Pará+ 254

Page 29

4º PORTEL AQUAFEST

CARAVANA DAS PERIFERIAS EM BELÉM

27
PEIXE: O PASSADO E O FUTURO DA ALIMENTAÇÃO SUSTENTÁVEL EDIÇÃO 254 BELÉM-PARÁ WWW.PARAMAIS.COM.BR R$ 19,99 ISSN 16776968 7 71677 69 6 124 94 5200
Gás de cozinha Resíduo orgânico
12 www.paramais.com.br Pará+

CAPITAL PARAENSE É A PRIMEIRA

PUBLICAÇÃO

Editora Círios SS Ltda

CNPJ: 03.890.275/0001-36

Inscrição (Estadual): 15.220.848-8

Rua Timbiras, 1572A - Batista Campos

Fone: (91) 3083-0973 Fax: (91) 3223-0799

ISSN: 1677-6968

CEP: 66033-800 Belém-Pará-Brasil

www.paramais.com.br revista@paramais.com.br

EDITORA CÍRIOS

Integração lavoura-pecuária acumula mais carbono no solo que sucessão de culturas de grãos

A prova mais antiga de culinária mostra que nossos ancestrais gostavam de peixe bem passado

ÍNDICE CAPA

DIRETOR e PRODUTOR: Rodrigo Hühn; EDITOR: Ronaldo Gilberto Hühn; COMERCIAL: Alberto Rocha, Augusto Ribeiro, Rodrigo Silva, Rodrigo Hühn; DISTRIBUIÇÃO: Dirigida, Bancas de Revista; REDAÇÃO: Ronaldo G. Hühn; COLABORADORES*: Acoustical Society of America, Ascom/ Sespa, Ayesha Gulley, Bas Fransen, Lilian Guedes, Paulo Cidadão, Ronaldo G. Hühn, Sea Life London Aquarium, Seac, Nolan Zunk/Universidade do Texas, WMO – Organização Mundial de Metereologia; FOTOGRAFIAS: Acoustical Society of America, Alexander Huth, Arquivo Agência/ Comus, Ascom Prefeitura de Portel, Bas Franse, Burns, Colin Malloy, David Alves / Ag.Pará, Divulgação/Setur, Dekker Wild-Life Image, EcoMatcher, Felipe/Comus, IA holística, Jerry Tang, Joaquin Meabe/Getty Images, Marcos Barbosa/Comus, Museu Steinhardt de História Natural da Universidade de Tel Aviv., Nature Ecology & Evolution, Nolan Zunk/Universidade do Texas em Austin Pedro Guerreiro / Ag. Pará, Roxanne Desgagnês/Unsplash, Ryssa Tomé – Comus, Sea Life London Aquarium, Universidade de Tel Aviv, Unsplash, Unsplash/Christopher; DESKTOP: Rodolph Pyle; EDITORAÇÃO GRÁFICA: Editora Círios

* Os artigos assinados são de inteira responsabilidade de seus autores.

Marcelo Gamboa, no Flyboard, durante o 4º Portel AquaFest, em frente a orla da Praia do Arucará, em Portel – PÁ. Foto: Ascom Prefeitura de Portel

Para receber edições da Pará+ gratuitamente é só entrar no grupo bit.ly/ParaMaisAssinatura ou aponte para o QR Code

www.paramais.com.br

NESTA EDIÇÃO 254 - MAIO - 2023 As canções dos oceanos aumentam a consciência ambiental 22 Música de sons produzidos por peixes no EuroFISHion 29 O Valor das Árvores nas Religiões Mundiais 32 Vamos substituir a carne em nossas dietas por insetos? 25 12 10 AMAZÔNIA PORTEL AQUAFEST INVESTIMENTOS DO GOVERNO DO ESTADO EM PARAGOMINAS O aquecimento global provavelmente ultrapassará o limite perigoso de 1,5 C dentro de 5 anos, alerta relatório da ONU 16 Por que precisamos nos preocupar com a IA responsável na era do algoritmo 18 08 07 06 ESTADO ANUNCIA OBRAS DO PARQUE DA CIDADE, A MAIOR INTERVENÇÃO URBANA DOS ÚLTIMOS 100 ANOS, EM BELÉM
DE BELÉM ABRE
PARA SELECIONAR GRUPOS CULTURAIS
PREFEITURA
INSCRIÇÕES
A ABRIR AS PORTAS PARA O CARAVANA DAS PERIFERIAS
POR FAVOR
ESTAREVISTA
RECICLE
28
30

Capital paraense é a primeira a abrir as portas para o Caravana das Periferias

Fotos Arquivo Agência/Comus, Marcos Barbosa/Comus, Ryssa Tomé - Comus

Opotencial da periferia de Belém foi uma das principais razões para a capital paraense ser escolhida como a primeira cidade a receber o programa Caravana das Periferias, idealizado pelo Governo Federal e que busca levar diálogos e participação popular, além de melhorias das áreas

Caravana das Periferias

A ideia do programa é mobilizar e fortalecer as iniciativas em favor dos territórios periféricos do país, levando plenárias e debates.

Segundo o prefeito de Belém, Edmilson Rodrigues, o lançamento do Caravana das Periferias na capital paraense reafirma o trabalho integrado entre as esferas municipal, estadual e federal. “Escolher Belém não é surpresa. As três esferas estão unidas para debater e construir políticas integradas. É por aí que vamos discutir sobre a periferia, o foco e o centro de atenção dos governos que têm compromisso com o combate à fome”, declara Edmilson Rodrigues.

O programa se desenvolve em seis eixos: Inovação e Economia, Meio Ambiente, Educação, Moradia, Cultura e Comunicação.

O representante do eixo Educação, Denilson Alves, que foi eleito prefeito da juventude no programa de participação popular “Tá Selado” da Prefeitura de Belém, destaca a energia da juventude. “A juventude tem força em movimentos sociais e estudantis. Queremos trazer a pauta da educação para os povos originários. A implantação de creches nas áreas periféricas é necessária”, ressalta.

Plano

A finalidade de todo debate do Caravana corresponde à criação de um Plano Nacional para as Áreas Periféricas, como explica o ministro das Cidades, Jader Filho.

“Dialogar diretamente com a periferia é o que precisamos fazer, para ouvir e entender suas demandas, como transporte público, saneamento e habitação. Para isso, nada melhor do que sabermos pelas próprias pessoas que vivem na periferia as necessidades delas”.

Além de Belém, mais quatro cidades recebem a Caravana: Rio de Janeiro, São Paulo, Belo Horizonte e Brasília.

Segundo o secretário Nacional de Territórios Periféricos, Guilherme Simões, Belém foi escolhida a primeira por apresentar todas as condições principais do programa.“O objetivo é construir um programa integrado nas periferias brasileiras. Belém reúne duas condições importantes: a pré-disposição da Prefeitura e do Governo do Estado e insere a realidade amazônica”, comenta Simões.

O lançamento do programa ocorreu dia 12 de maio, na Usina da Paz do bairro do bairro do Guamá, e contou com o apoio da Prefeitura de Belém. Participaram diversas autoridades, entre elas o prefeito de Belém, Edmilson Rodrigues, o ministro das cidades, Jader Filho, e o governador do Pará, Helder Barbalho.

Visita prévia em Belém

Em março deste ano, Guilherme Simões visitou áreas periféricas de Belém, como a Vila da Barca, no bairro do Telégrafo, e do Canal do Mata Fome, para conhecer as iniciativas da sociedade civil organizada que constroem agendas da periferia na cidade. O modelo adotado pelo Governo Federal para as caravanas que percorrem as cidades brasileiras é o de plenárias, onde os cidadãos debatem as melhorias dos espaços periféricos, por meio de segmentos como arquiteturas, urbanismo, projetos sociais e culturais e mobilizações que gerem novas políticas públicas para as periferias.

Dados

O Ministério das Cidades aponta que a região Norte do país é a que tem maior concentração de domicílios em territórios subnormais no Brasil, com quase um quarto dos domicílios nesta região. Em números, significa cerca de 900 mil residências distribuídas em 1.200 aglomerados subnormais. O Pará concentra cerca de 45% do total da região Norte, sendo 28% em Belém.

06 www.paramais.com.br Pará+
O prefeito Edmilson Rodrigues (sentado, camisa azul) ao lado do ministro Jader Filho e do governador Helder: as três esferas do poder em políticas integradas Secretário Nacional de Territórios Periféricos, Guilherme Simões visitou a Vila da Barca, em março deste ano, e também conheceu projetos sociais e culturais nas periferias da capital paraense Belém concentra 28% de áreas com domicílios subnormais do Estado do Pará

Prefeitura de Belém abre inscrições para selecionar grupos culturais

Oatual Governo de Belém acredita na importância de privilegiar o fomento ao acesso à cultura nas regiões periféricas do município, bem como nas regiões de ilhas e nos distritos de Belém. Por isso, ao longo desta gestão, já promoveu uma série de ações para a descentralização da cultura no município, como a garantia da participação dos grupos de artistas da terra, com a alteração da Lei Valmir Bispo, aprovada na Câmara Municipal no dia 5 de dezembro de 2022 e sancionada pelo prefeito de Belém, Edmilson Rodrigues, no dia 7 de janeiro de 2023.

Inscrições

No ato da inscrição será exigido o preenchimento da Ficha de Inscrição e Declaração de Representação do Grupo Cultural (ambos em anexo no edital).Já as inscrições das Quadrilhas Juninas e Misses devem ser feitas exclusivamente pelo e-mail concursoquadrilhasemisses.2023@gmail.com, igualmente com o envio de ficha de inscrição acompanhada dos elementos pedidos e demais anexos, com o título “CONCURSO OFICIAL 2023”.

