CSHB – 2023 Winter Edition

Page 1

Proudly

Child Safety HANDBOOK
brought to you by NSW Police Legacy A RESOURCE FOR PARENTS, CARERS AND TEACHERS ONLINE SAFETY NEW FIRE DANGER RATINGS PERSONAL SAFETY BUSHFIRE SAFETY LIGHT RAIL SAFETY Button Battery Safety Driveway Safety Smoke Alarms Seat Belt Safety School Bus Safety SCHOOL ZONE SCHOOL DAYS 30 AM PM 230 8-9 -4 40 ROAD SAFETY BEACH SAFETY FALLS FROM BALCONIES

MESSAGE FROM HER EXCELLENCY THE HONOURABLE MARGARET BEAZLEY AO QC GOVERNOR OF NEW SOUTH WALES

The health and wellbeing of our children is everyone’s responsibility. As Patron of New South Wales Police Legacy, I am honoured to contribute a message to all parents, carers, teachers and members of the community who will read this new edition of the Child Safety Handbook.

Within these pages is a wealth of pro-active and preventative measures to keep our youngest and most vulnerable members of our community healthy and safe – at school and at home, with family members and with friends, while on the street and online, and during outdoor play and natural emergencies.

I congratulate New South Wales Police Legacy for its continuing commitment to providing a copy of this invaluable and updated resource to parents of primary school-aged children throughout our State.

Her Excellency the Honourable

1 www.childsafetyhub.com.au
FOREWORD

FOREWORD BY PREMIER OF NEW SOUTH WALES

I have been fortunate to raise three boys, each different and beautiful in their own way. I understand how the health and safety of our children is a shared responsibility – one that requires institutions and individuals to work together.

This is why I am so happy to welcome the latest edition of the Child Safety Handbook. The handbook is full of practical advice to help parents, carers, and members of the community keep our kids safe and well.

The latest edition addresses a range of real-life issues, from safety online to bullying at school. We want our kids to be safe wherever they are, including at home, with friends, at school, online and in the outdoors.

I thank NSW Police Legacy and the Associated Media Group for their long-term commitment to this project. It is helping our youngest and most vulnerable citizens – our kids.

FOREWORD 2 www.childsafetyhub.com.au

FOREWORD BY NSW MINISTER FOR POLICE AND COUNTER-TERRORISM

We all have a role to play in making sure kids are safe, happy, and healthy in our community, and as the Minister for Police and Counterterrorism, I will always make sure that the safety and wellbeing of children across our state is one of my top priorities.

I hope you find this Handbook useful – it’s full of real-world advice on staying safe online, in the classroom and playground, and on the road. It’s a fantastic resource for parents and carers as they navigate the many and varied challenging circumstances their kids might face.

On behalf of the NSW Government, thank you to NSW Police Legacy for their ongoing efforts in compiling this useful resource. The Handbook will go a long way towards keeping kids safe, and I know will be an invaluable go-to for parents and carers across the state.

THINKUKNOW WHAT YOUNG PEOPLE SEE, SAY & DO ONLINE?

ThinkUKnow is a free, evidence-based cyber safety program that provides presentations to Australian parents, carers and teachers and students. It provides information on the technologies young people use, the challenges they may face, and importantly, how they can be overcome. Presentations are delivered face to face or digitally.

THINKUKNOW WHAT YOUNG PEOPLE SEE, SAY & DO ONLINE?

ThinkUKnow is a free, evidence-based cyber safety program that provides presentations to Australian parents, carers and teachers and students. It provides information on the technologies young people use, the challenges they may face, and importantly, how they can be overcome. Presentations are delivered face to face or digitally.

We aim to provide you with the tools to create a safer online environment for young people in your care. Our presentations cover what young people SAY, SEE and DO online.

Information For Parents:

We aim to provide you with the tools to create a safer online environment for young people in your care. Our presentations cover what young people SAY, SEE and DO online.

ThinkUKnow Australia is a partnership between the Australian Federal Police, Microsoft Australia, Datacom and the Commonwealth Bank, and is delivered in collaboration with New South Wales Police Force and other Australian law enforcement agencies.

It aims to raise awareness amongst parents, carers and teachers of how young people might use technology, the challenges they may face and how to help them overcome these challenges.

It aims to raise awareness amongst parents, carers and teachers of how young people might use technology, the challenges they may face and how to help them overcome these challenges.

Information For Parents:

• Encourage your child’s school to book a ThinkUKnow presentation by completing the booking form on our website, or calling 1300 362 936 during business hours. Subscribe to our monthly e-newsletter to stay up-to-date on the latest trends and issues.

• Visit our website www.thinkuknow.org.au for information and advice on raising children in a digital age.

• Encourage your child’s school to book a ThinkUKnow presentation by completing the booking form on our website, or calling 1300 362 936 during business hours.

• Subscribe to our monthly e-newsletter to stay up-to-date on the latest trends and issues.

Sponsored by the Hon. Paul Toole MP Deputy Premier, Minister for Regional NSW, Minister for Police

• Visit our website www.thinkuknow.org.au for information and advice on raising children in a digital age.

Sponsored by The Hon David Elliott MP Minister for Police and Emergency Services

3 www.childsafetyhub.com.au FOREWORD
ThinkUKnow Australia is a partnership between the Australian Federal Police, Microsoft Australia, Datacom and the Commonwealth Bank, and is delivered in collaboration with New South Wales Police Force and other Australian law enforcement agencies.
FOREWORD

FOREWORD BY CHAIR OF NSW POLICE LEGACY

Like most parents, we all wish there had been a guidebook handed out with the birth of our children to help us navigate the ups and downs of raising them and keeping them safe.

The Associated Media Group must have heard us wishing, because the Child Safety Handbook provides the most up-to-date resources to help navigate the health and safety issues facing our children. It is an invaluable addition to any parenting toolbox in this modern and complex world we are living in.

NSW Police Legacy is very proud to have been associated with this important resource for more than eight years now, and grateful to all the organisations that advertise within it. Your continuing support benefits the families of deceased Police Officers across New South Wales.

FOREWORD
Detective Superintendent Donna McCarthy APM Chair – New South Wales Police Legacy
4 www.childsafetyhub.com.au

FOREWORD BY NSW COMMISSIONER OF POLICE

Child protection and safety remains a priority for NSW Police Force now and into the future. All children are vulnerable and it is everyone’s responsibility to keep them safe from abuse, harm or neglect in any environment. By providing every child, in every community, the knowledge and skills they need to grow and learn we are giving them the best tools to equip themselves for the future.

The NSW Police Legacy Child Safety Handbook aims to raise awareness about risks to children and steps that can be taken to keep them safe. This handbook is a comprehensive resource to assist parents, carers and teachers on a range of topics essential to child safety. I encourage children and parents to read this together, so that they are confident and educated enough to keep themselves out of harm’s way.

This edition of the handbook continues NSW Police Legacy’s tradition of community support and has the support of all members of the NSW Police Force. Thank you to NSW Police Legacy and the businesses that have supported this publication.

5 www.childsafetyhub.com.au FOREWORD

to call.

right number to call.

Indigenous Women's Legal Contact Line (Domestic Violence)

POLICE ASSISTANCE LINE (131 444) For non emergencies

CRIME STOPPERS (1800 333 000)

To provide crime information anonymously

NAME PHONE NUMBER WEBSITE

L Life Line 13 11 14 (24 hours) www.lifeline.org.au

M

Marine Rescue NSW 02 9450 2468 or call 000 marinerescuensw.com.au

Mensline Australia 1300 789 978 (24/7) www.mensline.org.au

Mental Health Foundation 1800 011 511 (24/7)

Mission Australia Help Line 13 11 14 www.missionaustralia.com.au

N

National Security Hotline 1800 123 400 www.nationalsecurity.gov.au

NSW Rural Fire 1800 679 737 www.rfs.nsw.gov.au

O

Office of the e-Safety Commissioner 1800 880 176 esafety.gov.au

P Parent Line 1300 1300 52 www.parentline.org.au

Poisons Information Centre 131 126 (24 hours) www.poisonsinfo.nsw.gov.au

Q Quitline – for counselling

13 7848 (13 QUIT) quitnow.gov.au

R Rape Crisis Centre 1800 424 017 www.nswrapecrisis.com.au

Rape & Domestic Violence Counselling Line 1800 737 732 / 1800 RESPECT www.1800respect.org.au

Reachout www.reachout.com Relationships Australia 1300 364 277 www.relationships.com.au

S Salvation Army Care Line 13 72 58 / 13 SALVOS salvos.org.au

State Emergency Service (SES) 132 500 www.ses.nsw.gov.au

Sexual Assault Crisis Line 1800 806 292 www.sacl.com.au

Suicide Call Back Service 1300 659 467 (24/7) www.suicidecallbackservice. org.au

Sydney Childrens Hospital Randwick (02) 9382 1111 www.schn.health.nsw.gov.au

T

(13 QUIT) www.icanquit.com.au

1800 639 784 www.wlsnsw.org.au

J Juvenile Fire Awareness and Intervention Program 1800 600 700 www.fire.nsw.gov.au

K Kids Help Line 1800 55 1800 www.kidshelpline.com.au

The Childrens Hospital Westmead (02) 9845 0000 www.schn.health.nsw.gov.au

Transcultural Mental Health Centre (02) 9840 3767 (during business hours)

Freecall for rural and remote areas of NSW: 1800 648 911

www.dhi.health.nsw.gov.au/ transcultural-mental-healthcentre

Translating and Interpreting Service 13 14 50 (interpreter over the telephone) www.immi.gov.au/tis

W Womens Legal Service NSW (Domestic Violence)

1800 801 501 www.wlsnsw.org.au

6 www.childsafetyhub.com.au NAME PHONE NUMBER WEBSITE A Alcohol & Drug Information & Counselling Service (24 hours) 1800 422 599 yourroom.com.au/ Alcoholics Anonymous Australia 1300 222 222 www.aa.org.au/ Anaphylaxis Australia 1300 728 000 www.allergyfacts.org.au Australian Childhood Foundation (counselling for children affected by abuse) 1800 176 453 www.childhood.org.au Australian Cybercrime Online Reporting Network (ACORN) 1800 1234 00 www.acorn.gov.au Australian Drug Foundation 1300 85 85 84 www.druginfo.adf.org.au B Beyond Blue 1300 22 4636 www.beyondblue.org.au C Child Protection Helpline 132 111 www.community.nsw.gov.au Crime Stoppers Hotline 1300 333 000 nsw.crimestoppers.com.au D Dental Hospital Service (Emergency Only) (02) 9293 3333 www.health.nsw.gov.auoralhealth Department of Communities and Justice (DCJ) Helpline 132 111 (24 hrs) www.community.nsw.gov.au Domestic Violence Line 1800 65 64 63 www.domesticviolence.nsw. gov.au Domestic Violence Advocacy Service 1800-810-784 www.1800respect.org.au F Family Connect and Support www.familyconnectsupport.dcj. nsw.gov.au Family Drug Help 1300 660 068 www.familydrughelp.com.au Family Drug Support Australia 1300 368 186 (24/7) www.fds.org.au Family Relationship Advice Line 1800 050 321 www.familyrelationships.gov.au Fire & Rescue NSW 000 www.fire.nsw.gov.au G Gender Centre (services for people with gender issues) (02) 9569 2366 www.gendercentre.org.au H Headspace (03) 9027 0100 www.headspace.org.au Health Helpline (24/7) 1800 022 222 I I can Quit 13 7848
phone. You never know when you will need them.
Remember to save these numbers to your phone.
them.
Know the right
USEFUL CONTACTS
TRIPLE ZERO (000) For emergencies or life threatening situations

PERSONAL SAFETY 10 - 13

Keeping Children Safe

Help for parents and carers to create a safe home environment

What is Child Abuse?

Why does abuse happen?

How do I know if a child is being abused?

What can you do to help?

How to decide if you need to report

What happens once you make a report?

Mandatory Reporters:

How to Report and Support

Contact your Child Wellbeing Unit

Connect families to local supports

Report

Responding to and reporting risk of abuse and neglect

Quick guide to using the Mandatory Reporting Guide

SAFETY AT SCHOOL 14 - 17

Australian Student Wellbeing

Framework

Bullying

What is bullying?

What can I do if my child is being bullied?

How do I know if my child is being bullied?

What if my child has witnessed bullying?

What if I think my child is displaying bullying behaviour?

Help your child be resilient

Beyond bullying

What will my school have in place to deal with bullying?

How can I tell if my child is involved in bullying?

SAFETY AT HOME 18 - 29

Parent’s guide to online safety

Cyberbullying

I think my child is being bullied

What to do

Help and resources

Door and Hinges Safety

Button Battery Safety

Blind and Curtain Cord Safety

Falls from Windows and Balconies

Bunk Bed Safety

Toppling Furniture

Home Pool Safety

Basic First Aid

Allergic Reactions

Sprains & Strains

DRSABCD Action Plan

Bleeding

First Aid for Burns and Scalds

Burns and Scalds

Preparing for Emergencies

HEALTH AND SAFETY 32 - 41

How to talk about the Coronavirus to your children

Talking about scary stuff in the news

Changes in Behaviour

Advice for Parents

Hygiene Tips for Parents and Guardians

Food allergy or intolerance?

What is an allergy?

How common is allergy?

What is Anaphylaxis?

What are the signs of an allergic reaction?

How to give an Epipen

Dental health

Tooth Decay

Cleaning Teeth

Tips to prevent dental disease

Dental Emergencies

Teeth Development

Healthy kids

The NSW Healthy School Canteen Strategy

Australian Guide to Healthy Eating Asthma

Diabetes

FIRE, FLOOD & STORM SAFETY 42 - 57

Fire Safety

Keep Looking When Cooking Smoke Alarms

Plan a Safe Escape

Barbeque Safety

Bush Fire Safety

Prepare / Act / Survive

Discuss, Prepare, Know, Keep What to do during a fire

Emergency Information

Fire Danger Rating

Storm, Flood and Tsunami Safety

Stormsafe

Your emergency checklist

Floodsafe

Tsunamisafe

STREET SMART 58 - 71

Road Safety

Keeping your children safe

Pedestrian Safety

RidingSafety Safety in Cars

Seat Belt Safety

What you must not do

General safety in the car

Driver distraction

Safe travel

Mobile phone use

Kids in hot cars

Driveway Safety

Riding Safety

School Bus Safety

Light Rail Safety

Ferry Safety

Train Safety

Sun

Safe

Off-Road

Produced, published and distributed on behalf of NSW Police Legacy by: Associated Media Group Pty Ltd

T: 02 9437 5155 www.amgroup.net.au

Special thanks to:

NSW Police Force

Fire & Rescue NSW

NSW Rural Fire Service

NSW Education & Communities

eSafety Commissioner

SES NSW

NSW Health

To support future editions of this handbook

T: 02 9437 5155 E: cshb@amgroup.net.au

Copyright © NSW Police Legacy Ltd

WinterEdition2023

7 www.childsafetyhub.com.au FOREWORDS Governor of NSW 1 Premier of NSW 2 Minister for Police 3 Chair of NSW Police Legacy 4 NSW Commissioner of Police 5 Useful Contacts 6
Rail Crossing Safety
SAFETY 72 - 81
Safety
SLOP,
Safety
Currents
OUTDOOR
Sun
SLIP,
SLAP, SEEK, SLIDE Beach
Rip
Safety and Heat Stroke
Safety
Boating
Wear a life jacket
Pets and Children
and responsible boating
Motorcycle Safety
Foot Scooters
Rollerblades Kids on farms Play safety Vehicle safety Farm water safety DRUG AWARENESS 82 - 85 Vaping
to your kids aged 15-17 Binge drinking – putting things in perspective
to your kids aged 9-14 Top 10 tips for parents Publishing, CILTA AWARD by Associated
DISCLAIMER: This publication is issued on terms and understanding that: (a) the publisher, NSW Police Legacy, authors and editors are not responsible for the results of any action taken or advice followed or for any error in or omission from any information printed in this publication; and (b) the publisher, NSW Police Legacy, authors and editors expressly disclaim all and any liability and responsibility to any person, whether a purchaser or reader of this publication or not, in respect of anything, and of the consequences of anything done or omitted to be done by any such person in reliance, whether wholly or partially, upon the whole or any part of the contents of this publication.
Skateboards,
and
Talking
Talking
CONTENTS

Have you washed your hands?

Clean your hands thoroughly for at least 20 seconds with soap and water, or an alcohol-based hand rub to protect yourself from viruses.

November 2022 © NSW Health. SHPN (HP NSW) 220999
NSW Health For more information visit nsw.gov.au/covid-19

CHILD SAFETY HANDBOOK

A VITAL HEALTH & SAFETY RESOURCE FOR PARENTS AND CARERS OF YOUNG CHILDREN

SPECIAL THANKS TO OUR SPONSORS AND CONTRIBUTORS:

9 www.childsafetyhub.com.au
ACKNOWLEDGEMENTS

PERSONAL SAFETY

Sexual abuse – Sexual abuse is when someone involves a child or young person in a sexual activity by using their power over them or taking advantage of their trust. Often children or young people are bribed or threatened physically and psychologically to make them participate in the activity. Sexual abuse is a crime.

Physical abuse – Physical abuse is the intentional use of physical force against a child or young person that could potentially result in harm. It includes, but is not limited to, injuries which are caused by excessive discipline, severe beatings or shakings, cigarette burns, attempted strangulation and female genital mutilation.

KEEPING CHILDREN SAFE

Learn more about children’s rights

Children and young people have a right to be safe in their own homes and in the community, and to live without violence and abuse.

Children also have the right to be heard and protected from harm.

Ensuring all children enjoy these rights is everyone’s job.

Physical abuse towards a child is a crime in NSW. For example, hitting a child or young person around the head or neck, or using a stick, belt or other object to discipline or punish a child or young person may be considered a crime.

Emotional abuse or psychological harm – Serious psychological harm can occur where the behaviour of a parent or caregiver damages the confidence and self-esteem of a child or young person, resulting in serious emotional disturbance or psychological trauma.

Learn more about community supports for families

HELP FOR PARENTS AND CARERS TO CREATE A SAFE HOME ENVIRONMENT

If you think that you, or someone you know, could benefit from help with home life (such as parenting, safe relationships, or substance misuse), reach out to the many support services in your local area who are there to help families through tough times.

A good place to start is Family Connect and Support (FCS). FCS links families with support and community resources to help create a happy home environment and to avoid crisis situations.

Although it is possible for ‘one off’ incidents to cause serious harm, in general it is the frequency, persistence and duration of the behaviour that is instrumental in defining the consequences for the child or young person.

This can include a range of behaviours such as excessive criticism, withholding affection, experiencing domestic violence, intimidation or threatening behaviour.

Why does abuse happen?

There are many reasons why children or young people are at risk of abuse and neglect. For example:

Learn more about the signs of abuse

www.familyconnectsupport.dcj.nsw.gov.au

WHAT IS CHILD ABUSE?

Child abuse and neglect is a crime, yet it continues to be an issue in Australia.

There are different forms of child abuse. These include neglect, sexual, physical and emotional abuse.

Neglect – Neglect is when a parent or caregiver cannot regularly give a child the basic things needed for his or her growth and development, such as food, clothing, shelter, medical and dental care, adequate supervision, and enough parenting and care.

• their families do not have adequate support from relatives or the community

• their parents are experiencing a lot of stress such as unemployment, illness, isolation or loneliness

• their parents may not have experienced good parenting themselves

• their parents may have problematic use of alcohol or drugs or have mental health issues or there may be domestic violence in the household.

How do I know if a child is being abused?

There are common physical and behavioural signs that may indicate abuse or neglect. The presence of one of these signs does not necessarily mean abuse or neglect. Other things need to be considered,

10 www.childsafetyhub.com.au

such as the circumstances of the child, young person or family.

What can you do to help?

Children and young people will only be protected from abuse and neglect if responsible adults act on their behalf. Reporting your concerns about a child or young person’s safety or wellbeing is an important step in preventing or stopping the abuse and protecting children or young people from further harm. It also gives the Department of Communities and Justice (DCJ) the chance to help families in situations where a child or young person may be at risk of significant harm.

How to decide if you need to report

A child or young person is at risk of significant harm if there are current concerns for their safety, welfare or wellbeing because of one or more of the following:

• Their basic needs are not met — for example, they don’t have enough food or clothing, or don’t have a safe or secure place to live

• They are not going to school or receiving an education

• They are being physically abused or ill-treated — for example, where a child has bruises, fractures or other injuries from excessive discipline or other non-accidental actions

• They are being sexually abused — for example, when a person uses their age, size, authority or position of trust to force the child into a sexual activity.

• They are experiencing physical or psychological harm from domestic violence — for example, where a child could be injured by a punch intended for their mother, or a child can’t sleep at night because of the fear there will be violence in the home

• They are suffering serious psychological harm — for example, a child being continually ignored

What happens once you make a report?

DCJ is the statutory agency responsible for assessing reports where a child or young person is or may be at risk of significant harm from abuse or neglect.

What happens next depends on the information received by DCJ.

If the child or young person is at risk of significant harm, we try to work with the family, other agencies and professionals to make sure they are safe. If we think a child or young person is in imminent danger of serious harm, DCJ may move them to a safe place or provide assistance which increases their level of safety. We involve the child or young person and their family as much as possible in decisions that affect them.

MANDATORY REPORTERS: HOW TO REPORT AND SUPPORT

Contact your Child Wellbeing Unit

For NSW Education, Police and Health employees your Child Wellbeing Units (CWU) can be the first point of call when you have a concern for a child or young person. Your CWU can help you identify whether a case meets the statutory threshold of significant harm and how to report these concerns to the Child Protection Helpline if needed.

