Gastroenterologie ahepatologie
          GastroenterologyandHepatology
          N= age=years BMI=.±.kg/m
          
    
    
    HRI=.±. LFI=.±.
          
    asopiseskégastroenterologickéspolenosti,SlovenskejgastroenterologickejspolonostiaSlovenskejhepatologickejspolonosti
          VydáváLSJEPindexedinSCOPUS,CHEMICALTITLES,EXCERPTAMEDICA/EMBASE,CHEMICALABSTRACTS, INISAtomindex,FoodScienceandTechnologyAbstracts,BibliographiaMedicaechoslovaca,IndexCopernicus
          HEPATOLOGIE
          Telemedicineinhepatology
          Neurobiológiachorôbpeene
          Ultra-processedfoodathreattoliverhealth Hepatorenaltyrosinemia
          duben roník íslo ISSN-(Print); ISSN-X(On-line)
        OBESITY
        Editorial
          .Skladaný,R.Brha
          II.internáklinikaSZUaFNsPF.D.RooseveltavBanskejBystrici
          IV.interníklinikaklinikagastroenterologieahepatologie.LFUKaVFNvPraze
          Hereditárnyangioedémakopríinabolestíbrucha GastroentHepatol2023;77(2):91 Editorial
        Obsah
          Editorial
          Editorial
          .Skladaný,R.Brha
          HEPATOLOGIEIHEPATOLOGY
          Clinicalcourseofpatientswithhepatorenaltyrosinemiatreatedwithnitisinone a-yearprospectivecohortstudy
          Klinickýprbhupacientshepatorenálnítyrosinemiíléenýchnitisinonemdesetiletáprospektivníkohortovástudie
          Originalarticle|Pvodnípráce
          S.M.Dehghani,L.Salarian,I.Shahramian,F.Parooie,M.Salarzaei,M.Tahani,F.Samiee, A.Amirhakimi,M.Delaramnasab
          Neurobiológiachorôbpeene
          Neurobiologyofliverdiseases
          Prehadovápráca|Reviewarticle
          B.Mravec,,M.Szántová
          Hepaticparenchymachangesinobesepaediatricpatients
          Hepatálnezmenyobéznychpediatrickýchpacientov
          Originalarticle|Pôvodnápráca
          M.Pro,L.Prová,Z.Havlíeková,Z.Michnová,M.Kozár,K.Pro,P.Bánovinjr.,.Skladaný,P.Bánovin
          Ultra-processedfoodathreattoliverhealth
          Ultra-spracovanépotravinyhrozbaprezdraviepeene
          Reviewarticle|Prehadovápráca
          M.Rác,M.Janiko,T.Koller,.Skladaný
          Telemedicineinhepatologypromisingsolutionforourpatients?
          Telemedicínavhepatológiiperspektívnerieenieprenaichpacientov?
          Casereport|Kazuistika
          D.J.Havaj,S.AdamcováSelanová,D.ilinanová,J.Vnenáková,.Skladaný
          DTSKÁGASTROENTEROLOGIEAHEPATOLOGIEIPAEDIATRICGASTROENTEROLOGYANDHEPATOLOGY
          Autoimunitnípankreatitidavdtskémvku
          Autoimmunepancreatitisinchildhood
          Kazuistika|Casereport
          T.Sarnovská,K.Jelínková,F.Neumann,D.Barnetová,R.Hrdlika
          IBD
          MezinárodnízkuenostisdietouproCrohnovuchorobuzaloenounavylouení konkrétníchpotravin(CDED)sparciálníenterálnívýivou(PEN)
          InternationalexperiencewithCrohnsdiseaseexclusiondiet(CDED)withpartialenteralnutrition(PEN) Pehledovápráce|Reviewarticle
          N.El-Lababidi
          Filgotinibvterapiiidiopatickýchstevníchzánt
          Filgotinibinthetreatmentofinammatoryboweldiseases
          Lékovýprol|Drugprole M.Luká
          Kulatýstl:SubkutánníiniximabvlébIBDaterapeutickémonitorování hladinléivavpraxi
          K.erná
          Hereditárnyangioedémakopríinabolestíbrucha GastroentHepatol2023;77(2) Obsah
        GASTROINTESTINÁLNÍONKOLOGIEIGASTROINTESTINALONCOLOGY
          VýsledkyrobotickékolorektálníchirurgienaIII.chirurgickéklinice.LFUK
          ResultsofroboticcolorectalsurgeryatIIIrd surgicaldepartment st FacultyofMedicineCharlesUniversity
          Pehledovápráce|Reviewarticle
          B.Jíová,J.Skoepa,J.Pastor,P.Hladík,R.LischkeRobert
          RZNÉ|OTHERS
          Výbryzmezinárodníchasopis
          Theselectionfrominternationaljournals
          Komentáe|Comments
          I.Míková,K.Katylová,V.Zoundjiekpon,S.Cveková,R.Pospíil
          Kivotnímujubileuprof.MUDr.MarieBrodanové,DrSc.
          OntheanniversaryofthelifeofProf.MarieBrodanová,MD,DrSc.
          Personalia|Personalnews
          P.Urbánek
          Odpovnakvíz|Answertothequiz
          Autodidaktickýtest|Self-educatedtest
          KOMERNPODPOENÁSDLENÍ|COMMERCALLYSUPPORTEDCOMMUNICATIONS
          Pehlednejastjíchkoníchneádoucíchúinkbiologickélébyupacientsidiopatickými stevnímizántyvetnalgoritmujejichdiferenciálnídiagnostikyást
          Overviewofthemostcommonskinadversereactionsofbiologicaltreatmentinpatientswithinammatorybowel disease,includinganalgorithmfortheirdierentialdiagnosispart M.Nováková,
          Hereditárnyangioedémakopríinabolestíbrucha Obsah GastroentHepatol2023;77(2)
        
