European Trainer - July to September 2023 - issue 82

Page 1

AMY MURPHY

HOW THE VERSATILE TRAINER WITH REFRESHING ENTHUSIASM AND UNDENIABLE HORSEMANSHIP HAS FOUND SUCCESS AT BOTH ENDS OF THE AGE SPECTRUM, ON BOTH SIDES OF THE CHANNEL

TRAIN, RACE, RECOVER, REPEAT

How targeted nutrition can support racehorse recovery

FRACTURES & FATALITIES

Worldwide rates and their implications

CRIQUETTE’S NEW MISSION

EUROPEANTRAINERS’FEDERATION AIMS andOBJECTIVES of theETF: a) To pre nt theint ests of allm bertrainers’ iati sinE op b) To liaise with politicaland administrative bodies on behalf of European trainers. c) To exchange information betweenmembers forthe benefitofEuropeantrainers. de anetwork of contacts to assist each member to developits policyand services to member trainers. rmanship: NicolasClément(France) Tel:+33(0)344572539 Fax:+33(0)344575885 Email:entraineurs.de.galop@wanadoo.fr Vice Chairmanship: Christianvon derRecke (Germany) Tel:+49(02254)845314 Fax:+49(02254)845315 Email: recke@t-online.de Treasureship: MichaelGrassick(Ireland) Tel:+353(0)45522981 Mobile:+353(0)872588770 Fax:+353(0)45522982 Email:office@irta.ie ETFREPRESENTATIVES Chairmanship: GuyHeymans (Belgium) Tel:+32(0)495389140 Email: heymans1@telenet.be
Showing decision makers what racing is all about

GILES ANDERSON

PUBLISHER’S OPINION

It’s been seven years since our cover profile trainer, Amy Murphy, first took out her licence. At the time, she was the youngest trainer in the UK and since then has firmly established herself as a trainer who thinks outside the proverbial box.

Murphy has experienced success under both codes. Over jumps, her most notable success was with the now retired Kalashnikov who provided her with a Gr.1 winner at Aintree in 2019 when taking the Devenish Manifesto Novices’ Chase. Kalashnikov retired this spring with an admirable 33% success record over his six years.

It would be fair to say that over the past few years, Murphy has carved out a niche for maximising opportunity for her string on both sides of the channel. This year, she won the first Parisian 2yo race of the season with Myconian, who has since followed up that success with a listed company win in early July.

The prize money difference between the UK and France has been well documented for as long as Murphy can remember. But instead of complaining about it, Murphy made a conscious decision to make the system work for her; and last year she took out a temporary licence in France which yielded some impressive results.

The rules in France only permit a trainer to have one stab at a temporary licence, so this year all her French runners are sent across the channel from her Newmarket base.

One of the most read articles we have published this year (January to March issue) was on the subject of “What is racing’s ‘social licence’ and what does this mean?”

As I wrote back in January, this year we are going to be hearing and reading more and more about racing’s ‘social licence’. In that issue, we also discussed three of the key issues uppermost in public consciousness. One of those key issues related to racecourse injuries and fatalities.

So in this issue, we examine in more detail the historical data available on worldwide fracture and fatality rates and the implication for racing’s ‘social licence’. Our author, Ian Wright, is an accomplished equine orthopaedic surgeon and has devoted much of his time to studying fractures around the world.

The data we publish is historical from 1980–2013. But as Wright tells us, this is the most up-to-date (data) that can be sourced from independently published, scrutinised scientific papers with clear—albeit sometimes differing—metric definitions and assessable risk rates.

Risk can never be eliminated from any sport—that’s a simple fact of life. But one thing is incredibly clear: racing has and is continuing to develop both technology and procedures that minimise risk and also ensure that when fractures do occur, systems are in place to optimise care for injured horses.

In this issue, we also report on findings from new advances in techniques for diagnosing neck conditions using CT scanning technology and share recommendations for avoiding exertional heat illness.

Wherever your racing takes you this summer - good luck!

01 ISSUE 82 TRAINERMAGAZINE.COM
| OPINION |

04 Contributors

06 ETF Members

56

82

CONTENTS

08 TopSpec Trainer of the Quarter

Lissa Oliver features Christopher Head and Classic winner Blue Rose Cen.

10 Amy Murphy – Vive la difference

Katherine Ford profiles the Newmarket based dual-purpose trainer who is setting high standards to the next generation of motivated young trainers.

22 Train, Race, Recover, Repeat!

Andy Richardson tells us how we can support the recovery process to improve performance.

32 Thermoregulation

– Too hot to handle!

Adam Jackson MRCVS gives us recommendations this summer for avoiding exertional heat illness.

40 Historical worldwide fracture and fatality rates

Ian Wright reports on the impact fracture and fatalities have on racing’s social licence.

48 EMHF update

Paull Khan reports from the EMHF annual conference and the inaugural EuroMed Stewards’ Conference.

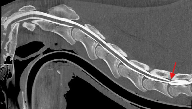
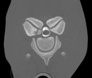
56 The equine neck

Rachel Tucker MRCVS reports findings from new advances in techniques for diagnosing neck conditions using CT scanning technology.

62 What it takes to become a trainer

Lissa Oliver examines the different licensing rules across Europe and how these regulations should be adapted.

62

to download our current digital editions and access back issues of both European and North American Trainer

70 7 simple rules of parasite control

James Gibbons advises on managing de-worming programmes within the yard.

74 Leading trainer & jockey tables

Paull Khan assesses tables of the reigning champion jockeys and trainers in a selection of European countries from 2022.

76

Criquette Head’s new mission

Katherine Ford tells us of Criquette’s ambitions to unite racing professionals.

02 TRAINERMAGAZINE.COM ISSUE 82 @trainer_mag /trainermagazine /trainermagazine
ISSUE REGULARS
10
F E A TURES
| CONTENTS |

SUCCESS BEGINS WITH THE BREEDERS’ CUP

NOVEMBER 3 & 4

THE BREEDERS’ CUP WORLD CHAMPIONSHIPS

The 2023 Breeders’ Cup World Championships will be hosted by Santa Anita Park in Arcadia, CA. Participants in the Breeders’ Cup World Championships are treated to an amazing weekend filled with world-class hospitality, entertainment, and equally incredible racing offering over $31 million in purses and awards, with seven turf races worth $12 million. Pre-entry deadline for all Championship races – Noon, Mon., Oct. 23, 2023

THE BREEDERS’ CUP CHALLENGE WIN & YOU’RE IN PROGRAM

The Win & You’re In global stakes program features graded or group stakes in 11 countries. International starters will receive a travel award upon starting in any Championship race. All Win & You’re In Challenge winners receive free entry fees and an automatic selection to the Championships. You can’t win if you’re not in!

+1 859·514·9422 · RACING@BREEDERSCUP.COM · MEMBERS.BREEDERSCUP.COM
SANTA ANITA PARK
Date Racecourse Race Name BCWC Division Region 29-Jul Ascot King George VI & Queen Elizabeth QIPCO Stakes Turf United Kingdom 2-Aug Goodwood Qatar Sussex Stakes Mile United Kingdom 13-Aug Deauville Prix du Haras de Fresnay-le-Buffard Jacques le Marois Mile France 21-Aug Deauville Sumbe Prix Morny Juvenile Turf Sprint France 23-Aug York Juddmonte International Stakes Classic United Kingdom 24-Aug York Darley Yorkshire Oaks Filly & Mare Turf United Kingdom 25-Aug York Coolmore Wootton Bassett Nunthorpe Stakes Turf Sprint United Kingdom 9-Sept Leopardstown Coolmore America ‘Justify’ Matron Stakes Filly & Mare Turf Ireland 9-Sept Leopardstown Royal Bahrain Irish Champion Stakes Turf Ireland 9-Sept Leopardstown KPMG Champions Juvenile Stakes Juvenile Turf Ireland 10-Sept Curragh Al Basti Equiworld, Dubai Flying Five Turf Sprint Ireland 10-Sept Curragh Moyglare Stud Stakes Juvenile Fillies Turf Ireland 29-Sept Newmarket Al Basti Equiworld, Dubai Rockfel Stakes Juvenile Fillies Turf United Kingdom 30-Sept Newmarket Juddmonte Royal Lodge Stakes Juvenile Turf United Kingdom 1-Oct ParisLongchamp Prix de l’Abbaye de Longchamp Longines Turf Sprint France 1-Oct ParisLongchamp Prix de l’Opera Longines Filly & Mare Turf France 1-Oct ParisLongchamp Qatar Prix de l’Arc de Triomphe Turf France 1-Oct ParisLongchamp Qatar Prix Jean-Luc Lagardere Juvenile Turf France 1-Oct ParisLongchamp Qatar Prix Marcel Boussac Juvenile Fillies Turf France 21-Oct Ascot QIPCO Champion Stakes Turf United Kingdom 21-Oct Ascot Queen Elizabeth II Stakes (Sponsored by QIPCO) Mile United Kingdom
2023 EUROPEAN BREEDERS’ CUP CHALLENGE RACES

CONTRIBUTORS

Editorial Director/Publisher

Giles Anderson

Sub-Editor

Jana Cavalier

Design/Production

Damian Browning

Advert Production

Lauren Godfray

Circulation/Website

Lauren Godfray

Advertising Sales

Giles Anderson

Cover Photograph

Equuis Photography / Jason Bax

Trainer magazine is published by Anderson & Co Publishing Ltd.

This magazine is distributed for free to all ETF members. Editorial views expressed are not necessarily those of the ETF. Additional copies can be purchased for £8.95 (ex P&P). No part of this publication may be reproduced in any format without the prior written permission of the publisher.

Printed in the European Union

For all editorial and advertising queries please contact: Anderson & Co. Publishing

Tel: +44 (0) 1380 816777

Fax: +44 (0) 1380 816778 email: info@trainermagazine.com

www.trainermagazine.com

Issue 82

Katherine Ford was born in Yorkshire where she was raised with ponies, hunting and point-topointing. After completing a degree in languages and the BHA Graduate Development programme, she moved to France for a season with the International Racing Bureau’s Paris office. Three years later she joined French racing channel Equidia’s international department which took her on travels to racecourses from Brazil to Japan, California to Cape Town. She now splits her time between Equidia, Sky Sports Racing’s French coverage and freelance writing and translating, and dreams of future successes for the progeny of her two broodmares

James Gibbons MVB PhD DipECVM is a EBVS-recognised specialist in veterinary microbiology and head of the microbiology unit at the Irish Equine Centre. He qualified as a veterinary surgeon from University College Dublin in 2000 and spent a number of years in mixed practice in Ireland, the UK and New Zealand. In 2007, he returned to UCD to complete a PhD in veterinary microbiology in the area of antimicrobial resistance. Subsequently, he taught veterinary microbiology and public health in the University of Edinburgh and UCD. He joined the Irish Equine Centre in 2018 and was awarded diplomate status by the European College of Veterinary Microbiology in 2021.

Adam Jackson MRCVS is a partner at Dunsford & Jackson, a modern independent equine vet clinic based in the South Downs National Park, serving West Sussex, Hampshire and Surrey. Initially, he started work in a mixed practice in Hampshire but because of his strong affinity towards horses, he began to focus on equine veterinary medicine and surgery. In 2004, Adam became an equine ambulatory veterinary surgeon and later completed his master’s degree at the Royal Dick studying the epidemiology of notifiable equine infectious diseases. He was soon involved with care and treatment of horses that attended both the Rio and Tokyo Olympic and Paralympic Games.

Paull Khan, PhD is an international horse racing consultant. He is a member of the Executive Council of the International Federation of Horseracing Authorities (the global peak body for thoroughbred racing) and secretary-general of the European and Mediterranean Horseracing Federation. His other clients include the British Horseracing Board. Previously, Dr Khan held many senior roles at Weatherbys, including banking director and racing director.

Lissa Oliver lives in Co. Kildare, Ireland and is a regular contributor to The Irish Field and the Australian magazine, Racetrack. Lissa is also the author of several collections of short stories and two novels.

Andy Richardson graduated from Bristol Vet School in 2006, prior to working in equine clinics in Dubai, New Zealand and the UK. His main interest is in thoroughbred practice, particularly in the field of breeding and nutrition. He is the veterinary director at NAF, which he combines with part time work in clinical practice. Andy regularly attends bloodstock sales on behalf of clients and is a member of the Goffs UK veterinary team. Bloodstock is a hobby as well as work and he is currently involved in the ownership of three thoroughbred mares.

Rachel Tucker is a board-certified equine surgeon and RCVS specialist in equine surgery, working at Liphook Equine Hospital in the south of England. She has a particular interest in poor performance, neck dysfunction and CT imaging, alongside a general surgery caseload. Liphook Equine Hospital offers a full orthopaedic and neurology diagnostic service, along with CT imaging and full surgical service to manage neck conditions in the horse.

Ian Wright MA VetMB DEO Dipl. ECVS Hon.FRCVS is a surgeon at Newmarket Equine Hospital, holding the RCVS diploma in equine orthopaedics and is a diplomate of the European College of Veterinary Surgeons. Publishing over 70 peer reviewed papers in equine surgery and orthopaedics, he is co-author of the 3rd and 4th editions of Diagnostic and Surgical Arthroscopy in the Horse and editor of Fractures in the Horse. Awards include the Equine Veterinary Journal clinical prize, the open award and an Honorary Fellowship of the Royal College of Veterinary Surgeons in recognition of his contribution to equine surgery. Recently he co-designed and developed the racecourse fracture support equipment supplied to all British racecourses.

04 TRAINERMAGAZINE.COM ISSUE 82

£4.1 MILLION PRIZE MONEY

ENTRIES CLOSE 12PM

TUESDAY 8 AUGUST

Racecourse Istanbul International Racing Festival

2 / 3 September 2023 - Veliefendi

CLOSING DATE FOR ENTRIES IS WEDNESDAY, AUGUST 2ND [BY 17.00 LOCAL TIME].

CONFIRMATION OF ENTRY

Before Wednesday, 16 August 2023 (by 17:00, local time)

SUPPLEMENTARY STAGE FOR THE CONFIRMATION OF ENTRY / DECLARATION / SUPPLEMENTARY STAGE FOR ENTRY

Before Monday, 28 August 2023 (by 17:00, local time)

JOCKEY DECLARATION

Before Wednesday, 30 August 2023 (by 17:00, local time)

*If the Confirmation of Entry or the Supplementary Stage for the Confirmation of Entry is not made, the horse can not run.

*Please note that the above International Races are now open to geldings, with the exception of the Istanbul Trophy (Fillies and Mares only).

VACCINATION REQUIREMENT

In order to race or accommodate in Jockey Club of Türkiye’s racetracks; vaccinations against equine herpesvirus, equine influenzavirus and west nile virus are mandatory in Türkiye. Please contact asvhmud@tjk.org / iad@tjk.org for further information about vaccination procedures.

TRANSPORT SUBSIDY FOR INTERNATIONAL RACES

18.000 $ shall be paid for round-trip, per horse arriving from the continents of America (North and South), Oceania, Africa and Far East countries.

12.000 € shall be paid for round trip, per horse arriving from Europe and United Arab Emirates.

*Transportation subsidy is valid for horses coming from Part I countries in the International Cataloguing Standards Book. Jockey Club of Türkiye (TJC) will provide additional transportation subsidy, equal to %50 of the amounts stated above, for the progeny of the stallions owned by TJC.

September 2, Saturday

France Galop - FRBC

Anatolia Trophy G2

For 3 years old and upwards

Thoroughbreds. 2000 meters on the Synthetic Track

₺ 1.496.250 PURSE

₺ 855.000 to the winner

Istanbul Trophy G3

For 3 years old and upwards

Thoroughbreds fillies & mares only. 1600 meters on the Turf ₺ 2.450.000 PURSE

₺ 1.400.000 to the winner

IFAHR Trophy Condition 9

3 years old and upwards WAHO registered domestic and foreign Purebred Arabians which at least four generations of parents identified as of 2011 backwards can participate in this race. 2100 meters on the Synthetic Track

₺ 477.750 PURSE

₺ 273.000 to the winner

September 3, Sunday

Bosphorus Cup G2

For 3 years old and upwards

Thoroughbreds.

2400 meters on the Turf

₺ 4.690.000 PURSE

₺ 2.680.000 to the winner

Topkapı Trophy G3

For 3 years old and upwards

Thoroughbreds.

1600 meters on the Turf

₺ 4.690.000 PURSE

₺ 2.680.000 to the winner

Malazgirt Trophy G3

3 years old and upwards WAHO registered domestic and foreign Purebred Arabians which at least four generations of parents identified as of 2011 backwards can participate in this race. 1600 meters on the Turf

₺ 708.750 PURSE

₺ 405.000 to the winner

Trakya [Thrace] Trophy G3

For 2 years old Thoroughbreds. 1200 meters on the Turf

₺ 983.500 PURSE

₺ 562.000 to the winner

www.tjk.org
Mr. Ramazan COSKUNDENIZ Chief, Foreign Affairs and R&D of Racing Dept. +90 212 414 6745 racing@tjk.org / iad@tjk.org JOCKEY CLUB OF TÜRKİYE

Feed Balancers and Quality Horse Feeds

TOPSPEC TRAINER OF THE QUARTER

CHRISTOPHER HEAD

The TopSpec Trainer of the Quarter award has been won by Christopher Head. Head and his team will receive £1,000 worth of TopSpec feed, supplements and additives as well as a consultation with one of their senior nutritionists.

This issue’s TopSpec Trainer of the Quarter boasts a quite unique fact – he is the third member of his family to claim the honour! Had our magazine been running longer, he could easily have been a fifth-family winner, but Christopher Head is unique in his own right and a worthy recipient, having sent out his first Classic winner Blue Rose Cen in May and backed that up in June with her win in the Prix de Diane, in only his fifth full season as a trainer.

“The plan was laid out last year in a very intelligent manner and it has been a case of executing it,” said Head. “We have the good fortune that she is a filly who is

ready every time we ask her, but the fact that she always shows up in these good races proves it is a good plan.”

Head is now based at the former yard of his father Freddy, having previously rented some boxes at Chantilly when first taking out his licence at the end of 2018. The move bodes well, with some Classic magic already rubbing off on the new inmate. It is far from a case of a “silver spoon”, Head starting out with just a handful of horses, but nevertheless sending out his first Group winner last year, Sibila Spain, and champion twoyear-old Blue Rose Cen, successfully nurturing her into a champion three-

year-old. Add Prix du Jockey Club runner-up Big Rock into the mix, with promise still to come and it’s clear Head is a young trainer going places.

As well as the ability to draw upon vast family experience, and 12 years spent working with his father during a golden era, Head brings new innovations to his training methods, using the latest datacollection technology. Strapped to the girth, a box records stride pattern, speed and cardiovascular activity, which Head finds useful in assessing individual horses, alongside traditional training methods.

The combination of experience and technology has certainly paid off this

08 TRAINERMAGAZINE.COM ISSUE 82
®
WORDS: LISSA OLIVER PHOTOGRAPHY: ALAMY, GALOPPFOTO.DE

season, Blue Rose Cen currently unbeaten since winning the Gp.3 Prix de la Grotte, comfortably stepping up in trip to 2000m and now heading to the Gp.1 Nassau Stakes to take on her elders.

Big Rock, too, maintained a run of four wins this season, rising up from handicap ranks when rated 94, to starting favourite for the Prix du Jockey Club and finding only Ace Impact too good for him. His next target is the Prix du Haras de Fresnay-le-Buffard Jacques le Marois and potentially the Queen Elizabeth II Stakes on Qipco Champions Day.

As to his star filly, Head said, “I’m excited about the programme and we will try her over 2400m because we need to know if she’s capable of showing that turn of foot over the longer distance of the Arc. She’ll be entered in the Vermeille and after that we’ll decide whether to go for the Opera or to supplement her into the Arc.”

Feed Balancers and Quality Horse

To date, Head has won 19 races, including two Classics, with just 24 horses, a strike-rate that speaks for itself. It could prove to be a monumental season for Head, despite being a year filled with family loss and sadness.

