Radiologie Magazin 1-2021

Page 66

DIE ZEITSCHRIFT FÜR TRENDS IN TECHNIK UND IT

Digitale Systeme zur ärztlichen Entscheidungsunterstützung

Das MedTech Start-up deepc ermöglicht mit der KI- und Software-Plattform deepcOS wegweisende integrierte Lösungen für die radiologische Diagnostik.

Bruch – sicher

Bis zu 30 Prozent mehr Frakturen finden mit KI

Teleradiologie

Übersicht: Welche Anbieter liefern Befunde

Produkte & Lösungen 2021 700 Geräte, Modalitäten und IT-Systeme

1-2021 7,50 Euro

CONTINUITY FOR SUCCESS

Yesterday. Today. And from this day on.

www.dedalusgroup.de

Liebe Leserinnen und Leser,

unterschiedliche Themen rund um den Einsatz von Künstlicher Intelligenz dominieren seit mehreren Jahren die Berichte über Neuheiten in der Radiologe. Während anfangs die Bedenken groß waren, dass es bald keine Radiolog*Innen mehr geben würde, setzt sich nun doch die Meinung durch, künstlich intelligente Algorithmen für die Bildanalyse können nur dazu dienen, Befundvorschläge zu unterbreiten. Am besten eignen sie sich wohl dazu, repetitive und fehleranfällige Aufgaben zuverlässig zu erledigen. Es wurde viel diskutiert über das Für und Wider, doch kaum ein System war im produktiven Einsatz zu finden.

Seit kurzem haben sich die Vorzeichen geändert. Auf einmal schießen die Lösungen wie Pilze aus dem Boden und es scheint der Punkt gekommen zu sein, dass sich immer mehr Anwender trauen. Da sind die Berichte von den Stroke-Netzwerken, die auf die automatisierte Auswertung von Hirnscans nicht mehr verzichten wollen. Unterschiedliche Schlaganfallvarianten werden mit hoher Sicherheit erkannt und automatisierte Analysen an die Neuroradiologen und Neurologen verschickt, um schnell zu entscheiden, welche Therapie infrage kommt.

Aber auch kleinste Knochenbrüche werden inzwischen sicher gefunden und nicht nur die, die man auf den ersten Blick erkennt. Erste Ergebnisse zeigen, dass im Notfallröntgen mit KI auf Anhieb bis zu 30 Prozent mehr Frakturen erkannt werden. Einen Großteil dieser Brüche stellte man in der Vergangenheit erst mithilfe eines zusätzlichen CT-Scans fest, wenn der Patient trotz Therapie über Schmerzen klagte.

Ein weiterer konkreter Anwendungsfall von KI ist die Teleradiologie. Besonders im Nachtdienst ist konstante Aufmerksamkeit gefragt. Aber da sind es wohl nicht die Algorithmen für konkrete Anwendungen, die nützlich sind. Teleradiolog*Innen ist schon geholfen, wenn Normalbefunde mit hoher Wahrscheinlichkeit identifiziert werden und das System auf auffällige Strukturen hinweist.

IT-Innovationen werden die Radiologie weiter auf Trab halten. Insbesondere das Krankenhauszukunftsgesetz wird dazu beitragen, die Digitalisierung im Gesundheitswesen voranzutreiben.

Auf die langfristige Entwicklung können wir gespannt sein. Das KHZG ist gut. Das bezweifle ich nicht. Aber meines Erachtens fehlt eine Strategie. IT-Systeme – und um die geht es in erster Linie – verlangen nach ständigen Updates und müssen gepflegt werden. Jede Anschaffung, die jetzt gefördert wird, verursacht in Zukunft regelmäßige Kosten. Wir alle kennen das Krankenhausfinanzierungsgesetz: Die Investitionen kommen aus Steuermitteln und die laufenden Kosten werden über die Pflegesätze finanziert. Da wird sich eine Kostenwelle aufbauen, von der man in ein paar Jahren nicht überrascht sein sollte.

Herzlichst, Ihr

3 RADIOLOGIE MAGAZIN 1-2021 X -EMPLAR

6

Gemeinsam überlegen

Radiologie und Künstliche Intelligenz –die Chancen des technologischen Wandels 14 Schöne Aussichten

Radiologie Magazin gibt einen Überblick über die wichtigsten Produkt-Neuheiten im Frühjahr 2021 47

Zukunftsthemen Radiologie

Das Volumen der gespeicherten Patienteninformationen steigt stetig an 56

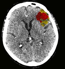
Gehirnblutung oder Gefäßverschluss

Auto-Stroke-Solution von Canon erstellt selbstständig Bilder und liefert Befund dazu 72

Dienstleistung und Strahlenschutz

Der MPE ist bei Strahlenanwendungen mit erheblichen Expositionssituationen Pflicht

Siemens Healthineers verbindet Kliniken und Anbieter von digitalen Mehrwertdiensten 30 Grenzen entfernen, Wege eröffnen

DeepUnity Software Suite von Dedalus verbindet Radiologie IT und Krankenhaus IT 50 Mit Ultraschall in die Zukunft Robotik und Machine-Learning-basierte

Michaela Schreiter und Marcus Muth organisieren als Produkt-Manager den Roll-out der DeepUnity Suite.

Die konventionelle Röntgenbildgebung gilt bei zahlreichen Fragestellungen immer noch als primäre Diagnostik.

Röntgenaufnahmen teilt man mit Kollegen, Patienten und Zuweisern inzwischen per Smartphones, Tablets und sogar PCs.

Die Terminvergabe für Patienten so unkompliziert wie möglich gestalten

68 X
-KLUSIV
X
-PERT 20 Vernetztes Gesundheitswesen
52 Bruch –
X -TRA 24 Neue Horizonte für die dreidimensionale Röntgentechnik
36
für Künstliche Intelligenz in der Teleradiologie 37 Digithurst Innovationen 2021 So steigern Sie die Effizienz in Ihrer Radiologie 38 Richtige Richtung Diese Anbieter liefern Befunde in der Teleradiologie 6 26 30 42 66 52 Künstliche Intelligenz (KI) ist im Begriff, die Art und Weise, wie Radiologie praktiziert wird, grundlegend zu verändern. Mit
von 90
setzt der
LB
4 RADIOLOGIE MAGAZIN 1-2021 X -EMPLAR
Algorithmen verwandeln Ultraschallbilder in präzise 3D-Datensätze
sicher! Frakturen in konventionellen Röntgenbildern schneller und sicherer erkennen
NewTom 7G – ein neues Multi-Scan-Body-DVT-System
Zukunft Teleradiologie Neue Veranstaltungs-Plattform
einer Gantryöffnung
Zentimetern
kürzlich vorgestellte Computertomograph Aquilion Exceed
einen neuen Standard. Die aktuellen Entwicklungen in der Radiologie stellen Krankenhäuser vor große Herausforderungen.

42 Teleradiologie –Herausforderungen und Entwicklungen Webportal-basierter Prozessablauf der Teleradiologie nach Strahlenschutzgesetz von Radiology Advanced 46 Schnellere Krebserkennung

Die 3DQuorum-Bildgebungstechnologie mit Genius AI ist in der DACH-Region verfügbar 54 Die diagnostischen Referenzwerte im Fokus Flächendosismessystem erfasst die individuellen Patientendosismesswerte, um Einhaltung der DRWs zu überwachen X -EMPEL 26 Wahre Größe Der Computertomograph Aquilion Exceed LB von Canon Medical setzt neue Standards 58 KI-basierte Schlaganfalldiagnostik

Sana Klinik Lübeck setzt auf die automatisierte Auswertung von CT-Scans mithilfe von Künstlicher Intelligenz 64 Optimale Geräteauslastung in Echtzeit

Webbasiertes Termin-Buchungssystem als Erweiterung des RIS 66 Schicke App

Information per Pushnachricht – so sieht Radiologie heute aus 68 Digitaler Wunschtermin

Bundesweit agierender Radiologie Verbund setzt auf Online-Terminbuchungssystem 76 Schneller Blick unter die Haut Bildgebende Verfahren ermöglichen einen detaillierten Blick ins Innere eines Organismus INDE- X 78 Produkte & Lösungen 2021 700 Geräte, Modalitäten und IT-Systeme von über 60 Herstellern

Accutron CT-D

Der Diagnostikspezialist. Schnell einsatzbereit, intuitiv zu bedienen und autark durch modernste Akkutechnik.

X
-TRA
X
3 Editorial 186 Vorschau 186 Impressum 5 RADIOLOGIE MAGAZIN 1-2021
SCHONT
PATIENTEN. UND
-EMPLAR
Hauptstraße 255 · 66128 Saarbrücken www.medtron.com
DIE
DAS BUDGET.
Alle Bilder © deepc

Radiologie und Künstliche Intelligenz

Gemeinsam überlegen

Künstliche Intelligenz (KI) ist im Begriff, die Art und Weise, wie Radiologie praktiziert wird, grundlegend zu verändern. Manche Experten gehen gar davon aus, dass Radiologen die ersten sein werden, die durch KI ersetzt werden. Viele andere betonen die Chancen des technologischen Wandels. Klar ist, die Anforderungen an das Berufsbild werden sich verändern. Aktuelle Beispiele aus der Praxis zeigen das große Potential im Zusammenspiel Mensch und KI.

KI hat das große Potential, vielfältige Anwendungen in der radiologischen Praxis zu unterstützen, von der Bilderfassung und -verarbeitung bis hin zur Befundung oder der Prognose des Krankheitsverlaufs. KI-Algorithmen können Details und Zusammenhänge erkennen, die für das menschliche Auge nahezu unsichtbar sind. KI braucht weder Pausen noch Schlaf und sie kann Millionen von Datenpunkten gleichzeitig erfassen. KI kann Ärzte von repetitiven und zeitraubenden Aufgaben entlasten. Dass das Berufsbild von Radiologen sich durch den Einsatz von KI grundlegend verändern kann, wird als willkommene Chance, aber auch als schleichende Bedrohung wahrgenommen.

Manche Experten, wie zum Beispiel der KI-Forscher Geoffrey Hinton, sind der Auffassung, dass Radiologen zu den Ersten gehören werden, die durch KI ersetzt werden.

Solche Aussagen entmutigen Medizinstudenten. Laut einer Studie 1 geben mehr als 25 Prozent der Studenten, die Radiologie nicht als ihr zukünftiges Fachgebiet in Betracht ziehen, KI als einen der Gründe hierfür an. Auch in der Gruppe der Radiologen ist das Meinungsbild kontrovers. Wie eine Studie unter Radiologen der European Society of Radiology gezeigt hat 2 , erwarten mehr als die Hälfte der Befragten, dass der Einsatz von KI die Arbeitsmarktaussichten verändern wird. Darüber, ob sich die Aussichten verbessern oder verschlechtern werden, sind sich die Befragten allerdings uneinig: Etwa die Hälfte erwartet eine Verschlechterung, die andere Hälfte glaubt an eine Verbesserung. Curtis Langlotz, Stanford-Radiologe, fasst es pointiert zusammen: “AI won‘t replace radiologists, but radiologists who use AI will replace radiologists who don‘t”.

Der Fokus wird klinischer

Die Rolle des Radiologen umfasst deutlich mehr als nur die Analyse radiologischer Aufnahmen. Ganzheitlich betrachtet findet ein Radiologe unter Einbeziehung verschiedenster Datenpunkte eine wahrscheinliche Diagnose, und kommuniziert diese an den Patienten und andere Kliniker.

KI liefert einige dieser Datenpunkte schneller und vielleicht sogar mit einer höheren Genauigkeit. So kann ein Algorithmus rascher als ein Arzt die Anzahl an MS-Läsionen zählen und aussagen, wie viele im Vergleich zur Voruntersuchung dazugekommen sind. Ein Algorithmus identifiziert schneller eine kleine Blutung unter Tausenden von Schnittbildern. Und ein Algorithmus bestimmt genauer und zügiger das exakte Volumen eines Tumors.

Im Kontrast dazu stehen Aufgaben, die Transferdenken oder Menschlichkeit

7 RADIOLOGIE MAGAZIN 1-2021 X -KLUSIV

erfordern. So werden Algorithmen keine spezifischen Nachfragen an Patienten oder Vorbehandler stellen können, falls zur Diagnosestellung wichtige medizinische Informationen fehlen. Im besten Fall kann ein Algorithmus zurückspiegeln, dass er „unsicher“ bezüglich eines Ergebnisses ist. Ein Radiologe hingegen stellt Rückfragen, sammelt mehr Datenpunkte, strengt weitere Untersuchungen an.

Ein Algorithmus kommuniziert auch nicht mit Patienten oder gibt ihnen in schwierigen Lebenssituationen Sicherheit und Rückhalt. Ein Algorithmus beantwortet keine Rückfragen von Kollegen – zumindest nicht in dem Maße und der Qualität, in der es Radiologen heute tun.

Der Einsatz von KI ermöglicht es dem Radiologen, schneller an gewisse Datenpunkte zu gelangen. Das bedeutet weniger Konzentration auf und gegebenenfalls sogar Ablenkung durch repetitive Aufgaben. Er kann sich – zusammen mit KI – auf komplexe Fälle konzentrieren und mehr Fokus auf die Kommunikation mit Kollegen und Patienten legen.

Die Anforderungen werden komplexer

Laut der vorne genannten Studie der European Society of Radiology ist mehr als die Hälfte der befragten Radiologen der Auffassung, dass mit dem Einsatz von KI das Berufsbild klinischer wird. Dagegen denkt knapp ein Drittel, es würde technischer. Mit dem Einzug von KI in die Radiologie sollte die allgemeine Ausbildung von Radiologen die Grundlagen von KI vermitteln. Radiologen sollten entscheiden lernen, wie Rückgaben von KI-Algorithmen interpretiert und in die klinische Entscheidungsfindung einbezogen werden. Das ist alles andere als trivial. Sowohl Studenten als auch praktizierende Radiologen der Zukunft werden mit Begriffen wie maschinelles Lernen, überwachtes und unüberwachtes Lernen, Deep Learning und anderen Konzepten vertraut sein, einschließlich der Frage, wie Trainingsdaten einen KI-Algorithmus formen, um tatsächlich

einen echten klinischen Mehrwert zu bieten oder auch wie sich Verzerrungen in Daten und Algorithmen einschleichen können.

Es gibt offensichtliche Aufgaben, wie das Zählen von MS-Läsionen, die von Algorithmen übernommen werden können. Ein weiteres Beispiel liefert eine Studie, in der ein Deep Learning Modell trainiert wurde, um CTA-Aufnahmen nach zerebralen Aneurysmen zu durchsuchen3. Die mittlere Sensitivität

derjenigen Ärzte, die mit der neuartigen KI arbeiteten, war signifikant höher als ohne KI-Augmentation. Vor kurzem wurde in den Vereinigten Staaten sogar eine Vergütung für den Einsatz einer KI für Schlaganfall-Diagnostik beschlossen. Sinnvolle und vielversprechende Anwendungen ergeben sich erfahrungsgemäß aus der Diskussion und Zusammenarbeit von Radiologen und Datenwissenschaftlern. Dabei gilt es, die zu automatisierenden Aufgaben

Gehirn-Training

Zum einen müssen KI­A lgorithmen klinisch validiert werden und zum anderen ist es für universitäre Forschungseinrichtungen hilfreich, Partnerschaften mit innovativen Unternehmen zu schließen. In München profitieren das KI­ Start­up deepc und das Klinikum rechts der Isar gegenseitig sowohl von der räumlichen Nähe zueinander als auch wegen des Know­hows.

Das Münchener MedTech Start-up deepc und die Abteilung für Neuroradiologie am Klinikum rechts der Isar der Technischen Universität München starteten 2019 im Rahmen des vom Zentrum Digitalisierung Bayern geförderten Konsortialforschungsprojekts die Zusammenarbeit im Bereich der entscheidungsunterstützenden Anwendung von Künstlicher Intelligenz bei der Befundung von CT / MRT-Bildgebung des Gehirns. Mittlerweile liegen erste Studienergebnisse dazu vor. Guido Gebhardt sprach mit PD Dr. Benedikt Wiestler, Oberarzt am Klinikum rechts der Isar der Technischen Universität München, und Dr. Franz Pfister, Mediziner, Datenwissenschaftler und CEO von deepc, über die Zusammenarbeit und Chancen beziehungsweise Unsicherheiten bei KI-Anwendungen in der Radiologie.

þ Welche Erleichterung für den Radiologen versprachen Sie sich aus dem gemeinsamen KI-Projekt?

Dr. Benedikt Wiestler: Bei CT/MRT-Aufnahmen des Gehirns liegen uns zum Teil über 1.000 Einzelbilder vor, die man

immer – auch nachts – in gleichbleibend hoher Qualität sichten und befunden muss. Wir wollten gemeinsam mit deepc untersuchen, wie wir den radiologischen Workflow hinsichtlich Sicherheit und Effizienz signifikant verbessern können.

þ Wie haben Sie angefangen? Welche Vorbereitungen waren zu treffen?

Dr. Franz Pfister: In zahlreichen Gesprächen mit Radiologen und Radiologinnen fanden wir heraus, dass bisherige KISoftware zwar vielversprechend ist, aber immer nur kleine Teilprobleme des gesamten Workflows löst. KI ist heutzutage so trainiert, dass lediglich bestimmte pathologische Befunde wie zum Beispiel eine Gehirnblutung erkannt werden können. Hier kam uns gemeinsam die Idee, dass wir die KI so trainieren, dass sie anstelle von Pathologien den Normalbefund lernt.

þ Wie funktioniert so ein KI-Training und was ist der Nutzen für den Radiologen?

Dr. Franz Pfister: Unsere cloudbasierte KISoftware baut auf über 10.000 anonymisierten Bildern auf, mit denen wir unser

8 RADIOLOGIE MAGAZIN 1-2021 X -KLUSIV

gemeinsam klar zu definieren und klinisches Wissen und validierte Daten in die Entwicklung der Algorithmen einzubringen. Der Radiologe sollte daher bei der Entwicklung von KI-Tools eine zentrale Rolle spielen. Viele Unternehmen arbeiten daher schon jetzt eng mit Radiologen zusammen, um deren klinisches Wissen sinnvoll in die Entwicklung von KI-Algorithmen einzubeziehen. Darüber hinaus ist eine sorgfältige und stetige Validierung

von Algorithmen durch Radiologen für einen sicheren Einsatz der Algorithmen entscheidend. Klinisches Wissen muss mit datenwissenschaftlicher Expertise kombiniert werden, um zu entscheiden, wann und ob ein Algorithmus sicher und gewinnbringend im klinischen Workflow eingesetzt werden kann. Wo dies besonders gut gelungen ist, zeigt unser folgendes Beispiel aus der Zusammenarbeit zwischen Klinik und KI-/Medizinexperten.

KI Praxisbeispiel –

Das MedTech Start-up deepc Aus der Zusammenarbeit zwischen dem Münchener MedTech Start-up deepc und dem Klinikum rechts der Isar der Technischen Universität München entstand ein Algorithmus, der radiologische Normalbefunde mit einer hohen Wahrscheinlichkeit erkennt, und so Fälle priorisieren kann.

Das MedTech Start-up deepc wurde 2019 gegründet. Im digitalen Gründer-

System, natürlich datenschutzkonform, gespeist haben. Die KI hat nach vielen Iterationen gelernt, auffällige von unauffälligen CT/MRT-Befunden zu unterscheiden. Dem Radiologen werden die Auffälligkeiten farblich markiert angezeigt. Gleichzeitig können wir mit hoher Sicherheit einen Normalbefund erkennen. Dies beschleunigt die Befundung, minimiert die Fehlerquote und erhöht gleichzeitig die Patientensicherheit.

þ Und der Radiologe ist damit nicht mehr notwendig?

Dr. Benedikt Wiestler (lacht): Ja, wir kennen alle diese Prognosen, dass durch KI bald keine Radiologen mehr gebraucht werden. Das sehe ich ganz und gar nicht. Durch die KI-Unterstützung konnte ich mich intensiver

mit den auffälligen Befunden beschäftigen. Die Diagnose stellt nicht die KI, sondern der Arzt. Dennoch ein beruhigendes Gefühl, zu wissen, dass Fehlerquoten wirklich reduziert werden und man quasi eine Zweitmeinung ohne großen Aufwand erhält.

þ Welche technischen Voraussetzungen braucht es dafür?

Dr. Franz Pfister: Da unsere Plattform cloudbasiert und für die Integration verschiedenster KI-, Software- und anderer digitaler Anwendungen entwickelt ist, ist lediglich eine einmalige und einfache Integration in bereits bestehende Kliniksysteme nötig. Wir erfüllen alle regulatorischen Voraussetzungen gemäß MDR und DSGVO und sind zertifiziert. Ich weiß, dass insbesondere Kliniken

gegenüber KI und Datenschutzaspekten heute noch gewisse Vorbehalte haben. Wir nehmen diese Ängste sehr ernst und hoffen natürlich, dass wir mit solchen gemeinsamen Projekten wie dieses mit dem Klinikum rechts der Isar und auch mit anderen derzeit in weiteren Kliniken laufenden Piloten größeres Vertrauen bei Ärzten und IT-Abteilungen schaffen können.

þ Sie erwähnten eine gemeinsame Studie?

Dr. Benedikt Wiestler: Ja, wir freuen uns sehr, dass unsere Studienergebnisse zur Veröffentlichung in Investigative Radiology angenommen wurden. Wir haben im klinischen Setting die KI auf Herz und Nieren getestet und die Resultate sind sehr vielversprechend. Die Veröffentlichung wird nun in den nächsten Wochen erfolgen, so dass wir an dieser Stelle noch nicht ins Detail gehen können. Wir sind aber sehr stolz über das Ergebnis dieser Kooperation und Entwicklung zwischen unserer AG Computational Imaging und deepc. Die Motivation, hier intensiv weiter zusammen zu arbeiten, ist sehr hoch.

Dr. Franz Pfister: Im Rahmen des Krankenhauszukunftsgesetzes (KHZG) werden digitale Systeme zur ärztlichen Entscheidungsunterstützung übrigens finanziell gefördert. Wir erfüllen hierbei 100 Prozent aller zu erfüllenden Förderungskriterien, was uns natürlich freut.

9 RADIOLOGIE MAGAZIN 1-2021 X -KLUSIV
PD Dr. Benedikt Wiestler und Dr. med. Franz Pfister sind überzeugt davon, dass Radiologen, die KI in ihren Arbeitsablauf einbringen, produktiver und effizienter arbeiten können als bisher, und damit mehr Zeit für komplexe Fälle und den Patienten bleibt. Bild © deepc

Die Rolle des Radiologen umfasst deutlich mehr als nur die Analyse radiologischer Aufnahmen. Ganzheitlich betrachtet findet ein Radiologe unter Einbeziehung verschiedenster Datenpunkte eine wahrscheinliche Diagnose und kommuniziert diese an den Patienten und andere Kliniker.

Dr. med. Franz Pfister, Mediziner und CEO von deepc, ist überzeugt davon, dass Radiologen, die KI in ihren Arbeitsablauf einbringen, noch produktiver und effizienter arbeiten können als bisher und damit mehr Zeit für komplexe Fälle und den Patienten bleibt. Durch den Einsatz der KI können mitunter sogar Befundungsfehler vermieden werden – dies bedeutet zusätzlich eine höhere Patientensicherheit und eine bessere Qualität.

Die Macher von deepc erkannten vor der Entwicklung ihrer wegweisenden KI- und Software-Plattform deepcOS vor allem ein Kernproblem:

kleinere Einrichtungen ist das untragbar. Hohe Integrationskosten sind ein Innovationskiller, unzählige Tools mit verschiedensten Anbietern und Funktionsweisen sind unübersichtlich und unsicher.

zentrum WERK1 im Münchener Werksviertel arbeiten die vier Gründer mit ihrem Team aus über 20 erfahrenen Experten aus Tech, Software und Healthcare und weltweit führenden Partnern an der Entwicklung von innovativen Medizinprodukten mit dem Ziel, den Workflow bei bildgebender Diagnostik mit wegweisender KI- und SoftwareTechnologie zu vereinfachen und zu verbessern.

Die Integration neuer KI-Algorithmen in den klinischen Workflow ist in der Regel mit sehr viel Zeitaufwand und hohen Kosten verbunden. Hinzu kommt, dass meistens viele verschiedene Einzelanwendungen integriert werden sollen, was auch für die IT-Spezialisten der Einrichtungen einen erheblichen Mehraufwand bedeutet. Große Einrichtungen mit einer gewissen digitalen Aufgeschlossenheit mögen das vielleicht noch bewerkstelligen, für

Daher konzentrierte sich deepc von Anfang an gezielt auf die Entwicklung von deepcOS, einer Art radiologischem Betriebssystem, das seit März 2021 als eigenes CE-gekennzeichnetes Medizinprodukt auf dem deutschen Markt zugelassen ist. Das System löst die zahlreichen Herausforderungen der Integration mit einer cloudbasierten, nahtlosen end-to-end-Lösung. Damit ist lediglich eine einfache und einmalige Installation notwendig, und alle KI- und softwarebasierten Medizinprodukte ihrer weltweit führenden und in einem mehrstufigen Prozess ausgewählten KI-Partner, stehen der Einrichtung ohne größeren Schulungsaufwand und mit deutlich reduzierten Integrationskosten zur Verfügung. Das Unternehmen unterstützt Kliniken und radiologische Praxen auch beratend beim Aufbau ihrer KI-Infrastruktur.

10 RADIOLOGIE MAGAZIN 1-2021 X -KLUSIV
Bild © deepc
X -KLUSIV
PP-M-CEN-DE-0064-1
WENIGER AUFWAND. BESSERE VERSORGUNG.

Mit der KI- und Software-Plattform deepcOS, die seit März 2021 als CE-gekennzeichnetes Medizinprodukt in Europa zugelassen ist, ermöglicht deepc die nahtlose Integration von KI mit einer cloudbasierten End-to-end-Lösung.

Im Rahmen des Krankenhauszukunftsgesetzes ergeben sich hier attraktive finanzielle Fördermöglichkeiten für Kliniken und Klinikverbünde.

Radiologisches Betriebssystem

„Wir sehen in deepcOS eine zukunftsweisende Plattform für KI-Lösungen verschiedener Anbieter. Aufgrund des hohen Sicherheitsstandards kann das auch für radiologische Zentren interessant sein, die aktuell noch on-premise Lösungen favorisieren,“ sagt Dr. Andreas Lemke, Geschäftsführer der mediaire GmbH und Partner von deepc.

DSGVO-Konformität und die Einhaltung der regulatorischen MDR-Vorgaben sind für das junge Unternehmen selbstverständlich. Eigene interne und externe Cybersecurity-Experten sorgen dafür, dass datensensible Einrichtungen wie Kliniken und Praxen sich sicher fühlen können. „Das Team von deepc besteht aus Experten für den deutschen Markt –deepcOS ist so ein großartiger Vertriebskanal für uns. Mit seinem tiefen

Verständnis von KI-Technologien sowie radiologischen Arbeitsabläufen ist das Team ein zuverlässiger Partner, um unsere KI-Lösungen zur Erkennung von kritischen Befunden in den radiologischen Alltag zu bringen“, sagt Nicolas Jirikoff, Chief Business Officer bei Gleamer SAS.

Vertrauen in die Vorteile von KI Das Angebot von deepc wird mittlerweile in mehreren großen Kliniken und Praxen erprobt und gemeinsam – immer mit der Maßgabe bester User-Experience – kontinuierlich weiterentwickelt und validiert. In ersten Real-World-Evidence Studien kann das Team vielversprechende Ergebnisse zeigen. deepc wurde unter anderem 2020 vom Bundesministerium für Wirtschaft und Energie (BMWi) sowohl als Hauptpreisträger mit dem Gründerpreis als auch mit dem Sonderpreis im Bereich Gesundheit ausgezeichnet und gewann 2019 den renommierten Eugen-MünchPreis der Stiftung Münch sowie den Munich Digital Innovation Award.

Die Radiologie war schon immer eine vom technologischen Wandel geprägte und gleichermaßen den Fortschritt definierende Disziplin. Die Vorteile von KI werden die Fähigkeiten des Radiologen erweitern und unterstützt durch KI werden Radiologen ihre Arbeit noch besser bewältigen können. In absehbarer Zeit werden Radiologen verschiedene KIModelle in einem klinischen Kontext orchestrieren und interpretieren. Um eine aktive Rolle in diesem Wandel zu spielen, müssen Radiologen über KI informiert sein und mit KI-Wissenschaftlern und anderen Akteuren interdisziplinär zusammenzuarbeiten.

1 European Journal of Radiology, https://www.sciencedirect.com/science/article/ abs/pii/S0720048X19303924

2 https://insightsimaging.springeropen.com/articles/10.1186/s13244-019-0798-3

3 https://jamanetwork.com/journals/jamanetworkopen/fullarticle/2735471

www.deepc.ai

12 RADIOLOGIE MAGAZIN 1-2021 X -KLUSIV
• 30,9”-LCD mit ultrahoher 12-Megapixel-Auflösung für die Befundung • Komfortlicht und Leselampe für augenschonendes Arbeiten • Mehr Effizienz dank einzigartiger Work-and-Flow-Funktionen • Ideale Leuchtdichtekennlinien dank Hybrid Gamma PXL, selbst wenn Farb- und Monochromaufnahmen gleichzeitig abgebildet werden • Klare Erkennbarkeit von Mikrostrukturen durch hohen Kontrast und Unschärfereduzierung • Ideal für Mammografie und Feinstrukturen • 5 Jahre Garantie für höchste Investitionssicherheit Mehr unter: www.eizo.de/rx1270 Ein echter Spezialist auf jedem Gebiet.

Schöne Aussichten

Traditionell werden die Neuheiten des Jahres auf dem RSNA in Chicago vorgestellt. Aufgrund der Pandemie fand der RSNA 2020 nur online statt. Online ­Kongresse funktionieren für die wissenschaftlichen Vorträge gut, für Industrieausstellungen sind sie eine Katastrophe. Kaum ein Interessent verirrt sich in den virtuellen Ausstellungsbereich. Warum auch? Man kann mit niemandem reden und es gibt nichtmal einen Kaffee. Deshalb finden Sie einige Neuheiten hier im Magazin und eine ausführlichere Version unter: radiologiemagazin.de/neuheiten

PHILIPS

Die Radiology Workflow Suite verbindet herstellerneutrale Konzeptlösungen um die Effizienz in der Radiologie durch Integration, Digitalisierung und Virtualisierung zu erhöhen. Das System ist herstellerneutral und umfasst unter anderem Lösungen aus den Bereichen Bildgebungstechnologien, IT-Systeme, Disease Management und Patientenbindung. Ziel ist es, Einsparpotenziale zu realisieren: Terminplanung und Vorbereitung, Bildakquisition, Befundung, Befundkommunikation, Entschei -

dungsfindung und Therapie, Erfassung des Outcomes und Nachsorge

Die Smart Workflow Lösungen für die Magnetresonanztomographie steigern die Produktivität, indem sie Arbeitsschritte vereinfachen und die MTRA durch Automatisierungsfunktionen entlasten. Die Radiology Imaging Suite rationalisiert die Workflows durch die Integration von Patienteninformationen, fortschrittlicher Visualisierung und Analyse in einer übersichtlichen Konsolenansicht.

Das multimodale Radiology Operations Command Center ermöglicht MTRAs, sich in einer sicheren und privaten virtuellen Umgebung remote auf mehrere Systeme aufzuschalten, um das Personal an anderen Standorten flexibel in Echtzeit zu unterstützen. Das Radiology Operations Command Center ist die branchenweit erste Telepräsenz-Lösung für die Radiologie, in die sich auch CT- und MR-Scanner von Drittanbietern nahtlos integrieren lassen.

Ganz im Zeichen von Automatisierung und Künstlicher Intelligenz (KI) unterstützt die neue Version der Visualisierungslösung IntelliSpace Portal. 12 Radiologinnen und Radiologen mit KI-Algorithmen für kardiologische, pulmologische, onkologische und neurologische Fragestellungen. Die skalierbare, herstellerneutrale Plattform vereinfacht den Workflow, erhöht die diagnostische Sicherheit und beschleunigt die Befundkommunikation.

14 RADIOLOGIE MAGAZIN 1-2021 X -EMPEL

Hologic erweitert die Supersonic Mach-Ultraschallsysteme um die 3D-Brustbildgebung. Die 3D-Funktion hilft Ärzten bei der Visualisierung der Brustanatomie und ermöglicht eine detaillierte Läsionen-Charakterisierung. Mit den Systemen können Ärzte jetzt auf hochauflösende B-Mode- und ShearWave PLUS-Elastographie-3D-Bilder zugreifen, um die Diagnosesicherheit des Brustgewebes zu erhöhen. Das Bedienfeld des Systems ist mit dem neuen SonicPad-Touchpad ausgestattet, das ein intuitives Nutzererlebnis sowie eine geringere Untersuchungszeit ermöglicht.

AGFA SECTRA BARCO

Agfa SmartXR erleichtert die Arbeit bei der Bilderfassung: Von der Ausrichtung des DR-Detektors über die Positionierung des Patienten bis hin zur Einstellung der optimalen Aufnahmeparameter, um nur einige Aspekte zu nennen. SmartXR ist eine intelligente Unterstützung: Sie soll dazu beitragen, die operative und klinische Leistung in der Abteilung zu optimieren – ohne dass Anwender den Überblick und die Kontrolle im gesamten Aufnahmeprozess abgeben.

Agfa Smart XR umfasst Smart Align, Smart Positioning mit Smart Overlays, Smart Dose mit LiveVision und Smart Rotate.

Sectra Amplifier Marketplace möchte die Bereitstellung und Nutzung von KI-Anwendungen in der medizinischen Bildgebung erleichtern. Die erste Komponente des Marktplatzes ist der Sectra Amplifier Store. Dieses kuratierte Schaufenster ermöglicht die einfache Navigation durch ein ständig wachsendes Sortiment an geprüften, behördlich zugelassenen KI-Anwendungen, die sich nahtlos ins Sectra PACS und die Arbeitsabläufe integrieren lassen. Im Store findet man KI-Anwendungen, die sich nahtlos in den Sectra Diagnostic Viewer integrieren lassen.

SHIMADZU

Das Nio Fusion 12 M P-Display (MDNC12130) kombiniert alle PACS-Bilder auf einem Bildschirm. Der Nio Fusion 12 M P stellt sowohl 2D- als auch 3D-Bilder fließend, hell und detailliert dar und hilft so, Befundungen zu beschleunigen. Unsere Workflow Tools erleichtern die tägliche Arbeit. Das Nio Fusion 12 MP ist erstaunlich dünn und leicht. Er spiegelt den größten Teil des natürlichen Sichtfeldes eines Menschen wider und wurde so konzipiert, dass Kopf-, Hand- und Augenbewegungen auf ein Minimum reduziert werden. Die reflexionsfreie Oberfläche verbessert die Bildschärfe.

Die neu entwickelte POWER GLIDE Technologie unterstützt motorisch die Röntgenröhrenpositionierung und macht sie schnell und extrem leicht. Sie entlastet die MTRAs und erhöht den Patientendurchsatz. Ein Röntgensystem kann bis zu mehrere hundert Kilogramm wiegen. Die GLIDE-Technologie von Shimadzu sorgt für eine reibungslose Handhabung solch schwerer Systeme, indem sie die Handgriffe der Anwender auf natürliche Weise widerspiegelt. Die GLIDE-Technologie besteht aus fünf technischen Elementen: Sensortechnologie, Technologie zur Drehmomentsteuerung, Technologie zur Stoßreduzierung, Technologie zur Stabilitätskontrolle und Balance-Technologie.

HOLOGIC
15 RADIOLOGIE MAGAZIN 1-2021 X -EMPEL

Revolution Maxima · vereinfacht anhand innovativer KI Technologien den gesamten Untersuchungsablauf. Mit der intelligenten Protokollauswahl kann das gewünschte Protokoll einfach aus einer Liste aus passenden Vorschlägen ausgewählt werden. Das Herzstück der Innovation bildet die KI-basierte Auto-Positionierung mit Xtream Kamera, die mit einer Echtzeit-Tiefenmesstechnologie ein 3D-Modell des Körpers erstellt. Anschließend ermittelt ein DL-Algorithmus das 3D-Zentrum des Scan-Bereichs und richtet dieses automatisch am Isozentrum der Gantry aus: mit nur einem Klick wird der Patient automatisch positioniert.

Centricity Open PACS AI · kombiniert eine leistungsstarke KI mit robusten Automatisierungstools. Es setzt bei dem Workflow an, den Radiologen bereits kennen und mit dem sie vertraut sind und ver-

bessert diesen durch verschlankte Abläufe und optimierte Funktionen. Dadurch reduziert sich die Anzahl der nötigen Klicks und der erforderlichen Eingaben in die Benutzeroberfläche spürbar. Das Erlernen eines komplett neuen Systems, das für die Mitarbeiter häufig mit viel Mühe und einem hohen Zeitaufwand verbunden wäre, entfällt. AIR Recon DL4 · hebt die Bildqualität von MRT-Scans auf ein neues Level. Der auf Deep Learning basierende Rekonstruktionsalgorithmus ermöglicht eine bessere Bildqualität bei kürzeren Scanzeiten im Vergleich zu herkömmlichen Technologien. Entscheidend für klare MRT-Bilder ist die Reduzierung des Rauschens während der Rekonstruktion. AIR Recon DL wurde mittels Deep Learning darauf trainiert, Bildrauschen und Ringartefakte direkt in den Rohdaten zu erkennen und zu entfernen.

Das mobile Röntgensystem FDR Nano von Fujifilm unterstützt Radiologen mit KI-Software bei der Befundung eines RöntgenThorax. Das mobile Röntgensystem ist auch mit dem Lunit INnsight CXR3 Tool erhältlich. Die fest im System integrierte Künstliche Intelligenz-Software unterstützt proaktiv bei der Befundung eines Röntgen-Thorax und kann wichtige Hinweise geben. Mit nur 90 kg Gesamtgewicht, den vier in alle Richtungen drehbaren Lenkrollen und dem einklappbaren Schwenkarm gehört das FDR Nano zu den leichtesten und wendigsten Systemen.

Der inzwischen auch in Deutschland erhältliche FDR D-EVO III von Fujifilm ist ein digitaler Röntgendetektor der dritten Generation, der sich durch sein schlankes Design und als erster glasfreier DR-Detektor mit ISS-Technologie auszeichnet. Die zukunftsweisende Bauart des Detektors verzichtet auf das traditionell verwendete Glassubstrat auf der Capture-Schicht, was den Detektor leichter macht und gleichzeitig unempfindlicher gegenüber Beschädigungen, die z.B. durch Herunterfallen entstehen können. Zudem sinkt der Dosisbedarf bei gleichzeitiger Erhöhung der DQE.

Das Magnetdesign und die Feldstärke des Swoop wurden für die Mobilität und den Einsatz in Umgebungen mit hohem Metallgehalt, wie zum Beispiel Intensivstationen, entwickelt. Dadurch können Angehörige und Pflegepersonal während der Bildgebung neben dem Patienten bleiben. KI-Anwendungen liefern Deep-Learning-gestützte Auswertungen von Hirnverletzungen am Krankenbett, um eine effiziente klinische Entscheidungsfindung zu unterstützen.

Die integrierte Swoop-Technologie erfasst und korrigiert starke elektromagnetische Störungen in der Umgebung.

16 RADIOLOGIE MAGAZIN 1-2021 X -EMPEL
GE HEALTHCARE
HYPERFINE FUJIFILM

DeepUnity Capture ist eine App zur mobilen Fotodokumentation, die flexibel auf iOS und Android Betriebssystemen eingesetzt werden kann. Mittels DeepUnity Capture können Fotoaufnahmen im Patientenkontext getätigt werden, welche anschließend standardisiert im DICOM Format an das PACS übermittelt werden. Bildinformationen, wie Lateralität oder Körperregion werden in den zugehörigen DICOMStandardtags strukturiert übergeben. Neben der Neuaufnahme von medizinischen Bildern besteht auch die Möglichkeit, innerhalb der DeepUnity Capture App die Voraufnahmen einzusehen, sodass Verlaufskontrollen ebenfalls komfortabel getätigt werden können.

Der DeepUnity Viewer nimmt eine zentrale Rolle in der ganzheitlichen Behandlung von Patienten ein, indem der Anwender über eine einzige webbasierte Lösung Zugriff auf alle Bilddaten und Dokumente bekommt, seien es radiologische Bilddaten, Fotos einer Wunddokumentation oder ein Arztbrief. Die erste Version bietet mit ihrer intuitiven Benutzeroberfläche den einfachen Zugriff auf DICOM-Bilder und Befunde und stellt bereits eine Reihe an Basiswerkzeugen zur

DeepUnity PACS integrated Reporting: In der Radiologie wachsen Bilder und Befunde noch näher zusammen und die Anfrage, integriert in PACS befunden zu können, steigt weiter an. Dedalus HealthCare arbeitet bereits an der Lösung der „Integrierten Befundung“, um so den Radiologen die Arbeit in nur einem System zu ermöglichen. Dadurch wird der Fokus auf die Bilder gelegt, da ein Wechsel zwischen den Informationssystemen nicht mehr notwendig ist. Für die Befundung stehen dabei relevante Patientendaten und Vorbefunde zur Verfügung. Die Befundung im PACS kann per Spracherkennung in einem Richtext-Editor und in strukturierter Form erfolgen.

Verfügung. Für 2021 liegt der Fokus der weiteren Entwicklung auf der Integration von Dokumenten und anderen Medien, wie Fotos oder Videos, um die einheitliche Darstellung aller relevanten Daten zu einem Patienten aus dem DeepUnity Medical Archive zu ermöglichen. Neben der stetigen Erweiterung radiologischer Funktionen unterstützt der DeepUnity Viewer zukünftig auch typische klinische Workflows und bietet Werkzeuge zur klinikweiten Collaboration.

17 RADIOLOGIE MAGAZIN 1-2021 X -EMPEL DEDALUS HEALTHCARE Ihr Netzwerk für Teleradiologie Wir befunden, wenn Sie Feierabend haben, in der Nacht, am Wochenende und an Feiertagen. www.diagnostic-network.de reif & möller NETZWERK FÜR TELERADIOLOGIE Deutschlands größtes Befundernetz – schnell,zertifiziert!sicher,

Die Work-and-Flow-Funktionen der EIZO RadiForce-Monitorlösungen erleichtern Radiologen den Arbeitsablauf bei der Befundung und sorgen für eine höhere Effizienz bei der Diagnostik. Mit Point-andFocus können zum Beispiel relevante Bildbereiche schnell per Maus oder Tastatur ausgewählt und fokussiert werden. Mittels Helligkeit und Grauwert werden umgebende Bereiche abgedunkelt und so interessante Bildregionen hervorgehoben. Ohne zusätzlichen Monitor schnell und effizient auf die Anzeige von Berichten, Patientenakten und anderen Informationen zurückgreifen, ist der Vorteil von Hideand-Seek. Wird der Mauszeiger an den Bildschirmrand oder davon fortbewegt, blendet ein Bild-in-Bild-Fenster die Informationen ein.

Siemens Healthineers stellt mit Magnetom Free.Max eine neue Klasse von Magnetresonanztomographen (MRT) vor, die das Unternehmen als „High-V MRI“ bezeichnet. Durch die einzigartige Kombination aus digitalen Technologien und der neuen Feldstärke von 0,55 Tesla erweitert der Scanner die klinischen Einsatzfelder der MRT-Bildgebung: Magnetom Free.Max ermöglicht eine deutlich verbesserte Lungenbildgebung mit MRT und exakte Scans von Patienten mit Implantaten. Gleichzeitig erhöht Siemens den Patientenkomfort durch eine Geräteöffnung mit 80 cm Durchmesser.

Siemens Healthineers stellt mit Syngo Carbon den einfachen Zugang zu allen relevanten Daten sicher, die im Rahmen der Bild- und Befunderstellung entstehen. Die Daten aus verschiedenen Abteilungen werden aus ihren Silos geholt und in eine einheitliche Umgebung integriert – einschließlich Diagnose und Befundung. So können Arbeitsabläufe vereinfacht und die Zusammenarbeit verbessert werden.

Syngo Carbon ist eine modulare, abteilungsübergreifende Lösung, die alle Arten von Bild- und Befunddaten patientenzentriert verwaltet und darstellt.

Mit dem neuen deckengehängten Multix Impact C vervollständigt Siemens Healthineers zusammen mit dem etablierten bodenmontierten Multix Impact seine Multix-Impact-Plattform. Multix Impact C bringt einzigartige High-End-Features zu einem wirtschaftlichen Preis in die Multix Impact-Plattform. Durch ein hoch integriertes Zusammenspiel von Soft- und Hardware ist die Bedienung des Systems sehr einfach. Daten einer integrierten Kamera werden von der KI-basierten Software myExam Companion verarbeitet, um den Anwender optimal zu unterstützen.

CANON

Mit der Auto-Stroke-Solution präsentiert Canon eine Lösung, die in der Lage ist, ohne einen einzigen Klick unterschiedliche Arten von Schlaganfällen zu bestimmen und automatisiert eine detaillierte Auswertung zu erstellen. Um den Zustand des Schlaganfalls vollständig zu charakterisieren, analysiert das System, das auf Canons ebenfalls neuer Automation-Platform läuft, selbständig CT-Scans. Der neue Computertomograph Aquilion Exceed LB von Canon ist ein Multitalent mit wahrer Größe. Das System wurde für insbesondere für den Einsatz in der Traumatologie sowie für die Bestrahlungsplanung entwickelt. Für beide Anwendungsgebiete ist die Gantryöffnung von 90 Zentimetern ein großer Vorteil.

18 RADIOLOGIE MAGAZIN 1-2021 X -EMPEL
EIZO

ACUSON Sequoia Ultraschallsystem

Mehr sehen. Mehr wissen. Mehr erreichen.

siemens-healthineers.de/sequoia

Neue Features

Fusionsbildgebung

Fusionieren Sie mithilfe multimodaler Bildgebung verschiedene Verfahren, wie z.b. CT/MRT mit Ihrem EchtzeitUltraschall. Hohe Erfassungsraten sichern eine schnelle Integration und steigern Ihre diagnostische Sicherheit.

Schallgeschwindigkeit

Die Anpassung der Schallgeschwindigkeit verbessert den Kontrast und die Detailauflösung und ermöglicht so eine möglichst genaue Darstellung des Gewebes. Jetzt verfügbar in den Einstellungen für Abdomen, Mamma & MSK.

Slow-Flow

Mit Hilfe von intelligenten Filtern und adaptiver Signalverstärkung können bei niedrigem Flusszustand kleinere, strömungsarme Gefäße tiefer im Gewebe abgebildet werden.

DAX 33% mehr Eindringtiefe 1

7L2

35% mehr Eindringtiefe und 50% mehr Eindringtiefe im Farb-Doppler2

KI-gestützter Workflow

Mit KI-gestützten Softwarelösungen wie eSieCalc lassen sich zuverlässig vom Untersucher unabhängige und reproduzierbare Messergebnisse erzielen.

Schallköpfe für mehr Eindringtiefe

Der innovative DAX- und der neue 7L2 Deep Linear Schallkopf gelten als spezielle Tools, die es Ihnen ermöglichen, tiefer zu sehen und Ihnen Diagnosesicherheit bereitstellen, wenn Sie diese am meisten brauchen.

11M3

Micro-ConvexSchallkopf

Dynamic MultiHertz

Ein intelligentes technologisches Automatisierungstool, das die Farbfrequenz automatisch an die Position des Farbfeldes anpasst.

1 Verglichen mit dem Ultraschallsystem ACUSON S3000

2 Verglichen mit dem Schallkopf 9L4

19 RADIOLOGIE MAGAZIN 1-2021 X -EMPEL
Bestellnummer: A91GER-H-001804-C1 · 10307 0221 · © Siemens Healthcare GmbH, 2021
+

Vernetztes Gesundheitswesen

Mit dem Krankenhauszukunftsgesetz stellt die Bundesregierung endlich auch im G esundheitswesen die Weichen entschlossen in Richtung Digitalisierung. Thilo Mahr, Market Access Manager Digital Services bei Siemens Healthineers, erläutert, wie das Unternehmen Kliniken und Anbieter digitaler Mehrwertdienste verbinden möchte.

Das Ziel der Digitalisierung im Gesundheitswesen ist klar: Versicherte beziehungsweise Patienten sollen in den Mittelpunkt der Versorgung rücken, um die Prävention, die Diagnose und die Behandlung zu verbessern. Mit dem 2020 verabschiedeten Krankenhauszukunftsgesetz sollen Investitionen gefördert werden, um die Digitalisierung im Gesundheitswesen voranzutreiben. Das Fördervolumen des Bundes beträgt 3 Milliarden Euro, das der Länder 1,3 Milliarden Euro. Damit werden insgesamt 4,3 Milliarden Euro zur Verfügung stehen, um Projekte elf unterschiedlicher so genannter „Förderfähiger Vorhaben“ zu finanzieren. Die Radiologie ist womöglich von fünf dieser elf förderfähigen Vorhaben betroffen: ◾ Patientenportale ◾ Entscheidungsunterstützungssysteme ◾ Digitale Leistungsanforderung ◾ Cloud-Computing ◾ Telemedizinische Netzwerkinfrastrukturen

Thilo Mahr erklärt: „Während die Einführung einer elektronischen Patientenakte in Deutschland gesetzlich vorgeschrieben ist, gibt es noch keine auf internationalen Standards beruhende deutschlandweite Lösung für die Vernetzung von Leistungserbringern, Patienten und Krankenversicherungen.“ Stattdessen sind bereits mehrere – und je nach Anwendungsfall unterschiedlich ausgerichtete – digitale Aktenlösungen (eGAs, eFAs, ePAs etc.) im Einsatz.

Basis und Mehrwertdienste Auch wenn die interdisziplinäre Vernetzung noch nicht überall gang und gäbe ist, erscheint es mehr als sinnvoll, sich bereits jetzt um die (inter-) sektorale Vernetzung zu kümmern. Der digitale Wandel, bei dem Leistungen unter Einbeziehung von Mehrwertdienstanbietern zukünftig zum Beispiel als Abonnements (Subscription Services) gebucht werden könnten, setzt die sichere Kommunikation beider Seiten voraus. Aber nicht

20 RADIOLOGIE MAGAZIN 1-2021 X -PERT

nur die digitalen Mehrwertdienste müssen irgendwie zur Klinik gelangen, die Kliniken müssen künftig ebenfalls Daten sicher in die diversen Gesundheitsakten und insbesondere der ePA der Gematik übertragen können.

„Aus Sicht der Leistungserbringer und Versicherten ist die derzeitige Situation in ihrer Heterogenität und Inkompatibilität nicht optimal. Leistungserbringer müssten im Grunde für die Teilnahme an jeder Aktenlösung oder die Nutzung von Mehrwertdiensten jeweils eigene Konnektoren beziehungsweise Schnittstellen vorsehen“, so Thilo Mahr. Die Herausforderung besteht für ihn darin, dass diese existierenden digitalen Akten nur dann von Nutzen sind, wenn die Patienteninformationen möglichst vollständig und aktuell für alle entsprechend berechtigten Akteure verfügbar sind.

Für die Umsetzung des grundsätzlichen Bedarfs an interdisziplinären und intersektoralen Datentransfers stellt Siemens Healthineers zukünftig die Teamplay Digital Health Platform

„Die offene und interoperable Gesundheitsplattform Teamplay Digital Health Platform connect verbindet Kliniken mit Gesundheitsakten, Versicherungen und Anbietern von Mehrwertdiensten und sorgt für zahlreiche Vorteile bei Patienten und Akteuren des Gesundheitswesens.“

Thilo Mahr, Market Access Manager Digital Services bei Siemens Healthineers

21 RADIOLOGIE MAGAZIN 1-2021 X -PERT

Die Teamplay

Platform

Bedeutung von Mehrwertdiensten

Unter optionalen Mehrwertdiensten sind innovative Lösungen von Drittanbietern zu verstehen, die für Leistungserbringer und Patienten zur Verfügung gestellt werden und für deren Nutzung gesonderte Verträge zwischen Anbieter und Nutzer (zum Beispiel Leistungserbringern) erforderlich sind. Die Bereitstellung der Mehrwertdienste erfolgt je nach Dienst zentral oder dezentral. Die von Siemens Healthineers derzeit für die Plattform angebotenen Mehrwertdienste sind

Ärzteportal: Zugang zu Patientendaten und zur Kommunikationsplattform mit den Modulen

– Patienten Chart: Kompakte, konfigurierbare Übersichtsdarstellung über medizinische Daten eines Patienten

– Gerichteter Befundversand: Tool zum digitalen Versenden von Befunden an involvierte Experten

– Überweisung: Digitales Zu- und Überweisungstool zur effizienten Übermittlung von Informationen an Weiterbehandler

– Darstellung Laborwerte: Anpassbare Darstellung aller Laborwerte mit Hervorhebung kritischer Werte ▪

Patientenportal: Patientenzugang zu Gesundheitsdaten und -akten ▪

Telekonsultation: Effizientes Kommunikationstool für institutsübergreifende Kollaboration ▪ Klinische Konferenzen: Planungs- und Dokumentationstool zur Organisation und Durchführung klinischer Konferenzen ▪

Virtuelle Visite: Virtuelle Ambulanzen für Patienten

1 Ambulanter Sektor wird perspektivisch angebunden 2 Derzeit in Planung. Die zukün ige Verfügbarkeit

connect (TDHPc connect) zur Verfügung. Die auf den Standards IHE, HL7 und FHIR (gesprochen: fire) basierende Plattformlösung verbindet sich über Softwarekonnektoren auf der einen Seite mit den Kliniken und auf der anderen Seite mit angebundenen Diensten und Anwendungen.

Durch das offene Konzept dieser Plattform werden die Anbindungsaufwände auf Seiten der Leistungserbringer minimiert, indem sie ihnen ü ber eine einzige Schnittstelle ermöglicht, ein breites Spektrum digitaler Aktensystemen zu nutzen sowie am einfachen Datenaustausch in instituts- und sektorübergreifenden Behandlungsszenarien teilzunehmen. Dabei kommen international etablierte Standards wie IHE, HL7 FHIR, HL7 und CDA zum Einsatz.

Zuweiser- und Patientenportale realisieren Aus Sicherheitsgründen verteilt Siemens Healthineers die Gesundheitsplattform auf zwei Rechenzentren. Während Siemens Healthineers in Rechenzentrum 1 das Patientenregister betreibt, hostet IBM Rechenzentrum 2 mit dem Dokumentenindex (siehe Grafik). Diese Verteilung sorgt für Datensicherheit, da für eine erfolgreiche Informationsübermittlung immer die Kombination aus Patientenregister und Dokumentenindex benötigt wird.

Die Softwarekonnektoren, die zur Teilnahme an der Plattform in den Kliniken zu installieren sind, stellen die Verbindung der Teamplay Digital Health Platform connect mit den lokalen Systemen – den Krankenhaus- beziehungsweise Abteilungsinformationssystemen – her. Über den Konnektor und die Plattform soll es zum Beispiel zukünftig möglich sein, dass die Radiologie bei Anbietern von Mehrwertdiensten beispiels-

werden 3 Derzeit
Planung.
Krankenhaus 1 Krankenhaus n weitere Leistungserbringer Regionales Netzwerk (A nity Domain) ePA 2 Gesundheitsakten: –TK Safe –Vivy –DiGeN –Medizinische Daten beim Leistungserbringer Angebundene Dienste und Anwendungen Deutschlandweite Plattform für die Vernetzung Patient und Professional Mehrwertdienst 1 2 Partner Mehrwertdienst n 2 Teamplay Digital Health Platform connect Ambulanter Sektor 1 Rechenzentrum 1 –Patientenregister Rechenzentrum 2 –Dokumentenindex Konnektor … 3 Teamplay Digital Health Platform connect ist eine offene und interoperable Plattform für die Vernetzung unterschiedlicher Akteure im Gesundheitswesen. 22 RADIOLOGIE MAGAZIN 1-2021 X -PERT
Digital Health connect vernetzt das Gesundheitswesen
kann nicht garantiert
in
Verfügbarkeit Mitte 2021 angestrebt

weise KI-Software bereitgestellt bekommt. Der KI-Anbieter könnte anschließend über das Netzwerk die Software liefern (zu neudeutsch: deployen) und – soweit technisch möglich –über das Netzwerk für die Systemintegration sorgen.

Aber auch Patienten- und Zuweiserportale lassen sich über das Plattformkonzept einfacher realisieren, indem der Zugriff auf Patientendaten über unterschiedliche Autorisierungsebenen gesteuert wird. Über Rollenbezeichungen können Zugriffsrechte klar definiert werden, sodass der Patient individuell unterschiedlichen Kliniken oder Praxen erlaubt, seine Akte einzusehen. Dabei verbleiben sämtliche Dokumente und Benutzerdaten beim Leistungserbringer und das Datenschutzkonzept beinhaltet eine Löschfunktion nach DSGVO, sobald die Einwilligung zurückgezogen wird.

Überregional und kompatibel

Das Leistungsspektrum der Plattform umfasst somit integrierte Basisdienste und optionale Mehrwertdienste. Der Basisdienst der TDHPc schließt bereits eine umfangreiche Funktionalität, die allen angebundenen Leistungserbringern zur Verf ü gung stehen, ein. Dazu gehören: EHR Browser, Einwilligungsmanagement, Protokollierung, E2E-Verschlüsselungund Berechtigungsmanagement sowie optional das Health Data Repository (FHIR). Außerdem wird die Einbindung und Nutzung bestehender Dienste – wie zum Beispiel die Telematikinfrastruktur – rasch angestrebt. Mit der Teamplay Digital Health Platform connect bietet Siemens Healthineers eine standardisierte Vernetzungslösung, die beim einrichtungsübergreifenden Informationsaustausch und der Anbindung multipler Aktenlösungen denAustausch von Patientendaten vereinfacht und Aufwände reduziert.

Zudem unterstützt die Lösung perspektivisch bei der obligatorischen Anbindung an die ePA (gemäß gematik Spezifikation). Mehrwertdienste von Siemens Healthineers und Partnern steigern die Effizienz, optimieren Prozesse und interagieren mit Patienten. Digitale Services sorgen also auch dafür, die Attraktivität des Leistungserbringers bei den Patienten zu steigern.

Durch die Plattform sollen Leistungserbringer zukünftig nicht nur von den bereits international erfolgreichen Siemens Healthineers-Lösungen (wie etwa dem Patientenoder Ärzteportal sowie der Lösung für Telekonsultation) profitieren können, sondern perspektivisch auch von Angeboten Dritter, die ihre Dienste als sogenannte Mehrwertdienste zur Verfügung stellen.

Wir führen die Teleradiolgie in die Zukunft

… mit innovativen digitalen Technologien

… mit unserem Team aus festangestellten, subspezialisierten Radiologen und lückenloser Erfüllung des 4-Augen-Prinzips für eine herausragend präzise Befundung

… mit einem vom TÜV zertifizierten Qualitätsmanagement und maximaler Standardisierung aller Unternehmensprozesse nach DIN EN ISO 9001:2015

+49 (0) 30 403 664 660 office@radiology-advanced.com radiology-advanced.com

www.siemens-healthineers.com/de
23 RADIOLOGIE MAGAZIN 1-2021 X -PERT
1 2 3

NewTom 7G eröffnet neue Horizonte für die dreidimensionale Röntgentechnik

von min. 4 × 4 cm bis zu max. 29 cm und einer bis zu 62 cm erweiterbaren Länge lassen die Untersuchung des gesamten Aufnahmeareals oder eines Teils davon zu. Die Auflösung von bis zu 90 µm ermöglicht eine präzise Analyse kleiner und komplexer Strukturen wie zum Beispiel im Innenohr oder von Mikrofrakturen.

Großzügige Gantry und servogesteuerte Liege

Präzision, Schnelligkeit, Flexibilität und Anwenderfreundlichkeit – Sicherheit für den Patienten und den Behandler –reduzierte Gesamtbetriebskosten: Dies sind einige Vorzüge des ersten von NewTom entwickelten Multi-Scan-BodyDVT-Systems.

Das NewTom 7G eignet sich für Radiologen, Fachärzte der Orthopädie, HNO-Heilkunde und Zahnmedizin. Es ermöglicht das Erfassen detaillierter Informationen zum Knochengewebe bis hin zu Mikrostrukturen um eine eindeutige klinische Auswertung der Bilder zu ermöglichen. Das System optimiert die Analyse der Behandlungsergebnisse bei niedriger und stets auf den Körperbau und für die Untersuchungsart abgestimmter Strahlendosis – im Vergleich zu herkömmlichen Verfah-

ren mit geringeren Kosten. Die vorhandenen Automatismen bieten einen methodischen Arbeitsablauf und vermeiden Unregelmäßigkeiten und Unsicherheiten, welche mit der manuellen Abwicklung der Untersuchungen, insbesondere während der Positionierung und Exposition des Patienten, verbunden sind.

Vom Mikrodetail bis zur maximalen Ansicht

Mit der Einführung von 7G ermöglicht NewTom die Anwendung der DVT-Technologie für Untersuchungen aller anatomischen Bereiche, einschließlich Wirbelsäule, Schulter und Hüfte. FOV und Strahlendosis werden durch die Systemfunktionen und -automatisierungen auf die Patientenstatur, insbesondere im pädiatrischen Alter, abgestimmt. Die adaptiven FOVs mit einem Durchmesser

Neben der 77 cm hohen Gantry ist das NewTom 7G auch für schwergewichtige Patienten geeignet – die Patientenliege hat eine Tragfähigkeit von bis zu 215 kg. Die voll automatisierte Liegepositionierung des Patienten gestaltet die FOVZentrierung einfach und präzise und trägt zu einem sicheren Ergebnis mit sorgfältig abgestimmter Röntgenstrahlexposition bei.

Erweiterter Diagnosebereich

Mit dem NewTom 7G können zahlreiche Arten von Untersuchungen ausgeführt werden, einschließlich derjenigen mit intraartikulären Kontrastmitteln wie beispielsweise die Arthrographie mit CineXScout-Positionierung. Für jede Disziplin steht eine umfassende Reihe von Untersuchungen mit dedizierten Protokollen zur Verfügung:

◾ Orthopädie – osteoartikuläre Studie mit multiplanarer Ansicht

◾ HNO – Analyse von Ohr und Atemwegvolumen

◾ Zahnheilkunde, Implantat- und orthognate Chirurgie – dento-maxillofaziale Analyse und bilaterales TMG

 NewTom | Cefla S. C. · Via Selice
N. 23 / A
·
· www.newtom.it/de/medicale HD Medical Solutions GmbH · tel 03 71 / 51 76 36 · info@hd-medical.gmbh · www.hd-medical-solutions.de
Provinciale
Imola
Italien
24 RADIOLOGIE MAGAZIN 1-2021 X -TRA

Teleradiologie auf hochprofessionellem Niveau mit innovativer Technologie und über 20 Jahren Erfahrung –

Imaging Service AG

Die Gesamtlösung für Teleradiologie – maximale E zienz und praxisorientierte Lösungen für Kliniken und als Partner für radiologische Kollegen/-innen zur Patientenversorgung.

Teleradiology empowers YOUR Radiology!

Professionalität

n Hochqualitative Facharztbefundung 24/7 im Akut- und Elektivbetrieb – Schriftlicher, digitaler Befund in max. 30 Minuten n Flexible Unterstützung individuell zugeschnitten auf Ihren Bedarf n Second opinion – Befundung n Fachliche Expertise zur Dosis- und Bildoptimierung inkl. Live Support n Qualitätssicherung und Dosisoptimierung Kompetentes Team n Fachärztinnen und Fachärzte für Radiologie mit langjähriger Erfahrung n Erfahrene MTRAs, MPEs und IT-Experten n Verantwortung, Respekt und vertrauensvolle Kommunikation Transparente Abrechnung n Pay per Use – keine versteckten Kosten Technologie n Herausragende individuelle technische Lösungen sind unsere Stärken mit dem Ziel, Ihre Tätigkeit vor Ort zu unterstützen n TeleMacs ® – eine der innovativsten Portallösungen für die Teleradiologie, unabhängig vom PACS Hersteller, ohne Eingri in die vorhandene Infrastruktur

Imaging Service AG Curt-Zechbauer-Weg 5 82343 Niederpöcking Tel. +49 8151 555383 Fax +49 8151 555384 info@imaging-service.de www.imaging-service.de

Sicherheit und Datenschutz

Unter Einhaltung aller gesetzlichen Normen garantieren wir die größtmögliche Sicherheit für den Transfer der Patientendaten durch eigene Rechenzentren in Deutschland sicher und hochverfügbar mit konstanter Qualität und Geschwindigkeit. DSGVO Konformität – Verlässlichkeit mit Ausfallsicherheit

Rundum-Sorglos-Paket

Teleradiologie – alles aus einer Hand n Wir realisieren vollumfänglich Ihr Teleradiologie Projekt: Genehmigungsprozess, Behördenkorrespondenz, zerti zierte Teleradiologiekursen Ihr Vorteil: Wir bündeln unsere Kompetenzen mit einer e zienten Planung und schnellen Umsetzung und stimmen alle Projektphasen perfekt aufeinander ab. Das scha t einen schnellen Start in den teleradiologischen Echtbetrieb und schont Ihre personellen Ressourcen.

Gemeinsam mit unseren Kunden gestalten wir eine optimale Patientenversorgung. Für Fragen zu unseren Leistungen erreichen Sie uns jederzeit: Wir freuen uns auf Sie!

25 RADIOLOGIE MAGAZIN 1-2021 X -TRA

Wahre Größe

Mit einer Gantryöffnung von 90 Zentimetern setzt der kürzlich vorgestellte Computer tomograph Aquilion Exceed LB einen neuen Standard in der Trauma­ C T, in der Therapieplanung und bei der Untersuchung adipöser Patienten. Zudem erzielt das KI­u nterstützte System bei geringerer Dosis eine bessere Bildqualität.

Der neue Computertomograph Aquilion Exceed LB von Canon Medical ist ein Multitalent mit wahrer Größe. Das System wurde für insbesondere für den Einsatz in der Traumatologie sowie für die Bestrahlungsplanung entwickelt. Für beide Anwendungsgebiete ist die Gantryöffnung von 90 Zentimetern ein großer Vorteil. Zum einen schafft der große Durchmesser ausreichend Platz für adipöse Patienten, zum anderen profitiert die Strahlentherapieplanung von einem besonders großen Field-ofView, denn damit sind selbst komplexe Lagerungssituationen einfach zu realisieren. Außerdem ist es mit dem System leicht möglich, Patienten in Feet-first-Position zu scannen. So müssen sie entweder gar nicht oder nur kurz mit Kopf in die Gantry gefahren werden.

Zudem ermöglicht die neue Geometrie des Aquilion Exceed LB Untersuchungen bis zu einem Patientengewicht von 315 Kilogramm bei einer maximalen Scanlänge von zwei Metern.

Perfekt für die Trauma-CT Weitere Highlights des Aquilion Exceed LB sind der ebenfalls neue 80-Zeilen-Big-bore-Detektor mit einer Abdeckung von vier Zentimetern und die Rotationszeit von nur 400 Millisekunden. 80 Zeilen und vier Zentimeter Abdeckungen sorgen für eine Schichtbreite von lediglich 0,5 Millimetern. Und in Kombination mit der Rotationszeit von 400 Millisekunden ist das System in der Lage, je Sekunde bis zu 70 ultrahochauflösende Dünnschichtscans zu rekonstruieren. Für eine komplexe Diagnostik der Anatomie von Herz oder Brustkorb sind das ideale Voraussetzungen, denn so können mit hoher Geschwindigkeit hochwertige Bilder erstellt werden. Die technischen Rahmenbedingungen sorgen dafür, dass der Scan robuster gegen unerwünschte Patientenbewegungen ist und die Notwendigkeit einer Zweituntersuchung reduziert wird. Für den Therapieerfolg gilt eine präzise und reproduzierbare Patientenpositionierung als wichtiger Baustein. Speziell in der CT-basierten Bestrahlungsplanung ist ein möglichst großes Field of View (FOV) vorteilhaft. Die Gantryöffnung des Aquilion Exceed LB,

Der neue Aquilion Exceed Large Bore CT von Canon Medical Systems wurde gleichermaßen für die Notaufnahme wie für die moderne Strahlentherapieplanung entwickelt.

26 RADIOLOGIE MAGAZIN 1-2021 X -EMPEL

mit dem einzigartigen Durchmesser von 90 Zentimetern, stellt sicher, dass Patienten mit hoher Präzision einfach positioniert werden können.

In der Strahlentherapieplanung kommt es auf den Workflow an. Deshalb legte Canon Wert darauf, den Aquilion Exceed LB mit einer besonderen Patientenpositionierung auszustatten. Mithilfe der Sure-Position-Technologie kann der Patient auch ferngesteuert mittig positioniert werden und der Tisch lässt sich von der Mitte aus nach links und rechts jeweils um 8,5 Zentimeter verfahren.

Zur Berechnung der strahlentherapeutischen Dosisverteilung, werden die gewonnenen Schwächungsdaten aus den CT-Bildern für die Therapieplanung in Werte der Elektronendichte umgewandelt. Denn zur Ermittlung optimierter Therapieparameter ist nicht allein die Größe, sondern auch die Qualität des erweiterten FOV verantwortlich. Der neue Detektor des Aquilion Exceed LB verbessert die Präzision bei der Therapieplanung gegenüber herkömmlichen Extrapolationsverfahren maßgeblich.

Perfekte Positionierung für die Strahlentherapieplanung In Verbindung mit der neuen Detektortechnologie – der großen Abdeckung und schnellen Rotationszeit – kann mit atemgetriggerten Untersuchungen in kürzerer Zeit ein größerer anatomischer Bereich gescannt werden als mit weniger breiten Detektoren. Für eine optimierte Patientenpositionierung und atemgetriggerte Therapieplanung werden optional Tischauflagen aus Carbon angeboten. Insbesondere bei traumatisierten oder narkotisierten Patienten stellt es für die MTRAs eine große Arbeitserleichterung dar, wenn Patienten nicht mehr nachträglich umgelagert werden müssen. Mit der Sure-Position-Technologie verbessert Canon die Ergonomie am CT indem Patient*Innen automatisch im Isozentrum positioniert werden können. Die Assistent*Innen sind ebenfalls in der Lage, sowohl die Höhe als auch die laterale Position mit wenigen Handgriffen anzupassen.

Zusätzlich zu den technischen Besonderheiten zeichnet den Aquilion Exceed LB der Einsatz leistungsstarker AIbasierte Rekonstruktionstechnologien aus, die das Mega-

27 RADIOLOGIE MAGAZIN 1-2021 X -EMPEL

Vergleich der Rekonstruktionstechnologien: 0,5 mm Schichten rekonstruiert durch die herkömmliche gefilterte Rückprojektion (FBP), die hybrid-iterative Rekonstruktion AiDR 3D wie mit der neuen DeepLearning-Rekonstruktion AiCE.

Die laterale Verschiebung der Patientenliege stellt die mittige Positionierung des Patienten im Iso-Center sicher, auch wenn er zuvor exzentrisch gelagert wurde. Insbesondere für Trauma-, Intensiv- und adipöse Patienten ist dieses besondere Feature von besonderem Vorteil.

Die Deep-Learning-Rekonstruktion AiCE ist für die Bereiche Neuro, Cardio, Abdomen, Knochen und Lunge verfügbar.

thema Jünstliche Intelligenz in die klinische Routine führen. Mit der Deep-Learning-Rekonstruktion AiCE (Advanced Image Clear IQ Engine) erzielt der Aquilion Exceed LB eine verbesserte Bildqualität bei gleichzeitig reduzierter Dosis. Dabei stellt AiCE stellt einen Paradigmenwechsel in der Bildrekonstruktionstechnologie dar und nutzt ein neuronales Netzwerk, um schärfere, klarere und damit eindeutigere Schichtbilder zu erhalten. Der CT ist darauf trainiert, Bilder so zu rekonstruieren, dass sie der räumlichen Auflösung und den rauscharmen Eigenschaften einer modernen modellbasierten iterativen Rekonstruktion (MBIR) entsprechen. Das erlernte Wissen des Systems steckt

damit in unterschiedlichen Layern (Input-, Hidden- und Output-Layern) des neuronalen Netzwerks von AiCE. Und die Anwendung dieses Wissens bei der Bildrekonstruktion führt bei CT-Untersuchungen routinemäßig zu hoher räumlicher Auflösung und geringem Rauschen.Dadurch trägt der selbstlernende Algorithmus maßgeblich dazu bei, das diagnostische Vertrauen zu verbessern.

Die Integration von AiCE in die Belichtungsautomatik SureExposure 3D gewährleistet eine automatische Dosisreduzierung von bis zu 82 Prozent; dabei erreicht das System – zum Beispiel bei gleicher Dosis für Abdomen-CT –einen bis zu 14 Prozent besseren Niedrigkontrast als AIDR 3D.

Auch für bildgesteuerte Interventionen bietet der neue LB-CT viel Raum. Auch komplexe Lagerungen für die anspruchsvolle Strahlentherapieplanung sind mit den 90 cm Gantrydurchmesser einfach möglich.
28 RADIOLOGIE MAGAZIN 1-2021 X -EMPEL

Ein System für alle Fälle Sogar Metallartefakte, die die Planung Strahlentherapeutischer Maßnahmen erschweren können, lassen sich mithilfe des Single-Energy-Metall-Artefakt-Reduktionsalgorithmus (SEMAR) deutlich reduzieren. SEMAR ist in der Lage, selbst schwierige Untersuchungen beispielsweise mit Zahnfüllungen, Wirbelsäulenimplantaten, beidseitigen Hüftimplantaten, Neuro-Coils und Schrittmachern durch einen flexiblen und reibungslosen Arbeitsablauf sicher auszuwerten.

Die iterativen Metallartefaktreduzierung beinhaltet zwei erfolgreiche Ansätze: Zum einen kombiniert SEMAR eine Strahlaufhärtungskorrektur mit dem IterationsHybridverfahren AIDR 3D Enhanced, die Rauschtextur und scharfe Details neben Metallen wieder herzustellen. Ein Prozess, der Schicht für Schicht über den gesamten Untersuchungsbereich durchgeführt wird und in kürzester Zeit zu einem artefaktfreien diagnostischen Bildstapel führt. Zum anderen kann SEMAR entweder in schon hinterlegten, standardisierten Protokollen genutzt oder alternativ im Postprocessing über die Rohdaten ausgewählt und angewendet werden.

Dual-Energy-Energy-Scans führt der neue CT sequentiell oder aus der Spirale heraus durch. Umfangreiche Softwarepakete, zum Beispiel für die Nierensteinanalyse, die Gichtanalyse, Iodine-Maps, Blending und Enhanced Images sowie zur Bestimmung der Elektronendichte stehen zur Verfügung.

Mit seiner Vielzahl an klinischen Applikationen unter Anwendungen der neusten Low-Dose-Technologien ist der Aquilion Exceed LB Computertomograph DAS neue System für Routine- und Spezialanwendungen. Auch wenig geübte Anwender oder Mitarbeiter, die gleichzeitig an mehreren unterschiedlichen Systemen arbeiten, kommen mit dem Aquilion Exceed LB schnell zurecht. Der Workflow wird optimal durch automatisierte Prozesse unterstützt. Dazu zählen beispielsweise die bis zu 70 vordefinierten Autorekonstruktionen inklusive des sich anschließenden Bildtransfers.

Dabei ist der neue Aquilion Exceed LB gleichermaßen ein besonders leistungsfähiges 80-Zeilen/160-SchichtSystem für alle täglichen Routinearbeiten – eine effiziente Plattform, die einen wirtschaftlichen CT-Betrieb sichert. Ein System von wahrer Größe.

de.medical.canon 29 RADIOLOGIE MAGAZIN 1-2021 BILDER PER APP STATT AUF CD DAS MODERNE PATIENTEN& ZUWEISERPORTAL EIN ZEITGEMÄSSER SERVICE FÜR IHRE PATIENTEN & ZUWEISER Kontaktieren Sie uns: Tel.: (+49) 6221 3217 400 E-Mail: mail@mbits.info In Zukunft können Sie auf das Brennen von CDs oder auf das Faxen von Befunden verzichten. mRay bietet Ihnen die Möglichkeit, Bilder und Befunde digital per App zu versenden. Als Praxis sparen Sie Kosten und bieten gleichzeitig einen attraktiven Service für Ihre Patienten und Zuweiser. So einfach geht‘s: Automatisierte Bereitstellung von Bilddaten & Befunden per Mail oder Pushnotification Intuitive Bildbetrachtung in mRay, für Browser sowie alle mobilen & Desktop-Betriebssysteme 1 2 Absender Musterpraxis Sehr geehrte Dame, sehr geehrter Herr, Die Musterpraxis GmbH hat Ihnen eine radiologische Untersuchung zur Verfügung gestellt: (Untersuchung vom: 01.02.21) mbits radiologische Musterpraxis Muster Straße 123 84221 Musterstadt Telefon +49 82594 123 www.mbits-musterpraxis.de powered by Ihr Team der Musterpraxis GmbH Untersuchung öffnen mbits Radiologische Musterpraxis powered by: www.mbits.info Verschlüsselt & DSGVO konform!

Grenzen entfernen, Wege eröffnen

Michaela Schreiter und Marcus Muth organisieren als Produkt­Manager den Roll­ out der DeepUnity Suite. Die neue Software ­ Suite soll die Radiologie IT enger an die Krankenhaus IT bringen, um die Digitalisierung im Krankenhaus voranzutreiben. Die Bereiche wachsen seit Jahren enger zusammen. Denn Bilder in der Patientenbehandlung, traditionell der Radiologie zugeordnet, entstehen seit längerer Zeit auch in anderen Bereichen. Diese Daten zu vereinheitlichen und klinikweit, sogar über die Grenzen der Klinik hinweg, für Anwender bereitzustellen, ist die Aufgabe von DeepUnity.

þ Frau Schreiter, Herr Muth, was war der Anlass, DeepUnity zu kreieren?

Michaela Sc hreiter: Im Klinikumfeld ist der Vormarsch der Digitalisierung schon lange nicht mehr wegzudenken. Moderne Technologien können bei der Umsetzung papierloser klinischer Arbeitsabläufe unterstützen. Die Praxis zeigt allerdings, dass es gerade bei Themen wie der Integration und Interoperabilität von IT-Systemen noch Luft nach oben gibt. Immer wieder findet man typische Daten-Silos in einzelnen Abteilungen, die eine Gesamtübersicht über den Patienten erschweren. Das war die Grundlage unserer Entscheidung.

Marcus Muth: Und genau an dieser Stelle setzt DeepUnity an, um diese

Systemgrenzen zu überwinden und für unsere Kunden eine vollintegrierte, universelle klinische Plattform zu schaffen. Für die Anwender hat dies den Vorteil, dass wir ihre bestehenden Applikationen noch besser miteinander integrieren, um ihre täglichen Arbeitsabläufe effizienter zu unterstützen. Darüber hinaus erweitern wir unser Portfolio schrittweise.

þ Wachsen Krankenhaus IT und Radiologie IT jetzt zusammen?

M. Muth: Nun, traditionell kennen wir die Radiologie als die Abteilung mit dem höchsten Aufkommen an Bilddaten in der Klinik. Aber das hat sich gewandelt –aufgrund der Digitalisierung werden

auch in anderen Fachabteilungen im Laufe der Behandlung vermehrt Bilder, Fotodokumentationen, Videos sowie andere relevante medizinische Dokumente erstellt. Wir wollen mit Deep Unity eine Lösung bieten, die alle Bilder und Dokumente, die in einer Klinik oder auch in einem Verbund von Kliniken entstehen, zusammenbringt. Denn nur wenn alle Informationen zur Verfügung stehen und Bilddaten bestmöglich aufbereitet sind, können Anwender ihren Patienten eine optimale Versorgung ermöglichen. Davon profitiert letztlich der Patient, indem zum Beispiel Doppeluntersuchungen vermieden werden. Ein weiterer Aspekt ist die zunehmende, weit engere Zusammenarbeit

31 RADIOLOGIE MAGAZIN 1-2021 X -PERT

„Den Vorteil einer klinikweiten Sichtweise sehe ich ganz klar bei der Patientenbehandlung. Wir sind davon überzeugt, dass die Zukunft der modernen Medizin in der nahtlosen Zusammenarbeit von klinischen Anwendern über Abteilungsgrenzen hinweg liegt. Die Software sollte die integrierte Sichtweise unterstützen.“

von verschiedenen Abteilungen in der Klinik, die weiter zusammenwachsen und Abteilungsgrenzen stetig aufweichen. Auch hier zeigt sich die Anforderung, dass Bilddaten und Dokumente nahtlos zur Verfügung stehen müssen.

DeepUnity besteht aus spezialisierten Lösungen, die – fortschrittlich und modern – schon seit Jahren bei unseren Kunden erfolgreich im Einsatz sind und neuen Applikationen wie dem DeepUnity Viewer, die den Gesamtumfang erheblich erweitern und zukünftig die Bildorganisation unternehmensweit ermöglichen. Mit dem Universalviewer wird der Anwender über eine einzige webbasierte Lösung auf alle Bilddaten und Dokumente zugreifen, seien es nun Röntgenaufnahmen, Bilder einer Wunddokumentation oder andere Medien –unter einer einheitlichen Oberfläche, ohne Medienbrüche, mit einheitlicher Bedienung.

þ Welche Lösungen/Produkte gab es schon vorher?

M. Muth: Unser Produktportfolio umfasst etablierte Lösungen wie HYDMedia und ehemals IMPAX EE (DeepUnity Diagnost), welche auch zukünftig zentrale Komponenten der DeepUnity-Plattform darstellen. Des Weiteren werden die existierenden Lösungen der ehemaligen IMPAX EE-Familie weiterverwendet und ebenfalls Teil der geschaffenen Plattform. Hierzu zählen Produkte, wie zum Beispiel DeepUnity Web.Access oder auch DeepUnity XChange Web (ehemals Transport Web). Hierdurch gewährleisten wir für den Endanwender eine einheitliche Bedienung, um die bewährten Funktionalitäten auch in Zukunft nutzen zu können.

