












![]()













"An investment in knowledge pays the best interest," stated American polymath Benjamin Franklin. That's a notable sentiment.
Investment, by definition, is the act of devoting time, effort, energy or finances to a particular undertaking with the expectation of a worthwhile result. We can invest in many areas, such as our relationships, finances and health with the hope our efforts will yield positive impacts.

We can invest in our community by supporting our local businesses, schools, nonprofits and local organizations. We can serve the community through volunteerism and investing in future generations.
On a larger scale, we can participate in public surveys and stay educated, and involved with future city planning. Investing in our finances helps create wealth, meets long-term financial goals and secures our retirement. On a personal level, we can invest in our families and enrich relationships by giving time and effort to the people in our lives who mean the most to us. This type of investment has the most meaningful impact to not only ourselves but to the people closest to us.
While investing in ourselves, relationships, community and finances can look very different from person to person, the effort we put into these areas of our lives are done with the common goal of having positive effects.
Bring on springtime!

SHARON DUFFY THOMAS, PUBLISHER
PUBLISHER
Sharon Duffy Thomas | sharon.duffy@citylifestyle.com
PUBLICATION DIRECTOR
William Thomas | william.thomas@citylifestyle.com
EDITORIAL COORDINATOR
Amy Schmidt | amy.schmidt@citylifestyle.com
COPY EDITOR
Julie Brown Patton | julie.patton@citylifestyle.com
CONTRIBUTING WRITERS
Alexis Jacobs, Julie Brown Patton, Andrea Bugbee, Bailey Morris, Angela Broockerd
CONTRIBUTING PHOTOGRAPHERS
Allison Amores Photography, Janie Jones
CEO Steven Schowengerdt
COO Matthew Perry
CRO Jamie Pentz
CTO Ajay Krishnan
VP OF OPERATIONS Janeane Thompson
VP OF SALES Andrew Leaders
AD DESIGNER Rachel Otto
LAYOUT DESIGNER Rhiannon Coffman
QUALITY CONTROL SPECIALIST Hannah Leimkuhler


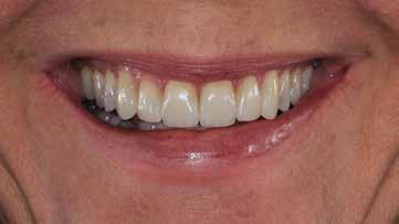
At Jensen Orthodontic Arts, we combine ART, SCIENCE, and EXPERTISE in orthodontics to customize your smile and improve or reconstruct the function and harmony of your teeth. That alone says a lot, but Dr. Doug Jensen also uses his training in the closely-related specialty of PROSTHODONTICS and dental aesthetics to create wonderful outcomes for unusual or complex dental problems– Think VENEERS, CROWNS, IMPLANT CROWNS, and DENTURES. Dr. Jensen is one of the few dual specialists in both orthodontics and prosthodontics in America, and we are lucky to have his experience in this area. He offers clear orthodontic treatment options including CLEAR BRACES, LINGUAL BRACES, and CLEAR ALIGNER THERAPY to meet your aesthetic needs. Count also on getting treatment rendered efficiently without ignoring the balance that should be present between the teeth, joints and muscles in a properly functioning bite.

Dr. Doug Jensen, DDS, MS
Board-Certified Orthodontist, Prosthodontist




Don’t wait! Come see us for an expert’s Complimentary Evaluation
Get a straightforward assessment and roadmap to the PERFECT SMILE!



















1: Recent Art Appreciation Award recipients presented by Visual Art Guild of Frisco. 2: Le Beau Visage Med Spa celebrated the business's 20th-anniversary celebration with Frisco Chamber members. 3: Earnest Morgan, lead pastor, Empowerment Church of Frisco, provided invocation at recent city council meeting. 4: Full house at mayor's coffee at Frisco Public Library, discussing 2025 Progress in Motion Priorities. 5: Frisco's Emerald City for 29th Annual Daddy/Daughter Dance, presented by Play Frisco-Parks & Recreation. 6: Frisco mothers and sons hit the dance floor at 2025 High Tops & High Heels Dance. 7: Carrie Ermence, CEO/founder of Lone Star Root, named Entrepreneur Of The Year by Frisco Chamber.
Want to be seen in the magazine?