              
              
            
            Clinicalcourseofpatientswithhepatorenal tyrosinemiatreatedwithnitisinone a-yearprospectivecohortstudy
          Klinickýprbhupacientshepatorenálnítyrosinemiíléených nitisinonemdesetiletáprospektivníkohortovástudie
          S.M.Dehghani,L.Salarian,I.Shahramian,F.Parooie,M.Salarzaei,M.Tahani,F.Samiee,A.Amirhakimi,M.Delaramnasab ShirazTransplantResearchCenter,ShirazUniversityofMedicalScience,Shiraz,Iran DepartmentofPediatrics,ShirazUniversityofMedicalScience,Shiraz,Iran
          PediatricGastroenterologyandHepatologyResearchCenter,Amir-Al-Momemninhospital,Zaboluniversityofmedicalsciences,Zabol,Iran
          Summary:
          Keywords:
          
    Hereditárnyangioedémakopríinabolestíbrucha GastroentHepatol2023;77(2):97102 Hepatology:originalarticle doi: /ccgh
        oftyrosinemiatype patientswereincludedinthisstudy Good nitisinoneuse Poor nitisinoneuse
        Theeectiveroleofnitisinone inreducingthecomplications
        
              
              
            
            Neurobiológiachorôbpeene Neurobiologyofliverdiseases
          B.Mravec , ,M.Szántová Fyziologickýústav,LFUK,Bratislava Biomedicínskecentrum,Ústavexperimentálnejendokrinológie,SAV,Bratislava III.internáklinikaLFUKaUN,NemocnicaakademikaLadislavaDérera,Bratislava
          Súhrn:
          Kúovéslová:
          Summary:
          Keywords:
          Hereditárnyangioedémakopríinabolestíbrucha GastroentHepatol2023;77(2):103111 Hepatológia:prehadovápráca doi: /ccgh
        Úvod
        Ochoreniapeene
        Hepatology:originalarticle
          doi: /ccgh
          
              
              
            
            Hepaticparenchymachangesinobese paediatricpatients
          
    Hepatálnezmenyobéznychpediatrickýchpacientov
          M.Pro,L.Prová,Z.Havlíeková,Z.Michnová,M.Kozár,K.Pro,P.Bánovinjr.,.Skladaný,P.Bánovin
          ClinicofChildrenandAdolescents,JesseniusFacultyofMedicineinMartin,ComeniusUniversityinBratislava,UniversityHospitalMartin ClinicofNeonatology,JesseniusFacultyofMedicineinMartin,ComeniusUniversityinBratislava,UniversityHospitalMartin DepartmentofPharmacology,JesseniusFacultyofMedicineinMartin,ComeniusUniversityinBratislava
          ClinicofInternalMedicineGastroenterology,JesseniusFacultyofMedicineinMartin,ComeniusUniversityinBratislava,UniversityHospitalMartin nd DepartmentofInternalMedicine,HEGITO,F.D.RooseveltUniversityHospitalBanskaBystrica
          Summary:
          Keywords:
          GastroentHepatol2023;77(2):112122
          
