AGD Impact December 2025

Page 16


“AGD2026 is an experience you don’t want to miss. It’s an opportunity for us to share our passion, elevate our skills through dynamic

A new era of cosmetic dentistry is being ushered in by the latest digital tools. This month’s cover story explores the cutting edge of cosmetic dentistry through insights from leading experts. Different pieces highlight how digital innovation is transforming smiles — from advanced digital smile design and precision 3D printing to streamlined digital communication between patients and providers. Each article showcases tools and techniques that enhance accuracy, efficiency and patient satisfaction.

The ‘Continuing’ Mission

Dental continuing education is vital both for retaining licensure and for learning the latest chairside techniques. An advantage of working as a member of a dental services organization–owned practice is that they offer educational opportunities as an employee benefit — from online programs to handson table clinics and even their own educational facilities.

Dr. Marc J. Worob Leads with Heart and Vision

On Nov. 16, 2025, Marc J. Worob, DDS, FAGD, FACD, FICD, FAAOSH, was inducted as AGD president during the organization’s annual House of Delegates meeting in Chicago. As he steps into AGD’s top leadership role, Worob plans to leverage the organization’s new strategic plan to drive growth, revitalize grassroots engagement and ensure that general dentists across the country see AGD as their professional home.

Is It Time to Change Beliefs and Attitudes Toward DSOs?

The prevalence and continued growth of dental services organizations (DSOs) must be addressed by AGD for our own future good.

Dentists who work at DSOs are licensed and credentialed to practice dentistry, having completed the required steps by local and state boards of dentistry. Employment at a DSO may be for many reasons, but at the top of the list is finances. DSO dentists, like all of us, seek to have a steady income and/or school loan repayment plan. Secondarily is the potential to develop skills, whether through procedures performed or through company-sponsored continuing education (CE). Many DSOs produce their own CE programs — a major employment perk and the subject of this month’s feature story.

All DSO models attempt to serve the interests of dentists and patients by creating economies of scale, which includes utilizing centralized office functions such as billing, human resources, marketing and information technology. The common factor in all DSOs is the ability to create financial renumeration for their model, similar to what we do in private practice.

The most recent data from the American Dental Association’s Health Policy Institute in 2023 shows that approximately 14% of the over 200,000 dentists in the United States are affiliated with DSOs. This makes for tremendous opportunity for AGD to recruit more dentists working with DSOs.

A focused informational campaign to DSOs and their dentist employees seems a good place to start. We should highlight what we have in common — values that include lifelong learning, evidence-based care, advocacy and professional autonomy. We should emphasize improving patient outcomes by supporting clinicians during their entire professional journeys. We can provide mentorship to DSOs and their

employee dentists, which will increase new members’ confidence, connectivity and long-term commitment to dentistry. On a local level, how can we turn nonmembers into like-minded colleagues? Open dialogue is a great place to start. Invite them to a study club or AGD meeting, and extoll the benefits of AGD membership — or, better yet, ask if you can help them with anything. Show them what AGD has done for you. We should work with DSOs to strengthen organized dentistry. Our attitude should be as a welcoming partner that will ensure general dentists thrive for the benefit of our patients, whether they are in solo practice, group practice or supported by a DSO. There is tremendous potential for AGD members within the DSO framework to seek Fellowship and Mastership, which we all know is a pathway to success. One such DSO, Heartland Dental, incentivizes its doctors with a substantial financial reward for attaining Fellowship and Mastership, and it has become an excellent long-term retention tool. Is it time to change our beliefs and attitudes towards DSOs? We can maintain our AGD principles and, at the same time, reach out to DSOs, welcome their employee dentists and collaborate with the companies, giving greater relevance to AGD in its role in representing general dentists.

Disclaimer: My son, Phil, is the nondentist CEO and cofounder of Providence Dental, a DSO in Georgia.

DISCLAIMER: The Academy of General Dentistry does not necessarily endorse opinions or statements contained in essays or editorials published in AGD Impact. The publication of advertisements in AGD Impact does not indicate endorsement for products and services. AGD approval for continuing education courses or course sponsors will be clearly stated. AGD Impact (ISSN 0194-729X) is published monthly by the Academy of General Dentistry, 560 W. Lake St., Sixth Floor, Chicago, IL 60661-6600. Canadian Mailing Information: IPM Agreement number 40047941. Change of address or undeliverable copies should be sent to: Station A, P.O. Box 54, Windsor, Ontario, N9A 6J5, Canada. Email: impact@agd.org. Periodical postage paid at Chicago, IL and additional mailing office.

AGD members receive AGD Impact as part of membership; annual subscription rates for nonmembers are $80 for individuals and $120 for institutions. Online-only subscriptions are $85 for individuals and $110 for institutions. All orders must be prepaid in U.S. dollars. Single copies are available upon request. Please contact our Membership Services Center at 888.243.3368 for more information.

POSTMASTER: Send address changes to AGD Impact 560 W. Lake St., Sixth Floor, Chicago, IL 60661-6600. No portion of AGD Impact may be reproduced in any form without prior written permission from the AGD. Photocopying Information: The Item-Fee Code for this publication indicates that authorization to photocopy items for internal or personal use is granted by the copyright holder for libraries and other users registered with the Copyright Clearance Center (CCC). The appropriate remittance of $3 per article/10¢ per page is paid directly to the CCC, Inc., 222 Rosewood Drive, Danvers, MA 01923, USA. The copyright owner’s consent does not extend to copying for general distribution, for promotion, for creating new works, or for re-sale. Specific written permission must be obtained from the publisher for such copying. The Item-Fee Code for this publication is 0194-729X. Printed in U.S.A. © Copyright 2025, Academy of General Dentistry, Chicago, IL.

AGD Corporate Sponsors

Discount Dental Supplies from One Reliable Source

• Supply Discount — Register to order online and receive your membership discount on over 50,000 products.

• Exclusive Access — DHP negotiates exclusive offers for AGD members only. Don’t miss an opportunity to save!

• FREE Shipping — Enjoy free shipping and a discounted shipping and handling fee of $2.95 per originating order.

• Handpiece Repair — Members receive a 15% discount on handpieces repaired at DHP’s Handpiece Repair Center.

• Support — Our dedicated account managers review every order for accuracy and apply qualifying manufacturer discounts and deals.

Upcoming

Dental Practice Advocacy

AGD Attends 2025 NADP CONVERGE: Exploring the Evolving Dental Benefits Landscape

By Zeynep Barakat, DMD, FAGD, AGD Legislative & Governmental Affairs Council member; and Jennifer Clemmons, AGD manager, Dental Practice

AGD Legislative & Governmental Affairs Council Member Zeynep Barakat, DMD, FAGD, and Jennifer Clemmons represented AGD at the 2025 National Association of Dental Plans (NADP) CONVERGE meeting in September 2025. The event brought together more than 650 industry leaders, policymakers, insurers and dental care providers to explore emerging trends, challenges and innovations shaping the future of dental benefits. The multiday conference featured general sessions and targeted breakout discussions focused on several pressing issues impacting dental professionals across the country.

NADP and the American Association of Dental Office Management (AADOM) conducted a joint survey of dental providers to identify top frustrations among dental practices. Chief concerns included inefficient claims processing, the use of virtual credit cards for payments and poor customer service from insurers. In response, a new industry workgroup is being formed to address these concerns, streamline provider-insurer interactions and help reduce provider-patient miscommunications on copays.

Policy experts examined the current and proposed legislation — such as the Make America Healthy Again Act — on Medicare and Medicaid and their potential effects on healthcare and dentistry at large. The conversation underscored the importance of staying engaged in legislative efforts that could impact dental health, access to dental care and reimbursement models.

Advancements in technology and artificial intelligence (AI) are beginning to transform the dental insurance landscape. From automated claims processing to AI-driven diagnostics, attendees discussed how digital tools can enhance efficiency, accuracy and patient experiences. Updated information on Medicare Advantage plans, network leasing, and the Affordable Care Act exchange health and dental plans were also reviewed and discussed.

Some data shared at CONVERGE revealed important trends:

• 75% of patients are choosing in-network providers.

• 80% of patients are treated by general practitioners.

• Single-location practices are still the majority but show some decline.

Attendees also discussed ongoing efforts to improve licensure portability for dental professionals. Comparisons between the Dental and Dental Hygiene Compact and the Interstate Dental and Dental Hygienist Licensure Compact shed light on the implications of each approach for cross-state practice mobility and workforce flexibility.

As dental policy and insurance models continue to evolve, AGD remains actively engaged with key stakeholders to ensure that the voices of general dentists are heard and represented. The next NADP CONVERGE meeting is scheduled for Sept. 28–Oct. 1, 2026, in Indianapolis, Indiana.

Education

This Month’s CE Opportunities

Dec. 2: “Infection Control After COVID-19” with John A. Molinari, PhD

Dec. 4: “Newer Strategies for Non-Opioid Management of Acute Postoperative Pain” with Arthur H. Jeske, PhD, DMD

Dec. 11: “Exploring Cutting-Edge Materials and Techniques in Endodontic Obturation” with Luis Camilo Yepes, DDS, FICD

Dec. 16: “Botox and Photography for Dentists” with David Goldshaw, DDM, LBIST, BDT, and Tarek Chbat, MD, FRCPC

Register for these webinars and more at agd.org/education/learn

Inside General Dentistry

Look for the following articles in the November/ December 2025 issue of AGD’s peer-reviewed journal, General Dentistry, which is a special collaboration with the American Association of Endodontists.

• Cracked teeth with radicular extension: an update on restorative procedures for endodontically treated deeply cracked teeth

• Coronal seal in endodontics: a critical but forgotten element

• Beyond the apex: anatomical risk assessment to prevent extrusion injuries in endodontics

Read these articles and more at agd.org/generaldentistry.

HAVE YOU MOVED?

If you have recently moved, or plan to in the near future, please make sure to update your AGD profile.

Log into the AGD website today!

We want to make sure you receive AGD publications and other important information from us! View or update your profile, check the status of your membership dues, manage your email subscriptions and change your password.

Please contact the AGD Membership Services Center with any questions at 888.243.3368 (toll-free) or 312.440.4300. Our member representatives are available to assist you Monday through Friday from 7:30 a.m. to 5:30 p.m. CST.

UPDATE YOUR PROFILE agd.org/my-agd

Decades of Experience Culled to Five Practical Tips

This column is sponsored by CareCredit, an AGD Corporate Sponsor.

Owning a successful independent practice for more than 30 years has taught me quite a few things — and so has becoming an MAGD. I believe in continuing education — for both doctors and the team. I’ve culled decades of learning into my top five practical tips to help other clinician owners thrive.

