Skip to main content

GH_1-2026_listovacka

Page 1


Gastroenterologie a hepatologie

Gastroenterology and Hepatology

IBD: dopad na kvalitu života pacient

P ehled lé by, symptom , duševního zdraví a každodenního života

Práce a sociální život

ROČNÍK ČASOPISU

Lé ba

pracuje na  plný/částečný úvazek na biologické léčbě

v invalidním důchodu

Duševní zdraví

psychické problémy

, % , % % , % , %

Celkem 1 272 respondentů:

• Crohnova nemoc: 768 (60,3 %)

• ulcerózní kolitida: 485 (38,1 %)

• jiná forma: 19 (1,5 %)

Věk: medián 39 let (18–81)

spokojenost s léčbou

Symptomy

, % trpí únavou

> % gastrointestinální problémy

, % kloubní projevy

Mináriková P, Matějková P, Kuzko I. Kvalita života pacientů s idiopatickými střevními záněty v České republice. Gastroent Hepatol 2026; 80(1): 22–29. doi: 10.48095/ccgh202622.

asopis eské gastroenterologické spole nosti, eské hepatologické spole nosti, Slovenskej gastroenterologickej spolo nosti a Slovenskej hepatologickej spolo nosti

Vydává LS JEP – indexed in SCOPUS, CHEMICAL TITLES, EXCERPTA MEDICA/EMBASE, CHEMICAL ABSTRACTS, EBSCO, INIS Atomindex, Food Science and Technology Abstracts, Bibliographia Medica echoslovaca, Index Copernicus, Bibliovigilance

Medikamentózní lé ba ulcerózní kolitidy: aktualizovaná doporu ení PS pro IBD Kvalita života pacient s IBD v eské republice

Subkutánní infliximab CT-P13 ve druhé linii u nemocných s CN Riziko akutní pankreatitidy u pacient s IBD

Precizní medicina u IBD

ISSN - (Print);

ISSN - X (On-line)

únor ro ník íslo

Editorial

Editorial

M. Lukáš

Klinické a výzkumné centrum pro st evní zán ty, ISCARE a.s. a . LF UK v Praze

Vážené čtenářky, vážení čtenáři, vítám vás do jubilejního ročníku časopisu Gastroenterologie a hepatologie, který v letošním roce slaví úctyhodný 80. ročník od prvního vydání v dubnu 1947 pod názvem Gastro-enterologia Bohema. Časopis v průběhu osmi dekád prošel mnohými změnami, měnil své tituly a v jeho vedení se vystřídalo celkem šest šéfredaktorů, mezi nimiž vyčnívá Zdeněk Mařatka, jenž vedl tento časopis neuvěřitelných 30 let. Přes všechny změny, které zahrnovaly také střídání vydavatelů, změny formátu a grafické podoby, si udržel roli prezidiálního časopisu pro obory gastroenterologie a hepatologie. Na svých stránkách přináší platformu pro další vzdělávání, dává možnosti komunikace z odborné praxe a vytváří vhodné prostředí pro prezentaci výsledků klinického a experimentálního výzkumu. V současné době je distribuován nejen v Česku, ale také na Slovensku a je časopisem čtyř odborných společností, jež s hrdostí uvádíme na titulní straně. S ohledem na 80. ročník jsme se snažili

trochu upravit titulku časopisu. Novinkou v tomto ročníku bude zavedení kompletní anglické mutace časopisu, takže každé číslo bude mít v internetové podobě na www.csgh.info anglickou verzi. V průběhu roku 2026 dojde také k významné úpravě webových stránek časopisu. To, co se osvědčilo v minulosti, zůstává v platnosti i tento rok. Preferenční zaměření každého čísla na různé segmenty gastroenterologie, hepatologie a digestivní endoskopie se stalo již tradicí a probíhá nepřetržitě od roku 2011. V prvním čísle bude hlavní pozornost zaměřena na problematiku IBD, ve druhém čísle na hepatologii, ve třetím na digestivní endoskopii, čtvrté má hlavní téma experimentální a klinická gastroenterologie, páté gastrointestinální onkologie a poslední, šesté číslo má téma dětská gastroenterologie a bariatrie. Každé nové vydání bude mít svého stabilního koordinátora podle preferenčního tématu. V posledních 2 letech vytváříme před každým číslem krátký podcast, který dostávají všichni členové jednotlivých spo-

lečností. Ten upozorňuje na nejdůležitější články daného čísla. Rád bych vyzval naše čtenáře, a to především z řad mladých gastroenterologů a hepatologů, k zasílání příspěvků z klinické praxe, z klinického výzkumu a také pozorování zajímavých případů. Psaní článků a kazuistik je důležité nejen z hlediska publikační a vědecké aktivity, ale přináší s sebou velký odborný benefit pro pisatele, protože umožnuje prozkoumat do větší hloubky danou problematiku a nutí k jasné a zřetelné formulaci myšlenek. Pro mladé lékaře je to nezbytný předpoklad pro další odborný růst.

Na závěr mi dovolte, abych vyjádřil přání, aby i v tomto jubilejním ročníku byl časopis vítaným průvodcem v aktuální klinické gastroenterologii, hepatologii a v digestivní endoskopii v klinické práci pro všechny čtenáře.

S přáním všeho dobrého v roce 2026

Milan Lukáš šéfredaktor časopisu milan.lukas@email.cz

Anglickou mutaci článků naleznete na www.csgh.info.

ím d íve, tím lépe

The sooner, the better

M. Bortlík

Gastroenterologické odd lení, Nemocnice eské Bud jovice, a.s.

Vážení čtenáři časopisu Gastroenterologie a hepatologie, po roce opět otevíráte první číslo našeho časopisu věnované především idiopatickým střevním zánětům (IBD). Crohnova choroba (CN) i ulcerózní kolitida (UC) tvoří sice relativně malou, ale zato velmi pestrou, a především nesmírně dynamickou oblast současné gastroenterologie. Dokladem toho je i aktuální číslo, které přináší řadu zajímavých článků s tematikou IBD.

Základem léčby IBD je dlouhodobá, často celoživotní terapie medikamentózní. Její efektivita, a také bezpečnost jsou proto klíčovým faktorem, který osud pacientů ovlivňuje. V tomto čísle nabízíme aktualizovaný přehled medikamentózní léčby UC, který zahrnuje všechny dostupné léky a nabízí také praktické informace k jejich použití u pacientů s tímto onemocněním [1].

Klinický výzkum reprezentují dvě práce. První z nich představuje výsledky rozsáhlé dotazníkové akce, kterou ve spolupráci s pracovní skupinou IBD zorganizovala pacientská organizace Pacienti IBD [2]. Tato práce navazuje na starší průzkum podobného charakteru, cílem bylo posoudit vývoj v oblasti kvality života pacientů. Výsledky jednoznačně potvrzují vysokou zátěž, kterou IBD do života pacientů přináší a s níž se

potýkají navzdory stále více používané biologické, resp. cílené léčbě. Druhá práce je pilotním česko-slovenským projektem, jehož cílem bylo posoudit efektivitu a bezpečnost subkutánního infliximabu ve druhé linii u pacientů s CN, u nichž nebylo dosaženo uspokojivé hladiny léku, nebo u nich tato léčba selhávala [3]. Studie ukázala, že subkutánní infliximab je efektivní variantou léčby u této skupiny pacientů s velmi dobrou perzistencí terapie.

Personalizovaná medicína je „svatým grálem“ současné medicíny, IBD nevyjímaje. Hledání prediktorů, markerů a dalších faktorů vedoucích k efektivnější a bezpečnější léčbě je nejspíše nekonečným příběhem. Jeho část související s problematikou IBD shrnuje článek prof. Lukáše [4]. V této souvislosti musím zmínit, že zatím nejnadějnějším pokusem o prolomení „terapeutického stropu“ v léčbě CN je v článku zmíněná studie PROFILE [5], díky níž víme, že mimořádně včasné podání biologika může vést u pacientů s CN k remisi ve více než 3/4 případů. Navíc jde o postup ekonomicky výhodný, jak ukazuje farmakoekonomická analýza této studie [6]. Jde o práci mimořádně inspirativní nejen pro nás lékaře, ale také pro plátce a všechny, kdož mají v popisu práce organizaci českého zdravotnictví.

Přeji vám, ať je i toto číslo časopisu zdrojem užitečných informací pro vaši náročnou práci

doc. MUDr. Martin Bortlík, Ph.D. koeditor sekce IBD MBortlik@seznam.cz

Literatura

Bortlík M. Medikamentózní léčba ulcerózní kolitidy: aktualizovaná doporučení Pracovní skupiny pro idiopatické střevní záněty. Gastroent Hepatol 2026; 80(1): 14–21. doi: 10.48095/ccgh202614.

Mináriková P, Matějková P, Kuzko I. Kvalita života pacientů s idiopatickými střevními záněty v České republice. Gastroent Hepatol 2026; 80(1): 22–29. doi: 10.48095/ccgh202622.

Kolář M, Lukáš M, Ďuricová D. Subkutánní infliximab CT-P13 ve druhé linii po selhání anti-TNF léčby u nemocných s Crohnovou chorobou. Gastroent Hepatol 2026; 80(1): 30–35. doi: 10.48095/ccgh202630.

