GH_2024-5_listovacka

Page 1


Gastroenterologie a hepatologie

Gastroenterology and Hepatology

SCREENINGOVÁ VYŠETŘENÍ

Screeningová koloskopie n = 123 575

Cílová populace ve věku 50 a více let: více než 4,3 mil.

JINÁ VYŠETŘENÍ

Jiná koloskopie n = 247 027

Laboratorní TOKS n = 76 342

* TOKS+ koloskopie (0,51 %) a diagnostická koloskopie (5,20 %)

Suchánek Š, Ambrožová M, Grega T et al. Screening kolorektálního karcinomu v České republice – minulost, současnost a budoucnost. Gastroent Hepatol 2024; 78(5): 378–387.

asopis eské gastroenterologické spole nosti, eské hepatologické spole nosti, Slovenskej gastroenterologickej spolo nosti a Slovenskej hepatologickej spolo nosti

Vydává LS JEP – indexed in SCOPUS, CHEMICAL TITLES, EXCERPTA MEDICA/EMBASE, CHEMICAL ABSTRACTS, INIS Atomindex, Food Science and Technology Abstracts, Bibliographia Medica echoslovaca, Index Copernicus

GASTROINTESTINÁLNÍ ONKOLOGIE

Screening kolorektálního karcinomu v R – minulost, sou asnost a budoucnost EUS-navigovaná radiofrekven ní ablace v pankreatu

Helicobacter pylori a karcinom žaludku

The role of immunotherapy in the management of hepatocellular carcinoma

ISSN - (Print); ISSN - X (On-line)

ro ník íslo

Prevence vybraných nádor trávicí trubice

Prevention of the selected cancer in gastrointestinal tract

Š. Suchánek

Interní klinika a Ústav gastrointestinální onkologie . LF UK a ÚVN Praha

Vážené kolegyně, vážení kolegové, součástí tohoto čísla časopisu je, tak jako každý rok, článek o aktuálním stavu Národního programu screeningu kolorektálního karcinomu (KRK) v České republice, který je připraven na základě aktuálních dostupných dat. Ta jsou vždy za předchozí kalendářní rok, v tomto případě 2023. Je dobrou zprávou, že se program neustále vyvíjí. V loňském roce byl proveden rekordní počet preventivních koloskopií (55 tisíc), což jistě přispělo k překonání půlmilionové hranice všech těchto vyšetření od roku 2006. Přitom zůstal zachován stabilní počet diagnostikovaných adenomů a karcinomů. Zároveň se za posledních 10 let navýšil podíl preventivních koloskopií z 15 na 25 % ze všech koloskopických vyšetření. Tyto pozitivní trendy jsou však spojeny i s delší čekací dobou na vyšetření.

Nejvýznamnějším přínosem je příznivý trend snižování incidence (o 32 %) a mortality (o 48 %) KRK při srovnání let 2000–2022. Zároveň je ale patrné, že trend poklesu se zpomaluje. To může být způsobeno tím, že část cílové populace, která se screeningu účastní (38 %), již byla opakovaně vyšetřena. Další naší

snahou by tedy mělo být navýšit účast tzv. non-responderů.To je ale nutné provést s rozvahou, aby nedošlo k totálnímu zahlcení endoskopických pracovišť. Proto s kvantitativní změnou musí přijít i ta kvalitativní. Již několik let jsou sledovány indikátory kvality preventivní koloskopie. K tomu se od loňského roku rozbíhá kontrola kvality testů na okultní krvácení. V současné době se pracuje na prodloužení intervalů TOKS ve věkovém rozmezí 50–54 let z jednoročního na dvouletý interval a na přípravě snížení věkové hranice pro screening KRK. Zároveň byly zveřejněny Doporučené postupy pro koloskopii ČGS, které obsahují i jednoznačné dispenzární intervaly. Je ale důležité, aby byly dodržovány. Ve zcela jiné situaci je prevence karcinomu žaludku. Česká republika patří mezi země se snižující se incidencí i mortalitou tohoto zhoubného onemocnění. Zároveň byl zdokumentován pokles prevalence Helicobacter pylori během 10 let o téměř polovinu na 24 % v roce 2011. To je jeden z důvodů, proč dosud nebyl organizovaný program screeningu karcinomu žaludku v ČR zaveden. Aktuální prevalenci Helicobacter pylori má za cíl

objasnit probíhající mezinárodní studie HelicoPTER, které se účastní ÚVN Praha. Sekundárním cílem projektu je testování antibiotické rezistence u infikovaných osob. Výsledky by mohly být využity k doporučení optimálních léčebných režimů, které jsou v současné době v ČR založeny na konvenční trojkombinační terapii s nižší účinností, jak ukazují výsledky Evropského registru Hp-EuReg. Význam eradikace Helicobacter pylori v prevenci karcinomu žaludku v oblasti s vysokou incidencí této malignity prokázala rozsáhlá studie zahrnující cca 180 tisíc osob z okresu Linqu v provincii Shandong v Číně. Výsledky tohoto projektu po 12 letech byly recentně publikovány mezinárodním týmem z Číny, Německa a České republiky v respektovaném odborném časopise Nature Medicine.

Přeji inspirativní čtení.

doc. MUDr. Štěpán Suchánek, Ph.D. koeditor sekce Gastrointestinální onkologie předseda Komise pro screening KRK MZ ČR stepan.suchanek@uvn.cz

Gastrointestinálna onkológia

Gastrointestinal oncology

Koller

V. interná klinika LF UK a UN Bratislava

Vážení kolegovia, tohtoročné piate číslo nášho časopisu tradične rozoberá problematiku gastrointestinálnej onkológie. V hepato-bilio-pankreatickej časti prinášame niekoľko zaujímavých príspevkov, ktoré rozšíria vaše obzory o relatívne nové liečebné postupy a tiež o niektoré novšie nozologické jednotky.

Prvý z nich sa týka použitia EUS navigovanej rádiofrekvenčnej ablácie lézií pankreasu (RFA). Táto metóda poskytuje cennú alternatívu spôsobom deštrukcie malých cystických aj solídnych pankreatických lézií, kedy by bola veľká abdominálna chirurgia príliš zaťažujúca, alebo nemožná. Autori prinášajú podrobný prehľad dôkazov o účinnosti a bezpečnosti použitia dostupných zariadení na RFA a dve kazuistiky z pracoviska IKEM Praha. Druhým príspevkom je prehľad

použitia imunoterapie v manažmente hepatocelulárneho karcinómu. Autorka podľa indikácií a najnovších dôkazov rozoberá účinnosť tejto novej terapeutickej skupiny protinádorovej liečby. Vzhľadom na nízku úspešnosť aj dostupnosť liečby primárnych nádorovo pečene v minulosti, odborná verejnosť ich zavedenie do bežnej praxe netrpezlivo očakáva.

Z času na čas sa v gastroenterológií objavujú nové poznatky o zriedkavejších chorobách alebo nové klasifikácie už existujúcich chorôb. Problematika autoimunitnej pankreatitídy už bola diskutovaná v našom časopise v minulosti, avšak jej vzťah ku chronických zápalovým chorobám čreva (IBD) sa len postupne objasňuje. Prehľadový článok o ich vzťahu Vás určite posunie dopredu

v porozumení komplikovaných interakcií týchto autoimunitných chorôb. Relatívne novým názvom na poli portálnej hypertenzie je portosínusoidálna vaskulárna choroba pečene. Autori prinášajú kazuistiku prípadu pacienta a upozorňujú na dôležité aspekty odlíšenia tejto zriedkavej príčiny portálnej hypertenzie. V neposlednom rade sa v čísle nachádza príspevok o v súčasnosti už nie tak zriedkavej infekcii vírusom hepatitídy E. Vážení kolegovia, želám vám, aby ste pri čítaní tohto čísla Gastroenterológie a hepatológie prežili pokojné jesenné dni.

doc. MUDr. Tomáš Koller, PhD. koeditor sekcie Gastrointestinálna onkológia tomas.koller@fmed.uniba.sk

Obsah

Editorial Editorial

Š. Suchánek

Editorial Editorial

T. Koller

Kvíz | Quiz

M. Lukáš

GASTROINTESTINÁLNÍ ONKOLOGIE I GASTROINTESTINAL ONCOLOGY

Screening kolorektálního karcinomu v eské republice – minulost, sou asnost a budoucnost

Colorectal cancer screening in the Czech Republic – past, present and future

P ehledová práce | Review article

Š. Suchánek, M. Ambrožová, T. Grega, R. Chloupková, K. Hejcmanová, O. Ngo, O. Májek, K. Hejduk, L. Dušek, M. Zavoral

EUS-navigovaná radiofrekven ní ablace v pankreatu

EUS-guided radiofrequency ablation in the pancreas

P ehledová práce | Review article

J. Jarošová, P. Ma inga, A. Hujová, T. Hucl

Helicobacter pylori a karcinom žaludku

Helicobacter pylori and gastric cancer

P ehledová práce | Review article

Š. Suchánek, I. Kuzko, K. Koš álová, Z. Vacková, P. Urbánek, M. Zavoral, J. Bureš

The role of immunotherapy in the management of hepatocellular carcinoma

Úloha imunoterapie pri lie be hepatocelulárneho karcinómu

Review article | Preh adová práca

L. Balážová

IBD

Idiopatické st evní zán ty a autoimunitní pankreatitida

Idiopathic intestinal inflammation and autoimmune pancreatitis

P ehledová práce | Review article

T. Kupka, P. Dít , D. Solil, M. Bojková, J. Dolina, B. Kiani ka

Etrasimod – druhá generace modulátor S P receptoru v terapii ulcerózní kolitidy

Etrasimod – second generation S P receptor modulators in ulcerative colitis therapy

Lékový profil | Drug profile

M. Lukáš

HEPATOLOGIE I HEPATOLOGY

Portosinusoidální vaskulární choroba s portální hypertenzí – popis p ípadu

Portosinusoidal vascular disease with portal hypertension – a case report

Kazuistika | Case report

V. Sentivanová, M. Hlavatý, O. Fabián, E. Sticová, O. Semerád, P. Kohout

Hepatitida E: co pot ebujeme v d t o tomto onemocn ní?

