Hjartað þitt (1)

Page 1


Tímarit GoRed 2025

Klara Lísa Hervaldsdóttir fékk bráða ósæðarflysjun sumarið 2024. Í þessu blaði gefur hún og maður hennar okkur innsýn í þeirra reynsluheim.

Ennfremur fjalla sérfræðingar sérstaklega um sjúkdóma sem nefndir eru í viðtalinu

HJARTAÐ RÆÐUR FÖR

Kveðja forseta Íslands

Höllu Tómasdóttur

Kæru konur og landsmenn allir, til hamingju með daginn!

Í dag fögnum við alþjóðlegri vitundarvakningu um hjartasjúkdóma kvenna Átakið ber heitið

GoRed og upphaf þess má rekja til amerísku hjartasamtakanna sem hófu þessa mikilvægu vitundarvakningu árið 2004. Verkefninu var formlega ýtt úr vör á Íslandi árið 2009.

Blásið var til þessa átaks vegna þeirrar staðreyndar að hjarta- og æðasjúkdómar voru helsta dánarorsök kvenna en einkenni bráðra veikinda voru ekki þau sömu og hjá körlum Heilbrigðiskerfið greip þær því ekki tímanlega. Konur voru á þeim tíma duglegri að senda eiginmenn sína til læknis en að leita sjálfar hjálpar.

GoRed átakið miðar að því að fræða konur um áhættuþætti og einkenni hjarta- og æðasjúkdóma og vekja athygli á því hvernig draga má úr líkum á að þær fái þessa sjúkdóma.

Aukin vitund kvenna um áhættuþætti, sem og forvarnir, hafa einnig bein og óbein jákvæð áhrif á lífsstíl karla og ungmenna.

Enn er það svo að hjarta- og æðasjúkdómar eru ein algengasta dánarorsökin og því megum við ekki sofna á verðinum. Það er mikilvægt að hlusta á líkama okkar, þekkja ættarsöguna og sinna forvörnum fyrir okkur sjálfar og fyrir fjölskyldur okkar. Ég hvet ykkur til þess að hafa ykkar hjartans mál ávallt í huga því við eigum einungis eitt hjarta og við eigum að gera allt sem við getum til þess að halda því hraustu.

Hraust hjörtu eru í reynd lykillinn að heilbrigðu samfélagi.

Þegar lífæðin rofnar

Það er sunnudagur

og við komum okkur vel fyrir í fallegri íbúð Klöru Lísu

Hervaldsdóttur og Gísla B Ívarssonar og Neró, fallegi svarti labradorinn þeirra tekur vel á móti undirritaðri.

Þau voru svo góð að gefa okkur innsýn í líf sitt síðustu mánuði og við ákváðum einnig að kafa aftur í tímann til þess að skoða mögulegar tengingar við það verkefni sem þau stóðu frammi fyrir ekki fyrir svo löngu síðan.

Ekki óraði þau hjónin fyrir því, þar sem þau voru stödd í boði á Bessastöðum á fallegum sumardegi í ágúst 2024, að lífshótandi sjúkdómur væri í þann veginn að slá niður konu á besta aldri, en Klara Lísa veiktist brátt af ósæðarflysjun sem er lífshættulegt ástand.

En við byrjum söguna þó miklu fyrr þegar Klara Lísa greinist með sjálfsofnæmissjúkdóm sem nefnist í daglegu tali rauðir úlfar eða lupus (SLE = systemic lupus erythematosus). Birtingamynd þess sjúkdóms hjá henni var hnútur sem hún fann á hálsi og eftir sýnatökur ýmisskonar kom hið sanna í ljós og í kjölfarið hafin meðferð með lyfjum, bæði sértækum vegna gigtarinnar og einnig með sterum.

Klara Lísa og Gísli á Bessastöðum 1 ágúst 2024

Klara Lísa er eins og svo margar konur, bæði vinnusöm og samviskusöm, hún hefur unnið í bankakerfinu alla ævi , lengst af sem afgreiðslustjóri með ábyrgð og skyldur.

Samviskusemi hennar og áhersla á að vinnan væri númer eitt leiddi að sjálfsögðu til mikils álags og áhersla hennar á að leggja sig alla fram, oft á tíðum umfram það sem hóflegt var er nokkuð sem margir þekkja.

Hún segir að þetta hafi markað hana mikið en lokapunkturinn var settur þegar hún sjálf fékk uppsögn sl. vor. Hún segir að það sé samt skrýtið að upplifa bæði létti og sorg á sama tíma; létti yfir að nú þurfi hún ekki lengur að búa við þessa streitu, álag og hræðslu um uppsögn en líka sorg yfir atvinnumissi.

En í amstri dagsins var hún eins og svo margir, hugsaði lítið út í orsakir, einkenni eða afleiðingar sjúkdómsins sem hrjáði hana og minnti jafnvel á sig daglega og hélt sínu striki.

Fylgifiskur streitu getur verið hár blóðþrýstingur og fólk upplifir oft tímabil, sér í lagi undir miklu álagi, þar sem allt ætlar um koll að keyra í líkamanum en síðan virðast hlutir vera í lagi þegar álaginu lýkur og fólk nær að hvílast, en er það virkilega þannig ?

Kannski er það oft svo að fólk hugsar hreinlega ekki út í að það geti verið eitthvað aflaga í kerfinu og aðlagast jafnvel hækkuðum blóðþrýstingi ótrúlega vel, sem eykur þá bara á alvarleikann.

Klara Lísa var þar engin undantekning, hún hafði ættarsögu um háan blóðþrýsting og vann í streitumiklu umhverfi en rétt eins margir gaf hún þessu ekki sérstakan gaum, en fann ýmis óræð einkenni læðast að sér þegar mestu álagstímar voru í vinnu og lífi. Hún átti þó blóðþrýstingsmæli og mældi sig öðru hvoru þegar henni fannst þurfa og hún upplifði stundir þar sem mælingar voru heldur háar. Hún hafði mælst há í þrýstingi hjá heimilislækni sem ekki var meðhöndlaður þá. Eftirfylgnin var eitthvað stopul en í dag er henni gríðarlega mikilvægt vegna síns ástands að hafa blóðþrýstinginn í lagi til þess að létta af álagi á æðakerfið.

líður þeim hjónum seint úr minni, en þá reið yfir eitt áfallið. Gísli lýsir deginum þannig að þau ætluðu að ganga á Esjuna en á leiðinni hafi Klara Lísa farið að finna fyrir einhverjum ónotum fyrir brjósti en naglinn sem hún er ákvað að halda sínu striki.

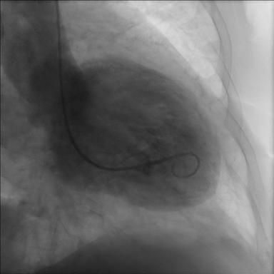
Þegar komið var að Esjurótum varð verkurinn sterkur og hún kastaði upp, en ákvað að reyna að hvíla sig í bílnum. Verkurinn gekk á endanum eitthvað tilbaka og upp Esjuna fór hún. Það var ekki fyrr en nokkrum dögum seinna að hún ákvað að fara á heilsugæslu til að láta skoða sig þar og var send áfram á bráðamóttöku. Þaðan fór hún svo í hjartaþræðingu, með sömu einkenni og koma fram við hjartaáfall en niðurstaðan var sú að vegna uppsafnaðs álags og streitu hafði myndast ástand sem kallað er harmslegill (Takotsubo / broken heart syndrome) og er heilkenni sem myndast við mikla streitu, áföll eða sorg, ástand sem konum er hættara við en körlum.

Harmslegill heitir á frummálinu Takotsubo sem er heiti á krabbagildru sem sjá má hér til hliðar við röntgenmyndirnar. Heitið helgast af löguninni sem er sú sama og téðrar gildru

Í kjölfarið fékk hún blóðþrýstingslækkandi lyf sem og aðra viðeigandi meðferð og var í þéttu eftirliti bæði hjá hjartalækni og hjá sínum gigtarlækni, enda nauðsynlegt að sérgreinar vinni saman þegar um fjölþættan vanda er að ræða.

Hún jafnaði sig vel og þau hjónin héldu áfram daglegu amstri, ferðalögum og njóta þess að hreyfa sig.

Þau hafa í gegnum árin verið dugleg að stunda golf og árið 2023 á sínum venjubundnu golfhringjum fann hún að líðan hennar í líkamanum var aðeins verri en venjulega, meira eins og tilfinning sem

hún gat ekki útskýrt og þrek til að draga golfkerruna hafði minnkað svo hún brást bara við því með að fá sér rafmagnsgolfkerru sem minnkaði þörfina fyrir álagið og dró því úr einkennum.

