NEUROLOGÍA
          Christiam Ochoa
          Í NDICE 01 Aspectos generales Coma pág. 197 Migraña Cefalea Tensional Cefaleas 02 pág. 199 03 pág. 203 Aspectos generales Diagnóstico Tratamiento Enfermedad cerebro vascular (ECV) 04 pág. 209 Meningitis 07 Trastornos Hipercinéticos Trastornos Hipocinéticos Disquinesias (trastornos del movimiento) pág. 217 Aspectos generales Diagnóstico Tratamiento 08 pág. 219 Enfermedad de Parkinson Diagnóstico Tratamiento Cefalea de Horton Neuralgia del trigémino Aspectos generales Diagnóstico Tratamiento 09 pág. 221 Enfermedad Alzheimer Aspectos generales Diagnóstico Tratamiento 10 pág. 223 Epilepsia Aspectos generales 11 pág. 227 Crisis epiléptica y estatus epiléptico Intoxicaciones Miastenia gravis Síndrome de Eaton-Lambert Botulismo 05 pág. 213 Enfermedad de placa motora Aspectos generales Diagnóstico Tratamiento 12 pág. 231 Crisis febriles Circulación cerebral Ictus ECV Isquémico ECV Hemorrágico Hemorragia Subaracnoidea (HSA) Aspectos generales Diagnóstico 06 pág. 215 Síndrome de guillian barré (SGB) Diagnóstico Tratamiento
        Aspectos generales
          Se define como el estado en el que la persona no responde ni despierta ante los estímulos. Se recomienda no usar términos ambiguos como somnolencia o estupor. Es una emergencia neurológica. Se debe a la lesión de sistema reticular activador ascendente o a los dos hemisferios cerebrales juntos. La causa más frecuente de coma es el traumatismo encefalocraneano y en segundo lugar el coma metabólico.
          Diagnóstico
          Recuerda
          La causa más frecuente de coma es el traumatismo encefalocraneano y en segundo lugar el coma metabólico. El reflejo fotomotor que sirve para diferenciar lesión del par craneal II del III.
          El objetivo es encontrar el “nivel” de lesión que tiene un paciente en coma para abordar la posible etiología. Para ello se requiere revisar los reflejos del tronco encefálico.
          Pupilas: reflejo fotomotor que sirve para diferenciar lesión del par craneal II del III. Motor Ocular: roving., reflejo óculocefálico, reflejos óculovestibulares, bobbing y desviación conjugada de la mirada.
          Reflejo Corneal: evalúa la vía aferente del par V1 (ENAM 2015-A) y la eferente del par VII.
          Respuesta al Dolor: decorticado o flexión patológica si la lesión esta por encima del núcleo rojo y descerebrado o extensión patológica si la lesión es por debajo. Si hay hipotonía se sospecha lesión bulbar. Si la respuesta es asimétrica se sospecha focalización.
          Ritmo Respiratorio: no son signos específicos y pueden llevarnos a confusión. Sin embargo, el patrón más característico que representa una lesión diencefálica o cortical bilateral es la respiración de Cheyne Stokes. Otros patrones son la hiperventilación neurógena central, apnéustica y atáxica. La bradipnea se asocia a sedación. Una vez identificado el “nivel” se debe evaluar la severidad con la escala de Glasgow. Menos de 8 puntos, indica severidad. El descenso de 3 o más puntos, en exámenes repetidos, independientemente de la cifra inicial, orienta hacia una lesión grave.
          Recuerda
          El reflejo corneal evalúa la vía aferente del par V1 y la eferente del par VII.
          En la respuesta al dolor, la posición en decorticado o flexión patológica indica lesión por encima del núcleo rojo y descerebrado o extensión patológica, la lesión es por debajo.
          1. APERTURA DE LOS OJOS Espontánea – 4p
          A la voz – 3p Al dolor – 2p Nula – 1p
          www.qxmedic.com PAG. 197
        01. COMA
        Recuerda
          Una puntuación de menos de 8 puntos, indica severidad en la escala de Glasgow.
          Tratamiento
          Recuerda
          En toda emergencia, primero se aplica el ABCD. Si la escala de Glasgow es igual o menor a 8 se intuba.
          Intoxicaciones
          2. RESPUESTA A ESTÍMULOS
          Obedece – 6p
          Localiza – 5p
          Retira – 4p
          Respuesta flexora – 3p
          Respuesta extensora – 2p
          Nula – 1p
          3. RESPUESTA VERBAL
          Orientado – 5p
          Confuso – 4p
          Inadecuado – 3p
          Incomprensible – 2p
          Nula – 1p
          Recuerda
          En la intoxicación por organofosforados – carbamatos, el paciente presenta bradicardia, hipotensión arterial, bradipnea, miosis, fasciculación, aumento de secreciones.
          Como toda emergencia, primero se aplica el ABCD. Si la escala de Glasgow es igual o menor a 8 se intuba. Si hubo TEC se coloca collarín. Si desatura se aplica O2 suplementario.
          Todo paciente en coma recibe un bolo de glucosa 50% EV 50mL y se añade tiamina 100 mg EV si se sospecha que el paciente es alcohólico. Las convulsiones en el coma se deben tratar con fenitoína o equivalente.
          En la deficiencia de tiamina se presenta la encefalopatía de Wernicke con la triada clásica de confusión, ataxia y oftalmoplejía.
          Se inicia tratamiento empírico con antibióticos si se sospecha infección del SNC o manitol si se sospecha HTEC.
          En los pacientes con coma se debe sospechar intoxicación por sustancias e iniciar su tratamiento lo antes posible. Las sustancias más frecuentes causantes de coma son:
          Organofosforados – Carbamatos: El paciente presenta bradicardia, hipotensión arterial, bradipnea, miosis, fasciculación, aumento de secreciones. (ENAM 2015A, ENAM EXTRA 2020). Se trata con atropina (ENAM EXTRA 2021-I, ENAM EXTRA 2020, ENAM 2019-A, ENAM 2014-B, ENAM 2020, ENAM 2013-A) y en casos severos se aplica el antídoto del organofosforado que es la pralidoxima. Los carbamatos no tienen antídoto (ENAM 2012-B)
          Opiodes: Se presenta por consumo de opioides como morfina, oxicodona, fentanilo, heroína, etc. Ocurre en pacientes con factores de riesgo de drogadicción o personal de salud con acceso a opioides. Es frecuente encontrar lesiones de venopunción en los brazos. La clínica característica es agitación, disforia, miosis puntiforme, bradipnea (apnea en casos extremos), bradicardia y disminución de los ruidos intestinales (ENAM 2018-A)
          
    Antimuscarínicos (belladona, atropina): Presenta taquicardia, hipertensión arterial, midriasis, sequedad de piel y mucosas, rubor y calor. Se trata con inhibidores de la acetilcolinesterasa.
          Cocaína: Presenta midriasis, diaforesis, pero con boca seca. Taquicardia, hipertensión arterial y agitación psicomotriz. El manejo es de soporte y se deben evitar los calcio antagonistas o beta bloqueadores. La clínica es similar en el caso de intoxicación por alucinógenos. (ENAM 2020)
          Sedantes: Se presenta tras intoxicarse con benzodiacepinas, alcohol o barbitúricos (ENAM 2020) La clínica consiste en sedación, bradipnea (apnea en casos severos), hiporreflexia y en algunos casos miosis. No hay otros hallazgos y suele ser por descarte. El manejo es con Flumazenilo como antídoto en caso de sospecha de benzodiacepinas (ENAM EXTRA 2020). Para el resto se recomienda observación y vigilancia de la ventilación. En casos severos de intoxicación alcohólica se puede requerir diálisis. En casos de intoxicación por alcohol metílico se añade a la clínica de depresión respiratoria un cuadro de acidosis metabólica anion gap elevado y ceguera por daño del II par craneal. (ENAM EXTRA 2020, ENAM 2020)
          www.qxmedic.com NEUROLOGÍA PAG. 198
        
              
              
            
            02. CEFALEAS
          Migraña
          Aspectos generales
          Es la cefalea primaria más frecuente motivo de consulta al neurólogo. Afecta a mujeres jóvenes con antecedentes familiares de migraña. Tiene dos tipos:
          Común: La migraña más frecuente que no presenta aura.
          Clásica: Afecta a un 15% de migrañosas y presenta el fenómeno de aura.
          Recuerda
          El tipo de migraña más frecuente que no presenta aura es la llamada ¨Común¨.
          Recuerda
          - La cefalea cumple al menos dos entre:
          • Unilateral
          • Pulsátil
          • Intensidad moderada a grave
          • Aumenta con la actividad física
          Diagnóstico
          Para establecer el diagnóstico es crucial la cronopatología de la historia clínica y la ausencia de signos que orienten a otras cefaleas secundarias. Los exámenes auxiliares son normales y no suelen ser de ayuda para el diagnóstico.
          CRITERIOS
          DIAGNÓSTICO DE MIGRAÑA SEGÚN LA IHS (Internacional Headache Society) (ENAM 2019-A)
          Historia, exploración clínica y exámenes complementarios negativos (de otro proceso cerebral).
          Ataques múltiples (al menos 5) de cefalea.
          Duración de horas o días (4-72h).
          La cefalea cumple al menos dos de los siguientes:
          ♦ Unilateral
          ♦ Pulsátil
          ♦ Intensidad moderada a grave
          ♦ Aumenta con la actividad física
          Al menos una de las siguientes características:
          ♦ Náuseas, vómitos o ambos
          ♦ Fotofobia o sonofobia
          No existe otra enfermedad que explique mejor la cefalea.
          www.qxmedic.com PAG. 199
        Figura 1. Fisiopatología de la migraña
          Otras formas de migraña
          Existen otras formas de migraña como:
          Migraña basilar: dolor de predominio occipital acompañado de síntomas vertebro-basilares como: borrosidad visual, disartria, vértigo, diplopía, parestesias o debilidad bilateral o alteraciones del nivel de conciencia.
          