• Muscle development and function

• Performance, stamina and recovery

• Healthy blood

• Healthy bone

• Efficient energy metabolism

• Healthy digestive system

• Healthy immune system

• Efficient digestion and utilisation

• Hoof, skin and coat quality

09 ISSUE 82 TRAINERMAGAZINE.COM
®
Multiple Award Winner for ‘Excellence in Nutritional Advice and Customer Service’ ® CREATED WITHOUT COMPROMISE by experienced equine nutritionists Contact Katy Mickle on 07879 658910 Tel: 01845 565 030 or (062) 85401 (Ireland) www.topspec.com
Feed Balancer
Feeds
TopSpec Racing
LEFT: Aurelien Lemaitre and Blue Rose Cen celebrate after winning the Prix de Diane at Chantilly Racecourse, June 18, 2023. ABOVE: Blue Rose Cen, jockey Aurelien Lemaitre and trainer Christopher Head (right) after winning the 2022 Prix Marcel Boussac at Longchamp.
10 TRAINERMAGAZINE.COM ISSUE 82

I’m a bit choked up; this horse means the absolute world to me…” Amy Murphy was close to tears at Auteuil in March as she welcomed stable stalwart Kalashnikov back into the Winners’ Enclosure with Jack Quinlan aboard. It was a first success in almost four years for the ten-year-old, although the intervening months had seen the popular gelding performing creditably at Graded level in campaigns interrupted by injury. Connections pocketed €26,680 for the winners’ share of the €58,000 conditions hurdle; but the satisfaction far surpassed the prize money.

“An awful lot of blood, sweat and tears have gone into getting him back, but don’t get me wrong: if at any point we thought that he wasn’t still at the top of his game, we’d have stopped because he doesn’t owe us anything.” Runnerup in the Supreme Novices’ Hurdle at the 2018 Festival and a Grade 1 winner at Aintree the following season, Kalashnikov put Amy Murphy—with her refreshing enthusiasm and undeniable horsemanship—on the map from the start of their respective careers.

“He is very much a people’s horse. He was campaigned from the early days at the highest level, and he had some real good battles as a young horse; and I think that those types of horses that don’t go down without a fight, people lock onto them and follow them.”

From veterans to juveniles

While the achievement of keeping a ten-year-old on form and identifying a winnable race at Auteuil for his French debut is considerable, the success was all the more notable as it came just three days after Myconian had earned connections €15,000 for victory in the Prix du Début at Saint-Cloud—the first juvenile contest of the Parisian season. It is rare to find a trainer with success at both ends of the age spectrum, in two different disciplines, but when you add in the fact that Amy Murphy had crossed the Channel to complete this unusual double, it demonstrates a laudable versatility.

11 ISSUE 82 TRAINERMAGAZINE.COM
WORDS: KATHERINE FORD PHOTOGRAPHY: GERRY WEATHERHEAD, EQUUIS PHOTOGRAPHY / JASON BAX, GALOPPFOTO.DE Amy and husband, Lemos de Souza with Manhattan Jungle.

“We try and work with everything we get sent. We’re in a fortunate position where we’ve got the best of both worlds with lots of lovely young horses; but Kalashnikov, Mercian Prince and some of the old brigade have been with us since we started. I started training six years ago, and they were two of the first horses in my yard so they’ve been a big part of my career and still are.”

Twelve-year-old Mercian Prince has racked up a total of 13 wins for Amy since arriving in her fledgling yard from France in 2016, with three of these coming in the past 12 months and including one in Clairefontaine last summer. As with Kalashnikov, patience has reaped rewards with this veteran.

“Mercian Prince is very tricky to train at home—he has a mind of his own, and everything’s got to be on his terms. We do lots of different things with him. He will go three or four times during the year to the beach at Holkham, which is about an hour down the road. It keeps him mentally active. I’m a big believer in freshening them up. I like to string a couple of races together and then give them a week or ten days out in the field at the farm—things like that. It’s fine if you’ve got two-year-olds and it’s a short-term game; but with older horses that you know are going to stick around, you’ve got to keep them fresh.”

From pony-mad to Newmarket’s youngest trainer

Ambitious and determined, Amy Murphy spent her childhood on her father’s Wychnor Park Stud in Staffordshire. “My dad bred National Hunt horses as a hobby. I always had ponies and hunted and showjumped until I was about 16; then I started riding out for local trainers and got bitten by the racing bug. I spent all of my weekends and holidays riding out for as many people as would let me in. My dad wouldn’t let me leave school without any qualifications, so I went to Hartpury College and did a diploma in equine science. The day after that finished, I was in a racing yard.”

12 TRAINERMAGAZINE.COM ISSUE 82
Beach fun at Holkham.
| AMY MURPHY |
The now retired Kalashnikov with Jack Quinlan on their way to winning the 2019 Gr. 1 Devenish Manifesto Novices’ Chase at Aintree.
RACE-PRO CUBES >> REDUCED STARCH >> HIGH ENERGY >> SUPER PALATABLE new Baileys Horse Feeds Mark Buchan Tel: +44 (0) 7711 701 565 mark@baileyshorsefeeds.co.uk Will Humphreys Tel: +44 (0) 7731 997 580 will@baileyshorsefeeds.co.uk Head Office Tel: +44 (0)1371 850 247 info@baileyshorsefeeds.co.uk MADE IN OUR OWN UK MILL Everything you want in a feed - the right control but with the right energy. It’s a winning formula!

After a stint with Nicky Henderson, Amy’s now-characteristic adventurous spirit led her to Australia and an educational season with Gai Waterhouse. “Australia was where I learnt more about spelling horses. Their horses will only have three or four runs together and their seasons are split up so they can campaign them with breaks in between the different carnivals. Gai is obviously brilliant with her two-yearolds and does lots of stalls work with them, and that was another important thing I learnt with her.”

On returning to the UK, Amy joined Tom Dascombe as pupil assistant at Michael Owen’s Manor House in Cheshire, which opened the doors to France for the first time, overseeing his satellite base in Deauville during a summer. Her racing education was completed with four years at Luca Cumani’s stable in Newmarket before setting out on her own in 2016, at age 24—the youngest trainer in Newmarket.

“One of the biggest things I learnt from Luca was making sure a horse is ready before you run. As you become a more mature trainer, you relax more into it; you learn that patience pays off. If you think something needs a bit more time or something’s not quite right, then nine times out of ten, you need to be patient.”

Patience is a virtue

Amy Murphy may have learnt patience with her horses, but she is impatient with a system that she has had to seek and find alternative campaigns for her horses due to low prize money in the UK. “As William Haggas said to me the other day, I’ve got off my rear end and done something about the situation.” She continues, “It’s very hard to make it pay in England, sadly, so it’s either sit here and struggle or do something outside the box.”

Amy’s first Stakes success came in France in just her second season training, thanks to £14,000 breeze-up purchase Happy Odyssey, winner of a juvenile Listed contest at MaisonsLaffitte and who quickly added more profit by selling for €300,000 at Arqana’s Arc Sale just days later. “From very early on, we’ve targeted France. To start with, it was just the black-type horses; but once I got to know the programme a bit better, we started to bring a few of the others across too.”

The “we” referred to includes Amy’s husband, former Brazilian champion apprentice Lemos de Souza, whom she met when working for Luca Cumani and who now plays a vital role at Amy’s Southgate Stables. “He’s a very good rider and a very good judge of a horse, and is a great asset to have with the two-year-olds. It’s nice having someone to work with and bounce ideas off. He has travelled all over the world—Dubai, Japan, Hong Kong—for Luca Cumani with all of his good horses.”

14 TRAINERMAGAZINE.COM ISSUE 82
| AMY MURPHY |
ABOVE: Amy with Pride Of America & Lemos with Miss Cantik.
Race programme & closing dates FOR FURTHER INFORMATION PLEASE CONTACT: Adrian Beaumont, International Racing Bureau adrian@irbracing.com | +44 1638 668881 or +44 7808 903158 Race | date Distance Race value Closing date for entries Bahrain International Trophy (Group 2) Friday 17th November 2023 2000m 10f $1,000,000 Thursday 5th October 2023 BAHRAIN TURF SERIES RACES: Stabling nominations close on Thursday 26th October 2023 Race | date Distance Race value Conditions Al Manama Cup Friday 8th December 2023 1000m 5f (straight) $80,000 84-100 3Y+ Al Muharraq Cup Friday 8th December 2023 2000m 10f $80,000 84-100 3Y+ Al Riffa Cup Friday 29th December 2023 1200m 6f (straight) $80,000 80-100 3Y+ Al Dana Cup Friday 29th December 2023 2000m 10f $80,000 80-100 3Y+ Al Wasmiya Cup Friday 12th January 2024 1000m 5f (straight) $80,000 Conditions Race 4Y+ Al Adiyat Cup Friday 12th January 2024 1800m 9f $80,000 Conditions Race 4Y+ Hawar Cup Friday 2nd February 2024 1200m 6f (straight) $80,000 80-100 4Y+ Anchorman Cup Friday 2nd February 2024 1800m 9f $80,000 80-100 4Y+ Al Sakhir Cup Friday 16th February 2024 1200m 6f (straight) $80,000 80-100 4Y+ Vision 2030 Cup Friday 16th February 2024 2000m 10f $80,000 80-100 4Y+ CONNECTIONS OF EACH HORSE WILL RECEIVE A $15,000 EXPENSES VOUCHER bahrainturfclub.com 2023/24 SEASON

French flair

Last year, the pair widened their horizons further with the decision to take out a provisional licence in France, renting a yard from trainer Myriam Bollack-Badel in Lamorlaye. “We were going into the complete unknown. My travelling head girl Jade Joyce was based out there along with another girl; and we basically sent out twelve horses on the first day and between them, they had a fantastic three months. The two-year-olds were where our forte lay and what we tried to take advantage of, whereas we had never had horses run in handicaps in France. So, we had to get the older horses handicapped, and the system is completely different. There were plenty of administrative errors early on, as my secretary Cat Elliott was doing everything from in Newmarket; so there were plenty of teething problems and plenty of pens being thrown across the office… For example, I didn’t know you couldn’t run a two-year-old twice in five days, so I tried to declare one twice in five days … little things like that. It was all a learning process, like going back to square one again.”

16 TRAINERMAGAZINE.COM ISSUE 82
| AMY MURPHY |
Amy with racing secretary, Cat Elliott. Tenrai & Jade Joyce. Rowley Mile’s avenue of trees.

WIN €10,000 BUY IRISH

The IRE Incentive Scheme awards €10,000 bonuses to owners of Irish-breds.

To spend on Irish-breds at Irish sales. Over €2.5m already awarded

Over 200 races per year

Over €10m in sales generated

www.itm.ie/IRE_Incentive

Flat & National Hunt supported

The operation was declared a resounding success, with eight wins and 15 placed runners during the three-month period, amassing a hefty share of the €276,927 earned by the stable during 2022 in France. Among the success stories, juvenile filly Manhattan Jungle was snapped up by Eclipse Thoroughbred Partners after two wins at Chantilly and Lyon Parilly and was later to take Murphy and team to Royal Ascot, the Prix Morny and the Breeders’ Cup. Meanwhile, another juvenile filly, Havana Angel, earned black type in the Gp.3 Prix du Bois, entered Arqana’s Summer Sale as a wild-card and changed hands for €320,000. The sole regret is that France Galop only allows trainers one chance with the provisional licence. “We tried to apply again this year but sadly got turned down. Moving over full time is not out of the question in the future.”

Vive la difference

During her stint at Lamorlaye, Amy had the chance to observe some of the French professionals; and although she stresses, “I wasn’t up at Chantilly so didn’t get to see the likes of André Fabre…,” she also notes, “The gallops men would be very surprised by how quick our two-year-olds would be going regularly. The French seem to work at a slower pace, whereas we are more short and sharp; and we use the turf as much as we can. We would work our two-year-olds in a last piece of work with older horses to make sure that they know their job.”

Impressed by the jumps schooling facilities in Lamorlaye, Amy was also complimentary about other aspects of the training centre. “I like the way that you can get the stalls men that work in the afternoon to come and put your two-year-olds through in the morning. That’s all very beneficial to both the horse and to the handlers because they know each other. Another big thing which I love over in France is that when the turf is too quick, they water it so that you can still train on it in the mornings, even at the height of the summer.”

Even without the provisional licence, Amy Murphy’s name is still a familiar sight on French racecards. At the time of writing in late May, her stable has earned €117,446 in prize money and owners’ premiums in 2023, from 18 runners of which four have won and eight placed.

18 TRAINERMAGAZINE.COM ISSUE 82
| AMY MURPHY |
LEFT: Manhattan Jungle before the 2022 Breeders’ Cup Juvenile Fillies Turf. The Amy Murphy Racing Team.

CATCH A THIRD WIND

TWYDIL® X

Product to meet the specific needs of horses making peak efforts. It helps to support the respiratory system, its capillaries and participates to a good adaptation and recovery. It also contributes to the drainage of the body.

• Unique antidoping control: each batch is officially certified by the LCH (after controls on finished product, urine and blood of a horse having received three times the recommended quantity).

• Declared content guaranteed until expiry date.

is

PAVESCO AG

Head O f fice

CH-4051 Basel

Swit zer land

Tel. +41 61 272 23 72

PAVESCO U.K. LTD.

116, High Road

Needham, Harleston, Norfolk IP20 9LG

Tel. 01379-85 28 85

www.twydil.com
e-mail: info@twydil.com
used by most of the successful professionals in the world.

To reduce travel costs, organisation is key. “I had a filly that ran well in a €50,000 maiden at Chantilly recently, and she travelled over with a filly that ran and won at Saint-Cloud three days later. They were based at Chantilly racecourse for the week and moved across to Saint-Cloud on the morning of the race and then came home together on Friday night. It takes a bit more logistics but financially it makes sense to send two together.” As for the owners, they have made no complaints about seeing their horses race further afield. “Plenty of my owners have been over to France; they love it. I haven’t had one person say they don’t want to go to France yet, anyway!”

Defending an industry

Closer to home, a subject dear to Amy’s heart is horse welfare and the image of racing. On her social media accounts, she promotes the cause and has invited the public to visit her stable to see for themselves the care that racehorses are given. “I’ve had a couple of contacts but nowhere near as many as I’d like. As an industry, we have to show that this image that so many people have of racing is just not true. The only way we can do that is by getting people behind the scenes and letting them see just how well these animals are loved and cared for by all of the girls and guys in the yards. Events like the Newmarket Open Day, when we get thousands of people in to visit the years, are the kind of thing that we need to keep pushing. I want to be in this sport for a long time, so I want to do anything I can to help promote it.”

With advocates like Amy and a generation of motivated young trainers, the sport of horse racing can count on some highly professional, hard-working and modern ambassadors, in the UK, France and beyond.

SEE JUST HOW WELL THESE ANIMALS ARE LOVED AND CARED FOR BY ALL OF THE GIRLS AND GUYS IN THE YARDS.”

20 TRAINERMAGAZINE.COM ISSUE 82
| AMY MURPHY |
AS AN INDUSTRY, WE HAVE TO SHOW THAT THIS IMAGE THAT SO MANY PEOPLE HAVE OF RACING IS JUST NOT TRUE. THE ONLY WAY WE CAN DO THAT IS BY GETTING PEOPLE BEHIND THE SCENES AND LETTING THEM
Laura Gregory & Tonyx. Amy with Pride Of America.

EXPERIENCE THE 150 TH KENTUCKY DERBY

COLONIAL DOWNS includes a beautiful 180ft (54.84m) wide turf course that stretches to 1 1/8 miles, located in New Kent, Virginia

COLONIAL DOWNS STAKES SCHEDULE

August 12, 2023

$500,000

3 Year Olds One Mile (Turf) Nominations close July 21

August 12, 2023

$1,000,000

3 Year Olds and Upward

One Mile and One Quarter (Turf) Nominations close July 21

August 12, 2023

$500,000

Fillies

3 Year Olds and Upward One Mile and Three Sixteenths (Turf) Nominations close July 21

September 9, 2023

$500,000

3 Year Olds

One Mile and One Eighth (Turf) Nominations close August 25

To nominate or request additional information, email Frank Hopf at Frank.Hopf@colonialdowns.com

SCAN TO LEARN MORE OR VISIT DERBY150.COM
THE ARLINGTON MILLION Grade 1 THE BEVERLY D. Grade 1 & Mares THE SECRETARIAT Grade 2 THE NEW KENT COUNTRY VIRGINIA DERBY Grade 3

TRAIN RACE

22 TRAINERMAGAZINE.COM ISSUE 82 WORDS: DR ANDY RICHARDSON BVSC CERTAVP(ESM) MRCVS | NUTRITION |

RECOVER REPEAT

HOW TARGETED NUTRITION CAN SUPPORT THE RECOVERY PROCESS TO OPTIMISE PERFORMANCE

23 ISSUE 82 TRAINERMAGAZINE.COM
PHOTOGRAPHY: GALOPPFOTO.DE, NAF EQUINE, ADOBE STOCK, PAM MACKENZIE PHOTOS, LAURA PALAZZOLO / BLUEGRASS EQUINE PHOTOGRAPHY

Horses evolved as herd-living herbivores with a digestive tract designed to cope with a near continuous dietary input of forage in the form of a wide range of plant species. A large hindgut acts as a fermentation vessel where gut microbiota (predominantly a mix of bacteria, protozoa and fungi) exist in harmony with the horse in order to digest the fibre rich plant material.

Fibre is important to the horse for several reasons. The digestion of fibre releases energy and other key nutrients to the horse. Fibre also acts to provide bulk in the digestive tract, thus helping maintain the passage of faecal material through the system. Fibre also acts like a sponge to absorb water in the gut for release when required.

As horses became domesticated and used for work or sporting purposes, more energy-dense feeds in the form of cereal grains were introduced to their diet, as simple forage did not provide for all the caloric requirements. Cereal grains are rich in starch, which is an energy-dense form of nutrition. However, too much starch can cause problems to a digestive tract that remains designed for a pasture-based diet. The issues that can be caused by the trend away from a solely pasture-based diet can be digestive, behavioural or clinical.

Nonetheless, the combination of forage and cereal-based concentrates remains the mainstay approach for the majority of horses in training today, in order to maximise performance. A great deal of research and expertise are utilised by the major feed companies to ensure that modern racehorse concentrate feeds provide adequate provision of the major nutrients required and minimise unwanted effects of starch in the diet.

This article aims to discuss some scenarios where targeted or supplemented nutrition can act to help overcome some of the nutritional challenges faced by the modern horse in training, as they “Train, Race, Recover and Repeat.”

Equine Gastric Ulceration Syndrome (EGUS)

EGUS occurrence in racehorses is well documented, with prevalence shown to be over 80% in horses in training (Vatistas 1999). With a volume of approximately 2–4 gallons (7.53–15 litres), the stomach in horses is relatively small compared to their overall size due to its functional role in accommodating trickle feeding that occurs during their natural grazing behaviour.

As a horse chews, it produces saliva, which is a natural buffer for stomach acid. When the horse goes for a period of time without chewing, the production of saliva ceases, and stomach acid is not as effectively neutralised. The lower half of the stomach is better protected from acid due to its more resistant glandular surface. The upper, or squamous, region does not have such good protection, however, and this can be a problem during exercise when acid will physically splash upwards, potentially leading to gastric ulceration.

24 TRAINERMAGAZINE.COM ISSUE 82
| NUTRITION |
| TRAIN, RACE, RECOVER, REPEAT |
Cereal grains are rich in starch, which is an energy-dense form of nutrition.

Sizes available: 1.2kg, 1L, 5L and 3 x 30ml syringes.

VETERINARY SUPPORT naf-equine.eu/uk Contact NAF using our FREE Nutritional Advice Line call 0800 373 106 or email info@naf-uk.om g  t y  h  S   th  Vty Stgth Sppt Ftd t b cptt SF wth  wthdw t
NEW

In practice, this can presentrepresent a challenge for horses in training. Typically, they will be fed a concentrate-based feed in the early morning that stimulates a large influx of acid in order to help digest the starch. This may be followed by a period without adlib access to hay, thus reducing the amount of saliva subsequently produced to act as a buffer. When the horse is subsequently worked, there is a risk of acid damaging the upper squamous region of the stomach. There is some evidence to suggest that the provision of hay in advance of exercise may act like a sponge for the acid, as well as helping form a fibrous matt to minimise upward splash.

