The Dental Technician Magazine July 2023

Page 1

DIGITAL TECHNOLOGY VOL 76 No. 7 I JULY 2023 I BY SUBSCRIPTION www.dentaltechnician.org.uk VITA YZ® Zirconia Seamless Beauty. Consistent Strength. The Shade Must Be Right. Always. • High strength (1200 MPa) for precise processing • Fascinating esthetics and high shade reliability • Speed Sintering in under 60 minutes Find out more! 3621E_VITA YZ Anzeige_210x70.indd 1 14/06/2023 17:12:50 AI: OUR STRATEGIC ALLY HOW TO SUCCESSFULLY MARKET YOUR DENTAL LAB By Hayley Irons PAGES 20-21 Emulating nature By Dean Brew PAGES 28-29
PAGES 12 & 14

MEDENTiKA® implant components and abutments

New Platforms Available

Compatible with virtually all conventional systems on the market. The following platforms are available:

C-Series**

D-Series**

BS-Series**

H-Series

I-Series

B-Series**

DT-Series**

Y-Series

EV-Series

S-Series

T-Series

OT-Series**

CX-Series**

MG-Series**

NE-Series**

K-Series

F-Series

E-Series

N-Series

R-Series

**Auxiliary components only

Compatible with Compatible with Compatible with Compatible with Compatible with Compatible with Compatible with Compatible with Compatible with Compatible with Compatible with Compatible with Compatible with Compatible with Compatible with Compatible with Compatible with Compatible with Compatible with Compatible with

LIFETIME

Altatecc® / Camlog®

Altatec® / Camlog®

BEGO Implant Systems / Semados®

BIOMET 3i®

BIOMET 3i®

Bredent Medical

Dentium

DENTSPLY Implants®

DENTSPLY Implants®

DENTSPLY Implants®

DENTSPLY Implants®

HiOssen Implant®

Medentis Medical

Megagen

NEOSS®

Nobel Biocare®

Nobel Biocare® / NobelActive®

Nobel Biocare®

Straumann®

Zimmer Dental®

Additional products will be added soon. For more imformation go to www.medentika/uk

Camlog Screw-line - RootLine 2

Conelog®

S/SC/SCX/RS/RSX/RI

Certain®

External Hex

SKY®

SuperLine, Implantium, Implantium II

ANKYLOS® C/X

ASTRA TECH OsseoSpeed® EV

ASTRA TECH OsseoSpeed® TX

XiVE® S

ET System

ICX

AnyRidge®

ProActive®

Brånemark®

NobelActive®

NobelReplace® Conical

NobelReplace® Tapered

Tissue Level

Tapered Screw-Vent®

Products indicated with ® are registered brand names of respective manufacturers.

LIMITED GUARANTEE MEDENTiKA® offers a comprehensive guarantee on all MEDENTiKA abutments, abutment screws and the implant used with MEDENTiKA abutments*
*Immediate restorations are excluded from this guarantee. The guarantee for the implant applies if the manufacturer of the implant inserted with the abutment restricts or refuses to offer its guarantee because the implant was combined with a MEDENTiKA or MedentiCAD abutment. For further information on this, consult our guarantee terms. FREE SHIPPING! Via our eShop: www.medentika.uk/eshop
Get in touch: medentika-uk.co/team-directory

July 2023

Editor: Heather Grimes E: editor@dentaltechnician.org.uk

Advertising Manager: Chris Trowbridge E: sales@dentaltechnician.org.uk

T: 07399 403602

Designer: Sharon (Bazzie) Larder E: inthedoghousedesign@gmail.com Editorial Advisory Board

Deepa Bharakhda

Chris Golze

Andrea Johnson

Sharaz Mir

Sean Thompson

Philip Wears

PUBLISHED BY THE DENTAL TECHNICIAN MAGAZINE, PO BOX 2279, PULBOROUGH, RH20 9BR. T: 01372 897463

The Dental Technician Magazine is an independent publication and is not associated with any professional body or commercial establishment other than the publishers. Views expressed in this journal are not necessarily those of the editor, publisher or the editorial advisory board. Unsolicited manuscripts and photographs are welcome, though no liability can be accepted for any loss or damage, howsoever caused. No part of this publication may be reproduced in any form without the express permission of the editor or the publisher.

Subscriptions: The Dental Technician, Select Publisher Services Ltd, PO Box 6337, Bournemouth BH1 9EH

Extend your subscription by recommending a colleague There is a major change in CPD coming soon. The Dental Technician Magazine is a must read. Tell your colleagues to subscribe and if they do so we will extend your subscription for 3 months. The only condition is that they have not subscribed to the magazine for more than 12 months. Just ask them to call the Subscriptions Hotline. With four colleagues registered that means your subscription would be extended for a year free of charge. At only £49.95 per year, for UK residents, this must be the cheapest way of keeping up to date. Help your colleagues to keep up to date as well. Ask them to call the subscriptions Hotline on 01202 586 848 now.

www.dentaltechnician.org.uk I 3
WELCOME From the Editor 4 Editorial Board 6-7 DENTAL NEWS News 8-9 The Vita Excellence Award 2023 10 DENTAL TECHNOLOGY AI: Our strategic ally – Rob Kenyon 12 & 14 Zirkonzhan new implant prosthetics components 24 The essentials of safe polishing – Alistair Mayoh 3 4-35 INSIGHT Creating a (Night)shift 16-17 How to successfully market your dental lab – Hayley Irons 20-21 INTERVIEW Gareth Grimes: Keeping labs in the loop 18 RECRUITMENT Career spotlight on: Shameer Nisa 22 ECPD Free verifiable ECPD & ECPD questions 26-27 CASE STUDY Emulating nature: A single central implant case – Dean Brew 28-29 MARKETPLACE Createch Medical 30 Kemdent Carving Wax Blocks 30 Vita Ceramics Polishing Set 31 Kemdent Ruwa Universal Wheels 36 Medentika 36 Zirkonzahn M6 milling unit 37 EDUCATION & CAREERS Maxillofacial Prosthetic Rehabilitation MSc – King’s College London 32-33 CLASSIFIEDS 39
Sir
Beresford
Paul
CONTENTS

Welcome to the July issue of The Dental Technician Magazine. There has been a lot of work going on behind the scenes of your favourite industry magazine this past month as we’ve been revamping our editorial board. I’m really excited to introduce the team to you, so make sure you turn the page to meet them all… there should be some familiar faces and possibly some more to come!

These wonderful people will be – and already have been – instrumental in moulding and shaping the future of this magazine to ensure the content provided for you is interesting, relevant, engaging, useful and inclusive. I’m extremely grateful for their help and insight so far, and with these guys on the team I know this title is going to go from strength to strength.

You may find that one of the team reaches out to you regarding content, but if you have a great idea, would like to join the team, or have a recommendation for someone fantastic who you think would be a great fit, we’d love to hear about it. You can contact me directly on email via editor@dentaltechnician.org.uk with your ideas.

On our cover this issue is Rob Kenyon’s look at AI and the impact it is beginning to have on dental technology. It’s a contentious subject that divides opinion, but it seems that AI is starting to permeate many areas of our lives, in some cases, without us even realising it. This blurring of the lines feels a little unnerving but understanding the beginnings of AI can help us to embrace it as part of our future toolkit, which makes it a rather

more exciting prospect. Check out pages 12 and 14 to find out more. I’d love to know your thoughts on AI and dental technology, do you agree or disagree with Rob’s opinions? Drop me a line, let’s start a discussion!

The summer months are notoriously quiet for the dental profession, I hope this provides you with some welldeserved breathing space, the chance to take a break with your loved ones, and time to reflect on your business and/or career. If a change is needed, perhaps Hayley Irons’ marketing tips on pages 20-21 could give your lab a needed boost. We are also looking to bring back our much-loved Jobs Board for future issues, so do get in touch if you have a vacancy to advertise.

4 I www.dentaltechnician.org.uk
WELCOME
I PROMOTE YOUR BUSINESS IN THE DENTAL TECHNICIAN MAGAZINE T. 01372 897462 E. sales@dentaltechnician.org.uk In print since 1947 Reach out to a BIGGER audience ADVERTISE DPS AD.indd All Pages 10/03/2023 15:13
Editor FROM THE

m6 teleskoper blank changer

NEW! MILLING UNIT WITH AUTOMATIC BLANK CHANGER FUNCTION, STORAGE FOR 16 OR 56 BLANKS (UPGRADABLE) AND TELESKOPER ORBIT M6 (Ø 125 mm )

+ Fully automatic blank changer

+ Blank storage for 16 or 56 blanks (can be upgraded)

+ Teleskoper Orbit M6 (Ø 125 mm) for processing material blanks with Ø 95 mm, 98 mm, 106 mm and 125 mm

+ Tool magazine (2x30) with automatic tool changer function

+ Performance Spindle M6 with permanent-magnet synchronous motor (PMSM)

+ Intelligent selection and checking of blanks as well as milling tools via a QR code scanner

+ Newly developed door for easy and fast maintenance

+ Automatic self-cleaning and drying function

+ Ioniser for the electrostatic discharge of resin shavings, for a cleaner processing

+ Integrated PC with 15“ touch screen

+ Cleaning Kit with shower and suction system

Ø95,98,106,125 mm 16 OR 56 BLANKS

(upgradable)

Zirkonzahn Worldwide – South Tyrol (Italy) – T +39 0474 066 680 – info@zirkonzahn.com – www.zirkonzahn.com MORE INFORMATION

SIR PAUL BERESFORD

w I am the MP for Mole Valley and a practising dentist.