    Aura migrañosa sin cefalea o equivalente migrañoso.
          Migraña hemipléjico familiar: El aura es una hemiparesia de predominio en la cara y extremidad superior.
          Migraña complicada, infarto migrañoso o migraña-stroke: Los síntomas del aura persisten más allá del fin de la cefalea y hay lesión isquémica en la resonancia.
          Estado de mal migrañoso (status migrañoso): Episodios de migraña que duran más de 72 horas a pesar del tratamiento.
          Migraña transformada o crónica criterios diagnósticos: Cefalea tensional y/o migraña al menos 15 días al mes durante al menos 3 meses. Dolor de cabeza que cumpla los criterios de migraña sin aura, más de 8 días/mes durante al menos 3 meses.
          Tratamiento
          Recuerda
          El manejo inicia en la migraña es con AINES, si no mejoran se añade TRIPTANOS como el Sumatriptán.
          El manejo de la migraña es escalonado, se recomienda siempre encontrar el desencadenante del ataque migrañoso para evitarlo en el futuro. El manejo inicia administrando AINES, si no mejoran se añade triptanos como el Sumatriptán. Casos extremos como el “status migrañoso” requiere la aplicación de drogas endovenosas y añadir corticoides.
          Pacientes que tienen 4 o más episodios de migraña al mes requieren tratamiento profiláctico con betabloqueantes, calcio antagonistas, antidepresivos tricíclicos o anticonvulsivantes.
          
    Cefalea tensional
          Aspectos generales
          Es la cefalea más frecuente pero no suelen acudir al neurólogo. El 50% se asocia a estrés, ansiedad y depresión. También, se ha relacionado a traumatismos cervicales.
          Diagnóstico
          Sensación de "pesadez" en la cabeza, opresión en banda o en casco. Bilateral que no impide las tareas del día. Empeora con el paso del día y con el estrés.
          www.qxmedic.com NEUROLOGÍA PAG. 200
        Figura 2. Patrón de la cefalea tensional en Vincha
          Recuerda
          El dolor presenta al menos 2 de las siguientes características en la cefalea tensional:
          - Bilateral
          - Calidad opresiva
          - Intensidad levemoderada
          - No se agrava con la actividad física
          Manejo inicial con AINES como el paracetamol.
          CRITERIOS DIAGNÓSTICOS DE CEFALEA TENSIONAL (ENAM EXTRA 2021-I)
          Mínimo de 10 crisis que cumplan los criterios 2-4. Cefalea que dura entre 30 min y 7 días.
          El dolor presenta al menos 2 de las siguientes características:
          ♦ Bilateral
          ♦ Calidad opresiva
          ♦ Intensidad leve-moderada
          
    ♦ No se agrava con la actividad física Cumple las siguientes características
          ♦ Sin nauseas /vómitos
          ♦ Puede asociar sono/fotofobia, pero no ambas. Cefalea no atribuible a otras causas
          Tratamiento
          Manejo inicial con AINES como el paracetamol. . Si no mejora se considera uso de antidepresivos en caso de asociarse a clínica psiquiátrica. Si hay componente traumático, los miorrelajantes pueden ayudar junto a la fisioterapia.
          Cefalea de Horton – en racimos o “Cluster”
          Aspectos generales
          Recuerda
          - La cefalea se acompaña de al menos uno de los siguientes signos:
          • Inyección conjuntival ipsilateral, lagrimeo o ambos.
          • Congestión nasal ipsilateral, rinorrea o ambos.
          • Edema palpebral ipsilateral.
          • Sudación en la frente y cara ipsilateral.
          • Miosis o ptosis ipsilateral o ambos.
          • Inquietud motora y desasosiego.
          • Frecuencia de las crisis entre 1 cada 2 días y 6 al día.
          Es una cefalea trigémino-autonómica. Frecuente en varones de edad media. Afecta por temporadas y se asocia a ansiedad, depresión y suicidio en casos severos mal diagnosticados.
          Diagnóstico
          CRITERIOS DIAGNÓSTICOS
          Se necesitan al menos 5 crisis que cumplan los criterios. Dolor intenso o muy intenso estrictamente unilateral, orbitario, supraorbitario, temporal o ambos, que dura entre 15 y 180 minutos sin tratamiento.
          La cefalea se acompaña de al menos uno de los siguientes signos:
          ♦ Inyección conjuntival ipsilateral, lagrimeo o ambos.
          ♦ Congestión nasal ipsilateral, rinorrea o ambos.
          ♦ Edema palpebral ipsilateral.
          ♦ Sudación en la frente y cara ipsilateral.
          ♦ Miosis o ptosis ipsilateral o ambos.
          ♦ Inquietud motora y desasosiego.
          ♦ Frecuencia de las crisis entre 1 cada 2 días y 6 al día.
          La dolencia no se puede atribuir a otra enfermedad.
          Tratamiento
          Las crisis se manejan con oxígeno alto flujo de hasta 7-10 litros/min. También se usa Sumatriptán SC o intranasal. Requiere siempre profilaxis, se inicia con prednisona y verapamilo. Luego se usa litio.
          www.qxmedic.com NEUROLOGÍA PAG. 201
        Neuralgia del trigémino
          
    Aspectos generales
          Frecuente en mujeres mayores de 50 años, si se presenta en menores sospecha esclerosis múltiple. Es una cefalea trigémino-autonómica idiopática.
          Diagnóstico
          Dolores lancinantes, intensos, de segundos de duración, en territorios de alguna de las ramas del trigémino (V2 y V3, sobre todo). Tras un episodio doloroso hay un periodo refractario. Se repite decenas de veces al día.
          El 95% es unilateral. Es típica una zona "gatillo" que desencadena el dolor. El examen neurológico es normal, no hay alteraciones sensitivas. El dolor respeta el sueño.
          Tratamiento
          Las carbamazepinas son de elección. Como segunda línea se usa baclofeno, lamotrigina, fenitoína, o gabapentina. En casos refractarios, técnicas quirúrgicas ablativas del ganglio de Gasser.
          
    www.qxmedic.com NEUROLOGÍA PAG. 202
        Figura 3. Neuralgia del trigémino
          
              
              
            
            03. ENFERMEDAD CEREBRO VASCULAR
          
              
              
            
            Topografía y territorios vasculares
          Circulación anterior
          Recuerda
          - La obstrucción de la arteria cerebral anterior puede ocasionar déficit motor o sensitivo a predominio de miembros inferiores.
          - La obstrucción de la arteria cerebral media en el hemisferio dominante puede ocasionar afasia motora (frontal), afasia sensitiva (temporal) o afasia global (ambos), déficit motor o sensitivo a predominio de la cara y miembros superiores.
          Recuerda
          La obstrucción de la arteria cerebral posterior ocasiona hemianopsia homónima contralateral con preservación de la visión central. Además del síndrome de Déjerine-Roussy (pérdida sensorial, coreoatetosis y dolor talámico).
          Arteria cerebral anterior:
          Irriga la parte medial de los hemisferios cerebrales (frontal y parietal) y la parte anterior de los ganglios basales.
          Su obstrucción puede ocasionar déficit motor o sensitivo a predominio de miembros inferiores. Aparición de reflejos primitivos, abulia, rigidez paratónica y apraxia de la marcha.
          Arteria cerebral media
          Irriga los ganglios basales y la mayor parte de la cápsula interna, el lóbulo de la ínsula y la parte lateral de los hemisferios cerebrales (frontal, temporal y parietal).
          Su obstrucción en el hemisferio dominante puede ocasionar afasia motora (frontal), afasia sensitiva (temporal) o afasia global (ambos), déficit motor o sensitivo a predominio de la cara y miembros superiores, hemiplejía completa contralateral, hemianopsia homónima contralateral sin preservación de la visión central.
          Su obstrucción en el hemisferio no dominante puede ocasionar negligencia, anosognosia y no se produce afasia.
          Circulación posterior
          Arteria cerebral posterior
          Irriga el mesencéfalo, el diencéfalo, la parte profunda de los ganglios basales, la parte basal del lóbulo temporal y casi la totalidad del lóbulo occipital.
          Su obstrucción ocasiona hemianopsia homónima contralateral con preservación de la visión central, alexia sin agrafia (si afecta al hemisferio dominante), alucinaciones visuales, perseveraciones. Ocasiona el síndrome de Déjerine-Roussy (pérdida sensorial, coreoatetosis y dolor talámico), síndrome alterno de Weber (parálisis III, hemiplejía contralateral) y en ocasiones paresia mirada vertical.
          Arteria cerebelosa posterior inferior – PICA:
          Irriga el cerebelo posterior y la parte laterodorsal del bulbo raquídeo (componente sensitivo principalmente).
          Su obstrucción ocasiona el síndrome alterno de Wallemberg (parálisis del V3, IX, X, síndrome de Horner y ataxia ipsilaterales con hemianestesia termoalgésica contralateral). Si se lesiona solo la parte cerebelosa ocurre dismetría, temblor de intención, disartria y alteraciones de la coordinación fina.
          Arteria basilar:
          Irriga el puente y la parte anterior del cerebelo. Su lesión se presenta con trastorno del sensorio, déficit de pares craneales y motores. Es mortal la mayoría de las veces.
          www.qxmedic.com PAG. 203
        Recuerda
          
