REV-15

Page 1


Revista universitario

Infecciones orales por Virus del Papiloma Humano presentación de casos clínicos.

Schwannoma Melanótico: Reporte de un caso.

El reporte de investigación de un Caso de Estudio permite sustentar la teoría y práctica psicoanalítica/psicoterapéutica.

Marcas Engañosas: Uso, Explotación y maltrato animal.

Raíces del Dolor: Abuso Sexual Infantil desde la Época Clásica hasta el Ámbito Internacional Contemporáneo.

Innovación Tecnológica.

Steve Johnson

En esta edición, nos complace presentar una serie de reflexiones sobre temas de gran relevancia en los campos de la salud, investigación e innovación tecnológica, además tenemos el gusto de incorporar la publicaciónlos primeroscasosclínicos del área delasalud,cuyostemas sondesumaimportancia enfocados en las infecciones orales ocasionados por Virus del Papiloma Humano, así como las lesiones neoplásicas.

Para comenzar se presenta el primer caso clínico sobre los Virus del Papiloma Humano, haciendo mención que los subtipos VPH-16 y VPH-18, considerados de alto riesgo, están estrechamente relacionados con el carcinoma de células escamosas en la orofaringe, por lo que la prevención, el diagnóstico y el tratamiento oportuno, junto con la vacunación, son esenciales para controlar esta infección.

En otro ámbito, se aborda los tumores Schwannomas, neoplasias benignas derivadas de las células de Schwann. Entre sus variantes, el Schwannoma melanótico destaca por su rareza y su posible asociación con el complejo de Carney, un síndrome hereditario que incluye mixomas y pigmentación mucocutánea.

La Facultad de Psicología, presenta un ensayo sobre la suficiencia de un solo estudio de caso clínico para sustentar la teoría y práctica psicoanalítica, en el cual concluyen que (aunque valiosos) estos estudios no son suficientes por sí solos debido a sus limitaciones en términos de generalización y validación

Asimismo, se destaca la importancia de la innovación, la tecnología y la creatividad en el desarrollo empresarial. La tecnología facilita avances significativos, la innovación permite su aplicación práctica y la creatividad agrega valor a las actividades humanas, estos conceptos son vitales para que las organizaciones se mantengan competitivas y ofrezcan productos de calidad.

Finalmente, la Facultad de Derecho aborda un ensayo acerca de la evolución del abuso sexual infantil el cual muestra uncambio significativo alolargo dela historia,como es el caso de la antigua Grecia, donde la pedofilia era institucionalizada y aceptada culturalmente En la era contemporánea, se produjo un rechazo y prohibición internacional de estas prácticas, con un enfoque en la protección de los derechos de los niños y la condena del abuso. Este cambio refleja una mayor conciencia y sensibilidad hacia el daño causado por el abuso sexual infantil y un compromiso global para erradicarlo. Así mismo, aborda la problemática del maltrato animal en la experimentación científica, subrayando la necesidad de promover el bienestar animal y la ética en la investigación. Iniciativas locales en Oaxaca y la Directiva 2010/63/UE de la Unión Europea destacan la importancia de reducir y reemplazar la experimentación animal con métodos alternativos siempre que sea posible.

Esperamos que estas reflexiones sean de su interés y fomenten el debate académico y científico. Extendemos nuestro agradecimiento a quienes han colaborado para hacer posible este número. Hacemos extensiva la invitación a profesores, investigadores, egresados y estudiantes de las Facultades y Escuelas, y alasdiferentesáreasdelaUniversidadeinstitucionesengeneral aenviar suscontribucionesparaelpróximo número de la Revista Espacio Universitario.

Cordialmente,

CasoClínico

Infecciones orales por Virus del Papiloma Humano: serie de casos clínicos

GerardoMezaGarcía,DanielaPeláezChávez.

EscueladeOdontología,UniversidadRegionaldelSureste,Oaxaca,México email:megg790213@profesores.urse.edu.mx

Resumen

Los Papiloma virus (VPH) son considerados como microorganismos de mayor longevidad, además de ser catalogados como causantes de infecciones de transmisión sexual más frecuentes, existen cinco géneros que engloban aproximadamente 205 subtipos, de los cuales el VPH-6 y el VPH-11 son subgéneros de gran importancia y se precisan de bajo riesgo, están relacionados a lesiones benignas en cavidad oral y piel contigua a la misma, entre estas podemos encontrar; papiloma escamoso, condiloma

acuminado, verruga vulgar e hiperplasia epitelial multifocal (enfermedad de Heck).

El Virus del Papiloma Humano (VPH) se encuentra estrechamente relacionado a la incidencia de Carcinoma de Células escamosas en la región de la orofaringe; en donde adquieren gran importancia los subtipos VPH-16 y VPH-18, que son considerados subgéneros de alto riesgo.

Estos pueden ser contraído de diferentes maneras; piel con piel, piel con mucosa o mucosa con mucosa mediante contacto sexual, por vía vertical o en el canal de

parto, o a través de fómites. La prevención, el diagnóstico y tratamiento oportuno del VPH juegan un rol determinante en la progresión de esta infección. También se destacalaconvenienciadelavacunación,ya que, aunque la vacuna contra VPH es más efectiva, cuando esta se aplica antes de la exposición al virus, algunas personas pueden beneficiarse de ella aun después de la exposición inicial. El presente trabajo es una serie de casos clínicos (verruga vulgar, papiloma escamoso, hiperplasia epitelial multifocal, condiloma acuminado y carcinoma de células escamosos) las cuales son ejemplos de lesiones por infección a causa del VPH, y en donde se pueden observar que las patologías pueden estar presentesentodotipodeedadesosexo,sin distinción alguna, además debido a las variaciones de los subtipos, presentan diferentessintomatologíaymorfología.

PalabrasClave:Virusdelpapiloma humano,lesionesorales,subtipos.

Abstract

Papillomaviruses (HPV) are considered the microorganism with the greatest longevity and are also classified as the most common sexually transmitted viruses. There are five genera that encompass approximately 205 subtypes, among which HPV-6 and HPV-11 are notable subtypes and are considered lowrisk;theyareassociatedwithbenignlesions in the oral cavity and adjacent skin, including squamous papilloma, condyloma acuminatum,commonwarts,andmultifocal epithelial hyperplasia (Heck's disease).

HPV is closely linked to the incidence of squamous cell carcinoma in the oropharyngeal region, where HPV-16 and HPV-18 subtypes are significant and considered high-risk. This virus can be contracted in various ways: skin-to-skin, skin-to-mucosa, or mucosa-to-mucosa contact through sexual contact, vertically during childbirth, or through fomites.

Prevention, timely diagnosis, and treatment ofHPVplayacrucialroleintheprogression ofthisinfection.Thebenefitsofvaccination are also highlighted, as although the HPV vaccineismosteffectivewhenadministered before exposure to the virus, some individuals may still benefit from it even afterinitialexposure.Thisworkpresentfive clinical cases (verruca vulgaris, squamous papilloma, multifocal epithelial hyperplasia, condyloma acuminata and squamous cell carcinoma) which are examplesoflesionsduetoHPVinfection.

Keywords: Human Papillomaviruses,orallesions,subtypes

Introducción

Antecedentes

Los Papiloma virus, son considerados como los más antiguos, Syrjänen S. (2018) señala que su existencia data hace alrededor de 330 millones de años.

Stefania Jabłońska observó por microscopia electrónica al VPH en células con cáncer de piel en la epidermodisplasia verruciforme en el año 1972, fue entonces que se propuso como factor de riesgo (Hajdu,2011).KiyabuMT(1989),encontró VPH subtipo 16 y 18 en el 36% de las muestras de carcinoma orofaringeo usando la técnica de la Reacción en Cadena de la Polimerasa(PCR).

Generalidades

El VPH contiene un ácido desoxirribonucleico (ADN) circular de doble cadena de aproximadamente 8000 pares de bases, encerrado en una cápside icosaédrica sin envoltura de 55 nm de diámetro.(Syrjänen,2018).

Clasificación

Se calculan aproximadamente 205 diferentes genotipos de VPH (Syrjänen, 2018), estos han sido categorizados en 5 géneros; de los cuales el

Alphapapilomavirus, Betapapilomavirus y Gamapapilomavirus, son los más extensos. Los genotipos VPH-6 y VPH-11, son catalogados de bajo riesgo, causan lesiones

Fig. 1.

benignas tales como papilomas, verrugas, condilomas e hiperplasia epitelial multifocal(Fig1).

Genotipos del VPH entre especies del género Alphapapillomavirus.

Nota:LasespeciesdealtoybajoriesgodegenotiposdeVPHseencuentranmarcadasdecolor rosayverde,respectivamente.RautavaJandSyrjanenS.2012.

El grado de malignidad de las lesiones depende del genotipo de VPH, siendo de alto riesgo principalmente: VPH16 y VPH-18, los cuales causan lesiones intraepiteliales escamosas que pueden progresar de manera desfavorable y dar lugar a un carcinoma de células escamosas (Syrjänen,2018).

Biología del Virus

Replicación

El VPH infecta a las células madre basilares.Elaccesoesfacilitadoatravésde microabrasión o trauma, o gracias a las propiedades del epitelio especializado (Egawa, 2015). Después de entrar en la célula vía endocitosis, el genoma episomal

ingresa al núcleo, en donde la transcripción viral se inicia (Graham, 2017). La replicación viral es completada en paralelo con la de la célula basilar y los genomas virales se ligan a los cromosomas del huésped, posteriormente se propagan a nuevascélulashijas(Graham,2017).

Lascélulasinfectadassediferencian delascélulasalosqueratinocitos,lascopias del genoma viral se amplifican y las partículas son ensambladas (Graham, 2017). A medida que los queratinocitos se descaman de las capas superiores del epitelio, las células se encuentran repletas con miles de virus, listos para infectar al próximohuésped(Stanley,2012).

Transmisión

Este virus puede propagarse verticalmente de madre a descendencia, u horizontalmente entre los individuos, a pesardequeelVPHesconsideradoelvirus de transmisión sexual más común, este también puede transmitirse de manera no

sexualporcontactodepielconpiel,pielcon mucosa o mucosa con mucosa (Sabeena, 2019).

El VPH oral ha sido detectado en células exfoliadas de recién nacidos por vía vaginal o por cesárea, indicando la transmisión a través de la placenta o el líquidoamniótico(Sabeena,2019).

Existen otros mecanismos de infección en la cavidad oral, particularmente en niños, en donde se incluyen la autoinoculación de lesiones cutáneas,fómites,lactanciamaterna.

Diagnóstico

La biopsia es el procedimiento más comúnmente utilizado y el “estándar de oro” para el diagnóstico de VPH (Orrú, 2019).

PCR

Lareaccióndepolimerasaencadena (PCR) y ADN/ARN viral mediante la prueba de captura de híbridos 2 (Hybrid

capture2-HC2;Digene,Gathesburg)esuna

técnica que utiliza una fase líquida que permite la hibridación por complementariedad del ADN viral con el ARN sintético de 13 genotipos de VPH (Chan,2012).

Hibridación in situ

Aptima HPV assay: identifica 14

VPH-ARmedianteunaPCRentiemporeal (16, 18, 31, 33, 35, 39, 45, 51, 52, 56, 58, 59,66y68(Wang,2015).

El objetivo de este artículo es reportar una serie de casos clínicos asociadosalapresenciadeVPHencavidad oral.

Lesiones orales

Verruga Vulgar

Es la principal manifestación cutánea del VPH, con un 70%. (Mammas, 2009). La verruga vulgar (VV) puede encontrarse en cualquier lugar de la piel, peroesmáscomún encontrarlaenlaregión

periungial de las manos, siendo relativamente infrecuente de manera intraoral (Pringle, 2014). La autoinoculación es el principal modo de transmisiónypuedeocurrircuandounniño muerde una lesión de sus dedos o tiene el hábitodesuccióndigital(Pringle,2014).

Estas lesiones son de color rosa o blanco, sésiles, usualmente menores a un centímetro y muestran proyecciones exofíticas(Fatahzadeh,2017).

Entre las características histológicas podemos encontrar proyecciones

digitiformes con queratinización en forma de cúpula de iglesia. Los núcleos

fibrovasculares están recubiertos por epitelio acantósico que demuestra una capa de células granulares prominente, figuras mitóticasbasilaresyparabasilaressinatipia, presenciadecoilocitos(Pringle,2014).

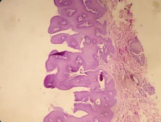
Presentación de caso clínico

Paciente femenino de 26 años presenta una lesión nodular de 0.5 cm. en borde lateral de la lengua de consistencia firme, color rosa pálido y asintomático.

Apareció hace dos años y desapareció con el tiempo, con recidiva hace un año. Al estudio de patología se observa epitelio escamoso estratificado

hiperparaqueratinizado con clavos

Fig. 2

Verruga Vulgar autoría propia vista microscópica

epiteliales elongados que tienden a converger hacia el centro, se observan coilocitos y células apoptóticas, el estroma

es de tejido conjuntivo laxo bien vascularizado, hacia la base; tejido muscular estriado. (Fig 2). Se diagnóstico como Verruga vulgar cavidad oral.

Después de entregar el diagnóstico de patología se recomienda seguimiento a largoplazo.

Nota:Fototomadaporelautor

Clínicamente,elpapilomaescamoso (PE) se caracteriza por sus proyecciones exofíticas descritas como “forma de dedo”, o apariencia “verrugosa” (Frigerio, 2015).

El PE es usualmente pedunculado, con un rango de color variable entre blanco y rosa o rojo, usualmente encontramos una sola lesión con un tamaño menor a 1 cm raramente mayores a 5 milímetros (Betz, 2018).

Histológicamente se perciben prolongaciones exofíticas con núcleos fibrovasculares se observan figuras mitóticasbasilaresyparabasilaresdispersas sin atipia. Pueden encontrarse coilocitos dentro de las capas espinosas superiores (Carneiro,2009).(Betz,2018).

Presentación de caso clínico

Paciente masculino de 6 años de edadconíleometabólicodesdehace4años.

Inicia su padecimiento hace 1 año presentando una lesión en mucosa labial, la cualesexofítica,menora1cmdediámetro, asintomáticaydecrecimientolento.(Fig.3)

Se realiza biopsia excisional de la lesión. Donde se apreció presencia de coilocitos, numerosas proyecciones digitalizadas, crecimiento papilar y queratina engrosada. (Fig.4).Despuésdeentregareldiagnóstico de patología se recomendó seguimiento a largo plazo, porque puede recidivar dependiendo características del inmunológicasdelpaciente.

Papiloma Escamoso

Fig. 3

Papiloma escamoso, autoría propia imagen clínica

Nota:Fototomadaporelautor

Fig. 4

Papiloma escamoso, autoría propia vista microscópica

Nota:Fototomadaporelautor

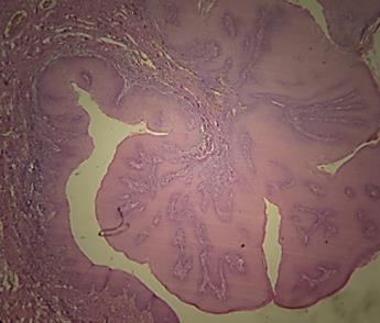
Condiloma Acuminado

El condiloma acuminado (CA) usualmente se presenta como verrugas anogenitales(Lacey,2006).Lapresenciade lesiones simultaneas en cavidad oral y área genital sugieren transmisión sexual, existe también la transmisión a través de fómites (Syrjänen, 2003). Las lesiones pueden ser pedunculadas,peroconmayorfrecuenciase observansésiles,con aparienciade coliflor, superficiedemórulayaspectoblancoorosa (Kui2003).

Presentación de caso clínico

Paciente masculino de 61 años de edad. Presenta lesión en la mucosa yugal derecha con forma de pápula de superficie rugosa adoptando una forma de coliflor de aproximadamente 2 cm, de consistencia fibrosa;de1añodeevolución.(Fig5).

Microscópicamente, las lesiones exhibenuna arquitectura exofíticay papilar con una base amplia. El epitelio puede ser moderadooacentuadamenteacantósicocon crestasreticularesbulbosas(Sato1997).En ocasiones, puede identificarse paraqueratosis con invaginaciones que rellenan las crestas entre las papilas (Eversole,2000).

5.

Condiloma acuminado, imagen clínica

Nota: Condiloma acuminado, imagen clínica (Foto cortesía de la Dra. Aurora Pérez Baché)

Setomabiopsiaescixional dondese observa epitelio escamoso estratificado con acantosis y escasa paraqueratosis, con prolongaciones epiteliales densas y elongadas, así como células coilociticas y crecimiento exofiticos (Fig 6). Después de entregar el diagnóstico de patología se recomendó seguimiento a largo plazo debido a que en algunas ocasiones puede habertransformaciónmaligna.

Fig

6.

Condiloma acuminado, imagen histológica

Nota:Fototomadaporelautor

Hiperplasia epitelial multifocal (Enfermedad de Heck)

La hiperplasia epitelial multifocal (HEM) fue documentada inicialmente en Latinoamérica. El antígeno leucocitario subtipo HLA-DR4 ha sido asociado con la predisposición genética a esta enfermedad (Pringle, 2014). Este hallazgo podría explicar el incremento en la tendencia de afectar a varios miembros de una misma

familia en áreas endémicas (García, 2004).

Laslesionesrondan entamañodesde1mm hasta1cm, avecespuedencoalescer(Betz, 2018).

A la examinación histológica, se encuentranáreasexofíticasconestructuray superficienodularapapilarconcoilocitosis.

Los hallazgos histológicos son a veces sutiles y pueden tomar un discernimiento por lo que se recomienda relacionar con la

Fig

historia clínica para llegar a un diagnóstico correcto(Betz,2018).

Presentación de caso clínico

Paciente femenino de 10 años de edadacudeaconsultaporlesionesmúltiples en la mucosa; de superficie rugosa, firme y

con un tiempo de evolución de tres años, refierequesuhermanamayortuvolesiones similares. (Fig. 7 y 8), se toma biopsia de una de las lesiones donde se observa presencia de paraqueratosis, hiperplasia epitelialconacantosisyanastomosisclavos epiteliales.

Fig.7 y 8

Hiperplasia epitelial multifocal, imagen clínica

Nota:Fototomadaporelautor

Algunosqueratinocitossuperficiales muestran un cambio coilocítico, también conocido como mitosoide (Fig 9). Después de entregar el diagnóstico de patología se recomendó imiquimod al 5 % para el resto de las lesiones las cuales fueron disminuyendopaulatinamente.

