
¿Qué ronquidos requieren atención?
Quiste paralabral posterior asociado a posible compresión del nervio supraescapular y denervación del infraespinoso
Insuficiencia cardiaca: Cuando el corazón necesita ayuda para seguir adelante






¿Qué ronquidos requieren atención?
Quiste paralabral posterior asociado a posible compresión del nervio supraescapular y denervación del infraespinoso
Insuficiencia cardiaca: Cuando el corazón necesita ayuda para seguir adelante
Ana Karen Díaz Martínez
Directora General
Abraham Apon Espinosa
Director Comercial
José Manuel Zurita García de Alba
Director Editorial
Dr. Ricardo Escandón Martínez
Colaborador Especial
Quiste paralabral posterior
Dr. Miguel Herrera Pérez
Humanización en la Unidad de Terapia Intensiva
Dra. Sandybell Sosa Santos
¿Qué ronquidos requieren atención?
Dra. Georgina Chi Lem
Cirugía robótica en urología
Dr. Mauricio Cantellano Orozco
Hernias de pared abdominal
Dr. Ulises J.Chávez Villanueva
Insuficiencia cardíaca
Dr. Uriel Encarnación Martínez
¿Qué es el Código Infarto?
Dr. Ricardo Escandón Martínez
Menopausia, catástrofe ó una oportunidad de vida
Dr. Martín Tulio Santa Rita Escamilla
Me encontraron un nódulo en la tiroides… ¿Y ahora qué?
Dra. Stephanie Veronica Muller Grohmann
Somos una empresa amigable con el medio ambiente. Revista 100% reciclable. ventas@revistasolucionmedica.com
Revista Solución Médica
@revista.solucionmedica
Impreso por Grupo Editorial DM México, S.A. de C.V., Dirección: Grupo Editorial DM México, Periférico Sur 4118, Piso 8 800, Municipio Álvaro Obregón, Colonia Jardines del Pedregal, C.P. 01900
Distribuida por Grupo Editorial DM México, S.A. de C.V., Dirección: Grupo Editorial DM México, Periférico Sur 4118, Piso 8 800, Municipio Álvaro Obregón, Colonia Jardines del Pedregal, C.P. 01900
Revista Solución Médica
REVISTASOLUCIONMEDICA.COM
¡SUSCRÍBETE A NUESTRA REVISTA DIGITAL!
@solucionmedica
Reserva de Derechos al Uso Exclusivo No. 04-2023-080310203300102, otorgado por el Instituto Nacional del Derecho de Autor. Número de Certificado de Licitud de Título y de Contenido (en trámite). Certificado FSC-C1131999
SOLUCIÓN MÉDICA, año 2, No. 8, junio 2025 - julio 2025, es una publicación bimestral editada por Grupo Editorial DM México, Periférico Sur 4118, Piso 8 800, Municipio Álvaro Obregón, Colonia Jardines del Pedregal, C.P. 01900. CDMX. www.revistasolucionmedica.com Editor responsable Ana Karen Díaz Martínez. Responsable de la última actua lización de este número, Grupo Editorial DM México, Periférico Sur 4118, Piso 8 800, Municipio Álvaro Obregón, Colonia Jardines del Pedregal, C.P. 01900. CDMX. Fecha de impresión 16 de junio de 2025.
Queda prohibida la reproducción parcial o total, modificación, distribución, transmisión, re-publicación, exhibición o ejecución de lo contenido en esta obra, incluyendo cualquier medio sin la debida autorización por escrita de Grupo Editorial DM México, S.A. de C.V., en términos de la legislación autoral y, en su caso, de los tratados internacionales aplicables, la persona que infrinja esta disposición se hará acreedora a las sanciones correspondientes.
El contenido de los artículos, así como de los anunciantes y proveedores refleja única y exclusivamente el punto de vista de su autor. Los contenidos, promociones y materiales de los mismos son responsabilidad de su autor. Todos los materiales publicitarios que contengan alguna imagen o material que requiera de alguna licencia, serán responsabilidad de su autor o de la empresa anunciada. Grupo Editorial DM México, S.A. de C.V. se deslinda de cualquier responsabilidad en los materiales publicitarios elaborados por las distintas marcas que aparecen en esta publicación. Todos los nombres, marcas, diseños, fotografías, etc. Registrados o no, propias o de terceros son responsabilidad del anunciante. Hecho en México. Esta revista utiliza tipografías Helvetica Neue, Sofia Sans, Sofia Pro y Zilla Slab diseñadas para una mejor lectura.
ASOCIADO A POSIBLE COMPRESIÓN DEL NERVIO
SUPRAESCAPULAR Y DENERVACIÓN DEL INFRAESPINOSO
DATOS CLÍNICOS:
Paciente masculino de 35 años de edad que acude para valoración por dolor persistente en hombro derecho, con antecedente de subluxación glenohumeral posterior. Refiere dificultad progresiva para realizar movimientos de rotación externa y debilidad en actividades por encima de la cabeza. Se realiza artro-resonancia magnética con contraste.
ESTUDIO REALIZADO:
Artroresonancia magnética de hombro derecho con resonador de 1.5T. Se inyectaron 15cc de medio de contraste intraarticular bajo guía ecográfica en el receso articular posterior, obteniendo imágenes multiplanares en secuencias T1-FS, DP-FS y volumétricas T2-me3D.
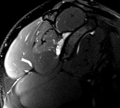
Figura 1: Secuencia sagital T1-FS: adecuada distensión de la cápsula articular tras la administración directa de medio de contraste bajo guía ecográfica.
HALLAZGOS RELEVANTES:
Se identifica un quiste paralabral lobulado de 3.4 x 2.3 cm en la escotadura espinoglenoidea, sin comunicación aparente con la articulación glenohumeral.
El vientre muscular del infraespinoso muestra incremento de señal miofibrilar, ligeramente mayor al estudio previo, lo cual sugiere cambios por denervación.
Se observa una rotura basal incompleta del labrum glenoideo tipo SLAP VIII, que se extiende de las 7 a las 3 en sentido horario, lo cual probablemente generó el quiste.
Figura 2: Secuencia axial PD-FS: quiste bilobulado en la escotadura espinoglenoidea.
Este tipo de lesión debe distinguirse de las neuropatías primarias o por atrapamiento mecánico sin masa. El hallazgo de un quiste no comunicante con signos de denervación refuerza la hipótesis de compresión secundaria a la lesión labral, con potencial beneficio quirúrgico si se confirma la sintomatología asociada.
Los quistes paralabrales en la escotadura espinoglenoidea deben evaluarse cuidadosamente ante la sospecha de neuropatía del nervio supraescapular, ya que su compresión puede causar denervación progresiva del infraespinoso, con repercusiones funcionales significativas.