Resultados

O resultado preliminar da seleção dos grupos culturais será divulgado no dia 1° de junho no site oficial da Fumbel, no hall da sede da Fundação Cultural e no Diário Oficial do Município de Belém. Em caso de contestação, os grupos terão o prazo de um dia (até o dia 2 de junho) para apresentar recurso, seguindo exclusivamente o modelo do anexo 7 do edital.

Passada a fase recursal, o resultado final da homologação dos grupos será divulgado, igualmente, no site oficial da Fumbel, no hall da sede da Fundação e no Diário Oficial do Município de Belém, com divulgação prevista para o dia 7 de junho.

Recentemente, a Prefeitura de Belém, por meio da Fundação Cultural do Município (Fumbel), lançou edital (disponível no site www.fumbel.belem.pa.gov.br/ ) para a inscrição e seleção dos grupos culturais interessados em se apresentar e competir na programação junina do município. A inscrição fica aberta até o próximo dia 26 de maio e o resultado preliminar da seleção está previsto para o dia 1° de junho e o resultado final deve sair dia 7 de junho de 2023. Os grupos culturais convidados a se inscrever foram divididos nas categorias “Mostra Cultural I e II”, “Quadrilhas juninas” e “Misses”. Na primeira categoria estão incluídos Grupos de Pássaros Juninos, Cordões de Pássaros e Bichos, Grupos Parafolclóricos, Bois-bumbá, Grupos de toadas e de carimbó. As Quadrilhas Juninas estão dividas nas subcategorias “Adulto” e “Juvenil”. Já as Misses estão divididas nas subcategorias “Caipira”, “Simpatia”, “negritude”, “LGBTQI+” e “Melhor Idade”.

A inscrição ficará aberta até o dia 26 de maio de 2023. O resultado preliminar da seleção está previsto para o dia 1° de junho e o resultado final deve sair no dia 7 de junho

Premiação

De acordo com o edital, estão previstas premiações em dinheiro para os grupos culturais participantes das programações juninas, tanto os incluídos nas Mostras Culturais I e II, quanto as Quadrilhas Juninas e Misses, dentro das particularidades de suas subcategorias e de acordo com os critérios estabelecidos pela Comissão Organizadora do Evento Cultural Junino de Belém.

Serviço

A Programação Cultural Junina da Prefeitura de Belém 2023 ocorre a partir do dia 15 de junho em pontos diversos da cidade.

A Prefeitura, por meio da Fumbel, recebe até dia 26 de maio as inscrições dos grupos que desejam participar da seleção para participação e competição no evento.

07 www.paramais.com.br Pará+
Fotos Felipe e Marcos Barbosa/Comus A revoada dos pássaros juninos marcou a abertura da programação do Arraial da Nossa Gente, na noite da quarta-feira, 8, promovido pela Prefeitura de Belém O Arraial de Nossa Gente em 2022 garantiu a quadra junina em todos os distritos, como o de Icoaraci

Estado anuncia obras do Parque da Cidade, a maior intervenção urbana dos últimos 100 anos, em Belém

Governo do Pará formalizou a ordem de serviço, na sexta-feira (19/05), e as obras estão previstas para começar já no próximo mês de julho

Aárea do antigo Aeroporto Brigadeiro Protásio, no bairro da Sacramenta, em Belém, ganhará um dos parques urbanos mais modernos do Brasil. Foi o que anunciou o governador do Pará, Helder Barbalho, durante a assinatura da ordem de serviço para o início das obras, previsto para o mês de julho.

“Estamos falando em iniciar uma obra que trará um equipamento multifuncional, com o olhar da integração à cidade e à oportunidade de centros de visitação, centros de eventos, áreas gastronômicas, espaços de museu, áreas que permitirão com que nós tenhamos pavilhões para eventos, teatro, portanto, um conjunto que chega a Belém para incrementar a capital paraense”, destacou o governador. Helder Barbalho acrescentou que o Parque da Cidade “vai fortalecer a vocação de Belém para o turismo, particularmente, o turismo ecológico.

Para isso, nós teremos todo o cuidado para que as obras conciliem a necessidade de arborização, com o transplante de árvores já adultas. Nós temos que ter a grandeza e a dimensão de que o Parque representa um legado de emprego, renda e de oportunidades diversas que elevarão o nosso estado a uma outra condição”, completou ele.

O Parque da Cidade será um espaço projetado para oferecer à população diversas opções de lazer, interação, cultura, arte e bem-estar.

A obra representa a maior intervenção urbana dos últimos 100 anos na capital paraense. O projeto se destaca também como suporte para a realização de eventos, diante da candidatura de Belém como sede da COP 30 – Conferência

08 www.paramais.com.br Pará+
Fotos Pedro Guerreiro / Ag. Pará das Nações Unidas sobre as Mudanças Climáticas, a ser realizada em 2025. Parque da Cidade será instalado na área do antigo Aeroporto Brigadeiro Protázio, em Belém Sob aplausos, governador exibe a ordem de serviços para a construção do Parque da Cidade, na sexta-feira (19/05)

Essa é uma obra muito importante e eu fico muito feliz e orgulhoso de estar aqui. Que a gente possa usufruir desse espaço em breve”, disse o servidor público, Anderson Reis, que acompanhou a assinatura da ordem de serviço.

“Esse projeto é um sonho, foi o que pensei desde a primeira vez que eu ouvi falar da proposta. Foi um longo caminho para darmos início a essa oba tão importante para a nossa Belém. Serão muitos espaços para a família aproveitar o dia. Precisávamos de um local de turismo como esse”, destacou a vice-governadora Hana Ghassan.

Estrutura

O Parque da Cidade terá mais de 500 mil metros quadrados de obras construídas, além de uma área paisagística de 50 hectares. O equipamento cultural terá também um Centro de Economia Criativa, Centro Gastronômico, cinema, estúdio de gravação musical, mercado de produtos regionais, biblioteca, fonoteca, praça de alimentação, a praça marajoara e um ateliê multiuso. Haverá ainda uma Torre de Contemplação, um templo ecumênico, o “Oratório da Água e da Luz”, um Teatro Multiuso, palcos interno e externo e uma Praça de Exposição de Aeronaves, que manterá viva a memória do Aeroporto Brigadeiro Protásio e do Aeroclube de Belém.

O idealizador do projeto, Nelson Chaves, conta que a ideia surgiu da necessidade de mais áreas verdes em Belém. “Essa área aqui é uma joia dentro de Belém, exatamente para que seja usufruída pela nossa população em todas as idades, sem nenhuma discriminação de ordem econômica, social, uma área destinada ao lazer, ao bem-estar das pessoas. Belém ganha um grande presente”, disse Chaves.

Evento de anúncio das obras pelo governo do Estado foi prestigiado por moradores de Belém e autoridades públicas

A cerimônia foi aberta ao público, dando oportunidade para a população conhecer o projeto. “Sou morador do bairro há mais de 50 anos e agora estou vendo esse projeto do Governo do Estado se tornar uma realidade.

“Estamos nos preparando para receber o fluxo de 70 a 100 mil pessoas em novembro de 2025, com a nossa Cúpula do Clima. E esse equipamento certamente será parte dessa estratégia para recepcionar os visitantes. A Amazônia tem um papel muito importante nesse novo modelo de governança que é preciso implementar no mundo, nessa transição a uma economia verde, para o modo de vida mais sustentável e Belém será a capital desta discussão, do desenho desse caminho que nós estamos construindo juntas e juntos para termos um planeta mais sustentável e um modelo de desenvolvimento mais justo”, pontuou a titular da Secult, Ursula Vidal.

09 www.paramais.com.br Pará+
Secretária de Estado de Cultura, Ursula Vidal disse que Belém segue o caminho da economia limpa e sustentável Parque ofertará diversas opções de lazer incluindo a oportunidade de passeios ciclísticos Governador Helder Barbalho e o idealizador do projeto do Parque da Cidade, Nelson Chaves Governador destaca que Parque da Cidade fortalecerá a vocação de Belém para o turismo ecológico (*) SECOM <<

Investimentos do Governo do Estado em Paragominas

O município de Paragominas, na Região de Integração Rio Capim, vai sediar a 16ª Usina da Paz. A obra foi anunciada, na manhã deste sábado (20), pelo governador Helder Barbalho. A Ordem de Serviço, que autoriza o início da obra, foi assinada pelo governador, pela vice-governadora Hana Ghassan, o prefeito de Paragominas, Lucídio Paes, e o deputado federal Antônio dos Santos (Antônio Doido). Com mais de 70 serviços, incluindo cursos de capacitação e atividades esportivas e culturais, a Usina da Paz está sendo aguardada com ansiedade pela população

Com mais de 115 mil habitantes, segundo o Censo de 2021, Paragominas terá a Usina da Paz em um dos bairros mais populosos, o Promissão, em área cedida pela Prefeitura. A obra será construída pela mineradora Hydro, como compensação pela exploração de minério. Segundo o prefeito Lucídio Paes, “essa obra mostra a parceria com o governo do Estado. Esse é um complexo de muita grandeza, porque uma Usina é cultura, desporto, cidadania, democracia. E isso é importante porque aqui nós vamos realmente exercer cidadania de uma forma abrangente”.