I am New Zealand born and bred, married with four children; three sons and one daughter. I graduated in dentistry in New Zealand and took a year’s postgraduate course at the Eastman Dental Hospital. I first practised in the East End of London before moving to the West End.

I joined the Putney Conservatives and was elected to Wandsworth Council in 1978 and was its Leader between 1983 and 1992. I was knighted in the 1990 New Year Honours for political and public service.

CHRIS GOLZE

w I’m Chris Golze! Dental technician, lab owner and Olympic-class swearer! Born in Doncaster, raised in Doncaster and currently working in… you guessed it. You could say I’m a proud Yorkshireman too!

I can usually be found skulking around the various social media platforms, hopefully chipping in with the odd useful post but probably more likely taking a thread off on a tangent!

I’ve been in the lab industry since 1994. Starting off in a local practice -owned, full -service lab, moving to being co-owner of that same lab, then progressing to my current position of sole owner of XSDental.

My favoured area, and what the business concentrates on, is thermoforming. I’ve been fortunate enough to speak with and learn from many people over the years. This has allowed me to develop my own techniques and (hopefully) point others in the right direction on occasion too. I think it’s an area which is often overlooked as it’s not quite got the glamour that ceramics, prosthetics and even the wire mastery that some ortho has. There’s a few thermo-wizards out there now so maybe it’ll start to share the glitz the other departments bask in!

I’ve got to say I was pretty surprised to be asked to join the Editorial Board. Those who know me well will be aware this is new for me but something I am looking forward to. It does feel quite the honour to be amongst some very well-respected names from our profession. Hopefully as a group we’ll be able to bring an informative, educational, fun and (important to me) all-inclusive feel to The Dental Technician magazine.

PHILIP WEARS

w Dental technology has been in my family now for three generations and as such I’m incredibly passionate about our industry and feel suitably placed to help bring the content technicians want to read.

I’ve worked in all types of lab throughout the north of England from small one man and his dog labs, to huge corporates, and now I own my own lab.

I believe there’s never been a better time to be a dental technician than right now. What makes this time so exciting is the technology, the new materials and techniques mixed in with a newer generation willing to share tips and tricks. Dentists and patients are wanting, expecting bigger and better work than ever before and it’s our chance to shine.

If anybody wants to connect and discuss articles and the magazine I can be found on the various Facebook groups under my own name and on Instagram at @xslabtech (and I managed all that without swearing…)

DEEPA BHARAKHDA

w My name is Deepa Bharakhda originally from Old Trafford, Manchester! Currently living in Leicester UK.

I am a trained and registered dental technician since 2010! I graduated from Manchester Metropolitan University, currently working in a private laboratory in Leicester called Dencraft Leicester. I am prosthetic technician working with specialist dentists at a specialist practice on site as well as dentists outside the lab. I love working with dentists and building a good working relationship that helps me to fabricate beautiful work with a happy patient.

I have developed special interests in implants, over bar dentures and acrylic hybrids with an artistic flare for composite work! I love making dentures and hybrids look natural and beautiful. I am always wanting to learn new techniques, skills, meet new people and share knowledge. I am lucky to be part of a great dental community connecting with people around the world.

My passion in the dental field has led me to peruse dental photography and capture beautiful images of my work. I have had the opportunity to write for Dental Technicians Guild Magazine, Laboratory Dentistry and Dentistry.co.uk as well as been a speaker at dentistry shows.

I am a co-founder of Nightshift on Facebook, a group designed to elevate and celebrate female dental techs by giving them a space where they showcase their knowledge and skills.

I am very passionate about my profession creating beautiful smiles and making a difference is quite rewarding!

6 I www.dentaltechnician.org.uk EDITORIAL BOARD

ANDREA JOHNSON

w I am the chair and co-founder of dental charity Den-Tech, an orthodontic and maxillofacial laboratory manager/highly specialised dental technician, quality improvement coach, healthcare careers ambassador and clinical research intern at Doncaster & Bassetlaw NHS Foundation Trust.

I am an advisory board member, careers pathway reference group member and fellow of the College of General Dentistry. I am a Healthcare Leadership Academy (HLA) Cohort Director & co-lead of the HLA Dental network. I have a PgCert in charity management and 1st class BSc hons in Dental Technology.

I like to be very active within the dental profession and am regularly called upon to sit on advisory committees and working groups with bodies such as the General Dental Council, Health Education East Midlands and many more.

Some of my previous roles include chair of the Orthodontic Technicians Association (OTA), council member of the Dental Technologists Association (DTA), associate lecturer at Manchester Metropolitan University (MMU), visiting lecturer at the University of Chester, sessional teacher at Nottingham College, a Science, Technology, Engineering, Mathematics (STEM) ambassador and Chair of the Women in Healthcare Leadership Summit 2022.

Winner of a Star award, Pride of Derby award and the Aldridge Medal, I am a keen advocate of lifelong learning, I have written many CPD papers and lectured on a variety of subjects both nationally and internationally.

Outside of work and professional activities I enjoy running, going to the gym, walking my dogs and adventure travel.

Twitter handle: @kittani5

LinkedIn profile: andreajohnson0705

SEAN THOMPSON

w I entered into dental technology in 1982 by means of a summer job whilst waiting to start university after studying A-levels in biology, chemistry and English literature. I started a four-year apprenticeship training programme in dental technology instead, qualifying with Distinctions in 1986 after completing City and Guilds at Newcastle College, gaining the ‘Top Student’ award in the process for both the intermediary and final examinations.

I worked in various commercial laboratories for 18 years before gaining employment running the day-to-day operations of the orthodontic and maxillofacial laboratory at Sunderland Royal Hospital. Whilst there, I studied for a further two years gaining a postgrad professional studies diploma in maxillofacial technology from Manchester Metropolitan University in 2002.

I decided to leave employment to form a specialised orthodontic laboratory, establishing Ashford Orthodontics in January 2001, which

SHARAZ MIR

w I am the co-founder and sales and marketing director at Blueprint Dental. I achieved a BTEC in dental technology at Kings College London in 1993 and attended the University of Sheffield to gain a BMedSci and an MPhil in dental technology.

I am an exceptionally approachable individual with a passion for dentistry and the patience of a rock. I have a unique eye for what I call ‘products and projects’, being able to spot the next best thing in dentistry and implementing it. This has been key to keeping Blueprint Dental ahead of the game. I am very passionate about my profession creating beautiful smiles and making a difference is quite rewarding!

went from strength to strength, now employing over 70 highly respected members of staff. Ashford became an early implementer of digital techniques within orthodontics and firmly established itself as the ‘go to’ lab for digital orthodontics at scale, servicing almost 30% of NHS contract holding practices.

I set up and grew other associated businesses such as Quick Straight Teeth and Retainerworld, as well as CSG Properties Ltd, all of which were successfully sold on. Was elected to the OTA council in 2012 with aims to enhance the Commercial Laboratory representation by giving Private Laboratories a ‘voice’ within the OTA, whilst forging links with our other professional bodies.

Ashford grew from a modest £50,000 per year turnover to an almost £7 million business before my retirement in June 2021, after successfully negotiating the formation of a new company called ALS into which Ashford’s shares were pooled along with significant inward investment from Ansor Ltd. I exited the business, allowing the pursuit of other interests including professional coaching via a directorship in a consultancy company called Ashmore Consulting Ltd, and CEO of Retainers4life.

Outside of work, my other passion is Sunderland the ‘City’ and thus Sunderland Football Club, following them through ‘thin and thin’ for the last 50 years, attending almost every game with my wife Allison and sons Matthew and Nicholas.

EDITORIAL BOARD www.dentaltechnician.org.uk I 7

REMINDER – THE ANNUAL RENEWAL DEADLINE IS LOOMING

n The GDC Annual Renewal for DCPs takes place in the weeks leading up to 31 July. All registrants will have received a letter ahead of the deadline with information about how they can make their Annual Renewal.

The three actions to complete your Annual Renewal process are:

1. Make an Indemnity Declaration

2. Pay the Annual Retention Fee (ARF)

3. Make a Continuing Professional Development (CPD) statement

Free online training with Acas

n Acas is a free resource for employers and employees to access information regarding workplace rules, rights and best practices. They also provide help to resolve disputes and offer free training.

Their free elearning modules are for employers and employees and cover a wide range of employment topics including:

• Contracts, hours and pay

• Dealing with workplace problems

• Equality, diversity and inclusion

• Leave and time off

• Managing people and performance

• Mental health

• Redundancy

The modules are self-paced, and a mix of theory and case studies. You can assess your learning through interactive questions and tests.

Visit www.acas.org.uk

Consultation on routes to registration for internationally qualified dental professionals launched

n The GDC is inviting comments on routes to registration for internationally qualified dental professionals. New rules setting out the standards and processes for the assessment of international dental qualifications are being proposed, that are broadly in line with the current arrangements. The GDC is also inviting evidence on how to assess the skills, knowledge, and experience of international applicants to the registers in future.

This exercise is an important first step towards creating a comprehensive framework for international registration that will deliver meaningful improvements to our processes while maintaining public safety and confidence.