Schreiter, Produkt-Managerin für die DeepUnity Suite bei der Dedalus Healthcare Systems Group

þ Inwiefern ist DeepUnity neu? M. Schreiter: DeepUnity arbeitet über die Grenzen von Abteilungen und auch über die Begrenzungen einer Klinik hinweg, löst sie auf und liefert damit die Grundlage für gute Zusammenarbeit. Dabei ist die Lösung keine einzelne neue Applikation, sondern versteht sich vielmehr als Gesamtlösung, die für unsere Kunden ein neues Healthcare Content Management System darstellen soll.

þ Was bedeutet die neue Philosophie? Werden sich die Produkte in der Bedienung ändern?

M. Muth: In der Funktionalität bieten wir auch schon heute topmoderne Produkte mit breitem Anwendungsspektrum. Was sich hingegen ändern muss: Wir brauchen eine noch höhere Kundenorientierung. Daher haben wir uns auf die Benutzerfreundlichkeit und einheitliche Bedienung unserer Lösungen konzentriert. So werden wir auch die Integration der einzelnen

32 RADIOLOGIE MAGAZIN 1-2021 X -PERT

Lösungen verbessern und arbeiten mit dem Ziel, die Workflows unserer Anwender nahtlos zu unterstützen. Wir haben natürlich sehr viele Anwender, die täglich mit unseren Lösungen arbeiten. Und wir werden die nicht von einem Tag auf den anderen mit einer komplett veränderten Benutzeroberfläche überrumpeln, sondern nach und nach alle Applikationen in eine einheitliche Bedienung überführen.

Ein weiterer Aspekt ist es, unsere Entwicklung neu auszurichten und ebenfalls näher an die Kunden zu bringen. Unsere Releasezyklen werden sich verkürzen. So können wir schneller auf Anforderungen reagieren und das Feedback der Kundenbasis besser berücksichtigen und zeitnah einarbeiten.

þ Sie sprechen von Ganzheitlichkeit. Wie kann man sich das vorstellen?

M. Schreiter: Schauen wir auf die aktuelle Situation der Datenhaltung, so liegen zum Beispiel radiologische Daten im PACS, Wunddokumentationen im Bildarchiv und Endoskopieaufnahmen werden in separaten Systemen, unter Umständen gar nicht in der Klinik selbst, gespeichert. Beteiligte Bereiche arbeiten häufig mit eigenen Applikationen und die Daten sind in verschiedenen IT-Systemen abgelegt.

Die moderne Medizin fordert dagegen, dass man ein eng zusammenarbeitendes Team aus verschiedenen Disziplinen braucht, um Patienten optimal zu versorgen und bestmöglich zu behandeln. Im Augenblick, mit den diversen Systemen in unterschiedlichen Fachbereichen, ist eine zusammenhängende Sicht auf den Patienten nur schwer möglich.

Genau an dieser Stelle setzen wir an. Denn wenn wir die Patienten ganzheitlich behandeln wollen, muss auch die Software genau diese Ganzheitlichkeit liefern. Und dies erreichen wir über DeepUnity, eine Lösung, die Workflows über Grenzen hinweg möglich macht. Dabei übernimmt der sogenannte DeepUnity

Viewer eine zentrale Rolle. Er bietet einheitlichen Zugriff auf DICOM-Bilder, Befunde, Arztbriefe, Wunddokumentationen und Videos – webbasiert und unabhängig von ihrem Ursprung.

„Traditionell kennen wir die Radiologie als die Abteilung mit dem höchsten Aufkommen an Bilddaten in der Klinik. Aber das hat sich gewandelt – aufgrund der Digitalisierung werden auch in anderen Fachabteilungen im Laufe der Behandlung vermehrt Bilder, Fotodokumentationen, Videos sowie andere relevante medizinische Dokumente erstellt.“

Marcus

M. Schreiter: Der Anwender erhält eine vollintegrierte Gesamtlösung, die klinische und administrative Abläufe unterstützt. Durch Zeit- und Aufwandsersparnis ergeben sich Freiräume. Die einheitliche und homogene Nutzeroberfläche wird die tägliche Arbeit erleichtern und dadurch angenehmer machen. Anwender vermeiden Fehlentscheidungen, weil alle Bilddaten zugriffsbereit

, Produkt-Manager für die DeepUnity Suite bei der Dedalus Healthcare Systems Group

þ Wo liegen die Vorteile von DeepUnity für Anwender und IT-Abteilungen?
33 RADIOLOGIE MAGAZIN 1-2021 X -PERT

sind und nicht umständlich gesucht werden müssen. Die Anwender profitieren in allen Bereichen.

M. Muth: Sie haben aber auch nach dem Nutzen für die IT-Abteilung gefragt –auch die profitiert von DeepUnity. Die DeepUnity-Plattform wird grundlegende Services zur Verfügung stellen, sodass ein applikationsübergreifendes Logging und eine einheitliche Authentifizierung unterstützt werden. Dadurch verringert sich der Wartungsaufwand erheblich. Auch erleichtern wir die Konfiguration der gesamten Suite. Und durch die neue Standardisierung der gesamten Infrastruktur schaffen wir kürzere Updatezyklen, die Kundenwünsche besser erfüllt.

þ Wo sehen Sie den Vorteil der klinikweiten Sichtweise?

M. Schreiter: Ganz klar bei der Patientenbehandlung. Wir sind davon überzeugt, dass die Zukunft der modernen Medizin in der nahtlosen Zusammenarbeit von klinischen Anwendern über Abteilungsgrenzen hinweg liegt. Dementsprechend muss auch die Software diese integrierte Sichtweise unterstützen.

So werden alle verfügbaren Bilddaten und Dokumente – unabhängig von ihrem Format und Ablageort – einheit-

lich aufbereitet zur Verfügung gestellt und der Anwender erhält alle Informationen zu seinem Patienten. Schnell, effizient und mit wenigen Klicks.

þ Welche Funktionalitäten von Deep Unity gibt es schon? Gibt es eine Timeline zur Einführung von Produkten?

M. Muth: Im Moment arbeiten wir an unserem neuen DeepUnity Viewer, der große Fortschritte macht. Hierbei beschäftigen wir uns in einem ersten Schritt mit der Visualisierung und Verarbeitung von DICOM-Daten. In weiterer Folge wird die Funktionalität insbesondere im Bereich der NON-DICOM-Daten maßgeblich erweitert. Dies ermöglicht den Anwendern, Bilder aus verschiedenen Quellen für ihren Zugriff und hebt damit die Begrenzungen zwischen den Fachabteilungen auf. Bereits in diesem Herbst wird es einen ersten Release geben. Weitere Versionen sollen in Q1 und Q3 2021 folgen. Im Bereich DeepUnity Hub haben wir verschiedene Lösungen gruppiert, die sich mit der Verteilung von Bilddaten an Patienten und zuweisende Ärzte beschäftigt. Auch hier sind Erweiterungen der Produkte geplant, um die Kommunikation zu den Zuweisern und Patienten auch über die Klinikgrenzen hinweg zu optimieren.

þ Zum Abschluss – Was bedeutet Deep Unity für Dedalus?

M. Sc hreiter: DeepUnity ist aus Sicht von Dedalus die Lösung, die es neben den klinischen Anwendern auch den IT Abteilungen ermöglicht, das ansteigende Datenaufkommen zu bewältigen, indem moderne Technologien, Deployment-Mechanismen und vereinheitlichte Usability in einer gemeinsamen Plattform zusammengefasst werden. Mit DeepUnity wollen und werden wir insbesondere den verschiedenen klinischen Abteilungen ein Werkzeug an die Hand geben, welches sie dabei unterstützt, die immer größer werdende klinische Informationsflut zu verarbeiten, um dies schlussendlich dem Patienten zugute kommen zu lassen.

DeepUnity Viewer ist ein moderner webbasierter Universalviewer, der neben radiologischen Bilddaten und Befunden auch medizinische Dokumente und Daten, wie Videos, EKG Daten oder Fotos, übersichtlich darstellt und klinikweiten Zugriff bietet. www.dedalusgroup.de

34 RADIOLOGIE MAGAZIN 1-2021 X -PERT
35 RADIOLOGIE MAGAZIN 1-2021 WIR FÜR SIE. Ein Concierge kennt seinen Kunden. Er lebt für den Service und hat immer eine Lösung. BECKELMANN. IHR CONCIERGE. Dr. Wolf, Beckelmann & Partner GmbH Robert-Florin-Strasse 1 . 46238 Bottrop . Tel 02041 / 74 64 - 0 . Fax - 99 info@beckelmann.de . www.beckelmann.de Umfassende Fachberatung Technische Lösungen & Services Praxis & Bürobedarf Röntgen & Medizintechnik Kontrastmittel & Medizinprodukte

Zukunft Teleradiologie

Eine Veranstaltungs ­Plattform für Künstliche Intelligenz in der Teleradiologie

„Zukunft Teleradiologie“ ist eine neue Veranstaltungs-Plattform für alle, die sich mit Künstlicher Intelligenz (KI) in der Teleradiologie beschäftigen. Bei der ersten Online-Veranstaltung geht es um die Möglichkeit, teleradiologische Netze und KI mit Hilfe des Krankenhauszukunftsgesetzes voranzubringen. Bei zwei weiteren Veranstaltungen wird es um offene KI-Plattformen, deren Nutzungsmöglichkeiten für die Teleradiologie sowie um strukturierte Befundung gehen.

KI bietet die Chance einer schnelleren und präziseren Diagnostik und damit die Möglichkeit einer verbesserten Medizin. Auf dem Weg zur praktischen Anwendung sind aber nicht nur wissenschaftliche und technische Hürden zu überwinden. Gemeinsam mit Kompetenzpartnern haben deshalb drei Gesundheitsexperten mit „Zukunft Teleradiologie“ eine Onlineplattform für den fachlichen Gedankenaustausch von Entwicklern und Anwendern geschaffen.

Die Gründer sind Dr. Torsten Möller, Vorstand von reif & möller – Netzwerk für Teleradiologie, Dr. Uwe Engelmann Geschäftsführer der NEXUS / CHILI GmbH und Detlef Hans Franke, Geschäftsführender Gesellschafter von FuP Kommunikation. „Bei der Anwendung Künst-

licher Intelligenz in der Teleradiologie ist es außerordentlich wichtig, praxisnahe, sichere und bezahlbare Konzepte und Algorithmen zu entwickeln, die möglichst schnell in den Routinebetrieb einfließen können. Dazu müssen alle Beteiligten sich von Anfang an eng miteinander abstimmen. Unsere Veranstaltungs-Plattform Zukunft Teleradiologie will dazu einen Beitrag leisten“.

In zunächst drei virtuellen Informations-Veranstaltungen werden sich Dr. Möller, Dr. Engelmann und Detlef Hans Franke 2021 mit unterschiedlichen Experten über die Möglichkeiten der KI in der Teleradiologie austauschen. Die erste Veranstaltung widmet sich dem Thema: „Krankenhauszukunftsgesetz –bringt es teleradiologische Netze und KI voran?“. Sie findet am Mittwoch, 21. April 2021 um 15.00 Uhr statt und dauert 90 Minuten. Zur Anmeldung schreiben Sie eine E-Mail mit Ihrem Namen, dem Namen Ihres Unternehmens und Ihrer Position an: detlef.franke@fup-kommunikation.de. Sie erhalten dann die Zugangsdaten per E-Mail.

www.zukunft-teleradiologie.de

Dr. Torsten Möller, Vorstand von reif & möller – Netzwerk für Teleradiologie Dr. Uwe Engelmann, Geschäftsführer der NEXUS / CHILI GmbH Detlef Hans Franke, Geschäftsführender Gesellschafter von FuP Kommunikation
36 RADIOLOGIE MAGAZIN 1-2021 X -TRA

So steigern Sie die Effizienz in Ihrer Radiologie

eHealth made for you – das bedeutet für Digithurst nicht nur persönliche Kundenbetreuung, sondern vor allem, passgenaue IT-Lösungen für Ihre Bedürfnisse zu entwickeln und zu konfigurieren, unter bestmöglicher Erfüllung individueller Wünsche. Dabei geht Digithurst mit seinem flexiblen Pay-per-Study Modell sogar noch einen Schritt weiter. Ohne Mindestlaufzeit und ohne Vertragsbindung – das ist einzigartig in der Branche.

Kostenlose Online-Beratung

Gerne zeigt Ihnen Digithurst Produktberater Martin Lulay anhand von Best-PracticeBeispielen, wie Sie die Effizienz in Ihrer radiologischen Einrichtung mithilfe von Digithurst Lösungen steigern und so Ihre versteckten Potenziale voll ausschöpfen können. Vereinbaren Sie jetzt Ihren persönlichen Termin für ein unverbindliches Beratungs-gespräch per Telefon oder Videocall auf www.digithurst.de

Digithurst Innovationen 2021

Rechtfertigende Indikation: Um eRIS Kunden künftig mehr Rechtssicherheit zu bieten, hat Digithurst einen vollintegrierten Workflow zur Dokumentation der rechtfertigenden Indikation entwickelt.

Indicda-Pro-Schnittstelle: In diesem Jahr bietet Digithurst seinen eRIS Kunden eine erweiterte Schnittstelle zu dem beliebten Diktatsystem Indicda von DFC an, mit der Radiologen noch schneller diktieren können.

Doctolib-Schnittstelle: Ob Doctolib oder samedi – Digithurst bindet Online-Terminkalender externer Anbieter ebenso einfach an wie den eigenen eTERMIN. Nutzen Sie den großen Funktionsumfang dieser externen Terminkalender und profitieren Sie von den Vorteilen der Integration mit eRIS: effizientere Workflows, Zeitersparnis, keine doppelte Datenpflege mehr.

teamVIEW web: Der neue Zero Footprint

DICOM Viewer bietet 3D-Funktionen und noch kürzere Ladezeiten. Das bedeutet für Sie: Alle Bilder zum Patienten schnell auf einen Blick – überall und jederzeit.

 Digithurst Bildverarbeitungssysteme GmbH & Co. KG · Wasserrunzel 5 · 91186 Büchenbach · tel 0 91 71 / 96 71-0 · info@digithurst.de · www.digithurst.de
37 RADIOLOGIE MAGAZIN 1-2021 X -TRA
Martin Lulay, Digithurst Produktberater

Was ein Photophon ist, weiß heute kaum mehr jemand: Röntgenaufnahmen fotografieren und per ISDN-Leitung übertragen. Für Workstations waren Mitte der 1990er PCs noch nicht geeignet. Damals wurde mit SUN und Silicon Graphics befundet.

Richtige Richtung

Schon vor mehr als 30 Jahren erkannte man in den Kliniken und Krankenhäusern, dass es von Vorteil ist, Bilder und Befunde digital zu übertragen. Seitdem befindet sich die Teleradiologie auf Wachstumskurs.

Der Bedarf zur digitalen Bildübertragung entstand Anfang der 1990er Jahre wohl zuerst in Kliniken und Krankenhäusern, die an der Notfallversorgung von Mehrfachverletzten und Hirnverletzten beteiligt waren. An den medizinischen Rahmenbedingungen sowie den Vorteilen der Teleradiologie hat sich seitdem einiges verändert. Was damals niemand ahnte: die rasante Entwicklung der Technik. Heute können Bilder und Befunde über Kupfer- und Glaserkabel sowie Funknetzwerke weltweit in fast jedem Winkel

unserer doch runden Erde verschickt und empfangen werden. Mit DICOM und IHE wurden Kommunikationsstandards entwickelt, die die Basis für eine nahtlose Integration unterschiedlichster Systeme bilden – begleitet von einem nationalen und internationalen Normenwerk.

Während die rechtlichen Rahmenbedingungen zur Teleradiologie seit 31. Dezember 2018 in § 123 der Strahlenschutzverordnug geregelt sind, bestimmt die DIN 6868-159 wie Teleradiologie technisch stattzufinden hat. Zudem

regelt die DIN 6868-157, welche Displayqualität zu verwenden ist. Stephan Thelen-Rank, Projektleiter Teleradiologie und RIS bei RadMedics, findet: „Die gesetzlichen Anforderungen an die Teleradiologie sind nach wie vor sinnvoll. Es wird nicht eine spezielle Technik gefordert oder abgelehnt, sondern es werden die Rahmenbedingungen genannt, die einzuhalten sind.“ Es besteht kein Zweifel, dass es gewisser Vorgaben bedarf, um dosis- und diagnoserelevante Entscheidungen zu treffen.

38 RADIOLOGIE MAGAZIN 1-2021 X -TRA

Geregelter Ablauf

Um so mehr ist positiv anzumerken, dass mit dem neuen Strahlenschutzgesetz von Teleradiologen keine allgemeine Fachkunde mehr gefordert wird, sondern lediglich die Fachkunde für das Gebiet, auf dem sie teleradiologisch arbeiten: ein CT-Teleradiologe braucht also nur noch die CT-Fachkunde, doch dafür soll er nun eng in die Arbeitsabläufe eingebunden sein. „Die nach dem neuen Strahlenschutzgesetz geforderte enge Einbindung des Teleradiologen in den klinischen Betrieb des Strahlenschutzverantwortlichen ist nicht nur eine sehr positive Weiterentwicklung in Richtung erhöhter medizinischer Qualität, sondern auch ein absolutes Muss für jede seriöse Teleradiologie, die über den Tellerrand der ausschließlichen Befunderstellung hinausblickt“, erklärt Dr. med. Ehssan Ghadamgahi, MBA Facharzt für Radiologie sowie Gründer und Geschäftsführer der Radiology Advanced GmbH.

Der steigende Bedarf an Teleradiologiedienstleistungen wird in erster Linie durch den Strukturwandel der Kliniklandschaft verursacht. Da gibt es zum einen den Kostendruck, der Betreiber dazu veranlasst, für die wenigen CTs im Nachtdienst und an Feiertagen lieber einen Teleradiologen zu beschäftigen als das eigene Personal zu belasten. Des Weiteren ist die Teleradiologie die perfekte Lösung, um auch in eher unterversorg-

ten Gegenden eine hochwertige radiologische Versorgung sicherzustellen. Für Marcus Kremers, Geschäftsführer und Gesellschafter der MedEcon Telemedizin GmbH: „In Bereichen wie der Schlaganfall- und Schwerverletztenversorgung ist es wichtig, dass die Spezialisten in Neuroradiologischen Kliniken und überregionalen Traumazentren schnell entscheiden können, ob ein Patient verlegt und eine Operation vorbereitet werden muss. Vielfach ist auch der umgekehrte Weg bedeutsam. Die schnelle Anforderung von Voraufnahmen kann Doppeluntersuchungen verhindern und eine bessere Diagnose ermöglichen.“

Schneller und sicherer Unterstützt wird der Trend zur Telearbeit von der weiter rasant fortschreitenden Entwicklung neuer Technologien zur Bilddatenübertragung sowie zur Befundunterstützung durch Künstliche Intelligenz. Auch für Dr. med. Matthias Matzko, Radiologe und Vorstand der Imaging Service AG, ist die Teleradiologie für den Einsatz von KI-Algorithmen besonders geeignet: „Den Einsatz von KI-Algorithmen in der Teleradiologie halte ich durchaus für sinnvoll. Dabei wäre es wichtig, dass schwer identifizierbare Befunde sicher erkannt und dadurch die Radiologen zusätzlich abgesichert werden.“

Lösungen, die automatisiert Normalbefunde erkennen beziehungsweise

automatisiert Befunde nicht nur qualitativ, sondern auch quantitativ erfassen und einen Bericht erstellen, stehen in den Startlöchern und zahlreiche Startups wollen mit ihren Anwendungen für schnelle und sichere Diagnosen sorgen. Zu guter Letzt unterstützt COVID-19 den Trend zum Homeoffice. Seitdem befunden nicht mehr nur junge Eltern von zuhause aus.

In der Radiologie scheint eines seit langem klar zu sein: Die Technik, mit der es sich zu befassen gilt, wird immer ausgereifter und komplexer. Doch nur mit deren Unterstützung lassen sich Kostendruck, Demografie und effiziente Patientenversorgung in den Griff bekommen. Auch Dr. med. Torsten Möller ist der Ansicht: „Die Voraussetzungen für eine gleichbleibend hohe Qualität der Befunde betrifft neben der fachlichen Expertise der dezentral tätigen Teleradiologen ebenfalls die verwendete Technik. Das Netzwerk von reif & möller setzt auf eine hochprofessionelle Telematik-Infrastruktur im DICOM-Standard mit flexibler und moderner Java-Technologie, deren Funktionalität permanent online überwacht wird.“

Auch die Teleradiologen sind sich sicher: Mit dem Krankenhauszukunftsgesetz und der Förderung interdisziplinärer und intersektoraler Kommunikationsstrukturen beschreitet die Bundesregierung den Weg in die richtige Richtung.

Die Teleradiologie profitiert von der sich rasant entwickelnden Technik und sorgt für eine flächendeckende radiologische Versorgung auf hohem Niveau.
39 RADIOLOGIE MAGAZIN 1-2021 X -TRA
Bild © Siemens Healthcare GmbH, 2021

RA Radiology Advanced GmbH

Radiology Advanced positioniert sich als Qualitäts- und Innovationsführer im Markt und führt die Teleradiologie damit in die Zukunft. Durch modernste digitale Strukturen, einem Team aus festangestellten, hochqualifizierten Fachärzten für Radiologie und stark standardisierten Prozessen schafft das vom TÜV nach DIN EN ISO 9001:2015 zertifizierte Berliner Teleradiologie-Unternehmen seine Kunden zu überzeugen. So profitieren bereits zahlreiche Krankenhäuser, Praxen und Medizinische Versorgungszentren in Deutschland von der Qualitäts-Teleradiologie des stark wachsenden Unternehmens, das seine Dienstleistungen zu besten preislichen Konditionen und unter strenger Einhaltung des Strahlenschutzgesetzes und der DSGVO anbietet.

Immer einen Schritt voraus – mit Radiology Advanced beginnt die Zukunft der Teleradiologie bereits heute.

Die Imaging Service AG wurde 1999 gegründet und hat sich in enger Zusammenarbeit mit Universitätskliniken als Vorreiter im Bereich der Teleradiologie und Telemedizin etabliert. Das Unternehmen versorgt derzeit 75 Kliniken. Als einer der größten Anbieter im deutschsprachigen Raum zeichnet sich die Imaging Service AG, unter Leitung von Gründungsmitglied und Vorstand Dr. Matthias Matzko, durch höchste radiologische Befundqualität, innovative IT- und Infrastrukturlösungen sowie hochprofessionellen Service aus.

Kompetente Ansprechpartner begleiten die Kunden von der Projektidee über den Genehmigungsprozess bis hin zur Implementierung und Inbetriebnahme. Der gesamte teleradiologische Workflow wird digital und gemäß den einschlägigen Regularien für die Teleradiologie entsprechend abgebildet. Als der Pionier für teleradiologische Informationssysteme, verfügt die Imaging Service AG mit TeleMacs über eines der innovativsten Telemedizinportale.

Die eigens entwickelte, webbasierte und PACS-unabhängige Portallösung wurde 2019 in einer völlig neuen Plattformumgebung relaunched. Dabei geht die Funktionalität von TeleMacs weit über den teleradiologischen Befundungsprozess hinaus. Mit der Integration der QS nach DIN 6868-159 und der Dokumentation gemäß StrlSchG geforderten engen Einbindung des Teleradiologen ist dieses System zukunftsweisend. Zur weiteren Qualitätskontrolle in der Teleradiologie betreibt die Imaging Service AG ein MPE-betreutes Dosismanagementsystem, das ebenfalls externen MPEs zum Dosismonitoring von radiologischen Einrichtungen angeboten wird. Ein erfahrenes Fachärzteteam und eine redundant ausgelegte Infrastruktur garantieren eine ausfallsichere 24 / 7 Versorgung. Zusätzlich stehen persönliche Ansprechpartner für administrative und technische Fragen rund um die Uhr zur Verfügung. Das professionelle Gesamtkonzept für Teleradiologie mit maximaler Effizienz und praxisorientierten Lösungen 2 1 3 4

RADIOLOGY ADVANCED WEBPORTAL

Eingabe der Anforderung in das Webportal oder Krankenhaus-RIS/ KIS-System durch das Klinikpersonal

Benachrichtigung über den Auftrag und Erstellung der Rechtfertigenden Indikation (RI) durch den Teleradiologen

Durchführung der bildgebenden Diagnostik in der Klinik und Versand der Bilddaten an den Teleradiologen

Sofortige Befundung der Untersuchung und Abruf der Ergebnisse im Webportal oder Krankenhaus-RIS/ KIS-System

Radiology Advanced setzt auf: ▪ Verwendung modernster digitaler Technologien und ausfallsicherem IT-Konzept ▪ Lückenlose Einhaltung des DoppelfacharztStandards: jede Untersuchung wird stets von zwei Fachärzten für Radiologie beurteilt ▪ Ausschließliche Zusammenarbeit mit handverlesenen, hochqualifizierten Fachärzten für Radiologie, die fest im Team integriert sind und in subspezialisierten Abteilungen arbeiten

Maximale Standardisierung der Prozesse mit professionellem, vom TÜV zertifizierten, Qualitätsmanagement

Vollumfänglicher Service inklusive engmaschiger Unterstützung beim behördlichen Genehmigungsverfahren zur Ausübung der Teleradiologie und 24/7/365 Support für alle Kundenbelange

Dr. Matthias Matzko
RI KRANKENHAUS TELERADIOLOGE
 Imaging Service AG · Curt-Zechbauer-Weg 5 · 82343 Niederpöcking · tel 0 81 51 / 55 53 83 · info@imaging-service.de · www.imaging-service.de
Imaging Service AG
40 RADIOLOGIE MAGAZIN 1-2021 X -TRA  RA Radiology Advanced GmbH · Schloßstraße 34 · 12163 Berlin · tel 0 30 / 4 03 66 46 60 · office@radiology-advanced.com · www. radiology-advanced.com

Die 2012 aus dem Gesundheitsnetzwerk an der Ruhr entstandene MedEcon Telemedizin GmbH initiiert und organisiert telemedizinische Netzwerke und Services.Kernprojekt ist der Westdeutsche Teleradiologieverbund, in dem über 500 Universitätskliniken, Krankenhäuser, Radiologische und andere Praxen, MVZ und Reha-Kliniken vernetzt sind und untereinander monatlich über 50.000 Untersuchungen austauschen. Hierbei werden verschiedene Anwendungsszenarien bedient, von Konsilen über Verlegungsvorbereitungen und Anforderungen von Voraufnahmen bis zu einem Upload-Portal, bei dem Patienten ihre Untersuchungen in die Klinik oder Praxis senden können.

Zudem gibt es Lösungen für die Nutzung von KI-Services über eine gemeinsame Plattform. Die Anwendungen der MedEcon Telemedizin sind standardbasiert und herstellerneutral. Das ermöglicht eine einfach Integration in die bestehenden Infrastrukturen. Die Anwendungen werden bereichsübergreifend genutzt, so dass mit einem System beispielsweise Radiologen, Neurologen, Unfallchirurgen, Kardiologen, Onkologen u.a.m. arbeiten. Der intersektorale Austausch findet ebenso statt wie Forschungskooperationen. Der Bereich der Konsiliarischen Zusammenarbeit wird über verschiedene Möglichkeiten, bis hin zur Integration in elektronische Akten, unterstützt.

reif & möller – Netzwerk für Teleradiologie

reif & möller – Netzwerk für Teleradiologie ist das derzeit größte und einzig zertifizierte, deutschlandweit und in Österreich tätige Teleradiologie-Netzwerk. Mit über 50 erfahrenen Radiologen bietet es seit dem Jahr 2000 rund um die Uhr sichere und schnelle Lösungen für die Fernbefundung. Mehr als 100 Kliniken vertrauen auf die Expertise des Teleradiologie-Spezialisten. Über Leistungen der Nacht-, Wochenend- und Notfall-Befundung hinaus versteht sich reif & möller als Berater von Krankenhäusern und Praxen in allen Belangen der Teleradiologie. Voraussetzung für die gleichbleibend hohe Qualität der Befunde sind neben der fachlichen Expertise der dezentral tätigen Teleradiologen, auch die technischen Voraussetzungen. Das Netzwerk setzt auf eine hochprofessionelle Telematik-Infrastruktur im DICOM-Standard mit flexibler und moderner Java-Technologie, deren Funktionalität permanent online überwacht wird. Alle Patientendaten und Befunde werden über gesicherte und verschlüsselte VPN-Verbindungen übertragen. Zur doppelten Sicherheit sind alle Systeme redundant angelegt. Dies bietet 99,8-prozentige Systemsicherheit. Und im Notfall steht ein erfahrener IT-Spezialist über eine 24-Stunden-Technik-Hotline zur Verfügung. Das Credo von reif & möller – Netzwerk für Teleradiologie ist es, mithilfe von Teleradiologie eine für alle Menschen optimale medizinische Versorgung sowohl in Zentren, als auch im ländlichen Raum zu sichern. Das saarländische Unternehmen setzt auf diesem Gebiet bundesweit Maßstäbe.

Unter dem Dach der RadMedics GmbH befinden sich drei große Geschäftsbereiche: Radiologie Nord- & Mittelhessen, Teleradiologie.net und Strahlenschutzschule Hessen. Die Radiologie, gegründet im Jahre 1979 von Dr. Gert Mariß, umfasst drei Radiologie-MVZ mit derzeit insgesamt 13 Standorten. Seit 1999 zählt die Strahlenschutzschule Hessen zum Leistungsspektrum der RadMedics Gruppe.

Der dritte Geschäftsbereich ist die Teleradiologie.net. Ein teleradiologisches Netzwerk an das derzeit 35 Krankenhäuser angebunden sind. Die Teleradiologie.net wurde bereits im Jahr 1997 gegründet und seitdem stetig und innovativ weiterentwickelt. Es werden modernste Technologien vernetzt und die fachliche Expertise der Teleradiologen für eine radiologische Versorgung

auf höchstem Niveau gebündelt. Das Bildverteilungskonzept ist erweiterbar, wodurch individuell passende Lösungen realisiert werden. Zusätzlich findet der gesamte Teleradiologie-Workflow inklusive Schlüssigkeitsprüfung der Indikation vollständig digital statt. Um konstant sichere Abläufe zu gewährleisten wird der Versorgungsprozess permanent automatisiert überwacht und im Fehlerfall steht eine 24-Stunden-Technik-Hotline zur Verfügung. Bis heute steht die RadMedics in der Tradition des Gründers. Sein Sohn, Dr. Jan Mariß, führt den Generationswechsel erfolgreich fort. Ein prozess- und patientenbezogenes Qualitätsmanagement und die Einleitung von modernen Digitalisierungsprozessen in der Teleradiologie sichern auch zukünftig eine hohe Versorgungsqualität.

Telemedizin GmbH
reif &
NETZWERK
TELERADIOLOGIE 41 RADIOLOGIE MAGAZIN 1-2021 X -TRA  RadMedics GmbH · Am Hospital 11 · 34560 Fritzlar · tel 0 56 22 / 7 19 10 90 · info@radmedics.de · www.radmedics.de
MedEcon Telemedizin GmbH
·
Gesundheitscampus-Süd
29 · 44801 Bochum · tel 02 34 / 9 78 36-0 ·
info@medecon-telemedizin.de · www.medecon-telemedizin.de
 reif & möller diagnostic network AG · Gathmannstraße 3 · 66763 Dillingen/Saar· tel 0 68 31 / 6 98 97 22 · telerad@reif-moeller.de · diagnostic-network-ag.de MedEcon
RadMedics GmbH
möller
FÜR

Die beiden Fachärzte für Radiologie, Prof. Dr. med. Dr. rer. medic. Martin Maurer, Ärztlicher Direktor (l.) und Dr. med. Ehssan Ghadamgahi (r.), MBA, Gründer und Geschäftsführer, leiten Radiology Advanced.

Teleradiologie Herausforderungen und Entwicklungen

Die aktuellen Entwicklungen in der Radiologie stellen Krankenhäuser vor große Herausforderungen: Seit Jahren steigen die Untersuchungszahlen bildgebender Verfahren rasant an, jedoch sehen sich viele Kliniken in Deutschland, mittlerweile sogar in den beliebten Ballungsräumen, mit einem bedrohlichen Personalmangel konfrontiert.

X -TRA 42 RADIOLOGIE MAGAZIN 1-2021

Für zahlreiche Institutionen ist es zunehmend schwierig, eine medizinische 24-Stunden-Versorgung für ihre Patienten, vor allem in der Nacht und an den Wochenenden, aufrecht zu erhalten. Gleichzeitig besteht eine enorme Beanspruchung des vorhandenen Personals vor Ort durch vielfache Präsenzund Bereitschaftsdienste, was wiederum zu einer Minderung der Attraktivität des Arbeitsplatzes im Krankenhaus beiträgt.

Die Lösung: eine zukunftsfähige Qualitäts-Teleradiologie Abhilfe kann hier ein kluges Konzept mit zeitgemäßer Teleradiologie schaffen. Durch neue technische Möglichkeiten der digitalen Vernetzung können sogar weit von Ballungszentren entfernt liegende Kliniken mittels hochqualitativer Teleradiologie nachts und an den Wochenenden umfassend versorgt werden, immer unter Einhaltung der strengen Vorgaben und Reglementierungen der Strahlenschutzverordnung (StrlSchV) und des Deutschen Datenschutzes (DSGVO). So wird der personelle Engpass behoben und das vor Ort tätige Klinikpersonal maßgeblich von den zu erbringenden Bereitschaftsdiensten entlastet. In Zeiten der Einforderung einer ausgeglichenen work-life-balance ist dies gerade für die jüngere Generation von Radiologinnen und Radiologen überaus wichtig.

Neueste Technologien und detaillierte Kenntnisse über die gesetzlichen Rahmenbedingungen sind heute obligat Was in der Theorie zunächst absolut plausibel erscheint, erfordert dennoch von modernen Teleradiologie-Anbietern sehr viel mehr als nur die reine Umsetzung eines technischen Konzeptes und die Zusammenführung von Radiologen.

In technischer Hinsicht hat die Teleradiologie in Deutschland in den letzten Jahren sicherlich einen erheblichen Entwicklungsschub erfahren. Digitale Plattformen, die den kompletten Teleradiologie-Workflow samt Befundübermittlung abbilden und eine ausfallsichere IT-Infrastruktur mit diversen Redundanzen gehören heute zum Standard in der Teleradiologie. Ebenso stellen hohe Datenleitungsgeschwindigkeiten, auch in entlegenen Regionen in Deutschland, zumeist keine Limitation mehr dar. Vielmehr sind formale Aspekte, wie behördliche Genehmigungen, zur Ausübung der Teleradiologie auf verschiedenen Entscheidungsebenen sehr anspruchsvoll. Seitens der Kliniken gilt es hier zahlreiche Unterlagen vorzulegen und diverse, zum Teil sehr strikte, Vorgaben zu erfüllen. Dieser Vorgang kann durchaus einige Wochen Zeit in Anspruch nehmen und sollte ausgesprochen gut vorbereitet werden. Aufgabe professioneller Teleradiologie-Dienstleister ist es hier das entsprechende Know-how vorzuweisen, um die Kliniken durch den komplexen Prozess der Antragsstellung zur Erteilung der Genehmigung unterstützend begleiten zu können.

43 RADIOLOGIE MAGAZIN 1-2021 X -TRA Zubehör für die
www.allmri.com Südstraße 23 · 74226 Nordheim Telefon: +49 71 33 / 23 70 220 · Telefax: +49 71 33 / 20 48 47 mail@allmri.com „Der MRT Fachhändler meines Vertrauens.“
Kernspintomographie

Fachliche und soziale Kompetenzen des Teleradiologen stehen im Mittelpunkt einer qualitativen Befundung Trotz neuer Möglichkeiten der Nutzung von Software aus dem Bereich der Artificial Intelligence bei der Unterstützung der Interpretation von radiologischem Bildmaterial bleibt die umfassende fachliche Kompetenz des befundenden Radiologen ein zentraler Aspekt in der Teleradiologie. Diese sollte sich nicht nur auf die allgemeine Notfallradiologie beziehen, sondern idealerweise auch auf weitere Schwerpunktbereiche wie Neuroradiologie, muskuloskelettale Radiologie, Thoraxbildgebung und abdominelle Radiologie inkl. Gefäβbildgebung ausgeweitet sein. Früher praktizierte Konzepte, dass diensthabende Assistenzärzte/-innen im Nachtdienst von Maximalversorger-Kliniken in Ballungszentren zusätzlich zu ihrer Routinearbeit zunächst einen Befundentwurf für teleradiologisch angeschlossene Kliniken erstellen, welcher erst am nächsten Morgen von einem Facharzt supervidiert und final freigegeben wird, haben sicherlich ausgedient und sollten dringend der Vergangenheit angehören.

Neben rein fachlichen Kompetenzen kommt vor allem auch der Kommunikationsfähigkeit von Teleradiologen/-

RADIOLOGY ADVANCED WEBPORTAL

2 1 3 4

Eingabe der Anforderung in das Webportal oder Krankenhaus-RIS/ KIS-System durch das Klinikpersonal

Benachrichtigung über den Auftrag und Erstellung der Rechtfertigenden Indikation (RI) durch den Teleradiologen RI

innen eine maβgebliche Bedeutung zu, um die zunächst nachteilige Distanz zwischen den beteiligten Ärzten wettzumachen. Neben einer korrekten und sinnvollen Einordnung der angefragten Untersuchung in den klinischen Kontext sind dann die präzise Befundung und die rasche Befundübermittlung ganz entscheidend, um einen echten Mehrwert in den Behandlungsprozessen zu erzeugen. Es nützt wenig, dass ein Befund inhaltlich zwar korrekt ist, aber die entscheidende medizinische Infor-

Drei Gründe

Durchführung der bildgebenden Diagnostik in der Klinik und Versand der Bilddaten an den Teleradiologen

Sofortige Befundung der Untersuchung und Abruf der Ergebnisse im Webportal oder Krankenhaus-RIS/ KIS-System

mation nicht rechtzeitig beim zuständigen überweisenden Kollegen ankommt. Klar strukturierte Befunde mit gleichbleibendem Layout sind dabei wichtig. Zudem sollte immer die Möglichkeit bestehen das Untersuchungsergebnis interkollegial im fachlichen Diskurs zu besprechen, denn nur so ist sichergestellt, dass die klinische Fragestellung auch abschließend beantwortet werden kann. Auch können Teleradiologen/innen in Form von Videokonferenzen in den Krankenhausalltag einbezogen

Warum uns Radiology Advanced überzeugt

1. Fortschrittliche digitale Infrastruktur

Das Online-Portal von Radiology Advanced hat uns vom ersten Moment an begeistert; sämtliche Schritte des Workflows von der Anforderungserstellung, Erteilung der Rechtfertigenden Indikation und finalen Befunderstellung sind rechtssicher Dokumentiert und in Sekunden digital abrufbar.

2. Sehr hohe fachliche Qualität

Die konstant sehr hohe Qualität der Befunde ist beeindruckend. Selbst in den tiefen Nachtstunden erhalten wir binnen kürzester Zeit einen vollumfänglichen, strukturierten fachärztlichen Befund; so wie wir ihn auch am Tage selber erstellen würden. Besonders positiv hervorzuheben ist der im Service inkludierte Doppelfacharzt-Standard der Radiology Advanced; alle Untersuchungen werden hier von zwei Fach-

ärzten für Radiologie nach dem Vier-Augen-Prinzip befundet. Eine derartig umfängliche Leistung haben wir bisher noch nicht erlebt.

3. Hervorragender Support

Auffallend ist, dass bei Radiology Advanced nicht nur die Teleradiologen, sondern auch alle anderen Mitarbeiter größten Wert auf Professionalität und Freundlichkeit legen. Das Unternehmen beweist offensichtlich ein gutes Händchen bei der Auswahl seines Personals. So stehen uns neben den Teleradiologen auch sämtliche Mitarbeiter aus der IT, der Administration bis hin zu den Entscheidungsträgern stets für alle unsere Belange kurzfristig zur Verfügung. Diese enge Zusammenarbeit und das Gefühl immer an einem gemeinsamen Strang zu ziehen, schätzen wir sehr und möchten dies auch nicht mehr missen.

KRANKENHAUS Radiology Advanced: Webportal-basierter Prozessablauf der Teleradiologie nach Strahlenschutzgesetz
44 RADIOLOGIE MAGAZIN 1-2021 X -TRA
Dr. Christian Nitzsche, Chefarzt der Radiologie der Caritas Kliniken Berlin

werden und dabei Röntgendemonstrationen für die überweisenden klinischen Kollegen durchführen.

Spezialisierte Experten verbessern die Befundqualität

Letztlich erlaubt die technische Vernetzung auch verschiedene weitere Nutzungsmöglichkeiten jenseits der „klassischen Teleradiologie“ nachts und an den Wochenenden. Spezialisierte Fachexpertise kann in Form von Zweitmeinungen auch für am Tage erstellte Untersuchungen eingeholt werden, zum Beispiel für komplexe Untersuchungen wie MRT-Aufnahmen der Leber, der Prostata oder des Herzens. Eine solche Einbindung von spezialisierten Experten verbessert die Befundqualität und damit das therapeutische Outcome maßgeblich. Ferner trägt die zusätzliche Fachkompetenz fortlaufenden zur Schulung der Fachärzte vor Ort bei.

Effizienter Personaleinsatz in der Teleradiologie bringt jeder Klinik wirtschaftliche Vorteile Eine intelligente Nutzung der Teleradiologie bietet aus Sicht des Klinikträgers sicherlich auch handfeste wirtschaftliche Vorteile. Krankenhäuser ohne Teleradiologie halten ihre Bereitschaftsdienste personell selbst vor, was meist aufgrund der geringen Untersuchungszahlen außerhalb der regulären Arbeitszeiten, die entstehenden Kosten gemessen an dem tatsächlich benötigten Einsatz in ein Missverhältnis bringt. Die Unterstützung durch einen verlässlichen Partner lässt es zu, dass die Nachtund Wochenenddienste nicht nur gesichert sind, sondern auch mit geringeren Kosten umgesetzt werden können. Aufgrund der Tatsache, dass Teleradiologen meist mehr als nur eine Klinik gleichzeitig im Dienst betreuen, ergibt sich für professionelle Teleradiologie-Anbieter die

Möglichkeit mit fairen Preisen ihre Klinik-Kunden zu versorgen. Ferner können die üblicherweise notwendigen Puffer für Abwesenheiten durch Krankheit, Urlaube oder Elternzeit bei der Planung der personellen Ausstattung radiologischer Abteilungen eingespart werden.

Die Teleradiologie ist auf Wachstumskurs Alle Aspekte des generellen Mangels an hochqualifiziertem Personal, die immer besseren Möglichkeiten einer technischen Vernetzung und digitalen Umsetzung sowie der Wirtschaftlichkeitsfaktor werden der Teleradiologie, der ältesten Disziplin der Telemedizin, zu einem weiteren Entwicklungsschub verhelfen und in der Zukunft einen festen Platz in der klinischen Patientenversorgung sichern.

www.radiology-advanced.com

MAGAZIN X -TRA FDR D-EVO III VON FUJIFILM: DIE WELTWEIT ERSTEN GLASFREIEN DETEKTOREN NEU • Der folienbasierte Detektor verringert das Risiko der Beschädigung durch einen externen Schock, z.B. Herunterfallen. • Das dünne Trägermaterial reduziert das Gewicht um ca. 40% • Die verbesserte DQE liefert detailreiche Bilder bei nochmals reduzierter Dosis.

Schnellere Krebserkennung

3DQuorum-Bildgebungstechnologie mit Genius AI nun in der DACH-Region verfügbar

Die 3DQuorum-Bildgebungstechnologie mit Genius AI von Hologic ist jetzt auf dem deutschen, schweizerischen und österreichischen Markt verfügbar. Die neue Technologie wurde speziell entwickelt, um Effizienz und Workflow in der Mammografie zu optimieren – angesichts des aktuellen Aufholbedarfs bei Brustkrebsvorsorgeuntersuchungen durch den COVID-19 bedingten Lockdown von besonderer Relevanz.

Die 3DQuorum-Technologie verwendet Genius AI, auf KI basierte Algorithmen, um aus den hochauflösenden 3D-Daten sechs Millimeter SmartSlices zu erzeugen. Diese Algorithmen identifizieren klinisch relevante Auffälligkeiten und bewahren diese Merkmale bei

der Rekonstruktion der SmartSlices. 1,2 SmartSlices verkürzen die Befundungszeit durch die Reduktion der zu befundenden Schnittbilder ohne Kompromisse bei der Bildqualität, Sensitivität und Genauigkeit.1,2 Mit der 3DQuorumTechnologie reduziert sich die Anzahl der zu überprüfenden 3D-Bilder um zwei Drittel, was zu einer durchschnittlichen Zeitersparnis von einer Stunde pro acht Stunden täglicher Bildauswertungszeit führt.1,2,3

Eine Effizienzsteigerung im Workflow der digitalen Brusttomosynthese (DBT, 3D) ist auch sinnvoll, da die im Juni 2020 veröffentlichten Leitlinien der Initiative der Europäischen Kommission gegen Brustkrebs (ECIBC) für die Früherken -

nung und Diagnose von Brustkrebs erstmals eine Empfehlung sowohl für die 3D-, wie auch die 2D-Mammografie als Goldstandard im Screening beinhalten. Bei der DBT werden jedoch eine Menge großer Dateien und Bilder erzeugt, die den Bildauswertungsprozess für Radiologen zeitaufwendiger machen.

1 Technische Daten: TFL-00059

2 Bericht: CSR-00116

3 Physician Labeling: MAN-06153Hemus obus,

 HOLOGIC Medicor GmbH · Heinrich-Hertz-Straße 6 50170 Kerpen · tel 0 22 73 / 98 08-0 · zentrale@hologic.com · www.hologic.de
46 RADIOLOGIE MAGAZIN 1-2021 X -TRA

Zukunftsthemen Radiologie

Die Digitalisierung und technologischen Entwicklungen der letzten Jahre haben in der Medizin dazu geführt, dass das Volumen der gespeicherten Patienteninformationen stetig ansteigt. Die Fülle an Daten liefert wertvolle Informationen für die Diagnostik und Therapie eines Patienten und bietet damit großes Potential für die Verbesserung der Gesundheitsversorgung. Die Herausforderung ist es allerdings, in dieser enormen Flut an Daten, die für einen Menschen nur schwer zu erfassen und überblicken ist, die jeweiligen Muster der Krankheiten zu erkennen und die Informationen tatsächlich zu nutzen. Auch die Radiologie mit der wachsenden Menge an diagnostischen Bilddaten ist von dieser Entwicklung stark betroffen. Hier ist vor allem die Befundung aller Bilder die zeit­ und personalintensive Herausforderung.

Der Einsatz von Künstlicher Intelligenz (KI) sowie maschinellem Lernen kann an dieser Stelle Abhilfe schaffen. Unter KI wird konkret der Einsatz von unterschiedlichen Methoden verstanden mit dem Ziel, menschliche Entscheidungsstrukturen nachzubilden und so komplexe bzw. aufwendige Aufgaben automatisiert durch einen Computer lösen zu lassen. Der große Vorteil besteht darin, dass riesige Datenmengen in kürzester Zeit analysiert und Muster schneller erkannt werden können. Speziell im Bereich der Radiologie bedeutet das beispielsweise, dass der Anwender durch ein System Vorschläge hinsichtlich der Diagnose oder Warnungen erhält. Unser Anspruch ist dabei, den Radiologen durch den Einsatz modernster Technologien dahingehend zu unterstützen, dass er sich auf seine eigentliche Kernaufgaben fokussieren kann.

Betreffend den Einsatz von KI-Algorithmen verfolgt Dedalus HealthCare einen dreistufigen Ansatz: ◼ Integration etablierter Lösungen in die bestehenden Workflows – Algorithmen und Softwarekomponenten werden in unsere Produkte implementiert ◼ Entwicklung eigener Module für die Optimierung der Befundung – Verfolgung eines flexiblen Plugin-Konzepts, um besonders die Diagnostik spezieller Fachbereiche zu unterstützen ◼ Bereitstellung von Schnittstellen für Entwicklungen durch unsere Kunden www.dedalusgroup.de

X -KLUSIV 47 RADIOLOGIE MAGAZIN 1-2021

Die Basis einer jeden KI-gestützten Arbeit stellt eine strukturierte Datenhaltung dar. Damit diese intelligent genutzt werden können, kommen zunehmend sogenannte Data Warehouses (DWH) zum Einsatz. Aus den klinischen Informationssystemen werden alle, für die weitere Bearbeitung benötigten Daten exportiert und im DWH normiert abgelegt. Innerhalb dieses „Extract, Transform, Load“ (ETL) Prozesses findet eine Nominalisierung und Bereinigung statt, sodass für diese Arbeit eine manuelle Datenanpassung entfällt. Durch die Verfügbarkeit der Daten aus den klinischen Informationssystemen stehen neben klassischen, manuell dokumentierten Parametern, auch sogenannte Systemzeitstempel zur Verfügung. Mit deren Hilfe können Berechnungen über die Dauer von einzelnen Arbeitsschritten oder die gesamten Untersuchungen ermöglicht werden. Einzelne Datenwürfel stellen gezielt für die Fachbereiche des Krankenhauses themenbezogene Standardberichte zur Verfügung und bieten gleichzeitig die volle Flexibilität für ein modernes Ad-Hoc Reporting.

Für den Bereich dieser Business Intelligence Anwendungen bietet Dedalus HealthCare mit TIP HCe alle benötigten Werkzeuge, um sowohl ein nach modernsten Maßen skalierbares und normiertes DWH aufzubauen, als auch den Grundstein für die nächste Ebene zu setzen: Mit Hilfe von Business Analytics und Process Mining Auswertungen können nicht nur vergangene, sondern auch prospektive Analysen durchgeführt werden, sodass geziehlte Predictive Analytics möglich sind. Oft sind es nicht die aufwendige Identifizierung spezieller Krankheitsbilder oder ungewöhnliche Pathologien, bei denen Radiologen Unterstützung wünschen, sondern die häufigen

Dinge bei der alltäglichen Befundung, wie zum Beispiel die untersuchungsspezifische Anordnung der Serien auf den Bildschirmen, ohne vorherige zeitintensive Konfiguration eines Hanging Protocols (HP) im PACS. Hierbei wird DeepUnity Diagnost zukünftig mit maschinellem Lernen helfen. Sogenannte Support-Vektor-Maschinen kommen dabei als Lernalgorithmen zum Einsatz, die Metadaten der Bilder analysieren und klassifizieren. Die Ergebnisse lassen sich für die Zuordnung der Bild- beziehungsweise Serienauswahl anhand der in den Metadaten enthaltenen Informationen bei der Erstellung von HPs in DeepUnity Diagnost zukünftig verwenden.

Ein erster Prototyp zeigt sehr eindrucksvoll, wie bereits das Lernen von nur zwei manuell erstellten Aufhängungen von MR-Schädeluntersuchungen dazu führt, dass die Serien einer dritten Untersuchung bereits weitestgehend gewünscht angeordnet werden. Das anschließende Training mit weiteren Beispielen führt schnell zu einer Verfeinerung des vorhergesagten HPs bis hin zur verlässlichen Aufhängung bei jeder weiteren Untersuchung. Und das ohne zusätzliche Tätigkeiten, denn fürs Lernen des HP-Training reicht ein einzelner Mausklick oder Tastendruck. Diese hilfreiche Funktion des Prototypen wird als fester Bestandteil in eines der nächsten Releases von DeepUnity Diagnost einfließen.

Neben dem aktuell hohen Interesse am Thema KI und den vielfältigen Anwendungsmöglichkeiten solcher Algorithmen in der Radiologie, dürfen natürlich auch andere Mechanismen zur Optimierung der Arbeitsabläufe durch Automatisierung und Standardisierung, sowie die allgegenwärtigen Anforderungen an die IT-Sicherheit nicht außen vor gelassen werden.

#intelligenter RADIOLOGIE MAGAZIN 1-2021 48

bis zu Arztbriefen. Freitexte können für das menschliche Auge angenehmer sein als Strukturdokumente, stellen aber eine Hürde für die maschinelle Weiterverarbeitung dar. Vor diesem Hintergrund sprechen nicht nur Erwartungen der Effizienzsteigerung, sondern vor allem die Wiederverwendbarkeit der Daten

für die Umsetzung einer strukturierten Befundung. Speziell im Bereich der Radiologie etabliert sich dies zunehmend, da diversen Studien zur Folge, durch eine derartige Bearbeitung bessere Befundtexte entstehen. Zusätzlich kann durch strukturierte und standardisierte Befunde gewährleistet werden, dass auch bei komplexen Behandlungen alle benötigten Informationen in gleicher Art und Weise beurteilt werden.

Eine Möglichkeit, radiologische Befunde strukturiert zu erstellen bietet Smart Reporting, ein Spinoff der Ludwig-Maximilian-Universität in München. Smart Reporting unterstützt die Radiologen bei ihrer Kernaufgabe, der Erstellung von Befunden – einfach, schnell und sicher. Dazu werden Befundvorlagen verwendet, die von Experten im klinischen Alltag getestet wurden. Die Integration in ORBIS RIS der Dedalus HealthCare ermöglicht dabei eine nahtlose strukturierte Befundung im führenden System, ohne dass der Anwender seine gewohnte Befundungsumgebung verlassen muss.

#strukturierter

Welche Unterstützungen durch computerbasierte Berechnungen sich im radiologischen Alltag mit Dedalus HealthCare etabliert haben und demnächst noch weiter automatisiert werden, zeigen beispielhaft folgende zwei Anwendungsfälle: Mammo-Pre-Processing – In der Mammographie-Erweiterung von DeepUnity Diagnost wird die Befundung durch Vorverarbeitung der Bilddaten unterstützt. Zu diesen hilfreichen Funktionen basierend auf der Berechnung der Brustkontur zählen die automatische Bildausrichtung, Rechts-Links-Angleich sowie der Smart-Invert. Die nötigen Berechnungsschritte finden zurzeit noch einmalig beim ersten Laden einer Mammo-Untersuchung statt. Bald wird

dies direkt beim serverseitigen Empfang der DICOM Daten von der Modalität stattfinden, so dass der initiale Ladeprozess noch weiter optimiert wird. Co-Registrierung – Zum gleichen Zeitpunkt wird ebenfalls die Vorberechnung der Registrierung von Schichtbildstudien für die synchronisierte Anzeige und Navigation über Untersuchungen hinweg in DeepUnity Diagnost stattfinden. Auch diese Funktion, die heute durch den Radiologen während der Befundung angestoßen wird, ist zukünftig fester Bestandteil von Algorithmen der Nachverarbeitung beim Eingang von DICOM Studien.

49 RADIOLOGIE MAGAZIN 1-2021 X -KLUSIV
#automatisierter

Mit Ultraschall in die Zukunft

Aison Technologies verschiebt die Grenzen der Ultraschalltechnologie, um eine konsequente Krankheitsverfolgung mit verbesserter Bildqualität zu ermöglichen. Robotik und Machine ­L earning­basierte Algorithmen verwandeln Ultraschallbilder in präzise 3D ­Datensätze.

Momentan handelt es sich noch um einen Prototypen, doch die promovierte Physikerin Dr. rer. nat. Sophia Borowka, Mitbegründerin und Geschäftsführerin von Aison Technologies, ist überzeugt, in wenigen Monaten ein marktreifes System anbieten zu können. Die engagierte Wissenschaftlerin hat sich mit ihrem jungen Unternehmen zum Ziel gesetzt, die Aufnahmetechnik von Ultraschalluntersuchungen zu standardisieren und so zu präzisieren, dass es möglich ist, detailreiche 3D-Bilddatensätze

mit den in der Radiologie üblichen sagittalen, frontalen und axialen Ansichten auf einem Viewer darzustellen.

Vorerst fokussiert sich das im schweizerischen Winterthur beheimatet Unternehmen auf Untersuchungen der Hand. Weitere Anwendungen sind jedoch bereits geplant. „Die Hand ist ein komplexes Organ, kann unglaublich detailliert im Ultraschall dargestellt werden und etwa 20 Prozent der Bevölkerung leiden an Rheuma, was im Ultraschall von der schwerwiegendsten Variante,

der rheumatoiden Arthritis, abgegrenzt werden kann. Unser Ziel ist es, Ultraschalluntersuchungen zu standardisieren und es auch ungeübten Ärzten zu ermöglichen, hervorragende Untersuchungsergebnisse zu erzielen“, skizziert Dr. Sophia Borowka ihre Unternehmensziele. Gleichzeitig strebt sie an, mithilfe einer verbesserten Diagnostik die Behandlungskosten zu senken. Denn die Medikamente für die Therapie der rheumatoiden Arthritis gehören zu den zehn teuersten Arzneien.

50 RADIOLOGIE MAGAZIN 1-2021 X -PERT
Das zum Patent angemeldete Aison Pad sorgt für eine optimale Übertragung der Ultraschallwellen indem es die Kontaktfläche maximiert.

Robotik und KI

Die Funktionsweise des Systems basiert auf Künstlicher Intelligenz und Robotik. Während die Robotik den Transducer motorisch über die Hand bewegt und die empfangenen Ultraschallsignale exakt in einem dreidimensionalen Koordinatensystem aufzeichnet, sorgt die Künstliche Intelligenz in einem Cloud-basierten Postprocessing dafür, dass das gescannte Volumen automatisiert segmentiert werden kann.

Dr. Borowka erklärt: „Die Hand besteht aus Knochen, Muskeln, Sehnen, Gefäßen und Fettgewebe. Für die Diagnostik der rheumatoiden Arthritis ist es vorteilhaft, einzelne Strukturen an- und ausschalten zu können.“ Die Technologie von Aison lässt sich in Verbindung mit den meisten handelsüblichen Ultraschallsystemen verwenden. Um jedoch Handscans mit Schweizer Präzision anzufertigen, wird zusätzlich ein Pad benötigt, das dafür sorgt, die Ultraschallwellen möglichst effizient in den Körper zu leiten und wieder zu empfangen. Bei den gekrümm-

ten Oberflächen der Hand reicht Ultraschallgel alleine nicht aus, um Transducer und Körper akustisch zu verbinden.

Komplettiert wird das System durch einen Scanroboter: eine Mechanik, die den Schallkopf über das Organ bewegt, um die Echos konkreten Raumkoordinaten zuzuordnen. Wie bei fast allen KISystemen steckt die Intelligenz der Technologie von Aison in der Cloud. Denn es bedarf einer besonderen Rechenleistung, um die registrierten DICOM-Bilder in einen dreidimensionalen Datensatz zu verwandeln und Gewebestrukturen automatisiert zu segmentieren.

Neben der Erstanwendung rheumatoide Arthritis plant die Jungunternehmerin mit der Diagnostik von Beinvenenthrombosen bereits jetzt die nächste Anwendung für den Einsatz ihrer innovativen Ultraschalltechnik.

„Den idealen Arzt der Zukunft stelle ich mir als sehr guten Zuhörer vor, der bzw. die den Patienten umfänglich begreift und gleichzeitig die besten technischen Mittel zurVerfügung hat, um evidenzbasiert zu diagnostizieren und die beste Therapie auszuwählen.“

Dr. rer. nat. Sophia Borowka, Mitbegründerin und Geschäftsführerin von Aison Technologies

Die Technologie von Aison erzeugt 3D-Bilder der Hand und ist in der Lage unterschiedliche Gewebestrukturen zu segmentieren. Aison Pad und Aison Pro werden in Verbindung mit allen handelsüblichen Ultraschallsystemen funktionieren.
www.aisontechnologies.com 51 RADIOLOGIE MAGAZIN 1-2021 X -PERT

Bruch – sicher!

Die konventionelle Röntgenbildgebung gilt bei zahlreichen Fragestellungen in der muskuloskelettalen Bildgebung auch heute immer noch als primäre Diagnostik und kommt häufig im Notfallröntgen zum Einsatz, wenn es um die Untersuchung von Knochenbrüchen geht. Studien belegen, dass etwa ein Fünftel aller Sekundärfrakturen übersehen wird. Der KI­Algorithmus von Gleamer schafft Abhilfe.

In Summe stellt Prof. Dr. med. Nicolas Theumann, Facharzt für Radiologie am Institute de Radiologie der Clinique BoisCerf in Lausanne, heute 10 bis 20 Prozent mehr Knochenbrüche fest als früher. Dabei handelt es sich in der Regel um unscheinbare Frakturen. Große Frakturen stechen einem Radiologen auch so ins Auge. „Insbesondere wenn hauptsächlich notfallmäßige Röntgenaufnahmen zu befunden sind, konzentriert man sich eher auf die großen und einzelnen Knochenbrüche beziehungsweise auf auffällige Strukturen. Manchmal ist es auch sehr schwer, Brüche in der Nähe von Gelenken zu erkennen“, berichtet Prof. Theumann aus der täglichen Praxis.

Verbesserung der Arbeitsweise

Seit der Radiologe die konventionellen Röntgenaufnahmen von einem KIAlgorithmus analysieren lässt bevor er sie sich ansieht, kommt er deutlich schneller zu einem Befund. Denn die Software liefert ihm die digitalen Bilder bereits mit einer Markierung versehen, die einen möglichen Knochenbruch anzeigen. Für den erfahrenen Arzt stellt BoneView von Gleamer eine deutliche Verbesserung der Arbeitsweise dar, da er sich schnell auf die problematischen Areale im Bild konzentrieren kann. Die Software weist ihn deutlich auf die verdächtigen Bereiche hin.

52 RADIOLOGIE MAGAZIN 1-2021 X -PERT
Künstliche Intelligenz, um Frakturen in konventionellen Röntgenbildern schneller und sicherer zu erkennen

Auch Dr. Aurelien Lambert, Facharzt für Radiologie in der IM2P Radiology Group in Dijon, hat seit etwa zwei Jahren den KI-Algorithmus von Gleamer im Einsatz. Er verwendet BoneView nicht, um den Arbeitsablauf zu beschleunigen, sondern, um sicherere Diagnosen zu erstellen. Für Dr. Lambert liegt der wesentliche Vorteil der Lösung darin, dass ein „sofortiger zweiter Blick“ seine Analyse der Bilddaten absichert. Denn auch er stellte fest, dass manche diskreten Frakturen mithilfe von BoneView einfach besser erkannt werden. Und er ist sich sicher, dass das mit dem bekannten Phänomen des „Satisfaction Bias“ zu tun hat.

Im Falle der muskuloskelettalen Bildgebung bedeutet das: Sobald die erste Fraktur gefunden wurde, die mit dem Beschwerdebild des Patienten übereinstimmt, wird die Bildanalyse beendet. Ein Effekt, der genau dazu führt, dass zahlreiche Frakturen übersehen werden. Bleiben die Schmerzen bestehen, werden diese Patienten oftmals weiteren Diagnoseverfahren zugeführt und es folgen deutlich teurere Untersuchungen mit Computer- oder Kernspintomographen. Der Genesungsprozess verzögert sich.

„Insbesondere an arbeitsreichen Tagen, wenn wir viele Knochenbrüche diagnostizieren, stellten wir früher nach kurzer Zeit eine gewisse Ermüdung fest“, blickt Prof. Theumann zurück.

„Mit Gleamer hat sich die Qualität unserer Diagnosen deutlich verbessert, wobei wir ein besonderes Augenmerk auf die Korrelation mit klinischen Daten legen.“

Dijon

Mit Gleamer fällt es ihm leicht, an einem Tag deutlich mehr Röntgenaufnahmen mit Knochenbrüchen zu analysieren.

Einen Bruch des Femurkopfes erkennt er sicher und schnell, aber um die feinen Strukturen am Oberschenkelhals zu beurteilen, bedarf es schon sehr viel mehr Aufmerksamkeit.

Hohe Zuverlässigkeit

Bei den meisten unerkannten Frakturen handelt es sich um Sekundärfrakturen.

Der Anteil liegt in etwa bei 80 Prozent. Das bedeutet aber auch, dass 20 Prozent aller Frakturen nicht auf den ersten Blick aufgefallen sind. Prof. Theumann ist sich sicher: „Wir Radiologen sind im Prinzip nicht so schlecht. Mit der zusätzlichen KI-basierten Softwareunterstützung können wir uns jedoch viel mehr auf die Details in den Aufnahmen konzentrieren und müssen den Bruch nicht lange suchen.“

In seiner Röntgenabteilung in Lausanne werden inzwischen alle Röntgen-

schneller.“

aufnahmen der Notaufnahme dem KI-Algorithmus zugeführt, um die Bilder automatisiert zu analysieren. Das Team der Radiologie fokussiert sich bei der Bildanalyse von Knochenbrüchen primär auf die Markierungen, die BoneView einfügt und die Erfahrung der letzten drei Monate haben gezeigt, dass der KI-Algorithmus mit einer sehr hohen Trefferquote zuverlässig funktioniert. Eine klinische Studie belegt, dass mithilfe von BoneView die Diagnosesicherheit steigt. Im Vergleich zur konventionellen Befundung steigt die Sensitivität bei der Befundung einzelner Frakturen um 12 Prozent und bei Viefachfrakturen um 22 Prozent. Insge s amt geht mit BoneView die Anzahl übersehener Knochenbrüche um etwa 30 Prozent zurück. Fast jeder Bruch wird auf Anhieb sicher erkannt.

www.gleamer.ai

Dr. Aurelien Lambert, Facharzt für Radiologie in der IM2P Radiology Group in
„Durch
die automatisierte Befundunterstützung wurden unsere Diagnosen nicht nur sicherer, sondern auch Prof. Dr. med. Nicolas Theumann, Facharzt für Radiologie am Institute de Radiologie der Clinique Bois-Cerf in Lausanne
53 RADIOLOGIE MAGAZIN 1-2021 X -PERT

Die diagnostischen Referenzwerte im Fokus

Seit der Einführung der neuen Strahlenschutzverordnung (StrlSchV) rückte die Einhaltung und digitale Dokumentation der Dosisreferenzwerte (DRW) von Patientinnen und Patienten immer mehr in den Fokus. Damit wird gewährleistet, dass gesundheit l iche Risiken durch Röntgenstrahlen langfristig minimiert werden.

Automatischer Transfer der Patientendosiswerte zur DoseCORE-Konsole

Das Flächendosismessystem KermaX erfasst die individuellen Patientendosismesswerte, um die Einhaltung der DRWs zu überwachen

Analyse der Patientendosismesswerte Anzeige des Messwerts
Vergleich des Messwerts mit dem DRW
54 RADIOLOGIE MAGAZIN 1-2021 X -TRA 1 2 3
Automatische Archivierung

MTRAs bekommen nach jeder Aufnahme ein visuelles Feedback zum Dosiswert und können die Einhaltung der Dosisreferenzwerte einfach dokumentieren.

Automatische Archivierung & Verwaltung aller Patienten-Dosiswerte

Betreiber von Röntgensystemen in Praxen, Kliniken und Krankenhäusern sehen sich im Zugzwang. In Zukunft müssen laut neuem Recht die Werte, die zur Ermittlung der Patientendosen nötig sind, digital erfasst und überwacht werden.

Die Umsetzung der Euratom-Richtlinie fordert bei radiologischen Untersuchungen minimale Dosis bei der jeweils für die Befundung notwendigen Bildqualität. Um diese Anforderung einfach, effizient und kostengünstig umzusetzen, hat es sich IBA Dosimetry zur Aufgabe gemacht, diese Bedingungen in einem Tool zu vereinen und hocheffiziente Abläufe speziell in kleinen und mittleren radiologischen Praxen zu ermöglichen. Mit DoseCORE ist es leicht möglich, die Sicherheit der Untersuchung zu steigern sowie gleichzeitig die in der Verordnung geforderte Erfassung und Überwachung einzuhalten.

Die Vorteile im Überblick

DoseCORE hilft die diagnostischen Referenzwerte und die Patientendosis aller Patienten bei jeder Untersuchung im Blick zu behalten und damit nicht nur die Anforderungen der Strahlenschutzverordnung einzuhalten, sondern auch den Schutz der Gesundheit der Patienten zu verbessern.

Die Vorteile des Einsatzes von DoseCORE sind vielfältig: ◾ Effizient: Automatisierter Routineablauf und einfache Implementierung in den Arbeitsalltag ◾ Intelligent: Unmittelbare Darstellung der Dosiswerte gegenüber den behördlichen Referenzwerten ◾ Konform: Unterstützt Sie bei den gesetzlichen Anforderungen bezüglich elektronischer Verwaltung und Meldung der Patienten-Dosiswerte

Die Anwender können auf die digitalisierten Prozesse von DoseCORE vertrauen. Durch die automatische Analyse und Dokumentation medizinischer Exposition kommt es nie wieder zu Eingabefehlern oder vertauschten Daten. Durch DoseCORE wird das Röntgen-Team von Dokumentationsaufgaben entlastet und kann sich wieder mehr Zeit für Patienten nehmen. Des Weiteren sorgt das System für übersichtliche Abläufe und gewährleistet dadurch Sicherheit, was Kollegen und Patienten sicher sehr zu schätzen wissen.

www.iba-dosimetry.de

55 RADIOLOGIE MAGAZIN 1-2021 X -TRA

Gehirnblutung oder Gefäßverschluss

Handelt es sich um eine intrakranielle Blutung oder ist ein großes Gefäß verschlossen?

Ein Schlaganfall kann auf unterschiedliche Ursachen zurückzuführen sein. Deshalb ist es besonders wichtig, in kürzester Zeit über eine aussagekräftige Diagnostik zu verfügen.

Mit der Deep ­L earning­basierten Auto ­ Stroke ­ Solution bringt Canon eine Lösung auf den Markt, die nicht nur selbstständig Bilder erstellt, sondern auch noch den Befundbericht dazu liefert.

nen, um in kurzer Zeit fundierte Behandlungsentscheidungen treffen zu können. „Mit Auto-Stroke fassen wir nicht nur das Untersuchungsergebnis in einem Bericht zusammen, sondern stellen auch noch sicher, dass die Informationen ebenfalls auf mobilen Geräten, PCs oder im PACS eingesehen werden können“, erklärt Michael Glasa die Funktionsweise der Lösung für Schlaganfall-Netzwerke.

Auto-Stroke beinhaltet das komplette Portfolio für die Schlaganfalldiagnos

Mit der Auto-Stroke-Solution präsentiert Canon eine Lösung, die in der Lage ist, ohne einen einzigen Klick unterschiedliche Arten von Schlaganfällen zu bestimmen und automatisiert eine detaillierte Auswertung zu erstellen. Um den Zustand des Schlaganfalls vollständig zu charakterisieren, analysiert das System, das auf Canons ebenfalls neuer Automation-Platform läuft, selbständig CT-Scans. Den Notfall- und Stroke-Teams werden in kürzester Zeit Informationen zur Verfügung gestellt, die bei der klinischen Bewertung und Behandlung von Schlaganfällen helfen. „Die Auto-Stroke-Lösung integriert drei Schlaganfall-Applikationen, um sicherzustellen, dass die Unter-

suchung eine exakte Abbildung dessen liefert, was im Patienten vor sich geht“, beschreibt Michael Glasa, Produktmanager Healthcare IT & Manager Sales Support CT bei Canon Medical Systems, das neue System.

Diagnostik ohne Klick

Wenn die Zeit drängt, helfen die AutoStroke Deep-Learning-Algorithmen bei Hirninfarktpatienten schnell, unterschiedliche Variationen einer intrakraniellen Blutung oder große Gefäßverschlüsse zu lokalisieren, beziehungsweise die Penumbra und den potentiellen Infarktkern anzuzeigen. Denn die Kliniker benötigen schnellstmöglich Informatio-

Welche Therapie bei einem Schlaganfall die beste Option darstellt, hängt von vielen Faktoren ab. Speziell bei Verschlüssen großer Gefäße (LVO – Large Vessel Obstruction) scheint eine endovaskuläre Intervention im Vergleich zur systemischen Lyse bessere Ergebnisse zu liefern. Da im Falle einer Verlegung der Patient*Innen eventuell Transportzeiten berücksichtigt werden müssen, ist eine möglichst exakte Diagnostik noch vor Ort von besonderem Vorteil. Für die systemische Lyse gilt ein Zeitfenster von drei bis viereinhalb Stunden und für die endovaskuläre Intervention bis zu sechs Stunden – in Ausnahmesituationen bis zu 16 Stunden.

Je früher nach dem Symptombeginn eine Reperfusion erreicht wird, desto erfolgversprechender sind bei beiden Therapiearten die Aussichten auf eine Besserung der Symptomatik.

56 RADIOLOGIE MAGAZIN 1-2021 X -KLUSIV

Michael Glasa: „Eine schnelle Triage ist für den Patienten ausschlaggebend. Mit Auto-Stroke beschleunigen wir den gesamten Befundprozess. In weniger als 60 Sekunden analysieren die Algorithmen parallel die Bilder von bis zu drei unterschiedlichen Untersuchungen und die Befundberichte werden vollkommen automatisiert angefertigt, ohne dass eine Maus oder eine Tastatur bedient werden müssen.“

Automatischer Befundversand

Während die Scans der CT-Untersuchung bisher erst ins PACS übertragen und anschließend auf die Befundstation geladen werden mussten, um sie manuell zu bearbeiten, zu analysieren und einen Befundbericht zu diktieren, kommt Auto-Stroke ohne einen einzigen Mausklick aus. Denn die AutomationPlatform von Canon automatisiert den gesamten Prozess von der Bildanalyse bis zum fertigen Befund. Da heißt, die Bilder gelangen direkt vom Computertomographen zur Weiterverarbeitung, so dass der Radiologe beziehungsweise die weiterbehandelnden Ärzt*Innen den Befund nur noch validieren müssen.

Michael Glasa zu den Vorteilen der Auto-Stroke Lösung von Canon: „Unsere Algorithmen kategorisieren die Bilder

und analysieren dabei jedes einzelne Pixel. Die Software stellt sogar selbstständig fest, ob die Untersuchung mit oder ohne Kontrastmittel durchgeführt wurde.“ Handelt es sich um eine Untersuchung ohne Kontrastmittel, sucht Auto-Stroke nach einer Gehirnblutung und erkennt selbstständig die unterschiedlichen Arten: subdural, epidural oder subarachnoidal. Wurde bei der Untersuchung Kontrastmittel verwendet, sucht die Maschine nach einem Gefäßverschluss. Und auch Perfusionsstudien werden automatisiert ausgewertet.

Sowohl die ausgewerteten Bilder, als auch die maschinell erstellten Reports werden direkt ins PACS geschickt. Man kann das System auch so einstellen, dass es den Report per E-Mail entweder an die behandelnden Ärzt*Innen oder zusätzlich an die Radiolog*Innen versendet. Im PDF-Befundbericht sind in den Bildern die verdächtigen Areale markiert beziehungsweise farblich hervorgehoben, so dass leicht zu erkennen ist, wo eine Veränderung stattgefunden hat.

Hohe Sensitivität und Spezifität

Trotz der enormen Verlässlichkeit des Algorithmus, liegt es an den weiterbehandelnden Ärzt*Innen, das automatisiert erstellte Ergebnis zu validieren.

Für die Analyse intrakranieller Blutungen wurde der Deep-Learning-Algorithmus anhand von mehr als 10.000 Fällen trainiert. Die gemessene Sensitivität beträgt 92 Prozent und die Spezifität erreicht einen Wert von 97,5 Prozent. Bei der Unterscheidung von Gefäßverschlüssen liegen die Werte von Sensitivität und Spezifität bei jeweils 98 Prozent. Bei der CT-Perfusionsmessung nutzt die Anwendung die Bayesischen CTP+ Algorithmen, um die Penumbra und den Infarktkern ohne einen einzigen Klick zu quantifizieren. Dabei können nicht nur 2D sondern auch 4D Studien gleichermaßen ausgewertet werden.

Der große Vorteil von Auto-Stroke besteht darin, dass die Kliniker*Innen innerhalb kürzester Zeit einen kompletten Befundbericht zugeschickt bekommen, um schnell die richtige Therapie Entscheidung treffen zu können. Das System ist in der Lage, innerhalb eines Zeitraums von etwa 30 bis maximal 60 Sekunden automatisiert und mit hoher Zuverlässigkeit Schädel-CT-Scans auszuwerten und unterschiedliche Arten von Schlaganfällen zu differenzieren.

Automatisierte Befundberichte

▪ Für intrakranielle Blutungen

▪ Unterstützt die Erkennung mehrerer Varianten von Blutungen ▪ Benachrichtigt den Benutzer über das Vorhandensein einer DICOM-Bildausgabe, die das Vorhandensein einer potenziellen Blutung hervorhebt und zeigt verdächtige Schichten an

Große Gefäßverschlüsse

▪ Liefert DICOM-Bilder, die das Vorhandensein einer potenziellen LVO in der M1- und M2-Region hervorheben

▪ Weist den Anwender auf das vermutete Vorhandensein einer LVO hin und zeigt die potenzielle Position und die vermuteten Schichten an, in denen die LVO sichtbar gemacht werden kann

Perfusionsanalysen

Automatische Ausgabe von fünf parametrischen Karten: Zeit bis zum Maximum (Tmax), mittlere Transitzeit (MTT), relativer zerebraler Blutfluss (rCBF), relatives zerebrales Blutvolumen (rCBV) und Zeit bis zum Maximum (TTP)

▪ Übersichtskarten kommunizieren die Ergebnisse einer CT-Perfusionsuntersuchung und liefern eine Gewebeklassifizierung

de.medical.canon
57 RADIOLOGIE MAGAZIN 1 -2021 X -KLUSIV

KI-basierte Schlaganfalldiagnostik

Die Sana Kliniken Lübeck stehen für einen hochwertigen Versorgungsauftrag. Um die Diagnostik und Therapie von Schlaganfallpatienten zu verbessern, setzt das Krankenhaus der Lübeckerinnen und Lübecker seit mehr als einem Jahr auf die automatisierte Auswertung von CT­ Scans mithilfe von Künstlicher Intelligenz. Das beachtliche Ergebnis: die Zeit von der Ankunft in der Klinik bis zum Beginn der Behandlung wurde um acht Minuten verkürzt.

Als Mitglied im Schlaganfallnetzwerk Schleswig-Holstein Süd sind die Sana Kliniken Lübeck bekannt für ihre schnelle Diagnostik und kompetente Therapie beim akuten Schlaganfall. Egal ob systemische Thrombolyse oder minimalinvasive intrakranielle Thrombek tomie, Prof. Jan Peter Goltz, Chefarzt des Instituts für Diagnostische und Interventionelle Radiologie und stellvertretender Direktor des Herz- und Gefäßzentrums, Dr. Jens Schaumberg, Chefarzt der Klinik für Neurologie, und Dr. Christian D yzmann, Sektionsleiter Neuroradiologe, arbeiten eng zusammen, um die Patienten möglichst schnell und therapeutisch effektiv zu versorgen.

Außerhalb der regulären Arbeitseiten, also nachts, am Wochenende und an Feiertagen, besteht wie in den meisten Kliniken in Deutschland ein neuroradiologischer Rufdienst, welcher für eine intrakranielle Thrombektomie gerufen wird.

Da beim Schlaganfall jede Minute zählt, entschied sich die Krankenhausleitung für den Einsatz einer Software mit Künstlicher Intelligenz, um den diagnostischen Workflow während und außerhalb der regulären Arbeitszeit weiter zu verbessern. Seit Februar 2020 setzt das Team um Prof. Goltz, Dr. Schaumberg und Dr. Dyzmann auf die e-Stroke-Suite von Brainomix. Ziel war von Anfang an die weitere Verbesserung der medizinischen Versorgung, die aufgrund vorheriger Optimierungen bereits auf einem überdurchschnittlichen Niveau war.

Den Workflow optimieren und die Versorgungszeiten verkürzen „Da nachts sowie an Wochenenden und Feiertagen, wie in den meisten Zentren, kein interventioneller Neuroradiologe vor Ort im Krankenhaus ist, haben wir nach einer Lösung gesucht, die unseren Workflow bei der Untersuchung

von Patienten mit Verdacht auf einen Schlaganfall in diesem Zeitraum unterstützt“, beschreibt der Neuroradiologe Dr. Christian Dyzmann die Ausgangssituation.

Vor Einführung der neuen Software wählte sich der diensthabende Neuroradiologe über einen externen Zugang in das Krankenhaussystem ein, um die Bilder der CT-Untersuchung zu sichten

58 RADIOLOGIE MAGAZIN 1-2021 X -EMPEL

während der behandelnde Neurologe vor Ort im Krankenhaus telefonisch mit ihm in Kontakt stand. Doch bis zum eingehenden Anruf bei den diensthabenden Neuroradiologen und Neurologen war bereits Zeit vergangen; hier setzt die neue Software an.

Heute werden die Scans in den Sana Kliniken additiv von einem KI-Algorithmus analysiert und die Bilder von Pati-

enten mit Schlaganfallverdacht landen ohne Zeitverzögerung bei den Schlaganfallspezialisten im Hintergrunddienst. Dieser Schritt erfolgt automatisch nahezu ohne Zeitverzug. Die Auswertung liefert neben den reformatierten Bildern des Schädel-CT auch eine Einschätzung der Schlaganfallschwere bzw. des bereits untergegangenen Hirngewebes (ASPECT Score), markiert das

e-Stroke besteht aus drei Modulen e-ASPECTS, e-CTA und e-CTP. Diese drei Module sorgen in der e-Stroke Suite für eine automatisierte Auswertung einer multimodalen state-of-the-art Schlaganfalldiagnostik.und zeigt dem behandelnden Arzt auf der Workstation und / oder auf seinem Smartphone / Tablet die Analysedaten aus der KI-Bewertung. Diese Analysedaten dienen dem Arzt als Unterstützung in der Bewertung der SchlaganfallDiagnostik.

Gerinnsel in den Hirngefäßen, liefert eine Auswertung der CT-Perfusion und der CT-Angiographie mit Markierung von Verschlüssen der mittleren Hirnarterie. Die Krankenhausleitung hatte dafür einer Investition in die KI-basierte Decision-Support-Software e-Stroke von Brainomix zugestimmt.

Der Neurologe Dr. Jens Schaumberg ist begeistert: „Der Vorteil der Softwarelö-

59 RADIOLOGIE MAGAZIN 1-2021 X -EMPEL

Die Sana Kliniken AG ist die drittgrößte private Klinikgruppe in Deutschland.

Das Unternehmen zählt zu den bedeutendsten Anbietern im Bereich integrierter Gesundheitsdienstleistungen.