CWUs can also help you identify possible services and interventions for vulnerable children and young people where statutory intervention is not warranted.

If you are a mandatory reporter employed by a non-government organisation or a government agency without a CWU, you can use the Mandatory Reporter Guide to determine whether to report matters to the Child Protection Helpline.

Connect families to local supports

As mandatory reporters you are in the unique position of being the eyes, ears and voice for children and young people. You have a statutory obligation to report suspected harm, but you may also be able to connect children and families to community services so they can thrive.

As well as services you know of in your area, you could reach out to Family Connect and Support. It is a state-wide service that links families with support and community resources to make sure our children and young people are safe and well. Visit familyconnectsupport.dcj.nsw.gov.au to find local providers and to connect families to the right supports.

Report

Mandatory reporters should use the Mandatory Reporter Guide to help decide whether a child or young person is suspected to be at risk of significant

IF YOU THINK A CHILD OR YOUNG PERSON IS AT RISK

Protecting children and young people from harm is everyone’s business.

If you think a child or young person is at risk of significant harm from abuse or neglect, contact the Child Protection Helpline on 132 111 (open 24 hours/7 day).

Your report will be confidential. We won’t tell anyone who reported the abuse or neglect to us and you don’t have to tell us your name if you don’t want to.

In an emergency, where there are urgent concerns for the child or young person’s health or life, call the police using the emergency triple zero line (000)

11 www.childsafetyhub.com.au
PERSONAL SAFETY
Find out who are mandatory reporters

Make

Have you thought about fostering, but can’t foster long-term? Why not become an emergency carer?

Emergency carers take in children at short notice, sometimes evenings, or on weekends. Placements can be for one night, a few days or up to 12 weeks.

All our carers receive training, support and an allowance to cover the day-to-day costs of caring.

Could you help a child when they need it most?

Visit www.facs.nsw.gov.au/families/carers to learn more.

12 www.childsafetyhub.com.au Mandatory reporters should first complete the Mandatory Reporter Guide at reporter.childstory.nsw.gov.au To contact the Child Protection Helpline call 132 111
a
in a child’s
an emergency foster carer!
difference
life. Become

harm before making a report to the Child Protection Helpline. The Mandatory Reporter Guide is online at: reporter.childstory.nsw.gov.au

All mandatory reporters are able to make eReports to the Helpline for all reports. They are no longer required to call the Helpline for urgent reports. They have the option to call or eReport for any report they are making.

RESPONDING TO AND REPORTING RISK OF ABUSE AND NEGLECT

This quick guide will assist you in using the Mandatory Reporter Guide (MRG) when responding to and reporting risk of abuse and neglect. The MRG is online at: reporter.childstory.nsw.gov.au

Learn more about Mandatory Reporting

QUICK GUIDE TO USING THE MANDATORY REPORTING GUIDE

STEP 1 – GET SUFFICIENT INFORMATION

Get essential details to enter into the online MRG:

• child or young person’s details (name, address, DOB, details of siblings)

• details about what you are concerned about (date, type of harm or risk, information about the person who is considered to have contributed or caused to harm to the child or young person)

• impact of what has happened on the child or young person

• network of support around the child or young person. You can get this information by:

• talking with the child or young person and any services working with them and their family

• exchanging information with other prescribed bodies working with the child or young person and their family. You are permitted to do this under Chapter 16A of the Children and Young Persons (Care and Protection) Act 1998

STEP 2 – DECIDE WHAT TO DO

Use all of the information available to you to appraise the risk, needs and strengths of the family. For mandatory reporters with access to a Child Wellbeing Unit (CWU), contact them to assist you with this appraisal. Controlled Health Service, and Affiliated Health Organisations), you can contact your Child Wellbeing Unit (CWU) for assistance with this appraisal.

STEP 3 – USE THE MRG

• If the outcome of the MRG is ‘Immediate Report to the Child Protection Helpline’ or ‘Report to the Child Protection Helpline’, contact the Child Protection Helpline on 132 111 and have the essential details from Step 1 & the outcome of the MRG ready. You can also make an eReport via the portal, regardless of the urgency.

• If the outcome of the MRG is ‘Refer to a Child Wellbeing Unit (CWU)’ or ‘Consult with a Professional/Service’ or ‘Referral’ or ‘Document and continue relationship /monitor’ – go to Step 4.

• Even if a report to the Child Protection Helpline is required, proceed to Step 4.

• It is recommended that mandatory reporters complete the MRG on each occasion they have concerns, regardless of their level of experience or expertise. Each circumstance is different and every child and young person is unique.

STEP 4 – FIND LOCAL HELP Your services

Consider what additional steps your service can take, including:

• whether your service is best placed to discuss your concerns with the family

• whether your service can offer to provide additional interventions or change your current interventions to further address your concerns.

Beyond your service

Explore appropriate support services for the child or young person and their family. Any of the following options can assist you:

• Where you have access, call your CWU to discuss how you can appropriately assist the child or young person within the capacity of your role and to get advice about referral pathways. Call Health CWU on 1300 480 420 or call Education CWU on 9269 9400

• Contact your local Family Connect and Support service (www.familyconnectsupport.dcj.nsw.gov.au) who can help with parenting, domestic and family violence, mental health, financial stress, substance misuse and more.

• Visit the Human Services Network (www.hsnet.nsw.gov.au) website to self-access a broad range of services.

• Contact NSW Family Services Inc. (www.fams.asn.au) to access support to nongovernment, not-for-profit organisation staff working with vulnerable children and families..

13 www.childsafetyhub.com.au
PERSONAL SAFETY

The Hub is where you can access the Australian Student Wellbeing Framework and is a space for educators, parents and students to find resources to build safe, inclusive and connected school communities that promote wellbeing and learning.

LEADERSHIP

Visible leadership to inspire positive school communities

INCLUSION

Inclusive and connected school culture

SUPPORT

Wellbeing and support for positive behaviour

PARTNERSHIPS

Effective family and community partnerships

About Wellbeing

STUDENT VOICE

Authentic student participation

As a parent you know that your child’s success at school is linked to their wellbeing. You want your child to be happy and well and to enjoy everything that school offers.

Wellbeing and learning go hand in hand.

Parents have a significant role to play in laying the foundation for their child’s wellbeing from their earliest years. When your child feels connected to their family, peers and teachers they feel safe and secure and know they’ll be supported throughout their learning journey. Safe and trusting relationships create a positive learning environment where wellbeing can flourish.

The Australian Student Wellbeing Framework supports you to work with the school to promote your child’s wellbeing and learning.

studentwellbeinghub.edu.au

14 www.childsafetyhub.com.au

SAFETY AT SCHOOL

BULLYING

Your child has the right to feel welcome and safe at school. We’re working hard to make sure our school communities are nurturing and supportive places where all students can learn and develop into caring, resilient and confident adults.

WHAT IS BULLYING?

It may seem obvious what bullying is, but there is a difference between students ‘not getting on’ and bullying each other. Learning how to resolve conflict and negotiate with people who have different personalities and opinions are important life skills that parents and schools need to help students develop.

Bullying is repeated verbal, physical, social or psychological behaviour that is harmful and involves the misuse of power by an individual or group towards one or more persons. Cyberbullying refers to bullying through information and communication technologies.

Bullying can involve humiliation, domination, intimidation, victimisation and all forms of harassment including that based on sex, race, disability, homosexuality or transgender. Bullying of any form or for any reason can have long term effects on those involved including bystanders.

Bullying can come in many forms for example:

• Being hit, tripped, kicked, pinched etc.

• Being called names, teased, put down etc.

• Being threatened, stalked, gestures etc.

• Being ignored, having rumours spread about you, excluding someone etc.

• Insulting someone in chat rooms, sending cruel or threatening emails/text messages; using the web, chat rooms or mobile phones to spread rumours or threaten someone or information about someone etc.

All forms of bullying between students are taken seriously by NSW public schools. However, any school situation that is causing your child concern, whether or not it fits the definition of bullying, should be reported to the school. Although the term “bullying” has a specific meaning and a school’s Anti-bullying Plan sets out the processes for preventing and responding to student bullying, schools also have a range of policies and practices, including welfare and discipline policies that apply to student behaviour generally.

What can I do if my child is being bullied?

If your child is being bullied it is not always easy for you as a parent to know when and how to support. The first step is to stay calm and try and get all the facts. While it may be a case of bullying, it might

HOW CAN I TELL IF MY CHILD IS INVOLVED IN BULLYING?

Children who are bullied or are bullying others may respond and act differently. Your child’s behaviour and mood can change for a variety of reasons. Be alert to the possibility that the change may be related to bullying.

You may notice your child:

• doesn’t want to go to school or participate in school activities

• changes their route to school or becomes frightened of walking to school

• drops in academic performance

• changes sleeping or eating patterns

• has frequent tears, anger, mood swings or anxiety

• takes money from home

• has unexplained bruises, cuts or scratches

• loses or brings home damaged belongings or clothes

• asks for extra pocket money or food

• arrives home hungry.

The signs of online bullying can be the same as signs of other bullying but may include other behaviours with phones and computers. For example, your child may:

• be hesitant about going online

• seem nervous when an instant message, text message or email appears

• be visibly upset after using the computer or mobile phone, or suddenly avoid it

• close a laptop or hide a mobile phone when others enter the room

• spend unusually long hours online.

Often children do not report bullying to their parents. This may be because they are afraid of upsetting their parents, feeling ashamed, afraid of making things worse, or worried that they may lose privileges such as access to the internet.

Visit Bullying. No Way to learn more about bullying.

Learn more about bullying

Watch a video on bullying

Download more information about bullying

15 www.childsafetyhub.com.au

also simply be the result of poor communication by one or both children. Kids often speak before they think and misunderstandings happen easily, especially online. By taking the time to understand the situation and remaining calm, you are helping your child.

Sometimes, as a first step, your child may just want some advice about things they could do the try to manage the situation. At other times it is important that action is taken immediately. It is important to:

• Listen calmly to your child.

• Show concern and support.

• Let your child know that telling you about the bullying was the right thing to do.

• Find out where and when it has been happening, who has been involved and if anyone else has seen it.

• Discuss the things your child has already done to try to solve the problem and suggest other things your child might try.

• Report the situation to your child’s school.

• Work with your child’s school to solve the problem.

• Encourage your child to report any further bullying incidents to a teacher they trust at the school.

• Let your child know how much you disapprove of bullying and why.

Technology has increased the ways bullying can happen. Mobile phones, emails, websites, chat rooms, social networking sites or instant messaging can all be used to bully others. If you believe your child is being cyberbullied, don’t ban them from the technology. Technology has an increasingly important role for young people both for their social development and in their learning. Discourage them from rereading the upsetting messages or comments because it compounds the hurt and throws the whole incident out of perspective. Do try to find ways for them to enjoy themselves away from the computer, doing the things that make them feel good about themselves. Children often worry about being labelled “a dobber” and beg parents not to tell the school. However, bullying is a serious matter which is unlikely to be resolved if it’s ignored. Schools are able to manage the situation and provide effective support when they have all the facts. As a parent or caregiver, you have an important part to play in helping your child, and the school deal with bullying. Don’t approach the other students involved. No parent will appreciate you reprimanding their child and it will always make the situation much worse than if you remain calm and go through the right channels by contacting the school.

Your school’s Anti-bullying Plan will outline how bullying can be reported at your school, but you

can always make an appointment with your school principal.

You may like to take your partner or a friend with you to the meeting, and that’s normally fine too. Just let the principal know. If you need an interpreter, the school can arrange that. Be sure to tell them when you make the appointment.

What if my child has witnessed bullying?

Tell the school. Bullying also hurts other students as well as the student who has experienced the bullying. Bystanders who observe bullying or are pressured to join in are also likely to be affected and will need support. It’s important for all children to understand that bullying isn’t okay, even if they are not directly involved. If your child has witnessed bullying you can help them, and help to keep other children safe by encouraging them to ask a teacher for help. This is very important if anyone’s safety is in jeopardy. Students should always think about their own safety and the safety of other people when deciding what to do.

You could also encourage your child to do any one or a combination of the following depending on the circumstances:

• Tell the person doing the bullying that what they are doing is bullying.

• Tell the person doing the bullying to stop.

• Refuse to join in with the bullying.

• Tell other bystanders not to encourage the person doing the bullying.

• Support the person who is being bullied.

• Encourage the person being bullied to tell their parents or a teacher.

What if I think my child is displaying bullying behaviour?

Discovering that your child has been displaying bullying behaviour can come as a huge shock for parents. Your first reaction may be defensive.

16 www.childsafetyhub.com.au SAFETY AT SCHOOL

However, children who engage in bullying behaviour also need support to learn how to behave appropriately. Stay calm and discuss the issue with the principal of your child’s school. Work together with the school to make it clear to your child that bullying isn’t okay and to develop support strategies for your child. It may also be useful to make an appointment with the school counsellor.

Help your child be resilient

Kids can sometimes focus on what’s going wrong in their lives, and be less aware of the other friends, hobbies, sports and activities they enjoy. A few hours with friends can remind your child that there are good people around who care for and support them.

Beyond bullying

Sometimes bullying or cyberbullying can involve criminal behaviour such as violence, threats, intimidation or inciting violence. If you or your child has received threats of physical or sexual violence or has been physically attacked you should immediately consider contacting your local police as well as your school for assistance. The school may report a matter to the police as well.

What will my school have in place to deal with bullying?

Parents and schools work together to help students develop good citizenship and the communication and relationship skills that help prevent bullying behaviour. At school your child will be learning about their rights and responsibilities and will be supported to develop the skills to treat others with respect, communicate their ideas and feelings appropriately and deal with conflict.

The NSW Department of Education requires all NSW government schools to have an Anti-bullying Plan that complies with the Bullying: Preventing & Responding to Student Bullying in Schools Policy. You can ask for a copy of your school’s Plan from your school. Many schools also make their Anti-bullying Plan available on their websites.

The school’s Anti-bullying Plan will explain what is considered to be bullying behaviour and how that behaviour is viewed by the school. It will outline what responsibilities schools, students and parents have to prevent and respond to bullying behaviour, how bullying can be reported and what will happen when it is.

Your school will take action when it has been reported that a student has been bullied by another student at school or during a school activity that is held away from school.

The school can also take action in response to bullying behaviour between students outside of school hours or off the school premises where there is a clear and close connection between the school and the conduct of the students.

The response of the school to a reported incident of bullying or cyberbullying will depend on the details of the particular incident and may range from support to disciplinary action.

Remember the school will need time to investigate and to talk to teachers and other students.

All NSW public schools have access to school counsellors who can help children deal with problems and become more resilient.

School counsellors are experienced teachers who have a degree in psychology and graduate qualifications in school counselling. They can help students who are feeling sad or anxious, or are having difficulties in their relationships with other students. School counsellors may work across more than one school, so you will need to speak with the principal to organise an appointment for your child.

CONTACTS

PARENT LINE

Parent Line is a telephone counselling, information and referral service for parents of children ages 0 to 18, who live in New South Wales. Parents, grandparents and carers anywhere in the state can call Parent Line on 1300 1300 52 for no more than the cost of a local call. www.parentline.org.au

KIDS HELPLINE

Tel 1800 55 1800 - 24 hours a day, 7 days a week for advice on child health and parenting. www.kidshelpline.com.au

17 www.childsafetyhub.com.au SAFETY AT SCHOOL

SAFETY AT HOME

A GUIDE TO ONLINE BULLYING FOR PARENTS AND CARERS

Online bullying can have a devastating impact on young people, whose online life is a key part of their identity and how they interact socially.

Cyberbullying behaviour takes many forms, such as sending abusive messages, hurtful images or videos, nasty online gossip, excluding or humiliating others, or creating fake accounts in someone’s name to trick or humiliate them.

I THINK MY CHILD IS BEING BULLIED

Your child may not tell you if they are experiencing bullying behaviour online because of a fear it might make things worse for them or they may lose access to their devices and the internet.

I think my child is being bullied

Your child may not tell you if they are experiencing bullying behaviour online because of a fear it might make things worse for them or they may lose access to their devices and the internet.

Signs to watch for:

• being upset after using the internet or their mobile phone

• changes in personality, such as becoming more withdrawn, anxious, sad or angry

• appearing more lonely or distressed

• unexpected changes in friendship groups

• a decline in their school work

• changes in their sleep patterns

• avoidance of school or clubs

• a decline in their physical health

• becoming secretive about their online activities andmobile phone use.

WHAT TO DO IF YOUR CHILD IS BEING CYBERBULLIED

TRY TO RESIST IMMEDIATELY TAKING AWAY THEIR DEVICE

Removing your child’s phone or computer could be really unhelpful. Cutting off their online access does not teach them about online safety or help build resilience. It could alienate them from their peers, and it also removes an essential tool for them to communicate and connect with friends.

STAY CALM AND OPEN - DON’T PANIC

You want your child to feel confident that you’re not immediately going to get upset, angry or anxious if they tell you about the situation. You want them to know they can talk to you and feel heard.

The best way to do this is make sure you have an open dialogue from the beginning. Talk to them without being judgemental or angry, and make them feel like they can come to you with anything, without fear of being punished.

LISTEN, THINK, PAUSE

Gauge the scale of the problem. Does it exist in a peer group or is it more widespread? Is it a few remarks here and there? Or is it more serious? Empathise with your child and let them know that you understand how they feel.

How badly is it affecting your child personally?

If the bullying itself is not very intense, but your child seems quite seriously affected, this could be a symptom of something larger. In this case you may need to seek help, from a school counsellor, a helpline, or an external professional.

Try not to respond immediately. Take some time to consider the best course of action. Reassure your child you are working on it and will come together again very soon to talk through some options. Let them know you are there if they feel like they need to talk in the meantime.

ACT TO PROTECT YOUR CHILD IF NECESSARY

If your child is being threatened, or if they indicate a wish to harm themselves, you should get professional help.

Call Triple Zero (000) immediately, if their physical safety is at risk. Contact a counselling and support service like Kids Helpline.

EMPOWER YOUR CHILD

Wherever possible, try to build your child’s confidence and help them make wise decisions for themselves, rather than telling them what to do.

If you feel they may be struggling to open up to you, connect them with other trusted adults or with professional support.

18 www.childsafetyhub.com.au
Learn more about Cyberbullying Watch video about the signs to watch for cyberbullying and online drama

COLLECT EVIDENCE

Before you or your child block someone or delete posts or other bullying material, take screenshots and collect evidence including dates and times.

The evidence may be useful if the bullying behaviour continues and you need a record of how long it has been going on. You may also need evidence if you want to report it.

However, if the bullying material involves sexualised images, be aware that possessing or sharing such images of people under 18 may be a crime, even if you have just taken a screenshot for evidence purposes. For information about relevant laws in Australia, visit Youth Law Australia. You can also read our advice about sharing intimate images in sending nudes and sexting.

MANAGE CONTACT WITH OTHERS

Advise your child not to retaliate or respond to bullying messages, as sometimes people say hurtful things just to get a response and it could make things worse. If they have already responded, encourage them not to respond further.

Help your child to block or unfriend the person sending the messages to limit contact with them.

Help your child change their privacy settings to restrict who can see their posts and profile page. Advice on privacy settings is available in The eSafety Guide.

Encourage your child to ask their friends whether mean content is still being posted and if so, ask them to report it.

REPORT

Many social media services, games, apps and websites make it easy to report content posted by other people. Our The eSafety Guide has links to report abusive content and online safety information.

If serious cyberbullying is affecting your child and you need help to get the material removed from a social media service or other platform, we can help. You can make a cyberbullying report to eSafety on your child’s behalf if they are under 18 years of age. It may be useful for you to read the frequently asked questions about making a report and information about how we handle cyberbullying reports

CONSIDER SEEKING SUPPORT FROM YOUR CHILD’S SCHOOL

Your child’s school may have a policy in place to address cyberbullying and may be able to provide support, whether or not the bullying is from a student at your child’s school.

With your child’s agreement, talk to their teacher or the school counsellor.

ENCOURAGE POSITIVE CONNECTIONS AND COPING STRATEGIES

Try to keep your child engaged with interests like sports or dance that connect them with other young people outside school, or with activities that involve extended family. These things will also remind your child that they are loved and lovable.

Help your child identify tools they can use to work through the current situation, as well as help build resilience for any future challenges. Check out good habits start young for some tips.

STAY AWARE

Check in with your child from time-to-time about how they are feeling. Keep an eye on their eating and sleeping habits, their ability to concentrate and make decisions and their overall mood.

If you notice any changes that concern you, get help for your child through a counselling or online support service.

I AM WORRIED MY CHILD MIGHT BE BULLYING OTHERS

If your child is treating others badly, is dismissive of their feelings or targeting or intentionally excluding a particular child or group, they could be seen as someone who bullies. If they also socialise online there is a chance they may be bullying that person or group online too.

Finding out your child is bullying others can be very painful but you can help them to change, with your guidance and positive engagement.

Watch video about positively engaging with your child to change their behaviour

19 www.childsafetyhub.com.au SAFETY AT HOME

Keeping your child’s money safe online

With the rise of online shopping and gaming, it is becoming ever more important to teach our children to keep their money safe – particularly online, where losses to fraud and scams reached $3.1B in 2022^.

• Teach your child to never share their card or PIN with anyone else and lock their card if they lose it.

• Encourage them to ask you if something seems too good to be true.

• Watch out for scammers imitating trusted organisations (e.g. banks, postal service).

Spending on online games

In a survey commissioned by pocket money app Kit, results found one-in-two parents say their children spent their money without them knowing with in-app purchases being the primary offender^^ .

• Explain that they are spending real money – show them your transaction history or statement.

