Paso Robles Press Magazine • #295 • November 2025

Page 1


North County in the Spirit of Giving

North County embraces holiday giving through Turkey Trots, Toy Bank’s Day of Giving, and community meals, spreading warmth, gratitude, and kindness.

Women of Influence Awards

The 2025 honorees, Amanda WittstromHiggins, Candice Galli, and Traci Hollinger, each shared their personal journeys, reminding attendees of the ways women shape their communities.

Paso Robles VFW Post 10965

Paso Robles Veterans of Foreign Wars reminds the community that Veterans Day represents more than a single date, it stands as a lasting commitment to service, advocacy, and camaraderie.

November is a time when gratitude seems to linger in the air—a season marked not just by golden leaves and crisp mornings, but by a deep appreciation for where we live, work, and raise our families. From Paso Robles to Atascadero, San Miguel to Santa Margarita we are surrounded by beauty, community, and a shared sense of belonging. It’s easy to take for granted the rolling hills, the cool crisp breeze, and the faces we greet at the local markets, but this month reminds us to pause and simply give thanks—for the place we call home and the people who make it special.

I’m especially thankful for my incredible team—the heartbeat of everything we do. From our writers and photographers who capture the essence of this region, to our sales, admin and design crew who work tirelessly behind the scenes, their creativity and dedication make each issue shine. It takes a lot of moving parts to bring these pages to life every month, and I’m continually amazed by their passion for storytelling and commitment to our community. Together, we are more than a publishing team—we are a family that cares deeply about every story we share.

This month, we have much to celebrate. The 2025 Women of Influence honorees— Amanda Wittstrom-Higgins, Candice Galli, and Traci Hollinger—each share their personal journeys, reminding us of the many ways women strengthen and shape our communities. Their stories of leadership, perseverance, and heart reflect the spirit of the Central Coast—where innovation meets compassion, and community always comes first.

Each November, as the nation pauses to honor those who have served, Paso Robles Veterans of Foreign Wars reminds our community that Veterans Day represents more than a single date—it’s a lasting commitment to service, advocacy, and camaraderie. As the holidays near, North County comes alive with the true spirit of giving—where running shoes, turkey costumes, and open hearts all come together to make the season shine. Whether it’s lacing up for a trot around Atascadero Lake, cheering at Turkeymania, or volunteering at the Toy Bank's Day of Giving, each event reflects the generosity that defines our community. And on Thanksgiving Day, when hundreds gather at Centennial Park for the 41st annual Thanksgiving for Paso Robles, we’re reminded that the greatest gift of all is the connection we share. The sweetness of the season continues with Paso Robles’ newest tradition that we are honored to be a part of—the 1st Annual Christmas Cookie Exchange, hosted by Libby Ryan of Just Baked and The Ava Hotel. It’s a wonderful way to share joy, music, and sweet treats as we head into the holidays.

As we look back on the year—the blessings and the challenges—I want to extend my heartfelt gratitude to each of you, our valued readers and advertisers. You inspire us to keep telling the stories that connect, celebrate, and uplift this incredible place we call home. From all of us—thank you, and may your November be filled with warmth, gratitude, and joy.

We hope you enjoy this issue of Paso Robles Magazine.

Hayley Mattson Publisher Hyaley @13stars.media if thou wouldest win immortality of name, either do things worth the writing, or write things worth the reading — Thomas Fuller, 1727

This month’s edition of Paso Robles Magazine is brought to you by all the local advertisers that fill our pages. Thanks to them, we are able to bring you your local Hometown Magazine.

BeeWench Farm

Karyl Lammers

Paso Robles Area

Historical Society

Shift'N Gears

The Natural Alternative

James Brescia, Ed.D

Sheriff Ian Parkinson Paso Robles Wine Country Alliance Lynne Schmitz SLO County Farm Bureau Women Paso Robles & Templeton Chamber The General Store

PROUD TO BE LOCAL!

to all of our wonderful thank you

Parkside Real Estate
MOUNTAIN SPRINGS OLIVE OIL RANCH

777 Auction

Ada’s Vineyard LLC

Adelaide Inn

All About Events

All American Drilling

Alliance Board Co.

Anchor Real Estate

Ancient Peaks Winery

Apex Fire Control

Associated Traffic Safety

Bella Jule

Best Restoration

Best Western Plus Black Oak

Bragg Crane

Black Oak Best Western

Blake’s Inc

Borjon Auto Center

Bridge Sportsmen’s Center

Brown-Silva Trucking

Brush Family BBQ

Bryan Butler Insurance Agency

Bryce & Kristie Dilger

Cagliero Ranches Inc

Caliber Accounting & Tax

California Coast Beer Co.

California Standoff Inc.

Carrollo Automotive

Carson & Karen Wiley

Cal Coast Machinery

Cal Portland

Central Coast Equipment Repair

Central Coast Irrigation & Supply

Central Coast Propane

Central Coast Trailers

Central Coast Trail Rides

Chris Iversen, Atty at Law

Coast Counties Peterbuilt

Coast Pipe

Coastal Tractor

Coblentz-Biehle & Cramer CPA - Keith Cramer

Covell Clydsdale Ranch

Cowgirl Café

Creekside Veterinary Hospital

Creston Valley Meats

Cuesta Springs Ice Company

Del Pueblo Furntiure

Derby Wine Estates

Dr. John and Sally Davis

Drapes by Kim

Dwight Peterson

Eagle Door & Hardware

Entrada de Paso Robles

Farm Supply

Filipponi & Thompson Drilling Inc

Floral Parlor

Food 4 Less

Fuller Fabricating

Gabriel Architects

Georgene Barlogio

Grant Marcum DDS

Guyomar Winery

Hank’s Welding Service

Harrod Homes

Homestead Apartments

Harvey’s Honey Huts

Howard Products

Independent Propane Service

Jack’s Bar & Grill

Jeffery Kahler DDS

Jayde – Andrea Phillips

Jayne Orcutt & Edward Casper

JB Dewar

J. Dusi Wines

Jim Irving

Joe Romanini

John Jamrog

J. Smith Painting

Just Baked

K Brush Concrete Inc

Katherine Barnett

sponsors

Keith & Kathleen Belmont

Ken Umber Construction

Kim Burton

Linda Hamilton CPA

Lori Lewis

Lorraine Cagliero

Lube n Go

Mark’s Tire Service

Marlene E Heaton

Matt’s Smog & Car Care

McPhee’s Grill

Melody Ranch

MGE Underground

Mid Coast Mower & Saw

Mike & Carol McNellis

Moonstone Cellars

Mountain Springs Olive Ranch

MTM Construction

Myers Drilling

Native Sons of the Golden West # 150

Nick & Carolyn Gilman

North County Care Minor Emgerency Serices

North County Diesel Specialties

North County Restaurant Group

Oaks Independent Insurance Solutions

Palomar Homes

Pam Fulmer

Paso Printers

Paso Robles Cleaners

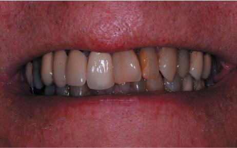
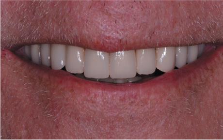
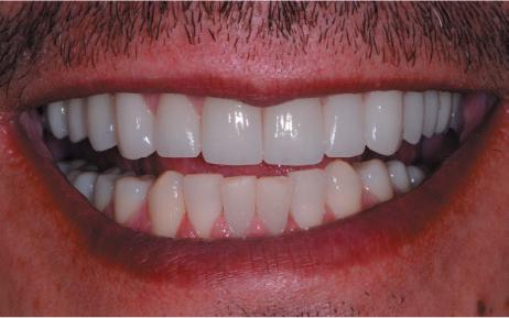
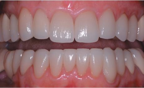
Paso Robles Dental Lab

Paso Robles Door & Trim

Paso Robles Golf Club

Paso Robles Library Foundation

Paso Robles Waste & Recycle/Rolloff

Paul & Karen Lamas

Paul & Karen Smeltzer - Paul’s Mobile Metal Art

Paul’s Dry Cleaners

Pioneer Automotive Machine Service

Powder Coating USA

Quinn Co

community sponsors

Paso Robles Rotary Club

City of Paso Robles

Paso Robles Police & Emergency Svcs.

Paso Robles Community

Volunteer Police Patrol

Estrella Warbirds Museum

Paso Robles Event Center

California Conservation Corps

pioneer day officers and committee chairmen

Chairman: Lori Woods

Vice Chairman: Sarah Kramer

Recording Secretary: Shan Tucker McCornack

Corresponding Secretary: Jill Smith

Treasurer: Fran Tognazzini

Parade Entries: Kelli Johnson

Horse/Wagon Entries: Wade Taylor

Parade Marshal Candidates: Mark Perry & Wade Taylor

Red Scooter Deli

ReMax Parkside

ReMax Success

Rental Depot

Restoration Services

R.J. Potter Construction

Robert Vaz Trucking

Roden Farms - Billy & Karen Roden

Roger Miller

San Luis Ambulance

Santa Margarita Ranch/The Rossi Foundation

Sarah Kramer

Savage Spirits

Shan McCormack

Sharon Roden

Sign Here

Spring Street Auto

Steve Gregory

TAPS Truck & Auto Accessories

Tanner Dye Livestock

Templeton Twerps & Rocky Heber

Terry Minshull

The Blueprinters & Graphics

The Full Belly Deli

The Richard & Joan Morgantini Family

Third Wheel Tours

Tony Domingos Farming Inc.

Trailer Barn

Tom Flynn & Sons Landscape

United Rentals

Vessel Day Spa

Vineyard Professional Services

Walmart Paso Robles

Weber Nelson Real Estate

Western Janitor Supply

Weyrick Companies

Woodland Auto Display

Woods Family Pest

Zio Branch Meats & Sausages

Parade Queen Candidates: Karen Roden & Debbie Vandergon

Belle and Attendant Candidates: Jill Smith & Gelene Dodd-Coehlo

Kick-off Party: Tara Tedeschi

Publicity Director: Karli Twisselman

Gymkhana: Nicole Mitchell

Paso Robles Event Center Horse Stalls & Bedding: Wade Taylor & Shan McCornack

Tractor Entries: Austin Sligh

Political Entry Questions: Lori Woods

Pioneer Day Games: Jon Fuller

Additional Board Members:

Margaret Wicks, Mark Perry, Steve Hansen, Justin Brush, Robby Boneso, Tami (Bertoni) Smith, Scott Reneau, Emily Brush , Zach Taylor, Les Stemper and Andy Brown

Emeritus Board Members:

Maggie Vandergon, Norma Moye, Dottie Reiff, Bob Tullock, Paul Viborg & Tom Madden

Giving thanks, celebrating Paso

KARYL LAMMERS

November is the month when we are reminded to be thankful for the many positive things happening in our life!

We’re embarking on a wonderful month of national and local activities, a month of gratitude and love. Slow down and enjoy everything. Let’s start by putting an end to Daylight Saving Time 2025 on November 2. Summer is officially over; it’s time to “fall back” one hour and begin Standard Time. Our sunrises and sunsets will be one hour earlier, giving us more morning hours for activities and more evening hours for rest and relaxation.

