Life Magazines (Hertfordshire editions) August 2023

Page 54

There is something for everyone this season at Hatfield Park.

FROM THE EDITOR

Aglorious day out on the golf course watching the future stars of ladies golf complemented by a delicious dining experience at the awardwinning Auberge du Lac is on offer at Brocket Hall in September when the Hertfordshire club hosts the Rose Ladies Open, hosted by golfing superstar Justin Rose and his wife, Kate.

This summer, Bill’s St Albans have a bunch of sizzling summer specials on offer, bound to heat up your summer. The new Taco ‘Bout It and Tequila Me Softly menus are packed with the equally tempting and tasty taco plates and tequila-fuelled cocktails, perfect for kicking off a summer of fun.

The annual Classic Motor Show is returning to Knebworth Park over the August Bank Holiday weekend on Sunday 27th and Monday 28th August. The popular show will provide plenty of interest and entertainment for families and motoring enthusiasts throughout Hertfordshire and beyond.

Lavender has been grown in and around Hitchin for hundreds of years and museum is homage to this. Perks and Llewellyn was an apothecary located in Hitchin town centre until the 1960’s, Hitchin Historical Society have kindly loaned us much of the shops furniture and its artefacts which help give visitors an insight into the use of lavender throughout Victorian times.

EDITOR

FAYE MANNING EDITORIAL ASSISTANT

KATIE MILLER SUB EDITOR

NICHOLAS PETER

BUSINESS DEVELOPMENT MANAGERS

PRUVEE PATEL DESIGN & PRODUCTION LISA WADE ACCOUNTS TRACEY HALLS, ANDREE GEORGIOU DIRECTORS RORY SMITH, PATRICK SMITH © All Rights Reserved. Life Magazines are copyrighted and may not be reproduced in any form either in part or whole without written permission from the publishers. Whilst Fish Media Group Ltd. takes every reasonable precaution, no responsibility can be accepted for any property, services or products offered in these publications and any loss arising therefrom. Whilst every care is taken with all materials submitted to Life Magazines, the publisher cannot accept any responsibility for the loss or damage to such material. Fish Media Group Ltd. reserves the right to reject or accept any advertisement, article or material prior to publication. Opinions expressed are strictly those of the authors and do not necessarily represent the views or policies of Fish Media Group Ltd. We accept no liability for any mistakes and no responsibility can be taken for the content of these pages. PUBLISHED BY FISH MEDIA GROUP LTD 0844 800 8439 www.thelifemagazines.com @lifemagazines Radlett Premier Bathrooms 64 Watling Street, Radlett, WD7 7NP Tel: 01923 850444 | Fax: 01923 850456 Email: sales@radlettpremierbathrooms.co.uk www.radlettpremierbathrooms.co.uk 20% discount with receipt of this advert.
KELLY PAULING,
11 Holywell Hill, St Albans, Herts AL1 1EZ 01923 773906 01727 482370 celia@moneyhillinteriors.com moneyhillinteriors.com

UNTIL 31 AUGUST

SUMMER AT HATFIELD PARK

Enjoy historical artefact, artworks and furniture and explore the restored kitchen, where staff prepared the banquet for Queen Victoria’s visit in 1846. Open each Thursday to Sunday until the end of August.

Hatfield Park, Hatfield, Herts, AL9 5NB

THE CALENDAR

TUESDAYS - SUNDAYS

A LOT OF HOT AIR

Float through four centuries of ballooning in Hertfordshire, from the earliest manned flight over England in 1784, and the daring exploits of nineteenth century aeronauts, through the Zeppelin threats of the First World War, to modern-day ballooning escapades in Hertford. Hertford Museum, 18 Bull Plain, Hertford, Hertfordshire SG14 1DT

2 SEPTEMBER

TOP OF THE CROPS FESTIVAL

Tewinbury Farm Hotel is taking over the Tewinbury fields with Top of the Crops Festival. This year’s headliners are The Real Thing who’ll be performing tunes like ‘You To Me Are Everything’ & ‘Can’t Get By Without You’. They’ll be supported by more live acts & DJs throughout the day, while street food trucks, the ‘Baa Bar’ beer tent (repurposed lambing tent) & cocktail bar will be serving up the refreshments. This is one you don’t want to miss! Doors open at 1pm. Book your tickets online now at ticketsource.co.uk/tewinburyfarm-hotel or tewinbury.co.uk Meadow Farm, Tewinbury, Hertfordshire

9 SEPTEMBER

LDGA AUTUMN SHOW

This is one the highlights of the year for Letchworth District Gardeners Association. A traditional village type show with displays of not just flowers, fruit and vegetables but also cookery, handicrafts and photography. Both members and non-members are welcome to enter exhibits; you don’t have to be an expert to join in. There is a trophy for best newcomer. Free Church Hall, Norton Way South, Letchworth, Hertfordshire SG6 1NX

14 AUGUST 2023 [ EVENTS ]
LOVE LOCAL

20 AUGUST

PATCHWORK - OPEN GARDEN FOR NGS

¼ acre garden with lots of year-round colour, interest and perfume, particularly on opening days. Sloping site containing rockeries, two small ponds, herbaceous borders, island beds with bulbs in spring and dahlias in summer, roses, fuchsias, hostas, begonias, patio pots and tubs galore - all set against a background of trees and shrubs of varying colours.

Patchwork, Berkhamsted, Hertfordshire HP4 2NJ

19 AUGUST

CLASSIC

IBIZA AT HATFIELD HOUSE

Dig out your dancing shoes for Classic Ibiza at Hatfield House on 19 August. Headlined by the 32-piece Urban Soul Orchestra, the five hour concert celebrates the best in Balearicinfused house music, accompanied by an awesome laser show. Children are welcome, bring your own picnic and settle into the vibe with DJ sets from the likes of former Pacha resident, Jose Luis.

Hatfield Park, Hatfield, Hertfordshire, AL9 5NB

2 SEPTEMBER

WATFORD MEMORY WALK

Memory Walk is so much more than a sponsored walk. Every year thousands of people come together to remember and bring hope for a brighter future. Make a difference, at a walk like no other, where we will raise funds to make a vital difference to people affected by dementia.

Cassiobury Park, Gade Avenue, Watford, Hertfordshire WD18 7LH

UNTIL 27 AUGUST

SUNDAY SOFT SCULPT

Each Sunday during the summer holidays, you’ll find soft sculpting materials in our Sheep Field Barn. Drop in and enjoy shaping, squishing, stacking, scaling, and balancing your own soft sculptures. Sheep Field Barn, Henry Moore Studios & Gardens, Dane Tree House, Perry Green, Much Hadham, Hertfordshire

SG10 6EE

UNTIL 3 SEPTEMBER

EVERYMAN SECRET GARDEN IN PARTNERSHIP WITH DISCOVERY

Relax under the stars in the Walled Garden with bean bags, beverages and delicious snacks, and enjoy an array of new releases, family favourites and musicals at the popular open-air cinema.

The Grove, Chandler’s Cross, Hertfordshire WD3 4TG

10 SEPTEMBER

HERTFORD CASTLE HERITAGE DAY

The castle grounds will be transformed for the day and will include a small settlement of interactive medieval encampments on the main lawn, including a programme of entertainment such as fire breathing, falconry flying displays, storytelling and even reenactment battle scenes.

Hertford Town Council, The Castle, Hertfordshire

SG14 1HR

AUGUST 2023 15

The Silver Cup, Harpenden

Makes The Good Food Guide list of Britain’s 100 Best Local Restaurants 2023

Neighbourhood gastropub The Silver Cup in Harpenden has earned another award to add to its growing list of accolades, making it onto The Good Food Guide’s list of Britain’s 100 Best Local Restaurants 2023.

The prestigious Best Local Restaurant list celebrates the places that are the beating heart of communities around Britain. Using reader nominations as a driving force, The Good Food Guide team inspected a great number of restaurants in Central and East England to decide which ones deserved a place in the 100 Best Local Restaurants 2023. Some are old favourites, others are new to The Good Food Guide, all are brilliant places to eat.

The Silver Cup is continuing to gather acclaim for its imaginative menus, standout flavours and its warm and welcoming atmosphere. Independently owned and led by Michael Singleton and chef Matthew Reeder, the pair took over in spring 2020 and transformed the 19th century pub into a contemporary dining space, with a regularly changing set menu and a well-balanced wine selection, stylish interior and newly refurbished outside terrace.

Michael Singleton said: “We are thrilled to be on the list of 100 best local restaurants, especially as we were nominated by public vote and by those that love dining here. We have a fantastic

THE DETAILS

The Silver Cup 5 St Albans Road, Harpenden, AL5 2JF

Open Thursday - Saturday 12pm to 11pm; Sunday 12pm - 9pm thesilvercup.co.uk

@thesilvercup

local following in Harpenden, where we feel there’s nothing quite like the dining experience we’re offering. Word is now spreading beyond Hertfordshire, with regular visitors from London who are keen to come and experience our highlypraised set menu, Sunday roasts and steak nights.”

Head chef Matthew Reeder has worked in the kitchens of top restaurants like Auberge du Lac, The Typing Room, The Galvin Brothers and Anglo in Farringdon where he was head chef. His superb seven-course tasting menu (£70) changes regularly and showcases the best seasonal ingredients. Current dishes include: Scallop, Sea Bass, Ponzu & Avocado; Cornish Sean Bream, Courgette, Octopus & Piccolo; Herdwick Lamb, Tenderstem, Anchovy & Mint; Jam, Toast & Earl Grey.

Matthew is a fan of nose-to-tail cooking, buying whole animals and butchering them in-house, using local produce sourced from UK farms and estates. Fish and seafood is sourced as sustainably as possible, including hand-dived or picked scallops and oysters. The team make all their own bread, stock, and ice creams and they preserve the best fruit and vegetables by fermenting, pickling and curing to keep waste to a minimum.

16 AUGUST 2023 LOVE LOCAL

Glorious Golf & Gastronomy on Offer at BROCKET HALL

Aglorious day out on the golf course watching the future stars of ladies golf complemented by a delicious dining experience at the awardwinning Auberge du Lac is on offer at Brocket Hall in September when the Hertfordshire club hosts the Rose Ladies Open, hosted by golfing superstar Justin Rose and his wife, Kate.

Following the success of the inaugural

tournament last year, Brocket Hall will stage one of the foremost events on the Ladies European Tour Access Series from September 7 to 9. The tournament boasts the largest prize fund on the Access Series this year. What’s more, tickets are completely free, just register online at roseladiesopen.co.uk.

The field of 108 players will include defending champion, My Leander, as well as Tour rookie, Emily Price from England and Denmark’s Sofie Kibsgaard Nielsen as well as local player, Sophia Fullbrook, the current Justin Rose Telegraph Junior Golf Champion.

During the 54-hole strokeplay competition, played over the par-72 Melbourne Course, one of two championship courses at Brocket Hall, from Thursday, September 7 to Saturday, September 9, a range of hospitality offerings and public facilities will be open.

18 AUGUST 2023 LOVE LOCAL
“Auberge’s head chef, John Barber sources the majority of his ingredients from the estate’s kitchen garden”

The tournament will be preceded by a Celebrity ProAm on Wednesday, September 6, which will give everyone a chance to spot a few stars from the worlds of sport and entertainment as well as the pros themselves.

After following the action out on the course, spectators can indulge in a luscious lunch prepared by the Auberge’s head chef, John Barber, who sources the majority of his ingredients from the estate’s kitchen garden and local suppliers to create a seasonal, modern British cuisine.

In addition to watching golf, there will be the opportunity to try out the game of golf thanks to The Golf Foundation who will be on hand for everyone to have a go at putting and hitting some balls. Children are more than welcome and the day is an excellent way of introducing them to the game and perhaps firing a lifelong interest in playing golf.

The Melbourne Course is one of England’s most picturesque championship courses with

its stunning views over the property’s glorious stately home and lake which is straddled by the magnificent Paine Bridge and its acres of rolling 18th century parkland.

There is no doubt that the demanding layout will provide the players with a testy challenge thanks to host of water hazards (it crosses the River Lea on no less than four occasions!), hanging fairway lies and sloping greens that will force the players to think about each and every shot.

Its memorable finish in front of the Hall itself after a short ferry ride to the 18th green will no doubt add drama to the action right down to the very last hole!

In addition to top level hospitality at the Auberge du Lac, Brocket Hall is offering hospitality packages from £66 per person as well as various other food options. The venue is easily accessible – and just 22 miles from the centre of London – and will provide free on-site parking.

THE DETAILS

For further details and registration for FREE tickets: roseladiesopen.co.uk, for Rose Ladies Open Hospitality Packages at the event, go to brocket-hall.co.uk/ the-melbourne-golf-club-at-brockethall/rose-ladies-open and to book the Auberge du Lac, call 01707 376700.

AUGUST 2023 19

Bill’s St Albans shakes up the summer menu with Tacos and Tequila cocktail specials

This summer, Bill’s St Albans have a bunch of sizzling summer specials on offer, bound to heat up your summer. The new Taco ‘Bout It and Tequila Me Softly menus are packed with the equally tempting and tasty taco plates and tequila-fuelled cocktails, perfect for kicking off a summer of fun.

