









![]()











In this season of giving thanks, we often find ourselves reflecting on the many blessings in our lives. The true spirit of Thanksgiving encourages the conscious expression of gratitude. Its focus is spending time with those you love and encourages giving back in meaningful ways. While ambition, competition and slaying goals can be very healthy, forgetting to place importance on being present, enjoying the ride and appreciating those who've helped us along in our journey, can leave us missing out on what truly matters. It's hard to feel content if we only look outside ourselves, and at our possessions or titles, to determine if we're fulfilled.
True contentment comes from within and from fulfilling who we were made to be.
Our November edition is dedicated to stories of gathering, gratefulness and giving back to our community. We're very thankful for the residents and businesses in our community who support so many wonderful organizations and help make our vibrant community what it is.
We're especially thankful for our advertising partners who help bring this magazine to your homes each month. They're part of our vision and purpose of providing inspiring stories and good community news directly to you.
As we prepare to gather with our loved ones this holiday season, in the true spirit of thanksgiving, let’s set time aside to consider what truly makes life meaningful and stop to reflect on those blessings.

SHARON DUFFY, PUBLISHER @MCKINNEYANDPROSPERLIFESTYLE
November 2024
PUBLISHER
Sharon Duffy Thomas | sharon.duffy@citylifestyle.com
PUBLICATION DIRECTOR
William Thomas | william.thomas@citylifestyle.com
COPY EDITOR
Julie Brown Patton | julie.patton@citylifestyle.com
STAFF WRITER
Alexis Jacobs | alexis.jacobs@citylifestyle.com
CONTRIBUTING WRITERS
Alexis Jacobs, Julie Brown Patton, Angela Broockerd, Rhiannon Johnson, Kara Witherow
CONTRIBUTING PHOTOGRAPHERS
Lucy Thornton, Janie Jones
CHIEF EXECUTIVE OFFICER Steven Schowengerdt
CHIEF OPERATING OFFICER Matthew Perry
EXECUTIVE DIRECTOR OF HR Janeane Thompson
AD DESIGNER Rachel Chrisman
LAYOUT DESIGNER Emily Lisenbee








Showing Gratitude: 2024 Run Is Slated For Nov. 9 In Prosper Frontier Park, 8-11 a.m.
Spreading Gratitude
In
On Nov. 30
















1: McKinney Rotary presented Direction 61:3 a check for $100,000 to help aging-out foster youth. 2: Women Alliance of McKinney, a division of the McKinney Chamber of Commerce annual conference. 3: Girls just having fun at the Women Alliance of McKinney (WAM) Annual Women's Business Conference. 4: Leadership Prosper inaugural class of 2025. Participants will explore all about Prosper and its uniqueness. 5: Little Hearts of Hope celebrating 10 years helping children that have family member fighting cancer. 6: Evening with Treasured Vessels Foundation was a huge success supporting young ladies reach their potential. 7: Treasured Vessels Foundation provides safe communities that restore survivors of exploitation achieve their true potential.






Representatives of Hugs Café Inc., a nonprofit café, greenhouse and academy that trains and employs adults with special needs, has expanded their hours of operation to cover breakfast, effective Oct. 1. Lauren Hugs says they now are open Tuesdays through Sundays 8 a.m. to 3 p.m. In addition to egg-based breakfast plates, on the early morning menu are bagels, bagel sandwiches, chocolate bourbon pecan pie and several flavor of cookies. Hugs was launched during 2013.
Alisha Holmberg was promoted to assistant director at Visit McKinney, a staff whose mission is to generate economic impact by promoting and developing McKinney as a destination for business and leisure travelers. Alisha previously served as the organization's meeting and event services manager. In her new role, she'll work closely with Visit McKinney Executive Director Aaron Werner. She joined Visit McKinney in 2022 after 10 years in the Town of Addison’s tourism/economic development offices.
Several Prosper leaders were appointed to influential boards within North Central Texas Council of Governments. David Bristol, Prosper mayor, was named to Executive Board of NCTCOG. Marcus Ray, Prosper mayor pro tem, is alternate member on Regional Transportation Council. Mary Ann Moon, executive director, Prosper Economic Development Corporation, was reappointed to North Texas Economic Development Council. Jeff Hodges, Prosper council member, serves on the board of managers for the North Central Texas Emergency Communications District.