Gastric ulceration can go undetected in horses in training and may not lead to any obvious clinical signs. In other horses, it can lead to colic, poor appetite, dull coat and behavioural changes. In both scenarios, it is likely that the ulceration will have an impact on their performance, with decreased stride length, reduced stamina and inability to relax at speed all being possible consequences (Nieto 2009). Gastric ulceration can therefore have a significant impact on the ability of a horse to perform optimally day in day out in a training environment. This is exacerbated when ulceration leads to a reduction in appetite, with the obvious downside of a reduction in calorie intake leading to condition loss and further drop in performance.

This is an area where targeted nutrition has been clinically proven to play an important role. Ingredients such as pectin,

lecithin, magnesium hydroxide, live yeast, calcium carbonate, zinc and liquorice have all been studied as having beneficial effects on gastric ulceration (Berger 2002, Loftin 2012, Sykes 2013). It is likely that a combination of the active ingredients will be most efficacious, with benefits noted when the supplement is added to the feed ration to help neutralise acid and form a gellike protective coating on the stomach surface.

The daily administration of a targeted gastric supplement can be an important part of daily nutrition of the horse in training, alongside the use of pharmaceuticals such as omeprazole or esomeprazole when required.

Sweat loss

Horses have one of the highest rates of sweat loss of any animal, with sweat being comprised of both water and electrolyte ions such as sodium, potassium, chloride, magnesium and calcium. Therefore, it is not surprising that horses in training are at risk of unwanted issues should sweat loss not be replaced.

It is also worth noting that transportation can also lead to excessive sweat loss, with studies showing sweat rates of 5 litres per hour of travel on a warm day (van den berg 1998).

If the electrolytes lost in sweat are not adequately replaced, a drop in performance can result, as well as clinical issues such as thumps, dehydration and colic.

26 TRAINERMAGAZINE.COM ISSUE 82
| NUTRITION | | TRAIN, RACE, RECOVER, REPEAT |
There is some evidence to suggest that the provision of hay in advance of exercise may act like a sponge for stoamch acid.

Success From the Inside Out

“SUCCEED is a fantastic product that has helped my horses maintain condition throughout the season. The results speak for themselves.”

Support total gut health with SUCCEED® once a day, every day.

SUCCEED offers a natural approach to the ongoing management of digestive health in athletic horses. Optimal digestion contributes to better appetite, nutrition, body condition, willingness, and overall ability to perform. When horses are comfortable and healthy inside, they are focused and able to perform to full potential on the outside. Get your horses at their best with SUCCEED.

CONTACT SANDRA HUGHES at +353 (0) 873781739

For information, product trial eligibility, and how to buy. succeed-equine.co.uk/race

SAFFRON BEACH

Winning the 2022 Royal Ascot Duke of Cambridge Stakes

SUCCEED is a registered trademark and Digestive Conditioning Program™ is a trademark of Freedom Health LLC. © 2023. All Rights Reserved.
Jane Chapple-Hyam, Trainer

Horses without adequate electrolyte levels are at risk of early onset fatigue that may result in reduced stamina.

Electrolytes play key roles in the contraction of muscle fibres and transmission of nerve impulses. Horses without adequate electrolyte levels are at risk of early onset fatigue that may result in reduced stamina. It is also worth noting that horses that train on furosemide will have higher levels of key electrolyte losses, so will require targeted support to help maintain performance levels (Pagan 2014).

There is also evidence to suggest that pre-loading of electrolytes may be beneficial (Waller 2022). For horses in daily work, the addition of electrolytes to the evening feed will not only replace losses but also help optimise levels for the following day’s travel or race. The benefit of providing electrolytes with feed is that it will minimise the risk of the electrolyte salts irritating the stomach lining, which can occur if given immediately after exercise on an empty stomach. Feeding electrolytes when the horse is relaxed back in the stable will also allow them to drink freely, with the added benefit that electrolytes will stimulate the thirst reflex when they are relaxed, ensuring they are adequately hydrated for the following day.

Products should be chosen on the basis of adequate key electrolyte provision as not all products will provide meaningful levels of all the key electrolyte ions.

Muscle soreness

The process of muscle breakdown and repair is a normal adaptive response to training. This process can lead to inflammation and soreness or stiffness after exercise. In humans, there is a wellrecognised condition called Delayed Onset Muscle Soreness (DOMS). Further research is required to fully understand the impact of DOMS in horses. DOMS is the muscular pain that develops 24–72 hours after a period of intense exercise. There is no pain felt by the muscles at the time of exercise, in contrast to a ‘torn muscle’ or ‘tying-up’ for example.

In humans, DOMS is thought to be the result of tiny microscopic fractures in muscle cells. This happens when doing an activity that the muscles are not used to doing or have done it in a more strenuous way than they are used to.

The muscles quickly adapt to being able to handle new activities, thus avoiding further damage in the future; this is known as the “repeated-bout effect”. When this happens, the micro-fractures will not typically develop unless the activity has changed in some substantial way. As a general rule, as long as the change to the exercise is under what is normally done, DOMS are not experienced as a result of the activity. In practice, avoiding any post-exercise muscle soreness in a training programme may be unavoidable, as exercise intensity and duration increases. Horses are far from being machines, so there is a fine balance between a programme that gets a horse fit for purpose without some post-exercise muscle discomfort. Physiotherapy, swimming and turnout will all likely benefit horses experiencing muscle discomfort. Whilst non-steroidal anti-inflammatories will always have their place for horses in training, one area of advancement is the use of plant-based phytochemicals to support the antiinflammatory response (Pekacar 2021).

28 TRAINERMAGAZINE.COM ISSUE 82
| NUTRITION | | TRAIN, RACE, RECOVER, REPEAT |
Muscles quickly adapt to being able to handle new activities, thus avoiding further damage in the future.
THE POWER OF OXYGEN EMPOWER YOUR AMBITION CAVALOR BRONCHIX PULMO. FOR PULMONARY SUPPORT AND INCREASED ELASTICITY DURING EXERTION race.cavalor.com Opens airways and supports capillary elasticity and resilience Maximizes oxygen uptake for optimum performance Safe to use during the entire racing

These may have the benefit of not leading to unwanted gastrointestinal side effects and not having prolonged withdrawal times, although this should always be checked with any supplement particularly with the recent update regarding MSM on the BHA prohibited substance list.

Exercise will also lead to a process of muscle cell damage caused by oxidative stress. This is an inflammatory process and recovery from oxidative stress is key to allow for muscle cell repair and growth. Antioxidants are compounds that help recovery and repair of muscle cells following periods of intense exercise. The process of oxidative stress in muscle cells can lead to muscle fatigue and inflammation if left unsupported. Antioxidant supplementation in the form of Vitamin E or plant-based compounds can help protect against excessive oxidative stress and support muscle repair after exercise (Siciliano 1997).

Conclusion

Nutritional management of horses in training is a complex topic, not least as every horse is an individual and so often needs feeding accordingly. Whilst there is a lot of science available on the subject, the ‘art of feeding’ a racehorse— something that trainers and their staff often have in-depth knowledge of—remains an incredibly important aspect. Targeted nutritional supplements undoubtedly have their place, as discussed in, but not limited to, the scenarios above.

Veterinarians, physiotherapists, other paraprofessionals and nutritionists all play a role in minimising health issues and maximising performance. In the quest for optimal performance on the track, nutritional support is one of the cornerstones of the ‘marginal gains’ theory that has long been adopted in elite human athletes. There is no doubt that racehorses themselves are supreme athletes that live by the mantra of Train, Race, Recover, and Repeat.

References:

Berger, S. et al (2002). The effect of acid protection in therapy of peptic ulcer in trotting horses in active training. Pferdeheilkunde 27 (1), 26-30,

• Loftin, P. et al (2012). Evaluating replacement of supplemental inorganic minerals with Zinpro Performance Minerals on prevention of gastric ulcers in horses. J.Vet. Int. Med. 26, 737-738

• McCutcheon, L.J. and geor R.J. (1996). Sweat fluid and ion losses in horses during training and competition in cool vs. hot ambient conditions: implications for ion supplementation. Equine Veterinary Journal 28, Issue S22.

• Nieto, J.E. et al (2009). Effect of gastric ulceration on physiologic responses to exercise in horses. Am. J. Vet. Res.70, 787-795.

Pagan, J.D. et al (2014). Furosemide administration affects mineral excretion in exercised Thoroughbreds. In: Proc. International Conference on Equine Exercise Physiology S46:4.

• Pekacar, S. et al (2021). Anti-Inflammatory and Analgesic Effects of Rosehip in Inflammatory Musculoskeletal Disorders and Its Active Molecules. Curr Mol Pharmacol. 14(5), 731-745.

• Rivero, J.-L.L. et al (2007). ‘Effects of intensity and duration of exercise on muscular responses to training of thoroughbred racehorses’. Journal of Applied Physiology 102(5), 1871–1882.

• Siciliano, P.D. et al (1997). Effect of dietary vitamin E supplementation on the integrity of skeletal muscle in exercised horses. J Anim Sci.75(6), 1553-60.

• Sykes, B. et al (2013). Efficacy of a combination of a unique, pectin-lecithin complex, live yeast, and magnesium hydroxide in the prevention of EGUS and faecal acidosis in thoroughbred racehorses: A randomised, blinded, placebocontrolled clinical trial. Equine Veterinary Journal, 45, 16.

• van den Berg, J. et al (1998). Water and electrolyte intake and output in conditioned Thoroughbred horses transported by road. Equine Vet J. 30(4), 316-23.

Vatistas, N.J. et al (1999) Cross-sectional study of gastric ulcers of the squamous mucosa in thoroughbred racehorses. Equine Vet J Suppl. 29, 34–39.

• Waller, A.P., and M.I. Lindinger. (2022). Tracing acid-base variables in exercising horses: Effects of pre-loading oral electrolytes. Animals (Basel) 13(1), 73.

30 TRAINERMAGAZINE.COM ISSUE 82
| NUTRITION |
31 TRAINERMAGAZINE.COM D I L U T E I N W A T E R O R M I X I N T O F E E D PLUSVITAL COM ' P L U S V I T A L E L E C T R O L Y T E P L U S I S A G O O D B A L A N C E D E L E C T R O L Y T E T H A T M Y H O R S E S H A P P I L Y E A T . T H E Y R E C O V E R W E L L F R O M R A C E S O R H A R D E X E R C I S E , K E E P I N G T H E M I N G O O D F O R M A L L S E A S O N ' Gavin Cromwell, Royal Ascot Winning Trainer
32 TRAINERMAGAZINE.COM ISSUE 82 | VETERINARY |

Exertional heat illness (EHI) is a complex disease where thoroughbred racehorses are at significant risk due to the fact that their workload is intensive in combination with the high rate of heat production associated with its metabolism. In order to understand how this disease manifests and to develop preventative measures and treatments, it is important to understand thermoregulation in horses.

What is thermoregulation?

With continuous alteration in the surrounding temperature, thermoregulation allows the horse to maintain its body temperature within certain limits. Thermoregulation is part of the greater process of homeostasis, which is a number of selfregulating processes the horse uses to maintain body stability in the face of changing external conditions. Homeostasis and thermoregulation are vital for the horse to maintain its internal environment to ensure its health while disruption of these processes leads to diseases.

The horse’s normal temperature range is 37.5–38.5°C (99–101°F). Hyperthermia is the condition in which the body temperature increases above normal due to heat increasing faster than the body can reduce it. Hypothermia is the opposite condition, where the body temperature decreases below normal levels as the body is losing heat faster than producing it. These conditions are due to the malfunction of thermoregulatory and homeostatic control mechanisms.

Horses are colloquially referred to as warm-blooded mammals— also known as endotherms because they maintain and regulate their core body, and this is opposite ectotherms such as reptiles. The exercising horse converts stored chemical energy into mechanical energy when contracting various muscles in its body. However, this process is relatively inefficient because it loses roughly 80% of energy released from energy stores as heat. The horse must have effective ways to dissipate this generated heat; otherwise, the raised body temperatures may be life threatening.

Transfer of body heat

There are multiple ways heat may be transferred, and this will flow from one area to another by:

• Evaporation: The main way body heat is lost during warm temperatures is through the process of evaporation of water from the horse’s body surface. It is a combination of perspiration, sweating and panting that allows evaporation to occur.

Sweating is an inefficient process because the evaporation rate may exceed the body heat produced by the horse, resulting in the horse becoming covered and dripping sweat. This phenomenon occurs faster with humid weather (high pressure).

Insensible perspiration is the loss of water through the skin, which does not occur as perceivable sweat. Insensible perspiration takes place at an almost constant rate and is the evaporative loss from skin; but unlike sweating, the fluid loss is pure water with no solutes (salts) lost. The horse uses insensible perspiration to cool its body.

It is not common for horses to pant in order to dissipate heat; however, there is evidence that the respiratory tract of the horse can aid in evaporative heat loss through panting.

• Conduction: Conduction is the process where heat is transferred from a hot object to a colder object, and in the case of the horse, this heat transfer is between its body and the air. However, the air has poor thermal conductivity, meaning that conduction plays a small role in thermoregulation of the horse. Conduction may help if the horse is lying in a cool area or is bathed in cool water.

The horse has the greatest temperature changes occurring at its extremities, such as its distal limbs and head. The horse can alter its blood flow by constricting or dilating its blood vessels in order to prevent heat loss or overheating, respectively.

Interestingly, the horse will lie down and draw its limbs close to its body in order to reduce its surface area and to control conduction. There also have been some adaptive changes in other equids like mules and burros, where shorter limbs, longer ears and leaner bodies increase its surface area to help in heat loss tolerance.

33 ISSUE 82 TRAINERMAGAZINE.COM | THERMOREGULATION |
WORDS: ADAM JACKSON, MRCVS PHOTOGRAPHY: LAURA PALAZZOLO / BLUEGRASS EQUINE PHOTOGRAPHY, GALOPPFOTO.DE, DAVID BETTS PHOTOGRAPHY

• Convection: Convection is the rising motion of warmer areas of a liquid or gas and the sinking motion of cooler areas of the liquid or gas. Convection is continuously taking place between the surface of the body and the surrounding air. Free convection at the skin surface causes heat loss if the temperature is low with additional forced convective heat transfer with wind blowing across the body surface.

When faced with cold weather, a thick hair coat insulates and resists heat transfer because it traps air close to the skin; thus, preventing heat loss. Whereas, the horse has a fine hair coat in the summer to help in heat loss.

• Radiation: Radiation is the movement of heat between objects without direct physical contact. Solar radiation is received from the sun and can be significant in hot environments, especially if the horse is exposed for long periods of time. A horse standing in bright sunlight can absorb a large amount of solar radiation that can exceed its metabolic heat production, which may cause heat stress.

How the horse regulates its body temperature

The horse must regulate its heat production and heat loss using thermoregulatory mechanisms. There are many peripheral thermoreceptors that detect changes in temperature, which leads to the production of proportional nerve impulses. These thermoregulators are located in the skin skeletal muscles, the abdomen, the spinal cord and the midbrain with the hypothalamus being instrumental in regulating the internal temperature of the horse. A coordinating centre in the central nervous system receives these nerve incoming impulses and produces output signals to organs that will alter the body temperature by acting to reduce heat loss or eliminate accumulated heat.

The racehorse and thermoregulation

The main source of body heat accumulation in the racehorse is associated with muscular contraction. At the initiation of exercise, the racehorse’s metabolic heat production, arising from muscle contraction, increases abruptly. The heat production does alter the level of intensity of the work as well as the type of exercise undertaken.

During exercise, the core body temperature increases because heat is generated and the horse’s blood system distributes this heat throughout the body. Hodgson and colleagues have theorised and confirmed via treadmill studies that the racehorse has the highest rate of heat production compared to other sporting horses. In fact, the racehorse’s body temperature can rise 0.8°C per minute, reaching 42°C. But what core temperature can the horse tolerate and not succumb to heat illness and mortality? The critical temperature for EHI (exertional heat illness) is not known, but studies have demonstrated that a racehorse can be found to have core temperatures between 42–43°C without any clinical symptoms. Currently, anecdotal evidence is only available, suggesting that a core temperature of 43.5°C will result in manifestation of EHI with the horse demonstrating central nervous system dysfunction such as ataxia (incoordination). In addition, temperatures greater than 44°C result in collapse.

Heat loss in horses

A horse loses heat to the environment by a combination of convection, evaporation and radiation, which is magnified during racing due to airflow across the body. However, if body heat gained through racing is not minimised by convection, then the racehorse’s body temperature is regulated entirely by evaporation of sweat. This evaporation takes place on the horse’s skin surface and respiratory tract.

34 TRAINERMAGAZINE.COM ISSUE 82
| VETERINARY |
A HORSE STANDING IN BRIGHT SUNLIGHT CAN ABSORB A LARGE AMOUNT OF SOLAR RADIATION THAT CAN EXCEED ITS METABOLIC HEAT PRODUCTION, WHICH MAY CAUSE HEAT STRESS.

The horse has highly effective sweat glands found in both haired and hairless skin, which produces sweat rates that are highest in the animal kingdom. Efficient evaporative cooling is present in the horse because its sweat has a protein called latherin, which acts as a wetting agent (surfactant); this allows the sweat to move from its skin to the hair.

Because of the horse’s highly blood-rich mucosa of its upper respiratory tract, the horse has a very efficient and effective heat exchange system. Estimates suggest this pathway dissipates 30% of generated heat by the horse during exercise. As the horse exercises, there is blood vessel dilation, which increases blood flow to the mucosa that allows more heat to be dissipated to the environment. When the respiratory tract maximises evaporative heat loss, the horse begins to pant. Panting is a respiratory rate greater than 120 breaths per minute with the presence of dilated nostrils; and the horse adopts a rocking motion. However, if humidity is high, the ability to evaporate heat via the respiratory route and skin surface is impaired. The respiratory evaporative heat loss allows the cooling of venous blood that drains from the face and scalp. This blood may be up to 3°C cooler than the core body temperature of 42°C. And as it enters the central circulatory system, it can significantly have a whole-body cooling effect. This system is likely an underestimated and significant means to cool the horse.

Pathophysiology of EHI in the thoroughbred

Although it is inconsistent to determine what temperature may lead to exertional heat illness (EHI), it is known that strenuous exercise, especially during heat stress conditions leads to this disease. In human medicine, this disease is recognised when nervous system dysfunction becomes apparent. There are two suggested pathways that lead to EHI, which may work independently or in combination depending on the environmental factors that are present during racing/training.

• Heat toxicity pathway: Heat is known to detrimentally affect cells by denaturing proteins leading to irreversible damage. In general, heat causes damage to cells of the vascular system leading to widespread intravascular coagulation (blood clot formation), pathologically observed as micro thrombi (miniature blood clots) deposits in the kidneys, heart, lungs and liver. Ultimately, this leads to damaged organs and their failure.

Heat tissue damage depends on the degree of heat as well as the exposure time to this heat. Mammalian tissue has a level of thermal damage at 240 minutes at 42°C, 60 minutes at 43°C, 30 minutes at 44°C or 15 minutes at 45°C. This heat damage must be borne in mind following a race requiring suitable and appropriate cooling methods, otherwise inadequate cooling may lead to extended periods of thermal damage causing disease.

The traditional viewpoint is that EHI is caused by strenuous exercise in extreme heat and/or humidity. However, recent studies have revealed that environmental conditions may only cause 43% of EHI cases, thus, suggesting that other factors are involved.

• Heat sepsis pathway: In some instances. a horse suffering from EHI may present with symptoms and clinical signs similar to sepsis like that seen in an acute bacterial infection.

A bacterial infection leading to sepsis causes an extreme body response and a life threatening medical emergency. Sepsis triggers a chain reaction throughout the body particularly affecting the lungs, urinary tract, skin and gastrointestinal tract. Strenuous exercise in combination with adverse environmental conditions may lead to sepsis without the presence of a bacterial infection— also known as an endotoxemic pathway—causing poor oxygen supply to the mucosal gastrointestinal barrier. Ultimately, the integrity of the gastrointestinal tract is compromised, allowing endotoxins to enter the blood system and resulting in exerciseinduced gastrointestinal syndrome (EIGS).

