Numero 69

Page 1

LA DOMUS MEDICA DEL TERZO MILLENNIO

IN QUESTO NUMERO

Siete pronti per la Skin Revision®?

I’MPERFECT®: un approccio innovativo “su misura” che valorizza e risveglia la bellezza autentica

ATTIVA S.I.H. Tecnhology: storia di un successo italiano che ottiene la certificazione FDA e si apre al mercato americano

Filler viso: volume e ridensificazione con la tecnica MLT 3.1

ANNO XXIII - periodico di informazione scientifica a diffusione mirata
n. 69 settembre-dicembre 2023, anno XXIII - Aut. Tribunale Bologna n. 7071 del 05/12/2000 - Sped. a.p. 45% art. 2 comma 20/b legge 662/96 - Poste Italiane Dir. Comm. Imprese E/R Spedizione riservata ai soli abbonati non acquistabile in edicola. In caso di mancata consegna, restituire all’editore che si impegna a pagare la relativa tassa c/o CMP di Bologna - Contiene I.P. 69

22-24 Febbraio | February 2024

Palazzo della Cultura e dei Congressi - Bologna (Italy)

sAVE THE DATE

Autorizzazione Tribunale di Bologna n. 7071 del 05/12/2000

Direttore responsabile: Marco Montanari

Coordinamento scientifico:

Bruno Giacomo Carrari, Maurzio Cavallini, Domenico D’Angelo, Alessandro Frullini, Salvatore Fundarò, Federica Lerro, Fabio Marini, Giorgio Maullu, Paola Molinari, Antonio Monti, Franco Paolini, Maurizio Priori, Paola Rosalba Russo.

Hanno collaborato:

Giovanni Brunelli, Lucia Calvisi, Maurizio Cavallini, Barbara Claysset, Alessandra Cosma, Maria Cristina D’Aloiso, Elena Fasola, Mario Forzanini, Elisa Guidubaldi, Nicola Losacco, Giorgio Maullu, Franco Paolini, Ilaria Proietti, Massimiliano Vandi.

Segreteria di redazione:

VALET s.r.l.

Via dei Fornaciai 29/b - 40129 Bologna

Tel. 051.63.88.334 - Fax 051.32.68.40 - segreteria@valet.it - www.valet.it

Immagine & comunicazione:

Elisa Fantini - elisa.fantini@valet.it

Realizzazione grafica:

Matteo Nuti - matteo.nuti@valet.it

Stampa:

Poligrafici il Borgo s.r.l. - Via del Litografo, 6 - Bologna

È vietata la riproduzione, totale o parziale, di ogni contenuto di questa pubblicazione senza esplicita autorizzazione dell’editore. Tutti i punti di vista espressi in questo periodico sono quelli dei rispettivi autori e non riflettono necessariamente quelli delle imprese alle quali appartengono, dell’editore e delle istituzioni. Nulla intende rappresentare un consiglio o una raccomandazione su cure e metodiche; l’editore non da garanzie sui protocolli terapeutici citati e non riconosce alcuna responsabilità su eventuali danneggiamenti causati da nozioni riportate sulla rivista. La rivista è spedita in abbonamento postale. I dati anagrafici dei soggetti interessati alla spedizione della presente rivista provengono da elenchi pubblici e vengono trattati in conformità a quanto previsto dal “Codice Privacy” (GDPR. 2016/679). Le finalità del trattamento riguardano la spedizione in abbonamento postale della presente rivista, di altre pubblicazioni, invio di cataloghi ed eventuali altre comunicazioni inerenti le attività promosse dal titolare del trattamento. L’interessato può in qualsiasi momento richiedere informazione sul trattamento dei propri dati, ottenere modifiche od opporsi in tutto o in parte, facendone richiesta via fax, lettera o e-mail, al titolare del trattamento. II titolare del trattamento è VALET S.r.l. - Via dei Fomaciai, 29/b40129 Bologna (BO). Alla data della presente pubblicazione, il Responsabile del trattamento è il Sig. Daniele Morini. L’informativa integrale, completa di finalità, modalità del trattamento, diritti dell’interessato e soggetti a cui potrebbero essere comunicati i dati, è consultabile sul sito www.valet.it alla sezione Privacy.

Diffusione Nazionale: Medici specialisti in: anestesia e rianimazione, angiologia e flebologia, chirurgia generale, chirurgia plastica, dermatologia, dietologia, endocrinologia, fisiatria, malattie reumatiche, medicina sportiva e patologia vascolare, centri di medicina e chirurgia estetica, estetica medica, medici di base, studi privati di agopuntura e mesoterapia, infermieri professionali, ambulatori di chiroterapia, fisioterapia, fisiokinesiterapia e massaggi, centri estetici, poliambulatori, case di cura e cliniche private, direttori sanitari: A.S.L., ospedali, stabilimenti termali, associazioni e istituzioni sanitarie, istituti scientifici e di ricerca, docenti e corsisti Divisione Didattica VALET: CPMA e CEDA.

SOMMARIO
Distribuzione: 140.000 copie PAGINA ARTICOLI 69 LA DOMUS MEDICA DEL TERZO MILLENNIO periodico di informazione scientifica a diffusione mirata ANNO XXIII - SETTEMBRE-DICEMBRE 2023 PAGINA Peeling chimico: una metodica antica ma sempre attuale 5 Siete pronti per la Skin Revision®? 9 Le labbra e la loro correzione mediante la medicina Estetica e rigenerativa 12 SkinTite: radiofrequenza frazionata ad aghi di Biotec iIalia Medical 14 Biostimolazione dermica per contrastrare le cause dell’invecchiamento cutaneo 16 I’MPERFECT®: un approccio innovativo “su misura” che valorizza e risveglia la bellezza autentica 18 Attiva S.I.H. Tecnhology: storia di un successo italiano che ottiene la certificazione FDA e si apre al mercato americano 20 I profili nell’estetica del viso 27 La schiuma sclerosante nella terapia dell’IVC 30 Da Tecnocare® il primo concept integrato per la Medicina Estetica 32 Filler viso: volume e ridensificazione con la tecnica MLT 3.1 34 Le complicanze vascolari dei fillers 36 La tradizione della medicina cinese nell’evoluzione dei tempi 42 Il lungo viaggio della vita: il cibo è elisir o veleno? 45 Fili di trazione in PDO e filler volumizzante, la sinergia perfetta per il rimodellamento dei glutei 47 25° Congresso Internazionale SIES 2 SIES Day 2023 8 LE LABBRA - Expert Training + Hands On 13 CPMA - La Scuola di Bologna, perché? 46 RUBRICHE & SPECIALI Foto copertina: Sevil Yeva su Pexels
4

Il peeling chimico (dall’inglese to peel = sbucciare), è un atto medico che consiste nell’applicare sulla cute un acido organico o una miscela di essi, con conseguente rigenerazione dell’epidermide e rimodellamento del derma. A seconda della profondità di penetrazione dell’acido, possiamo distinguere un peeling molto superficiale, qualora interessi il solo strato corneo; superficiale, se interessa la parte vitale dell’epidermide fino ai cheratinociti basali; medio, qualora si spinga fino al derma reticolare; profondo, che interessa il derma papillare. Il medico, pertanto, può scegliere il tipo di peeling più adeguato, a seconda della problematica, del Fitzpatrick e del Glogau del paziente che ha di fronte e, attenuandone così i difetti, e promuovendone la bellezza della pelle; solitamente tramite un ciclo di trattamenti, stabiliti preventivamente.

PEELING CHIMICO:

UNA METODICA ANTICA MA SEMPRE ATTUALE

Un atto medico che consiste nell’applicare sulla cute un acido organico o una miscela di essi, con conseguente rigenerazione dell’epidermide e rimodellamento del derma

STRUMENTO VALIDO

Per quanto si tratti di una metodica conosciuta fin dall’antichità, i primi cenni storici risalgono infatti a Cleopatra, che soleva fare il bagno nel latte acido di capra allo scopo di ottenere una pelle più liscia e soffice, rappresenta a tutt’oggi uno strumento estremamente valido ed efficace per il medico che si occupa di Medicina Estetica, poiché consente di trattare diverse problematiche, sia di natura estetica (crono e fotoageing), che patologica (acne, rosacea, cheratosi). Pertanto, nonostante ci troviamo in un periodo in cui l’alta tecnologia spopola, ha comunque senso parlare ancora di peeling, perché si tratta di una metodica maneggevole, facilmente replicabile, versatile, economica, imprescindibile nella nostra pratica quotidiana, sia per il medico alle prime armi, sia per quello con più vasta esperienza.

È dunque importante ridare nuova dignità a questo trattamento e riappropriarcene come medici, dato che per molti anni si è creata notevole confusione con le metodiche eseguibili presso i centri estetici.

ADEGUATA ANAMNESI

Quali sono, quindi, i passaggi che ci devono guidare nel momento in cui decidiamo di eseguire un peeling chimico a un nostro paziente? Trattandosi di un atto medico, va prima di tutto condotta un’adeguata anamnesi, poiché non tutti i pazienti sono candidati all’esecuzione del trattamento, va valutato il tipo di pelle del paziente stesso (fondamentale a mio avviso per la scelta del tipo di peeling e per prevedere anche la reattività della cute e considerare la scala di Fitzpatrick e il Glogau), e una volta posta una diagnosi adeguata, si imposta un piano teraputico. Solitamente il peeling non è una metodica che si riduce a un unico incontro, ma si programmano diverse sessioni con il paziente; la condizione ideale sarebbe effettuare una prima visita in cui porre diagnosi, impostare il protocollo specifico e prescrivere al paziente un’adeguata skincare domiciliare. Se infatti abbiamo modo di far preparare adeguatamente la cute al paziente con una dermocosmesi specifica, è chiaro che anche il peeling ambulatoriale sarà più efficace.

ESECUZIONE DEL TRATTAMENTO

Dopo circa 15/20 giorni si rivede il paziente e si procede all’esecuzione del trattamento previsto in base al tipo di problematica. Attualmente la scelta del tipo di peeling da adoperare è veramente vastissima e ogni medico sceglierà in base alla sua esperienza

5 MEDICINA ESTETICA
Dr.ssa Lucia Calvisi Specialista in Dermatologia e Venereologia, Medico Estetico - Cagliari Membro del Comitato Scientifico SIES Docenta CPMA VALET - Bologna

e in base al tipo di problematica da trattare. Mi sento però di darvi alcuni suggerimenti fondamentali:

• preferite peeling che siano dei medical Device, poiché questo ci tutela dal punto di vista medico-legale.

• Non dimenticate e non sottovalutate che la metodica espone al rischio di complicanze, per cui occorre sempre raccogliere un’adeguata documentazione fotografica e il consenso informato.

Nel momento in cui vi accingete a eseguire il peeling, ci sono alcuni passaggi da rispettare sempre, soprattutto in caso di peeling che si spingano a interessare il derma:

• proteggere le aree sensibili del volto (canto interno ed esterno degli occhi, ali del naso, commissure labiali).

• Priming o sgrassamento della cute (spesso le aziende forniscono preparazioni apposite): non è assolutamente un passaggio superfluo, ma consente all’acido o alla miscela di essi di penetrare in maniera uniforme nella cute.

• Osservare sempre la reattività della cute nel momento in cui si esegue il trattamento: le aziende infatti forniscono tempi di posa di massima, ma la sensibilità della cute è estremamente soggettiva e va valutata caso per caso.

• Nel corso della prima seduta, è preferibile “not to overpeel”, ossia non sentirsi troppo sicuri, in maniera tale da saggiare la reattività cutanea che talora può riservare brutte sorprese.

I PEELING CHIMICI

Obiettivo del corso

corso teorico-pratico

Dare una corretta conoscenza dello stato dell’arte nel campo dei peelings chimici, con una completa illustrazione degli agenti a nostra disposizione, con le indicazioni terapeutiche, le modalità di utilizzo e i possibili eventi avversi. Nella seconda giornata ogni medico effettuerà differenti trattamenti con peeling chimico su modelle sotto la guida del tutor, mettendo immediatamente in pratica quanto appreso in precedenza.

DIDATTICA A CURA DI: Dr.ssa Paola Molinari

DATE DEL CORSO: 20-21 Ottobre 2023

CREDITI ECM: 13,2 crediti (previa compilazione del test)

RICHIEDI PROGRAMMI DETTAGLIATI

SEGRETERIA E SEDE: CPMA - VALET Divisione Didattica - Bologna 051.6388334/051.0216405/051.320170 - www.valet.it - info@valet.it

DOPO IL PEELING

Cosa aspettarsi dopo un peeling chimico e che suggerimenti dare al paziente? La reazione della pelle sarà ovviamnete variabile in base al Fitzpatrick, al Glogau e alla profondità del peeling effettuato. Se per esempio eseguiamo un TCA al 12% in monostrato, anche su un fototipo chiaro, mi aspetterò un modesto rossore il giorno del trattamento e al massimo una lievissima desquamazione furfuracea dopo 2/3 giorni rispetto al trattamento (ho infatti eseguito un peeling superficiale). Diverso è invece il discorso qualora venga eseguito un peeling più profondo, che contenga componenti come il fenolo anche in

basse concentrazioni; in questo caso, infatti, mi aspetterò un eritema più marcato e persistente e una desquamazione di colorito brunastro, che solitamente compare in seconda/terza giornata, di tipo lamellare. In ogni caso, dopo il peeling dobbiamo raccomandare al paziente di adoperare una crema lenitiva anche più volte al giorno a seconda della profondità del peeling effettuato. Obbligatorio è il filtro solare, che sarebbe buona norma applicare tutto l’anno a prescindere; non si deve forzare in alcun modo la caduta delle squame, pena la comparsa di iperpigmentazioni post-infiammatorie, e fondamentale è anche la detersione con acque micellari o detergenti delicati. ◼︎

6

BEAUTIFY TIME

Definisse [KP1]®

COLLAGEN MODULATOR BIO-PEPTIDE

Definisse [KP1]® Collagen Modulator Bio-Peptide

Non puoi fermare il tempo, ma puoi rallentarlo e renderlo bello.

Definisse [KP1] si basa su un peptide bioattivo, derivato dalla Serpina A1, inibitore naturale della serin-proteasi. Il peptide migliora l’aspetto e la texture della pelle, riducendone la degradazione. Ogni formulazione combina [KP1] con acido ialuronico ad alto e basso peso molecolare, insieme ad altri elementi essenziali, al fine di ridurre la degradazione del collagene ed idratare gli strati cutanei superficiali e profondi.

I prodotti Definisse [KP1] sono clinicamente testati nel trattamento di rughe, linee sottili, pelle spenta e perdita di volume.

Aiuta i tuoi pazienti a migliorare e mantenere i risultati ottenuti con i trattamenti in clinica. Seguici su

7
Rovero P, Malgapo DMH, Sparavigna A, Beilin G, Wong V, Lao MP. The Clinical Evidence-Based Paradigm of Topical Anti-Aging Skincare Formulations Enriched with Bio-Active Peptide SA1-III (KP1) as Collagen Modulator: From Bench to Bedside. Clin Cosmet Investig Dermatol. 2022 Dec 14;15:2693-2703. IT23016
relife_italia
SIES DAY La giornata fondamentale della Medicina Estetica

MEDICINA ESTETICA

SIETE PRONTI PER LA SKIN REVISION®?

DMK è un’azienda leader nella skincare da circa 50 anni ed è diffusa in 35 Paesi nel mondo. Il suo creatore, Danné Montague-King, è colui che ha creato il concetto di SKIN REVISION, un modo di approcciare la pelle totalmente innovativo e specifico

La DMK non è dedicata solamente alle persone con patologie cutanee, ma a tutti coloro che desiderano una pelle sana e vibrante; non a caso, il motto di DMK è “Building A World Of Confidence From Outside-In®”, ovvero Costruire un mondo di fiducia dall’esterno verso l’interno. Un altro concetto caro a Danné Montague-King è il seguente: “Non esistono formule segrete, né tecniche speciali provenienti da chissà dove, né scoperte scientifiche miracolose in grado di alleviare tutte le condizioni della pelle, compreso l’invecchiamento. Esistono solo le leggi della chimica del nostro corpo, e noi dobbiamo essere compatibili il più possibile a quella chimica per creare l’ambiente ideale, in cui la pelle sana possa prosperare”.

CHE COS’È LA SKIN REVISION?

La SKIN REVISION è il lavoro che si svolge agendo sia sulla struttura che sulla funzione cutanea, con l’obiettivo di ristabilire la salute e il normale funzionamento delle cellule, raggiungendo così il miglior potenziale genetico del paziente ripristinando l’omeostasi e l’equilibrio cellulare. Le problematiche cutanee sono il risultato di una disarmonia, per questo DMK lavora con la pelle anziché limitarsi ad agire su di essa, seguendo un approccio strategico e sistematico: basandosi sulla propria filosofia, infatti, DMK ha individuato un vero e proprio mantra che è stato spesso di ispirazione per tutto il mondo della skincare: REMOVE, REBUILD, PROTECT, MAINTAIN, ovvero rimuovere, ricostruire, proteggere e mantenere. Traducendo questi principi in linee d’azione, possiamo individuare le seguenti regole della SKIN REVISION:

1. I principi della biochimica affermano che il corpo reagisce in modo positivo alla chimica che riconosce.

2. Le formulazioni DMK corrispondono alla chimica del corpo.

3. I trattamenti DMK funzionano rieducando la pelle a livello cellulare.

COME SONO LE FORMULAZIONI?

Le formulazioni efficaci, anche se complesse, sono molto precise. DMK utilizza solo ingredienti botanici purissimi e le sue formulazioni cosmeceutiche hanno quantità più concentrate e rapporti più elevati di principi attivi; oltretutto, sono attivi di livello farmacologico rispetto a quelli degli altri prodotti cosmetici generalmente utilizzati, i quali agiscono solo sulla parte superiore della pelle e sono quindi di limitata efficacia.

CHE COSA CONTRADDISTINGUE DMK?

DMK costruisce un mondo di fiducia per il paziente grazie al suo concetto unico di SKIN REVISION creato dallo scienziato visionario Danné Montague-King; inoltre, i prodotti e i trattamenti DMK offrono ai pazienti risultati profondi e a lungo termine tramite la risoluzione di problematiche cutanee ostinate come acne, rosacea, cicatrici, rughe e altro ancora. La linea DMK utilizza ingredienti botanici attivi e la veicolazione transepidermica per ristrutturare la pelle a livello cellulare ed è stata concepita per essere utilizzata solo da professionisti autorizzati, poiché i prodotti vengono prescritti dopo un’attenta analisi individuale del paziente e non sono disponibili “à la carte” online. Oltre a tutto questo, è importante ricordare che ogni anno vengono eseguiti più di 1,5 milioni di trattamenti professionali DMK al mondo, i quali raggiungono risultati eccezionali grazie ai quasi 50 anni di esperienza e ricerca di DMK e al programma di education riservato ai medici e ai loro assistenti.

QUALI SONO LE REGOLE DELLA SKIN REVISION?

Le regole sono quattro. Queste:

1. Le cellule viventi del corpo non accettano alcun ingrediente chimico, naturale o sintetizzato, che non riconoscano come parte del loro progetto genetico.

2. Non esiste un singolo ingrediente, trattamento o dispositivo in grado di modificare, alterare o normalizzare tutte le funzioni della pelle. Esistono solo i principi naturali del nostro corpo.

3. Non esistono “tipi di pelle”, ma solo problemi della pelle.

4. I risultati di tutti i trattamenti professionali saranno notevolmente limitati se il paziente non ha una prescrizione domiciliare appropriata.

TORNIAMO AI CONCETTI DI DMK

Una Skin Revision efficace richiede quattro fasi:

1. Remove (Rimuovere): rimuovere l’accumulo di cellule morte che causa la comparsa di pelle opaca e secca, linee sottili e pigmentazione irregolare.

2. Rebuild (Ricostruire): ripristinare la vitalità cellulare, fornendo proteine, aminoacidi e sostanze nutritive. Ciò consente alle cellule di rimanere in vita più a lungo e di funzionare in modo ottimale, per una pelle più sana e giovane.

9
e Venereologia - Latina

3. Protect (Proteggere): proteggere la pelle dal sole, dai radicali liberi, dalla glicazione e da altri fattori ambientali che portano all’invecchiamento precoce.

4. Maintain (Conservare): assicurare e regolare la funzione della pelle per prolungare i risultati ottenuti con i trattamenti professionali DMK, con gli appositi protocolli domiciliari DMK.

