

Giving








May Your Happiness Be Large And Your Bills Be Small

As the spirit of the season is among us, we often try to replicate what made the season feel so magical to us in our youth. Traditions we set for our own families often mirror some of what we experienced as a child, whether it's smells, sounds, lights, holiday activities or a combination of it all that reflect that best. As the years pass, we also add to those traditions in ways that nourish our souls. That may mean giving what we can to support causes or specific other people.
As poet Alberto Ríos indicates in his poem "When Giving Is All We Have," he suggests that one river gives its journey to the next.
"We give because someone gave to us. We give because nobody gave to us. We give because giving has changed us."
My hope for you this season is that you feel love and peace, that getting opportunities to give to others changes you in ways that comfort, and that we all remember to take care of each other extending grace, empathy and love.
Happy Holidays!

SHARON DUFFY, PUBLISHER
@MCKINNEYANDPROSPERLIFESTYLE
December 2025
PUBLISHER
Sharon Duffy Thomas | sharon.duffy@citylifestyle.com
PUBLICATION DIRECTOR
William Thomas | william.thomas@citylifestyle.com
EDITOR
Julie Brown Patton | julie.patton@citylifestyle.com
ACCOUNT MANAGER
Anju Rao | anju.rao@citylifestyle.com
STAFF WRITER
Alexis Jacobs
CONTRIBUTING WRITERS
Alexis Jacobs, Sharisa Lewis, Nicolette Martin, Julie Brown Patton
CONTRIBUTING PHOTOGRAPHERS
Julianne Winzenz, Denise Steller, Wythe Portrait Studio
Corporate Team
CEO Steven Schowengerdt
President Matthew Perry
COO David Stetler
CRO Jamie Pentz
CoS Janeane Thompson
AD DESIGNER Mary Albers
LAYOUT DESIGNER Emily Lisenbee
QUALITY CONTROL SPECIALIST Anna Minnick







Located in Adriatica Village, The Rook is a one-of-one members-only lounge offering refined comfort and curated experiences. Enjoy upscale seating, a fireside terrace overlooking the Stonebridge Dye Course, and a menu that’s truly best-in-class.
Members enjoy a range of exclusive events and gatherings — from intimate singer-songwriter performances featuring artists like Pat Green, Stoney LaRue, and Mark Chesnutt, to Friday morning coffee meetups, tasting experiences, social hours, and yoga and Pilates classes.
Open Thursdays, Fridays, and Saturdays, The Rook is the perfect setting for a date night, a relaxed happy hour with live music, or a fine pairing dinner.
Give the gift of connection, culture, and experience – a membership at The Rook, where every month brings something to look forward to. Give the gift that lasts all year.
Upcoming Events
The Imaginaries December 13
Brunch with Santa December 14
Jon Christopher Davis New Year’s Eve
Ellis Bullard January 17
Initiation fees waived for a limited time.
Membership by application only.
inside the issue





DECEMBER 2025
city scene
WHERE NEIGHBORS CAN SEE AND BE SEEN







1: Grand Love in Prosper exists to support and uplift grandparents who are raising their grandchildren. 2: Prosper Chamber of Commerce celebrated moving into their new space at 203 N. Coleman Street. 3: The Prosper Ladies Association and Cornerstone partnered with the Santa’s Helpers Toy Drive. 4: Collin County Master Gardeners help plan and maintain several public gardens in Collin County. 5: ManeGait's Gala raised funds to help individuals with disabilities through the healing power of horses. 6: McKinney Education Foundation's Purses with Purpose brings McKinney together to celebrate, give and transform lives. 7: McKinney Education Foundation’s Purses with Purpose unites fashion and philanthropy to advance education in MISD.
GRAND LOVE
PROSPER CHAMBER OF COMMERCE
PROSPER LADIES ASSOCIATION
BROOKE RICHARDSON
TEXAS PROPERTY SISTERS
COLLIN







8: The picnic raised $75,000. Burress Personal Injury Law matched donations for the total of $150,000. 9: Burress Injury Law hosts an annual charity picnic, underwrites the event and matches all donations. 10: Burress Community Foundation supports community, youth and first responders with grants, scholarships and giveback initiatives. 11: Burress Injury Law invited the community to join them for their 14th Annual Charity Picnic. 12: Burress Community Foundation was formed to help support nonprofits and expand their college scholarship program. 13: 100% of all proceeds raised from The Burress Injury Law picnic goes to local charities. 14: Burress Injury Law are huge supporters of local high school students with their scholarships. Photography by Stonebridge Videography and Photography
Want to be seen in the magazine?