In Celina, Texas, there is a place where the charm of history meets the sophistication of modern luxury. It’s a haven where golf isn’t just a game; it’s a celebration of opulence. And guess what? We’ve got an exclusive offer just for you to become one of our very first Founding Members, unlocking a world of unique perks and experiences that you won’t find anywhere else.



As a Founding Member, you’ll etch your name in the walls of 1876 Country Club. Picture this: you’ll be the first to grace our meticulously crafted course, a masterpiece reserved for those who have a taste for the extraordinary. But there’s more to 1876 than the greens.

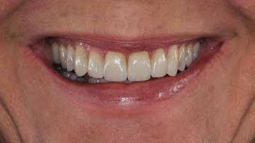
At Jensen Orthodontic Arts, we combine ART, SCIENCE, and EXPERTISE in orthodontics to customize your smile and improve or reconstruct the function and harmony of your teeth. That alone says a lot, but Dr. Doug Jensen also uses his training in the closely-related specialty of PROSTHODONTICS and dental aesthetics to create wonderful outcomes for unusual or complex dental problems– Think VENEERS, CROWNS, IMPLANT CROWNS, and DENTURES. Dr. Jensen is one of the few dual specialists in both orthodontics and prosthodontics in America, and we are lucky to have his experience in this area. He offers clear orthodontic treatment options including CLEAR BRACES, LINGUAL BRACES, and CLEAR ALIGNER THERAPY to meet your aesthetic needs. Count also on getting treatment rendered efficiently without ignoring the balance that should be present between the teeth, joints and muscles in a properly functioning bite.

Dr. Doug Jensen, DDS, MS
Board-Certified Orthodontist, Prosthodontist




Don’t wait! Come see us for an expert’s Complimentary Evaluation
Get a straightforward assessment and roadmap to the PERFECT SMILE!

