


Singura publicaţie din
România acreditată la INTERNATIONAL OSTEOLOGY SYMPOSIUM
Retrospectivă MONACO
SPECIAL REPORT
Cancerul cutanat: Responsabilitatea medicilor dentişti
/20 /10
www.actualitatistomatologice.ro
în detectarea precoce






![]()



Singura publicaţie din
România acreditată la INTERNATIONAL OSTEOLOGY SYMPOSIUM
Retrospectivă MONACO
SPECIAL REPORT
Cancerul cutanat: Responsabilitatea medicilor dentişti
/20 /10
www.actualitatistomatologice.ro
în detectarea precoce






Prof. Dr. Adi A. Garfunkel
Medicină Orală
Universitatea Ebraică și Hadassah Ierusalim, Israel
COLEGIUL ŞTIINŢIFIC NAŢIONAL
Conf. Dr. Lidia Boboc
Prof. Dr. Dorin Bratu
Dr. Alexandru Brezoescu, Președinte CMD București
Prof. Dr. Dorin Borzea
Șef Lucr. Dr. Lucian Chirilă
Prof. Dr. M. V. Constantinescu
Conf. Dr. Bogdan Dimitriu
Prof. Dr. Horia Dumitriu
Conf. Dr. Anca Silvia Dumitriu
Prof. Dr. Norina Forna, Decan
Prof. Dr. Emilian Hutu
Dr. Doron Haim
Prof. Dr. Andrei Iliescu, Membru titular Academia Științe Medicale
Prof. Dr. Rodica Luca
Prof. Dr. Augustin Traian Mihai
Prof. Dr. Alexandru Monea
Șef Lucr. Dr. Ion Nicolescu
Prof. Dr. Ion Pătrașcu
Şef Lucr. Dr. Stana Păunică
Prof. Dr. Dragoş Stanciu
Prof. Dr. Mircea Surpățeanu
Prof. Dr. Șerban Țovaru
Prof. Dr. Constantin Vârlan
Asist. Univ. Dr. Anca Vereanu
PUBLICITATE
0723.640.333, 0722.359.753
office@dentalnews.ro
MARKETING: Dental News
EDITOR ŞTIINŢIFIC
Asociația:
Societatea de Parodontologie din România
COLEGIUL ŞTIINŢIFIC INTERNAŢIONAL
Prof. Dr. Louis F. Rose
Editor Șef: Compendium, SUA
Prof. Dr. Morton Amsterdam, SUA
Prof. Dr. Meyer Fitoussi, Franța
Prof. Dr. Michael Glick, Editor Șef: JADA, SUA
Prof. Dr. Dan Nathanson, SUA
Prof. Dr. Hideo Ogura, Japonia
Prof. Dr. Harold W. Preiskel, Anglia
Prof. Dr. André P. Saadoun, Franța
Actualități Stomatologice este o publicație editată sub egida
PREŞEDINTE ONORIFIC
Prof. Dr. Nicolae Gănuță
Decan-Emerit Facultatea de Stomatologie
București, Clinica de Chirurgie OMF
Membru al Academiei de Științe Medicale
HONORIFIC PRESIDENT
Prof. Dr. D. Walter Cohen
Președinte-Emerit Colegiul Med. Pennsylvania
Decan-Emerit Univ. Pennsylvania, SUA
Editor Șef Emerit: Compendium, SUA
Revista se distribuie GRATUIT. Dacă doriți să primiți revista “Actualități Stomatologice”, dacă v-ați schimbat adresa sau dacă, din diferite motive, deși sunteți înregistrat, nu ați primit-o, vă rugăm să ne contactați la: 0722.359.753 sau pe e-mail: inregistrare@actualitatistomatologice.ro
EDITOR CONSULTANT
Dr. Tiberiu Gh. Silaghi, medic primar
EDITOR EXECUTIV
Dr. Bianca Zaharia, medic specialist
EDITOR ASISTENT
Dr. Ana-Maria Herța, medic specialist
Asist. Univ. Dr. Blanka Petcu
Dr. Miruna Munteanu, medic specialist
CP.CE-CP.16, București
SECRETARĂ DE REDACŢIE: Mihaela Ionescu 0722.359.753, 021.746.67.24
www.dentalnews.ro www.actualitatistomatologice.ro
ISSN: 1583-6010
Poșta Română
TP nr. 103 / P / 4056 / 2008
Trimestrial
OTOPENI - Județul Ilfov, Str. Ardealului nr. 9 F, Tel: 021.350.67.58, Fax: 021.350.67.59
CONSTANȚA - Județul Constanța, Str. I. C. Brătianu nr. 131, Tel/Fax: 0241.543.600, Tel/Fax 0241.543.948; Str. Sabinelor nr.3 Tel:0241.613.682, Fax:0241.511.590
E-mail: office@dacris.net www.dacris.net
DESIGN
Concept grafic, DTP & Prepress: Cătălin Cristescu catalin@addcreativity.ro


















Sunday—DEC. 1
9:45-10:00 AM
Peter Pizzi, CDT, MDT
The Future of the Dental Industry
Monday—DEC. 2




9:45-11:15 AM
Dr. John Kois
Peter Pizzi, CDT, MDT
Team Occlusal Concepts: Understanding Biology to Reduce Risks
Tuesday—DEC. 3
9:45-11:00 AM
Dr. Frank Tuminelli
Leonard Marotta, CDT, MDT, PhD Implants: The Future is Now
Wednesday—DEC. 4
9:45-11:00 AM
Dr. Markus Blatz
Michael Bergler, MDT Clinical and Technical Guidelines for Zirconia Restorations



10:00-11:00 AM
Dr. Alan Sulikowski
Aki Yoshida
Tooth Color, Proportion, and Alignment: A Team Approach to the Smile Design
12:30-1:15 PM
Dr. Gordon Christensen
Improving Patient Care and Reuniting with Technology
3:10-5:00 PM
Dr. Stephen Chu
Adam Mieleszko, CDT
Indirect Restorative Materials, Classification, and Application for Tomorrow’s Dental Team
3:30-5:10 PM
Dr. Marcus Abboud
Lee Culp, CDT
Digital Dentistry
Today and Tomorrow
3:10-5:00 PM
Dr. Arnold Liebman
Robert Kreyer, CDT
Creating Natural-Looking Complete Prosthetics
3:10-5:00 PM
Dr. Peter Harnois
Paul Lamontagne
Thinnovation: Designing and Manufacturing Ultra-Thin Veneers for Minimally Invasive Dentistry










În fiecare lună găsiți noi articole
doar online pe site-ul revistei: www.actualitatistomatologice.ro
OSTEOLOGY FOUNDATION
O nouă poartă deschisă medicilor dentişti din toată lumea. Acum şi din România!
EDITORIAL
MEDICAL DENTAL LINK
Cancerul cutanat: responsabilitatea medicilor dentişti în detectarea precoce.

SECONDARY CARIES
PREVENTION
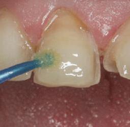
Crearea superdentinei: utilizarea compozitelor fluide pentru prevenirea cariei secundare.
REVIEW

CONTINUING EDUCATION
GENERAL ANESTHESIA
Propofolul: riscuri şi beneficii
EVENT
SPECIAL REPORT
20 10

IDT presents: Collaboration. 1-4 decembrie, New York, USA.
32 3 17 72
DENTAL SHOW

DENTA 21-24 noiembrie Romexpo, Bucureşti
Conţinutul materialelor publicitare şi al articolelor promoţionale aparţine firmelor producătoare importatoare sau distribuitoare ale produselor respective.


ORTHODONTIC COLLABORATION
Colaborarea dintre dentistul generalist şi ortodont: un parteneriat cheie.
ESSENTIALS

Q&A

RECENT GUIDELINES

PRACTICAL APPLICATION
CEMENTED IMPLANT PROSTHESES
CLINICAL UPDATE
LANSARE
16 50 60 24 66 80 19
BUSINESS OF DENTISTRY
PRACTICE
PRODUCTION
Metoda "în 3 paşi" pentru majorarea productivităţii cabinetului.
Futurabond® U Single Dose de la VOCO. Adeziv universal cu priză duală.
O tehnică predictibilă pentru îndepărtarea protezelor cimentate pe implante.
KOIS CENTER CASE REPORT

42
Continuing Education.
Profilaxia antibiotică: recenzie şi actualizare. 69 41
ADVERTORIAL
Calculul onorariilor în cabinetele de medicină dentară.
RESTORATIVE DENTISTRY
Restaurare primordial estetică: vizualizarea de la început a rezultatului final.

CASE STUDY
ESTHETIC DENTISTRY
Controlul interfeţei parodonţiu - restaurare pentru asigurarea rezultatelor estetice.
JOBS
Orthodontist in Germany, near Munich.
Răspunsurile corecte la articolele de EC din numărul trecut:
“Regula celor 6 mm”elemente diagnostice şi terapeutice pentru succesul implantării unidentare”
“Stabilirea unui sistem de clasificare pentru prepa-




UNDER THE HIGH PATRONAGE OF HIS SERENE HIGHNESS
PRINCE ALBERT II OF MONACO
MAY 2-4, 2013
Simpozionul internaţional, care a aniversat 10 ani de existenţă a Fundaţiei pentru Osteologie, a impresionat vizitatorii şi expozanţii deopotrivă. Conceptele curente pentru regenerarea osului şi a ţesutului moale, şi periimplantita au constituit temele centrale.
O imagine de ansamblu Simpozionul din Monaco a reunit 2700 medici dentişti din toată lumea, sub conducerea lui Niklaud P. Lang din Elveţia şi Massimo Simion din Italia. Analizele şi recomandările oferite de 83 lectori din 18 state au asigurat o bază perfectă pentru schimbul de experienţă. S-au dezbătut rezultatele ştiinţifice şi ghidurile practice în cadrul unor forumuri interactive, studii de caz şi sesiuni Q&A. Cele 11 sesiuni ştiinţifice, 20 workshop-uri ce au oferit experienţă hands-on în sfera noilor tehnici, filmele video 3D de chirurgie şi cele 200 postere axate pe activităţile actuale de cercetare au
transformat simpozionul într-un real eveniment.
Atenţia concentrată pe relevanţa practică
La Monaco, dovezile ştiinţifice au fost conectate la cerinţele specifice ale rutinei clinice. De aceea, ambii preşedinţi ai simpozionului, au căzut de acord în privinţa sloganului acestui eveniment: "luarea deciziilor în regenerarea tisulară orală". Ce abordări noi sunt valabile? Este posibilă simplificarea terapiilor stabilite şi transformarea lor în proceduri mai puţin invazive?
Prof. Lang a justificat alegerea temelor simpozionului afirmând că "sunt implicate buna cunoaştere şi conceptele cu adevărat relevante pentru medicii dentişti"
Se poate simplifica regenerarea? În cadrul conferinţei key note despre structura osului şi modificările dimensiunilor crestei alveolare postextracţionale, renumitul Prof. Jan Lindhe din Suedia a pus cu succes "piatra de temelie în anularea prăpastiei dintre


dovezile ştiinţifice şi practica clinică" S-au dezbătut apoi opţiunile actuale pentru regenerarea ţesuturilor moi şi dure. Cum se poate regenera osul pierdut în jurul dinţilor? Măsurile simple pot preveni augmentările ulterioare extinse? Când constituie biomaterialele o alternativă la ţesutul autolog? Periimplantita a constituit un alt subiect cheie. Cât de prevalentă este periimplantita în realitate? Cum o diagnosticăm? Care sunt cele mai promiţătoare abordări terapeutice?
Simpozionul de la Monaco nu a oferit răspunsuri rapide, "instant", însă a evaluat atent conceptele terapeutice, așa cum a precizat Prof. M. Simion: "ne focalizăm asupra informaţiilor disponibile în literatură, dar este important şi know-how-ul din partea experţilor, îndeosebi dacă datele din literatură nu sunt concludente deocamdată". Prin simpozionul aniversar, Fundaţia pentru Osteologie şi-a consolidat rolul de lider în stomatologia regeneratoare, în ceea ce priveşte pregătirea medicilor dentişti şi promovarea cercetării. ¤


La 10 ani de la înfiinţare, Fundaţia pentru Osteologie a devenit indispensabilă pentru stomatologia regeneratoare. În acelaşi timp, fundaţia este una dintre cele mai prestigioase organizaţii care promovează cercetarea şi pregătirea în regenerarea tisulară orală.
Istoric
Geistlich Pharma, împreună cu Dr. Peter Geistlich, au înfiinţat fundaţia în 2003 cu scopul de a oferi susţinere ţintită în vederea dezvoltării mai rapide a noilor tehnici şi produse suficient testate în spitale şi cabinete. În acelaşi timp, prioritară era dezvoltarea unei abordări terapeutice îmbunătăţite pentru pacienţi.

2003-2013
De la înfiinţare, fundaţia a încurajat progresul în regenerarea tisulară orală prin sponsorizarea proiectelor de cercetare, facilitând colaborarea între cercetători şi împărtăşirea cunoştinţelor bazate pe dovezi cu practicienii din întreaga lume. Paul Note, CEO Geistlich Pharma, confirmă misiunea îndeplinită. "Credibilitatea dobândită de fundaţie în cei 10 ani conform cu motto-ul <conectarea ştiinţei cu practica în regenerare> este recunoscută şi prin succesul simpozioanelor organizate".
Misiunea centrală
Până în prezent peste 20.000 medici dentişti au fost instruiţi în cadrul simpozioanelor de osteologie

şi au beneficiat de conceptul special al acestora: cea mai sofisticată ştiinţă, pregătire practică extinsă şi dezbateri directe. "Una dintre misiunile noastre de bază este aceea de a pregăti practicienii" a precizat preşedintele fundaţiei, Christoph Hämmerle din Elveţia. "Seria de simpozioane şi-a asumat treptat rolul de brand în tot mai multe state, aproape pe toate continentele"
Dedicat cercetării regeneratoare Sponsorizând peste 40 studii, fundaţia a contribuit substanţial la rezolvarea actualelor întrebări. Fundaţia investeşte anual 600.000 de franci elveţieni în promovarea studiilor ştiinţifice din sfera regenerării osoase, managementul ţesutului moale, inginerie tisulară, etc. ¤
PERIO AND GENERAL HEALTH by the EUROPEAN FEDERATION OF PERIODONTOLOGY

Acesta este mesajul transmis cu ocazia conferinţei de presă susţinută de EFP în cadrul Simpozionului de Osteologie. Rolul determinant al prevenirii, detectării precoce şi tratamentului afecțiunilor parodontale în controlul diabetului, bolilor cardiovasculare şi al sarcinii a condus la concluzia unanimă: nu mai este un subiect controversat,

ci confirmat în timp. Reprezentanţii ştiinţifici ai EFP, profesori de renume au subliniat necesitatea popularizării influenţei bolilor parodontale asupra sănătăţii generale, specific asupra entităților sistemice menționate. Journal of Clinical Periodontology abordează constant legătura sănătate orală-generală, prin publicarea celor mai recente cercetări în domeniu. ¤


O nouă poartă deschisă medicilor dentişti din toată lumea, acum şi din România prin Artis Bio Tech, unic distribuitor autorizat în România a Geistlich Biomaterials.
Fără îndoială, Monaco 2013 a fost un eveniment! Cu multe de învăţat, de aprofundat, de absorbit şi, mai ales de aplicat.
A fost pentru prima dată că am participat la manifestările Fundaţiei pentru Osteologie. Tot în premieră, am fost acreditat ca jurnalist din partea "Actualităţi Stomatologice", singura publicaţie românească prezentă la eveniment. Am fost mândru să întâlnesc acolo peste 30 medici dentişti români, avizaţi în domeniu sau dornici de cunoaștere, cu toții entuziasmaţi de topica prezentată, împreună cu reprezentanţii companiei Artis Bio Tech, responsabili de această benefică iniţiativă.
Dacă este "să pun degetul pe rană" cred că, pentru medicii dentişti români, o importanţă majoră o au cursurile de iniţiere şi instruire a tinerilor (începători) cercetători organizate de această fundaţie. Pentru că promovarea cercetării implică mai mult decât finanţarea proiectelor de studiu. Iar îmbună-
Prof. Adi A. GARFUNKEL
Editor Șef Actualități Stomatologice adigarfunkel@md.huji.ac.il


tăţirea calităţii cercetării reprezintă un obiectiv cheie al fundaţiei.
Am aflat cu bucurie că, tocmai din aceste considerente, în 2011, fundaţia a pus bazele Academiei de Cercetare în Osteologie. O săptămână de curs intensiv (modulul central) în care se învaţă bazele metodologiei şi managementului cercetării, oferind în acelaşi timp participanţilor posibilitatea de a crea interrelaţii şi de a dezbate proiectele. Oportunităţile de învăţare cu experţi de elită, workshopurile şi evenimentele în echipă constituie împreună mixul informativ special.
Am notat pentru voi şi că, pentru prima dată în 2013, în cadrul Academiei, participanţii vor avea ocazia să înveţe tehnici histologice în cadrul unui modul expert pe durata mai multor zile, cu pregătire practică. Comitetul de conducere al fundaţiei, format din parodontologi şi chirurgi orali şi maxilofaciali recunoscuţi internaţional, supervi-

zează toate aceste activităţi. În plus, Fundaţia pentru Osteologie ne recomandă o serie de cărţi ce urmează să fie publicate: "Osteology Guidelines for Oral & Maxillofacial Research" cu scopul de a suţine cercetătorii în planificarea şi dirijarea studiilor din domeniul regenerării tisulare orale. În mod similar, "Osteology Research Guidelines" este valoroasă pentru cercetătorii experimentaţi dar şi pentru cei aflaţi la început de drum în cariera de cercetare.
Iar concluzia simpozionului: "stomatologia regeneratoare fără osteologie este precum un zâmbet fără dinţi" mă îndreptăţeşte să vă dau întâlnire în 2016, la următorul Simpozion Internaţional al Fundaţiei pentru Osteologie. Avem multe de învăţat!
Cu consideraţie, Adi Garfunkel
Aflaţi mai multe pe: www.osteology.org


Three Steps to Increasing Practice Production by Roger P. Levin, DDS. Originally published in Compendium of Continuing Education in Dentistry 34(4) April 2013. Copyright © 2013 to AEGIS Communications. All rights reserved.

Roger P. Levin, DDS Chief Executive Officer Levin Group Owings Mill, Maryland
Levin Group a conceput o „metodă în 3 paşi” pentru accelerarea productivităţii unui cabinet, ce necesită trei paşi importanţi: stabilirea obiectivelor, crearea sistemelor pentru realizarea obiectivelor şi optimizarea performanţelor sistemelor.
Obiectivele reprezintă parametri măsurabili ce trebuie obţinuţi. Toate afacerile de succes au obiective; unele necesită o atenţie specifică şi o repartizare individuală în cadrul personalului. Există o serie de obiective pe care cabinetele trebuie să le urmărească:
• programarea permanentă, în proporţie de 98%, a tuturor pacienţilor;
• reactivarea în proporţie de 85% a pacienţilor inactivi;
• colectarea în proporţie de 99% a banilor rezultaţi din activitatea clinicii;
• mărirea ratei de creştere a productivităţii cu 15-18% anual;
• utilizarea simultană a minimum 15 strategii de marketing;
• 40-60% dintre pacienţi să recomande cabinetul cel puţin unui alt pacient;
• reducerea neprezentărilor şi a anulărilor de ultimă oră la mai puţin de 1%;
• diminuarea cheltuielilor generale sub 59%;
• medicii să dedice 98% din timpul petrecut în cabinet îngrijirii pacienţilor.
Obiectivele trebuie să fie cantitative, evaluate săptămânal şi repartizate fie medicului, fie altui membru desemnat al personalului.
(2) Construirea de sisteme pentru realizarea obiectivelor stabilite
Eficienţa cabinetului dentar sau modalitatea prin care medicul şi echipa medicală se descurcă zilnic nu pot fi singurii factori de apreciere a succesului unor sisteme de practică dentară. Fără obiective stabilite, sistemele nu pot preveni scăderi ale productivităţii cabinetului.
Doar implementarea pas cu pas a sistemelor de practică dentară va
Atenţia acordată productivităţii cabinetului devine azi tot mai importantă. În lumea în continuă schimbare a stomatologiei, medicii se confruntă cu circumstanţe fără precedent: o economie în criză, un număr tot mai mare de absolvenţi, o tot mai mare îndatorare prin credite; o rată diminuată a rambursării din asigurari; impozite potenţial mai mari, etc. Datorită magnitudinii acestor schimbări, practicienii trebuie să adopte rapid strategii de majorare a producţiei – chiar într-o economie plină de provocări.
conduce la majorarea productivităţii şi la reducerea stresului, în special a celui financiar.
Sistemele care trebuie operate includ: programările, servicii client, marketing intern, prezentarea şi discuţia cazului, igiena şi conturile de debitori. În noul context al industriei stomatologice, cabinetele fără sisteme de practică dentară cu viabilitate dovedită regresează continuu. Sistemele care funcţionau cu doar 4 ani în urmă nu mai sunt eficiente azi. Noile sisteme vor produce o creştere, cele învechite conducând invariabil la declin.
Majoritatea medicilor dentişti au avantajul de a fi proprietarii cabinetelor unde lucrează, având astfel siguranţa locului de muncă. Totuşi, valoarea unei afaceri proprii depinde în întregime de profitul cabinetului. Într-o perioadă în care veniturile se reduc în mod curent, în cazul a 7 medici dentişti din 10, acest pas este de importanţă critică.
(3) Optimizarea performanţei sistemelor
Administratorii cabinetelor nu pot pur și simplu instala sisteme şi să considere că munca-i încheiată, pentru că sistemele nu se auto-susţin.
Pentru o bună funcţionare, trebuie încorporate diferite componente, cum ar fi: respectarea procedurilor privind comunicarea cu pacienţii, instruirea personalului şi documentaţia.
Respectarea procedurilor reprezintă o importantă metodă de a maximiza performanţa sistemului. Personalul trebuie să ştie cum să comunice eficient cu pacienţii. Fiind potenţată de expertiza consultanţilor profesionişti, abilitatea de a respecta procedurile poate conduce şi la o eficientă influenţare a pacienţilor. Odată implementată cu succes, această abilitate are efecte de antrenare, facilitând atât randamentul cât şi eficacitatea fiecărui sistem în parte dintr-un cabinet.
În mod tradiţional, scopul principal îl reprezintă mai buna comunicare cu pacienţii. Abordarea modernă merge dincolo de acest obiectiv, urmărind dezvoltarea capacităţii de a influenţa pacienţii. Aceasta trebuie să fie o preocupare continuă. Ei trebuie să fie influenţaţi să se programeze, să fie de acord cu anumite date de programare,
să accepte tratamentul, să plătească facturile ş.a.m.d.
Abordarea modernă a respectării procedurilor trebuie utilizată pe tot parcursul comunicării cu pacienţii. De exemplu, menţionarea numelui pacientului în orice conversaţie ajută la demonstrarea atenţiei şi simpatiei acordate acestuia. Similar, limbajul pozitiv: utilizarea unor cuvinte cu impact precum „grozav, excelent, minunat” atrage energie într-o interacţiune, creând încredere şi crescând procentul de acceptare a tratamentului. În plus, afirmaţiile referitoare la beneficii încurajează cooperarea pacientului.
Instruirea personalului şi respectarea procedurilor sunt interdependente. Preocuparea sistematică pentru respectarea procedurilor este esenţială în procesul de perfecţionare, pentru că oferă garanţia că o echipă bine calificată este competentă în aplicarea corectă a regulilor şi normelor de acţiune, îmbunătăţind eficienţa tuturor sistemelor.
Documentaţia permite continuitatea unei implementări de succes a unui sis-
tem, indiferent de cine este administrat acesta. Atunci când membri ai echipei pleacă dintr-un cabinet, sistemele ar trebui să fie complet neafectate. Noii membri ar trebui să fie capabili să-şi însuşească cu uşurinţă sistemele întrucât acestea au fost documentate minuţios. Membrii bine instruiţi ai unei echipe, care stăpânesc abordarea modernă privind respectarea procedurilor, asigură succesul cabinetului.
Mulţi clinicieni consideră că pentru a creşte productivitatea, trebuie să muncească mai mult. De fapt, antiteza este actuală: trebuie muncit diferit. Efectele generate de persistenţa recesiunii economice curente par a depăşi capacitatea multor cabinete de a rezista. Încercările de a reduce cheltuielile au funcţionat iniţial dar, în timp, s-au dovedit insuficiente. În prezent sunt necesare îmbunătăţiri mai consistente care să inverseze trendul descendent. Metoda prezentată serveşte drept o abordare de avangardă care ajută medicii dentişti să-şi dezvolte afacerile. ¤