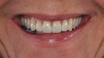
At Jensen Orthodontic Arts, we combine ART, SCIENCE, and EXPERTISE in orthodontics to customize your smile and improve or reconstruct the function and harmony of your teeth. That alone says a lot, but Dr. Doug Jensen also uses his training in the closely-related specialty of PROSTHODONTICS and dental aesthetics to create wonderful outcomes for unusual or complex dental problems– Think VENEERS, CROWNS, IMPLANT CROWNS, and DENTURES. Dr. Jensen is one of the few dual specialists in both orthodontics and prosthodontics in America, and we are lucky to have his experience in this area. He offers clear orthodontic treatment options including CLEAR BRACES, LINGUAL BRACES, and CLEAR ALIGNER THERAPY to meet your aesthetic needs. Count also on getting treatment rendered efficiently without ignoring the balance that should be present between the teeth, joints and muscles in a properly functioning bite.

Dr. Doug Jensen, DDS, MS
Board-Certified Orthodontist, Prosthodontist




Don’t wait! Come see us for an expert’s Complimentary Evaluation
Get a straightforward assessment and roadmap to the PERFECT SMILE!
Veneers
Photos & Smiles by Dr. Jensen
business monthly



Starwood Med Spa In McKinney: Age With Beauty
Award-winning Starwood Med Spa in McKinney, located at 4275 Highlands Drive, is a destination for advanced aesthetic and wellness treatments in a luxurious, physician-supervised setting. Whether looking to smooth wrinkles repair, seeking to body sculpting or hoping to restore a glow, they state their expert team of professionals can deliver natural-looking results with leading-edge technology and personalized care. Call 214.705.0400 or go to StarwoodMedSpa.com
Scan to read more
Luxurious Experiences: The Lash Lounge Of McKinney And Prosper
The Lash Lounge is a premier eyelash salon that specializes in custom lash extensions, lash fills and lash lifts, as well as brow services like threading, tinting, lamination and microblading. Lash Lounge specialists also offer permanent makeup services for lips, eyes and brows. The Lash Lounge in McKinney is located at 4020 W. University Drive, Ste. 300. Their Prosper location is at 750 Richland Blvd., Ste. 40.
Scan to read more
Ketagenics Psychotherapy: Hope And Love Christian Counseling
Marci Patton, LPC, recently opened Ketagenics Psychotherapy in McKinney located at 6401 Eldorado Parkway, Ste. 226. Marci says she specializes in helping her clients heal from deep emotional wounds through a therapeutic process that honors both mind and spirit. Her approach blends evidence-based modalities, such as EMDR, IFS and ketamine-assisted psychotherapy, with a daily posture of seeking God/spiritual renewal at the center of the healing journey. For an overview of services, go to Ketagenics.com.
Scan to read more
Photography by The Lash Lounge








Light The World With Real Giving, Real Impacts
Texas Giving Machine Returns To McKinney, Spreads Holiday Hope
Step into Historic Downtown McKinney this holiday season and discover more than twinkling lights and festive cheer: the Texas Giving Machine is back. Now through Dec. 4, families and friends can experience the joy of giving firsthand, turning simple acts of generosity into lasting impact through custom vending machines that allow donations of goods and services.