    
    
    Hereditárnyangioedémakopríinabolestíbrucha
        HRI=.±. LFI=.±. OBESITY
        N= age=years BMI=.±.kg/m
        
              
              
            
            Ultra-processedfoodathreattoliver health
          Ultra-spracovanépotravinyhrozbaprezdraviepeene
          M.Rác,M.Janiko,T.Koller,.Skladaný
          DepartmentofInternalMedicine,TeachingHospitalNitra
          nd DepartmentofInternalMedicine,P.J.SafarikUniversity,FacultyofMedicineandL.PasteurUniversityHospitalKoice
          th DepartmentofInternalMedicine,UniversityHospitalBratislava,ComeniusUniversity,FacultyofMedicine,Bratislava
          nd DepartmentofInternalMedicine,HEGITO,F.D.RooseveltUniversityHospital,BanskáBystrica
          Summary:
          Keywords:
          Súhrn:
          Kúovéslová:
          Hereditárnyangioedémakopríinabolestíbrucha GastroentHepatol2023;77(2):123129 Hepatology:reviewarticle doi: /ccgh
        Hereditárnyangioedémakopríinabolestíbrucha
          Hepatology:casereport doi: /ccgh
          Telemedicineinhepatologypromising solutionforourpatients?
          Telemedicínavhepatológiiperspektívnerieenieprenaich pacientov?
          D.J.Havaj,S.AdamcováSelanová,D.ilinanová,J.Vnenáková,.Skladaný nd DepartmentofInternalMedicine,HEGITO,F.D.RooseveltUniversityHospital,BanskáBystrica
          Summary:
          Keywords:
          Súhrn:
          Kúovéslová:
          Introduction
          Casedescription
          GastroentHepatol2023;77(2):130135
          doi: /ccgh
          
              
              
            
            Autoimunitnípankreatitidavdtskémvku
          Autoimmunepancreatitisinchildhood
          T.Sarnovská,K.Jelínková,F.Neumann,D.Barnetová,R.Hrdlika
          Dtskéoddlení,OblastnínemocniceKolín,a.s.,nemocniceStedoeskéhokraje
          Radiodiagnostickéoddlení,OblastnínemocniceKolín,a.s.,nemocniceStedoeskéhokraje
          Endoskopickécentrum,OblastnínemocniceKolín,a.s.,nemocniceStedoeskéhokraje
          Souhrn:
          Klíováslova:
          Summary:
          Keywords:
          Popisvlastníhopípadu
          Hereditárnyangioedémakopríinabolestíbrucha
        GastroentHepatol2023;77(2):136139 Dtskágastroenterologieahepatologie:kazuistika
        Úvod
        IBD:pehledovýlánek
          doi: /ccgh
          Mezinárodnízkuenostisdietoupro Crohnovuchorobuzaloenounavylouení konkrétníchpotravin(CDED)sparciální enterálnívýivou(PEN)
          InternationalexperiencewithCrohnsdiseaseexclusiondiet (CDED)withpartialenteralnutrition(PEN)
          N.El-Lababidi
          Centrumdtskégastroenterologie,hepatologieavýivy,Klinikapediatrieaddinýchporuchmetabolismu.LFUKaVFNvPraze
          Souhrn:
          Klíováslova:
          Summary:
          Keywords: Úvod
          GastroentHepatol2023;77(2):140144
          Hereditárnyangioedémakopríinabolestíbrucha
        
              
              
            
            Filgotinibvterapiiidiopatickýchstevních zánt
          Hereditárnyangioedémakopríinabolestíbrucha GastroentHepatol2023;77(2):145146 IBD:lékovýprol doi: /ccgh
        Filgotinibinthetreatmentofinammatoryboweldiseases
        M.Luká
          Klinickéavýzkumnécentrumprostevnízánty,KlinickécentrumISCAREa.s.a.LFUKvPraze
          
              
              
