Periódico Contacto hoy del 21 de noviembre del 2025

Page 1


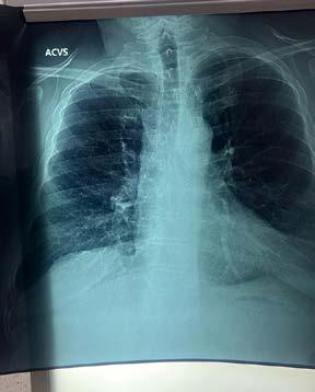
Llama ISSSTE a evitar el consumo de tabaco

En el marco del Día Mundial de la Enfermedad Pulmonar Obstructiva Crónica (EPOC), que se conmemora el tercer miércoles de noviembre, el Instituto de Seguridad y Servicios Sociales de los Trabajadores del Estado (ISSSTE), a cargo del director general Martí Batres Guadarrama, llama a la población a evitar el consumo de tabaco con el propósito de prevenir el desarrollo de esta enfermedad.

El médico especialista en neumología de la Clínica de Especialidades (CE) “Indianilla”, Jorge López de la Cruz, explicó que la EPOC es una enfermedad patológica que se caracteriza por reducir el flujo de aire y atacar principalmente a los bronquios, lo cual deriva en múltiples problemas respiratorios.

“Las consecuencias a nivel fisiológico son, en principio, la inflamación y obstrucción de los bronquios. En algunos pacientes puede llegar a producir enfisema pulmonar, es decir, la destrucción de las paredes de los alvéolos (pequeños sacos de aire en los pulmones) que provocan que los pulmones dejen de cumplir con su función principal: tomar oxígeno del aire para que llegue a

la sangre y eliminar el dióxido de carbono del cuerpo”, detalló.

López de la Cruz indicó que, a pesar de que existen múltiples factores de riesgo que pueden provocar la EPOC, como la exposición al humo de leña “principalmente en comunidades rurales”, la contaminación del ambiente, secuelas de tuberculosis, asma mal tratado o alguna alteración a nivel genético, la principal causa es el tabaquismo.

“En la mayoría de pacientes que atendemos de EPOC, la enfermedad fue provocada por el tabaquismo. (...) Como especialista, mi recomendación número uno es evitar el consumo del tabaco e incluso los vapeadores, ya que se ha visto que el vapeo a largo plazo produce efectos dañinos en los bronquios y pulmones”, indicó.

En ese sentido, el médico especialista de la CE “Indianilla” recomendó a las y los derechohabientes estar atentos a los síntomas que provoca la enfermedad, como tos crónica, es decir, que persiste por más de tres semanas; sensación de falta de aire o dificultad para respirar (disnea); sibilancias o pitidos en el pecho, comúnmente conocidos como

“chiflidos”; y expectoración, expulsar mucosidad de manera constante. Lo anterior, con el propósito de recibir atención médica oportuna. “La EPOC es una enfermedad que se puede prevenir siempre y cuando se conozcan los factores de riesgo que la provocan y se suspenda su exposición a estos, por ejemplo, el consumo de cigarro. (...) Por otra parte, si un paciente ya presenta daño a nivel del bronquio o en el tejido funcional de los pulmones, en las primeras etapas de la enfermedad se puede tratar y controlar para que no avance”, concluyó. En el Segundo Piso de la

Cuarta Transformación, que encabeza la Presidenta Claudia Sheinbaum Pardo, el ISSSTE refrenda su compromiso para brindar atención a la derechohabiencia con problemas relacionados con el tabaquismo y pone a su disposición los servicios para dejar de fumar.

EPOC, cuarta causa de muerte en México

Ciudad de México (La Jornada).- La enfermedad pulmonar obstructiva crónica (EPOC), también conocida como enfisema o bronquitis crónica, es la cuarta causa de muerte en México, entre 2020 y 2024 ha causado más de 24 mil muertes. El padecimiento forma parte del plan de acción de la Organización Mundial de la Salud (OMS), para la prevención y control de males no transmisibles y los Objetivos para el Desarrollo Sostenible que plantean reducir en un tercio las muertes prematuras por esta causa. El tercer miércoles de noviembre se conmemora el Día Mundial de la EPOC a iniciativa de la OMS con la finalidad de crear conciencia sobre la relevancia de la enfermedad a la que se identifica como un “enemigo silencioso” que, si bien no se cura, es posible prevenir.

Información del Instituto Nacional de Salud Pública (INSP), señala que entre los factores de riesgo está el tabaquismo, la contaminación ambiental, laboral y en el caso de

las mujeres, principalmente, la exposición prolongada al humo de leña en las zonas rurales.

Advierte que esta práctica es frecuente todavía en Oaxaca, Guerrero, Michoacán y Chia-

pas, aunque ha habido esfuerzos para sustituir los fogones por estufas con mecanismos para evitar el contacto con el humo.

De ser el caso, existen medicamentos que logran mantenerla bajo control y las personas deben tomar medidas como dejar de fumar y/o de exponerse al humo de leña.

Aunque la EPOC es más frecuente en hombres, casi el doble con respecto a las mujeres, esa diferencia se ha ido reduciendo, pues cada vez más adultas, con antecedente de exposición al humo de leña, llegan a los hospitales de alta especialidad con daño pulmonar.

Especialistas del INSP advirtieron que los afectados tienen alto riesgo de presentar afecciones cardiovasculares, cáncer de pulmón, debilidad en los músculos y osteoporosis, entre otros.

Por eso la importancia de obtener un diagnóstico temprano y controlar la progresión de la EPOC, la cual se diagnostica mediante un estudio de espirometría que consiste en medir la

capacidad de la función pulmonar. Se evalúan los volúmenes y flujos de aire en una exhalación forzada.

