
1 minute read
CARE IN THE FOREFRONT OF CARDIOVASCULAR
With two blocked arteries in each leg, Summerfield resident Jack Schuch was forced to give up his favorite activity, golf. He could barely walk because had had no feeling in either leg or foot. “I did not know where I was stepping,” he said. “I had to be careful not to fall.” Fortunately, Dr. Upadya and Dr. Yelamanchi of Cardiac and Vascular Consultants came to Jack’s rescue. The doctors used special devices through the leg to unblock the clogged arteries, and Jack was amazed at the results.
“My wife tickled my foot and I could feel it! Also, I could tell whether water was warm or cold when I entered the shower,” he says. “Dr. Upadya and Dr. Yelamanchi are excellent doctors, and I trust them with my life. That is how highly I think of and how much confidence I have in them.
DR. SHRIKANTH UPADYA
Dr. Upadya specializes in interventional cardiology, cardiovascular disease and internal medicine. He is boardcertified in Internal Medicine, General Cardiology and Interventional Cardiology by the American Board of Internal Medicine. He is also board certified in Adult Comprehensive Echocardiography by the National Board of Echocardiography and in Nuclear Cardiology by the American Society of Nuclear Cardiology. He completed his fellowship in general cardiology at Yale University. His professional affiliations include the American Society of Echocardiography, the American Heart Association, the American College of Cardiology, the Society of Cardiovascular Computer Tomography and the Society for Cardiovascular Angiography and Interventions.
DR. VISHNU YELAMANCHI
Dr. Yelamanchi specializes in interventional cardiology and cardiovascular disease. He is board-certified in Cardiology by the American Board of Internal Medicine. He is also a Fellow of the America College of Cardiology. He completed his residency in 1996 at Chicago Medical School, which is where he also underwent fellowship training as a chief cardiologist. He completed a fellowship in coronary and peripheral intervention in 2000 at the Cardiovascular Institute of the South located in Houma, La. and served as a senior research specialist in health science at the University of Chicago-Illinois. He is professionally affiliated with the American College of Cardiology.
Carotid Artery Stent
By utilizing carotid artery stenting, Drs. Upadya and Yelamanchi helped save the life of a patient whose right carotid artery was 100 percent blocked and left carotid artery was 99 percent blocked. They possess the knowledge and expertise to help even high-risk patients with severe blockages return to a normal lifestyle.

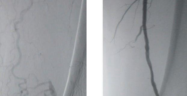
Atherectemy And Angioplasty




This patient suffered from peripheral artery disease of the thigh. Drs. Upadya and Yelamanchi used atherectomy and angioplasty to successfully treat this patient. The quality of their work helped improve the patient’s circulation and decrease pain. They’ve enjoyed many successful outcomes treating peripheral artery disease.