Subluxación posterior de la cabeza humeral con condrosis grado 4 y cuerpo libre osteocondral en el espacio subcoracoideo.
DIAGNÓSTICO Y DISCUSIÓN:
Se trata de un caso de quiste paralabral posterior en la escotadura espinoglenoidea, secundario a una rotura labral basal, sin comunicación con la cápsula articular y con signos incipientes de denervación del músculo infraespinoso, lo cual sugiere compresión extrínseca del nervio supraescapular.
El nervio supraescapular transcurre por la escotadura espinoglenoidea y está en estrecha relación con los quistes paralabrales posteriores. La presencia de un quiste de gran tamaño puede generar compresión crónica, provocando dolor, debilidad y atrofia muscular progresiva, especialmente del infraespinoso, lo cual concuerda con los hallazgos clínicos y de imagen.
3:
Ingresar a una Unidad de Terapia Intensiva (UTI) puede ser una experiencia abrumadora, tanto para el paciente como para su familia. Rodeados de tecnología, protocolos médicos y un ritmo acelerado de atención, es común que surjan sentimientos de miedo, confusión y vulnerabilidad. Sin embargo, hoy en día, muchos hospitales están transformando esta experiencia a través de un enfoque llamado humanización de la atención, cuyo objetivo es cuidar no solo el cuerpo, sino también la mente, el corazón y la dignidad de cada persona.
¿QUÉ ES LA HUMANIZACIÓN EN UTI?
La humanización en la atención en terapia intensiva significa brindar cuidados centrados en la persona, integrando conocimientos médicos con sensibilidad, empatía y respeto. No se trata solamente de utilizar equipos avanzados o aplicar tratamientos eficaces, sino de ver al paciente como un ser humano completo, con historia, emociones, familia y derechos. Esta visión también incluye a los familiares, quienes juegan un papel fundamental en el proceso de recuperación.
ACCESIBILIDAD Y CERCANÍA:
UN DERECHO, NO UN PRIVILEGIO
Uno de los cambios más significativos que promueve la humanización es el acceso más flexible y digno de las familias a las áreas de cuidados intensivos. Lejos de considerar a la familia como una interferencia, hoy sabemos que su presencia tiene un valor terapéutico: reconforta, disminuye la ansiedad del paciente y mejora la comunicación médico-paciente. Por eso, se busca ampliar los horarios de visita, facilitar el ingreso de seres queridos en momentos clave, y habilitar espacios adecuados para la permanencia de los familiares, siempre respetando la seguridad clínica del entorno.
ACOMPAÑAR EN LA ENFERMEDAD: MÁS QUE ESTAR PRESENTE
El acompañamiento emocional es otro pilar de la humanización. Los pacientes en UTI no solo enfrentan desafíos físicos, sino también una montaña rusa de emociones: miedo, tristeza, confusión, dolor o soledad. Por eso, los equipos de salud promueven una escucha activa, una comunicación clara y honesta, y profesionales de la salud que brindan contención emocional tanto al paciente como a la familia.
REHABILITACIÓN TEMPRANA:
EMPEZAR A SANAR DESDE EL PRIMER DÍA.
Otro aspecto fundamental en una UTI humanizada es la implementación de rehabilitación física y pulmonar desde etapas tempranas del ingreso. Lejos de esperar a que el paciente se recupere totalmente para iniciar su rehabilitación, se ha comprobado que el movimiento progresivo, la fisioterapia respiratoria y el trabajo conjunto con especialistas en terapia física aceleran la recuperación, disminuyen el tiempo de estancia hospitalaria y reducen el riesgo de complicaciones.
Después de una estancia en UTI, muchos pacientes experimentan lo que se conoce como síndrome post-cuidados intensivos (PICS, por sus siglas en inglés), un conjunto de secuelas físicas, cognitivas y emocionales que pueden persistir durante semanas o incluso meses. Entre ellas se incluyen debilidad muscular, fatiga, ansiedad, insomnio, depresión o problemas de memoria.
La buena noticia es que un enfoque humanizado puede reducir significativamente estas secuelas. Al combinar rehabilitación temprana, acompañamiento psicológico, participación familiar y comunicación efectiva, se disminuyen los efectos negativos del aislamiento y la inmovilidad prolongada, mejorando así la recuperación integral del paciente.
Humanizar la atención en la Unidad de Terapia Intensiva no es una tendencia pasajera ni un privilegio opcional, sino una responsabilidad ética y clínica ineludible. Por esta razón, la UTI del Hospital Angeles Acoxpa ha logrado una certificación internacional en Humanización otorgada por
Proyecto HU-CI, resultado de la implementación rigurosa del modelo de humanización en colaboración con los equipos de Rehabilitación física, rehabilitación pulmonar, enfermería, inhaloterapia y personal médico.
Este reconocimiento es la culminación de más de dos años de trabajo constante enfocado en fortalecer el bienestar emocional, psicológico y físico de nuestros pacientes y sus familias. Nuestra unidad abre sus puertas con el firme compromiso de continuar brindando cuidados críticos centrados en la persona, donde la empatía, la sensibilidad y la dignidad sean pilares fundamentales del quehacer diario, en alianza con Proyecto HU-CI.
La UTI del Hospital Angeles Acoxpa se convierte así en la primera unidad certificada del Grupo Vazol y la quinta en todo México, marcando un precedente y consolidando una nueva etapa de innovación en el cuidado intensivo. Este modelo de humanización representa una transformación integral que armoniza la ciencia médica con la compasión, y la tecnología con la sensibilidad humana, con el objetivo de garantizar no solo la vida, sino también una recuperación digna, significativa y esperanzadora.
Conserva las 3 partes del grano y su composición nutrimental original intacta.
PUEDE AYUDAR AL PROCESO
DIGESTIVO.
La avena aporta aprox. 2.8g de fibra dietética por porción de 30g, equivalente al 10% de la recomendación diaria.
UN TIPO DE FIBRA SOLUBLE CON LOS SIGUIENTE BENEFICIOS COMPROBADOS:
• Puede ayudar a reducir los niveles de colesterol*.
• Puede ayudar a regular los niveles de glucosa en sangre.
• Puede brindar saciedad.
IMPORTANTES COMO:
Vitaminas del complejo B, zinc, vitamina E, selenio, compuestos fenólicos y avenantramidas (únicas de la avena, con propiedades antiinflamatorias y antioxidantes).
MAYOR CONTENIDO DE PROTEÍNA Y GRASAS
INSATURADAS VS OTROS
CEREALES.*
Comparado con otros cereales de mayor consumo como maíz, trigo y arroz, su contenido de estos nutrimentos es mayor.
*La avena es el cereal con más proteína y mayor contenido de grasas insaturadas comparada con otros cereales como maíz, trigo y arroz, de acuerdo con los valores reportados por el Departamento de Agricultura de Estados Unidos (USDA).