RENOWNED CHEFS
Aarón Sánchez, Stephanie Izard, Shota Nakajima, Kwame Onwuachi, Dean Fearing and more.
ENTERTAINMENT
Country sensation Midland, D. Vincent Williams and other talented artists.
CELEBRITY GOLFERS
Michael Strahan, Rob Riggle, Dennis Quad, Anthony Anderson, Nischelle Turner and more.

Scan the QR code or visit savoromnipgafrisco.com for tickets and event details.
MASTERS OF TASTE DINNER
A four-course feast prepared by Antonia Lofaso and other celebrity chefs and mixologists.
FORK & FIRE RECEPTION
A live-fire culinary and musical extravaganza featuring Shota Nakajima, Stephanie Izard & Kwame Onwuachi.
BEST OF TEXAS RECEPTION
Immerse yourself in Texas’ rich culinary traditions featuring Chefs Dean Fearing and John Tesar and enjoy an electric musical performance by Midland.
MARGARITAS & MARIACHIS BRUNCH
Aarón Sánchez hosts this brunch featuring Tex-Mex delicacies and premium margaritas.
CELEBRITY GOLF INVITATIONAL
Tee off with celebrities at Fields Ranch West in Frisco, Texas, designed by Beau Welling.







Owners of Burning Rice, Korean barbecue/bibimbap at 3930 Preston Road #100, are opening a second restaurant in Frisco at Custer and 121. They prepare marinated grilled proteins based on fresh ingredients. Bibimbap is a Korean dish that mixes rice, seasoned vegetables, meat, an egg, topped with sesame seeds. This restaurant serves these dishes in a hot stone bowl or regular dish. They have restaurants in six other Texas cities. For menu options, visit BurningRice.com

Milano Nail Spa is slated to open in Frisco at 3301 Preston Road to offer a variety of manicures featuring acrylic, gel and other nail options. Pedicures also are planned to be available. Additional care may include eyebrow services, eyelash services, waxing, facials and massage. At press time, another Milano location in Frisco may be underway at The Mix at Dallas Pkwy and Lebanon Road. Look for timing updates at MilanoNail.com

Media entertainment group Dude Perfect moved into their new video production headquarters at The Star Business Park. This group is most well-known for their YouTube channel and trick shot content, consists of five founding members: Tyler Toney, Cory Cotton, Coby Cotton, Garrett Hilbert and Cody Jones. They all have private offices inside the facility, called DPHQ3, which is planned to span 80,000 square feet across multiple floors when completely finished.