Hepatitis E: what we need to know about this disease?

P ehledová práce | Review article

H. Slep anová, L. Petroušová

KLINICKÁ A EXPERIMENTÁLNÍ GASTROENTEROLOGIE I CLINICAL AND EXPERIMENTAL GASTROENTEROLOGY

Akutní poškození ledvin u kriticky nemocných a st evní dysmikrobie

Acute kidney injury in critically ill patients and intestinal dysbiosis

P ehledová práce | Review article

N. Petejová, V. Teplan, A. Martínek, J. Zadražil

Cinitaprid rozši uje možnosti lé by funk ní dyspepsie

Cinitaprid expands treatment options for functional dyspepsia

Lékový profil | Drug profile

J. Slíva

Heterotopic pancreas in the jejunum: highlighting the necessity of excision and histopathological confirmation – a case report

Heterotopický pankreas v jejunu: zd razn ní nutnosti excize a histopatologického potvrzení – kazuistika

Case report | Kazuistika

S. K. B. Balaraj, D. Nagesh, S. H. Kalgeri, V. G. Doddawad

R ZNÉ I OTHERS

Výb ry z mezinárodních asopis

The selection from international journals

Autodidaktický test | Self-educated test

Turcot v syndrom s b išními komplikacemi

Turcot s syndrome with abdominal complications

Klinické a výzkumné centrum pro st evní zán ty, Klinické centrum ISCARE a.s. a . LF UK v Praze

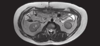
Muž, narozen v roce 1999, s rodinnou anamnézou familiární adenomatózní polypózy u matky s potvrzenou mutací APC genu. V roce 2017 byly u nemocného zjištěny mnohočetné adenomy v tlustém střevu v řádu stovek a také několik drobných adenomů v duodenu. V roce 2018 byl vyšetřen z důvodu rychle se rozvíjející neurologické symptomatologie v podobě závratí a silných bolestí hlavy. Vyšetření prokázalo expanzivní proces v zadní jámě lební, později verifikovaný jako meduloblastom. Ve stejném roce se pacient podrobil neurochirurgickému výkonu s odstraněním nádoru a konstrukcí ventrikulo-peritoneálního shuntu. Následovala adjuvantní aktinoterapie v podobě protonové léčby a chemoterapie. V roce 2020 byl podrobně neurologicky a onkologicky vyšetřen se závěrem kompletní remise nádorového onemocnění. V této době nastal vhodný okamžik vyřešit adenomatózu tlustého střeva, a proto bylo provedeno celkové přešetření stavu včetně magnetické rezonance břicha (obr. 1). V dubnu 2021 ve věku 22 let se podrobil laparoskopické subtotální kolektomii a vytvoření ileo-rektální anastomózy (obr. 2). Tento typ výkonu byl preferován před restorativní proktokolektomií s ileopouch-anální anastomózou pro relativně nižší počet adenomů v rektu a v distálním sigmatu. Operace proběhla bez komplikací a pacient se velmi rychle po operaci zotavil. V resekátu tlustého střeva byly nalezeny stovky menších polypů velikosti do 20mm, bez průkazu karcinomu. V srpnu 2021 odcestoval na dlouhodobý studijní pobyt do Dánska. Bohužel již v září

Obr. . Magnetická rezonance v roce . (Zdroj: prim. MUDr. Adam Pavli ko, Klinické centrum ISCARE a.s).

Fig. . Magnetic resonance imaging in . (Source: Adam Pavli ko, MD, Clinical Centre ISCARE a.s.).

Obr. . Resekát tlustého st eva s mnoho etnými adenomy. (Zdroj: prof. MUDr. Mojmír Kasalický, Ph.D., Chirurgická klinika . LF UK a ÚVN –VFN Praha).

Fig. . Colon resection with multiple adenomas (Source: Prof. Mojmír Kasalický, MD, PhD, Department of Surgery, nd Faculty of Medicine, Charles University in Prague, ÚVN –VFN Prague).

doi: . /ccgh

Screening kolorektálního karcinomu v eské republice – minulost, sou asnost a budoucnost

Colorectal cancer screening in the Czech Republic –past, present, and future

Š. Suchánek , , M. Ambrožová , , T. Grega , , R. Chloupková , , K. Hejcmanová , , O. Ngo , , O. Májek , , K. Hejduk , , L. Dušek , , M. Zavoral , Interní klinika . LF UK a ÚVN Praha Ústav gastrointestinální onkologie . LF UK a ÚVN Praha Národní screeningové centrum, Ústav zdravotnických informací a statistiky eské republiky, Praha Institut biostatistiky a analýz, LF MU, Brno

Souhrn: Národní program screeningu kolorektálního karcinomu (KRK) probíhá v České republice od roku 2000 a je příkladem mezioborové spolupráce. Podílí se na něm specialisté z oboru gastroenterologie, praktického lékařství, gynekologie a klinické biochemie. Program je založen na dvou základních metodách – screeningovém imunochemickém testu na okultní krvácení do stolice (iTOKS, FIT) a preventivní koloskopii (TOKS-pozitivní a screeningová koloskopie). O jeho efektivitě vypovídají vysoké počty zachycených kolorektálních prekancerózních a maligních lézí. V letech 2006–2023 bylo v rámci programu provedeno 531 362 preventivních koloskopií, diagnostikováno 202 575 pacientů s adenomy (38,1 %) a 14 473 s karcinomy (2,7 %). Kvalita programu je monitorována na základě indikátorů kvality, které jsou zaměřeny na organizaci (pokrytí cílové populace) i jednotlivé metody. Pokrytí screeningovými testy ve standardním dvouletém sledování se dlouhodobě pohybuje okolo 30 %, v roce 2023 činilo 30,0 % (s výjimkou let 2020 a 2021, kdy došlo k přechodnému poklesu pokrytí na 27 % z důvodu pandemie onemocnění covidem-19). Epidemiologické ukazatele ovlivňují i nescreeningové testy, pokrytí všemi relevantními metodami ve dvouletém intervalu činilo 37,5 % v roce 2023. Koloskopie je hodnocena šesti parametry (počet vyšetření, střevní očista, totální koloskopie, záchyt adenomů celkově, u žen a u mužů). Všechny tyto indikátory splňovalo v roce 2023 celkem 72 % center pro screeningovou koloskopii. Přístroje analyzující TOKS musejí nově procházet pravidelným externím hodnocením kvality (EHK). To by mělo vést také k optimalizaci pozitivity testů, která v roce 2023 dosahovala hodnoty 9,1 %. I díky programu screeningu KRK lze pozorovat příznivé epidemiologické trendy KRK, kdy v letech 2000–2022 došlo k poklesu incidence o 32,3 % a mortality o 47,8 %. Budoucnost programu spočívá v jeho dalším zefektivňování. Cílem je navýšení pokrytí cílové populace při udržení a dalším zvyšování kvality tak, aby byl program realizovatelný a průchodný.

Klí ová slova: kolorektální karcinom – adenom – screening – koloskopie – test na okultní krvácení do stolice – indikátory kvality

Gastroent Hepatol 2024; 78(5): 378–387 Gastrointestinální onkologie: p

doi: . /ccgh

EUS-navigovaná radiofrekven ní ablace v pankreatu

EUS-guided radiofrequency ablation in the pancreas

J. Jarošová, P. Ma inga, A. Hujová, T. Hucl

Klinika hepatogastroenterologie, Institut klinické a experimentální medicíny, Praha

Souhrn: Incidentální cystické léze pankreatu jsou diagnostikovány se zvýšenou frekvencí v důsledku častějšího používání zobrazovacích vyšetření pomocí počítačové tomografie nebo magnetické rezonance u asymptomatických pacientů, kteří podstupují vyšetření z jiných důvodů. U určitých lézí, jako jsou neuroendokrinní tumory, mucinózní cystadenomy a intraduktální papilární mucinózní neoplazie, existuje významné riziko přítomnosti či vzniku malignity. Endosonograficky navigovaná radiofrekvenční ablace (EUS-RFA) umožňuje selektivní ablaci ložiska pankreatu s minimálním poškozením okolní tkáně a mohla by být alternativní metodou léčby pro pacienty, kteří operaci nechtějí, nebo ji nemohou absolvovat, nebo si nepřejí dlouhodobé sledování. Na základě dostupných pilotních studií se EUS-RFA jeví jako slibná, technicky proveditelná metoda léčby neoplazií pankreatu, která dle dostupných studií prokázala vysokou technickou a přijatelnou klinickou úspěšnost při nízké morbiditě. Sdělení nabízí přehledný souhrn užití EUS-RFA u solidních a cystických neoplazií pankreatu a v závěru popisuje dvě vlastní kazuistiky. V obou případech byla endoskopická léčba technicky proveditelná a nevyskytly se žádné periprocedurální ani postprocedurální komplikace. Klí ová slova: radiofrekvenční ablace – pankreas – neuroendokrinní tumor – pankreatická cystická léze

Summary: Incident cystic lesions of the pancreas are diagnosed with increased frequency due to increased use of CT or MR imaging in asymptomatic patients who undergo imaging for other reasons. Certain lesions such as neuroendocrine tumors, mucinous cystadenomas, and intraductal papillary mucinous neoplasia are at significant risk of the presence or development of malignancy. Endosonographically guided radiofrequency ablation allows selective ablation of the pancreatic lesion with minimal damage to surrounding tissue and could be an alternative treatment modality for patients who do not want or cannot undergo surgery or do not wish to have a long-term follow-up. Based on the available pilot studies, EUS-RFA appears to be a promising technically feasible method for the treatment of pancreatic neoplasia, which has demonstrated high technical and acceptable clinical success rates with low morbidity. This communication offers a clear summary of the use of EUS-RFA in solid and cystic pancreatic neoplasia concluding with two case reports of patients. In both cases, endoscopic treatment was technically feasible and no periprocedural or postprocedural complications occurred.

