









![]()











Wives, mothers, sisters, daughters, grandmothers, aunts, gal-pals and stepmothers are some of the most influential women in our lives. With Mother’s Day this month, many eyes are on moms. But it’s not just biological mothers who impact us. It's also about mother figures in the forms of other family members, teachers, friends and neighbors taking awesome steps in our communities. They pour into our lives, making them selves unforgettable and irreplaceable. If Mother’s Day is a difficult day for anyone, just know that we’re thinking of you, too, sending you comfort vibes.
While it’s always important to shop local and support our area businesses, this month is the perfect time to patronize businesses owned and managed by women in our communities. They are movers and shakers, builders and makers. They are both seen and unseen. Their silent service blesses those who are under their care. Their attention to detail shows us something about beauty that can’t be seen or understood any other way.
Please take a few minutes to send a text, make a phone call, deliver a special card or get on a video chat with the women in your life who deserve recognition. It only takes a minute to remind them how much you love them.
Gratefully,

SHARON DUFFY, PUBLISHER
PUBLISHER
Sharon Duffy Thomas | sharon.duffy@citylifestyle.com
PUBLICATION DIRECTOR
William Thomas | william.thomas@citylifestyle.com
COPY EDITOR
Julie Brown Patton | julie.patton@citylifestyle.com
STAFF WRITER
Alexis Jacobs
CONTRIBUTING WRITERS
Alexis Jacobs, Julie Brown Patton, Mindy Wester, Angela Broockerd
CONTRIBUTING PHOTOGRAPHERS
Janie Jones, Mindy Wester, Allison Amores
CEO Steven Schowengerdt
COO Matthew Perry
CRO Jamie Pentz
VP OF OPERATIONS Janeane Thompson
VP OF SALES Andrew Leaders
AD DESIGNER Rachel Otto
LAYOUT DESIGNER Emily Lisenbee
QUALITY CONTROL SPECIALIST Hannah Leimkuhler














Transformations Via Custom Window Treatments
Gotcha Covered Of Frisco: Tailoring Spaces For Style, Function, Convenience
Helping Life-Threatened Moms Make ‘Faith Over Fear’ Memories
Manda Strong Foundation Supporters Tailor
Experiences To Each Family Make Summer Glow
Stay, Golf, Shop, Dine At Omni PGA Frisco Resort & Spa, Including Mother's Day Celebrations Capturing
Allison Amores Photography: Elegance, Warmth, Passion For Storytelling Through Photography

















1: McKinney Chamber of Commerce 2025 Community Awards celebrates the accomplishments of the local business community. 2: McKinney Chamber of Commerce 2025 Community Awards celebrates community members on their achievements and recognition. 3: The East McKinney Learning Garden teaches people how to create food-producing gardens in their backyards. 4: McKinney Rotary Club presented the McKinney Food Pantry with a check to stock their pantry. 5: Chestnut Square host community events that bring people together to celebrate Collin County’s heritage. 6: Daystar Landscapes was the main sponsor of the Collin County Master Gardeners Show. 7: Hugs Greenhouse enhances the lives of adults with special needs through training and employment.



8: Prosper Running Club. 9: Celebrating the ribbon cutting of Denizen McKinney, a boutique, authentic and residential style hotel. 10: The board of directors of the service group 100 Women of McKinney.






































Town of Prosper officials hope residents and employees will sign up for the State of Texas Emergency Assistance Registry (STEAR), a free and voluntary program to assist individuals who may require additional support during disasters. Register through STEAR website or call 2-1-1 for assistance. Registration is completely voluntary; registrants can provide as much or as little information as they choose. Prosper residents also are encouraged to sign up for the town's Rave Alert notification system.