    Ante una focalización o ictus se debe sospecha siempre compromiso vascular e iniciar el estudio de este con una tomografía sin contraste.
          ICTUS ECV Isquémico
          
    Se define como la focalización no convulsiva debido a déficit de aporte vascular de un grupo de neuronas que compromete la función asignada a ellas. Las convulsiones no se consideran focalización.
          Ante una focalización o ictus se debe sospecha siempre compromiso vascular e iniciar el estudio de este con una tomografía sin contraste. Las causas vasculares del ictus se clasifican en isquémicas (85%) o hemorrágicas (15%) según los hallazgos tomográficos.
          Aspectos generales
          El 70% se produce en mayores de 70 años. La mejor medida preventiva es tratar la Hipertensión Arterial (HTA). Globalmente fallecen 15%. Los infartos de territorio posterior son de peor pronóstico.
          Factores de riesgo
          Los factores de riesgo principales son: Edad mayor de 55 años y sexo masculino Hipertensión arterial (principal factor de riesgo)
          Diabetes
          Estenosis carotidea asintomática, cardiopatías, arritmias (fibrilación auricular), estenosis mitral, válvulas protésicas, dilatación ventricular Tabaco, dislipidemias, alcoholismo, drogas (Ej. cocaína), TIA previos, anticonceptivos orales.
          
    www.qxmedic.com NEUROLOGÍA PAG. 204
        Figura 4. Patrón de irrigación de la arteria cerebral anterior, media y posterior
          Arteria cerebral anterior Arteria cerebral media
          Arteria cerebral posterior
          Tipos de ictus isquémicos
          Recuerda
          El ataque isquémico transitorio (AIT o TIA) consiste en déficit neurológicos de duración corta, cuya recuperación ocurre en la mayoría de los casos antes de la hora de instaurados y en el 100% de los casos antes de las 24 horas.
          Recuerda
          - La causa principal del infarto cardioembólico son las arritmias.
          - La causa principal del infarto lacunar es la HTA mal controlada y la edad avanzada. Se diagnostican mejor con RMN.
          Recuerda
          - El tiempo de ventana desde el ictus hasta el inicio de la trombólisis es de 3 HORAS (Recomendación A) o de 3-4.5 HORAS (Recomendación B).
          - Para iniciar la trombólisis la presión arterial debe estar por debajo de PAS 185mmHg y PAD 110mmHg.
          Global: Cuando hay interrupción generalizada del riego sanguíneo. Como casos de shock o hipoxia. Se afecta las zonas “frontera” donde terminan los territorios vasculares.
          Focal: Cuando se obstruye una arteria con irrigación terminal. Se compromete una zona específica del parénquima cerebral que explica topográficamente la sintomatología. Los ictus focales pueden ser:
          ♦ Ataque isquémico transitorio (AIT o TIA): Consiste en déficit neurológicos de duración corta, cuya recuperación ocurre en la mayoría de los casos antes de la hora de instaurados y en el 100% de los casos antes de las 24 horas. (ENAM 2013-A, ENAM 2016-A, ENAM EXTRA 2020, ENAM 2012-A). No deben tener lesión de isquemia en la imagen (RMN o TAC). El 40% de AIT tendrán un ictus establecido o infarto a los 3 meses; por lo tanto, es importante realizar prevención primaria de infarto ante cualquier AIT. La etiología principal son émbolos arterio-arteriales provenientes de la carótida y en segundo lugar cardio émbolos en pacientes con cardiopatías o arritmias. La sintomatología más frecuente es la amaurosis fugax por obstrucción de la arteria oftálmica (rama de la carótida interna).
          ♦ Infarto: Se define infarto cerebral como la muerte neuronal por falta de aporte sanguíneo. El diagnóstico final se hace mediante imágenes RMN o TAC. Se prefiere la RMN para fases hiperagudas de infarto, la TAC es específica pasada las 48 horas del ictus (ENAM EXTRA 2021-I). Según su frecuencia, las causas se clasifican en las siguientes:
          Aterotrombótico: obstrucción debido a una placa de ateroma inestable que forma un trombo en su superficie. Suele afectar a vasos pequeños y presentan focalizaciones menores. La clínica suele ser fluctuante y puede durar días en establecer el nivel de obstrucción final.
          Cardioembólico: obstrucción debido a un émbolo que viaja del corazón o de una arteria grande. El tamaño del vaso obstruido es mayor y por ende la clínica más significativa. La evolución de la focalización es tórpida y alcanza el 100% de clínica en pocas horas. Igualmente, de eliminarse el trombo, la mejora es muy rápida también. La causa principal son las arritmias cardiacas.
          Lacunar: infartos pequeños de máximo 1,5 cm, ocurren en la profundidad de los hemisferios cerebrales o del tronco cerebral afectando territorios estratégicos que dan clínica desproporcional al daño neurológico. Representan el 20% de los ictus y su causa principal es la HTA mal controlada y la edad avanzada. Se diagnostican mejor con RMN.
          Inhabitual: causas raras como coagulopatías, malformaciones, infecciones, enfermedades autoinmunes, paraneoplásicos, etc.
          – Indeterminado: no se llega a determinar la causa del infarto.
          Tratamiento
          Pre Hospitalario:
          ♦ Promoción de la salud en la comunidad y en pacientes con factores de riesgo para infarto. El acrónimo “FAST” – Face, Arm, Speech, Time – ayuda a reconocer los síntomas iniciales más frecuentes.
          ♦ Activar la alarma rápido a los teléfonos de emergencia para poder reducir el tiempo de llegada al hospital. Los paramédicos deben estar capacitados, deben avisar el hospital más cercano y se debe tener redes de centros de salud con capacidad resolutiva que reduzcan el tiempo de llegada al hospital. Se debe aplicar un bolo de glucosa a todos los pacientes ya que la clínica de la hipoglicemia severa focaliza como un ictus vascular. (ENAM 2012-A)
          Hospital:
          ♦ Debe tener algún certificado de calidad como la JCI. Los pacientes tienen mejor pronóstico si son tratados por un equipo especializado que se conocen y trabajan siempre en el mismo equipo de especialistas. El hospital debe contar con protocolos de STROKE.
          ♦ La telemedicina ha sido aprobada por la FDA para asistir casos de infarto en centros que carecen de equipo especializado.
          ♦ Siempre se debe usar la escala NIHSS para evaluar la severidad de cuadro.
          ♦ El tiempo desde que ingresa al hospital y recibe la primera dosis de t-PA (DTN – door to needle) no debe exceder los 60 minutos. Se debe capacitar a todo el personal de la emergencia para llegar a esta meta. La tomografía o RMN debería estar lista en menos de 20 minutos. El único examen que se toma antes de trombolizar es glucosa.
          ♦ Tratamiento específico del infarto cerebral:
          
    www.qxmedic.com NEUROLOGÍA PAG. 205
        –
        –
        –
        –
        Recuerda
          El tiempo desde que ingresa al hospital y recibe la primera dosis de t-PA (DTN – door to needle) no debe exceder los 60 minutos.
          El acrónimo “FAST” – Face, Arm, Speech, Time – ayuda a reconocer los síntomas iniciales más frecuentes.
          – Ventilación mecánica si la saturación de oxígeno es menor de 94%. Se debe tratar la hipotensión arterial si la hubiera. La temperatura debe mantenerse por debajo de T°38 y la glucosa entre 60mg/dl y 140-180mg/dl como máximo.
          
