman 140 years ago, has seen a dramatic acceleration of women leadership in recent decades. Christine Shoemaker became the first woman to chair a department – the Department of Environmental Engineering within the School of Civil and Environmental Engineering – in 1985.
In 2001, Teresa E. Jordan became the first woman faculty member to serve as an associate dean, overseeing the college’s undergraduate programs. In 2002, Paulette Clancy was appointed director of what is now the Robert Frederick Smith School of Chemical and Biomolecular Engineering, the first woman to hold such a position.
In 2006, a proposal developed by multiple Cornell women engineers secured an ADVANCE Institutional Transformation grant from the National Science Foundation designed to increase recruitment, retention and promotion of women faculty. The grant catalyzed multiple institutional changes that helped to accelerate progress to the very outcomes we see today.
“To reach this milestone took vision, commitment, and hard work on the part of a lot of people,” said Lara Estroff, chair of the Department of Materials Science and Engineering. “It required thoughtful policy shifts to support, for example, work-life balance, and intentionally
embracing a come-as-you-are culture in which students, staff and faculty are supported and celebrated for bringing their unique and diverse strengths with them to campus.”
Meinig School professor Marjolein van der Meulen, who was one of the ADVANCE grant authors, noted that these are not the only women leaders on the faculty. “When you become a faculty member, you become a leader,” she said. “You’re leading a research group. You’re a research leader. It’s not necessarily positional.”
Scan QR Code for full article and introductions to some of the women currently serving the college in leadership roles.



or many undergraduates, the yearlong capstone biomedical engineering design course, BME 4080/4090, is a highlight of their undergraduate academic experience. It marks the end of their studies and showcases how they apply their engineering skills to real biomedical problems. The course is co-taught by Meinig School faculty James Antaki, Nate Cira and Alexandra Werth.
In the first semester course (BME 4080), students learn the design process. They are equipped with strategies for tackling complex biomedical challenges and get practice applying them through case studies and activities.
The centerpiece of the course is the team design project. Projects ideas come from students’ interests and experiences, current events, and needs encountered during clinical and exchange programs. Teams of four-to-five students coalesce around project ideas of interest around

halfway through the fall semester. By the semester’s end, teams have developed a deep understanding of their project’s underlying need, engaged with stakeholders, and planned what they will build and test in spring.
In the second semester (BME 4090), students begin making things in earnest, apply skills like drawing, CAD, and 3D printing to go through design-buildtest cycles of prototypes. Along the way they consider their project from all perspectives including bioethics, standards, intellectual property, and regulatory considerations. The experience also hones skills in leadership, teamwork, and communication. By the end, they are ready to tackle biomedical challenges in the real world.
The culminating event of the course is the year-end senior design showcase in May. Students produce and screen a video of their project and take questions from their peers and Meinig School

faculty and guests. “This event is the very last undergraduate class period for the graduating students, and celebrates student progress on pressing challenges and in their degrees,” said Nate Cira. “Afterwards, students go out into the world applying what they learned in the class, and the program, to the world’s challenges.”



n May 10, the Meinig School held its eighth annual industry day and project showcase for master of engineering (M.Eng.) students in Weill Hall. The day-long event connected students with faculty, alumni, and professionals. Sponsors included West Pharmaceutical, BD, Baxter, and Med Dimensions. Physicians from Weill Cornell Medicine and alumni working at Hospital for Special Surgery also attended, along with others. M.Eng. director Newton de Faria, organized the event.
Alum Alex Deyle ’06, M.Eng. ’07, now VP and general manager at Flatiron Health, shared insights from his career in his keynote speech. Following this, panels with other professionals discussed various paths and challenges in the biomedical field. In the afternoon, students showcased their year-long design projects with industry sponsors.
Will Byron, CTO and founder of Med Dimensions, LLC, praised the students. His company tackled a project on monitoring diabetic animals and he noted that the student team helped his company address technical and market challenges which helped them innovate faster.
Students were especially fortunate to visit with physician mentor-sponsors Susan Pannullo, M.D., professor of clinical neurological surgery at Weill Cornell Medical College and adjunct professor at the Meinig School of Biomedical Engineering, and Tamatha Fenster, M.D., assistant professor of obstetrics and gynecology at New York-Presbyterian Hospital/Weill Cornell Medicine and director of biotechnology and innovation at Weill Cornell Medicine’s Fibroid and Adenomyosis Center.
“It was a privilege to work with Dr. de Faria and these ambitious students this past year,” said Fenster, who worked with a team on building a nonpharmacological treatment option for chronic pelvic pain. “Their passion for women’s health care was palpable, and wonderful developments came from the

unification of bench engineering and realworld medical needs.” Her team’s device, the ‘TammyCup’, won second place in the showcase design competition.
This year, two medical students, Kyle Zappi and Myles Wood, joined the one-year professional M.D.-M.Eng. program, which is designed to accelerate engineering innovations in medicine by enabling students at Weill Cornell Medicine to earn an M.Eng. degree while in medical school.
De Faria noted their involvement in several projects. These included developing a system for craniosynostosis and monitoring hydrocephalus patients.
Pannullo expressed pride in the M.D./M.Eng. students, whom she advised on several of the projects. “They bring unique perspectives to both biomedical engineering and medicine.”