HAIMAN HOGUE PROFESSIONALS HELP OTHERS PRESERVE ESTATES, PROTECT INVESTMENTS


Estate planning can be complex; it also provides opportunities for empowerment and peace of mind.
As a family protection planning and elder law firm, professionals at Frisco-headquartered Haiman Hogue, PLLC, say their foundational belief is to “faithfully serve God, clients and community” in legal projects they handle.
“Our focus is to use our unique God-given talents and abilities to help and serve others,” says founding partner Fred Haiman.
“We treat our clients with dignity and respect while ensuring they’re in full control of their money and assets,” adds founding partner Rex Hogue.
This legal assistance spans wills, trusts, trust administration, college planning, probate, guardianship, special needs, powers of attorney, deeds, business planning and asset protection, with services tailored to each client’s unique needs.
“There’s no such thing as one-size-fits-all estate planning,” says Susan Barnett, Haiman Hogue estate planning and elder law attorney.
Estate planning is the process of making arrangements for how assets and affairs will be handled if one becomes incapacitated or passes on. This planning is important because it helps ensure assets go to the intended beneficiaries, reduces family strife and avoids expensive and time-consuming court proceedings.
This law team assists clients with defining and understanding necessary steps for estate planning. For example, the probate of someone’s estate is a court-supervised process used when a person passes on with or without a will. Trust administration is a more private process, and is used when a decedent has a trust.
Asset protection planning involves making current prudent decisions to protect oneself, business, and hard-earned assets from loss due to lawsuits, creditors or bankruptcies.
Sometimes, a guardianship is needed, which allows a person or entity to make decisions for an adult who can no longer take care of himself/herself due to mental or physical disability or incapacity.
Sheila Williamson, Haiman Hogue director of community services, says the team offers free educational events each year, regarding topics such as ‘Does a Trust Make Sense in Texas?’ and ‘Estate Planning 101.’ They also participate in community resource fairs.
They have done webinars on these topics: Trusts Including Special Needs; Guardianship In Texas; Strategies For Mediating and Avoiding Family Fights; Blended Families: A Brady Bunch Nightmare; Addiction In The Family/How It Affects Care and Planning; My Loved One Just Passed…Now What; Elder Abuse and Adult Protective Services; and Preparing For Cognitive Incapacity.
“And we’re always willing to provide a guest speaker for professional organizations and civic groups,” Sheila adds.
She says she and her colleagues truly live out their faith, offering complimentary phone consultations to potential clients, because “we believe it shouldn’t cost people something just to find out if we can help them.”
Meals on Wheels is one nonprofit initiative supported by the Haiman Hogue staff. Sheila says it’s the combination of checking on homebound residents and bringing them nutrition that is most inspiring. “This cause fits perfectly for the way we do business.”
Additional charitable groups that Haiman Hogue professionals have sponsored or actively are participating in include Grace To Change; Latter House Décor; Lift R & R; Treasured Vessels; Melody of Hope; Camp Craig Allen; Alzheimer’s Association; McKinney Repertory Theatre; Frisco Family Services; Prosper Education Foundation; The Fairhill School; and 29 Acres.
In addition to its headquarters within the Comstock Building, 5300 Town and Country Blvd., Suite 200, the firm also has locations in Arlington, Sherman and Gainesville.
214.618.3160
HaimanHogue.com
CONTINUED >





We treat our clients with dignity and respect while ensuring they’re in full control of their money and assets.




Our attorneys create customized estate plans based on your family structure, life plans, goals, values, principles, and vision. There is no such thing as one-size-fits-all estate planning.
The probate process helps to ensure that your deceased loved one’s estate is distributed according to their wishes. Mourning the loss of a loved one is difficult, and the thought of dealing with legal issues and piles of paperwork can make you feel overwhelmed.
Appointing a guardian is necessary when a person can no longer make or communicate safe or sound decisions about his/her person and/or property or has become susceptible to fraud or undue influence. A special needs trust allows a person with a disability to have money put aside for their care.
Trust administration includes settling any debts, paying taxes, transferring property titles and other administrative tasks that must be handled to close out or settle the estate of the decedent.
Asset protection planning involves making prudent decisions today to protect yourself, your business, and your hard-earned assets from loss due to lawsuits, creditors or bankruptcies.
An effective business plan is not only a roadmap that outlines your goals, strategies, and potential hurdles, but also helps protect your business from death, divorce, or disability by preparing in advance.
ARTICLE BY JULIE BROWN PATTON | PHOTOGRAPHY BY TOWN OF PROSPER


Showing Gratitude: 2024 Run Is Slated For Nov. 9 In Prosper Frontier Park, 8-11 a.m.
The Prosper Veterans Day Honor Run is hosted as a salute to men and women who’ve served in the nation’s military. The event on Nov. 9 at 1551 Frontier Parkway offers three runs: a 5K, 10K and Fun Run. Proceeds benefit the Veterans Memorial, planned for construction at Frontier Park in the near future. This annual race is open to runners and walkers of all ages, including children, parents pushing strollers, and individuals using wheelchairs. Organizers encourage friends and family members to cheer on their favorite runners.
Schedule:
• 8 a.m. Program led by Prosper Mayor David Bristol.
• 8:30 a.m. 10K race kicks off.
• 8:45 a.m. 5K race starts.
• 9 a.m. Fun Run begins.
The medal ceremony will take place at approximately 10:30 a.m. after all participants arrive back to Children’s Stadium parking lot. Exhibits will be there as well.
Title Sponsor of the run is Old Prosper Partners.
For information, email events@ prospertx.gov or call 972.569.1160.







