

Vos interlocuteurs France
Management
COLTENE France

Frédéric Garde
+41 7 87 79 26 17
Frederic.Garde@coltene.com
GÉRANT / DIRECTOR SALES EMEA

Yvan Jamin +33 6 71 71 93 55
Yvan.Jamin@coltene.com
RESPONSABLE RÉGIONAL

Sabrina Barreau
+33 6 74 97 47 20
Sabrina.Barreau@coltene.com
RESPONSABLE GRANDS COMPTES

Charles Jolly +33 6 23 37 02 32
Charles.Jolly@coltene.com
RESPONSABLE DE SECTEUR OUEST-CENTRE
ENDO SPÉCIALISTE NORD-OUEST

Karine Pieto +33 6 49 19 83 41
Karine.Pieto@coltene.com
RESPONSABLE DE SECTEUR OUEST-BRETAGNE

Sébastien Cattoen +33 6 83 69 60 44
Sebastien.Cattoen@coltene.com
RESPONSABLE DE SECTEUR NORD & IDF

Julien Burgan +33 7 89 31 89 21
Julien.Burgan@coltene.com
RESPONSABLE DE SECTEUR GRAND EST

Lydie Leroy +33 6 74 97 47 19
Lydie.Leroy@coltene.com
RESPONSABLE DE SECTEUR AQUITAINE
ENDO SPÉCIALISTE SUD-OUEST

Sophie du Bouëtiez de Kerorguen
+33 6 71 70 15 57
Sophie.Dubouetiez@coltene.com
RESPONSABLE DE SECTEUR SUD-OUEST

Josselyn Delalez
+33 6 42 62 45 95
Josselyn.Delalez@coltene.com
RESPONSABLE CENTRES DENTAIRES
Secteur vacant +33 3 20 64 64 00 info.fr@coltene.com

Élise Petit
+33 7 87 82 46 60
Elise.Petit@coltene.com
RESPONSABLE DE SECTEUR RHÔNE-ALPES

Benjamin Chamblas +33 7 88 33 25 32
Benjamin.Chamblas@coltene.com
RESPONSABLE DE SECTEUR SAVOIE

RESTAURATION
ENDODONTIE
PROTHÈSE
AFFINIS
PRESIDENT The Original
Jet Blue Bite

Gamme BRILLIANT






Gamme CanalPro

Gamme HyFlex




LESGAMMES DE PRODUITS CO TENE




INSTRUMENTS ROTATIFS
Gamme DIATECH




ACCESSOIRES POUR LE TRAITEMENT CONTRÔLE DES INFECTIONS
Gamme ROEKO
Gamme SciCan
Votre partenaire pour pratiquement toutes les indications de collage indirectes. En fonction de la situation, vous pouvez sceller avec ou sans adhésif.
Pour un universel – exigez SoloCem.

ADHÉSIF UNIVERSEL MONOCOMPOSANT PHOTOPOLYMÉRISABLE
Restaurations durables

ONE COAT 7 UNIVERSAL
La cohésion dans toutes les situations
Un seul agent adhésif universel pour toutes les indications et techniques de mordançage
Extrêmement économique : jusqu’à 300 applications par flacon
MDP*
Valeurs d'adhésion exceptionnelles et excellent scellement marginal





*



ParaCore
Composite
pour la reconstitution corono-radiculaire : 1 produit, 3
indications
Résine composite renforcée avec des particules de verre, à polymérisation duale, radio-opaque et disponible en trois teintes : dentine, blanc et translucide.
Reconstitution des moignons
Collage des tenons fibrés
DuoTEMP

Collage des couronnes et des bridges sans métal



Réassort seringue automix, 2 × 5 ml 131 € 98,25 €
2 × 5 ml Teinte au choix
20 × Embouts mélangeurs
White 5886
Dentine 5887
Dentine SLOW 60011391 Trans SLOW 60011392