However, researchers have observed that EHI in racehorses is unpredictable as EHI may develop in horses following exercise despite “safe” environmental conditions. Even with adequate cooling and resuscitative therapies, tissue damage that occurs demonstrates that thermoregulatory and inflammatory pathways may vary, and hyperthermia may be the trigger but may not necessarily be driving the condition.

35 ISSUE 82 TRAINERMAGAZINE.COM
| THERMOREGULATION |

Diagnosis of EHI

The diagnosis of EHI is based on the malfunctioning of the central nervous system.

Initially, hyperthermia reduces the blood flow to the cerebrum of the brain, leading to a decrease of oxygen to that area—also known as ischemia. As a result, the clinical signs are:

• Extreme restlessness

• Confusion

• Substantial headache

If this hyperthermia continues, then the blood-brain barrier (an immunological barrier between circulating blood that may contain microorganisms like bacteria and viruses to the central nervous system) begins to leak plasma proteins, resulting in cerebral oedema (build up of fluid causing affected organ to become swollen). If treatment is not initiated at this point, then neuronal injury will result especially in the cerebellum. EHI follows and involves serious CNS dysfunction. The clinical signs associated with EHI are:

• Delirium

Horses unaware of their surroundings

The final stage of EHI occurs when the swollen oedematous brain compresses vital tissue causing cellular damage. The clinical signs of end-stage EHI are:

• Collapse

• Coma

Definition of EHI

• Unconsciousness

• Death

EHI most commonly occurs immediately after a race when the horse is panting, sweating profusely and may be dripping with sweat. The most reliable indication of EHI is clinical signs associated with the dysfunction of the central nervous system in the presence of hyperthermia. Researchers have provided descriptions of levels of CNS dysfunction, ranging from level 1 to level 4.

• Level 1: The earliest recognizable signs of CNS dysfunction

The horse becomes restless, agitated and irritable. There is often head nodding or head shaking. The horse is difficult to restrain and will not stand still. Therapeutic intervention such as cooling can resolve these clinical signs, but if the horse is inadequately cooled then the disease can escalate.

• Level 2: Obvious neurological dysfunction

Often misdiagnosed as colic symptoms, the horse becomes further agitated and irritable with the horse kicking out without any particular stimulus present. This stage is dangerous to all handlers involved as the horse’s behaviour is unpredictable.

• Level 3: Bizarre neurological signs

At this stage, the horse has an altered mentation appearing vacant, glassy-eyed and “spaced-out”. In addition, there is extreme disorientation with a head tilt and leaning to one side with varying levels of ataxia (wobbly). It has been observed that horses may walk forward, stop, rear and throw themselves backwards. It is a very dangerous stage, as horses are known to run at fences, obstacles and people. Horses may also present as having a hind limb lameness appearing as a fractured leg with hopping on the good limb. These clinical signs may resolve with treatment intervention.

• Level 4: Severe CNS dysfunction

There is severe CNS dysfunction at this stage of EHI with extreme ataxia, disorientation and lack of unawareness of its surroundings. The horse will continuously stagger and repeatedly fall down and get up while possibly colliding with people or objects with a plunging action. Unsurprising, the horse is at risk of severe and significant injury. Eventual collapse with the loss of consciousness and even death may arise.

Treatment of EHI

In order to achieve success in the treatment of EHI, it is imperative that there is early detection, rapid assessment and aggressive cooling. The shorter the period is between recognising the condition and treatment, the greater the chance of a successful outcome. In particular settings such as racecourses or on particularly hot and humid days, events must be properly equipped with easily accessible veterinary care and cooling devices. It is highly effective if a trained worker inspects every horse in order to identify those horses at risk or exhibiting symptoms.

If EHI is recognised, veterinary intervention will be paramount in the recovery to prevent further illness and suppress symptoms. It will be important to note any withdrawal periods of any nonsteroidal anti-inflammatories (NSAIDs) and analgesics before returning to racing. There are a number of effective ways to cool the horse with easily accessible resources.

Whole body cooling systems

Cooling the horse with ice-cold water is an effective way to draw heat from the underlying tissues. In addition, cooling the skin redistributes cooled blood back to the central circulatory system thus reducing thermal strain with the cooling of core body temperature.

The system that works best for horses due to its size is spray cooling heat transfer. It is ideal to have two operators to spray either side of the horse. It is recommended to begin at the head and neck followed by the chest and forelimbs then the body, hind limbs and between the legs. Spray nozzles are recommended to provide an even coverage of the skin surface.

Dousing is another technique in which horses are placed in stalls and showered continuously until the condition resolves. Pouring buckets over the entire body of the horse is not recommended as most of the water falls to the ground, thus, not efficient at cooling the horse.

36 TRAINERMAGAZINE.COM ISSUE 82
| VETERINARY | | THERMOREGULATION |

Care for your horse from the inside out with the digestive health benefits of NUTRI-GARD

Nutri-Gard is a scientifically advanced supplement to support stomach and hindgut health. Containing 12 active ingredients, including prebiotics, postbiotics, and B-vitamins, it is designed to support the entire digestive tract.

Postbiotics are new, innovative additive that have been proven to improve the robustness of gut microbiome in stress-challenged horses; postbiotics help to maintain healthy gut function even when horses are exposed to high stress environments.

Also features:

• Prebiotics

• B-vitamins

• Pectin

• L-Threonine

• DL-Methionine

• Oat fibre

SCAN

QR CODE

TO FIND OUT MORE

CONTACT OUR SPECIALIST THOROUGHBRED TEAM:

UK: Adam Johnson T: +44 7860 771063

Ire: Lorraine Fradl T: +353 87 2575398

Email: info@foranequine.com

www.foranequine.com

EQUINE SUPPLEMENTS & HEALTHCARE
#OURSCIENCEYOURSUCCESS

Because most horses suffer from EHI immediately after the race, the appropriate location for inspection, cooling systems and veterinary care should be in the dismounting yard and tie-up stalls. There must be an adequate supply of ice to ensure ice-cold water treatment. When treating a horse with EHI, there must be continuous and uninterrupted cooling until the CNS dysfunction has disappeared.

When the skin surface temperature decreases to 30°C, cutaneous skin vessels begin to disappear; CNS function returns to normal, and there is the normalisation of behaviour. Cooling can be stopped, and the horse can be walked once CNS abnormalities have resolved. It must remain closely monitored for a further 30 minutes in a well-ventilated and shaded region. It is important that they are not unattended.

Scraping sweat off of the horse must only be done if the conditions are humid with no airflow. However, if it is hot and there is good airflow, scraping is unnecessary because the sweat will evaporate.

• Cooling collars

During strenuous exercise, there is a combination of heat production in the brain, reduced cerebral blood flow, creating cerebral ischaemia as well as the brain being perfused with hot blood. It is believed that cooling the carotid artery that aids in blood perfusion of the brain might be a strategy to cool the brain. A large collar is placed on either side and around the full length of the horse’s neck and is cooled by crushed ice providing a heat sink around the carotid artery; and it is able to pump cooled blood into the brain.

Another possible benefit of this device is the cooling of the jugular veins, which lie adjacent to the carotid arteries. The cooled blood in the jugular veins enter the heart and is pumped to the rest of the body, hence, potentially cooling the whole body. In addition, it is thought that the cooling of the carotid artery causes it to dilate, allowing greater blood flow into the brain.

• Provision of shaded areas

Shaded areas with surfaces that reflect heat, dry fans providing air flow and strategically placed hoses to provide cool water is an important welfare initiative at racecourses in order to minimise risk of EHI and treat when necessary.

Conclusion

The most effective treatment of EHI is the early detection of the disease as well as post-race infrastructure that allows monitoring of horses in cooling conditions, while providing easily accessible treatment modalities when they are needed.

Evaluating the horse’s central nervous system dysfunction is essential to recognise both the disease as well as monitoring the progression of the disease. CNS dysfunction allows one to define the severity of the condition.

Understanding the pathophysiology of EHI is essential. It is important to recognise that it is a complex condition where both the inflammatory and thermoregulatory pathways work in combination. With a better understanding of these pathways, more effective treatment for this disease may be found.

38 TRAINERMAGAZINE.COM ISSUE 82
| VETERINARY | | THERMOREGULATION |
Multiple Award Winner for ‘Excellence in Nutritional Advice and Customer Service’ ® CREATED WITHOUT COMPROMISE by experienced equine nutritionists Outstanding Results #FedonTopSpec
Tel: 01845 565 030 or (062)85401 (Ireland) www.topspec.com
Midnight Jewel, winning the Handicap Chase at Bangor-on-Dee, trained by Charlie Longsdon, ridden by Lilly Pinchin and owned by Ms G E Morgan.
“Midnight Jewel ran a great race at Bangor-on-Dee. He
thriving off
TopSpec
for
Photograph by Officialphotos
is
his
diet, and the results speak
themselves.” Charlie Longsdon
40 TRAINERMAGAZINE.COM ISSUE 82 | INDUSTRY | WORDS: IAN WRIGHT PHOTOGRAPHY: GALOPPFOTO.DE, SHELLEY POULSON, ECLIPSE SPORTSWIRE, SHUTTERSTOCK, IAN WRIGHT

ASSESSMENT OF HISTORICAL WORLDWIDE

FRACTURE & FATALITY RATES – THEIR IMPLICATIONS FOR THOROUGHBRED RACING’S SOCIAL LICENCE

Racing’s social licence is a major source of debate and is under increasing threat. The principal public concern is that racing exposes horses to significant risk of injury including catastrophic (life-ending) injuries of which fractures are the commonest cause.

41 ISSUE 82 TRAINERMAGAZINE.COM | FRACTURE & FATALITY RATES |

The most recent studies in the UK indicate that fractures account for approximately 75% of racecourse fatalities. Recent events highlight the need for urgent stakeholder discussion, which necessarily will be uncomfortable, in order to create cogent justification for the sport and reliant breeding industry.

A necessary prelude to discussion and debate is an objective assessment of risk. All and any steps to reduce risks and mitigate their impact are important and must be embraced by the horseracing industry (and quite possibly all other horse sports). To begin this, a here and now assessment is important: put simply, does the price paid (risk) justify the benefit (human pleasure, culture, financial gain, employment, tax revenue, etc). Objective data provides perspective for all interested parties and the voting public via their elected representatives, who ultimately provide social licence, with other welfare issues—both human and animal—on which society must pass judgement.

The data in the following tables report a country-by-country survey of fracture and fatality rates reported in scientific journals and documented as injuries/fatalities per starters. It may be argued that little of the data is contemporary; the studies range from the years 1980 to 2013. However, the tabulated data provided is the most up to date that can be sourced from independently published, scrutinised scientific papers with clear—albeit sometimes differing—metric definitions and assessable risk rates.

In assimilating and understanding the information, and in order to make comparisons, some explanatory points are important. The first, and probably the most important, is identification of the metric. Although at first glance, descriptor differences may appear nuanced, what is being recorded massively influences the data.

These include fatality, catastrophic injury, fracture, orthopaedic injury, catastrophic distal limb fracture, fatal musculoskeletal injury, serious musculoskeletal injury, and catastrophic fracture. The influence of the metric in Japanese racing represents the most extreme example of this: ‘fracture’ in the reporting papers included everything from major injuries to fragments (chips) identified after racing in fetlocks and knees, i.e. injuries from which recovery to racing soundness is now an expectation. At the opposite pole, studies in other countries document ‘catastrophic’, i.e. life-ending fractures which have a substantially lower incidence. The spectrum of metric definitions will all produce different injury numbers and must be taken into account when analysing and using the data.

Studies also differ in the methods of data collection that will skew numbers in an undetermined manner. Some only record information available at the racecourse, others by identifying horses that fail to race again within varying time periods, horses requiring hospitalisation following racing, etc. The diagnostic criteria for inclusion of horses also vary between reports: some document officially reported incidents only, some are based only on clinical observations of racecourse veterinary surgeons, while others require radiographic corroboration of injuries.

42 TRAINERMAGAZINE.COM ISSUE 82
| INDUSTRY |
RIGHT & FOLLOWING PAGE: The twelve tables show a country-by-country survey of fracture and fatality rates as reported in scientific journals and documented as injuries/fatalities per starters from 1980 to 2013.
THE MAJORITY OF FRACTURES OCCURRING IN FLAT RACING (AND NON-FALL RELATED FRACTURES IN JUMP RACING) ARE NOW ALSO TREATABLE, ENABLING HORSES TO RETURN TO RACING AND/OR TO HAVE OTHER COMFORTABLE POST-RACING LIVES.”

HISTORICAL DATA OF FRACTURE AND FATALITY RATES IN UK FLAT RACES

HISTORICAL DATA OF

AND FATALITY RATES IN

HISTORICAL DATA OF FRACTURE AND FATALITY RATES IN UK NATIONAL HUNT

HISTORICAL DATA OF

43 ISSUE 82 TRAINERMAGAZINE.COM
RACE LOCATION SURFACE(S) STUDY PERIOD METRIC RATE Flat All courses Turf & AW 1987-1993 Fatality 1 in 1,250 Flat All courses Turf & AW 1990-1999 Fatality 1 in 1,111 Flat All courses Turf 1999-2001 Catastrophic distal limb fracture 1 in 2,657 Flat All courses Turf & AW 2000-2013 Fatality 1 in 1,316 Flat All courses Turf & AW 2000-2013 Bone injury 1 in 1,724 Flat All courses Turf 2000-2013 Distal limb fracture 1 in 1,447 Flat All courses AW 1999-2001 Catastrophic distal limb fracture 1 in 1,398 Flat All courses AW 2000-2013 Fatality 1 in 1,111 Flat All courses AW 2000-2013 Distal limb fracture 1 in 1,054 Flat All courses AW 2000-2013 Fatality from musculoskeletal injury 1 in 1,108
FRACTURE
JUMP RACES RACE LOCATION SURFACE(S) STUDY PERIOD METRIC RATE Hurdle All courses Turf & >> AW 1987-1993 Fatality 1 in 200 Hurdle All courses Turf & >> AW 1990-1999 Fatality 1 in 204 Hurdle All courses Turf & >> AW 1999-2001 Catastrophic distal limb fracture 1 in 1,070 Steeplechase All courses Turf 1987-1993 Fatality 1 in 143 Steeplechase All courses Turf 1990-1999 Fatality 1 in 149 Steeplechase All courses Turf 1999-2001 Catastrophic distal limb fracture 1 in 730
UK
RACES RACE LOCATION SURFACE(S) STUDY PERIOD METRIC RATE NH Flat All courses Turf & >> AW 1987-1993 Fatality 1 in 200 NH Flat All courses Turf & >> AW 1990-1999 Fatality 1 in 263 NH Flat All courses Turf & >> AW 1999-2001 Catastrophic distal limb fracture 1 in 460 NH Flat All courses Turf & >> AW 2000-2013 Fatality 1 in 349 NH Flat All courses Turf & >> AW 2000-2013 Bone injury 1 in 323
FRACTURE
FATALITY
U.S. FLAT RACES RACE LOCATION SURFACE(S) STUDY PERIOD METRIC RATE Flat New York Dirt 1983-1985 Fractures 1 in 470 Flat New York Turf 1983-1985 Fractures 1 in 950 Flat New York Dirt & Turf 1984-2002 Fatality 1 in 541 to 1 in 1,010 Flat California Dirt & Turf 1992 Catastrophic musculoskeletal injury 1 in 588 Flat All of U.S. Dirt, Turf & AW 2009-2014 Fractures 1 in 500 Flat Kentucky Dirt & Turf 1992-1993 Catastrophic musculoskeletal injury 1 in 696 Flat Kentucky Dirt & Turf 1992-1993 Musculoskeletal injury 1 in 303 Flat Florida Turf 1995-1998 Catastrophic musculoskeletal injury 1 in 435 Flat Florida Dirt 1995-1998 Catastrophic musculoskeletal injury 1 in 1111
FLAT
HISTORICAL DATA OF
AND
RATES IN
JUMP RACES RACE LOCATION SURFACE(S) STUDY PERIOD METRIC RATE Hurdle Virginia Turf 1996-2000 Fatality 1 in 325 Timber Virginia Turf 1996-2000 Fatality 1 in 163 | FRACTURE & FATALITY RATES |
FRACTURE AND FATALITY RATES IN U.S.

HISTORICAL DATA OF FRACTURE AND FATALITY RATES IN AUSTRALIAN FLAT RACES

HISTORICAL DATA OF FRACTURE AND FATALITY RATES IN AUSTRALIAN JUMP RACES

HISTORICAL DATA OF FRACTURE AND FATALITY RATES IN SOUTH AFRICAN FLAT RACES

HISTORICAL DATA OF FRACTURE AND FATALITY RATES IN JAPANESE FLAT

HISTORICAL DATA OF FRACTURE AND FATALITY RATES IN HONG KONG FLAT RACES

HISTORICAL DATA OF FRACTURE AND FATALITY RATES IN NEW ZEALAND JUMP RACES

HISTORICAL DATA OF FRACTURE AND FATALITY RATES IN CANADIAN FLAT RACES

44 TRAINERMAGAZINE.COM ISSUE 82
RACE LOCATION SURFACE(S) STUDY PERIOD METRIC RATE Flat Victoria Turf 1986-1993 Fatality 1 in 2,504 Flat Victoria Turf 1986-1993 Fatal fractures 1 in 4,249 Flat Victoria Turf 1988-1995 Fatal musculoskeletal injury 1 in 1,667 Flat Victoria Turf 1989-2004 Fatality 1 in 2,272 Flat Sidney Turf 1985-1995 Fatal musculoskeletal injury 1 in 2,500
RACE LOCATION SURFACE(S) STUDY PERIOD METRIC RATE Hurdle Victoria Turf 1986-1993 Fatality 1 in 173 Steeplechase Victoria Turf 1986-1993 Fatality 1 in 90 Hurdle Victoria Turf 1988 – 1995 Fatal musculoskeletal injury 1 in 159 Steeplechase Victoria Turf 1988-1995 Fatal musculoskeletal injury 1 in 70 Jump Victoria Turf 1989-2004 Fatality 1 in 120
RACE LOCATION SURFACE(S) STUDY PERIOD METRIC RATE Flat Transvaal Turf 1988-1993 Fatal and/or hospitalised injuries 1 in 694 Flat Transvaal Turf 1988-1993 Fractures 1 in 1,263 Flat Gauteng (previously Transvaal) Turf 1998-2004 Catastrophic musculoskeletal injury 1 in 1,887
RACES RACE LOCATION SURFACE(S) STUDY PERIOD METRIC RATE Flat All JRA tracks Turf & Dirt (sand) 1980-2000 Fracture 1 in 66 Flat All JRA tracks Turf & Dirt (sand) 1985-1994 Catastrophic fracture 1 in 313 Flat All JRA tracks Turf & Dirt (sand) 1987-2000 Fracture 1 in 55
RACE LOCATION SURFACE(S) STUDY PERIOD METRIC RATE Flat Happy Valley and Sha Tin Turf & AW 2004-2011 Catastrophic fracture 1 in 1,667 Flat Happy Valley and Sha Tin Turf & AW 2004-2011 Non catastrophic fracture 1 in 455
RACE LOCATION SURFACE(S) STUDY PERIOD METRIC RATE Steeplechase New Zealand Turf Unknown 7-year period Fatality 1 in 90 Hurdle New Zealand Turf Unknown 7-year period Fatality 1 in 167
RACE LOCATION SURFACE(S) STUDY PERIOD METRIC RATE Flat Fort Erie and Woodbine Dirt & Turf 2004-2005 Catastrophic musculoskeletal injury 1 in 952 | INDUSTRY |

From a UK perspective, the data is quite robust in concluding that risks differ significantly between race types. The majority of fractures that occur in flat racing, and between obstacles in jump racing, are the result of stress or fatigue failure of bone. They are not associated with traumatic events, occur during high speed exercise, are site specific and have repeatable configurations. In large part these result from a horse’s unique athleticism: in the domesticated species, the thoroughbred racehorse represents the pinnacle of flight-based evolution. Fractures that result from falls in jump racing are monotonic—unpredictable, single-event injuries in which large forces are applied to bone(s) in an abnormal direction.