Lukáš M. Současný stav a perspektivy personalizované medicíny u nemocných s idiopatickými střevními záněty. Gastroent Hepatol 2026; 80(1): 44–48. doi: 10.48095/ccgh202644.

Noor NM, Lee JC, Bond S etal. A bio-marker stratified comparison of top down versus accelerated step-up treatment strategies for patients with newly diagnosed Crohn’s disease (PROFILE): a multicentre, open-label randomized controlled trial. Lancet Gastroenterol Hepatol 2024; 9(5): 415–427. doi: 10.1016/ S2468-1253 (24)00034-7.

Noor NM, Davies N, Tahir W et al. Anti-tumor necrosis factor treatment from diagnosis is more effective and less costly than conventional “step-up” care for patients with active Crohn’s disease: a cost-effectiveness analysis from the PROFILE trial. J Crohns Colitis 2025; 19(9): jjaf150. doi: 10.1093/ecco-jcc/jjaf150.

Obsah

Editorial

Editorial

M. Lukáš

ím d íve, tím lépe

The sooner, the better

M. Bortlík

Ne ekaná p í ina celkového zhoršení stavu pacienta

Unexpected cause of overall deterioration in the patient’s condition

Kvíz | Quiz

I. Rücklová

IBD

Medikamentózní lé ba ulcerózní kolitidy: aktualizovaná doporu ení

Pracovní skupiny pro idiopatické st evní zán ty

Medical therapy of ulcerative colitis: updated guidelines of the Working group for IBD

Doporu ení | Guidelines

M. Bortlík, D. uricová, O. Hradský, M. Lukáš a lenové Pracovní skupiny pro IBD GS LS

Kvalita života pacient s idiopatickými st evními zán ty v eské republice

Quality of life of patients with inflammatory bowel disease in the Czech Republic

P vodní práce | Original article

P. Mináriková, P. Mat jková, I. Kuzko, M. Pfeiferová, L. Slabá, D. uricová, pacientská organizace Pacienti IBD z.s. a Pracovní skupina pro idiopatické st evní zán ty GS LS JEP

Subkutánní infliximab CT-P ve druhé linii po selhání anti-TNF lé by u nemocných s Crohnovou chorobou

Subcutaneous infliximab CT-P as second-line treatment after failure of anti-TNF therapy in patients with Crohn’s disease

P vodní práce | Original article

M. Kolá , M. Lukáš, D. uricová, K. Vlková, A. Gojdi ová, T. Hlavatý, K. erná, M. Lukáš

Riziko akutní pankreatitidy u pacient s idiopatickými st evními zán ty

Risk of acute pancreatitis in patients with inflammatory bowel disease

P ehledová práce | Review article

P. Dít , D. Solil, M. Uvírová, T. Kupka, M. Kone ný, J. Dolina, B. Kiani ka

Raritná extraintestinálna manifestácia IBD – kazuistika

Rare extraintestinal involvement in IBD – a case report

Kazuistika | Case report

M. Hlista, M. Hlista

Sou asný stav a perspektivy personalizované medicíny u nemocných s idiopatickými st evními zán ty

Current status and prospects of personalized medicine in patients with inflammatory bowel disease

P ehledová práce | Review article

M. Lukáš

KLINICKÁ A EXPERIMENTÁLNÍ GASTROENTEROLOGIE I CLINICAL AND EXPERIMENTAL GASTROENTEROLOGY

Krvácení do gastrointestinálního traktu u nemocných s chronickým onemocn ním ledvin

Gastrointestinal bleeding in patients with chronic kidney disease

P ehledová práce | Review article

M. Merta

The interplay between oral health and gastrointestinal disorders: a comprehensive narrative review of emerging links and clinical implications

Vzájemné p sobení mezi zdravím ústní dutiny a gastrointestinálními poruchami: komplexní p ehled nových souvislostí a klinických implikací

Review article | P ehledová práce

S. H. Kalgeri, S. K. B. Balaraj, V. G. Doddawad, A. T. Shivakumar, A. Aradya, R. S. Bharadwaj

DIGESTIVNÍ ENDOSKOPIE I DIGESTIVE ENDOSCOPY

Recidivující krvácení z Dieulafoy léze céka – kazuistika

Recurrent bleeding from a Dieulafoy’s lesion of the cecum – a case report

Kazuistika | Case report

M. Tomáš, P. H íbek, T. Grega, Z. Vacková, J. Csomor, Š. Suchánek, P. Urbánek

R ZNÉ | OTHERS

Výb ry z mezinárodních asopis

The selection from international journals

Komentá e | Comments

K. Zdychyncová, R. Pospíšil, I. Míková

Nazrál as na zm nu paradigmatu pé e o pacienty s IBD v R

The time has come for a paradigm shift in the care of patients with IBD in the Czech Republic

Aktualita z kongresu: komer n podpo ené sd lení

J. Kulhavý

P ekro me hranice lé by Crohnovy nemoci – jednoduše, subkutánn

Let‘s go beyond the limits of Crohn‘s disease treatment – simply, subcutaneously

Aktualita z kongresu: komer n podpo ené sd lení

M. Bachratá

Ne ekaná p í ina celkového zhoršení stavu pacienta

Unexpected cause of overall deterioration in the patient’s condition

I. Rücklová

Gastroenterologické odd lení, Nemocnice eské Bud jovice, a.s.

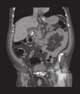
Muž (79 let) byl přivezen záchrannou službou na urgentní příjem pro celkové zhoršení stavu a slabost trvající asi 14 dní. Anamnestické údaje zahrnovaly nikotinizmus, CHOPN, hypertenzi, hyperlipidemii, diabetes mellitus 1. typu, obezitu. Pacient dlouhodobě užíval antihypertenziva, statin, inzuliny, NSA (Meloxicam) při bolesti – užíval jej maximálně 1× denně. Mezi subjektivními obtížemi dominovaly řadu dnů trvající obtíže – celková slabost, únava, udával také bolesti v pravém podžebří a zvracení. Objektivně bylo břicho bolestivé v pravém epigastriu, ve stejném místě byla hmatná i tuhá rezistence.

Laboratorně jsme zjistili hyperglykemii 18,6 mmol/l, minerálový rozvrat –hyponatremii 125 mmol/l, hyperkalemii 5,6 mmol/l, známky dehydratace renální insuficience – urea 23,8 mmol/l, kreatinin 316 umol/l, laktát 3,2 mmol/l. Byla přítomna zvýšená zánětlivá aktivita, CRP 90mg/l. V krevním obraze dominovala těžká anemie (Hgb 50g/l), trombocytóza 676 × 109/l, byla přítomna spontánní koagulopatie. Hodnoty jaterních testů byly v normě.

Provedli jsme sonografii břicha s nálezem hydropsu žlučníku se sludge, konkrementy v krčku žlučníku, gastrektazie.

Pacientovi jsme zavedli nazogastrickou sondu, která odvedla 1 000ml stagnačního obsahu. K dalšímu objasnění patologie bylo provedeno nativní CT břicha (zvýšená hladina kreatininu).

Pacienta jsme po konzultaci s radiologem a chirurgem indikovali k operačnímu výkonu.

Otázka:

Co vidíme na CT snímcích (obr. – )? Jaká je diagnóza a prognóza našeho pacienta? Správnou odpov a komentá naleznete v p íštím ísle.

Medikamentózní lé ba ulcerózní kolitidy: aktualizovaná doporu ení Pracovní skupiny

pro idiopatické st evní zán ty

Medical therapy of ulcerative colitis: updated guidelines of the Working group for IBD

M. Bortlík – , D. uricová , O. Hradský , M. Lukáš a lenové Pracovní skupiny pro IBD GS LS JEP

Gastroenterologické odd lení, Nemocnice eské Bud jovice, a.s. Interní klinika . LF UK a ÚVN Praha Ústav farmakologie, . LF UK, Praha Zdravotn sociální fakulta, Jiho eská univerzita v eských Bud jovicích Klinické a výzkumné centrum pro st evní zán ty, ISCARE a.s. a . LF UK, Praha . léka ská fakulta, Univerzita Karlova, Praha

Úvod

Pracovní skupina pro idiopatické střevní záněty (PS IBD) České gastroenterologické společnosti přináší v následujícím textu aktualizovaná doporučení pro medikamentózní léčbu ulcerózní kolitidy (UC). Tato doporučení zahrnují přehled léků konvenčních i medikamentů označovaných jako pokročilá (advanced) nebo též cílená léčba. Její rychlý rozvoj v posledních letech dále akceleroval a přinesl nové možnosti pacientům, u nichž konvenční léčiva selhávají nebo nejsou tolerována.

Aktualizovaná doporučení jsou ve srovnání s předchozími [1] textem stručnějším a více zaměřeným na praktické informace o léčbě. Užitečnou pomůckou by pro čtenáře měl být závěrečný algoritmus, který shrnuje současné poznatky a zkušenosti expertů PS IBD v oblasti cílené terapie UC. Praktickou stránku textu podtrhuje i rozdělení cílené léčby na léky první linie a vyšších linií tak, jak stanovují aktuální úhradové podmínky Státního ústavu pro kontrolu léčiv (SÚKL). Do textu jsme nezařadili část věnovanou léčbě IBD v graviditě a laktaci, toto téma bude publikováno v samostatném článku v některém z dalších čísel časopisu.