Choose from three flavoursome taco plate options of; Spicy Pulled BBQ Brisket served with spicy taco mayo & chilli flakes, or Buttermilk Fried Chicken served with spicy taco mayo & chilli flakes or Roast Squash & Feta (vegan option available) served with basil & lime mayo. Each Taco plate portion is £12 each, which includes three Taco’s with the same fillings, providing the ultimate taco of the town this summer.

Not only will there be new treats to eat on the menu, but Bill’s have also shaken up a select

THE DETAILS

To enjoy a summer fuelled by tasty tacos and tequila be sure to book a table at Bill’s this summer, walk-ins are welcome, but booking is advised: bills-website.co.uk/summer

Drinking to excess will not be permitted and participants are required to drink responsibly at all times: drinkaware.co.uk.

cocktail menu full of specials with Altos Platas Tequila to bring a Happy Hour lasting not 1 hour, not 2 hours, but all day (available from 11.30am till close)!

The Tequila Me Softly cocktail happy hour deal of 2 for £12 is available on any of the cocktails on the menu. Guests can choose from the Arctic Margarita with Olmeca Altos Plata, shaken with blue curacao and a twist of orange, the Picante Margarita with Olmeca Altos Plata served over ice with fresh citrus & spicy chilli rim, Pink Melonade Margarita with Olmeca Altos Plata shaken with strawberry, watermelon & fresh citrus, Mexican Lime Cooler with Olmeca Altos Plata stirred with Mexican Lime Soda & fresh lime, or Pink Grapefruit & Rosemary Paloma with Olmeca Altos Plata stirred with Pink Grapefruit Soda, fresh lime & rosemary.

20 AUGUST 2023 LOVE LOCAL

The world’s most dynamic and exciting equestrian sport

LONGINES GLOBAL CHAMPIONS TOUR OF LONDON 2023

10th – 13th August, Royal Hospital Chelsea

The Longines Global Champions

Tour of London is one of the most prestigious events on the global equestrian calendar. As the twelfth leg of the 2023 Longines Global Champions Tour and GCL seasons, the coveted event is held in the heart of the capital. As an event showcasing the world’s finest equine athletes, competing for the honour of being crowned champion in front of a global audience, it is not to be missed.

The elegance of the event is reflected not only in the performances of the horses and riders, but also in the unique venue that hosts it - taking place in the stunning grounds of the magnificent Royal Hospital Chelsea, designed by Sir Christopher Wren. Founded by King Charles II over 300 years ago, this iconic venue has hosted many world-class events, including the annual RHS Chelsea Flower

22 AUGUST 2023

Show. The grandeur of the venue provides a fitting backdrop for the world-class show jumping that will be taking place, The individual and team competitions are set to be ultimate Championship showdowns at the historic home of our muchloved Chelsea Pensioners.

The Longines Global Champions Tour of London is more than just a competition; it is a celebration of the equestrian way of life. Attracting the world’s most accomplished riders, who come to compete for the coveted title of LGCT Grand Prix of London, and the GCL of London. The competition is fierce, but the atmosphere is friendly, and the audience is treated to a display of elegance and athleticism that is truly unforgettable.

All season the British riders have been battling it out on the LGCT, one of the highest calibre circuits of equestrian sport. Spanning three continents and thirteen countries, taking in the world’s greatest cities including Paris, Monaco, Madrid, Miami Beach, Shanghai, Rome and Doha, Qatar they are now in London with their sights set on the ultimate goal of the GC Prague Playoffs this November. Olympic Gold Medallist Ben Maher said: “The atmosphere is always fantastic, and we are hoping to see as many supporters as possible again at the very special venue that is Royal Hospital Chelsea.”

Experience the exceptional as you watch four days of thrilling top-level equestrian sport, with show jumping stars, team managers and owners looking for local support as they battle for valuable points to help secure the Championship titles. Whether you are a fan watching from the grandstands or as a guest in the hospitality lounges, there is no better way to experience the drama, excitement and glamour of show jumping.

The youngest member of the Whitaker showjumping dynasty, 21-year-old Jack Whitaker, and member of Madrid In Motion said: “You can’t beat jumping in front of a home crowd and

in such an iconic location. The London Global’s event is always one of the best of the year it has everything from top sports, music, shops, and entertainment so looking forward to it! “

Alongside the show jumping action, families can enjoy the lively shopping village with kids’ activities and a variety of refreshments and food outlets to suit every taste. Visitors also benefit from unique access to the warm-up arena to see the elite horse and rider combinations preparing for competition.

The event has a rich history, having first been held in London in 2013. Since then, it has become a fixture on the global equestrian calendar, attracting a loyal following of fans who come from all over the world to witness the spectacle. The Longines Global Champions Tour of London is not just an equestrian event, but a celebration of London’s cultural heritage and its unique place in the world of sport, and a place to celebrate top sport and world class hospitality.

Millions tune in or attend the events each year to enjoy thrilling action from the world’s premier show jumping series, featuring the biggest stars in equestrian sport.

Visit gcglobalchampions.com for more information.

AUGUST 2023 23
“The atmosphere is always fantastic, and we are hoping to see as many supporters as possible again at the very special venue that is Royal Hospital Chelsea”

JUMEIRAH AL NASEEM

‘Luxury Arabic Opulence’

The stunning hotel’s design can be described as “Luxury Arabic Opulence”, with simple touches such as gold and marble floors, show stopping sand filled globes are recessed into the corridor walls with a stunning wall-length canvas of galloping horses in a beautiful piercing royal blue.

You will find the most professional staff are at hand in abundance. From my first greeting I received at check-in and throughout my stay was something I had never experienced before.

AUGUST 2023 27 TRAVEL

With 435 rooms and suites, this is the largest hotel within the Madinat and perfectly located facing the world renowned Burj Al Arab.

Lush gardens edge the sandy beach, providing pockets of privacy and peacefulness. The rooms and suites are open and spacious, accented with Arabian touches delivering a strong sense of place. From the balconies and extended terraces, there are spectacular views of the sea, the resort’s landscaped gardens, swimming pools and Burj Al Arab Jumeirah.

RESTAURANTS AND BARS

ROCKFISH: Delight in Mediterranean dining like never before in this beach front restaurant with a menu matched by stunning vistas of Burj Al Arab Jumeirah.

BLIND TIGER: With a concept following the narrative of ‘Flavours of the Jungle’, delight in a complete calibre of set menus anchored with a signature cocktail list.

SUMMERSALT: Discover the luxurious beach club with the most mesmerising views of the iconic Burj Al Arab Jumeirah. Savour delectable fusion cuisine, expert mixology and a live DJ by the stunning lounge pool.

THE PALMERY: Gaze upon the beautiful views from the open terraces as you enjoy a global menu that celebrates Arabian influence on world cuisine.

AL MANDHAR LOUNGE: Be it a sophisticated afternoon tea, eclectic international

28 AUGUST 2023
TRAVEL
“Gaze upon the beautiful views from the open terraces as you enjoy a global menu that celebrates Arabian influence on world cuisine”

bites or sumptuous array of pastries, this ambient lounge has it all.

KAYTO: A stunning rooftop dining spot offering Peruvian Nikkei, signature cocktails and shisha in a vibrant and captivating setting.

SUGARMASH: A hub of Polynesian cuisine, this vibrant pool eatery serves everything from exotic cocktails to delicious ceviches.

KALSA POOL BAR: The ideal place for tempting flatbreads, Sicilian pizzas and a host of trendy healthy bites.

JUMEIRAH AL NASEEM OFFER

Exceptional Jumeirah Escapes

Plan your next beachside retreat with Jumeirah’s unbeatable offers

Unwind moments from the beach, indulge in world-class dining and reconnect with loved ones on your next stay. Offer is valid for stays up until 24 December 2023.

Our Exceptional Jumeirah Escapes Offer includes:

• Up to 25% off our Jumeirah Flexible Rate when staying three nights or more

• Jumeirah One members can enjoy exclusive Member-only savings

• USD 200 per stay resort credit (for Suite bookings) and exclusive Summersalt Beach Club access when staying in a suite

• Access to our private temperature-controlled pools

• Unlimited access to Wild Wadi Waterpark™

• Use of wellness facilities at Talise Spa and Talise Fitness

• Access to KiDS at Jumeirah Al Naseem

• 30 complimentary minutes at Talise Spa with every 60-minute treatment

• Daily breakfast when booking Jumeirah Escapes with Breakfast

• Daily breakfast, and lunch or dinner when booking Jumeirah Escapes with Half Board

• Complimentary wi-fi to share your special moments

• Collect exclusive Jumeirah One Points when you book direct through Jumeirah jumeirah.com

AUGUST 2023 29

Summerton Whisky Club

While exploring the world of spirits, we found the Summerton Whisky Club. It was an instant hit. The club, which started from a son’s wish to surprise his father with a unique bottle of aged spirit every month, has grown into a friendly community of whisky fans who appreciate the craft that goes into each bottle.

Joining the Club or giving a membership as a gift is straightforward. For a fair £50 per delivery, members receive a bottle of whisky delivered right to their doors every other month. The Club allows members to pause or cancel their subscription at any time, so there’s no stress about long-term commitments. Deliveries are made in February, April, June, August, October, and December, offering a regular cycle of surprises throughout the year.

What makes the Summerton Whisky Club special is its dedication to providing good value for money. The Club is proud to offer access to unique, rare, and unusual whiskies that you won’t

find in your local supermarket. These aren’t just any spirits; they’re carefully chosen selections that provide a unique experience with each bottle.

But Summerton Whisky Club is more than just a subscription service. It’s a community. Members can join discussions and meet other members through the whisky community on Facebook and Discord. They can share their experiences, talk about their favourite distilleries, and learn from each other. The Club also hosts exclusive events and tastings throughout the year, giving members the chance to learn more about whisky and connect with other enthusiasts.

The club offers a variety of whiskies, including single malts, blended malts, blends, grains, bourbons, and ryes. These spirits come from all over the world, including Scotland, America, Japan, Australia and Sweden. As a member of Summerton Whisky Club, you get to explore the wide and diverse world of aged spirits. summertonclub.com

30 AUGUST 2023 FEATURE
“What makes the Summerton Whisky Club special is its dedication to providing good value for money. The Club is proud to offer access to unique, rare, and unusual whiskies that you won’t find in your local supermarket”

THERE IS SOMETHING FOR EVERYONE THIS SEASON AT HATFIELD PARK

Hatfield Park and Gardens is now open for the season, and there really is something to enjoy for all the family!

You can enjoy a peaceful stroll around the beautiful sundial, West Parterre and Old Palace Gardens, which have been carefully curated and nurtured over the ages. Visit the adjacent Woodland Gardens and find yourself surrounded by the beautiful mature beach and oak trees, and magnificent rhododendrons.

The children will love the meandering Woodland Walks – choose from 3 different routes which vary in length, perfect for getting out in the fresh air, taking in some healthy exercise and enjoying the tranquillity of the park. You may also see the oak tree under which Queen Elizabeth 1st was sitting in 1558 when she was told she was to become Queen.

The East Garden, the private garden of Lord and Lady Salisbury, is open to visitors each

Wednesday during the open season. Expect to see stunning parterres, elegant topiary and an array of wild plants guaranteed to delight.

A visit to the historic Hatfield House, one of only 10 Treasure Houses in Great Britain is sure to delight the whole family. An experience unlike any other, you will see highly opulent, dramatically and extravagantly decorated rooms of scale filled with art and historical artifacts, to breathtaking views of the parks and gardens, to learning about the incredible history over the ages that has been made within the walls of the House – there really is something for everyone this season at Hatfield Park.

Visit hatfieldpark.co.uk/newseason for further information

“The East Garden, the private garden of Lord and Lady Salisbury, is open to visitors each Wednesday during the open season. Expect to see stunning parterres, elegant topiary and an array of wild plants guaranteed to delight”

32 AUGUST 2023 COVER STORY

Making a Splash in Sandbanks

Introducing MOONRAKER De Antonio Yacht D42 - A 42ft luxury powerboat based in Sandbanks and the only one of its kind in UK.

Moonraker certainly is one of the most eyecatching boats not only in Poole Harbour but in the U.K. and is available for charter for the first time this Summer, exclusively through The Boat Club. If you want the wow factor, then look no further.

Designed and manufactured in Barcelona, Spain by De Antonio Yachts. The internationally renowned boat manufactures boast some of the most futuristic and progressive designs on the market, using the most advanced technologies in terms of their design, engineering, and construction. Over the last decade De Antonio Yachts features, and contemporary designs have caused a notorious impact in the boat industry, making them one of the leaders in the day boat market. Winning numerous design and manufacturing awards within the industry.

Moonraker is a superb day boat, ideal for entertaining up to 12 guests. Boasting an open plan layout and spectacular walk-around design.

MOONRAKER SPECIFICATION

Guests cruising accommodation: 12 guests & 2 crew.

The De Antonio D42 is a 12.10 meter open yacht with 2 guests cabins and a draft of 0.60 meters which can reach speeds of up to 49 Knots.

Summer Charter Rates

– From £3,600 p/day

Winter Charter Rates

– From £3,600 p/day Captain, crew, fuel and insurance included.

For further information and to fully discover the world of Moonraker Yacht charter contact The Boat Club. E:chris@theboatclub.com

T: 01202 724 912

W: theboatclub.com

The large sundecks,

and

layouts, allowing you to enjoy every inch of the boat. The sleek design features, exterior wet bar and retractable sun pad ensures major wow factor too.