• Set up parental controls – ‘Ask to Buy’ or turn-off in-app purchases.

• You can also use a kids prepaid card with parental controls and spend limits.

Real Responsibility and Real-World Consequences

Try pocket money apps like Kit which provide children with a prepaid card and a space to learn how to manage their own money.

• Allows them to experience the real-world consequences of their actions within your control, and with their “own” money.

• Nurtures your child’s independence and positive financial behaviours, with the peace of mind of parental controls.

• Visibility over their spending also creates opportunities to have conversations about money. What better way for them to learn first-hand that splurging on in-app shoes means they can’t afford their rainbow ice cream.

Source: ^Report from the Australian Competition and Consumer Commission (ACCC), Targeting Scams. ^^Kit commissioned survey of over 2,000 parents, guardians and caregivers of children aged 8-17. Consider the PDS, FSG, TMD and other important information at heykit.com.au/legal. Any advice given is general in nature.

HERE ARE SOME STRATEGIES TO TRY

• Talk to your child, in a way they can relate to, about how it feels to be left out or teased. Use examples. Build empathy — what it might feel like to be the other person.

• Encourage your child to be honest about their behaviour, take responsibility for it and apologise to those they have bullied. Perhaps show them the page for kids How do I know if I’m being mean online? or for young people I’ve been called a bully.

• Talk about accepting differences and how to deal with people that annoy them. Give examples from your own life such as working with a difficult colleague.

• Explain there will be consequences for them if they treat others badly — for example, if they are rude they need to apologise and lose access to something they enjoy. Remember to also praise any change for the good so they start afresh.

• Identify activities that make your child feel good about themselves such as membership of a sports club or an art class, where they can be successful and have fun.

• Praise your child’s strengths and any behaviour changes they try to make.

• Practice treating others well at home and let them know when they are being kind.

• Spend one-on-one time with your child such as watching a movie, playing sport together or cooking with them.

• Talk to your child’s school about their academic achievement, learning style and abilities and whether they need additional support.

• Work with the school on ways to develop your child’s social skills.

HELP AND RESOURCES

GOOD HABITS START YOUNG

Parents and carers play an important role in helping children to develop digital intelligence — the social, emotional and practical skills needed to successfully navigate the digital world.

Even for preschool children, it is never too early to instil good habits, and as your child gets older it is useful to keep reminding them of these basic digital intelligence principles: respect, empathy, critical thinking, responsible behaviour and resilience. These are also principles you can emphasise with your child when things go wrong.

HOW TO BUILD DIGITAL INTELLIGENCE

• Promote respectful communication

• Encourage empathy

• Teach them to question

• Encourage safe and responsible behaviour

• Help them build resilience

MY CHILD HAS SHARED INAPPROPRIATE IMAGES

If your child has shared an intimate image of someone else without their permission

• try to get the full story

• explain why it is a problem

• try to stop the image being further shared

• help your child to repair any harm

For more information, visit www.esafety.gov.au

Learn more about building digital intelligence

Read the guide to sending nudes and sexting for parents and carers

The Office of the Children’s eSafety Commissioner esafety.gov.au

The Office’s website contains information and related links to support parents in keeping kids safe online. Resources include practical, action focussed advice, videos, games, support, and research-based information, and everything is free of charge.

School support

Many schools have detailed policies and procedures in place to help support children online, including how to manage issues like cyberbullying, sexting and

eHeadspace

eheadspace.org.au

eHeadspace is a confidential, free and secure space where young people aged 12 to 25 or their family can chat, email or speak on the phone with a qualified youth mental health professional.

Parentline parentline.com.au or phone 1300 30 1300 Parentline provides a counselling, information and referral service for Parents that operates 7days a week between 8am-10pm.

Check out the following support services and resources to help you keep your family safe online. other online concerns. The Department of Education policies in each state provide information for students, teachers, parents and the broader community to help raise awareness and counter the inappropriate use of technology. For more information, contact your child’s school.

Lifeline lifeline.org.au or phone 13 11 14 Lifeline provides free 24hour crisis counselling and information about support services.

Crime Stoppers crimestoppers.com.au or phone 1800 333 000 Crimestoppers or your local police can assist with concerns about children’s personal safety.

Online counselling

If you suspect or know that a child is being negatively impacted by things happening to them online, consider seeking professional support for them.

Kids Helpline

kidshelpline.com.au or phone 1800 55 1800

Kids Helpline service provides free, confidential online counselling for children and young people. Kids Helpline also provides young people experiencing problems online with free and private web chat counselling.

21 www.childsafetyhub.com.au
SAFETY AT HOME

DOORS AND HINGES SAFETY

Doors, hinges and jammed finger injuries

Children under five years are particularly prone to jammed finger injuries.

When children get their fingers jammed in doors and hinges, they can end up with crushed, fractured and even amputated fingers.

The hinge side of the door often causes the worst injuries, especially for children aged 1-2 years. Older children tend to hurt themselves more often in the opening or handle side of the door.

Finger protection strips and door guards

More children are injured by the hinge side of the door than the handle side.

Finger protection strips can help to prevent these injuries. They’re long flexible strips that you can install along the length of a door’s hinge side. They stop children from putting their fingers in the hinge side.

Many finger protection strips don’t affect the appearance of your home, are easily installed and don’t change the way your doors work. You can find out about these products at child safety centres at children’s hospitals or your local hardware shop.

You can also ask about putting finger protection strips in place at your child’s kindergarten, child care centre or school and classroom.

To prevent finger jams on the handle side of the door, you can use simple and cheap door guards. These are U-shaped, soft, flexible pieces of foam that clip onto the top or side edge of the door and stop it from fully closing.

More ways to prevent jammed finger injuries from doors and hinges

Here are more ideas to stop little fingers and hands getting jammed in doors and other places.

CHECK

• Check that your child’s hands are well out of the way before opening and closing doors, including car doors.

• Check that your child’s fingers aren’t in the way before closing windows in the car.

TEACH

• Teach your child not to slam doors, and not to play around them.

• Teach your child to keep their fingers away from the hinge side of doors.

PROTECT

• Drape towels over tops of doors to keep them ajar.

• Place hook-and-eye latches high on doors, and/ or wedges under doors to stop them closing on their own.

• Use doorstops to hold doors open and prevent them from slamming shut. Doorstops and weighted closing systems can stop doors from slamming suddenly.

• Install slow-release rather than spring-operated door closers to prevent doors slamming.

22 www.childsafetyhub.com.au SAFETY AT HOME
Learn more about doors and hinges safety
Jammed finger injuries often involve another person, especially another child – for example, a child playing with an older sibling. The children try to close the door on each other, and one of them ends up with a finger jammed in the door.
For more information, visit: raisingchildren.net.au

Spitting blood or blood-stained saliva or having very dark stained or black bowel motions, can indicate bleeding or ulceration somewhere in the upper or lower digestive system.

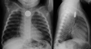
How is a swallowed button battery diagnosed?

BUTTON BATTERIES

Your child may need to have an x -ray of the appropriate area to locate the battery.

Remember:

 Call the Poisons you suspect

 Go to the department.

 Keep all ie; in a chil atleast 1.5metres

 Share this

Are button batteries dangerous?

Swallowing any button battery, old or new, can cause life threatening injuries and even death, especially if it becomes stuck in the oesophagus (food pipe). Batteries which become stuck in the nose or ears can also cause local burns.

When swallowed, the left over electrical current in a button battery reacts with moisture to produce a strong alkali chemical. The chemical can cause serious internal burns and bleeding. The batteries can also leak chemicals which can cause serious burns. The coin shaped batteries are easily caught in the oesophagus, and when stuck can start to cause damage very quickly (within 2 hours). There may be no early symptoms.

Who is at risk?

Learn more about the dangers of button batteries

• Keep spare batteries locked away, out of reach.

• Throw old button batteries away carefully, in an outside bin, out of reach of children.

Remember

Watch a video on button battery safety

© The Children’s Hospital at Westmead, Sydney Children’s Hospital, Randwick and Kaleidoscope Children,

Young children are at most risk of poisoning from button battery ingestion. Young children are curious and like to explore by putting everything in their mouth. This leads to more accidental ingestions. A toddler’s smaller body size also means they are more likely to have a button battery caught in the oesophagus, causing serious damage. How is a swallowed button battery diagnosed? Your child may need to have an x-ray of the appropriate area to locate the battery.

What are the symptoms of a child who has swallowed a button battery?

Children often swallow button batteries without anyone knowing. Symptoms can include chest pain, coughing, choking, vomiting, drooling, decreased appetite or refusal to eat, fever, abdominal pain and general discomfort. Spitting blood or bloodstained saliva or having very dark stained or black bowel motions, can indicate bleeding or ulceration somewhere in the upper or lower digestive system.

How can you prevent children from swallowing button batteries?

• Keep button batteries and all other batteries in a child resistant locked cupboard that is atleast 1.5 metres above ground, out of reach of children.

• Check that all remotes, toys and products containing button batteries have a screw to secure them. If the batteries are not secured in with a screw, keep out of reach of children. You can also secure the battery compartment with strong tape.

• Buy new batteries that are in child resistant packaging ie: the packets need to be opened with scissors.

• Call the Poisons Information Centre on 13 11 26 if you suspect a battery has been swallowed.

• Go to the nearest hospital emergency department.

• Keep all button batteries out of reach of children ie; in a child resistant locked cupboard that is atleast 1.5metres above the ground.

• Share this information with family and friends.

FIRST AID

FIRST AID FOR SWALLOWED BUTTON BATTERIES

• If your child is having any difficulty breathing, call 000 immediately.

• Call the Poisons Information Centre 13 11 26

• Take your child immediately to the nearest Emergency Department for assessment and treatment.

• Do not try to make your child vomit.

• Do not let your child eat or drink while awaiting medical advice.

If you know or just suspect that your child has swallowed a button battery you must act immediately.

Source: The Children’s Hospital at Westmead, Sydney Children’s Hospital, Randwick and Kaleidoscope Children, Young People and Families.

23 www.childsafetyhub.com.au
SAFETY
AT HOME

Steps for protecting children

Take these four simple steps to ensure that blind and curtain cords/chains are out of reach of children, particularly from children under six.

1. Check your blind and curtain cords

Check for loose or looped cords child can reach from the floor or on furniture.

Immediately tie cords out of reach away any furniture children might reach them.

protecting children

Learn more about Blind and Curtain Safety

Do this anywhere you are staying, including on holiday.

simple steps to ensure that blind cords/chains are out of reach of children, children under six.

2. Secure your cords out of reach

blind and curtain cords

Buy cleats or tensioning devices cords from a hardware store or blind shop.

loose or looped cords that your reach from the floor or by climbing

Use screws to fix each cleat or in a place that is out of reach of

tie cords out of reach and move furniture children might climb on to you are staying, including cords out of reach tensioning devices for securing hardware store or curtain and fix each cleat or tensioning device is out of reach of children. these devices with materials that a load is placed on them, such as tape or glue.

Never secure these devices with materials that may fail when a load is placed on them, such as double-sided tape or glue.

BLIND AND CURTAIN CORD SAFETY

1. Check your blind and curtain cords

Check for loose or looped cords that your child can reach from the floor or by climbing on furniture. Immediately tie cords out of reach and move away any furniture children might climb on to reach them.

a Do this anywhere you are staying, including on holiday.

2. Secure your cords out of reach

a Buy cleats or tensioning devices for securing cords from a hardware store or curtain and blind shop.

a Use screws to fix each cleat or tensioning device in a place that is out of reach of children.

x Never secure these devices with materials that may fail when a load is placed on them, such as doublesided tape or glue.

If you cannot fix your unsafe cords and chains out of reach yourself, get a reliable tradesperson to do it for you. If you are renting your home, seek help from your landlord or agent.

3. Choose safe blinds and curtains

Buy new curtains and blinds which:

a comply with the national mandatory standard

a have warning labels to remind you of dangers to children

a provide a way to secure cords/chains so there are no loops or strands that children can reach, or

a operate without exposed cords/chains.

4. Keep children away from all cords/chains

a Move anything a young child can sit in, stand or climb on (like cots, highchairs, beds, sofas, tables, chairs and bookshelves) away from cords/ chains—even those tied around a cleat, as your child may be able to untie them.

x Do not let children play near cords/chains they can reach.

x Never leave children alone in a room with cords/chains they can reach.

For more information contact ACCC & BMAA

24 www.childsafetyhub.com.au
SAFETY AT HOME

FALLS FROM WINDOWS AND BALCONIES

Children are admitted to hospital each year, with serious injuries, as a result of falling from a window or balcony. These falls often happen in the child’s own home, over the warmer months when families leave windows and doors to balconies, open both during the day and at night. Children aged from one to five years are most at risk, as they are naturally curious, but lack the ability to recognise danger.

WINDOW SAFETY

How are children injured?

• Children may fall out of windows if they are able to climb on furniture to reach the window, or if they are jumping or playing on a bed near an open window.

• Injuries resulting from children falling from windows range from cuts and bruises to head injuries, broken limbs and even death.

How common are these injuries?

Of the children who have presented to CHW:

• 80% had significant or severe injuries;

• 80% had fallen more than two metres;

• 3 out of 5 cases admitted to hospital were boys;

• 80% were under 5 years of age;

• 50% of these falls involved furniture near the window.

Remember:

• Beds and other furniture should be kept away from windows, so that children cannot climb up to windows.

• Children should be taught to play away from windows.

• Where possible, open windows from the top.

• Do not rely on flyscreens to prevent a child from falling out of a window. Falls Prevention Warning labels are available for purchase via the Australian Glass & Window Association

• All windows, where the floor level below the window is 2m above ground level, should have window locks/latches fitted to stop them opening more than 12.5cm, or guards should be installed to protect the opening.

• Children should always be supervised.

BALCONY SAFETY

A balcony is a platform above ground level that comes out from the w¬¬all of a building. If it is more than 1m above ground level it must be surrounded by a balustrade.

How are children injured?

• Children may get their head, arms or legs caught in the space between balustrade openings.

• Babies may fall through balustrade openings if the gaps are too wide.

• Children may trip on steps or doorframes leading to the balcony and fall on the hard surface of the

balcony floor.

• Children may fall off the balcony if they are able to climb over the balcony balustrade. For example, horizontal rails in balustrades allow children to climb over balustrades. Objects such as pot plants or outdoor furniture, placed next to balustrades may also be used as ladders to climb on.

How common are these injuries?

Of the children who have presented to CHW, approx

• 75% were under 5 years of age;

• 40% occurred in summer;

• 3 out of 5 cases admitted to hospital were boys.

Remember:

• Make sure that your balcony or stair balustrade (railing) is at least 1m high and that vertical bars are no more than 12.5cm apart (use a ruler to measure the gaps between your vertical balustrade posts).

• Your balustrade should have no horizontal or near horizontal parts that would allow children to climb.

• All furniture, pot plants and other climbable objects should be kept away from the edge of balconies.

• Be aware of furniture that is light enough for children to drag to the balcony edge.

• Check balustrades regularly to ensure that they are in good condition.

• Supervise your children while they are on the balcony.

• Keep doors leading to balconies locked so that children cannot gain access to them.

• Do not allow children to play on stairs.

• Install stair gates at the top and bottom of stairs to prevent young children from gaining access to them.

Source: The Children’s Hospital at Westmead

25 www.childsafetyhub.com.au SAFETY AT HOME
Children can fall out of a window which is open more than 12.5cm, even if a fly screen is present.
Learn more about Falls from Windows and Balconies

Supporting inclusivity through Outside School Hours Care

Between 2019 and 2021, the number of children needing extra support or assistance outside of school had increased exponentially with the most common reasons being behavioural issues (39%), emotional difficulties (29%), and learning challenges (24%).*

OSHC programs offer a valuable opportunity for children to access developmental play and encourage friendships beyond the classroom and across age groups. According to the Department of Education NSW, OSHC (also referred to as OOSH in NSW) programs focus on developing the social and emotional skills of children through school connectedness, self-management, self-efficacy and social awareness. These skills are linked to children’s overall wellbeing and their capacity to engage in academic performance and future life outcomes.

Camp Australia has Inclusion Support Educators (ISE) in its services who provide support for approximately 1,000 children each month through its CARE Program.

Whilst COVID-19 is behind us, the impact of lockdowns, isolation, limits on socialisation and physical activity and the corresponding increase in screen time has manifested in a range of underlying challenges in children’s behaviour, emotions and learning.

At Camp Australia, we have a commitment to Guiding Children’s Growth and as a child safe organisation, we strive to ensure all our services are inclusionready with support for children, promoting their overall wellbeing and safety that integrates with their school experience.

An example is our proprietary CARE (Collaborative, Adaptive, Resolve, Early Intervention) Program which offers extensive support to ensure the inclusion of children with diverse needs, including those with physical and mental disabilities, as well as those with behavioural or communication challenges.

About Camp Australia

We are proud to partner with NSW to promote and advocate for the wellbeing of children in NSW and across the country.

We’re Australia’s largest provider of Outside School Hours Care (OSHC) with a mission of Guiding Children’s Growth through our services. This includes Your OSHC Before and After School Care, as well as Rocketeers vacation program during the term breaks for children aged 5-12 years. Camp Australia encourages self-led play, creative expression and mental wellbeing in children with Learning Outcomes that align with the My Time, Our Place Framework. We work alongside over 500 partner schools, employing the best educators to deliver enriching experiences to help children learn and grow.

www.campaustralia.com.au

www.childsafetyhub.com.au
*Children receiving ISE services increased 230% according to 2022 report by the Australian Institute of Family Studies (AIFS)

BUNK BED SAFETY

Bunk beds can be a great space-saving option for smaller rooms and kids love them. If your children are using bunk beds... Think safety first with these helpful tips.

• Use a safe model

Only buy a bunk bed that complies with the Australian Standard (AS/NZS 4220). By law, all new bunk beds sold in Australia must meet this standard.

Ask the retailer if you’re not sure.

• Age does matter!

Only children over the age of 9 years should use the top bunk. Make sure younger children only sleep on the bottom bunk.

• Avoid gaps

There should be no gaps between 95 mm and 230 mm anywhere in the vicinity of the top bunk, as children can trap their head. Check there are no unsafe gaps in the guardrails and between the wall and the bunk bed.

• Guard against injury

Guardrails are important to keep your child safe in the top bunk. Make sure the top of the guardrail is at least 160mm above the top of the mattress and extends around all four sides on the bunk bed. You also need a guardrail on the wall-side of a bunk bed unless the bed is permanently attached to the wall.

TOPPLING FURNITURE

Why Anchor It?

Small children have died or suffered serious injuries from unstable furniture. Small children can be trapped under furniture; unable to breathe or be hit/struck by falling furniture. You can prevent death or injury to small children when choosing and securing furniture in your home.

There are simple ways to prevent death or serious injury to small children when choosing and securing furniture in your home by anchoring furniture.

Buy Safe

• Purchase low-set furniture or furniture with sturdy, stable and broad bases.

• Look for furniture that comes with safety information or equipment for anchoring it to the walls.

• Test the furniture in the shop—make sure it is stable. For example, pull out the top drawers of a chest of drawers and apply a little pressure to see how stable it is; make sure the drawers do not fall out easily.

• Secure the ladder

Make sure any screws or fasteners are secure and tight. If you have a detachable ladder, make sure you securely reattach it before your child climbs to the top bunk. Never remove the ladder while your child is in the top bunk.

• Keep space overhead

Keep at least 2 m of space between the top bunk and the ceiling fan.

• Don’t play on them

Be sure your children realise their bunk bed isn’t a substitute for a trampoline! Children should never jump or play on a bunk bed, especially the top bunk.

For more information on product safety visit www.qld.gov.au/fairtrading

Learn more about Bunk Bed Safety

Use Safe

• Attach, mount, bolt or otherwise secure furniture to walls and floors.

• Do not put heavy items on top shelves of bookcases.

• Place televisions at the back of cabinets or secure them to the wall.

• Discourage small children from climbing on furniture.

• Do not put tempting items such as favourite toys on top of furniture that encourage children to climb up and reach.

• Do not place unstable furniture near where children play.

• Put locking devices on all drawers to prevent children opening them and using them as steps.

For more information on toppling furniture, visit www.productsafety.gov.au/anchorfurniture

Learn how to anchor your furniture

Watch a video on Toppling furniture safety - anchor it and protect a child

27 www.childsafetyhub.com.au
SAFETY AT HOME
Protecting this Australian life At TAL, we protect people, not things Discover how we can help you protect the people you love, and the life you live with life insurance at tal.com.au JDSPORTS.COM Get it on Windows 10 ChildHANDBOOKSafety Download your FREE app NOW

HOME POOL SAFETY

The home pool environment is often a place of fun and enjoyment. However, home pools are a location with a high risk of drowning, particularly for children under five years of age.

Drowning risks around the home

Home pools and spas are obvious drowning hazards. But there are many other items and areas which present a drowning threat to young children around the home.

Buckets, bathtubs, eskies (coolers), fountains, fishponds, drains, inflatable pools, and even pet bowls

all pose a significant drowning risk especially to younger children. It is crucial that these are emptied, covered, put away and not left where they can fill up with water.

Most toddler drowning deaths occur when parents’ attention is divided. Other siblings, preparing meals, and phone calls are just a few of the many distractions that can interfere with a parent’s supervision.

Children need constant supervision when they’re in, on, or around the water. If you’re at a party or gathering don’t assume that someone is watching your child or children. It is all too possible that no one is. Nominate a designated ‘child supervisor’ and rotate the supervision responsibilities regularly.

Portable Pools

Portable swimming pools take several forms and include inflatable pools, pools incorporating a canvas or flexible plastic liner attached to a frame, and hard plastic pools such as wading pools. Depths vary from less than 150mm to over one metre.