El desafío radica en que los pacientes conozcan su condición de salud, porque tienden a no hacer caso de los síntomas y suelen dar justificaciones como que tienen “una tos de fumador”, que les falta el aire por el mismo tabaquismo o por su edad, comentó Marco Polo Macías, gerente médico del laboratorio farmacéutico GSK México.

Comentó que ocho de cada 10 afectados desconoce que tienen EPOC y en la mayoría obtienen el diagnóstico en etapas tardías. También destacó la importancia de hacer caso a los malestares provocados por la EPOC y sobre todo, evitar fumar o vapear, así como reducir la exposición al humo ajeno.

De igual forma, resaltó que es importante que las personas realicen ejercicio físico y se apliquen las vacunas contra influenza, covid-19 y neumonía.

Uso desmedido de antibióticos amenaza la salud de mexicanos

Ciudad de México.- En México la automedicación con antibióticos sigue siendo una práctica común entre muchas familias mexicanas, a pesar de los graves riesgos que conlleva para la salud individual y colectiva. La Resistencia a los Antimicrobianos (RAM) no solo es un problema médico lejano sino una amenaza que afecta a todos, desde niños hasta adultos mayores, convirtiendo infecciones comunes en batallas mortales. Según la Organización Mundial de la Salud , la RAM se encuentra entre las diez principales amenazas para la salud a nivel mundial.

La RAM ocurre cuando microorganismos como bacterias, virus, hongos o parásitos evolucionan y dejan de responder a los medicamentos diseñados para combatirlos. Esto no solo prolonga las enfermedades, sino que dificulta su tratamiento y puede aumentar hospitalizaciones, costos familiares y la propagación

comunitaria, impactando la productividad y el bienestar social y, en los casos más graves, puede resultar mortal.

Cada vez que alguien consume un antibiótico sin necesidad, las bacterias que habitan en nuestro cuerpo tienen la oportunidad de adaptarse al medicamento. Con el tiempo, se vuelven más fuertes y desarrollan mecanismos para “defenderse”, reduciendo la eficacia de los tratamientos futuros y poniendo en riesgo la salud y la calidad de vida. Esto es especialmente crítico en México, donde la automedicación expone a efectos secundarios como diarrea, alergias o toxicidad, y contribuye a que infecciones virales (como resfriados) se traten erróneamente, perpetuando un ciclo de vulnerabilidad social. Adicional a ello, la afección microbiana es un proceso que trae a corto plazo consecuencias en el equilibrio de las bacterias buenas para el organismo, sien-

do estas eliminadas injustificadamente. Esta alteración provoca, en un futuro, condiciones como la disbiosis intestinal, el colon irritable, y diversas alergias cutáneas y respiratorias.

“Es muy común que, ante el primer síntoma, ya sea de una infección viral o bacteriana, los mexicanos recurran a automedicarse con antibióticos. Sin embargo, esta práctica no solo expone al paciente a efectos secundarios innecesarios, sino que también contribuye directamente a que las bacterias se vuelvan resistentes. Al usarlos de forma indiscriminada, permitimos que infecciones antes tratables se conviertan en un riesgo grave para la salud”, comentó la Dra. Bibiana Marriaga Núñez, médico especialista en Infectología Pediátrica. Abandonar un tratamiento antibiótico antes de tiempo es más común de lo que pensamos. Muchas personas interrumpen la medicación al sentirse mejor,

creyendo que ya están curadas. Otras veces, las limitaciones económicas dificultan completar el tratamiento, y en ocasiones se recurre a alternativas sin respaldo científico que prometen resultados rápidos, lo que nos lleva a un ciclo de vulnerabilidad social.

La Dra. Bibiana Marriaga Núñez, médico especialista en Infectología Pediátrica explica que “Interrumpir el tratamiento al primer alivio tiene consecuencias directas: se guardan medicamentos sobrantes en casa y, ante otra enfermedad, se usan de manera incorrecta. Esto fortalece a las bacterias en lugar de eliminarlas y agrava la resistencia a los antibióticos”.

Es una práctica habitual es que, al momento de adquirir medicamentos se sugieran la sustitución del fármaco prescrito por alternativas "más económicas". Cambiar el fármaco implica el riesgo de no recibir la molécula activa específica que su con-

dición requiere, lo cual podría comprometer la efectividad del tratamiento. Por esta razón, es fundamental generar conciencia y alertar sobre la importancia de no modificar ni cambiar la prescripción médica original. Los antibióticos salvan vidas cuando se usan correctamente. Por eso, es vital hacer de la responsabilidad un hábito; acudir a un médico para evaluar si realmente se necesitan, cuál es el más adecuado y por cuánto tiempo debe administrarse. Evita la automedicación y completa cada tratamiento para proteger tu salud y la de tu entorno. En el marco de la Semana Mundial de Concientización sobre la Resistencia a los Antimicrobianos 2025, la meta es informar a la población sobre los riesgos del uso inadecuado de antibióticos y asegurar que estos medicamentos sigan siendo efectivos cuando realmente se necesiten.

Consumo de tabaco y uso de vapeadores, principal causa de EPOC.
Enfermedad pulmonar suma 24 mil decesos en cuatro años.