On November 5, the “Beaver Full Super Moon” appears, honoring the busy beaver who has worked all year long to prepare his lodge to make sure he survives the winter challenges. On this full moon, we enjoy a time of reflection, introspection, and gratitude. Give thanks for the harvest, celebrate renewal, and honor our ancestors.

Veteran’s Day arrives on the 11th day

1918, we signed the Armistice, ending World War I. On this day, month, and hour every year, all over the USA, we honor our Veterans for their sacrifices to give us our Freedoms! Check your local chapter for services.

Paso Robles Main Street Association invites you to join us on November 15 from 5 until 8 p.m. for Elegant Holiday Evening Downtown. This is one of our most popular annual events, where people from everywhere gather to appreciate the small-town feel and charm provided by our shops and shopkeepers. You’ll be given samples of food, beverages, and discounts on your purchases. Enjoy the old-fashioned window displays, decorated shops, music, and fun everywhere you go.

Thursday, November 27, is the day we celebrate — a time to appreciate the little things and give thanks for it all. And don’t forget the 41st Annual Thanksgiving for Paso Robles. This is what Paso is all about! Donations make it possible to serve these meals without a charge. Volunteers work hard before and during this day. They serve an old-fashioned sit-down Thanksgiving dinner to over 1,000 people. The menu includes turkey and ham with all the trimmings, even in-house baked pies,

for the men, women, and children of all communities to share the day with others at Centennial Park. There are also volunteers happily delivering meals for those who cannot get to the park. It’s a fun-filled day for everyone! Reach out to thanksgivingforpasorobles.com for details, volunteering, or donations.

Let’s ramp up the Christmas Spirit the Paso way! On November 28 at 5:30 p.m., Downtown Main Street will, for the 39th time, host the Annual Downtown Lighting Ceremony. Mrs. Claus, the Christmas Elves, and all their friends will meet you at the Gazebo in the City Park. Bring the whole family, especially the children. You’ll be surrounded by music, everyone singing Christmas carols, and the official Christmas lights will be turned on in the park for all to enjoy! It’s Shop Small Saturday in America all day on Saturday, November 29. The perfect time to shop and enjoy our town and all it has to offer. Support our Downtown, love where you live, and shop local. They say when you buy from a small business, an actual person does a little happy dance! So, shop downtown and say thank you to the shopkeepers for hanging in there with us all these years of ups and downs!

Happy Holidays, Paso Robles!

November is a month filled with holidays, family time, and lots of yummy food, which is good, but it can also be not so good for our gut health. As we indulge in holiday foods, it’s important to make sure we are also supporting our gut, especially for those who have a sensitive stomach. Taking probiotics and enzymes is a key way you can support your gut health. Probiotics will assist your body in getting rid of bloating, crowding out the harmful bacteria with good bacteria, ridding of inflammation, and has even been shown to significantly boost the immune system. Enzymes play a key factor in breaking down complex food molecules such as carbs, proteins, and fats. Enzymes are also involved in the process of converting glucose into energy, building new cells, and repairing tissues. This is why we’re excited to announce that our favorite enzyme company Enzymedica is going to be 20% off throughout November! They have an array of enzyme products for your general and specific gut health needs. A great general enzyme to have

Gut Health November

on hand is their Digest Gold which helps break down large meals and reduces occasional gas and bloating. It works quickly to help break down carbs, fats, fiber, and protein and convert food into fuel for enhanced energy. Another great product is their Papaya Complete enzyme formula. This is a great one to take on the daily since it provides gentle support for indigestion and discomfort. It promotes nutrient absorption and works before or after meals. If you suffer from Acid Reflux or Heartburn they have products specifically formulated for those needs. Their product Acid Soothe is formulated to break down problem foods and contains Zinc Carnosine to help rebuild digestive lining. Their product Heartburn Soothe helps to soothe occasional heartburn, protect the digestive tract, and can be used for day or night-time results.

They also have products for dairy and gluten sensitivities, such as their GlutenEase and DairyAssist as well. Feel free to come in and look at our options! We’d be happy to answer any of your questions.

THE INFORMATION CONTAINED HEREIN IS FOR EDUCATIONAL PURPOSES ONLY AND DOES NOT CONSTITUTE DIAGNOSIS, PRESCRIPTION OR TREATMENT AND IS NOT INTENDED TO BE USED AS A SUBSTITUTE FOR MEDICAL COUNSELING WITH A HEALTH PROFESSIONAL.

THE INFORMATION CONTAINED HEREIN IS FOR EDUCATIONAL PURPOSES ONLY AND DOES NOT CONSTITUTE DIAGNOSIS, PRESCRIPTION OR TREATMENT AND IS NOT INTENDED TO BE USED AS A SUBSTITUTE FOR MEDICAL COUNSELING WITH A HEALTH PROFESSIONAL.

THE INFORMATION CONTAINED HEREIN IS FOR EDUCATIONAL PURPOSES ONLY AND DOES NOT SUBSTITUTE FOR MEDICAL COUNSELING WITH A HEALTH PROFESSIONAL.

Rolande ‘Frenchy’ Amundson

Spy, survivor, nurse, and philanthropist

Rolande “Frenchy” Amundson led a life few could imagine, one defined by courage, resilience, and a relentless commitment to service. Born Rolande Colas de la Nouye, she was just 20 when World War II upended her life. Studying medicine in Paris, she saw the men around her arrested and sent to labor camps, while she and other women were sent home. Outraged, she vowed to fight back.

Amundson joined the French Underground Resistance and underwent six months of Special Operations Executive espionage training, earning the code name “Gerry.” On September 23, 1943, she parachuted into Normandy and posed as a cook at the Hotel Atlantique, where German forces — including Commander Erwin Rommel — were stationed. Using her position, she secretly tracked troop numbers and movements, providing critical intelligence for the D-Day invasion. She made three perilous trips back and forth, only to be betrayed on her final mission. Captured by the Gestapo, she endured brutal interrogation, torture, and was eventually sent to Mauthausen Concentration Camp, where she survived nearly a year of unimaginable horrors, including forced labor, starvation, and abuse, until liberation by the U.S. 11th Armored Division in May 1945. After the war, Amundson continued to serve others. She became a nurse, working in French

hospitals in Indochina, where she endured the tragic loss of her infant child and first husband. Returning to Paris, she worked at the American Embassy, where she befriended President Dwight D. Eisenhower, who encouraged her to emigrate to the United States. She married Master Sgt. Eugene Oscar Amundson in 1956 and became a naturalized American citizen in 1958, even as she battled cancer.

Settling in Paso Robles, Amundson began sharing her story in 1975, gaining admiration from the Special Forces, who made her an honorary member. She joined the California State Military Reserve, volunteered at the Camp Roberts Historical Museum, and generously supported military and local causes, donating over $100,000 to the Special Forces Association and contributing to the JFK Special Warfare Museum. In 1996, the Special Forces dedicated their national headquarters as the Frenchy Amundson Building in her honor. When she passed away on October 7, 1997, Amundson was remembered in a grand tribute. Surrounded by veterans, service members, and friends, she received full military honors, was posthumously promoted to colonel, and was awarded the Red Beret of U.S. paratroopers. Rolande “Frenchy” Amundson’s life stands as a testament to courage, resilience, and unwavering service — a true hero in every sense.

Thankful for the Chance to Share

How Shopping Local This Holiday Makes a Huge Impact

Thirteen Christmases in, we are still having a blast. Yep, it’s a delight when the Paine Company box arrives and we see the “Grandma’s Kitchen” incense with artwork that probably hasn’t changed since we bought our first Tears for Fears CD. Yes, we still hunker down in the hottest month of the year trying to come up with festive decorations that will make people smile, without taking up every spare room in Jillian’s house. (Paper chains, we’re talking to you!) And seeing what our local partners come up with is like opening presents!

From the new Holiday Bath Salts from Botanica 805 (what a treat to sprinkle into the tub after a long, cold day) to Winter Hearth candles made just for us out of repurposed wine bottles (they glow beautifully when lit), we’ve got some extra special goodies for the holidays this year. We’re so proud to carry things like the Kindred Bowls from local potter Home Thrown. Each handmade vessel is one of a kind, about the size of your palm, and useful for everything from bracelets to guacamole. And the Body Bean’s JOY candle, Yes Cocktail’s spectacular Candy Cane or Hot Toddy syrups, Celia Chocolate out of SLO (the mint is a shop fave),

Pop Gold Caramel Corn, Mrs. B’s Honey Mustard…we love working with these makers, many of whom have grown right alongside us over the past dozen years.

Supporting these small businesses reaches beyond the doors of General Store Paso Robles. It touches their families, who are our neighbors, it brings vitality downtown, and keeps us all contributing to the dynamic, creative energy that flows through Paso.

And by shopping local with us this holiday, you’ll also be helping those most in need. We are committing 10% of all sales from the Black Friday weekend to ECHO (El Camino Homeless Organization) and World Central Kitchen. Both support a goal very close to our heart: nourishing people. We believe strongly in their missions, are humbled by their impact, and appreciate how so many of you have participated in this tradition over the past many years.

We hope it makes strolling past the hot cocoa shelf, picking that perfect Cat-mas puzzle, or grabbing that just-in-case bag of Paso Almonds that much more joyful.

Happy holidays!

The Team at General Store Paso Robles

$7.00 Mimosas Saturday & Sunday

Dutch Windmill in a California Mission Town

By 1941, Camp Roberts was fully operational, training far more soldiers than originally anticipated. San Miguel itself had grown rapidly the year before, as people arrived seeking jobs, and the influx of military families further swelled the population. Businesses in San Miguel and nearby Paso Robles were thriving.

Just a couple of years earlier, in 1939, the World’s Fair and Exposition on Treasure Island in San Francisco had showcased the architecture, foods, and cultures of many nations — including the Netherlands. At the end of a long street sat a charming Dutch windmill pastry shop, though whether it had been built in Holland or on-site for the Exposition remained a mystery. A docent at the Treasure Island Museum admitted, “We never knew what happened to it,” sparking a story that would later intertwine with San Miguel’s own history.

In 1941, two enterprising visitors — likely inspired by the Exposition — brought the windmill to San Miguel. Carefully dismantled and numbered, it traveled by train and was reconstructed on the east side of Mission Street (then Highway 101), near where the San Miguel Fire Station stands today.

More research led me to local newspaper articles. According to plans announced by financiers Wm. Woodfield Jr. & Associates of San Francisco, the large windmill was intended to be the first building in a block-long recreation center. It would be a dance hall with a soft drink and malted milk bar. The adjoining buildings were to house a roller rink, food, and amusements.

But when it appeared that the population was ebbing, the project was shelved. The windmill became a café and bar for a time, and later a Wells Fargo Express Office. A garage was operated in the building from 1948 to 1952.

In 1960, Mike Walkup bought the windmill and used it for storage. In 1970, he rented it to Larry Upton, who owned the Chevron Station, for auto storage for a short time. Then, a family of European refugees arrived, rented the building, and opened another garage. People in San Miguel were divided on the refugees’ country of origin, but all agreed they were “dirt poor.” They lived in a truck and went house to house asking for help.

One bright spot in their lives came when the family’s mother was crowned “Queen for a Day” on the popular 1950s daytime TV show and received many nice gifts. They soon moved on, and the building fell into serious disrepair. Weathered, abandoned, and neglected, it was eventually a target for an arsonist who burned it to the ground in December of 1978.