CHE COS’È LA TERAPIA ENZIMATICA

DMK?

Gli enzimi sono catalizzatori biologici che orchestrano tutte le attività molecolari nella pelle e nell’organismo; sono sostanze viventi che regolano la salute e lavorano con alcuni minerali presenti nel nostro corpo per formare un sistema antiossidante. Gli enzimi non penetrano nel derma, ma lo attivano con la stimolazione diretta dei mitocondri. Gli enzimi DMK contengono gli aminoacidi prolina, glicina e lisina, essenziali per stimolare

l’attività delle cellule fibroblastiche, poiché è noto che un’attività cellulare sana dei fibroblasti produce nuove fibre di collagene.

THE DMK PLASMATIC EFFECT®

Plasma = linfa + sangue. Il Plasmatic Effect si ottiene con le maschere enzimatiche di DMK, che rassodano progressivamente la pelle grazie all’attività di enzimi specificamente formulati che aumentano la circola-

zione e creano un’azione di linfodrenaggio. Questo favorisce l’afflusso di nuovo sangue ossigenato dall’interno della pelle, grazie alla dilatazione dei capillari e inducendo il cosiddetto DMK PLASMATIC EFFECT, che favorisce un migliore assorbimento di ossigeno dall’interno dell’organismo. Gli effetti di questi trattamenti da studio sono indicati nelle loro varie versioni per invecchiamento, iperpigmentazione, acne, pelle congestionata, psoriasi, pelle fragile e reattiva.

DMK PRODOTTI DOMICILIARI E PROTOCOLLI

Tutti i prodotti DMK hanno un equilibrio attentamente studiato di acqua, lipidi specifici per la pelle, antiossidanti, aminoacidi, peptidi, sostanze botaniche, stimolatori di penetrazione, proteine e vitamine. Per i nuovi utilizzatori, DMK propone 3 diversi kit: Age Management, Acne Control e Pigment Balancing, che combattono rispettivamente l’invecchiamento, l’acne e la pigmentazione. Ogni Kit contiene sia i prodotti per eseguire un trattamento professionale DMK Skin Revision (DMK Plasmatic Effect), sia i prodotti per la cura domiciliare di un mese. La gamma DMK è vastissima, comprende più di 30 prodotti e più di 40 trattamenti basati su tutte le problematiche cutanee e sulla loro severità, a cui corrispondono poi trattamenti domiciliari sinergici per mantenere e potenziare i risultati ottenuti dopo il primo approccio in studio. Possiamo affermare quindi che la linea DMK, insieme al suo concetto di SKIN REVISION, rappresenta una vera e propria miniera da utilizzare per riportare la pelle alla sua migliore condizione. ◼︎

10

Per la prima volta in Italia... DMK SKIN REVISION

Ilconcettorivoluzionariodi

DMK: REMOVE REBUILD PROTECT MAINTAIN

Combinazione unica di trattamenti medico professionali rivoluzionari e cure domiciliari all’avanguardia.

Abbina la terapia cutanea personalizzata alla biochimica di ogni individuo.

SCOPRI DI PIÙ

Rimuovel’accumulodicellulemorteche causalacomparsadipelleopacaesecca, linee sottili e pigmentazione irregolare.

REMOVE PROTECT

Ripristinalavitalitàcellulare,fornendo proteine,aminoacidiesostanzenutritive.Ciò consenteallecelluledirimanereinvitapiùa lungoedifunzionareinmodoottimaleper una pelle più sana e giovane.

Proteggelapelledalsole,dairadicaliliberi, dallaglicazioneedaaltrifattoriambientali che portano all’invecchiamento precoce.

REBUILD MAINTAIN

CongliappositiprotocollidomiciliariDMK, cheaiutanoaregolarelafunzionedellapelle, sipotrannoprolungareirisultatiottenuticon i trattamenti professionali DMK.

rebuilding lives skin rebuilding
Distributore in esclusiva per l’Italia www.enermedica.it info@enermedica.it 800 911 820

E LA LORO CORREZIONE MEDIANTE LA MEDICINA ESTETICA E RIGENERATIVA

La bacchetta magica: in pochi minuti, ad esempio utilizzando un filler a base di acido ialuronico, possiamo donare alle labbra un aspetto più armonioso e ben definito. Il trattamento delle labbra è una delle procedure più gratificanti nella nostra pratica professionale, perché permette di riportare il sorriso sul volto del nostro paziente. Il correggere le labbra non riguarda solo l’aspetto estetico, ma ha una grande influenza sulla qualità della vita

L’unicità di ognuno di noi va salvaguardata: questa è una delle prime cose che mi impongo di pensare quando guardo un volto e ho la tentazione di modellarlo secondo i criteri perfetti e asettici della bellezza aurea. E questo indirizzo mi accompagna quando devo correggere qualche imperfezione, in particolare quando decido con il mio paziente che è opportuno un trattamento delle labbra. La bocca rappresenta una delle caratteristiche distintive del volto umano, in quanto uno dei punti focali del volto: forma e dimensioni delle labbra possono avere un impatto significativo sull’aspetto generale. Negli ultimi anni c’è stato un crescente interesse per la loro importanza estetica: la loro proporzione e armonia può rendere l’intero volto più attrattivo. Per questa ragione è sempre più centrale la ricerca delle opzioni disponibili per correggerle attraverso la Medicina Estetica. Avere labbra sottili in un’epoca in cui il loro maggior volume rappresenta la sensualità, presentare rughe perilabiali o asimmetrie può influire sull’autostima e sulla fiducia in se stessi: la Medicina Estetica offre diverse soluzioni per correggere queste imperfezioni e migliorare l’aspetto delle labbra, fermo restando il suggerimento di evitare un eccessivo stravolgimento dei lineamenti, in base alle esigenze individuali del paziente. Tante sono le tecniche da poter utilizzare; tra le opzioni più comuni si trovano i riempitivi dermici.

LE OPZIONI POSSIBILI

L’acido ialuronico è il filler più comunemente utilizzato per aumentare il volume delle labbra e correggere eventuali asimmetrie. La sua peculiarità, a seconda delle caratteristiche chimiche di stabilizzazione in laboratorio, è quella di favorire una buona idratazione, conferendo turgore, di migliorare la forma e la definizione, di aumentare il volume. È lo specialista che sceglierà un dispositivo medico o un altro a seconda del singolo caso clinico per ottenere il risultato migliore (a mio avviso il più naturale, in equilibrio con il resto del volto per lineamenti, età e genere). In passato venivano utilizzati fillers permanenti, ora fuorilegge da tanto tempo, della cui eventuale presenza ogni medico estetico si deve preoccupare, in quanto possono tuttora dare complicanze se sollecitati da nuovi trattamenti. In questo ci viene in aiuto l’utilizzo dell’ecografia, che permette di individuare eventuali problemi, poco identificabili e diagnosticabili al solo esame obbiettivo e spesso misconosciuti dal paziente. Mediante infiltrazioni di acido ialuronico a bassa densità si può ottenere un miglioramento della definizione del contorno labiale, e questo può ridurre indirettamente le piccole rugosità radiali che possono formarsi intorno alla bocca (le cosiddette rughe del fumatore o codice a barre); per quest’ultimo scopo, al filler è possibile anche associare un trattamento con tossina botulinica a bassissima concentrazione, off label per questa area anatomica. E sempre grazie a trattamento filler e/o tossina botulinica, a seconda della

scelta dell’operatore, si riesce ad avere un’ottima correzione del gummy smile (sorriso gengivale), con conseguente aspetto più aggraziato del sorriso.

LA MEDICINA RIGENERATIVA

Esistono poi anche tante altre tecniche di Medicina Estetica e rigenerativa che rappresentano da sole o in associazione a quelle già descritte un valido aiuto nel trattamento delle labbra: tra le altre ricordo le metodiche a energia (laser ablativi e non ablativi, radiofrequenze, luci…), peeling, microneedling, biostimolazione eterologa o autologa, a cui sempre associare un corretto stile di vita, ricordando in particolare idratazione e fotoprotezione.

RITROVARE IL SORRISO

In conclusione, l’armonia delle labbra riveste un ruolo fondamentale nell’estetica del viso umano; la precisione nell’iniezione e la conoscenza dell’anatomia sono essenziali, in particolare in quest’area, per ottenere risultati sicuri e naturali, come pure la capacità di valutare attentamente il volto nel suo complesso e di suggerire le opzioni di trattamento più appropriate, dopo aver aiutato il paziente a prendere decisioni informate, discutendo i suoi desideri e le sue aspettative. Le labbra ben proporzionate e dall’aspetto naturale possono contribuire a migliorare l’autostima, la fiducia in se stessi e l’immagine complessiva di una persona, promuovendo relazioni personali e professionali più gratificanti e migliorando la qualità della vita. Obbiettivo: far ritrovare un vero sorriso a tutti i nostri pazienti. ◼︎

LE LABBRA
Specialista in Chirurgia Generale, Medico Estetico - Modena Coordinatrice del Comitato Scientifico SIES e Scuola CPMA VALET - Bologna
MEDICINA ESTETICA

Il 23 settembre l’expert training live + hands on sarà proprio sull’approfondimento delle tecniche di trattamento estetico delle labbra: imperdibile!

GLI OBBIETTIVI SONO MOLTEPLICI:

Aggiornamento: avere l’opportunità di aggiornamento sulle ultime tecniche, esplorare nuovi approcci e scoprire strumenti innovativi per migliorare la pratica.

Approfondimento scientifico: la giornata ospiterà relatori conosciuti nel campo della Medicina Estetica, che condivideranno le loro conoscenze e ricerche più recenti. Le informazioni saranno di alto livello, basate su prove scientifiche che ci aiuteranno a fornire un trattamento ottimale ai nostri pazienti.

Networking e collaborazione: riunirsi in piccoli gruppi offre la condizione ideale per incontrare e connettersi con altri medici estetici esperti nel settore (scambiare idee, condividere esperienze e svilupparne di nuove).

Miglioramento delle competenze con un approccio personalizzato: sviluppare gli strumenti per adattare il trattamento delle labbra alle esigenze specifiche di ciascun paziente. Osservando le tecniche avanzate di valutazione e pianificazione del trattamento dei vari tutors, si potrà migliorare la propria capacità di offrire risultati personalizzati e soddisfacenti.

Aggiornamenti sulle normative e sulla sicurezza: nel campo della Medicina Estetica, è fondamentale mantenere alta l’attenzione sulla sicurezza dei trattamenti. Il convegno offrirà un’opportunità per aggiornarsi sulle normative vigenti, sugli standard di sicurezza e sulle migliori pratiche da seguire nel trattamento delle labbra. In conclusione, sono convinta che questo format sul trattamento medico estetico delle labbra rappresenti un’opportunità unica per i medici estetici desiderosi di ampliare le proprie conoscenze e competenze professionali.

LA GIORNATA SARÀ DIVISA IN DUE PARTI:

1) Durante la mattinata abbiamo previsto il format vincente che da anni caratterizza il Sies Day, e cioè un’iniziale presentazione anatomica ed ecografica dell’area che ci interessa, dopodiché vari esperti si avvicenderanno nel condividere la propria tecnica, prima con una breve presentazione, poi con una ricca parte pratica in collegamento dall’ambulatorio Multimed.

2) Nel pomeriggio vi sarà una parte pratica estremamente significativa, durante la quale si potranno mettere in pratica su modelli o pazienti volontari le tecniche apprese durante le sessioni teoriche. L’idea è che sia un momento interattivo e coinvolgente in cui sperimentare direttamente le diverse fasi del trattamento sotto la guida esperta dei relatori e degli istruttori presenti; un momento per applicare le tecniche di iniezione dei filler a base di acido ialuronico, imparando le giuste tecniche di somministrazione, la quantità corretta di prodotto da utilizzare e le modalità per ottenere risultati naturali ed esteticamente gradevoli, con feedback immediati e consigli su come migliorare la tecnica. Questo approccio hands-on permette di acquisire fiducia e di affinare le proprie competenze attraverso l’esperienza diretta.

13

La Medicina Estetica ha registrato già da tempo un grande successo nell’utilizzo della radiofrequenza, una procedura che migliora la texture, tonifica e ringiovanisce la pelle in modo non invasivo e indolore. Recentemente è tornato un certo interesse sull’utilizzo della radiofrequenza in modalità frazionata con microneedling, grazie ad una famosa influencer americana, la quale pubblicando l’essersi sottoposta ad un trattamento con questo tipo di tecnologia già presentata da diverse aziende del settore circa una decina di anni fa, ha riacceso l’attenzione su questa efficace procedura. Anche la Biotec Italia propone da tempo questo tipo di trattamento con SkinTite, applicatore per microneedling e radiofrequenza disponibile sulla piattaforma Coaxmed One di Biotec Italia Medical.

Vediamo quindi perché la radiofrequenza frazionata con SkinTite diventa ancora più efficace rispetto ad altre tecnologie di questo tipo, grazie all’aggiunta del frazionamento con il microneedling ed un sistema vacuum. Questo nuovo approccio offre numerosi vantaggi: oltre alla possibilità di agire sull’invecchiamento medio-severo stimolando compattezza cutanea, turgore, elasticità, il trattamento è anche molto sicuro ed indolore grazie alla particolare tecnologia del vacuum che accompagna la pelle aspirata dal sistema verso gli aghi attraverso i quali passa il calore generato dalla radiofrequenza, anziché portare gli aghi a penetrare la pelle con sistema “stamping” come per le altre tecnologie di questo genere, riducendo così le sensazioni di fastidio per il paziente e rendendo il trattamento molto meno traumatico. La profondità alla quale si vuole agire è determinata dal-

SKINTITE: RADIOFREQUENZA FRAZIONATA AD AGHI DI BIOTEC ITALIA MEDICAL

L’unica radiofrequenza frazionata con modalità Vacuum, per risultati sorprendenti senza anestesia e dolore

la lunghezza degli aghi, che può variare da 0,5mm a 3mm. Questo processo produce risultati visibili in tempi brevi, più durevoli poiché si arriva a profondità maggiori rispetto alla radiofrequenza transdermal, tonificando, esfoliando e minimizzando i vari inestetismi come rughe, lassità cutanea, cicatrici, smagliature, texture irregolare e perdita di elasticità di viso, collo e décolleté.

COSA AFFERMANO

GLI SPECIALIST DI BIOTEC ITALIA

La tecnologia avanzata aiuta sempre più i medici estetici nel contrastare l’invecchiamento cutaneo, offrendo ai pazienti risultati sempre più naturali e duraturi nel tempo. Il crono-aging, causato dal passare del tempo e stili di vita poco salutari, comporta un graduale inesorabile rallentamento della produzione di collagene, elastina e acido ialuronico da parte dell’organismo, con conseguente comparsa di rughe, perdita di elasticità e tonicità tissutale. Tra le metodologie non invasive più utilizzate per ringiovanire la pelle, la radiofrequenza è una tecnologia termica che può essere emessa in diverse forme, sia per tonificare gli strati superficiali della pelle che per stimolare la neocollagenesi nei tessuti più profondi, utilizzando la modalità monopolare. P trattare inestetismi più gravi, invece, si può utilizzare il manipolo SkinTite, da integrare nella piattaforma Coaxmed One ideata e prodotta da Biotec Italia Medical. Questa è l’unica radiofrequenza frazionata che, grazie alla combinazione del microneedling con il vacuum e la radiofrequenza consente di ottenere i migliori risultati in maniera più confortevole ed economica.

FOCUS SULLA TECNOLOGIA DI COAXMED ONE E SKINTITE

Coaxmed One è un dispositivo che combina diverse tecnologie per il trattamento del viso e del corpo, garan-

tendo al paziente il massimo comfort. Il manipolo SkinTite è estremamente versatile e consente di agire efficacemente sulle lassità di viso e collo, braccia e addome, modulando la lunghezza degli aghi da 0,5mm a 3mm e la modalità di pulsazione del vacuum. L’aspirazione, caratteristica distintiva di questo applicatore, elimina il dolore associato al trattamento e previene effetti collaterali come danni termici di superficie e graffi sulla pelle.

La possibilità di gestire l’intensità e la durata dell’aspirazione consente di personalizzare il trattamento in base alla zona trattata e alle caratteristiche cutanee.

Grazie alla penetrazione in profondità attraverso gli aghi, l’energia termica di SkinTite garantisce una stimolazione maggiore rispetto alla radiofrequenza, ottenendo risultati visibili in tempi più brevi e durevoli nel tempo.

A differenza di un trattamento solo superficiale, SkinTite tonifica visibilmente la pelle e esegue una leggera esfoliazione dello strato corneo, ideale per minimizzare cicatrici, irregolarità e macchie cutanee.

OSA DICONO I MEDICI

Dr. Domenico Pugliese, Chirurgo Plastico e Medico Estetico di lunga esperienza, ha espresso la sua opinione riguardo al trattaSkinTite, affermando: «Unione del microneedling con la radiofrequenza di SkinTite ha permesso di ottenere risultati eccellenti e di massima soddisfazione dei pazienti. Grazie alla possibilità di scegliere la lunghezza dell’ago è possibile far agire la radiofrequenza in modo selettivo alla profondità desiderata. Inoltre, l’aspirazione del tessuto da trattare effettuata dal vacuum consente di garantire un trattamento atraumatico ed eliminare i tempi di recupero.»

14
MEDICINA ESTETICA
SkinTite di Coaxmed One Product Specialists - BIOTEC ITALIA

Dr.ssa Eleana Ferrari, medico estetico di fama internazionale, ci riferisce: «Ho apprezzato molto l’ef fetto del vacuum sia conti nuo che ritmato, che limita il fastidio del paziente durante il micro needling e aumenta la sicurezza del trattamento. La produzione di nuove fibre di collagene nel derma e una migliore ossigenazione dei tessuti indotta dal vacuum consentono di migliorare la texture e la compattezza cutanea, oltre che la luminosità della pelle grazie alla possibilità di veicolare in profondità principi attivi specifici. Inoltre, i trattamenti combinati tra la tecnologia CFU Èlife, tecnologia di Biotec Italia Medical che utilizza in maniera avanguardistica gli ultrasuoni micro e macro focalizzati e la radiofrequenza frazionata ad aghi SkinTite stanno diventando sempre più popolari raggiungendo risultati clinici eccellenti». Citando alcuni prima e dopo a seguire, gentilmente forniti dalla Dr.ssa Ferrari ed un altro referente del mondo medico-scientifico, la Dr.ssa Tedesco, possiamo riferire che sono entrambe

entusiaste dei risultati ottenuti con l’abbinamento delle due tecnologie.

La Dr.ssa Luisa Maria Roberta Tedesco, inoltre, ha sottolineato come la sinergia tra i trattamenti CFU e SkinTite permetta di ottenere un rimodellamento di tutti gli strati della pelle partendo da quelli più profondi. Propone quindi un protocollo terapeutico integrato mirato al rassodamento del tessuto e al ringiovanimento con effetto lifting stabile per 18 mesi. «Gli ultrasuoni microfocalizzati ad alta intensità di CFU Èlife effettuano un lifting muscolare per contrastare la gravità e il cedimento con riduzione del rilassamento e risospensione del viso, mentre il microneedling di SkinTite crea migliaia di microcanali nella cute che reagisce sintetizzando nuovo collagene ed elastina, rilasciando fattori di crescita che ne promuovono la rigenerazione. La radiofrequenza di SkinTite induce un riarrangiamento delle fibre di collagene del derma ed una loro contrazione e stimolazione fibroblastica che ne stimola la produzione. Detta combinazione di tecnologie

consente di ottenere un effetto lifting stabile per 18 mesi, grazie al rimodellamento di tutti gli strati della pelle. Si tratta di un protocollo terapeutico integrato altamente efficace per il rassodamento del tessuto e il ringiovanimento della pelle.» Questo protocollo notevolmente efficace, indicato e sperimentato dalla Dr.ssa Tedesco è dunque: 1 seduta CFU e Dopo 30 giorni, SkinTite, 3 sedute a distanza di 15gg. ◼︎

L’evoluzione tecnologica haun obiettivo: perfezionare il perfezionabile.
Prima Prima
60
Prima 30giorni
30giorni Dopo/4 sessioni giorniDopo/4 sessioni Dopo/4 sessioni Prima e Dopo - Courtesy Dr.ssa Ferrari Prima e Dopo - Courtesy Dr.ssa Tedesco

MEDICINA ESTETICA

BIOSTIMOLAZIONE DERMICA PER CONTRASTRARE LE CAUSE

DELL’INVECCHIAMENTO CUTANEO

Con il passare degli anni, la cute rallenta il proprio fisiologico turnover per molteplici cause che portano a una diminuzione della capacità di produrre collagene ed elastina

La biostimolazione dermica è una procedura cardine in Medicina Estetica: ha come target i fibroblasti ed è in grado di intervenire sulle principali manifestazioni dell’invecchiamento cutaneo di viso e corpo, sostenendo il ricambio cellulare e incrementando la produzione di collagene, elastina e acido ialuronico. L’assenza di down time e di eventi avversi rilevanti e l’apprezzabilità dei benefici fin dalla prima seduta rendono la biostimolazione uno dei trattamenti più richiesti. I pazienti della moderna Medicina Estetica sono sempre più attenti al proprio benessere psicofisico e avere una pelle curata è diventata un’esigenza. Sia a livello personale che a livello di relazioni sociali, una pelle sana viene sempre di più percepita come il riflesso di un benessere interiore. Tra le comuni caratteristiche ricercate come elementi costituenti una pelle curata, possiamo citare luminosità, elasticità, compattezza e assenza di imperfezioni. Con il passare del tempo la cute si assottiglia, diventa più fragile, disidratata e meno elastica, in quanto oltre al degradamento fisiologico dei suoi elementi costitutivi entrano in campo tutta una serie di “acceleranti” quali uno stile di vita non corretto, una dieta non equilibrata e il fumo, che tutti assieme contribuiscono a tale decadimento.