Key words: radiofrequency ablation – pancreas – neuroendocrine tumour – pancreatic cystic lesion

Pankreatické cystické léze

Pankreatické cystické léze (PCL) jsou diagnostikovány se zvýšenou frekvencí. Typicky je to u asymptomatických pacientů v důsledku rozšířeného používání a zlepšení kvality břišních zobrazovacích vyšetření indikovaných z jiných důvodů. Pankreatické cystické léze jsou náhodně objeveny při 2–20 % vyšetření počítačovou tomografií (CT) nebo magnetickou rezonancí (MR) [1,2]. Jejich přesný výskyt není znám, nicméně s věkem exponenciálně stoupá. Se stárnoucí populací se proto celkový počet osob s diagnózou PCL pravděpodobně výrazně zvýší [3,4]. Pan-

Gastroent Hepatol 2024; 78(5): 388–394 Gastrointestinální onkologie: p ehledová práce

kreatické cystické léze mohou být buď nenádorové, nebo nádorové, přičemž se předpokládá, že nádorové představují více než 50 % všech případů. Vzhledem k tomu, že některé PCL mohou být maligní nebo mít maligní potenciál, je pro stanovení optimální strategie léčby pacientů s PCL nutná správná diagnostika a často také zařazení do sledovacího programu. Intraduktální papilární mucinózní neoplazie (IPMN) jsou nejčastějšími PCL s maligním potenciálem, následované mucinózními cystickými neoplaziemi (MCN) a solidními pseudopapilárními neoplaziemi (SPN), které rovněž nesou riziko ma-

lignity. Pseudocysty, serózní cystadenomy (SCN) a další vzácné cysty jsou obecně benigní. Přesná diagnostika PCL je často svízelná, zejména pokud jsou malé [5,6].

Podle dlouhodobé studie Choi et al. bylo riziko vzniku karcinomu u IPMN s nízkým rizikem 3 % po 5 letech a 8 % po 10 letech, zatímco u IPMN s vysokým rizikem bylo riziko 10 % po 5 letech a 25 % po 10 letech. Kumulativní riziko vzniku karcinomu v dlouhodobém horizontu u různých typů IPMN jasně potvrzuje dilema spojené s managementem PCL v rozhodování mezi sledováním a chirurgickým řešením [7].

Helicobacter pylori a karcinom žaludku

Helicobacter pylori and gastric cancer

Š. Suchánek , , I. Kuzko , K. Koš álová – , Z. Vacková , P. Urbánek , M. Zavoral , , J. Bureš , Interní klinika . LF UK a ÚVN Praha Ústav gastrointestinální onkologie . LF UK a ÚVN Praha Katedra vojenského vnit ního léka ství VLF OU, Hradec Králové

Souhrn: Helicobacter pylori patří stále mezi celosvětově nejčastější bakteriální infekce, a to i přes pokles v posledních čtyřech dekádách (v současné době činí cca 40–50 %). Infekce je častější v rozvojových zemích ve srovnání se zeměmi vyspělými. Intenzivní výzkum této chronické infekce objasnil patogenezi řady chorob žaludku i onemocnění extragastrických, včetně karcinomu. Tento článek přináší přehled poznatků o roli Helicobacter pylori u různých maligních chorob žaludku. Chronická infekce Helicobacter pylori je etiologickým faktorem karcinomu žaludku distálně od kardie (non-cardia gastric cancer) a většiny případů žaludečního MALT-lymfomu nízkého stupně. Byla ale popsána inverzní asociace helikobakterové infekce s ostatními žaludečními malignitami, jako jsou karcinom kardie nebo vzácný hereditární syndrom GAPPS (gastric adenocarcinoma and proximal polyposis of the stomach). Dosud nebyla definitivně zodpovězena klíčová otázka, zda časná eradikace infekce Helicobacter pylori je účinnou prevencí vzniku karcinomu žaludku v budoucnosti. S jistou mírou spolehlivosti je možno konstatovat, že cílené vyšetřování a eradikace Helicobacter pylori snižuje incidenci a mortalitu karcinomu žaludku asijské populace. Tato zjištění dosud nelze beze zbytku aplikovat na populaci evropskou nebo americkou. Indikace eradikace Helicobacter pylori musí být zvažována uvážlivě, v souladu s principy personalizované medicíny. Klí ová slova: gastrointestinální onkologie – Helicobacter pylori – Helicobacter spp. – karcinom žaludku – MALT-lymfom – mikrobiom

Summary: Helicobacter pylori belongs to the most common bacterial infections worldwide; despite its decreasing prevalence during the past four decades (currently ~ 40–50%), it is more prevalent in developing countries compared to developed ones. Intensive research of chronic Helicobacter pylori infection clarified the pathogenesis of several gastric and extragastric diseases, including different cancers. This review pointed out the role of Helicobacter pylori in different gastric malignancies. Chronic Helicobacter pylori infection is an etiological factor in non-cardia gastric cancer and most cases of low-grade MALT lymphoma of the stomach. However, there is an inverse association of Helicobacter pylori infection with other gastric malignancies, like cardia gastric cancer or rare hereditary Gastric Adenocarcinoma and Proximal Polyposis of the Stomach syndrome (GAPPS). A crucial issue has not been definitely solved yet: whether early eradication of Helicobacter pylori could prevent sporadic gastric cancer in the future? There is moderate evidence that searching for and eradicating Helicobacter pylori reduces the incidence of gastric cancer and death from gastric cancer in healthy asymptomatic infected Asian individuals, although data cannot necessarily be extrapolated to European or US populations so far. Indication for the eradication of Helicobacter pylori must now be considered with caution, on an individual basis of personalized medicine.

Key words: gastric cancer – gastrointestinal oncology – Helicobacter pylori – Helicobacter spp. – MALT-lymphoma – microbiome

Úvod

Helicobacter spp. jsou spirální, mikroaerofilní gramnegativní bakterie. Rod Helicobacter zahrnuje více než 35 druhů [1]. Helicobacter pylori je ze všech Helicobacter spp. nejlépe a nejdéle prozkoumaná bakterie u lidí (od roku 1982). Je relativně snadno kultivovatelná, což umožnilo její využití v různých experimentálních výzkumech.

Kmeny Helicobacter pylori mají několik virulentních faktorů, které umožnují dlouhodobou kolonizaci žaludku

člověka, a také mají vyvinuté mechanizmy, jak uniknout lidské imunitní odpovědi [2,3]. Nejlépe popsanými virulentními faktory jsou cytotoxin-asociovaný gen A (CagA) a vakuolující cytotoxin A (VacA), které způsobují poškození hostitelské tkáně. Helicobacter pylori pozitivní CagA a VacA tvoří podskupinu I (spojenou s vyšší patogenitou), zatímco podskupina II se skládá z kmenů negativních CagA a VacA. Téměř všechny VacA-s1 kmeny také nesou CagA, zatímco téměř všechny CagA-negativní

kmeny mají méně virulentní genotyp VacA-s2/m2 [2]. Jeden člověk může být současně infikován jak CagA-pozitivními, tak CagA-negativními kmeny Helicobacter pylori. CagA-pozitivní kmeny se vyskytují blíže k povrchu žaludeční sliznice, tolerují lépe nízké pH žaludku a mají více interakcí s hostitelem, vč. produkce antigenních mimikrů Lewisx a Lewisy [4]. Bylo popsáno několik dalších bakteriálních virulentních genů s variabilním klinickým významem, jako jsou např. geny kódující vnější membránové

doi: . /ccgh

The role of immunotherapy in the management of hepatocellular carcinoma

Úloha imunoterapie pri lie be hepatocelulárneho karcinómu

Department of radiotherapy and oncology, East Slovakia Institute of Oncology, Košice

Summary: Hepatocellular carcinoma (HCC) represents the most common primary liver malignancy, accounting for approximately 75–80% of all liver cancer cases. The global incidence of hepatocellular carcinoma is increasing due to rising rates of underlying diseases, creating a significant cancer burden and a significant clinical challenge due to its often late presentation and limited effective treatment options. Immune checkpoint inhibitors have revolutionized the treatment approach in various malignancies. In the treatment of advanced hepatocellular carcinoma, immunotherapy has proven to be more effective than tyrosine kinase inhibitors, which have been a treatment option for a decade. Clinical trials such as the HIMALAYA and IMbrave150 have demonstrated significant survival benefits, showing superior efficacy compared to sorafenib. Despite these promising results, not all HCC patients respond to immunotherapy equally. There is a need to search for reliable prognostic and predictive biomarkers that can help predict which patients are most likely to benefit from immunotherapy, thereby personalizing treatment and improving outcomes. The purpose of this article is to provide a summary of clinical trials on immunotherapy for various stages of hepatocellular carcinoma.

