
7 minute read
Smile makeover for a case that didn´t start as one. By Dr Jan Einfeldt
SMILE MAKEOVER FOR A CASE THAT DIDN´T START AS ONE
By Dr Jan Einfeldt
Advertisement
Patient: face before
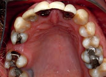
A53 year old man attended complaining of pain from an existing bridge UR2 - UL2. It needed to be extracted because several roots were infected and would have required re-RCT, which the patient did not want to do. On closer inspection, the remaining teeth in the upper arch required some work as well (one RCT), but otherwise the teeth had a good prognosis.
The options were explained to the patient (implants, bridges/crowns/dentures) and the patient decided to save his remaining teeth. Written and verbal consent was obtained. We took clinical records and a series of DSLR photos and intraoral scanning with the Carestream 3600 intra oral scanner with scan flow software. The CS 3600 was chosen because of the comprehensive restorative features such as checking how much tooth structure has been removed compared to the pre-op tooth shape, as well as checking for any undercuts.
The decision was made, to extract the remaining upper incisors and make a temporary bridge from UR3 - UL3 in Luxatemp A3 with no immediate change to tooth shape or smile design.








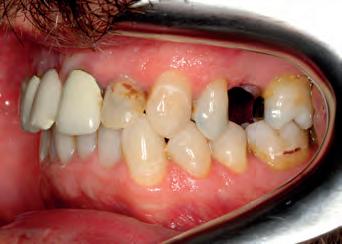
TOP ROW: Before lower occlusal, Before retracted in occlusion 2ND ROW: Before retracted left in occlusion, Before retracted left open 3RD ROW: Before retracted open, Before retracted right in occlusion 4TH ROW: Before retracted right open, Before upper occlusal
The patient could then recover and consider his options, while no longer in pain. During this time we were working on the smile design process. We decided to let the area heal for 4 months, which would give us enough time to plan and for the patient to decide on his final treatment options.
THE PROCESS CHOSEN: 1. Digital smile design 2. Printed models of wax up 3. Clear silicone stent for trial smile 4. Prep and living with trial smile for a few days 5. Cementation of restorations 6. Final review
STEP 1 AND 2 - DIGITAL SMILE DESIGN AND PRINTED MODELS OF WAX UP Designed to communicate better with the patient. A digital design may look very advanced, however, it is often the printed model of the wax up that makes the case very real to the patient. It can be seen in the excitement the patient experiences, when they hold their ‘new teeth’ in their hands.
STEP 3 - CLEAR SILICONE STENT FOR TRIAL SMILE This is a good way to communicate and verify that this is what the patient wants ( visual consent ), by using the stent to ‘glue in’ just before the preparation. It also helps as a prep-through guide with depth cutting burs.
STEP 4 - PREP AND LIVING WITH TRIAL SMILE FOR A FEW DAYS This step is much more reassuring for the patient, who used to have no idea what his new teeth would look like before the temporaries would be close to the final result. Now the patient has the confidence to know what his teeth will look and feel like before the preparation.
Once the trial smile (the real temporaries) have been fitted, the patient and the dentist can make further changes on the Luxatemp material. Even if no further changes are made, I recommend to re-scan just in case a change has happened during the fitting of the trial smile. For example if the dentist pushes too much or too little on the silicone stent, or the patient moves.
STEP 5 - CEMENTATION OF RESTORATIONS Due to the accuracy of intraoral scanning, the digital smile design and computer milled restorations, adjustments at this stage are now usually minor. I should point out that for single unit restorations, I work without printed models, unless in high aesthetics cases. However, for multiple units, I will choose to have printed models, so the technician and I can check all restorations at the same time. STEP 6 - FINAL REVIEW Giving the patient time to wear the new restorations, allows the patient to discover smaller details often missed when the he or she has been in the dental chair for a few hours and is still numb.
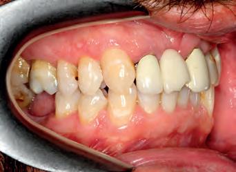
In our case, the patient decided in the on a bridge UR3 - UL3, bridge UL4-UL6 and a crown UR6. The patient was going to whiten the lower arch with Enlighten, for guaranteed B1 and less contrast with the new upper arch.
Now it was over to the team at Ambridge ceramics, who I have worked with for years and appreciate their input and help with complex cases.