LYNNE SCHMITZ

GEARHEAD CORNER!

As Thanksgiving approaches, we’re reminded to pause and give thanks—for family, for health, and for safe travels on the road ahead. But if your vehicle needs attention right before the holidays, that gratitude can quickly turn into stress. Whether it’s preventative maintenance like brakes, belts, or batteries, or a major repair because something unexpected broke, this time of year calls for smart decisions— not financial strain.

That’s where auto repair financing comes in. Companies like EasyPay, Synchrony, and others now offer six months of interest-free payments, helping you get your vehicle fixed without draining your holiday budget. You don’t have to pay the entire bill upfront. Instead, you can spread out the cost with no interest, no penalties, and no hassle. It’s not about whether you can afford it—it’s about what makes sense.

The holidays already bring enough expenses—meals, gifts, travel, and family gatherings. Why drain your accounts on any repair when you can chunk it into manageable payments?

Financing keeps your emergency funds intact and gives you breathing room if life throws a curveball later. You can even pay off early if you choose, all while enjoying peace of mind and reliable transportation through the holiday season.

At Shift’n Gears Auto Repair, we’re grateful for the trust our community places in us year after year. We’re also thankful for the financing options that help our customers stay safe on the road. Because whether it’s replacing worn brakes before a road trip or replacing a transmission after a breakdown, your safety and flexibility come first.

So as you gather around the table this Thanksgiving, take comfort in knowing that help is available when you need it most. Smart, interest-free payment options make it easier than ever to stay prepared for the road ahead.

From all of us at Shift’N Gears Auto Repair, thank you for choosing local, supporting small business, and trusting us to keep you moving. Stay safe, travel well, and remember—it’s time to think smart, not just spend fast.

Women of Influence

Honors three North County leaders

The sold-out Women of Influence North County (wINC) Luncheon brought together more than 200 community members on Thursday, September 11, at the SpringHill Suites by Marriott in Atascadero to honor three women shaping the future of North County. Hosted by the Atascadero Chamber of Commerce in partnership with the American Association of University Women (AAUW) Atascadero chapter, the event highlighted resilience, leadership, and the power of community.

Guests were treated to a program that blended inspiration and celebration. The afternoon began with a special performance by acclaimed local singer-songwriter Jade Jackson, who debuted a new song written for the occasion. Attendees also enjoyed a lively pop-up market featuring 10 women-owned businesses.

The 2025 honorees — Amanda Wittstrom-Higgins, Candice Galli, and Traci Hollinger — each shared their personal journeys, reminding attendees of the diverse ways women strengthen and shape their communities.

Candice Galli, executive director of Cancer Support Community, was named the 2025 Atascadero Chamber of Commerce Woman of the Year. A cancer survivor herself, Galli leads with authenticity and compassion, ensuring that individuals and families navigating cancer have access to free, comprehensive support services.

"I’m deeply honored to be named the 2025 WINC Woman of the Year,” she told Atascadero News Magazine “This recognition reflects not only my journey but also the incredible support and inspiration I’ve received from the amazing women in our community. I’m grateful for the opportunity to give back and hope my work encourages others to pursue their passions and make a meaningful difference."

A resident of Atascadero, Gallis is said to lead with openness and compassion, inspiring women to transform challenges into purpose. She has expanded access to critical programs, fostered a culture of hope, and built lasting connections with participants.

“Candice makes you feel seen, understood, and never alone,” said a colleague about Gallis’s impact.

Amanda Wittstrom-Higgins, founder of Full Cup Solutions and Dream Big Darling, has made her mark as a visionary in the wine industry. From co-founding Wine Speak Paso Robles to elevating Ancient Peaks Winery onto the national stage, Amanda’s efforts extend far beyond business. Her programs, such as FLOurish, provide scholarships, mentorship, and career opportunities for women nationwide.

“Amanda makes you want to rise to your very best,” said one nominator, reflecting the inspiration she continues to provide.

Traci Hollinger, senior regional director of Achievement House and NCI Affiliates, was honored for her decades of dedication to serving individuals with disabilities. Overseeing services for more than 500 clients and leading a staff of 180, Traci has expanded programs that empower independence and create meaningful employment opportunities.

Her nominators praised her as a tireless advocate who “fights for those without a voice and makes everyone feel valued.”

Beyond celebrating these leaders, the luncheon also supported the future of young women in STEM. Proceeds raised will benefit AAUW’s Tech Trek program, a summer camp designed to spark interest in science, technology, engineering, and math for middle school girls.

Josh Cross, president and CEO of the Atascadero Chamber of Commerce, summed up the heart of the program: “At its heart, the Women of Influence North County luncheon is about celebrating stories that inspire us all. This year’s honorees include Amanda, Candice, and Traci, who embody resilience, innovation, and generosity. Their contributions remind us that when women thrive, our entire region benefits.”

Gallis will be honored again at the Chamber’s Annual Awards Dinner and Gala in 2026. Details on next year’s gala will be announced at a later date.

For more information on wINC, visit atascaderochamber.org/women-ofinfluence-north-county

WHERE SERVICE NEVER ENDS

Inside

the Paso Robles VFW’s ongoing mission to support veterans

Each November, as the nation pauses to honor those who have served, the Paso Robles Veterans of Foreign Wars (VFW) Post 10965 [Post] reminds the community that Veterans Day is more than a single date — it’s a continuing commitment. Based in the Paso Robles Veterans Memorial Building on Scott Street, Post 10965 provides vital support to local veterans year-round.

The building, a long-standing cornerstone of Paso Robles, also houses representatives from San Luis Obispo County Veteran Services, available Tuesday through Thursday to help veterans navigate benefits, healthcare, and other essential resources. It’s a place where service doesn’t end with discharge. It evolves into advocacy, camaraderie, and community engagement.

For VFW Post Commander Leo Castillo, that mission is deeply personal.

“I was asked by [former commander] Sal Cota if I’d be interested in running for commander,” Castillo shared. “He felt that it would be a good fit for me and our vision

for the future of our Post. My responsibility is to ensure that we follow our mission statement, continue recruitment, be part of our community, and carry on the traditions the VFW has upheld for the past 125 years.”

Founded in 1899, the Veterans of Foreign Wars is one of the nation’s oldest and most influential veteran service organizations. What began as a small coalition of veterans from the Spanish-American War and the Philippine Insurrection has grown into a global network of 1.4 million members.

The VFW has championed many landmark achievements, from helping establish the Veterans Administration to securing compensation for those exposed to Agent Orange and advocating for improved medical care.

The Paso Robles Post, established in 1990, continues that legacy on a local level.

“The mission of VFW Post 10965 is to serve those who have served and to continue serving the Paso Robles community we call home,” Castillo explained. “We uphold the pillars of the Veterans of Foreign Wars: Advocacy, Community, and Camaraderie.”

Advocacy, he said, means ensuring that no veteran is left behind. The Post provides

guidance for navigating federal and state benefits, connects veterans to mental health and wellness programs, and steps in directly when someone needs help — offering everything from gift cards to referrals and hands-on assistance.

Community involvement, meanwhile, is woven into everything they do. Whether it’s handing out Buddy Poppies outside Albertson’s, leading the color guard during Pioneer Day, or hosting their popular monthly Taco Takeover, the VFW strives to remind Paso Robles residents that service members remain active contributors to local life.

And Camaraderie — the bond forged in shared service — continues long after the uniform is retired.

“Our service didn’t end when the uniform came off,” Castillo said. “We support one another through fellowship, teamwork, and shared purpose.”

Among the programs Castillo is most proud of are the Patriot’s Pen and Voice of Democracy essay competitions. Designed for middle and high school students, the contests encourage youth to reflect on themes of patriotism, democracy, and civic duty.

“These essays have the potential of winning at the post level up to $500. If they make it to district and state, it could be anywhere between $1,000-$5,000. If that student makes it to national, it’s $30,000,” Castillo said. “Which is a huge honor. All essays are focused on patriotism with a different topic revolving around that every year.”

Through these initiatives, Post 10965 not only supports young writers but also connects them with veterans who understand the cost and value of the freedoms they write about.

Like many veteran organizations, Post 10965 faced challenges in recent years. The COVID pandemic, along with the natural loss of older generations, led to a steep decline in membership.

“Membership was a huge issue the year I became commander,” Castillo said. “We focused our efforts that year on raising our membership. We went from 50 members to over 100 that year. We still continue to work on recruitment and informing the next generation of veterans the importance of continuing to support and be active in our close-knit group.”

Looking ahead, Post 10965 is taking

on a major new project: creating an artistic monument to honor fallen service members at Paso Robles Veterans Park, located behind the Veterans Memorial Building.

“We started with petitioning the City of Paso Robles to change the name of Oak Creek Park to Veterans Park,” Castillo said. “We were successful with a unanimous vote from the parks and recreation committee as well as City Council.”

Now, the Post is in the early stages of fundraising for the memorial itself — an interactive, modern installation designed by local artist Max Rudolph. Castillo envisions it as a reflection of cowurage, loss, and sacrifice — a space for remembrance, but also for healing and community.

“We are looking for donors as well as future partners who would want to be a part of supporting our veterans,” Castillo said. “We encourage the public to assist and support any veteran they know, and if they know of a veteran in crisis, please reach out to us. A memorial is a wonderful thing to see and reflect on, but being able to be a space for veterans is the most important part.”

Castillo admits that even he once

misunderstood what the VFW was all about.

“I myself always thought the VFW was just a bar for old-timey veterans, cheap drinks, and an interesting selection of music from the juke box,” he says. “Turns out not all VFWs have a bar or “canteen.” We aren’t just here for the drinks. We’re so much more than that.”

In fact, the VFW holds a seat at the table in Congress, advocating for legislation that directly affects veterans and their families. Castillo and fellow members from across California travel to Washington, D.C., annually to meet with lawmakers.

“That’s been the best part of the VFW for me,” he said, knowing that they have a voice that matters in the world of legislation.

For Commander Castillo and the members of Post 10965, Veterans Day isn’t just about ceremonies or parades. It’s about continuing the mission: serving veterans, strengthening the community, and honoring those who gave everything for their country.

The Paso Robles Veterans Memorial Building is located at 240 Scott St. For more information, visit vfwpost10965.org

North County In The Spirit Of Giving

Holiday traditions that warm the heart

As the holidays arrive, North County comes alive with the true spirit of giving—where running shoes, turkey costumes, and open hearts all play their part in making the season brighter. Whether you’re lacing up for a trot around Atascadero Lake, donning your finest wrestling gear for Turkeymania, or helping spread cheer at the Day of Giving, every event celebrates the generosity that defines this community. And on Thanksgiving Day, as hundreds gather around tables at Centennial Park, Paso Robles’ long-standing tradition of sharing a meal with friends and strangers alike reminds us that the greatest gift of all is connection. This season, there’s no shortage of ways to give back, and every act of kindness helps make the holidays a little warmer for everyone.

7th annual ECHO Turkey Trot

Kick off Thanksgiving morning with a burst of fun and feathers at the 7th Annual ECHO Turkey Trot, happening 8:30a.m. at the Atascadero Lake Park Bandstand. This beloved North County tradition invites runners, walkers, and wobblers of all ages (and their pets!) to hit the path in their most festive turkey attire.