Recognized as the #1 Resort in Texas by the prestigious Travel + Leisure World’s Best Readers’ Choice Awards, Omni PGA Frisco Resort proudly stands among the global elite. This honor, earned in our inaugural year, celebrates our outstanding service and authentic Texas hospitality. Experience the level of luxury and service that truly sets us apart.
Book the “Simply the Best” resort package to elevate your stay with a complimentary suite upgrade and a celebratory bo le of Veuve Clicquot Champagne. Enjoy the ultimate luxury and make your escape truly unforge able.

This year, St. Gabriel’s Turkey Basket Program will mark its 25th year of providing Thanksgiving meals to low-income families in Collin County. The program, funded entirely by donations from St. Gabriel parishioners, ensures that hundreds of families enjoy a hearty and nutritious Thanksgiving dinner. Organized by the Men’s Club, with the help of dedicated volunteers, the program assembles and distributes 300400 baskets annually, some of which are delivered to assisted living facilities.
The program started small, with parishioners hand-delivering baskets and following printed maps to ensure timely deliveries. Over the years, it has grown, but the mission remains the same—supporting those in need during the holiday season. “Events like this are important to the community,” says Mike Simon, the Turkey Basket Program Lead. “Some families have told us that this program is the difference between not having a meal and enjoying a full Thanksgiving dinner.”
In the days leading up to the event, volunteers assemble baskets filled with canned goods, non-perishables, and of course, a turkey. On the day of pickup, the Men’s Club stages meal boxes, and volunteers load the packages into cars. Mike, who has led the program for a decade, notes, “This program is a joy to work on, and the entire parish comes together to help families in need.”
ARTICLE BY ALEXIS JACOBS


November naturally stirs a spirit of giving and gratitude, as the changing season reminds us to reflect, appreciate and share our blessings with those around us, fostering deeper connections and a sense of community.
Every year, Citychurch McKinney brings together 100-plus volunteers on the Saturday before Thanksgiving to provide local families with everything needed for a full holiday meal. With the support of churches, businesses, and individuals, they will pack and hand-deliver more than 300 Thanksgiving Boxes this November. Each box costs around $50 to fill. Community residents can volunteer, donate or sponsor a box to feed a family.


Community Garden Kitchen representatives will host a big Thanksgiving dinner with all the traditional trimmings on the day before Thanksgiving, allowing volunteers to spend time with their families. Last year, 205 people were served. This year, they expect 250. Dedicated to reducing food insecurity, Community Garden Kitchen serves without barriers—no paperwork or intake—ensuring everyone in the community can enjoy a warm meal.

Emmanuel Labor: Removing the "lessness" from Homelessness partners with local churches and community organizations to host the “Room at the Table” Thanksgiving Dinner for those without a place to go. Held on Thanksgiving Day, the event offers showers, a clothing truck and a chance to watch the Cowboys football game. It’s a day of community, fellowship and care.

Over two days, volunteers at Hope Fellowship will pack 2,400-plus food boxes for local families in need. Partnering with several ministries, these boxes will be distributed to those needing extra support this holiday season. Project Serve offers a wonderful opportunity for all ages to give back to their communities and make a positive impact during the holidays.


For Thanksgiving, Lovepacs PCG gathers, packs and distributes food boxes providing a week's worth of meals— breakfast, lunch and snacks. Parents register and collect the boxes at the Prosper warehouse, ensuring no child goes hungry during the holiday season. Donations needed include granola bars, microwave popcorn, ramen, macaroni and cheese, cereal, canned pasta, canned tuna or chicken, instant oatmeal and canned soup.

Minnie's Food Pantry serves 15,000-plus individuals in need at Thanksgiving, ensuring each family receives a turkey and all the trimmings for a complete holiday meal. Supported by more than 250 volunteers and event sponsors, the organization aims to alleviate the burden of hunger. A meal sponsorship, including the turkey, is available for just $75 to help a family in need.