Fig. 9

Hiperplasia Epitelial multifocal, vista microscópica

Nota:Fototomadaporelautor

Carcinoma oral de células escamosas

Aproximadamente el 70% de carcinomas de células escamosas en la regiónorofaringeatienensuetiologíaenlos genotipos de alto riesgo de VPH (HRHPV), los mismos genotipos son responsables de menos del 6% de los

Carcinomas de células escamosas de la cavidadoral(COCE)(Betz,S.2018).

El COCE representa el 90% de los cánceres en cavidad oral, se presenta en personas mayores de 40 años y alcanza sus mayores índices en el grupo de 60 y más años(Hashibe,2009)

La tasa más alta de progresión a cáncer se observa en las lesiones tipo eritroplasia o eritroleucoplasia, irregulares y con textura granularoverrugosa(Epstein,2008).

Lacarcinogénesisoralesunproceso

multifactorial que involucra factores socioeconómicos, ambientales y riesgo microbiológico. Fumar tabaco representa cercadel80%deCOCE(Syrjänen,2018).

Presentación de caso clínico

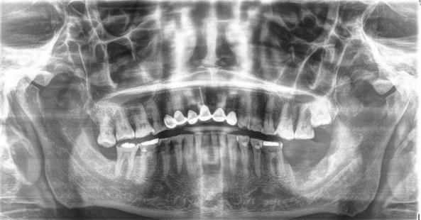
Paciente masculino de 63 años de edad, presenta lesión en reborde alveolar

zona de segundo y tercer molar inferior, eritematosa, de forma irregular, de bordes elevados, consistencia blanda que se desprende fácilmente, causa dolor persistente a la manipulación con presencia de sangrado a la palpación y exudado. (Fig.10) de 2 meses de evolución, ha sido tratado con agua oxigenada y tratamientos caseros sin mejoría, con antecedentes de tabaquismo y alcohol. A la exploración radiográfica se aprecia lesión radiolúcida maldelimitada(Fig.11).

Nota:Úlceraquenocicatriza(FotocortesíaDra.JazmínFuentesMarroquín).

Fig 10.
Úlcera que no cicatriza

Fig. 11

Ortopantomografía; lesión radiolúcida mal delimitada localizada en tercer cuadrante, autoría propia.

Nota:FotocortesíaDra.JazmínFuentesMarroquín

Se tomó biopsia incisional donde se observóepitelioescamosoestratificadoque se continua con masas células neoplásica conpleomorfismocelularynuclear,pérdida de la relación núcleo citoplasma, mitosis aberrantes y aumentadas, nucleolos evidentes y queratinización individual y grupal que infiltraban tejido conjuntivo subyacente; (Fig. 12) por lo que se diagnósticacomoCarcinomaoraldecélulas escamosas, Se realizo PCR al bloque de parafinapor indicación deloncólogodonde fuepositivoalVPH52,porloqueseindicó inmunoterapianeoadyuvante

Fig. 12

Carcinoma oral de células escamosas, vista microscópica, tinción hematoxilina y eosina, autoría propia.

Nota:Fototomadaporelautor

Discusión

Las vacunas para el VPH son preventivas a la infección, las bivalentes para VPH protegen contra subgéneros de alto riesgo 16 y 18; la cuadrivalente y no valente protegen adicionalmente contra los subtipos de bajo riesgo 6 y 11 (Garland, 2016). A los pacientes incluidos en este artículo, se les recomendó la aplicación de lasvacunasantesmencionas. Enpaísescon

altos índices de vacunación, la prevalencia e incidencia de verrugas genitales

disminuye aproximadamente en un 50% añotrasañoenmujeresmenoresde21años (Garland,2016).

A pesar de que las vacunas no protegen ante los subgéneros 2, 4, 13 o 32 de VPH, existen múltiples casos de VV y HEM con resolución favorable posterior a aplicacióndelavacuna(Cyrus,2015).

Lapersistenciadeestaslesionescon subtipos de alto riesgo puede progresar a lesiones pre cancerígenas e involucionar

desfavorablemente a COCE (Orru, 2019), por lo anterior, es importante establecer un diagnóstico acertado para continuar con el manejodelalesiónybrindaruntratamiento adecuadoyseguimiento.Cuandosedetecta VPH en COCE se puede utilizar medicamentos neoadyuvantes como el bintrafusp(Robbins2023)

La excisión quirúrgica es el tratamiento principal para las lesiones orales y consiste en la remoción del tejido afectadomedianteunatécnicaconvencional con bisturí ó bien, con ayuda de electro bisturí (Concha, 2007). En caso de recidiva se pude usar medicamentos como el imiquinmod.deMelloPalma,V.,(2024).

Conclusión

Se expone una serie de casos clínicos para demostrar algunas característicasquepresentalainfecciónpor virus del papiloma humano así como su

manejo y las recomendaciones a los pacientes. Es importante reiterar que el contacto sexual no es la única vía de contagiodeestevirus;yaqueestepuedeser adquirido a través del contacto de piel con piel,pielconmucosaomucosaconmucosa, mediante el líquido amniótico durante el embarazo, por vía vaginal o cesárea o durante la lactancia. La efectividad de las vacunas para VPH ha sido probada, mostrando evidencia en la reducción de infecciones por este virus en cabeza y cuello. Existe el riesgo latente de recidiva, por lo cual es de gran importancia que el paciente acuda a revisiones periódicas para proporcionarseguimientoclínico.

Referencias

Alameda F, Garrote L, Mojal S, Sousa C, Muset M, LLoveras B, et al.

Cervista HPV HR test for cervical cancer screening a comparative study in the catalonian population. ArchPatholLabMed.2015;139(2): 241-244.DOI:10.5858.

Anantharaman D., Marron M., Lagiou P., SamoliE.,AhrensW.,PohlabelnH., Slamova A., Schejbalova M., Merletti F., Richiardi L., Kjaerheim K., Castellsague X., Agudo A.,

Talamini R., Barzan L., Macfarlane T. V., Tickle M., Simonato L., Canova C., Conway D. I., McKinneyP.A.,ThomsonP.,Znaor A., Healy C. M., McCartan B. E., HashibeM.,BrennanP.,Macfarlane

G. J. Population attributable risk of tobacco and alcohol for upper aerodigestive tract cancer. Oral Oncol.2011;47:725-731.

Betz SJ. HPV-Related Papillary Lesions of the Oral Mucosa: A Review. Head NeckPathol.2019Mar;13(1):80-90. DOI: 10.1007/s12105-019-01003-7. Epub 2019 Jan 29. PMID: 30693456;PMCID:PMC6405797.

Carneiro TE, Marinho SA, Verli FD, Mesquita AT, Lima NL, Miranda JL. Oral squamous papilloma: clinical, histologic and immunohistochemical analyses. J OralSci.2009;51(3):367–72.

Chan PKS, Picconi MA, Cheung TH, Giovannelli L, Park JS. Laboratory and clinical aspects of human papillomavirus testing. Crit Rev Clin Lab Sci. 2012; 49(4): 117-136. DOI:10408363.2012.707174.

Cyrus N, Blechman AB, Leboeuf M, et al. Effectofquadrivalent human papillomavirus vaccination onoralsquamouscellpapil-

RevistaEspacioUniversitario.Año6.No.15.Octubre2024

lomas. JAMA Dermatol. 2015;151(12):1359–63.

De Mello Palma, V., Frank, L. A., Balinha, D. M., Rados, P. V., Pohlmann, A. R., Guterres, S. S., & Visioli, F. (2024). Is imiquimod a promising drug to treat oral mucosa diseases?

A scoping review and new perspectives. British journal of clinical pharmacology, 90(2), 427–439. https://doi.org/10.1111/bcp.15923

Egawa N, Egawa K, Griffin H, Doorbar J. Humanpapilloma-viruses;epithelial tropisms, and the development of neoplasia.Viruses. 2015;7(7):3863–90.

Esmeili T, Lozada-Nur F, Epstein J. Common benign oral soft tissue masses. Dent Clin N Am. 2005;49(1):223–40

Eversole LR, Laipis PJ, Merrell P, Choi E. Demonstration of human papillomavirus DNA in oral condyloma acuminatum. JOral Pathol.1987;16(5):266–72.

Eversole LR. Papillary lesions of the oral cavity: relationship to human papillomaviruses. J Calif Dent Assoc.2000;28(12):922–7.

Fatahzadeh M. Oral manifestations of viral infections. Atlas Oral Maxillofac Surg Clin N Am. 2017;25(2):163–70.

Frigerio M, Martinelli-Kläy CP, Lombardi T. Clinical, histopatho- logical and immunohistochemical study of oral squamouspapillomas.ActaOdontol Scand.2015;73(7):508–15.

García-Corona C, Vega-Memije E, Mosqueda-Taylor A, et al. Association of HLA-DR4 (DRB1*0404) with human

papilloma-virusinfectioninpatients with focal epithelial hyperplasia. Arch Dermatol. 2004;140(10):1227–31.

Garland SM, Kjaer SK, Muñoz N, et al. Impactandeffectiveness of the quadrivalent human papillomavirus vaccine: a systematic review of 10 years of real-world experience.ClinInfectDis. 2016;63(4):519–27.

Goodman A. HPV testing as a screen for cervical cancer. Bmj. 2015; 350: h2372-h2372. DOI: 10.1136/bmj.h2372.

Graham SV. The human papillomavirus replication cycle, and its links to cancer progression: a comprehensive review. Clin Sci (Lond).2017;131(17):2201–21.

Hajdu, S. I. (2011), A note from history: Landmarksinhistoryofcancer,part 1.Cancer,117:1097–1102.

Harden Me, karlmunger K. Human papillomavirus molecular biology. Mutat Res Rev Mutat Res 2017; 772:3–12.

Hashibe M., Brennan P., Chuang S. C., BocciaS.,CastellsagueX.,ChenC., Curado M. P., Dal Maso L., Daudt A. W., Fabianova E., Fernandez L., Wünsch-Filho V., et al. Interaction between tobacco and alcohol use andtheriskofheadandneckcancer: pooledanalysis in the International Head and Neck Cancer Epidemiology Consortium. Cancer Epidemiol Biomarkers Prev. 2009; 18:541-550.

Hernandez DM, Cerda Flores RM, et al. Human leukocyte antigens I and II haploypes associated with human papillomavirus 16-positive invasive

RevistaEspacioUniversitario.Año6.No.15.Octubre2024 21

Hologic. Aptima HPV 16 18/45 Genotype Assay. AW-12821 Rev. 001. 20072015.

Julia M. Polar and James O^D.McGee. In Situ Hibridization, Principles Practice. Medicene Neuro chemestry.1991;9:125-139.

KiyabuMT,ShibataD, ArnheimN,Martin WJ, Fitzgibbons PL, Detection of human papillomavirus in formalinfixed, invasive squamous carcinomas using the polymerase chain reaction. Am J Surg Pathol. 1989Mar;13(3):221-4.

Kui LL, Xiu HZ, Ning LY. Condyloma acuminatum and human papilloma virusinfectionintheoralmucosaof children. Pediatr Dent. 2003;25(2):149–53.

LaceyCJ,LowndesCM,ShahKV.Chapter 4:Burdenandman-agementofnoncancerous HPV-related conditions: HPV-6/11 disease. Vaccine. 2006;24(Suppl3):3/35–41.

Mammas IN, Sourvinos G, Spandidos DA. Human papilomavirus (HPV) infection in children and adolescents. Eur J Pediatr. 2009;168(3):267–73.

MgScs.MilitzaQuinteroVega,JhonFredy

Cruz Gómez, Marco Bastidas, Lic. Lusmary Márquez, Dr. Juan Puig

Pons. Detección y tipificación de virus del papiloma humano (VPH) mediante PCR- RFLP. Rev Obstet Ginecol

Venezv.68n.1Caracas mar.2008

RevistaEspacioUniversitario.Año6.No.15.Octubre2024 22 cervical cáncer in Mexican women. 2009,Aug:19(6):1099-106.

Nielsen KJ, Jakobsen KK, Jensen JS, Grønhøj C, Von Buchwald C. The Effect of Prophylactic HPV Vaccines on Oral and Oropharyngeal HPV Infection-A

Systematic Review. Viruses. 2021 Jul 11;13(7):1339. doi: 10.3390/v13071339. PMID: 34372545;PMCID:PMC8310210.

Orrù G, Mameli A, Demontis C, Rossi P, Ratto D, Occhinegro A, Piras V, Kuqi L, Berretta M, Taibi R, Scano A, Coni P. Oral human papilloma virus infection: an overview of clinical-laboratory diagnosis and treatment. Eur Rev Med Pharmacol Sci. 2019 Sep;23(18):8148-8157.

doi: 10.26355/eurrev_201909_19035. PMID:31599444.

Pilarski R, Burt R, Kohlman W, Pho L, Shannon KM, Swisher E. Cowden syndromeandthePTENhamartoma tumor syndrome: systematic review and revised diagnostic criteria. J Natl Cancer Inst. 2013;105(21):1607–16.

PaesEF,deAssisAM,TeixeiraCSC,Aoki FH, Teixeira JC. Development of a multiplex PCR Test with automated genotyping targeting e7 for detection of six high-risk human papillomaviruses. PLoS One. 2015; 10(6): e0130226. DOI: 10.1371/journal.pone.0130226.

Pringle GA. The role of human papillomavirus in oral disease. Dent Clin North Am. 2014 Apr;58(2):385-99. doi: 10.1016/j.cden.2013.12.008. PMID: 24655529.

Robbins, Y., Friedman, J., Redman, J., Sievers,C.,Lassoued,W.,Gulley,J. L., & Allen, C. T. (2023). Tumor cell HLA class I expression and pathologic response following neoadjuvant immunotherapy for newly diagnosed head and neck cancer.Oraloncology,138,106309.

https://doi.org/10.1016/j.oraloncolo gy.2023.106309

Ronald A. Delelles. MD. In Situ Hibridization Techniques for the Analisis gene Expresio: Aplications in Tumor Pathology. Human Pathology.1999;580-590.

Sabeena S, Bhat P, Kamath V, Arunkumar G. Possible non-sexual modes of transmission of human papilloma virus. J Obstet Gynaecol Res. 2017;43(3):429–35.

Saiki RK, Scharf S, Faloona F, Mullis KB, Horn GT, Erlich HA, Arnheim N. Enzymatic amplification of betaglobin genomic sequences and restrictionsiteanalysisfordiagnosis of sickle cell anemia. Science. 1985 Dec 20;230(4732):1350-4. DOI: 10.1126/science.2999980. PMID: 2999980.

SchweizerJ,LuPS,MahoneyCW,BerardBErgeryM,HoM,RamasamyV,et al. Feasibility Study of a Human PapillomavirusE6OncoproteinTest for Diagnosis of Cervical Precancer and cancer. 2010; 48(12): 46464648.DOI:10.1128/JCM.01315-10.

Squires J, Persaud DI, Simon P, Sinn DP. Oral condylomata in children. Arch Pediatr Adolesc Med. 1999;153(6):651–4.

Stanley MA. Epithelial cell responses to infection with human papillomavirus.ClinMicrobiolRev. 2012;25(2):215–22.

Summersgill KF, Smith EM, Levy BT, Allen JM, Haugen TH, Turek LP. Human papillomavirus in the oral cavitiesof children and adolescents. OralSurgOralMedOralPatholOral RadiolEndod.2001;91(1):62–9.

Syrjänen S. Human papillomavirus infections and oral tumors. Med Microbiol Immunol.

2003;192(3):123–8

Syrjänen S. Oral manifestations of human papillomavirus infections. Eur J Oral Sci. 2018 Oct;126 Suppl

1(Suppl Suppl 1):49-66. doi: 10.1111/eos.12538. PMID: 30178562;PMCID:PMC6174935.

Wang H-Y, Park S, Kim S, Lee D, Kim G, Kim Y, et al. Use of hTERT and HPV E6/E7 mRNA RT-qPCR

TaqMan Assays in combination for diagnosing highgrade cervical lesions and malignant tumors. Am J Clin Pathol. 2015; 143(3): 344-351. DOI: 10.1309/AJCPF2XGZ2XIQYQX.

Schwannoma Melanótico: Reporte de un caso.

GarcíaPedroElenaEnselminí,PeñalozaRamírezRosalinda,TafoyaRamírezFabián,Leyva GarcíaOmar

ServiciodePatologíaQuirúrgicadelHospitalRegionaldeAltaEspecialidaddeOaxacadelIMSS Bienestar,ServiciodeOncocirugíadelHospitalRegionaldeAltaEspecialidaddeOaxacadel IMSSBienestar.

email:elenaens_gp@hotmail.com

Resumen

Los Schwannomas son tumores benignos que provienen de las células de Schwann, encargadas de formar la vaina nerviosa. Aunque generalmente son neoplásicos no cancerígenos, en algunos casos, como en el Schwannoma melanótico, pueden presentar melanina, ya que tanto las células de Schwann como los melanocitos derivan de la cresta neural. Este tipo de Schwannoma es raro y se caracteriza por células que producen melanina, con

estructuras similares a las de las células de Schwann.Existendossubtipos:elesporádico y el Schwannoma melanótico psamomatoso, este último asociado al complejo de Carney en un 50% de los casos. Este complejo es un síndrome autosómico dominante que incluye mixomas en diversos órganos, pigmentación mucocutáneaydisfuncionesendocrinas.

El diagnóstico de estos tumores requiere un examen histopatológico exhaustivo, complementado con técnicas de inmunohistoquímica, para diferenciarlo de

otras patologías similares. Aunque los Schwannomas melanóticos tienen un buen pronósticoenlamayoríadeloscasos,algunos pueden presentar recurrencias locales. Este tipo de tumor, que representa menos del 1% de los Schwannomas y afecta principalmente al nervio espinal, puede aparecer en lugares inusuales, lo que dificulta su diagnóstico. Además, tiene una tendencia a metastatizar, por lo que es fundamental un tratamiento adecuado. En el caso estudiado, el tratamiento consistió en radioterapia, ya que la quimioterapia no es indicada. Tras una evolución favorable, se optó por un seguimientocontinuo,ya quepodrían ocurrir recurrenciaslocales.

Palabras clave: Schwannoma melanótico, tejidos blandos, melanina, ComplejoCarney,Mixoma.

Abstract

Schwannomas are benign tumors originating from Schwann cells, which are responsible for forming the nerve sheath.