When it comes to enhancing interiors with elegant and functional window treatments, Gotcha Covered of Frisco/McKinney/Prosper and surrounding areas offers a wide array of custom solutions designed to elevate both residential and commercial spaces. The company provides a variety of products from stylish drapery and classic shutters to high-tech motorized shades and durable outdoor patio treatments.
“We take pride in tailoring our designs to each client’s specific needs, ensuring that every client finds the perfect fit,” says Heather McGregor, co-owner of Gotcha Covered. “With partnerships that include industry leaders like Hunter Douglas and the family-owned and locally manufactured Texton, we ensure both premium quality and personalized service.”
Heather says this team is dedicated to creating solutions that combine aesthetics with practicality, offering light control, energy efficiency and privacy options tailored to any space.
One of the biggest trends shaping the window treatment industry today is automation. More homeowners and businesses are opting for motorized shades and drapery, enjoying the convenience of controlling their environment with a simple touch of a button.
“Smart home integration is a game-changer,” Heather explains. “With tools like the Bond Bridge and Hunter Douglas’ PowerView
motorization, our clients can manage their window treatments from their smartphones or voice-controlled devices.”
In addition to high-tech solutions, natural materials are gaining popularity in interior design. Woven shades made from sustainable materials like jute, bamboo and grasses bring warmth and texture to spaces while aligning with eco-friendly design trends. “We’ve seen a growing demand for materials that reflect nature,” Heather notes. “Clients love the aesthetic appeal and the organic feel these treatments bring to their homes.”
Customization is at the heart of Gotcha Covered’s approach. Heather says their design consultation process ensures every project is tailored to the client’s unique style and functional needs. Whether meeting at the McKinney showroom or in a client’s home, she says their consultants take the time to understand each customer’s vision.
“No two windows are the same,” Heather says. “We take precise measurements and offer a wide variety of fabric and style options to create a truly custom solution.”
Beyond its products, Gotcha Covered differentiates itself through exceptional customer service and a strong family-oriented approach. As a family-owned business, Heather and her husband CONTINUED >










run the company alongside their daughter, brother-in-law and son-in-law. “We believe in bringing a personal touch to everything we do,” she says. “Our clients aren’t just customers, they’re part of our extended family.”
For those ready to upgrade their window treatments, Gotcha Covered offers easy scheduling for consultations, both in-home and at their McKinney showroom. Heather adds, “With a commitment to quality, innovation and personal service, we make every step of the process seamless. Clients can expect expert guidance, top-tier products and a stress-free experience from selection to installation.”
972.497.1096
GotchaCovered.com/Frisco McKinney.GotchaCovered.net

The Future of Window Treatments
Technology is revolutionizing window treatments, making them smarter and more convenient than ever.
Gotcha Covered of Frisco offers cutting-edge solutions, including: Motorized Shades (control with a remote, smartphone, or smart home system); bond bridge integration (seamlessly connect shades with Google Home and Apple devices); Hunter Douglas PowerView (Bluetooth-enabled automation for effortless light and privacy control); and Low-Voltage Wiring (ideal for custom homes looking for full smart-home integration).
These features not only enhance convenience but also improve energy efficiency, security and overall home comfort.

Discover the ultimate summer escape at Omni Barton Creek Resort & Spa, where weekends come alive with live music, family-friendly activities, and the best of Austin’s food, drinks, and artisan treasures.
Back by popular demand, Barton Creek Live returns to the Hill Country Lawn at Omni Barton Creek Resort & Spa, bringing the soul of Texas music under the open sky. Past performers like Jack Ingram, Lee Ann Womack, and Larry Gatlin & The Gatlin Brothers have filled the night with unforgettable melodies —and this year promises even more show-stopping performances.
Celebrate the spirit of the Texas Hill Country with local breweries, distilleries, wineries, live music, and family-friendly activities. Shop local with our market vendors, offering unique artisan goods and handmade crafts that showcase the creativity of the Austin community.
Celebrate a four-day weekend filled with freedom, flavor, and fun at this exclusive event. Indulge in mouthwatering Texas BBQ, enjoy live music, and cap it all off with a spectacular fireworks show.
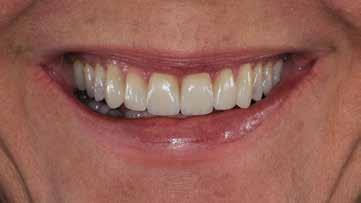
At Jensen Orthodontic Arts, we combine ART, SCIENCE, and EXPERTISE in orthodontics to customize your smile and improve or reconstruct the function and harmony of your teeth. That alone says a lot, but Dr. Doug Jensen also uses his training in the closely-related specialty of PROSTHODONTICS and dental aesthetics to create wonderful outcomes for unusual or complex dental problems– Think VENEERS, CROWNS, IMPLANT CROWNS, and DENTURES. Dr. Jensen is one of the few dual specialists in both orthodontics and prosthodontics in America, and we are lucky to have his experience in this area. He offers clear orthodontic treatment options including CLEAR BRACES, LINGUAL BRACES, and CLEAR ALIGNER THERAPY to meet your aesthetic needs. Count also on getting treatment rendered efficiently without ignoring the balance that should be present between the teeth, joints and muscles in a properly functioning bite.