Governador Helder Barbalho anunciou a abertura da licitação para a obra, que vai descentralizar o atendimento e beneficiar moradores de mais de 10 municípios

O governador Helder Barbalho anunciou neste sábado (20) a abertura do processo de licitação para construção do novo Hospital Regional Público do Leste, no município de Paragominas, no sudeste paraense. Novo Hospital Regional Público do Leste, em Paragominas, terá mais de 150 leitos. O lançamento da licitação será na próxima segunda-feira (22). A obra vai beneficiar a população de Paragominas e dos municípios de Dom Eliseu, Ulianópolis, Ipixuna do Pará, Aurora do Pará, Mãe do Rio, Irituia, São Miguel do Guamá e Santa Maria do Pará. A obra será construída na área onde funcionava o Hotel Regente, no bairro Promissão I.

10 www.paramais.com.br Pará+
Fotos David Alves / Ag.Pará Terreno onde será construída a Usina da Paz em Paragominas Governador Helder Barbalho assinou e mostrou a Ordem de Serviço da obra, anunciando a construção de um novo hospital regional e entregou benefícios do CredCidadão, ao lado da vice-governadora Hana Ghassan e do prefeito Lucídio Paes

Helder Barbalho ressaltou que, além desses municípios, o Hospital beneficiará moradores dos municípios de Capitão Poço, Abel Figueiredo, Bom Jesus do Tocantins e de outras localidades ao longo da BR-222. “Nós vamos descentralizar o atendimento dessa região, e com um detalhe: na hora que o hospital regional estiver pronto, o atual hospital regional vai passar a ser municipal. Esse é um acordo que eu tenho com o município, que é fortalecer a saúde e fazer com que Paragominas possa ter essa importante conquista na qualidade do atendimento em saúde”, afirmou o governador.

Inclusão

O governador Helder Barbalho ressaltou o poder de transformação promovido pela Usina da Paz, por meio de ações de cidadania e inclusão. “Este é um programa implementando hoje em nove usinas. Neste novo mandato nós já iniciamos sete e chegaremos a 40 novos equipamentos. E eu estou muito feliz em poder anunciar as obras da Usina da Paz em Paragominas, na certeza de que daqui a um ano voltaremos para inaugurar este equipamento de transformação social”, enfatizou o governador. Após a inauguração, moradores de Paragominas e do entorno terão à disposição, gratuitamente, mais de 70 serviços intersetoriais oferecidos pelas secretarias estaduais e órgãos parceiros, como atendimento médico, odontológico e psicológico, consultoria jurídica, emissão de documentos, treinamento de lideranças, atividades esportivas, capacitações e cursos profissionalizantes.

CredCidadão e novo hospital

Helder Barbalho também anunciou a abertura do processo de licitação para construção do novo Hospital Regional de Paragominas, que deve ser instalado onde antes funcionou um hotel. Segundo o governador, a Ordem de Serviço para construção do novo hospital deverá ser assinada em agosto próximo.

Eu quero voltar aqui em agosto, para a Feira Agropecuária de Paragominas, e assinar a Ordem de Serviço para o novo hospital regional. E quero afirmar meu compromisso de parceria com a Prefeitura, e transferir o atual hospital regional para o município, deixando Paragominas com dois hospitais”, informou Helder Barbalho. Também foram entregues pelo Estado 100 benefícios do Programa CredCidadão, destinado a pequenos empreendedores, totalizando R$ 300 mil em empréstimos, via Banco do Estado do Pará (Banpará).

Capacidade duplicada

O Hospital Regional Público do Leste contará com 158 leitos, entre clínicos e de Unidade de Tratamento Intensivo (UTI), dobrando a capacidade de atendimento na região, que atualmente dispõe de 70 leitos. “Não vamos precisar mandar o povo para Belém porque terá tudo aqui.

Quando eu vier à Feira Agropecuária em Paragominas, já no mês de agosto, quero assinar o início da obra do Hospital Regional”, adiantou o governador.

Para o secretário de Estado de Saúde Pública, Rômulo Rodovalho, a construção de mais um hospital na região é resultado de um governo eficiente. “Desde o início da gestão, o governador trabalha com investimentos na área da saúde, em educação e segurança. Esta será mais uma obra que vai melhorar o atendimento em toda a região e descentralizar. O objetivo é sempre servir à população que mais precisa, proporcionando maior conforto em seus atendimentos”, garantiu o secretário.

<<

11 www.paramais.com.br Pará+
(*) Com informações da Ascom/Sespa e da Seac Helder Barbalho, prefeito Lucídio Paes e demais autoridades durante a entrega de CredCidadão Lucídio Paes: cidadania abrangente Governador Helder Barbalho, prefeito Lucídio Paes e a vice-governadora Hana Ghassan na área que receberá a UsiPaz

Recentemente,

no penúltimo fim de semana de abril, esportistas – principalmente os praticantes de esportes náuticos, amantes das belezas naturais do Marajó, além de turistas e visitantes interessados na cultura do município marajoara, se reuniram com os moradores locais, na orla da Praia do Arucará, em Portel, para competirem, apreciarem e vibrarem com as competições esportivas e as atrações artísticas

O4° Portel AquaFest agitou mais uma vez o município de Portel, no Marajó. O evento esportivo contou com natação, caiaque,

arrancadão de rabeta, flyboard e entre outras modalidades esportivas, como a novidades desse ano – o slackline. Durante os dois dias de eventos, o município ficou repleto de turistas, movimentando

a economia local e impulsionando o turismo para o Marajó. De acordo com o prefeito do município, Paulo Ferreira, que é um dos idealizadores do evento, o Aquafest é o festival das águas.

12 www.paramais.com.br Pará+
Texto *Paulo CidadãoTurismo sustentável no Marajó Fotos Ascom Prefeitura de Portel, Divulgação/Setur Movimentando a economia local e impulsionando o turismo sustentável no Marajó

“Hoje o Aquafest simboliza o que? Festival das águas. É um evento de uma magnitude muito grande que gera renda para o informal, como moto-táxi, taxista, dono de hotel, pousada. A gente precisa incentivar os nossos jovens e nossas crianças para que a prática de esporte seja algo do cotidiano. Então fico muito feliz em mais um Aquafest e poder ver os olhos de todo país voltado para Portel. Já aproveitei a divulgação que está havendo e deixei em aberto para que nos próximos eventos marcas nacionais e internacionais possam colocar os seus stands no município e a Amazônia ser o palco de um dos maiores eventos aquáticos da região norte do Brasil”, afirmou o gestor.

No primeiro dia, os atletas participaram de diversas modalidades aquáticas. Tudo começou por volta de 9h da manhã do sábado, com a abertura oficial. Logo em seguida teve natação de 800m, 400m e 200m, porfia de canoa, prova de caiaque, arrancadão de rabetas, atleta nacional slackline.

No segundo dia de evento e seguindo às atividades esportivas, teve as finais da natação do dia anterior, maratona aquática de

13 www.paramais.com.br Pará+
Em frente a orla da Praia do Arucará, em Portel A orla da Praia do Arucará, em Portel repleta de turistas Paulo Ferreira, prefeito municipal de Portel Prefeito Paulo Ferreira premiando Marcelo Gamboa, vencedor da categoria Jet Ski 6km, finais de porfia de canoa, finais provas de caiaque, atleta nacional slackline, circuito de jetski e o tão esperado flyboard.
14 www.paramais.com.br Pará+

Quem acompanhou da orla do Arucará, viu manobras radicais feitas pelo Marcelo Gamboa no Flyboard que é um equipamento conectado ao jetski e

permite que uma pessoa praticamente voe impulsionado pelo jato d’água. Eu já participei de eventos em vários locais, mas a proporção maior do evento na

água igual Portel, não tem. Pelo turismo que o evento oferece e pelo povo aconchegante que é o Marajoara. Maravilhosíssimo. Portel está de parabéns”.

No domingo, ao final do evento foram entregues as premiações para os atletas vencedores. Foram convidados os apoiadores do evento para as entrega, como deputados estaduais, federais, empresários e demais apoiadores do projeto esportivo.

O evento Aquafest ofereceu uma programação de shows durante a noite, com atrações do cantor MC Dourado, Rubi Light e Batidão do Melody entre outras bandas. Tudo aconteceu no palco Mix da praia do Arucará.

Quem passava pelo local, via diversos pontos de vendas, como de bebidas, drinks e demais empreendedores que aproveitaram o momento para fazer uma rendinha extra. Artesãos do município também aproveitaram o momento para vender seus produtos para os turistas. Confecção e vendas de artesanatos, tudo regional que identifica a característica marajoara e a criatividade de artesão do município de Portel. Desta forma, valorizando a cultura, movimentando a economia e gerando emprego e renda. Maior Sucesso!

15 www.paramais.com.br Pará+
No palco Mix da praia do Arucará, programação de shows variados Movimentando a economia e gerando emprego e renda. Maior Sucesso!

O aquecimento global provavelmente ultrapassará o limite

relatório da ONU

as mudanças climáticas causadas pelo homem provavelmente levarão as temperaturas a um “território desconhecido

A agência meteorológica

Aumentos sem precedentes da temperatura global provavelmente farão com que o limite de 1,5 graus Celsius (2,6 graus Fahrenheit) do Acordo de Paris seja violado em algum momento nos próximos cinco anos, prevê um relatório das Nações Unidas (ONU). A Organização Meteorológica Mundial (OMM) da ONU deu o alerta severo em sua última avaliação anual, divulgado antes do Dia da Terra de 2023 (22 de abril). De acordo com a OMM, há 66% de chance de que as temperaturas médias anuais da superfície global ultrapassem temporariamente o limiar de um aumento de 1,5°C acima dos níveis pré-industriais.