ACIDO IALURONICO

La Medicina Estetica si propone di prevenire e curare tali cambiamenti cutanei: per ottenere questo obiettivo, è innanzitutto necessario educare il paziente a evitare o limitare i fattori di rischio suddetti e, da un punto di vista operativo, è necessario intervenire andando a stimolare il naturale

ringiovanimento cutaneo, innescando la produzione di molecole fisiologiche che tendono a diminuire negli anni. La biostimolazione agisce in tal senso. Il medico estetico ha a sua disposizione diverse molecole dotate di attività trofica rigenerativa come l’acido ialuronico glicosaminoglicano, con potente azione idratante, utilizzato da solo o in associazione con altre sostanze nelle sessioni di biostimolazione. Vi sono rivitalizzanti a base di acido ialuronico in forma libera associato ad antiossidanti, vitamine, amminoacidi e minerali che non espletano solo una stimolazione del fibroblasta, ma operano una ridensificazione del derma mediante l’apporto dei suoi nutrienti costitutivi naturalmente presenti nella nostra pelle.

POLINUCLEOTIDI

E PEPTIDI BIOMIMETICI

Molto efficaci sono i polinucleotidi, ovvero frazioni a basso peso molecolare di DNA di origine organica, che hanno la capacità di stimolare i fibroblasti aumentando la vitalità e la produzione di collagene e di altri componenti della matrice extracel

lulare (ECM); avendo un forte effetto antiossidante, inoltre, riducono gli effetti negativi dei radicali liberi a livello della matrice extracellulare. I peptidi biomimetici sono un altro grande valido alleato nel processo di biostimolazione: si tratta di brevi sequenze di amminoacidi che mimano e si sostituiscono a quelle sequenze di amminoacidi presenti nei tessuti. In ottica anti-aging, acido ialuronico in forma libera e peptidi biomimetici vengono associati in specifici devices e possono essere impiegati per idratare e rigenerare la pelle in modo sinergico. Ad esempio possono mandare un segnale chimico ai fibroblasti, con conseguente incremento della produzione di collagene, dando nuovo tono e compattezza alla pelle. Ma non solo: i complessi biomimetici si sono rivelati di aiuto per il trattamento dell’alopecia androgenetica o per il miglioramento delle ipercromie cutanee.

er il trattamento di distretti più

16
Membro del Comitato Scientifico SIES Docente CPMA VALET - Bologna

re con i complessi ibridi cooperativi stabili ad alto e basso peso molecolare di acido ialuronico ultrapuro ad alta concentrazione ottenuto tramite reticolazione termica. La reticolazione termica modifica il carattere e il comportamento dell’acido ialuronico, con conseguente formazione di complessi ibridi che modulano i tessuti. Questa è anche la spiegazione per il diverso comportamento biologico rispetto ai soli distinti acidi ialuronici di peso molecolare differente. Uno dei principali vantaggi è la longevità. I complessi cooperativi ibridi hanno dimostrato di essere molto stabili alla digestione naturale della ialuronidasi, con conseguente rilascio a lungo termine e doppia azione dei due componenti di acido ialuronico. Questa doppia azione risulta ideale per rimodellare la lassità cutanea. Ogni biorivitalizzante può contenere una sola delle sostanze sopraelencate o più frequentemente una combinazione di più molecole, sfruttando la sinergia di azione delle stesse.

DIVERSI VOLUMI

Anche i volumi dei biorivitalizzanti differiscono grandemente: vi sono prodotti da 1 ml e prodotti di volume maggiore che consentono di trattare con una fiala più distretti cutanei nel-

• Quali sono le aree trattabili?

corso teorico-pratico

BIOSTIMOLAZIONE CUTANEA PER LA PREVENZIONE E IL TRATTAMENTO DELL’AGING E DEGLI INESTETISMI CUTANEI

Obiettivo del corso

L’invecchiamento cutaneo è un lento processo che consegue a fattori intrinseci di ordine genetico e ormonale (cronoinvecchiamento) ed estrinseci dovuti all’esposizione continua a radiazioni UV e a tossici ambientali che provocano stress ossidativo (fotoinvecchiamento). Dal punto di vista macroscopico la cute perde elasticità, compattezza, isotropia, mentre dal punto di vista istologico molteplici sono i rimaneggiamenti che avvengono a carico dei vari strati epidermici e del sottocute. Numerosi trattamenti medico estetici sono finalizzati a contrastare i segni cutanei dell’aging e tra questi la biostimolazione è una delle procedure universalmente più utilizzate. Il suo fine ultimo è quello di prevenire e migliorare i segni dell’aging attraverso l’apporto di molecole costitutive del derma o di molecole che stimolino il trofismo delle cellule cutanee. Scopo del corso è quello di illustrare la metodica, i principi attivi che possono essere utilizzati, i protocolli di trattamento per i vari distretti e per le diverse indicazioni.

DIDATTICA A CURA DI: Dr.ssa Paola Molinari

Dr.ssa Maria Cristina D’Aloiso

DATE DEL CORSO: 29 Settembre 2023

CREDITI ECM: 6 crediti (previa compilazione del test)

RICHIEDI PROGRAMMI DETTAGLIATI

SEGRETERIA E SEDE: CPMA - VALET Divisione Didattica - Bologna 051.6388334/051.0216405/051.320170 - www.valet.it - info@valet.it

la stessa sessione. La biostimolazione può infine, come anticipato, avere indicazioni differenti rispetto alla prevenzione e cura dell’invecchiamento cutaneo: variando il tipo di attivi iniettati, è infatti possibile impiega-

re questa metodica nel trattamento dell’alopecia androgenetica, delle striae e della lassità cutanea. Si tratta quindi di una metodica versatile, con un profilo di efficacia e sicurezza estremamente elevato. ◼︎

Le aree che possono essere trattate con la biostimolazione sono solitamente quelle fotoesposte come viso, collo, mani e décolleté, ma è possibile trattare anche altre aree interessate da cedimento e lassità come interno braccia, interno coscia e ginocchia.

• Come si svolge la seduta?

Nello specifico, una seduta di biostimolazione consta di una serie di in micro-iniezioni a livello del derma superficiale su tutta la zona che si intende trattare, in modo da diffondere la soluzione in maniera uniforme. Non richiede anestesia.

• Quali possono essere i possibili effetti post procedurali?

La biostimolazione dermica è una procedura con downtime quasi nullo. La regione trattata può risultare eritematosa e presentare dei “ponfi” che tendono a scomparire in massimo 24/48 ore. Possono verificarsi delle microecchimosi con una durata di massimo 48 ore.

RISPONDIAMO ALLE FAQ SULLA BIOSTIMOLAZIONE

• Quali sono i protocolli operativi?

A seconda del tipo di biorivitalizzante impiegato, i protocolli possono variare in termini di numero di sessioni e cadenza delle stesse. Mediamente un ciclo di biorivitalizzazione prevede 4-6 sessioni a cadenza settimanale o bisettimanale e un mantenimento trimestrale di 2 sessioni.

• Esistono Controindicazioni al trattamento?

La biostimolazione dermica è un trattamento che non presenta particolari controindicazioni e grazie ai suoi innumerevoli benefici a livello dermico trova indicazione tutto l’anno. Tra le controindicazioni è comunque doveroso indicare gli elementi ostativi assoluti quali gravidanza, allattamento, malattie e infezioni cutanee attive e quelli relativi, come l’assunzione di farmaci anticoagulanti o antiaggreganti.

17

MEDICINA ESTETICA

I’MPERFECT®:

UN APPROCCIO INNOVATIVO

“SU MISURA” CHE VALORIZZA E RISVEGLIA LA BELLEZZA AUTENTICA

Presentato al 44° Congresso SIME – Società Italiana di Medicina Estetica, questo progetto promuove l’importanza dell’assessment ossia il rapporto tra medico e paziente come possibilità per capire le aspettative di ognuno e tradurle in opportunità in un percorso di medio-lungo termine

I’MPERFECT® è un approccio che offre un percorso sartoriale continuativo attraverso due protocolli “Gentilize” e “Harmonize” .

“Tailoring imperfection” è il concetto alla base di questo innovativo approccio lanciato da IBSA, leader mondiale nello sviluppo di prodotti a base di acido ialuronico.

La bellezza è con noi da sempre, unica e perfetta nella sua imperfezione, ma con il tempo può aver bisogno di essere risvegliata e di ritrovare la sua armonia. È questa la filosofia alla base di I’MPERFECT®, un nuovo approccio che propone un percorso sartoriale continuativo, studiato su misura sul volto della paziente, per riequilibrare delicatamente i con torni del viso, armonizzare i punti strategici e valorizzare la bellezza autentica. Presentato per la prima volta in occasione del 44° Congres so SIME – Società Italiana di Medi cina Estetica (Roma, 19-21 maggio 2023), questo progetto promuove l’importanza dell’inquadramento ini ziale definito assessment, come op portunità di creazione del tra medico e paziente e come pos sibilità concreta per capire le aspet tative di quest’ultimo e tradurle in opportunità attraverso un di medio-lungo termine.

«Il nostro lavoro è quello di esalta re l’unicità di ognuno attraverso una vera e propria personalizzazione dell’incontro, ascoltando i bisogni e le necessità e restituendo alla paziente un risultato raggiungibile, rispettoso della fisionomia e non trasformativo –ha dichiarato Editta Buttura da Prato, Specialista in Chirurgia Maxillo-Fac ciale, Verona – In questo ultimo de-

cennio il concetto di medicina estetica ha subito un’importante evoluzione. Le pazienti che arrivano da noi necessitano di una visione a medio e lungo termine e di una pianificazione di un protocollo studiato su misura per loro. L’invecchiamento che la paziente porta in studio è frutto di un insieme di elementi legati alle abitudini, allo stile di vita e alla storia clinica pregressa, per questo occorre lavorare su un trattamento personalizzato per ognuna, garantendo alla paziente una progettualità che nel tempo vada a mitigare alcuni effetti e offrire benefici over all».

L’APPROCCIO I’MPERFECT®

In linea con un mercato in costante evoluzione, lavora su concetti di anti-age e benessere, di prevenzione e di qualità a lungo termine (e non più su azioni specifiche) aiutando il medico, anche attraverso strumenti di comunicazione ad hoc, a creare empatia con la paziente, ad iniziare con lei un rapporto fiduciario e di fidelizzazione che duri nel tempo. Oggi il medico di medicina estetica deve saper ascoltare, interpretare i bisogni della paziente e soprattutto accompagnarla durante il percorso attraverso la sua esperienza. Questo cambio culturale e sociale ha influito in modo determinante sulla medicina estetica, portando IBSA a proporsi sul mercato con protocolli sempre meno trasformativi e più qualitativi possibili.

I PROTOCOLLI

«Sono due i protocolli alla base di I’MPERFECT® “Gentilize”, uno stretching superficiale dei tessuti che lavora sulle morbidezze e sul mantenimento di alcuni volumi già presenti nelle pazienti. A livello clinico agisce su un’iniziale atrofia e su uno svuotamento superficiale del derma, donando elasticità, fermezza e tono alla pelle e ristabilendo l’armonia con un approccio rinfrescante non trasformativo. Si tratta di un percorso di medio-lungo termine che definiamo di “mantenimento” – ha dichiarato Editta Buttura da Prato –“Harmonize” è invece un protocollo utilizzato nei casi di mancanza dei volumi localizzati e di iniziale svuotamento dei tessuti grassi superficiali su cui occorre agire con un’azione di

18
IBSA Ricerca & Sviluppo Dr.ssa Editta Buttura da Prato

supporto, sempre con una resa autentica e mai trasformativa. Si lavora sulla tridimensionalità che viene persa con gli effetti dell’aging e che può essere ripristinata donando un effetto autentico. Attraverso un unico punto di azione, si agisce quindi su più aree con quantitativi rispettosi dei connotati della paziente minimamente invasivi e mai eccessivi».

IL RISVEGLIO DELLA BELLEZZA

È un percorso continuativo che alla base ha un elemento prezioso: l’acido ialuronico. Non si vuole più dunque nascondere l’imperfezione, ma integrarla e armonizzarla diventando quindi tratto distintivo di ognuno di noi, usando una metafora, il medico diventa sarto dell’imperfezione attraverso approcci personalizzati lavorando su un concetto di risveglio di una bellezza unica.

IBSA INSTITUT BIOCHIMIQUE SA

È una multinazionale farmaceutica svizzera fondata nel 1945 a Lugano. Oggi è presente con i suoi prodotti in oltre 90 Paesi in 5 continenti e ha 17 filiali dislocate in Europa, Cina e Stati Uniti.

L’azienda ha un fatturato consolidato di 800 milioni di franchi e impiega oltre 2.000 persone fra sede centrale, filiali e siti produttivi. IBSA detiene 90 famiglie di brevetti approvati e altri in fase di sviluppo e un vasto portfolio di prodotti che permette di coprire 10 aree terapeutiche: medicina della riproduzione, endocrinologia, dolore e infiammazione, osteoarticolare, medicina estetica, dermatologia, uro-ginecologia, cardiometabolica, respiratoria, consumer health.

È inoltre uno dei maggiori operatori a livello mondiale nella medicina della riproduzione e uno dei leader mondiali nei prodotti a base di acido ialuronico. I pilastri su cui IBSA fonda la sua filosofia sono: Persona, Innovazione, Qualità e Responsabilità.

IBSA DERMA

È la divisione dermoestetica di IBSA. Expertise farmaceutica, know-how tecnologico e un innovativo e dinamico approccio al mercato sono le basi su cui IBSA Derma ha fondato

la propria crescita anche nei mercati internazionali, anticipando le esigenze di medici e pazienti.

L’approccio di IBSA Derma, con la gamma completa di prodotti Aliaxin®, Profhilo®, e Viscoderm®, si sviluppa sul concetto Hydrolift® Action. Grazie a un utilizzo innovativo dell’acido ialuronico Ultrapure, IBSA Derma ridefinisce i beauty standards esaltando proprio l’autenticità di ogni individuo, perché “Ognuno di Noi è un Capolavoro”

19
◼︎ PER INFORMAZIONI ibsadermaitalia ibsa_derma_italia www.ibsaderma.it

ATTIVA S.I.H. TECNHOLOGY: STORIA DI UN SUCCESSO ITALIANO CHE OTTIENE LA CERTIFICAZIONE FDA E SI APRE AL MERCATO AMERICANO

Da tempo il mondo medico-estetico era alla ricerca di nuove opportunità da indirizzare nella medicina rigenerativa

Sono trascorsi ormai otto anni dalla prima apparizione di questa esclusiva tecnologia sul panorama della Medicina Estetica italiana e mondiale.

ATTIVA è una radiofrequenza studiata per avere tre modalità di impiego:

• Endodermica: il suo impiego in questa modalità prevede l’utilizzo di cannule speciali nel cui interno viene posizionato un sensore termico.

• Esodermica: dotata di manipoli speciali con ceramiche brevettate che lavorano in modalità capacitiva.

• Vaginale: dotata di speciale manipolo endo ed eso vaginale, non operatore dipendente che rispetta pienamente la privacy della paziente. Fin dalla sua prima apparizione, ATTIVA ha suscitato molto interesse da par-

quanto ritenuta una tecnologia efficace, sicura, che non necessitava di una curva di apprendimento elevata

per avere risultati e, soprattutto nella modalità endodermica, che il suo utilizzo permettesse di ottenere risultati anche in campo chirurgico senza averne le sequele né le complicanze legate all’intervento. Nel corso dei primi tre anni di vita sono state ricercate tutte le possibili condizioni e soluzioni tecniche per renderla sempre più efficace e naturalmente molto più semplice nel suo utilizzo. Analogamente nel resto del mondo, mercato sempre in continua evoluzione, il trattamento con ATTIVA è sempre stato considerato eccezionale per i risultati di lunga durata sul paziente e per la semplicità e sicurezza da parte dell’operatore. A conferma di questo è arrivata, nel febbraio 2023, l’ambita certificazione FDA americana, con conseguente apertura del mercato in territorio Usa e conseguente innalzamento vertiginoso dei trattamenti effettuati. Il successo di questo risultato è dovuto principalmente a due aspetti fondamentali, che fanno di ATTIVA una tecnologia unica nel suo genere: sicurezza ed efficacia.

20 MEDICINA ESTETICA
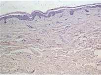
Prof. Giorgio Maullu Specialista in Scienza dell’Alimentazione - Sassari Coordinatore e Docente Master di II Livello Università di Sassari - Membro CRISMENC Pre-trattamento Dopo 3 mesi Dopo 6 mesi Pre-trattamento Dopo 6 mesi Pre-trattamento Dopo 6 mesi (caso dell’istologico)

SICUREZZA ED EFFICACIA

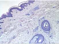
ATTIVA è una radiofrequenza endo dermica e il suo impiego in questa modalità prevede l’impiego di can nule speciali. La sicurezza è duplice, sia per il paziente che per l’operato re. Essa è dovuta al fatto che si ha il controllo esatto della temperatura della cannula inserita nel tessuto sottocutaneo mediante un sensore alloggiato all’interno della cannula (termocoppia) e nello stesso istante della superfice cutanea, mediante una speciale termocamera che pro ietta nel monitor della macchina non solo un valore numerico ma anche la diffusione del calore raggiunto attraverso una diffusione cromatica. In questa maniera, qualunque temperatura si voglia utilizzare è controllata sia in profondità che in superficie, eliminando qualsiasi possibilità di ustioni o reazioni averse. Le medesime condizioni di controllo si hanno per la modalità esodermica e per quella vaginale. Con il CRISMENC, Centro di ricerca di Medicina Estetica dell’Università di Sassari, diretto da professor Alessio Pirino e quello dell’Università di Verona diretto da professor Andrea Sbarbati, sono stati valutati attraverso biopsie in vivo, mediante volontari, le modificazioni strutturali e biochimiche che si ottengono nei tessuti dopo essere stati sottoposti al trattamento endodermico.

NIENTE ANESTESIA

I primi risultati furono incoraggianti sulla clinica, infatti i tessuti trattati apparivano più luminosi e compatti, si riduceva di molto la ptosi e soprattutto avevano una durata di molti mesi, anche oltre 18. Nelle foto presentate, si evidenzia il notevole risultato della

retrazione cutanea e il miglioramento del suo aspetto, confortato dai risultati istologici in cui si determina l’aumento delle creste papillari, aumento dello spessore del connettivo, e l’assenza di spazi lamellari nel connettivo lasso a sei mesi dal trattamento, rispetto al tempo pre-trattamento. Indagando ancora meglio, si è visto che la temperatura ottimale per lo stimolo delle cellule staminali è quella di 46/48 gradi. Questo ha rivoluzionato l’impiego di ATTIVA: non è necessario l’impiego dell’anestesia nei trattamenti di rigenerazione tessutale! Infatti, lo studio approfondito del tessuto connettivo, lo stimolo dell’effetto piezo-elettrico diretto e indiretto che il trattamento induce, oltre al calore etc., concorre allo stimolo rigenerativo di tutti i tessuti, compreso l’interessamento del sistema immunitario distrettuale. La possibilità di avere una temperatura specifica, ma controllabile per ogni impiego, ha espanso i confini di utilizzo della tecnologia. Infatti si va dal trattamento dell’iperidrosi ascellare, in maniera definitiva con poche sedute, al trattamento del doppio mento o delle aree critiche come l’interno co-

scia e le braccia, con risultati di lunga durata con un solo trattamento. Questa diversità di trattamenti è sempre legata al comune denominatore: sicurezza ed efficacia.