Dr. Doug Jensen, DDS, MS
Board-Certified Orthodontist, Prosthodontist




Don’t wait! Come see us for an expert’s Complimentary Evaluation
Get a straightforward assessment and roadmap to the PERFECT SMILE!



Manda Maxwell is the reason behind the Manda Strong Foundation, with the sole mission to support mothers with uncertain futures due to life-threatening cancer diagnoses.
"We come alongside Collin and Grayson county women who are fighting cancer, with minor children at home, to help make family memories that last. We founded the Manda Strong Foundation during April 2017 to celebrate Manda's choices of faith over fear and family over circumstance," explains Ed Davis, MSF executive director and co-founder, along with his spouse and co-founder, Cindy Davis.
As devoted parents of Manda, maintaining something inspirational for other women was, and is, essential to Cindy and Ed.
Manda first had cancer at the age of 5 and was in remission until it resurfaced again at age 28. Five years later, the cancer returned for the third time. At 35, Manda, beloved wife and mother of two, passed on during 2017 in Dallas.
"We saw firsthand how Manda prioritized making memories. Her hope was those memories would be a welcome joy when looking back on a hard time. And, she knew that, in the worst case, her husband and kids would have precious memories to carry through their whole life," states Ed.
"Whether someone needs Christmas memories in August, help with making an unforgettable vacation happen, or just quality time with family, we've got you," adds Cindy.
MSF team members plan and create unique special events, trips, packages and support for the families of moms who are battling cancer. "Every mom's circumstances are different. We consider treatment plans, energy level and children's ages in our planning process," says Cindy.
CONTINUED >
The group also provides to mothers supportive selfcare packages, filled with luxury lip balm, reusable water bottles, blankets, travel pillows and a devotional journal. These totes are especially helpful during chemo-related hospital and clinic appointments.
Women, with children 18 years or younger, may be nominated to receive self-care packages or services to help provide joy in the midst of their hardships.
Those interested may make one-time or recurring donations to the foundation, says Cindy as MSF treasurer.
Tyler Richardson serves as the group’s president and Karla Reyes is the secretary. Board members include Eric Davis, Rebecca Scott, Jill Ruiz, M.D., Kristen Shaw and Sara Thomas.
Ed says that over the past eight years, they’ve had the privilege of supporting 80 moms. “Each mom’s experience is impactful. Our budget for each mom is several thousand dollars, covering the cost of creating unforgettable memories for these families.”
maintain a private Facebook group where the moms can share their journeys, offer advice and form a supportive community.”
He adds, “Through it all, we proudly share the love of the Lord, just as Manda did throughout her cancer journey. Her faith was a guiding light that helped her, and her family navigate the toughest times.”
The group’s online presence continues to grow, with the Facebook page reaching 7,200plus followers. The website serves as a central hub for information, updates and resources.
“What can I do with my kids today to make memories with them?”
~Manda Maxwell, catalyst for Manda Strong Foundation.
He shares that the COVID-19 pandemic presented challenges, as many moms with cancer were forced into isolation due to compromised immune systems. “Despite these challenges, we’ve continued to support and uplift these incredible women. In addition to providing memory-making trips, we offer monthly face-to-face support meetings and
One upcoming way to assist this compassionate initiative is to participate in the Manda Strong Foundation 2nd Annual Pickleball Tournament on June 14 at The Courts of McKinney. This indoor tournament is planned to start at 9 a.m. Foundation supporters also are scheduled to host a golf tournament this Sept. 29 at The Courses at Watters Creek in Plano.
The group just held an annual Boots & Bling Fundraising Gala on Feb. 28. Ed says the next Gala will be held during 2027, because they host the event every two years to celebrate the strength of the moms they support and to gather vital funds for the foundation. 214.862.3552 MandaStrong.com