Narůstající potřeba moderní léčby spolu s dramaticky stoupajícími počty pacientů s UC v České republice vyžadují zapojení stále většího počtu aktivních gastroenterologů a zájemců o problematiku IBD. Právě jim je následující text určen především.

Medikamentózní lé ba UC Terapeutické cíle Stanovisko

U pacientů s UC je krátkodobým terapeutickým cílem symptomatická odpověď, střednědobým cílem je klinická remise a normalizace biomarkerů a dlouhodobým cílem je zhojení sliznice, normalizace kvality života a eliminace invalidity. Uvedených cílů by mělo být dosaženo bez dlouhodobé léčby systémovými kortikoidy [doporučení silné, kvalita důkazů střední].

Medikamentózní léčba je základem terapie UC. Jejím cílem je trvalá a hluboká (kompletní) remise, optimální kvalita života a minimalizace rizika invalidity. Terapeutické cíle ovšem musí reflektovat délku probíhající léčby. Aktualizované doporučení konsorcia STRIDE II rozdělilo terapeutické cíle na krátkodobé, střednědobé a dlouhodobé [2]. Součástí to-

hoto doporučení je také předpokládaná doba nezbytná k dosažení konkrétních terapeutických cílů pro jednotlivé lékové skupiny používané u pacientů s UC.

K dosažení terapeutických cílů je u většiny pacientů nezbytná trvalá medikamentózní léčba. Ukončení (přerušení) udržovací léčby lze zvážit v individuálních případech (lehký průběh, hluboká remise > 2 roky, proktitida – levostranná UC) [3]. I poté je vhodné pokračovat v klinických a laboratorních (fekální kalprotektin) kontrolách v intervalu 6–12 měsíců.

Hladina C-reaktivního proteinu (CRP) je u většiny nemocných s lehkou formou UC normální, relevantním ukazatelem je pouze u nemocných s těžkou atakou UC. V případě fekálního kalprotektinu ukázala řada studií, že k normalizaci na hodnoty odpovídající zdravé populaci často nedochází ani při dosažení kompletního slizničního zhojení. Hranice „normy“ fekálního kalprotektinu se u pacientů s IBD pohybuje v rozmezí 50–250 µg/g stolice [4]. Za endoskopickou remisi považujeme hodnotu endoskopického Mayo skóre 0 [2,5]. Pro fekální kalprotektin i endoskopický nález platí, že v klinické praxi je obvykle důležitější dynamika

doi: . /ccgh

Kvalita života pacient s idiopatickými st evními zán ty v eské republice

Quality of life of patients with inflammatory bowel disease in the Czech Republic

P. Mináriková , P. Mat jková , I. Kuzko , M. Pfeiferová , L. Slabá , D. uricová –, pacientská organizace Pacienti IBD z.s. a Pracovní skupina pro idiopatické st evní zán ty GS LS JEP ÚVN, Interní klinika . LF UK a ÚVN Praha Gastroenterologie ResTrial, Praha Pacientská organizace Pacienti IBD z.s., Praha Klinické a výzkumné centrum pro st evní zán ty, ISCARE a.s. a . LF UK, Praha Klinika hepatogastroenterologie, IKEM, Praha Ústav farmakologie, . LF UK, Praha

Souhrn: Úvod: Normalizace kvality života je důležitým terapeutickým cílem u pacientů s idiopatickými střevními záněty (IBD). Cíle: Zhodnotit kvalitu života pacientů s IBD v České republice (ČR) Metody: Studie se zúčastnili pacienti s IBD ve věku ≥ 18 let, kteří byli osloveni prostřednictvím gastroenterologických pracovišť v rámci ČR a online prostřednictvím pacientské organizace. Pacienti jednorázově a anonymně vyplnili dotazník zaměřený na různé aspekty kvality života. Výsledky: Studie probíhala v období od září 2024 do května 2025 a zúčastnilo se jí 1 272 pacientů (60 % s Crohnovou nemocí, 58 % žen, medián věku 39 let, 60,3 % léčených biologickou léčbou). Nejčastěji udávaným problémem v souvislosti s IBD byla únava (82,5 %), následovaná gastrointestinálními obtížemi a mimostřevními projevy. Celkem 40 % dotazovaných uvedlo psychické potíže (úzkostné stavy a depresi). Přibližně dvě třetiny nemocných (57–69 %) přiznaly alespoň občasné omezení v sociálních aktivitách, jako jsou

IBD: dopad na kvalitu života pacient

P ehled lé by, symptom , duševního zdraví a každodenního života

Práce a sociální život

Duševní zdraví

Lé ba

Symptomy , % , % % , % , % pracuje na  plný/částečný úvazek

v invalidním důchodu psychické problémy

Celkem 1 272 respondentů:

• Crohnova nemoc: 768 (60,3 %)

• ulcerózní kolitida: 485 (38,1 %)

• jiná forma: 19 (1,5 %)

Věk: medián 39 let (18–81)

na biologické léčbě spokojenost s léčbou , % trpí únavou

> % gastrointestinální problémy , % kloubní projevy

IBD: p vodní

doi: . /ccgh

Subkutánní infliximab CT-P ve druhé linii po selhání anti-TNF lé by u nemocných

s Crohnovou chorobou

Subcutaneous infliximab CT-P as second-line treatment after failure of anti-TNF therapy in patients with Crohn’s disease

M. Kolá , M. Lukáš , D. uricová , K. Vlková , A. Gojdi ová , T. Hlavatý , K. erná , M. Lukáš

Klinické a výzkumné centrum pro idiopatické st evní zán ty ISCARE a.s. a . LF UK, Praha

Gastroenterologické centrum Bezru ova, Bratislava

Alergologie a klinická imunologie, Gennet, Praha

Souhrn: Pilotní, ve dvou centrech provedená prospektivní a observační studie hodnotila účinnost a bezpečnost infliximabu CT-P13 S.C. ve druhé linii léčby u nemocných se středně těžkou až těžkou Crohnovou nemocí, kteří selhali na předcházející terapii infliximabem i.v. nebo adalimumabem. Setrvalý efekt po převedení byl zjištěn u 70 % nemocných, plazmatické hladiny infliximabu při subkutánním podávání dosahovaly více než trojnásobné koncentrace proti výchozímu stavu. Polovina nemocných, u nichž se objevovaly při změně léčby známky aktivity nemoci, přešla do kompletní klinické remise nemoci. Projekt předčasně ukončilo 30 % pacientů z důvodu neefektivity nebo vedlejších projevů terapie. Klí ová slova: Crohnova nemoc – biologická léčba – infliximab CT-P13 S.C.

Summary: This pilot, prospective, observational two-center study evaluated the efficacy and safety of subcutaneous infliximab CT-P13 S.C. as a second-line treatment in patients with moderate-to-severe Crohn’s disease who had experienced treatment failure with previous intravenous infliximab or adalimumab therapy. Sustained therapeutic response after switching administration methods was observed in 70% of patients, while plasma infliximab concentrations during subcutaneous administration reached more than three-fold higher levels compared with baseline. Half of the patients who exhibited signs of disease activity at the time of treatment transition achieved complete clinical remission. Treatment was discontinued prematurely in 30% of patients due to lack of efficacy or adverse events.

Key words: Crohn’s disease – biological therapy – infliximab CT-P13 S.C. In

iximab CT-P S.C. ve druhé linii lé by u Crohnovy choroby (n = )

Hepatol 2026; 80(1): 30–35

doi: . /ccgh

Riziko akutní pankreatitidy u pacient s idiopatickými st evními zán ty

Risk of acute pancreatitis in patients with inflammatory bowel disease

P. Dít – , D. Solil , , M. Uvírová , T. Kupka , , M. Kone ný , J. Dolina , , B. Kiani ka ,

Interní gastroenterologická klinika, FN Brno

Léka ská fakulta MU, Brno

Léka ská fakulta OU, Ostrava

EUC Laborato e CGB a.s., Ostrava

Odd lení gastroenterologie, hepatologie a pankreatologie, Interní a kardiologická klinika, FN Ostrava II. interní klinika, FN u sv. Anny v Brn

Souhrn: Akutní pankreatitida se objevuje častěji u nemocných s IBD ve srovnání se zdravou populací. Frekventní příčinou akutní pankreatitidy je podávaná medikace, především léčba azathioprinem nebo mesalazinem, vzácněji jsou etiologickými agens jiná léčiva. Autoimunitní pankreatitida 2. typu se může manifestovat symptomatologií akutní pankreatitidy a bývá více spojena s ulcerózní kolitidou. Cholelitiáza a akutní biliární pankreatitida jsou relativně časté u nemocných s Crohnovou chorobou, kteří mají v anamnéze opakované ileokolické resekce, protože u těchto nemocných je vyšší výskyt cholelitiázy způsoben malabsorpcí žlučových kyselin. Většinou je průběh akutní pankreatitidy u nemocných s IBD lehký a morfologicky se jedná o edematózní formu pankreatitidy s kompletní a trvalou úpravou.