Það var svo

á fallegum degi 1 ágúst 2024 í heimsókn hjá nýkjörnum forseta á Bessastöðum að ósköpin dundu yfir, gefum Klöru og Gísla orðið:

“Sem betur fer var ég stödd þar en ekki í sveitinni, af því við komum í bæinn til þess að fara í þetta boð og ætluðum aftur austur um kvöldið, svo bara gerist þetta, við vorum niðri í “dýflissunni” og þá segi ég bara allt í einu við Gísla, heyrðu nú er ég bara að fá hjartaáfall. Ég fékk rosalegan verk og fann að þetta var slæmt, Gísli dröslar mér upp því ég gat varla gengið og fann verkina yfir öllu, kem upp og finn staðarhaldara og hún sat með mér á meðan hann fór að ná í bílinn, Gísli ákvað sjálfur að keyra mig í bæinn með blikkljós og flautandi og fer með mig niður á bráðamóttökuna í Fossvogi og þaðan fer ég með sjúkrabíl á Hringbraut”

Klara leggur áherslu á að hún hafi verið glöð að hópurinn sem var staddur í móttökunni hafi verið staddur í öðru herbergi og því hafi hennar óheppni ekki litað daginn fyrir hina, en hér vildi hún enn og aftur ekki draga athygli að sér.

Gísli grípur hér orðið því að frá þessum tímapunkti getur Klara Lísa ekki gert vel grein fyrir atburðum “ég hringi í 112 á meðan ég er á leiðinni og bið um að það sé hringt og sagt að við sáum á leiðinni, en fékk þau viðbrögð að ég þyrfti bara að hringja sjálfur, þannig að ég gerði það ekki og held bara áfram. Klöru var svo illt í fætinum og er hálfgrátandi í bílnum og ég tek bara rauð ljós , adrenalínið á fullu auðvitað og hún að skamma mig fyrir að hringja ekki í sjúkrabíl en ég mat þetta þannig á þessum tíma. Ég læt öllum illum látum þegar ég kem þarna niðureftir með hana úti í bíl, það kemur út fullt af fólki og hún fær strax morfín og kemur í ljós að það er enginn púls í fætinum.

Eftir morfínið var hún orðin slakari og þá fór hún í myndatöku, það tók ekki langan tíma og þá er sagt við mig þetta er eitthvað annað en við héldum svo hún er að fara beint niður eftir í akút aðgerð. Það kemur sjúkrabíll og fer með hana niður eftir og ég elti bara. Ég var svolítinn tíma að finna hana í öllum þessum ranghölum og fer á gjörgæslu og þar er mér vísað á aðstandendaherbergi og bíð þar í einhvern tíma.

Þá koma þeir og hitta mig svæfingalæknir og sænskur læknir og þeir voru stálgráir í andlitinu og ég sá strax að þetta væri ekki gott og eins og hann orðaði það þessi sænski, þetta er serious operation. Þeir útskýrðu málið.

Mér er sagt að það sé verið að undirbúa hana fyrir aðgerð og ég megi hitta hana og ég geri það. Svo fer ég aftur fram og spyr, verð ég hérna á staðnum, nei nei farð þú bara heim. Við fórum sennilega af Bessastöðum um 10 og ætli ég sé ekki kominn hingað heim milli 12 til 12:30. Þá var sonur okkar kominn hingað heim og var hjá mér um nóttina. Ég sat bara í lazyboy um nóttina og fékk sms alla nóttina og fékk að vita reglulega hvað var að gerast í aðgerðinni nema að klukkan 6 eða 7 um morguninn þá eru ekki komin nein skilaboð þannig að ég hringi niðureftir og þá var bara verið að klára og svo fékk ég skilaboð kl 8 aðgerð lokið. Og þá fór ég niðureftir.

En þá hafði aðgerðinni í reynd lokið fyrr en þurft að opna hana aftur því það blæddi með æð sem gekk inn í lungað og í 4 mínútur var enginn hjartsláttur, en það var fumleysi sænska læknisins að þakka að blæðingin var stöðvuð. “

Á öðrum til fjórða degi á gjörgæslu leit þetta ekki vel út og þá þurfti fjölskyldan að eiga erfitt samtal og upplýsa lækna á gjörgæslunni um óskir

Klöru að ekki bæri að framlengja vonlausu ástandi. Þau hjónin ítreka bæði mikilvægi þess að fólk taki þetta samtal, því þó það sé erfitt þá skiptir það máli á ögurstundu.

Klara lýsir því sem á eftir fór sem mjög í móðu og hún og aðstandendur hennar upplifði talsvert mikið rugl, því ósæðarflysjun með skertu blóðflæði í höfuð getur valdið sömu einkennum og heilablóðfall og að auki er 8 klukkustunda aðgerð og dvöl í öndunarvél álag á kerfið.

Gísli segist hafa fengið þær upplýsingar að flysjunin hafi gengið upp í höfuð hægra megin og niður í fótinn vinstra megin, þannig að blóðflæðið skertist á þessum svæðum og

Klara Lísa nýkomin heim af spítalanum

Klara Lísa var því send oftar en einu sinni í skann af heilanum.

Eftir að heim var komið þjálfaði hún sig með Sudoko og annarri heilaleikfimi og gekk vel, nokkuð sem var alveg ómögulegt að finna út úr eftir stuttu eftir aðgerðina en hefur að fullu gengið tilbaka. Hún var lengi að komast í gang að labba og var mjög óstyrk og kraftlaus og matarlystin var sömuleiðis ekki upp á marga fiska.

Sjúkraþjálfunin hefur gert sitt til að efla styrkinn sem kemur hægt og bítandi og hún hefur notið góðrar aðstoðar í HL stöðinni og að auki var hún dugleg að ganga úti við.

Það er áskorun

fyrir aðstandendur að grípa fólkið sitt í þessum aðstæðu og þess vegna viljum við leyfa rödd eiginmannsins, Gísla, að heyrast og hvernig hlutirnir sneru við honum og öðrum aðstandendum.

Að mæta ástvini sínum gjörbreyttum í útliti og atgervi eftir stórt áfall er í reynd annað áfall þó að fólk taki auðvitað því sem það mætir með jafnaðargeði, enda er það oft hlutverk aðstandenda að halda ró sinni fyrir sjúklinginn til þess að valda ekki frekara uppnámi. En engu að síður er þetta upplifun sem maður geymir með sér og þarf að vinna úr.

Það er því eðlilegt að spyrja hvernig hafi verið tekið á hans málum í þessu ferli.

“Eftir að við komum inn á bráðamóttöku þá efaðist ég aldrei um hvað var sagt við mig og ég efaðist ekki um neitt sem var sagt ég treysti þessu fólki 100%. Og mér er það svo minnisstætt að á einum tímapunkti var sagt þegar hún var búin að vera á deildinni í kannski viku, jæja nú ætlum við að senda hana heim á morgun og ég sagði, ertu að grínast, það var í eina skiptið sem að ég kannski sagði eitthvað við einhvern þar sem ég var ekki sammála. Þetta voru einhverjir sem höfðu aldrei hitt hana en lesið um hana í sjúkraskránni og ég spurði bara, eruð þið búin að hitta hana ? og þær sögðu við mig hjúkrunarfræðingarnir að þær væru ekki sammála þessu og þetta var ekki rætt aftur. Síðan gerðist það að það blæddi inn á gollurshúsið hjá henni og þá hefði ég verið með hana hérna heima, ég hefði ekki viljað bjóða í það. Þetta var eina skiptið í öllu ferlinu sem ég fékk svona nokkurs konar áfall”

Það er ekki óalgengt að aðstandendur upplifi sig óörugga í svona aðstæðum, þeir eru leikmenn komnir með ábyrgð á manneskju sem fyrir örskömmu síðan var í tvísýnum aðstæðum. Hræðslan við nýja hlutverkið getur orðið yfirþyrmandi og þá skiptir miklu máli að fá góðar upplýsingar og handleiðslu.

Á sama tíma og hann var aðstandandi í áfalli og að styðja börnin sín tók hann

ákvörðun að vera upplýsingafulltrúi Klöru Lísu og miðla upplýsingum til vina og vandamanna til þess að létta af sér álaginu við að tala í síma í tíma og ótíma og svara skilaboðum. Það var afskaplega dýrmætt fyrir allan hópinn sem stendur að þeim hjónum, en nú í dag ekki síður dýrmætt fyrir hann sjálfan og þau hjónin því hann bjó í reynd óafvitandi til dagbók og reyndar fleiri í

fjölskyldunni sem söfnuðu saman öllum upplýsingum til þess að geta unnið úr þessu síðar.

“Ég ákvað sjálfur að halda fólki upplýstu um þessa hluti því þetta hafði gerst á þessum stað og ég var reglulega í sambandi við þau á Bessastöðum um þessa hluti og ég veit ekki hvort þetta hafi hjálpað mér eitthvað” hér grípur Klara Lísa inní og segist fullviss um að svo sé.

Talið berst nú að aðstoð eftir áfall og hvort að þeim hafi verið boðið slíkt eða þau þegið aðstoð fyrir sálina. Klara Lísa segist ekki enn hafa leitað eftir því, en hún hefur ekki fundið þörf ennþá, þau hjónin tala mikið saman og kryfja málin og auðvitað var það hann sem hafði mestar upplýsingarnar eftir þennan tíma. En hún segist hafa áður þurft að leita til sálfræðings vegna vinnutengdra mála og fundist það mjög gott og fengið úthlutað þá ýmsum tækjum sem hún nýtir enn í dag og hjálpar líka við þessar aðstæður t.d. að halda dagbók sem hjálpar við yfirsýnina.