Em fevereiro, incêndios florestais alimentados pela seca severa consumiram florestas, pastagens e pântanos no nordeste da Argentina, queimando cerca de 40% do Parque Nacional Ibera

Esta seria a primeira vez na história da humanidade que tal aumento foi registrado. Os cientistas alertaram que cruzar o limite de 1,5°C aumenta muito os riscos de encontrar pontos de inflexão que podem desencadear uma ruptura climática irreversível – como o colapso das camadas de gelo da Groenlândia e da Antártica Ocidental; ondas de calor extremas; secas severas; estresse hídrico; e clima extremo em grandes partes do globo. Cerca de 200 países se comprometeram a limitar o aumento da temperatura global a 1,5°C ou menos na Paris 2015 (abre em nova aba)Acordo . Agora, mesmo que apenas temporariamente, esse limite pode ser violado pela primeira vez.

A temperatura média global em 2022 foi de 1,15 [1,02 a 1,28] °C acima da média de 1850-1900. Os anos de 2015 a 2022 foram os oito mais quentes no registro instrumental desde 1850. 2022 foi o 5º ou 6º ano mais quente. Isso ocorreu apesar de três anos consecutivos de resfriamento do La Niña – um La Niña de “mergulho triplo” aconteceu apenas três vezes nos últimos 50 anos

“Espera-se que um aquecimento do El Niño se desenvolva nos próximos meses e isso se combine com a mudança climática induzida pelo homem para empurrar as temperaturas globais para um território desconhecido”, Petteri Taalas(abre em nova aba), o secretário-geral da OMM, disse em comunicado(abre em nova aba).

16 www.paramais.com.br Pará+
perigoso de 1,5 C dentro de 5 anos, alerta
Fotos Dekker Wild-Life Image, Joaquin Meabe/Getty Images, WMO
da ONU alertou que o El Niño e

“Isso terá repercussões de longo alcance para a saúde, segurança alimentar, gestão da água e meio ambiente. Precisamos estar preparados”. O El Niño ocorre quando os ventos alísios, que normalmente empurram a água quente para o oeste através do Oceano Pacífico, da América do Sul à Ásia, enfraquecem, mantendo mais água quente no lugar. Isso afeta fortemente os padrões climáticos em todo o mundo, tornando a América do Sul mais úmida e trazendo seca (e às vezes fome) para regiões como Austrália, Indonésia, norte da China e nordeste do Brasil.

Nos Estados Unidos, o El Niño tende a tornar as regiões do norte mais quentes e secas e as regiões do sul mais úmidas e, como faz com que a água mais quente se espalhe e permaneça perto da superfície do oceano, também aquece a atmosfera em todo o mundo.

O último relatório da OMM abrange os anos de 2023 a 2027. Ele diz que há 98% de chance de que um dos próximos cinco anos seja o mais quente de todos os tempos - superando o aumento recorde de temperatura de 2,3 F (1,28 C) em 2016 . As chances de oscilações de temperatura mais altas também estão aumentando: as chances de ultrapassar o limite de temperatura de 1,5°C eram próximas de zero em 2015; subiu para 48% em 2022; e agora é de 66% apenas um ano depois.

Os pesquisadores disseram que grande parte desse aquecimento seria distribuído de forma desigual. O Ártico, por exemplo, verá as temperaturas flutuarem três vezes mais do que no resto do mundo, acelerando o derretimento que pode afetar severamente os sistemas climáticos, como a corrente de jato e a corrente do Atlântico Norte - sistemas cruciais para a regulação das temperaturas no Hemisfério Norte.

As chuvas, enquanto isso, devem diminuir na América Central, Austrália, Indonésia e Amazônia.

O desmatamento, as mudanças climáticas e as queimadas fizeram com que a gigantesca floresta tropical perdesse parte de sua resiliência desde os anos 2000, levando a preocupação entre os cientistas de que ela possa cruzar um ponto de inflexão que possa transformá-la em savana. ( Nosso editor Não acredita nessa hipótese) .O relatório observa que há apenas 32% de chance de que a média de cinco anos exceda o limite de 1,5°C, mas essa média, no entanto, aumentou drasticamente desde 2015, quando estava perto de zero.“Este relatório não significa que excederemos permanentemente o nível de 1,5°C especificado no Acordo de Paris, que se refere ao aquecimento de longo prazo ao longo de muitos anos”, disse Taalas. “No entanto, a OMM está soando o alarme de que iremos ultrapassar o nível de 1,5 C temporariamente com frequência cada vez maior’.

17 www.paramais.com.br Pará+
Em condições normais, os ventos alísios no equador empurram as águas superficiais do Pacífico em direção à Ásia a partir da América do Sul. A água oceânica mais quente indica que um El Niño provavelmente se desenvolverá ainda este ano, invertendo a direção do vento e afetando o clima dos EUA O Ártico, por exemplo, verá as temperaturas flutuarem três vezes mais do que no resto do mundo Uma curva de temperatura é exibida enquanto Petteri Taalas, secretário-geral da Organização Meteorológica Mundial, fala sobre a Atualização do Clima Global com previsões para 2023-2027 em Genebra, Suíça, em 17 de maio

Por que precisamos nos preocupar com a IA responsável na era do algoritmo

A inteligência artificial (IA) é uma das tendências tecnológicas mais discutidas do mundo e está prevista para aumentar o PIB global em US$ 15,7 trilhões até 2030. Mas os benefícios transformadores da tecnologia nascente são acompanhados de riscos e precisamos nos comprometer com os princípios da IA responsável. Em breve, as empresas precisarão cumprir os regulamentos globais de IA e adotar uma abordagem responsável para permanecerem competitivas e evitar responsabilidades

AInteligência Artificial (IA) é uma das tendências tecnológicas mais discutidas que permitem o crescimento dos negócios atualmente. Até 2030, estima-se que a IA aumente o PIB global em US$ 15,7 trilhões – mais do que a produção atual da China e da Índia juntas.

Mas com grandes poderes vêm grandes responsabilidades. À medida que os benefícios transformadores da IA se tornam aparentes, os riscos também. Algoritmos podem introduzir vieses , erros evitáveis e má tomada de decisão, causando desconfiança entre as pessoas que pretendem atender. Preocupados com o ritmo sem precedentes do desenvolvimento da IA, muitas organizações começaram a se comprometer com os princípios da IA responsável.

A IA responsável é uma área emergente de governança de IA que abrange ética, moral e valores legais no desenvolvimento e implantação de IA benéfica. Como uma estrutura de governança, a IA responsável documenta como uma organização específica aborda os desafios em torno da IA a serviço do bem dos indivíduos e da sociedade. Nos últimos anos, todas as organizações ligadas à política de tecnologia propuseram um conjunto de princípios orientadores sobre seu uso, incluindo Google , IBM e a Organização para Cooperação e Desenvolvimento Econômico.

18 www.paramais.com.br Pará+
Texto *Ayesha Gulley Fotos IA holística, Roxanne Desgagnês/Unsplash, Unsplash, Unsplash/Christopher Burns IA pode gerar US$ 15,7 trilhões em crescimento econômico até 2030
ECONOMIZE ATÉ 97% EM SUA CONTA DE ENERGIA
As empresas precisam levar a sério a IA responsável para se manterem competitivas e evitar responsabilidades

Preocupações crescentes sobre os riscos da IA

No entanto, o crescente interesse pela IA tem sido acompanhado de preocupações, dado o surgimento de consequências não intencionais, com riscos que afetam tanto os aspectos técnicos do sistema quanto as práticas de governança.

Estudo após estudo mostrou que a tomada de decisões orientada por IA pode potencialmente levar a resultados tendenciosos, desde perfis raciais em algoritmos de policiamento preditivo até decisões de contratação sexistas . Como tal, nos últimos anos, os governos em todo o mundo apertaram os regulamentos para direcionar a IA, aumentando a adoção de iniciativas de IA responsáveis, éticas ou confiáveis.

A IA responsável é uma área emergente de governança de IA que abrange ética, moral e valores legais no desenvolvimento e implantação de IA benéfica

Muitos veem o apelo de tornar a IA mais responsável, mas poucos estão acertando No nível europeu, a Comissão da UE estabeleceu um Grupo de Especialistas de Alto Nível em Inteligência Artificial, encarregado de desenvolver uma estrutura integradora para uma IA responsável e confiável e também propôs a Diretiva de Responsabilidade da IA .

A diretiva visa tornar mais fácil processar empresas por causar danos como parte de um esforço mais amplo para impedir que as empresas desenvolvam e implantem IA prejudicial e adiciona uma camada extra à proposta de Lei de IA da UE, que exigirá verificações extras para “ alto usos de risco” de IA, como no uso de policiamento, recrutamento ou assistência médica. No entanto, a Europa não está sozinha em seus esforços; o Escritório de Política Científica e Tecnológica da Casa Branca publicou recentemente um Projeto para uma Declaração de Direitos de IA , que descreve a visão do governo dos EUA para a governança de IA para evitar danos, e a China propôs um conjunto de leis para regular diferentes aplicações de IA. À medida que esses regimes regulatórios entram em vigor, as empresas precisarão alterar a forma como operam em escala global.

Na reunião anual do WEF
solarpowerenergia.com.br (91) 98141-0707 Õ SolarPowerEnergia QE ENERGIA SOLAR TÉRMICA ENERGIA SOLAR FOTOVOLTAICO ENERGIA EÓLICA 10 ANOS ECONOMIZE ATÉ 97% EM SUA CONTA DE ENERGIA

IA responsável atrasada em relação aos avanços

O ritmo acelerado do desenvolvimento da IA não parece estar diminuindo. Os avanços vêm rápido - superando rapidamente a velocidade da regulamentação.

Somente no ano passado, vimos uma série de desenvolvimentos, desde modelos de aprendizado profundo que geram imagens a partir de texto até grandes modelos de linguagem capazes de responder a qualquer pergunta que você possa imaginar.