This categorisation is complicated slightly as fatigue failure at one site, which may be bone or supportive soft tissue, can result in abnormal loads and therefore monotonic fracture at another. The increased fracture rate in jump racing is explained in part by cumulative risk. However, it is complicated by euthanasia of horses with injuries that with greater post injury commercial value and/or breeding potential might be treated. Catastrophic

injuries and fatality rates in NH flat races are most logically explained by a combination of the economic skew seen in jump racing and compromise of musculoskeletal adaptation.

Racing surface influences both injury frequency and type. Studies in the UK have consistently documented an increased fatality rate and incidence of lower limb injury on synthetic (all weather) surfaces compared to turf. Although risk differences are clear, confounding issues, such as horse quality and trainer demographic, mean that the surface per se may not be the explanation. In the United States, studies reporting data from the same geographic location have produced mixed results. In New York, these documented greater risks on dirt than turf surfaces; while a California study found no difference, and a study in Florida found a higher risk on turf. A more recent study gathering data from the whole of the U.S. reported an increased risk on dirt surfaces. Variations in the nature of injury between surfaces may go some way toward explaining fatality differences.

Much has been done to reduce recognisable risk factors particularly in jump racing; but in the UK, it is likely (for obvious data supported reasons) that it will come under the greatest scrutiny. The incidence of fractures and fatalities in flat racing are low, and the number of currently identified risk factors are high. Over 300 potential influences have been investigated, and over 50 individual factors demonstrate statistically significant association with increased risk of catastrophic injury.

The majority of fractures occurring in flat racing (and non-fall related fractures in jump racing) are now also treatable, enabling horses to return to racing and/or to have other comfortable postracing lives.

The common public presumption that fractures in horses are inevitably life-ending injuries is a misconception that could readily be remedied. An indeterminate number of horses are euthanised on the basis of economic viability and/or ability to care for horses retired from racing. On this point, persistence with a paternalistic approach is a dangerous tactic in an educated society. Statements that euthanasia is ‘the kindest’ or ‘best’ thing to do, that it is an ‘unavoidable’ consequence of fracture or that only ‘horsemen understand or know what is best’ can be seen as patronising and will not stand public scrutiny.

45 ISSUE 82 TRAINERMAGAZINE.COM
| FRACTURE & FATALITY RATES |
Racing surface influences both injury frequency and type.

At some point, data to distinguish between horses euthanised as a result of genuinely irreparable injuries and those with fractures amenable to repair will become available. Before this point is reached, the consequences require discussion and debate within the racing industry.

Decisions on acceptable policies will have to be made and responsibility taken. In its simplest form, this is a binary decision. Either economic euthanasia of horses, as with agricultural animals, is considered and justified as an acceptable principle by the industry or a mechanism for financing treatment and lifetime care of injured horses who are unlikely to return to economic productivity will have to be identified. The general public understands career-ending injuries in human athletes: These appear, albeit with ongoing development of sophisticated treatments at reducing frequency, in mainstream news.

Death as a direct result of any sporting activity is a difficult concept in any situation and draws headlines. Removal of the treatable but economically non-viable group of injuries from data sets would reduce, albeit by a currently indeterminate number, the frequency of race course fatalities. However, saving horses’ lives whenever possible will not solve the problem: it will simply open an ethical debate viz is it acceptable to save horses that will be lame? In order to preserve life, permanent lameness is considered acceptable in people and is not generally considered inhumane in pets.

Two questions arise immediately: (i) How lame can a horse be in retirement for this to be considered humane? (ii) Who decides? There is unquestionably a spectrum of opinion, all of which is subjective and most of it personal. It will not be an easy debate and is likely to be complicated further by consideration of sentience,

which now is enshrined in UK law (Animal Welfare (Sentience) Act 2022); but it requires honest ownership of principles and an agreed policy.

For the avoidance of doubt, while the focus of this article and welfare groups’ concerns are on racecourse injuries, those sustained in training follow a parallel pathway. These currently escape attention simply by being, for the most part, out of sight and/or publicity seeking glare.

Within racing, there is unquestionably a collective desire to minimise injury rates. Progress has been made predominantly by identification of extrinsic (i.e. not related to the individual horse) risk factors followed by logical amendments. In jump racing (monotonic fractures), obstacle modification, re-siting and changing ground topography are obvious examples of riskreducing measures that have been employed.

In flat racing progress has involved identification of risk factors such as race type and scheduling, surface, numbers of runners, track conditions etc which have guided changes. However, despite substantial research and investment, progress in identification of intrinsic (ie relating to the individual horse) risk factors is slow. While scientifically frustrating, a major reason for this is the low incidence of severe fractures: this dictates that the number of horses (race starters) that need to be studied in order to assess the impact of any intervention is (possibly impractically) high. Nonetheless, scientific justification is necessary to exclude a horse from racing and to withstand subsequent scrutiny.

Review of potential screening techniques to identify horses at increased risk of sustaining a fracture while racing is not within the scope of this article, but to date none are yet able, either individually or in combination, to provide a practical solution

46 TRAINERMAGAZINE.COM ISSUE 82
| INDUSTRY |
RIGHT: Splinting the fractured leg to stabilise the limb. In jump racing, obstacle modification is a risk-reducing measure that has been employed.

and/or sufficiently reliable information to make a short-term impact. It is also important to accept that the risk of horses sustaining fractures in racing can never be eliminated. Mitigation of impact is therefore critical.

When fractures occur, it is imperative that horses are seen to be given the best possible on course care. This may, albeit uncommonly be euthanasia. Much more commonly, horses can be triaged on the course and appropriate support applied before they are moved to the racecourse clinical facility for considered evaluation and discussion. The provision of fracture support equipment to all British racecourses in 2022 marked a substantial step forward in optimising injured horse care.

Neither racing enthusiasts nor fervent objectors are likely to change their opinions. The preservation of social licence will be determined by the open-minded majority who lie between: it is the proverbial ‘man on the street’ who must be convinced. The task of all who appreciate horse racing’s contributions to society and wish to see it continue is to remain focussed on horse welfare, if necessary to adjust historical dogmas, absorb necessary costs and to encourage open, considered, honest (factually correct) risks versus benefits discussion.

47 ISSUE 82 TRAINERMAGAZINE.COM TB12235 EHC Horse Gym Trainer Magazine Half W176mm x H128mm.indd 1 27/06/2023 12:09
| FRACTURE & FATALITY RATES |
ABOVE: Fracture support equipment on hand at all British racecourses in 2022 marked a substantial step forward in optimising injured horse care.

WARSAW FINALLY HOSTS

EMHF GENERAL ASSEMBLY & STEWARDS’ CONFERENCE

48 TRAINERMAGAZINE.COM ISSUE 82 | INDUSTRY |

It’s just possible that the main benefit of the EMHF to its racing administrator members is the social dividend. Many of us have been involved for a dozen years or more, and the bonds that have developed within our network allow easy and unhesitating communication whenever some international issue or other should crop up in our racing lives. This column’s regular reader will know that the EMHF seeks to enrich our members’ education by moving our biannual meetings around the region and combining them with attending the races in the host country. In this issue, following a successful gathering in Poland, we try to convey a little of the flavour of an EMHF General Assembly reunion.

Back in 2019, when we gathered in Oslo and memorably celebrated Norway’s exuberant May 17th National Day celebrations, it was announced that, the following year, we would reconvene in Warsaw. That was not to happen, due to COVID,

and the next two years were Zoom affairs. When the pandemic’s grasp began to ease, the Polish plan was back on the table— only for the conflict in neighbouring Ukraine to put an end to those hopes. Ireland manfully stepped in to host us at The Curragh in 2022; and so, when our party—of 48, from 19 countries—finally descended on the Polish capital on the middle weekend of May, there was a palpable feeling of relief.

By common consent, it was worth the wait.

Following the pattern introduced in Ireland, the event was split across two days. The first afternoon was devoted to all the things that one associates with a General Assembly: financial, membership and administrative matters, together with updates, from each member country present, on the state of racing in their respective nations, as well as from various relevant committees and sister organisations. The hosts also gave a colourful account of the rollercoaster that is the history of racing in their homeland.

49 ISSUE 82 TRAINERMAGAZINE.COM
WORDS: DR PAULL KHAN PHOTOGRAPHY: AGNIESZKA KACPRZYK/POLISH JOCKEY CLUB, MRS M. METZA-JODLOWSKA, FEGENTRI, RACING TO SCHOOL

We were pleased to welcome, once again, representatives of the European Federation of Thoroughbred Breeders’ Associations (EFTBA) and the European and African Stud Book Committee (EASBC). Because the EMHF has long taken the view that we in the equine sector should avoid operating in isolation, and instead benefit from cross-fertilisation of knowledge and ideas, these organisations, together with the European Trotting Union (UET) and European Equestrian Federation (EEF), are standing invitees to our General Assemblies.

After an excellent dinner that evening at the elegant Rozana restaurant in the Konstancin area of the city, our second morning was wider in its scope, and the floor was given to a number of experts who presented on a range of matters of current interest or concern.

Police involvement in French racing

Those who followed the high-profile rape allegations against Pierre Charles Boudot or the arrests of the Rossi trainer brothers might have been struck and intrigued by the closeness of the involvement of the French police. Henri Pouret, EMHF executive council member for France, explained how there is a branch of the national French police force—the Service Centrale Courses et Jeux—dedicated to racing and gaming matters. No licenced

or registered participant in French racing—be they owner, trainer, jockey or breeder—is allowed to participate unless their registration is authorised by the ‘racing police’. Then, once registered, if such an individual becomes subject to judicial proceedings, the racing police may require France Galop, or its trotting equivalent, Le Trot, to withdraw or suspend their licence. This is not just a theoretical power—on no fewer than 25 occasions did they do just this in the course of last year.

It is only for the past three years that doping a racehorse has been a criminal act in France. It seems likely that the racing police will play an ever more central part in the regulation of French racing.

FEGENTRI and the International Pony Racing Championship

With EMHF’s formation last year of the European Pony Racing Association (EPRA) and the launch in 2023 of Fegentri’s Junior Championship, never has there been a more opportune time to explore and develop the relationship between the amateur and professional communities in European racing. It was therefore a pleasure to receive Fegentri’s secretary-general, Charlotte Rinckenbach, to explain the work and relevance of her organisation. Fegentri, the international federation of gentlemen and lady riders, has a history that stretches back to 1955. It is therefore longer established, not only than the EMHF, but also than both the IFHA and the Asian Racing Federation. It organises amateur races around the world, across four main championships, and prides itself on providing a distinct and effective route by which to involve people in our sport from diverse walks of life.

Fegentri Junior is the first international pony racing championship of its kind. It has started in a modest way, with four countries each fielding two young riders, aged between 14 and 16 years. (The competition, which has the full support of the EPRA, is open to those of 12 years and over; but no-one younger than 14 was chosen this year). Their level of experience varies greatly—some have only ridden in a dozen races; others have 150 rides and over 50 winners under their belts. These eight trail-blazing youngsters have the wonderful opportunity of riding competitively in Florence, Bro Park, Chantilly, Livorno and Kincsem Park. And who’s to say that, from amongst them, we will not see a champion of the future?

50 TRAINERMAGAZINE.COM ISSUE 82
| INDUSTRY | | EMHF |
2023 Fegentri Junior Championship competitors. BELOW: French representative, Jad Hondier wins the second stage of the Fegentri Junior Championship, at Bro Park in Sweden.

Visit Sweden?

Visit Sweden?

Sweden is a racing nation on the up.

We have plenty of black type opportunities and larger purses than most people realise. We are not even that far away. Give it a go - before everyone else does.

Sweden is a racing nation on the up.

We have plenty of black type opportunities and larger purses than most people realise. We are not even that far away. Give it a go - before everyone else does.

The Stockholm Cup day at Bro Park in Stockholm on 17 September features four black type races.

The Stockholm Cup day at Bro Park in Stockholm on 17 September features four black type races.

The main race of the day is the Group 3 Stockholm Cup, a 12f turf race which boasts a purse of €120,000.

The main race of the day is the Group 3 Stockholm Cup, a 12f turf race which boasts a purse of €120,000. The Tattersalls Nickes Minneslöpning, a Listed race over a mile on the dirt course, is the perfect European trial for the Breeders’ Cup Dirt Mile.

The Tattersalls Nickes Minneslöpning, a Listed race over a mile on the dirt course, is the perfect European trial for the Breeders’ Cup Dirt Mile.

Contact Svensk Galopp or IRB for information on travel incentives.

Contact Svensk Galopp or IRB for information on travel incentives.

See you in Sweden!

See you in Sweden!

Feature races on 17 September at Bro Park in Stockholm, Sweden

Feature races on 17 September at Bro Park in Stockholm, Sweden Closing on Monday, 7 August

Closing on Monday, 7 August

€120,000 Stockholm Cup International (Gr. 3) 3yo+, 2400 m (Turf)

€120,000 Stockholm Cup International (Gr. 3) 3yo+, 2400 m (Turf)

€56,000 Bro Park Sprint Championship (L) 3yo+, 1200 m (Turf)

€56,000 Bro Park Sprint Championship (L) 3yo+, 1200 m (Turf)

€56,000 Tattersalls Nickes Minneslöpning (L) 3yo+, 1600 m (Dirt)

€56,000 Tattersalls Nickes Minneslöpning (L) 3yo+, 1600 m (Dirt)

€56,000 Lanwades Stud Stakes (L) 3yo+ f&m, 1600 m (Turf)

€56,000 Lanwades Stud Stakes (L) 3yo+ f&m, 1600 m (Turf)

€35,000 Appel Au Maitre Svealandlöpning 2yo, 1400m (Turf)

€35,000 Appel Au Maitre Svealandlöpning 2yo, 1400m (Turf)

SVENSK GALOPP The Swedish Horseracing Authority www.horseracingsweden.com @swehorseracing Dennis Madsen, Head of Racing dennis.madsen@svenskgalopp.se +46 8 466 86 03 Internatonal Racing Bureau Max Pimlott, Trainers’ Services max@irbracing.com +44 79 50 86 19 39
GALOPP The
Horseracing
Dennis Madsen, Head of Racing dennis.madsen@svenskgalopp.se +46 8 466 86
Internatonal Racing Bureau Max Pimlott, Trainers’ Services max@irbracing.com +44 79 50 86 19 39
SVENSK
Swedish
Authority www.horseracingsweden.com @swehorseracing
03

Gene doping and its implications for EMHF members

‘Gene doping is not a rumour anymore’, was the stark opening warning from Dr Kanichi Kusano of the Japan Racing Association, one of the world’s experts in this sphere. He explained that the abuse of genetic therapies is a major threat to racing’s integrity. In the worst-case scenario, the heritable genome of a thoroughbred would be changed through genetic modification at the breeding stage— of the eggs, sperm or embryo. The good news is that, in this race, the ‘good guys’ are up with the pace, and already there are out of competition (OOC) tests for gene doping that are being deployed. Smaller countries, without extensive resources to direct towards research or detection, were advised to prepare by ensuring their rules adequately outlawed the practice and to publicise and start a programme of deterrent sample collection, followed by OOC testing as soon as the leading racing nations offer a suitable commercial service.

The World Pool

Tallulah Wilson, UK Tote Group’s head of international racing, spoke of the burgeoning impact of the World Pool and how EMHF countries could get involved through the World Tote Association (WoTA). World Pool, the Hong Kong-based system for commingling bets placed on key international races, is only four years old; but it has already demonstrated that races selected for inclusion enjoy a startling increase in pool betting turnover.

Higher liquidity attracts the high-rollers and creates a virtuous circle from which the participating racecourses benefit, potentially boosting prize money. However, legislative restrictions in Hong Kong mean that the races included do not number in the thousands, or even hundreds. Just 25 race days, predominantly in Britain and Ireland, will form the 2023 roster. While this number is growing, the prospects of most EMHF member countries

having a race included in the near term are only distant (although fresh ground has been broken this year through the inclusion—as a single race from a different country within a World Pool Day—of the German Derby).

However, Wilson’s message was that ‘everyone is welcome’ within WoTA. Member countries’ Tote operators were encouraged to apply to join, opening up the possibility of their punters being able to bet into the commingled World Pools and earning that pool operator and its racing industry a slice of the take-out.

52 TRAINERMAGAZINE.COM ISSUE 82
Tallulah Wilson, UK Tote Group. John Blake, Racing to School. Tom Versprille, Cavalor.
| INDUSTRY | | EMHF |
Dr Kanichi Kusano (middle), Japan Racing Association. National Racehorse Week
We supply trainers, racecourses and breeders worldwide. Please call Brent Adamson our International Sales Manager on +44 (0) 777 417 8925 to locate your nearest distributor. Find out more at Bedmax shavings are purpose made to help safeguard key aspects of your horses’ health and performance: Respiratory health • Hygiene & biosecurity Hoof health • Rest & recovery bedmaxshavings.com +44 (0) 1668 213467 Helping your horses perform at their best MAKING BEDDING EVEN BETTER By Appointment to Her Majesty The Queen Manufacturer of Horse Bedding Bedmax Limited, Northumberland By Appointment to HRH The Prince of Wales Manufacturer of Horse Bedding Bedmax Limited, Northumberland We are
to hold two Royal Warrants, and we are the first bedding brand to carry the BETA NOPS Bedding badge certifying minimal risk of naturally occurring prohibited substances.
proud

Racing to School and National Racehorse Week

For over 20 years, a British programme has been introducing racing to schoolchildren, presenting aspects of their school curriculum through the lens of a visit to a racecourse, training yard or stud. John Blake, CEO of Racing to School, spoke of 16,000 children who attended such a course last year, instilling in many of them a positive sentiment towards the sport, which may hopefully translate in time into ownership or professional involvement.

The third National Racehorse Week in Britain will take place in September, when racing yards and stud farms will open their doors to welcome members of the public. Over 10,000 took up the offer last year, of whom one-fifth were new to racing.

At a time when our sport’s public image is under increasing pressure, these positive interactions with the public are initiatives which many member countries could look to replicate.

Racing at Sluzewiec

With the business affairs completed, it was off to the races. The approach to Sluzewiec Racecourse is through a proud avenue of mature trees, and the whole expansive site was lush and green.

The stands were indeed grand, completed, with unfortunate timing, in 1939—just before the onset of war. An attractive feature of the main grandstand is a sloping, stepless zigzag by which one ascends and descends from floor to floor. It makes for a photogenic feature—ideal for the fashion catwalks that are sometimes staged there.

The EMHF Cup was run over a mile for unraced three-yearolds worth €3,200. It attracted a field of eight runners. The winner, Soter was one of only two Polish-breds, taking on horses foaled in Great Britain, France, Czech Republic and Ukraine.

The nine-race card was worth a total of €24,000. A mixed programme comprised thoroughbred, trotting and Arab races, from 1300m (6 1/2f) up to 2400m (1 1/2m). No race attracted fewer than seven runners and the largest field was 11. Interestingly, in an apprentice race, for riders who had ridden fewer than 25 winners, the whip was not allowed to be carried, let alone used. Horserace betting is not ingrained in Polish society, and there was little evidence of avid form study, or raucous cheering. However, the crowd’s demographic was a revelation: it was hard to spot a grey hair, with patrons almost exclusively families or young adults. It made for a beguilingly relaxed atmosphere.

Our horizons have been broadened by the experience of witnessing racing in such diverse settings across the EuroMed region as Waregem, (Belgium), La Zarzuela (Madrid, Spain), Kincsem Park (Budapest, Hungary), Casablanca (Morocco), Leopardstown and The Curragh (Ireland), St. Moritz (Switzerland), Bro Park (Sweden), Hamburg (Germany), Marcopoulo (Athens, Greece), Bratislava (Slovakia), Les Landes (Jersey, Channel Islands), Pardubice (Czech Republic), Ovrevoll (Oslo, Norway), Veliefendi, Istanbul and Izmir (Turkey), Cheltenham (Great Britain) and now Warsaw.

Seeing the sport flourish in such varied surroundings brings home the need to do all we can to preserve racing in every country in which it currently takes place. Singapore’s decision to draw the curtain down on horseracing was such dispiriting news. A broad and thriving base to our pyramid enriches us all.