Stefan Czerniawski, GDC executive director, strategy, said: ‘We are pleased to be able to launch this consultation. It is an important step towards creating a comprehensive framework for international registration that will deliver meaningful improvements to our processes while maintaining public safety and confidence.

‘We are calling for evidence and views on how we can be assured that dental professionals have the necessary level of skills, knowledge and experience required to practise dentistry in the UK. That assessment is currently done through the ORE process for dentists and an independent assessment of qualifications for other dental professionals. We have invited views and evidence on the potential future structure of the ORE and whether there is a need for a practical assessment for DCPs.’

You can submit your views online before the 26 September deadline here:

https://www.gdc-uk.org/about-us/ what-we-do/consultations-andresponses#routes

NEWS 8 I www.dentaltechnician.org.uk
to find out more.
The easiest way to complete your Annual Renewal is by logging in to eGDC at www.egdc-uk.org.

Tooth regrowth medicine set for clinical trials in July 2024

n A Japanese research team is making progress on the development of a groundbreaking medication that may allow people to grow new teeth, with clinical trials set to begin in July 2024.

The tooth regrowth medicine is intended for people who lack a full set of adult teeth due to congenital factors. The team is aiming to have it ready for general use in 2030.

In prior animal experiments, the medicine prompted the growth of ‘third-generation’ teeth following baby teeth and then permanent adult teeth.

Lead researcher and head of the dentistry and oral surgery department at the Medical Research Institute Kitano Hospital in the city of Osaka said: ‘The idea of growing new teeth is every dentist’s dream. I’ve been working on this since I was a graduate student. I was confident I’d be able to make it happen.’

If successful, a drug to regenerate teeth may be a game-changer for the entire field of dentistry.

NEWS www.dentaltechnician.org.uk I 9

THE VITA EXCELLENCE AWARD 2023 GOES TO AN OUTSTANDING PATIENT CASE

Dentures need expertise and experience. With the VITA EXCELLENCE AWARD, VITA Zahnfabrik celebrates particularly successful applications achieved using the VITAPAN EXCELL denture tooth. In 2023, Dr Iris Kraljevic, a dentist who specialises in reconstructive dentistry, and master dental technician Fernando Pasamontes impressed with a case from the group practice Zahnmedizin Zürich Nord in Zurich.

IMPRESSIVE IN EVERY RESPECT

Excellent function, natural aesthetics, an incredibly natural appearance – that was why the jury chose this case for the award. A picture of the patient approximately 20 years ago with his natural teeth, was a particularly crucial image to demonstrate the challenging case. The new dentures from Dr Kraljevic and Mr Pasamontes were the perfect reproduction – a genuinely ‘perfect match’.

‘I like replicating nature, explains Dr Kraljevic. ‘To do that, I always ask for an old photo of the patient before creating an anterior setup. VITAPAN EXCELL is particularly suited to achieving naturallooking results. A dentist who specialises in reconstructive dentistry, she has been with the group practice Zahnmedizin Zürich Nord in Zurich since 2019. In her role as a trainer, she also gives lectures at the Zurich Center for Preventive Dentistry (PZZ) and is a member of the board of the Swiss Society for Reconstructive Dentistry (SSRD).

VITAPAN EXCELL FOR THE ‘PERFECT MATCH

The VITA EXCELLENCE AWARD honors outstanding work with the VITAPAN EXCELL anterior tooth set. Any posterior teeth may be used, however, VITAPAN LINGOFORM is a particularly good choice.

‘VITAPAN EXCELL offers a great variety of denture tooth moulds,’ says the master

dental technician Fernando Pasamontes. In addition to VITA classical, they are also available with VITA SYSTEM 3D-MASTER and have a very natural appearance. VITAPAN LINGOFORM posterior teeth have a good basic shape that allows a variety of denture occlusal concepts to be achieved. And with the compatible VITA AKZENT LC stains, you can give the teeth an added lifelike appearance. Mr Pasamontes has been working as a master dental technician for more than 30 years, and manages his own laboratory in the Swiss federal state of Zug.

FAR LEFT: Patient case, initial situation LEFT: Final outcome: The final, full denture blended in harmoniously with the overall

VITA EXCELLENCE AWARD FOR EXCELLENT DENTURE WORK

The VITA EXCELLENCE AWARD was presented for the first time in 2023. A jury of four persons selected the winning case from numerous entries based on the following criteria: aesthetics, function, documentation and preparation work. The winners were announced in midMarch at the International Dental Show (IDS) in Cologne, and had the opportunity to present their case to an international audience.

More on the VITAPAN EXCELL anterior tooth set: https://www.vita-zahnfabrik.com/VITAPAN_EXCELL

More on the VITA EXCELLENCE AWARD: www.vita-excellence-award.com

NEWS 10 I www.dentaltechnician.org.uk
PICTURED ABOVE: Dr Emanuel Rauter (left) with Dr Iris Kraljevic (right), winner of the VITA EXCELLENCE AWARD appearance.

Simeda® Customised prosthetic solutions

Premium quality prosthesis with high level service

Anthogyr offers high precision Simeda® customised restorations for Anthogyr dental implants and MPS, Multi Platform Solutions, with a free library of more than 250 implant platforms.

Simeda also offers tooth-supported solutions as a onestop-shop service for all your CAD/CAM orders. The range covers all types of single and plural restorations, available in a wide range of high-quality materials.

All of our creations meet extremely strict production criteria and are covered by Serenity® warranty program.

PROS T H ETICS DR I V EN SI M E DA®

AI: OUR STRATEGIC ALLY

My remit for this article was to predict how AI will change dental technology, which the more I thought about it, the harder it became. After all, who can say with any certainty what the future holds? To truly understand this future, we can look to the past, examining it much like we would scrutinise an impression, and then attempt to map the route forward.

THE RISE OF AI

In the heart of the mid-20th century, a British mathematician named Alan Turing introduced a radical concept - a ‘universal machine’. This concept served a transformative role in computing, akin to the significance of fluoride in toothpaste: a groundbreaking element that would revolutionise the field. Turing’s work essentially laid the foundation for our favourite industry catalyst, artificial intelligence (AI).

Fast forward to 1956 at the renowned Dartmouth Conference, a meeting of brilliant minds that included figures like John McCarthy and Marvin Minsky. It was at this conference that they christened the term Artificial Intelligence (AI), thereby officially designating this burgeoning field. A fleeting AI boom followed, but much like a bubble gum-flavoured prophy paste, it seemed intriguing but didn’t quite live up to the grand expectations. Consequently, we fell into the initial era of disillusionment known as the first ‘AI winter’.

Nevertheless, akin to the tenacity of plaque, AI persisted. The advent of expert systems in the 1980s and machine learning in the 1990s marked significant strides in AI

development. The pinnacle was reached in 1997 when IBM’s Deep Blue demonstrated the vast potential of AI by defeating the world chess champion Garry Kasparov in a historic match. It was a metaphorical checkmate to human dominance!

As we moved into the 2010s, AI matured much like a well-cured acrylic. Deep learning, alongside other advanced machine learning techniques, began to proliferate. Fuelled by an abundant supply of data and robust computational power, AI’s development surged, facilitating breakthroughs across various sectors at an exponential rate.

Francisco Toro from G50, an intellectual club in the US, draws a comparison between the ongoing developments in AI and the iconic moment when a computer first defeated a human in a game of chess in 1997. He suggests that AI is not here to replace us, but rather to augment our skills. It’s like a dental bridge, meant to fill gaps and support us in our work, thereby raising the bar in all intellectual professions.

AI IN HEALTHCARE

The UK’s National Health Service (NHS) is strategically planning a 15-year workforce roadmap that extensively incorporates u

DENTAL TECHNOLOGY 12 I www.dentaltechnician.org.uk
Rob Kenyon shares why he believes AI will become an essential part of our toolkit

artificial intelligence (AI) and robotic process automation (RPA). The objective is to automate booking processes, potentially increasing their speed by up to ten-fold and saving up to 30% in administrative costs. AI software like ChatGPT is being enlisted to transcribe doctors’ notes, while bots will be employed to manage scheduling of appointments and surgical procedures.

The plan also includes the use of bots for patient bookings, flagging test results, and analysing patient referrals, thereby significantly reducing the workload of medical secretaries. Moreover, a £21m fund has been allocated towards harnessing AI to expedite cancer diagnosis, with machine learning being used to scrutinise lung X-rays and ensure swift diagnosis of strokes. The overarching aim of this strategy is to use technology to enhance patient care and elevate productivity within the NHS. It is only a matter of time until similar applications permeate the field of dentistry.

DIRECT IMPACT

Brace yourself for the direct impact of AI on our profession. A team at the University of Hong Kong is using AI to revolutionise the manufacturing process of dental prostheses. With a tool named the 3D-Deep Convolutional Generative Adversarial Network (3D-DCGAN) they’re leveraging AI to design dental crowns with a level of precision that could astonish even the most experienced prosthodontist.

Compared to the conventional CAD/ CAM workflow, which can feel as labourintensive as hand-mixing alginate, this AI-aided method is set to streamline the process substantially. It significantly reduces the need for manual tweaking, resulting in considerable cost savings and time efficiency.

The AI-crafted crowns were deemed so precise, outperforming traditional CAD methods. This innovative approach can be seen as the dental equivalent of a 3D printed model, a prospective game-changer in the industry.