Grasas insaturadas Vitaminas del grupo B Vitamina E
Minerales 1 2 3 4 5 COME BIEN
Carbohidratos
Proteínas
SALVADO
Fibra insoluble
Fibra soluble
Vitaminas del grupo B
*El consumo de 3g de betaglucano, fibra soluble de avena, al día junto con una dieta baja en grasa saturada y colesterol, puede ayudar a reducir los niveles de colesterol.
¿QUÉ SON LOS RONQUIDOS?
Son sonidos graves de intensidad moderada a alta que se producen al paso del aire a través de tejidos relajados de la garganta y hace que los tejidos vibren mientras se respira durante el sueño.
Los ronquidos en general son más frecuentes en los varones que en las mujeres, y la frecuencia varia con la edad.
Afecta a los niños entre el 10 y 12%, 40% adultos varones entre 30 y 40 años, 50% entre los 50 y 60 años.
¿HAY VARIOS TIPOS DE RONQUIDOS?
Si. Dependiendo de la vía que se use para producirlos se tienen, por ejemplo:
a) Ronquidos nasales si se ronca metiendo aire solo a través de la nariz con la boca cerrada.
b) Pueden ser ronquidos orales si se producen respirando solo por la boca y
c) Mixtos (oro nasal) sí se utilizan ambas vías para generarlos, es
evidente que sus características auditivas definen y comprueban el sitio de producción.
Los ronquidos por intensidad se clasifican en leve, moderada y alta, esto traduce la severidad de la obstrucción al paso del aire.
Si se considera el impacto a la salud, se dividen en a) benignos (buenos) y b) malignos (asociados a Síndrome de Apnea Obstructiva del Sueño, SAOS).
Los ronquidos benignos o buenos se presentan en personas relativamente sanas de forma ocasional en situaciones que se produce relajación de los músculos de la garganta; por ejemplo, cuando se tiene cansancio extremo (agotamiento), o después de tomar bebidas alcohólicas, o haber hecho mucho ejercicio, entre los factores más frecuentes. Habitualmente son ronquidos de intensidad moderada a alta sin pausas para respirar en el ronquido. Esto indica que hay mayor resistencia al paso del aire, explicado por relajación de los músculos
de la boca y garganta que impiden que el aire pase y lleve el oxígeno necesario a los pulmones. En este caso es difícil meter el aire, pero si hay aire entrando.
Los ronquidos malignos o patológicos son aquellos que tienen un sonido intenso (fuerte) con pausas respiratorias y esto traduce medicamente que la resistencia al paso del aire es tan alta que se colapsa la vía área y no entra el aire a los pulmones por lo menos 10 segundos.
El impacto de esto es que el cuerpo no recibe el oxígeno suficiente y por consecuencia la cantidad de oxigeno circulando es baja, lo que puede provocar hipertensión, enfermedades cardiacas y accidentes cerebrovasculares. Este tipo de ronquido está asociado al Síndrome de Apnea Obstructiva del Sueño (SAOS).
¿QUÉ ES EL SAOS?
Es un problema del sueño potencialmente grave; hay ronquidos intensos con pausas respiratorias (la respiración se detiene), despertar con la boca seca, dolor de
cabeza por la mañana, dificultad para concentrarse, cansancio, mucho sueño durante el día (te quedas dormido en situaciones que no quisieras) e irritable.
Hay factores que aumentan el riesgo como son:
a) El sobrepeso – obesidad: por los depósitos de grasa alrededor de la vía aérea,
b) La circunferencia del cuello: el cuello grueso puede tener las vías respiratorias estrechas.
c) Vías respiratorias estrechas: tamaño de amígdalas, adenoides, paladar etc.
d) Genero masculino: los hombres son de 2 a 3 veces mas propensos que las mujeres, sin embargo, aumenta el riesgo en las mujeres por sobrepeso y la menopausia.
e) Edad avanzada: es más frecuente el SAOS en adultos mayores.
f) Antecedentes familiares: algún miembro en la familia con SAOS.
g) Consumo de sedantes y tranquilizantes: estos empeoran el SAOS.
h) Fumar: los fumadores tienen 3 veces más probabilidad de presentar SAOS.
i) Congestión nasal.
j) Enfermedades como: insuficiencia cardiaca congestiva, presión arterial alta, Diabetes, el ovario poliquístico, trastornos hormonales, los accidentes cerebrovasculares y las enfermedades pulmonares crónicas.
Para el diagnostico se evalúan los síntomas, el examen físico y un estudio de sueño (registro don de se detectan ronquidos, pau sas respiratorias, mala calidad de sueño, y caída de oxígeno como variables representativas del im pacto respiratorio). El tratamiento consiste en cambios en el esti lo de vida como pérdida de peso, ejercicio y el uso del aparato de presión positiva continua de la vía aérea durante el sueño sus siglas son CPAP. Este aparato se calibra durante el estudio de sueño (se busca la presión necesaria para abrir y mantener abierta la vía aé
rea y con ello aseguramos un aporte adecuado de oxigeno durante el sueño).
Si sospechas que pudieras tener un problema de respiración durante el sueño o presentas ronquidos intensos con pausas respiratorias, cansancio, sueño durante el día, consulta a tu neumólogo.
No olvides que un diagnóstico temprano y adecuado puede mejorar significativamente tu calidad y cantidad de vida, así como prevenir complicaciones.
INTRODUCCIÓN
NO ES EL FUTURO, YA ES EL PRESENTE
Si vamos a platicar de robots cirujanos primero tenemos que conocer que la palabra “Robot o robotnik” significa “labor forzada”, y es una palabra se popularizó en el siglo XX por un escritor checo de nombre Karel Capek quien escribió una obra de teatro donde los robots eran una especie de humanoides dedicados a hacer labores cotidianas que los humanos no querían realizar. El interés del ser humano en crear instrumentos tecnológicos que faciliten nuestras vidas ha llegado a grandes niveles de especialización en diferentes industrias, y la medicina no está ajena a ello, tanto que la cirugía robótica o asistida por robot es parte cotidiana de los hospitales modernos. Existen robots para cirugía ortopédica, cardiaca, torácica, abdominal y pélvica de especialidades como Cirugía General, Ginecologia y principalmente Urología.