ARTICLE BY JULIE BROWN PATTON | PHOTOGRAPHY BY DANIEL PENZ/PENZ PRODUCTIONS

FRISCO IMPROV PLAYERS PERFORM TO SPREAD SMILES AND BELLY LAUGHS
Frisco Improv Players like to make other people laugh until their bellies hurt, and then push for a few more giggles; plus some genuine snorts.
"There are no wrinkles in people's faces, just laugh lines," quips founder/director of the FIP troupe, Bob Zak, a retired Frito-Lay supply chain manager who discovered improv entertainment a couple decades ago at Four Day Weekend in Fort Worth when he attended a show there. He says afterward, he took their improv class; after graduating, he auditioned for and joined ComedySportz, which was then located in the West End in Dallas and is now offered in McKinney at The Comedy Arena.
Previously a standup comedian, Bob went on to perform with the ComedySportz team for about 200 shows over four years. He then launched his own FIP group by combining his humor prowess with a couple other talented performers, before holding an open audition to round out the team.
"I always liked to make people laugh through comedy and open mic nights," he recalls.
FIP's fast-paced improv is popular and suitable for all audiences, he says. "Many patrons thank us for our approach, saying they'd stopped going to other comedy clubs due to the language used."
This troupe also is available for team-building workshops, school celebrations, corporate shows, parties or special events for folks of all ages, and have performed for a wide range of audiences.
"It's an amazing achievement that four of our original troupe are still performing together. We stayed with it, had truly interesting rehearsals, and have such a good time while performing about six times a year now, after handling monthly shows for a decade," Bob states.
Alfred Arias, one of those founding FIP members, says improv comedy enabled him to create and share stories. "It's given me a voice, and has allowed me to be around some of the most talented artists in North Texas. It's been a privilege and joy to keep the show going for so many years."
He adds, "Come see our show. The world could use some laughter!"
"Improv provides a creative, winding journey with performers who allow everyone to shine," shares Roxanne Penz, FIP founding member, of Plano.
Evelyn Davis, FIP founding member who also lives in Plano, agrees, "Improv is an investment in trust of your fellow performers."
To maintain a solid stage presence, most comedians indicate it takes a combination of energy, creativity, charisma, open perspectives, timing, audience engagement and ability to stay calm. The skill of storytelling in improv also weaves in interesting adventures, discoveries or life's conflicts.
Bob, who also serves as president of the Frisco Theater board, says he offers an "Intro to Improvisation" course for $250, in which participants learn, practice and perform basic skills of improvisation: active listening, being in the moment, agreement and collaboration. "Whether you're looking to become a performer or a more effective communicator, listener and leader, you'll learn in a fun, supportive way," he adds.
The most recent course is being conducted through once-weekly Wednesday sessions from March 19 through April 23. Prior to the course starting, a free class preview was hosted.
At press time, Bob says he plans to offer the course again during this September.
Dallas resident and FIP original member Sherry Etzel says improv basics have kept her mental muscles flexed and even helped her to adapt and react to whatever situation comes her way in business and daily life. "It also reminds me of how important listening is when dealing with others. The troupe created great friendships through the art of performance and living in the moment.
214.450.8596
FriscoImprovPlayers.com



Frisco Improv Players is an improvisational comedy troupe based in Frisco. Founded in May 2012, the FIP crew specializes in clean, game-based comedic performances, similar to those seen on the syndicated television show “Whose Line is it Anyway?” They typically perform at the Frisco Discovery Center.















Discover the artistry of Performance Painting & Remodeling, your premier destination for exquisite kitchen, bathroom, and whole-home renovations, along with interior and exterior painting. Our palette of services extends beyond just painting and remodeling, to include an array of home improvement specialties.
From precision carpentry and luxurious flooring to intricate trim and crown molding, we master every detail. Our skilled team is adept in drywall repair, elegant tile work, bespoke countertops, and the seamless removal of popcorn ceilings, among other services. Entrust us with your vision, and we will sculpt it into reality, enhancing every corner of your home with impeccable craftsmanship and beauty.






ENHANCE VALUE, SECURITY, AND COMFORT WITH TIMBER CREEK CARPENTRY
ARTICLE BY ALEXIS JACOBS

A home is more than just a place to live: it’s an investment in comfort, security and future value. William Thomas, founder of Timber Creek Carpentry, understands the importance of thoughtful, high-quality renovations that enhance aesthetics while also providing practical benefits.
William and his colleagues specialize in custom cabinetry, crown molding, secret doors, wine cellars and custom furniture with hidden compartments. With more than a decade of experience, he affirms that the team is dedicated to helping homeowners maximize their living spaces in unique and innovative ways.
For many, a house is their most significant financial asset. Investing in home upgrades can improve daily living while also increasing resale value. William emphasizes that every home has underutilized spaces, such as inside walls, under stairs or hidden areas, which can be transformed into functional storage, security features or entertainment spaces.
“People are spending more time at home than ever before,” William says. “From an investment perspective, your house is where you should be putting your money. You want to enjoy it now and leverage its value when it’s time to sell.”
Secret rooms, gun safes, bookcases that open into hidden spaces, and wine cellars built under staircases are just some of the creative solutions Timber Creek Carpentry offers. "These features add novelty, security and an element of luxury that enhances both the function and appeal of a home," he says.
For those looking to increase their home’s market value, William recommends architectural trim, such as crown molding, coffered ceilings and panel molding. He says these additions provide a return on investment typically yielding 65%-80%.
“Trim work doesn’t have to be overly formal. It can be modern, classic or a blend of styles,” he says. “It’s about balance and proportion rather than just adding more wood to a space.”
Timber Creek Carpentry's team tailors each project to match the unique character of a home, William assures. Whether preserving a home’s historical charm or modernizing its features, William says every design choice complements the existing space.
“We consider the home’s layout, the homeowners' style preferences, and design principles to create something harmonious,” William says. “The goal is to enhance, not overwhelm.”