Embora o progresso seja impressionante, acompanhar os danos potenciais de cada novo avanço pode representar um desafio implacável.

O problema é que muitas empresas não conseguem nem perceber que têm um problema para começar, de acordo com um relatório divulgado pelo MIT Sloan Management Review e pelo Boston Consulting Group.

A IA foi uma prioridade estratégica para 42% dos entrevistados do relatório, mas apenas 19% disseram que sua organização implementou um programa de IA responsável. Essa lacuna aumenta a possibilidade de insucesso e expõe as empresas a riscos regulatórios, financeiros e reputacionais.

A IA responsável é mais do que um exercício de caixa de seleção ou o desenvolvimento de um recurso complementar. As organizações precisarão fazer mudanças estruturais substanciais em antecipação à implementação da IA para garantir que seus sistemas automatizados operem dentro dos limites legais, internos e éticos.

Ao avaliar um sistema, é importante considerar os cinco fatores a seguir:

*Eficácia: se um sistema faz o que se destina e funciona conforme o esperado.

*Robustez ou confiabilidade: a ideia de que os sistemas devem ser confiáveis, seguros e protegidos, não vulneráveis a adulteração ou comprometimento dos dados nos quais são treinados.

*Viés: os sistemas devem evitar o tratamento injusto de indivíduos ou grupos.

*Explicabilidade: os sistemas devem fornecer decisões ou sugestões que possam ser compreendidas por seus usuários, desenvolvedores e reguladores.

*Privacidade: os sistemas devem ser treinados seguindo os princípios de minimização de dados, bem como adotar técnicas de aprimoramento da privacidade para mitigar o vazamento de dados pessoais ou críticos.

Clientes, funcionários e acionistas esperam que as organizações usem a IA de forma responsável, e os governos estão exigindo isso. Isso é crítico agora, pois cada vez mais pessoas compartilham preocupações sobre a reputação da marca e o uso de IA.

Cada vez mais vemos empresas fazendo da responsabilidade social e ética uma prioridade estratégica chave. O maior desafio é como maximizar responsavelmente seu lado positivo, ao mesmo tempo em que se protege contra os perigos.

20 www.paramais.com.br Pará+
A auditoria de IA é a pesquisa e a prática de avaliar, mitigar e garantir a segurança, legalidade e ética de um algoritmo

Auditoria para garantir uma IA responsável

Garantir que consequências prejudiciais ou não intencionais sejam minimizadas ou não ocorram durante a vida útil dos projetos de IA requer uma compreensão abrangente

do papel dos princípios responsáveis durante o design, implementação e manutenção de aplicativos de IA. A auditoria de IA é a pesquisa e a prática de avaliar, mitigar e garantir a segurança, legalidade e ética de um algoritmo. O objetivo da auditoria de IA é avaliar um sistema mapeando

seus riscos tanto em sua funcionalidade técnica quanto em sua estrutura de governança e recomendando medidas que podem ser tomadas para mitigar esses riscos.

(*) Associado de Políticas Públicas e Governança , Holistic AI em Fórum Econômico Mundial <<

Uso da IA para modelar eventos climáticos extremos

Um grande número de variáveis deve ser incluído e a IA está bem posicionada para modelar essa complexidade devido à sua capacidade de coletar, completar e analisar grandes conjuntos de dados. Ele pode ser aproveitado para sistemas de alerta precoce e modelagem preditiva de longo prazo de eventos climáticos locais, capacitando as partes interessadas a adotar uma abordagem mais baseada em dados para a adaptação climática. A Destination Earth, liderada pela Agência Espacial Europeia, por exemplo, visa criar um modelo da Terra baseado em IA para monitorar e prever a interação entre fenômenos climáticos, como secas e atividades humanas.

Uma vez em vigor, os tomadores de decisão em todo o mundo teriam maior acesso aos insights climáticos para informar seus esforços de adaptação. Aproveitar a IA para previsão e prevenção de incêndios florestais é outro bom exemplo. Ele permite o mapeamento interativo de áreas de alto risco e pode rastrear o desenvolvimento de incêndios quase em tempo real por meio de algoritmos de propagação de incêndios, informando a alocação ideal de recursos e estratégias de longo prazo para o manejo florestal sustentável. Como o custo global médio anual dos incêndios florestais é de cerca de US$ 50 bilhões, isso deve ser bem-vindo, pois a IA pode tornar o combate a incêndios florestais mais eficiente e econômico. Para apoiar isso, o Fórum Econômico Mundial iniciou o FireAId, que está trabalhando para construir modelos reais de IA e testá-los em países como a Turquia. Esses desenvolvimentos recentes na alavancagem da IA para a adaptação climática têm o potencial de tornar os insights climáticos mais acessíveis para todas as partes interessadas.

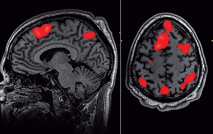
Cientistas usam IA para decifrar palavras e frases de exames cerebrais

Uma interface cérebro-computador que decodifica a linguagem contínua de gravações não invasivas teria muitas aplicações científicas e práticas. Atualmente, no entanto, decodificadores de linguagem não invasivos só podem identificar estímulos entre um pequeno conjunto de palavras ou frases. Cientistas, apresentaram um decodificador não invasivo que reconstrói a linguagem contínua a partir de representações semânticas corticais registradas por ressonância magnética funcional (fMRI). Dadas novas gravações cerebrais, este decodificador gera sequências de palavras inteligíveis que recuperam o significado da fala percebida, da fala imaginada e até mesmo de vídeos silenciosos, demonstrando que um único decodificador pode ser aplicado a uma variedade de tarefas.

O decodificador foi testado em todo o córtex e descoberto que a linguagem contínua pode ser decodificada separadamente de várias regiões. Como as interfaces cérebro-computador devem respeitar a privacidade mental, foi testado se a decodificação bem-sucedida requer cooperação do sujeito e descoberto que a cooperação do sujeito é necessária tanto para treinar quanto para aplicar o decodificador. As descobertas demonstram a viabilidade de interfaces cérebro-computador de linguagem não invasiva.

O decodificador baseado em IA que pode traduzir a atividade cerebral em um fluxo contínuo de texto foi desenvolvido, em uma inovação que permite que os pensamentos de uma pessoa sejam lidos de forma não invasiva pela primeira vez.

22 www.paramais.com.br Pará+
Fotos Jerry Tang e Alexander Huth, Nolan Zunk/Universidade do Texas Em Austin
A IA decifra palavras e frases de exames cerebrais (leitura não invasiva da mente), transformando pensamentos em texto. A neuro tecnologia emergente pode algum dia ajudar pacientes paralisados a se comunicarem, aumentando a perspectiva de novas maneiras de restaurar a fala naqueles que lutam para se comunicar devido a um derrame ou doença do neurônio motor, mas também pode aumentar as preocupações com a privacidade
Alex Huth (esquerda), Shailee Jain (centro) e Jerry Tang (direita) se preparam para coletar dados de atividade cerebral no Biomedical Imaging Center da Universidade do Texas em Austin O decodificador pode reconstruir a fala usando dados de varredura fMRI

O decodificador pode reconstruir a fala com incrível precisão enquanto as pessoas ouvem uma história – ou até mesmo silenciosamente imaginam uma – usando apenas dados de ressonância magnética funcional.Os sistemas de decodificação de linguagem anteriores exigiam implantes cirúrgicos, e o avanço mais recente levanta a perspectiva de novas maneiras de restaurar a fala em pacientes que lutam para se comunicar devido a um derrame ou doença do neurônio motor. Alexander Huth, um neurocientista que liderou o trabalho na Universidade do Texas em Austin, disse: “Ficamos meio chocados com o fato de funcionar tão bem.

Eu tenho trabalhado nisso por 15 anos… então foi chocante e emocionante quando finalmente funcionou”. A conquista supera uma limitação fundamental do fMRI, que é que, embora a técnica possa mapear a atividade cerebral para um local específico com resolução incrivelmente alta, há um intervalo de tempo inerente, que impossibilita o rastreamento da atividade em tempo real.

O atraso existe porque as varreduras de fMRI medem a resposta do fluxo sanguíneo à atividade cerebral, que atinge o pico e retorna à linha de base em cerca de 10 segundos, o que significa que mesmo o scanner mais poderoso não pode melhorar isso. “É um substituto barulhento e lento para a atividade neural”, disse Huth. Esse limite rígido prejudicou a capacidade de interpretar a atividade cerebral em resposta à fala natural porque fornece uma “mistura de informações” espalhada por alguns segundos. No entanto, o advento de grandes modelos de linguagem - o tipo de IA que sustenta o ChatGPT da OpenAI - forneceu uma nova maneira de entrar.

Esses modelos são capazes de representar, em números, o significado semântico da fala, permitindo que os cientistas observem quais padrões de atividade neuronal correspondia a sequências de palavras com um significado particular, em vez de tentar ler a atividade palavra por palavra. O processo de aprendizagem foi intensivo: três voluntários foram obrigados a ficar em um scanner por 16 horas cada, ouvindo podcasts.