Şef Lucrări Dr. Vlad Naicu Dr. Emilena Naicu
xistă o întrebare din ce în ce mai citată în discuțiile despre management și cabinete de medicină dentară: „Ce este medicina dentară, medicină sau afacere?”
Misiunea unui cabinet de medicină dentară este de a crește nivelul de sănătate orală a comunității în cadrul căreia funcționează (Center. 2009). Acest scop poate fi atins doar printr-un nivel maxim de profesionalism a medicilor și personalului mediu sanitar care activează în respectivul cabinet. Nu putem vorbi despre profesionalism fără a fi la curent cu ultimele tehnici și descoperiri în domeniu (Spears, Leite et al. 2013), ori accesul la aceste informații este realizat exclusiv cu aport financiar din partea celor care se perfecționează, aport care de multe ori nu este neglijabil. Doar din acest punct de vedere, fără a se limita însă la acesta, este evident că nu putem fi medici mai performanți fără a investi anumite sume în acest sens.
Misiunea unui business de tip cabinet de medicină dentară este aceea de a produce profitul necesar pentru perfecționarea continuă a medicilor care lucrează, pentru susținerea regiei necesare funcționării corecte și normale, precum și pentru a oferi o viață demnă și normală medicilor și acționarilor respectivei afaceri (Shaw 2011).
Deci businessul susține medicina și este evident că medicină mai performantă va aduce o creștere a businessului totul fiind inclus într-o spirală de succes, fără a cădea în capcana mercantilismului (Brunton, Burke et al. 2012)
Realizarea grilei de onorarii este un punct extrem de important pentru dezvoltarea și managementul unei afaceri de medicină dentară, fiind fundamentul financiar pe care se construiește atât activitatea medicală cât și cea conectată cu aceasta.
O soluție clasică este ca fiecare cabinet să își stabilească protocoale de lucru, protocoale care să fie acceptate de către medicii dentiști care activează în cadrul cabinetului și care să fie conforme cu ghidurile de practică în vigoare în acest moment în România. Această soluție are marele dezavantaj de a reduce flexibilitatea deciziei medicale, care ar trebui să fie la latitudinea medicului care efectuează procedura și nu la latitudinea angajatorului acestuia.
Propunem calculul manoperelor în cabinet pe baza costurilor de regie și de executare și pe baza unui câștig per unitate de timp atât a medicilor cât și a firmei care deține cabinetul respectiv.
Un studiu realizat în cadrul proiectului POSDRU „Ergonomie, prevenție, management performant in medicina dentară prin aliniere la standardele europene”, Contract: POSDRU/81/3.2/S/55651 (SRED 2011), a demonstrat faptul că mai mult de jumătate dintre medicii dentiști și-au alcătuit lista de onorarii fără să țină seama de costuri, ci doar pe baza onorariilor practicate pe medicii situați geografic în apropiere. Propunerea noastră este aplicarea unei formule care are la bază costurile regiei și retribuția per unitate de timp după următorul sistem:
O = T*CR + T*Am + MC + T*SM + T*PF
O = Onorariul unei proceduri anume
T = Timpul necesar realizării acestei manopere
CR = Costul regiei cabinetului pe unitatea respectivă de timp (calculat prin adunarea tuturor costurilor fixe - chirie, salariu asistente, întreținere, etc - și împărțite la unitatea de timp)
Am = Amortizarea costurilor echipamentelor si mobilierului specific (calculat de obicei la 5 ani)/ unitatea de timp
MC = Costul materialelor consumabile necesare procedurii respective
SM = Salariul medicului respectiv/ unitatea de timp
PF = Profitul firmei
Exemplu:
Presupunem existența unui cabinet cu un scaun care lucrează 8 h/zi timp de 22 zile în medie pe lună.
• Profitul vizat de acționari: 4.400 de lei pe lună (care se obține la un grad maxim de ocupare al unitului dentar). Prin presupunerea ca unitul dentar funcționează 8 h pe zi timp de 22 de zile lucrătoare/ lună rezultă că profitul este de 4400/22 zile/8h = 25 RON/oră de funcționare efectivă
• Medicul angajat dorește un salariu similar de 5.280 / lună. Prin presupunerea ca unitul dentar funcționează 8 h pe zi timp de 22 de zile lucrătoare/lună rezultă ca acest medic va fi plătit cu 5280/22 zile/8h = 30 RON/oră de muncă efectivă.
• Chiria, salariile și întreținerea generează costuri de 20 Lei/oră (3.520 Lei/lună)
• Amortizarea echipamentelor și mobilierului generează costuri de 10 Lei/h.
Realizarea în acest cabinet a unei obturații pe o suprafață necesită 30 de minute, iar costurile materialelor consumabile necesare sunt de 40 de lei (material compozit, freze, trusă sterilă, anestezic, etc)
Onorariul minim al acestei proceduri trebuie să fie:
O=0,5h*20 Lei (T*CR) + 0,5*10 Lei (T*Am) + 40 Lei (MC) + 0,5h * 30 Lei (T*SM) + 0,5*20 Lei (T*PF) = 80 Lei
Această formulă de calcul trebuie corectată unde este cazul cu diverși factori (grad de umplere, profit suplimentar, etc)
Noi credem că utilizarea salarizării/unitate de timp, integrată în onorarii soluționează din toate punctele de vedere dilema inserției business-ului în valorile clasice ale medicinii dentare.
Mai multe detalii le puteți solicita la adresa de e-mail: comunicare@empmd.ro
Bibliografie: Brunton, P. A., T. Burke, et al. (2012). “Contemporary dental practice in the UK: demographic details and practising arrangements in 2008.” Br Dent J 212(1): 11-15; Center., A. H. P. R. (2009). Future of Dentistry. Shaw, R. (2011). Management essentials for doctors. Cambridge, UK ; New York, Cambridge University Press; Spears, R., L. P. Leite, et al. (2013). “AEGD programs: why now, why more?” J Dent Educ 77(1): 17-23; SRED (2011). ” Ergonomie, prevenţie, management performant în medicina dentară prin aliniere la standarde europene” Contract: POSDRU/81/3.2/S/55651, UMF Carol Davila.
Head and Neck Skin Cancer: Dentists’ Responsibility in Early Detection by Paul Corcoran, DDS; Louis Depaola, DDS, MS; Karen Nern, MD; and Jean Urquhart, MD.
Originally published in Compendium of Continuing Education in Dentistry 34(3) March 2013. Copyright © 2013 to AEGIS Communications. All rights reserved.
Despre autori
Paul Corcoran, DDS
Private Practice – General Dentistry Vail, Colorado
Louis Depaola, DDS, MS
Professor and Chairman of Oncology and Diagnostic Sciences
University of Maryland Dental School Baltimore, Maryland
Karen Nern, MD
Private Practice – Dermatologist Vail, Colorado
Jean Urquhart, MD
Private Practice – Dermatologist Vail, Colorado
Examinările pentru cancerul oral reprezintă standardul îngrijirii în stomatologie de mai multe decenii. Se formulează întrebarea dacă medicul dentist ar trebui sau nu să efectueze la rândul său examinări în privinţa cancerului cutanat cranio-cervical. Anual sunt înregistrate peste 1 milion de neoplasme cutanate diagnosticate şi 12000 decese. 7% din cancerele cutanate sunt melanoame potenţial fatale şi cca 75% dintre toate decesele induse de cancerul cutanat se datorează melanomului. Majoritatea cancerelor de piele se localizează în regiunea capului şi a gâtului. Cel puţin o persoană moare în fiecare oră din cauza melanomului (n.r. în USA). Din 1994, cancerul cutanat nemelanomic a crescut cu peste 30%,
iar melanoamele s-au dublat. Cancerul cutanat este responsabil pentru 50% dintre toate cancerele diagnosticate. Similar tuturor cancerelor, detectarea precoce reprezintă cheia; 99% dintre pacienţii cu cancer cutanat supravieţuiesc în cazul diagnosticului timpuriu. Metastazele şi mortalitatea, precum şi sechelele şi morbiditatea chirurgicală sunt reduse drastic prin detectarea precoce.
Aşadar cum ar trebui efectuată examinarea clinică şi ce ar trebui să caute practicienii pentru a obţine această detectare precoce?
Prima parte a examinării clinice este o verificare vizuală a pielii capului şi a gâtului pentru a identifica orice leziuni suspecte. Cea de-a doua parte a examinării clinice este palparea. Palparea pe care o efectuează deja clinicienii pentru cancerul oral se poate extinde cu uşurinţă astfel încât să includă nodulii limfatici şi leziunile pielii din regiunea capului şi gâtului. Aceasta ar trebui să înceapă cu aria submentală, continuând cu cele trei grupe de noduli asociate cu glanda submandibulară, apoi cu nodulii limfatici parotidieni şi cei pre- şi postauriculari. Ulterior, continuat posterior către nodulii occipitali, căutând o eventuală limfadenopatie, care poate fi un indicator al cancerelor cutanate sau de tip limfom, cancer oral metastatic, etc. (fig. 1). În cazul unui pacient care întruneşte o parte sau toate elementele acestui profil este indicată îndrumarea către dermatolog.

Deşi sunt 35.000 cancere orale diagnosticate anual şi 7500 decese, există de 30 de ori mai multe cazuri de cancere cutanate, majoritatea în regiunea cranio-cervicală. Întrucât mulţi pacienţi își vizitează dentistul mai frecvent decât medicul generalist, stomatologia se află într-o poziţie avantajoasă în reducerea mortalităţii / morbidităţii acestei malignităţi frecvente.
TIPURILE DE NEOPLASME CUTANATE
Cele trei tipuri de cancere primare de piele includ carcinomul bazocelular (basal cell carcinoma, BCC), carcinomul scuamocelular (squamous cell carcinoma, SCC) şi melanomul. BCC şi SCC prezintă o dezvoltare lentă, fiind relativ uşor de tratat. Melanomul se poate disemina rapid şi este relativ greu de tratat dacă este deja metastazat. Detectat timpuriu, melanomul este, totuşi, tratabil în mare măsură.
BCC
BCC începe în celulele bazale ale pielii. Acestea produc noi celule ale pielii pe măsura pierderii celor îmbătrânite.

Începe în mod tipic ca o protuberanţă sidefie albicioasă sau roz, care sângerează cu uşurinţă. Poate arăta, de asemenea, ca o cicatrice, aluniţă sau piele solzoasă. Are o prevalenţă de patru ori mai crescută decât cea a SCC şi 80% dintre BCC se localizează la nivelul capului şi gâtului. 3 din 10 caucazieni dezvoltă BCC de-a lungul vieţii (fig. 2).
SCC
Demarează în mod tipic ca o protuberanţă sensibilă de culoare roz, cu un crater central. SCC este de două ori mai prevalent la bărbaţi. Incidenţa creşte cu vârsta şi atinge vârful la 65 ani. SCC al buzei şi urechii prezintă cel mai mare risc de metastazare (fig. 3).
Melanomul
Cea mai severă şi periculoasă formă a cancerului cutanat, melanomul, se dezvoltă în melanocite, ce produc melanina. Dacă pielea este expusă excesiv luminii ultraviolete (UV), melanocitele pot începe să crească anormal, ducând la dezvoltarea melanomului. Acest cancer apare cel mai frecvent la bărbaţii albi. Majoritatea melanoamelor se manifestă ca o nouă leziune.
Totuşi, la o treime din cazuri, melanomul se dezvoltă dintr-o aluniţă preexistentă care se transformă în melanom. Multe, dar nu toate leziunile prezintă caracteristicile ABCDE: A = asimetrie; B = margini (borders) neregulate; C = culori diferite; D = diametrul de 6mm; E = evoluţie, cum ar fi modificarea unei aluniţe existente (fig. 4, 5). Este demn de reţinut că diametrul de 6mm este un indicator slab; melanoamele pot avea şi 2mm, iar multe aluniţe cu dimensiunea de peste 6mm pot fi benigne. Pacienţii cu istoric de melanom prezintă un risc crescut pentru recidivă. Leziunile suspecte de melanom se evaluează adesea cu un dermatoscop sau microscop confocal, dar biopsia este singura cale de stabilire a diagnosticului definitiv. Diagnosticul şi tratamentul precoce sunt foarte eficiente, în timp ce diagnosticul şi tratamentul mai întârziat sunt mult mai dificile. De aceea, clinicienii trebuie să fie agresivi când vine vorba de îndrumarea pacienţilor către dermatolog.
Alte tipuri de cancer de piele
Deşi tipurile mai sus menţionate ale cancerului cutanat sunt cele mai frecvente, există şi alte tipuri mai puţin prevalente, incluzând: carcinomul cu celule Merkel (fig. 6), carcinomul glandei sebacee (SGC) (fig. 7), limfomul cutanat cu celule T (fig. 8), sarcomul Kaposi (KS) (fig. 9), dermatofibrosarcomul protruberant (fig. 10) şi fibroxantomul atipic (fig. 11).
Leziuni benigne
Categoriile generale ale leziunilor benigne ce trebuie incluse în diagnosticul diferenţial includ aluniţele, chisturile şi negii. Aluniţele sunt cele mai frecvente, incidenţa lor atingând nivelul de vârf în adolescenţă. Apar în general sub forma unor pete maronii plane (fig. 12) similare pistruilor. Originea acestora este în melanocite şi prezintă dimensiuni, forme şi culori diferite. Unele au potenţialul de a se transforma în melanoame şi de aceea, trebuie monitorizate cu regularitate. Chisturile epidermoide sau sebacee sunt cele mai frecvente tipuri de chisturi cutanate (fig. 13). Chistul este compus din celule epidermice care se proiectează în derm şi se prezintă ca o leziune rotundă protuberantă. Cheratoza seboreică este o excrescenţă uscată, solzoasă, asemănătoare unui neg pe suprafaţa pielii, observată în mod obişnuit după 40 ani (fig. 14). Excrescenţa este galbenă, neagră sau brună, rotundă şi uşor elevată, cu aspect „alipit”, care mimează în mod frecvent melanomul.
Factorii de risc pentru cancerul cutanat se pot împărţi în factorii genetici ai pacientului, antecedentele medicale personale, factori comportamentali şi simptome.
Riscurile genetice includ istoricul anterior personal sau familial al cancerului de piele; pacienţii cu păr blond sau pielea depigmentată (albinism, vitiligo), pacienţii cu aluniţe displazice sau atipice şi pacienţii cu aluniţe multiple sunt expuşi deopotrivă unui risc crescut.
Pacienţii cu istoric medical de expunere la radiaţii, medicaţie imunosupresoare sau arsuri au, la rândul lor, un risc crescut în acest sens. Comportamentele care predispun un pacient la cancerul cutanat includ utilizarea solarului, fumatul, arsurile solare multiple în timpul copilăriei şi migrarea spre statele din centura solară. Simptomele îngrijorătoare ale pacienţilor includ o arie care nu se vindecă (de ex. când se plâng de o stomatită herpetică ce nu se vindecă de 2 luni) ariile care sângerează cu uşurinţă şi aluniţe noi care arată diferit. Limfadenopatia reprezintă, de asemenea, un motiv clar de îngrijorare.
Întrucât 90% dintre cancerele cutanate se asociază cu expunerea la razele UV, protecţia este cheia prin care pacienţii pot preveni cancerul de piele. Clinicienii pot recomanda:
• evitarea razelor solare între orele 10-16; • purtarea ochelarilor de soare cu protecţie UV şi a unei pălării cu un bor de 5cm;
• purtarea hainelor protectoare – mult mai eficientă decât filtrele solare – precum a mânecilor lungi şi a hainelor cu factor de protecţie împotriva UV;
• utilizarea cremelor de protecţie solară care protejează de razele UVA (UV de tip A, cu undă crescută) şi UVB (UV de tip B cu undă scurtă) cu un factor de protecţie solară (SPF) 30 sau mai mare. Valoarea SPF indică eficienţa filtrului solar în protecţia împotriva razelor UVB. Ingredientele active din cremele de protecţie împotriva UVA sunt reprezentate de oxidul de zinc, dioxidul de titan, helioplexul, mexoryl sau avobenzona.
• reaplicarea cremei de protecţie solară la intervale de 2 ore pe faţă şi îndeosebi pe buze;
• balsamurile de buze cu SPF 30.
Cancerul cutanat se poate preveni în mare măsură. Medicii dentişti care examinează pacienţii şi dpdv oncologic pot ajuta la detectarea regiunilor suspecte, îndrumându-i către dermatologi pentru examinări suplimentare.
Din nefericire, cancerul de piele este o problemă în continuă creştere. ¤
Figurile
2. Carcinomul bazocelular (BCC): un bărbat de 67 ani s-a prezentat cu istoric de arsuri solare multiple, precum şi cu istoric familial de cancer cutanat, psoriazis şi cheratoză actinică cronică. S-a observat o leziune erozivă roz, fără tendinţă de vindecare, care sângera cu uşurinţă, observată de câteva săptămâni. Dermatologul a efectuat o biopsie de suprafaţă a leziunii. Buletinul patologic a fost pozitiv pentru BCC. S-a practicat o intervenţie chirurgicală Mohs în două etape cu control microscopic; vindecarea a fost în limite normale.
3. Carcinomul scuamocelular (SCC): o femeie de 67 ani s-a prezentat cu o papulă roz, ulcerată central, pe versantul nazal stâng. Leziunea începuse ca “un coş” în urmă cu o lună, crescând rapid. Evaluarea sistemică a evidenţiat diabet zaharat de tip II şi o intervenţie chirurgicală facială. Dermatologul a efectuat o biopsie de suprafaţă din leziune, rezultatul fiind pozitiv pentru SCC. Pacienta a fost tratată prin intervenţie Mohs în trei etape. Plaga s-a vindecat prin intenţie secundară, recuperarea fiind insesizabilă.
4. Melanomul: caracteristici clasice.
5. Melanom: o femeie de 73 ani s-a prezentat cu o maculă hiperpigmentată de 6mm pe partea posterioară dreaptă a gâtului. Se observă cât de bine reproduce această maculă semnele periculoase ale melanomului. Pacienta a raportat un istoric de aluniţe moi, iar această aluniţă îşi modificase culoarea. Dermatologul a efectuat biopsia de suprafaţă, al cărei buletin patologic a fost pozitiv pentru melanom superficial. S-a practicat excizia chirurgicală, cu disecţie boantă prin derm în direcţia stratului adipos subcutanat. Vindecarea a fost completă datorită detectării precoce.
6. Carcinomul cu celule Merkel (MCC).
7. Carcinomul glandei sebacee (SGC).
8. Limfomul cutanat cu celule T (CTCL).
9. Sarcomul Kaposi (KS).
10. Dermatofibrosarcomul protruberant (DFSP).
11. Fibroxantomul atipic (AFX).
12. Nev pigmentar.
13. Chist sebaceu.
14. Neg.
Acest articol a fost publicat iniţial în Journal of the Colorado Dental Association în aprilie 2012, fiind republicat cu permisiunea Asociaţiei Dentare din Colorado.













Antibiotic Prophylaxis: A Literature Review by Lida Radfar, DDS, MS; Susan Settle, DDS; Yavar Movaffagh, BS; and Farah Masood, DDS, MS. Originally published in Compendium of Continuing Education in Dentistry 3(34) March 2013. Copyright © 2013 to AEGIS Communications. All rights reserved.

Despre autori
Lida Radfar, DDS, MS Associate Professor
Susan Settle, DDS Associate Professor and Chair
Yavar Movaffagh, BS Volunteer Research Assistant
Farah Masood, DDS, MS Associate Professor and Director of Radiology
Department of Oral Diagnosis and Radiology, University of Oklahoma College of Dentistry Oklahoma City, Oklahoma
2013 Up-to-Date by:
Eric T. Stoopler, DMD, FDS RCSEd Associate Professor of Oral Medicine Director, Postdoctoral Oral Medicine Program
Thomas P. Sollecito, DMD, FDS RCSEd Professor and Chairman of Oral Medicine
Univ. of Pennsylvania, School of Dental Medicine Philadelphia, Pennsylvania
ndocardita infecţioasă (EI) este considerată o stare ce periclitează viaţa pacientului, unele afecţiuni cardiace predispunând pacienţii la EI. Procedurile dentare invazive pot induce bacteriemia tranzitorie, iar profilaxia antibiotică este considerată eficientă. De aceea este important ca medicii dentişti să fie la curent cu ghidurile profilactice
Cadrul pentru recomandările privind profilaxia antibiotică Recomandările Asociaţiei Americane Cardiace (American Heart Association, AHA) privind profilaxia antibiotică au fost publicate în 1955. Implicarea Asociaţiei Dentare Americane (ADA) a început în anul 1972, subliniind importanţa igienei orale. Recomandarea profilaxiei s-a revizuit în 1977 prin categorisirea procedurilor şi a pacienţilor în grupe cu risc redus şi crescut. Ulterior, s-au efectuat modificări pentru a simplifica regimurile profilactice. Dozele de penicilină, calea de administrare şi listele de proceduri au fost modificate cu diferite versiuni ale recomandărilor premergătoare. În 2007, ADA şi AHA au efectuat din nou revizuiri semnificative pentru profilaxia EI cu scopul de a simplifica recomandările pe baza practicii bazate pe dovezi (experienţe clinice, opinia experţilor şi studii publicate).
Asociaţia Americană
Cardiacă, Academia
Americană a Chirurgilor
Orali, Asociaţia Dentară
Americană şi Academia
Americană de Medicină
Orală au formulat ghiduri pentru profilaxia antibiotică. Recomandările se bazează pe experienţe clinice şi cercetări, precum şi pe opinia experţilor. Articolul de faţă rezumă cele mai recente instrucţiuni, astfel încât deciziile informate să fie în interesul pacienţilor şi al practicienilor.
Apare în locaţii cu distrucţia celulelor endoteliale la nivelul inimii ca rezultat al unei interacţiuni în locaţia afectată între plachete şi moleculele matriceale şi agentul patogen din circulaţia sanguină. Fluxul sanguin turbulent cauzat de afecţiunea cardiacă dobândită sau congenitală – precum fluxul sanguin dintr-o cameră cu presiune crescută spre una cu presiune redusă sau printr-un orificiu îngust—traumatizează endoteliul.
Endocardita trombotică nonbacteriană (Nonbacterial thrombotic endocarditis, NBTE) se poate dezvolta dacă plachetele şi fibrina se depozitează pe suprafaţa endotelială afectată. Endocardita infecţioasă apare dacă NBTE se colonizează cu patogeni proveniţi din bacteriemia tranzitorie indusă de procedurile invazive, inclusiv procedurile stomatologice. Streptococul viridans este prezent în flora normală a pielii, în cavitatea orală, flora respiratorie şi tractul GI. Este responsabil pentru cel puţin 50% din cazurile de EI în populaţia dependentă de medicaţie non-intravenoasă. În literatura de specialitate s-a raportat bacteriemia tranzitorie ce urmează după manipularea dinţilor şi manevrele stomatologice. Procedurile au inclus extracţia dentară (10-100%), chirurgia

parodontală (35-88%), detartrajul şi planarea radiculară (80-98%), igienizarea dinţilor (până la 40%), şi procedurile endodontice (până la 20%). Bacteriemia tranzitorie apare, de asemenea, şi în cursul activităţilor zilnice de rutină, incluzând periajul dentar şi folosirea aţei interdentare (20-68%), a scobitorilor (20-40%), duşului bucal (7-50%) şi mestecarea alimentelor (7-51%). De aceea, apariţia bacteriemiei după activităţile zilnice este de departe mai frecventă decât bacteriemia ce urmează vizitelor dentare de două ori pe an. Frecvenţa endocarditei raportată după procedurile dentare sau medicale variază între 3-62%. Studiile sugerează că peste 700 specii de bacterii – inclusiv microorganisme aerobe şi anaerobe gram pozitive şi negative - trăiesc în cavitatea bucală, îndeosebi pe dinţi şi în şanţurile gingivale. Grupa streptococilor viridans corespunde unei ponderi de 30% din flora şanţului crevicular.
În urmă cu peste 80 ani s-a sugerat că igiena orală slabă şi afecţiunile dentare reprezentau un factor mai important ca şi cauză a EI, decât procedurile dentare. Studiile ulterioare s-au concentrat în schimb asupra riscurilor bacteriemiei asociate cu procedurile dentare. Abilitatea antibioticelor preoperator să prevină sau să reducă frecvenţa, magnitudinea sau durata bacteriemiei asociate cu o procedură dentară este controversată. Literatura sugerează că profilaxia nu elimină bacteriemia, dar reduce incidenţa, natura şi durata acesteia indusă stomatologic. Cu toate acestea, nu există date care să demonstreze că o asemenea reducere ca rezultat al terapiei cu amoxicilină ar diminua riscul sau ar preveni EI. Nu există studii prospective randomizate controlate cu placebo privind eficacitatea profilaxiei pentru a preveni EI la pacienţii stomatologici.
Van der Meer şi colab au raportat că procedurile dentare şi de altă natură au cauzat probabil doar o mică fracţiune din cazurile de EI şi profilaxia ar preveni doar un număr redus de cazuri. În 1998, Strom şi colab au raportat că
Valvă cardiacă protetică
Endocardită infecţioasă anterioară
Boli cardiace congenitale (CHD) *:
a) CHD cianotică neredresată, inclusiv shunt-uri şi canale paliative
b) Defect cardiac congenital complet redresat cu material sau dispozitiv protetic, plasat fie chirurgical, fie prin cateterism, în perioada primelor 6 luni de la procedură
c) CHD redresată cu defecte reziduale, local sau adiacent locaţiei unui plasture sau dispozitiv protetic (care inhibă endotelizarea)
Beneficiari ai transplantului cardiac care dezvoltă valvulopatie cardiacă
Tabelul 1. Lista stărilor cardiace ce necesită profilaxie antibiotică.
*Afecţiunile cardiace congenitale nemenţionate nu au nevoie de profilaxie cu antibiotice
Amoxicilină
Adulţi: 2g
Copii: 50mg/kg
oral cu 1 oră înaintea procedurii
Clindamicină
Adulţi: 600mg
Copii: 20mg/kg
oral cu 1 oră înaintea procedurii sau
Azitromicină sau claritromicină
Adulţi: 500mg
Copii: 15mg/kg
oral cu 1 oră înaintea procedurii
Pentru pacienţii care nu pot utiliza medicaţiile orale:
Ampicilină
Adulţi: 2g IM sau IV
Copii: 50mg/kg IM sau IV
în interval de 30 minute înaintea procedurii sau
Cefazolină
Adulţi: 1g IM sau IV
Copii: 25mg/kg IM sau IV
în interval de 30 minute înaintea procedurii
Pentru pacienţii care nu pot utiliza medicaţiile orale: Clindamicină 600mg IV cu 1 oră înainte de procedură
Tabelul 2. Regimurile antibiotice pentru o procedură stomatologică.
tratamentul dentar nu reprezenta un factor de risc pentru EI, chiar şi la pacienţii cu afecţiuni cardiace valvulare. Roberts şi colab au estimat că periajul dentar de două ori pe zi timp de 1 an a prezentat un risc de expunere la bacteriemie de 154.000 de ori mai mare decât cel rezultat dintr-o singură extracţie dentară. Condiţiile cardiace asociate cu cel mai mare risc al unui rezultat advers din endocardită sunt listate în Tabelul 1; regimurile antibiotice sunt prezentate în Tabelul 2.
Recomandările AHA privind profilaxia cu antibiotice
Proceduri şi dispozitive pentru care nu se recomandă profilaxia antibiotică
Profilaxia antibiotică nu este necesară în cazul următoarelor proceduri: injec-
ţii anestezice de rutină prin ţesuturi neinfectate, efectuarea radiografiilor dentare; nici în cazul aplicării dispozitivelor protetice sau ortodontice mobilizabile, ajustării dispozitivelor ortodontice şi plasării bracket-urilor ortodontice. Nu este necesară nici în cazul extracţiei dinţilor temporari sau a hemoragiilor posttraumatice de la nivelul buzelor şi mucoasei orale.
Profilaxia antibiotică nu este necesară pentru următoarele dispozitive: stimulatori şi cardioverter - defibrilator implantabil, grefe vasculare protetice, grefe vasculare protetice pentru hemodializă, balon intra-aortic de contrapulsaţie, angiografia coronariană şi intervenţia percutană asupra arterei coronariene, stent-uri ale arterei coronariene, dispozitive de închidere vasculară, proteza carotidiană Dacron, filtre


















special blade and better sharpness compact, easy to use and very efficient less risk of perforation thanks to inactive point top results in minimum time designed with front professionals