Key words: liver cancer – hepatocellular carcinoma – immune checkpoint inhibitors – immunotherapy – combination regimens

Súhrn: Hepatocelulárny karcinóm (HCC) predstavuje najčastejšiu primárnu malignitu pečene, tvorí približne 75–80 % všetkých prípadov rakoviny pečene. Globálny výskyt hepatocelulárneho karcinómu sa zvyšuje v dôsledku rastúceho počtu základných ochorení, čo vytvára významnú rakovinovú záťaž a významnú klinickú výzvu v dôsledku jeho často neskorého prejavu a obmedzených účinných možností liečby. Inhibítory imunitného kontrolného bodu spôsobili revolúciu v prístupe k liečbe rôznych malignít. Pri liečbe pokročilého hepatocelulárneho karcinómu sa imunoterapia ukázala byť účinnejšia ako inhibítory tyrozínkinázy, ktoré boli možnosťou liečby už desaťročie. Klinické štúdie ako HIMALAYA a IMbrave150 preukázali významné prínosy prežitia a preukázali vyššiu účinnosť v porovnaní so sorafenibom. Napriek týmto sľubným výsledkom nie všetci pacienti s HCC reagujú na imunoterapiu rovnako. Je potrebné hľadať spoľahlivé prognostické a prediktívne biomarkery, ktoré môžu pomôcť predpovedať, ktorí pacienti budú s najväčšou pravdepodobnosťou profitovať z imunoterapie, a tým personalizovať liečbu a zlepšiť výsledky. Účelom tohto článku je poskytnúť súhrn klinických štúdií imunoterapie pre rôzne štádiá hepatocelulárneho karcinómu. K ú ové slová: rakovina pečene – hepatocelulárny karcinóm – inhibítory imunitných kontrolných bodov – imunoterapia – kombinované režimy

Introduction

Primary liver cancer is the sixth most commonly diagnosed malignancy worldwide and the third most common cause of cancer-related death with continually rising incidence according to GLOBOCAN 2020 [1]. Liver cancer represents a very aggressive malignancy with a poor prognosis and is considered a major cancer burden. Hepatocellular carcinoma (HCC) is the most common type of primary liver cancer, with approximately 75–80% of cases [2]. The underlying etiology of HCC is represented by

factors usually leading to cirrhosis such as alcoholic liver disease (ALD), chronic viral hepatitis (HBV, HCV), aflatoxin exposure, and the currently increasing incidence of liver cancer associated with metabolic dysfunction-associated steatotic liver disease (MASLD) related to metabolic syndrome [3]. Despite advances in surveillance and therapeutic approaches, HCC remains a significant clinical challenge due to its often late presentation and limited effective treatment options [4].The liver is a vital organ that performs a wide range of essen-

tial functions necessary for maintaining overall health. These functions include metabolism, detoxification, bile production, synthesis of blood proteins, regulation of hormones, and immune functions. Therefore, using a conventional TNM (tumor, nodes, metastasis) staging system is not appropriate [5]. The most commonly used staging system for HCC is the Barcelona Clinic of Liver Cancer (BCLC) classification, which considers not only the assessment of the extent of the disease, but also the performance status of the patient, and preservation of

Idiopatické st evní zán ty a autoimunitní pankreatitida

Inflammatory bowel disease and autoimmune pancreatitis

T. Kupka , , P. Dít , , D. Solil , M. Bojková , , J. Dolina , B. Kiani ka

Léka ská fakulta OU, Ostrava

Interní a kardiologická klinika, FN Ostrava

Interní gastroenterologická klinika LF MU a FN Brno II. interní klinika LF MU a FN u sv. Anny v Brn

Souhrn: Autoimunitní forma pankreatitidy je subtypem pankreatitidy chronické. První typ onemocnění (LPSP – lymphoplasmacytic sclerosing pancreatitis) je řazen mezi klinické formy skupiny nemocí označených jako IgG4-related disease. Druhý typ autoimunitní pankreatitidy (idiopathic duct-centric pancreatitis) je charakterizován typicky nálezem substancí GEL (granulocytární epitelové léze). Tato forma se vyskytuje u mladších jedinců, kdy je hladina IgG4 až na výjimky normální a je ve 20–30 % provázena nálezem idiopatických střevních zánětů, především ulcerózní kolitidy. Třetí typ autoimunitní pankreatitidy byl sice popsán, je však stále předmětem diskuzí. Počty osob s idiopatickými střevními záněty a nálezem druhého typu autoimunitní pankreatitidy jsou nejvyšší u osob s ulcerózní kolitidou – až dvě třetiny všech nemocných. Ve studii Mayo Clinic bylo nalezeno 19 osob s idiopatickými střevními záněty ve skupině 43 nemocných s autoimunitní pankreatitidou druhého typu, podobně japonská studie nalezla autoimunitní pankreatitidu v 11 případech souboru 52 nemocných s idiopatickým střevním zánětem. Podobné výsledky prokázaly i další studie. Idiopatické střevní záněty s autoimunitní pankreatitidou jsou diagnostikovány ve 20 % případů a terapie steroidy je obvykle úspěšná.

Klí ová slova:idiopatický střevní zánět – autoimunitní pankreatitida prvního typu – autoimunitní pankreatitida druhého typu

Summary: Autoimmune pancreatitis is a subtype of chronic pancreatitis. Currently, type 1 is known (LPSP – lymphoplasmacytic sclerosing pancreatitis), which is classified among the clinical forms of a group of diseases designated as IgG4-related disease. This form occurs in younger individuals and IgG4 levels are normal with a few exceptions. This type is accompanied in 20–30% via findings of inflammatory bowel diseases, mainly ulcerative colitis. Type 3 autoimmune pancreatitis has been described, but it is still debated. The number of persons with inflammatory bowel diseases and the finding of type 2 autoimmune pancreatitis is highest in persons with ulcerative colitis – up to 2/3 of all patients. In the Mayo Clinic study, 19 persons with inflammatory bowel disease were found in a group of 43 patients with type 2 AIP; similarly, a Japanese study found AIP in 11 cases in a group of 52 patients with inflammatory bowel disease. Other studies have shown similar results. Inflammatory bowel disease with autoimmune pancreatitis is diagnosed in 20% of cases and steroid therapy is usually successful.

Key words: inflammatory bowel disease – autoimmune pancreatitis type 1 – autoimmune pancreatitis type 2

Úvod

Autoimunitníonemocněnítrávicíhotraktu tvoří významná skupina chorob postihujících především tenké střevo, tlusté střevo, hepatobiliární systém a pankreas.

Autoimunitní postižení trávicích orgánů lze rozdělit do tří skupin:

1. autoimunitní onemocnění spojené s pozitivitou HLA (human leukocyte antigen);

2. IgG4 (imunoglobulin G4) asociovaná onemocnění – IgG4-related disease;

3. ostatní autoimunitní onemocnění trávicího traktu [1,2].

Idiopatické střevní záněty (IBD) jsou onemocnění s nejasnou etiologií. Nejčastěji jsou s etiologií IBD spojeny faktory enviromentální, alterace střevní mikroflóry i faktory genetické [3,4]. Zásadními onemocněními jsou ulcerózní kolitida (UC) a Crohnova choroba (CD). V klinické praxi jsou používány dva HLA sérologické markery, jejichž nález může být nápomocným

v rozlišení mezi UC a CD. Zatímco UC má typicky pozitivní průkaz přítomnosti autoprotilátek ANCA (antineutrofilní plazmatické autoprotilátky), pro CD je charakteristickým průkaz autoprotilátek krevního séra – ASCA (anti-Saccharomyces cerevisiae autoprotilátky) [5]. Senzitivita protilátek ASCA je v rozmezí 37–42 %, specificita 70–100 %.SenzitivitaautoprotilátekANCA činí 70 % a specificita až 98 % [6].

Kromě diagnostického přínosu pro UC a CD je HLA klasifikace spojena

Etrasimod – druhá generace modulátor S P receptoru v terapii ulcerózní kolitidy

Etrasimod

– the second generation S P receptor modulators in ulcerative colitis therapy

M. Lukáš

Klinické a výzkumné centrum pro st evní zán ty, Klinické centrum ISCARE a.s. a . LF UK v Praze

Od počátku 20. let tohoto století zaznamenáváme doslova explozi nových léčiv v indikaci ulcerózní kolitidy. V roce 2018 byl do klinické praxe zaveden první JAK – inhibitor tofacitinib (neselektivní blokátor JAK-1 a JAK-3) – a od té doby byly do terapeutického armamentária přidány další nové molekuly, a to nejen ze skupiny JAK inhibitorů (filgotinib a upadacitinib), ale také nové monoklonální protilátky anti-IL23 (mirikizumab), a očekává se brzké uvedení guselkumabu.V roce 2021 byl do léčby ulcerózní kolitidy uveden první modulátor receptorů S1P (sfingosin 1 fosfát) – ozanimod. Na rozdíl od fingolimodu, který je dnes užíván v léčbě roztroušené sklerózy a ovlivňuje také receptory S1P2 a S1P3, má ozanimod afinitu k S1P1,5, výrazně lepší bezpečnostní profil. Jeho protizánětlivý účinek spočívá v sekvestraci aktivovaných T lymfocytů v lymfatických uzlinách. V letošním roce byl regulačními orgány v Evropě (EMA) a v Severní Americe (FDA) povolen k léčbě pacientů s ulcerózní kolitidou nový lék z této skupiny – etrasimod, který vykazuje oproti ozanimodu některé výhodné vlastnosti. Etrasimod patří do skupiny tzv. malých molekul a mechanizmem účinku je velmi podobný ozanimodu. Jedná se o modulátor S1P1,4,5 receptoru. S1P je lyzofosfolipid, který funguje jako signální molekula exprimovanáT lymfocyty po některých extracelulárních stimulech a má řadu důležitých biologických

efektů, které se významně uplatňují v patogenezi imunitně zprostředkovaných chorob. Díky koncentračnímu gradientu S1P mohou aktivované T lymfocyty vycestovávat z lymfatických uzlin do krevního řečiště. Etrasimod ovlivňuje receptorové subtypy S1P1,4,5, zatímco na subtypy S1P2 a S1P3 nemá větší vliv. Vazbou na zmíněné receptory S1P způsobuje jejich internalizaci do nitra aktivovaného T lymfocytu, kde jsou destruovány. T lymfocyt nemůže kvůli ztrátě exprese S1P1,4,5 opustit lymfatickou tkáň, v níž zůstává sekvestrován. Následkem toho dochází ke snížení počtu aktivovaných T lymfocytů v krevním řečišti. Počet imunokompetentních buněk, které jsou odpovědné za primární imunitní odpověď v rámci tzv. přirozené imunity, jako jsou dendritické buňky nebo NK lymfocyty, není tímto lékem výrazněji ovlivněn. Etrasimod je metabolizován cestou cytochromu P-450 a na rozdíl od ozanimodu nemá aktivní metabolity, biologický poločas je výrazně kratší (cca 30 hod.). Doporučená dávka je 2mg jednou denně, na rozdíl od ozanimodu není třeba indukční ani titrovací dávka [1].