While they are typically non-cancerous neoplasms, in some cases, such as melanotic Schwannoma, they may present melanin becausebothSchwanncellsandmelanocytes originate from the neural crest. This type of Schwannoma is rare and is characterized by cells that produce melanin, with structures similar to Schwann cells. There are two subtypes: sporadic and psammomatous melanotic Schwannoma, the latter being associated with Carney complex in 50% of cases. This complex is an autosomal dominant syndrome that includes myxomas in various organs, mucocutaneous pigmentation,andendocrinedysfunctions.

Thediagnosisofthesetumorsrequires thorough histopathological examination, complemented by immunohistochemical techniques, to distinguish them from other similar conditions. Although melanotic Schwannomas generally have a good prognosis, some may present local recurrences. This type of tumor, which

representslessthan1%ofSchwannomasand primarily affects the spinal nerve, can appear in unusual locations, making diagnosis challenging.Additionally,ithasatendencyto metastasize, making proper treatment essential. In the studied case, treatment consistedofradiotherapy,aschemotherapyis not indicated. After a favorable evolution, continuous follow-up was chosen, as local recurrencesmaystilloccur.

Keywords: Melanotic schwannoma, Soft tissues, Melanin, Carney complex, Mixoma.

Introducción

Los schwannomas son lesiones neoplásicasbenignasderivadasdelascélulas

Están compuestos por (Villalobos 2024) proliferación de células de Schwann en una matriz de colágena confinada al perineuro y con compresión extrínseca de las fibras nerviosas. Cuando son grandes pueden exhibir degeneración quística (Katati 2000),

baja celularidad, hemorragia, mielina y pequeñas calcificaciones. Esta neoplasia cuenta con variantes histológicas que incluyen: clásico, celular plexiforme, epiteloide y melanótico, siendo de los menos frecuenteseltipomelanótico.

El schwannoma melanótico (Rothenburger 2001) es una variante rara de schwannoma compuesta por células productoras de melanina con características ultraestructurales de células de Schwann.

Microscópicamente, los tumores se caracterizan por células fusiformes y epitelioides dispuestas en fascículos entrelazados, con marcada acumulación de melanina en células neoplásicas y melanófagos asociados (Alexiev BA 2018).

Distinguir entre este tumor y el melanoma maligno esimportanteen laplanificacióndel manejo,yaqueelpronósticoyeltratamiento radicalmente es distinto. Para ello el diagnóstico histopatológico junto con la inmunohistoquímica son de gran utilidad,

marcadores tales como S100, Vimentina,

Desmina,AML,AMEyHMB45juntoconKi 67,sondeimportantísimautilidad.

Se presenta a continuación un caso clínico de schwannoma melanótico, incluyendounarevisióndelaliteratura.

Presentación del caso

Se presenta caso de una mujer de 86 años, originaria de Ayoquesco de Aldama, Oaxaca. Antecedentes heredofamiliares

(AHF):Sinimportanciaparaelpadecimiento,

Antecedentes personales patológicos (APP):

Hipertensa de 5 años de evolución, tratada con Metroprolol, Losartán e Hidroclorotiazida, Antecedentes personales nopatológicos(APNP):Sinimportanciapara el padecimiento, Antecedentes ginecoobstétricos (AGO): Menarca a los 15 años, Menopausia a los 48 años, (Número de parejassexuales(NPS):1,Gesta:1,Partos:1, Cesárea:0, Abortos: 0, Métodos de planificación familiar (MPF): OTB,

Antecedente de histerectomía hace 30 años por Miomatosis uterina, Papanicolaous previosnorealizados.

Iniciaen2017alnotarlaapariciónde una tumoración inguino-púbica derecha no dolorosa, con medida aproximada de 2.0x2.0 cm,congradualaumentodetamañosincausa aparente, agregándose dolor punzante al realizar actividades cotidianas, por lo que es valorado por médico de primer contacto; quiénhacereferenciaalserviciodePatología

Quirúrgica del Hospital Regional de Alta Especialidad de Oaxaca del IMSS Bienestar, donde se realiza estudios de Tomografía, la cualreportalesiónenregióninguinalderecha de 12 x 11 cm, de bordes irregulares, hipodensa en fase simple, con refuerzo a la colocación de medio de contraste, y se programa para cirugía en septiembre del 2019.

Exploración Física: T.A: 110/70 mmHg, FC: 83 latidos por minuto, FR: 22 respiraciones por minuto, Temperatura: 36°

C, Peso: 78 kilogramos y Talla: 1.52 metros.

Paciente consciente, alerta, orientada, irritable, palidez de mucosas y tegumentos.

Cabeza: Normocéfala con pupilas isométricas, Cuello: Cilíndrico, corto sin evidencia de adenomegalias, Corazón: Ruidos cardiacos rítmicos sin soplos ni galopes,Pulmones: Buenaentradaysalidade airesin ruidosagregados,Abdomen: Globoso a expensas de panículo adiposo, no se palpan visceromegalias, Exploración vaginal:

Negativa, Reporte papanicolaou institucional: Negativo, Extremidades: Integras, con adecuado llenado capilar.

En los estudios de laboratorio se encontraron,

Leucocitos 3.8 x109 L, Hemoglobina 12.4 gr/dL, Hematocrito 37.8%, Glucosa 98 mg/dL,BUN22mg/dL, UREA47.08mg/dL, Creatinina 0.9 mg/dL.

El estudio de Tomografía simple y contrastada mostró gran masa tumoral que ocupaba el canal inguinal, de contornos

irregulares, con densidad heterogénea (Figura1 y 2)

Figura 1

Tumorectomia

Nota.Lesiónovoideencapsulada,deaparienciaarremolinada.

Figura 2

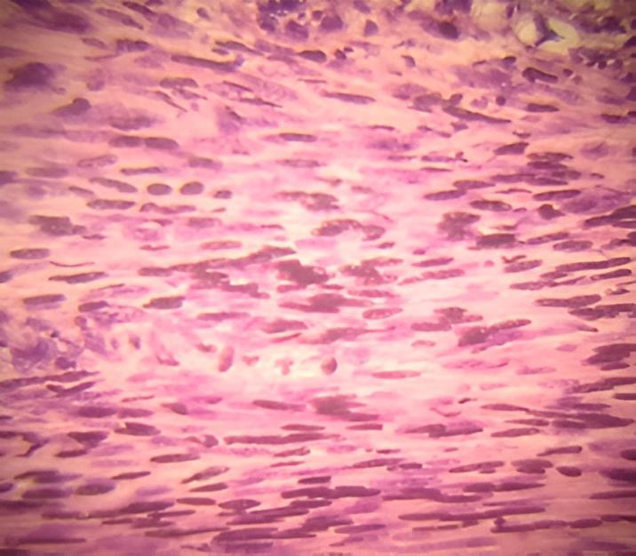
CortehistológicoconHyEa40X

Nota.Lesiónfusocelular,demoderadadensidad,concélulaspredominantementeelongadas,con núcleosovalesdecromatinagrumosaydepósitosdemelanina.

Por lo que ingresa a cargo del Departamento de Oncología Quirúrgica para resección con los siguientes hallazgos: Tumoración dependiente de región inguinal derecha, que involucra tejidos adyacentes, de grandes dimensiones, con bordes infiltrativos.

Se realiza resección óptima y la muestra fue enviada al departamento de patología de esta institución.

El examen macroscópico de la pieza de tumorectomía remitida evidenció una neoplasia de 13.0 x 12.0 cm, con cápsula fibrosa adelgazada, de forma ovoide, bien circunscrita que desplaza las estructuras adyacentes sin invasión directa.Al corte presenta consistencia firme, es una lesión solida con depósitos hemáticos y melánicos. (Figura 1).

El estudio microscópico puso de manifiesto la existencia de una tumoración

constituida por células ahusadas pigmentadas bipolares con finas fibrillas dispuestas en haces entrecruzados, los núcleos celulares se disponen en filas transversales agrupadas por lo común en dos o tres corridas, entre las que el material fibrilar aparece hialinizado, estos grupos de núcleos dispuestos en empalizada junto a bandas hialinas son pleomórficos, con atípia leve. Las células tumorales presentan depósito citoplasmático disperso de melanina. (Figura 2).

Figura 3

Paneldeinmunohistoquímica

Nota.S100,40x.

El estudio microscópico puso de manifiesto la existencia de una tumoración constituidaporcélulasfusadasbipolarescon finas fibrillas dispuestas en haces entrecruzados, los núcleos celulares se disponen en filas transversales agrupadas porlocomúnendosotrescorridas,entrelas que el material fibrilar aparece hialinizado, estos grupos de núcleos dispuestos en

empalizada junto a bandas hialinas son pleomórficos, con atípia leve, algunas célulasmuestranensucitoplasmapigmento cafégrisáceo,entredichoshacessemuestra dicho pigmento en cantidad escasa. (Figura 4).

Figura 4

Paneldeinmunohistoquímica

Nota.Vimentina,40x.

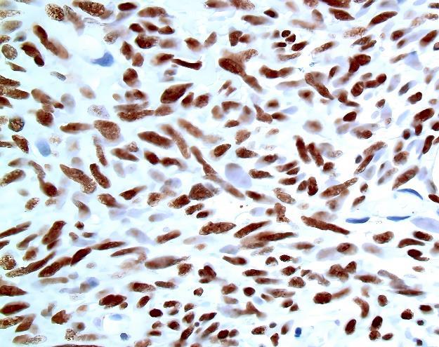
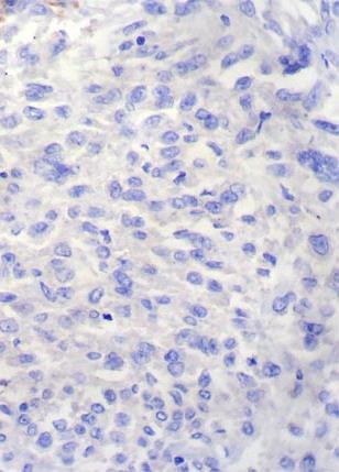
LastécnicasdeIHQfueronpositivas para S100, Vimentina, con un índice de proliferación Ki-67 de 40%, siendo negativas para AML, AME y HMB 45(Figura 5-6-7), por lo anterior se llegó a undiagnósticodeSchwannomamelanótico.

Figura 5

Paneldeinmunohistoquímica

Nota.HMB45,40x.

Paneldeinmunohistoquímica

Nota.AME,40x.

Figura 7

Paneldeinmunohistoquímica

Nota.AML,40x.

Figura 6

En el estudio de inmunohistoquimica hay inmunopositividad citoplasmática difusa y nuclear para S100, Vimentina, con un índice de proliferación Ki-67 de 40%, siendo negativas para AML, AME y HMB 45 (Figura3-7),debidoaloanteriorsellegóaun diagnóstico de Schwannoma melanótico. En nuestro caso la IHQ nos permitió descartar esta lesión de entre otras lesiones como schwannomas clásicos, los neurofibromas pigmentados y las neoplasias malignas primariasmelanóticas.Unadelasvirtudesde este estudio de inmunohistoquímica es que nos apoya en la clasificación y diagnóstico precisodelasneoplasiasyesunaherramienta con la cual contamos únicamente en nuestro hospitalanivelestado.

Discusión

El Schwannoma Melanótico (EM) es unaneoplasiapococomún,representamenos del 1% de todos los tumores de la vaina nerviosa, con predilección por la afectación del nervio espinal. La aparición de EM en

varios sitios anatómicos inusuales y su espectro de patrones morfológicos puede resultar en una dificultad diagnóstica significativa, es particularmente importante debido a su alta tendencia a recurrir localmenteyametastatizar;portalmotivo,se realizó el estudio integral y completo con los hallazgos histológicos y marcadores de inmunohistoquímica.

Hasta el momento el tratamiento ha sido a base de sesiones de Radioterapia, sin ser candidata a Quimioterapia. Se descartó complejo de Carney que puede asociarse a esta patología, siendo la evolución hasta el momento favorable. Generalmente se manejan con una resección total (Grau 2015) así como un seguimiento adecuado a largo plazo.

Conclusiones

En el caso presentado se observan muchascaracterísticasacordesalasreferidas enlaliteraturamédicaconsultada,tantoensu

forma de presentación (tumoración ignuino púbicanodolorosa),comoensuevolución.

El diagnóstico histopatológico se confirma por los hallazgos de inmunohistoquímica,dondemarcadorestales como HMB45, S100, Vimentina y Ki 67 son cruciales,loquepermitedescartarlosdeotras patologíasconmorfologíasimilar.

Hasta el momento el tratamiento ha sido con base de múltiples sesiones de radioterapia, la evolución hasta el momento ha sido muy favorable, como lo marcan muchos casos analizados, quedando únicamente en seguimiento continuo, esto debido a que como se mostró previamente pueden llegar a presentarse algunas recurrenciaslocales.

Referencias

Agüero, J. (2008). Infiltración miocárdica tras exéresis de schwannoma melanótico pulmonar. Revista española de Cardiologia, (61), 194195.

Albores, O. (2004). Schwannomas mediastinales. Comunicación de casos y revisión de la literatura. Revista del Instituto Nacional de Enfermedades Respiratorias,(17),256-260.

Alexiev,BA.(2018).PathologyofMelanotic Schwannoma. ArchPatholLabMed. 142(12):1517-1523.

Buero, A. (2024). Tumor maligno melanocitico de la vaina neural del mediastino posterior. Medicina (B Aires),(84),324-328.

Deliz,R.(2015).Schwannomaabdominal.A propósito de un caso. Revista

HabaneradeCienciasMédicas, (14), 55-59.

Georgios, S. (2020). Schwannoma melanótico maligno extramedular de la columna vertebral: Informe de un caso y revisión sistemática actualizada de la literatura. Annalsof medicine, (Públicado en linea), 217223

Grau, J. (2015). Hemicolectomía derecha laparoscópica por schwannoma de colon. Gastroenterologia y Hepatologia,(38),109-111.

Er,U.(2007).MelanoticSchwannoma, JClin Neurosci. 14(7):676-678.

Heuman, NJ. (2006). Sarcomatosis transformation in multiple neurofibromatosis. Ann Surg 1950, (4),131-206.

Katati, M. (2000). Schwannoma melanocítico. A propósito de un caso

y revisión de la literatura. Revista de neurologia,(31),427-430.

João,B.(2015). Schwannomamelanóticode

la columna lumbar: reporte de un caso y revisión de la literatura. SciELO México: Investigaciones Geográficas, Boletín del Instituto de Geografía de la UNAM, (29), 101110.

Labbé A, Maria Ignacia. (2012). Schwannoma melanótico: Reporte de un caso y revisión de la literatura. Revista chilena de radiologia,(18),5-8.

López, C. (2018). Schwannoma pélvico retroperitoneal que simula un leiomioma: reporte de un caso y revisión bibliográfica. Ginecologia y ObstetriciadeMéxico,(86),217-223.

Rothenburger,M.(2001).Primarypigmented malignant Scwannoma in the

posterior mediastinum. Thorac CardiovSurg,(49),306-308.

Villalobos, JR. (2024). Schwannoma de colon derecho: a propósito de un caso. Acta Médica Peruana- Versión Online,(41).

El reporte de investigación de un Caso de Estudio permite sustentar la teoría y práctica psicoanalítica/psicoterapéutica

MaríaAntonietaCansecoCervantes

FacultaddePsicologíadelaUniversidadRegionaldelSureste,Oaxaca,México email:cacx670613@profesores.urse.edu.mx

Resumen

Através de este ensayoserealizauna reflexión que busca responder si un solo estudio de caso clínico es suficiente para sustentar la teoría y la práctica psicoanalítica/psicoterapéutica. Por lo tanto, elensayoiniciaconunanálisisdelmétodode investigación propuesto por Sigmund Freud, y seguidores, quienes realizaron importantes aportes a la comprensión de la conducta del ser humano. Se concluye que un solo estudio decasoclíniconoessuficienteparasustentar por sí mismo la teoría y práctica

psicoanalíticaopsicoterapéuticadebidoasus limitaciones en términos de generalización, complejidad del fenómeno y falta de validación. La Teoría Fundamentada, puede enriquecer el proceso investigativo mediante el desarrollo inductivo de teorías, permitiendo una comprensión más profunda y contextualizada del fenómeno psicológico encuestión.Porúltimo,sediscuteatravésde lascienciassociales,elempleodelEstudiode Casocomotécnicadeanálisisysuaporteala investigacióncualitativaocuantitativa.

Ensayo

Palabras claves: Teoría psicoanalítica, Estudio de Caso, Método de investigación,TeoríaFundamentada.

Abstract

Thisessayreflectsonwhetherasingle clinical case study is sufficient to support psychoanalytic/psychotherapeutic theory and practice. Therefore, the essay begins with an analysis of the research method proposed by Sigmund Freud and his followers, who made important contributions to the understanding of human behavior. It concludes that a single clinicalcasestudyisnotsufficienttosupport psychoanalytic or psychotherapeutic theory and practice by itself due to its limitations in terms of generalization, complexity of the phenomenon, and lack of validation. Grounded Theory can enrich the research processthroughtheinductivedevelopmentof theories, allowing for a deeper and more contextualized understanding of the psychological phenomenon in question.

Finally, the use of the Case Study as an analysis technique and its contribution to qualitative or quantitative research is discussedthroughthesocialsciences.

Keywords: Psychoanalytic theory, Case Study,researchmethod,GroundedTheory. Introducción

AlcuestionarnossiunsoloEstudiode Caso puede ser suficiente para sustentar la teoría y práctica psicoanalítica/psicoterapéutica, de inmediato nos a remontarnos a las aportaciones que Sigmund Freud (1992)1 hizo a partir de su método de investigación del comportamiento humano y de cómo a través de él fue descubriendo los diferentes procesos psíquicos que persistían en sus pacientes, incomprensibles para ellos y para toda la comunidadmédicadesuépoca.Lainvención del Psicoanálisis fue un proceso constante, demostrando la sensibilidad de un investigador nato como lo fue Sigmund

1 Médico, Neurólogo, Padre del Psicoanálisis.

Freud, quien descubrió un método diferente para obtener información de las causas psicopatológicasdesuspacientesadiferencia delaempleadaporlacorrientepositivista;su insistencia y persistencia lo llevó al descubrimiento del inconsciente y todo lo relacionado con la mente subjetiva Su método de estudio, le permitió abordar de manera diferente los complejos casos clínicos, y descubrir experiencias complejas que sin duda, le fueron aportando un conocimientoprofundo delapsique humana, evitando falsear generalizaciones, y desestimarteoríaserróneas Desarrollo.