Klí ová slova: idiopatické střevní záněty – ulcerózní kolitida – Crohnova choroba – akutní pankreatitida – autoimunitní pankreatitida

Summary: Acute pancreatitis is more prevalent in inflammatory bowel disease (IBD) patients in comparison with the healthy population. The most frequent cause of acute pancreatitis in IBD patients is medication therapy, especially with thiopurines and mesalazine, and rarely due to other medications. Symptomatology of acute pancreatitis might by caused by a 2nd type of autoimmune pancreatitis, which is associated more frequently with ulcerative colitis. Cholethiasis is more prevalent in patients with Crohn’s disease due to malabsorption of bile acids after ileo-colonic resection. There is a reason that acute biliary pancreatitis is more prevalent in Crohn’s disease patients compared to ulcerative colitis. In most cases, the course of acute pancreatitis in the IBD population is mild with edematous structural changes in the pancreas, which can be completely resolved.

Key words: inflammatory bowel disease – ulcerative colitis – Crohn’s disease – acute pancreatitis – autoimmune pancreatitis

Úvod

Podle epidemiologických dat publikovaných Iangem etal. bylo v roce 2019 registrováno celosvětově 2 814 972 případů akutní pankreatitidy a celkově potvrzeno 115 972 úmrtí na toto onemocnění [1]. V posledních letech se incidence akutní pankreatitidy stále zvyšuje, vč. mortality také u mladší populace [2,3]. Indukce, rozvoj a další průběh akutní pankreatitidy významně korelují s koincidujícími imunologickými faktory. Na druhou stranu postižení gastrointestinálního traktu v rámci různých autoimunitních chorob (např. imunokomplexové vaskulitidy) se může manifestovat také projevy

akutní pankreatitidy, jejíž klinický průběh je často závažnější v porovnání s osobami bez koincidující autoimunity. Idiopatické střevní záněty (IBD – inflammatory bowel disease) jsou choroby, které mohou být spojeny se symptomy akutní nebo chronické pankreatitidy. Patří sem klinické projevy bolestí, hubnutí, event. průjmů a střevní dyspepsie, za kterými může být zevně sekretorická pankreatická insuficience nebo morfologické abnormality pankreatického vývodu s laboratorním odrazem v podobě elevace hodnot CRP a hyperamylazemie. Relativně častou formou chronické pankreatitidy u nemocných s IBD je au-

toimunitní pankreatitida 2. typu [4]. Incidence akutní pankreatitidy je u osob s IBD vyšší v porovnání s běžnou populací. U nemocných s Crohnovou chorobou je incidence 4,1krát vyšší a u nemocných s ulcerózní kolitidou 2,6krát vyšší než u jedinců bez těchto střevních onemocnění [5]. Různé autoimunitní stavy mohou vznik akutní pankreatitidy iniciovat nebo způsobovat exacerbaci pankreatitidy a také mají schopnost modulovat zánětlivé procesy v pankreatu vlivem na funkci lymfocytů a produkci cytokinů [7]. Souhrnně lze konstatovat, že nemocní s IBD mají zvýšené riziko vzniku akutní pankreatitidy [8].

Raritná extraintestinálna manifestácia IBD – kazuistika

Rare extraintestinal involvement in IBD – a case report

M. Hlista , , M. Hlista jr

Gastroenterologická ambulancia, FNTren ín

Centrum digestivní endoskopie, Krajská nemocniceTomáše Bati, a.s., Zlín

Súhrn: Crohnova choroba je chronické zápalové ochorenie rôznych častí tráviaceho traktu, v rámci ktorého môže dôjsť k postihnutiu orgánov aj mimo tráviaci trakt. V prezentovanej kazuistike opisujeme prípad pacientky, u ktorej sa rozvinulo raritné postihnutie laryngu Crohnovou chorobou s následným multiodborovým terapeutickým manažmentom.

K ú ové slová: Crohnova choroba – laryngitída – extraintestinálne manifestácie – infliximab – ustekinumab

Summary: Crohn’s disease is a chronic inflammatory disease affecting various locations of the gastrointestinal tract, sometimes involving other organ systems. The article illustrates a case of a patient who presented with an extremely rare laryngeal involvement in Crohn’s disease followed by a consecutive multidisciplinary therapeutic approach.

Úvod

Key words: Crohn’s disease – laryngitis – extraintestinal manifestations – infliximab – ustekinumab rých sa najčastejšie vyskytujú episkleritída a skleritída, podobne ako pauciartikulárne artritídy korelujúce s aktivitou IBD v gastrointestinálnom trakte. Naopak, uveitída býva od aktivity IBD v gastrointestinálnom trakte nezávislá a často predchádza samotnej manifestácii IBD [2,3].

Crohnova choroba je chronické zápalové ochorenie, zo skupiny idiopatických črevných zápalových ochorení (IBD), postihujúce rôzne lokality tráviaceho traktu, od dutiny ústnej až po anus. Podľa švédskeho registra ICURE Crohnova choroba postihuje u približne 49 % pacientov hrubé črevo, u 28 % pacientov terminálne ileum, ileokolické postihnutie je prítomné u takmer 23 % pacientov, proximálny gastrointestinálny trakt býva zasiahnutý u asi 18 % pacientov [1]. Okrem postihnutia tráviaceho traktu dochádza u 5–50 % pacientov s IBD aj k vzniku extraintestinálnych manifestácií (EIM). Za najčastejšie sa vyskytujúce EIM sa považujú muskuloskeletálne EIM, vyskytujúce sa u približne 40 % pacientov s IBD. Tieto EIM zahŕňajú non-inflamatórne artralgie a periférne artritídy, ktoré rozdeľujeme na pauciartikulárne (konkordantné s aktivitou IBD) a polyartikulárne (diskordantné s aktivitou IBD). Tiež

zahŕňajú menej sa vyskytujúce axiálne artritídy a spondylartritídy, konkrétne ankylozujúcu spondylitídu (5–10 % IBD pacientov), sakroilitídu (25 % IBD pacientov) a tzv. inflammatory back pain. Vzácne sa vyskytujú daktylitídy či entezitídy [2,3].

Druhé najčastejšie sa vyskytujúce EIM sú kožné. Vyskytujú sa približne u 15 % pacientov a zahŕňajú erythema nodosum, pyoderma gangraenosum, Sweetov syndróm (akútna febrilná neutrofilná dermatóza) a tzv. metastatickú Crohnovu chorobu kože. Tiež sem zaraďujeme orálne lézie, medzi ktoré patria simplexné aftózne lézie, periodontitída, pyostomatitis vegetans a raritná cheilitis granulomatóza. Kožné EIM spravidla korelujú s aktivitou samotného IBD v gastrointestinálnom trakte a relatívne často aj predchádzajú relapsu IBD [2,3].

V treťom poradí sú v literatúre uvádzané očné manifestácie postihujúce približne 2–5 % IBD pacientov, z kto-

Medzi hepatopankreatobiliárne EIM patria primárna sklerozujúca cholangitída (PSC), autoimunitná hepatitída, granulomatózna hepatitída, IgG4-asociovaná cholangitída a autoimunitná pankreatitída (typ 2). Z určitého hľadiska medzi hepatopankreatobiliárne manifestácie zaraďujeme aj sprievodné metabolické ochorenia, napr. steatózu pečene, cholestatickú hepatopatiu či akcelerovanú tvorbu žlčových kameňov pri poruche resorpcie žlčových kyselín v terminálnom ileu. Odlíšenie hepatálnych lézií spôsobených samotným IBD a iatrogénneho poliekového poškodenia môže byť problematické [2,3].

doi: . /ccgh

Sou asný stav a perspektivy personalizované medicíny u nemocných

s idiopatickými st evními zán ty

Current status and prospects of personalized medicine in patients with inflammatory bowel disease

M. Lukáš

Klinické a výzkumné centrum pro st evní zán ty, ISCARE a.s. a . LF UK, Praha

Souhrn: Zavádění nových léčiv u Crohnovy nemoci a ulcerózní kolitidy má v poslední době velkou pravidelnost a šíři. Od roku 2024 jsou to především monoklonální protilátky namířené proti IL-23, od kterých jsou velká očekávání, především v léčbě Crohnovy nemoci. V současné době nemáme žádné spolehlivé biologické, genetické nebo molekulární markery, které by mohly být využity v klinické praxi pro odhad prognózy nemoci a léčebné odpovědi. Nadějným přístupem je těsné monitorování léčebné trajektorie a hledání minimální reziduální histologické aktivity nemoci. Nemocní s velmi rychlou terapeutickou odpovědí dosahují lepších dlouhodobých výsledků s ohledem na trvalou remisi choroby a normalizace kvality života.

Klí ová slova: Crohnova nemoc – ulcerózní kolitida – pokročilá terapie – léčebná trajektorie – biomarkery

Summary: Introducing new drugs in Crohn’s disease and ulcerative colitis has been a regular and broad framework in the last few years. Since 2024, monoclonal antibodies targeting IL-23 are particularly associated with robust expectations. Currently, we have no relevant biological, genetic or molecular markers for disease and therapeutic prognostication. Promising approaches might be in tight monitoring of therapeutic trajectories and searching for minimal residual histologic disease parameters. Patients with a very prompt and fast therapeutic response after therapy initiation have better long-term outcomes in terms of sustained remission and normalisation of quality of life.

