MY HOME•MY FAMILY•MY SELF BEST OF 2023 ISSUE Events Calendar • Date Night Ideas • Home Service Pro Q&A’s
        thousands of votes, we reveal the businesses you chose as Vinings/Smyrna’s Best! p. 19
        Vinings/Smyrna
        After
        HANNAH ALEXANDER, DDS  ALEXANDER FAMILY DENTISTRY, BEST GENERAL/FAMILY DENTISTRY
          2023 WINNERS of
        DINA GIESLER, DDS, MAGD AND MARIANNA KOVITCH, DMD, FAGD  ATLANTA SMILES, BEST COSMETIC DENTISTRY
          ELIZABETH WHITAKER, MD, FACS ATLANTA FACE & BODY, BEST PLASTIC SURGEON—FACE
          DR. KERSTIN HALSTEAD AND DR. JAMIE MICHAEL MICHAEL FAMILY CHIROPRACTIC, BEST BACK & SPINE CARE PRACTICE
          DIONE MARCUS SUPER, MD SUPER DERMATOLOGY, BEST DERMATOLOGIST
          DOGMA
        STOCKYARD BURGERS & BONES, BEST LIVE MUSIC
          DOG CARE, BEST PET SITTING/DAYCARE
          Nose
          Face
          Eyelid
          Fat Grafting
          BotoxTM
          Fillers Start at $500 per syringe
          JuvedermTM
          SculptraTM
          
    RestylaneTM
          RadiesseTM
          Chemical Peels
          Breast Reduction/Lift
          
    
    
    
    
    Male Breast Reduction
          
    Skin Care
          Fractional Laser
          
    
    
    
    
    
    Resurfacing
          Thermi VaTM
          Liposuction
          Tummy Tuck
          Thermi
          
    KybellaTM
          Microblading
          Lip Blush
          ARTAS robotic hair restoration
          
    
    WAW FUE
          
    
    
    Shaveless FUE
          
    Actual Patient Restrictions May Apply. Prices Subject to Change Without Notice. SALINE BREAST IMPLANTS $3,800 SILICONE BREAST IMPLANTS $4,700 770.955.9000 • www.colgrove.com ROBERT A. COLGROVE,
        Board Certified - Plastic Surgeon 25
        of Experience
        JR. M.D.
        Years
        FACE
        Contouring
        Lift
        Surgery
        Breast Enlargement
        RFTM for skin tightening
        $13 a unit
        BREAST
        BODY HAIR RESTORATION Vectra 3D Imaging IMAGING BEST OF 2020 BEST MICROBLADING STUDIO my Vinings/Smyrna of2023 Best Hair Restoration Surgery
        NON-SURGICAL
        
    
    
    
    
    
    
    
    
    
    REAL People. REAL Smiles. Let Your Smile Change The World (404) 262-7733 4405 Northside Pkwy NW Ste 110 Atlanta GA 30327 www.atlantasmiles.com Dr. Dina GieslerDr. Marianna Kovitch Splash Into a New Summer Smile Make 2023 your best year ever starting with a new smile. Schedule your COMPLIMENTARY consultation today! Follow us on Instagram @atlsmiles and see what Atlanta influencers have to say about us. BEFORE AFTER If you are looking for a change in your life, you have come to the right dental office in Atlanta! Dr. Kovitch and Dr. Giesler and our experienced team are here to help you capitalize on one of your greatest assets: your smile. my Vinings/Smyrna of2023 Best Cosmetic Dentistry BEST OF 2022 BEST COSMETIC DENTISTRY PRACTICE
        
              
              
            
            From the Founder
          
              
              
            
            Celebrating Vinings/Smyrna’s Amazing Give-Back Community
          In this issue we are proud to honor the businesses you voted as this year’s My Vinings/Smyrna Best of 2023 winners. These business owners haven’t just survived the challenges brought on by the circumstances of the last few years, they are thriving! Thank you for your engagement and your votes of confidence for these amazing businesses.
          In addition to the business community that is such an important part of Vinings/Smyrna, we want to celebrate the people who live here and do good things to help our children, our elderly and disabled, and those who are simply struggling due to health and financial issues. Many of our citizens work tirelessly to share their gifts of time, knowledge and other resources so that all can benefit from living here.
          One such individual is Vinings/Smyrna’s Adam Asher. Adam consistently gives back in our community and far beyond bringing attention to important causes with his podcast and docuseries
          "The Edge of Adventure." From Tibet to South Sudan, Honduras and here, Adam uses his skills and community connections to share the stories that matter most.
          "We are destined for more than the routine. We are called to explore and discover and to make a positive difference in the lives of others. We find ourselves on The Edge of Adventure with a decision to make. And we choose to live beyond the status quo," Adam notes.
          Consider switching up your routine this summer with a commitment to volunteering at least once a month. You can find plenty of local opportunities in our special section called Doin’ Good in the ‘Hood (p. 30) and online at atlantabestmedia.com.
          Best,
          
    
    Sherri Adair, Founder
          
          
    FOUNDER
          
    Sherri Adair
          PUBLISHER
          Patti Stephens
          EDITOR
          Wyndi Kappes
          COPY EDITOR
          Jennifer Colosimo
          EDITORIAL ASSISTANT & SOCIAL MEDIA MANAGER
          Katherine Sauceda
          DIGITAL MEDIA ASSISTANT
          Claire Brock
          ART DIRECTOR
          Dona Halliday
          MEDIA CONSULTANTS – PRINT/DIGITAL
          Dawn DeSantis ddesantis@atlantabestmedia.com
          
    Amy Smith asmith@atlantabestmedia.com
          SENIOR SALES CONSULTANT/ NORTH ATLANTA REGION
          
    
    
    
    
    Witt Beckman witt@atlantabestmedia.com
          OFFICE MANAGER
          Gail Sawyer
          For print, web, email and digital advertising information, contact us at: 4279 Roswell Rd. NE., Ste. 208, #217 Atlanta, GA 30342 404-303-9333
          Inquiries and submissions regarding advertising and editorial should be directed to the address above.
          Atlanta Best Media does not knowingly accept false or misleading advertising or editorial content, nor does Publisher assume responsibility should such advertising or editorial appear. Readers are encouraged to notify Publisher when they suspect false advertising. Atlanta Best Media reserves the right to edit editorial for clarity and space availability. No content i.e. articles, graphics, designs and information (any and all) in this publication may be reproduced in any manner without written permission from Publisher.
          of2023 WINNERS
        my Vinings/Smyrna MY HOME• MY FAMILY• MY SELF BEST OF 2023 4
        ADAM ASHER (FAR LEFT) ON THE EDGE OF ADVENTURE IN CAIRO
          
    
    
    
    Come Discover your Oasis At Our Award Winning Atlanta Showroom 3151 Elizabeth Lane Se, Atlanta, GA my Vinings/Smyrna of2023 Best Outdoor Living Showroom
        
    
    
    
    
    
    
    
    
    
    
    
    
    
    
    
    
    
    
    
    