    – Para iniciar la trombólisis la presión arterial debe estar por debajo de PAS 185mmHg y PAD 110mmHg. Durante la trombólisis se debe mantener en 180/105 mmHg y se controla de preferencia con labetalol.
          Trombólisis con T-PAr (activador del plasminógeno tisular recombinante – Alteplase): Es el manejo de elección si se cumplen los criterios de inclusión y exclusión (ver tabla). La dosis es de 0.9mg/kg y se aplica en 60 minutos (máxima dosis de 90mg) el 10% se da en bolo en 1 min. El tiempo de ventana desde el ictus hasta el inicio de la trombólisis es de 3 horas (Recomendación A) o de 3 - 4.5 horas (Recomendación B). Efectos adversos principales: hemorragia, angioedema, no administrar junto a Abciximab.
          – Si el paciente requiere anticoagulación ésta debe interrumpirse durante la trombólisis y reiniciarse en casos leves a los 3 días, en casos moderados a los 6 días y en casos severos a los 12 días de aplicado la trombólisis. La severidad del infarto se mide con la escala NIHSS.
          – Como prevención secundaria del infarto se recomienda aspirina, hipolipemiantes, manejo de los factores de riesgo, control glicémico, cambios del estilo de vida.
          Criterios de Inclusión
          – Síntomas neurológicos por periodo inferior a 270 min de evolución, con hora de inicio definida
          Déficit neurológico entre 5 y 23 puntos en la escala de NIHSS y por más de 30 min
          – Edad mayor de 18 años
          Tomografía axial de cerebro sin evidencias de hemorragia intracraneal
          – Ausencia de los criterios de exclusión
          Criterios de Exclusión
          Hora inicio de síntomas desconocida, o mayor a 270 min al inicio de la infusión. Si inician durante el sueño se considera la hora en que paciente fue visto asintomático por última vez
          – NIHSS > 23 puntos: déficit neurológico severo o <5 puntos: déficit leve
          ACV extenso en los últimos 3 meses
          – Traumatismo craneal encefálico o cirugía del sistema nervioso central en los últimos 3 meses
          IAMc dentro de últimos 21 días, a excepción del que ocurre de la manera concomitante con el ACV
          – Cirugía mayor o biopsia de órgano no compresible en los últimos 14 días
          Antecedentes de hemorragia intracraneana
          – Síntomas sugerente de hemorragia subaracnoidea
          Malformación arteriovenosa o aneurisma cerebral
          – Antecedente de hemorragia gastrointestinal o urinaria en los últimos 21 dias
          Antecedentes de coagulopatía (ej: hemofilia)
          – Punción arterial en sitio no compresible o punción lumbar en los últimos 7 dias
          PAS > 185 mmHg y PAD > 110 mmHg refractaria a la administración de labetalol y/o nitroprusiato
          – Signos neurológicos que revierten rápidamente
          INR > 1,5; TTP > 15 segundos por sobre el límite superior. Uso de heparina de bajo peso molecular en las últimas 24 h. Recuento plaquetario < 100.000/mm
          – Glicemia < 50 o > 400 mg/dl
          TAC de encéfalo sin contraste con ASPECT<7
          – Otros: antecedentes de varices esofágicos, colitis ulcerosa, diverticulitis o pancreatitis aguda, retinopatia diabética con riesgo de hemorragia, neoplasia con riesgo de hemorragia, trauma agudo (fracturas), enfermedad sistémica o infecciosa grave, embarazo o parto dentro del último mes, evidencia de sangrado, sospecha de embolia séptica o de endocarditis infecciosa.
          www.qxmedic.com NEUROLOGÍA PAG. 206
        –
        –
        –
        –
        –
        –
        –
        –
        –
        –
        –
        –
        Tabla 1. Criterios de inclusión y exclusión
          ECV hemorrágico
          Aspectos generales
          Recuerda
          La principal causa de ECV hemorrágico es el traumatismo encefalocraneano, considerado como causa secundaria. De las causas primarias, la más frecuente es la hipertensión arterial mal controlada que causa hemorragia intracerebral en ancianos.
          Representa el 15% de los ECV y se deben a ruptura de un vaso intracraneal. La principal causa de ECV hemorrágico es el traumatismo encefalocraneano, considerado como causa secundaria. En neurología estudiamos las causas primarias, siendo la más frecuente la hipertensión arterial mal controlada que causa hemorragia intracerebral en ancianos. Otras causas más raras son la rotura de aneurismas en gente joven que genera hemorragia subaracnoidea, hemorragia intraventricular en recien nacidos extremadamente prematuros y angiopatía amiloide en ancianos de edad muy avanzada.
          La hemorragia intracerebral en adultos se debe principalmente a hipertensión arterial mal controlada que rompe las arterias profundas del segmento M1 de la cerebral media. Se conoce como aneurisma de Charcot Bouchard al que se forma producto de la hipertensión en estos pacientes y es mucho más frecuente en territorios profundos cerca del putámen. El segundo lugar de sangrado es el lóbulo frontal o parietal y se debe a malformaciones arteriales, principalmente. Finalmente, las hemorragias de territorios posteriores son mucho más catastróficas y letales, pero solo representan menos de la quinta parte de sangrados primarios (ENAM 2018-B).
          Diagnóstico
          Al igual que el ECV isquémico, la prueba inicial siempre debe ser la neuroimagen sin contraste. La tomografía sin contraste es el gold estándar diagnóstico y es mucho más sensible y específica que la resonancia para detectar sangrado (ENAM 2013-A, ENAM 2020). Las hemorragias cerebrales suelen asociarse a convulsiones con mayor frecuencia que los infartos isquémicos (ENAM 2014-B).
          Hemorragia subracnoidea (HSA)
          Aspectos generales
          Recuerda
          
    La rotura de los aneurismas intracraneales es más frecuente en el territorio de la arteria cerebral anterior (comunicante).
          Diagnóstico
          La causa no traumática más frecuente es la rotura de aneurismas intracraneales cerebrales. Los aneurísmas más frecuentes son del territorio de la arteria cerebral comunicante anterior seguido de la carótida interna, la comunicante posterior y la arteria cerebral media. Otra causa es rotura de una malformación arteriovenosa o angiomas cavernosos. Los factores de riesgo para tener aneurismas cerebrales son la enfermedad renal poliquística, la displasia fibromuscular y la coartación de aorta.
          La clínica se debe a hipertensión endocraneada súbita que se manifiesta por cefalea súbita intensa (la peor de la vida del paciente), seguido de trastorno de conciencia. Hay vómitos, oftalmoparesia del VI par, signos de irritación meníngea a las horas del evento.
          Las convulsiones y focalización son raras.
          Para establecer el diagnóstico se hace una tomografía sin contraste y si sale negativa para sangrado, pero la clínica es muy sugestiva, se realiza punción lumbar diagnóstica.
          Las escalas para clasificar la severidad de la HSA tanto clínica como radiológicamente son las escalas de Hunt - Hess y la escala de Fisher respectivamente.
          www.qxmedic.com NEUROLOGÍA PAG. 207
        Clasificación de Hunt y Hess
          Grado Descripción
          I Asintomático o mínima cefalea, ligera rigidez de nuca
          II Cefalea moderada o aguda, sin defecto
          III Somnolencia, confusión o defecto neurológico foca leve
          IV Estupor, hemiparesia moderada o grave, posible rigidez de descerebración o trastornos vegetativos
          
    
    V Coma, rigidez de descerebración, aspecto moribundo
          Recuerda
          La clínica se debe a hipertensión endocraneada súbita que se manifiesta por cefalea súbita intensa (la peor de la vida del paciente), seguido de trastorno de conciencia.
          Escala de Fisher
          Grado Descripción
          I Sin evidencia de sangrado en cisternas ni ventrículos
          II Sangre difusa fina, con una capa <1 mm en cisternas medida verticalmente
          III Coágulo grueso cisternal, >1 mm en cisternas medido verticalmente
          IV Hematoma intraparenquimatoso, hemorragia intraventricular, +/- sangrado difuso.
          V Coma, rigidez de descerebración, aspecto moribundo
          Tratamiento
          Los pacientes deben ingresar a UCI. Guardar reposo absoluto, brindar analgesia potente. El resangrado es la principal causa de muerte, representa el 40% de los casos y suele ser en la primera semana del evento. La única medida que lo previene es la cirugía precoz en las primeras 24 a 48 horas.
          Otras causas de muerte son las complicaciones como la acidosis metabólica, hiperglicemia, arritmias e hiponatremia (SIADH). Se recomienda mantener la presión arterial media menor de 160 para evitar resangrado y se aplica nimodipino 60mg/cada 4 horas como neuroprotector para evitar el vasoespasmo.
          
    www.qxmedic.com NEUROLOGÍA PAG. 208
        Tabla 2. Clasificación de Hunt y Hess
          Tabla 3. Escala de Fisher
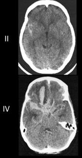
          Figura 6. TAC: Hemorragia subaracnoidea (HSA) (Escala de Fisher)
          Aspectos generales
          La meningitis es la inflamación infecciosa de las meninges que puede complicarse y causar encefalitis por contigüidad. Las causas más frecuentes en pediatría son las meningitis virales por Echovirus, Coxsackie y otros enterovirus. En el adulto predominan las meningitis bacterianas siendo la bacteria más frecuente el neumococo. Algunos parásitos pueden causar meningitis como las amebas de vida libre y en pacientes con VIH, estadio SIDA, el hongo Cryptococcus neoformans es una causa frecuente de meningitis.
          
    Recuerda
          Las causas más frecuentes en pediatría son las meningitis virales por Echovirus, Coxsackie y otros enterovirus.
          De entre todos los patógenos, por su frecuencia y letalidad, las bacterias son las más importantes y su frecuencia tiene un patrón según las edades de presentación.
          En recién nacidos el Streptococo agalactiae y la E. coli son los más frecuentes. También podría haber casos de Listeria monocytogenes.
          
    
    
    En lactantes aparece el Haemophilus tipo B si no se vacunaron.
          