1. Be the Leader Your Patients and Team Need You to Be

Leadership skills are not necessarily inherent to most people and are not often taught in dental or medical school. We graduate being great clinicians, but, even if we are not the practice owner responsible for leading a team, our role includes leading or guiding patients to decisions that optimize their oral health. So, if you’re like me, one of the many people not born a natural leader, it’s up to you to invest time and money to hone your leadership skills through classes, mentors, books, and whatever resources work best for your learning style and schedule. My partners and I literally went back to school, and we consumed as much content as we could on being great leaders and communicators.

2. Practice Culture Is Curated

“Culture” is often an overused word that many times is not strategically and thoughtfully executed. Culture is a living entity, and its genesis is the practice leadership. It is something your patients see and feel at your practice. And, importantly, culture will determine how your team members interact with each other and patients and whether or not they are committed and cohesive. Culture is built through every little interaction, which should be purposeful, especially in front of patients. They hear things more often than you realize. It’s up to you to decide the environment you want to create, and it must be guarded carefully. Your entire team needs to be like-minded. Just one team member who isn’t the right fit can dramatically and negatively affect the practice culture — so take your time when hiring and training. And, above all, be the example. You’ll see the results of a great culture in patient and team retention as well as when people say, “I love this practice” and “I love where I work.” As founders of a practice, you may be good leaders but not necessarily good managers, so it is incumbent upon the leader to expose the team to the best information and training possible.

3. Invest in Your Team

Your team spends more quality time with your patients than you do, and that’s the way it should be. Investing in their communication skills and knowledge of clinical dentistry will do much for your practice, including increasing case acceptance, patient satisfaction and

retention. There are so many ways to invest in your team. Take them to tradeshows, let them take appropriate courses at local colleges or online, hire a communications coach and have vendors host lunchand-learns. Teach them the basics of what you do as a clinician. We have meetings where we teach our hygienists and admin team the clinical side of dentistry and how the care benefits the patient so they know and understand what we do and can share that knowledge when asked. Patients are often more comfortable asking the team about the value of the dentistry being recommended than the doctor.

4. Address Barriers to Care with Empathy

There are three key barriers to care: shame, fear and cost. People don’t want to feel as if they’ve done something wrong or that they’re to blame for what’s happening in their mouth. It’s important to use empathy, come alongside them and be their advocate. So instead of saying, “I see you broke your tooth,” say, “Mrs. Jones, I see you have a broken tooth. I had a tooth break a few years back. It’s a common issue and something that we can certainly fix.” It’s a subtle shift from “you did” to “you have.”

Other barriers to care that need an empathetic approach are fear and cost. Fear can be addressed through education: “Mrs. Jones, it’s not uncommon to be a little fearful of the treatment. I was a bit nervous at the dentist until I started working here. Let me share how much dentistry has evolved over the past few years. We have the best technology to make treatment as comfortable as possible.”

And cost can be addressed through options: “Mrs. Jones, we also make care as convenient as possible. We will work hard to optimize your insurance. And for any out-of-pocket costs, we have financing options available through the CareCredit credit card.” We continue to use CareCredit because the company has integrity, longevity and a high patient satisfaction rate.

5. Little Things Matter a LOT

A post-treatment phone call. A quick text. A thank-you note for referring friends and family. A welcome note to new patients. A note of recognition to a team member. These simple gestures take only a little time, but, in today’s automated world, mean more than you think. It’s about engaging with the people inside and outside of your practice on a human, compassionate and personal level.

One last thing I’ve learned is that every success you have and every challenge you face are all learning and teaching opportunities. ♦

Howard E. Ong, DDS, MAGD, has been mastering his craft through education and practice for over 25 years. He holds mastership in the International Congress of Oral Implantologists (ICOI) and is certified in oral conscious sedation. Ong works as the primary surgeon at his practice in Seal Beach, California. His love for implants, surgery and customer care inspired him to add a specialty suite dedicated to surgical treatments. Ong is a member of the American Dental Association, California Dental Association, Harbor Dental Society, AGD and ICOI. To comment on this article, email impact@agd.org

Small Town, Big Impact

All I know is that I will never move back to Southwest Arkansas. Those were not my words, but the words of my wife, Emily, who grew up in Nashville, Arkansas. When we first started dating, she assured me she would never move back because it was simply too small of a place. So, what did I do? I moved her to an even smaller town.

I grew up in Amity, Arkansas, population 762, which is just down the road from Glenwood, where I now practice, population 2,068. Even before I began dental school, I had a strong sense that I would eventually return home. Part of it was family, part of it was knowing there would be a dental practice in need of someone to take over, and part of it was the desire to give back to the community that shaped me.

One of the best aspects about practicing in a rural area is that you are often the only dentist in town, while one of the most difficult aspects about practicing in a rural area is that you are the only dentist in town. When a patient comes in with swelling from their eye down to their chin, and the nearest oral surgeon is 40 minutes away, you do not have the luxury of referring them elsewhere — you must take care of it. Practicing in a rural setting forces you to rely on yourself, keep learning and step confidently into situations that might be passed along to someone else in a larger city. That pressure has felt intimidating at times, but it has also been one of the most rewarding aspects of my career as it pushes me to grow in ways I never imagined.

Being the only dentist in town also means that people talk. When patients feel cared for, word spreads quickly, and it does not take long before people are driving from miles away. Instead of spending heavily on advertising, I can put money toward new technology for the office, invest in continuing education or simply treat my staff to coffee at the local coffee trailer.

The impact of rural dentistry goes far beyond the walls of the operatory. In small towns, dentists often serve as community leaders, and I have had the privilege of being involved with the Pike County Economic Development Committee and the Glenwood Downtown Network. In fact, I have had to turn down more committees than I have joined because the opportunities to get involved are endless. Small businesses like mine play an outsized role in sustaining school and civic programs that would not exist without local sponsorships.

When our community was hit with the news that a large sawmill — one of the area’s biggest employers — was shutting down unless conditions improved, I announced that any workers affected would be offered a free cleaning and that we would work with them to make treatment affordable. I did not do this for publicity, but to help my neighbors in a difficult moment. Still, that post ended up reaching more than 40,000 people online and gave our town a much-needed lift in spirit. Where else but in a rural community can a dental office make such a tangible impact?

Another benefit of living and practicing in a small town is that there is far less pressure to “live like a doctor.” I drive a 1996

Chevy, and my wife and I live in a modest 1,300-square-foot home. Without the constant push to upgrade, it is easier to focus on what really matters, which for me is building toward financial independence and the ability to retire early. I know that in a larger city I might feel pressure to keep up with appearances, buy a newer car or live in a bigger house, and while it is certainly possible to live frugally anywhere, rural life makes that path much easier.

Although there are many advantages to rural practice, it does have some drawbacks. Life is quieter here than it was during my dental school days in New Orleans, and, while there are community events, there is not always a lot going on. Entertainment and dining options are limited, and, if you want a larger selection, you must be comfortable driving 30 minutes to an hour to get there.

From a professional standpoint, rural practice can also feel isolating. You do not have colleagues nearby to consult with. That is why I always encourage other rural practicing dentists to prioritize in-person continuing education courses and conferences. They are not only valuable for learning, but also for connecting with peers and finding belonging in a much larger profession.

Despite those challenges, choosing to practice in a rural community remains one of the best decisions I have ever made. Emily, who once swore she would never move back, is beginning to see the value as well, and, although she may have questioned my decision at first, she has not divorced me yet. Living here has allowed us to travel the world, invest in our future, and, most importantly, give back to the people who raised me.

So, when people ask if I regret moving back, my answer is always the same. Practicing dentistry in a rural community has given me opportunities and fulfillment that I might not have found anywhere else. And, as Emily and I have both learned, in life and in dentistry, it is wise to never say never. ♦

Clayton Sorrells, DDS, is a new dentist and previous AGD chapter president at Louisiana State University School of Dentistry. To comment on this article, email impact@agd.org

Educate Your Patients With the Facts

Take advantage of a great member benefit!

As an adviser to your patients and an advocate for optimal oral health and hygiene, you need to provide resources to your patients that educate them on various health topics. That is why AGD has prepared these one-page AGD Oral Health Fact Sheets for download and use in your office.

Share the AGD Oral Health Fact Sheets with your patients in two great ways — either print them for your office or embed them on your website. Both options allow you to offer your patients customized fact sheets that feature your name and practice address.

Download AGD Oral Health Fact Sheets agd.org/factsheets

Fact or Fiction? Young Doctors Are Not Purchasing Dental Practices

My company has seen more change in the business side of dentistry over the last decade than we saw in the previous few decades combined. Most of this change is centered around private equity entering the marketplace, looking to acquire practices. Equity firms’ strategy revolves around creating economies of scale and receiving higher multiples on much larger businesses — versus lower valuations of single dental practices. While I am not for or against private equity in dentistry, I am very much for transparency. The cold reality is that many private practices have sold to private equity firms based on misleading information. This results in an influx of associates willing to work for private equity dental practices that might not offer them the possibility of ownership. This means that big money is being funneled into messaging that may not be in the best interest of dentists. In this quarter’s column, I will try to debunk some of the biggest myths around practice ownership.

Myth 1: Young Dentists Are Not Buying Practices

I recently spoke to a dentist here in Charlotte, North Carolina, who was considering selling to private equity based on the notion that young dentists aren’t purchasing practices. She was shocked when I told her that I could have the practice sold within five minutes, even more so when she realized I was serious. Here in Charlotte, five minutes might have been an overestimate of the time required to sell a practice at 100% of revenue. The truth is, there are more private buyers in Charlotte than there are sellers — it’s not even close. My company estimates there are at least 15 buyers in Charlotte for every practice for sale.

Diving a bit deeper into our internal data nationally, we found that practices took, on average, 305 days to sell privately in 2023. In 2024, that number decreased to only 177 days. Through September 2025, practices on average took only 162 days to sell. What is driving this trend? The answer is simple: Inquiries from buyers on good practices are up, indicating more buyers in the marketplace.

According to the American Dental Association’s Health Policy Institute, practice ownership has been delayed, not reduced, with over 80% of dentists owning practices 15–19 years after graduation.1 The bottom line is that young dentists are buying practices, but the definition of “young” has changed. A 28-year-old is unlikely to be in the marketplace, but a 35-year-old is.