ARTICLE BY SHARISA LEWIS
PHOTOGRAPHY BY JULIANNE WINZENZ AND SHARISA LEWIS

Visitors can “purchase” gifts for people in need — from warm clothing, food and hygiene kits to livestock and meals — with a simple card swipe. In most places, Giving Machines accept credit and debit cards and mobile payment services. Each donation goes directly to local and global charities, making it easy to celebrate the season while helping those who need it most.
This year, the local Giving Machine will be located at McKinney Performing Arts Center, 111 N. Tennessee St.
This stop offers a perfect way for North Texans to gather with friends and family, share the spirit of the holidays, and create a meaningful tradition of giving in the heart of the community.
One hundred percent of every donation goes directly to the participating charities, thanks to sponsorship by The Church of Jesus Christ of Latter-day Saints.
This year’s Texas Giving Machines will benefit seven nonprofits serving both local and global communities:
• Evergreen Life Services
• CASA for Kids of East Texas
• ACH Child and Family Services
• Hope Restored Missions
• Lifting Hands International
• USA for UNHCR
• Friends of Shiloh Field Garden
The Dallas-Fort Worth area is home to three of the 11 Texas Giving Machine locations and among more than 100 cities worldwide, part of the Light the World campaign by The Church of Jesus Christ of Latter-day Saints.
“Participating with friends at a Texas Giving Machine location and making a donation is one of the best ways to keep Jesus Christ in Christmas,” says Elder Jeremy Grisel, Area Seventy for the Church in North Texas. “It is festive, it is meaningful for the giver and the receiver, and it connects us with our community. Our family loves this tradition and we hope to see y’all there.”
For local nonprofit leaders, the impact goes beyond donations.
“What a wonderful time of year it is to be a part of the Giving Machine,” says Tamara Monroe, founder and CEO of Hope Restored Missions, a nonprofit whose supporters focus on low-income and housing-vulnerable local residents as well as those in need abroad. “Please support the Giving Machine to help someone make a difference in their lives.”
Previous Giving Machine charities near McKinney include Hugs Cafe, Samaritan Inn and Lovepacs.
TexasGivingMachine.org/DFW LightTheWorld.org
Since the first Giving Machine launched in 2017, hundreds of thousands of givers worldwide have donated more than $50 million, providing real help to those in need and lighting the world one swipe at a time.











Melissa Hart: “Whatisone person’s ugly is anotherperson’streasure . ”

Ugly Sweaters Provide Holiday Fun
Prosper Small Business Turns Upcycled Sweaters Into Laughter, Connection, Community Holiday Spirit
What started as a simple love for holiday fun turned into a thriving small business for Melissa Hart, owner of DFW Ugly Christmas Sweaters. After moving from Kansas City, Missouri, to Prosper during 2023, Melissa noticed a gap in local Christmas markets.
“I realized no one was really doing ugly sweaters,” Melissa says. “Vendors had a few options, but they were mostly new and not funny, rather just pretty. I saw it as a missed opportunity.”
By January 2024, Melissa began collecting sweaters to give them new life for the holiday season. Most sweaters are thrifted finds, upcycled into joyful conversation starters. “I like to joke that they come from the North Pole. People usually wear a sweater for a season or two, then it sits in a closet. Giving it a new home makes sense and it’s fun!” she explains.
Melissa believes the “ugly” Christmas sweater gives people permission to relax and embrace the joy of the season. “It
gets you in the holiday spirit. You can say, ‘I’m here for Christmas, but I’m also ready to have fun,’” she adds. “Even a stranger in the grocery store might smile and tell you they love your sweater. It creates community.”
DFW Ugly Christmas Sweaters is partnering up with Neighbor Books in McKinney for a pop-up shop running Black Friday through Christmas Eve. Melissa says, “It’s a cozy, local shopping experience. Pick out a sweater, grab a book and get hot chocolate. It’s everything Christmas should be.”
Melissa says she’s grateful for the warm North Texas welcome. “Prosper has been so kind,” she says. “I love being part of a community that celebrates together and supports small businesses. Every market, every laugh, every customer, it all reminds me why I started doing this in the first place.”
DFW Ugly Christmas Sweaters can be found on Instagram at @dfw.uglychristmassweaters.