Inspired by the James Bond film, Moonraker is more than just her namesake, she embodies the 007 lifestyle– stylish, sexy, cool, romantic and action packed. Your luxury charter with Moonraker can be whatever you want it to be. The boats open plan design suits cosy family days, exciting trips with friends, to memorable occasions with valued clients, whatever the occasion celebrate it in style and make amazing memories.

Moonraker is the ultimate in luxury, from the moment you step on board your dedicated and professional Captain and crew will be on hand to ensure the highest, most personalised and seamless service, that your time on board is safe, and your experience is everything you dreamed of and more. This one-of-a-kind experience is ready and waiting for you.

Proudly managed by The Boat Club, the private members powerboat and lifestyle club is based in Poole Harbour and is the exclusive distributer of De Antonio Yachts in the UK. The clubs specialist charter division will tailor your Moonraker charter experience to meet your requirements, working with you to create the ultimate day.

Enjoy all the unique and memorable benefits of a luxury day boat without ever needing to own your own one.

34 AUGUST 2023 FEATURE
sunken bow lounge area, the convertible centre seats zone offers 3 different

THE ICECREAM PROJECT – THE SEQUEL

With sleek silver freezers packed full of ice cream pots, the Ice Cream Project in Chelsea is a minimalist temple to the joy of ice cream and sorbet, with a twist – the household names inspiring their ice creams are typically found in the pantry rather than the freezer. All hand made in small batches in Devon, each original recipe is created with the very best ingredients. Each flavour is available by the scoop or in 500ml tubs to take away.

This summer’s line-up brings more delights to tease and tickle your tastebuds!

THE FLAVOUR LINE-UP

Ambrosia Rice Pudding: Creamy and delicious, laced with the original Devon rice pudding

Birds Eye Petits Pois: Smooth and refreshing with the natural sweetness of specially selected peas

Blue Dragon Original Sweet Chilli: Rich, creamy vanilla with the sticky sweet tang of chilli and a touch of heat

Branston: Mellow cheddar cheese with the ‘chunky, crunchy bite’ of Branston

Heinz Tomato Ketchup: The unmistakable taste of sun-ripened tomatoes with the perfect combination of sweet, salty and tangy flavours

Kellogg’s Coco Pops: Milk chocolate with the crunch of chocolate flavoured toasted rice

Kellogg’s Rice Krispies: Rich creamy milk with toasted rice

Kikkoman Soy Sauce: Toasted sesame laced with umami-rich naturally brewed soy sauce

Kp Original Salted Peanuts: The great taste and crunch of KP salted peanuts with the rich, roasted flavour of peanut butter

Maldon Salt: Rich dark chocolate elevated with Maldon sea salt flakes and dark chocolate shavings

Mcvitie’s Digestives: Blended with the ‘classic sweet and salty crunch’ of the original digestive biscuit

Tiptree Lemon Curd: Deep and creamy with the distinctive sweet and tart zing of finest Sicilian lemon curd

Ribena: The unmistakably delicious taste of juicy blackcurrants, bursting with berryness

Warburtons Crumpets: Packed full with melt-inyour-mouth toasted crumpet and notes of butter Get set to try the new flavours in any combination you dare!

THE DETAILS

For more details visit anyahindmarch.com/pages/theice-cream-project

The Icecream Project, 11 Pont Street, Belgravia, London SW1X 9EJ

Monday – Saturday 10am – 6pm Sunday 12pm – 5pm

Please be prepared for queues at peak times

36 AUGUST 2023 LOVE LOCAL

FINAL CALL FOR THE HATFIELD FLIGHT TO CLASSIC IBIZA

5pm: Gates open with a new Chill-Out DJ Set, with Classic Ibiza’s DJ spinning a selection of laidback beats as you settle into the Classic Ibiza vibe over your picnics.

6pm: Former Pacha Ibiza resident, DJ Jose Luis takes control of the decks for his Latin House set, which for the first time includes a live jamming session with members of USO.

7.30pm: USO take centre stage with DJ Goldierocks for the San Miguel Sundowner Set. The set includes a total of 14 tracks, including five new orchestrations from the likes of Chicane, Goldie and Laurent Garnier. USO have performed with dance music royalty, including Groove Armada and Robert Miles.

8.30pm: USO take a short break for Goldierocks’ Deep House DJ Set. She’ll be dropping a mix of classic and brand-new Ibiza anthems.

This is the final call for anyone wishing to board the Hatfield House flight to Classic Ibiza on Saturday 19 August. The family-friendly concert took its maiden ’23 voyage to the fabled White Isle last month and has been playing to capacity audiences up and down the country since. Going by the reaction to the tour so far, Hatfield House is in for one helluva ride:

“Absolutely fantastic night, travelled 5hrs to see u, didn’t disappoint! Awesome singers, orchestra, planning, staff, everything was perfect! Can’t wait for next year!”

“We loved it (my 3rd time) and took our 7 and 5 year old daughters this time. They LOVED it and were still going strong at 10.30pm and have already told us they want to go again next year!”

“Brilliant night, we will be back. So well organised, parking, everything! No stress, just sheer enjoyment.”

Whether you’re a frequent flyer, or a Classic Ibiza debutant, here’s what to expect from this year’s new-look show:

THE DETAILS

Parking is free and there are no booking fees. Bring your own picnic or visit the on-site street-food vendors and San Miguel Bar. Prices: Adults (over 18s): £48, Children (aged 5–17): £24, Under 5s: free. Visit: classicibiza.co.uk

9pm: USO and Goldierocks are reunited on stage for The Dance Set – the evening’s main event. Packed with over 25 house classics, the set includes 10 completely new arrangements and is accompanied by a truly awesome laser show. By the time you touch down at 10.30pm, you will have been transported to one of the White Isles’ iconic nightclubs, right in the heart of Hertfordshire. Limited tickets are still available for Hatfield House. The show is proud to support Herts Young Homeless.

38 AUGUST 2023 LOVE LOCAL
“Awesome singers, orchestra, planning, staff, everything was perfect! Can’t wait for next year!”

The Ultimate Air Fryer Hack

Think your Air Fryer couldn’t get any better? Think again! It’s time to enhance your Air Fryer…

They remain the biggest kitchen must-have, but the one thing Air Fryers currently lack is vertical cooking.

Designed following demand from their customers, mySpike is launching the ‘Mini mySpike’ for air fryers in order to make vertical cooking simple. (Each kit contains 4 mini mySpikes).

It is well known that vertical cooking is:

• Healthier, as the fat from meat drips off,

• Quicker, allows for maximum air circulation and heat penetration,

• Delicious, gives you that takeaway style flavour at home!

The mini stainless steel mySpike with a pointed tips, can be inserted into foods and placed perfectly in the air fryer, resulting in mouthwatering, perfectly cooked vegetables and meats. What’s more, it is dishwasher safe and easy to clean.

The brains behind this clever new product is chef Veebha Parmar, who counts celebrities including James Martin, Dipna Anand, Alison Hammond and Lisa Faulkner as fans. Veebha launched the original mySpike in 2018, which was born out of childhood memories of watching her

mother cook Gujrati dishes at home and enjoying shared meals as a family.

Veebha says:

“It all began in our kitchen. We’re a family managing school runs and running a business. Making more time is often on our minds. But we also want to keep the conversation going and never compromise on taste – whether it’s a working lunch, a lunchbox or a dinner. As there are only so many hours in a day, we came up with a faster way of making tasty food – the vertical way. It works in our kitchen, so we share it.”

mySpike.co.uk

07956174308

40 AUGUST 2023 FEATURE
“Honestly, I’m surprised every time at how juicy it always turns out!”
“Was soooo good! Such a great invention.”
“Loving our myspike! Maiden voyage tonight and it didn’t disappoint”
“Thrilled with it.”

WESTMINSTER SECURITY How to hire a Bodyguard

Hiring a bodyguard can be a daunting task, especially if you’re unfamiliar with the process. However, it is easier than you might think, though caution is necessary to avoid rogue companies. Westminster Security provides us with expert guidance on hiring bodyguards:

The first step is to determine your specific needs and personal requirements. There are thousands of close protection companies in the UK, so obtaining quotes from various relevant companies is essential. While recommendations from trusted sources can be helpful, conducting your own research and due diligence is vital.

A reputable close protection company will expect you to ask many questions, they too will ask many probing questions to understand your requirements, concerns, threat, and risk profile. They will also carry out basic due diligence on you to assess your suitability as a client.

To hire a bodyguard, start by researching online. Use relevant search terms and focus on the top three organic results after the paid adverts, as they are likely the most relevant and reputable. Be wary of fancy websites with luxury stock images and outlandish claims and make a shortlist of companies that appear professional.

Dig deeper into the shortlisted companies by checking their online reviews and social media profiles. Look out for fake reviews and scrutinise the claims made on their websites. Verify the background and experience of company directors on LinkedIn and cross-reference this with Companies House records.

Once you have narrowed down your list, contact the remaining companies to gauge their professionalism and responsiveness. During the

THE DETAILS

Professionals in protection. Always on Guard. For more information visit westminstersecurity.co.uk or call 0207 123 4544

conversation, ask pertinent questions, such as the background and experience of their staff, whether they are accredited and insured, their process for hiring a bodyguard, contract terms, security screening and vetting of bodyguards, costs, additional fees, and notice required for deployment.

Following this comprehensive procedure will increase the likelihood of hiring a reliable, professional bodyguard from a competent, accountable organisation, backed by relevant licenses, and insurance to provide personal protection services.

Westminster Security are headquartered in central London and provide private security and investigation services throughout the UK, Europe, and beyond.

42 AUGUST 2023 SECURITY

Saturday 25th November 2-6pm

In the Riding School

Stable Yard, Hatfield House

Harveys butchers has been providing meat and game to East Anglia since 1924. Purveyors of guaranteed, high welfare produced free range, drug free local meats.

• Grass Fed Beef and Lamb

• Free Range Pork

• All recipes are created and produced in house

• Award winning free range poultry

• Complete range of game

• All of our burgers and sausages are gluten free

• Locally produced honey, eggs, chillies, chutneys and Yare Valley oils

• Dry cured bacon and ham

USE CODE NEW15 FOR 15% OFF YOUR ORDER

TEL:

MAINLAND DELIVERY
01603 621908 63 GROVE RD, NORWICH NR1 3RL www.puremeat.co.uk UK
SERVICE – FRESH TO YOUR DOOR!
more details please scan here
For
Christmas Wine Fair Tickets £35 e Stable Yard, Hatfield House, Hatfield Park, Hatfield AL9 5HX Phone: 01707 240982 cellardoorwines.co.uk

Classic Motor Show at Knebworth Park

27th & 28th August 2023

The annual Classic Motor Show is returning to Knebworth Park over the August Bank Holiday weekend on Sunday 27th and Monday 28th August. The popular show will provide plenty of interest and entertainment for families and motoring enthusiasts throughout Hertfordshire and beyond. There will be static vehicle displays, as well as a show arena hosting talks and competitions. Vehicles on display include sports and supercars, campers, American muscle cars and hotrods,

THE DETAILS

Classic Motor Show tickets start at £12.50 for adults, family tickets (groups of 4) at £46, and children under 3 go free.

Book online at knebworthhouse.com before your visit for a reduced rate. Full priced tickets will also be available at the entrance on the day of your visit. This event is free for Season Ticket holders to attend.

commercial, military and 4x 4, as well as a wide range of classic, customised and modified cars and motorcycles.

Our team of judges will be in attendance to select winners with an award ceremony taking place in the arena around 3pm.

Plus, the live arena will include the now famous ‘Decibel Duel’, where owners compete to find the loudest vehicle of the show – you choose the winner at this one!

There will be lots of children’s entertainment on offer, including bouncy castles and slides, a free circus skills workshop and art activities, plus free face painting, all included in your entrance price.

We will have live vintage music, as well as a DJ playing 50s, 60s and 70s hits throughout the day whilst you browse the many fantastic shopping stalls. Tickets to the Classic Motor Show include access to Knebworth Gardens, Park, Adventure Playground, Fort Knebworth, and the Dinosaur Trail, making it a great day out for the whole family. A range of gifts will be on sale in the Gift Shop and the Garden Terrace Tea Room and Fort Knebworth Café will be open offering a selection of delicious cakes, lunch options and drinks. Season ticket holders receive 10% off in the Tea Room and selected items in the Gift Shop.

44 AUGUST 2023 LOVE LOCAL

About mySpike:

mySpike vertical cooking tool is purpose made and designed for use in the Oven or BBQ, for the perfect homemade Chicken Shawarma, Kebab, Doner, jacket potatoes, Roast, or anything you can spike, and with the mySpike range of ready to use seasonings you can cook up the perfect tasting meal quickly.