CIRUGÍA DE MÍNIMA INVASIÓN Y CIRUGÍA ROBÓTICA
La cirugía de mínima invasión ha ido en aumento en las últimas décadas, sustituyendo cada vez más a los procedimientos quirúrgicos abiertos o convencionales, lo cual permite una mejor recuperación del paciente, menor sangrado, menos complicaciones y mejores resultados. En los últimos años la cirugía laparoscópica está siendo reemplazada de forma natural por la evolución de la cirugía robótica que crece a ritmos agigantados en el mundo, con predicciones de qué para el año 2030 la mayor parte de los procedimientos quirúrgicos tendrán asistencia robótica. Los sistemas de cirugía Robotica han revolucionado la cirugía de mínima invasión en las últimas dos décadas. El primer
sistema robótico en ser utilizado de forma continua en las cirugías de mínima invasión fue el sistema Da Vinci TM (Intuitive Surgical), quién se consolidó en el mundo como la tecnología Robotica más utilizada los últimos 20 años. Sin embargo, conforme una tecnología se establece y consolida, los nuevos avances van realizándose a la par, con intención de mejorar lo ya existente. Diferentes sistemas robóticos han surgido en el mundo y algunos están disponibles en México, donde ya contamos con nuevas plataformas además del sistema Da Vinci (disponible en Hospitales Angeles), como lo es ahora el sistema Hugo RAS (Robotic Assisted Surgery, Medtronic) disponible en el Hospital Angeles Acoxpa, como primer equipo en todo México.
BUENO, Y ENTONCES ¿QUÉ ES UNA CIRUGÍA ROBÓTICA
Y CUÁLES SON SUS BENEFICIOS?
La cirugía Robotica, al ser una modalidad de cirugía mínimamente invasiva, utiliza un sistema robótico avanzado para poder asistir al cirujano durante el procedimiento. En el caso del sistema Hugo RAS, cuenta con una torre central de video, energías y grabación, además, el cirujano controla 4 brazos robóticos independientes multimodales desde una consola central que se encuentra en la sala de cirugía, la cual cuenta con una pantalla 3D de alta definición, desde donde se pueden realizar procedimientos de alta precisión,
utilizando instrumentos articulados robóticos que permiten realizar movimientos finos, y controlados en áreas del cuerpo del paciente de difícil acceso o de movimiento limitado para la cirugía convencional. Se considera una evolución tecnológica de la cirugía laparoscópica, pero con mejores y mayores capacidades tecnológicas y ergonómicas.
Los principales beneficios que los pacientes pueden experimentar al operarse con una cirugía Robotica son diversos, principalmente, tenemos que la cirugías presentan menos sangrado intraoperatorio, lo cual reduce la necesidad de transfusiones. Esto también conlleva un menor postoperatorio con requerimientos mínimos de medicamentos analgésicos y por ende se requiere de un menor tiempo de estancia hospitalaria con una recuperación acelerada y óptima para que el paciente regrese a sus actividades de forma pronta. Son procedimientos que dejan pocas secuelas, sus cicatrices son más pequeñas y poco molestas lo cual les confiere un mejor resultado estético. Al ser procedimientos de mayor precisión y mejor recuperación, hay un menor riesgo de complicaciones y de infecciones asociadas a la cirugía.
Para la especialidad de Urologia, son candidatos aquellos pacientes que tengan indicación de una cirugía urológica, mí-
nimamente invasiva y que no presenten contraindicaciones para la anestesia o para la posición quirúrgica prolongada.
Estos pacientes, habitualmente son casos principalmente oncológicos, como lo es el cáncer de próstata, localizado o localmente avanzado, que requieren una prostatectomía radical, con o sin linfadenectomía, cáncer de riñón, donde se realiza cirugía de nefrectomía radical o conservadora de riñón, cáncer de vejiga invasor para extirpar la vejiga (Cistectomia y reconstruir la vía urinaria (derivación urinaria) , aunque también hay indicaciones de cirugía reconstructiva, principalmente en casos de prolapso de órganos pélvicos y casos seleccionados de cirugia reconstructiva urológica como fístulas vesicovaginales, reimplantes de uréter, pieloplastias por estenosis ureteropielicas, entre otros.
Debo de resaltar, que es fundamental una valoración integral del paciente de forma personalizada por su médico su especialista urólogo junto con su equipo multidisciplinario para poder determinar si el abordaje robótico es el más adecuado para su caso. Muy frecuentemente es recomendable solicitar segundas opiniones para revisión de su caso para tener mejor y mayor información al respecto.
¿ESCUCHAS ENTRE CONOCIDOS QUE LO OPERARON DE UNA HERNIA? ENTERARTE DE BUENA FUENTE QUÉ ES
Las hernias de pared abdominal son defectos estructurales de los tejidos que le dan soporte o sostén a tu abdomen , es decir son literal “hoyos” que o bien ya existían de tamaño natural en forma reducida y con el paso del tiempo y otros factores se hacen más grandes y evidentes., pero también hay hernia que se forman después de una cirugía .
Las primeras hernias de las que hablo, es decir las primarias son las más comunes y como ejemplo están las hernias umbilicales que se originan a raíz del cordón umbilical
No cerrado por completo en la infancia, están también las hernias de la región inguinal ubicadas justo donde el nombre las describe , más abajo de esa zona hay otro grupo menos frecuente de hernias que se llaman femorales . Y de forma menos común aparecen en otras partes de la pared abdominal.
El otro grupo de hernias de la pared son las resultantes de una cirugía en el abdomen que pierde su continuidad en la incisión. Estás hernias se llaman post inicisionales y aparecen comúnmente meses después de la cirugía .
SÍNTOMAS
El principal es el dolor, localizado justo donde está por aparecer , asociado al esfuerzo físico. Si el tamaño de la hernia es mayor a 1 cm, se puede hacer evidente aumento de volumen local asociado al dolor, es decir, se ve una bola o en la piel de la zona.
Este volumen lo genera el contenido del abdomen que intenta “salir”a través de ese nuevo orificio y puede contener grasa del abdomen o incluso intestino , lo cual puede convertirse en una verdadera urgencia y poner en riesgo la salud si no se atiende a tiempo.
Cuando sucede que un segmento de intestino salga por la hernia y no pueda regresar a la cavidad abdominal por que se atoró (término denominado incarceración), puede generar un cuadro de oclusión intestinal que se manifiesta por distensión
abdominal intensa con náuseas e inclusive con vómito. Si el segmento de intestino permanece atrapado, puede sufrir de isquemia o falta de irrigación. Curiosamente mientras más grande sea el diámetro de la hernia menor dolor genera pues el contenido entra y sale de forma más libre.
Los factores asociados a la aparición de hernias son: el sobrepeso u obesidad, la falta de actividad física regular, la edad, el tabaquismo y antecedentes de cirugías en el abdomen.
TRATAMIENTO
¡Si hay forma de reparar ese hoyo en tu abdomen!
Actualmente las hernias de pared abdominal se reparan con el uso de una malla de diámetro variable - en función del tamaño de la hernia - que es colocada en la parte más profunda de los componentes de la pared abdominal justo por debajo de la hernia. Esta malla puede ser colocada por laparoscopia o por cirugía abierta . Sobre esa malla se cierra con sutura el defecto herniario.