    NTENTS
        C
        Humanitarian Host Adam Asher uses his wanderlust for good as the producer and host of the docuseries and podcast “The Edge of Adventure.” He travels the world highlighting humanitarian endeavors across the globe. p. 27 Urgent Care Innovators Ron Sanders Jr. and Dr. Ben Lefkove rede ne patient care with quick, in-car diagnosis and treatment at DriveThru Urgent Care. p. 28 PHOTOGRAPHY BY (BOTTOM LEFT TO RIGHT) CHELSEA PATRICIA PHOTOGRAPHY, HAIR AND MAKEUP BY BOB STEELE SALON; PHOTOGRAPHY BY AZIZ AJANEY. my Vinings/Smyrna WINNERS of2023 Hey Vinings/Smyrna 4 Founder’s Letter Celebrating Vinings/Smyrna’s Amazing Give-Back Community 9 ’Hood Winks Nod to Your Neighbors 15 Food Faves Tried and True or New to You 16 My Calendar of Events Enjoy the ’Hood 30 Good in the ’Hood Lend a Hand to Local Causes Oh My! 12 My Home Q&A Home Service Pros Provide Solutions for Your Everyday Questions
        Meet Your Neighbors
        After thousands of votes, we reveal the businesses you chose as Vinings/Smyrna’s Best! From doctors to restaurants and more, meet all of the winners at atlantabestmedia.com. p. 19 BEST OF 2023 6
        BEST OF 2023
        
    
    
    
    
    
    
    
    
    
    
    
    
    
    
    
    
    
    
    10 CONVENIENT LOCATIONS TO SERVE YOU: Alpharetta • Acworth/Kennesaw • Carrollton • Douglasville • Griffin • Hiram • Newnan Peachtree City • Smyrna • Villa Rica Book Your Back-to-School Appointments Now at caageorgia.com or call 770.459.0620 Allergy and Asthma Triggers Don’t Take Summer Vacation! Stop Suffering We Can Help! my Vinings/Smyrna of2023 Best Allergy Practice
        Lipo 360, Deluxe Facials or any of the many other therapies available, Innovative Surgical Arts MedSpa has just what it takes to help Artfully Transform you back to your Best Self”. Innovative Surgical Arts Medspa Highlands Parkway SE, Suite 420, Smyrna, GA www.iwhcs.com/medspa FROM MOMMY-MAKEOVERS TO BOTOX OR LIP FILLERS… Finally a place where your beauty matters…inside and out! See our 4.6 STARS from 194 Reviews on Google  Dr. Melinda Miller-Thrasher has over 25 years of experience helping women evolve into their most beautiful version of their natural selves. Consistently recognized as one of Atlanta’s Top Doctors, come experience how Dr. Thrasher’s innovative options can enhance your beauty by calling (678) 505-0029 today to schedule your personal consultation. Use Code: BESTOF23 to get 50% off your personal consultation. BEST OF 2023 7
        Dr. Melinda Miller-Thrasher
          “I have been going to take one on one with this studio for 14 months now and I have been very pleased. I use to have to go into Buckhead and this West Midtown is so much easier access from Midtown. Helping my golf and overall physical health! Very ease access from Smyrna as well. I would highly recommend giving this place a try! I am hooked.” —John Miller
          
    
    
    
    
    
    Benefits
          
    
    
    
    
    
    
    
    
    
    
    
    •Back
          
    •Stress
          
    
    
    
    •Injury
          
    •Cross
          
    
    
    
    
    
    
    
    
    
    
    
    
    
    
    
    
    
    
    
    
    
    
    •Overall strengthening and flexibility
          
    
    
    
    
    
    
    •Healing
          •Trying
          
    InspiredLivingatAlpharetta ,atthe BESTVALUE inthearea.Howdowe knowthat?TheresidentsofAlpharettatoldusso! Ourstate-of-the-artseniorlivingcommunityincludesassisted livingandmemorycareservicesinaresort-stylesettingfeaturing ALLDAYDINING,THRIVEENGAGEMENTANDEVENTS, HOUSEKEEPING,TRANSPORTATION andmore. Choosethelifestyleyouwantandhaveeverythingpersonalized toyourneedsandlikes.Wearethepremieredestinationfor seniorliving. Residencesnowstartingat$2,595 SPECIAL 11450MorrisRoadAlpharetta,GA30005|470-509-5995|InspiredLiving.care InspiredLivingatAlpharetta ALF#ALC000257 BESTLIVING.BESTVALUE.BESTCARE AssistedLiving|MemoryCare 404.465.3730 | www.atlpilates.com | IG: @atlpilates
        Intimate studio specializing in private sessions tailored to the individual using the Classical Pilates
        Method
        of Pilates:
        •Increased mobility
        pain injury or recovery
        reduction
        dancers,
        recovery and prevention for
        gymnasts, and fitness enthusiasts
        training and injury prevention
        acceleration
        something new Building strong graceful bodies that move with ease. my Vinings/Smyrna of2023 Best Pilates Studio Dr. Aaron and Dr. Ross are Board Certified Pediatric Dentists, meaning they have received the highest level of training in the field of pediatric dentistry. DR.
        DR.
        Schwartz Dentistry for Children is independently owned and operated with NO 3rd party corporate influence. The Mission To engage and educate children (and their parents) to help lead a lifetime with optimal oral-health. Focusing on Oral Health Prevention, Wellness, and Lasting Trust www.schwartzkidsdentistry.com | 770-436-0802 my Vinings/Smyrna of2023 Best Pediatric Dentist BEST OF 2023 8
        AARON
        ROSS
        
              
              
            
            ’Hood Winks
          Nod to your neighbors
          DATE NIGHT IN VININGS/SMYRNA
          As the weather stays warm, there is no better way to enjoy the sunshine and support local businesses than at the Vinings Jubilee Farmers Market! Shop seasonal produce, ready-to-eat items, baked goods and more from over 30 vendors every Thursday from 2-5pm.
          
    
    4300 Paces Ferry Rd. SE. viningsjubilee.com/events
          Add a little competition to your next double date night with Beat the Bomb Atlanta. Step into real-life video games where you’ll don hazmat gear as you dodge lasers, crack codes and maneuver virtual mazes to win.
          
    1483 Chattahoochee Ave. NW. beatthebomb.com/atlanta
          Imbibe something new with your sweetie at Soho Atlanta. The restaurant’s expertlytrained staff is happy to walk you through their ever-changing featured wine selection and special plates. From an Italian Pinot Grigio to a German Riesling, the world is your oyster.
          4300 Paces Ferry Rd. SE., #107. viningsjubilee.com/events
          With school around the corner, keep the kiddos booked and busy with the Friends of Smyrna Library’s 2nd Annual Children & Young Adult’s Book Sale on August 26. Let their young minds get lost in the wide selection of fiction and nonfiction titles, from board books to teen novels.
          
    100 Village Green Cir. foslga.org
          A date night classic, catch a concert with your cutie at the Coca-Cola Roxy inside Battery Atlanta. Artists like T-Pain, Jordan Davis, Sylvan Esso and the Dirty Heads will take the stage from July through September. From Antico to Superica, don’t forget to grab a bite before heading inside!
          
    800 Battery Ave. SE. batteryatl.com
          Join the city of Smyrna’s Parks and Recreation and merchants of the Smyrna Market Village at the Smyrna Handmade Market. Every Sunday browse a selection of unique handcrafted jewelry, home decor, produce and more. The outdoor market is dog-friendly and features a variety of food vendors like Peri Peri and Atkins Park, perfect for when cravings call.
          1265 W. Spring St. instagram.com/smyrna handmademarket my
          BEST OF 2023 9
        PHOTOGRAPHY BY (TOP LEFT) JENNIFER HEUSING, (TOP RIGHT) NICOLE CUMMINGS, (BOTTOM LEFT) FOSL STAFF.
        