Localizan granada en la Planta de Transferencia

Durango, Dgo.- Un pepenador localizó el jueves por la tarde una granada de fragmentación entre la basura que era procesada en la Planta de Transferencia y Residuos Sólidos del municipio de Durango. Se trata de un artefacto metálico que fue entregado a un supervisor de la empresa Red Ambiental, que fue quien solicitó la presencia de las autoridades a través del número de emergencias. Fue eso de las 16:00 horas del jueves cuando un empleado que realizaba selección de residuos, descubrió el objeto explosivo e incluso lo manipuló, llevándolo él mismo al supervisor de la empresa mencionada. Este le pidió colocarlo en el suelo de inmediato y solicitó la presencia de las autoridades, así como la suspensión de activida-

des en el área del hallazgo. Personal policíaco consultado informó que se solicitó el apoyo de la Secretaría de la Defensa Na-

Sujeto se robó “24” de frijoles de tortillería

Durango, Dgo.- Un sujeto desconocido consumó un atípico robo en la colonia Hipódromo, pues logró apoderarse de “un 24”, pero no de cervezas, sino de frijoles; el ilícito quedó grabado en video.

Los hechos ocurrieron al exterior de una tortillería ubicada en la avenida Enrique Carrola Antuna, cerca del cruce con la calle Mapimí.

En ese lugar, trabajadores de una tortillería habían colocado una reja con 24 litros de frijoles en una reja y, en una distracción, el sujeto se la llevó

consigo.

En el video, se aprecia como el individuo cruza la avenida y los coloca en un automóvil, pero instantes después los saca del coche y se los lleva caminando, logrando el escape a través de una calle del fraccionamiento Canelas.

Según el afectado, al darse cuenta del robo realizó un recorrido por los alrededores, pero no logró la localización del ladrón; la policía fue solicitada, pero tampoco se encontró al delincuente, por lo que se recomendó denunciar el caso.

cional para que se hiciera cargo de los procedimientos relacionados, pues era la instancia indicada para el manejo de explosivos.

Dejó 3 carteras y mochila en su vocho; se las robaron

Durango, Dgo.- Un joven de 20 años de edad que dejó estacionado su vocho en el centro de la ciudad, fue víctima del robo de una mochila y tres carteras que había dejado en el interior; en suma, se quedó sin un par de miles de pesos, un estéreo y ropa diversa.

El afectado es un joven de nombre Ubaldo, propietario de un Volkswagen Sedan que dejó estacionado el jueves sobre la calle Aquiles Sedán, cerca del cruce con Patoni.

Tras atender algunos asuntos personales, regresó a su coche y se encontró con que ambas puertas ya estaban sin seguro. Al revisar, descubrió todos los faltantes.

Según le relató a la policía,

el delincuente o delincuentes se llevaron 2 mil pesos que estaban repartidos entre tres carteras, una mochila azul con ropa y tenis, así como un celular de la marca OPPO. Tampoco estaba ya el au-

FUNERALES HERNANEZ (ANALCO)

En sala La Piedad se está velando el cuerpo de la Sra. María de Jesús García Herrera, de 94 años, sus honras y sepelio están pendientes

En sala Santa Rosa se está velando el cuerpo de la Sra. Marisol Mariana Pérez Marrufo, de 24 años, su sepelio pendiente

En sala Ad Regnum Dei se está velando el cuerpo del Sr. Emilio Rodríguez Castillo, de 60 años, se despide para su cremación

En sala Modo Deum se está velando el cuerpo del Sr. José Jesús Romero López, de 77 años, se despide para su cremación

En sala A se está velando el cuerpo de la Sra. Bertha Edith Aguilar Escalante, de 67 años, se despide para su cremación

En sala B se está velando el cuerpo de la Sra Luz Inés Rubio Moreno, de 59 años, sus honras y sepelio están pendientes

En sala C se está velando el cuerpo del Sr. Alejandro Morales Valdivia, de 76 años, sus honras y sepelio están pendientes

FUNERALES GARRIDO

En domicilio conocido en Mpio. Canatlán, Dgo., se está velando el cuerpo de la Sra. Ma. Lucina Lira López, de 82 años, sus honras y sepelio están pendientes

toestéreo.

Dado que en los alrededores no fueron localizados sospechosos del atraco, se recomendó a la víctima denunciar el caso ante el Agente del Ministerio Público.

En calle Fco. Villa #217 de colonia 8 de Septiembre se está velando el cuerpo del Sr. Fernando Santiago Alvarado O., de 46 años, sus honras y sepelio están pendientes

Tres lesionados en choque de camioneta contra barda de Oxxo

Durango, Dgo.- El impresionante choque de una camioneta cerrada contra una barda de una tienda de la cadena Oxxo, ocurrido el jueves por la noche, dejó tres personas lesionadas, aunque no se ha informado de su gravedad.

La víctima de mayor consideración es Imelda Franchesca Quintero, de 40 años, quien fue impactada junto con su puesto de comida, instalado al exterior del establecimiento comercial antes mencionado.

Édgar Omar, de 25 años y conductor del vehículo, así como su acompañante Édgar Eduardo, de la misma edad, también fueron atendidos por paramédicos.

Los hechos ocurrieron poco antes de las 21:00 horas en Circuito Interior, justo al pasar la avenida Aranzazú, lugar en el que el conductor de una camioneta Dodge Durango perdió el control y se salió del camino.

La unidad motriz subió al estacionamiento de la tienda Oxxo y golpeó contra la barda perime-

tral que divide a ésta del edificio de departamentos contiguo, perteneciente al fraccionamiento Español.

Dada la fuerza del percance, se solicitó la presencia de los cuerpos de emergencia, que llegaron poco después para atender a las víctimas, que fueron llevadas a distintos hospitales.

De lo administrativo quedó a cargo el Departamento de Accidentes de la Policía Vial.