Réassort cartouche automix, 1 × 25 ml
×

Teinte au choix
× Embouts mélangeurs, embouts intra-oraux
5854

Durcissement dual
Matériau avec indications multiples
Intégrité marginale élevée
Retrait facile
5853 Kit Éco DuoTEMP
107 € 5 × Seringues de 5 g


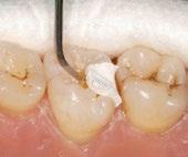
Comparaison de joints marginaux









Application facile et rapide





Coupes de molaires humaines extraites, obturées avec DuoTemp puis plongées dans du bleu de méthylène pour caractériser le joint marginal. Les propriétés obtenues avec DuoTEMP étaient excellentes. Source : données internes. (*N’est pas une marque de



Un seul composant, pas de mélange. Bonne rétention dans la cavité. Dépose facile.
BRILLIANT EverGlow
Aptitude au polissage exceptionnelle et brillant durable
→ Système DuoShade
→ 7 teintes dentine pour la plupart des restaurations
→ 2 teintes email
→ 5 opaqueurs pour les restaurations plus complexes




BRILLIANT EverGlow Flow
Le complément idéal





BRILLIANT Bulk Fill Flow
BRILLIANT Bulk Fill Flow est le matériau d'obturation idéal pour des restaurations faciles et rapides. Reposant sur la technologie de charges BRILLIANT, il est le partenaire parfait pour BRILLIANT EverGlow et EverGlow Flow.


Réassorts BRILLIANT Bulk Fill Flow
1 seule teinte, matériau adaptatif Multi Shade
1 × Seringue de 2,3 g
11 × Aiguilles d’application















-25


où la couche supérieure n'est plus nécessaire.
Profondeur de polymérisation fiable de 4 mm
Des couches successives ayant jusqu'à 4 mm d'épaisseur sont polymérisées correctement en 20 s (≥ 1000 mW/cm2).
Cette caractéristique, associée à la mouillabilité de la surface et à la fluidité du matériau, permet de gagner du temps en réduisant le nombre d'étapes.
Un matériau adaptatif Multi Shade
L'effet caméléon de BRILLIANT Bulk Fill Flow permet au matériau
Multi Shade de s'adapter à une large palette de teintes dentaires. Obturation occlusale

DÉFINITIVES
BRILLIANT Crios
BRILLIANT Crios est le choix idéal pour les restaurations dentaires unitaires dans la région antérieure comme dans la région postérieure. Cela englobe toutes les indications classiques telles que les inlays, onlays, couronnes et facettes.






SYSTÈME D’ÉCLAIRCISSEMENT DENTAIRE PROFESSIONNEL
BRILLIANT Lumina
Un sourire naturellement lumineux
Avec BRILLIANT Lumina, vous disposez d'une solution en cabinet innovante pour le blanchiment dentaire, la formule étant, pour la première fois, sans peroxyde d'hydrogène ni peroxyde de carbamide. En effet, BRILLIANT Lumina est basé sur la substance active PAP (acide phtalimidoperoxycaproïque).
BRILLIANT Lumina
Kit de base
4 × Gel
1 × Activateur
1 × Brochure patient
La particularité de ce produit : sa formule unique permet de maintenir la concentration de PAP à un niveau suffisamment élevé pour obtenir un sourire naturellement plus clair pendant un traitement. NOUVEAU

n'est plus
Formule sans peroxyde d'hydrogène
est l'avenir du blanchiment dentaire.



