McKinney & Prosper, TX March 2025

Page 1


In Celina, Texas, there is a place where the charm of history meets the sophistication of modern luxury. It’s a haven where golf isn’t just a game; it’s a celebration of opulence. And guess what? We’ve got an exclusive offer just for you to become one of our very first Founding Members, unlocking a world of unique perks and experiences that you won’t find anywhere else. As a Founding Member, you’ll etch your name in the walls of 1876 Country Club. Picture this: you’ll be the first to grace our meticulously crafted course, a masterpiece reserved for those who have a taste for the extraordinary. But there’s more to 1876 than the greens.

Home And Design

Home is our grounding, our base, our launchpad. It’s where we typically start and end our days. While the particulars look different for each of us, the meaning and value that 'homes' hold for all of us is undeniable.

Author Wendy Wunder stated: “The magic thing about home is that it feels good to leave, and it feels even better to come back.” For our readers this month, we wanted to embody what makes that special feeling. That, of course includes the comfort amenities, food, drinks, the aesthetic and design, but most importantly, the unique people.

We feel fortunate as we got to learn more about local businesses and individuals, and hope the small lens into their lives and work brings people in this community together.

As you flip through the pages of this edition, we hope you’ll feel encouraged and connected to the people around you.

Every month, readers share that they keep this magazine for longer than just the month labeled on the cover. They say they hold onto it for months as coffee table art or an accessory in their home. We feel proud to create a resource that's valued in our community, and strive every month to deliver the value you expect. Thanks for letting us be a part of your home.

Happy March!

March 2025

PUBLISHER

Sharon Duffy Thomas | sharon.duffy@citylifestyle.com

PUBLICATION DIRECTOR

William Thomas | william.thomas@citylifestyle.com

COPY EDITOR

Julie Brown Patton | julie.patton@citylifestyle.com

STAFF WRITER

Alexis Jacobs

CONTRIBUTING WRITERS

Alexis Jacobs, Julie Brown Patton, Nicolette Martin

CONTRIBUTING PHOTOGRAPHERS

Janie Jones, Keagan Phillips Photography

Corporate Team

CEO Steven Schowengerdt

COO Matthew Perry

CRO Jamie Pentz

CTO Ajay Krishnan

VP OF OPERATIONS Janeane Thompson

VP OF FRANCHISE DEVELOPMENT Erika Smiley

AD DESIGNER Rachel Otto

LAYOUT DESIGNER Emily Lisenbee

QUALITY CONTROL SPECIALIST Hannah Leimkuhler

•Climate Appropriate Texas Best Native Plants

•Native Plants Create Pollinators and Biodiversity

•Custom Formulated Organic Bedding Soils

•Drainage Solutions, Efficient Irrigation and Drip Systems

•Drought Resistant, Low-Maintenance and Water-Wise

•Sustainable and Natural Outdoor Environments

•Flagstone, Boulders, Architectural Stone and Hardscapes

•Fire and Water Features, Outdoor Lighting Accents

®

Ryan Street Architects, private residence

city scene

1: Barbie’s House now offers fine home furnishings, décor, gifts and design services. 2: Children's Advocacy Center of Collin County's Kids Count Players, volunteer puppet troupe created for children. 3: January Book Club attendees met Amanda Churchill, author of "The Turtle House." 4: Prosper Active Adults gather to bowl and play games or cards on Tuesdays and Thursdays. 5: Prosper Ladies Association's Boots & Bling Gala annual fundraiser is coming up on March 29. 6: Sgt. Jay Reim recognized with Deputy Sheriff of Year award for his dedication and commitment. 7: Deputy Sheriff Andrew Leonard awarded Collin County Sheriff's Office Commendation Medal for his outstanding service.