It is well known that vertical cooking is:

• Healthier, as the fat from meat drips off,

• Quicker, allows for maximum air circulation and heat penetration

• Delicious, gives you that takeaway style flavour at home!

myspike.co.uk | Instagram: @my_myspike

Designed by Veebha Launched in 2018

Enjoy St Albans this August

There’s so much to see, do and enjoy in wonderful St Albans this month, here’s a little taster of what’s on…

Experience the joy of outdoor theatre with OVO - the award-winning production company, who create bold, imaginative, and surprising new versions of classic plays and stories. Productions take place at the Roman Theatre of Verulamium, an incredible setting and believed to be the oldest theatre in the country that is still producing theatre today. Enjoy The Railway Children, Private Lives and The Count of Monte Cristo throughout August. ovo.org.uk

Imagine yourself as part of Georgian high society at a magnificent Georgian Costume Ball at St Albans Museum + Gallery. Dress in ornate 18th century attire, dance with instruction from a historic dance caller in the grand Georgian Assembly Room and indulge in delicious canapes. 26 August stalbansmuseums.org.uk

Dig out your dancing shoes for Classic Ibiza at Hatfield House. Headlined by the 32-piece Urban Soul Orchestra, the five-hour concert celebrates the best in Balearic-infused house music, accompanied by an awesome laser show. Children are welcome, bring your own picnic and settle into the vibe with DJ sets from the likes of former Pacha Ibiza resident, Jose Luis. 19 August classicibiza.co.uk

Fleetwood Mac by Candlelight, the ultimate tribute to the incredible Fleetwood Mac band, comes to St Albans Cathedral and features a cast of West End singers and a live band, featuring best-loved songs including, Little Lie, The Chain, Rhiannon, Don’t Stop and many more. 15, 16, 17 August stalbanscathedral.org

MUST TRY

The Silver Palate has returned to St Albans after 20 years! Their delicatessen offers a fantastic selection of quality Mediterranean produce from across Europe, from the finest cheeses and wines to cured meats and olive oil from regions in France, Italy, Greece, Spain and beyond. Pop in and check out the space while you grab a coffee and some tasty lunch! 1 Market Place, St Albans silverpalate.co.uk.

THE DETAILS

Find your St Albans at enjoystalbans.com where you’ll also find the St Albans Official Visitor Guide 2023-2024.

46 AUGUST 2023 LOVE LOCAL
From top: OVO at the Roman Theatre of Verulamium ©Elliott Franks; Silver Palate returns after 20 years ©St Albans BID; Georgian Assembly Room at St Albans Museum + Gallery ©Cecelina Tornberg; Left: Classic Ibiza at Hatfield House

ST ALBANS MOST SOCIAL SPACE LAUNCHES NEW MEMBERSHIPS

shaken up over the last 5 years and we need room to grow into that. You can utilise some of our facilities and experiences as a non-member, but the only way to truly experience what’s been created is through membership with all of it’s added benefits, discounts, perks and priorities. At the end of May our Social and Working memberships are launched in their newest form and we can’t wait to further build on the community that’s been created here.”

Founding working member

Katherine Bloomfeld added:

NEWLY RELEASED MEMBERSHIPS INCLUDE:

SOCIAL

The Hub on Verulam features an outdoor bar, two luxury screening rooms, a sustainable restaurant and deli, where diners can take compost home. The next-gen social space offers a new take on hospitality that is focused on quenching its community’s thirst for knowledge and entertainment. The 6000sq.ft space houses a sustainable restaurant, bars, screening rooms and co-working space, with regular events including comedy, workshops, live sports and children’s screenings. Membership is now available for those looking to use The Hub on Verulam socially, or for co-working.

THE HUB’S FACILITIES INCLUDE:

• A sustainably focused restaurant featuring delicious menu options made with ingredients from local suppliers, with capacity for 60 covers.

• The Yard – an all-season outdoor canopy-covered seating area, equipped with an outdoor bar.

• Two screening rooms; The Terrace and The Box, providing a luxurious setting with 50 bookable seats to watch big sporting events, independent and mainstream cinema.

• Co-working space available to members in a plantfilled Nursery or industrial luxe Mezzanine floor.

• Private hire and event space in the city centre, for 20 - 180 guests.

Alex Addison, Co-Founder said;

‘“Our mission is to provide a space for this time. The way in which we work and socialise has been

“It was all a little unknown when I signed up last year, before The Hub was open, although I’m happy to say the space really works for me. I, like many, am a product of my environment when working, so the super-creative interiors, atmosphere and members networking opportunities here offer so much more than my home office or a rented desk. I use the cinema rooms with my family at the weekend and the kids love it, it works for us to have a go-to activity for them come rain or shine’.

The Hub opened in June 2022, following a year-long renovation of one of St. Albans’ most characterful venues - the old Loch Fyne building, formerly owned by Green King. The interior fixtures and fittings feature products by many local businesses, including Josef&Rosco carpentry, Emma Louise Payne Ceramics, Pulse Solutions and Avenues Floristry.

The Hub is located at 5 Verulam Road, St. Albans, Hertfordshire, AL3 4DA. Email info@thehealthypubco.com for membership information.

£300 p/year for people who like free barista coffee and discounts on food. For people wanting unlimited free access to their in-house cinemas, including kids screenings and sports.

WORKING

£950 + vat p/year for remote workers looking for a space away from home to settle into, with free snacks, screenings, barista coffee, events and discounts on food.

TEAM/FAMILY

£1750 + vat p/year for teams or families up to 10 people, looking for a working membership.

For a full list of membership perks, benefits & discounts, email Emily info@theheathypubco.com for a new membership brochure.

48 AUGUST 2023 LOVE LOCAL
bookings@hertsexec.co.uk 01707 888000 www.hertsexec.co.uk AFFORDABLE EXCELLENCE Award winning airport transfer and business travel specialists Executive Cars and Experienced Drivers Reliable | Professional | Trusted

Royal Park Picnics From The Athenaeum Hotel

The luxury al fresco experience in London this Summer

When the weather is warmer, there’s nothing better than spending time in our great British parks to enjoy a Picnic.

The five-star Athenaeum Hotel & Residences, in the heart of Mayfair, is offering the ultimate Summer al fresco experience, ‘Royal Park Picnics’. Situated directly opposite Royal Green Park and just a short walk away from Hyde Park, the Athenaeum is perfectly located for visitors looking to explore London’s gorgeous and most popular green spaces.

The hotel’s Royal Park Picnic offering provides a scrumptious picnic experience that is perfect for just about anybody – whether it be families, friends, couples, or solos. Grab a picnic basket, find a serene spot, and bask in the sun while enjoying the provided nibbles (and bubbles, if you wish!). Of course, if you need help carrying the basket or finding the perfect setting in the park, the hotel will be happy to assist you.

Picnic-goers can choose from a Lunch Picnic

or an Afternoon Tea Picnic – both of which can be elevated with ‘tipsy upgrades’ such as cider or Champagne. If opting for the Lunch Picnic, guests will enjoy a selection of sweet and savoury snacks including macaroons and strawberries as well as smoked mackerel rillettes and a nicoise salad. For those with a sweet tooth, the Afternoon Tea Picnic includes delicious treats such as cakes, pastries, and desserts – alongside classic finger sandwiches, of course.

Simply pre-order, collect your basket and blanket at the hotel, and find a sunny spot just across the road in Green Park for an al fresco treat.

The Athenaeum Hotel & Residences’ Lunch and Afternoon Tea Picnics are available to pre-order at £45 per person, including a basket, until September. A minimum of 48 hours’ notice and a £25 deposit for the picnic basket and plates is required. For more information, please visit athenaeumhotel.com/restaurant-bar/picnics

The Athenaeum Hotel, 116 Piccadilly, Mayfair W1J 7BJ

50 AUGUST 2023 LOVE LOCAL
“Simply pre-order, collect your basket and blanket at the hotel, and find a sunny spot just across the road in Green Park for an al fresco treat”

Studio Herts

Studio Herts is a creative studio based in St Albans, building timeless and impactful branding for local Hertfordshire businesses. Founder, Jasmine, has over a decades worth of experience within the creative field and has worked with a plethora of different brands and agencies in London, including Vodafone, NARS and Topshop.

After moving to St Albans and imbedding into the community, she became passionate about offering her expertise and knowledge to the local businesses in the surrounding areas. Studio Herts specialises in branding and design - think: logos, web design, printed collateral. Although Jasmine certainly has a signature style, she is very adaptable and can help you

bring your individual visions to life. Are you in need of a new logo? Does your website need a little revamp? Do you need help with the vision and strategy for your social media platforms? Studio Herts can help you with all of that, and more.

To keep it simple, Studio Herts have a few set brand identity packages on offer - but are also able to tailor these to your specific needs. To find out more and to work together, find Studio Herts on Instagram: @studioherts and via email: studioherts@gmail.com

52 AUGUST 2023 LOVE LOCAL

Rothamsted Manor

Steeped in history, set in acres of manicured gardens, and nestled in beautiful Hertfordshire countryside, Rothamsted Manor sits on the historic Rothamsted Estate, home to some of the world’s oldest and most important agricultural research experiments.

Once the home of Sir John Bennet Lawes, one of the founders of Rothamsted Research, the research facility was born in Rothamsted Manor, and is now a beautiful events venue.

The Grade I Listed Manor House offers three rooms for hire: the Great Drawing Room, the Library, and the Lounge, for groups from 30 to 100 guests, with break out areas available. All rooms offer extensive natural light, sweeping country views and historically elegant style, perfect for a wide range of events from weddings, birthday celebrations and private dinners. The Manor has recently opened to the corporate market, hosting team building days and business functions, offering corporate Day Delegate Rates and private event packages, enjoying complimentary Wi-Fi, and access to the stunning grounds with every room booking. Our experienced event co-ordinator will be your assigned point of contact throughout the planning process and on the day of your event.

Proud of our sustainable credentials, all menus are focused on sustainable, local, and seasonal produce. With the flexibility of our fantastic in-house catering team, a variety of options are available, including a standing buffet, sit-down

banquet, barbecue, and canapé reception.

All our profits go to support the world leading research our Rothamsted scientific colleagues are tackling - the grand global challenges of food security and the impact climate change is having on our food supplies. So rest assured, your event means a lot to us and we will do our utmost to ensure you have a perfect event.

Looking for a new event venue? Then look no further.

Email info@rothamstedenterprises.com to secure your booking now.

LOVE LOCAL
“The Grade I Listed manor house offers three rooms for hire: the Great Drawing Room, the Library, or the Lounge”

DIOR AUTUMN-WINTER 2023/2024 COLLECTION

Exclusive New Pop-up Stores at HARRODS

From 4 - 27 August 2023

“In honour of the friendship forged with London’s epicentre of British elegance nearly seventy years ago, Dior is inaugurating a series of pop-up boutiques within the iconic department store.”

Monsieur Dior in the 1950s. Exalting the sacred ties that unite Dior and the French capital, the streets and monuments of the City of Light are traced on the floor and walls in a subtle interplay of shading and perspectives.

The emblematic Parisian locations – from Faubourg-Saint-Honoré, where the foundingcouturier spotted his lucky star, to 30 Avenue Montaigne, the House’s iconic address – also magnify the baroque Edwardian architecture of the facade: a large central panel is featured on the building and the windows display shelves filled with a multitude of books. A set of models are enhanced by the sketches that are veritable celebrations of poetic strolls. While trench coats are revisited, the home wear of the Dior Chez Moi capsule promises refined comfort.

In 1953, Christian Dior struck up a powerful, enduring relationship with Harrods. This story, which has continued to develop through outstanding collaborations, is enriched today by a new chapter.

In honour of the friendship forged with London’s epicentre of British elegance nearly seventy years ago, Dior is inaugurating a series of pop-up boutiques within the iconic department store. These disclose the Dior autumn-winter 2023-2024 Ready-to-Wear Collection thought up by Maria Grazia Chiuri.

Three exceptional spaces present the House’s different realms - from shoes to accessories, praising the strength, fragility and beauty of a femininity in perpetual motion. The first recreates the warm cocoon of a library dressed in the Plan de Paris motif inspired by a scarf designed by

The second, an ephemeral gift shop, invites shoppers to find the perfect present for their loved ones. Within this prestigious setting are items distinguished by floral details, such as the D-Bobby bob, silk twill shirts, Mitzah scarves and the Dior Book Tote with its delicate embroidery. A tribute to the art of giving that is so dear to Dior.

The final step is an enchanting cabinet of curiosities in which visitors can discover irresistible leather goods, glowing with chromatic nuances. Reflecting the virtuoso skills of the Ateliers, variations of the Lady Dior and Lady D-Joy appear in a kaleidoscope of vibrant colours.

A marvellous event combining the bold innovation and classic heritage of the two Houses, linked more than ever by a quest for excellence in the name of dreams and magic.

dior.com harrods.com

56 AUGUST 2023 LOVE LOCAL

THE WONDERS OF HITCHIN LAVENDER

Lavender has been grown in and around Hitchin for hundreds of years and museum is homage to this. Perks and Llewellyn was an apothecary located in Hitchin town centre until the 1960’s, Hitchin Historical Society have kindly loaned us much of the shops furniture and its artefacts which help give visitors an insight into the use of lavender throughout Victorian times.

We have over 30 acres of lavender containing a wide range of varieties for you to explore. You’ll be able to wander wherever you like within the field and pick some lavender to take home with you. We’ll provide a paper bag for collecting lavender which can be picked up at the entrance to the field. We kindly request that you bring your own scissors to help support our additional safety measures currently in place due to COVID-19. We advise that the lavender should only be cut from the sides of the bushes, not from the top. Our main flowering season is between mid-June and late August. Amateur photography is welcomed!

We have many varieties of British wild flowers in our meadow including Common Knapweed, Lady’s Bedstraw, Poppy, Tufted Vetch, Cornflower and Field Forget-Me-Not. The meadow can be found towards the right hand side of our main field and will usually be in flower from early summer.