ARTICLE BY JULIE BROWN PATTON
Sensational summer staycations are brimming at Omni PGA Frisco Resort & Spa in Frisco from Memorial Day weekend through Labor Day weekend.
Monica Smiley, CHDM, Omni PGA Frisco Resort & Spa director of marketing, says guests can experience the SUMMER OF GLOW, an enchanting mix of rejuvenating activities, kid's crafts, happy hours and varied entertainment. Overall, weekend glow parties allow guests to play 9-holes of mini golf on a course lit up with neon colors or to gather around the glow of firepits to roast perfect s'mores. Every Saturday night, the resort hosts synchronized, mesmerizing drone shows in the sky.
“However, for Fourth of July festivities, the drone show will be on Friday, July 4, rather than Saturday, July 5,” she states.
This year, Glow parties are being hosted each Friday and Saturday evening, she adds. These include glow golf on the 10th Fairway Terrace, pool games, drone shows lighting up the skies and complimentary s'mores.



“While staying at Omni PGA, guests also can enjoy playing two 18-hole championship golf courses (Fields Ranch East and Fields Ranch West). Additionally, golfers can delight in The Swing, a lighted 10-hole, par-3 short course,” she says.
For more levity, Monica reminds that The Dance Floor provides a 2-acre putting course and entertainment area.
Furthermore, this active Frisco location offers four on-site pools, including an adultsonly rooftop infinity pool.
“The resort’s on-site Mokara Spa can be booked for revitalizing, full-service treatments,” Monica adds.
Experiencing different food cravings for the summer season? The site offers vast dining destinations for various hankerings, including TRICK RIDER (signature steaks, seafood, shellfish dishes); THE APRON + BAR (creative Texas and California fare); THE LOOKOUT LOUNGE & BAR (inspired small plates, tapas, bar bites); TOAST & TEE COFFEE COLLECTIVE (breakfast and all-day, grab-and-go items); GREEN CACTUS CAFÈ (wellness-driven foods including light bites, healthy juices, elixirs, sweet treats); BLUESTEM BAR (vibrant cocktails and bold bites via a rooftop experience); LEISURE POOL BAR (pool-friendly handhelds, big salads, chilled sweet treats, vibrant pool mixology); RYDER CUP GRILLE (robust menu of classic American culinary favorites and cocktails); ICE HOUSE (beer, wine, cocktails); LOUNGE BY TOPGOLF (indoor sports bar with craft cocktails, chef-driven fare and fun, immersive atmosphere for golfers and non-golfers alike); MARGARET'S CONES & CUPS (gourmet coffee, ice cream, sweet treats); FIELDS OVERLOOK (savory bites, grab-and-go golf foods, ready-to-drink cocktails); THE BUNKER (grab-and-go handhelds); THE SWING BAR (walk-up beverage truck serving margaritas, cold beer on tap, bottled cocktails, easy-to-grab snacks).
CONTINUED >

