







![]()








The holidays are here and as the spirit of the season is among us, we often try to replicate what made the season feel so magical to us in our youth. Traditions we set for our own families often mirror some of what we experienced as a child, whether it's smells, sounds, lights, holiday activities or a combination of it all that reflect that best.

This month, we're highlighting the magic of the season and what our community has to offer that helps spread holiday cheer. However, while this season can be beautiful for some, it can be painful and lonely for others, especially those who have recently lost a loved one. In the true spirit of the season, let’s take care of those in our community who need assistance or who are alone.
My hope for you this season is that you feel love and peace, and that we all remember to take care of each other extending grace, empathy and love. Happy Holidays!

SHARON DUFFY THOMAS, PUBLISHER @FRISCOMAG
December 2024
PUBLISHER
Sharon Duffy Thomas | sharon.duffy@citylifestyle.com
PUBLICATION DIRECTOR
William Thomas | william.thomas@citylifestyle.com
EDITORIAL COORDINATOR
Amy Schmidt | amy.schmidt@citylifestyle.com
COPY EDITOR
Julie Brown Patton | julie.patton@citylifestyle.com
CONTRIBUTING WRITERS
Karen Kim, Alexis Jacobs, Julie Brown Patton, Erica Bibb
CONTRIBUTING PHOTOGRAPHERS
Kane Wai, Maroon & White Photography, Janie Jones
CHIEF EXECUTIVE OFFICER Steven Schowengerdt
CHIEF OPERATING OFFICER Matthew Perry
EXECUTIVE DIRECTOR OF HR Janeane Thompson
AD DESIGNER Rachel Chrisman
LAYOUT DESIGNER Rhiannon Coffman















WHERE NEIGHBORS CAN SEE AND BE SEEN







1: Black Rock Coffee Bar opens Frisco location: 8541 FM 423 (also teas, smoothies, energy drinks). 2: Congratulations to Frisco Fastpacs on their 10-year anniversary of assisting FISD students. 3: The Little Gym of Frisco West opened at 252 W. Stonebrook Parkway, Suite 710. 4: 20th Anniversary Chrysalis Ball for Boys & Girls Club Collin County at Omni PGA Frisco Resort. 5: Pella Windows & Doors is now open in Frisco at 10050 Legacy Drive, Ste. 300. 6: Happy official 40th anniversary to Daystar Landscapes, from being established in 1984. 7: Batch Bakery relocated to new space in Frisco at 6065 Sports Village Road, Ste. 700.


Our attorneys create customized estate plans based on your family structure, life plans, goals, values, principles, and vision. There is no such thing as one-size-fits-all estate planning.
The probate process helps to ensure that your deceased loved one’s estate is distributed according to their wishes. Mourning the loss of a loved one is difficult, and the thought of dealing with legal issues and piles of paperwork can make you feel overwhelmed.
Appointing a guardian is necessary when a person can no longer make or communicate safe or sound decisions about his/her person and/or property or has become susceptible to fraud or undue influence. A special needs trust allows a person with a disability to have money put aside for their care.
Trust administration includes settling any debts, paying taxes, transferring property titles and other administrative tasks that must be handled to close out or settle the estate of the decedent.
Asset protection planning involves making prudent decisions today to protect yourself, your business, and your hard-earned assets from loss due to lawsuits, creditors or bankruptcies.
An effective business plan is not only a roadmap that outlines your goals, strategies, and potential hurdles, but also helps protect your business from death, divorce, or disability by preparing in advance.






A 2.5 million-gallon elevated water storage tank at Preston Road and PGA Parkway was constructed and raised in Frisco. City engineers indicate it will provide potable water storage and pressure to the growing northwestern part of the city. The tank’s base measures 56 feet in diameter, and its overall height is about 220 feet. Construction on the water tower began in August. Anticipated project completion is the third quarter of 2025.


Heroic efforts of Frisco Athletic Center Aquatics staffers were recognized by Mayor Jeff Cheney. Team members took swift action during a critical incident involving a oneyear-old child at the Frisco Water Park, administering life-saving aid and stabilizing the young child within 2.5 minutes. Pictured here: FAC staff members Eruel "R" Pepito, Kathryn Lozano, Matthew Scroggins, Camden Adams, Arrow Robertson, Samuel Hammond and Jake Griffith and the FAC Aquatics leadership team.