Das Geschäftsmodell ist auf langfristigen Erfolg und das Vertrauen der Stakeholder zum Unternehmen angelegt. Dazu gehören innovative Leistungsangebote, eine Unternehmenssteuerung auf wertebasierten Erfolgsfaktoren und die Verpflichtung zur Transparenz.

sung von Brainomix besteht darin, dass sowohl die Neuroradiologen als auch wir Neurologen die Scans auf unsere Smartphones bekommen und damit die Indikation für die am besten geeignete Therapievariante deutlich schneller stellen können.“ Anhand der übermittelten Bilder sehen die Fachärzte sehr schnell, ob der Patient für eine systemische Lyse oder für eine minimalinvasive intrakranielle Thrombektomie infrage kommt. Die Zahlen belegen, dass bei 10 bis 15 Prozent aller Schlaganfälle ein Kathetereingriff über die Leiste in Betracht kommt. In der Sana Klinik werden 23 Prozent aller Schlaganfallpatienten mit der Lysetherapie behandelt.

Prof. Jan Peter Goltz: „Im Vergleich zu supportiven Softwarepaketen für die Radiologie, die ich noch während meiner Zeit an der Universität kennen lernte, kann ich bestätigen, dass die e-Stroke Software von Brainomix absolut ausgereift ist und uns hilft, die Patientenversorgung deutlich zu verbessern. Die Software-Lösung von Brainomix hebt sich von der Masse ab, da sie sehr verlässliche Ergebnisse liefert.“

Die Auswertung automatisiert

„Time is brain“, erläutert Dr. Dyzmann „für die Schlaganfallpatienten kommt es wirklich auf jede einzelne Minute an. Jede Unterstützung, die hilft, die Zeit bis zu der Behandlung zu verkürzen, ist absolut sinnvoll.“ Deshalb haben die Neuroradiologen und Neurologen der Sana Kliniken Lübeck den Markt evaluiert, um zu sehen, welche Softwarepakete bereits validiert sind, Schlaganfälle auszuwerten.

Dr. Jens Schaumberg: „Früher war es so, dass für die Perfusionsbildgebung immer der Oberarzt oder der Neuroradiologe in die Klinik kommen musste, um die Daten lokal auszuwerten. Deshalb stellt für uns die e-Stroke Software einen Quantensprung dar.“ Je frühzeitiger die systemische Thromboslyse oder intrakranielle Thrombektomie durchgeführt werden kann, umso erfolgreicher wird die Behandlung. Die Brainomix-App beziehungsweise e-Stroke Software hat die Arbeitsweise des Lübecker Schlaganfallteams deutliche verbessert.

Tagsüber werden die Schlaganfallspezialisten durch einen Anruf der Rettungsleitstelle alarmiert, sobald ein

„Seit neuestem sucht eine Künstliche Intelligenz in den CT-Aufnahmen unserer Patienten nach Schlaganfällen, bewertet automatisch und sekundenschnell die Schlaganfallschwere und ermittelt sogar den Verschluss der Hirngefäße. In dieser Zeit können wir uns bereits um die Erstversorgung der Patienten kümmern.“

Prof. Jan Peter Goltz, Chefarzt des Instituts für Diagnostische und Interventionelle Radiologie und stellvertretender Direktor des Herz- und Gefäßzentrums

„Eine frühere Studie stellte fest, dass pro Minute 1,9 Millionen Nervenzellen unter gehen. Anders gesagt sterben pro Minute zwölf Kilometer Myelinfasern, das sind die Fasern, die die Nervenstränge ummanteln.“

Dr. Jens Schaumberg, Chefarzt der Klinik für Neurologie

„Die Sektion für Neuroradiologie bildet in der Diagnostik und Therapie des Schlaganfalls die Schnittstelle zwischen Radiologie und Neurologie. Mit Katheter basierten Eingriffen (Thrombektomie) können Gerinnsel entfernt und somit große Teile des Gehirns vor dem Absterben gerettet werden.“

Dr. Christian Dyzmann, Facharzt für Radiologie und Sektionsleiter Neuroradiologe

60 RADIOLOGIE MAGAZIN 1-2021 X -EMPEL

akuter Schlaganfall ins Krankenhaus gebracht wird. Sofort kümmern sie sich darum, dass das Gerät frei gehalten wird. Die Neuroradiologen und Neurologen warten am CT auf den Patienten.

„Die meisten Schlaganfallpatienten werden angekündigt, so dass wir vorher schon über das Alter oder die Schlaganfall-Symptome informiert sind. Wir sehen dann noch während der Untersuchung, ob das native Schädel-CT ausreicht oder wir noch eine CT-Hirnperfusion beziehungsweise CTA fahren müssen, um einen möglichen Hirnarterienverschluss nachzuweisen“, beschreibt Dr. Jens Schaumberg die Vorgehensweise.

Alle beteiligten Ärzte haben die App auf dem Smartphone und bekommen die vollautomatisierte Befundanalyse unmittelbar nach der Untersuchung per Push-Funktion auf ihr Endgerät geschickt. „Im Rufdienst brauchen wir nicht mehr zwingend einen Rechner

hochzufahren. Der neue Workflow vereinfacht das Dienstsystem gewaltig. Außerdem sind wir viel flexibler und im Rufdienst nachts, am Wochenende und an Feiertagen sogar schneller“, berichtet Dr. Christian Dyzmann.

Unmittelbar nach Befundeingang auf dem Smartphone kann er gemeinsam mit dem neurologischen Kollegen die Indikation zur intrakraniellen Thrombektomie stellen, den Anästhesisten anrufen und die MTRA verständigen. Und dann geht es im Grunde auch schon los. In der Klinik wird nur noch für den Zugangsweg eine coronare MIP Rekonstruktion der CTA kontrolliert, damit er weiß, welche Katheter zum Sondieren benötigt werden oder ob Schwierigkeiten im Zugangsweg bestehen. Für Dyzmann stellt die Analyse mit e-Stroke von Brainomix bereits seit fast einem Jahr den „ground-truth“ dar. Von der Auswertung und Darstellung der Ergebnisse in der App ist er begeistert.

61 RADIOLOGIE MAGAZIN 1-2021 X -EMPEL Us DR 600 Deckenmontierter Röntgenarbeitsplatz Für Ihre vollautomatisierte, hochproduktive Direktradiographie Optional mit digitaler Tomosynthese (DTS) und SmartXR
Die Neuroradiologie gehört zum Institut für diagnostische und interventionelle Radiologie / Neuroradiologie und bildet dort die Schnittstelle zwischen Radiologie und Neurologie in der Diagnostik und Therapie von Erkrankungen des zentralen Nervensystems.
medimg.agfa.com/dach

Die Zahlen belegen, dass bei 10 bis 15 Prozent aller Schlaganfälle ein Kathetereingriff über die Leiste in Betracht kommt. In der Sana Klinik werden 23 Prozent aller Schlaganfallpatienten mit der Lysetherapie behandelt.

Mehr Flexibilität im Dienst

Der Neuroradiologe hat die App bereits nach einer kurzen Evaluationszeit als sehr hilfreiches Tool bei der Indikationsstellung für eine Thrombektomie schätzen gelernt. Dabei kann er die Schwere des Schlaganfalls einschätzen und den Gefäßverschluss schon in der aufbereiteten MIP erkennen. Über die sensitivere und spezifischere CT-Hirnperfusion erkennt Dyzmann sogar, wo der Verschluss sein muss. Die App liefert ihm genau die Informationen, die er benötigt, um das Interventionsteam zu alarmieren.

„Wir haben im Vergleich zu der Zeit vor Etablierung der App beziehungsweise vor e-Stroke eine Zeitersparnis im Rufdienst von mehreren Minuten erreicht, das heißt von der Ankunft des Patienten im Krankenhaus bis zur Punktion der Leiste (door-to-groin) sind wir um acht Minuten schneller geworden“, meint der Neuroradiologe nach Betrachtung der ersten Auswertungen. Und dies vor dem Hintergrund, dass diese Zeit bereits vor e-Stroke unterdurchschnittlich schnell im Vergleich zu anderen Zentren waren. „Die exakten Effekte auf den klinikinternen Workflow analysiert bereits eine Doktorandin in unserer Abteilung“, ergänzt Prof. Goltz.

Die Literatur zum Benefit der intrakraniellen Thrombektomien belegt: zehn Minuten Zeitersparnis bei der Therapie bedeuten für den Patienten eine ein Prozent höhere Wahrscheinlichkeit, den Schlaganfall ohne Behinderung zu überleben. „Unsere Erwartungen an die Software wurden nicht nur erfüllt, sondern übertroffen“, bestätigen Prof. Goltz, Dr. Schaumberg und Dr. Dyzmann unisono. Schon nach weniger als fünf Stunden Installationszeit war das System einsatzbereit und kurz danach übermittelte die e-Stroke Suite die erste Auswertung eines Schlaganfalls. Und die gute Zusammenarbeit setzt sich bis heute fort. Alle Software-Updates funktionieren problemlos und auch Änderungswünsche der Schlaganfallspezialisten werden in der Software innerhalb kurzer Zeit umgesetzt. Dyzmann und seine Kollegen beurteilen den Support von Brainomix als beispiellos.

Vom technischen Ablauf betrachtet werden die die CT-Untersuchungen direkt ins PACS und parallel zur lokal installierten e-Stroke Software geleitet. Die Verarbeitungszeit eines nativen Schädel-CT dauert etwa eine Minute, die der CTA eine Minute und 20 Sekunden und die der CT-Perfusion nicht länger als eine Minute

und 30 Sekunden. Die Analysesoftware läuft auf virtuellen Maschinen im PACS –sämtliche Patienten daten bleiben im Krankenhaus. In die App gelangen die Bilder ausschließlich pseudonymisiert über einen Cloud-Service. Der Gesamtablauf geht vollkommen automatisiert im Hintergrund von statten. Es bedarf keines einzigen Klicks, weder von der MTRA noch von einem Arzt.

Der einzige Wunsch, den Prof. Jan Peter Goltz, Dr. Jens Schaumberg und Dr. Christian Dyzmann an Brainomix haben: „Momentan werden nur Verschlüsse im der mittleren Hirnarterie und intracraniellen Hauptschlagader erkannt. Schön wäre es, wenn auch die Verschlüsse der vorderen und hinteren Hirnarterien erkannt würden und eine Rekonstruktion des extrakraniellen Verlaufes der hirnversorgenden Arterien zur Verfügung gestellt würde.“

Das Unternehmen hat jedoch bereits erklärt, dass sich sowohl die Erkennung der Verschlüsse der vorderen und hinteren Hirnarterie als auch eine übersichtliche 3D-Funktionalität in der Entwicklung befinden.

www.sana.de/luebeck

www.brainomix.com

62 RADIOLOGIE MAGAZIN 1-2021 X -EMPEL
63 RADIOLOGIE MAGAZIN 1-2021 X -EMPEL • vollständige Patientenabdeckung ohne Tischbewegung • Advanced Image Processing für 2D- und 3D-Bildgebung • High-Definition Flachdetektortechnologie • DoseRite Dosisreduktions-Paket • hohe Ausfallsicherheit des Gesamtsystems Weitere Informationen finden Sie auch unter: https://de.medical.canon Zweiebenen-Angiographiesystem mit Multi-Achsen-Bodenstativ https://de.medical.canon

Optimale Geräteauslastung in Echtzeit

Zahlreiche, auch politische, Bemü hungen haben in den letzten Jahren daf ü r gesorgt, dass sich das Terminmanagement in deutschen Praxen weiterentwickelt hat. Doch ist der Verbesserungsbedarf weiterhin groß denn zahlreiche Praxen sind immer noch ausschließlich per Telefon und nur während ihrer Sprechstundenzeiten erreichbar – in der digitalen Welt des Jahres 2021 ein nicht mehr zeitgemäßer Zustand. Abhilfe bietet ein webbasiertes Termin­Buchungssystem an, das als Erweiterung des Radiologischen Informationssystems (RIS) angelegt ist.

„Viele auf dem Markt bereits erhältliche Terminvergabesysteme, zielen auf die breite Nutzung in Praxen der unterschiedlichsten Fachbereiche ab. „Wir haben das Add-on spezifisch für niedergelassene Radiologen entwickelt und in unsere Multiportal-Plattform integriert“, sagt Geschäftsführer Markus Steinlein.

„Die Terminvergabe über ein mobiles Endgerät erlaubt es dem Patienten, den Termin direkt in den Kalender einzutragen und dort zusätzliche Informationen wie die Anfahrtsbeschreibung zu speichern“

Die Terminvergabe in der Radiologie ist eine komplexe Angelegenheit, insbesondere bei Praxisgemeinschaften mit mehreren Standorten. So vergeben Mitarbeiter einer Praxis Gerätetermine und müssen gleichzeitig darauf achten, die bildgebenden Systeme voll auszulasten.

Zwischen

Seit 2003 ist er bei der medigration GmbH tätig, zunächst als Softwareentwickler, ab 2010 dann als Leiter der Softwareentwicklung. Seit 2014 ist Steinlein Geschäftsführer im Unternehmen

Auch hat die hohe Zahl an Anrufen in den Praxen, aber auch die schlechte Planbarkeit der Termine – weil Patienten unpünktlich sind oder gar nicht erscheinen – starke Auswirkungen auf das Praxismanagement und folglich auch auf die Wirtschaftlichkeit einer Praxis.

Markus Steinlein, Geschäftsführer der medigration GmbH, schloss 2000 sein Studium der Informatik an der Georg-SimonOhm Fachhochschule in Nürnberg ab. 1999 und 2003 war er Geschäftsführer der WSO Informatik GmbH.
64 RADIOLOGIE MAGAZIN 1-2021 X -EMPEL
mit Schwerpunkt Softwareentwicklung und Qualitätsmanagement

„Unsere Software trägt dem Rechnung, weil die Terminplanung vollständig in das RIS integriert ist und damit eine optimale Geräteauslastung in Echtzeit erlaubt“, sagt Steinlein. In anderen Worten: Sämtliche im Planungstool hinterlegten Buchungsregeln können auch bei der Online-Terminvergabe angewendet werden.

Weitere Vorteile des webbasierten Terminplaners sind: „Mit dem Add-on können radiologischen Praxen einen zusätzlichen Kommunikationskanal mit Patienten und Zuweisern eröffnen. Und der Radiologe kann damit genau steuern, welche Untersuchungsarten er anbieten möchte und bekommt dann auch nur qualifizierte Termine.“ Der Workflow hinter dem Terminplaner kann automatisch oder moderiert betrieben werden. Die moderierte Vorgehensweise bedeutet einen weiteren Kommunikationsschritt mit dem Patienten, bevor die Terminierung abgeschlossen wird.

„Die Moderation hat den Vorteil, dass der Terminwunsch durch den Patienten kommuniziert und durch die disponierenden Mitarbeiter schnell abgearbeitet werden kann“, erläutert Steinlein. „Vor allem bei komplexen Untersuchungen führt dieser Workflow zu verlässlichen

Buchungen.“ Bei der automatisierten Terminvergabe sieht das disponierende Personal auf einen Blick, wenn eine Online-Terminanfrage bearbeitet wird. „Wählt der Patient einen Terminslot aus, wird dieser im Terminplaner des RIS reserviert. Schließt er die Buchung ab, wird daraus ein vollständiger Termin. Beendet er den Prozess vorzeitig, wird die Reservierung wieder freigegeben.“

Auch mobil anwendbar

Das Add-on kann auf Desktop-PCs, aber auch auf mobilen Endgeräten bedient werden. Die Terminvergabe ü ber ein mobiles Endgerät erlaubt es dem Patienten, den Termin direkt in den Kalender einzutragen und dort zusätzliche Informationen wie die Anfahrtsbeschreibung zu speichern. „Eine Besonderheit unseres Systems ist zudem, dass der Patient den Überweisungsschein abfotografieren und in das System hochladen kann“, berichtet Steinlein. „Die notwendigen Patientendaten müssen nicht mehr eingegeben werden, was Fehler bei der Eingabe in das Buchungssystem reduziert. Gleichzeitig liegt bei dem modernen Workflow der Überweisungsschein sofort vor, aus dem hervorgeht, welche Untersuchung der Zuweiser angefordert hat.

Die Mitarbeiter der Praxis können den Patienten folglich qualifiziert kontaktieren und einen Termin disponieren.“

Datenschutz

Das Add-on der medigration GmbH arbeitet anders als die Terminvergabesysteme anderer Anbieter nicht im klassischen Sinne cloudbasiert. „An unserer Multiportal-Plattform ist ein Webserver beteiligt, der zur Bild- und Befundweitergabe dient, hier aber nur als sicherer Link zum Terminplaner in der Praxis dient“, sagt Steinlein. Die Daten, die der Patient zur Terminvergabe eingibt, werden nicht dauerhaft auf dem Webserver gespeichert, sondern nur durchgereicht.

„Der Patient hat durch die Nutzung der Webapplikation keinen Zugriff auf Praxisdaten, denn das Multiportal ist als „Torwächter“ davor geschaltet. Die gesamte Datenverarbeitung und -speicherung wird ausschließlich in der Praxis abgewickelt und der Radiologe behält die Hoheit über die Daten“, bekräftigt Steinlein abschließend.

www.medigration.de

65 RADIOLOGIE MAGAZIN 1-2021 X -EMPEL

Schicke App

Röntgenaufnahmen teilt man mit Kollegen, Patienten und Zuweisern inzwischen per Smartphones, Tablets und sogar PCs. Einmal das Display berührt beziehungsweise geklickt und schon sendet oder lädt die schicke App von mbits Bilder und Befunde. So sieht Radiologie heute aus.

Bereits 2020 begannen die Radiolog*Innen am Praxisstandort der Meine Radiologie Holding in Tuttlingen, den Bildversand beziehungsweise die Bildkommunikation mit mRay von mbits zu organisieren. Dr. med. Dr. rer. pol. Dirk Knüppel, Geschäftsführer der Meine Radiologie Holding, erinnert sich: „Als wir im letzten Jahr in der MRH-Gruppe damit begonnen haben, unsere Technologiestrategie weiterzuentwickeln, war eines der vorrangigen Digitalisierungsprojekte die Kommunikation mit Zuwei-

sern und Patienten.“ Die langfristige Vision des Managements lautet, das Dienstleistungsangebot der Radiologiepraxen mithilfe von moderner und digitaler Technik zu verbessern.

Information per Pushnachricht

Als es darum ging, ein System auszuwählen, das an allen Standorten der Meine Radiologie Holding für die Bildund Befundkommunikation zum Einsatz kommen sollte, rückte mbits mit mRay schnell in den Fokus. Das junge

Unternehmen aus Heidelberg mit dem innovativen Produkt überzeugte bereits in puncto Technik, Service und Datenschutz. Nachdem erfolgreichen Start im MVZ Meine Radiologie Tuttlingen ging es bei den fünf Standorten des MVZ Meine Radiologie Franken darum, mRay auch ins RIS zu integrieren, um eine leistungsfähige Lösung für die Bild- und Befundverteilung zu Zuweisern und Patienten zu realisieren. „Die Art und Weise wie die Mitarbeiter von mbits sich engagierten und mRay gemeinsam mit uns auf

66 RADIOLOGIE MAGAZIN 1-2021 X -EMPEL

die Belange der Praxen adaptierten, hat uns schon sehr beeindruckt“, berichtet Dr. Dr. Knüppel.

Inzwischen werden Patienten und Zuweiser nicht nur mithilfe von PushNachrichten über neue Datensätze informiert, sondern die Radiolog*Innen sind auch in der Lage, Datensätze mit Kolleg*Innen beziehungsweise weiterbehandelnden Ärzt*Innen zu teilen. Dabei entscheiden die Patienten, wem sie welche Zugriffsrechte gewähren. „Das Beste an mRay ist, dass wir nur einen Link versenden müssen, um Zuweisern und Patienten Zugriff zu den Bildern und Befunden zu geben“, erklärt Dr. Dr. Krüppel.

Bisher läuft das Produkt bereits in acht Praxen der Meine Radiologie Holding Gruppe. Das Ziel ist jedoch, mRay bald an allen 27 Standorten der Holding einzusetzen. Dabei soll die Lösung aber nicht nur für die externe, sondern auch für die interne Kommunikation zum Einsatz kommen; hin und wieder wird per Smartphone oder Tablet wohl auch um die Unterstützung von Spezialisten an anderen Holding-Standorten gebeten werden: Bild

markieren, Nachricht schreiben, klick –schon ist der Kollege informiert und kann beratend zur Seite stehen.

Leistungsstark und sicher

Wir haben uns bewusst gegen ein komplexes internes Bildverteilungssystem entschieden, da wir an unseren zahlreichen Standorten unterschiedliche RIS und PACS im Einsatz haben. Denn das Kommunikations-Tool von mbits greift stets lokal auf die PACS-Server vor Ort zu. Die anderen Standorte haben nur Leserechte und man kann mit der ChatFunktion sehr einfach, kurz, schnell und sicher kommunizieren. Dr. Dr. Knüppel freut sich schon jetzt: „Sobald wir mRay an allen Standorten ausgerollt haben, verfügen wir meiner Meinung nach über eine sehr schlanke und leistungsstarke Bild- und Befundverteilung.“

Das Patienten- und Zuweiserportal von mbits kann die Befunde aus dem KIS oder RIS über eine HL7-MDM Nachricht empfangen. Alternativ unterstützt das System die Möglichkeit, direkt aus dem PACS Structured Reports entgegenzunehmen.

Schon nach kurzer Zeit äusserten Zuweiser und Patienten sich sehr positiv über die moderne Möglichkeit, Bilder und Befunde zu bekommen, anzusehen und wieder zu teilen. Sehr begeistert waren die Chirurgen, denn die konnten auf einmal direkt vom OP aus über einen einfachen Link zu den Bildern gelangen ohne erst CDs importieren zu müssen.

Kompressionsloser Fortschritt

• Brustuntersuchungen ohne schmerzhafte Kompression

• Echte 3D Bilder frei von Überlagerungen

• Kurze Scanzeiten von 7-12 Sekunden pro Brust

• Geringe Dosis durch neueste Photon Counting Detektor Technologie

„Mit der Lösung von mbits ging es uns nicht primär darum, Kostenzu sparen. Wir wollten moderner werden und unseren Patient*Innen und insbesondere denZuweiser*Innen einen ganz besonderenService bieten, der technisch einfacher zu gestalten war, als CDszu brennen.“

Dr. med. Dr. rer. pol. Dirk Knüppel, Geschäftsführer der Meine Radiologie Holding

Für häufige Zuweiser bietet das Heidelberger Unternehmen die Möglichkeit, ein eigenes Verzeichnis einzurichten, sodass sie jederzeit direkt auf die Aufnahmen und Befunde ihrer Patienten zugreifen können. CDs vermisst in den Praxen des MVZ Meine Radiologie Tuttlingen und des MVZ Meine Radiologie Franken niemand mehr. mRay von mbits ist eine schicke App.

www.meine-radiologie.de

www.mbits.info

67 RADIOLOGIE MAGAZIN 1-2021 X -EMPEL
www.examion.com

Digitaler Wunschtermin

Eine Möglichkeit zu finden, die Terminvergabe für Patienten so unkompliziert wie möglich zu gestalten, gepaart mit der Steigerung der Effizienz in den Arbeitsabläufen, ist eine Herausforderung für jede Praxis. Der bundesweit agierende Radiologie Verbund „blikk – Die Radiologie“ hat sich dieser Herausforderung gestellt und startete am Ende 2020 seine Testphase mit einem Online ­Terminbuchungssystem.

Bislang bot die blikk-Gruppe den Patienten zwei Möglichkeiten der Terminvergabe an: telefonisch oder persönlich, direkt vor Ort in den Standorten. „Wir möchten unseren Patienten den Kontakt zu unseren Praxen noch einfacher ermöglichen. Wir sehen uns als radiologischer Dienstleister und stellen an uns und unsere Technik – ob Geräte oder digitale Infrastruktur – hohe Ansprüche. Dazu zählt, dass Patienten, Mitarbeiter, Ärzte und Zuweiser bei blikk den bestmöglichen Service und ein optimales Arbeitsumfeld erhalten. Und das bedeutet digital zu arbeiten“, erklärt Jan Kleimann, Projektmanager der blikk-Gruppe, die Entscheidung für eine digitale Terminvergabe.

Das Projektteam hat im ersten Schritt mit den MTRAs und dem Praxismanagement der Standorte die möglichen Wege zur Verbesserung der Terminvergabe im großen Kreis analysiert und diskutiert. Zwei Szenarien standen zur Verfügung: Entweder die Funktionalität des vorhandenen RIS zu erweitern oder einen externen Anbieter zu wählen,

der sich auf die Online-Terminvergabe spezialisiert hat und über eine starke Internetpräsenz verfügt.

Eine Plattform für alle Ansprüche

Aufgrund der Funktionalität, die für die effektive operative Praxisarbeit bei blikk benötigt wird, fiel die Wahl auf den Dienstleister Doctolib. Doctolib vereint die internen Ansprüche des Verbandes mit dem externen Auftritt für Patienten und Zuweiser. „Uns war es wichtig einen Dienstleister zu finden, der sich im digitalen Terminmanagement flexibel unseren Anforderungen anpasst. Das beginnt bei der Bedienbarkeit des Tools für Zuweiser, Patienten und Mitarbeiter, geht über die Anpassungsfähigkeit des Terminkalenders bis hin zur Skalierbarkeit“, erklärt Anica Börner, Clusterleitung Praxismanagement Bochum. Ein weiterer wichtiger Aspekt und Servicegedanke der blikk-Gruppe war es, den Patienten die Möglichkeit zu bieten, rund um die Uhr den passenden Termin zu suchen und umgehend buchen zu können. Zusätzlich haben die SMS-Terminerinne-

rungen sowie die einfache Möglichkeit einer Terminabsage besonders überzeugt. Das Programm schickt zu jeder Buchung automatisch einen Anamnesebogen und Informationen zur geplanten Untersuchung an die Patienten, sodass diese gut vorbereitet in die Praxis kommen. Aber auch der unternehmerische, monetäre Aufwand die Online-Terminvergabe standortübergreifend auszurollen, hat bei der Entscheidung für Doctolib eine große Rolle gespielt.

Vom Kick-off bis zum Go-live dauerte es lediglich zwei Monate. Innerhalb dieses Zeitraumes begannen bereits die Vorbereitungen zur Schulung der Mitarbeiter, denn an dem Tag der Umstellung – in der Nacht auf den 18. November 2020 – sollte alles reibungslos laufen. Die Patientenstammdaten wurden aus dem RIS bei Doctolib eingespielt und parallel dazu wurden Anwendungsszenarien innerhalb des Projektteams durchgespielt, um die Kollegen auf die Arbeit mit dem neuen System vorzubereiten. Auf der blikk-Homepage hat das eigene Projektteam eine Lernplattform einge -

69 RADIOLOGIE MAGAZIN 1-2021 X -EMPEL

„Mit der Umstellung auf das neue Terminbuchungssystem haben wir den Terminkalender komplett aus dem RIS herausgelöst. Das stärkt unsere Flexibilität, da wir an unterschiedlichen Standorten verschiedene RIS einsetzen.“

Jan Kleimann, Projektmanager der blikk-Gruppe

richtet, um den Mitarbeitern immer und überall die Möglichkeit zu geben, sich mit der neuen Terminvergabe vertraut zu machen. Viele der Kollegen nutzen dieses Angebot auch privat, und schauten sich die Videos nach Feierabend an. Auch Doctolib stellte Videos zur Verfügung. Ergänzend zu den digitalen Lernplattformen wurden die Mitarbeiter vor Ort durch das Projektteam geschult. Bereits vier Stunden nach dem Start waren die Mitarbeiter – obwohl der Workflow sich geändert hat – in der Lage, eigenständig und problemlos mit der neuen Lösung umzugehen.

In den ersten Tagen nach dem Go-live fand der Einsatz des neuen Service durch das durchweg positive Patientenfeedback bereits seine Bestätigung. Anhand der Evaluation nach vier Wochen fiel dem Projektteam auf, dass vermehrt OnlineTermine an Wochenenden gebucht wurden. Zudem trug das Angebot der digitalen Terminvergabe dazu bei, neue Zielgruppen zu erschließen.

Weniger Absagen –mehr Untersuchungen

herausgelöst wurde, stellt für den Praxisverbund kein Problem dar. Bei der Auswahl eines passenden Anbieters für die digitale Terminvergabe war es der blikkGruppe wichtig, dass das Programm skalierbar auf alle aktuellen 22 Standorte ist. Jan Kleimann ergänzt: „Da unser Praxisverbund stark wächst, kommen jedes Jahr neue Praxen mit unterschiedlichen technischen Ausstattungen hinzu. Natürlich wäre es schön, über eine homogene IT-Infrastruktur zu verfügen. Aber solange wir unterschiedliche RIS-Hersteller im Praxisverbund haben, ist eine unabhängige standortübergreifende Terminplanung von großem Vorteil.“

„Bereits in den ersten Wochen stellten wir fest, dass sich die Anzahl der telefonisch vereinbarten Termine verringerte.“

Anica Börner, Clusterleitung Praxismanagement Bochum

„Das Praxisteam hat sehr schnell gelernt, mit der neuen Lösung umzugehen und die Vorteile zu erkennen. Die Terminsuche gestaltet sich effizienter und die Untersuchungsgeräte sind besser ausgelastet“, beschreibt Anica Börner die Anwendung von Doctolib. Seit dem Go-live sind weniger falsche Termine gesetzt worden und es wurden immer die richtigen Modalitäten ausgewählt. Zudem sank die Anzahl der abgesagten Termine erheblich. Bei den online vereinbarten Terminen liegt die Absagequote nach der Einführung lediglich bei zwei Prozent.

Dass die Terminvergabe seit der Umstellung vollkommen aus dem RIS

Von besonderer Bedeutung für die IT-Abteilung des Verbundes ist der Wartungsaufwand und ob eigene Server beziehungsweise auf eigenen Servern weitere Software zur Nutzung des neuen Systems installiert werden muss. Bislang stellt das Projektteam aktuell nur einen „Nachteil“ bei der Nutzung von Doctolib fest: Die blikk-Gruppe betreibt Radiologie Standorte in Kliniken. Dort liefert die KIS-RIS-Schnittstelle nur noch die Daten für die stationären Patienten. Die ambulanten Patienten laufen künftig über Doctolib. So wird die Interoperabilität innerhalb der blikk-Gruppe gesichert. Noch im Jahr 2021 sollen weitere Standorte an Doctolib angeschlossen sein, sodass Patienten die Online-Terminvergabe standortübergreifend nutzen können und ihren Wunschtermin erhalten. Wenn die Auslastung der Geräte dadurch weiter steigt und die Zahl der Terminabsagen sowie die No-shows weiterhin sinkt, war die Umstellung ein voller Erfolg.

www.blikk.de

70 RADIOLOGIE MAGAZIN 1-2021 X -EMPEL

Produktivität, Patientenkomfort und klinische Sicherheit auf neuem Niveau

Vantage Orian steht für gesteigerte Produktivität und niedrigere Betriebskosten, für sicheren Patientenkomfort und kompromisslose klinische Verlässlichkeit. Der Vantage Orian 1.5T ist die perfekte Lösung für alle Ihre betrieblichen und klinischen Anforderungen.

https://de.medical.canon

Auf den zentralen Servern der Co.MPE.tent GmbH werden gerätespezifische Daten gespeichert, um dosissparende Protokolle schnell flächendeckend umzusetzen, um dieselbe Arbeit vielerorts nicht mehrfach durchzuführen.

Dienstleistung und Strahlenschutz

Die Strahlenschutzverordnung beschreibt in Paragraph 131 Satz 3. und 4. die Situationen für die Radiologie, die das Hinzuziehen eines Medizinphysik­E xperten bei Strahlenanwendungen mit erheblichen Expositionssituationen zur Pflicht machen. Guido Gebhardt sprach mit Martin Kolodziej, Geschäftsführer der Co.MPE.tent GmbH, über bevorstehende Änderungen im Strahlenschutz und ob die Leistung eines MPE immer vor Ort erbracht werden muss.

72 RADIOLOGIE MAGAZIN 1-2021 X -KLUSIV

þ Wann brauche ich als Praxisbetreiber einen MPE? Was ist Pflicht, was Kür? Unter erheblichen Expositionssituationen versteht das Gesetz zum einen Untersuchungen, die mit einem Computertomographen oder mit Geräten zur dreidimensionalen Bildgebung von Objekten mit niedrigem Röntgenkontrast durchgeführt werden. Weiterhin gehören auch Interventionen, bei denen die Röntgeneinrichtung zur Durchleuchtung verwendet wird, dazu. Diese Verpflichtung gilt für bestehende Anzeigen und Genehmigungen ab dem 31. Dezember 2022. Für Anmeldungen von Neugeräten sowie bei Betreiber- und Standortwechseln entfällt die Übergangsfrist. In beiden Fällen ist bereits seit dem 1. Januar 2019 ein MPE hinzuzuziehen. Die neue Strahlenschutzverordnung beschreibt als Aufgaben des Medizin-

physik-Experten, die Verantwortung für die Dosimetrie von Personen zu übernehmen und insbesondere bei der Optimierung des Strahlenschutzes vor Ort mitzuwirken. Zudem soll der MPE bei der Auswahl der einzusetzenden Ausrüstung, Geräte und Vorrichtungen mitarbeiten und die Exposition von Personen, an denen radioaktive Stoffe oder ionisierende Strahlung angewendet wird, genauso überwachen, wie die Einhaltung der diagnostischen Referenzwerte.

Außerdem gehört die Untersuchung von Vorkommnissen sowie die Durchführung von Risikoanalysen für Behandlungen und die Unterweisung sowie die Einweisung, des in der Anwendung tätigen Personenkreises, zu seinem Aufgabenbereich. Der Verantwortungsbereich des MPE ist groß und er verfügt über weitreichende Kompetenzen. Für die Kür bleibt

da nicht viel Platz. Trotzdem gehört zur Kür in jedem Fall der sichere Umgang mit einem Dosismanagementsystem, da sich nur so die Überwachung der Dosisreferenzwerte sinnvoll bewerkstelligen lässt.

Ein weiterer sehr wichtiger Punkt betrifft die Arbeitsanweisungen. Denn von den Ärztlichen Stellen wird seit Anfang des Jahres auch f ü r Untersuchungen eine detaillierte Beschreibung der durchzuführenden Arbeitsschritte verlangt. In den Anweisungen sollte ebenfalls vermerkt sein, welche Aufnahmeparameter bei den unterschiedlichen Untersuchungen anzuwenden sind. Die alte Röntgenverordnung forderte das zwar nicht explizit, hat jedoch schon früher empfohlen, mit SOPs (Standard Operating Procedures) zu arbeiten. Auch diese Aufgaben kann ein MPE übernehmen.

73 RADIOLOGIE MAGAZIN 1 -2021 X -KLUSIV

þ Was hat sich durch das neue Strahlenschutzgesetz geändert?

Durch das neue Gesetz erhält der Strahlenschutz einen deutlich höheren Stellenwert. Der Strahlenschutz ist nicht mehr über die Röntgenverordnung und die Strahlenschutzverordnung sondern in einem eigenen Gesetz beschrieben.

Eine der wichtigsten Neuerungen für die Radiologie ist, dass bei der Anwendung von Hochdosisverfahren wie der Computertomographie und interventionellen fluoroskopischen Systemen seit 1. Januar 2019 Medizinphysikexperten hinzuzuziehen sind. Dabei soll der MPE gemeinsam mit den fachkundigen Ärzten und den in der technischen Durchführung eingebundenen Assistenten die Einführung und Anwendung von Untersuchungsprotokollen optimieren. Welche Untersuchungen betroffen sind hatte ich anfangs schon beschrieben.

þ Wie wirkt sich das auf die Verfügbarkeit eines MPE aus und wie organisiert sich bspw. dieser MPE mit seiner Firma, damit er die Nachfrage effizient und effektiv bedienen kann?

Von der Deutschen Gesellschaft für Medizinische Physik (DGMP) und der Arbeitsgruppe Physik und Technik (APT)

gibt es eine Berechnung, dass je CT oder Angio-Anlage lediglich sieben Prozent einer MPE-Vollzeitstelle notwendig sind. Außerdem haben die Fachgesellschaften berechnet, dass der zukünftige Bedarf an MPEs derzeit durch die Ausbildung an den Hochschulen kaum gewährleistet werden kann. Deshalb wird es ab dem 1. Januar 2023, wenn auch Bestandssysteme unter die Überwachung fallen, einen Engpass geben. Laut einer Empfehlung der Strahlenschutzkommission soll der Medizinphysik-Experte bei Bedarf zeitnah – in der Regel an dem der Anforderung folgenden Arbeitstag –am Ort der Anwendung zur Verfügung stehen. Deshalb sehe ich den Vorteil unseres Dienstleistungsangebotes darin, dass Anwender, die keinen Vollzeit-MPE beschäftigen, und das wird sicher die Mehrheit betreffen, nur mit Co.MPE.tent dem gesetzlichen Anspruch der Meldepflicht gerecht werden können. Denn das Strahlenschutzgesetz verlangt, dass meldepflichtige Ereignisse unmittelbar den Behörden zu melden sind. Bei uns kann eine Meldung im Urlaubs- oder Krankheitsfall zu jeder Zeit gewährleistet sein. Zu meldepflichtigen Ereignissen gehören beispielsweise bei einzelnen Untersuchungen bereits die einmalige

74 RADIOLOGIE MAGAZIN 1-2021 X -KLUSIV
Bei der Anwendung von Hochdosisverfahren wie der Computertomographie und interventionellen fluoroskopischen Systemen sind seit dem 1. Januar 2019 Medizinphysik-Experten hinzuzuziehen

Überschreitung des CTDI von 80 mGy oder des Dosisflächenprodukts bei Interventionen von 50.000 cGy*cm2

Ziel von Co.MPE.tent ist es, in einem bundesweiten Netzwerk von Medizinphysik-Experten, die Anwender in Sachen Strahlenschutz optimal zu betreuen. Wir haben bereits die technischen Eigenschaften zahlreicher Modalitäten erfasst und können die systemspezifischen Dosis-Charakteristika allen MPEs im Netzwerk zur Verfügung stellen. Auf unseren zentralen Servern organisieren wir gerätespezifische Daten, um dosissparende Protokolle schnell flächendeckend umzusetzen, ohne dass dieselbe Arbeit vielerorts mehrfach durchgeführt wird.

Co.MPE.tent verfügt über ein Netzwerk aus etwa 30 Physikern und ist in der Lage, komplexe urlaubs- oder krankheitsbedingte Vertretungsstrukturen abzubilden. Bei uns arbeiten alle MPEs nach den selben Standards und nach der DIN EN ISO 13485.

þ Kurz zusammengefasst: Wo sehen Sie die Vorteile des Dienstleistungspakets von Co.MPE.tent?

Bei den Vorteilen möchte ich zuerst unser deutschlandweites Team erfahrener, interdisziplinär ausgebildeter Experten zu allen Bereichen der Anwendungen von Röntgenstrahlung in Klinik und Praxis nennen. Dadurch sind wir in der Lage, unseren Kunden einen festen Ansprechpartner mit garantierter Vertretungsstruktur bei Urlaub und Krankheit zur Verfügung zu stellen.

Außerdem garantiert unsere enge Zusammenarbeit mit Fachgremien, Ärztlichen Stellen, Behörden, Herstellern von Großgeräten und medizinischer Informationstechnologie eine kompetente Begleitung in der Fachkorrespondenz sowie bei Pr ü fungen und Unterstützung rund um Fragen zu Physik und Technik. Unsere MPEs sind bestens mit der Betreuung von Dosismanagementsystemen aller gängigen Hersteller vertraut. Darüber hinaus sind sie ebenfalls in der Lage, vor Ort die IT-Workflows unterschiedlicher Systemlösungen in Verbindung mit einem DMS anzupassen.

Ein weiterer Vorteil ist, dass wir die täglich stattfindende, routinierte Überwachung der Patientendosimetrie in monatlichen Tätigkeits- und Qualitätsberichten übersichtlich dokumentieren und einen umfassenden Jahresbericht inklusive aller relevanten Statistiken und Auswertungen erstellen. Alle Kunden haben so eine transparente Übersicht des Status Quo zu sämtlichen Qualitäts- und Optimierungsergebnissen immer parat.

Zu guter Letzt archivieren wir die strahlenschutz-relevanten Dokumente nicht nur vor Ort in einem Ordner, sondern auch digital. Damit sind wir auf sämtliche Eventualitäten vorbereitet und können in puncto Strahlenschutz jederzeit von überall aus prompt reagieren.

Aber allem voran bieten wir allen Interessenten eine exklusive kostenfreie Erstberatung an und haben dafür eine ausführliche Checkliste erstellt.

Paragraph108derStrahlenschutzverordnungregeltdieMeldungbedeutsamerVorkommnisse(TabelleimOriginalvonH.LenzenMünster)
Bezug Maßnahmentyp Schwellenart Wert Häufigkeit Gruppe Computertomographie, Durchleuchtung, Intervention Aktionsschwelle 3 × DRW einmalig, nach Prüfung der Meldeschwelle Meldeschwelle 2 × DRW Mittelwert der letzten 20 Untersuchungen Person Computertomographie Meldeschwelle CTDIHirn > 120 mGy CTDIKörper > 80 mGy einmalig diagn. Durchleuchtung Meldeschwelle DLP > 20.000 cGy*cm2 einmalig Intervention Aktionsschwelle DLP > 50.000 cGy*cm2 einmalig, danach Prüfung der Melde-
www.co-mpe-tent.de 75 RADIOLOGIE MAGAZIN 1 -2021 X -KLUSIV
deterministischer Schaden innerhalb von 21 Tagen einmalig schwelle
Martin Kolodziej, Gründer und Geschäftsführer der Co.MPE.tent GmbH, konnte das Unternehmen in kurzer Zeit zu einem der führenden Dienstleister für Medizinphysik-Experten in der diagnostischen und interventionellen Radiologie entwickeln.
Meldeschwelle

Schneller Blick unter die Haut

Bildgebende Verfahren ermöglichen einen detaillieren Blick ins Innere eines Organismus. Doch die Interpretation der Daten ist zeitaufwändig und erfordert viel Erfahrung. Neue Möglichkeiten eröffnen künstliche neuronale Netzwerke. Sie benötigen nur Sekunden, um Ganzkörperscans von Mäusen auszuwerten und die Organe, statt in verschiedenen Schattierungen von Grau, zu segmentieren und in Farbe darzustellen. Dies erleichtert die Auswertung erheblich.

76 RADIOLOGIE MAGAZIN 1-2021 X -PERT
Oliver Schoppe, Erstautor und Doktorand in der Image-based Biomedical Modelling Group (Prof. Dr. Bjoern Menze) im TranslaTUM, Klinikum rechts der Isar der Technischen Universität München (TUM) © Bild: Astrid Eckert TUM

Wie groß ist die Leber? Verändert sie sich durch die Einnahme von Medikamenten? Ist die Niere entzündet? Befindet sich im Gehirn ein Tumor? Und hat dieser bereits Metastasen gebildet? Um solche Fragen beantworten zu können, mussten Biowissenschaftler und Mediziner bisher eine Fülle von Daten sichten und interpretieren.

„Die Auswertung von dreidimensionalen bildgebenden Verfahren ist sehr aufwändig“, erklärt Oliver Schoppe. Zusammen mit einem interdisziplinären Forschungsteam hat der TUM-Forscher jetzt selbstlernende Algorithmen entwickelt, die künftig bei der Analyse biowissenschaftlicher Bilddaten helfen können.

Kernstück der AIMOS-Software – die Abkürzung steht für AI-based Mouse Organ Segmentation – sind künstliche neuronale Netze, die, wie das menschliche Gehirn, lernfähig sind. „Früher musste man Computerprogrammen genau sagen, was sie tun sollen“, erläutert Schoppe. „Neuronale Netze brauchen solche Vorgaben nicht mehr: Es genügt sie zu trainieren, indem man mehrmals eine Problemstellung und eine Lösung präsentiert. Die Algorithmen erkennen nach und nach die Muster und finden dann selbst die richtigen Lösungen.“

Selbstlernende Algorithmen trainieren Im AIMOS-Projekt wurden die Algorithmen mit Hilfe von Mäusebildern trainiert. Ziel war es, die Bildpunkte aus 3D-Ganzkörperscans bestimmten Organen – beispielsweise Magen, Niere, Leber, Milz oder Gehirn – zuzuordnen. Auf Grund dieser Zuordnung kann das Programm dann die genaue Lage und Form darstellen.

„Glücklicherweise hatten wir Zugriff auf mehrere hundert Bilddatensätzen von Mäusen aus einem anderen Forschungsprojekt, die alle bereits von zwei Biologen interpretiert worden waren“, erinnert sich Schoppe. Hinzu kamen fluoreszenzmikroskopische 3D-Scans vom Institut für Tissue Engineering and

Regenerative Medicine am Helmholtz Zentrum München.

Den Forscherinnen und Forschern dort war es mit einer speziellen Technik gelungen, bereits verstorbene Mäuse vollständig zu entfärben. Die transparenten Körper konnten Punkt für Punkt und Schicht für Schicht mit einem Mikroskop abgerastert werden. Die Abstände zwischen den Messpunkten betrugen dabei nur sechs Mikrometer – das entspricht der Größe einer Zelle. Auch in diesen Datensätzen hatten Biologen die Organe lokalisiert.

Künstliche Intelligenz erhöht die Treffsicherheit

Am TranslaTUM präsentierten die Informatiker diese Daten ihren neuen Algo rithmen. Die se lernten schneller als erwartet, berichtet Schoppe: „Wir haben nur etwa zehn Ganzkörperscans geb raucht, dann konnte die Software die Analyse der Bilddaten allein bewerkstelligen – und zwar innerhalb von Sekunden. Ein Mensch braucht dafür Stunden.“

Die Zuverlässigkeit der Künstlichen Intelligenz überprüfte das Team anschließend mit Hilfe von 200 weiteren Ganzkörper-Scans von Mäusen. „Das Ergebnis zeigt, dass selbstlernende Algorithmen

bei der Auswertung biologischer Bilddaten nicht nur schneller, sondern auch treffsicherer sind als der Mensch“, resümiert Prof. Bjoern Menze, Leiter der Image-Based Biomedical Modeling Group am TranslaTUM der Technischen Universität München TUM.

Eingesetzt werden soll die intelligente Software künftig vor allem in der Grundlagenforschung: „Bildaufnahmen von Mäusen werden dringend benötigt, zum Beispiel um die Wirkweise von neuen Medikamenten zu untersuchen, bevor sie beim Menschen zum Einsatz kommen. Die Auswertung von Bilddaten mit selbstlernenden Algorithmen kann künftig viel Zeit sparen“, betont Menze.

Publikation

:

Oliver Schoppe, Chenchen Pan, Javier Coronel, Hongcheng Mai, Zhouyi Rong, Mihail Ivilinov Todorov, Annemarie Müskes, Fernando Navarro, Hongwei Li, Ali Ertürk, Bjoern H. Menze

Deep learning-enabled multi-organ segmentation in whole-body mouse scans nature communications, 6.11.2020 – DOI: 10.1038/s41467-020-19449-7 https://www.nature.com/articles/s41467-020-194497#Abs1

www.translatum.tum.de

77 RADIOLOGIE MAGAZIN 1-2021 X -PERT ©
Oliver Schoppe / TUM
Dank Künstlicher Intelligenz ist die AIMOS-Software in der Lage, auf dreidimensionalen Graustufenbildern Knochen und Organe zu segmentieren, was die anschließende Auswertung erheblich erleichtert.
Bild:

Produkte & Lösungen 2021

Herstellerverzeichnis

Herstellerverzeichnis 79

Mammographie

Mamma-CT 85 Tomosynthese 85 Digitale Systeme 86 Biopsie 87 Brustchirurgie 88 Mammo-Workstations 89 Mammo-KI 90

Radiographie und Fluoroskopie

CR-Systeme 91 DR-Komplett-Systeme 93 Flatpanel-Detektoren 99 Mobile DR-Systeme 104 Flatpanel-Durchleuchtung 106 BV-Durchleuchtung 108 Analoge Komplett-Systeme 108 Mobile Systeme 109 DXA (Knochendichtemessung) 110

Interventionelle Systeme

2-Ebenen-Systeme 111 1-Ebenen-Systeme 112 BV C-Bögen 116 Flatpanel C-Bögen 117

Injektoren

Injektoren 120

Computertomographie

Ultra-HR-CT 124

Dual-Source-CT 124 Volume-CT 124 Mehr als 64 Zeilen 126 20 bis 64 Zeilen 126 2 bis 16 Zeilen 128 Mobile CTs 129 Onkologie-Systeme 129 Conebeam-CT 130 PET-CT 130 SPECT-CT 132 SPECT 133

Magnetresonanztomographie

MR-PET 133

Heliumfrei 133

7 T-Systeme 134 3 T-Systeme 134 1,5 T-Systeme 135 Offene Systeme 138 MRT-Spulen 139

IT-Systeme

RIS 140 Terminplanung 142 Befundsoftware 142 Business-Intelligence 143 PACS 144 Workstations 146 Klinische Applikationen 149 VNA 150 Webportal-Lösungen 151 Mobile PACS-Viewer 155 Mobile Apps 157 Remote Scanning 157 Dosismanagement-Systeme 158

Künstliche Intelligenz

Befunden 160 Scannen 162 Planen 163 Marktplätze 164

Bildwiedergabe-Systeme

Befundung Mammo Graustufe 165 Befundung Mammo Farbe 165 Befundung Graustufe 166 Befundung Farbe 167 Betrachtung 170 Chirurgie 171 Grossformat 173 Display Admin-/QA-Software 173 Grafikkarten 173 Trockenimager 174

Dosimetrie

Patientendosimeter 175 QS-Messgeräte 176 QS-Prüfkörper 177

Ultraschall

Ultraschall 179

INDE- X 78 RADIOLOGIE MAGAZIN 1-2021

Mammographie R/ F-Systeme Interventionelle Systeme Injektoren Computertomographie Magnetresonanztomographie IT-Systeme Künstliche Intelligenz Bildwiedergabe-Systeme Dosimetrie Ultraschall

Agfa Healthcare Germany GmbH

Paul-Thomas-Straße 58 · 40599 Düsseldorf tel 02 11 / 2 29 86-0 info-medimg.dach@agfa.com medimg.agfa.com/dach/

Allm EMEA GmbH Sebastian von Lovenberg Henkestraße 91 · 91052 Erlangen tel 0172 4081495 s.lovenberg@allm.inc · www.allm.net

Barco GmbH Greschbachstraße 5a · 76229 Karlsruhe tel 07 21 / 62 01-0 sales.dach@barco.com · www.barco.com

Bayer Vital GmbH Gebäude K 56 · 51366 Leverkusen tel 02 14 / 30-1 www.radiologie.bayer.de

Dr. Wolf, Beckelmann & Partner GmbH

Robert-Florin-Straße 1 · 46238 Bottrop tel 0 20 41 / 74 64-0 info@beckelmann.de · www.beckelmann.de

BMS Informationstechnologie GmbH Diesterweggasse 7/1 · 1140 Wien · Österreich tel +43 1 524 81 34 00 · fax: +43 1 524 81 34 80 info@bms-austria.com · www.bms-austria.com

Bracco Imaging Deutschland GmbH Max-Stromeyer-Straße 116 · 78467 Konstanz tel 0800 218 95 62 · fax 0800 218 95 63 kontrastmittel@bracco.com imaging.bracco.de

Brainomix Europe Suites 11-14 · Suffolk House 263 Banbury Road · Oxford OX2 7HN · England tel +44 1865 582730 info@brainomix.com · www.brainomix.com

Canon Medical Systems GmbH

Hellersbergstraße 4 · 41460 Neuss tel 0 21 31 / 18 09-0 · fax 0 21 31 / 18 09-139 info.de@eu.medical.canon de.medical.canon

Region Süd: Schumacher medTech GmbH, Gräfelfing Region Nord und West: MTS GmbH, Marl

Coreline Europe GmbH Ludwig-Erhard-Straße 30 – 34 · 65760 Eschborn tel 0 61 96 / 5 23 34 60 · fax 0 61 96 / 5 23 34 69 eusales@corelinesoft.com · www.corelinesoft.com

• •
• •
• • • • • • •
79 RADIOLOGIE MAGAZIN 1-2021 HERSTELLERVERZEICHNIS

Mammographie R/ F-Systeme Interventionelle Systeme Injektoren Computertomographie Magnetresonanztomographie IT-Systeme Künstliche Intelligenz Bildwiedergabe-Systeme Dosimetrie Ultraschall

Dedalus HealthCare GmbH

Konrad-Zuse-Platz 1 – 3 · 53227 Bonn tel 02 28 / 26 68-000 · fax 02 28 / 26 68-001 healthcare.de@dedalus-group.com · www.dedalusgroup.de Die genannten Produkte werden unter dem Hersteller DH Healthcare GmbH in Verkehr gebracht.

deepc GmbH

Atelierstraße 29 · 81671 München contact@deepc.ai · www.deepc.ai

Digithurst

Bildverarbeitungssysteme GmbH & Co. KG Wasserrunzel 5 · 91186 Büchenbach tel 0 91 71 / 96 71-0 · fax 0 91 71 / 96 71-19 info@digithurst.de · www.digithurst.de

Doctolib GmbH

Mehringdamm 51 · 10961 Berlin tel 030 / 22 02 71 67 Kontaktformular: info.doctolib.de/radiologie www.doctolib.de

EDL

Verwaltung und Vertrieb Deutschland Geneststraße 5 · Tor 1 - Aufgang G · 10829 Berlin tel 030 / 42 20 02 22 · fax 030 / 42 20 02 12 99 www.edl.gmbh

EIZO Europe GmbH

Belgrader Straße 2 · 41069 Mönchengladbach tel 0 21 61 / 82 10-120 kontakt@eizo.de · www.eizo.de

EXAMION GmbH

Erich-Herion-Straße 37 · 70736 Fellbach tel 07 11 / 12 00 02-0 vertrieb@examion.com www.examion.com

FUJIFILM Deutschland

Niederlassung der FUJIFILM Europe GmbH · Medical Systems Heesenstraße 31 · 40549 Düsseldorf tel 02 11 / 50 89-5 15 · fax 02 11 / 50 89-2 40 medical@fujifilm.de · www.fujifilm.de/medical

GE Healthcare

Oskar-Schlemmer-Straße 11 · 80807 München tel 089 / 962 81-0 www.gehealthcare.de

Gleamer

Deskopolitan Paris Voltaire 226 Boulevard Voltaire · 75011 Paris · Frankreich tel +49 152 5829 5559 julia.krueger@gleamer.ai · www.gleamer.ai

HD Medical Solutions GmbH

Im Tiefen Weg 21 · 37130 Gleichen tel 03 71 / 51 76 36 info@hd-medical.gmbh www.hd-medical-solutions.de

• • •
• • • • • • •
• • • • • • • •
INDE- X 80 RADIOLOGIE MAGAZIN 1-2021

Mammographie R/ F-Systeme Interventionelle Systeme Injektoren Computertomographie Magnetresonanztomographie IT-Systeme Künstliche Intelligenz Bildwiedergabe-Systeme Dosimetrie Ultraschall

Hitachi Medical Systems GmbH

Otto-von-Guericke-Ring 3 · 65205 Wiesbaden tel 0 61 22 / 70 36-0 · fax 0 61 22 / 70 36-10 welcome.de@hitachi-medical-systems.com www.hitachi-medical-systems.de

Hologic Medicor GmbH

Heinrich-Hertz-Straße 6 · 50170 Kerpen tel 0 22 73 / 98 08-0 · fax 0 22 73 / 98 08-99 zentrale@hologic.com · www.hologic.de

IBA Dosimetry GmbH Bahnhofstraße 5 · 90592 Schwarzenbruck tel 0 91 28 / 6 07-842 www.iba-dosimetry.com •

icometrix Kolonel Begaultlaan 1b/12 · 3012 Leuven · Belgien tel +32 16 36 90 00 info@icometrix.com · www.icometrix.com

IMAGE Information Systems Europe GmbH

Lange Straße 16 · 18055 Rostock tel 03 81 / 49 65 82-0 · fax 03 81 / 49 65 82-99 info@image-systems.biz · www.image-systems.biz

Imaging Service AG Curt-Zechbauer-Weg 5 · 82343 Niederpöcking tel 0 81 51 / 55 53 83 info@imaging-service.de · www.imaging-service.de

Region Süd: Schumacher medTech GmbH, Gräfelfing Region Nord und West: MTS GmbH, Marl

INFINITT Europe GmbH

Gaugrafenstraße 34 · 60489 Frankfurt am Main tel 069 / 58 30 00-200 · fax 069 / 58 30 00-299 ieusales@infinitt.com · www.infinitt.com

i-Solutions Health GmbH

Am Exerzierplatz 14 · 68167 Mannheim tel 06 21 / 39 28-0 · fax 06 21 / 39 28-527 www.i-solutions.de

JUSHA

Vertrieb durch die MEVA GmbH & Co KG Röllingheider Straße 6 · 58285 Gevelsberg tel 0 23 32 / 91 37 24 · fax 0 23 32 / 91 37 25 info@meva.org · www.meva.org · german.jusha.com.cn

JVC KENWOOD Deutschland GmbH

Konrad-Adenauer-Allee 1 – 11 · 61118 Bad Vilbel tel 0 61 01 / 49 88-0 medical-display.e@jvckenwood.com · www.jvc.de

• • •
• •
HERSTELLERVERZEICHNIS 81 RADIOLOGIE MAGAZIN 1-2021

Mammographie R/ F-Systeme Interventionelle Systeme Injektoren Computertomographie Magnetresonanztomographie IT-Systeme Künstliche Intelligenz Bildwiedergabe-Systeme Dosimetrie Ultraschall

Konica Minolta

Business Solutions Deutschland GmbH · Healthcare Business Werner-Eckert-Straße 2 · 81829 München tel 0 89 / 23 88 75-0 · fax 0 89 / 23 88 75-258 healthcare@konicaminolta.de www.konicaminolta.eu/eu-en/healthcare •

mbits imaging GmbH Bergheimer Strasse 147 · 69115 Heidelberg tel 0 62 21 / 673 48 80 · fax 0 62 21 / 673 48 89 mail@mbits.info · www. mbits.info

medavis GmbH Bannwaldallee 60 · 76185 Karlsruhe tel 07 21 / 929 10-300 · fax 07 21 / 929 10-333 info@medavis.de · www.medavis.de •

mediaire GmbH Möckernstraße 63 · 10965 Berlin tel 030 / 28 64 90 67 · fax 030 / 28 64 90 66 info@mediaire.de · www.mediaire.de

medigration GmbH Dr.-Rudolf-Eberle-Straße 8 – 10 76534 Baden-Baden tel 0 72 23 / 966 98 69 info@medigration.de · www.medigration.de

MEDTRON AG Hauptstraße 255 · 66128 Saarbrücken tel 06 81 / 970 17-0 · fax 06 81 / 970 17-20 info@medtron.com · www.medtron.com

MEVA

bildgebende Systeme GmbH & Co.KG Röllingheider Straße 6 · 58285 Gevelsberg tel 0 23 32 / 91 37 24 · fax 0 23 32 / 91 37 25 info@meva.org · www.meva.org

Mint Medical GmbH Burgstraße 61 · 69121 Heidelberg tel 0 62 21 / 321 80-0 info@mint-medical.de · www.mint-medical.de

MTS

Medizintechnische Servicegesellschaft GmbH Zechenstraße 6 · 45772 Marl tel 0 23 65 / 503 39-0 · fax 0 23 65 / 503 39-20 service@mts-med.com · www.mts-med.com

Neo Q Quality in Imaging GmbH Oranienburger Straße 4 · 10178 Berlin tel 030 / 863 23 64 00 info@neo-q.de · www.neo-q.de

NewTom | Cefla S. C.

Via Selice Provinciale N. 23 / A Imola · Italien www.newtom.it/de/medicale

• •
• •
• •
INDE- X 82 RADIOLOGIE MAGAZIN 1-2021

Mammographie R/ F-Systeme Interventionelle Systeme Injektoren Computertomographie Magnetresonanztomographie IT-Systeme Künstliche Intelligenz Bildwiedergabe-Systeme Dosimetrie Ultraschall

Nexus / Chili GmbH Friedrich-Ebert-Straße 2 · 69221 Dossenheim tel 0 62 21 / 180 79-10 info@nexus-chili.com · www.nexus-chili.com

NORAS MRI products GmbH

Leibnizstraße 4 · 97204 Höchberg tel 09 31 / 299 27-0 mri@noras.de · www.noras.de •

PEHA med. Geräte GmbH Mühlstraße 38 · 65843 Sulzbach tel 0 61 96 / 500 40-30 · fax 0 61 96 / 500 40-50 info@pehamed.de · www.pehamed.de

PENTA Services GmbH & Co. KG Sprockhöveler Straße 4 · 45527 Hattingen tel 02 34 / 32 41 33-0 info@penta-services.de · www.penta-services.de

Philips Healthcare Röntgenstraße 22 · 22335 Hamburg tel 040 / 28 99-0 healthcare.deutschland@philips.com www.philips.de/healthcare

EXAMION GmbH Erich-Herion-Straße 37 · 70736 Fellbach tel 07 11 / 12 00 02-0 vertrieb@examion.com · examion.com/de

PLUM Medical Solutions GmbH Lange Straße 16 · 18055 Rostock tel 03 81 / 49 65 82-80 · fax 03 81 / 49 65 82-99 info@med-tab.com · www.med-tab.com

RA Radiology Advanced GmbH Schloßstraße 34 · 12163 Berlin tel 030 / 4 03 66 46 60 office@radiology-advanced.com www.radiology-advanced.com

reif & möller diagnostic network AG

Gathmannstraße 3 · 66763 Dillingen/Saar tel 0 68 31 / 698 97 22 telerad@reif-moeller.de · diagnostic-network-ag.de

RVC Medical IT GmbH Ein Unternehmen der Allgeier Gruppe Ortsstraße 56 · 89081 Ulm / Donau tel 0 73 04 / 91 91-60 · fax 0 73 04 / 91 91-61 w.schmezer@rvc-medical-it.de· www.rvc-medical-it.de

Samsung Electronics HME Health Medical Equipment Am Kronberger Hang 6 · 65824 Schwalbach / Taunus tel 0 61 96 / 934 02 46 · fax 0 61 96 / 66 53-77 HME@samsung.de · www.samsunghealthcare.com/de

• • • • • • • •
• •
reif & möller NETZWERK FÜR TELERADIOLOGIE •
HERSTELLERVERZEICHNIS 83 RADIOLOGIE MAGAZIN 1-2021

Mammographie R/ F-Systeme Interventionelle Systeme Injektoren Computertomographie Magnetresonanztomographie IT-Systeme Künstliche Intelligenz Bildwiedergabe-Systeme Dosimetrie Ultraschall

Schumacher medTech GmbH

An der Dornwiese 10 · 82166 Gräfelfing tel 0800 1 350 350 · fax 0 89 / 69 33 46-799 info@schumacher-med.de · www.schumacher-med.de

Sectra Medical Systems

Gustav-Heinemann-Ufer 74c · 50968 Köln tel 02 21 / 474 57-0 · fax 02 21 / 474 57-1 00 info.de@sectra.com · www.sectra.com/dach

Shimadzu Europa GmbH Medical Business Unit Albert-Hahn-Straße 6 – 10 · 47269 Duisburg tel 02 03 / 76 87-0 · fax 02 03 / 76 87-6 80 medical@shimadzu.eu · www.shimadzu-medical.de

Siemens Healthcare GmbH Henkestraße 127 · 91052 Erlangen tel 0 91 31 / 84-0 www.healthcare.siemens.de

Telepaxx Medical Data GmbH Wasserrunzel 5 · 91186 Büchenbach tel 0 91 71 / 89 81 80 info@telepaxx.de · www.telepaxx.de

ulrich GmbH & Co.KG Buchbrunnenweg 12 · 89081 Ulm tel 07 31 / 96 54-0 · fax 07 31 / 96 54-199 info@ulrichmedical.com · www.ulrichmedical.com •

VacuTec Meßtechnik GmbH Dornblüthstraße 14a · 01277 Dresden tel 03 51 / 317 24-0 · fax 03 51 / 317 24 68 info@vacutec-gmbh.de · www.vacutec-gmbh.de

VISUS Health IT GmbH Gesundheitscampus-Süd 15 – 17 · 44801 Bochum tel 02 34 / 936 93-0 · fax 02 34 / 936 93-199 info@visus.com · www.visus.com

VMP GmbH

Robert-Florin-Straße 1 · 46238 Bottrop tel 0 20 41 / 77 58-95 · fax 0 20 41 / 77 58-96 info@vmp-medizintechnik.de · www.vmp-medizintechnik.de

Ziehm Imaging GmbH Lina-Ammon-Straße 10 · 90471 Nürnberg tel 09 11 / 660 67-0 info@ziehm.com · www.ziehm.com

• • • • • • •
• • • •
• •
• • • • • • • •
• •
• •
INDE- X 84 RADIOLOGIE MAGAZIN 1-2021

Mammographie

Neue Funktionen für Patienten- und Bedienkomfort

Optionen: Seno 3D, SenoBright HD, Stereotaxie-Einheit Serena 2D oder 3D, Serena Bright, Biopsat-Modus, ferngesteuerte Selbstkompression Dueta u.a.

▪ Akkurate Differenzierung des Weichgewebes ▪ Kurze Scanzeiten (7 bis 12 Sekunden) und hohe Dosiseffizienz HOLOGIC | 3Dimensions 3,7 s 15° Pixelgröße Scanwinkel Scanzeit

und zusätzliche Abklärungsuntersuchungen.

Hohe Bildqualität

Brusttomosynthese-System von Hologic mit hochauflösender Clarity-HD 3D-Bildgebung und 3,7 Sekunden Scanzeit.

Optional mit K.I.-gestützter 2D-Bildgebungstechnologie

und bis zu 11 Projektionen

/ 3D Low-Dose High-Definition Bildqualität

Beste Kombination von Winkel, Projektionen und Zeit zur Tomosynthese-Akquise

Hochauflösende Mikrokalk und Gewebe Darstellung

Ventral und Dorsal kippbar

Brustwandnah bis zu 2 cm mehr Gewebe darstellbar

Biopsie

sitzend,

liegend und Bauchlage – 3D HDBT

Digitales Komplettsystem für MAMMOGRAPHIE 85 RADIOLOGIE MAGAZIN 1-2021

100 µm EXAMION | AB-CT nu:view CdTe 28 × 5 cm Pixelgröße Detektortyp Detektorgröße MAMMA-CT 
Screening
83 μm EXAMION | Planmed Clarity 2D & 3D 13 s 30° Pixelgröße Scanwinkel Scanzeit TOMOSYNTHESE  ▪ Zwei Tomosynthese Modi (15° und 40°), S-View+ & Tomo-Biopsie ▪ Iterative Tomosynthese Berechnung für beide Winkel ▪ Dynamic Visualization II & Fine Structure Correction ▪ Kontrastmittel-gestützte Mammographie (CEDM) ▪ Brustdichtemessung / Horizontale, vertikale und laterale Biopsie ▪ Comfort Comp: minimale Kompression, maximale Bildqualität 50 μm Fujifilm | Amulet Innovality 4 s 15° und 40° Pixelgröße Scanwinkel Scanzeit ▪
100 µm GE Healthcare | Senographe Pristina < 10 sec ± 12,5° Pixelgröße Scanwinkel Scanzeit ▪ Dual Energy ▪ ± 15°
▪ 2D
85 µm IMS Giotto | Class (Vertrieb: MTS GmbH & Schuhmacher medTech GmbH) ca. 10 s 30 ° Pixelgröße Scanwinkel Scanzeit
nu:view ist das weltweit erste Spiral-CT für die Mammadiagnostik. Mit exzellenter Differenzierung kontrastarmer Strukturen und hoher isotroper Ortsauflösung unterstützt nu:view die frühzeitige Diagnose von Brustkrebs. ▪ Echte 3D-Bilder ohne Überlagerungen ▪ Keine Kompression der Mamma 70 μm
Beidseitige Bedienung mit Dual-Touchscreen
SideAccess: Drehung des Röntgenstrahlers auf eine der beiden Seiten des Brustpositionierungstisches ▪ Freie Sicht für die Positionierung ▪ MaxView für mehr Patientenkomfort
IsoDose – vergleichbar geringe Dosis bei 2D und 3D
Patentierte Bimetallanodenröhre Mo / Rh
AOP-Vollautomatik für geringe Dosis und hohe Bildqualität
Step & Shot. Keine Bewegungsunschärfe
Das
Moderne K.I.-Technologien zur Workflow-Steigerung
Ungehinderter Zugang zur Positionierung der Brust durch Wegschwenken des Röhrenkopfs aus dem Arbeitsbereich der MTRA

▪ Ideal für Screening Center bzw. hohe Patientinnen-Zahlen

▪ Als 2D oder 3D System zu erhalten

▪ Schnell / Optimaler Workflow

▪ Effizienter abgestimmter Untersuchungsablauf programmierbar ▪ Hoher Patientenkomfort

▪ Ventral und Dorsal kippbar. Optimale Anpassung an körperliche Gegebenheiten der Patientinnen

▪ Brustwandnah bis zu 2 cm mehr Gewebe darstellbar

▪ Hervorragende 2D / 3D Low Dose High Definition Bildqualität

Planmed | Clarity 3D

83 μm

Tomosynthese mit hoher Tiefenauflösung und artefaktfreien Bildern

▪ Kontinuierliche „Sync-and-Shoot“-Tomobewegung für sanfte Bildsequenz

▪ Intuitiver One-Click-Workflow für einen schnellen Arbeitsablauf

▪ Integriertes MaxVie-Brustpositionierungssystem

85 µm (ohne Binning) Siemens Healthineers | MAMMOMAT Inspiration

▪ Zukunftsweisende Technologie ermöglicht eine bis zu 30 Prozent geringere Dosis für die Patientin, im Vergleich zu rasterbasierten Aufnahmen

ca.

▪ 50° HD Tomosynthese mit hoher Tiefenauflösung und exklusiver Detailgenauigkeit für hervorragende Resultate

▪ Hoher Komfort für entspannte Patientinnen für verbesserte Patienenerfahrung

▪ Format: 24 × 30 cm ▪ Kompatibel zur vorhandenen Belichtungsautomatik

Nachrüstbar mit Tomosynthese, Biopsie & CEDM

Lange Haltbarkeit des Detektors und keine toten Pixel

Neue adaptive Kompressionsplatten

Hohe Generatorleistung: 7 kW / Detektor „made by“ Fujifilm

Hohe

Siemens

85 µm (ohne Binning)

×

85
IMS Giotto | Class S (Vertrieb: MTS GmbH & Schuhmacher medTech GmbH) ca. 10 s 30 ° Pixelgröße Scanwinkel Scanzeit TOMOSYNTHESE 
µm
13
▪ Exzellente Bildqualität bei sehr niedriger Patientendosis Pixelgröße Scanwinkel Scanzeit
s 15°
MAMMOMAT Inspiration PRIME bietet dosisreduzierte Mammographie bei exzellenter Bildqualität.
▪ Benutzerfreundliches und effzientes Arbeiten
20 s 50 ° Pixelgröße Scanwinkel Scanzeit
MAMMOMAT Revelation kombiniert die Vorteile zukunftsweisender Technologie mit einem umfangreichen Angebot neuster klinischer Anwendungen. Die 50° Wide-Angle Tomosynthese erreicht brillante Differenzierung des Gewebes für optimierte Kalkdarstellung auch in der Biopsie. Durch neuste iterative Algorithmen, wird ein Synthetischer Zwilling mit gleichen Bildeindruck wie das FFDM ermöglicht. Mit unseren zuverlässigen, integrierten AI Verfahren wie PRIME und Brustdichtemessung erhalten Sie sichere Ergebnisse mit geringster Dosis.* * Daten liegen vor
Healthineers
|
MAMMOMAT Revelation
ca. 20 s 50 ° Pixelgröße Scanwinkel Scanzeit
76
EXAMION | X-Mammo DR M a-Si / Csl 24 × 30 cm Pixelgröße Detektortyp Detektorgröße
Einfache Nachrüstlösung für bestehende Anlagen. Sie erhalten die Vorteile eines Detektorsystems ohne Tausch Ihrer Mammographieanlage.
Pixelgröße von nur 76 µm speziell für höchste Bildqualität
Deutlich schnellerer Arbeitsablauf
Geringe Zykluszeit von zehn Sekunden
Intuitive Bedienkonsole
µm
 ▪
50 µm Fujifilm | Amulet Innovality s a-Se 24 × 30 cm Pixelgröße Detektortyp Detektorgröße ▪ GE Premium-Detektor 24
29
▪ AOP-Vollautomatik
▪ Buckydesign
100 µm GE Healthcare | Senographe Crystal Nova a-Si 24 × 29 cm Pixelgröße Detektortyp Detektorgröße DAS PASSENDE KONTRASTMITTEL LIEFERN WIR. BECKELMANN.DE INDE- X 86 RADIOLOGIE MAGAZIN 1-2021
DIGITALE SYSTEME
Aufnahmefrequenz: ideal für Screening, mobile Version verfügbar
cm
für Dosiseffizienz
mit abgerundeten Kanten für komfortable Positionierung
Kleine Stellfläche, schmales Stativ
Für 2D-Basisdiagnostik, optional: 2D-Lokalisation

85 µm IMS Giotto | Image 3DL (Vertrieb: MTS GmbH & Schuhmacher medTech GmbH) a-Se 24 × 30 cm

Aufrüstoption für Senographe Pristina ▪ Innovatives Systemdesign für maximale Flexibilität ▪

Großes Bildfeld für leichte und schnelle Positionierung ▪

Einfacher und schneller Zugang zum Biopsiebereich ▪ Einfacher & Schneller Wechsel zwischen Vertikal/Lateral

▪ Intuitiver One-Click-Workflow für einen schnellen Arbeitsablauf

▪ Software erkennt die verwendete Kompressionsplatte ▪ Integriertes MaxView-Brustpositionierungssystem ▪ Exzellente Bildqualität bei sehr niedriger Patientendosis ▪ On-Site aufrüstbar zu Clarity 3D (Tomosynthese fähig)

Automatische Positionierung der Biopsieeinheit in allen drei Achsen (X/Y/Z) ▪ Laserlicht für Anästhesie

▪ Sehr gute, kontrastreiche Bilder bei geringer Strahlenbelastung ▪ Ausgezeichnete Ergonomie ▪ Integriertes MaxView Brustpositionierrungssystem ▪ Wenig Platzbedarf durch kompakte Bauweise ▪ Optional: Stereotaxie, Befundstation und CAD Erweiterung erhaltbar

MAMMOMAT Fusion bietet Spitzenklasse-Technologie für den klinischen Alltag in Screening und Diagnostik. ▪ Effizent durch den verbesserten automatisierten Workflow, können Untersuchungen in wenigen Arbeitsschritten durchgeführt werden ▪

Neue Detektortechnologie auf Basis Cäsium-Iodid (CsI) bietet hochauflösende Bilder mit gleichzeitiger Dosiseinsparung durch OpDose ▪ Effizienz mit Ein-Klick-Technik für hohe Patientinnenzahlen

Einfache Arbeitsablauf auch in der Stereotaktischen Biopsie

70 µm

HOLOGIC | Affirm Prone liegend 14,3 × 11,7 cm

Aktiver

20 µm / 12bit

HOLOGIC | CoreVision

83 μm Planmed | Clarity 2D a-Si 24 × 30 cm Pixelgröße Detektortyp Detektorgröße
85 µm Planmed | Nuance Excel a-Se 24 × 30 cm Pixelgröße Detektortyp Detektorgröße
83 µm Siemens Healthineers | MAMMOMAT Fusion CsI 23 × 30 cm Pixelgröße Detektortyp Detektorgröße
GE Healthcare | Senographe Pristina Serena BIOPSIE
Das Affirm Prone für Biopsien bietet ein schnelleres, komfortableres Verfahren durch mehr Automatisierung, hervorragende Bildgebung und 360°-Rundumzugang zur Brust und schafft so mehr Komfort für Patientinnen und Ärzte. Es ist das erste spezielle System für Brustbiopsien in Bauchlage mit 2D- oder Tomosynthese Bildgebung. Ein Upgrade von 2D auf 3D Bildgebung mit einem modernen  Betriebssystem ist möglich. Pixelgröße Biopsieposition
Detektorgröße
Bildgebung und Biopsie in einem Raum. Das Hologic Brevera Mammabiopsiesystem mit CorLumina Bildgebungstechnologie ist auf die Rationalisierung des gesamten Biopsieprozesses ausgerichtet und verfügt über eine Echtzeit-Bildgebung. Biopsate können sofort verifiziert und automatisiert bearbeitet werden. Brevera verkürzt den Zeitbedarf um etwa 25 Prozent.
Aktiver
HOLOGIC | Brevera 3,3 × 2,5 cm 50 µm Pixelgröße / Ausgabebild
Bildbereich: Brennfleckgröße 5 × 10 cm
Bildbereich
Das kompakte Gerät kann direkt im stereotaktischen Bereich aufgestellt werden, nur wenige Schritte vom Tisch entfernt. Per Knopfdruck wird das erfolgreiche Biopsieverfahren bestätigt. Die Bilder können sofort an mehrere Empfänger gesendet werden, ohne den Mammografieablauf zu unterbrechen.
Pixelgröße
DIGITALE SYSTEME  87 RADIOLOGIE MAGAZIN 1-2021 MAMMOGRAPHIE
Ideales System für Fischer Tisch Ersatz mit vollem Mammographie System als Back UP ▪ Biopsie sitzend oder liegend in Bauchlage
Systemdesign ermöglicht bis zu 2 cm mehr Darstellung von brustwandnahem Gewebe
Patientenpositionierung lateral und face to face möglich
Lange Haltbarkeit des Detektors, mit hoher DQE & MTF ▪ Hohe Aufnahmefrequenz
Detektortyp Detektorgröße

▪ Biopsie sitzend / Seitenlage und Bauchlage ▪ Hochauflösende Biopsie Tomosynthese Bildgebung

Tomo Akquisition Mode 0,5 mm

360° Zugang zur Brust, laterale Nadelführung möglich

Flachdetektor für Tomosynthese und Biopsie

Low Dose Bildakquisition

Checker ermöglicht Gewebeproben direkt am System zu röntgen ohne zusätzliche Strahlenexposition für die Patientin

BRUSTCHIRURGIE

HOLOGIC | LOCalizer

Der LOCalizer von Hologic ist ein benutzerfreundliches RFID-System zur präzisen Lokalisierung von Brustläsionen, ohne Draht und Radioaktivität. Das innovative RFID-Minitag hat eine eindeutige ID-Nr., diese wird durch das Handlesegerät ausgelesen genauso wie der Abstand in Millimetern. Das LOCalizer System erfüllt alle Normen, die für drahtlose Geräte, ihre elektrische Sicherheit und elektromagnetische Verträglichkeit gelten und ist für einen störungsfreien Betrieb mit anderen Geräten im OP-Saal konzipiert.

▪ Biopsie durch einfachen Umbau mit Lagerungstisch im Liegen ▪ System auf Arbeitshöhe des Untersuchers anpassbar. ▪ 360° Zugang zur Brust; 0° / 6° und laterale Nadelführung möglich ▪ Gleicher Flachdetektor zur Mammographie und für Biopsie mit geringster Dosis, Biopsieausschnitt 10 × 10 cm

Mit dem Trident HD von Hologic steht Ihnen eine hochgradig detaillierte Bildgebung zur raschen Probenverifikation nun direkt im OP-Saal oder Behandlungsraum zur Verfügung. Das schlanke, moderne, ergonomische Design mit seiner kleinen Standfläche macht das System leicht manövrierbar. Dennoch ist die Bildgebungsfläche ausreichend groß, um eine Vielzahl an Probengrößen unterzubringen. Die sofortige Probenverifikation im Behandlungsraum oder OP-Saal führt zu einer schnelleren Durchführung des Biopsieverfahrens.

85 µm
24 × 30 cm Pixelgröße
IMS Giotto | 3D mit Liege (Vertrieb: MTS GmbH & Schuhmacher medTech GmbH) liegend Biopsieposition Detektorgröße
16 × 18 cm
Ausgabebild
85
liegend
24
Pixelgröße Biopsieposition Detektorgröße BIOPSIE  INDE- X 88 RADIOLOGIE MAGAZIN 1-2021 3DQUORUM™-BILDGEBUNGSTECHNOLOGIE
HOLOGIC
| Trident HD 14-bit 70 μm Aktiver Bildbereich
Pixelgröße
▪ Smart
µm
IMS Giotto | Class Biopsie (Vertrieb: MTS GmbH & Schuhmacher medTech GmbH)
/ Bauchlage
× 30 cm

Mit der digitalen Tomosynthese der Brust (Digital Breast Tomosynthesis, DBT) kann Brustkrebs einfacher entdeckt werden, da es keine Überlagerungen gibt. Jedoch kommen bei dieser datenintensiven Technologie einige Darstellungswerkzeuge an der Befundworkstation an ihre Grenzen. Eine effiziente und genaue Diagnose von Patientinnen wird dadurch

HOLOGIC | Clarity HD Tomosynthese Bildgebung

Erkennen Sie kleinste Details anhand hochauflösender, kontrastreicher Tomosynthesebilder für einen fundierten Nachweis von mehr invasiven Karzinomen. Unser hochentwickelter Detektor und der innovative 3D Mammography Bildgebungsalgorithmus liefern gemeinsam außergewöhnliche Tomosynthese-Bilder – unabhängig von der

HOLOGIC | Intelligent 2D Bildgebungstechnologie

Die Intelligent 2D Bildgebungstechnologie für die Hologic 3Dimensions Mammografiesysteme bietet unvergleichliche Bildschärfe, Kontrast- und Detailgenauigkeit und ermöglicht mehr klinisch relevante Bildinformationen aus 3D Mammography Daten als je zuvor auf einem natürlich aussehenden synthetisierten 2D-Bild. Durch KI unterstützt, ermöglicht die

HOLOGIC | I-View 2.0

Die I-View 2.0 Software für kontrastverstärkte Mammografie der Selenia Dimensions und 3Dimensions Systeme erfasst sowohl anatomische als auch funktionelle Informationen in einer einzigen Untersuchung dank unserer 2D-, Kontrast- und Tomosynthesebilder aus einer einzigen Kompression. Die kontrastverstärkte Mammografie (CEM)

erschwert. Mit der SenoIris können Sie Ihren Befundungsablauf optimieren, da Ihnen eine breite Palette von Werkzeugen zur Verfügung steht. Diese wurden zum effektiven Verwalten großer Datenmengen konzipiert und ermöglichen Ihnen so eine schnellere und genauere Diagnose.