Monica says May 1 offers the Masters of Taste Dinner. May 2 focuses on Fork & Fire Grand Tasting. The SAVOR Celebrity Golf Invitational will be hosted May 3. And, a Margaritas & Mariachis Celebrity Brunch will be held May 4.
The 660-acre PGA Frisco campus is known as one of the world’s leading meeting and conference destinations, as well as a leisure escape that features two championship golf courses at Fields Ranch designed by Gil Hanse and Beau Welling.
The resort’s amenities include a full-service salon and spa and boutique retail shops. Featuring subtle nods to Texas culture, each of the resort’s 500 guest rooms and suites and 10 exclusive four-bedroom modern-Texas ranch houses, offer sweeping views of lush surroundings. The resort features more than 127,000 square feet of indoor and outdoor space for meetings and events, including two ballrooms; 19 meeting rooms; nine outdoor event venues; and Panther Creek Pavilion, the ideal venue for weddings.
469.305.4500
OmniPGAFrisco.com
SAVOR the best of Texas at the resort during May 1–4, via four days of exquisite dining, live music from Midland and D. Vincent Williams, and celebrity golf. Special food and drinks will come from 17 renown chefs and mixologists: Chef Aarón Sánchez, Johnny Sánchez & Showbird, New Orleans; Chef Antonia Lofasa, DAMA & Scopa, Los Angeles; Chef Beau MacMillan, CALA, Scottsdale; Chef John Tesar, Knife, Dallas; Tony Abou-Ganim, The Modern Mixologist, Las Vegas; Chef Stephanie Izard, Girl & The Goat, Chicago; Chef Shota Nakajima, Taku Seattle, Seattle; Chef Dean Fearing, Fearing’s Restaurant, Dallas; Chef Kwame Onwuachi, Tatiana, New York; Elizabeth Blau, Crown Block, Dallas; Jillian Vose, Hazel & Apple, Charleston; Chef Kim Canteenwalla, Crown Block, Dallas; Chef Kevin Lee, Birdie’s, Edmond; Chef Leen Nunn, Omni PGA Frisco Resort, Frisco; Chef Rich Vana, The Heritage Table, Frisco; Chef Joe Riojas, Trick Rider, Frisco; and Nick Walker, Whiskey Cake, Dallas.





Allison Amores Photography: Elegance, Warmth, Passion For Storytelling Through Photography
For McKinney-based photographer Allison Amores, photography is more than just a profession; it’s a deeply rooted part of her life. Growing up in a family that cherished photographs, she was surrounded by images that captured the story of her childhood. She says her father, a freelance photographer, instilled in their home a strong appreciation for photography. This deep connection to her upbringing and the emphasis her parents placed on preserving memories inspired her to pursue photography.
“Through my work, I hope to provide others with the same opportunity to reconnect with meaningful moments in their lives,” she explains.
That passion led to the creation of Allison Amores Photography, a business dedicated to capturing meaningful moments with a soft, clean and elegant aesthetic. Allison specializes in three key areas: branding photography for small business owners, children’s studio portraits, and family sessions. Her work takes place in her McKinney-based studio, at
outdoor locations or in her clients’ homes.
“Typically, it’s busy working moms who book with me, either for their own business’s photography needs or for portraits of their families,” she says.
Allison’s photography style is characterized by light colors, neutral backgrounds and a refined editing approach that adds a soft polish to every image. More than just producing beautiful photographs, she strives to create a comfortable and stress-free experience for her clients.
“I hope clients will feel that their session was enjoyable, that I eased any worries or took away any stress they may have had, and that they’ll walk away feeling like it was a great experience,” she explains.
For those who feel nervous in front of the camera, Allison ensures every client receives guidance throughout their session. “They don’t have to worry about what to do or how to pose; I guide them through all of that,” she says.
She even offers a client closet, allowing clients to select outfits without the hassle of purchasing new clothing.