If a silly sweater makes someone laugh, that’s holiday magic to me. says Melissa Hart. “













Gifts Of Harvest Healing
Texas Chili Voted America's No. 1 Favorite Fall Food
Fall/winter food is all about comfort and connections. Sharing a meal brings people together, and research increasingly shows that gathering around the table can give meaningful boosts to mental health. To explore this link between food and wellbeing, representatives of A Mission for Michael, a family-founded organization providing treatment for mental health, asked 3,014 self-described U.S. food lovers one simple question: Which one fall dish would you most like to enjoy with family this season?
Respondents’ No. 1 answer to this question was Texas Chili!
Fall in Texas is synonymous with chili season, where this hearty dish becomes a staple at tailgates, cook-offs and family meals. Texas chili, often made with beef, chili pepper and a variety of spices, is a warm, flavorful dish that’s perfect for the cooler fall weather. The rich, spicy flavors of Texas chili reflect the state’s bold culinary traditions, making it a must-have during the fall months.
Some people say traditional Texas chili, or chili con carne, is only a thick, rich stew made with chunks of beef, a blend of dried chili peppers such as ancho, guajillo, and pasilla, and a flavorful broth, with no beans or tomatoes. Key characteristics include the use of larger cuts of beef, such as chuck roast or brisket, which are slow-cooked until
ARTICLE BY JULIE BROWN PATTON
tender, and a paste made from reconstituted and blended dried chiles to create a deep, complex flavor. Do you enjoy basing chili on a dried chile paste rather than chili powder? That’s the secret some swear makes the magic of authentic Texas chili.
Other state foods that rounded out top 10 spots in this questionnaire were: 2) Illinois with pumpkin pie; 3) Tennessee with country ham; 4) New York with apple cider doughnuts; 5) Alabama with pecan pie; 6) Arkansas with chicken and dumplings; 7) Michgan for caramel apples; 8) Iowa for its cornbread; and 9) Kansas for pumpkin bread.








2025 Parade of Lights:



BY ROTARY CLUB OF
ARTICLE BY JULIE BROWN PATTON | PHOTOGRAPHY COURTESY OF WYTHE PORTRAIT STUDIO
26TH ANNUAL MCKINNEY ROTARY CHRISTMAS PARADE OF LIGHTS
MCKINNEY









Christmas Around the World is this year’s parade theme in McKinney on Saturday, Dec. 13. This is an annual event organized by the McKinney Rotary Club, which uses the donations raised to fund local, regional, national and international projects focusing on six areas: promoting peace, preventing diseases, providing access to clean water and sanitation, enhancing maternal and child health, improving basic education and literacy and helping communities develop.
Parade participants should arrive between 3:30 p.m. and 4 p.m. for inspection. Float judging will begin at 4:30 p.m. The parade is scheduled to start at 6 p.m.
The staging area is in Finch Park. Organizers state that details for the participants will be emailed the week of the parade (on or after Dec. 1). Parking is limited near Finch Park. They ask that float participants meet prior to entering the park and ride in together. They also ask that groups participating in the parade not walk but ride because the parade
route is longer than usual and walkers are unable to keep up with the pace of the parade.
Attendees to the parade should note that parking in Historic Downtown McKinney is limited. Trolley service will be available from 5-9 p.m. on Saturday, Dec. 13. Downtown visitors and parade spectators are encouraged to ride the trolley. Trolley service is free and service will run approximately every 15 minutes in McKinney from First Baptist Church, 1615 W. Louisiana St. Riders will be delivered to Dr. Glenn Mitchell Memorial Park in McKinney, one block west of the square. Following the parade, guests will be picked up at Mitchell Park to return to vehicles at First Baptist.
Parade sponsorships are available, ranging from $250 to $4,500. Parade efforts are being supported by McKinney Community Development Corporation representatives.
Parade-related questions may be directed to Harold McLeod, Rotary immediate past president, via mckinneyparadeoflights@gmail.com. McKinneyRotary.org/events/2025-Parade-Of-Lights