ACCESSOIRES POUR LE TRAITEMENT
Digue photopolymérisable pour la protection des gencives
→ Contrôle visuel facile lors de l'application grâce à la couleur bleutée
→ Facile à enlever
→ Application directe avec les embouts-aiguilles
→ Complément parfait du produit de blanchiment BRILLIANT Lumina

1 × Seringue de 2 ml
NOUVELLES RÉFÉRENCES

RETRAITEMENT ENDODONTIQUE
HyFlex Remover
→ Une seule lime nécessaire pour le retrait des matériaux d’obturation
→ Respect de l’anatomie canalaire
→ Efficace sans aucun solvant
→ Pointe inactive
Consistance idéale et identique pendant toute la durée du temps de travail

Couple
Traitement











































SYSTÈME DE LIMES EDM NiTi
HyFlex – Séquence OGSF
Avantages
→ Résultats prévisibles en appliquant le protocole standard OGSF
→ Préparation rapide des cas quotidiens grâce à la correspondance optimisée entre l’extrémité et la conicité pour toute la séquence
→ Sécurité du patient accrue grâce à une plus grande résistance à la rupture du matériau et à l’application du protocole standard OGSF

CONSEIL
D'EXPERT

TRUCS
L'utilisation des limes avec une faible conicité devient une évidence dans l'époque du "minimal invasive". Si on peut utiliser les limes EDM One File dans la plupart des cas cliniques, l'arrivée de la séquence OGSF ne peut être que bénéfique, surtout pour les cas avec des longueurs radiculaires importantes, avec courbures importantes ou avec permeabilité difficile. Bien sûr, les limes OGSF peuvent être une solution générale pour la plupart des cas.
ET ASTUCES
Je pense qu'il faut prendre en compte les propriétés de l'alliage utilisé pour la fabrication de ces limes, et ne pas hésiter à les précourber quand l'accès aux canaux est difficile. Bien regarder les limes pour voir si des déformations ont eu lieu pendant la préparation canalaire, pour avoir un peu plus d'informations sur la difficulté du cas. Pendant la vérification, je n'hésite pas à chauffer la lime pour qu'elle reprenne sa forme initiale avant de continuer la préparation. Si la lime ne reprend pas sa forme initiale, on peut la remplacer.


HyFlex EDM–OGSF - Pointes de Guttapercha 60 × Pointes de Guttapercha HyFlex EDM–OGSF HyFlex OGSF, Réassorts 3 pcs


HyFlex EDM–OGSF - Pointes de Papier 100 × Pointes de Papier HyFlex EDM–OGSF
Assortiment 20/.05 - 60/.02 60022744


CanalPro X-Move
Totale liberté de mouvement
→ Localisateur d’apex intégré
→ Mouvement en rotation continue ou en réciprocité (angles ajustables)
→ Sans fil : 2,5 heures d’autonomie
→ Interface intuitive
→ Utilisable avec toutes les limes endodontiques du marché : possibilité de programmer les mouvements, vitesses de rotation et couples
→ Fonction auto-reverse apical, lorsque la lime atteint le point de référence (apex)
CanalPro X-Move
65002739 1 864 €
1 × Pièce à main motorisée
1 × Base de chargement
1 × Contre-angle
1 × Buse de pulvérisation
1 × Câble de mesure
4 × Porte-lime
2 × Clip labial
2 × Sonde de contact
2 × Joint torique
1 × Adaptateur secteur universel
1 × Batterie


CARACTÉRISTIQUES TECHNIQUES
Contre-angle : rotation à 360 degrés
Plage de couple : 0,4 –5,0 Ncm
Plage de vitesse : 100 - 2500 tr/min
Angle de mouvement oscillatoire
réglable : intervalle de 10°
Plage de réglage : 20 - 400°
Mini contre-angle isolé d'un diamètre de 8 mm et d'une hauteur de 9,7 mm
CanalPro





















Canules d’aspiration
stérile 2,8 ou 4,9 mm
La canule verte assure un excellent contraste sur le site traité
Le champ de vision est dégagé grâce à la forme fine et à l'extrémité conique
Elle est hygiénique et fait gagner du temps, stérile, sous emballage individuel et prête à l'emploi
Différents diamètres et formes de canules pour un large éventail de traitements

Gelatamp Hémostase initiale rapide
→ Prévention de l'infection des plaies et des hémorragies secondaires
→ Éponge de gélatine à base d'argent colloïdal
→ Hémostatique et antibactérien