PROSPER CHAMBER OF COMMERCE
COURTESY OF CAC
TOWN OF PROSPER, PARKS AND RECREATION
COLLIN COUNTY SHERIFF'S OFFICE, MCKINNEY
COLLIN COUNTY SHERIFF'S OFFICE, MCKINNEY

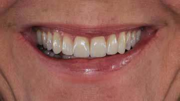
At Jensen Orthodontic Arts, we combine ART, SCIENCE, and EXPERTISE in orthodontics to customize your smile and improve or reconstruct the function and harmony of your teeth. That alone says a lot, but Dr. Doug Jensen also uses his training in the closely-related specialty of PROSTHODONTICS and dental aesthetics to create wonderful outcomes for unusual or complex dental problems– Think VENEERS, CROWNS, IMPLANT CROWNS, and DENTURES. Dr. Jensen is one of the few dual specialists in both orthodontics and prosthodontics in America, and we are lucky to have his experience in this area. He offers clear orthodontic treatment options including CLEAR BRACES, LINGUAL BRACES, and CLEAR ALIGNER THERAPY to meet your aesthetic needs. Count also on getting treatment rendered efficiently without ignoring the balance that should be present between the teeth, joints and muscles in a properly functioning bite.

Dr. Doug Jensen, DDS, MS

Board-Certified Orthodontist, Prosthodontist

Don’t wait! Come see us for an expert’s Complimentary Evaluation

Get a straightforward assessment and roadmap to the PERFECT SMILE!

Veneers
Photos & Smiles by Dr. Jensen

business monthly

New McKinney City Hall: Grand Opening Event Expected This Spring

Many of McKinney's staff departments were relocated to the brand-new, 175,000-square-foot facility City Hall at 401 E. Virginia St., just a half mile from the existing City Hall at 222 N. Tennessee St. The original City Hall is a converted 1950s bank building and a 1960s Development Services. In 2019, voters passed a $50 million bond proposition to serve as a major funding source for a Municipal Community Complex to house the new McKinney City Hall.

Look For Keke's Breakfast Cafe To Join McKinney Community

Keke’s Breakfast Cafe was scheduled to add a new location in McKinney-West Grove at 8885 W. University Drive. Founded in 2006, the restaurant chain's crews serve breakfast dishes, including omelets, pancakes, waffles and stuffed French toast. The eatery's lunch menu was slated to feature salads, sandwiches, paninis and wraps. The company has more than 60 locations in seven states, including five total underway in North Texas, according to its website.

SmartAsset Data Ranks McKinney Third For Remote Work In Texas

Representatives of financial technology company Smart Asset ranked 349 of the largest U.S. cities based on percentage of workers working from home, as well as average commute times for those not working from home. McKinney ended up being ranked No. 3 in Texas (No. 27 in US), given that remote workers as a percent of all workers was 24.23% and number of remote workers was 26,601. Mean commute time was 25.8 minutes.

Photography by Sharon Duffy Thomas
Photography Courtesy of Keke’s Breakfast Cafe

CRAFTING LUXURY OUTDOOR RETREATS

MCM Outdoor Living Blends Custom Design, Expert Craftsmanship, FamilyFocused Transformations

Founded in 2015 by Cody McKinley, McKinley Construction Management (MCM) is known as a trusted name in transforming outdoor spaces across North Texas. With a focus on creating luxurious yet functional retreats, MCM prides itself on bringing families together in beautiful outdoor environments that foster lasting memories.

Cody, inspired by his father’s work as a contractor, developed a passion for hand-built creations early in life. Partnering with his brother-in-law, Chris Weaks, MCM operates as a family business with a shared commitment to excellence. Cody oversees marketing, sales and subcontracting, while Chris manages accounting and logistics. Together, they’ve built a team of licensed, trained and certified professionals dedicated to quality craftsmanship and customer satisfaction.

“Our goal is to create spaces that reconnect families and provide a place for meaningful moments,” says Cody. “It’s not just about construction; it’s about changing lives by transforming backyards into cherished spaces.”