    
    
    
    
    
    
    
    
    
    
    
    770-431-1344 NGTURF.COM | * SeeWebsit e forDetails • Multiple Varieties • Certified Turfgrass Professionals • Pickup and Delivery Create an outdoor space where memories are made. FARM FRESH • PREMIUM SOD • HARVESTED DAILY
        
              
              
            
            Grassroots Leadership: NG Turf’s Leading Ladies
          
    NG Turf, the preferred sod farm for premium grass in the southeast, is not just a company; it’s a family story. At its helm are many important women who are proving that leadership has no gender in the world of home improvement. Merett Alexander and Natalie Howard, daughters of NG Turf’s founder and CEO Aaron McWhorter, are carving their own path in the industry, bringing a unique blend of dedication, innovation, and commitment to the family business.
          
    
    Merett Alexander, NG Turf’s Vice President of Golf Course Sales, is a trailblazer in every sense of the word. Launching the golf course segment for the company, Merett has been instrumental in not just diversifying the business, but also proving its versatility in different terrains. Her vision is to not only maintain NG Turf’s reputation for quality but also to expand the horizons of the company’s influence within the golfing world. Her ability to liaise with golf course architects, superintendents, and builders while maintaining NG Turf’s high standards of excellence is a testament to her remarkable leadership.
          Meanwhile, Natalie Howard, as the Vice President of Business Administration, serves as the vital support pillar for both the operations and growth of NG Turf. Natalie joined the NG Turf family in 2007, and her wealth of experience is evident. Her role may seem daunting, as she oversees vital aspects of the business, from sales and accounts receivable, purchasing of farm supplies, to human resources and event planning.
          Merett and Natalie, embody the essence of NG Turf as a family-owned and operated business. They bring to life the
          
    
    
    
    
    business’s ethos, showing that being family-owned is more than just a label, but a testament to dedication, innovation, and deeply rooted values. This family bond, combined with their hard work, is the cornerstone of their success.
          
    
    
    
    
    They bring to life the business’s ethos, showing that being family-owned is more than just a label, but a testament to dedication, innovation, and deeply rooted values.
          Their journey is not only a beacon of inspiration for other women in the turf industry, but also a testament to the strength of family enterprises. Merett Alexander and Natalie Howard exemplify ‘grassroots leadership’, driving NG Turf forward while keeping its roots firmly grounded in family values and commitment. They illustrate that the home improvement industry, and indeed all industries, can flourish under the stewardship of a family-owned operation that prioritizes diversity, inclusion, and a strong commitment to excellence.
          770-431-1344 • NGTURF.COM
        
              
              
            
            Experts Provide Solutions For Your Everyday Home Q&A
          
    
    WINDOW REPLACEMENT
          SHOWER ENCLOSURES
          QAre glass railings safe?
          AYes! Depending on your application, we use tempered or laminated glass to create safe and beautiful railings for stairs, balconies, pool decks and more. These systems have been tried and tested in commercial spaces with even more stringent code requirements than homes, so you can be sure your loved ones and guests are protected.
          
    Drexler Glass Co.
          Years in Business: 67
          
    Associations: NARI, BBB A+ Rated 404.351.4141
          www.drexlerglass.com
          QDo you also sell and install doors?
          AWe offer a large selection of doors including front/entry doors, patio doors, and multi-slide doors. They provide curb appeal, energy-efficient performance, and add an extra layer of security to your home. Investing in a door made of fiberglass or iron provides a lowmaintenance option, eliminating the possibility of wood rot or insect penetration. Call us today to learn more and schedule your free consultation.
          North Georgia Replacement Windows
          
    Years in Business: 18
          Associations: BBB A+ Rated, NARI
          770.888.1604
          www.ngwindows.com
          SIDING
          
    QCan HardiPlank® be installed on top of my existing siding?
          are a few instances when we will install directly on top of the existing siding, such as if the existing siding provides a flat surface and is in good condition. If we have to remove it, we dispose of the old siding, replace rotted or damaged plywood sheathing and install a vapor barrier. We then pressure wash, caulk, prep and paint your new product.
          
    AThere
          Painting Plus
          Years in Business: 25
          Associations: NKBA, HBA
          770.971.1577
          www.paintingplus.com
          Charlie Dallavalle
          Ted Kirk and Jonathan Collum
          BEST OF 2023 12
        David Drexler
          
              
              
            
            Questions
          Are
          GARAGE DOORS
          QIs there a method to choosing the best type of garage door for my home?
          
    AThe garage door plays a big role in your home’s curb appeal. Today’s designs offer thousands of combinations of color, hardware and windows. Don’t guess what the door will look like on your home. Using our DoorView® App, upload a photo of your home and start discovering your options in real-time! Schedule your free in-home estimate at www.overheaddooratlanta.com.
          Overhead Door Company of Atlanta™
          Years in Business: 88
          Associations: GAHBA, IDA, BBB A+ Rated 404-USA-DOOR www.overheaddooratlanta.com
          
    WINDOW COVERINGS
          QCan a certain type of window treatment help cool down a sunny room?
          
    AYes, there are several types. One option is to use heavy, lined draperies which can provide a barrier between the window and the room to help keep the heat out. Another option is to use blinds or shades which can be adjusted to block out as much or as little sunlight as possible. One of our best options are Honeycomb shades with the duolite option.
          Classic Blinds & Shutters Design Center
          Years in Business: 27
          
    Associations: BBB A+ Rated, Best of Houzz (2016-2018)
          678.822.0928 | www.classicblindsandshutters.com
          See ad on p. 18 my
          Andrea Zare
        John Nale
        FOR MORE HOME SERVICE PARTNERS, GO TO atlantahomeimprovement.com and click FIND A PRO BEST OF 2023 13
        you looking for experienced, trustworthy home service experts to help maintain and take care of your home?
          
              
              
            
            QUEEN OF FACES
          
    Being nominated by her peers and selected as a “Top Doctor” for 20 years in a row by Castle Connolly is quite the achievement in the aesthetics industry. Such a distinction is only earned through a reputation of producing consistent, natural-looking results.
          
    
    
    
    
    
    
    
    
    Double board-certified Facial Plastic Surgeon Elizabeth Whitaker, M.D., F.A.C.S., of Atlanta Face & Body has been acknowledged by multiple publications for her surgical results, including Best Facelift, Best Facial Plastic Surgery, Best Anti-Aging Doctor, Best Plastic Surgery-Face, and Best Plastic Surgeon-Face. Her expertise in having performed over 5,000 facelifts and thousands of other cosmetic procedures has even led to her being nicknamed the “Queen of Faces.”
          
    
    
    The Signature Lift (facelift) offers a less-invasive path to facial rejuvenation with more natural-looking results, often with less downtime. Her minimally invasive, exclusive ProfileLift™ offers facial contouring for younger patients. She also specializes in a variety of noninvasive treatments for prejuvenation and rejuvenation and is the top provider in Georgia for Ultherapy®
          Dr. Elizabeth strives to provide quality, compassionate care for each of her patients and prides herself on taking a one-on-one approach to guide them on their journey to beautiful outcomes.
          