Myth 2: Young Dentists Cannot Afford to Buy Practices

According to the American Dental Education Association, the average student loan debt for the dental Class of 2024 was $312,700.2 Most dentists assume that this means they cannot afford more debt. This couldn’t be further from the truth; the fastest way to get out of student loan debt is to increase your income by purchasing a practice. Over the last few years, one of the most sought-after presentations I have given is “Why You Can’t Afford to Not Buy a Practice.”

Unfortunately, for the last seven to 10 years, young dentists have heard they can’t afford to buy practices, often lured by large signing bonuses and salary expectations from corporate groups that may not always come to fruition. While the increased student loan debt and corporate offers have certainly had an impact on young dentists, have they really stopped buying practices?

Why Are Dentists Delaying?

My next point is pure speculation. A 28-year-old dentist making $200,000 per year is not going to feel squeezed until they start a family. With Americans today in general waiting longer to have children than previous generations, additional responsibility may not be top of mind. For those readers with children, we all know how quickly your income can disappear with a mortgage, car payment, daycare, etc. Eventually, reality strikes, and increased income becomes a priority. I have also heard from many young dentists who started to work for corporate dental offices that they have become increasingly unhappy. Common complaints include excessive workloads, lack of independence regarding decision-making, lackluster staff and lack of income.

In good news, the tides seem to be shifting. In my experience over the last decade, my speaking engagements had been largely eliminated from dental schools in favor of donors that have a different message. Over the past two years, however, I have been invited back by part-time faculty senior dentists looking to get the message of ownership instilled in the younger generation. The younger generation also seems to be learning from the experiences of their slightly older peers. I recently spoke to a group of young dentists and full-heartedly believed I’d hear them say that corporate dentistry was their only option. To my surprise, most of them had stories to tell about friends regretting not purchasing a practice earlier.

Myth 3: Banks Will Not Lend to Young Dentists Due to Student Loans

This couldn’t be further from the truth. I recently had a conversation with Kameron Barton, Bank of America regional business development officer, and he explained that student loan balances of $500,000 or less will not usually impact approval, and balances of more than $500,000 do not mean rejection, but rather require additional analysis to ensure cash flow supports the deal. Instead, young dentists need to focus on what does matter to the banks — having 7%–10% of purchase price in liquidity (in a checking or taxable brokerage account) and a production history showing 80% of the selling dentist’s work.

Not only can young dentists be approved for loans, but rates these days are less than mortgage rates, with recent deals being approved at 5.25% or less. The best part for young dentists — even after accounting for the loan payments and taxes — is that takehome pay is higher as an owner than it is as an associate (assuming a properly valued practice and similar production numbers).

Final Thoughts

Young dentists are buying practices, although not as quickly as previous generations. High-income practices in desirable areas are becoming increasingly easy to sell, with sales prices increasing due to demand. Practices in more rural areas still take longer to sell, but they are selling privately. To all young dentists: Practices in more rural areas have less insurance, less competition and higher profits and sell for less money. With less demand than in

Get Social and Connect with AGD

See Pictures & Updates

major urban areas, the smart thing to do is seek out practices in small towns with high profits.

I recently had a young dentist approach me after my “Why You Can’t Afford to Not Buy a Practice” presentation to explain he took good advice from an older dentist and purchased a practice two hours outside of Charlotte. The results were astounding. At 34 years old, he only had $62,000 of debt to his name, including student loans, a home mortgage, an office building loan and a practice acquisition loan. When he wants a weekend away with his wife, he simply brings in a nanny or grandparents and heads to the Charlotte airport with his wife, staying at nice hotels and living worry free.

For young dentists: Start your journey to ownership sooner rather than later. You won’t regret it. To the senior dentists: Corporate is an option, but by no means is it your only option. Young dentists are buying practices, and demand has been substantially increasing over the last few years. ♦

Wesley W. Lyon II, CPA, CFP, is president and CEO of McGill and Lyon Dental Advisors. For more information on his firm’s comprehensive tax and business planning services for dentists and specialists, contact Danielle Fitzgerald at 877.306.9780, or email consulting@mcgillhillgroup.com. To comment on this article, email impact@agd.org

References

1. “The U.S. Dentist Workforce.” American Dental Association Health Policy Institute, 2025, ada.org/-/media/ project/ada-organization/ada/ada-org/files/resources/research/hpi/us_dentist_workforce_2025.pdf. Accessed 1 Oct. 2025.

2. American Dental Education Association. “Educational Debt.” ADEA GoDental, adea.org/godental/Apply/ financing-dental-education/educational-debt. Accessed 11 Sept. 2025.

Pearls I’ve Learned as a PGY1 Resident

Iam currently a first-year postgraduate resident (PGY1) in the advanced education in general dentistry (AEGD) program through NYU Langone Health at Roseman University. Even just a few months in, I’ve learned lessons I never encountered in dental school — new procedures, new pressures and entirely new perspectives. Here are some of the pearls I’ve gathered so far in my residency journey.

Keeping an Open Mind

One of my mentors once told me something that has stayed with me: In an institution, we often learn things a certain way simply because that’s how it’s taught. That doesn’t mean it’s the only way, the best way or even the right way — it’s just a way. His advice was to keep an open mind.

That perspective has been invaluable in residency. In our program, we train exclusively on the Straumann® Dental Implant System. With the little experience I have had so far, I really like learning on this system. However, this same mentor has achieved tremendous success restoring full-arch cases with multiple miniimplants, something I haven’t had hands-on experience with. I saw some of the cases he has completed, and they were phenomenal. His point was simple — when I’m out in practice, I should continue seeking experiences that expand my scope because I might find that something new works really well.

It reminded me how easy it is in dentistry to become attached to a single system, company, technique or philosophy just because that’s what we were exposed to in our training. I’ve been guilty of this closed mindset and have been skeptical of products or techniques that didn’t match what I was originally taught. But dentistry is too vast and too patient-specific to be reduced to one “right” way. Fundamentals matter, of course, but, once those are mastered, we shouldn’t be so quick to dismiss other approaches.

Learning from Specialists

One of the greatest benefits of residency has been working alongside specialists. A surgical prosthodontist once reviewed a case with me: A patient with severely resorbed maxillary bone wanted implants. My instinct was to dismiss implants as an option — after all, I’d only been trained to place them in alveolar bone.

But, by looking at the CBCT scan, the prosthodontist showed me that she was actually a great candidate for zygomatic, pterygoid or transnasal implants, options I didn’t even know existed. Without his perspective, I would have assumed traditional complete dentures were her only solution.

That moment humbled me. It reminded me how important it is to know what I don’t know and to connect patients with the right providers when I can’t give them what they want. Swallowing my pride and making the referral may not feel glamorous, but it’s what’s best for patients.

Learning Humility

Another pearl I’ve picked up this year is all about humility. It’s easy to look at radiographs or cases done by others and wonder why they don’t look “perfect.” From the outside, it seems simple to think of how we would have done something differently.

A periodontist was helping me understand how to approach an implant that was at the beginning stages of failure. He said, “Ideally, we’d want to see the implant here at bone level, but we don’t know what happened that day. We don’t know how the patient responded, what challenges might have come up or how the surgery went. We don’t know because we weren’t there.”

That perspective also humbled me. It reminded me that we can never truly judge another dentist’s work without being in their shoes at that exact moment. I appreciated the periodontist’s perspective when evaluating a less-than-ideal implant placement without criticizing the previous provider’s work. I know that I’ll have cases that don’t go as planned.

In dental school, for example, I placed a few posts and cores and thought I had a decent handle on finding the center of a tooth and following the gutta-percha. But, now that I’m in residency and am exposed to more complicated procedures, it is a completely different experience. My first time placing multiple root anchors for a mandibular overdenture was challenging. Staying centered within the root, maintaining parallelism, respecting the anatomy

of adjacent teeth and keeping the patient comfortable felt like a balancing act I wasn’t prepared for.

I believe humility isn’t just something we owe to others — it’s also about how we treat ourselves. As dentists, we often demand perfection from our own hands, but learning to give ourselves grace is just as crucial.

Working with a Team

Another adjustment in my first year of residency has been working with trained dental assistants. In dental school, we assisted each other in the clinic, which meant we were all learning at the same time. Now, I have the privilege of working with skilled assistants, some of whom were dentists in other countries. They are incredibly helpful. At times I rely on them so much that I can focus entirely on the dentistry. But I’ve also learned that maybe I can’t focus solely on the dentistry when I am caring for a patient. When I get absorbed in a procedure, I sometimes forget to communicate what I need. A few assistants have pointed this out, and I’m grateful for their feedback. It’s not intentional — it just happens when I’m “in the zone.” I actually remember being the same way when I first graduated from dental hygiene school. Back then, I was so focused on keeping the shank of the scaler parallel to the long axis of the tooth that it consumed all my attention. Now, after thousands of repetitions, it feels like second nature. I can have flowing conversations while I work with a scaler.

Hopefully, with time and repetition, restorative procedures will feel just as natural. But, in the meantime, I’ve learned that communication can’t take a back seat. I sometimes expect assistants to read my mind, but, of course, no one is a mind reader.

Residency has reminded me that dentistry requires more multitasking than I ever imagined — reassuring patients, guiding assistants and thinking through each clinical step all at once. Dentistry isn’t just technical. It’s leadership, communication and managing people.

Pearls I’ll Carry Forward

As I reflect on my PGY1 experience, I see that dentistry is about more than technical skill. It’s about keeping an open mind, staying humble, valuing other perspectives, communicating clearly and embracing growth through discomfort.

These may sound simple, but they’re lessons you only truly understand by living them. Every day of residency adds another pearl to the necklace of my career. And I know there are many more to come.

The best dentists aren’t the ones who know everything or work the fastest. They’re the ones who never stop learning about their craft, their patients and themselves. ♦

Brooklyn Janes, DMD, is a resident in the New York University Langone advanced education in general dentistry program at Roseman University. To comment on this article, email impact@agd.org

No Travel. Just CE!

Take advantage of the AGD member rate and earn CE at your convenience on the AGD Online Learning Center.

REGISTER TODAY agd.org/olc

The Ethical Foundation of Compassionate Care in Dentistry

CThis column is a collaboration between AGD and the American College of Dentists.

ompassion” has become a buzzword in contemporary healthcare that has begun to lose its true meaning and significance. As modern clinicians, we all consider ourselves compassionate due to the nature of our work. However, when a group of U.S. citizens were polled, as cited in “Compassionomics: The Revolutionary Scientific Evidence that Caring Makes a Difference,” 50% believed that the U.S. healthcare system and healthcare providers lack compassion.1 Another statistic states that physicians routinely miss emotional cues from patients and miss 60%–90% of opportunities to respond with compassion.1

While compassion is a core value that many dentists claim, it is routinely overlooked in the everyday care of our patients. But what we often fail to realize is that practicing compassion is an ethical duty that each of us owes to the people we treat to ensure that our care is well rounded and patient-centered.