Give yourself the gift of priceless memories.
- Allison Amores












McKinney’s charm has had a significant influence on Allison’s work. “I’m really proud to be a McKinney resident,” she says. “When we moved here, we could have gone anywhere in the country, but we chose McKinney because we fell in love with it. I really feel there’s no need to go anywhere else, all my sessions are done locally.”
Her favorite outdoor locations include Adriatica Village and downtown McKinney, both of which offer picturesque backdrops for her photography. Combined with in-studio and in-home sessions, these locations help Allison create a diverse yet cohesive portfolio of work.
Some of the most memorable of Allison’s sessions have involved families and their pets. “I’m really an animal lover and have done several family sessions that included sick or very elderly family pets,” she says. “I’ve been told every time after, ‘I’m so glad we did those photos when we did.’”
Allison says she’s enthused to introduce new offerings. “I’m starting to offer children’s heirloom portraits within the next few months,” she shares. “What I’m most excited about, though, are the new handsewn albums and Amalfi paper prints I’ll be offering soon from some carefully curated vendors. I’ve spent the past five years looking for products that felt right for my brand, and I’m thrilled to be able to start offering them in the upcoming months.”
More than anything, Allison wants clients to know their photography experience is her top priority. “I put 110% into every session I do,” she says. “Whether it’s a branding session, a family portrait, or a milestone moment, my goal is to create something that will be cherished for years to come.”
And, her quality is noticed: Allison was a finalist in the McKinney Chamber of Commerce’s Best of McKinney competition for Best Photographer in 2024.






ARTICLE BY JULIE BROWN PATTON

"The Girl Cave is a high-caliber, collaborative collective where bold women activate their purpose with profound success. It's more than a community or professional networking group. It's an incubator for visionaries who shape industries, culture and impact, with a potent mission to enhance selfhood, sisterhood and livelihood," asserts Krista Medlock, founder of The Girl Cave.
"We offer access to knowledge, connectivity and inventiveness from the most inspired women doers and thinkers. We're created by women, powered by women, for women."
As the owner of Texas-headquartered The Girl Cave company, Krista says, "We draw women of all ages, races and backgrounds together beyond distance, differences and life stages."
In 2019, when she started The Girl Cave events, she says her execution was about brand activations designed to showcase women-owned businesses, giving them a platform to connect, be seen and thrive. "Just weeks after celebrating one year of events, everything shifted. The world slowed, but something in me expanded. That moment, though uncertain, became the catalyst for what was next: a reminder that even unexpected change is often working for your good."
"Women who walk this journey with me don’t just see the polished version of success; they witness the process in real time. They see the victories, lessons, pivots and perseverance. In that, I hope they find courage to take their wildest dreams seriously, to move forward even when the path is unclear, and to build something that will outlive them," Krista says.
She says The Girl Cave movement is for women who believe in being better, who strive for greater, and who are willing to do the work, not just for themselves, but for the generations that will follow.
TheGirlCaveTribe.com




Nestled amidst the rolling greens of North Texas, Omni PGA Frisco Resort & Spa provides the perfect backdrop for your next getaway. Whether you’re planning a staycation with loved ones or reconnecting with golf buddies, take advantage of the resort’s laid back, authentic avor, and curated experiences while making memories to last a lifetime.






ARTICLE BY ANGELA BROOCKERD | PHOTOGRAPHY BY JANIE JONES

Flowers have a rich history of symbolic meanings. As far back as the 19th century, they were used to convey secret messages. Stories throughout history recount how flowers were used to send hidden messages between people. French publishers began producing flower dictionaries that cataloged the many floral codes that had been gathered over time. Some of these meanings were linked to the flower’s root name, often derived from mythology, while others were drawn from the flowers themselves. The colors, medicinal properties, and even the superstitions
associated with these flowers all contributed to the creation of this secret language.
In addition to their symbolic significance, flowers bring natural beauty to any interior, enhancing spaces with their color, texture, and mood-boosting qualities. Floral arrangements not only create a cozy atmosphere but also infuse a room with personality, elevating the overall ambiance. There are multiple ways to creatively integrate florals into your home, and whether using fresh or artificial flowers, creative displays can make quite the statement piece.