La opción de que la cirugía sea abierta o por laparoscopia, depende del tamaño de la hernia, localización y de la preferencia inclusive de ti como paciente . Las reparaciones de la región inguinal y femoral son mejor tratadas y con mejores resultados a largo plazo por laparoscopia y con menos molestias en el periodo posterior a la cirugía. Otro beneficio es la integración laboral o a actividades habituales de forma más pronta con laparoscopia .
Acércate con un especialista en cirugía General certificado, él o ella te brindará las mejores opciones de manejo individualizadas para que estés bien pronto .
MÉDICO
ESPECIALISTA EN CIRUGÍA GENERAL
¿TE FALTA EL AIRE CON SOLO SUBIR UNOS ESCALONES? ¿SE TE HINCHAN LOS TOBILLOS O TE CANSAS MÁS QUE ANTES?
Podrías estar enfrentando un problema que afecta a millones de personas en el mundo: la insuficiencia cardíaca. Pero no te preocupes: con el diagnóstico correcto y el tratamiento adecuado, se puede vivir bien.
Saber si tu corazón está funcionando bien es fundamental para evitar complicaciones graves. En este artículo, te explicamos de manera clara cómo se diagnostica la insuficiencia cardíaca, qué estudios se utilizan y qué significan los resultados.
La insuficiencia cardíaca ocurre cuando el corazón pierde fuerza o elasticidad y no puede bombear la sangre de forma eficiente. Esto no significa que se haya detenido, sino que no logra enviar suficiente sangre (y oxígeno) al resto del cuerpo para cubrir sus necesidades.
¿CÓMO SE DETECTA?
La insuficiencia cardíaca no siempre causa dolor. Muchas veces, sus síntomas se confunden con el cansancio normal, la edad o el estrés. Un diagnóstico correcto permite:
• Confirmar si el corazón está fallando
• Determinar el tipo y el grado de insuficiencia cardíaca
• Iniciar un tratamiento oportuno y personalizado
• Mejorar tu calidad de vida y prevenir hospitalizaciones
Los síntomas más frecuentes incluyen:
• Falta de aire al caminar o al acostarte
• Hinchazón en piernas, tobillos o abdomen
• Cansancio que no mejora con el descanso
• Tos persistente o silbidos al respirar
• Aumento rápido de peso (por retención de líquidos)
Estos síntomas no siempre indican un problema grave, pero justifican una evaluación completa.
Importante: Si presentas varios de estos síntomas, consulta con tu cardiólogo.
¿CÓMO SE DIAGNÓSTICA?
A continuación, te explicamos las principales herramientas que usa el cardiólogo para llegar al diagnóstico.
1. Historia clínica y exploración física
El primer paso es hablar contigo: saber qué sientes, desde cuándo, y si tienes enfermedades como hipertensión, diabetes o has tenido un infarto. El cardiólogo también examina tu corazón, pulmones y la presencia de hinchazón en piernas y pies.
2. Radiografía de tórax
Permite observar si el corazón está agrandado o si hay acumulación de líquido en los pulmones, lo cual es típico en etapas avanzadas.
3. Electrocardiograma
Mide la actividad eléctrica del corazón. Aunque no confirma el diagnóstico por sí solo, puede mostrar arritmias, signos de infarto previo o alteraciones en el ritmo que orientan el tratamiento.
4. Ecocardiograma
Es un ultrasonido del corazón. No duele, no emite radiación y es uno de los estudios más importantes. Permite evaluar:
• El tamaño del corazón
• El movimiento de las paredes
• El funcionamiento de las válvulas
• La fracción de eyección (qué tanto bombea el corazón)
Una fracción de eyección menor al 40% suele indicar insuficiencia cardíaca con fracción de eyección reducida.
¿CÓMO SE TRATA?
Aunque no siempre se cura, sí se puede controlar con:
• Medicamentos para reducir la carga del corazón y eliminar el exceso de líquidos
• Cambios en el estilo de vida: menos sal, ejercicio suave, control del peso
• Monitoreo regular en casa y en consulta
• Dispositivos cardíacos en algunos casos (como marcapasos o desfibriladores)
¿Es lo mismo que un infarto?
No. Un infarto ocurre de repente por una arteria tapada.
La insuficiencia cardíaca puede desarrollarse lentamente y durar años. A veces, un infarto puede ser la causa de la insuficiencia.
¿Puedo hacer ejercicio?
Sí, si tu médico lo indica. El ejercicio suave y regular es beneficioso para la mayoría de las personas con insuficiencia cardíaca.
¿Puedo vivir muchos años con esta enfermedad?
Sí. Con buen control médico y estilo de vida saludable, muchas personas mantienen una buena calidad de vida por mucho tiempo.
EN RESUMEN
Un diagnóstico temprano y preciso permite actuar antes de que aparezcan complicaciones. Si tienes síntomas, no esperes: consulta a tu cardiólogo y pide una evaluación completa del corazón. Detectar a tiempo la insuficiencia cardíaca puede darte años de vida activa. La clave está en atenderte a tiempo y seguir el tratamiento médico adecuado.
DR.
Cuando alguien sufre un infarto al corazón, cada minuto cuenta. El tiempo que se tarda en recibir atención médica puede marcar la diferencia entre la vida y la muerte, o entre una buena recuperación y secuelas permanentes. Por eso, en el Hospital Ángeles Acoxpa se ha implementado un sistema llamado Código Infarto.
Su objetivo es reducir al máximo el tiempo entre la llegada del paciente y el tratamiento que restablece el flujo sanguíneo al corazón.
Si tú o un ser querido llegan al hospital con un infarto al corazón, lo más importante es saber que no están solos, el Código Infarto permite actuar de manera rápida, organizada y con especialistas preparados. Aquí te explicamos paso a paso qué sucede desde que el paciente cruza la puerta del hospital.
El infarto agudo de miocardio, también conocido como ataque al corazón, ocurre cuando se bloquea una arteria que lleva sangre con oxígeno y nutrientes al corazón. Sin oxígeno, esa parte del corazón empieza a dañarse y si se deja sin abrir eventualmente muere. Los síntomas son:
• Dolor en el pecho (sensación de opresión)
• Dolor que se irradia al brazo izquierdo, cuello o mandíbula
• Falta de aire
• Náusea o sudoración excesiva
Ante cualquiera de estos síntomas, no hay que esperar, hay que actuar de inmediato.
DENTRO DEL HOSPITAL?
1. Recepción inmediata y evaluación rápida
Desde el momento en que el paciente llega (ya sea por su cuenta o en ambulancia), el personal de urgencias está preparado para actuar. Se realiza de inmediato un electrocardiograma (ECG) y una evaluación médica rápida.
Si el electrocardiograma confirma que se trata de un infarto se activa el Código Infarto. Este aviso llega a todo el equipo: cardiólogos, sala de hemodinamia, enfermería y laboratorio.