    
    Los niños (sobretodo mayores de 10 años) tienen Meningococo como causa principal.
          Los adultos a partir de 18 años tienen Neumococo (ENAM 2020) como causa más prevalente, y en casos de inmunosupresión celular o edad superior a 50 años, aparece Listeria o E. coli nuevamente.
          Recuerda
          - En lactantes aparece el Haemophilus tipo B si no se vacunaron.
          - Los adultos a partir de 18 años tienen Neumococo como causa más prevalente.
          Los factores de riesgo para meningitis son la falta de vacunación, asplenia, déficit de complemento o anticuerpos, uso de glucocorticoides, bacteriemia o TEC de base de cráneo.
          www.qxmedic.com PAG. 209
        MENINGITIS
        04.
        Figura 7. Anatomía de Meninges
          Meninges Duramadre Aracnoides Piamadre Periostio Vellosidad aracnoidal Seno venoso dural Hueso 0-4 semanas 4-12 semanas H. influenza 3m-18 años 18 a 50 años Neumococo Más de 50 años Listeria
        Piel
          Aponeurosis
        Diagnóstico
          La sospecha de meningitis siempre es clínica y debe considerarse como tal hasta que no se demuestre lo contrario (ENAM 2017-A). Se sospecha de meningitis en pacientes con fiebre alta, cefalea intensa del tipo hipertensión endocraneana y con signos meníngeos como rigidez de nuca, Kernig y Brudzinsky. El sensorio se puede afectar en casos severos y aparecer focalización de pares craneales. En casos de contacto con carnes crudas o lácteos sin pasteurizar y meningitis con afectación de pares craneales (Rombencefalitis) sospechar infección por listeria. (ENAM 2013-A)
          Recuerda
          Se sospecha de meningitis en pacientes con fiebre alta, cefalea intensa del tipo hipertensión endocraneana y con signos meníngeos como rigidez de nuca, Kernig y Brudzinsky.
          meníngeos:
          
    A. Brudzinsky
          B. Kernig
          Ante toda sospecha clínica de MEC se debe hacer una punción lumbar (PL) (ENAM EXTRA 2021II, ENAM 2012-A) y hemocultivos de forma inmediata. Si el paciente presenta trastorno severo del sensorio, inmunosupresión, convulsiones, antecedente de enfermedad del SNC, papiledema o focalización se solicita una TAC previo a la PL. Luego se debe iniciar con dexametasona y tratamiento antibiótico empírico hasta conformar la etiología con los estudios de líquido cefalorraquídeo LCR. Ante sospecha de TBC meníngea solicitar ADA en LCR. (ENAM EXTRA 2020)
          
    Recuerda
          Podemos encontrar en el análisis del LCR por infección bacteriana los siguientes hallazgos:
          - Presión: alta
          - Aspecto: turbio
          - Células: 10002000 PMN
          - Proteínas: 1001000
          - Glucosa: muy baja
          www.qxmedic.com NEUROLOGÍA PAG. 210
        LIQUÍDO PRESIÓN ASPECTO CÉLULAS PROT GLU NORMAL 8-12 cmH2O Claro 5 mm3 15-45 mg/dl 65-80% INFECCIÓN BACTERIANA (ENAM 2014-A, ENAM EXTRA 2021-I) Alta Turbio 1000-2000 PMN 100-1000 Muy baja INFECCIÓN VIRAL Normal/alta Claro 300 MN 40-100 Normal INFECCIÓN BACTERIA ATÍPICA (Tuberculosis) (ENAM 2016-B) Alta Xantocrómico 50-300 MN 60-700 Baja
        Tabla 4. Comparativa de características del líquido cefalorraquídeo
          Figura 8. Signos
          Tratamiento
          Tratamiento empírico - adultos:
          Neumococo: vancomicina 30-60mg/kg (8-12h) y, además una cefalosporina de tercera generación (CFTX 4g - 12h) (ENAM 2018-A) o fluoroquinolona
          Meningococo: cefalosporina de tercera generación o como alternativa penicilina G, ampicilina, cloranfenicol, fluoroquinolona o aztreonam.
          Listeria monocitógenes: ampicilina 12g (4h) o como alternativa penicilina G, cotrimoxazol o meropenem
          H. influenzae: cefalosporina de tercera generación o como alternativa cloranfenicol, cefepime, meropenem o fluorquinolona
          Dexametasona para reducir secuelas en caso de infecciones por H. Influenzae
          
    ♦ Dar antes de la primera dosis de antibiótico.
          ♦ Dosis: 0.6mg/kg/día en 4 dosis por 2-4 días
          Tratamiento empírico - pediatría: Cefotaxima o ceftriaxona + vancomicina + aminoglucósido
          Profilaxis meningitis:
          Neumococo, H. Influenzae tipo B: Vacuna
          Menigococo: Vacuna, rifampicina por 2 días, ciprofloxacino (ENAM 2015-B, ENAM 2013-A)
          Tratamiento meningitis – TBC
          Aplicar el esquema 1 pero por 12 meses. Isoniazida, rifampicina, pirazinamida, etambutol. (ENAM EXTRA 2021-II)
          Tratamiento meningitis - Inmunosuprimido
          Vancomicina + ceftazidima + ampicilina
          Tratamiento meningitis – Hongo
          - Anfotericina B + flucitosina y fluconazol profiláctico hasta mejorar recuento de CD4+ .
          Tratamiento de encefalitis viral por herpes
          Aciclovir EV 10mg/K
          Recuerda
          El tratamiento para neumococo es vancomicina 30-60mg/kg (8-12h) y, además, una cefalosporina de tercera generación (ceftriaxona 4g - 12h).
          Recuerda
          Se debe administrar dexametasona antes de la primera dosis de ATB, esto para reducir las secuelas en caso de infecciones por H. influenzae.
          www.qxmedic.com NEUROLOGÍA PAG. 211
        
              
              
            
            05. ENFERMEDA DE PLACA MOTORA
          ASPECTOS LAMBERT EATON BOTULISMO MIASTENIA
          ETIOLOGÍA
          EPIDEMIOLOGÍA
          Anticuerpos anti-canales de calcio presináptico (ENAM 2015-A) Síndrome paraneoplásico de cáncer de pulmón.
          Edad promedio 40 años. Afecta por igual ambos sexos.
          Toxina botulínica del Clostridium botulinum. Causa déficit de acetilcolina presináptico por inhibición de la liberación vesicular.
          Afecta principalmente a lactantes de 6 meses de edad. Asociado a la ablactancia y uso de conservas.
          Anticuerpos anti-receptor nicotínico muscular postsináptico. (ENAM 2020, ENAM 2015-B, ENAM 2017-A). Se han reportado anticuerpos antiMUSK (músculo liso) en casos severos.
          El 66% de los casos afectan a mujeres de 28 años. Un 33% a varones de 50 años.
          MÚSCULOS AFECTADOS
          MEJORAMIENTO DE CLÍNICA
          PATOLOGÍA ASOCIADA
          TRATAMIENTO
          Extraoculares en el 70% de casos. Proximales de MMII.
          Ejercicio, avance del día. Uso de guanidina.
          Cáncer pulmonar microcítico “células de avena”
          Plasmaféresis en caso de crisis. Piridostigmina + Guanidina Inmunosupresores. Extirpación del tumor de fondo.
          Afectación precoz de pares craneales. Clínica descendente simétrica. Puede llegar al paro respiratorio.
          Músculos extraoculares, faciales, bulbares y finalmente axiales de MMSS.
          
    EMPEORA: avance del día, ejercicio, infecciones, gestación, calor, aminoglucósidos, betabloqueantes y derivados del curare.
          Frío, reposo, test de edrofonio (inhibidor de la acetilcolinesterasa de acción ultracorta)
          Mala conservación de alimentos. Heridas contaminadas.
          En casos de mujeres jóvenes se asocia a hiperplasia de timo 65% y timomas en un 10%. Los casos de varones de edad media se asocian a cáncer de pulmón (paraneoplásico)
          Soporte ventilatorio. Antitoxina.
          Piridostigmina como primera medida. Inmunosupresores en casos de resistencia. La timectomía entre los 15 y 55 años siempre que haya afectación del timo. Plasmaféresis o terapia hiperinmune IgG en caso de crisis miasténica (disnea o disfagia). Ventilación mecánica en casos severos.
          www.qxmedic.com PAG. 213
        Tabla 5. Resumen de los síndromes de placa motora más importantes
          Figura 9. Comparación entre la miastenia gravis y el síndromes de Lambert-Eaton
          Síndrome miasténico de Lambert-Eaton Miastemia gravis (MG)
          FACIE MIASTÉNICA
          Lambert-Eaton
          
              
              
            
            06. SÍNDROME DE GUILLAIN BARRÉ
          Aspectos generales
          Este síndrome es una poliradiculoneuropatía (afecta varias raíces nerviosas a la vez), aguda (se instala en menos de 4 semanas), inflamatoria (se pueden ver signos de activación de macrófagos sobre los axones neuronales), ascendente (inicia en MMII y sube progresivamente), predominio motor (mayor afectación de motoneuronas alfa por su grosor) y autoinmunitaria (presencia de autoanticuerpos contra los gangliósidos GM1, GD1, Gq1b, entre otros).
          El 66% se debe a una infección previa por bacterias como el Campylobacter jejuni o virales como enterovirus, herpes, hepatitis o VIH. A la anatomía patológica se evidencian signos de desmielinización inflamatoria.
          Diagnóstico
          La triada clásica del Guillain Barre es: (ENAM 2017-B)
          1º Parestesias de miembros inferiores (al inicio se afecta la zona lumbar).
          2º Paresia simétrica ascendente con clínica de segunda neurona.
          