Die Quantra Software stützt sich auf eine Textur- und Strukturanalyse für einheitlichere und verlässlichere Ergebnisse. Die Software liefert akkurate Informationen, damit Sie zuverlässige patientenspezifische Screeningpfade erstellen und höchste Qualität anbieten können. Es gibt immer mehr Hinweise darauf, dass Struktur und Textur des fibroglandulären

Brustgröße bzw. -dichte. Clarity HD ist Standardausstattung bei allen 3Dimensions Systemen und als optionales Upgrade für bestehende Selenia Dimensions Systeme erhältlich.

SecurView DX wurde optimiert für die diagnostische Bildbetrachtung von 2D, Intelligent 2D, C-View und Tomosynthese Aufnahmen. Unter Berücksichtigung aller Produktbedürfnisse an die Hologic Brustbildgebung, von I-View über ImageChecker CAD bis Quantra, ist SecurView immer noch die Nummer eins unter den Arbeitsstationen in der Mammografie.

Intelligent 2D Bildgebungstechnologie den Radiologen die schnelle Erkennung kleinster mammografischer Charakteristika und der Läsionsmorphologie.

schneidet im Vergleich zur Brust-MRT gut ab, mit gleicher Sensitivität, höherer Spezifität und somit höherem PPV, wodurch sie eine sinnvolle, kosteneffektive diagnostische Bildgebungsalternative darstellt.

Gewebes bei der Vorhersage des Krebsrisikos in der Mammografie eine ebenso wichtige Rolle spielen wie das Volumen. Die Leitlinien in der fünfte Auflage des vom American College of Radiation (ACR) herausgegebenen BI-RADS-Atlas wurden geändert, um der Struktur und Textur gegenüber dem Volumen bei der Dichtebestimmung Rechnung zu tragen.

SecurView Arbeitsstationen bieten umfassende und einzigartige Workflow-Funktionen, um alle Aspekte der Brustbildüberprüfung zu verbessern und damit die Produktivität und Effizienz zu optimieren.

MAMMO-WORKSTATIONS
GE Healthcare | SenoIris HOLOGIC | Quantra
MAMMOGRAPHIE 89 RADIOLOGIE MAGAZIN 1-2021
HOLOGIC | SecurView DX

Die Mammo PACS Option bietet den Radiologen eine optimale Umgebung zur mammografischen Befundung unter Verwendung der bekannten Benutzeroberfläche des INFINITT PACS Viewers. Um Befunde klarer zu erkennen und Überlagerungseffekte zu reduzieren, unterstützt die Mammo Workstation die digitale Brusttomosynthese (DBT).

Die daraus resultierenden Bilddatenmengen stehen mit Hilfe des effizienten Just-In-Time-Loadings und der Preload-Funktion bereits während des Ladevorgangs zur Betrachtung bereit. Die Mammographiehängeprotokolle erlauben eine automatische Anzeige von Mammografie- und Tomosynthese-Aufnahmen derselben Position.

IDS7 / mx ist eine vollausgestattete diagnostische Workstation, die besonders für die Anforderungen einer Mammographie-Abteilung entwickelt wurde. Diese umfassende High-End-Diagnose-Workstation beschleunigt den Mammographie-Workflow mit einer speziellen Tastatur und besonderen Softwarefunktionen (beispielsweise die Modalitäten-unabhängige

Darstellung und Tomosynthesebilder). Mit diesem System können Radiologen Bilddaten extremer Größe problemlos abrufen, anzeigen und verarbeiten. Des Weiteren ermöglicht das Mammographie-PACS, die Bilder zur Bearbeitung oder für Konsultation an mehrere Kliniken zu verteilen.

Die syngo.Breast Care Mammographie Workstation bietet leistungsstarke Werkzeuge, anpassbare Layouts und individuell konfigurierbare Workflows für eine sichere Diagnose in 2D and 3D. syngo.Breast

Care eignet sich ebenfalls für Tomosyntheseuntersuchungen und die Darstellung von Ultraschall oder MR-Bildern.

Die unabhängige Mammographie-Lösung JiveX Diagnostic Mammo wurde speziell für die kurative Mammographie und das Mammographie-Screening entwickelt. Die hochspezialisierten Hängeprotokolle und bidirektionalen Schnittstellen zu den die Softwarelösungen des deutschen Screeningprogramms (MaSc und MammaSoft) erfüllen die höchsten

HOLOGIC | 3DQuorum Technologie

Die 3DQuorum Bildgebungstechnologie verwendet Genius AI, AI-basierte Algorithmen (Künstliche Intelligenz), um aus den hochauflösenden 3D Mammography Daten sechs Millimeter Schichtaufnahmen, „SmartSlices“, zu erzeugen. SmartSlices wurden speziell zur Verkürzung der Lesezeit konzipiert, und zwar durch die Reduktion der zu befundenden

Philips | AI Breast

AI Breast ist eine Software zur Unterstützung von Mammasonographien. Sie ermöglicht eine visuelle Darstellung der Anatomie und dokumentiert die vollständige Erfassung der Brust. Während der Aufnahme werden die Bilder gespeichert und können auf dem System analysiert werden. Wichtige Bilder können zur schnellen Anzeige

Anforderungen an reibungslose Arbeitsprozesse. JiveX Diagnostic Tomosynthesis beinhaltet alle Funktionen des JiveX Diagnostic Mammo und ergänzt diese durch zusätzlichen Funktionen für die Befundung von Tomosynthese-Daten.

Schichten ohne Kompromisse bei der Bildqualität, Sensitivität und Genauigkeit.

während der Erfassung markiert werden. Weitere Funktionen sind das Abrufen von Orthogonalansichten der Anatomie und das automatische Kommentieren von Bildern.

AI Breast nutzt die in der Sonde integrierten elektromagnetischen Trackingspulen kombiniert mit einer speziellen Matratze und einem Tisch-Feldgenerator.

Sectra | IDS7 / mx für die Mammographie MAMMO-KI  Siemens Healthineers | syngo.Breast Care VISUS | JiveX Diagnostic Mammo / JiveX Diagnostic Tomosynthesis
MAMMO-WORKSTATIONS  INDE- X 90 RADIOLOGIE MAGAZIN 1-2021
INFINITT | Mammo

R/F-Systeme

5

6,7 – 20 Pixel / mm

▪ Kassettenformate: 15 × 30 cm bis 35 × 43 cm inkl. Mammographie ▪ MUSICA-Bildprozessierung

Eingabeschächte max. Durchsatz Auflösung

1 82 Kassetten / h10 – 20 Pixel / mm

Der CR 10-X ist ein SingleslotReader für die Teilgebietsradiologie mit geringem bis mittlerem Patientendurchsatz.

▪ Kassettenformat: 35 × 43 cm ▪ MUSICA-Bildprozessierung

▪ Kassettenformate: 15 × 30 cm bis 35 × 43 cm inkl. Mammographie

▪ MUSICA-Bildprozessierung

1

– 10 Pixel

Der CR 15-X ist ein Singleslot-Reader für die Teilgebietsradiologie und Abteilungen mit geringem bis mittlerem Patientendurchsatz. Neben Speicherfolien ist der Einsatz von Nadelkristalldetektoren möglich für eine hervorragende Bildqualität und ein hohes Potential zur Dosisreduktion.

▪ Kassettenformate: 15 × 30 cm bis 35 × 43 cm

Bis zu 60 Kassetten pro Stunde

Kassettenformate: 18 × 24 cm, 15 × 30 cm, 24 × 30 cm, 28 × 35 cm,

1
5
max.
Agfa | CR 10-X
– 10 Pixel / mm 34 Kassetten / h Eingabeschächte
Durchsatz Auflösung
5
▪ MUSICA-Bildprozessierung /
mm
60
Eingabeschächte
Auflösung
Agfa | CR 15-X
Kassetten / h
max. Durchsatz
Der CR 30-Xm ist ein Singleslot-Reader für die allgemeine Radiographie und Mammographie mit mittlerem bis hohem Patientendurchsatz. Er eignet sich zum Einsatz in dezentralen Abteilungen oder bei niedergelassenen Radiologen.
Agfa | CR 30-Xm
CR-SYSTEME 
Universeller Multislot-Reader für die allgemeine Radiographie und Mammographie. Paralleler Betrieb von Nadelkristalldetektoren und / oder Speicherfolien. Hervorragende Bildqualität verbunden mit hohem Potenzial zur Dosisreduktion und schnellen Arbeitsabläufen dank des „Drop-and-go“-Kassettenpuffers.
Eingabeschächte max. Durchsatz Auflösung
Agfa | DX-M 83 Kassetten/h
35
35
35
43 cm 1 6 – 11 Pixel / mm 60 Kassetten / h EXAMION | X-CR Tabletop Sigma Eingabeschächte max. Durchsatz Auflösung ▪ Unterstützung von 15 × 30 cm-Aufnahmen ▪ Neue Bildverarbeitung Dynamic Visualization II ▪ IHE zertifiziert 1 72 Kassetten / h Fujifilm | FCR Capsula X 10 Pixel / mm Eingabeschächte max. Durchsatz Auflösung R/F-SYSTEME 91 RADIOLOGIE MAGAZIN 1-2021
Universelles Speicherfoliengerät zum Erstellen digitaler Röntgenbilder mit hervorragender Bildqualität. Es ist kompakt, leicht und dennoch äußerst robust.
High Resolution Mode mit 87,5 μm Pixelgröße
×
cm,
x

▪ Unterstützung von 15 × 30 cm-Aufnahmen ▪ Neue Bildverarbeitung Dynamic Visualization II ▪ IHE zertifiziert

▪ „Dual Side Reading“ für Mammographie und Pädiatrie ▪ IHE zertifiziert ▪ DQE: 47,5 % für Mammographie ▪ Neue Bildverarbeitung Dynamic Visualization II

Das Regius 110 liefert eine exzellente Gesamtleistung bei Bildqualität und Workflow-Integration. Durch das äußerst kompakte Design ist es eine optimale Lösung für den teilradiologischen Bereich, kleinere radiologische Abteilungen und dezentrale Systemanforderungen, wie z. B. auf Intensivstationen.

Konica Minolta bietet mit der Mammographie-Option im Speicherfolien-System Regius 110 HQ eine leistungsstarke Erweiterung des bewährten Systems. Neben den Standardauflösungen 175 µm und 87,5 µm kann im HQ-Modus für den Mammographiebereich mit einer Auflösung von 43,75 µm gearbeitet werden.

Das Regius 210 liefert über das Zwei-Schacht-Kassettensystem eine hervorragende Performance bei Workflow, Bildqualität und Flexibilität. Durch die Verknüpfung mehrerer Reader- und Preview-Workstations wird der Regius 210 zur skalierbaren Systemlösung. Eine exakte Konfigurierbarkeit ist damit möglich.

1

Neben den Standardauflösungen von 175 µm (normal) und 87 µm (HQ) kann das Regius 210 MAMMO im HQ-Modus für den Mammographiebereich mit einer Auflösung von 43,75 µm Pixelgröße digitalisiert und eine Ortsauflösung von mehr als 8 Lp / mm erzielt werden.

Beim Regius 210 HPS MAMMO handelt es sich um eine skalierte Vernetzung von zwei Regius 210-Readereinheiten mit einer CS-7 Preview-Station. Eine zeitgleiche Digitalisierung von zwei Kassetten ermöglicht einen Kassettendurchsatz von bis zu 224 Kassetten / h für Standardkassetten und 140 Kassetten / h im Mammographiebereich.

1 72
/ h
Kassetten
FCR
10 Pixel / mm Eingabeschächte Durchsatz Auflösung
4 190
20
Eingabeschächte max.
Auflösung
FCR
XL II 92
/
1 10 Pixel / mm Eingabeschächte max. Durchsatz Auflösung
Fujifilm |
Prima T2
Kassetten / h10 /
Pixel / mm Fujifilm | FCR Profect CS Plus
Durchsatz
▪ Unterstützung von 15 × 30 cm-Aufnahmen ▪ Neue Bildverarbeitung Dynamic Visualization II ▪ IHE zertifiziert Fujifilm |
Capsula
Kassetten
h
CR-SYSTEME
1 6 – 22 Pixel / mm
80
/
Konica Minolta | Regius 110 HQ
Kassetten
h Eingabeschächte max. Durchsatz Auflösung
1 6 – 11 Pixel / mm
110 80
Eingabeschächte max.
Auflösung
Konica Minolta | Regius
Kassetten / h
Durchsatz
6
2
– 22 Pixel / mm
224
max.
Auflösung
Konica Minolta | Regius 210 HPS
MAMMO
Kassetten / h Eingabeschächte
Durchsatz
6 – 22 Pixel / mm
Konica Minolta | Regius 210 MAMMO
112
Kassetten / h Eingabeschächte max. Durchsatz Auflösung
1 6 – 11 Pixel / mm
INDE- X 92 RADIOLOGIE MAGAZIN 1-2021
Konica Minolta | Regius 210
112
Kassetten / h Eingabeschächte max. Durchsatz Auflösung

Das neue innovative Desktop-Speicherfolien-System Regius ∑ II ist die kompakte und umweltfreundliche Imaginglösung. Mit einer Stellfläche von nur 0,31 m² und einem geringen Gewicht von nur 28 kg bietet es eine hohe Bildqualität und führt die Zuverlässigkeit der Regius-Produktfamilie konsequent fort. Die Verarbeitungskapazität liegt bei 25, 45 oder 60 Kassetten / h.

a-Si / CsI 125 µm 65 kW

Adora DRi – Herausragende Projektionsflexibilität für Röntgenaufnahmen mit Auto-Positionierung. Exzellente Canon CXDI-Bildqualität, ergonomische Bedienung mittels SmartHandle und Touchscreen, höhenverstellbarer Untersuchungstisch und DoseRite Dosisreduktionstechnologie unterstützen wirkungsvoll die tägliche Routine.

▪ Wireless oder fest integrierter CXDI-Flachdetektor ▪ Detektorformat: 43 × 42 cm

Vollautomatisiertes DR-System mit ZeroForce-Technology für den universellen Einsatz. Umfangreiche Konfigurationsmöglichkeiten. ▪ Optional: Automatisierte Erstellung von Langformataufnahmen mit EasyStitch-Technology, digitaler Tomosynthese, LiveVision- und SmartXR-Technology

Detektoren: Fest und mobil (WiFi) 24 × 30 cm, 35 × 43 cm, 43 × 43 cm ▪

MUSICA-Bildprozessierung

a-Si / CsI 125 µm 50 / 65 / 80 kW

Leistungsfähiges digitales Radiographiesystem mit höhenverstellbarem Untersuchungstisch, motorisiertem Rasterwandstativ und Deckenstativ mit integriertem Touchscreen zur Parametereinstellung, Patientendaten- und Vorschaubildanzeige. Das System ist flexibel einsetzbar, komfortabel in der Anwendung und ermöglicht zügige Arbeitsabläufe.

▪ Wireless und fest integrierte CXDI-Flachdetektoren

▪ Detektorformate: 43 × 42 cm / 35 × 43 cm / 27 × 35 cm

Skalierbares, bodenmontiertes Röntgensystem, ideal für den Umstieg auf digitale Bilderzeugung. Das System kann mit einem oder mehreren DR-Detektoren oder als integriertes System mit Agfa Speicherfoliensystemen betrieben werden.

Optional: Langformataufnahmen mit EasyStitch-Technology und „Detector sharing“ von mobilen WiFi-Detektoren

Detektoren: Fest und mobil (WiFi) 24 × 30 cm, 35 × 43 cm, 43 × 43 cm ▪

MUSICA-Bildprozessierung

a-Si / CsI 125 µm 50 / 65 / 80 kW

Leistungsfähiges digitales Radiographiesystem mit höhenverstellbarem Untersuchungstisch, motorisiertem Rasterwandstativ und Deckenstativ mit integriertem Touchscreen zur Parametereinstellung, Patientendaten- und Vorschaubildanzeige. Das System ist flexibel einsetzbar, komfortabel in der Anwendung und ermöglicht zügige Arbeitsabläufe. ▪ Wireless oder fest integrierte CXDI-Flachdetektoren ▪ Detektorformate: 43 × 42 cm / 35 × 43 cm / 27 × 35 cm

a-Si / CsI 139 μm 50 kW

Vollmotorisiertes U-Arm DR-Röntgenaufnahmesystem mit geringer Stellfläche für eine große Spanne an Röntgenuntersuchungen; auch geeignet für bewegungseingeschränkte Patienten.

Optional: Automatisierte Erstellung von Langformataufnahmen mit EasyStitch-Technology und „Detector sharing“ von mobilen WiFi-Detektoren

Detektoren: Fest und mobil (WiFi) 24 × 30 cm, 35 × 43 cm, 43 × 43 cm ▪

MUSICA-Bildprozessierung

Die Schwenkbügelsysteme von EXAMION sind kompakt und erschwinglich. ▪ Röntgenstrahler und Bildempfänger kompakt an einem Gerät montiert ▪ Geringer Platzbedarf, optimal für kleine Räume ▪ Detektor kann bei allen Aufnahmetechniken in der Buckylade verbleiben ▪ Raster entnehmbar ▪ Intuitive Steuerung über die EXAMION X-AQS Bedienkonsole

1 60 Kassetten / h6 – 11 Pixel / mm
CR-SYSTEME 
Konica Minolta | Regius ∑ II Eingabeschächte max. Durchsatz Auflösung
50 / 65 / 80 kW CsI
µm
< 150
Detektortyp Pixelgröße
Agfa | DR 400
Generatorleistung
50 / 65 / 80 kW CsI < 150 µm Agfa | DR 600 Generatorleistung Detektortyp Pixelgröße
DR-KOMPLETT-SYSTEME
50 / 64 / 80 kW CsI < 150 µm Agfa | DX-D 300 Generatorleistung Detektortyp Pixelgröße
Canon | Adora DRi Generatorleistung Detektortyp Pixelgröße Canon | Aceso + Generatorleistung Detektortyp Pixelgröße Canon | Aceso Generatorleistung Detektortyp Pixelgröße
R/F-SYSTEME 93 RADIOLOGIE MAGAZIN 1-2021
EXAMION | X-DR Static U-Arm / Z-Arm Generatorleistung Detektortyp Pixelgröße

Das deckengeführte System erfüllt alle Ansprüche des Krankenhauses bis hin zum OP- und Schockraum.

▪ Leichtgängige Verfahrung des Deckenstativs motorisch oder manuell ▪ Intuitive Steuerung über die EXAMION X-AQS Bedienkonsole

Ausstattung mit einem, zwei oder drei Detektoren möglich ▪ Vollmotorisierte Variante mit Autopositionierungs-Funktion

/ GOS 65 / 80 kW

µm

Halbautomatisches System, Bedienung über Apple iPad ▪ Hohe DQE (>70%) und MTF und niedrige Dosis ▪ Detektoren „made by“ Fujifilm ▪ Detektoren mobil einsetzbar im Detektor-Sharing ▪ Ausstattung mit einem, zwei oder drei Detektoren möglich

Option: Ganzbein-/Ganzwirbelsäulenaufnahmen / Energiesubtraktion

Die X-DRS Floor Basic von EXAMION hält dem Praxisalltag zuverlässig stand und beweist sich dadurch als robustes Arbeitsgerät.

▪ Geringer Platzbedarf ▪ Robust und zuverlässig ▪ Besonders leichtgängiger Mechanik

Elektromagnetische Bremsen, über Lichtschranke gesteuert ▪ Intuitive Steuerung über die EXAMION X-AQS Bedienkonsole

Höhenverstellbarer Buckytisch mit drehbarem Säulenstativ (± 90°) ▪ Hohe DQE (> 70 %) und MTF und niedrige Dosis ▪ Detektoren „made by“ Fujifilm / Ein- oder Zwei-Detektorbetrieb ▪

Flexibel: Detektoren auch für mobile Systeme verwendbar ▪ Dosissparend durch Virtual Grid / Dynamic Visualization II / FNC II

150 µm Csl / GOS 52 / 68 / 82 kW

Diese Anlage eignet sich besonders für den Einsatz in großen Arztpraxen, MVZs und kleinen Krankenhäusern.

▪ Automatische Synchronisierung der Bucky bei Bewegen der Röntgenröhre ▪ Synchronisation von Bucky und Röntgenstrahler am motorisch höhenverstellbaren Tisch und am Wandgerät ▪ Die Position des Röntgenstrahlers folgt elektromotorisch der Tischhöhe

Automatisch, motorisch verstellbares Schwenkbügelsystem ▪ Geringer Platzbedarf ▪ FDA: 100 – 180 cm, entnehmbares Raster

Vertikale Bewegung: 120cm

Hohe DQE (>70%) und MTF und niedrige Dosis

Detektor „made by“ Fujifilm ▪ Option: Ganzbein-/Ganzwirbelsäulenaufnahmen

Vollautomatisches System, Bedienung über Apple iPad ▪ Hohe DQE (> 70 %) und MTF und niedrige Dosis ▪ Detektoren mobil einsetzbar, Detektor „made by“ Fujifilm ▪ Option: Ganzbein- / Ganzwirbelsäulenaufnahmen, Tomosynthese, Energiesubtraktion ▪ Ausstattung mit einem, zwei oder drei Detektoren möglich

a-Si /
55 kW 100 – 150 μm
CsI
Generatorleistung Detektortyp Pixelgröße DR-KOMPLETT-SYSTEME 
EXAMION
| X-DRS Ceiling
a-Si / CsI 55 kW 100 – 150 μm
Generatorleistung Detektortyp Pixelgröße
EXAMION
| X-DRS Floor Basic
a-Si
55 kW 100 – 150 μm
Generatorleistung Detektortyp Pixelgröße
/ CsI
EXAMION | X-DR Static BT&WS Standard E
65 / 80 kW CsI / GOS 150 µm
Pixelgröße
Fujifilm | FDR Visionary Suite Vollautomat Generatorleistung Detektortyp
150 µm Csl / GOS 52 / 68 / 82 kW
Fujifilm | FDR Smart X Bodenstativ Generatorleistung Detektortyp Pixelgröße
150
Csl
Fujifilm | FDR Visionary Suite Halbautomat Generatorleistung Detektortyp Pixelgröße
DIE BERATUNG & SCHULUNG GIBT‘S BEI UNS. BECKELMANN.DE INDE- X 94 RADIOLOGIE MAGAZIN 1-2021
Fujifilm | FDR Smart X Schwenkbügelstativ Generatorleistung Detektortyp Pixelgröße

Der AeroDR X60 ist ein hochwertiges, kosteneffizientes, kompaktes, motorisiertes Röntgensystem, das zu Konica Minoltas renommierter Wireless AeroDR Flat Panel Detektorfamilie gehört.

▪ AeroDR X60 bietet eine komfortable Arbeitsumgebung und einen effizienteren Arbeitsablauf, wovon sowohl Bediener als auch Patienten profitieren.

▪ Der AeroDR Flat Panel Detektor und die benutzerfreundliche AeroNAV-Konsole bieten hohe Bildqualität.

Deckenstativ-System mit Auto-Tracking und Auto-Positioning*

▪ Max. Longitudinal-Bewegung: 4.765 cm ▪ Max. Transversal-Bewegung: 2.351 cm ▪ Vertikal-Bewegung: 157,5 cm * Optional

Das deckengeführte Röntgensystem

AeroDR X70 ist für einen hohen Patientendurchsatz konzipiert worden. Das AeroDR X70 mit Servo-Tracking ist individuell für alle Anforderungen konfigurierbar und bietet in Kombination mit dem AeroDR Flat Panel Detektor eine optimale Workflow-Integration.

Bucky-Komplettsystem mit Rasterwandgerät ▪

Verfahrweg Stativ: 210 cm ▪ Röhrenarm-Bewegungen: ±15 cm (transv.) / 150 cm (vertikal) ▪ Rotationsbewegungen: ±90° (vertikal) / ±150° (horizontal) ▪ Teilweise motorisierte Bewegungen (Option)

Bucky-Komplettsystem mit Rasterwandgerät

▪ Mit Auto-Positioning und Synchronisation aller Bewegungen

▪ Motorbetrieb für sämtliche relevanten Bewegungen

▪ Röhrenarm-Bewegungen: ±15 cm (transv.) / 150 cm (vertikal)

▪ Rotationsbewegungen: ±90° (vertikal) / ±150° (horizontal)

Universales Schwenkbügel-System ▪ FFA: 100 cm – 200 cm ▪ Vertikale Bewegung des Schwenkarms: 114 cm ▪ Schwenkarm-Rotation: ±135° ▪ Motorbetrieb (optional)

Universales C-Arm-SchwenkbügelSystem

Motorisierter Schwenkarm

Rotationswinkel: 15° (90° ±30°)

Infrarot-Fernbedienung (optional)

Touchscreen am Strahler und Auto-Collimator

Für sämtliche radiographischen Anwendungen konfigurierbar

Motorisiertes Auto-Tracking und Auto-Positioning

Vollautomatisches Stitching

Komplett versteckte Kabelführung und modernste Touch-Screen-Bedienung

Mit Detektortechnologie von CANON

175 µm
a-Si / CsI
65 / 80 kW
Konica Minolta | AeroDR X60 Generatorleistung Detektortyp Pixelgröße DR-KOMPLETT-SYSTEME
175 µm
50 / 65 / 80 kW a-Si / CsI
Konica Minolta | AeroDR X70
Generatorleistung Detektortyp Pixelgröße ▪
50 / 64
kW GOS
125 µm
/ 80
/ CsI
Pixelgröße
MEVA | Nova Direct-X Generatorleistung Detektortyp
32 / 40 / 50 / 64 / 80 kWGOS / CsI 125 µm
Generatorleistung Detektortyp Pixelgröße
MEVA | Millenium Direct-X
32 / 40 / 50 / 64 / 80 kWGOS / CsI 125 µm
|
Plus
Generatorleistung Detektortyp Pixelgröße
MEVA
Millenium
Direct-X
32
40
CsI 125 µm
| URS X Direct-X Generatorleistung Detektortyp Pixelgröße ▪
/
/ 50 / 64 kWGOS /
MEVA
*
50 / 64 / 80 kW GOS / CsI 125 μm MEVA | URS X plus / LP+* Generatorleistung Detektortyp Pixelgröße ▪
50 / 64 / 80 kW GOS / CsI 125 µm MEVA | Challenge X Generatorleistung Detektortyp Pixelgröße 95 RADIOLOGIE MAGAZIN 1-2021 R/F-SYSTEME

Manueller High-End Buckyplatz mit einer Nachlaufsteuerung des Deckenstatives für Patiententisch und Rasterwandgerät. Mit einem Knopfdruck werden alle Bewegungen des Deckenstatives freigeschaltet zur schnellen und leichten Positionierung. Rückenschonendes Arbeiten durch das leichteste Deckenstativ auf dem Markt.

Trauma DR ist ein spezielles und einzigartiges digitales Radiographie-System für TraumaAbteilungen, Schockräume und Notaufnahmen. Alle notwendigen Aufnahmen können schnell und einfach ohne Umlagerung des Patienten erstellt werden.

Röntgensystem mit deckengeführtem Strahler, Patientenlagerungstisch und festem Wandstativ

Innovative Bedienung mit Touchscreen und Live Camera

Integrierter Flachdetektor im Tisch

Alternativ mobiler SkyPlate Detektor für Tisch und freie Aufnahmen ▪ Mit SkyPlate Detektor: Detektorsharing mit kompatiblen Philips Systemen und SkyFlow Plus (optional)

Röntgensystem mit deckengeführtem Strahler, einseitig gelagertem, drehbarem Patientenlagerungstisch und automatisch verfahrbarem Wandstativ inkl. integriertem Flachdetektor

▪ Innovative Bedienung mit Touchscreen und Live Camera

Optional mobiler SkyPlate Detektor für freie Aufnahmen

▪ Mit SkyPlate Detektor: Detektorsharing mit kompatiblen Philips Systemen und SkyFlow Plus (optional)

Precision i5 ist ein vollmotorisiertes Highend-Autopositionierungssystem mit individuell programmierbaren Bewegungsabläufen und optimal abgestimmtem ergonomischen Design. Ausgestattet mit der Autopositionierung des 3D-Deckenstativs sowie der Nachlaufsteuerung an Tisch und Wandstativ, ermöglicht das System einen optimalen Workflow und hohen Patientendurchsatz. Weitere Highlights: Canon CXDI-Detektoren, Tisch 300 kg Belastung, Stitching, etc.

Röntgensystem mit deckengeführtem Strahler, Patientenlagerungstisch und automatisch verfahrbarem Wandstativ inkl.

integriertem Flachdetektor

Innovative Bedienung mit Touchscreen und Live Camera

Alternativ mobiler SkyPlate Detektor für Tisch und freie Aufnahmen

▪ Mit SkyPlate Detektor: Detektorsharing mit kompatiblen Philips Systemen und SkyFlow Plus (optional)

Röntgensystem mit deckengeführtem Strahler, Patientenlagerungstisch und festem Wandstativ inkl. SkyPLate Detektorlade

Intuitive Bedienung mit Touchscreen, Live Camera und Eleva-Oberfläche

Detektorsharing mit kompatiblen Philips Systemen und SkyFlow Plus (optional)

Röntgensystem mit deckengeführtem Strahler und Wandstativ für Untersuchungen am stehenden oder sitzenden Patienten ▪ In Wandstativ integrierter Flachdetektor oder alternativ mobiler SkyPlate Detektor

Innovative Bedienung mit Touchscreen und Live Camera ▪ Mit SkyPlate Detektor: Detektorsharing mit kompatiblen Philips Systemen und SkyFlow Plus (optional)

50 kW
kW) CsI 125 µm MTS | Intuition DR Generatorleistung Detektortyp Pixelgröße DR-KOMPLETT-SYSTEME 
(optional 65 / 80
50 kW (optional 65 / 80 kW) CsI 125 µm
Generatorleistung Detektortyp Pixelgröße
MTS
| Trauma DR
50 kW
CsI 125 µm
(optional 65 / 80 kW)
Generatorleistung Detektortyp Pixelgröße
MTS | Precision i5
148 µm Csl 65 / 80 kW
Philips | DigitalDiagnost C90 Flex Generatorleistung Detektortyp Pixelgröße
Csl 148 µm 65 / 80 kW
Generatorleistung
Pixelgröße
Philips
|
DigitalDiagnost C90 High Performance VM
Detektortyp
Csl
148 µm 65 / 80 kW
Philips | DigitalDiagnost C90 High Performance VS Generatorleistung Detektortyp Pixelgröße
65
Csl
/ 80 kW
148 µm
Philips | DigitalDiagnost C90 Value Generatorleistung Detektortyp Pixelgröße
65 / 80 kW Csl 148 µm
INDE- X 96 RADIOLOGIE MAGAZIN 1-2021
Philips | DigitalDiagnost C90 Thorax Generatorleistung Detektortyp
Pixelgröße

Röntgensystem mit deckengeführtem Strahler und mobilem SkyPlate Detektor für Untersuchungen in Traumaumgebung

▪ Optional zusätzliches Wandstativ mit Lade für mobilen SkyPlate Detektor

▪ Innovative Bedienung mit Touchscreen und Live Camera

▪ Detektorsharing mit kompatiblen Philips Systemen und SkyFlow Plus (optional)

Zwei-Detektor-Röntgensystem mit deckengeführtem Strahler, Patientenlagerungstisch und festem Wandstativ mit integriertem Flachdetektor, im Tisch integriertem Flachdetektor oder mobilem SkyPlate Detektor

▪ Volldigitales Arbeiten mit intuitiver Eleva-Oberfläche

▪ Detektorsharing mit kompatiblen Philips Systemen und SkyFlow Plus (optional)

50 / 65 / 80 kW

Röntgensystem mit bodengeführtem, verfahrbarem Strahler und festem Wandstativ inkl. integriertem Flachdetektor

▪ Integrierter Flachdetektor im Tisch oder mobiler SkyPlate Detektor zur Nutzung im Tisch und für freie Aufnahmen

Mit SkyPlate Detektor: Detektorsharing mit kompatiblen Philips Systemen und SkyFlow Plus (optional)

Ein-Detektor-Röntgensystem mit deckengeführtem Strahler, Patientenlagerungstisch und festem Wandstativ

▪ Mobiler SkyPlate Detektor zur Verwendung im Wandstativ, im Tisch und für freie Aufnahmen

▪ Volldigitales Arbeiten mit intuitiver Eleva-Oberfläche

▪ Mit SkyPlate Detektor: Detektorsharing mit kompatiblen Philips Systemen und SkyFlow Plus (optional)

Röntgensystem mit bodengeführtem Strahler, Patientenlagerungstisch und festem Wandstativ inkl. SkyPlate Detektorlade

▪ Mobiler SkyPlate Detektor zur Nutzung im Wandstativ, im Tisch und für freie Aufnahmen ▪ Detektorsharing mit kompatiblen

Ein-Detektor-Röntgensystem mit deckengeführtem Strahler, festem Wandstativ und integriertem Flachdetektor

▪ Alternativ mobiler SkyPlate Detektor zur Nutzung im Wandstativ und für freie Aufnahmen

▪ Volldigitales Arbeiten mit intuitiver Eleva-Oberfläche

▪ Mit SkyPlate Detektor: Detektorsharing mit kompatiblen Philips Systemen und SkyFlow Plus (optional)

Röntgensystem mit bodengeführtem Strahler, festem Wandstativ inkl. integriertem Flachdetektor ▪ Alternativ mobiler SkyPlate Detektor zur Nutzung im Wandstativ und für freie Aufnahmen

Mit SkyPlate Detektor: Detektorsharing mit kompatiblen Philips Systemen und SkyFlow Plus (optional)

AccE Detektor und Image-Processing (S-Vue)

Hohe Flexibilität durch S-Share (Detektorsharing) und Shared Bucky (Bucky-Tray für 43 × 43 und 35 × 43 Detektoren

S-Align (Automatische parallele Kippung auf den Detektor)

Touch-Display am Röhrenstativ

Ganzbein-/Ganzwirbelsäulenaufnahmen

Csl 148 µm
65 / 80 kW
Pixelgröße
Philips | DigitalDiagnost C90 Trauma Generatorleistung Detektortyp
DR-KOMPLETT-SYSTEME
50
GOS 148 µm
/ 65 kW
Philips | DigitalDiagnost C50 High Performance Generatorleistung Detektortyp Pixelgröße
50 / 65 kW GOS 139 µm
Philips | DigitalDiagnost C50 Value Generatorleistung Detektortyp Pixelgröße
HISS / CsI 148 µm
Philips | DuraDiagnost High Performance Generatorleistung Detektortyp
Pixelgröße
148 µm GOS 50 / 65 kW
|
C50 Thorax Generatorleistung Detektortyp Pixelgröße
Philips
DigitalDiagnost
50 / 65 / 80 kW CsI 148 µm
Philips Systemen und SkyFlow Plus (optional)
Philips | DuraDiagnost Value
Generatorleistung Detektortyp Pixelgröße ▪
50
/ 65 / 80 kW CsI 148 µm
82 kW 140 μm
CsI Generatorleistung Detektortyp Pixelgröße R/F-SYSTEME 97 RADIOLOGIE MAGAZIN 1-2021
Philips | DuraDiagnost Thorax
Generatorleistung Detektortyp Pixelgröße Vollautomatisches DR-System mit bis zu drei AccE Detektoren
▪ Optional:
Samsung | GC85 Prestige

Tomosynthese: Digitale Mehrschicht-Tomographie ▪ Auto-Stitching-Radiographie ▪ Dual-Energy-Subtraktion

▪ Innovative Flachdetektoren für mehr Vielseitigkeit ▪ Kollimator mit Autofilter-Funktion

Die modulare Systemplattform erlaubt eine flexible Ausstattung mit bis zu drei Detektoren. Dank Max Technologie können die kabellosen Detektoren an anderen Max-Röntgensystemen verwendet werden. Nachlaufsteuerungen an Tisch und Wandstativ sowie ein Touch-Display zur Anpassung von Aufnahmeparametern am Strahlerstativ vereinfachen die Arbeitsabläufe.

▪ Verschiedene Detektorreihen adaptierbar ▪ Autopositioning-Funktion ▪ Speed Stitching-Funktion ▪ Hervorragende Dosiseffizienz ▪ Netzwerkanbindung

65 / 80 kW a-Si / CsI 148 µm

MULTIX Impact ist eine Familie bodenmontierter, digitaler Radiographielösungen, bei der spezifische, klinische Bildgebungsabläufe berücksichtigt und perfekt an die Untersuchungsanforderungen angepasst werden können. Eine in den Touchscreen der Röntgenröhre integrierte Positionierungshilfe unterstützt den Anwender bei der Patientenlagerung.

65 / 80 kW

µm

Das MULTIX Impact C ist ein volldigitales, deckengehängtes Röntgensystem mit unterstützender Systemintelligenz. Der attraktive Preis ermöglicht den Zugang zur modernen diagnostischen Bildgebung, die auch bei hoher Auslastung zuverlässige und qualitativ hochwertige Leistung erbringt. Eine in den Touchscreen der Röntgenröhre integrierte Positionierungshilfe unterstützt den Anwender bei der Patientenlagerung

Siemens Healthineers | LUMINOS Lotus Max

Generatorleistung Detektortyp Pixelgröße

55 / 65 / 80 kW

Csl 148 µm

Das LUMINOS Lotus Max ist ein System, das zwei bildgebende Verfahren vereint: die Radiographie und die Fluoroskopie. Aufgrund seiner Vielseitigkeit können mit einem System unterschiedliche Untersuchungsspektren abgebildet werden. Zusätzliche Anpassungen zur Optimierung der Dosis mit dem erweiterten CARE-Programm setzen neue Maßstäbe in der konventionellen Durchleuchtung. Die integrierten SMART-Funktionen ermöglichen patientengerechte Untersuchungsbedingungen und einen effizienten Workflow.

50 / 65 / 80 kW 100 / 125 / 175 µm
| RADspeed Pro DR CsI Generatorleistung Detektortyp Pixelgröße
Shimadzu
für
Flächendosisprodukt 150 µm Shimadzu | RADspeed Pro EDGE CsI / GOS 50 / 65 / 80 kW Generatorleistung Detektortyp Pixelgröße DR-KOMPLETT-SYSTEME 
niedrigeres
Csl
148 µm
Detektortyp Pixelgröße
Siemens Healthineers | MULTIX Fusion Max 55 / 65 / 80 kW Generatorleistung
148
160 µm
Csl
/
Siemens Healthineers | MULTIX Impact
55 / 65 / 80 kW Generatorleistung Detektortyp Pixelgröße
Csl 139 µm Siemens
55 /
80 kW Generatorleistung Detektortyp
Healthineers | MULTIX Impact C
65 /
Pixelgröße
Röntgen in Perfektion: Nachlaufsteuerungen an Tisch und Wandstativ, individuell programmierbare Autopositionierung des Deckenstativs, mobile Detektoren mit integrierten Lademechanismus und Lagesensoren für eine optimale Ausrichtung zwischen Strahler und Detektor im freien Betrieb. Csl 148
Pixelgröße
Siemens Healthineers | Ysio Max Generatorleistung
Detektortyp
Neben den konventionellen Projektionsaufnahmen sind am Multitom Rax auch 3D Aufnahmen der Gelenke im Stehen unter natürlicher Gewichtsbelastung möglich. Die 3D-Aufnahmen können im Sitzen, Liegen oder Stehen gemacht werden. Die beiden deckengehängten Teleskoparme bewegen sich dank Robotertechnik automatisch in die gewünschte Aufnahmeposition.
INDE- X 98 RADIOLOGIE MAGAZIN 1-2021
Siemens Healthineers | Multitom Rax Generatorleistung Detektortyp PIxelgröße

Einfach und sicher zu installierende Komplettlösung zur Digitalisierung von Röntgenarbeitsplätzen oder mobilen Röntgengeräten. Sie kann je nach Anwendung mit stationären oder mobilen Rechnern (PC, Laptop, Tablet) ausgestattet werden. ▪ Optional: „Detector sharing“ von mobilen WiFi-Detektoren, orthopädische Langformataufnahmen mit EasyStitch-Technology

Der Röntgenanlage neues Leben einhauchen: Ob stationäres oder mobiles Röntgengerät, mit den neuen DR Upgrade Kits lassen sich vorhandene Systeme innerhalb kurzer Zeit digital aufrüsten. Der Anwender kann die Wireless CXDIFlachdetektoren flexibel geräteübergreifend verwenden und somit an allen Geräten in gewohnter Canon-Qualität digital arbeiten.

Canon Wireless CXDI-Flachdetektor der neuesten Generation mit automatischer Strahlungserkennung. Sein Gewicht beträgt nur 1,8 kg inklusive Akku. Aufgrund seiner Abmessungen und geringen Dosisbedarfs, eignet sich der Detektor besonders gut für pädiatrische Anwendungen, auch dem Einsatz im Inkubator. Der Detektor ist wasserbeständig nach IPX7.

Canon Wireless CXDI-Flachdetektor der neuesten Generation mit automatischer Strahlungserkennung. Neben der überragenden Bildqualität und dem geringen Dosisbedarf zeichnet sich der Detektor auch durch sein geringes Gewicht von 2,8 kg inklusive Akku aus. Der Detektor ist wasserbeständig nach IPX7.

Canon Wireless CXDI-Flachdetektor der neuesten Generation mit automatischer Strahlungserkennung. Neben der überragenden Bildqualität und dem geringen Dosisbedarf zeichnet sich der Detektor auch durch sein geringes Gewicht von 2,3 kg inklusive Akku aus. Der Detektor ist wasserbeständig nach IPX7.

35 × 43 cm / 43 × 43 cm

24 × 30 cm

▪ Integrierte X-AQS Bildprozessierung mit höchster Bildqualität ▪ Betrieb auch kabelgebunden möglich

35 × 43 cm

CsI 150 µm

CsI Agfa
DR
< 150 µm 24 × 30 / 35 × 43 / 43 × 43 cm Detektortyp Pixelgröße Detektorgröße FLAT PANEL-DETEKTOREN 
▪ Detektoren:
Mobil (WiFi)
MUSICA-Bildprozessierung
|
Retrofit
42
Csl
× 43 cm
125 µm
Canon | CXDI-410C Wireless (Vertrieb: MTS GmbH & Schuhmacher medTech GmbH) Detektorgröße Pixelgröße Detektortyp
35
43
CsI 125 µm
×
cm
Canon | CXDI-710C Wireless (Vertrieb: MTS GmbH & Schuhmacher medTech GmbH) Detektorgröße Pixelgröße Detektortyp
42 × 43 / 35 × 43 / 27 × 35 cm CsI 125 µm
|
Canon
DR Upgrade Kit / DR-in-2-Minuten (Vertrieb: MTS GmbH
& Schuhmacher medTech GmbH)
Detektorgröße Pixelgröße Detektortyp
27 × 35
CsI 125
cm
µm
Canon | CXDI-810C Wireless (Vertrieb: MTS GmbH & Schuhmacher medTech GmbH) Detektorgröße Pixelgröße Detektortyp
a-Si
100
Kundenspezifische Nachrüstlösungen für stationäre, mobile und portable Röntgensysteme. Der passende Detektor für jeden Anwendungsfall. ▪ Standardkassettenformat ▪ Sofortiger Einsatz ohne aufwändige technische Anpassungen ▪ Intuitive Bedienung über die EXAMION X-AQS Steuerungskonsole 175
/ Csl
µm
EXAMION | X-DR L und XL WiFi Detektorgröße
Pixelgröße Detektortyp ▪
CsI 150 µm
Weltweit erster glasfreier Detektor (WLAN oder Kabel) ▪ Höhere DQE, niedrigere Dosis / SmartSwitch: kein Generatoranschluss erforderlich ▪ Dynamischer Detektor / nur 1,3 kg leicht ▪ Staub- und wasserdicht: IP56 / antibakterielle Beschichtung ▪ Interner Bildspeicher für 200 Aufnahmen
Für alle gängigen Inkubatoren
Dynamic Visualization II / Virtual Grid / KI-Software
Pixelgröße
Fujifilm | FDR D-EVO III C24 Detektorgröße
Detektortyp
Weltweit erster glasfreier Detektor (WLAN oder Kabel) ▪
Höhere DQE, niedrigere Dosis / SmartSwitch: kein Generatoranschluss erforderlich
Dynamischer Detektor / nur 1,8 kg leicht
Staub- und wasserdicht: IP56 / antibakterielle Beschichtung
Interner Bildspeicher für 100 Aufnahmen
Dynamic Visualization II / Virtual Grid / KI-Software
Pixelgröße
R/F-SYSTEME 99 RADIOLOGIE MAGAZIN 1-2021
Fujifilm | FDR D-EVO III C35 Detektorgröße
Detektortyp

Weltweit erster glasfreier Detektor (WLAN oder Kabel)

Höhere DQE, niedrigere Dosis / SmartSwitch: kein Generatoranschluss erforderlich

▪ Dynamischer Detektor / nur 2,1 kg leicht

▪ Staub- und wasserdicht: IP56 / antibakterielle Beschichtung

▪ Interner Bildspeicher für 100 Aufnahmen

▪ Dynamic Visualization II / Virtual Grid / KI-Software

▪ Weltweit erster glasfreier Detektor (WLAN oder Kabel)

▪ Höhere DQE, niedrigere Dosis / SmartSwitch: kein Generatoranschluss erforderlich

▪ Dynamischer Detektor / nur 1,8 kg leicht

▪ Staub- und wasserdicht: IP56 / antibakterielle Beschichtung

▪ Interner Bildspeicher für 100 Aufnahmen

▪ Dynamic Visualization II / Virtual Grid / KI-Software

Weltweit erster glasfreier Detektor (WLAN oder Kabel)

▪ Höhere DQE, niedrigere Dosis / SmartSwitch: kein Generatoranschluss erforderlich

▪ Dynamischer Detektor / nur 2,1 kg leicht

▪ Staub- und wasserdicht: IP56 / antibakterielle Beschichtung

▪ Interner Bildspeicher für 100 Aufnahmen

▪ Dynamic Visualization II / Virtual Grid / KI-Software

Zweite Generation mit zusätzlichen Eigenschaften:

▪ Neues Design, Docking Stand, höhere Belastbarkeit (310 kg)

Interner Bildspeicher für 200 Aufnahmen (kabellos oder WLAN)

▪ Für alle gängigen Inkubatoren

▪ Wasserdicht, antibakterielle Beschichtung, nur 1,5 kg Gewicht ▪ Schnellaufladung & lange Batterielaufzeit (max. 48 h)

Zweite Generation DR-Kassette mit zusätzlichen Eigenschaften: ▪ Neues Design, Docking Stand, höhere Belastbarkeit (310 kg) ▪ Interner Bildspeicher für 100 Aufnahmen (kabellos oder WLAN) ▪ Wasserdicht, antibakterielle Beschichtung, nur 2,6 kg Gewicht ▪ Schnellaufladung & lange Batterielaufzeit (max. 36 h)

Zweite Generation DR-Kassette mit zusätzlichen Eigenschaften: ▪ Neues Design, Docking Stand, höhere Belastbarkeit (310 kg) ▪ Interner Bildspeicher für 100 Aufnahmen (kabellos oder WLAN) ▪ Wasserdicht, antibakterielle Beschichtung, nur 3,2 kg Gewicht ▪ Schnellaufladung & lange Batterielaufzeit (max. 36 h)

Zweite Generation DR-Kassette mit zusätzlichen Eigenschaften: ▪ Neues Design, Docking Stand, höhere Belastbarkeit (310 kg) ▪ Interner Bildspeicher für 100 Aufnahmen (kabellos oder WLAN) ▪ Wasserdicht, antibakterielle Beschichtung, nur 2,5 kg Gewicht

Schnellaufladung & lange Batterielaufzeit (max. 36 h)

Zweite Generation DR-Kassette mit zusätzlichen Eigenschaften:

Neues Design, Docking Stand, höhere Belastbarkeit (310kg)

Interner Bildspeicher für 100 Aufnahmen (kabellos oder WLAN)

Wasserdicht, antibakterielle Beschichtung, nur 3,1 kg Gewicht

Schnellaufladung & lange Batterielaufzeit (max. 36 h)

35
GOS 150 µm
× 43 cm
Fujifilm | FDR D-EVO III G35 Detektorgröße
Pixelgröße Detektortyp
43
CsI 150 µm
× 43 cm
Pixelgröße
FLAT
Fujifilm | FDR D-EVO III C43 Detektorgröße Detektortyp
PANEL-DETEKTOREN
43
GOS 150 µm
× 43 cm
Pixelgröße
Fujifilm
|
FDR D-EVO III G43 Detektorgröße
Detektortyp
43 × 43 cm Csl 150 µm
Fujifilm | FDR D-EVO II C43 Detektorgröße
Pixelgröße
Detektortyp
35 × 43
Csl 150 µm
cm
Pixelgröße
Fujifilm | FDR D-EVO II C35 Detektorgröße Detektortyp
24 × 30 cm Csl 150 µm
Detektorgröße Pixelgröße Detektortyp
Fujifilm | FDR D-EVO II C24
35
43
GOS 150 µm
×
cm
Pixelgröße
Fujifilm | FDR D-EVO II G35 Detektorgröße
Detektortyp
43 × 43 cm GOS 150 µm
Pixelgröße
INDE- X 100 RADIOLOGIE MAGAZIN 1-2021
Fujifilm | FDR D-EVO II G43 Detektorgröße Detektortyp

DR-Kassette passt in jede gängige Röntgenanlage (DIN 4090)

Bis zu 300 kg belastbar / wassergeschützt (IPX3)

▪ Akku (WLAN) & Kabelbetrieb / Gewicht: 1,6 kg ▪ Bis zu 200 Aufnahmen mit einer Batterieladung ▪ Für alle gängigen Inkubatoren

SmartSwitch: kein Generatoranschluss erforderlich

DR-Kassette passt in jede gängige Röntgenanlage

Bis zu 300 kg belastbar / wassergeschützt (IPX3) ▪ Akku (WLAN) & Kabelbetrieb / Gewicht: 3,7 kg ▪ Bis zu 200 Aufnahmen mit einer Batterieladung ▪ SmartSwitch: kein Generatoranschluss erforderlich

DR-Kassette passt in jede gängige Röntgenanlage (DIN 4090)

▪ Bis zu 300 kg belastbar / wassergeschützt (IPX3)

▪ Akku (WLAN) & Kabelbetrieb / Gewicht: 2,9 kg ▪ Bis zu 200 Aufnahmen mit einer Batterieladung

▪ SmartSwitch: kein Generatoranschluss erforderlich

DR-Kassette passt in jede gängige Röntgenanlage ▪

Bis zu 300 kg belastbar / wassergeschützt (IPX3) ▪ Akku (WLAN) & Kabelbetrieb / Gewicht: 3,7 kg ▪ Bis zu 200 Aufnahmen mit einer Batterieladung ▪ SmartSwitch: kein Generatoranschluss erforderlich

DR-Kassette passt in jede gängige Röntgenanlage (DIN 4090)

Bis zu 300 kg belastbar / wassergeschützt (IPX3)

▪ Akku (WLAN) & Kabelbetrieb / Gewicht: 2,9 kg

▪ Bis zu 200 Aufnahmen mit einer Batterieladung

▪ SmartSwitch: kein Generatoranschluss erforderlich

Hohe DQE und MTF bei niedriger Dosis

Höhere DQE, niedrigere Dosis / kein Generatoranschluss erforderlich

Wasserdicht: IPX4

DQE, niedrigere Dosis / kein Generatoranschluss erforderlich

Wasserdicht: IPX4

Höhere DQE, niedrigere Dosis / kein Generatoranschluss erforderlich

Wasserdicht: IPX4

43 × 43
GOS 150 µm
▪ Hohe
DQE und MTF bei niedriger Dosis
▪ Dynamic Visualization II / Virtual Grid
cm
Pixelgröße
Fujifilm | FDR ES G43 Detektorgröße
Detektortyp
35 × 43 cm CsI 150 µm
Hohe
DQE und MTF bei niedriger Dosis Dynamic Visualization II / Virtual Grid Fujifilm | FDR ES C35 Detektorgröße Pixelgröße Detektortyp
35
43 cm GOS 150 µm
▪ Dynamic Visualization II / Virtual Grid
×
Pixelgröße
Fujifilm | FDR ES G35
Detektorgröße
Detektortyp
24 × 30 cm CsI 150 µm
▪ Hohe DQE und MTF bei niedriger Dosis ▪ Dynamic Visualization II / Virtual Grid
Detektorgröße Pixelgröße Detektortyp FLAT
Fujifilm | FDR ES C24
PANEL-DETEKTOREN
▪ Dynamic Visualization II / Virtual Grid 43 × 43 cm CsI 150 µm
| FDR ES C43 Detektorgröße Pixelgröße Detektortyp ▪
▪ Dynamic
Virtual Grid 35 × 43 cm GOS 150 µm Fujifilm | FDR SE Lite G35 Detektorgröße Pixelgröße Detektortyp ▪
▪ Dynamic
II
Virtual Grid 35 × 43 cm CsI 150 µm Fujifilm | FDR SE Lite C35 Detektorgröße Pixelgröße Detektortyp ▪
▪ Dynamic
Virtual Grid 43 × 43 cm CsI 150 µm Fujifilm | FDR SE Lite C43 Detektorgröße Pixelgröße Detektortyp R/F-SYSTEME 101 RADIOLOGIE MAGAZIN 1-2021
▪ Hohe DQE und MTF bei niedriger Dosis
Fujifilm
Visualization II /
Visualization
/
Höhere
Visualization II /

▪ Höhere DQE, niedrigere Dosis / kein Generatoranschluss erforderlich ▪ Wasserdicht: IPX4 ▪ Dynamic Visualization II / Virtual Grid

▪ DR-Kassette für Ganzbein- / Ganzwirbelsäulenaufnahmen

▪ Nur eine Aufnahme, kein Verwackeln ▪ Dosissparend mit Virtual Grid Software ▪ Kompatibel mit FDR D-EVO Detektoren, Bedienung an gleicher Konsole ▪ Stativ um 90° drehbar

▪ Sehr leichtes Nachrüstkit für vorhandene mobile Röntgensysteme ▪ DR-Kassette kann mit Rastertunneln verwendet werden ▪ SmartSwitch: kein Generatoranschluss erforderlich ▪ Hohe DQE und MTF und niedrige Dosis ▪ Ein Nachrüstsystem für mehrere mobile Röntgensysteme

Konica Minolta hat die nächste Generation des digitalen Wireless Röntgendetektors AeroDR HD entwickelt. AeroDR HD mit der höchsten Auflösung (100 µm) und Sensibilität, ermöglicht die beste Bild-Qualität und niedrigste Strahlendosis. Ab sofort wird jedes Röntgenbild detailreicher denn je sein, was noch bessere Befundungen ermöglicht.

35 × 43 / 43 × 43 / 25 × 30 cma-Si / CsI 175 µm

Der neue kabellose Detektor AeroDR Premium ist sehr leicht, wasserdicht (IPX6) und sehr robust. Diese Eigenschaften prädestinieren das Panel für den Einsatz in Umgebungen mit hohen Anforderungen wie Trauma-Abteilungen, Intensivstationen oder beim Katastrophenschutz. Der Akku des AeroDR Premium kann in nur 30 Minuten vollständig aufgeladen werden.

35 × 43 / 43 × 43 / 25 × 30 cma-Si / CsI 175 µm

Die AeroDR Wireless Flat Panel Detektoren in den Formaten 43 × 43 cm, 35 × 43 cm und 25 × 30 cm passen ohne Modifikationen in bestehende Säulen- oder Tisch-Rasterladen und gehören zu den leichtesten Flachdetektoren in der jeweiligen Größe.

Nachrüstkit für mobile Röntgensysteme: Die AeroDR Portable Solution verwandelt bestehende mobile Röntgensysteme einfach und kostengünstig in digitale Wireless-Lösungen. Die portable Einheit hat äußerst kompakte Abmessungen und passt dadurch in den Kassettenschacht von allen gängigen fahrbaren Röntgensystemen.

AeroSync, die neue Technology für die Synchronisation der Röntgenaufnahmen, benötigt keine Kabelverbindung zum Generator. Der AeroDR Flat Panel Detektor erkennt automatisch die Röntgenstrahlung und überträgt im Anschluss das Röntgenbild an die Bedienkonsolen CS7 und AeroNAV.

43 × 43 cm GOS 150 µm
Pixelgröße Detektortyp FLAT PANEL-DETEKTOREN 
24 × 30 / 35 × 43 / 43
43
/ GOS 150 µm
Fujifilm | FDR SE Lite G43 Detektorgröße
×
cmCsl
Fujifilm | FDR GO flex (Nachrüstkit für mobile Systeme) Detektorgröße
Pixelgröße Detektortyp
43 × 124 cm GOS 150 µm
Fujifilm | FDR D-EVO GL Detektorgröße
Pixelgröße Detektortyp
Konica Minolta | AeroDR Premium Detektorgröße Pixelgröße Detektortyp Konica Minolta | AeroDR Wireless Flat Panel Detektor Detektorgröße Pixelgröße Detektortyp
× 43 / 43 × 43 / 25 × 30 cma-Si / CsI 100 µm
35
Detektorgröße Pixelgröße Detektortyp
Konica Minolta | AeroDR
HD
35 × 43 / 43 × 43 / 25 × 30 cma-Si / CsI 175 µm
Minolta | AeroDR Portable Solution Detektorgröße Pixelgröße Detektortyp
35 × 43 / 43 × 43 / 25 × 30 cma-Si / CsI 175 µm Konica Minolta | AeroSync Detektorgröße Pixelgröße Detektortyp INDE- X 102 RADIOLOGIE MAGAZIN 1-2021
Konica

Das einzigartige AeroDR Auto-Stitching-System kann in jede bestehende Röntgenanlage integriert werden. Aufgrund der speziellen Blendentechnologie und der automatischen Positionierung des Detektors wird die Aufnahmezeit signifikant verkürzt und der Arbeitsablauf wesentlich verbessert.

Diese digitale Lösung beinhaltet einen Tablet PC (herausnehmbar) und ist im kompakten Koffer einfach zu tragen. Der wasserdichte (IPX6) AeroDR Premium Detektor ist einer der weltweit leichtesten 14 × 17"-Detektoren (2,6 kg) und sehr einfach zu handhaben in der täglichen klinischen Routine. In nur 30 Minuten ist der Detektor komplett von leer bis voll geladen.

Starkes Dual-Band-WiFi und praktische LED-Statusanzeige

Schnelle Konfiguration per NFC

Nachrüstbar in nahezu allen Röntgensystemen

Einfache und kosteneffiziente Volldigitalisierung bestehender Röntgenanlagen ▪ Leichter wireless Flat Panel Detektor (2,8 kg) ▪ Intuitive und touchfähige Bedienoberfläche ▪ Hervorragende Bildqualität durch Bildverarbeitungssoftware HARMONY ▪ Für den Einsatz mit mobilen Röntgensystemen

Portabler, kabelgebundener FPD ▪ Kommunikationsinterface über Gigabit Ethernet ▪ Nachrüstbar in nahezu allen Röntgensystemen ▪ Inklusive DxWorks Akquisitionssoftware und AED

Portabler, kabelloser FPD

Starkes Dual-Band-WiFi

Direkt-Kommunikation mit Smart Devices ▪ Nachrüstbar in nahezu allen Röntgensystemen

Inklusive DxWorks Akquisitionssoftware und AED

Portabler, kabelloser FPD mit großem Aufnahmeformat

Starkes Dual-Band-WiFi

Direkt-Kommunikation mit Smart Devices

Nachrüstbar in nahezu allen Röntgensystemen

Inklusive DxWorks Akquisitionssoftware und AED

FDP im Kassettenformat mit sehr hoher Dynamik (16

cma-Si
175 µm
35 × 43 / 43 × 43 / 25 × 30
/ CsI
Konica Minolta | AeroDR Auto-Stitching-System Detektorgröße
Pixelgröße
Detektortyp
FLAT PANEL-DETEKTOREN 
/ CsI 175 µm
35 × 43 / 43 × 43 / 25 × 30 cma-Si
Pixelgröße
Konica Minolta | AeroDR Portable Detektorgröße
Detektortyp ▪
35 × 43 cm CsI 148 µm / 16 bit
Detektorgröße Pixelgröße Detektortyp
medigration | DR Retrofit-Kit DX | Vision
35 × 43 cm CsI oder Gadox / a-Si 140 µm
| Saturn 8000 14×17 Wired Detektorgröße Pixelgröße Detektortyp
MEVA
35 × 43 cm CsI oder Gadox / a-Si 140 µm MEVA | Saturn 8000 14×17 Wireless Detektorgröße Pixelgröße Detektortyp ▪
43 × 43 cm CsI oder Gadox / a-Si 140 µm MEVA | Saturn 8000 17×17N Detektorgröße Pixelgröße Detektortyp ▪ Portabler, kabelloser FPD im Kleinformat ▪ Starkes Dual-Band-WiFi ▪ Direkt-Kommunikation mit Smart Devices ▪ Nachrüstbar in nahezu allen Röntgensystemen ▪ Inklusive DxWorks Akquisitionssoftware und AED 25 × 32 cm CsI oder Gadox / a-Si 124 µm MEVA | Saturn 8000 10×12N Detektorgröße Pixelgröße Detektortyp ▪
35 × 43 cm CsI oder Gadox / a-Si 140 µm MEVA | Saturn 8000 14×17N Detektorgröße Pixelgröße Detektortyp R/F-SYSTEME 103 RADIOLOGIE MAGAZIN 1-2021
bit)
Portabler, kabelloser FPD der zweiten Generation
Inklusive DxWorks Akquisitionssoftware und AED
Sehr hohe Dynamik (16 bit)

▪ FPD im Kassettenformat mit sehr hoher Dynamik (16 bit)

▪ Schnelle Boot-Zeit (15 Sekunden)

▪ Nachrüstbar in nahezu allen Röntgensystemen ▪ Inklusive DxWorks Akquisitionssoftware und AED

Das GR40CW mit dem Samsung AccE Detektor ermöglicht die einfache Digitalisierung Ihres analogen Röntgensystems ▪ Wasser- und Staubresistent nach IP54 ▪ Hohe DQE von 80 Prozent für geringen Dosisbedarf ▪ Optional mit SimGrid, Bone Suppression und S-Enhance

Ein mobiles System mit hervorragender Ergonomie. Extreme Leichtläufigkeit und schneller DR-Bildgebung. Hoher Komfort und höchste Produktivität. FreeViewTechnologie verfügbar.

▪ Einsatzgebiete: Intensivmedizin bzw. Bettaufnahmen

Optional: 10-Zoll Röhrentouchdisplay, Detektordiebstahlsicherung, SmartXR-Technology

Detektoren: Mobil (WiFi) 24 × 30 cm, 35 × 43 cm, 43 × 43 cm

Das batteriebetriebene mobile Röntgensystem mit Detektor erfüllt alle Anforderungen von Krankenhäusern oder kleinen Kliniken. Es ist motorisiert und die Geschwindigkeit kann über den Griff gesteuert werden.

Einfaches Manövrieren und Positionieren

Teleskoparm und Schwenksäule

DICOM-Konnektivität und WLAN

Das digitale, mobile Röntgenaufnahmesystem ist mit feststehendem oder drehbarem Säulenstativ verfügbar, es ist leicht bewegbar und zu bedienen.

▪ Einsatzgebiete: Intensivmedizin bzw. Bettaufnahmen.

Optional: „Detector sharing“ von mobilen WiFi-Detektoren.

▪ Detektoren: Mobil (WiFi) 24 × 30 cm, 35 × 43 cm, 43 × 43 cm

MUSICA-Bildprozessierung

Kofferlösung zum Notfalleinsatz

In kürzester Zeit einsatzbereit

Kommunikation Detektor / Notebook ohne weitere Funkkomponenten

Schnelle Erstellung von Aufnahmen am Patientenbett oder auch völlig mobil im Katastrophengebiet ▪ Vollwertiger befundfähiger Viewer und Mini-PACS auf dem Notebook

Lunit Insight CXR3: KI für die Thorax-Radiologie

Extrem kompaktes und leichtes Röntgensystem

Bis zu 75 Prozent Dosisreduktion durch Virtual Grid / Dynamic Visualization II / Flexible Noise Control II

Schnellaufladung und lange Batterielaufzeit (max. 200 Aufnahmen)

Detektorsharing mit anderen mobilen oder stationären Systemen

Mobiles digitales Radiographiesystem mit versenkbarer Säule

Großer 19" integrierter Touchscreen

Kompatibel mit FDR D-EVO II DR-Kassetten

Abschließbare Ablagefächer für zwei Detektoren

Weitere Ablagemöglichkeiten für Desinfektionstücher & weiteres Zubehör

Dosisreduktion durch Dynamic Visualization

43 × 43 cm CsI oder Gadox / a-Si 140 µm MEVA | Saturn 8000 17×17V Detektorgröße Pixelgröße Detektortyp FLAT PANEL-DETEKTOREN 
CsI Samsung | GR40CW 140 µm 43 × 43 / 35 × 43 / 30 × 25 cm Detektortyp Pixelgröße Detektorgröße
* feststehed / **drehbar Agfa | DR 100e digital 181*/ 252** kg 61,8 cm 32 kW (Monoblock) Gewicht Breite Generatorleistung
Agfa | DR 100s 470 kg 58 cm 32 / 40 kW Gewicht Breite Generatorleistung MOBILE DR-SYSTEME 
MUSICA-Bildprozessierung
397 kg
| X-DRS Mobile Pro 320 32 kW Generatorleistung Gewicht Breite
57,6 cm EXAMION
35 × 42
a-Si / Csl 150 µm
cm
Pixelgröße Detektortyp
EXAMION
| X-DR Portable Case L Detektorgröße
90 kg 2,5 kW 550 mm
Gewicht Breite Generatorleistung 32 kW ▪
Fujifilm | FDR Nano
&
Grid 440 kg 560 mm
II
Virtual
|
Gewicht Breite Generatorleistung INDE- X 104 RADIOLOGIE MAGAZIN 1-2021
Fujifilm
FDR Go Plus

Konica Minolta AeroDR X30 ist ein voll integriertes digitales mobiles Röntgensystem, um eine effiziente Untersuchung am Patientenbett zu ermöglichen. Das motorisierte AeroDR X30 ermöglicht ein sehr einfaches Handling und kann mit einer Hand bewegt werden. Für das System stehen Konica Minoltas AeroDR Detektoren, die leichtesten in ihrer Klasse, zur Verfügung.

16/ 30 kW

170 kg 61,8 cm

Konica Minolta AeroDR X10 ist ein voll integriertes manuell zu bedienendes mobiles Röntgen-System. Dieses mobile digitale Röntgen-System ist ein leistungsstarkes, kompaktes System mit intelligentem, platzsparendem Design. AeroDR X10 ist für eine hohe Gesamtleistung und schnelle Kapitalrendite ausgelegt. Da AeroDR Detektoren zu den leichtesten in ihrer Klasse gehören, ist ihre Positionierung am Patientenbett wirklich einfach. Die Detektoren können problemlos in der Notaufnahme eingesetzt werden, da sie wasserdicht und vor (Körper-)Flüssigkeiten geschützt sind.

Fahrbares HF-Röntgensystem mit Anti-Kollisionssystem ▪ 125 kVp (20 kW) / 150 kVp (ab 32 kW), 500 mAs ▪ Batteriekapazität bei voller Aufladung: bis zu 200 Aufnahmen ▪ Bucky-Anbindung (optional) ▪ Kabellose Fernbedienung (optional)

Mobile DR ist ein kompaktes und leistungsfähiges mobiles Röntgenaufnahmesystem mit den neusten Canon Flachdetektoren in einem modernen Design. Die besonders schmale Bauweise und die versenkbare Säule ermöglichen Ihnen sicheres Fahren selbst in kleinen und engen Räumen.

Digitales, motorisiertes, mobiles Röntgensystem mit mobilem SkyPlate Detektor ▪ Detektorsharing mit kompatiblen Philips Systemen ▪ Flexibler Teleskop-Röhrenarm mit ± 315° Säulendrehung ▪ Optional SkyFlow Plus für rasterlose Aufnahmen bei niedriger Dosis

Vollmotorisiertes mobiles, kompaktes DR-System. ▪ Leichtgängiger Fahrkomfort, Touchdisplay an der THU, verriegelbarer Stauraum für S-Detektoren mit Ladefunktion direkt am System

Erweiterte Softwareanwendungen: SimGrid und S-Enhance ▪ Workflowoptimierung: S-Align und SID-Guide

Batterietechnologie: Schnelle Ladung, lange Betriebsdauer ▪ Hohe Flexibilität mit S-Share

Kabelloser Flachdetektor CXDI-810

Zeitgewinn – Röntgenbilder in nur zwei Sekunden

Leichte Handhabung insbesondere beim Einsatz in Inkubatoren

Leichte Bedienbarkeit

Fröhliches, kinderorientiertes Design

Kabellose FD-Generation CXDI-410, CXDI-710, CXDI-810

Hoch effizient –Geringstmögliche Dosis für die Patienten

Zeitersparnis –Anzeige der Röntgenbilder in zwei Sekunden

Komfort und Sicherheit – Vielseitige Lösungen

Einfahrbares Säulenstativ

20 / 32 / 40 / 50 kW
530 kg 67 cm
Konica Minolta | AeroDR X30
Gewicht Breite
Generatorleistung
MOBILE DR-SYSTEME
Konica Minolta | AeroDR X10 Gewicht Breite Generatorleistung
20 / 32 / 40 / 50 kW
Gewicht Breite
575 kg 67 cm MEVA | Easy Moving Direct-X
Generatorleistung 20 / 32 kW
MTS | Mobile DR Gewicht Breite Generatorleistung
324 kg 58 cm
20 / 40 kW ▪
580
kg 67 cm
Gewicht
Philips | MobileDiagnost wDR
Breite Generatorleistung 32 / 40 kW
349 kg 55,5 cm
Samsung | GM85 Prestige
Gewicht Breite
Generatorleistung
32 kW ▪
Gewicht
32
440 kg 56 cm Shimadzu | MobileDaRt Evolution MX8
Breite Generatorleistung
kW
Gewicht
R/F-SYSTEME 105 RADIOLOGIE MAGAZIN 1-2021
440 kg 56 cm Shimadzu | MobileDaRt Evolution MX8
Breite Generatorleistung

MOBILETT Elara Max ist ein leichtes und kompaktes Röntgengerät, das auch auf engstem Raum ein Höchstmaß an Mobilität und Flexibilität sowie eine kristallklare Bildqualität liefert. Das für leichtes Reinigen optimierte Design und die besondere antimikrobielle Beschichtung sorgen für maximale Hygiene.

FLATPANEL-DURCHLEUCHTUNG

Der Multifunktionsarbeitsplatz DR 800 bietet Fluoroskopie und Projektionsradiographie in nur einem System mit MUSICA Dynamic für unerreichte Bildstabilisierung und LiveVision für strahlungsfreie Positionierung.

Optional: Orthopädische Langformataufnahmen mit EasyStitch-Technology und digitale Tomosynthese

Detektor: 43 × 43 cm (dynamisch) Optional: 35 × 43 cm, mobil (WiFi) 24 × 30 cm, mobil (WiFi) ▪ MUSICA- und MUSICA DynamicBildprozessierung

Xantara – Funktionelle Vielseitigkeit und hoher Anwenderkomfort auf den Punkt gebracht. Optimale Abbildungseigenschaften für Durchleuchtung und Aufnahme dank variablem Fokus-Detektor-Abstand, Strahlerangulation mit Parallaxenausgleich und hochauflösendem Großfeldflachdetektor. Strahlerrotation ermöglicht Wandstativaufnahmen in DR- oder CR-Technik. ▪ Detektorformat: 43 × 43 cm

Adora DRFi – Herausragende Projektionsflexibilität für Durchleuchtung und Aufnahme mit Auto-Positionierung. Exzellente Canon CXDI-Bildqualität, ergonomische Bedienung mittels SmartHandle und Touchscreen, höhenverstellbarer Untersuchungstisch und DoseRite Dosisreduktionstechnologie unterstützen wirkungsvoll die tägliche Routine. ▪ Dynamischer CXDI-Flachdetektor ▪ Detektorformat: 35 × 43 cm

Ultimax-i – Kompakte Multifunktionalität für Durchleuchtung, Aufnahme und Angiographie. Exzellente Bildqualität mit dynamischem Großfeldflachdetektor, drehbare Tiefenblende mit Lichtvisier, optimale Arbeitshöhe und tiefe Absenkbarkeit des Tisches und DoseRite Dosisreduktionstechnologie unterstützen wirkungsvoll die tägliche Routine.

▪ Detektorformat: 43 × 43 cm

Digitales Universalfernsteuergerät ▪ Tischneigung + 90° / – 25° ▪ Variable Tischplattenhöhe: 64 – 93 cm ▪ 120 cm Tischplattenverschiebung (optional) ▪ Röhrenrotation: ± 180° (optional)

D2RS ist ein dynamisches 3-in-1 Direktradiographiesystem für Fluoroskopie, allgemeine Radiographie sowie mobile Anwendungen. Das System verfügt über einen herausnehmbaren Canon Flachdetektor für maximale Flexibilität. Optional erhältlich: DSA und Tomosynthese.

Urologischer Röntgenarbeitsplatz

Ungehinderter Zugang zum Patiententisch von allen Seiten

Traglast Patiententisch von bis zu 250 kg

Anbindung von externen Bildquellen möglich

35 kW
380
Gewicht Breite Generatorleistung MOBILE DR-SYSTEME 
kg 59,8 cm Siemens Healthineers | MOBILETT Elara Max
50 / 65 / 80 kW
| DR 800 CsI ≤150 μm Generatorleistung Detektortyp PIxelgröße
Agfa
a-Si / CsI 160 µm 80 kW
Generatorleistung Detektortyp Pixelgröße
Canon | Adora DRFi
148 µm
a-Si / CsI 80 kW
Pixelgröße
Canon | Ultimax-i
Detektortyp Generatorleistung
a-Si
148 µm
/ CsI
65
kW Generatorleistung Detektortyp PIxelgröße
Canon
| Xantara
/ 80
50 kW a-Si 148 µm
|
Generatorleistung Detektortyp PIxelgröße
MEVA
D²RS
65 kW CsI 160 µm
| D 2 RS Generatorleistung Detektortyp PIxelgröße
MTS
50 kW CsI 160 µm
| Uromat RF Generatorleistung Detektortyp PIxelgröße INDE- X 106 RADIOLOGIE MAGAZIN 1-2021
MTS

Das Adora DRFi System ist eine vielseitige Lösung für Mehrzweck-Untersuchungsräume. Es kombiniert statische Röntgen-Radiographie mit serieller Bildgebung und niedrig dosierten Fluoroskopie-Fähigkeiten. Das System ermöglicht eine beispiellose Flexibilität und Kapazitätsauslastung.

65

/ 80 kW Csl 148

Digitaler, fernbedienter 2-in-1-Aufnahmeplatz mit integriertem, dynamischen Flachdetektor

Optional deckenmontierter Strahler mit Touchscreen und Live-Kamera, Wandstativ, mobiler SkyPlate Detektor und Trolley für Nahbedienung

Philips | ProxiDiagnost N90 Generatorleistung Detektortyp PIxelgröße

65 / 80 kW Csl 148 µm

Digitaler, nahbedienter 2-in-1Aufnahmeplatz mit integriertem, dynamischen Flachdetektor

▪ Optional deckengeführter Strahler, Wandstativ und mobiler Detektor für freie Aufnahmen

Herausragende Zugänglichkeit für effiziente Patientenpositionierung und Systemhandhabung

▪ Dosismanagement mit IQX, gittergesteuerte gepulste Durchleuchtung und dynamische Bildverarbeitung, Eleva-Oberfläche

Shimadzu

65 / 80 kW 139 µm

Premium R- / F-System mit dynamischem Flachdetektor

SUREengine Technologie: Echtzeit Bildprozessor ▪ Digitale Tomosynthese für die allgemeine Radiographie ▪ Slot Radiographie (Longview-Aufnahmen)

/ 80 kW

Siemens Healthineers | Multitom Rax Generatorleistung Detektortyp PIxelgröße

65 / 80 kW a-Si / CsI 148 µm

65 / 80 kW a-Si / CsI 148 µm

65

/ 80 kW a-Si / CsI 148 µm

R/F-SYSTEME 107 RADIOLOGIE MAGAZIN 1-2021

80 kW Csl 160 µm MTS | Adora DRFi Generatorleistung Detektortyp PIxelgröße FLATPANEL-DURCHLEUCHTUNG 
▪ Dosismanagement mit IQX, gittergesteuerte gepulste Durchleuchtung (optional) und dynamische Bildverarbeitung, Eleva-Oberfläche µm
Philips | CombiDiagnost R90
Generatorleistung Detektortyp PIxelgröße
|
G4 CsI Generatorleistung Detektortyp PIxelgröße
Höhenverstellbarer Tisch, Kippbereich: + 90° bis – 90°
Sonialvision
50
Csl 160 µm
Hoch aufgelöste schnelle R- / F-Bildgebung ▪ Vielseitige Einsatzmöglichkeiten dank hoher Flexibilität und Systemerweiterungen ▪ Fortschrittliche Bedienung mittels portablem Flachdetektor ▪ Höhenverstellbarer Tisch, Kippbereich: + 90° bis – 30°
PIxelgröße
Shimadzu
| Flexavision F3 Generatorleistung Detektortyp
Neben den konventionellen Projektionsaufnahmen sind am Multitom Rax auch 3D Aufnahmen der Gelenke im Stehen unter natürlicher Gewichtsbelastung möglich. Die 3D-Aufnahmen können im Sitzen, Liegen oder Stehen gemacht werden. Die beiden deckengehängten Teleskoparme bewegen sich dank Robotertechnik automatisch in die gewünschte Aufnahmeposition.
Luminos Agile Max. Der höhenverstellbare Patientenlagerungstisch ermöglicht einen schnellen und angenehmen Patiententransfer. Das System kann optional mit einem zusätzlichen Strahler-Deckenstativ, einem Wandstativ und einem mobilen WLAN FD ausgestattet werden und bietet dadurch eine vollwertige Systemnutzung.
Siemens Healthineers | Luminos Agile Max Generatorleistung Detektortyp PIxelgröße
Luminos dRF – das Radiographieund Fluoroskopiegerät. Es vereint einfache Handhabung für die Durchleuchtung mit einer dedizierten Bildkette für die Projektionsradiographie. Das System kann mit einem Wandstativ, einem Strahler-Deckenstativ und einem mobilen WLAN FD ausgestattet werden.
Siemens Healthineers | Luminos dRF Max Generatorleistung Detektortyp PIxelgröße

Das digitale Fluoroskopiesystem

Luminos Fusion erfüllt die Anforderungen der Anwender mit MAX Bildqualität – ein großes Bild, sicheres und intuitives Design und geringe Dosen. Luminos Fusion verspricht mit seiner bewährten 2-in-1-Effizienz und dank der Technologien unserer High-End-Systeme eine bemerkenswerte Kundenerfahrung und wird Ihrem Budget gerecht.

ANALOGE KOMPLETT-SYSTEME

32 / 40 / 50 / 64 / 80 kWschwimmend (110 / 24 cm) 50 – 90 cm

Bucky-Komplettsystem mit Rasterwandgerät ▪

Verfahrweg Stativ: 210 cm ▪ Röhrenarm-Bewegungen: ±15 cm (transv.) / 150 cm (vertikal) ▪ Rotationsbewegungen: ± 90° (vertikal) / ±150° (horizontal) ▪ Teilweise motorisierte Bewegungen (Option)

Uroskop Omnia Max ist ein hochentwickeltes Durchleuchtungs- und Röntgensystem für Diagnostik und Therapie in der Urologie. Es verfügt über einen 43 × 43 cm großen dynamischen Flachdetektor, der Übersichtsaufnahmen des Harntraktes ermöglicht. Die abgewinkelte Strahlersäule ermöglicht uneingeschränkten Patientenzugang von allen vier Tischseiten.

Csl

Das LUMINOS Lotus Max ist ein System, das zwei bildgebende Verfahren vereint: die Radiographie und die Fluoroskopie. Aufgrund seiner Vielseitigkeit können mit einem System unterschiedliche Untersuchungsspektren abgebildet werden. Zusätzliche Anpassungen zur Optimierung der Dosis mit dem erweiterten CARE-Programm setzen neue Maßstäbe in der konventionellen Durchleuchtung. Die integrierten SMART-Funktionen ermöglichen patientengerechte Untersuchungsbedingungen und einen effizienten Workflow.