We are a construction, renovation and remodeling powerhouse driven by a commitment to always supersede our client’s expectations on all fronts.
Flawless Workmanship | High-Quality Materials
Advanced Equipment | Superior Quality Control Timely Project Completion | Unmatched Value for Money




Daystar Landscapes' commercial construction manager joined the LEX 2024 Frisco Leadership Exchange Trip to explore Olympic sites and landscape concepts. The group indicated they are gathering inspiration to bring fresh ideas to the upcoming World Soccer Cup in Frisco. The annual Frisco Chamber Leadership Exchange trips to different cities are impactful, popular programs designed to be catalysts for change and sharing collective visioning.



Frisco Chamber of Commerce selected 26 community residents as Leadership Frisco Class XXVIII members, from within a large and competitive pool of applicants. The program year kicked off with a team-building session led by Human Dynamics, Inc., and a dinner featuring a fireside chat with Frisco City Manager Wes Pierson. Class participants then met at a ropes course for team-building exercises facilitated by “Leadership on the Move.”
The purpose of the Leadership Frisco program is to develop a pool of qualified, highly motivated individuals interested in expanding their leadership skills, deepening their sense of civic responsibility, and becoming more involved in the Frisco community.
Baylor Scott & White is once again the presenting sponsor for the 2024-25 program year. "We recognize it takes a village to serve Frisco well," says Ryan Gebhart, SVP/president, Baylor Scott & White Health–Frisco Market.
Leadership Frisco Class XXVIII participants will graduate in May 2025 after successful completion of the program.
CLASS XXVIII MEMBERS FOR THE 2024-2025 PROGRAM YEAR INCLUDE:
• Liza Alonzo, First United Bank
• Chuck Brakes, Visit Frisco
• Eddie Camacho, Play Frisco
• Tracy Churchman, Best Buddies International
• Thomas Coglitore, Raytheon
• Dr. Tonya Cooper, Collin College
• Ericka Crine, eXp Realty
• Carrolee Drummonds, Carrolee Moore Consulting Group
• Henry Fields, PlainsCapital Bank
• Thomas Finley, Frisco Library
• Gerardo Garcia, Bank of America Private Bank
• E.A. Hoppe, City of Frisco
• Dominic Parks Jr., ChefNIC Catering Co. LLC
• Calvin Kang, Liga Co. Ltd
• Tonye Lofton, U.S. Government Consultant
• Sonia Bhatia Lopes, Frisco ISD Council of PTA’s
• Anthoney Martinez, FirstService Residential – Fields
• Vicky Mathew, Millennia Wellness MD
• Nicole Mayberry, PGA of America
• Rob Millar, City of Frisco
• Ami Patel, Baylor Scott and White Health – Centennial
• Brian Poduska, Real Property Management Focus
• Erika Saracho, Frisco EDC
• Ashley Sine, Frisco Independent School District
• Manjeet Singh, Healthcare Heroes
• Daniel Whittle, Northern Trust
Leadership Frisco is a nine-month community program of Frisco Chamber of Commerce/Frisco Chamber Foundation, led by volunteer former graduates via the Leadership Frisco Advisory Council. A full day each month explores inner workings of Frisco’s government, educational system, economic development, service organizations, regional issues, leisure/culture, health services and public safety.

VENDING MACHINE ALLOWS DONORS TO SEND ITEMS TO PEOPLE IN NEED



ARTICLE BY JULIE BROWN PATTON
Merry and Bright, Make Holiday Giving Unforgettable: From Dec. 7, 2024 to Jan. 1, 2025, Frisco and McKinney community residents and supporters can tap into vending machines that allow users to donate items such as medicine, clothing, baby supplies, text books, eye exams and livestock for people in need.

These charity ‘Light the World Giving Machine’ vending devices dispense hope and joy by featuring items to donate from seven local and global charities. With the swipe of a credit card, donors can give hot meals, warm shoes, fresh water, school supplies, a soccer ball, jump ropes and even goats, chickens or fish.
The machines work by users choosing one item, inserting a payment card, donors receiving a donation receipt and then the donations are sent to the identified charities.
Sponsored by The Church of Jesus Christ of Latter-day Saints, the Giving Machine is part of the Light the World campaign. It provides an instant act of service for people interested in helping those in their community and around the world during the holiday season. Organizers state that 100% of all donations go directly to the participating charities.
The Giving Machine will make its first-ever debut in Frisco at Frisco Square Dec. 7–18. And then, it will move to historic downtown McKinney from Dec. 20 until Jan. 1, 2025, (next to The Guava Tree Restaurant).
This local Texas region is one of 108 cities worldwide to host Light the World Giving Machines in 2024. Five local DFW charities will benefit: The Salvation Army North Texas, Catholic Charities Dallas, Lovepacs, 6 Stones and Agape and two global charities, including Lifting Hands International and Unicef USA.
LightTheWorld.org TexasGivingMachine.org/DFW
“Vend Joy To The World: Seven charities. Thirty items. Countless lives