Hosted by the El Camino Homeless Organization (ECHO), the event combines fitness and community spirit to support local individuals and families experiencing homelessness. The 5K fun run/walk is the perfect way to start your holiday with heart and maybe win big! Prizes will be awarded for the best turkey costumes in adult, child, and pet categories, so don’t be afraid to strut your stuff.

There’s a suggested donation of $20 per person, and every dollar helps ECHO continue its vital work providing shelter, meals, and resources to those in need. Learn more at echoshelter.org

20th Annual Paso Youth Wrestling Club Turkey Trot

The Paso Robles Youth Wrestling Club is bringing the energy (and the spandex) with its 20th Annual Turkey Trot: Turkeymania! Lace up those running shoes, rip those yellow shirts, and slap on a headband for Paso’s most entertaining Thanksgiving season tradition.

The morning kicks off Thursday, November 27, at 7 a.m. with registration, followed by races, fun runs, and walks starting promptly at 8 a.m. at the Food 4 Less parking lot off Creston Road. Whether you’re running the 10K, 5K, or Family Fun Run, you’ll be supporting the Paso Robles Youth Wrestling Club, a nonprofit that directly funds the PRHS Wrestling program.

Expect plenty of prizes and laughs along the way, including firstplace medals for each 10K division. This year, to honor the late and great Hulk Hogan, the trot will include a Hulkster Costume Contest

— so break out those blonde wigs and best wrestling poses! The first 100 participants will snag a limited-edition Turkeymania T-shirt. To learn more, visit raceroster.com/event s/2025/111525/20tha nnual-paso-robles-yo uth-wrestling-club-t urkeymania

F or more than 30 years, the Toy Bank of Greater Paso Robles has made the holidays brighter for families in need, providing toys and clothing to over 500 families and 1,400 children each year across Paso Robles, Shandon, San Miguel, Bradley, and Heritage Ranch. This year’s Day of Giving returns on Saturday, December 13, at the Paso Robles Event Center, where Toy Bank will once again partner with Coats for Kids of SLO County to serve more than 700 local families. Volunteers will gather to distribute toys, coats, and warm clothing, ensuring that every child can celebrate the season with comfort and cheer.

Celebrating over 35 years of service, Coats for Kids continues its heartfelt mission of keeping North County families warm through donations of jackets, sweaters, and sweatshirts. Entirely volunteer-run,

41st annual Thanksgiving for Paso Robles

Dinner Details

Sit Down Meal

All are welcome to enjoy a traditional sit-down Thanksgiving meal at no cost from 12 to 2 p.m. at Centennial Park Activity Center at 600 Nickerson Road in Paso Robles.

To-Go

Meals

There will be a limited number of to-go meals available for pickup. The to-go window will be open from 3 to 4 p.m., or until all meals are gone — whichever comes first!

Delivery

For those who are homebound, there are volunteers to deliver a warm Thanksgiving meal. The deadline to request delivery is by 5 p.m. on Monday, November 24.

Day of Giving with Toy Bank of Greater Paso Robles

both organizations put every contribution directly into the hands of local families.

There are many ways to get involved — by volunteering, donating, or purchasing toys from the Toy Bank’s Amazon or Target wish lists, which ship directly to the nonprofit. Donation boxes can also be found throughout Paso Robles this season.

Registration will be open from November 1 through November 20, with donation boxes placed at local businesses during the first week of November and wish lists available on the Toy Bank’s website by mid-November. Around the same time, donation boxes will also be distributed to collect coats for Coats for Kids. Learn more, register for assistance, or find ways to help at prtoybank.org or coatsforkidsslocounty.org

Now in its 41st year, Thanksgiving for Paso Robles continues to embody the heart and spirit of the community. Each year, more than 1,500 residents come together to share a warm, homemade Thanksgiving meal — free of charge and full of fellowship. This cherished event welcomes everyone to the table, ensuring that no one spends the holiday alone.

Held at the Centennial Park Activity Center on Thursday, November 27, the dining room will be open from 12 to 2

p.m., with to-go meals available at 3 p.m. Volunteers and donors make this beloved celebration possible, giving their time, talents, and resources to serve others with care and kindness. Community members are encouraged to get involved — whether by volunteering, delivering meals, or making a donation to help fund the feast. Families, students, churches, and local businesses all play a part in keeping this tradition alive year after year. To learn more, visit  thanksgivin gforpasorobles. com

Thanksgiving Day Dinner Served All Day For Free Homemade Eggnog Thanksgiving thru New Years!

From Whiskey & June

5950 El Camino Real, Atascadero

A SWEET NEW HOLIDAY TRADITION IS COMING TO PASO ROBLES

The holidays are about to get a whole lot sweeter in Paso Robles! Just Baked and The Ava Hotel are teaming up to host the 1st Annual Christmas Cookie Exchange. The event takes place Wednesday, December 10, from 4 to 6 p.m. at The Ava Hotel in Paso Robles, inviting guests to celebrate the season with sweet treats, music, and good company.

So, how does a cookie exchange work? Each participant will sign up at the time of ticket purchase with one cookie recipe they plan to bring. Bakers are asked to prepare six dozen cookies — two dozen for the tasting and judging portion, and four dozen for the exchange. After the tasting, every guest gets to fill a take-home box with four dozen cookies of their choosing, ensuring everyone leaves with a beautifully mixed assortment of holiday delights.

Adding to the festive fun, Epic Entertainment will be there to DJ the event and provide a cheerful holiday photo booth for guests to capture memories. Prizes will be awarded for “Best Looking Cookie,” “Best Tasting,” “Judges’ Award,” and “Best Alternative Cookie,” with local goodies up for grabs. Santa himself may even make an appearance!

Guests can enjoy small bites provided throughout the event, while The Ava Hotel will offer a cash bar with seasonal beverages available for purchase. Between the music, mingling, and mountains of cookies, this new event promises to become a beloved local holiday staple.

Event host and Just Baked owner Libby Ryan shared that the inspiration for the Christmas Cookie Exchange comes from her own family traditions.

“I’ve wanted to do this for years,” she said. “My mom and I used to make Christmas cookies together when I was little, and I think the community here just loves these kinds of holiday gatherings. Events like this are gaining traction across the country, and I’m excited to bring it to Paso Robles.”

She added that more sweet celebrations are on the horizon — including a “Cake Picnic” planned for after the holidays.

Tickets are on sale now at justbakedslo.com with limited spots available for this deliciously interactive event. Follow @justbakedpaso and Paso Magazine for updates. Whether you’re a seasoned baker or just in it for the cookies, the Christmas Cookie Exchange is the perfect way to kick off the holiday season — one delicious bite at a time.

Guide to the Festive Season in

San Luis Obispo County

From festive tree lightings to seasonal markets and family fun, discover the events that make the Central Coast magical this holiday season

It’s the most wonderful time of the year on the Central Coast! San Luis Obispo County transforms into a holiday wonderland filled with twinkling lights, joyful music, and heartwarming community traditions. From seaside parades and snowy downtown celebrations to cozy markets and visits with Santa, every corner of the county is

Holiday Boutique in Atascadero

Celebrate the holiday season at Atascadero’s Pavilion on the Lake from 10 a.m. to 3 p.m. This one-day craft show on November 8 features 50+ talented handmade vendors.

5th Annual Atascadero Fall Fest

Enjoy a weekend of family fun at Sunken Gardens in Downtown Atascadero, November 14–16. The free festival features a carnival with rides, games, vendors, breweries, and live music. Hours are Friday from 4 to 10 p.m. and Saturday and Sunday from 12 to 10 p.m.

Elegant Evening in Paso Robles

Experience the charm of Downtown Paso Robles on November 15 from 5 to 8 p.m. Enjoy merchant open houses, captivating live mannequins in storefront windows, delightful refreshments, entertaining performances, in a lively and engaging evening of community festivities.

Holiday Lighting Ceremony Paso Robles

The annual Main Street holiday lighting ceremony, a part of the Cancer Support Community Lights for Hope event, includes candlelight caroling, greetings from City officials, Mrs. Claus and the Elves, and more on November 28 from 5:30 to 7 p.m.

brimming with seasonal cheer. Whether you’re shopping local, sipping hot cocoa under the stars, or watching the lights sparkle on the water, this guide to festive events will help you make the most of this magical season.

All events are chronologically listed. Readers are encouraged to confirm all scheduled events.

Cambria Christmas Market

Experience the magic of the season at the Cambria Christmas Market, running November 28–December 31 at 2905 Burton Drive in Cambria. Stroll through over 3 million Christmas lights, explore the artisan vendor market, visit Santa, enjoy train rides, fire pits, live music, and festive food and drinks. Daily hours vary; visit cambriachristmasmarket.com/ tickets for details.

Santa’s House/Holiday Plaza at Mission Plaza, San Luis Obispo

Check out the amazing decorations and activities in the plaza, including an evening light display, carousel, Santa’s Mouse Scavenger hunt, write letters to Santa, and more from November 29 through December 24, time varies.

Holiday Tree Lighting Celebration in Morro Bay

Join the festive Holiday Tree Lighting Celebration at Morro Bay City Park on December 5 at 5 p.m. Festivities start at 3:30 p.m., leading up to the enchanting tree lighting ceremony, marking the start of the holiday season in a joyous atmosphere.

The North County Nutcracker

The 29th Annual North County Nutcracker, a Storybook Ballet presented by North County Dance and Performing Arts Foundation, offers four shows at Cal Poly Spanos Theatre on December 5-7, featuring various performance times. Tickets are available at ncdpaf.org/events

49th Annual Downtown San Luis Obispo Holiday Parade

On December 5, from 7 to 9 p.m. This event is one of the largest parades on the Central Coast, attracting thousands of spectators and featuring all types of floats, vehicles, marching bands, dancers, and more.

Light Up the Downtown Atascadero

On December 5, from 5:30 to 8 p.m., soon after the lights come on, Santa and Mrs. Claus will be arriving via an antique Model-A fire truck. Shops will be open late for the Downtown Holiday Sup & Shop with wine and beer tastings will be available from participating merchants. A great way to enjoy shopping and strolling Downtown along with the festivities of the season!

Santa’s House on the Embarcadero in Morro Bay

Santa’s Coming to the Embarcadero on December 6-7 and 13-15. Santa will be welcoming families on Fridays and Saturdays from 4 p.m. to 8 p.m. and Sundays from 12 p.m. to 4 p.m. the first two weekends of December. Come visit Jolly ol’ Saint Nick & get a picture. Santa’s house is at the corner of Embarcadero and Front St.

Holiday Musical Walk Around the Lake

On December 6, from 5:30 to 9 p.m., experience a festive “Holiday Musical Walk Around the Lake” at Atascadero Lake. Enjoy carolers, community singing, and holiday decor in a charming lakeside setting.

64th Annual Christmas Light Parade Downtown Paso Robles

Enjoy the sights and sounds of the holiday spirit with an illuminated parade featuring an array of light spectacles from local businesses on December 6, starting at 6 p.m. A variety of awards will be also be given for best in show. Join Santa and Mrs. Claus and watch downtown light up with holiday spirit.