You’re The Missing Piece In Our Social Circle
At Village of McKinney, Village of Plano, Village of Denton, and Village of Stonebridge Ranch, aging isn’t endured — it’s celebrated. Each day brings new chances to connect, explore passions, and live vibrantly. Surrounded by friendship, joy, and personalized support, this chapter is anything but ordinary.
We fill every day with PURPOSE, JOY, and PERSONALIZED CARE in a luxurious setting — because you deserve the best at every stage. From wellness programs to chefprepared dining and beautifully designed spaces, every detail supports your lifestyle.
This isn’t just senior living — it’s living well.
Live Life Well® and discover how fulfilling life can be in this next chapter.









Winter Simmer Magic
ARTICLE BY ARSINE KALOUSTIAN
FILL YOUR HOME WITH THE COZY SCENTS OF TART CRANBERRIES, BRIGHT CITRUS, AND WARMING SPICES
Creating stovetop potpourri is a delightful way to indulge in the scents of the festive season. This Cranberry Orange Potpourri combines sparkling notes of fresh citrus and cranberries with nostalgic spices and woodsy herbs to create a welcoming atmosphere.


INGREDIENTS:
• 1 cup fresh cranberries
• 1 orange, sliced
• 2 cinnamon sticks
• 1 teaspoon whole cloves
• 3 star anise
• 2 sprigs fresh rosemary
• 2-3 cups water (plus more as needed)
INSTRUCTIONS:
Combine cranberries, sliced orange, cinnamon sticks, cloves, star anise, and rosemary in a pot. Add 2-3 cups of water, ensuring the ingredients are submerged. Simmer on low heat, allowing the aromas to release. Check the water level, adding more as needed to prevent drying out. Simmer for several hours to fill your home with the scents of the season.
This potpourri is perfect for setting the holiday mood, whether you’re preparing for a family gathering or simply want your home to smell warm and inviting.























CRAFTING CHEER:
DIY WINTER CRAFTS
ARTICLE BY ERICA BIBB PHOTOGRAPHY BY JANIE JONES
ORNAMENT CLUSTERS
SUPPLIES
• 22 gauge wire
• Ornaments of at least 3 varying shades and sizes
• Wire snips
STEP 1
Cut desired length of wire for a cluster, about 24”
STEP 2
Add an ornament about 4” from one end of the wire and twist the wire around the top of the ornament to provide a base for your cluster. Twist about 5 times. You should still have about 4” of wire at the end; you will need it to tie onto your garland, tree, or wreath.
STEP 3
Continue adding ornaments to the wire, alternating sizes and colors until you have 4-6” of wire remaining.
STEP 4
Twist the remaining wire around the top of your final ornament 5 times to secure all of your ornaments in place. Making sure to leave at least 4” of wire in place at the end in order to tie onto garland, tree, or wreath.
STEP 5
Use the ends of the wire to attach to your holiday item of choice!!
Pro tip: Keep your clusters to the 24” length to keep from getting too heavy and/or having ornaments pop off. Ornaments will pop off at times, but they will still look gorgeous and you can always glue the ornament back onto to the top. Simple, gorgeous, and impactful!
















“We


- Raj Narayanan
- Madi



GETTING KIDS HOME SAFELY
Backpacks packed. We’ve got your back! At Taxi Mom, we go beyond the ride. Our CPR-certified, background-checked Transportation Specialists provide door-to-door service with live mobile tracking—giving you peace of mind and dependable support for your busy schedule. Choose Taxi Mom for safe, reliable transportation to and from school or activities and experience the trusted transportation solution your child deserves.

www.taximom.com 972-210-2867 VB @taximommckinney



WINTER’S REVEL
ARTICLE BY NICOLETTE MARTIN
Following closely on the coattails of autumnal and winter holidays, the celebration of the new year can often be overlooked due to an understandable desire to take a break from the hustle and bustle of the season. But, a holiday that celebrates past memories and the opportunity for both new experiences and a fresh start shouldn’t lack any of the glitz of its celebratory predecessors. Round out the final days of the year reminiscing on or saying goodbye to the experiences—good and bad—of the previous 12 months with a simple end-ofthe-year gathering that isn’t lacking any of the glamour.