V roce 2023 byly publikovány výsledky dvou registračních studií ELEVATE UC 52 a ELEVATE UC 12, které byly provedeny u nemocných se středně závažnou až těžkou formou ulcerózní kolitidy. Jedna třetina nemocných byla před vstupem do studie exponována

předcházející biologické léčbě nebo terapii JAK inhibitory. Studie ELEVATE 52 byla klasická registrační studie, která měla dvě části, indukční rameno v délce 12 týdnů a poté přecházeli nemocní do udržovací fáze léčby po dobu 40 týdnů. Jednalo se o tzv. treat-through design, to znamená, že odpadla „re-randomizace“ v týdnu 12 u těch pacientů, kteří vykazovali známky zlepšení v týdnů 12, a všichni nemocní, kteří byli randomizováni do indukční fáze, také pokračovali do udržovací fáze léčby. Studie ELEVATE 12 trvala pouze 12 týdnů. Do studie ELEVATE 52 bylo zařazeno 433 nemocných v poměru 2 : 1 s placebem a do studie ELEVATE 12 bylo rekrutováno celkem 354 nemocných, rovněž v poměru 2 : 1 oproti placebu. Primárním end-pointem ve studii ELEVATE 52 byl podíl nemocných dosahujících remise v týdnu 12 a v týdnu 52. Vedle toho byla určena řada sekundárních cílů zahrnujících endoskopické zlepšení v týdnu 12 a 52, klinickou remisi bez kortikoidů v týdnu 52, klinickou remisi současně v týdnu 12 a 52, endoskopicko-histologické zlepšení v týdnu 12 a v týdnu 52, symptomatickou remisi v týdnu 12 a v týdnu 52. Výsledky byly pozitivní a ve všech parametrech primárních i sekundárních cílů potvrdily, že terapie etrasimodem v dávce 2mg jednou denně je statisticky signifikantně lepší v porovnání s placebem. V indukční fázi byla klinická remise dosažena u aktivně léče-

Portosinusoidální vaskulární choroba s portální hypertenzí – popis p ípadu

Portosinusoidal vascular disease with portal hypertension –a case report

V. Sentivanová , M. Hlavatý , O. Fabián , , E. Sticová , O. Semerád , P. Kohout

Interní klinika . LF UK a FakultníThomayerovy nemocnice, Praha

Klinika hepatogastroenterologie, Institut klinické a experimentální medicíny, Praha Pracovišt klinické a transplanta ní patologie, Institut klinické a experimentální medicíny, Praha Ústav patologie a molekulární medicíny . LF UK a FakultníThomayerovy nemocnice, Praha

Souhrn: Portosinusoidální vaskulární choroba (PSVD) je málo rozpoznávané onemocnění jater podmíněné postižením malých cév. Diagnóza je definována souborem klinických a/nebo histopatologických kritérií, absolutní podmínkou je vyloučení cirhózy jater biopsií. Klinicky se PSVD obvykle manifestuje komplikací portální hypertenze, ta ale nemusí byt vyjádřena u všech nemocných. V článku popisujeme případ 71letého pacienta se známou, hematologicky nevysvětlenou a dále neprošetřenou splenomegalií, který byl vyšetřen pro těžkou symptomatickou mikrocytární anemii, pravděpodobně sekundární k portální hypertenzi, byť bez deklarovaných krvácivých projevů. Za hospitalizace byla provedena ligace velkých rizikových varixů jícnu, jiný zdroj anemizace prokázán nebyl. U pacienta byla vyloučena pre- nebo posthepatální etiologie portální hypertenze, elastografie jater byla ve fyziologických hodnotách, jaterní testy byly vyjma marginální izolované elevace gamaglutamyltransferázy v normě, funkce jater byla intaktní. V jaterní biopsii byl nález kompatibilní s diagnózou PSVD. U pacienta nebylo rozpoznáno žádné z asociovaných onemocnění, rovněž neužíval rizikovou medikaci, léčba tudíž spočívala pouze v řešení komplikací portální hypertenze, ambulantně byla dokončena eradikace jícnových varixů. Při terapii perorálním preparátem železa došlo k normalizaci hemoglobinu, fyziologické hodnoty přetrvávají i měsíce po ukončení substituční léčby, jaterní funkce je nadále v normě.

Klí ová slova: portosinusoidální vaskulární choroba – portální hypertenze – idiopatická necirhotická portální hypertenze – sideropenická anemie

Summary: Portosinusoidal vascular disease (PSVD) is a rarely recognized liver condition caused by the involvement of small hepatic vessels. The diagnosis is established based on a set of clinical and/or histopathological criteria, with the absolute requirement of excluding liver cirrhosis through biopsy. Clinically, PSVD often presents with complications related to portal hypertension, although not all patients exhibit these signs. This article discusses the case of a 71-year-old patient with known splenomegaly, which had not been fully investigated and lacked a hematological explanation. The patient was evaluated for severe symptomatic microcytic anemia, likely secondary to portal hypertension, despite the absence of overt bleeding symptoms. During hospitalization, ligation of large, high-risk esophageal varices was performed, and no other sources of anemia were identified. Pre- or post-hepatic causes of portal hypertension were ruled out. Liver elastography results were within normal ranges, and liver function tests were normal except for a marginal isolated elevation of gamma-glutamyltransferase. Liver function remained intact. Liver biopsy findings were consistent with a diagnosis of PSVD. The patient did not have any identifiable associated conditions and was not taking any medications known to pose a risk. Therefore, treatment was focused solely on managing the complications of portal hypertension. Outpatient follow-up included the eradication of esophageal varices. Treatment with oral iron supplements led to the normalization of hemoglobin levels, which remained stable for months after the discontinuation of therapy, and liver function tests continued to be normal.

Key words: porto-sinusoidal vascular disease – portal hypertension – idiopathic non-cirrhotic portal hypertension – hypochromic anemia

Úvod

Portosinusoidální vaskulární choroba (PSVD – portosinusoidal vascular disease) je recentně (a relativně široce) definovaná klinická jednotka označující

onemocnění jater podmíněné postižením drobných cév (portální venuly, sinusoidy), s presinusoidální portální hypertenzí (PH) jako možnou konsekvencí tohoto procesu, jejíž přítomnost ale

není podmínkou [1]. Právě absence PH jako conditio sine qua non diagnózy je jedním z argumentů náhrady přechozího termínu – idiopatické necirhotické portální hypertenze (INCPH) – novou

doi: . /ccgh

Hepatitida E: co pot ebujeme v d t o tomto onemocn ní?

Hepatitis E: what we need to know about this disease?

H. Slep anová , , L. Petroušová , Ústav laboratorní medicíny, Léka ská fakulta OU a FN Ostrava Ústav mikrobiologie, Léka ská fakulta a P írodov decká fakulta UP v Olomouci

Klinika infek ního léka ství, FN Ostrava Katedra interních obor , Léka ská fakulta OU, Ostrava

Souhrn: Virus hepatitidy E (HEV) je celosvětovým problémem a druhou nejčastější příčinou virové hepatitidy. Existuje osm genotypů HEV, z nichž čtyři způsobují onemocnění u lidí. Genotypy 1 a 2 se přenášejí kontaminovanou vodou, zatímco genotypy 3 a 4 jsou zoonotické a přenášejí se konzumací nedostatečně tepelně upraveného masa, zejména vepřového, zvěřiny a králičího. V České republice je endemický genotyp 3 s rezervoárem u prasat, spárkaté zvěře a králíků. Infekce HEV se projevuje podobně jako jiné typy hepatitid příznaky, jako je únava, horečka, nevolnost, žloutenka a tmavá moč. U imunokompetentních pacientů infekce obvykle odezní sama, ale u imunokompromitovaných a imusuprimovaných může přejít do chronického stavu vedoucího až k cirhóze a selhání jater. Preexistující onemocnění jater hraje v kontextu HEV významnou roli, jelikož u pacientů s chronickým onemocněním jater infikovaných HEV existuje významně vyšší riziko selhání jater, které může vést až k úmrtí. Diagnóza se provádí detekcí protilátek IgM a IgG proti HEV a HEV RNA v krvi a stolici. Doporučené diagnostické postupy se liší v závislosti na imunitním stavu pacienta a epidemiologickém prostředí. Léčba obvykle není nutná, ale v závažných případech se používá ribavirin a interferon . Prevence zahrnuje zlepšení hygieny, dostatečnou tepelnou úpravu masa a v rozvojových zemích zvážení očkování. V Číně je dostupná vakcína Hecolin® účinná proti genotypům 1, 2 a 4, ale v Evropské unii zatím není registrována. Klí ová slova: hepatitida E – virus hepatitidy E – genotypy – přenos – Česká republika

Summary: The hepatitis E virus (HEV) represents a significant global health concern, accounting for the second-highest incidence of viral hepatitis. Eight genotypes of HEV have been identified, four of which are associated with disease in humans. Genotypes 1 and 2 are transmitted via contaminated water, whereas genotypes 3 and 4 are zoonotic and transmitted through the consumption of undercooked meat, particularly pork, venison, and rabbit. Genotype 3 is endemic in the Czech Republic, with reservoirs in pigs, wild game, and rabbits. A hepatitis E virus (HEV) infection presents with symptoms similar to those observed in other types of hepatitis, including fatigue, fever, malaise, jaundice, and dark urine. In immunocompetent patients, the infection typically resolves spontaneously. However, in immunocompromised patients, it can progress to a chronic state, leading to cirrhosis and liver failure. The presence of preexisting liver disease is a significant factor in the context of HEV, as patients with chronic liver disease infected with HEV are at an elevated risk of liver failure, which can potentially result in death. A diagnosis is made by detecting immunoglobulin M (IgM) and immunoglobulin G (IgG) antibodies to the hepatitis E virus (HEV) and HEV ribonucleic acid (RNA) in blood and stool samples. The recommended diagnostic procedures are contingent upon the patient‘s immune status and epidemiological context. In most cases, treatment is not necessary; however, ribavirin and interferon  are employed in severe instances. Prevention strategies encompass enhanced hygiene practices, thorough cooking of meat, and in developing countries, the consideration of vaccination. The vaccine Hecolin® is available in China and is efficacious against genotypes 1, 2, and 4; however, it is not yet registered in the European Union.