32 / 40 / 50 / 64 / 80 kWschwimmend (110 / 24 cm) 50 – 90 cm

Bucky-Komplettsystem mit Rasterwandgerät

Mit Auto-Positioning und Synchronisation aller Bewegungen

Motorbetrieb für sämtliche relevanten Bewegungen ▪ Röhrenarm-Bewegungen: ±15 cm (transv.) / 150 cm (vertikal) ▪ Rotationsbewegungen: ±90° (vertikal) / ±150° (horizontal)

Universales SchwenkbügelSystem

FFA: 100 cm – 200 cm

Bewegung des Schwenkarms: 114 cm

(optional)

±135°

▪ Höchste Flexibilität durch Kombination von unterschiedlichen höhenverstellbaren Durchleuchtungstischen, Generatoren, Röntgenröhren, Bildverstärkern und digitalen Bearbeitungsstationen ▪ Hohe Anwender- und Patientenfreundlichkeit

Universales C-Arm-SchwenkbügelSystem

Motorisierter Schwenkarm

(90° ±30°)

65
148 µm CsI
/ 80 kW
PIxelgröße
Siemens Healthineers | Uroskop Omnia Max Generatorleistung Detektortyp
65 / 80 kW a-Si / CsI 148 µm
PIxelgröße
50 / 80 kW 1024 × 1024 × 12 Bit CCD BV 30 cm Shimadzu | Flexavision eXceed Edition Generatorleistung Detektortyp Bildsystem BV-DURCHLEUCHTUNG 
Siemens Healthineers
| Luminos Fusion Generatorleistung Detektortyp
FLATPANEL-DURCHLEUCHTUNG
Hervorrangende Bildqualität – effizienter Untersuchungsablauf
MEVA | Millenium Plus Generatorleistung Tischplatte Tischhöhe
MEVA | Millenium / Millenium HV Generatorleistung Tischplatte Tischhöhe
 ▪
Vertikale
▪ Schwenkarm-Rotation:
▪ Motorbetrieb
32 / 40 / 50 / 64 kW fahrbar (200 × 65 × 70 cm) –
MEVA | URS X Generatorleistung Tischplatte Tischhöhe
50
Rotationswinkel: 15°
▪ Infrarot-Fernbedienung (optional) * Touchscreen am Strahler und Auto-Collimator
/ 64 / 80 kW fahrbar (200 × 65 × 70 cm)
MEVA | URS X plus / LP+* Generatorleistung Tischplatte Tischhöhe
148 µm
INDE- X 108 RADIOLOGIE MAGAZIN 1-2021
Siemens Healthineers
|
LUMINOS
Lotus Max 55 / 65 / 80 kW Generatorleistung Detektortyp Pixelgröße

Deckenstativ-System mit AutoTracking und Auto-Positioning* ▪ Max. Longitudinal-Bewegung: 4.765 cm ▪ Max. Transversal-Bewegung: 2.351 cm ▪ Vertikal-Bewegung: 157,5 cm

Shimadzu | RADspeed Pro 50 / 65 / 80 kWfix / höhenverstellbar Generatorleistung

▪ Maximale Produktivität und hoher Patientendurchsatz – für Patient und Bediener gleichermaßen komfortabel ▪ Einstellungen in unmittelbarer Patientennähe erhöhen das Sicherheitsgefühl des Patienten ▪ Langlebiges Bauartkonzept –individuelle Systemkonfigurationen ▪ DR-ready

53,5 – 85 cm

Bodenmontiertes Röntgensystem

Raumsparendes modulares Konzept

Einfache und schnelle Röhrenpositionierung

Schwenkbarer Röhrenarm für Bettaufnahmen

DR-ready

Deckenaufgehängtes Röntgensystem ▪ Großer Vertikalhub ▪ Modulares Konzept für individuelle Systemausstattung ▪ DR-ready

Bodenmontiertes Röntgensystem

▪ Raumsparendes modulares Konzept

▪ Einfache und schnelle Röhrenpositionierung

DR-ready

Multix Fusion erfüllt die Ansprüche der Anwender, ohne das Budget zu sprengen. Mit einer besonders niedrigen Minimum-Tischhöhe, einer hohen Tischbelastung von bis zu 300 kg und einem multifunktionalen Bediendisplay am Strahlerdeckenstativ ist es besonders benutzerfreundlich. Es kann initial mit der bestehenden Speicherfolie betrieben werden.

Das analoge, mobile Röntgenaufnahmesystem ist mit feststehendem oder drehbarem Säulenstativ verfügbar, es ist leicht bewegbar und zu bedienen.

Einsatzgebiete: Intensivmedizin bzw. Bettaufnahmen

Speicherfoliensystem oder Film-/Foliensysteme

Portables HochfrequenzRöntgensystem

kVp, 100 mA, 250 mAs

LED Lichtvisier und Laseranzeige

Optional mit fahrbarem Klappstativ

Wahlweise mit Drucktasten- oder Touchscreen-Konsole

50
schwimmend
MEVA | Nova Generatorleistung Tischplatte Tischhöhe ANALOGE KOMPLETT-SYSTEME 
* Optional
/ 64 / 80 kW
(10 9,5 / 25 cm) 55
90 cm
Shimadzu
fix
Generatorleistung Tischhöhe Tischplatte
53,5 – 85 cm
| RADspeed Pro MC
/ höhenverstellbar 50 / 65 / 80 kW
Tischplatte Tischhöhe
53,5 – 85 cm / fix
Tischplatte Tischhöhe
Shimadzu | RADspeed Pro MF 50 / 65 / 80 kWfix / höhenverstellbar Generatorleistung
55 / 65 / 80 kW
51,5 – 95,5 cm schwimmend
Siemens Healthineers | Multix Fusion analog
Tischhöhe Tischplatte Generatorleistung ▪
32 / 56
fix 70 cm / fix
kW
Tischhöhe ▪
Steckdose nein MEVA | Dragon X SPS-HF-4.0 / 8.0 4,0 / 8,0 kW Generatorleistung Bauart Antrieb
Shimadzu
| RADspeed fit PLUS Generatorleistung Tischplatte
125
Agfa | DR 100e 32 kW (Monoblock)Steckdose Manuell Generatorleistung Antrieb Bauart MOBILE SYSTEME  R/F-SYSTEME 109 RADIOLOGIE MAGAZIN 1-2021
MUSICA-Bildprozessierung

Fahrbares HF-Röntgensystem mit Anti-Kollisionssystem

125 kVp (20 kW) / 150 kVp (ab 32 kW), 500 mAs

▪ Batteriekapazität bei voller Aufladung: bis zu 200 Aufnahmen

▪ Buckyanbindung (optional)

▪ Kabellose Fernbedienung (optional)

▪ Fahrbares Hochfrequenz-Röntgensystem

▪ 125 kVp (optional: 150 kVp)

▪ 250 mAs (16 kW) / 320 mAs (20 kW) / 500 mAs (32 kW)

▪ Buckyanbindung (optional)

▪ Optional mit kabellos fernbedientem Handschalter

12,5 kW

▪ Kompaktes Design mit zahlreichen Erweiterungsoptionen

▪ Bedienungsfreundlich (72 Organprogramme)

▪ Optimale Gewichtsverteilung erleichtert die Manövrierbarkeit und Positionierung am Patientenbett

▪ Hochqualitative Bildgebung durch ein 60 kHz Invertersystem

▪ Unabhängig vom Stromnetz

▪ Optimale Positionierung

▪ Passendes Radiographie-Programm per Tastendruck

▪ Geräuscharmer Antrieb

▪ Schlüsselfreier, passwortgeschützter Zugang

MOBILETT XP Hybrid ist ein gewichtsoptimiertes und kompaktes mobiles Röntgensystem für nahezu alle Applikationen auf der Intensivstation, Neugeborenenstation und Pädiatrie oder im stationären Bettenbereich. Der gewichtsausgeglichene Doppelgelenktragarm mit innenliegender Kabelführung erleichtert die Aseptik und Desinfektion des Systems.

DXA (KNOCHENDICHTEMESSUNG)

DXA-System für Osteoporose-Diagnostik und Verlaufskontrolle ▪ Schnelle Messgeschwindigkeit für hohen Patientendurchsatz ▪ Composer – Auto-Erstellung von individuellen Patientenbefunden ▪ Analyse der Körperzusammensetzung

Ausbaufähige Plattform mit individuellen Konfigurationen ▪ Option TBS iNsight – Index zur Analyse der Knochen-Mikroarchitektur in der enCORE-Benutzeroberfläche

Premiumsystem für die Analyse der Körperzusammensetzung – Verteilung von Fett, Muskeln, usw. in Relation zueinander ▪ Premiumsystem für die Knochendichtemessung ▪ Direkt Digitale Technologie: Exklusiver High Definition Detektor

Hohe Präzision der Messergebnisse ▪ Option TBS iNsight – Index zur Analyse der Knochen-Mikroarchitektur in der enCORE-Benutzeroberfläche

Mit dieser umfassenden Plattform sind Sie in der Lage, verschiedene chronische Erkrankungen während einer Untersuchung durchzuführen u.a. ▪

Atypical Femur Fracture Assessment (AFF)

Advanced Bodycomposition –Analyse der Körperzusammensetzung

InnerCore – Beurteilung des viszeralen Bauchfettgewebes Mehr Komfort für Patienten, schnelle Untersuchungszeiten und geringe Röntgenstrahlendosis

Akku
ja
Antrieb
Shimadzu | MobileArt Evolution MX7 12,5 / 32 kW Generatorleistung Bauart
Steckdose nein
Antrieb
Shimadzu | MobileArt eco Generatorleistung Bauart
20 / 32 / 40 / 50 kWAkku / Steckdoseja
Easy Moving Plus B Generatorleistung Antrieb Bauart
SYSTEME 
MEVA |
MOBILE
16 / 20 / 32 kW
Generatorleistung Bauart Antrieb
MEVA | MobiXRay nein Kondensator / Steckdose
Mäanderförmige Abtastung Narrow-Angle Fan-Beam Multidetektor GE Healthcare | Lunar Prodigy Serie Multikanaldetektoren: Röntgensystem: Scanmethode
 ▪
GE Healthcare | Lunar iDXA Mäanderförmige Abtastung Narrow-Angle Fan-Beam Multidetektor Multikanaldetektoren: Röntgensystem: Scanmethode
HOLOGIC | Horizon 64 – 128 Multipuls Dual-Energie Linearer Röntgenfächerstrahl Multikanaldetektoren: Röntgensystem: Scanmethode max. 30 kW
ja Akku / Steckdose
INDE- X 110 RADIOLOGIE MAGAZIN 1-2021
Siemens Healthineers | MOBILETT XP Hybrid Antrieb Bauart Generatorleistung

Interventionelle Systeme

Zweiebenen-Angiographiesystem mit HD-Option, ImagingRite Bildgebung mit umfangreichem Anwendungspaket und DoseRite Dosisreduktion, außergewöhnliche C-Bogen-Flexibilität, Tripel-Fokus-Röntgenstrahler mit Gittersteuerung, multitaskingfähiger Workflow mit hoher Ausfallsicherheit des Gesamtsystems. ▪ Detektorgröße: 30 × 40 und 30 × 30 cm, 2 × 30 × 30 cm oder 2 × 20 × 20 cm

200 µm a-Si / CsI 100 kW

Hoch zuverlässiges und einfach zu bedienendes biplanares System ▪ Für die periphäre Angiographie und Neuroradiologie

Erweiterte Anwendungen (Innova CTHD, Vessel ASSIST, Needle ASSIST)

GE-Detektortechnologie mit hoher Bildqualität & Dosiseffizienz

154 µm / 184 µm Csl

Azurion 7 B20 / 15 ist ein Biplansystem speziell für die Neuroradiologie. Der hochauflösende 20-Zoll-Detektor sorgt für brillante 3D-Bildqualität, der laterale 15-Zoll-Detektor kann besonders nah am Patienten positioniert werden. Die 7er-Serie bietet eine Reihe von Optionen, die studienbelegt die Dosis deutlich senken und Prozedurzeiten minimieren können.

Hoch zuverlässiges und einfach zu bedienendes biplanares System

Für alle kardiologischen Anforderungen

Integrierte Suite mit kardiologischen Funktionen: IVUS, ICE, EP- & Hämodyn

Mehr als 20 Advanced Applications (Innova Spin, CTHD, PCI ASSIST)

GE-Detektortechnologie mit hoher Bildqualität & Dosiseffizienz

154 μm Csl 100 kW

Azurion 7 B12 /12 und B20 /12 sind Biplansysteme für das gesamte Spektrum kardiovaskulärer Eingriffe. Der hochauflösende 20-Zoll-Detektor liefert brillante 3D-Bildqualität, der 12-Zoll-Detektor hat die feinste Pixelgröße seiner Klasse. Die smarte Azurion Bedienführung wird kombiniert mit Optionen, die studienbelegt die Dosis deutlich senken können.

Hochsensitiver FD / Hochgeschwindigkeits-C-Bogen für 3D-Untersuchungen mit wählbaren Feldgrößen für optimierte Interventionen ▪ SCORE PRO Advance Technologie für eine verbesserte Bildqualität

Interdisziplinäre Applikationen, wie SCORE StentView, SCORE RSM, CT-Like Imaging, Flex-APS, SCORE Chase, große Patientenabdeckung

76 / 194 µm a-Si / CsI / CMOS 100 kW
|
Pixelgröße Detektortyp
2-EBENEN-SYSTEME  ▪
200 µm a-Si / CsI 100 kW
Canon
Alphenix Biplane
Generatorleistung
Pixelgröße Detektortyp Generatorleistung
GE Healthcare | Innova IGS 6 – 620 with Autoright
GE Healthcare | Innova IGS 6 – 630 with Autoright Pixelgröße Detektortyp Generatorleistung Philips | Azurion 7 B12 /12 und 7 B20 / 12 Pixelgröße Detektortyp Generatorleistung 100 kW Philips | Azurion 7 B20 / 15
Pixelgröße
Detektortyp Generatorleistung
194 µm a-Si 2 × 100 kW
INTERVENTIONELLE SYSTEME 111 RADIOLOGIE MAGAZIN 1-2021
Shimadzu | Trinias B8 / B12 Unity Edition
Pixelgröße
Detektortyp Generatorleistung

Kombo-System mit Bedienkonzept PURE für Radiologie, Neuroradiologie und Kardiologie (30 × 40 und 20 × 20 cm) bzw. System für die interventionelle Radiologie und Neuroradiologie (2 × 30 × 40 cm) oder Kardiologie (2 × 20 × 20 cm) mit Bedienkonzept PURE.

Bodenmontiertes Angiographiesystem mit HD-Option, ImagingRite Bildgebung mit umfangreichem Anwendungspaket und DoseRite Dosisreduktion, außergewöhnliche C-Bogen-Flexibilität, Tripel-FokusRöntgenstrahler mit Gittersteuerung, multitaskingfähiger Workflow mit hoher Ausfallsicherheit des Gesamtsystems. ▪ Detektorgröße: 30 × 40 cm, 30 × 30 cm oder 20 × 20 cm

194 µm a-Si / CsI 100 kW

System mit Bedienkonzept PURE für die interventionelle Radiologie (30 × 40 cm) oder interventionelle Kardiologie (20 × 20 cm): Hochleistungs-Röntgenstrahler GIGALIX mit 2-Foken-Flachemitter, HDR-Detektor mit hohem dynamischem Bereich, CARE Dosisreduzierung und CLEAR Bildverarbeitung, max. Positionierungsflexibilität, syngo DynaCT Cardiac geeignet.

Deckenmontiertes Angiographiesystem, ImagingRite Bildgebung mit umfangreichem Anwendungspaket und DoseRite Dosisreduktion, außergewöhnliche C-Bogen-Flexibilität, Tripel-Fokus-Röntgenstrahler mit Gittersteuerung, multitaskingfähiger Workflow mit hoher Ausfallsicherheit des Gesamtsystems.

▪ Detektorgröße: 30 × 40 cm, 30 × 30 cm oder 20 × 20 cm

Wechsel zwischen radiologischer und kardiologischer Konfiguration (Lateral Plane Switch) innerhalb von Sekunden. In der Stroke-Behandlung setzen die Cone Beam CT-Bildqualität mit syngo DynaCT Sine Spin und syngo DynaCT Multiphase (8 Perfusionsphasen) Maßstäbe. Uneingeschränkte Abdomen-Prozeduren dank Ganzkörperabdeckung (165 cm, Lateralebene).

Highspeed-Angiographiesystem mit HD-Option für die interventionelle Radiologie und Onkologie. ImagingRite Bildgebung mit umfangreichem Anwendungspaket und DoseRite Dosisreduktion, außergewöhnliche C-Bogen-Flexibilität, Tripel-FokusRöntgenstrahler mit Gittersteuerung, multitaskingfähiger Workflow mit hoher Ausfallsicherheit des Gesamtsystems.

▪ Detektorgröße: 30 × 40 cm

Highspeed-Angiographiesystem mit OP-Tisch für den Hybrid-OP. ImagingRite Bildgebung mit umfangreichem Anwendungspaket und DoseRite Dosisreduktion, außergewöhnliche C-Bogen-Flexibilität, Tripel-FokusRöntgenstrahler mit Gittersteuerung, multitaskingfähiger Workflow mit hoher Ausfallsicherheit des Gesamtsystems. ▪ Detektorgröße: 30 × 40 cm

184 µm aSi 100 kW
Pixelgröße Detektortyp Generatorleistung 2-EBENEN-SYSTEME 
Siemens Healthineers
| ARTIS Q biplane with PURE
184 µm
aSi 100 kW
Siemens Healthineers | ARTIS zee biplane with PURE Pixelgröße Detektortyp Generatorleistung
154 µm aSi
125
/ CsI
kW
Siemens Healthineers | ARTIS icono biplane
Pixelgröße
Detektortyp Generatorleistung
76
/ 194 µm a-Si / CsI / CMOS 100 kW
Canon | Alphenix Core +
Pixelgröße
Detektortyp Generatorleistung
1-EBENEN-SYSTEME 
Canon | Alphenix Sky Pixelgröße Detektortyp Generatorleistung
76 / 194 µm a-Si / CsI / CMOS 100 kW
Canon | Alphenix Sky +
Pixelgröße
Detektortyp Generatorleistung
194
µm a-Si / CsI 100 kW
VERBRAUCHSMATERIAL NICHT VERGESSEN! BECKELMANN.DE ALLES FÜR DEN PRAXISALLTAG LIEFERN WIR. INDE- X 112 RADIOLOGIE MAGAZIN 1-2021
Canon | Alphenix Hybrid +
Pixelgröße
Detektortyp Generatorleistung

Lasergeführtes System für die Gefäßchirurgie, Interventionelle Radiologie, Kardiologie und im Hybrid-OP ▪ Freie Platzierung von DVEs ▪ Kompatibel zum OP-Tisch MAGNUS von MAQUET ▪ GE-Detektortechnologie mit hoher Bildqualität & Dosiseffizienz – ASSIST SW-Lösungen für PCI, TAVI, (T)EVAR u.v.m.

Lasergeführtes System für die interventionelle Radiologie, Onkologie und Gefäßchirurgie

▪ Freie Platzierung von DVEs

▪ Erfüllt hohe hygienische Anforderungen ▪ GE-Detektortechnologie mit hoher Bildqualität & Dosiseffizienz

▪ Mehr als 20 Advanced Applications (Innova CT HD, FlightPlan, EVAR ASSIST)

Von Herzuntersuchungen bis zur Angiographie auf einem System und in einem Raum ▪ Hohe Bildqualität bei geringer Dosis (First intelligence image chain) ▪ Mehr als 20 Advanced Applications (Innova 3D CT, PCI ASSIST, Valve ASSIST)

Lasergeführtes System für die interventionelle Radiologie & Kardiologie sowie im Hybrid-OP

▪ Bereits ab 35 m² installierbar

▪ Erfüllt hohe hygienische Anforderungen

▪ GE-Detektortechnologie mit hoher Bildqualität & Dosiseffizienz-Planung, Durchführung und Beurteilung von PCI, TAVI, (T)EVAR uvm.

Bodenmontiertes System für die kardiovaskuläre Bildgebung ▪ Darstellung des Koronarbaums in nur einer Umdrehung (InnovaSpin) ▪ Hohe Bildqualität bei geringer Dosis ▪ Mehr als 20 Advanced Applications (Innova 3D CT, PCI ASSIST, Valve ASSIST)

Für die interventionelle Radiologie und Onkologie ▪ Ausgezeichnete anatomische Abdeckung, mit sehr großem Bildfeld ▪ Planung, Führung, Beurteilung komplexer Eingriffe mit Sicherheit ▪ Mehr als 20 Advanced Applications ▪ Innova, 3D CT, Flight plan for Liver, Vessel ASSIST, Needle ASSIST

Azurion 7 F20 und F12 sind bodenstehende Einebenensysteme. Der hochauflösende 20-Zoll-Detektor sorgt für brillante 3D-Bildqualität, der 12-Zoll-Detektor verfügt über die feinste Pixelgröße seiner Klasse. Die smarte Azurion Bedienführung wird kombiniert mit Optionen, die studienbelegt die Dosis deutlich senken können.

Azurion 7 C20 FlexMove ORT ist ein deckenhängendes Einebenensystem für den Hybrid-OP. Es kann im gesamten Raum flexibel positioniert werden. OP-Tische der Firmen Maquet und Trumpf sind integrierbar. Innovative Tools erleichtern Eingriffe wie TAVI (HeartNavigator) oder FEVAR (VesselNavigator).

200 µm aSi / CsI 100 kW
GE Healthcare | Discovery IGS – 730 with Autoright Pixelgröße Detektortyp Generatorleistung
200 µm aSi / CsI 100 kW
GE Healthcare | Discovery IGS 7 – 740 with Autoright Pixelgröße Detektortyp Generatorleistung
200 µm
100
Pixelgröße
1-EBENEN-SYSTEME 
aSi / CsI
kW GE Healthcare | Discovery IGS 7 OR with Autoright
Detektortyp Generatorleistung
200 µm aSi / CsI 100 kW GE Healthcare | Innova IGS 5 – 540 with Autoright Pixelgröße Detektortyp Generatorleistung
200
µm aSi / CsI 100 kW
GE Healthcare | Innova IGS 5 – 520 with Autoright Pixelgröße Detektortyp Generatorleistung
200
µm aSi / CsI 100 kW
Pixelgröße
GE Healthcare | Innova IGS 5
530 with Autoright Detektortyp Generatorleistung
154
µm CsI 100 kW
Pixelgröße Detektortyp Generatorleistung
Philips | Azurion 7 F20 und 7 F12
154
100 kW
µm CsI
|
7 C20 FlexMove
Pixelgröße Detektortyp Generatorleistung INTERVENTIONELLE SYSTEME 113 RADIOLOGIE MAGAZIN 1-2021
Philips
Azurion
ORT

Azurion 7 C20 und C12 sind deckenhängende Einebenensysteme. Der hochauflösende 20-Zoll-Detektor sorgt für brillante 3D-Bildqualität, der 12-Zoll-Detektor verfügt über die feinste Pixelgröße seiner Klasse. Die smarte Azurion Bedienführung wird kombiniert mit Optionen, die studienbelegt die Dosis deutlich senken können.

Azurion 3 F12 und F15 sind bodenstehende Einebenensysteme. Der 12-Zoll-Detektor ist für den kardiologischen Einsatz bestimmt, der 15-Zoll-Detektor ermöglicht ein breites Spektrum kardiologischer bis radiologischer Eingriffe. Das Bedienkonzept sorgt für einen effizienten Workflow, z. B. durch paralleles Arbeiten im Untersuchungs- und Kontrollraum.

Azurion 7 C20 FlexArm ist ein deckenhängendes Einebenensystem für den Hybrid-OP und das Angiographielabor. Es besitzt acht Bewegungsachsen für eine flexible Positionierung und patientenorientierte Aufnahmen. OP-Tische der Firma Maquet sind integrierbar. Innovative Tools erleichtern Eingriffe wie TAVI (HeartNavigator) oder FEVAR (VesselNavigator).

Hochsensitiver FD / Hochgeschwindigkeits-C-Bogen für 3D-Untersuchungen mit wählbaren Feldgrößen für optimierte Interventionen

Interdisziplinäre Applikationen, wie SCORE StentView, SCORE RSM, CT-Like Imaging, Flex-APS, SCORE Chase, große Patientenabdeckung

SMART Table mit Kippfunktionen

Azurion 5 F20 ist ein bodenstehendes Einebenensystem für komplexe interventionelle Prozeduren.

Durch ProcedureCards wird das System automatisch und spezifisch für die jeweilige Prozedur voreingestellt. Es ist um verschiedenste Applikationen erweiterbar, die noch komplexere Behandlungen und gleichzeitig ein effizientes Dosismanagement ermöglichen.

Hochsensitiver FD / Hochgeschwindigkeits-C-Bogen für 3D-Untersuchungen mit wählbaren Feldgrößen für optimierte Interventionen

Interdisziplinäre Applikationen, wie SCORE StentView, SCORE RSM, CT-Like Imaging, Flex-APS, SCORE Chase, sehr große Patientenabdeckung

SMART Table mit Kippfunktionen

Azurion 5 C12 und C20 sind volldigitale Einebenensysteme für komplexe interventionelle Prozeduren. Die Plattformen verbinden modernste Technik mit smarter Bedienphilosophie, um einen effizienteren Workflow zu realisieren. Neue Hardware wie die leistungsstarke Röntgenröhre sorgen für eine exzellente Bildqualität.

Hochsensitiver FD / HochgeschwindigkeitsC-Bogen für 3D-Untersuchungen

Hochflexibler OP-Tisch mit optimaler Röntgenfreiheit

SCORE PRO Advance Technologie für eine verbesserte Bildqualität

Interdisziplinäre Applikationen wie SCORE RSM, SCORE 3D, SCORE CT, SCORE Navi+Plus, Flex-APS, SCORE Chase

154 µm
100 kW
CsI
Pixelgröße
Philips
| Azurion 7 C20 und 7 C12
Detektortyp Generatorleistung
1-EBENEN-SYSTEME
154 µm
CsI 100 kW
Philips | Azurion 7 C20 mit FlexArm Pixelgröße Detektortyp Generatorleistung
154 µm
100 kW
CsI
Pixelgröße
Philips | Azurion 5 F20 Detektortyp Generatorleistung
154 µm CsI 100 kW
Pixelgröße Detektortyp Generatorleistung
Philips | Azurion 5 C12 und C20
154 µm / 184 µm CsI 100 kW
Pixelgröße
Philips
| Azurion 3 F12 und 3 F15
Detektortyp Generatorleistung ▪
194 µm a-Si 100 kW
Shimadzu | Trinias C8 / C12 / C16 Unity Edition
Pixelgröße
Detektortyp Generatorleistung
194
µm a-Si 100 kW
Pixelgröße
Shimadzu | Trinias F8 / F12 Unity Edition Detektortyp Generatorleistung
194
µm a-Si 100 kW
Pixelgröße
INDE- X 114 RADIOLOGIE MAGAZIN 1-2021
Shimadzu | Trinias C12 Unity Edition Hybrid Detektortyp Generatorleistung

184 µm aSi 100 kW

System mit Bedienkonzept PURE für die interventionelle Radiologie (30 × 40 cm) oder interventionelle Kardiologie (20 × 20 cm):

Hochleistungs-Röntgenstrahler GIGALIX mit 2-Foken-Flachemitter, HDR-Detektor mit hohem dynamischem Bereich, CARE Dosisreduzierung und CLEAR Bildverarbeitung, max. Positionierungsflexibilität, syngo DynaCT Cardiac geeignet.

184 µm aSi 100 kW

System mit Bedienkonzept PURE für die interventionelle Radiologie (30 × 40 cm) oder interventionelle Kardiologie (20 × 20 cm): Hochleistungs-Röntgenstrahler GIGALIX mit 2-Foken-Flachemitter, HDR-Detektor mit hohem dynamischem Bereich, CARE Dosisreduzierung und CLEAR Bildverarbeitung, max. Positionierungsflexibilität, syngo DynaCT Cardiac geeignet.

184 µm aSi 100 kW

184 µm aSi 100 kW

Mit Bedienkonzept PURE für die interventionelle Kardiologie und Radiologie. Röntgenstrahler MEGALIX Cat Plus mit Flachemitter, CARE Dosisreduzierung und CLEAR Bildverarbeitung, Multispace.F für flexible C-Bogen-Tisch-Positionierung, syngo DynaCT Cardiac geeignet, 16 bit-HDR-Technologie vom Detektor bis zur Bildausgabe.

184 µm aSi / CsI 100 kW

Mit Bedienkonzept PURE für die interventionelle Kardiologie und Radiologie. Röntgenstrahler MEGALIX Cat Plus mit Flachemitter, CARE Dosisreduzierung und CLEAR Bildverarbeitung, max. Positonierungsflexibilität, syngo DynaCT Cardiac geeignet, 16 bit-HDR-Technologie vom Detektor bis zur Bildausgabe

Bodenmontiertes System für die interventionelle Kardiologie, Radiologie. Röntgenstrahler MEGALIX Cat Plus mit Flachemitter, CARE Dosisreduzierung und CLEAR Bildverarbeitung für untersuchungsoptimierte und dosissparende Arbeitsweise, flexibel wie ein deckengehängtes System (2,10 m Abdeckung), Dyna3D fähig.

160 µm aSi / CsI 100 kW

Speziell dafür entwickelt, die Behandlung aller Patienten zu ermöglichen und bietet individualisierte Planung vor und Unterstützung bei der Entscheidungsfindung während der Behandlung mit dem Vorteil sofortiger Qualitätskontrolle.

www.radmag.de

Siemens Healthineers | ARTIS zee ceiling with PURE Pixelgröße Detektortyp Generatorleistung
1-EBENEN-SYSTEME 
Siemens Healthineers | ARTIS Q ceiling with PURE Pixelgröße Detektortyp Generatorleistung Siemens Healthineers | ARTIS Q floor with PURE Pixelgröße Detektortyp Generatorleistung Siemens Healthineers | ARTIS zee floor with PURE
Pixelgröße Detektortyp Generatorleistung
Siemens Healthineers | ARTIS one
Pixelgröße
Detektortyp Generatorleistung Siemens Healthineers | ARTIS pheno Pixelgröße Detektortyp Generatorleistung
INTERVENTIONELLE SYSTEME 115 RADIOLOGIE MAGAZIN 1-2021

|

154 µm aSi /

Philips | Vectra

CCD-Matrix BV-Format

GE Healthcare | OEC One II

1k × 1k 23 cm 2,5 kW

▪ Mobiler Standard C-Bogen für allg. und Unfallchirurgie, Gastro-intestinal, Orthopädie, Schmerztherapie; optional: Vaskular ▪ Geringer Platzbedarf, optional drahtloser Fußschalter ▪ Benutzerfreundlich durch Tablet Screen + 27" HD Monitor,optional mit Monitorwagen ▪ Hochauflösende CMOS-Kamera und 1k x 1k Bildverarbeitung

kW

1k × 1k 23 cm

Dank seiner extrem leichten Bauweise eignet sich das System optimal für kleine Räumlichkeiten. Die 1K-Matrix in Verbindung mit einer digitalen Aufnahmetechnik ermöglicht beste Bildqualität. Die große Eintauchtiefe schafft Flexibilität auch bei der der Untersuchung adipöser Patienten.

Philips | BV

CCD-Matrix BV-Format

CCD-Matrix

CCD-Matrix BV-Format Generatorleistung

1k 23 / 15 cm 2 kW

Effizienter Arbeitsablauf dank Memory-Funktionen

Innenliegende C-Bogen Verkabelung

Flexibel durch nachrüstbare Systemkomponenten

▪ Volle DICOMfunktionalität, otional WLAN ▪ Pulse-Modus reduziert Dosis für Patienten und Personal CCD-Matrix
BV-Format Generatorleistung
BV C-BÖGEN 
▪ Höhere Detaildarstellung durch echte kontinuierliche Durchleuchtung ▪ Keine Einschränkung der Bilddarstellung bei Bildrotation ▪ Volle Vaskularfunktionalität ▪ Zeichenfunktion am Touchscreen / Drahtloser Fußschalter 15
▪ Große Eintauchtiefe und Überkippung durch Super-C ▪ Hohe Wärmekapazität und Kühlrate für lange Durchleuchtungszeiten
CCD-Matrix BV-Format Generatorleistung
GE Healthcare | Elite II 9" Super-C
Das sehr leichte und kompakte System mit durchgängiger 1k-Bildmatrix liefert ausgezeichnete Bildqualität bei geringstmöglicher Röntgenstrahlung. Durch die einfache Verfahrbarkeit ist es auch für kleine Räume geeignet.
1k 23, 17, 14 / 31, 23, 17 cm 3,15 kW
Endura
Generatorleistung 1k 23 / 16 / 12 cm 2,3 kW
Generatorleistung
Die Zenition 50 Serie mit 9" (23 cm) oder 12" (31 cm) Bildverstärkern erfüllt alle Voraussetzungen für einen vielseitigen Einsatz im OP. Die Plattform ist nicht nur individuell um neue klinische Funktionen erweiterbar, sondern kann auch mit der bewährten intuitiven Steuerung und Bedienung aufwarten.
1k 23 cm / 31 cm 15 kW
Philips | Zenition 50 Serie
BV-Format Generatorleistung
Hochqualitative Bildgebung
Leichte Bedienbarkeit durch ausbalancierten C-Bogen & Allfree-Tasten
Shimadzu | Opescope Acteno
154 µm aSi 100 kW
| ARTIS zee Multipurpose with PURE Pixelgröße Detektortyp Generatorleistung 1-EBENEN-SYSTEME 
Mit Bedienkonzept PURE für die diagnostische und interventionelle Radiologie, Kardiologie, Gastroenterologie. Röntgenstrahler MEGALIX Cat Plus mit Flachemitter, CARE Dosisreduzierung und CLEAR Bildverarbeitung, 16 bit-HDR-Technologie vom Detektor bis zur Bildausgabe.
Siemens Healthineers
125 kW
Bietet volle Flexibilität zu einem günstigeren Preis als deckengehängte Systeme: Longitudinale Abdeckung von 2,1 m (ohne Neupositionierung des Patienten), laterale Abdeckung von 1,9 m (ideal bei radialem Zugang). Installierbar in Räumen ab 25 m².
CsI
Pixelgröße Detektortyp Generatorleistung INDE- X 116 RADIOLOGIE MAGAZIN 1-2021
Siemens Healthineers
ARTIS icono floor

Der kompakte C-Bogen mit durchgehender digitaler Bildkette liefert Durchleuchtungsbilder hoher Qualität und sorgt mit seiner ausgewogenen Gewichtsverteilung für hohen Bedienkomfort auch in engen Bereichen. Speziell für die Cios Reihe wurde das intelligente Dosisverwaltungssystem IDEAL (Intelligent Dose Efficiency Algorithm) entwickelt. Cios Select ist mit Win 10, Cyber Security Package, WLAN Option und Wireless Footswitch Option erhältlich.

FLATPANEL C-BÖGEN 

Mit dem integrierten Monitor zählt der Ziehm Solo zu den kompaktesten und beweglichsten C-Bögen am Markt. Er ist speziell für enge Behandlungsräume in der Schmerztherapie, Orthopädie und anderen Anwendungen entwickelt. Optional kann der C-Bogen einfach mit der Ziehm Viewing Station und Decken- oder Wandmonitoren erweitert werden.

Der Ziehm Vision enthält die Basistechnologie der Ziehm Vision Familie und erfüllt ein breites Spektrum an chirurgischen Anwendungen. Mit modernsten Technologien und umfassenden Funktionen setzt dieser C-Bogen Standards in der mobilen Bildgebung bei konsequenter Dosisreduzierung.

Sehr kompakt: All-In-One Design

Hervorragende Bildqualität für Orthopädie, Schmerztherapie, ERCP, Urologie

Ergonomisches Design für exakte Positionierung und sichere Bewegung

27" Multi-Touch-TFT auf C-Bogen

Separater, mobiler Monitorwagen (kabellos)

Entnehmbares Raster

Mit einem leistungsstarken Monoblock-Generator und einer Drehanode bietet der Ziehm Vision R herausragende Bildqualität bei minimierter Dosis. Dank seiner Leistungsreserven ist er vor allem für anspruchsvolle Eingriffe in der Herz- und Gefäßchirurgie sowie der interventionellen Kardiologie, einschließlich AAA, PTCA und Koronarangioplastie, geeignet.

Kompaktes Design

Hervorragende Bildqualität für Orthopädie, Schmerztherapie, ERCP, Urologie

Ergonomisches Design für exakte Positionierung und sichere Bewegung

Kabelloser Fußschalter

Externe Display-Einheit mit 2 × 21,5" Multi-Touch TFTs

Entnehmbares Raster

Innovativer Mini C-Bogen

Detektor mit CMOS-Technologie für niedrige Dosis und höhere Bildqualität

Einfaches Positionieren bei jeder Prozedur

Detaillierte Bildgebung mit hoher Auflösung ohne Pixelbinning

Intuitive Bedienung des C-Bogens mit nur einer Hand

Drahtloser Fußschalter

Zwei vollwertige Monitore, Referenzbilddarstellung in gleicher Qualität und Größe wie das Livebild

k × 1 k
1
23 cm 2,02 kW
CCD-Matrix BV-Format
Ziehm | Solo
Generatorleistung
1 k × 1
k 23 cm / 31 cm 20 kW
CCD-Matrix BV-Format
Ziehm | Vision R
Generatorleistung
1
k × 1 k 23 cm 2,02 kW
CCD-Matrix BV-Format
Ziehm | Vision
Generatorleistung
▪ Detektorformate: 21 × 21 cm / 154 µm 30 × 30 cm / 154 µm CsI / aSi 154 μm 5 kW / 20 kW
Pixelgröße
Fujifilm | FDX Visionary C
Detektortyp Generatorleistung ▪
▪ Detektorformate: 21 × 21 cm / 205 µm 30 × 30 cm / 194 µm CsI / aSi 194 / 205 μm 5 kW
Pixelgröße
Fujifilm | FDX Visionary CS Detektortyp Generatorleistung
1,3 k × 1,3 k 13 cm 12,8 kW GE Healthcare | OEC MiniView CCD-Matrix Detektortyp Generatorleistung
1 × 1k 23
2,5 kW Siemens Healthineers | Cios Select CCD-Matrix BV-Format Generatorleistung BV C-BÖGEN  FÜR SIE LIEBER DER RUNDUMSERVICE? WIR BERATEN, WARTEN, LIEFERN. BECKELMANN.DE INTERVENTIONELLE SYSTEME 117 RADIOLOGIE MAGAZIN 1-2021
cm

Volle Vaskularfunktionalität / Drahtloser Fußschalter

cm

1,5 k × 1,5 k 21 × 21

75 µm CMOS 7,5 W

CCD-Matrix

Pixelgröße

▪ Hohe Wärmekapazität und Kühlrate für lange Durchleuchtungszeiten ▪ Bis zu 4 Positionen gradgenau speicherbar ▪ Alle Funktionen vom OP-Tisch aus bedienbar

Siemens Healthineers | Cios Select mit FD

205 µm FD 2,3 kW

*verfügbar ab Q2 2021

▪ Mobiler Standard C-Bogen für allg. und Unfallchirurgie, Gastro-intestinal, Orthopädie, Schmerztherapie; optional: Vaskular

▪ Geringer Platzbedarf, optional drahtloser Fußschalter

▪ Niedrige Dosis für Patienten und Personal

▪ Volle DICOM-Funktionalität, otional WLAN

▪ Benutzerfreundlich durch Tablet Screen + 27" HD Monitor, optional mit Monitorwagen

▪ Hochauflösender CMOS-Detektor und 1,5 k × 1,5 k Bildverarbeitung

1,5 k × 1,5 k 21 × 21 cm / 31 × 31 cm 15 kW

▪ Detektor mit CMOS-Technologie für niedrige Dosis und höhere Bildqualität

▪ Höhere Detaildarstellung durch echte kontinuierliche Durchleuchtung

▪ Keine Einschränkung der Bilddarstellung bei Bildrotation

▪ Volle Vaskularfunktionalität

▪ Zeichenfunktion am Touchscreen / Drahtloser Fußschalter

▪ Große Eintauchtiefe und Überkippung durch Super-C ▪ Hohe Wärmekapazität und Kühlrate für lange Durchleuchtungszeiten

(30 × 30 / 20 × 20 cm) 2,3 kW

1,5 k × 1,5 k 21 × 21 cm / 31 × 31 cm* 2,5 kW
GE Healthcare | OEC One CFD
CCD-Matrix
Detektortyp Generatorleistung GE Healthcare | Elite CFD Super-C
CCD-Matrix
Detektortyp Generatorleistung
▪ Detektor mit CMOS-Technologie für niedrige Dosis und höhere Bildqualität ▪ Volle Vaskularfunktionalität ▪ Zeichenfunktion am Touchscreen ▪ Drahtloser Fußschalter ▪ Große Eintauchtiefe und Überkippung durch Super-C ▪ Motorisierte Bewegung über Joystick- & TouchscreenSteuerung direkt am OP-Tisch 1,5 k × 1,5 k 21 × 21 cm / 31 × 31 cm 15 kW
GE Healthcare | Elite CFD Super-C MD (motorisiert)
Detektortyp Generatorleistung Der Hologic Fluoroscan Mini-C-Bogen mit drehbarem digitalem CMOS-Flachdetektor (14,5 × 11,5 cm, Zoom 11 × 11 cm) liefert hochauflösende Bilder, die auf dem farbigen 24-ZollTouchscreen im Breitbildformat optimal dargestellt werden. Auch bei implantierten Metallen und Bewegung kommt es zu keiner Überstrahlung des Bildes. Der zusätzliche „High Res“-Modus verbessert die Bildqualität erheblich. Ein neuer „Low Dose“Modus reduziert die Dosis um zirka 50 Prozent.
HOLOGIC | Fluoroscan InSight FD
Pixelgröße
Detektortyp Generatorleistung
154 μm / 184 μm CsI 15 kW
Die Zenition 70 High End-Serie ist mit einem 21 × 21 cm oder einem 26 × 26 cm Flachdetektor der vierten Philips Generation erhältlich und zeichnet sich durch erstklassige Bildgebungstechnologien und außergewöhnliche Bildschärfe aus. Die Plattform ist nicht nur individuell um neue klinische Funktionen erweiterbar, sondern kann auch mit der bewährten intuitiven Steuerung und Bedienung aufwarten.
Philips | Zenition 70 Serie
Detektortyp Generatorleistung 152 µm CMOS
Cios Flow bietet mit den CMOSFlachdetektoren eine ausgezeichnete Bildqualität und stellt mit der Funktion SpotAdapt immer die spezifische Anatomie in optimaler Bildqualität zur Verfügung. Weiterhin hat das System eine antimikrobielle Beschichtung für beste Hygiene im OP. Mit den optionalen Cios OpenApps verschafft Cios Flow Ihnen Zugang zu einer wachsenden Vielzahl an klinisch erprobten Anwendungen von Siemens Healthineers und unseren Partnern – direkt am Cios Flow.
Siemens Healthineers | Cios Flow
Pixelgröße
Detektortyp Generatorleistung
Der kompakte C-Bogen verbessert die Bildqualität durch automatische Kontrast- und Helligkeitsanpassung, Bewegungserkennung, Kantenanhebung und Reduzierung von Metallartefakten. Die TouchscreenBedienung ermöglicht eine optimale Steuerung. Cios Select FD zeichnet sich durch ein kompaktes, leichtes Design aus, hat eine Eintauchtiefe von 73 cm und einen freien Abstand zwischen Strahler und FD von 81 cm. Cios Select ist für hohe Produktivität und optimierte Arbeitsabläufe im OP ausgelegt. Pixelgröße
Detektortyp Generatorleistung
Detektor mit CMOS-Technologie für niedrige Dosis und höhere Bildqualität ▪ Höhere Detaildarstellung durch echte kontinuierliche Durchleuchtung ▪ Keine Einschränkung der Bilddarstellung bei Bildrotation
/ 31 ×
15 kW GE Healthcare | Elite CFD Ergo-C CCD-Matrix Detektortyp Generatorleistung FLATPANEL
 INDE- X 118 RADIOLOGIE MAGAZIN 1-2021
▪ Patentiertes Ergo-C für Flexibilität und optimale Positionierung
31 cm
C-BÖGEN

µm

CMOS / a-Si

Der Ziehm Vision FD ist neben der neuesten CMOS-Technologie nun auch mit der bewährten a-Si-Technologie und einem größeren 31 × 31cm Detektor für größere Anatomien ausgestattet und ist – dank Advanced Active Cooling – für lang andauernde Einsätze konzipiert. Darüber hinaus helfen fein abgestimmte Workflows und neue Software-Features, Patientenergebnisse zu verbessern und die Produktivität zu steigern.

/ a-Si

Cios Spin ist mit FD-Technologie ausgestattet und verfügt zudem über Software-Pakete, wie das „Easy 3D-Paket“, die eine Integration der 3D-Bildgebung in den Operationsablauf sicherstellen. Durch die leicht verständliche 3D-Menüführung inkl. Kollisionsprüfung wird der Workflow für den Anwender im Bereich intraoperativer Bildgebung stark vereinfacht. Der 3D-Scan liefert mit bis zu 400 Einzelaufnahmen in 30 Sekunden Scanzeit hochauflösende Volumenaufnahmen.

Ziehm

CMOS / a-Si

100 μm / 194 μm 30 / 25 kW

*Der Ziehm Vision RFD Hybrid Edition stellt ein Optionspaket aus verschiedenen Hardware- und Software-Features für den Ziehm Vision RFD dar.

CMOS

/ a-Si

152 µm CMOS 12 kW / 25 kW
Pixelgröße
Siemens Healthineers | Cios Spin
Detektortyp Generatorleistung
100 μm / 150 μm 2,4 kW
Ziehm | Vision FD Pixelgröße Detektortyp Generatorleistung
Die Kombination von 2D- und 3DFunktion des Ziehm Vision RFD 3D ermöglicht eine bessere intraoperative Kontrolle und reduziert so die Notwendigkeit postoperativer CT-Scans und kostspieliger Korrektureingriffe. Dabei minimiert ZIR (Ziehm Iterative Reconstruction) Fächer- und Metallartefakte im 3D-Datensatz, wie es bisher nur aus der CT-Bildgebung bekannt war. 100 μm / 194 μm 30 / 25
kW
Ziehm | Vision RFD 3D
Pixelgröße Detektortyp Generatorleistung
Der Ziehm Vision RFD Hybrid Edition* ist ein leistungsstarker mobiler C-Bogen mit einem 25 kW Generator, der nun auch mit der CMOS-Bildgebungstechnologie verfügbar ist. Er eignet sich ideal für anspruchsvollste Eingriffe in der interventionellen Herz- und Gefäßchirurgie. Dabei ist der C-Bogen räumlich und zeitlich flexibel einsetzbar.
Ziehm | Vision RFD Hybrid Edition
Pixelgröße
Detektortyp Generatorleistung
CMOS
100 μm / 194 μm 25 kW
Der Ziehm Vision RFD ist mit einem starken Generator ausgestattet, der jede Anatomie ideal durchdringt. Darüber hinaus ermöglicht Advanced Active Cooling lang andauernde Eingriffe. Durch die Vielzahl an Features eignet sich dieses System besonders für anspruchsvolle Interventionen.
Pixelgröße
Ziehm | Vision RFD
Detektortyp
Generatorleistung
CMOS 100 μm 2,4 kW
| Solo FD Pixelgröße Detektortyp Generatorleistung
Der Ziehm Solo FD ist mit seinem All-in-oneDesign einer der kompaktesten C-Bögen auf dem Markt und eignet sich für kleinste Behandlungsräume. Ausgestattet mit der neuesten CMOS-Flachdetektor-Technologie, bietet er eine hervorragende Bildqualität für die Orthopädie, Traumatologie und Schmerztherapie.
152
CMOS 12 kW / 25 kW
Pixelgröße
Generatorleistung FLAT-PANEL C-BÖGEN  DAS PASSENDE KONTRASTMITTEL LIEFERN WIR. BECKELMANN.DE INTERVENTIONELLE SYSTEME 119 RADIOLOGIE MAGAZIN 1-2021
Cios Alpha mit Retina- und CARETechnologien. Der 30 × 30 cm große CMOS-Flachdetektor zeigt bis zu 25 Prozent mehr Bildinformation. 25 kW mit zusätzlichem Energiespeicher machen ihn zu einem leistungsstarken mobilen C-Bogen-System und sorgen speziell bei vaskulären Eingriffen für hochqualitative Bilder – auch bei stark übergewichtigen Patienten.
Siemens Healthineers | Cios Alpha
Detektortyp

Injektoren

INJEKTOREN

0,1 bis 10 ml / s 22,4 bar CT

0,1 bis 45.0 / 59,9 ml / s 82,7 bar

Injektionssystem für CT-Untersuchungen inklusive komplexer Protokolle. Der Injektor hat eine graphische Echtzeitanzeige der Druckverlaufskurve und ermöglicht eine mehrphasige Programmierung mit patentierter Halt- / Pause-Funktion. Zusammen mit der Certegra Workstation sind Anbindungen an IT-Systeme, wie z. B. RIS / PACS und Radimetrics mit Analysemöglichkeiten möglich.

Das einzigartige Frontbeladungssystem vereinfacht den Aufbau und ermöglicht einen sauberen Abbau. Die Spritze des Mark 7 Arterion bietet freie Sicht auf das Kontrastmittel. Mit seinem verkleinerten Fuß, dem leichteren Kopf und dem flexiblen Gelenkarm lässt sich der Injektor problemlos manövrieren.

0,01 bis 10 ml / s 22,4 bar MR

Ein leichtes Entfernen von Spritze und Schläuchen erleichtert die Bedienung und spart Zeit. Standardisierte und optimierte Injektionsprotokolle erhöhen die Bildqualität. Zusammen mit der Certegra Workstation sind Anbindungen an Healthcare-IT, wie z. B. RIS / PACS und Radimetrics mit Analysemöglichkeiten möglich.

MEDRAD Avanta ist ein Fluid-Management-System nach neuestem Stand der Technik und kann für unterschiedliche bildgebende Verfahren in der Kardiologie eingesetzt werden: Koronarbildgebung, Ventrikulogramme, Aortogramme und mehr. Das alleinstehende Injektionssystem bietet Funktionsoptionen für die Darstellung kleiner und großer Gefäße.

Das motorbetriebene PET-Infusionssystem Intego bietet eine intelligente, sichere und einfache FDG oder NaF-Verabreichung. Es wird über einen einfachen Berührungsbildschirm bedient und ermöglicht auf Abruf die Infusion aus einer Multidosisampulle. Dadurch wird eine größere Flexibilität sowie ein verbesserter Arbeitsablauf erreicht.

Dieser Injektor wurde entwickelt um manuelle Vorgänge zu automatisieren und um mehr Zeit für den Patienten zu haben. Arbeitsabläufe werden durch einen Akku und eine duale Bildschirmkonfiguration effizienter. Eine integrierter Barcodeleser, eine Scannerkonnektivität und eine Anbindung an PACS / RIS unterstützen diesen Ansatz.

INDE- X 120 RADIOLOGIE MAGAZIN 1-2021
Angiographie Bayer Vital | MEDRAD Mark 7 Arterion Förderrate max. Injektionsdruck Anwendung
1 bis 10 / 20 ml / s 82,7 bar
Angiographie Bayer Vital | MEDRAD Avanta Fluid Management Injektion System Förderrate max. Injektionsdruck Anwendung
0,5 bis
ml
1
/ s 1 – 25 mCi (37 – 925 MBq) PET
Bayer Vital | MEDRAD Intego Infusionssystem Förderrate Aktivität Anwendung Bayer Vital | MEDRAD MRXperion Förderrate max. Injektionsdruck Anwendung Bayer Vital | MEDRAD Stellant CT Förderrate max. Injektionsdruck Anwendung
0,1 bis 10 ml / s 20,68 bar CT
Bayer Vital | M EDRAD Centargo CT Injection System Förderrate max. Injektionsdruck Anwendung

Doppelkolben-Kontrastmittelinjektor mit Touch-Technologie. Zertifizierte Verbrauchsmaterialien für die Mehrfachwendung gewährleisten höchstmögliche hygienische Sicherheit und optimieren den Workflow. Weitere Features wie z. B. ein Kalkulator zur Berechnung der GFR, SALINE JUMP zum sofortigen Wechsel von der KM-Phase zur NaCl-Phase und die Warmhalte-Funktion für vorgewärmtes KM unterstützen den Anwender.

Doppelkolben-Kontrastmittelinjektor mit digitaler Touch-Technologie am Injektorkopf und an der Fernsteuerung. Zertifizierte Verbrauchsmaterialien für die Mehrfachwendung gewährleisten höchstmögliche hygienische Sicherheit und optimieren den Workflow.

0,1 bis 10 ml / s 20,6 bar

Der Einkolben-Injektor SmartShot alpha von Nemoto eignet sich besonders für den Einsatz in der Kontrastmittel-Mammografie.

Er kann optional für jeden Patienten anhand des Körpergewichts ein optimiertes Protokoll erstellen. Auf der CF-Karte sind anatomisch angeordnete Injektionsprotokolle gespeichert.

▪ Maximales Injektionsvolumen: 200 ml

0,1

Der SonicShot von Nemoto ist ein Hochleistungsinjektor für die Magnetresonanztomografie.

Der Spritzenkopf ist mit einem Ultraschallmotor ausgestattet, der keine magnetische Interferenzen verursacht und nahe der Gantry platziert werden kann.

Optional: MRT-kompatible Deckenhalterung. Zudem gibt es eine programmierbare Auto-Füll-Funktion.

▪ Maximales Injektionsvolumen: 60 ml (KM und NaCl)

0,1 bis 10 ml / s 21 bar CT

Kompakter Rollenpumpeninjektor, der als System speziell für die Mehrfachanwendung mit höchstmöglichem Hygienestandard und bestmöglichem Workflow entwickelt wurde. Direkte Injektion aus zwei Kontrastmittelflaschen und einem NaCl-Behältnis gewährleistet eine sichere und saubere Injektion und minimiert gleichzeitig den Bedarf an Verbrauchsmaterialien.

Der Accutron CT ist ein Einzelkolben-Kontrastmittelinjektor, der für die Computertomographie entwickelt wurde und auf der bewährten Technologieplattform der Accutron-Injektoren basiert. Wenn Ihr Budget begrenzt ist oder Sie neu in die Nutzung eines Injektors in Ihrer CT-Abteilung einsteigen wollen, ist der Accutron CT Ihr ideales Einstiegsmodell.

0,1 – 10 ml/s 20,6 bar CT

0,1 bis 10 ml / s 21 bar

Der DualShot alpha7 von Nemoto bietet ein breites Spektrum an eingebauten Protokollen, inklusive dem einmaligen Körpergewichtsprotokoll. Er beachtet die Scanzeit, die Kontrastmittelkonzentration und andere Faktoren, um ein Protokoll mit einer konstanten TDC (Time Density Curve) mit optimaler Kontrastgebung zu modifizieren.

▪ Maximales Injektionsvolumen: 200 ml

Der Accutron CT-D ist ein Doppelkolben-Kontrastmittelinjektor, der für fortgeschrittene klinische CT-Bildgebungsverfahren wie kardiale CTA, CT-Angiographie, Bildgebung des Beckens und der unteren Extremitäten sowie für CT-Routineuntersuchungen benötigt wird. Außerdem eignet er sich für das neue Diagnoseverfahren, die kontrastmittelgestützte Mammographie.

INJEKTOREN 121 RADIOLOGIE MAGAZIN 1-2021
0,1
bis 10 ml / s 24 bar CT
Förderrate
Bracco | EmpowerCTA+ max. Injektionsdruck Anwendung
INJEKTOREN
0,1 bis 10 ml / s 21 bar MR
Bracco | EmpowerMR
Förderrate
max. Injektionsdruck Anwendung
0,5
bis 9,7 ml / s 10 bar CT
Bracco | CT Exprès Förderrate max. Injektionsdruck Anwendung Nemoto | DualShot alpha7 (Vertrieb: Hologic Medicor GmbH) Förderrate max. Injektionsdruck Anwendung CT Nemoto | SmartShot alpha (Vertrieb: Hologic Medicor GmbH) Förderrate max. Injektionsdruck Anwendung bis 10 ml / s 13,8 bar MRT Nemoto | SonicShot 7 (Vertrieb: Hologic Medicor GmbH) Förderrate max. Injektionsdruck Anwendung CT MEDTRON | Accutron CT-D Förderrate max. Injektionsdruck Anwendung MEDTRON | Accutron CT Förderrate max. Injektionsdruck Anwendung

INJEKTOREN

Der Accutron HP ist ein Einzelkolben-Kontrastmittelinjektor, der für die präzise Injektion von Kontrastmitteln bei Angiographieverfahren mit hohem Injektionsdruck entwickelt wurde. Er ist ein Allrounder, denn neben der Arbeit mit Angiographieverfahren im „Angio-Modus“ bietet der Accutron HP einen „CT-Modus“ für Hybrid-CT Verfahren in der Angio-Suite.

Schnittstelle über den Injektor in das RIS / PACS-System ▪ Schnittstelle von Injektor zu Scanner via DICOM (SYNCopen) ▪

Nur einmal täglich aufrüsten durch 24 h-Verwendung des Pumpenschlauchs ▪

Optimiertes Kontrastmittel-Management durch zwei Kontrastmittelsteckplätze ▪

Automatische patientenseitige Luftüberwachung ▪ Geschlossenes System: Direktes Injizieren aus OriginalMedienbehältern

schrittweise 0,1 ml/s

0,1 bis 10 ml / s*

Der Accutron HP-D wurde für die präzise Injektion von KM und NaCl bei Angioverfahren mit hohem Injektionsdruck entwickelt. Besonders eignet er sich für 3D-Angiographie und Cone-Beam-CT-Verfahren unter anderem durch die Fähigkeit, mehrphasige Injektionsprotokolle durchzuführen sowie die Möglichkeit die KM-Konzentration anzupassen bei gleichzeitiger Injektion von NaCl.

Der Accutron MR ist ein Doppelkolben-Kontrastmittelinjektor, der für die präzise Injektion von Kontrastmitteln und Kochsalzlösung in der klinischen MR-Bildgebung einschließlich Pädiatrie, Angiographie, Neuro- und Mammographie sowie für andere MR-Routineuntersuchungen entwickelt wurde.

Der Accutron MR3 ist ein Kontrastmittelinjektor, der neben den beiden Kolben für KM und NaCL über einen dritten Kolben speziell für die Infusion von Flüssigkeiten während der Bildgebung verfügt. Diese dedizierte Infusionspumpe ist für die langsame Abgabe zusätzlicher Medikamente vorgesehen, die bei spezifischen MR-Untersuchungen erforderlich sind.

Nur einmal täglich aufrüsten durch 24 h-Verwendung der Easy-Click-Kassette

Automatische patientenseitige Luftüberwachung ▪ Geschlossenes System: Direktes Injizieren aus Original-Medienbehältern

▪ Erweiterter Einsatz: Jetzt auch zur Kontrastmittelapplikation in der Mammographie zugelassen

* schrittweise 0,1 ml/s

Nur einmal täglich aufrüsten durch 24 h-Verwendung der Easy-Click-Kassette ▪ Optimiertes Kontrastmittel-Management durch zwei Kontrastmittelsteckplätze ▪ Automatische patientenseitige Luftüberwachung ▪ Geschlossenes System: Direktes Injizieren aus OriginalMedienbehältern ▪ Erweiterter Einsatz: Jetzt auch zur Kontrastmittelapplikation in der Mammographie zugelassen * schrittweise 0,1 ml/s

INDE- X 122 RADIOLOGIE MAGAZIN 1-2021
0,1 bis 30 / 0,1 bis 10 ml / s 21
/ 83 bar
Angio / CT MEDTRON | Accutron HP-D Förderrate max. Injektionsdruck Anwendung
0,1 bis 30 / 0,1 bis 10 ml / s 21 / 83 bar
Angio / CT
Förderrate
MEDTRON | Accutron HP max. Injektionsdruck Anwendung
0,1 bis 10 ml / s 21 bar MR
Förderrate
MEDTRON | Accutron MR3 max. Injektionsdruck Anwendung
0,1 bis 10 ml / s 21
bar MR
Förderrate
MEDTRON | Accutron MR max. Injektionsdruck Anwendung
s* 17
*
0,1 bis 10 ml /
bar CT
ulrich medical | ulrichinject CT motion (XD 8000) Förderrate max. Injektionsdruck Anwendung
14
bar MRT / Mammographie ulrich medical | ulricheasyinject Max 2M (XD 10130) Förderrate max. Injektionsdruck Anwendung
0,1
bis 10 ml / s* 14
bar MRT / Mammographie
DIE BERATUNG & SCHULUNG GIBT‘S BEI UNS. BECKELMANN.DE
ulrich medical | ulricheasyinject Max 3 (XD 10160) Förderrate max. Injektionsdruck Anwendung
INJEKTOREN 123 RADIOLOGIE MAGAZIN 1-2021 VMP GmbH Robert-Florin-Str. 1 46238 Bottrop Tel.: 02041 77 58-95 Fax: 02041 77 58-96 info@vmp-medizintechnik.de www.vmp-medizintechnik.de Hochdruckinjektionssysteme (CT, MRT, Angio) Kreatinin-Messgerät (Statsensor/NOVA Biomedical) CO2 - Insufflatoren Disposables Inzahlungnahme von Geräten Verkauf und Leasing von Neu- u. Gebrauchtgeräten günstige Wartungsverträge

Computertomographie

Der Aquilion Precision ist der einzige Ultra-High-Resolution CT weltweit. Die 0,25 mm kleinen Detektorelemente und seine 2048er Matrix liefern Aufnahmen von einer noch nicht dagewesenen Bildschärfe. AiCE ist ein trainierter Deep Learning Algorithmus der in der Belichtungsautomatik die Dosis um nochmals 50 Prozent verringert und das Rauschen in 0.25 mm Schichten erkennt und herausrechnet.

DUAL-SOURCE-CT 

Siemens Healthineers | SOMATOM Force 0,25 s 78 cm 2 x 120 kW Rotationsgeschwindigkeit Gantryöffnung Generatorleistung

Siemens Healthineers | SOMATOM Drive

s 78 cm 2 x 100 kW

▪ Zeitliche

Scanlänge

200 cm 78 cm 100 kW

Gantryöffnung Generatorleistung Canon | Aquilion ONE Genesis 275/350 Edition – AiCE Dezidierter Volumen-Cardiac CT

One beat Scan mit 140 mm Abdeckung

Arrhythmiemanagment

Vereinfachte, cardiac-spezifische Benutzeroberfläche

200 cm 78 cm 72 kW Scanlänge Gantryöffnung Generatorleistung
Canon | Aquilion Precision – AiCE ULTRA-HR-CT
0,28
Straton MX Sigma Röntgenröhre mit High Power 70 & 80 kV Bildgebung ▪ Zinnfilter bringt CT-Dosen auf das Niveau von Ultra-Low-Dose ▪ 10 kV-Schritte für präziseste Dosiswerte für jeden Patienten ▪ Integrierter FAST-Workflow mit FAST-3D-Kamera ▪ Dual Source Dual Energy Rotationsgeschwindigkeit Gantryöffnung Generatorleistung
Dynamische Bildgebung bis zu 48 cm
Auflösung: 75 ms
▪ Bildqualität auf der nächsten Stufe mit der Vectron-Röntgenröhre ▪ Erheblich reduzierte Kontrastmittelmengen mit Niedrig-kV-Bildgebung ▪ Ultra-niedrige Dosis und „free‐breathing“ CT mit hervorragender zeitlicher Auflösung von 66 ms ▪ Integrierter FAST-Workflow mit FAST-3D-Kamera ▪ Dual Source Dual Energy ▪ Dynamische Bildgebung bis zu 80 cm
Dieser 640 Schicht Volumen Spectral CT baut auf der bewährten Aquilion ONE Serie auf und bietet erstmals mittels Rapid kV Switch in Kombination einer 3D Belichtungsautomatik, Dual Energy dosisneutral bei jedem Scan. Die Daten werden nahzu zeitgleich akquiriert und ein Deep Learning Algorithmus erstellt zwei perfekt getrennte Energy-Datensätze für die weitere quantitative Analyse an der Workstation.Spectral Imaging ohne Kompromisse.
Gantryöffnung Generatorleistung
Canon | Aquilion ONE PRISM Edition – AiCE VOLUME-CT
Scanlänge
100
Ein in zwei Ausbaustufen verfügbarer 640 Schicht Volumen CT mit 16 cm Detektorabdeckung und ausgestattet mit einem intelligenten Deep Leaning Algorithmus – AiCE, für die max. Dosisreduktion und einer brillianten Bildqualitäten in der gesamten radiologischen und neuroradiologischen Diagnostik. Scanlänge Gantryöffnung Generatorleistung
200 cm 78 cm 100 kW
Einzigartige Stereo-CT-Technologie
0,24 s Rotationszeit
Fokussiertes FOV von 25 cm mit höchster Auflösung
ASiR-CV iterative Rekonstruktion
227 kg Tischbelastung
Laterale Tischverschiebung
15 m2 Stellfläche
cm 60 cm 72 kW
INDE- X 124 RADIOLOGIE MAGAZIN 1-2021
GE Healthcare | CardioGraphe

200 cm 80 cm 108 kW

Keine Limits

TrueFidelity, Deep Learning Image Rekonstruktion für bahnbrechende Bildqualität: Bildeindruck wie bei FBP, bei niedriger Dosis und gleichzeitig geringem Rauschen

▪ Quantix 160 Röhre, 1300 mA bei 16 cm Abdeckung, 70 kV Imaging

Aorta, Herz & Lunge in nur einem Scan in < 1 Sekunde

▪ Optional Smart Subscription: immer die neueste SW auf Ihrem System

Für jeden Patienten jeden Tag ▪ XtreamCamera –KI-basierte Auto-Zentrierung und -Positionierung mit einem Klick ▪ Angulierte Bildrekonstruktion mit Digital Tilt ▪ 1024 × 1024 Reconmatrix und verbesserte Metallartefaktreduktion ▪ ASiR-V Ultra-Low Dose mit iterativer Rekonstruktion

200 cm 80 cm 103 kW

Der Ultra-Premium CT

Aorta, Herz & Lunge in nur einem Scan in <1 Sekunde

▪ Gemstone-Detektor mit 16 oder 8 cm für monochromatische Bildgebung auf Rohdatenbasis

▪ 0,28 s Rotationszeit

▪ ASiR-V Ultra-Low Dose mit iterativer Rekonstruktion überall, TrueFidelity optional ▪ Aufrüstbar auf Revolution Apex, Smart Subscription optional

Neue Bildgebungskette –

Gemstone Clarity Detektor –25 Prozent weniger elektronisches Rauschen, > 7000 Views / s ▪ Monochromatische Bildgebung via Rohdaten mit Gemstone Spectral Imaging – zweimal schnellere Bildrekonstruktion

▪ Performix HD Plus Hochleistungsröhre mit liquid bearing Technologie ▪ GSI Pro – dosisneutral dank ASiR-V

Revolution Evo mit der Technologie des Revolution CT

Höchste räumliche Auflösung seiner Geräteklasse 0,28 mm ▪ Rotationszeit von 0,35 s in allen Anwendungen (optional) ▪ ASiR-V Ultra-Low Dose mit iterativer Rekonstruktion ▪ Modulares System, wächst mit Ihren Ansprüchen

▪ Optional Smart Subscription: immer die neueste SW auf Ihrem System, inkl. TrueFidelity

Der SCENARIA View mit innovativen Technologien und patientenfreundlichem Design: IPV-Dosisreduktion bis 83 Prozent, Rauschunterdrückung bis 90 Prozent, Dual Energy Scan, optionaler 84 kW-Generator, kurze Untersuchungszeiten durch High-Speed-Scannen, 80 cm weite Öffnung, Patiententisch bis 250 kg und lateraler Verschiebung zur komfortablen Patientenpositionierung.

200 cm 70 cm 120 kW Scanlänge

Spektral-CT mit der Technologie des Revolution CT

Gemstone-Detektor erfasst > 7000 Views / s

▪ Marktführende räumliche Auflösung 0,23 mm in allen Anwendungen

▪ Gemstone Spectral Imaging mit hoher zeitlicher Auflösung (< 0,3 ms) erlaubt monochromatische Bildgebung mit Rohdaten ▪ Quantifizierung von Läsionen in mg / vol. ▪ Ultra-Low Dose mit ASiR-V

Der NanoPanel Prism-Detektor akquiriert in einem einzigen 120-kV-Scan simultan konventionelle plus spektrale Bildinformationen. Neue Möglichkeiten zur Farbquantifizierung, präzisere Darstellung der Strukturen, bessere Gewebecharakterisierung. Zusatzinformationen durch Materialbilder wie Zeff oder Jodkarten. Reduktion von Metallartefakten. Dosisneutral.

Scanlänge Gantryöffnung Generatorleistung
GE Healthcare
| Revolution Apex VOLUME-CT 
Scanlänge Gantryöffnung Generatorleistung
GE Healthcare | Revolution CT
200 cm 70 cm 100 kW Scanlänge Gantryöffnung Generatorleistung
GE Healthcare | Revolution Frontier
200 cm 70 cm 100 kW Scanlänge Gantryöffnung Generatorleistung GE Healthcare | Revolution HD
170
Scanlänge Gantryöffnung Generatorleistung
▪ Modulares System, wächst mit Ihren Ansprüchen ▪ Smart Subscription optional
cm 70 cm 72 / 89 kW
GE Healthcare | Revolution Maxima
200 cm 80 cm 72 kW Scanlänge Gantryöffnung Generatorleistung
Hitachi | SCENARIA View (64) Gantryöffnung Generatorleistung Philips | IQon Spectral CT
200 cm 70 cm 72 / 89 kW
Scanlänge Gantryöffnung Generatorleistung
COMPUTERTOMOGRAPHIE 125 RADIOLOGIE MAGAZIN 1-2021
GE Healthcare | Revolution Evo

Premium-System mit IMR und NanoPanel Elite-Detektor für eine deutlich geringere Dosis, bessere Niedrigkontrasterkennbarkeit und weniger Bildrauschen. Die iPatient-Plattform unterstützt bei der Optimierung von Bildqualität und Dosis und verkürzt die Scanzeit.

200 cm 78 cm 72 kW Scanlänge

Dieser 80 Zeilen CT erfüllt alle Anforderungen der modernen Radiologie. Neben onkologischen, neurologischen und cardiovaskulären Fargestellungen, ist dieser CT auch ein hervorragender Scanner für komplexe Interventionen. Seine hohe Geschwindgkeit im Scan und in der Rekonstruktion ermöglicht Ihnen den schnellen Zugriff auf hochqualitativ diagostische Bilder bei jedem Scan. Mit AiCE erreicht der Aquilion PRIME die Ebene der küstlichen Intelligenz und eine neue zusätzliche Dosisreduktion bei höchster Bildgüte.

– AiCE

200 cm 78 cm 50 kW Scanlänge

System mit IMR und NanoPanel Elite-Detektor für eine deutlich geringere Dosis, bessere Niedrigkontrasterkennbarkeit und weniger Bildrauschen. Die iPatient-Plattform unterstützt bei der Optimierung von Bildqualität und Dosis und verkürzt die Scanzeit.

Die skalierbare Aquilion Lightning SP Plattform basiert auf dem 40 mm PureVision Detektor und kann wahlweise mit 40 oder 80 Zeilen bzw. 160 Schichten konfiguriert werden. Ein On-Site Upgrade ist jederzeit möglich. Die neue Deep-Learning-Rekonstruktion „AiCE“, die 30° Gantryneigung und die Metallartefaktreduktion SEMAR komplementieren den Aquilion Lightning SP zu einem modernen State-of-the-Art-CT.

Verlässliches und wirtschaftliches System für die Routine und klinische Anwendungen in der Kardiologie, Onkologie, Pädiatrie, Gefäßund Traumadiagnostik. Komplexe Fragestellungen lassen sich auch bei schwierigen Anatomien beantworten.

System für Routineuntersuchungen und klinische Anwendungen in der Pädiatrie, Gefäßdiagnostik und Onkologie. Incisive CT 64 Plus bietet die Möglichkeit zu umfassenden In-Room-Upgrades, das heißt es kann mit den klinischen Anforderungen mitwachsen.

200 cm 90 cm 72 kW

Der neue Wide-Bore-80-Zeilen-CT Aquilion Exceed LB hat die weltweit größte Gantryöffnung von 90 cm, ein gemessenes 70 cm FOV und ein 90 cm erweitertes FOV. „AiCE“ (Deep-Learning-Rekonstruktion) verbessert nochmals Dosisreduktion und Bildqualität. Ein perfekter CT für Traumazentren wie für die 4D-Bestrahlungsplanung. Die Metallartefaktreduktion ist ebenso erhältlich wie die Dual-Energy-Technik.

Der FCT Speedia HD (64 Zeilen) ist ein kompaktes und leistungsstarkes System. Das Dosismanagementsystem Intelli EC sorgt zusammen mit der iterativen Rekonstruktion Intelli IP für eine niedrige Dosis. Gantryöffnung 75 cm für leichteren Zugang zum Patienten, Kippung um ± 30 Grad, 3D Visualiserungs- und Analysetool Synapse 3D, PixelShine (AI-Technologie zur Dosisredution) und die Metallartefaktereduzierung

186
80 kW Scanlänge
cm 72 cm
Gantryöffnung Generatorleistung
Philips | Incisive CT Premium
186
72
55 kW Scanlänge
Generatorleistung
cm
cm
Gantryöffnung
Philips | Incisive CT 64 Plus
200
70
80 kW
cm
cm
Scanlänge Gantryöffnung Generatorleistung
Philips | CT 5000 Ingenuity Pro Gantryöffnung Generatorleistung Canon | Aquilion Lightning SP Scanlänge Gantryöffnung Generatorleistung Canon | Aquilion Exceed LB Gantryöffnung Generatorleistung Canon | Aquilion Prime SP – AiCE MEHR ALS 64 ZEILEN 
200 cm 70
120 kW Scanlänge Gantryöffnung Generatorleistung Philips | CT 6000 iCT Premium VOLUME-CT 
cm
120 – 180 cm 75
48 kW Scanlänge Gantryöffnung Generatorleistung Fujifilm | FCT Speedia HD 20 BIS 64 ZEILEN  INDE- X 126 RADIOLOGIE MAGAZIN 1-2021
HIMAR.
cm

180 cm 75 cm

Supria 64 / 128 bietet Ihnen den hervorragenden Einstieg in die 64-Zeilen-Welt mit weiter verkürzten Untersuchungszeiten. Kompaktes Design, hohe Bildqualität und moderne Dosisreduktion werden gepaart mit einer großen Öffnung – Komfort und simple Bedienung inklusive. Hitachi-CT-Systeme überzeugen immer wieder mit ihrer außerordentlichen Standfestigkeit.

0,28 s 78 cm 100 kW

Z-Sharp Technologie für 128 akquirierte Schichten

Zinnfilter bringt CT-Dosen auf das Niveau von Ultra-Low-Dose ▪ Integrierter FAST-Workflow mit FAST-3D-Kamera

High Power 70 & 80 kV und 10 kV-Schritte für präziseste Dosiswerte ▪ Kardiale, Spektrale und 4D-Bildgebung in hoher Qualität

Bis zu 230 mm/s Abdeckung bei einem Pitch von 1,7

180 cm 75 cm 48 kW

Supria 16 / 32 eröffnet Ihnen die diagnostischen Möglichkeiten eines modernen 16 / 32-CT.

Er besticht durch seine Geschwindigkeit und Bildqualität, sowie effizienter Dosisreduktion und seinem Design. Die große Öffnung ermöglicht komfortable Untersuchungen bei einfacher Bedienung. Der Supria 16 / 32 überzeugt seine Nutzer über Jahre mit hoher Zuverlässigkeit.

200 cm 70 cm 80 kW Scanlänge Gantryöffnung Generatorleistung

System für Routineuntersuchungen und dynamische Applikationen wie Angio- oder Lungen-CT. Das iDose4-Premiumpaket für die iterative Rekonstruktion beinhaltet iDose4 und O-MAR. iDose4 verbessert die Bildqualität durch Artefaktunterdrückung und Erhöhung der räumlichen Auflösung bei geringer Dosis. O-MAR reduziert Artefakte, die aufgrund großer orthopädischer Implantate auftreten.

0,3 s 82 cm 105 kW Rotationsgeschwindigkeit

Z-Sharp Technologie für 128 akquirierte Schichten

▪ myExam Companion: einzigartiger Ansatz, angetrieben durch KI. Entwickelt, um jede Untersuchung zu optimieren.

▪ Integrierter FAST-Workflow mit FAST-3D-Kamera

High Power mit 1200 mA bei 70 & 80 kV, 10 kV-Schritte und Zinnfilter für präziseste Dosiswerte ▪

Kardiale, spektrale und 4DBildgebung in hoher Qualität

0,28 s 78 cm 100 kW

Z-Sharp Technologie für 128 akquirierte Schichten

Zinnfilter bringt CT-Dosen auf das Niveau von Ultra-Low-Dose

▪ Scangeschwindigkeit bis zu 230 mm/s für die Reduzierung von Bewegungsartefakten ▪ 70 kV Scans zur Verbesserung des KontrastRausch-Verhältnis und Reduzierung der Dosis

Dynamische Bildgebung für 48 cm dynamische CTA ▪ TwinBeam Dual Energy

0,33 s 70 cm 75 kW

▪ 64 Zeilen ▪

Low-kV-Bildgebung, 10 kV-Stufen, Zinnfilter und Stellardetektor ermöglichen dosisoptimiertes Scannen ▪ myExam Companion: einzigartiger Ansatz, angetrieben durch KI. Entwickelt, um jede Untersuchung zu optimieren. ▪ Integrierter FAST-Workflow mit FAST-3D-Kamera ▪ Ganzheitliche spektrale Bildgebungslösung mit

0,33 s 70 cm 75 kW Rotationsgeschwindigkeit

32 Zeilen ▪

Low-kV-Bildgebung, 10 kV-Stufen, Zinnfilter und Stellardetektor ermöglichen dosisoptimiertes Scannen ▪ myExam Companion: einzigartiger Ansatz, angetrieben durch KI. Entwickelt, um jede Untersuchung zu optimieren. ▪ Integrierter FAST-Workflow mit FAST-3D-Kamera ▪ Systemfläche: 7,4 m² ▪

Spektrale Bildgebungslösung mit TwinSpiral Dual Energy

48 kW Scanlänge Gantryöffnung Generatorleistung
20 BIS 64 ZEILEN 
Hitachi | Supria 64 / 128
Scanlänge Gantryöffnung Generatorleistung Hitachi | Supria 16 / 32 Philips | CT 5000 Ingenuity Plus Rotationsgeschwindigkeit Gantryöffnung Generatorleistung Siemens Healthineers | SOMATOM Definition Edge Rotationsgeschwindigkeit Gantryöffnung Generatorleistung Siemens Healthineers | SOMATOM Edge Plus
Gantryöffnung Generatorleistung
Siemens Healthineers | SOMATOM X.cite
Gantryöffnung Generatorleistung
Siemens Healthineers | SOMATOM go.All Rotationsgeschwindigkeit Gantryöffnung Generatorleistung
COMPUTERTOMOGRAPHIE 127 RADIOLOGIE MAGAZIN 1-2021
Siemens Healthineers | SOMATOM go.Top

myExam Companion: einzigartiger Ansatz, angetrieben durch KI, entwickelt, um jede Untersuchung zu optimieren ▪ Stellar-Detektor für geringes elektronische Rauschen und erhöhte Dosiseffizienz ▪ Integrierter FAST-Workflow mit FAST-3D-Kamera ▪ Zinnfilter für Ultra-Low-Dose Untersuchungen ▪

Spektrale Bildgebungslösung mit TwinSpiral Dual Energy

135 cm 65 cm 32 / 40 kW Scanlänge Gantryöffnung Generatorleistung

Qualitäts-16-Zeiler für die Humanund Veterinärmedizin.

▪ Hohe Bildqualität durch Premium Detektorsystem mit Revolution Technologie.

Low Dose: 40 Prozent* weniger Dosis mit ASiR in allen Anwendungen.

▪ Organ-Dosis-Modulation zum Schutz empfindlicher Organe.

* Gegenüber konventioneller FBP Rekonstruktion

▪ Einfacher automatisierter Workflow für Routinescans.

▪ Kompakt & platzsparend, geringe Anschlusswerte.

Die weite 78 cm Gantryöffnung, eine Rotationsgeschwindigkeit von 0,5 Sekunden / Rotation sowie modernste Anwendungen zur Metallartefaktreduktion (SEMAR) zeichnen diesen 16 Zeilen CT aus. Eine Vielzahl von Applikationen machen diesen Scanner zu einem effektiven CT in radiologischen Praxen und kleinen Krankenhäusern.

Premium 16-Zeilen / 32-Schichten CT, 60-100kW ▪ 80 cm eFOV für Strahlentherapieplanung inkl. Simulation, ▪ CT-Interventionen (3D-Nadelerkennung) und Adipositas ▪ Hochpräzisionstisch bis zu 295 kg Kapazität ▪ 40 Prozent* weniger Dosis mit ASiR in allen Anwendungen ▪ Metallartefaktreduktion & Deviceless 4D Atemgating

* Gegenüber konventioneller FBP Rekonstruktion

Dieser „ECO“-CT hat einen besonders niedrigen Energieverbrauch und bietet daher ein herausragendes Preis- / Leistungsverhältnis. Standardmäßig wird die Dosis Dank iterativer Rekonstruktion AIDR 3D in Roh- und Bilddaten um max. 75 Prozent bei gleichbleibend hoher Reko.-Geschwindigkeit reduziert. Metallartefakte reduziert dieser CT automatisch mittels SEMAR. Die kompakte Bauweise ermöglicht Installationen auch in kleinen Räumen.

160 cm 70 cm 42 / 70 kW

Premium 16-Zeilen / 32-Schichten CT für alle Routine-Anwendungen ▪ Isotrope Auflösung, 1024 × 1024 Recon-Matrix ▪ Xtream-Display für einfachen automatisierten Workflow

Low Dose: 40 Prozent* weniger Dosis mit ASiR in allen Anwendungen.

▪ Metallartefakte-Reduktion SmartMAR / Energiesparmodus / Kompakte Stellfläche und geringe Anschlusswerte.

* Gegenüber konventioneller FBP Rekonstruktion

173 cm 70 cm 60 / 88 kW Scanlänge Gantryöffnung Generatorleistung

Der FCT Speedia (16 Zeilen) ist ein kompaktes und leistungsstarkes System. Das Dosismanagementsystem Intelli EC sorgt zusammen mit der iterativen Rekonstruktion Intelli IP für eine niedrige Dosis. Gantryöffnung 75 cm für leichteren Zugang zum Patienten, Kippung um ± 30 Grad, 3D Visualiserungs- und Analysetool Synapse 3D, PixelShine (AI-Technologie zur Dosisredution) und die Metallartefaktereduzierung HIMAR.

Premium 16-Zeilen / 32-Schichten CT mit sehr hoher Kapazität

Erweitertes Leistungsspektrum für Polytrauma & Adipositas ▪ Isotrope Auflösung, 1024 × 1024 Recon-Matrix ▪

Xtream-Display für einfachen automatisierten Workflow

Low Dose: 40 Prozent* weniger Dosis mit ASiR in allen Anwendungen.

▪ Metallartefakte-Reduktion SmartMAR

▪ Kompakte Stellfläche, geringe Anschlusswerte.