Gísli segir hins vegar að hjúkrunarfræðingar á deildinni hafi tengt hann við sjúkrahúsprest og hann gat þá talað um sína upplifun og sín mál. Þar var hann m.a. spurður að því hvort hann fyndi til reiði eða sektarkenndar varðandi það sem gerðist sem hann gerði ekki En hans aðaláhyggjur eftir að hann byrjaði að vinna aftur var að vita af henni einni heima.

Þau segja bæði

að það að geta talað saman um alla hluti og fundið niðurstöðu og sameiginlega fleti skipti öllu máli, því það reynir heldur betur á sambönd þegar lífsógnandi sjúkdómar herja á og það er langhlaup, ekki bara spítalalega og búið mál. Þeirra ólíka sýn á þessi áföll og hvað gerðist í framhaldi segir að ítrekuð samtöl um hlutina bæði skýra myndina og aðstoðar a

samlegðaráhrif nokkurra heilsufarsþátta sem þarf að vera vel meðvitaður um. Hún veit að það að herða sig upp, setja undir sig hausinn og keyra áfram er ekki skynsamleg nálgun og að streitan má ekki ná yfirhöndinni. Með þá vitneskju horfir hún til framtíðar og í batanum gerir hún áætlanir um skynsamleg skref í átt til nýrra tækifæra, annars konar starfa og að njóta lífsins.

Þau hjónin eru samstillt og þykir mikilvægt að deila sögu sinni ef það má verða til þess að upplýsa einhverja í svipaðri stöðu og vilja af heilum hug koma á framfæri þökkum til allra sem komu að meðferð og umönnun þeirra beggja á þessum krefjandi tíma.

Við erum afar þakklát þeim hjónum fyrir að deila sinni sögu og hugsunum með lesendum og óskum þeim alls hins besta í framtíðinni.

Klara Lísa, Gísli og fjölskyldan þeirra á góðri stundu sumarið 2024

GoRed tekur í annað sinn þátt í

Vetrarhátíð Reykjavíkurborgar

Að þessu sinni með ljósaverkið

FZZR

eftir Sean Patrick O´Brian

Verkið gefur okkur innsýn í ólgandi æðakerfi líkamans og minnir á hjartað sem dælir blóði svo við getum lifað.

Verkið er unnið fyrir GoRed vitundarvakningu um hjartasjúkdóma kvenna sem áminning til allra að passa

hjartað sitt - við eigum aðeins eitt !

Ljósaverkið okkar er nr 14 og staðsett á Austurvelli

Harmslegill er mun algengari

hjá konum

Geir Hirlekar hjartalæknir

Harmslegill eða Takotsubo er tímabundin afturkræf truflun á samdrætti hjartans sem lýsir sér þannig að hjartað líkist blöðru. Heilkenninu var fyrst lýst árið 1990 í Japan hjá 64 ára gamalli konu sem fékk brjóstverk og var hjartalínuritið með breytingum sem líktust bráðri kransæðastíflu.

Kransæðarnar voru hinsvegar eðlilegar en vinstri slegill dróst óeðlilega saman og gekk samdráttarskerðingin tilbaka á tveimur vikum. Heilkennið var nefnt Takotsubo eftir japanskri kolkrabbagildru því lögun hjartans líktist gildrunni þegar það sló í þessu ástandi. Heilkennið hefur verið kallað ýmsum nöfnum á ensku m.a. broken heart syndrome, stress cardiomyopathy og apical ballooning syndrome en á íslensku hefur það verið nefnt harmslegill.

Síðan harmslegli var fyrst lýst hefur orðið vitundarvakning um heilkennið og æ fleiri greinast árlega. Miðaldra konur og konur eftir tíðahvörf eru í miklum meirihluta þeirra sem fá harmslegil og mun fleiri konur en karlar. Hafa ber í huga að börn geta einnig fengið heilkennið.

Þeir sjúklingar sem fá heilkennið upplifa einkenni sem líkjast þeim sem birtast í bráðri kransæðastíflu (acute coronary syndrome) með þungum brjóstverk, andþyngslum eða mæði, en kransæðamyndataka sýnir þá engar kransæðastíflur. Um 1-2% af þeim sem grunaðir eru um bráða kransæðastíflu reynast vera með harmslegil.

Dæmigerður harmslegill lýsir sér oftast sem tímabundin afturkræf samdráttarskerðing í broddi og miðhluta vinstri slegils með kröftugum samdrætti í grunnhlutanum. Þó eru til aðrar birtingarmyndir þar sem samdrátturinn getur truflast á mismunandi stöðum í hjartanu og kallast það þá ódæmigerður harmslegill.

Heilkennið kemur oftast í kjölfar skyndilegs álags, þá líkamlegs eða tilfinningalegs. Tilfinningalegt álag er algengari orsök harmslegils meðal kvenna en líkamlegt álag hjá körlum. Dæmi um tilfinningalegt álag er fráfall ástvina, jafnvel fráfall gæludýra, kvíðakast eða ósætti milli ástvina. Með líkamlegu álagi er átt við álag í kjölfar skyndilegra og mikilla veikinda, eins og t.d. heilablæðing, versnun á langvinnri lungaþembu eða meltingafærablæðing. Náttúruhamfarir tengjast einnig aukinni tíðni harmslegils. Tilfinningalega álagið þarf ekki endilega að vera neikvætt hlaðið því jákvæðar fréttir eins og að vinna lottovinning eða óvænt afmælisboð getur orsakað harmslegil. Hefur það verið kallað happy heart syndrome.

Hvað veldur því að hluti hjartans bregst svona við er ekki vitað þó ýmsar tilgátur og kenningar hafi verið lagðar fram. Fjöldamargar rannsóknir hafa

þó leitt í ljós að ofgnótt verður af stresshormónum (katekólamínum) í blóði og er magn þeirra umtalsvert meira en hjá sjúklingum með kransæðastíflu. Þannig eiga áföll eða bráð streita sterkan þátt í meingerðinni.

Flestir sem fá harmslegil ná sér fljótt og hjartað jafnar sig á nokkrum dögum eða vikum Engin sértæk meðferð er til og meðferðin er fyrst og fremst stuðningsmeðferð með lyfjum á meðan hjartað er að jafna sig. Á meðan samdrátturinn í hjartanu er skertur getur þurft að gefa blóðþynningu til að fyrirbyggja segamyndun í hjartanu. Um 10% þeirra sem fá harmslegil fá heilkennið aftur seinna á lífsleiðinni. A

Sjúklingur með dæmigerð mynd af harmslegli með samdráttarskerðingu í broddi og miðhluta vinstri slegils með kröftugum samdrætti í grunnhlutanum

Takk fyrir

að standa við bakið á okkur

með kaupum á Lions

súkkulaði-jóladagatölunum

Einnig söluaðilum fyrir að vera

með okkur í því verkefni

Þess vegna getum við verið bakhjarl fyrir

GoRed sem þessir aðilar standa að

Það væri ekki hægt án ykkar

Gagnlegt að

mæla

blóðþrýstinginn

Á þinni eigin heimasíðu um heilsufar þitt www.heilsuvera.is getur þú lesið um margt sem tengist heilsufari. Þar er til dæmis farið yfir áhættuna af því að hafa háan blóðþrýsting. Hér eru upplýsingar sem eru mikilvægar og hægt er að lesa um þar.

Háþrýstingur er oftast einkennalaus

Blóðið rennur í æðum okkar og er ætlað að vera þar til að flytja næringarefni eins og til dæmis súrefni milli staða. Til þess að það gangi vel og eðlilega þarf að vera eðlilegt samspil á milli magns vökva og efna í æðum, hreyfanleika æðakerfis og hraða hjartsláttar. Ef blóðþrýstingurinn er of hár eykur það líkur á að æðakerfið gefi sig og afleiðingin verður sjúkdómur í til dæmis hjarta, heila, augum og nýrum Ef blóðþrýstingur er mjög hár til langs tíma getur það minnkað lífslíkur verulega og skert þar að auki lífsgæðin til dæmis með heilablæðingu. Það er alveg ljóst að ef þrýstingur inni í æðum er mikill getur æðin eða rörið gefið sig eða smám saman skemmst með tilheyrandi áföllum.

Margir aðrir þættir geta veikt æðakerfið og dæmi um það eru reykingar, ættlægur veikleiki og há blóðfita. Verst er síðan ef margir áhættuþættir hjarta og æðasjúkdóma eru til staðar í einum og sama einstaklingi. Það er því ein gagnlegasta aðgerð sem hægt er að gera til að fyrirbyggja sjúkdóma að mæla blóðþrýstinginn og bregðast við óeðlilegum niðurstöðum.