DALL’AMERICA AL MEDIO ORIENTE

È la complessità della struttura connettivale che ha decretato il successo di ATTIVA. L’azione del calore, controllato e irraggiato su tutti i piani tessutali, accompagnato dall’effetto meccanico della cannula, vanno a interagire sulle strutture microvacuolari della matrice extracellulare, determinando risposte bioumorali in direzione rigenerativa. Questi aspetti, così naturali ma efficaci, hanno conquistato il mondo medico-estetico americano, che da tempo era alla ricerca di nuove opportunità da indirizzare nella medicina rigenerativa. Questo interesse americano ha fatto sì che un’altra area geografica in espansione nella Medicina Estetica, il Medio Oriente, ne subisse il fascino e quindi l’aumento di interesse, in quanto i trattamenti che si possono eseguire con ATTIVA non subiscono limitazioni, stagionali e nemmeno di temperature legate al clima. La più grande soddisfazione per chi ha creduto fin dall’inizio in questo progetto, (Azienda, collaboratori, professionisti) è vedere la replicazione dei risultati costantemente anche oltreoceano e vedere negli occhi degli operatori la stessa gioia, vissuta per il risultato ottenuto da noi, con i propri pazienti. Non sembra improprio per noi Italiani nel mondo sentire ripetere: “Considerate la vostra semenza: fatti non foste a viver come bruti, ma per seguir virtute e canoscenza”

21
◼︎
Presso la clinica del Dr. Jack Zamora a Denver, Colorado USA Presso la clinica del Dr. Jack Zamora a Denver, Colorado USA
22 FACE & BODY CONTOURING DOUBLE CHIN TREATMENT TABOO ZONES LIFTING SKIN LAXITY TREATMENT BREAKTHROUGH IN TISSUE [RE]GENERATION Tema Medicina S.r.l. | www.temamedicina.it | info@temamedicina.com | Tel +39 051 0828559 *In the United States is indicated for treatments based on the emission of electromagnetic waves that lead to a rise of internal temperature of tissues involved in the treatment for electrocoagulation and hemostasis. It can be used on adult patients only. FDA APPROVED * PATENTED TECHNOLOGY DOUBLE TEMPERATURE CONTROL UNIQUE SAFETY FEATURES FOR MEDICAL USE ONLY

MEDICINA ESTETICA

La recente introduzione nel mercato di prodotti iniettabili a base di acido ialuronico, da utilizzare in area vulvare per contrastare i segni e i sintomi dell’atrofia tissutale di varia natura, ci spinge ad approfondire l’argomento. Come per i filler destinati all’uso nell’area del volto, anche il Filler Genitale (G Filler) viene prodotto adattandosi alle caratteristiche dell’area anatomica in cui viene iniettato Utilizzato a scopo estetico e ricostruttivo, il Filler Genitale è principalmente infiltrato per migliorare la forma e la dimensione del Grande Labbro, ripristinando di quest’ultimo la funzione principale che è quella di proteggere le delicate strutture più interne (piccolo labbro e introito della vagina), riproporzionando così i volumi della vulva venuti meno per cause iatrogene o fisiologiche, come l’invecchiamento. Come per i filler destinati ad altre parti del corpo, anche il Filler Genitale è costituito da acido ialuronico nativo al quale viene aggiunto un agente cross-linkante in un processo articolato, alla fine del quale viene prodotto un gel elastico, che ben si adatta all’area anatomica cui è destinato e relativamente duraturo nei tessuti, ma riassorbibile e altamente biocompatibile.

L’ACIDO IALURONICO NATIVO È un polisaccaride non ramificato, prodotto dalla condensazione di migliaia di unità disaccaridiche formate a loro volta da residui di acido glucuronico e N-acetilglucosammina, legati tra di loro, alternativamente, da legami glicosidici β1→β4 e β1→β3, nonché da legami a idrogeno intramolecolari, che ne stabilizzano le conformazioni (Fig. 1). È fortemente idrosolubile e igroscopico, nella sua forma salina, lo ialuronato di sodio, è in grado di complessarsi a numerosissime molecole

IL FILLER GENITALE

Prodotto adattandosi alle caratteristiche dell’area anatomica in cui viene iniettato, utilizzato a scopo estetico e ricostruttivo, il G Filler è principalmente infiltrato per migliorare la forma e la dimensione del Grande Labbro

d’acqua, raggiungendo un elevato grado di idratazione. Nella matrice extracellulare del tessuto connettivo, l’acido Ialuronico è uno dei pochi GAG che non si lega a proteine, è in grado di incamerare una notevole quantità di acqua anche perché si dispone in forma aggregata Ha il compito di mantenere l’idratazione dei tessuti, conferendo loro turgore e plasticità. In base al suo peso molecolare, le sue funzioni principali sono:

• di idratazione tissutale;

• di concorrere a creare l’impalcatura molecolare per mantenere la forma e il tono del tessuto;

• di “filtro” contro la diffusione libera nel tessuto di particolari sostanze come batteri e agenti infettanti, anche se moltissimi batteri sono in grado si sintetizzare ialuronidasi [1], enzima in grado di degradare le molecole di acido ialuronico;

• antiossidanti perché l’HA (Hyaluronic Acid) ad alto peso molecolare possiede gruppi funzionali idrossilici, che presumibilmente possono assorbire ROS (Reactive Oxygen Species) [2];

• anti-infiammatorie perché il recettore CD44 (Cluster of Differentiation) è coinvolto nel controllo della risposta infiammatoria, attraverso anche la modulazione della migrazione dei fibroblasti dal tessuto circostante nell’area di tessuto danneggiato [3];

• di neo-angiogenesi, promossa sia da HMWHA che LMWHA (High and Low Molecular Weight Hyaluronic Acid), che risultano essere potenti regolatori dell’angiogenesi [4].

PRODOTTI IN COMMERCIO INIETTABILI IN AREA VULVARE

I gel C-L (Cross Linkati) a base di acido Ialuronico sono delle vere e proprie “protesi” iniettabili e temporanee, prodotte specificatamente per essere utilizzate in area vulvare per finalità morfologiche ricostruttive ed estetiche Sono costruiti in modo da permanere nei tessuti a lungo ma temporaneamente, spesso sono addizionati a una quota di acido ialuronico libero Il fatto che siano costituiti da acido ialuronico e che siano temporanei, rendono questi gel altamente tollerabili e biocompatibili. Alla fine del processo di produzione per fermentazione batterica, le lunghe catene di acido ialuronico nativo vengono purificate (de-telomerizzate) e legate assieme da ponti costituiti da molecole cross-linkanti come il BDDE (1,4-Butanediol Diglycidyl Ether) o il PEG (Poly Ethylene Glycol) e successivamente ri-purificati per eliminare l’eccesso di agente crosslinkante Questi legami servono per stabilizzare il gel così prodotto, per proteggerlo dall’enzima deputato al catabolismo dell’acido ialuronico, la ialuronidasi, e anche dai processi di idrolisi (Fig. 2) [5].

23
Dr.ssa Elena Fasola Specialista in Microchirurgia e Chirurgia Sperimentale, Medico Estetico - Milano Membro del Comitato Scientifico SIES Docente CPMA VALET - Bologna Fig. 1: Molecola di Acido Ialuronico libero (nativo) Fig. 2: Struttura chimica di Acido Ialuronico crosslinkato con BDDE

REOLOGIA

Coesività

le sue caratteristiche se sottoposto a forze di taglio. Altra caratteristica importante da valutare è la coesività, caratteristica per la quale se il filler è sottoposto a forze di taglio, LA REOLOGIA IN PAROLE POVERE... e qualche immagine G” - Modulo Viscoso 40 Pa G’ - Modulo Elastico 200 Pa Tan δ 0,2 (incredibilmente elastico!!!) ALTA ELASTICIÀ G’ BASSA VISCOSITÀ G” ALTA ELASTICIÀ G’ BASSA VISCOSITÀ G” G”/G = Tan δ > 1

Bassa Coesività Nessuna Coesività

Fig. 3: Caratteristiche reologiche ideali di un filler vulvare - ESTRATTO DA LEZIONE IN GINECOLOGIA ESTETICA E FUNZIONALE - Elena Fasola

trazione e compressione verticale, le molecole di HA di cui è costituito, dopo l’infiltrazione nel tessuto, sono in grado di rimanere adese a loro stesse [Fig. 3] [6]. G”/G = Tan δ < 1 In relazione all’elevata elasticità!!! = Filler perfetto!!! G* - Viscosità Dinamica Totale 214,941852602 Pa = √ (G’xG’) + (G”xG”) Coesività +++ le molecole aderiscono incredibilmente tra loro Compressione Alta Coesività Media Coesività

Z-LIPO Criolipolisi

SALUTE & BELLEZZA 2018

Z-WAVE Onde d’urto Z-TONE Stimolazione muscolare

G FILLER www.medpharm.it - info@medpharm.it - Tel. 02 48012331 - 02 48013823

La reologia è quel ramo della Fisica che studia l’origine, la natura e le caratteristiche di deformazione dei corpi sotto l’azione di forze esterne. L’area vulvare è una regione anatomica in movimento e sottoposta, da un punto di vista fisico, a molteplici forze trazione, compressione e di taglio verticale e orizzontale. Infiltrare un filler che riesca ad assecondare questi movimenti senza migrare o deformarsi è fondamentale, perché ci assicura che il gel, dopo essere stato infiltrato nei tessuti, rimanga nella sede voluta, svolga il suo ruolo adattandosi perfettamente all’area anatomica in cui è stato infiltrato. Partendo dal rapporto tra il modulo viscoso (G’’) e il modulo elastico (G’), entrambi misurati in Pascal (Pa), si calcola il coefficiente di elasticità (Tan Delta) che sarebbe auspicabile risultasse molto vicino allo zero, il che rende il gel molto elastico. Anche il coefficiente di viscosità totale dinamica (G*) è importantissimo elemento da considerarsi, un buon G* permette al filler di deformarsi quel tanto che basta per non perdere

CENNI DI ANATOMIA DEL GRANDE LABBRO

In uno spaccato trasversale di Grande Labbro, osserviamo, dalla superficie alla profondità, la cute con le sue ghiandole sebacee, sudoripare e i follicoli piliferi, subito al di sotto di essa e nella faccia laterale e parte della faccia mediale del grande labbro, si trova un sottile strato di fibro-miocellule, il Dartos labiale, adeso inferiormente e tenacemente a uno scarsamente rappresentato e sottile strato celluloadiposo. Sotto lo strato cellulo-adiposo si trova la Tunica Fibrosa, o Sacco Elastico del grande labbro, il cui fondo si trova a ridosso della forchetta e la sua apertura anteriormente a livello del canale inguinale. Il sacco elastico del grande labbro contiene il corpo grasso del grande labbro in cui sfioccano le fini terminazioni del legamento rotondo uterino [7]

INDICAZIONI E TECNICA

DI IMPIANTO DEL G FILLER

Le tecniche con le quali vengono attuati gli impianti di filler a base di acido ialuronico C-L devono asseconda-

Stadio I

Lieve (precoce)

Stadio II Moderato

Stadio III Grave

Ipotrofia lieve; distribuzione del tessuto adiposo tessuto adiposo è solitamente simmetrica

Ipotrofia moderata; la distribuzione del tessuto adiposo può essere asimmetrica

Ipotrofia grave; il tessuto adiposo è spesso distribuito asimmetricamente

re l’anatomia della vulva, a seconda dell’entità del volume da ripristinare e quindi in base al tipo e all’entità dell’ipotrofia tissutale (Tabella), della sua posizione nel contesto del Grande Labbro, è possibile praticare uno o più accessi. Più spesso si utilizza una tecnica infiltrativa mediante cannula a punta smussa (da 25 a 19 Gauge, di solito di 22G di diametro) e mediante ago da 27-30G per perfezio-

ipotrofia cutanea da nulla a lieve; possono essere visibili sottili rughe

Moderata lassità cutanea, dermatocalasi; rughe visibili

Grave dermatocalasi e rughe profonde

Di solito asintomatica, può seguire una perdita di peso

Si possono osservare secchezza, dispareunia e indolenzimento

Solitamente associato a sintomi come secchezza, dispareunia e indolenzimento

nare superficialmente l’impianto, con l’obiettivo di migliorare la forma e il volume del grande labbro, a scopo ricostruttivo funzionale ed estetico, nei casi di mancanza di tessuto da esiti cicatriziali iatrogeni (ad esempio dopo asportazione della ghiandola del Bartolini), per riproporzionare i volumi vulvari a scopo protettivo nei confronti del Piccolo Labbro e dell’introito vaginale [8].

SALUTE & BELLEZZA 2018

25 CLASSIFICAZIONE DI
[8]
IPOTROFIA DEL GRANDE LABBRO
Livelli Sottocutanei Livelli Cutanei Sintomi
www.medpharm.it - info@medpharm.it - Tel. 02 48012331 - 02 48013823
Le migliori tecnologie laser e Device Energy-based

CONTROINDICAZIONI

ED EFFETTI COLLATERALI

Le controindicazioni all’impianto di filler a base di acido ialuronico crosslinkato in area vulvare non sono dissimili da quelle per l’impianto dei simili filler in altre sedi anatomiche. In quest’area vanno altresì tenute in considerazione le infezioni batteriche e/o fungine specifiche di questa sede, che comunque rappresentano una controindicazione più spesso relativa; il Lichen Atrofico, tra le patologie autoimmuni, per il momento risulta essere ancora una controindicazione assoluta. Tra gli effetti collaterali comuni, possiamo annoverare piccole ecchimosi e accumuli di prodotto, quando si utilizza l’ago o nel punto di accesso della cannula, e un non ricorrente e non persistente pseudo-edema che si risolve spontaneamente spesso in 24 ore. In letteratura sono riportati due casi di effetti collaterali gravissimi: essi si riferiscono a casi nei quali però la scelta del prodotto, l’area anatomica, la quantità di prodotto e la tecnica sono state arbitrarie e prive di razionale di utilizzo [9,10].

RISULTATI

I risultati sono ben apprezzati sia dalla paziente che dal medico subito dopo l’infiltrazione del G-Filler (Fig. 4) e risultano apprezzabili per un tempo relativamente lungo, mediamente dai 4 agli 8 mesi.

CONCLUSIONI

La conoscenza dei prodotti disponibili nel mercato specificatamente ideati per essere utilizzati in quest’area anatomica, della loro reologia del prodotto, delle varie tecniche con cui utilizzarli, l’approfondita conoscenza dell’anatomia e dell’istologia, oltre che la sensibilità psicologica nell’indicare al meglio la metodologia adeguata o nel non indicarla affatto, fa di questa disciplina iper-specialistica, che utilizza medical device solo in apparenza semplici, un validissimo aiuto per il medico a migliorare la qualità della vita delle donne. Gli studi scientifici a validazione di tali metodologie e prodotti, presenti in bibliografia internazionale, rimangono a oggi ancora in numero insufficiente (Fig. 5) ◼

GINECOLOGIA ESTETICA E FUNZIONALE

Obiettivo del corso

Formare il medico estetico sulle indicazioni al trattamento di tutti quei cambiamenti morfologici, spesso associati a sintomi e tipici degli organi genitali esterni, che sopraggiungono in due fasi della vita femminile: il post-partum e la Menopausa. Un ripasso fondamentale dell’anatomia dei genitali esterni femminili, seguito dalla discussione e rappresentazione iconografica delle modificazioni morfologiche a cui viene sottoposta l’area anatomica durante la vita e le possibilità di trattamento medico-estetico, nonché l’indicazione alla chirurgia: dalla ipotrofia delle grandi labbra alla ipertrofia delle piccole labbra, dalla rigidità dell’introito e al dolore vulvare dovute a cause patologiche (accenno alla Patologia Vulvare), al trattamento delle cicatrici post-episiorrafia… Verranno dimostrate, tramite video, la maggior parte delle tecniche medicoestetiche e accennate quelle chirurgiche e ginecologiche al ripristino estetico/funzionale della morfologia e della funzione vulvare. Non verrà dimenticato di accennare alla terapia medica, da considerare sempre di supporto ai trattamenti medico-estetici.

DIDATTICA A CURA DI: Dr.ssa Elena Fasola

DATE DEL CORSO: 22 Settembre 2023

CREDITI ECM 6 crediti (previa compilazione del test)

RICHIEDI PROGRAMMI DETTAGLIATI

SEGRETERIA E SEDE: CPMA - VALET Divisione Didattica - Bologna 051.6388334/051.0216405/051.320170 - www.valet.it - info@valet.it

RIFERIMENTI

1 - Pasquale Rosati, Roberto Colombo, Nadir Maraldi. Istologia- Ed. Ermes, 2006.

2 - Ye J, Zhang H, Wu H, et al. Cytoprotective effect of hyaluronic acid and hydroxypropyl methylcellulose against DNA damage induced by thimerosal in Chang conjunctival cells. Graefes Arch Clin Exp Ophthalmol. 2012;250(10):1459-1466.

3 - Malgorzata Litwiniuk, Alicja Krejner, Tomasz Grzela. Hyaluronic Acid in Inflammation and Tissue Regeneration. March 2016 Issue: Volume 28 - Issue 3 - March 2016 - ISSN: 1044-7946 - Index: Wounds 2016;28(3):78-88.

4 - Toole BP. Hyaluronan: from extracellular glue to pericellular cue. Nat Rev Cancer.2004;4(7):528-539.

5 - Su, Y., Liu, C., Fang, H., & Zhang, D. (2020). Bacillus subtilis: a universal cell factory for industry, agriculture, biomaterials and medicine. Microbial Cell Factories, 19(1), 1-12.

6 - Basic rheology of dermal filler - Moon Seop Choi. Arch Plast Surg, July 2020.

7 - F. Anglana. Trattato di Patologia Vulvare - Ed SEE, Firenze 2003.

8 - Elena Fasola, MD, Riccardo Gazzola, MD. Labia Majora Augmentation with Hyaluronic Acid Filler: Technique and Results - Aesthetic Surgery Journal. Volume 36, Issue 10, November/December 2016, Pages 1155–1163, 1-5.

9 - Hyaluronic acid-induced diffuse alveolar hemorrhage: unknown complication induced by a well-known injectable agent. Han SW, Park MJ, Lee SH. Ann Transl Med. 2019 Jan;7(1):13. doi: 10.21037/atm.2018.11.51.PMID: 30788360.

10 - Death Caused by Vaginal Injection of Hyaluronic Acid and Collagen: A Case Report. Yang Y, Sheng H, Gu Q, Su L, Tong H, Chen J, Qi X. Aesthet Surg J. 2020 Apr 14; 40(5):NP263-NP268. doi: 10.1093/asj/sjz275.PMID: 31606736.

11 - Elena Fasola. Genital Filler: le 5 W- What, Who, Where, When, Why? – lriog -1-2021-10 DOI: 10.53146 pages 71-77.

26
teorico-pratico
corso
Fig.4: pz di 38aa, prima e dopo 2 ml di filler a base di Acido Ialuronico C-L, 21 mg/ml HA, impianto con cannula 21G, in esito cicatriziale iatrogeno da asportazione di Ghiandola del Bartolini sx in Ipotrofia moderata del Grande Labbro asimmetrica [11] Fig. 5: Evidence Based Medicine - ESTRATTO DA LEZIONE IN GINECOLOGIA ESTETICA E FUNZIONALE - Elena Fasola

L’approccio correttivo estetico effettuato sul viso non può prescindere da un corretto inquadramento di proporzioni delle diverse unità estetiche del viso: questo infatti dovrebbe rispondere a criteri che spesso vengono inquadrati nelle cosiddette “proporzioni auree”, che identificano i rapporti di proporzione fra le 3 unità (superiore, media e inferiore) del viso. Il viso, infatti, viene suddiviso in 3 aree generali separate, che differiscono per spessore della cute, presenza di tessuto adiposo sottocutaneo, attività muscolare e composizione ossea: il ter-

I PROFILI NELL’ESTETICA DEL VISO

Come migliorare l’estetica e le proporzioni del viso nei suoi profili

alla base del naso e infine il terzo inferiore va dalla base della columella alla punta del mento. Nella valutazione del quadro estetico del viso, si è spesso indirizzati a valutare il paziente in posizione frontale, si è però meno avvezzi a guardare la paziente sotto l’aspetto delle proporzioni e del profilo. Da questo punto di vista, quindi, è molto corretto valutare il profilo laterale per capire gli inestetismi che coinvolgono il viso, avendo l’opportunità di valutare le alterazioni di proiezione e quindi l’armonia dei vari distretti e unità estetiche. Infatti, nella valutazione

no valutate prima del trattamento: in particolare, l’angolo fronto-nasale deve essere di 12-14 gradi, l’angolo labio-columellare nell’uomo deve essere di circa 90 gradi e nella donna di 100 gradi circa, l’angolo naso mentale deve essere di circa 130 gradi, l’angolo cervico-mentoniero deve essere di circa 85-90 gradi.