Detienen a trailero que circulaba con placas de camión robado hace 5 años

Detuvieron

a grafitero en el Puente de Analco

Durango, Dgo.- Un joven de 20 años de edad, que tiene su domicilio en el sur de la ciudad, decidió sumar una marca más al Puente de Analco, que en los meses recientes ha acumulado cientos de grafitis; sin embargo, policías lo sorprendieron y detuvieron. El asegurado es Gael Emiliano, con domicilio en la colonia México, quien fue entregado al Juez Cívico para la sanción correspondiente.

Los hechos ocurrieron el jue-

ves por la noche, cuando el muchacho decidió usar el puente para cruzar el bulevar Dolores del Río; sin embargo, decidió detenerse para dejar una marca con un plumón de tinta permanente. Policías que estaban cerca lo notaron y se acercaron a él, confirmando así que había realizado un daño vandálico.

Ante ello, procedieron a su arresto administrativo, en el que deberá garantizar la reparación de los daños causados.

Gómez Palacio, Dgo.- Un trailero fue detenido en el municipio de Gómez Palacio porque el camión que conducía portaba placas que pertenecen a un camión cuyo robo fue reportado a las autoridades hace más de 5 años.

El asegurado es Alejandro “N”, de 47 años de edad y originario de la ciudad de Zacatecas, cuyo arresto ocurrió en territorio de Gómez Palacio, en un punto de control y prevención ubicado en el ejido Manila.

El informe de las autoridades indica que agentes de la Policía Estatal hicieron una inspección de rutina al vehículo, un Freightliner Cascadia modelo 2023 con matrícula del orden federal.

Sin embargo, al revisar las placas, el sistema arrojó que pertenecen a un tractocamión robado el 10 de noviembre del año 2020 en la Ciudad de México.

El trabajador dijo no saber nada de la irregularidad, pero aun así se le detuvo por protocolo y quedó a disposición del Agente del Ministerio Público en lo que se deslindan responsabilidades.

Sociales Sociales

Deportes Deportes

Pumas consuma otra decepción: 15 años sin título

Pumas volvió a quedarse fuera de la Liguilla, esta vez tras caer ante Pachuca en el Play In del Apertura 2025. El resultado confirma un ciclo deportivo marcado por la inestabilidad, la falta de contundencia y la incapacidad para sostener proyectos ganadores. En mayo de 2026 se cumplirán 15 años desde el Clausura 2011, último torneo en el que los auriazules se coronaron, y desde entonces el equipo no ha logrado reconstruirse como protagonista del fútbol mexicano.

En la última década y media, el club ha intentado múltiples apuestas: entrenadores de experiencia, proyectos renovados, refuerzos estratégicos, regresos de ídolos y hasta cambios estructurales. Sin embargo, ninguna de esas propuestas ha conseguido establecer un proyecto competitivo, y el equipo ha transitado entre etapas de ilusión breve y regresos inmediatos a la irregularidad. El presente es la confirmación de ello: Pumas quedó eliminado en el Play In en dos torneos consecutivos, algo impensado para una institución que históricamente se medía entre los mejores.

Una década y media de frustración acumulada Cuando se analiza la trayectoria reciente del club, la dimensión del problema se hace evidente. Desde aquel título de 2011, Pumas ha vivido casi todos los escenarios posibles excepto el deseado: consolidar un ciclo ganador. De los últimos 29 torneos, Pumas quedó fuera de la Liguilla en 17, lo que representa más de la mitad del periodo. Es decir, el equipo no solo ha dejado de competir por el título, sino que con frecuencia ni siquiera está presente en la fase final.

El dato contrasta con la historia del club y con la exigencia de su afición, acostumbrada a ver a Pumas compitiendo desde la garra, la cantera y el orden táctico. De esos 29 torneos, solo en ocho logró superar los cuartos de final, incluyendo dos subcampeonatos (Apertura 2015 y Guardianes 2020) y tres semifinales aisladas que funcionaron más como espejismos que como impulso real.

Más de una década de resultados fríos deja ver un problema todavía más profundo: Pumas no ha encontrado continuidad, identidad ni estabilidad deportiva.

Mientras tanto, la institución ha sido un laboratorio constante de ideas sin aterrizar. Ha cambiado entrenadores con frecuencia, apostado por algunos refuerzos que no dieron resultado, tratado de mantener la filosofía de cantera sin poder sostener un plantel competitivo y ha perdido piezas clave en momentos decisivos. El problema no es uno, sino un conjunto que se repite temporada tras temporada.

El Play In: la nueva frontera del fracaso

La llegada del Play In parecía una oportunidad para que Pumas, desde la mitad de la tabla, encontrara un respiro competitivo. No lo consiguió. En dos torneos consecutivos, Clausura 2025 y Apertura 2025, el equipo no logró superar esta fase. Esto significa que ni siquiera pudo meterse entre los ocho mejores del país, un golpe directo a sus aspiraciones deportivas y a su imagen institucional.

La eliminación contra Pachuca fue el reflejo de un equipo in-

capaz de sostener intensidad en partidos de eliminación directa. La falta de regularidad en el torneo quedó expuesta en un solo juego: Pumas no resolvió ofensivamente, no defendió con orden y tampoco mostró un plan capaz de competir al más alto nivel. Ante un rival pragmático y con mayor claridad colectiva, el equipo auriazul quedó fuera sin ofrecer argumentos sólidos.

Lo preocupante es que la repetición del patrón ya no parece una coincidencia, sino un síntoma. Pumas se ha convertido en un equipo que aspira a entrar por la puerta trasera y ni siquiera esa ruta ha podido aprovecharla. El Play In no debía ser su zona natural; hoy lo es.

Un club atrapado entre la exigencia y la realidad

Parte de la crisis de Pumas se explica por la desconexión entre la expectativa institucional y los recursos reales del club. Por un lado, existe una afición histórica que exige competitividad, garra y protagonismo. Por otro, la gestión deportiva no ha encontrado la forma de equilibrar cantera, refuerzos e identidad.