Gildin eru mismunandi

Tvær tölur eru notaðar til að skýra blóðþrýsting, til dæmis 140/90. Hærri talan segir til um þrýstinginn í slagæðunum þegar hjartað dregst saman og mikið blóð er í æðunum og þar af leiðandi hár þrýstingur en lægri talan er þrýstingurinn í slagæðunum þegar hjartað er í slökun og lítið blóð í æðum líkamans.

Eðlilegur á blóðþrýstingur fólks í efra gildi að vera 119 eða lægri og í neðra gildi 79 og þaðan af minni. Hækkaður blóðþrýstingur í efra gildi er 120-139 og 80-89 í því lægri.

Þegar um háþrýsting er að ræða eru efri gildi 140 eða hærri og í neðra gildi 90 eða meira.

Þessi gildi eru þó mismunandi og ekki alveg óumdeild og ekki óeðlilegt að hafa viðmiðunargildi eftir því hvaða aðrir áhættuþættir hrjá fólk.

Dæmi er að ef það er sterk ættarsaga um kransæðasjúkdóm, til dæmis faðir reykti ekki og fékk kransæðastíflu 36 ára og kólesterólið hefur alltaf verið hátt hjá þér er

rétt að gera kröfur um að þrýstingur sé í lægri kantinum. Þá er til dæmis við þessa

ættarsögu afar óheppilegt að reykja eins og gefur að skilja.

Þú getur mælt þrýstinginn heima en blóðþrýstingsmæla má kaupa í apótekum og heilsuvörubúðum

Sestu niður og hvíldu þig í 5 mínútur áður en mæling hefst.

Gættu þess að það séu í það minnsta 30 mínútur liðnar frá síðustu máltíð,

æfingu, baði, reykingum eða áfengisneyslu.

Fylgdu leiðbeiningum mælisins um staðsetningu mælisins á hendinni og mældu.

Skráðu mælinguna.

Mældu síðan blóðþrýstinginn reglulega, ávallt á sama tíma dags.

Skráðu hjá þér mælingarnar þínar og komdu með þær í næstu heimsókn á heilsugæsluna.

Hvað er til ráða?

Hvað get ég gert ef þrýstingurinn er hár? Þú getur haft áhrif á blóðþrýstinginn þinn með því að:

Létta þig - ef þú ert í yfirvigt. Það er erfitt að dæla blóði út í líkama sem er mjög stór. Sýnt hefur verið fram á gagnsemi þess ef líkamsþyngdarstuðull er hærri en 30 (þyngd/hæð í öðru veldi).

Velja fituminni fæðu og meira af grænmeti og ávöxtum.

Minnka saltneyslu. Þetta er afar mikilvægur þáttur.

Hreyfa þig 30 mín á dag, flesta daga. Hreyfing bætir andlega og líkamlega heilsu.

Minnka áfengisdrykkju (ef þú drekkur meira en 2 glös á dag).

Gott ráð er að fá sér blóðþrýstingsmæli til að fylgjast með blóðþrýstingnum heima. Ef þú fylgist reglulega með eigin blóðþrýstingi gengur betur að hafa áhrif á hann til lækkunar.

Hafðu eftirfarandi í huga

Hafðu samband fljótlega við heilsugæsluna ef reglulegar blóðþrýstingsmælingar þínar eru yfir 140/90.

Hafðu samband strax við heilsugæsluna ef blóðþrýstingsmælingar þínar eru í kringum 180/120. Sama skaltu gera ef blóðþrýstingsmælingar þínar eru yfir 140/90 og þú finnur fyrir eftirfarandi einkennum, en þau eru merki um að

æðakerfið hafi með einhverjum hætti gefið sig og því mikilvægt að grípa inn í og

bregðast við strax

Sjóntruflanir

Höfuðverkur á morgnana

Ógleði, uppköst

Sljóleiki eða skert meðvitund

Erfiðleikar með tal

Erfiðleikar með öndun

Verkir í brjósti eða brjóstbaki

Brúnt eða blóðugt þvag

Munum að góð heilsa er gulli betri og að fylgjast með blóðþrýstingi er einföld og góð leið til að fyrirbyggja heilsuvanda.

Efni er tekið af heimasíðu Heilsugæslu höfuðborgarsvæðisins

Höfundur þess : Óskar Reykdalsson forstjóri Heilsugæslu höfuðborgarsvæðisins

Greinin birtist fyrst í Morgunblaðinu

Katrín sjal

Sjalið er garðaprjón og er prjónað úr fingering garni og mohair saman.

Garn Fingering og mohair prjónað saman allt sjalið. 700 metrar af fingering garni. 700 metrar af mohair lace garni.

Prjónfesta

10cmx10cm: 15lykkjurx16umferðirafgarðaprjóni.

Prjónarogmerki

4,5mm80cmlangurhringprjónn. 3prjónamerki.

Prjónalykill

P:Prjóniðslétt.

P2sam:Prjónið2lykkjursaman.Fækkaðumeinalykkju.

PYOP:Prjónið,sláiðuppáogprjóniðafturísömulykkjuna.Einlykkja verðurþrjárlykkjur.

B:Prjóniðbrugðið.

SM:Setjiðprjónamerki.

FM:Færiðprjónamerki.

S2PS:setjiðtværlykkjuryfiráhægriprjóneinsogeigiaðprjónaþær saman,prjóniðeina,steypiðtveimuryfirafvinstiprjón.Fækkaðum tvær.Miðjulykkjanlendirefst.

TM:Takiðprjónamerkiafprjóni.

SSP:Færiðtværlykkjur,einaíeinu,yfiráhægriprjóneinsogeigiað prjónaþær,færiðafturávinstiprjónogprjóniðígegnumaftara band.Fækkaðumeinalykkju.

YO:Sláiðbandiyfirprjón.Aukiðútumeinalykkju.

Stærðásjali240cm–160cm–190cmeftirþvott,lagttilán strekkingar. Hefjumsthanda!

Fitjiðupp3lykkjur.

Umf1Rétta:P1,PYOP,P1.(5)

Umf2Ranga:Prjóniðslétt.

Umf3:P2,PYOP,P2.(7)

Umf4:P3,B1,P3.

Umf5:P3,PYOP,P3.(9)

Umf6:P4,B1,P4.

Umf7:P3,PYOP,P1,PYOP,P3.(13)

Umf8:P6,B1,P6.

Umf9:P3,SM,PYOP,P1,SM,S2PS,P1,PYOP,SM,P3.(15)

Umf10:P3,FM,prjóniðaðlykkjufyrirmerki,B1, TM,P1,SM, prjóniðaðmerki,FM,P3.

Umf11Rétta:P3,FM,PYOP,prjóniðaðmerki,FM,S2PS,prjóniðað lykkjufyrirmerki,PYOP,FM,P3.(aukiðútumtværlykkjur)

Umf12Ranga:P3,FM,prjóniðaðlykkjufyrirmerki,B1, TM,P1,SM, prjóniðaðmerki,FM,P3.

Endurtakiðumf11og12þangaðtillykkjufjöldier193(96-1-96).

Fráogmeðnæstuumferðáréttumunsjaliðstækkaumeinalykkjuá hægrihliðeinsogífyrriumferðum,enminnkaumtværávinstrihlið. Miðjulykkjan(S2PS)heldursérígegnumsjaliðogermerktmeð/I\á munsturteikningunni.

©BrynjaBjörkHinriksdóttir2023 Þessauppskrifthefurþúkeypttilpersónulegranota.Hanamáekkiafrita,deilanéfjölfalda.

Page 2 | 5

Prjónið eftir munstri (eða texta, sjá bls 4). Kantlykkjurnar þrjár eru fyrstu og síðustu þrjár lykkjurnar í munstrinu.

Umferðir á röngu, (ekki teiknuð í munstrinu): P3, FM, prjónið að lykkju fyrir

merki, B1, TM, P1, SM, prjónið að merki, FM, P3. Í Umf 1 eru rauðu kassarnir

endurteknir 10 sinnum sitthvoru megin við miðjulykkjuna (S2PS). Lykkjufjöldi eftir

munstur og umferð 48 á röngu, 169 (48-1-120). Haldið áfram eftir munstur

svona: Umf 1, rétta: P3, FM, PYOP, prjónið að merki, FM, S2PS, prjónið að

síðustu 5, P2sam, FM, P3. (Fækkað um eina lykkju)

Umf 2, ranga: P3, FM, prjónið að lykkju fyrir merki, B1, TM, P1, SM, prjónið að merki, FM, P3.

Endurtakið umferðir 1 og 2 20 sinnum í viðbót, lykkjufjöldi 146 (4-1-141).

Næsta umferð á réttu: P3, TM, PYOP, prjónið að merki, TM S2PS, TM, P3 – snúið

við og byrjið affellinguna á röngu.