As we step into a future where AI becomes as common as wax in our labs, our competence in our jobs will increasingly depend on our ability to effectively harness AI. Simply put, being good at your job will soon equate to being adept at leveraging AI.

Large language models like ChatGPT, along with image creation AI tools like Midjourney, will streamline communication and expedite tasks. The range of possibilities is vast, whether it’s generating engaging content for promotional materials, websites, price lists, covering letters, designing dental prostheses, or enhancing communications with dentists.

THE FUTURE

In conclusion, we are transitioning towards a future where AI is as essential to our toolkit as the wax knife. It’s vital that we’re not merely passive observers of this transformative change. Instead, we should be actively engaged, shaping the AI-driven future of dentistry.

In the prophetic words of John Connor, we can’t stop judgment day; we can only hope to survive it. So, it’s time for us to roll up our lab coats, adjust our loupes, and equip ourselves to navigate this AIpowered future. This doesn’t mean merely surviving the tide of change but embracing it, learning, and growing with it, making AI a strategic ally in delivering superior dental care. After all, the future of dentistry is not just about machines taking over tasks but enhancing human ability and creativity to reach unprecedented levels of excellence.

As we embrace this AI-powered future, let us remember that the true essence of dentistry lies in the human touch. It’s about the compassion, empathy, and expertise we bring to our patients. AI can assist us in our journey, but it cannot replace the artistry and personalised care that we provide.

So, let us embark on this new era with curiosity and enthusiasm. Let us harness the power of AI to push the boundaries of dental technology and elevate patient care. Together, we can shape a future where AI and human ingenuity work hand in hand to create smiles that are not only aesthetically pleasing but also reflective of the harmonious collaboration between man and machine. The future of dentistry is here, and it’s time to embrace it wholeheartedly.

DIGITAL TECHNOLOGY 14 I www.dentaltechnician.org.uk

Fusion of both technologies at your disposal

Precision in critical areas: the combination of the 2 technologies (additive and milling) allows us to obtain high precision in the most critical areas: implant connection, seat and screw hole.

Incorporation of Createch Connections respecting the implant philosophy.

More than 600 implant compatibilities.

Abutments and frameworks restorations.

[+] [+] [+] [+] createchmedical.com straumanngroup-uk.co/team-directory Contact your local representative [+] [+] +

Creating a (Night)shift

INSIGHT 16 I www.dentaltechnician.org.uk
The female techs who are leading the change we all want to see

Dental technology has always been a maledominated industry but, as we all know, there is now a large number of female techs in our midst, which is starting to shift the balance in a really positive way.

Four incredible, like-minded technicians have joined forces to create Nightshift, a Facebook group dedicated to elevating and celebrating female technicians. Nina Frketin, Deepa Bharakhda, Emily Pittard and Eleanor Pittard are working together to accomplish this goal, and the group is already gaining a lot of traction. While the idea behind the group is to give female techs a space where they can showcase their knowledge and skills, it is open to anyone.

The group manifesto is to:

• Put the spotlight on amazing, female dental techs

• Celebrate and normalise female dental technicians as leaders and educators in the industry

• Connect women working in dental laboratories with their peers and build a strong sense of community and mentorship among them.

THE ULTIMATE GOAL

The team want to make Nightshift a force to be reckoned with and inspire as many female techs to step out of their comfort zone as possible. They encourage the sharing of skills through cases, photography, top tips, and discussion, in a space where women fully support one another… as do the men in the group.

Co-founder of Nightshift, and Dental Technician Magazine editorial board member, Deepa Barakhda said: ‘I believe there are so many female techs out there that are equally talented and they just need a platform that can support them and give them a voice, to be able to showcase their work, and build a community that supports one another. Nightshift is a platform that we started and are very proud of and I cannot wait for what’s to come.’

There is a strong focus on sharing tips, teaching and learning, with #techtipmonday becoming a firm favourite. Each week, a different tech shares one of their favourite insights, with the aim of helping and inspiring others. So far, topics have included photography, social media, tools, and much more.

The ultimate goal for Nightshift is to put together an all-female speaker online symposium. They plan to host speakers from all around the world, in a format that enables people to view and attend no matter where they may be. All speakers will have backgrounds in dental technology, but they plan to include technicians with additional expertise in photography, marketing, and lab ownership to bring different perspectives and value for the audience.

JOIN IN

Nightshift feels like the beginning of something very special. It’s not just about creating a female group, its about celebrating exceptionally talented techs in an inclusive manner sharing tips and techniques, helping one another and creating an environment for healthy, supportive discussion. If you haven’t already, you really need to check out some of the work being shared on this group!

INSIGHT www.dentaltechnician.org.uk I 17
Nina, Deepa, Emily and Eleanor truly believe you need to be the change you want to see, so let’s get behind them and support this initiative by sharing, liking and talking about it!
Just search ‘Nightshift’ on Facebook to join.

Keeping labs in the loop

We talk to Gareth Grimes, head of sales at DMG Dental, about how Dentamile software can build your customer network and ensure labs remain a central part of the dental team

Tell us about DentaMile software, does it offer something for most labs, from the smallest 1-person lab to larger corporates?

DentaMile is our fully encrypted, innovative cloud-based software with a range of user licenses to suit different needs, enabling the dental practice to design the appliance themselves for the lab to print, or just send the scan file for design and print to be carried out by the lab. This means there is the perfect solution for everyone depending on how involved they want to be in the process. From the lab side, this gives great networking opportunities as they can offer licenses to their dental partners and grow their business through printing.

The workflows within DentaMile have been created to make the entire design, fabrication, and processing procedure easier, slicker, and faster - giving users confidence that the appliance will be created without any hold backs.

That sounds very innovative, is the software exclusive to DMG?

Yes it is, it has been created in-house. We have a dedicated team in Hamburg at DMG Headquarters who are constantly implementing new ideas to help users get the best from it. What I love most is that they are open to feedback and really take on comments from our current users in order to improve the software and make it as efficient, practical, and beneficial as possible.

How does it differ to other options?

The DentaMile software is the key differentiator in our workflow. It is fully encrypted making it secure and compliant, and it is also cloudbased so everything can be easily accessed by authorised users wherever you are – allowing design to be carried out away from the lab if required, which is great for home working.

It is open to all intraoral scanning devices and it is fun to use, almost child’s play so to speak – which is great when it comes to dental practices who want to design appliances and then delegate the printing to the lab. Alternatively, it can work the other way around, the dental practice can send the STL file securely over to the lab for design, then it can be sent back and printed chairside for same day dentistry. This is what many patients now want and I think it is where we are heading. DMG are conscious about ensuring labs remain a part of the dental team so DentaMile has been designed to help keep labs in the loop with same day dentistry.

What sort of devices can be designed using the software?

We have smooth and efficient workflows for the production of splints and bleaching trays but with the use of other software alongside it - such as Netfabb - models, implant guides, special trays, gingival masks and casts can also be designed and printed. The team in Hamburg are constantly innovating so you can expect more to come!

The bleaching tray workflow is a game changer. The quality of the print and the softness and clarity of the resin is pretty impressive and the costs associated make it a no brainer!

Are there any automation aspects that speed up the design process?

Our system is not automated but it only requires a very short learning curve, everything

ABOUT GARETH GRIMES

l Gareth is head of sales at DMG Dental UK. He has worked in the dental industry for more than 15 years, building his network of customers across the UK through the prestigious companies he worked at, including Boutique Whitening, Astek Innovations, and DBG Dental.

During this time, he has gained a deep understanding the importance of the running of dental practices and

dental labs, which has helped him to build collaborations that are beneficial for all parties.

Gareth feels strongly about providing a high level of customer service and support, and prides himself on working with products that are the best in their field.

else is prompted and fully explained. All the parameters are pre-programmed with our Luxaprint resins and the whole workflow carries RFID-detection of material.

We provide excellent training and ongoing support free of charge, which is carried out by our in-house technical support managers.

Is there a lab to lab option? Say, for cases where a lab may sub out specific work?

Of course, the whole idea behind DentaMile is to create a network of printing facilities to support the whole dental population, obviously there is an option to lock users into labs and keep them hidden from the DentaMile network.

Tell us a little about the start-up costs

Because DentaMile is cloud-based it just requires a good Wifi connection or LAN and Google Chrome. Costs are super competitive, the full production license is £1135 + VAT a year and to simply give your customer a license allowing them to securely send cases would be £68 + VAT, which is kept at a low cost to enable labs to add a margin on for their own profit.

Would you help labs seek customers wanting these lab services?

We already have a number of labs using our complete workflow and part of that agreement is to help merge current and new customers on to the DentaMile platform and provide the training. This is something we feel strongly about because we want to make the whole process fast and simple.

Please contact Gareth on 01656 789 401 or gareth@dmg-dental.co.uk to arrange a demo.

INTERVIEW 18 I www.dentaltechnician.org.uk
Head Office & Showroom Trident Court, 1 Oakcroft Road, Chessington, Surrey KT9 1BD T: 0800 228 9828 E: info@blueprintdental.co.uk W: blueprintdental.co.uk Design Build Project Management Installation & Commissioning Training End-to-end expertise for your digital workflow Turnkey Solutions for Digital Dentistry Unlock your Digital Lab Nexa3D XiP Desktop Resin 3D Printer • Ultra fast • Wide range of validated materials • Affordable desktop price Tecno-Gaz G5 Milling Machine • Specifically developed for digital dental labs • Wide range of prosthetic products • Free standing

HOW TO SUCCESSFULLY MARKET YOUR DENTAL LAB

So, you’ve taken the leap and finally started your own dental lab. Congratulations! You’ve made a fantastic decision and taken the first step into a profitable and lucrative industry.