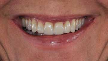
At Jensen Orthodontic Arts, we combine ART, SCIENCE, and EXPERTISE in orthodontics to customize your smile and improve or reconstruct the function and harmony of your teeth. That alone says a lot, but Dr. Doug Jensen also uses his training in the closely-related specialty of PROSTHODONTICS and dental aesthetics to create wonderful outcomes for unusual or complex dental problems– Think VENEERS, CROWNS, IMPLANT CROWNS, and DENTURES. Dr. Jensen is one of the few dual specialists in both orthodontics and prosthodontics in America, and we are lucky to have his experience in this area. He offers clear orthodontic treatment options including CLEAR BRACES, LINGUAL BRACES, and CLEAR ALIGNER THERAPY to meet your aesthetic needs. Count also on getting treatment rendered efficiently without ignoring the balance that should be present between the teeth, joints and muscles in a properly functioning bite.

Dr. Doug Jensen, DDS, MS
Board-Certified Orthodontist, Prosthodontist




Don’t wait! Come see us for an expert’s Complimentary Evaluation
Get a straightforward assessment and roadmap to the PERFECT SMILE!
LITTLE HEARTS OF HOPE: SUPPORTING CHILDREN DURING FAMILY MEMBERS' CANCER BATTLES



ARTICLE BY ALEXIS JACOBS



Kerri Steele, founder and executive director of Little Hearts of Hope, understands the emotional impact a family member’s cancer diagnosis can have on children. Through her late husband’s battle with cancer, she says she saw the need for specialized support to help children cope with the fear, anxiety and uncertainty that comes when a parent or sibling battles cancer. LHOH addresses this emotional toll by offering personalized care packages and emotional resources designed for children aged 4-14 years.
“LHOH is more than just a support organization; it's a community committed to making a meaningful difference in the
lives of children facing challenges of having a family member with cancer,” explains Kerri. “Every service offered is designed with children's emotional and psychological needs in mind, ensuring they feel loved, understood and supported.”
The Hope Package Program, LHOH’s flagship service, provides free, monthly care packages filled with age-appropriate activities, books and therapeutic tools aimed at building resilience. The ongoing nature of this support offers children a source of comfort and encouragement, reminding them they are seen and valued during this difficult journey.
LHOH also offers programs like Hugs for the Holidays, which delivers extra emotional support during a time when families typically gather but may feel emotionally fragile due to illness. A Prayer Team provides


spiritual support through dedicated volunteers, uplifting families with prayer and faith-based encouragement.
The organization’s impact extends beyond emotional care, connecting families with additional resources such as financial assistance and counseling. The McKinney community plays a vital role in supporting these efforts, through financial donations, volunteerism and community outreach.
LHOH fosters an environment where children can grow emotionally stronger and more resilient by addressing their emotional and spiritual needs. With each package, prayer and act of kindness, LHOH ensures no child faces cancer’s emotional challenges alone.
972.730.2235
LittleHeartsOfHope.org
