©Brynja Björk Hinriksdóttir 2023

Þessa uppskrift hefur þú keypt til persónulegra nota. Hana má ekki afrita, deila né fjölfalda. Page3|5

Affelling:

Ranga:P3,P2sam Snúiðvið

Rétta:P4 Snúiðvið

Endurtakiðþessarumferðirþangaðtil8lykkjurerueftiríheildina

Ranga:P3,P2sam,P3.(7)

Rétta:P2,S2PS,P2.(5)

Ranga:prjónið

Rétta:P1,S2PS,P1 (3)

Ranga:S2PS,slítiðfráogdragiðígegn

Gangiðfráendum,þvoiðogstrekkiðefþiðviljið.Hægteraðstrekkjagarðaprjónmjögmikið.Gerðueinsogþérfinnstfallegt.Sjaliðámyndunum varbaralagttil,ekkistrekkt

Munsturtexti:

Umf1:P3,FM,PYOP,P4,P2sam,(YO,P1,YO,SSP,P3,P2sam)*10, YO,P1,YO,SSP,P2,FM,S2PS,P2,P2sam,YO,(P1,YO,SSP,P3, P2sam,YO)*10,P1,YO,SSP,P3,P2sam,FM,P3 (192lykkjur)

Umf2ogallarumferðiráröngu:P3,FM,prjóniðaðlykkjufyrir merki,B1,TM,P1,SM,prjóniðaðmerki,FM,P3

Umf3:P3,FM,PYOP,P5,P2sam,YO,(P3,YO,SSP,P1,P2sam, YO)*10,P3,YO,SSP,FM,S2PS,P2sam,YO,P1,(P2,YO,SSP,P1, P2sam,YO,P1)*10,P2,YO,SSP,P1,P2sam,FM,P3 (191lykkjur)

Umf5:P3,FM,PYOP,P1,(P4,YO,S2PS,YO,P1)*11,P4,FM,S2PS, P2,(P3,YO,S2PS,YO,P2)*10,P4,P2sam,FM,P3.(190lykkjur)

Umf7:P3,FM,PYOP,P1,YO,P1,(P2sam,P1,SSP,(P1,YO)*2, P1)*11,P2sam,P2,FM,S2PS,P1,(P1,SSP,(P1,YO)*2,P1, P2sam)*10,P3,P2sam,FM,P3 (189lykkjur)

Umf9:P3,FM,PYOP,P3,YO,P1,(P2sam,P1,SSP,(P1,YO)*2, P1)*11,P2sam,P1,FM,S2PS,(P1,SSP,(P1,YO)*2,P1,P2sam)*10, P2,P2sam,FM,P3.(188lykkjur)

©BrynjaBjörkHinriksdóttir2023

Umf11:P3,FM,PYOP,P5,YO,P1,(P2sam,P1,SSP,(P1,YO)*2, P1)*11,P2sam,FM,S2PS,(SSP,(P1,YO)*2,P1,P2sam,P1)*10, P2sam,FM,P3 (187lykkjur)

Umf13:P3,FM,PYOP,P7,(YO,P1,P2sam,P1,SSP,P1,YO,P1)*11, P2,FM,S2PS,P2,(P1,YO,P1,P2sam,P1,SSP,P1,YO)*9,P4,P2sam, FM,P3.(186lykkjur)

Umf15:P3,FM,PYOP,P2,P2sam,YO,(P1,YO,SSP,P3,P2sam, YO)*11,P1,YO,SSP,P3,FM,S2PS,P3,P2sam,YO,P1,(YO,SSP,P3, P2sam,YO,P1)*8,YO,SSP,P4,P2sam,FM,P3 (185lykkjur)

Umf17:P3,FM,PYOP,P3,P2sam,YO,P1,(P2,YO,SSP,P1,P2sam, YO,P1)*11,P2,YO,SSP,P1,FM,S2PS,P1,P2sam,YO,P2,(P1,YO, SSP,P1,P2sam,YO,P2)*8,P1,YO,SSP,P2,P2sam,FM,P3.(184 lykkjur)

Umf19:P3,FM,PYOP,(P3,YO,S2PS,YO,P2)*12,P4,FM,S2PS,P4, (P2,YO,S2PS,YO,P3)*8,P2,YO,SSP,P2sam,FM,P3 (183lykkjur)

Þessauppskrifthefurþúkeypttilpersónulegranota.Hanamáekkiafrita,deilanéfjölfalda.

Umf21:P3,FM,PYOP,P2,(P1,SSP,(P1,YO)*2,P1,P2sam)*12,P3, FM,S2PS,P3,(SSP,(P1,YO)*2,P1,P2sam,P1)*8,P3,P2sam,FM,P3 (182lykkjur)

Umf23:P3,FM,PYOP,P1,YO,P1,P2sam,(P1,SSP,(P1,YO)*2,P1, P2sam)*12,P2,FM,S2PS,P2,(SSP,(P1,YO)*2,P1,P2sam,P1)*8,P2, P2sam,FM,P3 (181lykkjur)

Umf25:P3,FM,PYOP,P3,YO,P1,P2sam,(P1,SSP,(P1,YO)*2,P1, P2sam)*12,P1,FM,S2PS,P1,(SSP,(P1,YO)*2,P1,P2sam,P1)*8,P1, P2sam,FM,P3 (180lykkjur)

Umf27:P3,FM,PYOP,P1,SSP,(P1,YO)*2,P1,P2sam,(P1,SSP,(P1, YO)*2,P1,P2sam)*12,FM,S2PS,(SSP,(P1,YO)*2,P1,P2sam,P1)*8, P2sam,FM,P3 (179lykkjur)

Umf29:P3,FM,PYOP,P2,(P1,YO,SSP,P3,P2sam,YO)*12,P1,YO, SSP,P4,FM,S2PS,P4,P2sam,YO,P1,(YO,SSP,P3,P2sam,YO,P1)*6, YO,SSP,P3,P2sam,YO,P2sam,FM,P3.(178lykkjur)

Umf31:P3,FM,PYOP,P1,P2sam,YO,P1,(P2,YO,SSP,P1,P2sam, YO,P1)*12,P2,YO,SSP,P2,FM,S2PS,P2,P2sam,YO,P2,(P1,YO, SSP,P1,P2sam,YO,P2)*6,P1,YO,SSP,P1,P2sam,YO,P2sam,FM, P3 (177lykkjur)

Umf33:P3,FM,PYOP,P1,YO,S2PS,YO,P2,(P3,YO,S2PS,YO, P2)*12,P5,FM,S2PS,P5,(P2,YO,S2PS,YO,P3)*6,P2,YO,S2PS,YO, P2sam,FM,P3 (176lykkjur)

Umf35:P3,FM,PYOP,(P1,SSP,(P1,YO)*2,P1,P2sam)*13,P4,FM, S2PS,P4,(SSP,(P1,YO)*2,P1,P2sam,P1)*6,SSP,P1,YO,P1,P2sam, FM,P3 (175lykkjur)

Umf37:P3,FM,PYOP,P2,(P1,SSP,(P1,YO)*2,P1,P2sam)*13,P3, FM,S2PS,P3,(SSP,(P1,YO)*2,P1,P2sam,P1)*6,SSP,P1,YO,P2sam, FM,P3 (174lykkjur)

Umf39:P3,FM,PYOP,P1,YO,P1,P2sam,(P1,SSP,(P1,YO)*2,P1, P2sam)*13,P2,FM,S2PS,P2,(SSP,(P1,YO)*2,P1,P2sam,P1)*6,P2, P2sam,FM,P3.(173lykkjur)

Umf41:P3,FM,PYOP,P3,YO,P1,P2sam,(P1,SSP,(P1,YO)*2,P1, P2sam)*13,P1,FM,S2PS,P1,(SSP,(P1,YO)*2,P1,P2sam,P1)*6,P1, P2sam,FM,P3 (172lykkjur)

Umf43:P3,FM,PYOP,P1,YO,SSP,P3,(P2sam,YO,P1,YO,SSP, P3)*13,P2sam,YO,FM,S2PS,(YO,SSP,P3,P2sam,YO,P1)*6, P2sam,FM,P3 (171lykkjur)

Umf45:P3,FM,PYOP,P4,YO,SSP,P1,P2sam,(YO,P3,YO,SSP,P1, P2sam)*13,YO,FM,S2PS,YO,(SSP,P1,P2sam,YO,P3,YO)*5,SSP, P1,P2sam,YO,P1,P2sam,FM,P3 (170lykkjur)

Umf47:P3,FM,PYOP,P2,(P5,YO,S2PS,YO)*14,FM,S2PS,(YO, S2PS,YO,P5)*5,YO,S2PS,YO,P1,P2sam,FM,P3 (169lykkjur)

©BrynjaBjörkHinriksdóttir2023

Þessauppskrifthefurþúkeypttilpersónulegranota Hanamáekkiafrita,deilanéfjölfalda

Umf48Ranga:P3,FM,prjóniðaðlykkjufyrirmerki,B1,TM,P1,SM, prjóniðaðmerki,FM,P3 Page5|5

Rauða hættan lúmskir fylgikvillar

gigtarsjúkdómsins rauðra úlfa

Gerður Gröndal

sérfræðingur í

lyf- og gigtarlækningum, dósent í gigtarlækningum HÍ

Katrín Þórarinsdóttir

sérfræðingur í

lyf- og gigtarlækningum yfirlæknir gigtlækninga LSH

Inngangur

Í þessari grein munum við fjalla stuttlega um sjúkdóminn rauða úlfa og tengsl hans við æðakölkun sem er einn af fylgikvillum þessa sjúkdóms.