Cayucos Christmas Tree Lighting

Join friends for a festive community Christmas Tree Lighting on December 7 at 5 p.m. Enjoy carolers, refreshments, and a visit from Santa and Mrs. Claus — arriving by fire engine! The tree lighting will be on the corner of D Street and Ocean Avenue.

Mid-State Fair Market at the Paso Robles Event Center

The Mid-State Fair Market at the Paso Robles Event Center features local crafters and artisans from throughout San Luis Obispo County selling handmade and unique items on December 12 through 14 from 12 to 4 p.m.

Winter Wonderland in the Sunken Gardens Atascadero

Atascadero’s Sunken Gardens and the entire downtown will be transformed into a magical snowy paradise. Over 70 tons of snow will create a massive snow slide built by the Kiwanis Club of Atascadero. In addition, there will be two large snow pile areas for the kids on December 12 from 5 to 9 p.m.

Lighted

Boat Parade on the Embarcadero in Morro Bay

On December 13, be dazzled as our fishing, leisure, and yachting community takes to the water with decorated boats with dazzling lights and holiday cheer. The parade will go on rain or shine and starts at 6:30 p.m.

39th Annual Vine Street

Victorian Showcase Paso Robles

Ebenezer Scrooge, the Snow Queen, Mr. & Mrs. Claus, and the whole crew will be on hand on Vine Street in Paso Robles. Come join in on the fun of community caroling, illuminated floats, entertainers, and live music. Don’t miss this sure-to-please holiday mainstay in Paso Robles on December 13 from 6 to 9 p.m.

Christmas in Cayucos Wonderland Walk

Celebrate the holidays in Downtown Cayucos with the Wonderland Walk on Saturday, December 13, from 4 to 7 p.m. Stroll along Ocean Avenue as local businesses stay open late, offering festive decorations, seasonal specials, and coastal holiday charm. Enjoy free horse-drawn carriage rides, a visit with Santa and Mrs. Claus, a kids’ craft workshop, a snowy play area, and complimentary refreshments from the Cayucos Lioness Club.

Santa’s Doggie Parade at the Avila Beach Promenade

All dogs must be registered and check in between 10:30–10:45 a.m. to receive a contest identification number for the costume contest: best dog costume, best dog/owner look-alike, best holiday look, funniest costume, and best in show. The parade starts at 11 a.m. on December 13.

Holiday Magic at Central Coast Zoo

The zookeepers have stepped in as Santa’s Elves to prepare gifts for the animals. Santa will be at the Zoo on Saturday, December 20, from 10 a.m. to 1 p.m. to help welcome visitors and deliver gifts to the animals.

35th Annual Teddy Bear Tea in Paso Robles

Bring your Teddy Bear, dress him up. Santa, Mrs. Claus, the Snow King, and Queen, as well as Santa’s Elves, will be there for the fun at the Park Ballroom on December 20 from 2 to 4 p.m. Tickets can be purchased at my805tix.com. Bring your camera for those precious memories.

New Year’s Eve Bonfire and Concert

Ring in the new year at Paso Robles City Park on Wednesday, December 31, from 7–11 p.m. This family-friendly, free event features live music, festive fun, and a special New Year’s countdown at 9 p.m. (East Coast midnight).

Noon Year’s Eve at the Central Coast Zoo

Celebrate the new year early at the Central Coast Zoo in Atascadero on Wednesday, December 31 (times TBD). This family-friendly event offers a fun-filled way to welcome 2026 before bedtime — more details to come!

estled in Paso Robles, Howard Products has been a trusted name in furniture care and antique restoration for over five decades. The company’s story began in 1969 when Douglas G. Howard set out to solve a simple but challenging problem: how to eliminate blemishes in wood finishes and restore the original color and luster without stripping the finish. His solution was Restor-A-Finish, the product that would lay the foundation for Howard Products and its enduring legacy.

From its earliest days, Howard Products has remained committed to quality and tradition. The company uses only the highest-quality ingredients, avoiding fillers or unnecessary additives, ensuring customers receive exactly what they expect from a premium product. Supporting these products is equally important; Howard Products offers personal technical support,

often speaking directly with a member of the Howard family — just as they did when the company began.

Howard Products has grown alongside the antique restoration and furniture care markets, listening to customers from momand-pop shops to larger retailers. These close relationships allow the company to anticipate trends, solve problems, and deliver innovative products that meet evolving needs while honoring time-tested craftsmanship.

The company also proudly supports the local community, sponsoring school and sports fundraisers, animal rescue organizations like From the Heart Animal Sanctuary, and regional events such as the Paso Robles Pioneer Day Parade and Best of the West Tractor Show. Howard Products is also a founding supporter of ECHO, helping provide housing for hundreds of

individuals and families in need.

“Howard Products plans to continue its legacy by honoring the same tradition of quality, craftsmanship, and integrity that has guided the Howard family for over three generations,” shared owner Brett Howard. “From our earliest beginnings, our mission has been simple yet lasting: to help people care for and preserve the beauty of the things they love — especially the wood and fine furniture that make a house feel like home.”

By combining tradition with innovation, Howard Products remains a trusted partner in caring for cherished furniture and creating homes that shine with pride.

560 Linne Road, Paso Robles (805) 227-1000

howardproducts.com

Leadership Transition & Upcoming Community Celebration

The Paso Robles & Templeton Chamber of Commerce announces a leadership transition as President and CEO Gina Fitzpatrick has resigned after 10 years of dedicated service. To ensure continuity in supporting the businesses and residents of North San Luis Obispo County, current Board Chair Rob Covarrubias will step down from his chairmanship and assume interim leadership responsibilities.

“Gina’s dedication to our community has been integral to the Chamber’s success,” stated Covarrubias, outgoing board chair and incoming interim CEO. “Her commitment to fostering meaningful connections and strategic partnerships has strengthened the region’s economic foundation and preserved the values that distinguish Paso Robles and Templeton. We are grateful for her service and wish her continued success in her future endeavors.”

Covarrubias, an experienced community leader and member of the 2025 Board of Directors, brings a strong background in business advocacy and civic involvement. As interim CEO, he will oversee daily operations, ongoing programs, and the search for

a permanent successor — ensuring the Chamber’s mission continues without interruption.

“This transition allows us to reflect on shared achievements and look ahead with optimism,” Covarrubias added. “I am committed to upholding the Chamber’s core values of collaboration, innovation, and community focus during this period.”

In the spirit of connection and celebration, the Paso Robles & Templeton Chamber of Commerce is also pleased to announce the return of its beloved Christmas Tree Auction and Awards Ceremony, to be held at SpringHill Suites. This festive annual event unites the community in celebration while recognizing local achievements and raising funds for nonprofit organizations.

The evening’s highlights include honoring the Templeton Citizen of the Year and Templeton Business of the Year, awards that celebrate exceptional community leadership and service. Guests can also participate in the Christmas Tree Auction, where beautifully decorated, themed trees — donated by local businesses and organizations — will be auctioned to benefit local nonprofits and community programs.

Nology Computers is a Paso Robles gem serving North County San Luis Obispo
expert crew

Education Employees Serving the Community

“Education is not the learning of facts, but the training of the mind to think.” — Albert Einstein

San Luis Obispo County school districts and Cuesta College celebrated the achievements of many talented educators and support staff at the Fall Employee of the Year Gala held in October at Cuesta College. Central Coast schools are fortunate to have a well-trained, dedicated, and inspiring workforce. Despite the challenges faced by our educational organizations, opportunities and promise still thrive in our local schools. Events like our “Employees of the Year” highlight the value our employees bring and their lasting impact on generations of the local community. You are invited to watch these celebrations on the San Luis Obispo County Office of Education YouTube channel.

A positive example of a community-serving program is our SLO Partners’ “The Next Wave,” a three-month mentorship and professional development initiative designed for women in San Luis Obispo County. Sponsored by the San Luis Obispo County Office of Education and the San Luis Obispo County Career and Technical Education Foundation, the program combines in-person and virtual sessions with mentorship, peer coaching,

and career goal setting. The program features one-on-one mentoring from regional leaders in sectors such as design, engineering, retail, and entrepreneurship. Participants will gain a personalized career roadmap, a stronger sense of purpose, and valuable connections that go beyond the classroom.

The program also addresses the growing need for accessible, high-impact development opportunities for women navigating career transitions, whether returning to work, switching industries, or stepping into leadership for the first time. “We kept hearing from women who were ready to grow but didn’t know where to start or who to talk to,” said Tyler Skinner, founder of Women Making Waves and creator of the Next Wave. “This is our answer: a communitydriven structure where women can learn, plan, and advance together.”

The program has gained support from a network of local businesses and previous community partners, including RRM Design Group, Rick Engineering, and Farm Supply Company. Educators can bring about significant change in our society.

When employees at agencies like the San

Luis Obispo County Office of Education, SLO Partners, and the SLO CTE Foundation work together, they serve as role models. These actions speak louder than words, and everyone in the educational community positively influences our students’ learning. Employees in our educational organizations play a vital role in the community’s success, especially during students’ formative years. Educators are no longer just seen as providers of knowledge to empty vessels wandering the hallways. Everyone involved in serving our community must collaborate to develop a highly skilled, educated, and resilient citizenry. Our success as a community, state, and nation depends on a well-educated populace.

The Next Wave is just one of many strong examples of employees in our schools working

Before I began my career in law enforcement, I was a part of a program sponsored by the Morro Bay Police Department. It was called the Explorer program. That was back in 1982. A chance to learn more about the law enforcement profession. It left a lasting impression. And that’s why I want to talk about that program, which is still going strong here at the Sheriff’s Office.

The Sheriff’s Explorer Program is a unique opportunity for young men and women, ages 15 to 21, to step into the world of law enforcement and discover what it truly means to serve their community. This is a hands-on, boots-on-theground experience that builds confidence, leadership, and communication skills. Explorers train in everything from physical fitness to ethics to real-world decision-making under pressure. Along the way, they gain an inside look at the many roles within the Sheriff’s Office,

FUTURE LEADERS IN BLUE

from deputies and investigators to specialized units. Explorers don’t just learn, they actively serve. They take part in community events, assist at Sheriff’s Office functions, and participate in statewide competitions that test their skills in high-intensity, realistic scenarios. These challenges include providing medical aid, responding to active-shooter simulations, and executing high-risk traffic stops. It gives participants a glimpse of the pressures and responsibilities our deputies face every day.

Just last month, we hosted the Central Coast Explorer

Competition here in San Luis Obispo County. Fourteen Explorer posts and roughly 150 young participants, from CHP to local police departments and other sheriff’s offices, came together for a full day of intense, realistic challenges. The scenarios pushed the Explorers to think fast, communicate clearly, and act decisively under pressure. Awards were presented to the top performers, and scholarships were offered to high school graduates in the program, providing extra motivation for those pursuing further education and careers in law enforcement.

Being a Sheriff’s Explorer is

about more than training for a career, it’s about personal growth. These young men and women develop leadership qualities, sharpen their decision-making, and learn how to communicate effectively under pressure. They gain the confidence to face challenges head-on, the discipline to succeed in both professional and personal pursuits, and the sense of responsibility that comes with serving others.