    3º Arreflexia profunda, este signo suele ser tardío.
          Son signos de apoyo: ausencia de fiebre, líquido cefalorraquídeo (LCR) alterado a partir de la segunda semana de iniciado el cuadro y electromiografía (EMG) (ENAM 2018-A) con patrón de desmielinización
          Existen variantes clínicas del tipo motora pura, sensitiva pura, entre otros.
          www.qxmedic.com PAG. 215
        Figura 10. Fisiopatología del Síndrome de Guillain Barré
          Recuerda
          La triada clásica del Guillain Barre es:
          – 1º Parestesias de miembros inferiores (al inicio se afecta la zona lumbar).
          
    – 2º Paresia simétrica ascendente con clínica de segunda neurona.
          – 3º Arreflexia profunda, este signo suele ser tardío.
          
    Un tipo especial de variante es el síndrome de Miller Fisher que presenta oftalmoparesia, ataxia y arreflexia. Se debe a una afectación del cordón espinal posterior y los nervios de los pares craneales extraoculares. Los anticuerpos reconocen el gangliósido Gq1b.
          Tratamiento
          Recuerda
          El manejo actual de primera línea es el uso de inmunoglobulinas IgG.
          El manejo actual de primera línea es el uso de inmunoglobulinas IgG para neutralizar los autoanticuerpos. Como segunda opción queda la plasmaféresis.
          Todo paciente debe tener acceso a una UCI y se debe buscar el sostén de funciones vitales hasta que la enfermedad remita.
          Un 85% presentan recuperación completa, el 10% queda con algún grado de déficit motor y un 5% mueren. Hay un 10% de casos que recurren y en ellos debemos sospechar síndrome paraneoplásico.
          www.qxmedic.com NEUROLOGÍA PAG. 216
        Figura 11. Variantes de la sintomatología del Síndrome de Guillian Barré
          
              
              
            
            07. DISQUINESIAS (TRANSTORNOS DEL MOVIMIENTO)
          Los trastornos de movimientos involuntarios o disquinesias se deben a la afectación del equilibro en el sistema extrapiramidal. Los aspectos clínicos se clasifican en trastorno hiper e hipocinéticos.
          Aspectos generales
          Temblor esencial: el más frecuente de todas las hipercinesias. Se trata de una afectación idiopática con marcado componente familiar que inicia en la edad adulta, en manos bilateralmente que empeora con la edad. Suele ser postural y muy fino. Si causa dificultades para la vida diaria se indican betabloqueantes.
          Distonía: se deben principalmente al uso de drogas antidopaminérgicos de forma aguda y de elevada potencia como el haloperidol. La distonía más frecuente es el blefaroespasmo y luego el tortícolis. Su manejo es retirar la droga causante del problema y esperar. Los casos severos requieren uso de diazepam o incluso toxina botulínica para relajar el musculo.
          Hemibalismo: debido a lesiones del núcleo subtalámico de Luys contralateral al lado afectado.
          Recuerda
          Hemibalismo se debe a lesiones del núcleo subtalámico de Luys contralateral al lado afectado.
          Corea: la más representativa es la corea de Huntington que se debe a una alteración autosómica dominante que aumenta la expresión de la proteína Huntingtina por acumulación de tripletes CAG. Esta enfermedad se presenta con una triada clásica de corea de codos y rodillas, demencia y trastornos psicóticos hereditarios. No tiene cura y su pronóstico es peor en los hijos que en los padres.
          TICS: son movimientos estereotipados, involuntarios y repetitivos que no pueden controlarse. Uno característico es el síndrome de Guilles de la Tourette, donde los tics se asocian a coprolalia y trastorno obsesivo compulsivo de adulto.
          
              
              
            
            Transtornos hipocinéticos o parkinsonismos
          Recuerda
          - Las causas del parkinsonismo idiopático más común es la enfermedad del Parkinson.
          - Las causas de parkinsonismo se dividen en primarias o idiopáticas y las secundarias.
          - Las causas del parkinsonismo secundario más común es por fármacos (anti dopaminérgicos D2), y el fármaco más frecuente es metoclopramida.
          Se caracterizan por presenta temblor de reposo, rigidez en “rueda dentada”, bradicinesia (ENAM 2013-B) o lentitud al movimiento y al final alteración de la marcha con arrastre de los pies conocido como marcha festinante.
          Las causas de parkinsonismo se dividen en primarias o idiopáticas y las secundarias.
          Idiopáticos:
          ♦ Enfermedad de Parkinson (causa más frecuente)
          ♦ Atrofia multisistémica
          ♦ Parálisis supranuclear progresiva
          ♦ Degeneración cortico basal
          ♦ Enfermedad de Huntington
          ♦ Enfermedad de Alzheimer
          ♦ Demencia a cuerpos de Lewy
          Secundarios:
          ♦ Post encefálico
          ♦ Fármacos: antidopaminérgicos D2 (metoclopramida)(ENAM 2017-A)(causa secundaria más frecuente)
          ♦ Tóxicos
          ♦ Hidrocefalia normotensiva
          www.qxmedic.com PAG. 217
        
              
              
            
            08. ENFERMEDAD DE PARKINSON
          Aspectos generales
          La etiología es desconocida. Cuya prevalencia aumenta con la edad. No tiene factor hereditario importante. La cafeína protege. Hay lesión en la pars compacta de la sustancia negra del mesencéfalo, aparecen inclusiones neuronales llamadas “cuerpos de Lewy”. Esto genera un déficit de células dopaminérgicas en el sistema nigroestriado (zona A9 mesencefálica). Por lo tanto, baja la dopamina (ENAM 2012-A), se eleva compensatoriamente la acetilcolina y se ha visto que baja la noradrenalina y serotonina también.
          Fisiopatología del Parkinson, degenerción de la sustancia negra
          
    Figura 13. Cuerpos de Lewy Microscopía de la sustancia negra de un paciente con enfermedad de Parkinson
          
    www.qxmedic.com PAG. 219
        Figura 12.
          Sustancia negra
          Enfermedad de Parkinson
          El diagnóstico es clínico, existen varios criterios para establecerlo, pero en resumen se debe tener al menos la presencia de dos de los signos cardinales de la enfermedad durante un año y, además, la respuesta al tratamiento con L-dopa de al menos 1 año.
          Dentro de los signos cardinales de la enfermedad están el temblor, la bradicinesia, la rigidez y la marcha festinante.
          Recuerda
          La bradicinesia consiste en la lentitud de movimientos, dificultad para movimientos finos, amimia, voz monótona, micrografía, es el síntoma más incapacitante.
          Diagnóstico Tratamiento
          El temblor es una oscilación involuntaria a + 6Hz rítmica, algunos pacientes no tienen temblor. El comienzo es unilateral, suele iniciar en una mano, pasa a la pierna ipsilateral y luego a la otra mano. Es temblor de reposo, predomina en los dedos (contar monedas). En raros casos se asocian a temblor postural o de intención.
          La rigidez es la resistencia a la movilización pasiva. Se llama rigidez en "rueda dentada" o rigidez "cérea”. Incrementa con el movimiento voluntario de la mano contralateral (signo de Froment).
          La bradicinesia consiste en la lentitud de movimientos, dificultad para movimientos finos, amimia, voz monótona, micrografía. Es el síntoma más incapacitante. Marcha festinante o alteraciones en la marcha consiste en una marcha lenta, a pequeño paso, arrastrando los pies (festinación). Falta de braceo al caminar. Caídas frecuentes. No mantiene la postura si se le empuja (retropulsión) y no puede caminar hacia atrás.
          Existen síntomas no motores de la enfermedad de Parkinson como dolores osteomusculares inespecíficos, hiposmia, hipotensión ortostática, estreñimiento, disfunción sexual, síntomas urinarios, síntomas depresivos, síndrome de piernas inquietas al dormir. Alucinaciones visuales o delirios. Deterioro cognitivo en mayores de 80 años.
          
    El Gold estándar en mayores de 70 años es administrar L-DOPA (ENAM 2020) asociada a Carbidopa o Benseracida, que son inhibidores de la dopa decarboxilasa periférica (para evitar efectos secundarios como náuseas, vómitos, hipotensión, arritmias.
          Recuerda
          El Gold estándar en mayores de 70 años es administrar L-DOPA asociada a Carbidopa o Benseracida.
          Para pacientes menores de 70 años, a fin de evitar los efectos adversos de este fármaco de forma precoz, se recomienda iniciar con agonistas dopaminérgicos postsinápticos como ropirinol, pramipexol, bromocriptina y cabergolina. El progreso de la enfermedad es lento pero inexorable. Los fármacos aumentan sobrevida entre 10-20 años. Un 25% de pacientes están severamente incapacitados a los 5 años del diagnóstico, un 65% a los 10 años y un 80% a los 15 años. No se sabe la evolución futura al inicio.
          
    www.qxmedic.com NEUROLOGÍA PAG. 220
        
              
              
            
            09. DEMENCIAS – ENFERMEDAD ALZHEIMER
          Aspectos generales
          Desde un punto de vista académico las demencias pueden clasificarse en 2 grupos.
          Cortical: en este tipo de demencias predomina al inicio la clínica de afectación de funciones cerebrales superiores como la afasia, apraxia, agnosia, acalculia. Entre sus ejemplos tenemos a la enfermedad de Alzheimer (90%), demencia alcohólica (10%), demencia frontotemporal de Pick donde predomina los cambios de conducta, agresividad y edad joven de presentación.
          (ENAM EXTRA 2021-I) y la enfermedad de Creutzfeldt-Jakob.
          Subcortical: donde al inicio predomina clínica subcortical como retardo psicomotor, movimientos anormales, disartria, depresión endógena, parkinsonismo, entre otros. Algunos ejemplos son la enfermedad de Huntington, enfermedad de Parkinson, enfermedad de Wilson, demencia vascular (10%) (ENAM 2014-A), VIH, demencia pugilística o post traumática.
          En cuando a la enfermedad de Alzheimer, el 95% de casos son espontáneos sin antecedentes familiares directos, se ha visto implicado la mutación del alelo E4 de APO E (cromosoma 19). Son factores de riesgo la edad mayor a 60 años, ser mujer, TEC previo. Se conocen factores protectores como la presencia del APOE2, uso crónico de AINES, exposición a estrógenos y educación permanente.
          El aspecto patogénico característico de la esta enfermedad es la degeneración de las neuronas colinérgicas, sobre todo del hipocampo. Se encuentra en la anatomía patológica los ovillos neurofibrilares por depósito de la proteína tau dentro de los somas neuronales y también se detectan las placas beta amiloide por el depósito anormal de esta proteína en las sinapsis, esta placa activa el sistema inflamatorio que terminan destruyendo la sinapsis. Con el progreso de la enfermedad la degeneración se extiende a toda la corteza.
          