            
            Kulatýstl:Subkutánníiniximabvléb
          IBDaterapeutickémonitorováníhladin léivavpraxi
          K.erná
          Klinickéavýzkumnécentrumprostevnízánty,KlinickécentrumISCAREa.s.a.LFUKvPraze
          DISKUZNÍBLOK:
          FARMAKOKINETIKAIFX-SC
          Aktuálnznámé
          farmakokineticképarametry IFX-SC[]
          .PKPDcharakteristikaIFX
          Hereditárnyangioedémakopríinabolestíbrucha GastroentHepatol2023;77(2):147153 IBD:aktualita doi: /ccgh
        nicepojm
        .De
        Expertnístanoviskokesprávnéklinicképraxi
          Goodpracticestatement
          Subkutánníiniximabvlébidiopatickýchstevníchzánt aterapeutickémonitorováníhladinléivavpraxi
          .Indukníaudrovacíléba IFX-SC,intenzikaceterapie
          .Cut-okoncentraceIFX-SC
          .VlivdávkyIFX-SCna odpovídavostnalébu
          .PrediktoryosuduIFX-SC vorganizmu
          .Proaktivnívs.reaktivníTDM
          .ImunogenicitaIFX-SC
          Hereditárnyangioedémakopríinabolestíbrucha Kulatýstl:SubkutánníiniximabvlébIBDaterapeutickémonitorováníhladinléivavpraxi GastroentHepatol2023;77(2):147153
        Pouitézkratkyatermíny ATI AUC Cut-o IFX IFX-IV IFX-SC IS IV PK POCT SC TDM TL
        Hereditárnyangioedémakopríinabolestíbrucha
          Gastrointestinálníonkologie:pehledovápráce
          doi: /ccgh
          
              
              
            
            Výsledkyrobotickékolorektálníchirurgie naIII.chirurgickéklinice.LFUK
          ResultsofroboticcolorectalsurgeryatIIIrdsurgicaldepartment
          
              
              
            
            stFacultyofMedicineCharlesUniversity
          B.Jíová,J.Skoepa,J.Pastor,P.Hladík,R.Lischke III.chirurgickáklinika.LFUKaFNvMotole,Praha
          Souhrn:
          Klíováslova:
          Summary:
          Keywords: Úvod
          Historierobotickéchirurgie
          GastroentHepatol2023;77(2):154157
          
              
              
            
            Výbryzmezinárodníchasopis
          Theselectionfrominternationaljournals
          Budesonideasrst-linetreatmentinpatientswithautoimmunehepatitis seemsinferiortostandardpredniso(lo)neadministration
          Budesonidjakolékprvnívolbyupacientsautoimunníhepatitidousejevíjakoménúinný nestandardnílébaprednisonem
          Abstraktalánk kestaenízde: Youcandownload theabstractshere:
          
    
    http:
          Adouble-blindrandomizedplacebo-controlledtrialofalbumininoutpatients withhepaticencephalopathy:HEALstudy
          Dvojitzaslepená,randomizovaná,placebemkontrolovanástudiespodávánímalbuminu uambulantníchpacientsjaterníencefalopatií:studieHEAL
          Hereditárnyangioedémakopríinabolestíbrucha GastroentHepatol2023;77(2):159162 Komentáe
        
              
              
            
            Kivotnímujubileu
          prof.MUDr.MarieBrodanové,DrSc.
          
          Ontheanniversaryofthelife
          ofProf.MarieBrodanová,MD,DrSc.
          
          
    Hereditárnyangioedémakopríinabolestíbrucha GastroentHepatol2023;77(2):164165 Personalia
        P.Urbánek Interníklinika.LFUKaÚVNPraha
          Správnáodpovnakvíz
          Fatálníprbhzántlivéhoonemocnní
          M.Bortlík,M.Nováková,R.Balog,I.Horný,A.Stehlíková Gastroenterologickéoddlení,NemocniceeskéBudjovice,a.s.
          