Using a frog to display flowers creates a minimalist yet elegant look that highlights the individuality of each bloom. It helps the stems stay in place. To set it up, place the frog on your chosen display base, whether it’s a vase, bowl, platter, or any container you prefer. Then, simply insert the flower stems by gently pressing them into the prongs. Tip: Flowers with sturdy stems and a lighter top work best in a frog, as delicate blooms tend to lose their shape more quickly.
CONTINUED >

“Tip: Flowers with sturdy stems and a lighter top work best in a frog, as delicate blooms tend to lose their shape more quickly.”

“Not only will the flowers’ fragrance fill the air, but the citrus notes from the fruit will add a refreshing scent.”
Add an extra burst of color and texture to your floral arrangement by layering fruit around the edges of your vase. To achieve this, place a smaller vase inside a larger one, ensuring the flowers stay contained in the inner vase to preserve their shape. Fill the surrounding space with water and then arrange sliced fruit along the vase’s outer sides. For a fresh touch, add ice cubes to keep the fruit looking vibrant longer and to hold them in place. Not only will the flowers’ fragrance fill the air, but the citrus notes from the fruit will add a refreshing scent.


For a dramatic effect, try creating a hanging floral display. Floral cones are available for this style, or you can craft your own for a more personalized, organic look. The contrast between long-stemmed white flowers and a dark wall creates a striking visual impact.
No matter how you choose to display them, flowers are a wonderful addition to any room. They boost mood, improve air quality, spark creativity, and bring a decorative charm to any space.
“They boost mood, improve air quality, spark creativity, and bring a decorative charm to any space.”



























Create your own DIY sugar scrub for a perfect gift for a special person in your life.
To make one 8 ounce mason jar of vanilla orange sugar scrub, you need:
• 1/4 cup of coconut oil
• 3/4 cup of sugar
• 1 teaspoon pure vanilla extract
• 10 drops of orange essential oil
Soften the coconut oil in the microwave for a few seconds. Next add the vanilla extract and the orange essential oil. Then, stir in the sugar, a little at a time. Print off a fun label or attach a ribbon to the jar, and your gift is ready. Enjoy!












As Mother’s Day approaches, it’s time to go beyond traditional gifts As Mother’s Day approaches, it’s time to go beyond traditional gifts and express your love with a feast for the senses. Create a captivating and vibrant charcuterie board that brings together a symphony of sweet and savory delights, edible rosettes and an array of delectable treats that are as pleasing to the eyes as they are to the palate. At the heart of this spectacular spread, a bouquet of floral offerings takes center stage featuring assorted chocolate florets, delicate white rose wafers, and salami and cheese blossoms. Perfectly crafted and delicious, they establish the visual and gastronomic theme for the
entire display. Accompanying the spread are glasses adorned with edible floral rims, beckoning you to sip and savor the essence of spring; dried lavender, marigold, rose, lemon peel and lily garnishes provide vibrancy and are entirely edible. Elevate the visual appeal with rosefolded napkins and a sprinkle of seasonal flowers atop layers of fresh greenery.
Complement your floral artistry with a curated variety of cheeses, prosciutto, colorful olives, fresh blueberries and strawberries, and candied oranges. Fragrant rosemary bread is perfectly paired with choice preserves, honey and olive oil.
Extend the creative flair to pastries, introducing a variety of shapes, colors and textures. Citrus-infused sugar cookies,
raspberry tarts, mini strawberry Belgian waffles and salted caramels are visually alluring and add an extra layer of delight to the overall presentation.
The beauty of crafting a charcuterie board lies in its versatility – an opportunity to showcase your thoughtfulness and create an experience tailored to your loved ones. Consider swapping chocolates for macarons, experiment with your own garden herbs and infuse your spread with unique seasonal and local flavors. A charcuterTEA is a delightful way to make your mother feel extra special. Simply fill a teacup with her favorite confections and unique flavor combinations for an individual experience of love and gratitude.