Sjúkdómurinn rauðir úlfar (á ensku Systemic lupus erythematosus, skammstöfunin

SLE líka oft notuð) tilheyrir flokki sjálfsofnæmissjúkdóma og er talinn dæmigerður fyrir þennan flokk sjúkdóma. Einkennandi fyrir sjálfsofnæmissjúkdóma er framleiðsla svokallaðra sjálfsmótefna sem eru mótefni sem líkaminn sjálfur framleiðir gegn eigin frumum eða frumuhlutum.

Rauðir úlfar hafa fylgt mannkyninu frá örófi alda Nafnið er tilkomið þar sem útbrot sem honum fylgja í andliti þóttu minna á úlfabit en lupus þýðir úlfur á latínu (sjá mynd 1) (1, 2).

Hverjir fá rauða úlfa?

Þetta er tiltölulega sjaldgæfur sjúkdómur og rannsókn gerð á Íslandi á níunda áratug síðustu aldar sýndi að nýgengi sjúkdómsins var 4.5 ný tilfelli / 100.000 íbúa / ári (3). Nýlegri sænskar faraldursfræðilegar rannsóknir sýna sambærilegt nýgengi um 35/100.000 íbúa (4, 5), svo sjúkdómurinn er svipað algengur á Norðurlöndunum. Meðaldur við greiningu sjúkdómsins í ofangreindum rannsóknum var aðeins mismunandi 25-34 ára í einni rannsókn en um 45 ára í öðrum (3-5). Sjúkdómurinn er mun algengari í konum og er hlutfallið u.þ.b. sjö konur á móti hverjum karli (3-7).

Margvísleg einkenni í mörgum líffærakerfum

Einkenni geta verið mjög margvísleg þar sem sjúkdómurinn getur lagst á fjölmörg líffærakerfi. Hann er einnig lúmskur og oft erfitt að greina hann þar sem einkenni koma ekki öll fram samtímis. Bandaríska gigtlæknafélagið hefur sett 11 flokkunarskilmerki sem lýsa þessum einkennum (sjá mynd 1) (8, 9).

Evrópska gigtlæknafélagið hefur gefið út skilmerki sem eru aðeins víðtækari en að mestu þau sömu (10). Í flestum vísindarannsóknum þarf að uppfylla a.m.k. fjögur

skilmerki til þess að teljast hafa sjúkdóminn. Ekki þarf að hafa öll einkennin samtímis, og til þess að greiningin sé sannfærandi þurfa klínísk einkenni og einnig ákveðin sjálfsmótefni að vera til staðar. Önnur einkenni sem ekki tilheyra

flokkunarskilmerkjunum eru Raynauds-fyrirbæri (fingur hvítna og blána í kulda), blettaskalli, hárlos og almenn einkenni eins og þreyta, hiti og þyngdartap. Auk ofantalins er sérkennandi fyrir sjúkdóminn að hann getur komið í köstum en fyrir kemur líka að sjúkdómurinn er mjög virkur langan tíma í senn.

Orsökin ekki þekkt en þekkingin vaxandi á síðustu árum

Eins og áður segir einkennast margir sjálfsofnæmissjúkdómar af myndun sjálfsmótefna. Þetta er flókin meingerð en við rauða úlfa eru það mótefni gegn frumukjörnum og erfðaefninu sem eru mest áberandi, nefnilega svokallað ANA (antinuclear antibody) og anti-ds DNA (anti double stranded DNA). Einnig ber að nefna að um skort á ákveðnum þáttum í magnakerfinu (kompliment kerfinu) getur verið að ræða og það stuðlað að sjúkdómnum. Sjálfsmótefnin mynda svokallaðar mótefnafléttur. Magnakerfið hefur síðan það hlutverk að hreinsa burt þessar mótefnafléttur en takist það ekki, t.d. vegna skorts á ákveðnum magnaþáttum, falla mótefnaflétturnar út svo sem í húð eða liðum og valda þar bólgum.

Orsakir þessa sjúkdóms eru ekki að fullu þekktar en ljóst að bæði erfðafræðilegir og þættir tengdir umhverfinu svo sem ýmsar sýkingar eiga hlut að máli. Má þar nefna að sjúkdómurinn kemur oftar fyrir hjá báðum eineggja tvíburum en tvíeggja Í sumum fjölskyldum er sjúkdómurinn ættlægur og hefur þetta komið greinilega í ljós í íslenskum ættfræðirannsóknum. Hvað varðar aðra ytri þætti úr umhverfinu en sýkingar þá geta viss lyf komið af stað sjúkdómsástandi sem líkist rauðum úlfum. Einnig getur útsetning fyrir útfjólubláum geislum sólar aukið virkni sjúkdómsins hjá sumum sjúklingum (11). Enda þótt rauðir úlfar einkennist af mismunandi virkni sjúkdómsins með einkennalitlum tímabilum, þá eru rauðir úlfar langvarandi sjúkdómur sem krefst ævilangs eftirlits. Bæði þarf að huga að fyrirbyggjandi meðferð og meðferð við skyndilegri versnun eða köstum sem og langtíma fylgikvillum, sjá síðar. Ekki síður mikilvægt er fræðsla og stuðningur við sjúklinga sérstaklega í ljósi þess hversu flókinn og jafnvel óutreiknanlegur sjúkdómurinn er.

Margbreytileg lyfjameðferð eftir einkennum Lyfjameðferð á vægum sjúkdómi felst fyrst og fremst í notkun á bólgueyðandi lyfjum án stera (NSAID lyfjum t.d. íbúfen), lágskammta sterameðferð og andmalaríulyfjum, jafnvel líftæknilyfjum. Alvarlegri sjúkdóm má meðhöndla með háskammta sterum og ónæmisbælandi lyfjum (metotrexat, azatioprin, cyklofosfamíð, ciklosporin, mycophenolate mofetil) og nýrri líftæknilyfjum eins og belimumab, anafrolumab og rituximab (12).

Horfur sjúklinga með rauða úlfa hafa batnað verulega á síðustu áratugum. Um miðja síðustu öld voru horfurnar fyrir lifun í 5 ár 50% en í lok aldarinnar yfir 90% og fara enn batnandi (13, 14). Vitneskja um sjúkdóminn hefur snarbatnað, hann greinist fyrr, eftirlit er virkara og ný og betri meðferð er í stöðugri þróun.

Ýmsir fylgikvillar sem fylgja sjúkdómnum

Auk sjúkdómsins þurfa sjúklingar með rauða úlfa að glíma við ýmsa fylgikvilla Má þar helst nefna sýkingar en áhætta sjúklinga með rauða úlfa á að fá alvarlegar sýkingar er tvöfalt til þrefalt hærri miðað við almennt þýði. Þetta eru meðal annars sýkingar í lungum af völdum baktería og berkla sem og endurvakningu hlaupabóluveirunnar sem kallast á íslensku ristill (15). Áhætta á krabbameini virðist vera aukin í sjúklingum með rauða úlfa en ástæður þessa eru óljósar (16). Þá er einnig aukin áhætta hjá konum með rauða úlfa að greinast með forstigsbreytingar í leghálsi miðað við heilbrigðar konur (17, 18).

Margir þættir geta haft neikvæð áhrif á beinþéttni t.d. kvenkyn, aukinn aldur, reykingar en í rauðum úlfum getur auk þess bólguástand vegna sjúkdómsins og meðferð með sterum leitt til beinþynningar. Sjúklingar með rauða úlfa hafa tvöfalda áhættu á beinþynningu og brotum af hennar völdum miðað við heilbrigða einstaklinga (19). Að lokum, hafa sjúklingar með rauða úlfa um tvöfalt aukna áhættu á hjarta-og æðasjúkdómum, hjartaáfalli, heilablóðfalli og háþrýstingi (20-22) en ástæður fyrir aukinni æðakölkun í þessum sjúklingahópi er margþátta

Æðakölkun er einn helsti fylgikvillinn Hvað varðar æðakölkun og rauða úlfa, þá koma þar ýmsir þættir til (20-24).

Sjúkdómsvirkni rauðra úlfa með auknu bólguástandi skiptir miklu máli í myndun æðakölkunar. Einnig er líffæraskaði af völdum rauðra úlfa, mikilvægur áhættuþáttur fyrir æðakölkun. Ákveðin svipgerð í rauðu úlfunum, t.d. þegar ákveðin mótefni sem kallast anti-phospholipid mótefni eru til staðar, er einnig til þess að auka líkur á æðakölkun.