    Dr. Elizabeth Whitaker ,
          AtlantaFaceAndBody.com Appointments: (678) 888-3223 AtlantaFaceandBody TheQueenofFaces
        BEST FACELIFT
        BEST ANTI-AGING DOCTOR BEST FACIAL PLASTIC SURGEON
        2023
        Tried and true or new to you
          
    
    
    
    
              
              
            
            Food Faves my
          
    
    
    
    
    
    
    
    
    
    
    
    
    
    
    1. Orient Express fuses bold flavors of the East and West. For the past 19 years, the iconic restaurant, which is located in an old train car, has served Chinese, sushi and hibachi dishes. Try General Tso’s chicken and the mildly battered Walnut Coconut Shrimp. 2921 Paces Ferry Rd. SE. orientexpressatl.com
          2. Visit Southern Baked Pie Company’s bright Vinings Jubilee cottage for a slice of summer. Seasonal selections such as Peach Crumble Pie are sure to be a hit with family and friends. Still hungry for more? Join the Pie of the Month Club and automatically have a sweet treat delivered to your door. 4300 Paces Ferry Rd., Ste. 113. southernbakedpie.com
          
    3. The Read Shop offers up the best in drinks, pastries and more, all in a spot that’s fit for cozying up with a good book. If you’re in need of the perfect summer Sunday, consider grabbing a copy of the shop’s “A Curious Herbal” and imbibing a cold Hibiscus Herbal Tea alongside the Fig & Goat Cheese Crostada. Talk about a tantalizing trio! 4300 Paces Ferry Rd. SE., Ste. 125. readshopatl.com
          
    4. Don’t just stop in for the superb Buffalo Chicken Wings, make plans to visit Laseter’s Tavern at Vinings (a neighborhood staple for more than 30 years) for the pub’s fun activities, too. Live music and theme nights like trivia, Texas Hold ’em, bingo and poker keep things hopping. 4355 Cobb Pkwy. laseterstavern.com
          
    5. Experience Korean-Japanese fusion at Yakitori Jinbei. Its delectable dishes by culinarian and optometrist Dr. Jae Choi have even been featured on Guy Fieri’s hit TV show “Diners, Drive-Ins, and Dives.”
          A go-to menu item for celebrities and restaurant regulars alike is the Korean Fried Chicken, coated in a sauce with gochujang and capsaicin powder for a smokey yet sweet flavor. 2421 Cobb Pkwy. SE. yakitorijinbei.com my
          
    
    1 2 3 4
        5 BEST OF 2023 15
        PHOTOGRAPHY BY (1) SAWYER PHOTOGRAPHY, (5) PHOTOGRAPHY BY LAUREN LIZ PHOTOGRAPHY (LIEBE PR PHOTOGRAPHY NETWORK). PHOTOS COURTESY OF (2) SOUTHERN BAKED PIE COMPANY, (3) THE READ SHOP BY THE MERCHANT, (5) YAKITORI JINBEI.
          
              
              
            
            my Calendar of
          Make a day or a night of it! Check out these fun places
          AUG.
          AUG. 9
          Coffee & Connections
          1315 Concord Rd.
          8-9am
          Free admission
          With a warm beverage in hand, pitch your business and ideal referral to fellow company owners at this free networking event hosted by the Smyrna Business Association. smyrnabusiness.org/events
          
    AUG. 17
          Alive After 5
          4500 West Village PI. SE., Ste. 2013
          5:30-7pm
          Free admission
          Sharpen up those business skills at this Smyrna Business Association event.
          AUG. 26
          Jazz Under The Gazebo
          1295 W. Spring St.
          7-10pm
          $100
          Delight in an evening filled with the musical stylings of Deborah Bowman and the Big Love Band. Savor delicious foods and wines benefitting the Smyrna Public Safety Foundation. smyrnapsf.org
          SEPT.
          
    SEPT. 16
          Taste of Smyrna
          Downtown Smyrna
          11am-8pm
          Free admission
          SEPT. 23
          Hispanic Heritage Celebration
          2800 King St.
          5-9pm
          Free admission
          Celebrate Hispanic Heritage month in downtown Smyrna! Dance to the tunes of live performers, savor dishes from local Hispanic and Latino vendors and more.
          smyrnaga.gov
          
    SEPT. 20-24
          Atlanta Food + Wine Festival
          Historic Fourth Ward Park
          Times vary
          Prices vary
          Alive After 5
          See AUG. 17 for details
          Hear from Lisa Hawk of Edward Jones while building newfound professional relationships. smyrnabusiness.org/ events
          It’s that time of the year again! Hit up downtown Smyrna and enjoy a wide selection of foods from over 30 restaurants, live music and other entertainment all day long. smyrnaga.gov
          
    AUG. 12
          Atlanta Wine Walk
          Live! at The Battery Atlanta
          2-10pm, VIP early admission, 3-10pm general admission
          $65 VIP admission, $40 general admission
          It’s time to uncork and unwind! Grab your fellow wine lovers for an evening spent sipping and sampling new varietals. Live music and local vendors round out this fourth annual event. batteryatl.com/event
          This must-visit culinary experience features four days of curated dining experiences, exciting seminars and delicious tasting tents. A percentage of the proceeds will help benefit Children of Conservation’s school lunch program, providing nutrient-dense meals for children in Africa.
          atlfoodandwinefestival.com
          PHOTO COURTESY OF (RIGHT) WILDR MEDIA.
          BEST OF 2023 16
        
              
              
            
            Events with
          
    
    family and friends.
          RECURRING TUESDAYS
          Food Truck Tuesdays
          3180 Atlanta Rd.
          5-9pm
          Free admission
          Treat yourself to some gourmet foods and sweets while unwinding to some fun tunes!
          smyrnaga.gov
          RECURRING THURSDAYS
          Vinings Jubilee Farmers Market
          New Paces Ferry Road
          2-5pm
          Free admission
          Yoga Presented by Kaiser Permanente
          See RECURRING MONDAYS
          RECURRING MONDAYS
          Yoga Presented by Kaiser Permanente
          The Plaza at the Battery Atlanta
          6:30pm
          Free admission
          Grab your pals and stretch out on the green for a refreshing start to the week. Claim your spot online now before space is filled!
          
    batteryatl.com/event
          AWAY GAME SUNDAYS
          Farmers Market at The Battery Atlanta
          Plaza Green
          1-4pm
          Free admission
          Shop from a wide selection of fresh produce, baked goods, wellness products, and more. And don’t forget to leash up your pups for a rest stop at the new Bark Market!
          batteryatl.com/event
          
              
              
            
            Did KnowYou
          Every Thursday, 20+ farmers and vendors gather ‘round for one of Vining’s freshest markets. Grab your new fave pickled, canned, baked and bottled goods along with homegrown produce and fragrant flowers for your kitchen table.
          viningsjubilee.com/events
          RECURRING SUNDAYS
          Smyrna Handmade Market
          
    1265 W. Spring St.
          
    11am-3pm
          Free admission
          Peruse one-of-a-kind items at this handmade market every weekend! From jewelry to jams, fill your basket full of local goodies.
          facebook.com/smyrnahandmademarket my
          
    The Atlanta Braves sold 126,000 baseball caps and over 216,000 hot dogs between the start of the season and the All-Star break.
          