Key words: Crohn’s disease – ulcerative colitis – advanced therapy – therapeutic trajectories – biomarkers

Úvod

V posledních 20 letech došlo k zásadní změně v terapii idiopatických střevních zánětů (IBD), Crohnovy nemoci (CN) a ulcerózní kolitidy (UC). Na počátku nové terapeutické éry bylo zavedení infliximabu – první biologická terapie v roce 1998 v USA a o rok později v Evropě. Po několika letech se objevily nové biologické léky v pořadí adalimumab (2006) – vedolizumab (2012) – guselkumab (2013) a ustekinumab (2016).

V roce 2018 jsme dostali k dispozici první malou molekulu tofacitinib a poté filgotinib (2022) pro pacienty s UC a nakonec upadacitinib, jenž je povolen pro obě ne-

moci (2022). V roce 2022 se objevil první modulátor S1P receptoru (ozanimod) a v roce 2024 přibyl druhý (etrasimod). Od roku 2024 jsme svědky expanze poslední, třetí generace biologik, monoklonálních protilátek zaměřených proti imunoregulačnímu cytokinu IL-23, které zahrnují mirikizumab (humanizovaná protilátka IgG4), risankizumab (humanizovaná protilátka IgG1) a guselkumab (plně humánní protilátka IgG1).

Sou asný stav a terapeutická o ekávání

V klinické praxi jsou nyní možnosti výběru medikamentózní terapie pro kon-

krétního IBD pacienta neporovnatelně lepší, než tomu bylo před 15 lety. V současné době zvažujeme, jaký preparát zvolit jako první a které léčivo je vhodné po selhání první linie již zavedené terapie. V úvahu bereme předchozí průběh a léčbu, lokalizaci a fenotypické projevy choroby, aktivitu IBD a také koincidující nemoci. IBD se staly celosvětovým problémem s ohledem nejen na epidemiologický „boom“, ale také pro neuspokojivé dlouhodobé výsledky léčby. I přes určitou míru skepse vyplývající z nenaplněných očekávání a terapeutických výsledků je nutné zmínit, že od doby zavedení biologické léčby došlo ke změně

Krvácení do gastrointestinálního traktu u nemocných s chronickým onemocn ním

ledvin

Gastrointestinal bleeding in patients with chronic kidney disease

M. Merta

Nefrologická ambulance, A dea Nefromed s.r.o., Praha

Souhrn: Krvácení do gastrointestinálního traktu (GIT) se u pacientů s chronickým onemocněním ledvin (CKD) vyskytuje častěji a může mít závažnější klinické důsledky než krvácení do GIT u běžné populace. Na podkladě dostupných údajů lze doložit, že pokročilá stadia CKD, a zvláště chronické selhání ledvin představují významné nezávislé faktory pro krvácení do GIT. Specifickým nezávislým faktorem pro krvácení do GIT je pravidelná hemodialyzační léčba. Zvýšené riziko krvácení do GIT u těchto pacientů se uplatňuje na zvýšené frekvenci a délce hospitalizací a zvýšené mortalitě. Pacienti v pokročilých fázích CKD jsou hospitalizováni s krvácením do GIT v závažnějším klinickém stavu proti běžné populaci. Navíc je patrné, že schopnost poskytnout těmto pacientům účinnou léčbu, zvláště časnou endoskopickou léčbu, je snížena, což se patrně částečně promítá do zvýšené mortality. Tyto údaje naznačují, že problematice krvácení do GIT je třeba věnovat zvýšenou pozornost s cílem zlepšit léčebné výsledky a snížit mortalitu u těchto pacientů.

Klí ová slova: chronické onemocnění ledvin – hemodialýza – krvácení do gastrointestinálního traktu – endoskopie – mortalita

Summary: Gastrointestinal bleeding (GIB) occurs more frequently and has greater clinical impact in patients with chronic kidney disease (CKD) than in patients without kidney disease. Current data prove that advanced stages of CKD, especially chronic renal failure (CRF), are independent risk factors for GIB. Hemodialysis treatment is a specific independent factor for GIB in CKD patients. Increased risk of GIB in CKD patients manifests by higher incidence and length of hospitalizations and higher mortality. The clinical condition of patients with advanced CKD and especially with CRF is usually more serious compared with patients without kidney disease. Moreover, it has been shown that the ability to provide these patients with an efficient treatment, especially early endoscopy, is decreased, which is partly associated with increased mortality. These findings suggest that greater attention should be paid to the topic of GIT in order to improve the outcomes and decrease the mortality of these patients.

Key words: chronic kidney disease – hemodialysis – gastrointestinal bleeding – endoscopy – mortality

Úvod

Krvácení do gastrointestinálního traktu (GIT) představuje obecně závažný klinický problém, který se však u pacientů s chronickým onemocněním ledvin (CKD) vyskytuje častěji a může mít závažnější klinické důsledky než u ostatních pacientů. CKD je definováno jako strukturální či funkční abnormita ledvin trvající déle než 3 měsíce a ovlivňující zdraví pacienta [1]. Epidemiologická šetření prokazují, že pacientů s CKD je v populaci téměř 10 %, z čehož u menší části pacientů se jedná o nejzávažnější stupeň funkčního poškození – chronické selhání

ledvin (CHSL) – vyžadující určitou formu náhrady funkce vlastních ledvin (dialyzační léčbou či transplantací ledviny) [1].

Různým aspektům gastrointestinálních obtíží a krvácení do GIT u pacientů s CKD nebyla doposud systematicky věnována adekvátní pozornost, o čemž svědčí mimo jiné i omezený počet prací věnovaných tomuto tématu [2].

Faktory potenciáln ovliv ující krvácení do GIT u pacient s CKD U pacientů s CKD se mohou vyskytovat některé okolnosti, které přispívají ke zvýšenému výskytu krvácení do GIT, jeho

závažnosti a případně obtížnější léčbě. Klíčovou okolností je skutečnost, že CKD představuje komplexní metabolickou poruchu postihující nejen funkci ledvin, ale ovlivňující i činnost dalších orgánů. Zvláště významný je vysoký výskyt kardiovaskulárního onemocnění u pokročilejších stadií CKD [3].

Bezprost ední ú inek CKD na slizni ní bariéru GIT

U pacientů s CKD lze ve zvýšené míře pozorovat výskyt patologických slizničních lézí GIT, které mohou predisponovat ke krvácení do GIT. U pacientů s CHSL léče-

The interplay between oral health and gastrointestinal disorders: a comprehensive narrative review of emerging links and clinical implications

Vzájemné p sobení mezi zdravím ústní dutiny a gastrointestinálními poruchami: komplexní p ehled nových souvislostí a klinických implikací

S. H. Kalgeri , S. K. B. Balaraj , V. G. Doddawad , A. T. Shivakumar , A. Aradya , R. S. Bharadwaj

Department of Conservative Dentistry and Endodontics, JSS Dental College and Hospital, JSS Academy of Higher Education and Research, Mysore, Karnataka, India

Department of Surgical Gastroenterologist, JSS Medical College and Hospital, JSS Academy of Higher Education and Research, Mysore, Karnataka, India

Department of Oral Pathology and Microbiology, JSS Dental College and Hospital, JSS Academy of Higher Education and Research, Mysore, Karnataka, India

Department of Prosthodontics and Crown & Bridge, JSS Dental College and Hospital, JSS Academy of Higher Education and Research, Mysore, Karnataka, India

Summary: Emerging evidence suggests a bidirectional relationship between oral health and gastrointestinal (GI) disorders, yet this connection remains inadequately understood in clinical practice. This comprehensive narrative review examines the current evidence linking oral microbiome dysbiosis, periodontal disease, and other oral health parameters with various GI disorders. Our review identified significant associations between periodontal disease and increased risk of inflammatory bowel disease (IBD) and colorectal cancer. Oral microbiome dysbiosis, characterized by increased abundance of pathobionts including Porphyromonas gingivalis and Fusobacterium nucleatum, was linked to exacerbation of IBD symptoms and intestinal inflammation. Additionally, gastroesophageal reflux disease (GERD) demonstrated significant correlations with dental erosion, periodontitis, and oral mucosal lesions. Mechanistic studies suggest that oral-gut translocation of bacteria, systemic inflammatory mediators, and shared immune dysregulation may underlie these associations. Conclusions: This review highlights the significant interplay between oral health and GI disorders, emphasizing the potential for integrated clinical approaches. Recommended clinical implications include comprehensive oral health assessment in patients with GI disorders, periodontal therapy as an adjunctive treatment strategy, and interdisciplinary collaboration between gastroenterologists and dental professionals. Further prospective longitudinal studies and clinical trials are warranted to establish causality and develop evidence-based integrated treatment protocols.