* Gegenüber konventioneller FBP Rekonstruktion

▪ 32
Zeilen
0,8
70
32 kW
Gantryöffnung Generatorleistung
s
cm
Rotationsgeschwindigkeit
20 BIS 64 ZEILEN 
Siemens Healthineers | SOMATOM go.Up
180
78
50
/ 200 cm
cm
kW
Scanlänge Gantryöffnung Generatorleistung
2 BIS
Canon | Aquilion Lightning – AIDR 3D
16 ZEILEN 
180
Scanlänge
cm 78 cm 50 kW
Gantryöffnung Generatorleistung
Canon | Aquilion Start
120 – 180
75
48
Scanlänge Gantryöffnung
cm
cm
kW
Generatorleistung
Fujifilm | FCT Speedia
170 cm 80 cm 55 / 100 kW Scanlänge
Gantryöffnung Generatorleistung GE Healthcare | Discovery RT Scanlänge Gantryöffnung Generatorleistung GE Healthcare | Optima CT520 GE Healthcare | Revolution ACT
INDE- X 128 RADIOLOGIE MAGAZIN 1-2021
GE Healthcare | Optima CT540

190 cm 70 cm 50 kW 2 BIS 16 ZEILEN 

Scanlänge Gantryöffnung Generatorleistung Philips

180 cm 67 cm 50 kW

Canon | Aquilion Large Bore – AIDR

Leistungsstarkes, vielseitiges und zugleich wirtschaftliches System für hervorragende Bildqualität und flexible Nachbearbeitung. Iterative Rekonstruktion iDose4 zur Dosisreduktion, MAR für die Metallartefaktreduktion.

Generatorleistung

▪ 16 Zeilen

myExam Companion: einzigartiger Ansatz, angetrieben durch KI. Entwickelt, um jede Untersuchung zu optimieren. ▪ Stellar-Detektor für geringes elektronische Rauschen und erhöhte Dosiseffizienz ▪ Zinnfilter bringt CT-Dosen auf das Niveau von Ultra-Low-Dose ▪ Systemfläche: 7,4 m² ▪ Spektrale Bildgebungslösung mit TwinSpiral Dual Energy

MOBILE CTs 

Rotationsgeschwindigkeit Gantryöffnung Generatorleistung

GE Healthcare | Discovery RT

Scanlänge Gantryöffnung Generatorleistung

170 cm 80 cm 60 – 100 kW

Low Dose: 40 Prozent* weniger Dosis mit ASiR in allen Anwendungen.

* Gegenüber konventioneller FBP Rekonstruktion

kW

75

kW

Direct Laser: Nahtlose Integration von Markierungslasern und QA ▪ 85 cm Gantry mit 60 cm sFoV, 128 Schichten / Rotation Rotationsgeschwindigkeit Gantryöffnung Generatorleistung

COMPUTERTOMOGRAPHIE 129 RADIOLOGIE MAGAZIN 1-2021

Scanlänge Gantryöffnung Generatorleistung Philips | Access 16
Kompaktes, anwenderfreundliches System für exzellente Bildqualität bei niedriger Dosis und hohem Patientendurchsatz. EvoEye-Algorithmen für Kopf-, Thorax- und Abdomen-Applikationen, iterative Rekonstruktion iDose4, 1024 Rekonstruktionsmatrix. | MX16 Evo2
Gantryöffnung
0,8 s 70 cm 32 kW Rotationsgeschwindigkeit
Siemens Healthineers | SOMATOM go.Now
Der mobile Kopf-CT-Scanner SOMATOM On.site bringt hochwertige Bildqualität direkt ans Krankenbett Ihres Patienten. Durch die Kombination unserer speziellen Neuro-CTRöntgenröhre mit bewährten SOMATOMTechnologien (Stellar-Detektor, iMAR, SAFIRE) bietet SOMATOM On.site zuverlässige und konsistente Bildqualität mit den Vorteilen eines mobilen CT-Scanners.
1,0 s 35 cm 3 kW Siemens Healthineers | SOMATOM On.site
180
Die 90 cm weite Gantryöffnung, das 70 cm große vollwertig diagnostische FoV und atemgetriggerte 4D-CT-Untersuchungen schaffen Sicherheit in der modernen Strahlen-Therapie-Planung. Zusätzlich ermöglicht SEMAR Artefaktreduzierte Darstellungen von Prothesen für eine präzisere Isodosenplanung.
/ 200 cm 90 cm 72 kW Scanlänge Gantryöffnung Generatorleistung
3D
ONKOLOGIE-SYSTEME
Premium 16-Zeilen / 32-Schichten CT ▪ Eignet sich besonders für Strahlentherapieplanung inklusive Simulation, CT-Interventionen (3D-Nadelerkennung) und Adipositas. ▪ Hochpräzisionstisch bis zu 295 kg Kapazität
184 cm 80
Scanlänge
System speziell für die Onkologie. CT-Simulationen mit TumorLoc, 4D Gating und RapidView 4D-Rekonstruktion. 85 cm Gantryöffnung für eine einfache und sichere Immobilisierung. iPatient bietet patientenfokussierten Workflow inklusive O-MAR für metallartefaktfreie orthopädische Planungsbilder.
85 cm
Gantryöffnung Generatorleistung
Philips | Big Bore RT
Direct i4D: 4D CT mit Echtzeitanpassung an Atmung ▪ 4 cm Detektor und 0.35 s Rotationszeit für schnelle Scans mit DIBH ▪
DirectORGANS: KI basierte Konturierung von OARs an der CT Konsole ▪
▪ TwinSpiral Dual Energy Scans und Zinnfilter für weniger Varianz in der Konturierung
0,35 s 85 cm
Siemens Healthineers | SOMATOM Go Open Pro

0,35 s 85 cm 75

kW Rotationsgeschwindigkeit

DirectORGANS: KI basierte Konturierung von OARs an der CT Konsole

Direct Laser: Nahtlose Integration von Markierungslasern und QA.

▪ Mobiler, effizienter Workflow mit Tabletbedienung

▪ 227 / 307 kg Patiententisch mit TG-66 konformer Tischplatte ▪ 85 cm Gantry mit 60 cm sFoV, 64 Schichten/Rotation

100 kW

0,31 s 80 cm

DirectDensity: Personalisierte Scans von 70 – 140 kV mit nur einer Kalibrierkurve im Planungssystem

▪ Visualisierung bis 80 cm mit HD FoV Pro ▪ Präzise Metallartefaktreduktion mit iMAR ▪ Verbesserte Visualisierung mit Dual Spiral Dual Energy ▪ Erhöhte Genauigkeit mit iterativer Rekonstruktion

NewTom

▪ Schichten pro Rotation: 20 / 64 ▪ Detektor: Stellar RT ▪ Dual Spiral Dual Energy

– 300 μm 3,3 – 12 s 40 × 40 – 160 × 180 mm

μm 18 s 16 × 13 cm

NewTom | 7G (Vertrieb: HD Medical Solutions GmbH)

90 – 500 μm 7,2 – 26,0 s 40 × 40 – 290 × 560 mm Pixelgröße Scandauer FOV

Bestmögliche Diagnostik mit hochauflösenden 3D-Bildern

Upgradebar zum digitalen Discovery MI

Healthcare | Discovery MI DR PET/CT PET-CT  ▪

Zeitauflösung Energieauflösung FOV GE

385 ps 9,4 % 150 / 200 / 300 mm

PET / CT-Plattform mit digitalen Silizium Photomultipliern und 64-Zeilen Revolution EVO CT

DirectDensity: Personalisierte Scans von 70 – 140 kV mit nur einer Kalibrierkurve im TPS Gantryöffnung
Generatorleistung
ONKOLOGIE SYSTEME 
Siemens Healthineers
|
SOMATOM Go Sim
Rotationsgeschwindigkeit Gantryöffnung Generatorleistung
Siemens Healthineers | SOMATOM Confidence
100 – 300 μm 18,0 – 36,0 s 60 × 60 – 210 × 190 mm Pixelgröße Scandauer FOV
| 5G
Diagnostische Untersuchungen bei geringerer Dosis für eine verstärkte Rücksichtnahme auf die Gesundheit des Patienten mit Hilfe von EcoScan und SafeBeam. Die native DVT-Technologie bietet eine effiziente Strahlendosis, die im Vergleich zur CT-Technologie zehnmal niedriger ist und eine höhere diagnostische Qualität für Knochengewebe bietet.
XL (Vertrieb: HD Medical Solutions GmbH) CONEBEAM-CT
Neue Horizonte für die dreidimensionale Röntgentechnik: Das innovative DVT-MultiScan-Body-System eignet sich für Radiologen, Fachärzte der Orthopädie, Hals-Nasen-OhrenHeilkunde und Zahnmedizin.
Das Gerät erlaubt Aufnahmen von unzähligen anatomischen Bereichen für verschiedene klinische Anwendungen in bis zu 30 FOV, sowohl in 3D, als auch in 2D, und speziell für Wirbelsäulenaufnahmen mit einem FOV von 17 × 62 cm.
68
Pixelgröße Scandauer FOV
(Vertrieb:
Das Hybridsystem für 2D-/3D-Bildgebung GiANO HR garantiert hervorragende Leistungen in jeder Situation dank des wechselbaren Sensors, des neu konzipierten Fernröntgensystems und der drei leicht aktualisierbaren 3D-Konfigurationen, die sich jeder Anforderung anpassen. GiANO HR bietet ein breit gefächertes Spektrum für Dental, Maxillofacial, HNO und HWS.
NewTom | GIANO HR Reihe
HD Medical Solutions GmbH) ▪
127
(stitched
Pixelgröße Scandauer FOV
Vielseitige Positionierung (el. Höhenverstellbare, neigbare Gantry)
Besonders geringe Strahlenbelastung
Weightbearing (Belastungsaufnahmen) und Maxillo-Facial Aufnahmen
Optimale Darstellung ohne überdeckende
16 × 20 cm)
Planmed | Verity Extremitäten und Maxillo-Facial Scanner
PET / CT-Plattform mit 64-Zeilen Revolution EVO CT
MotionFree: Automatische und digitale Atemkorrektur ▪ VUE Point FX Time-of-Flight
Q.Clear: Rauscharme Bilder mit hoher Detailgenauigkeit (2 x Verbesserung des SNR)
▪ Reduktion der CT-Dosis um bis zu 82 Prozent und Verdoppelung der räumlichen Auflösung mit ASiR-V Zeitauflösung Energieauflösung FOV GE
549 ps 12,5 % 157 mm
Q.Clear: Rauscharme Bilder mit hoher Detailgenauigkeit (2 × Verbesserung des SNR) INDE- X 130 RADIOLOGIE MAGAZIN 1-2021
Höchste Sensitivität (NEMA) von bis zu 30 cps / kBq
MotionFree: Automatische und digitale Atemkorrektur
Reduktion der CT-Dosis um bis zu 82 Prozent mit ASiR-V. ▪ AI basierte CT Rekonstruktion mit True Fidelity
Healthcare | Discovery MI PET / CT

PET / CT-Plattform mit 16-Zeilen Optima CT 540

▪ Hohe Sensitivität (NEMA) von bis zu 22 cps / kBq

Q.Clear: Rauscharme Bilder mit hoher Detailgenauigkeit (2 × Verbesserung des SNR) ▪

MotionFree: Automatische und digitale Atemkorrektur ▪

Als 64- oder 128-Zeilen-CT-System verfügbar. Mit seinem volldigitalen Detektor und einer 1:1-Kopplung der 23.000 Detektoren zu den einzelnen Kristallen setzt Vereos Digital PET/CT Maßstäbe bezüglich quantitativer Genauigkeit, Geschwindigkeit und Auflösung.

Kontinuierliche PET-Aufnahme mit der Flow-Technologie

▪ AI-Technologie mit der AIDAN-Plattform

▪ Tunnelöffnung 78 cm

▪ Bis zu vier Aquisitionsmodi in einer Ganzkörperaufnahme wählbar

PET/CT ohne „stop and go“ ▪ Gleichbleibende Zählstatistik von Anfangs- bis Endposition

AI-Technologie mit der AIDAN-Plattform ▪

Die modernste Generation molekularer PET/CT-Systeme ▪ Als 128-, 64- und 40-ZeilenCT-System verfügbar ▪ Tunnelöffnung 78 cm ▪ Axiales Gesichtsfeld bis zu 22 cm ▪

Einzigartige Patientenliege mit Schienenführung am Boden

Das PET-CT-Systeme Biograph Vision Quadra bietet ein größeres axiales Gesichtsfeld, das mit 106 cm viermal so groß ist wie beim Biograph Vision. Diese technischen Funktionsmerkmale liefern eine deutlich höhere effektive Sensitivität und ermöglichen es, einen Patienten durchschnittlicher Größe von Kopf bis Oberschenkel in nur einer Position dynamisch abzubilden.

Biograph RT Pro-Edition ist eine umfassende Lösung für die Bestrahlungsplanung. Mit der Biograph RT-Pro-Edition wird es möglich, den Patienten exakt so zu positionieren, wie auf der Liege des Linearbeschleunigers. Er verfügt zudem über eine komplette Reihe von Technologien zur Bewegungskontrolle und über eine umfassende Lösung für Metallartefakte.

Biograph Vision passt in die vorhandenen Räume für PET/CT-Systeme der Biograph-mCT-Produktlinie. Die Software-Plattform bietet vier optionale Funktionen, die konzipiert wurden, um die Leistungsfähigkeit optimal zu nutzen. Diese Softwarefunktionen werden auch als Optionen für die PET/CT-Systeme der BiographmCT-Produktlinie zu Verfügung gestellt.

Al-Technologie mit der AIDAN-Plattform

▪ Akquisition mit kontinuierlichem Tischvorschub mit der Flow-Technologie

Der Biograph Horizon kann für eine große Zahl von Indikationen der Onkologie, Neurologie und Kardiologie eingesetzt werden ▪ Kontinuierliche PET-Aufnahme mit der Flow-Technologie ▪ AI-Technologie mit der AIDAN-Plattform ▪ Axiales Gesichtsfeld bis zu 22 cm ▪ 4 mm LSO Detektorblöcke mit isotroper Auflösung ▪ Einzigartige Patientenliege mit Schienenführung am Boden

n.a. 12,5 % 155 / 208 / 260 mm
Energieauflösung FOV GE Healthcare | Discovery IQ PET-CT 
Reduktion der Strahlenbelastung des Personals durch Auto In
Zeitauflösung
310 ps 11 % 164 mm
Zeitauflösung Energieauflösung FOV
Philips | Vereos Digital PET / CT Siemens Healthineers | Biograph Vision Siemens Healthineers | Biograph mCT Flow Siemens Healthineers | Biograph Vision Quadra Siemens Healthineers | Biograph mCT Siemens Healthineers | Biograph RTPro
COMPUTERTOMOGRAPHIE 131 RADIOLOGIE MAGAZIN 1-2021
Siemens Healthineers | Biograph Horizon Flow

Der Biograph Horizon kann für eine große Zahl von Indikationen der Onkologie, Neurologie und Kardiologie eingesetzt werden

▪ AI-Technologie mit der AIDAN-Plattform

▪ Axiales Gesichtsfeld bis zu 22 cm

▪ Einzigartige Patientenliege mit Schienenführung am Boden

▪ Vier mm LSO Detektorblöcke mit isotroper Auflösung

n.a. 6,3 % 511 × 393 mm Zeitauflösung

Hochleistungs-SPECT / CT-System mit CZT-Halbleiterdetektoren und aktuellem dignostischem 16-Zeilen Optima CT 540 mit fortschrittlichem SPECT- und CT-Dosismanagement

▪ Rohdatenbasierte Metallartefaktreduktion SmartMAR

▪ Flexible Detektorpositionierungen, bis zu 227 kg Patientengewicht

▪ Intuitive quantitative SPECT und Dosimetrielösungen für die Radiotherapie

540 ×

n.a. 9,8 %

Flache Detektoren und große Patientenöffnung von 70 cm ▪

Siemens Healthineers | Symbia Intevo Bold

Dies bedeutet, Einrichtungen setzen den Computertomographen ihrer SPECT/ CT-Systeme als eigenständigen CT oder als Back-up-System für die diagnostische Computertomographie ein.

Siemens Healthineers | Symbia Intevo

▪ Hochleistungs-SPECT / CT-System mit aktuellem diagnostischem 16-Zeilen Optima CT 540 mit fortschrittlichem SPECT- und CT-Dosismanagement

▪ Rohdatenbasierte Metallartefaktreduktion SmartMAR

▪ Flexible Detektorpositionierungen, bis zu 227 kg Patientengewicht

Intuitive quantitative SPECT und Dosimetrielösungen für die Radiotherapie

9,8 % 540 × 400 mm

n.a.

SPECT/CT-System mit aktuellem diagnostischem 8-Zeilen Revolution ACTs

▪ CT mit fortschrittlichem SPECTund CT-Dosismanagement

INDE- X 132 RADIOLOGIE MAGAZIN 1-2021

▪ Flache Detektoren und große Patientenöffnung von 70 cm

▪ Flexible Detektorpositionierungen, bis zu 227 kg Patientengewicht

Standardisierte Quantifizierung und optimierte Knochendarstellung ▪ Automatische Qualitätskontrolle ▪ Automatischer Kollimatorwechsler ▪

4-fach schnellerer Myokard-Szintigraphie mit IQ-SPECT

4-fach schnellerer Myokrad-Szintigraphie mit IQ-SPECT

PET-CT 
Siemens Healthineers | Biograph Horizon
Energieauflösung FOV GE Healthcare | NM / CT 870 CZT SPECT-CT 
n.a. 9,8 % 540 × 400 mm Zeitauflösung Energieauflösung FOV GE Healthcare | NM / CT 870 DR
Zeitauflösung Energieauflösung FOV GE
▪ Intuitive quantitative SPECT und Dosimetrielösungen für die Radiotherapie | NM / CT 860
Healthcare
SPECT/CT-System mit aktuellem 8-Zeilen UltraLow-Dose CT zur Schwächungskorrektur und Landmarking ▪ CT mit fortschrittlichem SPECTund CT Dosismanagement ▪
mm Zeitauflösung Energieauflösung FOV GE Healthcare | NM / CT 850
Flexible Detektorpositionierungen, bis zu 227 kg Patientengewicht ▪ Intuitive quantitative SPECT und Dosimetrielösungen für die Radiotherapie
400
2- oder 6-Zeiler-Konfiguration ▪
Symbia Intevo Bold begegnet dem zunehmenden Trend, dass Gesundheitseinrichtungen SPECT/CT-Systeme doppelt einsetzen, ähnlich der verbreiteten Mehrfachnutzung bei PET/CT.
Niedrigdosis-CT ▪ Automatischer Kollimatorwechsler ▪ Automatische Qualitätskontrolle ▪
Siemens Healthineers | Symbia Intevo Excel

Universelles Gantrydesign ▪ 20 Prozent mehr Empfindlichkeit als Fremdsysteme ▪ Infrarotgestützte Körperkonturabtastung, auch für die MyokardSzintigraphie in 90- und 76 Grad-Position ▪ Vollautomatischer Kollimatorwechsel integriert in der Patientenliege ▪ Vollautomatische Qualitätskontrolle ▪ Schnelle Herzbildgebung mit IQ

4-fach schnellerer Myokard-Szintigraphie mit IQ-SPECT ▪ SPECT bei 4-fach höherer Empfindlichkeit gegenüber LEHR-Kollimator

Universelles Gantrydesign ▪ Einfache Handhabung ▪ Moderne energieunabhängige Forsight-Detektoren ▪ 20 Prozent mehr Empfindlichkeit als Fremdsysteme ▪ Infrarotgestützte Körperkonturabtastung, anwendbar auch für die Myokard-Szintigraphie in der 90- und 76 Grad-Position

Halbautomatischer Kollimatorwechsel ▪ Untersuchungsmöglichkeit im Patientenbett ▪ Minimale Raumanforderung

Magnetresonanztomographie

Aufregende diagnostische Möglichkeiten durch simultane PET / MRBildgebung. Digitale Detektortechnologie für quantitativ genaue TOF-PET-Bildgebung, geeignet für ultra-kurzlebige Positronenstrahler.

Außerordentlich hohe Sensitivität von 21 cps / kBq. Erlaubt schnelle Ganzkörperuntersuchungen oder eine substantielle Reduktion der injizierten Aktivität.

Der vollversiegelte BlueSeal-Magnet mit Mikrokühltechnologie für einen heliumfreien und produktiveren Betrieb macht ein Quenchrohr überflüssig.

Großes FOV (55 × 55 × 50 cm) bei 70 cm Tunnelöffnung

EasySwitch minimiert Ausfallzeiten

SmartWorkflow für mehr Effizienz

Patientenüberwachung mit VitalEye optional ▪ 2 × VitalScreen optional

ComfortPlus Matratze

Mit dem Biograph mMR ist es möglich zwei Untersuchungstechniken zu kombinieren. Die MR / PET-Bildgebung bietet, was es zuvor in der Onkologie nicht gab: eine hochpräzise Darstellung von Morphologie und Funktion bösartiger Tumoren bei minimaler Strahlenexposition.

Das MR System MAGNETOM Free.Max ist das weltweit erste MRT mit einer Patientenöffnung von 80 cm, einer vereinfachten Installation ohne Quenchrohr und einer unkonventionellen Feldstärke zur Reduzierung MR-typischer Artefakte. myExam Autopilot führt Untersuchungen automatisiert durch („Push-Button“).

Entwicklung

GE Healthcare | SIGNA PET / MR 3,0 T 200 T / m / s 32 44 mT / m Empfangskanäle Slewrate Gradient MR- PET 
Siemens Healthineers | Biograph mMR 200 T/m/s 204 45 mT/m Empfangskanäle Slewrate Gradient
Empfangskanäle Slewrate Gradient
In
Siemens Healthineers | MAGNETOM Free.Max 45 T/m/s 51 26 mT/m
SPECT 
Siemens Healthineers | Symbia Evo Siemens Healthineers | Symbia Evo Excel
Philips | Ingenia Ambition 1.5T S 120 T /
/
33
/
Empfangskanäle Slewrate Gradient HELIUMFREI  133 RADIOLOGIE MAGAZIN 1-2021 MAGNETRESONANZTOMOGRAPHIE
m
s digital
mT
m

MAGNETOM Terra ist das erste 7T-System, welches exzellente klinische Bildgebung mit 7T Forschungspower auf einem Gerät vereint. Mit dem MAGNETOM Terra entdecken Anwender bisher unsichtbare funktionelle und anatomische Details.

71cm Patientenöffnung

▪ Multiphase-Transmission

▪ Pianissimo und Pianissimo ZEN für leise Untersuchungen

▪ Eco-Friendly, ab 27 m² Installationsfläche

▪ Highend Optionen: u. a. Compressed Speeder, abkoppelbare Patientencouch ▪ KI-fähig: AiCE Deep-Learning-Technologie

▪ 71cm Patientenöffnung

▪ Multiphase-Transmission

▪ Pianissimo und Pianissimo ZEN für leise Untersuchungen

▪ Eco-Friendly, ab 27 m² Installationsfläche

▪ Highend Optionen: u. a. Compressed Speeder, abkoppelbare Patientencouch

▪ KI-fähig: AiCE Deep-Learning-Technologie

Premium 3,0T Wide Bore MRT mit abkoppelbarem Tisch und Total Digital Imaging. Kombinierbar mit Therapiesystemen wie MRgFUS und Surgical Suite. Hohe Produktivität mit SIGNA Works und HyperWorks-Beschleunigungstechniken. Neueste AI-basierte Technologien wie AIR Recon DL. Revolutionäre AIR Technology mit ultraleichten Spulen für brillante Bildqualität.

Healthcare | SIGNA Pioneer 3,0 T 150 / 200* T / m / s33 / 65 / 97 36 / 45*mT / m

Leistungsstarkes 3,0T Wide Bore MRT mit energieeffizienter Technologie und Total Digital Imaging. Hohe Produktivität mit SIGNA Works und HyperWorksBeschleunigungstechniken.

Neueste AI-basierte Technologien wie AIR Recon DL. Revolutionäre AIR Technology für brillante Bildqualität. * UHE-Gradienten äquivalent zu 45/200 (vgl. min. TE-/ TR-Zeiten).

Intelligenter 3,0T MRT mit 70 cm Tunnel, ultrastarken SuperG Gradienten und Total Digital Imaging für Forschung und höchste Anforderungen. Hohe Produktivität mit SIGNA Works und HyperWorks-Beschleunigungstechniken.

Neueste AI-basierte Technologien wie AIR Recon DL. Revolutionäre AIR Technology mit ultraleichten Spulen für brillante Bildqualität.

Volldigitales Breitband 3T MR-System mit dStream-Technologie, die das Signal in der Spule digitalisiert: bis zu 40 Prozent erhöhtes SNR, einfaches Spulenhandling. Großes FOV (55 × 55 × 50) bei 70 cm Tunnelöffnung. MultiTransmit 4D für konsistente Bildqualität in allen Anatomien inklusive Herz

Volldigitales Breitband 3T MR-System für die klinische Routine und Forschung: herausragende Gradientenleistung für anspruchsvolle Messungen. 50 cm FOV, 60 cm Tunnelöffnung. MultiTransmit 4D für konsistente Bildqualität in allen Anatomien. Bis zu 40 Prozent erhöhtes SNR und optimales Spulenhandling dank dStream-Technologie.

3T XGO 200 T /
/
128
Empfangskanäle Slewrate Gradient
Canon | Vantage Galan
m
s
45 mT / m
GE Healthcare | SIGNA Architect 3,0 T 200 T / m / s 64 / 96 / 128 44 mT / m Empfangskanäle Slewrate Gradient
GE Empfangskanäle
Slewrate Gradient
GE Healthcare | SIGNA Premier
3,0 T 200 T / m / s 146 80 mT / m
Empfangskanäle Slewrate Gradient
200 T / m / s digital 80
/ m Empfangskanäle Slewrate Gradient
Philips | Ingenia 3.0T CX
mT
Canon | Vantage Galan 3T 200 T / m / s 128 33
/ m Empfangskanäle Slewrate Gradient
mT
3T-SYSTEME
200 T / m / s digital 45
Empfangskanäle
Philips | Ingenia 3.0T
mT / m
Slewrate Gradient
Siemens Healthineers | MAGNETOM Terra 200 T / m / s 64 80 mT / m Empfangskanäle Slewrate Gradient 7T-SYSTEME  INDE- X 134 RADIOLOGIE MAGAZIN 1-2021

3T-System mit digitaler dStream-Breitbandtechnologie. Neues Gradienten- und HF-Design für klinische Diagnostik und wissenschaftliche Forschung. Vega HP-Gradienten für 23 Prozent höhere zeitliche Auflösung von fMRI-Scans und 30 Prozent kürzere Wiederholzeit bei Diffusion. Patientenüberwachung mit VitalEye, 2 × VitalScreen, ComfortPlus Matratze.

Siemens

3T-System mit digitaler dStream-Breitbandtechnologie. Compressed SENSE führt 2D- und 3D-Scans bei nahezu gleicher Bildqualität bis zu 50 Prozent schneller durch (im Vergleich zu Untersuchungen mit Philips MR-Systemen ohne Compressed SENSE). Hohe Effizienz durch Bildgebungsfunktionen wie SmartExam, 4D MultiTransmit und ScanWise Implant. ComfortPlus Matratze.

MAGNETOM Vida mit BioMatrix Technologie ermöglicht noch bessere patientenspezifische Bildgebung durch die verwendeten Sensoren, Tuner und Interfaces. Die Einsatzmöglichkeiten reichen von exzellenter Routinebildgebung bis hin zu umfangreicher Forschung.

MAGNETOM Lumina vereinbart 70 cm Patientenöffnung mit 3T-Produktivität und reproduzierbarer Bildgebung selbst bei schwierigen Patienten durch die innovative BioMatrix Technologie. Bedienoberfläche und Beschleunigungstechniken unterstützen die hohe Produktivität dieser Plattform.

MAGNETOM Prisma ist der Blockbuster in der High-End Neuro-Forschungscommunity. Magnethomogenität und Gradientenleistung sind Benchmark in dieser Klasse. Weitere besondere Architekturmerkmale erlauben das gezielte Anregen kleiner FOV zur besseren anatomischen Darstellung.

MAGNETOM Skyra, das 70-cm-Tim & Dot-System, ist eine Weiterentwicklung in der 3T-Bildgebung, die ihre Produktivität um bis zu 30 Prozent steigern kann.

Durch Kombination von Tim 4G & Dot setzt

MAGNETOM Skyra Maßstäbe in Sachen Produktivität, Bedienfreundlichkeit und Versorgungsqualität.

3T-SYSTEME 
Philips | Ingenia Elition
3.0T X 220 T / m / s
digital
45 mT / m Empfangskanäle Slewrate Gradient
Philips | Ingenia Elition 3.0T S
160 T / m / s
digital
36
mT
/ m Empfangskanäle Slewrate Gradient
200
Empfangskanäle Slewrate Gradient
Siemens Healthineers | MAGNETOM Prisma
T/m/s 204 80 mT/m
Healthineers | MAGNETOM Vida
200 T/m/s 228 45 mT/m oder 60 mT/m Empfangskanäle
Slewrate Gradient
Siemens Healthineers | MAGNETOM Skyra 200
204 45 mT/m Empfangskanäle Slewrate Gradient
T/m/s
Siemens Healthineers | MAGNETOM Lumina 200 T/m/s 180 36
Empfangskanäle Slewrate Gradient ▪ 63 cm große Patientenöffnung ▪ Kleinste Installationsfläche von 23 m2 ▪ Pianissimo & Pianissimo Zen Technologie ▪ ECO-friendly / Green Apple Award Canon | Vantage Elan 1.5T Zen Edition 125 T / m / s 48 33 mT / m Empfangskanäle Slewrate Gradient 1,5T-SYSTEME  VERBRAUCHSMATERIAL NICHT VERGESSEN! BECKELMANN.DE ALLES FÜR DEN PRAXISALLTAG LIEFERN WIR. 135 RADIOLOGIE MAGAZIN 1-2021 MAGNETRESONANZTOMOGRAPHIE
mT/m

| SIGNA Voyager 1,5 T 150 / 200* T / m / s33 / 49 / 65 36 / 45* mT / m

Canon | Vantage Orian 1.5T 155 T / m / s 128 34 mT / m Empfangskanäle Slewrate Gradient ▪

63 cm Patientenöffnung ▪ Kleinste Installationsfläche von 23 m² ▪ Pianissimo und Pianissimo ZEN für leise Untersuchungen ▪ Eco-Friendly ▪ Moderne Beschleunigung: u. a. Compressed Speeder ▪ KI-fähig: AiCE Deep-Learning-Technologie

▪ Pianissimo und Pianissimo ZEN für leise Untersuchungen

▪ 71 cm Patientenöffnung

▪ Pianissimo und Pianissimo ZEN für leise Untersuchungen

▪ Eco-Friendly, ab 25m² Installationsfläche

▪ Highend Optionen: u.a. Compressed Speeder, abkoppelbare Patientencouch

▪ KI-fähig: AiCE Deep-Learning-Technologie

Premium 1,5T Wide Bore MRT mit abkoppelbarem Tisch und Total Digital Imaging. Kombinierbar mit MRgFUS und Surgical Suite. Erfüllt alle Anforderungen für klinischen Alltag und Forschung. Hohe Produktivität mit SIGNA Works und HyperWorks-Beschleunigungstechniken. Neueste AI-basierte Technologien wie AIR Recon DL. Revolutionäre AIR Technology mit ultraleichten Spulen für brillante Bildqualität.

Leistungsstarkes 1,5T Wide Bore MRT mit energieeffizienter Technologie und Total Digital Imaging. Ausgezeichneter Patientenkomfort sowie hohe Produktivität mit SIGNA Works und HyperWorks-Beschleunigungstechniken. Neueste AI-basierte Technologien wie AIR Recon DL. Aufrüstbar auf 49 oder 65 Kanäle. Revolutionäre AIR Technology mit ultraleichten Spulen für brillante Bildqualität. * UHE-Gradienten äquivalent zu 45/200 (vgl. min. TE-/ TR-Zeiten).

1,5 T 150 / 200* T / m / s49 / 65 45*/ 200 mT / m

Leistungsstarkes 1,5T Wide Bore MRT mit energieeffizienter Technologie und Total Digital Imaging. Ausgezeichneter Patientenkomfort sowie hohe Produktivität mit SIGNA Works und HyperWorks-Beschleunigungstechniken. Neueste AI-basierte Technologien wie AIR Recon DL. Aufrüstbar auf 49 oder 65 Kanäle. Revolutionäre AIR Technology mit ultraleichten Spulen für brillante Bildqualität. * UHE-Gradienten äquivalent zu 45/200 (vgl. min. TE-/ TR-Zeiten).

| SIGNA Explorer 1,5 T 120 T / m / s 16 33 mT / m

Zuverlässiger Allrounder mit hoher Wirtschaftlichkeit und modernen Applikationen. Digitale Empfangstechnologie OpTiX: je Kanal ein AD Wandler. Hohe Produktivität mit SIGNA Works und HyperWorks-Beschleunigungstechniken. Kompatibel mit der nahezu geräuschfreien SilentScan Technologie. GEM-Express-Spulensuite sowie 16-Kanal Flexspulen in drei Größen.

GE

Healthcare | SIGNA Creator 1,5 T 120 T / m / s 8 33 mT / m Empfangskanäle Slewrate

| Vantage
XGO
Empfangskanäle Slewrate Gradient
Canon
Orian
200 T / m / s 128 45 mT / m
GE Healthcare |
Artist
T 200 T /
/ s 64 / 96 / 128 44
/
Empfangskanäle Slewrate Gradient
SIGNA
1,5
m
mT
m
GE Healthcare Empfangskanäle Slewrate Gradient GE Healthcare | SIGNA Voyager AIR Empfangskanäle Slewrate Gradient GE Healthcare Empfangskanäle Slewrate Gradient
Zuverlässiger Allrounder mit hoher Wirtschaftlichkeit und modernen Applikationen. Digitale Empfangstechnologie OpTiX: je Kanal ein AD Wandler. Hohe Produktivität mit SIGNA Works. MAVRIC SL zur Darstellung von Weichteilgewebe in der Umgebung von Metallimplantaten. GEM-Express-Spulensuite sowie 8-Kanal Flexspulen in drei Größen. Gradient
▪ 71 cm Patientenöffnung
Canon | Vantage Elan 1.5T NX Edition 125 T / m / s 48 33 mT / m Empfangskanäle Slewrate Gradient 1,5T-SYSTEME  INDE- X 136 RADIOLOGIE MAGAZIN 1-2021
▪ Eco-Friendly, ab 25 m² Installationsfläche ▪ Highend Optionen: u. a. Compressed Speeder, abkoppelbare Patientencouch ▪ KI-fähig: AiCE Deep-Learning-Technologie

Zielgenaue Thermoablation durch Kombination hochenergetischen fokussierten Ultraschalls und MRT-Bildgebung. Die Therapieeinheit Ex Ablate OR wird in einem konventionellen MRT-System integriert.

Klinische Anwendung: Uterusmyome, Knochenmetastasen, Facetten.

Die Surgical Suite von GE Healthcare ist eine Komplettlösung zur Installation eines MRTs innerhalb des OP-Bereichs, einschließlich aller gewünschten Zusatzgeräte. Die Surgical Suite bietet die Kombination eines voll ausgestatteten OP-Tisches von Maquet mit einem modernen Hochleistungs-MRT.

130 T / m / s 16 33 mT / m

1,5T mit der revolutionären compressed sensing Methode IP RAPID und automatischem Untersuchungsablauf – doppelt so schnell wie herkömmliche 1,5T. Neben der einfachen Bedienung bietet dieser MRT erstmals ein aktives Energiesparkonzept, alles was Sie nicht benötigen fährt runter und geht vom Strom, sogar der Kaltkopf. Ein echtes Green-Technology-Produkt mit der blitzschnellen iterativen Rekonstruktions-Methode IP RAPID.

130 T / m / s 16 33 mT / m Empfangskanäle Slewrate

ECHELON Smart 1,5T ist Hitachis cleveres MRT-Konzept mit „SmartQUALITY“ für hervorragende klinische Bilder kombiniert mit hochentwickelten Applikationen, „SmartSPEED“ für extra kurze Untersuchungszeiten, „SmartCOMFORT“ für eine außerordentlich leise Untersuchung, „SmartECO“ für geringste Betriebskosten und „SmartSPACE“ für effiziente Raumnutzung.

Breitband 1.5T MR-System mit dStreamTechnologie. Dank Breeze Workflow-Konzept lassen sich ein 40 Prozent höheres SNR und bis zu 79 Prozent kürzere Scanvorbereitungszeiten erzielen.

Das System zeichnet sich durch ein kleines Magnetstreufeld und einen leichten Magneten aus. Maximale Scanlänge 190 cm.

Breitband 1.5T MR-System mit dStreamTechnologie. Dank Breeze Workflow-Konzept lassen sich ein 40 Prozent höheres SNR und bis zu 79 Prozent kürzere Scanvorbereitungszeiten erzielen.

Das System zeichnet sich durch ein kleines Magnetstreufeld und einen leichten Magneten aus. Höhenverstellbarer Tisch optional.

Volldigitales Breitband 1.5T MR-System mit dStream-Technologie, die das Signal direkt in der Spule digitalisiert: Bis zu 40 Prozent erhöhtes SNR, einfachstes Spulenhandling. ▪ Großes FOV (55 × 55 × 50 cm) bei 70 cm Tunnelöffnung ▪ SmartWorkflow für mehr Effizienz

mit VitalEye

Der vollversiegelte BlueSeal-Magnet mit Mikrokühltechnologie für einen heliumfreien und produktiveren Betrieb macht ein Quenchrohr überflüssig.

Großes FOV (55 × 55 × 50 cm) bei 70 cm Tunnelöffnung

minimiert Ausfallzeiten

für mehr Effizienz

120
33 mT / m
GE Healthcare | MRgFUS / SIGNA Artist
1,5 T
T / m / s 64 / 96 / 128
Gradient
Empfangskanäle Slewrate
1,5T-SYSTEME
120
34 /
GE
Healthcare | MR Surgical Suite / SIGNA Artist 1,5 T
/ 150 T / m / s64 / 96/ 128
44 mT / m
Empfangskanäle Slewrate Gradient Philips | Ingenia Prodiva 1.5T CX 120 T / m / s digital 33 mT / m Empfangskanäle Slewrate Gradient Philips | Ingenia Prodiva 1.5T CS 120 T / m / s digital 33 mT / m Empfangskanäle Slewrate Gradient Hitachi | ECHELON Smart Plus (1,5T) Empfangskanäle Slewrate Gradient Hitachi | ECHELON Smart (1,5T)
Gradient
▪ Patientenüberwachung
optional ▪ 2 × VitalScreen optional ▪ ComfortPlus Matratze
200
45
Philips | Ingenia 1.5T Evolution
T / m / s digital
mT / m Empfangskanäle Slewrate Gradient
200
45
Empfangskanäle
137 RADIOLOGIE MAGAZIN 1-2021 MAGNETRESONANZTOMOGRAPHIE
▪ EasySwitch
▪ SmartWorkflow
▪ Patientenüberwachung mit VitalEye ▪ 2 × VitalScreen ▪ ComfortPlus Matratze Philips | Ingenia Ambition 1.5T X
T / m / s digital
mT / m
Slewrate Gradient

Der vollversiegelte BlueSeal-Magnet mit Mikrokühltechnologie für einen heliumfreien und produktiveren Betrieb macht ein Quenchrohr überflüssig. ▪ Großes FOV (55 × 55 × 50 cm) bei 70 cm Tunnelöffnung ▪ EasySwitch minimiert Ausfallzeiten ▪ SmartWorkflow für mehr Effizienz ▪ Patientenüberwachung mit VitalEye optional

MAGNETOM Sola mit BioMatrix Technologie ermöglicht noch bessere patientenspezifische Bildgebung durch die verwendeten Sensoren, Tuner und Interfaces. Die Einsatzmöglichkeiten reichen von exzellenter Routinebildgebung über Kardio-Spezialisierung bis hin zu umfangreicher Forschung.

MAGNETOM Aera wurde mit dem Ziel entwickelt, einen Mehrwert für den gesamten Untersuchungsprozess zu schaffen. Es ermöglicht, die Leistungsfähigkeit des MRTs optimal zu nutzen, eine gleichbleibend hohe Bildqualität zu erreichen und die Produktivität um bis zu 30 Prozent zu steigern.

MAGNETOM Altea vereinbart 70 cm Patientenöffnung mit 1,5T-Produktivität und reproduzierbarer Bildgebung selbst bei schwierigen Patienten durch die innovative BioMatrix Technologie. Bedienoberfläche und Beschleunigungstechniken unterstützen die hohe Produktivität dieser Plattform.

MAGNETOM Amira mit BioMatrix hilft Ihnen, Ihre Einrichtung durch hochqualitative Bildgebung zu differenzieren –auch bei komplexen Untersuchungen. Mit BioMatrix, mit der neuen syngo MR XA-Plattform und mit neuesten Applikationen hat das System das Potenzial, die Patientenversorgung zu verändern – durch reproduzierbare, hochqualitative Ergebnisse.

MAGNETOM Sempra bietet einen bis zu 30 Prozent geringeren Energieverbrauch und eine höhere Verfügbarkeit bei niedrigen Betriebskosten, standardisierte und automatisierte Untersuchungsabläufe sowie komplette MRT-Untersuchungen in nur zehn Minuten – von der Vorbereitung des Patienten bis zum Abschluss der Untersuchung.

OASIS 1,2T – Der weltweit stärkste vertikale Ganzkörper-Hochfeld-MRT liefert exzellente Bilder auf dem Niveau moderner 1,5T-Geräte und bietet einzigartige diagnostische Möglichkeiten. Die einfache Patientenpositionierung und die tatsächlich offene Architektur (asymmetrische zwei Säulen) maximieren den Komfort. Der OASIS deckt alle klinischen Anforderungen ab, ist ideal für Interventionen und steigert die Produktivität.

Inspiriert von der phantastischen compressed sensing-Methode und verschiedenen Algorithmen der iterativen Rekonstruktion hat Hitachi IP RAPID für den beliebten APERTO entwickelt –oft schneller wie herkömmliche 1,5T. Die große rundum offene Bauweise bietet maximalen Freiraum und Komfort. Er liefert exzellente Bilder in radiologischer Qualität, deckt alle gängigen Applikationen ab –ideal für Interventionen insbesondere bildgeführte Schmerztherapie.

Siemens Healthineers | MAGNETOM Sempra 100 T/m/s 96 30 mT/m Empfangskanäle Slewrate Gradient Siemens Healthineers | MAGNETOM Altea 125 T/m/s 180 33 mT/m Empfangskanäle Slewrate Gradient Siemens Healthineers | MAGNETOM Amira 125 T/m/s 96 33 mT/m Empfangskanäle Slewrate Gradient Siemens Healthineers | MAGNETOM Sola 125 T/m/s oder 200 T/m/s 204 45 mT/m oder 33 mT/m Empfangskanäle Slewrate Gradient Hitachi | OASIS (1,2T)
100 T / m / s 8 33
mT / m Empfangskanäle Slewrate Gradient OFFENE SYSTEME
▪ 2 × VitalScreen optional ▪ ComfortPlus Matratze
120
/ m / s
33 mT / m Empfangskanäle Slewrate Gradient 1,5T-SYSTEME 
Philips | Ingenia Ambition 1.5T S
T
digital
Healthineers | MAGNETOM Aera 125 T/m/s oder 200 T/m/s204 45 mT/m oder 33 mT/m Empfangskanäle Slewrate Gradient
Siemens
|
Plus (0,4T) 55 T / m / s 2 25 mT / m Empfangskanäle Slewrate Gradient INDE- X 138 RADIOLOGIE MAGAZIN 1-2021
Hitachi
APERTO Lucent

Inspiriert von der phantastischen compressed sensing-Methode und verschiedenen Algorithmen der iterativen Rekonstruktion hat Hitachi IP RAPID für den beliebten Vento entwickelt – damit so schnell wie herkömmliche 1,5T.

Die große rundum offene Bauweise bietet maximalen Freiraum und Komfort. Er liefert Bilder in exzellenter Qualität, deckt alle gängigen Applikationen ab und ist ideal für Interventionen insbesondere bildgeführte Schmerztherapie.

▪ MR- und röntgenkompatibel für multi-modale Anwendungen ▪ Kompatibel mit etabliertem 2 × 4 Kanal NORAS Kopfspulen Setup ▪ Integrierte Kraftanzeige in neuer 3-Punkt-Fixierung

▪ Herausnehmbares und höhenverstellbares unteres Spulenelement ▪ Brainlab AIR Support

/ 3

▪ Kollisionscheck mit Bauraumschablone ▪ Hervorragender Zugang zum Interventionsbereich

Hohe Signalausbeute durch 8+8 Spulenelemente mit hoher Elementdichte ▪ Hochauflösende Untersuchung kleiner Bereiche mit kurzen Scan-Zeiten ▪ Möglichkeit der beschleunigten Bildgebung in allen Richtungen ▪ Bewegungsstudien aller Gelenke möglich ▪ Anatomienahe Anbringung der Spule m. H. v. dedizierten Lagerungshilfen

Systemplattform

8 Siemens, Philips 1,5 / 3 Tesla

Neues Steril-Konzept garantiert optimalen Workflow und reduziert Kosten ▪

Kompatibel mit etabliertem 2 × 4 Kanal NORAS Kopfspulen Setup ▪ Fixierung mit bis zu 7 Punkten möglich ▪ Herausnehmbares unteres Spulenelement ▪ Brainlab AIR Support

15

▪ Kollisionscheck mit Bauraumschablone ▪ Hervorragender Zugang zum Interventionsbereich

Dedizierte, hochauflösende Kopfspule, die in Kombination mit einer Strahlentherapiemaske zum Einsatz kommt ▪ MRT-Kontrolle vor und nach der stereotaktischen Radiotherapie ▪ Hochauflösende MRT-Diagnostik von Kopf und Hals ▪ Transversal-, Sagittal-, Coronal- und verkippte Aufnahmen möglich ▪ Abnehmbarer Doppelspiegel für Klaustrophobie-Patienten

*in Entwicklung

Dedizierte, hochauflösende MR Spule für den Dental und Kiefergelenk Bereich ▪ Einfach anzubringen und für jede Patientengröße anpassbar ▪ Exzellenter Patientenkomfort, speziell für Kinder ▪ Reduzierte Scan-Zeiten mit höherer Bildqualität

▪ Optionale Spiegelanbringung für Klaustrophobie-Patienten

55
s 2 22 mT / m Empfangskanäle Slewrate Gradient OFFENE SYSTEME 
Hitachi | AIRIS Vento Plus (0,3T)
T / m /
NORAS | OP Kopfhalter Lucy mit 8-Kanal Kopfspule
8 Siemens 1,5 / 3 Tesla
Systemplattform Empfangskanäle Feldstärke
MRT-SPULEN
NORAS | Variety 16-Kanal Multifunktionsspule 16 Siemens 1,5 Tesla Systemplattform Empfangskanäle Feldstärke NORAS | Mandibula 15-Kanal Dentalspule 15 Siemens 3 Tesla Systemplattform Empfangskanäle Feldstärke
NORAS | OP Kopfhalter Flexibility mit 8-Kanal Kopfspule Empfangskanäle Feldstärke NORAS | Encompass 15 Kanal Kopfspule*
139 RADIOLOGIE MAGAZIN 1-2021 MAGNETRESONANZTOMOGRAPHIE
Siemens 3 Tesla Systemplattform Empfangskanäle Feldstärke
www.radmag.de

IT-Systeme

ORBIS RIS vereinigt die Prozessstandardisierung mit der Flexibilität eines modernen Informationssystems. Funktionalitäten wie integrierte Spracherkennung, strukturierte Befundung und Terminmanagement ermöglichen Radiologen alle Aufgaben ohne Systemwechsel zu erledigen. Dynamische Dashboards unterstützen Verantwortliche in ihren

Digithurst | eRIS & eTERMIN

Machen Sie Ihre Praxis fit für die Zukunft! Mit den RIS & PACS Lösungen von Digithurst insbesondere Rechtfertigende Indikation, IndicdaPro-Schnittstelle, Doctolib-Schnittstelle und HealthDataSpace-Anbindung.

Künftig werden vermehrt auch nützliche Tools externer Anbieter eingebunden. eRIS und eTERMIN sind

Managementaufgaben. Durch hohe Skalierbarkeit kann ORBIS RIS flexibel auf Kundenbedürfnisse zugeschnitten werden. In Verbindung mit dem ORBIS KIS bilden ORBIS RIS und die Applikationen der DeepUnity Insight Familie eine nahtlos integrierte IT-Lösung für den gesamten klinischen Workflow.

Das RIS Xplore ermöglicht kleinen Radiologiezentren bishin zu großen Krankenhausverbünden tagtäglich einen effizienten Arbeitsablauf. Die webbasierte Lösung vereinfacht die Arbeit in der Verwaltung generell, in der Agenda, in der Abwicklung und in der Befundung. Das Fachpersonal in der Radiologie kann sich sorgenfrei um die wichtige bildgebende

ebenfalls im flexiblen Bezahlmodell Pay-per-Study erhältlich.

Diagnose der Patienten kümmern; Xplore optimiert die Prozesse. Die Gewinne von EDL wurde stets in die Entwicklung von RIS Xplore reinvestiert, wodurch es heute zu einem der modernsten und effizientesten RIS auf dem Markt gehört. Dank dieser Expertise ist das Xplore RIS heute Marktführer in Frankreich und auf gutem Wege in der Schweiz und in Deutschland.

RISi

Centricity RISi von GE Healthcare unterstützt Krankenhäuser und Praxen zu einer Optimierung ihrer Workflows in der Radiologie. Die neue Centricity RISi-Lösung bietet eine breite Palette an neuen Funktionen – vom intelligenten Terminmanagement, über die strukturierte Befundung bis hin zur Abrechnung und Teleradiologie und verhilft gleichzeitig zu größtmöglicher Wirtschaftlichkeit.

Dabei bietet die Lösung zudem ein Höchstmaß an Datenschutz und Datensicherheit und entspricht selbstverständlich vollumfänglich den gegebenen gesetzlichen Vorschriften. CentricityTM RISi ist eine skalierbare, flexibel konfigurierbare, modulare Workflow-Lösung, ausgelegt auf die heutigen und künftigen Anforderungen an große Gesundheitsnetzwerke, Kliniken und Praxen.

RadCentre ist die zentrale diagnostische Plattform zur strategischen Steuerung der Radiologie: externe Zuweiser können Untersuchungen anfordern und erhalten Befund und Bild als Einheit. Durch die Prüfung der rechtfertigenden Indikation ist eine optimale Untersuchungsplanung möglich. Die tiefe Integration führender PACS-Lösungen, moderne

Befundungstools für Spezialuntersuchungen wie Mammographie, MRT-Prostata und onkologische Befundung sowie hoch spezialisierte Module für Nuklearmedizin und Strahlentherapie komplettieren die Lösung. Zudem erstellt ein Auswertungstool zielgerichtete grafische Daten- und Workflowanalysen aus allen im RIS gespeicherten Informationen.

RIS 
Dedalus HealthCare | ORBIS RIS EDL | RIS Xplore GE Healthcare | Centricity
INDE- X 140 RADIOLOGIE MAGAZIN 1-2021
i-SOLUTIONS Health | RadCentre

Das medavis RIS unterstützt nachhaltig die digitale und integrierte Abbildung des gesamten radiologischen Workflows von der Terminbuchung über die Patientenannahme, Untersuchung, Leistungserfassung, Befundung, Befundübermittlung bis hin zu Abrechnung und Business Management. Ergänzende Module und Lösungen unterstützen die

RIS

Durch die praxisnahe Entwicklung von WinRadiolog wurde eine leistungsstarke und anwenderfreundliche Software erschaffen. WinRadiolog unterstützt prozessorientiertes arbeiten nach skalierbarem Workflow, der durch integrierte Parametrisierungs-Möglichkeiten realisiert wird. Basierend auf einer SQL-Datenbank ist WinRadiolog für eine beliebige Anzahl von

NEXUS / CHILI | RIS

Das RIS von NEXUS / CHILI zeichnet sich durch sein einmaliges und innovatives Bedienkonzept aus. Individuelle Workspaces bieten mit nur einem Klick die wirklich wesentlichen Informationen eines Prozesses. Mit einem Klick gelangen Sie zum gewünschten Prozess, alle relevanten Informationen sind auf einen Blick verfügbar.

digitale Kommunikation mit Patienten, zuweisenden Ärzten oder klinischem Personal. medavis setzt dabei auf effiziente, performante und stabile Software, standardisierte Schnittstellen, innovative und nachhaltige Technologien sowie einen professionellen und qualifizierten Support.

Im RIS CARW von PENTA steht für jeden Arbeitsplatz eine übersichtliche Arbeitsliste zur Verfügung über die der Vorgang des Patienten bearbeitet wird. Aus einer Statusanzeige lässt sich ablesen, in welchem Vorgang sich der Patient im Augenblick befindet. Aus einer Arztliste können untersuchte Patienten zur Befundung selektiert werden, während das Diktiersystem

Arbeitsplätzen einsetzbar – maßgeschneidert für Jeden! Wachsender Kostendruck und Erfordernisse der Qualitätssicherung in der Radiologie werden immer stärker und setzen die Maßstäbe und Anforderungen für die Produktpalette von medigration. WinRadiolog steht für Stabilität, Leistungsfähigkeit, Skalierbarkeit über mehrere Standorte, Integration und Kostensenkung.

Philips Vue RIS verbessert den Radiologie-Workflow durch die Automatisierung des Diagnoseverfahrens ab der Auftragserfassung bis zur Ergebnisverteilung. Auf das webbasierte radiologische Informationssystem kann von überall zugegriffen werden. Das System passt sich an die Anforderungen von Unternehmen mit mehreren Standorten oder von

Ganz individuell und so, wie Sie es benötigen. Vorhandene Applikationen, beispielsweise Dosismanagementsystem, Spezialbefundung und viele mehr, werden nahtlos in Ihr neues RIS integriert.

RVC.RIS – Arbeitsabäufe straffen bedeutet Effizienz. Das Radiologieinformationssystem RVC.RIS integriert sich nahtlos in das RVC.PACS von RVC Medical IT. Das aufwändige Abstimmen der Schnittstellen zwischen den eng verzahnten RIS-PACS Systemen kann entfallen. Hier liegen alle Daten in einer einzigen Datenbank – keinerlei Daten sind redundant und

automatisch gestartet wird und die aktuellen Bilder der Untersuchung aus dem PACS aufgerufen werden. Außerdem verfügt CARW über sämtliche Module für eine leichte und schnelle Kassen- und Privatabrechnung. Mithilfe zahlreicher Statistikwerkzeuge verfügt der Anwender stets über aktuelle betriebswirtschaftliche Zahlen und die Auslastung der Praxis / Abteilung.

Krankenhäusern an. Es integriert MammografieWorkflows, die Überprüfung durch Kollegen und die Befundung, sodass die Verwendung verschiedener Systeme entfällt.

müssen abgeglichen werden. Nicht zuletzt hat die perfekte Zusammenarbeit zwischen dem Radiologen und den Zuweisern, neben dem primären Nutzen für die Patienten, auch eine wichtige Bedeutung für die wirtschaftliche Sicherheit des Radiologen als Unternehmer oder der radiologischen Abteilung.

RIS 
medavis | RIS – Radiologie Informations System medigration | WinRadiolog PENTA Services | CARW Philips | Vue RIS RVC Medical IT | RVC.RIS
IT-SYSTEME 141 RADIOLOGIE MAGAZIN 1-2021

INDE- X 142 RADIOLOGIE MAGAZIN 1-2021

Das moderne Terminmanagementsystem von Doctolib bietet einzigartige Termin- und Ressourcenalgorithmen mit denen Sie unkompliziert Ihre Auslastung und Kalenderplanung optimieren können. Dank Funktionen wie der digitalen Nachrückliste können Terminlücken automatisch geschlossen und Terminausfälle reduziert werden.

GE Healthcare | Smart Scheduling

Ihre Patienten haben dadurch geringere Wartezeiten und werden vorab per SMS oder E-Mail an Termine, benötigte Dokumente und Verhaltenshinweise erinnert. Mit einem Eintrag auf der Doctolib-Plattform, die monatlich 4 Millionen Patienten nutzen, können Sie die Sichtbarkeit Ihrer Praxis steigern und Ihren Patientenstamm erweitern.

Personal und einer verzögerten Diagnose führt. Smart Scheduling hilft bei der Bewältigung dieser Herausforderungen, indem es Modelle des Maschinellen Lernens einsetzt, die wiederkehrende Mustern sowohl innerhalb als auch außerhalb der Praxis nutzen, um das Paradigma der Terminplanungs-Workflows zu ändern.

medavis | booking4med Online-Terminbuchung

Dabei setzt booking4med auf die bestehende Infrastruktur und benötigt weder organisatorische noch technische Umstellungen. Der Umgang mit Patientendaten erfolgt nach höchsten Sicherheitsstandards. Patientendaten werden nicht im Internet oder in Drittsystemen gespeichert.

Medigration | MultiPortal – Terminplaner

Über den Clouddienst medigration MultiPortal ermöglichen Sie Ihren Zuweisern und Patienten einen modernen, einfachen und sicheren Zugriff auf medizinische Bilder, Befunde und Termine. Der integrierte Viewer besitzt eine intuitive, praktische Oberfläche und bietet schnellen Zugriff auf Schlüsselbilder. Die MultiPortal-App passt ihre Benutzeroberfläche

Mint Medical | mint L esion

Die besondere Stärke von mint Lesion liegt darin, dass jeglicher Messwert schon im Moment seiner Erfassung mit Kontextdaten zur klinischen Bedeutung verknüpft und so in ein digitales Abbild des Patienten, auch über die Zeit hinweg, integriert wird – das System wird so von einem „simplen“ Bildbetrachter und Messwerkzeug zu einem digitalen Assistenten des Radiologen. Die Anwender werden durch die Befundung geführt

dabei optimal an das verwendete Gerät an und ist mit Smartphone, Tablet oder klassischem Desktop kompatibel. Nutzen Sie das MultiPortal als modernes Praxismarketing.

Das MultiPortal kann über standarisierte Schnittstellen flexibel in den Praxisworkflow integriert werden und ist damit mit allen RIS / PACS kompatibel.

und es wird sichergestellt, dass alle relevanten Informationen erhoben werden, die so im Einklang mit z. B. der ACR-RADS-Klassifikation, den TNM-Leitlinien oder Kriterien für die Therapiebeurteilung wie RECIST 1.1 stehen. mint Lesion kommt in der klinischen Routine, bei Studien und bei Forschungsprojekten zum Einsatz. Nutzer sind radiologische Praxen, Universitäten, Krebszentren und CROs weltweit.

unterstützen die Vollständigkeit und eine hohe Qualität. RadioReport reduziert die Befundungszeit enorm. Mit den standardisierten Befunden ist er Big Data ready. Die Lösung ist multilingual und erstellt optional eine Liste mit ICD-10-Codes. RadioReport bedient alle marktüblichen Schnittstellen. RadioReport ist als Medizinprodukt CE-zertifiziert.

Doctolib | Online-Terminbuchung 
TERMINPLANUNG Smart Scheduling ist eine Anwendung, die es Ihrer Praxis ermöglicht effizienter zu planen, indem es mit der KI-gesteuerten intelligenten Terminplanung die Wahrscheinlichkeit eines Nichterscheinens von Patienten vorhersagt. Es gibt viele Faktoren, die dazu beitragen, dass Patienten Termine versäumen – was zu einer Unterauslastung der Geräte, untätigem Mit booking4med bieten Radiologen ihren Patienten und Zuweisern die Möglichkeit, Termine rund um die Uhr online zu vereinbaren. Die in Deutschland gehostete Lösung ergänzt die telefonische Terminvereinbarung optimal und entlastet die Anmeldung. Dank der tiefen Integration werden Online-Buchungen automatisch im medavis RIS Terminkalender abgebildet
BEFUNDSOFTWARE
RadioReport revolutioniert mit der Methode Guided Reporting die radiologische Befundung. Ausgehend von der Anatomie – nicht der Pathologie – führt das System den Radiologen wie ein virtueller Interviewpartner durch den gesamten Befundprozess. RadioReport arbeitet mit vollständigen Modulen statt mit singulären Templates. Am Ende steht ein standardisierter Befund. Integrierte Plausibilitätsprüfungen
Neo Q | RadioReport

syngo Carbon ist eine modulare, hochinnovative Softwareplattform für das unternehmensweite Lesen und Befunden von Bildern. Sie dient dem effizienten, interdisziplinärer Austausch von Bildern und Befunden über alle klinischen Abteilungen hinweg. Dabei tragen integrierte KI und eine sehr breite Palette von Bildanalyse Tools zu einer verbesserten und

beschleunigten Diagnose im Arbeitsfluss bei nahezu allen Bildgebungsverfahren bei (CT, MRI, X-Ray, Mammographie, PET/CT, SPECT). Die integrierte strukturierte Erstellung von Bildbefunden erlaubt darüber hinaus eine Standardisierung der diagnostischen Ergebniskommunikation in der einrichtungsweiten bildgebenden Diagnostik.

Die TIP HCe Radiologie-Analysen bieten einen umfassenden Überblick über alle Leistungen und Prozesse in der Radiologie. Eine Vielzahl an Fragestellungen des radiologischen Umfeldes zu Untersuchungen, Patienten, Prozeduren und Materialien kann dadurch beantwortet werden. Ein umfangreiches Standardberichtsset, das alle zentralen Themenbereiche mit Berichten und

Kennzahlen abdeckt, wird mit ausgeliefert und bildet die Basis für das Berichtswesen. Es enthält eine Vielzahl an Analysen und erlaubt einen schnellen und gründlichen Überblick über alle Leistungen und Prozesse. Falls darüber hinaus noch Spezialanalysen erstellt werden sollen, kann dies mit einem übersichtlichen Berichtsgenerator einfach und schnell geschehen.

Durch den Einsatz fortschrittlicher Analysetools werden Daten zu umsetzbaren Erkenntnissen: Einsatzfertige Analytics Apps ebenso wie maßgeschneiderte Applikationen und Services für die Erstellung von Dashboards können zu einer optimierten diagnostischen Bildgebung, höheren Produktivität und Effizienz sowie Senkung der Kosten und somit

| RadCentre Analytics

RadCentre Analytics erlaubt eine hoch performante und zugleich flexible Datenanalyse aller im RIS gespeicherten Informationen. Ein interaktives Reporting mit nahezu unbegrenzten Auswertungsmöglichkeiten macht Leistungen transparent und unterstützt Verantwortliche dabei, Abläufe und Auslastungen zu optimieren.

zu einer Verbesserung der Patientenversorgung und Leistungsfähigkeit der Abteilung beitragen.

Daten-Parameter werden in Sekundenschnelle verknüpft und ermöglichen die Erstellung gezielter Auswertungen und Workflow-Analysen über eine intuitive Oberfläche. Dabei können die Daten aus allen Perspektiven beleuchtet und mithilfe von Dashboards, in übersichtlichen, interaktiven, grafischen Darstellungsformen, visualisiert werden.

Die medavis Web-Applikation cockpit4med liefert relevante Managementdaten einer radiologischen Einrichtung in Echtzeit, ortsunabhängig und zu jeder Zeit. Verschiedene Live-Statistiken zeigen zum Beispiel die Anzahl wartender Patienten, die Auslastung der Geräte oder die Summe offener Rechnungen. Dies beschleunigt das Ableiten von

zielgerichteten Maßnahmen und verkürzt die Reaktionszeiten. Die Lösung nutzt neueste Technologien, ist intuitiv zu bedienen und unterstützt alle medavis Anwendungen. Eine Anbindung an andere datenbankgestützte Applikationen ist ebenfalls möglich.

Das Business Intelligence- und Reporting-Dashboard Philips Vue Beyond greift auf PACS-Daten zu und liefert eine Echtzeitanalyse der Arbeitsabläufe. Qualitäts-/Leistungskennzahlen wie Untersuchungsvolumen, eingesetzte Modalitäten, Patiententyp, Laufzeiten von Berichten sowie Benachrichtigung bei kritischen Befunden können

dabei einfach angezeigt werden, um die Wartezeit für Patienten zu verkürzen und die Wirtschaftlichkeit zu erhöhen.

BEFUNDSOFTWARE 
Siemens Healthineers | syngo Carbon Dedalus HealthCare | TIP HCe
BUSINESS-INTELLIGENCE GE Healthcare | Edison Datalogue Insights i-SOLUTIONS Health medavis | cockpit4med Radiologie-Dashboard
IT-SYSTEME 143 RADIOLOGIE MAGAZIN 1-2021
Philips | Vue Beyond

Das Business-Analytics-Angebot von Sectra optimiert den Arbeitsablauf in der Radiologie. Es umfasst zwei Komponenten: eine Speicherlösung, die Daten aus dem Sectra RIS und PACS extrahiert und sie für erweitertes Data Mining bereitstellt, sowie eine Reihe von Anwendungen, mit denen diese Daten analysiert und visualisiert werden können.

Die Tools erlauben einen einfachen und sicheren Zugriff auf Daten, ohne Auswirkungen auf die Modalitäten. Sie ermöglichen das Formulieren von strukturierten Berichten oder identifizieren von Engpässen für eine angemessene Ressourcenzuweisung und Schulung sowie die Verbesserung der Effektivität von Prozessen.

DeepUnity bietet mit der DeepUnity Diagnost und den DeepUnity DICOM Services ein multi-modales Picture Archiving and Communication System (PACS). Mit seiner einfachen Skalierbarkeit ist es von der Praxis bis zur Universitätsklinik und im Klinikverbund ideal einsetzbar. DeepUnity Diagnost steht für modernes und komfortables Arbeiten sowie intuitive, digitale

Digithurst | teamCRAFT

Das CE-zertifizierte Medizinprodukt teamCRAFT –auch im flexiblen Bezahlmodell Pay-per-Study erhältlich – versendet DICOM Bilder (auch Tomosynthesen) direkt aus dem teamPORTAL an Server, Brennroboter oder Workstation und kommuniziert auch mit HealthDataSpace sowie e-pacs. Der neue Zero Footprint DICOM Viewer teamVIEW web bietet 3D-Funktionen

Bildbefundung im 2D- und 3D-Bereich. Dabei sind heutzutage im PACS nicht mehr nur reine Bilddaten aus der Radiologie verfügbar, sondern Daten vieler Abteilungen und Fachrichtungen von verschiedensten Modalitäten und Geräten. Als moderne PACS Lösung wird auch der Austausch von Dokumenten gemäß XDS Profil des IHE Frameworks unterstützt.

Die einheitlich bedienbare Softwareplattform bietet alle Funktionen des digitalen Röntgens: Von der Bildakquisition und Steuerung der Röntgenanlage bis zur Archivierung und Befundung.

Das EXAMION X-AQS PACS ist eine voll integrierte Komplettlösung. Durch den modularen Aufbau der Software können auch nur einzelne Teile davon in Ihre bestehende Infrastruktur integriert werden.

und noch kürzere Ladezeiten.

Maximale Geschwindigkeit

Das neue PACS Synapse 5 setzt ganz auf Schnelligkeit. Als erstes PACS weltweit verwendet Fujifilm ein server-basiertes Rendering. Schnelligkeit ist das Hauptmerkmal dieser Weiterentwicklung, die Kommunikation zwischen Server und Anwender wird somit deutlich verbessert. Studien werden direkt im Browser abgelegt, so dass kein Download auf den

Individuell kombinierbar und konfigurierbar ▪ Identisch zu bedienender Viewer für Akquisitionsstation und Betrachtungsarbeitsplätze ▪ Zugriff auf das komplette Bildarchiv auch an der Akquisitionsstation ▪ Intuitive Bedienung / minimaler Schulungsaufwand

Mit dem Centricity Universal Viewer ermöglicht GE Healthcare einen leistungsstarken Arbeitsplatz. Das System vereint Bildgebung, intelligente Tools, erweiterte Einsatz- und Zugriffsmöglichkeiten für die fortschrittliche Visualisierung, sowie Prüfung medizinischer Bilddaten. Im Gegensatz zu heterogenen PACS und 3D-Systemen sorgt Centricity Universal Viewer

Desktop mehr erforderlich ist und Bilder unverzüglich angezeigt werden können. Synapse 5 ist ein HTML5-basiertes Zero Footprint PACS, das die immer größeren Datenmengen und -volumen in medizinischen Einrichtungen sicher und schnell verwalten kann. Seine intuitive Benutzeroberfläche, der hohe Funktionsumfang und die zukunftsweisende Technologie machen Synapse 5 PACS einzigartig.

für eine höhere Effizienz und vereinfacht den Zugriff auf Informationen dank einer einzigen Anwendung für die Analyse von 2D-, 3D-und multidimensionalen Aufnahmen. Da das System webbasiert ist, können Nutzer unabhängig von ihrem Standort auf dieses Tool zugreifen. Dies ermöglicht unter anderem auch das Befunden im Homeoffice

Dedalus HealthCare | DeepUnity Diagnost & DICOM Services
PACS EXAMION | X-AQS und X-AQS PACS Fujifilm | Synapse PACS
BUSINESS-INTELLIGENCE 
Sectra | Business Intelligence
INDE- X 144 RADIOLOGIE MAGAZIN 1-2021
GE Healthcare | Centricity Universal Viewer

iQ-SYSTEM PACS bietet als flexibel konfigurierund skalierbares System eine passgenaue Lösung für radiologische Praxen und Krankenhäuser. Ob Bildbetrachtung, Bildarchivierung oder Bildverteilung – iQ-SYSTEM PACS sorgt für einen reibungslosen Arbeitsfluss. Anwender an über 10.000 Standorten in 118 Ländern weltweit,

INFINITT | PACS G7

Ein PACS Viewer für alle radiologischen Anwender: Radiologen, MTRA und Zuweiser nutzen den identischen Viewer, der sich nur anhand der lizensierten Funktionen (z. B. MIP / MPR) und der konfigurierbaren Benutzerrechte unterscheidet.

Die tiefe Integration der meisten am Markt befindlichen KI-Lösungen schafft bereits heute

schätzen die Nutzerfreundlichkeit und Stabilität dieses Systems. iQ-WEBX ist eine nutzerfreundliche Komplettlösung zur Archivierung, Befundung und Verteilung von radiologischen Untersuchungen oder Befunden. Es ist für unbegrenzt viele Untersuchungen, Nutzer und anzubindende Geräten konzipiert und lizensiert.

Der medigration ImageBroker ist ein kosteneffizientes, zukunftsweisendes Multifunktional-System zur workflowbasierten Verteilung, Speicherung und Archivierung von digitalen Bildern und Befunden. Der Einsatz validierter DICOM- und HL7-Schnittstellen gewährleistet eine hohe Integrationsfähigkeit mit allen digitalen Modalitäten und bereits bestehenden

Zukunftssicherheit für die Radiologie von morgen. Multidisziplinäre Konferenzen, schnelle Ladegeschwindigkeit, interne und externe Kommunikation von Bildern und Befunden, automatische Hängeprotokolle sowie dynamische Arbeitslisten ermöglichen eine hohe Effizienz und erzeugen große Anwenderzufriedenheit.

Das multimediale PACS bietet ganzheitliche Lösungen für das medizinische Bildmanagement aller Bilder des Hauses – von der radiologischen Praxis über MVZ bis zu Krankenhäusern der Maximalversorgung. Webbasierte Bildverteilung, Radiologische Workstations inkl. Mammographie und Strahlentherapie, CD-Brennsysteme, CD-Importsysteme, Scan-Arbeitsplätze,

Informationssystemen (RIS / KIS). Der medigration ImageBroker gewährleistet eine schnelle, nahtlose Kommunikation von Bild- und Befunddaten durch frei konfigurierbare Routing-Regeln und eine individuelle Zeitsteuerung. Die Multisite PACS-Architektur ermöglicht eine höchst performante, flexible hausinterne sowie standortübergreifende Vernetzung.

Philips Vue PACS bietet einen Arbeitsbereich für die klinischen Werkzeuge und Anwendungen, die Radiologen für eine bequeme lokale oder externe Befundung benötigen. Das webfähige Vue PACS verfügt über integrierte erweiterte Visualisierung, 3D-Nachbearbeitung, Läsions-Management, Spracheingabe, Benachrichtigungsfunktion bei

Worklist-Multiplexer (zum Beispiel Teilung einer Modalität durch mehrere Institutionen mit mehreren Worklists), Mobiler Client für iPad und Co. Alle Arbeitsplätze erlauben die Befundung, Darstellung, Bearbeitung und Kommunikation beliebiger multimedialer Daten. In der Telekonferenz können die Daten synchron bearbeitet werden.

RVC.PACS ist ein IHE-konformes, nach 2b zertifiziertes und komplett durch RVC Medical IT entwickeltes Bild- und Datenmanagementsystem. Aufgrund seiner modularen Systemarchitektur ist es optimal auf die Bedürfnisse des Kunden skalierbar von der Einstiegslösung bis hin zum Einsatz im Klinikverbund als Enterpriseversion und mandantenfähige

kritischen Befunden sowie ein Mammografiemodul. Dadurch werden dedizierte Workstations überflüssig. Erweiterte Multmedia-Berichterstellung und klinische Toolkits für präzise Befundung und erhöhte Produktivität.

Multisitelösung. Ganz gleich, ob mit bildgebenden Modalitäten oder mit KIS / RIS Systemen kommuniziert wird – es gibt erprobte Lösungen mit allen Herstellern. Das System ist Individuell anpassbar und es kann aus den am häufigsten verwendeten Funktionen ein persönliches Benutzerprofil erstellt werden.

PACS 
IMAGE Information Systems | iQ-SYSTEM PACS medigration | ImageBroker NEXUS / CHILI | PACS Philips | Vue PACS
IT-SYSTEME 145 RADIOLOGIE MAGAZIN 1-2021
RVC Medical IT | RVC.PACS

Das Sectra PACS bietet sofortigen Zugriff auf alle Tools in einer einzigen Workstation. Es ist über Abteilungs- und Klinikgrenzen hinweg als VNA einsetzbar. IDS7 ist eine webbasierte und stabile Lösung mit Schnittstellen zu anderen Systemen und sorgt für die Verfügbarkeit der Daten über mehrere Standorte hinweg. Zudem verschlankt die direkt im

PACS integrierte Befundung den Befundungsworkow und stellt Verlinkungen zwischen Befundtext und Bildern her. Sie beinhaltet eine Spracherkennung, die den Befund mithilfe von vorgefertigten Bausteinen strukturiert.

Zum siebten Mal in Folge wurde Sectra 2020 mit dem „Best in KLAS Award“ ausgezeichnet.

syngo Carbon ist eine modulare, hochinnovative Softwareplattform für das unternehmensweite Lesen und Befunden von Bildern. Sie dient dem ef zienten, interdisziplinärer Austausch von Bildern und Befunden über alle klinischen Abteilungen hinweg. Dabei tragen integrierte KI und eine sehr breite Palette von Bildanalyse Tools zu einer verbesserten und

beschleunigten Diagnose im Arbeits uss bei nahezu allen Bildgebungsverfahren bei (CT, MRI, X-Ray, Mammographie, PET/CT, SPECT). Die integrierte strukturierte Erstellung von Bildbefunden erlaubt darüber hinaus eine Standardisierung der diagnostischen Ergebniskommunikation in der einrichtungsweiten bildgebenden Diagnostik.

Entdecken Sie eHealth as a Service für sich! Zum Beispiel Langzeitarchivierung as a Service mit dem datenschutzkonformen e-pacs Speicherdienst –der Telepaxx Lösung bei steigenden Datenmengen und langen Aufbewahrungsfristen. Dank der neuen Erweiterung können Sie jetzt neben DICOM Daten auch Dokumente nach XDS revisionssicher

und herstellerunabhängig archivieren. Oder das kostenef ziente Dosismanagementsystem Domako as a Service. Und mit Telepaxx MarketPlace, dem Marktplatz für Medizinprodukte, erhalten Sie geprüfte eHealth und AI Lösungen für ef zientere Arbeitsabläufe

Das JiveX Enterprise PACS übernimmt das gesamte Bildmanagement – vom Bildempfang über die Befundung und klinikweite Verteilung bis zur revisionssicheren Archivierung. Das System garantiert durch die Unterstützung von Standards eine nahtlose Integration in KIS und RIS. JiveX stellt zahlreiche Funktionalitäten zur Verfügung, die die Befundung schnell, sicher und

komfortabel gestalten. Dazu gehören auch ef ziente Optionen der Nachverarbeitung und kalendergestützte Demonstrationslösungen. Zahlreiche Vernetzungsoptionen wie DICOM E-Mail oder IHE-XDS sowie die befundfähige „Zero Footprint“ Bildverteilung über JiveX Web und JiveX Mobile ermöglichen ein ef zientes Arbeiten auch über Klinikgrenzen hinaus.

WORKSTATIONS

Vitrea Enterprise ist eine serverbasierte Nachverarbeitung für höchste Ansprüche. Die Vitrea Enterprise bietet höchste Flexibilität in der Installation und Integration in die Klinikumgebung. Zugeschnitten auf die jeweiligen Anforderungen kann die Vitrea Enterprise als Teil- oder Voll-Virtualisierung betrieben werden. Der Einsatz der Vitrea Enterprise ermöglicht

ein kompromissloses ef zientes Arbeiten, so dass alle Mitarbeiter klinische Bilder und Funktionalität jederzeit und überall in der Klinikumgebung teilen können. Alle unsere klinischen Anwendungen nutzen ein leistungsfähiges Bildverwaltungssystem und geben Ihnen die Möglichkeit, ihre Bilder und Workows zentral zu verwalten.

Die Vitrea Extend liefert branchenführende klinische Anwendungen, mit Remote-Zugriff auf die Nachbearbeitung klinischer Bilddaten. Eine zentrale Datenbank und drei parallele Remote-Zugriffe auf alle verfügbaren Anwendungen sorgen dafür, dass die Anwender bequem und exibel von mehreren Arbeitsplätzen aus ihre Bearbeitung durchführen können.

Die Vitrea Extend, sowie andere Vitrea-Lösungen, ermöglichen eine präzise und rasend schnelle Nachbearbeitung multimodaler Systeme völlig Hersteller unabhängig.

PACS
Sectra | PACS / VNA mit integrierter Befundung Telepaxx | Medical Cloud Archiving, Data Sharing & Deep Learning VISUS | JiveX Enterprise PACS Canon | Vitrea Enterprise Canon | Vitrea Extend
INDE- X 146 RADIOLOGIE MAGAZIN 1-2021
Siemens Healthineers | syngo Carbon

Vitrea Workstation ist eine leistungsstarke Einzelplatz-Lösung zur Auswertung von CT-, MRT-, XR-, PET-, PET-CT- und UL-Bilddaten. Die Vitrea Workstation bietet eine Vielzahl von Anwendungen in den Fachbereichen Kardiologie, Neurologie, Onkologie, Strahlentherapie und Nuklearmedizin. Durch den Einsatz der Vitrea Workstation, einer intuitiven und

multimodal erweiterbaren Visualisierungslösung, wird die Scannerproduktivität durch Ausweitung des Arbeitsablaufs über die Konsole hinaus gesteigert. Dadurch lassen sich Zeit und Ressourcen zur Erzeugung klinischer Ergebnisse optimieren.

Der Befundarbeitsplatz DeepUnity Diagnost lässt sich individuell konfigurieren und Funktionen werden adaptiv präsentiert. Häufig verwendete Funktionen sind über „HotRegions“ direkt in jedem Bild verfügbar. Ein umfangreiches Konzept für die Anordnung, Teilung und Sortierung von Bildern ermöglicht eine hohe Variabilität und Effizienz bei der Darstellung

und Befundung. Zahlreiche Mess- und Auswertewerkzeuge, intuitive Demovorbereitung und direkt integrierte 3D/4D-Funktionalitäten erleichtern die tägliche Arbeit. Eingebettete Workflows ermöglichen mit wenigen Klicks einen schnellen Im- und Export unterschiedlicher Speichermedien und Bilddaten.

Mit dem Centricity Universal Viewer ermöglicht GE Healthcare einen leistungsstarken Arbeitsplatz. Das System vereint Bildgebung, intelligente Tools, erweiterte Einsatz- und Zugriffsmöglichkeiten für die fortschrittliche Visualisierung, sowie Prüfung medizinischer Bilddaten. Im Gegensatz zu heterogenen PACS und 3D-Systemen sorgt Centricity Universal Viewer

für eine höhere Effizienz und vereinfacht den Zugriff auf Informationen dank einer einzigen Anwendung für die Analyse von 2D-, 3D-und multidimensionalen Aufnahmen. Da das System webbasiert ist, können Nutzer unabhängig von ihrem Standort auf dieses Tool zugreifen. Dies ermöglicht unter anderem auch das Befunden im Homeoffice

Centricity Universal Viewer Zero Footprint (ZFP) bietet klinische Einblicke für die effiziente Patientenversorgung. Das Produkt ermöglicht Klinikärzten, Radiologen und anderen Fachärzten einen einrichtungsweiten Zugriff auf Patientendaten- Bilder und Befunde – von jedem beliebigen Ort aus und mit jedem beliebigen Gerät. Der Zugriff mit Centricity Universal Viewer ZFP kann entweder direkt oder über eine Verbindung mit

der elektronischen Patientenakte (ePA), dem KIS, dem RIS oder diversen Ärzteportalen erfolgen. Centricity Universal Viewer ZFP ist für die diagnostische Verwendung validiert und ermöglicht es Ärzten, verfügbare klinische Daten für den gesamten Versorgungszeitraum eines Patienten anzuzeigen. Sowohl DICOM-Daten als auch XDS-Inhalte (Cross-Enterprise Document Sharing) werden in einer einzigen Lösung zur Verfügung gestellt.

Die AW-Produktreihe mit mehr als 50 klinischen Tools für die zukunftsweisende Visualisierung und Nachbearbeitung von medizinischen Bildern und Aufnahmen, ermöglicht modalitäts- sowie abteilungsübergreifende 3D-Darstellungen für die gesamte klinische Versorgung. Die Erfahrung aus 25 Jahren Innovation und hervorragende klinische Resultate sowie intuitive Workflows und Nutzerschnittstellen

sorgen für Effizienz und eine Verbesserung der diagnostischen Präzision. Die Konfiguration des AW-Servers stellt einen zentralisierten Zugang bereit und fördert die Zusammenarbeit von Ärzten. Die Möglichkeit, Daten und Befunde nach der Bearbeitung mit den überweisenden Kollegen auszutauschen, beschleunigt den Durchsatz von Berichten.

iQ-VIEW ist eine moderne radiologische Befundungsstation, die Radiologen und Teilradiologen schnellen Zugriff auf alle Werkzeuge zur medizinischen Bildverarbeitung ermöglicht. Ein einzigartiges Voruntersuchungsmanagement mittels künstlicher Intelligenz beschleunigt den Befundungsprozess, indem relevante Voruntersuchungen beliebiger Modalitäten automatisch

präsentiert werden. iQ-VIEW PRO fügt automatisch verschiedene Patientenidentitäten aus beliebigen PACS zusammen.