PLANTING & GROWING

Our top tips for growing lavender at home: Ideally, lavender prefers to be planted in a

porous soil, such as sand or chalk. Chalk is ideal as it is slightly alkaline and allows for rain water to permeate through.

Lavender can grow in a non-porous soil, such as clay, if sand or grit or something that allows drainage is mixed in.

Here at the farm, we’re lucky to have ideal growing conditions as the soil is chalky and the slope of our field allows for a high amount of surface run-off, meaning that our lavender doesn’t sit in water for too long.

Lavender likes to be in a place that will get a lot of sun but so long as the plant is well aerated, it will still thrive.

When first planted, lavender needs help to become established in the ground and will need watering for the first seven to ten days or so. Once established, it won’t need any additional watering aside from incidental rainfall. If you’re planning to keep your lavender plant in a pot you will however, need to keep watering it occasionally. It doesn’t necessarily need any extra feed to help it become established.

There can be flexibility when it comes to harvesting your lavender stems. If you’re cutting

58 AUGUST 2023 LOVE LOCAL
“Here at the farm, we’re lucky to have ideal growing conditions as the soil is chalky and the slope of our field allows for a high amount of surface run-off, meaning that our lavender doesn’t sit in water for too long”

HERTORDSHIRE’S LIVE-IN CARE PROVIDER

Home Care Preferred are an independent, award-winning care agency, specialising in live-in care throughout Hertfordshire.

Live-in care is a real alternative to life in a care home and means people can stay at home in a place they know and love. They are supported by a full-time, live-in carer. Live-in carers can assist with a range of duties, whilst ensuring the client remains as independent as their situation allows.

SUPPORT CAN INCLUDE:

• HELP WITH SHOPPING AND FOOD PREPARATION • COMPANIONSHIP AND OUTINGS

• LAUNDRY AND HOUSEWORK • MEDICATION SUPPORT • PERSONAL CARE

Support is tailor made to the client’s individual needs with a care team that are well trained, police checked and referenced. The management team provide support 365 days of the year. Regulated and inspected by CQC (Care Quality Commission) .

To find out why Home Care Preferred is one of the most highly awarded care companies in the UK, please visit, homecarepreferred.com. Alternatively, please call and speak to a member of our friendly team: 020 8004 1603. Email: info@homecarepreferred.com

your plant for fresh flowers, you can cut them whenever you like. For dried lavender, they should ideally be picked just before the petals (corollas) open up.

When pruning, stems should be cut above the greenery, about two inches above the old wood. This will allow for new growth for next season. If the stem is cut too far down into the old wood, it can damage or even kill off a plant. Lavender will survive just as happily if pruned once the lavender heads have lost all their colour.

WHICH VARIETY TO PICK?

There are 39 species of lavender worldwide and within each species there are hundreds of varieties, meaning that there are many different colours, scents and foliage types to choose from.

We have 2 main species that are farmed at Hitchin Lavender. They are Lavandula Angustifolia and Lavandula x Intermedia, although you’ll be able to see 60 varieties growing in our display field and 10 varieties in our main field.

Angustifolia is a very valuable species of lavender because of the high quality oil that is produced by the plants. The oils can be used in perfume, cosmetics, for aromatherapy and utilised as an antiseptic. Its typical flowering period is from mid-June to late July. It is an extremely hardy plant and fairly forgiving of pruning mistakes! It has a shorter stem than other species and more contained greenery, making it a good option for domestic use.

Intermedia is a hybrid plant which comes from a combination of Angustifolia and Latifolia lavenders. Many varieties of Intermedia are used for producing commercial oil and dried bunches, as the yields from these plants are up to three times greater than Angustifolia. Intermedia is also very hardy with a flowering period from early July through to September.

If you’d like to pick a variety of lavender that can be found in our fields, you’ll find a selection of Angustifolia and Intermedia plants, available in two different pot sizes in our farm shop.

Dogs are welcome on-site so long as they are kept on a lead and any doggy deposits are cleared

away by their owners.

The lavender attracts a diverse mix of wildlife, in particular bees. You’ll be able to see many bees amongst the lavender rows. Much of the other wildlife may be harder to spot but the farm is home to hares, butterflies, insects, partridges, skylarks and more.

Experience a different view of Hitchin Lavender and the surrounding countryside by walking along the public footpaths which intersect our farm alongside our main field and outbuildings.

Professional photography is allowed anytime during our general opening hours but is subject to an additional fee.

Cadwell Farm, Ickleford, Hitchin Hertfordshire, SG5 3UA 01462 434343 hitchinlavender.com

60 AUGUST 2023 LOVE LOCAL
“Angustifolia is a very valuable species of lavender because of the high quality oil that is produced by the plants. The oils can be used in perfume, cosmetics, for aromatherapy and utilised as an antiseptic”

Get creative with your photography at the lavender fields this year

As a keen photo artist, I’ve found my style of photography, “Timescapes”, allows me to create truly unique images of a place I’ve visited, or produce distinctive portraits for clients be it a wedding or something more personal. I love using it each year at Hitchin Lavender farm, and as they approach bloom across the summer months, any keen professional or hobby photographer can create their own “Timescape” to stand out from the thousands of photos you might see online. All you need is a camera or Smart Phone, and some simple photo editing software like Photoshop, Gimp (free), Affinity Photo or even Google’s free mobile app “Snapseed”.

Decide on a composition - lots of example photos can be found online and often they take advantage of the “leading lines” created by the rows of lavender.

Take lots of photos - I find the more photos I take, the more flexibility I have for what I do and don’t want in my images.

Lastly, edit them in your chosen photography software - blend each photo together using your chosen software. Each software is different, so do some research online to find out how to do it with the software you like to use.

‘Timescapes’ aren’t the only options for creative photography. Other methods such as ‘intentional camera movement’ (ICM) or ‘Long exposure’ can produce beautiful photos. Easily done with DSLR cameras, there are also plenty of mobile apps you can use to meet the desired effect.

So don’t forget to experiment this summer at your local Hertfordshire lavender fields!

Harry Ward, Photography Artist

Instagram: @harry_wardd Website: https://bio.site/Harryward

AUGUST 2023 61
From Top: Harry uses a mixture of images taken at Hitchen lavender farm, and blends them together to create this unique final image; Harry used this initial portrait to create his final image of ‘Hitchen Lavender, a Timescape’

Merchant Taylors’ Prep School

Merchant Taylors’ Prep School was created in 2015 as part of the alliance that was forged between Northwood Prep and Merchant Taylors’ School to provide a through school for boys aged 3 to 18. This has enabled us to continue to provide excellent education whilst developing our partnership with Merchant Taylors’ School. Our school is vibrant and dynamic and our pupils are educated by professional staff that provide a nurturing environment. We aim to instil values, such as compassion and respect, and learning dispositions, such as perseverance and independence, at the same time as ensuring the highest standards of academic achievements. We are proud that our school contains happy and confident pupils who are excited by the stimulating curriculum that we provide. Through these aims, we believe that education is about promoting intellectual curiosity in which pupils are motivated by and fully involved in their own learning. mtpn.org.uk

62 AUGUST 2023 EDUCATION Compassion Opportunity Excellence
OPPORTUNITY ai168302016848_MTP_LifeMag-JUN2023-1.pdf 3 02/05/2023 10:36
Merchant Taylors’ Prep, Moor Farm, Sandy Lodge Road, Rickmansworth, Herts WD3 1LW www.mtpn.org.uk

Back to nature at Hertford Barns Day Nursery

From practicing yoga and mindfulness beneath the trees to building on key areas of development with exciting outdoor activities, Hertford Barns Day Nursery provides the perfect backdrop for children to thrive in countryside surroundings. Armed with magnifying glasses, curious preschoolers at the award-winning setting on Cole Green study the guests in their garden bug hotels, create habitats for wildlife using natural materials and monitor the growth of their plants, herbs and vegetables whilst learning simple maths and science messages and the importance of good nutrition and exercise to healthy lifestyles. It is for these practices that Hertford Barns have gained the prestigious ‘Green Flag’ award as part of the international Eco-Schools scheme, the highest accolade in the inspiring programme which is given for exceptional environmental conservation and awareness efforts. Inside, the bright and spacious classrooms are filled with purpose-built facilities including a children’s shaker style kitchen for cooking and baking activities, art tables to inspire

creativity and cosy corners for reading beloved storybooks, as well as state-of-the-art toys, ICT and equipment, messy play stations and stimulating ‘role play areas’, which allow each child from six weeks to nearly five years to immerse themselves in the vast learning opportunities on offer.

THE DETAILS

For more information, to arrange a visit or to register for a place please contact the nursery on 01707 392999 or email hertfordbarns.nursery@ childbase.com.

AUGUST 2023 63

FASHION, HEALTH & BEAUTY

– Fashion, health and beauty news to keep you looking and feeling your best –

IMAGE: WIMBLEDON FASHION LOOKS

FASHION & BEAUTY

ALL TIED UP

Made in London by an allfemale atelier, the Chloe Top is a real head turner. Crafted from pure 19 momme silk satin, the corset-like tie effect at the waist provides gentle support under the bust, which can be adjusted for your best fit. issoir.com

STUNNING IN SILK

Close your eyes and imagine this...You’re getting ready for the party of the century. You’ve got your hair styled to perfection, your makeup is flawless, and you’re wearing the outfit of your dreams. But there’s something missing, something that will take your look to the next level. Suddenly, you remember your luxurious scarf, crafted from the most exquisite materials and designed by the most talented artisans. You drape it around your neck, and voila! You’re ready to turn heads and drop jaws. justevelondonbeauty.com

MARKET FRESH

The French Market Basket from Bohemia is a simple handwoven palm leaf basket with natural sisal cord handle. Available in 3 sizes, mini, small and medium, there is a basket to suit all your needs. bohemiadesign.co.uk

A CLOSE SHAVE

These luxurious 3-piece shaving sets from Edwin Jagger include a Mach 3 razor, pure badger shaving brush and matching stand. annabeljames.co.uk

TASTE OF MOROCCO

Women’s Moroccan Leather Babouche Basic Slippers in Vintage Pink are a classic pair of slippers in soft pink-coloured leather. Handmade using traditional techniques by skilled leather artisans in our workshop just outside of Marrakech, Bohemia’s basic babouche slippers offer a modern twist on a classic slipper. bohemiadesign.co.uk

74 AUGUST 2023 FASHION, HEALTH & BEAUTY [ NEWS ]

Looking for rehabilitation in your home to help you recover after illness & injury?

Conditions we treat include:

Stroke | Brain Injury

Alzheimer’s & Dementia | Falls

Looking for rehabilitation in your home to help you recover after illness & injury? We help adults & children reach their goals across North London & Hertfordshire.

Fractures | Bone & Joint Surgeries

Cancer | Learning Disabilities

Conditions we treat include:

Long Term Neurological Conditions

Elderly Rehabilitation

Stroke | Brain Injury

Alzheimer’s & Dementia | COVID19

Falls | Fractures | Bone & Joint Surgeries

Cancer | Learning Disabilities

Long Term Neurological Conditions

Contact

We help adults & children reach their goals across North London & Hertfordshire. Contact

07738 616 950

physiorehabservices.com

Rosiekeencosmetics has over 12 years experience in the industry and specialises in Microblading and Anti-Wrinkle injections. Situated in a beautiful, luxury studio just 10 minutes from Harpenden, offering free on site parking.

This is the perfect time of year to start preparing for all of those summer events and weddings!. You are very welcome to book a free consultation to discuss any questions you may have before any treatment takes place. I offer a full, thorough consultation prior to Microblading where we can discuss and ‘mock up’ your brows together, to show you how they will look before you commit to Microblading.

Anti- wrinkle injections can give you that fresh little glow heading into the summer months, it will last around 3-4 months! Smoothing out any fine lines as well as acting as a preventative.

Get booked in today! Call or text on 07969 436680 | E: rosie.beauty@hotmail.com |

BEFORE AFTER AFTER AFTER AFTER BEFORE BEFORE BEFORE
IG:@rosiekeencosmetics
Ida Mine Murat BSc mCSP Highly Specialist Chartered Physiotherapist
Find me on
us to discuss your needs.
us to discuss your needs

For fashion fans, Wimbledon is all about celebrity spectator style.

Famous faces always dress to impress when attending the iconic tennis tournament – and this year was no exception.

A slew of royals, athletes, actors, music legends and a few national treasures were spotted in the stands at SW19.

These are the best-dressed celebs from Wimbledon 2023…

Princess of Wales: Nodding to the traditional ‘Wimbledon whites’ rule (players must adhere to a strict all-white dress code on court), the Princess of Wales donned a mint green and white Balmain blazer with a white pleated skirt and court heels.

Wimbledon fashion looks

The Queen: Also tapping into the white theme, the Queen wore a pleated midi dress by Fiona Clare with beige suede heels and handbag.

David Beckham: A long-time regular in the royal box, David Beckham always looks dapper when visiting Centre Court. The former footballer wore a brown double-breasted blazer and tie with a striped shirt and off-white trousers.

Emma Corrin: The Crown star Emma Corrin, known for their

76 AUGUST 2023
Celebs served up winning outfits at the iconic tournament. By Katie Wright.

SIMPLE. STYLISH. SUSTAINABLE

Dani would like to offer all readers an exclusive discount. Please enter THELIFEMAGAZINE15 for 15% off your first order.