    Interníklinika.LFUKaÚVNPraha
          Farmakologickýústav.LFUK,Praha
          ZdravotnsociálnífakultaJUveskýchBudjovicích
          Interníoddlení,NemocniceStrakonice,a.s. Patologickéoddlení,NemocniceeskéBudjovice,a.s.
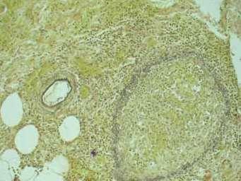
          Obr..Prokrvácenásubmukóza,vníjevaskulitidoupostienácévastedníhokalibruprostoupenahojnýmsmíenýmzántlivýminltrátemsbrinoidnínekrózoujejí stnyasfragmentacíelastickýchvláken(barveníWeigert vanGiesonelastika,zvtení×).
          Fig..Bloodysubmucosa,inwhichamedium-sizedvessel aectedbyvasculitisispenetratedbyanabundantmixed inammatoryinltratewithbrinoidnecrosisofitswalland withfragmentationofelasticbers(WeigertvanGieson stainingelastic,magnication×).
          Obr..Vterénuprokrvácenéhopodkoícévymaléhokalibrusperivaskulárnímsmíenýmzántlivýminltrátem spevahoueozinolníchgranulocyt.Nkterézcévkompletnobturoványsmíenýmitromby(barveníhematoxylin-eozin,zvtení×).
          Fig..Intheeldofbloodiedsubcutaneoustissue,asmall-calibervesselwithaperivascularmixedinammatoryinltratewithapredominanceofeosinophilicgranulocytes. Someofthevesselsarecompletelyoccludedbymixed thrombi(hematoxylin-eosinstaining,magnication×).
          
    Hereditárnyangioedémakopríinabolestíbrucha GastroentHepatol2023;77(2):167168 Kvíz
        Kreditovanýautodidaktickýtest
          Váenítenái,rádibychomvásinformovali,evespolupráciseskou gastroenterologickouspolenostíaeskoulékaskoukomoroujsmepipravili autodidaktickýtest,zakterýmetezískat2kreditydoceloivotníhovzdlávání léka.Testjedostupnýnawebovýchstránkáchasopisuwww.csgh.info
          Kreditovanýautodidaktickýtest:hepatologie
          Hereditárnyangioedémakopríinabolestíbrucha
        GastroentHepatol2023;77(2):172 Kreditovanýautodidaktickýtest
        Pehlednejastjíchkoníchneádoucích úinkbiologickélébyupacient sidiopatickýmistevnímizántyvetn algoritmujejichdiferenciálnídiagnostiky ást
          Overviewofthemostcommonskinadversereactions ofbiologicaltreatmentinpatientswithinammatorybowel disease,includinganalgorithmfortheirdierentialdiagnosis part
          M.Nováková ,
          Dermatovenerologickáklinika.LFUKaFNBulovka,Praha
          Dermatovenerologickáambulance,IKEM,Praha
          Kazuistika
          Hereditárnyangioedémakopríinabolestíbrucha GastroentHepatol2023;77(2):173177 Komernpodpoenésdlení:IBD
        Anamnéza Nynjíonemocnní
          
              
              