Frisco city councilmembers approved a Master Development Agreement that will provide up to $113.4 million in funding for development of "The Mix ," a new vibrant, walkable neighborhood, as well as significant job creation and economic growth.
The Mix is planned to be a 112-acre mixed-use development in Frisco, located at the southeast corner of Lebanon Road and Dallas Parkway. It's set to redefine what was formerly Wade Park.
The $3 billion development includes plans for two-million square feet of new class-A office space; 375,000 square feet of retail space; two hotels; townhomes and urban living units.
“We’re excited about the progress at The Mix and the opportunity it presents for our community,” says Chad Brubaker, vice chair, Frisco Community Development Corporation (FCDC). “Incentives will only be available if the development meets specific performance metrics and delivers the project within a defined timeline. This collaboration represents a strong step forward in enhancing Frisco’s growth and quality of life.”
The development reportedly will feature a large park and include more than 16 acres of open space throughout the development. The agreement provides $113.4 million in performance-based grants from the City of Frisco, the Frisco Economic Development Corporation (FEDC) and the FCDC to support Phase 1 infrastructure, which includes essential property remediation and construction of an underground parking garage.
Incentives would be paid to The Mix Partners, LLC only upon completion of the following:
• 114,000 square feet Class A medical office
• 40,000-square-foot, upscale grocery store
• 33,000 square feet of upscale retail
• 630 townhomes/urban living residential units
• Parks, trails and open space
• 2,250-space underground parking garage
• Enhanced screening of the property during construction
In 2015, Frisco city councilmembers approved $122,750,000 in tax incentives for the previous Wade Park development. The funding had the stipulation that the project would be finished no later than Dec. 31, 2017. City officials later extended the deadline to 2019 before terminating the agreement in March 2019.
“Frisco EDC is proud to play a key role in accelerating development of The Mix,” says Shanna Keaveny, vice chair, Frisco Economic Development Corporation. “With Frisco steadily absorbing office space, the new Class A offices and underground parking garage will significantly boost our ability to attract more corporate headquarters, technology firms and specialty medical companies."
The $113.4 million agreement includes a $10 million reimbursement-based infrastructure grant, approved by the Frisco EDC board, ensuring an accelerated construction timeline of the upscale grocer and permanent occupancy before disbursement.
“Now rebranded as The Mix marks the next chapter in this development story," says Frisco Mayor Jeff Cheney "The Planning & Zoning Commission spent a lot of time working with the developer to come up with an even better and improved site plan providing more open space and amenities. Thoughtful negotiation related to performance criteria requires the developer to deliver the underground parking garage before any incentives are paid."
“We're pleased to receive the city council’s approval and are excited to begin construction on this transformative project,” says Tim Campbell, head of development, The Mix. “The Mix will bring significant benefits to the city and local community, providing new opportunities for growth and enhancing the quality of life for residents. We have worked closely with city leaders to ensure that our plans align with their goals and vision for the future, and we're committed to making this project a success for everyone involved.”

ARTICLE BY ERICA BIBB PHOTOGRAPHY BY JANIE JONES
• 22 gauge wire
• Ornaments of at least 3 varying shades and sizes
• Wire snips
Cut desired length of wire for a cluster, about 24”
Add an ornament about 4” from one end of the wire and twist the wire around the top of the ornament to provide a base for your cluster. Twist about 5 times. You should still have about 4” of wire at the end; you will need it to tie onto your garland, tree, or wreath.
Continue adding ornaments to the wire, alternating sizes and colors until you have 4-6” of wire remaining.
Twist the remaining wire around the top of your final ornament 5 times to secure all of your ornaments in place. Making sure to leave at least 4” of wire in place at the end in order to tie onto garland, tree, or wreath.
Use the ends of the wire to attach to your holiday item of choice!!
Pro tip: Keep your clusters to the 24” length to keep from getting too heavy and/or having ornaments pop off. Ornaments will pop off at times, but they will still look gorgeous and you can always glue the ornament back onto to the top. Simple, gorgeous, and impactful!







JOIN OUR MISSION TO SPREAD WARMTH AND COMPASSION BY NOMINATING SOMEONE WHO DESERVES A CHRISTMAS BLESSING

“We believe in giving back and serving the communities where we live in a real and tangible way.”
As the Christmas season approaches, we’re reminded of the power of community and kindness. This year, through City Lifestyle’s nonprofit, The Kingdom Building Foundation, we will help people who may be struggling quietly without the support they need. But we need your help to find them.
Over the past three years, this campaign has grown into something truly beautiful, touching the lives of more than 150 families nationwide last year alone. Each year, we’ve seen firsthand how generosity can bring relief, hope, and a renewed sense of faith in others.
One person we had the opportunity to help was an 11-year-old boy diagnosed with a rare eye cancer. After he had to undergo chemotherapy and surgery to remove his eye, his doctors recommended a prosthetic one, but insurance wouldn’t cover the cost, calling it “cosmetic.” When we heard his story, we knew we had to help. Because of this campaign, he got his prosthetic eye and a piece of his childhood back with it.
Another was a wife and mother of two who fought a yearlong health battle and was diagnosed with a brain tumor. Just days before Christmas, she underwent surgery but passed away due to complications. Before her surgery, she received one of our cards and, in tears, told us this gift gave her some peace, knowing her family would have help in the difficult times ahead. It wasn’t just about the financial support but knowing that someone cared.
These stories remind us why this campaign is so meaningful. It’s not just
about writing checks; it’s about telling people they aren’t forgotten and that someone is there to lend a hand. It’s about giving families a moment of relief when the world feels unbearable.
“We believe in giving back and serving the communities where we live in a real and tangible way,” says Steven Schowengerdt, CEO and founder of City Lifestyle. “This Giving Campaign is about personally impacting the lives of people we know with an unexpected check in the mail just to say that someone thought of them this holiday season.”
Together with Matthew Perry, President, Steven adds that the gratitude from recipients was overwhelming, affirming this tradition’s importance. “We believe God has blessed our company with success,” Matthew adds, “so we want to be a blessing to others.”
We know many more people could use a little help this Christmas, and that’s where you come in. Do you know someone who could use a blessing? We want to hear about them.
To nominate someone, scan the QR code or follow @CityLifestyle on Instagram, where you’ll find the form in our bio. Nominations are open from November 27 to December 10, 2024. Let’s bring hope to those who need it most.
The City Lifestyle Giving Campaign is completely confidential. No identities will be revealed or publicized. All entries will be read, and selections and the amount given to each recipient will be based on the severity of the need. For more information, visit KingdomBuildingFoundation.com
