Elmétodode investigaciónpropuesto por Sigmund Freud y sus seguidores, ha sido fundamental en el desarrollo de la teoría psicoanalítica. Freud estableció un enfoque que combina la investigación y la práctica clínica.Paraél,elpsicoanálisisnoerasoloun método terapéutico, sino también una forma de investigar la mente humana. Algunos

aspectos clave de su metodología incluyen el Estudio de Casos y la Observación e Interpretación. Freud utilizó el Estudio de Casocomounmétodocentralparavalidarsus teorías. A través de relatos detallados de pacientes,buscabailustrarconceptoscomoel inconsciente, la transferencia y los mecanismos de defensa. Este enfoque permitió una comprensión profunda de las experiencias individuales y cómo estas pueden reflejar patrones universales en la psicología humana (Rubistein, 2008; Gallo, s.f).

Asimismo, Freud enfatizaba la importancia de la observación cuidadosa y la interpretación de los relatos de los pacientes. Considerabaquelosdetalles,inclusolosmás pequeños, podían ofrecer insights significativos sobre el funcionamiento psíquico (Rubistein, 2008). Su método implicaba una escucha activa y una atención a las formaciones del inconsciente. Además, sostenía que el acto de analizar a un paciente

era inseparable del proceso de descubrimiento científico. Cada sesión analítica proporcionaba nuevos conocimientos que podían ser utilizados para mejorar tanto la teoría como la práctica. Por suparte,Ferenczi,ampliólasideasfreudianas al introducir un enfoque más empático y relacional en el análisis. Su trabajo se centró en la importancia del vínculo terapéutico y cómo este influye en el proceso analítico. Introdujo conceptos como la "confusión de lenguajes", que destaca cómo las diferencias en la comunicación entre analista y paciente pueden afectar el tratamiento (Rubistein, 2008). Melanie Klein aportó una perspectiva innovadora al psicoanálisis infantil, enfatizando el papel del juego como medio para explorar el mundo interno del niño. Su metodologíaincluíaobservacionesdetalladas del juego infantil, lo que le permitió desarrollar conceptos como las posiciones esquizoparanoide y depresiva, ampliando así la comprensión del desarrollo emocional

desde una edad temprana (Laverde-Rubio, 2008). Jacques Lacan, reinterpreta muchas ideas freudianas desde una perspectiva filosófica, lingüística y estructuralista, introduceconceptoscomoel"otro"yenfatizó la importancia del lenguaje en la formación del sujeto. Su enfoque metodológico se basa enelanálisisdeldiscursoycómoesterefleja lasestructurasinconscientes(Laverde-Rubio, E.(2008). Freudconcadacasoanalizadolograba avanzar en el descubrimiento del funcionamiento de la psique humana y con ello construía la teoría psicoanalítica, demostró la singularidad o particularidad de un caso y cómo este podía generalizarse. El develamiento de los fenómenos psíquicos patológicos surgidos de las experiencias adversas de sus pacientes y su constante aparición, le hizo comprender fenómenos como la repetición. Uno de sus primeros casos publicados fue el caso Dora, escrito en 1905, con el título “Fragmento de análisis de

un caso de histeria”, en este nos muestra cómo la interpretación de los sueños se entreteje en el historial de un tratamiento y con la interpretación pueden llenarse las amnesias y esclarecerse los síntomas.” (Freud,1905,referidoporSánchez,2016).

A través de este nuevo método de escucha y búsqueda de la verdad, Freud descubre diferentes vías de análisis del inconsciente: señala un punto de encuentro con un saber que no se sabe, es decir, “con algo que pertenece para un sujeto sometido a análisis al orden de lo reprimido” (Freud, 1992), y que a diferencia de la ciencia, cuya visiónpositivistaseorientahacialabúsqueda de una verdad objetiva, da por sentado sus resultadoscomoproductodelarealidadúnica sobre los fenómenos estudiados, mostrando sus descubrimientos de los casos clínicos en sujetosdeexperimentación.

Por su parte Lacan (1989) sostiene que la especificidad de una ciencia es su objetodeestudiodefinidoconunciertonivel operativo, reproducible, producto de la experiencia,advirtiendoloscambiossufridos por cada objeto con el paso del tiempo, y de manera singular, enfatiza el curso de la evolución de toda ciencia, poniendo de relieveladiferenciaentreelpsicoanálisiscon las ciencias positivas de su época. De forma determinante establece un objeto claro, bien definidoensusiguienteseminario2 enelcual señala como objeto de estudio los procesos psíquicosinconscientesemergidosdentrodel dispositivo psicoanalítico, es decir, es solo a través de la investigación constante del análisis como se obtienen. Por lo tanto, cada aportación realizada en psicoanálisis a través de un proceso clínico alimenta la teoría psicoanalítica

Elmétodode investigaciónpropuesto por Freud ha sido fundamental para

2 Elobjetodelpsicoanálisis,seminario13.

establecer el psicoanálisis como una disciplina que combina terapia e investigación. A través del estudio detallado de casos, la observación cuidadosa y un enfoque relacional, han contribuido significativamente a nuestra comprensión de la mente humana. Sin embargo, también enfrentan desafíos inherentes a su metodología que continúan siendo objeto de debate en el ámbito académico y clínico, es decir, a pesar de las contribuciones del métodopsicoanalítico es criticadodebido,en primer lugar, a que los estudios de casos individual limitan la capacidad para generalizar hallazgos a poblaciones más amplias. Segundo, la interpretación psicoanalíticapuedeservistacomosubjetiva, lo que plantea preguntas sobre su validez científica. Y tercero, la naturaleza cambiante delpsicoanálisisimplicaquelasteoríasdeben adaptarsecontinuamenteanuevasevidencias y contextos clínicos (Gallo; s,f.; Atlas.tic.; Alveiro Restrepo-Ochoa, D., 2013). Aunque

para De Battista (2023) Freud no pretendía convertirse en una cosmovisión, sino que su afán investigativo se reducía a la teoría que puede generarse a partir de la particularidad de la praxis, la práctica psicoanalítica” (pág. 238).

El psicoanálisis contemporáneo, por llamarlo de alguna forma, ha señalado la importancia de la construcción de casos para la producción de conocimiento, detectando dificultadesparallegaraconsensos,yaqueun mismo caso puede ser interpretado desde diferentes corrientes, proponiendo crear un corpusdeinvestigacióndecasosclínicosque tenga como objetivo definir una metodología sistemática para una investigación psicoanalítica, además de buscar consensuar formasdiversasdeinvestigaciónquepermita definir el más adecuado en cada caso. Por su parte Fernández (2021) precisa que un procedimiento de investigación adecuado al psicoanálisis debe transitar la tensión irreductible entre lo singular y lo general sin

intentar jamás abolirla, es decir, un procedimiento de investigación es consustancial siempre y cuando sea escrito reuniendotantolasgeneralizacionescomolas singularidades irreductibles sin que pierda el rigor conceptual ni argumentativo de los descubrimientos(pág.71).

Si bien la psicoterapia aborda fenómenos psicológicos complejos que varíansignificativamenteentrelosindividuos unsolocasopuedenocapturarlavariedadde respuestas terapéuticas o los diferentes mecanismos que pueden estar en juego en otros contextos clínicos (Laverde-Rubio, 2008), y, por lo tanto, la validez de las conclusionesextraídasdeunsolocasopuede ser cuestionada, ya que no hay suficientes datos para corroborar o refutar las teorías emergentes.

Esto resulta especialmente relevante en el psicoanálisis, donde la interpretación puede ser subjetiva y dependiente del contexto específico del paciente (Gallo, J.

(sf). Por lo tanto, para sustentar adecuadamente la teoría y la práctica psicoanalítica, es esencial contar con múltiples estudios de caso que permita: 1) Analizarvarioscasosqueayudanaidentificar patrones y tendencias que pueden informar teorías más generales sobre el proceso terapéutico, 2) Validar Teorías Emergentes, porque la acumulación de datos a partir de múltiples casos permite validar o refutar teorías, proporcionando una base más sólida parasuaplicaciónenlaprácticaclínica.

La teoría fundamentada (TF) puede ofrecer un enfoque valioso para abordar las limitaciones asociadas con el uso de un solo estudiodecasopermitiendogenerarteoríasa partirdedatosempíricosrecopiladosatravés de múltiples estudios de caso. Esto significa que, en lugar de imponer una teoría preexistente sobre los datos, los investigadorespuedenpermitirquelasteorías emerjan naturalmente a partir de las experiencias recopiladas (Laverde-Rubio,

2008). Además, a través de este enfoque se puedenseleccionarcasosadicionalesbasados en su relevancia para refinar y desarrollar la teoría emergente. Esto puede incluir la búsqueda activa de casos que representen diferentes contextos o variables, lo que enriquecería el análisis y aumentaría la generalizabilidad (Lúquez y Fernández, 2016).

Por último, la TF enfatiza la importanciadelcontextoenelanálisis,loque escrucialenpsicoterapia.Alconsiderarcómo las experiencias individuales se sitúan dentro de marcos sociales y culturales más amplios, sepuedendesarrollarteoríasmáscompletasy contextualizadassobreelprocesoterapéutico (De Battista, 2023), aunado a la naturaleza iterativa y flexible de la TF que permite ajustescontinuosenelenfoquemetodológico según lo que surja durante el proceso investigativo.Estoesespecialmenteútilenun campo tan dinámico como el psicoanálisis, donde las interacciones entre terapeuta y

paciente son complejas y cambiantes (Laverde-Rubio,2008). Discusión

Si bien el psicoanálisis es un método clínico, es necesario dar especificidad a su objeto de estudio como tal, el sujeto en análisis,porqueadiferenciadeotrasciencias, aunque es necesario señalar que el psicoanálisis no es considerada como una ciencia, la especificidad y singularidad de cada caso nos lleva a un conocimiento que debe ser transmitido, adquirido en términos de experiencia y de diversos tratamientos paranotarenellosunaabstracciónconceptual con algún valor científico, en tanto esa experiencia sea de algún modo constatable y reproducible(Pulice,G.,Zelis,O.,yManson, F., S.F.). Esto ha sido un problema para el psicoanálisis desde el inicio, fuertemente criticado. Hoy en día el estudio de casos en psicoanálisis puede ser reconocido en su valornosóloporser heurístico,sinotambién porquesuobjetodeestudionoescomparable

con el de ninguna otra ciencia, y eso no le eximedeserválidoolegítimo.Esporlotanto el psicoanálisis un método de estudio de enfoque cualitativo por su persistencia para estudiar un caso único, pero con la disposición de comprender a un sujeto en profundidad, a lo cual se le conoce como

EstudiodeCaso.

Enlascienciassociales,unEstudiode

Caso (EC) se basa en un diseño de investigación orientado al análisis de las relaciones entre muchas propiedades concentradas en una sola unidad o sujeto.

Para Yin (1993, referido por Marradi, A., Archenti, N. y Piovani, J., (2007) “trabajar conmuchasvariablesyuncaso(omuypocos casos)hadadolugaradiversasestrategiasde abordaje encaminadas a la búsqueda de múltiples fuentes de evidencia, dado que el objetivoesabordarunfenómenocomplejoen forma holística” (bis, pág. 237), incitando al investigador a buscar aproximarse al caso a travésdediferentesmétodosdeinvestigación

o triangulación metodológica, la cual supone unmétododecomprensióndelfenómenomás amplio.Porlotanto,laimportanciadeunEC estribaenqueeldiálogoentreelinvestigador yelcasoinmersoenlavidarealloconvierte, enalgunamedida,eneldiseñoparadigmático dentro de las perspectivas focalizadoras del estudio de los fenómenos sociales contextualizados(bis,pág.237)

No obstante, el EC ha recibido diversas críticas una de ellas se refiere a su carácter científico, considerando que los resultadosobtenidosnosepuedengeneralizar y mucho menos construir una teoría a partir de un caso único, cuestionando tanto su validezyconfiabilidad.Sinembargo,apartir de la revalorización científica del Estudio de Caso propuesta por Campbell en su obra, en el que consideró la importancia de sus contribuciones le llevaron a rectificar su rechazo inicial a una aceptación pertinente al considerarcómoestosposeensupropiorigor ofreciendo una base empírica para falsear

generalizaciones(CampbellySantaley,1963, referido por Marradi, A., Archenti, N. y Piovani, J., 2007, pág. 239) es decir, evita conclusioneserróneas.Entonces,silosECno pueden producir generalizaciones, los casos negativos pueden establecer algún límite o modificaciones a ellas o debilitar una teoría (Marradi, A., Archenti, N. y Piovani, J., 2007), mientras tanto otros atribuyen a la teoría el papel de generalizar los resultados a otroscasossimilares(Yin,1993,referidopor Marradi,A.,Archenti,N.yPiovani,J.,2007).

También se considera pertinente generar a través del EC una base empírica para conceptos y generalizaciones, convirtiéndola enunelementoesencialparalainvestigación social(Marradi,A.,Archenti,N.yPiovani,J., 2007), por lo tanto afirman categóricamente como un error señalar la imposibilidad de generalizarapartirdeunsolocaso,cuandoes posibleconsiderarloun“casoejemplificador” que contribuye con el conocimiento (Campbell y Stanley 1963, referido por

Marradi,A.,Archenti,N.yPiovani,J.,2007)

En ese sentido, la teoría psicoanalítica justo se ha alimentado con los estudios de casos únicos y ejemplificadores que tanto Freud comootrospsicoanalistashanaportadoyque provienen no solo del análisis clínico de los pacientes en el consultorio, logrando generar nuevasaportacionesalateoríaalanalizarcon profundidad aspectos psicodinámicos, conceptos que después se convierten en teoría, y con ello consolidar el conocimiento heurísticodelcomportamientohumano.

Conclusiones

Desde una perspectiva cualitativa, el valorcientíficodelEstudiodeCasoradicaen su carácter de estudio denso, narrado en toda su diversidad a fin de desentrañar sentidos generales,metáforas,alusiones,alegoríasque seexpresanatravésdemúltiplesmarcasenla unicidad del caso (Marradi, A., Archenti, N. y Piovani, J., 2007) Para Freud y su teoría psicoanalítica el análisis del inconsciente lleva precisamente a ese punto, se inmiscuye

hasta el fondo, para descubrir el origen del sufrimientodelpropiosujeto,apesardeserel únicoconocedordesímismo,esunaparadoja queseponederelieveenelestudioprofundo de su psique, es un conocimiento desde el dispositivo terapéutico, de la clínica, contribuyendo con la comprensión de las motivacionesysupsiquismo,yaportandoun conocimiento metapsicológico de quienes no comprenden el motivo de sus sufrimientos, expresados a través de sus incomprensibles síntomas.

Elestudiodecasonosaportavaliosos conocimientos heurísticos, gracias a que logra conocerse un fenómeno en forma cercana y profunda, y de esa particularidad podemosllevarloalageneralidaddeloscasos clínicos para su comprensión amplia y profunda, su teorización y aportación de nuevos conceptos, de donde surgen nuevas hipótesis sobre el comportamiento humano Dice Nasio (2000, pág. 14) “el caso (clínico) excede su rol de ilustración y de metáfora

emblemática para llegar a ser en sí mismo generador de conceptos. Esto es lo que yo llamo la función heurística de un caso‛. La fecundidad demostrativa de un ejemplo clínico es a veces tan fructífera que vemos proliferar nuevas hipótesis que enloquecen y consolidanlatramadelateoría”

Peroapesardeello,unsoloestudiode caso clínico no es suficiente para sustentar por sí mismo la teoría y práctica psicoanalíticaopsicoterapéuticadebidoasus limitaciones en términos de generalización, complejidad del fenómeno y falta de validación.Sinembargo,alintegrarlaTeoría Fundamentada, se puede enriquecer el proceso investigativo mediante el desarrollo inductivo de teorías a partir de múltiples casos, permitiendo una comprensión más profunda y contextualizada del fenómeno psicológico en cuestión. Esto no solo fortalecería la base teórica del psicoanálisis, sino que también mejoraría su aplicación prácticaencontextosclínicosdiversos.

Referencias

Alveiro Restrepo-Ochoa, D., (2013). La Teoría Fundamentada como metodología para la integración del análisisprocesualyestructuralenla investigación de las Representaciones Sociales. CES Psicología,6(1),122-133.

Atlas.tic. recuperado en:

https://atlasti.com/es/guias/guiainvestigacion-cualitativa-parte2/teoria-fundamentada Campo-Redondo, M. (2021). Concepción de la Psicoterapia. Aproximación

Cualitativa desde la Teoría Fundamentada.RevistaColombiana de Psicología, 30(1), 47-61. https://doi.org/10.15446/rcp.v30n1. 78535

De Battista, J. (2023). Valor de la construcción del caso clínico en las diversas formas de investigar en psicoanálisis. XV Congreso

Internacional de Investigación y Práctica Profesional en Psicología. XXX Jornadas de Investigación. XIXEncuentrodeInvestigadoresen Psicología del MERCOSUR. V Encuentro de Investigación de Terapia Ocupacional V Encuentro de Musicoterapia. Facultad de Psicología - Universidad de Buenos Aires,BuenosAires.

Fernández Miranda, J (2021). La investigación y la práctica del psicoanálisis en Revista psicoanálisisenlauniversidadNº5.

Rosario, Argentina, UNR Editora. Pág63-83

Freud, S.(1992). Estudiossobrela histeria.

En Obras Completas, Tomo

II.Buenos Aires, Amorrortu editores.

Freud, S. (1972). Análisis fragmentario de una histeria. Caso Dora. Tomo VII. Madrid.

https://psicopatologia1unlp.com.ar/ bibliografia/tp/histeria/Freud.%20Fr agmento%20de%20análisis%20de %20un%20caso%20de%20histeria. pdf

Gallo, J. (sf ). El psicoanálisis como un método de investigación de la subjetividad. Recuperado en: https://www.psicomundo.com/foros/i nvestigacion/jairo.htm

Mannoni, M. (2009). Un saber que no se sabe: La experiencia analítica. Gedisa.España.

Marradi, A., Archenti, N. y Piovani, J. (2007). Metodología de las ciencias sociales. Buenos Aires, Emecé Editores.

Nasio,D.(2000).Losmásfamososcasosde psicosis.

Lacan, J. (1989).Los cuatro conceptos fundamentales del Psicoanálisis(Seminario XI),BuenosAires,EditorialPaidós.

Laverde-Rubio, E (2008). Metodología de la investigación: psicoterapia analítica y psicoanálisis.Revista Colombiana de Psiquiatría,37(1), 117-127. Retrieved October 16, 2024, from http://www.scielo.org.co/scielo.php ?script=sci_arttext&pid=S003474502008000100010&lng=en&tlng =es.