Key words: hepatitis E – hepatitis E virus – genotypes – transmission – Czech Republic

Úvod

Virus hepatitidy E byl objeven v 80. letech 20. století jako nový virus způsobující onemocnění akutní hepatitidy u lidí, non-A a non-B hepatitidu. Začátkem 90. let byl virus hepatitidy E sekvenován a rozdělen do jednotlivých geno-

typů, kterých je známo osm, z nichž čtyři genotypy způsobují onemocnění u člověka. V současnosti je virus hepatitidy E druhou nejčastější příčinou virové hepatitidy ve světě a v některých evropských zemích je dokonce nejčastější příčinou akutní virové hepatitidy. Každo-

ročně je evidováno ve světě 20 milionů infekcí virové hepatitidy E (HEV), symptomy akutní virové hepatitidy se rozvinou u 3,3 mil. lidí [1].

Virus hepatitidy E je malý RNA (ribonukleová kyselina) virus (27–34 nm) s ikosaedrickou kapsidou a má jedno-

Akutní poškození ledvin u kriticky nemocných a st evní dysmikrobie

Acute kidney injury in critically ill patients and intestinal dysbiosis

N. Petejová , , V. Teplan , , , A. Martínek , J. Zadražil ,

Interní a kardiologická klinika LF OU a FN Ostrava III. interní klinika – nefrologická, revmatologická a endokrinologická, LF UP v Olomouci

Klinické a výzkumné centrum pro st evní zán ty, Klinické centrum ISCARE a.s. a . LF UK v Praze

Subkatedra nefrologie, IPVZ, Praha III. interní klinika – nefrologická, revmatologická a endokrinologická, FN Olomouc

Souhrn: Úvod: Akutní poškození ledvin (AKI – acute kidney injury) se vyskytuje u kriticky nemocných pacientů s výrazným dopadem na jejich morbiditu a mortalitu. Náhlé snížení renálních funkcí ovlivňuje činnost a funkci jiných orgánů, mezi jinými také střevo navozením střevní dysmikrobie, jež recipročně zhoršuje průběh AKI a může také vést k rozvoji chronické nefropatie. Cíl: Patofyziologie AKI, sepse a střevní dysmikrobie v kritickém stavu pacienta s dopadem na vývoj nemoci a jiné orgánové systémy s možnostmi jejího pozitivního ovlivnění nutričními opatřeními. Závěr: Kriticky nemocní pacienti zejména v septickém stavu komplikovaném AKI jsou náchylní ke komplikacím typu střevní dysmikrobie, sekundární sepse a imunodeficience. Léčba základního onemocnění a jeho komplikací spolu s nutriční podporou napomáhá ke zlepšení klinického stavu této skupiny nemocných.

Klí ová slova: akutní poškození ledvin – dysmikrobie – střevní mikroflóra– sepse

Summary: Introduction: Acute kidney injury (AKI) occurs in critically ill patients with significant impact on their morbidity and mortality. The sudden reduction in renal function affects the function of other organs, comprising the intestine, inducing intestinal dysmicrobia, which reciprocally worsens the course of AKI and may also lead to the development of chronic nephropathy. Purpose: Pathophysiology of AKI, sepsis and intestinal dysmicrobia in a critical patient with impact on the development of the disease and other organ systems with possibilities of its positive influence by nutritional measures. Conclusion: Critically ill patients especially in septic status complicated by AKI are prone to complications such as intestinal dysmicrobia, secondary sepsis and immunodeficiency. Treatment of the underlying disease and its complications along with nutritional support helps to improve the clinical outcome of this group of patients.

Key words: acute kidney injury – dysmicrobia – intestinal microbiota – sepsis

Úvod

Kriticky nemocní pacienti hospitalizovaní na jednotce intenzivní péče (JIP) představují obvykle heterogenní skupinu nemocných s několika společnými faktory, které přispívají ke zhoršení jejich morbidity a mortality. Jedním ze závažných ukazatelů zhoršení klinického výstupu kritických chorých je akutní poškození anebo selhání ledvin (AKI) a dalšími velmi důležitými faktory jsou zvýšené riziko vzniku sepse, sklon k malnutrici, a tím obecně k těžkému proteinovému katabolizmu. AKI bývá výsled-

kem několika koincidujících činitelů, přičemž mezi nejdůležitější z nich řadíme septický stav, hypovolemii a ischemii nebo naopak tekutinové přetížení. Z dalších příčinných faktorů lze uvést nefrotoxicitu nezbytné život zachraňující terapie a střevní dysmikrobii. Mezi AKI, septickým stavem a střevní dysmikrobií panuje reciproční vztah, kdy zhoršení jednoho parametru potencuje vznik a vývoj dalších komplikací v ostatních orgánech, čemuž v akutní nefrologii říkáme interorgánová anebo kolono-renální komunikace [1].

Definice a klasifikace akutního poškození a selhání ledvin

Akutní poškození ledvin je obecně definováno jako náhlý stav s poklesem renálních metabolických a exkrečních funkcí projevující se retencí zplodin katabolizmu dusíku, tedy zvýšením sérového kreatininu (Skrea) a obvykle také urey. Močovina je nicméně obecným markerem odrážejícím stav vodního metabolizmu a samostatně nemusí být pouze známkou probíhajícího AKI. Druhým faktorem indikujícím AKI je pokles diurézy definovaný podle doporučení KDIGO

Klinická a experimentální gastroenterologie: lékový pro

l doi: . /ccgh

Cinitaprid rozši uje možnosti lé by funk ní

dyspepsie

Cinitaprid expands treatment options for functional dyspepsia

J. Slíva

Ústav farmakologie . LF UK, Praha

Souhrn: Medikamentózní léčba funkčních trávicích poruch je zpravidla obtížná, vyžaduje komplexní přístup a u řady pacientů také podávání účinných prokinetik. Ta se nově v České republice rozšiřuje o léčivou látku cinitaprid. Předložený text shrnuje jeho základní farmakologické vlastnosti a dostupné relevantní aspekty jeho klinického využití.

Klí ová slova: funkční dyspepsie – prokinetika – cinitaprid

Summary: Treatment of functional dyspepsia is often medically difficult and requires a comprehensive approach, including the drug group prokinetics. In the Czech Republic, it is now being expanded to include the active substance cinitapride. The presented text summarizes its basic pharmacological properties and summarizes the available relevant aspects of its clinical use.

Key words: functional dyspepsia – prokinetics – cinitapride

Úvod

Funkční dyspepsie (FD) je v české populaci velmi častá porucha trávení, která je charakterizována řadou příznaků horní části gastrointestinálního traktu, jako jsou říhání, pocity plnosti a tlaku v nadbřišku, předčasná sytost, nauzea a nechutenství, které mají negativní vliv na kvalitu života pacienta. Terapeuticky dlouhodobě využívaná prokinetika představují hlavní třídu léčiv indikovaných u FD kvůli své schopnosti modulovat gastrointestinální motilitu; bohužel ta nejúčinnější léčiva této skupiny (cisaprid a tegaserod) byla z bezpečnostních důvodů stažena z trhu. Potřeba bezpečnějších alternativ tak povzbudila další vývoj a testování dalších prokinetik. Selektivní agonisté serotoninových receptorů 5-HT4 (např. prukaloprid a velusetrag) a neselektivní agonisté 5-HT4, kteří současně nemají žádnou afinitu k receptoru 5-HT1 (např. mosaprid), jsou zmiňovány jako účinné a současně i bezpečné s menším počtem nežádoucích účinků. Do České republiky nově vstupuje látka cinitaprid.

Farmakologie cinitapridu

Zmíněná aktivita serotoninových receptorů je modulována též látkou cinitaprid (4-amino-N-[1-(3-cyklohexen-1-yl-methyl)-4-piperidinyl]-2-ethoxy-5-nitro-benzamid 4) působící jako agonista receptorů 5-HT1 a 5-HT4 a současně antagonista 5-HT2 a dopaminových D2 receptorů. Výsledným účinkem uvedené receptorové modulace je zesílení evakuační funkce žaludku [1], přičemž pravděpodobně důležitější pro prokinetický efekt, je agonizmus uvedených subtypů serotoninových receptorů. Receptor 5-HT1 se podílí na zesílení peristaltických a sekrečních reflexů, stimulace receptoru 5-HT4 pak zvyšuje presynaptické uvolňování acetylcholinu, čímž se zvyšuje neurotransmise s pozitivním efektem na propulzní peristaltiku a sekreční reflexy v horní části trávicí trubice.

Klinické zkušenosti

Cinitaprid je určen k léčbě dospělých osob trpících mírnou až středně těž-

kou dysmotilitní dyspepsií, případně je využíván jako adjuvantní léčba gastroezofageálního refluxu při nedostatečné účinnosti inhibitorů protonové pumpy (IPP). Hodnocení jeho terapeutické účinnosti a bezpečnosti bylo předmětem řady klinických studií, povětšinou realizovaných – vzhledem k jeho zemi původu – ve Španělsku, kde je v klinické praxi využíván již řadu let.