PRODUCER MEDIN, a.s. Vlachovická 619 592 31 Nové Město na Moravě Czech Republic +420 566 684 373 export@medin.cz www.medin.eu
















pentru vena cavă, stent-uri vasculare periferice, dispozitive pentru ductul arterial patent, ocluzia defectului septal atrial şi al defectului septal ventricular, infecţii ale shunt-ului ventriculo-atrial şi infecţii ale liniei de sutură cardiacă.
Conform AHA, profilaxia antibiotică nu este recomandată după aplicarea dispozitivelor pentru pacienţii care sunt supuşi procedurilor dentare, respiratorii, gastrointestinale sau genitourologice sau după alte proceduri invazive la pacienţii cu aparate implantate în organism. Pe baza dovezilor actuale, chirurgia cu grefe bypass coronariene nu se asociază cu risc de infecţii pe termen lung; de aceea, nu se impune profilaxie. Nu se recomandă nici în cazul pacienţilor cu stent-uri la nivelul arterelor coronariene. Instrucţiunile AHA publicate actualmente referitoare la profilaxia antibiotică pentru leziunile cardiace congenitale rămân aplicabile. Deşi pacienţii sever imunocompromişi ca rezultat al afecţiunii de bază sau al unui tratament imunosupresiv prezintă un risc crescut la infecţii, profilaxia antibiotică nu se recomandă în general, pentru că imunosupresia nu este un factor de risc independent pentru infecţiile dispozitivelor nonvalvulare.
Recomandări pentru pacienţii aflaţi sub tratament antibiotic
Pacienţii care iau deja antibiotice din alte motive – îndeosebi penicilină pentru profilaxia febrei reumatice – trebuie să primească un agent dintr-o clasă diferită pentru profilaxia endocarditei: fie clindamicină, fie azitromicină. Este de preferat ca o procedură dentară să se amâne cel puţin cu 10 zile după terminarea terapiei antibiotice pentru a permite restabilirea florei orale obişnuite.
Recomandări pentru pacienţii dentari cu proteze articulare totale În februarie 2009, Academia Americană a Chirurgilor Ortopezi (AAOS) recomandă utilizarea pe toată durata vieţii a profilaxiei înainte de orice procedură
Toţi pacienţii cu substituţia cu proteze a articulaţiilor
Pacienţi cu infecţii anterioare ale protezelor articulare
Pacienţi imunocompromişi / imunosuprimaţi (stare indusă de medicaţie sau radiaţii)
Pacienţi cu artropatii inflamatorii (artrita reumatoidă, lupus sistemic eritematos)
Pacienţi cu comorbidităţi (diabet, obezitate, HIV, fumat)
Pacienţi subnutriţi
Hemofilici
Pacienţi infectaţi cu HIV
Pacienţi cu neoplasme
Pacienţi cu mega-proteze
Tabelul 3. Categorii AAOS de pacienţi cu risc crescut pentru infecţii articulare.
Recomandarea 1. Practicianul poate lua în considerare întreruperea practicii de a prescrie de obicei antibiotice profilactice pentru pacienţii cu implante protetice articulare de şold şi genunchi care sunt supuşi procedurilor dentare.
Valoarea recomandării: limitată. O recomandare limitată înseamnă faptul că dovezile de susţinere au o calitate neconvingătoare, sau că studiile bine conduse demonstrează puţine avantaje clare ale unei abordări faţă de alta.
Practicienii ar trebui să fie precauţi în a decide dacă să urmeze recomandările clasificate ca fiind limitate şi ar trebui să îşi exercite judecata şi să fie atenţi la publicaţiile care raportează dovezi. Preferinţa pacientului ar trebui să aibă un rol de influenţă substanţial.
Recomandarea 2. Imposibilitatea de a recomanda în favoarea sau împotriva utilizării antimicrobienelor orale topice la pacienţii cu implante articulare protetice sau alte implante ortopedice care urmează să fie supuşi procedurilor dentare. Valoarea recomandării: neconcludentă. O recomandare neconcludentă înseamnă că lipsesc dovezile convingătoare, ceea ce duce la o balanţă incertă între beneficii şi posibilele riscuri. Practicienii ar trebui să fie prudenţi în a decide dacă să urmeze recomandarea etichetată drept neconludentă şi trebuie să îşi exercite judecata şi să fie atenţi la publicaţiile viitoare care clarifică dovezile existente pentru determinarea raportului beneficii versus potenţiale riscuri. Preferinţele pacientului ar trebui să aibă un rol de influenţă semnificativ.
Recomandarea 3. În absenţa dovezilor fiabile care să coreleze sănătatea orală slabă cu infecţiile protezelor articulare, în opinia grupului de lucru pacienţii cu proteze articulare sau alte implante ortopedice îşi menţin igiena orală corespunzătoare.
Valoarea recomandării: consens. O recomandare consens înseamnă că opinia expertului susţine recomandarea ghidului, chiar dacă nu există dovezi empirice care să îndeplinească criteriile de includere.
Practicienii ar trebui să fie flexibili în a decide dacă să urmeze o recomandare clasificată drept consens, deşi ei pot stabili limite privind alternativele. Preferinţele pacienţilor ar trebui să aibă un rol de influenţă substanţial.
Tabelul 4. Recomandările principale din cadrul ghidului ADA–AAOS 2012 privind prevenirea infecţiei implantelor ortopedice la pacienţii supuşi procedurilor stomatologice*
*Adaptat şi modificat după Academia Americană a Chirurgilor Ortopezi; Asociaţia Dentară Americană. Prevenirea infecţiilor implantelor ortopedice la pacienţii supuşi procedurilor dentare: ghid bazat pe dovezi şi raport de dovezi. Prima ediţie. Publicat de Academia Americană a Chirurgilor Ortopezi; Rosemont, IL: 2012.
invazivă care poate cauza bacteriemie (Tabelul 3). Aceste recomandări au ridicat controverse pentru că: nu a reuşit să ofere suficiente dovezi în privinţa necesităţii profilaxiei; utilizarea excesivă a antibioticelor poate accentua dezvoltarea rezistenţei la antibiotice; şi lipseau dovezile care să demonstreze că profilaxia este utilă în prevenirea infecţiilor la distanţă.
Dr. Stoopler & Dr. Sollecito precizează noile recomandări emise de ADA & AAOS în 2012 care înlocuiesc toate ghidurile anterioare (Tabelul 4).
Profilaxia nu este recomandată doar pe baza unui risc crescut pe viaţă al dezvoltării EI. Potenţialul beneficiu al profilaxiei trebuie pus în balanţă cu riscurile cunoscute legate de toxicitatea, alergia şi dezvoltarea rezistenţei microbiene faţă de antibiotice. Bacteriemia apare în contextul activităţilor de rutină, inclusiv al periajului dentar. Instrucţiunile clinice sunt benefice dar trebuie să se bazeze pe cauze şi efect, prin înţelegerea raţionamentului fiecărei prescrieri. ¤










Propofol: An Overview of Its Risks and Benefits by Mana Saraghi, DMD; Victor M. Badner, DMD, MPH; Leonard R. Golden, MD; and Elliot V. Hersh, DMD, MS, PhD. Originally published in Compendium of Continuing Education in Dentistry 34(4) April 2013. Copyright © 2013 to AEGIS Communications. All rights reserved.
Despre autori
Mana Saraghi, DMD Instructor
Division of Pediatric Dentistry and Dept of Periodontics
University of Pennsylvania School of Dental Medicine Philadelphia, Pennsylvania Former Chief Resident Dental Anesthesiology
Victor M. Badner, DMD, MPH Chairman Department of Dentistry
Leonard R. Golden, MD Chairman Department of Anesthesiology
Jacobi Medical Center Bronx, New York
Elliot V. Hersh, DMD, MS, PhD Director Division of Pharmacology and Therapeutics Professor Oral and Maxillofacial Surgery and Pharmacology University of Pennsylvania School of Dental Medicine Philadelphia, Pennsylvania


Comercializat ca Diprivan®, propofolul este un agent de inducţie a anesteziei generale (AG) frecvent utilizat. Administrat intravenos şi cu acţiune de scurtă durată, este etichetat de Administraţia Alimentelor şi Medicamentelor SUA (FDA) drept un medicament cu prescripţie pentru uz în medicina umană şi veterinară.
Agenţia pentru Combaterea Drogurilor din SUA (DEA) încă nu a actualizat clasificarea propofolului ca fiind o substanţă controlată. Totuşi, datorită ratei crescute de abuz al propofolului în rândul medicilor şi după decesul artistului Michael Jackson din 2009, căruia i s-a administrat substanţa pentru a trata insomnia, DEA ia în considerare schimbarea încadrării în aceaşi categorie cu benzodiazepinele cu potenţial de abuz.
Decesul lui Jackson a determinat publicul şi personalul medical să conştientizeze că propofolul este un medicament cu potenţial de abuz ce prezintă o marjă de eroare foarte îngustă când este manevrat necontrolat. În schimb, în mâini profesioniste, propofolul poate fi un instrument valoros în obţinerea sedării profunde sau a sedării generale, cu instalare şi recuperare rapidă. Cu toate acestea, dacă se administrează de către persoane nepregătite în anestezie sau operatori-sedatori care nu monitorizează îndeaproape semnele vitale şi debitul respirator, utilizarea medicamentului poate provoca decesul. Potenţialul abuzului de propofol a fost sugerat în cadrul studiilor pe animale, ce au demonstrat niveluri endogene de anandamide canabinoide crescute (un
Cu o toleranţă mică la eroare şi rapoartele recente privind abuzurile şi decesele, propofolul, un agent de inducţie a AG utilizat frecvent, a stârnit dezbateri cu privire la modul de utilizare. Când se abuzează, există risc de dependenţă psihologică. Când se foloseşte pentru sedare, propofolul poate prezenta riscuri pentru complicaţii cardiace şi respiratorii. Cu un profil farmacocinetic atractiv de instalare şi inactivare rapidă, propofolul are locul său în cadrul îngrijirii medicale şi dentare.
compus endogen asemănător marijuanei), precum şi o activitate intensă a circuitului de recompensă mezocorticolimbic de la nivelul creierului după administrarea de medicamente cu potenţial de abuz. Dozele anestezice şi subanestezice ale propofolului deopotrivă cresc concentraţiile de dopamină, care explică activarea circuitului de recompensă. Este dovedit că dozele subanestezice de propofol generează o stare de relaxare, euforică.
Propofolul prezintă un risc clar de dezvoltare a dependenţei psihologice; totuşi, semnele clare de dependenţă fizică manifestate de obicei ca un sindrom de sevraj în urma întreruperii bruşte a medicaţiei nu au fost bine caracterizate. Această dependenţă s-a observat doar în cazul abuzatorilor, dar nu şi al pacienţilor cărora li se administrează în mod legal medicamentul pentru situaţii acute (inducţia AG sau procedura de sedare într-un singur timp). Sunt disponibile date limitate cu privire la toleranţa şi sevrajul în rândul abuzatorilor de propofol.

NIVEL DE SEDARE RĂSPUNS
MINIMĂ
MODERATĂ
PROFUNDĂ
Normal, la comandă verbală
La comandă verbală intenţionată şi/sau uşoară stimulare tactilă
La comandă intenţionată cu stimulare repetată sau dureroasă. Nu este uşor reversibilă
ANESTEZIE GENERALĂ Nereversibil, chiar şi la stimuli dureroşi
În ultimii 30 ani (Wischmeyer şi colab), s-a raportat o creştere de 5 ori a ratei abuzului de propofol, în timp ce rata abuzului de opioide a rămas relativ constantă. Deşi abuzul de opioide cu medicaţie analgezică aprobată de FDA ce conţine hidrocodonă şi oxicodonă este încă frecvent şi devine o problemă tot mai mare în rândul persoanelor tinere, rata crescândă a abuzului de propofol este îngrijorătoare datorită riscului crescut de fatalitate. DEA a observat o rată a mortalităţii de 28% în rândul anesteziştilor care abuzau de medicament. În absenţa administrării supravegheate medical şi a intervenţiei asupra căilor aeriene, efectele necruţătoare ale depresiei respiratorii şi apneea pot provoca decesul.
Manualul de Acreditare Comprehensivă a Comisiei Mixte pentru Îngrijirea Ambulatorie a definit patru niveluri de sedare şi anestezie: sedarea minimă (anxioliză); sedarea moderată (cunoscută anterior ca sedare conştientă); sedarea profundă; şi anestezia generală (AG). TABELUL 1 ilustrează că pe măsură ce pacientul progresează de la niveluri minime ale sedării spre cele profunde, depresia SNC şi cea CV
PROPOFOLUL: RISCURI ŞI BENEFICII
SISTEM RESPIRATOR SISTEM CV DETERIORARE
Neafectat
Neafectat
Poate necesita asistenţă în menţinerea permeabilităţii căilor aeriene. Ventilaţia spontană poate fi inadecvată
Afectat. Necesită asistenţă în menţinerea căilor aeriene permeabile şi poate fi necesară ventilaţia cu presiune pozitivă
Neafectat Funcţia cognitivă şi coordonarea
De obicei menţinut Funcţia cognitivă şi coordonarea
De obicei menţinut Depresia conştienţei
Poate fi afectat Inconştienţă
devin tot mai pronunţate, iar abilitatea clinicianului de a menţine permeabilitatea căilor aeriene devine tot mai afectată. Adăugarea dozelor terapeutice de propofol la regimurile de sedare conştientă convenţionale (ex. fentanil şi midazolam titrat până la obţinerea efectului) va duce invariabil cel puţin la un nivel profund de sedare.
Propofol (2,6-diizopropilfenol) este un compus alchifenolic liposolubil constând dintr-un inel de fenol cu două grupări izopropilice. Se consideră că mecanismul său de acţiune implică o interacţiune cu structuri specifice asupra membranei postsinaptice, care duce la o disociere redusă a neurotransmiţătorului inhibitor, acidul gama-aminobutiric (GABA) din receptorul GABA localizat în SNC. În plus, propofolul deschide în mod direct canalul de cloruri, independent de GABA, care reprezintă o acţiune similară cu cea a acizilor butirici precum metohexital şi ar putea explica parţial curba sa mult mai abruptă a răspunsului la doză comparativ cu cea a benzodiazepinelor. Niciun agent de inversare nu este disponibil pentru propofol.
1
Profilul farmacocinetic face ca propofolul să fie o substanţă atractivă pentru anestezia generală a pacienţilor ambulatori şi cazurile de sedare profundă. Instalarea este rapidă datorită lipofilităţii crescute a medicamentului. Se metabolizează în ficat unde este conjugat în acid glucuronic inactiv, hidrosolubil şi în metaboliţi sulfatici. Metabolismul extrahepatic prin plămâni a fost implicat datorită clearance-ului medicaţiei ce depăşeşte fluxul sanguin. Metaboliţii sunt excretaţi în principal pe cale renală. Ciroza moderată şi insuficienţa renală cronică nu modifică semnificativ profilul farmacocinetic al medicamentului.
Pentru sedare dozele medicamentului se pot titra până la efect pentru că substanţa se administrează IV. O infuzie de propofol se poate menţine la nivelul dorit de sedare sau anestezie în timpul unei proceduri chirurgicale sau pentru a menţine pacientul sedat corespunzător pentru a rămâne intubat într-o unitate de terapie intensivă.
Pentru ca un pacient să fie trezit din anestezie, concentraţia plasmatică de propofol trebuie să fie redusă la jumătate. Timpul iniţial de înjumătăţire a distribuţiei sau clearance-ul din
componenta centrală este rapidă şi poate fi de numai 2-8 minute dintr-o singură doză administrată în bolus. Aceasta explică recuperarea relativ rapidă după medicaţie. Timpul de înjumătăţire sensibil la context care urmează după o infuzie cu durata sub 8 ore este sub 40 minute.
Deşi propofolul are un profil farmacocinetic atractiv de instalare şi anulare rapidă, profilul farmacodinamic sau efectele sale asupra SNC şi sistemului CV trebuie respectate iar utilizarea sa trebuie rezervată doar medicilor anestezişti. Propofolul cauzează depresie respiratorie profundă şi dependenţă de doză. O doză de inducţie va conduce în mod normal la apnee. Transmisia respiratorie hipoxică este inhibată şi răspunsul ventilator la hipercarbie (nivel CO2 crescut) este diminuat. Mai mult, ambele efecte respiratorii apar la dozele de infuzie subanestezice administrate pentru sedarea conştientă.
Efectul CV principal al propofolului este hipotensiunea, ce duce la o rezistenţă vasculară sistemică diminuată (şi prin inhibarea vasoconstricţiei mediate simpatic), preîncărcare şi contractibilitate cardiacă. Hipotensiunea este mai pronunţată când medicamentul se administrează rapid sau în doze mari sau când se foloseşte la pacienţii vârstnici. De asemenea, reflexul baroreceptor la hipotensiune este drastic afectat. De aceea, propofolul cauzează o reducere a ratei cardiace şi a debitului cardiac.
Asemenea diminuări pot fi tranzitorii şi tolerate de pacienţii sănătoşi, dar dacă sunt suficient de severe, pot duce la asistolie, îndeosebi la pacienţii care iau medicaţie cronotropă negativă, precum ß-blocanţi şi la pacienţii la vârste extreme. Este demn de menţionat, totodată, că pacienţii nu dezvoltă toleranţă după infuzia medicamentului pe termen lung şi astfel pot dezvolta depresie respiratorie şi cardiovasculară semnificativă fără să necesite doze mari de propofol.
Propofolul prezintă o serie de caracteristici unice. Deşi poate apărea eliberarea histaminei, wheezing-ul este mai puţin frecvent în cazul propofolului decât în cazul altor agenţi IV de inducţie cu acţiune scurtă, precum barbituricele şi etomidatul; propofolul nu este contraindicat la pacienţii cu astm bronşic. Propofolul are, de asemenea, proprietăţi antipruriginoase şi antiemetice. Pacienţii supuşi AG indusă cu propofol pot manifesta ocazional activitate motorie excitantă, cunoscută şi sub denumirea de mioclonie nonepileptică, care poate include spasme musculare şi sughiţuri.
Obiectiv 1: identificarea profilului farmacocinetic şi al toxicologiei propofolului
şi stabilirea categoriei de pacienţi care nu pot utiliza această medicaţie.
Propofolul are totuși proprietăţi anticonvulsivante; astfel, nu este contraindicat la pacienţii cu convulsii şi este folosit pentru încetarea statusului epileptic. Propofolul a fost formulat iniţial cu surfactantul Cremophor EL asociat însă cu o incidenţă crescută de anafilaxie. Formularea actuală a propofolului este disponibilă numai pentru administrarea IV sub forma unei emulsii de lecitină şi ou, care oferă un vehicul lipidic pentru medicament în faza apoasă. De aceea, este pertinentă considerarea reacţiilor alergice la medicament sau la vehiculul său lipidic. Avertismentele legate de propofol diferă pe plan mondial în privinţa alergiilor alimentare, în special la ou şi soia; totuşi, SUA nu deţine nicio avertizare de alergie alimentară pentru acest medicament. Emulsia constă în ulei de soia 10%, glicerină 2,25% şi fosfatidă B de ou 1,2%. În mod tipic, această emulsie de ulei-în-apă poate produce durere la locul injectării, ce se poate diminua prin administrarea lidocainei
IV fie imediat înainte de injecţia cu propofol, fie prin amestecarea propofolului într-o seringă cu lidocaina. Totuşi, trebuie calculată cu atenţie doza de licodaină IV pentru a evita toxicitatea sistemică a anestezicului local, îndeosebi la pacienţii pediatrici. Lecitina de ou, care se extrage din albuşul de ou, este un stabilizator şi emulsificator în numeroase produse preparate. Din cele nouă proteine de albuş, doar două sunt cunoscute a fi alergene şi nu e clar dacă acestea se găsesc în lecitina de ou. Un studiu a utilizat înţepătura cutanată şi testarea intradermică cu propofol şi vehiculul lipidic la pacienţii cu alergie la ou şi a demonstrat rezultate negative. Alergiile la alune sunt îngrijorătoare datorită posibilei reactivităţi încrucişate cu soia. Un alt studiu a raportat că o alergie la alune independentă de alergia la soia sau la ouă nu reprezintă o contraindicaţie la propofol, concluzionând că propofolul se poate administra în siguranţă la majoritatea copiilor cu alergie la ou, dar fără anafilaxie severă la ou. Erau însă necesare informaţii mai multe pentru alergiile la soia şi alune, respectiv la propofol.
Întrucât reacţiile de hipersensibilitate de tipul 1 se agravează la expunerea ulterioară şi nu sunt dependente de doză, este important să se ia în considerare că o persoană alergică la ou poate fi predispusă la o reacţie mai severă dacă se administrează propofol. În plus, cele două grupe de izopropil şi gruparea de fenol pot fi epitopi antigenici de sensibilizare ai propofolului în sine. În opinia autorilor pacienţii cu alergii la ouă şi/sau soia nu ar trebui să primească acest medicament.
Întrucât sedarea cu propofol este de obicei profundă, practicianul trebuie să fie pregătit să salveze pacientul de la următorul nivel de sedare, reprezentat de anestezia generală (AG). În mod interesant, în decembrie 2009, Centers for Medicare and Medicaid Services
(CMS) a emis o declaraţie care afirma că anesteziologul, asistentul anestezist certificat sau furnizorul pregătit în anestezie, recunoscuţi de legea statală, pot administra sedarea profundă, dar nu se pot implica în performanţa procedurii în sine. Politica CMS “s-a aplicat în spitale, dar niciodată nu s-a emis pentru centrele chirurgicale ambulatorii, care în mod logic ar avea mai puţini experţi pentru a salva pacienţii suprasedaţi din greşeală”. Acest aspect este extrem de relevant pentru sedarea în cabinetul dentar, unde medicul dentist poate fi un operator sedator.
Deşi propofolul are avantaje atractive unice, precum instalarea rapidă şi inactivarea urmată de un senzorial clar, FDA menţine faptul că unicele riscuri ale propofolului şi cerinţele de gestionare a acestor riscuri face din acesta un medicament inacceptabil pentru administrarea de către un operator-sedator care nu este anestezist. Propofolul are un indice terapeutic îngust, însemnând că intervalul dozei pentru a atinge în siguranţă nivelul de sedare dorit este redus. Este uşor pentru un pacient să ajungă cu propofolul la un nivel de sedare mai profund decât cel intenţionat. Fiind un medicament potent, cu acţiune rapidă, este posibil pentru pacient să intre în AG cu o singură doză IV în numai 30 secunde. Variabilitatea interpersonală în metabolismul medicamentului este de aproximativ 20 ori, deci o doză se poate metaboliza rapid la un individ, iar aceeaşi doză se poate metaboliza mai lent la un alt pacient, riscând profunzimea anesteziei mai accentuată decât cum ar intenţiona original practicianul. Nu există niciun agent de inversare (antagonist al receptorului) pentru acest medicament, spre deosebire de benzodiazepine şi opioide care au flumazenil, respectiv naloxona. Riscurile severe ale propofolului includ obstrucţia parţială sau completă a căilor aeriene, apneea şi scăderile marcate ale tensiunii arteriale. Hipotensiunea rezultantă şi desaturaţia oxigenului arterial se poate manifesta brusc şi
poate ameninţa viaţa pacientului dacă nu se efectuează intervenţiile adecvate pentru a atenua aceste efecte. Deşi este adevărat că o metodă de combinaţie pentru sedare formată din benzodiazepine, opioide şi alte hipnotice sedative (precum propofolul) poate oferi avantaje terapeutice pentru fiecare clasă de medicamente (cu reducerea concomitentă a reacţiilor adverse în cazul administrării unor doze mai mari din oricare din aceste medicamente individual), această abordare nu previne depresia respiratorie şi nu oferă nicio garanţie pentru o doză suplimentară de siguranţă pentru pacienţi. Asemenea combinaţii de medicamente pot fi atrăgătoare, căci benzodiazepinele oferă anxioliză şi amnezie, iar opioidele asigură analgezie. Cu toate acestea,
Obiectiv 2: discutarea problemelor care decurg din creşterea numărului de rapoarte privind abuzul şi decesul asociat cu dozele subanestezice de propofol.
toate cele trei categorii de medicamente pot cauza depresie respiratorie. De fapt, un asemenea regim poate potenţa depresia respiratorie indusă de toate cele trei categorii medicamentoase, în pofida utilizării unei doze mai mici de propofol.
Benzodiazepinele joacă un rol cheie în arsenalul practicienilor dentari operatori-sedatori cu pregătire în anestezia negenerală. Benzodiazepinele au efecte anxiolitice şi amnezice cu depresie mai redusă cardiacă, respiratorie şi la nivelul SNC decât opioizii din propofol. Benzodiazepinele se pot titra până la efect şi există agent de inversare: flumazenil. Această metodă de sedare se poate suplimenta cu opioide, ce conferă analgezie şi potenţează celelalte sedative, deşi suplimentarea unui opioid creşte în mod invariabil riscul depresiei respiratorii. Suprasedarea cu
opioizi se poate antagoniza cu naloxona, dar utilizarea sa ar trebui rezervată clinicienilor calificaţi deoarece depresia respiratorie poate reapărea întrucât agenţii de inversare au timpi de înjumătăţire mai scurţi decât ai medicaţiilor agoniste, ceea ce este deosebit de îngrijorător dacă s-au administrat doze multiple de agonişti.
Deşi sedarea uşoară spre moderată poate asigura anxioliză, analgezie şi amnezie suficientă pentru mulţi pacienţi, alţi pacienţi pot necesita sedare mai profundă sau AG. Poate fi atractivă obţinerea unei profunzimi mai mari de anestezie cu mai mulţi agenţi potenţi, dar s-ar putea dovedi periculoasă în mâini greşite. Potrivit ADA, “medicamentele şi/sau tehnicile utilizate pentru sedarea conştientă ar trebui să aibă o marjă de siguranţă suficient de largă pentru a face improbabilă pierderea neintenţionată a conştienţei.” În unele state, practicarea inducţiei prin inhalare sau IV cu agenţi precum sevofluranul, metohexital, ketamina, propofolul şi remifentanilul este restricţionată, fiind permisă doar celor cu permis pentru AG. Raţionamentul acestei decizii luate la nivel de stat, precum şi cel al FDA când a emis eticheta de avertizare asupra propofolului, constă în faptul că utilizarea unor asemenea medicamente implică provocări unice.
Un dentist operator-sedator care administrează propofol ar avea două responsabilităţi – procedura dentară şi sedarea profundă. Sedarea profundă necesită monitorizare, menţinerea căilor aeriene şi susţinerea stabilităţii hemodinamice. Mai mult, operatorul ar fi predispus să crească administrarea medicamentului pentru a atenua reacţia pacientului la stimulii dureroşi acuţi. Pacientul poate intra în AG dacă se administrează o cantitatea prea mare de substanţă sau dacă se înlătură stimulul dureros.
Alţii susţin că utilizarea ketaminei în combinaţie cu propofolul poate atenua o parte din efectele adverse nedorite precum obstrucţia căilor aeriene.