23 Pará+
No ano passado, pesquisadores da Meta afirmaram que seu modelo de IA era capaz de decodificar segmentos de fala a partir de três segundos de atividade cerebral
Trav. Padre Eutíquio nº1879 (entre Mundurucus e Pariquis prox. ao LIDER Batista Campos) (91) 99988-0259 - Costura em Geral - Concertos, Reparos e Ajustes - Troca de Ziper - Bordado Computadorizado - Bordado Personalizado - Logomarcas Borde Sua Marca! ANTECIPE ENCOMENDAS DOS BORDADOS para o DIA DOS NAMORADOS
Vídeo mostra uma visão do córtex cerebral de uma pessoa. As áreas rosa têm atividade acima da média; áreas azuis têm atividade abaixo da média. O estudo usou ressonância magnética funcional (fMRI) para decodificar os pensamentos das pessoas Assista o GIF: www.bit.ly/41p5W8j Grande modelo de linguagem, GPT-1, um precursor do ChatGPT

O decodificador foi treinado para combinar a atividade cerebral com o significado usando um grande modelo de linguagem, GPT-1, um precursor do ChatGPT.

Mais tarde, os mesmos participantes foram escaneados ouvindo uma nova história ou imaginando contar uma história e o decodificador foi usado para gerar texto apenas a partir da atividade cerebral. Cerca de metade do tempo, o texto se aproximava – e às vezes precisamente – correspondia aos significados pretendidos das palavras originais. “Nosso sistema funciona no nível de ideias, semântica, significado”, disse Huth. “Esta é a razão pela qual o que divulgamos não são as palavras exatas, é a essência”. Por exemplo, quando um participante ouviu as palavras “Ainda não tenho carteira de motorista”, o decodificador as traduziu como “Ela ainda nem começou a aprender a dirigir”. Em outro caso, as palavras “Não sabia se gritava, chorava ou fugia. Em vez disso, eu disse: ‘Deixe-me em paz!’” foram decodificadas como “Começou a gritar e chorar, e então ela apenas disse: ‘Eu disse para você me deixar em paz”. Os participantes também foram solicitados a assistir a quatro vídeos curtos e silenciosos enquanto estavam no scanner, e o decodificador

foi capaz de usar sua atividade cerebral para descrever com precisão parte do conteúdo. “Para um método não invasivo, este é um verdadeiro avanço em comparação com o que

Às vezes, o decodificador entendia o lado errado do bastão e lutava com certos aspectos da linguagem, incluindo pronomes. “Ele não sabe se é primeira pessoa ou terceira pessoa, homem ou mulher”, disse Huth. “Por que é ruim nisso, não sabemos”. O decodificador era personalizado e quando o modelo era testado em outra pessoa a leitura era ininteligível. Também foi possível para os participantes nos quais o decodificador foi treinado frustrar o sistema, por exemplo, pensando em animais ou imaginando silenciosamente outra história.

Jerry Tang, estudante de doutorado na Universidade do Texas em Austin e coautor, disse: “Levamos muito a sério as preocupações de que ele possa ser usado para propósitos ruins e trabalhamos para evitar isso. Queremos garantir que as pessoas usem esse tipo de tecnologia apenas quando quiserem e que isso as ajude”. Esta é uma descoberta não trivial e pode ser uma base para o desenvolvimento de interfaces cérebro-computador. A equipe agora espera avaliar se a técnica pode ser aplicada a outros sistemas de imagem cerebral mais portáteis, como a espectroscopia funcional de infravermelho próximo (fNIRS).

Jerry Tang se prepara para coletar dados de atividade cerebral no Biomedical Imaging Center da Universidade do Texas em Austin. Os pesquisadores treinaram seu decodificador semântico em dezenas de horas de dados de atividade cerebral dos participantes, coletados em um Scanner Fmri Alex Huth (Esquerda), discute o projeto do decodificador semântico com Jerry Tang (Centro) e Shailee Jain (Direita) no Biomedical Imaging Center da Universidade Do Texas Em Austin. Os pesquisadores treinaram seu decodificador semântico em dezenas de horas de dados de atividade cerebral dos participantes, coletados em um Scanner Fmr foi feito antes, que normalmente são palavras únicas ou frases curtas”, disse Huth.

Vamos substituir a carne em nossas dietas por insetos?

Até 2050 haverá cerca de 10 bilhões de seres humanos vivendo neste planeta. Além de muitas bocas para alimentar, essas pessoas serão, em média, mais ricas do que a população de hoje, com gosto pelos alimentos encontrados em regiões como os Estados Unidos e a Europa Ocidental. Mas nós simplesmente não temos a capacidade, a terra ou os recursos de produção para garantir que muitas pessoas possam comer um cheeseburger sempre que quiser. Felizmente, pesquisadores de todo o mundo estão trabalhando em fontes alternativas de proteína para complementar nossa carne bovina, suína e de frango existentes.

Claro, há o tofu, que tem sido usado como substituto da carne por milhares de anos. Mas os consumidores de hoje esperam que seus substitutos de proteína se assemelhem muito às carnes que estão substituindo, e é por isso que alternativas de hambúrguer à base de plantas oferecem o mesmo chiado sangrento que a carne bovina. Isso vem do heme derivado de raízes de soja que são fermentadas em leveduras geneticamente modificadas. Por outro lado, existem métodos de processamento que “alinha as proteínas vegetais nas mesmas estruturas fibrosas encontradas nas proteínas animais”. Mas, por mais que pareçam, cheirem e tenham gosto de um hambúrguer de carne de verdade, Julie Lesnik, antropóloga biológica da Wayne State University, defende que procuremos obter nossa carne de animais menores e mais eficientes em termos de recursos do que o gado - especificamente, grilos.

Texto *Lilian Guedes Fotos Hua Hin, Thai Street Insects, Unsplash, Wikipedia
Comer insetos pode não parecer tão atraente, mas eles são uma ótima fonte de proteínas e micronutrientes
Em 2013, a ONU produziu um relatório sobre a ingestão de insetos comestíveis e, desde então, o número de produtores e comedores de insetos aumentou Alimento nutritivo e rico em proteínas

Ela ressalta que, por quilo, os grilos oferecem aproximadamente a mesma quantidade de proteína que a carne bovina, além de significativamente mais micronutrientes, já que você também está consumindo o exoesqueleto.

Mudar nossa dieta de vaca para grilo também pode ajudar a retardar a mudança climática. A FAO estima que os animais de pasto são responsáveis por até 40% do metano liberado na atmosfera todos os anos.

Os grilos, no entanto, geralmente não comem capim e feno e, portanto, produzem uma fração dos gases de efeito estufa.

Por tudo isso, substituir a carne bovina por proteínas alternativas poderia reduzir as emissões de metano de sete a 26 por cento, dependendo da região.

A procura de proteínas

Você está procurando uma fonte de proteína sustentável que seja econômica e ecológica? Não procure mais do que insetos! Embora possa parecer pouco convencional para muitos, os insetos são um alimento nutritivo e rico em proteínas que podem potencialmente revolucionar nossas dietas.

A pesquisa mostrou que o ser humano médio precisa de cerca de 0,37 gramas de proteína por quilo de peso corporal.

No entanto, hábitos alimentares pouco saudáveis e falta de acesso a alimentos muitas vezes fazem com que as pessoas fiquem aquém desse intervalo. A proteína é essencial para a manutenção celular, desenvolvimento muscular e saúde óssea, tornando-se um componente crucial de nossas dietas.

Tradicionalmente, carne vermelha e frango têm sido os pilares de nossas dietas.

No entanto, a criação de gado e galinhas não são métodos ecologicamente corretos de produção de proteína. Por exemplo, as aves de capoeira produzem uma média de 6 libras de emissões de carbono para cada 50 gramas de proteína, enquanto a carne bovina é muito pior com 40 libras para a mesma quantidade de proteína.

Os insetos , por outro lado, são uma opção muito mais sustentável. A criação de insetos é de baixa manutenção, econômica e produz muito menos emissões de carbono do que a criação de frango e carne vermelha. Embora a ideia de comer insetos possa não parecer atraente no começo, muitas pessoas ao redor do mundo já os incluem em suas dietas.

Mecânica Veículos Nacionais e Importados Pinturas personalizadas, Lanternagem, Diagnóstico em Sistema de Injeção Eletrônica

Campos Sales, 674 (entre General Gurjão e Carlos Gomes) (91) 98128.0490

Evite prejuízos e Acidentes Desde 1984

Trav. 3 de Maio, 876 (Entre Governador José Malcher e Boaventura) (91) 98272.7674

www.paramais.com.br
Não procure mais do que insetos!
SEU VEÍCULO C/ ANTECEDÊNCIA
Apesar de todas as vantagens nutricionais e ambientais, fazer as pessoas comerem grilos - provou ser um desafio
PREVINA-SE! FAÇA UM CHECK UP NO

Se você não sabe, os insetos são os seres vivos mais importantes que podem ser encontrados em todos os ambientes da Terra. Portanto, também não podemos subestimar a importância ecológica deles!

Países como Congo, Camarões e Uganda lideram o consumo mundial de insetos. Segundo a FAO os insetos têm alta taxa de conversão alimentar, ou seja, conseguem transformar a ração consumida em massa corporal com muito mais eficiência. Gafanhotos convertem 2 quilos (kg) de alimento em um 1 kg de massa corporal, enquanto bois fazem essa mesma conversão na proporção de 10 para um.

Outra vantagem dos insetos na comparação com mamíferos e aves é o baixo risco de transmissão de zoonoses, contrariando o senso comum que os associa a doenças.

De maneira geral, eles são seguros, desde que criados em condições controladas e processados corretamente.

Os insetos também podem fornecer uma opção alimentar mais acessível para pessoas em países do terceiro mundo.

À medida que a população mundial cresce, encontrar fontes sustentáveis de alimentos se tornará cada vez mais importante. Os insetos podem desempenhar um papel crucial na alimentação de nossa população cada vez maior.

Então, você está disposto a mudar sua dieta para incluir alguns insetos? Embora possa parecer pouco convencional, eles são uma fonte de proteína nutritiva e sustentável que pode mudar a maneira como pensamos sobre os alimentos.