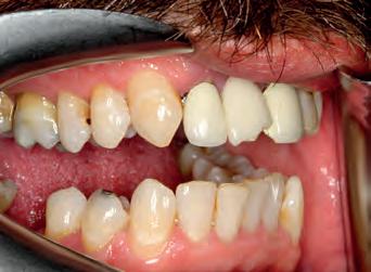
TOP LEFT: Trial smile face RIGHT TOP: Trial smile close up RIGHT BELOW: Trial smile retracted front BOTTOM ROW LEFT: Trial smile retracted left BOTTOM ROW RIGHT: Trial smile retracted right
A digital smile design film was made with 3Shape Dental Designer. This gives a much better illustration. We chose to include the design also for UR54 for better cosmetic effect, even though the patient didn’t seem to be that concerned about treating UR54 after the temporary bridge solved his immediate problem. The patient liked the digital design, because it didn’t just ‘show teeth’, but it showed a simulation of teeth superimposed onto the patients face. From experience patients find this very helpful, instead of just looking at a design of teeth.
A printed model was produced on a Structo Dentaform 3D printer, a clear silicone stent was made to ‘glue in’ the trial smile, and show the patient what it would look like. The patient liked it so much, that he decided to include UR5,4 after all.
The trial smile was used as a prep though guide and photos were taken for stump shades (ND3). New temporaries were made in B1, and the patient did not want any changes made, to the temporary trial smile. A further scan and photos were made, to give the technician as much information of the process. I know he appreciates and it helps us both to produce a better result.
The restorations were milled on a Roland DWX52 DC from Aidite 3DPro u
SuperTranslucent Zirconia (Bleach shade), hand finished with tertiary anatomy, pre sinter stained with ZirconZahn Prettau effects, post sinter stained and glazed with MIYO. With the skill of the technicians, we could avoid the use of pink porcelain by shaping the bridge carefully, and because the patient did not have a high lip line.
The bridges and crowns were tried in with try-in paste (Vitique, water based) for final approval, and to check how all restorations fit individually and at the same time.
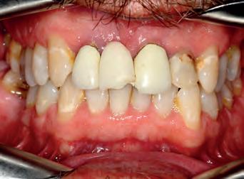
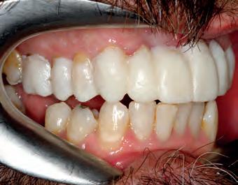
Cementation was done with Rely X Ultimate (clear, dual cure). No adjustment the occlusion was required, and the patient has been invited to return for a final check whilst not numb. Hence, only a limited amount of photos were taken post-op. The final photos are yet to be taken, however, the patient was very pleased to get his new teeth in time before Christmas.
REFLECTION:
What did I like: The digital process is fantastic for verification of the steps, even whilst the patient is still in the dental chair. It helps technicians, dentists and ultimately the patients in terms of communication, accuracy and cosmetic result.
WHAT WOULD I CHANGE:
I would consider lab made provisionals for even better gingival health at the prep stage.
SUMMARY:
Technology is constantly improving, and it is important to speak to the dental technicians, to learn from them and how to get better results by giving them the information/photos/scans they need. The communication should ideally be going in both directions, where dentists and technicians tell each other how they can improve and learn from each other.
I’m happy that high end dental technicians are available in the UK, even if it is easier than ever to send and receive work form abroad. However, I think it would be a great loss if this skill was lost in the UK, and urge dentists to chose their technicians carefully.



Even if the future is digital, we cannot digitise trust and relationships build over years.

PICTURED RIGHT TOP: Restorations on model front below 2ND ROW LEFT: Restorations on model occlusal 2ND ROW RIGHT: Immediate post OP smile Immediate post OP face