Portable pools pose a serious drowning risk to small children. Even with very little water, it only takes seconds for a child to drown in a portable pool. They also present a risk because owners are generally not aware of the need in most States and Territories to fence a portable pool that is 300mm deep or more. Children have also drowned in portable pools that have not been emptied and put away after use.

Young children are at risk of drowning in portable pools for a number of reasons. Young children are naturally fascinated by water and are top heavy so when they lean over to look into water or reach for an object they can easily topple over and drown in just a few centimetres of water. Young children are unable to understand the concept of danger and may have difficulty in understanding that water could cause them harm. Childhood drowning is a silent event as children generally do not cry out for help.

• Check with your local council for fencing requirements.

• Make sure you always actively supervise children within arms’ reach whenever they are in or around the water.

• Never rely on older children to supervise younger children, no matter how confident you are in their ability.

• For smaller pools ensure they are emptied and put away after use.

• When not in use, store the pool securely out of reach of young children.

• Ensure the pool cannot fill with rain water or water from sprinklers.

• Don’t exceed the number of adults or children the pool can safely hold.

Pool Fencing Regulations

Backyard pools represent a major cause of drowning among children under 5. The passage and enforcement of home pool fencing regulations, the most demanding of which require four sided isolation fencing and mandate regular inspections, has greatly reduced the rate of drowning in home pools.

For more information on pool safety visit royallifesaving. com.au/programs/home-pool-safety.

29 www.childsafetyhub.com.au
Drowning happens quickly and silently!
Always keep watch over your children at home.
SAFETY AT HOME Learn more about Pool Safety Watch a video about Pool Safety Download the Home Pool Safety Checklist

BASIC FIRST AID

ALLERGIC REACTIONS

Signs & Symptoms

• Swelling and redness of the skin.

• Itchy, raised rash (live hives).

• Swelling of the throat.

• Wheezing and/or coughing.

• Rapid, irregular pulse.

• Tightness in the chest.

• Headache.

• Vomiting and/or abdominal pain.

• Dizziness or unconsciousness.

MANAGEMENT

1. Follow DRSABCD :

• Check for Danger

• Check for Response

• Send for help

• Clear the Airway

• Check for Breathing

• Start CPR chest compression

2. If the patient is carrying an adrenaline autoinjector, it should be used at once. Let them administer the adrenaline autoinjector themselves, or ask them if they require assistance to do so.

3. Call 000 for an ambulance.

4. Keep patient in lying or sitting position. Observe and record pulse and breathing.

SPRAINS & STRAINS

It can be difficult to tell whether the injury is a fracture, dislocation, sprain or strain.

If in doubt, always treat as a fracture.

Signs & symptoms

Sprain

• intense pain

• restricted mobility

• rapid development of swelling and bruising. Strain

• sharp, sudden pain in region of the injury

• loss of power

• muscle tenderness.

WHAT TO DO

1. Follow DRSABCD.

2. Follow the RICE management plan:

• REST the patient and the injured part.

• Apply ICEPACK (cold compress) wrapped in a wet cloth to the injury for 15 minutes every 2 hours for 24 hours, then for 15 minutes every 4 hours for 24 hours.

• Apply COMPRESSION elastic bandage firmly to extend well beyond the injury.

• ELEVATE the injured part.

3. Seek medical attention if no improvement.

DRSABCD ACTION PLAN

In an emergency call triple zero (000) and ask for an ambulance

D R S A B C D

DANGER

RESPONSE

Ensure the are is safe for yourself, others and the patient

Check for response – ask name – squeeze shoulders

No response Response

Make comfortable

Check for injuries

Monitor response

SEND for help

AIRWAY

Call triple zero (000) for an ambulance or ask another person to make the call

Open mouth – if foreign material present

Place in recovery position

Clear airway with fingers

Open airway by tilting head with chin lift

BREATHING CPR

DEFIBRILLATION

Check for breathing – look, listen, feel

Not normal breathing

Start CPR

Normal breathing

Place in recovery position

Monitor breathing

Start CPR – 30 chest compressions: 2 breaths

Continue CPR until help arrives or patient recovers

Apply defibrillator if available and follow voice prompts

30 www.childsafetyhub.com.au
SAFETY AT HOME

BLEEDING

For severe external bleeding:

• wear gloves, if possible, to prevent infection

• do not apply a tourniquet

• if an object is embedded in or protruding from a wound apply pressure either side of the wound and place pads around it before bandaging

• give nothing by mouth.

WHAT TO DO

Unconscious casualty

1. Follow DRSABCD.

Conscious casualty

1. Follow DRSABCD.

2. Lie the casualty down and remove or cut their clothing to expose the wound.

3. Apply direct pressure over the wound using a pad or your hands (use gloves if available). Instruct the casualty to do this if possible.

4. Squeeze the wound edges together if possible.

5. Raise and support the injured part above the level of the heart. Handle gently if you suspect a fracture.

6. Apply a pad over the wound if not already in place and secure by bandaging over the padded wound.

7. If bleeding is still not controlled, leave initial pad in place and apply a second pad and secure with a bandage.

8. Check circulation below wound.

9. Ensure an ambulance has been called.

FIRST AID FOR BURNS AND SCALDS

1. Ensure it is safe to approach the patient.

2. Extinguish burning clothing – smother it with a blanket, jacket or use water. In the case of a scald, quickly remove wet clothing from the affected area.

3. Hold the burnt area under cold running water until the skin returns to normal temperature – do this for at least 20 minutes.

4. Remove jewellery and clothing from burnt area –leave it if stuck.

5. Cover the injury with a non-adherent burns dressing – if you don’t have one, use aluminium foil, plastic wrap or a wet clean dressing.

6. Seek medical aid urgently.

When to seek medical advice:

In the case of a child being burned, you should always consult a doctor immediately.

Extensive burns are dangerous and may be fatal. For adults, you should seek medical aid if:

• The burn is deep, even if the patient feels no pain.

• A superficial burn is larger than a 20-cent piece.

• The burn involves the airway, face, hands or genitals.

• You are unsure of the severity of the burn.

BURNS & SCALDS

Any child who has received any kind of burn should be taken immediately to a doctor. Severe burns can lead to shock and major infection if not treated correctly. Burns (scalds) can be caused by hot liquid, food, vapour or steam. They are among the most serious, painful and long-term injuries. Hot drinks account for about 42 per cent of all child scald injuries, hot foods and oils about 13 per cent and hot water 45 per cent.

Beware the hot tap

80 per cent of all hot tap water scalds occur in the bathroom. More than a third of these accidents are caused by hot water in the bathtub, with a further third happening when the hot tap is running. In most homes, the hot water is set on about 70ºC, a temperature which poses an extreme threat to youngsters. At 70ºC it takes less than half-a-second to cause a full skin thickness scald in tender skin. At 60ºC it takes 1 second. At 55ºC it takes 30 seconds. And at 50ºC it takes five minutes before the child is scalded.The ideal maximum, safe temperature for hot tap water is 50ºC. The maximum bathing temperature for young children is 38ºC.

The first thing to do in an emergency

• Get the person out of the water and flood the affected skin with cool water.

• Give first aid for burns and scalds (see below). Burns may also be caused by contact with flame, hot objects. or chemicals, by electrocution, radiated heat, frozen surfaces, friction or radiation. Barbecues, gas stoves and open fires are prime hazards and they should never be left unattended. If someone is burned on the face they could also have trouble breathing, although this may not happen immediately. A person who has inhaled smoke or fumes should receive medical attention as soon as possibe.

For more information visit www.stjohn.org.au

PREPARING FOR EMERGENCIES

Resuscitation can save a life, so it’s a good idea to learn first aid. St John Ambulance, Red Cross and a number of private first aid training companies run courses which also include information on resuscitation. Workcover can provide a list of accredited companies. Make a list of emergency numbers to keep near the telephone. Below are some suggestions for numbers to include. You can find the others in your local phone book.

Police / Fire / Ambulance

• local police • Poisons Information Centre • Council

• Children’s Hospital, family doctor

• Health Nurse

• neighbours • relatives.

31 www.childsafetyhub.com.au
SAFETY AT HOME
Learn more first aid facts from St John Ambulance
More information www.nsw.gov.au/covid-19 Coronavirus (COVID-19) Hand sanitiser and children © NSW Health June 2020. SHPN (HP NSW) 200304. Safety tips > Store hand sanitiser products safely and out of reach of children > Supervise any use by young children > If you suspect a child has ingested hand sanitiser, regardless of the quantity, call the 24 hour Poisons Information Centre on 13 11 26. Have the container of the ingested product with you.

HEALTH & SAFETY

ADVICE FOR PARENTS

DAY CARE AND PRESCHOOL AGED CHILDREN (0-4 YEARS)

• If your child is sick, keep them at home.

• If your child has symptoms like a runny nose, fever, cough or sore throat, call your GP.

• In an emergency, please call Triple Zero (000) or go to your closest emergency department.

• See the raisingchildren.net.au COVID-19 family guide.

PRIMARY SCHOOL CHILDREN (5-11 YEARS)

• If your child is sick, keep them at home.

• For primary school aged children with symptoms of COVID-19, call your GP and ask about getting your child tested.

• If you visit a public testing clinic, check that your local clinic tests children 11 years and under.

• See the raisingchildren.net.au COVID-19 family guide.

SECONDARY SCHOOL CHILDREN (12-17 YEARS)

• If your teenager is sick, keep them at home and get them tested for COVID-19.

• If you visit a public testing clinic, check that your local clinic tests children 17 years and under.

SYMPTOMS OF COVID-19

INCLUDE:

• fever (37.5°C or higher)

• cough

• sore/scratchy throat

• shortness of breath

• loss of smell or

• loss of taste.

Other reported symptoms include:

• fatigue

• runny nose

• muscle pain

• joint pain

• headache

• diarrhoea

• nausea/vomiting

• loss of appetite.

In more severe cases, infection can cause pneumonia with severe acute respiratory distress.

For more information visit: www.headtohealth.gov. au/covid-19-support/covid-19

HYGIENE TIPS FOR PARENTS AND GUARDIANS

Encourage good hygiene including handwashing with soap and water, coughing/sneezing into a flexed elbow and avoid sharing food and drinks.

HAND SANITISER SAFETY AND CHILDREN

Alcohol-based hand sanitiser is dangerous if ingested, particularly for children.

HAND SANITISER SAFETY TIPS

SAFETY TIPS FOR PARENTS

• store hand sanitiser products safely and out of reach of children.

• any use by young children should be under the supervision of an adult.

• be aware of imported products which may not be clearly labelled and may contain more toxic alcohols such as methanol that make the product more dangerous.

• washing hands with soap and water for at least 20 seconds is a safe and effective option.

• if you suspect your child has ingested hand sanitiser, regardless of the quantity, call the 24 hour Poisons Information Centre on 13 11 26 for first aid and monitoring advice. Have the container of the ingested product with you.

33 www.childsafetyhub.com.au

DENTAL HEALTH

Tooth decay

The main cause of tooth decay is an acid attack on the surfaces of the teeth. This acid is produced by bacteria which cling to the surface of the teeth in a film called dental plaque. Sweet, sticky, sugary foods encourage the plaque to make acid which causes tooth decay and bleeding gums.

Cleaning teeth

Children need to learn how to clean their teeth. Start to clean your baby’s teeth as soon as they appear. Use a small, soft toothbrush and water. When the child is 18 months of age, introduce a small amount of junior fluoride toothpaste onto the brush. Just put a smear of toothpaste on the brush. It is best that your child cleans their teeth the twice a day, in the morning and before bed. Family strength toothpaste can be introduced after 6 years of age.

From around 3 years of age until about 8 years of age, children can do some of the tooth brushing themselves, adults will need to help with brushing at least once a day. If the bacteria have been on the teeth for a long time, the gums may bleed (gingivitis) when brushed. This tells you that the gums are unhealthy. To get them healthy again the gums need to be cleaned along with your teeth, even if they bleed when brushed, the bleeding will stop after a while.

Tips to prevent dental disease

(dental decay and gingivitis)

Here are some tips to prevent dental decay and gingivitis for children:

• Put only breast milk, formula or water in your baby’s bottle.

• Always hold your baby when feeding and remove the bottle when they have had enough to drink.

• Putting your baby to bed with a bottle can cause tooth decay

• Honey, glycerine, condensed milk or other sticky foods or liquids on your baby’s dummy can cause tooth decay

• Drink fluoridated tap water throughout the day. If you are not sure if your local water is fluoridated, check with your local council

• Avoid eating sugary sticky foods, fizzy drinks, sweet drinks and juices especially between meals.

• Give your child foods which make them chew

• Brush twice a day - after breakfast and before bed (use a small toothbrush and a small amount of fluoridated toothpaste)

• If there’s no toothbrush, rinse with water

• Use dental floss daily from about 3-4 years of age

• Visit your dentist regularly

DENTAL EMERGENCIES

Toothache

If your child has a toothache or a hole in a tooth, take your child to the dentist immediately. Tooth decay can

easily lead to an infection which is very painful for your child.

Bleeding

If your child’s gums bleed during tooth-brushing take your child to the dentist as soon as possible. This bleeding can be caused by a build-up of plaque at the gum line, or it may be a symptom of a medical condition.

Your dentist can check this and advise you.

Injury

If your child falls and hurts a tooth take them to the dentist quickly. If the teeth are loose, especially the permanent (adult) teeth, they need to be replaced in the socket and splinted as soon as possible, preferably within the hour. The sooner the tooth is back in place the better its chance of survival in the long term. Do not attempt to replace a baby tooth. If a permanent tooth is knocked out:

1. If the permanent tooth is knocked out:

• Hold the tooth by the crown, and if it’s clean, replant tooth immediately and hold it in place by biting gently on a handkerchief or clean cloth. If the tooth is dirty, rinse in milk or saline first, then replant the tooth (use water as a last resort, 10 seconds only)

• Do not scrub or touch the root of tooth

• Make sure that the tooth is not back to front-facial surface towards the front. You can check this against the next tooth or someone else’s front tooth.

• If you can’t replant the tooth, store it in a cup of milk, saline or saliva. Do not store in water.

2. Seek urgent dental treatment, go straight to a dental clinic or emergency department of a hospital. Time is a critical factor in saving the tooth.

Teeth development

Most children have 20 baby teeth. Typically, baby teeth can start to appear between 6 - 10 months of age and continue coming through until a child is 3 years of age. The bottom front teeth are usually the first to appear. When teething begins, you may notice that your child drools more and wants to chew on things. For some babies, teething is painless: others may experience brief periods of irritability. Giving your baby something to chew on like a clean chilled teething ring or clean cold wash cloth, or rubbing their gums with a clean finger can help relieve symptoms.

Adult teeth start developing inside babies’ jawbones after birth. After a baby tooth falls out, an adult (permanent) tooth takes its place. Children usually start losing their baby teeth from around six years of age.

The appearance of adult teeth usually occurs between 6-12 years of age, with the exception of wisdom teeth that might start coming through around 17 years of age.

Adult teeth don’t get replaced, so you have to look after them. It’s a good idea to have regular dental visits to check on your child’s tooth development.

35 www.childsafetyhub.com.au HEALTH AND SAFETY
Brushing Childrens Teeth: In Pictures
Serve with a side of “How was your day?” Child Safety HANDBOOK Download your FREE app NOW Get it on Windows 10

HEALTHY KIDS

With good food habits and daily physical activity you will be well on your way to a healthy life.  Easy to say, but sometimes not so easy to do!

Our busy lifestyles can be hard on our family’s health. Rushing to and from school and work can make it hard to find time to be physically active. We can also slip into the habit of choosing unhealthy snacks and take-away foods or spending our free time watching TV or in front of the computer.

What can I do?

There are five simple ways for your family to lead a healthy lifestyle and get back on track:

1. Get active each day

• Regular physical activity is important for the healthy growth, development and well-being of children and young people.

• They should get at least 60 minutes of physical activity every day, including vigorous activities that make them ‘huff and puff’.

• Include activities that strengthen muscles and bones on at least 3 days of the week.

• Parents should be good role models and have a positive attitude to being active.

2. Choose water as a drink

• Water is the best way to quench your thirst – and it doesn’t come with the added sugar found in fruit juices, soft drinks and other sweetened drinks.

• Reduced fat milk for children over two is a nutritious drink and a great source of calcium.

• Give kids whole fruit to eat, rather than offering fruit juices that have a lot of sugar.

THE NSW HEALTHY SCHOOL CANTEEN STRATEGY

3. Eat more fruit and vegetables

• Eating fruit and vegetables every day helps children grow and develop, boosts their vitality and can reduce the risk of many chronic diseases.

• Aim to eat two serves of fruit and five serves of vegetables every day.

• Have fresh fruit available as a convenient snack and try to include fruit and vegies in every meal.

4. Switch off the screen and get active

• Sedentary or ‘still’ time spent watching TV, surfing online or playing computer games is linked to kids becoming overweight or obese.

• Children and young people should spend no more than two hours a day on ‘small screen’ entertainment. Break up long periods of use as often as possible.

• Plan a range of active indoor and outdoor games or activities for your children, as alternatives to watching TV or playing on the computer.

5. Eat fewer snacks and select healthier alternatives

• Healthy snacks help children and young people meet their daily nutritional needs.

• Snacks based on fruit and vegetables, reduced fat dairy products and whole grains are the healthiest choices.

• Avoid snacks that are high in sugar or saturated fats – such as chips, cakes and chocolate – which can cause children to put on excess weight.

At school students learn about the types of foods and drinks needed to stay healthy, to help brains work and to help them feel more alert – just what is needed to get through the school day. So it makes sense that the school canteen is full of healthy food and drink options. Good nutrition is vital to all children and young people, as it helps them to grow and learn. The Healthy School Canteen Strategy is about improving access to healthy food and drink choices and it’s about providing students with the skills and opportunity to learn about healthy food and drink choices and making the healthy choice the right choice.

The revised Healthy School Canteen Strategy has the new Food and Drink criteria which categorises food and drink as either Everyday or Occasional. This replaces the traffic light system of Green, Amber and Red foods which made the Fresh Tastes @ School strategy. The Food and Drink criteria follow the Australian Dietary Guidelines that recommend that we eat from the five food groups, vegetables, wholegrain, dairy, fish and meat everyday, and only occasionally eat small amounts of foods containing lots of fat, salt and sugar.

Look for the Everyday food and drinks in your canteen – they are easy to spot as they will be at the front of the counter and there will be plenty of fabulous choices. Everyday foods include foods from each of the five food groups. Choose things like sandwiches and wraps filled with salads/cheese/eggs, toasties with apple and cinnamon, rice paper rolls, jacket potatoes, lasagna, burritos with beans and salsa, pizza muffins, fruit and popcorn, just to name a few. The Occasional foods are things like meat pies, sausage rolls, hot chips, crisps, sweet biscuits, processed meats such as salami, cakes, muesli , confectionery, ice cream, desserts and soft drinks.

Load up on the everyday and have less occasional food and drinks, because you know it will make you feel better throughout the day. For more information visit healthyschoolcanteens.nsw.gov.au

37 www.childsafetyhub.com.au
Marrickville Public School

Australian Guide to Healthy Eating

Enjoy a wide variety of nutritious foods from these five food groups every day. Drink plenty of water.

Grain (cereal) foods, mostly wholegrain and/or high cereal fibre varieties

Lean meats and poultry, fish, eggs, tofu, nuts and seeds and legumes/beans

Use small amounts

Vegetables and legumes/beans

Fruit

Milk, yoghurt, cheese and/or alternatives, mostly reduced fat

Only sometimes and in small amounts

39 www.childsafetyhub.com.au
Polenta Muesli Quinoa Wheat flakes Mixed nuts Red kidney beans Red kidney beans Red lentils Lentils Chickpeas Chickpeas Penne Fettuccine

ASTHMA

What is asthma?

Asthma is a long-term lung condition of the airways. Children with asthma have sensitive lungs which become inflamed when exposed to triggers, this can cause the onset of a ‘flare up ’also known as an asthma attack.

The muscles around the airway squeeze tight, swell and become narrow during a flare up, these issues make breathing difficult. An asthma flare up can have a rapid (within minutes) or slow onset (hours, days or weeks).

For children aged 5 to 14 years, asthma is a leading cause of total disease burden, 14% accounts for boys and 12% for girls [1]. In 2017-2018 almost half (44%) of the hospitalisations for asthma in Australia were for children aged 0-14 years [1]

Asthma cannot be cured, however for most children it can be well controlled by following a daily management plan.

What are the Triggers of asthma?

A child’s asthma may be worse on some days than others due to asthma triggers. Every child has a different experience or different trigger. Some triggers that affect children include:

• Colds and flu

• Hay fever

• Exercise

• Bushfires and smoke

Among children cold and flu are the most common trigger for an asthma-flare up which can be serious whether a child’s asthma is mild or well controlled. Colds and flu cannot be avoided, however, risk can be reduced by:

• Washing hands regularly

• Cough or sneeze into a tissue or elbow

• Avoid crowded spaces where possible

• Staying home if really unwell

Exercise is also a common trigger among children, otherwise known as exercised-induced asthma. Exercise should not be avoided as this trigger can be easily managed and moderate exercise can be beneficial for a child’s asthma.

Exercised induced asthma can be managed by:

• Two puffs of reliever medication 15 minutes before exercise

• Preventer medication

• Regular doctor reviews

• Keep exercise moderate

Asthma Flare-Up

Flare-ups in children do happen and are most often caused by colds and flu, therefore it is almost impossible to avoid.