54 TRAINERMAGAZINE.COM ISSUE 82
| INDUSTRY |
Soter (POL) holds off Venom (CZE) to win the 2023 EMHF Cup. Racing to School

First EuroMed Stewards’ Conference

Few things in international racing excite as much comment and criticism as comparing decisions taken by stewards around the world. There is a constant cry for consistency in the rules that apply to the running of a race, in the way stewards interpret both the races and the rules, and in the levels of penalty handed down. Harmonisation of such matters is a real challenge, not least because there is no body in horse racing that sets world rules; each national racing authority sets its own. But that is not to say that substantial efforts are not made constantly to improve things in this area. It is the very raison d’etre of the International Federation of Horseracing Authorities’ (IFHA’s), International Harmonisation of Racing Rules Committee (IHRRC), and is also the subject of much of the discussion at the International Stewards’ Conferences (ISC) that the IFHA has staged, roughly every two years, around the world.

But these meetings must limit the numbers of delegates in attendance, and it is in practice only the major racing nations which benefit from being party to the discussions. For this reason, it was decided to stage a Stewards’ Conference for the EuroMed region and to welcome all EMHF member countries—large and small. This suggestion, proposed by Germany, was picked up with enthusiasm by Britain. Thus, it came to be that the day after the General Assembly, the BHA’s Brant Dunshea chaired the inaugural EuroMed Stewards’ Conference, which attracted a pleasing turnout of 30 delegates from 12 countries.

Joining from Australia via Zoom was Kim Kelly, who has for many years chaired both the IHRRC and ISC; he set the scene and placed this gathering into its global context. There followed a range of presentations, including the following.

Competency-based training programme

The job of the steward is high-profile, highly-charged and perpetually subject to criticism from both the media and the public. The BHA’s Cathy O’Meara described how Britain has recently introduced a competency-based training programme to ensure that its stewarding workforce, along with all raceday teams, is (and remains) up to the job. Through a combination of interactive on-line learning, shadowing, mentoring and more, stewards learn, and are then assessed on, race reading, the rules, enquiry training and report writing. And, once initial competencies are met, the learning journey is not over. All stewards will be required to complete continued professional development, where half of the content relates directly to their roles and half to general industry-related issues such as equine and human welfare. A next step will be to develop a module for the use of those in the industry, such as trainers and the general public. The BHA also has plans to offer to receive stewards from smaller racing nations to assist in their development.

Illegal betting

The EMHF’s equivalent in the Asian and Oceanian region, the Asian Racing Federation (ARF) and, in particular, Hong Kong, is on the front line in a battle against illegal betting. The ARF has established a Council on Anti-Illegal Betting and Related Financial Crime. It’s chair, Martin Purbrick, joined us by video conference.

The stark facts are that illegal betting is growing much more quickly than legal betting and already represents the majority of online betting. Aside from the fact that illegal betting makes no contribution to racing, nor to society at large, through taxation, it is

also intrinsically linked to race-fixing and organised crime. While Asia may be the historic hotbed of this activity, Purbrick cautioned that Asian illegal betting has already expanded into Europe.

Online betting is no respecter of national boundaries, and if we are to be successful in this war, it will require a joined-up, cross-border and multi-agency approach, involving governments, racing authorities, gambling authorities and the police. But we cannot leave it to these organisations alone—it is incumbent upon all of us to be aware of the risks of race manipulation and to whistle-blow if ever we encounter it.

Virtual stewards’ room

This column (EUT 69, April 2020) described a novel system of remote stewarding, witnessed by the author in Johannesburg. It looked forward to a day when this approach—where Stewards are situated at a central location, away from the track, from which they communicate with the principals on-track and view video footage—might be widely adopted, promising more consistent application of the rules and the opportunity for smaller countries to outsource their stewarding function to larger countries.

The Conference heard how this brave new world might just have moved a step closer. The BHA reported on a system first trialled in 2020 and prompted by the COVID outbreak. The pandemic created a situation in which there was a real risk of stewards being unavailable due to a requirement to isolate. In response, assistant stewards began working remotely, through video conferencing from their homes, but initially without access to the full range of views available to the stewards on-course. The BHA then set about developing a hub, away from the racecourse, which offered the full range of race replays. While it was considered there was still the need to have a senior person on the course, the hub provided resilience against absence, allowed stewards to officiate at afternoon and evening meetings on the same day, etc.

The trial has now been rolled out in Britain, such that all assistant stewards have the option to work from home, improving their work/life balance. Around 25 percent of fixtures are covered by the technology, and it is planned to expand this further in the future.

Anti-doping activities

It has long been appreciated that trainers, when racing in different jurisdictions, should, as far as is practicable, be assured of facing similar treatment regarding medication control. To that end, the European Horseracing Scientific Liaison Committee (EHSLC) was set up over 30 years ago and continues to lead on this area of racing administration in our region. The Conference heard how the EHSLC (which is comprised of the chief veterinary officer/antidoping manager from the member countries, representatives of the national laboratories, which carry out regulatory work for those countries, specialist pharmacologists and senior administrators from the racing authorities) has generated a significant amount of data relating to common use medications and has published detection times for many substances. The science underlying these data is rigorous and the subject of considerable review and has often been accepted by the wider global racing community, forming the basis of international screening limits.

Feedback on the inaugural EuroMed Stewards’ Conference has been universally positive, and there is much enthusiasm to make this a regular event, perhaps again being staged alongside our General Assemblies.

55 ISSUE 82 TRAINERMAGAZINE.COM
| EMHF |

EQUINE NECK CT

ADVANCING DIAGNOSTIC PRECISION IN RACEHORSES

56 TRAINERMAGAZINE.COM ISSUE 82 | VETERINARY |
WORDS: RACHEL TUCKER, MRCVS PHOTOGRAPHY: ADOBE STOCK, LIPHOOK EQUINE HOSPITAL

When considering neck disorders in the racehorse, we most commonly think of severe conditions such as acute neck trauma and cervical vertebral myelopathy (Wobbler Syndrome). These represent the most severe end of the scale of orthopaedic and neurologic injury to the neck; and a diagnosis, or at least prognosis, is usually clear. However, neck conditions encompass a far wider range of clinical presentations.

At the milder end of the scale, signs may be subtle and easily missed, whilst still being responsible for discomfort and reduced performance.

The recent ability to perform a computed tomography (CT) scan of a horse’s neck represents a major advancement in our ability to diagnose neck conditions. Timely and accurate diagnosis allows efficient and targeted treatment, the ability to plan schedules and improvement in welfare through the provision of appropriate treatment and earlier return to function. In neurologic cases, an accurate diagnosis facilitates risk management for both the horse, their handlers and riders, while improving safety for all.

As conditions and injuries of the neck are being better characterised using CT, new medical and surgical treatment options are being developed, giving the potential for improved outcomes and fewer losses from the racing industry.

This article summarises how CT is being increasingly used by vets to diagnose conditions of the neck and how it is revealing previously unknown information and providing exciting new treatment opportunities.

Presentation

Conditions of the neck can cause a range of signs in the horse, which are wide-ranging in their presentation and variable in their severity. The manner in which these conditions present depends on which anatomical structures are affected. Issues affecting the bones, joints and/or soft tissues of the neck can all cause neck pain, which can manifest in a number of ways. Cases of neck pain can be severe, resulting in a horse with a rigid, fixed neck carriage, an unwillingness to walk and struggling to eat, perhaps due to a traumatic event. Neck fractures are thankfully uncommon but can be catastrophic.

More moderate signs might be displayed as a stiff neck, with reduced range of movement and resentment of ridden work. There may be pain on palpation of the neck and changes in the neck musculature. Increasingly, we are seeing horses with far more subtle signs, which are ultimately revealed to be due to neck pain and neck pathology. Typically,

these horses might have an acceptable range of motion of their neck under most circumstances, but they suffer pain or restriction in certain scenarios, resulting in poor performance. This may be seen as tension through the neck, resisting rein contact, a reluctance to extend the neck over fences, or they may struggle on landing.

Riders might report a feeling of restriction or asymmetry in the mobility of the neck. In addition, these horses may be prone to forelimb tripping or show subtle forelimb lameness.

Any condition, which causes injury or disease to the spinal cord or nerves within the neck, also causes a specific range of neurologic signs. Compression of the spinal cord is most commonly caused by malformations or fractures of the cervical vertebrae, or enlargement of the adjacent articular process (facet) joints. This results in classic ‘Wobbler’ symptoms, which can range from subtle weakness and gait abnormalities, through to horses that are profoundly weak, ataxic and uncoordinated. This makes them prone to tripping, falling, or they may even become recumbent.

57 ISSUE 82 TRAINERMAGAZINE.COM
| THE EQUINE NECK |
BELOW: Adaptation of a human CT scanner to allow imaging of the horse’s neck.

Peripheral nerve deficits are uncommon but become most relevant if they affect the nerves supplying the forelimbs, which can result in tripping, forelimb lameness, or local sensory deficits. This lameness might be evident only in certain circumstances, such as when ridden in a rein contact. This lameness is difficult to pinpoint as there will be no abnormality to find in the lame limb, indeed a negative response to nerve and joint blocks (diagnostic analgesia) will usually be part of the diagnostic process.

Horses can present with varying combinations and severities of neck pain, neurologic signs and peripheral nerve deficits, creating a wide range of manifestations of neck related disease.

Diagnosis

A diagnosis of neck pain is based on careful static and dynamic clinical examination and may be supported by seeing a positive response to treatment. Neurologic deficits are noted during a specific neurologic assessment, which includes a series of provocation tests such as asking a horse to walk over obstacles, back up, turn circles and walk up and down a hill. Confirming neck pathology as the cause of signs can be difficult. Until recently, radiography has been the mainstay imaging modality. Radiographs are useful for assessment of the cervical vertebrae and continue to play an important role in diagnosis; however the complex 3-dimensional shape of these bones, the large size of the neck and an inability to take orthogonal (right-angled) x-ray views means that this 2-dimensional imaging modality has significant limitations. High quality, well-positioned images are essential to maximise the diagnostic potential of radiographs.

A turning point in our diagnostic ability and understanding of neck dysfunction has been the recent adaptation of human CT scanners to allow imaging of the horse’s neck. A number of equine hospitals across the United Kingdom and Northern Europe now offer this imaging modality. We have been providing this service at Liphook Equine Hospital since 2017, with over 150 neck scans performed to date.

The CT procedure

A computed tomography (CT) scan combines a series of x-ray images taken from different angles around the area of interest to create a 3-dimensional volume of imaging data. This data is presented as a grayscale image which can be viewed in any plane and orientation. It provides excellent bone detail, and post processing techniques can provide information on soft tissue structures too. Additional techniques can be employed such as positive contrast myelography to provide greater detail about soft tissue structures. Myelography delineates the spinal cord using contrast medium injected into the subarachnoid space and is indicated in any case showing neurologic signs suggestive of spinal cord compression.

Neck CT is performed under a short general anaesthetic. Scans without myelography typically take less than 20 minutes to complete. The entire neck is imaged, from the poll to the first thoracic vertebra. The procedure is non-invasive and low risk, with anaesthetic-related complication presenting the main risk factor to the procedure. We have not encountered any significant complications in our plain CT scan caseload to date. Horses showing ataxia, weakness and incoordination (Wobbler’s), undergo CT myelography which adds around 20 minutes to the procedure. These horses are exposed to a greater level of risk due to their neurologic condition, the injection of a contrast agent and the increased chance of destabilising a more severe lesion during the procedure.

CT is revealing more detailed information about ways that spinal cord compression can occur in Wobbler cases, about compression of spinal nerves resulting in forelimb gait deficits and precise detail about fracture configurations. It gives us detailed images of articular process joint disease, intervertebral disc disease, developmental conditions and anatomic variations. It is also revealing information about rare diseases such as vertebral abscesses or spinal neoplasia. As our caseload and confidence in

58 TRAINERMAGAZINE.COM ISSUE 82
| VETERINARY |
ABOVE: Sagittal and transverse CT myelogram images of a young racing thoroughbred showing neurologic (Wobbler) signs. The left image shows narrowing of the spinal canal at the base of the neck (arrow). Additionally, the right image shows a fracture of the articular process of the 3rd cervical vertebra in the mid neck, which was not visible on x-ray.

the imaging modality grows, we are learning more about the value of CT in examining more subtle neck conditions. We are also bringing the benefit of a more accurate diagnosis, allowing precise targeted treatment and a better ability to provide a prognosis about outcomes—likely progression or safety factors. CT myelography allows circumferential imaging of the spinal canal and yields significantly more information than traditional x-ray myelography. As a result, we hope to enable better case selection of horses that may benefit from Wobbler surgery, with the goal of resulting in improved success rates of the surgery.

Innovations in treatment

New treatment options are emerging as a result of our more accurate diagnoses of neck pathology. Of the first 55 horses which underwent neck CT at our hospital, we were surprised to discover that 13 (24%) had some form of osteochondral fragmentation within the articular process joints of their neck. Some of these horses were young Thoroughbreds, bred to race but showing Wobbler signs. These tended to have convincing CT evidence of type 1 CVM (Wobbler Syndrome) and osteochondrosis affecting their neck. Others had fragments which were larger and more discrete, with evidence of articular process joint enlargement/ arthritis but no other bony lesions. These horses were typically older and of a range of breeds and uses.

In those horses presenting with signs of neck pain but no neurologic deficits, surgical removal of these fragments was proposed. Following further consideration and cadaver training, we have begun to offer this surgery for horses that fit the appropriate criteria and have surgically accessible fragments We have performed arthroscopic or arthroscopic-assisted fragment removal from eight articular process joints in six horses to date.

59 ISSUE 82 TRAINERMAGAZINE.COM
| THE EQUINE NECK |
ABOVE: Transverse and sagittal CT images showing a single bone fragment and arthritis of the C5/6 articular process joints in a 4-year-old horse. The arrow shows narrowing of the foramen which contains the C6 spinal nerve. This nerve contributes to sensory and motor innervation of the forelimb. ABOVE: Transverse and sagittal CT images showing loose bodies of bone/cartilage within the articular process joint between the 5th and 6th cervical vertebrae. These were surgically removed to relieve signs of neck pain in this horse. LEFT: Dorsal CT image of a yearling thoroughbred with an articular process fracture of the left 4th cervical vertebra (arrow).

No intraoperative or postoperative complications have been encountered; and five of six horses showed complete resolution of neck pain. In the sixth horse, full recovery was not anticipated due to the presence of additional neck pathology, but partial improvement occurred for two years Fragment removal has relieved signs of neck pain and stiffness and caused improved performance in these horses.

Two procedures that are emerging to treat spinal nerve root impingement are a targeted peripheral nerve root injection and a keyhole surgical procedure to widen the intervertebral foramen. Nerve root injection is performed in the standing sedated horse under ultrasound guidance. Surgery is performed under anaesthesia, using specialist minimally invasive equipment to widen the bony foramen using a burr. This surgery is in its infancy but offers an exciting treatment option

Additionally, CT gives us the ability to better plan for fracture repair, improves our case selection for Wobbler surgery and more accurately guides intra-articular injection of the articular process joints.

Summary

Computed tomography is transforming our ability to diagnose conditions of the horse’s neck. The procedure is low risk and now widely available in the UK and other parts of Europe. It is driving the innovation of novel treatment options with the goal of improving outcomes and reducing losses to conditions of the neck. Our CT findings are posing new questions about neck function, pain and neurologic disease and is an active area of ongoing research.

References:

• Schulze N., Ehrle, A., Beckmann, I and Lischer, C. (2021) Arthroscopic removal of osteochondral fragments of the cervical articular process joints in three horses. Vet Surg. ;1-9.

• Swagemakers J-H, Van Daele P, Mageed M. Percutaneous full endoscopic foraminotomy for treatment of cervical spinal nerve compression in horses using a uniportal approach: Feasibility study. Equine Vet J. 2023.

• Tucker R, Parker RA, Meredith LE, Hughes TK, Foote AK. Surgical removal of intra-articular loose bodies from the cervical articular process joints in 5 horses. Veterinary Surgery. 2021;1-9.

• Wood AD, Sinovich M, Prutton JSW, Parker RA. Ultrasonographic guidance for perineural injections of the cervical spinal nerves in horses. Veterinary Surgery. 2021; 50:816–822.

ANATOMY OF THE CERVICAL VERTEBRAE

The neck consists of seven cervical vertebrae which form a gentle S-shaped curve to link the skull at the poll to the thoracic vertebrae of the chest. Its primary functions are to protect the spinal cord, support the heavy weight of the head and to allow a large range of movement so that a horse can monitor his environment and run at speed, both being vital to this prey species. The first (atlas) and second (axis) cervical vertebrae are highly adapted to allow head mobility. The third to sixth vertebrae are very similar in shape, whereas the seventh is shortened as it starts to show similar features to the vertebrae of the thorax. The typical cervical vertebra consists of a cylindrical column of bone (vertebral body) articulating with adjacent vertebrae via an intervertebral disc.

Running along the upper surface of this bony column is a bony canal created by the vertebral arch. This canal protects the spinal cord and associated structures that run through the centre. Above and to the side of the spinal canal sit the paired articular processes, and below and to the side sit the transverse processes. These are bony prominences to which muscles attach. The soft tissues of the neck are complex and intrinsically linked to the forelimbs and entire axial skeleton

The articular processes also form the articular process joints (facet joints) which create an additional two joints between each vertebra. Although highly adapted, these joints are similar to others in the body consisting of cartilage-lined surfaces, a joint capsule and joint fluid. The joint surfaces are oval in shape, approximately 3-4cm in diameter and sit at an oblique angle to the neck. They provide important additional support and mobility to the neck.

Cross section through a vertebra (C7).

60 TRAINERMAGAZINE.COM ISSUE 82
| THE EQUINE NECK | | VETERINARY |
Articular process Spinous process – Joint surfaces Transverse process Vertebral canal Vertebral body
The cervical vertebrae of the horse.
fairfaxracing.com
Queen Anne Stakes, Ascot 2022 Qatar Sussex Stakes, Goodwood 2022 Judmonte International Stakes, York 2022
Baaeed, winner of
“I’ve noticed a change in the wellbeing of their backs and their condition since we’ve been using Fairfax”
better backs, better condition …better performance
- William Haggas

While each year we seem to lose many established trainers, often due to financial reasons, the training ranks continue to welcome fresh new faces—many of them particularly young. Those already struggling to make a living might question why, yet a certain amount of optimism is a prerequisite for embarking on any career within the thoroughbred industry.

WHAT DOES IT TAKE TO BECOME A TRAINER?

62 TRAINERMAGAZINE.COM ISSUE 82
| INDUSTRY |

Are the licencing bodies doing enough to equip new trainers for the reality of the career ahead? Is that even a question we should be asking, given that in most other industries an entrepreneur is free to start up a business as they please? What do our governing bodies consider to be the basic requirements necessary to apply for a trainer’s licence?

Deutscher Galopp manages to encapsulate exactly what is needed to consider applying for a trainer’s licence, pointing out the need for an excellent knowledge of racehorses and the world of horseracing; a capacity for management and personnel management; a mastery of professional relations, particularly with owners; a capacity for analysis in order to develop the performance of his or her horses; a technical and strategic sense; and a great geographical mobility.

Indeed, few Germany-based trainers would argue with the latter—smaller yards frequently needing to chase prize money in France due to the dominance at home of the larger stables. Interestingly, the traits of coolness and self-confidence are also listed—food for thought, perhaps.

In Germany, the licensing process doesn’t appear to be as bureaucratic as in Britain, for example, with no minimum age or experience criteria or detail of finances required. Deutscher Galopp has bundled its diverse training offerings and further education programme in its own academy—The Deutscher Galopp Academy—which aims to offer and conduct seminars and further education and training in horse racing for all interested groups, even racegoers.

The prerequisite for working as a professional trainer in Germany is completion of the Horse Management Masters examination in the horse racing training section at the Academy.