Dedalus HealthCare | DeepUnity Diagnost GE Healthcare | Universal Viewer Zero Footprint (ZFP) GE Healthcare | Advantage Windows Server Enterprise /- Workstation GE Healthcare | Centricity Universal Viewer
WORKSTATIONS 
Canon | Vitrea Workstation
IT-SYSTEME 147 RADIOLOGIE MAGAZIN 1-2021
IMAGE Information Systems | iQ-VIEW

Konica Minolta entwickelte einen einzigartigen Bildverarbeitungs-Algorhythmus, der die Aufnahmen optimiert, ohne vorher die Körperregion oder deren Größe auszuwählen. Schnelle Befundprozesse durch optimal voreingestellte Bilder sind die Folge.

Der ImagePilot kommuniziert direkt mit dem Konica Minolta Regius CR-System und AeroDR DR-Systemen.

medigration | ImageVision

medigration ImageVision ist eine intuitiv zu bedienende und leistungsstarke Betrachtungs- und Befundungsstation für die radiologische Routine. Sie lässt sich perfekt in den Praxisalltag integrieren und ermöglicht einen schnellen und effizienten Arbeitsablauf. Durch den konsequenten Einsatz des DICOMStandards wird eine hohe Integrationsfähigkeit mit

Philips | Vue Reporting

Vue Reporting ist ein Multimedia Reporting Tool zum Erstellen von Befunden. Basierend auf definierten Vorlagen wird ein strukturierter Befund erstellt. Interaktive Möglichkeiten wie das Verlinken mit Schlüsselbildern und Messwerten verbunden mit der voll integrierten Spracherkennung bieten eine messbare Zeitersparnis und gewähren eine

Die Workstation ermöglicht zahlreiche Bearbeitungsmöglichkeiten wie Helligkeit- und Kontrasteinstellung, Kantenanhebung, Messfunktionen oder die Eingabe von Anmerkungen.

Außerdem kann das System die Daten einer Vielzahl weiterer Bildgeber verarbeiten wie: CT, MR und Ultraschall oder Endoskopie.

RVC Medical IT stellt sein Kernprodukt nun als mobile Anwendung zur Verfügung, mit dem Ärzte sowohl innerhalb der Klinik als auch außerhalb der Klinik im Nacht- oder Hintergrunddienst flexibel auf radiologisches Bildmaterial zugreifen können. Die Anwendung ist intuitiv bedienbar und für alle gängigen DICOM-Bildtypen geeignet.

allen digitalen Medien (multimodality) gewährleistet. Die wichtigsten Vorzüge unseres Befundungsarbeitsplatzes ImageVision: ▪ Individuell konfigurierbare Hanging Protocols ▪ Schnelles und effektives Handling der Bilder ▪ Spezialisierte Werkzeuge ▪ Ergonomische Benutzeroberfläche

syngo.via

Die 3D-Befundungssoftware syngo.via von Siemens ermöglicht eine noch effizientere Befundung. Die Software enthält erweiterte mobile Anwendungen sowie eine Reihe neuer Funktionalitäten und Applikationen, z. B. für die Befundung von MammographieBildern sowie für komplexe Fragestellungen in Neurologie, Onkologie und kardiovaskulärer Diagnostik.

gleichbleibend hohe Befundqualität. Vue Reporting ist integraler Bestandteil von Vue PACS; dem Anwender wird eine einzige intuitive Benutzeroberfläche präsentiert, die die Befunderstellung direkt in der PACS Software ermöglicht.

www.radmag.de

WORKSTATIONS 
Konica Minolta | ImagePilot RVC Medical IT | RVC.PACS / RVC. RIS Siemens Healthineers |
MAGAZIN INDE- X 148 RADIOLOGIE MAGAZIN 1-2021

KLINISCHE APPLIKATIONEN

Die klinischen Anwendungen der Vitrea enthalten viele automatisierte Arbeitsabläufe, um Sie bei den klinischen Auswertungen zu unterstützen und eine gleichbleibend hohe Befundqualität zu gewährleisten mit reduziertem Zeitaufwand. Die Vitrea Software ist ein multimodales, fortschrittliches Visualisierungssystem, das umfassende Anwendungen für die

| Synapse 3D

Analysen

und Clinical Support

Synapse 3D verwendet eine einzigartige Bilderkennungstechnologie zur Rekonstruktion von Organen und Gefäßen. Die AI basierte 1-click Extraktion von Organen, Gefäßen und Strukturen ermöglicht die automatische Darstellung der Bronchien, der Lunge und der Lungenlappen im Atmungssystem sowie der Leber, der Pfortader und der Lebervene im Verdauungstrakt.

Auswertung klinischer Bilder bietet. Die Anwendungen verbessern die diagnostische Sicherheit und optimieren den Workflow, da Bilddaten verschiedener Modalitäten wie z.B. CT, MR, XR und PET im gleichen Layout bearbeitet werden können. Moderne Bildgebungstools und automatisierte Messungen, liefern Ärzten schnelle Ergebnisse mit nur wenigen Klicks.

Dadurch kann eine Vielzahl an 3D-Analysen vorgenommen werden, wie zum Beispiel die Visualisierung chronischer Atemwegserkrankungen oder die präoperative Simulation für die Leber. Spezielle Bildkomprimierungs- und Übertragungstechnologien sowie die schnelle Kommunikation im Client-Network unterstützen den Datenzugriff von jedem Bildschirmarbeitsplatz, herstellerneutral und interdisziplinär nutzbar.

Die AW-Produktreihe mit mehr als 50 klinischen Tools für die zukunftsweisende Visualisierung und Nachbearbeitung von medizinischen Bildern und Aufnahmen, ermöglicht modalitäts- sowie abteilungsübergreifende 3D-Darstellungen für die gesamte klinische Versorgung. Die Erfahrung aus 25 Jahren Innovation und hervorragende klinische Resultate sowie intuitive Workflows und Nutzerschnittstellen sorgen für

INFINITT | XELIS

Allgemeine 3D-Befundung von CT- und MRT-Untersuchungen des gesamten Gefäß-, Knochen- und Organsystems. Die automatischen Segmentierungs- und Subtraktionsfunktionen unterstützen den radiologischen Workflow optimal.

▪ 3D-Darstellung mit diversen manuellen Bearbeitungsfunktionen

Effizienz und eine Verbesserung der diagnostischen Präzision. Die Konfiguration des AW-Servers stellt einen zentralisierten Zugang bereit und fördert die Zusammenarbeit von Ärzten. Die Möglichkeit, Daten und Befunde nach der Bearbeitung mit den überweisenden Kollegen auszutauschen, beschleunigt den Durchsatz von Berichten.

Die besondere Stärke von mint Lesion liegt darin, dass jeglicher Messwert schon im Moment seiner Erfassung mit Kontextdaten zur klinischen Bedeutung verknüpft und so in ein digitales Abbild des Patienten, auch über die Zeit hinweg, integriert wird – das System wird so von einem „simplen“ Bildbetrachter und Messwerkzeug zu einem digitalen Assistenten des Radiologen. Die Anwender werden durch die Befundung geführt

Automatische Segmentierungsfunktionen für CT-Tisch, untere Extremitäten und Abdomen ▪ Überlagerte Darstellung der segmentierten Regionen mit der VR-Darstellung ▪ MIP/MPR-Darstellung / MPR-Rekonstruktion ▪ Gefäßanalyse mit CPR-Darstellung und graphischer Darstellung der Stenose bzw. des Aneurysmas

IDS7 / dx ist ein Hochleistungs-Diagnose-Arbeitsplatz für Radiologen, die mit Hilfe der vollausgestatteten Workstation an jeder Modalität arbeiten können. Die Web-Technologie ermöglicht ihnen auch unabhängig von Zeit und Ort von jedem Arbeitsplatz aus zu diagnostieren. Der sofortige Zugriff auf Bilddaten aus den vorherigen Untersuchungen verbessert die

und es wird sichergestellt, dass alle relevanten Informationen erhoben werden, die so im Einklang mit z. B. der ACR-RADS-Klassifikation, den TNM-Leitlinien oder Kriterien für die Therapiebeurteilung wie RECIST 1.1 stehen. mint Lesion kommt in der klinischen Routine, bei Studien und bei Forschungsprojekten zum Einsatz. Nutzer sind radiologische Praxen, Universitäten, Krebszentren und CROs weltweit.

Effizienz und den Workflow. Sectra liefert mit IDS7 / dx eine innovative Lösung, die Radiologen auch mit umfangreichen Datensätzen versorgt.

Die Workstation ist eine stabile Lösung, die gleichbleibend schnell ist – egal, ob die Untersuchung zehn oder 10.000 Schichten umfasst.

Canon | Vitrea Advanced Visualization
Fujifilm GE Healthcare | Advantage Windows Server Enterprise Mint Medical | mint L esion
IT-SYSTEME 149 RADIOLOGIE MAGAZIN 1-2021
Sectra | IDS7 / dx für die Radiologie

IDS7 ist nicht nur ein Hochleistungs-DiagnoseArbeitsplatz für Radiologen sondern auch für Pathologen. Sectra bietet auch hier eine komplette Lösung, die den Workflow mit einem High-end Diagnose-Viewer, einheitlichen Schnittstellen sowie bewährten Archivierungs- und Bild-Handling-Protokollen optimiert. Außerdem ermöglicht Sectra die

Integration von Scannern, LIS, EMR, Makrokameras und anderen PACS- und digitalen Pathologiesystemen. Der Pathologe kann auf alle relevanten Bilder und Patienteninformationen zu einem Fall zugreifen. Dieser Zugriff auf alle Informationen per Mausklick und in einer einzigen Anwendung spart Zeit und senkt die Kosten.

Während klassische Bildarchive Bilder und Dokumente auf Basis des DICOM-Standards archivieren und kommunizieren, stellt Dedalus HealthCare eine konsolidierte Archivierungsplattform für Bilder und Dokumente aus verschiedenen Archiven über Standardschnittstellen bereit. Diese ermöglicht den einheitlichen Zugriff auf sämtliche Dokumente von

Patienten und unterstützt sowohl DICOM als auch Nicht-DICOM Objekte. Diese können gemäß standardisiertem Dokumenten- und Bildaustauschprofil IHE XDS gewandelt werden und ermöglichen einen herstellerunabhängigen Zugriff auf unterschiedliche Archive, inklusive Bereitstellung eines Zero-Footprint-Viewers.

Herstellerneutral und sicher Mit Synapse VNA wird jedes Enterprise Imaging Archiv auf eine umfassende, herstellerneutrale Basis gestellt. Der enorme Vorteil ist ein universelles, formatunabhängiges Datenmanagement. Dabei werden DICOM-, Multimedia- und alle anderen Daten in eine gemeinsame, kosteneffiziente Struktur gespeichert und die Aufwendungen für die Bereitstellung

und Administration des Archivs gesenkt. Das ermöglicht einen schnelleren, patientenzentrierten Datenzugriff, was den Workflow zwischen den Abteilungen optimiert. Bei Nutzung von mobilen Endgeräten ist mit dem Mobility Viewer ein ortsunabhängiger Zugriff auf alle Patientendaten jederzeit möglich. Dabei werden die sensiblen Daten ohne lokale Kopie angezeigt.

Edison Datalogue hilft Datensilos intelligent aufzulösen. Die herstellerunabhängige Archivierungslösung hat eine offene Architektur zur Zusammenführung und intelligenten Verwaltung von Patientendaten, klinischen Bildern und unternehmenseigenen Inhalten. Das auf den Industriestandards IHE-XDS und DICOM aufbauende System ermöglicht die nahtlose

Kommunikation zwischen verschiedenen Systemen –und das über unterschiedliche Archivsysteme, Fachbereiche und Einrichtungen hinweg.

Die Daten und Bilder können so intelligent archiviert und genutzt werden, zum Beispiel für KI.

Informations Systems | iQ-VNA

XDS-i kompatibel

Konvertierung beliebiger Objekte in DICOM soweit möglich

Schneller und einfacher Austausch von Gesundheitsdaten mit angeschlossenen Institutionen

Anwendung eines DICOM Part 10 Headers auf Nicht-DICOM-Objekte

Archivierung in einem Standardformat für verschiedene medizinische Fachgebiete (Allgemeine Medizin, z. B. für klinische Ergebnisse, Kardiologie, Radiologie, Pathologie, Labor) ▪ Vermeidung von Doppeluntersuchungen

Die INFINITT Healthcare Platform (IHP) ist mehr als nur ein VNA: Sie bietet neben der multimedialen und regelbasierten Archivierung auch die Informationsverteilung über 27 offene Schnittstellen, die über Standards wie HL7, FHIR, DICOM sowie RESTful-DICOM, IHE-konform realisiert ist. Eine tiefe Integration in andere PACS und

Informationssysteme wird dadurch erleichtert. Der Kunde hat die Wahl ob Non-DICOM Daten, wie z. B. Dokumente oder Multimediadaten, in dem ursprünglichen MIME-Type belassen oder in das DICOM-Format gewandelt werden sollen. Für jede Informationskategorie können zudem unterschiedliche Lebenszyklen definiert werden.

KLINISCHE APPLIKATIONEN 
Sectra | IDS7 / px für die Pathologie
VNA 
Dedalus HealthCare | DeepUnity Medical Archive Fujifilm | Synapse VNA GE Healthcare | Edison Datalogue
IMAGE
INDE- X 150 RADIOLOGIE MAGAZIN 1-2021
INFINITT | Healthcare Platform

Philips Vue Archive ermöglicht den zentralen Zugriff auf vollständige klinische Datensätze von Patienten mit einem echten anbieterneutralen Archiv. Damit das Klinikpersonal auf den gesamten Patientendatensatz zugreifen kann, ist ein patientenbezogenes, anbieterneutrales Archiv mit einem universellen Viewer erforderlich.

Vue Archive von Philips konsolidiert verschiedene Imaging-Systeme mit den aktuellen Interoperabilitätsstandards nahtlos zu einem einzigen Repository. In Kombination mit Vue Motion – einem kompakten universellen Image Viewer – bietet das System einen sicheren Zugriff auf Bilder in Echtzeit im gesamten Unternehmen im Gesundheitswesen.

Das multimediale Dokumentenmanagement- und Archivsstem erlaubt eine Konsolidierung bisher oft getrennter IT-Welten von PACS, Multimedia und Dokumentenarchiven zu einem medizinischen Universalarchiv. Die Konsolidierung ist dabei selbstverständlich kein MUSS, sondern ein KANN. Das heißt, es ist auch möglich, mit den eigenständig funktionierenden

Komponenten entweder nur Dokumentenmanagement und Archiv oder auch ein (neues) PACS zu ergänzen (best of breed). Dadurch, dass RVC Medical IT in der RVC-Gruppe sowohl ein PACS als auch ein Dokumentenmanagement-System verfügbar hat, kann in der Medizin die Produkt-Konsolidierung zum Vorteil der Krankenhäuser vollzogen werden.

Das JiveX Healthcare Content Management System (JiveX HCM) bündelt medizinische Daten beliebiger Datenformate in einem herstellerneutralen Archiv. Alle Daten werden gesichert ihrem Patienten- bzw. Fallkontext zugeordnet und darüber hinaus automatisch klassifiziert. Die kundenspezifisch anpassbare Verwaltung von Schnittstellen und Speichereinheiten

berücksichtigt die unterschiedlichen Anforderungen zur revisionsicheren Archivierung. Darüber hinaus ermöglicht JiveX HCM, Berechtigungen zur Darstellung der Inhalte einer Patienten-/Fallakte und der darauf verwendbaren Funktionen aus Fremdsystemen zu übernehmen und zu erweitern.

www.radmag.de

WEBPORTAL-LÖSUNGEN

Der nahtlose Bilddatenaustausch zwischen verschiedenen Leistungserbringern ist eine wesentliche Voraussetzung für die effiziente und qualitativ hochwertige Patientenversorgung.

DeepUnity Web.Access ermöglicht die Freigabe von DICOM-Studien über das Internet und bietet so einen schnellen, gesicherten Zugriff für Patienten und

Zuweiser mittels beliebigem Webbrowser. Die Bilder werden dabei gemäß modernsten Sicherheitsstandards über eine geschützte Verbindung mit SSL-Verschlüsselungsprotokoll übertragen. Hierdurch kann die übliche Patienten-CD/ DVD abgelöst werden.

Edison Datalogue Connect ermöglicht es medizinischen Teams an verschiedenen Standorten, Patientenfälle gemeinsam zu bearbeiten und klinische Daten über ein herstellerunabhängiges, professionelles soziales Netzwerk auszutauschen. Sie vereinfacht die klinische Kooperation mit Ärzten aus der gleichen oder einer anderen medizinischen

Einrichtung und hilft auch den Patienten, denn sie trägt dazu bei, doppelte Aufnahmen mit bildgebenden Geräten sowie unnötige Verlegungen zu vermeiden.

Außerdem müssen weniger Daten-CDs/DVDs erstellt und verteilt werden.

RVC Medical IT | RVC.MDMAS VISUS | JiveX HCM Dedalus HealthCare | DeepUnity Web.Access und Web.Upload
VNA 
Philips | Vue Archive für anbieterneutrale Archive GE Healthcare | Edison Datalogue Connect
IT-SYSTEME 151 RADIOLOGIE MAGAZIN 1-2021
MAGAZIN

INFINITT | ULite

INFINITT ULite ist ein HTML5-basierter PACS Viewer, einsetzbar mit den aktuellen Browsern wie Apple Safari, Microsoft Internet Explorer, Google Chrome, Opera und Mozilla Firefox. Das responsive UI-Design von Ulite passt sich automatisch auf das verwendete Endgerät an. Zusätzliche Softwareinstallationen und Konfigurationen werden für den Anwender damit

INFINITT | Patienten- und Überweiserportal

Die Sicherheit in der Bereitstellung der Daten bei gleichzeitiger Einfachheit in der Bedienung war der Maßstab der Entwicklung des INFINITT Patientenund Überweiserportals. Der Patient hat die Hoheit über seine Daten und entscheidet aktiv über die Weitergabe. Der Zuweiser hat die Möglichkeit über das Portal mit dem radiologischen Institut in Kontakt

überflüssig. INFINITT ULite bildet in diesem Zusammenhang ein wichtiges Medium für den strategischen Ausbau eines Netzwerkes aller Akteure in der medizinisch-diagnostischen Bilddatenbetrachtung. ▪ DICOM Image Display mit DICOM ▪ GSPS und VOI LUT Unterstützung ▪ Diverse Messfunktionen (Zoom / Pan / Rotation / Flip)

i-SOLUTIONS Health | RadCentre Patientenportal

Das RadCentre Patientenportal unterstützt die Bildund Befundkommunikation zwischen Arzt und Patient, ermöglicht Online-Terminbuchungen sowie den Zugriff auf wichtige Informationen und Dokumente, wie z. B. Aufklärungsbögen. So kann der Patient die notwendigen Dokumente bereits im Voraus ansehen, Formulare ausfüllen oder den Behandlungstermin online verschieben oder stornieren. Damit wird

medavis | portal4med Überweiserportal

Mit dem portal4med Überweiserportal haben Zuweiser direkten Zugriff auf die in der Radiologie erstellten Befunde und Bilder ihrer Patienten –ohne separate Installation. Die Anzeige von Vorbefunden im integrierten Viewer ist ebenso möglich wie der Download der originalen DICOM Dateien. Der Zuweiser erhält eine E-Mail-Benachrichtigung

zu treten. Im Zusammenspiel mit INFINITT Ulite gehört das Brennen von CDs der Vergangenheit an.

die Auslastung in radiologischen Praxen optimiert. Das geräte- und browserunabhängige Patientenportal lässt sich von jedem Smartphone oder Tablet aufrufen und bietet eine anwenderfreundliche Benutzeroberfläche. Im Anschluss an jede Untersuchung erhält der Patient online Zugriff auf seinen Befund inklusive Bilder.

über neue Befundfreigaben. Kritische Befunde sind dabei besonders gekennzeichnet. Das ermöglicht kürzere Behandlungszyklen und eine schnellere Patientenversorgung. Über detaillierte Zugriffsrechte sind Transparenz und Sicherheit im Umgang mit sensiblen medizinischen Daten gewährleistet

medavis | portal4med Patientenportal

Das portal4med Patientenportal ermöglicht Patienten, online auf die eigenen Bilder und Befunde aus der Radiologie zuzugreifen und diese einfach und schnell behandelnden Ärzten zur Verfügung zu stellen. In der Radiologie wird dafür bei der Anmeldung aus dem medavis RIS automatisch ein Ticket für den Patienten erstellt. Mit den darauf verfügbaren

medavis | Teleradiologie

Die medavis RIS-zu-RIS Teleradiologie-Lösung ermöglicht standortübergreifend das Erstellen sowie den Versand von Befundungsaufträgen. Die Befundung teleradiologischer Aufträge erfolgt vollständig integriert in den medavis RIS Workflow. Der volle Überblick über alle Befundungsaufträge ist zu jeder Zeit gegeben. Es können zusätzlich neue Standorte

Zugangsdaten und dem zweiten Faktor können Patienten dann online auf Ihre Daten zugreifen. Die Übermittlung der Bilder und Befund erfolgt DSGVO-konform und nach höchsten Sicherheitsstandards.

hinzugefügt und Empfänger verwaltet werden. Die medavis RIS-zu-RIS Teleradiologie-Lösung eignet sich besonders für Einrichtungen im Schichtbetrieb und bei der hausübergreifenden Zusammenarbeit zur effektiveren Ressourcennutzung.

WEBPORTAL-LÖSUNGEN 
INDE- X 152 RADIOLOGIE MAGAZIN 1-2021

Das medigration MultiPortal ist eine BildverteilungsSoftware für medizinische DICOM Bilder und Befunde. Die betreibende Praxis kann damit ihren überweisenden Ärzten oder Patienten über das Internet Zugriff auf die auf dem Portalserver freigegebenen Bilder und Befunde (optional) gewähren. Die Bilder können dabei ohne aufwändige Installation mit allen gängigen

Geräten, vom Smartphone bis zum Desktop-PC, betrachtet werden.

Alle Daten werden verschlüsselt gespeichert und die Empfänger haben dabei nur Zugriff auf die Untersuchungen, die für Sie freigegeben wurden.

An die Übertragung personenbezogener Daten werden höchste Datenschutzanforderungen gestellt.

medigration webConnect ist eine herstellerunabhängige, höchst performante und verblüffend einfache Lösung zur standortübergreifenden Vernetzung. Das Konzept bietet maximale Sicherheit bei extrem schnellen Zugriffszeiten. Die übertragenen Bilder können in Original-DICOM-Qualität angezeigt und (absolut herstellerunabhängig) in alle PACS-Systeme

integriert werden. webConnect gewährleistet nahtlose, effiziente Arbeitsabläufe. Darüber hinaus können Zuweiser (z. B. orthop. Praxen) dauerhaft an die Praxis gebunden werden.

Mit webConnect können Bilder oder Befunde sicher und zuverlässig an beliebig viele Empfänger versendet werden.

Software-Lösung für Bildverteilung und Teleradiologie auf Basis der erweiterungsfähigen PACS-Architektur von NEXUS / CHILI. Das System kann nahtlos in den klinischen Arbeitsablauf integriert werden.

Der CHILI Webserver empfängt die Bilder von den bildgebenden Modalitäten oder einem PACS via DICOM und speichert sie in einem relationalen

Datenbanksystem. Der Webserver kann dabei als Schnittstelle zum existierenden PACS dienen und die PACS-Bilder Web-Nutzern zur Verfügung stellen. Müheloser Austausch von multimedialen Dokumenten (zum Beispiel Befunde, DICOM und Non-DICOM-Bilder), individuell konfigurierbare Formulare, sektorenübergreifend und IHE-konform.

Das Portal deckt den gesamten teleradiologischen Prozess von der Anlage einer Anforderung über die MTRA bis hin zur Bereitstellung von Daten für die Rechnungsstellung ab. Die Einzelschritte sind angeleitet und werden dokumentiert. Die MTRA gibt die Untersuchungs-Anforderung direkt im Portal oder im eigenen KIS / RIS ein. Der Teleradiologe prüft die

/ CHILI | Zuweiser-Portal

Mit dieser Lösung werden die in der Radiologie erstellten Bilder und Befunde dem Zuweiser zur Betrachtung und zum Download zur Verfügung gestellt. Dazu muss beim Zuweiser keine Software installiert werden. Der Zugang auf das web-basierte Portal erfolgt verschlüsselt über einen eigenen Login mit Passwort oder eine temporäre Freigabe der Daten

rechtfertigende Indikation und ordnet die Untersuchung an. Der Zugriff erfolgt ortsunabhängig und Daten sind dadurch überall und jederzeit verfügbar. Das Portal ist konform zu den einschlägigen Regularien StrlSchV, QS-RL und DIN 6868-159 und kann über IHE- konforme Schnittstellen in KIS / RIS / PACS integriert werden.

Mit dem Patienten-Portal von NEXUS / CHILI werden Patienten-CDs abgelöst und damit auch Brennroboter nicht mehr benötigt. DICOM-Bilddaten können unkompliziert aus dem PACS in das Portal gestellt werden. Einrichtungen bieten ihren Patienten dadurch eine kostenlose Zugriffsmöglichkeit auf die eigenen Bilddaten über den PC oder mobile Geräte mit

per übermittelter URL oder mit einem Zugangscode. DICOM-Daten können auf den eigenen Rechner exportiert werden. In umgekehrter Richtung können Voruntersuchungen, Konsilanfragen und Zweitmeinungen in das Portal hochgeladen werden. Das Portal kann tief in das NEXUS / RIS oder ein RIS anderer Hersteller integriert werden.

zeitlicher Befristung. Patienten erhalten die Hoheit über ihre Daten, können diese jederzeit löschen oder auf eigene Geräte herunterladen. Das Portal kann tief in das NEXUS / RIS oder ein RIS anderer Hersteller integriert werden.

medigration | webConnect NEXUS / CHILI | Web + Telemedizinakte NEXUS / CHILI | Teleradiologie-Portal NEXUS
WEBPORTAL-LÖSUNGEN 
medigration | MultiPortal
IT-SYSTEME 153 RADIOLOGIE MAGAZIN 1-2021
NEXUS / CHILI | Patienten-Portal

My Vue ist ein sicheres Portal, das Patienten die Möglichkeit gibt, aktiv an ihrer medizinischen Versorgen mitzuwirken. My Vue unterstützt dabei, doppelte Röntgenuntersuchungen zu vermeiden und den Zeit-, Personal- und Kostenaufwand für die Erstellung von CDs, DVDs oder Filmen zu senken. Mit My Vue werden nach der Untersuchung

einmalige und sichere Anmeldedaten generiert und per E-Mail an den Patienten gesendet. Mit den sicheren Anmeldedaten können Patienten über zahlreiche internetfähige Geräte auf Patientenbilder, Informationen und Befunde zugreifen und verwalten, an wen sie diese Informationen weitergeben möchten.

IntelliSpace Portal 12 ist eine modalitätenübergreifende Plattform für die Bildnachverarbeitung, die Anwendungen für unterschiedliche Disziplinen bietet. Dazu gehören unter anderem MR Cardiac Analysis, Caas MR 4D Flow und Caas MR Strain für die Kardiologie, CT Pulmo Auto Results zur Entscheidungsunterstützung bei unspezifischen

Pneumonien, CT ClearRead für die Onkologie sowie CT Brain Perfusion für die Neurologie. KI-basierte Algorithmen tragen zu einer Optimierung des Workflows bei.

Sectras webbasierte Lösung „Image Exchange Portal“ (IEP) ermöglicht die effiziente Übertragung von Patientendaten und -berichten Standort unabhängig zwischen verschiedenen Gesundheitseinrichtungen. Dabei können die Informationen verschlüsselt und folglich sicher mit jedem ausgetauscht werden–einschließlich Patienten, überweisenden Ärzten

und Versicherungsgesellschaften. So ersetzt das Exchange Portal kostspielige CDs, USB-Laufwerke, Telefone, Faxe oder beliebige Punkt-zu-Punkt-Verbindungen. Das erleichtert den schnellen Austausch von Befunden, die Diagnostik der behandelnden Ärzte und verbessert so die Patientenzufriedenheit.

Healthineers

syngo.via Web Viewer bietet die Möglichkeit, über mobile Endgeräte oder PCs, auf Patientenbilder zuzugreifen und zu betrachten, ohne dass die Bilddaten auf das Endgerät gelegt werden. Die Datensicherheit ist über SSL gewährleistet. syngo.via Web Viewer unterstützt 2D- und 3D-Bilder der CT, MRT, PetCT, Secondary Capture Bilddaten sowie DICOM-PDFs.

Bis zu 90 Prozent Kosten sparen Sie dank der HealthDataSpace Zugangscodes im Vergleich zur PatientenCD. Mithilfe automatisch generierter persönlicher Zugangscodes inkl. QR-Codes können Patienten und Zuweiser selbst ohne Anmeldung datenschutzkonform auf medizinische Bilder und Befunde online zugreifen – auch per App

(kostenfrei für Android und iOS).

JiveX Connect bietet eine Plattform für den Austausch von medizinischen Informationen mit Patienten, Ärzten, Krankenhäusern oder auch Abrechnungsstellen. Patienten wird eine Möglichkeit bereitgestellt, gezielt eigene Daten zur Verfügung zu stellen (Upload) oder Daten gezielt in die eigene elektronische Patientenakte oder Gesundheits-App

einzustellen. Durch eine reibungslose, sektorenübergreifende Kommunikation lassen sich Zeit- und Qualitätsverluste in der Patientenversorgung minimieren aber auch eine korrekte und zeitnahe Vergütung der Leistungen realisieren.

WEBPORTAL-LÖSUNGEN 
Philips | My Vue Patientenportal Philips | IntelliSpace Portal Sectra | Image Exchange Portal (IEP) Siemens | syngo.via Web Viewer Telepaxx | HealthDataSpace
INDE- X 154 RADIOLOGIE MAGAZIN 1-2021
VISUS | JiveX Connect

Der DeepUnity Viewer ist ein moderner webbasierter Universalviewer, der Klinik-weiten Zugriff auf sämtliche Bilddaten und Befunde eines Patienten bietet. Der auf HTML-basierende Viewer kann in allen gängigen Browsern eingesetzt werden und bietet eine Reihe an klinischen Standardfunktionen. Durch seine benutzerfreundliche Oberfläche unterstützt

der DeepUnity Viewer den Anwender durch sein einfaches und intuitives Bedienkonzept. Da der Viewer neben radiologischen Bilddaten und Befunden auch medizinische Dokumente und Daten, wie Videos, EKG Daten oder Fotos, übersichtlich darstellt, wird der Anwender bei seiner Arbeit in der täglichen Routine besonders unterstützt.

Der neue Zero Footprint DICOM Viewer von Digithurst bietet erweiterte Funktionen wie Volume Rendering inklusive 3D Cropping, MIP (3D & 2D) sowie MPR (2D). Und das Beste an teamVIEW web: Die Ladezeiten sind sehr kurz. Das bedeutet für Sie: Alle Bilder zum Patienten schnell auf einen Blick – überall und jederzeit.

Fujifilm | Synapse Mobility

Als ressourcenschonende Mobilanwendung bietet Synapse Mobility Fernzugriff auf das gesamte Bild-und Informationsmanagement der SynapseProduktfamilie. Auch PACS-Server anderer Hersteller können angebunden werden. Synapse Mobility ist eine reine Webbrowser-Applikation, die den Zugriff auf Synapse PACS sowohl von allen mobilen Endgeräten als auch von Mac- und Windows-basierten

PCs ermöglicht. In Kombination mit Synapse VNA liefert Fujifilm alle klinisch relevanten Informationen innerhalb eines Krankenhauses und Verbundes an jeden PC und jede mobile Einheit. Da Bilder und Befunde vom verbundenen Server gestreamt werden verbleiben keine Patientendaten auf der Anwendung. In der 3D-Version stehen Werkzeuge zur interaktiven Manipulation zur Verfügung.

Centricity Universal Viewer Zero Footprint (ZFP) bietet klinische Einblicke für die effiziente Patientenversorgung. Das Produkt ermöglicht Klinikärzten, Radiologen und anderen Fachärzten einen einrichtungsweiten Zugriff auf Patientendaten- Bilder und Befunde – von jedem beliebigen Ort aus und mit jedem beliebigen Endgerät. Der Zugriff mit Centricity Universal Viewer ZFP kann entweder direkt oder über eine Verbindung mit

IMAGE Information Systems | iQ-4VIEW

Diagnostischer Zero-Footprint-Viewer

Läuft auf nahezu jedem Gerät mit nahezu jedem Browser, zum Beispiel Smartphone (Android, iOS, Blackberry, Windows Phone), Tablet PC, Computer

Keine Installation auf dem Client erforderlich

Enthält Messungen für Traumatologie, Orthopädie, Notfalldiagnostik und weitere

INFINITT | Mobile Viewer

Der INFINITT Mobile Viewer ist ein DICOM Viewer für die medizinische Bildbetrachtung mit zeit- und ortsunabhängigem Zugriff auf den zentralen PACS-Server über iPad, iPhone oder Android OS-basierte mobile Endgeräte.

Er unterstützt Funktionen wie z.B. Windowing, Zooming, Panning, Hounsfield-Einheiten, Vermessungen,

der elektronischen Patientenakte (ePA), dem KIS, dem RIS oder diversen Ärzteportalen erfolgen. Centricity Universal Viewer ZFP ist für die diagnostische Verwendung validiert und ermöglicht es Ärzten, verfügbare klinische Daten für den gesamten Versorgungszeitraum eines Patienten anzuzeigen. Sowohl DICOM-Daten als auch XDS-Inhalte (Cross-Enterprise Document Sharing) werden in einer einzigen Lösung zur Verfügung gestellt.

Cine Play sowie die Darstellung von Befundberichten. ▪ Erhöhte Effizienz der stationären Versorgung ▪ Unterstützende Kommunikation zwischen Arzt und Patient ▪ Effiziente Notfallversorgung ▪ Zeit- und ortsunabhängiger Zugriff auf PACS-Daten

Digithurst | teamVIEW web GE Healthcare | Universal Viewer Zero Footprint (ZFP)
Dedalus HealthCare | DeepUnity Viewer
PACS-VIEWER  IT-SYSTEME 155 RADIOLOGIE MAGAZIN 1-2021
MOBILE

Röntgenbild per WhatsApp? Leider Alltag in deutschen Kliniken. mRay ist die Lösung, um medizinische Bilder und Dokumente schnell, einfach und Datenschutz-konform auf dem Smartphone oder Tablet zu teilen. Als Medizinprodukt der Klasse IIb bringt die App die Arbeitswelt im Gesundheitswesen endlich ins 21. Jahrhundert: Schnelle

Zweitmeinung mit dem Smartphone, verschlüsselte Kommunikation, Teleradiologie nach RöV auf dem Tablet, einfache Foto-Dokumentation und KI Algorithmen komplettieren das Spektrum. Dabei integriert sich mRay in jedes PACS und ist für alle gängigen Plattformen verfügbar. Probieren Sie das mal mit WhatsApp.

Mit der neuen medigration MultiPortal App für iPad / iPhone, kann die betreibende Praxis ihren zuweisenden Ärzten, unabhängig von ihrem Aufenthaltsort, Zugriff auf die für sie freigegebenen Bilder geben. Dabei stehen dem Nutzer im integrierten DICOM Viewer natürlich auch die wichtigsten Basisfunktionen wie Zooming, Invertierung, Fensterung

und (optional) die Anzeige von Befunden (PDF oder Structured Reports) zur Verfügung. Optional kann die betreibende Praxis zusätzlich auf alle Bilder des ImageBroker zugreifen. Voraussetzung ist die Installation eines medigration Remote-Access Moduls.

Betriebssystem-unabhängiger Web-Viewer für mobile Endgeräte (zum Beispiel iPad, iPhone, oder Geräte mit Android Betriebssystem). Er unterstützt sowohl medizinische Anwender als auch PACS-Administratoren im Haus und unterwegs. Mobile Bilderfassung über die eingebaute Kamera und Zuordnung zur Untersuchung möglich.

Keine Installation nötig, aufrufbar per URL aus der elektronischen Patientenakte. Sicher und schnell durch Verschlüsselung und Kompression der Daten.

RVC Medical IT stellt sein Kernprodukt nun als mobile Anwendung zur Verfügung, mit dem Ärzte sowohl innerhalb der Klinik als auch außerhalb der Klinik im Nacht- oder Hintergrunddienst flexibel auf radiologisches Bildmaterial zugreifen können.

Die Anwendung ist intuitiv bedienbar und für alle gängigen DICOM-Bildtypen geeignet.

Sectras Web-Viewer „UniView“ gibt einen vollständigen Überblick über die gesamte Krankengeschichte eines Patienten. Der Viewer ermöglicht den universellen Zugriff auf sämtliches medizinisches Material wie Bilder, Befunde, Laborberichte oder teilelektronische Patientenakten von allen in einem Krankenhaus existierenden elektronischen Plattformen.

Dies erlaubt eine schnellere und präzisere Entscheidungsfindung. Ärzte bekommen die medizinischen Bilder mit hoher Geschwindigkeit zur Verfügung gestellt und können sie direkt bearbeiten.

UniView kann auf allen HTML5-fähigen Browsern aufgerufen werden – auch mit mobilen Endgeräten.

Der befundfähige JiveX Mobile Client ermöglicht dem Radiologen sowie dem klinischen Benutzer den schnellen Zugriff auf alle Bild- und Befunddaten von seinem mobilen Endgerät, z. B. für die klinische Visite. JiveX Mobile kann als eigenständige Anwendung betrieben oder komplett in Ihre mobile KIS / RIS-App integriert werden.

MOBILE PACS-VIEWER 
mbits | mRay medigration | MultiPortal – die App NEXUS / CHILI | WebViewer NG RVC Medical IT | RVC.PACS mobile Sectra | UniView
INDE- X 156 RADIOLOGIE MAGAZIN 1-2021
VISUS | JiveX Mobile

Join ist eine DSGVO-konforme und als Medizinprodukt Klasse I zertifizierte Kommunikationslösung. Medizinische Fachkräfte können über Join schnell kommunizieren (Chat, Video- & Sprachanrufe etc.) sowie Informationen, Bilder und Videos austauschen.

Über den integrierten DICOM-Viewer können User medizinische Bilder anschauen und teilen. Join vereinfacht und beschleunigt die klinische und

intersektorale Kommunikation und hilft, die Patientenversorgung zu verbessern. ▪

DICOM von PACS, RIS oder Modalitäten direkt aufs Endgerät streamen, KIS-Anbindung ▪ Bring your own device (iOS, Android) ▪

Als App für Smartphone / Tablet und als Webversion für PC / Laptop verfügbar ▪ Umfangreiches Admin-Panel

DeepUnity Capture ist eine App zur mobilen Fotodokumentation, die flexibel auf iOS und Android Betriebssystemen eingesetzt werden kann. Mittels DeepUnity Capture können unabhängig von einer WLAN-Verfügbarkeit Fotoaufnahmen im Patientenkontext getätigt werden, welche anschließend standardisiert im DICOM Format an das PACS übermittelt werden.

mbits | mRay

Röntgenbild per WhatsApp? Leider Alltag in deutschen Kliniken. mRay ist die Lösung, um medizinische Bilder und Dokumente schnell, einfach und Datenschutz-konform auf dem Smartphone oder Tablet zu teilen. Als Medizinprodukt der Klasse IIb bringt die App die Arbeitswelt im Gesundheitswesen endlich ins 21. Jahrhundert: Schnelle

Bildinformationen, wie Lateralität oder Körperregion werden in den zugehörigen DICOM Standardtags strukturiert übergeben. Neben der Neuaufnahme von medizinischen Bildern besteht auch die Möglichkeit, innerhalb der DeepUnity Capture App die Voraufnahmen einzusehen, sodass Verlaufskontrollen ebenfalls komfortabel getätigt werden können.

Der IRE ermöglicht ortsunabhängigen Zugriff und Kontrolle über die Bedienkonsolen Ihrer MRT- und CT-Systeme durch einen Ihrer Experten.

▪ Anwendungsbereiche:

Mit Remote-Support können sich unerfahrene MTRAs bei erfahrenen Kollegen Unterstützung holen, leitende MTRAs können gezielt helfen.

Bei schweren oder nicht-Routineuntersuchungen

Philips | Radiology Operations Command Center

Das multimodale Center ermöglicht MTRA, sich in einer sicheren und privaten virtuellen Umgebung remote auf mehrere Systeme aufzuschalten, um das Personal an anderen Standorten flexibel in Echtzeit zu unterstützen. Das Radiology Operations Command Center ist die branchenweit erste TelepräsenzLösung für die Radiologie, in die sich auch CT- und

Zweitmeinung mit dem Smartphone, verschlüsselte Kommunikation, Teleradiologie nach RöV auf dem Tablet, einfache Foto-Dokumentation und KI Algorithmen komplettieren das Spektrum.

Dabei integriert sich mRay in jedes PACS und ist für alle gängigen Plattformen verfügbar. Probieren Sie das mal mit WhatsApp.

können Experten dazu geholt werden, Trainings können Remote erfolgen.

Durch Anwendung des offenen VNC-Protokolls (Virtual Network Computing) können andere Systeme und Hersteller eingebunden werden. Es ist äußerst Flexibel auf individuelle Bedürfnisse und Fragestellungen anpassbar dabei werden alle Sicherheitsund Datenschutzanforderungen erfüllt.

MR-Scanner von Drittanbietern nahtlos integrieren lassen. Es basiert auf der proprietären, patentierten Operational Performance Management-Technology von Philips. Die Remote-Verbindungen sind mit älteren Bildgebungsplattformen kompatibel, so dass die Kundinnen und Kunden ihre aktuelle Installed Base in einem Hub-and-Spoke-Modell organisieren können.

durch einen erweiterten Zugang zu möglichen Terminen an unterschiedlichen Standorten erreicht. Das führt zu einer höheren Produktivität, einer größeren diagnostischen Konsistenz und erzielt somit zusätzliche Einnahmen durch das Bereitstellen von fortschrittlichen Verfahren an jedem Standort.

IT-SYSTEME 157 RADIOLOGIE MAGAZIN 1-2021

Dedalus HealthCare | DeepUnity Capture
Allm | Join MOBILE-APPS 
GE Healthcare | Imaging Remote Expert 
REMOTE SCANNING syngo Virtual Cockpit steigert die Produktivität der Arbeitskräfte, hilft bei der Überbrückung von Personalengpässen und stellt eine qualitativ hochwertige Versorgung sicher. syngo Virtual Cockpit erweitert das Untersuchungsspektrum über alle Standorte hinweg unabhängig vom Standort des qualifizierten Personals. Dadurch wird eine höhere Patientenzufriedenheit
Siemens Healthineers | syngo Virtual Cockpit

Mit der Radimetrics Enterprise Platform kann man beliebige Referenzwerte definieren und sich automatisch zu Überschreitung informieren lassen. Die innovative, webbasierte Lösung stellt ein hervorragendes Werkzeug für die Prozessoptimierung dar, um die Auslastung von Modalitäten zu optimieren, proaktiv das interne Qualitätsmanagement zu verbessern und eine

höhere Patientensicherheit im Sinne des Strahlenschutzes zu erreichen – all dies mit minimalem Aufwand. ▪ Richtlinien- und gesetzeskonformes Dosismanagement ▪ Optimiertes Qualitätsmanagement ▪ Strukturierte Prozessoptimierung ▪ Bedarfsorientiertes Training ▪ Effizientes Reporting und nahtlose Integration

EasyDoseQM ermöglicht die benutzerfreundliche Einführung einer Dosisdokumentation und lässt sich in bestehende RIS/KIS/PACS integrieren.  Es bietet viele vordefinierte Abfragen und Analysen, die individuell ergänzt und angepasst werden können. Auswertungen lassen sich grafisch und tabellarisch darstellen und in verschiedensten Formaten (z. B. PDF) exportieren. Ein Ampelsystem macht auf

Untersuchungen aufmerksam, die außerhalb der nationalen DRW liegen. Patientengröße und -gewicht können per HL7 oder direkt von digitalen Waagen und Messsystemen erhoben werden.

KPIs zur Prozessoptimierung sowie Diagramme über alle angebundenen Modalitäten werden ebenfalls mittels interaktiver Dashboards dargestellt. EasyDoseQM weist automatisch auf bedeutsame Vorkommnisse hin.

DOSE dient zur Überwachung, Analyse und Optimierung von Strahlendosis in der digitalen Bildverarbeitung. Das Dosismanagement-System dient der automatischen Dokumentation, der Analyse sowie der Kommunikation von Dosisberichten, gemäß EURATOM-Richtlinie 2013/59 und entspricht den Anforderungen nationaler Gesetzgebungen.

Fujifilm | Syncro-Dose

Synapse Dose ist eine herstellerunabhängige, modalitätsübergreifende webbasierte Lösung zur Überwachung und Verwaltung der Strahlenbelastung des Patienten über verschiedene bildgebende Verfahren hinweg. Es ist eine Unterstützung bei der Optimierung von radiologischen Verfahren und Akquisitionsprotokollen, ein Werkzeug zur Unterstützung des klinischen Audits und bietet eine

Die Lösung beinhaltet die DOSE-Plattform von Qaelum und bietet Radiologen die Möglichkeit, alle relevanten Parameter in ihrer medizinischen Umgebung in Echtzeit zu überwachen. Unmittelbar nach der Untersuchung steht eine Dosisanalyse auf Patienten-, Anwender-, Geräte- und Modalitätenebene mit besonderer Berücksichtigung der Ausreißer-Ergebnisse zur Verfügung.

umfassende Patientendosimetrie. Allgemeine und spezifische Dashboards verfolgen Key Performance Indicators (KPI), um die Produktivität zu messen, die Qualitätssicherung zu erreichen und die Qualität in der Pflege zu unterstützen.

DoseWatch ist eine Softwarelösung zur automatischen Erfassung und Analyse dosimetrischer Daten im Rahmen bildgebender Verfahren. Das System arbeitet unabhängig vom Gerätehersteller und steigert Patientensicherheit sowie Dosis- Transparenz. Zusätzlich ist das System in der Lage Kontrastmittel und Radionuklide in der Nuklearmedizin zu erfassen. Somit können in einer Softwarelösung Strahlendosis

und Kontrastmittel im Überblick behalten und mit den diagnostischen Referenzwerten vergleichen werden. DoseWatch ist eine Datenbank (DoseWatch Core) die autark, automatisiert im Hintergrund vorhandene Daten aller integrierten Modalitäten aufbereitet. Dabei können Alarmmeldungen im Falle von Auffälligkeiten und Überschreitungen individueller Grenzwerte frei konfiguriert werden.

DoseCORE ist fürs zentrale Patientendosis-Monitoring in kleinen bis mittelständischen radiologischen Praxen sowie MVZ konzipiert. DoseCORE greift die Dosisflächenprodukte automatisiert an der KermaXplus Messkammer am Kollimator ab. Durch die visuell klar strukturierte Rückmeldung der applizierten Dosis gegenüber dem diagnostischen Referenzwert, können

Fehlbelichtungen minimiert und eine kontinuierliche Optimierung sichergestellt werden.

Bei Bedarf können Dosisüberschreitungen direkt im Textfeld kommentiert werden. Zudem unterstützt DoseCORE mit Funktionen für Auswertung der archivierten Dosiswerte und der Erstellung von Dosismeldungen für wiederkehrende Behördenanfragen.

DOSISMANAGEMENT-SYSTEME
Bayer Vital | Radimetrics Enterprise Platform BMS | EasyDoseQM Dedalus HealthCare | DOSE GE Healthcare | DoseWatch
INDE- X 158 RADIOLOGIE MAGAZIN 1-2021
IBA Dosimetry | DoseCORE

INFINITT DoseM wird tagtäglich in über 400 Institutionen in Deutschland für die Dokumentation von Dosisdaten und für die Einhaltung der relevanten Vorschriften der StrlSchV verwendet. Die Anwender schätzen die intuitive Bedienung und die an die Benutzergruppen angepassten Werkzeuge und Auswertungen. MPEs profitieren von den bereits

eingepflegten DRWs; MTRAs ziehen Nutzen aus dem geringen Aufwand für die Dokumentation. Ein Team von erfahrenen Medizinphysikern und IT-Spezialisten berät alle Anwendergruppen in Bezug auf die Verwendung des Dosismanagementsystems und unterstützt bei der Integration in die Kundeninfrastruktur.

RadCentre Dose View ist ein RIS-Hersteller unabhängiges Dosismanagement-System, das alle gesetzlichen Vorgaben erfüllt und zu steigender Qualität in der Radiologie beiträgt. Die Lösung lädt Bilddatensätze (DICOM) und Radiation Dose Structured Reports (RDSR) automatisiert aus dem PACS und extrahiert DICOMMetadaten von Studien sowie zur Dosis beitragende

Größen. Die Werte werden den Untersuchungen im RIS direkt zugeordnet, wodurch Anwender eine detaillierte Dokumentation von patienten- und untersuchungsspezifischen Daten vornehmen können. Durch Zugriff auf die Diagnostischen Referenzwerte (DRW) ist der gesetzlich geforderte Vergleich der applizierten Dosis bei radiologischen Untersuchungen jederzeit gegeben.

medigration Domako ist eine einfache Softwarelösung für das Dosismanagement in der Radiologie. Es sammelt, klassifiziert und bewertet Dosisdaten von Modalitäten, bereitet diese graphisch auf und gibt die richtigen Werkzeuge an die Hand, um Dosismanagement-Prozesse effizient zu kontrollieren und die Protokolle von Modalitäten zielgerichtet zu optimieren.

Domako beobachtet die aktuellen Dosisrichtwerte und liefert verlässliche Aussagen zur Dosisentwicklung. Ein Monitoring der eingehenden Dosisdaten ermöglicht auf Abweichungen zu reagieren. Domako schützt als webbasiertes On-Premises-System Ihre sensiblen Daten und ist über standarisierte Schnittstellen einzubinden und in andere Softwaresysteme integrierbar.

Hersteller- und modalitätenübergreifende webbasierte Lösung, die alle dosisrelevanten Informationen sammelt, analysiert und ggf. für Meldungen bereitstellt. Zentral oder dezentral in die bestehende IT-Infrastruktur integrierbar. Modalitäten lassen sich direkt oder über das PACS anbinden. Intuitive und interaktive Benutzeroberfläche zur Erstellung

individueller Dashboards und Berichte für Einblicke in Echtzeit und retrospektive (Trend-)Analysen. Bei Referenzwertüberschreitung Kennzeichnung der Untersuchung und, bei Bedarf, automatische Benachrichtigung. Die Verknüpfung mit dem Digital-Dosismeter DoseAware ermöglicht die gleichzeitige Erfassung der Personal- und Patientendosis.

Sectra DoseTrack ist eine webbasierte Dosis-Monitoring-Lösung zur Überwachung der Strahlendosen bei Patienten und an den Geräten, das aufgrund der EURATOM-Richtlinie an Bedeutung gewinnt.

Die Lösung sammelt, speichert und überwacht automatisch Daten aller angeschlossenen Modalitäten. Dies spart wertvolle Zeit und ermöglicht robuste

Analysen zur Dosisoptimierung. Mit Sectra DoseTrack können Sie die Strahlenbelastung nach Modalität, Untersuchung oder Patientenlevel einfach verfolgen und vergleichen.

Das System kann so konfiguriert werden, dass es automatische Warnmeldungen ausgibt, wenn die Strahlendosis festgelegte Grenzwerte überschreitet.

Siemens Healthineers | teamplay performance management application

Die Siemens Healthinees teamplay digital cloud platform ist ein cloudbasiertes Netzwerk, das Leistungsträger und Experten im Gesundheitswesen zusammenbringt, um gemeinsam die medizinische Versorgung zu verbessern. Mit teamplay kann man schnelle und sichere Entscheidungen treffen, Workflows durch Zugriff auf aktuelle Daten optimieren und in einem weltweiten Team zusammenarbeiten. Mit der „perfomance

management application teamplay Dose“, einer Applikation welche über die Cloudplattform zur Verfügung steht, ist jederzeit der Überblick über die applizierte Dosis gegeben. Zudem bereitet teamplay alle Dosisüberschreitungen grafisch auf und gibt die Möglichkeit, diese schnell und einfach zu analysieren und deren Ursachen zu lokalisieren, um bei der Erfüllung der EU-Richtlinie 2013/59/Euratom zu unterstützen.

DOSISMANAGEMENT-SYSTEME
INFINITT | DoseM i-SOLUTIONS Health | RadCentre Dose View Philips | DoseWise Portal Sectra | DoseTrack
IT-SYSTEME 159 RADIOLOGIE MAGAZIN 1-2021
medigration | Domako

Künstliche Intelligenz

Brainomix ist ein in Oxford ansässiges Unternehmen, das sich auf die Entwicklung und Vertrieb von KIgestützten Softwarelösungen im Bereich Stroke spezialisiert hat, um das ganze Potenzial von lebensrettenden Behandlungen in diesem zeitkritischen Bereich zu erschließen.

Das e-Stroke Produktbundle bietet Klinikern die umfassendste Lösung für die KI-basierte Analyse von

CT-Bilddaten bei einem Schlaganfall. Sie hilft bei der Interpretation von Bilddaten und ermöglicht eine schnellere und sicherere Behandlungsentscheidungen für Patienten mit Verdacht auf einen Schlaganfall. Es werden drei KI-Analysemodule und eine Mobile App angeboten:

• e-ASPECTS ( NCCT ) • e-CTA

• e-CTP • Mobile e-Stroke

Die Auto-Stroke-Lösung auf der Automation Platform von Canon nutzt die Deep-Learning-Technologie zur Detektion von Anomalien bei Stroke-Patienten. Die Auto-Stroke-Lösung charakterisiert voll automatisch, in einem Null-Klick-Workflow, CT-Untersuchungen des Kopfes mit und/ oder ohne Kontrastmittel und gibt in einem automatisierten Bericht einen

Hinweis auf Auffälligkeiten. Der Bericht kann per Mail und ins PACS verschickt werden. Anwender müssen die CT-Untersuchung nicht mehr manuell bearbeiten. Die Auto-Stroke-Lösung erkennt selbstständig Hirnblutungen, Okklusionen und Perfusionsdefizite. Die Triage des Patienten kann somit nach wenigen Sekunden anstatt mehrerer Minuten erfolgen.

AVIEW wird weltweit in namhaften Screening-Projekten verwendet und findet auch ab Mitte des Jahres in der größten deutschen LCS-Studie Verwendung. AVIEW umfasst die Analyse der sogenannten „Big 3“. Lungenrundherde: Volumetrische Analyse; Lung RADS 1.1 / EUPS; Volume Doubling Time; Gewebeanalyse (solide, teilsolide Läsionen, Milchglasherde); Brock Score

Fujifilm | REiLi

Fujifilm entwickelt die KI-Technologie (REiLI), die den Arbeitsablauf in der diagnostischen Bildgebung stark unterstützen und das Deep Learning in der KI-Technologie mit unserem Bildverarbeitungs Know-how kombiniert. Fujifilm wird REiLI mit PACS fusionieren und einen neuen Workflow für die diagnostische Bildgebung vorschlagen. Die offene REiLI Plattform ermöglicht die Verarbeitung von

Fujifilm | Lunit INSIGHT CXR3

Die künstliche Intelligenz Lunit INSIGHT CXR3 ist eine KI-Software, die bei der Befundung eines Röntgen-Thorax proaktiv unterstützen und wichtige Hinweise geben kann. Das Analyse-Tool dient als zweite Meinung und vermag Arbeitsabläufe zu beschleunigen. Die Software identifiziert Pathologien wie zum Beispiel Lungenknoten, Tuberkulose,

COPD-Analyse: Automatische Segmentierung (Lunge, Lungenlappen und Atemwege); Quantitative Analyse (Emphysem, Chronische Bronchitis, Pulmonalgefäße, Air-Trapping, Fissurenintegrität); Phänotypisierung & Verlaufskontrolle Calcium Scoring der Koronararterien: CAC- Analyse aus Low Dose CT- Untersuchungen; Ohne EKG-Gating; Ohne Kontrastmittel

KI-Befunden. KI-Algorithmen können Fujifilm Entwicklungen aber auch die von Fremdherstellern sein. Bisher entwickelte Algorithmen beinhalten: Schlaganfall, Lungenknötchen, Infarkt, Intrazerebrale Blutung, Psoas-Muskel. Die Bereitstellung klinischer Vorteile und computergenerierter Ergebnisse können die Diagnose unterstützen und beschleunigen.

Pneumothorax, Lungenentzündung, Lungenkrebs. Sie ist mit dem mobilen Röntgensystem FDR Nano und den Detektoren der FDR D-EVO II Serie erhältlich und kann insbesondere in der Notaufnahme und auf Intensivstation eine wertvolle Unterstützung sein.

Brainomix | e-Stroke BEFUNDEN
Coreline | AVIEW – AI-basierendes Thorax Screening Paket
INDE- X 160 RADIOLOGIE MAGAZIN 1-2021
Canon | Automation Platform

BoneView ist eine Lösung für die zügige automatisierte Detektion von Frakturen anhand von Röntgenaufnahmen und unterstützt Radiologen und Kollegen in ihrer medizinischen Praxis. Der KI-Algorithmus erkennt mit hoher Wahrscheinlichkeit Frakturen, auch solche die auf den ersten Blick verborgen bleiben. Die BoneViewAI-Engine wurde an einer breiten und repräsentativen Reihe

icometrix | icobrain

Die bewährten icobrain Lösungen assistieren bei der erweiterten Diagnose und Nachsorge von Patienten mit Multipler Sklerose, Demenz, oder Schädel-HirnTrauma. Sie ermöglichen Radiologen und Neuroradiologen die objektivierte Quantifizierung und die Nachsorge unterschiedlicher Hirnveränderungen bei Patienten, an Hand von MR und CT Untersuchungen. icobrain stellt diese Information in einem prägnanten

von Untersuchungen klinisch validiert, wobei statistisch signifikante Verbesserungen nachgewiesen wurden. Gleamer´s BoneView minimiert die Befundzeit und verkürzt die Wartezeit in der Notfallambulanz. Außerdem steigert der KI-Algorithmus die Ersterkennungsrate von kaum sichtbaren Frakturen um bis zu 30 Prozent und vermeidet dadurch Wiederholungsaufnahmen.

Befund dar, welcher die Kontrolldaten gesunder Patienten beinhaltet und durch farbkodierte Segmentierungen ergänzt wird.

icobrain nutzt „Natural Language Reporting“ um radiologische Befundvorlagen automatisiert zu befüllen, zu vervollständigen und weiter zu standardisieren.

Der neue Bericht icobrain.cva ist eine Lösung für die quantitative Beurteilung der Gewebeperfusion.

Die quantitative Neuro-MRT ist von besonderem Mehrwert sowohl für die Früherkennung, Verlaufskontrolle und Differenzierung von Demenzen als auch für die Charakterisierung von Läsionen bei Erkrankungen wie Multipler Sklerose und deren Verlaufskontrolle. mediaire bietet Radiologen und Neurologen eine praktikable, wirtschaftliche Lösung für die

Gehirnvolumetrie und Läsionscharakterisierung. Die Software mdbrain wird vollständig in das lokale PACS-System integriert und ermöglicht damit sowohl eine schnelle Reporterstellung innerhalb weniger Minuten als auch einen höchstmöglichen Datenschutz. Patientendaten verlassen in keiner Form die Praxis bzw. Klinik.

Automatisierte bildgestützte Analyseverfahren verwenden Machine Learning-Technologien, die CT-Aufnahmen im Hintergrund auswerten. Dem Anwender werden die Ergebnisse präsentiert und er entscheidet selbst, ob eine detaillierte Analyse der auffälligen Fragestellung durchgeführt wird.

Die Vorteile im Überblick ▪ Pathologien werden automatisch entdeckt ▪ Hinweis auf mögliche, nicht identifizierte Pathologien ▪ Neue Möglichkeiten der Früherkennung von Pathologien ▪ Umfangreiche Möglichkeiten für „Population Health“ ▪ Verfügbar für Osteoporose, Kalziumscoring, Emphyseme und Fettleber

Mithilfe von PercuNav können Live-Ultraschallbilder mit CT-, MRT- und PET-Datensätzen fusioniert werden. PercuNav arbeitet bei dieser Überlagerung der unterschiedlichen Modalitäten und sonographischen Echtzeitaufnahmen mit Anatomical Intelligence Ultrasound (AIUS). Das System analysiert die anatomischen Daten, zum Beispiel im CT-Bild,

und ordnet sie automatisch den Strukturen des Ultraschallbildes zu. Zusätzlich kann bei bildgeführten Interventionen die Navigation der Instrumente verfolgt und präzisiert werden. Mögliche Einsatzbereiche sind zum Beispiel Therapiekontrollen nach Interventionen oder Biopsien.

Bildverarbeitungstechnologie, die durch die Unterdrückung von Knochenstrukturen einen ungehinderten Blick auf das Weichteilgewebe ermöglicht. Klinische Studien belegen, dass ClearRead Xray

Bone Suppress im Röntgen-Thorax einen von sechs zuvor übersehener pulmonaler Noduli identifiziert.1

1 Freedman MT, Lo SC, Seibel JC, Bromley CM. Lung nodules: improved detection with software that suppresses the rib and clavicle on chest radiographs. Radiology. 2011 Jul;260(1):265-73. doi: 10.1148/radiol.11100153. Epub 2011 Apr 14. PMID: 21493789.

KÜNSTLICHE INTELLIGENZ 161 RADIOLOGIE MAGAZIN 1-2021
BEFUNDEN 
Gleamer | BoneView mediaire | mdbrain Philips | Imaging Analytics Philips | PercuNav Philips | ClearRead Xray Bone Suppress von Riverain Technologies

Der AI-Rad Companion ist eine auf künstlicher Intelligenz (KI) und Deep Learning (DL) basierende Software für unterschiedlichen Modalitäten in der Radiologie, wie CT, MRI und konventionellen Röntgen. Die zugrundeliegenden Algorithmen wurden in Wissenschaftsteams bei Siemens Healthineers anhand von umfangreichen klinischen Datensätzen trainiert und via der Cloudplattform teamplay zur Verfügung gestellt.

Die Software kann für verschiedenen Körperregionen, wie Brustkorb, Gehirn oder Prostata, Strukturen voneinander unterscheiden, einzeln herausstellen und etwaige Auffälligkeiten kennzeichnen und quantifizieren. Durch die Einbindung im normalen Befundungsprozess, soll der AI-Rad Companion Radiologen helfen, die Interpretation von Bildern schneller und präziser durchzuführen sowie die Dokumentation der Befunde zu beschleunigen.

Die KI-Technologie FCT PixelShine ist eine künstliche Intelligenz die das Bildrauschen verringern kann. Das Verfahren basiert auf Optimierungsmethoden künstlicher neuronaler Netze. Für die Computertomographie bedeutet das eine höhere Bildqualität im Niedrigdosisbereich sowie die Möglichkeit, Aufnahmen generell mit niedrigerer

Dosis zu erstellen und trotzdem eine hervorragende Bildqualität zu erhalten. FCT PixelShine wird auf einem gesonderten Rechner zur Verfügung gestellt und ist erhältlich mit den CT Systemen von Fujifilm.

AIR Recon DL ist ein bahnbrechender, auf Deep Learning basierender Rekonstruktionsalgorithmus der die Bildqualität grundlegend revolutioniert, indem er Bildrauschen und Artefakte direkt aus den Rohdaten entfernt. AIR Recon DL ermöglicht entweder ein verbessertes Signal-Rausch-Verhältnis und eine verbesserte Bildschärfe oder deutlich kürzere

Scan-Zeiten unter Beibehaltung des Signal-RauschVerhältnisses und der Bildschärfe.

AIR x nutzt Deep-Learning-Algorithmen zur automatischen Erkennung und Festlegung von Schichten für routinemäßige und anspruchsvolle neurologische Untersuchungen und liefert konsistente und quantifizierbare Ergebnisse. Der automatisierte Arbeitsablauf unterstützt den MTRA und bietet neue Möglichkeiten für eine effiziente Untersuchung.

AIR x ermöglicht reproduzierbare Scans, um die Konsistenz der Untersuchung für die Nachuntersuchung desselben Patienten und den Durchsatz von Patient zu Patient sicherzustellen.

Compressed SENSE ist eine Beschleunigungstechnologie, die einzelne MR-Sequenzen und vollständige MR-Untersuchungen verkürzen kann. 2D- und 3D-Scans können bei nahezu gleichbleibender Bildqualität um bis zu 50 Prozent schneller erfolgen (verglichen mit Scans ohne Compressed SENSE). Die Technologie ist auf alle anatomischen Kontraste

und Anatomien anwendbar. Bei Compressed SENSE hat Philips das Prinzip des Compressed Sensings umgesetzt und mit dS SENSE, seiner Methode für parallele Bildgebung, kombiniert.

VitalEye ist an der Gantry angebracht und dient der automatischen physiologischen Überwachung des Atemsignals. Die Technologie basiert auf optischer Erkennung der Atembewegung im Submillimeterbereich des Patienten im Tunnel. Sie ist vollständig in das MR-System und den Arbeitsablauf integriert. Die Qualität des physiologischen Signals und somit

auch die Bildqualität ist besser als bei der Überwachung mit Gurt. Insbesondere bei getriggerten Aufnahmen (Abdomen, Herz) kommt es so zu weniger Wiederholungsaufnahmen.

INDE- X 162 RADIOLOGIE MAGAZIN 1-2021
Philips | Compressed SENSE Fujifilm | Pixel Shine SCANNEN  Philips | VitalEye GE Healthcare | AIR Recon DL GE Healthcare | AIR x
BEFUNDEN 
Siemens Healthineers | AI-Rad Companion

SmartExam ermöglicht die automatische Planung von Kopf-, Wirbelsäulen-, Brust-, Schulter- und Knieuntersuchungen für einheitliche Studien mit optimierter Scanqualität – unabhängig von Patient, Patientenposition oder Anwender. Die Anatomien werden automatisch erkannt und die Bildinhalte planbar gemacht.

Der Philips BlueSeal-Magnet ist mit einer innovativen Mikro-Kühltechnologie ausgestattet, die den Heliumbedarf des MR-Systems von 1.500 auf nur sieben Liter reduziert. Eine integrierte AI Engine steuert die Stromversorgung und Kühlung automatisch und selbstständig. Darüber hinaus werden kontinuierlich zirka 500 Parameter des Systems

automatisch überwacht, um die Performance zu kontrollieren. Rund 25 Prozent der Probleme lassen sich remote ohne die Notwendigkeit eines Vor-OrtServices lösen.

SkyFlow Plus ermöglicht rasterlose Aufnahmen bei freier Belichtung. Die Bildqualität ist vergleichbar mit Aufnahmen mit Raster. Mittels eines intelligenten Algorithmus wird Streustrahlung virtuell korrigiert. SkyFlow Plus ist voll integriert in den Arbeitsablauf des Systems bei freien Aufnahmen mit dem SkyPlate-Detektor. Es kommt automatisch

zum Einsatz, wenn kein Raster eingesetzt wird. Rasterloses Arbeiten vereinfacht den Workflow und das Handling bei freier Belichtung.

Künstliche Intelligenz in der Radiologie! Mit Centricity Open PACS AI analysieren Algorithmen die erzeugten Bilder auf verschiedene Kriterien hin. Gibt es sogenannte Findings werden diese im Centricity Universal Viewer direkt im Bild angezeigt, die Arbeitsliste entsprechend priorisiert und gegebenenfalls eine Benachrichtigung über die kritischen

Befunde an eine definierte Empfängerliste geschickt. Dies ermöglicht eine schnellstmögliche Diagnose und somit eine schnellstmögliche Therapie!

PROView bietet einen geführten Arbeitsablauf mit intelligenter Anzeige basierend auf einem intelligenten Layout zur Beurteilung von multiparametrischen MR-Prostatauntersuchungen. Von der Messung des Prostata- und Läsionsvolumens über das Scoring der Läsionen und die Eingabe klinischer Informationen bis hin zur Erstellung eines umfassenden Berichts.

Das hilft Ihnen dabei Ihre Produktivität zu steigern und die Qualitätsbeurteilungs-Richtlinien einzuhalten.

Der AI-Pathway Companion nutzt Datenintegration und Künstliche Intelligenz (KI), um Ihr multidisziplinäres Ärzteteam zu unterstützen und Diagnose- und Behandlungsentscheidungen zu erleichtern. Dabei ermöglicht der AI-Pathway Companion ein personalisiertes und standardisiertes Patientenmanagement und kann Ihnen durch die Analyse von Key Performance Indikatoren

wertvolle Einblicke zur Prozessoptimierung bieten. Auf Basis der genutzten Intelligenz sowie Datenintegration und Erkenntnissen aus der Kohortenanalyse unterstützt Sie die AI-Pathway Companion Produktsuite dabei, patientenzentrierte Diagnoseund Behandlungsentscheidungen entlang krankheitsspezifischer Behandlungspfade zu treffen.

KÜNSTLICHE INTELLIGENZ 163 RADIOLOGIE MAGAZIN 1-2021
Siemens Healthineers | AI-Pathway Companion Philips | SkyFlow Plus
SCANNEN 
Philips | SmartExam Philips | BlueSeal-Magnet GE Healthcare | PROView GE Healthcare | Edison Open AI Orchestrator
PLANEN

deepc überzeugt mit der KI- und Software-Plattform deepcOS, die seit März 2021 als CE-gekennzeichnetes Medizinprodukt in Europa zugelassen ist. Das System löst die Herausforderungen der Integration von KI mit einer cloudbasierten, nahtlosen end-to-end-Lösung. Damit ist lediglich eine einmalige Installation notwendig, und alle KI-und Software-basierten Medizinprodukte ihrer weltweit

führenden ausgewählten KI-Partner stehen radiologischen Praxen und Kliniken und mit deutlich reduzierten Integrationskosten zur Verfügung. deepc unterstützt Einrichtungen auch beratend beim Aufbau ihrer KI-Infrastruktur. Im Rahmen des Krankenhauszukunftsgesetzes ergeben sich hier attraktive finanzielle Fördermöglichkeiten für Kliniken und Klinikverbünde.

Smart Subscription ist Teil unserer KI-basierten Edison-Plattform, die über 100 Anwendungen zur Optimierung der Produktivität und Verbesserung der Diagnostik umfasst. Smart Subscription bietet Zugang zu den neuesten technischen Entwicklungen, indem es Ihre CT Systeme während ihres gesamten Lebenszyklus automatisch auf dem aktuellsten Stand hält und

Philips | IntelliSpace AI Workflow Suite

Multimodale herstellerneutrale Plattform, mit der sich KI-Anwendungen nahtlos in den Workflow integrieren lassen. Automatisiert die Zuordnung der Bilddaten an die passenden KI-Applikationen, die Analyse, die standardisierte Aufbereitung der Ergebnisse und deren Bereitstellung im Result Board. Zugang zu einem Marktplatz, der KI-Anwendungen

Obsoleszenz vermeidet. Je nach klinischer Anforderung können Sie zwischen verschiedenen Innovationspaketen wählen wie Neuro, Onkologie, Kardio, Bildqualität oder Rekonstruktionstechnologie. Damit kann der Scanner flexibel den klinischen Bedürfnissen angepasst werden. Ein Abonnement-Modell für Nachhaltigkeit, Flexibilität & Budgetkontrolle

Die erste Komponente der schrittweisen Einführung des Amplifier Marketplace von Sectra ist die Inbetriebnahme des Amplifier Store. Mit dieser kuratierten Storefront kann einfach durch das Ökosystem der besten, von der Aufsichtsbehörde genehmigten Bildgebungs-KI-Anwendungen navigiert werden, die sich nahtlos in den Sectra Viewer und

sowohl von Philips als auch von Drittanbietern (zum Beispiel Aidoc, MaxQ AI, Quibim, Riverain Technologies, Zebra Medical Vision) bietet. Training eigener KI-Anwendungen auf der Grundlage lokaler Daten möglich. Komfortable Einbindung in die bestehende IT-Infrastruktur dank DICOM und HL7. Individuell konfigurier- und skalierbar.

teamplay digital health platform connect ist ein offenes und interoperables „Platform as a Service“ Angebot, mit der sich Akteure im Gesundheitswesen vernetzen können. Das Konzept ermöglicht den Leistungserbringern – über eine einzige Anbindung – sowohl den Zugriff auf ein breites Spektrum digitaler Aktensystemen als auch am Datenaustausch zwischen Leistungserbringern in

vorhandene Diagnoseworkflows integrieren lassen. Das Angebot wird kontinuierlich mit radiologisch spezifischeren Anwendungen, aber auch mit Anwendungen für andere medizinische Bildgebungsabteilungen weiterentwickelt.

Telepaxx bringt Künstliche Intelligenz in den Praxisalltag. Auf Basis des e-pacs Speicherdienstes für Ihre externe Langzeitarchivierung greifen Sie über den AI MarketPlace einfach auf KI-basierte Medizinprodukte zu – wie immer natürlich datenschutzkonform, sicher und in der gewohnten TelepaxxQualität. Mit unserem Marktplatz können Sie diese

instituts- und sektorübergreifenden Behandlungsszenarien teilzunehmen. Dabei kommen international etablierte Standards (z. B. IHE, HL7 FHIR, HL7 v3 / v3 / CDA) zum Einsatz. Durch die Plattform sollen Leistungserbringer zukünftig zudem nicht nur von unseren Lösungen profitieren können, sondern auch von Softwarelösungen Dritter die ebenfalls an der Plattform angebunden sind.

KI-Anwendungen sofort und ohne großen IT- oder Projektaufwand nutzen. Dabei unterstützen wir Sie bei der Bereitstellung administrativer Lösungen zum Beispiel zur Dienstplanung ebenso wie mit medizinischen Lösungen wie mdbrain.

INDE- X 164 RADIOLOGIE MAGAZIN 1-2021
deepc | deepcOS
MARKTPLÄTZE
GE Healthcare | Smart Subscription Sectra | Artificial Intelligence – Amplifier Marketplace Siemens Healthineers | teamplay digital health platform connect Telepaxx | AI MarketPlace

Bildwiedergabe-Systeme

Barco | C oronis 5 MP (MDCG-5221)

5 MP · 2.048 × 2.560 21,3" 1.200 cd / m²

Das Coronis 5 MP LED mit extrem heller Hintergrundbeleuchtung zeigt mehr JNDs und damit mehr Graustufen. Die Per Pixel UniformityTechnologie stellt sicher, dass jedes Pixel zu jeder Zeit DICOM-konform ist. Subtile Details sind schneller und deutlicher erkennbar und sorgen für einer erheblich reduzierte Fensterung und geringeren Bearbeitungszeit.

Barco | Nio 5 MP LED (MDNG-5221)

5 MP · 2.560 × 2.048 21,3" 1.020 cd / m²

Das Nio 5MP LED bietet herausragende Bildqualität für zuverlässige Diagnosen. Dank der lichtstarken LED-Hintergrundbeleuchtung können Sie mit dem Nio 5 MP LED mehr Grau s tufen erkennen. Durch die UniformLuminance-Technology werden auch kleinste Details schneller erkannt.

Optimaler Kontrast / dauerhaft hohe Helligkeit / DICOM GSDF

14-Bit-LUT / genaue Grauwertwiedergabe

Automatische Steuerung der Leuchtdichteverteilung (DUE)

Sensor-Automatik für konstante Helligkeit

Mühelose Qualitätssicherung und eingebauter Kalibrierungssensor

Produkt Pixelmatrix Panelgröße max. Leuchtdichte Highlights

exzellente Farbund Graustufenbilder, die sowohl allgemein in der Radiologie als auch für 2D / 3D-Mammografien verwendet werden. Dank hoher Helligkeit und Kontrastverhältnis können Sie kleinste Details erkennen, durch zusätzliche Auflösung können Sie mehr auf dem Display darstellen und müssen weniger schwenken und zoomen.

Produkt

Pixelmatrix Panelgröße max. Leuchtdichte Highlights

BEFUNDUNG
MAMMO GRAUSTUFE  BEFUNDUNG MAMMO FARBE
JUSHA | m550g 3 MP · 2.048 × 1.536 21,3" 2.500 cd / m²
Backlight LED
Graustufen: 65.536 (16 bit)
Blickwinkel: ≥170°
Kontrast: 1.700:1
Eingang: DVI-D, DisplayPort / Output: DP
LUT: DICOM, Gamma 2.2, Gamma 2.4, DSA, DSI, CT / MRI
EIZO | R adiForce GX560-MD 2 × 5 MP 2 × 21,3" 2.500 cd / m² ▪
 JVC | MS-S500 5 MP bzw. 15 MP 21,3" 3.000 cd / m² ▪ LED-Backlight ▪ Front-Sensor zur Remotekalibration ▪ Umgebungslicht-Sensor ▪ Display Port Interface ▪ Auto Text Mode ▪ ISD Technologie ▪ Integriertes Netzteil Barco | N io Color 5 MP (MDNC-6121) 5.8 MP · 2.100 × 2.800 21,3" 1.000 cd / m
Color 5 MP
BILDWIEDERGABE-SYSTEME 165 RADIOLOGIE MAGAZIN 1-2021
BEFUNDUNG
MAMMO GRAUSTUFE
Das Nio
rendert

Produkt

Pixelmatrix Panelgröße max. Leuchtdichte Highlights

EIZO | Ra diForce RX1270

12 MP 30,9" 1.200 cd / m² ▪

Optimaler Kontrast / dauerhaft hohe Helligkeit / DICOM GSDF ▪

Hybrid Gamma PXL, gleichzeitige, exakte Farb- und Grautonwiedergabe ▪ 12-Bit-LUT / genaue Tonwertwiedergabe ▪ Autom. Steuerung d. Leuchtdichteverteilung (DUE) ▪ Mühelose Qualitätssicherung und eingebauter Kalibrierungssensor

EIZO | R adiForce RX560-MD 2 × 5 MP 2 × 21,3" 1.200 cd / m²

Optimaler Kontrast / dauerhaft hohe Helligkeit / DICOM GSDF

EIZO | R adiForce RX850 8 MP 31,1" 850 cd / m²

Hybrid Gamma PXL, gleichzeitige, exakte Farb- und Grautonwiedergabe

▪ 13-Bit-LUT / genaue Tonwertwiedergabe ▪ Autom. Steuerung d. Leuchtdichteverteilung (DUE)

▪ Mühelose Qualitätssicherung und eingebauter Kalibrierungssensor

Optimaler Kontrast / dauerhaft hohe Helligkeit / DICOM GSDF ▪ 12-Bit-LUT / genaue Tonwertwiedergabe ▪ Autom. Steuerung d. Leuchtdichteverteilung (DUE) ▪ Sensor-Automatik für konstante Helligkeit ▪ Mühelose Qualitätssicherung und eingebauter Kalibrierungssensor

Produkt Pixelmatrix Panelgröße max. Leuchtdichte Highlights

LED-Backlight

Front-Sensor zur Remotekalibration

Umgebungslicht-Sensor

Display Port Interface

Dynamic Gamma und Auto Text Mode

LED-Backlight ▪ Front-Sensor zur Remotekalibration

Umgebungslicht-Sensor

Display Port Interface ▪ Dynamic Gamma und Auto Text Mode

EIZO

Optimaler Kontrast / dauerhaft hohe Helligkeit / DICOM GSDF ▪ 14-Bit-LUT / genaue Grauwertwiedergabe ▪ Autom. Steuerung d. Leuchtdichteverteilung (DUE) ▪ Sensor-Automatik für konstante Helligkeit ▪ Mühelose Qualitätssicherung und eingebauter Kalibrierungssensor

Sensor-Automatik für konstante Helligkeit

Mühelose Qualitätssicherung und eingebauter Kalibrierungssensor

BEFUNDUNG GRAUSTUFE  BEFUNDUNG MAMMO FARBE  BEFUNDUNG GRAUSTUFE  JUSHA | m270g 2 MP · 1.600 × 1.200 21,3" 1.900 cd / m² ▪ Backlight LED ▪ Graustufen: 65.536 (16 bit) ▪ Blickwinkel: ≥178° ▪ Kontrast:
▪ Eingang: DVI-D, DisplayPort ▪ LUT: DICOM, Gamma 2.2, Gamma 2.4, DSA, DSI, CT / MRI JUSHA | m350g 3 MP · 2.048 × 1.536 21,3" 2.000 cd / m² ▪ Backlight LED ▪ Graustufen: 65.536 (16 bit) ▪ Blickwinkel: ≥178° ▪ Kontrast:
▪ Eingang: DVI-D, DisplayPort ▪ LUT: DICOM, Gamma 2.2, Gamma 2.4, DSA, DSI, CT / MRI EIZO | Ra diForce GX240 2 MP 21,3" 1.200 cd / m² ▪ Optimaler Kontrast / dauerhaft hohe Helligkeit / DICOM GSDF ▪ 14-Bit-LUT / genaue Grauwertwiedergabe ▪
1.400:1
1.700:1
Autom. Steuerung d. Leuchtdichteverteilung (DUE)
| Ra diForce GX340 3 MP 21,3" 1.200 cd / m² ▪
FARBE 
BEFUNDUNG MAMMO
JVC | CL-S500 5 MP 21,3" 1.150 cd / m² ▪
JVC | CL-S1200 12 MP 30,9" 1.200 cd / m² ▪
INDE- X 166 RADIOLOGIE MAGAZIN 1-2021
▪ Ambient-Beleuchtung ▪ Tastaturbeleuchtung
Produkt Pixelmatrix Panelgröße max. Leuchtdichte Highlights

12 MP (optional 2 × 5 MP) · 4.200 × 2.800 33,6" 2.100 cd / m²

Das Coronis Uniti ist ein einzigartiges Display speziell für PACS und Mammographie. Es verfügt über 2D- und 3D-Funktionen und kann sowohl statische als auch dynamische Bilder darstellen. Das Coronis Uniti wurde im Hinblick auf perfekte Ergonomie entwickelt und spiegelt das natürliche Sichtfeld eines Menschen wider, um die Befundung zu optimieren.