However, this industry is also very competitive. It will take hard work and dedication to set your dental lab up for success so that it can make sales and generate profits. Much like any business, the best way to prosper is through marketing.

Marketing gets your brand in front of the relevant audience, educates them on how your lab meets their needs, and persuades them to buy from you rather than your competitors. With the right marketing strategy, you can take your business goals and turn them into reality.

Want to learn more about what dental lab marketing will involve? Carry on reading to find out!

DIGITAL MARKETING

In the 21st Century, digital marketing is an absolute must for any business - regardless of your industry. Without it, you will simply not be visible to your target audience, and you will lose sales to your competitors who are investing in their online marketing efforts.

There are multiple components of digital marketing for you to consider. It’s best to use them all in one way or another for what’s called a holistic, or complete, approach to digital marketing.

Create a strong online presence

Building a strong digital footprint is all based on having a stellar website.

Your website should be easy to use and informative, with clear information on your products and any services that you offer. It should also be well branded, so that your dental lab has an identity that your customers will remember and resonate with.

When creating content for your website, make sure that it is search engine optimised (SEO). By doing this, it means that when potential customers try to find a dental lab on Google, they will find your website - not your competitors.

And if you want to maximise the amount of relevant eyeballs on your website, then you should run some form of paid advertising. While this will cost money, you will know that you are putting your website in front of your target audience at the precise moment they’re searching for dental lab services.

INSIGHT 20 I www.dentaltechnician.org.uk
In the first of a series of articles, Hayley Irons shares her top tips on effectively using marketing to boost your lab business

USE SOCIAL MEDIA

Social media has very quickly become ingrained in all aspects of our lives. Whether we use it to stay in touch with friends and family, or to keep up to date with the brands that we love.

As a business, you want to make sure that you are visible on all of the major social media platforms like Facebook, Instagram, and LinkedIn so that you can build a relationship with your customers and encourage brand loyalty.

There’s more to running a social media account than posting occasional selfies and pet pictures though!

You should create interesting content that positions you and your business as thought leaders in your industry. You should participate in relevant discussions so that people know your finger is on the pulse. You should answer any questions that potential customers might have so that it removes any hurdle stopping them from buying from you.

Use high quality images and videos for your posts, too, so that potential customers can get a real feel for your products and how your lab operates. This will only work to further capture the attention and engage your customers.

TRACK YOUR RESULTS

The most important part of digital marketing is also the least fun: testing.

Sure, you can be as creative as you want when digital marketing, but if your methods aren’t working then you are simply throwing time and money down the drain.

Regularly take some time to figure out precisely what is working and come up with ways to refine what isn’t.

Sometimes this means sitting down and realising that what you thought would work unfortunately hasn’t - and that’s okay! It means that you are a step closer to finding success with methods that do work.

Marketing is all about the long game, and provided that you stay on top of tracking your results then your business will be set to stand the test of time.

TRADITIONAL MARKETING

As well as digital marketing, you have more traditional efforts. These should not be overlooked and can be amazing ways to find fruitful opportunities and level-up your businesses.

Here are some of the best traditional marketing efforts that should be nonnegotiable for your dental lab.

Attend trade shows and conferences

Whether local or national, trade shows and conferences are amazing networking opportunities where you can find like-minded business owners and dental professionals.

We know that we have spoken about competition a lot in this article, but you should also be aware of the benefits of having a strong network - this includes with people that you may consider to be your competition.

The ability to collaborate and share knowledge with other businesses like yours shouldn’t be underestimated. Doing so will not only help the entire industry as a whole, but it will also position you and your dental lab as a recognised and respected operator in the market.

This is all on top of what trade shows and conferences are actually for: to learn about new products and innovations in your industry. With all these benefits, you should definitely be keeping your calendar clear for some trade shows and conferences throughout every year, such as the Dental Technology Showcase.

Partner with dentists

Partnering with dentists themselves is a fantastic way to secure long-term contracts and get your products into the hands of dental professionals.

The consistency that comes with partnering with dentists is indispensable for the growth of your business. There’s nothing better than knowing you will have a steady flow of work throughout the course of the year rather than relying on a big project or event to be a revenue driver.

Also, if you build a strong relationship with dental partners, then you will have valuable opportunities to hear feedback that can help refine your products and win you more custom in the future.

Get involved in the dental community Becoming a part of the dental community, especially your local area, is a great way for you to build goodwill among the industry.

Sponsoring events, donating to charities, or even volunteering your time are all great ways to get your dental lab into the hearts of your customers.

Don’t forget the power that good oldfashioned word of mouth marketing has. By helping out in your community, you are giving yourself more opportunities for people to speak highly of your business.

ACHIEVE SUCCESS WITH THESE DENTAL LAB MARKETING TECHNIQUES

By following the tips in this article, you will be well on your way to running a booming dental lab business.

If you come from a professional rather than a business background, then marketing may feel a bit overwhelming for you. In that case, consider approaching a marketing agency to help you.

Full-service marketing agencies are experts in all aspects of digital marketing, and you can even get many that will be able to assist you with offline marketing strategies, too.

So whether you are taking on your marketing yourself, or working with a marketing team, get out there and start building your dental lab’s brand today!

Hayley Irons is director of HI Marketing. For more information contact 07805 506 477, hayley@hayleyironsmarketing.co.uk, or visit www.hayleyironsmarketing.co.uk

INSIGHT www.dentaltechnician.org.uk I 21

Career spotlight on…

Shameer Nisa

Maxillofacial Prothesis Technician (MPT)

Andy Foster talks to Shameer Nisa about how he got his job as a maxillofacial prothesis technician with Kings College in London

Shameer Nisa is a multi-talented dental technician from Kings College, London. Specialising as a maxillofacial prothesis technician (MPT), a clinical dental technician (CDT), and former lecturer, Shameer has built his career with a genuine passion for dental technology.

What attracted you to the field of dental technology?

After coming out of secondary school, I was never academic. However, I had a passion for art and I enjoyed creating things with my hands. Finding out there was a career where I could create something, using all types of different methods and materials and it could have a major impact on someone’s life, was definitely a big draw for me to get into the world of dental technology.

What company are you with now?

I currently work at Kings College Hospital London.

What is your (preferred) job title?

I have a few, currently I am working as a maxillofacial prothesis technician (MPT), but I am also a qualified clinical dental technician (CDT) and former lecturer of dental technology.

What is a typical (or not so typical) day-in-the-work-life for you?

It can vary from day to day. Some days I will be at the bench, setting up obturators, waxing up noses, fingers, painting eyes or segmenting and printing cranio 3D models and constructing titanium cranio plates. On other days I could be in orthognathic clinic discussing patient cases or in our maxillofacial clinic taking facial or ocular impressions, dental impressions and face bows, or reviewing patients. Some days I could also be called to observe surgery or request to stay late to deal with a trauma case.

How did you get your current job?

Having worked at Kings in the prosthetic department with my CDT qualification, as well as a teaching qualification and completing my MSc, a position became available in the maxillofacial department. I applied, interviewed and was successful.

What skills came easily to you, and what skills took longer to learn?

If I was being honest, although I was very artistic I still struggled with most areas of dental technology when I first started. I am still always learning, as there are

always new techniques and ways to make an appliance, however I honestly feel my passion and skills lie with prosthetics, from chromes to everyday dentures.

What advice do you have for others wanting to be successful and fulfilled in their dental technology career?

I would always say, persevere and never say anything bad about your fellow professionals, we are a small cohort and word travels fast.

I believe everyone brings something to the table. Whether you agree or disagree, take what works for you, but listen to what others have to offer, you never know, it may come in useful eventually. Lastly, enjoy what you do and take pride in it.

If you could be paid for your job with something other than a pay cheque, what would it be?

If money wasn’t an option, I would have to say that having the opportunity to see firsthand and help so many patients with my devices. Seeing a patient happy and getting their lives back on track is one of the best feelings I could ever ask for. As cheesy as it sounds, patient happiness and satisfaction is a great alternative.

For more dental lab career tips, register with Recruit4Technicians online at www.recruit4technicians.com/registration

22 I www.dentaltechnician.org.uk

NEW IMPLANT PROSTHETICS COMPONENTS AVAILABLE FOR MORE THAN 140 IMPLANT SYSTEMS

Especially when manufacturing implant restorations it is important to optimally adjust components to one another. Zirkonzahn’s line of implant prosthetic components, which includes Scanmarkers, White Scanmarkers, White Metal Scanmarkers, ScanAnalogs (laboratory analogues used as scanmarkers), impression copings, laboratory analogues, Multi Unit Abutments, Raw-Abutments ® and healing caps has recently been expanded with new products:

l Zirkonzahn LOC-Connector, a snap attachment system for implants and bars to fix removable dental prostheses on the implant

l Multi Unit Abutments 17°, characterised by a 17° angle to compensate for any implant inclinations and with two different anti-rotation connection types which allow intermediate positions

l Titanium Bases K85, with the chimney height adjustable to the individual tooth length

l Titanium Bases K80 Angled Screw Channel, with a chimney height adjustable to the tooth length and the possibility to tilt the screw access channel from 0° to 30°

l White Metal Scanmarkers, reusable scanbodies to acquire the implant position and orientation during intraoral and model scans.