If you know a young person with a passion for law enforcement or community service, I encourage them to consider becoming a Sheriff’s Explorer. This program opens doors to invaluable experiences, fosters personal growth, and offers the chance to make a real difference in the community. For more information, contact Deputy Jessica Dugan at jdugan@co.slo.ca.us

Our Explorers aren’t just preparing for careers, they’re preparing to lead. Their drive, discipline, and heart give me confidence that the future of law enforcement will be in the hands of men and women ready to serve with integrity, courage, and compassion.

Templeton comes together for Feed

Back in September, Templeton came together in a way that highlighted the spirit of smalltown America. Two major fundraisers — “One Town, One Table” on Friday, September 19, and “The Grain Revival” on Sunday, September 21 — not only generated critical funds for the rebuilding of Templeton Feed & Grain (TF&G) but also gave the community a chance to celebrate what the landmark had meant for generations.

The Jermin family, who have been operating TF&G for three generations, had their lives changed after the July 4 fire that destroyed the wooden grain silos, a familiar sight on Main Street for nearly 80 years. The fire was ruled an act of arson after illegal fireworks sparked an explosive blaze that burned for days and led to the silos’ demolition. Later, authorities confirmed the involvement of four juveniles,

with the case turned over to the San Luis Obispo County District Attorney’s Office.

For many residents, the silos and the business behind them represented more than a feed store — they embodied Templeton’s identity. Families had posed for photos in front of the towering structures, and generations of local youth had been supported by the Jermins through 4-H, FFA, and countless community causes.

Abby Allen, manager of Templeton Market and Deli and one of the fundraiser organizers, reflected that TF&G was at the heart of Templeton. To her, the Jermins embodied old-fashioned values, the kind of neighbors whose word carried the weight of a promise. She and others on the planning committee felt strongly that the community needed a way to give back, not only to the family but also to honor what the Feed and Grain had represented.

“I personally want to support

this community that has such an impact on me personally and my business,” Abby shared with Atascadero News Magazine. “And I just feel like the Templeton Feed and Grain is the heart of that.”

Planning for the two events began with a small group that quickly grew into a well-rounded committee. In just six weeks, the team managed to organize both gatherings. Volunteers and local businesses stepped forward with donations of equipment, printing, beverages, and auction items, many without being asked.

“Honestly, I feel like God had a hand in this because we could not have handpicked a better committee to put on this fundraiser,” said Abby.

On September. 19, more than 300 guests filled the historic TF&G site for “One Town, One Table.” A long outdoor dining table was set where the silos once stood, and neighbors shared a chef-prepared, farmto-table meal accompanied by local wines and craft beers. The

evening included live music from the Mark Adams Band and an auction that offered one-of-akind items, helping raise funds for the rebuild.

Two days later, Main Street transformed into a lively street fair for “The Grain Revival.” Families packed 3rd through 6th streets to enjoy barbecue, kids’ games, a dunk tank, a petting zoo, and vendor booths. Hats and merchandise sold out quickly, while live performances from Monte Mills & His Lucky Horseshoe Band, Shawn Clark Family Band with Ryan Delmore, Archer Mozé, and others kept spirits high.

The classic car show lined Main Street with vintage cars, tractors, and motorcycles — all pre-1975. Abby described the atmosphere as joyful and healing, a chance for the town to reconnect with its grassroots and look forward to what could be rebuilt. She noted that the success of the weekend was measured not only in dollars raised but also in the way

& Grain’s future

it brought people together. Attendees described both events as positive and energetic.

“I think [the fundraiser] was successful on a lot of different levels too, not just monetarily, but for the chance for the community to really come together and celebrate the feeding grain as it was and hopefully look forward to what it can still be,” Abby said. “And to have some healing as a community because it did mean so much to, in different ways perhaps, but to so many different people. And I feel it got us back to our grassroots.”

If you missed the fundraiser but still want to contribute to the cause, you can participate in the TF&G’s Commemorative Brick Campaign. For $250, donors can purchase personalized engraved bricks that will eventually be incorporated into the new site. Forms for the bricks can be found at the Templeton Market and Deli or online at TFGfundraiser.com

Currently, TF&G is operating out of a rented 10,000-squarefoot warehouse, with nearly all inventory restored. Plans for rebuilding at the historic 1912 cement building site are still in the works, with the Jermins committed to preserving the legacy of Tom Jermin Sr.’s feed formulas while adapting to the community’s changing needs.

For many, the events served as both a fundraiser and a celebration of what TF&G had meant to Templeton. Organizers admitted they were already considering making the Grain Revival an annual tradition, given the overwhelming turnout and enthusiasm.

The proceeds from the fundraisers and brick campaign were dedicated directly to TF&G’s rebuilding efforts, but perhaps just as importantly, the events gave Templeton a chance to show its heart and to remind itself of the strength that comes when neighbors stand together.

and celebration. We offer unlimited options for your custom projects with unparalleled service.

Photos by Derek Luff /PRM
Wyatt Wicks Finish Carpentry, Inc., is dedicated to making homes beautiful with fine carpentry. Our personally, professionally-crafted woodworking will make your home a source of comfort and a space for connection

HARVEST FEAST WINES

Every culture has its version of a harvest feast. In the United States, we celebrate Thanksgiving. In Italy, it's La Festa del Ringraziamento. The main Greek harvest celebration is Thesmophoria, and in Spain, a series of regional festivals are collectively known as Fiestas de la Vendimia. The common thread is a celebration of a good harvest and the act of coming together to enjoy the fruits of labor with family and friends. Every culture pairs native foods with native wines, a concept often described as "what grows together, goes together."

In much of the New World, this concept can feel a bit foreign, as most wine grapes originate from France, Italy, Spain, and Greece. However, in Paso Robles, we have the luxury of growing over 60 different varieties of wine grapes from these old-world regions. This Thanksgiving, consider bringing a different wine to the table for your harvest feast.

Turkey is the protein most associated with our traditional Thanksgiving dinners, and Pinot Noir is the go-to pairing. It's light-bodied with moderate acidity and some earthiness. This year, why not try a Nebbiolo?

Originally from Italy's Piedmont region, this grape still delivers a light color, high acidity, and delicate earthy qualities. With a touch more tannins, this wine can pair with your turkey and all the fixings, along with a delicious dish of baked ziti.

For those who prefer a bolder approach, Zinfandel is often the traditional pairing. It thrives in the warm California sun, producing a fruit-forward wine bursting with blue and black fruit with moderate tannins. Lately, Paso winemakers have been taking a more restrained approach to Zinfandel, a departure from the jammy and sweet. This subtle style is more akin to a Tempranillo, with savory red fruit, fig, and plum notes. Tempranillo is the main grape of Rioja, Spain, a region easily compared to Paso Robles due to its Mediterranean influences and chalky soils. It’s also a versatile red wine that can pair with a decadent prime rib roast or introduce something different like Cordero Asado, a slow-roasted lamb with potatoes and onions.

White wines are also a staple of Thanksgiving dinner, with Sauvignon Blanc's bright citrus notes typically shining through the richness of turkey or heavier side dishes. An alternative could be Assyrtiko, which matches the citrus tones but offers more minerality and density. Originating from the Greek island of Santorini, it's perfect for introducing Tzatziki as an appetizer dip or as a sauce for your herb-crusted roast lamb.

Unoaked Chardonnay can pair perfectly with creamy Thanksgiving favorites or with a beautiful branzino, a whole roasted, locally caught fish. Much like Chardonnay, Fiano offers nutty, floral, and tropical fruit notes. Its rich texture pairs wonderfully with grilled fish or seafood in sauces. While Fiano is known for coming from the Campania region of Italy's southwest coast, plantings are growing in Australia, Argentina, and here in Paso Robles.

You can find producers of these alternatives to Thanksgiving staples on Pasowine.com. Use the filter tool under "Wine Type" to find all the grapes and styles of wine to choose from.

Enjoy your harvest celebration with some Paso Robles wine!

From Farm to Thanksgiving Table

November is an interesting month. It finally starts feeling like fall, but there’s also the chance it will be almost 90 degrees out! It’s a bit frustrating for everyone ready to cozy up for fall, but great for the summer lovers. This goes for the produce as well! The heat-loving plants are nearing the end of their season, and our farmers are getting ready to plant cooler-weather veggies.

If you are looking to grow some of your own produce, fall is a great season to plant! My personal favorites are garlic and onions. Although they require a lot of patience, they are easy to grow and are used in so many dishes! I usually buy a bag of onion starts from Farm Supply and just pop them into the soil, add water and they take off! It’s a great activity for kids to help with because they love poking holes in the dirt and burying things. If you find organic garlic from the store, all you need to do is break apart the cloves and plant them pointy side up to get beautiful garlic bulbs in the spring! They will most likely need some additional watering if it is a little dry between rain, but they require minimal care until they are ready to harvest.

I’m very appreciative that we have so many amazing farmers in our community who know how to deal with all the challenges that come up growing food. It’s not easy, and they always bring the most beautiful fruits and veggies to the markets each week. I am very thankful that we can get the most beautiful and nutritious produce to cook with our own turkey this time of year. We put a lot of love into raising our turkeys for Thanksgiving and I think it’s only right to serve it alongside the freshest and best veggies.

Butternut squash is one of my favorite things to eat in the fall. It’s beautiful, tasty, and simple. I made some when a friend was visiting, and he reluctantly ate some. He then exclaimed, “Why does my mom make this so gross all the time and this is actually good?!” I laughed and we concluded that butternut squash is so much better without adding more sweetness to it. I’m sure there are plenty of people out there who love their brown sugar and cinnamon roasted butternut squash, but I am finding a lot of people who enjoy it like I do with lots of herbs, pepper, and even some cheese.

If you need a simple and delicious side for any meal, just roast up some butternut squash in olive oil, salt, and pepper. I usually add some herbs like sage, thyme, or rosemary after it is done in the oven and sprinkle on some parmesan or feta cheese. This fall harvest salad is delicious with some leftover butternut squash and can make a delicious side dish to share at Thanksgiving.

Fall Harvest Salad

Dressing

• 1/2 cup olive oil

• 3 tablespoons apple cider vinegar

• 2 tablespoons dijon mustard

Salad

• 2 cups diced butternut squash (one medium squash)

• 2 tablespoons olive oil

• Pinch Kosher salt

• Pinch freshly ground black pepper

• 5 ounces mixed greens

• 1 large Honeycrisp apple

Instructions:

• 3 tablespoons honey

• 2 teaspoons fresh lemon juice

• 1/4 teaspoon Kosher salt

• 1/4 teaspoon freshly ground black pepper

(stems/seeds removed, thinly sliced or cut in small pieces)

• 1/4 cup goat cheese, feta, or blue cheese

• 1/4 cup candied pecans or walnuts

• 3 tablespoons pomegranate seeds (one pomegranate fruit)

1. Preheat oven to 400 degrees F. In a small bowl toss together the diced butternut squash, 2 tbsp olive oil, and pinch of kosher salt and ground black pepper. On a baking sheet, evenly spread the diced butternut squash. Roast for 25-30 minutes, flipping halfway through, until they are golden brown. Remove from oven and set aside.

2. While the butternut squash is roasting, in a small bowl add all the vinaigrette ingredients and whisk until fully combined. Taste and adjust if needed, if too acidic, add more honey. Place in refrigerator until ready to serve, whisk again prior to serving.