2. Activación del equipo de hemodinamia
El hospital cuenta con un equipo especializado disponible las 24 horas, “el equipo de hemodinamia”, encargado de realizar el procedimiento que salvará la vida del pa-
ciente: la angioplastia primaria. Este procedimiento consiste en introducir un pequeño catéter por una arteria del brazo o la pierna hasta llegar al corazón. Ahí se localiza la arteria bloqueada y se coloca un stent (una especie de malla metálica) para abrirla y restablecer el flujo sanguíneo.
3. Transporte inmediato a la sala de hemodinamia
Mientras se avisa al equipo, el paciente es estabilizado y trasladado de inmediato a la sala especializada, sin pasar por pasos innecesarios. Aquí el tiempo es oro: el objetivo es lograr abrir la arteria en menos de 90 minutos desde la llegada al hospital.
4. Tratamiento y seguimiento
Una vez realizado el procedimiento, el paciente pasa a una unidad de cuidados coronarios, donde será monitoreado y tratado con medicamentos para evitar nuevos eventos.
Además, comienza la educación para la recuperación: cambio de hábitos, medicación a largo plazo, y en muchos casos, rehabilitación cardíaca.
PREGUNTAS FRECUENTES
¿Qué puedes hacer tú?
Actuar rápido: el código infarto se activa en el hospital, pero empieza con tu decisión de buscar. No manejar tú mismo: si tienes síntomas, llama a una ambulancia o pide a algún familiar o amigo que te lleve al servicio de urgencias
¿Cuánto tiempo se tiene para salvar el corazón?
Idealmente, el tratamiento debe iniciarse en menos de 90 minutos desde que el paciente llega al hospital.
¿Por qué no se hace primero una resonancia o tomografía?
Porque el diagnóstico de infarto se realiza con el electrocardiograma y análisis clínico. No se pierde tiempo en otros estudios innecesarios en ese momento.
¿El Código Infarto está disponible en todos los hospitales? No todos los hospitales tienen sala de hemodinamia. Por eso es tan importante llevar al paciente al hospital adecuado. En el Hospital Ángeles Acoxpa tenemos especialistas disponibles las 24 horas listos para atender esta emergencia
El Código Infarto es como una carrera contra el tiempo en la que todos los integrantes del hospital saben exactamente lo que tienen que hacer. Mientras tú o tu familiar son atendidos, hay un equipo entero trabajando en sincronía para abrir la arteria bloqueada y proteger tu corazón. Saber cómo funciona este sistema puede darte tranquilidad. Y si alguna vez lo necesitas, sabrás que estás en manos de un equipo preparado para cuidarte desde el primer minuto.
La esperanza de vida en la población mundial pero más aún en las mujeres cambió a inicios del siglo XX, como consecuencia de los avances médicos, sociales, educativos, pasando de 40-45 años a 60-75 años y en la actualidad hasta los 85 años. Como generación nos fuimos enfrentando a las enfermedades degenerativas que antes no conocíamos o veíamos poco, como la demencia senil, las cardiopatías, enfermedades metabólicas, etc. Pero uno de los mayores impactos por sus manifestaciones y larga evolución es el CLIMATERIO mejor conocido como MENOPAUSIA, el concepto climaterio es más utilizado por el gremio médico significando la etapa de clímax o cumbre de esta de la mujer, mientras que menopausia tiene una connotación más hacia lo referente a envejecer y se utilizan como sinónimos aunque no lo sean ya que menopausia es cuando la mujer ha dejado de menstruar por un lapso de un año de manera natural, cuando se realiza una cirugía para retirar los ovarios por la razón que sea la menopausia se ve reflejada prácticamente de inmediato ya que dejan de circular estrógenos en el organismo causando sintomatología vasomotora (bochornos), entre otros muchos síntomas. Lo que ocurre en esta etapa es la consecuencia de la disminución progresiva en la función de los ovarios con respecto a la producción hormonal particularmente de los estrógenos impactando a prácticamente todas las funciones orgánicas, dicho de manera coloquial desde el cabello hasta la imaginación, viéndose reflejado en los síntomas más comunes pero impactantes para la vida cotidiana, como lo son los sofocos o bochornos, los olvidos momentáneos, incremento en el riesgo de demencia senil, los cambios de carácter, el insomnio, la resequedad de la piel y de todas
las mucosas de ojos, nariz, boca, vías urinarias, vagina y de intestino, aumento y engrosamiento del vello en todo el cuerpo engrosamiento de la voz, el riesgo aumentado de accidentes vasculares cerebrales e infarto del miocardio, aumento de peso, alteraciones metabólicas que llevan a la diabetes mellitus, aumento en los niveles de colesterol y triglicéridos, falla en la función tiroidea, cansancio crónico, sensibilidad al dolor aumentada y mayor posibilidad de fracturas en cadera y columna por perdida ósea progresiva por osteoporosis, de manera cronológica a partir de los 45 años en promedio, con síntomas mas marcados que dificultan la vida cotidiana, laboral, sexual y familiar. Todas estas manifestaciones y alteraciones orgánicas hasta hace algunos años eran irreversibles y las mujeres tenían que conformarse con esperar a que el tiempo pasará y los síntomas desaparecerían no así los daños orgánicos, siendo una verdadera etapa catastrófica para la mujer. Con el descubrimiento de las hormonas para uso en la anticoncepción inicialmente de origen animal hasta las hormonas bioidénticas sintéticas to-
dos estos cambios y síntomas se han logrado disminuir, pausar y algunos casos hasta revertir.
Existen alternativas no hormonales con componentes polivitamínicos que ayudan a disminuir algunos síntomas pero su efecto es totalmente paliativo ya que no cambian el ambiente hormonal y por la tanto no ayudan a los tejidos a evitar el daño que causa la falta de estrógenos, los derivados de la soya y algunos fitoestrógenos tiene un efecto muy pobre por lo que solo funcionan como sintomáticos, por lo que la terapia hormonal es sin duda el elemento fundamental para tratar los síntomas y recuperar las funciones orgánicas que se han deteriorado o perdido, la administración de los estrógenos es muy variada y puede ser solo estrógenos o combinado con progestinas para cuidar algunos aspectos referentes a la glándula mamaria, la administración subcutánea en gel o parches dérmicos son las que tienen mejor respuesta, la vía oral es efectiva siendo muy utilizada por la combinación hormonal, la vía vaginal es efectiva para recuperar el ambiente de la mucosa urogenital con absor-
ción sistémica disminuida. El temor que existe sobre el uso de hormonas en esta etapa de la vida es muy común fundamentado más en los dichos urbanos que en lo real, se tienen argumentos científicos bien avalados con múltiples estudios que dan certeza y seguridad en su uso bajos los criterios que el médico tratante debe indicar con estudios indispensables antes de su uso como lo son mastografía y ultrasonido, estudios generales sistémicos y citología cérvico vaginal recientes, densitometría ósea y revisión clínica completa.