All Zirkonzahn’s components are designed and manufactured in the company’s homeland in the Italian Alps. They are available for more than 140 implant systems and are fully integrated in Zirkonzahn.Software. Zirkonzahn grants up to a 30-year warranty on all implant abutments used, and, within the current Zirkonzahn warranty regulation, they explicitly include also implants from other manufacturers used with Zirkonzahn implant abutments. With Zirkonzahn Library Download Center also 3Shape and Exocad® users can implement the libraries into their design software.

Visit www.zirkonzahn.com and check if the wide range of components is compatible with your implant system!

DENTAL TECHNOLOGY 24 I www.dentaltechnician.org.uk
Zirkonzahn LOC-Connector Multi Unit Abutments 17° Titanium Bases K85 White Metal Scanmarkers Titanium Bases K80 Angled Screw Channel
www.dentaltechnician.org.uk I 25 Zirkonzahn Worldwide – South Tyrol (Italy) – T +39 0474 066 680 – info@zirkonzahn.com – www.zirkonzahn.com COMPONENTS FOR MORE THAN 140 IMPLANT SYSTEMS. SCAN THE CODE TO KNOW MORE! IMPLANT PROSTHETICS COMPONENTS EVERYTHING FROM A SINGLE SOURCE: ALL COMPONENTS ARE DESIGNED AND MANUFACTURED IN OUR HOMELAND, SOUTH TYROL, AT OUR MOLARIS I AND MOLARIS II PRODUCTION SITES, AND THEY ARE AVAILABLE FOR MORE THAN 140 IMPLANT SYSTEMS. H��H �U�L��Y �Y z�R�O�z�H� UP TO A WARRANTY30-YEAR WARRANTY

FREE VERIFIABLE ECPD

As before if you wish to submit your ECPD online it will be free of charge. Once our web designers give it the all clear there will be a small charge. This will be less than the CPD submitted by post. This offer is open to our subscribers only.

To go directly to the ECPD page please go to https://dentaltechnician.org.uk/dental-technician-cpd. You will normally have one month from the date you receive your magazine before being able to submit your ECPD either online or by post.

If you have any issues with the ECPD please email us cpd@dentaltechnician.org.uk

0.5HRS VERIFIABLE ECPD

LEARNING AIM

The questions are designed to help dental professionals keep up to date with best practice by reading articles in the present journal covering clinical, technical, business, personal development and related topics, and checking that this information has been retained and understood.

LEARNING OUTCOME

By completing the quiz successfully you will have confirmed your ability to understand, retain and reinforce your knowledge related in the chosen articles.

CORRECT ANSWERS FROM THE JUNE 2023 DT EDITION:

VERIFIABLE ECPD - JULY 2023

1. Your details First Name: Last Name: Title: Address: .............................................................................................................................................. ...............................................................................................................................................................

Postcode: Telephone: ..................................... Email: .......................................................GDC No:

2. Your answers. Tick the boxes you consider correct. It may be more than one.

3. Evaluation: Tell us how we are doing with your ECPD Service. All comments welcome. ..................................................................................................................................................... .....................................................................................................................................................

As of April 2016 issue ECPD will carry a charge of £10.00 per month. Or an annual fee of £99.00 if paid in advance.

You can submit your answers in the following ways:

1. Via email: cpd@dentaltechnician.org.uk

2. By post to:  The Dental Technician Magazine, PO Box 2279, Pulborough, RH20 9BR

Payment by cheque to: The Dental Technician Magazine Limited. Natwest Sort Code 516135 A/C No 79790852

You are required to answer at least 50% correctly for a pass.  If you score below 50% you will need to re-submit your answers.

Answers will be published in the next issue of The Dental Technician. Certificates will be issued within 60 days of receipt of correct submission.

ECPD 26 I www.dentaltechnician.org.uk
Q1.C Q2. D Q3. D Q4. B Q5. D Q6. A Q7. A Q8.B Q9. C Q10. D Q.11 C Q.12 D
Question 1 A B C D Question 9 A B C D Question 2 A B C D Question 10 A B C D Question 3 A B C D Question 11 A B C D Question 4 A B C D Question 12 A B C D Question 5 A B C D Question 6 A B C D Question 7 A B C D Question 8 A B C D

VERIFIABLE ECPD

As you need it via the Dental Technician

This month’s CPD questions are are focused on AI: our Strategic Ally – Rob Kenyon and Emulating nature - Dean Brew

Q1. Who is credited with introducing the concept of a ‘universal machine’?

A) John McCarthy

B) Alan Turing

C) Marvin Minsky

D) Francisco Toro

Q2. What is the name of the AI tool that is being used to transcribe doctors’ notes in the NHS?

A) 3D-DCGAN

B) MidJourney

C) ChatGPT

D) None of the above

Q3. What is the name of the tool that is being used to design dental crowns with AI at the University of Hong Kong?

A) 3D-DCGAN

B) ChatGPT

C) MidJourney

D) None of the above

Q4. What is the future that the author predicts for dentistry?

A) A future where AI is as essential to our toolkit as the wax knife

B) A future where machines take over tasks and humans become obsolete

C) A future where AI and humans work hand in hand to create smiles that are not only aesthetically pleasing but also reflective of the harmonious collaboration between man and machines.

D) None of the above

Q5. The true essence of dentistry lies in:

A) The use of AI to push the boundaries of dental technology

B) The compassion, empathy, and expertise that dentists bring to their patients

C) The ability to create smiles that are both aesthetically pleasing and reflecting of the collaboration between man and machines

D) All of the above

Q6. What is the one thing that the author warns us about in the future of dentistry?

A) We must not become passive observers of the transformative change that AI is bringing to dentistry

B) We must not let AI replace us and take over our jobs

C) We must not forget that the true essence of dentistry lies in the human touch

D) All of the above

Q7. What was the shade of the tooth in the gingival area?

A) High in chroma

B) High in value

C) Both high in chroma and value

D) Neither high in chroma nor value

Q8. What type of abutment was used?

A) Screw retained

B) Cement retained

C) Both screw and cement retained

D) Neither screw nor cement retained

Q9. What type of ceramic was used?

A) Lithium disilicate

B) Zirconia

C) Both lithium disilicate and zirconia

D) Neither lithium disilicate nor zirconia

Q10. What type of enamel was used in the final build?

A) Bright enamel

B) Dark enamel

C) Both dark and bright enamel

D) Neither dark nor bright enamel

Q11. What type of effects were used in the incisal half of the tooth?

A) Opal effects

B) Bleach dentine

C) Both opal effects and bleach dentine

D) Neither opal effects nor bleach dentine

Q12. What type of accreditation was awarded to the case?

A) BACD

B) AACD

C) Both BACD and AACD

D) Neither BACD nor AACD

YOU CAN SUBMIT YOUR ANSWERS IN

Via email: cpd@dentaltechnician.org.uk or by post to: The Dental Technician Magazine, PO Box 2279, Pulborough, RH20 9BR.

You are required to answer at least 50% correctly for a pass. If you score below 50% you will need to re-submit your answers. Answers will be published in the next issue of The Dental Technician magazine. Certificates will be issued within 60 days of receipt of correct submission.

PAYMENT BY CHEQUE TO:

The Dental Technician Magazine Limited. NatWest Sort Code 516135 A/C No 79790852

ECPD www.dentaltechnician.org.uk I 27
THE FOLLOWING WAYS:

EMULATING

nature

Dean Brew from Queensway Dental Lab shares a single central implant case with Dr Richard Coates using Nobel Replace

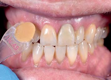
Dr Coates placed the implant and spent a few months getting the bone and gum exactly where it needed to be, using temporary crowns.

Once we were happy that everything was settled and healthy, I saw the patient to take the shade and to discuss her needs.

The shade was high in chroma in the gingival area but high in value towards the incisal (almost bleached). I used the LiSi shade tabs to identify any colours within the tooth and photographed as needed.

We designed a screw-retained abutment using Nobel Zirconia with a beautiful emergence profile to support the soft tissue position that was previously obtained.

I love the Lustre Pastes to colour my framework L-B gingival then use a mix of L-NFL and L-3 (grey) to achieve the correct incisal value. I fire this on zirconia at 805°C to achieve a nice strong bond.

I built up the basic shade of the tooth using some IN-side colour (IN-45) and dentines in the gingival region (D-A3). The IN-side colours help add chroma and fluorescence, which was needed in this case. I use two mixtures of different ratios so that one is more intense, that way I can use the more intense mixture interstitial to help achieve a natural 3D effect.

I used a mix of opal effects EOP-2, EOP-3 and TN in the incisal half, always trying to keep the higher value colours close to line angles and any areas of extra density. I then broke it up with

some bleach dentine (BLD-1 mixed with a little A1) horizontally and vertically to give depth and a natural appearance. FD-91 and IN-41 were used in a 50/50 ratio to create bright flecks coming vertically from the incisal edge. I put a little of the gingival dentine mixture in the middle part of the incisal edge

at a thickness of roughly 1mm to help at a warm glow that was present in the natural adjacent tooth.