LE NOVITÀ

La Medicina Estetica, grazie anche all’introduzione di nuovi prodotti, nuove tecniche e nuovi apparecchi elettromedicali, permette al medico possibili interventi di profiloplastiche mediche che si avvalgono di procedure utili a ristabilire una soddisfacente armonia, e fra queste in particolare le procedure che includono l’uso di filler (soprattutto con acido jaluronico cross linkato volumizzanti), tossina botulinica tipo A, fili di sostegno, sodio desossicolato per l’area mentoniera ed energy base devices.

Se infatti consideriamo partendo dall’alto la fronte, questa può essere interessata da una variazione della normale rotondità di curvatura, con presenza nella porzione media o medio-inferiore di un solco corrispondente a depressione ossea; in questo caso si può intervenire con l’uso di acido jaluronico che, attraverso infiltrazioni eseguite con 5 o 6 piccoli boli (0,1 ml ciascuno) o in alternativa con cannula con accesso laterale, può riempire la solcatura interessata.

OSSERVARE GLI ANGOLI cendendo cranialmente, è quindi necessario valutare l’area nasale, che ha un grande impatto nei profili delle pazienti e di cui spesso viene richiesta una correzione per migliorare il profilo e l’armoniosità. Prima

27 MEDICINA ESTETICA
Specialista in Chirurgia Plastica, Ricostruttiva ed Estetica, Medico Estetico - Milano Vicepresidente SIES Docente CPMA VALET - Bologna PexelsDmitriy Ganin

di procedere con una possibile correzione è sempre necessario osservare gli angoli che caratterizzano la piramide nasale, osservando in primis l’angolo frontonasale e poi quello nasolabiale. Normalmente, quest’ultimo nella donna dovrebbe essere di circa 100 gradi, mentre nell’uomo di circa 90; la non rispondenza a queste proporzione, porta rispettivamente a un naso a sella o un naso “cadente”, con un’evidente alterazione di armoniosità e di bellezza del profilo nasale. Una procedura iniettiva di profiloplastica medica (chiamata rinofiller) consente un riequilibrio del profilo nasale volto a modificare la forma e le proporzioni della piramide nasale. La selezione della paziente, in questi casi, è molto importante e prevede un’attenta analisi delle strutture ossee e cartilaginee e della dinamica di posizione statica e dinamica della punta nasale, soprattutto per questa ultima da valutare durante il sorriso, dove si deve valutare se la punta cade o meno durante il movimento: in questo caso è ovvio che vi è anche il coinvolgimento muscolare del muscolo depressore del setto, che spinge la punta a ruotare e abbassarsi con ulteriore aggravamento dell’inestetismo. Se si decide in base a queste valutazioni che la paziente è una buona candidata, si può procedere con una profiloplastica che prenda in considerazione l’eventuale riempimento della depressione craniale con acido jaluronico inserito con ago perpendicolare a piccoli quantitativi (0,1 ml) in profondità sul piano sopra periosteo, che rappresenta un piano più sicuro per l’anatomia vascolare del naso.

Questa manovra iniettiva corregge la parte alta della piramide nasale mascherando l’eventuale gibbosità del dorso e/o l’eccessiva concavità dell’angolo nasale superiore. Se si vuole intervenire per la correzione della punta, ci possono essere due opzioni di scelta di procedura che a volte possono anche essere combinate: o con acido jaluronico, se si vuole dare sostegno alla punta con iniezione alla base della columella per dare sostegno, oppure se la punta ha una caduta durante il sorriso per causa di coinvolgimento muscolare si può utilizzare alla tossina botulinica tipo A (ricordando che è un trattamento off label e che può dare, in caso di tecnica scorretta, alcuni effetti collaterali sgradevoli, fra cui asimmetrie del labbro superiore e incontinenza labiale): questo approccio permette di agire sul muscolo depressore del setto mediante infiltrazione alla base delle columelle con poche unità (2 in genere), che permette un rialzo della punta stessa laddove nel sorriso la punta tenda a cadere.

POSSIBILI COMPLICANZE

Si ricorda che il trattamento del profilo del naso rappresenta un trattamento suscettibile di possibili complicanze, fra le quali si segnalano necrosi del dorso nasale o della zona glabellare o la più temuta compressione o embolizzazione retrograda sanguigna arteriosa, che nei casi gravi e rari può anche condurre a disturbi visivi o addirittura cecità. Per tale motivo le regole di good practice devono prevedere: uso del prodotto di acido jaluronico adeguato (corretta concentrazione e grado di cross linkaggio),

quantità da iniettare (piccoli boli da 0,1 ml circa), sede di profondità corretta (profonda sopraperiostea che rappresenta un piano più sicuro dal punto di vista vascolare) e corretta conoscenza dell’anatomia. È sempre importante avere a disposizione le jaluronidasi per poter porre rimedio immediatamente a questi inconvenienti, che rappresentano un’urgenza di trattamento, dovendoli eseguire nel più breve tempo possibile rispetto al momento dell’infiltrazione e dell’evidenza della complicanza segnalata da dolore e cambiamenti di colore della cute.

OCCHIO A LABBRA E MENTO

Per quanto riguarda le labbra, bisogna considerare non solo la loro forma generale (a cuore, a nastro, a ellissi, rotonde), ma anche i loro gradi di proiezione e proporzione, considerando che il labbro superiore deve rappresentare circa 1/3 del totale e l’inferiore circa 2/3. Tracciando una linea chiamata di Steiner (che congiunge la base della columella al punto più estremo di proiezione della punta del mento), dovremmo valutare una protrusione di profilo del labbro superiore di circa 1-2 mm rispetto al labbro inferiore. Se tale proiezione di profilo non rispecchia questi canoni, è possibile eseguire una profiloplastica labiale sia del volume che delle proporzioni con acido jaluronico cross linkato con diverse tecniche (da scegliere in base al caso specifico). Scendendo cranialmente infine al mento, la sua scarsa proiezione data da un’ipoplasia della porzione sinfisaria dell’osso mandibolare e/o accompagnata da un’iperattività del muscolo mentale, sono le condizioni che danno indicazione a un possibile trattamento di profiloplastica. Queste condizioni portano a un mento “sfuggente” e alla visibilità estetica di un inestetismo chiamato a “buccia d’arancia” o a “pallina da golf” del mento, con evidenti alterazioni di proporzione ed estetica del mento. Per i motivi sovraesposti, il ribilanciamento del mento può essere eseguito con filler volumizzanti a bolo nella regione centrale del mento, accompagnato o meno a seconda dei casi di trattamento dinamico (da considerare sempre off label e con più alti

28

rischi di effetti collaterali, in particolare per il coinvolgimento del labbro inferiore) con tossina botulinica tipo A nel muscolo mentale che mira a due risultati: da una parte ridurre l’azione di spinta del muscolo mentale verso l’indietro riducendo ulteriormente la sua proiezione, dall’altro correggere il classico aspetto a buccia d’arancia del mento.

L’AREA SOTTO MENTONIERA

Nella valutazione globale del mento, infine, è importante valutare anche l’area sotto mentoniera, nella quale spesso l’angolo cervico mentoniero (in genere dovrebbe essere di 85-90 gradi) è alterato per la presenza di grasso sotto mentoniero associato a lassità cutanea, cose che portano l’angolo a subire importanti modificazioni di angolatura sino a riduzione a 60-50 gradi. In questo caso la correzione del profilo in questa area prevede l’utilizzo di infiltrazione iniettiva con sodio desossicolato (un acido biliare come quelli che produciamo fisiologicamente), che è in grado di produrre un’adipocitoli-

corso teorico-pratico

TECNICHE AMBULATORIALI DI DEFINIZIONE MEDICA DEL PROFILO DEL VOLTO

Obiettivo del corso

Alla scoperta delle nuove frontiere della Profilometria. Quello che fino a ieri era possibile solo grazie alla chirurgia, oggi è alla portata di chirurghi e medici estetici. Tecniche di utilizzo comune nell’ambito ambulatoriale, quali Filler, Tossina botulinica e Fili, saranno protagonisti del corso dove verranno definiti gli ambiti delle singole metodiche e le applicazioni sinergiche per ampliare le vostre competenze e soddisfare le aspettative dei vostri pazienti.

DIDATTICA A CURA DI: Dr. Maurizio Cavallini

DATE DEL CORSO: 28 Ottobre 2023

CREDITI ECM: 6 crediti (previa compilazione del test)

RICHIEDI PROGRAMMI DETTAGLIATI

SEGRETERIA E SEDE: CPMA - VALET Divisione Didattica - Bologna 051.6388334/051.0216405/051.320170 - www.valet.it - info@valet.it

si, cioè una rottura della membrana cellulare degli adipociti che produce una riduzione del numero di cellule adipose presenti e quindi una ridefinizione del profilo dell’area sotto mentoniera. È una procedura che spesso genera un intenso edema

post trattamento per qualche giorno e che necessita di 4-8 settimane per produrre l’effetto di assestamento finale. La correzione dell’eccesso di tessuto adiposo può anche essere corretto con ultrasuoni focalizzati o con laser lipolisi. ◼︎

NUOVO DISTRIBUTORE UFFICIALE PER IL MEDICALE IN ITALIA

Stellar M22

IL FUTURO DEI

TRATTAMENTI PER LA PELLE INIZIA ORA

M22 Stellar è la più potente piattaforma modulare multi-applicazione ispirata alla più luminosa costellazione del cielo.

Questa piattaforma ti consente di trattare in modo sicuro ed efficace differenti indicazioni su diversi tipi di pelle, età e genere, senza aver bisogno di alcun consumabile.

SALUTE BELLEZZA 2018

MED PHARM GROUP | Via Vincenzo Monti, 81 - Milano | Tel. +39 02 48012331 | Info@medpharm.it | www.medpharm.it

MARKETING

LA SCHIUMA SCLEROSANTE NELLA TERAPIA DELL’IVC

Una valida alternativa alle procedure flebologiche in uso, che ha relegato la chirurgia a un ruolo marginale, almeno nelle sue forme tradizionali come lo stripping

Oggi La scleroterapia, inizialmente liquida, ha sempre rappresentato una terapia complementare nell’Insufficienza Venosa Cronica (IVC) degli arti inferiori. A partire dalla fine degli Anni 90, la schiuma ha assunto un ruolo alternativo allo stripping, fino ad allora considerato l’unica scelta possibile, affiancandosi alle metodiche endovascolari termiche sin dal loro esordio. La sua fattibilità e la curva di apprendimento hanno reso la schiuma sclerosante una tecnica “trasversale”, a cui si sono avvicinati colleghi di varie specialità, non solo chirurghi, tra cui dermatologi, angioradiologi, medici estetici o semplici cultori della Materia che, dopo adeguata preparazione, attualmente definiamo flebologi.

C HIRURGIA MARGINALE

Purtroppo al momento nessun percorso universitario insegna la Flebologia. Anche l’apprendimento della schiuma sclerosante come terapia flebologica avviene solo in corsi specifici, nonostante la richiesta e la diffusione della metodica siano in costante crescita.

La schiuma rappresenta, secondo le Linee Guida in vigore, la prima scelta terapeutica in alternativa alle metodiche endovascolari termiche, relegando la chirurgia a un ruolo marginale.

Nella formulazione schiumosa, il polidocanolo e il tetradecilsolfato di sodio, due detergenti con potere sclerosante medio-alto, hanno due vantaggi rispetto alla formulazione iniettabile liquida: spostano la colonna ematica all’interno del vaso determinando maggiore contatto con l’endotelio e sono ecovisibili. Queste due prerogative hanno reso la metodica facilmente documen-

CLASSIFICAZIONE CEAP DELLA MALATTIA VENOSA CRONICA

Classificazione Clinica (C)

C0 Nessun segno di malattia venosa visibile/palpabile

Classificazione Eziologica (E)

Ec Congenita

Ep Primaria

C1 Telangectasie o vene reticolari Es Secondaria (post-trombotica)

C2 Vene varicose En Nessuna eziologia venosa identificata

C3 Edema

C3 Pigmentazione e/o eczema

Classificazione Anatomica (A)

As Vene superficiali

Ap Vene perforanti

C4a Lipodermatosclerosi e/o atrofia Ad Vene profonde

C4b Ulcera venosa guarita An Sede venosa non identificata

Classificazione Fisiopatologica (P)

C5 Ulcera venosa aperta

Sottoscritta

A Asintomatica

Pr Reflusso

Po Ostruzione

Pr, o Reflusso e ostruzione

S Sintomatica Pn Nessuna fisiopatologia venosa identificabile

Fonte: Adattato dalle linee guida cliniche 2011 della Society for Vascular Surgery e dell’American Venous Forum. American Venous Forum (J Vasc Surg. 2011;53:2S-48S)

tabile, più efficace e più sicura. Il controllo ecografico della situazione iniziale, dell’iniezione e dei risultati immediati è mandatorio. L’utilizzo di un ecografo è indispensabile nella valutazione dei risultati a distanza.

P ER TUTTE LE VARICI

Le indicazioni alla schiuma, attualmente approvata da AIFA nelle concentrazioni del 3% per il polidocanolo e dell’1% e 3% per il TDS, sono sicuramente le varici safeniche. Ma l’indicazione, per molti versi anche

migliore, si amplia alle varici recidive e alle varici extrasafeniche, in particolare alle pudende. Altre possibili indicazioni sono nella cura del linfocele, delle cisti sinoviali, delle vene prominenti delle mani, nelle malformazioni artero-venose e in altri campi di applicazione.

La schiuma sclerosante con indicazioni cliniche nella IVC, e dopo consenso informato del paziente, si può applicare in quasi tutti gli stadi clinici della classificazione CEAP (vedi Tabella).

30
Dr. Mario Forzanini Specialista in Chirurgia Vascolare - Brescia Docente CPMA VALET - Bologna

Può essere intrapresa come unica procedura o nell’ambito di un programma terapeutico con tecniche miste, in uno o più tempi. Un discorso a parte meritano le varici reticolari e le teleangectasie (C1), in cui la superiorità della schiuma rispetto al liquido non è ancora stata dimostrata. La schiuma in questi casi rappresenta una scelta di seconda istanza. La schiuma, ottenuta in questi ultimi casi con bassissime concentrazioni, ha un maggiore effetto infiammatorio e pigmentogeno, particolarmente sgradito a fronte dell’esigenza estetica. È quindi applicabile, nei limiti dell’off label, solo dopo l’inefficacia della scleroterapia liquida.

C OMPLICANZE A CONFRONTO

Le controindicazioni, i rischi e gli effetti collaterali sono simili alla scleroterapia liquida, se si fa eccezione per gli eventi avversi di tipo neurologico, lievemente a sfavore della schiuma. Le percentuali di complicazioni trombotiche sono addirittura inferiori. Per quello che riguarda i risultati comparati alle altre metodiche, quasi tutti gli studi concordano nel dire che sono sovrapponibili a breve e medio termine, mentre la schiuma è sicuramente inferiore nel lungo termine.

Ma va detto che si tratta di una me todica facilmente ripetibile, che non necessita di alcun tipo di anestesia e che non incide minimamente sull’at tività lavorativa, sociale e familiare dei pazienti. I costi delle procedure con schiuma, singolarmente e nel loro insieme, sono estremamente vantaggiosi e la compliance dei pa zienti estremamente favorevole. In conclusione, la schiuma sclerosante rappresenta una valida alternativa alle procedure flebologiche in uso e ha relegato la chirurgia a un ruolo marginale, almeno nelle sue forme tradizionali come lo stripping. La sua utilizzazione, in alternativa o in combinazione alle altre metodi che (tecniche miste), assume oggi un ruolo decisivo nella terapia della IVC.

Bibliografia essenziale

A . Frullini, Manuale di Flebologia Ambulato riale, OEO Edizioni, 2023

INSUFFICIENZA VENOSA

(propedeutico a Scleroterapia delle Varici)

Obiettivo del corso

corsi teorico-pratici

Uno stage base che permette di acquisire le nozioni principali sulla malattia varicosa, sul tromboembolismo venoso, sulla metodica eco(color)Doppler, sull’edema e la elastocompressione, il tutto finalizzato a una gestione ottimale del paziente flebopatico e del proprio ambulatorio flebologico più in generale.

DIDATTICA A CURA DI: Dr. Alessandro Frullini

DATE DEL CORSO: 22-23 Settembre 2023

CREDITI ECM: 22,3 crediti (previa compilazione del test)

SCLEROTERAPIA DELLE VARICI

ED ESAME ECO-COLOR-DOPPLER

Obiettivo del corso

Con questo corso è possibile conseguire un significativo bagaglio di nozioni teoriche e pratiche sulla terapia sclerosante delle varici degli arti inferiori; accanto a una base sulla fisiopatologia delle varici e il loro studio morfologico e emodinamico mediante esame Eco-color-Doppler, si forniscono le conoscenze fondamentali sui materiali più idonei e le tecniche classiche e più innovative di scleroterapia.

DIDATTICA A CURA DI: Dr. Alessandro Frullini - Dr. Mario Forzanini

DATE DEL CORSO: 20-21 Ottobre e 3-4 Novembre 2023

CREDITI ECM: 42,8 crediti (previa compilazione del test)

RICHIEDI PROGRAMMI DETTAGLIATI SEGRETERIA E SEDE: CPMA - VALET Divisione Didattica - Bologna

31
- www.valet.it - info@valet.it
051.6388334/051.0216405/051.320170

MEDICINA ESTETICA

DA TECNOCARE® IL PRIMO CONCEPT INTEGRATO PER LA MEDICINA ESTETICA

La poltrona medicale Linda Next AES rappresenta la soluzione ergonomica vincente per rendere l’esperienza del medico e del paziente elemento memorabile e distintivo dell’ambulatorio evoluto

L’attività ambulatoriale del medico estetico è sempre più richiesta e impegnativa. Dal medico generico al medico specialistico, l’interesse verso questa pratica medica è cresciuto notevolmente negli ultimi anni ed è tuttora in forte crescita. Con l’ampliamento dei professionisti che si dedicano alla Medicina Estetica, si fa strada l’esigenza di disporre di strumenti di lavoro sempre più performanti e confortevoli, per via delle innumerevoli ore di lavoro che si dedicano ai diversi trattamenti nell’arco della giornata.

Inoltre, c’è la necessità di disporre di un’attrezzatura dedicata espressamente alla Medicina Estetica e non polivalente come l’attuale offerta di mercato: tutti i medici intervistati da Tecnocare®, azienda nata nel 1966 e specializzata nella progettazione e produzione di sedute medicali, hanno manifestato l’esigenza di una poltrona medicale, quindi certificata come dispositivo medico, che fosse studiata appositamente per la Medicina Estetica.

È NATA LINDA NEXT AES

Così, con il contributo di un comitato scientifico costituito da medici e chirurghi specializzati, è stata progettata e sviluppata la Linda Next AES, uno strumento di lavoro innovativo e specialistico, idoneo a rispondere alle esigenze del medico estetico, soprattutto per distretti lavorativi della testa e del collo, dove si esplicano la maggior parte dei trattamenti di Medicina Estetica, senza trascurare altre zone come le mani e il corpo. Il medico estetico sente l’esigenza prima di tutto di operare in sicurezza, con dispositivi medici certificati, che garantiscano una tutela tanto del medico stesso che del paziente.

La poltrona Linda Next AES è studiata per garantire elevati standard di igiene grazie al rivestimento in similpelle di alta qualità, antimicotico e antibatterico, privo di cuciture sia nella tappezzeria standard che memoria di forma ad alta densità. Inoltre, il comando tramite joystick, attivabile con i piedi, garantisce massima igiene durante il trattamento.