Unitatea de afișaj color TFT cu informații clare și ușor de citit permite managementul intuitiv al unit-ului dentar. Toți parametrii instrumentului pot fi gestionați și stocați pentru 3 utilizatori independenți.


LAMPA VENUS LED
Lampă de lucru cu sursă de lumină LED ce oferă durată lungă de viață și consum foarte redus de energie. Permite o rotație pe 3-axe pentru iluminarea perfectă a zonei de operare,

Scaunele exclusive ale sistemului Skema6 sunt concepute pentru o poziție de lucru cât mai corectă și sănătoasă cu multiple posibilități de reglaj. SCAUNE
Oltarului nr. 4, sector 2, 020765,
Aceste afirmaţii pot părea ispititoare, dar utilizarea a doi agenţi de inducţie nu este mai sigură decât a unuia singur. Ketamina oferă analgezie fără risc crescut de apnee, crescând tensiunea arterială şi ratele cardiace. Aceste efecte se opun depresiei CV şi respiratorii induse de propofol. Cu toate acestea, ketamina amplifică secreţiile căilor aeriene, provoacă greţuri şi vărsături şi se asociază cu agitaţie în timpul recuperării. În cadrul unuia dintre cele mai mari studii randomizate, dublu-oarbe privind sedarea procedurală de urgenţă, incidenţa evenimentelor respiratorii adverse la pacienţii sedaţi doar cu propofol versus ketamină şi propofol a fost identică. Propofolul a atenuat emeza cauzată de ketamină; cu toate acestea, timpul de inducţie şi de sedare erau similare la ambele grupe.
Apneea poate rezulta şi din administrarea rapidă a ketaminei, chiar şi în absenţa propofolului. De fapt, depresia respiratorie subclinică s-a observat într-o mare proporţie a adulţilor care au primit doar ketamină. Mai mult, s-a observat o incidenţă uşor mai mare a complicaţiilor căilor aeriene când ketamina s-a administrat în doze mai mari sau când ketamina s-a administrat cu anticolinergice şi/sau benzodiazepine pentru a preveni secreţiile ce pot irita tractul respirator sau, respectiv pot declanşa apariţia agitaţiei.
Este prudent să se rezerve administrarea agenţilor de inducţie şi a combinaţiilor de agenţi inductori de către specialiştii anestezişti care sunt competenţi în managementul hemodinamic şi al căilor aeriene.
FDA deţine etichete de avertizare specifice pentru propofol, menţionate în prospect, care afirmă: “Pentru AG sau sedarea anestezică monitorizată, emulsia injectabilă de DIPRIVAN trebuie administrată doar de către persoane pregătite în administrarea anesteziei generale şi neimplicate în coordonarea procedurii chirurgicale/diagnostice.”
Colegiul American de Gastroenterologie a formulat o petiţie pentru anularea acestei etichete de avertizare, dar în 2010 FDA a respins această cerere din mai multe motive valide.
Pe măsură ce necesitatea sedării creşte, practicienii dentari pot învăţa din decizia luată de FDA. Deşi aparent, personalul cu competenţă în sedarea moderată IV poate administra o sedare profundă, ar fi nesigură încercarea sedării cu propofol datorită lipsei educaţiei de specialitate cuplată cu abilitatea medicamentului de a induce depresia respiratorie profundă şi pierderea permeabilităţii căilor aeriene. În USA, medicii dentişti sau chirurgi
sever, alergici la anestezice locale sau în cazul procedurilor invazive, prelungite. Sedarea conştientă sau moderată fără utilizarea propofolului este eficientă pentru majoritatea pacienţilor dacă se realizează de personal adecvat pregătit. Cu excepţia pacienţilor cu alergii la anestezice locale pe bază de amide, anestezia locală profundă este încă necesară în cadrul oricărui regim de sedare. O anestezie locală inadecvată nu trebuie compensată printr-o sedare mai profundă sau AG.
Deşi medicamente precum propofolul conferă sedare mai profundă cu instalare şi inactivare mai rapidă, riscurile de depresie CV profundă, obstrucţie
Obiectiv3: explicarea importanţei administrării și a monitorizării propofolului la pacienți de către specialiștii cu competență în anestezie generală.
OMF obţin competenţa în anesteziologie după practicarea a cel puţin 500 administrări de AG. Chiar în asemenea condiţii de educaţie corespunzătoare în cadrul comunităţii dentare, doar medicii specialişti anestezişti pot administra o sedare profundă în condiţii de siguranţă, având abilitatea de a recunoaşte şi atenua orice complicaţii, cum ar fi menţinerea permeabilităţii căilor aeriene, ventilaţia şi stabilitatea hemodinamică la un spectru larg de pacienţi. Mai mult, Societatea Americană a Anesteziologilor (ASA) a recunoscut potenţialul profund al depresiei respiratorii şi chiar al decesului, impunând monitorizarea obligatorie a dioxidului de carbon expirat la finalul administrării în cazul oricărei sedări moderate, sedări profunde sau AG administrate unui pacient.
Deşi managementul comportamental este calea cea mai sigură dpdv fiziologic pentru ameliorarea anxietăţii la pacienţii dentari, unii necesită sedare conştientă. Această categorie include copiii mici, adultul dento-fobic, pacienţii compromişi medical şi cei cu nevoi speciale, cei cu reflex de vomă
a căilor aeriene şi apnee necesită administrarea doar de către medicii anestezişti, aceştia având abilitatea de a identifica şi trata rapid aceste probleme ce pot apărea în manieră precipitată. Spre deosebire de gastroenterologi, dentiştii au înregistrat o rată de mortalitate redusă în rândul pacienţilor cu anestezie ambulatorie. Gastroenterologii au raportat 52 mortalităţi per 1048 practicieni pe o perioadă de 2 ani; mortalitatea asociată cu AG efectuată de chirurgii orali şi medicii dentişti cu competenţă în anesteziologie în USA a variat între 1 la 248.000 - 840.000 cazuri. În Canada, între anii 1973-1995, s-a raportat un record de siguranţă de 1 deces la 1,4 milioane cazuri cu sedare profundă sau AG.
Anxioliza şi analgezia adecvată sunt elemente esenţiale în stomatologie. Aceasta poate consta în AG şi management comportamental la pacienţi sau poate necesita sedare uşoară spre medie sau eventual sedare profundă și AG. Deşi propofolul este un instrument valoros şi potent în mâinile unui anestezist, există un risc cât se poate de real de complicaţii cardiace şi respiratorii ce limitează utilizarea sa doar de către specialişti în domeniul AG. ¤


























Sedimentele și duritatea apei sunt principalele cauze pentru majoritatea defectelor ce apar la uniturile dentare, conducând astfel la creșterea următoarelor costuri suplimentare de întreținere cu:
- înlocuirea materialelor
- echipa de service pentru intervenții
- schimbarea componentelor electrice afectate de scurgerile de apă
Achiziționează ACUM soluția 3M “All in one” și uită de problemele cauzate de sedimente, duritate și clor!
Beneficii
• ușor de instalat și înlocuit
• conexiune John Guest (fără înfiletare)
• schimbare ușoară fără contaminare
• costuri reduse pentru întreținerea unitului dentar
Produsele 3M sunt disponibile prin distribuitorii autorizați: Dentotal Protect (tel: 021/311.56.17), Helios Medical&Dental (tel: 021/408.71.04), Medident Exim (tel: 0268/315.544), Medimex Dent (tel: 021/316.22.22), Tehnical Dent (tel: 021/312.56.60), Dentex 021/250.79.64.










Material de amprent ă din gama polieter

Caracteristici
• Capacit atea de a cont rola cu precizie fidelit atea amprentei datorit ă culorii puternice


Calea direct ă către per fecț iune M a ter ial de ampren t ă din gama p olie ter cu c a r ac ter is t ici cuno s cu te ș i c a paci t a tea de a c on t r ola cu precizie fideli t a tea ampren tei de t aliu dat or i t ă culor ii pu ter nice a ma ter ialului, 3 M™ E S P E ™ S o f t M onopha s e ș i M onopha s e v ă aju t ă s ă ob ț ineț i o c ali t a te r idic a t ă a ampren telor, de t alii c orec te chia r de pr ima da t ă ș i re s t aur ă r i c a re s e fi xea z ă per fec t în
• Pr ecizie senzaț ională a ampr entei
• Gus t proaspăt mentolat pent ru ver siunea “S of t”
• Ver siunea “S of t” es te mult mai ușor de îndepăr t at din cavit atea bucală
Indicaț ii
• A mprente pe implant
• A mprente pentru proteze tot ale
• A mprente pe coroane și pun ț i
• A mprente la Inlay și onlay

Propriet ăț i dovedite
Hidrofilie foar te bună pentru precizie ridicat ă.
În compara ț ie cu produsele competitive, materialul de amprent ă 3M™ E S P E ™ (S of t) Monophase indic ă valori ale hidrofiliei ridicate (ar ă t ate prin unghi de cont act sc ă zut) și are capacit atea de a înregistra cu fidelit ate fiecare det aliu în mediu umed
Propriet ăț i de curgere excelente pentru amprente det aliate.
Propriet ă ț i de curgere excelente pe parcur sul timpului de lucru vă ajut a la realizarea unor amprente precise.
Fără stress datorit ă tehnologiei unice “snap-set”.
C aracteristicile materialului 3M E S P E (S of t) Monophase “snap-set ” asigur ă c ă material nu se va înt ă ri înainte de terminarea timpului de lucru


În atenția membrilor de Club 3M ESPE:
Dorim să vă informăm că începând cu data de 31 iulie 2013 nu se vor mai lua în considerare punctele colorate pentru clubul de fidelitate de pe ambalajele produselor 3M ESPE care se vor expedia până la data de 31 iulie 2013 pentru a fi recompensate cu premii de fidelitate Vă rugăm frumos să alegeți premii din Lista de premii numărul 11, excepție făcând premiul cu codul 11G care numai este disponibil 3M ESPE va concepe un program de loializare care se va anunța ulterior Vă mulțumim pnetru înțelegere!

Pasi o naţi d e calitate.

care vi se potrivește!

De-a lungul timpului, 3M ESPE a realizat îmbunătăţirea continuă a produselor astfel încât ele să fie așa cum le preferă medicii dentiști.
Materialele compozite reprezintă soluţia de încredere pentru variate situaţii clinice. 3M ESPE, lider mondial în realizarea materialelor dentare de restaurare, a folosit expertiza sa pentru a crea compozitul ideal. Alegeţi un material compozit pentru restaurări adaptat cerinţelor dumneavoastră de fiecare zi!
• Manevrabilit ate excepţ ională
• E stetic ă realistic ă
• Lustruire excelent ă
• Fluorencenţ ă îmbunăt ă ţ it ă

• Menţ inerea în timp a luciului de suprafaţ ă mai bună decât pentru materialele compozite microfile
• Rezistenţ ă la uzur ă foar te bună comparativ cu materialele compozite competitoare din aceea și clas ă
• Manevrabilit ate excelent ă
• E stetic ă naturală
• Rezistenţ ă bună la uzur ă
• Lustruire uș oar ă

• Menţ inere în timp foar te bună a luciului de suprafaţ ă
• 12 nuanţe
• Indicat pentru toate tipurile de rest aur ări directe
• Nu ader ă de instrumente obţ inându-se ast fel rest aur ări rezistente și sigure
• E ste uș or de modelat și își menţ ine forma înainte de fotopolimerizare
• A re consistenţ a dorit ă pentru orice tip de manoper ă




• A plicare uș oar ă în strat de 4 mm – reducând necesit atea straturilor multiple și riscul cont aminării cu salivă
• Presiune redus ă care permite fixarea materialului bulk fill și ajut ă la reducerea riscului de sensibilit ate post-operatorie
• Adapt are marginală bună
• Vâscozit ate fluid ă pentru adapt are uș oar ă în cavit atea bucală –care necesit ă utilizarea redus ă a instrumentelor


• Manevrabilit ate excelent ă: nu se lipeș te de instrumente
• Per formanţ ă pe termen lung: dovedit ă de-a lungul anilor de utilizare clinic ă
• Adapt abilit ate remarcabilă: compozitul este util at ât pentru rest aur ări anterioare cât și posterioare
• Rapidit ate: uș or de utilizat, polimerizarea se realizea z ă în doar 20 secunde
• E stetic ă naturală: produsull este disponibil într-o variet ate de nuanţe similare structurii dent are
• Radioopacit ate
1. Agenţia pentru Combaterea Drogurilor a stabilit o rată de mortalitate de 28% în rândul unui grup de angajaţi din domeniul îngrijirii medicale care abuzează de propofol, şi anume: a. pediatri; b. cardiologi;
c. anestezişti; d. farmacişti.
2. Pe măsură ce un pacient progresează de la niveluri minime spre niveluri mai profunde de sedare, ce devine mai pronunţat?
a. agitaţia şi neliniştea;
b. depresia SNC şi CV;
c. conştienţa şi vigilenţa; d. abilităţile de luare a deciziilor.
3. Ce efect mai are propofolul în afară de potenţarea acţiunilor acidului gama imunobutiric (GABA) asupra receptorului GABA?
a. deschide direct canalul de cloruri independent de GABA;
b. acţionează ca un antagonist opioid; c. acţionează ca un agonist nicotinic muscarinic; d. creşte disocierea neurotransmiţătorului inhibitor GABA.
4. Pentru ca un pacient să fie trezit din anestezie, în ce măsură trebuie redusă concentraţia plasmatică a propofolului ?
a. cu o treime;
b. cu o cincime; c. la jumătate; d. cu un sfert.
5. O doză de inducţie a propofolului va duce de obicei la:
a. dispnee; b. apnee; c. bătăi cardiace rapide; d. hipertensiune.
6. Propofolul are proprietăţi anticonvulsivante; astfel el nu este contraindicat la ce categorie de pacienţi?
a. pacienţii cu dischinezie tardivă;
b. pacienţii cu ticuri faciale; c. pacienţii cu convulsii; d. pacienţii cu afecţiuni cardiace.
7. Conform autorilor, pacienţii cu alergie la ce fel de substanţe nu ar trebui să primească această substanţă?
a. ouă şi/sau soia;
b. alune;
c. rogoz;
d. penicilină.
8. În decembrie 2008, CMS a emis o declaraţie care afirmă că anesteziologul, anestezistul asistent certificat, asistentul anesteziolog sau practicianul cu pregătire în anestezie, conform recunoaşterii legale:
a. trebuie să aibă o pregătire cu 600 cazuri înainte de a fi capabil să asigure îngrijirea pacienţilor;
b. poate administra sedare profundă şi să fie implicat în realizarea procedurii în sine;
c. nu ar trebui să administreze sedarea profundă; d. pot administra sedare profundă, dar nu trebuie să fie implicaţi în realizarea procedurii în sine.
9. În ce interval de timp poate duce la anestezie generală o singură doză de propofol?
a. 30 secunde;
b. 30 minute;
c. 60 secunde;
d. 60 minute.
10. Ce efecte impun rezerve în utilizarea propofolului doar de către cei cu competenţă în administrarea AG: a. un nivel mai profund de anestezie cu depresie cardiovasculară profundă;
b. obstrucţia căilor aeriene;
c. apnee;
d. toate răspunsurile de mai sus.
High-Risk Esthetically Driven Restoration: Begin With the End in Mind by Michael
T. Ricciardi, DDS; and Peter Pizzi, CDT, MDT.
Originally published in Compendium of Continuing Education in Dentistry 34(3) March 2013. Copyright © 2013 to AEGIS Communications. All rights reserved.

1. Pacienta se fereşte să zâmbească, nefiind mulţumită de aspectul dinţilor. 18. Restauraţiile finale se armonizează cu dentiţia naturală.
Despre autori
Michael T. Ricciardi, DDS Private Practice, New York
Peter Pizzi, CDT, MDT Owner and Manager Pizzi Dental Studio Inc. New York
Atunci când se preia un caz de restaurare cu imperative estetice, este important pentru pacient şi echipa dentară să aibă o imagine clară a rezultatului final. Adeseori, este dificil pentru pacienţi să exprime ceea ce consideră ei a fi de nedorit d.p.d.v. estetic. Uneori, aceştia sunt pur şi simplu ”nefericiţi” din cauza aspectului danturii.
O parte din rolul medicului dentist constă în a înţelege nemulţumirile fizionomice ale pacienţilor şi în a le prezenta soluţiile disponibile. Acestea ar putea include planuri prelungite de tratament, uneori de-a lungul mai multor ani până când este obţinut rezultatul dorit.