Key words: ulcerative colitis – Crohn’s disease – gastrointestinal disorder – oral manifestations

Souhrn: Nové důkazy naznačují obousměrný vztah mezi zdravím ústní dutiny a gastrointestinálními (GI) poruchami, avšak tato souvislost zůstává v klinické praxi nedostatečně prozkoumána. Tato komplexní narativní studie zkoumá současné důkazy spojující dysbiózu ústního mikrobiomu, parodontální onemocnění a další parametry zdraví ústní dutiny s různými GI poruchami. Naše studie identifikovala významné souvislosti mezi parodontálním onemocněním a zvýšeným rizikem idopatických střevních zánětů (IBD) a kolorektálního karcinomu. Dysbióza ústní mikroflóry, charakterizovaná zvýšeným výskytem patogenních bakterií, včetně Porphyromonas gingivalis a Fusobacterium nucleatum, byla spojena se zhoršením příznaků IBD a zánětem střev. Navíc gastroezofageální refluxní choroba (GERD) vykazovala významnou korelaci s erozí zubů, parodontitidou a lézemi ústní sliznice. Mechanistické studie naznačují, že základem těchto souvislostí může být translokace bakterií z ústní dutiny do střeva, systémové zánětlivé mediátory a společná imunitní dysregulace. Závěry: Tato studie zdůrazňuje významnou vzájemnou souvislost mezi zdravím ústní dutiny a gastrointestinálními poruchami a klade důraz na potenciál integrovaných klinických přístupů. Doporučené klinické implikace zahrnují komplexní hodnocení zdraví ústní dutiny u pacientů s gastrointestinálními poruchami, parodontální terapii jako doplňkovou léčebnou strategii a interdisciplinární spolupráci mezi gastroenterology a zubními lékaři. K určení příčinných souvislostí a vypracování integrovaných léčebných protokolů založených na důkazech jsou zapotřebí další prospektivní longitudinální studie a klinické zkoušky.

Klí ová slova: ulcerózní kolitida – Crohnova choroba – gastrointestinální porucha – orální projevy

doi: . /ccgh

Recidivující krvácení z Dieulafoy léze céka –kazuistika

Recurrent

bleeding from a Dieulafoy’s lesion of the cecum –a

case report

M. Tomáš, P. H íbek, T. Grega, Z. Vacková, J. Csomor, Š. Suchánek, P. Urbánek Interní klinika . LF UK a ÚVN – VFN Praha

Souhrn: Formou kazuistického sdělení prezentujeme případ recidivujícího krvácení z léze Dieulafoy v oblasti céka. Jedná se o vzácnou příčinu krvácení do dolního gastrointestinálního traktu klinicky se manifestující od drobného až po masivní krvácení s rozvojem mikrocytární anemie těžkého stupně vyžadujícího hospitalizaci a hemosubstituci. Diagnostika a terapie se opírá o endoskopické vyšetření dolní části zažívacího traktu a je značně limitována intermitentní povahou krvácení vedoucí mnohdy k falešně negativnímu nálezu. Léčba je založena na dosažení hemostázy využitím endoskopických metod jako opich adrenalinem, argon-plazma koagulace a využití hemoklipů. V dostupné literatuře bylo popsáno jen několik kazuistických případů výskytu Dieulafoy léze v tračníku. I při vzácném výskytu léze je potřebné na ni v rámci diferenciální diagnostiky anemie myslet, zejména v případech s negativním výsledkem prvotního endoskopického vyšetření. Klí ová slova: endoskopie – léze Dieulafoy – krvácení – tlusté střevo

Summary: We present a case report of recurrent bleeding from a Dieulafoy’s lesion in the cecum. This is a rare cause of bleeding into the lower gastrointestinal tract, clinically manifesting from minor to massive bleeding with the development of severe microcytic anemia requiring hospitalization and blood transfusion. Diagnosis and therapy are based on endoscopic examination of the lower digestive tract and are considerably limited by the intermittent nature of the bleeding, which often results in false negative findings. Treatment is based on achieving hemostasis utilizing endoscopic methods such as adrenaline injection, argon plasma coagulation, and using hemoclips. Only a few case reports of Dieulafoy’s lesions in the colon have been described in the available literature. Even though the lesion is rare, it is necessary to consider it in the differential diagnosis of anemia, especially in cases with negative results of the initial endoscopic examination.

Key words: endoscopy – Dieulafoy’s lesion – bleeding – colon

Úvod

Dieulafoy léze představuje aberantní dilatovanou submukózní arterii, která bez přítomnosti ulcerace eroduje sliznici a může vést ke krvácení do gastrointestinálního traktu [1]. Klinický obraz se pohybuje od mírného, někdy nepostřehnutelného, až po masivní, život ohrožující krvácení. Tyto léze tvoří přibližně 1–2 % všech případů krvácení do trávicího traktu, přičemž 80 % z nich je lokalizováno v horní části. Výskyt symptomatické léze Dieulafoy v kolorektu nepřesahuje 2 % [2]. Lokalizace v céku je velmi vzácná a bylo popsáno jen něko-

lik případů [3]. Diagnostiku Dieulafoy lézí často komplikuje intermitentní charakter krvácení a jejich ojedinělý výskyt, což vede k častému přehlédnutí i při endoskopickém vyšetření. Terapeuticky se uplatňují endoskopické metody hemostázy – injekční, termické i mechanické, případně jejich kombinace [4].

Kazuistika

Pacientka (81 let) byla odeslána praktickým lékařem na urgentní příjem pro anemický syndrom při normocytární anemii těžkého stupně. Jednalo se o pacientku s anamnézou fibrilace síní léče-

nou apixabanem v dávce 10mg denně. Šlo o opakovanou hospitalizaci s obdobnými obtížemi (po 11 a 10 měsících).

Při první hospitalizaci (9/2024) byla v čase příjmu vstupní hodnota hemoglobinu 62g/l. Byla provedena diferenciální diagnostika anemie s provedením břišní ultrasonografie, gynekologického vyšetření a ezofagogastroduodenoskopie. Uvedená vyšetření byla bez patologického nálezu. Koloskopie při první hospitalizaci nebyla indikována vzhledem k jejímu recentnímu provedení na jiném pracovišti s negativním nálezem (1/2024).

Výb ry z mezinárodních asopis

The selection from international journals

Abstrakta lánk ke stažení zde: You can download the abstracts here: http:

IDPP- inhibitor alleviates gut–brain axis pathology in Parkinson’s disease

Jeong SH, Kim YJ, Shin JY et al. Gut Published Online First: 02 October 2025. doi: 10.1136/gutjnl-2025-334988.

Inhibitor DPP- zmír uje patologii osy st evo–mozek u Parkinsonovy choroby Úvod: Inhibitory dipeptidylpeptidázy-4 (DPP-4i) byly popsány jako látky s terapeutickým účinkem u Parkinsonovy choroby (PD), což zvyšuje jejich potenciál pro využití v jiných indikacích. Jedním z aspektů patogeneze PD je předpokládaná role osy střevo–mozek, v níž se patologický -synuklein z gastrointestinálního traktu šíří do mozku prostřednictvím nervus vagus (VN –vagus nerve). Cíl: Bylo zkoumáno, zda sitagliptin, inhibitor DPP-4, vykazuje protektivní účinek v modelu Parkinsonovy choroby asociovaném s osou střevo–mozek, který byl indukován nízkou dávkou rotenonu. Metody: K posouzení účinku sitagliptinu byl použit orálně indukovaný model myši s rotenonem, který vykazoval stereotypní šíření patologického -synukleinu z tenkého střeva přes bloudivý nerv (VN) do mezimozku a současně motorické deficity. Výsledky: Sitagliptin zmírnil rotenonem indukovaný zánět střeva a expresi receptoru toll-like 2 (TLR2), snížil akumulaci -synukleinu ve střevě, bloudivém nervu i mozku, omezil ztrátu neuronů v prodloužené míše a mezimozku a vedl k úpravě motorického výkonu. Kromě toho sitagliptin potlačil zánětlivou odpověď na agonistu TLR2 i rotenon v makrofázích, enterických gliových buňkách a liniích enteroendokrinních buněk invitro V liniích enteroendokrinních buněk (secretin tumour cell 1) sitagliptin rovněž snížil hladiny endogenního -synukleinu indukované rotenonem. Protektivní účinky sitagliptinu přetrvávaly i při blokádě receptoru pro glukagon-like peptide-1. Sitagliptin významně změnil složení střevního mikrobiomu směrem k profilu, který by mohl působit proti patologii Parkinsonovy choroby. Závěr: Tyto výsledky prokázaly, že sitagliptin zmírnil depozici -synukleinu ve střevě i mozku prostřednictvím modulace TLR2zprostředkovaného zánětu a změny složení střevního mikrobiomu směrem k příznivějšímu profilu. To naznačuje, že inhibitory DPP-4 mohou představovat novou terapeutickou možnost v léčbě Parkinsonovy choroby.

A comparative study of extracorporeal shock wave lithotripsy and cholangioscopy-guided lithotripsy in the management of complex biliary stones:

A randomized trial

Khizar H, Gu W, Zhou H et al. J Trauma Acute Care Surg 2025; 99(4): 628–634. doi: 10.1097/TA.0000000000004693.