One specialty of the Timber Creek Carpentry crew is designing custom hidden doors. Unlike standard doors bought off the shelf, these secret entrances require strategic placement to blend seamlessly into the space. Collaborating with Jo Gifford, owner and designer of Jo Gifford Designs, William ensures each hidden feature is as functional as it is discreet.
“The challenge isn’t just making the door; it’s knowing where to put it so it makes sense,” he explains. “That’s where design expertise is crucial.”
For those looking to make smart, lasting investments in their homes, Timber Creek Carpentry's team offers expert craftsmanship that blends security, elegance and innovation.
469.406.6064 TimberCreekCarpentry.com

Beyond major renovations, routine home maintenance is essential to protecting property value. Neglecting small issues, such as foundation moisture control or cleaning overflow lines, can lead to costly repairs.
“A house is like a car,” Timber Creek Carpentry Founder William Thomas explains. “Every part affects another, and if you don’t maintain it, problems will compound over time.”
It helps to focus on proactive repairs to prevent structural damage and avoid unexpected expenses. William recommends performing regular maintenance on both the interior and exterior of properties on a monthly, seasonal, biennial and five-year basis.

Helmed by brothers Tim and Trey Hutchins, Hutchins BBQ offers a variety of the best, authentic Texas barbecue in the Dallas area. Our long-standing commitment to the craft has led to recognition among the “50 Best BBQ Joints” by Texas Monthly three times running.
We’re honored to uphold the traditions of Texas BBQ and admire the innovations of new generations of pitmasters joining the ranks. Whether you’re old school or new school, there’s something for everyone at our family table!
Visit us in McKinney, Frisco or online for your dining and catering needs.














National Infertility Awareness Week (NIAW) is acknowledged every year in April to raise awareness and reduce stigmas around infertility. One person who considers each and every day a time for this specific type of awareness and assistance is Dorette Noorhasan, M.D., a board-certified reproductive endocrinologist and infertility physician who serves as CCRM Fertility Dallas-Fort Worth’s medical director and co-founder. Her clinic is in Frisco at 8380 Warren Parkway, Ste. 201.
NIAW is observed annually to highlight that infertility is an issue that affects as many as one in six people globally at some point in their lives, according to World Health Organization representatives. For 2025, the week will be observed April 20-26.
Because CCRM has its own state-of-the-art IV lab and quality testing, Dr. Noorhasan says the clinic's pregnancy success rate is high, and that the team leads many scientific studies. CCRM Fertility Dallas-Fort Worth Main Center is part of the CCRM Fertility network. She adds that CCRM offers its patients bestin-class patient care and access to a network of award-winning physicians, a full suite of fertility services, innovative technology and cutting-edge labs.
ARTICLE BY JULIE BROWN PATTON
The 8,000-square-foot CCRM facility in Frisco houses an all-inclusive fertility treatment center with a dedicated on-site physician team, IVF laboratory, procedures area, on-site lab embryologist and comprehensive diagnostic services.
Dr. Noorhasan says their all-inclusive fertility treatment center specializes in the most-advanced fertility treatments, including expertise in in-vitro fertilization, fertility assessment, fertility preservation, genetic testing, third-party reproduction and human egg donation.
Other health factors can be involved with preparing to begin a family. The hormone cortisol is automatically triggered in human bodies when they're threatened, causing an increase in heart rate and breathing rate to enable either a fight or flee response. In a truly dangerous situation, such as a threatened assault or a car accident, this response is highly functional. Dr. Noorhasan says the problem is many people react in this same way to situations that

are only perceived to be dangerous, and some are in a constant state of high anxiety that keeps their heart rates, blood pressure and respiration rates at very high levels. This may contribute to conceiving a baby more difficult or unpredictable.
"Several studies have shown mindbody interventions for fertility may improve a wide variety of physical symptoms, coping and mood," says Dr. Noorhasan. "To the extent that stress may have a negative impact on outcomes, if you can remove any of those factors, it enhances the chances for success."
Dr. Noorhasan says after addressing the mind-body connection, most