Seven Loaves Food Pantry will continue its "Month of Thanksgiving" tradition, which started after the COVID-19 pandemic. Throughout November, everyone visiting the food pantry will receive an additional bag with ingredients for Thanksgiving sides such as mashed potatoes, yams, green beans, corn and stuffing. Corporate partners will volunteer to help assemble and distribute food to the 1,100–1,200 families served weekly. An appointment is required for anyone wishing to receive food.











ARTICLE BY ALEXIS JACOBS
PHOTOGRAPHY BY BELIEVE! MCKINNEY/ PROVIDED BY NED SEARLES
In 2006, avid runner and bicyclist Ned Searles says he reluctantly agreed to an annual checkup at his wife’s urging. Despite feeling perfectly healthy and having no family history of cancer, a routine blood test revealed that Ned, then 41, had stage 3 prostate cancer. With only a 15% chance of survival, doctors pursued aggressive treatment, and early detection ultimately saved his life.
While still recovering from the side effects of cancer treatment, Ned says he searched for ways to maintain his active lifestyle and give back to the community. The perfect opportunity came after a church service when a fellow parishioner approached him with the idea of organizing a race to benefit McKinney’s Holy Family School.
“I was wearing running shorts, and she asked me what I was up to,” Ned recalls. Their conversation sparked the creation of the Believe! 5K race.
The annual race combines Ned’s love of running with the mission of providing tuition assistance for low-income families at Holy Family School, which has served McKinney’s diverse community since 1951. All race proceeds go directly toward scholarships. Since the race’s inception, more than 400 children have benefitted. The Believe! races now collectively have raised more than $300,000 in scholarships.


Held on the Saturday after Thanksgiving, the event draws up to 1,200 runners and coincides with McKinney’s “Home for the Holidays” festival, making it a perfect family tradition. Participants enjoy the scenic route, chip-timed races, and festive atmosphere. The Great Santa Chase, a free children’s event, kicks off the day, and strollers are welcome in the 5K.
With 16 years of successful races behind him, Ned continues to inspire McKinney through the Believe! 5K.
“Everyone wins in this race,” states Ned. “Families enjoy a great new healthy holiday tradition, and kids in need get support to kick-start learning in a great place.”
RACE DAY/NOV. 30 SCHEDULE:
7:00 a.m.: Race Registration.
7:30 a.m.: Sunrise Celebration.
8:00 a.m.: The Great Santa Chase.
8:10 a.m.: 1-Mile Holiday Fun Walk/Run.
8:30 a.m.: 5K starts.
9:45 a.m.: Awards Ceremony. Register online at PlayTri.com/all-races/BelieveRun.
















ADVICE EDITORIAL: HEAD TO HOLIDAY VACATION
EVERYONE WILL ENJOY AT GAYLORD TEXAN
Holidays are for family, friends and making memories. Whether it’s bundling up and spending a day walking through a winter wonderland, zipping down a snowy hill or singing Christmas carols while enjoying cookies and milk, guests can find it at Gaylord Texan Resort. Amid millions of holiday lights, elaborately decorated trees, seasonal cuisine and a sleigh-full of Christmas cheer, visitors will experience a Christmas to remember.
Standing on the shores of the majestic Lake Grapevine, Gaylord Texan is a perfect choice for families looking for a fun holiday getaway close to home.
From Nov. 15 through Jan. 5, 2025, the resort transforms into a wondrous holiday haven with acres of décor, live entertainment, and immersive activities for all ages.
ICE! FEATURING RUDOLPH THE RED-NOSED REINDEER
The coolest attraction of all is ICE! featuring Rudolph the Red-Nosed Reindeer. This holiday spectacle is kept at 9 degrees and hand-carved by artisans out of 2 million pounds of brightly colored ice.
Guests will see Rudolph the Red-Nosed Reindeer, Hermey the Elf, Yukon Cornelius and all their friends come to life in more than 10 vibrant ice scenes from the beloved television special.
And there’s no need to pack coats (scarves, gloves, and extra apparel are suggested for those who tend to get cold). Even though it’s chilly inside, Gaylord Texan provides parkas to keep guests comfortable as they marvel at larger-than-life displays, take fun selfies and wander through the one-of-a-kind, arctic attraction.
ARTICLE BY KARA WITHEROW | PHOTOGRAPHY
PROVIDED BY GAYLORD TEXAN RESORT