The MCM crew specializes in custom outdoor living spaces, pool design and construction, and comprehensive home improvement projects. Whether a client desires a cozy pergola,

a deck for entertaining, or a complete backyard overhaul with landscaping, MCM professionals ensure each project is tailored to homeowners’ visions.

“Our focus is on bringing people together at home by crafting unique outdoor spaces for families to cherish,” Cody explains.

MCM crews set themselves apart with top-tier materials, craftsmanship and customer service. Their Texas-Sized Warranty offers peace of mind, including a 10-year structural warranty, a 3-year electrical warranty, and a 1-year cosmetic warranty. MCM’s customizable packages also ensure every project meets individual needs and budgets.

MCM team members indicate they believe nature is the perfect backdrop for creating cherished family moments.

“We like to push boundaries and make cool stuff,” says Cody. “Our job is to let customers have a great experience while creating spaces they’ll love for years to come.”

BEST WAY TO RECONNECT WITH YOUR LOVED ONES IS BY SPENDING TIME OUTSIDE,” SAYS CODY MCKINLEY.

“WE BELIEVE THE

At its core, MCM is a family-oriented business. Cody’s dedication to his family inspires his work, and his goal is to build a legacy that blends personal and professional success.

“I’m doing this for my family and to build a legacy, but also for the customers,” Cody shares. “We want to provide experiences that exceed expectations, turning dreams into realities.”

MCM’s team shares the same hardworking mindset, focusing on open communication, attention to detail and customer satisfaction. Cody says their approach ensures clients feel comfortable and confident throughout the process.

For homeowners considering an outdoor renovation, Cody offers two key pieces of advice. First, plan ahead. Outline goals, budget and timeline before starting a project. A clear plan helps avoid unexpected costs and delays. Second, set a realistic budget. Factor in materials, labor, permits and a contingency fund for unexpected expenses. By planning effectively, clients can create spaces that meet their needs while staying within their budget.

The MCM staff also offers several financing options and payment arrangements, making it easier for homeowners to achieve their dream outdoor spaces.

From luxurious outdoor kitchens to stunning landscapes, MCM brings each project to life with a hands-on approach. Their team serves as the client’s point of contact throughout the process, ensuring seamless communication and exceptional results.

Cody says MCM’s commitment to excellence doesn’t end with construction: MCM also offers valuable guidance to help clients fully enjoy their new outdoor spaces. By focusing on thoughtful planning and creative design, they ensure every backyard becomes a hub for relaxation, entertainment and cherished memories.

CODY RECOMMENDS FOUR STEPS FOR MAKING THE MOST OF BACKYARDS:

1. Set Goals: Decide what is wanted from a backyard. Is it entertaining, gardening, relaxation or a mix? Knowing goals helps in planning effectively.

2. Add Entertainment: Boost backyards with fun features, such as a grill, firepit,

outdoor kitchen, or even a hot tub or pool, if space and budget allow. These additions make backyards a hub for enjoyment.

3. Regular Maintenance: Keep backyards in top shape by staying on top of tasks such as lawn care, plant trimming, furniture cleaning and prompt repairs.

4. Create Zones: Divide backyards into different areas, such as dining, lounging, garden and play spaces for kids, if needed. This organization enhances usability and creates a sense of order.

With their expertise, craftsmanship and customer-focused approach, MCM crews transform unused spaces into meaningful retreats. Whether it’s hosting family gatherings, watching sunsets, or simply enjoying the beauty of nature, Cody says MCM ensures every client loves where they spend their time.

469.583.6213

UNIQUE FURNISHINGS DESIGNS, EXCEPTIONAL CRAFTSMANSHIP

The Rustic Warehouse: Curated Furniture With Quality Rooted In Faith And Purpose

Located in the heart of downtown Prosper, The Rustic Warehouse is more than just a furniture store. It’s a testament to faith, family and exceptional service. Founded in 2015 by Matilyn, a determined single mother with a passion for furniture and design, the business has grown into a thriving enterprise with two locations, including its newest in Prosper, which opened on July 2.