Pumas mantiene un discur-

so de formación, pero cuando la cantera no alcanza para competir al máximo nivel, el equipo se queda corto. Cuando apuesta por refuerzos, muchos no terminan rindiendo. Cuando busca continuidad, un mal torneo corta el proceso. Así, el club vive entre ciclos incompletos que afectan el rendimiento cada semestre.

A esto se suma la presión del entorno, que en Pumas suele intensificarse con rapidez. La sombra del Clausura 2011 se ha convertido en un punto de comparación permanente, y ahora, después de casi 15 años, la falta de títulos pesa más que nunca.

La conclusión que arrojan los datos El repaso estadístico permite identificar un patrón claro:

Pumas quedó fuera de la Liguilla en 17 de los últimos 29 torneos, un porcentaje que exhibe su pérdida de competitividad.

En 12 torneos sí entró a fase final, pero solo en 8 superó los cuartos de final, lo que demuestra que los momentos de alto rendimiento fueron excepcionales.

Solo dos finales en 15 años evidencian la distancia entre la realidad y la aspiración histórica

del club. Dos eliminaciones consecutivas en Play In muestran que el problema no es coyuntural, sino estructural.

En otras palabras: Pumas dejó de ser un contendiente constante y se convirtió en un equipo intermitente, incapaz de mantener un proyecto deportivo sólido durante más de un par de torneos consecutivos.

¿Qué sigue para Pumas? El club enfrenta una pregunta incómoda pero necesaria: ¿qué debe cambiar para romper un ciclo de 15 años que lo ha llevado a ser un equipo de media tabla? La respuesta no está en una sola decisión, sino en varias: un proyecto de largo plazo, una planificación coherente, refuerzos alineados a un estilo claro y una reestructuración interna que permita competir desde la base.

Lo único seguro es que Pumas no puede seguir normalizando la eliminación en Play In. Un club con su historia, identidad y afición no puede acostumbrarse a observar la Liguilla desde fuera. La eliminación ante Pachuca no solo duele: confirma la urgencia de una transformación profunda.

Macías y Pumas separan caminos por conflicto en proceso quirúrgico

Pumas y José Juan Macías dieron por terminada su relación profesional luego de no encontrar un acuerdo sobre el proceso médico que debía seguir el delantero tras la lesión sufrida en el Apertura 2025. El club universitario buscó mantenerlo dentro del proyecto, pero la diferencia en el manejo de su rehabilitación marcó el cierre definitivo del vínculo.

La institución planteó desde el inicio su intención de acompañar al atacante durante toda la recuperación. El plan del club incluía una cirugía realizada en México, supervisada por el cuerpo médico de Pumas y con un seguimiento interno que permitiera tener control total del proceso. La directiva consideraba indispensable que toda la intervención se realizara bajo los protocolos del equipo. Del lado del jugador, la postura fue distinta. Macías manifestó su interés en operarse en Estados Unidos y trabajar con especialistas con los que ya había tenido comunicación. El delantero argumentó que ese enfoque le ofrecía

seguridad para enfrentar una recuperación larga y compleja. Esa diferencia entre ambos proyectos médicos fue suficiente para detener las conversaciones.

La negociación se rompió definitivamente cuando ninguna de las partes modificó su posición sobre el lugar donde debía realizarse la cirugía. Con ello, el club comunicó que no podían extender el vínculo y Macías emprendió su viaje a Estados Unidos, donde será intervenido en Denver, Colorado. El atacante ya se encuentra en territorio norteamericano a la espera del procedimiento.

La lesión que lo llevó a este punto ocurrió en la última jornada de la fase regular del Apertura 2025, en una jugada donde José Paradela cayó sobre su rodilla. El impacto provocó una ruptura completa del ligamento cruzado anterior, daño en el ligamento colateral medial y una lesión en el menisco medial. El tiempo estimado de recuperación es cercano a nueve meses. El semestre previo había sido

importante para el delantero. Macías registró cuatro goles en el torneo, una cifra que lo colocó a la par de compañeros como Ruvalcaba y Guillermo Martínez. Sus anotaciones llegaron frente a Mazatlán, Tigres, León y Tijuana, con dos de esos goles marcados en el Estadio Olímpico Universitario. El rendimiento representó un paso relevante en su intento por recuperar continuidad.

Dentro del club existía la percepción de que el atacante había recuperado parte de su ritmo competitivo. Pumas consideraba que, pese a los contratiempos físicos de los últimos años, Macías había logrado adaptarse al esquema y entregar aportaciones importantes durante el Apertura. La idea inicial era sostener la relación y acompañarlo en el proceso de rehabilitación.

Con la ruptura en la negociación, Pumas da por concluida la etapa del delantero en la institución. A partir de ahora, Macías quedará libre para analizar opciones mientras avanza en su recuperación y define el siguiente paso en su carrera. El proceso médico será determinante para su regreso a las canchas, después de una lesión que nuevamente lo llevará a un periodo largo sin actividad.