    PHOTO COURTESY OF (TOP) THE BATTERY ATLANTA.
          BEST OF 2023 17
        
    
    
    
    
    
    SHUTTERS | BLINDS | SHADES | MOTORIZED BLINDS SHADES AND SHUTTERS CUSTOM DRAPERY & WINDOW TREATMENTS | CUSTOM RUGS | CUSTOM BEDDING CUSTOM FURNITURE | CUSTOM UPHOLSTERY 20% DISCOUNT CUSTOM DRAPERY AND RUGS *Some exclusions apply. Expires 08/31/23 * Exclusions may apply SHUTTERS $19.99 STARTING AT **Credit card fees will apply. Expires 08/31/23* Exclusions may apply (Local Manufacturer 2 1/2”, 3 1/2”, 4 1/2”). 2022 BEST OF BEST BLINDS/WINDOW TREATMENTS COMPANY www.ClassicBlindsAndShutters.com @classicblindsalpharetta 488 N. Main Street • Suite 109 (Mainstreet Walk) Alpharetta Call for your complimentary in-home consultation. 678-822-0928
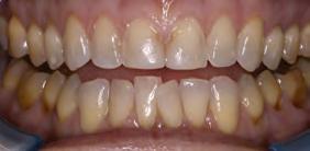
        BEST COSMETIC DENTISTRY
          
    
    Atlanta Smiles
          Dr. Dina Giesler built her Buckhead practice by personal referrals 24 years ago. Today, her commitment to excellence continues to shine at Atlanta Smiles, where she has partnered with Dr. Marianna Kovitch to offer comprehensive care in general and aesthetic dentistry. With over 50 years of combined experience and hundreds of continuing education credits under their belts, these highly credentialed dentists take a conservative approach to achieve natural and beautiful results, providing conciergelevel private service in a stress-free environment. atlantasmiles.com, 404.262.7733
          
    2023
          After hundreds of nominations and thousands of votes, you have chosen Vinings/Smyrna’s Best! For a complete winners list, visit atlantabestmedia.com
          MY VININGS/SMYRNA BEST OF 2023
          Dogma Dog Care
          
    
    Dogma Dog Care is a family-owned pet resort nestled on two acres in the heart of Smyrna. For over 14 years, Dogma has specialized in animal boarding and daycare. Not only does Dogma have the best groomers, trainers, pet supplies, and transportation to and from home, but it also boasts the largest indoor/outdoor space in all of Cobb County. With comfortable dens, private suites and large shaded yards for running, playing and splashing, your pet will love their home away from home. dogmadogcare.com, 770.436.4346
          BEST DECK/PORCH COMPANY Decks And More
          
    Decks And More is the perfect company when you have creative ideas and want a partner to help you achieve your vision. Owner Frank Pologruto wins this consumer-driven contest year after year because clients value his expertise and commitment to listening to and understanding their desires. Decks And More has won more awards than any other deck company in Atlanta because of their creative designs and quality work. Decks And More will help you create your outdoor oasis. atlantadeckbuilder.com, 770.235.6929
          
    DINA GIESLER, DDS, MAGD AND MARIANNA KOVITCH, DMD, FAGD
          BEST PET SITTING/DAYCARE
          BEST OF 2023 19
        2023
          
    MY VININGS/SMYRNA BEST OF 2023
          BEST PLASTIC SURGEON – FACE
          
    Atlanta Face & Body
          Dr. Elizabeth Whitaker of Atlanta Face & Body is a double board-certified facial plastic surgeon widely sought after for her vast anti-aging surgical expertise and for employing the latest advancements in surgical facial rejuvenation. Known as the Queen of Faces by many of her patients, Dr. Elizabeth has performed thousands of facelifts—focusing on natural-looking results to help her patients look their personal best. She has been nationally recognized as a Top Doctor by her peers (Castle Connolly) for 20 years in a row. atlantafaceandbody.com, 678.888.3223
          
    BEST ASSISTED LIVING COMMUNITY Smyrna Village
          
    
    Smyrna Village is a family-owned, licensed memory care community serving the needs of Smyrna residents and their families. With an unwavering commitment, Smyrna Village creates an unparalleled supportive environment for individuals impacted by Alzheimer’s or dementia. Families and friends are warmly invited to actively participate in every facet of their loved one’s life, fostering a truly inclusive atmosphere. smyrnavillage.com, 404.490.3719
          BEST
          REALTOR
          Dean Buchan, Coldwell Banker Realty
          
    For more than a decade, Dean Buchan has lived in the Smyrna-Vinings area, guiding sellers and buyers through a market he knows inside and out. In today’s fast-moving real estate landscape, what sets Buchan apart is his unparalleled accessibility—simply call or text, and you’ll hear back within the hour. Aided by the world-class resources of Coldwell Banker, no one will work harder to help you sell or buy your dream home. getrealestateatlanta.com, 404.295.8703
          BEST PILATES STUDIO Atlanta Pilates Studio
          Atlanta Pilates is dedicated to helping Atlantans build strong, graceful bodies that move with ease. The boutique studio specializes in private sessions that are classically tailored to meet client needs and abilities. You can rest assured you’ll receive individualized attention and a targeted plan to help you progress throughout your Pilates journey. Atlanta Pilates practices the classic Romana’s Pilates Method. The Romana’s Pilates Method is based on the teachings of Romana Kryzanowska, who was the world-renowned protégé of Joseph Pilates and taught the method for nearly six decades. Romana’s Pilates is a system of time-tested exercises proven to help increase flexibility, balance and control. atlpilates.com, 404.465.3730
          
    (L TO R): LEATHA WOOLFOLK (RESIDENT), NATALY SICH (OWNER) AND DONNA MCDAFFLE (DAUGHTER)
          ELIZABETH WHITAKER, MD, FACS
          BEST OF 2023 20
        DEAN BUCHAN
          BEST OUTDOOR LIVING SHOWROOM Randall Brothers
          Randall Brothers has served homeowners and professional contractors in the Atlanta area and surrounding markets with building materials for more than 137 years. Since its founding, Randall Brothers has been committed to offering a full and comprehensive range of superior building materials with unparalleled service to match. Their friendly sales staff is highly knowledgeable in the construction industry and eager to help you find the best building supplies for whatever your next or current project holds.
          randallbrothers.com, 404.892.6666
          BEST WOMEN’S PRACTICE
          Innovative Surgical Arts MedSpa
          
    
    Innovative Surgical Arts stands out as the best of the best. Led by Dr. Melinda Miller-Thrasher, a board-certified surgeon with 25 years of experience, Innovative’s MedSpa offers a wide range of cutting-edge procedures. Dr. Thrasher’s award-winning bedside manner helps to ensure a personalized experience, allowing patients to achieve a more beautiful and natural transformation inside and out. From Mommy-Makeovers to Botox, Fillers, PRP, Vaginoplasty and more, Innovative has what it takes to transform you into your best self. iwhcs.com, 678.505.0029
          BEST OUTDOOR LIGHTING
          Southern Landscape Lighting Systems
          
    For 13 years, Southern Landscape Lighting Systems has delivered the best outdoor lighting solutions to Georgia homes. In addition to being voted Alpharetta and Buckhead’s best, Southern has received My Home Improvement magazine’s “Best of Exterior Lighting” award six out of the last seven years, various Houzz service awards and several Consumer Choice awards. Southern’s qualified team is committed to offering superior customer service and creative ways to enhance your home or business. Southern does its best to use American-made products and routinely offers military discounts and promotions throughout the year.
          southernlls.com, 678.324.6842
          2023 MY VININGS/SMYRNA BEST OF 2023
        LYN ROSS LUTHER RANDALL
          BEST OF 2023 21
        MELINDA MILLER-THRASHER, MD
          BEST CBD STORE
          