Dani is mummy to two little ones and founder of Imogen & I LTD. Her online clothing boutique is a onestop shop for style conscious mamas and their trendy little people. Showcasing an array of neutral and muted tones, organic cotton and soft knits, she aims to provide everything you need for the perfect capsule wardrobe. Affordable luxe clothing that is kind to our skin and kinder to our planet.

Everything is carefully handpicked by Dani and her curated collection for both mums and little ones is subtly coordinated in style and colour palette. If you’re looking for something a little bit special and unique or a gift for baby showers, newborns or mums, please do check out Imogen & I.

Website: www.imogenandi.com | Instagram/ Facebook: @imogenandi | Email: dani@imogenandi.co.uk

androgynous style, chose a summery cream short suit with a white shirt and beige tie from Polo Ralph Lauren.

Alexa Chung: Fashion icon Alexa Chung opted for a laidback look, teaming a utility shirt and blue jeans with a purple cable knit sweater slung around her shoulders. The presenter elevated her outfit with black patent peep-toe wedges and a cool suede mini bag.

Tom Hiddleston: Actor Tom Hiddleston matched with his mother Diana in a dark blue ensemble. The Loki star wore a midnight blue suit and navy tie with Ray-Ban sunglasses.

Sienna Miller: Always nailing summer style, whether at Glastonbury or Wimbledon, actor Sienna Miller donned a vintage-style sky blue and white pinstripe two-piece and carried a navy woven bag.

Princess Beatrice: Sitting in the royal box for the semi-final between Novak Djokovic and Jannik

Sinner, Princess Beatrice wore a blush pink shirtdress and carried a trendy woven clutch bag.

: Baking legend Dame Mary Berry, 88, chose a pretty aqua blue floral dress accessorised with a beaded necklace and

George Russell: Fresh from the British Grand Prix, Formula 1 driver George Russell was pictured in the royal box with girlfriend Carmen Montero Mundt. The Mercedes driver chose a cream double-breasted suit with a blue shirt and navy tie for the occasion.

Jourdan Dunn: British model Jourdan Dunn opted for a sunny colour palette, teaming a pastel yellow cable knit jumper with a floaty silk skirt.

78 AUGUST 2023 FASHION, HEALTH & BEAUTY
“Dame Mary Berry, 88, chose a pretty aqua blue floral dress”

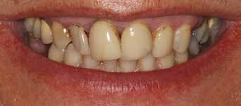
Smile Makeovers by Drayton House Dental Practice

Delivering pain-free, high-quality dentistry

appointments, whilst benefiting from 20% off treatments and worldwide dental insurance in case of emergencies.

Are you unhappy with your smile? Do you have dental issues but are unsure of how to overcome your fear? Have you recently moved to the area or are looking for a new dentist?

Dr Ria Bella Patel and Dr Khush Shah would love to welcome you to Drayton House Dental Practice. The practice has been serving the local community for over 30 years. We keep at the forefront of modern dentistry in order to offer you a pain-free experience from our highly trained team. Our relationship with our patients has a friendly, family feel and we look forward to getting to know you too, so that we can tailor your experience to suit your needs.

We provide all aspects of general and cosmetic dentistry, dental implants, Invisalign and facial aesthetics (e.g. anti-wrinkle treatments and fillers), as well as two onsite hygienists.

Our regular patients often join our dental plan: this is a monthly affordable payment scheme, which entitles them to their check up and hygienist

Each of our dentists have undertaken advanced training to deliver you your dream results and take great pleasure in managing and helping nervous patients. Our expanding and enthusiastic team are keen to stay ahead of the curve, with the latest trends and technology, including a 3D digital scanner to replace the need for taking moulds of your teeth.

We are situated off Borehamwood High Street, a stone’s throw away from Elstree & Borehamwood station and we have a free car park with ample space for our patients. You may have seen us supporting our local community at Meadow Park, where we are the official dentists of Boreham Wood FC.

Why not give one of our lovely reception team a call to arrange your first appointment or if you have any questions about how we can help you?

48 Drayton Road

Borehamwood

Hertfordshire

WD6 2BX

Email: info@draytonhousedental.co.uk

Phone: 0208 9534 102 draytonhousedental.co.uk

80 AUGUST 2023 FASHION, HEALTH & BEAUTY
DETAILS
“Such a friendly team and great overall experience. Would 100% recommend Drayton House as it’s the best dental experience I’ve ever had” 4.9
on Google THE
HERE
BEFORE BEFORE BEFORE AFTER AFTER AFTER
ARE SOME BEFORE AND AFTER PHOTOS OF OUR LOVELY PATIENTS:

•Affordable General & Cosmetic Dentistry

•Pain-Free Experience

•Invisalign

•Dental Implants

•Hygienist Appointments

•Tooth Whitening

•Dermal Fillers & Anti-Wrinkle Treatments

•Free On-Site Parking

•Digital scanner as alternative to impressions

YOUR LOCAL DENTIST SERVING THE COMMUNITY FOR OVER 25 YEARS

The Kensington Wing

The Kensington Wing is the dedicated private maternity unit at Chelsea and Westminster Hospital, providing women and birthing people with around-the-clock clinical care, comfortable en-suite private rooms and hospitality services.

Located in the heart of Chelsea and Westminster Hospital – part of one of the UK’s top rated hospital Trusts – your baby’s and your safety and wellbeing are reassuringly supported at all times. The Kensington Wing is immediately located next to the hospital’s outstanding and newly expanded Neonatal Intensive Care Unit (NICU) and a consultant anaesthetist remains on site at all times 24/7, dedicated to the needs of our patients.

To ensure the safety of women, birthing people and birth partners, The Kensington Wing has important infection control procedures for staff and visitors to adhere to but remain welcoming to your chosen birth partner for all stages of your pregnancy, birth and postnatal stay. Your individual room and en-suite facilities are a haven, and the catering and hospitality team ensures your stay is relaxing as well as safe. On the Kensington Wing the consultant obstetricians, midwives, nurses and maternity support workers provide care as a team and are delighted to offer both consultant-led and midwife-led maternity packages.

THE DETAILS

If you would like to talk to one of the team, call 020 3315 8616, email chelwest.kensington@nhs.net or visit thekensingtonwing.co.uk

The Kensington Wing’s highly experienced team of midwives welcome enquiries and the opportunity to discuss midwife-led care in more detail. These ‘meet the midwife’ sessions are always a relaxed and special time to talk and discover more without any obligation. For those women and birthing people who are appropriate for midwife-led care, the team provide full support throughout your pregnancy and the midwifery team are available 24 hours seven days a week for advice or concerns throughout your pregnancy, birth and postnatal stay.

The consultant-led care package allows you the choice of one of their experienced consultant obstetricians to personally guide you through your pregnancy and birth. Your consultant provides continuity and individualised expertise throughout your journey. They build a relationship with you and your partner through the antenatal period to give you confidence to birth safely with them in line with your birth preferences. They continue to support you through the postnatal period, including your 6 week postnatal check. All consultants are available to meet you and your birth partner without any obligation.

The Kensington Wing enquiry team are always happy to support with these arrangements and answer any questions.

82 AUGUST 2023 FASHION, HEALTH & BEAUTY

HOME & PROPERTY

– Keep it local for everything house and home –

IMAGE: ALEXANDER JAMES INTERIORS

INTERIORS

LET THERE BE LIGHT

Bring some contemporary flavour to your bedside table with our Verla table lamp. The abstract style of the Verla features a terracotta body paired with a natural cylinder-shaped linen shade. The Verla table lamp creates a relaxing glow reminiscent of warm holiday destinations with that organic linen shade and warm terracotta base. The Verla Table Lamp is designed by our Cult Design Team for a chic versatile piece. cultfurniture.com

GORGEOUS GREEN

The Hjerte range is packed with character, heritage and a warm timeless feel, with timber effect shaker doors to create a kitchen fit for any home. Its name comes from the Danish for ‘heart’. smilekitchens.com

PRETTY IN PINK

Let your home blossom and bloom, with the Bloom sofa collection. And become your sanctuary, a place to unwind and disconnect from chaotic surroundings. With a wide range of fabric options available, each piece features fibre foam seat interiors as standard and the option of oak or mahogany effect feet to complete your furniture. scs.co.uk

SLEEK STORAGE

This TV Stand suitable for TVs up to 55” would be a fantastic addition to any home. Complete with cable management accommodation and various storage areas, both interior and visible, this tv stand would be the perfect TV stand to have in any living space. outandout.com

Inspired by the Louis XV style, this chest of drawers is a symbol of refinement par excellence. Styled in your living room or bedroom, this signature chest of drawers will bring a touch of femininity to your interior thanks to its chic and timeless Toile de Jouy patterning.

frenchbedroomcompany.co.uk

86 HOME & PROPERTY [ NEWS ]
JUNE 2023

CHAPLINS TURNS 30

This year luxury furniture retailer Chaplins is celebrating its pearlescent anniversary with a proud over-the-shoulder peek at its past.

James helped to establish a new era of interior design that reached the leafier suburbs of the UK and introduced a wave of avant-garde interiors. All while cultivating multiple central London venues with which to receive his star-studded clientele.

FROM FATHER TO SON

In 2005, this ideology was imbued upon Simon Chaplin as he took the helm from his father and prepared to pioneer a new era of expansion whilst maintaining the core values that his father had instilled in him and the entire companydedication to the highest level of service.

Key to this was the opening of the Chaplins Trade department, operating out of Chelsea Harbour, lifting the load from interior designers and architects with the ambition to tackle huge,

WHERE IT ALL BEGAN

Established in 1993 by James Chaplin, the original Chaplins furniture showroom was both a sophisticated spectacle and a surprise to all who visited. James introduced new brands to the UK market, discovering designers and showcasing pieces that would soon become classics. Not constrained only to London,

88 AUGUST 2023 HOME & PROPERTY
“The flagship Chaplins store becomes a onestop-shop housing the biggest names in European design”

multi-brand projects. With a team of experts at their side handling hundreds of suppliers, their renders became a reality, and their skills were spent on the passion of the project instead of being buried in bureaucracy.

With the explosion of online retail, it was clear that clients’ shopping journeys were beginning in their homes rather than Chaplins’. It was time to offer a website as unique, inspiring, and insightful as their in-store experience would be. Chaplins took its interior specialists’ advice to an online journal to offer trends and tips, filled an online catalogue with the best design has to offer, and extended customer care through the screen. Simon’s vision of creating an omnichannel business had been realised, with every touchpoint connecting Chaplins’ clients with an expert.

UNDER ONE ROOF

The flagship Chaplins store becomes a one-stopshop housing the biggest names in European design, a dedicated trade department, and in-house interior planning services. The 25,000

sq ft emporium has allowed Chaplins’ space to continue growing and thriving at a time when the physical presence of luxury retailers is becoming increasingly scarce. It remains, proudly, one of the few spaces of its size, hosting a compendium of design.

For Chaplins, home is at the heart of all they do, and their Hatch End headquarters is home not only to designer showpieces but to a family. It isn’t solely the Chaplins family line that has generated generations of interior specialists though, Simon is just one of the many second-generation Chaplins team members merged under one roof.

“Good design creates relationships — between people, perspectives and place. But when done well, it can also tell a story about what we value or who we’d like to become. In a world with increasingly finite resources, we think there’s something to be said for buying once and buying well. For investing in things that bring you delight. And that can be passed on and loved by future generations.” -

In celebration of Chaplins’ 30th anniversary, a number of exclusive designs from their longstanding partners including Ligne Roset and B&B Italia will be displayed throughout the year. chaplins.co.uk

AUGUST 2023 89

THE ORIGIN WAY: Elevate Your Home with an Indoor Swimming Pool

Transforming your home into a haven of relaxation, well-being, and fun is a dream for many homeowners. A bespoke indoor swimming pool and pool house offer the perfect solution, bringing luxury and convenience right to your doorstep. With Origin, you can create a private oasis that allows you to enjoy the benefits of swimming yearround, regardless of the weather. But a pool from Origin can not only enhance your property value; it also elevates your entire home life.

ATTENTION TO DETAIL - THE KEY TO SUCCESS

Designing a successful indoor swimming pool and pool house is a unique endeavour that demands attention to detail and precise planning. It goes beyond a standard building project and requires specialised knowledge in three key areas: the pool chamber, building structure, and pool building environment management (including heating, dehumidification, and ventilation).

90 AUGUST 2023 HOME & PROPERTY
“Designing a successful indoor swimming pool and pool house is a unique endeavour that demands attention to detail and precise planning”

At Origin, we excel in these domains, ensuring all specialisms are integrated seamlessly from the outset. This approach eliminates potential disruptions and complexities, and cost overruns that may arise after construction.

THE ART OF SWIMMING AND WELL-BEING

Swimming remains one of the nation’s favourite activities, and for good reason. Its physical and mental health benefits are remarkable, as evidenced by a recent SwimEngland study that revealed regular swimmers feel an average of 12 years younger. Swimming provides low-impact exercise, gentle on the joints and accessible to people of all ages and fitness levels. Beyond the physical advantages, swimming promotes relaxation and mental well-being. The sensation of water overyour body massages away stress, boosts brain health, and releases endorphins, resulting in an overall uplifted mood.

