
3 minute read
Vagotomías CIRUGÍA GASTROINTESTINALES
El tratamiento quirúrgico de las úlceras pépticas no complicadas rara vez es necesario porque suelen responder bien al tratamiento médico. Cuando se confirma la malignidad o se producen complicaciones como sangrado masivo o perforación gastrointestinal, se debe realizar una cirugía específica para estas complicaciones. (ESSALUD 2005)
Secciones parciales o totales de ramas del nervio vago. La denervación a través de la vagotomía total da como resultado una reducción de aproximadamente el 70% de la producción de ácido
Advertisement
Trayecto del nervio vago: a nivel de cardias se divide en una rama hepática y rama gástrica. La rama hepática se divide en ramas que inervan el píloro. La rama gástrica sigue su camino por la curvatura menor del estómago dando ramas parietales que inervan las células parietales. La rama gástrica termina dando origen al nervio de Latarjet formando la pata de ganso, se distribuye y termina finalmente en el antro gástrico. La formación de la pata de ganso se encuentra a 7 cm antes de llegar al píloro.
Tipos De Vagotom A
A: Troncal (suprahepática): Disección del nervio vago por encima de la bifurcación del nervio vago. Está indicada en neoplasias, gastrectomía totales y cirugías de emergencia. Asociado a antrectomía, tiene baja tasa de recidiva. (ESSALUD 2019)
B: Selectiva (infrahepática): Por debajo de la bifurcación del nervio vago. Mantiene indemne la rama hepática del nervio vago.
C: Supraselectiva o parietal: Disección únicamente de las ramas parietales. Inicia a 7 cm del píloro con el objetivo de evitar lesiones del nervio de Latarjet y pata de ganso.
En caso de úlceras perforadas se debe hacer rafia e incluir un parche de epiplon, conocido como “parche de Graham.” (ENARM 2021).
Complicaciones
Retraso en el vaciamiento gástrico, diarrea posvagotomía, hipergastrinemia posvagotomía y síndrome de dumping.
Gastrectomía
Es el procedimiento quirúrgico que se realiza para extirpar todo el estómago (gastrectomía total) o parte de él (gastrectomía subtotal). La gastrectomía subtotal consiste en la disección solo del antro, segmento distal del estómago.
Tipos de Reconstrucción:
Billroth I: Anastomosis gastroduodenal término-terminal. Indicaciones: antrectomía por úlceras duodenales o antrales.
Billroth II: Anastomosis gastroyeyunal término-lateral. Indicado en neoplasias gástricas. Puede complicarse con síndrome de asa aferente y asa eferente (ENARM 2004)(ESSALUD 2003, 2018)



Y-Roux: es una cirugía complementaria a otras cirugías como prevención del síndrome de asa aferente.
Cirugía de Whipple: Duodenopancreatectomía cefálica. Indicado en cáncer de cabeza de páncreas.
Complicaciones
Reflujo alcalino
Vaciamiento gástrico rápido (Síndrome de Dumping): en la fase temprana cursa con dolor, vómitos, deshidratación, diarrea, diaforesis y en fase tardía con hipoglicemia (ENARM 2017).
Anemia megaloblástica en resecciones extensas.
Cirug A De La Hipertensi N Portal

En el caso del manejo de la hipertensión portal tenemos las derivaciones portosistémicas:
Derivaciones portosistémicas totales
La vena porta se deriva completamente a la vena cava, lo que reduce la presión portal. Las derivaciones portosistémicas totales reducen el riesgo de hemorragia varicosa (recurrente) y pueden reducir la ascitis existente. Sin embargo, como el hígado se pasa por alto de forma completa, existe un alto riesgo de encefalopatía.
Procedimiento: derivación porto cava.
Derivaciones portosistémicas selectivas
La vena porta se deriva parcialmente a la vena cava, lo que reduce la presión portal. Esta derivación parcial previene las várices mientras continúa permitiendo la perfusión portal. Las derivaciones portosistémicas selectivas, por lo tanto, tienen un mayor riesgo de hemorragia varicosa recurrente, pero un riesgo menor de encefalopatía en comparación con las derivaciones portosistémicas totales.
Procedimiento: derivación espleno renal distal (técnica de Warren)(ESSALUD 2004)

Trauma Abdominal
Politraumatismo
Dos o más lesiones que ocurren en un mismo accidente y al menos una de ellas compromete la vida del paciente.
Evaluación primaria del politraumatizado – ABCDE (ENARM 2006, ENARM 2015, ENARM 2018) (ESSALUD 2003, 2010, 2015)
A. Asegurar la vía aérea y columna cervical mediante la colocación de collarín cervical. (ENARM 2000, ENARM 2006, ENARM 2010)

B. Respiración: Evaluación de la ventilación respiratorio
C. Circulación: Evaluar frecuencia cardiaca, pulso, llenado capilar y control de hemorragias importantes. Valorar estado de conciencia como signo indirecto de hipoperfusión (ENARM 2016).
D. Función neurológica: Valorar escala de Glasgow y reacción pupilar.
E. Examen físico general. Finalmente, cubrir al paciente para evitar hipotermia.
Estudios diagnósticos
FAST: Estudio de ultrasonido que explora la zona perihepática, pericárdica, periesplénica, peripélvica en busca de la presión de líquido libre en cavidad abdominal (ENARM 2013).
Otros: amilasa > 175 UI, presencia de bilis, presencia de patógenos.
LPD (Lavado peritoneal diagnóstico): estudio más específico pero invasivo (ENARM 2015, ENARM 2018). Es positivo si: 10 ml de aspirado sanguíneo inicial > 100.000 eritrocitos o > 500 leucocitos por mm3
Recuerda
Si el examen FAST no está disponible, se debe llevar a un paciente hemodinámicamente inestable al quirófano de inmediato.
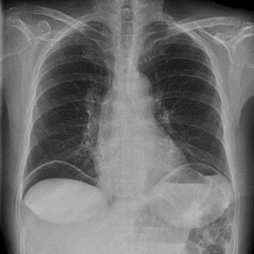
El examen radiológico más importante en la perforación de víscera hueca es la radiografía de abdomen simple en bipedestación teniendo como hallazgo neumoperitoneo, signo de las alas de gaviota si es bilateral, o signo de Popper si es unilateral.

(ESSALUD 2013)
VENTAJAS
Diagnóstico rápido
98% de sensibilidad
Detecta lesión intestinal
No requiere transporte
Invasivo
Baja especificidad
DESVENTAJAS
Diagnóstico rápido
Se puede repetir No invasivo
Alta sensibilidad
No requiere transporte
Operador dependiente
Distorsión con aire
No detecta lesión de diafragma o retroperitoneo

Estudio más específico
Alta sensibilidad
No invasivo
Costo y tiempo altos
INDICACIONES
T. contuso inestable
No detecta lesión de diafragma, intestino o páncreas
T. contuso inestable
Requiere transporte
Trauma estable
T. retroperit