63 ISSUE 82 TRAINERMAGAZINE.COM | NEW TRAINERS | WORDS: LISSA OLIVER

The aim of the course is to acquire the necessary knowledge to run a training company independently, to masterfully carry out the work that occurs there, and to properly educate and equip the trainees for the profession of racehorse trainer. “That course can last a year or more, and not everybody is automatically qualified; the government decides who will be able to take part,” explains Rüdiger Schmanns, director of racing.

France also places emphasis on a robust pre-training course, and candidates must have at least two years’ experience in a racing yard. The Ecole des Courses Hippiques (AFASEC) is the benchmark training organisation for all horse racing professions, with five campuses throughout France as close as possible to the largest training centres. New France Galop Rules in relation to applying for the French trainer’s licence are due to come into effect later this year and are therefore included here.

The Trainer’s Course serves for both trotting and racing candidates, but the modules are specific to each specialty. The acquired knowledge is considered essential for starting out as a professional trainer in France. Of the maximum of 14 places, seven are reserved for racing applicants. The France Galop licensing department ultimately decides who qualifies for access to the 175-hour training, which takes place over a five-week period in May and June annually. The course fee is €2,275, and candidates must successfully complete a two-hour pre-selection examination on their horse racing knowledge at least six weeks prior to the course.

64 TRAINERMAGAZINE.COM ISSUE 82
| INDUSTRY | | NEW TRAINERS |
Beach, multiple group winner fed on SPILLERS™
Saffron
given me
over the
It
©Mars, 2023. www.spillers-feeds.com - Jane Chapple-Hyam ◆◆◆◆◆◆◆◆◆◆◆◆◆◆◆◆◆◆◆◆◆◆◆◆◆◆ POWERING YOUR WINNERS
“Spillers has
group success
years.
is the go to feed! It’s highly palatable and the horses always look great on it. Whenever I need advice, the Spillers Nutrition Team are always on hand.”

The bulk of the course is online, with 10 days (70 hours) of inperson classes, including two days of written and oral examinations. The six modules cover accounting and management; hygiene, horse health and equine welfare; social legislation; professional regulation; communication and business development; and human resources, management, awareness of labour law and preventive measures against moral and sexual harassment in the workplace. The candidate must obtain a mark of at least 10 out of 20 in each of these subjects.

Training licence requirements

The British Horseracing Authority (BHA) relies on a very stringent criteria for those who may apply for a training licence, which reflects the similar training provided by AFASEC. Applicants are required to demonstrate competence and capability to train; access to appropriate training facilities; security of tenure for the premises from which they wish to train; a minimum of three horses in training; compliance with relevant health and safety responsibilities; ability to provide full details of their employment status; compliance with all relevant employment responsibilities; ability to appropriate Public Liability Insurance and, where appropriate, Employers’ Liability Insurance; necessary financial resources available; and that they are otherwise in all the circumstances suitable to hold a licence and are deemed ‘fit and proper’.

This means applicants must have a minimum of five years’ experience in a training establishment, including at least two years in a responsible and senior position—preferably as an assistant trainer in a successful racing yard. Alternatively, a

track record as a permit holder with at least three wins with a reasonable spread of horses, or having run a Point-to-Point yard for at least two years and having trained a minimum of 10 Pointto-Point/Hunter Chase wins with a reasonable spread of horses.

Applicants must have attained the Level 3 Diploma in Work Based Racecourse Care and Management (WBD) and successfully completed Modules 1, 2 and 3 of the training programme held at the British Racing School or the National Horseracing College. They must also attend a one-day training seminar for potential trainers at Weatherbys’ offices.

Furthermore, the yard and facilities must pass inspection. If the applicant is to train horses for the Flat, he or she will be expected to have access to gallops of six furlongs, including four furlongs straight, within hacking distance of the stables and facilities for schooling horses through starting stalls. National Hunt trainers must have access to gallops of six furlongs within hacking distance of the stables, at least one plain fence and one open ditch with wings, over which two horses are able to school alongside one another, and at least two flights of hurdles with wings, over which two horses can school alongside, as well as access to ‘nursery facilities’, such as poles.

The BHA takes into account the financial track record of the applicant and assesses the likely financial soundness of the proposed training business. A recognised financial reference must show the applicant to have available working capital or overdraft facilities of at least £40,000. A projected profit and loss account and a cash flow projection of the training business for the first 12 months must be provided.

66 TRAINERMAGAZINE.COM ISSUE 82
| INDUSTRY | | NEW TRAINERS |

Fantastic Moon

Torquator Tasso

August Online-Sale: 18th August 2023

Premier Yearling Sale: 1st September 2023

October Mixed Sales: 13th and 14th October 2023

www.bbag-sales.de
Winner IDEE 154. Deutsches Derby, Gr.1 Gr.1 winner as 3 and 4yo Winner Qatar Prix de l’Arc de Triomphe, Gr.1

To become a trainer in Ireland, applicants must be at least 21 years of age with a minimum of two years’ experience working in a racing yard. Alternatively, the holder of a rider’s licence with an acceptable number of rides for the same period, or a registered Point-to-Point handler with an acceptable number of runners, may also be eligible to apply.

Applicants to the Irish Horseracing Regulatory Board (IHRB) Head of Licensing are required to successfully complete an assessment to establish prior knowledge of the industry in order to qualify for the Pre-Trainer’s Course. The assessment consists of practical, oral, and written elements. The Pre-Trainer’s Course is held twice a year, in spring and autumn, over a three-week period and delivered via a blended approach of sessions online and in-person.

Following successful completion, a stable inspection is then carried out by the IHRB on the proposed training establishment. The stable inspection report and application, together with all relevant documentation, is assessed by the Licensing Committee, who then arranges an interview with the candidate. The Licensing Committee ultimately decides whether a licence is granted. The successful completion of the assessments and Pre-Trainers’ Course does not guarantee the issuing of a licence.

If we look at the smaller racing nations, the reliance on courses for trainers remains much the same. In the Czech Republic, for example, an applicant has to successfully graduate from the specialised course for trainers organised by the Czech Jockey Club. He or she must also have graduated at an apprentice training centre for horse breeding, horse racing or equestrian sport; have a school-leaving certificate from secondary school

and at least 10 years’ experience in a racing yard; graduated from agricultural university or veterinary university and have at least two years’ experience in a racing yard; or graduated from another type of university and have at least five years’ experience. The Trainer’s Course is organised by the Czech Jockey Club every few years when enough requests from interested people warrant it. Karin Luftmanová tells us that it is also quite common to attend a course in Slovakia, and vice versa.

68 TRAINERMAGAZINE.COM ISSUE 82
| NEW TRAINERS | | INDUSTRY |

Interestingly, in Portugal, where the LPTG Professional License Commission is the only entity for issuing a trainer’s licence, applicants must be over 25 years of age and express a wish to try to make the training of racehorses “a permanent and paid activity”. They begin with an obligatory internship, to be completed successfully, with a minimum duration of six months with a foreign trainer, or 12 months with a national trainer. The League’s Professional License Commission is made up of four members of the Board, designated by the racing director of the Technical Commission (CT), who has the ultimate say in granting the licence.

The work and knowledge involved in gaining a trainer’s licence is worth noting. In the general sphere of horse racing, the skills and qualifications of a trainer are not widely known or publicised. The public still tends to think in terms of retiring trainers simply handing over the reins to someone with experience, without considering exactly what that experience entails.

In contrast, media coverage of jockey schools and stable staff apprenticeships are a staple, with those same opportunities commonly going out to schools to encourage school-leavers to embark on a racing career. In the wider world, we think nothing of having to go through various levels of higher education, and the Trainers’ Courses available throughout Europe could be viewed as akin to postgraduate degrees. Should our governing bodies be presenting the professional trainer’s pathway to schools and universities?

Certainly, as the racing world focuses on social licence and presenting itself in a fit way to a growing urban public, no longer in touch with agricultural roots and working animals, more should be made of the strict requirements to train. More to the point, trainers deserve fitting credit for their accomplishment in receiving and retaining their trainer’s licence. It is, indeed, a postgraduate degree to be proud of.

Ostend’s Summer Meeting 2023

This year Oostende Koerse organises nine Monday meetings from the 03rd of July until the 28th of August.

Five of these meetings are Premium Race Days, supported by France Galop and the French PMU. These races are broadcasted on the French Equidia channel.

During these Premium Race Days, the guaranteed prize money varies from 10000€ for the highlight of the day to 3200€ for allowance races.

The race conditions are published on www.bgalopf.be.

They are In French and Flemish but we can provide an English translation or any other required information. Horses trained outside Belgium do not have to qualify for handicaps when they already have a handicap rating in their home country. These values will be converted to a Belgian rating.

The showpiece of the meeting, the Prince Rose, is a National Listed Race, with prize money of 16000€ (the winner will get 10000€).

We look forward to welcoming you this summer!

www.bgalopf.be

69 ISSUE 82 TRAINERMAGAZINE.COM
03 JULY – 28 AUGUST
A reminder: Ostend is only 100 km from Calais, with the Channel Tunnel open for livestock and less than two hours from Folkestone. Racing surface is turf, right handed and a watering system will guarantee a perfect going. PHOTOGRAPHY: APRH/CLEMENTINE VERET, DAVID BETTS PHOTOGRAPHY, GALOPPFOTO.DE, GEORGINA PRESTON, JASON MORAN/ECLIPSE SPORTSWIRE, JOHANNA FRIBERG, MARC RUEHL

SIMPLE RULES FOR PARASITE CONTROL IN RACING YARDS

70 TRAINERMAGAZINE.COM ISSUE 82 | VETERINARY |

When Benjamin Franklin wrote, in 1789, ‘in this world nothing can be said to be certain, except death and taxes’, he could, perhaps, have added another certainty to his list – worms in horses. Unlike most other infectious diseases of horses, such as strangles or influenza—which infect a small number of horses relative to the entire horse population at any one time—worms are present in almost all horses all of the time. This fact leads to two obvious conclusions: first, it is not possible to eradicate parasites and the threat of parasitic disease from our horses; second, worm control is vital in any environment where horses are kept.

The threat posed by intestinal worms to racehorse performance has long been recognised by horsemen the world over. For many years, regular treatment with anthelmintic drugs (‘dewormers’) was the mainstay of worm control in racing yards, as it was in most in areas of horse breeding and production. The emergence of resistance to these deworming drugs (referred to as ‘anthelmintic resistance’), in the last 10 years in particular, has meant that such regular treatments may no longer be effective and may in fact make the resistance situation in the yard or farm worse. With this in mind, it is important that we consider how best to control worms while preserving the efficacy of the few deworming drugs available to us. This can be achieved using control programs comprised of drug- and non-drug control measures. This article sets out seven points/rules to consider and implement when developing such a worm control programme for racing yards.

1 Know your enemy

It is not possible to draw up a parasite control program without considering which worms it is you are trying to control. The three main types of worms we are concerned with are strongyles (large and small redworms), ascarids (roundworms) and tapeworms. The role of tapeworms in equine intestinal disease is debated, but they appear to be linked to certain forms of colic when present in high numbers. Notably, there is no evidence of age-related immunity to tapeworms. Ascarids are a cause of disease in foals primarily and yearlings and so are likely to be of less concern in most racing yards. However, unlike redworms, which are transmitted almost exclusively at grass, ascarids can be transmitted in the stable; and ascarid eggs survive for years in the environment so that a single infected animal can infect other young horses for years to come.

Redworms are the most important parasite of horses and are found in horses of all ages where they can cause anaemia, weight loss, ill-thrift and diarrhoea. Large redworms can burrow into the walls of blood vessels that supply blood to the gut causing a very severe form of colic. Small red worms can lie dormant in the gut wall for extended periods then emerge en masse to cause an acute shock-like syndrome with severe diarrhoea, which is often fatal.

Faecal egg count (FEC) testing will identify if redworms or ascarid eggs are present in your horse’s droppings and this, in turn, tells you that the adult worm of that species is present in your horse’s gut. Tapeworm eggs can be detected by FEC testing, but it is not the most reliable method for their detection as the shedding of these eggs is not consistent. As redworms are the most relevant worm present in most yards, most of the information in this article relates specifically to the control of redworms rather than ascarids or tapeworms.

2 Know your horses’ risk

All trainers pride themselves on their knowledge of almost every aspect of their horses’ anatomy and physiology, but not all could tell you which of their horses are at greater or lesser risk of worms. As mentioned above, all horses are likely to carry some worms, but the adult worm burden and the number of worm eggs shed in faeces is far greater in younger horses than in mature stock. Most horses between the ages of 5 and 15 years will have a lower worm burden, and a lower risk of parasitic disease, than horses below this age due to a degree of age-related immunity. Foals and yearlings can carry particularly high worm burdens and shed large numbers of eggs into the environment to infect other horses. It follows that any yard with yearlings—two- or three-yearolds—will need a comprehensive worm control programme; while yards with older stock may get away with less strenuous controls. Horses over the age of 15 may also have higher worm burdens. And while these are unlikely to be in training, they may be used as a riding horse or companion animal and act as a potential source of infection for the string.

71 ISSUE 82 TRAINERMAGAZINE.COM
| PARASITE CONTROL |
PHOTOGRAPHY: ADOBE STOCK, IRISH EQUINE CENTRE, GALOPPFOTO.DE, NIGEL KIRBY PHOTOGRAPHY BELOW: Foals and yearlings can carry high worm burdens and shed large numbers of eggs into the environment which can infect other horses.

3 Know your yard’s weak points

It is not unusual for our lab to get a call from a racehorse trainer wishing to express their disbelief that the faecal egg count test from their horses has tested positive for redworm eggs despite their horses having no access to grass. In these situations, careful questioning as to how the yard operates will usually reveal the use of turnout paddocks for a short period at some point during the week. Invariably, these are shared, often quite small, paddocks which host many horses over time; and so they are more likely to be contaminated with worm eggs.

While the intention is for the horse to get ‘a pick of grass’, it may be that it is more ‘a pick of worms’ they are getting in such paddocks! As part of a worm control plan, it is important to first identify high-traffic areas, which may be a pinch-point for worm transmission. Once identified, the key to reducing the worm burden on such paddocks is ideally through the removal of droppings. This can be a labour-intensive exercise, but it only needs to be done twice weekly rather than daily. And there are now more automated methods for cleaning paddocks than the more traditional wheelbarrow and spade!

4 Identify high shedders

FEC testing not only tells you what type of worm is present in your horse’s droppings but also how many eggs there are per gramme of faeces. Repeated FEC testing allows you to build up a picture of the shedding patterns of the horses within your stable. Horses in racing yards should have FEC testing carried out every three months. It is generally accepted that the shedding of worm eggs in horses follows the 80/20 rule; that is, 20% of the horses shed 80% of the eggs.

If these high shedders in the group can be identified, then targeted treatment of them may be more beneficial (and costeffective) than blanket treatment of the entire group. Horses with a strongyle egg count in excess of 250 eggs per gramme (EPG) on repeated testing may be considered high shedders and require more frequent egg counts and treatment. It is important to state that this figure of 250EPG is not absolute, and the threshold above which animals are considered high shedders or

requiring treatment should be set in conjunction with your vet. Worm eggs are not distributed evenly within the droppings, so when collecting samples for FEC testing, make sure to take at least three faecal balls—each from a different area of the pile. FEC testing can only detect egg-laying adult worms, but the egg count is not a reliable indicator of the adult worm burden of the horse, i.e. a horse with a high FEC does not necessarily have a greater worm burden than a horse with a lower FEC; but the horse with the high FEC is more significant in terms of worm transmission to other horses. Immature worms that may be present in the horse are not detected by FEC testing. In recent years, new tests have been developed that can detect antibodies to tapeworms and small redworm in blood and/or saliva. These tests are a useful addition to any worm control programme. Regardless of the type of test used, dewormers are still necessary as part of any worm control programme, in foals and yearlings in particular, but also in high-risk environments, and in order to control the disease risks posed to horses of all ages by large strongyles.

5 Know which drugs work

While it might seem like there is an endless range of deworming products for horses on the market, the number of active ingredients in these products is very limited with only four drugs (fenbendazole, ivermectin, moxidectin and pyrantel) available for the treatment of redworms and ascarids. With such limited availability, and no prospect of new worm treatments entering the market anytime soon, it is vital that we use the existing drugs judiciously so as to preserve their effectiveness into the future.

The threat posed by anthelmintic resistance is very real. Already fenbendazole resistance in redworms is widespread, and ivermectin/moxidectin resistance in ascarids is becoming more common. This means that there are only one or two effective treatments remaining for these resistant worms. While thoughts of anthelmintic resistance may not keep any racehorse trainer awake at night, we do expect that the deworming treatments we

72 TRAINERMAGAZINE.COM ISSUE 82
| VETERINARY |
ABOVE: The only way to determine if treatments are indeed effective is to carry out a faecal egg count reduction test (FECRT). ABOVE: Removing droppings from shared turnout paddocks twice per week, although labour-intensive, should reduce possible worm transmission.

use to be effective, not least because they cost quite a lot of money! The only way to determine if our treatments are indeed effective is to carry out a faecal egg count reduction test (FECRT).

This test follows on from the FEC test; any horse with a FEC of 500EPG or more should be treated with a dewormer and have a follow-up FEC carried out 10–14 days after that treatment. The percentage reduction in egg numbers is calculated and should be greater than 90–95% (depending on the drug). Reductions less than this are suggestive of a resistance problem. Because of the existing resistance situation, FECRTs should be carried out before using fenbendazole to treat redworms or ivermectin/moxidectin to treat ascarids. Equally, if you have any suspicion that a deworming product is not working effectively in your yard, then a FECRT for that drug should be carried out to investigate this.

Don’t overtreat

Aside from the risk of anthelmintic resistance development and the significant costs incurred by frequent or blanket deworming of all horses in the yard, such treatments can have other effects on the horse, which may ultimately impact performance. Research has shown that anthelmintic administration is associated with a decrease in the diversity and abundance of certain bacteria in the horse’s gut, which may impact digestion and other metabolic processes.

In humans, changes in the composition of the gut bacterial population have been shown to impact physiology, immunity and behaviour; and, while the structure of the gut may differ greatly between human and horses, there is no reason to believe the equine gut bacteria do not play a similarly important role in horse health. In recent years, the role of parasites in human health has been revaluated. And while they are still recognised as an important cause of disease, it is also accepted that they can play a beneficial role in the development of immunity and the prevention of some diseases. While we don’t have similar evidence of a benefit to horse health from parasites, it is not impossible that such benefits do really exist.

A study of standardbred trotters in Denmark in 2011 found that horses with higher egg counts had better race finishing position than those with lower egg counts. So, the presence of parasites does not always lead to poor performance! It was standard practice, in some racing yards, to deworm horses every eight weeks, but this seems excessive when one considers the

biology of the worms involved. The small redworms take approximately eight weeks to develop to maturity in the horse, while the large redworms take approximately six months to do so. Treatment every eight weeks could only be justified if there were evidence of overwhelming worm exposure on an ongoing basis—something which is unlikely in a modern racing yard. Even if that were the case, other non-pharmaceutical controls would be necessary to get the situation under control.

7 Manage new arrivals

One of the challenges of worm control in a racing yard is the constant turnover of horses with some leaving the yard for rest or recovery from injury, others returning from such breaks and new horses joining the yard. When a horse leaves the yard, they leave the worm control programme as well. Evem if the yard’s deworming programme is followed while they are away, the risk factors in their new environment may be totally different and require an entirely different approach to treatment. More worrisome, the arrival of new horses or the return of others also risks the introduction of new or resistant parasites to the yard. In order to minimise this risk, all new arrivals should be isolated, tested and treated. Ideally, all new arrivals would be isolated for two weeks while a FECRT is carried out to ensure treatment has been effective.

This may not be practical in all yards, but an isolation period of at least three days after deworming should be observed to ensure all worms are shed before the horse joins the group. Treatment without isolation is not recommended as treated horses can shed viable eggs for a few days after deworming. There may be a temptation to let horses out to turnout paddocks for exercise or grass during the isolation period, but we have seen cases where this has led to the introduction of new parasites to the yard despite the horse being treated before it was turned out.