Love a Broadway-style spectacle? An original Gaylord Hotels production, Cirque: Spirit of Christmas features amazing acrobatics and feats of flexibility. Designed for the entire family to enjoy, the story centers around Noel, a child dismayed by the hustle and bustle of the holidays.
A heartwarming story that soars through the air and sparkles with imagination, this 45-minute show will delight and dazzle with a riveting score, world-class contortionists, jugglers, trapeze artists and more.
With signature events, classic holiday activities, including photos with Santa and thrilling experiences such as snow tubing and Snowball Build & Blast, there’s something for everyone to enjoy during So Much Christmas at Gaylord Texan Resort.
After a festive day of memory making, unwind with a meal at Old Hickory Steakhouse, Riverwalk Cantina, Texas Station or Zeppole before taking a spin on the Christmas Carousel. This timeless, family-friendly ride is sure to get the whole family in the holiday spirit!
This season, give a gift that can’t be wrapped but will be remembered forever. Unwrap the magic of Christmas at Gaylord Texan.
ChristmasAtGaylordTexan.com
Through Jan. 5, 2025, the Gaylord Texan resort transforms into a wondrous holiday haven with acres of décor, live entertainment and immersive activities for all ages.














After a sizzling summer, when the last thing we wanted to do was turn on our ovens or stovetops, autumn has finally arrived. Shorter days and cooler temperatures draw us back into our kitchens to create our favorite comfort foods, but we often find ourselves stuck when it comes to new ideas. Whether you’re the family chef, an entertainer who loves to feed a crowd or a solo cook, you’re likely looking for some seasonal cooking and baking inspiration.
Filled with perfectly curated recipes, mouth-watering photos, cooking tips, and personal insights, the following four new releases are here to help. They offer solutions to your daily dinner dilemmas, celebrate our nation’s vast culinary history, teach you how to bake the best biscuits and satisfy your sweet tooth. Add these amazing cookbooks to your personal collection and you will add hundreds of new recipes to your repertoire, creating an endless array of delicious dinners and desserts. Spend a chilly night expanding your cooking talents or learning a few new baking tricks and watch how a quiet evening at home can quickly transform into something truly special. It’s time to celebrate the season, so put down that delivery app and pick up these tasty new cookbook releases, filled with recipes to keep you happy and cozy all season long.
ARTICLE BY RHIANNON JOHNSON


Still We Rise: A Love Letter to the Southern Biscuit with Over 70 Sweet and Savory Recipes
BY ERIKA COUNCIL
Bomb Biscuit Company’s founder and head baker Erika Council pairs her heritage (she’s the granddaughter of legendary soul food chef Mildred Council aka “Mama Dip”) and immense skill set to deliver a heartfelt and tasty tribute to the Southern biscuit. Featuring classics and new favorites, this recipe collection is bound to become a favorite in your kitchen.

Sweet Little Cakes from Mrs. Zabar’s Bakeshop: Perfect Desserts for Sharing
BY TRACEY ZABAR
Smaller size, same big flavor! Tracey Zabar has edited her famous recipes to allow home bakers the opportunity to create their own smaller versions of her famous cakes in the comfort of their own kitchens. Each seasonally organized recipe serves two to six people—perfect for creating a tiny treat to share or to satisfy your own sweet tooth.


The Great American Recipe Cookbook Season 2 Edition:
100 Memorable Recipes to Celebrate the Diversity and Flavors of American Food
There’s something for everyone in this companion cookbook to the second season of The Great American Recipe . The fun, feel-good cooking competition highlights some of our country’s most talented home cooks and captures the rich culinary history of America. From generational family treasures to regional cuisines, this recipe collection exemplifies how food represents and unifies our communities and cultures.