            
            Gastroenterologieahepatologie
          Vedoucíredaktor (Editor-in-Chief)
          prof.MUDr.MilanLuká,CSc.,AGAF Klinickéavýzkumnécentrumprostevnízánty, KlinickécentrumISCAREa.s.a.LFUKvPraze eskomoravská,Praha milan.lukas@email.cz
          Zástupcevedoucíhoredaktora proSlovenskourepubliku (EditorforSlovakRepublic)
          doc.MUDr.TomáKoller,PhD. V.internáklinikaLFUKaUNBratislava Ruinovská,Bratislava koller.tomas@gmail.com
          Redaknírada(EditorialBoard) doc.MUDr.PeterBánovinJr,PhD. Internáklinikagastroenterologická
          JLFUKaUNMartin
          doc.MUDr.MartinBortlík,Ph.D. Gastroenterologickéoddlení, NemocniceeskéBudjovice,a.s. prof.MUDr.RadanBrha,CSc.
          IV.interníklinikaklinikagastroenterologie ahepatologie.LFUKaVFNvPraze
          MUDr.Ivetaierna,PhD.
          Detskáfakultnánemocnicaspoliklinikou, Bratislava
          prof.MUDr.MartinFried,CSc. OBKlinikaa.s.,Praha
          prof.MUDr.TiborHlavatý,PhD. GastroenterologickáambulanciaI., NemocnicaRuinovUNBratislava
          prof.MUDr.TomáHucl,Ph.D. Klinikahepatogastroenterologie, Transplantcentrum,IKEM,Praha MUDr.ubomírSkladaný,PhD.
          II.internáklinikaSZUaFNsPF.D.Roosevelta vBanskejBystrici
          doc.MUDr.tpánSuchánek,Ph.D. Interníklinika.LFUKaÚVNPraha prof.MUDr.Juliuspiák,CSc. Klinikahepatogastroenterologie, Transplantcentrum,IKEM,Praha doc.MUDr.IljaTachecí,Ph.D.
          II.internígastroenterologickáklinika LFUKaFNHradecKrálové prof.MUDr.VladimírTeplan,DrSc. Klinickéavýzkumnécentrum prostevnízánty ISCAREa.s.,Praha doc.MUDr.OndejUrban,Ph.D.
          II.interníklinikagastroenterologická ageriatrickáLFUPaFNOlomouc MUDr.EduardVeseliny,PhD.
          I.internáklinikaLFUPJaUNLPKoice MUDr.KristýnaZárubová,Ph.D. Pediatrickáklinika.LFUKaFNMotol
          Mezinárodníredaknírada
          (InternationalEditorialBoard)
          Prof.LarsAabakken,MD,PhD ProfessorofMedicine,ChiefofGIendoscopy OsloUniversityHospitalRikshospitalet Oslo,Norway
          PeterDoyleHiggins,MD,PhD
          AssociateProfessor, DepartmentofInternalmedicine,Gastroenterology UniversityofMichigan,USA
          PeterLaszloLakatos,MD,PhD
          ProfessorofInternalMedicine,directoroftheIBDCentre atMcGillUniversity,MUHC,SherbrookeStreetWest, Montreal,Quebec,Canada
          Prof.DavidLieberman
          ProfessorofMedicineandChief
          oftheDivisionofgastroenterology
          OregonHealth&ScienceUniversityPortland,Oregon,USA Prof.Jong-HoMoon,MD,PhD
          ProfessorofMedicine, SchoolofMedicine,SoonChunHyangUniversity Bucheon/Seoul,Korea
          Prof.WalterReinisch,MD
          ProfessorofMedicine,DepartmentofInternal medicine,Gastroenterology,McMasterUniversity Hamilton,Ontario,Canada
          FlorianRieder,MD
          DepartmentofGastroenterology,Hepatology andNutrition,DigestiveDiseaseandSurgeryInstitute DepartmentofPathobiology,LernerResearchInstitute ClevelandClinicFoundation,Cleveland,Ohio,USA
          Prof.VincenzoStanghellini
          ProfessorofMedicine
          DepartmentofMedicalandsurgicalscience UniversityofBologna,Italy
          Prof.JeromeD.Waye,MD
          ProfessorofMedicine,DirectorofEndoscopicEducation IcahnSchoolofMedicine
          MountSinai,NewYork,USA
          HarmonogramvydáníatematickézameníasopisuGastroenterologieahepatologieprorok Atimescheduleofjournal´spublicationwithmajortopicsfor
          ísloTémaKoeditoiTermínvydání / IBDM.Bortlík/T.Hlavatýúnor / hepatologieR.Brha/.Skladanýduben / digestivníendoskopieO.Urban/E.Veseliny erven / klinickáaexperimentálnígastroenterologieT.Hucl/P.Bánovinsrpen / gastrointestinálníonkologie.Suchánek/T.Koller íjen / dtskágastroenterologieahepatologie/bariatrieaobezitologieK.Zárubová/M.Friedprosinec
          ©eskálékaskáspolenostJ.E.Purkyn,Praha Gastroenterologieahepatologie
          VydáváeskálékaskáspolenostJ.E.Purkyn vespoluprácisnakladatelstvímCareComms.r.o. EvidenníísloMKRE.ISSN(Print).ISSN-X(On-line).
          On-lineverzejepístupnánaadrese www.csgh.info
          asopisSGHjeuvedennaSCOPUS,CHEMICALTITLES,EXCERPTAMEDICA/EMBASE, CHEMICALABSTRACTS,INISAtomindex,
          FoodScienceandTechnologyAbstracts, BibliographiaMedicaechoslovaca. Nakladatel:CareComms.r.o.
          Klicperova/,Praha
          Odpovdnáredaktorka: Ing.KateinaMichnová katerina.michnova@carecomm.cz
          Grackáúprava: KarelZlevor
          Vychází×ron
          PedplatnénarokiníK(eur)+potovné. Informaceopodmínkáchinzerceposkytuje aobjednávkypijímá:
          JanLaitl
          jan.laitl@carecomm.cz + Totoíslovychází.dubna
          Hereditárnyangioedémakopríinabolestíbrucha Tirá www.cgs-cls.cz www.sgssls.sk www.csgh.info