An asthma flare-up is different from having asthma symptoms as they are more severe and require urgent medical attention. When a child’s symptoms aren’t improving or responding to reliever medications this is a sign that a flare-up is looming.

Asthma First Aid

As children are dependent on supervision and care it is vital that parents learn asthma first aid. If your child is experiencing a severe or lifethreatening asthma flare-up, call an ambulance and then start asthma first aid.

If your child is experiencing a mild to moderate asthma flare-up, begin asthma first aid:

1. Sit child upright.

• Be calm and do not leave them alone.

2. Give 4 separate puffs of blue/grey reliever puffer.

• Shake, 1 puff, 4 breaths.

• Repeat until 4 puffs have been taken.

3. Wait 4 minutes – if no improvement repeat step two.

4. If there is still no improvement dial 000 and continue giving 4 separate puffs every 4 minutes until emergency assistance arrives.

If your child has asthma, speak to your child’s doctor about a written Asthma Action Plan, device technique checks and preventer medication.

For more information on asthma call 1800 ASTHMA (1800 278 462) or visit www.asthma.org.au

Learn more about asthma emergency and first aid

Learn more about asthma in young children

40 www.childsafetyhub.com.au
[1] Australian Institute of Health and Welfare 2019. Asthma. Cat. no. ACM 33. Canberra: AIHW Viewed 29 October 2019, https://www.aihw.gov.au/reports/chronic-respiratory-conditions/asthma
HEALTH AND SAFETY

DIABETES

What is diabetes?

Diabetes is characterised by high glucose levels (commonly referred to as sugar levels) in the blood stream, caused by a lack of insulin production, ineffective insulin, or a combination of both.

There are two main types of diabetes – type 1 and type 2 – their cause and management can be quite different.

Type 2 diabetes is the most common type of diabetes, making up 85-90% of all diabetes cases. It mainly affects adults, but can affect young people, even children. It is caused by genetic and lifestyle factors, such as lack of physical activity, poor food choices and excess weight.

In type 1 diabetes, the body’s immune system destroys the insulin-making cells (beta cells) in the pancreas. The pancreas stops making insulin. Insulin is a hormone that is essential for life, so children with type 1 diabetes need to replace insulin in the body either with several injections a day or via an insulin pump.

The majority of children with diabetes have type 1. The onset usually occurs under the age of 30 (and has been known in the past as Juvenile Onset Diabetes), however it can happen at any age.

The exact cause of type 1 diabetes is not known. A combination of genetic factors, together with environmental factors, are thought to trigger the autoimmune response. These environmental triggers are largely unknown but likely to be viral and/or chemical.

Type 1 diabetes is not contagious or preventable, nor is it caused by an unhealthy lifestyle. This is a common misconception which has, at times, resulted in blaming and shaming students for unhealthy food choices including ‘too much sugar’ or junk food.

Nationally, there are over 14,000 school-aged children living with type 1 diabetes, with 4500 of

Signs and symptoms of type 1 diabetes

• Being excessively thirsty

• Passing more urine

• Feeling tired and lethargic

• Always feeling hungry

• Having cuts that heal slowly

• Itching, skin infections

• Blurred vision

• Unexplained weight loss

• Mood swings

• Headaches

• Feeling dizzy

• Leg cramps

These symptoms may occur suddenly and, if not treated properly, can pose immediate life-threatening health risks. If they occur, see a doctor straightaway. With a simple test, a doctor can find out if your child has type 1 diabetes.

these in NSW.. Recently, Diabetes NSW & ACT rolled out a new diabetes-in-schools education and training program to make it easier for teachers and staff to support children with type 1 diabetes, and give parents confidence that their children will be safe and supported at school. The program covers the safe management of diabetes and ‘normalises’ diabetes in schools so students are not stigmatised.

In the school setting, a child must have access to their blood glucose monitoring kit, and hypo kit, at all times. Monitoring blood glucose is not a ‘sick bay’ activity, and must be supported in the classroom. Tending to activities of daily diabetes care in the classroom environment is less disruptive to a child’s learning, and can help other students understand and support a peer living with diabetes.

Diabetes NSW & ACT runs camps and Diabuddies Days for children with type 1 diabetes throughout the year. These are fantastic opportunities for children to meet others with type 1 diabetes and gain confidence in their own diabetes management. It can be an isolating experience for children living with type 1 diabetes, so these events enable children and their families to meet others facing the same challenges and triumphs. They are a chance to celebrate the children’s achievements, while facilitating education, networking and friendships.

To find out about upcoming camps or DiaBuddies Days call 1300 342 238 or email events@diabetesnsw.com.au

Learn more about when your child has diabetes

41 www.childsafetyhub.com.au
HEALTH AND SAFETY
Watch a video about DiaBuddies Day

HOME FIRE SAFETY FOR CAREGIVERS AND CHILDREN

Children are most at risk of misuse of fire when they are unsupervised.

Lock matches and lighters away when not in use.

Encourage children to tell an adult if they find matches or a lighter.

42 www.childsafetyhub.com.au FIRE SAFETY

Children will often climb on furniture to get to matches and lighters.

43 www.childsafetyhub.com.au FIRE SAFETY
FRNSW Hotline 1800 600 700 Contact Fire and Rescue NSW’s youth intervention program to seek assistance if your child misuses fire.

SMOKE ALARMS

Help us, help you stay safe by following these simple smoke alarm guidelines:

Some young children sleep through smoke alarms.

You need to wake up young children by yelling ‘Fire, Fire, Fire’.

GET DOWN LOW AND GO, GO GO!

Young children can get confused during a fire and hide instead of escaping.

Young children need help to escape a fire.

44 www.childsafetyhub.com.au FIRE SAFETY
FIRE, FIRE, FIRE!

CHOOSING

YOUR SMOKE

1. It’s the law to have at least one working smoke alarm installed on every level of your home. This includes owner occupied homes, rental properties, relocatable homes, caravans and camper-vans or any residential building where people sleep.

2. Fire and Rescue NSW recommends the installation of photoelectric smoke alarms, ideally hard-wired and interconnected.

3. Di erent types of smoke alarms available:

• Standard battery-operated alarms

• Mains-powered smoke alarms

• Strobe light and vibrating pad alarms. These are available for people who are deaf or hard of hearing. For more information contact the Deaf Society of NSW on 02 8833 3600.

4. The Australian Standard symbol on the packaging shows if the alarm is approved and safe.

5. Your local Fire and Rescue NSW station will be happy to give you advice on which type is best suited for you.

1. Avoid fitting smoke alarms in or near your kitchen or bathroom.

2. The ideal position is on the ceiling between sleeping and living areas.

3. In addition to the minimum requirement, Fire and Rescue NSW recommends installing smoke alarms in all bedrooms where people sleep.

4. Hard-wired smoke alarms need to be installed by an electrician.

5. Always install smoke alarms in accordance with manufacturer’s instructions.

6. If it is di cult for you to fit one yourself, contact your local Fire and Rescue NSW station for help. They’ll be happy to install your smoke alarm battery for you.

1. Test your smoke alarm batteries every month by pressing and holding the test button for five seconds. Replace batteries every 12 months.

2. Vacuum dust o alarms every six months.

3. Replace smoke alarms with a new photoelectric alarm every ten years or earlier, if specified by the manufacturer.

45 www.childsafetyhub.com.au FIRE SAFETY
ALARM
For more information on smoke alarms, visit fire.nsw.gov.au and planning.nsw.gov.au YOUR SMOKE ALARM MAINTAINING YOUR SMOKE ALARM Contact your local Fire and Rescue NSW station for a Safety Visit or scan the QR code to book one.
INSTALLING

20 minutes

Children need to know and practise their Home Fire Escape Plan, which should include two ways to exit every room.

Children need to know burns first aid

For a burn that is smaller than a 20-cent piece, place skin under cool running water for 20 minutes. Wrap in a wet, clean bandage and see a doctor.

For a burn that is bigger than a 20-cent piece, place skin under cool running water while you call Triple Zero (000) and follow the advice of the operator.

46 www.childsafetyhub.com.au FIRE SAFETY ESCAP PLAN 000) HOME FIRE ESCAPE PLAN Bed Living
000 1 2 3 4 5 6 7 8 9 * 0 #
47 www.childsafetyhub.com.au FIRE SAFETY Children need to know their safe meeting place. Children need to know how to dial Triple Zero. Children need to know their address. 000 1 2 3 4 5 6 7 8 9 * 0 # Address: Phone: 52 Safety Way Sydney, NSW 9877 666 555 Download our escape plan template. Fire safety skills practice for children at brigadekids.com

PREPARE. You must make important decisions before the fire season starts.

ACT. The higher the Fire Danger Rating, the more dangerous the conditions.

SURVIVE. Fires may threaten without warning so you need to know what you will do to survive.

WHAT TO DO DURING A FIRE

BEFORE THE FIRE

• Put on your protective clothing

• Turn on the radio to keep yourself informed

• Bring pets inside and keep them in one room

• Close all windows and doors

• Block spaces beneath doors and windows with wet towels

• Fill buckets, sinks and bath tubs with water ready to put out spot fires

• Have your firefighting equipment like pumps and hoses connected to your water supply

• Block downpipes and fill gutters with water

• Remove items which can burn from around your home like outdoor furniture

• Bring ladders inside to check roof space for embers

• Patrol the outside of your home putting out any embers or spot fires

• Just before the fire arrives, wet down timber decks and gardens close to the house

• Move any firefighting equipment to a place where it will not get burnt

EMERGENCY INFORMATION

FOR INFORMATION ON FIRES

• Check our Fires Near Me page for current incidents

• Listen to local media

• Check social media such as NSW RFS Facebook and NSW RFS Twitter

• Bush Fire Information Line - 1800 679 737 TO REPORT A FIRE EMERGENCY

• Call Triple Zero (000)

• If you are deaf or have a speech or hearing impairment call 106

DURING THE FIRE

• Go inside but stay alert

• Shelter in a room on the opposite side of the house from the approaching fire and one that has a clear exit out of the house

• Patrol inside the house, including the roof space looking for sparks and embers

• Protect yourself from the heat of the fire

• If your life is at risk, call triple zero (000)

ONCE THE FIRE HAS PASSED

• Check your roof spaces

LeavingREMEMBER: early isyouroption.safest

• Go outside and put out any part of your house which is alight

• Check under the house and any decks

• Check on your pets and animals

• Embers or sparks can start spot fires for many hours after • the fire has passed

• If you can, contact your family and friends and check on your neighbours

BUSHFIRE SAFETY
48 www.childsafetyhub.com.au PREPARE. ACT. SURVIVE.

MODERATE HIGH Plan and prepare.

Be ready to act.

Most fires can be controlled. Fires can be dangerous.

Stay up to date and be ready to act if there is a fire.

There’s a heightened risk. Be alert for fires in your area.

Decide what you will do if a fire starts. If a fire starts, your life and property may be at risk. The safest option is to avoid bush fire risk areas.

EXTREME CATASTROPHIC

Take action now to protect your life and property.

Fires will spread quickly and be extremely dangerous.

These are dangerous fire conditions. Check your bush fire plan and that your property is fire ready.

If a fire starts, take immediate action. If you and your property are not prepared to the highest level, go to a safer location well before the fire impacts.

Reconsider travel through bush fire risk areas.

For your survival, leave bush fire risk areas.

If a fire starts and takes hold, lives are likely to be lost.

These are the most dangerous conditions for a fire. Your life may depend on the decisions you make, even before there is a fire.

Stay safe by going to a safer location early in the morning or the night before.

Homes cannot withstand fires in these conditions. You may not be able to leave and help may not be available.

PREPARE. ACT. SURVIVE.
A bush fire survival plan can help you make important decisions about what to do during a fire - like when to leave, what to take and what to do with animals. www.rfs.nsw.gov.au Getting ready for a bush fire is easier than you think. By taking 20 minutes with your family to discuss what you’ll do during a fire, you could save their lives, as well as your home. GET READY FOR A BUSH FIRE FOUR SIMPLE STEPS TO MAKING YOUR BUSH FIRE SURVIVAL PLAN NSW Rural Fire Service www.rfs.nsw.gov.au It’s a fact. If you and your home are well prepared, you stand a better chance of surviving a bush fire. Join with everyone else in ensuring that your home and family are protected by following the Four Simple Steps to getting ready for a bush fire. #MyFirePlan GETTING READY for a bush fire is easier than you think and there are simple things you can do to protect yourself and your family this bush fire season. 1. DISCUSS 2. PREPARE 4. KEEP 3. KNOW with your family what you will do if a fire happens near you. your home and get it ready for bush fire season. information like websites and emergency details handy. the bush fire alert levels. Get the easy guide to making your bush fire survival plan at www.myfireplan.com.au It is important to talk to your child about your family’s plans in the event of a bush fire. The Bush Fire Cooperative Research Council has released a document to assist parents in involving their children in bush fire survival planning. For more information visit: www.rfs.nsw.gov.au/involveyourkids
BUSH FIRE AND YOUR FAMILY
52 www.childsafetyhub.com.au NSW SES is developing new content for the Triple Zero Kids’ Challenge to help children learn about floods, storms and tsunamis The resource follows the school curriculum and includes interactive lesson plans and innovative ways to work with kids to build skills and knowledge. Find out more... https://kids.triplezero.gov.au Resources can be found at www.ses.nsw.gov.au MOVE INDOORS BEFORE ARRIVES!STORMA MOVE INDOORS BEFORE ARRIVES!STORMA Child Safety HANDBOOK Download your FREE app NOW Get it on Windows 10 LIVE BUSH FIRE READY PREPARE. ACT. SURVIVE.

STORM, FLOOD & TSUNAMI SAFETY

STORMSAFE

Are you at risk?

Storms can happen anywhere, at any time of the year. It is important to prepare your family and property by making and practicing your plan to keep you and your family safe. This can help prevent injuries and property damage that can occur during storms.

Severe weather, such as strong winds, hail, and rising water levels (flash flooding) can cause injuries to people and damage to properties. Damaging winds can bring down trees, branches, power lines, remove roofs and blow around outdoor items, like outdoor furniture and trampolines

Heavy rainfall can cause water to:

• damage exposed homes and belongings

• rise rapidly, flooding homes, property and roads

• drain rapidly making floodwaters, drains, and other water courses a safety hazard

Damaging surf can be unsafe and flood homes and properties in coastal areas.

You may also be indirectly affected by storms; access roads may be blocked or you may lose power, sewage, utilities, telcommunications, including mobile reception.

Know the warning signs for severe weather

The Bureau of Meteorology and the NSW SES will issue different kinds of warnings for severe weather through multiple ways including on their websites and social media.

There are also natural signs of severe weather you can look out for including:

• Gathering storm clouds

• Darkening skies

• Increasing winds

• Rapid changes in temperatures

When a storm warning is broadcast

Servere Weather Warnings and Severe

Thunderstorm Warnings are issued by the Bureau of Meterology to alert communities to the threat of severe weather. When a warning is issued for your area (but before the storm arrives), there are a few things you can do to help protect your family and property:

• Move indoors, bringing children and pets with you

• Park your car under secure cover and away from trees, powerlines and drains.

YOUR EMERGENCY CHECKLIST

Your emergency kit provides items you might need if you lose power or need to leave your home in a hurry.

Your emergency kit contents:

A portable radio with batteries

A torch with spare batteries

A first aid kit

Candles and waterproof matches

Important papers including emergency contact numbers

Copies of any emergency plan

A waterproof bag for valuables

When leaving or evacuating your property, place into your emergency kit:

Medications

Supplies for your baby

Supplies for any other people, pets or animals in your care

Appropriate clothing and footwear

Food and drinking water

53 www.childsafetyhub.com.au
Learn more about Storm Safety Watch – What is a severe thunderstorm?

During a storm

During a storm, there are simple things you can do to help protect your family:

• Never enter or travel through floodwater

• Stay indoors, clear of windows

• Stay clear of creeks, drains, causeways, gutters, streams, fallen trees, power lines and damaged buildings

• If driving, put your hazard lights on and pull over to the side of the road keeping clear of drains, causeways, streams, creeks, trees and power lines

• If outdoors, seek secure shelter away from drains, causeways, streams, creeks, trees and power lines

• Listen to your local radio station and other media for information, updates and advice.

After the storm

• Keep listening to your local radio station for information, updates and advice

• Check your house or property for damage

• Stay clear of creeks, drains, causeways, gutters, streams, fallen trees, power lines and any damaged buildings

• Check to see if your neighbours need help

• Do not go sightseeing as this may hinder recovery efforts or put yourself and others at risk.

FLOODSAFE

Are you at risk from floods?

If you live close to a creek, river, major stormwater drain or in a low-lying area, you may be at risk from flooding even if you have not experienced it personally.

Families should learn and talk about their flood risks, why floods occur and understand key terms such as flood watch (flooding may happen in the area), flood warning (flood is happening or will happen very soon) and evacuation (leave the area now/before a certain time.)

Floodwaters can kill and may carry debris or contaminants that can cause injuries or disease. Families should make plans for what they will do if they become impacted by floodwaters.

54 www.childsafetyhub.com.au STORM, FLOOD AND TSUNAMI SAFETY
storm
500
life threatening
Trim trees and branches that could potentially fall on your home or property Check your insurance policy is current and adequate TRIM BRANCHES Clean your gutters, downpipes and drains regularly to prevent blockages CLEAN GUTTERS Secure or put away items that could blow around in strong winds Fix any damage to your roof including broken or missing tiles FIX ROOF DAMAGE Prepare an emergency kit in case you lose power or need to leave your home (turn over for checklist) PREPARE AN EMERGENCY KIT YOU CAN
NOW TO PREPARE FOR STORMS Listen to your local radio station and other media for weather warnings LISTEN TO LOCAL RADIO CHECK INSURANCE Make a plan for your family that outlines what you would do in an emergency PREPARE AN EMERGENCY PLAN Principal Partner MAINTAIN YARD AND BALCONY
For emergency help in flood,
and tsunami call the SES on 132
or visit www.ses.nsw.gov.au For
emergencies call 000.
DO

During a flood

How do I prepare when flooding is about to happen?

• Never drive, ride or walk through floodwater

• Listen to your local radio station for information, updates and advice

• Locate and check you Emergency Kit

• Move pets and agisted animals to high ground

• Stack possessions, records, stock or equipment on benches and tables, placing electrical items on top

• Secure objects that are likely to float and cause damage

• Relocate waste containers, chemicals and poisons well above floor level

• Activate your Home FloodSafe Plan

• Keep in contact with your neighbours and make sure they are aware of the Flood Warning

• Be prepared to evacuate if advised by emergency services

• Act early as roads may become congested or close.

Watch and Act - Prepare to evacuate

In addition, to prepare for possible evacuation:t

• Have your mobile phone close and pack your charger, battery-powered radio, medicine, rain gear, warm clothes, blankets, baby and pet items, water, food, torch, something to attract attention, and valuables like photos and insurance or banking records

• Wear enclosed shoes and pack warm clothes to last you for at least three days

• Arrange to evacuate to the home of family or friends who are in a safe location away from flooding. Consider how to transport your pet(s) and companion animals

• Never drive, walk, ride through, play or swim in floodwater - it is dangerous and toxic

• Obey all signs about road closures and instructions from emergency services.

Emergency Warning - Evacuate now/before

In addition, when you leave:

• Turn off the electricity and gas at the mains before you leave and turn off and secure any gas bottles

• The safest option is to evacuate as early as possible to avoid additional hazards. Do not wait until the last minute

• Immediately move to a safer location away from present and potential flooding. Travel to the home of family or friends who are in a safe location away from flooding

• Take your pets with you

• Never enter or travel through floodwater

55 www.childsafetyhub.com.au STORM, FLOOD AND TSUNAMI SAFETY KNOW YOUR FLOOD RISK KNOW WHO TO CALL GET YOUR KIT TOGETHER CHECK YOUR INSURANCE KNOW WHERE TO GO KNOW YOUR PLAN PREPARE NOW TO ACT EARLY LISTEN TO LOCAL RADIO You can do now to
prepare for floods
Learn more about Flood Safety Learn how to be prepared for a flood Learn about your flood risk
56 www.childsafetyhub.com.au

TSUNAMISAFE

What is a Tsunami?

A tsunami is a series of waves generated b y a sudden displacement of large volumes of water from a number of causes including:

• Vertical movement of the sea floor as the result of a large earthquake

• Submarine or coastal volcanic eruptions

• Meteor impacts

• Coastal landslides and slumps, either land-based or submarine

What is the real threat of a Tsunami in NSW?

According to the Bureau of Meteorology, there have been more than 50 Tsunami events in Australia since 1788, mostly causing dangerous rips, waves, and strong currents.

The impact of a Tsunami hitting vulnerable lowlying areas of the NSW coast could be significant. While a land-threat Tsunami is of low-likelihood it will have an extremely high-impact when it does occur.

Tsunami threat levels and warnings

The first stage of the process for warning you is a ‘tsunami watch’.

If there is a threat, Geoscience Australia and the Bureau of Meteorology’s Joint Australian Tsunami Warning Centre (JATWC) will co-issue a National Tsunami Watch, with three possible threat levels:

• No threat - An undersea earthquake has been detected, however it has not generated a Tsunami, or the Tsunami poses no threat to Australia and its offshore territories.

• Marine and immediate foreshore threat

• Warning of potentially dangerous rips, waves and strong ocean currents in the marine environment and the possibility of only some localised overflow onto the immediate foreshore.

• Land inundation threat - Warning for low-lying coastal areas of major land inundation, flooding, dangerous rips, waves and strong ocean currents. Emergency services may commence. evacuations immediately

What you need to do

It is important to act early on warnings as tsunamis can reach the coastline quickly.