    One Luv Smoke ‘n Vape Shop
          One Luv Smoke ‘n Vape Shop is your premier destination for a diverse selection of high-quality CBD products. One Luv’s knowledgeable staff is here to guide you on your journey to balance and tranquility. Whether you seek relief from pain, anxiety or simply want to enhance your overall well-being,
          One Luv has the perfect solution for you. Discover the transformative power of CBD today and experience a life filled with calm and vitality. oneluvsmokenvape.com
          BEST AUTO REPAIR T3 Atlanta Auto Repair
          Since 1995, T3 Atlanta Auto Repair has been metro Atlanta’s premier Infiniti, Lexus, Nissan and Toyota repair and maintenance provider. Boasting a team of the best technicians in the area, T3 is structured to offer customers affordable, trustworthy and efficient service using genuine parts with prices substantially lower than the dealership. T3 provides a better way to service your Infiniti, Lexus, Toyota or Nissan, and they’re dedicated to proving it. t3atlanta.com, 404.794.7700
          
    BEST BACK & SPINE CARE PRACTICE
          Michael Family Chiropractic
          Michael Family Chiropractic has continued to serve the Vinings/Smyrna community for over a decade with compassion and empathy as their top priority. There may be chiropractors on every corner in Cobb County, but what has led Michael Family Chiropractic to be the largest practice in the area is their ability to meet people where they are by simply listening and holding space without judgment to connect and communicate the healing message that “You are not alone. We got you!” michaelfamilychiro.com, 678.424.8501
          BEST HORMONE THERAPY PRACTICE
          
    
    
    
    Age Well ATL
          Improving your health can feel like an overwhelming challenge. With Age Well ATL’s caring approach to quick weight loss and cutting-edge medical services, it doesn’t need to be. At Age Well ATL weight loss center, skilled providers guide patients through safe, sustainable, and achievable health, fitness and aging solutions. From weight management to peptide therapy, hormone replacement and anti-aging treatments, Age Well’s experienced medical team can help you achieve your desired results and maintain a transformative healthy lifestyle. agewellatl.net, 404.287.0123
          2023
        MY VININGS/SMYRNA BEST OF 2023
        DR. JAMIE MICHAEL
          (L TO R): YOLANDA HARRIS, WELLNESS ADMINISTRATOR; KEVIN HARRIS, MARKETING DIRECTOR; TINA ALEXANDER, OFFICE MANAGER
          BEST OF 2023 22
        (L TO R): SHANON HARP, MANAGER; BYRON FORGEUR, SHOP FOREMAN; SONNY SOM, TECHNICIAN
          BEST HOLISTIC/ALTERNATIVE MEDICINE Tree of Life Healing Center
          For the past 11 years, Tree of Life Healing Center has been a trusted provider of acupuncture, neurolink, chiropractic, and allergy/nutrition services to the Smyrna community. Now, more exciting healing is on the horizon with the recent opening of the Tree of Life Center for Energy Medicine. Visit the unique, state-of-the-art center to experience scalar energy-red light therapy, quantum detox foot baths, T*E*S*L*A plasma in zero gravity massage med beds and more. The future of medicine is frequency, light, sound and vibration!
          treeoflifeatl.com, Healing Center: 678.812.9817, Energy Center: 470.559.0576
          BEST CHILD CARE Compass Academy
          In 2007, Compass Academy founder/owner Jeena Sashittal had a vision for childcare that encouraged children to discover the extraordinary within the ordinary in a natural, home-like setting. What started with Jeena’s children and neighbors in her living room has blossomed into the winner of 2023 Best Child Care. Compass Academy uses an eclectic mix of the play method, Reggio Emilia and Montessori-inspired learning to create an atmosphere for exploration in an indoor-outdoor learning environment with organic gardening. compassacademyga.com, 678.424.1671
          
    JEENA
          
          BEST MENTAL HEALTH PRACTICE Hirt Psychology
          With over 90 years of combined experience, the Hirt Psychology team is committed to providing Atlantans with top-notch counseling and therapy services. At the heart of Hirt’s approach is a focus on high-quality, evidence-based psychotherapy methods that yield real results. From anxiety and depression to childhood/adolescent behavior and emotional concerns, trauma, autism spectrum and more, Hirt’s team of skilled professionals is here to help you navigate and cope with life’s many challenges. hirtpsychology.com, 678.758.0616
          
    BEST CARPET/UPHOLSTERY CLEANING COMPANY
          
    Jonquil Carpet Cleaning and Restoration
          With a five-star reputation and over 15 years of experience, Jonquil’s mission is to provide superior workmanship and quality customer service. Trained professionals are ready to tackle your residential or commercial carpets, upholstery, tile, grout and area rugs with top-of-the-line environmentally friendly products. Jonquil Carpet Cleaning is locally owned and operated in Smyrna and is proud to serve Smyrna, Vinings, Mableton, Buckhead, Sandy Springs, Roswell and the greater Atlanta area. jonquilcarpetcleaning.com, 678.367.3775
          
    2023
        MY
          VININGS/SMYRNA BEST OF 2023
        SASHITTAL, OWNER AND FOUNDER
          (L TO R): STEVEN KILGORE, CARRIE OLSEN, LEAH WEINER, RUTH GALLOWAY, NINA CASON, DR. HIRT, ASHLEIGH TRUDEAU, LINDSEY HARPER, SAM BOOTH
          CHERI AND MITCH MCLEMORE
          BEST OF 2023 23
        THE TREE OF LIFE CENTER FOR ENERGY MEDICINE
          2023
          
    MY VININGS/SMYRNA BEST OF 2023
          
    BEST TANNING SALON
          
    
    
    
    Sweet Peach Wax Studio
          Indulge in the ultimate spray tanning experience at Sweet Peach Wax Studio. Founded by Raquel Souza, Sweet Peach offers a seamless fusion of exceptional hair removal and unparalleled tanning. Enriched with white tea extracts, aloe and chamomile, Sweet Peach’s unique tanning solution will leave you with not only a beautiful natural glow but nourished, moisturized skin. The bright and modern studio is always peachy clean, and whether it’s your first time or you’re a loyal regular, the estheticians will put you at ease.
          BEST PEDIATRIC DENTIST
          
    Schwartz Dentistry for Children
          sweetpeachwax.com
          
    
    
    
    
    Schwartz Dentistry for Children is dedicated to providing expert guidance and care for young patients, helping ensure optimal oral health now and into the future. The Schwartz Dentistry Team is proud to introduce Dr. Ross Wengrover! A board-certified Diplomate of the American Board of Pediatric Dentistry, Dr. Wengrover is happy to join the practice and bring his expertise to the office. Dr. Schwartz, Dr. Wengrover and the entire Team are committed to guiding your child through their oral-health journey, one high-five at a time! schwartzkidsdentistry.com, 770.436.0802
          
    TheAvenueEastCobb4475RoswellRd,Marietta,GA30062(678)310-1093 2850 Paces Ferry Road,Atlanta, GA 30339 (678) 310-1095 my Vinings/Smyrna of2023 Best Live Music
        BEST OF 2023 24
        (L TO R): AARON SCHWARTZ, DDS, AND ROSS WENGROVER, DDS
          BEST GARAGE DOOR COMPANY
          