Svo eru hefðbundnir áhættuþættir æðakölkunar sem geta verið staðar líka hjá sjúklingnum með rauða úlfa. Þeir eru háþrýstingur, hækkaðar blóðfitur, reykingar og ættarsaga fyrir æðakölkun eins og kransæðasjúkdómum, líka sykursýki

Hjartaáfall getur komið fyrir á öllum tímum, líka rétt eftir greiningu rauðra úlfa, en er mun algengara og líklegra hjá eldri einstaklingum, sem hafa verið með sjúkdóminn lengi. Dánartíðni sjúklinga með rauða úlfa sem fá hjartaáfall er nær tvöföld miðað við almennt þýði (20-24). Það er því að mörgu að hyggja, stilla sjúkdómsvirkni með öllum tiltækum ráðum og fara yfir alla áhættuþættina og meðhöndla þegar við á (sjá

Hollur og góður lífstíll, án reykinga, með hreyfingu, kjörþyngd og hollu matarræði er líka lykilatriði (25).

Allt þetta gerist ekki af sjálfu sér, samvinna ólíkra heilbrigðisstétta og sjúklingsins er nauðsynleg. Fræðsla, eftirfylgni og stöðugt eftirlit með réttu þáttunum eru mikilvæg, best er ef sjúklingurinn er upplýstur og meðvitaður og tekur virkan þátt og ábyrgð á sinni heilsu. Þarna getum við vafalaust gert betur hérlendis, enda þótt meðferð og horfur íslenskra sjúklinga séu að okkar mati með besta móti og standist samanburð við það sem gerist í nágrannalöndum okkar.

1. Smith CD, Cyr M. The History of Lupus-Erythematosus - from Hippocrates to Osler. Rheum Dis Clin N Am. 1988;14(1):1-14.

2. Benedek TG. Historical Background of Discoid and SLE. Dubois' Lupus Erythematosus and Related Syndromes: Elsevier; 2013. p. e1-e11.

3. Gudmundsson S, Steinsson K. Systemic Lupus-Erythematosus in Iceland 1975 through 1984 - a Nationwide Epidemiologic-Study in an Unselected Population. J Rheumatol. 1990;17(9):1162-7.

4 Arkema EV, Saleh M, Simard JF, Sjöwall C Epidemiology and Damage Accrual of Systemic Lupus Erythematosus in Central Sweden: A Single-Center Population-Based Cohort Study Over 14 Years From ostergotland County. Acr Open Rheumatol. 2023;5(8):426-32.

5. Ingvarsson RF, Bengtsson AA, Jönsen A. Variations in the epidemiology of systemic lupus erythematosus in southern Sweden. Lupus. 2016;25(7):772-80.

6. Jonsson H, Nived O, Sturfelt G, Silman A. Estimating the Incidence of Systemic Lupus-Erythematosus in a Defined Population Using Multiple Sources of Retrieval. Brit J Rheumatol. 1990;29(3):185-8.

7. Mccarty DJ, Manzi S, Medsger TA, Ramseygoldman R, Laporte RE, Kwoh CK. Incidence of Systemic Lupus-Erythematosus - Race and Gender Differences. Arthritis Rheum. 1995;38(9):1260-70.

8. Tan EM, Cohen AS, Fries JF, Masi AT, Mcshane DJ, Rothfield NF, et al. Special Article - the 1982 Revised Criteria for the Classification of Systemic LupusErythematosus. Arthritis Rheum. 1982;25(11):1271-7.

9 Hochberg MC Updating the American College of Rheumatology revised criteria for the classification of systemic lupus erythematosus. Arthritis Rheum. 1997;40(9):1725-.

10. Guttmann A, Denvir B, Aringer M, Buyon JP, Belmont HM, Sahl S, et al. Evaluation of the EULAR/American College of Rheumatology Classification Criteria for Systemic Lupus Erythematosus in a Population-Based Registry. Arthrit Care Res. 2023;75(5):1007-16.

11. Hahn B. An overview of the pathogenesis of systemic lupus erythematosus, In Dubois' lupus erythematosus: Williams and Wilkins; 1997.

12. Fanouriakis A, Kostopoulou M, Andersen J, Aringer M, Arnaud L, Bae SC, et al. EULAR recommendations for the management of systemic lupus erythematosus: 2023 update. Ann Rheum Dis. 2024;83(1):15-29.

13. Abushakra M, Urowitz MB, Gladman DD, Gough J. Mortality Studies in Systemic Lupus-Erythematosus - Results from a Single-Center .1. Causes of Death. J Rheumatol 1995;22(7):1259-64

14. Merrell M, Shulman LE. Determination of prognosis in chronic disease, illustrated by systemic lupus erythematosus. Journal of chronic diseases. 1955;1(1):12-32.

15. Pego-Reigosa JM, Nicholson L, Pooley N, Langham S, Embleton N, Marjenberg Z, et al. The risk of infections in adult patients with systemic lupus erythematosus: systematic review and meta-analysis. Rheumatology. 2021;60(1):60-72.

16. Cao LH, Tong HY, Xu GX, Liu P, Meng HT, Wang JH, et al. Systemic Lupus Erythematous and Malignancy Risk: A Meta-Analysis. Plos One. 2015;10(4).

17. Chen YY, Wu XW, Liu L. Association between systemic lupus erythematosus and risk of cervical atypia: A meta-analysis. Lupus. 2021;30(13):2075-88.

18. Zard E, Arnaud L, Mathian A, Chakhtoura Z, Hie M, Touraine P, et al. Increased risk of high grade cervical squamous intraepithelial lesions in systemic lupus erythematosus: A meta-analysis of the literature. Autoimmun Rev. 2014;13(7):730-5.

19. Wang X, Yan S, Liu C, Xu Y, Wan L, Wang Y, et al. Fracture risk and bone mineral density levels in patients with systemic lupus erythematosus: a systematic review and metaanalysis. Osteoporosis Int. 2016;27(4):1413-23.

20. Bello N, Meyers KJ, Workman J, Hartley L, McMahon M. Cardiovascular events and risk in patients with systemic lupus erythematosus: Systematic literature review and metaanalysis. Lupus. 2023;32(3):325-41.

21. Schoenfeld SR, Kasturi S, Costenbader KH. The epidemiology of atherosclerotic cardiovascular disease among patients with SLE: A systematic review. Semin Arthritis Rheu. 2013;43(1):77-95.

22. Yazdany J, Pooley N, Langham J, Nicholson L, Langham S, Embleton N, et al. Systemic lupus erythematosus; stroke and myocardial infarction risk: a systematic review and meta-analysis. Rmd Open. 2020;6(2).

23. Björnådal L, Yin L, Granath F, Klareskog L, Ekbom A. Cardiovascular disease a hazard despite improved prognosis in patients with systemic lupus erythematosus:: Results from a Swedish population based study 1964-95. J Rheumatol. 2004;31(4):713-9.

24. Bultink IEM, de Vries F, van Vollenhoven RF, Lalmohamed A. Mortality, causes of death and influence of medication use in patients with systemic lupus erythematosus matched controls. Rheumatology. 2021;60(1):207-16.

25. Drosos GC, Vedder D, Houben E, Boekel L, Atzeni F, Badreh S, et al. EULAR recommendations for cardiovascular risk management in rheumatic and musculoskeletal diseases, including systemic lupus erythematosus and antiphospholipid syndrome. Ann Rheum Dis. 2022;81(6):768-79.

Lífsstíll

Á GLERÁRTORGI

Hjartasjúkdómar herja á bæði konur og karla. Hjartavernd Norðurlands býður í samstar við hjólreiðafélagið Akureyrardætur og hjúkrunarnema við HA öllum að prófa nýjan lífsstíl á þrekhjóli og að mæla blóðþrýsting sinn milli kl. 1 og 5 föstudaginn 7. feb. á Glerártorgi. Hjartavernd Norðurlands