By Sarah Henretta and Carlos Urrea De La Puerta

ornell Biomedical Engineering Society’s (BMES) Graduate Chapter is dedicated to nurturing a vibrant and supportive community within our biomedical engineering department. Their mission extends beyond academic excellence; they strive to create an inclusive environment that enriches the graduate student experience, enhances professional development, and actively engages with the local community.
Each year, BMES focuses on strengthening connections among students, faculty, and staff through a variety of social events. BMES organizes welcome activities each fall to facilitate interaction amongst new and returning members, such as hikes through Ithaca’s many waterfalls, the semi-annual cornhole tournament, and annual wine tour. Community-centered activities continue throughout the year and incorporate a broad range of interests, including happy hours, winter ice skating socials, sponsored intramural teams and more. These events not only celebrate department members’ achievements, but also foster a sense of belonging and camaraderie within the Cornell BME grad community.
Professional growth is a cornerstone of BMES’s mission. Each year, BMES hosts the annual BMES Research Symposium, providing a platform for students to present their research and
gain insights from distinguished alumni. Additionally, BMES works closely with industry partners, like Exponent, and Cornell resources, like Careers Beyond Academia, to bring established industry professionals to campus and offer valuable seminars and job or internship recruitment opportunities. These interactions aim to connect academic research and industry practice, equipping BMES members with diverse perspectives and practical skills essential for their careers.
Cornell BMES is deeply committed to outreach and education. Notably, BMES hosts a semi-annual Girl Scout Engineering Day, where over 300 scouts come to Cornell’s campus and Weill Hall. This initiative aims to inspire and educate young Girl Scouts about the opportunities in science and engineering. Additionally, BMES members host medical literacy programs at the Greater Ithaca Activities Center that educate senior community members on important health topics and the adopt-a-highway efforts allow members to contribute to environmental stewardship.
Our mentoring initiatives, including the BMES + BMEW Mentoring Program, provide invaluable support for incoming Ph.D. students. By connecting them with experienced mentors, BMES and BMEW (Cornell BME Women’s Group) facilitate their transition into graduate school and offer guidance on academic and professional goals. Promoting events
experiences and professional networks.




he Big Red Adaptive Play and Design Initiative has enlisted students from all backgrounds to create a large lending library of adapted toys that serves nine local schools and organizations and counting.
More than 20 Cornell students, including BME undergraduate student Peyton Lancaster (pictured, right), participated in a daylong event in March called GoBabyGo at Ithaca College. Three kids ranging in age from 14 months to 5 spent the day on-site while Cornell and Ithaca College students adapted motorized toy cars exactly to the kids’ bodies and abilities. They rewired ignition switches to more accessible buttons, replaced steering wheels with joysticks and added supports to stabilize the kids in the cars’ seats. “Every kid with a disability is so different when it comes to their tone, which way they lean, what hand they use,” said one parent noting the essential nature of the adaptive process. “An adaptive toy really has to be tailored to them because what one person’s kid may need might not fit what my kid may need.”
aculty, staff and community partners are working together to address community needs — and they’re getting students involved with support from Engaged Opportunity Grants from the Einhorn Center for Community Engagement. Included in this year’s projects is BioBuilding. Biomedical engineering undergraduates will join a NIH-funded research project to design, construct and implement a traveling museum exhibit. The student team, led by assistant professor Karl Lewis, with professors Chris Schaffer and Iwijn De Vlaminck. They will collaborate with Ithaca Sciencenter staff on the initial ideation and assessment steps of the project.
Students work with faculty (Steven Adie, standing) and Ithaca Sciencenter staff to brainstorm museum exhibits.