Empathy vs. Compassion

The distinction between empathy and compassion is profound yet often misunderstood. The Greater Good Science Center (GGSC) at the University of California, Berkeley, defines empathy as, “the ability to sense other people’s emotions, coupled with the ability to imagine what someone else might be thinking or feeling.” 2 Many of us have gone through struggles in life that have allowed us to become empathetic people, understanding what others are going through during times of hurt or need. However, the missing critical detail is the call to action based on these emotions. The GGSC goes on to define compassion as, “the feeling that arises when you are confronted with another’s suffering and feel motivated to relieve that suffering.” 3 This key difference between the two definitions is where many of us fail to demonstrate the compassion that we claim to value. While many of us feel the varying struggles of our patients, we often fail to act on that empathetic response and respond to the call to action to help our patients with challenges that are both related and unrelated to their healthcare needs.

As clinicians, we have an underlying ethical responsibility to truly care for our patients to the best of our abilities. While many healthcare providers believe that they are showing compassion and acting in a compassionate manner, they lack participation in the emotional labor expectations of our profession. Emotional labor refers to the work involved in keeping other people comfortable and happy.

Under the American Dental Association Code of Ethics, beneficence, defined as “promoting the patient’s well-being,” is an ethical principle required of dental professionals to ensure that patients receive high-quality ethical care.4 Furthermore, since compassionate care is characterized by awareness that leads to empathy that leads to action, can we fully practice ethical decision-making in healthcare without considering the patient’s wishes and interests in order to ensure their care is in their best interests? Central to this question is the principle of autonomy, which affirms the patient’s right to actively participate in decisions about their own care, even while being supported and guided by the practitioner. While upholding these ethical standards has been shown to promote better outcomes and improve patient satisfaction, compassionate acts such as active listening and providing emotional support to patients are some of the first practices to be forgotten when a healthcare provider becomes overwhelmed with their growing responsibilities.1 When we neglect to show compassion, we fail to uphold the ethical commitment we have promised to maintain as dentists.

The Positive Effects of Compassion

Not only does compassion help patients, but it also strongly correlates to burnout prevention in healthcare providers. Burnout symptoms rise as clinicians become dissatisfied with their relationships with patients. Common symptoms of burnout include emotional exhaustion, lack of personal accomplishment and depersonalization. When a clinician suffers from the symptoms of

burnout, it can become increasingly difficult to notice emotional cues from patients, leading to a lack of compassion. However, we see the opposite is true when a healthcare team makes an effort to show compassion to their patients. Hofmeyer et al. states that, “When empathetic communication and compassion exist, clinical teams are more effective, morale is higher, patient safety and satisfaction is higher, and fulfilling the organizational mission is more likely.”5 Without it, we can find ourselves in a vicious cycle of burnout, leading to a lack of compassion, which leads to further burnout, resulting in deficient patient care and increased stress. When we go the extra mile for our patients, we also create a more fulfilling environment for ourselves and others in the workplace, leading to better outcomes and attitudes overall.

While compassion is something each of us presumes that we show each patient, it is important to acknowledge that this potential blind spot can hinder the dentist-patient relationship. It is a skill that must be practiced each day, requiring intentional thought and emotional intelligence to recognize and demonstrate.

We must recognize the current compassion crisis in healthcare and the toll it is taking on both our patients and ourselves, and we must make the choice each day to uphold the ethical responsibility we have to each person who comes into our office. By doing this, we can create positive attitude transformations in the workplace, more positive outcomes in the dentistry we pro -

duce, and balance for the trends that overemphasize production and profit with a commitment to providing compassionate care. The result of such a commitment will lead to better outcomes for patients, increased satisfaction for providers, and preservation of the respected reputation of our profession by fostering the ethical principles that are the foundation of trust that society requires of each of us. ♦

Sarah Brandt and Katie Rothenhofer are dental students at the Augusta University Dental College of Georgia. Kevin Frazier, DMD, EdS, is vice dean and professor of restorative sciences at the Augusta University Dental College of Georgia. Regina Messer, PhD, ASDE, is associate dean and associate professor at the Augusta University Dental College of Georgia. To comment on this article, email impact@agd.org

References

1. Trzeciak, Stephen, and Anthony Mazzarelli. Compassionomics: The Revolutionary Scientific Evidence That Caring Makes a Difference. Studer Group, 2019.

2. “What is Empathy?” Greater Good Magazine, greatergood.berkeley.edu/topic/empathy/definition. Accessed 7 Oct. 2025.

3. “What is Compassion?” Greater Good Magazine, greatergood.berkeley.edu/topic/compassion/definition. Accessed 7 Oct. 2025.

4. “Principles of Ethics Code of Professional Conduct.” American Dental Association, 2024, ada.org/-/media/ project/ada-organization/ada/ada-org/files/about/2025_code_of_ethics_full.pdf.

5. Hofmeyer, A., R. Taylor and K. Kennedy. “Fostering Compassion and Reducing Burnout: How Can Health System Leaders Respond in the COVID-19 Pandemic and Beyond?” Nurse Education Today, no. 94, November 2020, p. 104502.

Paving New Paths

How Keya Bajaria Is Helping Shape

CNUCDM’s AGD Student Community

AGD Impact has a new Student Perspectives columnist starting in 2026: third-year dental student Keya Bajaria of California Northstate University College of Dental Medicine (CNUCDM).

A 2022 graduate of the University of California, Irvine, with a bachelor’s degree in biological sciences and a minor in business management, Bajaria is copresident of her school’s AGD student chapter. In this role, she’s helping to build community and promote lifelong learning among future general dentists while she develops her own promising dental career.

AGD Impact : Why did you decide to become a dentist?

What was your pathway between undergrad studies and beginning dental school?

Bajaria: There are many reasons I decided to pursue dentistry, one of them being that I enjoy the creative hands-on aspect of the profession and the social interactions with patients every day. Growing up, I spent a lot of time in an orthodontics office, and I got a glimpse of what life would be like as a dentist. After graduating university, I decided to take a gap year to give myself some time off before going through the rigorous curriculum of dental school. During my gap year, I worked as a dental assistant and as a barista at Starbucks while applying to dental schools and strengthening my applications. Even with my two jobs and working on dental school applications, I still made sure to have fun! I did a lot of traveling, from New York City to Peru to the Turks and Caicos Islands. Taking a gap year was just the reset I needed before I committed to dental school in July 2023.

Why did you choose California Northstate University?

Applying to dental schools can be overwhelming since there are so many to choose from. When I was applying, I had certain criteria, including class-size-to-faculty ratio, location and curriculum. CNUCDM, being one of the newer dental schools in California, crossed off all the things that I was looking for in a dental school. I like how intimate the class size is and how readily available faculty members are because it gives me the individualized attention I need as a student to prosper. The community that CNUCDM has fostered has been everything I was looking for in a dental school and more. Because the school is so new, we have the creative freedom to start clubs and organizations that we are interested in. I am involved in the student chapter of AGD as our copresident, and I am also a member of the American Student Dental Association and the Delta Delta Sigma fraternity. For me, attending a dental school in my home state was important. Being in the heart of California and the state’s capital, Sacramento, is beautiful, and, with so many different cuisines and serene nature around, there’s a lot to do outside the classroom or clinic.

When did you first join AGD, and what do you like about your AGD student chapter? How has involvement in your student chapter benefitted your dental education?

The AGD Student Chapter at CNUCDM was founded in the spring of 2024, and I was one of the inaugural board members. The first year I was involved in AGD consisted of establishing a solid foundation for the school’s chapter and recruiting classmates. Joining the AGD chapter my first year of dental school and attending different AGD continuing education courses and student conferences has greatly impacted how I view general dentistry. A few months ago, I took on the copresident role. Taking on a bigger responsibility has raised my expectations for the organization. I want to focus on recruiting more students and showcasing the value of becoming a member, which will increase the CNUCDM chapter’s presence at the state level.

What are some of your plans or hopes for your career after dental school?

After graduating from dental school in 2027, I plan on working in a private practice in Northern or Southern California. After working full time in a private practice for a couple of years, I plan on working at a dental school as a part-time faculty member. I truly enjoy teaching, so I know I would enjoy being a faculty member. I see the impact faculty members have made on my dental education, and I can only hope to do the same for future generations of dentistry.

What have been some of your favorite moments, lessons or treatment cases so far in school?

Each day in dental school has been a learning curve. Whether it’s the good, the bad or the ugly, I appreciate how much I have been learning here. There has never been a dull moment at school. As cheesy as this sounds, dental school has introduced me to some of my closest and best friends. Having a good support system while going through the most rigorous time of my

life has been something I could have only dreamed of when I chose this school. I have been so grateful to have amazing family and friends by my side in this process. Being a third-year student, I am able to see and treat patients on my own. When I’m able to successfully treat a patient, it’s rewarding to see that my hard work in dental school has been paying off. It’s incredibly heartwarming to be able to provide for my patients. ♦

Bajaria, center, and some of her classmates at a local Smiles for Kids event.
Bajaria and her best friend enjoy the last day of sim lab in their D2 year.
Bajaria and her family after receiving her white coat.
Bajaria and her AGD Student Chapter copresident in CNUCDM’s sim lab.

Digital Smile Design with 3D Integration

Creating a Preplanning Roadmap for Our Cosmetic Cases

Delivery day — the best and worst day for a cosmetic dentist. After months of planning, nothing is worse than the feeling of uncertainty on this day. Will the patient be happy with their new smile? Will you be happy? It’s easy when things look amazing — and actually even easier if things look terrible, because then everyone is on board for a remake. But it’s when it’s “good enough,” but not great — 98% there — that makes delivery day the worst for me. I am always searching for a way to close the gap — to cover that last 2% and get from “good enough” to “amazing.”

One of the most important lessons I learned early in practice came from Peter Dawson, DDS, founder of The Dawson Academy: “Don’t start any treatment until you can visualize the end result and determine the steps to achieve it.” The best way to avoid delivery day disasters, and to avoid surprises and tough decisions, is to begin with the end in mind. In my practice, the way to do this best is with the integration of digital smile design (DSD). With DSD, we have a clearer way to envision and share that end result with both our patients and our interdisciplinary colleagues.

What Is Digital Smile Design?

At its core, DSD is facially generated treatment planning. Facially generated treatment planning aligns esthetics, function, airway, biology and structure into one visual framework. DSD focuses on the esthetic starting point of a facially generated treatment plan.