The Rustic Warehouse began as a vendor mall in a literal rustic warehouse, earning its distinctive name. Inspired by her professed deep trust in the Lord, Matilyn says she launched the business as a leap of faith, relying on a divine promise to guide her path. Her commitment to quality and design excellence soon attracted loyal customers.

In 2018, her marriage to Al Vivo marked a turning point for the business. Al brought with him a vision to expand and refine their offerings, transitioning the store into a specialty retailer of high-quality, brand-new furniture and home decor. This shift not only broadened their inventory but also reconnected Al to his family’s legacy in the furniture industry.

“It was important to me to honor my family’s history in furniture, which was great quality and competitive prices while building something uniquely ours,” Al explains.

The Rustic Warehouse team has built their reputation on combining sophisticated designer touches with affordable pricing. From stylish couches to elegant tables, the store offers a wide variety of furnishings to suit every taste and budget.

“We’re not just selling furniture, my wife’s brilliant and creative mind for design is the secret sauce. I built customer service around it with the goal to marry design advice with quality products.” Al shares. “We’re offering expertise. Customers can come in with photos and measurements of their spaces, and we provide free design advice. This really sets us apart.”

Beyond its products, The Rustic Warehouse is known for its exceptional customer service. Al emphasizes, “Customer service is

our top priority. From the moment someone walks in the door to the final delivery, we ensure every step reflects our commitment to excellence.”

The decision to open a second location in Prosper was one rooted in faith. Al recalls a pivotal moment during a football game when he felt the Lord’s presence and was inspired to expand. “I turned to a friend and said, ‘In six months, I think I’ll have a store here,’” he says. With his professed obedience to God, six months later, he says he secured a building in Prosper.

The new location not only serves as a hub for high-quality furniture, but also symbolizes The Rustic Warehouse’s dedication to community engagement. Positioned in the heart of Prosper’s expanding downtown, the store is perfectly placed to cater to the growing needs of this thriving area.

A cornerstone of The Rustic Warehouse’s mission is to pour into many lives with a strong passion to local youth. By employing young people and mentoring them in business principles, sales and customer service, Al and Matilyn are instilling values of excellence and integrity.

“We teach them Kingdom principles and show them how their skills can be applied in everyday life,” Al says. “It’s about helping them understand how much they are valued and equipping them for success.”

Youth employees also assist with deliveries, gaining hands-on experience in all aspects of the business. “Furniture is the vehicle we’re using,” Al explains. “But our real mission is to be an influence and an impact for the Kingdom of God.”

The Rustic Warehouse is supported by a team of more than 15 dedicated employees across its two locations. Each team member shares the owners’ passion for quality, service and community impact. Whether assisting customers in-store or ensuring flawless deliveries, Al and Matilyn say the team reflects the values they hold dear.

“Our business operates from the top down with excellence, and my wife and I are always innovating product development and working hard to bring the best products and designs to our customers. We not only build business together, we build and encourage people,” Al says. “From customer service to delivery, every aspect of what we do is intentional and reflects our faith-driven approach.”

For those seeking more than just furniture, The Rustic Warehouse offers an experience rooted in purpose. With a YouTube channel that shares its story of divine inspiration, the business invites customers to learn more about the faith and determination behind its success.

As Al puts it, “We’re not just a furniture store. We’re a resource, an influence and an impact for the Kingdom of God.”

The Rustic Warehouse is located at 350 Broadway in Prosper, and is open Tuesdays through Saturdays from 10 a.m. to 7 p.m.

469.481.6636

Founded by a passionate husband-andwife duo, The Rustic Warehouse team offers "designer looks without designer price tags." Shop curated collections in which owners Matilyn and Al Vivo say each piece reflects unmatched craftsmanship and timeless style. They don't just sell furniture; they offer a promise of longevity, aesthetics and affordability.