Front-Sensor zur Remotekalibration

Display Port Interface

Integriertes Netzteil

Display Port Interface

ISD Technologie

Produkt Pixelmatrix Panelgröße max. Leuchtdichte Highlights

Barco

Das Coronis 4 MP besitzt einen hohen Kontrast (2000:1) und eine hohe kalibrierte Leuchtdichte (600 cd / m²). 40 % mehr und der Stromverbrauch ist um 53 % weniger als der Wettbewerb. Das Display verfügt über eine hervorragende Farbwiedergabe, dank erweitertem Farbraum und neuem SteadyColor Feauture. Es hat ein attaktives Design und verfügt über SoftGlow (indirektes Licht).

Native 12 MP · 4.200 × 2.800 30,9" 1.200 cd / m²

Der Nio Fusion 12 MP-Display kombiniert alle PACS-Bilder auf einem Bildschirm. Der Nio Fusion 12MP stellt sowohl 2D- als auch 3D-Bilder fließend, hell und detailliert dar und hilft Ihnen so, Ihre Befundungen zu beschleunigen. Unsere Workflow Tools werden Ihre Arbeit erleichtern.

Barco | C oronis Fusion 6 MP (MDCC-6530)

6 MP · 3.280 × 2.048 30,4" 1.050 cd / m²

Das Coronis 6 MP besitzt einen hohen Kontrast (2000:1) und eine hohe kalibrierte Leuchtdichte (600 cd / m²). 40 % mehr und der Stromverbrauch ist um 14 % geringer als beim Wettbewerb. Das Display verfügt über eine hervorragende Farbwiedergabe, dank erweitertem Farbraum und neuem SteadyColor Feature. Es hat ein attaktives Design und verfügt über SoftGlow (indirektes Licht).

Produkt Pixelmatrix Panelgröße max. Leuchtdichte Highlights

Barco

Barco | N io Color 3 MP (MDNC-3421)

3 MP · 2.048 x 1.536 21,3" 900 cd / m²

Barcos Nio Color 3 MP Dentaldisplays bietet alles, was Zahnarztpraxen brauchen. Er bringt gestochen scharfe und helle Bilder in den Diagnose-Befundungsraum, sodass Sie verborgene anatomische Strukturen schnell visualisieren und dentale Symptomatiken leicht erkennen können.

3 MP · 2.048 × 1.536 21,3" 900 cd / m²

Der Nio Color 3 MP LED ist ein 3-MegapixelFarb-Displaysystem mit hoher Helligkeit und LED-Hintergrundbeleuchtung, der eine hervorragende Bildqualität für eine zuverlässige Diagnose bietet. Durch seine außergewöhnliche Helligkeit (kalibriert auf 500 cd / m2) können Sie auch das kleinste Detail ausmachen – auch nach einer langjährigen Nutzung.

Produkt Pixelmatrix Panelgröße max. Leuchtdichte Highlights

| N io Color 3 MP Dental
| C oronis Fusion 4 MP (MDCC-4430) 4 MP · 2.550 × 1.600 30,4" 1.050 cd / m²
Barco | Nio Fusion 12 MP (MDNC-12130) Barco | C oronis Uniti (MDMC-12133)
BEFUNDUNG FARBE 
FARBE 
3
9 MP 21,3" 3.000 cd / m² ▪
2 MP
1.900
/ m² ▪
BEFUNDUNG GRAUSTUFE  JVC | ME195 1,3 MP 19" 1.500 cd / m² ▪
167 RADIOLOGIE MAGAZIN 1-2021 BILDWIEDERGABE-SYSTEME
BEFUNDUNG
JVC | MS-S300
MP bzw.
LED-Backlight
Front-Sensor zur Remotekalibration
Umgebungslicht-Sensor
Integriertes Netzteil JVC | MS-S200
bzw. 6 MP 21,3"
cd
LED-Backlight
Umgebungslicht-Sensor
ISD Technologie
Backlight-Sensor
Video Eingänge
Integrierter LUT
Integriertes Netzteil

Produkt

Pixelmatrix Panelgröße max. Leuchtdichte Highlights

Barco | Nio Color 2MP (MDNC-2123 Option DE)

2 MP · 1.920 × 1.080 23,6" 460 cd / m²

Barco | Nio Color 2MP LED (MDNC-2221)

2 MP · 1.600 × 1.2000 21,3" 800 cd / m²

EIZO | Ra diForce RX1270 12 MP 30,9" 1.200 cd / m² ▪

Produkt

Pixelmatrix Panelgröße max. Leuchtdichte Highlights

Produkt

Pixelmatrix Panelgröße max. Leuchtdichte Highlights

EIZO

Optimaler Kontrast / dauerhaft hohe Helligkeit / DICOM GSDF

Barcos Nio Color 2MP bietet alles, was Sie für Ihre Zahnarztpraxis brauchen. Mit dem schicken und doch leicht zu reinigenden Design stehen Ihnen am Arbeitsplatz scharfe und helle Bilder zur Verfügung. BEFUNDUNG FARBE

▪ 12-Bit-LUT / genaue Tonwertwiedergabe ▪ Autom. Steuerung d. Leuchtdichteverteilung (DUE) ▪ Sensor-Automatik für konstante Helligkeit ▪ Mühelose Qualitätssicherung und eingebauter Kalibrierungssensor

Das Nio Color 2 MP LED ist ein 2-MegapixelFarb-Displaysystem mit LED-Hintergrundbeleuchtung, das eine hervorragende Bildqualität für eine zuverlässige Diagnose bietet. Es liefert eine effektive Lösung für eine Vielzahl von Anwendungen, wie z. B. 3D-PACS, 3D-Echo, Ultraschall, orthopädische Bildgebung, CAD, Bildverschmelzung, Nuklearmedizin und PET.

Optimaler Kontrast / dauerhaft hohe Helligkeit / DICOM GSDF

Hybrid Gamma PXL, gleichzeitige, exakte Farbund Grautonwiedergabe

13-Bit-LUT / genaue Tonwertwiedergabe

▪ Autom. Steuerung d. Leuchtdichteverteilung (DUE)

▪ Mühelose Qualitätssicherung und eingebauter Kalibrierungssensor

Sensor-Automatik für konstante Helligkeit

Mühelose Qualitätssicherung und eingebauter Kalibrierungssensor

EIZO | R adiForce RX660 6 MP 30" 1.000 cd / m²

Optimaler Kontrast / dauerhaft hohe Hellig–keit / DICOM GSDF

▪ 12-Bit-LUT / genaue Tonwertwiedergabe ▪ Autom. Steuerung d. Leuchtdichteverteilung (DUE) ▪ Sensor-Automatik für konstante Helligkeit ▪ Mühelose Qualitätssicherung und eingebauter Kalibrierungssensor

Optimaler Kontrast / dauerhaft hohe Helligkeit / DICOM GSDF

Hybrid Gamma PXL, gleichzeitige, exakte Farb- und Grautonwiedergabe

13-Bit-LUT / genaue Tonwertwiedergabe ▪ Autom. Steuerung d. Leuchtdichteverteilung (DUE) ▪ Mühelose Qualitätssicherung und eingebauter Kalibrierungssensor

JUSHA | c630g 6 MP · 3.280 × 2.048 30" 800 cd / m² ▪ Protection front glass ▪ Backlight LED ▪ Farbtöne: 281.47
bit) ▪
▪ LUT:
JUSHA | c810g 8 MP · 3.840 × 2.160 31,5" 1.000 cd / m² ▪ Protection front glass ▪ Backlight LED ▪ Farbtöne: 14 bit ▪ Blickwinkel: ≥178° ▪ Kontrast:
DisplayPort*2 ▪ LUT:
Gamma 2.2, Gamma
DSA, DSI, CT/MRI EIZO | R adiForce RX250 2 MP 21,3" 800 cd / m² ▪ Optimaler Kontrast / dauerhaft hohe Helligkeit / DICOM GSDF ▪ 12-Bit-LUT / genaue Tonwertwiedergabe ▪ Autom. Steuerung d. Leuchtdichteverteilung (DUE) ▪
EIZO | R adiForce RX360 3
Billionen(16
Blickwinkel: ≥170°
Kontrast: 1.000:1
Eingang: DVI-D*1, DisplayPort*2
DICOM, Gamma 2.2, Gamma 2.4, DSA, DSI, CT/MRI
1.000:1
Eingang: DVI-D*1,
DICOM,
2.4,
MP 21,3" 1.100 cd / m²
| R adiForce RX850 8 MP 31,1" 850 cd / m²
INDE- X 168 RADIOLOGIE MAGAZIN 1-2021
 BEFUNDUNG FARBE  BEFUNDUNG FARBE 

JUSHA

Backlight LED

Graustufen: 65.536 (16 bit)

Blickwinkel: ≥178°

Kontrast: 1.700:1

Eingang: DVI-D, DisplayPort

LUT: DICOM, Gamma 2.2, Gamma 2.4, DSA, DSI, CT / MRI

Backlight LED ▪

Farbtöne: 281.47 Billionen (16 bit) ▪ Blickwinkel: ≥178° ▪ Kontrast: 1.400:1 ▪ Eingang: DVI-D, DisplayPort

LUT: DICOM, Gamma 2.2, Gamma 2.4, DSA, DSI, CT/MRI

JUSHA | c270g

2 MP · 1.600 × 1.200 21,3" 1.000 cd / m² ▪

Backlight LED ▪

Farbtöne: 281,47 Billionen (16 bit) ▪ Blickwinkel: ≥178° ▪ Kontrast: 1.400:1

Eingang: DVI-D, DisplayPort

LUT: DICOM, Gamma 2.2, Gamma 2.4, DSA, DSI, CT / MRI

Produkt Pixelmatrix Panelgröße max. Leuchtdichte Highlights

Backlight LED ▪

Farbtöne: 16,7 Millionen ▪ Blickwinkel: 178° ▪ Kontrastverhältnis: 1.000:1 ▪ Eingang: DVI-D,HDMI, DisplayPort ▪ Table: DICOM

Display Port Interface

Helligkeits- und Farbuniformity-Korrektur

Netzteil

JVC | CL-R211 2 MP 21,3" 500 cd / m² ▪

LED-Backlight ▪ Front-Sensor zur Remotekalibration ▪ Umgebungslicht-Sensor ▪ Display Port Interface ▪ Helligkeits- und Farbuniformity-Korrektur ▪ Integriertes Netzteil

Front-Sensor zur Remotekalibration

Umgebungslicht-Sensor

Dynamic Gamma und Auto Text mode

Display Port Interface

Helligkeits- und Farbuniformity-Korrektur

Integriertes Netzteil

Front-Sensor zur Remotekalibration

Dynamic Gamma und Auto Text mode

Umgebungslicht-Sensor

Display Port Interface

Helligkeits- und Farbuniformity-Korrektur ▪ Integriertes Netzteil

Produkt Pixelmatrix Panelgröße max. Leuchtdichte Highlights

Video Eingänge

Integrierter LUT

Integriertes Netzteil

Produkt Pixelmatrix Panelgröße max. Leuchtdichte Highlights

BEFUNDUNG FARBE  BEFUNDUNG FARBE  BEFUNDUNG FARBE  JVC |
1,3
800 cd / m² ▪
JVC | CL-S300 3 MP 21,3" 1.000 cd / m² ▪
JVC | CCL650i2 6 MP 30" 800 cd / m² ▪
CCL196
MP 19"
Backlight-Sensor
LED-Backlight
LED-Backlight
Front-Sensor zur Remotekalibration
Umgebungslicht-Sensor
Integriertes
JVC | CL-S200 2 MP 21,3" 1.000 cd / m²
LED-Backlight
JUSHA | cr240g 2 MP · 1.920 × 1.200 24" 600 cd / m² ▪
| c350g 3 MP · 2.048 × 1.536 21,3" 900 cd / m² ▪
| c450g 4 MP · 2.560 × 1.440 27" 550 cd / m² ▪
JUSHA
BILDWIEDERGABE-SYSTEME 169 RADIOLOGIE MAGAZIN 1-2021

Produkt

Pixelmatrix Panelgröße max. Leuchtdichte

Highlights

PLUM | MED-TAB 2 MP 13.3" > 250 cd / m²

Weltweit erstes portables DICOM-Bildwiedergabegerät für die Radiologie ▪ Kostengünstige Teleradiologie-Befundung ▪ Medizinprodukt (Pixelgröße 151 µm) ▪

Patentierte 11-bit DICOM Graustufenkalibrierung gemäß DIN 6868-157 ▪ Anschluss für Maus, Tastatur, HDMI und digitale Diktiergeräte

Barco | MD RC-2222 Option TS

2 MP · 1.920 × 1.080 21.5" 300 cd / m²

Eonis ist ein klinisches 22"-Display, das sich ideal für die Patientenüberwachung und für die Ansicht von Bildern verschiedener Modalitäten sowie EMR etc. eignet. Es kombiniert hohe Bildqualität und ein attraktives, vielseitiges Design. Durch seinen Touchscreen mit PCAP-10-PunktMultitouch-Technologie ist es ideal geeignet zur Ansicht und Kontrolle von Bildern.

Barco | MD RC-2222 Option WP

2 MP · 1.920 × 1.080 21,5" 301 cd / m²

Eonis 22" ist ein Display, das speziell für Spezialisten im Gesundheitswesen entwickelt wurde. Es kombiniert einheitliche Bildqualität und ein attraktives, vielseitiges Design mit vernetzter Qualitätssicherung. Die weiße Version bietet eine Frontglasscheibe, durch die es extrem gut zu reinigen ist, sogar mit Reinigungsmitteln auf Basis von 70-prozentigem Alkohol.

Produkt

Pixelmatrix Panelgröße max. Leuchtdichte Highlights

2 MP · 1.600 × 1.200 21,3" 500 cd / m²

Eonis präsentiert scharfe, helle Bilder. Der Beständigkeitssensor passt die Bildqualität automatisch an. Man kann Bilder mit Kollegen an verschiedenen Standorten erörtern und dabei sicher sein, dass jeder identische Bilder sieht. Die benutzerfreundliche Höhe und die Neige- und Schwenkanpassungen der Basis ermöglichen die Positionierung des Monitors für maximalen Komfort.

2 MP · 1.920 × 1.080 21,5" 300 cd / m²

Das klinische Eonis 22" Display von Barco bietet konsistente, kalibrierte Bilder und ist für die Nutzung innerhalb der gesamten Klinikumgebung zugelassen. Es kann leicht gereinigt und desinfiziert werden. Es ist optional mit einer Touchfunktion erhältlich und in Weiß für Dentalanwendungen.

2 MP · 1.920 × 1.200 24,1" 430 cd / m²

Dieses 24" Eonis Display wurde für Spezialisten im Gesundheitswesen entwickelt. Das hochwertige Display präsentiert scharfe, helle Bilder mit hohem Kontrastverhältnis und unterstützt einen weiten Betrachtungswinkel. Eonis setzt auf die neuesten Erweiterungen im Bereich der LEDHintergrundtechnologie und bietet optimierte Helligkeit über eine längere Lebensdauer hinweg.

Produkt

Pixelmatrix Panelgröße max. Leuchtdichte Highlights

Mit dem MDRC-1219

ein breites Spektrum von Anwendungen im Bereich der Bildgebung, einschließlich EMR, mit zuverlässigen, DICOM-konformen Bildern versorgt werden. Es kombiniert einheitliche Bildqualität und ein attraktives, vielseitiges Design mit reibungsloser Qualitätssicherung. Eine Touchscreen Version ist ebenfalls verfügbar.

 EIZO | R adiForce MX216-HB 2 MP 21,3" 340 cd / m²
▪ Ideal
▪ 13-Bit-LUT
EIZO | R adiForce MX315W 8 MP 31,1" 450 cd / m² ▪ 16:9-Widescreen-Format ▪ 13-Bit-LUT / genaue Tonwertwiedergabe ▪ Grautonwiedergabe
Barco | M DRC-1219 / TS 1 MP · 1.280 × 1.024 19" 330 cd / m²
BETRACHTUNG
BETRACHTUNG
(kalibrierte Helligkeit)
für Dental-Befundung in Raumklasse 6
/ genaue Tonwertwiedergabe
Grautonwiedergabe mit DICOM-Tonwertkurve
Autom. Steuerung d. Leuchtdichteverteilung (DUE)
Sensor-Automatik für konstante Helligkeit
mit DICOM-Tonwertkurve
Autom. Steuerung d. Leuchtdichteverteilung (DUE)
Sensor-Automatik für konstante Helligkeit
kann
Barco | Eonis 24“ (MDRC-2324 BL/WP) Barco | Eonis 22 " (MDRC-2222 BL/TS/WP) Barco | Eonis (MDRC-2321)
BEFUNDUNG FARBE
BETRACHTUNG 
INDE- X 170 RADIOLOGIE MAGAZIN 1-2021

16:10-Widescreen-Format

13-Bit-LUT / genaue Tonwertwiedergabe

Grautonwiedergabe mit DICOM-Tonwertkurve

Autom. Steuerung d. Leuchtdichteverteilung (DUE) ▪ Sensor-Automatik für konstante Helligkeit

EIZO | Ra diForce MX216-SB 2 MP 21,3" 240 cd / m² (kalibrierte Helligkeit) ▪ Ideal für Dental-Befundung in Raumklasse 5

13-Bit-LUT / genaue Tonwertwiedergabe

mit DICOM-Tonwertkurve

Steuerung d. Leuchtdichteverteilung (DUE)

für konstante Helligkeit

EIZO | Ra diForce MX194 1,3 MP 19"

5:4-Format ▪ 13-Bit-LUT / genaue Tonwertwiedergabe

Grautonwiedergabe mit DICOM-Tonwertkurve

Sensor-Automatik für konstante Helligkeit

Produkt Pixelmatrix Panelgröße max. Leuchtdichte Highlights

Barco | MDSC-8427

4 K · 3.840 × 2.160 27" 750 cd

Das MDSC-8427 ist das neueste und jüngste Display der Barco-MDSC Familie und läutet eine neue Displaygeneration ein. Die 4K UHD Auflösung, hohe Helligkeit und das geringe Gewicht des Displays ermöglichen vielseitige Nutzungs- und Aufrüstungsmöglichkeiten in neuen oder bereits vorhandenen OP-Sälen.

Barco

Eonis ist ein klinisches 22"-Display, das sich ideal für die Patientenüberwachung und für die Ansicht von Bildern verschiedener Modalitäten sowie EMR etc. eignet. Es kombiniert hohe Bildqualität und ein attraktives, vielseitiges Design. Durch seinen Touchscreen mit PCAP-10-PunktMultitouch-Technologie ist es ideal geeignet zur Ansicht und Kontrolle von Bildern.

Barco | MDSC-8358

4 K · 3.840 × 2.160 58" 700 cd / m²

Das MDSC-8358 wurde speziell für HybridOPs, kardiovaskuläre Anwendungen und die interventionelle Radiologie entwickelt. Das MDSC-8358 liefert DICOM-konforme sowie Farbbilder mit einer extrem niedrigen Latenz, wodurch es zur bevorzugten Wahl für die kritische Bildgebung in Echtzeit wird.

Barco

Als ideale Ergänzung für minimalinvasive 4K-Kamerasysteme, liefert das MDSC-8231 Bilder mit einer vierfach höheren Auflösung im Vergleich zur Auflösung in Full-HD. Dadurch erhalten die Chirurgen besonders detailreiche und farbtreue Bilder und Videos für eine realistischere Darstellung der Patientenanatomie mit exzellenter Tiefenwahrnehmung.

Barco | MDSC-8255

4 K · 3.840 × 2.160 54.6" 500 cd / m²

Das MDSC-8255 wurde speziell für 4K-Inhalte und die Anwendung im digital vernetzten OP entwickelt. Sein schmales Gehäuse und die geringe Tiefe des Displays, machen es zur idealen Ergänzung eines jeden OP-Saales. Erhältlich ist es mit und ohne Schutzglas und optional mit integriertem Barco Nexxis Video-over-IP Decoder zur nahtlosen Integration in ein Videomanagementsystem.

Produkt Pixelmatrix Panelgröße max. Leuchtdichte Highlights

Barco | MDSC-2232 Full HD · 1.920 × 1.080 31,55" 450 cd / m²

Das MDSC-2232 ist ein 32"-Chirurgiedisplay mit Full-HD-Auflösung. Speziell angefertigt für den OP ist es Dank der umfangreichen Anschlussmöglichkeiten zur Darstellung aller im OP vorhandenen Bildquellen geeignet und besitzt dennoch ein modernes und innovatives Design. Optional ist es mit einem integriertem Barco Nexxis Video-over-IP Decoder erhältlich.

Produkt Pixelmatrix Panelgröße max. Leuchtdichte Highlights

CHIRURGIE 
CHIRURGIE
| MDSC-8231 4 K · 4.096 × 2.160 31,1" 550 cd / m²
| M DFC-8232 3xB (4K UHD 3D display)
× 2.160
cd / m²
4K
2K · 4.096
31,1" 360
/ m²
350 cd / m² ▪
▪ Grautonwiedergabe
▪ Autom.
▪ Sensor-Automatik
EIZO | Ra diForce MX242W 2,3 MP 24,1" 350 cd / m² ▪
BETRACHTUNG  BILDWIEDERGABE-SYSTEME 171 RADIOLOGIE MAGAZIN 1-2021

Produkt

Pixelmatrix Panelgröße max. Leuchtdichte

Highlights

Das MDSC-2326 ist ein 26“-Chirurgiedisplay mit Full-HD-Auflösung. Mit optischem Schutzglas ausgestattet, bietet es erstklassige Bildqualität und eine außerordentlich hohe Helligkeit zur Darstellung von Röntgenaufnahmen im DICOM-Format. Optional ist es mit einem integriertem Barco Nexxis Video-over-IP Decoder erhältlich.

Barco | MDSC-2324

Full HD · 1.920 × 1.200 24" 400 cd / m²

Das MDSC-2324 ist ein 24"-Chirurgiedisplay mit Full-HD-Auflösung. Speziell angefertigt für den OP-Saal, bietet es unter anderem ein innovatives Kabelmanagements, welches die Anschlusskabel im Gehäuse verschwinden lässt. Optional ist es mit einem integriertem Barco Nexxis Video-over-IP Decoder erhältlich.

Barco | AMM 215WTD

Full HD · 1.920 × 1.080 21,46" 250 cd / m²

Mit seiner kompakten Größe von 21,5" und seiner hohen Pixeldichte ist das AMM 215WTD eine ideale und kostengünstige Ergänzung für Endoskopie-Kameras. Das Display wird ausgeliefert mit der Barco-eigenen Antimicrobial Seolforbio Technology, um Bakterienkulturen und Geruchsbildung auf dem LCD-Display zu verhindern.

Produkt

Pixelmatrix Panelgröße max. Leuchtdichte

Highlights

Barco | AMM 215WTTP

1.920 × 1.080 21,46" 250 cd / m²

Das AMM 215WTTP ist ein kompakter Touchscreen für alle in der Klinik zu steuernden Anwendungen.. Mit seinem 21,5"-Bildschirm ist er ergonomisch und einfach zu bedienen und verfügt über die perfekte Größe und das perfekte Format für eine Vielzahl von Anwendungen, einschließlich digitalen OPs und ITVisitenwagen.

Barco | MUIP-2112

1.920 × 1.080 12,5" 400 cd / m²

Das MUIP-2112 ist eine intelligente TouchBenutzeroberfläche, ideal für die bildgeführte Therapie in Katheterlaboren, Hybrid-OPs und für Operationsroboterverfahren. Es wurde für den Einsatz in mobilen Applikationen wie in fahrbaren Systemen sowie mobilen Röntgenund Ultraschallgeräten entwickelt.

Barco | Nexxis WorkSpot

3.840 × 2.160 (4K UHD) abhängig von Anzeigegerät abhängig von Anzeigegerät

Mit der variablen Anzeige sämtlicher Informationsquellen, sowie flexiblen Layouts bei der Nutzung eines einzigen Arbeitsplatzes wurde Nexxis WorkSpot zur verbesserten Arbeit im Team, sowie zur Minimierung von Verkabelungsaufwand und Komplexität im interventionellen Kontrollraum entwickelt.

Produkt

Pixelmatrix Panelgröße max. Leuchtdichte Highlights

bei minimalinvasiven Eingriffen eine sehr gute räumliche Wahrnehmung. Durch die Detailansicht können Strukturen besser erkannt und präzisere Eingriffe durchgeführt werden. Die neuesten autostereoskopischen 4K 3D-Displays von Barco ermöglichen auch eine Betrachtung ohne 3D-Brille.

ist ein 31"-2D- & 3DOperationsmonitor der kompatibel mit Barcos Nexxis Video-over-IP-Lösung ist. Im 3D-Modus können mehrere Benutzer gleichzeitig das Bild mit ausgezeichneter Tiefenwahrnehmung und ohne visuelle Beeinträchtigung betrachten. Eine Latenz nahe Null ermöglicht eine optimale Hand-Augen-Koordination.

Der MDSC-8232

Auf dem Multi-Touch-Bildschirm können 3DRekonstruktionen mit einfachen Handbewegungen bearbeitet werden. Darüber hinaus besteht die Möglichkeit, Haut- und Muskelschichten virtuell zu entfernen und Sezierschnitte zu simulieren. Für die Lehre ist ein anatomischer Katalog mit mehr als 2.000 verschiedenen Strukturen und Querschnitten erhältlich.

CHIRURGIE 
 CHIRURGIE 
CHIRURGIE
Barco | M DSC-2326 / MDSC-2326 HB
Full HD · 1.920 × 1.080 26" 500 / 900 cd / m²
Sectra | Visualization Table 2 MP 46" 700 cd / m²
Barco | MDSC-8232 M3D 4K – 2K · 4.096 × 2.160 / UHD · 3.840 × 2.160 31,1" 360 cd / m²
Barco | 31“ 4K 3D Display 4.096 × 2.160 (4K DCI) 31,1" 500 cd / m² 4K 3D-Displays
INDE- X 172 RADIOLOGIE MAGAZIN 1-2021
M3D
bieten speziell

Barco | S mart Panel OP Display 1.920 × 1.080 (Full-HD) – 3.840 × 2.160 (4K UHD) 24" – 55" (Einzel- / Doppelkonsole) abhängig von Kombination

Die In-Wall-Konsolen bieten, hochauflösende Video- und Audioinhalte in und zwischen integrierten OPs. Die effiziente und moderne Kombination aus Display(s), PCs, Tastatur und Maus, sowie Bildund Datenschnittstellen versammelt alle Informationen an einem Ort, zusätzliche Informationen wie z. B. Uhrzeit und eine Stoppuhr können auf der optionalen Smart Bar angezeigt werden.

Barco | Nexxis

OP-Integrationsplattform Video-over-IP

Von analogen bis zu hochauflösenden 4K Quellen

Die schon über 2.000 Mal eingesetzte, medizinisch zugelassene Video-over-IP Plattform Nexxis ermöglicht die Integration aller Bild-, und Videoinhalte eines integrierten OP-Saales. Glasfaser- und Netzwerktechnologie, bieten eine einheitliche Infrastruktur, sowie die nötige Bandbreite für 4K, 3D oder 8K ohne Kompromisse.

| MediCal QAWeb

MediCal QAWeb ist der branchenweit erste Online-Dienst für die Qualitätssicherung bei PACS-Displays. Das umfassende gesicherte System bietet Ihnen maximale Diagnosesicher heit und Verfügbarkeit aller PACS-Displaysysteme in Ihrer gesamten Einrichtung durch extrem schnelle Problemerkennung und automatisierte Abhilfemaßnahmen.

Produkt Pixelmatrix Panelgröße max. Leuchtdichte Highlights

Mit QAWeb für DIN 6868-157 bietet Barco eine einfache Lösung für komplizierte Prüfverfahren. Die Software bewältigt die Komplexität der DIN-Anforderungen über umfassende Parameter, die im Hintergrund laufen. Das Ergebnis ist ein benutzerfreundliches, zielgerichtetes Tool zur Qualitätssicherung Ihrer medizinischen Displays.

Barco

4 GB Display-Controller mit kleinem Formfaktor ▪ Ein DisplayPort 1.4 ▪ Zwei Mini DisplayPorts 1.4 ▪ Zwei mDP-zu-DP-Verriegelungsadapter enthalten ▪ Maximale Leistungsaufnahme: < 50 W

Barco | MXRT-8700

16 GB GDDR5 224 GB/s 256-Bit

16 GB zukunftssicherer Display-Controller ▪ Sechs Mini-DisplayPorts 1.4 ▪ Vier mDP-zu-DP-Verriegelungsadapter enthalten

▪ Maximale Leistungsaufnahme: 130 W (6-polig)

Barco | MXRT-6700 8 GB GDDR5 160 GB/s 256-Bit

8 GB Hochleistungs-Display-Controller ▪ Vier DisplayPorts 1.4 ▪ Maximale Leistungsaufnahme: 75 W

Produkt Pixelmatrix Panelgröße max. Leuchtdichte Highlights

< 40 W

eine zuverlässige Bildqualität und einen konsistenten Workflow sicherstellt (MXRT-4700 Grafikkarte integriert). Mit

eGFX-Station, die über Thunderbolt 3 angeschlossen ist, können Sie zu Hause dieselbe Bildgebungsleistung, Workflow-Produktivität und dieselben Tools nutzen wie im Krankenhaus.

Produkt Pixelmatrix Panelgröße max. Leuchtdichte Highlights

DISPLAY ADMIN- / QA-SOFTWARE  DISPLAY ADMIN- / QA-SOFTWARE  GRAFIKKARTEN 
GRAFIKKARTEN
Barco
GROSSFORMAT  Barco | e GFX Home Read Station 4 GB GDDR5 96 GB/s 128-Bit Die eGFX Home Read Station ist eine flexi-
und mobile Lösung,
ble
die
einer
Barco | MXRT-2700 2 GB GDDR5 48 GB/s 64-Bit 2 GB Display-Controller mit kleinem Formfaktor ▪ Ein DisplayPort 1.4 ▪ Zwei Mini DisplayPorts 1.4 ▪ Zwei mDP-zu-DP-Verriegelungsadapter enthalten ▪ Maximale Leistungsaufnahme:
| MXRT-4700 4 GB GDDR5 96 GB/s 128-Bit
Barco | Q AWeb für DIN 6868-157
BILDWIEDERGABE-SYSTEME 173 RADIOLOGIE MAGAZIN 1-2021

Universeller High-End Printer für zentrale Anwendungen mit drei online Formaten. Verfügbare Filmformate: 8 × 10", 10 × 12", 11 × 14" und 14 × 17", Bildtiefe: 14 bit. Dank seiner permanent aktiven hohen Druckauflösung von 508 ppi liefert er diagnostische Filmbilder in höchster Detailauflösung.

Universeller High-End Printer für dezentrale Anwendungen mit zwei online Formaten. Verfügbare Filmformate: 8 × 10", 10 × 12", 11 × 14" und 14 × 17", Bildtiefe: 14 bit. Dank seiner permanent aktiven hohen Druckauflösung von 508 ppi liefert er diagnostische Filmbilder in höchster Detailauflösung.

Universeller Direktthermographie-Tischprinter für dezentrale Applikationen für die Filmformate 8 × 10", 10 × 12", 11 × 14" und 14 × 17".

Die Bildtiefe beträgt 14 bit. Zwei Filmformate sind im direkten Zugriff möglich.

▪ Schneller Trockenlaser Imager mit kompakten Abmessungen

Unterstützt hochauflösende MammographieAufnahmen für jedes Filmformat

▪ Formate: 8 × 10", 10 × 12", 26 × 36cm, 35 × 43cm

▪ Drei Filmvorratsmagazine

Der Laser Imager DRYPRO ∑ II ist ein echtes Tischgerät. Die digitale Bildgebung wird vor allem in Kombination mit dem CR-Reader Regius SIGMA und Image Pilot einfach und kostengünstig.

Der Laser Imager DRYPRO 832 hat eine geringe Stellfläche von nur 0,35 m². Er kann mit bis zu zwei gleichzeitig verfügbaren Filmvorratsmagazinen ausgestattet werden und unterstützt fünf Filmformate.

Der Laser Imager DRYPRO 873 ist schnell, verfügt über geringe Abmessungen, ist anwenderfreundlich zu bedienen, leise, schont die Umwelt und liefert Filme in höchster Qualität. Aufgrund seiner Schnelligkeit bietet er eine exzellente Produktivität: bis zu 180 Filme pro Stunde sind möglich.

320 ppi 140 Filme / h
Direkte Thermographie
Auflösung
Agfa | DRYSTAR 5302
Durchsatz
Technologie
508 ppi 160 Filme / h
Direkte Thermographie
DRYSTAR 5503 Auflösung Durchsatz
TROCKENIMAGER 
Agfa |
Technologie
508 ppi 140 Filme
/ h
Direkte Thermographie
Auflösung
Agfa | DRYSTAR Axys Durchsatz Technologie
508 ppi 160
Filme / h Photothermographie
Auflösung
Fujifilm | DRYPIX EDGE
Durchsatz
Technologie
300
ppi 90 Filme / h Photothermographie
Konica Minolta | DRYPRO 832
Auflösung
Durchsatz Technologie
600
ppi
180
Filme / h Photothermographie Konica Minolta | DRYPRO 873 Auflösung Durchsatz Technologie
508
ppi 70 / 110 Filme / h Photothermographie
Auflösung
DAS PASSENDE KONTRASTMITTEL LIEFERN WIR. BECKELMANN.DE INDE- X 174 RADIOLOGIE MAGAZIN 1-2021
Konica Minolta | DRYPRO ∑ II Durchsatz Technologie

Dosimetrie

Ihr zentrales Patientendosis-Monitoring. Mit DoseCORE ermitteln, analysieren und archivieren Sie die Dosisflächenprodukte Ihrer Patienten digital und durch Automatisierung und auf einfachste Weise. Der Schwerpunkt liegt im digitalen Monitoring, zugeschnitten auf die Anforderung von radiologischen Praxen und kleinen MVZ.

Rechteckige, transparente Ionisationskammer mit integrierter Elektronikund einer zehnstelligen, hintergrundbeleuchteten LCDAnzeige, Schnittstelle optional. ▪ Dosisflächenprodukt (-Leistung): 0,01 µGym² / s – 3.000 µGym² / s ▪ Auflösung DAP (DAP-Leistung): 0,01 µGym² ▪ Schnittstelle: RS 232, RS 485, CAN

Multifunktionales, zweikanaliges Dosimeter für die Messung des Dosisflächenproduktes, der Dosisflächenprodukt-Leistung oder der Aufnahmezeit für die Überwachung der Patientendosis.

Dosisflächenprodukt (-Leistung): 0,01uGym² / s – 3.000 uGym² / s

▪ Auflösung DAP (DAP-Leistung): 0,01 uGym²

▪ Schnittstelle: RS 232

Ideales Nachrüstsystem, geeignet für die Messung des Dosisflächenproduktes und der Dosisflächenproduktleistung für die Überwachung der Patientendosis.

Dosisflächenprodukt (-Leistung): 0,01uGym² / s – 3.000 uGym² / s

▪ Auflösung DAP (DAP-Leistung): 0,01 uGym²

▪ Schnittstelle: RS 232, RS 485

Einfach zu installierendes Dosimetriesystem zur Messung des Dosisflächenproduktes und der Dosisflächenproduktleistung für die Überwachung der Patientendosis. ▪ Dosisflächenprodukt (-Leistung): 0,01 uGym² / s – 3.000 uGym² / s ▪ Auflösung DAP (DAP-Leistung): 0,01 uGym² ▪ Schnittstelle: RS 232

Äquivalente Filterung (70 kV): 0,2 mm Al ▪

Aktive Fläche: (123 × 123) mm / (147 × 147) mm ▪ Dosisflächenprodukt (-Leistung): 0,1 … 99.999.999 µGym² (6 … 2.200.000 µGym² / min)

Auflösung DAP (DAP-Leistung): 0,01 µGym² (0,6 µGym² / min)

▪ Schnittstelle: RS 232 / Bluetooth

DOSIMETRIE 175 RADIOLOGIE MAGAZIN 1-2021
IBA Dosimetry | KermaX plus DDP „Duo“ IBA Dosimetry | DoseCORE PATIENTENDOSIMETER  IBA Dosimetry | KermaX plus IDP IBA Dosimetry | KermaX plus Tino IDP IBA Dosimetry | KermaXs plus SDP VacuTec | VacuDAP Bluetooth

Äquivalente Filterung (70 kV): 0,2 mm Al / 0,5 mm Al

▪ Aktive Fläche: ∅ 44 mm, ∅ 68 mm, ∅ 72 mm, ∅ 100 mm

▪ Dosisflächenprodukt (-Leistung): ≥ 0,1 µGym² (1 x 102 … 1,3 x 107 µGym² / min)

Auflösung DAP (DAP-Leistung): 0,01 µGym² (0,01 µGym² / s)

▪ Schnittstelle: RS 485 / RS 232 / Bluetooth

Dosis (-Leistung)*: <0,1 mGy (2 … 12.000 mGy / min)

Auflösung Dosis [Dosis-Leistung]*: 0,003 mGy [0,2 mGy / min]

▪ Äquivalente Filterung (70 kV): 0,2 mm Al

Aktive Fläche: (123 × 123) mm / (147 × 47) mm

▪ Dosisflächenprodukt (-Leistung): < 0,1 µGym² µGym² (6 … 2.200.000 µGym² / min)

QS-MESSGERÄTE

Dosis (-Leistung)*: (0,1 … 99.999.999) mGy (3 … 15.000 mGy / min)

▪ Auflösung Dosis [Dosis-Leistung]*: 0,005 mGy [0,3 mGy / min]

Äquivalente Filterung (70 kV): 0,2 mm Al / 0,5 mm Al

▪ Aktive Fläche: ∅ (8 … 72) mm

Dosisflächenprodukt (-Leistung): 0,1 … 99.999.999 µGym² (8 … 230.000 µGym² / min)

▪ Auflösung DAP (DAP-Leistung): 0,01 µGym² (0,08 µGym² / s)

▪ Schnittstelle: RS 485 / RS 232 / Bluetooth

* Abstand Fokus – Kammer: 17,5 cm; Abstand Fokus – Referenzpunkt: 70 cm

VacuTec | VacuDAP duo

▪ Dosis (-Leistung)*: (0,1 … 99.999.999) mGy (2 … 12.000 mGy / min)

Auflösung Dosis [Dosis-Leistung]*: 0,003 mGy [0,2 mGy / min]

▪ Äquivalente Filterung (70 kV): 0,2 mm Al

Aktive Fläche: (123 x 123) mm / (147 x 147) mm

Dosisflächenprodukt (-Leistung): 0,1 … 99.999.999 µGym² (8 … 230.000 µGym² / min)

Auflösung DAP (DAP-Leistung): 0,01 µGym² (0,08 µGym² / s)

▪ Schnittstelle: RS 485 / RS 232

* Abstand Fokus – Kammer: 28 cm; Abstand Fokus – Referenzpunkt: 100 cm

VacuTec | VacuDAP mit Batterieoption

Für VacuDAP compact und VacuDAP Bluetooth

Betriebsdauer: 27 h (compact), 24 h (Bluetooth)

▪ Akku Pack: Li-ION (Panasonic)

Äquivalente Filterung (70 kV): 0,2 mm Al

Dosisflächenprodukt (-Leistung): 0,1 … 99.999.999 µGym² (6 … 2.200.000 µGym² / min)

Auflösung DAP (DAP-Leistung): 0,01 µGym² (0,6 µGym² / min)

▪ Besonders geeignet für mobile Röntgensysteme und DR upgrades

Auflösung DAP (DAP-Leistung): 0,01 µGym² (0,6 µGym² / min)

▪ Schnittstelle: RS 485 / optional: RS 232 / CAN

* Abstand Fokus – Kammer: 28 cm; Abstand Fokus – Referenzpunkt: 100 cm

IBA Dosimetry | Multimeter MagicMaX Universal

Einsetzbar mit verschiedenen Detektoren

XR: Radioprahie / Durchleuchtung / Dentalradiographie ▪ XM: Mammographie

Messgrößen ▪ Dosis / Dosisleistung –Dosis pro Puls ▪ kVp / PPV –Zeit – Gesamtfilterung ▪ HVL – Wellenform – Dosis Längen Produkt (DLP) & Dosis Längen Produktleistung

IBA Dosimetry | Dosimax plus

Dosimeter für Konstanzprüfungen. Mit dem passenden Halbleiterdetektor: RQX oder DEDX mit kombinierten Schwächungskörper.

Messgrößen RQX Detektor ▪ Dosis: 200 nGy – 9.999 mGy ▪ Dosisleistung: 80 nGy / s – 70 mGy / s ▪ Zeit: 1 ms – 19.999 s

Messgrößen DEDX Detektor ▪ Dosis: 20 μGy – 9.999 mGy ▪ Dosisleistung: 20 μGy / s – 400 mGy / s ▪ Zeit: 1 ms – 19.999 s

Ionisationskammer ▪ DCT10-MM:Computertomographie

IBA Dosimetry | Dosimax plus A (HV)*

Dosimeter für Prüfungen an Radiographie-, Durchleuchtungs- und Dentalanlagen (Detektor RQA) und Mammographieanlagen (Detektor RQM)

Messgrößen: ▪ Dosis: 200 nGy – 9.999 mGy ▪ Dosisleistung: 80 nGy / s – 70 mGy/s ▪ Zeit: 1 ms – 19.999 s

* In Verbindung mit Ionisationskammer DCT10-RS Messungen am CT

INDE- X 176 RADIOLOGIE MAGAZIN 1-2021
|
/ C Bluetooth PATIENTENDOSIMETER 
VacuTec
VacuDAP-C
VacuTec | VacuDAP-C duo / C Bluetooth duo VacuTec | VacuDAP-OEM / OEM duo

Für Messung der Leuchtdichte an Bildwiedergabesysteme (Graustufen) gemäß DIN 6868-157. Inkl. Maske für Aufsatzmessungen

Optionaler photometrischer Messkopf für Messungen der Beleuchtungsstärke in Umgebungen von Befundungsmonitoren und Betrachtungskästen

PEHA med | pehamed RCmin

Ermöglicht die Kontrolle der Umgebungsbeleuchtung von Befundungsräumen am Befund-Arbeitsplatz durch eine ständige Messung der Beleuchtungsstärke in Lux. Somit kann die geforderte Beleuchtungsstärke der jeweiligen Raumklasse nach DIN 6868-157 auf einfache Weise kontrolliert und eingehalten werden.

▪ Messbereich: 1-1000 Lux

PEHA med | pehamed CDmon

Schwellwerte für die Raumklasseneinteilung über Softwaretool konfigurierbar ▪ Stromversorgung über USB

QS-PRÜFKÖRPER

IBA Dosimetry | Primus A

Messgrößen: Leuchtdichte (0,05 – 10.000) cd /m² Beleuchtungsstärke (0,1 – 10.000) lux

VacuTec

Anforderungen: Gemäß DIN 6856 und DIN 6868-157

Messgrößen: ▪ Lage der Röhrenachse ▪ 17 Dynamikstufen ▪ Acht Niedrigkontrastobjekte mit 8 mm Durchmesser ▪ Gitter zur einfacheren Bestimmung von geometrischen Größen

IBA Dosimetry | Digi-13

Messgrößen: ▪ Linienpaar-Auflösungsvermögen ▪ Homogenität ▪ Niedrig-/ Hochkontrastauflösung ▪ Begrenzung des Nutzstrahlenfeldes ▪ Abbildungsmaßstab ▪ Artefakte ▪ Geometrische Symmetrie

IBA Dosimetry | ETR1 inkl. Zentriertubus

Für die Konstanzprüfung gemäß DIN 6868-3; an Direktaufnahmesystemen mit integrierter Aufhängevorrichtung.

Messgrößen: ▪ Linienpaar-Auflösungsvermögen ▪ Niedrig-/ Hochkontrastauflösung ▪ Symmetrie ▪ Messbereiche für die optische Dichte

IBA Dosimetry | Mammo-162

Für Abnahmeprüfung an Mammographie-Einrichtungen gemäß DIN 6868-162 ▪ 40 mm Grundkörper mit integrierter Aluminiumtreppe und zwei Stahlkugelreihen ▪ 6 mm Strukturplatte mit Aussparung für Testeinsatze

▪ Testeinsatz PMMA, SDNR & HK ▪ 3 × 20 mm / 1 × 10 mm / 1 × 4 mm Schwächungskörper

▪ 1 × 20 mm PMMA Schwächungsplatte ▪ Transportkoffer

DOSIMETRIE 177 RADIOLOGIE MAGAZIN 1-2021
IBA Dosimetry | Spot-Leuchtdichte-Messgerät LXcan 
QS-MESSGERÄTE
Röhrenspannung: 40 kV … 150 kV
Dosisleistungsbereich: 0,5 … 1.000 uGy / s
Schnittstelle: RS 422
Schwächungsgleichwert: 0,75 mm Al
Digitalausgang: differentieller Impuls (RS 422)
Pulsweite: 2 µs
Rampenausgang: 0 … 10 V
| AEC-Sensor
Für Sachverständigen- und Abnahmeprüfung nach DIN 6868-150 und für Konstanzprüfungen nach DIN 6868-4.
Für die Konstanzprüfung nach DIN 6868-13 an CR / DR Radiographiesystemen.
Leuchtdichtemessgerät für die Abnahme- und Konstanzprüfung an Betrachtungs- und Bildwiedergabegeräten.

QS-PRÜFKÖRPER 

Für Abnahme- und Konstanzprüfungen nach DIN 6868-152, DIN EN 61223-3-2 und DIN 6868-7 / EPQC (EUREF) in analoger Mammographie.

▪ Objektdicke und Röhrenspannungsausgleich in Verbindung mit AEC Reproduzierbarkeit

▪ Schwächungsfaktor

▪ Kontrast-, Bild- und Räumliche Auflösung

Artefakte ▪ Überprüfung des verpassten Gewebes an der Thoraxwand

Prüfung der 3D-Bildqualitat in der digitalen Volumen-Tomographie (DVT) nach DIN 6868-150, 2013.

Spezifikationen: ▪ Prüfung der dreidimensionalen Bildqualität durch räumliches Auflösungsvermögen, Homogenität und Rauschverhalten

Lasermarkierungen Einrichtung des Prüfkörpers im Isozentrum ▪ DVT Detailobjekte

Für Konstanzprüfungen an digitalen Mammographie-Einrichtungen gemäß DIN 6868-14 Bestehend aus:

▪ 40 mm Grundkörper mit integrierter Aluminiumtreppe und Stahlkugelreihen

IBA Dosimetry | IQ Analyzer Primus

▪ 6 mm Strukturplatte mit Aussparung für Testeinsätze

▪ SDNR, PMMA und Hochkontrast ▪ Zwei PMMA Schwächungskörper 260 × 320 × 20 mm

Kopf & Körper (Erwachsene) Phantom für CTDI Messungen gemäß IEC 60601-2-44, IEC 61223-3-5, IEC 61223-2-6.

▪ Ein Erwachsenenkopf-Phantom, 16 cm Durchmesser, fünf Löcher ▪ Ein Erwachsenenkörperkranz, 32 cm Durchmesser, vier Löcher ▪ Neun Blindstopfen für das CT-Phantom

Software für die automatische, schnelle und reproduzierbare Analyse Ihrer Expositionen.

Automatische Analyse von Bildern & Bildqualität ▪ Effizientes Laden der DICOM Bilder

Ein Betrachter unabhängiger Software-Algorithmus zur hochwertigen und reproduzierbare Bildanalyse ▪ Bequeme Dokumentation und Archivierung

Prüfkörper Set für die Konstanzprüfung an digitalen Mammographieeinrichtungen.

Inhalt: 40 mm PMMA Grundkörper mit Al-Treppe · Strukturplatte Testeinsätze SDNR und PMMA 3 Zusatzplatten 20 mm (halbrund)

2 Zusatzplatten 260 × 320 × 20 mm 1 Zusatzplatte 6 mm (halbrund)

Entspricht allen Anforderungen der DIN 6868-14.

Auch als preisgünstiger Nachrüstsatz für vorhandene PAS-Prüfkörpersysteme erhältlich.

Für die Abnahme- und Konstanzprüfung an Röntgeneinrichtungen mit Digitaler Subtraktions-Angiographie (DSA) nach DIN 6868-4 und DIN 6868-150.

Messgrößen:

▪ Dynamiktreppe ▪ DSA Kontrastempfindlichkeit ▪ Artefakte ▪ Logaritmierstufe

Prüfkörper für die Abnahmeprüfung nach RÖV an medizinischen Röntgeneinrichtungen für Aufnahme- und Durchleuchtung.

Auch für die Konstanzprüfung gemäß der neuen DIN 6868-4 geeignet.

Abmessungen: 300 × 300 × 18,5 mm

Anforderungen: Entspricht allen Anforderungen der DIN 6868-150

INDE- X 178 RADIOLOGIE MAGAZIN 1-2021
IBA Dosimetry | Mammo-14 IBA Dosimetry | Mammo-152 IBA Dosimetry | DSA (inkl. Transportkoffer) IBA Dosimetry | DVT3D IBA Dosimetry | PMMA CT-Phantom (2-teilig) PEHA med | DIGMAM 14 PEHA med | Fluorad 150

Ultraschall

Die Erwartungen an ein Tablet sind ein brillantes Display sowie intuitive und einfache Bedienung. Die Erwartungen an ein Canon Ultraschallsystem sind außergewöhnliche Bildgebung in allen Anwendungen und Modalitäten. Das neue Viamo sv7 wird all diesen Erwartungen gerecht. Es begeistert bei der Bedienung ebenso wie mit sonographischen Details auf seinem 12"-Full-HD-Touchscreen. So kommt High End Ultraschall dorthin, wo Sie ihn brauchen, und lässt schnell vergessen, dass es sich um ein Tablet-System handelt.

Diese revolutionäre Beamformer-Architektur ermöglicht eine noch höhere Bandbreite und damit Sensitivität und Eindringtiefe. Zusätzlich ist sie die Basis für die nächste Generation der Aplio Technologien, wie zum Beispiel AplioPure+ und iSMI. So werden mehr Details visualisiert, was die Diagnosedauer merklich verkürzt. Optional: Kontrast, Elastografie, SWE, Fusion u.v.m. All dies kombiniert mit einem ergonomischen Konzept, das sich perfekt an Anwender und Untersuchungssituation anpasst.

Das Xario 100G überrascht durch viele Details, wie z. B. beleuchteten Sonden Anschlüsse oder durch den 21,5" Monitor. So kommt das brillante Bild perfekt zur Darstellung, basierend auf dem neuen HD Beamformer und integriertem Realtime Compound Imaging. Damit wird eine Qualität und Auflösung erreicht, die man von solch einem kompakten System nicht erwartet. Und letztendlich überzeugt das Xario 100G mit zwei Sekunden Startup aus Standby und einem integrierten Akku mit zwei Stunden Betriebsdauer.

Das Xario 200G überzeugt durch seine außergewöhnliche Bildgebung, eine vielfältige Sondenpalette, einem vollständig programmierbaren Bedienkonzept und 21,5" Monitor. Basis des Xario 200 ist die HD Architektur, die Technologien wie Precision Imaging und SMI ebenso wie das Realt. Comp. Imag. ApliPure+ oder das Breitband Harmonic Imaging Differential THI. Zusätzlich: integrierte Bildverwaltung, Onboard Reporting, zwei Sekunden Startup aus Standby und einem integrierten Akku mit zwei Stunden Betriebsdauer.

Magic inside – mit aktiver Matrix-Technologie. Diese überwindet die physikalischen Grenzen konventioneller 2D- und bisher gebräuchlicher Matrix-Sonden. Erstmals ist es möglich, die Schichtdicke über die gesamte Eindringtiefe elektronisch zu fokussieren. So entsteht, ein messerscharfes Schnittbild mit überragender Detailauflösung. Der Grund für 2D-Bilder und Hämodynamik, so dicht an der Realität wie nie zuvor. Bedienung mit On-Screen- Navigation und einem programmierbarem Panel sowie Touch Command Screen einfach und intuitiv.

DAS PASSENDE KONTRASTMITTEL LIEFERN WIR.

BECKELMANN.DE
Canon | Aplio a Canon | Aplio i800 Canon | Viamo sv7 ULTRASCHALL  Canon | Xario 100G
ULTRASCHALL 179 RADIOLOGIE MAGAZIN 1-2021
Canon | Xario 200G

Das LOGIQ S7 XDclear 2.0 ist das kleinste Mitglied der XDclear Familie und ist ein Farbtriplex-System jüngster Technologie, das sowohl den wirtschaftlichen Rahmenbedingungen des Gesundheitswesens als auch den hohen Qualitätsanforderungen an diagnostische Konfidenz gerecht wird. Das flexible Systemkonzept erlaubt eine maßgeschneiderte Anpassung an individuelle Anforderungen und die Ausstattung mit Innovationen wie B-Flow, Elastografie, Kontrastsonografie usw.

Das völlig neu überarbeitete LOGIQ S8 XDclear 2.0+ ist ein topmodernes und äußerst mobiles PremiumUltraschallsystem mit durchdachtem Ergonomiekonzept. Durch Migration der wegweisenden GE-Innovationen aus dem LOGIQ E9 in Kombination mit neuer hochintegrierter Hardware ist ein interdisziplinäres Hochleistungsultraschallsystem entstanden, das hohen Anforderungen an Qualität, Nutzungsbreite und Bedienungsfreundlichkeit gerecht wird.

Für die schnelle und valide Routinediagnostik

▪ Minimalistische Bedienoberfläche

▪ Touchscreen u. a. mit TGC Wischbedienung

▪ Großzügiger 21" LCD Monitor

▪ System modular erweiterbar u. a. mit Shear wave Elastographie, Kontrast, B-Flow, Panoramadarstellung

▪ Optional:

Pinpoint GT – Magnetisches Needletracking System

▪ Akkubetrieb für schnelle Ortswechsel und netzloser Schallbetrieb von bis zu einer Stunde.

Der LOGIQ e ist durch seinen netz-unabhängigen Akkubetrieb für den schnellen und portablen Einsatz in vielen Fachrichtungen konzipiert. Die optionale Dockingstation mit zusätzlicher Umschaltmöglichkeit von bis zu drei Schallsonden erlaubt es, den LOGIQ e als kompaktes Routinesystem in Klinik und Praxis einzusetzen. Die neue 22 MHz Sonde am LOGIQ e stellt besonders oberflächennahe Strukturen an der Haut und im Fingergelenkbereich in höchter Auflösung dar.

Die E10-Geräteplattform setzt einen neuen Standard in der Ultraschall-Bildgebung dank der Kombination aus bewährter XDclear Sondentechnologie und der jüngsten Innovation in der Bilderzeugung – dem leistungsstarken cSound Imageforming: Dieses exklusive GE Feature sorgt automatisch und kontinuierlich für eine hervorragende Uniformität vom Nah- bis zum Fernbereich. Zudem verfügt das LOGIQ E10 über weitere zukunfts weisende Technologien wie dem Fernzugriff via App und zahlreichen automatisierten Tools für eine subtile Abklärungsdiagnostik.

Ultraschallsystem im Smartphoneformat.

Das Gerät mit dem 5" Touchdisplay ist so konzipiert, das es mit einer Hand bedient werden kann. Der exklusive Dual-Schallkopf beinhaltet sowohl einen LinearArray- als auch einen Phased-ArraySchallwandler und ist somit optimal für die suffiziente Erstuntersuchung am Point-of-Care geeignet. Das System erlaubt die schnelle Inspektion von Herz, Abdomen, Blase, Lunge und Ophtalmologie und ergänzt sinnvoll die körperliche Basis-Untersuchung.

Ultraschall im entscheidenden Moment. Das Venue verkörpert die nächste Entwicklungsstufe in der Point of Care Bildgebung: Es verfügt über automatisierte Schock-Tools wie Auto VCI, Auto VTI und Auto B-Lines, die auf KI basieren. Auf diese Weise können schnellstmöglich wichtige Therapieentscheidungen bei Patienten im Schockzustand getroffen werden. Weitere Vorteile bieten das fugenlose, rein-touch-basierte Display, das intelligente Kabelmanagement und die EKG-Funktionsfähigkeit.

Das Venue Go lässt sich durch seine Mulifunktionalität leicht transportieren und kann entweder als mobiles Standgerät, Tischgerät oder auch mit Wandhalterung benutzt werden. Zudem befinden sich drei aktive Sondenports direkt am System. Es verfügt über eine Akkulaufzeit von mehr als zwei Stunden und einen fugenlosen Touch-Screen zur intuitiven Bedienung und optimalen Reinigung / Desinkektion. Innerhalb von sieben Sekunden ist das Venue Go aus dem StandbyModus einsatzbereit.

GE Healthcare | LOGIQ P7 / P9
ULTRASCHALL 
GE Healthcare | LOGIQ S7 XDclear 2.0 GE Healthcare | LOGIQ S8 XDclear 2.0+ GE Healthcare | LOGIQ E10 Serie GE Healthcare | LOGIQ e GE Healthcare | Vscan Extend GE Healthcare | Venue
INDE- X 180 RADIOLOGIE MAGAZIN 1-2021
GE Healthcare | Venue Go

LISENDO 880 ist Hitachis erstklassige diagnostische 2D/4D-Ultraschalllösung für Kardiologen –unabhängig vom klinischen Umfeld. Das Premiumsystem LISENDO 880 ist die neue Evolutionsstufe für den kardiovaskulären Ultraschall, wobei sie außergewöhnliche klinische Leistung mit modernsten Analysen und Funktionen vereint.

Das neue Premium-Ultraschallsystem ARIETTA 850 eröffnet durch neue hochinnovative Technologien unerreichte Dimensionen der Ultraschallbildgebung. Durch die neue Sende- und Empfangstechnologie eFocusing wird automatisch das gesamte B-Bild fokussiert. Somit bietet diese Technologie eine exzellente punktuelle Auflösung und einen hervorragenden Kontrast im gesamten Bildbereich. Des Weiteren unterstützt das System die neueste 4G CMUT- und Single Crysta Sondentechnologie.

ARIETTA 750 – für höchste Bildqualität und eine große Auswahl an fortschrittlichen Technologien

▪ Herausragende Bildqualität dank eFocusing und Carving Imaging

▪ Leistungsstarke, auf künstlicher Intelligenz basierende Messfunktionen ▪ Vielfältige Auswahl an Sonden für zahlreiche therapeutische Bereiche

Die ARIETTA 65 wurde für eine optimierte und einfache Verwendung entwickelt und verfügt über ausgewählte Bildgebungstechnologien und klinische Anwendungen, die von Premium Systemen migriert wurden.

Neben dem 21,5"-Monitor der an einem 360-Grad Schwenkarm befestigt ist bietet die ARIETTA 65 folgende herausragende Vorteile:

Nahtloser Workflow und Produktivität

▪ Hervoragende Bildgebung und präzise Diagnosestellung

▪ Fortgeschrittene Technologien

Die ARIETTA 50 / 50 LE wurde für eine optimierte und einfache Verwendung entwickelt und verfügt über ausgewählte Bildgebungstechnologien und klinische Anwendungen, die von Premium Systemen migriert wurden. ▪

21,5" Monitor ▪

Nahtloser Workflow und Produktivität ▪ Hervoragende Bildgebung und präzise Diagnosestellung ▪ Fortgeschrittene Technologien ▪ Flexibler Monitorschwenkarm (nur ARIETTA 50 LE) ▪ Vier Sondenports (nur ARIETTA 50 LE)

Die ARIETTA Prologue ist als tragbares Ultraschallsystem speziell für den Point-of-Care Einsatz konzipiert worden. Der smarte Betrieb per abnehmbarem Touchscreen sorgt für eine intuitive, einfache Bedienung. Mit dem integrierten Akku und ihrer kompakten Ausführung bringt sie modernste Technologien in neue Bereiche der Patientenversorgung. Die schnelle Verfügbarkeit dieser hochqualitativen Bildgebung wird durch die große Anzahl von Schallköpfen nun in unterschiedlichsten Anwendungsbereichen möglich.

Das innovative Ultraschallsystem ARIETTA Precision ist Ihr idealer Partner für interventionelle Verfahren. Es wurde speziell für die Intensivstation und OPUmgebungen entwickelt und eignet sich hervorragend für den Einsatz auf engem Raum – mit einer Bildqualität, die Sie begeistern wird.

Dank der drahtlosen Kommunikation der Systemteile (Monitor, Basiseinheit, Remote Controller) ist eine unabhängige Platzierung möglich. Dadurch wird ein effektives und flexibles Arbeiten realisiert.

Performance Ultraschall mit dem kompakten, vollausgestatteten F31. Das ergonomische Gerätedesign ermöglicht effiziente Arbeitsabläufe zum Wohle des Patienten, während seine fortschrittlichen Funktionen die Erwartungen eines breiten Spektrums klinischer Anwendungen abdecken. Die flexibel anpassbare Bedienkonsole kombiniert mit dem schwenkbaren Monitor erlaubt ein hohes Maß an Anwenderkomfort und Sicherheit.

Hitachi | ARIETTA 850
ULTRASCHALL 
Hitachi | LISENDO 880 Hitachi | ARIETTA 50 / 50 LE Hitachi | ARIETTA 65 Hitachi | ARIETTA Prologue Hitachi | ARIETTA 750 Hitachi | ARIETTA Precision
ULTRASCHALL 181 RADIOLOGIE MAGAZIN 1-2021
Hitachi | F31

F37 ist ein Farbdoppler-Kompaktgerät mit Anspruch auf Premiumqualität. Ergonomisches, klares Design und einfache, intuitive Bedienbarkeit. Das frei kon gurierbare Bedienpanel macht Untersuchungsabläufe einfach und wirtschaftlich. F37 orientiert sich mit Harmonic Imaging und exzellenter Au ösung, Adaptive Image Processing und Spatial Compound an den Hitachi Aloka High-End-Systemen und bietet diagnostische Sicherheit auf hohem Niveau.

▪ Intelligente UltraFast Bildgebung und intuitives SonicPad

▪ ShearWave-Elastogra e (SWE) visualisiert, analysiert und quanti ziert Gewebestei gkeit in Echtzeit

▪ 3D-Volumenbildgebung (B-Mode, SWE)

▪ TriVu- Echtzeit-Bildgebungsmodus ermöglicht die gleichzeitige Anzeige von Morphologie (B-Modus-Bilder), Stei gkeit (SWE) und Blut uss (Angio)

▪ Visualisierung der Mikrovaskularisation (Angio PLUS)

▪ Ultrafast Doppler – ultraschnelle Aufnahme der Farb- und Spektraldopplerinformation, Ableitung frei positionierbaren Lokationen

▪ Intelligente UltraFast Bildgebung und intuitives SonicPad

▪ ShearWave-Elastogra e (SWE) visualisiert, analysiert und quanti ziert Gewebestei gkeit in Echtzeit

▪ 3D-Volumenbildgebung (B-Mode, SWE)

▪ TriVu- Echtzeit-Bildgebungsmodus ermöglicht die gleichzeitige Anzeige von Morphologie (B-Modus-Bilder), Stei gkeit (SWE) und Blut uss (Angio)

▪ Visualisierung der Mikrovaskularisation (Angio PLUS)

Das Premiumsystem bietet klinische Höchstleistung, Work ow-Ef zienz und intelligente Schallkopftechnologien für alle Anwendungen. Die nSIGHT Imaging-Architektur und XRES Pro-Bildverarbeitung erhöhen die Diagnosesicherheit selbst bei schwer schallbaren Patienten. Der 24"-HD MAX-Monitor ermöglicht ein bisher unerreichtes Maß an immersiver Visualisierung.

Die Premiumlösung unterstützt den Anwender bei sämtlichen Fragestellungen der kardiologischen Routinediagnostik. Anatomische Intelligenz trägt zu einer besseren Visualisierung und Quanti zierung sowie einem ef zienteren Work ow bei. Als erstes Echokardiographiesystem von Philips integriert EPIQ CVx das Renderingtool TrueVue. Außerdem verfügt das System über einen hochau ösenden, kontraststarken OLED-Monitor, der brillante Farben erzeugt und einen Betrachtungswinkel von 180 Grad hat.

Sparq ist ein System speziell für den Einsatz im OP sowie in der Regionalanästhesie, Notfallambulanz und Intensivstation. Es verfügt über ein leicht zu reinigendes Hartglasbedienfeld und kann über die eingebaute Stromversorgung netzunabhängig betrieben werden. Zur Unterstützung häu g wechselnder Anwender kann per Knopfdruck der Simplicity Mode eingeschaltet werden, sodass nur die am häu gsten verwendeten Bedienelemente angeboten werden.

Philips | Affiniti 70

Das Ultraschallsystem Sonimage HS1 bietet mit seiner hohen Sensitivität und der Breitband-Sonde einige Verbesserungen in der Transducre-Technologie, wie z. B. einer mehrschichtigen „MatchingLayer“-Bauweise mit optimierten Materialien hergestellt in Nano-Fertigungstechnologie.

Das Konica Minolta Sonimage HS1 bietet die Funktionen eines High-End Ultraschallsystems in kompaktem Design: Einzigartige Technologie in einem tragbaren System.

Leistungsfähiges und zuverlässiges High-End-System für eine Vielzahl von Anwendungen. Die intuitive Bedienung trägt zu einer ef zienten Patientenversorgung bei. PureWave-Schallköpfe erhöhen die Eindringtiefe und Diagnosesicherheit bei schwer schallbaren Patienten.

Hitachi | F37
ULTRASCHALL
HOLOGIC | SuperSonic Mach 30 HOLOGIC | SuperSonic Mach 20 Konica Minolta | Sonimage HS1 Philips | EPIQ Elite Philips | EPIQ CVx
INDE- X 182 RADIOLOGIE MAGAZIN 1-2021
Philips | Sparq

Das Allround-System für die tägliche Routine bietet eine ausgezeichnete Bildqualität, leicht erlernbare Funktionen und vielseitige Anwendbarkeit. Präzises Beamforming unterstützt einen breiten Dynamikbereich, der für eine hervorragende räumliche Kontrastauflösung, gleichmäßige Gewebedarstellung und weniger Artefakte sorgt.

Affiniti 30 sorgt für hohe Effizienz und Zuverlässigkeit. Präzisions-Beamforming, gewebespezifische Presets (TSPs) und Automatisierungstools unterstützen bei einer schnellen und sicheren Diagnostik sowie der Steigerung des Patientendurchsatzes.

Vielseitig einsetzbares, modular designtes System mit Active-Array-Technologie für erstklassige 3 D/4 D-Bildgebung. Mühelose Mobilität und Manövrierbarkeit, geringer Energieverbrauch.

Vielseitig einsetzbares, modular designtes System mit Active-Array-Technologie für erstklassige 3D / 4D-Bildgebung. Intuitive Bedienoberfläche, mühelose Mobilität und Manövrierbarkeit, geringer Energieverbrauch.

Mobiles System für Situationen, in denen es schnell gehen muss. Dank seines kompakten Designs immer und überall einsatzbereit. PureWave-Schallköpfe sorgen für eine herausragende Detaildarstellung und Kontrastauflösung und ermöglichen eine bessere Eindringtiefe bei höheren Frequenzen – selbst bei schwer schallbaren adipösen Patienten. Drahtlose und drahtgebundene DICOM-Kommunikation für Konnektivität in jeder Umgebung.

Philips | InnoSight

Das mobile kompakte Ultraschallsystem mit 2,5 kg leichtem Tablet begleitet den Anwender dorthin, wo es gebraucht wird - rollend auf dem Gerätewagen oder am ergonomisch geformten Tragegriff. Das System verfügt über vier Breitbandsonden (Convex-, Linear-, Sektor- und Endokavitärsonde). InnoSight kann durch individuell anpassbare Layouts und anwenderdefinierte Presets personalisiert werden.

Die RS85 Prestige ist Samsungs Premium-Ultraschallsystem, welches vor allem durch seine integrierten Lösungen überzeugt. Mit einer ausgeszeichneten Bildqualität und intelligenten Experten-Tools, wie EzHRI, S-Detect oder S-Fusion, unterstützt die RS85 Prestige dabei, sichere und schnelle Entscheidungen in der Inneren Medizin, Radiologie und Urologie zu treffen.

Samsung | RS80 EVO

Die RS80 EVO ist ein vielseitiges System, welches durch innovative Tools, wie S-Detect for Breast and Thyroid, Arterial Analysis oder S-Fusion überzeugt. Mit ihrer brillianten Bildqualität bietet Ihnen die RS80 EVO die Sicherheit, bei komplexen Fragestellungen, die richtigen Entscheidungen zu treffen. Der 23"-Full-HD-LED-Monitor und das 13,3"-Touchpanel mit Neigefunktion bieten dabei einen hohen Anwenderkomfort und schnellen Workflow.

ULTRASCHALL 
Philips | Affiniti 50 Philips | Affiniti 30 Philips | ClearVue 650 Philips | ClearVue 550 Philips | CX50
ULTRASCHALL 183 RADIOLOGIE MAGAZIN 1-2021
Samsung | RS85 Prestige

Die HS70A Prime wurde für den Einsatz in Krankenhaus und Praxis entwickelt. Mit einem breiten Sondenportfolio und Funktionen wie S-Detect und S-Shearwave ist die HS70A Prime ein Allround-Spezialist. Die S-VisionImaging-Engine und Bildoptimierungstechnologien wie S-Harmonic, MultiVision, ClearVision und S-Flow sorgen für hervorragende Bildqualität und effizienten Workflow. Dieser wird durch den 23"-Full-HD-LED-Monitor sowie ein höhenverstellbares und schwenkbares Bedienpanel mit 10,1"-Touchpanel unterstützt.

Das Samsung Ultraschallsystem HS60 überzeugt Sie mit Premium-Features wie beispielsweise LumiFlow, MV Flow und S-Detect, welche Ihre diagnostischen Entscheidungen unterstüzen. Zusätzlich ermöglicht Ihnen die HS60 durch eine intuitive Benutzerführung, Ihre Arbeitsabläufe schnell und effizient zu gestalten. Ausgestattet mit einem 21,5"-LED-Monitor und der Single-Crystal-Schallkopf-Technologie, ermöglicht Ihnen die HS60 hochauflösende Bilder, selbst bei hoher Penetration.

Das Ultraschallsystem HS30 repräsentiert eine Verbindung aus effizienter Performance und intelligentem Design, die durch Einfachheit, Kompaktheit und Vielseitigkeit überzeugt. Der 21,5"-LED-Monitor und moderne Bildgebungstechnologien wie MultiVision und ClearVision bieten eine beeindruckende Bildqualität für Ihre Diagnostik. Benutzerorientierte Funktionen wie QuickPreset, EZ-Exam+ und EZ-Compare bieten einen durchdachten Workflow und ermöglichen effizientes Arbeiten.

Samsung | HM70A Plus

Die HM70A Plus unterstützt Erbringer mit hohen Ansprüchen, Ultraschalluntersuchungen optimiert durchzuführen. Überzeugende Bildqualität, effiziente einfach zu bedienende Features sowie ein schlankes und kompaktes Design bieten hohe Mobilität und Produktivität. Ausgestattet mit modernen Bildtechnologien wie MultiVision, ClearVision und S-Flow bietet sie ein hohes Maß an Präzision.

Der 15"-4:3-Backlight-LED-Monitor und das durchdachte Bedienkonzept sorgen für einfache, effiziente Untersuchungsabläufe.

Siemens Healthineers | ACUSON SC2000

Die HS50 mit ihrem 21,5"-LED-Monitor und der SingleCrystal-Technologie, überzeugt Sie mit innovativen Optionen wie ElastoScan und Panoramic, um Ihren Anforderungen an eine schnelle und sichere Diagnostik gerecht zu werden. Benutzerorientierte und einfach zu bedienende Funktionen wie Quick Preset, EZ-Exam+ und Advanced QuickScan ermöglichen effizientes Arbeiten und einen hohen Patientendurchsatz.

Samsung | HS40

Mit ihrem 21,5"-LED-Monitor und fortschrittlichen Imaging-Technologien bietet die HS40 ein großes Ultraschallbild mit beeindruckendem Kontrast, enormer Klarheit und Schärfe sowie brillanten Farben auch bei unterschiedlichen Lichtverhältnissen. Der 10,1"-Touchscreen, die individuelle Höheneinstellung, der vollbewegliche Monitor-Gelenkarm und ihr platzsparendes Design sorgen für hohen Komfort und Mobilität.

Das ACUSON SC2000 setzt Maßstäbe in der Echokardiografie und stellt die ideale Lösung für kardiovaskulären Ultraschall dar. Seine Architektur ermöglicht die Echtzeit-Erfassung des kompletten Herzvolumens und liefert eine echte, unverzögerte und vollständige Volumenerfassung bei transthorakalen, transösophagealen und intrakardialen Ultraschallanwendungen. Um den kardiologischen Workflow zu verbessern, liefert das System mit über 200 automatisierten Messungen robuste, zuverlässige Messergebnisse.

Die beiden Ultraschallsysteme ACUSON NX2 und ACUSON NX2 Elite bieten klinische Zuverlässigkeit durch Prozesseffizienz in der Basisdiagnostik. Dank ihrer Systemarchitektur liefern die Ultraschallsysteme eine hervorragende Bildqualität und maximieren mit erweiterten Workflow-Lösungen eine effiziente Systemnutzung und Bedienerkomfort.

Samsung | HS70A Prime ULTRASCHALL
Samsung | HS50 Samsung | HS60 Samsung | HS30
INDE- X 184 RADIOLOGIE MAGAZIN 1-2021
Siemens Healthineers | ACUSON NX2 / ACUSON NX2 Elite

Die Ultraschallsysteme ACUSON NX3 & ACUSON NX3 Elite sind auf Leistungsfähigkeit und auf eine effiziente Arbeitsweise ausgerichtet. Die AllroundSysteme mit einer intuitiv zu bedienenden Oberfläche, stellen innovative Lösungen in der Allgemeinmedizin, Geburtshilfe / Gynäkologie, Pädiatrie oder Neurologie bereit. Das neu gestaltete Scan-Konzept hilft Arbeitsabläufe zu beschleunigen: Anwender können viele Tasten selbst konfigurieren und benötigen so z. B. für Routinemessungen weniger Handgriffe.

Um die Patientensicherheit während einer Intervention zu erhöhen, wurde das ACUSON Freestyle entwickelt. Das Ultraschallsystem ist die weltweit erste Lösung für kabellosen Ultraschall, womit schnell und einfach Interventionen wie Gefäßpunktion, Feinnadel-Punktion oder Ablation ganz ohne störende Kabel durchgeführt werden können. Die kabellosen Schallköpfe bieten optimale Bewegungsfreiheit und einen hohen Bedienkomfort durch die am Schallkopf befindlichen Bedienelemente. Optional lässt sich das System voll in die Siemens Healthineers ARTIS Produktfamilie integrieren.

ACUSON Juniper ist ein hochmobiles Ultraschallsystem für den Shared-Service-Bereich. Das System bietet ein umfassendes Paket leistungsstarker klinischer Bildgebungsfunktionen und ist mit seinem großen Sondenportfolio flexibel einsetzbar. Automatische Messungen unterstützen den effizienten Workflow. Ein extrem leises Betriebsgeräusch und seine kompakte Bauweise bieten einen hohen Komfort bei der Ultraschalluntersuchung, wo immer diese eingefordert wird.

Das ACUSON Sequoia wurde entwickelt, um eine der größten Herausforderungen der Ultraschalldiagnostik zu bewältigen: klare und konsistente Bildgebung bei Patienten mit unterschiedlichem Körperbau und Gewicht. Mit dem neuen DAX (Deep Abdominal Transducer) Schallkopf und Weiterentwicklungen zu Elastographie und CEUS, werden Gewebeeindringtiefen von bis zu 40 cm ermöglicht. Dank seiner leistungsstarken Architektur und den innovativen Funktionen erweitert das ACUSON Sequoia die Präzisionsmedizin.

Das kompakte und leistungsfähige ACUSON P500 ist ein tragbares Ultraschallsystem, das Ärzten eine umfangreiche Palette an leistungsstarken klinischen Anwendungen für den patientennahen Einsatz bereitstellt. Schnelle und klare Bildgebung bei jedem Patienten und an jedem Ort – das ist nur eine der spezifischen Anforderungen an die Point-of-Care-Diagnostik. Das akkubetriebene ACUSON P500 begegnet dieser Herausforderung mit einem intuitiven Bedienkonzept und neuartiger Bildgebungstechnologie.

Das Ultraschallsystem ACUSON Redwood liefert mit seiner Systemarchitektur außergewöhnliche Bildgebung. Fortschrittliche klinische Anwendungen wie Scherwellen-Elastographie und CEUS bieten zusätzliche klinische Aussagekraft für zuverlässige Diagnosen. KI-gestützte Software Algorithmen sorgen für präzise Messergebnisse und verkürzen dabei gleichzeitig die Untersuchungszeit. Das neue plattformübergreifende Bedienkonzept SHUI (Siemens Healthineers User Interface) vereinfacht die Einarbeitungsphase.

ULTRASCHALL 
Siemens Healthineers | ACUSON NX3 / ACUSON NX3 Elite Siemens Healthineers | ACUSON Freestyle Siemens Healthineers | ACUSON P500 Siemens Healthineers | ACUSON Juniper Siemens Healthineers | ACUSON Sequoia
ULTRASCHALL 185 RADIOLOGIE MAGAZIN 1-2021
Siemens Healthineers | ACUSON Redwood
www.radmag.de

Alles Online

Themen

Vernetzungslösungen verändern die gesamte Geschäftswelt und bringen neue Produkte und Dienstleistungen hervor. Gewohnte Abläufe ändern sich. Auf einmal ist alles online. Software läuft nicht mehr auf Hardware vor Ort, sondern in der Cloud. Außerdem wird nicht mehr gekauft, sondern abonniert. Mit wenigen Klicks sind Radiolog*Innen vom Wohnzimmer oder dem Urlaubsort aus in RIS und PACS. MTRAs steuern aus dem Homeoffice per Remote Scanning CTs und MRTs an unterschiedlichen Standorten. Patienten und Zuweiser bekommen nur mehr einen Link zu Bildern und Befunden. Radiologie Magazin stellt die neuen Online-Lösungen vor, denn ohne Netz geht nichts.

IMPRESSUM

Radiologie Magazin · Ausgabe 1-2021

Herausgeber / Redaktion / Anzeigenmarketing

Guido Gebhardt

Adalbert-Stifter-Weg 2 b · 85661 Forstinning tel 0 81 21 / 6 17 61 · fax 0 81 21 / 6 17 63 gg@radiologiemagazin.de www.radiologiemagazin.de

Gestaltung / Layout / Produktion

Christoph Muschiol Exerzierplatz 30 · 24103 Kiel tel 04 31 / 69 66 71 92 info@muschiol-online.de www.muschiol-online.de

Gesamtherstellung

Weber Offset GmbH

Ehrenbreitsteiner Straße 42 · 80993 München tel 0 89 / 14 31 50 0 · fax 0 89 / 14 31 50 20 info@weber-offset.de · www.weber-offset.de

Bezugspreis 7,50 € zzgl. Versand © 2021 Guido Gebhardt

Disclaimer

Alle Firmen-, Marken- und Produktnamen in dieser Publikation sind Eigentum ihrer jeweiligen Inhaber. Nicht alle Produkte sind in allen Ländern erhältlich.

Hinweis zum Nachdruck

Der Inhalt des Magazins ist urheberrechtlich geschützt. Ein Nachdruck oder die Verwendung für Online-Dienste, auch nur auszugsweise, bedarf der Zustimmung des Herausgebers.

Online-Terminplanung –

Welche Lösungen bieten RIS-Hersteller und externe Dienstleister?

Subscription Model – Abo statt Kauf

Heavy Metal – Remote Scanning als Lösung für den Fachkräftemangel

Straßenbild – Mobile Apps für unterwegs

Fernseher – Was unterscheidet die Teleradiologie vom Befunddienstleister?

und Radiologie –

Online-Projekte werden gefördert?

Die Technologie unterliegt einem stetigen Wandel. Deshalb informiert Radiologie Magazin aktuell und unabhängig über Trends in Technik und IT. Egal ob Interviews, Produktinformationen, Unternehmensberichte oder Fachartikel: Radiologie Magazin präsentiert dem Leser neue Technologien und Produkte aus erster Hand.

www.facebook.com/radiologiemagazin

www.linkedin.com/company/radiologiemagazin

www.radiologiemagazin.de

Inserentenverzeichnis

Agfa Healthcare Germany GmbH 61 allMRI 43

Bayer Vital GmbH 11

Canon Medical Systems GmbH 63, 71 Dedalus HealthCare GmbH 2

Dreiländertagung Medizinische Physik 2021 187

EIZO Europe GmbH 13

EXAMION GmbH 67

Fujifilm Deutschland 45 Hologic Medicor GmbH 88

Imaging Service AG 25 mbits imaging GmbH 29 Metron AG 5

Neo Q Quality in Imaging GmbH 188

RA Radiology Advanced GmbH 23 reif & möller 17

Siemens Healthcare GmbH 19 VMP GmbH 123 Dr. Wolf, Beckelmann & Partner GmbH 35

Fotonachweis

Seite 20 © apinan· stock.adobe.com

Seite 27 © Thaut Images· stock.adobe.com

Seite 48/49 © jm1366 · stock.adobe.com

Seite 186 © artinspiring · stock.adobe.com

Krankenhauszukunftsgesetz
Welche
Das nächste RADIOLOGIE MAGAZIN erscheint am 8. Juli 2021 Besuchen Sie RADIOLOGIE MAGAZIN im Internet
Termine buchen Sprechstunde
186 RADIOLOGIE MAGAZIN 1-2021 X -EMPLAR
Untersuchung Bilder und Be nde teilen

Joint Conference of the ÖGMP, DGMP & SGSMP Dreiländertagung der Medizinischen Physik

19–22
VIENNA © 50018333 | A_Lein | stock.adobe.com
September 2021

Ich bin der neue Weg zum Befund

Schneller, besser, bequemer befunden mit RadioReport®

Jetzt testen: radioreport.com

Ich bin die völlig neue Art zu befunden: Mit wenigen Klicks erhalten Sie einen hochwertigen, übersichtlichen und verständlichen Befund. Und zwar bis zu 50% schneller als bisher. Mit nur 23 Modulen decke ich sämtliche MRT/CT Indikationen ab. Und weil Arbeitszeit auch Lebenszeit ist, mache ich Ihnen die Befundung so bequem wie nie. Ich bin Ihre neue Befundungs-Software. Ich bin RadioReport.

Als Medizinprodukt CE-zertifiziert.

Turn static files into dynamic content formats.

Create a flipbook
Issuu converts static files into: digital portfolios, online yearbooks, online catalogs, digital photo albums and more. Sign up and create your flipbook.