the drinks
Champagne has long been a traditional drink to toast to the new year. Keep it simple but step up your game with your own DIY Champagne cocktail bar. Consider stocking your bar full of custom Champagne or bubbly choices, festive mixers like cranberry juice or rosemary simple syrup and unique garnishes like fresh fruit and herbs or decorative ice cubes with edible flowers.


the decor
There’s no need to go out and buy a ton of additional decor when you just decked the halls (quite literally) with holiday ornamentation. Make those decorations work as hard as you did by repurposing all the greenery, pine cones and wood place settings you just couldn’t say no to. Throw in some neutral napkins, some natural twine and some dried orange peels for a woodsy (and fragrant) twist.


the snacks
Keep your guests happy with the perfect cheese plate. Consider how many people you’ll be serving, whether you’ll be serving before or after dinner and what cheeses you’ll want to include. According to WineFolly.com , sparkling wines pair best with creamy, sticky cheeses due to the high acidity and carbonation.
WHAT YOU NEED
• Cheese board or serving plate
• Assortment of cheeses
We recommend Brie, Port Salut, Muenster, Camembert or Gruyere
PUTTING IT TOGETHER
Cheese is best served at room temperature, so be sure your cheese has time to rest prior to serving. Slice the cheeses and arrange artfully on your cheese board with labels for each. Consider providing separate serving knives for each cheese to avoid any mixing of flavors. Add any additional bites you’d like and enjoy!

the traditions
No matter where you are in the world when the clock strikes midnight, ring in the new year internationally by taking part in one of these worldly traditions.
+ SPAIN Spend Nochevieja (“old night”) at home watching the countdown on TV—you can party later! Are you in need of some luck for the upcoming year? Wearing red underwear for the night may give you some.
+ MEXICO Be sure to have lots of grapes on hand. Demonstrated by Spaniards as well, this tradition involves eating 12 grapes with every strike of the clock, symbolizing good luck for every month of the new year.
+ DENMARK Destroy your frustrations and start the year fresh by smashing unwanted glassware. Danish tradition calls for smashing plates on the doors of friends and loved ones around midnight, but we think you should probably save that part for when you’re actually in Denmark.
+ SCOTLAND Although its singing has become pretty standard worldwide, “Auld Lang Syne” originated in Scotland in 1788 as a poem by Robert Burns. Go ahead and make a cheat sheet for all your friends—we won’t judge.


Need top-notch plumbing services?
Look no further! At Pure Plumbing, we deliver phenomenal solutions for all your plumbing needs.
• Same- Day Appointments
•24/7 Emergency Services
•Residential & Commercial
•Affordable Financing Options
•Low Monthly Memberships For Hassle-Free Maintenance
Services We Offer:
• General Plumbing
•Tank & Tankless Water Heaters
•Drain Cleaning
•Hydro Jetting Services
• Gas Line Repairs
• Leak Detection
• Water Filtration Systems



