Helmed by brothers Tim and Trey Hutchins, Hutchins BBQ offers a variety of the best, authentic Texas barbecue in the Dallas area. Our long-standing commitment to the craft has led to recognition among the “50 Best BBQ Joints” by Texas Monthly three times running.

We’re honored to uphold the traditions of Texas BBQ and admire the innovations of new generations of pitmasters joining the ranks. Whether you’re old school or new school, there’s something for everyone at our family table!

Visit us in McKinney, Frisco or online for your dining and catering needs.

DESIGNING DREAMS,

ONE DROP AT A TIME

Transform Homes With Expert Insights And Timeless Style From Rain Decor

Crafting a home that feels both beautiful and functional is no small feat. It’s a delicate dance of blending colors, textures and styles while ensuring the space fits a specific lifestyle. At Decorating Den Interiors–Rain Decor, Principal Designer and Owner LaQuetta Owens has mastered this art, helping clients transform their spaces into reflections of their unique personalities.

“Decorating is more than just choosing furniture or colors; it’s about creating an environment that inspires and supports the way people live,” LaQuetta explains. “Every home has a story to tell, and I love helping clients uncover that narrative, one drop of inspiration at a time.”

LaQuetta says Rain Decor operates on a core belief: the spaces inhabited significantly influence lives.

“Whether it’s a cozy living room, a productive home office or an elegant dining area, each space has the potential to evoke emotion and set the tone for our daily experiences,” she adds, indicating her goal is to craft designs that are visually appealing as well as deeply personal and functional.

The name “Rain Decor” reflects LaQuetta’s approach to design as a steady, refreshing process that nurtures creativity and growth. “Like rain, great design revitalizes and renews,” she explains.

One of the most daunting aspects of interior design is determining how to pull everything together. From selecting the perfect flooring to coordinating furniture and lighting, the details can quickly become overwhelming. LaQuetta says she works to turn this seemingly complex puzzle into a seamless experience.

“Our process begins with a complimentary in-home consultation,” LaQuetta shares. “We start by listening, really listening, to understand visions, preferences and the challenges someone’s facing. Whether you’re redecorating a single room or reimagining your entire home, we ensure every element aligns with your goals.”

Rain Decor’s personalized service sets it apart from others. LaQuetta says she emphasizes collaboration at every stage, ensuring clients feel involved and excited about the transformation. “It’s your home, and it should feel like you,” she says. “We’re here to guide you, but your input is what makes the space truly unique.”

She says the team uses the vast resources of Decorating Den Interiors to bring clients’ visions to life. With access to custom furniture, luxurious fabrics, unique lighting and curated accessories, they can create designs that are as practical as they are stunning.

Budget concerns often deter homeowners from pursuing professional design help. LaQuetta dispels this myth by working with clients to establish a realistic budget from the outset. “Transparency is key,” she notes. “We want to ensure there are no surprises along the way. Our goal is to deliver exceptional value while staying true to your vision.”

Whether a client prefers traditional elegance, modern minimalism, or a mix of styles, LaQuetta brings her expertise to the table. She says she loves the challenge of creating designs that balance aesthetics with functionality, and believes every project is a fresh canvas and a new adventure.

“Decorating is about more than just aesthetics; it’s about creating spaces that enhance lives,” LaQuetta concludes. “We’re passionate about helping people love where they live.”

940.353.0816  Rain.DecoratingDen.com

Integrity Air Duct Cleaning Specialists Flush Out Pollutants, Allergens In Ventilation Systems

Breathe Easy

At Home

Integrity is more than a name for Integrity Air Duct Cleaning; it’s a promise, asserts the company’s President Mark Baker. “We promise to stay true to our roots with honest, prompt and expert HVAC services from our skilled technicians. Our work is guaranteed 100% of the time,” he adds.