Using DSD, we can interactively digitize our patients and plan where the teeth should fit within a patient’s face. Using a combination of 2D and 3D tools, we can:

• Analyze a patient’s smile in harmony with their face.

• Test different esthetic outcomes before any irreversible steps.

• Communicate clearly with patients and specialists.

• Transfer digital designs into precise clinical outcomes.

Think of it as taking the guesswork out of esthetics. Instead of saying, “Trust me, it’ll look great,” you can show patients and colleagues a digital preview that sets expectations and guides the entire treatment journey.

The Design Process Through Eva’s Case

My patient, Eva, a young woman just finishing college, was preparing to enter the workforce. She felt her smile looked “immature,” and she worried it did not reflect the confident professional image she wanted for job interviews. Her parents, who were supporting her treatment, also wanted to understand the options clearly. Eva’s orthodontist needed precise guidance on how to move her teeth in a way that would harmonize with the restorative plan. DSD became the bridge that connected everyone’s perspectives into one shared vision. For Eva, the ability to see her potential

The Latest in Cosmetic Dentistry

A new era of cosmetic dentistry is being ushered in by the latest digital tools. This month’s cover story explores the cutting edge of cosmetic dentistry through insights from leading experts. Different pieces highlight how digital innovation is transforming smiles — from advanced digital smile design and precision 3D printing to streamlined digital communication between patients and providers. Each article showcases tools and techniques that enhance accuracy, efficiency and patient satisfaction.

smile before treatment began was transformational. It turned uncertainty into motivation. Her parents could visualize the investment and understand the value.

A 3D motivational mock-up using the SmileFy app is used to create before-and-after images of Eva’s smile.
The stages of Eva’s smile transformation. Top to bottom: initial, mock-up, post orthodontic work, provisionals, finals.
The final results of Eva’s digital smile design journey.

The orthodontist could align movement with the restorative endpoint rather than working in isolation. Below, I will outline how my office treatment-planned Eva’s case using the DSD process.

Step 1: 2D Smile Design

Every treatment plan starts with clinical extraoral photos. Eva’s photographs revealed spaces and proportion discrepancies that contributed to the “youthful” look she wanted to leave behind. A 2D full-face, full-smile image of a patient can become the canvas for analyzing proportions, midlines, incisal edges and gingival contours. The ideal smile can be designed to allow proper portions and positions driven by facial proportions and esthetics. With the artificial intelligence capabilities in current software, this can be done chairside on an iPad in real time, and the 2D mock-up can allow patients like Eva to see an immediate sense of possibility. Tooth shade and shape can be toggled to work out some of the finer details of the smile, with instantaneous feedback based on the personal preferences of the patient. There is a motivating factor when a patient sees themself with an improved smile, and the 2D design process is a great way to gain that motivation.

Step 2: 3D Smile Design

We then can integrate the three-dimensional aspect of our treatment planning by importing our scan in STL format of the patient with 2D photographs. The STL and full-face smile photo can be calibrated into a 3D design. Like virtually setting denture teeth on a model, we can marry facial esthetics with ideal 3D positioning of the teeth, positioning them within the face using the 2D photo as a guideline for our esthetic positioning.

Step 3: 3D Digital Wax-Up and Motivational Mock-Up

Once we have a 3D smile design, we can develop a 3D facially driven digital wax-up and can now use this as our communication tool for treatment planning. Using the 3D digital wax-up, we are then able to create a 3D motivational wax-up, or “trial smile,” to give us an unmatched method of communicating with the patient. Having the patient be able to try on her

new smile with a 3D motivational mock-up is a very beneficial step for both the patient and clinician. While some might say this “sells the case,” the biggest benefit is the feedback that can help plan the case. Looking at herself in the mirror, Eva finally saw what she could look like in job interviews. As a clinician, I could evaluate how the planned restorative treatment truly fits the patient’s facial esthetics. Is there a cant? Is the midline where it should be? Are the incisal edges in the right position? Are the teeth too long? Too short? I can immediately start tweaking my plan and design based on how the proposed smile truly fits in the patient’s face. I can take a video of the patient talking and smiling, apply the 3D mockup and create video the same day with the proposed smile making the same facial motions. I can put these videos side by side, email them to the patient or, in Eva’s case, to her parents, who were hundreds of miles away. This can help reassure her parents and make them feel confident in the plan. Lastly, and perhaps most importantly, I can assess the patient’s reaction to the trial smile while looking in the mirror. We have all discovered a perfectionist patient late in the process who will never be satisfied, no matter how hard we try. By evaluating a patient’s reaction to the trial smile, I can get a sense of how picky their expectations may be before starting the case. A patient who is critical of every detail of the trial smile and gives early signs of unrealistic expectations is a patient whose case I may not want to take on. This is very important feedback to receive before even picking up my handpiece.

Collaboration and Communication

DSD is a crucial tool for communicating not only with the patient, but also with our clinical treatment teams and specialists. DSD was essential in Eva’s case because, for her orthodontic plan, we could communicate how to move teeth with the final restorative outcome guiding us. Using the premapped digital plan, we coordinated orthodontic movement toward the final restorative goal position. This position was worked out based on facial esthetics,

confirmed in the 2D smile design and continued with the 3D smile design and mock-up. Now, we just had to move the teeth orthodontically to support where the restorations needed to be. There was no guesswork — and no hoping the orthodontic movement was close enough. The position can be clearly communicated to the orthodontic specialist. In Eva’s case, after the orthodontic movement was complete, Eva’s comment was, “Wow, the teeth and spaces are so much more symmetrical!” Now, as restorative dentists, we know that is exactly the point. The more symmetrical the underlying teeth, the more supported the veneers will be. We can be much more conservative with minimal preps, and the smile will look much more natural when the underlying teeth are in the correct positions. Using DSD planning as an endpoint allows us to communicate all of this with our orthodontic colleagues to remove guesswork and give a much more predictable and natural esthetic result.

Conclusion

Eva’s journey shows that DSD is more than a design platform. It is a communication tool that unites patients, families and colleagues around a shared outcome. By using DSD to treatment-plan with the end in mind, we can plan, communicate and collaborate for much more predictable results. With cases like Eva’s, delivery day can become much less stressful. With the proper planning and communication, there will be fewer surprises, and we can be much more certain that we don’t have to settle for “good enough” — and instead can expect “amazing!” ♦

David R. Turok, DDS, FAGD, has lectured extensively on the topic of digital smile design. He is the owner of Northbrook Dentistry, Northbrook, Illinois.

From Visualization to Trust

How Digital Communication Elevates Case Acceptance in Esthetic Dentistry

In esthetic dentistry, artistry is no longer confined to the operatory. The conversation that happens before a patient says yes to treatment is often where transformation truly begins. As patients become more visually oriented and digitally engaged, their decision-making process has evolved. They no longer respond to abstract explanations of “improvement.” They want to see their future smile before committing.

Digital communication tools such as digital smile design (DSD), artificial intelligence–based simulations and virtual consultations have redefined how we educate and motivate patients. When used effectively, they bridge the gap between a patient’s uncertainty and confidence, enhancing both emotional connection and case acceptance.

A New Language of Esthetics

For years, esthetic consultations depended on verbal descriptions, reference photos and chairside sketches. But modern patients arrive with screenshots, influencer photos and expectations shaped by social media. They expect precision, personalization and clarity.

Digital tools have become our new language, one that translates technical expertise into something emotionally tangible. When patients can preview their smile digitally, the treatment plan stops being theoretical. They’re not just hearing about a “more harmonious smile” or “balanced gingival architecture” — they’re seeing it, feeling it and imagining themselves with it.

This shift from explanation to visualization is profound. It engages both logic and emotion, aligning what patients want with what we can deliver.

Visualization Builds Trust

Trust is the foundation of every esthetic case, and trust grows when expectations are clear.

When I trained in esthetic dentistry at the University of California, Los Angeles, one concept that stood out was how predictability drives confidence. We were taught that the patient’s emotional journey mirrors the digital workflow: The more transparent and visual the process, the easier it is for them to say yes.

Presenting a digital mock-up during the consultation can be transformative. The patient sees what’s possible in real time. Their posture changes, their expression softens, and, suddenly, the treatment becomes personal. The technology doesn’t replace empathy; it amplifies it.

The Virtual Extension of the Consultation

The digital conversation doesn’t end when the patient leaves the chair. Virtual consultations, follow-up video calls and secure sharing of digital proposals allow for continued engagement outside the practice.

For busy professionals or patients hesitant to commit, this flexibility is powerful. Sending a personalized digital smile preview or a brief explanatory video creates a sense of care and professionalism that transcends geography. It turns the traditional dental interaction into an ongoing dialogue.

Even simple tools like digital consent forms, virtual case updates or before-and-after photo slideshows can strengthen the patient’s sense of participation. When they can share their digital mock-up with family and friends, they become active advocates for their own treatment and for your practice.

Emotion Meets Evidence

Successful esthetic treatment requires both emotional alignment and scientific precision. Digital communication bridges those two worlds beautifully.

Patients often decide emotionally and justify rationally. The ability to show them tooth proportions, smile symmetry and shade options with digital overlays helps them understand the artistry behind your recommendations. It transforms abstract details into visible proof of expertise.

This transparency also reduces fear. When patients understand each step, from digital scan to final restoration, they perceive less risk. They’re no longer worried about the unknown; instead, they see a clear path toward the outcome they desire.

Team Integration: Everyone Speaks the Same Digital Language

For digital communication to succeed, the entire dental team must be fluent in it. Hygienists, assistants and treatment coordinators all play a vital role in reinforcing the message of possibility.

Imagine this flow: The hygienist captures high-quality intraoral images → the assistant uploads them into a smile design app → the doctor presents the simulated outcome → the treatment coordinator discusses financing options using the same visuals.

Every touchpoint reinforces the same digital story. Patients sense cohesion, professionalism and confidence, which makes saying yes feel natural.

The Business Case for Better Communication

Beyond the clinical and emotional benefits, the business implications are significant. Studies and anecdotal reports from digital-adopting practices show measurable increases in case acceptance, particularly for elective and cosmetic procedures.

When patients clearly understand value and outcome, price sensitivity decreases. Digital presentations elevate perceived professionalism and reduce the number of consultations needed to close cases. The result is a more efficient workflow, higher production per visit and happier patients who refer others.

Moreover, digital communication assets — before-andafter visuals, design videos, patient testimonials — become powerful marketing tools. They allow potential patients to see what’s achievable and feel confident in choosing your practice.