Rozsáhlá multicentrická studie zahrnující nemocné s gastroezofageálním refluxem, funkční dyspepsií či syndromem dráždivého tračníku (n = 7 320) při léčbě cinitapridem v dávce 1mg 3krát denně vedla k výraznému zlepšení klinických obtíží u 72,58 % subjektů; mírné zlepšení bylo pozorováno u 26,55 % osob, žádné zlepšení nebo zhoršení klinického stavu bylo zcela výjimečné (beze změny u 0,84 % a zhoršení u 0,03 % osob). Při hodnocení lékařem bylo pozorováno zlepšení stavu následující: kompletní vymizení symptomatologie 62,35 %, střední úleva 34,27 %, mírná úleva 2,92 % nemocných [2].

Heterotopic pancreas in the jejunum: highlighting the necessity of excision and histopathological confirmation – a case report

Heterotopický pankreas v jejunu: zd razn ní nutnosti excize a histopatologického potvrzení – kazuistika

S. K. B. Balaraj , D. Nagesh , S. H. Kalgeri , V. G. Doddawad

Department of Surgical Gastroenterologist, JSS Medical College and Hospital, JSS Academy of Higher Education and Research, Mysore, Karnataka, India

MDC, Mysore, Karnataka, India

Department of Conservative Dentistry and Endodontics, JSS Dental College and Hospital, JSS Academy of Higher Education and Research, Mysore, Karnataka, India

Department of Oral Pathology and Microbiology, JSS Dental College and Hospital, JSS Academy of Higher Education and Research, Mysore, Karnataka, India

Summary: Heterotopic pancreas (HP) is a congenital anomaly characterized by the presence of pancreatic tissue that is anatomically separate from the main pancreatic gland without continuity of the duct system and vascularity.The most frequent locations for this displacement are within the upper gastrointestinal tract, particularly in the stomach, duodenum, and proximal jejunum. Other less common sites include the esophagus, ileum, Meckel diverticulum, biliary tree, mesentery, and spleen. Typically, uncomplicated heterotopic pancreas does not exhibit symptoms, and the lesion is often discovered incidentally during unrelated surgeries, imaging examinations, or autopsy. This report describes a 35-year-old male with a history of corrosive ingestion who presented with dysphagia. During surgical exploration, a tissue measuring 0.7 × 0.5 cm was observed approximately 40 cm from the DJ flexure in the jejunum. The identified tissue was excised and sent in for histopathological examination (HPE). In conclusion, we advise the excision of the ectopic tissue and recommend HPE because the diagnosis of HP cannot be confirmed without a thorough histopathological examination. Despite its rarity, heterotopic pancreas should be included in the differential diagnosis when evaluating gastrointestinal stromal tumors.

Key words: ectopic – pancreas – chronic pancreatitis – dysphagia – endoscopy

Souhrn: Heterotopický pankreas (HP) je vrozená anomálie charakterizovaná přítomností pankreatické tkáně, která je anatomicky oddělena od hlavní pankreatické žlázy bez kontinuity vývodného systému a vaskularity. Nejčastější místa pro tento posun jsou v horní části gastrointestinálního traktu, zejména v žaludku, duodenu a proximálním jejunu. Mezi další méně obvyklá místa patří jícen, ileum, Meckelův divertikl, žlučový strom, mezenterium a slezina. Nekomplikovaný heterotopický pankreas obvykle nevykazuje příznaky a léze je často objevena náhodně během nesouvisejících operací, zobrazovacích vyšetření nebo pitvy. Tato zpráva popisuje 35letého muže s anamnézou požití žíraviny, který vykazoval dysfagii. Během chirurgického výkonu byla přibližně 40 cm od DJ flexury v jejunu pozorována tkáň o rozměrech 0,7 × 0,5 cm. Identifikovaná tkáň byla vyříznuta a odeslána na histopatologické vyšetření (HPE). Závěrem doporučujeme excizi ektopické tkáně a doporučujeme HPE, protože diagnózu HP nelze potvrdit bez důkladného histopatologického vyšetření. I přes svou vzácnost by měl být heterotopický pankreas zahrnut do diferenciální diagnózy při hodnocení gastrointestinálních stromálních tumorů.

Klí ová slova: ektopický – slinivka – chronická pankreatitida – dysfagie – endoskopie

Introduction

A congenital anomaly, termed heterotopic pancreas (HP), results in the phys-

ical differentiation of pancreatic tissue from the main pancreatic gland. HP refers to pancreatic tissue located

in areas outside its typical anatomical position [1]. This alteration predominantly occurs in the upper gastrointes-

Výb ry z mezinárodních asopis

The selection from international journals

E cacy and safety of probiotics in IBD: An overview of systematic reviews and updated meta-analysis of randomized controlled trials

Estevinho MM, Yuan Y, Rodríguez-Lago I et al. United European Gastroenterol J 2024. doi: 10.1002/ueg2.12636. Online ahead of print.

Abstrakta lánk ke stažení zde: You can download the abstracts here: http:

Ú innost a bezpe nost probiotik u IBD: p ehled systematických review a aktualizovaná metaanalýza randomizovaných kontrolovaných studií Pozadí a cíl: Probiotika vykazují potenciál u idiopatických onemocnění střev (IBD – inflammatory bowel disease), avšak některé otázky zůstávají nezodpovězené. Provedli jsme přehled systematických review a aktualizovanou metaanalýzu randomizovaných kontrolovaných studií (RCT – randomised controled trial), které hodnotily účinek probiotik u Crohnovy nemoci (CD – Crohn’s disease) a ulcerózní kolitidy (UC – ulcerative colitis). Metody: Vyhledávání bylo provedeno v databázích MEDLINE, Web of Science a Cochrane Central Register of Controlled Trials až do září 2023. Primárními výsledky byly klinická remise a recidiva; sekundární výsledky zahrnovaly endoskopickou odpověď, remisi a nežádoucí účinky. Poměry šancí (OR – odds ratios) byly vypočítány pomocí modelu náhodných účinků v programu R. Kvalita systematických review byla hodnocena pomocí nástroje AMSTAR-2; riziko zkreslení studií bylo hodnoceno pomocí nástroje Cochrane Collaboration. Jistota důkazů byla hodnocena pomocí rámce GRADE. Výsledky: Z celkových 2 613 výsledků splňovalo kritéria 67 studií (22 systematických review a 45 RCT). V aktualizované metaanalýze bylo OR pro klinickou remisi u UC a CD 2,00 (95% CI 1,28–3,11) a 1,61 (95% CI 0,21–12,50). Subanalýza naznačila, že kombinace 5-ASA a probiotik může být prospěšná pro navození remise u mírné až středně těžké UC (OR 2,35; 95% CI 1,29–4,28). Probiotika snížila šanci na recidivu u relabující pouchitidy (OR 0,03; 95% CI 0,00–0,25) a vykazovala tendenci k redukci klinické recidivy u neaktivní UC (OR 0,65; 95% CI 0,42–1,01). U CD nebyl identifikován žádný ochranný účinek proti recidivě. Formulace s více kmeny probiotik se zdají být účinnější při dosahování remise a prevenci recidivy u UC. Použití probiotik nebylo spojeno s lepšími endoskopickými výsledky. Nežádoucí účinky byly podobné jako u kontrolních skupin, nicméně celková jistota důkazů byla nízká. Závěr: Probiotika, zejména formulace s více kmeny, se jeví jako účinná při navození klinické remise a prevenci relapsu u pacientů s UC i u relabující pouchitidy. U CD však nebyl zjištěn žádný významný účinek. Rovněž byl zdůrazněn příznivý bezpečnostní profil probiotik.

Over-the-scope clip as first-line treatment of peptic ulcer bleeding: a multicenter randomized controlled trial (TOP Study)

Soriani P, Biancheri P, Bonura GF et al. Endoscopy 2024; 56(9): 665–673. doi: 10.1055/a-2303-4824.

Over-the-scope klip jako lé ba první linie krvácení z peptického v edu: multicentrická randomizovaná kontrolovaná studie (studie TOP)

Pozadí: Léčba klipem over-the-scope (OTS) v první linie ukázala vyšší účinnost než standardní endoskopická terapie při akutním nevarikózním krvácení z horní části gastrointestinálního traktu (NVUGIB – nonvariceal upper gastrointestinal bleeding) z různých příčin. Srovnali jsme OTS klipy se standardními klipy (TTS – through-the-scope) jako první mechanickou léčbu v případě krvácení z peptického vředu. Metody: Provedli jsme mezinárodní, multicentrickou, randomizovanou kontrolovanou studii u po sobě jdoucích pacientů s podezřením na NVUGIB. Pacienti s gastroduodenálním peptickým vředem Forrest Ia–IIb byli náhodně rozděleni v poměru 1 : 1 k léčbě OTS klipem nebo TTS klipem. Primárním výsledkem byla míra opětovného krvácení do 30 dnů po úspěšné iniciální hemostáze. Sekundární výsledky zahrnovaly míru úspěšné iniciální hemostázy a celkový klinický úspěch definovaný jako kombinace úspěšné iniciální hemostázy a absence známek opětovného krvácení do 30 dnů. Výsledky: Bylo vyšetřeno 251 pacientů a 112 pacientů bylo randomizováno k léčbě OTS (n = 61) nebo TTS (n = 51) klipem. Míra opětovného krvácení do 30 dnů byla 1,6 % (1/61) u pacientů léčených OTS klipem a 3,9 % (2/51) u pacientů léčených TTS klipem (Kaplan-Meierův log-rank test; p = 0,46). Míra úspěšné iniciální hemostázy byla 98,4 % (60/61) ve skupině s OTS klipem a 78,4 % (40/51) ve skupině s TTS klipem (p = 0,001). Celková míra klinického úspěchu byla 96,7 % (59/61) u OTS klipů a 74,5 % (38/51) u TTS klipů (p = 0,001). Závěry: Nízký výskyt opětovného krvácení do 30 dnů byl pozorován po endoskopické léčbě první linie akutního krvácení z peptického vředu jak s OTS, tak s TTS klipy. Nicméně OTS klipy prokázaly vyšší účinnost než TTS klipy při dosažení úspěšné iniciální hemostázy a celkového klinického úspěchu.