Komparativní studie extrakorporální litotrypse rázovou vlnou a litotrypse provedené cholangioskopicky v lé b obtížn ešitelných žlu ových kamen : randomizovaná studie

Choledocholitiáza (CBDS) se stává ve vyspělých zemích čím dál častějším onemocněním. Endoskopická retrográdní cholangiopankreatografie (ERCP) je metodou volby v rámci terapie CBDS. Velké a zaklíněné kameny v ductus choledochus, které nelze odstranit konvenčním ERCP, jsou indikovány k léčbě druhé linie pomocí extrakorporální litotrypse rázovou vlnou (ESWL) nebo litotrypse vedené cholangioskopicky.Tato randomizovaná prospektivní studie si klade za cíl porovnat bezpečnost a účinnost ESWL u obtížně řešitelných CBDS. Pacienti s diagnózou komplexních velkých CBDS v období od ledna 2021 do června 2022 byli náhodně rozděleni v poměru 1 : 1 do skupiny ESWL a do skupiny, u které byla provedena cholangioskopie s provedením litotrypse. Byla hodnocena klinická a technická úspěšnost, průměrný počet ERCP a výskyt komplikací souvisejících s výkonem. Celkem se studie zúčastnilo 84 pacientů rozdělených do dvou skupin (skupina ESWL [42 pacientů] a skupina s cholangioskopií [42 pacientů]). Primárním cílem bylo porovnat klinickou úspěšnost obou výkonů, která byla definována jako extrakce všech CBDS. Klinická úspěšnost byla 69 % ve skupině ESWL a 88 % ve skupině cholangioskopie (p = 0,01).Technická úspěšnost činila 92,85 % ve skupině ESWL a 100 % ve skupině cholangioskopie (p = 0,19). Skupina ESWL podstoupila průměrně 2,32 ± 0,98 ERCP, zatímco skupina cholangioskopie 1,13 ± 0,36 (p < 0,001). Průměrný počet provedení litotrypse byl 2,3 ± 0,63 u ESWL a 1,13 ± 0,36 u cholangioskopie (p < 0,001). Nežádoucí účinky byly v obou skupinách bez signifikantních rozdílů. Závěrem můžeme říci, že ve srovnání s ESWL je litotrypse vedená cholangioskopicky bezpečnou a účinnou metodou léčby velkých a komplexních kamenů ve společném žlučovodu.

Nazrál as na zm nu paradigmatu pé e o pacienty s IBD v R

The time has come for a paradigm shift in the care of patients with IBD in the Czech Republic

Sympozium pořádané v rámci programu loňského 8. kongresu České gastroenterologické společnosti, které bylo podpořeno společností Takeda, nebylo věnováno konkrétnímu léku. Zato poskytlo unikátní prostor k pojmenování zásadních problémů, které léčbu pacientů s idiopatickými střevními záněty (IBD) v ČR provázejí.

V úvodu sympozia informoval jeho předsedající doc. MUDr. Martin Bortlík, Ph.D., primář Gastroenterologického oddělení Nemocnice České Budějovice, o projektu „IBD: Cesta pacienta systémem zdravotní péče v ČR“. Vedle organizace Pacienti IBD, z.s., a Pracovní skupiny pro IBD České gastroenterologické společnosti ČLS JEP se na něm podílí i Fakulta biomedicínského inženýrství ČVUT, Ústav zdravotnických informací a statistiky a Kancelář zdravotního pojištění. „Výsledky bohužel nesvědčí o tom, že by situace v České republice byla z hlediska našich pacientů a jejich průchodu systémem zdravotní péče nějak růžová,“ byl nucen konstatovat doc. Bortlík a pokračoval: „Všeobecně samozřejmě není špatná, zejména pro pacienty se závažnými formami onemocnění. Centra v ČR nepochybně poskytují péči na špičkové úrovni srovnatelné s tou nejlepší péčí v Evropě nebo ve světě. V našem projektu se ale snažíme mapovat celou populaci pacientů s IBD. A v tomto směru máme co zlepšovat.“

Doc. Bortlík připomněl, že Iniciativa pro výběr terapeutických cílů u zánětlivých střevních onemocnění (STRIDE) při Mezinárodní organizaci pro studium IBD (IOIBD) ve svých konsenzuálních doporučeních STRIDE-II definuje jako nejvýznamnější dlouhodobý cíl léčby IBD kvalitu života nemocných. „Je třeba mít na paměti, že idiopatické střevní záněty jsou celoživotním onemocněním, což násobí

jejich invalidizující potenciál. Navíc vznikají zpravidla v mladém věku a už tehdy mohou vážně ovlivnit schopnost pacientů fungovat v běžném i pracovním životě,“ zdůraznil doc. Bortlík.

Prevalence IBD v R roste, financování moderní lé by je podhodnoceno Před 6 lety se v ČR pro rok 2025 predikovalo 70 000 pacientů s IBD, reálně jich je přes 90 000, tedy o 20 000 více. Prevalence IBD se tak blíží 1 % populace.

Navzdory nárůstu počtu pacientů s IBD o 20–25 % za posledních 10 let naopak podle dat Národního registru hrazených zdravotních služeb (Dušek, 2025) klesl počet hospitalizací a pobytů na JIP o desítky procent. V případě pacientů s ulcerózní kolitidou (UC) se snížil počet hospitalizovaných o 21,1 %, počet ošetřovacích dnů spojených s operací o 29,9 % a s pobytem na JIP o 30,4 %. V případě Crohnovy nemoci (CD) je rozdíl ještě markantnější: o 42,3 % méně hospitalizovaných, o 34,8 % méně ošetřovacích dnů spojených s operací a o 51,2 % méně ošetřovacích dnů spojených s pobytem na JIP. „Nemáme pro to jiné vysvětlení, než je účinnost moderní cílené terapie biologickými léky a malými molekulami,“ zdůraznil doc. Bortlík. Připomněl literární data o tom, že efektivita cílené terapie IBD je prokazatelně tím vyšší, čím dříve je zahájena. Pacienti, kteří jsou léčeni do 2 let od sta-

novení diagnózy, mají přibližně dvakrát vyšší šanci, že se udrží v dlouhodobé klinické remisi, a třetinové riziko relapsu onemocnění (Ungaro etal., Aliment Pharmacol Ther 2020).

„Počty pacientů léčených v IBD centrech biologickými léky a malými molekulami v ČR postupně rostou, podle dat Ústavu zdravotnických informací a statistiky se jednalo v roce 2024 o 12 000 pacientů a náklady na jejich léčbu činily bezmála 2,4 miliardy korun. Na otázku, zda je to dostatečné, lze ale bohužel odpovědět snadno: není!“ uvedl doc. Bortlík.

K určitému „zaspání“ došlo již v době nástupu biologické léčby IBD. Svědčí o tom data z kohortové studie (Burisch et al. Gut, 2018; Burisch et al., Journal of Crohn‘s and Colitis, 2018), která začínala již kolem roku 2010 a po dobu 5 let sledovala mimo jiné i to, jak jsou léčeni pacienti s IBD v zemích západní a východní Evropy. „Zatímco v západní Evropě podíl pacientů s CD léčených biologiky již po pěti letech přesahoval 30 %, ve východní Evropě se pohyboval kolem 10–15 %. U pacientů s UC byly podíly o něco nižší, ale stále přibližně s dvojnásobným rozdílem mezi západem a východem. Takže i když záhy přišla biosimilární léčiva, která terapii zlevnila a počty pacientů s biologickou léčbou se u nás zvyšují, stále to není dostatečné a rozdílmeziČRa západnímizeměmipřetrvává.“ Doc. Bortlík se podělil i o čísla, která získal během osobních rozhovorů s vybranými zahraničními gastroentero-

P ekro me hranice lé by Crohnovy nemoci –jednoduše, subkutánn

Let‘s go beyond the limits of Crohn‘s disease treatment –simply, subcutaneously

Během edukačního sympozia pořádného společností Johnson & Johnson 29. ledna 2026 v Praze u příležitosti stanovení úhrady guselkumabu v léčbě Crohnovy nemoci v ČR byly představeny aktuální poznatky o možnostech cílené léčby tohoto onemocnění se zaměřením na osu interleukinu 23. Zazněly patofyziologické souvislosti, klinická data z programů GALAXI a GRAVITI i praktické zkušenosti z českého klinického prostředí.

Navzdory výraznému rozšíření terapeutických možností u idiopatických střevních zánětů (IBD) zůstává účinnost současné léčby u značné části pacientů s Crohnovou nemocí (CD) limitovaná. Přes dostupnost širokého spektra konvenčních i biologických léčiv je odpověď na terapii u mnoha nemocných nedostatečná nebo pouze přechodná, což se klinicky projevuje častými relapsy, akcelerací kumulativního strukturálního poškození střeva, nutností eskalace léčby a zvýšeným rizikem chirurgických intervencí. V dlouhodobém horizontu dosahuje trvalé remise bez potřeby kortikosteroidů pouze přibližně třetina pacientů a u 70 % nemocných dochází k selhání pokročilé terapie v důsledku primární rezistence nebo sekundární ztráty odpovědi, jak uvedl prof. MUDr. Milan Lukáš, CSc., přednosta Kliniky ISCARE Praha.

Připomněl, že postižení tenkého střeva představuje terapeutickou výzvu a léčebná odpověď je obecně méně uspokojivá než u kolického postižení. Limitovaná účinnost dostupných léčebných modalit v této lokalizaci podporuje perzistenci zánětlivé aktivity, subklinickou progresi onemocnění a opožděnou detekci komplikací. Podobně problematickou oblastí zůstává perianální forma CD, u níž je dosažení dlouhodobé remise obtížné i při kombinovaném terapeutickém přístupu.