    Overhead Door Company of Atlanta™
          
    Since 1935, Overhead Door Company of Atlanta™ has been trusted to display the genuine, the original red ribbon of the Overhead Door™ brand and is the only distributor in the metro Atlanta area. Their professional team respects your time and property while delivering outstanding customer service and high-quality products. Visit the showroom of working garage doors and openers today.
          overheaddooratlanta.com, 404.USA.DOOR
          BEST GENERAL/FAMILY DENTIST
          
    
    Alexander Family Dentistry
          Alexander Family Dentistry stands for exceptional dental care for Atlantans. Dr. Alexander set out to create a practice based on ethical treatment and an unwavering commitment to patient wellbeing and continues to prioritize comfort by creating a welcoming, spa-like atmosphere with a focus on cosmetic dentistry. From routine visits to full-mouth rehabilitations, they believe patients deserve to experience the pinnacle of dental expertise with cuttingedge technology in a zen environment with the finest dental approach. alexanderfamilydentistryofsmyrna.com, 770.438.9558
          BEST BOUTIQUE The Front Porch of Vinings
          Nestled in historic houses in the heart of downtown Vinings, these sister shops are the destination for your “one-stopshopping” needs. The Front Porch of Vinings offers a thoughtfully curated collection of gifts, easy-to-wear clothing, jewelry and home decor. Follow the sidewalk to discover The Front Porch Market, where you’ll find a selection of locally prepared take-home foods, fresh flowers, beer, wine and much more. Don’t forget to visit the Prayer Garden before you leave!
          
    thefrontporchofvinings.com, 678.424.1606; thefrontporchmarket.com, 770.405.8170
          BEST REMODELER Exovations
          Easily maximize your home’s curb appeal with EXOVATIONS! Their expert team handles it all–roofing, siding, decks, doors, windows, porches, and porticos–without all the stress you usually hear about in construction! See the future of your home with the EXOVision process and make your dream home a reality with the company
          Georgians voted Best Remodeler of 2023. exovations.com, 877.396.8632
          2023 MY VININGS/SMYRNA BEST OF 2023 2023 MY VININGS/SMYRNA BEST OF 2023
        HANNAH ALEXANDER, DDS
          OWNER LISA RIEVES CELEBRATES 8 YEARS OF THE FRONT PORCH OF VININGS
          BEST OF 2023 25
        2023
          MY VININGS/SMYRNA BEST OF 2023
          BEST DERMATOLOGIST Super Dermatology
          Super Dermatology has set itself apart by combining state-of-the-art technology with a patient-centered approach. Dr. Dione Marcus Super and her team of advanced skincare specialists offer innovative treatments and personalized care tailored to each individual’s needs. From cutting-edge laser therapies to Botox, expert acne management, skin cancer treatment and more, Super Dermatology delivers superior results for all ages and skin types.
          superdermatology.com, 770.285.3533
          
    BEST ALLERGY & ASTHMA TREATMENT PRACTICE Center for Allergy and Asthma of Georgia
          
    Center for Allergy and Asthma of Georgia is an award-winning allergy practice with 10 locations throughout metro Atlanta. They offer state-of-the-art diagnosis and care for allergic conditions, including nasal allergies, sinusitis, asthma, food allergies, allergic skin conditions, including hives and eczema, immune disorders and other related issues such as cough. They treat children and adults and offer same- or next-day appointments to new and established patients. caageorgia.com, 770.459.0620
          BEST LIVE MUSIC
          Stockyard Burgers & Bones
          
    Stockyard’s menu features a variety of unique burgers, salads and entrees including ribs and pork chops all made with high-quality, fresh ingredients. The full-service bar boasts over 40 whiskeys and bourbons, as well as a rotating selection of craft beers. Enjoy weekend brunch on the outdoor patio. stockyardburger.com
          678.310.1095
          BEST IV THERAPY wHydrate Smyrna
          wHydrate Smyrna combines quality services, highly trained medical professionals and a commitment to exceptional customer care to offer an unparalleled experience. With a wide range of customized hydration treatments, from athletic recovery to beauty and detox, wHydrate Smyrna ensures each client receives personalized care. The state-ofthe-art facility and strict adherence to safety protocols guarantee a safe and relaxing environment. Whether seeking rejuvenation, enhanced wellness or rapid recovery from hangovers, wHydrate Smyrna stands out as the ultimate destination for exceptional IV therapy.
          whydrate.com/locations/iv-therapy-smyrna-ga, 678.585.2646 my
          
    BEST OF 2023 26
        (L TO R): RYAN HOOD, PA-C; DIONE MARCUS SUPER, MD; KARJA PEART, PA-C; SUMMER SMITH, FNP-C
          
              
              
            
            Adam Asher
          PODCASTER • HUMANITARIAN HOST 2021 OVER 40 & FABULOUS TOP 10
          By Wyndi Kappes
          
          Fifty-year-old Adam Asher uses his wanderlust for good as the producer and host of the docuseries and podcast
          
    “The Edge of Adventure.” Adam travels the world highlighting humanitarian endeavors across the globe, bringing his viewers, listeners and himself some much-needed hope. When not out on the road, you can find the Best Self Atlanta 2021 Over 40 & Fabulous Top 10 Winner at home in Vinings or out biking on the Silver Comet Trail.
          Q: What is your favorite way to give back to your community?
          Adam Asher: I make video documentaries and weekly podcasts that showcase inspiring humanitarian organizations and their efforts worldwide to care for those in desperate need. I’ve done all this because these people and these organizations inspire me. Because I admire the way they put others first. The way they treat people with dignity and care, people who might otherwise be overlooked or disregarded. I believe their work is valuable and that it should be honored. We need to hear their stories. We’re so overwhelmed by bad news these days. We need to be reminded that there is still good in the world. And that we can be a part of it.
          Q: What inspired you to do this particular kind of charity work?
          Adam Asher: I had the chance to do some humanitarian work when I was 15. It changed me. I didn’t know what the future held, but I knew right then that I would never be the same, and that I had to be a part of such things.
          Q: What do you love most about yourself?
          Adam Asher: In terms of God-given talents, I’d say I’m proud to be gifted at learning languages. Because when you speak another person’s native language, it gives you a greater appreciation for who they are.
          Q: What is your most embarrassing moment, and did you learn anything from it?
          Adam Asher: In my early days of radio, back when I was a teenager, we had a Sunday morning church service on the air. But I was tired from working all through the night, so I played some upbeat music in the studio to keep me awake. What I didn’t know was that some of the equipment was wired wrong, and my music went out over the air. Along with my karaoke. For the entire hour. What did I learn? Two things: 1. Every mic is a hot mic. 2. Don’t let the phone ring for an hour.
          Q: What are some of your go-tos in Vinings/Smyrna?
          Adam Asher: I love the Silver Comet Trail. You can often catch me out there biking. Dr. Dina Giesler at Atlanta Smiles is an amazing dentist and friend. Dr. Joe Esposito is my man for chiropractic care at Health Plus Wellness Center. Abbey Brewer for massage therapy at Marietta Yoga. instagram.com/adamasher,
          PROFILE
        PHOTOGRAPHY BY CHELSEA PATRICIA PHOTOGRAPHY. HAIR AND MAKEUP BY BOB STEELE SALON.
        adamasher.com my
        BEST OF 2023 27
        