Last fall the Meinig School was honored to co-host the fourthannual Rising Stars in Engineering in Health workshop at Cornell. The in-person, two-day interactive workshop featured rapid-fire research talks, educational presentations, intensive workshops, mock interviews and panel discussions with faculty from the three hosting institutions: Cornell’s Meinig School of Biomedical Engineering, Johns Hopkins Biomedical Engineering and Columbia University.
The workshop selects the best and brightest young researchers working at the intersection of engineering and biomedicine. Rising Stars are carefully selected from hundreds of talented applicants from across the United States and Canada, and include postdoctoral fellows, research scientists and graduate students who are typically one to two years away from applying for a faculty position.
“These are the future leaders in biomedical engineering,” said Alex Kwan, an associate professor in the Meinig School, who was the lead organizer of the program, which highlighted communication skills. “Science communication is key to what we do as faculty members, and workshop participants have the unique opportunity to learn and to practice these important career skills with established faculty in the field.”
Another goal of the workshop was to demystify the faculty hiring process for talented biomedical researchers. Networking and panel discussions offered participants valuable insight into the journey of a prospective new faculty researcher.
Happily, the Meinig School gained new assistant professor Kayla Wolf as a direct result of the event. “It was easily the most

impactful pre-faculty event that I have attended,” said Wolf, who was then a NIH Ruth L. Kirschstein NRSA Postdoctoral Fellow at Harvard University.
“Meeting this outstanding cohort of Stars is so inspiring,” said Meinig School professor Marjolein van der Meulen, who was instrumental in Cornell’s joining the event’s institutional partnership in 2022 and in bringing the event to Ithaca for 2023. “I always come away thinking how incredible the future of our field is.” This year’s event gained another institutional partner, Boston University, and hosted the 2024 event in Boston, MA.

In June, a cross campus symposium brought researchers, engineers and clinicians in conversation about cardiovascular disease to stimulate collaborations around engineering-based research and promising clinical impact areas. Attendees included postdocs, grad students, faculty from Weill Cornell Medicine and Cornell University with an interest in cardiology, cardiac surgery, cardiovascular imaging technology, engineering, and animal models. Meinig School professor Jonathan Butcher co-chaired with Jeffrey Ketterling (Professor of Biomedical Engineering in Radiology, Weill Cornell Medicine), Jiwon Kim (Associate Professor in the Cardiovascular Division of the Department of Medicine; Director, Cardiovascular Imaging Program), Bruce B. Lerman, M.D. (Clinical Scholar) and Jonathan Weinsaft (A.M. Gotto Jr. Professor in Atherosclerosis and Lipid Research; Chief, Division of Cardiology – Weill Cornell Medicine).
In July, professor Shaoyi Jiang organized and hosted the 5th International Conference on Bioinspired and Zwitterionic Materials (ICBZM) at Cornell. The event brought together experts working on zwitterionic materials, bioinspired materials, naturally occurring materials, biomaterials, and polymeric/peptide materials to provide insights into the research and the latest developments in these fields. Held at the Statler Hotel over three days, the conference topics included fundamental, applied, and translational research, materials, surfaces and nanoparticles, and biomedical engineering and pharmaceutical applications. 130 attended the event.



In September we celebrated twenty years of biomedical engineering at Cornell with a two-day event alongside the dedication of our brand new teaching space in Tang Hall on the engineering quad The event included talks from the Meinig School’s three directors, founder Michael Shuler (2004-2014), Marjolein van der Meulen (2014-2024), and Claudia Fischbach-Teschl (2024-), alumni panel discussions and presentations on the School’s future directions.
hola Onissema-Karimu, a Ph.D. student under Claudia FischbachTeschl, describes her path to Cornell as a mix of chance and inspiration.
“When I entered college and was given a list of majors to choose from I knew I didn’t want to focus solely on math or science, so I chose engineering because it had both.” The biomedical engineering curriculum also had discipline overlaps-biology, chemistry, physics--which she liked. But what led her to biomedical engineering over other multidisciplinary fields was her ambition to make a meaningful impact in healthcare.
“I was inspired by the field’s commitment to improving health outcomes and addressing healthcare disparities.”
Cornell’s resources helped OnissemaKarimu establish a supportive community and foster a sense of safety, comfort, and belonging. She says this support was crucial throughout her Ph.D. “When schools invest in programs and resources tailored to diverse demographics, all students can thrive. Cornell’s efforts showed me I could grow both personally and academically.”
In Fischbach-Teschl’s lab, OnissemaKarimu’s studies the cancer drug doxorubicin’s effects on bone stem cells and how it impacts bone. She is also
creating models to look at how prior cancer treatment affects the spread of residual tumor cells to bone and ultimately metastasis.
Onissema-Karimu feels lucky to be mentored by Fischbach and confident about moving into a post-doc role and running her own lab someday. “I want to help students make informed choices, unlike I did.”
The best part of her Ph.D.? Growing as a scientist and sharing knowledge. She believes Ph.D. programs should prepare students to mentor others and run labs. “It’s about giving back. I want to open doors for students from diverse backgrounds.” Talking at conferences and engaging with students has boosted her confidence to lead her own lab one day.