Vedle samotné účinnosti terapie zůstává zásadním kritériem její bezpečnost. Jak upozornil prof. Lukáš, závažná až život ohrožující rizika jsou spojena především s konvenční léčbou (zejména s kortikosteroidy a thiopuriny). V oblasti biologické léčby se bezpečnostní otázky týkají zejména anti-TNF preparátů, které jsou asociovány se zvýšeným rizikem infekcí a imunologických nežádoucích účinků. Naproti tomu moderní cílené preparáty se obecně vyznačují příznivějším bezpečnostním profilem.

„Neméně významným faktorem je způsob podání terapie. Jednoduchá a pro pacienty přívětivá subkutánní aplikace může zlepšit adherenci k léčbě, snížit zátěž spojenou s opakovanými návštěvami zdravotnických zařízení a pozitivně ovlivnit dlouhodobé klinické výsledky i kvalitu života pacientů,“ zdůraznil prof. Lukáš.

Z patofyziologického hlediska hraje klíčovou roli v udržování chronického střevního zánětu interleukin 23 (IL-23), který stojí na začátku zánětlivé kaskády a představuje centrální regulační bod imunitní odpovědi. Jak vysvětlil prof. Lukáš, cílení na jeho osu prostřednictvím monoklonálních protilátek proti IL-23 umožňuje selektivní zásah do iniciačních mechanizmů zánětu a nabízí potenciál stabilnější a dlouhodobější kontroly onemocnění. Naproti tomu terminální efektorový mediátor zánětlivé odpovědi představuje tumor nekrotizu-

jící faktor alfa (TNF ). „Jeho blokáda znamenala před více než dvěma desetiletími zásadní terapeutický průlom a anti-TNF léčba dlouhodobě významně zlepšila prognózu pacientů s CD, přestože její limity jsou dnes zřejmé,“ dodal.

Limity a úskalí stávajících možností lé by CD

Možnosti dosažení hluboké a dlouhodobě stabilní remise u CD narazily na terapeutický strop. Jeho překonání vyžaduje paralelní posun ve vědeckém poznání i klinické praxi. Prof. Lukáš zmínil, že zásadní je hlubší porozumění patogenezi onemocnění, přesnější molekulární stratifikace pacientů a vývoj cílených terapeutik, ideálně hodnocených v moderních klinických studiích reflektujících heterogenitu choroby. V klinickém kontextu je důležitá časná diagnostika a identifikace rizikových pacientů nebo individualizované řízení léčby.

„Významným limitujícím faktorem zůstává sekundární selhání léčby u pacientů léčených monoklonálními protilátkami, kteří původně na indukční terapii dobře odpověděli nebo dosáhli remise, avšak v průběhu měsíců až let u nich došlo ke ztrátě terapeutického efektu,“ uvedl prof. Lukáš. Dodal, že tento jev je často podmíněn farmakokinetickými faktory vedoucími k nedostatečné expozici léčivu v cílové tkáni, např. kvůli nízké koncentraci nebo při změnách metaboli-

Gastroenterologie a hepatologie

Vedoucí redaktor (Editor-in-Chief)

prof. MUDr. Milan Lukáš, CSc., AGAF Klinické a výzkumné centrum pro st evní zán ty, ISCARE a.s. a . LF UK, Praha eskomoravská , Praha milan.lukas@email.cz Zástupce vedoucího redaktora pro Slovenskou republiku (Editor for Slovak Republic)

doc. MUDr.Tomáš Koller, PhD. V. interná klinika LF UK a UN Bratislava Ružinovská , Bratislava koller.tomas@gmail.com

Redak ní rada (Editorial Board)

doc. MUDr. Peter Bánov in Jr, PhD. Interná klinika gastroenterologická JLF UK a UN Martin

doc. MUDr. Martin Bortlík, Ph.D. Gastroenterologické odd lení, Nemocnice eské Bud jovice, a.s. prof. MUDr. Radan Br ha, CSc. IV. interní klinika – klinika gastroenterologie a hepatologie . LF UK aVFN v Praze

MUDr. Iveta ierna, PhD. Detská fakultná nemocnica s poliklinikou, Bratislava

doc. MUDr. So a Fra ková, Ph.D. Klinika hepatogastroenterologie, IKEM, Praha

prof. MUDr. Martin Fried, CSc. OB Klinika a. s., Praha

prof. MUDr.Tibor Hlavatý, PhD. Gastroenterologické centrum Bezru ova, Bratislava

prof. MUDr.Tomáš Hucl, Ph.D. Klinika hepatogastroenterologie, Transplantcentrum, IKEM, Praha

doc. MUDr. ubomír Skladaný, PhD. II. interná klinika SZU a FNsP F.D. Roosevelta v Banskej Bystrici

doc. MUDr. Št pán Suchánek, Ph.D. Interní klinika . LF UK a ÚVN Praha

doc. MUDr.Václav Šmíd, Ph.D.

IV. interní klinika . LF UK aVFN v Praze

prof. MUDr. Julius Špi ák, CSc. Klinika hepatogastroenterologie, Transplantcentrum, IKEM, Praha

prof. MUDr. IljaTachecí, Ph.D.

II. interní gastroenterologická klinika LF UK a FN Hradec Králové

prof. MUDr.VladimírTeplan, DrSc. Klinické a výzkumné centrum pro st evní zán ty ISCARE a.s., Praha

prof. MUDr. Ond ej Urban, Ph.D. II. interní klinika – gastroenterologická a geriatrická LF UP a FN Olomouc

doc. MUDr. EduardVeseliny, PhD., MHA II. interná klinika LF UPJŠ a UN LP Košice MUDr. Kristýna Zárubová, Ph.D.

Pediatrická klinika . LF UK a FN Motol a Homolka, Praha

Mezinárodní redak ní rada (International Editorial Board) Prof. Lars Aabakken, MD, PhD Professor of Medicine, Chief of GI endoscopy Oslo University Hospital Rikshospitalet Oslo, Norway

Peter Doyle Higgins, MD, PhD

Associate Professor, Department of Internal medicine, Gastroenterology University of Michigan, USA

Peter Laszlo Lakatos, MD, PhD

Professor of Internal Medicine, director of the IBD Centre at McGill University, MUHC, Sherbrooke Street West, Montreal, Quebec, Canada

Prof. David Lieberman

Professor of Medicine and Chief of the Division of gastroenterology

Oregon Health & Science University Portland, Oregon, USA

Prof. Jong-Ho Moon, MD, PhD

Professor of Medicine, School of Medicine, SoonChunHyang University Bucheon/Seoul, Korea

Prof.Walter Reinisch, MD

Professor of Medicine, Department of Internal medicine, Gastroenterology, McMaster University Hamilton, Ontario, Canada

Florian Rieder, MD

Department of Gastroenterology, Hepatology and Nutrition, Digestive Disease and Surgery Institute Department of Pathobiology, Lerner Research Institute Cleveland Clinic Foundation, Cleveland, Ohio, USA

Prof.Vincenzo Stanghellini

Professor of Medicine

Department of Medical and surgical science University of Bologna, Italy

Prof. Jerome D.Waye, MD

Professor of Medicine, Director of Endoscopic Education Icahn School of Medicine Mount Sinai, NewYork, USA

Harmonogram vydání a tematické zam ení asopisu Gastroenterologie a hepatologie pro rok A time schedule of journal´s publication with major topics for ísloTémaKoedito iTermín vydání / IBDM. Bortlík/T. Hlavatýúnor / hepatologieR. Br ha/ . Skladanýduben / digestivní endoskopieO. Urban/E. Veseliny erven / klinická a experimentální gastroenterologieT. Hucl/P. Bánov insrpen / gastrointestinální onkologieŠ. Suchánek/T. Koller íjen / d tská gastroenterologie a hepatologie / bariatrie a obezitologieK. Zárubová/M. Friedprosinec

© eská léka ská spole nost J. E. Purkyn , Praha

Gastroenterologie a hepatologie

Vydává eská léka ská spole nost J. E. Purkyn ve spolupráci s nakladatelstvím Care Comm s.r.o. Eviden ní íslo MK R E . ISSN(Print). ISSN - X (On-line).

On-line verze je p ístupná na adrese www.csgh.info.

asopis SGH je uveden na SCOPUS, CHEMICAL TITLES, EXCERPTA MEDICA/EMBASE, CHEMICAL ABSTRACTS, INIS Atomindex, Food Science

and Technology Abstracts, Bibliographia Medica echoslovaca, Index Copernicus, Bibliovigilance. Nakladatel: Care Comm s.r.o. Klicperova / , Praha

Odpov dná redaktorka: Ing. Kate ina Michnová katerina.michnova@carecomm.cz

Grafická úprava: Karel Zlevor

Vychází × ro n

P edplatné na rok iní K ( eur). Objednávka p edplatného R i SR na adrese: predplatne@carecomm.cz

Informace o podmínkách inzerce poskytuje a objednávky p ijímá: Jan Laitl jan.laitl@carecomm.cz + Toto íslo vychází . února

Turn static files into dynamic content formats.

Create a flipbook