La seconda esigenza è quella di poter operare in un ambiente ergonomi. Il medico, grazie all’integrazione degli accessori nella poltrona stessa, può accedere facilmente al volto del paziente senza ostacoli e lavorare in maniera efficace, nel massimo comfort.

La poltrona, perfettamente simmetrica, è progettata per professionisti destrorsi e mancini, e ha una sezione poggiapiedi estraibile e richiudibile automaticamente.

La coppia di braccioli chirurgici avvolgenti, orientabili e regolabili in altezza offrono il massimo comfort dell’operatore e del paziente durante il trattamento.

PECULIARITÀ DI LINDA NEXT AES

La poltrona è inoltre dotata di un poggiatesta multiarcolato che, grazie al preciso e ampio range di regolazioni, combina il miglior comfort per il paziente al posizionamento ergonomico ottimale in funzione di ogni possibile trattamento. Nello specifico, in iperestensione permette di evidenziare l’albero venoso, in modo da evitare spiacevoli complicanze che possono essere lievi e transitorie (ematomi), ma anche serie e permanenti.

La poltrona ha una capacità di sollevamento di 300 kg di peso pur essendo dotata di motori silenziosi con dispositivo soft-start e soft-stop, è equipaggiata di posizione antishock Trendelenburg sia automatica che personalizzabile.

Per poter adattare la poltrona a qualsiasi conformazione fisica di paziente, può essere equipaggiata di schienale regolabile elettricamente in altezza. Sono disponibili vari optional, studiati insieme al comitato scientifico, tra cui cuscino in gel poggia-mano, studiato per rendere il trattamento iniettivo

32
General Sales Manager Tecnodent srl Casalecchio di Reno (BO)

per una facile movi mentazione all’interno dello studio e tra uno studio e l’altro; base girevole con una corsa di 320° per il posizionamento ottimale del paziente all’interno dell’ambulatorio; telecomando a infrarossi per il controllo frontale della poltrona; poggiagambe indipendente; tavoletta transtoracica, per riporre filler e strumenti vari; porta-rotolo; reggi-cosce per epilazione.

paggiata di una lampada medicale di altissima qualità con incorporata una telecamera 4k.

La lampada ha la peculiarità di riuscire a cambiare la lunghezza d’onda della luce, rendendola quindi fredda, calda o naturale, il che può risultare utile se si vogliono evidenziare alcune caratteristiche anatomiche. Inoltre telecamera integrata ad alta definizione permette di catturare e archiviare foto e video in tempo reale per documentare il trattamento. Grazie a questa tecnologia, installando un computer collegato a un maxi-schermo, si può effettuare anche la videoconsulenza, per un confronto live con altri professionisti della propria rete di contatti, oppure una video-lezione per un corso in tempo reale.

PERSONALIZZAZIONE E PRECISIONE

La poltrona è equipaggiata con 3 profili utenti, ognuno dei quali ha 3 po(che consento

funzione esclusiva “slow-mode”, ovvero micromovimenti rallentati che consentono il preciso posizionamento del paziente in totale sicurezza

IL CONCEPT DI LINDA NEXT AES

Pertanto, il concept integrato per la Medicina Estetica Linda Next AES, non solo rende il lavoro meno stressante, più veloce, maggiormente confortevole e sicuro per il medico, ma è un asset distintivo per l’ambulatorio evoluto e rende il trattamen-

ERGONOMIC
“ +39 051 6131143 - info@tecnocare.it - sales@tecnocare.it Via 63° Brigata Bolero, 24 - Casalecchio di Reno (BO), 40033 Italy “
Il primo concept distintivo per un trattamento memorabile!
SOLUTIONS

MEDICINA ESTETICA

Anatomia, tecnica, protocollo. In Medicina Estetica, e in particolare nell’ambito dei filler viso, è dalla combinazione di questi tre fattori che nasce l’eccellenza: risultati che rispettano le aspettative e allo stesso tempo la naturalezza desiderata, minima probabilità di complicanze, massima soddisfazione per il paziente. Un approccio che, naturalmente, non può prescindere anche dalla scelta del prodotto giusto da iniettare, o meglio dei prodotti, perché ogni area da trattare, ogni funzione e ogni caratteristica del viso che si va a trattare, devono essere attentamente valutate e abbinate all’utilizzo del filler corretto. Se poi a tutto questo si abbina un’attenzione completa al paziente, che include anche l’aspetto del comfort durante il trattamento, allora offriamo veramente l’eccellenza. È con questa filosofia che è nato il protocollo MLT 3.1, una tecnica iniettiva da me sviluppata, nonché testata dai migliori specialisti esperti in Medicina Estetica, per donare al viso, allo stesso tempo, il volume garantito dalla ormai ampiamente nota e sperimentata tecnica multilayer (che secondo il 98% dei medici che la utilizza dona al terzo medio un aspetto naturale anche in dinamica e secondo il 97% degli iniettori permette di proporre un trattamento

FILLER VISO: VOLUME E RIDENSIFICAZIONE CON LA TECNICA MLT

3.1

Un trattamento iniettivo rapido, che utilizza lo stesso punto di accesso per prodotti diversi, dall’effetto di lunga durata. La tecnica multilayer diventa “3.1” per trattare il terzo medio e inferiore in modo personalizzato

del terzo medio personalizzato) con un protocollo di ridensificazione cutanea “effetto wow”. Il tutto con un unico o pochissimi punti di accesso per iniettare diversi filler Teoxane, ciascuno con la sua precisa funzione. Da qui il nome MLT 3.1, che riassume in una semplice formula una grande expertise, approccio scientifico e una profonda conoscenza di prodotti, tecniche, anatomia e dinamicità del volto. Tutto questo per garantire ai pazienti risultati che soddisfino i loro desideri e aspettative, sempre più orientati a ideali di naturalezza, radiosità, dinamicità e unicità.

I CINQUE STRATI

Prima di descrivere gli step del protocollo, una piccola premessa. L’aging del viso non riguarda solamente la sua superficie, la pelle. Oltre a problemi come rughe, lassità e secchezza che colpiscono il primo “strato” del viso, l’invecchiamento riguarda anche i quattro strati sottostanti: compartimento adiposo dinamico superficiale, muscolo, compartimento adiposo statico profondo, osso. Dobbiamo dunque conoscere bene come si comportano e come si trasformano nel tempo tutti e cinque gli strati per poter agire efficacemente con le soluzioni a nostra disposizione.

L’approccio MLT 3.1, multilayer, agisce quindi su più strati, cioè la pelle e le due tipologie di compartimento adiposo, e definisce una strategia iniettiva, mediante cannula, che prevede prodotti ad hoc per ogni tipo di intervento previsto. A livello profondo (compartimento adiposo statico), ciò che vogliamo ottenere è un supporto strutturale. Per questo si procede con un’iniezione profonda nell’area zigomatico-malare nei comparti adiposi profondi con tecnica a bolo, con ago o cannula da 22 a 25G 50mm, con punto di accesso laterale, posizionato 1-2 cm sotto il canto laterale dell’occhio, in linea retta dall’orbita laterale.

Il prodotto d’elezione è Teosyal® PureSense Ultra Deep (HMW di HA crosslinkato), gel indicato per dare volume e proiezione a zigomo, linea mandibolare e mento.

A livello intermedio (compartimento adiposo dinamico superficiale), ricerchiamo un effetto liftante, ma comunque adatto a preservare la naturale dinamicità dei tessuti. Adottiamo dunque una tecnica a ventaglio, che rappresenta il “gold standard” per l’utilizzo della cannula (io preferisco la 25G 50mm), e utilizziamo Teosyal RHA® 4 (HA cross-linkato), formulato specificamente per dare volume ad aree dinamiche estese come guan-

Specialista in Chirurgia Generale, Medico Estetico - Modena Prima e dopo 1 mese dal trattamento con protocollo MLT 3.1

cutaneo, sempre utilizzando la tecnica a ventaglio e il medesimo punto di accesso quando possibile, iniettiamo Teosyal® PureSense Redensity 1 (HA libero ad alto peso molecolare), vero e proprio “beauty booster” che dona idratazione, luminosità e compattezza, migliorando la skin quality, ristruttura i tessuti, corregge la rugosità cutanea e ha anche un’azione preventiva contro la comparsa delle rughe e lo stress ossidativo. Un effetto pressoché immediato e di lunga durata, che de-

fettuati a nove giorni dal trattamento, si ha un rafforzamento della giunzione dermo-epidermica (+98% di collagene IV), effetto tensore (+26% di fibrillina nel derma), visibile ristrutturazione del derma papillare e aumentata idratazione (+1.400% di Glicosaminoglicani GAGs nell’epidermide, incluso l’acido ialuronico).

TRATEGIA PERSONALIZZATA

aturalmente, le indicazioni proposte vanno contestualizzate in una strategia personalizzata per ogni paziente, che varia in base all’età, alle sue caratteristiche, agli effetti dei fattori ambientali e alle problematiche riscontrate: la chiave è sempre proporre qualcosa di unico e calibrato in ogni dettaglio. Un piano di trattamento ideale può svilupparsi sulle sei settimane, iniziando con una seduta dedicata al protocollo completo (iniettando quindi Ultra Deep, RHA® 4 e Redensity 1) e poi tornando, a intervalli di tre settimane, a potenziare gli effetti con la ripetizione, per una o due volte, di Redensity , senza dimenticare di preservare la qualità della pelle e di prolungare gli effetti del trattamento filler nel tempo, con un’appropriata prescrizione di dermocosmetici per la routine domiciliare. Un aspetto, questo, che alcuni medici tendono a sottovalutare, ma che invece si rivela fondamentale per la soddisfazione dei pazienti.

L’80% dei pazienti che sono stati in uno studio medico, infatti, acquista dermocosmetici nelle 24 ore successive: si tratta quindi del momento più opportuno per proporre prodotti sviluppati per lavorare in sinergia con i filler dermici, valorizzandone ancora di più gli effetti, proteggendo la pelle in un momento delicato (e aiutando ulteriormente, quindi, a minimizzare la probabilità di comparsa di effetti indesiderati) e, in definitiva, promuovendo quell’approccio globale che è la maggiore garanzia di soddisfazione per medico e paziente. ◼

RIFERIMENTI

1 Teoxane Post Market Surveillance. Data, febbraio 2023. 146 questionari sulla MLT.

2 Trévidic P. et al. “Injection Guidelines for Treating Midface Volume Deficiency With Hyaluronic Acid Fillers: The ATP Approach (Anatomy, Techniques, Products)” in Aesthetic Surgery Journal, agosto 2022.

3 Teoxane Post Market Surveillance. Data, febbraio 2023. 146 questionari sulla MLT.

4 Majewska L. “Synergy of stabilized and nonstabilized hyaluronic acid soft tissue fillers in skin density and skin thickness enhancement”. Dermatol Ther, novembre 2022.

5 Fanian F et al. “In vivo injection of oligonutrients and high molecular weight hyaluronic acid – results of a randomized controlled trial”. Aesthetic Medicine, dicembre 2017.

6 “MedEsthetics Journal”, settembre/ottobre 2012. Spa

35
Zygomatic bone
Ultra Deep RHA 4 Redensity 1
surveys.
Dermis
Prima e dopo 1 mese dal trattamento con protocollo MLT 3.1 Indagine ecografica eseguita dal Dr. Simone Ugo Urso in occasione del trattamento, in cui si evidenziano i tre strati iniettati

DA differenza del botulino, che è un farmaco, i fillers sono classificati come dispositivi medici. Questi possono essere raggruppati in una grande “famiglia” , della quale fanno parte varie sottocategorie, secondo il tipo di sostanza che li compone.

La grande maggioranza dei fillers è composta da acido jaluronico, certamente la sostanza che domina il mercato, ma ne esistono anche a base di idrossiapatite di calcio (CaHA), acido L-polilattico (PLA), policaprolactone (PCL) e carbossimetilcellulosa (CMC). Le caratteristiche chimico-fisiche di tutti questi prodotti, ovviamente, differiscono fra di loro; hanno indicazioni diverse, ma hanno in comune la caratteristica di essere completamente riassorbibili, fattore fondamentale per la sicurezza di un filler dermico. Fino a qualche anno fa venivano utilizzati anche fillers permanenti, o semipermanenti, che associavano all’acido jaluronico sostanze come i polimetilmetacrilati o la poliacrilammide, se non addirittura il silicone li-

LE COMPLICANZE VASCOLARI DEI FILLERS

Contrariamente a quanto accade nella grande maggioranza dei Paesi stranieri, dove prevale l’uso della tossina botulinica, in Italia sono i fillers i prodotti iniettabili maggiormente utilizzati

quido. Inutile dire che queste sostanze permanenti, non riassorbibili dal corpo umano, potevano dare origine a reazioni da corpo estraneo, anche a distanza di anni, con esiti spesso deturpanti e molto difficili – se non impossibili – da correggere. Anche se la stragrande maggioranza delle infiltrazioni di fillers si svolge nel migliore dei modi, e ci permette di ottenere risultati brillanti, talvolta possiamo incorrere in esiti poco favorevoli a causa delle complicanze, che possono essere suddivise come illustrato dalla Tabella

La discussione di tutte le complicanze richiederebbe (e, in effetti, ha richiesto) interi libri di testo; in questo articolo, per ovvi motivi di spazio, parleremo solo delle complicanze vascolari, anche se in modo molto schematico e sintetico.

All’interno degli eventi vascolari è necessario distinguere gli eventi banali, come gli edemi, gli eritemi, le ecchimosi o piccoli ematomi, che sono relativi al fatto che abbiamo introdotto un ago in un essere vivente;

CLASSIFICAZIONE DELLE POSSIBILI COMPLICANZE

Complicanze precoci

Eventi relativi all’iniezione:

• edema, gonfiori

• dolore

• eritema

• ecchimosi, ematomi

• sanguinamenti

• embolia con necrosi a distanza, cecità

Reazioni inifammatorie (acute croniche):

• infezioni (batteriche, fungine, virali)

• reazioni allergiche/immuno-mediate/ ipersensibilità

Posizionamento inappropriato volume, profondità, localizzazione, scelta del prodotto:

errore iatrogeno

Diffusione a distanza

Complicanze tardive

Reazioni infiammatorie (acute/ corniche):

• infezioni (biofilm)

• granulomi/noduli (tipicamente cronici), diagnosi differenziale

Edema prolungato o tardivo

Asimmetria, distorsione

Effetto Tyndall effect

Telangectasie

Alterazioni della pigmentazione

Migrazione del filler

Cicatrici ipertrofiche

sappiamo bene quanto sia vasta la rete vascolare sottocutanea, non si può mai escludere che la puntura di un ago non provochi eventi di questo tipo (Fig. 1).

Questi possono verificarsi anche in assenza di infiltrazione di fillers, e si risolvono spontaneamente nel giro di qualche giorno.

Completamente diversa, per i possibili effetti anche disastrosi, è l’infiltrazione di un filler all’interno del lume di un vaso, specialmente se si tratta di un’arteria.

Pare appena il caso di sottolineare come una profonda conoscenza dell’anatomia tridimensionale vascolare del viso sia fondamentale e rappresenti il primo passo per effettuare una buona infiltrazione. Non è sufficiente, infatti, conoscere il decorso di una determinata arteria, bisogna anche sapere a che profondità questa è situata durante il suo percorso, anche se l’anatomia ha tante possibili variazioni che possono renderci la vita difficile.

36
MEDICINA ESTETICA
Dr. Giovanni Brunelli Specialista in Chirurgia Plastica e Ricostruttiva, Medico Estetico - Brescia Fig. 1: Vascolarizzazione artero-venosa del viso

La vascolarizzazione del viso dipende dalle diramazioni dei sistemi della carotide interna ed esterna. La prima interessa sostanzialmente il neurocranio, la seconda lo splancnocranio, ma esistono varie anastomosi che mettono in comunicazione i due sistemi, come mostrato dalla Fig. 2. Il viso può essere anche suddiviso in varie zone di rischio, come illustrato

In linea generale, tanto più ci si avvicina alla linea mediana, tanto maggiori sono le possibilità di provocare iniezioni intravascolari con potenziali esiti catastrofici.

Le labbra sono classificate come ad alto rischio per iniezione intravascolare, ma non per cecità.

Le tempie, pur essendo lontane dalla linea mediana, sono invece considerate ad alto rischio di cecità, per via delle anastomosi fra i rami terminali dell’arteria temporale superficiale (carotide esterna) e le arterie sopratrocleari e sopraorbitarie (carotide interna).

La zona 4, evidenziata in rosso, è invece quella più pericolosa in assoluto, e richiede la massima attenzione e ottima pratica infiltrativa. Le iniezioni intravasali dei fillers si possono dividere in arteriose e venose. Quelle arteriose sono certamente le evenienze più pericolose in assoluto, e possono portare ad eventi catastrofici come la necrosi cutanea o la cecità.

Durante questi eventi si verifica una vera e propria embolia di filler, che viene trasportato distalmente dal flusso sanguigno, fino a raggiungere vasi di dimensioni molto piccole che possono essere completamente ostruiti.

Si possono distinguere due principali tipi di iniezioni intra arteriose:

1) gli eventi a basso volume (Fig. 4) nei quali la quantità di filler infiltrata è inferiore a 0,1 ml; in questi casi il piccolo volume di sostanza iniettata consente al flusso sanguigno di trasportarla distalmente, ed il danno creato dipenderà soprattutto dal fatto che vi siano vasi che possano vicariare la vascolarizzazione dei tessuti dipendenti dal vaso occluso. Alcune regioni del viso, come la glabella o il dorso del naso sono, naturalmente, più a rischio di esiti sfavorevoli, perché sprovviste di circoli collaterali.

2) Negli eventi ad alto volume (Fig. 5), invece, la quantità di filler iniettato è superiore a 0,1 ml e può raggiungere volumi importanti. In questi casi il prodotto infiltrato, una volta occluso il vaso in questione, non può far altro che risalire controcorrente, soprattutto

se la pressione di iniezione è elevata, per poi prendere altre strade, seguendo il flusso sanguigno di altre arterie che si dipartono più prossimalmente e occludendo anche queste, in territori anche distanti da quelli che il medico sta trattando.

La cecità da fillers, incubo di tutti noi, che ha spesso esiti catastrofici e permanenti, si verifica proprio in questi casi, essendo l’arteria oftalmica e la centrale retinica naturalmente non incannulabili direttamente durante una normale prestazione di medicina estetica. È, quindi, assolutamente imprescindibile iniettare il filler con una tecnica perfetta, soprattutto nelle zone più a rischio.

QUALI SONO I SEGNI E I SINTOMI DI UN’INIEZIONE INTRAVASCOLARE ARTERIOSA?

• Dolore: spesso importante da subito, ma talvolta assente all’inizio e poi ingravescente nelle regioni affette dall’ischemia, talvolta non rispondente alla terapia antalgica. In caso di infiltrazione di anestetico locale, però, potrebbe non manifestarsi.

• Sbiancamento: spesso molto fugace, al punto da poter sfuggire facilmente all’occhio dell’operatore. Anche questo segno potrebbe non presentarsi, nel caso in cui sia stata praticata un’anestesia con adrenalina.

• Riempimento capillare rallentato.

• Livedo reticularis , che può durare qualche decina di minuti.

• Segue discolorazione bluastra provocata dall’anossia, che può perseverare per ore e progredisce in circa 48 ore.

• Successina formazione di vescicole o piccole bolle , importante segnale d’allarme.

• Infine la fase di demarcazione e di necrosi , se la condizione non viene trattata nei tempi corretti. Nei casi di amaurosi da filler il dolore è sempre presente ed importante; la cecità può essere accompagnata da oftalmoplegia e da ptosi palpebrale, dipendentemente soprattutto dalle arterie che vengono occluse, ma anche dal volume di filler iniettato, dalla sua coesività e dalla grandezza delle particelle.

37
Fig. 2: tratta da: A consensus on minimizing the risk of hyaluronic acid embolic visual loss and suggestions for immediate bedside treatment. G.J. Goodman, et al. ASJ, vol. 40(9) 1009-1021, doi: 10.1093/asj/sjz312 Fig. 3: suddivisione del viso in zone di rischio per iniezione intravascolare e potenziale esito di cecità da filler

Fig. 4: siniezioni a basso volume.