Outside of school, she enjoys crocheting, walking her dog, Waddle, road trips, watching anime and reality TV, and turning off her mind now and then.


fter their military service, Chris Brunkhorst and Caleb Jones turned to neuroscience. Now, they’re doctoral students at Cornell’s Meinig School of Biomedical Engineering, aiming to make a difference.

Brunkhorst, from Rochester, Minnesota, joined the Air Force at 18, serving eight years. He worked in security and as a geospatial analyst. Post-military, he sought a healthcare role but didn’t want to interface with patients on a daily basis.
“My research is driven by the need to explore,” Brunkhorst said. Funded by NASA, he’s studying how altered gravity affects brain protein clearance. “Space travel is risky. We must make it safer.”
He noted that microgravity could
impair astronauts’ mission safety. His advisor is Nozomi Nishimura, associate professor in biomedical engineering.
Brunkhorst’s research aims to understand protein behavior in the brain. This could lead to treatments for diseases like Alzheimer’s. He’s using a new tracer to study protein issues in diseases. “Our tracer mimics natural protein behavior,” he explained, highlighting its advantages over past methods.
Jones, from Colwich, Kansas, also has a military background. After five years, including two as a medical technician, he became curious about brain functions. His skills span from programming to surgery.
“My focus is on creating feedback systems for brain recordings,” Jones shared. Now, he’s analyzing parrot
vocalizations using machine learning.
He collaborates with Jesse Goldberg, studying trial-and-error learning. They focus on zebra finches learning to sing.
“We’re interested in a brain circuit common across species,” Jones said. This circuit links to movement and psychiatric disorders.
His military experience sparked many research questions. “I loved hands-on care but was drawn to the theories behind interventions,” he noted. Neuropsychiatric illnesses became his focus.
Brunkhorst echoed this sentiment.
“I liked the idea of designing, building or creating something that might be beneficial beyond my original scope or purpose for it,” he said. “Biomedical engineering seemed like a good fit for me.
James Antaki
Awarded Canaan Family Award for Excellence in Academic Advising—In Honor of Prof. Bingham Cady, Cornell Engineering.
Shivaun Archer
Awarded 2024 Teaching Award, American Society for Engineering Education; appointed Meinig School director of undergraduate studies.
Lawrence Bonassar
Awarded 2024 Marshall R Urist, MD Award, Orthopaedic Research Society; SPROUT Award, Cornell Engineering.
Jonathan Butcher
Awarded EPICC award, Cornell Engineering.
Benjamin Cosgrove
Awarded Sonny Yau ‘72 College of Engineering Teaching Award, Cornell Engineering.
Claudia Fischbach-Teschl
Appointed James M. and Marsha McCormick Director of Biomedical Engineering, Meinig School.
Shaoyi Jiang
Elected fellow, National Academy of Inventors; James McCormick Family Advising Award, Cornell Engineering.
Jan Lammerding
Awarded EPICC Award, Cornell Engineering; “International Networks of Excellence” award, Leducq Foundation; appointed Meinig School associate director.
Esak Lee
Awarded 2024 NSF CAREER Award.
Karl Lewis
Awarded Dempster Rising Star Award, International Society of Bone Morphometry.
Nozomi Nishimura
Inducted 2024 Fellow, American Institute for Medical and Biological Engineering.
Marjolein van der Meulen
Selected 2024 fellow, Orthopaedic Research Society; awarded H. R. Lissner Medal, American Society of Mechanical Engineers; named associate vice provost for research and innovation, Office of the Vice President for Research & Innovation.
Krystyn Van Vliet
Named 2024 trailblazer in higher education, City & State New York.
Yi Wang
Elected 2024 Gold Medal Award, International Society for Magnetic Resonance in Medicine.
Ashley Cardenas (Bonassar Lab) awarded TL1 fellowship, Weill Cornell Medicine clinical and translational science center; 2024 development award, Roosterbio.
Cátia Dombaxe (Yadong Wang Lab) Gilliam Fellowship, Howard Hughes Medical Institute; Exemplary Leadership Award: Advanced Career Graduate Students, Cornell’s Diversity Programs in Engineering; finalist, Cornell University Three Minute Thesis (3MT) competition.