There was a time when parasite control in racing yards was relatively simple and relied primarily on the regular use of deworming drugs. As with many aspects of horse racing, what was once considered acceptable is no longer so. Effective parasite control is not as simple anymore, and an overall plan designed to meet the needs of the individual yard is required. That is not to say that any trainer should be daunted by the prospect of drawing up such a plan. The seven points discussed here provide a basis to work from and your vet and laboratory are well placed to assist in building on this.

73 ISSUE 82 TRAINERMAGAZINE.COM
6
| PARASITE CONTROL |
ABOVE: Isolating new yard arrivals for at least three days after deworming should ensure all worms are shed before the horse joins the yard.

2022 EUROPEAN CHAMPION TRAINERS AND JOCKEYS

Now to a novel slant on the European racing scene. These tables of the reigning champion trainers and jockeys in a selection of European countries, as measured by the domestic 2022 earnings of the horses they trained or rode, were submitted by the doyen of Central European racing, Dr Marian Surda. Surda is Secretary-General of KMET – an association of the Racing Authorities of Slovakia, Hungary, Poland, Czech Republic and Austria. While this article cannot vouch for the accuracy of the figures, it can attest to Surda’s long-held commitment to promoting and documenting racing in the Central European region.

Placing, within single tables, the achievements of the top trainers and jockeys in these nineteen countries paints a fascinating picture of the patchwork of our continent’s racing, and causes many a raised eyebrow.

There may be few surprises at the top of the table – although readers might not have expected the British Champion to have achieved greater earnings than his French counterpart, given the considerable disparity in prize money levels in the two countries, in favour of France. But the 1,013 starts of Italian champ Alduino Botti, almost twice the number of his nearest challenger on this measure, stands out as being impressive, indeed. Alduino, together with his brother, Giuseppe, has been a perennial champion in his homeland, following a very successful riding career. They are but part of a remarkable dynasty. Son of trainer

and rider Edmondo Botti, Alduino has sired trainers Marco and Stefano, while Giuseppe’s two sons, Alessandro and Endo, also joined the training ranks.

The first name on the list which may be unknown to the majority of readers is that of the Turkish Champion, Ibrahim Bekirogullari, in 6th place. Bekirogullari trains mostly in Ankara, and has charge of around 80 horses. His haul last year included 11 domestic group races and he has been the top money-winner in Turkey for the past five years.

A unique achievement is that of Niels Petersen, the only trainer or jockey to top the table in more than one country – Norway and Denmark. A Dane, living in Norway, Petersen has in the past operated satellite yards not only in Denmark but also in Sweden, in which country he has also enjoyed considerable success.

Austria, once a proud racing nation, provides a sad footnote. The Austrian Derby was first run in 1868 at Vienna’s Freudenau racecourse, whose art nouveau grandstands were some of the most stylish in the world and where the first electronic timing of races took place. Today, just four gallop races are run during the course of the whole year. To become champion there, Sarah Steinberg, the German-licensed trainer, picked up just €1,000 Euros as her 10% trainer’s share of the €10,000 earned by Anonymous, the winner of the country’s top race.

On a lighter note, who knew that the average European Champion Trainer has a strike rate of 25%, earnings of €1.4M and is 54 years of age!

74 TRAINERMAGAZINE.COM ISSUE 82 | INDUSTRY |
RIGHT: 2022 GB Champions Charlie Appleby and William Buick.

2022 CHAMPION TRAINERS IN EUROPE

2022 CHAMPION JOCKEYS IN EUROPE

75 ISSUE 82 TRAINERMAGAZINE.COM | EUROPEAN CHAMPIONS | WORDS:
DR PAULL KHAN PHOTOGRAPHY: GALOPPFOTO.DE
COUNTRY TRAINER (AGE) STARTS WINS % TOTAL EARNINGS (€) GREAT BRITAIN Charlie Appleby (47) 488 152 31.2% 7,171,558 FRANCE Jean Cloude Rouget (69) 625 158 25.3% 6,315,940 IRELAND Aidan O’Brien (53) 469 105 22.4% 4,658,123 ITALY Alduino Botti (74) 1013 202 20% 2,260,567 GERMANY Peter Schiergen (57) 222 62 27.9% 1,604,425 TURKEY Ibrahim Bekirogullari (59) 508 124 24.4% 1,354,907 SPAIN Guillermo Arizkorretja (47) 316 61 19.3% 886,250 SWEDEN Lennart Reuterskiöld Jr. (53) 124 26 21% 562,947 NORWAY Niels Petersen (50) 205 38 18.5% 443,856 DENMARK Niels Petersen (50) 84 15 17.9% 311,537 GREECE Charalambos Charalambus (45) 287 73 25.4% 251,729 SWITZERLAND Miroslav Weiss (73) 248 22 8.9% 206,868 HUNGARY Stanislav Georgiev (42) 175 36 20.6% 174,896 POLAND Ms. Cornelia Fraisl (47) 288 50 17.4% 131,791 SERBIA Bojan Sendekovic (38) 331 68 20.5% 115,118 SLOVAKIA Lubos Urbánek (46) 27 10 37% 88,390 BELGIUM Marc Rosseel (72) 138 11 8% 69,000 CZECH REPUBLIC Allan Petrlík (58) 148 25 16.9% 60,725 AUSTRIA Ms. Sarah Steinberg (34) 1 1 100% 10,000 AVERAGE: (34.3) 299.8 65.2 25.4% 1,404,138
COUNTRY JOCKEY (AGE) RIDES WINS % TOTAL EARNINGS (€) FRANCE Maxim Guyon (33) 1432 251 17.5% 7,277,135 GREAT BRITAIN William Buick (34) 593 157 26.5% 6,818,710 IRELAND Colin T. Keane (28) 749 92 12.3% 3,205,855 GERMANY Bauyrzhan Murzabayev (30) 446 96 21.5% 1,614,920 ITALY Dario Vargiu (46) 733 150 20.5% 1,564,831 SPAIN Václav Janacek (37) 308 68 22.1% 808,690 SWEDEN Per Anders Graberg (48) 316 62 19.6% 570,676 NORWAY Carlos Lopez (41) 159 36 22.6% 362,591 DENMARK Oliver Wilson (27) 170 32 18.8% 314,340 POLAND Dastan Sabatbekov (24) 328 63 19.2% 206,408 GREECE Panagiotis Dimitsanis (46) 195 59 30.3% 159,812 SWITZERLAND Clement Lheureux (32) 72 13 18.1% 123,332 SLOVAKIA Martin Laube (27) 63 19 30.2% 89,995 BELGIUM Stephen Hellyn (36) 85 21 24.7% 82,000 HUNGARY István Kozma (41) 111 32 28.8% 76,604 SERBIA Milan Konkolj (27) 145 40 27.6% 52,585 CZECH REPUBLIC Ms. Jirina Andrésova (41) 142 28 19.7% 42,905 AUSTRIA Monir Madihi (19) 4 1 25% 3,450 AVERAGE: (34.3) 376.9 78.9 22.6% 1,386,770
TABLES COMPILED BY: DR. MARIÁN ŠURDA, SECRETARY GENERAL OF K.M.E.T.
76 TRAINERMAGAZINE.COM ISSUE 82

Five years after retiring as a trainer, the handler most famous for the Arc double of Trêve wintered in the Bahamas where she devoted herself to caring for her mother Ghislaine during her final months. A figure in French and international racing and bloodstock alongside her late husband Alec, Ghislaine Head was influential in the running of the Haras du Quesnay. Her colours were carried notably by Arc heroine Three Troikas and homebred Prix du Jockey-Club winner Bering; and she passed away peacefully at age 95 in early June.

Horses were far away in the flesh during this time in the Bahamas but still close to Criquette’s heart and very present in her mind. “When would be a convenient time for a chat?” I texted Criquette Head to arrange this interview. The reply pings back, “You can call me at 11.30am French time; I get up at 5am (EST) here every day for my first lot.”

So it is 5.30am in the Bahamas, and Criquette is in fine form as ever with plenty of ideas to discuss. “I’m always wide awake at this time. I can’t get it out of my system. Of course there are no horses here, just water and boats.” When Criquette retired, she announced a plan to sail across the Atlantic in her yacht, named Trêve. However, in typical altruistic style of the former president of the European Trainers Federation, the adventure has been on hold. “My boat is here, but I haven’t done the crossing yet. I will do it one day, but for the moment, my priority is taking care of my mother. I will stay at her side as long as she needs me.”

While she had no physical contact with horses in the Bahamas, and no imminent trans-Altantic sail to prepare for, Criquette has been devoting time and energy recently to the association CIFCH (Conseil Indépendant pour la Filière des Courses Hippiques, or Independent Council for the Racing Industry), which she created with long-time friend and associate Martine Della Rocca Fasquelle some three years ago and now presides.

“The idea came about because I found that our politicians didn’t understand the racing world. I said to myself that as I have some spare time, I would create a little association, and I would try to ask our politicians, those who vote for our laws in the National Assembly or the Senate, to understand what racing means. We are completely separate from any official organisation, and we don’t interfere with France Galop or Le Trot (French harness racing authority). I just want to show the decision makers what racing is all about. I have met a lot of people and invited them to the races. That’s all… I try to make them realise the importance of the racing industry, and the reactions have been very positive.”

An eclectic membership

The CIFCH counts 140 parliamentarians among its membership and supporters, which is a varied panel composed of racing and non-racing people, from a wide professional spectrum.

As Martine Della Rocca Fasquelle explains, “Our aim is to share ideas and knowledge, and everyone contributes what they can, depending upon their area of expertise.” Criquette adds, “We wanted to surround ourselves with competent people who are all volunteers. They all like horses, not necessarily racehorses but the horse in general, and the association works in favour of the entire equine sector. The VAT issue is an important one for the CIFCH. If we manage to reduce the rate for equine activity to 10%, the entire horse industry will reap the benefit.”

A key supporter is Senator Anne-Catherine Loisier, vicepresident of the CIFCH and who notably assisted in opening the doors of the National Assembly for a meeting with French mayors. Criquette continues, “A year ago, we wrote to all the mayors in France with a racecourse in their municipality with a questionnaire, and most of them very kindly replied to us. However, it’s a shame that the mayors with some of our most important racecourses didn’t respond. We asked them about the economic importance of the racecourses for their municipality; and then we organised a meeting at the National Assembly, which was very productive.” Martine Della Rocca Fasquelle adds, “This was the first time that mayors have been heard singing the praises of racing. We were surprised as we received reactions from very high up, including Emmanuel Macron, who congratulated us for the results of the racing industry.”

77 ISSUE 82 TRAINERMAGAZINE.COM | CRIQUETTE HEAD |
WORDS: KATHERINE FORD PHOTOGRAPHY: TATTERSALLS, CIFCH

Spreading the word

The CIFCH compiled the responses from 27 mayors, representing communes ranging from Chantilly and Cagnes-Sur-Mer, several municipalities in the West of France (which is a hive of activity for both trotting and gallop racing, training and breeding), to the homes of tracks organising just one or two meetings per year, into an album “Une Ville, Un Hippodrome: les maires ont la parole.” (towns and racecourses, in the words of their mayors). The brochure, which has been distributed to members and interested parties, is an advocacy of the benefits of racing to local communities.

Naturally, Isabelle Wojtoviez, mayoress of Chantilly, underlines the significance of the racecourse and training centre for the town, “It is impossible to imagine Chantilly without horses. The animal is at the centre of our economy, a pillar of our history and a vital tourist attraction...”

Bertrand de Guébriant, mayor of 5,000-inhabitant Craon in the West of France, where the racecourse hosts 10 meetings for a mixture of jumps, flat and trotting action, says, “Craon is one of the most popular provincial tracks in France, and we welcome 25,000 people for our ‘Trois Glorieuses’ festival each year, making it a major tourist attraction. The notoriety of our racing means that the town has a riding centre and a nearby training centre for employment with horses, whose most famous graduate is certainly (leading jump jockey) Clément Lefebvre. During racing periods, Craon enjoys visibility in the media, and finally, the community receives a share of pari-mutuel turnover, which is a real plus for our budget.”

With 80 meetings per year in the three disciplines, the racecourse at Cagnes-sur-Mer plays an important role in the town’s economy. And with its Côte d’Azur coastline, charming old town and proximity to Nice, it already has plenty of advantages.

78 TRAINERMAGAZINE.COM ISSUE 82
LEFT: Senator Anne-Catherine Loisier, vice-president of the CIFCH with Criquette Head and Deputy Géraldine Bannier, vice-president of the CIFCH. CIFCH debate, November, 2022. ABOVE: Senators Sonia de la Prôvoté and Valérie Letard and spouses with Criquette Head, Prix de l'Arc de Triomphe 2021.

Mayor Louis Nègre explains, “The image of Cagnes-sur-Mer is intimately linked to the racecourse, especially on an international level. The opportunity for visitors to enjoy racing in a spectacular environment overlooking the Mediterranean represents a unique experience, which contributes to tourists returning to the town. The economic activity connected to the racecourse and training centre is important year-round, while hotels, restaurants and the property markets benefit notably from racing during otherwise quiet periods of the season (during the winter flat and jumps meetings).”

The virtuous pari-mutuel model

For Criquette and her fellow CIFCH members and supporters, it is vital to spread positive messages such as these in order to preserve the favourable French system. “Racing has a colossal impact on the economic and environmental state of our country, and this is thanks to our PMU system which must be protected at all costs; however, I get the impression that it is being destroyed. When I see that (online betting operator) Ze Turf has been bought by (lottery and sports betting operator) La Française des Jeux, I fear that racing punters may be tempted away to bet on poker or other markets. We need the PMU and its financial input, which represents our livelihood and that of our regions, our studs and stables. My aim is to valorise and protect this ecosystem which is an example across Europe. France has by far the highest prize money in Europe, and that needs to be preserved. Our system also brings money in for the state; it’s a win-win system. Indeed during the Covid pandemic, the PMU registered good results because the football and all other activity was stopped. We were lucky that the state understood the need for racing and breeding activity to continue. This is a good demonstration of the importance for government to understand the depth of the racing activity and that it is not just a sport like football, for example.”

Racing across Europe and further afield is faced with issues of perception, either from the general public or government representatives. “An association like the CIFCH would have a role to play in other countries,” says Criquette, “but things are more complicated in nations with bookmakers. If you look at the rising powers in world racing nowadays, such as Hong Kong and Japan, they have adopted the pari-mutuel model. I think that the World Pool is a very good concept, which can contribute to promoting the tote system and help racing to raise its level on a global scale.”

79 ISSUE 82 TRAINERMAGAZINE.COM
ABOVE: Criquette and fellow CIFCH members at a meeting in Chantilly, 2021.
| CRIQUETTE HEAD |
ABOVE: “A City, A Racecourse: The Mayors have their say”. Senator Anne-Catherine Loisier & Martine Della Rocca Fasquelle.

“The CIFCH doesn’t get involved in specific debates such as the whip. Personally, I am in favour of limiting the number of strokes, but we must be careful not to overreact. Those who are against racing are people who have never been close to a horse at the races or in training; and one of the missions of the CIFCH is to demonstrate that horse welfare is at the centre of our profession. We are pleased to show newcomers behind the scenes and the quality of care which racehorses receive.”

Opening doors for future owners

After a series of visits, debates and conferences with decision-makers, the CIFCH is set to widen its contacts further in 2023, when a major focus for the committee will be a two-day event in June in Normandy, aimed at business people and potential owners.

Criquette explains, “We will invite entrepreneurs and business people who have nothing to do with racing to come and spend time at a stud farm and training centre in Normandy. Like a lot of people today, all they know about horses is that they have four legs, a head and a tail… Throughout my career I always welcomed people into my stable to discover the horses, and the reactions were invariably positive. Many of these [people] went on to become owners, not necessarily with me; and I was always pleased to see them develop their interest. I was brought up to be very open and welcoming, and now [that] I have free time, I want to continue to help people find out more about racing.”

Always renowned for her generosity with time and explanations, Criquette inherited these and many other qualities from her late father, the great breeder and trainer Alec Head who passed away last summer at age 97.

“He has left us with a fantastic legacy, and I owe him my success. He always loved his profession and defended the racing industry; and along with Roland de Chambure, he was a precursor in opening up the market with the USA. One thing which struck me when I was younger was that he used to say, ‘You should always try to read your horse. Once you have understood your horse, then the horse will tell you what they are capable of’. I used to say the same thing to all the young assistants who came to work with me and who are now trainers. I told them to pick just one horse and ignore the 80 others; study that one horse, and then tell me what they observed as the horse developed. For me, that is the basis of training. Like people, no two horses are the same, and so you cannot follow the same recipe with them all. You can lose horses by rushing them, and during my era, we were fortunate to have plenty of time. Last year, once again, the examples of Flightline and Baaeed proved that it can be beneficial to wait.”

The family dynasty continues

Criquette’s brother Freddy Head called time on his illustrious training career last year, and the family name is now represented in the profession by his son, Classic-winning Christopher and daughter Victoria. “Papa would have been very proud to see Victoria win her first race recently, and Christopher’s success. Christopher spent time working alongside his father, and two years with me, and Victoria worked for much better trainers than me! She was with Gai Waterhouse, Aidan O’Brien and André Fabre, as well as with her father. We have (French racing channel) Equidia in the Bahamas, so I’m often in front of my TV at 6am here! I keep an eye on everyone, not just my family…”

In addition to owning horses or shares with a range of trainers in France and former assistant David Menuisier in the UK, Criquette also maintains her interest in breeding, despite the heart-wrenching sale of the family’s celebrated Haras du Quesnay last year.

“There were a lot of us—five including my mother—and we didn’t all have the same ideas, so it was a family decision to sell. I love breeding, so I will continue with five broodmares. My grandson Fernando (Laffon-Parias) wants to be an agent and is interested in breeding, so this year I planned all the matings with him. I did consider buying a farm myself, but finally my mares will stay at the Quesnay as the new owners are taking in boarders and have kept on all the old staff under manager Vincent Rimaud. So, I decided to stay, and I will enjoy returning to the stud. It will be a very different feeling for me to visit, with no pressure or concerns about managerial issues. I will just be able to go and admire my mares and foals!”

As ever, with Criquette, the love of horses shines through in her words. “We talk endlessly about the people involved with the horses, which is logical in a way, but in the end, everything depends upon the animal. At all levels, whether in breeding, training or racing, the horse always has the last word.” If Criquette has her way, this would also be true for politics!

80 TRAINERMAGAZINE.COM ISSUE 82
| CRIQUETTE HEAD |
LEFT: The Head dynasty: Freddy (in the family colours), Criquette and daughter Patricia, with father Alec and grandfather William, 1982.

blo omfields hor seboxes

.e Bloommelds Professional Raceline Designed and precision engineered specimcally for the transport of racehorses, and thoroughbred stud work. A twist to our Professional which has been a market leading design used by amateurs and professionals throughout the wor ld for over 15 years.

.e Raceline has all the necessities required to comfortably travel your horses and drivers....

WWW.BLOOMFIELDS.CO

THE RED MILLS CARE RANGE

TRIED, TESTED, TRUSTED

“Since making the change to Connolly’s RED MILLS and using Horse Care 14 Mix, my horses are looking and feeling great. Our horses are eating and working well and recovering quickly after running. It’s great having the support of their team which means a lot. To have a Group 1 winner at Royal Ascot was fantastic, and we’re delighted for all the team who work so hard for days like that.”

CONGRATULATIONS

To all RED MILLS Customers at Royal Ascot. 51% of all winners at Royal Ascot fed on Connolly’s RED MILLS

FEED YOUR IRL: Lorraine Fradl +353 87 2575398 UK: Adam Johnson +44 7860 771063 Email: info@redmills.com Goresbridge, Co. Kilkenny, R95 EKH4, Ireland www.redmillshorse.com Contact our specialist equine team: MUSCLE CARE HOOF CARE SKELETAL CARE HINDGUT CARE YEAST FOS MOS STOMACH CARE
Khaadem and Jamie Spencer win The Queen Elizabeth II Jubilee Stakes at Royal Ascot KHAADEM Winner of the Queen Elizabeth II Jubilee Stakes at Royal Ascot

Turn static files into dynamic content formats.

Create a flipbook
Issuu converts static files into: digital portfolios, online yearbooks, online catalogs, digital photo albums and more. Sign up and create your flipbook.