Two: July 28th - 31st
One: July 14th - 17th For more information, reach out to hannah@nancyliebermancharities.org




-
Narayanan

















MAY 2ND-11TH
McKinney Repertory Theatre Presents: Deliver Us From Mama
McKinney Performing Arts Center | 8:00 PM
“Deliver Us From Mama” is a rip-roaring, hilarious, high-octane race to beat the stork that begins when Walker Sprunt’s wife, Hayley, goes into labor with their first child. This flat-out-funny Jones Hope Wooten comedy delivers miles of smiles and loads of laughs. McKinney Repertory Theatre is a volunteer, nonprofit, community theatre. Tickets available online at: McKinneyRep.org.
MAY 3RD
Myers Park & Event Center | 10:00 AM
Mud Factor "Seriously Fun, 5K Obstacle Run!" celebrates 14 years of mud run fun. Giant cargo climbs, mud pits, water slides and a Kidz Run available, too. Mud Factor is the premiere family fun 5K Mud/Obstacle Run. No timing chip, no first or last place, just you and yours making muddy memories at your own pace. Go to MudFactor.com.
MAY 9TH-11TH
Myers Park & Event Center | 10:00 AM
Vintage Market Days is an upscale, vintage-inspired indoor/outdoor market featuring original art, antiques, clothing, jewelry, handmade treasures, home decor, outdoor furnishings, consumable yummies, seasonal plantings, food trucks, live music and a little more. Vintage Market Days events are much more than a flea market. Support small business owners and local non-profits when shopping Vintage Market Days.
MAY 10TH
Historic Downtown McKinney | 11:00 AM
Sip, stroll and savor at the Bubbles and Brunch Bites Wine Walk in Downtown McKinney. A perfect day of wine, shopping and brunch bites. Gather your brunch crew and kick off the day with a pre-walk brunch party featuring a spread of delicious bites and a welcome mimosa— because no garden party is complete without a little bubbly. Tickets: Eventbrite
MAY 10TH
The Gates of Prosper | 9:00 AM
Prosper Farmers Market is held the second Saturday of the month until October, outside of Calloways and Hobby Lobby. Shop from hand-selected artisan vendors selling fresh, locally sourced produce, baked goods, jams, fresh eggs, artisanal pastries and more. Food trucks and live music, too. Admission is free. Support local farmers and makers.
MAY 12TH
Prosper Ladies Association Monthly Meeting
The Gin | 7:00 PM
The Prosper Ladies Association (PLA) provides opportunities to serve people and community needs. PLA is a 501(c)(3) nonprofit organization, whose members support children, families, first responders and charitable organizations in Texas. Prosper Ladies Association is dedicated to making a tangible difference in the community through various initiatives.








CONTINUED
MAY 16TH
George A. Purefoy Municipal Center | 8:00 PM
Step into a world of harmonious magic with the renowned MPO Brass Quintet. Let the captivating sounds of trumpets, french horn, trombone and tuba whisk you away on a journey of musical excellence. Witness the extraordinary talent of William Pratt, Rob Parton, Jason Hoffmeister, Bret Lamel and Austin Crumrine to create an evening of euphonious perfection. Tickets available: SquadUp.com
MAY 17TH
TUPPS Brewery | 1:00 PM
The Boho Market is thrilled to introduce their Sidewalk Sale. Enjoy sweet deals from favorite small business vendors while still experiencing the cozy, inviting feel of shopping one of the area's markets. From bundles and grab bags to discounts and special offers, this is a "shop local" event not to miss.
MAY 26TH
Frontier Park Pavilion | 10:00 AM
This special event will honor the brave men and women who sacrificed their lives for the United States, featuring guest speakers. The ceremony will include an Invocation, Presentation of the Colors, National Anthem, Pledge of Allegiance, TAPS and moment of silence. It's a time to unite in remembrance and gratitude for those who gave everything for our freedom.











Ready to buy ? The Farmers Bank & Trust mortgage team provides:
• Fast Estimates & Pre-Approvals
• Local Processing
• Construction Loan Options
• No Hidden Fees

Madison Haltom
Prosper Mortgage Originator NMLS# 2064263