Aiyana Fortin (Bonassar Lab), accepted, WE Cornell program for Women Entrepreneurs; accepted, Cornell’s Life Sciences Technology Innovation Fellows program; finalist, 2024 SB3C Student Paper Competition; runnerup Ph.D. student paper competition, 2024 Summer Biomechanics, Bioengineering & Biotransport Conference.
Clara Liao (Kwan Lab) 3rd place @SciPolNetwork science policy pitch competition.
Serafina Lopez (Bonassar Lab) first place, Orthopaedic Research Society Meniscus Section Poster Competition for poster: “Aggrecan siRNA Treatment Improves Collagen Fiber Formation in Tissue Engineered Meniscus.”
Shola Onissema-Karimu (Fischbach-Teschl Lab) Robert Mozia Graduate Distinguished Service award, Cornell’s Diversity Programs in Engineering.
Nicole Sempertegui (Fischbach-Teschl Lab) travel award to attend the 14th International Conference on the Chemistry and Biology of Mineralized Tissue in Oosterbeek, The Netherlands.
Ruben Trujillo (Putnam Lab) and Warrick Ma (Yadong Wang Lab) each awarded Ignite Innovation Acceleration grants from Cornell’s Center for Technology Licensing (CTL).
Isha Arora 2024 National Science Foundation (NSF) fellowship.
Antranig Baghdassarian (with Team Current Care at NYC Health Hackathon) won Grand Prize and $3000 for their device to prevent pressure ulcers through electrical muscle stimulation.
Eliz Celik 2024 Kessler Fellow.
Nuri Hong 2024 Optica Women Scholar.
Jonathan Indajang 2024 Trainee Professional Development Award, Society for Neuroscience.
Angela Altamirano and Genevieve Wager, with their CornellDebut leads team, named one of three Cornell project teams to receive sponsorship from Cornell Engineering Alumni Association.
Ruchira Hariharan, Ariella Avigad, Francesca Azzarito, Nathan Palamuttam, Kendal Phinney, Aiko Shibata, Viviana Esquivel and Sophia Hertel , advised by professor Jim Antaki, won the Healthcare Technologies for Low-Resource Settings Prize ($15,000) in the 2024 DEBUT Challenge for their NanoLIST design for a rapid, low-cost lead-testing kit.
Rebecca Irwin (Ph.D. ’20) hired assistant professor at University of Rochester, starting in July 2025.
Emily Laurilliard (Ph.D. ’24) named a 202426 NYS Science Policy Fellow, Rockefeller Institute of Government.
Heather Lukas (B.S. ’19) awarded 2024 Caltech Demetriades - Tsafka - Kokkalis Prize in entrepreneurship.
Rashmi Rajshekhar (M.Eng. ’15) 2023 teaching fellow, Knowles Teacher Initiative.
Fei Xia (Ph.D. ’21) hired assistant professor, University of California, Irvine, starting 2025.
M.Eng. students Ana Grandgeorge, Sunita Devichira Hariharan, with their team QuickStitch, won Most Novel & Innovative Animal Health Solution and $3000 for their suture replacer, inspired by existing solutions in human medicine.
M.Eng. students Angelique Miane, Yaa Achampong , with their team Fem 5, won Most Market Ready and $3000, for their method detecting subclinical mastitis with electrical conductivity.
Ph.D. student Subash Bhandari with his team ZERO, won Most Relevant & Impactful Animal Health Solution and $3000 for developing AI-driven onsite point of care diagnostic for common pathogens.

James McCormick ’69, M.Eng. ’70, an influential business leader, philanthropist and longtime supporter of education initiatives at Cornell and nationally, including supporting the development of the Meinig School, received the Cornell Engineering Distinguished Alumni Award during a celebration event on March 7 in Duffield Hall.

Members of the Class of 2019 (with faculty) visisted for reunion and shared stories and smiles at Weill Hall this past June.
Cornell University, Weill Hall , 237 Tower Road, Ithaca, NY 14853
is published once a year by the Meinig School of Biomedical Engineering at Cornell University.
Director: Claudia Fischbach-Teschl
Managing Editor: Kathryn Henion
Cover design by Rob Kurcoba Cover images: Robyn Wishna.
Photography by: Suzanne Aceti Koehl, Cornell University Photography, Kathryn Henion, Robyn Wishna, Charissa King-O’Brien, Bridget Fesko.
Cornell University has an enduring commitment to support equality of education and employment opportunity by affirming the value of diversity and by promoting an environment free from discrimination.
To educate students to understand the human body as an integrated system and the mechanisms of disease through quantitative engineering analysis, and to use that understanding to design better therapeutic strategies, devices, and diagnostics to improve human health.