Looking Ahead: The Human Touch in a Digital Era

While technology enhances our ability to communicate, it doesn’t replace the human element that defines great dentistry. A digital smile simulation is powerful, but the warmth of the clinician explaining it with reassurance and genuine excitement remains irreplaceable.

Digital tools should serve as bridges, not crutches. They help us listen better, understand deeper and present with greater empathy. When used intentionally, they don’t just improve esthetic outcomes, they also enrich the relationship between dentist and patient.

In the end, digital communication isn’t about pixels or software. It’s about connection. When patients feel seen, heard and inspired by their own potential, they don’t just accept treatment, they embrace transformation. ♦

Akanksha Baheti, BDS, is an esthetic dentist trained at the University of California, Los Angeles, with a focus on digital and minimally invasive smile enhancement. She is passionate about integrating technology and artistry to elevate patient care and confidence.

A Dentist’s Responsibility to Modernize Dental Care

Accelerated Cosmetic Treatment

In today’s fast-paced society, patients are seeking high-quality dental care that not only delivers excellent esthetic and functional outcomes but also minimizes the time spent in treatment. The traditional model of multiple, lengthy dental appointments is often incompatible with the demands of modern life. Accelerated cosmetic treatment (ACT) is an innovative approach that addresses this challenge by combining procedures into fewer appointments, reducing chair time while maintaining predictable, long-term success.

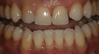
The Modern Patient’s Challenge

Consider a 50-year-old female patient who is dissatisfied with her smile due to worn, discolored teeth that project an aged appearance (Figs. 1 and 2). She is also missing both lateral incisors, with her canines having drifted into the lateral incisor positions. Traditionally, the recommended solution would involve orthodontic treatment before porcelain veneer procedure. While effective, such an approach can take years and require numerous appointments — an unrealistic option for many adults balancing busy careers and family responsibilities.

The ACT Approach

Instead of lengthy orthodontic treatment, ACT protocols offer an alternative pathway

that achieves functional esthetics in a significantly shorter timeframe. The process begins with a comprehensive diagnostic workup, including:

• A complete clinical and periodontal examination.

• Full-mouth radiographs.

• An esthetic dental and facial analysis.

• Occlusal evaluation and diagnostic models.

To guide treatment planning, a diagnostic wax-up is fabricated to visualize the proposed esthetic outcome and confirm functional stability. An alternative treatment plan combines porcelain veneers with laser dentistry to achieve the patient’s esthetic goals, long-term health and functional success.

Streamlined Treatment with Predictable Outcomes

By integrating same-day laser therapy and porcelain veneer preparation, the

patient’s treatment was accelerated and completed in only four appointments over two months.

A minimally invasive, closed-flap laser gum-lift procedure was first performed to sculpt the gingival architecture and optimize maxillary anterior esthetics. With a precise understanding of the dento-gingival complex, predictable soft tissue healing was ensured. This allowed for same-day maxillary and mandibular porcelain veneer preparations, final impressions and record-taking.

Esthetic temporary prototypes were then hand-sculpted to develop contours that harmonized with the patient’s lip dynamics, unique facial features and personality. Most importantly, the prototypes allowed the patient’s vision for her new smile to be validated prior to the fabrication of the final restorations, eliminating uncertainty and reducing the risk of remakes.

Fig. 1. Patient’s teeth with aged appearance.
Fig. 2. A closeup of the patient’s teeth.

Final Results

The porcelain veneers were bonded successfully, delivering a rejuvenated, natural smile that met all of the patient’s expectations for esthetics, health, function and — crucially — timeframe (Figs. 3 and 4).

The Future of Cosmetic Dentistry

ACT represents a modern, patient-centered philosophy of care. This is just one of many examples using an ACT approach. By combining procedures strategically, dentists can reduce treatment appointments without compromising quality or longevity. In a world

where patients value efficiency as much as esthetic excellence, ACT is not just an option — it is a responsibility for contemporary dental practitioners who wish to meet the evolving needs of their patients. ♦

Wynn H. Okuda, DMD, FAACD, FICOI, FACD, is the owner of Wynn H. Okuda DMD, Inc., Honolulu, Hawaii.

Why It Makes Sense to Belong to Both AGD and AACD

As a practicing clinician and president of the American Academy of Cosmetic Dentistry (AACD), I see every day how rapidly our field is evolving — and how that evolution is elevating patient care. The latest developments in cosmetic dentistry are exciting and practical: fully digital, facially driven planning; AI-assisted diagnostics; additive, minimally invasive approaches with advanced adhesive protocols; modern ceramics with improved strength and translucency; and 3D printing that streamlines provisionals, guides and mock-ups. When combined with orthodontic/restorative synergy and rigorous photography and shade communication, these tools allow us to deliver results that are more conservative, more predictable and more personalized than ever.

The AACD exists to help dentists and technicians master this continuum. We offer cutting-edge education from a wide range of world-class educators — more hands-on learning and topic variety under

one roof than most organizations can provide. Just as importantly, AACD is a community of like-minded professionals who care deeply about esthetics and function. Here, you’ll learn not only from podium lectures but also from conversations in the hallway, collaborative treatment planning with lab partners, and case reviews that sharpen judgment and elevate standards.

For many, the AACD accreditation journey is a powerful motivator. It tests and refines a dentist’s skill set across essential cosmetic procedures — from direct and indirect restorations to managing a missing tooth and interdisciplinary cases — with a consistent high bar of excellence. Personally, AACD has profoundly shaped my career. It made me a better dentist, expanded my network to include remarkable technicians and colleagues around the world, and gifted me friendships that continue to influence how I practice and inspire me to keep improving.

I also value AGD and what it brings to comprehensive care. AGD provides broad, foundational continuing education and supports the whole practice — clinical breadth, prevention and the everyday decisions that sustain long-term oral health. In my view, it makes great sense to be a member of both organizations: AGD for the depth and discipline of general practice and lifelong learning, and AACD for advanced esthetic and restorative mastery, hands-on immersion and a credentialing pathway that continually raises the bar.

If you’re an AGD member eager to stay current with the latest in cosmetic dentistry, I invite you to explore AACD’s offerings. Together, we can integrate innovation with craftsmanship — and deliver dentistry that looks beautiful, functions beautifully and lasts. ♦

Amanda Seay, DDS, FAGD, is the current AACD president. She is the founder, CEO and clinical director of Expertise Dental, Charleston, South Carolina.
Fig. 3. The completed, rejuvenated, natural smile.
Fig. 4. A closeup of the bonded veneers.

A Strategic, Profitable Plan to Add 3D Printing

I’m not a tech guy. I enjoy practicing dentistry and helping people get healthy. When I first considered incorporating 3D printing into my practice, I wondered how it would affect my team, what the time investment would be like and whether the return would justify the cost. After 18 months, I can confidently say it’s worth it, and I want to share what helped us succeed.

Team Response

Any change brings some pushback, but a strong team is eager to grow. Adding an exciting and innovative skill boosted morale and reduced complacency in my team members. It’s not just about offering more to patients — it’s also about increasing patient retention and improving team engagement.

Who Owns It?

If you’re passionate about tech, you may want to lead the charge. If you’re like me and would rather not, then recruit a tech-savvy team member. Additionally, you’ll need more than a YouTube video or a half-day vendor demo. I recommend investing in training, mentorship and development. Encourage learning, expect mistakes, and designate one champion while cross-training others. The payoff in enthusiasm and competence is worth it.

Set Goals and Timelines

Like starting a fitness plan, introducing 3D printing into your practice will be more successful if you take a structured

approach. We partnered with a coach who kept us accountable and helped us set benchmarks. It made a big difference in implementation.

Direct Return on Investment

The numbers can add up quickly. After comparing lab costs for retainers, guards, temps, dentures and models with in-house production, we recovered our investment in less than six months. It will start slowly because there is a learning curve, and you’ll need to account for remakes as well, but it will pay off in the end, so be patient.

Indirect Return on Investment

3D printing has certainly generated additional revenue for my practice, but some of its other long-term benefits are more difficult to quantify, including:

• Stronger team engagement.

• Increased patient excitement and trust.

• Faster case acceptance with trial smiles.

• Preparing your practice for future innovations.

Overall, I’d say that our patients are impressed. Since we added the ability to print models, dentures and other applications, more patients are saying yes to treatment — and sooner. And my team is proud of what they have accomplished in learning a new and valuable skill. I also believe we have yet to see the full impact that

3D printing will have on the dental industry. I believe we will be printing implants, crowns and fillings at a standard of care that surpasses the current method.

The Bottom Line

You don’t need 3D printing to practice excellent dentistry, but it’s a powerful tool for growth. It can enhance the patient experience, energize your team and help you generate more in-house revenue. The greatest risk isn’t the investment, it’s standing still and missing the opportunity. At Freedom Dental Coaching, we help dentists build practices that are more productive, profitable and future-ready. Adding 3D printing is one of the best ways I’ve found to accomplish that. ♦

Lee Brown, DDS, is owner of Freedom Dental of West Chester, West Chester, Ohio. To comment on this article, email impact@agd.org

The ‘Continuing’ Mission

Continuing education is vital to dentistry, and various DSOs have created their own systems to provide it.

Aspen Dental dentists participate in a course in a TAG U mock operatory. A TAG U course begins with a classroom portion.

Dental continuing education (CE) is vital both for retaining licensure and for learning the latest chairside techniques. An advantage of working as a member of a dental services organization (DSO)–owned practice is that DSOs offer educational opportunities as an employee benefit — from online programs to hands-on table clinics and even their own educational facilities.

The top five DSOs in terms of practice numbers are Heartland Dental with more than 1,700 practices; The Aspen Group (TAG) with more than 1,300; PDS Health (formerly Pacific Dental Services) with more than 1,000; MB2 Dental with more than 700; and Smile Brands with more than 600.1

For dentists and staff who are members of DSOs, whether the DSO is small or large, CE can be an important, career-enhancing perk — particularly for newer dentists. Larger DSOs tend to develop their own internal education, while midsize or smaller DSOs tend to contract out some or all.

“CE, and education in general, is a huge benefit of partnering with a DSO,” said Lisa Gushin, DDS, FAGD, of Heartland Dental in Fayetteville, North Carolina. She noted that in her more than three years with Heartland, when it comes to CE, “I have done as much as I can get my hands on. I have taken beginner courses and advanced courses in endodontics, clear aligner therapy and implants.”

Laura Sage, director of Learning and Development–Doctor Development at TAG, noted that education at TAG “is more than a training program. It’s a culture of lifelong learning that connects clinical development with career advancement and practice leadership.”