Lúquez, P. y Fernández, O. (2016). La Teoría fundamentada: precisiones epistemológicas, teóricoconceptuales, metodológicas y aportes a las ciencias. Revista Cumbres,pp.101-114.

Rubistein, Adriana Mónica (2008). Freud, la eficacia del análisis y el uso del caso en psicoanálisis: conclusiones y perspectivas. XV Jornadas de Investigación y Cuarto Encuentro de Investigadores en Psicología del Mercosur. Facultad de Psicología -

Universidad de Buenos Aires, BuenosAires.

Sánchez, J. (2016). Estudio de caso: una manera de investigar en psicoanálisis.Ajayu Órgano de Difusión Científica del Departamento de Psicología UCBSP,14(1), 7-22. Recuperado en 20 de junio de 2023, de http://www.scielo.org.bo/scielo.php

?script=sci_arttext&pid=S207721612016000100002&lng=es&tlng =es.

Marcas Engañosas: Uso, explotación y Maltrato Animal

RicardoBaruchLomeliJuárez,MaríaVictoriaGaviñoAmbriz

FacultaddeDerechoyCienciasSociales,UniversidadRegionaldelSureste,Oaxaca,México email:ricardolomeli190905@gmail.com

Resumen

En nuestros días resulta pertinente analizar la problemática generada por el maltrato animal en la experimentación científica, especialmente en los sectores farmacéutico y cosmetológico. Sin duda existen disposiciones legales en todo el mundo, pero no son eficaces para lograr detenerelmaltratoanimalrealizadoenprode la ciencia y del beneficio del ser humano. El ensayo es de tipo cualitativo, realizado a través del análisis de diversos dispositivos legales de orden nacional e internacional,

denotando la falta de uniformidad y siendo unasdisposicionesmáspermisiblesqueotras en demerito del bienestar animal, empleando la industria farmacéutica y cosmética estos vacíos legales, para emplear animales en sus procesosdedesarrollodeproductos,alejados de toda ética y moral empática para con los seres sintientes. Con lo que se advierte la necesidad de armonizar las disposiciones legales que tutelen en bienestar animal a efecto de evitar que las empresas se vayan a países donde la regulación es más laxa en

Ensayo

contra del derecho tutelado del bienestar animal.

Palabras claves: Marcas Engañosas, Experimentación animal, Normativa, BienestarAnimal,Ética.

Abstract

Nowadays, it is pertinent to analyze the problems generated by animal abuse in scientific experimentation, especially in the pharmaceuticalandcosmeticsectors.

There are undoubtedly legal provisionsthroughouttheworld,buttheyare noteffectiveinstoppinganimalabusecarried out in favor of science and the benefit of humanbeings.

The essay is qualitative, carried out through the analysis of various legal provisionsofnationalandinternationalorder, denoting the lack of uniformity and some provisions being more permissible than others to the detriment of animal welfare, with the pharmaceutical and cosmetic industry using these legal loopholes to use

animals in their product development processes, far removed from any ethical and moralempathytowardssentientbeings.

Thus, the need to harmonize the legal provisions that protect animal welfare is noted in order to prevent companies from going to countries where the regulation is morelaxagainsttheprotectedrightofanimal welfare.

Keywords: Misleading Brands, Animal Experimentation, Regulations, AnimalWelfare,Ethics.

Introducción

En el presente ensayo se aborda la problemática del maltrato animal en la experimentación científica, centrándose en los sectores farmacéutico y cosmetológico.

La justificación de este ensayo se encuentra en la necesidad de reconocer y promover el bienestaranimalylaéticaenlainvestigación, así como en la importancia de armonizar las regulaciones a nivel global que garantice el trato digno de los seres sintientes que son

objeto de experimentación. Los objetivos del proyecto incluyen analizar las normativas existentes, identificar áreas de mejora en la protección animal y proponer medidas para promoveralternativaséticas.Larelevanciade este estudio como todos sobre el tema se encuentra en avanzar hacia prácticas más éticas y respetuosas en la investigación científica, priorizando el bienestar de los animales y fomentando una cultura de empatía y responsabilidad hacia todas las formasdevida.

I. Generalidades conceptuales y teóricas

Para entender la posición crítica respecto del uso de los animales en diversos procesosdepruebasconfinescosmetológicos y farmacéuticos, se parte de la teoría del utilitarismo,debidoaqueenestateoríadesde el enfoque desarrollado por los filósofos

JeremyBenthamyJohnStuartMill,secentra en la maximización del bienestar y la minimizacióndelsufrimiento.Enelcontexto

de la experimentación animal en la industria farmacéutica y cosmética, el utilitarismo ofreceunmarcoútilparaevaluarlamoralidad de estas prácticas, Aboglio. A. M., (2007, 25 de febrero), citando la obra de Bentham:

“Argumenta sobre la capacidad de sufrimiento de los animales como una razón fundamental para considerar su bienestar, más allá de su utilidad para los humanos.

Bentham es conocido por su famosa pregunta: "La cuestión no es, ¿pueden razonar?, ni ¿pueden hablar?, sino ¿pueden sufrir?” (Bentham, 1789).

StuartMill, por su parte, en su filosofía utilitarista también enfatiza la importancia de reducir el sufrimiento y promover la felicidad. Aunque su enfoque se centra básicamente en los humanos, los principios de su ética utilitarista pueden extenderse a los animales, sugiriendo que el maltrato de los animales en la industria farmacéutica

y cosmética es moralmente cuestionable si causa sufrimiento innecesario(Mill,J.S.,1861).

Elutilitarismosostienequeunaacción es moralmente correcta si produce el mayor bienparaelmayornúmerodeseres.Aplicado a la experimentación animal, esto implica sopesar los beneficios potenciales para la humanidad contra el sufrimiento infligido a los animales, desarrollando los siguientes principios:

Maximización del Bienestar

Los defensores de la experimentación animal desde una perspectiva utilitarista argumentan que las pruebas en animales han contribuido significativamente al desarrollo de medicamentos y tratamientos que salvan vidas humanas y mejoran la salud global. La capacidaddeprobarlaseguridadyeficaciade nuevos fármacos en modelos animales puede prevenirdañosysalvarvidashumanas,loque representa un bien mayor en términos de saludpúblicaybienestar.

Minimización del Sufrimiento

El autor Renegan (1983) nos dice “Los animales tienen un valor inherente y merecen ser tratados con respeto, no como meros recursos para los seres humanos”.

Es por lo que nos permitimos fijar una posición crítica, contra los opositores a los razonamientos utilitaristas, ya que esta filosofía enfocada a la experimentación animal señala el sufrimiento y el estrés que estos procedimientos causan a los animales. Argumentan que el dolor y el sufrimiento de millones de animales utilizados en experimentos cada año deben ser considerados seriamente. En este sentido, el utilitarismo demanda que se busquen y utilicen alternativas a la experimentación animal siempre que sea posible para reducir elsufrimiento.

En este contexto podemos entender que el utilitarismo proporciona una herramienta poderosa para evaluar la moralidaddelaexperimentaciónanimalenla

industria farmacéutica y cosmética. Nos obliga a considerar seriamente tanto los beneficios como los daños de estas prácticas, promoviendo un equilibrio ético que maximice el bienestar y minimice el sufrimiento. El desarrollo y adopción de métodos alternativos son esenciales para alinearse con los principios utilitaristas y avanzar hacia una ciencia más ética y responsable. En última instancia, la ética utilitarista nos insta a buscar continuamente mejores soluciones que beneficien a la mayoría sin causar daño innecesario, promoviendo una cultura de cuidado y respetoportodoslosseresvivos.

II. Marcas Falsas y Protección del

Consumidor: Estudio de Casos

La comercialización de productos farmacéuticos y cosméticos que han sido sometidos a pruebas con animales y la falsificación de marcas plantean desafíos significativosentérminoslegales,éticosyde seguridad para los consumidores. Al

examinar casos emblemáticos de empresas comoL'OréalyJohnson&Johnson,podemos comprender mejor las complejidades y ramificacionesdeestasprácticas.

En el caso de L'Oréal, una de las empresas líderes en la industria cosmética, ha sido objeto de críticas y acciones legales debido a su presunta participación en pruebas con animales, a pesar de sus afirmaciones en contrario en su publicidad. En 2012, en Brasil, L'Oréal fue multada por publicidad engañosa después de que se descubriera que algunos de sus productos habían sido probados en animales. Este incidente no solo dañó la reputación de la empresa, sino que también generó preocupaciones éticas entre losconsumidoresyactivistasdelosderechos delosanimales.

L'Oréal ha sido un foco constante de críticas en cuanto a sus prácticas de pruebas en animales. A pesar de afirmar públicamente que ha dejado de realizar estas pruebas en sus

productos, la compañía sigue

enfrentándose a denuncias debido a sus actividades en países donde las pruebas en animales son requeridas por la ley. Esta discrepancia entre sus declaracionesyaccionesponeenduda elcompromisodeL'Oréalconlaética animal y la transparencia corporativa, y ha llevado a un aumento en las demandas de los consumidores por productos verdaderamente libres de crueldad(Haugen,2016).

Aquí la duda es clara, en qué tipo de sociedad vivimos que le es tan fácil a una empresadeclararqueyanousaanimalespara estaspruebasysiguensiendoimpunes.

"A lo largo de los años, L'Oréal ha intentado posicionarse como un líder en la adopción de métodos alternativosalaspruebasenanimales, desarrollando tecnologías como la piel reconstruida. Sin embargo, las críticas persisten debido a la falta de

coherencia en sus prácticas a nivel global. En ciertos mercados, la compañía aún realiza pruebas en animales para cumplir con las regulacioneslocales,locualsocavasu imagen y suscita preocupaciones sobre la veracidad de sus compromisoséticos"(Hall,2015).

Porotrolado,laempresafarmacéutica

Johnson & Johnson ha enfrentado demandas y escrutinio público por su presunta participación en la experimentación animal y lafalsificacióndemarcasenvariospaíses.En 2018, la empresa se vio envuelta en un escándalo en China, donde se descubrió que algunos de sus productos para el cuidado infantil contenían ingredientes cancerígenos.

Este caso no solo puso en peligro la salud y seguridad de los consumidores, sino que también planteó interrogantes sobre la ética empresarialylaresponsabilidadcorporativa.

Johnson & Johnson, una de las mayores empresas farmacéuticas del

mundo, ha enfrentado críticas considerables por su uso continuo de animales en pruebas de productos. A pesar de su compromiso declarado con la ética y el bienestar animal, informes han revelado que la compañíasiguerealizandopruebasen animales cuando es requerido por la legislacióndealgunosmercados.Esto hageneradocontroversiayllamadola atención de defensores de los derechos de los animales que abogan por métodos alternativos y más humanitarios(Snyder,2019).

Principalmente esta controversia se debe a que el utilitarismo sostiene que una acción es moralmente correcta si produce el mayor bien para el mayor número de seres. Aplicado a la experimentación animal, esto implica sopesar los beneficios potenciales para la humanidad contra el sufrimiento infligidoalosanimales.

El caso de Johnson & Johnson ilustra el dilema ético en la industria farmacéutica moderna. Mientras que la compañía ha invertido en métodos de prueba alternativos y ha expresado su compromiso con la reducción del usodeanimaleseninvestigaciones,su presencia en mercados que exigen pruebas en animales muestra una contradicción en sus políticas. Este dualismo refleja la complejidad de equilibrarlainnovación científica,las demandas regulatorias y las consideraciones éticas (Linzey, 2018).

Estoscasosresultanilustrativosdelas serias implicaciones legales, éticas y de seguridadquesurgen cuandolasempresasse involucran en prácticas como la experimentación animal y la falsificación de marcas.Ademásdeldañoalareputaciónyla confianza del consumidor, estas acciones socavan la integridad del mercado y

comprometen la seguridad y el bienestar de losusuariosfinales.

En respuesta a estos desafíos, es fundamental fortalecer las regulaciones y políticas que protegen a los consumidores de productosprobadosenanimales,asícomolos falsificados. Además, se debe promover una mayor transparencia y rendición de cuentas en la industria, así como fomentar el desarrollo y la adopción de métodos alternativos de prueba que sean éticos y efectivos.Soloatravésdeunenfoqueintegral que combine regulación, educación del consumidor y responsabilidad corporativa se puede garantizar una protección adecuada paralosconsumidoresyunaprácticaéticaen la industria de productos farmacéuticos y cosméticos.

III. Algunas disposiciones internacionales

La regulación de la experimentación animal en los ámbitos farmacéutico y cosmetológico a nivel internacional se

fundamenta en una serie de tratados, convenciones y normativas que buscan establecer estándares éticos y legales para el usodeanimalesenlainvestigacióncientífica.

Tratados y Convenciones Internacionales

La comunidad internacional ha adoptado una serie de tratados y convenciones que abordan directa o indirectamente la cuestión de la experimentación animal. Entre los más relevantes se encuentran la Convención Europea para la Protección de los Animales en Experimentación (CEPAE), el Protocolo AdicionalalaConvenciónparalaProtección de los Animales de Experimentación (CETS núm. 170), y la Declaración Universal sobre elGenomaHumanoylosDerechosHumanos de la UNESCO. Estos instrumentos establecen principios y directrices que los países signatarios se comprometen a respetar y aplicar en sus respectivas legislaciones nacionales.

LaCEPAEestablece normasestrictas para el uso de animales en investigación científica, incluyendo los sectores farmacéutico y cosmetológico. Este tratado obliga a los países signatarios a implementar prácticas que minimicen el dolor y sufrimiento de los animales, a buscar alternativas no animales cuando sea posible y a asegurar que solo se utilicenanimalescuandonohayaotra opción viable. Esta convención ha sido fundamental para armonizar los estándares de bienestar animal en Europa, promoviendo métodos más éticosenlaexperimentación(Consejo Europeo,1986).

Es por ello por lo que, resulta alentador ver cómo la CEPAE prioriza el bienestar animal en la investigación científica. Saber que se están estableciendo normas estrictas para minimizar el sufrimiento de los animales y promover

alternativas éticas en la experimentación es un paso significativo hacia un mundo más compasivo y ético. Es reconfortante ver que se están tomando medidas para equilibrar el progreso científico con la responsabilidad moral hacia otras formas de vida en nuestro planeta. Espero que esta tendencia hacia una mayor conciencia y sensibilidad hacia los animales continúe fortaleciéndose en el futuro.

El Protocolo Adicional a la Convención para la Protección de los AnimalesdeExperimentación(CETS núm. 170) adicional refuerza y actualiza la CEPAE al incorporar avances científicos y técnicos en el campo de la experimentación animal.

Introduce requisitos más estrictos sobre la evaluación ética y el monitoreo de los experimentos, asegurando que los proyectos de investigación sean revisados por comités de ética que prioricen el

bienestar animal. Este protocolo ha influido significativamente en la legislación nacional de los países europeos, elevando el estándar de protección animal en la investigación farmacéutica y cosmética (Consejo Europeo,1998).

Del contenido inmediatamente citado podemos advertir como este Protocolo Adicional es un ejemplo de la evolución moral respecto a cómo tratamos a los animales en la investigación científica. Es como un recordatorio constante de nuestra responsabilidad hacia ellos. Al ver cómo se estánimplementandorequisitosmásestrictos ycómoseestánformandocomitésdedicados al bienestar animal, siento una sensación de esperanza y progreso. Es como si estuviéramos reconociendo cada vez más la importancia de cuidar a estas criaturas que compartennuestromundo.Esalentadorsaber que nuestras acciones están elevando los estándares de protección animal en toda

Europa. Es un paso hacia un futuro donde la ética y la compasión guíen nuestras decisiones,inclusoenelmundodelaciencia.

Aunque la Declaración UniversalsobreelGenomaHumanoy los Derechos Humanos de la UNESCO se centra en los derechos humanos y el respeto por la dignidad humana en el contexto de la genética, también tiene implicaciones para la experimentaciónanimal.Promuevela ética en la investigación científica y abogaporelrespetoatodaslasformas devida,locualincluyealosanimales.

Al enfatizar la responsabilidad ética de los científicos, la declaración ha inspirado un mayor escrutinio y regulación de las prácticas de experimentación animal en los ámbitos farmacéutico y cosmetológico, promoviendo el uso de métodos alternativos y el respeto

por el bienestar animal (UNESCO,1997).

Por ello resulta importante la

DeclaracióndelaUNESCOsobreelGenoma Humano,debidoaquenosolotratasobrelos derechos humanos en genética, también nos recuerda nuestra responsabilidad hacia todas las formas de vida, incluidos los animales, al tenergenomacompartido.Esunllamadoala éticaenlainvestigacióncientíficayalrespeto por el bienestar animal. Esta declaración está inspirando una mayor atención y regulación en la experimentación animal, promoviendo alternativas éticas y un mundo donde el respetoportodaslascriaturasseaprimordial.

Escomounrecordatoriodenuestraconexión conelrestodelmundovivienteylanecesidad de tratar a todas las formas de vida con dignidadycuidado.

Comparación de Regulaciones entre Países y Bloques Regionales:

Mientras algunos países cuentan con legislaciones exhaustivas que establecen requisitosdetalladosparaelusoycuidadode animalesenpruebas,otroscarecendemarcos normativossólidosopresentanlagunas ensu aplicación.

Unión Europea

La Unión Europea ha adoptado una legislaciónavanzadaenestamateria,incluida la Directiva 2010/63/UE sobre la protección de los animales utilizados para fines científicos(EuropeanCommission,2019).

Es de advertirse que en países fuera de la Unión Europea pueden tener regulaciones menos estrictas o no estar sujetos a las mismas normativas, lo que plantea desafíos en términos de armonización y aplicación uniformedeestándaresinternacionales.

Evaluación de Principios y NormativasdeProtecciónAnimal:

“Los principios y normativas que buscan proteger a los animales

Existe una notable disparidad en las regulaciones sobre experimentación animal entre diferentes países y bloques regionales.

utilizados en pruebas se basan en conceptos fundamentales como el principio de las "3R" (Reducción, Refinamiento y Reemplazo), que promuevelareduccióndelnúmerode animales utilizados, la mejora de las técnicas experimentales para minimizar el sufrimiento y el reemplazo de animales por métodos alternativos siempre que sea posible. Además, se establecen requisitos específicos para el cuidado, alojamientoymanejodelosanimales, así como para la supervisión y evaluación ética de los protocolos de experimentación” (European Commission,2019,p.14).