• Locate your Emergency Kit and add any medications, important papers, special items for babies, elderly, clothing, food and water

• If you have a Home and/or Business Emergency Plan, use it now

• Keep listening to your local radio station or other media for any updates and advice

• Follow advice given to you by emergency services

• Check that your neighbours have received this advice.

Marine and Immediate Foreshore

• Get out of the water and move away from the immediate water’s edge of harbours, coast estuaries, rock platforms, and beaches

• Boats in harbours, estuaries and in shallow coastal water should return to shore. Secure your boat and move away from the waterfront

• Vessels already at sea should stay offshore in deep water until further advised

• DO NOT go to the coast to watch the tsunami.

Land Inundation

• Move Up 10 meters above sea level, Up 10km of estuaries and at least 1km Away from the coastline/ water’s edge. Remember Up, Up & Away

Where to go

Find the safest route to travel in case you need to evacuate, look at the evacuation map and local maps. You may need to think about walking or ride a bike, as roads may be blocked or congested with other cars. Find out where any evacuation centres could be set up in your area. If you prefer, check with friends and family outside the affected area to organise a place to go.

Consider: If you live or work within a couple of kilometres of the coast line, how will you prepare? Where will you go?

Learn more about Tsunami Safety

Learn more about the SES Home Emergency Plan Checklist

Are you in a tsunami evacuation area?

57 www.childsafetyhub.com.au
STORM, FLOOD AND TSUNAMI SAFETY
58 www.childsafetyhub.com.au Avoid driving after midnight. Pull over for a break in a safe place. Get a good night’s sleep. Arrange to share the driving. Take a nap, 20 minutes works best. Rest area Plan to take regular rest breaks. Tiredness can affect your drive no matter how long or short. Top tips to avoid driving tired Visit testyourtiredself.com.au “WHY WOULD YOU BUY YOUR TYRES ANYWHERE ELSE?” Call 13 21 91 or visit tyrepower.com.au TO FIND YOUR NEAREST STORE CUSTOEMR-OWNEDMOSTSATISFIED CUSTOMERS BLUE BLUE BLUE BLUE

STREET SMART

ROAD SAFETY

KEEPING YOUR CHILDREN SAFE

Children are vulnerable road users. They are at risk in the traffic environment because of their size, their difficulty in judging speed and distance and the fact that they may behave unpredictably.

Your child may be able to tell you the rules and how to keep safe near in and around vehicles, but in reality, they will not always be able to apply them.

More than one million children in NSW travel to and from school each day by car, bike, public transport or as a pedestrian.

40km/h school zones are in place to help protect children on their way to and from school at the times and places where they are often in high numbers, and every school in NSW has at least one set of school zone flashing lights. The NSW Government also funds the NSW Road Safety Education Program. This program supports delivery of road safety education to children and young people from early childhood to the end of high school.

But this alone is not enough and families and carers play a critical role in helping to keep children and young people safe. You can help by following some simple safety steps and by regularly reinforcing important road safety messages with your children.

PEDESTRIAN SAFETY

Each year, kids are killed and injured playing near or trying to cross the road.

A responsible adult should always actively supervise young children in the road environment.

Key road safety messages to share with your kids:

Younger kids

• Hold a grown-up’s hand when - you cross the road

- you’re on the footpath

- you’re in the car park

Older kids

• Hold an adult’s hand when you cross the road (up to 10)

• Use a safe place to cross the road

• Stop! Look! Listen! Think! every time you cross the road

TIPS FOR FAMILIES:

• Until children are atleast 8 years old, theyshould always hold an adult’s hand whenever they are out and about

• Up until they are at least 10 years old, children should always be supervised very closely, and should hold an adult’s hand when crossing the road

• When crossing the road with your child, practice and talk about the following procedure:

- STOP well back from the kerb

- LOOK continuously both ways

- LISTEN for sounds of approaching traffic

- THINK whether is it safe to cross, and keep checking both ways until safely across

• Use a pedestrian crossing where possible. Take care whenever you cross. Vehicles don’t always stop, even when they should

• Always use the available pedestrian facilities such as crossings or traffic lights with pedestrian signalised crossings.

• Never assume that a driver can see you or will stop for you.

• Make sure drivers see you and have stopped before you cross the road or driveway.

• Check for turning vehicles before you leave the kerb and when crossing driveways.

• Always walk on the footpath. If there isn’t one, walk on the side of the road towards approaching cars not on the road

For more information and activities, visit www.safetytown.com.au/families/

59 www.childsafetyhub.com.au
END SCHOOL ZONE SCHOOL ZONE SCHOOL DAYS 30 AM
230 8-9 -4 40 60
a video on Road Safety
more about the Road Safety Education Program
PM
Watch
Learn

Learn more about Child Carseats

SAFETY IN CARS

Key road safety messages to share with your kids:

• Click clack front and back

• Always buckle up safely

• Get in and out of the car on the footpath side

Seat Belt Safety

The overriding basic rule for the safety of children in cars is for every child to use the right restraint on every trip.

National Child Restraints laws:

older children, an approved booster seat, or an approved child safety harness in conjunction with the vehicle’s seatbelt.

For detailed information on correct child restraint visit childcarseats.com.au

OTHER IMPORTANT THINGS TO REMEMBER:

• If your child is too small for a restraint specified for their age, they should stay in their current restraint for as long as necessary

Compare Child Carseats using the Child Restraint Evaluation Program

• Children up to the age of six months must be secured in an approved rearward facing restraint

• Children aged from six months old but under four years old must be secured in either a rear or forward facing approved child restraint with an inbuilt harness

• Children under four years old cannot travel in the front seat of a vehicle with two or more rows of seats

• Children aged from four years old but under seven years old must be secured in a forward facing approved child restraint with an inbuilt harness or an approved booster seat

• Children aged from four years old but under seven years old cannot travel in the front seat of a vehicle with two or more rows of seats, unless all other back seats are occupied by children younger than seven years in an approved child restraint or booster seat

• Children aged from seven years old but under 16 years old who are too small to be restrained by a seatbelt properly adjusted and fastened are strongly recommended to use either a forward-facing seat with an in-built harness for

FIVE STEP TEST

• If your child is too large for a restraint specified for their age, they may move to the next level of restraint

• It is important to check that the restraint is properly fitted.

• Children must use a child restraint on every trip

• Children should always get in and out of the car using the Safety Door which is the rear kerb side door

What you must not do

• Do not carry a child on your lap. It is impossible to hold onto a child in a crash and it is illegal

• Do not put two children in one seat belt as it is not safe and is illegal; in a crash they can be injured by colliding with each other

• Do not sit a child on an adult’s lap with the seat belt around both of them. The child is likely to be crushed by the adult’s weight against the seat belt and it is illegal

• Do not let children ride in the luggage space of cars. This is also illegal and very dangerous. All children must be restrained in an appropriate child restraint.

For more information, visit safetytown.com.au

The five-step test can help assess whether your child is big enough to be safely restrained by a seatbelt. Answering Yes to each step means your child is ready for a seatbelt. The child should be able to:

1. Sit all the way back against the seat back

2. Bend their knees comfortably over the front edge of the vehicle seat

3. Sit with the sash belt across their mid-shoulder

4. Sit with the lap belt across the top of their thighs

5. Stay seated in this position for the whole trip.

60 www.childsafetyhub.com.au
STREET SMART

GENERAL SAFETY IN THE CAR

Drive carefully, take rests, take care in the heat

Fasten your seat belt and make sure everyone is safely and appropriately restrained before starting the car. Many crashes are the result of driver error and fatigue. Rest stops help restore concentration, and beat drowsiness.

Babies, toddlers and children lose fluid quickly so it is important when travelling on hot days, to allow extra time for stops and to provide plenty of cool water or fluids. Never leave your child in a car for any period of time without adult supervision.

Driver Distraction

Don’t let your children’s behaviour distract you. Keep them occupied by talking or singing to them; provide soft toys to play with. On long trips, provide unspillable drinks, healthy snack foods; and avoid milk-based drinks for carsick-prone children. Take regular driver breaks and let the children out to run around.

SAFE TRAVEL

• Do not leave your children in the car for any period of time without adult supervision

• Provide plenty of cool water or fluids regularly during your journey

• Wear loose fitting, lightweight clothes when travelling in hot weather

• Travel in the cooler hours of the day

• Stop every two hours so all passengers, including children, have an opportunity to move freely

• Adjust restraint harness each time you use it, particularly in summer when children are wearing lightweight clothing

• Be careful using a hood on a child restraint to protect a child from the sun as it may reduce air flow and lead to over-heating. A window visor or sunshade may be a better alternative

• On every trip, short or long, take the time to check your children’s safety by re-checking the fit of their harnesses

• Regularly service your car and ensure the air conditioning is working effectively before going on long trips

• Regularly check your speed to ensure you are travelling within the posted speed limit.

• Follow speed advisory signs. This will help ensure you drive through that section of road safely.

• Speeding is not just travelling above the designated speed limit, but also driving too fast for the road or weather conditions.

MOBILE PHONE USE

The dangers of distraction

Driving is a complex task. Anything that takes your mind or eyes off the road, or your hands off the wheel, not only compromises your safety, but that of everyone else on the road. Being distracted increases your chances of having a crash. It slows down your reaction times and puts you in danger of failing to see hazards such as traffic lights, stop signs or other road users, including pedestrians and cyclists.

Since 1 March 2020, mobile phone detection cameras, including fixed and transportable cameras, have been targeting drivers illegally using a mobile phone across NSW anywhere, anytime. Make sure you know the rules for mobile use when driving, and take time to find ways to reduce the temptation to use your phone illegally when driving. It is illegal to hold and use your mobile phone in NSW.

For more detailed information on mobile phone use, visit transport.nsw.gov.au/roadsafety/topicstips/mobile-phones

61 www.childsafetyhub.com.au
STREET SMART
Learn more about Mobile Phone Use
Watch a video on mobile phone laws

Learn more about Kids

Unattended in Cars

Watch a video on Hot Kids in Cars

KIDS IN HOT CARS - WARNING

Why are children at risk?

The temperature inside a parked car can be more than 30 degrees hotter than outside. Children are particularly at risk because they lose fluid quickly. Dehydrated children are at risk of suffering potentially life threatening heatstroke. There are a number of situations that can lead to an incident; changes in a normal routine or the keys being accidentally locked inside can result in a child being left in a car unintentionally. Parents sometimes choose to leave their child unattended, thinking they will only be gone for a few minutes. This can easily turn into ten to fifteen minutes and because the temperature rise in a vehicle is so rapid, even a short amount of time can place them in extreme danger.

REDUCE THE RISKS

• Never leave a child unattended in a car

• If you have to leave the car, even for a minute, always take the children with you

• Create a ‘look before you leave’ routine whenever you get out of the car

• Leave something in the back seat that you will

need to take with you (e.g. handbag or laptop) as a reminder that you have a child with you

• Remember that large cars heat up just as fast as smaller ones

• Lock cars and secure keys out of reach of children to prevent children gaining access to and playing inside the car

WHAT IF I FIND A CHILD UNATTENDED IN A CAR?

• Look for the parents or carers.

• If they can’t be found, if the child is distressed or you are concerned about the child’s health, don’t delay –call 000 and ask for the Fire Brigade.

• Give your location, the vehicle registration number, the approximate age of the child and the condition of the child.

• If the car is unlocked, open the doors and shield windows with a blanket etc.

• Wait for emergency services, or safely try to remove the child from the vehicle if you are concerned about the child’s condition as every second counts!

KIDS IN HOT CARS - THE NUMBERS

5,000

Every year across Australia, approximately 5,000 children have to be rescued from cars.

70°C

Even on a cooler day, temperatures inside a car can reach well above 70°C

30+

The temperature inside a parked car can be over 30 degrees hotter than outside.

75% of total temperature rise occurs within the first 5 minutes of parking a car.

4

Three quarters of children rescued from cars are aged under four years old.

62 www.childsafetyhub.com.au
STREET SMART
Safety by Chef Matt Moran

DRIVEWAY SAFETY

Simple steps can make all the difference

We all have a role to play when it comes to driveway safety. Your young child counts on you to supervise them near vehicles, separate play areas from driveways and see where they are at all times.

They’re counting on you

On average, more than five children are killed and 47 seriously injured in driveways each year across Australia. In NSW, six children have been killed and 15 seriously injured in driveways since January 2013.

SUPERVISE

We all have a role to play

Tragic crashes can happen so quickly and are life shattering. Whether you’re a driveway user or owner, this campaign highlights that we all have a role to play when it comes to driveway safety. Children are counting on you to supervise them near vehicles, separate play areas from driveways and see where they are at all times.

SEPARATE SEE

When children are around driveways, they should be actively supervised by an adult who is holding their hand. Ensure that young children are placed securely in a vehicle before moving it.

Treat the driveway like a road. Do not let children use the driveway as a play area. Separate children’s play spaces from garages and driveways. Home design features can help, including fences, high handles on garage doors and self-closing doors or gates.

All vehicles have blind spots. While reversing sensors and cameras can assist with reducing blind spots, it can be difficult to notice a small child until it is too late. It is important not to become complacent. Drivers should get into the habit of walking around their vehicle before starting it, especially when leaving an area where a young child could be present.

63 www.childsafetyhub.com.au STREET SMART
Learn more about Driveway Safety Watch a video on Driveway Safety

Please mind the gap

Take care when stepping on and off the train.

Safety checklist - to help keep your child safe

Teaching children how to be safe around trains, is just as important as teaching them to look both ways before crossing the road. Use this checklist the next time you catch a train together, as the good habits they learn from you could save their life.

Track safety

✓ Always stay off train tracks

If you drop something on the tracks, never try to get it yourself. Jumping onto the tracks is very dangerous because a train might be coming. Always ask station staff for help to get it back.

✓ Remember trains can’t stop suddenly or swerve

A train travelling at 60km per hour (the same speed as a car on a main road) takes the length of two and a half football fields to stop! Even if a driver sees you, they may not be able to stop in time. Because they travel on tracks, they can’t swerve if something is in their path.

✓ Always use a bridge, overpass or crossing

Tracks are for trains only. Bridges, overpasses and pedestrian level crossings are for people. When you have to get to the other side of the tracks, always use the bridge, overpass or pedestrian level crossing to get there safely.

Platform safety

✓ Stay behind the yellow line

When you are walking on the platform or waiting for a train, stay well back from the yellow line, in case you accidentally slip or get pushed. Always walk, and wait behind the yellow line.

✓ Mind the gap

There is a gap between the train and platform –when you get on and off the train you could fall into the gap and get hurt. Always hold an adult’s hand and watch where you step.

The platform is not a place to run, bounce balls or play games. You can do that at the park! Always walk, and hold an adult’s hand on the platform.

✓ Travelling with prams

Use the lifts to get to and from the platform. Always keep a firm hold of your pram at the station, ensure the brake is on and the pram is parked parallel to the tracks.

Level crossings

✓ Stop, look, listen, think

Be extra alert before you cross at a pedestrian level crossing:

• Stop behind the gate or yellow line.

• Look left and right for trains coming.

• Listen for trains – they might be closer than you think.

• Think is it safe to cross? Am I holding an adult’s hand?

If there is no danger, you can walk. Keep on looking left, right and ahead.

✓ Wait for the lights and bells to finish

If the pedestrian level crossing has lights or bells, never cross while they are flashing or ringing. Always wait until they finish, then stop, look, listen and think before you cross.

✓ Always use the footpath

Only cross at pedestrian level crossings designed for people to cross. Walk between the double yellow lines on the footpath and keep looking left, right and ahead.

How do I get help?

✓ Ask a staff member in uniform

If you need help or feel unsafe, ask staff on the train, station staff or police for assistance, they are there to help you.

✓ Press the Emergency Help Point button

In an emergency, look for the orange Emergency Help Point button on the train or platform and press it. When staff answer, tell them what happened – it’s just like talking on the phone. They can see you on camera and will send someone to help.

✓ Move and report

If you ever feel unsafe:

• Move to another carriage or a safer part of the station.

• Report what you’re afraid of. Tell the adult who is with you, station staff or a police officer, or press the Emergency Help Point button. You can also call Triple Zero (000)

For more information visit transportnsw.info

RIDING SAFETY

Riding a bike is a fun way to get around and encourages a healthy lifestyle. Research shows that helmets reduce head injuries by up to 74 per cent in crashes with motor vehicles. Wearing a helmet from the moment they start learning to ride will help your child to develop it as a habit and reduce the risk of head injuries.

While your child may learn skills such as balancing, pedaling and steering quite easily, they are still learning skills that help them to judge speed, distance and the direction of sound. Your young child will often ride with their head down, concentrating on pedaling, not the environment around them. Your child needs ongoing adult help in safe, off-road locations to gradually develop all their skills. The safest places to ride bikes, scooters and skateboards are within fenced areas. This helps keep your child from riding or falling onto the footpath or the road.

Key road safety messages to share with kids:

Younger kids

• Always wear a helmet when you ride or skate

• Ride your bike away from the road within a fenced area

Older kids

• Always wear a helmet when you ride or skate

• Ride your bike away from busy roads

TIPS FOR FAMILIES

• Until at least 10 years old, your child should ride offroad, away from vehicles and driveways

• Always wear a standards approved helmet when riding a bike in a public place. It is the law

• Supervising adults can ride on footpaths, if they’re supervising a child under the age of 16 who is also riding on the footpath.

• Always dismount a bike and wheel it across the road or crossing

• Do not double anyone. Let your friends walk beside your bike if necessary

• Keep your bike in control by keeping both hands on the handle bars at all times

• Drivers will also see you more easily if your bike has a flag and reflectors on both front and rear

• If you’re riding at night, have proper front and rear lights fitted otherwise people cannot see you

• Make yourself heard on the road - your bike must have a horn or a bell

• Check your tyres and brakes regularly. You don’t want the tyre to blow out or your brakes to fail when coming down a hill

SKATEBOARDS, SCOOTERS AND ROLLERBLADES

Foot scooter, skateboard and rollerblade riders should always wear an approved helmet, properly fitted and fastened, as well as protective pads on their knees and elbows. Bicycle helmets with a standards approved sticker, properly fitted and fastened provide the best head protection.

Remind your child to be considerate of pedestrians. Your child should keep to the left and ride in a courteous manner that does not cause other road users to react suddenly. They need to slow down or walk in busy areas.

Always wear a helmet when you ride or skate

• The helmet must be correctly fitted and comply with the Australian and New Zealand Standards. A helmet that is not correctly fitted and fastened does not provide enough protection in a crash. Children aged up to 16 years can ride their bikes on the footpath. Older children should use the bike lane

• Be visible on the road! Wear light coloured or reflective clothing when you are riding your bike, especially at night. This includes wearing a brightly coloured helmet.

Your child will be more visible wearing bright, light coloured or reflective clothing. They should ride in a safe place off-road and away from vehicles and driveways. Your child should avoid using foot scooters, skateboards and rollerblades in car parks and on roads.

All bicycle riders are required by law to wear an approved helmet that is securely fitted and fastened. Make sure the helmet fits correctly. Check the helmet regularly for damage. It is best to replace a helmet that has been involved in a crash, dropped on a hard surface, has cracked foam, or frayed or worn straps.

Can you place just two fingers between your eyebrows and your helmet?

For more information, visit safetytown.com.au

Can you fit just two fingers between the helmet strap and your chin?

Do the straps join in a ‘V’ just below your ears?

Has an adult checked your helmet?

STREET SMART
For more information on keeping your child safe on wheels visit the parents section on safetytown.com.au/parents
WEAR A HELMET WHEN YOU RIDE OR SKATE Download brochure: Safety on Wheels 66 www.childsafetyhub.com.au
ALWAYS

SCHOOL BUS SAFETY

GETTING TO AND FROM THE BUS STOP

• Families are responsible for getting their child to and from the bus stop safely.

• Always supervise your child until they are at least 10 and hold their hand when walking to and from the bus stop or interchange and when crossing the road.

• When waiting for the bus, hold hands and wait as far back from the passing traffic as possible.

GETTING OFF THE BUS

When travelling by bus, your child is most at risk in the minutes after they get off the bus. Meet your child AT the bus stop or interchange after school. NEVER wait on the opposite side of the road and call them across. If you cannot meet your child, organise for a trusted adult to take your place. Always wait until the bus has gone, then use a safe place to cross. Talk with your child about what to do:

• if you are delayed and cannot meet them as usual

• if they catch the wrong bus

• if they get off the bus at the wrong bus stop.

GETTING OFF THE BUS

Together, choose the safest place to cross the road and talk about:

STOP! one step back from the kerb LOOK! continuously both ways LISTEN! for the sounds of approaching traffic THINK! whether it is safe to cross

Keep checking as you cross the road.

DRIVING NEAR BUSES

Bus lights flash on the front and back of a bus when the bus is picking up or setting down school children. Unless another lesser speed limit applies to the school zone (e.g., 30 km/h), a 40km/h speed limit applies when bus lights flash. The speed limit is for all traffic travelling in the same direction as the bus, whether the bus is stationary or moving.

INFORMAL SCHOOL BUS STOPS

Informal bus stops are not sign posted and are usually found in rural areas. They may be at the front of a property or on the side of the road.

Drivers may find it difficult to see children at informal bus stops. Families should take special care when using these stops. Staying on the bus a bit longer to travel to another bus stop may reduce the need for your child to have to cross the road.

For more information, visit transport.nsw.gov.au/ roadsafety/road-users/drivers/be-bus-aware

STREET SMART
Learn more about Bus Safety
a video on Bus Safety
brochure: Bus
School Students 67 www.childsafetyhub.com.au
Watch
Download
Safety for

LIGHT RAIL SAFETY

Safety when travelling by light rail

Light rail stops and platforms

• Keep the pathway clear around you at the stop to allow others to walk past safely.