Gelatamp white Gelatamp forte
Absorption très rapide Grande capacité
ROEKO Gelatamp forte se compose d'une structure spéciale en éponge pour une absorption rapide. Absorbe jusqu'à 60 fois son poids dans la première minute; favorise la coagulation en quelques minutes. Il s'agit d'une éponge blanche mince de 4 mm qui aide à réduire le temps de traitement et induit de l'hémostase même après un traitement anticoagulant.
d'absorption
→ ROEKO Gelatamp white est une éponge universelle pour les procédures chirurgicales générales.
→ Éponge cubique blanche standard de 10 × 10 × 10 mm.
→ Elle est efficace pour le contrôle des saignements, l'absorption des liquides et l'aide à la coagulation.
→ Bonne capacité d'absorption, biocompatibilité élevée et facilité d'utilisation pour diverses applications chirurgicales.
→ Absorbe jusqu'à 60 fois son poids en 1 minute
→ Contribue à réduire la durée de l'intervention chirurgicale
→ Induction de l'hémostase même après un traitement anticoagulant
→ 10 × 10 × 4 mm
→ Résorption complète
ROEKO Gelatamp forte 10 × 10 × 4 mm



ROEKO Gelatamp white 10 × 10 × 10 mm

HySolate Crampons
Crampons Standard
Crampons standard au fini brillant.
Crampons Standard 18 €
Crampons Brinker
Les crampons Brinker ont des becs inclinés supplémentaires pour assurer une rétraction maximale de la gencive. Ils assurent une rétraction maximale sans lacérer les tissus gingivaux.
Crampons Brinker 18 €

Références crampons sans ailettes
Dent antérieure















Références crampons avec ailettes

















HySolate Digue dentaire
Améliorez votre isolation
→ Les couleurs claires permettent d'illuminer naturellement le champ opératoire, et les couleurs sombres apportent un meilleur contraste
→ Visibilité améliorée grâce à une isolation performante
→ Barrière anti-infectieuse
→ Crée un champ opératoire sec



BioSonic UC300
Travailleur acharné


BioSonic UC150
Encastrement possible !
BioSonic UC50DB I
C’est un petit géant !
UC40
Solution concentrée universelle, convient
Informations techniques
Capacité utile
Dimensions
Dimensions
Puissance

Fréquence




1
1

Taille réduite du goulot Poignée érgonomique












LIGHT SYSTEM 360














ACCESSOIRES













Gamme d’embouts


PRESIDENT The Original 50 ml Light body, Regular body, Xtra light body
AFFINIS CLASSIQUE et PRECIOUS 50 ml Light body, Light body fast, Regular body, Regular body fast
PRESIDENT The Original System 360, Heavy body, MonoBody
AFFINIS SYSTEM 360 MonoBody, Heavy Body, Putty
Jet Blue Bite 50 ml Fast, Superfast
ParaCore 25 ml Automix dentine, Automix white
ParaCore 5 ml Automix intro kit, Automix dentine, Automix white, Refill
Fill-Up! 4,5 g Intro kit, Refill
TempoSIL 2 5 ml Dentin intro kit, Dentin refill, White intro kit, White refill
GuttaFlow bioseal 5 ml Kit, Refill
BRILLIANT EverGlow Flow et Bulk Fill Flow Kit, Refill


















Offres Sympress II : AFFINIS ou PRESIDENT The Original

Offre au choix avec AFFINIS ou PRESIDENT



(1) Kit intro AFFINIS System 360 - 380 ml (base et catalyseur) + 10 embouts mélangeurs dynamiques + 1 bague de serrage. Heavy Body (6485)
au choix avec AFFINIS






(2) Réassorts AFFINIS System 360 - 2 x 380 ml + 1 bague de serrage. Viscosités au choix (panachage possible): Putty (6472) ou Heavy Body (6487) ou MonoBody (6482)