Norris lidera las prácticas libres 2 de Las Vegas tras las banderas rojas

La segunda sesión de entrenamientos libres del Gran Premio de Las Vegas estuvo marcada por la incertidumbre en la pista urbana. Todo parece indicar que una supuesta coladera suelta en la curva 17 obligó a la Dirección de Carrera a desplegar la bandera roja como medida de precaución. La sesión se desarrolló sin que se registraran accidentes, dejando claro que la infraestructura de la ciudad puede convertirse en un factor crítico en un circuito nocturno y desafiante. Durante la sesión, Lando Norris registró el mejor tiempo con 1:33.602, seguido muy de cerca por A. Antonelli y Charles Leclerc. Los equipos aprovecharon la FP2 para simular distintas tandas y estrategias de neumáticos. Los tiempos estuvieron muy ajustados: además de Norris, Antonelli y Leclerc, Nico Hülkenberg, Ido Hadjar, Liam Lawson, George Russell, Alex Albon y Max Verstappen completaron las primeras nueve posiciones, todos con diferencias de menos de medio segundo respecto al líder. Esta paridad anticipa una clasificación reñida y demuestra que cada vuelta cuenta en Las Vegas.

La sesión tuvo que ser detenida con 21 minutos restantes cuando un comisario supuestamente reportó que la alcantarilla de la curva 17 se movía. Algunos equipos alertaron a sus pilotos de transitar con precaución, y el equipo de seguridad de la FIA realizó la revisión antes de permitir reanudar la sesión. Posteriormente, la bandera roja se volvió a desplegar ante nuevas preocupaciones sobre el mismo sector, lo que limitó las tandas largas y complicó la recopilación de datos para la puesta a punto de los monoplazas.

Con la FP2 concluida, la atención se centra en la FP3, donde los equipos buscarán confirmar ritmos y ajustar estrategias de cara a la clasificación. La jornada dejó un mensaje claro: en Las

Vegas, la velocidad no es lo único que cuenta; incluso una supuesta irregularidad en la pista puede alterar seriamente los entrenamientos y afectar la preparación de los pilotos para la carrera.

Prácticas Libres 1 del Gran Premio de Las Vegas Con The Sphere como telón de fondo y la noche de Nevada que se reflejaba en los alerones, Charles Leclerc se llevó la Primera Práctica Libre del Gran Premio de Las Vegas con un 1:34.802 que marcó el ritmo de una sesión vibrante. Aun así, Max Verstappen volvió a exhibir velocidad desde sus primeras vueltas, al mantenerse en la pelea para recordar que es una amenaza real en la lucha por el título. Detrás del Ferrari, el sorprendente Alex Albon y un inspirado Yuki Tsunoda completaron los puestos de honor en un arranque donde la evolución del asfalto y las chispas de varios autos avivaron las sospechas sobre las recientes irregularidades detectadas por la FIA en los pisos

de algunos monoplazas durante el pasado Gran Premio de Brasil. El contexto llegó cargado de tensión: Mad Max corre contra el reloj y necesita marcharse de Las Vegas con una desventaja menor a 58 puntos para seguir con aspiraciones al campeonato, mientras Lando Norris busca conservar el liderato que lo mantiene a un paso de su primera corona. McLaren, consciente de lo que hay en juego, afronta el fin de semana con la misión de evitar errores, aunque la FP1 no comenzó de la forma más cómoda para el británico. En pista, la actividad arrancó con 14 grados de temperatura ambiente y 18.8 en la pista. Tras las primeras vueltas de instalación con neumáticos medios, Charles Leclerc abrió la tabla con un 1:39:733, pero la calma duró poco. el neerlandés, fiel a su estilo, apareció con autoridad para marcar un 1m36s493, seguido de un sólido Carlos Sainz y de Lando Norris, que a esa altura ocupaba el tercer lugar a 0s265.

La pista mejoraba vuelta a vuelta, y la simulación de carrera de los equipos dejaba ver un asfalto que ofrecía cada vez más agarre. El duelo al frente se intensificó cuando Leclerc retomó la punta con un 1:35:954, mientras Piastri, Hamilton y Sainz se mantenían en la pelea. Para entonces, Franco Colapinto continuaba encontrando ritmo en su Alpine, progresando desde un lejano 1:45:00 hasta un competitivo 1:36:758 que finalmente lo dejaría a más de un segundo de Pierre Gasly, quien llegó a colocarse en el top tres en un momento clave del uso de los blandos. La tanda entró en su fase definitiva cuando los equipos montaron neumáticos C5. Ferrari se colocó 1-2 de manera momentánea, pero luego llegó el turno de las sorpresas: Gasly se metió tercero con 1:35:589 y, apenas unos minutos después, Max Verstappen recuperó el primer lugar con 1:35:109. Pero si algo dejó la sesión fue imprevisibilidad: Yuki Tsunoda sacó provecho del mejor

momento de la pista y firmó un espectacular 1:35:071, suficiente para ganarle el duelo interno a su compañero en Red Bull. Finalmente, Charles Leclerc cerró su vuelta perfecta, al superar incluso la marca con la que Hamilton había liderado la FP1 en 2024 y dejando sin respuesta al resto. Alex Albon aseguró el segundo puesto, Tsunoda fue tercero, Max Verstappen quedó cuarto y Carlos Sainz cerró el top cinco. Lando Norris y Oscar Piastri, tras un inicio complicado, lograron recomponer su ritmo para ubicarse sexto y séptimo, mientras Hadjar, Russell y Antonelli completaron los diez mejores. La Ciudad del Pecado quedó encendida para lo que viene: Ferrari golpeó primero, Red Bull conserva velocidad pura y McLaren deberá afinar cada detalle si quiere proteger su ventaja. La FP2 promete elevar todavía más la tensión en un fin de semana donde cada milésima puede definir la batalla por el título.

Pato O’Ward volverá a correr en F1 este 2025

Con el fin de la temporada 2025 a la vuelta de la esquina, algunas de las escuderías aún necesitan cumplir con las sesiones para ‘novatos’ en la Fórmula 1. Uno de estos equipos es McLaren, que optó por el mexicano Patricio O’Ward para ponerse al volante del MCL39 durante las primeras Prácticas Libres del GP de Abu Dhabi. Según el propio Pato, quien en este momento se encuentra en Las Vegas, previo a la carrera de este fin de semana, tendrá la oportunidad de volver a competir en F1, después de su participación en el GP de México.