• When waiting on the platform, stand back from the track behind the yellow line.

• Wait until the light rail has come to a complete stop before attempting to board.

• Never touch a moving vehicle.

• If you have dropped something on the track, do not collect it yourself. Use the Emergency Help Point on the platform to receive assistance.

• Be cautious when crossing the tracks. Never cross if a vehicle is approaching. Follow the guidelines for level crossing safety.

Boarding and travelling on the light rail

• Stand back to allow passengers to get off the light rail before you get on.

• If travelling with a pram and young children, hold their hands when boarding to ensure they are not left behind.

• Do not board at the rear and front single doors if you have a pram, bike or other large item. Please note that bikes are not allowed on Newcastle light rail.

• Mind the gap and be careful getting on and off the light rail.

• Take a seat if one is available or hold onto a handrail.

• If you are concerned about your safety or the safety of others, or in an emergency, please:

• Move away from danger if possible

• Alert the driver by using the Emergency Help Point on board

• Listen for instructions from the driver

Safety when travelling by metro and train

Metro video help points

Each Metro station will have up to twelve video help points. When the blue button is pressed for general assistance the call will be connected via a video feed directly to staff at the control centre. When the green emergency button is pressed, the call will be prioritised and a trained operations control centre staff member will respond to your emergency.

GUIDELINES FOR STATIONS, PLATFORMS AND ON BOARD THE TRAIN

• Do not rush through the ticket gates, the doors of the metro, train or lift, as you can get injured.

• If you have luggage, use the lifts to get to and from the platform.

• When using the escalator, stand to the left and hold onto the side rails.

• When waiting on a train platform, stand back from the track behind the yellow line and wait until the train has come to a complete stop.

• Do not touch the metro or train doors, or the metro station platform screen doors when they are opening and closing.

• Stand back to allow passengers to get off the metro or train before you get on.

• Mind the gap when getting on and off the metro or train.

• Keep a hold of prams when on board as metro and train services can move suddenly.

• Once on board, either take a seat or hold onto the handrail.

• Offer your seat to someone who needs it more than you. This includes customers who are older, have a disability, impaired mobility, are pregnant or travelling with children.

• Keep your head, arms and legs clear of the aisle when seated.

• Try to avoid moving between carriages while a metro or train is moving. If you need to, always take care.

• Never attempt to get on or off a moving metro or train:

- after the departure whistle has blown

- when the “doors closing” signal sounds

- when the station staff announce the trains doors closing.

• If you are concerned about your safety or others: - move away from the danger into another carriage

- use the Emergency Help Points to alert staff and listen for instructions.

Travelling with prams and children

There are some important safety measures to be aware of when travelling with prams and young children:

• Strap your child in securely and hold on to your pram.

• Apply the pram’s parking brake and park parallel to the edge of the platform, footpath or water’s edge.

• Stand behind the line on platforms and away from the curb at bus stops.

STREET SMART
Learn more about Light Rail Safety
68 www.childsafetyhub.com.au
Watch a video on Light Rail Safety

• Board with the pram in front, lifting the front wheels over the gap.

• Place prams out of the way of other passengers or staff.

• When young children are not in the pram, hold their hands when getting on and off public transport or on escalators and stairs.

• Where available, use the lift or ramp to get to and from platforms, stops and wharves.

• Keep children seated and close to you when waiting for and when on board public transport

• Never leave a pram or children unattended.

• If you have any concerns or need assistance, ask transport staff.

If the service is crowded, it may not be safe to board the light rail. You may need to wait for the next service.

• When young children are not in the pram, keep them close to you and hold their hand when boarding.

• When on board, hold onto young children as light rail services can move suddenly.

• Do not enter the rear or front single doors with a pram.

Security on the rail network

• There are more than 10,000 CCTV cameras across the train network in NSW and more than 1,340

CCTV cameras across the Sydney Metro network, with 38 CCTV cameras on each metro train.

• Police and transport officers regularly patrol metro and train services and stations.

• On Friday and Saturday nights between 3.00pm and 6.00am, Police Transport Command officers both in high visibility uniforms and plain clothing, patrol public transport to improve security and reduce crime.

• For safety, sit near other passengers at the station and on the train.

• On the train, sit near the guard’s compartment indicated with the blue light.

• On the platform, stand in an area covered by CCTV and close to Emergency Help Points. If travelling at night, stand where it is brightly lit.

• If you’re using a station car park and plan to return after dark, try to park in a well-lit area close to the station entrance. Make sure all of the windows are locked and valuables are out of sight. Turn your car alarm on.

• If you see bad behaviour or feel unsafe, inform staff straight away.

• In an emergency, call 000 or use the Emergency Help Points to speak to staff for assistance.

• Emergency Help Points are located on metro trains and trains and at least one fitted at each station.

• If you need immediate help, please contact the police on 000 or talk with staff.

For more information, visit transportnsw.info/travelinfo/safety-security/light-rail-safety

STREET SMART
Learn more about the Sydney Metro Download brochure: Heads Up - Play it safe around Light Rail 69 www.childsafetyhub.com.au

FERRY SAFETY

Catching a ferry is a great way to add fun and excitement to family outings – which makes it tempting to play on wharves and on board. Running around can be dangerous. With so much water around, it’s important to be careful. Be at the wharf at least five minutes before your ferry is due to leave so you have time to board safely, and remember that ferries are not playgrounds.

BOARDING AND TRAVELLING ON FERRIES

• Allow all passengers to get off the ferry before you get on. The crew holding the gangway will let you know when it is safe to board.

• When on board, take a seat if one is available or hold onto a handrail.

• Do not sit on the bow or side of the vessel.

• Do not lean out the windows or stand on the seats.

• Ensure luggage, bags and personal items are stowed correctly and are not blocking the aisle.

• Watch your step when using the stairs and hold onto the handrails as the ferry can move suddenly.

• When waiting to disembark, stand behind the yellow area on the vessels and follow instructions from the ferry crew.

• Speak with the crew if travelling with a bike or surfboard. They will advise if you can bring it onto the ferry and where to stow it.

• All ferries have life jackets. Please use as directed by staff.

SAFETY HINTS

• Don’t run around on the wharf, and don’t go near the edge. Hold an adult’s hand when you get on and off.

• Yellow and black stripes on wharves mean danger. Stay away from them – they are a no-go zone.

• Don’t run around on board, and never climb on or over railings. It is easy to fall over, and you could even fall into the water.

• Look for the big orange Emergency Help Point on wharves. In an emergency (like someone falling into the water) press the button and talk into it like a phone. Staff can see you and talk to you, and will send someone straight away.

• Tell the ferry crew if you feel like you are in trouble or need help. They are there to keep you safe.

PRAMS AND STROLLERS

• Small children need a helping hand to get through ticket gates. When you travel as a family, or with a pram or stroller, use the wide gates.

• Keep a firm hold while you are on the wharf, and use the brakes.

• Larger prams and strollers may not fit on gangways and will need to be collapsed before boarding.

• If possible on board, collapse and store strollers and prams, and sit your child on your lap or on the seat next to you.

• If you prefer to keep your child in the pram or stroller, put the brakes on and hold it firmly at all times.

Ferries are just one type of public transport in NSW you and your family can use. You can also travel on trains, buses and light rail. What they all have in common is how much they care about the safety of you and your family. Please follow any special rules they have to keep you safe.

For more information, visit https://transportnsw. info/travel-info/safety-security/safety-whentravelling-by-ferry

70 www.childsafetyhub.com.au STREET SMART
Learn more about Ferry Safety

TRAIN SAFETY

HERE’S SOME ADVICE THAT COULD SAVE YOUR LIFE:

• Stop, look, listen and think at level crossings.

• Obey the safety signs at every railway crossing and cross at marked crossings only.

• Stay on the path. Listen and look in both directions for approaching trains.

• If the red lights are flashing or the gate is closed, a train is coming so keep clear of the tracks.

• Never jump fences, gates or barriers. This is extremely dangerous and it is very likely the oncoming train is close to the crossing.

• If a train is coming, wait for it to pass and then stop, look and listen again before crossing as another train may be approaching.

• You might not hear a train, especially when using your earphones or mobile phone. Never assume a

RAIL CROSSING SAFETY

Always cross train tracks using a footbridge or underpass, or at designated pedestrian railway crossings. Crossing anywhere else is illegal and extremely dangerous.

• Ensure that you are not distracted by your mobile phone and remove headphones.

• Obey the safety signs at every railway crossing and cross at marked crossings only.

• Stay on the path. Listen and look in both directions for approaching trains.

• If the red lights are flashing or the gate is closed, a train is coming so keep clear of the tracks.

• Never jump fences, gates or barriers. This is extremely dangerous and it is very likely the oncoming train is close to the crossing.

• If a train is coming, wait for it to pass and then stop,

train is a long way off.

• Don’t ride bicycles, skateboards, skates or roller-blades across any pedestrian crossing.

• Never assume that it is safe to cross when the lights are still flashing. Even if a train has passed, there may be another train coming in the other direction. Only enter the crossing when the lights have stopped flashing or the gate has opened.

It takes a lot to stop an eight-carriage train travelling at 100kmh. The braking distance for a train is approximately five football fields (500m).

Information reproduced with permission of Transport Sydney Trains look and listen again before crossing as another train may be approaching.

• You might not hear a train, especially when using your earphones or mobile phone. Never assume a train is a long way off.

• Don’t ride bicycles, skateboards, skates or rollerblades across any pedestrian crossing.

• Never assume that it is safe to cross when the lights are still flashing. Even if a train has passed, there may be another train coming in the other direction. Only enter the crossing when the lights have stopped flashing or the gate has opened.

• For more information, visit transport.nsw.gov.au/ projects/programs/level-crossing-safety

Learn more about Train Safety

RAIL WAY CROSSING RAIL WAY CROSSING

Left Sign: Railway crossing with traffic lights ahead.

Centre & Right Signs: Railway crossing signs. Left Sign: Stop before crossing.

Centre Sign: Stop if the red lights are flashing. Right Sign: Give way at the crossing, be prepared to stop.

Learn more about Railway Crossing Safety

71 www.childsafetyhub.com.au
RAIL CROSSING 2 2 TRACKS TRACKS STOP ON RED SIGNAL STOP RAIL WAY CROSSING RAIL WAY CROSSING
STREET SMART
UV Alert: 9.00 am to 3.20 pm MAX UV Index: 9 EXTREME VERY HIGH MOD LOW 6am 8 10 12 2 4 6 8pm 15 20 11 8 6 3 UV INDEX Sample only Issued by the Bureau of Meteorology

OUTDOOR SAFETY

SUN SAFETY

Cancer Council NSW recommends protecting your skin in five ways:

1. SLIP – on clothing that covers your arms and legs

2. SLOP – on 50+ or higher, broadspectrum sunscreen

3. SLAP – on a broad brimmed bucket or legionnaire hat

4. SEEK – shade

5. SLIDE – on wrap-around sunglasses with Australian Standard AS/NZS 1067:2003 and have an eye protection factor of (EPF) of 10.

CLOTHING (SLIP)

Protective clothing, such as long-sleeved shirts and loose clothing with a close weave can prevent skin damage from the sun.  Some clothing is labelled with information about its ultraviolet protection factor (UPF). UPF-40 or above offers very high protection and UPF-15 and above offers good protection.

SUNSCREEN (SLOP)

Broad spectrum sunscreen means it protects you from both types of radiation (UVA and UVB).4 The higher the sun protection factor (SPF) number, the better it protects you against sunburn. Most people don’t use enough sunscreen, meaning they don’t get enough protection.2 Sunscreen should be applied 20 minutes before going in the sun and then reapplied every two hours.

HATS (SLAP)

Choose a hat that is broad-brimmed or with a flap at the front and back (legionnaire style) so that your child’s face, ears and neck are protected. A hat made of close-weave fabric will reduce the amount of light that gets through. Baseball caps and sun visors are not recommended as they do not provide enough protection.

SHADE (SEEK)

Shade is more ideal than full sun, however sunburn can still occur in partial shade or when cloudy.

SUNGLASSES (SLIDE)

Sunglasses can protect your child’s eyes from short and long term damage.  Sunglasses designed to wrap around the eyes do this well.  Always purchase sunglasses which meet the Australian Standard (AS/ NZS 1067:2003).  Sunglasses with an eye protection factor (EPF) value of 9 or 10 protect from almost all UVR.5 Toy sunglasses are not covered by the Standard and should not be used for sun protection. Sunglasses or goggles at the snow will also help to reduce exposure from glare and reflected UVR.

Remember:

• A suntan is not healthy.

• More care should be taken when your child is out in the sun near highly reflective surfaces such as snow or water.

• Babies and children are at greater risk of heat stress than adults.

• Never leave a baby or child alone in a car.  If you need to leave, always take your child with you.

• Remember to slip, slop, slap, seek and slide

Clothing (slip)

• Encourage your children to wear clothing that covers as much skin as possible.

Sunscreen (slop)

• Broad-spectrum, water resistant sunscreen with a high SPF (50) should always be applied to children when playing outdoors.  Apply generously and frequently (at least every two hours), particularly after swimming (always follow directions on sunscreen bottles).

Hats (slap)

• Ensure your child always wears a hat when outdoors which covers their face, ears and neck.

Shade (seek)

• Limit your children’s exposure to UVR.  Seek shade between 11am and 3pm (daylight saving time) when UV levels are at their highest.

• Children under 12 months of age should not be exposed to direct sunlight.6

• When travelling in a car with your baby, make sure they are shaded.  The sunlight which passes through the car window can burn your child’s skin.

Sunglasses (slide)

Ensure your child wears sunglasses that meet the Australian Standards.

Water and dehydration

• Active children should be encouraged to drink regularly to prevent thirstiness. Regular drink breaks during activity are important.

• Vigorous physical activity should be avoided in hot weather.

• Seek urgent medical assistance if your child shows any signs of heat stroke.

• Extra care needs to be taken with sick children or babies in hot weather.  Extra fluids, such as breast milk or water, should be given to prevent the risk of dehydration.

For more information visit cancer.org.au

73 www.childsafetyhub.com.au
Learn more about Sun Safety

BEACH SAFETY

Millions of people visit at least one of Australia’s beautiful beaches every year. These famous beaches are not only enjoyed by lucky Australians but also visitors from all over the world – some who come for a visit, and others who choose to make Australia their home.

Although Australian beaches may look amazing, they can be unpredictable and hide some dangers that every visitor should be aware of. Here you will find some very helpful info and advice from our Lifeguards on beach safety, to ensure you enjoy your visit to the beach and stay safe!

Always swim between the red and yellow flags

When you see red and yellow flags on a beach, it indicates that there is currently a lifesaving service operating on that beach. The lifeguards have chosen a section of the beach that is best for swimming and they will closely supervise this area. Lifeguards pay more attention to the area between the red and yellow flags than any other part of the beach.

Read the safety signs

Before you go on to the beach be sure to read the safety signs. This will ensure you are aware of any warnings or dangers on the beach. You can also find other helpful information to make your day at the beach more enjoyable. You might also find single signs placed on the beach to highlight specific warnings.

Ask a lifeguard for safety advice

Lifeguards are highly trained and very knowledgeable about beach safety and conditions. When you arrive at the beach look for and identify the lifeguards. Feel free to ask them about the day’s conditions, as well any additional beach safety advice they might have for that specific beach – because every beach is different.

Swim with a friend

Not only is swimming with a friend (or family member) a fun way to enjoy the beach, it is also very sensible. While you are swimming together you can keep an eye out for each other, and if further assistance is required, one person could call or go for help. If everyone swimming together knows their own limits it is a good idea to share this with those around you so you can all stay within everyone’s comfortable limits.

If you need help, stay calm and attract attention

Even the most careful people can find themselves out of their limits in the water. If you are not feeling comfortable in the water and you require a lifeguard’s assistance to get back to shore, stay calm, raise your arm in the air and wave it from side to side. This will attract the attention of a lifeguard who will be able to come to your assistance. You should conserve your energy by floating on your back and staying calm. This will ensure you have the energy to remain afloat until further aid arrives.

74 www.childsafetyhub.com.au OUTDOOR SAFETY
Learn more about Beach Safety

RIP CURRENTS

Rips are the number one hazard on Australian beaches. The best way to avoid a rip is to swim at a patrolled beach between the red and yellow flags. Rip currents are strong currents of water flowing away from shore through the surf zone. They are a strong force and on any given day, there are about 17,000 rips at beaches around Australia.

The Facts about Rip Currents

There are many myths about the ocean. Many people think it’s just tourists and poor swimmers who get caught in rips currents. In fact, it’s young men aged 15-39 years who are most likely to die in rips. Rips are the number one hazard on Australian beaches. The best way to avoid a rip is to swim at a patrolled beach between the red and yellow flags.

How to Spot a Rip Current

Rips are complex, can quickly change shape and location, and at times, are difficult to see. The things to look for are;

• Deeper, dark-coloured water.

• Fewer breaking waves.

• A rippled surface surrounded by smooth waters.

• Anything floating out to sea or foamy, discoloured, sandy, water flowing out beyond the waves. Rips don’t always show all of these signs at once.

How to Survive a Rip Current

• Relax – stay calm and float to conserve your energy.

• Raise – raise your arm and attract attention from lifeguards or lifesavers.

• Rescue – the lifeguards or lifesavers will be on their way to help you.

• While floating, rip currents may flow in a circular pattern and return you to an adjacent sandbar

• You may escape the rip current by swimming parallel to the beach, towards the breaking waves.

• Reassess your situation. If what you’re doing isn’t working, try one of the other options until you’re rescued or return to shore.

75 www.childsafetyhub.com.au
OUTDOOR SAFETY
Watch The Facts about Rip Currents video Learn How to Spot a Rip Learn How to Survive a Rip

Learn more about how to beat the heat

SUN SAFETY AND HEAT STROKE

What is sun safety and heat stroke?

Enjoying the sun during outdoor activities is a favourite pastime for many people living in Australia. Too much sun, however, has been shown to cause skin damage and skin cancer. Sun safety practices can protect you and your children from the damaging effects of the sun and reduce the likelihood of long term harm.

How may a child be affected?

Learn more about sun safety and heat stroke

Young children produce more body heat, sweat less and their temperature rises at a faster rate, putting them at a greater risk of heat related illness.

Heat Exhaustion

• Very hot and extreme heat conditions can lead to heat exhaustion in children. Signs of heat exhaustion are weakness, nausea and/or giddiness, pale appearance and breathlessness. Heat exhaustion is a serious condition that can develop into heat stroke.

Signs and symptoms

• Looking unwell and more irritable than usual

• Pale and clammy skin

• Sleepy and floppy

• Fewer wet nappies than usual

• Dark urine (normal is light straw colour)

• Refusing to drink

• Intense thirst (but as the baby gets weaker, he/she may drink less)

• Dry skin, mouth and eyes (no tears when crying)

What to do – first aid

• If you think your young child is suffering from heat exhaustion, seek medical advice.

• Move to a cool area and remove all extra clothes

• Try to give your child drinks (unless unconscious and not able to swallow)

• An older child with heat exhaustion should be offered water or diluted fruit juice (1 part juice in 4 parts water)

• Cover your child with cool damp cloths or sponge he/she down with water

Heat Stroke

• Heat stroke occurs when a child’s body temperature rises too high, too quickly. A child’s normal body temperature ranges between 36.50°C and 37.50°C. When a child suffers from heat stroke, their temperature can rise to 40.50°C or higher. Humid weather and dehydration can make it difficult for the child to sweat and cool themselves down enough to maintain a healthy temperature. If severe enough, it can cause damage to the body organs and be fatal.

• Temperatures inside a car can reach over 700°C, even on a cool day. The car increases in temperature the most within the first five minutes of parking a car. Leaving the windows down only provides a small drop in temperature. As a result children left in cars are at a very high risk of heat stroke.

Signs and symptoms

All the signs of heat exhaustion as above plus:

• Rising body temperature

• Red, hot and dry skin

• Rapid breathing

• Vomiting

• Confusion

• Coma (not responding when touched or called)

What to do – first aid

Immediately call 000 and ask for an ambulance

• Move to a cool area and remove all extra clothes

• If the baby or child is conscious and able to drink, give small sips of cool fluids

• Bring their temperature down using any method available (sponging with cool water, cool bath, or covering with cool damp cloths)

• If unconscious, lay the child on their side (recovery position) and check they can breathe properly. Support their head with your hand

• Perform CPR if needed

For more information visit:

• https://kidshealth.schn.health.nsw.gov.au/sun-safetyand-heat-stroke

• https://www.health.nsw.gov.au/environment/ beattheheat/Pages/babies-children-hot-weather.aspx

76 www.childsafetyhub.com.au
OUTDOOR SAFETY
Download the sun safety and heat stroke fact sheet

BOATING SAFETY

Everyone must wear a lifejacket:

• on all vessels up to 4.8m long at all times

• in open areas of all vessels up to 8m long when the vessel is underway.

Children aged 12 years and over must follow the same rules for wearing a lifejacket as adults, although its strongly recommended they wear one at all times.

ARE YOU BOAT READY?

As the skipper, it’s your responsibility to keep everyone safe. Take the time to plan for your trip, be prepared and know the conditions and your limits, and use good judgement to predict changes such as the weather while out on the water.

Be aware that the conditions can change while you are out on the water, so ensure that you know the position of children and their movements on board the vessel at all times.

Fore more information on lifejackets and boating safety, contact Transport for NSW on 13 12 36 or visit nsw.gov.au and lifejacketwearit.com.au.