Esta terapéutica debe ser siempre a la menor dosis posible por el tiempo necesario con revisiones periódicas al menos una vez al año, y al menos hasta los 65 años, así lo recomiendan los colegios internacionales especializados en la menopausia.
Sin duda los beneficios de la terapéutica hormonal ha cambiado la vida de millones de mujeres en todo el mundo, cambiando una catástrofe personal y familiar a una vida en plenitud llegando al clímax de la vida.
MÉDICO GINECO OBSTETRA
MEDICINA MATERNO FETAL
CIRUGÍA LAPAROSCÓPICA
INTRODUCCIÓN
La tiroides es una pequeña glándula en forma de mariposa ubicada en la parte anterior del cuello. Su función es esencial para el metabolismo, la energía, la temperatura corporal y el equilibrio hormonal. En la consulta médica, no es raro que se detecten pequeñas alteraciones en esta glándula, llamadas nódulos tiroideos.
Escuchar que uno tiene un “nódulo en la tiroides” puede causar alarma, sobre todo por la relación que a veces se hace con el cáncer. Sin embargo, la gran mayoría de estos nódulos son benignos y no representan un riesgo grave para la salud. Aun así, es importante hacer una evaluación médica adecuada para descartar cualquier condición que requiera atención especializada.
Este artículo tiene como objetivo brindar una guía clara y actualizada sobre qué hacer ante el hallazgo de un nódulo tiroideo, cuándo preocuparse, cómo se estudia, qué implica si es cáncer y cuál es el pronóstico.
¿QUÉ ES UN NÓDULO TIROIDEO?
Un nódulo tiroideo es un crecimiento anormal dentro de la glándula tiroides. Puede ser sólido, quístico (lleno de líquido) o mixto. En la mayoría de los casos, estos nódulos no causan síntomas y se descubren por casualidad durante una revisión médica o un estudio de imagen hecho por otra razón.
Se estima que hasta el 50-60% de las personas adultas pueden tener uno o más nódulos tiroideos a lo largo de su vida, aunque muchos nunca llegan a diagnosticarse porque no generan molestias.
Solo un 5-15% de los nódulos tiroideos son malignos (es decir, cáncer)
CAUSAS POSIBLES DE LOS NÓDULOS TIROIDEOS:
• Alteraciones hormonales (hipotiroidismo, hipertiroidismo)
• Deficiencia de yodo (más común en ciertas regiones)
• Factores genéticos
• Enfermedad tiroidea autoinmune (como tiroiditis de Hashimoto)
• Exposición previa a radiación en cuello o cabeza (especialmente en la infancia)
En muchos casos, no se encuentra una causa específica. La evaluación de un nódulo incluye varios pasos que veremos a continuación. Pero lo primero que debes saber es que no todos los nódulos son cáncer y no todos requieren cirugía.
¿CÓMO SE DETECTAN LOS NÓDULOS TIROIDEOS?
La mayoría de los nódulos tiroideos se descubren por casualidad, durante un chequeo de rutina o al realizar un estudio de imagen (como una tomografía o resonancia) por otra razón. Otras veces, el paciente acude por notar una bolita en el cuello, cambios en la voz, dificultad para tragar o simplemente sensación de presión en la garganta.
¿QUÉ HACE EL MÉDICO CUANDO
DETECTA UN NÓDULO?
El primer paso ante la sospecha o hallazgo de un nódulo es realizar una exploración física cuidadosa del cuello y solicitar un ultrasonido tiroideo. Este estudio no es doloroso y permite conocer con precisión las características del nódulo.
El ultrasonido permite saber:
• Tamaño y número de nódulos
• Si son sólidos, líquidos o mixtos
• Si tienen bordes irregulares, calcificaciones o forma sospechosa
Si hay ganglios aumentados de tamaño en el cuello
El médico evaluará el riesgo de que el nódulo sea canceroso usando una clasificación llamada TI-RADS, parecida a las que se usan en mastografía para detectar cáncer de mama. ¿QUÉ SIGUE SI SE ENCUENTRA UN NÓDULO?
Dependiendo del tamaño y las características del nódulo, el siguiente paso puede ser:
Tamaño del nódulo Características en ultrasonido
< 1 cm Benigno o no sospechoso
¿Biopsia?
No se realiza biopsia, solo vigilancia
≥ 1 cm Sospechoso o de alto riesgo Se recomienda biopsia por aspiración
≥ 2 cm Cualquier característica
A menudo se sugiere biopsia
La prueba que se hace para confirmar si un nódulo es benigno o maligno se llama biopsia por aspiración con aguja fina (BAAF o FNA, por sus siglas en inglés). Se hace con una aguja muy delgada guiada por ultrasonido y, por lo general, no requiere anestesia ni deja cicatriz.
En manos expertas, la BAAF es segura y altamente confiable para determinar si un nódulo es canceroso o no.
¿QUÉ HACER SI ME DETECTAN
UN NÓDULO TIROIDEO? - GUÍA PASO A PASO*
Paso ¿Qué sucede? ¿Para qué sirve?
1. Consulta médica El médico explora tu cuello y pregunta por síntomas
Para valorar si el nódulo es palpable o causa molestias
2. Ultrasonido de tiroides Estudio no invasivo con ultrasonido Permite conocer el tamaño, forma y características del nódulo
3. Análisis de sangre Perfil tiroideo (TSH, T4 libre, T3 libre)
4. Clasificación del riesgo
Usando sistemas como TI-RADS
5. Biopsia (si se requiere) Aspiración con aguja fina (BAAF)
6. Seguimiento o tratamiento Según resultados: vigilancia, cirugía u otras opciones
Para saber si tu tiroides está funcionando bien
Se determina si el nódulo es de bajo, intermedio o alto riesgo
Se estudian las células del nódulo para saber si es benigno o maligno
Cada caso es distinto y requiere atención personalizada
NOTA: No todos los nódulos requieren cirugía. Muchos solo se vigilan.
¿CUÁNDO UN NÓDULO TIROIDEO ES CÁNCER?
Aunque la mayoría de los nódulos tiroideos son benignos, un pequeño porcentaje puede representar un cáncer de tiroides. Por eso es importante hacer una evaluación completa.
¿QUÉ TIPOS DE CÁNCER DE TIROIDES EXISTEN?
Los más comunes son:
Tipo Frecuencia Pronóstico
Papilar ~80% Excelente si se detecta a tiempo
Folicular ~10% Muy bueno, aunque puede diseminarse por sangre
Medular ~4% Menos frecuente, puede estar asociado a antecedentes familiares
Anaplásico <2% Muy agresivo, pero poco común
En general, el cáncer de tiroides tiene un pronóstico favorable, especialmente los tipos papilar y folicular, que representan más del 90% de los casos.