Anamneza şi motivul prezentării
Pacienta, în vârstă de 33 ani, s-a prezentat pentru tratament în luna martie a anului 2008, dorind un aspect mai fizionomic al surâsului. Aceasta are o carieră în vânzări de obiecte de artă şi consideră că zâmbetul îi subminează încrederea în sine (fig. 1).
Este conştientă că dinţii frontali au devenit mai scurţi în ultimii ani. De asemenea, nu este mulţumită de aspectul ”înfundat” al dinţilor din partea dreaptă şi de caninul (de aceeaşi parte) care pare că este „blocat în afară”. În cadranul stâng maxilar persistă pe arcadă caninul temporar (6.3.), dintele permanent de înlocuire (2.3.) fiind inclus.
Forma şi culoarea caninului temporar sunt inestetice (fig. 2, 3).
Istoricul medical al pacientei nu prezintă elemente semnificative. Obişnuia să fumeze, însă de mulţi ani a renunţat. Istoricul dentar este limitat la vizitele de control şi la proceduri odontale simple.
În situaţia unei restaurări la care factorul estetic este primordial, echipa dentară împreună cu pacientul trebuie să aibă o imagine clară a rezultatului final. În cazul de faţă, pacienta, în vârstă de 33 ani, doreşte să-şi îmbunătăţească aspectul surâsului, fiind nemulţumită de forma şi culoarea caninului temporar şi de lungimile inegale ale incisivilor centrali superiori. Planul de tratament a fost efectuat cu succes în patru etape, de-a lungul unei perioade de timp mai mari de 4 ani.
Date de diagnostic, evaluarea riscului şi a pronosticului
Pronosticul cazului a fost determinat luând în considerare rezultatele evaluării riscului, precum şi vârsta pacientei, prezenţa sau absenţa factorilor agravanţi ai bolii, durata probabilă a regimului alimentar al pacientei şi intervenţiile anterioare asupra dentiţiei. Pronosticul a fost determinat însă fără a considera tratamentul ce urmează a fi aplicat, aşa încât pacienta să poată înţelege efectele potenţiale ale bolii, în cazul în care aceasta nu este tratată.
Radiografiile indică resorbţie alveolară orizontală medie localizată. Parodontometria a înregistrat valori generale de 2-4mm, cu uşoară sângerare la atingerea cu sonda. Pacienta a fost inclusă într-un program de asistenţă parodontală, cu controale efectuate la intervale de 6 luni. Ţinând cont de nivelurile





osoase existente, diagnosticul parorontal a fost stabilit ca fiind de tip II, conform clasificării Asociaţiei Americane de Parodontologie (AAP).
Risc: Scăzut
Prognostic: Bun
BIOMECANIC
Riscul biomecanic al pacientei a fost determinat în funcţie de istoricul dentar şi de statusul actual. Este decelat un proces superficial de eroziune, iar pacienta nu prezintă leziuni carioase noi sau dinţi compromişi d.p.d.v. structural. În ultimii 4-5 ani nu au apărut procese carioase noi. Se notează o serie de obturaţii de compozit în regiunile posterioare şi o obturaţie de amalgam.
Risc: Scăzut
Prognostic: Bun
FUNCŢIONAL
La examenul clinic este decelat un proces uşor spre moderat de atriţie la nivelul dinţilor frontali maxilari şi mandibulari, acesta fiind mai marcat la nivelul incisivilor centrali superiori. Premolarii prezintă un proces mediu de atriţie. Bilateral, ATM nu prezintă disconfort la testul de încărcare. Anamneza nu include obiceiuri paranormale neuromusculare sau bruxism, însă pacienta simte ca şi cum ar avea mai mult de o muşcătură. S-a stabilit diagnosticul funcţional preliminar de disfuncţie ocluzală, care a fost ulterior confirmat cu ajutorul deprogramatorului Kois.
Risc: Moderat
Prognostic: Satisfăcător
Evaluarea cu acurateţe a aspectului estetic general a fost dificilă deoarece pacienta se fereşte să zâmbească. Odată relaxată, pacienta a râs şi a devenit evident faptul că prezintă o dinamică înaltă a buzelor. În surâsul complet, fără inhibiţii, sunt vizibili atât dinţii, cât şi contururile tisulare şi s-au remarcat următoarele deficienţe fizionomice: un nivel al marginii incizale mai scurt cu 0,5mm decât ideal, arhitectură gingivală asimetrică, constricţia arcadei maxilare în regiunea premolară şi culoare a dinţilor nesatisfăcătoare.
Risc: Ridicat
Prognostic: Slab
OBIECTIVE
TRATAMENT
• repoziţionarea ortodontică a dinţilor în cadrul arcadei, cât mai aproape de forma ideală d.p.d.v. vertical şi orizontal
• respectarea dorinţei pacientei de a nu utiliza aparate ortodontice fixe (bracketuri)
• crearea spaţiului necesar pentru inserarea unui implant în poziţia lui 2.3.
• realizarea de contacte dentare posterioare simultane şi de intensitate egală
• reconstituirea lui 2.3. printr-o restaurare protetică pe implant
• ameliorarea formei şi culorii dinţilor,
Figurile
2. Nemulţumirile pacientei legate de aspectul zâmbetului său includ: culoarea dinţilor, lungimile inegale ale centralilor maxilari şi proeminenţa caninului superior stâng.
3. Vedere frontală de detaliu a arcadelor dentare, înainte de tratament. Se observă arhitectura gingivală asimetrică şi culoarea închisă a caninului temporar, 6.3.
4. La nivelul incisivilor superiori a fost adăugat compozit pentru a putea evalua modificarea lungimii şi formei dinţilor, precum şi a comportamentului funcţional al dinţilor, în ocluzie dinamică, la noua lungime stabilită.
5. După inserarea implantului protetic şi finalizarea tratamentului ortodontic, dinţii sunt bine poziţionaţi pentru a putea efectua faţetele ceramice prin preparaţii conservative.
fără a-i periclita d.p.d.v. biomecanic
• etapizarea tratamentului pe o perioadă mai lungă de timp pentru a fi accesibil pacientei.
PLANUL DE TRATAMENT
• tratament ortodontic cu ajutorul gutierelor mobilizabile de aliniere
• şlefuire selectivă
• restaurări compozite la nivelul incisivilor centrali superiori pentru a ajuta la stabilirea lungimii dentare ideale
• extracţia caninului maxilar stâng inclus şi a celui temporar (6.3.) cu pregătirea lăcaşului pentru inserarea implantului protetic
• alungirea chirurgicală a coroanei clinice la nivelul lui 1.2., 1.1., 2.1.
• faţete ceramice, realizate prin metoda indirectă, aplicate de la 1.3. la 2.2.
• bont individualizat şi coroană metalo-ceramică la nivelul implantului.
ETAPA I. Ortodontică
Varianta de tratament ortodontic propusă şi acceptată de pacientă constă în gutiere mobilizabile de aliniere. I s-a explicat pacientei că acestea pot genera doar deplasări ortodontice minime. Utilizând drept ghid simularea diagnostic în ceară, arcada a fost expansionată în regiunea premolarilor pe partea dreaptă, reducând din constricţia acesteia. Regiunea anterioară a fost expansionată uşor pentru a crea mai

Figurile
6. Pentru a comunica cu exactitate laboratorului de tehnică dentară culoarea necesară, dinţii de pe cheia de culori au fost menţinuţi în acelaşi plan cu dinţii preparaţi ai pacientei.
7. Restaurările provizorii aplicate în cavitatea orală. Se observă simetria gingivală obţinută după alungirea chirurgicală a coroanelor clinice ale dinţilor 1.2., 1.1. şi 2.1. Se remarcă, de asemenea, şi gingia închisă la culoare în zona lui 2.3.
8. A fost ales un bont metalic datorită proprietăţilor sale şi s-a aplicat o coleretă ceramică pentru a ajuta la transmiterea luminii în ţesutul din jurul dintelui 2.3.
9. Marginea bontului individualizat este poziţionată cu 0,5mm mai apical faţă de marginea gingivală liberă, permiţând o emergenţă corespunzătoare şi o uşurinţă a curăţării excesului de ciment.
10. Bontul individualizat conceput pentru coroana protetică de reconstituire a lui 2.3. Se observă contururile bontului.
11. Restaurările finale aplicate pe model. Datorită fundalului dat de culoarea modelului de gips, s-a observat o uşoară discrepanţă a culorii între faţetele ceramice şi coroana protetică pe implant.
mult spaţiu în jurul caninului de lapte, facilitând astfel inserarea implantului. Corectarea angrenajului invers din zona laterală posterioară dreaptă nu reprezintă o acţiune predictibilă şi, de aceea, nu a fost întreprinsă. În regiunea frontală maxilară a fost conservată o inocluzie sagitală de aproximativ 1mm, anticipând viitoarele ajustări ocluzale. Imediat după finalizarea terapiei ortodontice, s-a aplicat material compozit la nivelul incisivilor centrali superiori pentru a alungi nivelul marginii incizale cu 0,5mm.
Cu o arcadă dentară mai armonioasă şi cu spaţiu adecvat în jurul caninului temporar, dinţii sunt pregătiţi pentru a finaliza cu succes inserarea implantului protetic şi tratamentul restaurativ conservativ.
ETAPA a II-a. Funcţională
La şase luni după finalizarea tratamentului ortodontic, s-a aplicat un deprogramator Kois pentru evaluarea





relaţiilor ocluzale. Primul punct de contact al pacientei, cu ATM aflate în relaţie centrică, este localizat la nivelul versanţilor vestibulari ai lui 1.4.
S-a efectuat o înregistrare a relaţiilor intermaxilare în relaţie centrică, iar modelele au fost montate în articulator. Evaluarea modelelor a confirmat punctul iniţial de contact la nivelul dintelui 1.4.
S-a realizat o echilibrare ocluzală de probă, pe modele, pentru a verifica dacă pot fi obţinute contacte simultane şi de intensitate egală.
Pacienta a fost programată pentru echilibrarea ocluzală.
Au fost obţinute contacte posterioare simultane şi bilaterale, precum şi ghidaj canin. Statusul pacientei a fost stabil timp de trei ani, moment la care pacienta este gata să înceapă tratamentul protetic. În decursul acestui timp, nu s-a înregistrat producerea fracturii sau abraziunii materialului compozit aplicat la nivelul lui 1.1. şi 2.1. (fig. 4).
ETAPA a III-a. Chirurgicală
Medicul chirurg a extras caninul inclus printr-un abord palatinal. În acelaşi timp a fost extras şi caninul temporar. S-a aplicat o grefă intraalveolar şi s-a recomandat o perioadă de vindecare de 9 luni. S-a inserat un implant protetic, cu dimensiunile de 4 x 11mm, iar pacienta a purtat o proteză parţială mobilizabilă provizorie în decursul perioadei de vindecare de 4 luni (fig. 5).
ETAPA a IV-a. Protetică
Segmentul frontal superior 1.3.-2.2. a fost preparat pentru faţete ceramice prin metoda indirectă (fig. 6). S-a confecţionat preoperator o nouă simulare diagnostic în ceară. Apoi, în şedinţa de şlefuire s-a efectuat şi alungirea chirurgicală a coroanei clinice. A fost îndepărtat aproximativ 0,5mm de gingie şi os la nivelul dinţilor 1.2., 1.1. şi 2.1. şi apoi s-a înregistrat amprenta finală pentru faţetele ceramice destinate frontalilor maxilari, de la 1.3. la 2.2., şi pentru





coroana protetică pe implant de la nivelul lui 2.3. S-au realizat restaurări provizorii din material bis-acrilic cu ajutorul unei matrice de silicon chitos, confecţionată pe simularea diagnostic de ceară. Dinţii au fost gravaţi punctiform, iar restaurările au fost cimentate la nivelul dinţilor preparaţi, utilizând răşină compozită fluidă (fig. 7). Cu ajutorul unui analizor dento-facial Kois, au fost transferate în laboratorul de tehnică dentară datele referitoare la restaurările provizorii. Modelele au fost montate şi verificate, în cursul procesului de montare, cu un index palatinal. Pentru implantul protetic de la nivelul lui 2.3. a fost ales un bont individualizat metalic, din cauza necesităţii preluării ghidajului ocluzal. Întrucât biotipul ţesutului localizat în jurul implantului canin este subţire, bontul metalic individualizat a fost prevăzut cu o coleretă ceramică fluorescentă (fig. 8). Aceasta asigură transmisia luminii în ţesut şi previne coloraţia acestuia cauzată de bontul metalic (fig. 9). Restaurarea pe implant constă într-o coroană metalo-ceramică

12. Restaurările finale: ţesutul gingival din jurul dinţilor 1.2., 1.1. şi 2.1., la nivelul cărora s-a efectuat alungirea chirurgicală a coroanelor, este vindecat. 13. Fotografie efectuată la două luni după cimentarea restauraţiilor: se observă maturarea gingiei din jurul dinţilor 1.2., 1.1. şi 2.1., precum şi culoarea armonioasă a gingiei din zona lui 2.3. 14. Culoarea restauraţiilor ceramice se potriveşte perfect cu cea a dinţilor naturali. 15. Ţesutul gingival din jurul coroanei protetice pe implantul corespunzător 2.3. are culoarea roz, nu prezintă semne de îmbolnăvire şi asigură o bună transmitere a luminii la nivelul marginii gingivale. 16, 17. Restauraţiile finale şi gradul de vizibilitate a ţesutului gingival în timpul surâsului.
cu o margine ceramică angulată, aşa încât lumina să poată pătrundă în restaurare (fig. 10). Faţetele feldspatice au fost confecţionate printr-o tehnică refractară (fig. 11).
Faţetele au fost cimentate printr-un protocol adeziv de generaţia a 5-a. Coroana metalo-ceramică a fost fixată cu ciment provizoriu special pentru implante, după ce bontul individualizat a fost torsionat în loc (fig. 12). Au fost verificate relaţiile ocluzale, urmărind să existe contacte posterioare de intensitate egală şi ghidaj canin. Poziţia dinţilor este conservată pe termen lung prin purtarea pe timpul nopţii a unei gutiere maxilare, confecţionate din material acrilic dur.
Prin determinarea minuţioasă a diagnosticului, respectarea protocoalelor de abordare a riscului şi stabilirea unei imagini clare a rezultatului final, tratamentul a fost cu uşurinţă etapizat de-a lungul unei perioade de timp mai mari de 4 ani şi a inclus: terapie ortodontică
cu gutiere mobilizabile de aliniere, şlefuiri selective, restaurări odontale provizorii din material compozit, faţete ceramice realizate prin metoda indirectă, extracţie şi inserarea unui implant protetic, precum şi un bont individualizat şi o coroană metalo-ceramică. Realizarea contactelor laterale simultane şi de intensitate egală prin şlefuire selectivă, proces facilitat prin utilizarea deprogramatorului Kois, a redus riscul funcţional de la o valoare medie la una scăzută. Riscul biomecanic fost menţinut minim prin preparaţiile dentare conservative efectuate pentru aplicarea faţetelor. Pacienta este mulţumită de rezultatul estetic final, care întruneşte doleanţele sale de a avea forma arcadei, lungimea şi culoarea dinţilor îmbunătăţite (fig. 13-15).
Obiectivele estetice ale tratamentului au fost îndeplinite respectând în acelaşi timp protocoalele de abordare a riscului, crescând astfel probabilitatea şi predictibilitatea succesului pe termen lung al restauraţiilor efectuate (fig. 16-18). ¤



































February 2013. Copyright © 2013 to AEGIS Communications. All rights reserved.

Despre autor
Aliasger Tunkiwala, BDS, MDS Private Practice Mumbai, India
Mulţumiri
Michael Sesemann, DDS, FAACD Prashant Hatkar, MDS
Bhakti Tunkiwala, MDS (chirurgia laser)
Sushrut Prabhudesai, MDS (alveoloplastie)
Erik Haupt of Haupt Dental Lab, Brea, CA (restaurările ceramice).
Realizarea stomatologiei estetice predictibile la un pacient cu uzură frontală se impune. Cu toate acestea, când situaţia este agravată de o linie înaltă a buzelor şi un biotip tisular subţire, cazul devine complex şi provocator. Este esenţială stabilirea obiectivelor definitive de la început în cazul unor asemenea pacienți şi respectarea unei scheme organizate de proceduri menite să dobândească rezultatul estetic final.
Progresele tehnologice şi îmbunătăţirea percepţiei stomatologiei în privinţa ştiinţei culorilor şi a ceramicilor dentare permite clinicienilor să ofere modalităţi terapeutice adecvate. O parte dintre aceste modalităţi nu folosesc în mod obligatoriu tehnicile şi materialele contemporane; uneori ar trebui luate în considerare tehnici mai vechi, bine stabilite, îndeosebi când este importantă conservarea structurii dentare.
Cazul prezentat în acest articol a necesitat mai multe domenii terapeutice – corecţie ocluzală, managementul interfeţei parodonţiu-restaurare, proiectarea zâmbetului cu menţinerea aspectului tânăr şi frumos al pacientei. În primul rând, finalizarea sa subliniază importanţa diagnosticului şi analizei, precum şi extrapolarea tuturor datelor obţinute pentru a obţine în mod sinergic forma, funcţia şi estetica.
Această pacientă tânără era nemulţumită de zâmbetul ei pentru că dinţii frontali păreau scurţi (fig. 1-4).
A beneficiat de tratament ortodontic pentru dentiţia maxilară, dar muchiile incizale ale dinţilor frontali erau atriţionate, rezultând în coroane clinice scurte, cu formă pătrăţoasă. Efectul global era al unui zâmbet inestetic (Tabelul 1).
Vestibular
Dento-labial
Fonetic
· Plan ocluzal maxilar înclinat
· Linie mediană dentară înclinată
· Incisivii superiori nu sunt vizibili corespunzător în repaus
· Linia zâmbetului inversată
· Linia buzei înaltă
· Zâmbet larg afişând 12 dinţi
· Musculatura buzei hipercontractată
· Sunetele V şi F evidenţiau scurtarea incisivilor superiori
· Biotip subţire
Dentar
Radiologic
· Asimetrie şi localizarea inadecvată a nivelurilor gingivale şi a zenitului
· Înclinaţii axiale incorecte
· Raport lăţime-lungime neplăcut
· Scurtarea rădăcinilor la dinţii 1.2.-2.2.
Ocluzal · Discrepanţă între IM şi RC








Figurile 2. Aspectul frontal preoperator al zâmbetului. 3, 4. Detalii preoperator.
Pentru evaluarea exactă a riscului, s-a efectuat o abordare sistematică a analizei parodontale, biomecanice, funcţionale şi dento-faciale. Dpdv parodontal pacienta prezintă risc „redus”, deoarece exista o pierdere osoasă minimă sau absentă concordantă cu clasificarea AAP. Riscul biomecanic se încadra în „moderat”; deşi nu era nicio carie, structural era prezentă o uzură frontală, cu rădăcini scurtate la dinţii 1.2.-2.2. Funcţional riscul e apreciat „moderat”, din cauza discrepanţelor ocluzale între RC şi IM, precum şi o uşoară uzură la nivelul dinţilor laterali.
Dentofacial riscul a fost cotat „crescut”, întrucât manifesta o afişare maximă a dinţilor şi o afişare gingivală moderată dar variabilă, datorită liniei înalte a buzei sale superioare.
PLAN DE TRATAMENT COMPREHENSIV
• analiză şi echilibrare ocluzală pentru a stabili IM în armonie cu RC pentru a preveni uzura ulterioară a dinţilor frontali şi a menţine o ocluzie stabilă pe termen lung;
• corectarea nivelurilor gingivale 1.5.2.5. pentru a obţine proporţii corecte ale dinţilor trataţi;
• restaurări din porţelan feldspatic în segmentul 1.5.-2.5.;
• albirea dinţilor inferiori.
Previzualizarea
diagnostică a esteticii
Prima etapă a constat în determinarea poziţiei muchiei incizale la segmentul 1.5.-2.5. Lungimea restaurată finală a incisivilor maxilari este influenţată de diverşi factori, inclusiv poziţia buzei inferioare în timpul zâmbirii, poziţiile buzei în repaus, caracteristicile buzei superioare şi ale ţesutului moale, limita funcţională, proporţia facială. Alături de determinarea lungimii incizale, determinarea poziţiei orizontale a muchiei incizale este esenţială şi trebuie acomodată limita funcţională a pacientului cu zona neutră.
Dinţii 1.3.-2.3. au fost gravaţi cu acid fosforic 32% pentru 20 secunde, au fost clătiţi şi uscaţi înainte de aplicarea şi polimerizarea agentului adeziv. S-a utilizat o răşină compozită cu nuanţa body A2 pentru a reconstitui lungimea incizală a acestor dinţi. Modelarea răşinii directe s-a realizat cu conştientizarea formei ambrazurii incizale şi a înclinaţiilor axiale la dinţii frontali superiori.
Răşina polimerizată pentru mock-up s-a modelat cu freze de carbură şi s-au finisat şi lustruit cu grijă pentru a ob-
ţine planul incizal în armonie cu linia zâmbetului (fig. 5).
S-au folosit ghidaje fonetice (sunetele “F” şi “V”) pentru a confirma lungimea şi profilul muchiei incizale a 1.1. şi 2.1. Cu toate acestea, dinţii păreau tot scurţi în raport cu lăţimea lor.
Întrucât nu era determinată poziţia muchiei incizale finale, pasul următor a constat în calcularea lungimilor lor globale ideale necesare pentru a crea un zâmbet plăcut ce a ajutat clinicienii să determine gradul de corecţie a nivelurilor gingivale necesare la 1.5.-2.5. S-a amprentat cu elastomeri acest mock-up cu ajutorul unei tehnici cu dublă vâscozitate pentru a obţine un model exact pe care să se realizeze măsurătorile.
Lăţimea meziodistală a 1.1. şi 2.1. era de 9mm, faţă de o lungime ideală apropiată de 11,2mm. Această valoare s-a utilizat ca un ghidaj pentru a marca un punct pe ţesuturile gingivale la 11mm de la muchiile incizale ale dinţilor 1.1. şi 2.1. restauraţi cu mock-up pe modelul de gips. Conturul gingival propus s-a preparat pe model la segmentul 1.5.-2.5. Pe acest model s-a efectuat o mostră de chirurgie gingivală (fig. 6) şi deasupra s-a plasat un indicator din material siliconic chitos şi fluid. Conturul gingival al acestui mulaj chitos siliconic s-a scurtat cu precizie de-a lungul festonului gingival propus, urmând să fie utilizat ca şablon chirurgical (fig. 7) de către parodontolog.
Echilibrarea ocluzală
S-au utilizat modele de studiu pe articulator semiajustabil cu arcul facial necesar şi înregistrările centrice. Pacienta a fost deprogramată şi s-a stabilit o înregistrare centrică la o dimensiune verticală crescută pentru a preveni deflectarea din RC a mandibulei datorată unui contact dentar. Echilibrarea ocluzală s-a efectuat fără a îndepărta puncte de contact de interferenţă din panta dinţilor laterali care erau responsabili de deflectarea mandibulei către anterior, cauzând astfel uzură frontală.
Vestibular Interproximal
1.1.,
Diagnosticul pentru corectarea nivelurilor gingivale
S-a utilizat şablonul ocluzal fabricat pe baza amprentei mock-up-ului pentru a transfera marcajele nivelurilor gingivale propuse în cavitatea orală. În acest scop s-a utilizat un marker chirurgical. A urmat decizia cu privire la obţinerea unui nivel de ţesut moale stabil doar prin gingivectomie sau în combinaţie cu alveoloplastie.
După anesteziere, s-a efectuat parodontometria pe ariile medio-faciale şi interdentare ale fiecărui dinte. În medie, era necesară o creştere a lungimii de 1mm pentru dinţii 1.1. şi 2.1., respectiv de 2mm la canini. Premolarii superiori bilateral au necesitat o corecţie a nivelurilor gingivale de aproximativ 1,5mm fiecare, iar incisivii laterali sub 0,5mm (TABEL 2).
Distanţa până la os la segmentul 1.3.2.3. a fost suficientă pentru a permite doar gingivectomie la acest nivel, cu menţinerea a cel puţin 3mm os care să asigure o lăţime biologică suficientă. La nivelul premolarilor însă, ce prezentau doar 3mm până la os, s-a impus şi alveoloplastie de 1,5mm. În posesia acestor informaţii, s-a iniţiat corecţia chirurgicală a nivelurilor gingivale la toţi dinţii în cadrul aceleiaşi şedinţe.
Corecţia chirurgicală şi asistată de laser a nivelului gingival
S-a utilizat un laser diodic de 810 nm pentru a efectua gingivectomia în segmentul 1.3.-2.3. sub anestezie locală (fig. 8, 9). Puterea utilizată s-a setat la 1,4 W, în modul continuu. S-a efectuat irigaţia
Tabelul 2
Distanţa până la os pentru fiecare dinte vs. cantitatea corecţiei gingivale necesare.

5 Aspectul zâmbetului cu mock-up direct prezentând poziţiile finale ale muchiilor incizale la dinţii frontali superiori.
6. Modelul de studiu al mock-up-ului prezentând corecţiile dorite ale nivelurilor gingivale pe segmentul 1.5-2.5.
7. Şablonul chirurgical fabricat pe modelul de studiu oferind informaţii despre nivelurile gingivale dorite.


intermitentă cu soluţie salină rece pentru a preveni concentrarea căldurii în ţesuturi. S-a alocat atenţie pentru obţinerea nivelurilor gingivale dorite şi a zeniturilor conform instrucţiunilor stabilite pentru reabilitarea estetică. O corecţie minimă a nivelurilor gingivale la dinţii 1.2. şi 2.2. s-a realizat cu laserul diodic. S-a efectuat o incizie sulculară cu bizou intern la 1.5. şi 1.4. astfel încât să permită excizia a 1,5mm de ţesut gingival; după excizie, s-a elevat un microlambou cu grosime totală care s-a reflectat minimal atât cât să se vizualizeze osul vestibular. Ţesuturile palatinale nu au fost reflectate.
S-a utilizat o freză sferică din carbură la viteză redusă, cu irigaţie abundentă,
pentru a scurta osul cu 1,5mm, astfel încât distanţa de la noua margine gingivală liberă până la os să fie de aproape 3mm după vindecare.
S-a realizat netezirea osului scurtat şi s-a verificat crearea arhitecturii pozitive a osului. S-a folosit o sutură monofilament 5-0. O procedură chirurgicală similară s-a realizat apoi la nivelul premolarilor controlaterali.
La frenectomie s-a utilizat laserul diodic, pentru că ataşamentul vestibular al frenului era localizat mai coronar între dinţii 1.1. şi .21.
Wax-up şi restaurări provizorii
Cu un material siliconic chitos s-a amprentat arcada superioară cu nivelurile
SUPRAFAŢA DE RESTAURAT CONSIDERAŢII
· Distanţă de 1,5mm de la marginile restaurărilor provizorii aprobate de pacientă
Reducţie incizală
Reducţie vestibulară
· Îmbinare groasă pe marginile palatinale
· Datorită dinţilor scurţi nu se înlătură structuri dentare suplimentare
· Distanţă de 0,5mm de la suprafaţa vestibulară a restaurării provizorii aprobate
· Rotunjirea unghiului liniei vestibulo-incizale
· Obţinerea reducţiei în trei planuri
· Plasarea marginilor finale echigingival – utilizarea efectului de „lentile de contact” al materialului ceramic feldspatic
Reducţie interproximală
Finisarea preparaţiilor
Tabelul 3
· Preparaţia apical de contact pentru a masca marginea
· Separarea proximală cu discuri abrazive interproximale pentru a consolida definirea marginilor pe amprente
· Lustruirea preparaţiilor pentru a permite suprafeţe netede pe amprente
Consideraţii privind preparaţia dentară finală.
gingivale corectate la 10 zile postoperator. S-au elaborat pentru laborator lungimile finale propuse.
Trei săptămâni mai târziu s-a fabricat un wax-up cu contur total (fig. 10) şi ghidaje de preparare şi un indicator din silicon transparent pe modelul cu wax-up pentru fabricarea directă a restaurărilor provizorii intraoral. La 4 săptămâni după corecţia gingivală, pacienta a fost programată pentru fabricarea primului set de restaurări provizorii cu ajutorul cheii siliconice. Restaurările provizorii (fig. 11) s-au evaluat în contextul zâmbetului pacientei dpdv al principiilor de proiectare a zâmbetului şi ghidajelor fonetice. S-a verificat ocluzia în RC şi poziţii excentrice pentru a confirma obiectivele finale. S-au amprentat intraoral restaurările provizorii aprobate de pacientă cu scopul de a oferi un şablon pentru laborator şi s-a aplicat pe provizorii un agent de sigilare a suprafeţei, iar apoi
Figurile
8. Aspectul retractat prezentând nivelurile gingivale propuse evidenţiate cu markerul chirurgical.
9. Aspectul nivelurilor gingivale corectate.
10. Wax-up-ul final prezentând proporţiile finale şi formele propuse pentru dinţii frontali.
11. Aspect care demonstrează primele restaurări provizorii fabricate pe baza wax-up-ului înainte de prepararea dinţilor.
s-a fotopolimerizat. S-a solicitat menţinerea igienei orale şi control după 4 săptămâni. S-a recomandat şi albirea dinţilor mandibulari la domiciliu cu gel de peroxid de carbamidă 22%. La opt săptămâni după manipularea chirurgicală a ţesuturilor gingivale, s-a decis realizarea restaurărilor definitive.