It’s also a massive undertaking. In a recent year, TAG issued more than 50,000 CE credits and committed $6 million to clinical, operational, professional and leadership development. TAG employees completed more than 170,000 hours of learning across the organization.2 Heartland offers more than 200 hours of CE, including through its five-year Doctor Mastery Program, which features clinical training from foundational to complex dental care.3 The Doctor Mastery Program also helps participants earn their AGD Fellowship or Mastership.

“In the past year, Heartland Dental administered more than 400,000 CE credits,” said Anna Singh, DMD, senior vice president of clinical operations for Heartland Dental. “We estimate there have been around 450,000 self-paced web-based course completions, 60,000 virtual instructor-led course completions and 30,000 inperson course completions in the last year.”

PDS offers more than 600 hours through its PDS Health University.4 Smile Brands offers a 52-week CE curriculum, with registrations consistently in the 300–400 range each week.5

DSOs generally allocate $3,000 to $5,000 annually per dentist for CE, while individual practitioners usually pay for CE out of pocket.6

A Career Boost at Any Stage

“We’re especially proud of how our learning architecture helps new graduates thrive,” TAG’s Sage said. That learning architecture not only includes the physical TAG University in TAG’s headquarters and the TAG Oral Care Center for Excellence, both in Chicago, but it also includes “a culture of lifelong learning

A dentist works in the TAG Oral Care Center for Excellence dental lab.

that connects clinical development with career advancement and practice leadership,” she said.

Sage noted that the TAG University space measures about 50,000 square feet, with a mock Aspen Dental office with six operatories and six mock consult rooms that are used for multiple courses and programs. At the TAG Oral Care Center for Excellence, 16 operatories function as a full dental clinic for the underserved community, as well as a training facility. The main campus became fully operational in 2023.

“All TAG team members can access TAG University and enroll in courses,” Sage continued. “The aspects of TAG University that make it stand out are its comprehensive, role-tailored curriculum, blended delivery (virtual and in-person), immersive training facilities and strong organizational investment.”

CE is not just for early-career dentists. “From seasoned clinicians to recent graduates, our continuing education offerings provide diverse opportunities for growth in clinical expertise, business acumen and leadership capabilities,” Heartland’s Singh said.

“I actually learned how to do Invisalign late in my career [through Heartland],” said Gushin.

And DSO CE is not just for dentists. “The biggest advantage is implementation,” Gushin added. “Many times, I would learn a new skill or product and then face pushback from staff. Heartland has created systems to prevent that from happening. Team training and involvement are the keys to success, and Heartland has timelines and check-ins to keep implementation progressing successfully.”

A Variety of Offerings

Eoin Halpin, DMD, MBA, FAGD, an AGD Dental Practice Council member based in Washington County, New Jersey, works for a DSO. As an MBA holder and assistant professor of community health at the Rutgers School of Dental Medicine, he has also studied them.

“Larger DSOs may have structured curricula similar to dental school CE departments, while smaller DSOs may rely on third-party CE providers,” Halpin said.

William G. McBride, DDS, MAGD, a dentist for Midwest Dental in Coralville, Iowa, noted that Midwest Dental provides weekly CE virtually and “regional CE experiences” that may be sponsored by dental suppliers.

He explained that Midwest Dental works with the Kois Center of Seattle, a CE center that also conducts research, and Implant Direct of Thousand Oaks, California, which offers dental implants, restorative products and education.

Andrew Smith, CEO of the Association of Dental Support Organizations (ADSO), noted that “guiding the next generation of dentists is a huge priority for DSOs.” That includes providing dentists with information on all aspects of dentistry.

“Recently ADSO signed a partnership with the Association of Dental Safety (ADS), giving our DSO members full access to the ADS’s expanding toolkits,” Smith said. ADS, formerly the Organization for Safety, Asepsis, and Prevention, provides “toolkits” of resources on dental infection prevention and safety information.7

TAG also aims to ensure that employees are exposed to a wide range of topics.

“Within TAG University, we’ve curated programming within the four Schools of Excellence: 1) clinical, 2) leadership, 3) business and operational, and 4) service and support, which ensures that we are developing clinicians and team members as wholes versus only building their clinical skills,” Sage said.

The School of Clinical Excellence features clinical skills courses from foundational to advanced levels and the latest in implant techniques and technology. The School of Leadership excellence teaches skills such as coaching, delegation and feedback as well as management of practices, locations and business functions. The School of Business and Operational Excellence has courses in business acumen, decision-making, and schedule and resource management. Meanwhile, the School of Service and Support Excellence courses help participants improve patient interactions and build trust and rapport.

PDS “holds its in-house academy and CE courses in state-ofthe-art facilities that feature simulation labs,” Smith noted. “These programs are held in PDS Health’s own facilities, located at its national support centers in Irvine, California; Henderson, Nevada; and Dallas, Texas, as well as in its regionally located training centers.”

McBride was employed with Midwest Dental when it was a smaller company (230 offices) and continued to practice after it was acquired by Smile Brands in 2020, an acquisition that made the company one of the largest DSOs in the United States. 8

When the DSO was smaller, before 2020, “there were [CE] options, but they weren’t as robust,” McBride said. “There’s definitely access now to more specialty-type training, such as for implants and clear aligners. Before, it was a little more casual and topical, maybe a one-day hands-on course. Now, there are opportunities for intensive trainings that are more valuable.”

Halpin noted that “support is less consistent at smaller DSOs and may depend on the dentist’s tenure, the relevance of the course to the DSO’s services and budget availability,” adding that smaller DSOs “often rely on partnerships with CE providers, dental associations or manufacturers; online platforms like Spear Education; mentorship programs with experienced clinicians inside the DSO; and local study clubs or regional seminars sponsored by dental companies.”

A different type of educational opportunity is offered by PDS: “The PDS University College Advancement Program provides eligible employees with 100% tuition coverage [including fees and the cost of textbooks] to pursue an undergraduate degree through Arizona State University’s online program,” Smith said. This is a particularly good employee benefit for nondentist DSO staff members who may not yet have their undergraduate degrees. It is helpful to dentists because it allows their operations managers, benefits coordinators and dental assistants to gain more education debt-free while remaining employed with the dentist full time.9

Little or No Cost

Smith noted that, at DSOs, “much of the CE does not come at any cost to the dentist.”

For particularly extensive education in areas such as implants, “some DSOs will provide a stipend to go receive this training,”

Halpin said. “I have also seen examples where the DSO pays for a portion up front for training and then another portion after a number of cases have been completed.”

“Dentists apply and are selected to participate in larger programs — such as those at the Kois Center — and the DSO will pay for it,” McBride said.

Quality of Education

McBride is enthusiastic about DSOs’ CE offerings, saying, “the quality in general is very, very good,” but admits that “just like any CE, it can be hit or miss both inside and outside the organization.”

Laura

Sage, director of Learning and Development–Doctor Development at TAG, center, works with Aspen Dental dentists in a TAG U mock operatory.

"We're especially proud of how our learning architecture helps new graduates thrive."

Laura Sage

“Quality varies, and content often aligns with the DSO’s clinical focus,” Halpin said. “As a result, some dentists prefer external CE for broader exposure to diverse techniques and philosophies.”

“If the course is deemed valuable for clinical development and patient care, Heartland Dental covers the cost,” Singh said.

David A. Keller, DDS, MAGD, ABGD, of Vancouver, Washington, worked for Gentle Dental from 2008 to 2011. At the time, the DSO had about 40–50 locations in southwest Washington. While Keller worked for Gentle Dental, he attended a number of company-provided CE courses.

“It wasn’t amazing CE. It wasn’t CE I would’ve paid for,” said Keller, adding that he had already achieved his FAGD at the time, so most of the knowledge was redundant.

Keller said that all of the CE that Gentle Dental, which now has over 150 locations, mainly on the West Coast, provided was internally produced.

“If they wanted to do an endodontics course, they would go and find a company endodontist to do it,” he said.

It also would not reimburse for any outside education.

“If you wanted to learn a procedure like rotary endo, the company was not

going to provide that CE for you,” said Keller. “They would say, ‘Here’s our calendar. Here’s our CE.’”

Keller said that, of the CE he took, most courses did not provide much variability in terms of products used.

“Most of the CE courses I experienced took the approach of: ‘We want all our doctors to use this product, so we’ll do a CE on it,’” he said.

The approach makes sense for DSOs, especially the larger ones, which specialize in creating economies of scale. DSOs use their production numbers as leverage to drive costs down when dealing with suppliers. It’s logical to assume that, if a company was able to

first,’ but they’re always very encouraging,” McBride added, referring to Midwest Dental. “And if [the DSO doesn’t already] offer something, I think that they would be willing on some level to get a provider additional training on something that [the provider thinks] would be beneficial for their practice.”

AGD also has worked to be a resource for all general dentists, regardless of their employment position, by creating high-quality CE for those seeking education on a wide range of topics.

“A core tenet of AGD is to educate and empower our member dentists,” said AGD Immediate President Chethan Chetty, DDS, MAGD. “Our education department and councils are actively inno-

acquire large numbers of a certain product at lower cost, it would want all its doctors to use that supply.

Halpin also noted that “a DSO’s internal education can be somewhat biased toward the organization’s preferred treatments and vendor relationships. These partnerships often shape clinical protocols and product choices emphasized in training. While this standardization can enhance consistency and cost efficiency [within the organization], it may also limit [dentists’] exposure to alternative techniques or materials outside the DSO’s selected network.”

But, in McBride’s opinion, DSO CE “is right up there” in quality “and doesn’t seem biased,” and there are no treatment modalities that are unavailable.

“If somebody expresses interest in anything that requires a very large buy-in, like a certain piece of equipment, that might be something where the organization says, ‘learn the technique

vating to ensure members are ready for the challenges of a changing dental landscape. This focus allows our dentists to offer better, more comprehensive care to patients across all practice settings.”

Dedicated Educators

The big DSOs rely on teams of dedicated educators both in-house and outside.

“More than 40 TAG University faculty members lead the design, delivery and optimization of our programs,” Sage said. “Many of them come from both educational and clinical backgrounds. When relevant, we also bring in outside educators or thought leaders, especially when exploring new technology or specialized procedures.”

“Our clinical education team is composed of experienced clinicians who are masters in their field and skilled course developers,” Heartland’s Singh said. “We also collaborate with external clini-

Dentists work on a patient at an operatory at the TAG Oral Care Center for Excellence.

cians and educators who align with our mission and philosophy of care. The majority of Heartland’s clinical education team actively continue to practice and see patients in their supported offices.”