Learn more about Wearing a Lifejacket

It’s important to educate children on how to stay safe when boating. Teaching them safe boating practices including wearing a lifejacket, knowing the safety equipment and how to navigate safely will ensure they are prepared and have an enjoyable time on the water. When taking your children out on your vessel:

• Make sure they have a lifejacket and wear it at all times.

• Show them where all the safety equipment is, including how to use items such as the radio, EPIRB and flares in case of an emergency

• Teach them about keeping a proper lookout and maintaining a safe speed and distance from other vessels and people in the water.

• Educate them about keeping all parts of their body inside the vessel when underway.

WEAR A LIFEJACKET

Lifejackets are the most important item of safety equipment on any recreational vessel. Wearing a lifejacket can save your life and it’s recommended that you wear one at all times.

Everyone on board must have access to a lifejacket that is the correct size and in good working order. Everyone must wear a lifejacket:

• On vessels up to 4.8m long at night, when boating alone (including with a child aged under 12), and when boating on alpine and open waters.

• On Personal Watercraft (PWC)

• When being towed by a vessel

• On canoes and kayaks at night, when boating alone (including with a child aged under 12), and when boating on alpine and open waters.

For more information on boating safely with children, visit rms.nsw.gov.au/maritime or call the info line 13 12 36.

Further information on lifejackets can be found at rms.nsw.gov.au/lifejackets or lifejacketwearit.com.au.

77 www.childsafetyhub.com.au
OUTDOOR SAFETY Good Judg wing Alcoho ddling Cold Wa Spee Weathe ing

PETS AND CHILDREN

Things to remember:

We’ve long loved dogs for being man’s best friend, but not so well known is that our pets can actually make us physically and mentally healthier. Just the presence of our pets can lift our spirits and help us relax.

Physical health benefits

Research has shown that owning a pet can have a number of physical health benefits

• Increased cardiovascular health (lower blood pressure, lower triglycerides and in men, lower cholesterol)

• Increased physical activity. Dogs especially help us get out and enjoy the outdoors while getting some regular exercise. They are great motivators and personal trainers, never wanting to miss a training session no matter the weather.

• Fewer visits to the doctor

• Growing up with a dog (and other pets to a lesser extent) during infancy may help to strengthen the immune system and may reduce the risk of allergies

• Children who have pets are less likely to miss days of school due to illness

Psychological benefits

Research has shown that owning a pet can have a number of psychological benefits

• A study of school children showed that pet owners were more popular but also seemed more empathetic.

• Those who have pets including children or adolescents have been shown to have higher selfesteem. Teenagers who own pets have a more positive outlook on life and report less loneliness,

restlessness, despair and boredom.

• Pet owners report less depression and appear to cope with grief, stress and loss better than nonpet owners.

• Pets enhance social connectedness and social skills and are great conversation starters!

• Pets are also great caregivers. They keep us company when we’re sick or feeling down. They can make us feel safe while we’re home alone and they keep an eye on the house while we’re out.

The basics of children and pets

Children should be supervised with companion animals. Make sure that cats and dogs can get away from children (or adults, or other pets!) if they want to – your pet should have an area where they can go to if they’re feeling overwhelmed and want to have a break from the child.

Having a pet is a valuable opportunity to teach kids about compassion, empathy and how to care for a pet (such as feeding and exercise); as well as the basics of animal behaviour. For example, you can teach your children that dogs should be left alone when they’re eating, sleeping or overly excited. You can also teach your children how to recognise signs of stress or fear in animals – not just the ones that most adults recognise such as growling or hissing, but also less common signs such as yawning or frequent blinking in dogs or swishing of the tail in cats.

Teaching children to safely handle and interact with animals by encouraging gentleness and respect will help create a bond of mutual trust and will help everyone get along happily and safely.

For more information visit: www.rspca.org.au

78 www.childsafetyhub.com.au
OUTDOOR SAFETY

OFF-ROAD MOTORCYCLE SAFETY

Off road motorcycles are 2-wheeled vehicles that require the user to shift their body weight while riding. People do not need a licence to ride them as long as they are not on public roads. Off-road motorcycles are popular for sports and recreation but also farm use as well.

How may a child be injured?

Injuries occur in a variety of settings (e.g. at home, on farms, in recreational areas and at Motocross competitions). Children sustain injuries from collisions, rollovers, falls and from jumps. Children may collide with objects and other riders, causing injuries to themselves and others. Loss of control is the most common cause of injury. This is because children aged less than 10 years lack hazard perception and the ability to control speed.

Falls

• Falls may result in severe fractures, abdominal, head and chest injuries.

Cuts and bruises

• Children may sustain cuts and bruises, particularly when they are not wearing full body protective clothing.

Strangulation

• Children may suffer strangulation if riding under a clothesline or fence. This injury occurs during times of poor visibility or if terrain is uneven.

Struck by object

• Children may collide with objects and other riders, causing injury to themselves and others.

• Children may be injured when the motorcycle tips over and falls on them.

In NSW between 2003 and 2012 there were 13 deaths of children aged 0-17 from off-road motorcycles, otherwise know as “dirt bikes”.

The likelihood of serious injuries rapidly increases when riders start doing jumps. Children injured from jumps suffer more severe injuries.

Is there a Law or an Australian Standard for offroad motorcycles?

Riders of motorcycles on NSW roads must be at least 16 years and nine months and obtain a rider licence by completing a training course and knowledge test. However there are no requirements to use motorcycles off-road on private property. Significant fines apply for riding off-road motorcycles on public land, which includes State Forests and National Parks.

SKATEBOARDS, FOOT SCOOTERS AND ROLLERBLADES

The law

A pedestrian includes “a person in or on a wheeled recreational device or wheeled toy”. This includes rollerblades, a skateboard, scooter, unicycle or similar wheeled device:

• Foot scooters, skateboards and rollerblades may be ridden on footpaths unless signs specifically prohibit them, however, riders must keep to the left and give way to other pedestrians

• Powered foot scooters cannot be registered and can only be used on private land

• On separated bicycle and pedestrian paths, foot scooter, skateboard and rollerblade riders must use the section designated for bicycles, but must keep out of the path of any bicycle

• Foot scooters, skateboards and rollerblades can only be used on the road during daylight hours

• They cannot be used on roads with a dividing line or median strip or a speed limit greater than 50km/h, or a one-way road with more than one marked lane

Safety advice

• On the footpath, riders of foot scooters, skateboards or rollerblades should not threaten pedestrians, especially the elderly – they may need to slow down or dismount in busy areas

• To improve safety and enjoyment, foot scooters, skateboards and rollerblades are best ridden in recreational areas designated for their use

• Foot scooter, skateboard and rollerblade riders should wear helmets and protective gear such as knee and elbow pads

Learn more about skateboards, foot scooters and rollerblade safety

79 www.childsafetyhub.com.au
OUTDOOR SAFETY
80 www.childsafetyhub.com.au

KIDS ON FARMS

Tips to help keep kidssafe on farms environment. Dangers come especially from farm machinery, chemicals, water and animals.

PLAY SAFETY

Farms provide a wonderful environment for children to grown up in and to visit. However, they are working environments and there can be many dangers and hazards for children. These safety tips are aimed at reducing injuries so that farms continue to be great places to live, learn and have fun.

VEHICLE SAFETY

Vehicles and machinery are an essential part of farm life. Unfortunately they are also a leading cause of injury.

• Children should not ride on tractors or in the back of utes.

• Children should not ride quad bikes or be carried as passengers on quad bikes.

• Always supervise children when vehicles are being moved. Hold hands with young children.

• Ensure all children are appropriately and correctly restrained when travelling in vehicles on the farm.

• Take keys out of vehicles and machinery when not in use and put out of reach of children.

• Always ensure children wear helmets and other protective equipment when riding bikes.

• Check that the bike is suited to the child’s size and ability.

Watch a

Learn more about Keeping Kids Safe on Farms

FARM WATER SAFETY

Q. Where do toddlers commonly drown on farms?

A. The most common location for toddler drowning deaths on farms are dams. However, the farm environment has a range of other water locations including dams, troughs, irrigation channels, water tanks and swimming pools.

Q. How many children drown on farms?

A. On average 4 children under the age of five drown in farm dams every year and there are approximately 3 hospitalisations for every drowning death.

Q. How do I keep my child safe?

A. In rural areas, it is not always feasible to fence off large water bodies such as lakes or dams, so Royal Life Saving suggests parents create a Child Safe Play Area. Royal Life Saving has also developed the Keep Watch @ The Farm program which provides information and useful resources to improve parent/carer awareness of drowning prevention strategies on farms.

Q. What is a Child Safe Play Area?

A. A Child Safe Play Area is a carefully planned, designated location which is securely fenced and helps to prevent a young child from entering the farm without adult supervision. Pool fencing requirements, including appropriate ‘child resistant’ gates and latches, can be used as a guide in planning a safe play area. For more information visit www.keepwatch.com. au for Fact Sheet No. 6 Child Safe Play Areas.

Q. Why do parents leave their children unsupervised?

A. There are many reasons why a parent’s attention can be diverted from their child. Busy lifestyles, phone calls, visitors, preparing meals and other siblings are just some of the things which demand attention. The Keep Watch program advocates for supervision to be supported by fenced Child Safe Play Areas, water awareness and resuscitation skills.. been educating Australian parents and carers on how to keep their children safe when in, on, or around the water in a variety of locations. We are now tailoring the approach to locations with specific hazards – like those found on a farm.

For more information you can also visit: farmsafe.org.au

81 www.childsafetyhub.com.au
video on Farm Safety for Kids
OUTDOOR SAFETY

THE FACTS ABOUT VAPING

Electronic cigarettes or e-cigarettes, often called ‘vapes’, are electronic devices designed to deliver vapourised liquids into the lungs. There are many different styles of vapes available and they can be difficult to spot.

The main ingredient in vapes is propylene glycol, vegetable glycerine or glycerol, and they often also contain nicotine, flavours and other chemicals. Vapes may contain harmful chemicals that aren’t listed on the pack.

The biggest misunderstanding about vapes is that they are harmless compared to cigarettes. This is not true. Vapes are not safe.

DO YOU KNOW WHAT THEY’RE VAPING?

Many vapes contain nicotine making them very addictive

The nicotine in 1 vape can = 50 cigarettes

Young people who vape are 3 times more likely to take up smoking

Vapes come in a variety of designs and styles and can be easy to conceal

Do you know what they’re vaping?

Get the evidence* and facts at health.nsw.gov.au/vaping

*All statements are backed by evidence which can be found on the website

82 www.childsafetyhub.com.au
June 2022 © NSW Health. SHPN (CPH) 220456.
Vaping has been linked to serious lung disease
Vapes can contain the same harmful chemicals found in cleaning products, nail polish remover, weed killer and bug spray
FRUITY
FOR PARENTS AND CARERS
NICOTINE

DRUG AND ALCOHOL AWARENESS

VAPING

Do you know what they’re vaping?

We are urging you to find out more and talk about the hidden impacts of vapes with your children.

Alarmingly, we are seeing an increase in the number of young people trying vaping.

Young people may think they are simply inhaling flavoured water, this is far from the truth. Vapes can have the same harmful chemicals found in cleaning products, nail polish remover, weed killer and bug spray. Vapes are colourful, with flavours that make them appealing.

You wouldn’t put cleaning products in your food, so why would you want to put it into your lungs?

What you can do as a parent or carer

There are ways you can help protect your children from vaping:

• Whether you suspect your child is vaping or not, take the time to talk to them about it and help them understand all of the risks. It is never too late to have the conversation.

• Try to start the conversation with your child in a relaxed easy-going way, perhaps taking the cue from around you, such as a note from school, a news story about on it, or seeing people vaping on the street.

• If your child is vaping, encourage them to stop, let them know that help is available and you are there for them.

• Learn about the different types of vapes available and the risks associated with using these products.

• Set a good example by being tobacco or vape free.

• Report those who are selling vapes to minors or selling vapes containing nicotine by completing the online reporting form or calling the Tobacco Information Line on 1800 357 412.

Support to help your child quit vaping

Book an appointment with their general practitioner or other health service for help to quit vaping.

Quitlinecounsellors are available to answer any questions about vapes on 13 7848 (13 QUIT). Quitline is a telephone-based service, offering information and advice. Quitline counsellors provide tips and strategies, and help to plan your child’s quit attempts, based on their own needs and preferences. They can also help you think of ways to approach a conversation with your child or loved one about vaping.

The Aboriginal Quitlineis also available on 13 7848. Run by Aboriginal counsellors, the Aboriginal Quitline is a telephone-based confidential advice and support service.

If you require assistance in a language other than English, Quitline has counsellors who speak Arabic, Cantonese, Mandarin and Vietnamese, you can ask to speak to one of these counsellors. For people who prefer to speak in a different language, Quitline uses the Telephone Interpreter Service(TIS).

The Cancer Institute NSW iCanQuitprovides information on quitting methods, links to support groups and top tips to help your child quit.

The facts about vaping

The items here are designed to inform you about the dangers of vaping and to address the myths and misperceptions about vaping.

For more information visit: https://www.health. nsw.gov.au/tobacco/pages/vaping-parents.aspx

83 www.childsafetyhub.com.au
Learn more about the Facts on Vaping Watch a video on Vaping - Respect Your Brain

Talking to your kids aged 15-17

For some parents, talking to your teenager about alcohol and setting rules and boundaries to keep them safe, can be daunting. Many parents feel that it’s their responsibility to create strategies and educate their children on when, where and how to drink. However some parents can struggle with how to provide this guidance.

It’s vital that parents keep the lines of communication open through the teen years. Make sure you have frank discussions about alcohol.

• Debunk some of the popular and unhelpful myths – e.g. not every parent provides their child with alcohol.

• Be prepared. Teenagers will raise the topic of alcohol if and when they’re ready to talk. Be ready to have the conversation and address their queries – that’s when they’re most open to hear your advice. Remember to plan what you want to say to them ahead of time.

• Be aware of your own role modelling when it comes to alcohol. Parents play a crucial role in shaping their children’s attitude and behaviours towards alcohol by being role models for their kids.

Tips for the talk

• Pick your time. The car can be a great place and time for constructive conversations – they’re a captive audience and there’s also the benefit that they don’t have to be facing you.

• Be consistent in your own behaviour. It’s easier for teens to model their behaviour on positive role models when it’s consistent.

• Draw the line between adult activities and child activities. Don’t be afraid to let your child know that some things aren’t appropriate for teens. If you believe that drinking alcohol is only something that adults do, make sure they hear your views on the matter.

• Challenge unfounded statements. If your child tells you that ‘everyone else drinks’, ask them to provide proof.

• Challenge their beliefs. Be aware that teenagers are likely to want to drink alcohol believing it will help them fit in. They need to know they can fit in without drinking.

• Don’t be afraid to ask for help. Your GP or local health professional is available for you and your teen.

Binge drinking – putting things in perspective

Binge drinking is not just about the number of drinks you have – it’s about drinking with the specific intention of ‘getting drunk’.

Binge drinking receives a great deal of media attention and can lead to shaping teens beliefs that

this is the norm. There’s no denying that there are many young people who drink in risky ways, but there are many teenagers who are trying their best to keep themselves and their friends as safe as possible.

Remember: kids absorb your drinking. Australian research shows that in 2011 around 63% of 17 year olds were not considered to be current drinkers, so this finding may challenge the belief that everybody is doing it. However of those 17 year olds who were considered to be current drinkers, around 19% drank in a risky way (more than 4 drinks) at least once in the week before they were surveyed.

That means there’s only a minority of kids who are binge drinking – but they’re still obvious and influential.

Some young people ‘preload’ to save money –quickly drinking large amounts of alcohol at home before heading out. Often they’re already intoxicated before they walk out the front door. By the time they get to where they’re going their judgement is clouded, causing them to continue drinking more than they intended to, so they don’t save money at all.

If your teen really believes getting drunk every weekend is normal, there could be other factors at play. Perhaps there are other influences in their lives (peers, older siblings, relatives) or problems that you’re unaware of. Don’t be afraid to ask the tough questions.

Talking to your kids aged 9-14

Kids are interested in what’s going on around them and seeing how their role models use alcohol is part of this. So it’s important to start talking to your kids about alcohol. And the right time to start is right now.

Research shows that parents have the greatest impact on shaping their children’s attitude to alcohol and future drinking behaviour. The role alcohol plays in your life will have an effect on them too. They might ask you about alcohol and what it’s like to drink it. Always answer honestly.

• Talk to your child about alcohol and the importance of drinking in moderation. Explain what happens to the body when you drink too young and too much.

• Set rules – the most important one being not to drink. Be sure to discuss this rule and agree on the consequences if not followed.

• Teach them to say ‘no’ and that not everyone drinks.

• Ask them how they feel about you drinking alcohol. What attitudes have they already formed about it? It will help you reflect on your own drinking behaviours and open up the lines of communication.

84 www.childsafetyhub.com.au
DRUG AND ALCHOHOL AWARENESS
Learn more about Alcohol Awareness
ALCOHOL

Don’t turn a foolie this Schoolies Schoolies. It’s a little word for a big week. It’s the holiday Year 12s all over Australia have been waiting for. But above all, it’s the chance to celebrate the end of school…finally. Hold up. Before you race out there, make sure you’re prepared. Not knowing the risks or what to do in an emergency can turn things ugly, fast.

Wherever you’re planning on spending schoolies, it’s always good to have a plan. Around alcohol people can change and the risks are high.

So here are a few tips for a fun, safe Schoolies Week:

• Let your parents know where you’re staying and who you’re going with.

• Keep in contact with your parents throughout the week – so they know you’re safe (they’re less likely to hassle you then too)

• Register as a school leaver with the local council (or schoolies organisation) in the area you’re visiting.

• Always have your phone on you (and charged!)

• Put your ‘in case of emergency number’ (ICE) in your phone.

• In an emergency call 000.

• Keep money aside for emergencies.

• Eat before you drink – preferably carbohydrate-rich food such as rice, bread, pasta, pizza etc. It’ll help slow the rate your body absorbs alcohol.

• Be extra cautious with drinks. Avoid drinks with high alcohol content and beware of drink spiking – don’t let your drink out of your sight.

• Pace your alcohol intake and hydrate with non-alcoholic drinks like water.

• Stay with friends and keep an eye out for one another.

• Don’t drink drive or get into a car with anyone who’s been drinking.

• Avoid risky situations such as swimming after drinking or getting into arguments and fights.

TOP 10 TIPS FOR PARENTS

1

Be an active part of their lives

Make sure you set aside time to spend with your kids. Take an interest in their interests and establish a routine for doing things with them. Spending time as a family is important, like eating together every day. When they go out, don’t be afraid to ask where they’re going or who they’ll be with.

2

Listen to your kids

Showing that you’re prepared and willing to listen will help your kids feel more comfortable about listening to you. During a conversation try not to interrupt them or react in a way that will stop whatever you’re discussing. Encourage them to feel comfortable about telling you their problems, and ask for their input on family decisions to show that you value their opinions.

3

Be a role model

When it comes to drugs there’s no such thing as ‘do as I say, not as I do’. If you take drugs yourself you can’t expect your kids to take your advice. It’s important not to underestimate the influence your behaviour has on them, particularly when it comes to alcohol or tobacco, or misuse of medications.

4

Be honest with them

It’s natural that you won’t necessarily know everything about drugs. So while it’s important to be informed, you shouldn’t pretend to have answers to every question. Be prepared to say ‘I don’t know but I’ll find out for you’. If you’re honest and clear about where you stand, your kids will find it easier to be honest with you.

5Pick your moment

Make sure you pick the right time to discuss drugs with your kids, by looking for natural opportunities as they arise. This might be when you’re all watching TV, or when they’re talking about someone at their school or in their friendship group.

6Be calm When it comes to talking about drugs, being calm and rational is important, as well as not overreacting. Make sure not to ridicule or lecture, as this could make future discussions about drugs more difficult and make your kids more resistant to talking about them at all.

7Avoid conflict

It is difficult to solve a problem where there’s a conflict. Try to see their point of view while encouraging them to understand yours. If a confrontation does develop, stop the conversation and come back to it when you’re both calmer.

8Keep talking

Once you’ve had a discussion about drugs it’s important to have another. Start talking to your kids about drugs early, and be willing to talk to your kids about the issue at any time.

9Set clear boundaries

Generally kids expect and appreciate some ground rules. By actively involving them in setting the rules you can encourage them to take more responsibility for sticking to them. Once you’ve decided on these rules, enforce them, and let your kids know the consequences of breaking them. Discuss and agree to ways your kids will act if they find themselves in situations where drugs are present. For example, let them know that you’ll always collect them if they need you to, whatever the hour.

However, make it absolutely clear that you would rather they didn’t put themselves in a situation where they are likely to be exposed to drugs in the first place.

10

Focus on positives

Be sure to reward your kids’ good behaviour and emphasise the things they do well. Encourage them to feel good about themselves and let them know that they deserve respect and should also respect themselves.

Here are 10 ways to encourage your kids to talk about drugs with you. For more information visit “drinkwise.org.au

85 www.childsafetyhub.com.au
DRUG AWARENESS DRUG AND ALCHOHOL AWARENESS

Child Safety

Approximately 150 children die and 68,000 are hospitalised every year due to unintentional injury in Australia

There is no higher priority than protecting our children and Police Legacy continues their commitment to child safety. The greatest tool available to combat youth vulnerability is through knowledge. This handbook is for every family and includes everything we need as a community to protect our most valuable and vulnerable resource – our children.

HANDBOOK Download your FREE app NOW Get it on Windows 10

Turn static files into dynamic content formats.

Create a flipbook
Issuu converts static files into: digital portfolios, online yearbooks, online catalogs, digital photo albums and more. Sign up and create your flipbook.