DECEMBER 7TH
Breakfast With Santa
The Grove at Frisco Commons | 8:00 AM
Breakfast times: 8-9 a.m.; 9:30-10:30 a.m.; and 11 a.m. to noon, including a visit and picture with Santa, crafts, hot cocoa bar and a special take-home favor. Tickets are available for purchase online only. All children and adults except for children younger than 24 months (seated on ticket-holding adult's lap) count toward party total. Chairs may not be added to tables.
DECEMBER 7TH
Frosty 5K 2024
Simpson Plaza | 8:30 AM
Embrace the Chill, Embrace the Thrill. This festive fun run for all ages races through Frisco Square and the downtown area. It’s a delightful Frisco tradition and the perfect kickoff to the annual Merry Main Street event. Registration includes a Frosty 5K long-sleeve T-shirt for all participants and a Frosty 5K finisher's medal upon crossing the finish line.
DECEMBER 17TH
2024 Scooter's Coffee Frisco Bowl
Toyota Stadium | 8:00 PM
The Scooter’s Coffee Frisco Bowl is one of 17 college football bowl games owned and operated by ESPN Events. Tickets can be purchased at TheFriscoBowl.com/tickets.
DECEMBER 18TH
Coffee & Culture
Frisco Discovery Center | 8:00 AM
Join Play Frisco in the Grand Gallery for a cup of coffee to share thoughts on the direction of Frisco's cultural offerings. Enjoy free Summer Moon coffee while discussing new and exciting things Frisco residents want to see in the community. This 1-hour session aims to spark creativity, generate fresh ideas and inspire action.



DECEMBER 21ST
Ford Center At The Star | 7:00 PM
The U.S. Army Bowl brings together 80 of the best high school football players in the nation for a game. Additional events around the game include: National High School Combine; National Middle School Combine; and Takis National Signing Day Wednesday.
DECEMBER 27TH
Comerica Center | 7:00 PM
Celebrating its 15th anniversary, this magical holiday extravaganza is filled with music, marvels and merriment to ignite the festive spirit in all who attend. Featuring awe-inspiring acrobatics, gravity-defying aerial feats and talented musicians and singers, audiences of all ages are invited to step into a world of enchantment. Tickets start at $29 each.



Helmed by brothers Tim and Trey Hutchins, Hutchins BBQ offers a variety of the best, authentic Texas barbecue in the Dallas area. Our long-standing commitment to the craft has led to recognition among the “50 Best BBQ Joints” by Texas Monthly three times running.
We’re honored to uphold the traditions of Texas BBQ and admire the innovations of new generations of pitmasters joining the ranks. Whether you’re old school or new school, there’s something for everyone at our family table!
Visit us in McKinney, Frisco or online for your dining and catering needs. Visit us online at hutchinsbbq.com


Create your own DIY sugar scrub for a perfect gift for a special person in your life.
To make one 8 ounce mason jar of vanilla orange sugar scrub, you need:
• 1/4 cup of coconut oil
• 3/4 cup of sugar
• 1 teaspoon pure vanilla extract
• 10 drops of orange essential oil
Soften the coconut oil in the microwave for a few seconds. Next add the vanilla extract and the orange essential oil. Then, stir in the sugar, a little at a time. Print off a fun label or attach a ribbon to the jar, and your gift is ready. Enjoy!