Además de participar en la Libres, el regiomontano también confirmó que se hará cargo de los test de postemporada que tendrán lugar en la misma pista, durante la última carrera de la campaña 2025 del Gran Circuito.”Haré la FP1 y el test el martes, que disfruto muchísimo, el año pasado hice casi como 600 kilómetros”, dijo el mexicano para ESPN.

Asimismo, el piloto de reserva del equipo de Woking confirmó que no estará presente en la siguiente carrera (Qatar) y agradeció que la carga de viajes se haya reducido en comparación con otros años en los que cubrió el puesto de tercer piloto ‘papaya’. “No voy a Qatar, sí voy a Abu

Dhabi, y me subo en Abu Dhabi… Este año han sido muy buenos conmigo y no me han hecho ir a todas (las carreras de F1), porque saben lo pesada que es una temporada de IndyCar”.

A lo largo de 2025, O’Ward estuvo en cuatro sesiones a bordo de un coche Fórmula 1, entre pruebas con autos TPC (años anteriores) donde condujo el McLaren de 2023 en los circuitos de Imola (Italia) y Paul Ricard (Francia), así como sus participaciones oficiales en pista, donde formó parte de las Libres 1 de México y Austin. El propio piloto reconoció que estos días de trabajo han sido valiosos por la experiencia acumulada y por rodar en escenarios que no conocía previamente.

Ese ajuste en su calendario también modificó la percepción que tenía sobre su rol dentro del equipo. A inicios de año, el mexicano hablo sobre la posibilidad de que este fuera su último año piloto de reserva, debido al desgaste que implica estar de viaje continuamente, y competir en IndyCar al mismo tiempo. Sin embargo, la reducción de traslados lo hizo ver el año de forma distinta.

En Abu Dhabi tendrá nuevamente la tarea de sustituir a Piastri, quien se encuentra en guerra

franca con Lando Norris por el campeonato de pilotos. Mientras tanto, el mexicano dejó claro que su enfoque es ayudar al equipo en lo que necesite y aportar información útil para el desarrollo del auto. Recordó que en México probaron múltiples configuraciones durante las prácticas libres y que ese tipo de trabajo hizo que se sintiera realmente involucrado en algo más que compromisos comerciales.

¿Piastri o Norris, quién ganará el campeonato de pilotos 2025? Esto piensa Pato Fuera de su labor técnica,

O’Ward también sigue de cerca la batalla entre Norris y Piastri. Considerando que Lando llega a la recta final en un nivel especialmente alto y que, mientras mantenga ese ritmo, será difícil frenarlo. Para él, el cambio del británico ha sido principalmente mental, lo que le permite a Norris sortear la presión interna de una mejor manera: “La mente puede ser tu mejor amigo o puede ser tu peor enemigo. Y yo siento que no está fácil siempre llegar a todo tipo de circuito y tienes un coequipero bueno. Hay unas donde sí te van a ganar. Entonces, yo sí siento que le hizo un clic, el

clic que necesitaba mental” En el caso de Piastri, Pato percibe que la presión está presente, pero cree que el australiano tiene margen para arriesgar más, especialmente ahora que su compañero atraviesa un mejor momento. Señaló que el nivel de ambos ha sido alto durante el año, aunque la inercia reciente favorece a Norris, por lo que Piastri debe concentrarse en su propio rendimiento sin distraerse en comparación directa. “Yo siento que él se tiene que enfocar en lo de él. No puede estar muy enfocado en lo de Lando”.

Gilberto Mora mete a Tijuana a la Liguilla con un golazo a lo Panenka

En una noche llena emociones, Tijuana logró su clasificación a la Liguilla tras derrotar 3-1 a Juárez, un marcador que se selló con una destacada actuación de Gilberto Mora, quien marcó el gol decisivo desde el punto de penalti. El partido estuvo marcado por los altibajos, donde ambos equipos lucharon con intensidad en busca de los tres puntos. Sin embargo, fue Mora quien, con un remate a lo Panenka, logró poner el 2-1 que dio la ventaja a los locales. Este gol significó la victoria y el camino a la clasificación a la siguiente fase del torneo don-

de enfrentarán a los Tigres de la UANL.

El primer tiempo fue sumamente parejo, con Juárez adelantándose en el marcador gracias a un gol de Óscar Estupiñán, quien aprovechó un centro desde el costado izquierdo para abrir el marcador. Tijuana reaccionó rápidamente y empató con un gran remate de cabeza de Mourad El Ghezouani. En la segunda parte, el dominio fue alterno, pero fue la expulsión de Alejandro Mayorga, de Juárez, la que inclinó la balanza hacia el equipo local. El penalti convertido por Mora al mi-

nuto 59 no solo fue crucial, sino que evidenció la personalidad del jugador, quien ejecutó la jugada con gran calma y precisión. El encuentro siguió con más cambios y faltas, lo que aumentó la tensión en los últimos minutos. A pesar de los esfuerzos de Juárez por empatar, Tijuana aprovechó un pase preciso de Alan Vega para que Ezequiel Bullaude sellara la victoria en tiempo de compensación. El equipo local no solo celebró los tres puntos, sino también el acceso a la Liguilla, con un juego que mostró garra, determinación y una ejecución estratégica

en momentos clave. Mora, con su golazo a lo Panenka, se convirtió en el héroe de la noche, recordándole a todos los aficionados que el fútbol es también cuestión de carácter y frialdad en momentos decisivos. Este triunfo, además de la clasificación, refuerza la moral de los Xolos de cara a la siguiente fase del campeonato, donde la competencia se intensificará con un equipo como Tigres que siempre está considerado entre los candidatos al título. Jugadores como Mora, El Ghezouani y Bullaude mostraron un gran nivel de juego

que les permitirá enfrentar con confianza a los rivales que les esperan.