Estados Unidos

Reino Unido

En el contexto del Reino Unido, la protección de los animales utilizados en investigaciones científicas se rige por la Animals (Scientific Procedures) Act 1986. Esta legislación establece un marco legal integral para regular y supervisar el uso de animales en experimentación. La autoridad encargada de hacer cumplir esta ley es la

“En Estados Unidos, la Ley de Bienestar Animal (Animal Welfare Act) y las regulaciones del Departamento de Agricultura de los Estados Unidos (USDA) son instrumentos fundamentales para la protección de los animales utilizados en investigaciones científicas y pruebas.Específicamente,elUSDAy el Servicio de Salud Pública de los Estados Unidos (PHS) son las entidades responsables de supervisar y garantizar la aplicación efectiva de la Ley de Bienestar Animal, asegurando así que se cumplan los estándares establecidos para el cuidadoyusoéticodelosanimalesen estas actividades” (Departamento de AgriculturadeEstadosUnidos,2020).

AnimalsinScienceRegulationUnit(ASRU), una agencia gubernamental que se dedica a garantizar el bienestar de los animales en entornos de investigación, (Home Office, 2023).

IV. Algunas disposiciones del ámbito

Nacional

En el ámbito nacional, la regulación de la experimentación animal en los sectores farmacéutico y cosmetológico varía según el paísdeinterés,perosueleestarrespaldadapor un conjunto de leyes y regulaciones específicas. Este análisis se centra en tres aspectos clave: la revisión de las leyes y regulaciones nacionales pertinentes, la identificación de las agencias gubernamentales responsables de su aplicaciónysupervisión,yelanálisisdecasos emblemáticos y su impacto en la legislación nacional.

Nos permitimos hacer referencia al marco legal nacional tan solo de forma enunciativa,asícomounabrevecomparación

con las disposiciones en nuestra entidad, el estado de Oaxaca, ya que se profundizará sobreelparticularenensayosposteriores.

La regulación de la experimentación animal enMéxicoyelestadode Oaxacapresentaun panorama legal complejo que requiere un análisis detallado para comprender las similitudes, diferencias y posibles áreas de mejora en la protección y bienestar de los animalesutilizadosenpruebas.

Legislación Mexicana

La Ley General de Salud y sus reglamentos son los pilares fundamentales que establecen los lineamientos para la experimentación animal en el ámbito farmacéutico y cosmetológico a nivel nacional. Estas disposiciones regulan aspectos como la autorización y supervisión de los protocolos de experimentación, así como los estándares de bienestar animal que deben cumplirse para garantizar condiciones éticasenlainvestigacióncientífica.

Según la Secretaría de Salud, (2023), En México, la Comisión Federal para la Protección contra Riesgos Sanitarios (COFEPRIS) desempeña un papel crucial en la regulación y supervisión de productos farmacéuticosycosméticos,incluidos aquellos que han sido sometidos a pruebas con animales. COFEPRIS autoriza y regula estos productos, asegurando que cumplan con los estándares de seguridad y eficacia establecidos (Secretaría de Salud, 2023).

Mientras que (Secretaría de AgriculturayDesarrolloRural,2023), el Servicio Nacional de Sanidad, Inocuidad y Calidad Agroalimentaria (SENASICA)juegaunpapelesencial en la regulación y supervisión de la experimentación animal en el sector agropecuario. SENASICA se encarga de garantizar que se respeten las

normativas nacionales e internacionalessobrebienestaranimal en la investigación y desarrollo de productos agropecuarios (Secretaría de Agricultura y Desarrollo Rural, 2023).

Legislación Oaxaqueña:

En Oaxaca, la Ley de Protección y Bienestar Animal del Estado contiene disposiciones específicas relacionadas con la experimentación animal. Esta ley establece normas para el uso de animales en investigación y prueba de productos, así como para garantizar su bienestar y protección dentro del territorio estatal. Al comparar la legislación oaxaqueña con la legislación federal mexicana, es posible identificarsimilitudesydiferenciasencuanto alaregulacióndelaspruebasconanimalesen lossectoresfarmacéuticoycosmetológico.Si bienambaslegislaciones buscanpromoverel bienestaranimalylaéticaenlainvestigación científica, pueden existir variaciones en

términos de requisitos específicos y procedimientosdeaplicación.

Ana María Cortés, activista y fundadora de la organización Protección

AnimalOaxaca(PAO):

En Oaxaca, el maltrato animal sigue siendo una preocupación significativa. Aunque hemos avanzado en la legislación para proteger a los animales, la aplicación de estas leyes es insuficiente. Es crucial que la sociedad y las autoridades trabajen conjuntamente paragarantizarquetodoslosanimales reciban un trato digno y respetuoso, promoviendounaculturadeempatíay responsabilidad hacia los seres vivos (Cortés,2021).

Además, es importante analizar las iniciativas locales y acciones gubernamentales en Oaxaca orientadas a promover alternativas a la experimentación animal y garantizar un trato humanitario

hacia los animales utilizados en pruebas. Estas acciones pueden incluir programas de sensibilización, incentivos para la investigación de métodos alternativos y medidas de vigilancia y cumplimiento para asegurarelcumplimientodelasdisposiciones legales.

En cuanto a la protección y bienestar animalproporcionadosporcadamarcolegal, es necesario realizar una evaluación exhaustiva de los niveles de cumplimiento y eficacia en la práctica. Esto incluye consideraciones sobre la aplicación efectiva de las leyes, la supervisión adecuada de los procedimientos de experimentación y la colaboración entre autoridades gubernamentales, instituciones académicas y organizaciones de la sociedad civil para promover el respeto por los derechos de los animales.

Esporello,quevemosconoptimismo yresultaalentadorobservarelprogresohacia unamayorprotecciónybienestaranimalenla

legislación mexicana y oaxaqueña. Sin embargo, aún queda mucho por hacer para garantizarqueestasdisposicionesseapliquen de manera efectiva y se cumplan en la práctica. La existencia de agencias reguladoras como COFEPRIS y SENASICA es fundamental para supervisar y hacer cumplir las regulaciones relacionadas con la experimentación animal. Sin embargo, es necesario fortalecer su capacidad de aplicaciónyaumentarlatransparenciaensus procesos de evaluación y supervisión. Además, se deben promover activamente alternativas a la experimentación animal y fomentar una cultura de respeto hacia los derechosdelosanimalesenlasociedadensu conjunto. Solo a través de un compromiso continuo y colaborativo entre el gobierno, la industria, la academia y la sociedad civil se podrá avanzar hacia un futuro donde la investigación científica sea ética, efectiva y respetuosacontodaslasformasdevida.

Finalmente, la armonización de la legislación estatal con las normativas federales y los estándares internacionales en materia de experimentación animal representatantodesafíoscomooportunidades para mejorar la protección y bienestar de los animalesutilizadosenpruebasenMéxicoyel estado de Oaxaca. Este proceso requiere un enfoque integral que involucre a múltiples actores y promueva el diálogo y la colaboración para lograr avances significativos en la ética y la responsabilidad enlainvestigacióncientífica.

V. Perspectivas de los Defensores de los Derechos de los Animales

Los defensores de los derechos de los animales han desempeñado un papel significativo en la promoción de una mayor protección y bienestar para los animales utilizados en experimentación. Su activismo incansable ha generado una creciente conciencia pública sobre los abusos en la experimentaciónanimalyhaejercidopresión

sobre legisladores y empresas para que adoptenprácticasmáséticasytransparentes.

El autor Singer (1975) nos dice que “La liberación animal no es meramente un asuntodeabolirelsufrimientoinnecesariode los animales, sino de reconocer que los intereses de los animales deben ser considerados de igual manera que los intereses de los humanos”.

Esto nos lleva a reflexionarnos si de verdad somos diferentes a los animales, ya que al igual que ello buscamos llenar necesidades, siguiendo un ciclo de destrucción una cualidadpropiadelhumano.

Desde la perspectiva de la Biología podemos citar al conocido Biólogo Americano Bekoff (2010) que nos plantea que “La compasión hacia los animales es un reflejodenuestrahumanidadyescrucialpara expandir nuestro círculo moral. Tratar a los animales con bondad y respeto es esencial paranuestropropiobienestaryparalajusticia social”.

Nosplantea,sí realmente hacemosun cambio con las alternativas de métodos para probar los productos tanto cosmetológicos como farmacéuticos o bien seguimos pensando del mismo modo con un punto de vistadesdeelUtilitarismo.

Y la pregunta que se planteaba Goodall(1999)“Cadaindividuocuenta.Cada individuo tiene un papel que desempeñar. Cadaindividuohaceladiferencia.Ytenemos que preguntarnos: ¿Qué tipo de diferencia queremos hacer?”.

Por lo anterior consideramos que la influencia de los defensores de los derechos de los animales se ha reflejado en la legislación y la opinión pública, evidenciada enelaumentoderegulacionesypolíticasque buscanreducir elusode animalesen pruebas y promover alternativas éticas. Peter Singer, otro prominente defensor de los derechos de los animales, plantea en su obra "Animal Liberation" (1975) que el sufrimiento de los animales es moralmente relevante y que

deberíamos considerar los intereses de los animales no humanos en nuestras decisiones éticas.Singerabogaporelreconocimientode los derechos de los animales y el fin de la explotación sistemática de los mismos en todos los ámbitos, incluida la investigación científica.

Además de los argumentos filosóficos, los defensores de los derechosdelosanimales tambiénhan destacado la importancia de consideracionescientíficasyprácticas en el debate sobre la experimentación animal. Marc Bekoff, etólogo y defensor de los derechos de los animales, ha señalado que existen numerosas alternativas a la experimentación animal, como los modelos computacionales, los cultivos celulares y los órganos en chip, que pueden proporcionar información relevante sin necesidad de recurrir al uso de animales vivos.

En su obra "The Animal Manifesto: Six Reasons for Expanding Our Compassion Footprint" argumenta que estas alternativas son más éticas, precisas y económicamente viables que la experimentación animal tradicional(Bekoff,2010).

Es por lo que reconocemos que la experimentación animal debe ser reducida al mínimonecesarioyreemplazadasiempreque sea posible por métodos alternativos que no impliquen el sufrimiento animal. Si bien reconocemos la importancia de la investigación científica para el avance de la medicina y la tecnología, creemos que es fundamental priorizar el respeto y la proteccióndelosderechosdelosanimalesen todos los contextos. Es responsabilidad de la sociedad y de las instituciones gubernamentales trabajar hacia un futuro en el que la experimentación animal sea una práctica obsoleta y se promuevan en su lugar métodosmáséticosyefectivos.

Marc Bekoff (2008), por su parte, “abogaporlacompasiónyelrespetohacialos animales como un reflejo de nuestra humanidad y justicia social. Su enfoque destaca la importancia de extender nuestra empatía más allá de nuestra propia especie, argumentando que nuestro bienestar está intrínsecamente ligado al trato que damos a los animales”.

Este enfoque es crucial en un mundo donde la explotación animal sigue siendo prevalente.

Newkirk, fundadora de PETA (2005) nos dice “Los animales no son nuestros para comer, vestir, experimentar o usar para entretenimiento. Deben ser libres para vivir sus vidas sin la interferencia humana”.

Ingrid Newkirk y Jane Goodall aportan visiones inspiradoras y prácticas.

Newkirk nos desafía a reconsiderar el uso de animales en todas las facetas de la vida humana, abogando por un cambio radical en nuestras prácticas culturales y económicas.

Goodall, con su llamado a la acción individual, nos recuerda que cada uno de nosotrostieneelpoderylaresponsabilidadde hacer una diferencia positiva para los animalesyelmedioambiente.

Es por ello por lo que consideramos que estas perspectivas son un llamado a la acción para adoptar una postura más ética y compasivahacialosanimales.Nosdesafíana cuestionar nuestras prácticas y a buscar alternativas que no sólo eviten el sufrimiento animal, sino que también promuevan un respetoprofundoportodaslasformasdevida.

En un mundo interconectado, nuestras acciones tienen un impacto significativo, y adoptar principios de respeto y compasión hacia los animales puede contribuir a un mundo más justo y equitativo para todos los seres vivos. La ética del trato hacia los animalesnoessolounacuestióndederechos legales, sino una reflexión sobre nuestra propiahumanidadylosvaloresquequeremos promoverennuestrasociedad.

El contraste entre la regulación de la experimentación animal en México y las normativasinternacionalesponeenevidencia no solo las carencias del marco legal mexicano, sino también las oportunidades de mejora que podrían derivarse de una armonización legislativa. La normativa mexicana, aunque bienintencionada, muestra deficiencias significativas en términos de precisión, aplicación y supervisión. La falta de mecanismos efectivos de control y la ambigüedad en algunas de sus disposiciones limitan su eficacia y, por ende, el bienestar animal.

VI. Conclusión

Podemos afirmar que la revisión y fortalecimiento del marco legal mexicano en materia de experimentación animal, alineándolo con los estándares internacionales, es un imperativo tanto ético como científico. Esta armonización no solo beneficiaría a los animales, sino que también posicionaría a México como un país comprometido con la ciencia ética y el bienestar animal, reforzando su reputación y competitividad en la investigación científica global.

Es necesario empezar a regular con legislaciones armonizadas en todo el mundo sobre el tema de experimentación animal, remarcandohastaquépuntollegaeldañoque genera la experimentación animal y es vital tratar de innovar en los métodos para poder realizar las pruebas de productos con químicosdañinos.

La adopción de elementos de estas normativas internacionales no solo contribuiría a mejorar el bienestar animal en México, sino que también incrementaría la credibilidad y competitividad de la investigación científica mexicana en el ámbitoglobal.Laimplementacióndecomités de ética sólidos, inspecciones regulares y la promoción de métodos alternativos a la experimentaciónanimalsonpasosnecesarios paracerrarlasbrechasactuales.

Referencias

Aboglio. A. M., (2007, 25 de febrero), Utilitarismo y bienestarismo, en Ediciones Ánima, http://www.anima.org.ar/utilitarismoy-bienestarismo/

Bekoff, M. (2010). The Animal Manifesto: Six Reasons for Expanding Our Compassion Footprint. New World Library.

Bentham, J. (1789). An Introduction to the Principles of Morals and Legislation. London: T. Payne and Son. https://www.gutenberg.org/ebooks/1 1224

Comisión Europea. (2019). Directiva 2010/63/UEsobrelaproteccióndelos animales utilizados con fines científicos, https://ec.europa.eu/environment/che micals/lab_animals/legislation_en.ht m

Comisión Federal para la Protección contra Riesgos Sanitarios (COFEPRIS), https://www.gob.mx/cofepris

Convenio europeo para la protección de los animales vertebrados utilizados con fines experimentales y otros fines científicos. Serie de Tratados Europeos No. 123, https://rm.coe.int/168007a67b

Cortés, A. M. (2021). Protección Animal Oaxaca(PAO).Declaraciónpública. Diario Oficial de la Federación. (1999). Norma Oficial Mexicana NOM-062ZOO-1999, https://www.gob.mx/cms/uploads/att achment/file/616456/Informe_de_Re visi_n_Quinquenal_NOM-062-ZOO1999_APROBADO_SPZ.pdf

Gobierno de México. (s.f.). Ley Federal de Protección al Consumidor, https://www.profeco.gob.mx/juridico /pdf/l_lfpc_ultimo_camdip.pdf

Gobierno de México. (s.f.). Ley General de Salud.

http://www.salud.gob.mx/unidades/c di/legis/lgs/LEY_GENERAL_DE_S ALUD.pdf

GobiernodeOaxaca.(s.f.).LeydeProtección y Bienestar Animal del Estado de Oaxaca,

http://www.ordenjuridico.gob.mx/Do cumentos/Estatal/Oaxaca/Todos%20l os%20Municipios/wo46306.pdf

Goodall, J. (1999). Reason for Hope: A SpiritualJourney.WarnerBooks.

Hall, E. V. (2015). Ethics in the Beauty Industry.HarperCollins.

Haugen, D. M. (2016). Controversies in Science and Technology: Animal Testing.GreenhavenPress.

Linzey, A. (2018). Animal Ethics and the Law.OxfordUniversityPress.

Mill, J. S. (1861). Utilitarianism. London: Parker, Son, and Bourn.

https://www.gutenberg.org/ebooks/1 1224

Newkirk,I.(2005).IngridNewkirk'sQuotes. Retrieved from PETA. https://aaf1a18515da0e792f78c27fdabe952dfc357fe25ebf5c8897ee. ssl.cf5.rackcdn.com/1828/PETA+LI NKS.pdf?v=1452788902000

Organización de las Naciones Unidas para la Educación, la Ciencia y la Cultura (UNESCO). (1997). Declaración UniversalsobreelGenomaHumanoy los Derechos Humanos. Obtenido de https://unesdoc.unesco.org/ark:/4822 3/pf0000110217

Protocolo de enmienda al Convenio europeo para la protección de los animales vertebrados utilizados con fines experimentales y otros fines científicos. Serie de Tratados Europeos No. 170. Obtenido de https://rm.coe.int/168007bd26

Servicio Nacional de Sanidad, Inocuidad y Calidad Agroalimentaria (SENASICA),

https://www.gob.mx/senasicav

Singer, P. (1975). Animal liberation. Nueva York, NY: New York Review, Random House, https://archive.org/details/animalliber ation0000sing_f1z7

Snyder, L. J. (2019). Cosmetic Science and the Quest for Ethical Practices. Routledge.

Raíces del Dolor:Abuso Sexual Infantil desde la Época Clásica hasta el Ámbito

Internacional Contemporáneo

Raquel Elizabeth López González, María Victoria GaviñoAmbriz

Facultad de Derecho y Ciencias Sociales, Universidad Regional del Sureste, Oaxaca, México

email: legr040517@alumnos.urse.edu.mx

Resumen

Evolución de los antecedentes

históricos del abuso sexual infantil, desde la época de los griegos donde se mostró la institucionalización de la pedofilia bajo la justificación pedagógica y su aceptación cultural como ritual en el ciclo de la vida de un hombre griego; posteriormente Roma se enmarca como signo característico de esta civilización en el tema que nos ocupa, la praxispederasticaqueejercíaelpaterfamilias a los hijos de los esclavos, entre otros, en el

tercer capítulo “Ámbito internacional contemporáneo”, en el cual se muestra el rechazo y la prohibición internacional de esta práctica y por último el enfoque propia respecto del tema.

Palabras Clave: Abuso sexual infantil, pederastia, Grecia y Roma.

