Prevención dental - Clínica Vilar-Sancho en Pozuelo de Alarcón

Page 1

Prevención dental - Clínica Vilar-Sancho en Pozuelo de Alarcón

Clínica Dental en Pozuelo de Alarcón- proporcionamos planes preventivos para prevenir problemas de salud - Clínica Vilar Sancho en Pozuelo de Alarcón.

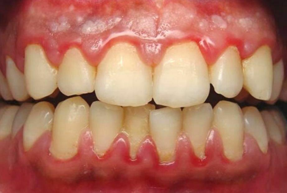
Prevención dental en Pozuelo de Alar cón

Sobre nosotros: -

Para los más pequeños de la casa recomendamos realizar un plan personalizado en donde buscamos prevenir problemas en la salud y en la oclusión de los dientes.

Contacta con nosotros:Clínica Vilar Sancho info@clinicavilarsancho.com Avenida de Europa 23, local 8, 28224, Pozuelo de Alarcón Madrid 28224 Spain 917153508

Gracias

Turn static files into dynamic content formats.

Create a flipbook
Issuu converts static files into: digital portfolios, online yearbooks, online catalogs, digital photo albums and more. Sign up and create your flipbook.