Alguns dos insetos comestíveis mais comuns no mundo

As canções dos oceanos aumentam a consciência ambiental

Sonificação de dados oceânicos em arte-ciência. Para muitas pessoas, existem poucos sons tão relaxantes quanto as ondas do mar. Mas o som do mar também pode transmitir emoções mais profundas e aumentar a conscientização sobre a poluição

ArtScience é um campo em expansão que promove a colaboração bidirecional entre cientistas e artistas. Os artistas aprendem com os cientistas para informar a criação de novos trabalhos com base em ideias e dados científicos. Os cientistas aprendem com os artistas a explorar dados de novas maneiras e aprender novas formas de comunicação.

No próximo 184º Encontro da Acoustical Society of America, Colin Malloy, da Ocean Network Canada, apresentará seu método para transformar dados oceânicos em cativantes canções solo de percussão. A palestra, “Sonification of ocean data in art-science”, ocorreu recentemente, na quarta-feira, 10 de maio.

Para construir suas composições, Malloy emprega o som de microfones subaquáticos, chamados hidrofones, e introduz elementos inspirados em dados relacionados ao oceano, como temperatura, acidez e oxigenação. Os ouvintes podem encontrar apresentações da música de Malloy no YouTube.

Em seu trabalho Oil & Water, Malloy representa o impacto da produção de petróleo nos oceanos.

Ele toca uma melodia estranhamente cativante em tambores de aço e insere ruídos para representar a produção de petróleo nos últimos 120 anos.

As interjeições aumentam ao longo da peça para imitar o aumento da produção nos últimos anos. Perto do final da música, ele usa dados de consumo de petróleo como oscilador de um sintetizador. Ao representar os dados dessa maneira, ele espera que sua música encoraje os ouvintes a refletir sobre o significado e o meio.

“A arte ajuda as pessoas a digerir informações em um nível emocional que a comunicação científica típica não consegue”, disse Malloy. “Espero que, ao ouvir estas peças, as pessoas as usem como um espaço para refletir sobre o que cada peça está tentando retratar. Em última análise, gostaria que elas ajudassem a criar consciência sobre os vários problemas que envolvem os oceanos”.

O campo ArtScience, apropriadamente chamado, incentiva cientistas e artistas a aprenderem uns com os outros sobre comunicação, conexão e ciência.

O programa de residência artística da Ocean Network Canada recruta artistas para trabalhar com cientistas, se envolver com pesquisas e se conectar a um público cultural maior.

Malloy, que tem formação educacional em matemática, ciência da computação e música, acredita que trabalhar no equilíbrio entre ciência e arte oferece a ele uma perspectiva única.

“Há muita arte na ciência e muita ciência na arte - mais do que a maioria das pessoas percebe em qualquer direção”, disse Malloy.

28 www.paramais.com.br Pará+
Malloy com o tambor de óleo usado para suas apresentações musicais Óleo & Água. solo... barril de aço, percussão e eletrônica. Assista no YouTube a apresentação dos belos sons: www.youtu.be/xZkmVc5aHIU Texto *Acoustical Society of America Fotos Acoustical Society of America, Colin Malloy

Música de sons produzidos por peixes no EuroFISHion

Para comemorar o Festival Eurovisão da Canção, o Sea Life London Aquarium criou uma canção de sons de peixes

Cientistas prestam homenagem ao concurso de música com uma faixa composta inteiramente de sons feitos por peixes de países concorrentes - e é surpreendentemente cativante.

Embora a competição deste ano incluísse participantes de países como Portugal, Suécia e Israel, um candidato improvável entrou na corrida - um coral de peixes.

O lançamento da faixa ocorreu logo após a equipe do Sea Life London Aquarium compartilhar imagens adoráveis de arraias jogando sua própria versão de futebol subaquático.

A música deles, intitulada EuroFISHion, foi mixada nos estúdios Abbey Road em Londres, e é surpreendentemente cativante. “Sabíamos há algum tempo que nossos residentes são superestrelas da música, então, antes de ocorrer o espetáculo, sabíamos que tínhamos que nos juntar à diversão e liberar seu talento para o mundo”, disse Catherine Pritchard, gerente geral do SEA LIFE de Londres. Aquário. Daí surgiu a ideia dos cientistas do SEA LIFE London Aquarium em criarem uma música feita inteiramente de sons feitos por peixes de países concorrentes

Além de ser divertido de assistir, a bola de futebol — que era recheada de comida — por estimular a estimulação mental, segundo o time. “Podíamos ouvir a biodiversidade, rastrear o destino dos habitats conforme eles declinam e se recuperam, e podíamos também medir os sons das atividades de reprodução e alimentação, de recifes de corais a piscinas rochosas e oceanos profundos”. “Quanto mais ouvimos o oceano e sua incrível variedade de animais, mais aprendemos. Isso permitiu que a equipe gravasse os sons estranhos e maravilhosos feitos por espécies de alguns dos países participantes do Festival Eurovisão da Canção.

A pista foi criada em colaboração com o professor Steve Simpson, professor de biologia marinha e mudanças globais na Universidade de Bristol. O professor Simpson, gravou os sons usando dispositivos de gravação subaquática chamados hidrofones.

Estes foram colocados no fundo de vários tanques do Aquário de Londres, incluindo o Ocean Tank e o Coral Kingdom.

“Tudo, desde baleias a golfinhos, de peixes a lagostas, e até eelgrass e algas, toca na orquestra de sons do oceano.

As criaturas apresentadas no curso incluem a dourada, encontrada ao longo das costas de vários países da Europa Ocidental, bem como o peixe-palhaço, que vive em toda a Grande Barreira de Corais da Austrália.

Depois que os sons foram gravados, a equipe foi aos estúdios de Abbey Road para lançar e mixar a faixa.

‘EuroFISHion tornou-se um verdadeiro verme de ouvido –desde que ouvi o último corte, não consigo tirá-lo da cabeça!’ disse o professor Simpson. “Quanto mais ouvimos o oceano e sua incrível variedade de animais, mais aprendemos.

29 www.paramais.com.br Pará+
Especialista aquarista enfeitando os tanques prontos para receber os convidados Cientistas do SEA LIFE London Aquarium criaram uma música feita inteiramente de sons feitos por peixes de países concorrentes. Assista o Vídeo www.bit.ly/3VUeBys Arraia jogando futebol subaquático. Assista o Video:. Assista o Vídeo www.bit.ly/3LWGTUH O professor Simpson, junto com suas alunas, Emily e Lane Fotos Sea Life London Aquarium

A prova mais antiga de culinária mostra que nossos ancestrais gostavam de peixe bem passado

Mas o nascimento das artes culinárias marca uma importante virada na história da humanidade , porque acredita-se que, ao tornar os alimentos mais fáceis de mastigar e digerir, contribuiu muito para nossa eventual expansão pelo mundo.

Anteriormente, a primeira “evidência definitiva” de cozinhar foi feita pelos neandertais e pelos primeiros Homo sapiens há 170.000 anos, de acordo com um novo estudo publicado na Nature Ecology and Evolution. O estudo, que atrasa essa data em mais de 600.000 anos, é o resultado de 16 anos de trabalho de seu primeiro autor, Irit Zohar, arqueólogo do Museu Steinhardt de História Natural da Universidade de Tel Aviv.

Durante esse tempo, ela catalogou milhares de restos de peixes encontrados em um local chamado Gesher Benot Ya’aqov, no norte de Israel.

O local perto das margens do rio Jordão já abrigou um lago, onde um tesouro de fósseis de peixes antigos ajudou a equipe de pesquisadores a investigar exatamente quando os primeiros cozinheiros começaram a ser criativos na cozinha.

“Foi como enfrentar um quebra-cabeça, com mais e mais informações até que pudéssemos fazer uma história sobre a evolução humana “, disse Zohar à AFP.

‘Desejo de cozinhar’?

A primeira pista veio de uma área que continha “quase nenhuma espinha de peixe”, mas muitos dentes, disse ela.

Isso pode apontar para o cozimento porque os ossos dos peixes amolecem e se desintegram em temperaturas abaixo de 500 graus Celsius (930 Fahrenheit) – mas seus dentes permanecem.

Na mesma área, um colega de Zohar encontrou pederneiras queimadas e outras evidências de que ela já havia sido usada como lareira.

E a maioria dos dentes pertencia a apenas duas espécies particularmente grandes de carpas, sugerindo que elas foram selecionadas por sua carne “suculenta”, disse o estudo. Algumas carpas tinham mais de dois metros de comprimento.

30 www.paramais.com.br Pará+
A data exata em que nossos ancestrais começaram a cozinhar tem sido motivo de controvérsia entre os arqueólogos, pois é difícil provar que uma antiga lareira servia para preparar alimentos, e não apenas para aquecerem. Os primeiros ancestrais humanos que viveram
780.000 anos atrás gostavam de seu peixe bem passado, revelaram pesquisadores israelenses na segunda-feira, no que eles disseram ser a evidência mais antiga de fogo sendo usado para cozinhar
Israel encontraram evidências de cozinhar peixes datados de cerca de 780.000 anos atrás Ilustração de hominídeos explorando e cozinhando Luciobarbus longiceps (barbo grande, Cyprinidae) nas margens do paleo Lago Hula (ilustração de Ella Maru). Crédito: Universidade de Tel Aviv Fotos Museu Steinhardt de História Natural da Universidade de Tel Aviv., Nature Ecology & Evolution

A prova “decisiva” veio do estudo do esmalte dos dentes, disse Zohar.