Kreditovaný autodidaktický test

Vážení tená i, rádi bychom vás informovali, že ve spolupráci s eskou gastroenterologickou spole ností a eskou léka skou komorou jsme p ipravili autodidaktický test, za který m žete získat 2 kredity do celoživotního vzd lávání léka . Test je dostupný na webových stránkách asopisu www.csgh.info

Kreditovaný autodidaktický test: Gastrointestinální onkologie

1. Který typ eradikačního režimu H. pylori byl v letech 2019–2024 nejčastěji používaným v České republice:

a) konvenční trojkombinační terapie (inhibitor protonové pumpy, amoxicilin, klarithromycin)

b) 10denní sekvenční terapie

c) 14denní nebismutová čtyřkombinační terapie

c) bismutový eradikační režim

2. Se kterým z následujících onemocnění vykazuje infekce

H. pylori negativní asociaci:

a) karcinom žaludku distálně od kardie

b) karcinom kardie žaludku

c) MALT lymfom

d) atrofická gastritida

3. Čím se vysvětluje navýšení pozitivity screeningového TOKS v České republice v posledních třech letech:

a) snížením věkové hranice cílové populace

b) zvýšením počtu screeningových center c) zavedením standardizovaného vyhodnocování TOKS s přesně určenou cut-off hodnotou

d) navýšením cut-off hodnoty

4. Jaká byla průměrná čekací doba na koloskopii po pozitivním TOKS v ČR

v roce 2023:

a) 63 dní

b) 75 dní

c) 50 dní

d) 87 dní

5. Jaká je v současnosti v ČR standardizovaná cut-off hodnota pozitivity imunochemického TOKS:

a) 20 µg/g

b) 47 µg/g

c) 15 µg/g

c) 25 µg/g

6. Aké riziko pooperačnej morbidity a mortality predstavuje duodenopankreatektómia v referenčných centrách:

a) morbidita do 10 %, mortalita do 1 % b) morbidita do 20 %, mortalita do 2 %

c) morbidita do 30 %, mortalita do 3 %

d) morbidita do 40 %, mortalita do 4 %

7. Ktoré sú v súčasnosti základné terapeutické metódy liečby hepatocelulárneho karcinómu v skorých štádiách (BCBC 0–BCLC A): a) resekcia alebo transplantácia pečene b) neoadjuvantnáchemoterapiaa resekcia

c) resekcia a adjuvantná chemoterapia d) len sledovanie zobrazovacím vyšetrením raz za 3 mesiace

8. Ktorý typ chronickej pankreatitídy má najvyšší podiel asociácie s chronickými zápalovými chorobami

čreva (IBD):

a) autoimunitná pankreatitída

1. typu b) autoimunitná pankreatitída

2. typu c) polieková pankreatitída d) hereditárna pankreatitída

9. Aký podiel diagnostikovaných pacientov s portálnou hypertenziou má portosínusoidálnu vaskulárnu chorobu pečene:

a) 1–2 %

b) 2–4 %

c) 3–6 %

d) 4–8 %

10. Ktoré faktory sú častými príčinami portosínusoidálnej vaskulárnej choroby pečene: a) imunosupresívna liečba b) trombofilné stavy c) autoimunitné choroby d) všetky spomenuté

Gastroenterologie a hepatologie

Vedoucí redaktor (Editor-in-Chief)

prof. MUDr. Milan Lukáš, CSc., AGAF Klinické a výzkumné centrum pro st evní zán ty, Klinické centrum ISCARE a.s. a . LF UK v Praze eskomoravská , Praha milan.lukas@email.cz

Zástupce vedoucího redaktora pro Slovenskou republiku (Editor for Slovak Republic)

doc. MUDr.Tomáš Koller, PhD. V. interná klinika LF UK a UN Bratislava Ružinovská , Bratislava koller.tomas@gmail.com

Redak ní rada (Editorial Board)

doc. MUDr. Peter Bánov in Jr, PhD. Interná klinika gastroenterologická JLF UK a UN Martin

doc. MUDr. Martin Bortlík, Ph.D. Gastroenterologické odd lení, Nemocnice eské Bud jovice, a.s.

prof. MUDr. Radan Br ha, CSc. IV. interní klinika – klinika gastroenterologie a hepatologie . LF UK aVFN v Praze

MUDr. Iveta ierna, PhD. Detská fakultná nemocnica s poliklinikou, Bratislava

doc. MUDr. So a Fra ková, Ph.D. Klinika hepatogastroenterologie, IKEM, Praha

prof. MUDr. Martin Fried, CSc. OB Klinika a. s., Praha

prof. MUDr.Tibor Hlavatý, PhD. Gastroenterologická ambulancia I., Nemocnica Ružinov – UN Bratislava

prof. MUDr.Tomáš Hucl, Ph.D. Klinika hepatogastroenterologie, Transplantcentrum, IKEM, Praha

doc. MUDr. ubomír Skladaný, PhD. II. interná klinika SZU a FNsP F.D. Roosevelta v Banskej Bystrici

doc. MUDr. Št pán Suchánek, Ph.D. Interní klinika . LF UK a ÚVN Praha

MUDr.Václav Šmíd, Ph.D.

IV. interní klinika . LF UK aVFN v Praze

prof. MUDr. Julius Špi ák, CSc. Klinika hepatogastroenterologie, Transplantcentrum, IKEM, Praha

doc. MUDr. IljaTachecí, Ph.D.

II. interní gastroenterologická klinika LF UK a FN Hradec Králové

prof. MUDr.VladimírTeplan, DrSc. Klinické a výzkumné centrum pro st evní zán ty ISCARE a.s., Praha

prof. MUDr. Ond ej Urban, Ph.D.

II. interní klinika – gastroenterologická a geriatrická LF UP a FN Olomouc

doc. MUDr. EduardVeseliny, PhD. I. interná klinika LF UPJŠ a UN LP Košice

MUDr. Kristýna Zárubová, Ph.D. Pediatrická klinika . LF UK a FN Motol

Mezinárodní redak ní rada (International Editorial Board) Prof. Lars Aabakken, MD, PhD Professor of Medicine, Chief of GI endoscopy Oslo University Hospital Rikshospitalet Oslo, Norway

Peter Doyle Higgins, MD, PhD

Associate Professor, Department of Internal medicine, Gastroenterology

University of Michigan, USA

Peter Laszlo Lakatos, MD, PhD

Professor of Internal Medicine, director of the IBD Centre at McGill University, MUHC, Sherbrooke Street West, Montreal, Quebec, Canada

Prof. David Lieberman

Professor of Medicine and Chief of the Division of gastroenterology

Oregon Health & Science University Portland, Oregon, USA

Prof. Jong-Ho Moon, MD, PhD

Professor of Medicine, School of Medicine, SoonChunHyang University Bucheon/Seoul, Korea

Prof. Walter Reinisch, MD

Professor of Medicine, Department of Internal medicine, Gastroenterology, McMaster University Hamilton, Ontario, Canada

Florian Rieder, MD

Department of Gastroenterology, Hepatology and Nutrition, Digestive Disease and Surgery Institute

Department of Pathobiology, Lerner Research Institute Cleveland Clinic Foundation, Cleveland, Ohio, USA

Prof.Vincenzo Stanghellini

Professor of Medicine

Department of Medical and surgical science University of Bologna, Italy

Prof. Jerome D. Waye, MD

Professor of Medicine, Director of Endoscopic Education Icahn School of Medicine

Mount Sinai, NewYork, USA

Harmonogram vydání a tematické zam ení asopisu Gastroenterologie a hepatologie pro rok . A time schedule of journal´s publication with major topics for .

ísloTémaKoedito iTermín vydání / IBDM. Bortlík/T. Hlavatýúnor / hepatologieR. Br ha/ . Skladanýduben / digestivní endoskopieO. Urban/E. Veseliny erven / klinická a experimentální gastroenterologieT. Hucl/P. Bánov insrpen / gastrointestinální onkologieŠ. Suchánek/T. Koller íjen / d tská gastroenterologie a hepatologie / bariatrie a obezitologieK. Zárubová/M. Friedprosinec

© eská léka ská spole nost J. E. Purkyn , Praha Gastroenterologie a hepatologie

Vydává eská léka ská spole nost J. E. Purkyn ve spolupráci s nakladatelstvím Care Comm s.r.o. Eviden ní íslo MK R E . ISSN(Print). ISSN - X (On-line).

On-line verze je p ístupná na adrese www.csgh.info

asopis SGH je uveden na SCOPUS, CHEMICAL TITLES, EXCERPTA MEDICA/EMBASE, CHEMICAL ABSTRACTS, INIS Atomindex,

Food Science and Technology Abstracts, Bibliographia Medica echoslovaca. Nakladatel: Care Comm s.r.o. Klicperova / , Praha

Odpov dná redaktorka: Ing. Kate ina Michnová katerina.michnova@carecomm.cz

Grafická úprava: Karel Zlevor Vychází × ro n

P edplatné na rok iní K ( eur).

Objednávka p edplatného R i SR na adrese: predplatne@carecomm.cz

Informace o podmínkách inzerce poskytuje a objednávky p ijímá: Jan Laitl jan.laitl@carecomm.cz + Toto íslo vychází íjna

Turn static files into dynamic content formats.

Create a flipbook
Issuu converts static files into: digital portfolios, online yearbooks, online catalogs, digital photo albums and more. Sign up and create your flipbook.
GH_2024-5_listovacka by Care Comm s.r.o. - Issuu