Tratta da: Complications of injectable fillers, Part 2: vascular complications.

C. De Lorenzi, ASJ, vol. 34(4) 584-560, doi: 10.1177/1090820X14525035

I segni ed i sintomi delle iniezioni endovenose sono più sfumati, anche se gli esiti possono essere importanti. In particolare, il dolore è solitamente più sordo e ritardato, il ritorno capillare è molto più veloce, essendo causato non da un mancato apporto di sangue, ma da una stasi provocata dall’embolo di filler a valle.

LA PREVENZIONE

Negli ultimi tempi un aiuto importante, a livello di prevenzione, ci viene dato dall’uso dell’ecografia con sonde dedicate; questa tecnica, al momento, non è ancora diffusa, ma certamente rivestirà un ruolo importante in un futuro prossimo.

Un punto importante da valutare è quello dell’aspirazione prima dell’infiltrazione del filler.

Ha davvero senso farla? Studi recenti dimostrano come questa pratica sia assolutamente inutile, e possa rivelarsi addirittura controproducente, dato che i falsi negativi possono raggiungere anche il 50% dei tentativi di aspirazione.

L’aspirazione di sangue nella siringa dipende, infatti, da numerosi fattori, come il diametro e lunghezza dell’ago, la reologia del filler da iniettare, il fatto che l’ago sia vuoto o se sia già impegnato da acido jaluronico, le dimensioni della siringa, la pressione sanguigna, ma soprattutto il grado di pressione negativa che viene applicata tramite la retrazione dello stantuffo e la durata dell’aspirazione stessa, che dovrebbe essere superiore ai 7 secondi. È estremamente difficile mantenere l’ago nella stessa posizione applicando una pressione negativa per tutto questo tempo; una recente pubblicazione dimostra che, durante tutte le aspirazioni effettuate, il movimento medio dell’ago è di 2,1 mm per gli iniettori esperti, e raggiunge i 4,3 mm nelle mani di quelli meno esperti. Inoltre, le piccole dimensioni dei vasi faciali e il fatto che questi sono collabenti possono alterare il risultato. Un’aspirazione positiva potrebbe esserlo solo per quel determinato momento e quella posizione, ma non per quelli successivi; un’aspirazione negativa potrebbe trasmettere al medico un falso senso di sicurezza, facendolo procedere nell’infiltrazione, magari proprio in un’arteria.

LE BUONE NORME

2) conoscere perfettamente l’anatomia vascolare della zona da trattare, non solo considerando il decorso dei vari vasi, ma anche la loro profondità in una determinata posizione;

3) usare sempre fillers riassorbibili;

4) usare siringhe piccole, che sono da preferire a quelle più grandi, che rendono più difficile il controllo della quantità di prodotto iniettato;

5) usare aghi piccoli, che ci obbligano ad infiltrazioni più lente e controllate;

6) iniettare a bassa pressione. Un’infiltrazione che richieda pressioni alte significa pericolo, o posizionamento inadeguato;

7) considerare, se possibile, l’uso di una cannula, dato che è molto meno probabile che possa penetrare in un vaso sanguigno, soprattutto se di diametro superiore ai 27 G;

8) iniettare lentamente ed in quantità inferiori a 0,1 ml, in modo da evitare accumuli e da impedire una risalita controcorrente del filler. Ripetute iniezioni di piccole quantità permettono di raggiungere il risultato desiderato in maggiore sicurezza;

9) tenere l’ago in costante movimento durante l’infiltrazione, in modo tale da non lasciare un grande deposito nello stesso punto;

10) fare grande attenzione in aree traumatizzate o sottoposte ad interventi chirurgico, dove l’anatomia vascolare sarà certamente alterata;

11) smettere immediatamente di iniettare qualora si incontri resistenza, o il paziente lamenti dolore;

Fig. 5: iniezioni ad alto volume.

Tratta da: Complications of injectable fillers, Part 2: vascular complications.

C. De Lorenzi, ASJ, vol. 34(4) 584-560, doi: 10.1177/1090820X14525035

È, quindi, considerato più sicuro, al fine di evitare questo tipo di complicanza, utilizzare le seguenti buone regole di iniezione:

1) fare una buona anamnesi del paziente;

12) non dimenticarsi di tener d’occhio anche i tessuti circostanti, per non perdere anche il minimo segno di danno vascolare come, ad esempio, lo sbiancamento, che può durare una frazione di secondo, oppure un sanguinamento. In caso, controllare cosa succede e poi cambiare sede o profondità di iniezione, o interrompere il trattamento;

13) se possible introdurre la cannula perpendicolarmente all’asse primario dei vasi, per ridurre ulteriormente la possibilità di incan nularli;

38

14) cercare di ottenere il miglior risultato possibile, considerando che è sempre meglio ipocorreggere che ipercorreggere;

15) evitare la visibilità e la palpabilità dell’impianto, modellando il filler con le dita;

16) monitorare sempre il paziente;

17) tenere sempre a disposizione un kit di emergenza, che comprende jaluronidasi, steroidi, antibiotici, cerotti alla nitroglicerina, antistaminici, aspirina, compresse calde. Fra tutti questi presidi, l’unico veramente indispensabile è la jaluronidasi, mentre tutte le altre raccomandazioni hanno perso importanza negli ultimi tempi (salvo, forse, l’aspirina). Ricordiamo che la jaluronidasi è disponibile, in Italia, come preparazione galenica e non come farmaco. Non esiste, quindi, trattamento offlabel anche se, naturalmente, viene somministrata sotto la diretta responsabilità del medico e richiede una prescrizione specifica per un determinato paziente.In caso di accidente vascolare da filler, è indispensabile procedere alla somministrazione immediata (o non appena possibile) di jaluronidasi sia nella zona dove abbiamo infiltrato, sia a distanza, dato che – come abbiamo detto – il filler potrebbe occludere arterie anche parecchio distanti.

LA GESTIONE DELLE COMPLICANZE IN MEDICINA ESTETICA

Obiettivo del corso

Il corso si pone l’obiettivo di far affrontare nel miglior modo possibile ai medici le eventuali complicanze derivanti da trattamenti di Medicina Estetica. Il corso risponde alle seguenti finalità:

• Valutazione del rischio generico in medicina estetica.

• Studio delle diverse complicanze provenienti dalle caratteristiche intrinseche del prodotto e della tecnologia.

• Riconoscimento delle complicanze maggiori e minori.

• Gestione delle complicanze.

• Aspetti medico legali, assicurativi e di consenso informato.

DIDATTICA A CURA DI: Dr.ssa Paola Molinari - Dr. Maurizio Cavallini

Avv. Federica Lerro

DATE DEL CORSO: 11 Novembre 2023

CREDITI ECM: 8 crediti (previa compilazione del test)

RICHIEDI PROGRAMMI DETTAGLIATI

SEGRETERIA E SEDE: CPMA - VALET Divisione Didattica - Bologna

La jaluronidasi è efficace anche fino a qualche giorno dopo l’evento embolico, quindi ha senso iniettarla anche dopo 4-5 giorni se, per i più svariati motivi, non abbiamo potuto procedere prima. La quantità di jaluronidasi da infiltrare può dipendere dal tipo di filler, dalla quantità iniettata e dal volume dei tessuti interessati; si rimanda il lettore alle numerose pubblicazioni scientifiche a questo riguardo.

RASSEGNA DELLA LETTERATURA SCIENTIFICA

INTERNAZIONALE SULLA MEDICINA ESTETICA E RIGENERATIVA

Valet & SIES stanno avviando un nuovo servizio di informazione sulla medicina estetica e rigenerativa

Questo servizio fornirà recensioni periodiche degli articoli pubblicati sulla stampa scientifica internazionale e aggiornamenti sulle ultime ricerche in campo medico-estetico

Le recensioni saranno inviate tramite newsletter periodiche gratuite e saranno successivamente rese disponibili sul sito web di VALET e SIES. Siamo felici di poter fornire questo servizio informativo ai nostri lettori e collaboratori, e siamo ansiosi di condividere le ultime novità e gli sviluppi più importanti in campo medico-estetico

Se sei interessato a collaborare a questo progetto, ti invitiamo a inviare una mail all’indirizzo direzione.scuola@valet.it

Se non ricevi le newsletter di Valet & SIES, puoi inviare una mail all’indirizzo congresso@valet.it per iscriverti al servizio.

È importante sapere che la jaluronidasi è assolutamente in grado di attraversare la parete dei vasi, e di raggiungere la sede di occlusione, sciogliendo l’acido jaluronico. Purtroppo, la jaluronidasi viene degradata molto velocemente dal nostro organismo, quindi è fondamentale ripetere l’infiltrazione almeno ogni ora, anche se pubblicazioni recentissime suggeriscono di somministrarla ogni 20 minuti.

Si comprende bene che la nostra scorta di jaluronidasi deve essere abbondante, sperando di doverla eliminare alla scadenza, piuttosto che rimanerne sprovvisti.

I pazienti devono essere monitorati per qualche giorno, per essere sicuri di aver scongiurato la necrosi tissutale.

CONCLUSIONI

Possiamo dire che nessuna infiltrazione di filler sia assolutamente sicura, anche se rispettiamo al meglio le buone regole di iniezione elencate sopra, soprattutto a causa di variazioni anatomiche (sempre possibili) e, talvolta, anche della sfortuna.

Certamente la migliore terapia per le complicanze è saperle riconoscere, saperle trattare, e prevenirle!

Come dicevano i latini, “Si vis pacem, para bellum” ◼︎

39
corso
teorico-pratico
051.6388334/051.0216405/051.320170 - www.valet.it - info@valet.it
NOVITÀ
NCEF-SHOT SIERO COMPLESSO ATTIVO ESCLUSIVO [NCEF] ISPIRATO ALLA MEDICINA ESTETICA 1 LA PELLE APPARE LEVIGATA DISTESA PIÙ LUMINOSA[1] 87 % OSSERVATO DALLE DONNE IN 10 GIORNI [1] Test di autovalutazione Filorga – 128 soggetti – 10 giorni di utilizzo di NCEF-Shot siero *Fondato nel 1978 IL PRIMO LABORATORIO FRANCESE DI MEDICINA ESTETICA*

Perché qui avrai l’opportunità di crescere professionalmente insieme ad altri professionisti provenienti da tutta Italia, ma anche di imparare da soli con l’aiuto di docenti esperti, di fama internazionale, che trasmetteranno nozioni tecniche, indicazioni e capacità di inquadramento.

I moduli tematici teorico-pratici offerti dalla scuola ti permetteranno di acquisire una preparazione completa sull’argomento, mentre i singoli corsi monotematici ti forniranno conoscenze e tecniche su trattamenti specifici come filler, tossina botulinica, biostiomolanti, l’applicazione di tecnologie, metodiche flebologiche e di medicina antalgica integrata.

E la parte pratica? Non manca di certo! I docenti mostreranno dal vivo o con filmati tutto ciò che hanno illustrato in teoria, per darti la base pratica necessaria per iniziare subito a esercitare.

Non rimandare la tua crescita professionale; scegli CPMA, l’eccellenza bolognese nell’aggiornamento e la formazione del medico

41
DIVISIONE DIDATTICA VALET - Provider standard ECM n° 1328 Via dei Fornaciai, 29/b - 40129 - Bologna (Italy) Tel +39 051 63 88 334 - 051 02 16 405 - 051 32 01 70 info@valet.it - www.valet.it SCANSIONA IL QR CODE E VAI ALLA PAGINA CPMA

TERAPIA ANTALGICA LA TRADIZIONE

DELLA MEDICINA CINESE

NELL’EVOLUZIONE DEI TEMPI

Nel corso degli anni, si è passati da una medicina basata esclusivamente sui dati esperienziali a quella basata sull’evidenza scientifica (EBM), dalla saggezza alla scienza

Quando un antico sistema medico tradizionale trasmette le sue intrinseche ed efficaci conoscenze fino ai nostri giorni, può essere definito anacronistico? Negli Anni 50 la Cina iniziò il processo di modernizzazione della Medicina Tradizionale costruendo le sue reti nazionali di università, ospedali e istituti di ricerca sulla medicina tradizionale cinese. Tra il 1954 e il 1960 sono state create le dieci più prestigiose università cinesi di Medicina Tradizionale Cinese (MTC) e nel 1984 l’Accademia di MTC. Inevitabilmente ha iniziato a svilupparsi la ricerca, partendo dalla raccolta e condivisione di casi ed esperienze. A suo tempo fu studiato l’effetto analgesico dell’agopuntura e come questo sia antagonizzato dal Naloxone (antagonista degli oppioidi), suggerendo il possibile coinvolgimento del sistema oppioide endogeno. Da allora, notevoli passi avanti sono stati fatti nella ricerca scientifica per studiare gli effetti dell’agopuntura su diverse malattie o, meglio, sindromi.

INFORMAZIONI FONDAMENTALI

La MTC è un sistema medico basato sulla raccolta di segni e sintomi, sull’esame obiettivo ispettivo, auscultatorio, olfattivo e palpatorio per la differenziazione delle sindromi e la successiva diagnosi della sindrome in atto. Nonostante la differenziazione della sindrome non sia difficoltosa se vengono applicati sistematicamente gli 8 principi diagnostici, il processo diagnostico e terapeutico nella medicina tradizionale cinese è più impegnativo. L’esame del polso, della lingua e degli occhi danno informazioni fondamentali per l’identificazione della sindrome in atto. Maggiore impegno significa maggior tempo da dedicare allo studio della malattia. Nell’antichità, di

tempo ve n’era moltissimo a disposizione e i medici che si impegnavano con quotidiana assiduità allo studio e ai malati, negli anni sviluppavano capacità diagnostiche e terapeutiche sempre più attendibili ed efficaci. Come medico, vi dico che se non mi fossi obbligato a farlo, oggi non avrei avuto neanche il tempo per scrivere questo articolo e buttare giù queste piccole riflessioni.

DALLA SAGGEZZA ALLA SCIENZA

I tempi evolvono. Si è passati da una medicina basata esclusivamente sui dati esperienziali a quella basata sull’evidenza scientifica (EBM), dalla saggezza alla scienza. Entrambe le formule carenti una per un verso, l’altra per un altro. L’esperienza (35 anni) mi indurrebbe a trattare senza esitazioni una paralisi idiopatica (paralisi di Bell) non solo in acuto, ma anche per quei casi che tendono alla cronicizzazione o palesemente cronicizzati. L’esperienza mi ha insegnato che funziona bene in acuto e qualcosa fa recuperare anche a distanza di anni. La Evidence Based Medicine non può far altro che evidenziare la mancanza di risultati statisticamente significativi per potersi pronunciare con certezza sull’efficacia o meno dell’agopuntura in questi casi. Per il prosieguo della mia professione di medico, cambia poco; continuerò a trattarle come ho fatto nei decenni precedenti per poter vedere quanto prima il sorriso simmetrico dei pazienti che si sottopongono al trattamento. Ma i tempi verso dove evolvono? Dopo la EBV c’è la Medicina Intelligente: un costante progresso della scienza e della tecnologia nei campi dell’intelligenza artificiale, della tecnologia della realtà mista, della tecnologia remota. Dimostrare l’efficacia dell’agopuntura attraverso prove scientifiche è

ancora una sfida. La MTC vede il corpo umano come un complesso sistema che si auto-mantiene in un equilibrio dinamicamente instabile (quando è in salute) sia internamente che con il suo ambiente esterno. Tale complessità richiede indagini utilizzando approcci di quantificazione a livello di sistema, che vanno oltre il riduzionismo convenzionale. Troppo complesso per l’uomo; non se supportato dalla Intelligenza Artificiale. Si assiste così allo sviluppo di sistemi che possono essere utilizzati per assistere i medici nei processi decisionali diagnostici e terapeutici accelerando i tempi. La possibilità di estrarre le informazioni cliniche dal-

42
Dr. Franco Paolini Medico Chirurgo - Roseto degli Abruzzi (TE) Rappresentante SIES Abruzzo - Marche - Molise Docente CPMA VALET - Bologna PexelsThirdman

la cartella clinica elettronica e il loro utilizzo in funzionalità automatiche che eseguono il ragionamento de duttivo per prevedere o diagnosticare malattie sulla base delle informazioni cliniche estratte e indirizzare al me glio il medico. Non una sostituzione del medico, ma la facilitazione del suo compito. Ho letto che un sistema diagnostico per malattie pediatriche basato sull’intelligenza artificiale ha dimostrato un’elevata accuratezza diagnostica nella diagnosi di malattie infantili. Assisteremo a una profon da integrazione dell’istruzione con la tecnologia dell’intelligenza artificiale (AI) in campi come l’apprendimento personalizzato, l’educazione virtuale, le aule online, la gestione intelligente dell’istruzione e l’educazione scienti fica e tecnologica con l’offerta di ser vizi educativi efficienti, personalizzati e completi. Ogni medaglia, però, ha il suo rovescio. L’uso improprio e non etico della I.A. può facilitare il plagio accademico e anche altre forme di furto intellettuale, con gravi ripercussioni negative sull’integrità accademica.

LA NOSTRA SCUOLA VI ASPETTA

Nell’attesa che le innovazioni tecnologiche:

• Facilitino il compito di analizzare e studiare scientificamente le parti migliori della MTC (quelle che ci fanno dire: funziona da millenni).

• Avvicinino il linguaggio antico a quello moderno, validandolo scientificamente.

• Rivoluzionino la didattica e l’apprendimento del medico contraendo i tempi per la sua formazione.

• Assista il medico nella sua attività diagnostica e terapeutica.

In attesa di tutto questo, dicevo, vi ricordo che la Scuola CPMA-VALET propone una valida formazione di tre giorni con il Corso di Agopuntura di Sintesi Funzionale Antalgica. Un modo per aprire la mente del medico alla Medicina Tradizionale Cinese, apprendere come trattare le principali patologie dolorose articolari, utilizzare Auricoloterapia e Craniopuntura per cefalee e disturbi neurologici. Forse domani una formazione come questa potrà essere fruita da casa e con l’ausilio della Intelligenza Artificiale. Al momento, ancora no… ◼

RIFERIMENTI

• Ying He, Qian Wen, Ying Wang, Juan Li, Ning Li, Rongjiang Jin, Nian Li, Yonggang Zhang. “Establishing a Regulatory Science System for Supervising the Application of Artificial Intelligence for Traditional Chinese Medicine: A Methodological Framework”. Evid Based Complement Alternat Med - 2022 Jun 2;2022:9680203. doi: 10.1155/2022/9680203.

• Yu-Yu Duan, Peng-Ran Liu, Tong-Tong Huo,, Song-Xiang Liu, Song Ye, Zhe-Wei Ye. “Application and Development of Intelligent Medicine in Traditional Chinese Medicine” - Curr Med Sci. 2021 Dec;41(6):1116-1122 .doi: 10.1007/ s11596-021-2483-2. Epub 2021 Dec 7.

• Chaoyong Wu, Jianxin Chen, Elaine Lai-Han Leung, Hang Chang, Xu Wang. “Editorial: Artificial Intelligence in Traditional Medicine” -

Front Pharmacol -2022 Aug 4;13:933133. doi: 10.3389/fphar.2022.933133.

• Zhikui Tian, Dongjun Wang, Xuan Sun, Yadong Fanù, Yuanyuan Guan, Naijin Zhang, Mi Zhou, Xianyue Zeng, Yin Yuan Huaien Bu, Hongwu Wang. “Current status and trends of artificial intelligence research on the four traditional Chinese medicine diagnostic methods: a scientometric study” - Ann Transl Med - 2023 Feb 15;11(3):145. doi: 10.21037/atm-226431. Epub 2023 Feb 2.

• Hao Yu. “Reflection on whether Chat GPT should be banned by academia from the perspective of education and teaching” - Front Psychol. 2023 Jun 1;14:1181712. doi: 10.3389/ fpsyg.2023.1181712. eCollection 2023.

• L’AMBULATORIO MEDICO n° 28 - F. Paolini“Esiti stabilizzati di paralisi facciale periferica”.

corso teorico-pratico

MESOTERAPIA ANTALGICA INTEGRATA

Obiettivo del corso

Insegnamento della Mesoterapia (Intradermo Terapia Distrettuale) dalle sue premesse teoriche alla pratica clinica per la cura delle principali affezioni dolorose. La possibilità di contestuale stimolazione di punti particolarmente reattivi per ciascuna patologia caratterizzerà il corso con l’insegnamento di detti punti per un’azione mirata e sinergica con la terapia localizzata.