Os pesquisadores usaram uma técnica chamada difração de pó de raios-X no Museu de História Natural de Londres para descobrir como o aquecimento altera a estrutura dos cristais que compõem o esmalte.

Comparando os resultados com outros fósseis de peixes, eles descobriram que os dentes da área chave do lago foram submetidos a uma temperatura entre 200500 graus Celsius (400-930 Fahrenheit).

Essa é a faixa certa para peixes bem cozidos. Ainda não se sabe se nossos ancestrais assaram, grelharam, escaldaram ou refogaram o peixe, embora o estudo sugira que eles podem ter usado algum tipo de forno de terra. Acredita-se que o fogo tenha sido dominado pelo Homo erectus há cerca de 1,7 milhão de anos.

Mas “porque você pode controlar o fogo para aquecer, isso não significa que você

Local perto das margens do rio Jordão já abrigou um lago, onde um tesouro de fósseis de peixes antigos ajudou a equipe de pesquisadores a investigar exatamente quando os primeiros cozinheiros começaram a ser criativos na cozinha

o controle para cozinhar - eles poderiam ter comido o peixe próximo ao fogo”, disse Zohar. Então os ancestrais humanos podem ter jogado os ossos no fogo, disse Anais Marrast, arqueozoóloga do Museu

O nascimento da culinária marca um ponto de virada importante na história humana

Nacional de História Natural da França, não envolvida no estudo. “Toda a questão sobre a exposição ao fogo é se trata de se livrar dos restos mortais ou do desejo de cozinhar”, disse ela.

¼3237-7194 Õ98049-6921 AV. PEDRO ÁLVARES CABRAL, RUA ESTÉLIO MAROJA 3158 EM FRENTE A FEIRA DO BARREIRO - SACRAMENTA EXAMES+ARMAÇÃO E LENTES ANTI-REFLEXO R$74,99 POR 2XDE quarta tem! *valor sujeito a correção

O Valor das Árvores nas Religiões Mundiais

As árvores são características proeminentes nos contos e triunfos das religiões em todo o mundo. Eles foram vistos ao longo dos tempos como símbolos poderosos de prosperidade e nascimento, muitas vezes representados na forma de ‘árvores da vida’ ou ‘presentes que continuam dando’.

O mundo hoje está muito longe de tempos mais simples – ainda, apesar da derrubada de árvores em escala global, as religiões continuam a aclamá-las como sagradas.

Em muitos países, é exatamente isso que está impedindo que as florestas fiquem intocadas pela industrialização.

O valor das árvores no cristianismo

Um estudo descobriu que a Bíblia, a coleção de textos sagrados seguidos pelos cristãos, menciona árvores nada menos que 525 vezes.

O único outro ser vivo mais mencionado é o ser humano.

Quatro árvores têm a importância mais significativa na Bíblia - a Árvore da Vida no Gênesis, a Árvore do Conhecimento do Bem e do Mal, a Árvore da Vida mencionada no Apocalipse e, finalmente, a Árvore que fez a cruz sobre a qual Jesus foi crucificado. Cedros, tamareiras, figueiras, carvalhos e oliveiras são os mais mencionados na Bíblia, embora outras espécies também apareçam.

De acordo com Gênesis 1 no Antigo Testamento da Bíblia, foi dito que Deus criou toda a vida vegetal no terceiro dia. Os humanos foram então criados para desfrutar dos frutos de seu trabalho. Enquanto alguns interpretam isso como um passe para dominar a natureza, outros ainda veem isso como instruções para proteger o meio ambiente e pegar apenas o que ele dá, nunca mais.

Hoje, muitos cristãos devotos assumiram a responsabilidade de melhorar, nutrir e proteger o mundo natural e as árvores aparecem predominantemente em seus planos.

O Valor das Árvores no Islã

O plantio de árvores é visto como uma forma de caridade no Islã, já que muitos outros desfrutam dos produtos da árvore ou de seus benefícios entre as espécies. Um ditado do profeta Maomé que supostamente remonta a 14 séculos atrás afirma que “Se um muçulmano planta uma árvore ou semeia sementes e, em seguida, um pássaro, uma pessoa ou um animal come dela, isso é considerado um presente de caridade para ele”.

Ainda outro valor propagado pelo Islã é o respeito às árvores e aos presentes que ela confere às pessoas.

32 REVISTA AMAZÔNIA revistaamazonia.com.br
Árvore da Vida em Gênesis. Johann Wenzel Peter. Óleo sobre tela, 1800 – 1929. Pinacoteca Texto *Bas Fransen Fotos De largemekong.panda.org, EcoMatcher

Um parágrafo de uma das escrituras sagradas narra a história de um menino que atirou pedras em uma tamareira para colher frutas. Diz-se que o profeta Maomé castigava o menino gentilmente, dizendo-lhe para ‘comer o que cai’ sem prejudicar a árvore. Este mesmo princípio das árvores foi estendido muitas vezes à natureza em geral. De acordo com anedotas transmitidas por gerações, o conselho do profeta Maomé sobre as árvores e a natureza explorou as conexões entre as atividades éticas durante a vida e seus efeitos na vida após a morte. Os devotos afirmam que este foi um incentivo frutífero para convidar os muçulmanos a desacelerar, consumir apenas o que precisam e cuidar do planeta em que vivem.

O Ramadã, o nono mês do calendário islâmico durante o qual os muçulmanos devotos jejuam do nascer ao pôr do sol, também é um período de caridade. Acredita-se que o poder das boas ações é multiplicado quando realizado durante o Ramadã do que em qualquer outra época do ano (3). Muitas vezes, as árvores estão envolvidas.

Cardápio Variados

Peixes, Churrascos, Frangos e etc

Sucos e Refrigerantes variado

às árvores e aos presentes que ela confere às pessoateca

O espírito do Ramadã é frequentemente compartilhado por não-muçulmanos, que participam de eventos de caridade, como plantio de árvores, doação e patrocínio de refeições em solidariedade aos devotos muçulmanos.

O valor das árvores no budismo

A relação entre ecologia e cultura é uma parte significativa do budismo. De acordo com as autoridades budistas, a natureza tem sido considerada como uma força de sustentação da vida desde o tempo dos antigos sábios. As escrituras dizem que o Senhor Buda nasceu, iluminou-se e recuperou-se sob a Figueira Bodhi, que também é conhecida como a Árvore do Despertar ( 4 ). Durante a época do Buda, muitas florestas foram reverenciadas, plantadas ou protegidas; as universidades construídas neste período continuam a se orgulhar de ambientes exuberantes repletos de enormes árvores plantadas décadas atrás.

Em vários textos budistas, várias espécies de árvores, desde a árvore Asoka até a figueira-da-índia, são mencionadas em diferentes contextos. Eles aparecem principalmente em descrições dos arredores do Buda ou de lugares onde viajantes cansados escolheram descansar ou meditar. O posicionamento abrangente das árvores é o doador de sombra, descanso, comida e iluminação.

Monge budista ordena uma árvore em uma floresta comunitária na província de Kratie, no Camboja Respeito
Trav. Coronel Luíz Bentes, 42 - Telégrafo Delivery 91 99103-0301 Das 11 às 15hrs todos os dias
Desde 2008

O valor das árvores no hinduísmo

Assim como no budismo, o hinduísmo muitas vezes posicionou as árvores como doadoras de conhecimento e iluminação. As árvores são reverenciadas no hinduísmo; o Rig Veda instrui a não cortar árvores ou arrancá-las, pois elas fornecem proteção aos seres vivos.

As escrituras também nomearam certas árvores como ‘sagradas’ para protegê-las de serem despojos do homem. A Ashoka é uma dessas árvores, assim como a árvore Peepal, que foi retratada em selos que datam da Civilização do Vale do Indo. Diz-se que a figueira-de-bengala representa a vida, o crescimento e a fertilidade; para muitos outros, também representa a Trimurti (tríade sagrada) formada pelo Senhor Vishnu, Senhor Shiva e Senhor Brahma ( 5 ).

No entanto, outras árvores são respeitadas e cuidadas pelo valor tangível que trazem para a vida cotidiana.

A bananeira, por exemplo, é parte integrante dos rituais hindus porque dizem que promove o bem-estar de uma família e a maioria das partes da planta pode ser aproveitada.

A Palavra Final

As árvores continuam a desempenhar um papel significativo na religião até hoje. Muitos estudiosos defendem o retorno de certas crenças ecocêntricas como benéficas para a preservação e propagação de árvores. O foco não está em rituais infundados ou falsas reivindicações, mas em restaurar o equilíbrio ecológico, usando apenas o que precisamos e devolvendo o que tiramos da natureza.

Independentemente da religião e dos contos que contam, as escrituras posicionam as árvores como doadoras de vida e dignas de respeito e cuidado. Devotos de muitas religiões praticam isso em todo o mundo, plantando árvores como indivíduos ou empresas e participando de atividades de caridade ecológicas. À medida que 2023 continua a se desenrolar e traz consigo ocasiões religiosas, a EcoMatcher terá o prazer de ajudá-lo a plantar árvores e promover valores egocêntricos.

34 REVISTA AMAZÔNIA revistaamazonia.com.br
As árvores são reverenciadas no Hinduísmo Os seres humanos têm uma profunda necessidade emocional de simbolismo e ritual, o temor inspirado pelas árvores teve raízes férteis no passado e continua a dar frutos e novos brotos em nosso mundo moderno
PAULO FERREIRA PREFEITO #JuntoComOpovo

Turn static files into dynamic content formats.

Create a flipbook
Issuu converts static files into: digital portfolios, online yearbooks, online catalogs, digital photo albums and more. Sign up and create your flipbook.
Pará+ 254 by Editora Círios Ltda - Issuu