(3) Réassorts AFFINIS Classique ou PRECIOUS - 2 x 50 ml + 12 embouts mélangeurs. Viscosités au choix (panachage possible): Light (6501) ou Light Fast (6601) ou Regular (6511) ou Regular Fast (6611) ou PRECIOUS Light (6775) ou PRECIOUS Regular (6776) + 1 bague de serrage. Heavy Body (60019947)



Viscosités au choix (panachage possible) Heavy Body (60019948) ou MonoBody (60019946)
(6) Réassorts PRESIDENT The Original Light 2 x 50 ml + 12 embouts mélangeurs. Viscosités au choix (panachage possible) Light body (60019938) ou Xtra light body (60019937) ou Regular body (60019939)
DE L’OCCLUSION À BASE DE SILICONE A
Jet Blue Bite
Enregistrement de l’occlusion de la plus haute précision
Un enregistrement précis de l’occlusion est essentiel pour garantir une reproduction de l’occlusion fidèle à la réalité entre les dents supérieures et inférieures dans l’articulateur. Les exigences à l’égard du matériau sont par conséquent variées. Les décennies d’expertise de COLTENE en matière de matériaux à base de silicone de haute qualité se reflètent dans Jet Blue Bite, un matériau d’enregistrement de l’occlusion qui permet d’obtenir des résultats rapides et précis.
Enregistrement
Consistance crémeuse
Occlusion parfaitement naturelle grâce à la consistance crémeuse
Pas d’effet rebond lors de la fermeture
*La dureté Shore peut varier d’environ +/-2

Blue Bite, 1 × 50 ml


Ne s’infiltre pas dans les espaces interdentaires

DIATECH
Fraises diamantées
Performances de fraisage élevées et grande longévité
Instruments de haute qualité plaqués or
Poudre de diamant 100 % naturelle
Contrôle de la qualité 100 % visuel
Tailles de grain selon la norme ISO
Étalonnage précis de l’ébauche
Nombre élevé de diamants au mm2



200 FORMES DISPONIBLES
RETROUVEZ PLUS DE EN 5 GRAINS DIFFÉRENTS
SUR NOTRE BROCHURE VIA CE QR CODE


Retrouvez-nous au congrès de l'ADF sur le stand 1L08


DISPOSITIFS MÉDICAUX Dispositifs médicaux pour soins dentaires, réservés aux professionnels de santé, non remboursés par la Sécurité Sociale. Voir l’étiquetage du produit, et le cas échéant, la notice.
FABRICANTS Coltène/Whaledent AG, Coltène/Whaledent GmbH + Co. KG, Coltene/Whaledent, Inc., Dent4You AG, Micro-Mega SA, Guilin Woodpecker Medical Instrument Co., Ltd., CEFLA S.C., Mascia Brunelli, Magnum Dental OÜ, ZOGEAR Medical Co. Ltd.
Classe I/CE
Classe IIa/CE0123 TUV SUD, IIa/CE0483 mdc, IIa/CE0459 G-MED, IIa/CE0197 TÜV Rheinland,
Classe IIa/CE0482 MEDCERT, Classe IIa/CE0537 EUROFINS
Classe IIb/CE0051/IMQ S.p.A.
Classe III/CE0483 mdc
Conformément à la législation, les prix indiqués sont des prix de vente conseillés TTC, le distributeur restant libre de sa politique tarifaire. Sous réserve d’erreur d’impression, d’erreurs de frappe et de modifications. Les prix peuvent être modifiés à tout moment et sans préavis. Prix de vente conseillés TTC. Offres valables jusqu’au 31 décembre 2025. Certaines offres ne sont disponibles que chez les distributeurs participants à l’offre commerciale. Renseignez-vous auprès de votre démonstrateur COLTENE Document et photos non contractuels. Septembre 2025. Rédaction : Service Marketing Coltène/Whaledent S.a.r.l. France. Design www.filigranestudio.fr. Crédits photo banque d’image COLTENE, Adobe Stock.
Mentions légales / Éditeur
Coltène/Whaledent AG Feldwiesenstrasse 20
Altstätten www.coltene.com