people feel they leave CCRM with a set of skills they can draw upon to better cope with treatments, outcomes and choices regarding their own journey to parenthood. "For some, the programs can be life-changing," she adds.
Dr. Noorhasan received her undergraduate degree summa cum laude from the University of the Virgin Islands and attended medical school at Boston University School of Medicine. She completed her residency in obstetrics, gynecology and reproductive sciences at the University of Texas, Houston, and her fellowship in reproductive endocrinology and infertility at New Jersey Medical School. She regularly attends continuing education classes and seminars.
CCRM Fertility Dallas-Fort Worth is designated as a Center for Excellence. This accreditation is awarded to medical programs that treat complex medical conditions while meeting the most rigorous quality, safety and patient experience standards.
Another related observance during April is The National Month of Hope, which is dedicated to celebrating resilience and finding strength during tough times.
972.377.2625
CCRMivf.com/DallasFortworth




































How To Build Your Spring Time Flower Beds
With sunny skies upon us, it’s time to start planting flower beds! The colorful flowers and fresh floral scents mark the beginning of Spring. It can be hard deciding what you’re going to do so we put together a guide to give you a little gardening inspiration. With everything you need to know including plant necessities and tastefully decorating your garden, we have you covered!
ARTICLE BAILEY MORRIS PHOTOGRAPHY PROVIDED

Decide on a color scheme that includes 2-3 colors that complement each other.
When choosing which plants you will use, take into consideration how tall the plants will grow and place the tallest in the back.


Different flowers have different soil requirements. Make sure you check what soil will fit your plants' needs best.
Look at the location of the flower beds. Is it in a sunny area or a shady area? Depending, make sure you choose flowers that will thrive in that area.


Create a centerpiece with some fun decor. You can use a bird bath, fountain, or even an antique wagon filled with more flowers.

Give some thought to this. Almost all US fruit and grain crops depend on pollination, yet our insect population has declined by 75% in the last 25 years - and most pollinators are insects. Fortunately, keeping pollinators (and our local farms) alive couldn’t be easier. Just get lazy about your lawn!
Lawns mowed every two weeks offer more food for pollinators than lawns mowed weekly. So, while you’re lounging on the couch every other Saturday, your longer grass will be supporting American food systems. As a bonus, longer lawns also need less water, so being lazy saves you money, too.
Perfect lawns are literally the empty calories of the ecosystem. By letting go of that green-carpet ideal, you’ll add color to your landscape by allowing dandelions, violets, and white clover to decorate your grass. More important, these “weeds” feed pollinators which, in turn, feed us.
Here’s one more way being lazy can save the world: skip the pesticides. Pesticides kill pollinators, and they’re hardly health food for humans, birds, and pets, either. In fact, research shows that when bees visit plants treated with neonicotinoids (a chemical in most pesticides), even small amounts can build up over time and kill the hive. Neonicotinoids disorient bees and disrupt their fertility. Worse, they can linger in plants and pollen for 2-4 years.
So be a hero. Stay in bed this weekend and stop fussing over your lawn.
For more information, visit www.fs.usda.gov/ treesearch/pubs/55816
ARTICLE BY ANDREA BUGBEE








ARTICLE BY ANGELA BROOCKERD
PHOTOGRAPHY BY
JANIE JONES
Boost your health by adding a generous serving of fresh greens to your daily diet. While both cooked and raw vegetables offer health benefits, consuming them raw often provides the most nutrients. Raw greens are rich in fiber, antioxidants, and essential vitamins, helping to lower inflammation and reduce the risk of disease.