Skinnytaste
BY GINA HOMOLKA, HEATHER K. JONES, R.D.
Streamline your dinnertime routine with these easy, delicious, and healthy recipes, each requiring seven ingredients or fewer. Featuring 105 original recipes plus 15 beloved fan-favorites from the website, Skinnytaste Simple focuses on using minimum ingredients while delivering maximum flavor and nutrition.





















ARTICLE BY ANGELA BROOCKERD I PHOTOGRAPHY BY JANIE JONES
Fall is synonymous with gathering with friends and family and enjoying time together. Whether it is for Thanksgiving, a football watch party or a simple fall gathering, these easy appetizer dips are the perfect shareable snack to share.
The perfect cheesy fall dip that is both savory and sweet. The chopped pecans add a subtle crunch that makes this irresistible.
ingredients:
• 8 ounce brie wheel
• 1/3 cup fig spread or jam
• ¼ cup pecans
• 2 teaspoons honey
• 1 teaspoon fresh rosemary, chopped
• 1 teaspoon fresh parsley
directions: Place brie in a baking dish. Spread the fig spread on top of brie and sprinkle with chopped pecans. Drizzle with honey. Add fresh herbs, and bake at 350 degrees for 20 minutes. Serve with pita chips or crackers.


This savory dip is quick and easy to assemble and is perfect to serve with fresh veggies or crackers of any kind.
ingredients:
• ½ cup plain Greek yogurt
• 1 whole garlic bulb, roasted
• 1 ¼ cup feta cheese
• 3 teaspoons olive oil
• 1 Tablespoon lemon juice
• ½ teaspoon dill
• 1 teaspoon parsley
• Salt and pepper to taste
directions:
First, cut the head off of the top of the garlic bulb, and drizzle olive oil on top. Wrap in foil, and place it in an oven heated to 425 degrees. Roast for 30 minutes or until soft. Squeeze roasted garlic into a bowl, and set aside. Next, add the yogurt, feta, lemon juice, salt, pepper and water in a blender and lightly blend. Add the roasted garlic and blend until smooth. Transfer to a serving dish and sprinkle with fresh herbs. Serve with crackers or fresh vegetables. Enjoy!
This crowd-pleaser can be made in advance for easy entertaining.
hummus ingredients:
• 2 cans of garbanzo beans (chickpeas), drained
• Juice from one lemon (or ¼ cup)
• 1/3 cup water
• 1 garlic clove, minced
• ½ teaspoon cumin
• ¼ teaspoon cayenne pepper
• ½ teaspoon salt
• ¼ teaspoon pepper
• 1 tablespoon olive oil
toppings:
• Olives
• Cherry tomatoes
• Chickpeas
• Feta cheese
• Red onion
• Fresh Parsley
directions:
In a blender, add all of the ingredients except the olive oil and the toppings. Blend until smooth. Spread Hummus onto a plate or platter and top with chopped toppings. Serve with fresh bell peppers, zucchini, crackers and pita bread.



ingredients:
• 8 ounces softened cream cheese
• 1 can pumpkin puree
• ¾ cup brown sugar
• 1 cup heavy whipping cream
• 1 tablespoon pumpkin pie spice
directions: Place cream cheese in a microwave safe bowl, and soften for 30 seconds. Add brown sugar and blend with a hand mixer until smooth. Add in pumpkin and blend until combined. Mix in heavy whipping cream and mix on high for 2 minutes. Next, stir in pumpkin pie spice. Serve with sliced apples, pretzels, graham crackers or vanilla wafers.
Nothing screams fall quite like the flavor of pumpkin. This lightly sweet dip takes just a few minutes to make and is perfect for any fall get-together.