At Origin, we believe that owning a pool is an opportunity to create a space of total relaxation and well-being. By adding elements like a spa, sauna, steam room, or yoga area, your swimming pool and pool house can be transformed into a centre of tranquility and rejuvenation. Saunas and steam rooms stimulate blood flow, aiding in the release of toxins and revitalising the body. These spaces also provide stress relief by relaxing muscles, reducing tension, and improving circulation, turning your pool house into a serene escape.

THE SOCIAL HUB FOR FAMILY FUN

A pool house doesn’t just have to be about personal relaxation; it can become a thriving social hub for the whole family. At Origin, we offer a bespoke process that allows you to tailor your swimming pool and pool house to your desires. Whether you envision a gym, lounge area, games room, or even a bar, we can make it a reality. These added elements not only make your space unique but also enhance family time and create lasting memories.

A FULL-SERVICE SOLUTION

Origin stands above the rest because we do it all. With over four decades of indoor swimming pool design and construction experience, our specialist team is fully equipped to guide you through the entire process. We manage every stage, ensuring a stress-free experience as you achieve the perfect work-life balance. From concept to completion, every element is customisable to fit your individual requirements, style, and specifications. Our goal is to create a luxurious swimming pool design that perfectly complements your lifestyle, home, and budget. An indoor pool should seamlessly blend with your living environment, and our expertise guarantees a stunning addition that harmoniously integrates into your home.

Speak to the experts at Origin today and find out you can elevate your life. Call 01895 453996 or visit www.originpools.co.uk for more information and to subscribe to our newsletter. Our Instagram page @originpoolsuk is always bursting with the latest pool inspiration and trends.

AUGUST 2023 91

Citrus Summer...

How to bring a taste of Mediterranean style to your garden

When the weather is warm and dry, there’s nothing better than spending time in the garden, making the most of the space that’s on your doorstep. Bring the experience of dining out to your very own patio, with some simple styling touches to elevate eating al fresco.

Wayfair’s Resident Style Advisor, Dee Fontenot shares ideas and inspiration for outdoor summer dining...

Al fresco summer tablescape

The art of laying the table is definitely in the detail. Layering smaller plates on top of dinner plates and giving each guest cutlery for each course will add a sense of occasion. An essential piece of decor for any tablescape, a linen or cotton runner will bring a focus to the centre of the table whilst also protecting outdoor furniture from spillages and stains.

Think about individual place settings and the table centrepiece as a whole, and how they can

work together to create the overall look. Fold neutral linen napkins and add to each plate, placing a sprig of greenery and fresh lemon half for an effortless yet elegant - and aromatic - place setting. Instantly adding the Instagrammable factor, run off cuts of garden greenery or freshly foraged foliage down the centre of the table. Weave in between rustic serving boards and drape gently down the edge of the ends of the dining table for a super simple homemade runner.

Blend indoors and out

Gone are the days of bland, outdated garden furniture. With a huge variety of designs to choose from, with wood, metal, rattan and more, most sets would look just as good inside as they do out, with designs inspired by interior furniture. The appeal of dining outside on trips abroad is often how relaxed and effortless it feels. Bench seating can save space and often allows you to squeeze in extra guests without the need for more chairs. A bench set up is a perfect choice to suit a number of different styles and garden sizes.

Style and comfort

Delicious food and drink is certainly one important factor for outdoor dining, but comfort is just as key. For day time dining in gardens that get plenty of sun, a parasol will provide some welcome shade and protection - particularly helpful in the event of unexpected rain showers, given how unpredictable British summers can be! Outdoor cushions and throws or soft furnishings borrowed from indoors will cosy up hard seating for garden get-togethers, providing an extra layer for guests to use as the evening cools. All products available at Wayfair.co.uk

92 AUGUST 2023 HOME & PROPERTY
“The art of laying the table is definitely in the detail. Layering smaller plates on top of dinner plates and giving each guest cutlery for each course will add a sense of occasion”
• 35 years experience • Refcom registered • City & Guilds / F-Gas registered • Domestic specialists • 7 year warranty available • Checkatrade approved • £10m public liability • Installation, service and maintenance • Free site survey and advice • Bespoke design and consultancy • DBS Certified staff for our contracts with local schools Tel: 0208 090 9566 Email: sales@abcaircon.com ABC Air Conditioning, 852 Greens Lanes, London,N21 2RS www.abcaircon.com KEEPING YOU COOL, CLEAN & GREEN COMMERCIAL & DOMESTIC AIR CONDITIONING AIR CONDITIONING REPAIRS COMMERCIAL DOMESTIC MAINTENANCE

TERZETTO STONE & PORCELAIN

fabricated items, such as staircases, fireplaces and skirtings that will give your home that unique finishing touch.

Many opt for porcelain tiles due to their durability and practicality. As the porcelain manufacturing processes continues to evolve, it has never been easier to achieve the authentic look and feel of limestone, marble, wood, concrete, and terrazzo. These tiles are available in a variety of natural colours and unique sizes, including large format tiles.

When it comes to choosing tiles for your upcoming projects, the choice of products available is endless. Terzetto Stone & Porcelain supply only the best natural stone and porcelain floor and wall tiles for every area of the home. With every style imaginable, it’s near impossible not to find a tile that suits all of your needs.

Terzetto’s natural stone collections are a timeless, natural beauty at its best, offering longevity and a truly unique character. Terzetto imports the highest quality limestones and marbles from across the globe, which come in a rich variety of shades, finishes, and textures which feel incredible, providing a real sense of homeliness. Many of their limestone feature a tumbled edge, giving each tile a rich character. Terzetto also has the capabilities to create beautiful custom

Many of Terzetto’s porcelain tiles have an inside out option, to help create a continuous flow into the outside living space. Exterior porcelain tiles come in either 10mm or 20mm thicknesses, as well as an anti-slip finish for added safety.

For those wanting to add character to their home, Terzetto’s porcelain and ceramic decorative tile collections suit a multitude of design tastes, offering a generous variety of colour, texture, and

Terzetto have a wealth of knowledge in the installation process and pride themselves on their ability to work with their clients to design and develop their dream homes. Browse Terzetto’s tile collections online, or gain expert advice, and takeaway free samples by visiting one of their 5 UK showrooms.

St Albans Showroom: 7 Chequer Street, Hertfordshire, AL1 3YJ terzettostone.co.uk

94 AUGUST 2023
patterns. Leading specialists in the highest quality natural stone & porcelain tiles for inside and outside the home.
“Many of Terzetto’s porcelain tiles have an inside out option, to help create a continuous flow into the outside living space.”

Investment Interior Pieces

You spend so much time in your home, you want items that are high-quality and sure to stand the test of time.

Peppermill Interiors hold a variety of luxury investment items for your domestic or commercial space and will complement all interior themes. So, which items are the most worthwhile to invest in? Read on for Peppermill Interiors’ top five investment interior pieces!

Padstow Extendable Dining Table

What makes the Padstow Extendable Dining Table the ultimate investment piece? Not only is it handcrafted from high-quality, natural oak; the Padstow is extendable so you don’t have to compromise on guest capacity, simply extend to allow room for more guests and fold away for quieter evenings! Perfect for country farmhouse inspired themes, the oak dining table has beautiful grains, distinct natural knots and rustic grooves that will add character and charm to your dining room. This table can also come with a matching bench to further enhance your unique dining set up.

Hamilton Leather Vintage Style Lounge Chair

A leather armchair is a must-have investment piece as they’re not only comfortable and stylish but high-quality and long lasting. This vintage style lounge chair is based on a 1950’s design by Arne Vodder and would be an ideal statement piece

96 AUGUST 2023 HOME & PROPERTY
“Try a sleek, contemporary look with the durable Miami Aluminium Outdoor Range”

for a vintage style office or mid-century inspired living room. The Hamilton Lounge Chair has a handcrafted ash frame and an authentic distressed leather upholstery with delicate yet high-quality embroidery.

Miami Aluminium Outdoor Furniture

Try a sleek, contemporary look with the durable Miami Aluminium Outdoor Range, perfect for outdoor dining on rooftop terraces or beer gardens. The aluminium outdoor set comes with two aluminium outdoor chairs and a table. Made with a robust powder-coated aluminium frame, it can stay outdoors throughout the summer months or in the colder months stacked and stored away when not in use. The smooth ceramic-effect laminate top of the tabletop is easy to maintain and keep clean and the aluminium outdoor chairs are comfortable with a slightly curved back.

Dawson Leather Dining Chair

Relax in luxury comfort with the Dawson Leather Dining Chairs. Choose from two timeless colours that will bring richness and warmth to your space. The high-quality leather seat paired with black wooden frame has an overall simplistic design and industrial style, versatile for many interior designs, from minimalist apartments to grand period interiors.

“The Darwin Wooden Coffee Table is made from long-lasting solid oak and features a modern cubic design that is versatile for many interior themes”

Darwin Wooden Coffee Table

The Darwin Wooden Coffee Table is made from long-lasting solid oak and features a modern cubic design that is versatile for many interior themes. This contemporary coffee table features strong sharp lines, chunky legs and lots of natural knots and splits that are unique to every table and enhances the authentic oak finish. The Darwin is durable and hard-wearing for everyday life and will be the perfect next statement to your domestic or commercial space.

Outdoor Statement Seating

away the brighter days, an elegant day bed is the epitome of stylish lounging. A soft taupe woven faux rope back rest wraps around the head of the metal bed frame giving it a modern country look.

Introducing mid-century clean lines to your outdoor space. The warm tone and tactile finish of the acacia wood frame coupled with the generous dimension of the design delivers a premium look and ample comfort for long summer days. Sumptuous soft-toned cushions and a tall slender side table complete the set, which can be arranged in a variety of ways to suit your space.

Crafted from soft grey faux wicker woven on a strong aluminium frame, our Palermo Daybed is a stylish and comfortable place to while away sunny afternoons.

Perfect for bringing an indoor feel to your outdoor space and wonderfully comfortable for two to sit, our cocoon shaped outdoor beanbag in blush will make a fabulous addition to your garden or terrace. Designed to support you as you lounge together, our seat has a showerproof, fade-resistant cover and double-stitched seams for durability.

For when heading into the garden needs to feel as good as a holiday, a perfectly placed statement seat creates a hotel style sanctuary, whether you have a small city space, a balcony or a large family garden.

The perfect platform from which to idle

Inspired by our best-selling Indoor Outdoor Hanging Chair, this double version is perfectly proportioned for sharing. Each chair features a study grey metal frame, faux wicker seat and sumptuous cream tie-on headrest and seat cushions. coxandcox.co.uk

98 AUGUST 2023 HOME & PROPERTY
“Inspired by our bestselling Indoor Outdoor Hanging Chair, this double version is perfectly proportioned for sharing”
AUGUST 2023 99 ADD SPACE ADD VALUE… DON’T MOVE OUT, MOVE UP With over 10,000 loft conversions built over 40 years – Econoloft offers unrivalled expertise, giving you peace of mind and confidence. Why not contact us for a FREE no obligation home visit or request our brochure. Telephone 0800 269765 or email sales@econoloft.co.uk www.econoloft.co.uk STAND NUMBER H152 Visit us at THE LOFT CONVERSION AUTHORITY PLEASE QUOTE REFERENCE H&R0718

ALEXANDER JAMES INTERIORS

One of the leading interior design houses in the UK, Alexander James Interiors believes the world deserves design without boundaries, welcoming everyone but not dictating to anyone. With one of the largest teams of top interior designers under one roof, they can provide full end-to-end support, more choice for clients and an individual designer from their eclectic team to suit each taste. For a carefully considered creative design that is seamlessly seen through, they welcome you to share your vision and unlock limitless possibilities.

PRIVATE RESIDENCES

For all private residential projects, whether they are classical super-prime properties or modern apartments, we will provide a dedicated designer who delivers a level of service and attention to detail that is second to none, from the start to the finish of the project. From specifying the specific bespoke requirements for a single modern room to the interior architecture for an entire luxury private property, we deliver seamlessly to every client.

INTERIOR ARCHITECTURE & SPECIFICATION

Our specialist, in-house team of Interior

Architects & Designers work on both new build and renovation projects. With our experience in creating stunning home interiors, we know how to make the best use of space, and how to create ideal room layouts. We produce plans and technical specifications that are precise to every detail, including lighting, joinery, kitchen and bathroom concepts, flooring, and internal finishes as well as liaison and design coordination with specialist subcontractors all focusing on accurate budgeting and exact construction.

ADDITIONAL SERVICES INCLUDE:

‘Shop the Look’ by Alexander James Interiors was created to provide luxurious interior pieces, furniture or gifts to enhance any space. Designed by our award-winning Interior Design team, all our ‘looks’ have been directly taken from some of our most prestigious high-end private or show home schemes. Whether you are looking for a bedroom layout or living room accessories, ‘Shop the Look’ by Alexander James Interiors, is here to provide all the inspiration you need in one easy-tonavigate website. Designed to make your consumer experience more enjoyable, our ‘Shop the Look’ website categorises each room by theme in order to make your purchasing decision more seamless. To find out more please contact; Email: enquiries@aji.co.uk Website: AJI.co.uk and shopthelookbyaji.co.uk Instagram: @alexanderjamesinteirors

100 AUGUST 2023 HOME & PROPERTY
“We will provide a dedicated designer who delivers a level of service and attention to detail that is second to none”

NEW LIGHTING FROM ATKIN & THYME

Introducing this seasons new lighting from Atkin & Thyme. From ambient, feature lighting to task reading lights, there is a design for every space.