I think it is really important to use the shape of the internal ceramic to help get depth, and form the structures visible in the tooth that are to be copied.

CASE STUDY 28 I www.dentaltechnician.org.uk
TOP ROW LEFT: Initial shade consultation TOP ROW RIGHT: Zr Frame with foundation colour ABOVE: Build up of dentine colours

FINISHING

Once I had fired and trimmed back to achieve the rough shape of the tooth, I had another appointment with the patient to review the shade.

I was really happy with all the internal effects and colours that I had achieved so I was ready for a little enamel build to help filter some of the light.

I did a final build of enamels and clear effects to achieve the final shape of the tooth. I used a brighter enamel in the

gingival bulge area for added depth. Once fired, I contoured, ensuring line angles were symmetrical and that any high spots were polished with a silicone wheel before final glazing.

A final refinement with some silicone disks to make sure the light was reflecting correctly, then a hand polish with some polishing paste.

Dr Richard Coates and the patient were both happy and therefore, so was I. The case has been granted both BACD and AACD accreditation.

ABOUT DEAN BREW

Dean Brew has been a ceramist since 2010, and has had the privilege of meeting and being trained by some of the best in our profession from all over the world.

Dean’s passion lies in natural restorations, both functionally and aesthetically. He especially enjoys the challenge of the tricky single anterior crown and has developed a process that has proved to be successful.

www.dentaltechnician.org.uk I 29
TOP ROW LEFT: Contouring TOP ROW RIGHT: Build up of enamel effects 2ND ROW LEFT: Check the profile of the crown 2ND ROW RIGHT: Shade review 3RD ROW LEFT: Crown finished and glazed 3RD ROW RIGHT AND BOTTOM: Crown fitted

CREATECH MEDICAL WHY OUTSOURCE WITH CREATECH?

w What are the benefits of outsourcing with Createch Medical, the direct-to-lab milling service for dental laboratories?

In partnership with the Straumann Group, Createch Medical relieves you of the pressures of certain processes, allowing you to focus on growing your business without impacting the quality of work you deliver to clients.

With Createch Medical, you don’t need to worry about sustaining in-house design and/or milling – their facilities utilise ultraprecision measuring devices and five-axis high-precision milling machines for the production of high-grade solutions.

You’ll get a Createch Excellence warranty card with every product you receive, to certify its quality for ultimate peace of mind.

For more information, visit the website or get in touch with the team today.

Register for your account with Createch Medical at http://www.createchmedical.com/en/file-sending/login-registro/ For more information on the Createch Medical direct-to-lab milling service from the Straumann Group, visit https://www.straumann.com/ gb/en/dental-professionals/products-and-solutions/implant-borne-prosthetics/products/createch-medical.html

KEMDENT CARVING TOOLS CUT OUT FOR A TECHNICIAN

w The ability to carve models remains an important skill in a dental technician’s role, but accurate models require the right equipment and materials. For carving tools specially developed for technicians, consider the Carving Wax Blocks and Wax Knives from Kemdent.

The Carving Blocks are particularly suitable for tooth models and carving other small features. They can be handled and crafted to create true to life sized models at 13.5mm x 13.5mm x 33mm in dimension.

Kemdent offers a Flat and Spoon variation of the Wax Knives, made of stainless steel with black polypropylene handles for additional strength. The ground hardened and tempered blades are comfortable to use, and enable flexibility for detailed carving.

For more information on the Carving Wax Blocks and Wax Knives, contact the team at Kemdent.

For more information about the leading solutions available from Kemdent, please visit www.kemdent.co.uk or call 01793 770 256

MARKETPLACE 30 I www.dentaltechnician.org.uk

VITA CERAMICS POLISHING SET FOR OPTIMISED CERAMIC POLISHING

Further advantages of the VITA CERAMICS Polishing Set include: The high diamond content in the pre-polishers increases durability and performance. Additional slats on the Technical Brush increase durability and improve the polishing performance, especially on occlusal surfaces with pronounced fissures. A large cup in the Clinical Set ensures a long service life.

VERSATILITY

Overall, the VITA CERAMICS Polishing Set consists of three polishers for prepolishing and for high-gloss polishing.

The following product variants are available:

• Technical Set for extraoral use with the handpiece, can be supplemented with the diamond polishing paste VITA Polish Cera for extraoral high-gloss polishing

w With the new two-step VITA CERAMICS Polishing Set, VITA Zahnfabrik is continuing the development of the polishing process for ceramic restoration materials. Special features of the set include: Durability with optimised performance, suitability for any type of ceramic.

CERAMIC POLISHING COULDN’T BE SIMPLER

One for all: With the VITA CERAMICS Polishing Set, users no longer have to resort to stocking several sets for polishing different ceramics. The new polishing set from VITA can now be used with any ceramic.

Maxillofacial Prosthetic Rehabilitation

• Clinical Set (sterilisation possible) for intraoral used with an angle piece

• Refill packs are available for all polishers

For more information about the VITA CERAMICS polishing set visit: www.vita-zahnfabrik.com/polishing

Develop skills in the treatment of patients who require prosthetic facial rehabilitation.

Designed for maxillofacial prosthetists, technologists and prosthodontists to:

• Learn to use cutting-edge digital technology for intra and extra-oral prosthetic facial rehabilitation in clinical practice

• Develop technical skills and higher standards of clinical practice.

• Internationally renowned centre of excellence for teaching and research.

• Pioneers of distance learning in dentistry with over 20 years’ experience.

• Intensive face-to-face training blocks, teaching theory and best clinical practice.

• Teaching team of world experts led by Professor Trevor Coward

• Delivered primarily online, the course provides 20 days of intensive teaching and practical training at Rangoonwala College of Dental Sciences and Research Centre, Pune, India.

• Study and practice a broad range of treatments for the replacement of missing hard and soft tissues, using both traditional and advanced digital technologies.

Applications open for January 2024 start. Apply by 25 October 2023.

Find out more: Visit kcl.ac.uk/mfpr Email distancedentistry@kcl.ac.uk

MARKETPLACE www.dentaltechnician.org.uk I 31
MSc Distance Learning | Three years | Part-time

Maxillofacial Prosthetic Rehabilitation MSc KING’S COLLEGE LONDON

Ranked 1st in the UK for dentistry (QS World University rankings 2023), the Faculty of Dentistry, Oral & Craniofacial Sciences at King’s College London offers high-intensity, handson postgraduate education, to bring students to the forefront of their field, whether undertaking specialist training or enhancing their skills via blended learning.

In addition to on-campus study, King’s delivers dental education and training to students from over 50 countries via six distance learning master’s programmes. Designed to meet the professional development needs of practitioners, all include face-to-face training blocks for hands-on experience in a traditional teaching environment and interaction with peers and expert teachers.

Professor Trevor Coward, programme director for Maxillofacial Prosthetic Rehabilitation MSc and honorary consultant in maxillofacial and craniofacial rehabilitation, has made significant progress in improving the process and treatment of patients requiring facial prostheses. Professor Coward and his team have developed a new and more reliable method, repurposing 3D printing technology to replicate the prosthesis effectively reducing the cost and speeding up the process.

Professor Coward’s innovative threeyear blended learning MSc programme provides an excellent opportunity for maxillofacial prosthetists, prosthodontists and technologists to enhance their technical skills, including in cutting-edge digital technology, and develop higher standards in clinical practice, specifically in caring for

EDUCATION & CAREERS 32 I www.dentaltechnician.org.uk
CLOCKWISE FROM TOP LEFT: Clinical area; Students’ laboratory; Face-to-face training; Finished coloured prosthesis; Wax pattern ready for patient.

patients requiring facial rehabilitation as a result of trauma, congenital deformity or cancer.

Delivered by renowned experts in the field, the programme is further supplemented by the unique handson training component delivered at Rangoonwala College of Dental Sciences and Research Centre, Pune, India. Students experience intensive teaching and practical training for 9 days in Year 1 and 11 days in Year 2 under expert one-to-one supervision. They treat and fabricate a range of indwelling eyes, implant -retained auricular and orbital prostheses for patients from all over Maharashtra and some from as far away from the foothills of Nepal.

‘Our face-to-face course in Pune is another reminder that we must not forget to help the people who need it the most. In two weeks in March, we are able to work as a team making positive changes in the lives of the patients that we treat. Facial prostheses restore confidence in their appearance and enable patients to make social interactions a little easier.

It is a rewarding and humbling experience and the patients that we treat are enormously grateful, giving you a whole new perspective of life and to know that your work can help in the health and well-being of a person.’ says Naimesha Patel, senior lecturer in maxillofacial prosthetic education.

TOP LEFT: Student technique case colour matched to her own eye TOP RIGHT ABOVE & BELOW: Patient’s old prosthesis; New prosthesis ready for fit 2ND ROW LEFT: Patient presenting with a nasal defect 2ND ROW RIGHT: Nasal prosthesis in situ LEFT: A common sight on the way back to the hotel from the college

For more information on this course, please visit kcl.ac.uk/mfpr

EDUCATION & CAREERS www.dentaltechnician.org.uk I 33
To read the full story visit: kcl.ac.uk/beyondthe-clinic-helpingto-rebuild-facesin-india

THE ESSENTIALS OF SAFE POLISHING

34 I www.dentaltechnician.org.uk

The perfect final touch for a restoration is an impressive polish. A patient’s denture is crafted into a shiny prosthetic with pumice, lathe brushes, and a well-trained hand, soon to be a solution to aesthetic and functional concerns. There are, though, issues that can present themselves if the procedures aren’t undertaken with immense care. The primary risk is cross-contamination, which in turn threatens infection upon everyone involved in the restoration’s process.