Where Psychology Meets Spiritual Renewal


At Ketagenics, Licensed Professional Counselor Marci Patton integrates faith EMDR therapy and ketamine- assisted sessions to help you uncover and release the hidden layers of pain that may be quietly shaping your daily life.
Through prayer, presence, and neuroscience, we will cultivate a sacred space where you can reconnect with God, your body, and your sense of peace.
If past experiences continue to steal your joy or affect your relationships, it’s time to experience what true restoration feels like — healing that reaches the deepest parts of your story.
DECEMBER 5TH
Prosper Education Foundation's Holiday Home Tour!
Prosper | 12:00 PM
Access to five stunning Prosper homes — come and go at one's own pace! Think of it as a holiday stroll with a little sparkle: gorgeous décor, unique designs and plenty of inspiration to kick off the season. Grab friends, plan your stops and get ready to tour, shop and celebrate while giving back to education. Tickets: ProsperEducationFoundation.org
DECEMBER 6TH
8th Annual All Star Christmas With The McKinney Philharmonic Orchestra
Trinity Presbyterian Church (Great Hall) | 7:00 PM
Celebrate the festive season in style with a one-of-a-kind concert that will leave attendees mesmerized. Get ready to immerse in the holiday spirit as you hear your favorite Christmas tunes like never before, with unique arrangements in jazz and rock styles that will take your breath away. Tickets: McKinneyPhilharmonic.org.
DECEMBER 6TH
Holiday Art Bazaar presented By McKinney
Creative Community
TUPPS Outdoor Stage & Lawn | 10:00 AM
This annual shopping event showcases the very best in handmade gifts, apparel, jewelry, home décor, accessories, art, pottery and more. Handpicked artists, crafters and designers from near and far will all gather at the Hol-
iday Art Bazaar for pure shopping fun. The Holiday Art Bazaar is free to come and shop local makers and artists.
DECEMBER 6TH
Prosper Christmas Festival
Prosper Town Hall | 3:00 PM
This free signature event includes a variety of attractions like Santa's Workshop, Kids Christmas Shoppe, carriage rides, a Kid Zone, Santa's Selfie Station and cookie decorating. Visitors can shop for holiday gifts from vendors and enjoy live music and performances from local talent on the Community Stage. The festival concludes with a tree lighting ceremony followed by a drone show.
DECEMBER 6TH - 7TH
Chestnut Square Presents 52nd Holiday Tour Of Homes
Historic Downtown McKinney | 10:00 AM
Each year several homes are selected to participate in this ongoing tradition. Honored homeowners open their doors and share their own holiday experience and unique history. All who attend are filled with joyful holiday cheer! Tour tickets are good both days. Participants can choose from a tour ticket, a Breakfast Tea & Tour or a Dessert & Tour. Tickets: ChestnutSquare.org
DECEMBER 20TH
Jingle The Christmas Band Free Concert At HUB 121
HUB 121, 7570 TX-121 S, McKinney | 3:00 PM
Bring chairs and blankets and enjoy a free, outdoor concert by Jingle, The Christmas Band. Listen to great music and enjoy food and drinks from amazing on-site restaurants. There will also be a concession stand next to the stage. No outside food or drinks allowed. There is surface parking and parking available in the two-story garage.





Want to be featured?
BREAKFAST HOLIDAY
The holidays are filled with family gatherings. Enjoy this easy, make-ahead recipe to simplify your holiday breakfast; it is sure to impress your guests.
CROISSANT LEMON BERRY DELIGHT
Casserole Ingredients:
• 6 large croissants (from the bakery) sliced into cubes
• 3 cups mixed berries
• 1 package cream cheese, softened
• 1 cup sugar
• 5 eggs at room temperature
• 2 cups half and half at room temperature
• ¾ tablespoon vanilla extract
• ¾ tablespoon lemon juice

Lemon Glaze Ingredients:
• 2 ounces cream cheese, softened
• 1 tablespoon butter, softened
• 1 cup powdered sugar
• 1 ½ tablespoons lemon juice
• 1 ½ teaspoons vanilla extract
Instructions:
ARTICLE BY ANGELA BROOCKERD PHOTOGRAPHY BY JANIE JONES
Preheat oven to 350 degrees and toast the cubed croissants on a baking dish for 10 minutes. In a mixing bowl, beat cream cheese and sugar until smooth. Add eggs, half and half, lemon juice and vanilla and mix until smooth. Place the toasted croissants into a greased 9 x 13 pan and layer with 1 ½ cups berries. Pour custard mix on top and then add the remaining berries on top. Cover with foil and refrigerate overnight. Preheat the oven to 350 degrees and bake, covered, for 30 minutes. Remove foil and bake for another 15 minutes. Set aside and make glaze by adding all ingredients to a bowl and mixing until smooth. Drizzle over the casserole and sprinkle with powdered sugar if desired.