    Diagnóstico
          Para establecer el diagnóstico seguimos los criterios de la DSMV.
          DSMV -DESORDEN NEUROCOGNITIVO MAYOR (DNM)
          Deterioro cognitivo en 1 o más de:
          ♦ Aprendizaje y memoria.
          ♦ Lenguaje.
          ♦ Funciones ejecutivas.
          ♦ Atención compleja.
          ♦ Motor-percepción.
          ♦ Cognición social.
          www.qxmedic.com PAG. 221
        Figura 15. Placas amiloides en la enfermedad de Alzheimer
          Dependencia en actividades diarias. No hay delirium o trastorno del sensorio. No hay otros trastornos mentales que expliquen el deterioro mental. Adicionalmente, para especificar que el DNM se debe a la enfermedad de Alzheimer se debe cumplir (ENAM 2017-B, ENAM 2015-B):
          ♦ Inicio gradual del cuadro y deterioro cognitivo continuo.
          ♦ No hay otra causa que lo explique mejor.
          
    Tratamiento
          Atrofia cerebral en la enfermedad de Alzheimer. (A y D: persona sana; C y D: persona con enfermedad de Alzheimer)
          
    
    El manejo no altera el curso inexorable de la enfermedad, pero sí puede mejorar la calidad de vida. Se aplica inhibidores de la acetilcolinesterasa de acción central como la rivastigmina, donapezilo y galantamina. Para casos severos se recomienda memantina, un antagonista no competitivo del receptor NMDA.
          Recientemente se aprobó el uso de aducanumab como tratamiento de Alzheimer en fases iniciales para pacientes selectos. Se vio que puede retrasar la progresión de la enfermedad.
          www.qxmedic.com NEUROLOGÍA PAG. 222
        Figura 16. Masa encefálica normal vs pacientes con Alzheimer
          Figura 15.
          Aspectos generales
          La epilepsia es una enfermedad que afecta al 0.5 a 1% de la población. Se define como la presencia de 2 o más crisis espontáneas sin una causa desencadenante inmediata que las explique (no provocadas). Las epilepsias tienen una edad de presentación, una causa, factores de riesgo, desencadenantes, patrones de electroencefalograma entre otras características que permiten agruparlas como síndromes epilépticos. Así clasificamos estos síndromes epilépticos según su origen en:
          Idiopáticos: cuando la causa de origen orgánica no es conocida ni se puede demostrar en imágenes. Sin embargo, se asocian familiarmente a un patrón hereditario de canalopatías y otros trastornos de conducción sináptica.
          Sintomáticos: son los síndromes que ocurren con lesión orgánica evidente, la cual explica la epilepsia. Para ello se deben evidenciar las lesiones con neuroimágenes.
          Criptogénicos: cuando el origen es muy probablemente orgánico por historia clínica pero aún no se puede demostrar la lesión con las neuroimágenes.
          Diagnóstico
          Para diagnosticar un síndrome epiléptico se requiere una adecuada historia clínica, un electroencefalograma y una resonancia magnética con contraste.
          
    
    Una vez confirmado la epilepsia, el cuadro clínico y el patrón electroencefalográfico podemos clasificar los síndromes de forma más detallada según el siguiente cuadro de la Liga Internacional de lucha contra la Epilepsia (ILAE).
          Las crisis de ausencia se caracterizan por presentar pérdida del sensorio sin alteraciones motoras. Ocurren en niños menores de 10 años y los episodios se repiten varias veces durante el día .
          www.qxmedic.com PAG. 223
        EPILEPSIA
        10.
        Figura 18. Actividad cerebral registrada por electroencefalograma
          Crisis Generalizada Crisis Parcial
          Clasificación de los síndromes epilépticos (ILAE 2010) - RESUMEN
          Periodo neonatal
          – Crisis neonatales benignas
          – Epilepsia familiar neonatal benigna
          – Síndrome de Ohtara
          Lactancia
          Crisis febriles/crisis febriles plus
          – Epilepsia benigna de la infancia (de la lactancia)
          – Epilepsia benigna familiar de la infancia
          – Síndrome de West
          Síndrome de Dravet
          Epilepsia mioclónica de la infancia (de la lactancia
          Infancia
          – Crisis febriles/crisis febriles plus
          – Epilepsia occipital de la infancia de inicio temprano (Síndrome de Panylotopoulos)
          – Epilepsia con crisis mioclónicas atónicas (previamente astáticas)
          Epilepsia en ausencia infantil
          Epilepsia benigna con puntas centrotemporales
          – Síndrome de Lennox-Gastaut
          Adolescencia/edad adulta
          – Epilepsia en ausencia juvenil
          Epilepsia mioclónica juvenil
          Epilepsia con crisis generalizadas tónico-clónicas solamente
          – Epilepsia autosómico dominante con características auditivas
          Edad de inicio variable
          – Epilepsia focal familiar con focos variables
          Epilepsia mioclónica progresiva
          Constelaciones específicas/síndromes quirúrgicos
          – Epilepsia temporal mesial con esclerosis del hipocampo
          – Síndrome de Asmussen
          – Crisis golásticas con hemartoma hipotalámica
          – Epilepsia con hemiconvulsión-hemiplejia
          Constelaciones específicas/síndromes quirúrgicos
          Epilepsia temporal mesial con esclerosis del hipocampo
          – Síndrome de Rasmussen
          Epilepsias no sindrómicas
          – Epilepsias atribuidas a causas estructurales-metabólicas y organizadas de acuerdo con ellas
          • Malformaciones de desarrollo cortical (hemimegalencefalia, heterotópicas, etc.)
          • Síndromes neuro cutáneos (complejo esclerosis tuberosa, Stuger Weber, etc.)
          • Tumor, infección, trauma, angioma, lesiones prenatales y perinatales, accidente cerebrovascular, etc.
          – Epilepsia de causa desconocida
          
    www.qxmedic.com NEUROLOGÍA PAG. 224
        –
        –
        –
        –
        –
        –
        –
        –
        –
        Tabla 6. Clasificación de los síndromes epilépticos (ILAE 2010)
          FÁRMACO ANTIEPILÉTICO
          Valproato
          Nauseas, vomitos, temblor, peso, alopecia.
          Fenitoina Nistagmo, hipertrofia gingival, hipertricosis, rasgos faciales.
          Carbamazepina Diplopía, hiponatrémia, neutropenia, rash
          Fenobarbital (Inductor GABA) (ENAM 2013-A) Sedación, impotencia.
          Etosuccimida
          Tratamiento
          Nauseas, vomitos, cefalea, sedación, agitación.
          Hepatotoxicidad, pancreatitis, “penias”.
          Discrasias, S. Johnson, hepatoxicidad, polineuropatías, ataxia, LES.
          Agranulocitosis, anemia aplásica , S. Johnson, ataxia
          Necrólisis epidermolítica tóxica, hepatotoxicidad, distrofia escapulohumeral.
          Eritema multiforme, S. Johnson.
          Recuerda
          
    El efecto adverso mas frecuente del uso de carbamazepina es diplopía, hiponatrémia, neutropenia, rash; y los efectos adversos más raros son: agranulocitosis, anemia aplásica, S. Johnson, ataxia.
          El manejo crónico de la epilepsia debe procurar administrar la dosis más baja de solo un fármaco antiepiléptico (FAE), es decir se prefiere la monoterapia siempre. Todo cambio o supresión de FAE debe hacerse de forma gradual. Recomendar siempre evitar el alcohol y mantener el sueño nocturno adecuado. (ENAM 2016-A)
          En general los síndromes de epilepsia generalizada idiopática se tratan con: acido valproico, lamotrigina, topiramato o levetiracetam. De todos ellos el valproato es el más usado. Un caso especial es la crisis generalizada de ausencia, la cual puede tratarse con etosuximida que es un fármaco de espectro reducido (bloquea solo el canal de calcio) pero es eficaz en niños con crisis típicas, para crisis atípicas se debe usar valproato.
          Para los síndromes epilépticos que cursan con crisis focales, los fármacos principales son: carbamazepina (ENAM 2012-B) y oxcarbacepina, fenitoína, o gabapentina.
          Nomenclatura abreviada de fármacos antiepilépticos (FAE):
          CBZ: Carbamazepina
          VPA: Valproato
          ETX: Etosuximida
          LTG: Lamotrigina
          LEV: Levetiracetam
          TPR: Topiramato
          PHT: Fenitoína
          PB: Fenobarbital
          GBP: Gabapentina
          www.qxmedic.com NEUROLOGÍA PAG. 225
        EFECTO ADVERSO FRECUENTE EFECTO ADVERSO RARO
        Tabla 7. Efectos Adversos de los antiepiléptico
          CLASIFICACIÓN DE FAE SEGÚN ESPECTRO
          Amplio espectro: Clobazam - Felbamato –Lamotrigina –LevetiracetamPerampanel -Rufinamida – Topiramato – Valproato – Zonisamida
          Espectro reducido: Carbamazepina – Gabapentina - Lacosamida –Oxcarbazepina – Fenobarbital – Fenitoína – Pregabalina – Tiagabina –Vigabatrina – Etosuximida (ausencia)
          Aproximadamente un 20-30 % de los pacientes con epilepsia son resistentes al tratamiento médico y se procede a la cirugía. Seccionar el cuerpo calloso se ha mostrado eficaz en las convulsiones tónicas clónicas intratables.
          