Air duct cleaning is a critical aspect of maintaining a healthy home environment. Using state-of-the-art technology, Air Duct Cleaning services cover three beneficial areas: air duct cleaning, air duct sanitizing and dryer vent cleaning.

Mark says cleanings remove dust, construction debris, pet dander and contamination from flexible or metal duct work. “If mold, bacteria or other contaminants have settled in someone’s ductwork, we offer a safe, sanitizing solution made from the herb thyme, which is 99.99% effective in eliminating harmful germs and pollutants.”

In fact, Integrity Air Duct specialists use the certified product Botanical Disinfection from the Ontario-headquartered company called Benefect, which contains thyme oil as the active ingredient. Mark says that company is the largest purchaser of thyme oil in the world and their products are patented worldwide. “Thyme oil is an effective germ-killing ingredient that’s less toxic than vinegar,” he states.

By offering a deeper cleaning, Mark says Air Duct Cleaning teams target grilles, diffusers, heat exchangers, heating and cooling coils, condensate drain pans (drip pans), fan motor/housing, plus the air-handling unit housing.

“Ducts are the lungs of your home, and they carry air into your family’s lungs. A typical home creates up to 40 annual pounds of dust,” Mark shares. “Dirt, pollen, mold spores, animal dander, and chemicals linger

in air ducts, and can significantly affect kids and adults with allergies, asthma and sensitive immune systems.”

Due to build-up debris in dryer vents being one of the top causes of house fires, Mark says they also help clients protect their loved ones and property from that potential danger.

Additionally, according to U.S. Department of Energy data, 25-40% of energy used for heating or cooling a home tends to be wasted. Mark states that clean air ducts improve the efficiency of heating systems, reducing costs and the risk of a carbon monoxide leak or sudden failure.

888.268.1072

CleaningByIntegrity.com

INNOVATION MEETS

ARTISTRY

Kitchen design has entered a transformative era, where innovation meets artistry to create spaces that are not only functional but also personal and sustainable. With advancements in technology, materials and craftsmanship, today’s kitchens are tailored to meet the evolving needs and tastes of homeowners.

According to interior designer Laura McCroskey, kitchens today are about more than just cooking—they’re an expression of personal lifestyle.

“Kitchen design has entered an exciting time where the possibilities feel limitless,” says McCroskey. “For me, the design process starts before lines are ever drawn on a construction document. I believe in creating spaces that enhance life, both functionally and aesthetically. The design process begins with a discussion about what a space needs to do, and what aesthetic will bring a spark to the homeowner. I also firmly believe that when designing a kitchen, one should walk out a recipe to make sure everything is in the right place to

suit one’s lifestyle. Cooking zones are imperative to a well-designed kitchen.”

Modern kitchens emphasize zoning, or the creation of dedicated areas for preparation, cooking and storage, to enhance workflow and functionality. These zones not only improve efficiency but also contribute to a cohesive and visually appealing aesthetic.

Cutting-edge rendering software, utilizing technology similar to that used in gaming, allows homeowners to visualize their dream kitchens in hyper-realistic detail. While these tools inspire creativity, McCroskey advises balancing ambitious ideas with practical implementation to achieve the best results.

Technology, sustainability and customization are driving the revolution in kitchen design. Advanced appliances are at the forefront, enhancing convenience while aligning with a growing emphasis on eco-friendliness.

“From vacuum-sealing drawers that preserve food and reduce waste to smart appliances controlled by your

THE HEART OF THE HOME

phone, the emphasis is on efficiency and sustainability. Functional storage built seamlessly into marble countertops and oversized workstation sinks are making daily tasks easier and more enjoyable. Thoughtful features like composting compartments and advanced food preservation methods reflect a broader effort to minimize waste and reduce environmental impact.”

Custom cabinetry that maximizes every inch of space minimizes waste while optimizing functionality.