BifreiðastillingarNicolai bill.is

Bílahöllin-Bílaryðvörnhf

Bílasmiðurinnhf

BorgarApótek

BókhaldsstofaArnarIngólfssonarehf

Bólstrarinnehf

Brúnásinnréttingar

Brynjaleigufélagses

ByggingarfélagGylfaogGunnarshf

DansræktJSBehf

Dubliners.is

EEVFramkvæmdográðgjöfehf

Eflingstéttarfélag

ErgolineÍsland,heildverslun

Félagíslenskrabifreiðaeigenda

Félagslökkviliðsogsjúkraflutningsmanna

Fínkaehf,málningarverktakar

Flüggerehf

Folduppboðshúsehf

Fötogskórehf

H.Jónssonehf,réttingogsprautun

Hagvangurehf

Hallgrímskirkja

HamborgarabúllaTómasar

Hampiðjanhf

HársnyrtistofanAida

HEI-MedicalTravel-www.hei.is

Hensonsports

Hiðíslenskabókmenntafélag

Hitastýringhf

HlýjaTannlæknastofa

Holltoggottehf

Höfðahöllinbílasala

Höfðakaffiehf

IcePhoneehf

Icleanehf

INNlifunInnréttingaverslun

Intellectaehf

Íbúðagisting.is

ÍslandsApótekehf

ÍþróttabandalagReykjavíkur

Kælitækniehf

Landslagehf

Landsnethf-www.landsnet.is

Landsvirkjun

Leigulistinnehf

Lerkitréehf

LjósmyndirRutarogSiljuehf

LögmennÁrbæslf

Málarameistararehf

Meba-úrogskart

Millimetrisf

MSArmannskipamiðlunehf

Multivacehf

MúrarameistarafélagReykjavíkur

Neshamarehf

NordicOfficeofArchitectureehf

Olíshf

Olíudreifingehf

OpticReykjavíkehf

Orkuvirkiehf

OttóB.Arnarehf

Reyktal þjónusta ehf

Rikki Chan ehf

Rima Apótek

Samrás ehf verkfræðistofa

Samtök starfsmanna fjármálafyrirtækja-SSF

SHV pípulagningaþjónusta ehf

Sjúkraliðafélag Íslands

Skolphreinsun Ásgeirs sf

Skorri ehf

Smith og Norland hf

Stálbyggingar ehf

Stjörnuegg hf

Sýnileiki ehf

Sætrar ehf

Teiknistofan Tröð ehf

THG Arkitektar ehf

Tónastöðin ehf

Trausti fasteignasala ehf

Trivium ráðgjöf ehf

Útfaraþjónusta Rúnars Geirmundssonar

Útgerðarfélag Reykjavíkur hf

heildverslunWiiumehf

WürtháÍslandiehf

Þ.B.verktakarehf

Þórhf

Kópavogur

9mánuðir

ALARKarkitektarehf

Alhliðapípulagnirsf

AMGAukarafehf

APvarahlutirehf

Arkísarkitektarehf

Articaehf

Ásborgehf

Birtingaholtehf

BílasprautunogréttingarAuðuns

BlikksmiðjanVíkehf

DressmannáÍslandiehf

Fagtækniehf

Fosslagnirehf,pípulagnir

GGSport

S.Helgasonehf

Slotehf

Sunnuhlíð,hjúkrunarheimili

Svansprentehf

Topplagnirehf

Tröllalagnirehf,pípulagningaþjónusta

TækniþjónustaRagnarsGGunnarssonarehf ÚtfararstofaÍslandsehf

Vetrarsólehf,verslun

Vélastillingsf

Vinnuföt,heildverslunehf

Víkingbátarehf

Zenus-sófar&gluggatjöld

Garðabær

AHPípulagnirehf

CleóHárehf

Dráttarbílarvélaleigaehf

Fagvalehf

Fimirehf

Aflhlutirehf

Atlashf

Bílaverkehf,bílamálunogréttingar

Bjarnarehf

Blikkhellaehf

Donnaehf

Dverghamrarehf

EMOehf

Fjarðarstálehf

Fjörukráin-HótelVíking

Fókus-velaðmerkjaehf

G.S.múrverkehf

Gecoehf

GTVerktakarehf

Hafnarfjarðarbær

Hafnarfjarðarhöfn

Hagstálehf

Hamraborgehf

HHTrésmiðjaehf

HúsgagnaversluninNýformehf

SöluskóliGunnarsAndra-www.sga.is

ThorShip

Útvíkhf

Verkþingehf

Víroglykkjurehf

Vökvatækiehf Þaktakehf

Álftanes

Prentmiðlun ehf

Reykjanesbær

Algalif.com

Arnar Steinn Sveinbjörnsson

ÁÁ verktakar ehf

Benni pípari ehf

Rafiðnehf

Ráin,veitingasala

Rörvirkisf,LúðvíkGunnarsson

SkipasmíðastöðNjarðvíkurhf

Skólarehf

Slægingehf

TSAehf

Víkurfréttirehf

Grindavík

Bláa Lónið HQ Einhamar

Seafood ehf H.H. Smíði ehf Stakkavík ehf Vísir hf

Suðurnesjabær

Bílaþjónustan Bakki ehf

Gunnar Hámundarson ehf

Lighthouse Inn

SI raflagnir ehf

Hótel Laxnes - Áslákur alvöru

sveitakrá Kjósarhreppur

Malbikstöðin ehf

MIG Verk ehf

Mosfellsbakarí

Nonni litli ehf

Nýja bílasmiðjan hf

Pípulagningaþjónusta B Markan ehf

Salson - byggingaþjónusta ehf

Stjörnugrís hf

Umbúðamiðlun ehf

VGH-Mosfellsbæ ehf

Ævintýri ehf., hópferðabílar

Akranes

Akraberg ehf

Garðar Jónsson, málarameistari

Höfði hjúkrunar- og dvalarheimili

UMÍS - Umhverfisráðgjöf Íslands Velverk ehf

Stykkishólmur

3AM ehf, innflutningur frá Úkraínu Marz

sjávarafurðir ehf Þórsnes ehf

Grundarfjörður

ILDI ehf

Þjónustustofan ehf

Ólafsvík

Litlalón ehf

BS Þjónustan ehf

Rafsel Búðardal ehf

Reykhólahreppur

Þörungaverksmiðjan hf

Ísafjörður

Hamraborg ehf

Kampi ehf

Hnífsdalur

Hraðfrystihúsið - Gunnvör hf

Bolungarvík

Arnaehf

EndurskoðunVestfjarðaehf

JakobValgeirehf

SigurgeirG.Jóhannssonehf

Súðavík

Súðavíkurhreppur

Flateyri

Sytraehf

Suðureyri

FiskvinnslanÍslandssagahf

Patreksfjörður

BókhaldsstofanStaparehf

Eyfarafehf

Oddihf,fiskvinnsla-útgerð VilliÁehf

Þingeyri

Véla-ogbílaþjónustaKristjánsehf

Blönduós

Átak ehf Kvenfélag Svínavatnshrepps

Skagaströnd

Kvenfélagið Hekla Vík ehf

Sauðárkrókur

Aldan stéttarfélag

Bókhaldsþjónusta KOM ehf

Dögun ehf FISK-Seafood ehf

Fjölbrautaskóli Norðurlands vestra

K-Tak ehf Steinull hf

Verslunarmannafélag Skagafjarðar

Vörumiðlun ehf

Varmahlíð

Hestasport - Ævintýraferðir ehf

Siglufjörður

Raffó ehf

Selvík ehf

Snerpa, íþróttafélag fatlaðra

Akureyri

Baldur Halldórsson ehf

Betra brauð veislubakstur

Bílaleiga Akureyrar

Bílaprýði

Bútur ehf

Efling sjúkraþjálfun ehf

Eining-Iðja

Fasteignasalan Hvammur ehf

Herradeild JMJ

HSH verktakar ehf

Húsheild Hyrna ehf

Verkval ehf

Grímsey

Krían Grímsey

Dalvík

Dalvíkurkirkja

Híbýlamálun,málningarþjónusta ehf

Kussungur 2 ehf

Whales Hauganes ehf

Ólafsfjörður

ÁrniHelgasonehf,vélaverkstæði

Mývatn

KaffihúsiðviðDimmuborgir

ReykjahlíðarsóknSelHótel, MývatnVogarferðaþjónusta

Þórshöfn

Geirehf

Bakkafjörður

KValbergslf

Klausturkaffi ehf

Múlaþing Tréiðjan Einir ehf Ylur hf

Seyðisfjörður

Jón Hilmar Jónsson - Rafverktaki

PG stálsmíði ehf

Reyðarfjörður

Fjarðaveitingar ehf Skiltaval ehf

Fáskrúðsfjörður

Vöggur ehf

Höfn í Hornafirði

Birkifell ehf

Jökulsárlón ferðaþjónusta ehf

Karlsbrekka ehf

Króm og hvítt ehf

Rósaberg ehf

Ögmund ehf

Öryggi og gæsla ehf

KökugerðHPehf

LögmannsstofaÓlafsBjörnssonar

Máttursjúkraþjálfunehf

Mömmumatur.is

PípulagnirSuðurlandsehf

PylsuvagninnSelfossiviðbrúarendann

RafmagnsverkstæðiJensogRóbertsehf SGhúsehf

SkóbúðSelfoss

Stálkrókurehf

TaxiSelfossi,s:4823800

TréogStraumurehf

Tækiogtólehf

UllarversluninÞingborgehf

VerkfræðistofaGuðjóns

VélaþjónustaIngvars

VélsmiðjaSuðurlandsehf X5ehf

Ölfus

Eldhestar ehf

Gljúfurbústaðir ehf

Gluggaiðjan Ölfusi ehf

Hraunsós ehf

Icelandic Water Holdings hf

Flúðir

Fögrusteinar ehf

Gröfutækni ehf

Hitaveita Flúða og nágrennis

Kvenfélag Hrunamannahrepps

Kvenfélagið Freyja

Seljaveitingar

Torf ehf

Vík

Hótel Vík í Mýrdal

Mýrdælingur ehf

RafSuð ehf

Kirkjubæjarklaustur

Ungmennafélagið Ás

Vinnuföt og merkingar

Turn static files into dynamic content formats.

Create a flipbook
Issuu converts static files into: digital portfolios, online yearbooks, online catalogs, digital photo albums and more. Sign up and create your flipbook.
Hjartað þitt (1) by GoRed Ísland - Issuu