    Recuerda
          Las crisis generalizada de ausencia, puede tratarse con etosuximida que es un fármaco de espectro reducido (bloquea solo el canal de calcio) pero es eficaz en niños con crisis típicas.
          www.qxmedic.com NEUROLOGÍA PAG. 226
        Tabla 8. Clasificación de FAE según espectro
          4 2 3 1
        Figura 19. Posición de seguridad antes una epilepsia
          
              
              
            
            11. CRISIS EPILÉPTICA Y ESTATUS EPILÉPTICO
          Aspectos generales
          Las crisis epilépticas son episodios provocados por una descarga brusca anormal de determinada población neuronal. Puede ocurrir por muchas causas distintas y llega a afectar al menos una vez en la vida de casi el 10% de la población. Las causas de las crisis pueden clasificarse según la edad de la siguiente manera:
          0-2 años: hipoxia, trastornos metabólicos, infecciones del SNC, crisis febriles.
          2-12 años: idiopáticas, crisis febriles.
          12-18 años: idiopáticas, traumatismo encefalocraneano.
          18-35 años: TEC, neurocisticercosis (zonas endémicas)
          35-55 años: tumoral de fosa anterior.
          
    55+ años: enfermedades vasculares, patología degenerativa, TEC, y tumores. El sufrir una o varias crisis en la vida de forma provocada (por alguna noxa directa) no supone ser epiléptico necesariamente, para ello se requieren que las crisis sean no provocadas. Independientemente si una persona es epiléptica o no, una crisis puede evolucionar a un “status epiléptico” el cual se considera una emergencia neurológica, por lo tanto, debe ser tratada inmediatamente. Se define “status epiléptico” a la actividad epiléptica continua durante un tiempo igual o mayor de 30 min o al conjunto de 3 o más crisis epilépticas repetidas sin recuperación de la conciencia (ENAM EXTRA 2021-II). El 60% de pacientes con “estatus” queda con secuelas neurológicas, por ello se inicia el tratamiento empírico preventivo mucho antes de que se establezca el daño.
          Para el caso de las crisis tónico-clónicas generalizadas se considera que, tras 5 minutos de duración de la crisis, la probabilidad de estatus es muy alta y corresponde iniciar tratamiento empírico. Para otros tipos de crisis a partir del minuto 10 se debe iniciar manejo empírico del estatus.
          Recuerda
          Se define “status epiléptico” a la actividad epiléptica continua durante un tiempo igual o mayor de 30 min o al conjunto de 3 o más crisis epilépticas repetidas sin recuperación de la conciencia.
          www.qxmedic.com PAG. 227
        c
        Figura 20. Convulsión tónico-clónica generalizada.
          Diagnóstico
          El diagnóstico de las crisis es solamente clínico cuando hay componente motor evidente, a ellas se les conoce como crisis convulsivas.
          Para las crisis no convulsivas se necesita un electroencefalograma junto con la anamnesis para establecer el diagnóstico exacto del tipo de crisis. Los tipos de crisis se clasifican de la siguiente manera.
          Conciencia alterada (Parcial o focal compleja)
          
    (ENAM 2018-A)
          Inicio motor
          Automatismos
          Atónica
          Clónica
          Conciencia preservada
          Motora
          Tónica clónica
          Tónica
          Clónica
          Mioclónica
          Mioclónica - TónicaClónica
          Mioclónica - atónica
          Atónica
          Espasmos epiléptico
          No motora
          Motora
          Tónica clónica
          Otro Motor
          No motor
          Detención del comportamiento
          Espasmo epiléptico
          Hiperquinética
          Mioclónica
          Tónica
          Inicio no motor
          Autosómica
          Detención del comportamiento
          Cognitiva
          Emocional
          Sensorial
          (ausencia)
          Típica
          Atípica
          Mioclónica
          Mioclónica palpebral
          Focal a bilateral Tónica-Clónica
          Tratamiento
          El tratamiento de las crisis solo es con fines preventivos de un posible “estatus”, la mayoría de las crisis no se tratan y remiten espontáneamente.
          Hay que recordar que el manejo de epilepsia es totalmente distinto y para ello se requiere haber diagnosticado al paciente como tal. En este apartado veremos el manejo de un “estatus epiléptico”.
          www.qxmedic.com NEUROLOGÍA PAG. 228
        Figura 21. Clasificación operacional de los tipos de crisis, versión extendida ILAE 2017.
          Inicio focal Inicio generalizado Inicio desconocido
        No clasificada
        Recuerda
          El manejo inicial de las crisis es colocar en un primer acceso venoso: lorazepam 4mg (0.1mg/kg) o diazepam 10mg (0.15mg/k) por 1 min
          Evaluación inicial
          Aplicar el ABCDE y un examen neurológico completo. Aportar O2 si desatura, ventilación mecánica si requiere y monitorizar los signos vitales.
          Dosar glucosa, electrolitos, tóxicos en sangre, concentración de fármaco antiepiléptico (en caso sea paciente epiléptico en tratamiento).
          Administrar en bolo glucosa más tiamina (solo si sospecha de alcoholismo crónico).
          Manejo inicial de la crisis
          En un primer acceso venoso colocar:
          ♦ Lorazepam 4mg (0.1mg/kg) o diazepam 10mg (0.15mg/kg)(ENAM 2014-A, ENAM 2019-A, ENAM EXTRA 2020, ENAM 2014-A)
          ♦ Si no es posible el acceso venoso: midazolam 10mg (40kg) de forma intramuscular: Si el paciente no mejora podemos repetir la dosis y, además, en un segundo acceso venoso colocar:
          ♦ Fenitoína 20mg/kg (25-50mg/min) o valproato 30mg/kg (10mg/min) o levetiracetam 50mg/ kg en 15min
          ♦ Corregir cualquier trastorno metabólico que se sospecha Si, a pesar de estas medidas, el paciente no mejora se cataloga como estatus refractario.
          
    ♦ Para estos casos se procede a intubar, pasar a UCI y colocar monitoreo continuo de electroencefalograma
          ♦ Iniciar fármacos de segunda línea: midazolam o pentobarbital (endovenoso)
          ♦ Ver evolución
          www.qxmedic.com NEUROLOGÍA PAG. 229
        
              
              
            
            12. CRISIS FEBRILES
          Aspectos generales
          Las crisis febriles no se consideran un tipo de epilepsia y usualmente no incrementa el riesgo de esta. Representan el 50% de las crisis en los primeros 5 años. Afectan al 2-3% de la población general de niños y la edad de presentación oscila entre los 6 meses y los 5 años, siendo el pico máximo alrededor de los 2 años de vida. Afecta más a varones, hay predisposición genética asociada a los genes FEB1,2,3,4.
          Se clasifican en crisis febriles simples (sin riesgo de epilepsia a futuro) y complejas (con ligero riesgo de epilepsia que requiere monitoreo).
          Diagnóstico
          Para establecer el diagnóstico se requiere lo siguiente:
          Niño neurológicamente sano
          Edad de presentación entre 6 meses y 5 años
          Fiebre mayor de 38°
          La convulsión aparece al inicio del cuadro febril o incluso lo antecede
          Las crisis febriles simples representan el 80% y son crisis generalizadas , de duración menor a 15 minutos, ocurren 1 vez al día y no presentan riesgo incrementado de epilepsia a futuro del 3%
          Las crisis febriles complejas representan el 20% y son crisis focalizadas , de duración mayor a 15 minutos, ocurren varias veces al día y sí presentan riesgo incrementado de epilepsia a futuro
          Tratamiento
          Recuerda
          Las crisis febriles complejas representan el 20% y son crisis focalizadas, de duración mayor a 15 minutos, ocurren varias veces al día y sí presentan riesgo incrementado de epilepsia a futuro.
          Bajar la fiebre
          El uso de diazepam es opcional
          No requieren manejo continuo a largo plazo
          Consejería familiar si hay ansiedad
          Solo hacer seguimiento si son crisis febriles complejas
          www.qxmedic.com PAG. 231