Other Employment Factors

While free CE may be a perk of working for DSO, dentists should be aware of other factors when considering DSO employment. Keller said that DSO dentists have a lesser degree of autonomy compared to their solo or small practice counterparts.

“You don’t get to pick your hours. You don’t get to pick your time off,” he said. “I had to work Saturdays. The company would also say, ‘We need you at this location today.’”

Keller added that he also had inconsistent help while working for Gentle Dental. While he would always have a dental assistant, it would frequently be a different person each day.

Keller said this may not be true of all DSOs, especially midsize ones, but it’s one of the tradeoffs that dentists should keep in mind when considering employment options.

Priorities and Opportunities

When asked about their top priorities, DSO leaders frequently list education opportunities for dentists and staff.10

“We believe in cultivating a culture of continuous learning, whether that learning takes place inside or outside our organization,” Heartland’s Singh concluded. “Our focus is always on growth, improvement and excellence in patient care.”

Ultimately, for a DSO practitioner, “there are a lot of CE opportunities within the company that are not like what you would get otherwise,” Gushin said. ♦

William S. Bike is a freelance writer and editor based in Chicago. He is a former director of advancement communications for the University of Illinois Chicago College of Dentistry. To comment on this article, email impact@agd.org

References

1. Portalatin, Ariana. “Top 10 Largest DSOs Headed into 2025.” Becker’s Dental + DSO Review, 21 Nov. 2024, beckersdental.com/dso-dpms/top-10-largest-dsos-headed-into-2025/.

2. Nichols, Meredith. “TAG-The Aspen Group Launches TAG University to Provide Innovative and Personalized Professional Growth and Development Courses to More than 20,000 Team Members.” Team TAG, 31 Aug. 2023, teamtag.com/newsroom/TAG-university-launch-08312023/.

3. “Enhance Your Career with the Doctor Mastery Program.” Heartland Dental, blog.heartland.com/enhanceyour-career-with-the-doctor-mastery-program. Accessed 8 Oct. 2025.

4. “Life at PDS.” PDS Health, pacificdentalservices.com/life-at-pds/. Accessed 28 Aug. 2025.

5. “Smile Brands Promotes Learning Culture with 52-Week Virtual CE Curriculum.” Smile Brands, smilebrands.com/pressrelease/smile-brands-promotes-learning-culture-with-52-week-virtual-cecurriculum/. Accessed 28 Aug. 2025.

6. “Benefits of Joining a Dental Service Organization that Change Everything.” Professional Transition Strategies, 3 June 2025, professionaltransition.com/benefits-of-joining-a-dental-service-organization-thatchange-everything/.

7. “Toolkits & Topics.” Association for Dental Safety, myads.org/toolkits-topics. Accessed 28 Aug. 2025.

8. “Smile Brands Acquires Midwest Dental.” Becker’s Dental + DSO Review, 9 Dec. 2020, beckersdental.com/ dso-dpms/smile-brands-acquires-midwest-dental/.

9. “Pacific Dental Services Launches College Advancement Program, Offering Eligible Employees Full Tuition Coverage for Undergraduate Degrees.” PDS Health, 26 Oct. 2021, pdshealth.com/news/press-releases/ pds-college-advancement-program/.

10. Gaddis, Beth. “DSO Leaders Share Their Top Priorities for Fall 2025.” DrBicuspid.com, 14 Aug. 2025, drbicuspid.com/dental-business/dso/article/15752260/dso-leaders-share-their-top-priorities.

Is Your Practice Seeking Dental Staff?

AGD’s Marketplace & Career Center allows you to search for candidates and post open positions.

Find the perfect fit for your office today! marketplace.agd.org/employers

Dr. Marc J. Worob Leads with Heart and Vision

On Nov. 16, 2025, Marc J. Worob, DDS, FAGD, FACD, FICD, FAAOSH, was inducted as AGD president during the organization’s annual House of Delegates meeting in Chicago. As he steps into AGD’s top leadership role, Worob plans to leverage the organization’s new strategic plan to drive growth, revitalize grassroots engagement and ensure that general dentists across the country see AGD as their professional home.

Building a Life Around Service

Worob has spent more than four decades as a dentist, but his path to the profession was inspired long before he ever picked up a handpiece. As a teenager, he was encouraged by his family’s general dentist to spend time shadowing and observing cases in the lab. “He would let me hang around his office and show me cases as well as let me observe him at work,” Worob said. “I wanted to do something that would allow me to use my hands. I always enjoyed building models

and drawing as a child, and dentistry seemed to combine those interests with helping people.”

That desire to blend creativity with care has shaped his career. As owner and president of 12 Oaks Dental in Austin, Texas, he has grown a thriving practice that embodies the principles of complete health dentistry — an approach that connects oral health to overall well-being. “Our practice focuses on relationships and looks at the whole person,” Worob said. “We emphasize understanding

lifestyle, airway health, inflammation and even salivary diagnostics to help our patients achieve optimal wellness.”

Finding a Home in AGD

Two years into practice, a mentor invited Worob to an AGD continuing education (CE) meeting — an experience that changed his career trajectory. “I was impressed by the quality of the meeting, and it opened my eyes to the importance of continuing my learning,” he said. He credits AGD with

Worob with the Executive Committee at the 2025 House of Delegates meeting.

broadening not just his technical knowledge, but also his leadership and behavioral skills. “The greatest things about AGD are its members and the opportunities it creates. The camaraderie and mentorship I’ve received have made me a better husband, father, dentist and leader.”

Worob’s path through AGD leadership has been marked by steady service and never backing down from a new opportunity to lead and develop the organization. He helped revitalize his local component in Austin and, later, as a Texas AGD board member, he helped guide the constituent through a financially challenging period, returning it to stability and growth. He went on to serve as regional director and, four years later, as chair of the regional directors before joining the Board as a trustee. Along

Worob speaks to a group of students during a visit to the Ponce Health Sciences University School of Dental Medicine, Puerto Rico.

the way, he helped organize the 2022 AGD Leadership Development Symposium and expanded support for struggling constituents. “No other group in AGD has as much connection to our members as the regions,” he said. “A strong regional component will enable this organization to increase its membership and effectiveness. We must begin at the grassroots level by strengthening our constituents and giving them whatever support they need.”

A Leadership Philosophy Grounded in Trust

Throughout his career, Worob has drawn on influences from mentors, authors and fellow leaders to shape his leadership philosophy. “My parents instilled honesty, integrity, caring and service to others as

core values,” he said. “Authors like Simon Sinek and Brené Brown have influenced how I understand leadership — that trust is built by meeting people where they are and viewing vulnerability as a strength.”

He believes leadership is a team sport. “No one, not even the highest-paid CEO, can do it alone,” he said. “We have to cooperate for the greater good — whether that’s in a practice, business or nonprofit. If we as dentists don’t step up to help ourselves, who is going to do it?” That collaborative ethos will guide his presidency as he continues to promote strategic growth and innovation within AGD. “AGD can become the North Star for all general dentists by uniting and empowering them through every stage of their careers,” he said.

Worob with the Texas AGD board in 2017.

Addressing Challenges Through Collaboration

Worob acknowledges that the organization is at a pivotal moment. Membership recruitment and changing demographics have created new challenges for both AGD and the profession of dentistry as a whole. “We cannot do this from the topdown. We must listen to the thousands of general dentists in the United States and Canada — both members and nonmembers — to truly understand what they need to achieve a pathway to success in a rapidly changing healthcare environment,” he said.

As president, his first priority will be implementing AGD’s new strategic plan and vision statement. “I want to see us create a value proposition that gives our members a clear way to tell potential members why they should join,” he said. “We need to focus on retaining members and recruiting new ones by creating an organization that students, residents and young dentists want to join. Our goal

should be that every general dentist should want to be part of what we have created.”

That includes strengthening constituents, supporting leadership development, and advancing advocacy on issues such as student debt and the workforce shortage.

“There are no easy answers, but we need to find a way through advocacy and collaboration with groups like the American Dental Hygienists’ Association and the American Dental Assistants Association,” he said.

“We should help more people realize what great careers these positions are and expand education for future students.”

Leading AGD Into the Future

For Worob, leadership at AGD is not about personal ambition, but rather about service to others. “Being a member of AGD has helped me not only as a dentist but as a human being, husband, father and leader,” he said in his 2023 speech. “I want all general dentists to experience this community.”

He knows transformation will require transparency, strategy and unity — themes

he plans to emphasize throughout his term. “We must create a sense of purpose and direction for AGD that inspires action and moves us to the next level,” he said. “During a campaign speech, Bobby Kennedy once paraphrased George Bernard Shaw and said, ‘Some men see things as they are and say, “Why?”; I dream things that never were and say, “Why not?”’ This is the ethos I will bring to my year as president.”

Looking ahead, Worob is excited about the teamwork that defines AGD leadership.

“This is an exciting time to be an AGD member,” he said. “We have so many incredible opportunities in front of us — and an amazing team of officers, trustees, regional directors and staff working together to make it happen. I hope every member will find a way to get involved and help us build an organization that every general dentist is proud to be part of.” ♦

Worob with his sons, Mitchell and Nathan; wife, Phyllis; and Mitchell's girlfriend, Shelby.
Caitlin Davis is associate editor of AGD Impact To comment on this article, email impact@agd.org
Worob with AGD Regional Directors at the 2024 Leadership Development Symposium.
Worob, right, with President-elect George J. Schmidt, DMD, FAGD, and Immediate Past President Chethan Chetty, DDS, MAGD, at Hill Day 2025.

Your Circle Has Power. Use it.

Each Referral Could Earn You $50 in Rewards!

AGD Referral Rewards Program

Shifting policies are impacting dentistry. By referring colleagues to AGD, you can help grow a stronger community that remains grounded in science, protects patients and ensures oral health is guided by those who understand it best—dentists.

You’ll both also earn $50 in Referral Rewards once they join!

Recruiter Tip: Share the News New members get the rest of 2025 free when joining now for 2026

Purchase Power

Use rewards to pay for Fellowship Review Course study materials.

Cut the Cost

Apply your rewards toward your membership renewal—easy savings.

Top the Charts

Earn bragging rights on the recruiter leaderboard for every colleague who joins.

Endless Rewards

Keep recruiting. Keep earning. There’s no limit to how much you can rack up.

Turn static files into dynamic content formats.

Create a flipbook
Issuu converts static files into: digital portfolios, online yearbooks, online catalogs, digital photo albums and more. Sign up and create your flipbook.