3. In a large serving bowl, add in the mixed greens, followed by the roasted butternut squash, sliced apples, cheese crumbles, pecans, and pomegranate seeds. When ready to serve, drizzle with the honey dijon vinaigrette.

Seasonal fruits and vegetables that you can find at farmer’s market this month are:

Fruits:

Vegetables:

Acorn Squash

Beets

Brussel Sprouts

Broccoli

Butternut Squash

Cabbage

Cucumber

Pomegranates

Leafy Greens

Leeks

Pumpkins

Sweet Potatoes

Linda Pedotti

Linda “Lindy” Swanson is the middle of three daughters, born to Howard and Elizabeth Swanson in Los Angeles. Lindy’s mother taught physical education at Harbor College. Her father, an Army veteran, was a facilities engineer for Douglas Aircraft. The Swansons’ modest home in Palos Verdes was nestled on a unique 1-acre parcel above the peninsula, with whimsical play structures amongst an avocado and citrus grove. The young sisters were gifted a horse, and Lindy became hooked!

After graduating from Palos Verdes High School, Lindy attended Harbor College. The bubbly cheerleader

was crowned Homecoming Queen. Lindy transferred to Cal Poly San Luis Obispo, where coed stardom once more named her Poly Royal Queen. Lindy earned a Bachelor of Science degree in physical education and received a teaching credential.

While attending Cal Poly, Lindy met Jon Pedotti, a second-generation cattle rancher and Navy veteran. Jon acquired San Simeon Creek Ranch in Cambria in 1973. Lindy readily participated in the growing pains of a startup cattle ranch. Jon and Lindy were married in the ranch’s historic barn in 1979. Over the years, they raised two daughters — Wendy and Kristy — both of whom married their husbands on the ranch’s picturesque headquarters.

San Simeon Creek Ranch remains a diverse operation. The rolling hills are home to a beautiful herd of commercial Angus cows. Both irrigated row crops and dry-farmed hay are grown on the flats that meander along San Simeon Creek. A quaint rock quarry produces a variety of aggregate materials. Both daughters’ families, with four grandchildren in total, contribute hands-on amid ranching operations.

Along with Farm Bureau Women SLO, Lindy is a member of the SLO Cattlewomen’s Association, Daughters of the American Revolution, and Native Daughters of the Golden West. Common threads between these organizations include fundraising for agriculture scholarships and supporting military veterans. She enjoys the camaraderie and energy of the Farm Bureau Women and their dedication to helping ag students succeed.

Lindy’s enthusiasm for ag education developed throughout, supporting her daughters’ academics and extracurricular activities. For several years, Lindy supplied the kindergarten with eggs in an incubator to observe hatching chicks. She hosted field trips to the ranch to educate classes on cattle working facilities, experience horseback, and feed chickens. In the late 1990s, Lindy facilitated the rejuvenation of Coast Union High School’s FFA program. Today, Lindy proudly sits on the Ag Advisory Board. FFA and 4-H heifer and steer practices are still welcomed in the corrals. Lindy continues to host ranch tours, donate succulents to horticulture classes, and share harvests from their orchard and garden. She was proud to be elected Cambria’s Woman of the Year in the 1990s.

Lindy’s personality is the only feature that outshines the twinkle lights of her festive holiday attire. Lindy doesn’t just cross your path; she touches your soul.

San Luis Obispo Farm Bureau Women meet every second Monday of the month from September through June. If you’re inspired by these stories and would like to learn more about becoming involved, contact Susan Sonne at (805) 610-1375 or shortsuecakes@gmail.com.

SLO County Farm Bureau
Women’s Member of the Month

95th annual Pioneer Day

Paso Robles celebrated its 95th Annual Pioneer Day on Saturday, October 11, continuing nearly a century of community pride and tradition. The day began with the beloved parade down Spring Street, featuring antique tractors, marching bands, floats, and local organizations honoring the city’s pioneer spirit. Top parade honors included Sweepstakes to Santos Bros. Plumbing and the Judges Award to the Queen’s Court. At City Park, the Paso Robles Lions Club served its famous free bean feed, a friendly tradition shared with the fire department for over 80 years. The aroma of beans cooking at dawn filled the park as families enjoyed contests and old-fashioned fun. The Whiskerino winners included James Prizmich for Best Overall Beard, while the Pioneer Pet Show and Little Cowboy/Cowgirl contests delighted younger generations. The celebration continued at the Paso Robles Event Center with the Pioneer Games, where events like hay stealing, bale wagon racing, and tractor competitions drew spirited participation. Hayden Rohrer and Spencer Degnan impressed with 31 bales in Hay Stealing, while Matt Carroll won the Celebrity Tractor Tire Race. Under the leadership of Chair Lori Woods, the day honored Grand Marshal Gary Tucker, Queen Lorraine Cagliero, and the Pioneer Royal Court — preserving Paso Robles’ enduring legacy of community and camaraderie.

Photos by Derek Luff /PRM

We will be happy to assist you in understanding the extent of the issue and in determining the best course of action to return to normalcy.

NOVEMBER Calendar of Events

NOVEMBER 6-9

PADEREWSKI FESTIVAL

DOWNTOWN PASO ROBLES

The annual Paderewski Festival in Paso Robles celebrates Ignacy Jan Paderewski’s diverse legacy with concerts, exhibits, wine tastings, youth piano competition, and cultural exchanges, highlighting the region’s rich heritage. Find more information on concert times and locations here paderewskifest.com

NOVEMBER 8

HOLIDAY BOUTIQUE

PAVILION ON THE LAKE, ATASCADERO 10AM–3PM

Kick off the holiday season with over 90 vendors offering handmade crafts and gifts. Get a head start on holiday shopping or find something special just for you.

NOVEMBER 8–9

SLO CAL SPARTAN TRIFECTA WEEKEND

SANTA MARGARITA RANCH, SAN LUIS OBISPO COUNTY

Race through vineyards, fall colors, and epic landscapes at one of Spartan’s fastest Ultras—perfect for first-time 50K racers. Weekend also features Spartan Trail Races. Visit spartan.com for registration and details.

NOVEMBER 11

VETERANS DAY AT THE FACES OF FREEDOM

FACES OF FREEDOM MEMORIAL, ATASCADERO

PORTOLA RD & HWY 41

11AM

Honor our veterans with a moving ceremony featuring a flyover, color guard, live music, wreath laying, and Quilt of Valor presentations. Food available for purchase by Kiwanis of Atascadero.

VETERANS DAY CEREMONY

VETERANS MEMORIAL, PASO ROBLES

DISTRICT CEMETERY 11AM

Program features an invocation, Pledge of Allegiance, welcome, guest speaker, patriotic songs, fly-over, closing prayer, honor guard, and Taps. Flags are placed at all identified veteran’s graves by American Legion Post 50 and Veterans of Foreign Wars Post 10965.

NOVEMBER 14–16

5TH ANNUAL ATASCADERO FALL FEST

SUNKEN GARDENS, DOWNTOWN ATASCADERO

FRIDAY 4–10PM | SATURDAY 12–10PM | SUNDAY 12–10PM

Enjoy three days of family fun at this free admission festival featuring a fullscale carnival, rides, games, vendors, breweries, live music, and more.

THE ANNUAL COLONY DAYS

DOWNTOWN ATASCADERO 10AM-3PM

Enjoy the parade and activities throughout downtown and Sunken Gardens with tours of City Hall and the Colony House in celebration of the early days of Atascadero. For information, visit colonydays.org

NOVEMBER 15

ANNUAL ELEGANT HOLIDAY EVENING DOWNTOWN DOWNTOWN PASO ROBLES 5-8PM

Free open house, refreshments, wine and bites, and entertainment for all to enjoy.

NOVEMBER 27

THANKSGIVING DAY

THANKSGIVING DAY FOR PASO ROBLES

CENTENNIAL PARK, PASO ROBLES 12-2PM

A celebration of thanks serving over 1,500 men, women, and children a traditional Thanksgiving meal at no cost. A true expression of community that brings diverse people together to share the day with others. All made possible through the generosity of caring individuals, students, organizations, churches, and businesses.

ECHO TURKEY TROT

ATASCADERO LAKE PARK BANDSTAND 8:30AM

Join us for a 5K fun run/walk on Thanksgiving morning at Atascadero Lake Park Bandstand at 8:30 a.m. Be sure to wear your best turkey costume

as there will be prizes for adults, children and pets!

20TH ANNUAL TURKEY TROT

FOOD 4 LESS PARKING LOT, CRESTON RD, PASO ROBLES

7AM CHECK-IN

Presented by the Paso Robles High School Wrestling Team: 1st place medals for 10K run for each division (6). Divisions: Men, Women, High School, Middle School, Open, Masters, Tee shirts for the first 100 Runners, Best Turkey Costume Contest. Register online raceroster.com or day of.

NOVEMBER 28

39TH ANNUAL DOWNTOWN LIGHTING CEREMONY

CITY PARK, PASO ROBLES

5:30PM

See the first lights shine downtown, along with a visit from Mrs. Claus.

NOVEMBER 29

SMALL BUSINESS SATURDAY

DOWNTOWN PASO ROBLES

This event encourages shoppers to get out and support the stores and restaurants that make Paso Robles stores and cuisine options unlike any other.

Wednesdays Saturdays Tuesdays Saturdays

The following listing of area houses of worship is provided by the partnership between Adelaide Inn and PASO Magazine. We hope to include all houses of worship in the Paso Robles, Templeton, San Miguel, Shandon, and Bradley areas. Your congregation is welcomed to send us updates and information to make our list complete and accurate. If you have information, please send an email to office@13starsmedia.com or call (805) 237-6060. Please include your name, address, phone, service times, and name of spiritual leader of your congregation. Thank you, and stay blessed.

ATASCADERO

“ABC” Atascadero Bible Church

6225 Atascadero Mall

Atascadero (805) 466-2051

Sunday 8am, 9am, 10:45

Thursday 7pm, Celebrate Recovery

Pastor Jeff Urke

Awakening Ways Center for Spiritual Living 9315 Pismo Ave.

10:00 a.m. at the Pavilion

Rev. Elizabeth Rowley Hogue awakeningways.org (805) 391-4465

Congregation Ohr Tzafon

“The Northern Light” 2605 Traffic Way

Atascadero, CA 93422

Friday Night Service 6:30 PM (805) 466-0329 congregationohrtzafon.org

Hope Lutheran Church 8005 San Gabriel Road, Atascadero

9am Sunday (in-person and livestream on YouTube)

Pastor: Aaron Smith (805) 461-0340 ourhopelutheran.net

Resurrection Anglican Church

9005 Santa Lucia Rd 828-406-7253

Sunday 9:30am

Priest: Reverend Dr. Cynthia Gaw sites.google.com/view/ resurrectionanglicana-town

CRESTON

Creston Community Church 5170 O’Donovan Road Service: 9:00 a.m.

Pastor JD Megason

LOCKWOOD

True Life Christian Fellowship Lockwood/Jolon Road, across from the school in Lockwood Service: 9:30 a.m.

Pastor Erick Reinstedt (805) 472-9325

NACIMIENTO

Heritage Village Church

At The Don Everingham Center Heritage Ranch Service: 10 a.m.

Pastor Brad Brown (805) 712-7265

Hilltop Christian Fellowship 2085 Gateway Drive Heritage Ranch Service: 10:30 a.m.