Restaurările provizorii aprobate funcţional şi estetic au determinat volumul final al restaurării. S-a decis scurtarea acestor provizorii cu utilizarea unor freze sferice cu diametrul cunoscut pentru a obţine spaţiul dorit pe versantul vestibular şi incizal. Această abordare pentru prepararea dinţilor face posibilă conservarea unei cantităţi mai mari de smalţ şi prin urmare permite o mai bună adeziune, biomecanică şi restaurări estetice. S-au realizat intraoral doi indicatori din silicon chitos pe baza restaurărilor provizorii aprobate de pacientă. Aceşti indicatori s-au scurtat pentru a permite clinicienilor să verifice prezenţa unei distanţe adecvate pe latura vestibulară şi incizală în cursul preparării. Matricea siliconică secţionată orizontal, pe baza provizoriilor aprobate, şi folia de vinil transparentă termo-vacuum formată (fig. 12) s-au utilizat pentru a confirma existenţa distanţei corespunzătoare şi uniforme pentru ceramică (fig. 13, TABEL 3).
Amprente definitive


S-a inserat şnurul de retracţie gingivală nr. 000 impregnat cu clorură de alumi-
niu tamponat 25% la nivelul segmentului de restaurat (1.5-2.5.), cu exercitarea unei presiuni minime pentru a evita distrugerea ataşamentului de ţesut conjunctiv, ce ar putea genera o reacţie de vindecare impredictibilă din partea ţesuturilor gingivale delicate. Şnurul s-a menţinut în şanţul gingival 10 minute. Profunzimea şanţului s-a folosit ca ghidaj pentru a decide profunzimea de plasare a marginii. Retracţia gingivală s-a efectuat în principal pentru a crea spaţiul necesar elastomerilor cu





Faţetă feldspatică
· Acid fluorhidric (FH) 10% pentru 90 secunde
· Spălare cu spray de apă
· Curăţare ultrasonică cu apă distilată 5 minute, apoi uscare
· Activarea şi aplicarea silanului, apoi uscare
· Aplicarea agentului adeziv
· Încărcarea cimentului răşinic fotopolimerizabil pentru faţete
· Protejarea de lumina ambientală
· Curăţare cu pastă pentru lustruit
· Aplicarea şnurului uscat
· Gravare cu acid fosforic 15 secunde
· Uscare dar fără deshidratare
· Aplicarea agentului adeziv şi subţiere cu aer
Tabelul 4 Secvenţa de preparare terapeutică a suprafeţelor pentru faţete şi dinţi.
urma să fie montat în RC înregistrată la DVO existentă. A urmat refacerea restaurărilor provizorii după protocul utilizat iniţial. S-a îndepărtat cu atenţie excesul de material provizoriu îndeosebi din ambrazurile gingivale, cu o lamă de bisturiu nr. 12 şi cu freze de carbură pentru finisare. Fotografiile şi amprentele restaurărilor provizorii finale (fig. 16) s-au trimis laboratorului ca referinţe.
Autorizarea lucrării pentru laborator
Laboratorul a fost informat în privinţa culorii cimentului final răşinic fotopolimerizabil care urma să fie utilizat deoarece ajută la planificarea culorii pulberilor de stratificare.

Figurile 12. Şablon de preparare transparent, care indică prepararea dinţilor pe baza volumului final al restaurărilor.
13 Preparaţiile dentare prezentând plasarea marginilor finale în raport cu nivelul gingival.
14 Şnur de retracţie pentru a asigura retracţia tranzitorie a ţesuturilor gingivale.
15. Nuanţele stabilite ca referinţe pentru dinţii preparaţi.
16. Restaurările provizorii fabricate direct pe dinţii preparaţi.
vâscozitate redusă şi pentru a asigura o arie de lucru uscată (fig. 14). Obiectivul clinic era acela de a menţine marginile finale ale preparaţiei echigingival, fără a le coborî mai mult apical, întrucât nu se doreau margini intracreviculare. S-au fabricat linguri individuale fotopolimerizate cu spaţiu uniform de 2mm în interior pentru a adapta materialul de amprentare polieteric final. S-a aplicat un strat adeziv pentru polieter. Înainte de amprentare, dinţii s-au irigat din abundenţă şi s-au îndepărtat toate şnururile de retracţie. După uscare şi izolare, polieterul s-a injectat pe suprafeţele dentare preparate şi în şanţul gingival deflectat. Lingura individuală încărcată cu material s-a aşezat în poziţie în cavitatea orală. După priza completă, amprenta s-a îndepărtat şi dezinfectat. S-a înregistrat ocluzia şi s-au făcut fotografii pentru a ajuta ceramistul la orientarea modelului superior, o dată cu selecţia nuanţelor de culoare (fig. 15). Modelul inferior
Nuanţa ţintă finală a faţetelor în acest caz era 2M1 din cheia de culori Vita® 3D-Master®. S-a dorit o creştere discretă a saturaţiei în regiunea cervicală a caninilor. Translucenţa incizală urma să fie semnificativă, dar nu exagerată. În laborator, s-au montat modelul de studiu al restaurărilor provizorii şi cel antagonist, realizându-se o cheie siliconică chitoasă la nivelul marginilor incizale şi al contururilor vestibulare pentru a îndruma planificarea restaurărilor finale. S-a utilizat tehnica cu folie de platină pentru a fabrica faţetele finale din material feldspatic. Ceramistul a decis să folosească efectul „lentilei de contact” la marginea gingivală a preparaţiilor pentru a crea iluzia unei margini „pierdute”. Acest efect a fost fundamentat de faptul că toate marginile dinţilor au fost plasate clinic echigingival (fig. 17).
Proba faţetelor finale
După îndepărtarea restaurărilor provizorii, faţetele au fost verificate întâi pe rând în privinţa adaptării, iar apoi împreună pentru controlul punctelor de contact. S-a utilizat un gel de glicerină transparent ce mimează nuanţa transparentă a cimentului răşinic.
Prepararea suprafeţelor pentru adeziune
Tehnicile adezive joacă un rol esenţial în ratele de supravieţuire ale faţetelor.






Figurile
17 Faţete feldspatice pe modele care descriu forma, transluciditatea şi textura dinţilor frontali.
18, 19 Detalii postoperator.
20. Aspectul frontal postoperator al zâmbetului.
21, 22. Aspectele frontale postoperatorii ale întregii feţe.

Fixarea tuturor celor 10 faţete ar trebui efectuată simultan, întrucât adeziunea faţetelor individuale poate crea dificultăţi în poziţionarea faţetelor consecutive după cimentarea altora (Tabelul 4). Toate faţetele s-au încărcat cu ciment răşinic fotopolimerizabil transparent. S-a evitat folosirea unui catalizator pentru că priza dublă era inutilă datorită grosimii relativ reduse a faţetelor. Stabilitatea cromatică de durată a faţetelor cimentate cu răşini fotopolimerizate s-a dovedit a fi mai bună decât în cazul cimenturilor cu priză dublă.
Începând cu dinţii 1.1. şi 2.1., fiecare faţetă a fost poziţionată lent, cu presiune digitală uşoară, de-a lungul axului de inserţie. Marea parte a cimentului în exces a fost eliminată cu vârful unui microburete, umezit cu răşină neşarjată. Presiunea digitală şi curăţarea excesului de răşină s-au repetat alternativ. Aceasta s-a continuat până ce toate faţetele au fost complet aşezate şi nu se putea palpa exces de ciment. S-a folosit o pensulă curată pentru a elimina orice reziduu final de ciment.
Toate faţetele s-au polimerizat prin tehnica tack timp de 5 secunde pe suprafeţele vestibulare. S-a folosit o lamă de bisturiu ascuţită nr. 12 pentru a reduce orice porţiune voluminoasă de ciment răşinic polimerizat parţial ce acoperea marginile. S-a îndepărtat cu delicateţe şi atenţie firul de retracţie. Apoi s-au polimerizat 90 secunde marginile palatinale ale tuturor faţetelor, urmată de a celor vestibulare 60 secunde. Polimerizarea finală a ariilor marginale a fost realizată după acoperirea compozitului cu un strat
de gel de glicerină. Excesul interproximal s-a îndepărtat cu o lamă nr 12, iar contactul dintre faţetele adiacente s-a curăţat cu disc interproximal. Etapa a fost urmată de utilizarea benzilor abrazive cu granulaţie medie pentru a netezi orice urmă de răşină restantă. S-a utilizat aţa interdentară pentru a verifica permeabilitatea şi etanşeitatea fiecărei arii de contact. S-au efectuat radiografii intraorale pentru a verifica absenţa reziduurilor de ciment excesiv.
A urmat controlul ocluziei pentru a asigura că toate contactele centrice erau armonizate, iar suprafeţele orale au fost lustruite cu freze diamantate în formă de pară şi gume de cauciuc. S-au menţinut la dinţii frontali contactele cu sprijin uşor. S-a verificat ghidajul anterior pentru a se asigura exercitarea unei presiuni egale pe dinţii 1.1. şi 2.1. în cursul excursiei protruzive.
Caninii de partea lucrătoare şi incisivii laterali s-au conformat formei ocluzale planificate şi preluau încărcarea în deplasările laterale, dezangrenând astfel toţi ceilalţi dinţi. S-au utilizat gume cauciucate fine pentru a lustrui secvenţial marginile. Pacientei i s-a dat o gutieră nocturnă pentru a proteja restaurările ceramice finale.
Selectarea atentă a materialelor şi protocoalelor este de importanţă majoră în combinarea restaurărilor în apropierea ariilor cervicale astfel încât marginile să fie clinic imperceptibile. Aceasta trebuie obţinută în mod conservator, cu considerarea principiilor proiectării zâmbetului şi ale ocluziei.
Materialele ceramice feldspatice au redevenit o parte integrantă a stomatologiei estetice contemporane. Aceste capodopere ceramice lucrate manual sunt în contrast puternic cu dezvoltarea rapidă a tehnologiilor cu proiectare şi fabricare asistată de calculator (CAD/ CAM), care domină actualmente publicaţiile şi conferinţele. ¤

• Mai mult de 12 milioane de obturaţii făcute cu SDR în întreaga lume1
• 3 ani de succes clinic
• Autonivelare unică
• Compozitul cu cel mai mic stres de polimerizare din piaţă2
• Livrare în siringă şi indicaţii extinse

Scanezã pentru a vedea adaptarea excelentã
Screw-Access Marking: A Technique to Simplify Retrieval of Cement-Retained Implant Prostheses by Todd R. Schoenbaum, DDS, FACD; Yi-Yuan Chang, BS, MDC; and Perry R. Klokkevold, DDS, MS.
Originally published in Compendium of Continuing Education in Dentistry 34(3) March 2013. Copyright © 2013 to AEGIS Communications. All rights reserved.
Despre autori
Todd R. Schoenbaum, DDS, FACD Assistant Clinical Professor Division of Restorative Dentistry
Yi-Yuan Chang, BS, MDC Staff Research Associate Division of Restorative Dentistry
Perry R. Klokkevold, DDS, MS Associate Professor, Section of Periodontics
University of California Los Angeles School of Dentistry Los Angeles, California

xistă multe dezbateri legate de protezele implantare fixate cu şurub vs. cele cimentate în ceea ce priveşte longevitatea, simplitatea utilizării, costurile, complexitatea şi estetica. Principalele avantaje citate în mod frecvent în favoarea protezelor fixate cu şurub constau în faptul că ele sunt mai uşor de recuperat şi nu prezintă riscul retenţiei subgingivale a cimentului.
Cu toate acestea, protezele cimentate continuă să fie o alegere populară pentru restaurările pe implante datorită abilităţii lor de a compensa anumite probleme de angulaţie a implantelor, fabricarea lor relativ uşoară, costurile predictibile – care sunt în general neinfluenţate de fluctuaţiile privind costurile aliajelor – estetica ocluzală, infiltraţia bacteriană redusă, încărcările medii de fractură ale porţelanului crescute şi protocoale de cimentare familiare.
În mod inevitabil, unele restaurări implantare cimentate trebuie să fie îndepărtare ulterior, la un moment dat. Motivele protetice frecvente ale îndepărtării includ: fracturarea ceramicii; fracturarea sau slăbirea şuruburilor; hipo-ocluzie; contacte interproximale deschise; contururi excesive; ciment retenţionat ce conduce la periimplantită; estetică eşuată; recesia inacceptabilă a gingiei periimplantare. În experienţa autorilor, îndepărtarea unei proteze
Tehnica de marcare a accesului la şurub prezentată în articolul de faţă permite clinicienilor, în orice moment, să simplifice şi să recupereze în mod predictibil proteza implantară cimentată. Prin aplicarea unui marcaj discret dar uşor de recunoscut pe suprafaţa ocluzală a restaurării, punctul de intrare în spaţiul de acces al şurubului se poate crea cu precizie şi siguranţă. Tehnica marcării accesului pentru şurub este eficientă, efectivă şi aplicabilă pe scară largă.
implantare cimentate este efectuată adesea de un clinician care nu a făcut parte din echipa originală de tratament şi de aceea nu cunoaşte locaţia precisă a accesului pentru şurub. Ca atare, îndepărtarea protezei implantare cimentate este foarte imprevizibilă datorită lipsei de standardizare a tehnicilor şi materialelor folosite în protetica pe implante şi a inabilităţii de a identifica radiologic materialele utilizate. Se ajunge în cele din urmă la dificultatea şi imprevizibilitatea îndepărtării, la o durată terapeutică prelungită şi costuri adiţionale pentru pacient.
Tehnica existentă de îndepărtare a restaurărilor cimentate pe implante constă în măsurarea pe radiografii periapicale a distanţei dintre repere şi camerele de acces la şurub şi în efectuarea unor estimări aproximative ale limitei accesului pentru şurub pe suprafaţa ocluzală sau palatinală a restaurării. Dacă sunt disponibile din faza chirurgicală sau imediat după, şi fotografiile pot fi valoroase în determinarea accesului. Deşi aceasta este o tehnică viabilă, poate fi dificil de realizat cu acurateţe şi nu ia în









2. Modelul cu bontul definitiv al implantului se montează în paralelograf pentru a înregistra cu precizie direcţia camerei de acces la şurub.
3. Tija paralelografului aliniată pe model cu camera de acces la şurub.
4. Odată aliniată, tija paralelografului este ridicată fără modificarea poziţiei modelului.
5. La paralelograf în locul tijei se adaptează o pensulă cu vârful ascuţit.
6. Proteza se aşează pe bont, apoi pensula se încarcă cu un colorant opac alb sau brun şi se coboară spre coroană. Se observă concavitatea mică creată pe suprafaţa ocluzală pentru a retenţiona colorantul;
aceasta asigură că marcajul accesului pentru şurub nu se va uza sub încărcare.
7. În situaţiile unde se doreşte un marcaj mai discret, se foloseşte o pată albă opacă.
8. Marcajul accesului pentru şurub indică în mod clar locaţia precisă a accesului prin suprafaţa ocluzală a restaurării. Dacă proteza trebuie îndepărtată în viitor, şurubul se poate accesa uşor şi predictibil prin crearea unui orificiu în locaţia respectivă.
9. Marcajul de culoare albă a accesului la şurub este mai subtil, dar este la fel de eficient în indicarea locaţiei camerei de acces.
considerare angulaţia vestibulo-orală a implantului. Scanările cu tomografie computerizată cu fascicul conic (CBCT) pot ajuta la rezolvarea acestei probleme, dar sunt în general evitate datorită costurilor ridicate şi expunerii la radiaţii, comparativ cu radiografiile periapicale.
Când se îndepărtează proteze unidentare (şi proteze parţiale fixe mai extinse) în acest fel, metoda duce adesea la distrugerea restaurării existente. Orificiul de acces rezultat este în mod frecvent prea mare sau neregulat pentru a permite reutilizarea restaurării. Acurateţea acestei metode poate deteriora semnificativ bontul deopotrivă, compromiţând abilitatea reutilizării sale dacă se doreşte (fig. 1). Deşi deseori reprezintă singura opţiune de îndepărtare, această tehnică de „măsurare şi estimare” este stresantă şi consumatoare de timp.
O tehnică alternativă constând în folosirea unui indicator ocluzal siliconic a fost elaborată în 2007 pentru a marca orificiile de acces ale şuruburilor pe protezele implantare cimentate. În cadrul acestei tehnici, locaţia estimată a orificiilor de acces se marchează cu ceară pe suprafaţa ocluzală, iar deasupra se formează o matrice din silicon chitos.
Limitările aceste metode sunt reprezentate de faptul că indicaţia orificiului de acces pentru şurub este doar o estimare bazată pe măsurări efectuate cu compasul de aur şi, în plus, practicianul care efectuează ablaţia trebuie să deţină matricea.
Scopul tehnicii detaliate în acest articol (o modificare a tehnicii descrise iniţial de Schwedhelm în 2006) constă în rezolvarea uneia dintre preocupările majore şi de a face recuperarea restaurărilor cimentate pe implante mai simplă şi mai predictibilă. Cu această modificare minoră, recuperarea protezelor implantare cu fixare prin cimentare nu este mai dificilă decât în cazul unităţilor fixate cu şuruburi, chiar şi atunci

când clinicianul care creează accesul nu a făcut parte din echipa terapeutică iniţială.
În cursul fabricării restaurării, laboratorul poate realiza o simplă modificare a protezei pentru a asigura faptul că, la nevoie, recuperarea ulterioară va fi aproape la fel de simplă ca detaşarea protezei fixate cu şuruburi. Prin realizarea unei mici concavităţi pe suprafaţa ocluzală a restaurării cimentate şi marcarea sa clară cu un pigment opac alb (sau brun), punctul de acces în camera şurubului se poate identifica cu uşurinţă.
Marele avantaj al acestei tehnici este acela că marcarea accesului este uşor de identificat de către orice clinician abil într-un moment ulterior, chiar dacă nu a fost implicat în tratamentul
iniţial, asigurând astfel accesul şi detaşarea simplificată.
Tehnica se realizează astfel: (1) Pe modelul de laborator se aplică bontul definitiv pe analogul implantului.
(2) Modelul se montează într-un paralelograf (fig. 2). Această etapă se face pentru a înregistra cu precizie dispunerea camerei de acces pentru şurub şi va permite marcarea cu acurateţe a suprafeţei ocluzale, indicând locaţia pentru accesul şurubului. Tija paralelografului (fig. 3) este aliniată pe model cu camera



de acces pentru şurub, asigurând că este corect aliniat atât în angulaţie mezio-distală, cât şi vestibulo-orală.
(3) Modelul se aliniază astfel încât tija paralelografului să treacă direct în jos către accesul pentru şurubul bontului (fig. 4).
(4) Se înlocuieşte tija paralelografului cu o pensulă cu vârful ascuţit (fig. 5).
(5) Restaurarea finală se plasează pe bont. Cu o freză diamantată fină se creează o concavitate mică la nivelul punctului de contact pentru a asigura că pigmentul opac nu se uzează în timpul funcţiei (fig. 6).
(6) Se coboară pensula (preîncărcată cu porţelanul opac) pe suprafaţa restaurării (fig. 7), permiţând pigmentului opac (alb sau brun) să curgă în concavitatea creată de freză. Coloraţia brună (fig. 8) este mai evidentă decât coloraţia albă (fig. 9), deşi în unele circumstanţe poate fi inacceptabilă estetic.
(7) Se arde restaurarea conform instrucţiunilor producătorului.

(8) Se montează bontul şi se aplică cuplul de torsiune în acord cu specificaţiile producătorului (fig. 10, 11). Se observă în fig. 10 faptul că emergenţa subgingivală a bontului a fost colorată pentru a se potrivi mai bine cu nuanţa gingivală a restaurării, ajutând astfel la combaterea complicaţiilor protetice, ce apar secundar schimbărilor ulterioare ale gingiei. Apoi se curăţă camera de acces cu soluţie de clorhexidină 2%, se usucă şi se obturează cu polivinil siloxan (PVS). Se remarcă faptul că bontul individualizat (fig. 11) a fost conceput cu marginile la aproximativ 0,5mm subgingival pentru a asigura faptul că îndepărtarea cimentului excesiv se realizează cu uşurinţă, cu şanse minime de retenţionare subgingivală a cimentului.
Această tehnică reprezintă o cale simplă şi convenabilă de facilitare a uşurinţei cu care se îndepărtează la nevoie restaurările implantare cimentate. Marcarea accesului pentru şurub este suficient de subtilă pentru a fi discretă estetic şi funcţională (fig, 12, 13). Timpul suplimentar necesar pentru realizarea tehnicii este minim şi nu necesită pregătire adiţională a ceramistului. Dacă se va implementa pe scară largă, această tehnică va elimina una dintre dificultăţile majore ale restaurărilor fixate prin cimentare, făcând recuperarea lor semnificativ mai predictibilă şi eficientă. Tehnica de marcare a accesului pentru şurub este indicată cel mai bine pentru restaurările implantare posterioare cimentate, îndeosebi când angulaţia implantului este în afara intervalului anticipat. Metoda este funcţională în cazul unităţilor frontale, câtă vreme angulaţia plasează accesul
Figurile
10. Proteza definitivă şi bontul pregătite pentru montare.
11. Se aplică bontul definitiv şi se torsionează la valoarea specifică.
12. Restaurarea definitivă este cimentată cu un ciment ionomer de sticlă modificat cu răşină. Acest ciment oferă o bună retenţie, dar rămâne uşor solubil. Evaluarea postoperatorie obiectivează gingia periimplantară sănătoasă.
13. Dacă în viitor proteza trebuie recuperată, marcajul de culoare albă a accesului şurubului indică în mod clar unde trebuie creat orificiul.
şurubului palatinal faţă de muchia incizală.
Din cauza considerentelor estetice, această tehnică nu este indicată în cazul restaurărilor frontale cimentate cu limita poziţionată astfel încât plasarea marcajului indicator ar trebui efectuată pe suprafeţele vestibular. Îndepărtarea restaurărilor pe implante cimentate – cu sau fără marcarea accesului spre şurub – presupune totuşi riscul fracturării ceramicii în cursul creării accesului.
Acest risc se poate minimiza prin utilizarea frezelor adecvate pentru materialul ce urmează a fi perforat (cum ar fi frezele diamantate fine), cu presiune intermitentă uşoară şi răcire cu apă. Când este cazul, complexul proteză-bont se poate reutiliza, iar accesul se poate închide aşa cum s-ar face la orice altă restaurare cu fixare prin înşurubare.
Această tehnică nu este aplicabilă în cazul bonturilor solide sau al formelor de implante monocomponente.
Unul dintre dezavantajele cel mai frecvent citate ale protezelor cimentate pe implante constă în inabilitatea de a le recupera ulterior. Prin crearea şi colorarea unui mic marcaj pe suprafaţa ocluzală a restaurărilor implantare cu fixare prin cimentare, punctul de acces către şurubul bontului se poate identifica în mod clar, asigurând că orice recuperare ulterioară a protezei este simplă şi predictibilă, rezolvând astfel una dintre dificultăţile principale ale restaurărilor implantare cu fixare prin cimentare. ¤

Collaboration Between the General Dentist and Orthodontist: An Essential Partnership to Ensure Orthodontic Success by Daniel Bills, DMD, MS.
Originally published in Compendium of Continuing Education in Dentistry 34(4) April 2013. Copyright © 2013 to AEGIS Communications. All rights reserved.