Abstract

Evolution of the historical background of child sexual abuse, in the first chapter we cover “Greece” where the

institutionalization of pedophilia was shown under pedagogical justification and its cultural acceptance as a ritual in the life cycle of a Greek man; In the second chapter “Rome” is framed as a characteristic sign of this civilization in the topic at hand, the pedophile praxis that the paterfamilias exercised on the children of slaves, among others, in the third chapter “Contemporary international sphere”, in which the rejection and international prohibition of this practice is shown and finally the own approach to the subject.

Keywords: Child sexual abuse, pederasty, Greece and Roma

Introducción

Conforme a un análisis histórico comparativo,realizamosunainvestigaciónen las civilizaciones de Grecia y Roma respecto alaregulación deprácticashacíamenores, en una cuestión descriptiva de los antecedentes históricos que regulaban la figura de la pederastia, el objetivo es denotar la

institucionalización y aceptación de la pederastia en estas culturas mediante un estudioanalíticodelaviolenciaejercidahacia los menores y la aceptación histórica de la conducta en comparación con el presente.

Antecedentes Históricos delAbuso Sexual Infantil

Grecia

El abuso sexual infantil, no es un problema que solamente exista en la actualidad,sinoporel contrariohaestadoalo largo de la historia, desde los inicios de la humanidad, según Santiago, P. (2004), el origen de la pederastia está en el pasado más antiguo de Grecia. (p. 18), por lo que la violencia sexual ejercida a los niños ha sido sistemática, revictimizante e histórica.

La concepción de la legalidad del abuso sexual ha cambiado drásticamente, no siempre fue considerado como un delito, en algunos casos el abuso sexual fue permitido, en Grecia de manera pedagógica, respecto a lo anterior Santiago, P. (2004), menciona que

la pederastia no era el abuso de un menor en contra de su voluntad, aquello era castigado y sancionado,sino lo queerapermitidoeranlas relaciones docentes, legales, que se manifestaban como rituales que entablaban entre un alumno y su maestro, siendo la pederastiauncomplementoparalaformación pedagógica del alumno. (p.12), de esta manera la pederastia era un fenómeno social y cultural, donde claramente había un abuso de poder entre el maestro y alumno, lo cual permitió los abusos a los jóvenes, debido a que no solo se encontraban en una desventaja intelectual y física, sino de un deber y una subordinación institucional.

La pedofilia y la pederastia son dos términosrelevantesparalacomprensión dela prácticas sexuales por adultos dirigidas hacia niños, primeramente, su definición en términos del lenguaje griego conforme con Robayna, M.R, (2012), es la siguiente”

Etimológicamente, tanto pedofilia (paidós: ‘niño’, filia: ‘amistad, amor’) como

pederastia (paidós: ‘niño’, erastos, eros: ‘deseosexual’)sebasan enel términopaidós: ‘niño’.” (p. 7), en la cual podemos ver similitudes en el significado etimológico de las palabras la cual podría generar confusión al momento de entender la diferencia de la pederastia con la pedofilia.

Por lo cual para comprender esta discrepancia de significados conforme con Rosa y Perera, 2012 (como se citó enAkhrif, 2020), los distingue de la siguiente manera: “Los pedófilos no pasan a la acción. Sí lo hacen los pederastas. Es la acción que conlleva a la práctica sexual con un menor que implica un abuso por parte del adulto. Es decir, un pedófilo es una persona que se siente atraído por los niños mientras que se denomina pederasta a quien comete un delito sexual con un menor.

Se concluye entonces que todos los pederastas son pedófilos, pero no todos los pedófilos son pederastas. La

diferencia radica en la conducta. El pederasta es la persona que traspasa la línea de observar, masturbarse, recrearse y lo traslada a un plano físico.” (pp. 4-5)

Nos enfocaremos principalmente en los sujetos que llevan a cabo las prácticas sexuales en menores, es decir, los pederastas.

La pederastia no era una conducta oculta, restringida, o humillante, por el contrario estaba regulada en Grecia, en términos de la Maestra Cantarella, E. (1991), plantea que en Grecia el sumiso era llamado eromenos, lo cual tiene la traducción de amado, siendo denominado país, el cual significa niño, tenían la idea de que debía de convertirse en hombre, por lo que era débil, intelectual y sexualmente equiparándolo con las mujeres, cuando se convertía en hombre era cuando pasaba a tener 18 años, por lo que dejaba de ser eromeno, y algunos años después cuando alcanzara la madurez debía convertirse en erastes con traducción de

amante, es decir, el compañero activo de no solo de una mujer. (p.22), de esta manera la pederastia más bien era conocida como un ritual, como un ciclo de la vida del hombre, siendo el eromeno un niño abusado, que la propia sociedad le imponía y le exigía que al momento de crecer debía convertirse en un abusador.

Hay controversia en cuanto a las regulaciones que existían respecto a la pederastia en la época, en relación con lo mencionado, Santiago, P. (2004) expresa lo siguiente:

La pederastia era conocida, aceptada y reglamentada por y para una mayoría de ciudadanos de la Hélade. Si no fuera así, no se entendería que selegislarasobreella.Peroestasleyes cambian y varían según lugares y épocas.Haydocumentosenlosquese habla de las limitaciones del ejercicio pederástico. No podían ser erastas los esclavos, los libertos y sus hijos, los

enfermos, los prostitutos, los borrachos y los locos. Mientras unos historiadores piensan que esta norma se dirigía a eliminar la pederastia. (p. 17).

Por ello estas regulaciones provocaron la interrogante de si estas limitaciones se tratasen como un medio dirigido a la protección de los menores prohibiendo la pederastia, o si dependiendo de que la conducta fuera realizada por un cierto grupo de personas estaba permitido el abuso a menores.

En cuanto a la interrogante anterior, la respuesta que encontramos más razonable, es que en Grecia para ser un agresor se debía de cumplir con ciertos requisitos, no cualquiera podría ser un abusador de niños, conforme conEvaCantarella(comosecitóenSantiago, 2004) “llega a afirmar que era para fijarla y procurar su pureza, ya que locos, esclavos y borrachos no eran dignos de ser amantes institucionales porque no podían enseñar

nada a los jóvenes”, de esta forma la pederastia tenía un elemento también despectivo de clase social, debido a que la pederastia únicamente era permitida cuando intelectuales la practicaban y de ninguna manera estas limitaciones tenían el objetivo de erradicar la pederastia sino más bien reglamentar su uso para ciertos sectores.

Portodoloanterior,consideramosque elabusosexualinfantilenGreciamásqueuna práctica se convirtió en un estilo de vida. La escuela y el hogar debieron de ser áreas de protección, cuidado, desarrollo y de aprendizaje, por lo cual resulta arbitrario el considerar que el ejercicio pederastico sería una formación para el niño, sino por el contrario fue una práctica que probablemente destruyó su vida por completo, debido a una figura de autoridad, a una costumbre, ó una ley que no los protegía. ¿Pero qué se podía hacer cuando la misma ley, costumbre o tradición legitimaban el abuso y lo permitían?, un ciclo de violencia que se

repetía a través de generaciones, donde una víctima tenía que volverse en un agresor por una exigencia social, como otra forma de agresión que propiciaba el abuso.

Roma

Pasando a esta cultura, en esta se advierte que el abuso sexual también existió, pero el contexto social fue diferente, por lo queSantiago,P.(2004)postulaqueunodelos más grandes factores que favorecieron la pedofilia es la esclavitud, en Roma el propio Código de Derecho romano estaba permitido que los señores tuvieran esclavos, teniendo calidad de cosas, incluso se podían destinar a los hijos de los esclavos a uso pederastico, convirtiéndose en objetos de placer para el pater familias” (p. 21), del modo que podemos observar un hecho repetitivo en los casos de abuso sexual es que ha sido ejercida a grupos vulnerables, ya sea esclavos, mujeres, niños, alumnos, donde el abusador tieneunajerarquíaypodersobrelasvíctimas.

Estos hechosteníantalrepetición, que se le asignaron nombres específicos tal y como lo alude Santiago, P. (2004):

Los niños de los esclavos que se convertían en objetos de placer del pater familias y sus allegados libres recibían nombres como pueri meritorii (niños de mérito), ephebi (como los efebos griegos, en este caso homosexuales), concubini (usados al modo de concubinas) e incluso, si se especializaban en alguna práctica que satisficiera especialmente al dominus, se les aplicaba el nombre de fellatores (niños y niñas siervos expertos en dar placer oral) (p. 21).

Esto demuestra la realidad social que se vivía en Roma, la especialización en el lenguaje demuestra la cotidianidad y normalidad con la que se cometían estos abusos.

El hecho de que, en Roma, los esclavos fueran considerados como cosas o

propiedades tuvo una influencia al momento de abusar de ellos, ya que de esta manera no solamentebastabadeviolentarelcuerpo,sino que también buscaban dejar descendencia, conforme a lo anterior Santiago, P. (2004), manifiesta“Alveralos esclavoscomo fuerza de trabajo que repercutía en su patrimonio, tener relaciones con las esclavas y dejarlas embarazadas era incluso un objetivo.” (p.22), las mujeres o niñas que vivían estas atrocidades no solamente vivían con su abusador, también eran obligadas a procrear un hijo resultado de un abuso sexual.

En Roma el acoso callejero se encontraba encaminado a los jóvenes varones a diferencia de la actualidad que en su mayoría va dirigido hacia las mujeres, de acuerdo con el Periodista Santiago, P. (2004):

Ya en la República tardía y el Principado, en Roma se había transformado la sexualidad. Los romanos, en el siglo II a.C., cortejaban y seducían sin pudor a los

muchachos libres. Empieza una especie de amor cortés, más refinado, entre los ciudadanos y sus objetos de deseo. Tanto es así que la pasión por los pueri se convierte en una moda que pasa a la poesía. El amor romántico por los niños era ya aceptado y para cantarlo aparecieron poetascélebrescomoCatulo,Tibuloy Propercio, a los que seguirían Ovidio, Virgilio, Horacio y Lucrecio. Lo mejor de la poesía romana se hizo eco de la pedofilia reinante, algo que no gustó en absoluto a los futuros jerarcas de la Iglesia romana, que procuraron velar por la moral de sus fieles y sometieron a censura todos estos poemas, o los tradujeron según les convenía, cambiando el objeto de amor por otros «más elevados» a su modo de ver (p.23)

Esta realidad social se reflejó en la cultura, entre los ciudadanos y los poetas, la

pedofilia se volvió en una conducta tan normalizada, siendo recitada y escrita en versos como si el abusar de niños y expresar directamente el deseo a los infantes fuera exaltado con belleza y elegancia, propiciando la conducta.

La aceptación cultural en la música, en la poesía o en cualquier forma de arte influía en la perpetuación de los abusos dirigidos a los niños, además nos encontramos en contra de las relaciones con un abuso perpetrado en personas que no tienen la madurez para decidir, siendo esta una de las principales razones que inducen a la violencia, debido a que las agresores no consideran a las víctimas como iguales sino más bien , se ven así mismo como dueños y propietarios, esperando una subordinación porpartede lavíctimastal ycomo sucedió en Roma. Ámbito Internacional Contemporáneo.

El abuso sexual en niños se encuentra tipificado como un delito en México, y de

manera internacional se ha optado por la protección a los menores para una vida libre de violencia, incluyendo la violencia sexual.

De acuerdo con la Convención de las Naciones Unidas sobre los Derechos del Niño. (1990), la cual establece lo siguiente: Artículo 19.

1. Los Estados Parte adoptarán todas las medidas legislativas, administrativas, sociales y educativas apropiadas para proteger al niño contratodaformadeperjuiciooabuso físico o mental, descuido o trato negligente, malos tratos o explotación, incluido el abuso sexual, mientras el niño se encuentre bajo la custodia de los padres, de un representante legal o de cualquierotra persona que lo tenga a su cargo. (p.16).

De manera internacional ha surgido la necesidad de la tutela de estos individuos en

diferentes ámbitos, con medidas no solamente legislativas debido a que el abuso sexual no es solamente un hecho que suceda por la falta de regularización en las leyes sino que es un problema social que involucra atención en las diversas áreas del desarrollo humano, como la educación, prevención, protección, atención y cuidado de este grupo vulnerable por parte de sociedad civil, organizaciones, instituciones, y el gobierno de cada país.

Las organizaciones internacionales han reconocido la vulnerabilidad física, intelectual y emocional de los menores, de acuerdo con la OMS, 2011, (como se cita en Álvaro y Ramírez, 2016) “una acción en la cual se involucra aun menorenuna actividad sexual que él o ella no comprende completamente, para la que no tiene capacidad de libre consentimiento o su desarrolloevolutivo (biológico,psicológicoy social) no está preparado o también que viola las normas o preceptos sociales”

Cadavezmás,existenorganizaciones, protocolos, acuerdos de cooperación y legislaciones para combatir con el abuso sexual a menores, donde la humanidad de manera internacional reconoce la pederastia como una práctica que no solamente debe ser prohibida culturalmente, sino que debe de ser un delito sancionado por la ley.

Es una necesidad seguir actuando en pro de la niñez, para que algún día los niños pueda vivir sin miedo, culpa, terror, acoso y sin violencia sexual o de cualquier tipo, que un día tengan la justicia y la protección que desde el comienzo de la humanidad merecen, y como sociedad es nuestro deber regular y condenar las conductas que violenten a los más vulnerables, por lo cual nos encontramos a favor de las regulaciones internacionales que garanticen y propicien la protección de la niñez.

Conclusión

La violencia hacia los menores es una práctica que ha existido desde los inicios de

la humanidad, en Grecia exigiendo que un niño abusado se convirtiera en un abusador cuando crecía, en Roma la cosificación de los niños esclavos que no solo llegaron a considerarlos cosas sino como objetos sexuales que debían de servir al pater familias, en la actualidad ya se cuenta con regulaciones a nivel internacional que prohíbenexpresamentelosabusos amenores.

Nosotros consideramos una abominación y aberración que de forma legal e instituida se permitiera este tipo de prácticas en los niños, no solamente es el sufrimiento de una minoría, sino que ha sido el sufrimiento de miles de almas que ya no se encuentran con nosotros, es un dolor y pesar colectivo, de las voces de los que no pudieron ser escuchados, pero pasaron a formar parte de la historia, en este trabajo honramos su memoria.

Referencias

AkhrifAchelfatte,N(2020). Evaluacióndela distorsión cognitiva en la pederastia [Trabajo de fin de grado de la Facultad de Psicología en Universitat de les illes balearss].

Repositorio Institucional UIB. https://dspace.uib.es/xmlui/bitstrea m/handle/11201/154900/Akhrif_Ac helfatte_Nagua.pdf?sequence=1&is Allowed=y

Cantarella, E. (1991). Según natura: la bisexualidad en el mundo antiguo. Akal. https://content.ebookshelf.de/media/reading/L17597699-b030251161.pdf

Unicef. (1989, 20 de noviembre, entró en vigor en 1990, 30 de septiembre), Convención de las Naciones Unidas sobre los Derechos del Niño, https://www.un.org/es/events/childr enday/pdf/derechos.pdf

Robayna Perera, M.R. (2012). Pedofilia y pederastia. Estado de la cuestión. Revista pensamiento penal, Agosto 13, 1-14. https://www.pensamientopenal.com .ar/system/files/2014/12/doctrina38 697.pdf

Santiago, P. (2004). Alicia en el lado oscuro: la pedofilia desde la antigua Grecia hasta la era internet. Imagine Press Ediciones.

Innovación Tecnológica

ManueldeJesúsCabralRamos,AidaBeatrizOrtizRuiz

FacultaddeCienciasAdministrativas,UniversidadRegionaldelSureste,Oaxaca,México. email:carm730730@profesores.urse.edu.mx

Resumen

El presente ensayo aborda los temas de: innovación, tecnología y creatividad y la importancia que tienen en las empresas, con eldesarrollodenuevosproductosyservicios, en beneficio de la sociedad en su conjunto, desde el punto de vista de diversos autores, asícomolaimportanciaquecadaunodeellos tiene para el mundo empresarial. Se puede afirmar que la tecnología es un concepto que aportaalasociedaduna seriedeavancesque favoreceny hacenlavidamásfácilparaella.

La innovación es una actividad humana que permite poner en práctica todos los avances

quelatecnologíaproporcionaylacreatividad es el factor detonante que le agrega valor a ciertas actividades que el ser humano desarrolla. En conclusión, los conceptos de tecnología, innovación y creatividad son de vital importancia para el desarrollo y mejoramientodelasactividadesy/oprocesos de una organización, que puede estar dedicada a cualquier área del conocimiento, permitiéndole seguir siendo competitiva, ofreciendo productos de calidad, posicionándose favorablemente en un mercadotancompetitivocomoelquesevive hoy en día, y poder seguirle proporcionando

Ensayo

al consumidor los bienes y servicios que necesita acordes a los requerimientos del mundocotidianoenquevive,yesporesoque estos temas son vitales de comprender y de aplicarporlasorganizaciones.

Palabras clave: Tecnología, innovación, creatividad, organizaciones, productososervicios.

Abstract

This article addresses the topics of: innovation,technologyandcreativityandthe importancetheyhaveinCompanies,withthe development of new products and services, forthebenefitofsocietyasawhole.

According to the point of view of different authors, it can be said that technology is a concept that provides to the society with a series of technological advancesthatmakelifeeasier. Innovation is a human activity that allows to usealltheadvancesthattechnologyprovides andcreativityisthetriggeringfactorthatadds

value to certain activities that human beings develop.

As a conclusion, the concepts of technology, innovation and creativity are very important for the development and improvement of the activities and/or processes of an organization, which can be dedicated to any area of knowledge. This allowstotheCompanytoremaincompetitive and offering quality products to the final consumer. This is why these issues are important to understand. and then to be appliedbyCompanies.

Keyword: Technology, innovation, creativity, organizations, products or services.

Introducción

Cuando se habla de tecnología e innovación dentro de las organizaciones, las personas consideran que se trata de un tema muy reciente, de alguna manera el hablar de ambos conceptos es un aspecto que en los

últimos años ha sido abordado de manera muy recurrente en los libros, ensayos y documentaciónengeneralsobrenegocios.En términosgeneraleslatecnologíaestáasociada con la creación de nuevos y novedosos conocimientos,queseaplicanenlosdistintos órdenes y actividades de la vida, se habla de tecnologíadepuntaalreferirseaaplicaciones vanguardistas, de reciente creación. En el mundohaypaísesqueestánidentificadoscon el desarrollo tecnológico de manera destacada, esos países normalmente son los llamados desarrollados como los Estados Unidos de América, China, Francia, Inglaterra,entreotros.Quecuentancontodos los recursos necesarios para su descubrimiento, implementación y desarrollo.