FACTORES DE RIESGO A CONSIDERAR:
• Ser mujer (frecuente en mujeres entre 30 y 60 años).
• Tener antecedentes de radiación en cuello (infancia o adolescencia).
• Historia familiar de cáncer tiroideo o de síndromes genéticos.
• Presencia de ganglios sospechosos en cuello
• Rápido crecimiento del nódulo o cambios en la voz.
Un nódulo que crece rápidamente, es muy duro, se fija a estructuras vecinas o causa ronquera debe ser evaluado con prontitud.
¿QUÉ PASA SI ME DICEN QUE TENGO CÁNCER DE TIROIDES?
Recibir un diagnóstico de cáncer genera muchas preguntas y temores. La buena noticia es que el cáncer de tiroides suele tener un tratamiento muy eficaz y un excelente pronóstico, sobre todo cuando se detecta temprano.
¿CUÁL ES EL TRATAMIENTO?
El tratamiento depende del tipo de cáncer, su tamaño, si se ha extendido y el estado general del paciente. En la mayoría de los casos incluye:
1. Cirugía
La cirugía se llama tiroidectomía. Puede ser:
• Total (se retira toda la tiroides)
• Parcial (se retira solo una parte)
Si hay ganglios comprometidos, también se extraen.
Después de una tiroidectomía total, será necesario tomar hormona tiroidea de por vida para reemplazar la función de la tiroides.
2. Yodo radiactivo (RAI)
• En algunos casos, se usa una dosis de yodo radiactivo para eliminar células tiroideas residuales después de la cirugía.
• Es un tratamiento seguro, que se toma por vía oral, y no requiere hospitalización prolongada.
NOTA: No todos los pacientes requieren RAI. Se decide según el riesgo de recurrencia.
3. Seguimiento a largo plazo
• Se hacen estudios periódicos para vigilar que el cáncer no haya vuelto.
• Esto incluye análisis de sangre, ultrasonido y, en algunos casos, gammagrafías.
¿CUÁL ES EL PRONÓSTICO?
El pronóstico es muy favorable en la mayoría de los casos. Algunas cifras aproximadas:
Tipo de cáncer Supervivencia a 10 años
Papilar > 95%
Folicular ~90%
Medular 75–85%
Anaplásico <10%
Con tratamiento adecuado, la mayoría de las personas lleva una vida normal después del cáncer de tiroides.
¿QUÉ HAGO SI TENGO UN NÓDULO
TIROIDEO Y ESTOY ESPERANDO ESTUDIOS?
Mientras esperas los resultados o citas con el especialista, es normal sentir ansiedad. Sin embargo, hay algunas recomendaciones que pueden ayudarte a atravesar este proceso de forma informada y tranquila.
Lo que puedes hacer:
• Evita autodiagnosticarte. Buscar síntomas en internet puede generar más miedo que claridad.
• Lleva un registro de tus estudios (ultrasonidos, laboratorios, notas médicas) y compártelos con tu médico.
• Consulta con un endocrinólogo o médico especializado, especialmente si ya tienes estudios que sugieren nódulos sospechosos.
• Aliméntate bien, duerme suficiente y maneja el estrés. Aunque no determinan la evolución del nódulo, ayudan a tu bienestar general.
• Evitar tratamientos no indicados por tu médico.
Acude pronto al médico si presentas:
• Ronquera persistente sin causa clara
• Dificultad para tragar
• Presencia de una bolita que crece rápidamente en el cuello
• Dolor constante en garganta o cuello
• Ganglios inflamados persistentes
La mayoría de los nódulos no son cáncer. Pero un diagnóstico temprano es clave si lo fueran.
PREGUNTAS FRECUENTES (FAQ)
¿Tener un nódulo tiroideo significa que tengo cáncer?
No. Más del 90% de los nódulos son benignos. Solo un pequeño porcentaje es maligno, y la mayoría de los cánceres tiroideos tienen muy buen pronóstico.
¿El ultrasonido puede decir si es cáncer?
El ultrasonido ayuda a clasificar el riesgo, pero no confirma cáncer. Para eso se requiere una biopsia con aguja fina (BAAF) si el nódulo es sospechoso.
¿Qué tan peligrosa es la cirugía de tiroides?
Es una cirugía segura, realizada por especialistas. Puede haber riesgos, como en cualquier procedimiento, pero con un buen equipo médico las complicaciones son poco frecuentes.
¿Voy a necesitar tomar medicina de por vida?
Solo si se retira toda la tiroides. En ese caso, tomarás hormona tiroidea cada día para sustituir la función de la glándula.
¿Puedo vivir una vida normal después?
Sí. La mayoría de los pacientes continúan con su vida habitual. Es importante seguir el tratamiento y los controles médicos recomendados.
Descubrir un nódulo en la tiroides puede generar muchas preguntas. Esta guía busca orientarte de forma clara y confiable. Recuerda que estar informado, consultar con especialistas y mantener la calma son claves para tomar las mejores decisiones sobre tu salud.
Haugen, B. R., Alexander, E. K., Bible, K. C., et al. (2016). 2015 American Thyroid Association Management Guidelines for Adult Patients with Thyroid Nodules and Differentiated Thyroid Cancer. Thyroid, 26(1), 1–133. https://doi.org/10.1089/thy.2015.0020
Gharib, H., Papini, E., Garber, J. R., et al. (2016). American Association of Clinical Endocrinologists, American College of Endocrinology, and Associazione Medici Endocrinologi Medical Guidelines for Clinical Practice for the Diagnosis and Management of Thyroid Nodules. Endocrine Practice, 22(5), 622–639. https://doi.org/10.4158/EP161208.GL
Durante, C., Grani, G., Lamartina, L., Filetti, S., Mandel, S. J., & Cooper, D. S. (2018). The diagnosis and management of thyroid nodules: a review. JAMA, 319(9), 914–924. https:// doi.org/10.1001/jama.2018.0898
Cabanillas, M. E., McFadden, D. G., & Durante, C. (2016). Thyroid cancer. The Lancet, 388(10061), 2783–2795. https://doi.org/10.1016/S0140-6736(16)30172-6
National Cancer Institute. (2023). Thyroid Cancer—Patient Version (PDQ). https://www. cancer.gov/types/thyroid/patient/thyroid-treatment-pdq
Mayo Clinic. (2024). Thyroid cancer – Symptoms and causes. https://www.mayoclinic. org/diseases-conditions/thyroid-cancer/symptoms-causes
Instituto Nacional de Cancerología (México). (2022). Guía de Práctica Clínica: Cáncer Diferenciado de Tiroides.