Despre autori
Daniel Bills, DMD, MS
Diplomate, American Board of Orthodontics
Private Practice in Orthodontics Sicklerville, New Jersey
Clinical Associate University of Pennsylvania Department of Orthodontics Philadelphia, Pennsylvania
edicul dentist generalist reprezintă „prima linie de apărare” împotriva dezvoltării unei malocluzii, implicând o responsabilitate ce nu trebuie subestimată dar nici supraevaluată.
Cu scopul de a asigura pacienţilor de toate vârstele asistenţă ortodontică optimă la momentul potrivit, îndrumarea precoce către specialist are o maximă importanţă.
ORTODONTIC
Când se recomandă?
Asociaţia Americană de Ortodonţie recomandă efectuarea unui control la vârsta de 7 ani sau chiar mai devreme, dacă părintele sau medicul dentist detectează o problemă. La această vârstă, marea majoritate a copiilor nu necesită intervenţie ortodontică.
Totuşi, pentru acel mic procentaj care ar avea nevoie, dacă anomalia nu este decelată la timp ar putea fi dificil, dacă nu imposibil, ca aceasta să fie tratată mai târziu.
Colaborarea şi comunicarea între echipa medicului dentist generalist şi cea a medicului ortodont sunt esenţiale pentru rezultate reuşite ale terapiei ortodontice. Această colaborare începe odată cu îndrumarea iniţială a pacientului către ortodont şi continuă inclusiv până la stadiul de contenţie al tratamentului, când toate deplasările dentare sunt finalizate.
Articolul de faţă prezintă soluţii pentru formarea şi deprinderea unei abordări a echipei dentare orientate către tratamentul ortodontic.
Tabel 1: Situaţii clinice întâlnite la vârsta de 7 ani care reclamă consult ortodontic
pierderea prematură a dinţilor temporari sau exfolierea tardivă a acestora
angrenaj invers frontal sau lateral spaţiu insuficient pentru erupţia dinţilor permanenţi
înghesuire severă ce produce o solicitare şi o afectare a ţesuturilor de suport obicei vicios de sugere a degetului
protruzie severă a dinţilor frontali, expunându-i la riscul de fractură
respiraţie orală
dificultăţi de vorbire
pacienţii îşi muşcă obrazul sau dinţii inferiori oclud la nivelul palatului
ocluzie deschisă frontală
dezechilibru sau asimetrie facială
încleştarea sau scrâşnirea dinţilor
imposibilitatea de a ţine buzele în contact fără efort
dificultăţi la incizia alimentelor sau la masticaţie




În plus, este posibil ca o modificare permanentă şi/sau ireversibilă să se fi instalat deja (fig. 1). Din acest motiv, numeroase cabinete de ortodonţie oferă pacienţilor săi consultaţii suplimentare sau la preţ minim, asigurându-se astfel că nici o anomalie ortodontică nu este ratată. Numeroasele dezbateri referitoare la momentul oportun de îndrumare către specialistul ortodont au tendinţa să se focalizeze exclusiv în jurul copiilor; totuşi, mulţi adulţi pot beneficia în urma terapiei ortodontice. În cazul acestora se recomandă consultul ortodontic cât mai repede posibil după ce o nealiniere dentară, o înghesuire sau probleme ocluzale semnificative sunt identificate cu ocazia unui examen dentar. Beneficiile pe termen lung asupra sănătăţii orale aduse de alinierea dinţilor asociată cu o ocluzie adecvată sunt bine documentate. Mulţi pacienţi consideră ortodonţia o procedură pur estetică şi, cel mai adesea, află despre beneficiile parodontale, funcţionale şi pre-protetice ale acesteia numai când le sunt explicate de către un dentist generalist avizat care îi îndrumă la un consult de specialitate.



De ce trebuie recomandat?
Deşi majoritatea tratamentelor ortodontice încep la vârste cuprinse între 9-14 ani, o serie de afecţiuni sunt cel mai eficient tratate la o vârstă mai timpurie (Tabelul 1). Cu toate că scopul acestui articol nu este acela de a discuta în detaliu fiecare entitate enumerată în tabel, cazul protruziei excesive a incisivilor superiori ilustrează importanţa trimiterii pacientului, la momentul oportun, la specialist.
Conform lui Proffit, există o probabilitate de 33% ca un pacient cu inocluzie sagitală severă să sufere un traumatism la nivelul incisivilor superiori (fig. 2) şi, de aceea, o trimitere promptă este esenţială pentru a diminua în mare măsură riscul unei potenţiale fracturi. Cum biomecanica ortodontică şi aparatele estetice s-au perfecţionat de-a lungul timpului iar durata de tratament s-a micşorat, terapia ortodontică pentru adulţi a luat amploare. De aceea, înainte de iniţierea oricărei restaurări protetice, în special de anvergură, ar trebui corectate ortodontic dizarmoniile ocluzale precum şi doleanţele estetice specific ortodontice.
Figurile
1. Pacient (9 ani) cu angrenaj anterior netratat şi retracţie gingivală consecutivă, severă şi ireversibilă.
2. Pacient în vârstă de 10 ani cu inocluzie sagitală severă, care prezintă fractura coronară a unui incisiv maxilar vestibularizat.
3, 4. Aspect preoperator al unui pacient adult cu boală parodontală şi retracţii gingivale; unii dintre dinţi ar fi fost consideraţi înainte irecuperabili (3). Postoperator a demonstrat beneficiul tratamentului ortodontic asupra sănătăţii dinţilor şi gingiilor (4).
5. Gingivită generalizată severă la un pacient cu igienă orală deficitară, imediat după îndepărtarea aparatului fix ortodontic.
6. Leziunile albe cretoase la un pacient cu igienă deficitară; imagine posttratament ortodontic.
În caz contrar, este frustrant pentru pacienţi să consulte ulterior un ortodont şi să afle că malocluzia nu poate fi complet corectată decât prin îndepărtarea lucrării abia fixate. În plus, cu ajutorul opţiunilor de forţe ortodontice şi de fricţiune reduse disponibile astăzi, ortodonţii sunt în măsură să trateze pacienţii compromişi d.p.d.v. parodontal, situaţie clinică care constituia înainte o contraindicaţie a terapiei ortodontice (fig. 3,4). Aceşti pacienţi nu numai că sunt pot avea un rezultat estetic foarte agreabil, dar şi statusul lor parodontal poate fi îmbunătăţit semnificativ.
Cum se recomandă?
Situaţiile clinice ce indică medicului dentist necesitatea recomandării unui consult ortodontic precum şi momentul oportun de realizare al acestuia constituie subiecte adesea discutate. În schimb, modalitatea eficientă de comunicare a importanţei vizitei la ortodont este de cele mai multe ori ambiguă. Medicul dentist şi igienistul se află în cea mai bună poziţie pentru a informa pacienţii despre multiplele riscuri de
sănătate asociate malocluziei. Nu este neobişnuit să auzi că un pacient sau părinte ”nu este interesat de ortodonţie”, ca şi cum aceasta ar fi o procedură pur cosmetică, fără repercursiuni pe termen lung asupra sănătăţii dentare şi sistemice.
De aceea, se pune întrebarea dacă îndrumarea către ortodont este exprimată sub forma unei simple sugestii sau este însoţită de explicaţiile necesităţii acesteia, aşa cum s-ar proceda în cazul trimiterii pacienţilor la endodont sau chirurg. Doar explicate în detaliu, consecinţele serioase negative derivate din ignorarea unei malocluzii în dezvoltare detectată la copii, determină părinţii să considere trimiterea ca fiind imperativă. Mai mult, dacă o trimitere este ignorată, este necesară o monitorizare repetată la vizitele ulterioare.
PARCURSUL TRATAMENTULUI
ORTODONTIC ACTIV
La pacienţii cu aparate ortodontice se descriu două sechele provocate de igiena orală deficitară ce pot fi prevenite: inflamaţia gingivală (fig. 5) şi leziunile de decalcifiere a smalţului, denumite pete albe de smalţ (fig. 6). Decalcifierea este raportată la peste 50% dintre dinţii cu aparate ortodontice fixe. Studiile au demonstrat că bracketurile potenţează acumularea de placă şi colonizarea bacteriană, conducând la inflamaţie şi sângerare. Aceste bacterii sunt predominante în regiunile de gingivită din vecinătatea aparatelor ortodontice comparativ cu zonele de gingivită de la pacienţii fără aparate. În plus, s-a demonstrat că deplasarea dentară determină creşterea nivelurilor de interleukină ß (IL- ß) şi de factor de necroză tumorală alfa (TNF-∂) ce stimulează procesul inflamator, generând niveluri susţinute de gingivită.

A motiva pacienţii să perieze dinţii complet şi corect poate constitui o sarcină dificilă care este şi mai accentuată dacă în ecuaţie se adaugă aparatele ortodontice. Atunci cînd stabilesc regimul optim de igienă orală pentru pacienţii lor, medicii dentişti generalişti şi cei ortodonţi trebuie să ia în considerare următorii factori:
Este periajul dentar suficient?
Deşi periajul dentar constituie primul mijloc de îndepărtare a peliculei biologice de la nivelul suprafeţelor supragingivale, nu este suficient pentru obţinerea unei igiene orale optime. Cercetările arată că, în general, tendinţa este de a peria dinţii în acelaşi fel de fiecare dată pentru o durată medie de 50 secunde, din care doar 10% este alocat suprafeţelor linguale. De curând, o revizie sistematică iniţiată cu scopul de a evalua îndepărtarea biofilmului de placă în cadrul unui singur episod de periaj manual, raportează o reducere medie de numai 43%. Un alt studiu mai timpuriu arată că la fiecare periaj nu se îndepărtează mai mult de 60% din întreaga placă bacteriană şi că periajele repetate nu sporesc cantitatea de placă îndepărtată. Aceasta înseamnă că, până şi în condiţiile unui regim şi a unei tehnici de periaj dentar ideale,
ceea ce se întâmplă rar, în special în cazul pacienţilor cu aparate ortodontice, cel mai probabil este să se îndepărteze numai 60% din placă.
Numeroşi ortodonţi şi dentişti generalişti au considerat că periuţa de dinţi electrică reprezintă cheia eliminării unora dintre deficienţele periajului manual. În cazul pacienţilor fără aparate ortodontice, acţiunea de rotaţie-oscilaţie a periuţei electrice determină o îndepărtare a plăcii bacteriene cu 7% mai eficientă precum şi o reducere cu 17% a gingivitei, în comparaţie cu periuţele de dinţi acţionate manual. O meta-analiză a eficienţei periuţelor electrice vs manuale, efectuată la pacienţii cu aparate ortodontice, demonstrează rezultate mixte: unele arată eficienţă, altele nu indică nici un beneficiu, autorii concluzionând că nu există date suficiente pentru a susţine ipoteza eficienţei sporite a periuţelor de dinţi electrice.
Studiile demonstrează că, în general, suprafeţele interproximale sunt neglijate chiar în absenţa aparatelor ortodontice; este de aşteptat ca situaţia să fie mai gravă în prezenţa acestora. Se recomandă ca dentiştii să

determine pentru fiecare caz în parte dacă utilizarea eficientă a aţei dentare este posibilă. Deşi, indicaţia de rutină pentru utilizarea aţei dentare nu este susţinută de date ştiinţifice. Există şi alte dispozitive ce au demonstrat rezultate similare sau chiar superioare aţei dentare. Utilizarea duşurilor orale sau dentare (irigatoare) au demonstrat o reducere semnificativă a sângerării, gingivitei, plăcii bacteriene, adâncimii pungilor parodontale şi a mediatorilor procesului de inflamaţie, cum ar fi IL-ß şi prostaglandina E2. Duşul oral utilizează o combinaţie controlată de presiune şi pulsaţii pentru a accesa zonele interdentare şi subgingivale peridentare, cu scopul de a îndepărta pelicula biologică şi bacteriile patogene. Zona de impact este localizată acolo unde jetul pulsatil de apă atinge iniţial dintele la marginea gingiei, iar zona de refluare este reprezentată de penetrarea în şanţul gingival sau punga parodontală.
Un studiu ex-vivo a arătat, sub scanarea cu microscop electronic (SEM - Scanning Electron Microscope), că o aplicare a duşului pentru trei secunde la presiune medie poate îndepărta 99,9% din placă. În plus, alte trei studii au demonstrat că duşul bucal este mai eficient decât aţa dentară în reducerea inflamaţiei gingivale.
În mod specific, pentru pacienţii cu aparat ortodontic, s-a arătat că duşul bucal îndepărtează de trei ori mai mult placa bacteriană şi reduce cu 26% mai mult sângerarea, comparativ cu aţa dentară, fiind uşor de utilizat (fig. 7).
Motivarea pacienţilor
Pentru numeroşi pacienţi care poartă aparate ortodontice, a avea dinţi şi gingii sănătoase nu pare să fie un motiv suficient care să-i stimuleze să deprindă o igienă orală riguroasă. În cazul

pacienţilor copii, cabinetele oferă cadouri pentru a încuraja comportamente pozitive: să nu dezlipească bracketurile, respectarea punctuală a programărilor, purtarea elasticelor, etc.
Mai recent, multe cabinete au transferat programele de premiere în zona digitală folosind sisteme pe bază de „card de credit”, înseamnând că, pacienţii care se prezintă la controale cu dinţi curaţi şi aparate nedezlipite pot primi o recompensă iniţială şi devin eligibili pentru premii suplimentare dacă menţin o igienă adecvată, dacă se prezintă la controale la dentistul generalist, etc. Medicii ortodonţi consideră că pacienţii se prezintă, la intervale de 6 luni, la dentist pentru controalele de rutină, fără a ştii însă cu siguranţă. Mai mult decât atât, cu toate că un soft specializat poate informa ortodontul când se împlinesc 6 luni de la ultima vizită a pacientului la medicul dentist şi să trimită o notiţă de aducere aminte acestuia sau părinţilor, nu este sigur că pacientul va respecta această indicaţie.
De aceea, instituirea unui program de motivare este foarte binevenită. În cadrul acestui tip de program, pacientul primeşte de la ortodont un card pe care medicul dentist sau igienistul semnează, indicând data de control. Apoi, pacienţii returnează cardul ortodontului la următoarea vizită în schimbul unei recompense din cadrul programului de motivare amintit. În plus, şi cabinetul dentar poate deveni eligibil pentru „recompense”, prin urmare o situaţie avantajoasă pentru toţi implicaţi.
Odată ce tratamentul ortodontic activ este finalizat cu succes, devine
Figurile
7. Duş bucal, cu vârf conic, conceput special pentru pacienţii cu aparate ortodontice. Vârful este utilizat pentru producerea unui lavaj pulsatil care să cureţe interdentar, subgingival şi pe suprafeţele dintelui. Vârful poate fi folosit şi pentru a curăţa şi peria în jurul bracketurilor şi arcurilor (Water Pik, Inc., Fort Collins, CO)
8. Pacient care prezintă retainer colat la nivelul dinţilor anteriori mandibulari pentru contenţie “pe viaţă”.
responsabilitatea ambelor echipe să asiste pacienţii în timp, pentru că un rezultat reuşit nu rămâne stabil pentru tot restul vieţii. Conform cercetărilor actuale, majoritatea ortodonţilor indică pacienţilor un fel de retenţie pe viaţă. La pacienţii cu igienă orală bună pe parcursul terapiei ortodontice, metoda clasică de contenţie „pe tot restul vieţii” implică utilizarea retainerilor colaţi (fig. 8). În cazul aparatelor de contenţie mobile, acestea trebuie purtate cel puţin două nopţi pe săptămână pe timp nedefinit.
După finalizarea tratamentului activ, majoritatea ortodonţilor continuă să vadă pacienţii pentru o perioadă cuprinsă între 2-3 luni până la 3 ani. Totuşi, este de o importanţă vitală ca şi comunicarea dintre cabinetele dentar şi ortodontic să continue, cu scopul de a menţine rezultatul ortodontic obţinut. Se recomandă dispensarizarea cel puţin o dată la 6 luni pentru controale de rutină; atât dentistul cât şi igienistul trebuie să încurajeze purtarea aparatelor de contenţie. În plus, dacă se observă recidivă, este importantă îndrumarea de urgenţă către ortodont pentru o nouă evaluare.
Fără o îndrumare către ortodont bine argumentată şi efectuată la momentul oportun, se poate omite o anomalie cu efecte potenţial devastatoare. Odată început tratamentul devine responsabilitatea ambelor echipe medicale, ortodontice şi dentare, pentru evitarea complicaţiilor. Efortul de echipă continuă după finalizarea tratamentului activ, pentru a monitoriza contenţia rezultatelor în timp. ¤

Creating Super Dentin: Using Flowable Composites as Luting Agents to Help Prevent Secondary Caries by Gregg A. Helvey, DDS. Originally published in Compendium of Continuing Education in Dentistry 34(4) April 2013. Copyright © 2013 to AEGIS Communications. All rights reserved.

Despre autori
Gregg A. Helvey, DDS
Adjunct Associate Professor Virginia Commonwealth University School of Dentistry Richmond, Virginia Private Practice Middelburg, Virginia
Mulţumiri
Ruth Egli, RDH
estaurările integral ceramice sunt tot mai frecvent utilizate datorită progreselor realizate în domeniul materialelor dentare şi popularităţii tehnologiei cu proiectare şi fabricare asistată de calculator (CAD/CAM). În plus, laboratoarele dentare au investit mai mult în tehnologia computerizată. În pofida acestor progrese, persistă vechea problemă a cariilor secundare de la marginea restaurărilor dentare.
Studiile recente au demonstrat procesul de degradare a complexului răşină-dentină prin care forţa adezivă iniţială a adezivilor dentinari se diminuează rapid, datorită activităţii enzimatice inerente. Rapoartele de cercetare au abordat această dilemă prin încorporarea în adezivii răşinici a inhibitorilor de enzime. Caria dentară creează cicluri distructive care încep prin producţia de acid ce demineralizează complexul dentinar. Acidul scade nivelurile de pH şi activează enzimele proteice, ce degradează la rândul lor colagenul expus, fenomen ce exacerbează leziunea carioasă. Cercetările privind caria dentară se concentrează de multă vreme pe prevenirea progresiei cariei iniţiale şi diminuarea riscului cariei secundare, cauza majoră a eşuării restaurărilor dentare. O mai mare atenţie s-a alocat modificărilor în formularea adezivilor dentinari care au efecte inhibitorii asupra caracterului distructiv al cariei dentare şi degradării enzimatice ulterioare.
Pe măsură ce ştiinţa materialelor şi a tehnologiilor dentare evoluează şi permite clinicienilor dentişti să ofere tratamente mai eficiente, persistă o veche provocare – cea legată de prevenirea formării cariei secundare la marginea restaurării. Acest articol include un studiu de caz pentru a ilustra tehnica autorului ce facilitează crearea zonei rezistente la acizi și baze.
S-au depus eforturi şi în vederea reducerii sensibilităţii la tehnică prin diminuarea numărului de etape procedurale. Cu toate acestea, unele studii sugerează că alături de obţinerea beneficiilor oferite de etapele de lucru rapide prin utilizarea unui adeziv autogravant într-un singur flacon, s-au constatat forţe adezive mai slabe. Creşterea rezistenţei faţă de produşii secundari bacterieni acizi la interfaţa dinte – răşină poate împiedica eficient progresia cariei secundare.
Integritatea marginală a restaurării, fie directe sau indirecte, este supusă eficienţei adezivului în menţinerea închiderii marginale.
Microorificiile care se formează la interfaţa dintre dinte şi răşina adezivă permite infuzia produşilor intermediari bacterieni, generând caria secundară. Producătorii au modificat formulările adezivilor dentinari nu doar pentru a reduce sensibilitatea la tehnică a procedurii, ci pentru a creşte şi rezistenţa faţă de formarea cariei secundare, prin crearea unei zone care este rezistentă la acizi şi baze. Aceasta este denumită „super dentină” şi “super smalţ”. Tehnologia a adus modificări în metoda de inserţie utilizată în cazul restaurărilor integral ceramice frontale.
Acest articol va dezbate complexul dinte – adeziv răşinic – agent de cimentare – restaurare, prin abordarea mai întâi a interfeţei dinte-adezivi răşinici şi apoi prin examinarea zonei dintre ciment şi restaurare.







Cea mai rezistentă* substructură a compozitului.
everX Posterior de la GC este primul compozit îmbunătăţit cu fibră de sticlă conceput pentru a fi utilizat ca înlocuitor de dentină în cazul cavităţilor mari.
Extindem limitele restaurărilor directe.
* detalii disponibile la cerere




Figurile
1. Aspectul frontal preoperator afişând recesie gingivală, inconsecvenţa nuanţelor cromatice şi disparitatea lungimii incizale.
2, 3. Aspect preoperator bilateral.
4. Laserul diodic utilizat pentru modificarea conturului gingival pe latura mezială a incisivului superior drept.
Cheia tuturor restaurărilor ataşate adeziv constă în formarea unui strat hibrid. Stratul hibrid se formează după modificarea şi/sau eliminarea smear layer-ului, urmată de demineralizarea dentinei şi penetrarea monomerilor adezivi. Numeroase studii au implicat diferite tehnici pentru a caracteriza morfologia hibridă. De exemplu, Nakabayashi a aplicat gravarea cu acid clorhidric urmată de hipocloritul de sodiu pentru a demonstra rezistenţa stratului hibrid faţă de acizi. Alternarea între aplicarea unui material acid şi bazic este cunoscută ca o provocare acido-bazică. Nakajima şi colab au utilizat acid fosforic urmat de hipocloritul de sodiu pentru a observa stratul hibrid, iar Inokoshi şi colab au folosit gravarea cu fascicul de ioni de argon pentru a vizualiza stratul hibrid.
Folosind SEM, Tsuchiya şi colab au raportat că proprietăţile fizice ale materialelor restauratoare şi adezive, calitatea stratului hibrid şi eliberarea de fluoruri au exercitat un efect preventiv asupra formării cariei secundare. Studiul lor a constatat prezenţa unui strat subţire adiacent stratului hibrid care s-a format după o provocare acido-bazică; ei au denumit acest strat ca zona rezistentă la acizi şi baze (ABRZ). Şi alte cercetări au raportat formarea ABRZ în cazul utilizării unui sistem adeziv primer autogravant. S-a observat lipsa ABRZ la folosirea sistemelor adezive cu gravare şi clătire. Inoue şi colab au constatat existenţa ABRZ sub stratul hibrid format de un sistem adeziv autogravant în două etape atât în dentina intactă, cât şi în dentina afectată de carie.
După introducerea sistemelor adezive all-in-one, studiile efectuate cu SEM şi microscopia electronică de transmisie (TEM) au constatat prezenţa ABRZ şi sub stratul hibrid. De fapt un strat ABRZ mai gros s-a format sub stratul hibrid atunci când sistemul autogravant avea capacitatea eliberării de fluoruri. S-a raportat că eliberarea fluorurilor din cimenturile ionomer de
sticlă convenţionale şi modificate cu răşini are efect anticariogen. Încorporarea fluorului în adezivii răşinici s-a dovedit a avea la rândul ei acest efect. Nikaido şi colab au menţionat ABRZ sub denumirea de “super dentină”, iar grosimea acestei zone depinde de material. Super dentina este definită ca o dentină modificată şi consolidată cu rezistenţă superioară împotriva activităţii carioase.
Motorul principal al adezivului dentinar autogravant este monomerul funcţional, care are rolul de a îmbunătăţi adeziunea prin creşterea umidităţii şi demineralizarea dentinei cu aderenţa chimică la calciu. Yoshida şi colab au constatat că un monomer funcţional nu a demineralizat complet dentina, dar în schimb a lăsat hidroxiapatită în jurul colagenului, care a servit ca un receptor pentru adeziunea chimică cu monomerul funcţional. Ei au raportat, de asemenea, că potenţialul adeziunii chimice era diferit în rândul monomerilor funcţionali.
Formarea unui ABRZ de smalţ la interfaţa adeziv-smalţ a fost confirmată de Li şi colab. Ei au observat că aceasta exista numai în cazul adezivilor care conţineau monomerul funcţional dihidrogen fosfat 10-metacril-oxidecil (MDP). Yoshida şi colab au constatat că monomerul MDP interacţiona chimic cu hidroxiapatita formând legături ionice puternice şi stabile cu calciul. Această reacţie a produs o sare calcică a MDP care prezenta o solubilitate mai slabă. Lungimea şi flexibilitatea lanţurilor alchilice de distanţare au un efect asupra reactivităţii la polimerizare a unui monomer funcţional. Monomerul MDP are un lanţ alchilic linear mai lung şi o grupare esterică a acidului fosforic care creşte eficacitatea polimerizării.
Nikaido şi colab au raportat că ABRZ la nivelul smalţului era similar cu cel raportat în dentină, deşi smalţul avea un conţinut mineral mai ridicat şi o structură matriceală diferită de
dentină. La nivelul dentinei, ABRZ s-a format sub stratul hibrid, în timp ce în smalţ ABRZ s-a creat de-a lungul interfeţei adeziv-smalţ. Această ABRZ a smalţului s-a dovedit a fi mai rezistentă decât smalţul intact şi prin urmare a fost denumită „super smalţ”.
Sistemele de cimenturi răşinice utilizează frecvent sisteme adezive cu gravare-şi-clătire într-un singur flacon sau sisteme adezive autogravante allin-one, care sunt acide sau hidrofile. Aciditatea adezivului poate constitui un compromis în integritatea adeziunii. După plasarea şi polimerizarea stratului adeziv pe substratul dentar, rămâne un strat inhibat de oxigen. În acel strat sunt prezenţi monomeri răşinici acizi nepolimerizaţi. Există o competiţie între grupările acide din stratul inhibat de oxigen al răşinii adezive care se aplică pe dinte şi peroxizii care se află în una dintre pastele cu priză dublă pentru aminele terţiare prezente în cealaltă pastă cu priză dublă a cimentului răşinic. Această competiţie duce la o copolimerizare compromisă între cimentul răşinic cu priză dublă şi stratul adeziv. Efectul compromis este proporţional cu durata prizei cimentului; cu cât polimerizarea este mai lungă, cu atât mai mult se compromite polimerizarea.
Pentru a depăşi această problemă de incompatibilitate, mai mulţi producători au introdus diferite tipuri de coiniţiatori chimici sau activatori cu priză dublă (catalizator redox ternar). Copolimerizarea eficientă a apărut când aceşti adezivi au fost asociaţi compozitelor prelucrate fără apă. Când s-au aplicat pe dentina hidratată, s-a observat o copolimerizare suboptimă.
Caracteristicile hidrofile ale acestor sisteme adezive simplificate pot compromite la rândul lor integritatea adeziunii, prin permiterea pătrunderii apei prin adeziv după polimerizare. Dacă apa este prezentă la interfaţa adeziv-ciment răşinic, atunci întreaga arie de adeziune este compromisă şi poate genera eşecul
Figura
5. Aspectul frontal al mock-up-ului plasat intraoral.