Pastor Perry Morris & Jerry Gruber (805) 239-1716

Oak Shores Christian Fellowship

2727 Turkey Cove Rd., at the Oak Shores Community Clubhouse Service: 8:30 a.m.

Pastor Jerry Gruber (760) 304-2435

PASO ROBLES

Apostolic Assembly of the Faith of Christ Jesus 2343 Park St

Bilingual Services: Services: Thursday 7 p.m. Sunday 2 p.m.

Pastor Miguel Alvarado (805) 610-2930

Bridge Christian Church Centennial Park Banquet Room 600 Nickerson Dr. Service: 9:30 a.m.

Pastor Tim Mensing (805) 975-7178

Calvary Chapel Paso Robles 1615 Commerce Way

Service: Sunday at 9 a.m., Wednesday at 7 p.m.

Pastor Aaron Newman (805) 239-4295

Chabad of Paso Robles

Rabbi Meir Gordon. 805-635-8684 info@chabadpaso.com

Monthly - Friday evening at 7:00pm, Saturday morning at 10:00am

Please contact us for address and current schedule

Christian Life Center 1744 Oak Street Sunday: 9:30 a.m.

Life Groups weekdays

Youth Group: Tues. 7:00 p.m.

Preschool: Christian Life Early Learning Ctr.

Pastor Guy Drummond (805) 238-3366

Christian Science Services 17th & Chestnut Streets

Service: 10 a.m. Sunday & 2nd and 4th Wednesdays 7 p.m. (805) 238-3833

Church of Christ

3545 Spring St. (Corner 36th & Spring)

Service: Sunday, 11 a.m.

Bret Eckard (805) 952-5186

Bob Champion (805) 295-9533

Steven DiDonna (805) 257-7034

Church of Jesus Christ of Latter-day Saints

1020 Creston Rd.

Service: 10 a.m. (805) 406-8910

Missionaries: (805) 366-2363

Covenant Presbyterian Church 1450 Golden Hill Rd.

Service: Sunday, 10:30 a.m.

Pastor Dan Katches (805)238-6927 covenantpaso.com

Family Worship Center 616 Creston Rd.

Service: 10 a.m.

Pastor Patrick Sheean (805) 239-4809

First Baptist Church 1645 Park St.

Pastor Michael R. Garman

Services: 9 a.m. & 10:45 a.m.

Discipleship 10 a.m. (805) 238-4419

First Mennonite Church

2343 Park St.

Service: 11 a.m.

Pastor Romero (805) 238-2445

First United Methodist Church of Paso Robles 915 Creston Rd.

Sunday Worship at 11 AM

Pastor Kathleen McShane (805) 238-2006

Highlands Church

Corner S. River and Niblick | 215 Oak Hill

Services: 9-10 am & 10:30-11:30 am

Pastor James Baird (805) 226-5800

Live Oak 1521 Oak St.

Service: 10 a.m.

Pastor John Kaiser (805) 238-0575

Maverick Church

3201 Spring St. Paso Robles, CA Service Times: 10:30am

Pastor Ben Kosharek 218-689-7417 www.maverickchurch.org

New Day 1228 11th St (east off Paso Robles St) Services: Sunday 10 a.m., Wednesday 7 p.m.

Pastor Brad Alford (805) 239-9998

New Life Tabernacle

3850 So. Ramada Dr. Ste. D Service: 10 a.m.

Pastor Efrain Cordero

North County Christian Fellowship

421 9th St. Service: 10 a.m.

Pastor Matthew T. Willis (805) 239-3325

Paso Robles Bible Church

2206 Golden Hill Rd. Service: Sunday 9:30 a.m.

Pastor Mark Wheeler/Pastor Dave Rusco (805) 226-9670

Paso Robles Church of the Nazarene

530 12th St. Service: 10:30 a.m.

Pastor Stephen Anastasia (805) 238-4300 www.pasonaz.com

Paso Robles Community Church

2706 Spring St. Service: 9:30 a.m.

Pastor: Daniel Baxter (805) 239-4771

www.pasochurch.com

Plymouth Congregational Church, UCC

Thirteenth & Oak Street Service: 10 a.m.

Rev. Wendy Holland (805) 238-3321

Redeemer Baptist Church

Kermit King Elementary School

700 Schoolhouse Circle Service: 10:30 a.m.

Pastor Christopher Cole (805) 238-4614

Second Baptist Church

1937 Riverside Ave. Service: 11 a.m.

Pastor: Gary Jordon (805) 238-2011

St. James Episcopal Church

1335 Oak St. Services: 8 a.m. (Rite I), 10 a.m. (Rite II)

Reverend Barbara Miller (805) 238-0819

St. Rose of Lima Catholic Church

820 Creston Rd.

Daily Mass- 8:30 a.m.

Saturday 8 a.m.

Tues. 7 p.m.

Saturday Vigil Mass 5 p.m.

Sunday 8 a.m. & 10 a.m.

Spanish Mass at 1 p.m. & 6 p.m.

Father Rodolfo Contreras (805) 238-2218

The Revival Center

3850 Ramada Dr., Ste. A-3 Service: 10 a.m.

Pastor Gabe Abdelaziz (805) 434-5170

The Light of the World Church

2055 Riverside Ave. Services: Everyday, 6 p.m.

Sundays 10 a.m. & 5 p.m.

Pastor Bonifacio Robles (612) 990-4701

Trinity Lutheran Church 940 Creston Rd. Worship Service: 9:30 a.m. (805) 238-3702

Victory Baptist Church

3850 Ramada Dr. Ste D4 Sundays - 10 & 11 a.m.

Wednesday - 6:30 p.m.

Pastor Bruce Fore (805) 221-5251 vbcpaso.org

Victory Outreach Paso Robles 2919 Union Road, Paso Robles, CA Services: Sunday, 10:30 a.m.

Thursday, 7:00 p.m.

Pastor Pete Torres (805) 536-0035

TEMPLETON

Bible Believers Baptist Church

206 5th St. Templeton Sundays at 1 p.m.

Pastor Vincent Calvert 860-373-8854 biblebelievers805.com

Bethel Lutheran Church 295 Old County Rd. Service: 9:30 a.m.

Pastor Diana Edis (805) 434-1329 blctempleton.org

Celebration Worship Center

Pentecostal Church of God

988 Vineyard Drive

Pastor Roy Spinks Services: 10:30 a.m. & 6 p.m. (805) 610-9819

Family Praise & Worship Located at Vineyard Elementary School 2121 Vineyard Dr, Templeton Service: 10 a.m.

Pastor Vern H Haynes Jr. (805) 975-8594

Templeton Presbyterian Church

610 S. Main St. Service: 10 a.m.

Reverend Roger Patton (805) 434-1921

Higher Dimension Church 601 Main St.

1st Sunday: 1:30 p.m.

2nd - 5th Sundays 12:30 p.m.

Pastor Charlie Reed, Jr. (805) 440-0996

Life Community Church

8:30 & 10:30 Sundays 3770 Ruth Way, Paso Robles, CA 93446 (805) 434-5040 hello@lccpaso.org

Pastor Brandon Hall

Solid Rock Christian Fellowship 925 Bennett Way Service: 10 a.m.

Pastor Jeff Saylor (805) 434-2616

Seventh-Day Adventist Church Templeton Hills 930 Templeton Hills Rd. Services: Saturday 9:30 & 10:30 a.m.

Pastor Zac Page (805) 434-1710

Vineyard Church of Christ

601 So. Main St. Service: 10 a.m. (805) 610-4272

Vintage Community Church 692 Peterson Ranch Road Services: 9 & 11 a.m. Coaches: Aaron Porter, Dayn Mansfield (805) 296-1120

SAN MIGUEL

Iglesia Fuente De Agua Viva 301 13th St.

Services: 10 a.m. & 7 p.m.

Pastor Mike Duran (805) 467-5500

Mission San Miguel Parish 775 Mission Street

Daily Mass: Monday – Friday, 8:00 am

Father Lucas Pantoja (805) 467-2131 1

SHANDON

Shandon Assembly of God

420 Los Altos Ave.

Spanish Service: Sun. 5 p.m., Thurs. 7 p.m. Pastor Jim Mei (805)226-9737

Family unveils memorial bench honoring Kyndal Gottfried at Atascadero Lake Park

Anew bench now sits overlooking the playground at Atascadero Lake Park.

On Saturday, October 11, the Gottfried family gathered with friends to unveil a memorial bench dedicated to Kyndal Leah Gottfried, a bright, joyful little girl whose spirit continues to inspire all who knew her.

The setting was one Kyndal would have loved. The park was alive with children’s birthday parties and laughter. As the family prepared for the unveiling, a familiar sound filled the park — Katy Perry’s “Roar,” Kyndal’s personal theme song, playing from a nearby party. It was an unexpected, heartfelt reminder that her presence, in many ways, is still here.

“We wanted this bench to honor Kyndal so we’d have a place to remember some of her most happy moments along with her sweetness and her laughter — which was so contagious — and her love for us and for life,” shared Cecilia Gottfried, Kyndal’s grandmother. “Missing our sweetheart’s presence is the toughest, and life will never be the same without her here. But we are determined to keep her memory alive and

honor her, holding on to God’s promise that one day we will be with her again.”

The bench, made possible through cooperation with the City of Atascadero, was placed in the perfect spot, overlooking the playground where Kyndal often played. Cecilia worked closely with Danielle Hakanson of Public Works to make the project a reality.

“We want to thank Danielle for her part in getting the bench approved, making it a dream come true for our family and for Kyndal,” Cecilia said.

Following the unveiling, the family shared a picnic at the park, complete, of course, with Kyndal’s favorite meal, In-N-Out Burger.

Kyndal’s story touched the hearts of many across the community and beyond. Diagnosed at just 5 years old with medulloblastoma, an aggressive form of brain cancer, Kyndal underwent two brain surgeries, countless rounds of chemotherapy, and proton radiation. Her treatments took her and her family across the country — from Texas Children’s Hospital to Los Angeles Children’s Hospital and Children’s Hospital of Georgia in Augusta.

“We will forever be thankful for all of those who shared their love and compassion with

Kyndal and our family,” Cecilia said.

Through it all, Kyndal remained radiant, full of joy, compassion, and courage. Even at the end, when Kyndal’s fight was at its hardest, she remained happy, thinking of others and full of love for her family. Kyndal loved life in all its forms. She was a little athlete and a princess.

“Last but certainly not least, we mostly want to thank Camille DeVaul of Atascadero News for her journalism in so heartfully laying out in photos and writings of Kyndal's story and our family’s journey with and without her,” Cecilia added.

On October 8, 2024, after a long and brave battle, Kyndal passed away surrounded by loved ones. Her celebration of life was held on November 9, 2024, at Atascadero Bible Church, where the community came together to honor her legacy of light, courage, and faith.

“We love and appreciate our friends and community that loved and supported Kyndal through her life’s journey,” said Cecilia. “This bench is for them to have for remembering their good times together.”

To read more about Kyndal’s journey, visit atascaderonews.com and search “Kyndal.”

Turn static files into dynamic content formats.

Create a flipbook
Issuu converts static files into: digital portfolios, online yearbooks, online catalogs, digital photo albums and more. Sign up and create your flipbook.