Dandelion greens are a nutritious and easy addition to any meal, perfect for salads or cooked dishes. They are rich in vitamins A, C, K, chlorophyll, and fiber, making them a great choice for digestion and overall health. Their light flavor and texture enhance salads and sandwiches.
Broccoli is often hailed as a nutritional powerhouse, packed with a variety of vitamins and minerals that support overall health. Known for being high in vitamins A, C, and K, it also contains important minerals like potassium, iron, and calcium. In addition, it’s a rich source of beta-carotene, flavonoids, and fiber. Whether raw or cooked, broccoli is an excellent choice for immune system support, making it one of the most nutrient-dense vegetables available.
Brussels sprouts are a highly nutritious cruciferous vegetable, known for their vitamin C, K, and folate content, as well as carotenoids and fiber. These vegetables can be shaved, sliced, sautéed, boiled, or grilled, offering a range of flavors from mild to bitter, depending on preparation.
Kale is loaded with essential nutrients such as vitamins C, B6, E, K, and manganese. It contains twice as much selenium as spinach and is an excellent source of calcium. Kale’s unique properties help bind to cholesterol and lower oxalate levels, which promotes calcium absorption and makes it suitable for those prone to kidney stones. Additionally, it provides eye health benefits, thanks to lutein, and its disease-fighting properties make it a great addition to salads, smoothies, and more.
Artichokes are not only delicious but also packed with fiber, which aids in digestion. They are a great source of plant protein, potassium, and antioxidants like polyphenols. Artichokes also provide essential nutrients, including vitamins C, K, folate, magnesium, and B vitamins.
Asparagus is versatile and can be enjoyed grilled, sautéed, baked, or even raw. Packed with vitamins C, E, B, K, folate, and copper, it’s a great source of fiber. It also helps lower cholesterol and provides a variety of antioxidants that aid in healing. Asparagus is a perfect side dish that complements both light and robustly flavored meals.
Spinach is a popular green known for its mild flavor and impressive nutritional profile. Rich in vitamins A, C, K, as well as magnesium, potassium, and iron, spinach is great for overall health. It also provides antioxidants that support eye health and includes calcium for stronger bones. However, because spinach has a higher oxalate content, it should be consumed in moderation by those with a history of kidney stones.

APRIL 5TH
Twist Family! Colorful Elephant
Painting With A Twist Frisco | 11:00 AM
Join this fun Family Day Painting; kids 6 years and older are welcome. Parents can paint alongside their children, or just sit and watch; indicate in reservations if a non-painting spot with a child at the table is preferred. Drop offs of children are allowed if both guardians and children are comfortable doing so. Adult painters are welcome to BYOB.
APRIL 12TH
Collin College Frisco Campus | 6:40 AM
Organized by Frisco Chamber Foundation representatives, this event has raised almost $400,000 to date. All funds benefit nonprofit 501(c)(3) charitable organizations within the North Texas community. Organizers offer age group awards for the top 3 M/F in the following categories: 14 and younger, 15-19, 20-24, 25-29, 30-34, 35-39, 40-44, 45-49, 50-54, 55-59, 60-64, 65-69 and 70-plus.
APRIL 13TH
Sidecar Social | 2:00 PM
Musical artist Lacey will play acoustically for 3 hours in Frisco at 6770 Winning Drive. As a Texas-based singer/songwriter, she likes to call her genre of music: "Red Dirt Country. Americana. Texas Country." Her main vocal influences are Mariah Carey, Whitney Houston, Natalie Cole, Jewel and Michelle Branch. Her sound is soulful and powerful, with a hint of blues!
APRIL 19TH
Frisco Black Box Theatre | 8:00 PM
Comedy troupe, The Frisco Improv Players, will present an hour show. Founded in July 2012, FIP delights audiences with comedic performances, similar to those seen on the syndicated television show “Whose Line Is It Anyway?" Their clean format makes them perfect entertainment options for corporations and youth, senior and faith-based organizations. Purchase tickets for $17 each online or call 214.450.8596.
APRIL 25TH
Friday Movie Night
The PGA District | 7:00 PM
Catch a family-friendly flick on the big screen, starting at 7 p.m., weather permitting. Guests are encouraged to bring a lawn blanket to sit on. PGA District restaurants will serve foods before and after the show; concession snacks also will be available for purchase from roaming beverage carts. Sign up at PGAFrisco.com to learn what movie will be showing.
APRIL 26TH
Frisco Uncorked 2025
Frisco Square | 12:00 AM
Join the group from noon to 6 p.m. for a fun food plus wine experience featuring delicious wine, cuisine from the best local restaurants, grape stomping and fantastic shopping with local vendors. This event is hosted by SBG Hospitality. Parking is available in the parking garage behind Frisco City Hall, 6100 Page St.
Want to be featured?