The Hive Glass pendant light provides the understated, elegant look many spaces demand. Its glass design allows the light to shine through while the glass shade brings an extra third dimensional element. Perfect for kitchens, dining areas and openplan schemes, the light works well independently or when hung with more than one in a cluster. The range also includes a matching table lamp.

The Spindle pendant adds warmth and texture. Made from sustainable solid mango wood, this light is perfect for hanging over bedside tables, kitchen islands and breakfast bars. Whilst the Shell pendant, crafted from burnished copper is a statement piece showcasing its stunning patina in different lights. Works perfectly in key entertaining areas. atkinandthyme.co.uk

102 AUGUST 2023 HOME & PROPERTY
“The Hive Glass pendant light provides the understated, elegant look many spaces demand”

NEW AW23 ECO wallpaper collection

Drawing inspiration from the fiercest queen of all, Mother Nature, this collection celebrates our delicate ecosystems, natural beauty and the charming creatures that call planet Earth home. Expect a collection full of Divine Savages’ trademark humour and attention to detail. These 5 new wallpapers, 4 of which are printed on eco-paper, are £150 a roll and each will be available from divinesavages.com from October 2023.

104 AUGUST 2023 HOME & PROPERTY
Introducing REWILDING - the brand new wallpaper collection from British design house Divine Savages.

Idyllic Later Living in Harpenden

Voted Britain’s #1 Most Desirable Town - The Telegraph

at home and a busy and active social life. For an afternoon of relaxation, head to one of two treatment rooms, where a selection of massages, manicures and other calming treatments are on offer. Each pavilion also has its own social space for unwinding and chatting with friends. Further outside space is offered with the central courtyard comprising evergreen hedges, lined with seasonal blooms and a large seating terrace.

Pauline, a homeowner at Leyton Road, expressed: “I’ve experienced later living homes elsewhere in the UK and in Canada and I can honestly say 23a Leyton Road is the most desirable one I have lived in. It has a lovely warm and friendly atmosphere, and the apartment is fitted out to a very high standard. The Pegasus team is also fantastic, I can’t speak highly enough of them really!”

THE DETAILS

Learn more about Leyton Road at lifestory.group/harpenden or get in touch to arrange a private viewing on 01582 643 726 or leytonroad@lifestory.group.

When thinking about retirement, many of us will picture a smaller home within easy reach of amenities but modern day retirement has definitely changed from this outdated perception. But big decisions don’t have to be set in stone!

In the heart of the idyllic village of Harpenden, voted Britain’s number one most desirable place to live by the Telegraph, Pegasus Leyton Road is a stylish collection of two and three bedroom contemporary homes, for those looking to make the most out of life. Designed specifically for the over-sixties, life at Leyton Road is not just an apartment, but offers an independent lifestyle, as part of a sociable and welcoming community.

Apartments at Leyton Road have been designed with open-plan living areas to maximise space and enhance natural light and benefit from juliet balconies. Contemporary yet spacious kitchens include integrated appliances, luxurious quartz worktops and an ergonomic design to make for easier movement, while bedrooms include built-in wardrobes and modern en-suites.

This Harpenden community offers the perfect balance between peaceful days relaxing

If Leyton Road sounds like your perfect next chapter, then don’t miss out. Get in touch to book your private tour and secure one of our last remaining homes. The final apartments at Leyton Road are available to buy, rent or rent to buy. Prices from £750,000 or rent from £4,405 pcm.

106 AUGUST 2023 HOME & PROPERTY

driveway inSTallaTion

Thinking about a new driveway, modernising or improving your front of house? Our experienced team can provide you with a complete service from the initial design through to finished article.

The block paving, reSign bound and naTural STone SpecialiST

Having over 25 years of experience within our home improvement sector, we have built an unrivalled reputation for the quality of our installations and the care and the service provided to our customers.

As well as experienced and professional driveway and patio installers, we also work alongside leading governing bodies within our industry. Being approved installers of Marshalls, Bradstone and Brett landscaping, we are able to give all our customers the peace of mind that carrying these accreditation’s deliver. Our approved status allows us to proudly and confidently service Hertfordshire, Bedfordshire and North London with decades of design ideas. We can offer a vast range of product choices and solutions to all size and manner of installation requirements.

paTio and garden ServiceS

Being more than just professional hard landscapers, we provide a complete service that offers garden and patio design. With a free consultation backed by skilled craftsman, we can create the outdoor space that you have always dreamed of.

oTher ServiceS

We can also add the finishing touches to your new garden or driveway project, including services such as raised kerbing, steps, sleeper walls, Landscaping for natural or artificial lawns, and also a range of quality fencing products, to name but a few.

Come home to quality... The drivewayS and paTio company www.hertfordshiredriveways.com
Call today without obligation to arrange a free survey and written quotation Tel: 0800 112 3920 / 0333 577 3920 Caxton Point, Caxton Way, Stevenage, Herts, SG1 2XU The approved specialist Driveway anD patio Design anD installation! Free surveys anD quotations!

OUTDOOR LIVING

SPLASH OF COLOUR

RELAXING AL FRESCO

The Cuckooland Hampstead Garden Natural Rattan Large Armchair and Coffee Table Set was made for sharing! With enough room for four of your family and friends to relax. You’ll all get to enjoy the plush showerproof cushions, cocooning arms and supportive angles while you have a well overdue catchup... Paired with metal frames, hairpin leg details, a poly-rattan weave and tempered glass top - you’ll be sharing memories around this durable and stylish garden furniture set for many summers to come! cuckooland.com

PICNIC PERFECT

The Daro name represents superior quality handmade furniture, innovative design and friendly customer service. Celebrating 50 years of cane and rattan furniture design and production in 2023, dedicated to the innovation and development of the UK market. We love this gorgeous outdoor rug. daro-cane.co.uk

TOP OF THE TABLE

The ideal Table Top Grill for an intimate dinner with your favourite person! While your food is cooking over low heat on the handy Table Top Grill, you can be truly present in the moment and savour the small grilled delicacies directly at the table.

berryuseful.co.uk

This deck chair can add fun, colour and style to your home or garden. Easy to fold and easy to store, your new deckchairs are just what you need for funky summer seating. They are made from FSC certified beech wood, which gives them that classic, British seaside authenticity. Designs are printed onto a thick and durable yet very comfortable canvas fabric. boldcottage.com

A LITTLE BIRDIE

A hand designed beautiful outdoor cushion 43cm x 43cm and new for 2023 to feature in the 2024 outdoor collection. Available to purchase online via Daro. These outdoor cushions and water resistant but also suitable for indoor use too. daro-cane.co.uk

108 AUGUST 2023 HOME & PROPERTY [ NEWS ]

INSPIRED BY INDIA A modern British block printer

Molly Mahon is a British block printer and textile designer who marries the traditional craft of Indian block printing with a modern English aesthetic. When Molly first visited Jaipur to further her education in the craft, she was blown away by the sheer joy of the incredible craftsmanship she found. From that very first moment India became a huge source of inspiration to Mollythe architecture & buildings, the decoration & patterns, and the rich, joyful bold colours. Her life and work is now firmly intertwined with Jaipur.

“I never tire of lifting the block and seeing the impression that has been left, the slight imperfections. There is something special about block printing that has stood the test of time. To me it brings the fabric alive and this is exactly what it does to our homes.”

With her love of home always in her mind, Molly designs pieces to enhance interiors and create charming, joyful spaces.

Molly runs her business with her husband Rollo, their children & dog Bramble who are all very much involved.

Molly is determined to play a part in keeping the craft of block printing alive and is extremely proud that she is now printing over 4000 metres a month in her studio in Rajasthan. This would be possible in a day, printed digitally on a machine in the UK, but a piece of hand block printed cloth holds a depth like no other.

mollymahon.com

110 AUGUST 2023 HOME & PROPERTY
HOME & PROPERTY

BENTLEY GARDENS SHOW HOME LAUNCHING

Saturday 2nd & Sunday 3rd September

Award-winning developer Griggs

Homes are excited to launch the show home at their latest exclusive development, Bentley Gardens on Saturday 2nd and Sunday 3rd of September.

Located in leafy Bentley Heath, on the borders of Hadley Wood, Barnet and Potters Bar, the private homes will offer buyers spacious new homes with wide private driveways, generous gardens and access to woodlands and nearby green open spaces – perfect for family living. The selection of 4 and 5-bedroom homes range in size from 1,937 sqft to 3,370 sqft.

The highly-rated state schools in the area are expected to appeal to families at Bentley Gardens, as well as a range of Independent schooling options. A range of commuting options nearby means commuters can travel by rail into London in under 30 minutes.

No expense will be spared in crafting these exquisite residences, with specification high throughout. The open-plan kitchen/living rooms create a sense of space with bi-fold doors leading out to the gardens. The kitchens feature soft closing cabinetry and come complete with Siemens integrated appliances and a Quooker Hot Tap. Each home boasts beautifully designed contemporary bathrooms and lavish ensuites to the master bedrooms. Wood flooring is featured in the lounge and study areas, while large format tiles run through the entrance hall and kitchen/ living rooms. The bedrooms feature luxurious carpets and professionally designed bespoke fitted wardrobes to Bedrooms 1 and 2.

Mark Johnson, Sales Director for Griggs Homes says: “We are very excited about the launch of our Bentley Gardens show home. This exclusive development of family homes in Bentley Heath has already proven to be extremely desirable with 30% sold off-plan. With a shortage of high-quality new homes in the area we expect Bentley Gardens to be popular with families who need to be close to London but prefer the leafy lifestyle available in the suburbs. The show home will be amazing and we can’t wait to open to the public in September”

4 Bedroom homes at Bentley Gardens start from £1,300,000 and the development is anticipated for completion in Q4 of 2023.

For further information please contact GRIGGS on 01923 852 322 or visit griggshomes.co.uk.

114 AUGUST 2023 HOME & PROPERTY
SHOWROOM 020 8440 1106 18-19 Green Hill Parade, Great North Road, Barnet, Herts EN5 1EU email: Neil@aquarooms.co.uk Beautiful Bathrooms, Unbeatable Prices Europe’s Leading Manufacturers on Display The art of bathrooms: from inspiration to installation bathrooms of distinction

Turn static files into dynamic content formats.

Create a flipbook

Articles inside

BENTLEY GARDENS SHOW HOME LAUNCHING

1min
pages 114-118

INSPIRED BY INDIA A modern British block printer

1min
pages 110-113

OUTDOOR LIVING

1min
pages 108-109

Idyllic Later Living in Harpenden

2min
pages 106-107

NEW LIGHTING FROM ATKIN & THYME

1min
pages 102-103

ALEXANDER JAMES INTERIORS

1min
pages 100-101

Outdoor Statement Seating

1min
pages 98-99

Investment Interior Pieces

2min
pages 96-97

TERZETTO STONE & PORCELAIN

1min
pages 94-95

Citrus Summer...

1min
pages 92-93

THE ORIGIN WAY: Elevate Your Home with an Indoor Swimming Pool

2min
pages 90-91

CHAPLINS TURNS 30

2min
pages 88-89

INTERIORS

1min
pages 86-87

The Kensington Wing

1min
pages 82-84

Smile Makeovers by Drayton House Dental Practice

1min
pages 80-81

Wimbledon fashion looks

1min
pages 76-79

FASHION & BEAUTY

2min
pages 74-76

Back to nature at Hertford Barns Day Nursery

1min
pages 63-66

Merchant Taylors’ Prep School

1min
page 62

Get creative with your photography at the lavender fields this year

1min
page 61

THE WONDERS OF HITCHIN LAVENDER

4min
pages 58-60

DIOR AUTUMN-WINTER 2023/2024 COLLECTION

1min
pages 56-57

Rothamsted Manor

1min
pages 54-55

Studio Herts

1min
pages 52-53

Royal Park Picnics From The Athenaeum Hotel

1min
pages 50-51

ST ALBANS MOST SOCIAL SPACE LAUNCHES NEW MEMBERSHIPS

2min
pages 48-49

Enjoy St Albans this August

1min
pages 46-47

Classic Motor Show at Knebworth Park

1min
pages 44-45

WESTMINSTER SECURITY How to hire a Bodyguard

1min
pages 42-43

The Ultimate Air Fryer Hack

1min
pages 40-41

FINAL CALL FOR THE HATFIELD FLIGHT TO CLASSIC IBIZA

1min
pages 38-39

THE ICECREAM PROJECT – THE SEQUEL

1min
pages 36-37

Making a Splash in Sandbanks

2min
pages 34-35

THERE IS SOMETHING FOR EVERYONE THIS SEASON AT HATFIELD PARK

1min
pages 32-33

Summerton Whisky Club

1min
pages 30-31

‘Luxury Arabic Opulence’

2min
pages 27-29

LONGINES GLOBAL CHAMPIONS TOUR OF LONDON 2023

2min
pages 22-26

Bill’s St Albans shakes up the summer menu with Tacos and Tequila cocktail specials

1min
pages 20-22

Glorious Golf & Gastronomy on Offer at BROCKET HALL

2min
pages 18-19

The Silver Cup, Harpenden

1min
pages 16-17

THE CALENDAR

2min
pages 14-15

FROM THE EDITOR

1min
pages 3-14
Issuu converts static files into: digital portfolios, online yearbooks, online catalogs, digital photo albums and more. Sign up and create your flipbook.