DIDATTICA A CURA DI: Dr. Franco Paolini

DATA DEL CORSO: 22 (pom)-23 Settembre 2023

CREDITI ECM: 12 crediti (previa compilazione del test)

RICHIEDI PROGRAMMI DETTAGLIATI SEGRETERIA E SEDE: CPMA - VALET Divisione Didattica - Bologna 051.6388334/051.0216405/051.320170 - www.valet.it - info@valet.it

43
FreepikDrazen Zigic
PexelsKarolina Grabowska

-40% DIMINUZIONE DEL PROCESSO DI DEGRADAZIONE DELL’ACIDO IALURONICO

NE NESSU S N SOSI S A
www.seltecmedical.it

DIETOTERAPIA

IL LUNGO VIAGGIO DELLA VITA: IL CIBO È ELISIR O VELENO?

Il percorso formativo che proponiamo passerà per un approfondimento della fisiologia degli alimenti, metabolismo e impiego degli stessi. Si valuterà il dispendio energetico, il modo di somministrazione e le interazioni con il microbiota che il cibo comporta

Dall’inizio degli Anni 2000, si è potuto constatare che il mondo, purtroppo, proceda sempre più verso una netta divisione, tra Paesi iper-alimentati e Paesi ipo-alimentati. Questa situazione, ovviamente, si ripercuote sui flussi migratori in maniera molto importante. Infatti, essendoci come concausa oltre i problemi climatici, le numerose guerre, in tutti i continenti, esclusa l’Australia, masse di milioni di persone si spostano in cerca di un luogo più sicuro per poter vivere dignitosamente. Queste migrazioni portano con sé, due aspetti importanti che si riversano nell’alimentazione: la prima è l’insieme della loro cultura, che naturalmente comprende primariamente la loro alimentazione; la seconda, strettamente legata alla prima, è anche la migrazione del patrimonio genetico e dell’insieme del mondo batterico intestinale, ossia il Microbiota. Nel 2001, il professor Joshua Lederberg, che quasi 50 anni prima aveva ricevuto il premio Nobel per il suo lavoro pionieristico nel campo della ricerca sui batteri, coniò un termine che sa-

rebbe diventato una parola chiave per la ricerca medica del XXI secolo: la parola “microbiota”. Con questo termine accattivante, egli intendeva l’enorme comunità di batteri presenti nel nostro intestino. Fino ad allora, questi batteri non erano mai stati considerati come fonte di salute o causa di disturbi, cosa che Lederberg, invece, era determinato a cambiare. Ma lui stesso probabilmente non aveva idea degli effetti su larga scala che la sua ricerca avrebbe avuto.

LA RIVOLUZIONE DEL MICROBIOTA

A seguito del grande interesse della ricerca, sono nate in tutto il mondo iniziative per scoprire quanto la composizione individuale dei batteri che vivono nel nostro intestino influisca sulla salute umana. Nei grandi progetti come lo “Human Microbiome Project” (dal 2007) o l’“American Gut Project” (dal 2012), ad esempio, l’esatta composizione dei batteri dell’intestino è stata decodificata, categorizzata e sistematicamente confrontata in migliaia di volontari.

Quanto emerso da queste migliaia di studi è davvero rivoluzionario. I batteri del nostro intestino non influenzano solo l’intestino stesso, ma tutto il nostro organismo. I ricercatori hanno individuato delle connessioni con il nostro benessere, con altri organi, con il cervello e persino con le malattie mentali. Questa connessione tra la composizione del nostro microbiota e i vari modelli di malattia ha letteralmente elettrizzato la comunità scientifica, perché ha sollevato una questione potenzialmente in grado di migliorare la vita di milioni di persone a lungo termine. Ci si è chiesti se, qualora esistesse una connessione tra un modello di malattia e il microbiota, il trattamento di questo modello di malattia non possa basarsi anche sul microbiota. Ovvero, se non si potesse cercare un microbiota in cui, ad esempio, i batteri nocivi avessero preso il sopravvento, “pulirlo”, quindi riportarlo in salute e così facendo trattarlo per un’ampia varietà di disturbi. È chiaro quindi come l’industria farmaceutica ha subito capito quale opportunità economica si potesse sfruttare, utilizzando preparati come i pre e probiotici, in grado di influenzare l’insieme dei batteri secondo le varie necessità di terapia.

MODUS VIVENDI

In questa breve e non certo esaustiva premessa, si è volutamente legare i due aspetti, migrazioni da “fame” e di microbiota, in quanto le due condizioni fanno perno su un altro concetto fondamentale che è quello della terra, intesa come luogo in cui l’organismo nasce, cresce, si sviluppa e si tramanda. Oggi nel mondo occidentale, iper-alimentato, con drastica diminuzione dell’attività fisica e con molte

45
Prof. Giorgio Maullu Specialista in Scienza dell’Alimentazione - Sassari Coordinatore e Docente Master di II Livello Università di Sassari - Membro CRISMENC Coordinatore regionale SIES Sardegna Docente CPMA - VALET - Bologna

Mappa di distribuzione delle popolazioni umane utilizzate in questo studio. Il grafico a torta indica l’abbondanza relativa di due phyla batterici: Firmicutes blu) e Bacteroidetes (grigio chiaro) - Da: “Geographical variation of human gut microbial composition” - Taichi A. Suzuki and Michael Worobey - https://doi.org/10.1098/rsbl.2013.1037

meno ore di sonno, si cominciano a vedere gli effetti estremamente pericolosi della trasformazione del microbiota nella sua composizione, dovuta appunto a tutti i fattori prima sopra elencati e a prima vista sconnessi tra loro. Un esempio per comprendere meglio: il trasferimento di persone dall’Africa sub sahariana nel nord Europa, comporta l’esposizione del genoma adattato a un clima caldo umido a un clima rigido, un microbiota normalmente alimentato da una cultura alimentare caratterizzata da alimenti tipici del luogo, a trasferirsi in un altro luogo dove non esiste nulla di ciò che si mangiava prima in quanto il cibo può risultare simile, ma diversa è la terra che lo produce. In sintesi, tutti i cambiamenti del “modus vivendi” si ripercuotono sulla salute dell’individuo e alle nostre latitudini ecco l’aumento vertiginoso di malattie metaboliche, diabete e ipercolesterolemia in testa, infertilità femminile e soprattutto maschile, dovuto appunto a uno stile di vita completamente sovvertito rispetto a solo 50 anni or sono.

IL NOSTRO CORSO

La scuola CPMA - VALET di Bologna, sempre all’avanguardia nel captare le esigenze di un mondo in evoluzione, propone un percorso formativo in due moduli sulla nutrizione umana, in cui

viene legato l’aspetto anamnestico e di indagine diagnostico-strumentale, con l’aspetto pratico e fondante di produrre una “dieta” da consegnare al paziente come “terapia nutrizionale”. Ossia l’insieme di ricerca personale clinica, emotiva, diagnostica per cui la consegna di un foglio non sia la grammatura degli alimenti a colazione, pranzo e cena, alternati o meno a spuntini, ma soprattutto un modo di ripristinare un equilibrio psicofisico emozionale, dove il rapporto medico-paziente possa trovare il punto d’incontro attraverso una valutazione globale, tenendo conto delle problematiche del paziente ma dando im-

portanza alla “persona-paziente” e non solo alle patologie del paziente senza tener conto della “persona”. In questo termine mettiamo dentro tutto: origine, terra, genoma, microbiota. La Scuola, da oltre 40 anni promuove questo modus operandi nella formazione di tutti i medici che la frequentano, in modo da aumentare non solo le competenze pratiche, fondamentali per l’esercizio della professione, ma anche quelle intuitive, di sensibilità, di fiducia, che diventano basilari per avere “credibilità” nel fare, proporre creare. Il cibo è la benzina del corpo, ma diventa con i 5 sensi la musica dell’anima, per cui il percorso formativo passerà per un approfondimento della fisiologia degli alimenti, metabolismo e impiego degli stessi.

Si valuterà il dispendio energetico, il modo di somministrazione e le interazioni con il microbiota che il cibo comporta. Un accenno verrà posto anche su come il cibo interferisca con l’espressione di alcuni geni e come possano essere indirizzati nella loro espressione.

Concludendo, è un modulo che racchiude in sé l’insieme della nostra vita, partendo dalla consapevolezza che il cibo è la nostra medicina di lunga età oppure il nostro veleno. Questione di scelte! Sicuramente, dopo aver effettuato questo percorso, l’approccio del medico non sarà più lo stesso, ma molto più ampio e disponibile all’ascolto, permettendo così un abbondante “raccolto”. ◼︎

corsi teorico-pratici SCIENZA DELL’ALIMENTAZIONE (propedeutico a Dietoterapia dell’Obesità)

DIDATTICA A CURA DI: Prof. Giorgio Maullu - Dr.ssa Emanuela Spiga

DATA DEL CORSO: 13-14 Ottobre 2023

CREDITI ECM: 22 crediti (previa compilazione del test)

DIETOTERAPIA DELL’OBESITÀ

DIDATTICA A CURA DI: Prof. Giorgio Maullu - Dr.ssa Emanuela Spiga

DATA DEL CORSO: 1-2 Dicembre 2023

CREDITI ECM: 22 crediti (previa compilazione del test)

RICHIEDI PROGRAMMI DETTAGLIATI SEGRETERIA E SEDE: CPMA - VALET Divisione Didattica - Bologna 051.6388334/051.0216405/051.320170 - www.valet.it - info@valet.it

46

FILI DI TRAZIONE IN PDO

E FILLER VOLUMIZZANTE, LA SINERGIA PERFETTA PER IL RIMODELLAMENTO DEI GLUTEI

Sistema integrato per il miglioramento: protocollo con fili in PDO e acido ialuronico

La regione glutea può presentare uno svuotamento, per il naturale processo d’invecchiamento, per un forte dimagrimento o più semplicemente per una naturale fisionomia corporea genetica. Parlando di lassità cutanea, invece, si tratta di un inestetismo diffuso in diverse parti del corpo, nonché il più frequente e visibile segno dell’invecchiamento della pelle. Essa è provocata da un graduale cedimento dei tessuti cutanei, con perdita di elasticità e tono. Si tratta di un fenomeno determinato soprattutto dal naturale processo di invecchiamento legato a fattori genetici, metabolici e ormonali; le cellule della pelle (al pari di quelle di tutti gli altri tessuti), con l’invecchiamento presentano un rallentamento del metabolismo con ricambio più graduale.

IL RIPRISTINO DEI VOLUMI E IL POTERE DI TRAZIONE

L’utilizzo di acido ialuronico ad alto G prime, filler intenso principalmente per un’iniezione sottocutanea o sovraperiostale profonda e Contour, filler destinato a un’iniezione più superficiale, permettono la volumizzazione dei glutei sia per forma che per proiezione. L’impiego dei fili di trazione b-direzionali veicolati da una cannula da 18Gx100 mm, attraverso le linee vettoriali individuate come più cor-

nella stessa seduta, con i fili di biostimolazione, inseriti secondo uno schema a incroci, creano una sinergia di risollevamento e di produzione di fibre collagene che migliora la texture cutanea e svolge un’azione liftante. L’effetto della trazione è immediato, generando un visibile innalzamento di aree pesanti come quelle dei glutei. Il duplice effetto trazione-biostimolazione rende il risultato efficace e soddisfacente per tutti i nostri pazienti che desiderano migliorare il loro corpo senza ricorrere al bisturi. Il nuovo protocollo prevede l’impiego dell’acido ialuronico nel terzo superiore del gluteo posizionato con cannula 18G per ripristinare la rotondità di un gluteo piatto e senza curvatura; materiale biocompatibile, ripetibile dopo 6-9 mesi che presenta una durata dell’effetto long-term pari a 6-12 mesi. L’impiego dei fili di trazione rispetta il risollevamento dell’area del terzo-medio-inferiore che risponde ad un immediato effetto meccanico di trazione creando una forza di contrapposizione in senso antigravitazionale sfruttando le linee vettoriali al quale si associa un progetto di stimolo per l’aumento del microcircolo con conseguente aumento della quota di ossigeno e della produzione di collagene di tipo 1 e di tipo 3. La sinergia con l’impiego dei fili mono ci garantisce l’opportunità di implementare la produzione di collagene generando uno stimolo aggiuntivo nella produzione di collagene.

MATERIALI E METODI

Il filler impiegato è costituito da acido ialuronico crosslinkatoo con agente crosslinkante BDDE (1,4 Butanediol diglycidyl ether) e dotati di Tecnologia Soft Shell. La tecnologia Soft Shell prevede che in determinati punti del-

le catene di acido ialuronico vengano inserite strutture di acido ialuronico totalmente idratate (Fully Hydrated HA Technique), rendendo il prodotto estremamente biocompatibile con il tessuto nel quale viene impiantato. Il vantaggio ulteriore è quello di non richiamare acqua dai tessuti circostanti, come avviene in genere dopo 2/3 giorni dall’impianto con gli altri acidi ialuronici non dotati di questa tecnologia, e ottenere immediatamente il risultato finale. Il prodotto subirà una degradazione isovolemica, il che significa che – per la sua capacità di trattenere acqua - manterrà gran parte della sua capacità di volumizzazione, anche se gradualmente metabolizzato. I fili di trazione sono in PDO, polidioxanone, sutura sintetica, biocompatibile, si riassorbe in 6 mesi per idrolisi in acqua e anidride carbonica, viene utilizzato in numerose chirurgie (toracica, oftalmologica, cardiochirurgica, pediatrica) perché provoca reazioni infiammatorie minime per una ridotta colonizzazione batterica si tratta di fili bidirezionali realizzati a stampo in modo che le spine vengano sagomate come ancore. I fili mono, di biostimolazione, sono veicolati da un ago certificato dal design speciale con la parte esterna più piccola rispetto a quella interna per rendere maggiormente sicura e agevole la procedura. I fili di biostimolazione impiegati nella procedura hanno un calibro di 25GX90 mm e vengono inseriti ad incrocio nel derma superficiale creando una trama che determina la produzione di tessuto collagene.

PROTOCOLLO E RISULTATI

Il protocollo consiste nel posizionamento di acido ialuronico ad alto G prime nella porzione del terzo superiore del gluteo previa valutazione del pa-

47
Immagine 3d della tecnica di applicazione dei fili
MEDICINA ESTETICA
Dr. Maurizio Cavallini Specialista in Chirurgia Plastica, Ricostruttiva ed Estetica Medico Estetico - Milano Vice Presidente SIES Dr.ssa Barbara Claysset Specialista in Cardio-Angio-Chirurgia, Medico Estetico - Bologna Docenti CPMA - VALET - Bologna

ziente e disegno delle aree con matita dermografica per la volumizzazione dell’area da trattare. Il filler viene inserito con cannula da 18G, normalmente vengono impiegati dai 30 ai 60 ml per area di trattamento a seconda del paziente e viene richiesto l’astensione dalla attività fisica per qualche giorno. A distanza di circa 30 giorni viene eseguito il primo followup al paziente a cui normalmente seguono due sedute di trattamento con fili di trazione e di biostimolazione. I fili di trazione vengono posizionati previo disegno con matita dermografica dell’area di trattamento sfruttando le linee vettoriali che maggiormente sono in grado di creare la tensione meccanica sulla zona di lassità e svuotamento. I fili di trazione vengono posizionati dal basso verso l’alto previo pomfo di anestesia locale con 0.1-0.2 ml di lidocaina; si attende qualche minuto e si esegue un foro di invito con ago da 18G, successivamente si posiziona la cannula perpendicolarmente alla cute cercando il corretto piano di

clivaggio (ipoderma), si percepisce il vuoto che determina la correttezza del piano di inserzione della cannula e si arriva con la punta della cannula fino al punto predeterminato. A questo punto si sfila il bisello di plastica e contestualmente si spinge il filo all’interno della cannula mentre si sfila quest’ultima previa rotazione della cannula. Al termine della procedura si traziona il filo verso l’alto e si taglia l’eccesso del filo. Nell’immediato noteremo la trazione meccanica determinata dal filo a cui si associerà la produzione di collagene di tipo 1 e di tipo a 3 a 30 giorni di distanza. Contestualmente, nella stessa seduta vengono posizionati da 10 a 15 fili mono per parte; vengono inseriti senza anestesia locale nel derma superficiale previo disegno con matita dermografica creando una trama ad incrocio che consente la produzione di collagene. In genere a seconda del caso clinico si prevedono una seduta di rivolumizzazione del terzo superiore e a distanza di 30 giorni almeno una o due sedute di soft-lifting con i fili di

corso teorico-pratico

LE AREE DIFFICILI DEL CORPO - FOCUS ON: IL TRATTAMENTO

DEI GLUTEI

Obiettivo del corso

Saranno illustrate le tecniche per il trattamento dei glutei secondo le proprie peculiarità. Verranno approfonditi argomenti di medicina estetica come la mesoterapia, i fili rivitalizzanti, il trattamento con acido ialuronico e i fili sospensivi; Saranno poi descritti e studiati trattamenti chirurgici quali il lipofilling e le protesi. Ampio spazio sarà dedicato alle tecnologie quali radiofrequenza e ultrasuoni focalizzati, oltre alle metodiche di allenamento fisico per far sì che il paziente possa ottenere il completo miglioramento.

DIDATTICA A CURA DI: Dr. Maurizio Cavallini

Dr.ssa Barbara Claysset

DATE DEL CORSO: 10 Novembre 2023

CREDITI ECM: 6 crediti (previa compilazione del test)

trazione e di biostimolazione. Le controindicazioni all’esecuzione del trattamento sono le lesioni della pelle, le patologie immunitarie a carico del collagene ed i pazienti in terapia antiaggregante o che assumono anticoagulanti orali (IAO-IAO) , controindicazioni queste ultime relative. Le complicanze da segnalare sono rappresentate dalla formazione di escrescenze cutanee dure o formazioni cordoniformi per errato posizionamento dei fili di trazione o per esposizione nell’immediato a fonti di calore che si risolvono con l’infiltrazione di soluzione fisiologica fino a risoluzione del problema. Infezione dell’area trattata, nodulo caldo e sovraposizionamento del prodotto sono annoverabili al trattamento con filler a base di acido ialuronico.

CONSIDERAZIONI

I glutei sono un area anatomica complessa caratterizzata da svuotamento e lassità cutanea con una muscolatura di sostegno che nel corso del tempo tende a perdere tono.

E’necessario un protocollo mirato che preveda una rivolumizzazione del profilo associata a distanza di circa 30 gg ad un risollevamento con miglioramento della texture cutanea grazie all’impiego dei fili di trazione e di biostimolazione.

In alcuni pazienti ove si associno altri inestetismi come la cellulite fino alla PEFS o la adiposità localizzata e’possibile preparare la zona da trattare con hot-energy device, trattamenti riduttivi lipolitici, criolipolisi o carbossiterapia. Un altro aspetto da non trascurare si riferisce al corretto allenamento per il sostegno del muscolo che dovrebbe essere gestito da personale qualificato che preveda sul paziente uno stimolo allenante progressivo a partire da esercizi di attivazione e propriocezione muscolare per adattare il corpo ed il sistema nervoso alla gestione di carichi di lavoro progressivamente più importanti mediante esercizi mirati come affondi, stacchi ed hip-thrust.

La sinergia di questi trattamenti garantisce un risultato efficace e duraturo anche su pazienti complessi seppur con chiare indicazioni chirurgiche ma che preferiscono sottoporsi a trattamenti ambulatoriali. ◼

Paziente di 51 anni. Protocollo con filler ad alto G prime e fili. Pre trattamento e Follow up a 30 giorni a seguito di una seduta con filler e di una seduta con fili.
RICHIEDI PROGRAMMI DETTAGLIATI SEGRETERIA E SEDE: CPMA - VALET Divisione Didattica - Bologna 051.6388334/051.0216405/051.320170 - www.valet.it - info@valet.it 48

RHA® . Naturalness reimagined.

Teosyal RHA®, progettato per una bellezza in movimento. Con oltre 20 anni di exper tise nell’acido ialuronico, la gamma RHA® è formulata utilizzando l’acido ialuronico più simile a quello presente nella pelle

T H E LEA D IN G S WI S S EXPERT I N T H E S CIENCE O F H YA LU R O NI C A C I D V I S I T A T E O XAN E . COM/ I T

Turn static files into dynamic content formats.

Create a flipbook
Issuu converts static files into: digital portfolios, online yearbooks, online catalogs, digital photo albums and more. Sign up and create your flipbook.