ARTICLE BY ANGELA BROOCKERD| PHOTOGRAPHY



This butter is versatile and goes with just about anything. You can use this on top of bread, popcorn, veggies, as a sandwich spread and more.
• 1/2 cup unsalted butter, softened to room temperature
• 4 tablespoons fresh parsley, chopped
• 1 tablespoon herb of your choice (dill, basil or oregano are my go-to herbs.)
• 1 clove garlic, chopped
• 1 tablespoon fresh lemon juice
• 1/2 teaspoon salt
• cracked pepper to taste
Add all ingredients in a food processor (or mix by hand in a bowl). Transfer butter mixture on parchment paper or plastic wrap. Cover butter tightly and roll into a log. Place in refrigerator until firm. Enjoy!

Add a little kick to your traditional popcorn by incorporating herbs in with the butter. You won’t be disappointed with this buttery and savory combination.
Ingredients
• 13 tablespoons coconut oil (or olive oil if you prefer)
• 3/4 cup popcorn kernels
• 5 tablespoons butter, melted
• 2 teaspoons garlic salt
• 2 teaspoons parsley (dried)
• 1 teaspoon thyme
Add oil to the bottom of a pot and melt over medium heat. Add popcorn kernels and place lid on top of the pot and heat over medium heat until kernels are popped, shaking pan occasionally. Melt butter in a separate dish and add seasonings. Pour on top, and enjoy!







- Raj Narayanan







NOVEMBER 9TH
Bluegrass Saturday Night
McKinney Performing Arts Center | 7:00 PM
The GRAMMY-nominated Special Consensus is a special bluegrass band that has developed its contemporary sound over nearly five decades of non-stop touring and performing. Join those coming to see them kick off their 50th anniversary year.
NOVEMBER 13TH
Bingo On Broadway In Prosper
Prosper Event Center At Prosper Wine House | 6:00 PM
Bingo On Broadway, a monthly fundraiser event, will be held at the Prosper Event Center in Downtown Prosper. Enjoy fabulous prizes valued at more than $100 each, and tickets include the first glass of wine for attendees.
NOVEMBER 15TH-16TH
6th Annual Merry Market
3R's Ranch | 10:00 AM
This annual holiday shopping runs through 3 p.m. on both days. This event is hosted by Prosper Chamber of Commerce representatives. With more than 50 merchants to shop with, attendees surely will find lots of new and one-of-a-kind gifts to have ready for the holidays.
NOVEMBER 16TH
Trails And Tacos 15K, 5K
Erwin Park, McKinney | 7:30 AM
All proceeds benefit the Dan Crum Memorial Scholarship Fund. Dan was McKinney Running Club's first member; he passed away from cancer in 2017. To honor him, a scholarship is granted through the McKinney Education Foundation to graduating seniors. Prizes for overall finishers and select superlatives ('happiest,' 'most determined,' awarded by panel of judges). Aid stations with trail snacks. Tacos!

How would you like to meet with us within 24 hours of when you reach out? We
and arrange for


















today at 469-406-6064 or visit www.timbercreekcarpentry.com to discuss your construction or maintenance needs in McKinney, TX and surrounding communities.

CONTINUED
NOVEMBER 29TH THROUGH DECEMBER 1ST
Historic Downtown McKinney
Stroll the 14-block area of McKinney's 167-year-old commercial historic downtown for family activities, food and entertainment. Enjoy a uniquely McKinney Christmas celebration with neighbors and visitors from near and far.
NOVEMBER 30TH
Snow Fest With Webbie, Jeezy
Comerica Center | 6:00 PM
Rapper Jeezy (Jay Wayne Jenkin, an American rapper) and his friends will take over the Comerica Center stage for one epic night to perform some of the greatest hits. Performance starts at 7:30 p.m. Tickets available at Ticketmaster.com.


Ready to buy ? The Farmers Bank & Trust mortgage team provides:
- Fast Estimates & Pre-Approvals - Local Processing
- Construction Loan Options - No Hidden Fees

Madison Haltom