cimentului adeziv. Prezenţa apei poate avea două surse: evaporarea incompletă a apei prezente în adeziv (subţierea insuficientă cu aer a adezivului înainte de fotopolimerizare); sau difuziunea apei prin adezivul permeabil din dentina subiacentă. Ca rezultat se dezvoltă un model complicat de canale pline cu apă prin stratul de adeziv, denumite „ramificaţii de apă”. Pe măsură ce apa pătrunde prin stratul adezivului polimerizat prin osmoză, apar vezicule osmotice. Unii adezivi dentinari autogravanţi într-o singură etapă pot suferi separarea fazelor componentelor răşinice, ceea ce poate duce, de asemenea, la apariţia apei la suprafaţă.
Când pe suprafaţa adezivului polimerizat se aplică un compozit hidrofob, acesta acţionează pentru a bloca apa la interfaţă, formând vezicule de apă, care se comportă ca amplificatori ai stresului mecanic, întrerupând legătura dintre adeziv şi compozit.
Potrivit Organizaţiei Internaţionale de Standardizare, cimenturile răşinice trebuie să aibă o rezistenţă flexurală minimă de 50 MPa, o rată de absorbţie a apei sub 40μg/mm3, şi o radioopacitate similară cu cea a aluminiului. Clinic, cimenturile răşinice trebuie să prezinte o vâscozitate mai mică decât răşinile compozite restauratoare, ceea ce permite o mai mică rezistenţă în cursul plasării complete a unei restaurări. Vâscozitatea sau rata fluxului depinde în mare măsură de cantitatea şi configuraţia particulelor de umplutură. Materialul de umplutură întăreşte mecanic cimentul răşinic prin creşterea rezistenţei la forţele compresive şi tensile. Dimensiunile materialului de umplutură în cimenturile răşinice se împart în două grupe: microparticule cu dimensiunea de 0,04μ şi umplutură
hibridă cu diametrul variind între 0,71,7μ. Christensen a afirmat că la compararea celor două grupe, s-a demonstrat o rezistenţă la uzură mai mare în cazul microumpluturii.
Cimenturile răşinice se împart în două categorii: una ce necesită aplicarea unui agent adeziv înainte de utilizare, iar celălalt, ciment răşinic all-in-one, fiind considerat autogravant sau autoadeziv. Deşi procedura de cimentare autogravantă constă în mai puţine etape de lucru, forţa adezivă are un potenţial mai redus.
Polimerizarea este iniţiată fie prin lumină, fie chimic sau prin ambele metode (priză dublă). În ariile fără acces la lumină (ex. coroana metaloceramică) ar trebui folosit un ciment răşinic cu priză chimică. Priza dublă se poate utiliza în ariile unde accesul luminii este limitat, precum restaurările integral ceramice posterioare cu extensii interproximale profunde. Cimenturile răşinice fotopolimerizabile se pot utiliza în regiunea frontală pentru coroanele integral ceramice şi faţete, cu condiţia ca grosimea restaurării să fie sub 2mm.
Factorul predominant în controlul eşecului iniţial al ceramicii constă în stresul tensil, care este dependent de diferenţele privind modulul de elasticitate al ceramicii, al agentului de cimentare şi al materialului de suport. Dacă modulul de elasticitate al ceramicii ranforsate cu leucită este de aproximativ 70GPa şi cel al materialului de suport (dentina) 16GPa, atunci modulul de elasticitate al agentului de cimentare trebuie să fie cât mai apropiat posibil de cel al dentinei pentru a minimiza discrepanţa. Fracturile radiale (conice) rezultate în cazul eşecurilor din masa


ceramicii se dezvoltă mai uşor atunci când substratul de susţinere are un modul de elasticitate mai mic.
Habekost şi colab au constatat rezistenţă la fractură îmbunătăţită în cazul dinţilor restauraţi cu ceramică care aveau ciment cu modul de elasticitate mai crescut. Addison şi colab au raportat că cimenturile răşinice au un efect de întărire asupra restaurărilor integral ceramice. Ei au observat că rezistenţa crescută era proporţională cu modulul de elasticitate al cimentului răşinic, care era dependent de cantitatea încărcăturii cu umplutură. Influenţa acoperirii răşinice asupra rezistenţei biflexurale a ceramicii s-a amplificat pe măsură ce modulul de elasticitate al diferitelor cimenturi răşinice a crescut. Öztürk şi colab au demonstrat că încărcarea cu umplutură a avut cel mai puternic efect asupra modulului de elasticitate.
COMPOZITELE FLUIDE
UTILIZATE CA AGENŢI DE CIMENTARE
În general, compozitele fluide au o concentraţie mai mică de umplutură comparativ cu compozitele restauratoare, ceea ce permite o creştere a ponderii matricei răşinice din jur. Majoritatea compozitelor fluide au particule de umplutură într-o proporţie ce variază între 41-53% din volum, valoare condi-
ţionată de tipul şi forma materialului de umplutură. Cantitatea materialului de umplutură se poate exprima şi în greutate, care este de obicei mai mare (de exemplu proporţia de 41-53% din volum ar corespunde unei ponderi cuprinse între 56-70% din greutate). Creşterea conţinutului răşinic amplifică contracţia de polimerizare în timpul prizei. Dacă se augmentează conţinutul umpluturii, fluiditatea scade, ceea ce ar reduce contracţia de polimerizare, dar ar amplifica dificultatea plasării restaurării în cazul în care se utilizează ca agent de cimentare.
Un ciment ideal ar avea contracţie de polimerizare redusă, conţinut crescut de umplutură pentru rezistenţă şi fluiditate mărită, permiţând restaurării să fie poziţionată uşor. Materialul ar trebui să aibă solubilitate redusă, precum şi rezistenţă compresivă şi tensilă crescută. Limita proporţională ar fi ridicată şi ar avea adeziune excelentă la suprafaţa de adeziune a ceramicii şi interfaţa adeziv-dinte.
Contracţia răşinilor compozite apare la polimerizare. Gradul de contracţie este proporţional cu tipul umpluturii, forma şi volumul respectivului material. Pe măsură de polimerizarea progresează, apare reducţia masei deoarece moleculele se aproprie una de alta, formând o reţea polimerică. Când răşina compozită are un volum de umplutură mai mare, moleculele au mai puţin spaţiu
Figurile
6. Dinţii frontali preparaţi înainte de aşezarea restaurărilor provizorii.
7. După îndepărtarea restaurărilor provizorii suprafeţele dentare preparate au fost curăţate prin abraziune uşoară cu aer.
de compactare, reducând astfel contracţia de polimerizare.
Volumul elastic, contracţia volumetrică şi dezvoltarea stresului de contracţie la polimerizare sunt deopotrivă dependente de volumul particulelor de umplutură. Masouras a afirmat că alături de cantitatea, dimensiunea şi tipul materialului de umplutură, cuplarea matricei răşinice la particulele de umplutură are un rol important în performanţa materialului. Geometric, un volum mai mare de particule de umplutură de diferite dimensiuni care sunt sferice se pot încorpora în matricea răşinică. Stresurile tind să se dezvolte la marginile ascuţite ale particulelor de umplutură, care în schimb scad rezistenţa la fracturare. Particulele de umplutură sferice tind să îmbunătăţească rezistenţa la fracturare.
Legea lui Hooke afirmă că stresul este egal cu contracţia volumetrică multiplicată de modulul de elasticitate şi cu cât este mai mare contracţia de polimerizare şi modulul de elasticitate al unei răşini compozite, cu atât se amplifică stresul de contracţie. Manifestările stresului (ex. contracţia) se pot observa în materialul răşinic compozit sub forma fisurilor interne, flexurii sau deformării în jurul structurii dentare şi/ sau dezvoltarea unui spaţiu între dinte şi compozit după ce survine eşecul adezivului. Întrucât conţinutul de umplutură are efect dramatic asupra contracţiei de polimerizare, utilizarea unui compozit fluid pentru cimentare poate părea o metodă mai puţin dorită. Munskgaard şi colab au stabilit o corelaţie directă între stresurile contracţiei de polimerizare ale compozitelor răşinice şi volumul umpluturii.
Cu cât este mai mare volumul umpluturii, cu atât mai mic este stresul de contracţie, care în schimb, ar duce la o rezistenţă mai bună la uzură şi la integritate marginală.



Dacă conţinutul umpluturii unui compozit fluid variază în intervalul aferent unui compozit restaurator sculptabil (70-80%) şi prezintă aceleaşi proprietăţi fizice, compozitul fluid poate reprezenta un substituent de dorit pentru cimentul răşinic.
S-a sugerat utilizarea compozitelelor fluide ca o alternativă la cimentarea inlay-urilor ceramice şi faţetelor. Studiul lui Barceleiro şi colab a sugerat utilizarea compozitului fluid ca agent de cimentare alternativ când se cimentează faţete laminate din porţelan cu grosimea sub 2mm. Prieto şi colab au studiat modelele de nanoscurgeri ale ceramicii ranforsate cu leucită lipite la smalţ utilizând diferite sisteme răşinice şi compozite fluide. Ei au concluzionat că utilizarea unui adeziv în două etape, cu gravare şi clătire, combinat cu un compozit fluid ca agent decimentare, a creat o închidere adecvată la interfaţa de adeziune la nivelul smalţului. Există o mare varietate de compozite fluide cu o paletă de proprietăţi fizice care includ, fluiditatea, rezistenţa flexurală, modulul de elasticitate şi radioopacitatea, precum şi conţinutul de umplutură. Diferenţele în privinţa

radioopacităţii compozitelor fluide sunt echivalente cu intervalul de radioopacitate cuprins între cel al dentinei şi cel al smalţului. Rezistenţele flexurale s-au raportat a avea valori între 66-145Mpa iar modulele de elasticitate 2,8-10,5GPa (datele producătorului).
Absorbţia apei şi proprietăţile de solubilitate ale cimenturilor răşinice compozite joacă un rol în performanţa clinică în ceea ce priveşte modificările dimensionale şi integritatea structurală. În timp, absorbţia apei cauzează degradarea rezistenţei flexurale ale compozitelor răşinice, alături de creşterea scurgerilor marginale, ducând la carie secundară. Într-un mediu umed, matricea răşinică poate absorbi şi apă, cauzând o diminuare a modulului de elasticitate. Apa absorbită acţionează ca un plastifiator de răşină şi reduce suportul pentru restaurarea ceramică de acoperire, ducând la creşterea frecvenţei fracturilor sub acţiunea forţelor masticatorii.
Cu cât mai mare este cantitatea de matrice răşinică, cu atât mai mare este volumul apei absorbite ce poate produce degradarea hidrolitică a interfeţei umplutură-răşină. Alţi factori suplimentari ce influenţează absorbţia apei şi solubilitatea includ natura particulelor de umplutură, dimensiunea medie a particulelor şi adeziunea dintre umplutură şi matrice sau agenţii de cuplare. De aceea, restaurările frontale integral ceramice cu o grosime sub 2mm se pot insera doar cu o răşină compozită cu vâscozitate redusă exclusiv fotopolime -
Figurile
8. S-a aplicat adeziv pe întreaga suprafaţă după badijonarea pe suprafaţa umedă a primerului ceramic.
9. S-a aplicat compozit fluid pe întreaga suprafaţă, dispusă în tava pentru încălzire şi apoi s-a acoperit.
10. Cele şase faţete preîncărcate în tava cu încălzire, care ulterior s-a acoperit pentru a bloca accesul luminii ambientale.
rizabilă, cu umplutură crescută, care prezintă un modul de elasticitate mai mare şi o valoare de absorbţie a apei redusă. Cuplând un compozit exclusiv fotopolimerizabil fluid cu un adeziv exclusiv fotopolimerizabil care are capacitatea de a crea o ABRZ ce reduce potenţialul cariei secundare poate reprezenta un protocol de cimentare viabil.
O pacientă de 40 ani s-a prezentat cu faţete laminate aplicate pe incisivii centrali superiori. Acuza ei consta în colorarea acestor restaurări mai vechi, recesia gingivală care a dus la afişarea suprafeţei radiculare şi disparitatea în lungime între incisivii centrali, laterali şi canini (fig. 1-3). Ea a dorit mai multă uniformitate în culoarea şi lungimea dinţilor frontali.
S-a creat un mock-up pe modelele montate în RC în laborator. S-a utilizat un laser diodic pentru a modifica conturul marginii gingivale a 1.1. datorită modelului neregulat al recesiei (fig. 4). Cu ajutorul unei chei obţinute prin termo-vacuum-formare, mock-up-ul s-a lipit la loc (prin gravarea totală a întregii suprafeţe faciale) la cei şase dinţi frontali după îndepărtarea restaurărilor existente. S-a selectat nuanţa răşinii compozite folosite la mock-up pentru a previzualiza nuanţa finală a ceramicilor (fig. 5).
Deşi planul de tratament propus (mock-up) implica o şedinţă suplimentară, s-a putut testa schema restauratoare planificată înainte de preparaţii, confirmând astfel estetica, fonetica şi funcţia. Pacienta a purtat mock-up-ul timp de 1 săptămână şi apoi a aprobat


Figurile
11. Aplicarea adezivului autogravant all-in-one 10 secunde. Nu a fost necesară badijonarea sau agitarea materialului.
12. După 10 secunde, adezivul s-a subţiat cu aer pentru a accelera evaporarea solventului şi a apei.
13. După îndepărtarea excesului de ciment, s-a efectuat lustruirea finală.
14. Aspectul restaurărilor finale aplicate intraoral, în RC.
modificarea protetică. S-a efectuat o nouă amprentare cu alginat pentru a prezerva schimbările protetice şi pentru utilizarea în laborator pentru duplicare, prin utilizarea metodei de injectare a cerii. Cu mock-up-ul poziţionat la loc, s-au folosit freze diamantate sferice de dimensiuni cunoscute pentru a plasa şanţuri de calibrare pe suprafaţa vestibulară şi pe muchiile incizale cu utilizarea frezei paralel cu conturul vestibular al dintelui pentru a controla profunzimea. O freză diamantată conică, cu vârful rotunjit s-a folosit la îndepărtarea materialului de mock-up şi/ sau a structurii dentare dintre şanţurile de calibrare. Această metodă elimină cu precizie cantitatea minimă de material de mock-up sau structură dentară care este necesară pentru cerinţele de grosime ceramică prescrise de producător. Orice material de mock-up rămas după reducţia iniţială s-a îndepărtat înainte de finalizarea preparaţiilor. Incisivii laterali şi caninii au fost preparaţi minim pentru că materialul de mock-up a constituit cea mai mare parte din volumul restaurării finale (fig. 6). Dinţii au fost amprentaţi şi s-au prevăzut cu restaurări provizorii utilizând acelaşi material folosit pentru mock-up. În laborator cu ajutorul tehnicii de injectare a cerii s-au creat restaurări de faţete laminate în ceară. O matrice


siliconică obţinută pe baza modelului cu mock-up s-a aplicat pe un model de lucru solid. S-a efectuat un orificiu de injecţie pe muchia incizală a ambilor canini. S-a injectat sub presiune continuă ceară ramolită în unul din orificiile matricei siliconice până ce ceara s-a extrudat prin cel de-al doilea orificiu. Ceara s-a răcit, apoi s-a îndepărtat matricea siliconică, lăsând o replică din ceară a mock-up-ului.
Faţetele laminate din ceară s-au separat individual şi s-au aplicat pe un alt model de lucru cu bonturi multiple pentru finalizarea marginilor. Apoi wax-upurile au fost ambalate şi presate. După dezambalarea restaurărilor, treimea incizală a restaurărilor laminate s-a scurtat şi stratificat într-o serie de etape cu combinaţia ceramicilor incizale. Restaurările s-au finisat cu ajutorul unei serii de roţi impregnate cu particule de diamant şi la final s-au lustruit. Materialul de lustruire a creat aspectul natural fără a necesita folosirea stratului de glazură de porţelan. Restaurările s-au curăţat cu aburi, dar suprafeţele de adeziune nu s-au tratat în această etapă. La şedinţa de cimentare s-au îndepărtat restaurările provizorii. Suprafeţele dinţilor preparaţi au fost curăţate cu ajutorul unui dispozitiv de abraziune cu aer (fig. 7). S-au probat
restaurările, utilizându-se apă în loc de pasta try-in. Pacienta a vizualizat restaurările aplicate intraoral şi a aprobat rezultatul. Restaurările s-au clătit cu apă şi s-au uscat. S-a aplicat acid fluorhidric 9% pe întreaga suprafaţă 20 secunde, s-a clătit şi s-a uscat. Primerul ceramic ce conţinea monomerul MDP s-a aplicat apoi pe suprafaţa de adeziune şi s-a uscat cu aer. Un adeziv răşinic, care conţinea de asemenea monomerul MDP, s-a aplicat pe suprafaţa de adeziune şi s-a subţiat pentru a accelera evaporarea apei şi a solvenţilor (fig. 8). S-a aplicat compozit fluid pe suprafaţa de adeziune a restaurării (fig. 9), care s-a plasat ulterior într-o tavă de încălzire şi s-a acoperit (fig. 10). Prin creşterea temperaturii compozitului fluid se uşurează aşezarea restaurării şi creşte gradul de conversie a răşinii.
Dinţii preparaţi s-au izolat şi uscat. S-a stins lumina unitului dentar. Pe fiecare suprafaţă preparată s-a aplicat un adeziv autogravant cu eliberare de fluor şi o singură etapă de lucru timp de 10 secunde, fără agitaţie (fig. 11). S-a dovedit că acest adeziv răşinic produce un strat ABRZ. Apoi adezivul s-a subţiat cu aer (fig. 12) şi s-a expus fotopolimerizării 20 secunde pentru fiecare dinte. Poate apărea o separare de fază anterior menţionată, dacă se utilizează anumiţi adezivi dentinari autogravanţi cu o singură etapă de lucru. Producătorul
descrie acest adeziv răşinic all-in-one ca având un amestec omogen de componente hidrofile şi hidrofobe folosind dispersa moleculară care previne separarea fazelor şi formarea apei pe suprafaţa adezivă.
Faţetele preîncărcate şi încălzite au fost plasate începând cu incisivii centrali, urmaţi de laterali şi de canini. S-a utilizat o variaţie a metodei fotopolimerizării denumită şi tehnica Tack & Wave. Ambele faţete de pe incisivii centrali au fost fixate cu utilizarea unei presiuni uşoare simultane într-o direcţie incizală cu degetele arătătoare şi presiune vestibulară cu ajutorul policelor. S-a aplicat o lampă de fotopolimerizare LED cu un vârf de 2mm în centrul fiecărei faţete şi s-a activat timp de 1 secundă dinspre vestibular. Aceeaşi procedură de fixare a restaurărilor s-a repetat în cazul incisivilor laterali, urmaţi apoi de canini. Vârful lămpii de fotopolimerizare s-a înlocuit cu un diametru mai mare. Ţinând vârful lămpii la 2,5cm de suprafaţa vestibulară, s-a finalizat fotopolimerizarea utilizând o mişcare de unduire 4 secunde suplimentare pe vestibular şi apoi pe versantul oral. S-a îndepărtat apoi compozitul fluid excesiv cu ajutorul unei lame de bisturiu.
S-a trecut cu aţa interdentară prin fiecare contact interproximal. S-a utilizat un gel transparent solubil în apă pentru a acoperi marginile cu scopul de a preveni formarea stratului inhibat de oxigen în timpul etapei finale de polimerizare. Utilizând două lămpi de fotopolimerizare, una plasată vestibular, iar cealaltă dinspre oral, faţetele au fost fotopolimerizate timp de 60 secunde cu activări de câte 20 minute pentru a preveni supraîncălzirea dintelui.
S-au verificat marginile şi s-au finisat cu ajutorul frezelor diamantate ultrafine. Răşina restantă de pe suprafeţele faţetelor s-a îndepărtat cu ajutorul lamei de bisturiu 12-b şi apoi restaurările s-au lustruit cu o perie cu fire moi şi pastă (fig. 15). Pacientei i s-au oferit instrucţiunile postoperatorii şi i s-a solicit să revină peste 2 săptămâni pentru control şi fotografii (fig. 16, 17).
Nu s-au publicat studii clinice randomizate cu privire la tehnica autorului care implică crearea ABRZ combinată cu compozitul fluid ca agent de cimentare şi ipoteza este încă teoretică. Deşi metoda pare promiţătoare, ea necesită cercetări aprofundate.
Formarea cariei secundare la muchia marginală şi fracturile ceramice reprezintă factori care afectează longevitatea restaurărilor indirecte, transformându-le în cele mai frecvente motive pentru necesitatea înlocuirii lor. Selectarea agenţilor adezivi şi tehnica implicată sunt esenţiale pentru integritatea complexului dinte-răşină-restaurare. Oferirea unui mediu care poate rezista mai rapid la efectele distrugătoare ale compuşilor bacterieni la marginea restauratoare este un exemplu al progreselor dobândite în ştiinţa materialelor dentare. Deşi sunt necesare studii suplimentare, rezultatele sunt promiţătoare. ¤

Futurabond U cu priză duală SingleDose este UNICUL sistem adeziv universal ce poate fi folosit într-o doză de unică folosinţă. În afară de manevrabilitarea incredibil de simplă a SingleDose, noul Futurabond U oferă clinicianului o gamă largă de opţiuni de aplicare, atât în ceea ce priveşte domeniile de utilizare sau selectarea tehnicii de gravare, cât şi a modului de polimerizare. Auto-gravare, gravare selectivă sau gravare totală, Futurabond U permite clinicianului libertatea de a alege tehnica condiţionării în funcţie de situaţia clinică şi modul preferat de lucru.
Aplicat într-un singur strat, creează o legătură strânsă între smalţ şi dentină, asigurând o legătură fără spaţii, durabilă, între ţesutul dentar dur şi materialul de restaurare. În acelaşi timp, oferă o adeziune fermă la diferite materiale, cum ar fi metal, zirconiu sau oxid de aluminiu şi ceramică silicată, nefiind necesar un primer adiţional. Asigură o adeziune puternică în cazurile de polimerizare chimică, Futurabond U fiind ideal pentru cimentarea pivoţilor în canalul radicular.
Futurabond U este total compatibil cu toate compozitele fotopolimerizabile bazate pe metacrilat, cu priză duală sau autopolimerizabile, fiind indicat atât pentru restaurările indirecte, cât şi directe - nu necesită un activator suplimentar pentru polimerizarea duală. În plus, poate fi utilizat pentru desensibilizarea coletelor dentare hipersensibile sau după prepararea cavităţii. Este indicat şi ca lac protector pentru restaurările din ciment ionomer de sticlă.
SingleDose asigură aplicare rapidă şi simplă, erorile de mixare sunt excluse din start, produsul fiind foarte igienic. Futurabond U este disponibil într-un pachet introductiv cu: 20 SingleDose împachetate în blistere; seringă 2 ml cu Vococid; canule aplicatoare; 20 aplicatoare SingleTim. Noul material este prezentat şi în pachete de 50 şi 200 SingleDose. ¤
Producător: VOCO GmbH, PO Box 767, 27457 Cuxhaven, Germania, www.voco.com VOCO în România: Nord: Mirela-Cristina Deva · 0722 536 134, Est: Mihaela Cristina Foca · 0754 883 751, Sud: Dr. Gabriel Ciochinda · 0732 3322 20, Vest: Otilia Chirica · 0745 3120 00 Următorul număr al revistei va apărea în septembrie 2013.

• Un singur sistem adeziv pentru toate cazurile – nu mai aveţi nevoie de nici un alt adeziv în clinica dumneavoastră
• Auto-gravant, gravare selectivă şi gravare totală – alegerea vă aparţine!
• Versatilitate deosebită în aplicare
– pentru restaurările directe şi indirecte
– compatibil cu toate tipurile de compozite fotopolimerizabile, cu priză duală si autopolimerizabile – nu necesită activare suplimentară
– asigură adeziunea la diverse materiale, cum ar fi metal, zirconiu şi oxid de aluminiu, cât şi la ceramica silicată – nu necesită un primer adiţional
• Aplicat într-un singur strat – doar 35 de secunde timp total de lucru