Cabe destacar la personalidad que ha adquirido Mora, donde también queda retratada la marcada confianza de su entrenador Sebastián Abreu. La joven estrella mexicana no lo pensó dos veces y tuvo el atrevimiento de cobrar el penalti de esa forma magistral y demuestra que se puede echar a su equipo al hombro para la siguiente fase del Apertura 2025.

Monterrey, en pláticas para renovar a Ramos y continúe en la Liga Mx

ya que está en pláticas con la directiva de Rayados para renovar su estancia en el fútbol mexicano.

“Estamos en pláticas”, recalcó José Antonio ‘Tato’ Noriega, presidente deportivo del Club de Futbol Monterrey en el Gigante de Acero tras el informe anual de la institución en el tema de labor social. Sergio Ramos llegó a Monterrey en febrero del 2025, a pesar de una prolongada inactividad se ha mantenido en forma, alejado de las lesiones y como líder de la institución regiomontana en la Liga MX como en el Mundial de Clubes.

“Entiendo la inquietud, pero en este momento queremos centrarnos y focalizarnos en la cancha. Por supuesto que hay pláticas, es normal. No me gustaría entrar en detalles porque nos vamos a distraer de lo más importante”, recalcó el directivo de Rayados de Monterrey. Ramos, quien cumplirá 40 años en marzo del 2026, ha sido titular en 15 de 17 partidos de la temporada regular del Apertura 2025 de la Liga MX, periodo en el que sumó 1,336 minutos de acción y dónde aportó dos goles. En su primer torneo, el español no pudo jugar la Liguilla por una molestia muscular, pero en el actual torneo está listo para ser contemplado por el entrenador Domenec Torrent.

Exgobernador de Jalisco, será auxiliar técnico en el Valladolid

Enrique Alfaro Ramírez, exgobernador de Jalisco, anunció que se incorporará al cuerpo técnico del Real Valladolid como asistente de Guillermo Almada, entrenador del club que compite en LaLiga Hypermotion, la segunda división del fútbol español. La decisión marca el inicio formal de su carrera dentro del fútbol profesional tras concluir su etapa en la función pública.

El exmandatario explicó que este paso es parte de un proceso personal y profesional que comenzó hace más de dos años. “Hace dos años y medio, cuando estaba a punto de cumplir 50, tomé la decisión de darle un giro a mi vida”, contó en sus redes sociales. Compartió que, tras haber alcanzado sus metas en la esfera pública, buscó nuevos desafíos que le permitieran reenfocar su trayectoria.

Alfaro señaló que su motivación por la política había llegado a su límite y que necesitaba reco-

nectar con algo que le generara impulso. “Mis ganas y mi entusiasmo por la política se habían agotado. Quería reinventarme…

Por eso decidí que dedicaría los siguientes años de mi vida a mi gran pasión: el futbol”, afirmó. Ese proceso lo llevó a prepararse para cumplir una meta que ya había expresado desde su periodo como gobernador: convertirse en director técnico.

En su mensaje, el ahora auxiliar técnico expresó que la oportunidad con el Real Valladolid representa un avance significativo en ese camino. “Hoy me llena de felicidad decirles que el Real Valladolid Club de Futbol será mi nueva casa. Que voy a continuar mi proceso de formación como Auxiliar Técnico del primer equipo en LaLiga Hypermotion”, señaló. Agregó que iniciar su carrera en un club de España es “un sueño hecho realidad” y que lo asume como un compromiso importante en esta nueva etapa.

La transición no estuvo exenta de cuestionamientos, según relató el propio Alfaro. “Muchos no entendieron mi decisión y otros se burlaron. Esa ha sido la historia de mi vida: hacer lo que siento y luchar por lo que creo, aunque el mundo te juzgue o dude de ti”, escribió al hablar sobre el giro que decidió tomar. Aun así, aseguró que dichas posiciones no detuvieron su determinación de comenzar desde cero en el fútbol. Para prepararse, Alfaro completó el curso de entrenador en el campus virtual de la ATFA de Argentina, realizó prácticas en las Fuerzas Básicas de Chivas y posteriormente viajó a Europa para continuar su formación. Sobre su paso por México, recordó que Chivas fue clave en su desarrollo inicial, al permitirle realizar horas de práctica en categorías juveniles.

El exgobernador también sumó experiencia en el extranjero. A mediados de 2025 anunció

que había finalizado una etapa de preparación en Rotterdam y más tarde ingresó al Máster en Dirección de Fútbol de la Universidad del Real Madrid, programa que calificó como decisivo para profesionalizar su perfil y comprender desde dentro la estructura del fútbol europeo.

Ahora, con su incorporación al cuerpo técnico del Real Valla-

dolid, Alfaro inicia su primera experiencia en un banquillo profesional. El proyecto lo colocará de manera directa en la dinámica de competencia en España y representa el paso más firme hacia su objetivo de convertirse en director técnico, una meta que él mismo ha reconocido como su mayor motivación en esta nueva etapa.

Turn static files into dynamic content formats.

Create a flipbook
Issuu converts static files into: digital portfolios, online yearbooks, online catalogs, digital photo albums and more. Sign up and create your flipbook.
Periódico Contacto hoy del 21 de noviembre del 2025 by Contacto hoy - Issuu