Elconceptodeinnovacióntambiénen los últimos años ha sido muy mencionado en el mundo de los negocios y las empresas, se piensaerróneamentequelainnovaciónesuna acción moderna, pero realmente el ser

humano desde sus orígenes ha desarrollado unenfoqueinnovadorparapodersobreviviry vencer los obstáculos que a lo largo de su existencia se han presentado. Al imaginar las ideasylosrecursosdelosqueelhombretuvo que echar mano en momentos, como la falta de calor en noches de mucho frío en ciertas zonas del mundo, o la manera en que podían cazar un animal de gran tamaño para poder saciar el hambre. En general la innovación siempre ha estado presente en la especie humana, pero en los años recientes se ha puestodemodadentrodelasorganizaciones, con la idea de que, solamente siendo innovadores, las grandes marcas y corporaciones pueden lograr el posicionamiento en los mercados que le interesan.

Según el Instituto Mexicano para la Competitividad, México ha ido perdiendo espacio en el tema de la Innovación a nivel internacional.Porcada100,000habitantesen México se registran solo 2 patentes al año,

mientras en países latinoamericanos como

Chilesonregistradaseldobledepatentes,4.4 por cada 100,000 habitantes. En 2021 tiempos previos a la pandemia, hubo en el país 14% menos registros que los que se dieronen2019(IMCO,2023).

En este sentido, se puede considerar que la tecnología y la innovación son conceptos que han estado presentes en la humanidaddesdesiglosatrás,perohoyendía se han vuelto imprescindibles de ser desarrollados y utilizados dentro del campo de las organizaciones, sean grandes, medianas o pequeñas, y en cualquier país del mundo. El objetivo que se persigue en el presente ensayo es el compartir diferentes conceptos e ideas que sobre estos términos tienen diversos autores y su implementación en las organizaciones actuales, con el fin de identificar su importancia y el impacto que tendríanaldecidiradoptarlosono.

Desarrollo

Las organizaciones son afectadas de diversas maneras por la tecnología, para ello esindispensableladisposicióndelastareasy el grado de especialización necesarios. La importancia del papel que desempeña la tecnología se pone de manifiesto, en cuestionestantoproductivas,comodegestión global, en el área de las llamadas tecnologías de avanzada, como son las tecnologías de información y comunicación, la biotecnologíaylaelectrónica,pormencionar algunas. Para entender el alcance que, sobre las organizaciones tiene el aspecto tecnológico, es necesario entender lo que significa, y poder separarla de los productos resultadodesuusooaplicación.Enelaspecto organizacional, la tecnología es concebida como la sistemática aplicación del conocimientoatravésdelcualsecreanbienes y servicios puestos a disposición de quienes los necesiten o requieran. Siendo la herramienta indispensable que las

organizaciones tienen para diseñar, crear y distribuir sus bienes y constituir un aspecto estratégicoensuutilización(Londoño,2015).

Latecnologíadebeseridentificadade una manera distinta a la idea reduccionista queserefierealosartefactosyalasmáquinas únicamente. Desde un punto de vista integrador, la tecnología es un fenómeno social y humano, aparte de relacionarse con equipos, instalaciones físicas, insumos y componentes, este elemento considera también información, experiencias, conocimientos, habilidades y organización que junto con los artículos tangibles forman un cuerpo de dotadas características para el logro de objetivos reconocidos y apreciados dentro de la sociedad. Por lo anterior cuando se desconocen los aspectos sociales y humanos de la tecnología se le reduce a un puñado de aparatos y estructuras físicas y tangibles que muy rápidamente son rechazadosporlasociedadcomounelemento ajeno a ella. Casi siempre en la introducción

de tecnologías nuevas es ya muy común que toda la atención se concentre en sus elementos visibles, tangibles, desconociendo y menospreciando las características que posteriormente pueden mejorarlas o transformarlas(Robledo,2017).

De las dos anteriores definiciones se puedededucirque, tecnologíaesungrupode conocimientos,experienciasyrelacionesque consideran la producción de bienes y servicios,peroademáspropicianeldesarrollo ylaimplementacióndeproductostangiblese intangiblesytambiéndeinformación.

La innovación por su parte se refiere al proceso que convierte un problema o carencia que se presenta, en una solución o respuesta original y/o mejorada, y en ella va implícita la creatividad. Para considerarse innovación no necesariamente tiene que crearse o producirse algo completamente nuevo, también es innovación cuando se realizan mejoras. En la actualidad se reconocen distintos tipos de innovación,

como la técnica, la de los servicios, la de modelos de negocios, sobre el diseño o incluso la innovación social. La innovación puede darse en un producto, en un proceso, sobre una idea, sobre un servicio, o en una maneranuevadehacerlascosas.Entérminos generales la innovación le dota al usuario o cliente una manera de poner fin a un problema,peroalmismotiempoesinciertosi esa solución será mejor o contraproducente sobre lo ya existente, y también se debe considerar que hay innovaciones que tardan enadaptarseoadoptarse.

La innovación tecnológica es un conjunto de pasos que integran actividades del área productiva y se enlazan hasta aspectos como la comercialización, de los productos, de los procesos, de equipos, que son resultado de la investigación y el desarrollo dentro de las organizaciones (Galicia,2015)

Los avances tecnológicos producto del surgimiento del internet sitúan a las

organizaciones en una posición muy destacada para aprovechar las ventajas que ello ofrece. Con el desarrollo de las tecnologías de la información y la comunicación,lasorganizacionessevenenla necesidad de adquirirlas y adaptarlas a sus procesosdeproducciónconlavistapuestaen elevar la productividad de una manera eficiente. Las organizaciones que destinan recursosalainvestigaciónyeldesarrolloson las que realizan innovación tecnológica. Al invertir en investigación y desarrollo las organizacionesbuscannuevosconocimientos tendientes a encontrar resultados que se transferirán en un mercado y que son novedosos y creativos. La innovación tecnológica fomenta que se aprovechen los avances en la ciencia que buscan la creación de productos o servicios que puedan satisfacer las necesidades de la población en su conjunto. Siempre deberá de haber una relaciónentrelatecnologíacreadaoadoptada yelmedioalquevadirigido(Ramos,2019).

La innovación tecnológica se da en consecuenciadelaaplicacióndelatecnología como un mecanismo para inducir cualquier tipo de cambio en las organizaciones, refiriéndose tanto a productos, como a procesos. La innovación relacionada a productos se refiere a la fabricación y distribución de productos nuevos para el mercado o bien, productos que ya existían, pero que fueron mejorados. La llamada innovación se identifica con la adopción de nuevos procesos en el sistema productivo de una empresa, en la optimización de los recursos existentes, en el adecuado aprovechamiento de la energía empleada, o en la reducción de los componentes contaminantes dentro de los procesos de producción, todo ello incidirá finalmente en los costos de fabricación, y en la mejora consistente de la productividad empresarial Para que se pueda hablar de innovación tecnológica debe existir siempre la empresa

que es la encargada de la novedad para el cambio(Manjarres,2017)

Elserhumanohatenidoenelaspecto tecnológico un importante recurso para protegerse, vivir y encontrar su desarrollo.

Loscambiosqueharealizadoensuentornoa raízdelosavancesentecnologíahanlogrado el mejoramiento en sus comunidades, en su vidadiaria,ensuscostumbresyensumedio.

La transformación que cambió para siempre latecnologíadentrodelasorganizacionesfue la Revolución Industrial. Hoy en día el desarrollo y la adopción de tecnología no es un gasto, es una inversión que puede recuperarse a largo plazo dependiendo de la eficienciaqueseempleeenelusodeella.Por tanto,esnecesarioinvertirentecnologíapara la supervivencia de toda organización. Se puede considerar que las organizaciones tienendosobjetivosprimordialesparautilizar la tecnología: primero generar bienes y servicios que superen por mucho lo que los clientes o usuarios esperan de ellos, y que

mejoren los de la competencia; en segundo lugar, reducir los costos en la elaboración de los bienes, debido a que los clientes demandanproductosbuenosyaunbajocosto (Prieto,2017).

La innovación constituye ideas puestas en marcha, con el fin de encontrar la soluciónaproblemasdeunaformacreativay certera. Aquellas ideas que no satisfacen necesidades reales no tienen valor o simplemente no avanzan en el mejoramiento de la vida. La creación de ideas innovadoras es importante pues en esta etapa deben identificarse los aspectos necesarios en el medio ambiente. Debe considerarse que las innovaciones muchas veces han ido también en detrimento de la sociedad, algunas veces se piensa en lo positivo de la acción, pero surgen daños colaterales que resultan en algunos casos contraproducentes. Por ello está vigente la idea de que, al implementar innovaciones, estas sean desarrolladas considerandoelbeneficiocolectivo,laéticay

la responsabilidad social, con el propósito de que las futuras generaciones no se vean afectadas por las medidas tomadas en el presente(Prieto,2017). Hoy en día se habla de manera tan reiterada de innovación, que incluso se ha consideradouncliché.Enlosúltimosañosse han producido grandes avances en la era digital, llevando a sus creadores, a combinar de manera exitosa la innovación y el aspecto tecnológico, por citar algunos está la invención del computador. El desarrollo del internet también vino a transformar las innovaciones y la tecnología mundiales. Personajes como Steve Jobs y Bill Gates son reconocidos como grandes transformadores en este campo, se considera que descubrimientos y creaciones como la programación, el transmisor, el microchip, los video juegos, el ordenador personal, el software y la red han contribuido a hacer un mundo con más herramientas que proporcionan comodidad y satisfacción a los

ciudadanos. En este sentido el avance tecnológicohasidoformidablemezcladocon lainnovación(Isaacson,2018).

Después de revisar la información y los datos sobre el tema de la Tecnología e Innovaciónenlasorganizaciones,esevidente que la aplicación de la tecnología y sus avances en las organizaciones es cada vez mayor. La tecnología no se refiere únicamente a productos físicos, también aplica a aspectos intangibles, como el conocimiento,losprocesosylasprácticasque se dan dentro de las organizaciones. La innovación es un elemento también muy presente en la actualidad debido a su implementación dentro de las empresas, con el fin de proveer de bienes y servicios que satisfagan las necesidades y carencias de la población. La innovación se da con la creación y diseño de nuevos productos o con la mejora de algunos ya existentes. Para que en una organización se implemente la tecnología, deben destinarse recursos para la investigación y el desarrollo de mejoras, una vez que son identificadas deben implementarse, con el fin de mejorar la calidad de vida en una sociedad, sin dejar de ladolaéticaylosvalorescomunitarios.

Otra tendencia sugiere que la creatividad e innovación son parte fundamental para la generación de soluciones, ideas de negocios, políticas originales de marketing, nuevas soluciones a las dificultades por las que en ocasiones atraviesan las empresas. Estos componentes potencianlamaterializaciónylaconsecución de ideas auténticas. El nivel competitivo, cambios constantes, niveles de fluctuación alta y crisis económicas regionales, nacionales y globales, ocasionan que la creatividad e innovación aparezcan como principios fundamentales que diferencian a las organizaciones empresariales de sus competidores, llevando a posicionar sus marcas, productos y servicios en diferentes mercados(Córdoba,et.al.2018).

En México durante el 2014, un total de 1,387 empresas realizaron actividades de investigación y desarrollo tecnológico (IDT) intramuros, para 2016 aumentó a 2,099 empresas, lo que representó un incremento del51.3%enestaárea(CONAHCYT,2019).

El incremento en el número de empresas que realizan actividades de IDT es un indicador positivo del creciente interés y compromiso del sector empresarial con la innovación, el cual refleja una mayor conciencia sobre la importancia de la IDT para mejorar la competitividad y fomentar el desarrollo económico.

La creatividad a nivel empresarial brinda alternativas novedosas que favorecen lamejoracontinuadelasempresas,apartirde inferir los cambios a realizar. Desde esta perspectivalacreatividadanivelempresarial, es la impronta o el selloparticular con la que cadacorporaciónoempresasehacevisibleen losmercadosnacionalesointernacionales.Es decir, la creatividad, es una idealización de

cómo se piensa en mantener la empresa a niveles competitivos altos, mientras que la innovación es fundamental porque cristaliza esasideasoriginalesoauténticas.Deallíque, tanto la creatividad, como la innovación elevan el crecimiento-consolidación económica, la apertura de mejores serviciosproductos, soluciones óptimas ante riesgos que se presentan en un mercado cambiante y altamente competitivo (Córdoba, et. al. 2018).

Estos fundamentos teóricos, suponen que estos dos elementos posicionan a las empresaseneltiempo,espacioycontextosen donde intervienen para responder de una mejor forma a las dinámicas de la sociedad, adaptándose con mayor flexibilidad a los posibles baches económicos que se viven en el mundo empresarial hoy en día (Córdoba, et.al.2018).

Con relación a lo anterior, de un total de 2,857 empresas del sector productivo (De 2014 a 2015), realizaron cuando menos un

proyecto de innovación (en bienes, servicios, o procesos). Para 2016, se incrementaron a 3,293 las empresas que desarrollaron innovación, lo que representa un incremento del 15.3%, y esto se refleja también en sus ventas de nuevos productos, los cuales pasaron de un 19.6% a un 21.8% para 2016.

Seestimaqueentre2014y2015,alrededorde 329 empresas usaron biotecnología en sus procesos, y para 2016 el número aumentó a 426(CONAHCYT,2019).

De acuerdo a la información mencionada, se puede inferir que la innovación surge de la creatividad, es decir, la creatividad sería el primer paso, y el segundo sería la innovación, ambos procesos permitenalaempresaadaptarsealoscambios quesesuscitaneneldíaadía,siendoflexible y proporcionando un servicio o un producto que realmente satisfaga las necesidades del consumidor, de tal manera que pueda ser eficaz para posicionar productos, marcas y servicios.

Conclusión

La innovación y la tecnología son elementos de importancia en las organizaciones, ya que a través de la implementación de éstas es posible obtener mejoraconsistenteensusprocesosinternosy por ende los resultados impactan de manera considerable en los costos de operación, no importandosugiroosuubicación.

La interacción entre innovación y tecnología es fundamental para el éxito en el mundo empresarial contemporáneo. La capacidaddeunaorganizaciónparaadaptarse e integrar nuevas tecnologías no solo mejora su eficiencia operativa, sino que también impulsa la creación de productos y servicios innovadores que responden a las necesidades cambiantes del mercado. A medida que las empresas adoptan tecnologías emergentes se encuentran en una posición privilegiada para optimizar procesos y ofrecer soluciones únicasquelasdiferenciandesucompetencia.

Sin embargo, es definitivamente importante reconocer que esta dinámica tambiénpresentadesafíos,comolanecesidad de inversión en formación, la gestión del cambioculturaldentrodelasorganizaciones, así como mantener en perspectiva la ética como parte fundamental de su conjunto de valores.

Referencias

CONAHCYT. (2019). Conahcyt e INEGI presentan resultados de la encuesta sobre investigación y desarrollo tecnológico(ESIDET)2017.México.

Galicia, R. (2015). Obtenido de https://www.ecorfan.org/proceedings /CTI_I/3.pdf

IMCO.(2023).Méxicoenelmundo.México: IMCO.

Isaacson, W. (2018). Los innovadores. México:PenguinRandomHouse.

Londoño, J. (8 de abril de 2015). Tecnología como factor de innovación en empresas colombianas. Revista VenezolanadeGerencia,201-203.

Manjarres, D. E. (23 de abril de 2017). Obtenido de file:///C:/Users/LIC.%20CABRAL/D ownloads/DialnetInnovacionTecnologicaComoHerram ientaGerencialParaE-6119356.pdf

Prieto, C. (2017). Emprendimiento. México: Pearson. Ramos, E. E. (julio de 2019). Obtenido de http://www.web.facpya.uanl.mx/vinc ulategica/vinculategica_5_2/A.34.pdf

Robledo, J. (2017). Introducción a la gestión de la tecnología y la innovación.

Medellín: Universidad Nacional de Colombia.

Zuñiga, E. C., Toro, J. L. C., y Quesada, N. C. (2018). Creatividad e innovación: Motores de desarrollo empresarial. Lámpsakos, (19), 5565.

Martínez, A. S. (1997). De cómo la tecnología dictó la estrategia de desarrollo organizacional en TELMEX. Revista Gestión y estrategia,(11-12),194-202.

Revista universitario

Directori o

CONSEJO EDITORIAL

D.A. Miguel Ángel Hernández Mendoza Rector de la Universidad

M.A.E. Margarita Ricárdez Smith

Directora General de Asuntos Académicos

M.A. Claudia Patricia Reyes Sánchez

Directora General de Asuntos Estudiantiles

M.D.F. Juan José Ángeles Castellanos

Director General de Asuntos Administrativos

M.D.F. Juan Carlos Ramírez Reyes

Director General de Asuntos Financieros

COMITÉ EDITORIAL

D. C. Martha Segura Jiménez

D.C.A. María Victoria Gaviño Ambríz

Mtro. Jahaziel Reyes Loaeza

D.E. Josman Espinosa Gómez

D.S. P. Erick Azamar Cruz

Dr. Flavio de Jesús Castillo Silva

Dr. Víctor Manuel Mendoza Martínez

Dr. Eduardo González Guerra

Dr. José Luis Ayala Herrera

Dr. Josué Roberto Bermeo Escalona

Dr. Julián Santoyo García Galiano

Dr. Armando Melgoza Rivera

EQUIPO EDITORIAL

M.en C. Patricia Vargas Benítez

D. en C. Laura V. Juárez Chávez

L.I. Marco Antonio Martínez Zárate

L.D.G. Luis López Hernández

Contacto: revistaespacio@urse.edu.mx

ESPACIO UNIVERSITARIO

Visítanos también en: w ww.urse.e du .m x

Campus “Alemán”

Eulalio Gutiérrez No. 1002 Col. Miguel Alemán, Oa xaca, Oa x. C.P. 68120 Tel. 951 514 1410

Campus “El Rosario”

Libramiento Sur No. 100

Esq. con Hornos, Ex-Hacienda del Rosario, San Sebastián Tutla, Oa x. C.P 71246, Tel. 951 501 51 00

Obra por: Steve Johnson

Turn static files into dynamic content formats.

Create a flipbook
Issuu converts static files into: digital portfolios, online yearbooks, online catalogs, digital photo albums and more. Sign up and create your flipbook.
REV-15 by Revista Espacio URSE - Issuu