              
              
            
            DriveThru Urgent Care Health In The Fast
          
    
    
    
    
    
    
    
    
    
    
    
    
    Lane
          
    
    
    
    
    
    
    
    
    
    
    
    
    
    
    
    
    
    
    
    
    
    
    
    
    
    
    
    
    
    
    
    
    
    
    
    
    When it comes to getting well fast, Atlantans face a myriad of challenges. Overcrowded emergency rooms, the shortage of primary healthcare providers, urgent care facilities with limited capacity and other obstacles often get in the way of swift treatment. According to the team behind Viral Solutions, they have the cure: DriveThru Urgent Care.
          Opening in August, DriveThru Urgent Care promises to usher in a new era of healthcare by treating patients with timesensitive medical needs in the comfort of their own cars
          The first practice in the nation to present the concept at this scale, DriveThru Urgent Care will deliver modern, convenient and accessible urgent care medicine in a drive-through setting.
          Created by the veteran ER team who developed and operated Viral Solutions (Dr. Ben Lefkove and physician assistant Ron Sanders Jr.), which tested and vaccinated millions during the COVID-19 crisis, DriveThru Urgent
          
    
    
    
    
    
    
    
    
    
    
    
    
    
    
    
    
    
    
    
    
    DriveThru Urgent Care retools the entire process, from check-in to discharge to dispensing common medications on-site. Ef ciencies will begin as soon as a patient pulls up to the facility in their car.
          
    Dr. Ben Lefkove and Ron Sanders Jr.
          BEST OF 2023 28
        Photography by Aziz Ajaney.
          Care will strive to bring radical efficiency to every aspect of quality urgent care. The plan is to offer an improved level of access that makes healthcare easy, breaking down barriers and meeting patients where they are so they can receive the timely treatment they need without delay and get better faster.
          “While serving on the frontline of the pandemic, we had to think differently while serving nearly 4 million patients,” says DriveThru Urgent Care co-founder Dr. Ben Lefkove. “We not only saw the need for something like DriveThru Urgent Care, but we are now able to take the lessons we’ve learned and build a remarkably better urgent care concept amid the new normal.”
          DriveThru Urgent Care retools the entire process, from check-in to discharge to dispensing common medications on-site. Efficiencies will begin as soon as a patient pulls up to the facility in their car. There are no waiting rooms, and with car-side check-in, patients are ready for their exam in just a few minutes.
          The practice can treat all non-life-threatening conditions patients typically seek treatment for at urgent care locations, from abdominal pain and eye infections to sprains, minor cuts and lacerations.
          DriveThru Urgent Care will put a special emphasis on treating and testing for seasonal respiratory illnesses, including flu, COVID-19, RSV and strep throat.
          Providers have the ability to utilize state-of-the-art medical equipment while the patient remains in the vehicle
          For more extensive examination and when handling sensitive medical issues, providers can treat patients inside the facility, which features multiple exam rooms and an X-ray machine. Patients can receive common lab tests, and the on-site lab will have results within minutes. After diagnosis, patients can get the most medications on-site without a separate trip to the pharmacy.
          “Time is precious and our ultimate goal is to reimagine urgent care so patients can get better faster,” says co-founder, physician assistant Ron Sanders. “We truly believe DriveThru Urgent Care patients will experience a type of efficiency, convenience and compassion like never before.”
          Viral Solutions will serve as the parent company and fold its services into DriveThru Urgent Care. The flagship DriveThru Urgent Care location will be located at 1605 Howell Mill Road NW, Atlanta. Learn more by calling 470.601.7810 or by visiting DriveThruUrgentCare.com.
          
    
    
    Photo by Robert Whelan Photography.
          Illustration by Office of Design, Decatur.
          BEST OF 2023 29
        (L TO R): JOHN R. LENZ; LAMAR COCHRAN, MD; NATALIE SCHMITZ, PA-C; RON SANDERS JR., PA-C; MICHELLE WAN MD; YAIR STRANO; BERNARD COXTON JR., PA-C; BEN LEFKOVE, MD
          
              
              
            
            Doing Good in the ’Hood
          Lend a hand to local causes
          1
          Passion makes an impact with Chicktime’s Atlanta chapter, recruiting volunteers to uplift children in the community who have suffered from abuse and neglect. Through fun parties, eld trips, seminars and more, volunteers will spend plenty of quality time with at-risk children and teens across the metro area. chicktime.com/atlanta
          2
          Get involved with the Georgia Homeless Pets nonpro t and nd forever families for Fido and his friends. This organization, which has no brick-and-mortar location, relies solely on volunteers to foster animals and run adoptions at Pet Supplies Plus every Saturday at 11am.
          
    
    3240 S. Cobb Dr. SE., Ste. 750. gahomelesspets.com
          4
          
    
    Have a passion for protecting the community? Support the Smyrna Public Safety Foundation by attending the Jazz Under The Gazebo Fundraiser on August 26. From 7-10pm, event attendees can enjoy the sweet sounds of jazz from the Big Love Band along with a light meal, wine and beer tastings from the Vineyard Wine Market, raf es and more. Purchase your tickets now at smyrnapsf.org/events
          
    5
          Bookworms unite for good via Friends of the Smyrna Library—volunteers are needed on a regular basis for help with the marketing and development of programs, book sale execution, sorting and shelving donations and participating in special events throughout the year.
          
    
    3
          100 Village Green Cir. friendsofsmyrnalibrary.org/_volunteer.htm
          The Great Promise Partnership nonpro t encourages students at risk of dropping out of school to get a job to support their families to stay in school.
          Teenagers who promise to stay in school receive in return paid part-time work experience at local businesses and in the city government. Email mruppersburg@ smyrnaga.gov to get involved. gppartnership.org my
          PHOTO COURTESY OF MIDDLE LEFT) MARIE HOLMAN.
          BEST OF 2023 30
        CHICKTIME’S ATLANTA VOLUNTEERS
          
              
              
            
            JOIN US FOR THE 14TH ANNUAL BLUE TIES LUNCHEON
          
    September 8, 2023 » 11:30 am to 1:30 pm » at Flourish in Buckhead
          
    
    
    
    
    
    Tickets are $100 and are sold in advance only. For more information and to purchase tickets, go to ProstAware.org.
          ProstAware is a Georgia 501(c)3 organization dedicated to bringing prostate cancer awareness and education to men and their loved ones, and to providing support groups for prostate cancer survivors.
          SPEAKER EMCEE
        KEYNOTE
        Jerry Carnes 11Alive, WXIA TV
          Brian Snitker Atlanta Braves Manager
          P RESENTING S PONSOR S PONSORS
        
    
    
    
    
    
    
    
    
    
    
    
    
    
    
    
    770.235.6929 | decksandmore.biz We design a plan that best suits your needs, and create your relaxing retreat! Creating Your Outdoor Oasis.SM CUSTOM DESIGN PLANS. PROFESSIONAL CRAFTMANSHIP. 20 YEARS EXPERIENCE Additions • Bathrooms Basements Decks & Sunrooms Outdoor Kitchens Screened In Porches • Patios 2022 BEST OF BEST DECK DESIGN/ BUILD COMPANY VOTED BEST DECK DESIGN/ BUILD COMPANY SINCE 2016 Atlanta’s most award-winning design/build deck company TM my Vinings/Smyrna of2023 Best Deck Design/Build Company