THE BIG DEAL WITH PUMICE

Dental pumice is used to polish a range of materials from tooth enamel and gold foil, to dental amalgam and acrylic resins1 – but it is also widely known as a possible hotspot for bacterial contaminants within a prosthodontic lab.2 The bacteria within contaminated pumice has a range of pathogenic potential, and so it requires great attention and care.

Whilst most bacteria isolated within contaminated pumice slurries are native to an oral environment, many are non-oral bacteria which could pose a great threat to lab technicians, dentists, and patients alike.3 Patient groups with immunodeficiency disorders are at an elevated risk of infection,4 but the risk of issues arising applies to any patient receiving a compromised prosthetic. Bacteria found within pumice slurries could adhere to a restoration and cause respiratory tract infections, pneumonia, and skin and soft tissue infections in the most extreme cases.5

Contaminants for the pumice or associated tools, such as the pumice tray or lathe brushes, could originate from a variety of places. A poorly managed prosthetic could be received by a lab in need of repair, with bacteria from the patient still present.6

Or, there is the chance that the technician could inadvertently introduce bacteria to the working site themself, either via the materials used, or their own clothing and body.

SAFETY IN THE LAB

If a pumice slurry is contaminated, the technician and their restoration become immediately at risk of infection. Undertaking proper infection control processes, with a complete understanding of the reasoning behind each step, can reduce this chance significantly.

Polishing with pumice could create contaminated splatter and aerosols.7 Within a dental laboratory, this production of airborne bacteria can present a variety of difficulties that put lab staff at risk. Contaminated pumice slurries have been found to contain bacteria that could primarily provoke respiratory diseases, and the risk of eye infections.8 Ocular injuries could account for around one in every ten occupational incidents,9 and whilst they are mostly of low severity, it opens up the opportunity for infection to develop.

Ensuring dental technicians wear the correct personal protective equipment (PPE), including safety goggles to prevent the aforementioned eye injuries where possible, is incredibly effective.10 Alongside this, ensuring a lab is well ventilated could be advantageous to avoid eye infections,11 as well the respiratory issues caused by the inhalation of contaminated aerosols produced throughout the process.12

MINIMISING A PATIENT’S RISK

Polishing prostheses has aesthetic and functional purposes for a patient. Whilst they receive a bright restoration to achieve a brilliant smile, the smooth and shiny surface

of their prosthesis reduces the formation of bacterial plaque. Rougher surfaces are more susceptible to fungal adhesion and biofilm growth,13 which could develop into further issues for patients. The act of polishing itself is therefore a positive step towards reducing the risk of infection for a patient during use, though its effectivity is only apparent when it is correctly and successfully polished to a high standard.

Preventing contamination of the pumice slurry, and in turn the prosthesis, is fundamental to making the most of these benefits, and minimising immediate risks for patients. Alongside appropriately using PPE to avoid a technician transferring microorganisms, ensuring the pumice slurry is decontaminated prevents the chance of infection. The tap water used to create the slurry could be the cause of bacterial presence.14 Using a specialised cleaner instead of or alongside the tap water can create a solution that is free of most contaminants, whilst producing positive results when polishing.15

Dental technicians should consider the impact of PumiceSafe Universal Cleaner from Kemdent, an alcohol-free solution that has multiple applications throughout the polishing process. PumiceSafe can be used in a pumice tray in place of water, producing a microorganism-free slurry that is pleasant to work with, it could be used to clean lathe brushes prior to polishing, or even as a potent surface cleaner. PumiceSafe provides effective elimination of microorganisms as a fungicidal and algaecidal option, whilst being kind on the skin of dental technicians to avoid commonplace irritations.

Polishing is a fundamental part of prosthesis creation within the dental lab, and its associated contaminant risks should be minimised wherever possible. With effective prevention methods in place, dental technicians can provide aesthetically brilliant prostheses, whilst maximising their safety for both dental staff and a patient.

REFERENCES

For references please email editor@dentaltechnician.org.uk

For more information about the leading solutions available from Kemdent, please visit https://www.kemdent.co.uk or call 01793 770 256.

DENTAL TECHNOLOGY www.dentaltechnician.org.uk I 35
Alistair Mayoh , marketing director at Kemdent, discusses how to maximise safety for both dental staff and a patient

KEMDENT A VERSATILE SOLUTION FOR RESTORATION POLISHING

w The polishing of dental restorations in the lab is crucial to ensure their longterm function and aesthetics. By creating a smooth surface, dental technicians are able to protect the longevity of the restorations as the likelihood of biofilm adhesion is reduced. Choosing quality solutions to use during the fabrication of such products is crucial for producing the best results in each case.

Ruwa Universal Wheels from Kemdent are a fantastic option. They are designed to create lustre across a range of restorative materials including precious metals, stainless steel, chrome cobalt, cement, amalgam, and plastic fillings. Available in sizes 17mm or 22mm, Ruwa Universal Wheels are a versatile solution for your dental lab.

For more information, contact the team at Kemdent.

For more information about the leading solutions available from Kemdent, please visit www.kemdent.co.uk or call 01793 770 256

MEDENTIKA® QUALITY AND PRECISION MEET COMPATIBILITY AND DURABILITY

w Part of the globally renowned Straumann Group, Medentika® brings the long and proud tradition of German and Swiss craftsmanship and industrial production to implantology.

Medentika ® manufactures and supplies precision-engineered multi-platform abutments and components for all restorations: single-tooth, bridge or fulldenture. The range is clearly structured and fully compatible with all widely used implant systems.

All Medentika® abutments and components are guaranteed – meeting if not exceeding the quality of the original systems.

Affordability, versatility and efficiency are cornerstones of the Medentika ® ethos. Clinicians and technicians can be confident that the Medentika ® range is a competitively priced, clearly structured, one-stop catalogue.

From its inception in 2005 in Hügelsheim, Germany, Medentika® has harnessed its passion and commitment to precision engineering to fast become the leading manufacturer of compatible prosthetics. Durability, reliability and performance of Medentika® products are second to none.

For more information, visit the website today: https://www.straumann.com/medentika/en/professionals.html

MARKETPLACE 36 I www.dentaltechnician.org.uk

w With the new M6 milling unit, Zirkonzahn automates processes, accelerates procedures and increases the productivity of the dental workflow.

The 5+1 axis simultaneous milling unit is equipped with a storage for 16 or 64 blanks (upgradable up to 200) as well as a Blank Changer that allows material blanks to be transferred autonomously from the magazine to the orbit.

Once the structure is milled, the blanks are reinserted again in their correct place in the storage. This means that restorations made of different dental materials, colours and heights can now be designed fully automatically without any manual intermediate steps. The wet and dry processing function permits the milling of all common soft and hard dental materials.

The built-in Teleskoper Orbit M6 allows the processing of material blanks with a diameter of 95mm, 98mm, 106mm and 125mm. Thanks to special holders, also glass-ceramic blanks, RawAbutment® blanks and zirconia blanks (size 1) can be milled. In addition, the already known, innovative Teleskoper functions (adjustment of the friction, Double Milling, Stop & Go) can be used with the M6 milling unit.

Zirkonzahn equips the M6 milling unit with the new Performance Spindle M6 by default. Thanks to a specially developed Permanent Magnet Synchronous Motor (PMSM) which is optimally adapted to the milling unit, this spindle can reach a maximum torque of 200Ncm at speeds of 6.000 to 50.000rpm with a peak power of 2.5 kW.

In addition, the milling unit is equipped with a contamination-protected tool chamber which is separate from the milling area and features an automatic tool changer function. The two magazines with 30 slots each ensure a safe and tidy storage of up to 60 milling burs. The tools are automatically checked for type or damage before and after each milling process.

MARKETPLACE www.dentaltechnician.org.uk I 37
For more information: www.zirkonzahn.com
ZIRKONZHAN M6 TELESKOPER BLANK CHANGER MILLING UNIT WITH BLANK CHANGER FUNCTION (X16 OR X64 - UPGRADABLE)
www.dentaltechnician.org.uk I 39 CONTACT: T: 01372 897462 I E: sales@dentaltechnician.org.uk TO ADVERTISE ON THIS CLASSIFEDS PAGE CLASSIFIEDS
Gain the power of dual model scanning More at once Minimize hands-on time with the intuitive place-and-scan design. Provide a complete range of quality services to your clinics with ease. Stay on top of your caseload with fast automated scan-to-design workflows. More efficiency. More versatility. More speed. w w w. 3shape.com/f8 20% discount 20% off across the range (F8, E4, E3 or E2 scanner) when purchased with Complete Restorative Software package. Valid until 30 September 2023. Contact us at ukenquiries@3shape.com or 01183 151 300

Turn static files into dynamic content formats.

Create a flipbook
Issuu converts static files into: digital portfolios, online yearbooks, online catalogs, digital photo albums and more. Sign up and create your flipbook.
The Dental Technician Magazine July 2023 by The Dental Technician Magazine - Issuu