“Forget the limits of traditional cabinetry. Blind corners, tiny nooks and hidden areas are now designed to maximize storage. Automated drawers and pop-up outlets are becoming increasingly common, marrying convenience with sleek aesthetics.”

Design trends have also evolved, becoming more flexible to reflect individual tastes.

“While white kitchens remain timeless and black adds drama, bleached woods continue to be popular. Style trends are no longer as rigid—whether you prefer modern, transitional, or traditional designs, you can create a kitchen tailored to your unique vision. There’s no limit to what you can achieve with today’s tools and technologies. The goal is to create spaces that resonate deeply with the people who live in them.”

The kitchen is the heart of every home and represents a space of endless possibility. Whether your aesthetic leans modern, farmhouse or somewhere in between, the tools and technologies available today make it easier than ever to bring your vision to life.

events

MARCH 2ND

23rd Annual Krewe Of Barkus Parade

Dr. Glenn Mitchell Memorial Park | 12:30 PM

Downtown dog parade starts at 2 p.m. Any Star Wars fans out here? How about Trekkies or Dr. Who? For that matter, who has seen a UFO? Or better yet, who would LIKE to see one???? This year, the organizers' parade theme is: Out of This World - from Astronauts to AliensBarkus Shoots For The Stars!

MARCH 15TH

McKinney St. Patrick's Day Festival & Shamrock Run

Towne Lake Park | 9:00 AM

Put on green and race to the finish line where you’ll receive a lucky finishers medal and a complimentary green beer. The family-friendly festivities include local vendors, delicious food, green Tupps Brewery beer, a Shamrock photo booth, Irish music and Irish dancing. The event is known as being so fun. Register at: McKinneyShamrockRun.eventbrite.com

MARCH 15TH

McKinney St. Patrick’s Day Beer Walk

Historic Downtown McKinney | 11:00 AM

Put on your green, grab friends and enjoy tasting craft beers, cider, seltzer (and maybe some Irish whiskey) along the lucky St Pat’s beer walk. Attendees will sip and stroll through the streets of downtown McKinney, visiting 20 delicious stops tasting unique craft beers. This event supports the nonprofit partners Hug’s Café. Tickets: McKinneyStPatricksBeerWalk.eventbrite.com

MARCH 22ND

Spring Art Exhibit Opening Reception: Art Club Of McKinney

TUPPS Brewery | 6:00 PM

This free event invites the public to explore a variety of styles and mediums, reflecting the creativity and passion of the local vibrant arts community. From painting and photography to sculpture and mixed media, the Spring Show offers a unique opportunity to appreciate the artistry of both established and emerging local artists. Exhibit will be on display until March 30.

MARCH 28TH-30TH

6th Annual Greater Frisco Home & Garden Show

Ford Center At The Star | 2:00 PM

One weekend: All home projects solved. Event organizers indicate this show offers everything needed to solve home and garden projects. Attendees will find show features in the home improvement area and everything to build the outdoor oasis of their dreams. Meet local artisans and discover items not found in stores. For schedules and more details, visit FriscoHomeAndGardenShow.com

MARCH 29TH

P-Town Throwdown Pickleball Tournament

Reynolds Middle School Tennis Courts | 8:00 AM

Tournament format is coed doubles team, ages 18-plus, with recreational and competitive divisions based on player ratings. Trophies will be awarded for first and second places, per division. For more information, send an email to events@prospertx.gov or call Parks & Recreation staffers at 972.569.1160.

Home Loans

Ready to buy ? The Farmers Bank & Trust mortgage team provides:

• Fast Estimates & Pre-Approvals

• Local Processing

• Construction Loan Options

• No Hidden Fees

Prosper Mortgage Originator NMLS# 2064263

Turn static files into dynamic content formats.

Create a flipbook
Issuu converts static files into: digital portfolios, online yearbooks, online catalogs, digital photo albums and more. Sign up and create your flipbook.
McKinney & Prosper, TX March 2025 by City Lifestyle - Issuu